We use cookies to enhance the usability of our website. If you continue, we'll assume that you are happy to receive all cookies. More information. Don't show this again.
TRIR
HPA
RESOURCES
  • TISSUE
  • BRAIN
  • SINGLE CELL
  • SUBCELLULAR
  • CANCER
  • BLOOD
  • CELL LINE
  • STRUCTURE & INTERACTION
ABOUT
  • INTRODUCTION
  • HISTORY
  • ORGANIZATION
  • PUBLICATIONS
  • ANTIBODY SUBMISSION
  • ANTIBODY AVAILABILITY
  • ACKNOWLEDGMENTS
  • CONTACT
NEWS
  • NEWS ARTICLES
  • PRESS ROOM
LEARN
  • DICTIONARY
  • PROTEIN CLASSES
  • PROTEIN EVIDENCE
  • METHODS
  • EDUCATIONAL VIDEOS
DATA
  • DOWNLOADABLE DATA
  • PUBLICATION DATA
  • RELEASE HISTORY
HELP
  • ANTIBODY VALIDATION
  • ASSAYS & ANNOTATION
  • DISCLAIMER
  • HELP & FAQ
  • PRIVACY STATEMENT
  • LICENCE & CITATION
Fields »
Search result

Field
Term
Gene name
Class
Subclass
Class
Keyword
Chromosome
External id
Tissue
Cell type
Expression
Antibody panel
Tissue
Main location
Patient ID
Annotation
Tissue
Category
Tau score
Cluster
Reliability
Brain region
Category
Tau score
Brain region
Category
Tau score
Brain region
Category
Tau score
Cluster
Reliability
Tissue
Cell type
Enrichment
Cell type
Category
Tau score
Cell type
Category
Tau score
Cell type
Category
Tau score
Cell lineage
Category
Tau score
Cluster
Cluster
Location
Searches
Location
Cell line
Class
Type
Phase
Reliability
Cancer
Prognosis
Cancer
Category
Cancer
Category
Tau score
Cluster
Variants
Interacting gene (ensg_id)
Type
Number of interactions
Pathway
Category
Score
Score
Score
Validation
Validation
Validation
Validation
Antibodies
Data type
Column


  • SUMMARY

  • TISSUE

  • BRAIN

  • SINGLE CELL

  • SUBCELL

  • CANCER

  • BLOOD

  • CELL LINE

  • STRUCT & INT

  • TRIR
TISSUE PRIMARY DATA STOMACH Show tissue menu
ADIPOSE TISSUE ADRENAL GLAND AMYGDALA APPENDIX BASAL GANGLIA BONE MARROW BREAST BRONCHUS CEREBELLUM CEREBRAL CORTEX CERVIX CHOROID PLEXUS COLON DUODENUM
ENDOMETRIUM EPIDIDYMIS ESOPHAGUS FALLOPIAN TUBE GALLBLADDER HEART MUSCLE HIPPOCAMPAL FORMATION HYPOTHALAMUS KIDNEY LIVER LUNG LYMPH NODE MIDBRAIN NASOPHARYNX
ORAL MUCOSA OVARY PANCREAS PARATHYROID GLAND PITUITARY GLAND PLACENTA PROSTATE RECTUM RETINA SALIVARY GLAND SEMINAL VESICLE SKELETAL MUSCLE SKIN SMALL INTESTINE
SMOOTH MUSCLE SOFT TISSUE SPINAL CORD SPLEEN STOMACH TESTIS THYMUS THYROID GLAND TONGUE TONSIL URINARY BLADDER VAGINA
ANTIBODIES
AND
VALIDATION
Dictionary
Tissue proteome
Stomach
STOMACH - Expression summary
Protein expression
Stomachi

On the top, protein expression in current human tissue, based on all annotated cell types, is reported with the units not detected (n), low (l), medium (m) and high (h). Underneath, protein expression in each annotated cell type are reported using the same units.

Protein expression data is based on knowledge-based annotation. For genes where more than one antibody has been used, a collective score is set.

If knowledge-based annotation could not be performed for a gene, no data is displayed here. View antibody staining data further down this page.

h
m
l
n
Glandular cells: Medium
RNA expressioni

A summary of mRNA expression data available for current tissue based on several datasets. The mRNA expression levels in human tissues are based on RNA-seq data generated by the Human Protein Atlas (HPA), Genotype-Tissue Expression (GTEx) portal and CAGE data generated by the FANTOM5 consortium. Consensus normalized expression levels for human tissues was created by combining the data from HPA and GTEx datasets.

The mRNA expression levels in pig are based on RNA-seq data generated by the Human Protein Atlas (HPA), and for mouse, HPA data and in situ hybridization generated by the Allen brain atlas are reported.

Scroll down to view mRNA expression data in more detail.
Consensus:158.5 nTPM
HPA:82.5 nTPM
GTEx:158.5 nTPM

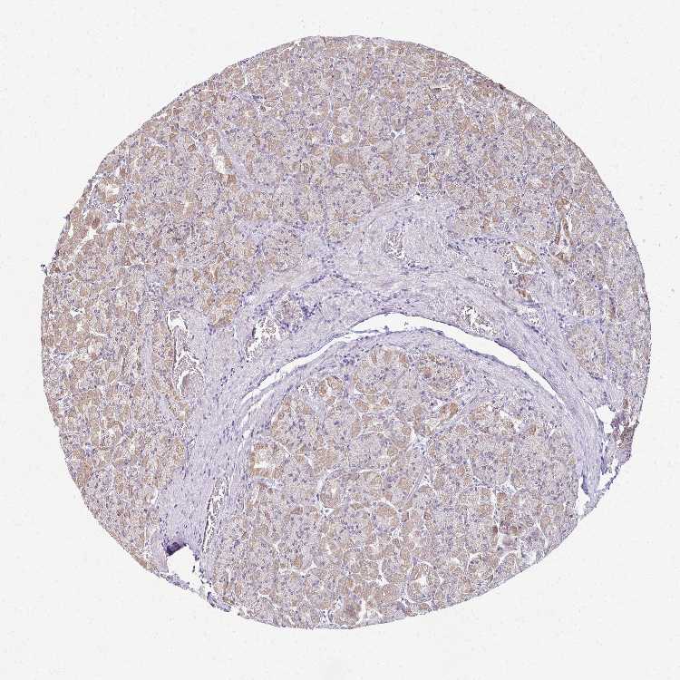
STOMACH 1 - Antibody stainingi

Antibody staining in the annotated cell types in the current human tissue is reported as not detected, low, medium, or high, based on conventional immunohistochemistry profiling in selected tissues. This score is based on the combination of the staining intensity and fraction of stained cells.

Each image is clickable and will lead to virtual microscopy that enables deeper exploration of all samples and also displays staining intensity scores, fraction scores and subcellular localization as well as patient and tissue information for each sample.

Antibody HPA059965
Glandular cells Medium

STOMACH 2 - Antibody stainingi

Antibody staining in the annotated cell types in the current human tissue is reported as not detected, low, medium, or high, based on conventional immunohistochemistry profiling in selected tissues. This score is based on the combination of the staining intensity and fraction of stained cells.

Each image is clickable and will lead to virtual microscopy that enables deeper exploration of all samples and also displays staining intensity scores, fraction scores and subcellular localization as well as patient and tissue information for each sample.

Antibody HPA059965
Glandular cells Low


STOMACH - HPA RNA-seqi

The RNA-seq details section shows detailed information about the individual samples used for the transcript profiling and results of the RNA-seq analysis.

Information about each individual sample is listed below, including gender, age, a tissue section image and estimated fractions of cell types. nTPM (normalized transcripts per million) values give a quantification of the gene abundance which is comparable between different genes and samples.
Average nTPMi

Max subtype nTPM is the value for the subtype with the largest average nTPM across the subtype samples.

82.5
overview
Female, age 33
Stomach sample 61
nTPM: 99.9
Cell types%
Glandular cells:
60

Smooth muscle cells:
5

Other cell types:
35

N/A
Male, age 82
Stomach sample 240
nTPM: 53.2
Cell types%
Glandular cells:
65

Smooth muscle cells:
5

Other cell types:
30

overview
Male, age 71
Stomach sample 241
nTPM: 129
Cell types%
Glandular cells:
50

Smooth muscle cells:
5

Other cell types:
45

overview
Female, age 66
Stomach sample 369
nTPM: 47.9
Cell types%
Glandular cells:
50

Smooth muscle cells:
10

Other cell types:
40


STOMACH - GTEx RNA-seqi

RNA-Seq data generated by the Genotype-Tissue Expression (GTEx) project from human tissues is reported as mean nTPM. More information can be found on the GTEx portal.

Distribution across the dataset is visualized with box plots, shown as median and 25th and 75th percentiles. Points are displayed as outliers if they are above or below 1.5 times the interquartile range. nTPM values of the individual samples are presented next to the box plot.
Max subtype nTPMi

Max subtype nTPM is the value for the subtype with the largest average nTPM across the subtype samples.

158.5
GTEx sample id Sample description nTPM
Stomach
Average nTPM: 158.5
Samples: 359

Max nTPM: 469.0
Min nTPM: 85.1
Std nTPM: 36.8
Median nTPM: 155.7
GTEX-15RIF-1126-SM-7KUG2 20-29 years, male 469.0
GTEX-11EQ9-1226-SM-5987E 30-39 years, male 282.7
GTEX-14PJ4-1626-SM-664OB 60-69 years, male 279.1
GTEX-14E1K-1526-SM-664MN 50-59 years, male 258.9
GTEX-1CB4E-1326-SM-7DUGD 60-69 years, male 249.9
GTEX-P4QT-1526-SM-3NMCT 50-59 years, female 248.2
GTEX-1399U-1626-SM-5P9J3 50-59 years, female 247.4
GTEX-ZV6S-0926-SM-57WGB 40-49 years, female 243.1
GTEX-146FR-2026-SM-5NQAI 60-69 years, female 242.1
GTEX-14PKU-1126-SM-69LOU 40-49 years, female 236.9
GTEX-1MCYP-1126-SM-E9J2P 20-29 years, female 231.7
GTEX-15G1A-1226-SM-7KUF3 30-39 years, male 230.2
GTEX-13CF3-1926-SM-5K7WF 60-69 years, female 224.7
GTEX-1QP28-2126-SM-DTX8B 50-59 years, female 222.2
GTEX-12WSJ-0926-SM-5P9JD 40-49 years, female 218.3
GTEX-11WQK-2626-SM-5EQ4K 50-59 years, male 215.6
GTEX-1339X-1426-SM-5K7YO 40-49 years, male 215.0
GTEX-139YR-1926-SM-5LZXM 50-59 years, male 214.7
GTEX-T5JW-0926-SM-4DM5K 20-29 years, female 214.3
GTEX-OIZH-1526-SM-3NB1J 50-59 years, male 214.0
GTEX-ZEX8-1626-SM-4WKG7 50-59 years, male 213.5
GTEX-1NSGN-1926-SM-E9J36 50-59 years, male 211.9
GTEX-1HR9M-2326-SM-CNPPZ 60-69 years, male 209.4
GTEX-1B97I-1226-SM-7MGWQ 40-49 years, male 208.8
GTEX-1JMPY-0926-SM-ARL92 30-39 years, male 207.6
GTEX-13FTW-1726-SM-5KM2B 40-49 years, male 207.4
GTEX-SUCS-0926-SM-4DM4Z 70-79 years, male 206.3
GTEX-WH7G-1526-SM-4LVMX 40-49 years, male 205.8
GTEX-13X6H-1626-SM-5Q5CT 50-59 years, female 202.5
GTEX-1LVAM-1426-SM-E9TJ4 50-59 years, female 202.1
GTEX-Y5V6-1326-SM-4VDTF 60-69 years, male 201.7
GTEX-Q2AI-0826-SM-48TZO 40-49 years, male 201.0
GTEX-117YW-2226-SM-5N9DB 50-59 years, male 199.9
GTEX-131XE-2226-SM-5PNYX 50-59 years, male 199.4
GTEX-1LVAN-2426-SM-CNNPZ 50-59 years, female 198.4
GTEX-1E2YA-2426-SM-7EPIG 50-59 years, male 197.6
GTEX-QMRM-1126-SM-447BN 50-59 years, male 196.8
GTEX-WFG7-1326-SM-4LMK1 20-29 years, male 196.7
GTEX-131XG-1226-SM-5EGH9 50-59 years, female 196.3
GTEX-144GM-1726-SM-5O9AS 20-29 years, male 195.2
GTEX-12BJ1-1726-SM-5HL9B 60-69 years, male 194.6
GTEX-Y114-1226-SM-4TT88 50-59 years, female 194.6
GTEX-11TT1-0726-SM-5GU5A 20-29 years, male 193.8
GTEX-XPVG-1526-SM-4B66C 50-59 years, male 193.3
GTEX-ZVT2-1626-SM-51MRC 50-59 years, female 193.2
GTEX-Y5LM-1326-SM-5RQIS 40-49 years, female 192.6
GTEX-ZY6K-0726-SM-5A5L8 50-59 years, male 191.9
GTEX-ZZ64-0426-SM-5E43F 20-29 years, male 191.6
GTEX-14BMU-1126-SM-5RQJ8 20-29 years, female 191.5
GTEX-13O21-0926-SM-5IFGT 50-59 years, male 191.1
GTEX-14PKV-1826-SM-69LO9 20-29 years, female 191.1
GTEX-17F9E-2226-SM-7IGNC 50-59 years, male 190.7
GTEX-1LSNM-1026-SM-DHXL2 50-59 years, male 190.2
GTEX-W5WG-1726-SM-4LMI5 50-59 years, female 189.7
GTEX-ZE7O-3026-SM-51MS4 50-59 years, female 189.6
GTEX-1IL2V-2026-SM-ARZMA 70-79 years, male 189.6
GTEX-12C56-0526-SM-5FQST 20-29 years, male 189.4
GTEX-18D9B-2226-SM-718BM 60-69 years, male 189.1
GTEX-1JKYN-1726-SM-AHZ48 30-39 years, male 188.7
GTEX-1F5PL-1426-SM-7MKFH 40-49 years, female 187.7
GTEX-WFG8-1326-SM-4LVN3 20-29 years, male 187.1
GTEX-1F75I-1826-SM-7MKGX 40-49 years, male 187.0
GTEX-V955-1326-SM-4JBHR 60-69 years, male 186.4
GTEX-11EI6-2426-SM-5PNVS 60-69 years, male 186.3
GTEX-1L5NE-1526-SM-DIPFW 50-59 years, male 186.3
GTEX-14PN3-1326-SM-6AJ9U 60-69 years, female 185.8
GTEX-S4Z8-1226-SM-4AD6W 60-69 years, male 185.7
GTEX-17EUY-1526-SM-793CA 20-29 years, male 185.4
GTEX-13O3Q-2126-SM-5KM4C 50-59 years, male 184.8
GTEX-11NSD-1426-SM-5HL67 20-29 years, male 184.3
GTEX-144GN-1226-SM-5O991 50-59 years, male 184.1
GTEX-XAJ8-0326-SM-47JYI 40-49 years, male 184.1
GTEX-1399S-1626-SM-5P9GI 30-39 years, female 183.4
GTEX-Q2AH-1126-SM-48TZM 40-49 years, male 183.3
GTEX-ZT9W-1526-SM-4YCDE 50-59 years, male 182.6
GTEX-1S82Z-1726-SM-E6CHZ 30-39 years, female 182.2
GTEX-13O61-1126-SM-5L3FI 60-69 years, male 181.9
GTEX-1PIGE-1126-SM-EWRMV 20-29 years, male 181.9
GTEX-111CU-0926-SM-5EGIK 50-59 years, male 181.1
GTEX-T5JC-1926-SM-4DM6Q 20-29 years, male 180.0
GTEX-1N2DV-0926-SM-E9TJT 40-49 years, male 179.8
GTEX-XUZC-0726-SM-4BOPH 30-39 years, female 179.5
GTEX-1GPI7-1326-SM-9KNVA 20-29 years, male 179.5
GTEX-WFJO-1126-SM-4LVLZ 30-39 years, male 179.4
GTEX-WRHK-0626-SM-4MVOE 20-29 years, female 179.4
GTEX-1122O-1926-SM-5EGIQ 60-69 years, female 179.2
GTEX-1H3NZ-2226-SM-9WYUT 60-69 years, male 179.2
GTEX-1JK1U-1326-SM-AHZ45 60-69 years, male 179.0
GTEX-1I6K7-1726-SM-B2LXQ 40-49 years, male 178.9
GTEX-R55D-1526-SM-48FEJ 50-59 years, male 178.5
GTEX-1HT8W-2326-SM-A9SLA 30-39 years, male 178.4
GTEX-QLQ7-0826-SM-447B3 60-69 years, male 177.6
GTEX-SNOS-0826-SM-4DM5N 40-49 years, male 177.5
GTEX-1H1E6-1626-SM-9OSWC 30-39 years, male 177.2
GTEX-1C475-1026-SM-7MKFJ 40-49 years, female 176.9
GTEX-PWN1-1526-SM-48TDA 40-49 years, female 176.2
GTEX-QDVN-1226-SM-48TZ5 50-59 years, male 175.8
GTEX-13N1W-2026-SM-5K7YU 70-79 years, male 175.3
GTEX-1211K-1426-SM-5FQTF 60-69 years, female 175.0
GTEX-1K2DA-0826-SM-CGQGD 50-59 years, male 175.0
GTEX-TKQ1-0526-SM-4DXTG 30-39 years, male 174.5
GTEX-1QW4Y-0726-SM-DTX8E 30-39 years, male 174.1
GTEX-1LG7Z-1226-SM-DHXK4 30-39 years, male 174.0
GTEX-U4B1-1026-SM-4DXT1 40-49 years, male 173.4
GTEX-1H1DE-1226-SM-9JGHH 20-29 years, male 173.4
GTEX-ZTX8-0426-SM-59HLG 20-29 years, male 171.6
GTEX-1399R-1126-SM-5IFIO 30-39 years, male 171.5
GTEX-14PHY-0926-SM-5ZZWL 60-69 years, female 171.4
GTEX-RWS6-0926-SM-47JXE 60-69 years, female 171.3
GTEX-117YX-1026-SM-5H11V 50-59 years, male 171.2
GTEX-RU1J-0526-SM-46MUT 20-29 years, female 171.2
GTEX-ZAB4-1526-SM-5CVN7 40-49 years, male 171.1
GTEX-1PPH8-1326-SM-DTXFO 20-29 years, male 170.8
GTEX-1E1VI-2826-SM-7MGWU 50-59 years, male 170.7
GTEX-1QP67-1026-SM-EVR47 40-49 years, female 170.3
GTEX-UJHI-1026-SM-4IHJP 50-59 years, female 169.9
GTEX-X15G-1126-SM-4PQZG 50-59 years, female 169.5
GTEX-13113-0726-SM-5LZUF 60-69 years, female 169.2
GTEX-SNMC-0626-SM-4DM6H 20-29 years, male 169.2
GTEX-11P7K-1726-SM-5GU6F 30-39 years, male 169.1
GTEX-1HCU8-1326-SM-C1YQQ 60-69 years, female 168.7
GTEX-S4P3-0726-SM-4AD57 50-59 years, female 168.1
GTEX-O5YV-1926-SM-EV797 60-69 years, female 168.1
GTEX-UPK5-2126-SM-4JBJK 40-49 years, male 167.8
GTEX-1IDJD-2426-SM-C1YS6 30-39 years, male 167.6
GTEX-13QBU-1126-SM-5LU44 40-49 years, female 167.2
GTEX-13QJ3-2726-SM-5SI6L 50-59 years, male 167.0
GTEX-WFON-1126-SM-4LVMA 40-49 years, male 167.0
GTEX-ZZPU-1426-SM-5GZZ6 50-59 years, female 167.0
GTEX-1IDJF-1426-SM-ACKWK 20-29 years, male 166.6
GTEX-R53T-1226-SM-48FCT 50-59 years, female 166.4
GTEX-WEY5-1226-SM-4LMIQ 40-49 years, female 166.4
GTEX-15SHW-2126-SM-6M46Y 60-69 years, male 166.3
GTEX-PWCY-0926-SM-48TD7 20-29 years, female 166.2
GTEX-1QP2A-2126-SM-DPRZ7 50-59 years, male 166.1
GTEX-11P82-0726-SM-5PNYL 20-29 years, male 165.9
GTEX-1KANA-1126-SM-D3L9M 20-29 years, male 165.7
GTEX-P4PQ-1526-SM-3NMCK 60-69 years, male 165.6
GTEX-YEC4-1426-SM-5IFHS 40-49 years, male 165.3
GTEX-QLQW-0726-SM-447AA 30-39 years, male 164.5
GTEX-XBED-1226-SM-4AT5V 60-69 years, male 164.3
GTEX-145MO-2226-SM-5Q5BN 60-69 years, male 164.2
GTEX-13D11-2126-SM-5IFH2 50-59 years, female 163.8
GTEX-TKQ2-0926-SM-4DXU5 50-59 years, male 163.8
GTEX-T8EM-1226-SM-4DM5J 40-49 years, male 163.6
GTEX-1GF9U-1126-SM-AHZ4H 40-49 years, female 163.5
GTEX-Y3I4-1626-SM-4TT7W 50-59 years, male 163.1
GTEX-WZTO-2126-SM-4PQYW 40-49 years, male 162.9
GTEX-15UF7-1226-SM-6M46G 40-49 years, male 162.8
GTEX-ZLFU-1326-SM-DO11R 40-49 years, male 162.8
GTEX-PLZ5-1226-SM-EXOHA 50-59 years, male 162.2
GTEX-14JG6-1226-SM-664O6 30-39 years, female 161.9
GTEX-145MN-1326-SM-5NQ9S 30-39 years, male 161.0
GTEX-1CAMR-0726-SM-7EPIE 20-29 years, male 161.0
GTEX-1AYCT-1326-SM-7MKHB 50-59 years, male 160.8
GTEX-1HSMQ-2426-SM-CE6RY 50-59 years, male 160.8
GTEX-1HKZK-1526-SM-B2LWG 40-49 years, male 160.3
GTEX-P4PP-1526-SM-3P61M 30-39 years, female 160.2
GTEX-QDVJ-1426-SM-48U1Y 50-59 years, male 160.2
GTEX-OXRL-1526-SM-E6CHQ 50-59 years, male 160.0
GTEX-1CB4H-2426-SM-7PBYR 60-69 years, female 159.9
GTEX-POMQ-0826-SM-3P61H 20-29 years, female 159.8
GTEX-ZDYS-1926-SM-5HL59 50-59 years, male 159.8
GTEX-18D9A-0626-SM-7KFTY 30-39 years, female 159.5
GTEX-131XF-1226-SM-5HL8V 60-69 years, male 159.3
GTEX-ZV7C-1626-SM-5NQ7E 50-59 years, male 158.8
GTEX-14E6E-0926-SM-664N8 30-39 years, male 158.5
GTEX-1KD5A-1426-SM-D4P3V 50-59 years, male 158.5
GTEX-WYVS-1326-SM-4ONCQ 40-49 years, female 158.3
GTEX-WYJK-2526-SM-4ONDF 50-59 years, male 157.9
GTEX-1H23P-2726-SM-9JGHN 60-69 years, male 157.7
GTEX-ZLV1-0826-SM-DO11P 60-69 years, female 157.6
GTEX-WHSB-1226-SM-4M1XR 50-59 years, male 157.5
GTEX-11DXX-1326-SM-5GIDZ 60-69 years, female 157.2
GTEX-146FH-2126-SM-5SI9U 50-59 years, female 157.1
GTEX-TMMY-1626-SM-4DXTY 40-49 years, female 156.7
GTEX-UJMC-1226-SM-4IHLI 50-59 years, male 155.9
GTEX-14DAR-0926-SM-73KUQ 50-59 years, male 155.8
GTEX-14PJ5-0826-SM-6AJAR 60-69 years, female 155.8
GTEX-1B8KE-1326-SM-73KVI 50-59 years, male 155.7
GTEX-13OW6-2526-SM-5IJEC 50-59 years, male 155.3
GTEX-ZYVF-2726-SM-5GID4 50-59 years, female 155.3
GTEX-XMK1-1526-SM-EYYVO 40-49 years, male 155.3
GTEX-ZP4G-1226-SM-4WWCJ 20-29 years, female 155.0
GTEX-14DAQ-2826-SM-664MU 60-69 years, female 154.9
GTEX-17HII-2426-SM-7KFTT 50-59 years, male 154.6
GTEX-18QFQ-1226-SM-718AE 30-39 years, male 154.6
GTEX-1J8QM-1126-SM-C1YQB 60-69 years, female 154.3
GTEX-Q734-1026-SM-48U16 40-49 years, female 154.2
GTEX-S7SF-0626-SM-4AD4V 20-29 years, female 154.0
GTEX-YB5E-1126-SM-664NU 40-49 years, male 153.8
GTEX-1HSEH-1526-SM-B2LXG 60-69 years, male 153.7
GTEX-1EH9U-2226-SM-7PBXX 60-69 years, male 153.6
GTEX-WXYG-1626-SM-4ONCR 50-59 years, female 153.5
GTEX-13FH7-1026-SM-5IJGF 50-59 years, female 153.1
GTEX-S4Q7-0726-SM-4AD5F 20-29 years, male 152.9
GTEX-QDT8-2026-SM-EZ6LS 30-39 years, female 152.5
GTEX-XV7Q-1326-SM-4BRWM 40-49 years, female 152.3
GTEX-13RTK-0226-SM-5RQHR 20-29 years, male 151.9
GTEX-1JMQJ-1326-SM-D4P3B 50-59 years, male 151.9
GTEX-1HBPN-1626-SM-9WPNP 50-59 years, male 151.8
GTEX-ZGAY-1626-SM-DNZZ3 40-49 years, female 151.7
GTEX-14B4R-0726-SM-5TDDR 30-39 years, male 151.4
GTEX-NFK9-1526-SM-3LK7B 40-49 years, male 151.2
GTEX-1R7EU-1126-SM-EAZ4M 60-69 years, male 150.1
GTEX-1J8JJ-1726-SM-C1YQG 60-69 years, female 149.8
GTEX-RTLS-2626-SM-46MUJ 60-69 years, female 149.3
GTEX-1MGNQ-1826-SM-DPRYI 40-49 years, male 149.3
GTEX-13FTX-0726-SM-5N9BI 20-29 years, female 149.2
GTEX-XXEK-0826-SM-4BRWG 50-59 years, male 149.0
GTEX-1S831-1126-SM-EWROI 20-29 years, male 148.8
GTEX-11EM3-1026-SM-5A5KL 20-29 years, female 148.7
GTEX-14PJ3-1426-SM-664O8 50-59 years, male 148.6
GTEX-111YS-1126-SM-5GZYQ 60-69 years, male 148.4
GTEX-P78B-1826-SM-3P5YX 40-49 years, female 148.4
GTEX-132QS-1826-SM-5IFFN 60-69 years, male 148.1
GTEX-YFCO-0826-SM-5LUAG 40-49 years, male 148.0
GTEX-133LE-1326-SM-5IFGO 20-29 years, female 147.7
GTEX-14PHX-1026-SM-664OL 50-59 years, male 147.6
GTEX-S95S-0826-SM-4B64N 60-69 years, male 147.4
GTEX-WHPG-0426-SM-4M1XW 50-59 years, male 147.2
GTEX-1JN1M-2926-SM-CNNPJ 60-69 years, female 147.2
GTEX-1LGRB-1726-SM-CNNRA 50-59 years, female 147.0
GTEX-18A66-2226-SM-7189E 60-69 years, male 146.9
GTEX-OHPM-1526-SM-EV796 50-59 years, male 146.8
GTEX-T6MO-0726-SM-4DM58 40-49 years, female 146.7
GTEX-ZA64-0826-SM-5HL9U 20-29 years, male 146.4
GTEX-11GSP-2126-SM-5HL5E 60-69 years, female 145.8
GTEX-VJYA-1026-SM-4KL21 60-69 years, male 145.8
GTEX-139D8-2326-SM-5IFGE 30-39 years, female 145.7
GTEX-YJ8A-1526-SM-5P9FT 20-29 years, male 145.7
GTEX-S341-0626-SM-4AD5T 40-49 years, female 145.5
GTEX-13OVI-2426-SM-5KM4J 60-69 years, female 145.4
GTEX-YEC3-1426-SM-D4P1S 50-59 years, male 145.3
GTEX-PLZ6-0826-SM-3P61K 30-39 years, male 145.2
GTEX-V1D1-1726-SM-4JBHB 50-59 years, male 145.0
GTEX-15EU6-2526-SM-7KUGB 50-59 years, male 144.8
GTEX-15RIE-1026-SM-6LPJQ 60-69 years, male 144.8
GTEX-ZYFG-1326-SM-5GICJ 60-69 years, female 144.0
GTEX-XQ8I-2026-SM-4BOOL 50-59 years, male 143.8
GTEX-17KNJ-1526-SM-7LTA9 50-59 years, male 143.7
GTEX-WY7C-1726-SM-4ONCC 50-59 years, male 143.7
GTEX-132AR-2426-SM-5IFFD 50-59 years, female 143.3
GTEX-QV31-0626-SM-447C5 30-39 years, male 143.1
GTEX-OXRK-1626-SM-3NB17 50-59 years, female 142.8
GTEX-17GQL-1226-SM-7KFTS 60-69 years, male 142.7
GTEX-15DZA-1126-SM-6LPK8 30-39 years, female 142.5
GTEX-1B97J-1826-SM-7IGPP 50-59 years, female 142.1
GTEX-R55C-1026-SM-48FCM 40-49 years, male 142.1
GTEX-PW2O-1226-SM-48TCH 20-29 years, male 141.7
GTEX-11VI4-0326-SM-5EQ6L 40-49 years, female 140.4
GTEX-13OVK-0926-SM-7KUFX 40-49 years, male 140.3
GTEX-1RMOY-1126-SM-EV79E 50-59 years, male 140.2
GTEX-18A67-2626-SM-718AD 50-59 years, male 140.1
GTEX-17JCI-2226-SM-7LTA1 60-69 years, female 139.9
GTEX-145LT-1426-SM-5O9B3 40-49 years, male 139.7
GTEX-17HGU-2126-SM-7IGOV 50-59 years, male 139.7
GTEX-1ICG6-1826-SM-AHZ2O 70-79 years, female 139.1
GTEX-1MJIX-1126-SM-EV7AO 40-49 years, male 139.0
GTEX-145ME-1026-SM-5O9B4 40-49 years, female 138.8
GTEX-ZQUD-0826-SM-57WDQ 30-39 years, male 138.4
GTEX-1B8L1-1526-SM-79OLK 60-69 years, male 138.1
GTEX-Y8LW-0826-SM-4WWDO 50-59 years, female 137.8
GTEX-S3XE-1026-SM-4AD4O 50-59 years, male 137.6
GTEX-1I1GT-1726-SM-C1YS3 60-69 years, female 137.5
GTEX-1RAZR-1526-SM-EAZ4U 40-49 years, male 137.4
GTEX-Y3IK-1426-SM-4YCES 50-59 years, female 136.8
GTEX-13111-1226-SM-5GCNC 50-59 years, male 136.6
GTEX-12WSD-2326-SM-59HKQ 60-69 years, female 136.0
GTEX-WHWD-1426-SM-4OORU 50-59 years, male 136.0
GTEX-1GN1W-2126-SM-9JGI7 50-59 years, female 135.6
GTEX-1HCUA-1626-SM-A9SMG 50-59 years, female 135.5
GTEX-XBEW-1826-SM-4RTWX 40-49 years, male 135.4
GTEX-PX3G-1526-SM-48U11 20-29 years, female 134.7
GTEX-Y8E4-1526-SM-4WWDI 40-49 years, male 134.0
GTEX-13X6J-2126-SM-5TDCV 50-59 years, male 133.4
GTEX-12696-1726-SM-5EQLH 60-69 years, male 133.2
GTEX-15DCE-1626-SM-6LPJM 20-29 years, male 133.2
GTEX-ZYY3-1726-SM-5EGH3 60-69 years, female 133.2
GTEX-ZPU1-1626-SM-4WWB2 40-49 years, male 132.9
GTEX-1AMEY-1226-SM-731DU 30-39 years, female 132.8
GTEX-1J8EW-2226-SM-AHZ3T 60-69 years, female 132.3
GTEX-ZVP2-1626-SM-5GU5D 50-59 years, male 132.2
GTEX-ZVT3-2126-SM-59HL2 60-69 years, female 131.5
GTEX-R55G-1126-SM-48FDG 40-49 years, female 131.4
GTEX-RUSQ-1126-SM-EAZAU 50-59 years, male 131.4
GTEX-1R9K5-1026-SM-EAZ4F 50-59 years, male 131.2
GTEX-OHPK-1526-SM-3MJGM 50-59 years, female 130.7
GTEX-ZLWG-1526-SM-DO12F 50-59 years, female 130.7
GTEX-1F5PK-1826-SM-7RHHX 50-59 years, male 130.4
GTEX-13PVR-2126-SM-73KVR 60-69 years, female 129.9
GTEX-1B8KZ-1226-SM-793CP 50-59 years, male 129.0
GTEX-QCQG-0526-SM-48U2A 50-59 years, female 128.9
GTEX-17HHE-1026-SM-79ON6 50-59 years, male 128.8
GTEX-Y9LG-1026-SM-5IFJN 30-39 years, male 128.7
GTEX-12WSK-1426-SM-5CVNN 40-49 years, female 128.6
GTEX-QXCU-1926-SM-48FE4 50-59 years, male 128.3
GTEX-ZVZP-1726-SM-5GZWY 50-59 years, male 128.2
GTEX-13U4I-2526-SM-5SI8Z 40-49 years, female 127.2
GTEX-1JN76-0926-SM-ARZNH 20-29 years, female 127.2
GTEX-13S7M-1826-SM-5RQK6 60-69 years, female 126.1
GTEX-14ICL-0826-SM-5YY9W 30-39 years, male 125.7
GTEX-18A7A-2726-SM-7LG6U 50-59 years, female 125.5
GTEX-1I4MK-0926-SM-A9SLD 50-59 years, female 125.1
GTEX-ZF2S-1426-SM-57WET 50-59 years, female 124.6
GTEX-ZF29-1526-SM-4WKF7 60-69 years, female 124.5
GTEX-1QP29-2326-SM-EXOJO 50-59 years, male 124.4
GTEX-1H1DG-2126-SM-9WPPB 70-79 years, male 124.1
GTEX-S4UY-1626-SM-4AD55 40-49 years, female 122.8
GTEX-RM2N-0826-SM-48FD3 50-59 years, male 121.2
GTEX-16AAH-1226-SM-79OO9 50-59 years, male 120.9
GTEX-1KXAM-0926-SM-CXZKA 60-69 years, male 120.9
GTEX-O5YW-1526-SM-3MJGL 50-59 years, male 119.8
GTEX-ZXES-1426-SM-5NQ8S 30-39 years, female 119.6
GTEX-1S3DN-1526-SM-EVYCB 50-59 years, male 119.5
GTEX-12WSG-2026-SM-5FQUU 50-59 years, female 119.1
GTEX-1I1HK-2026-SM-CNNRB 60-69 years, male 118.8
GTEX-ZPIC-2026-SM-57WG3 40-49 years, female 118.6
GTEX-1QCLZ-1826-SM-DPRXP 60-69 years, female 118.4
GTEX-1QPFJ-1526-SM-DPRXT 30-39 years, female 118.4
GTEX-1AX9J-2626-SM-731EK 60-69 years, male 117.7
GTEX-QV44-1226-SM-CJI1S 50-59 years, male 117.7
GTEX-14PJ6-0826-SM-686Z9 60-69 years, female 117.4
GTEX-17MF6-2126-SM-7KFS7 40-49 years, male 116.3
GTEX-1C64O-2226-SM-73KTV 60-69 years, male 116.3
GTEX-U3ZN-2026-SM-4DXUC 30-39 years, female 115.5
GTEX-16NGA-1526-SM-72D56 40-49 years, female 115.1
GTEX-1JMLX-2426-SM-CXZJQ 50-59 years, male 115.1
GTEX-1JMPZ-1826-SM-CXZJT 30-39 years, male 115.0
GTEX-1HFI7-1526-SM-9WG7W 50-59 years, female 114.5
GTEX-1LGOU-1526-SM-D3LAJ 20-29 years, female 114.1
GTEX-17F98-1526-SM-7EWD8 40-49 years, female 113.8
GTEX-1AMFI-1226-SM-731CZ 50-59 years, female 113.7
GTEX-1H11D-2226-SM-9OSXN 40-49 years, male 113.1
GTEX-1QCLY-1126-SM-EAZ4J 30-39 years, male 112.3
GTEX-1H3VY-2326-SM-9WG81 50-59 years, male 112.2
GTEX-1GZ4H-1026-SM-9OSXL 50-59 years, female 111.2
GTEX-14BMV-2226-SM-5RQHX 50-59 years, male 109.9
GTEX-15CHR-1326-SM-79OLT 50-59 years, male 107.4
GTEX-1RQEC-2126-SM-DPS15 60-69 years, male 107.3
GTEX-1GL5R-1926-SM-9WG7U 50-59 years, male 106.0
GTEX-1IDJU-1526-SM-CNNR3 60-69 years, female 105.5
GTEX-1LBAC-1426-SM-CXZKT 20-29 years, male 105.3
GTEX-1A3MV-1226-SM-718BW 30-39 years, male 103.9
GTEX-1HBPI-0726-SM-9WG7Z 50-59 years, male 103.1
GTEX-1J8Q3-1926-SM-C1YSJ 60-69 years, male 103.1
GTEX-1RB15-1026-SM-E9U6V 60-69 years, male 102.8
GTEX-1A3MX-1926-SM-72D7F 60-69 years, male 98.8
GTEX-1MUQO-1926-SM-EAZ59 60-69 years, male 98.8
GTEX-OOBJ-1526-SM-3NB1Q 60-69 years, male 97.6
GTEX-14BIL-1926-SM-73KYI 50-59 years, male 93.2
GTEX-13PVQ-2126-SM-5L3FW 50-59 years, male 90.9
GTEX-1QMI2-2126-SM-DPRXQ 60-69 years, male 89.6
GTEX-11NUK-2426-SM-5BC4U 50-59 years, male 88.9
GTEX-1A8G6-1426-SM-731EZ 60-69 years, male 87.1
GTEX-15G19-1526-SM-6LPKP 60-69 years, male 86.7
GTEX-OIZF-1526-SM-2I5GR 60-69 years, male 86.7
GTEX-1GMRU-2526-SM-9WG7T 50-59 years, male 85.8
GTEX-11I78-1726-SM-5A5M3 50-59 years, female 85.1
Show allShow less

Contact

  • NEWS ARTICLES
  • PRESS ROOM

The Project

  • INTRODUCTION
  • ORGANIZATION
  • PUBLICATIONS

The Human Protein Atlas

  • DOWNLOADABLE DATA
  • LICENCE & CITATION
  • HELP & FAQ
The Human Protein Atlas project is funded
by the Knut & Alice Wallenberg Foundation.


contact@proteinatlas.org