We use cookies to enhance the usability of our website. If you continue, we'll assume that you are happy to receive all cookies. More information. Don't show this again.
CLU
HPA
RESOURCES
  • TISSUE
  • BRAIN
  • SINGLE CELL
  • SUBCELLULAR
  • CANCER
  • BLOOD
  • CELL LINE
  • STRUCTURE & INTERACTION
ABOUT
  • INTRODUCTION
  • HISTORY
  • ORGANIZATION
  • PUBLICATIONS
  • ANTIBODY SUBMISSION
  • ANTIBODY AVAILABILITY
  • ACKNOWLEDGMENTS
  • CONTACT
NEWS
  • NEWS ARTICLES
  • PRESS ROOM
LEARN
  • DICTIONARY
  • PROTEIN CLASSES
  • PROTEIN EVIDENCE
  • METHODS
  • EDUCATIONAL VIDEOS
DATA
  • DOWNLOADABLE DATA
  • PUBLICATION DATA
  • RELEASE HISTORY
HELP
  • ANTIBODY VALIDATION
  • ASSAYS & ANNOTATION
  • DISCLAIMER
  • HELP & FAQ
  • PRIVACY STATEMENT
  • LICENCE & CITATION
Fields »
Search result

Field
Term
Gene name
Class
Subclass
Class
Keyword
Chromosome
External id
Tissue
Cell type
Expression
Antibody panel
Tissue
Main location
Patient ID
Annotation
Tissue
Category
Tau score
Cluster
Reliability
Brain region
Category
Tau score
Brain region
Category
Tau score
Brain region
Category
Tau score
Cluster
Reliability
Tissue
Cell type
Enrichment
Cell type
Category
Tau score
Cell type
Category
Tau score
Cell type
Category
Tau score
Cell lineage
Category
Tau score
Cluster
Cluster
Location
Searches
Location
Cell line
Class
Type
Phase
Reliability
Cancer
Prognosis
Cancer
Category
Cancer
Category
Tau score
Cluster
Variants
Interacting gene (ensg_id)
Type
Number of interactions
Pathway
Category
Score
Score
Score
Validation
Validation
Validation
Validation
Antibodies
Data type
Column


  • SUMMARY

  • TISSUE

  • BRAIN

  • SINGLE CELL

  • SUBCELL

  • CANCER

  • BLOOD

  • CELL LINE

  • STRUCT & INT

  • CLU
TISSUE PRIMARY DATA SKIN Show tissue menu
ADIPOSE TISSUE ADRENAL GLAND AMYGDALA APPENDIX BASAL GANGLIA BONE MARROW BREAST BRONCHUS CEREBELLUM CEREBRAL CORTEX CERVIX CHOROID PLEXUS COLON DUODENUM
ENDOMETRIUM EPIDIDYMIS ESOPHAGUS FALLOPIAN TUBE GALLBLADDER HEART MUSCLE HIPPOCAMPAL FORMATION HYPOTHALAMUS KIDNEY LIVER LUNG LYMPH NODE MIDBRAIN NASOPHARYNX
ORAL MUCOSA OVARY PANCREAS PARATHYROID GLAND PITUITARY GLAND PLACENTA PROSTATE RECTUM RETINA SALIVARY GLAND SEMINAL VESICLE SKELETAL MUSCLE SKIN SMALL INTESTINE
SMOOTH MUSCLE SOFT TISSUE SPINAL CORD SPLEEN STOMACH TESTIS THYMUS THYROID GLAND TONGUE TONSIL URINARY BLADDER VAGINA
ANTIBODIES
AND
VALIDATION
Dictionary
Skin
Tissue proteome
Skin
SKIN - Expression summary
Protein expression
Skini

On the top, protein expression in current human tissue, based on all annotated cell types, is reported with the units not detected (n), low (l), medium (m) and high (h). Underneath, protein expression in each annotated cell type are reported using the same units.

Protein expression data is based on knowledge-based annotation. For genes where more than one antibody has been used, a collective score is set.

If knowledge-based annotation could not be performed for a gene, no data is displayed here. View antibody staining data further down this page.

h
m
l
n
Epidermal cells: Not detected
Fibroblasts: Not detected
Keratinocytes: Not detected
Langerhans: Not detected
Melanocytes: Not detected
RNA expressioni

A summary of mRNA expression data available for current tissue based on several datasets. The mRNA expression levels in human tissues are based on RNA-seq data generated by the Human Protein Atlas (HPA), Genotype-Tissue Expression (GTEx) portal and CAGE data generated by the FANTOM5 consortium. Consensus normalized expression levels for human tissues was created by combining the data from HPA and GTEx datasets.

The mRNA expression levels in pig are based on RNA-seq data generated by the Human Protein Atlas (HPA), and for mouse, HPA data and in situ hybridization generated by the Allen brain atlas are reported.

Scroll down to view mRNA expression data in more detail.
Consensus:272.8 nTPM
HPA:197.2 nTPM
GTEx:272.8 nTPM

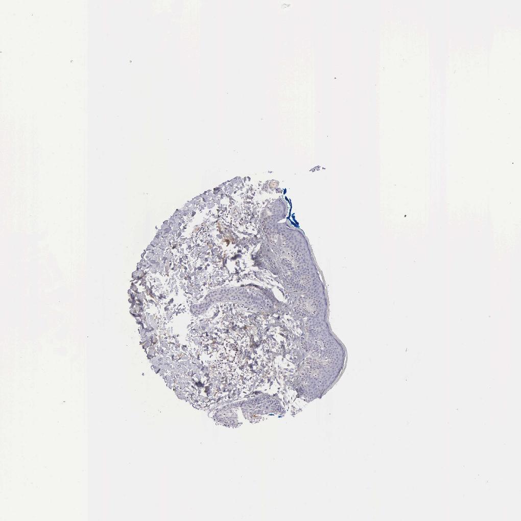
SKIN 1 - Antibody stainingi

Antibody staining in the annotated cell types in the current human tissue is reported as not detected, low, medium, or high, based on conventional immunohistochemistry profiling in selected tissues. This score is based on the combination of the staining intensity and fraction of stained cells.

Each image is clickable and will lead to virtual microscopy that enables deeper exploration of all samples and also displays staining intensity scores, fraction scores and subcellular localization as well as patient and tissue information for each sample.

Antibody HPA000572Antibody CAB016253Antibody CAB080180
Langerhans Not detectedNot detectedNot detected
Fibroblasts Not detectedNot detectedHigh
Keratinocytes Not detectedNot detectedMedium
Melanocytes Not detectedNot detectedHigh




SKIN 2 - Antibody stainingi

Antibody staining in the annotated cell types in the current human tissue is reported as not detected, low, medium, or high, based on conventional immunohistochemistry profiling in selected tissues. This score is based on the combination of the staining intensity and fraction of stained cells.

Each image is clickable and will lead to virtual microscopy that enables deeper exploration of all samples and also displays staining intensity scores, fraction scores and subcellular localization as well as patient and tissue information for each sample.

Antibody HPA000572Antibody CAB016253Antibody CAB080180
Epidermal cells LowNot detectedMedium
   
   
   



SKIN - HPA RNA-seqi

The RNA-seq details section shows detailed information about the individual samples used for the transcript profiling and results of the RNA-seq analysis.

Information about each individual sample is listed below, including gender, age, a tissue section image and estimated fractions of cell types. nTPM (normalized transcripts per million) values give a quantification of the gene abundance which is comparable between different genes and samples.
Average nTPMi

Max subtype nTPM is the value for the subtype with the largest average nTPM across the subtype samples.

197.2
overview
Female, age 34
Skin sample 225
nTPM: 216.2
Cell types%
Keratinocytes:
60

Other cell types:
40

overview
Female, age 30
Skin sample 226
nTPM: 186.4
Cell types%
Keratinocytes:
55

Other cell types:
45

N/A
Male, age 57
Skin sample 227
nTPM: 189.1

SKIN - GTEx RNA-seqi

RNA-Seq data generated by the Genotype-Tissue Expression (GTEx) project from human tissues is reported as mean nTPM. More information can be found on the GTEx portal.

Distribution across the dataset is visualized with box plots, shown as median and 25th and 75th percentiles. Points are displayed as outliers if they are above or below 1.5 times the interquartile range. nTPM values of the individual samples are presented next to the box plot.
Max subtype nTPMi

Max subtype nTPM is the value for the subtype with the largest average nTPM across the subtype samples.

272.8
GTEx sample id Sample description nTPM
Skin - Not Sun Exposed (Suprapubic)
Average nTPM: 237.5
Samples: 604

Max nTPM: 977.9
Min nTPM: 23.3
Std nTPM: 133.1
Median nTPM: 202.4
GTEX-X3Y1-2026-SM-3P5YM 40-49 years, male 977.9
GTEX-1497J-0226-SM-5QGPU 60-69 years, male 883.4
GTEX-11TT1-1826-SM-5EQLV 20-29 years, male 863.4
GTEX-13JUV-2026-SM-5K7UA 40-49 years, female 732.7
GTEX-1399R-1326-SM-5PNYS 30-39 years, male 728.9
GTEX-YB5K-2026-SM-4VDT3 40-49 years, female 703.9
GTEX-12WSL-2026-SM-5GCML 50-59 years, male 697.1
GTEX-15RJ7-2126-SM-6PAMD 40-49 years, male 648.2
GTEX-1H1CY-0126-SM-9YFLY 60-69 years, female 617.0
GTEX-14A5H-0826-SM-5QGPJ 60-69 years, male 602.2
GTEX-VJYA-1526-SM-3GIJV 60-69 years, male 593.2
GTEX-145ME-1726-SM-5Q5EU 40-49 years, female 592.4
GTEX-14BMU-1226-SM-5S2OR 20-29 years, female 575.1
GTEX-1F75W-2726-SM-7SB8H 60-69 years, male 569.4
GTEX-Y3IK-1626-SM-4YCF5 50-59 years, female 560.8
GTEX-146FQ-2126-SM-5RQHU 30-39 years, male 553.7
GTEX-16NGA-0726-SM-731AO 40-49 years, female 553.0
GTEX-145MG-1526-SM-5Q5EM 50-59 years, male 552.4
GTEX-14PJ2-0626-SM-6LLII 50-59 years, male 550.7
GTEX-1H3NZ-2726-SM-9WYTQ 60-69 years, male 549.0
GTEX-ZVP2-0326-SM-57WBP 50-59 years, male 546.8
GTEX-13N11-2326-SM-5IJBF 50-59 years, female 541.4
GTEX-15SHW-0226-SM-7LTAT 60-69 years, male 536.6
GTEX-11P7K-1126-SM-5HL4L 30-39 years, male 531.1
GTEX-Y8LW-1526-SM-5IFHL 50-59 years, female 521.0
GTEX-ZLFU-1826-SM-4WWBV 40-49 years, male 511.2
GTEX-1CAV2-0126-SM-7IGN7 40-49 years, female 507.7
GTEX-18A66-0626-SM-7LT8Z 60-69 years, male 503.4
GTEX-1IDJF-2026-SM-CL53V 20-29 years, male 501.0
GTEX-ZGAY-1826-SM-DO91Q 40-49 years, female 500.9
GTEX-13FH7-1126-SM-5K7UG 50-59 years, female 495.0
GTEX-1L5NE-1126-SM-D3L9P 50-59 years, male 494.2
GTEX-U8XE-0226-SM-4E3J3 30-39 years, male 488.1
GTEX-XOT4-0626-SM-4B66L 60-69 years, female 487.9
GTEX-12WSD-0626-SM-5GCMW 60-69 years, female 487.0
GTEX-UPK5-0426-SM-3GAEK 40-49 years, male 485.1
GTEX-11ZTT-2126-SM-5CVLO 60-69 years, female 480.3
GTEX-18D9U-0126-SM-731BM 40-49 years, male 471.2
GTEX-ZLWG-0826-SM-59888 50-59 years, female 467.9
GTEX-18A6Q-0626-SM-7KFRP 60-69 years, male 464.2
GTEX-1HCU6-2526-SM-ADEHL 60-69 years, female 456.1
GTEX-1KANC-1226-SM-CYPT7 50-59 years, female 455.8
GTEX-13YAN-0226-SM-5TDC6 60-69 years, male 455.3
GTEX-1F75B-0726-SM-7PC3R 50-59 years, male 455.1
GTEX-1A32A-0626-SM-731AQ 50-59 years, female 455.0
GTEX-1HC8U-1326-SM-9YFMJ 40-49 years, female 454.9
GTEX-1HUB1-1426-SM-CGQF5 60-69 years, male 453.8
GTEX-ZAJG-1526-SM-5CVML 50-59 years, female 450.7
GTEX-W5X1-2526-SM-3GILC 40-49 years, female 444.8
GTEX-WYVS-1626-SM-3NM9R 40-49 years, female 443.7
GTEX-131XH-0126-SM-5LZUY 50-59 years, male 441.6
GTEX-14PK6-0226-SM-62LF5 70-79 years, female 441.5
GTEX-1GF9U-2026-SM-7SB92 40-49 years, female 432.3
GTEX-1AX9J-1326-SM-731BJ 60-69 years, male 432.1
GTEX-18D9B-0926-SM-7LG4U 60-69 years, male 427.5
GTEX-1JMQL-2226-SM-CNPP4 50-59 years, female 426.9
GTEX-14DAR-1226-SM-73KYV 50-59 years, male 426.5
GTEX-1CAMR-1326-SM-7PC1F 20-29 years, male 423.5
GTEX-1RAZR-2126-SM-E9U6T 40-49 years, male 421.8
GTEX-1LBAC-0826-SM-CY8IJ 20-29 years, male 421.3
GTEX-144FL-0626-SM-5LU43 50-59 years, male 420.8
GTEX-139TS-2126-SM-5K7XC 60-69 years, male 418.6
GTEX-17JCI-2926-SM-7DUFF 60-69 years, female 416.6
GTEX-XBED-1926-SM-47JYP 60-69 years, male 415.1
GTEX-1IDJE-1426-SM-ADEIW 50-59 years, female 414.6
GTEX-WYBS-0626-SM-3NMAS 60-69 years, female 412.8
GTEX-ZYW4-0626-SM-59HJR 60-69 years, male 410.9
GTEX-11DZ1-2426-SM-5GZZX 50-59 years, male 409.2
GTEX-11DYG-1526-SM-5A5JS 60-69 years, male 407.8
GTEX-1F6IF-0926-SM-7SB7M 60-69 years, male 406.6
GTEX-1EWIQ-0326-SM-7DHMQ 70-79 years, female 406.1
GTEX-139YR-1026-SM-5LZYN 50-59 years, male 404.8
GTEX-15G1A-1626-SM-7KUKN 30-39 years, male 402.7
GTEX-1QP66-1226-SM-DTX7U 50-59 years, male 402.4
GTEX-1HKZK-0726-SM-ACKW2 40-49 years, male 402.3
GTEX-WI4N-2726-SM-3LK7Y 40-49 years, female 398.6
GTEX-1C64O-1326-SM-7MGWR 60-69 years, male 398.5
GTEX-ZDTS-0826-SM-4WKHL 60-69 years, male 395.1
GTEX-17EVQ-0126-SM-7IGLR 70-79 years, male 394.8
GTEX-1JMLX-0626-SM-ARL8T 50-59 years, male 388.5
GTEX-17HG3-2626-SM-7DUF2 30-39 years, female 387.4
GTEX-13113-1626-SM-5EQ4I 60-69 years, female 386.6
GTEX-1IY9M-2826-SM-ARU8H 60-69 years, male 377.2
GTEX-1F48J-0726-SM-7RHGS 50-59 years, female 374.1
GTEX-16GPK-0626-SM-7KFSF 60-69 years, male 373.8
GTEX-YF7O-1526-SM-5IFI6 50-59 years, male 372.3
GTEX-1GMR2-0826-SM-7PC3V 50-59 years, male 371.6
GTEX-17F96-0126-SM-7EWDU 70-79 years, male 371.2
GTEX-1IKOE-1426-SM-CE6T7 30-39 years, female 371.0
GTEX-ZYFC-0426-SM-5GICQ 50-59 years, male 369.5
GTEX-1QCLZ-2426-SM-EVYBW 60-69 years, female 368.0
GTEX-11EM3-1226-SM-5N9DD 20-29 years, female 363.1
GTEX-11EQ8-0926-SM-5H12V 60-69 years, male 362.3
GTEX-13N2G-0226-SM-5K7VF 60-69 years, male 361.0
GTEX-1C64N-2626-SM-7PC2N 50-59 years, male 357.6
GTEX-1F6RS-2026-SM-7RHHC 60-69 years, female 357.4
GTEX-145MN-1526-SM-5SI9T 30-39 years, male 357.2
GTEX-1JMQK-1226-SM-D4P2S 60-69 years, male 354.6
GTEX-1F75A-0726-SM-7RHHD 50-59 years, male 354.2
GTEX-X585-2426-SM-46MW2 50-59 years, male 353.5
GTEX-11DXZ-2026-SM-5987S 50-59 years, male 352.9
GTEX-WFG8-2126-SM-3GIKQ 20-29 years, male 352.9
GTEX-12WSF-1626-SM-7KUG5 70-79 years, male 352.7
GTEX-1MCC2-1826-SM-DIPEX 30-39 years, female 347.7
GTEX-12584-0726-SM-5FQTK 40-49 years, male 345.9
GTEX-1117F-2926-SM-5GZYI 60-69 years, female 345.1
GTEX-11EI6-2826-SM-5H11D 60-69 years, male 344.9
GTEX-17F97-2626-SM-7IGM5 50-59 years, male 344.5
GTEX-132AR-0326-SM-5KM2C 50-59 years, female 344.3
GTEX-14PJO-2526-SM-6AJBQ 60-69 years, male 343.0
GTEX-1A3MW-0626-SM-731CB 60-69 years, female 342.8
GTEX-ZT9W-1126-SM-57WDR 50-59 years, male 337.0
GTEX-15G19-2426-SM-7KUMR 60-69 years, male 336.7
GTEX-1PIGE-1826-SM-E8VOU 20-29 years, male 335.3
GTEX-1HCUA-0826-SM-ADEHM 50-59 years, female 335.2
GTEX-XXEK-1626-SM-4BRUZ 50-59 years, male 334.2
GTEX-13O61-1426-SM-5KM3D 60-69 years, male 334.1
GTEX-1JN1M-2726-SM-CY8I4 60-69 years, female 332.8
GTEX-17F9E-2326-SM-79OKD 50-59 years, male 329.5
GTEX-16MTA-0926-SM-6M47Z 50-59 years, male 324.4
GTEX-ZYFG-1526-SM-5GZYM 60-69 years, female 324.3
GTEX-ZUA1-2626-SM-5NQ92 40-49 years, male 323.7
GTEX-1A3MV-1826-SM-731CD 30-39 years, male 322.7
GTEX-XYKS-1426-SM-4BRUO 60-69 years, female 322.3
GTEX-1IDJI-0126-SM-CMKHS 50-59 years, female 320.4
GTEX-145LS-0626-SM-7EPG7 60-69 years, female 319.7
GTEX-WEY5-2326-SM-3GIKK 40-49 years, female 319.4
GTEX-1I19N-0126-SM-CYPSF 70-79 years, male 319.4
GTEX-1RB15-1326-SM-E76Q9 60-69 years, male 319.0
GTEX-12BJ1-0926-SM-5EQ62 60-69 years, male 318.5
GTEX-13OVK-1426-SM-6PAN7 40-49 years, male 318.2
GTEX-13OVJ-0826-SM-5J1OK 50-59 years, female 316.2
GTEX-1IL2V-1926-SM-B2LW8 70-79 years, male 314.5
GTEX-18A7B-2726-SM-7LG56 70-79 years, male 313.3
GTEX-1R9PN-0426-SM-DTXDT 40-49 years, female 313.1
GTEX-12C56-1526-SM-5FQUQ 20-29 years, male 312.9
GTEX-1HR98-2226-SM-ADEI2 60-69 years, male 311.8
GTEX-11WQC-1826-SM-5GU59 60-69 years, male 310.2
GTEX-15RIE-1926-SM-7KUKJ 60-69 years, male 308.7
GTEX-1JMQI-1726-SM-ARL93 50-59 years, male 308.7
GTEX-ZE7O-2726-SM-51MT5 50-59 years, female 306.7
GTEX-11DXW-0826-SM-5H118 40-49 years, male 305.3
GTEX-WXYG-2026-SM-4E3IY 50-59 years, female 303.6
GTEX-1S831-1826-SM-EWROF 20-29 years, male 303.4
GTEX-WHSE-0126-SM-3NMBT 20-29 years, male 302.9
GTEX-1F52S-2926-SM-7MKGA 60-69 years, female 301.9
GTEX-Y114-2126-SM-4TT8B 50-59 years, female 300.0
GTEX-ZT9X-1526-SM-5DUXD 40-49 years, male 299.3
GTEX-131XW-0626-SM-5PNVD 50-59 years, female 299.2
GTEX-13FTX-1526-SM-5K7VJ 20-29 years, female 298.2
GTEX-WRHU-2826-SM-3MJG8 50-59 years, female 298.1
GTEX-ZAK1-0626-SM-5HL8E 50-59 years, female 297.4
GTEX-1H1ZS-2726-SM-9WG75 70-79 years, male 297.1
GTEX-16YQH-2226-SM-7IGM2 30-39 years, male 296.5
GTEX-1IDJD-2326-SM-ACKWX 30-39 years, male 296.3
GTEX-139D8-1126-SM-5LU8W 30-39 years, female 294.8
GTEX-14AS3-1526-SM-5Q5ED 40-49 years, female 293.7
GTEX-YJ8O-2526-SM-5HL85 40-49 years, female 293.5
GTEX-ZZ64-1026-SM-5GZXG 20-29 years, male 292.6
GTEX-14E6C-2426-SM-5S2NF 40-49 years, male 291.6
GTEX-1E1VI-0326-SM-793D1 50-59 years, male 289.6
GTEX-18A7A-0126-SM-731AH 50-59 years, female 289.3
GTEX-1RLM8-2926-SM-E8VON 50-59 years, male 287.7
GTEX-WFON-1926-SM-3LK7L 40-49 years, male 286.7
GTEX-1AX8Z-0726-SM-73KTS 60-69 years, male 286.2
GTEX-X4EO-2926-SM-4E3JH 60-69 years, female 285.7
GTEX-13NYB-0126-SM-5J1MD 40-49 years, male 285.4
GTEX-1A8FM-0626-SM-7PC25 50-59 years, female 284.6
GTEX-16NPX-0726-SM-7KULC 50-59 years, male 282.2
GTEX-1H1DF-1126-SM-9WG7G 40-49 years, female 280.9
GTEX-ZU9S-1826-SM-5NQ9E 30-39 years, male 278.9
GTEX-1JMPZ-0726-SM-CY8HZ 30-39 years, male 278.7
GTEX-1GMR3-0126-SM-A9SLW 40-49 years, male 277.4
GTEX-1314G-1326-SM-5BC6E 30-39 years, male 276.4
GTEX-145LT-0526-SM-5LUB2 40-49 years, male 275.7
GTEX-X8HC-0626-SM-4E3HQ 50-59 years, female 272.3
GTEX-13OW5-2326-SM-5L3HO 60-69 years, male 270.9
GTEX-ZF2S-1626-SM-57WES 50-59 years, female 269.8
GTEX-147F3-1726-SM-5SIAW 50-59 years, female 269.6
GTEX-139UW-0326-SM-5J1ML 60-69 years, male 269.4
GTEX-12126-0826-SM-5FQTZ 20-29 years, male 267.2
GTEX-Y8E4-2026-SM-5IFJB 40-49 years, male 266.4
GTEX-16BQI-1326-SM-6M486 30-39 years, female 266.3
GTEX-1KWVE-1026-SM-D3L9O 30-39 years, male 266.2
GTEX-14JG6-1426-SM-9WG7C 30-39 years, female 266.1
GTEX-13RTJ-0126-SM-5S2NN 60-69 years, male 265.9
GTEX-13IVO-0726-SM-5LZYV 70-79 years, male 265.6
GTEX-131XF-2626-SM-5EQ6K 60-69 years, male 264.9
GTEX-14E1K-2026-SM-7DUEI 50-59 years, male 264.7
GTEX-11NSD-0626-SM-5A5LU 20-29 years, male 264.1
GTEX-1GZHY-0626-SM-9KNVC 50-59 years, female 263.8
GTEX-XK95-0226-SM-4AT58 40-49 years, male 262.1
GTEX-1LVAN-0626-SM-CNPOQ 50-59 years, female 262.0
GTEX-111FC-2526-SM-5GZXU 60-69 years, male 261.6
GTEX-1GF9W-1426-SM-7PBYM 60-69 years, male 261.4
GTEX-YEC3-1326-SM-DO92X 50-59 years, male 261.2
GTEX-1IDJC-1526-SM-B2LW4 50-59 years, male 260.9
GTEX-1C475-1326-SM-7SB73 40-49 years, female 260.2
GTEX-ZA64-1026-SM-5HL8R 20-29 years, male 259.9
GTEX-ZVTK-0226-SM-51MRG 20-29 years, male 259.1
GTEX-15UF6-1926-SM-7KUDV 70-79 years, female 258.8
GTEX-1LGOU-1326-SM-D3L8M 20-29 years, female 257.0
GTEX-X5EB-1926-SM-4E3IW 40-49 years, male 256.4
GTEX-ZPU1-1126-SM-4YCF3 40-49 years, male 256.2
GTEX-ZTX8-1326-SM-4YCEL 20-29 years, male 254.9
GTEX-1M4P7-0726-SM-E6CJ3 60-69 years, male 253.7
GTEX-Y5V5-0126-SM-5S2NW 60-69 years, female 253.5
GTEX-XBEC-0726-SM-4QARZ 50-59 years, male 253.3
GTEX-13NYS-0626-SM-5L3F1 60-69 years, male 253.1
GTEX-1F6I4-2326-SM-7RHGL 60-69 years, male 252.9
GTEX-133LE-2326-SM-5K7W3 20-29 years, female 249.4
GTEX-1B933-2426-SM-7DHMD 50-59 years, female 249.2
GTEX-15DYW-2726-SM-6EU2I 60-69 years, female 248.8
GTEX-15FZZ-0526-SM-7KUGD 30-39 years, female 248.4
GTEX-1F75I-2226-SM-7SB8U 40-49 years, male 247.6
GTEX-15CHQ-0326-SM-69LQD 60-69 years, male 246.8
GTEX-17F98-1326-SM-7DUEP 40-49 years, female 245.4
GTEX-131YS-2826-SM-5EQ47 60-69 years, female 244.8
GTEX-1I1GP-1326-SM-A9G28 50-59 years, male 244.5
GTEX-12WSH-1526-SM-5BC5W 50-59 years, male 244.2
GTEX-1EH9U-2826-SM-7DUGT 60-69 years, male 243.2
GTEX-15SKB-2826-SM-6PAMH 60-69 years, male 242.8
GTEX-1PBJJ-1026-SM-E76OS 30-39 years, male 242.6
GTEX-11EQ9-1626-SM-5PNY8 30-39 years, male 241.5
GTEX-16MT8-2926-SM-7DUFO 60-69 years, female 241.4
GTEX-1ICG6-1226-SM-A9SLN 70-79 years, female 239.6
GTEX-11DXY-0126-SM-5H11Q 60-69 years, male 239.4
GTEX-1HSMQ-2626-SM-A9SML 50-59 years, male 237.9
GTEX-1AX9I-2226-SM-73KUO 60-69 years, male 237.2
GTEX-1HFI6-0126-SM-CNPPI 40-49 years, male 237.1
GTEX-11P81-2226-SM-5PNYI 30-39 years, female 236.3
GTEX-Y5V6-2326-SM-4VDSA 60-69 years, male 235.9
GTEX-13U4I-2226-SM-5LU5H 40-49 years, female 235.7
GTEX-12KS4-2126-SM-5FQUT 30-39 years, male 235.6
GTEX-1QMI2-2526-SM-E8VNZ 60-69 years, male 234.3
GTEX-1F88E-1626-SM-7SB8Z 60-69 years, female 234.0
GTEX-1JKYN-0826-SM-ARU8S 30-39 years, male 233.7
GTEX-ZC5H-1526-SM-5HL9Y 40-49 years, female 232.9
GTEX-17F9Y-0126-SM-79OKX 70-79 years, female 232.7
GTEX-WHWD-1826-SM-3LK6I 50-59 years, male 230.5
GTEX-ZDXO-3126-SM-5IJDF 60-69 years, male 229.9
GTEX-139TT-2126-SM-5LZWC 60-69 years, male 229.8
GTEX-1HCU8-2526-SM-CE6RX 60-69 years, female 229.8
GTEX-ZDYS-2426-SM-4WKGI 50-59 years, male 229.1
GTEX-13OVG-1626-SM-5J1NF 60-69 years, male 228.8
GTEX-147JS-0226-SM-5S2U9 60-69 years, male 228.6
GTEX-1E2YA-2126-SM-7MXUO 50-59 years, male 228.5
GTEX-17KNJ-2126-SM-718AM 50-59 years, male 228.1
GTEX-1HSMO-0626-SM-ACKXC 60-69 years, male 228.1
GTEX-1RAZA-2226-SM-E9U4X 20-29 years, male 228.1
GTEX-139T8-0626-SM-5KLZX 60-69 years, male 227.1
GTEX-14JFF-0626-SM-5ZZVT 60-69 years, male 226.4
GTEX-1HSGN-0826-SM-ACKW3 40-49 years, female 226.0
GTEX-178AV-1726-SM-7KUL8 40-49 years, male 225.9
GTEX-ZXG5-2126-SM-59HKD 60-69 years, male 225.9
GTEX-1BAJH-2426-SM-7IGP8 70-79 years, male 225.6
GTEX-1C6WA-2626-SM-7MKGM 60-69 years, male 225.6
GTEX-1JN6P-2926-SM-CL54D 60-69 years, male 223.6
GTEX-16Z82-2626-SM-7KULU 60-69 years, male 223.1
GTEX-1R9K4-2826-SM-DTX8F 60-69 years, male 222.4
GTEX-13VXT-1926-SM-5K7UO 20-29 years, female 222.0
GTEX-14PJ3-1126-SM-5ZZVX 50-59 years, male 221.2
GTEX-15ER7-0626-SM-6PANF 20-29 years, female 219.9
GTEX-145MO-2826-SM-5LU96 60-69 years, male 219.6
GTEX-13NZ9-2626-SM-5L3FK 50-59 years, male 218.6
GTEX-1OJC3-1226-SM-DTXER 20-29 years, male 218.5
GTEX-1LSVX-2526-SM-DIPEU 60-69 years, male 217.9
GTEX-147F4-0726-SM-5TDDD 50-59 years, male 217.1
GTEX-17HGU-2326-SM-7DUFE 50-59 years, male 216.0
GTEX-1QP9N-1226-SM-E76QN 30-39 years, male 216.0
GTEX-YFCO-1226-SM-5LUAT 40-49 years, male 215.9
GTEX-1IDJH-0126-SM-D3L92 70-79 years, male 215.6
GTEX-1GL5R-1326-SM-7RHHF 50-59 years, male 215.5
GTEX-14PHY-1226-SM-5ZZWK 60-69 years, female 215.0
GTEX-183FY-1026-SM-7939A 20-29 years, male 214.4
GTEX-14XAO-1226-SM-6EU1C 60-69 years, female 213.9
GTEX-1B996-0426-SM-7EWF8 60-69 years, male 213.7
GTEX-1192X-2726-SM-5N9DN 50-59 years, male 212.7
GTEX-1211K-1526-SM-5FQU4 60-69 years, female 212.1
GTEX-16XZZ-0726-SM-7KUF2 60-69 years, male 211.4
GTEX-13FTW-0326-SM-5K7UW 40-49 years, male 211.3
GTEX-1LVAO-2726-SM-E9TJ8 60-69 years, male 211.1
GTEX-X4EP-0626-SM-3P621 60-69 years, female 211.0
GTEX-1477Z-0326-SM-7IGLA 60-69 years, male 210.2
GTEX-1EMGI-2326-SM-7PBYA 60-69 years, male 209.7
GTEX-Y3I4-1726-SM-4TT89 50-59 years, male 209.5
GTEX-1GZ2Q-0126-SM-9WG6M 40-49 years, male 207.7
GTEX-1J8JJ-0626-SM-ARZMQ 60-69 years, female 207.7
GTEX-1KANB-2826-SM-CY8I6 50-59 years, male 207.3
GTEX-ZVE2-2826-SM-5GU51 50-59 years, male 207.0
GTEX-18QFQ-1826-SM-72D52 30-39 years, male 206.3
GTEX-1H1DG-2426-SM-9QEHJ 70-79 years, male 205.6
GTEX-ZF3C-0626-SM-DO92O 50-59 years, female 205.6
GTEX-13SLX-2226-SM-62LEP 50-59 years, female 205.0
GTEX-131XG-0326-SM-5L3DX 50-59 years, female 204.9
GTEX-1EN7A-2426-SM-793DB 40-49 years, male 204.6
GTEX-1I4MK-0126-SM-CY8G6 50-59 years, female 203.7
GTEX-1QEPI-2626-SM-DTXF4 60-69 years, female 203.6
GTEX-1NSGN-0726-SM-DTXEF 50-59 years, male 203.3
GTEX-1QCLY-0226-SM-EWRNH 30-39 years, male 202.9
GTEX-1IE54-1126-SM-A9G2Z 40-49 years, female 202.8
GTEX-ZTTD-2826-SM-4YCFA 50-59 years, male 202.5
GTEX-11O72-0626-SM-5PNYE 40-49 years, male 202.4
GTEX-1EX96-1026-SM-7MKG2 50-59 years, male 201.3
GTEX-V1D1-2026-SM-3GAF4 50-59 years, male 201.3
GTEX-1GMR8-0626-SM-7RHI7 50-59 years, female 201.3
GTEX-17HHY-0426-SM-7DHLC 50-59 years, male 200.4
GTEX-1PPH8-0126-SM-EWRN8 20-29 years, male 200.4
GTEX-1S82P-2126-SM-E6CI5 60-69 years, female 200.1
GTEX-14PJ5-1526-SM-6LLIL 60-69 years, female 199.9
GTEX-16AAH-0626-SM-793C9 50-59 years, male 199.9
GTEX-1HSKV-1226-SM-ADEI4 60-69 years, male 199.5
GTEX-ZVE1-0726-SM-51MRN 50-59 years, female 198.8
GTEX-1CB4J-1326-SM-7P8RX 60-69 years, male 198.7
GTEX-111CU-1126-SM-5EGIM 50-59 years, male 198.6
GTEX-1PPGY-1626-SM-EVYBL 60-69 years, male 198.6
GTEX-14LZ3-0126-SM-69LPM 60-69 years, female 198.5
GTEX-1HSMP-0926-SM-A9SKX 70-79 years, male 197.9
GTEX-1N5O9-0926-SM-E9J3C 60-69 years, male 197.6
GTEX-YEC4-1826-SM-4W1YP 40-49 years, male 197.0
GTEX-1AYD5-2626-SM-7PBXY 50-59 years, male 196.8
GTEX-ZLV1-1526-SM-DO91J 60-69 years, female 196.6
GTEX-ZPIC-0526-SM-DO91W 40-49 years, female 196.5
GTEX-XV7Q-1826-SM-4BRUV 40-49 years, female 196.4
GTEX-144GM-0526-SM-79OJO 20-29 years, male 196.3
GTEX-WH7G-2026-SM-3NMBL 40-49 years, male 195.9
GTEX-13OVL-0126-SM-5L3GJ 50-59 years, male 195.5
GTEX-14E6E-0526-SM-793DN 30-39 years, male 195.3
GTEX-1CAMQ-1326-SM-7P8RV 40-49 years, male 194.1
GTEX-1F5PL-0926-SM-7PC2W 40-49 years, female 193.8
GTEX-ZAB4-2126-SM-5HL8U 40-49 years, male 192.9
GTEX-1LG7Z-1626-SM-CXKYR 30-39 years, male 192.4
GTEX-139TU-0726-SM-5L3EK 60-69 years, male 191.6
GTEX-1I6K7-1926-SM-B2LXR 40-49 years, male 191.4
GTEX-1LSNL-2726-SM-E9TKJ 50-59 years, male 191.4
GTEX-1LVA9-2626-SM-EVYD4 50-59 years, male 191.0
GTEX-13NYC-0126-SM-5L3F4 60-69 years, male 190.9
GTEX-1JMOU-1026-SM-CYPSS 60-69 years, female 189.8
GTEX-15D1Q-2826-SM-6LLH7 40-49 years, male 189.4
GTEX-VUSG-2326-SM-4KL1U 50-59 years, male 189.3
GTEX-12WSJ-1126-SM-5LZVJ 40-49 years, female 189.0
GTEX-14PHX-2226-SM-6EU2P 50-59 years, male 188.7
GTEX-1KAFJ-0126-SM-DIPEK 50-59 years, male 188.4
GTEX-13O3O-2326-SM-5IJD6 60-69 years, female 188.3
GTEX-1GTWX-2026-SM-9YFLM 60-69 years, male 188.3
GTEX-1B932-2326-SM-79OL5 40-49 years, female 187.9
GTEX-1I1CD-0626-SM-CE6SW 60-69 years, female 187.9
GTEX-1MJK3-0726-SM-E6CJC 20-29 years, male 187.3
GTEX-XBEW-1126-SM-4QARW 40-49 years, male 186.9
GTEX-18D9A-1426-SM-7LT8M 30-39 years, female 185.5
GTEX-YECK-0326-SM-4W1YS 60-69 years, male 185.0
GTEX-13QBU-1226-SM-5LU4G 40-49 years, female 184.9
GTEX-14C38-0726-SM-5SI6M 50-59 years, male 184.8
GTEX-WHPG-2626-SM-3NMBR 50-59 years, male 184.8
GTEX-1H2FU-0926-SM-9WPPT 60-69 years, female 184.6
GTEX-13NZ8-1226-SM-5KM4A 60-69 years, female 184.2
GTEX-13OW8-1026-SM-5J1NQ 60-69 years, male 183.7
GTEX-1K2DA-1026-SM-CGQGF 50-59 years, male 183.7
GTEX-117YX-1926-SM-5GIEC 50-59 years, male 182.5
GTEX-WK11-2726-SM-3NMAQ 50-59 years, male 182.4
GTEX-148VJ-0626-SM-5LUAW 70-79 years, male 181.6
GTEX-13PDP-0726-SM-5L3HP 60-69 years, male 181.5
GTEX-15CHR-1126-SM-7EWF4 50-59 years, male 181.1
GTEX-1GF9X-1326-SM-7PC2Y 40-49 years, female 180.9
GTEX-1CB4H-1126-SM-7MKGL 60-69 years, female 180.8
GTEX-13X6H-0926-SM-5SIB2 50-59 years, female 180.5
GTEX-14DAQ-0626-SM-793DS 60-69 years, female 180.4
GTEX-1JMQJ-0826-SM-CNPP7 50-59 years, male 180.1
GTEX-1KD5A-0126-SM-E9U54 50-59 years, male 178.6
GTEX-1CB4F-1026-SM-7DUH1 60-69 years, male 178.3
GTEX-1IDFM-0326-SM-ARL7V 60-69 years, male 177.9
GTEX-1H3O1-1326-SM-9MQLD 60-69 years, male 177.0
GTEX-12WSM-1926-SM-5BC65 60-69 years, male 176.9
GTEX-13PL6-1126-SM-5L3IE 40-49 years, female 176.8
GTEX-XUW1-0926-SM-4BONX 50-59 years, female 175.6
GTEX-14B4R-1326-SM-5Q5EZ 30-39 years, male 174.5
GTEX-13N1W-2426-SM-5IJD1 70-79 years, male 174.1
GTEX-1F5PK-2226-SM-7SB6N 50-59 years, male 173.8
GTEX-12ZZY-0726-SM-5EQ66 60-69 years, male 173.7
GTEX-11GSP-2326-SM-5HL63 60-69 years, female 173.5
GTEX-1ICLY-0826-SM-CMKG1 50-59 years, male 172.9
GTEX-13FHO-0426-SM-5L3F5 60-69 years, male 172.7
GTEX-1HCU9-0426-SM-9WYSD 20-29 years, male 172.7
GTEX-183WM-0326-SM-72D5V 70-79 years, female 172.4
GTEX-12ZZZ-0726-SM-5GCNZ 60-69 years, male 172.3
GTEX-1GN2E-0226-SM-9WG6K 60-69 years, male 172.1
GTEX-13FTY-2126-SM-5IFFB 40-49 years, female 171.6
GTEX-1QW4Y-1126-SM-DTXE3 30-39 years, male 171.6
GTEX-15CHC-1126-SM-6LLHQ 60-69 years, female 171.1
GTEX-14PKV-1126-SM-6LLJ1 20-29 years, female 170.4
GTEX-11LCK-2226-SM-5HL4Q 30-39 years, male 170.2
GTEX-XQ8I-0926-SM-4BOOF 50-59 years, male 169.3
GTEX-1I6K6-1726-SM-CGQFD 30-39 years, male 168.8
GTEX-1B8KZ-0326-SM-73KY4 50-59 years, male 168.6
GTEX-1RAZS-2526-SM-E6CHT 50-59 years, male 168.5
GTEX-12WSK-2126-SM-5CVNC 40-49 years, female 168.4
GTEX-1HCVE-2726-SM-CL54F 50-59 years, male 168.4
GTEX-ZYFD-0626-SM-5E44E 50-59 years, male 168.3
GTEX-1QP28-1126-SM-EVYC4 50-59 years, female 166.8
GTEX-1EKGG-0626-SM-7DUGJ 60-69 years, male 166.6
GTEX-13OW6-2726-SM-5J2OE 50-59 years, male 166.3
GTEX-1EU9M-1426-SM-793AI 60-69 years, male 166.3
GTEX-14C5O-0326-SM-5ZZUX 60-69 years, male 166.2
GTEX-1N2EE-0626-SM-E76PW 60-69 years, male 166.2
GTEX-16MT9-0126-SM-7EPI8 60-69 years, female 166.1
GTEX-1JJE9-2626-SM-ARZMT 70-79 years, male 165.9
GTEX-1GMRU-2126-SM-7P8RA 50-59 years, male 165.7
GTEX-11NUK-2726-SM-5A5MC 50-59 years, male 164.7
GTEX-1GN1U-0626-SM-9MQL9 50-59 years, female 164.7
GTEX-11GS4-0226-SM-5HL77 60-69 years, male 164.5
GTEX-147GR-2426-SM-5ZZWQ 60-69 years, male 164.3
GTEX-15RJE-2826-SM-7KUM9 40-49 years, male 163.2
GTEX-11P82-1426-SM-DTXFY 20-29 years, male 161.9
GTEX-12WSC-2826-SM-5BC5Y 50-59 years, male 161.4
GTEX-1K9T9-1526-SM-DIPFR 50-59 years, female 161.4
GTEX-12WSA-0426-SM-5EQ5X 60-69 years, male 161.3
GTEX-11OF3-0126-SM-5PNYF 60-69 years, male 161.2
GTEX-13PVR-0426-SM-5RQK2 60-69 years, female 160.5
GTEX-1KANA-1326-SM-DIPFA 20-29 years, male 160.2
GTEX-11VI4-1126-SM-5EQMD 40-49 years, female 160.0
GTEX-1O9I2-0226-SM-EYYXD 50-59 years, male 159.8
GTEX-1HBPI-2126-SM-ARL9K 50-59 years, male 159.0
GTEX-1KXAM-1626-SM-D3LAD 60-69 years, male 158.1
GTEX-ZVT4-2426-SM-5GIEI 50-59 years, female 157.9
GTEX-14753-0726-SM-5QGQO 60-69 years, male 157.8
GTEX-14ABY-2026-SM-62LDL 50-59 years, male 157.8
GTEX-UPJH-0226-SM-3GADV 50-59 years, male 157.8
GTEX-13FLV-0126-SM-5K7WT 50-59 years, male 157.6
GTEX-1J8Q2-2626-SM-ACKWQ 60-69 years, male 156.9
GTEX-13112-0126-SM-5P9IU 50-59 years, male 155.9
GTEX-13X6K-0626-SM-5LU5D 60-69 years, female 155.9
GTEX-XMD2-2126-SM-4YCF8 60-69 years, female 155.9
GTEX-1GPI7-1826-SM-9KNU1 20-29 years, male 155.4
GTEX-1B8SF-0126-SM-7DUG3 60-69 years, male 155.3
GTEX-13PVQ-0626-SM-5LU47 50-59 years, male 155.1
GTEX-1HFI7-2326-SM-CGQFS 50-59 years, female 155.1
GTEX-1QP29-1826-SM-DTX9S 50-59 years, male 155.0
GTEX-12ZZX-2426-SM-5GCOE 40-49 years, female 154.9
GTEX-15EO6-2426-SM-6PALZ 50-59 years, male 154.1
GTEX-Y5LM-0926-SM-6LLJG 40-49 years, female 153.8
GTEX-Z93S-1626-SM-5CVMB 50-59 years, male 153.2
GTEX-12696-0126-SM-5EQ4L 60-69 years, male 152.0
GTEX-1J8Q3-0526-SM-ARL8U 60-69 years, male 151.9
GTEX-1J8QM-2426-SM-A9SLS 60-69 years, female 151.8
GTEX-1J1R8-2026-SM-CL53Y 40-49 years, male 151.7
GTEX-1JMPY-0226-SM-CKZOK 30-39 years, male 151.5
GTEX-15RIG-0726-SM-7KUM7 40-49 years, male 151.2
GTEX-1GZ4H-0526-SM-9KNU9 50-59 years, female 150.9
GTEX-14JG1-1526-SM-5YY9X 40-49 years, male 150.5
GTEX-1269C-0126-SM-5EQ5L 60-69 years, female 150.2
GTEX-1GZ4I-2626-SM-9KNU3 50-59 years, male 150.2
GTEX-1N2DV-1526-SM-DTXEP 40-49 years, male 149.5
GTEX-1A8G7-1326-SM-73KVM 60-69 years, male 149.1
GTEX-18465-2826-SM-7LT9J 50-59 years, male 149.0
GTEX-17MFQ-1526-SM-7KFRR 20-29 years, male 147.9
GTEX-1POEN-2326-SM-E9J2L 30-39 years, female 147.8
GTEX-1HT8W-0626-SM-A9G2H 30-39 years, male 147.5
GTEX-11UD2-2526-SM-5CVNU 50-59 years, male 147.4
GTEX-WFG7-2026-SM-5SI7P 20-29 years, male 147.3
GTEX-1JJ6O-2726-SM-CNPOG 60-69 years, male 147.1
GTEX-15DDE-2926-SM-6LLJ3 50-59 years, female 147.0
GTEX-ZDTT-0426-SM-4WKFL 60-69 years, male 146.4
GTEX-1GN1W-2426-SM-9KNUU 50-59 years, female 145.8
GTEX-14BMV-2826-SM-5TDED 50-59 years, male 145.5
GTEX-WY7C-2126-SM-3NB2R 50-59 years, male 145.0
GTEX-1J8EW-2726-SM-CY8HR 60-69 years, female 144.7
GTEX-1CB4I-0126-SM-7RHGG 50-59 years, male 144.6
GTEX-13X6J-0626-SM-5LU5F 50-59 years, male 143.7
GTEX-1LB8K-0726-SM-D5OV2 50-59 years, male 143.5
GTEX-1RAZQ-1326-SM-E9TK6 30-39 years, male 143.4
GTEX-1H1E6-0426-SM-9WYUS 30-39 years, male 143.0
GTEX-1H11D-1826-SM-9QEHM 40-49 years, male 140.9
GTEX-1JK1U-0226-SM-ARZMX 60-69 years, male 140.9
GTEX-1HGF4-0126-SM-CNPPX 60-69 years, male 140.2
GTEX-XPVG-2126-SM-4B667 50-59 years, male 139.8
GTEX-ZY6K-1426-SM-5GZX2 50-59 years, male 139.8
GTEX-11ZUS-2626-SM-5FQUR 30-39 years, male 138.1
GTEX-1I1GS-2626-SM-B2LY3 60-69 years, male 137.2
GTEX-1CAMS-2226-SM-7PBXQ 40-49 years, female 137.0
GTEX-1LG7Y-2526-SM-EWRO7 50-59 years, male 136.7
GTEX-ZPCL-1126-SM-4WWFE 60-69 years, female 136.5
GTEX-1399U-1126-SM-5L3DB 50-59 years, female 135.9
GTEX-14A6H-2026-SM-5Q5DD 30-39 years, male 135.7
GTEX-17HHE-1326-SM-7EWDZ 50-59 years, male 135.1
GTEX-1S82U-1026-SM-E6CJK 30-39 years, female 134.0
GTEX-13O3Q-0126-SM-5KM34 50-59 years, male 133.1
GTEX-1F88F-0126-SM-9WYSZ 60-69 years, female 131.7
GTEX-1ICLZ-0326-SM-ARL82 60-69 years, male 129.4
GTEX-13OW7-0426-SM-5K7VK 50-59 years, male 129.1
GTEX-ZWKS-0626-SM-5GIDV 30-39 years, male 127.6
GTEX-145MF-0926-SM-5Q5EA 50-59 years, male 127.4
GTEX-111YS-1526-SM-5GZYW 60-69 years, male 127.1
GTEX-1212Z-0126-SM-59HK4 60-69 years, male 126.9
GTEX-1B97I-0626-SM-73KUZ 40-49 years, male 126.9
GTEX-ZZPU-0826-SM-5GZX5 50-59 years, female 126.7
GTEX-WYJK-0526-SM-3NM8Z 50-59 years, male 126.5
GTEX-15EU6-2226-SM-6EU2L 50-59 years, male 126.4
GTEX-11ZU8-0126-SM-5EQ58 60-69 years, male 126.1
GTEX-XQ3S-1426-SM-4BOPR 20-29 years, male 126.1
GTEX-14ICL-1626-SM-5YYAO 30-39 years, male 125.8
GTEX-1H4P4-2126-SM-9WYSL 50-59 years, male 124.2
GTEX-1QAET-0326-SM-EVR3U 50-59 years, male 124.1
GTEX-1H23P-0626-SM-9WG6T 60-69 years, male 123.4
GTEX-1GN73-0726-SM-7P8TJ 60-69 years, male 123.2
GTEX-1PIIG-2326-SM-DTXFR 30-39 years, male 122.1
GTEX-ZTSS-1426-SM-5985P 40-49 years, male 121.9
GTEX-14BIN-1126-SM-5RQJZ 50-59 years, female 121.8
GTEX-XAJ8-1426-SM-47JYM 40-49 years, male 121.8
GTEX-1AMFI-1326-SM-7939R 50-59 years, female 121.2
GTEX-ZF29-0926-SM-4WKFZ 60-69 years, female 121.1
GTEX-1I1HK-2326-SM-CKZOH 60-69 years, male 121.0
GTEX-1HB9E-0126-SM-CM2S5 50-59 years, male 120.0
GTEX-1I1GV-0626-SM-ARL7M 60-69 years, male 119.8
GTEX-13D11-0926-SM-5J2NC 50-59 years, female 119.6
GTEX-144GL-0626-SM-5LU4D 50-59 years, male 119.6
GTEX-17HII-1426-SM-7EPGG 50-59 years, male 119.4
GTEX-Y111-0626-SM-4SOIT 50-59 years, male 119.4
GTEX-1IKJJ-2226-SM-CJI4C 60-69 years, male 119.0
GTEX-1S5ZU-2526-SM-E6CIF 20-29 years, female 119.0
GTEX-145MI-0626-SM-5SI8S 60-69 years, female 118.8
GTEX-13VXU-0626-SM-5L3F9 50-59 years, male 118.0
GTEX-14PJ6-2626-SM-6EU2T 60-69 years, female 117.2
GTEX-17MF6-2626-SM-79OKQ 40-49 years, male 116.6
GTEX-1JKYR-0626-SM-ARL8R 20-29 years, male 116.0
GTEX-1H1DE-1326-SM-9KNUG 20-29 years, male 115.9
GTEX-1CB4E-0926-SM-7EPHT 60-69 years, male 115.1
GTEX-145MH-2826-SM-5RQJF 50-59 years, male 114.8
GTEX-14PJN-1826-SM-6AJ98 30-39 years, male 114.7
GTEX-1LVAM-0726-SM-E6CIL 50-59 years, female 114.6
GTEX-1IDJU-1726-SM-CMKHU 60-69 years, female 113.9
GTEX-1S3DN-2126-SM-E9TIN 50-59 years, male 113.6
GTEX-14PII-0726-SM-6EU2B 60-69 years, male 113.1
GTEX-14LLW-2626-SM-62LDZ 70-79 years, female 113.0
GTEX-145LU-1926-SM-79OJN 50-59 years, male 111.1
GTEX-13X6I-1826-SM-5SIAO 60-69 years, male 111.0
GTEX-1AMEY-0826-SM-72D65 30-39 years, female 110.9
GTEX-1LGRB-0926-SM-COH3K 50-59 years, female 110.8
GTEX-1RMOY-1326-SM-E9TIH 50-59 years, male 110.8
GTEX-111VG-1626-SM-5EGIO 60-69 years, male 110.0
GTEX-1R7EU-1626-SM-DTXG3 60-69 years, male 109.9
GTEX-13OVH-0526-SM-5L3E6 70-79 years, male 108.0
GTEX-1HCU7-0726-SM-A9SL1 50-59 years, male 108.0
GTEX-11DXX-2126-SM-5PNYR 60-69 years, female 107.8
GTEX-ZP4G-1426-SM-4WWCL 20-29 years, female 107.2
GTEX-1I1GU-0926-SM-ACKVS 40-49 years, male 107.1
GTEX-1R9PM-1926-SM-EVR3O 20-29 years, male 106.7
GTEX-1GF9V-0826-SM-9KNUV 60-69 years, male 106.5
GTEX-ZYVF-0926-SM-5E44J 50-59 years, female 106.4
GTEX-1HBPN-0126-SM-CGQEF 50-59 years, male 106.3
GTEX-1HBPM-0726-SM-9YFL7 60-69 years, female 105.0
GTEX-1PDJ9-1226-SM-EXUSX 20-29 years, male 102.4
GTEX-1A8G6-2726-SM-731AR 60-69 years, male 102.3
GTEX-13JVG-0726-SM-5KM16 60-69 years, male 102.0
GTEX-ZE9C-2526-SM-5IJDR 60-69 years, male 101.9
GTEX-1PPH7-1126-SM-DTX9A 40-49 years, male 100.8
GTEX-11WQK-1026-SM-5EQLX 50-59 years, male 97.4
GTEX-13G51-1826-SM-5KLZH 60-69 years, male 97.3
GTEX-1LSNM-0826-SM-DIPG8 50-59 years, male 97.1
GTEX-13SLW-0626-SM-5Q5ER 70-79 years, male 96.4
GTEX-1B8L1-2226-SM-7P8PT 60-69 years, male 95.0
GTEX-1IOXB-2726-SM-CM2RI 50-59 years, male 94.9
GTEX-1QPFJ-1926-SM-EVYBD 30-39 years, female 94.8
GTEX-1B8KE-1126-SM-7EPHI 50-59 years, male 93.8
GTEX-144GO-2026-SM-5O99P 60-69 years, male 92.4
GTEX-13W3W-0726-SM-5IJDQ 60-69 years, female 91.9
GTEX-17EVP-2626-SM-7IGMA 40-49 years, male 91.9
GTEX-1I1GT-1026-SM-ARZLV 60-69 years, female 91.7
GTEX-11TUW-0626-SM-5LU9M 60-69 years, male 87.0
GTEX-1313W-0626-SM-5EQ4H 50-59 years, female 86.7
GTEX-1JN76-0626-SM-CKZOQ 20-29 years, female 85.2
GTEX-1S83E-1326-SM-E6CJM 40-49 years, male 84.4
GTEX-1GPI6-1926-SM-9KNV7 60-69 years, male 82.9
GTEX-1C2JI-1026-SM-73KY1 50-59 years, male 81.0
GTEX-1IDJV-0126-SM-COH3Y 60-69 years, male 80.6
GTEX-1H3VE-0726-SM-9YFL5 40-49 years, male 80.1
GTEX-1399Q-2326-SM-5KM2X 40-49 years, male 79.7
GTEX-ZYT6-2326-SM-5GZY3 30-39 years, male 79.5
GTEX-1K2DU-1226-SM-CYPT4 20-29 years, male 78.5
GTEX-13QJC-0126-SM-5ZZWJ 60-69 years, female 76.9
GTEX-14PKU-0126-SM-6LLHV 40-49 years, female 76.1
GTEX-Y9LG-1126-SM-4VBQ7 30-39 years, male 75.4
GTEX-1JJEA-1826-SM-ARU8P 60-69 years, male 74.9
GTEX-1C6VQ-1226-SM-73KYD 50-59 years, male 74.0
GTEX-1122O-1026-SM-9WYSF 60-69 years, female 73.2
GTEX-18A67-1626-SM-7LT9T 50-59 years, male 71.5
GTEX-1A3MX-2626-SM-7PC24 60-69 years, male 70.6
GTEX-ZYY3-2926-SM-5GIEB 60-69 years, female 68.4
GTEX-1MCYP-0526-SM-E9U6Q 20-29 years, female 67.1
GTEX-1LKK1-2626-SM-DKPQE 50-59 years, female 64.5
GTEX-1R46S-2426-SM-E76QA 60-69 years, female 64.2
GTEX-1OJC4-2726-SM-E76PJ 50-59 years, female 63.4
GTEX-1399S-0126-SM-5IJCF 30-39 years, female 63.0
GTEX-1C6VR-0126-SM-7RHGB 60-69 years, male 61.7
GTEX-14C39-1726-SM-5RQIL 40-49 years, male 59.1
GTEX-14PJ4-0226-SM-5YY92 60-69 years, male 58.9
GTEX-ZVT2-0126-SM-5GIDQ 50-59 years, female 58.8
GTEX-WHSB-1326-SM-3LK6W 50-59 years, male 58.1
GTEX-ZVZP-1226-SM-5GID7 50-59 years, male 52.9
GTEX-11PRG-0726-SM-5EGL1 50-59 years, male 47.9
GTEX-1HR9M-2226-SM-CNPPY 60-69 years, male 43.9
GTEX-1QP2A-1726-SM-E76QC 50-59 years, male 43.6
GTEX-1GN1V-2826-SM-9JGIA 60-69 years, male 38.8
GTEX-1J1OQ-0126-SM-D4P2N 40-49 years, female 36.1
GTEX-1NV5F-0626-SM-DTXEG 60-69 years, female 23.3
Show allShow less
Skin - Sun Exposed (Lower leg)
Average nTPM: 272.8
Samples: 701

Max nTPM: 1233.4
Min nTPM: 46.5
Std nTPM: 142.1
Median nTPM: 249.9
GTEX-Q734-1926-SM-2I5EV 40-49 years, female 1233.4
GTEX-14JIY-0126-SM-6LLH6 60-69 years, male 980.8
GTEX-W5X1-3026-SM-EAZAX 40-49 years, female 905.3
GTEX-113IC-0126-SM-5HL6T 60-69 years, male 855.2
GTEX-1HCU6-0126-SM-CL54K 60-69 years, female 853.4
GTEX-RUSQ-1526-SM-2TF62 50-59 years, male 833.3
GTEX-1AYD5-2426-SM-73KXR 50-59 years, male 789.8
GTEX-1IKK5-0626-SM-ARL8A 60-69 years, male 759.2
GTEX-1HBPH-0426-SM-B2LW5 40-49 years, female 706.0
GTEX-12WSD-0126-SM-59HKN 60-69 years, female 704.5
GTEX-SSA3-0126-SM-32QPU 60-69 years, male 692.7
GTEX-1QP67-1626-SM-EAZ3X 40-49 years, female 691.2
GTEX-1HUB1-0426-SM-E9U4U 60-69 years, male 675.7
GTEX-146FH-0126-SM-5QGPP 50-59 years, female 666.4
GTEX-PLZ4-0126-SM-5SI8O 50-59 years, female 664.3
GTEX-146FR-1326-SM-E9J48 60-69 years, female 641.6
GTEX-OOBK-0126-SM-2YUND 40-49 years, male 640.1
GTEX-1497J-2426-SM-7IGNX 60-69 years, male 636.7
GTEX-X88G-0126-SM-47JZ3 30-39 years, male 613.9
GTEX-S33H-1026-SM-EZ6L6 30-39 years, male 607.2
GTEX-1J8EW-0126-SM-CJI4F 60-69 years, female 605.8
GTEX-183WM-0126-SM-7LTAB 70-79 years, female 584.4
GTEX-15EOM-0126-SM-7KUGG 20-29 years, female 579.1
GTEX-Y3IK-2426-SM-4WWDU 50-59 years, female 574.6
GTEX-Q2AH-1626-SM-3GAF8 40-49 years, male 573.1
GTEX-P4PQ-0126-SM-2S1NM 60-69 years, male 563.9
GTEX-11ZUS-0626-SM-59885 30-39 years, male 563.2
GTEX-1RAZQ-0726-SM-EAZ43 30-39 years, male 563.0
GTEX-Y3I4-2126-SM-4TT7C 50-59 years, male 560.3
GTEX-1CB4G-0226-SM-7PC3O 60-69 years, male 556.4
GTEX-1R9PO-2126-SM-E9J4O 60-69 years, female 553.7
GTEX-113JC-2326-SM-5EQ4E 50-59 years, female 550.6
GTEX-1PPH7-2326-SM-EVYB8 40-49 years, male 550.4
GTEX-13FHP-0126-SM-5IJBG 50-59 years, male 548.0
GTEX-11ZTT-2426-SM-5EQLS 60-69 years, female 544.0
GTEX-1F6I4-0126-SM-9MQL2 60-69 years, male 532.8
GTEX-OXRP-0126-SM-3NB32 60-69 years, female 531.6
GTEX-13N11-2526-SM-5K7UE 50-59 years, female 531.5
GTEX-14PK6-1926-SM-6ETZU 70-79 years, female 525.1
GTEX-ZEX8-2426-SM-4WKG4 50-59 years, male 522.4
GTEX-1HCUA-2426-SM-ADEIS 50-59 years, female 512.7
GTEX-1QW4Y-1526-SM-EAZ3Z 30-39 years, male 508.9
GTEX-ZF3C-0126-SM-DO92D 50-59 years, female 505.3
GTEX-WI4N-1026-SM-3LK7N 40-49 years, female 504.8
GTEX-1OJC4-0126-SM-E9J2E 50-59 years, female 502.5
GTEX-12KS4-0326-SM-5EQ41 30-39 years, male 500.3
GTEX-11GS4-2726-SM-5A5LE 60-69 years, male 498.1
GTEX-1AX8Z-0126-SM-7DHM6 60-69 years, male 497.3
GTEX-1GN1W-0526-SM-9MQJQ 50-59 years, female 497.1
GTEX-1C6VS-0526-SM-7DUEN 60-69 years, male 491.8
GTEX-12C56-1726-SM-5EQ61 20-29 years, male 490.0
GTEX-VJYA-1126-SM-3GIJU 60-69 years, male 488.6
GTEX-1211K-2026-SM-5EQ4Z 60-69 years, female 488.2
GTEX-XBED-2226-SM-47JYQ 60-69 years, male 480.2
GTEX-1IE54-0126-SM-CMKHW 40-49 years, female 480.2
GTEX-11P7K-2126-SM-5GU7G 30-39 years, male 479.7
GTEX-ZVZO-0126-SM-5A5L9 40-49 years, male 476.4
GTEX-YJ8A-0426-SM-5IFID 20-29 years, male 474.6
GTEX-RU72-0926-SM-2TF6B 50-59 years, female 472.8
GTEX-U412-0426-SM-3DB9O 60-69 years, male 464.0
GTEX-11DXZ-2326-SM-5EGGV 50-59 years, male 463.8
GTEX-18A6Q-0126-SM-731BZ 60-69 years, male 457.6
GTEX-XUYS-0126-SM-47JWZ 50-59 years, male 456.4
GTEX-XUW1-0426-SM-4BOOT 50-59 years, female 455.1
GTEX-15SDE-2226-SM-7IGLO 50-59 years, female 454.9
GTEX-TML8-1926-SM-32QOS 40-49 years, female 453.2
GTEX-S7PM-0126-SM-4AD6S 60-69 years, male 453.0
GTEX-R55E-0126-SM-2TC5Y 20-29 years, male 452.8
GTEX-QDVN-2026-SM-3GAEP 50-59 years, male 450.5
GTEX-Z93T-0126-SM-5HL5N 50-59 years, male 449.6
GTEX-1HR98-0126-SM-B2LWI 60-69 years, male 448.6
GTEX-1F48J-0126-SM-7P8TT 50-59 years, female 448.4
GTEX-14PJM-0226-SM-62LF1 50-59 years, female 446.1
GTEX-ZE7O-0126-SM-57WC1 50-59 years, female 445.5
GTEX-1AYCT-2426-SM-7IGQ3 50-59 years, male 444.3
GTEX-15SB6-1726-SM-6PAME 50-59 years, female 443.3
GTEX-16XZY-2126-SM-79OK1 70-79 years, male 443.2
GTEX-Q2AI-1326-SM-2S1PL 40-49 years, male 438.5
GTEX-ZDTS-0126-SM-4WAY5 60-69 years, male 438.0
GTEX-QEG4-0226-SM-2S1PY 30-39 years, male 435.4
GTEX-11GSP-2526-SM-5N9BP 60-69 years, female 434.7
GTEX-1LNCM-1126-SM-E9U5E 50-59 years, female 430.1
GTEX-131XW-0426-SM-5LZWP 50-59 years, female 426.3
GTEX-13O1R-0126-SM-5L3EH 60-69 years, male 425.9
GTEX-117YW-2626-SM-5GZZH 50-59 years, male 425.2
GTEX-X638-0126-SM-47JZ8 70-79 years, female 423.4
GTEX-ZDXO-3026-SM-5J1N5 60-69 years, male 421.8
GTEX-16YQH-0126-SM-7DUFJ 30-39 years, male 421.5
GTEX-146FQ-0126-SM-5NQA9 30-39 years, male 416.5
GTEX-1C6WA-0126-SM-7PC2B 60-69 years, male 416.5
GTEX-1LBAC-0126-SM-DIPEZ 20-29 years, male 416.3
GTEX-R45C-0126-SM-EAZ2R 60-69 years, female 416.3
GTEX-1CAV2-2226-SM-7P8P2 40-49 years, female 415.9
GTEX-11WQC-2526-SM-5CVLE 60-69 years, male 415.8
GTEX-18D9U-0226-SM-718BP 40-49 years, male 415.2
GTEX-15DYW-0126-SM-7KULE 60-69 years, female 414.4
GTEX-18A7A-0226-SM-718BH 50-59 years, female 413.5
GTEX-144GN-2326-SM-5LU4F 50-59 years, male 412.8
GTEX-14A6H-0126-SM-5QGPK 30-39 years, male 412.0
GTEX-1ICG6-2526-SM-CGQFZ 70-79 years, female 412.0
GTEX-1GF9X-2026-SM-7PC3A 40-49 years, female 411.8
GTEX-1269C-2526-SM-5EGJ3 60-69 years, female 411.6
GTEX-11UD1-0126-SM-5PNYG 40-49 years, female 411.3
GTEX-13CF2-2526-SM-5LZYX 60-69 years, male 407.4
GTEX-1IDFM-0126-SM-COH2V 60-69 years, male 406.1
GTEX-ZF29-2326-SM-DO92K 60-69 years, female 405.3
GTEX-13OVG-1926-SM-5L3DK 60-69 years, male 404.7
GTEX-17HHY-0126-SM-7LG5D 50-59 years, male 403.1
GTEX-X4EO-0326-SM-3P5YO 60-69 years, female 403.1
GTEX-1399U-2326-SM-5K7WY 50-59 years, female 402.3
GTEX-ZVT3-0126-SM-5GU6I 60-69 years, female 397.6
GTEX-OXRO-0126-SM-2YUN4 60-69 years, female 397.3
GTEX-15UF6-0826-SM-6PALJ 70-79 years, female 396.8
GTEX-ZUA1-0126-SM-5GU76 40-49 years, male 395.5
GTEX-12WSL-2526-SM-5GCNJ 50-59 years, male 395.3
GTEX-YEC4-2126-SM-5IFJH 40-49 years, male 393.7
GTEX-15G19-0126-SM-6PANQ 60-69 years, male 393.1
GTEX-1313W-0126-SM-5LZUN 50-59 years, female 392.7
GTEX-13U4I-0126-SM-5LU38 40-49 years, female 389.9
GTEX-ZYFD-0126-SM-5GIDL 50-59 years, male 387.9
GTEX-17HII-0226-SM-7LG4E 50-59 years, male 382.7
GTEX-UPJH-0326-SM-3GADU 50-59 years, male 380.9
GTEX-ZVT2-2526-SM-51MT1 50-59 years, female 380.4
GTEX-1A32A-0126-SM-718B1 50-59 years, female 379.4
GTEX-1AX9I-0126-SM-7SB74 60-69 years, male 378.1
GTEX-18A66-0226-SM-718BD 60-69 years, male 376.4
GTEX-TMZS-0126-SM-3DB9Q 60-69 years, male 376.1
GTEX-RNOR-0126-SM-E9J4R 50-59 years, female 374.9
GTEX-OXRL-0126-SM-2YUMP 50-59 years, male 374.6
GTEX-1EMGI-0126-SM-9KNUE 60-69 years, male 373.6
GTEX-1AX9K-2326-SM-73KWU 50-59 years, male 369.0
GTEX-1GPI6-0126-SM-9WG69 60-69 years, male 366.4
GTEX-14LLW-0126-SM-6LLIO 70-79 years, female 365.1
GTEX-131XH-2226-SM-5DUXJ 50-59 years, male 364.7
GTEX-1H2FU-0126-SM-9WYSI 60-69 years, female 364.3
GTEX-1192X-0226-SM-5H12D 50-59 years, male 364.2
GTEX-14PN4-0126-SM-6EU2V 50-59 years, male 363.7
GTEX-U8T8-0126-SM-3DB94 60-69 years, male 362.6
GTEX-139TS-2826-SM-5J1OO 60-69 years, male 361.9
GTEX-Q2AG-0126-SM-33HBV 40-49 years, female 361.1
GTEX-V1D1-2226-SM-3NMAX 50-59 years, male 360.2
GTEX-WH7G-2326-SM-3NMBC 40-49 years, male 359.3
GTEX-Y114-2426-SM-4TT8A 50-59 years, female 359.2
GTEX-1B933-0126-SM-7PC29 50-59 years, female 358.8
GTEX-14ABY-0226-SM-5TDCQ 50-59 years, male 357.2
GTEX-1GN73-0226-SM-9WG67 60-69 years, male 356.4
GTEX-WRHK-1426-SM-3MJF9 20-29 years, female 356.1
GTEX-14E6C-0126-SM-5RQIP 40-49 years, male 356.0
GTEX-XYKS-2126-SM-4E3IB 60-69 years, female 355.7
GTEX-13SLX-0526-SM-5S2ON 50-59 years, female 355.6
GTEX-13O3O-0126-SM-E9J49 60-69 years, female 355.6
GTEX-ZY6K-1826-SM-5GZXK 50-59 years, male 353.2
GTEX-131XG-2626-SM-5KM17 50-59 years, female 350.6
GTEX-14BIL-0126-SM-5SI92 50-59 years, male 349.7
GTEX-QDVJ-1726-SM-2I5FX 50-59 years, male 349.3
GTEX-1H1CY-2826-SM-9MQM3 60-69 years, female 348.2
GTEX-SUCS-1926-SM-32PM3 70-79 years, male 347.9
GTEX-T2YK-0526-SM-32QPJ 50-59 years, male 347.7
GTEX-XAJ8-0826-SM-47JY6 40-49 years, male 346.8
GTEX-1F6IF-0726-SM-7P8TW 60-69 years, male 346.6
GTEX-13OW7-0126-SM-5MR3B 50-59 years, male 346.4
GTEX-ZTPG-0326-SM-5O9AX 20-29 years, female 345.5
GTEX-Y111-0126-SM-4SOIV 50-59 years, male 343.7
GTEX-OIZG-0726-SM-33HBL 50-59 years, male 342.3
GTEX-13N2G-2626-SM-5J1OT 60-69 years, male 342.1
GTEX-145LT-1726-SM-5QGP3 40-49 years, male 341.7
GTEX-15DDE-0126-SM-6LPKH 50-59 years, female 341.4
GTEX-16NGA-1726-SM-731B4 40-49 years, female 341.4
GTEX-13FTX-1826-SM-5J1NX 20-29 years, female 341.0
GTEX-13NZ8-0826-SM-5MR3I 60-69 years, female 339.2
GTEX-U8XE-0326-SM-3DB8P 30-39 years, male 338.1
GTEX-1IDJF-0126-SM-CM2RS 20-29 years, male 337.9
GTEX-1I1HK-0126-SM-COH49 60-69 years, male 337.6
GTEX-144FL-0126-SM-5TDC8 50-59 years, male 336.4
GTEX-OXRK-0226-SM-3NB2G 50-59 years, female 336.3
GTEX-148VI-1626-SM-5SI6E 60-69 years, female 336.1
GTEX-139TT-0126-SM-5K7Y5 60-69 years, male 335.0
GTEX-1I19N-0326-SM-ACKVX 70-79 years, male 334.7
GTEX-1H3NZ-0126-SM-ACKX7 60-69 years, male 334.2
GTEX-XV7Q-2526-SM-4BRV9 40-49 years, female 333.9
GTEX-132NY-0326-SM-5IJBL 60-69 years, male 333.8
GTEX-1HFI6-0226-SM-ADEHZ 40-49 years, male 333.8
GTEX-OIZF-0126-SM-7SB8I 60-69 years, male 333.7
GTEX-XXEK-2226-SM-4BRUM 50-59 years, male 332.7
GTEX-11EMC-2926-SM-5EQ4F 60-69 years, female 331.5
GTEX-NPJ8-0126-SM-2YUNR 40-49 years, male 331.5
GTEX-RTLS-0126-SM-447CA 60-69 years, female 331.5
GTEX-ZDYS-2026-SM-5HL5L 50-59 years, male 330.4
GTEX-ZAJG-0126-SM-5HL94 50-59 years, female 329.1
GTEX-13D11-2426-SM-5KM1V 50-59 years, female 328.9
GTEX-13OVI-1426-SM-5L3EY 60-69 years, female 328.4
GTEX-1IL2U-0226-SM-CE6T8 60-69 years, male 327.0
GTEX-131XF-5016-SM-7MGWE 60-69 years, male 326.7
GTEX-17F97-0326-SM-7LG5B 50-59 years, male 326.4
GTEX-QLQW-1126-SM-2S1Q8 30-39 years, male 325.5
GTEX-1IY9M-0126-SM-D3L8S 60-69 years, male 325.5
GTEX-145MN-2226-SM-5SIAU 30-39 years, male 324.6
GTEX-1POEN-0126-SM-EYYXJ 30-39 years, female 322.5
GTEX-QDT8-0126-SM-48TZ1 30-39 years, female 322.0
GTEX-1A8FM-0226-SM-7SB7Q 50-59 years, female 320.8
GTEX-1NHNU-1026-SM-E9J2A 50-59 years, male 320.0
GTEX-1MA7X-2226-SM-E6CIY 60-69 years, male 319.6
GTEX-1EWIQ-0126-SM-7RHH2 70-79 years, female 319.2
GTEX-1C64O-0126-SM-7SB8P 60-69 years, male 319.1
GTEX-1GTWX-0126-SM-9YFLK 60-69 years, male 318.4
GTEX-1I1GU-2226-SM-CGQFA 40-49 years, male 317.2
GTEX-11ZVC-2526-SM-5FQTE 50-59 years, female 317.0
GTEX-XQ8I-0426-SM-4BOPO 50-59 years, male 316.9
GTEX-1GZHY-0326-SM-9QEHI 50-59 years, female 316.9
GTEX-1M4P7-0226-SM-DIPEV 60-69 years, male 316.6
GTEX-QCQG-1726-SM-3GIJ9 50-59 years, female 315.6
GTEX-SN8G-0126-SM-32PLI 50-59 years, female 315.2
GTEX-13NZA-0226-SM-5K7Z7 60-69 years, male 315.0
GTEX-13YAN-0326-SM-5O9DF 60-69 years, male 314.0
GTEX-17HGU-0226-SM-7DHKV 50-59 years, male 312.8
GTEX-16GPK-0126-SM-7DHLE 60-69 years, male 310.6
GTEX-147F4-0226-SM-5QGPW 50-59 years, male 310.4
GTEX-13RTL-0126-SM-7LG5S 40-49 years, male 309.9
GTEX-1H3O1-0426-SM-9YFKY 60-69 years, male 308.2
GTEX-1GN1V-0126-SM-9WPOS 60-69 years, male 307.9
GTEX-1EX96-1626-SM-7PBXR 50-59 years, male 307.7
GTEX-1HSMQ-1226-SM-CGQFX 50-59 years, male 307.5
GTEX-147GR-0526-SM-5S2MY 60-69 years, male 307.1
GTEX-QVJO-1626-SM-2S1QW 60-69 years, female 307.0
GTEX-17F98-0626-SM-79OMX 40-49 years, female 306.8
GTEX-VUSG-2526-SM-4KL1V 50-59 years, male 306.1
GTEX-ZAB4-0226-SM-5N9F5 40-49 years, male 303.9
GTEX-WXYG-2326-SM-4E3I6 50-59 years, female 303.0
GTEX-18A67-0126-SM-7LG5P 50-59 years, male 301.6
GTEX-1192W-2626-SM-5Q5AF 60-69 years, male 301.4
GTEX-T2IS-0126-SM-4DM6O 20-29 years, female 301.4
GTEX-WVJS-0126-SM-4MVOT 50-59 years, male 301.4
GTEX-11TTK-0126-SM-5987B 60-69 years, female 300.8
GTEX-W5WG-1826-SM-4KL2Y 50-59 years, female 298.7
GTEX-12WSN-5019-SM-79OM6 40-49 years, male 297.6
GTEX-13OVK-2026-SM-7KUEO 40-49 years, male 296.8
GTEX-1RLM8-2326-SM-EWRN4 50-59 years, male 296.5
GTEX-145MO-0326-SM-5Q5B3 60-69 years, male 296.4
GTEX-18QFQ-0126-SM-731BE 30-39 years, male 295.5
GTEX-ZYW4-0126-SM-5E44A 60-69 years, male 295.4
GTEX-OHPM-0126-SM-2YUN9 50-59 years, male 294.6
GTEX-1AMEY-1326-SM-73KYK 30-39 years, female 293.1
GTEX-13OVL-0226-SM-5L3E9 50-59 years, male 292.8
GTEX-X8HC-0126-SM-4E3JW 50-59 years, female 292.2
GTEX-1EKGG-0226-SM-9WYTH 60-69 years, male 292.0
GTEX-111VG-2426-SM-5GZXD 60-69 years, male 290.9
GTEX-15SHW-0326-SM-6PAML 60-69 years, male 290.9
GTEX-1JKYN-1326-SM-CGQG9 30-39 years, male 290.8
GTEX-1MGNQ-0126-SM-EVYCJ 40-49 years, male 289.8
GTEX-WOFL-0126-SM-3MJG2 60-69 years, male 288.9
GTEX-14BIM-0226-SM-7IGLD 60-69 years, female 288.8
GTEX-1H1DG-0126-SM-9WYU2 70-79 years, male 288.2
GTEX-QV44-1926-SM-2S1RF 50-59 years, male 287.2
GTEX-1JMPY-1326-SM-ARL8Y 30-39 years, male 286.9
GTEX-Y8LW-1826-SM-5S2MV 50-59 years, female 286.5
GTEX-1I1GP-2226-SM-CGQFK 50-59 years, male 285.8
GTEX-ZGAY-0526-SM-4WWBB 40-49 years, female 284.3
GTEX-18D9B-0526-SM-7LTAS 60-69 years, male 283.9
GTEX-X4XY-0226-SM-4E3IZ 60-69 years, male 283.7
GTEX-1N2DV-0226-SM-E6CJ6 40-49 years, male 283.3
GTEX-X62O-0126-SM-4E3JN 50-59 years, male 283.2
GTEX-1EU9M-0226-SM-7P8SP 60-69 years, male 282.5
GTEX-X585-0226-SM-4QAS2 50-59 years, male 282.3
GTEX-13G51-2526-SM-5LZYK 60-69 years, male 282.2
GTEX-1JMQI-2226-SM-CM2SD 50-59 years, male 282.1
GTEX-14PHX-2326-SM-62LEM 50-59 years, male 282.0
GTEX-PSDG-0226-SM-DKPOZ 50-59 years, male 282.0
GTEX-139TU-0126-SM-5K7WH 60-69 years, male 280.2
GTEX-1QCLY-0326-SM-E8VOG 30-39 years, male 279.9
GTEX-1HSMO-0126-SM-CL547 60-69 years, male 279.8
GTEX-XMD2-0126-SM-4YCDU 60-69 years, female 279.4
GTEX-ZQG8-1626-SM-DHXIT 60-69 years, female 279.2
GTEX-1GZ2Q-0226-SM-7P8TL 40-49 years, male 278.6
GTEX-OOBJ-0126-SM-E6CJW 60-69 years, male 278.4
GTEX-11EM3-2426-SM-59861 20-29 years, female 277.8
GTEX-11O72-0126-SM-59887 40-49 years, male 277.8
GTEX-RWS6-2026-SM-2XCB5 60-69 years, female 277.6
GTEX-1F88F-2726-SM-7PBZZ 60-69 years, female 277.3
GTEX-1HSGN-0226-SM-CGQFV 40-49 years, female 277.3
GTEX-1B8KZ-2026-SM-7DHMB 50-59 years, male 277.2
GTEX-ZAB5-1826-SM-5HL7C 50-59 years, male 276.7
GTEX-RM2N-1426-SM-2TF4H 50-59 years, male 276.6
GTEX-11DYG-0126-SM-59883 60-69 years, male 275.7
GTEX-13N1W-0126-SM-5K7VT 70-79 years, male 275.6
GTEX-13OVJ-0126-SM-5KM36 50-59 years, female 275.5
GTEX-148VJ-0126-SM-5TDDN 70-79 years, male 275.3
GTEX-YB5K-2126-SM-4WWDJ 40-49 years, female 274.8
GTEX-183FY-0126-SM-7LT9P 20-29 years, male 274.4
GTEX-1PIGE-0126-SM-EVYBJ 20-29 years, male 274.3
GTEX-1RQEC-0426-SM-E6CHU 60-69 years, male 274.0
GTEX-1I1GS-0126-SM-B2LVW 60-69 years, male 273.5
GTEX-1GZ4H-1726-SM-7PBZJ 50-59 years, female 273.4
GTEX-1I1CD-0126-SM-CM2TK 60-69 years, female 273.4
GTEX-11OF3-2626-SM-5GU7F 60-69 years, male 272.8
GTEX-ZE9C-2726-SM-57WB5 60-69 years, male 272.7
GTEX-1KANB-0526-SM-E6CJH 50-59 years, male 271.6
GTEX-14BMU-2226-SM-5TDE9 20-29 years, female 270.2
GTEX-T5JC-0426-SM-32PLO 20-29 years, male 269.7
GTEX-RVPV-0126-SM-EAZAW 60-69 years, male 268.7
GTEX-1PFEY-1526-SM-E76PP 30-39 years, male 267.3
GTEX-O5YW-0126-SM-3LK6D 50-59 years, male 267.2
GTEX-13VXT-0126-SM-5LU4I 20-29 years, female 266.8
GTEX-14PHW-0126-SM-6LLJI 60-69 years, female 266.7
GTEX-11P82-1626-SM-59879 20-29 years, male 266.2
GTEX-13X6H-2126-SM-7EWD5 50-59 years, female 266.2
GTEX-WQUQ-0426-SM-3MJFU 60-69 years, male 265.9
GTEX-131YS-0126-SM-5KM1M 60-69 years, female 265.4
GTEX-1QP66-1726-SM-E8VO1 50-59 years, male 265.4
GTEX-13VXU-0126-SM-5SI9F 50-59 years, male 265.3
GTEX-X4EP-0126-SM-3P5YV 60-69 years, female 265.2
GTEX-SIU8-0126-SM-2XCDT 50-59 years, male 264.2
GTEX-U4B1-1826-SM-4DXSU 40-49 years, male 264.2
GTEX-ZC5H-0226-SM-4WAY9 40-49 years, female 263.6
GTEX-14E7W-0126-SM-6LLJ9 70-79 years, male 263.1
GTEX-Z9EW-1626-SM-5CVMN 40-49 years, male 263.0
GTEX-15D1Q-0126-SM-7KUG6 40-49 years, male 262.9
GTEX-139T8-0126-SM-5K7XZ 60-69 years, male 262.6
GTEX-17EVQ-0226-SM-7LG4P 70-79 years, male 262.6
GTEX-145MI-0526-SM-5O9A8 60-69 years, female 261.8
GTEX-12ZZX-0126-SM-5EGK9 40-49 years, female 261.5
GTEX-ZDTT-2726-SM-4WKF8 60-69 years, male 261.2
GTEX-1F75A-0126-SM-7RHGM 50-59 years, male 260.2
GTEX-13PVR-2326-SM-5QGR1 60-69 years, female 259.7
GTEX-13QJ3-0326-SM-5S2RA 50-59 years, male 259.7
GTEX-1GN1U-0126-SM-7PBZK 50-59 years, female 259.4
GTEX-11NUK-0126-SM-5A5L3 50-59 years, male 258.4
GTEX-13CF3-2426-SM-5IFGX 60-69 years, female 258.4
GTEX-1A3MW-0126-SM-73KXX 60-69 years, female 257.4
GTEX-13W46-0226-SM-5SIAG 50-59 years, male 257.3
GTEX-ZVTK-0426-SM-51MRS 20-29 years, male 257.2
GTEX-YFC4-0126-SM-5CVLY 40-49 years, female 255.5
GTEX-1C4CL-0526-SM-73KVK 30-39 years, male 255.2
GTEX-1CB4J-0626-SM-7DHMP 60-69 years, male 254.9
GTEX-ZF28-0126-SM-4WKGK 60-69 years, male 254.9
GTEX-1QP29-0626-SM-EWRMX 50-59 years, male 254.4
GTEX-139D8-0226-SM-5KLZO 30-39 years, female 254.3
GTEX-139UW-2826-SM-5L3E7 60-69 years, male 254.3
GTEX-1GF9W-0326-SM-9KNUN 60-69 years, male 253.3
GTEX-11DXY-2626-SM-5GIE7 60-69 years, male 253.0
GTEX-X4XX-0126-SM-3NMC2 60-69 years, male 252.9
GTEX-Y5LM-1926-SM-5RQJH 40-49 years, female 252.5
GTEX-1HKZK-0326-SM-9WYUH 40-49 years, male 252.4
GTEX-WZTO-0126-SM-3NM95 40-49 years, male 252.0
GTEX-OXRN-0126-SM-48TDM 50-59 years, male 251.8
GTEX-RN64-0126-SM-2TC68 50-59 years, male 251.8
GTEX-1IKOH-0226-SM-COH4E 60-69 years, female 251.8
GTEX-1J1R8-1726-SM-ARL8M 40-49 years, male 251.7
GTEX-1HGF4-2426-SM-ACKXM 60-69 years, male 251.1
GTEX-ZAK1-0126-SM-5IJD3 50-59 years, female 250.1
GTEX-PW2O-1526-SM-7RHHB 20-29 years, male 250.1
GTEX-16MT8-0426-SM-7KUEY 60-69 years, female 249.9
GTEX-13FHO-0226-SM-5IFGY 60-69 years, male 249.0
GTEX-1JKYR-0126-SM-CNPOJ 20-29 years, male 248.6
GTEX-1QEPI-0126-SM-EWRMQ 60-69 years, female 248.1
GTEX-1CAMS-0426-SM-7P8T2 40-49 years, female 246.8
GTEX-11TT1-2526-SM-5EGIB 20-29 years, male 246.4
GTEX-12WSJ-1826-SM-5GCNY 40-49 years, female 246.0
GTEX-12WSG-2826-SM-E9J4H 50-59 years, female 245.9
GTEX-14DAQ-0126-SM-5S2MQ 60-69 years, female 245.4
GTEX-XQ3S-1526-SM-4BOOC 20-29 years, male 243.9
GTEX-11GSO-2426-SM-5A5LY 60-69 years, male 243.7
GTEX-13NYS-0126-SM-5MR3W 60-69 years, male 243.4
GTEX-WYVS-2126-SM-3NMA3 40-49 years, female 243.4
GTEX-1E1VI-0126-SM-7DHMZ 50-59 years, male 242.7
GTEX-14E6E-1826-SM-5S2R7 30-39 years, male 242.5
GTEX-12696-2426-SM-5EQ6H 60-69 years, male 242.4
GTEX-13FH7-2026-SM-E9J4I 50-59 years, female 242.2
GTEX-1B8L1-2526-SM-9WYTF 60-69 years, male 242.2
GTEX-13O21-1426-SM-5K7XI 50-59 years, male 241.7
GTEX-1K9T9-0126-SM-EVYCF 50-59 years, female 241.6
GTEX-17HG3-2226-SM-7938L 30-39 years, female 240.9
GTEX-1A3MV-1926-SM-718BT 30-39 years, male 240.6
GTEX-1PBJI-0526-SM-E8VNK 20-29 years, female 240.4
GTEX-1JMPZ-0226-SM-CNPP1 30-39 years, male 240.2
GTEX-1GN2E-0426-SM-9MQKX 60-69 years, male 240.1
GTEX-1NV5F-0226-SM-E8VNY 60-69 years, female 237.6
GTEX-144GL-0126-SM-5TDE2 50-59 years, male 237.3
GTEX-1GMRU-0126-SM-9YFLV 50-59 years, male 236.3
GTEX-1HBPI-1526-SM-C1YQ1 50-59 years, male 235.8
GTEX-18465-0126-SM-731BN 50-59 years, male 235.5
GTEX-15DCD-0126-SM-7KUEK 70-79 years, female 235.0
GTEX-RWSA-0126-SM-2XCBB 40-49 years, male 234.3
GTEX-ZQUD-1426-SM-57WER 30-39 years, male 233.7
GTEX-WY7C-2326-SM-3NB2U 50-59 years, male 233.6
GTEX-11DXW-0226-SM-5H122 40-49 years, male 233.5
GTEX-11EI6-0126-SM-5985R 60-69 years, male 233.4
GTEX-U3ZH-2026-SM-3DB78 30-39 years, male 233.3
GTEX-11DZ1-0126-SM-5985Q 50-59 years, male 232.5
GTEX-ZZ64-1726-SM-5GZYB 20-29 years, male 232.4
GTEX-1H1E6-1726-SM-ACKVK 30-39 years, male 231.9
GTEX-13RTJ-2426-SM-5S2Q2 60-69 years, male 231.5
GTEX-PVOW-0126-SM-2XCFA 40-49 years, male 231.5
GTEX-1JN6P-0126-SM-D3L98 60-69 years, male 231.5
GTEX-14PJ3-1826-SM-62LEX 50-59 years, male 231.2
GTEX-OHPL-0126-SM-2HMJ7 60-69 years, female 231.1
GTEX-14PN3-2426-SM-6LLHS 60-69 years, female 229.3
GTEX-1N2EF-0226-SM-EYYXB 60-69 years, male 229.2
GTEX-13X6J-0126-SM-5QGOU 50-59 years, male 228.8
GTEX-11LCK-1026-SM-5A5KB 30-39 years, male 227.6
GTEX-1ICLZ-0126-SM-CKZPO 60-69 years, male 227.2
GTEX-1J8JJ-0226-SM-CL53I 60-69 years, female 227.1
GTEX-1J8Q3-1626-SM-CMKGC 60-69 years, male 224.8
GTEX-1PWST-0226-SM-E76QJ 70-79 years, male 223.8
GTEX-ZXG5-0126-SM-5GIEU 60-69 years, male 223.6
GTEX-PWCY-1826-SM-DHXIZ 20-29 years, female 223.6
GTEX-17EUY-0426-SM-793BD 20-29 years, male 223.1
GTEX-1K2DA-1826-SM-CGQGT 50-59 years, male 222.5
GTEX-117YX-2326-SM-5H12W 50-59 years, male 222.3
GTEX-14DAR-2026-SM-5S2O3 50-59 years, male 220.7
GTEX-17HHE-2026-SM-79OKF 50-59 years, male 220.4
GTEX-SJXC-0126-SM-2XCFF 60-69 years, male 220.4
GTEX-1C2JI-1826-SM-73KXC 50-59 years, male 219.7
GTEX-1MCQQ-0826-SM-DLHC2 60-69 years, male 219.7
GTEX-U3ZN-2326-SM-3DB7W 30-39 years, female 219.2
GTEX-1GPI7-0126-SM-9MQL8 20-29 years, male 219.2
GTEX-18A7B-0126-SM-7LG64 70-79 years, male 218.6
GTEX-16XZZ-0126-SM-793DV 60-69 years, male 218.0
GTEX-1B996-0226-SM-7RHGO 60-69 years, male 218.0
GTEX-1H3VE-0326-SM-9YFLH 40-49 years, male 216.5
GTEX-147F3-0526-SM-5SI98 50-59 years, female 215.6
GTEX-P4PP-0126-SM-3LK69 30-39 years, female 215.6
GTEX-1MCYP-1926-SM-E9J2R 20-29 years, female 215.6
GTEX-1R46S-0626-SM-E9J41 60-69 years, female 215.4
GTEX-11ZU8-2526-SM-5EQKI 60-69 years, male 215.1
GTEX-1399R-2726-SM-5IJBA 30-39 years, male 213.1
GTEX-R55G-2526-SM-2TC6D 40-49 years, female 213.1
GTEX-15SHU-0126-SM-7KUEH 40-49 years, female 212.0
GTEX-1H3VY-0126-SM-ACKXD 50-59 years, male 212.0
GTEX-11XUK-2026-SM-5EQLF 40-49 years, female 210.3
GTEX-TKQ1-1026-SM-4GICL 30-39 years, male 209.9
GTEX-14C5O-0126-SM-5SI6N 60-69 years, male 209.2
GTEX-1JN1M-0326-SM-CYPT3 60-69 years, female 209.2
GTEX-ZZPT-0226-SM-5E43X 50-59 years, male 209.0
GTEX-13X6I-0626-SM-5QGP9 60-69 years, male 208.9
GTEX-13S7M-0126-SM-5SI6A 60-69 years, female 208.6
GTEX-T6MO-1626-SM-32QOM 40-49 years, female 208.5
GTEX-1ICLY-0126-SM-D4P36 50-59 years, male 207.8
GTEX-UJHI-1526-SM-3DB99 50-59 years, female 207.5
GTEX-13112-2826-SM-5DUWH 50-59 years, male 207.1
GTEX-1H11D-0226-SM-9WG6Z 40-49 years, male 207.1
GTEX-1R7EV-2426-SM-EVYBG 40-49 years, male 207.0
GTEX-1QP2A-0126-SM-E9J43 50-59 years, male 206.9
GTEX-13NYB-2526-SM-5K7Z6 40-49 years, male 206.8
GTEX-1PPH8-0226-SM-E8VND 20-29 years, male 206.7
GTEX-P44H-0226-SM-2XCEU 40-49 years, male 206.3
GTEX-1H1DE-2126-SM-9WG6R 20-29 years, male 206.0
GTEX-1HSMP-0126-SM-E6CJS 70-79 years, male 205.9
GTEX-13OW6-0426-SM-5L3HM 50-59 years, male 205.7
GTEX-13PDP-0126-SM-5L3HD 60-69 years, male 205.7
GTEX-1H1ZS-0426-SM-9WG6G 70-79 years, male 205.5
GTEX-XBEW-0626-SM-4QASP 40-49 years, male 205.1
GTEX-XPVG-2626-SM-4B669 50-59 years, male 204.9
GTEX-11TUW-2726-SM-E9J4M 60-69 years, male 204.8
GTEX-1KD5A-0226-SM-D5OV3 50-59 years, male 204.3
GTEX-1C6VQ-0126-SM-7P8RI 50-59 years, male 204.1
GTEX-12WSC-0126-SM-5EQ4P 50-59 years, male 202.9
GTEX-1A3MX-0126-SM-731BR 60-69 years, male 202.0
GTEX-ZYFC-0226-SM-5NQ75 50-59 years, male 202.0
GTEX-YB5E-2026-SM-5IFIS 40-49 years, male 201.6
GTEX-1JMQJ-0526-SM-CYPSU 50-59 years, male 201.4
GTEX-11NSD-2226-SM-5986V 20-29 years, male 200.9
GTEX-11ZTS-0126-SM-5EQ6M 60-69 years, female 200.5
GTEX-17MF6-0126-SM-7LG4F 40-49 years, male 200.3
GTEX-NFK9-0226-SM-2HMKQ 40-49 years, male 200.3
GTEX-PLZ5-2026-SM-2S1O4 50-59 years, male 200.3
GTEX-1GMR8-0126-SM-9WYTM 50-59 years, female 200.2
GTEX-1S5ZA-0126-SM-EVYCV 20-29 years, male 200.2
GTEX-1J8QM-2126-SM-CYPSJ 60-69 years, female 199.9
GTEX-1LB8K-0226-SM-EWRNW 50-59 years, male 198.7
GTEX-1I4MK-2226-SM-ACKWD 50-59 years, female 197.9
GTEX-WFG8-2226-SM-3GIL9 20-29 years, male 197.8
GTEX-U3ZM-1526-SM-3DB9D 40-49 years, male 197.2
GTEX-14ICK-0226-SM-6EU25 40-49 years, male 196.0
GTEX-1BAJH-0526-SM-793CQ 70-79 years, male 195.7
GTEX-X5EB-2226-SM-46MW4 40-49 years, male 195.7
GTEX-145LV-2126-SM-5LU8N 50-59 years, male 194.6
GTEX-S95S-1226-SM-4GICG 60-69 years, male 194.6
GTEX-15ER7-0326-SM-7KUEV 20-29 years, female 194.1
GTEX-1F6RS-0126-SM-9MQKZ 60-69 years, female 193.8
GTEX-1I6K6-0126-SM-A9SLE 30-39 years, male 193.8
GTEX-1F7RK-0126-SM-7PC2S 20-29 years, female 193.7
GTEX-1H23P-0126-SM-ADEJ3 60-69 years, male 193.0
GTEX-13JUV-2726-SM-5LZZ8 40-49 years, female 192.8
GTEX-1IGQW-0126-SM-COH42 60-69 years, male 192.4
GTEX-16BQI-0226-SM-7KUEX 30-39 years, female 192.3
GTEX-PLZ6-1426-SM-DKPOT 30-39 years, male 192.0
GTEX-1KD4Q-0226-SM-E9TJ9 40-49 years, male 191.6
GTEX-12126-0326-SM-5PNW3 20-29 years, male 191.1
GTEX-11UD2-0226-SM-5EQKY 50-59 years, male 190.8
GTEX-1RB15-2126-SM-E9TIM 60-69 years, male 190.5
GTEX-P4QT-0126-SM-2I3FL 50-59 years, female 190.1
GTEX-SNMC-1226-SM-2XCFP 20-29 years, male 189.9
GTEX-13FTW-2626-SM-5K7WL 40-49 years, male 189.8
GTEX-16NPX-0226-SM-79OMT 50-59 years, male 189.8
GTEX-14XAO-2326-SM-6EU1B 60-69 years, female 189.2
GTEX-1IL2V-0126-SM-CM2TX 70-79 years, male 188.6
GTEX-12584-0126-SM-5EGKQ 40-49 years, male 187.8
GTEX-O5YT-0126-SM-48TBW 20-29 years, male 186.9
GTEX-1MUQO-0126-SM-EAZ58 60-69 years, male 186.9
GTEX-Y5V5-2326-SM-4V6GA 60-69 years, female 186.6
GTEX-1JMOU-1526-SM-CL54I 60-69 years, female 186.2
GTEX-1F75I-0326-SM-9YFLU 40-49 years, male 186.0
GTEX-1JK1U-2026-SM-CM2RZ 60-69 years, male 185.9
GTEX-1CB4F-0426-SM-9KNV4 60-69 years, male 185.5
GTEX-1HB9E-0226-SM-E9U4R 50-59 years, male 185.5
GTEX-ZVT4-0126-SM-DTXFN 50-59 years, female 184.7
GTEX-13O3P-0126-SM-5KM4S 50-59 years, male 184.6
GTEX-11WQK-0526-SM-5EQLD 50-59 years, male 184.3
GTEX-1S3DN-2226-SM-EVYCD 50-59 years, male 184.2
GTEX-1LG7Y-0526-SM-DKPQC 50-59 years, male 184.0
GTEX-T8EM-1026-SM-3DB7M 40-49 years, male 183.5
GTEX-1I1GR-0126-SM-CL55F 60-69 years, male 183.0
GTEX-YJ89-0126-SM-4TT3X 60-69 years, male 182.6
GTEX-12ZZY-0226-SM-5LZVE 60-69 years, male 182.5
GTEX-13OW5-0126-SM-DTXFS 60-69 years, male 182.3
GTEX-1S82Y-2026-SM-EVYCM 40-49 years, male 182.0
GTEX-14PII-0226-SM-6EU1T 60-69 years, male 181.8
GTEX-14A5I-0126-SM-5TDEA 50-59 years, female 181.1
GTEX-1IOXB-0126-SM-ARL8G 50-59 years, male 180.9
GTEX-14JG6-2226-SM-6EU2G 30-39 years, female 180.6
GTEX-1HSEH-0126-SM-ACKXN 60-69 years, male 180.5
GTEX-1HBPM-0226-SM-ARL9F 60-69 years, female 180.3
GTEX-QLQ7-1626-SM-2S1R8 60-69 years, male 179.7
GTEX-13FTY-0526-SM-5L3EV 40-49 years, female 179.4
GTEX-145LU-0126-SM-5TDCB 50-59 years, male 179.3
GTEX-1JMQK-0226-SM-CL543 60-69 years, male 178.4
GTEX-11VI4-1726-SM-5CVLH 40-49 years, female 178.2
GTEX-1F52S-0126-SM-9MQJU 60-69 years, female 178.0
GTEX-13FXS-0226-SM-5IJCK 50-59 years, male 177.8
GTEX-1CB4E-2226-SM-793DC 60-69 years, male 177.6
GTEX-12WSK-2326-SM-5GCOH 40-49 years, female 177.4
GTEX-13113-5016-SM-7EPIP 60-69 years, female 176.5
GTEX-1JN76-0126-SM-CNPPE 20-29 years, female 176.4
GTEX-1LC47-0326-SM-E9TJP 60-69 years, male 176.3
GTEX-TMMY-0226-SM-33HBA 40-49 years, female 175.6
GTEX-1AX9J-0226-SM-73KXM 60-69 years, male 175.4
GTEX-Y8E4-0626-SM-4WWDL 40-49 years, male 174.0
GTEX-ZPIC-1726-SM-DHXIU 40-49 years, female 173.8
GTEX-11OC5-0126-SM-5HL6A 60-69 years, male 173.7
GTEX-1QP9N-1426-SM-DTXFL 30-39 years, male 173.6
GTEX-13OW8-1326-SM-5J1OW 60-69 years, male 173.4
GTEX-11DXX-2426-SM-5GZZW 60-69 years, female 172.2
GTEX-1JJE9-0326-SM-CL53Z 70-79 years, male 171.5
GTEX-1OJC3-0126-SM-E76QX 20-29 years, male 171.0
GTEX-1F75B-0126-SM-9KNVL 50-59 years, male 170.2
GTEX-S7SE-0126-SM-2XCD5 50-59 years, male 169.5
GTEX-1N2DW-0226-SM-E9TK2 50-59 years, male 169.5
GTEX-14E6D-0126-SM-62LDV 50-59 years, male 169.2
GTEX-139T4-0226-SM-5HL5S 50-59 years, female 169.0
GTEX-13RTK-1426-SM-5QGQJ 20-29 years, male 169.0
GTEX-Y8DK-0126-SM-4TT3L 60-69 years, male 168.7
GTEX-1HSKV-0226-SM-A9SKJ 60-69 years, male 168.3
GTEX-WYJK-0126-SM-3NMAB 50-59 years, male 167.9
GTEX-1I1GV-0526-SM-A9G29 60-69 years, male 167.7
GTEX-QESD-1426-SM-2S1R9 20-29 years, male 166.3
GTEX-11P81-2326-SM-59875 30-39 years, female 165.5
GTEX-1B8SG-0126-SM-73KZ3 50-59 years, male 165.5
GTEX-12ZZZ-0626-SM-5DUXI 60-69 years, male 165.4
GTEX-13NYC-0326-SM-E9J4S 60-69 years, male 164.6
GTEX-14BIN-0626-SM-793DP 50-59 years, female 164.1
GTEX-PX3G-0126-SM-2I3EN 20-29 years, female 163.2
GTEX-14753-0426-SM-5NQAM 60-69 years, male 163.0
GTEX-14LZ3-0226-SM-62LET 60-69 years, female 162.8
GTEX-11H98-0126-SM-5EGHG 50-59 years, male 162.2
GTEX-Z93S-0126-SM-5HL7M 50-59 years, male 162.2
GTEX-15CHC-2126-SM-6EU21 60-69 years, female 160.5
GTEX-15ETS-0126-SM-7KUMW 40-49 years, female 160.3
GTEX-17KNJ-2326-SM-7DHLQ 50-59 years, male 160.1
GTEX-145ME-1826-SM-5SI9G 40-49 years, female 159.9
GTEX-VJWN-0126-SM-3GIK7 50-59 years, female 159.9
GTEX-1J8Q2-0526-SM-CM2RW 60-69 years, male 158.6
GTEX-131XE-2326-SM-5PNZ2 50-59 years, male 157.2
GTEX-1314G-1526-SM-5EGK2 30-39 years, male 156.9
GTEX-117XS-2726-SM-5N9BL 60-69 years, male 156.6
GTEX-1KAFJ-2026-SM-CY8ID 50-59 years, male 156.3
GTEX-1CAMR-1926-SM-7EPI2 20-29 years, male 156.1
GTEX-17MFQ-1726-SM-793C7 20-29 years, male 154.4
GTEX-1RAZA-0126-SM-E6CI3 20-29 years, male 154.0
GTEX-1JMLX-0226-SM-CM2RO 50-59 years, male 152.2
GTEX-1B8KE-2126-SM-73KYX 50-59 years, male 151.2
GTEX-17F96-1626-SM-7DUFL 70-79 years, male 151.1
GTEX-ZV6S-2326-SM-4YCEY 40-49 years, female 151.0
GTEX-1H4P4-0726-SM-9YFLR 50-59 years, male 150.9
GTEX-1HCVE-0126-SM-CGQEU 50-59 years, male 149.3
GTEX-ZU9S-0226-SM-5E441 30-39 years, male 148.7
GTEX-1QMI2-0226-SM-EVYBX 60-69 years, male 148.6
GTEX-ZVE2-0226-SM-59HJB 50-59 years, male 148.4
GTEX-1HCU8-0626-SM-A9SM9 60-69 years, female 148.2
GTEX-13W3W-2426-SM-5LU5B 60-69 years, female 148.1
GTEX-1F5PK-2426-SM-7RHHY 50-59 years, male 147.5
GTEX-1GF9V-0326-SM-7RHI5 60-69 years, male 146.3
GTEX-16AAH-1726-SM-7939C 50-59 years, male 146.1
GTEX-1R7EU-0226-SM-EVR4G 60-69 years, male 144.7
GTEX-13NZB-2526-SM-5J1OM 30-39 years, male 144.4
GTEX-S32W-2126-SM-2XCB1 50-59 years, female 144.0
GTEX-13IVO-0126-SM-5J1NG 70-79 years, male 143.9
GTEX-R3RS-0126-SM-3GIJL 40-49 years, female 142.9
GTEX-1S82Z-0826-SM-E6CHY 30-39 years, female 142.4
GTEX-Y5V6-2426-SM-4VDSB 60-69 years, male 141.7
GTEX-1AMFI-2026-SM-731BH 50-59 years, female 141.6
GTEX-ZTX8-1426-SM-5DUVO 20-29 years, male 139.8
GTEX-T6MN-0126-SM-32PLP 50-59 years, male 139.7
GTEX-17EVP-0326-SM-7DHLG 40-49 years, male 139.2
GTEX-1LGOU-2026-SM-DIPFF 20-29 years, female 138.0
GTEX-17GQL-2026-SM-718BA 60-69 years, male 137.9
GTEX-1CB4H-0226-SM-7PBXM 60-69 years, female 137.9
GTEX-169BO-1326-SM-9MQK2 50-59 years, male 137.8
GTEX-ZXES-1826-SM-5E43S 30-39 years, female 137.2
GTEX-1RDX4-0126-SM-E9J4P 50-59 years, female 136.5
GTEX-1QAET-0926-SM-E76QM 50-59 years, male 136.2
GTEX-1HT8W-0126-SM-CNPPP 30-39 years, male 136.0
GTEX-ZVZP-2426-SM-59HKJ 50-59 years, male 135.8
GTEX-1I1GQ-0126-SM-COH3H 50-59 years, male 135.4
GTEX-TSE9-0126-SM-3DB83 60-69 years, female 135.0
GTEX-1LSNM-1926-SM-E6CII 50-59 years, male 135.0
GTEX-15F5U-1526-SM-6PANO 40-49 years, male 134.4
GTEX-14JG1-0426-SM-6ETZZ 40-49 years, male 133.7
GTEX-1C6VR-2426-SM-79OLD 60-69 years, male 133.1
GTEX-ZF2S-2326-SM-4WWCE 50-59 years, female 132.9
GTEX-15UKP-0426-SM-7KUFQ 20-29 years, male 132.2
GTEX-OIZH-0126-SM-2HMIS 50-59 years, male 131.9
GTEX-1O97I-0326-SM-EYYX7 60-69 years, male 131.6
GTEX-1399T-2826-SM-5KLYZ 60-69 years, male 130.8
GTEX-13SLW-0126-SM-5SI6C 70-79 years, male 129.2
GTEX-1PDJ9-0326-SM-DTX95 20-29 years, male 128.7
GTEX-1C64N-0126-SM-793D7 50-59 years, male 127.4
GTEX-1LVAN-0226-SM-COH3S 50-59 years, female 125.7
GTEX-1IDJH-0326-SM-A9SLQ 70-79 years, male 125.6
GTEX-1HBPN-0226-SM-9YFM1 50-59 years, male 125.4
GTEX-14BMV-0126-SM-5S2PO 50-59 years, male 125.3
GTEX-1128S-2326-SM-5GZZY 60-69 years, female 124.1
GTEX-ZV68-0126-SM-59HKS 50-59 years, female 123.8
GTEX-13O3Q-2426-SM-5IJBR 50-59 years, male 123.4
GTEX-1MA7W-2026-SM-E9TJ6 20-29 years, female 122.9
GTEX-1OFPY-2426-SM-DTXEJ 60-69 years, male 122.9
GTEX-14A5H-0426-SM-5QGQF 60-69 years, male 121.6
GTEX-1B8SF-1426-SM-7DUGL 60-69 years, male 121.1
GTEX-1IDJU-2626-SM-CM2RT 60-69 years, female 120.3
GTEX-ZTSS-1926-SM-57WEW 40-49 years, male 119.7
GTEX-PWO3-1526-SM-48TCM 60-69 years, female 117.7
GTEX-ZYY3-0126-SM-5GZY5 60-69 years, female 117.0
GTEX-1KWVE-1426-SM-E9TJO 30-39 years, male 116.4
GTEX-133LE-1826-SM-5J1MV 20-29 years, female 116.2
GTEX-1GF9U-2126-SM-7SB7L 40-49 years, female 115.8
GTEX-11EQ9-2426-SM-5HL5T 30-39 years, male 115.5
GTEX-1QPFJ-0226-SM-E76PB 30-39 years, female 115.3
GTEX-1E2YA-0126-SM-9KNUC 50-59 years, male 115.0
GTEX-111FC-0126-SM-5N9DL 60-69 years, male 113.3
GTEX-1GL5R-1826-SM-9KNUY 50-59 years, male 113.1
GTEX-1LH75-2426-SM-E9TJE 50-59 years, female 112.7
GTEX-1EN7A-0126-SM-7SB81 40-49 years, male 111.5
GTEX-1LGRB-2526-SM-CNPPQ 50-59 years, female 110.3
GTEX-1MJK2-0426-SM-DTXE5 50-59 years, male 109.5
GTEX-17JCI-0126-SM-7LG5G 60-69 years, female 106.3
GTEX-1122O-2126-SM-5EGIR 60-69 years, female 105.9
GTEX-1212Z-2526-SM-5EGKP 60-69 years, male 105.3
GTEX-1I1GT-0626-SM-CGQER 60-69 years, female 104.2
GTEX-1JMQL-0226-SM-CNPP5 50-59 years, female 102.1
GTEX-1S83E-0126-SM-EWRO4 40-49 years, male 99.7
GTEX-POMQ-2226-SM-2I5FK 20-29 years, female 99.4
GTEX-ZYFG-2326-SM-5E44B 60-69 years, female 99.3
GTEX-1JJEA-0326-SM-CNPOT 60-69 years, male 98.9
GTEX-1HCU9-1526-SM-A9SL7 20-29 years, male 98.7
GTEX-13OVH-0126-SM-5MR4B 70-79 years, male 97.5
GTEX-12WSA-0226-SM-5BC5V 60-69 years, male 96.5
GTEX-1KXAM-2226-SM-CYPTC 60-69 years, male 95.6
GTEX-1M5QR-1226-SM-EWROB 40-49 years, male 95.1
GTEX-1B97I-1626-SM-73KYO 40-49 years, male 94.6
GTEX-1J1OQ-0226-SM-CYPSH 40-49 years, female 94.5
GTEX-1GMR3-1926-SM-9KNUZ 40-49 years, male 94.3
GTEX-15RIG-0226-SM-7KFTL 40-49 years, male 92.7
GTEX-1F5PL-0326-SM-7P8PQ 40-49 years, female 92.3
GTEX-1KANC-1526-SM-D3LAB 50-59 years, female 92.0
GTEX-1CB4I-0226-SM-79OLH 50-59 years, male 91.3
GTEX-1K2DU-2326-SM-E9TIV 20-29 years, male 90.6
GTEX-T5JW-1626-SM-3GADZ 20-29 years, female 88.5
GTEX-X261-0126-SM-3NMD6 50-59 years, male 87.0
GTEX-ZWKS-0126-SM-5SIAA 30-39 years, male 86.7
GTEX-1KANA-0726-SM-D3L9I 20-29 years, male 86.5
GTEX-145LS-0126-SM-5QGP1 60-69 years, female 85.8
GTEX-1HFI7-1826-SM-ACKXH 50-59 years, female 85.6
GTEX-14PJ6-2126-SM-6EU1V 60-69 years, female 84.6
GTEX-145MF-0626-SM-5LUAI 50-59 years, male 82.6
GTEX-18D9A-1926-SM-7LG6P 30-39 years, female 82.6
GTEX-1CAMQ-0226-SM-7IGPK 40-49 years, male 80.3
GTEX-ZYT6-0226-SM-5NQ6T 30-39 years, male 79.1
GTEX-1R9PM-2026-SM-E76OY 20-29 years, male 77.2
GTEX-1HCU7-0226-SM-CL545 50-59 years, male 74.7
GTEX-13111-1626-SM-5EGJY 50-59 years, male 73.2
GTEX-1LG7Z-1726-SM-D3LA4 30-39 years, male 71.5
GTEX-XUZC-1726-SM-4BRWS 30-39 years, female 71.0
GTEX-1PIIG-0226-SM-EWRN6 30-39 years, male 69.1
GTEX-1L5NE-2526-SM-E6CIE 50-59 years, male 67.7
GTEX-1R9K4-0126-SM-DTX9X 60-69 years, male 67.1
GTEX-WFON-2126-SM-3LK7O 40-49 years, male 63.6
GTEX-12WSE-0526-SM-793B2 20-29 years, male 61.3
GTEX-15EU6-0426-SM-6PAN5 50-59 years, male 59.3
GTEX-1IKJJ-0126-SM-CNPQB 60-69 years, male 58.1
GTEX-1JJ6O-0126-SM-E6CI8 60-69 years, male 53.5
GTEX-1C475-1826-SM-73KWA 40-49 years, female 48.8
GTEX-SE5C-1626-SM-2XCE3 40-49 years, female 46.5
Show allShow less

Contact

  • NEWS ARTICLES
  • PRESS ROOM

The Project

  • INTRODUCTION
  • ORGANIZATION
  • PUBLICATIONS

The Human Protein Atlas

  • DOWNLOADABLE DATA
  • LICENCE & CITATION
  • HELP & FAQ
The Human Protein Atlas project is funded
by the Knut & Alice Wallenberg Foundation.


contact@proteinatlas.org