We use cookies to enhance the usability of our website. If you continue, we'll assume that you are happy to receive all cookies. More information. Don't show this again.
CBX3
HPA
RESOURCES
  • TISSUE
  • BRAIN
  • SINGLE CELL
  • SUBCELLULAR
  • CANCER
  • BLOOD
  • CELL LINE
  • STRUCTURE & INTERACTION
ABOUT
  • INTRODUCTION
  • HISTORY
  • ORGANIZATION
  • PUBLICATIONS
  • ANTIBODY SUBMISSION
  • ANTIBODY AVAILABILITY
  • ACKNOWLEDGMENTS
  • CONTACT
NEWS
  • NEWS ARTICLES
  • PRESS ROOM
LEARN
  • DICTIONARY
  • PROTEIN CLASSES
  • PROTEIN EVIDENCE
  • METHODS
  • EDUCATIONAL VIDEOS
DATA
  • DOWNLOADABLE DATA
  • PUBLICATION DATA
  • RELEASE HISTORY
HELP
  • ANTIBODY VALIDATION
  • ASSAYS & ANNOTATION
  • DISCLAIMER
  • HELP & FAQ
  • PRIVACY STATEMENT
  • LICENCE & CITATION
Fields »
Search result

Field
Term
Gene name
Class
Subclass
Class
Keyword
Chromosome
External id
Tissue
Cell type
Expression
Antibody panel
Tissue
Main location
Patient ID
Annotation
Tissue
Category
Tau score
Cluster
Reliability
Brain region
Category
Tau score
Brain region
Category
Tau score
Brain region
Category
Tau score
Cluster
Reliability
Tissue
Cell type
Enrichment
Cell type
Category
Tau score
Cell type
Category
Tau score
Cell type
Category
Tau score
Cell lineage
Category
Tau score
Cluster
Cluster
Location
Searches
Location
Cell line
Class
Type
Phase
Reliability
Cancer
Prognosis
Cancer
Category
Cancer
Category
Tau score
Cluster
Variants
Interacting gene (ensg_id)
Type
Number of interactions
Pathway
Category
Score
Score
Score
Validation
Validation
Validation
Validation
Antibodies
Data type
Column


  • SUMMARY

  • TISSUE

  • BRAIN

  • SINGLE CELL

  • SUBCELL

  • CANCER

  • BLOOD

  • CELL LINE

  • STRUCT & INT

  • CBX3
TISSUE PRIMARY DATA ESOPHAGUS Show tissue menu
ADIPOSE TISSUE ADRENAL GLAND AMYGDALA APPENDIX BASAL GANGLIA BONE MARROW BREAST BRONCHUS CEREBELLUM CEREBRAL CORTEX CERVIX CHOROID PLEXUS COLON DUODENUM
ENDOMETRIUM EPIDIDYMIS ESOPHAGUS FALLOPIAN TUBE GALLBLADDER HEART MUSCLE HIPPOCAMPAL FORMATION HYPOTHALAMUS KIDNEY LIVER LUNG LYMPH NODE MIDBRAIN NASOPHARYNX
ORAL MUCOSA OVARY PANCREAS PARATHYROID GLAND PITUITARY GLAND PLACENTA PROSTATE RECTUM RETINA SALIVARY GLAND SEMINAL VESICLE SKELETAL MUSCLE SKIN SMALL INTESTINE
SMOOTH MUSCLE SOFT TISSUE SPINAL CORD SPLEEN STOMACH TESTIS THYMUS THYROID GLAND TONGUE TONSIL URINARY BLADDER VAGINA
ANTIBODIES
AND
VALIDATION
Dictionary
Esophagus
Tissue proteome
Esophagus
ESOPHAGUS - Expression summary
Protein expression
Esophagusi

On the top, protein expression in current human tissue, based on all annotated cell types, is reported with the units not detected (n), low (l), medium (m) and high (h). Underneath, protein expression in each annotated cell type are reported using the same units.

Protein expression data is based on knowledge-based annotation. For genes where more than one antibody has been used, a collective score is set.

If knowledge-based annotation could not be performed for a gene, no data is displayed here. View antibody staining data further down this page.

h
m
l
n
Squamous epithelial cells: Low
RNA expressioni

A summary of mRNA expression data available for current tissue based on several datasets. The mRNA expression levels in human tissues are based on RNA-seq data generated by the Human Protein Atlas (HPA), Genotype-Tissue Expression (GTEx) portal and CAGE data generated by the FANTOM5 consortium. Consensus normalized expression levels for human tissues was created by combining the data from HPA and GTEx datasets.

The mRNA expression levels in pig are based on RNA-seq data generated by the Human Protein Atlas (HPA), and for mouse, HPA data and in situ hybridization generated by the Allen brain atlas are reported.

Scroll down to view mRNA expression data in more detail.
Consensus:62.1 nTPM
HPA:50.6 nTPM
GTEx:62.1 nTPM
FANTOM5:138.6 Scaled Tags Per Million

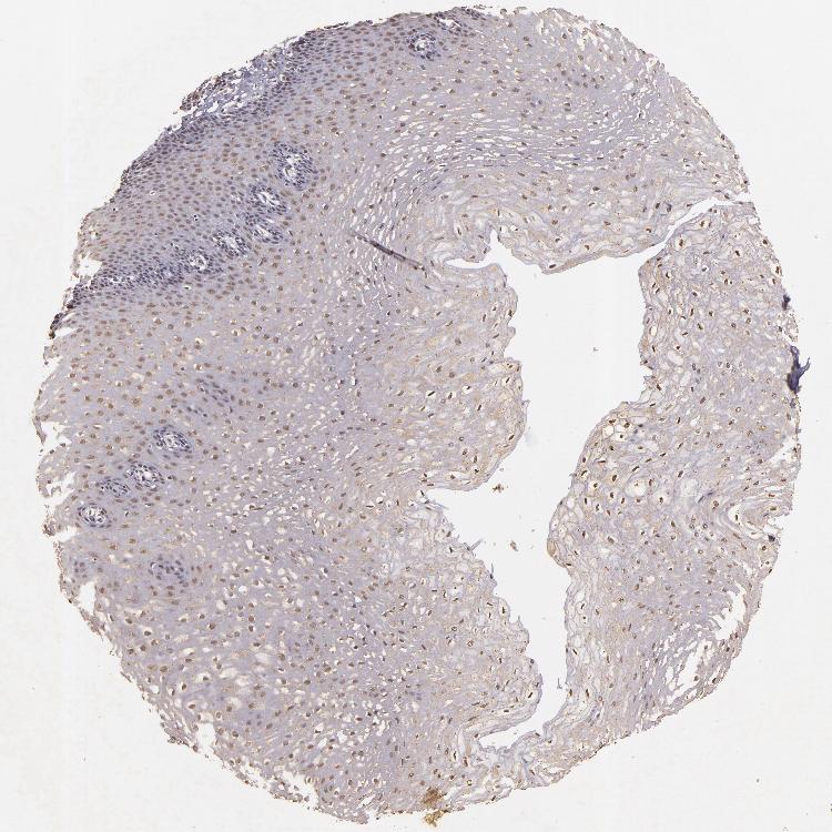
ESOPHAGUS - Antibody stainingi

Antibody staining in the annotated cell types in the current human tissue is reported as not detected, low, medium, or high, based on conventional immunohistochemistry profiling in selected tissues. This score is based on the combination of the staining intensity and fraction of stained cells.

Each image is clickable and will lead to virtual microscopy that enables deeper exploration of all samples and also displays staining intensity scores, fraction scores and subcellular localization as well as patient and tissue information for each sample.

Antibody HPA004902Antibody CAB001973
Squamous epithelial cells HighLow




ESOPHAGUS - HPA RNA-seqi

The RNA-seq details section shows detailed information about the individual samples used for the transcript profiling and results of the RNA-seq analysis.

Information about each individual sample is listed below, including gender, age, a tissue section image and estimated fractions of cell types. nTPM (normalized transcripts per million) values give a quantification of the gene abundance which is comparable between different genes and samples.
Average nTPMi

Max subtype nTPM is the value for the subtype with the largest average nTPM across the subtype samples.

50.6
overview
Female, age 70
Esophagus sample 130
nTPM: 49.5
Cell types%
Squamous epithelial cells:
35

Smooth muscle cells:
15

Skeletal muscle cells:
5

Other cell types:
45

overview
Male, age 38
Esophagus sample 131
nTPM: 59.4
Cell types%
Squamous epithelial cells:
60

Smooth muscle cells:
20

Other cell types:
20

overview
Male, age 76
Esophagus sample 132
nTPM: 42.9
Cell types%
Squamous epithelial cells:
45

Smooth muscle cells:
15

Other cell types:
40


ESOPHAGUS - GTEx RNA-seqi

RNA-Seq data generated by the Genotype-Tissue Expression (GTEx) project from human tissues is reported as mean nTPM. More information can be found on the GTEx portal.

Distribution across the dataset is visualized with box plots, shown as median and 25th and 75th percentiles. Points are displayed as outliers if they are above or below 1.5 times the interquartile range. nTPM values of the individual samples are presented next to the box plot.
Max subtype nTPMi

Max subtype nTPM is the value for the subtype with the largest average nTPM across the subtype samples.

62.1
GTEx sample id Sample description nTPM
Esophagus - Mucosa
Average nTPM: 62.1
Samples: 555

Max nTPM: 126.6
Min nTPM: 29.4
Std nTPM: 14.4
Median nTPM: 59.5
GTEX-1AX8Z-5016-SM-AHZ2B 60-69 years, male 126.6
GTEX-14PJ6-1026-SM-686ZB 60-69 years, female 126.2
GTEX-15DCE-1326-SM-6LPJL 20-29 years, male 115.2
GTEX-12WSN-5013-SM-7P8P9 40-49 years, male 114.3
GTEX-133LE-0626-SM-5IFFJ 20-29 years, female 114.0
GTEX-ZTX8-0226-SM-5E44D 20-29 years, male 109.7
GTEX-RUSQ-0826-SM-47JWW 50-59 years, male 106.9
GTEX-1I1GP-1026-SM-C1YRZ 50-59 years, male 105.3
GTEX-14PK6-1326-SM-686ZE 70-79 years, female 104.2
GTEX-1F5PL-1726-SM-9QEGL 40-49 years, female 102.6
GTEX-13NYB-0926-SM-5IFFA 40-49 years, male 100.2
GTEX-Y111-1626-SM-57WCY 50-59 years, male 99.5
GTEX-15F5U-5010-SM-AHZ2D 40-49 years, male 98.5
GTEX-TMMY-1126-SM-4DXSX 40-49 years, female 97.6
GTEX-13X6H-1326-SM-5LU42 50-59 years, female 95.8
GTEX-14PJ4-1526-SM-664OA 60-69 years, male 95.7
GTEX-12WSL-1526-SM-5GCP8 50-59 years, male 95.1
GTEX-13O1R-1326-SM-5IJF5 60-69 years, male 94.7
GTEX-WHWD-0926-SM-4OORY 50-59 years, male 94.7
GTEX-1GF9U-0826-SM-7MXTZ 40-49 years, female 94.5
GTEX-1C475-0926-SM-7MKFI 40-49 years, female 94.3
GTEX-1H1DE-1026-SM-9JGH6 20-29 years, male 92.7
GTEX-RU72-0726-SM-46MUW 50-59 years, female 91.2
GTEX-18QFQ-1026-SM-7LG6B 30-39 years, male 91.2
GTEX-NPJ8-1926-SM-3MJGB 40-49 years, male 91.0
GTEX-144GO-2726-SM-5O9A2 60-69 years, male 89.5
GTEX-16MTA-0826-SM-6LLIC 50-59 years, male 89.5
GTEX-1N2EE-2426-SM-EXOIO 60-69 years, male 88.9
GTEX-T5JW-1326-SM-4DM5G 20-29 years, female 88.8
GTEX-13CF3-1626-SM-5IFG9 60-69 years, female 88.6
GTEX-YFC4-1226-SM-5LU9R 40-49 years, female 88.2
GTEX-1H3VY-2026-SM-9JGHK 50-59 years, male 87.9
GTEX-1AX9K-1126-SM-731DQ 50-59 years, male 87.5
GTEX-145MF-1426-SM-5O9B6 50-59 years, male 86.8
GTEX-11LCK-1726-SM-5S2OQ 30-39 years, male 86.2
GTEX-TSE9-1226-SM-4DXTM 60-69 years, female 86.2
GTEX-13PVQ-1726-SM-5IFF3 50-59 years, male 85.9
GTEX-1HCU8-2226-SM-9WPOV 60-69 years, female 85.8
GTEX-183WM-1726-SM-7KFT5 70-79 years, female 85.6
GTEX-11EMC-2226-SM-5A5JW 60-69 years, female 85.3
GTEX-11DXX-1126-SM-5GZZK 60-69 years, female 84.9
GTEX-11DZ1-2026-SM-5A5KG 50-59 years, male 84.2
GTEX-15RJ7-0926-SM-6LPJO 40-49 years, male 84.1
GTEX-XLM4-2326-SM-4AT5E 60-69 years, male 83.9
GTEX-1I4MK-0426-SM-B2LWQ 50-59 years, female 83.7
GTEX-XGQ4-1526-SM-4AT6H 50-59 years, male 83.3
GTEX-11TT1-0526-SM-5P9JO 20-29 years, male 82.8
GTEX-1PFEY-0826-SM-E9U6A 30-39 years, male 82.7
GTEX-16A39-1026-SM-6LPJU 30-39 years, female 82.5
GTEX-1399U-1026-SM-5J1OC 50-59 years, female 82.4
GTEX-146FQ-1026-SM-5LU8I 30-39 years, male 82.4
GTEX-131XF-0826-SM-5GICG 60-69 years, male 82.2
GTEX-17F9E-1926-SM-7IGQF 50-59 years, male 82.2
GTEX-1KANB-1826-SM-DHXJU 50-59 years, male 82.1
GTEX-XMK1-1326-SM-4B65Q 40-49 years, male 81.9
GTEX-14E6E-0726-SM-5S2R3 30-39 years, male 81.8
GTEX-1I6K7-1426-SM-B2LXP 40-49 years, male 81.5
GTEX-1PPH8-1626-SM-E6CQP 20-29 years, male 81.3
GTEX-1HC8U-1526-SM-9WPO4 40-49 years, female 80.8
GTEX-16XZY-0926-SM-7938M 70-79 years, male 80.7
GTEX-1R7EU-0826-SM-DPRZL 60-69 years, male 80.4
GTEX-12WSG-5007-SM-7DUGZ 50-59 years, female 79.6
GTEX-12ZZX-1326-SM-5DUWI 40-49 years, female 79.6
GTEX-1K9T9-2026-SM-CXZK3 50-59 years, female 79.5
GTEX-111YS-0926-SM-5EGGI 60-69 years, male 79.4
GTEX-1CB4J-2426-SM-7MXVC 60-69 years, male 79.3
GTEX-139UW-1126-SM-5IJEJ 60-69 years, male 79.0
GTEX-144FL-2726-SM-5O98Z 50-59 years, male 79.0
GTEX-WFJO-0826-SM-4LVM5 30-39 years, male 79.0
GTEX-1C2JI-1126-SM-731FH 50-59 years, male 78.6
GTEX-ZYFC-1626-SM-5N9EU 50-59 years, male 78.6
GTEX-13X6I-1026-SM-5LU4C 60-69 years, male 78.4
GTEX-1PIGE-0926-SM-E9U5Z 20-29 years, male 78.3
GTEX-14BMU-0926-SM-5S2QB 20-29 years, female 78.2
GTEX-1M5QR-0726-SM-DHXK7 40-49 years, male 78.2
GTEX-1IKOE-1526-SM-C1YSD 30-39 years, female 78.0
GTEX-ZDYS-0826-SM-4WWCR 50-59 years, male 77.9
GTEX-148VI-1026-SM-5TDDJ 60-69 years, female 77.7
GTEX-ZYT6-1126-SM-5GZYR 30-39 years, male 77.7
GTEX-144GN-0626-SM-5O9B2 50-59 years, male 76.9
GTEX-R55E-1326-SM-48FCR 20-29 years, male 76.5
GTEX-13OVJ-1226-SM-5L3HA 50-59 years, female 76.3
GTEX-1JK1U-1726-SM-CNNPM 60-69 years, male 76.3
GTEX-17MFQ-0526-SM-7KFTX 20-29 years, male 76.2
GTEX-1JMQJ-1226-SM-D3L97 50-59 years, male 76.0
GTEX-1JMQK-2026-SM-C1YQN 60-69 years, male 75.9
GTEX-1RAZQ-1726-SM-EAZ4T 30-39 years, male 75.8
GTEX-1GN73-1926-SM-9JGGS 60-69 years, male 75.3
GTEX-1QW4Y-0526-SM-EAZ3V 30-39 years, male 75.3
GTEX-X4EO-1226-SM-4QARR 60-69 years, female 74.9
GTEX-ZVE2-1326-SM-5NQ94 50-59 years, male 74.7
GTEX-Y3I4-1226-SM-4TT8N 50-59 years, male 74.2
GTEX-11EM3-0826-SM-5N9CC 20-29 years, female 74.0
GTEX-15UF6-2326-SM-6M465 70-79 years, female 73.9
GTEX-R55D-1126-SM-48FEB 50-59 years, male 73.9
GTEX-15EOM-5013-SM-7MKF9 20-29 years, female 73.8
GTEX-1F52S-1426-SM-7P8PU 60-69 years, female 73.8
GTEX-13FH7-0526-SM-5IJF8 50-59 years, female 73.7
GTEX-QEG5-1426-SM-447AS 20-29 years, male 73.7
GTEX-Y5V6-1026-SM-4VBS2 60-69 years, male 73.5
GTEX-1211K-0926-SM-5FQTL 60-69 years, female 73.4
GTEX-U8XE-1726-SM-4E3IF 30-39 years, male 73.3
GTEX-Y8E4-1726-SM-5LU9G 40-49 years, male 72.9
GTEX-1BAJH-2026-SM-7P8OZ 70-79 years, male 72.6
GTEX-139T6-0626-SM-5IFF9 50-59 years, male 72.4
GTEX-S3XE-0926-SM-4AD4S 50-59 years, male 72.4
GTEX-Q2AG-1326-SM-43V8K 40-49 years, female 72.2
GTEX-1QP2A-1926-SM-EXOJ9 50-59 years, male 72.1
GTEX-132Q8-1826-SM-5EGIY 60-69 years, male 71.9
GTEX-ZZ64-0226-SM-5E44X 20-29 years, male 71.9
GTEX-ZYY3-1526-SM-5SIA9 60-69 years, female 71.8
GTEX-18A7A-2326-SM-7KFRH 50-59 years, female 71.7
GTEX-13O3Q-0826-SM-5IFGF 50-59 years, male 71.6
GTEX-1J1OQ-2526-SM-AHZ3Q 40-49 years, female 71.6
GTEX-WFG8-1226-SM-4V6EI 20-29 years, male 71.5
GTEX-145ME-5004-SM-7MGXP 40-49 years, female 71.5
GTEX-RM2N-0726-SM-48FD5 50-59 years, male 71.0
GTEX-1RAZA-1326-SM-DPS12 20-29 years, male 71.0
GTEX-11I78-1526-SM-5A5K7 50-59 years, female 70.7
GTEX-ZGAY-1126-SM-4WWBS 40-49 years, female 70.7
GTEX-1KD4Q-1126-SM-CXZKK 40-49 years, male 70.7
GTEX-1QCLZ-1626-SM-E9U5R 60-69 years, female 70.7
GTEX-1H3NZ-1326-SM-9JGHI 60-69 years, male 70.5
GTEX-14JIY-0926-SM-6871D 60-69 years, male 70.4
GTEX-14PKV-1726-SM-6871U 20-29 years, female 70.4
GTEX-ZT9X-0526-SM-5GCOP 40-49 years, male 70.4
GTEX-1OKEX-1326-SM-E9J2U 60-69 years, male 70.3
GTEX-1C6VQ-1826-SM-7EWEH 50-59 years, male 70.2
GTEX-UPJH-1026-SM-EAZB2 50-59 years, male 70.1
GTEX-1GPI7-1026-SM-7MGY2 20-29 years, male 70.0
GTEX-V955-1126-SM-4JBH3 60-69 years, male 69.9
GTEX-11DYG-1326-SM-5N9DO 60-69 years, male 69.7
GTEX-1QP67-0726-SM-DPRY1 40-49 years, female 69.7
GTEX-1R9K4-1926-SM-DPRZW 60-69 years, male 69.7
GTEX-RU1J-0326-SM-46MUM 20-29 years, female 69.4
GTEX-15SHU-1426-SM-6LPIN 40-49 years, female 69.3
GTEX-1JMLX-2326-SM-CXZJP 50-59 years, male 69.1
GTEX-WFG7-1126-SM-4LMK3 20-29 years, male 68.8
GTEX-13JVG-2026-SM-5KM1N 60-69 years, male 68.6
GTEX-1L5NE-1426-SM-DHXKV 50-59 years, male 68.6
GTEX-169BO-0526-SM-793AK 50-59 years, male 68.5
GTEX-Y3IK-1126-SM-51MSV 50-59 years, female 68.5
GTEX-1212Z-2126-SM-5FQTM 60-69 years, male 68.4
GTEX-13FLV-1126-SM-5J2NO 50-59 years, male 68.4
GTEX-16BQI-1526-SM-6LLIE 30-39 years, female 68.4
GTEX-146FH-1726-SM-5QGQ2 50-59 years, female 68.3
GTEX-15RJE-0926-SM-6LLHZ 40-49 years, male 68.2
GTEX-13RTK-0526-SM-5S2QF 20-29 years, male 68.0
GTEX-18A67-2426-SM-7LT95 50-59 years, male 67.9
GTEX-1RAZR-1226-SM-E6CRD 40-49 years, male 67.9
GTEX-1QP29-2126-SM-E6CPZ 50-59 years, male 67.8
GTEX-11GSP-1826-SM-5N9DQ 60-69 years, female 67.7
GTEX-14ICL-0526-SM-5RQJ6 30-39 years, male 67.7
GTEX-1I1GS-2126-SM-ARU7G 60-69 years, male 67.7
GTEX-PSDG-1326-SM-48TD2 50-59 years, male 67.5
GTEX-U4B1-0826-SM-4DXTW 40-49 years, male 67.5
GTEX-QESD-0826-SM-47J4G 20-29 years, male 67.4
GTEX-X4LF-0626-SM-4QASB 50-59 years, male 67.2
GTEX-QEG4-0726-SM-CNNRF 30-39 years, male 67.2
GTEX-18A6Q-1226-SM-7KFS9 60-69 years, male 67.1
GTEX-1CB4I-1026-SM-7MKFZ 50-59 years, male 67.1
GTEX-WK11-1026-SM-4OOS8 50-59 years, male 67.1
GTEX-1N2DW-1426-SM-EV7AZ 50-59 years, male 66.8
GTEX-ZLFU-1126-SM-DO11K 40-49 years, male 66.8
GTEX-13X6K-2126-SM-5O9D4 60-69 years, female 66.7
GTEX-11P81-0826-SM-5P9GR 30-39 years, female 66.6
GTEX-15EU6-1626-SM-6LPKF 50-59 years, male 66.4
GTEX-1AX9J-1826-SM-731FM 60-69 years, male 66.4
GTEX-ZAJG-1326-SM-5S2NV 50-59 years, female 66.3
GTEX-14BIM-1326-SM-7EWD1 60-69 years, female 66.2
GTEX-15DCD-1626-SM-6AJBH 70-79 years, female 66.2
GTEX-U3ZM-0526-SM-4DXTB 40-49 years, male 66.2
GTEX-132QS-1426-SM-5P9GE 60-69 years, male 66.1
GTEX-16MT8-1326-SM-6M47R 60-69 years, female 66.1
GTEX-P4QS-0626-SM-3NMD1 60-69 years, male 66.1
GTEX-1QP28-1826-SM-EAZ4L 50-59 years, female 66.1
GTEX-18D9A-0526-SM-7KFSW 30-39 years, female 66.0
GTEX-ZEX8-1426-SM-4WKHQ 50-59 years, male 65.8
GTEX-1H11D-2126-SM-9OSXM 40-49 years, male 65.8
GTEX-1N2DV-2026-SM-EV7BL 40-49 years, male 65.7
GTEX-13FTW-1626-SM-5KM4N 40-49 years, male 65.6
GTEX-1QP9N-0926-SM-E9U5S 30-39 years, male 65.6
GTEX-18A66-1426-SM-7KFRT 60-69 years, male 65.5
GTEX-1IY9M-1626-SM-AHZ39 60-69 years, male 65.5
GTEX-P78B-1026-SM-3NMC4 40-49 years, female 65.4
GTEX-139YR-1726-SM-5IFFK 50-59 years, male 65.3
GTEX-14B4R-0326-SM-5TDDP 30-39 years, male 65.3
GTEX-12ZZW-1726-SM-5DUVD 50-59 years, male 65.2
GTEX-14JG6-0926-SM-6871Y 30-39 years, female 65.2
GTEX-1B996-1826-SM-7MGY6 60-69 years, male 65.2
GTEX-1HB9E-1526-SM-D3LA6 50-59 years, male 65.2
GTEX-15UF7-0926-SM-6M46F 40-49 years, male 64.8
GTEX-ZYFG-1126-SM-5GICY 60-69 years, female 64.8
GTEX-1HCUA-1426-SM-9WPP7 50-59 years, female 64.8
GTEX-WOFM-0626-SM-4OOS3 20-29 years, male 64.7
GTEX-1HGF4-0926-SM-9WPP8 60-69 years, male 64.7
GTEX-1LGRB-1626-SM-CNNR7 50-59 years, female 64.7
GTEX-14C38-2126-SM-5RQJO 50-59 years, male 64.5
GTEX-1LG7Y-1726-SM-EV7AR 50-59 years, male 64.5
GTEX-ZT9W-1326-SM-51MTB 50-59 years, male 64.3
GTEX-1IKK5-1326-SM-AHZ2X 60-69 years, male 64.2
GTEX-OXRL-0626-SM-3NM9C 50-59 years, male 64.1
GTEX-144GM-1426-SM-5LU31 20-29 years, male 64.0
GTEX-14PJN-0526-SM-68724 30-39 years, male 63.9
GTEX-1LNCM-0626-SM-EV7AI 50-59 years, female 63.9
GTEX-1LVAM-1126-SM-DHXKP 50-59 years, female 63.9
GTEX-WHSE-1526-SM-4M1XH 20-29 years, male 63.7
GTEX-14PJ5-0526-SM-664OE 60-69 years, female 63.6
GTEX-14PJM-1526-SM-664NY 50-59 years, female 63.6
GTEX-ZVP2-1326-SM-57WCE 50-59 years, male 63.6
GTEX-13O21-0626-SM-5IJDI 50-59 years, male 63.5
GTEX-WHPG-1126-SM-4M1XT 50-59 years, male 63.5
GTEX-PVOW-1626-SM-48TC9 40-49 years, male 63.4
GTEX-13OVG-0626-SM-5IFEP 60-69 years, male 63.3
GTEX-ZXES-1126-SM-5GZXN 30-39 years, female 63.3
GTEX-1NSGN-2026-SM-DPRYM 50-59 years, male 63.3
GTEX-1JKYR-2126-SM-CNNPC 20-29 years, male 63.2
GTEX-1IDJD-1626-SM-C1YRC 30-39 years, male 63.0
GTEX-146FR-0426-SM-5SI97 60-69 years, female 62.8
GTEX-ZUA1-1226-SM-5NQ6O 40-49 years, male 62.8
GTEX-ZV68-0926-SM-59HK7 50-59 years, female 62.8
GTEX-1EMGI-1926-SM-7938Y 60-69 years, male 62.7
GTEX-QLQ7-0926-SM-447BC 60-69 years, male 62.7
GTEX-WQUQ-1626-SM-4OOSH 60-69 years, male 62.7
GTEX-WXYG-1226-SM-4ONCJ 50-59 years, female 62.7
GTEX-1MA7W-0426-SM-E9TJ5 20-29 years, female 62.6
GTEX-1497J-2726-SM-5SI9W 60-69 years, male 62.5
GTEX-Y8LW-0726-SM-5IFI1 50-59 years, female 62.5
GTEX-ZYW4-1326-SM-5E45N 60-69 years, male 62.5
GTEX-17KNJ-1326-SM-7KFTG 50-59 years, male 62.4
GTEX-R45C-1226-SM-48FEE 60-69 years, female 62.4
GTEX-OHPN-1026-SM-E9TI8 60-69 years, female 62.3
GTEX-1JKYN-1526-SM-CGQGA 30-39 years, male 62.2
GTEX-16NPX-1626-SM-6LLI5 50-59 years, male 62.1
GTEX-PWN1-0626-SM-48TDT 40-49 years, female 62.1
GTEX-145MO-1426-SM-DTX9W 60-69 years, male 62.1
GTEX-11DXY-1426-SM-5N9CN 60-69 years, male 62.0
GTEX-1JMPZ-2026-SM-C1YR8 30-39 years, male 62.0
GTEX-145LT-1126-SM-5LUA1 40-49 years, male 61.9
GTEX-S32W-0926-SM-4AD5X 50-59 years, female 61.8
GTEX-1H23P-1426-SM-9JGH5 60-69 years, male 61.8
GTEX-14PHY-0626-SM-664NN 60-69 years, female 61.7
GTEX-Y9LG-0626-SM-4WWDH 30-39 years, male 61.7
GTEX-1HKZK-1426-SM-A96U1 40-49 years, male 61.7
GTEX-YEC3-2526-SM-CXZIH 50-59 years, male 61.6
GTEX-12696-1326-SM-5FQTJ 60-69 years, male 61.5
GTEX-QDVN-1026-SM-48TZA 50-59 years, male 61.5
GTEX-11NSD-1126-SM-5N9BQ 20-29 years, male 61.4
GTEX-XK95-1026-SM-4GIDV 40-49 years, male 61.2
GTEX-1HBPI-0626-SM-9WPP4 50-59 years, male 61.2
GTEX-11TUW-1326-SM-5EQKV 60-69 years, male 61.1
GTEX-SNOS-0626-SM-4DM5F 40-49 years, male 61.1
GTEX-Y5LM-1026-SM-4VDSQ 40-49 years, female 61.1
GTEX-1I1GU-1426-SM-B2LX3 40-49 years, male 61.1
GTEX-RNOR-1226-SM-48FDQ 50-59 years, female 60.8
GTEX-TKQ1-0326-SM-4DXSM 30-39 years, male 60.8
GTEX-1GMR8-1826-SM-9WYUE 50-59 years, female 60.8
GTEX-111CU-0726-SM-5GZYD 50-59 years, male 60.7
GTEX-ZY6K-0626-SM-59HJL 50-59 years, male 60.7
GTEX-13FHO-1726-SM-DPRZX 60-69 years, male 60.7
GTEX-1J8EW-1326-SM-AHZ3S 60-69 years, female 60.7
GTEX-1KAFJ-0626-SM-D3L8X 50-59 years, male 60.7
GTEX-XXEK-0326-SM-4BRVV 50-59 years, male 60.5
GTEX-13111-0826-SM-5LZV3 50-59 years, male 60.4
GTEX-1OJC3-0826-SM-DPRYU 20-29 years, male 60.4
GTEX-183FY-1526-SM-7IGOW 20-29 years, male 60.3
GTEX-12C56-1226-SM-5FQSU 20-29 years, male 60.2
GTEX-11ZTS-2626-SM-5EGIC 60-69 years, female 60.1
GTEX-VUSG-1226-SM-4KKZF 50-59 years, male 60.1
GTEX-1F75I-1726-SM-7MKGW 40-49 years, male 60.0
GTEX-139TU-1226-SM-5J2NL 60-69 years, male 59.9
GTEX-WRHK-0526-SM-4MVOF 20-29 years, female 59.9
GTEX-1F5PK-1526-SM-7MKGV 50-59 years, male 59.7
GTEX-WHSB-0426-SM-4M1XI 50-59 years, male 59.7
GTEX-Z9EW-0526-SM-5HL8S 40-49 years, male 59.7
GTEX-11EQ9-0726-SM-5A5K2 30-39 years, male 59.6
GTEX-1GL5R-1526-SM-7MKHO 50-59 years, male 59.6
GTEX-15SB6-0726-SM-6M48F 50-59 years, female 59.5
GTEX-SNMC-0526-SM-4DM69 20-29 years, male 59.5
GTEX-Y114-0926-SM-4TT7J 50-59 years, female 59.5
GTEX-1GTWX-1326-SM-9JGHU 60-69 years, male 59.5
GTEX-R3RS-1326-SM-48FE7 40-49 years, female 59.4
GTEX-12WSD-1826-SM-5GCOA 60-69 years, female 59.2
GTEX-13SLX-1726-SM-5Q5E5 50-59 years, female 59.1
GTEX-1F88F-1126-SM-7MKHL 60-69 years, female 59.0
GTEX-1H1ZS-1526-SM-9OSXR 70-79 years, male 59.0
GTEX-1RLM8-0726-SM-E6CRH 50-59 years, male 59.0
GTEX-1AMEY-0226-SM-7189Q 30-39 years, female 58.9
GTEX-1B8KE-1826-SM-731FD 50-59 years, male 58.9
GTEX-1IDJF-1226-SM-C1YPX 20-29 years, male 58.9
GTEX-1KXAM-0826-SM-CXZK9 60-69 years, male 58.9
GTEX-ZF29-1326-SM-DNZYV 60-69 years, female 58.9
GTEX-14C5O-1626-SM-73KYH 60-69 years, male 58.8
GTEX-14H4A-1626-SM-5SI69 40-49 years, female 58.8
GTEX-1GMR2-1526-SM-7MXV6 50-59 years, male 58.8
GTEX-14DAR-0826-SM-73KYJ 50-59 years, male 58.7
GTEX-1QEPI-1826-SM-EAZ3J 60-69 years, female 58.5
GTEX-13D11-1926-SM-5IFGB 50-59 years, female 58.4
GTEX-17EUY-1426-SM-7938X 20-29 years, male 58.4
GTEX-X15G-0826-SM-4PQZD 50-59 years, female 58.4
GTEX-ZPU1-1426-SM-4WWFU 40-49 years, male 58.4
GTEX-12WSA-1426-SM-5EGJU 60-69 years, male 58.3
GTEX-ZAB4-1126-SM-5HL86 40-49 years, male 58.3
GTEX-1K2DA-0626-SM-CGQGO 50-59 years, male 58.3
GTEX-T2IS-0826-SM-4DM6L 20-29 years, female 58.2
GTEX-13W3W-1626-SM-5LU35 60-69 years, female 58.1
GTEX-1IDFM-1126-SM-A96SY 60-69 years, male 58.0
GTEX-14ICK-2026-SM-6AJB2 40-49 years, male 57.9
GTEX-S341-0526-SM-4AD5U 40-49 years, female 57.7
GTEX-XYKS-1526-SM-4BRUP 60-69 years, female 57.7
GTEX-13S86-0826-SM-5SI6J 40-49 years, male 57.6
GTEX-1B97I-0926-SM-731DZ 40-49 years, male 57.6
GTEX-1QPFJ-1226-SM-EAZ3M 30-39 years, female 57.6
GTEX-1S83E-0826-SM-EV7B7 40-49 years, male 57.6
GTEX-13FTX-0526-SM-5IFGS 20-29 years, female 57.5
GTEX-18D9U-2126-SM-7LG4Y 40-49 years, male 57.5
GTEX-ZZPT-1426-SM-5N9C5 50-59 years, male 57.4
GTEX-17F97-1326-SM-7MGVO 50-59 years, male 57.4
GTEX-131XG-1026-SM-5GCMX 50-59 years, female 57.3
GTEX-1EU9M-2326-SM-7MKGS 60-69 years, male 57.3
GTEX-ZAB5-0926-SM-5CVMV 50-59 years, male 57.3
GTEX-18D9B-2026-SM-7LT96 60-69 years, male 57.2
GTEX-ZTPG-1626-SM-5DUX2 20-29 years, female 57.2
GTEX-QV44-1126-SM-CL55C 50-59 years, male 57.2
GTEX-Q2AH-0826-SM-48TZN 40-49 years, male 57.1
GTEX-S4P3-0426-SM-4AD56 50-59 years, female 57.1
GTEX-T8EM-0526-SM-4DM64 40-49 years, male 57.1
GTEX-Y5V5-1626-SM-4VDSG 60-69 years, female 57.1
GTEX-1S82Y-1226-SM-EV7BD 40-49 years, male 57.1
GTEX-11P82-0526-SM-5986P 20-29 years, male 56.9
GTEX-RTLS-1126-SM-46MUQ 60-69 years, female 56.9
GTEX-11ONC-1526-SM-5GU6S 60-69 years, male 56.8
GTEX-ZE9C-1126-SM-4WWBD 60-69 years, male 56.8
GTEX-13NZB-1226-SM-5J2MW 30-39 years, male 56.7
GTEX-W5WG-1626-SM-4LMKG 50-59 years, female 56.7
GTEX-13U4I-1126-SM-5LU3S 40-49 years, female 56.6
GTEX-14AS3-0626-SM-5QGQD 40-49 years, female 56.6
GTEX-15RIE-0826-SM-6M47X 60-69 years, male 56.6
GTEX-YB5E-0926-SM-4WWDQ 40-49 years, male 56.6
GTEX-SJXC-1426-SM-EYYVB 60-69 years, male 56.6
GTEX-ZA64-0626-SM-5HL9O 20-29 years, male 56.5
GTEX-1J1R8-0326-SM-AHZ3D 40-49 years, male 56.5
GTEX-1MCYP-1026-SM-DPRYB 20-29 years, female 56.5
GTEX-XBED-1026-SM-48TCB 60-69 years, male 56.4
GTEX-Q2AI-0626-SM-48TZU 40-49 years, male 56.3
GTEX-QVUS-0626-SM-447CC 60-69 years, female 56.3
GTEX-T5JC-1726-SM-4DM6U 20-29 years, male 56.3
GTEX-1LG7Z-0926-SM-CXKYK 30-39 years, male 56.3
GTEX-WVLH-1426-SM-4MVNX 50-59 years, male 56.2
GTEX-1EN7A-1226-SM-7MGX9 40-49 years, male 56.1
GTEX-P4PQ-0626-SM-3NMCU 60-69 years, male 56.0
GTEX-1F7RK-1526-SM-7P8T6 20-29 years, female 55.8
GTEX-XQ3S-1126-SM-4BOPK 20-29 years, male 55.7
GTEX-1HSMQ-2026-SM-B2LY1 50-59 years, male 55.6
GTEX-S7SF-0926-SM-4AD4M 20-29 years, female 55.4
GTEX-ZF3C-1626-SM-4WWB4 50-59 years, female 55.4
GTEX-1122O-1726-SM-5GICM 60-69 years, female 55.3
GTEX-147F3-0826-SM-5NQA7 50-59 years, female 55.2
GTEX-P4PP-0626-SM-3NM9X 30-39 years, female 55.2
GTEX-REY6-1326-SM-48FDO 60-69 years, male 55.1
GTEX-1J8QM-1926-SM-AHZ3Z 60-69 years, female 55.1
GTEX-13PVR-1826-SM-5Q5CC 60-69 years, female 54.9
GTEX-145LS-1826-SM-5LUAZ 60-69 years, female 54.9
GTEX-1A32A-1826-SM-72D5G 50-59 years, female 54.9
GTEX-QEL4-1426-SM-447AC 50-59 years, male 54.9
GTEX-1QCLY-1526-SM-DPRXX 30-39 years, male 54.9
GTEX-15EO6-1026-SM-7KUG9 50-59 years, male 54.8
GTEX-OIZI-1426-SM-3NB1T 40-49 years, male 54.8
GTEX-ZG7Y-1126-SM-4WWEZ 50-59 years, male 54.8
GTEX-SUCS-0726-SM-4DM7J 70-79 years, male 54.7
GTEX-WEY5-0926-SM-4LMI4 40-49 years, female 54.6
GTEX-1MJIX-0826-SM-DTXEO 40-49 years, male 54.5
GTEX-VJYA-0726-SM-4KL1T 60-69 years, male 54.3
GTEX-1HSGN-1626-SM-A96U2 40-49 years, female 54.3
GTEX-RWS6-0826-SM-47JXF 60-69 years, female 54.2
GTEX-ZVT2-1326-SM-5E45H 50-59 years, female 54.2
GTEX-1GN1W-2226-SM-9JGI5 50-59 years, female 54.2
GTEX-12KS4-0926-SM-5BC5S 30-39 years, male 54.0
GTEX-16AAH-0726-SM-793A9 50-59 years, male 54.0
GTEX-1I1GQ-1726-SM-B2LWZ 50-59 years, male 54.0
GTEX-UJHI-0826-SM-4IHLM 50-59 years, female 53.9
GTEX-XUZC-0426-SM-4BOPE 30-39 years, female 53.9
GTEX-YF7O-0926-SM-5IFIF 50-59 years, male 53.9
GTEX-ZDTT-1326-SM-4WKFH 60-69 years, male 53.9
GTEX-17HGU-1426-SM-7938G 50-59 years, male 53.8
GTEX-WYJK-1926-SM-4ONDP 50-59 years, male 53.8
GTEX-1CB4F-1526-SM-7MKFM 60-69 years, male 53.6
GTEX-14E1K-1226-SM-5S2PD 50-59 years, male 53.5
GTEX-OOBK-0625-SM-3LK5P 40-49 years, male 53.5
GTEX-14PJ3-0626-SM-6UGC5 50-59 years, male 53.5
GTEX-1HCU7-2126-SM-A96SG 50-59 years, male 53.5
GTEX-UPK5-1226-SM-4IHL8 40-49 years, male 53.3
GTEX-1KANA-0626-SM-D4P3I 20-29 years, male 53.3
GTEX-14BIN-2726-SM-5RQIE 50-59 years, female 53.2
GTEX-O5YV-1026-SM-3LK72 60-69 years, female 53.2
GTEX-ZQUD-0426-SM-57WFR 30-39 years, male 53.2
GTEX-1LB8K-1326-SM-CXZKB 50-59 years, male 53.2
GTEX-15RIF-0826-SM-6M47C 20-29 years, male 53.1
GTEX-S95S-0426-SM-4B64I 60-69 years, male 53.1
GTEX-T6MO-0526-SM-4DM6R 40-49 years, female 53.0
GTEX-WH7G-0926-SM-4LVMJ 40-49 years, male 53.0
GTEX-13QBU-1026-SM-5LU3R 40-49 years, female 52.9
GTEX-PWCY-0726-SM-48TCS 20-29 years, female 52.9
GTEX-13O61-0926-SM-5IFFE 60-69 years, male 52.8
GTEX-1AMFI-0226-SM-731D5 50-59 years, female 52.7
GTEX-1R9K5-1526-SM-DPRZA 50-59 years, male 52.7
GTEX-1GMR3-1526-SM-9JGGL 40-49 years, male 52.5
GTEX-12BJ1-1626-SM-5HL8Y 60-69 years, male 52.4
GTEX-18465-1126-SM-7LG6E 50-59 years, male 52.4
GTEX-1AYD5-0926-SM-793AF 50-59 years, male 52.4
GTEX-U3ZH-1026-SM-4DXUZ 30-39 years, male 52.4
GTEX-17EVQ-1926-SM-7IGOF 70-79 years, male 52.3
GTEX-QLQW-0526-SM-4R1KS 30-39 years, male 52.3
GTEX-1JMPY-0826-SM-AHZ4A 30-39 years, male 52.3
GTEX-1LGOU-0526-SM-D3LAO 20-29 years, female 52.3
GTEX-1NUQO-1126-SM-DTX98 20-29 years, female 52.3
GTEX-UJMC-0926-SM-4IHLK 50-59 years, male 52.2
GTEX-12WSK-1126-SM-5LZV8 40-49 years, female 52.1
GTEX-15ETS-1926-SM-7KUN5 40-49 years, female 52.1
GTEX-XMD2-1326-SM-4YCET 60-69 years, female 52.1
GTEX-1ICG6-1926-SM-ARU7L 70-79 years, female 52.1
GTEX-1H1DG-1226-SM-9JGH3 70-79 years, male 52.0
GTEX-178AV-0526-SM-6LPJH 40-49 years, male 51.9
GTEX-R55G-1026-SM-48FDI 40-49 years, female 51.9
GTEX-1B8KZ-0726-SM-7938W 50-59 years, male 51.8
GTEX-OIZH-0626-SM-3NB1L 50-59 years, male 51.8
GTEX-1HCVE-1226-SM-9WPPH 50-59 years, male 51.8
GTEX-13G51-0926-SM-5IFFU 60-69 years, male 51.7
GTEX-X585-1226-SM-46MW7 50-59 years, male 51.7
GTEX-145LV-1326-SM-5S2QI 50-59 years, male 51.6
GTEX-17HHE-0926-SM-7938K 50-59 years, male 51.5
GTEX-YB5K-0826-SM-5YYB7 40-49 years, female 51.5
GTEX-1HCU6-1326-SM-A96TZ 60-69 years, female 51.5
GTEX-15ER7-2126-SM-7939E 20-29 years, female 51.4
GTEX-X3Y1-1326-SM-4PQZB 40-49 years, male 51.4
GTEX-1LVAN-2326-SM-CNNPY 50-59 years, female 51.4
GTEX-N7MT-0326-SM-48TDP 60-69 years, female 51.3
GTEX-1HSKV-2426-SM-A8N8K 60-69 years, male 51.3
GTEX-1I1CD-1726-SM-A9G3P 60-69 years, female 51.3
GTEX-1E1VI-1526-SM-7IGQ2 50-59 years, male 51.1
GTEX-11DXZ-1226-SM-5H11L 50-59 years, male 51.0
GTEX-R55C-0826-SM-48FCL 40-49 years, male 51.0
GTEX-WFON-0826-SM-4LVMI 40-49 years, male 51.0
GTEX-17F98-1726-SM-7938O 40-49 years, female 50.8
GTEX-1CB4E-1026-SM-793AB 60-69 years, male 50.7
GTEX-1CB4G-1326-SM-7MKFP 60-69 years, male 50.7
GTEX-X4EP-1626-SM-4QAS6 60-69 years, female 50.7
GTEX-1399S-1326-SM-5P9GH 30-39 years, female 50.6
GTEX-SE5C-1226-SM-4BRWV 40-49 years, female 50.6
GTEX-1LSNL-2226-SM-DHXKM 50-59 years, male 50.6
GTEX-11NUK-1326-SM-5P9GN 50-59 years, male 50.4
GTEX-131YS-1426-SM-5IJF7 60-69 years, female 50.4
GTEX-1LVA9-2126-SM-DLHBY 50-59 years, male 50.4
GTEX-17JCI-1226-SM-793D9 60-69 years, female 50.3
GTEX-1EX96-2226-SM-7MKGT 50-59 years, male 50.2
GTEX-PLZ5-0926-SM-3TW8L 50-59 years, male 50.1
GTEX-11XUK-0826-SM-5GU6P 40-49 years, female 50.0
GTEX-13YAN-1926-SM-7EPH9 60-69 years, male 49.9
GTEX-ZYVF-2226-SM-5GIDD 50-59 years, female 49.9
GTEX-1MCC2-1926-SM-DHXJR 30-39 years, female 49.9
GTEX-YECK-1626-SM-5IFHQ 60-69 years, male 49.8
GTEX-ZLWG-1326-SM-DNZYZ 50-59 years, female 49.8
GTEX-P4QT-0626-SM-3NMCP 50-59 years, female 49.7
GTEX-1R9PM-0926-SM-DPRYA 20-29 years, male 49.7
GTEX-OIZF-0626-SM-7MKHG 60-69 years, male 49.6
GTEX-XBEW-1326-SM-4AT63 40-49 years, male 49.5
GTEX-NFK9-1126-SM-3LK78 40-49 years, male 49.4
GTEX-1B933-2026-SM-7EWFC 50-59 years, female 49.3
GTEX-11VI4-0526-SM-5EQ48 40-49 years, female 49.2
GTEX-OIZG-1026-SM-3LK5X 50-59 years, male 49.2
GTEX-11P7K-1326-SM-5BC5G 30-39 years, male 49.0
GTEX-145MN-1026-SM-5NQ9G 30-39 years, male 48.9
GTEX-1RAZS-2626-SM-EV79C 50-59 years, male 48.9
GTEX-OXRN-1726-SM-3NM9B 50-59 years, male 48.8
GTEX-XV7Q-1126-SM-4BRVS 40-49 years, female 48.8
GTEX-1B97J-1026-SM-7MXTE 50-59 years, female 48.8
GTEX-1MGNQ-1626-SM-EAZ4Z 40-49 years, male 48.7
GTEX-1A3MV-1326-SM-7LG6C 30-39 years, male 48.6
GTEX-QDVJ-0726-SM-48U1W 50-59 years, male 48.6
GTEX-1MA7X-0726-SM-EV7AB 60-69 years, male 48.6
GTEX-ZAK1-1526-SM-5S2OV 50-59 years, female 48.5
GTEX-15DYW-1826-SM-6LPIY 60-69 years, female 48.4
GTEX-12ZZY-1426-SM-5N9EI 60-69 years, male 48.3
GTEX-14DAQ-1426-SM-5RQJD 60-69 years, female 48.3
GTEX-OXRP-0926-SM-48TC1 60-69 years, female 48.3
GTEX-1AX9I-1426-SM-7DHM8 60-69 years, male 48.2
GTEX-RN64-1026-SM-48FDX 50-59 years, male 48.2
GTEX-U3ZN-1726-SM-4DXUQ 30-39 years, female 48.1
GTEX-16NGA-1426-SM-718AC 40-49 years, female 48.0
GTEX-1LBAC-1226-SM-DHXK1 20-29 years, male 47.9
GTEX-117YW-1926-SM-5H121 50-59 years, male 47.8
GTEX-17F96-2526-SM-7DHL3 70-79 years, male 47.7
GTEX-QCQG-0626-SM-48U21 50-59 years, female 47.7
GTEX-1IDJH-2026-SM-CNNQX 70-79 years, male 47.6
GTEX-1R9JW-1526-SM-DPRZK 30-39 years, female 47.6
GTEX-S33H-0826-SM-4AD5Y 30-39 years, male 47.5
GTEX-ZPCL-1426-SM-57WEC 60-69 years, female 47.5
GTEX-11ZU8-1526-SM-5EGHX 60-69 years, male 47.4
GTEX-ZC5H-1326-SM-5HL7E 40-49 years, female 47.4
GTEX-13W46-1926-SM-5J2MF 50-59 years, male 47.3
GTEX-13OW8-2326-SM-5L3I9 60-69 years, male 47.2
GTEX-V1D1-1026-SM-4JBHE 50-59 years, male 47.2
GTEX-1RDX4-2126-SM-EV7B3 50-59 years, female 47.1
GTEX-PLZ6-0526-SM-3P61C 30-39 years, male 47.0
GTEX-OXRK-1326-SM-3NB1A 50-59 years, female 46.9
GTEX-13PL7-0226-SM-731DT 60-69 years, female 46.6
GTEX-YJ89-1526-SM-5P9IR 60-69 years, male 46.6
GTEX-1GN1U-1826-SM-9JGH2 50-59 years, female 46.4
GTEX-1HBPH-1126-SM-A96TU 40-49 years, female 46.2
GTEX-1HBPM-1426-SM-9WPPE 60-69 years, female 46.2
GTEX-1A8FM-1526-SM-7MXTA 50-59 years, female 46.0
GTEX-132AR-2226-SM-5J2NT 50-59 years, female 45.9
GTEX-RVPV-0526-SM-47JYL 60-69 years, male 45.8
GTEX-1399Q-1126-SM-5P9JA 40-49 years, male 45.4
GTEX-ZLV1-0526-SM-4WWD4 60-69 years, female 45.4
GTEX-1LSVX-1226-SM-DHXJN 60-69 years, male 45.4
GTEX-131XE-1426-SM-5HL7V 50-59 years, male 45.3
GTEX-1EKGG-1726-SM-7MXUP 60-69 years, male 45.2
GTEX-1C64O-1826-SM-7DHM4 60-69 years, male 44.8
GTEX-13OVK-1126-SM-6PAMR 40-49 years, male 44.6
GTEX-13OVI-2626-SM-5KM4T 60-69 years, female 44.4
GTEX-PLZ4-1626-SM-3P618 50-59 years, female 44.2
GTEX-WYVS-0726-SM-4ONDO 40-49 years, female 43.8
GTEX-ZTSS-0626-SM-59867 40-49 years, male 43.8
GTEX-148VJ-1026-SM-5LU98 70-79 years, male 43.7
GTEX-1PPGY-1726-SM-EVR3S 60-69 years, male 43.5
GTEX-13QJ3-1726-SM-5RQK9 50-59 years, male 42.8
GTEX-16Z82-1926-SM-6M47U 60-69 years, male 42.8
GTEX-1K2DU-1726-SM-EV79S 20-29 years, male 42.8
GTEX-S4Q7-0626-SM-4AD5M 20-29 years, male 42.7
GTEX-1399R-0826-SM-5IJEL 30-39 years, male 42.5
GTEX-ZF2S-1226-SM-4WWAX 50-59 years, female 42.4
GTEX-YEC4-1026-SM-9WG7N 40-49 years, male 42.4
GTEX-1HFI6-1226-SM-A96SK 40-49 years, male 42.3
GTEX-R53T-1126-SM-48FD4 50-59 years, female 42.0
GTEX-XQ8I-1526-SM-4BOOH 50-59 years, male 41.5
GTEX-11EI6-1526-SM-5P9GL 60-69 years, male 41.3
GTEX-N7MS-1225-SM-3LK5G 60-69 years, male 41.0
GTEX-145LU-0926-SM-79OJL 50-59 years, male 40.3
GTEX-1MCQQ-1026-SM-EV7AX 60-69 years, male 40.3
GTEX-1I1GR-1326-SM-ARU7B 60-69 years, male 40.2
GTEX-POYW-1326-SM-48TCG 60-69 years, male 39.9
GTEX-X4XY-1726-SM-46MVO 60-69 years, male 39.1
GTEX-1I1GV-2226-SM-ARU7E 60-69 years, male 38.9
GTEX-T2YK-1326-SM-4DM6S 50-59 years, male 38.3
GTEX-1CAMQ-2726-SM-7MKGD 40-49 years, male 37.7
GTEX-17HII-1526-SM-9OSVD 50-59 years, male 37.5
GTEX-1EH9U-2426-SM-7EWFG 60-69 years, male 37.4
GTEX-1EWIQ-1526-SM-79OO7 70-79 years, female 37.1
GTEX-14A6H-1326-SM-5NQBC 30-39 years, male 36.7
GTEX-X62O-2226-SM-46MW3 50-59 years, male 36.1
GTEX-1CB4H-1526-SM-7MXU4 60-69 years, female 35.7
GTEX-TML8-1526-SM-4DXUX 40-49 years, female 34.0
GTEX-1269C-1026-SM-5N9EY 60-69 years, female 31.4
GTEX-13FHP-1526-SM-5IJGE 50-59 years, male 29.4
Show allShow less

ESOPHAGUS - FANTOM5 CAGEi

RNA expression in human tissues obtained through Cap Analysis of Gene Expression (CAGE) generated by the FANTOM5 project are reported as Scaled Tags Per Million.

Max subtype Scaled Tags Per Millioni

Max subtype Scaled Tags Per Million is the value for the subtype with the largest average Scaled Tags Per Million across the subtype samples.

138.6
FANTOM5 sample id Sample description Scaled Tags Per Million
Esophagus
Scaled Tags Per Million: 138.6
FF:10015-101C6 68,74,75 years, mixed 138.6

Contact

  • NEWS ARTICLES
  • PRESS ROOM

The Project

  • INTRODUCTION
  • ORGANIZATION
  • PUBLICATIONS

The Human Protein Atlas

  • DOWNLOADABLE DATA
  • LICENCE & CITATION
  • HELP & FAQ
The Human Protein Atlas project is funded
by the Knut & Alice Wallenberg Foundation.


contact@proteinatlas.org