We use cookies to enhance the usability of our website. If you continue, we'll assume that you are happy to receive all cookies. More information. Don't show this again.
MYL12B
HPA
RESOURCES
  • TISSUE
  • BRAIN
  • SINGLE CELL
  • SUBCELLULAR
  • CANCER
  • BLOOD
  • CELL LINE
  • STRUCTURE & INTERACTION
ABOUT
  • INTRODUCTION
  • HISTORY
  • ORGANIZATION
  • PUBLICATIONS
  • ANTIBODY SUBMISSION
  • ANTIBODY AVAILABILITY
  • ACKNOWLEDGMENTS
  • CONTACT
NEWS
  • NEWS ARTICLES
  • PRESS ROOM
LEARN
  • DICTIONARY
  • PROTEIN CLASSES
  • PROTEIN EVIDENCE
  • METHODS
  • EDUCATIONAL VIDEOS
DATA
  • DOWNLOADABLE DATA
  • PUBLICATION DATA
  • RELEASE HISTORY
HELP
  • ANTIBODY VALIDATION
  • ASSAYS & ANNOTATION
  • DISCLAIMER
  • HELP & FAQ
  • PRIVACY STATEMENT
  • LICENCE & CITATION
Fields »
Search result

Field
Term
Gene name
Class
Subclass
Class
Keyword
Chromosome
External id
Tissue
Cell type
Expression
Antibody panel
Tissue
Main location
Patient ID
Annotation
Tissue
Category
Tau score
Cluster
Reliability
Brain region
Category
Tau score
Brain region
Category
Tau score
Brain region
Category
Tau score
Cluster
Reliability
Tissue
Cell type
Enrichment
Cell type
Category
Tau score
Cell type
Category
Tau score
Cell type
Category
Tau score
Cell lineage
Category
Tau score
Cluster
Cluster
Location
Searches
Location
Cell line
Class
Type
Phase
Reliability
Cancer
Prognosis
Cancer
Category
Cancer
Category
Tau score
Cluster
Variants
Interacting gene (ensg_id)
Type
Number of interactions
Pathway
Category
Score
Score
Score
Validation
Validation
Validation
Validation
Antibodies
Data type
Column


  • SUMMARY

  • TISSUE

  • BRAIN

  • SINGLE CELL

  • SUBCELL

  • CANCER

  • BLOOD

  • CELL LINE

  • STRUCT & INT

  • MYL12B
TISSUE PRIMARY DATA VAGINA Show tissue menu
ADIPOSE TISSUE ADRENAL GLAND AMYGDALA APPENDIX BASAL GANGLIA BONE MARROW BREAST BRONCHUS CEREBELLUM CEREBRAL CORTEX CERVIX CHOROID PLEXUS COLON DUODENUM
ENDOMETRIUM EPIDIDYMIS ESOPHAGUS FALLOPIAN TUBE GALLBLADDER HEART MUSCLE HIPPOCAMPAL FORMATION HYPOTHALAMUS KIDNEY LIVER LUNG LYMPH NODE MIDBRAIN NASOPHARYNX
ORAL MUCOSA OVARY PANCREAS PARATHYROID GLAND PITUITARY GLAND PLACENTA PROSTATE RECTUM RETINA SALIVARY GLAND SEMINAL VESICLE SKELETAL MUSCLE SKIN SMALL INTESTINE
SMOOTH MUSCLE SOFT TISSUE SPINAL CORD SPLEEN STOMACH TESTIS THYMUS THYROID GLAND TONGUE TONSIL URINARY BLADDER VAGINA
ANTIBODIES
AND
VALIDATION
Dictionary
Vagina
Tissue proteome
Vagina
VAGINA - Expression summary
Protein expression
Vaginai

On the top, protein expression in current human tissue, based on all annotated cell types, is reported with the units not detected (n), low (l), medium (m) and high (h). Underneath, protein expression in each annotated cell type are reported using the same units.

Protein expression data is based on knowledge-based annotation. For genes where more than one antibody has been used, a collective score is set.

If knowledge-based annotation could not be performed for a gene, no data is displayed here. View antibody staining data further down this page.

h
m
l
n
Squamous epithelial cells: Not detected
RNA expressioni

A summary of mRNA expression data available for current tissue based on several datasets. The mRNA expression levels in human tissues are based on RNA-seq data generated by the Human Protein Atlas (HPA), Genotype-Tissue Expression (GTEx) portal and CAGE data generated by the FANTOM5 consortium. Consensus normalized expression levels for human tissues was created by combining the data from HPA and GTEx datasets.

The mRNA expression levels in pig are based on RNA-seq data generated by the Human Protein Atlas (HPA), and for mouse, HPA data and in situ hybridization generated by the Allen brain atlas are reported.

Scroll down to view mRNA expression data in more detail.
Consensus:337.1 nTPM
GTEx:337.1 nTPM
FANTOM5:206.7 Scaled Tags Per Million

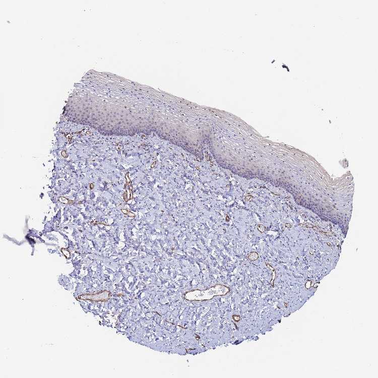
VAGINA - Antibody stainingi

Antibody staining in the annotated cell types in the current human tissue is reported as not detected, low, medium, or high, based on conventional immunohistochemistry profiling in selected tissues. This score is based on the combination of the staining intensity and fraction of stained cells.

Each image is clickable and will lead to virtual microscopy that enables deeper exploration of all samples and also displays staining intensity scores, fraction scores and subcellular localization as well as patient and tissue information for each sample.

Antibody HPA039262Antibody HPA045244Antibody HPA059197
Squamous epithelial cells Not detectedNot detectedMedium






VAGINA - GTEx RNA-seqi

RNA-Seq data generated by the Genotype-Tissue Expression (GTEx) project from human tissues is reported as mean nTPM. More information can be found on the GTEx portal.

Distribution across the dataset is visualized with box plots, shown as median and 25th and 75th percentiles. Points are displayed as outliers if they are above or below 1.5 times the interquartile range. nTPM values of the individual samples are presented next to the box plot.
Max subtype nTPMi

Max subtype nTPM is the value for the subtype with the largest average nTPM across the subtype samples.

337.1
GTEx sample id Sample description nTPM
Vagina
Average nTPM: 337.1
Samples: 156

Max nTPM: 823.1
Min nTPM: 180.0
Std nTPM: 106.3
Median nTPM: 307.3
GTEX-1AMFI-1526-SM-73KVY 50-59 years, female 823.1
GTEX-1MCYP-1326-SM-EV7AD 20-29 years, female 696.4
GTEX-ZZPU-2226-SM-5EGIV 50-59 years, female 594.9
GTEX-1JN76-1526-SM-CNPPF 20-29 years, female 591.6
GTEX-S7SF-1426-SM-4AT5A 20-29 years, female 574.3
GTEX-QVJO-2526-SM-CYPRA 60-69 years, female 562.5
GTEX-14PKU-1326-SM-6871B 40-49 years, female 543.3
GTEX-S341-1226-SM-4AD5S 40-49 years, female 543.2
GTEX-ZLWG-1126-SM-4WWFQ 50-59 years, female 507.8
GTEX-SE5C-1126-SM-4BRWZ 40-49 years, female 503.6
GTEX-13D11-1326-SM-5IJFY 50-59 years, female 501.0
GTEX-1F5PL-1826-SM-7P8PP 40-49 years, female 495.2
GTEX-1LVAM-1926-SM-E6CIM 50-59 years, female 485.7
GTEX-1LVAN-1626-SM-CNPQ7 50-59 years, female 482.6
GTEX-14PJ6-1626-SM-6872D 60-69 years, female 482.4
GTEX-1IDJU-1026-SM-AHZ2U 60-69 years, female 477.1
GTEX-18D9A-1026-SM-7KFRU 30-39 years, female 475.8
GTEX-14AS3-1726-SM-5RQJV 40-49 years, female 472.4
GTEX-131XG-2126-SM-5DUXG 50-59 years, female 467.9
GTEX-11I78-2026-SM-5987C 50-59 years, female 467.3
GTEX-14JG6-0726-SM-69LQH 30-39 years, female 465.4
GTEX-16NGA-1626-SM-72D6M 40-49 years, female 463.4
GTEX-15SDE-1726-SM-6LPJS 50-59 years, female 462.8
GTEX-1QP28-1426-SM-EVR4E 50-59 years, female 448.8
GTEX-14PN3-1626-SM-6AJAV 60-69 years, female 448.1
GTEX-13QBU-1726-SM-5IJFQ 40-49 years, female 440.8
GTEX-Y3IK-2226-SM-4YCD4 50-59 years, female 440.8
GTEX-1NUQO-1826-SM-E6CQU 20-29 years, female 439.4
GTEX-1GN1W-1526-SM-7P8TG 50-59 years, female 433.7
GTEX-X8HC-2826-SM-46MWJ 50-59 years, female 433.5
GTEX-ZXES-0626-SM-5E45P 30-39 years, female 429.6
GTEX-11XUK-1326-SM-5EQM4 40-49 years, female 427.9
GTEX-U3ZN-0926-SM-4DXTU 30-39 years, female 424.2
GTEX-Q734-1426-SM-DTXFX 40-49 years, female 423.5
GTEX-OHPK-2526-SM-3MJH9 50-59 years, female 418.0
GTEX-11VI4-0726-SM-5GU5B 40-49 years, female 411.2
GTEX-ZVT2-0626-SM-5GICR 50-59 years, female 408.2
GTEX-1HBPM-2726-SM-9WYUA 60-69 years, female 407.4
GTEX-PWCY-1726-SM-48TD3 20-29 years, female 406.4
GTEX-PWN1-2526-SM-48TDS 40-49 years, female 405.3
GTEX-ZP4G-0826-SM-4WWF3 20-29 years, female 399.2
GTEX-14H4A-2426-SM-664OQ 40-49 years, female 398.0
GTEX-ZTPG-2226-SM-57WF9 20-29 years, female 392.4
GTEX-1GF9U-1926-SM-7P8TZ 40-49 years, female 388.7
GTEX-1C475-0526-SM-793AC 40-49 years, female 387.5
GTEX-N7MT-1926-SM-3LK5N 60-69 years, female 386.0
GTEX-11DXX-1726-SM-5H11T 60-69 years, female 384.6
GTEX-T6MO-1226-SM-4DM5S 40-49 years, female 383.5
GTEX-14BMU-1926-SM-5S2QC 20-29 years, female 381.5
GTEX-1CAMS-2326-SM-793CR 40-49 years, female 377.3
GTEX-1LGOU-1126-SM-D3LAI 20-29 years, female 371.0
GTEX-1MCC2-1126-SM-EVYD6 30-39 years, female 367.3
GTEX-17F9Y-2326-SM-7DUFP 70-79 years, female 365.3
GTEX-11EMC-1926-SM-5A5JU 60-69 years, female 357.9
GTEX-1399S-2326-SM-5K7YV 30-39 years, female 352.7
GTEX-ZV6S-1326-SM-59HJA 40-49 years, female 352.0
GTEX-1399U-1526-SM-5J2N7 50-59 years, female 350.6
GTEX-15SB6-1426-SM-7KUEM 50-59 years, female 348.7
GTEX-1J1OQ-1826-SM-CL53R 40-49 years, female 348.5
GTEX-1HCUA-1026-SM-A9SMI 50-59 years, female 348.3
GTEX-145ME-1426-SM-5RQJS 40-49 years, female 346.5
GTEX-QCQG-1226-SM-48U23 50-59 years, female 343.9
GTEX-1R9JW-1426-SM-DTX9K 30-39 years, female 340.0
GTEX-Y8LW-1426-SM-5RQJJ 50-59 years, female 339.6
GTEX-14A5I-2726-SM-5SIB3 50-59 years, female 336.2
GTEX-ZE7O-2426-SM-57WD7 50-59 years, female 322.9
GTEX-S4P3-1126-SM-4AD52 50-59 years, female 322.3
GTEX-TML8-1126-SM-4DXSS 40-49 years, female 320.4
GTEX-TMMY-1926-SM-4DXUU 40-49 years, female 318.7
GTEX-NPJ7-2526-SM-EV79A 60-69 years, female 318.3
GTEX-1QPFJ-1626-SM-DTX7X 30-39 years, female 317.5
GTEX-146FH-2626-SM-5Q5E1 50-59 years, female 315.4
GTEX-18A7A-2826-SM-7LT8J 50-59 years, female 315.3
GTEX-11P81-2126-SM-5HL6N 30-39 years, female 313.0
GTEX-ZGAY-2226-SM-4YCCX 40-49 years, female 311.0
GTEX-1HBPH-2926-SM-9WPNX 40-49 years, female 310.8
GTEX-ZQG8-1126-SM-51MRL 60-69 years, female 310.0
GTEX-ZYVF-0326-SM-5GIES 50-59 years, female 308.0
GTEX-15ER7-2526-SM-7KUFW 20-29 years, female 306.7
GTEX-1JMQL-2326-SM-CNNPV 50-59 years, female 305.1
GTEX-P78B-2226-SM-3P5ZZ 40-49 years, female 303.7
GTEX-13PL7-2726-SM-5L3GB 60-69 years, female 302.9
GTEX-1A8FM-2426-SM-7IGPE 50-59 years, female 300.7
GTEX-1117F-2526-SM-5GZY6 60-69 years, female 300.5
GTEX-OHPN-2426-SM-E9TI5 60-69 years, female 298.9
GTEX-1I4MK-1726-SM-ARL7O 50-59 years, female 296.8
GTEX-11TTK-2726-SM-5GU58 60-69 years, female 291.7
GTEX-15SHU-2926-SM-7KUKT 40-49 years, female 290.3
GTEX-11GSP-2226-SM-5HL5Q 60-69 years, female 289.6
GTEX-ZYY3-2626-SM-5N9DH 60-69 years, female 289.4
GTEX-12WSD-2926-SM-5LZUH 60-69 years, female 289.1
GTEX-13PVR-1426-SM-5S2PW 60-69 years, female 286.9
GTEX-X15G-1926-SM-4PQZQ 50-59 years, female 286.1
GTEX-1F48J-2526-SM-7P8TU 50-59 years, female 282.1
GTEX-1GMR8-2526-SM-7RHI9 50-59 years, female 281.9
GTEX-WEY5-0826-SM-4LMIH 40-49 years, female 281.8
GTEX-113JC-1926-SM-5N9GE 50-59 years, female 280.7
GTEX-13OVI-0926-SM-5J1MI 60-69 years, female 279.2
GTEX-XV7Q-1626-SM-4BRWC 40-49 years, female 277.5
GTEX-PX3G-2526-SM-48TZV 20-29 years, female 275.0
GTEX-TSE9-2526-SM-4DXUS 60-69 years, female 274.8
GTEX-1LH75-1726-SM-DHXKZ 50-59 years, female 270.6
GTEX-1ICG6-1626-SM-ARL81 70-79 years, female 268.2
GTEX-YJ8O-1226-SM-5P9JE 40-49 years, female 267.3
GTEX-1LGRB-2126-SM-COH48 50-59 years, female 266.5
GTEX-W5WG-1026-SM-4LMIF 50-59 years, female 266.4
GTEX-1I1GT-1226-SM-B2LVK 60-69 years, female 266.3
GTEX-147F3-1526-SM-5SIAK 50-59 years, female 266.1
GTEX-OHPL-2526-SM-3MJGT 60-69 years, female 265.0
GTEX-16NPV-2526-SM-6M483 50-59 years, female 264.2
GTEX-S4UY-1326-SM-4AD4X 40-49 years, female 262.4
GTEX-T2IS-1926-SM-4DM74 20-29 years, female 260.8
GTEX-XUZC-1226-SM-4BRVJ 30-39 years, female 260.5
GTEX-146FR-2426-SM-5NQAU 60-69 years, female 260.2
GTEX-ZAK1-2426-SM-EXOHM 50-59 years, female 259.1
GTEX-WRHU-2926-SM-4MVNQ 50-59 years, female 259.0
GTEX-1HFI7-1126-SM-A96S5 50-59 years, female 258.6
GTEX-XUW1-0326-SM-4BOOR 50-59 years, female 257.7
GTEX-Y114-1926-SM-4TT8J 50-59 years, female 256.6
GTEX-1HCU6-2326-SM-ACKXP 60-69 years, female 255.5
GTEX-1J8EW-2526-SM-CKZO2 60-69 years, female 255.4
GTEX-SN8G-2626-SM-EXUQT 50-59 years, female 255.2
GTEX-15UF6-2126-SM-6M46Z 70-79 years, female 252.9
GTEX-QDT8-2526-SM-48TYX 30-39 years, female 249.3
GTEX-1S5ZU-2626-SM-E9TII 20-29 years, female 248.8
GTEX-1PIEJ-1926-SM-EVYB7 20-29 years, female 247.0
GTEX-12ZZX-1926-SM-5EGKC 40-49 years, female 246.0
GTEX-13QIC-1826-SM-5J1MY 60-69 years, female 245.9
GTEX-RWS6-1726-SM-47JXP 60-69 years, female 245.9
GTEX-1LNCM-1026-SM-E9U5D 50-59 years, female 245.0
GTEX-ZC5H-2226-SM-4WAWS 40-49 years, female 243.7
GTEX-15DYW-2926-SM-6PANA 60-69 years, female 243.1
GTEX-RU1J-1426-SM-46MUV 20-29 years, female 242.2
GTEX-14PJM-2926-SM-69LOE 50-59 years, female 240.8
GTEX-1JN1M-2326-SM-ARZNG 60-69 years, female 239.6
GTEX-UJHI-1326-SM-4IHJO 50-59 years, female 239.1
GTEX-145LS-2526-SM-5TDC9 60-69 years, female 238.4
GTEX-13W3W-2326-SM-5LU4Y 60-69 years, female 238.1
GTEX-13U4I-2026-SM-5LU3L 40-49 years, female 237.8
GTEX-1IE54-2626-SM-CMKFY 40-49 years, female 237.7
GTEX-WYVS-1426-SM-4ONCV 40-49 years, female 235.0
GTEX-1EWIQ-2326-SM-7IGNF 70-79 years, female 234.0
GTEX-1QCLZ-2226-SM-DTX7R 60-69 years, female 232.9
GTEX-1HCU8-2026-SM-9YFLE 60-69 years, female 231.3
GTEX-12WSJ-1326-SM-5GCOB 40-49 years, female 228.5
GTEX-11EM3-1826-SM-5A5KO 20-29 years, female 223.5
GTEX-ZVT3-2726-SM-5GU5X 60-69 years, female 221.7
GTEX-PLZ4-2726-SM-3P61A 50-59 years, female 220.8
GTEX-P4PP-2526-SM-3P61P 30-39 years, female 219.1
GTEX-14DAQ-2326-SM-5S2QX 60-69 years, female 219.0
GTEX-1GN1U-2426-SM-9KNTU 50-59 years, female 203.1
GTEX-131YS-2426-SM-5J2OD 60-69 years, female 196.6
GTEX-17JCI-2526-SM-7DHLB 60-69 years, female 183.9
GTEX-13N11-1526-SM-5L3FL 50-59 years, female 182.7
GTEX-YFC4-2926-SM-5IFJ8 40-49 years, female 180.9
GTEX-183WM-2126-SM-7LG4I 70-79 years, female 180.0
Show allShow less

VAGINA - FANTOM5 CAGEi

RNA expression in human tissues obtained through Cap Analysis of Gene Expression (CAGE) generated by the FANTOM5 project are reported as Scaled Tags Per Million.

Max subtype Scaled Tags Per Millioni

Max subtype Scaled Tags Per Million is the value for the subtype with the largest average Scaled Tags Per Million across the subtype samples.

206.7
FANTOM5 sample id Sample description Scaled Tags Per Million
Vagina
Scaled Tags Per Million: 206.7
FF:10204-103F6 68 years, female 206.7

Contact

  • NEWS ARTICLES
  • PRESS ROOM

The Project

  • INTRODUCTION
  • ORGANIZATION
  • PUBLICATIONS

The Human Protein Atlas

  • DOWNLOADABLE DATA
  • LICENCE & CITATION
  • HELP & FAQ
The Human Protein Atlas project is funded
by the Knut & Alice Wallenberg Foundation.


contact@proteinatlas.org