We use cookies to enhance the usability of our website. If you continue, we'll assume that you are happy to receive all cookies. More information. Don't show this again.
CBX3
HPA
RESOURCES
  • TISSUE
  • BRAIN
  • SINGLE CELL
  • SUBCELLULAR
  • CANCER
  • BLOOD
  • CELL LINE
  • STRUCTURE & INTERACTION
ABOUT
  • INTRODUCTION
  • HISTORY
  • ORGANIZATION
  • PUBLICATIONS
  • ANTIBODY SUBMISSION
  • ANTIBODY AVAILABILITY
  • ACKNOWLEDGMENTS
  • CONTACT
NEWS
  • NEWS ARTICLES
  • PRESS ROOM
LEARN
  • DICTIONARY
  • PROTEIN CLASSES
  • PROTEIN EVIDENCE
  • METHODS
  • EDUCATIONAL VIDEOS
DATA
  • DOWNLOADABLE DATA
  • PUBLICATION DATA
  • RELEASE HISTORY
HELP
  • ANTIBODY VALIDATION
  • ASSAYS & ANNOTATION
  • DISCLAIMER
  • HELP & FAQ
  • PRIVACY STATEMENT
  • LICENCE & CITATION
Fields »
Search result

Field
Term
Gene name
Class
Subclass
Class
Keyword
Chromosome
External id
Tissue
Cell type
Expression
Antibody panel
Tissue
Main location
Patient ID
Annotation
Tissue
Category
Tau score
Cluster
Reliability
Brain region
Category
Tau score
Brain region
Category
Tau score
Brain region
Category
Tau score
Cluster
Reliability
Tissue
Cell type
Enrichment
Cell type
Category
Tau score
Cell type
Category
Tau score
Cell type
Category
Tau score
Cell lineage
Category
Tau score
Cluster
Cluster
Location
Searches
Location
Cell line
Class
Type
Phase
Reliability
Cancer
Prognosis
Cancer
Category
Cancer
Category
Tau score
Cluster
Variants
Interacting gene (ensg_id)
Type
Number of interactions
Pathway
Category
Score
Score
Score
Validation
Validation
Validation
Validation
Antibodies
Data type
Column


  • SUMMARY

  • TISSUE

  • BRAIN

  • SINGLE CELL

  • SUBCELL

  • CANCER

  • BLOOD

  • CELL LINE

  • STRUCT & INT

  • CBX3
TISSUE PRIMARY DATA STOMACH Show tissue menu
ADIPOSE TISSUE ADRENAL GLAND AMYGDALA APPENDIX BASAL GANGLIA BONE MARROW BREAST BRONCHUS CEREBELLUM CEREBRAL CORTEX CERVIX CHOROID PLEXUS COLON DUODENUM
ENDOMETRIUM EPIDIDYMIS ESOPHAGUS FALLOPIAN TUBE GALLBLADDER HEART MUSCLE HIPPOCAMPAL FORMATION HYPOTHALAMUS KIDNEY LIVER LUNG LYMPH NODE MIDBRAIN NASOPHARYNX
ORAL MUCOSA OVARY PANCREAS PARATHYROID GLAND PITUITARY GLAND PLACENTA PROSTATE RECTUM RETINA SALIVARY GLAND SEMINAL VESICLE SKELETAL MUSCLE SKIN SMALL INTESTINE
SMOOTH MUSCLE SOFT TISSUE SPINAL CORD SPLEEN STOMACH TESTIS THYMUS THYROID GLAND TONGUE TONSIL URINARY BLADDER VAGINA
ANTIBODIES
AND
VALIDATION
Dictionary
Tissue proteome
Stomach
STOMACH - Expression summary
Protein expression
Stomachi

On the top, protein expression in current human tissue, based on all annotated cell types, is reported with the units not detected (n), low (l), medium (m) and high (h). Underneath, protein expression in each annotated cell type are reported using the same units.

Protein expression data is based on knowledge-based annotation. For genes where more than one antibody has been used, a collective score is set.

If knowledge-based annotation could not be performed for a gene, no data is displayed here. View antibody staining data further down this page.

h
m
l
n
Glandular cells: Medium
RNA expressioni

A summary of mRNA expression data available for current tissue based on several datasets. The mRNA expression levels in human tissues are based on RNA-seq data generated by the Human Protein Atlas (HPA), Genotype-Tissue Expression (GTEx) portal and CAGE data generated by the FANTOM5 consortium. Consensus normalized expression levels for human tissues was created by combining the data from HPA and GTEx datasets.

The mRNA expression levels in pig are based on RNA-seq data generated by the Human Protein Atlas (HPA), and for mouse, HPA data and in situ hybridization generated by the Allen brain atlas are reported.

Scroll down to view mRNA expression data in more detail.
Consensus:60.1 nTPM
HPA:60.1 nTPM
GTEx:51.1 nTPM

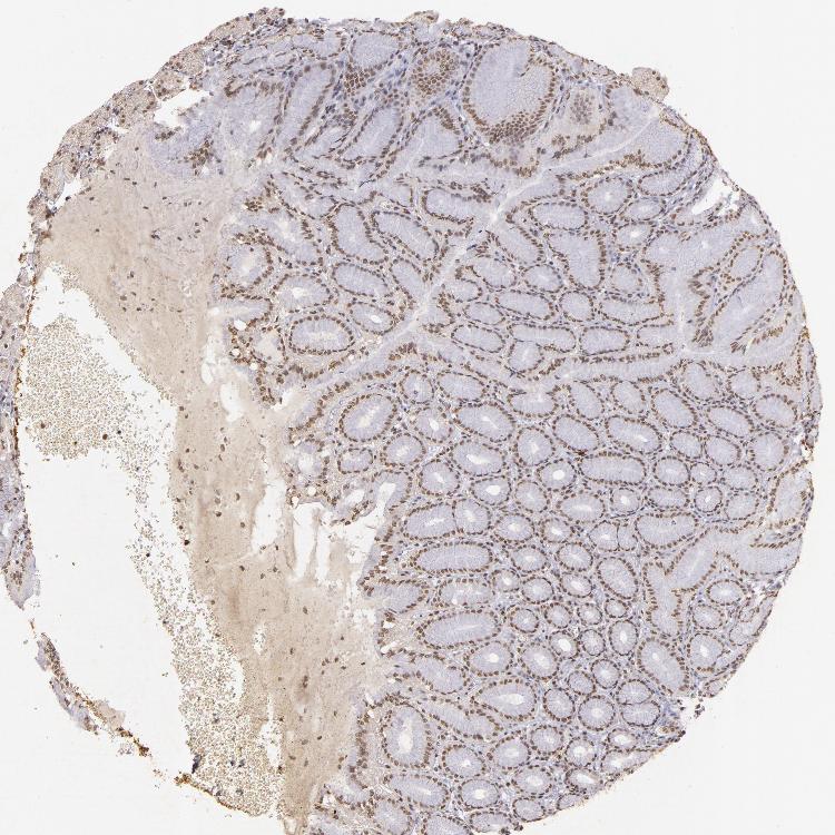
STOMACH 1 - Antibody stainingi

Antibody staining in the annotated cell types in the current human tissue is reported as not detected, low, medium, or high, based on conventional immunohistochemistry profiling in selected tissues. This score is based on the combination of the staining intensity and fraction of stained cells.

Each image is clickable and will lead to virtual microscopy that enables deeper exploration of all samples and also displays staining intensity scores, fraction scores and subcellular localization as well as patient and tissue information for each sample.

Antibody HPA004902Antibody CAB001973
Glandular cells HighMedium




STOMACH 2 - Antibody stainingi

Antibody staining in the annotated cell types in the current human tissue is reported as not detected, low, medium, or high, based on conventional immunohistochemistry profiling in selected tissues. This score is based on the combination of the staining intensity and fraction of stained cells.

Each image is clickable and will lead to virtual microscopy that enables deeper exploration of all samples and also displays staining intensity scores, fraction scores and subcellular localization as well as patient and tissue information for each sample.

Antibody HPA004902Antibody CAB001973
Glandular cells HighMedium





STOMACH - HPA RNA-seqi

The RNA-seq details section shows detailed information about the individual samples used for the transcript profiling and results of the RNA-seq analysis.

Information about each individual sample is listed below, including gender, age, a tissue section image and estimated fractions of cell types. nTPM (normalized transcripts per million) values give a quantification of the gene abundance which is comparable between different genes and samples.
Average nTPMi

Max subtype nTPM is the value for the subtype with the largest average nTPM across the subtype samples.

60.1
overview
Female, age 33
Stomach sample 61
nTPM: 58.9
Cell types%
Glandular cells:
60

Smooth muscle cells:
5

Other cell types:
35

N/A
Male, age 82
Stomach sample 240
nTPM: 52.4
Cell types%
Glandular cells:
65

Smooth muscle cells:
5

Other cell types:
30

overview
Male, age 71
Stomach sample 241
nTPM: 62.8
Cell types%
Glandular cells:
50

Smooth muscle cells:
5

Other cell types:
45

overview
Female, age 66
Stomach sample 369
nTPM: 66.4
Cell types%
Glandular cells:
50

Smooth muscle cells:
10

Other cell types:
40


STOMACH - GTEx RNA-seqi

RNA-Seq data generated by the Genotype-Tissue Expression (GTEx) project from human tissues is reported as mean nTPM. More information can be found on the GTEx portal.

Distribution across the dataset is visualized with box plots, shown as median and 25th and 75th percentiles. Points are displayed as outliers if they are above or below 1.5 times the interquartile range. nTPM values of the individual samples are presented next to the box plot.
Max subtype nTPMi

Max subtype nTPM is the value for the subtype with the largest average nTPM across the subtype samples.

51.1
GTEx sample id Sample description nTPM
Stomach
Average nTPM: 51.1
Samples: 359

Max nTPM: 92.4
Min nTPM: 29.3
Std nTPM: 8.1
Median nTPM: 49.9
GTEX-15RIF-1126-SM-7KUG2 20-29 years, male 92.4
GTEX-1339X-1426-SM-5K7YO 40-49 years, male 77.1
GTEX-1KANA-1126-SM-D3L9M 20-29 years, male 75.3
GTEX-15G1A-1226-SM-7KUF3 30-39 years, male 74.4
GTEX-117YW-2226-SM-5N9DB 50-59 years, male 74.0
GTEX-WHPG-0426-SM-4M1XW 50-59 years, male 73.7
GTEX-ZE7O-3026-SM-51MS4 50-59 years, female 73.1
GTEX-ZV6S-0926-SM-57WGB 40-49 years, female 72.3
GTEX-18A67-2626-SM-718AD 50-59 years, male 72.0
GTEX-PWN1-1526-SM-48TDA 40-49 years, female 71.4
GTEX-11I78-1726-SM-5A5M3 50-59 years, female 71.2
GTEX-1L5NE-1526-SM-DIPFW 50-59 years, male 70.9
GTEX-ZYVF-2726-SM-5GID4 50-59 years, female 70.8
GTEX-XMK1-1526-SM-EYYVO 40-49 years, male 70.4
GTEX-1QCLY-1126-SM-EAZ4J 30-39 years, male 69.6
GTEX-1S831-1126-SM-EWROI 20-29 years, male 68.9
GTEX-Y3IK-1426-SM-4YCES 50-59 years, female 68.1
GTEX-1RAZR-1526-SM-EAZ4U 40-49 years, male 67.9
GTEX-1F75I-1826-SM-7MKGX 40-49 years, male 67.5
GTEX-TMMY-1626-SM-4DXTY 40-49 years, female 67.0
GTEX-17HGU-2126-SM-7IGOV 50-59 years, male 66.4
GTEX-1NSGN-1926-SM-E9J36 50-59 years, male 66.4
GTEX-11NUK-2426-SM-5BC4U 50-59 years, male 65.1
GTEX-15SHW-2126-SM-6M46Y 60-69 years, male 64.4
GTEX-1EH9U-2226-SM-7PBXX 60-69 years, male 64.4
GTEX-13X6H-1626-SM-5Q5CT 50-59 years, female 64.1
GTEX-117YX-1026-SM-5H11V 50-59 years, male 63.9
GTEX-13PVQ-2126-SM-5L3FW 50-59 years, male 63.9
GTEX-WFG7-1326-SM-4LMK1 20-29 years, male 63.9
GTEX-1QP29-2326-SM-EXOJO 50-59 years, male 63.8
GTEX-ZTX8-0426-SM-59HLG 20-29 years, male 63.7
GTEX-133LE-1326-SM-5IFGO 20-29 years, female 63.6
GTEX-17EUY-1526-SM-793CA 20-29 years, male 63.5
GTEX-R55C-1026-SM-48FCM 40-49 years, male 62.5
GTEX-1H23P-2726-SM-9JGHN 60-69 years, male 62.1
GTEX-14E1K-1526-SM-664MN 50-59 years, male 62.0
GTEX-14PKU-1126-SM-69LOU 40-49 years, female 61.8
GTEX-14PHY-0926-SM-5ZZWL 60-69 years, female 61.3
GTEX-1QP67-1026-SM-EVR47 40-49 years, female 61.2
GTEX-RUSQ-1126-SM-EAZAU 50-59 years, male 61.2
GTEX-13OVI-2426-SM-5KM4J 60-69 years, female 61.1
GTEX-ZPIC-2026-SM-57WG3 40-49 years, female 61.0
GTEX-18D9A-0626-SM-7KFTY 30-39 years, female 60.9
GTEX-T8EM-1226-SM-4DM5J 40-49 years, male 60.7
GTEX-1RB15-1026-SM-E9U6V 60-69 years, male 60.7
GTEX-1JKYN-1726-SM-AHZ48 30-39 years, male 60.3
GTEX-1I4MK-0926-SM-A9SLD 50-59 years, female 60.2
GTEX-S4Z8-1226-SM-4AD6W 60-69 years, male 59.2
GTEX-QCQG-0526-SM-48U2A 50-59 years, female 59.1
GTEX-12WSJ-0926-SM-5P9JD 40-49 years, female 59.0
GTEX-XAJ8-0326-SM-47JYI 40-49 years, male 59.0
GTEX-12BJ1-1726-SM-5HL9B 60-69 years, male 58.9
GTEX-131XG-1226-SM-5EGH9 50-59 years, female 58.9
GTEX-13N1W-2026-SM-5K7YU 70-79 years, male 58.8
GTEX-Y5LM-1326-SM-5RQIS 40-49 years, female 58.6
GTEX-ZDYS-1926-SM-5HL59 50-59 years, male 58.4
GTEX-UPK5-2126-SM-4JBJK 40-49 years, male 58.3
GTEX-1MJIX-1126-SM-EV7AO 40-49 years, male 58.2
GTEX-U4B1-1026-SM-4DXT1 40-49 years, male 57.5
GTEX-1IL2V-2026-SM-ARZMA 70-79 years, male 57.5
GTEX-QDT8-2026-SM-EZ6LS 30-39 years, female 57.3
GTEX-1AX9J-2626-SM-731EK 60-69 years, male 57.1
GTEX-144GM-1726-SM-5O9AS 20-29 years, male 57.0
GTEX-146FH-2126-SM-5SI9U 50-59 years, female 57.0
GTEX-P4PQ-1526-SM-3NMCK 60-69 years, male 57.0
GTEX-POMQ-0826-SM-3P61H 20-29 years, female 57.0
GTEX-13FTX-0726-SM-5N9BI 20-29 years, female 56.9
GTEX-1GPI7-1326-SM-9KNVA 20-29 years, male 56.9
GTEX-145ME-1026-SM-5O9B4 40-49 years, female 56.8
GTEX-131XF-1226-SM-5HL8V 60-69 years, male 56.7
GTEX-WHSB-1226-SM-4M1XR 50-59 years, male 56.7
GTEX-1HCUA-1626-SM-A9SMG 50-59 years, female 56.7
GTEX-1IDJU-1526-SM-CNNR3 60-69 years, female 56.6
GTEX-OHPK-1526-SM-3MJGM 50-59 years, female 56.5
GTEX-132QS-1826-SM-5IFFN 60-69 years, male 56.2
GTEX-1399S-1626-SM-5P9GI 30-39 years, female 56.2
GTEX-18A66-2226-SM-7189E 60-69 years, male 56.1
GTEX-1HT8W-2326-SM-A9SLA 30-39 years, male 56.1
GTEX-14PHX-1026-SM-664OL 50-59 years, male 56.0
GTEX-132AR-2426-SM-5IFFD 50-59 years, female 55.8
GTEX-14PJ4-1626-SM-664OB 60-69 years, male 55.8
GTEX-1HR9M-2326-SM-CNPPZ 60-69 years, male 55.8
GTEX-1JMLX-2426-SM-CXZJQ 50-59 years, male 55.7
GTEX-146FR-2026-SM-5NQAI 60-69 years, female 55.6
GTEX-1211K-1426-SM-5FQTF 60-69 years, female 55.5
GTEX-1F5PL-1426-SM-7MKFH 40-49 years, female 55.5
GTEX-OIZH-1526-SM-3NB1J 50-59 years, male 55.5
GTEX-13O61-1126-SM-5L3FI 60-69 years, male 55.4
GTEX-P4PP-1526-SM-3P61M 30-39 years, female 55.4
GTEX-1CB4H-2426-SM-7PBYR 60-69 years, female 55.4
GTEX-SNMC-0626-SM-4DM6H 20-29 years, male 55.2
GTEX-T5JC-1926-SM-4DM6Q 20-29 years, male 55.2
GTEX-ZLFU-1326-SM-DO11R 40-49 years, male 55.1
GTEX-1S3DN-1526-SM-EVYCB 50-59 years, male 55.0
GTEX-13OW6-2526-SM-5IJEC 50-59 years, male 54.5
GTEX-15G19-1526-SM-6LPKP 60-69 years, male 54.5
GTEX-1A3MX-1926-SM-72D7F 60-69 years, male 54.5
GTEX-XPVG-1526-SM-4B66C 50-59 years, male 54.5
GTEX-XV7Q-1326-SM-4BRWM 40-49 years, female 54.4
GTEX-1MUQO-1926-SM-EAZ59 60-69 years, male 54.4
GTEX-1CB4E-1326-SM-7DUGD 60-69 years, male 54.2
GTEX-15EU6-2526-SM-7KUGB 50-59 years, male 54.1
GTEX-11DXX-1326-SM-5GIDZ 60-69 years, female 54.0
GTEX-WH7G-1526-SM-4LVMX 40-49 years, male 54.0
GTEX-ZXES-1426-SM-5NQ8S 30-39 years, female 54.0
GTEX-1HSEH-1526-SM-B2LXG 60-69 years, male 54.0
GTEX-1J8Q3-1926-SM-C1YSJ 60-69 years, male 54.0
GTEX-WRHK-0626-SM-4MVOE 20-29 years, female 53.9
GTEX-1H1DE-1226-SM-9JGHH 20-29 years, male 53.9
GTEX-15UF7-1226-SM-6M46G 40-49 years, male 53.8
GTEX-R55G-1126-SM-48FDG 40-49 years, female 53.7
GTEX-T5JW-0926-SM-4DM5K 20-29 years, female 53.7
GTEX-1399R-1126-SM-5IFIO 30-39 years, male 53.5
GTEX-1IDJD-2426-SM-C1YS6 30-39 years, male 53.5
GTEX-WFG8-1326-SM-4LVN3 20-29 years, male 53.3
GTEX-1399U-1626-SM-5P9J3 50-59 years, female 53.1
GTEX-QDVJ-1426-SM-48U1Y 50-59 years, male 52.9
GTEX-1KXAM-0926-SM-CXZKA 60-69 years, male 52.9
GTEX-1PPH8-1326-SM-DTXFO 20-29 years, male 52.9
GTEX-1R9K5-1026-SM-EAZ4F 50-59 years, male 52.9
GTEX-11VI4-0326-SM-5EQ6L 40-49 years, female 52.8
GTEX-Y114-1226-SM-4TT88 50-59 years, female 52.8
GTEX-1HCU8-1326-SM-C1YQQ 60-69 years, female 52.8
GTEX-1QP28-2126-SM-DTX8B 50-59 years, female 52.7
GTEX-YJ8A-1526-SM-5P9FT 20-29 years, male 52.6
GTEX-14PN3-1326-SM-6AJ9U 60-69 years, female 52.5
GTEX-1K2DA-0826-SM-CGQGD 50-59 years, male 52.4
GTEX-13FH7-1026-SM-5IJGF 50-59 years, female 52.3
GTEX-P78B-1826-SM-3P5YX 40-49 years, female 52.3
GTEX-ZT9W-1526-SM-4YCDE 50-59 years, male 52.2
GTEX-13FTW-1726-SM-5KM2B 40-49 years, male 52.1
GTEX-14JG6-1226-SM-664O6 30-39 years, female 52.1
GTEX-1I6K7-1726-SM-B2LXQ 40-49 years, male 52.1
GTEX-12WSK-1426-SM-5CVNN 40-49 years, female 51.9
GTEX-18QFQ-1226-SM-718AE 30-39 years, male 51.8
GTEX-1A8G6-1426-SM-731EZ 60-69 years, male 51.8
GTEX-SUCS-0926-SM-4DM4Z 70-79 years, male 51.8
GTEX-TKQ1-0526-SM-4DXTG 30-39 years, male 51.8
GTEX-1LVAM-1426-SM-E9TJ4 50-59 years, female 51.8
GTEX-12WSG-2026-SM-5FQUU 50-59 years, female 51.7
GTEX-14B4R-0726-SM-5TDDR 30-39 years, male 51.7
GTEX-1HFI7-1526-SM-9WG7W 50-59 years, female 51.6
GTEX-1CAMR-0726-SM-7EPIE 20-29 years, male 51.5
GTEX-13QJ3-2726-SM-5SI6L 50-59 years, male 51.4
GTEX-13RTK-0226-SM-5RQHR 20-29 years, male 51.4
GTEX-1MCYP-1126-SM-E9J2P 20-29 years, female 51.4
GTEX-14PKV-1826-SM-69LO9 20-29 years, female 51.1
GTEX-RU1J-0526-SM-46MUT 20-29 years, female 51.1
GTEX-WY7C-1726-SM-4ONCC 50-59 years, male 51.1
GTEX-14ICL-0826-SM-5YY9W 30-39 years, male 51.0
GTEX-S3XE-1026-SM-4AD4O 50-59 years, male 51.0
GTEX-XBEW-1826-SM-4RTWX 40-49 years, male 51.0
GTEX-111CU-0926-SM-5EGIK 50-59 years, male 50.9
GTEX-11EI6-2426-SM-5PNVS 60-69 years, male 50.9
GTEX-Y3I4-1626-SM-4TT7W 50-59 years, male 50.9
GTEX-1QPFJ-1526-SM-DPRXT 30-39 years, female 50.9
GTEX-13O3Q-2126-SM-5KM4C 50-59 years, male 50.8
GTEX-12696-1726-SM-5EQLH 60-69 years, male 50.7
GTEX-16NGA-1526-SM-72D56 40-49 years, female 50.7
GTEX-WXYG-1626-SM-4ONCR 50-59 years, female 50.7
GTEX-YEC4-1426-SM-5IFHS 40-49 years, male 50.7
GTEX-1GN1W-2126-SM-9JGI7 50-59 years, female 50.7
GTEX-1HBPI-0726-SM-9WG7Z 50-59 years, male 50.6
GTEX-1JN1M-2926-SM-CNNPJ 60-69 years, female 50.6
GTEX-1QW4Y-0726-SM-DTX8E 30-39 years, male 50.6
GTEX-17F9E-2226-SM-7IGNC 50-59 years, male 50.5
GTEX-ZY6K-0726-SM-5A5L8 50-59 years, male 50.5
GTEX-1H3NZ-2226-SM-9WYUT 60-69 years, male 50.5
GTEX-12C56-0526-SM-5FQST 20-29 years, male 50.4
GTEX-ZZ64-0426-SM-5E43F 20-29 years, male 50.4
GTEX-1JMPZ-1826-SM-CXZJT 30-39 years, male 50.4
GTEX-1MGNQ-1826-SM-DPRYI 40-49 years, male 50.4
GTEX-Y9LG-1026-SM-5IFJN 30-39 years, male 50.3
GTEX-YEC3-1426-SM-D4P1S 50-59 years, male 50.3
GTEX-UJHI-1026-SM-4IHJP 50-59 years, female 50.2
GTEX-1JK1U-1326-SM-AHZ45 60-69 years, male 50.2
GTEX-1B97J-1826-SM-7IGPP 50-59 years, female 50.1
GTEX-17JCI-2226-SM-7LTA1 60-69 years, female 50.0
GTEX-ZVT2-1626-SM-51MRC 50-59 years, female 50.0
GTEX-13U4I-2526-SM-5SI8Z 40-49 years, female 49.9
GTEX-11WQK-2626-SM-5EQ4K 50-59 years, male 49.8
GTEX-1B8KE-1326-SM-73KVI 50-59 years, male 49.8
GTEX-13113-0726-SM-5LZUF 60-69 years, female 49.7
GTEX-S7SF-0626-SM-4AD4V 20-29 years, female 49.7
GTEX-ZA64-0826-SM-5HL9U 20-29 years, male 49.7
GTEX-1GMRU-2526-SM-9WG7T 50-59 years, male 49.7
GTEX-13O21-0926-SM-5IFGT 50-59 years, male 49.5
GTEX-17HII-2426-SM-7KFTT 50-59 years, male 49.5
GTEX-RTLS-2626-SM-46MUJ 60-69 years, female 49.5
GTEX-11EQ9-1226-SM-5987E 30-39 years, male 49.4
GTEX-12WSD-2326-SM-59HKQ 60-69 years, female 49.4
GTEX-P4QT-1526-SM-3NMCT 50-59 years, female 49.4
GTEX-QDVN-1226-SM-48TZ5 50-59 years, male 49.3
GTEX-1RMOY-1126-SM-EV79E 50-59 years, male 49.3
GTEX-11P7K-1726-SM-5GU6F 30-39 years, male 49.2
GTEX-ZZPU-1426-SM-5GZZ6 50-59 years, female 49.2
GTEX-1GF9U-1126-SM-AHZ4H 40-49 years, female 49.2
GTEX-O5YV-1926-SM-EV797 60-69 years, female 49.2
GTEX-1GL5R-1926-SM-9WG7U 50-59 years, male 49.1
GTEX-18D9B-2226-SM-718BM 60-69 years, male 49.0
GTEX-PWCY-0926-SM-48TD7 20-29 years, female 49.0
GTEX-1N2DV-0926-SM-E9TJT 40-49 years, male 49.0
GTEX-ZGAY-1626-SM-DNZZ3 40-49 years, female 49.0
GTEX-14DAR-0926-SM-73KUQ 50-59 years, male 48.7
GTEX-R55D-1526-SM-48FEJ 50-59 years, male 48.7
GTEX-WFJO-1126-SM-4LVLZ 30-39 years, male 48.7
GTEX-17MF6-2126-SM-7KFS7 40-49 years, male 48.6
GTEX-1F5PK-1826-SM-7RHHX 50-59 years, male 48.6
GTEX-1JMPY-0926-SM-ARL92 30-39 years, male 48.6
GTEX-14PJ5-0826-SM-6AJAR 60-69 years, female 48.5
GTEX-1A3MV-1226-SM-718BW 30-39 years, male 48.5
GTEX-1JMQJ-1326-SM-D4P3B 50-59 years, male 48.5
GTEX-1LBAC-1426-SM-CXZKT 20-29 years, male 48.5
GTEX-1LGRB-1726-SM-CNNRA 50-59 years, female 48.5
GTEX-13111-1226-SM-5GCNC 50-59 years, male 48.4
GTEX-14E6E-0926-SM-664N8 30-39 years, male 48.3
GTEX-14PJ3-1426-SM-664O8 50-59 years, male 48.3
GTEX-ZAB4-1526-SM-5CVN7 40-49 years, male 48.3
GTEX-1E1VI-2826-SM-7MGWU 50-59 years, male 48.3
GTEX-1R7EU-1126-SM-EAZ4M 60-69 years, male 48.3
GTEX-Q2AH-1126-SM-48TZM 40-49 years, male 48.2
GTEX-XXEK-0826-SM-4BRWG 50-59 years, male 48.1
GTEX-1PIGE-1126-SM-EWRMV 20-29 years, male 48.1
GTEX-15DCE-1626-SM-6LPJM 20-29 years, male 48.0
GTEX-QMRM-1126-SM-447BN 50-59 years, male 48.0
GTEX-ZLWG-1526-SM-DO12F 50-59 years, female 48.0
GTEX-O5YW-1526-SM-3MJGL 50-59 years, male 47.9
GTEX-13X6J-2126-SM-5TDCV 50-59 years, male 47.7
GTEX-XBED-1226-SM-4AT5V 60-69 years, male 47.7
GTEX-14PJ6-0826-SM-686Z9 60-69 years, female 47.6
GTEX-V1D1-1726-SM-4JBHB 50-59 years, male 47.6
GTEX-ZF29-1526-SM-4WKF7 60-69 years, female 47.6
GTEX-14BMU-1126-SM-5RQJ8 20-29 years, female 47.5
GTEX-1JN76-0926-SM-ARZNH 20-29 years, female 47.5
GTEX-WYJK-2526-SM-4ONDF 50-59 years, male 47.4
GTEX-1H3VY-2326-SM-9WG81 50-59 years, male 47.4
GTEX-1QMI2-2126-SM-DPRXQ 60-69 years, male 47.3
GTEX-PLZ6-0826-SM-3P61K 30-39 years, male 47.2
GTEX-S341-0626-SM-4AD5T 40-49 years, female 47.2
GTEX-1LG7Z-1226-SM-DHXK4 30-39 years, male 47.2
GTEX-13D11-2126-SM-5IFH2 50-59 years, female 47.1
GTEX-145MO-2226-SM-5Q5BN 60-69 years, male 47.1
GTEX-139D8-2326-SM-5IFGE 30-39 years, female 46.8
GTEX-15DZA-1126-SM-6LPK8 30-39 years, female 46.8
GTEX-ZF2S-1426-SM-57WET 50-59 years, female 46.8
GTEX-1HBPN-1626-SM-9WPNP 50-59 years, male 46.7
GTEX-1LGOU-1526-SM-D3LAJ 20-29 years, female 46.7
GTEX-OHPM-1526-SM-EV796 50-59 years, male 46.7
GTEX-1GZ4H-1026-SM-9OSXL 50-59 years, female 46.6
GTEX-1B8KZ-1226-SM-793CP 50-59 years, male 46.5
GTEX-RWS6-0926-SM-47JXE 60-69 years, female 46.5
GTEX-13CF3-1926-SM-5K7WF 60-69 years, female 46.4
GTEX-OOBJ-1526-SM-3NB1Q 60-69 years, male 46.4
GTEX-QLQW-0726-SM-447AA 30-39 years, male 46.4
GTEX-Y5V6-1326-SM-4VDTF 60-69 years, male 46.4
GTEX-PLZ5-1226-SM-EXOHA 50-59 years, male 46.4
GTEX-16AAH-1226-SM-79OO9 50-59 years, male 46.3
GTEX-Y8LW-0826-SM-4WWDO 50-59 years, female 46.3
GTEX-1LVAN-2426-SM-CNNPZ 50-59 years, female 46.3
GTEX-Y8E4-1526-SM-4WWDI 40-49 years, male 46.2
GTEX-1I1GT-1726-SM-C1YS3 60-69 years, female 46.2
GTEX-ZPU1-1626-SM-4WWB2 40-49 years, male 46.1
GTEX-139YR-1926-SM-5LZXM 50-59 years, male 46.0
GTEX-ZQUD-0826-SM-57WDQ 30-39 years, male 46.0
GTEX-1H1DG-2126-SM-9WPPB 70-79 years, male 46.0
GTEX-111YS-1126-SM-5GZYQ 60-69 years, male 45.9
GTEX-S95S-0826-SM-4B64N 60-69 years, male 45.9
GTEX-U3ZN-2026-SM-4DXUC 30-39 years, female 45.9
GTEX-PX3G-1526-SM-48U11 20-29 years, female 45.8
GTEX-QLQ7-0826-SM-447B3 60-69 years, male 45.8
GTEX-13S7M-1826-SM-5RQK6 60-69 years, female 45.7
GTEX-17F98-1526-SM-7EWD8 40-49 years, female 45.7
GTEX-17KNJ-1526-SM-7LTA9 50-59 years, male 45.7
GTEX-S4P3-0726-SM-4AD57 50-59 years, female 45.7
GTEX-1HSMQ-2426-SM-CE6RY 50-59 years, male 45.7
GTEX-11GSP-2126-SM-5HL5E 60-69 years, female 45.6
GTEX-VJYA-1026-SM-4KL21 60-69 years, male 45.6
GTEX-14BIL-1926-SM-73KYI 50-59 years, male 45.4
GTEX-145MN-1326-SM-5NQ9S 30-39 years, male 45.3
GTEX-17HHE-1026-SM-79ON6 50-59 years, male 45.3
GTEX-RM2N-0826-SM-48FD3 50-59 years, male 45.3
GTEX-TKQ2-0926-SM-4DXU5 50-59 years, male 45.3
GTEX-1HKZK-1526-SM-B2LWG 40-49 years, male 45.1
GTEX-145LT-1426-SM-5O9B3 40-49 years, male 45.0
GTEX-1I1HK-2026-SM-CNNRB 60-69 years, male 44.9
GTEX-1IDJF-1426-SM-ACKWK 20-29 years, male 44.9
GTEX-1122O-1926-SM-5EGIQ 60-69 years, female 44.7
GTEX-PW2O-1226-SM-48TCH 20-29 years, male 44.7
GTEX-1B8L1-1526-SM-79OLK 60-69 years, male 44.6
GTEX-SNOS-0826-SM-4DM5N 40-49 years, male 44.6
GTEX-1H11D-2226-SM-9OSXN 40-49 years, male 44.6
GTEX-15RIE-1026-SM-6LPJQ 60-69 years, male 44.5
GTEX-ZYY3-1726-SM-5EGH3 60-69 years, female 44.5
GTEX-1J8EW-2226-SM-AHZ3T 60-69 years, female 44.5
GTEX-S4Q7-0726-SM-4AD5F 20-29 years, male 44.4
GTEX-ZEX8-1626-SM-4WKG7 50-59 years, male 44.4
GTEX-ZLV1-0826-SM-DO11P 60-69 years, female 44.4
GTEX-13OVK-0926-SM-7KUFX 40-49 years, male 44.3
GTEX-ZYFG-1326-SM-5GICJ 60-69 years, female 44.3
GTEX-UJMC-1226-SM-4IHLI 50-59 years, male 44.2
GTEX-ZP4G-1226-SM-4WWCJ 20-29 years, female 44.2
GTEX-ZVZP-1726-SM-5GZWY 50-59 years, male 44.2
GTEX-WHWD-1426-SM-4OORU 50-59 years, male 44.1
GTEX-1H1E6-1626-SM-9OSWC 30-39 years, male 44.1
GTEX-17GQL-1226-SM-7KFTS 60-69 years, male 44.0
GTEX-NFK9-1526-SM-3LK7B 40-49 years, male 43.9
GTEX-1QCLZ-1826-SM-DPRXP 60-69 years, female 43.9
GTEX-11NSD-1426-SM-5HL67 20-29 years, male 43.8
GTEX-1C64O-2226-SM-73KTV 60-69 years, male 43.8
GTEX-1J8JJ-1726-SM-C1YQG 60-69 years, female 43.8
GTEX-ZV7C-1626-SM-5NQ7E 50-59 years, male 43.7
GTEX-QV31-0626-SM-447C5 30-39 years, male 43.6
GTEX-ZVT3-2126-SM-59HL2 60-69 years, female 43.6
GTEX-1RQEC-2126-SM-DPS15 60-69 years, male 43.6
GTEX-14BMV-2226-SM-5RQHX 50-59 years, male 43.4
GTEX-11TT1-0726-SM-5GU5A 20-29 years, male 43.3
GTEX-1C475-1026-SM-7MKFJ 40-49 years, female 43.3
GTEX-1KD5A-1426-SM-D4P3V 50-59 years, male 43.2
GTEX-S4UY-1626-SM-4AD55 40-49 years, female 43.1
GTEX-V955-1326-SM-4JBHR 60-69 years, male 43.1
GTEX-WYVS-1326-SM-4ONCQ 40-49 years, female 43.1
GTEX-ZVP2-1626-SM-5GU5D 50-59 years, male 43.1
GTEX-Q2AI-0826-SM-48TZO 40-49 years, male 43.0
GTEX-OXRK-1626-SM-3NB17 50-59 years, female 42.9
GTEX-131XE-2226-SM-5PNYX 50-59 years, male 42.7
GTEX-1J8QM-1126-SM-C1YQB 60-69 years, female 42.6
GTEX-OIZF-1526-SM-2I5GR 60-69 years, male 42.5
GTEX-1E2YA-2426-SM-7EPIG 50-59 years, male 42.4
GTEX-QXCU-1926-SM-48FE4 50-59 years, male 42.1
GTEX-YFCO-0826-SM-5LUAG 40-49 years, male 42.0
GTEX-1AYCT-1326-SM-7MKHB 50-59 years, male 41.8
GTEX-YB5E-1126-SM-664NU 40-49 years, male 41.5
GTEX-1QP2A-2126-SM-DPRZ7 50-59 years, male 41.4
GTEX-X15G-1126-SM-4PQZG 50-59 years, female 41.2
GTEX-11P82-0726-SM-5PNYL 20-29 years, male 41.1
GTEX-R53T-1226-SM-48FCT 50-59 years, female 41.1
GTEX-T6MO-0726-SM-4DM58 40-49 years, female 41.1
GTEX-1ICG6-1826-SM-AHZ2O 70-79 years, female 41.1
GTEX-144GN-1226-SM-5O991 50-59 years, male 40.9
GTEX-14DAQ-2826-SM-664MU 60-69 years, female 40.6
GTEX-Q734-1026-SM-48U16 40-49 years, female 40.5
GTEX-1AMEY-1226-SM-731DU 30-39 years, female 40.3
GTEX-WFON-1126-SM-4LVMA 40-49 years, male 40.2
GTEX-W5WG-1726-SM-4LMI5 50-59 years, female 40.0
GTEX-WEY5-1226-SM-4LMIQ 40-49 years, female 40.0
GTEX-XUZC-0726-SM-4BOPH 30-39 years, female 39.5
GTEX-15CHR-1326-SM-79OLT 50-59 years, male 39.1
GTEX-13PVR-2126-SM-73KVR 60-69 years, female 38.6
GTEX-WZTO-2126-SM-4PQYW 40-49 years, male 38.3
GTEX-1B97I-1226-SM-7MGWQ 40-49 years, male 37.8
GTEX-QV44-1226-SM-CJI1S 50-59 years, male 37.7
GTEX-11EM3-1026-SM-5A5KL 20-29 years, female 37.6
GTEX-XQ8I-2026-SM-4BOOL 50-59 years, male 37.3
GTEX-1LSNM-1026-SM-DHXL2 50-59 years, male 37.2
GTEX-13QBU-1126-SM-5LU44 40-49 years, female 35.8
GTEX-1AMFI-1226-SM-731CZ 50-59 years, female 35.6
GTEX-18A7A-2726-SM-7LG6U 50-59 years, female 35.5
GTEX-1S82Z-1726-SM-E6CHZ 30-39 years, female 33.3
GTEX-OXRL-1526-SM-E6CHQ 50-59 years, male 29.3
Show allShow less

Contact

  • NEWS ARTICLES
  • PRESS ROOM

The Project

  • INTRODUCTION
  • ORGANIZATION
  • PUBLICATIONS

The Human Protein Atlas

  • DOWNLOADABLE DATA
  • LICENCE & CITATION
  • HELP & FAQ
The Human Protein Atlas project is funded
by the Knut & Alice Wallenberg Foundation.


contact@proteinatlas.org