We use cookies to enhance the usability of our website. If you continue, we'll assume that you are happy to receive all cookies. More information. Don't show this again.
CBX3
HPA
RESOURCES
  • TISSUE
  • BRAIN
  • SINGLE CELL
  • SUBCELLULAR
  • CANCER
  • BLOOD
  • CELL LINE
  • STRUCTURE & INTERACTION
ABOUT
  • INTRODUCTION
  • HISTORY
  • ORGANIZATION
  • PUBLICATIONS
  • ANTIBODY SUBMISSION
  • ANTIBODY AVAILABILITY
  • ACKNOWLEDGMENTS
  • CONTACT
NEWS
  • NEWS ARTICLES
  • PRESS ROOM
LEARN
  • DICTIONARY
  • PROTEIN CLASSES
  • PROTEIN EVIDENCE
  • METHODS
  • EDUCATIONAL VIDEOS
DATA
  • DOWNLOADABLE DATA
  • PUBLICATION DATA
  • RELEASE HISTORY
HELP
  • ANTIBODY VALIDATION
  • ASSAYS & ANNOTATION
  • DISCLAIMER
  • HELP & FAQ
  • PRIVACY STATEMENT
  • LICENCE & CITATION
Fields »
Search result

Field
Term
Gene name
Class
Subclass
Class
Keyword
Chromosome
External id
Tissue
Cell type
Expression
Antibody panel
Tissue
Main location
Patient ID
Annotation
Tissue
Category
Tau score
Cluster
Reliability
Brain region
Category
Tau score
Brain region
Category
Tau score
Brain region
Category
Tau score
Cluster
Reliability
Tissue
Cell type
Enrichment
Cell type
Category
Tau score
Cell type
Category
Tau score
Cell type
Category
Tau score
Cell lineage
Category
Tau score
Cluster
Cluster
Location
Searches
Location
Cell line
Class
Type
Phase
Reliability
Cancer
Prognosis
Cancer
Category
Cancer
Category
Tau score
Cluster
Variants
Interacting gene (ensg_id)
Type
Number of interactions
Pathway
Category
Score
Score
Score
Validation
Validation
Validation
Validation
Antibodies
Data type
Column


  • SUMMARY

  • TISSUE

  • BRAIN

  • SINGLE CELL

  • SUBCELL

  • CANCER

  • BLOOD

  • CELL LINE

  • STRUCT & INT

  • CBX3
TISSUE PRIMARY DATA SKELETAL MUSCLE Show tissue menu
ADIPOSE TISSUE ADRENAL GLAND AMYGDALA APPENDIX BASAL GANGLIA BONE MARROW BREAST BRONCHUS CEREBELLUM CEREBRAL CORTEX CERVIX CHOROID PLEXUS COLON DUODENUM
ENDOMETRIUM EPIDIDYMIS ESOPHAGUS FALLOPIAN TUBE GALLBLADDER HEART MUSCLE HIPPOCAMPAL FORMATION HYPOTHALAMUS KIDNEY LIVER LUNG LYMPH NODE MIDBRAIN NASOPHARYNX
ORAL MUCOSA OVARY PANCREAS PARATHYROID GLAND PITUITARY GLAND PLACENTA PROSTATE RECTUM RETINA SALIVARY GLAND SEMINAL VESICLE SKELETAL MUSCLE SKIN SMALL INTESTINE
SMOOTH MUSCLE SOFT TISSUE SPINAL CORD SPLEEN STOMACH TESTIS THYMUS THYROID GLAND TONGUE TONSIL URINARY BLADDER VAGINA
ANTIBODIES
AND
VALIDATION
Dictionary
Skeletal muscle
Tissue proteome
Skeletal muscle
SKELETAL MUSCLE - Expression summary
Protein expression
Skeletal musclei

On the top, protein expression in current human tissue, based on all annotated cell types, is reported with the units not detected (n), low (l), medium (m) and high (h). Underneath, protein expression in each annotated cell type are reported using the same units.

Protein expression data is based on knowledge-based annotation. For genes where more than one antibody has been used, a collective score is set.

If knowledge-based annotation could not be performed for a gene, no data is displayed here. View antibody staining data further down this page.

h
m
l
n
Myocytes: Low
RNA expressioni

A summary of mRNA expression data available for current tissue based on several datasets. The mRNA expression levels in human tissues are based on RNA-seq data generated by the Human Protein Atlas (HPA), Genotype-Tissue Expression (GTEx) portal and CAGE data generated by the FANTOM5 consortium. Consensus normalized expression levels for human tissues was created by combining the data from HPA and GTEx datasets.

The mRNA expression levels in pig are based on RNA-seq data generated by the Human Protein Atlas (HPA), and for mouse, HPA data and in situ hybridization generated by the Allen brain atlas are reported.

Scroll down to view mRNA expression data in more detail.
Consensus:84.1 nTPM
HPA:73.8 nTPM
GTEx:84.1 nTPM
FANTOM5:332.9 Scaled Tags Per Million

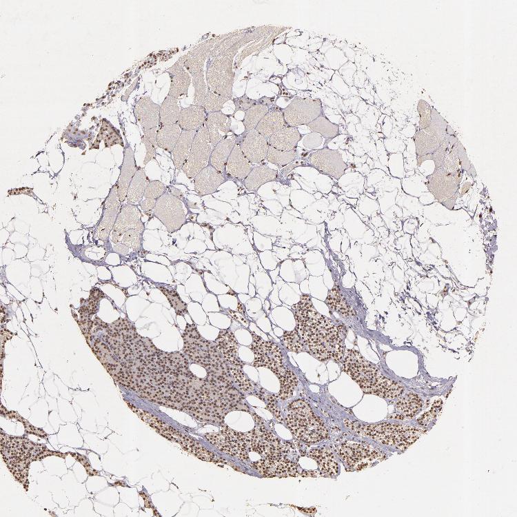
SKELETAL MUSCLE - Antibody stainingi

Antibody staining in the annotated cell types in the current human tissue is reported as not detected, low, medium, or high, based on conventional immunohistochemistry profiling in selected tissues. This score is based on the combination of the staining intensity and fraction of stained cells.

Each image is clickable and will lead to virtual microscopy that enables deeper exploration of all samples and also displays staining intensity scores, fraction scores and subcellular localization as well as patient and tissue information for each sample.

Antibody HPA004902Antibody CAB001973
Myocytes MediumLow





SKELETAL MUSCLE - HPA RNA-seqi

The RNA-seq details section shows detailed information about the individual samples used for the transcript profiling and results of the RNA-seq analysis.

Information about each individual sample is listed below, including gender, age, a tissue section image and estimated fractions of cell types. nTPM (normalized transcripts per million) values give a quantification of the gene abundance which is comparable between different genes and samples.
Average nTPMi

Max subtype nTPM is the value for the subtype with the largest average nTPM across the subtype samples.

73.8
N/A
Male, age 23
Skeletal muscle sample 339
nTPM: 84.6
N/A
Female, age 25
Skeletal muscle sample 340
nTPM: 74.9
N/A
Female, age -
Skeletal muscle sample 341
nTPM: 75
N/A
Female, age 22
Skeletal muscle sample 342
nTPM: 68.3
N/A
Male, age 29
Skeletal muscle sample 343
nTPM: 66.2

SKELETAL MUSCLE - GTEx RNA-seqi

RNA-Seq data generated by the Genotype-Tissue Expression (GTEx) project from human tissues is reported as mean nTPM. More information can be found on the GTEx portal.

Distribution across the dataset is visualized with box plots, shown as median and 25th and 75th percentiles. Points are displayed as outliers if they are above or below 1.5 times the interquartile range. nTPM values of the individual samples are presented next to the box plot.
Max subtype nTPMi

Max subtype nTPM is the value for the subtype with the largest average nTPM across the subtype samples.

84.1
GTEx sample id Sample description nTPM
Muscle - Skeletal
Average nTPM: 84.1
Samples: 803

Max nTPM: 177.0
Min nTPM: 41.4
Std nTPM: 18.5
Median nTPM: 80.2
GTEX-ZQUD-1726-SM-7P8ON 30-39 years, male 177.0
GTEX-146FH-0526-SM-5QGQ3 50-59 years, female 156.1
GTEX-U8XE-0726-SM-3DB8O 30-39 years, male 154.1
GTEX-13O1R-0526-SM-5K7XU 60-69 years, male 153.0
GTEX-1L5NE-2226-SM-CXZKS 50-59 years, male 144.0
GTEX-WFG7-2226-SM-3GIKP 20-29 years, male 142.3
GTEX-1IDJV-0426-SM-COH3Z 60-69 years, male 141.9
GTEX-12WSG-5016-SM-7SB84 50-59 years, female 139.7
GTEX-14C5O-0626-SM-664N2 60-69 years, male 136.7
GTEX-1HCU7-0426-SM-D3L8Q 50-59 years, male 136.0
GTEX-S32W-2326-SM-2XCAW 50-59 years, female 135.4
GTEX-1I1GU-2126-SM-CGQF9 40-49 years, male 135.1
GTEX-11TT1-2326-SM-5GU6N 20-29 years, male 135.0
GTEX-X4XY-0626-SM-4E3IN 60-69 years, male 132.5
GTEX-11EQ8-0526-SM-5N9BC 60-69 years, male 131.9
GTEX-13O3P-0626-SM-5L3D5 50-59 years, male 131.4
GTEX-WOFM-1326-SM-3MJFR 20-29 years, male 131.1
GTEX-WYJK-1726-SM-3NM9U 50-59 years, male 129.6
GTEX-O5YT-1626-SM-32PK6 20-29 years, male 129.4
GTEX-V1D1-2426-SM-3GAER 50-59 years, male 129.4
GTEX-ZTX8-1626-SM-51MRY 20-29 years, male 128.9
GTEX-1PPH8-0326-SM-E76PR 20-29 years, male 128.0
GTEX-11I78-2426-SM-5A5K9 50-59 years, female 127.2
GTEX-11DZ1-0926-SM-5EQ5R 50-59 years, male 126.8
GTEX-11TUW-2526-SM-5EQKN 60-69 years, male 124.9
GTEX-R53T-1826-SM-3GIJX 50-59 years, female 124.8
GTEX-1JKYN-1826-SM-ARZMZ 30-39 years, male 124.3
GTEX-13OVK-1926-SM-6M48G 40-49 years, male 123.3
GTEX-WFG8-2426-SM-3GILL 20-29 years, male 122.9
GTEX-ZVT2-2426-SM-57WCQ 50-59 years, female 122.9
GTEX-1K2DA-2226-SM-CGQGM 50-59 years, male 122.4
GTEX-X261-0326-SM-3NMD4 50-59 years, male 122.1
GTEX-ZLFU-2526-SM-DO91K 40-49 years, male 121.7
GTEX-13S86-2326-SM-5RQK1 40-49 years, male 121.0
GTEX-P4QT-1626-SM-DHXIR 50-59 years, female 120.8
GTEX-1PWST-0426-SM-E76QV 70-79 years, male 120.7
GTEX-1B97J-1226-SM-7PBZR 50-59 years, female 120.6
GTEX-1LBAC-0326-SM-DIPF1 20-29 years, male 120.1
GTEX-13CF3-1826-SM-5J1NK 60-69 years, female 119.8
GTEX-Y114-2526-SM-4TT8M 50-59 years, female 119.8
GTEX-13NZ9-0626-SM-5IJCO 50-59 years, male 119.6
GTEX-U8T8-1426-SM-3DB9H 60-69 years, male 119.1
GTEX-1IE54-0326-SM-ARZMD 40-49 years, female 118.8
GTEX-1IDJD-1326-SM-CM2TQ 30-39 years, male 118.7
GTEX-14ICL-1926-SM-5RQIZ 30-39 years, male 117.9
GTEX-SN8G-0326-SM-32PLG 50-59 years, female 117.9
GTEX-XUZC-2126-SM-4BRW8 30-39 years, female 117.8
GTEX-ZF29-2426-SM-DO92G 60-69 years, female 117.7
GTEX-1339X-2426-SM-5KLYU 40-49 years, male 117.4
GTEX-YFCO-1926-SM-4W212 40-49 years, male 117.0
GTEX-1LVAN-0526-SM-CNNQ1 50-59 years, female 116.7
GTEX-SNMC-1426-SM-2XCFM 20-29 years, male 116.6
GTEX-1399R-2526-SM-5IFG2 30-39 years, male 115.9
GTEX-TML8-1826-SM-32QOR 40-49 years, female 115.8
GTEX-1GN1U-2226-SM-9MQK1 50-59 years, female 115.6
GTEX-1LH75-2626-SM-E9TKL 50-59 years, female 115.5
GTEX-1KXAM-2426-SM-DIPFC 60-69 years, male 115.3
GTEX-15DZA-2026-SM-6PANE 30-39 years, female 114.4
GTEX-12696-2826-SM-5FQTY 60-69 years, male 114.1
GTEX-1MJK3-1426-SM-E9TK1 20-29 years, male 113.9
GTEX-1JN1M-0526-SM-CJI3D 60-69 years, female 113.8
GTEX-13PL7-0626-SM-5IJCD 60-69 years, female 113.7
GTEX-1LGRB-2626-SM-CNPPR 50-59 years, female 113.5
GTEX-ZGAY-0726-SM-DO91O 40-49 years, female 113.4
GTEX-VJYA-1926-SM-3GIJJ 60-69 years, male 113.2
GTEX-1IDJF-0326-SM-ADEIG 20-29 years, male 113.1
GTEX-11VI4-1926-SM-5CVLI 40-49 years, female 113.0
GTEX-145MI-0326-SM-5Q5EV 60-69 years, female 112.7
GTEX-ZF3C-0326-SM-4WWBF 50-59 years, female 112.5
GTEX-16BQI-0326-SM-6PAM4 30-39 years, female 111.7
GTEX-1H3VY-0326-SM-9WYU6 50-59 years, male 111.6
GTEX-14LLW-0526-SM-62LFB 70-79 years, female 111.5
GTEX-ZV6S-2126-SM-4YCEM 40-49 years, female 111.4
GTEX-1IDJE-2426-SM-ACKWF 50-59 years, female 111.0
GTEX-14C38-0426-SM-5TDDZ 50-59 years, male 110.7
GTEX-U3ZN-2226-SM-3DB88 30-39 years, female 110.7
GTEX-1I1GT-0726-SM-B2LWN 60-69 years, female 110.4
GTEX-14753-0526-SM-5QGPR 60-69 years, male 110.3
GTEX-13OVG-2126-SM-5KM1K 60-69 years, male 110.1
GTEX-131XF-2326-SM-5BC6B 60-69 years, male 109.8
GTEX-1J8Q3-1426-SM-CKZPU 60-69 years, male 109.8
GTEX-1S83E-2126-SM-EWRO6 40-49 years, male 109.5
GTEX-111YS-2326-SM-5987L 60-69 years, male 109.4
GTEX-1AYD5-2226-SM-73KX3 50-59 years, male 109.4
GTEX-R55D-0626-SM-3GAD5 50-59 years, male 108.3
GTEX-YEC3-2126-SM-4YCDB 50-59 years, male 108.3
GTEX-1A3MV-2026-SM-718BU 30-39 years, male 108.1
GTEX-1B8SG-0326-SM-73KXW 50-59 years, male 108.1
GTEX-OIZI-0626-SM-2XCEH 40-49 years, male 107.7
GTEX-131XE-2726-SM-5P9G7 50-59 years, male 107.6
GTEX-14PK6-2126-SM-6ETZV 70-79 years, female 107.6
GTEX-1HBPM-0426-SM-CKZOO 60-69 years, female 107.6
GTEX-TMMY-0426-SM-33HBB 40-49 years, female 107.5
GTEX-13FTX-2026-SM-5L3D6 20-29 years, female 107.2
GTEX-11NSD-2026-SM-5HL5U 20-29 years, male 107.1
GTEX-15EO6-2826-SM-6PANB 50-59 years, male 107.1
GTEX-1C2JI-2126-SM-793CG 50-59 years, male 106.9
GTEX-11OC5-0326-SM-5PNW5 60-69 years, male 106.7
GTEX-15UF7-2226-SM-6PAMQ 40-49 years, male 106.4
GTEX-16NGA-1926-SM-7LTA6 40-49 years, female 106.3
GTEX-1R9PM-2226-SM-E8VOC 20-29 years, male 106.3
GTEX-14A5H-0326-SM-5RQIB 60-69 years, male 106.2
GTEX-1NUQO-0726-SM-E9J3K 20-29 years, female 106.2
GTEX-ZVP2-2126-SM-5GU6E 50-59 years, male 106.0
GTEX-1ICG6-2726-SM-CKZPN 70-79 years, female 105.9
GTEX-14PN4-0326-SM-6EU2N 50-59 years, male 105.8
GTEX-1JK1U-2226-SM-CNNPL 60-69 years, male 105.7
GTEX-ZVT4-0326-SM-51MS5 50-59 years, female 105.5
GTEX-139YR-2526-SM-5IJC6 50-59 years, male 105.3
GTEX-16MTA-2026-SM-7KUL3 50-59 years, male 105.3
GTEX-Q2AI-1526-SM-3GIJ3 40-49 years, male 105.0
GTEX-1JMQI-2126-SM-CM2SC 50-59 years, male 104.9
GTEX-UJMC-1826-SM-3GADT 50-59 years, male 104.7
GTEX-R3RS-0526-SM-3GADG 40-49 years, female 104.0
GTEX-169BO-1526-SM-9KNVR 50-59 years, male 103.9
GTEX-139T6-2026-SM-5IFFL 50-59 years, male 103.8
GTEX-14JG6-2126-SM-6EU2F 30-39 years, female 103.5
GTEX-1R46S-0326-SM-EWRNE 60-69 years, female 103.5
GTEX-139D8-0726-SM-5P9GJ 30-39 years, female 103.4
GTEX-13RTK-1626-SM-5QGQS 20-29 years, male 103.4
GTEX-132AR-1026-SM-5PNVL 50-59 years, female 103.3
GTEX-ZYY3-0526-SM-5E45G 60-69 years, female 103.2
GTEX-1HBPN-0526-SM-A9SM6 50-59 years, male 103.2
GTEX-11P7K-1926-SM-5GU6R 30-39 years, male 102.5
GTEX-1C4CL-0326-SM-7DHMH 30-39 years, male 102.5
GTEX-Y8LW-2026-SM-4V6G8 50-59 years, female 102.4
GTEX-1AX8Z-5004-SM-ARZLD 60-69 years, male 102.2
GTEX-XQ8I-0626-SM-4BOPT 50-59 years, male 102.1
GTEX-11EM3-2126-SM-5H11M 20-29 years, female 101.9
GTEX-1H1DG-0326-SM-9QEHK 70-79 years, male 101.6
GTEX-1CB4J-1226-SM-7P8P3 60-69 years, male 101.5
GTEX-1399Q-2426-SM-5J2MO 40-49 years, male 101.3
GTEX-12WSL-2726-SM-5CVNL 50-59 years, male 101.2
GTEX-P44H-0426-SM-2XCEZ 40-49 years, male 101.2
GTEX-ZWKS-0326-SM-5NQ7G 30-39 years, male 101.1
GTEX-1AX9J-0126-SM-73KY2 60-69 years, male 101.0
GTEX-WEY5-2026-SM-CYPRC 40-49 years, female 100.9
GTEX-1RAZR-0326-SM-EWRNM 40-49 years, male 100.8
GTEX-131XG-2326-SM-5HL8F 50-59 years, female 100.7
GTEX-1LSNM-2326-SM-EWRO8 50-59 years, male 100.7
GTEX-13NZB-2626-SM-5J2M7 30-39 years, male 100.4
GTEX-WHSB-1826-SM-3TW8M 50-59 years, male 100.4
GTEX-QV44-2026-SM-2S1RD 50-59 years, male 100.1
GTEX-11WQK-0726-SM-5GU71 50-59 years, male 99.9
GTEX-14PJ2-0326-SM-6EU2Q 50-59 years, male 99.9
GTEX-ZV7C-2426-SM-5NQ7Q 50-59 years, male 99.8
GTEX-1H1E6-2126-SM-9KNVM 30-39 years, male 99.6
GTEX-1122O-2426-SM-5GIDN 60-69 years, female 99.3
GTEX-13N2G-2326-SM-5J1ON 60-69 years, male 99.3
GTEX-1JN76-0326-SM-ARZNJ 20-29 years, female 99.2
GTEX-Y3IK-2626-SM-4WWDK 50-59 years, female 99.1
GTEX-XPT6-2026-SM-4B64V 20-29 years, male 99.0
GTEX-YB5K-2326-SM-5IFHD 40-49 years, female 98.9
GTEX-ZLWG-2126-SM-DO91M 50-59 years, female 98.9
GTEX-SE5C-1826-SM-2XCE4 40-49 years, female 98.7
GTEX-X5EB-2326-SM-46MW5 40-49 years, male 98.7
GTEX-15RJ7-2426-SM-6M48L 40-49 years, male 98.5
GTEX-1PIEJ-0326-SM-EVYB5 20-29 years, female 98.4
GTEX-111CU-2026-SM-5GZZC 50-59 years, male 98.3
GTEX-11EQ9-2126-SM-5PNVW 30-39 years, male 98.3
GTEX-PLZ5-1726-SM-2I5F6 50-59 years, male 98.3
GTEX-1JMPY-1226-SM-CJI3A 30-39 years, male 98.3
GTEX-15G1A-2026-SM-7KUFG 30-39 years, male 98.2
GTEX-X8HC-0526-SM-4E3JA 50-59 years, female 97.5
GTEX-1JN6P-0526-SM-COH33 60-69 years, male 97.5
GTEX-1S5ZA-0526-SM-EWRO1 20-29 years, male 97.3
GTEX-1QP66-1626-SM-E76PC 50-59 years, male 97.2
GTEX-15G19-0526-SM-6PAMT 60-69 years, male 97.0
GTEX-1HFI7-1926-SM-A96TQ 50-59 years, female 96.9
GTEX-RUSQ-1726-SM-2TF68 50-59 years, male 96.8
GTEX-YB5E-2226-SM-5IFJ5 40-49 years, male 96.8
GTEX-13OW5-0326-SM-5L3HK 60-69 years, male 96.7
GTEX-QDVJ-1926-SM-2S1PJ 50-59 years, male 96.7
GTEX-XAJ8-1026-SM-47JY9 40-49 years, male 96.7
GTEX-ZC5H-0326-SM-5HL9F 40-49 years, female 96.7
GTEX-11GSO-2526-SM-5PNVX 60-69 years, male 96.5
GTEX-13JUV-2326-SM-5IJCE 40-49 years, female 96.3
GTEX-1GPI7-0426-SM-7RHHP 20-29 years, male 96.2
GTEX-ZT9X-1826-SM-57WDU 40-49 years, male 96.1
GTEX-13NYC-0726-SM-5J2NQ 60-69 years, male 96.0
GTEX-144GM-2026-SM-5LU3D 20-29 years, male 96.0
GTEX-17F9E-0226-SM-79OKK 50-59 years, male 95.9
GTEX-1H1DE-1726-SM-A9G3G 20-29 years, male 95.9
GTEX-1JMQL-0126-SM-CY8HN 50-59 years, female 95.9
GTEX-13W46-0726-SM-5LU3Z 50-59 years, male 95.8
GTEX-16AAH-1826-SM-7939D 50-59 years, male 95.8
GTEX-15SKB-2526-SM-6PALP 60-69 years, male 95.7
GTEX-1HSEH-0326-SM-A9G26 60-69 years, male 95.6
GTEX-11O72-0326-SM-5986D 40-49 years, male 95.5
GTEX-13O3O-0526-SM-5J1NL 60-69 years, female 95.5
GTEX-ZEX8-2526-SM-DO92M 50-59 years, male 95.4
GTEX-12C56-1926-SM-5FQUG 20-29 years, male 95.2
GTEX-17HGU-0626-SM-7939Y 50-59 years, male 95.2
GTEX-14E6C-1526-SM-664ND 40-49 years, male 95.1
GTEX-18A66-0126-SM-731CQ 60-69 years, male 95.0
GTEX-11XUK-2226-SM-5CVLL 40-49 years, female 94.9
GTEX-Y5V5-2526-SM-4VBQ4 60-69 years, female 94.9
GTEX-1MCYP-2026-SM-DTXE4 20-29 years, female 94.9
GTEX-1QP2A-0526-SM-E8VN5 50-59 years, male 94.9
GTEX-145LT-1626-SM-5O992 40-49 years, male 94.7
GTEX-146FR-1726-SM-5Q5DT 60-69 years, female 94.2
GTEX-14PQA-0526-SM-7KUFS 50-59 years, female 94.2
GTEX-QLQW-1326-SM-2S1QS 30-39 years, male 94.0
GTEX-1HCVE-0326-SM-CGQEW 50-59 years, male 94.0
GTEX-XBEW-1026-SM-4QARV 40-49 years, male 93.9
GTEX-1P4AB-0326-SM-EXUT3 50-59 years, male 93.9
GTEX-ZPCL-2026-SM-57WFD 60-69 years, female 93.8
GTEX-1H23P-0526-SM-9WG6S 60-69 years, male 93.8
GTEX-1HGF4-2626-SM-CM2SJ 60-69 years, male 93.4
GTEX-1J1R8-2326-SM-CKZPS 40-49 years, male 93.3
GTEX-15RIG-0426-SM-7KUF4 40-49 years, male 93.2
GTEX-YF7O-2526-SM-5IFJX 50-59 years, male 93.2
GTEX-ZZ64-1526-SM-5E43K 20-29 years, male 93.2
GTEX-1R9PO-2426-SM-EVYBS 60-69 years, female 93.1
GTEX-11TTK-0326-SM-5BC5N 60-69 years, female 93.0
GTEX-P78B-1626-SM-5SI85 40-49 years, female 93.0
GTEX-15RIE-2426-SM-7KUDS 60-69 years, male 92.9
GTEX-1J8Q2-0126-SM-E9J2G 60-69 years, male 92.9
GTEX-14A6H-5019-SM-793DH 30-39 years, male 92.8
GTEX-1MA7W-1826-SM-DIPFP 20-29 years, female 92.8
GTEX-Y5V6-2626-SM-5IFIX 60-69 years, male 92.6
GTEX-11DXZ-2426-SM-5N9DT 50-59 years, male 92.5
GTEX-1N2EF-0526-SM-E76OK 60-69 years, male 92.5
GTEX-13PVR-2526-SM-5RQIT 60-69 years, female 92.4
GTEX-QESD-1626-SM-2S1RB 20-29 years, male 92.4
GTEX-NFK9-0626-SM-2HMIV 40-49 years, male 91.7
GTEX-ZF2S-2126-SM-4WWAY 50-59 years, female 91.7
GTEX-1F5PK-2626-SM-7RHH6 50-59 years, male 91.7
GTEX-WXYG-2526-SM-3NB3F 50-59 years, female 91.6
GTEX-145LV-2326-SM-5LU8Z 50-59 years, male 91.4
GTEX-WRHK-1626-SM-3MJFH 20-29 years, female 91.4
GTEX-ZDYS-1726-SM-5HL4Y 50-59 years, male 91.3
GTEX-T5JW-1826-SM-3GAE1 20-29 years, female 91.1
GTEX-12WSN-2526-SM-5LZU8 40-49 years, male 91.0
GTEX-1GZ4H-1626-SM-7PC3F 50-59 years, female 91.0
GTEX-15CHR-2426-SM-7DUFX 50-59 years, male 90.9
GTEX-OHPN-2726-SM-2I5H4 60-69 years, female 90.9
GTEX-ZLV1-2126-SM-4WWD2 60-69 years, female 90.7
GTEX-1MUQO-0226-SM-E9TJL 60-69 years, male 90.4
GTEX-1A3MX-0526-SM-718A9 60-69 years, male 90.3
GTEX-1H11D-0326-SM-9WG71 40-49 years, male 90.3
GTEX-Y8E4-1026-SM-4VBQ5 40-49 years, male 90.2
GTEX-SJXC-0526-SM-2XCFG 60-69 years, male 90.1
GTEX-1JJ6O-0926-SM-CYPT1 60-69 years, male 90.0
GTEX-1LNCM-1226-SM-E9U5C 50-59 years, female 90.0
GTEX-1128S-2426-SM-5H11B 60-69 years, female 89.7
GTEX-15RIF-2126-SM-7KUM8 20-29 years, male 89.3
GTEX-17MFQ-1926-SM-793A6 20-29 years, male 89.2
GTEX-ZPIC-2526-SM-57WDP 40-49 years, female 89.2
GTEX-ZYT6-1626-SM-5E45R 30-39 years, male 89.1
GTEX-1PBJJ-0326-SM-E8VNT 30-39 years, male 89.1
GTEX-18D9U-0626-SM-7LTA4 40-49 years, male 89.0
GTEX-1GMR8-0326-SM-9KNUO 50-59 years, female 89.0
GTEX-1F5PL-0426-SM-7P8PR 40-49 years, female 88.8
GTEX-Z93S-1326-SM-5CVMR 50-59 years, male 88.7
GTEX-Z9EW-1726-SM-5CVMO 40-49 years, male 88.7
GTEX-1K9T9-0326-SM-EWRNQ 50-59 years, female 88.7
GTEX-13X6H-2326-SM-7EWEB 50-59 years, female 88.6
GTEX-14DAR-1826-SM-664N1 50-59 years, male 88.6
GTEX-15SDE-2326-SM-6PAL4 50-59 years, female 88.6
GTEX-1I19N-2026-SM-ACKXJ 70-79 years, male 88.6
GTEX-1HSMP-0326-SM-A9SMC 70-79 years, male 88.4
GTEX-17HHE-2126-SM-7DHLO 50-59 years, male 88.1
GTEX-QVJO-0126-SM-3GIK4 60-69 years, female 88.1
GTEX-ZXG5-0326-SM-5GICH 60-69 years, male 88.1
GTEX-1AMFI-2226-SM-731C6 50-59 years, female 88.0
GTEX-T8EM-1326-SM-3DB7G 40-49 years, male 88.0
GTEX-TKQ1-1426-SM-4GICK 30-39 years, male 88.0
GTEX-11P81-2526-SM-5GU6H 30-39 years, female 87.9
GTEX-1GF9W-0526-SM-9MQJP 60-69 years, male 87.8
GTEX-1LB8K-0126-SM-EVYCN 50-59 years, male 87.8
GTEX-1I6K6-0326-SM-CJI4A 30-39 years, male 87.7
GTEX-SUCS-1626-SM-32PLS 70-79 years, male 87.6
GTEX-1GN73-0126-SM-CNPPT 60-69 years, male 87.6
GTEX-11DXX-2726-SM-5PNXO 60-69 years, female 87.4
GTEX-1AMEY-1526-SM-73KYW 30-39 years, female 87.4
GTEX-1HCU6-0526-SM-A9SKU 60-69 years, female 87.4
GTEX-13FH7-2126-SM-5L3DJ 50-59 years, female 87.3
GTEX-14C39-2426-SM-5S2U5 40-49 years, male 87.3
GTEX-1CB4F-0326-SM-9MQKD 60-69 years, male 87.3
GTEX-11EI6-0326-SM-5EQ6G 60-69 years, male 87.2
GTEX-QEG5-0426-SM-2I5GJ 20-29 years, male 87.2
GTEX-XV7Q-2926-SM-4BRUL 40-49 years, female 87.2
GTEX-1I6K7-0326-SM-B2LXO 40-49 years, male 87.1
GTEX-1KANA-0926-SM-D3L9K 20-29 years, male 87.1
GTEX-13O61-2326-SM-5J1NJ 60-69 years, male 87.0
GTEX-14BIM-0326-SM-5SI9B 60-69 years, female 87.0
GTEX-15ETS-0326-SM-6PANH 40-49 years, female 87.0
GTEX-1M5QR-1326-SM-EWROC 40-49 years, male 87.0
GTEX-1F75B-0526-SM-7P8T5 50-59 years, male 86.9
GTEX-1HKZK-0226-SM-9WYUG 40-49 years, male 86.9
GTEX-1IOXB-0326-SM-CL55M 50-59 years, male 86.9
GTEX-14A5I-0326-SM-5NQ9J 50-59 years, female 86.8
GTEX-17KNJ-2426-SM-7DHLR 50-59 years, male 86.7
GTEX-YECK-0626-SM-4W1ZE 60-69 years, male 86.7
GTEX-1HCU9-1926-SM-9WYSE 20-29 years, male 86.7
GTEX-11UD2-0326-SM-5EQLE 50-59 years, male 86.6
GTEX-17EUY-0626-SM-793BE 20-29 years, male 86.6
GTEX-XPVG-2526-SM-4B66D 50-59 years, male 86.6
GTEX-ZZPU-2626-SM-5E45Y 50-59 years, female 86.4
GTEX-17MF6-2026-SM-7LG5I 40-49 years, male 86.3
GTEX-1313W-0526-SM-5P9FZ 50-59 years, female 86.2
GTEX-139TS-2626-SM-5J1MT 60-69 years, male 86.1
GTEX-11LCK-1226-SM-5Q5AM 30-39 years, male 86.0
GTEX-18A67-0326-SM-7LG5X 50-59 years, male 86.0
GTEX-18D9A-1826-SM-718BK 30-39 years, female 86.0
GTEX-POMQ-1926-SM-3NB1Y 20-29 years, female 86.0
GTEX-QEL4-0626-SM-3GIJM 50-59 years, male 85.9
GTEX-REY6-0826-SM-2TF4S 60-69 years, male 85.9
GTEX-XBED-2626-SM-4E3J5 60-69 years, male 85.9
GTEX-1C64N-0326-SM-7P8QC 50-59 years, male 85.8
GTEX-14H4A-0926-SM-5ZZUU 40-49 years, female 85.7
GTEX-14PJM-0426-SM-5ZZVN 50-59 years, female 85.7
GTEX-1ICLY-0326-SM-ARL7S 50-59 years, male 85.7
GTEX-13PL6-0326-SM-5IJCP 40-49 years, female 85.6
GTEX-Q2AH-1826-SM-2S1Q2 40-49 years, male 85.4
GTEX-1IDFM-1526-SM-ARL7U 60-69 years, male 85.4
GTEX-117YX-2526-SM-5EQ4Q 50-59 years, male 85.3
GTEX-Y9LG-1926-SM-5IFHY 30-39 years, male 85.2
GTEX-ZVE2-0626-SM-5GU7I 50-59 years, male 85.1
GTEX-15DDE-0526-SM-6ETZQ 50-59 years, female 85.0
GTEX-1IDJU-2426-SM-ARZM9 60-69 years, female 85.0
GTEX-18465-0326-SM-7LTAD 50-59 years, male 84.9
GTEX-1QAET-2026-SM-E9J3S 50-59 years, male 84.8
GTEX-13PVQ-0326-SM-5K7YF 50-59 years, male 84.7
GTEX-1GF9U-2326-SM-7RHH9 40-49 years, female 84.7
GTEX-13OVJ-0226-SM-5L3GK 50-59 years, female 84.6
GTEX-1HCUA-2326-SM-ACKVJ 50-59 years, female 84.6
GTEX-1PIIG-0126-SM-E9J46 30-39 years, male 84.6
GTEX-OIZG-1326-SM-2HMIQ 50-59 years, male 84.5
GTEX-1A3MW-0526-SM-731BY 60-69 years, female 84.4
GTEX-1RAZA-0526-SM-E76R2 20-29 years, male 84.4
GTEX-1RAZQ-0426-SM-DTXFQ 30-39 years, male 84.3
GTEX-13QBU-2426-SM-5LU4L 40-49 years, female 84.2
GTEX-1497J-2626-SM-5SI9K 60-69 years, male 84.2
GTEX-1HSMQ-1326-SM-ADEHS 50-59 years, male 84.2
GTEX-11NV4-0326-SM-5HL58 60-69 years, male 84.1
GTEX-15SB6-1826-SM-6PALN 50-59 years, female 84.1
GTEX-1399U-2526-SM-5L3DL 50-59 years, female 84.0
GTEX-1HUB1-0526-SM-CL54N 60-69 years, male 84.0
GTEX-1QP9N-1926-SM-E6CPY 30-39 years, male 84.0
GTEX-S7PM-0526-SM-3NM92 60-69 years, male 83.9
GTEX-ZP4G-2026-SM-57WEH 20-29 years, female 83.8
GTEX-1GZHY-0126-SM-9WYUQ 50-59 years, female 83.8
GTEX-1HT8W-0326-SM-CM2SG 30-39 years, male 83.8
GTEX-RM2N-1626-SM-2TF5N 50-59 years, male 83.7
GTEX-14JG1-0126-SM-5ZZUP 40-49 years, male 83.6
GTEX-SSA3-0326-SM-32QPS 60-69 years, male 83.4
GTEX-1J8QM-2226-SM-CYPSK 60-69 years, female 83.3
GTEX-1PIGE-0226-SM-E76OT 20-29 years, male 83.3
GTEX-12WSF-0926-SM-6PALU 70-79 years, male 83.1
GTEX-Y5LM-2126-SM-4VDSY 40-49 years, female 83.1
GTEX-145ME-2026-SM-5SIA5 40-49 years, female 83.0
GTEX-15SHW-0726-SM-7KUEI 60-69 years, male 83.0
GTEX-SNOS-1526-SM-32PLW 40-49 years, male 83.0
GTEX-WWTW-0626-SM-4MVNS 50-59 years, male 83.0
GTEX-14BMV-0326-SM-5RQHW 50-59 years, male 82.9
GTEX-1B8KE-2226-SM-7939K 50-59 years, male 82.9
GTEX-WHSE-0526-SM-5GZZD 20-29 years, male 82.6
GTEX-YEC4-2226-SM-5IFJT 40-49 years, male 82.6
GTEX-1QCLZ-0326-SM-DTXG2 60-69 years, female 82.6
GTEX-11P82-1826-SM-5PNYJ 20-29 years, male 82.5
GTEX-WYVS-2326-SM-3NMAI 40-49 years, female 82.5
GTEX-1GMR2-2126-SM-7P8TX 50-59 years, male 82.5
GTEX-132Q8-0626-SM-5L3F3 60-69 years, male 82.4
GTEX-1F7RK-0326-SM-7RHH7 20-29 years, female 82.4
GTEX-111VG-2626-SM-5GZY2 60-69 years, male 82.3
GTEX-13NYS-0326-SM-5MR4L 60-69 years, male 82.3
GTEX-17GQL-1926-SM-718B9 60-69 years, male 82.3
GTEX-11DXW-0726-SM-5H12J 40-49 years, male 82.1
GTEX-16YQH-0426-SM-7KUL7 30-39 years, male 82.1
GTEX-14E6D-0326-SM-62LDX 50-59 years, male 82.0
GTEX-14PJ6-2326-SM-6ETZR 60-69 years, female 82.0
GTEX-RWS6-2126-SM-2XCAV 60-69 years, female 82.0
GTEX-TKQ2-0826-SM-33HB6 50-59 years, male 82.0
GTEX-1EMGI-0326-SM-9MQM5 60-69 years, male 82.0
GTEX-1I1GP-2126-SM-CKZPJ 50-59 years, male 81.9
GTEX-Y3I4-2326-SM-4TT81 50-59 years, male 81.6
GTEX-1F75W-0326-SM-7PC2Q 60-69 years, male 81.6
GTEX-QLQ7-1726-SM-2S1QQ 60-69 years, male 81.4
GTEX-ZAJG-0526-SM-5S2MT 50-59 years, female 81.4
GTEX-1GMR3-2126-SM-9WYTZ 40-49 years, male 81.4
GTEX-14E6E-2026-SM-664N5 30-39 years, male 81.3
GTEX-UPJH-0526-SM-4IHK8 50-59 years, male 81.3
GTEX-1C64O-0326-SM-73KVW 60-69 years, male 81.2
GTEX-U4B1-1626-SM-3DB8N 40-49 years, male 81.2
GTEX-1QP28-0526-SM-E8VNR 50-59 years, female 81.2
GTEX-13OW8-1426-SM-5IJDT 60-69 years, male 81.0
GTEX-1OFPY-2526-SM-DTXEK 60-69 years, male 81.0
GTEX-15D79-0526-SM-6ETZP 50-59 years, male 80.9
GTEX-1KANC-1626-SM-E6CIA 50-59 years, female 80.9
GTEX-ZAB5-2126-SM-5K7UN 50-59 years, male 80.8
GTEX-1GF9X-2126-SM-7PBXN 40-49 years, female 80.8
GTEX-14ABY-0126-SM-62LDI 50-59 years, male 80.6
GTEX-OXRN-1326-SM-3LK5V 50-59 years, male 80.6
GTEX-1F88F-2526-SM-7PC2R 60-69 years, female 80.6
GTEX-14E1K-2326-SM-664MP 50-59 years, male 80.5
GTEX-R55G-2326-SM-2TC61 40-49 years, female 80.5
GTEX-WRHU-0826-SM-3MJFN 50-59 years, female 80.3
GTEX-1LVAM-0326-SM-DIPFL 50-59 years, female 80.3
GTEX-1QW4Y-1726-SM-EWRN1 30-39 years, male 80.3
GTEX-Y8DK-0326-SM-4TT3P 60-69 years, male 80.2
GTEX-ZYFG-2426-SM-5GIE8 60-69 years, female 80.2
GTEX-1CAMQ-0326-SM-7MXUI 40-49 years, male 80.2
GTEX-1HSGN-0326-SM-ACKXQ 40-49 years, female 80.2
GTEX-14PJN-2126-SM-6AJBM 30-39 years, male 80.1
GTEX-ZQG8-1226-SM-51MRX 60-69 years, female 80.1
GTEX-1IY9M-0326-SM-ARZMN 60-69 years, male 80.1
GTEX-11H98-0326-SM-5HL4S 50-59 years, male 80.0
GTEX-139UW-2626-SM-5K7W1 60-69 years, male 80.0
GTEX-18QFQ-0326-SM-731C3 30-39 years, male 80.0
GTEX-13D11-2526-SM-5KM28 50-59 years, female 79.9
GTEX-13FHO-0726-SM-5IJDG 60-69 years, male 79.9
GTEX-1PDJ9-0526-SM-DTXDL 20-29 years, male 79.9
GTEX-1N2DV-0526-SM-DTX8W 40-49 years, male 79.8
GTEX-1S82Y-2226-SM-EWRNV 40-49 years, male 79.8
GTEX-12KS4-0826-SM-5BC5R 30-39 years, male 79.7
GTEX-V955-2426-SM-3GAEF 60-69 years, male 79.7
GTEX-ZYFD-0326-SM-5NQ8I 50-59 years, male 79.7
GTEX-12126-0526-SM-5PNW4 20-29 years, male 79.6
GTEX-147F4-0326-SM-5TDCK 50-59 years, male 79.6
GTEX-1EWIQ-0626-SM-7PBYW 70-79 years, female 79.4
GTEX-144GO-1326-SM-5Q5EL 60-69 years, male 79.2
GTEX-1QMI2-0526-SM-DTXFU 60-69 years, male 79.2
GTEX-OOBK-1626-SM-2HMKG 40-49 years, male 79.1
GTEX-WHPG-2226-SM-3NMBO 50-59 years, male 79.0
GTEX-13N11-2726-SM-5L3ER 50-59 years, female 78.9
GTEX-1EN7A-0326-SM-7P8T1 40-49 years, male 78.9
GTEX-OHPL-1626-SM-2HMIR 60-69 years, female 78.8
GTEX-1IKJJ-0326-SM-CL55L 60-69 years, male 78.8
GTEX-13G51-2726-SM-5LZZ9 60-69 years, male 78.7
GTEX-144GN-2426-SM-5LU4R 50-59 years, male 78.7
GTEX-1B932-0526-SM-73KU7 40-49 years, female 78.7
GTEX-OOBJ-1626-SM-2I3F7 60-69 years, male 78.7
GTEX-1HB9E-0326-SM-D3LA5 50-59 years, male 78.7
GTEX-14PJ5-2026-SM-6LLIN 60-69 years, female 78.6
GTEX-1K2DU-2526-SM-D3L8V 20-29 years, male 78.6
GTEX-S33H-2226-SM-DKPOP 30-39 years, male 78.6
GTEX-145MO-0726-SM-5NQB9 60-69 years, male 78.5
GTEX-YJ8O-2826-SM-5CVM4 40-49 years, female 78.4
GTEX-ZVTK-0626-SM-5GU6Y 20-29 years, male 78.4
GTEX-1E2YA-0526-SM-7P8RY 50-59 years, male 78.4
GTEX-1I1GV-0126-SM-CL55G 60-69 years, male 78.4
GTEX-11EMC-2626-SM-59864 60-69 years, female 78.3
GTEX-VJWN-0426-SM-3GIJI 50-59 years, female 78.3
GTEX-1JKYR-0326-SM-CNPOL 20-29 years, male 78.3
GTEX-15UKP-0326-SM-7KUFP 20-29 years, male 78.2
GTEX-U3ZM-1226-SM-3DB9G 40-49 years, male 78.2
GTEX-1LG7Z-2126-SM-CXKYU 30-39 years, male 78.2
GTEX-145MG-0226-SM-5TDDB 50-59 years, male 78.1
GTEX-14LZ3-0626-SM-5ZZWP 60-69 years, female 78.1
GTEX-XMD2-0526-SM-4YCDI 60-69 years, female 78.1
GTEX-1192X-0426-SM-5GIEE 50-59 years, male 78.0
GTEX-13OW7-0326-SM-5J1MP 50-59 years, male 78.0
GTEX-145MN-2426-SM-5NQA5 30-39 years, male 78.0
GTEX-1GTWX-0326-SM-9WYTP 60-69 years, male 78.0
GTEX-1E1VI-0426-SM-7DHN1 50-59 years, male 77.9
GTEX-1F48J-0526-SM-9WYSX 50-59 years, female 77.9
GTEX-13QJ3-0726-SM-5SI68 50-59 years, male 77.8
GTEX-1QEPI-0526-SM-E76QF 60-69 years, female 77.8
GTEX-1R9K5-0326-SM-EWRNG 50-59 years, male 77.7
GTEX-131XW-0326-SM-5KM1J 50-59 years, female 77.6
GTEX-1FIGZ-1726-SM-9MQKS 40-49 years, male 77.6
GTEX-1J8JJ-0126-SM-D3L93 60-69 years, female 77.6
GTEX-1JMQK-0326-SM-ARZN5 60-69 years, male 77.6
GTEX-1KAFJ-2326-SM-D3L8Z 50-59 years, male 77.6
GTEX-12WSJ-1726-SM-5LZVV 40-49 years, female 77.5
GTEX-1GZ4I-0526-SM-9YFLX 50-59 years, male 77.5
GTEX-1AX9I-0326-SM-73KXQ 60-69 years, male 77.4
GTEX-11DXY-2726-SM-5GID2 60-69 years, male 77.3
GTEX-13112-2626-SM-5BC66 50-59 years, male 77.3
GTEX-ZVZP-2526-SM-57WBR 50-59 years, male 77.3
GTEX-1F6I4-0326-SM-7P8T8 60-69 years, male 77.3
GTEX-14PII-0626-SM-69LPY 60-69 years, male 77.2
GTEX-1KD5A-0726-SM-DIPEO 50-59 years, male 77.2
GTEX-117XS-2526-SM-5H11G 60-69 years, male 77.1
GTEX-13PDP-0326-SM-5K7XP 60-69 years, male 77.1
GTEX-144FL-0326-SM-5O99O 50-59 years, male 76.9
GTEX-UTHO-0726-SM-3GAEN 60-69 years, male 76.9
GTEX-WWYW-0526-SM-3NB2W 50-59 years, female 76.9
GTEX-1F75A-0626-SM-7PBYI 50-59 years, male 76.9
GTEX-1IDJH-0226-SM-CYPSB 70-79 years, male 76.9
GTEX-12BJ1-2526-SM-5FQUE 60-69 years, male 76.7
GTEX-14DAQ-0326-SM-664MR 60-69 years, female 76.7
GTEX-ZVE1-0526-SM-5NQ71 50-59 years, female 76.7
GTEX-1JJEA-0126-SM-D3L8A 60-69 years, male 76.7
GTEX-1JMLX-0326-SM-CM2RP 50-59 years, male 76.7
GTEX-1PPH7-2526-SM-E76OJ 40-49 years, male 76.7
GTEX-11ZTS-0526-SM-5CVL9 60-69 years, female 76.6
GTEX-17HII-0426-SM-793A3 50-59 years, male 76.6
GTEX-1211K-2126-SM-59HJZ 60-69 years, female 76.5
GTEX-14PJ3-2026-SM-5ZZVK 50-59 years, male 76.4
GTEX-1RQEC-0126-SM-E9J2H 60-69 years, male 76.4
GTEX-147GR-0126-SM-62LER 60-69 years, male 76.3
GTEX-X638-0326-SM-47JY1 70-79 years, female 76.3
GTEX-1CB4G-0426-SM-7MXUN 60-69 years, male 76.3
GTEX-1399S-2726-SM-5KM22 30-39 years, female 76.2
GTEX-1477Z-1626-SM-5SIA8 60-69 years, male 76.2
GTEX-1F52S-0826-SM-7P8TQ 60-69 years, female 76.2
GTEX-1I4MK-2326-SM-ADEHR 50-59 years, female 76.2
GTEX-13O21-1726-SM-5MR5A 50-59 years, male 76.1
GTEX-13U4I-1826-SM-5IJD2 40-49 years, female 76.1
GTEX-XGQ4-2326-SM-4AT53 50-59 years, male 76.0
GTEX-ZF28-0526-SM-4WKGW 60-69 years, male 76.0
GTEX-1H1ZS-0626-SM-CNPPU 70-79 years, male 76.0
GTEX-1KD4Q-0326-SM-E9TJA 40-49 years, male 76.0
GTEX-13VXU-0326-SM-5LU36 50-59 years, male 75.9
GTEX-TSE9-0526-SM-3DB7Z 60-69 years, female 75.9
GTEX-1EX96-1526-SM-7PBXK 50-59 years, male 75.9
GTEX-13FTW-2326-SM-5K7YS 40-49 years, male 75.8
GTEX-PWCY-2026-SM-5SI8R 20-29 years, female 75.8
GTEX-183FY-0226-SM-7LG54 20-29 years, male 75.7
GTEX-1CAMR-1726-SM-793CU 20-29 years, male 75.7
GTEX-XBEC-0626-SM-4QARY 50-59 years, male 75.6
GTEX-11NUK-0226-SM-5A5L4 50-59 years, male 75.5
GTEX-RU1J-1726-SM-2TF5S 20-29 years, female 75.5
GTEX-ZAB4-0426-SM-5HL7N 40-49 years, male 75.5
GTEX-1QP67-1826-SM-DTX8D 40-49 years, female 75.5
GTEX-13NZA-0526-SM-5L3D7 60-69 years, male 75.4
GTEX-ZDTS-0526-SM-4WKH9 60-69 years, male 75.4
GTEX-1I1HK-0326-SM-ACKW5 60-69 years, male 75.3
GTEX-12WSH-2526-SM-5CVNH 50-59 years, male 75.2
GTEX-131YS-0526-SM-5EGKJ 60-69 years, female 75.1
GTEX-ZDXO-0326-SM-4WKHJ 60-69 years, male 75.1
GTEX-1IKK5-0426-SM-CL53X 60-69 years, male 75.1
GTEX-QV31-1426-SM-2S1QD 30-39 years, male 75.0
GTEX-13JVG-0126-SM-5L3D3 60-69 years, male 74.8
GTEX-O5YV-2026-SM-2D7VS 60-69 years, female 74.8
GTEX-1GF9V-0126-SM-9WYT2 60-69 years, male 74.8
GTEX-1QCLY-0426-SM-E8VOH 30-39 years, male 74.7
GTEX-18A7A-0626-SM-718BJ 50-59 years, female 74.6
GTEX-ZTPG-0126-SM-5O9AL 20-29 years, female 74.6
GTEX-1MJIX-2126-SM-E9J3A 40-49 years, male 74.6
GTEX-XUYS-0326-SM-47JX2 50-59 years, male 74.5
GTEX-1H3NZ-0326-SM-9MQL6 60-69 years, male 74.5
GTEX-1R7EV-2026-SM-DTX83 40-49 years, male 74.5
GTEX-1RB15-2226-SM-DTXFZ 60-69 years, male 74.5
GTEX-XMD1-0626-SM-EZ6MC 60-69 years, male 74.5
GTEX-1399T-2426-SM-5L3FJ 60-69 years, male 74.4
GTEX-145MH-0326-SM-5LU8H 50-59 years, male 74.4
GTEX-17JCI-0326-SM-7LG5H 60-69 years, female 74.4
GTEX-WK11-2526-SM-3NM9Y 50-59 years, male 74.4
GTEX-13X6J-0326-SM-7EPGD 50-59 years, male 74.3
GTEX-P4PQ-1626-SM-2HMKK 60-69 years, male 74.3
GTEX-1HBPI-0226-SM-ADEJ7 50-59 years, male 74.3
GTEX-14AS3-2126-SM-5S2MK 40-49 years, female 74.2
GTEX-15ER7-0226-SM-7KUEU 20-29 years, female 74.2
GTEX-146FQ-0326-SM-5NQAX 30-39 years, male 74.1
GTEX-1C6VS-0126-SM-7PC2H 60-69 years, male 74.1
GTEX-1GPI6-0326-SM-9MQM6 60-69 years, male 74.1
GTEX-11ZUS-1426-SM-5FQSP 30-39 years, male 73.8
GTEX-1I1GR-0326-SM-CKZPI 60-69 years, male 73.8
GTEX-1I1GS-0326-SM-ARL7X 60-69 years, male 73.8
GTEX-14PJ4-2426-SM-6EU1U 60-69 years, male 73.7
GTEX-ZAK1-0526-SM-5K7X4 50-59 years, female 73.7
GTEX-QCQG-2126-SM-DTXFV 50-59 years, female 73.7
GTEX-133LE-2026-SM-5K7WM 20-29 years, female 73.6
GTEX-17F98-1626-SM-7938R 40-49 years, female 73.6
GTEX-P4QS-1626-SM-2S1NH 60-69 years, male 73.6
GTEX-1HBPH-0826-SM-ARZNB 40-49 years, female 73.6
GTEX-1HC8U-2626-SM-CNPPH 40-49 years, female 73.5
GTEX-1MCC2-2726-SM-EWRN3 30-39 years, female 73.5
GTEX-W5WG-1926-SM-4KKZK 50-59 years, female 73.4
GTEX-XUW1-0826-SM-4BOP6 50-59 years, female 73.4
GTEX-1O9I2-0526-SM-EYYXI 50-59 years, male 73.4
GTEX-11GS4-2526-SM-5A5KT 60-69 years, male 73.3
GTEX-11OF3-2526-SM-5P9JL 60-69 years, male 73.3
GTEX-12WSD-0526-SM-5EQ6F 60-69 years, female 73.3
GTEX-13113-5019-SM-7EPH2 60-69 years, female 73.3
GTEX-145LU-2026-SM-5Q5E8 50-59 years, male 73.3
GTEX-T2IS-2626-SM-32QPP 20-29 years, female 73.3
GTEX-T5JC-0626-SM-3NMA6 20-29 years, male 73.3
GTEX-1GZ2Q-0426-SM-9WPOU 40-49 years, male 73.3
GTEX-1R9K4-0626-SM-E76OZ 60-69 years, male 73.3
GTEX-12WSC-0326-SM-5EQ5E 50-59 years, male 73.2
GTEX-R55C-1726-SM-3GADJ 40-49 years, male 73.2
GTEX-15CHC-2426-SM-6EU22 60-69 years, female 73.1
GTEX-S95S-1426-SM-2XCDM 60-69 years, male 73.1
GTEX-1A32A-0526-SM-731B9 50-59 years, female 73.0
GTEX-1CB4I-0326-SM-7DHMM 50-59 years, male 73.0
GTEX-1H2FU-0526-SM-ACKXO 60-69 years, female 73.0
GTEX-1H4P4-0626-SM-9YFKZ 50-59 years, male 73.0
GTEX-1KWVE-0926-SM-CXZKP 30-39 years, male 72.9
GTEX-1314G-1726-SM-5LZUX 30-39 years, male 72.8
GTEX-15CHQ-0726-SM-6EU18 60-69 years, male 72.8
GTEX-RWSA-0726-SM-2XCBE 40-49 years, male 72.8
GTEX-1HR9M-0326-SM-CL549 60-69 years, male 72.8
GTEX-1JMPZ-0126-SM-CNPOZ 30-39 years, male 72.8
GTEX-1C475-1726-SM-73KVX 40-49 years, female 72.7
GTEX-1GN1W-0726-SM-9KNTV 50-59 years, female 72.7
GTEX-1LVAO-0526-SM-EWRNS 60-69 years, male 72.6
GTEX-117YW-2426-SM-5Q5AE 50-59 years, male 72.5
GTEX-13OVL-1426-SM-5IJC1 50-59 years, male 72.5
GTEX-POYW-0526-SM-2XCEY 60-69 years, male 72.4
GTEX-18A6Q-0326-SM-718AT 60-69 years, male 72.3
GTEX-WZTO-0826-SM-3NM8Q 40-49 years, male 72.3
GTEX-ZYFC-0526-SM-5GIDF 50-59 years, male 72.3
GTEX-1CAV2-2426-SM-7P8QF 40-49 years, female 72.2
GTEX-1F6IF-0226-SM-7PBZ6 60-69 years, male 72.2
GTEX-VUSG-2626-SM-4KKZI 50-59 years, male 72.1
GTEX-1LC47-0626-SM-DIPFE 60-69 years, male 72.0
GTEX-1B8KZ-2126-SM-73KYG 50-59 years, male 71.8
GTEX-ZVT3-0526-SM-5GIE9 60-69 years, female 71.7
GTEX-ZY6K-2026-SM-5GZXQ 50-59 years, male 71.7
GTEX-12ZZY-0626-SM-5EQ5T 60-69 years, male 71.4
GTEX-139TT-0426-SM-5IJFA 60-69 years, male 71.4
GTEX-WL46-0626-SM-3LK7R 50-59 years, male 71.4
GTEX-1I1GQ-0326-SM-A9SKS 50-59 years, male 71.4
GTEX-16NPV-2426-SM-6M482 50-59 years, female 71.3
GTEX-16NPX-0626-SM-7KULB 50-59 years, male 71.3
GTEX-13111-2226-SM-5LZUE 50-59 years, male 71.2
GTEX-13FTZ-2226-SM-5LZXI 60-69 years, male 71.2
GTEX-17F96-2726-SM-7LT9F 70-79 years, male 71.2
GTEX-139TU-0526-SM-5J2M8 60-69 years, male 71.1
GTEX-17EVP-1326-SM-7DHMR 40-49 years, male 71.0
GTEX-1R9PN-1826-SM-E8VO4 40-49 years, female 71.0
GTEX-132NY-0726-SM-5KLZM 60-69 years, male 70.9
GTEX-1IDJC-2026-SM-ADEIK 50-59 years, male 70.9
GTEX-147F3-0226-SM-5NQBV 50-59 years, female 70.7
GTEX-ZE7O-0326-SM-51MTH 50-59 years, female 70.7
GTEX-1R7EU-0626-SM-DTX9N 60-69 years, male 70.7
GTEX-13RTJ-2726-SM-73KVG 60-69 years, male 70.6
GTEX-14BMU-2026-SM-5S2W6 20-29 years, female 70.6
GTEX-1B996-0326-SM-7DHMU 60-69 years, male 70.6
GTEX-1IKOH-0126-SM-COH4D 60-69 years, female 70.5
GTEX-1LVA9-0326-SM-DLHBU 50-59 years, male 70.5
GTEX-1F88E-1826-SM-9MQLV 60-69 years, female 70.4
GTEX-1117F-0426-SM-5EGHI 60-69 years, female 70.3
GTEX-13OVI-1726-SM-5L3DW 60-69 years, female 70.3
GTEX-13SLX-0326-SM-5Q5E4 50-59 years, female 70.3
GTEX-18A7B-0326-SM-7LG65 70-79 years, male 70.3
GTEX-14JIY-0426-SM-62LF7 60-69 years, male 70.2
GTEX-1F75I-0526-SM-7RHI3 40-49 years, male 70.1
GTEX-11GSP-2726-SM-5A5LJ 60-69 years, female 70.0
GTEX-11ONC-2426-SM-5GU7H 60-69 years, male 70.0
GTEX-R55E-0526-SM-2TC6B 20-29 years, male 70.0
GTEX-1LSNL-0126-SM-EWRNR 50-59 years, male 70.0
GTEX-12WSA-0726-SM-5FQU2 60-69 years, male 69.9
GTEX-XOT4-0526-SM-4B66O 60-69 years, female 69.9
GTEX-1QP6S-0426-SM-DTXG4 40-49 years, male 69.9
GTEX-X4XX-0626-SM-3NMC1 60-69 years, male 69.8
GTEX-1H3VE-0126-SM-9WYTW 40-49 years, male 69.8
GTEX-13FXS-0326-SM-5K7TV 50-59 years, male 69.7
GTEX-P44G-0526-SM-2XCD1 30-39 years, male 69.7
GTEX-16MT8-0326-SM-6PAM5 60-69 years, female 69.6
GTEX-183WM-0426-SM-731B1 70-79 years, female 69.5
GTEX-13VXT-0326-SM-5LU4U 20-29 years, female 69.3
GTEX-ZA64-2026-SM-5PNXT 20-29 years, male 69.3
GTEX-16GPK-0526-SM-7KUER 60-69 years, male 69.2
GTEX-1B8L1-2726-SM-793AL 60-69 years, male 69.2
GTEX-QDT8-0526-SM-3NMD8 30-39 years, female 69.2
GTEX-OIZH-1626-SM-2HMKI 50-59 years, male 69.1
GTEX-Q734-2026-SM-3GADA 40-49 years, female 69.1
GTEX-17HHY-0326-SM-7938H 50-59 years, male 69.0
GTEX-PWN1-1626-SM-2S1OL 40-49 years, female 68.9
GTEX-12584-0526-SM-5FQTS 40-49 years, male 68.8
GTEX-12ZZZ-0226-SM-59HKU 60-69 years, male 68.8
GTEX-139T4-0326-SM-5K7XN 50-59 years, female 68.8
GTEX-1CB4E-2126-SM-793AP 60-69 years, male 68.8
GTEX-13SLW-0326-SM-5RQK5 70-79 years, male 68.7
GTEX-13X6K-0326-SM-5Q5D6 60-69 years, female 68.7
GTEX-1NHNU-1226-SM-DTX8I 50-59 years, male 68.7
GTEX-PSDG-0426-SM-5SI86 50-59 years, male 68.6
GTEX-1HSMO-0526-SM-ACKXB 60-69 years, male 68.6
GTEX-1QPFJ-0326-SM-E8VO2 30-39 years, female 68.6
GTEX-14PJO-0526-SM-6EU2O 60-69 years, male 68.5
GTEX-WY7C-2526-SM-3NB2N 50-59 years, male 68.5
GTEX-14XAO-2226-SM-6LLHU 60-69 years, female 68.4
GTEX-16XZZ-0526-SM-7KUF1 60-69 years, male 68.3
GTEX-1BAJH-0126-SM-7DHMF 70-79 years, male 68.3
GTEX-X88G-0326-SM-47JZ4 30-39 years, male 68.2
GTEX-1GN2E-0726-SM-9MQLU 60-69 years, male 68.2
GTEX-147JS-0526-SM-5TDD3 60-69 years, male 68.0
GTEX-UJHI-1726-SM-3DB9B 50-59 years, female 68.0
GTEX-ZVZO-0326-SM-5HL4N 40-49 years, male 68.0
GTEX-13W3W-2626-SM-5SIA2 60-69 years, female 67.9
GTEX-RU72-1326-SM-2TF6T 50-59 years, female 67.8
GTEX-ZUA1-0326-SM-5NQA3 40-49 years, male 67.8
GTEX-1GMRU-0326-SM-9WYT6 50-59 years, male 67.8
GTEX-1PPGY-0426-SM-DTXFE 60-69 years, male 67.8
GTEX-RTLS-0526-SM-2TF64 60-69 years, female 67.7
GTEX-148VJ-0326-SM-5QGQE 70-79 years, male 67.6
GTEX-13CF2-2726-SM-5LZWW 60-69 years, male 67.5
GTEX-1N2DW-0426-SM-E9TK4 50-59 years, male 67.4
GTEX-1H1CY-2726-SM-9MQLR 60-69 years, female 67.1
GTEX-13YAN-0526-SM-5O9BE 60-69 years, male 67.0
GTEX-1B8SF-0426-SM-79OL4 60-69 years, male 67.0
GTEX-15SHV-2526-SM-6PAMG 60-69 years, male 66.9
GTEX-Y8E5-0326-SM-57WBM 60-69 years, male 66.9
GTEX-X4EO-0526-SM-3P5Z3 60-69 years, female 66.8
GTEX-139T8-0526-SM-5KLZL 60-69 years, male 66.7
GTEX-OXRK-1826-SM-2HMJE 50-59 years, female 66.7
GTEX-YFC4-1026-SM-5RQJM 40-49 years, female 66.6
GTEX-1H3O1-0626-SM-9MQM4 60-69 years, male 66.6
GTEX-13OW6-0626-SM-5L3IB 50-59 years, male 66.4
GTEX-15SHU-0626-SM-7KUFH 40-49 years, female 66.3
GTEX-XQ3S-0426-SM-4BOOA 20-29 years, male 66.3
GTEX-OXRP-2326-SM-2S1NL 60-69 years, female 66.0
GTEX-1AX9K-2726-SM-7DHMA 50-59 years, male 65.7
GTEX-111FC-0326-SM-5GZZ1 60-69 years, male 65.6
GTEX-11PRG-0326-SM-5GU53 50-59 years, male 65.4
GTEX-1MCQQ-0626-SM-E9U5Q 60-69 years, male 65.4
GTEX-1445S-0626-SM-5LU3C 60-69 years, male 65.3
GTEX-OXRL-1626-SM-2YUMU 50-59 years, male 65.3
GTEX-QDVN-2426-SM-2S1Q4 50-59 years, male 65.3
GTEX-13IVO-0626-SM-5LZYJ 70-79 years, male 65.0
GTEX-PW2O-1726-SM-2S1OO 20-29 years, male 65.0
GTEX-1GN1V-0326-SM-9WYTO 60-69 years, male 65.0
GTEX-13NYB-2726-SM-5J2MT 40-49 years, male 64.8
GTEX-11WQC-2626-SM-5CVLF 60-69 years, male 64.6
GTEX-14BIL-0326-SM-5SI9Q 50-59 years, male 64.5
GTEX-16XZY-2226-SM-7938N 70-79 years, male 64.5
GTEX-QEG4-0626-SM-2S1OY 30-39 years, male 64.5
GTEX-TMZS-0326-SM-3DB9P 60-69 years, male 64.3
GTEX-YBZK-0326-SM-59HLN 50-59 years, female 64.2
GTEX-1A8G7-0326-SM-72D5B 60-69 years, male 64.1
GTEX-WOFL-0626-SM-3MJG3 60-69 years, male 64.0
GTEX-1S5VW-0526-SM-E6CHL 60-69 years, male 64.0
GTEX-13O3Q-2726-SM-5KM51 50-59 years, male 63.9
GTEX-1S82P-0326-SM-E9TIR 60-69 years, female 63.8
GTEX-13RTL-0326-SM-7LT89 40-49 years, male 63.7
GTEX-1A8G6-0126-SM-7DUFY 60-69 years, male 63.7
GTEX-1C6WA-0326-SM-7DUGE 60-69 years, male 63.7
GTEX-SIU8-0526-SM-2XCDP 50-59 years, male 63.7
GTEX-11ZU8-2326-SM-5EQMJ 60-69 years, male 63.6
GTEX-RNOR-0526-SM-2TF4O 50-59 years, female 63.6
GTEX-1212Z-2626-SM-5YY8P 60-69 years, male 63.5
GTEX-15F5U-1826-SM-6LLJF 40-49 years, male 63.5
GTEX-OIZF-1626-SM-2YUNE 60-69 years, male 63.5
GTEX-Y111-0326-SM-4SOIX 50-59 years, male 63.4
GTEX-144GL-0326-SM-5QGOY 50-59 years, male 63.2
GTEX-145LS-0526-SM-5LU8Y 60-69 years, female 63.2
GTEX-1M4P7-0126-SM-DKPQF 60-69 years, male 63.2
GTEX-13FTY-0226-SM-5IJBW 40-49 years, female 63.1
GTEX-1EU9M-0126-SM-7P8P8 60-69 years, male 62.8
GTEX-12ZZX-0326-SM-5DUVH 40-49 years, female 62.7
GTEX-1B97I-2026-SM-7DHN2 40-49 years, male 62.7
GTEX-1A8FM-0526-SM-7P8SF 50-59 years, female 62.7
GTEX-OHPK-1626-SM-2YUN3 50-59 years, female 62.5
GTEX-1B933-0426-SM-7DHMC 50-59 years, female 62.4
GTEX-T6MN-0526-SM-32PMS 50-59 years, male 62.4
GTEX-11ZTT-2626-SM-5EQKK 60-69 years, female 62.3
GTEX-113JC-2726-SM-5EGIS 50-59 years, female 62.1
GTEX-U3ZG-0326-SM-47JXN 50-59 years, male 62.1
GTEX-ZAKK-0326-SM-5EGHA 70-79 years, male 62.1
GTEX-ZYW4-0526-SM-5GZZ5 60-69 years, male 61.8
GTEX-1269C-2626-SM-5EQ5C 60-69 years, female 61.7
GTEX-1J8EW-0326-SM-CYPSX 60-69 years, female 61.7
GTEX-16Z82-0126-SM-7DHLF 60-69 years, male 61.6
GTEX-1CB4H-0426-SM-7MXTL 60-69 years, female 61.5
GTEX-1J1OQ-0426-SM-A9SLI 40-49 years, female 61.5
GTEX-PX3G-1626-SM-2S1PT 20-29 years, female 61.4
GTEX-13X6I-0526-SM-5QGP8 60-69 years, male 61.3
GTEX-15DCD-0626-SM-7KUG7 70-79 years, female 61.1
GTEX-13OVH-0626-SM-5L3EI 70-79 years, male 60.8
GTEX-14ASI-0526-SM-5QGQP 60-69 years, male 60.8
GTEX-1ICLZ-0626-SM-ARL83 60-69 years, male 60.7
GTEX-17HG3-2726-SM-7DHL5 30-39 years, female 60.4
GTEX-1LGOU-2126-SM-DIPFG 20-29 years, female 60.4
GTEX-U412-0326-SM-3DB9L 60-69 years, male 60.3
GTEX-131XH-2726-SM-5GCO2 50-59 years, male 59.8
GTEX-WFON-2326-SM-3LK7M 40-49 years, male 59.8
GTEX-ZZPT-0626-SM-5GZXT 50-59 years, male 59.8
GTEX-U3ZH-1926-SM-4DXTR 30-39 years, male 59.6
GTEX-11UD1-0326-SM-5EQKX 40-49 years, female 59.5
GTEX-12WSM-0326-SM-5LZVI 60-69 years, male 59.4
GTEX-13N1W-0526-SM-5MR4I 70-79 years, male 59.3
GTEX-1IL2U-0726-SM-EAZ2Y 60-69 years, male 59.2
GTEX-17F97-0526-SM-7DUF8 50-59 years, male 59.0
GTEX-QXCU-1726-SM-2TC6L 50-59 years, male 59.0
GTEX-1C6VR-2526-SM-7DHMT 60-69 years, male 58.6
GTEX-18D9B-0426-SM-7LTAR 60-69 years, male 58.5
GTEX-11ZVC-2726-SM-5FQSZ 50-59 years, female 58.3
GTEX-1HFI6-0426-SM-B2LXB 40-49 years, male 57.8
GTEX-OXRO-1726-SM-3LK6C 60-69 years, female 57.3
GTEX-XYKS-2426-SM-4AT43 60-69 years, female 57.3
GTEX-ZV68-0526-SM-59HKI 50-59 years, female 57.3
GTEX-1R9JW-2426-SM-DTXFI 30-39 years, female 57.3
GTEX-1IL2V-0526-SM-ARL8B 70-79 years, male 56.9
GTEX-17EVQ-1226-SM-7LG59 70-79 years, male 56.5
GTEX-QVUS-0226-SM-3GIJY 60-69 years, female 55.9
GTEX-13S7M-0326-SM-5S2PH 60-69 years, female 55.7
GTEX-15UF6-1026-SM-7KUF7 70-79 years, female 55.7
GTEX-13QIC-1226-SM-5K7YR 60-69 years, female 55.3
GTEX-1HSKV-0126-SM-E6CI1 60-69 years, male 55.3
GTEX-1CAMS-0126-SM-79396 40-49 years, female 54.9
GTEX-RN64-0326-SM-2TC5J 50-59 years, male 54.9
GTEX-1C6VQ-0326-SM-7DHMS 50-59 years, male 54.7
GTEX-PLZ6-1526-SM-2S1OC 30-39 years, male 54.6
GTEX-1EH9U-0326-SM-7P8S2 60-69 years, male 54.3
GTEX-ZE9C-2326-SM-5J1NT 60-69 years, male 54.0
GTEX-Q2AG-0426-SM-2S1PU 40-49 years, female 53.1
GTEX-PLZ4-0926-SM-2S1OI 50-59 years, female 52.9
GTEX-13FHP-0526-SM-5K7UY 50-59 years, male 52.8
GTEX-P4PP-1626-SM-2HMJF 30-39 years, female 52.3
GTEX-13PLJ-0326-SM-5L3I7 60-69 years, female 50.5
GTEX-1IGQW-0526-SM-CKZO3 60-69 years, male 50.3
GTEX-1JMQJ-0126-SM-E6CI2 50-59 years, male 49.6
GTEX-1LG7Y-0126-SM-E6CJ8 50-59 years, male 47.5
GTEX-1S82U-1426-SM-E6CJL 30-39 years, female 46.4
GTEX-1KANB-0126-SM-E6CJT 50-59 years, male 42.9
GTEX-1RQED-0426-SM-E6CJP 60-69 years, male 41.6
GTEX-N7MS-0426-SM-2YUN6 60-69 years, male 41.4
Show allShow less

SKELETAL MUSCLE - FANTOM5 CAGEi

RNA expression in human tissues obtained through Cap Analysis of Gene Expression (CAGE) generated by the FANTOM5 project are reported as Scaled Tags Per Million.

Max subtype Scaled Tags Per Millioni

Max subtype Scaled Tags Per Million is the value for the subtype with the largest average Scaled Tags Per Million across the subtype samples.

332.9
FANTOM5 sample id Sample description Scaled Tags Per Million
Skeletal muscle
Scaled Tags Per Million: 184.0
FF:10023-101D5 55,79,79 years, mixed 184.0
Skeletal muscle - soleus muscle
Scaled Tags Per Million: 332.9
FF:10282-104F3 male 332.9

Contact

  • NEWS ARTICLES
  • PRESS ROOM

The Project

  • INTRODUCTION
  • ORGANIZATION
  • PUBLICATIONS

The Human Protein Atlas

  • DOWNLOADABLE DATA
  • LICENCE & CITATION
  • HELP & FAQ
The Human Protein Atlas project is funded
by the Knut & Alice Wallenberg Foundation.


contact@proteinatlas.org