We use cookies to enhance the usability of our website. If you continue, we'll assume that you are happy to receive all cookies. More information. Don't show this again.
DSTN
HPA
RESOURCES
  • TISSUE
  • BRAIN
  • SINGLE CELL
  • SUBCELLULAR
  • CANCER
  • BLOOD
  • CELL LINE
  • STRUCTURE & INTERACTION
ABOUT
  • INTRODUCTION
  • HISTORY
  • ORGANIZATION
  • PUBLICATIONS
  • ANTIBODY SUBMISSION
  • ANTIBODY AVAILABILITY
  • ACKNOWLEDGMENTS
  • CONTACT
NEWS
  • NEWS ARTICLES
  • PRESS ROOM
LEARN
  • DICTIONARY
  • PROTEIN CLASSES
  • PROTEIN EVIDENCE
  • METHODS
  • EDUCATIONAL VIDEOS
DATA
  • DOWNLOADABLE DATA
  • PUBLICATION DATA
  • RELEASE HISTORY
HELP
  • ANTIBODY VALIDATION
  • ASSAYS & ANNOTATION
  • DISCLAIMER
  • HELP & FAQ
  • PRIVACY STATEMENT
  • LICENCE & CITATION
Fields »
Search result

Field
Term
Gene name
Class
Subclass
Class
Keyword
Chromosome
External id
Tissue
Cell type
Expression
Antibody panel
Tissue
Main location
Patient ID
Annotation
Tissue
Category
Tau score
Cluster
Reliability
Brain region
Category
Tau score
Brain region
Category
Tau score
Brain region
Category
Tau score
Cluster
Reliability
Tissue
Cell type
Enrichment
Cell type
Category
Tau score
Cell type
Category
Tau score
Cell type
Category
Tau score
Cell lineage
Category
Tau score
Cluster
Cluster
Location
Searches
Location
Cell line
Class
Type
Phase
Reliability
Cancer
Prognosis
Cancer
Category
Cancer
Category
Tau score
Cluster
Variants
Interacting gene (ensg_id)
Type
Number of interactions
Pathway
Category
Score
Score
Score
Validation
Validation
Validation
Validation
Antibodies
Data type
Column


  • SUMMARY

  • TISSUE

  • BRAIN

  • SINGLE CELL

  • SUBCELL

  • CANCER

  • BLOOD

  • CELL LINE

  • STRUCT & INT

  • DSTN
TISSUE PRIMARY DATA BREAST Show tissue menu
ADIPOSE TISSUE ADRENAL GLAND AMYGDALA APPENDIX BASAL GANGLIA BONE MARROW BREAST BRONCHUS CEREBELLUM CEREBRAL CORTEX CERVIX CHOROID PLEXUS COLON DUODENUM
ENDOMETRIUM EPIDIDYMIS ESOPHAGUS FALLOPIAN TUBE GALLBLADDER HEART MUSCLE HIPPOCAMPAL FORMATION HYPOTHALAMUS KIDNEY LIVER LUNG LYMPH NODE MIDBRAIN NASOPHARYNX
ORAL MUCOSA OVARY PANCREAS PARATHYROID GLAND PITUITARY GLAND PLACENTA PROSTATE RECTUM RETINA SALIVARY GLAND SEMINAL VESICLE SKELETAL MUSCLE SKIN SMALL INTESTINE
SMOOTH MUSCLE SOFT TISSUE SPINAL CORD SPLEEN STOMACH TESTIS THYMUS THYROID GLAND TONGUE TONSIL URINARY BLADDER VAGINA
ANTIBODIES
AND
VALIDATION
Dictionary
Breast
Tissue proteome
Breast
BREAST - Expression summary
Protein expression
Breasti

On the top, protein expression in current human tissue, based on all annotated cell types, is reported with the units not detected (n), low (l), medium (m) and high (h). Underneath, protein expression in each annotated cell type are reported using the same units.

Protein expression data is based on knowledge-based annotation. For genes where more than one antibody has been used, a collective score is set.

If knowledge-based annotation could not be performed for a gene, no data is displayed here. View antibody staining data further down this page.

h
m
l
n
Adipocytes: Not detected
Glandular cells: Medium
Myoepithelial cells: Medium
RNA expressioni

A summary of mRNA expression data available for current tissue based on several datasets. The mRNA expression levels in human tissues are based on RNA-seq data generated by the Human Protein Atlas (HPA), Genotype-Tissue Expression (GTEx) portal and CAGE data generated by the FANTOM5 consortium. Consensus normalized expression levels for human tissues was created by combining the data from HPA and GTEx datasets.

The mRNA expression levels in pig are based on RNA-seq data generated by the Human Protein Atlas (HPA), and for mouse, HPA data and in situ hybridization generated by the Allen brain atlas are reported.

Scroll down to view mRNA expression data in more detail.
Consensus:278.1 nTPM
HPA:278.1 nTPM
GTEx:230.1 nTPM
FANTOM5:712.8 Scaled Tags Per Million

BREAST - Antibody stainingi

Antibody staining in the annotated cell types in the current human tissue is reported as not detected, low, medium, or high, based on conventional immunohistochemistry profiling in selected tissues. This score is based on the combination of the staining intensity and fraction of stained cells.

Each image is clickable and will lead to virtual microscopy that enables deeper exploration of all samples and also displays staining intensity scores, fraction scores and subcellular localization as well as patient and tissue information for each sample.

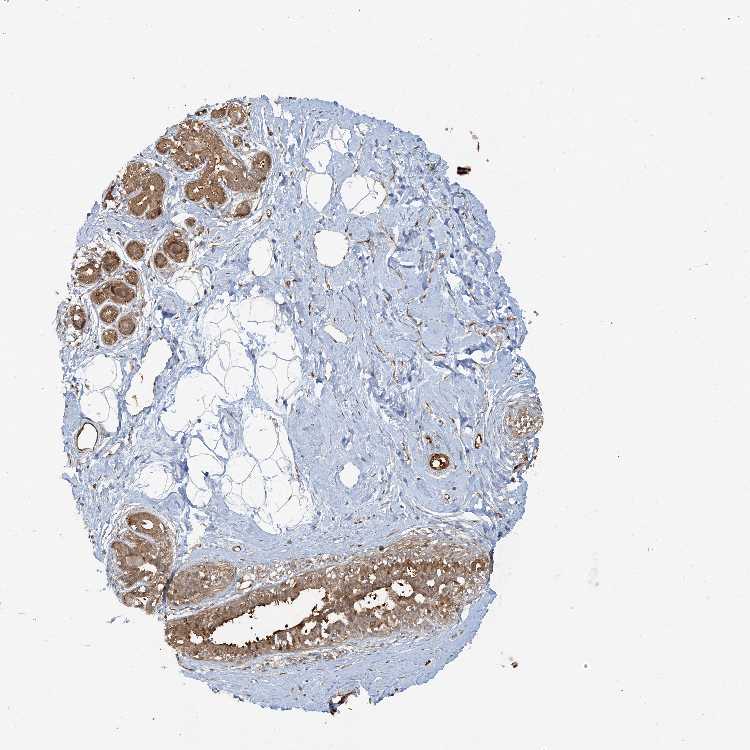
Antibody CAB037094
Adipocytes Not detected
Glandular cells Medium
Myoepithelial cells Medium


BREAST - HPA RNA-seqi

The RNA-seq details section shows detailed information about the individual samples used for the transcript profiling and results of the RNA-seq analysis.

Information about each individual sample is listed below, including gender, age, a tissue section image and estimated fractions of cell types. nTPM (normalized transcripts per million) values give a quantification of the gene abundance which is comparable between different genes and samples.
Average nTPMi

Max subtype nTPM is the value for the subtype with the largest average nTPM across the subtype samples.

278.1
overview
Female, age 52
Breast sample 373
nTPM: 214.5
Cell types%
Glandular cells:
15

Adipocytes:
5

Other cell types:
80

overview
Female, age 80
Breast sample 390
nTPM: 290
Cell types%
Glandular cells:
5

Adipocytes:
15

Other cell types:
80

overview
Female, age 47
Breast sample 405
nTPM: 377.7
Cell types%
Glandular cells:
5

Adipocytes:
5

Other cell types:
90

overview
Female, age 38
Breast sample 410
nTPM: 230.2
Cell types%
Glandular cells:
40

Adipocytes:
5

Other cell types:
55


BREAST - GTEx RNA-seqi

RNA-Seq data generated by the Genotype-Tissue Expression (GTEx) project from human tissues is reported as mean nTPM. More information can be found on the GTEx portal.

Distribution across the dataset is visualized with box plots, shown as median and 25th and 75th percentiles. Points are displayed as outliers if they are above or below 1.5 times the interquartile range. nTPM values of the individual samples are presented next to the box plot.
Max subtype nTPMi

Max subtype nTPM is the value for the subtype with the largest average nTPM across the subtype samples.

230.1
GTEx sample id Sample description nTPM
Breast - Mammary Tissue
Average nTPM: 230.1
Samples: 459

Max nTPM: 781.8
Min nTPM: 97.7
Std nTPM: 92.1
Median nTPM: 207.5
GTEX-1GPI7-0926-SM-7PC3J 20-29 years, male 781.8
GTEX-YJ8O-2226-SM-5IFHW 40-49 years, female 684.5
GTEX-1EN7A-1426-SM-7PBY4 40-49 years, male 636.4
GTEX-1I19N-2826-SM-CL55D 70-79 years, male 630.5
GTEX-12WSK-2226-SM-5GCO5 40-49 years, female 625.6
GTEX-W5X1-2326-SM-3GIL6 40-49 years, female 622.9
GTEX-14ICK-2426-SM-6EU27 40-49 years, male 587.3
GTEX-1IDJH-2226-SM-E6CJV 70-79 years, male 523.4
GTEX-13VXU-2826-SM-664MA 50-59 years, male 491.7
GTEX-1R9PM-1826-SM-EVYBH 20-29 years, male 490.1
GTEX-Y8E4-1626-SM-5S2MW 40-49 years, male 488.0
GTEX-12WSM-1726-SM-5BC6J 60-69 years, male 480.0
GTEX-1QW4Y-1026-SM-DTXE2 30-39 years, male 474.3
GTEX-1PPH7-0826-SM-E8VNX 40-49 years, male 464.6
GTEX-14ABY-2126-SM-5QGQZ 50-59 years, male 458.9
GTEX-1MCC2-2126-SM-EWRON 30-39 years, female 453.0
GTEX-144GL-2026-SM-5LU3O 50-59 years, male 439.9
GTEX-1JKYR-0926-SM-CMKGJ 20-29 years, male 439.7
GTEX-1KD5A-1926-SM-DKPQA 50-59 years, male 438.1
GTEX-1HT8W-2226-SM-CGQEC 30-39 years, male 433.4
GTEX-1B8SG-1226-SM-7IGPF 50-59 years, male 419.1
GTEX-11WQK-2426-SM-5GU5C 50-59 years, male 417.5
GTEX-Y111-2026-SM-4SOJA 50-59 years, male 413.9
GTEX-1MJK2-2226-SM-EVYCR 50-59 years, male 409.3
GTEX-11P7K-0726-SM-5EGKX 30-39 years, male 406.8
GTEX-145MN-1926-SM-5SIAI 30-39 years, male 403.7
GTEX-1314G-1226-SM-5BC6D 30-39 years, male 403.0
GTEX-145MF-2226-SM-7EPIR 50-59 years, male 400.6
GTEX-1OKEX-0826-SM-E9J2B 60-69 years, male 399.1
GTEX-1B8L1-2426-SM-9WYTE 60-69 years, male 391.0
GTEX-1NHNU-0926-SM-E9J2T 50-59 years, male 378.6
GTEX-11WQC-1726-SM-5GU4W 60-69 years, male 377.1
GTEX-ZVT2-1826-SM-5NQ8W 50-59 years, female 377.1
GTEX-Y3I4-1526-SM-4TT7K 50-59 years, male 375.7
GTEX-1QP29-1726-SM-E8VMQ 50-59 years, male 375.4
GTEX-15UF7-0726-SM-6M46D 40-49 years, male 373.6
GTEX-14753-2426-SM-5LU8U 60-69 years, male 368.2
GTEX-QVJO-1826-SM-447C9 60-69 years, female 365.5
GTEX-14PN4-0626-SM-62LFP 50-59 years, male 361.5
GTEX-1JJEA-2726-SM-ARL8V 60-69 years, male 360.6
GTEX-13W46-0826-SM-5LU3H 50-59 years, male 358.3
GTEX-VJWN-0726-SM-3GIJ8 50-59 years, female 350.6
GTEX-ZWKS-2826-SM-5NQ74 30-39 years, male 345.4
GTEX-1KD4Q-2326-SM-D4P3M 40-49 years, male 341.0
GTEX-1F75I-2026-SM-7SB7N 40-49 years, male 340.6
GTEX-1H3VY-0926-SM-ACKXE 50-59 years, male 339.7
GTEX-1JN1M-3026-SM-CMKGK 60-69 years, female 338.3
GTEX-15UF6-0126-SM-6PAMB 70-79 years, female 336.8
GTEX-11EQ9-1826-SM-5Q5AJ 30-39 years, male 334.1
GTEX-TML8-1226-SM-32QON 40-49 years, female 332.5
GTEX-14AS3-1626-SM-5S2OY 40-49 years, female 332.1
GTEX-13OW5-2226-SM-5L3HC 60-69 years, male 330.1
GTEX-11TT1-2126-SM-5GU5Y 20-29 years, male 323.2
GTEX-1EKGG-2626-SM-7IGPY 60-69 years, male 322.4
GTEX-WOFL-0826-SM-3MJG1 60-69 years, male 321.2
GTEX-1313W-0826-SM-5EQ4T 50-59 years, female 319.3
GTEX-1AMEY-1026-SM-718AA 30-39 years, female 319.3
GTEX-15RJE-2626-SM-7KFT1 40-49 years, male 319.0
GTEX-1GMR2-1926-SM-9MQLZ 50-59 years, male 316.6
GTEX-1IDFM-0426-SM-B2LVV 60-69 years, male 315.5
GTEX-1GN2E-2226-SM-9WG6J 60-69 years, male 314.6
GTEX-13O3O-0826-SM-5K7WE 60-69 years, female 311.9
GTEX-13OW8-0226-SM-5K7UP 60-69 years, male 311.5
GTEX-1R9JW-0326-SM-EAZ45 30-39 years, female 310.0
GTEX-T2IS-1526-SM-32QPR 20-29 years, female 305.2
GTEX-1C6WA-2426-SM-7SB86 60-69 years, male 304.5
GTEX-1JMQK-2626-SM-COH2W 60-69 years, male 303.1
GTEX-11DXY-2326-SM-5GICW 60-69 years, male 302.5
GTEX-1K2DA-1726-SM-CGQGS 50-59 years, male 301.8
GTEX-1A8G7-2426-SM-731AK 60-69 years, male 301.6
GTEX-1JMLX-2026-SM-CMKGN 50-59 years, male 300.6
GTEX-145LT-0726-SM-5S2VM 40-49 years, male 298.0
GTEX-1GPI6-0626-SM-7RHHJ 60-69 years, male 297.1
GTEX-1QMI2-0726-SM-E9J4F 60-69 years, male 296.7
GTEX-1KXAM-1026-SM-CY8IA 60-69 years, male 290.1
GTEX-13SLW-2526-SM-62LDQ 70-79 years, male 290.0
GTEX-1JJE9-2326-SM-ARL8Q 70-79 years, male 288.3
GTEX-1E2YA-2726-SM-7IGPW 50-59 years, male 287.5
GTEX-ZDTT-2126-SM-DKPOM 60-69 years, male 287.4
GTEX-14LLW-0626-SM-62LFC 70-79 years, female 286.1
GTEX-ZF3C-2326-SM-5S2NC 50-59 years, female 286.1
GTEX-14E7W-0826-SM-62LEJ 70-79 years, male 284.6
GTEX-17F96-2426-SM-7IGLN 70-79 years, male 282.0
GTEX-1F5PK-2126-SM-7PC28 50-59 years, male 281.8
GTEX-1PPGY-1526-SM-EVYBK 60-69 years, male 280.5
GTEX-1GMR3-2626-SM-7RHHG 40-49 years, male 280.2
GTEX-1KAFJ-0226-SM-DIPEL 50-59 years, male 279.5
GTEX-1N2EE-2126-SM-E8VNN 60-69 years, male 278.5
GTEX-1KANA-2026-SM-DIPFB 20-29 years, male 276.5
GTEX-11OF3-1926-SM-59889 60-69 years, male 275.8
GTEX-1N5O9-1126-SM-DTXEQ 60-69 years, male 275.7
GTEX-1NV8Z-2826-SM-E8VME 60-69 years, male 275.5
GTEX-1I1GT-1126-SM-ARL7J 60-69 years, female 274.1
GTEX-WYBS-0926-SM-3NM94 60-69 years, female 273.6
GTEX-1CB4J-1826-SM-7EWF9 60-69 years, male 273.4
GTEX-1KANC-1426-SM-CYPT9 50-59 years, female 273.3
GTEX-1CB4E-0226-SM-79OLW 60-69 years, male 272.6
GTEX-13CF2-2026-SM-5K7VI 60-69 years, male 272.5
GTEX-ZVTK-0326-SM-51MRR 20-29 years, male 271.3
GTEX-13SLX-2326-SM-5ZZWE 50-59 years, female 270.3
GTEX-1H1CY-2226-SM-9WG7E 60-69 years, female 265.1
GTEX-1MA7W-1026-SM-DKPQK 20-29 years, female 264.6
GTEX-1ICLY-1726-SM-B2LVT 50-59 years, male 264.0
GTEX-1HCVE-2626-SM-ADEJ8 50-59 years, male 262.8
GTEX-13S86-1226-SM-5S2OA 40-49 years, male 260.2
GTEX-WFON-1826-SM-3GILG 40-49 years, male 259.5
GTEX-17HHY-0926-SM-793C1 50-59 years, male 259.2
GTEX-13FTX-1126-SM-5N9EN 20-29 years, female 258.2
GTEX-WYJK-1326-SM-3NB2T 50-59 years, male 258.2
GTEX-ZU9S-1926-SM-5NQBP 30-39 years, male 257.9
GTEX-16BQI-1026-SM-7KUEA 30-39 years, female 257.4
GTEX-147F4-2826-SM-5NQBN 50-59 years, male 256.2
GTEX-1M4P7-2626-SM-E9U5F 60-69 years, male 255.9
GTEX-1I6K6-0826-SM-ARL7Z 30-39 years, male 254.5
GTEX-1B933-2526-SM-7IGO5 50-59 years, female 253.3
GTEX-13113-5013-SM-7SB7G 60-69 years, female 253.0
GTEX-1BAJH-0826-SM-7EWEF 70-79 years, male 252.8
GTEX-ZQUD-1926-SM-51MSA 30-39 years, male 252.7
GTEX-15G19-2126-SM-6M48J 60-69 years, male 252.0
GTEX-1JMPZ-1626-SM-COH31 30-39 years, male 252.0
GTEX-1GF9U-1726-SM-7MGY5 40-49 years, female 251.5
GTEX-1J8Q2-2726-SM-A9G2X 60-69 years, male 251.4
GTEX-13NZ8-0126-SM-5IJCT 60-69 years, female 250.9
GTEX-18D9A-1526-SM-7LG4J 30-39 years, female 250.9
GTEX-1HSKV-2026-SM-CMKGX 60-69 years, male 250.8
GTEX-1JMPY-0526-SM-CL54O 30-39 years, male 250.2
GTEX-ZTTD-1026-SM-51MRD 50-59 years, male 250.1
GTEX-11PRG-0826-SM-5EQ6A 50-59 years, male 249.4
GTEX-YB5E-1726-SM-5IFJ3 40-49 years, male 249.1
GTEX-1N2EF-2226-SM-E9J33 60-69 years, male 248.9
GTEX-1R7EU-1226-SM-E8VMR 60-69 years, male 248.7
GTEX-18QFQ-0826-SM-718AX 30-39 years, male 248.2
GTEX-13O3Q-2226-SM-5KM4O 50-59 years, male 248.1
GTEX-11NV4-2026-SM-5N9DG 60-69 years, male 246.4
GTEX-14E6E-1326-SM-5S2NR 30-39 years, male 245.8
GTEX-13PL6-2926-SM-5L3I2 40-49 years, female 245.6
GTEX-1QP9N-1826-SM-E8VMP 30-39 years, male 243.0
GTEX-ZYT6-0126-SM-5E45J 30-39 years, male 242.2
GTEX-ZZ64-1226-SM-5E43R 20-29 years, male 241.8
GTEX-1HSMO-0826-SM-ADEIV 60-69 years, male 241.8
GTEX-1EU9M-2826-SM-7EWFH 60-69 years, male 241.4
GTEX-14PJO-0726-SM-69LO8 60-69 years, male 240.7
GTEX-1HR98-0426-SM-COH36 60-69 years, male 240.5
GTEX-XYKS-1326-SM-4BRUN 60-69 years, female 240.4
GTEX-1GZHY-0726-SM-9WG6B 50-59 years, female 239.7
GTEX-1IKJJ-2326-SM-COH3U 60-69 years, male 239.3
GTEX-ZY6K-1626-SM-5GZWV 50-59 years, male 238.8
GTEX-11EI6-0626-SM-5985T 60-69 years, male 238.7
GTEX-XMD2-0926-SM-4WWEF 60-69 years, female 238.7
GTEX-1RQEC-2026-SM-DTXDM 60-69 years, male 238.6
GTEX-S7SE-0826-SM-4AT4D 50-59 years, male 235.5
GTEX-X62O-0526-SM-EWRMA 50-59 years, male 235.5
GTEX-1IDJE-0826-SM-CKZNZ 50-59 years, female 235.4
GTEX-14BMV-0626-SM-793AU 50-59 years, male 235.1
GTEX-1ICLZ-0426-SM-B2LW2 60-69 years, male 235.1
GTEX-1C6VS-0726-SM-7EPHF 60-69 years, male 235.0
GTEX-XOT4-0726-SM-4GIAW 60-69 years, female 234.2
GTEX-1J8EW-2626-SM-CL53E 60-69 years, female 234.0
GTEX-11DXW-0626-SM-5N9ER 40-49 years, male 233.1
GTEX-RU72-0626-SM-46MUI 50-59 years, female 231.7
GTEX-1F75A-1826-SM-7SB8G 50-59 years, male 231.5
GTEX-RWS6-1926-SM-47JXY 60-69 years, female 231.3
GTEX-17F9E-2526-SM-7MGW2 50-59 years, male 230.9
GTEX-ZV7C-1826-SM-5NQ83 50-59 years, male 230.0
GTEX-11GS4-2126-SM-5A5KR 60-69 years, male 229.0
GTEX-1399U-1826-SM-5PNZ1 50-59 years, female 228.2
GTEX-ZEX8-2226-SM-57WC6 50-59 years, male 228.0
GTEX-18A66-1726-SM-7LG5N 60-69 years, male 227.6
GTEX-SE5C-2126-SM-4BRUJ 40-49 years, female 227.1
GTEX-1NUQO-2226-SM-E9U68 20-29 years, female 227.0
GTEX-1IKOE-1326-SM-CE6T6 30-39 years, female 226.8
GTEX-1RAZQ-1226-SM-EWRNL 30-39 years, male 226.4
GTEX-1H1DG-0526-SM-9YFLN 70-79 years, male 226.2
GTEX-14A5I-0726-SM-5TDEB 50-59 years, female 226.0
GTEX-1B8KZ-1526-SM-7DUG7 50-59 years, male 225.7
GTEX-13NZB-2126-SM-5MR4Y 30-39 years, male 225.4
GTEX-14PKU-0426-SM-6EU1P 40-49 years, female 224.9
GTEX-WI4N-1426-SM-3LK7H 40-49 years, female 224.9
GTEX-1I1GP-0426-SM-COH3N 50-59 years, male 224.8
GTEX-ZTX8-1226-SM-4YCE9 20-29 years, male 224.6
GTEX-X4EP-2926-SM-3P5YQ 60-69 years, female 224.3
GTEX-ZF29-1926-SM-5S2P1 60-69 years, female 224.2
GTEX-1C64O-0726-SM-7DUFU 60-69 years, male 224.1
GTEX-ZVZQ-0826-SM-51MRF 60-69 years, female 223.8
GTEX-1AX9J-1126-SM-731B7 60-69 years, male 223.1
GTEX-1B97I-0426-SM-79OL7 40-49 years, male 223.1
GTEX-1AX9I-0726-SM-73KWV 60-69 years, male 222.9
GTEX-VUSG-2226-SM-4KKZO 50-59 years, male 222.9
GTEX-17EUY-1926-SM-7DUF6 20-29 years, male 222.2
GTEX-1QEPI-0926-SM-DTXF3 60-69 years, female 221.7
GTEX-1A3MV-1626-SM-731C1 30-39 years, male 221.6
GTEX-T5JC-2126-SM-32PMO 20-29 years, male 221.3
GTEX-15ETS-0626-SM-7KUMX 40-49 years, female 219.8
GTEX-TKQ1-0226-SM-33HB5 30-39 years, male 219.1
GTEX-1JKYN-0726-SM-ARZMY 30-39 years, male 219.1
GTEX-1H11D-1526-SM-9MQJY 40-49 years, male 218.8
GTEX-11O72-2126-SM-5N9FO 40-49 years, male 218.7
GTEX-1B8KE-1226-SM-73KWK 50-59 years, male 218.7
GTEX-1A3MX-2726-SM-718B6 60-69 years, male 217.9
GTEX-1IDJF-2326-SM-ARL86 20-29 years, male 217.8
GTEX-1GMR8-0726-SM-9KNVI 50-59 years, female 217.7
GTEX-117YX-1426-SM-5H12H 50-59 years, male 217.5
GTEX-146FH-0826-SM-5SI8T 50-59 years, female 217.5
GTEX-17MF6-0326-SM-7EPH5 40-49 years, male 216.8
GTEX-XQ8I-2426-SM-4WAXY 50-59 years, male 216.7
GTEX-1IGQW-0926-SM-ADEH6 60-69 years, male 216.2
GTEX-T6MN-0726-SM-32PML 50-59 years, male 216.0
GTEX-R3RS-0626-SM-48FE1 40-49 years, female 215.1
GTEX-1HCUA-0726-SM-ACKVU 50-59 years, female 214.9
GTEX-1H1E6-0926-SM-9YFLT 30-39 years, male 214.1
GTEX-1QCLY-1626-SM-DTXDW 30-39 years, male 213.9
GTEX-ZUA1-1526-SM-59HLS 40-49 years, male 213.8
GTEX-1PDJ9-1126-SM-EXUSW 20-29 years, male 213.1
GTEX-1HUB1-1626-SM-CM2SL 60-69 years, male 212.7
GTEX-YEC3-1026-SM-5IFI5 50-59 years, male 212.2
GTEX-ZYW4-0826-SM-5GIDG 60-69 years, male 211.9
GTEX-TKQ2-1826-SM-33HB2 50-59 years, male 211.4
GTEX-17EVP-0226-SM-79OND 40-49 years, male 211.3
GTEX-1H4P4-2226-SM-9MQKQ 50-59 years, male 211.1
GTEX-13W3W-1226-SM-5LU4H 60-69 years, female 210.9
GTEX-1HKZK-1826-SM-ADEJ2 40-49 years, male 210.9
GTEX-Y5LM-1726-SM-4VDSX 40-49 years, female 210.8
GTEX-1IE54-0626-SM-ARL8D 40-49 years, female 210.1
GTEX-1GMRU-0826-SM-9WYT7 50-59 years, male 209.9
GTEX-1GF9V-2526-SM-7SB8K 60-69 years, male 209.8
GTEX-1JMOU-2026-SM-CMKGU 60-69 years, female 209.1
GTEX-11GSP-0926-SM-9WYSG 60-69 years, female 208.5
GTEX-1EWIQ-1726-SM-7SB7T 70-79 years, female 208.0
GTEX-1H1ZS-0126-SM-9YFKQ 70-79 years, male 208.0
GTEX-132NY-0826-SM-5K7Y7 60-69 years, male 207.5
GTEX-1F75B-0626-SM-7SB8A 50-59 years, male 207.3
GTEX-1117F-2826-SM-5GZXL 60-69 years, female 205.8
GTEX-1F6I4-2526-SM-7SB8F 60-69 years, male 205.8
GTEX-1LVAN-1326-SM-CNPQE 50-59 years, female 205.5
GTEX-1LSNL-2826-SM-E9U5L 50-59 years, male 204.3
GTEX-ZVT4-1026-SM-57WC4 50-59 years, female 204.0
GTEX-ZYFC-0826-SM-5E44K 50-59 years, male 204.0
GTEX-ZGAY-1726-SM-DO91P 40-49 years, female 204.0
GTEX-1I1GV-2426-SM-CGQFM 60-69 years, male 203.8
GTEX-1QP28-1226-SM-E9J2M 50-59 years, female 203.6
GTEX-1MA7X-1626-SM-E9U5B 60-69 years, male 203.4
GTEX-WXYG-2226-SM-4E3IM 50-59 years, female 202.6
GTEX-X15G-1626-SM-3NMB3 50-59 years, female 202.5
GTEX-13FTW-1426-SM-5LZWZ 40-49 years, male 201.9
GTEX-14H4A-2526-SM-5YYAY 40-49 years, female 201.7
GTEX-17MFQ-0926-SM-7LG4S 20-29 years, male 201.7
GTEX-1CB4G-2326-SM-79OOI 60-69 years, male 201.7
GTEX-16YQH-2826-SM-6PAMY 30-39 years, male 201.5
GTEX-1HFI7-0126-SM-CGQFQ 50-59 years, female 201.4
GTEX-S32W-2026-SM-4AD6E 50-59 years, female 201.3
GTEX-169BO-1126-SM-7MGWN 50-59 years, male 200.8
GTEX-1R46S-2526-SM-E8VN2 60-69 years, female 200.1
GTEX-Y5V5-2126-SM-4WWFO 60-69 years, female 200.0
GTEX-17F98-0526-SM-79OK5 40-49 years, female 199.8
GTEX-ZDXO-0126-SM-5S2ND 60-69 years, male 199.7
GTEX-ZPIC-1126-SM-5BC7F 40-49 years, female 199.6
GTEX-1LNCM-0226-SM-DIPF4 50-59 years, female 199.2
GTEX-139T6-1626-SM-5PNYZ 50-59 years, male 199.1
GTEX-1LG7Z-0726-SM-CXKYD 30-39 years, male 199.0
GTEX-1LGRB-1826-SM-CNPQL 50-59 years, female 198.7
GTEX-18A7A-0726-SM-7LTAI 50-59 years, female 198.6
GTEX-1IY9M-2726-SM-CMKG5 60-69 years, male 197.8
GTEX-1IOXB-1926-SM-ARL8E 50-59 years, male 197.3
GTEX-ZZPU-0626-SM-5E43T 50-59 years, female 197.2
GTEX-XMD1-0826-SM-4AT52 60-69 years, male 196.1
GTEX-1GN1U-0526-SM-9KNTT 50-59 years, female 194.6
GTEX-17F97-2526-SM-7EWDV 50-59 years, male 193.9
GTEX-16NGA-0826-SM-718AF 40-49 years, female 193.8
GTEX-X261-0626-SM-3NMD9 50-59 years, male 193.3
GTEX-145MO-0826-SM-5NQBL 60-69 years, male 193.2
GTEX-ZV6S-1826-SM-5NQ8D 40-49 years, female 193.0
GTEX-1HBPM-0126-SM-ARL9E 60-69 years, female 192.9
GTEX-ZAB4-2526-SM-5HL8M 40-49 years, male 191.6
GTEX-1HSGN-1526-SM-A9SMO 40-49 years, female 191.6
GTEX-131YS-0626-SM-5EGKL 60-69 years, female 191.2
GTEX-ZA64-1526-SM-5CVMD 20-29 years, male 190.6
GTEX-17JCI-0726-SM-7EPH1 60-69 years, female 190.1
GTEX-1J8QM-2026-SM-ARZMW 60-69 years, female 190.1
GTEX-11ZUS-0826-SM-5FQUY 30-39 years, male 190.0
GTEX-TMMY-0726-SM-33HBE 40-49 years, female 190.0
GTEX-QDT8-0626-SM-48TYW 30-39 years, female 189.9
GTEX-18A6Q-0926-SM-7LG4N 60-69 years, male 189.6
GTEX-S33H-0326-SM-4AD6N 30-39 years, male 189.6
GTEX-ZTPG-2826-SM-57WGA 20-29 years, female 189.3
GTEX-1GZ4H-0326-SM-7P8QX 50-59 years, female 189.2
GTEX-XQ3S-1326-SM-4BOPQ 20-29 years, male 188.3
GTEX-15SHW-1326-SM-6PAL8 60-69 years, male 188.2
GTEX-UPK5-2326-SM-3P5Z8 40-49 years, male 188.2
GTEX-U3ZH-1426-SM-4DXSR 30-39 years, male 187.7
GTEX-ZXES-0826-SM-5E43C 30-39 years, female 187.6
GTEX-1GN1W-1926-SM-7P8TH 50-59 years, female 187.3
GTEX-17EVQ-0426-SM-7LG57 70-79 years, male 187.2
GTEX-1LBAC-0926-SM-CXKY9 20-29 years, male 187.2
GTEX-1JK1U-1826-SM-ARL8W 60-69 years, male 187.1
GTEX-1B932-0826-SM-73KXG 40-49 years, female 187.0
GTEX-14PHY-1926-SM-5YY95 60-69 years, female 186.2
GTEX-R55D-0826-SM-48FEA 50-59 years, male 186.1
GTEX-13QIC-2326-SM-5LU5N 60-69 years, female 186.0
GTEX-Z9EW-1526-SM-EZ6LU 40-49 years, male 186.0
GTEX-183FY-1126-SM-7DHLJ 20-29 years, male 185.9
GTEX-U412-1826-SM-4DXTJ 60-69 years, male 185.5
GTEX-1QCLZ-2326-SM-DTXDO 60-69 years, female 185.5
GTEX-13NZ9-1026-SM-5MR5K 50-59 years, male 185.2
GTEX-V955-2026-SM-3GAFA 60-69 years, male 185.2
GTEX-ZC5H-2626-SM-5J2MG 40-49 years, female 185.2
GTEX-WY7C-2726-SM-3NB3P 50-59 years, male 184.5
GTEX-13PVR-2226-SM-7DHKP 60-69 years, female 184.4
GTEX-1JN6P-2426-SM-ARL99 60-69 years, male 184.4
GTEX-WFG8-2026-SM-EXOHO 20-29 years, male 184.0
GTEX-13N1W-0626-SM-5MR4U 70-79 years, male 183.7
GTEX-18465-2026-SM-718AP 50-59 years, male 183.5
GTEX-T6MO-0326-SM-32QOK 40-49 years, female 183.4
GTEX-UJHI-1426-SM-3DB9C 50-59 years, female 183.4
GTEX-111YS-1926-SM-5GICC 60-69 years, male 183.3
GTEX-1M5QR-2526-SM-E9U5P 40-49 years, male 183.1
GTEX-QEL4-2126-SM-447AE 50-59 years, male 183.0
GTEX-12ZZX-1126-SM-5EGKB 40-49 years, female 182.9
GTEX-Y8LW-1626-SM-5IFHX 50-59 years, female 182.9
GTEX-13O61-1826-SM-5KM4I 60-69 years, male 182.8
GTEX-1AX8Z-0926-SM-731AW 60-69 years, male 182.5
GTEX-11DXZ-1926-SM-5GZZL 50-59 years, male 182.3
GTEX-1R9PN-0326-SM-DTX85 40-49 years, female 181.9
GTEX-145ME-1526-SM-5Q5F2 40-49 years, female 181.1
GTEX-12KS4-0126-SM-5Q5A5 30-39 years, male 181.0
GTEX-17HG3-0126-SM-7IGNH 30-39 years, female 180.8
GTEX-1B97J-0426-SM-79OLQ 50-59 years, female 180.8
GTEX-ZVE2-1226-SM-5NQ8R 50-59 years, male 179.1
GTEX-YECK-0726-SM-EZ6LV 60-69 years, male 178.8
GTEX-ZAK1-1326-SM-EVYAS 50-59 years, female 178.8
GTEX-11EM3-1326-SM-5N9C6 20-29 years, female 178.2
GTEX-WRHU-0326-SM-3MJFY 50-59 years, female 178.2
GTEX-1F5PL-1026-SM-7RHI1 40-49 years, female 177.7
GTEX-1122O-1226-SM-5H113 60-69 years, female 177.6
GTEX-1GZ4I-2826-SM-9MQK5 50-59 years, male 177.1
GTEX-1HCU9-0326-SM-9WYSC 20-29 years, male 177.0
GTEX-1LVAM-0926-SM-E9TJ2 50-59 years, female 176.9
GTEX-ZLFU-2126-SM-DO931 40-49 years, male 176.8
GTEX-S4P3-1326-SM-4AD6V 50-59 years, female 176.7
GTEX-ZLV1-1426-SM-DO92Z 60-69 years, female 176.1
GTEX-Y3IK-2326-SM-4WWDT 50-59 years, female 175.6
GTEX-Q2AG-0326-SM-48U1O 40-49 years, female 175.3
GTEX-1HCU8-0126-SM-ADEHH 60-69 years, female 175.3
GTEX-1I4MK-1626-SM-CM2TJ 50-59 years, female 175.1
GTEX-QEG5-0726-SM-D4P1T 20-29 years, male 174.8
GTEX-13D11-1026-SM-5IJFB 50-59 years, female 174.3
GTEX-11NSD-0926-SM-5N9DR 20-29 years, male 174.1
GTEX-T2YK-2226-SM-32QPT 50-59 years, male 174.1
GTEX-11ZTT-2326-SM-5EQLG 60-69 years, female 173.8
GTEX-13N11-1726-SM-5J1OJ 50-59 years, female 173.5
GTEX-131XW-0726-SM-5EGK3 50-59 years, female 173.1
GTEX-14B4R-1226-SM-5TDDT 30-39 years, male 173.0
GTEX-1RAZS-1226-SM-E8VMT 50-59 years, male 173.0
GTEX-ZLWG-1926-SM-DO92J 50-59 years, female 172.8
GTEX-XUZC-1626-SM-4BRVP 30-39 years, female 172.6
GTEX-1L5NE-2126-SM-CY8IH 50-59 years, male 172.6
GTEX-1192X-2326-SM-5987X 50-59 years, male 171.0
GTEX-1QPFJ-2026-SM-EVYBE 30-39 years, female 171.0
GTEX-R53T-1526-SM-48FEK 50-59 years, female 170.9
GTEX-17KNJ-2026-SM-7LG53 50-59 years, male 170.4
GTEX-14PJ4-2126-SM-6ETZJ 60-69 years, male 170.2
GTEX-ZQG8-0726-SM-5P9H9 60-69 years, female 170.0
GTEX-1CAMS-1426-SM-7IGPM 40-49 years, female 169.7
GTEX-11DZ1-0326-SM-5N9BN 50-59 years, male 169.5
GTEX-1LSVX-2426-SM-E6CJX 60-69 years, male 169.5
GTEX-13PVQ-1026-SM-5KM3M 50-59 years, male 169.4
GTEX-Y9LG-1426-SM-5IFJZ 30-39 years, male 169.3
GTEX-13FTY-2226-SM-5J1ND 40-49 years, female 168.9
GTEX-17HHE-1426-SM-7EPH4 50-59 years, male 168.6
GTEX-1I6K7-1026-SM-A9SLK 40-49 years, male 166.6
GTEX-1LSNM-1326-SM-E9TJ1 50-59 years, male 166.3
GTEX-14BMU-1626-SM-5TDE7 20-29 years, female 166.0
GTEX-1GF9X-1026-SM-ACKX2 40-49 years, female 166.0
GTEX-UTHO-1026-SM-3GAF7 60-69 years, male 165.9
GTEX-15EOM-5019-SM-793DK 20-29 years, female 165.7
GTEX-XBED-1626-SM-47JYN 60-69 years, male 165.3
GTEX-15FZZ-0726-SM-7KUFZ 30-39 years, female 165.1
GTEX-X4XY-0926-SM-4E3JD 60-69 years, male 165.1
GTEX-1LC47-1226-SM-D4P44 60-69 years, male 165.0
GTEX-YFCO-1826-SM-4W1YH 40-49 years, male 164.7
GTEX-YFC4-1426-SM-5IFJG 40-49 years, female 164.2
GTEX-WHSB-1926-SM-EXOHH 50-59 years, male 163.9
GTEX-1IKOH-2326-SM-CM2TW 60-69 years, female 163.7
GTEX-14DAR-1326-SM-7DUEG 50-59 years, male 163.0
GTEX-1269C-2426-SM-5FQSN 60-69 years, female 162.3
GTEX-1C6VQ-0426-SM-79OOX 50-59 years, male 162.2
GTEX-1S82U-1126-SM-E9U6I 30-39 years, female 162.1
GTEX-Y114-2026-SM-4TT7L 50-59 years, female 161.6
GTEX-17GQL-0326-SM-7LG5U 60-69 years, male 160.6
GTEX-1MCYP-0126-SM-E6CIS 20-29 years, female 160.3
GTEX-RU1J-0626-SM-4WAWY 20-29 years, female 159.9
GTEX-S4Q7-1126-SM-4AD6R 20-29 years, male 159.6
GTEX-ZAJG-0626-SM-5HL8X 50-59 years, female 159.2
GTEX-139TU-0626-SM-5KM3X 60-69 years, male 159.0
GTEX-15ER7-1626-SM-6PAMZ 20-29 years, female 158.1
GTEX-18A7B-2626-SM-7LG55 70-79 years, male 158.0
GTEX-XUW1-2326-SM-4BOO5 50-59 years, female 157.9
GTEX-1MJK3-1126-SM-E9J3F 20-29 years, male 156.6
GTEX-WYVS-1726-SM-3NMAY 40-49 years, female 156.4
GTEX-S341-1526-SM-4AD6K 40-49 years, female 155.9
GTEX-S4UY-0726-SM-4AD6X 40-49 years, female 155.9
GTEX-1IDJU-1826-SM-CMKHV 60-69 years, female 155.7
GTEX-11P81-1926-SM-5BC53 30-39 years, female 155.4
GTEX-ZT9W-2026-SM-51MRA 50-59 years, male 154.6
GTEX-11EMC-2026-SM-5A5JV 60-69 years, female 154.4
GTEX-QMRM-1626-SM-D4P1U 50-59 years, male 153.1
GTEX-1J8Q3-1326-SM-CMKI1 60-69 years, male 151.0
GTEX-ZDYS-1126-SM-5K7UB 50-59 years, male 149.4
GTEX-17HGU-1326-SM-79OKB 50-59 years, male 148.2
GTEX-13FHO-0826-SM-5L3E8 60-69 years, male 148.0
GTEX-RUSQ-2026-SM-4GIAK 50-59 years, male 147.7
GTEX-12BJ1-1826-SM-5HL9N 60-69 years, male 146.0
GTEX-XMK1-1126-SM-4IHJ8 40-49 years, male 145.9
GTEX-XV7Q-2326-SM-4BRVZ 40-49 years, female 144.3
GTEX-1HBPN-2326-SM-9WPPU 50-59 years, male 144.1
GTEX-YB5K-1626-SM-5IFIN 40-49 years, female 143.8
GTEX-1K9T9-1426-SM-DIPFQ 50-59 years, female 142.8
GTEX-11P82-1326-SM-5HL62 20-29 years, male 142.1
GTEX-117XS-1926-SM-5GICO 60-69 years, male 141.9
GTEX-1H23P-0726-SM-9WG7K 60-69 years, male 141.6
GTEX-11I78-2226-SM-5PNYA 50-59 years, female 141.2
GTEX-PSDG-1626-SM-48TCQ 50-59 years, male 141.0
GTEX-ZF2S-2026-SM-5E461 50-59 years, female 140.3
GTEX-11ONC-2126-SM-5HL6E 60-69 years, male 140.0
GTEX-13QJ3-0826-SM-7DHKK 50-59 years, male 140.0
GTEX-1211K-1926-SM-5EQLB 60-69 years, female 139.3
GTEX-1P4AB-1826-SM-E76PU 50-59 years, male 139.0
GTEX-1ICG6-1326-SM-ACKWR 70-79 years, female 138.7
GTEX-133LE-1726-SM-5K7VQ 20-29 years, female 138.1
GTEX-1RLM8-2226-SM-EVYD1 50-59 years, male 135.0
GTEX-1C475-1226-SM-7SB72 40-49 years, female 133.7
GTEX-1HR9M-2426-SM-ACKXI 60-69 years, male 133.5
GTEX-1HC8U-0826-SM-ADEIL 40-49 years, female 133.3
GTEX-U8XE-0826-SM-4E3J1 30-39 years, male 133.1
GTEX-1I1GU-1026-SM-ADEHJ 40-49 years, male 132.7
GTEX-183WM-0726-SM-7LTAA 70-79 years, female 132.2
GTEX-1I1HK-2426-SM-ADEHX 60-69 years, male 131.7
GTEX-1GZ2Q-2626-SM-7MXV9 40-49 years, male 131.5
GTEX-11TUW-1826-SM-5BC5D 60-69 years, male 130.9
GTEX-13O3P-0826-SM-5L3DH 50-59 years, male 129.7
GTEX-T5JW-2026-SM-4DM63 20-29 years, female 128.9
GTEX-1HSEH-2026-SM-ADEHN 60-69 years, male 128.9
GTEX-1CAMR-1426-SM-793BO 20-29 years, male 128.4
GTEX-U3ZN-1926-SM-4DXSG 30-39 years, female 128.4
GTEX-11LCK-2426-SM-5HL5F 30-39 years, male 128.1
GTEX-14E6C-1326-SM-62LEQ 40-49 years, male 128.1
GTEX-11GSO-1926-SM-5A5K3 60-69 years, male 126.7
GTEX-1HCU7-1026-SM-ADEIP 50-59 years, male 125.7
GTEX-REY6-2426-SM-48FF5 60-69 years, male 124.2
GTEX-1POEN-0926-SM-DTX88 30-39 years, female 120.3
GTEX-1R7EV-1526-SM-E8VOD 40-49 years, male 118.9
GTEX-Y5V6-2126-SM-4WWFX 60-69 years, male 118.8
GTEX-132Q8-1426-SM-5EGK7 60-69 years, male 118.4
GTEX-XGQ4-0926-SM-4AT4U 50-59 years, male 115.1
GTEX-12WSN-1326-SM-5GCNT 40-49 years, male 114.2
GTEX-139T8-0826-SM-5L3DE 60-69 years, male 112.4
GTEX-132AR-0826-SM-5EGK6 50-59 years, female 110.3
GTEX-144GM-0926-SM-5O994 20-29 years, male 107.6
GTEX-1S82Z-0726-SM-E6CHX 30-39 years, female 99.8
GTEX-13CF3-2126-SM-5IFJP 60-69 years, female 97.7
Show allShow less

BREAST - FANTOM5 CAGEi

RNA expression in human tissues obtained through Cap Analysis of Gene Expression (CAGE) generated by the FANTOM5 project are reported as Scaled Tags Per Million.

Max subtype Scaled Tags Per Millioni

Max subtype Scaled Tags Per Million is the value for the subtype with the largest average Scaled Tags Per Million across the subtype samples.

712.8
FANTOM5 sample id Sample description Scaled Tags Per Million
Breast
Scaled Tags Per Million: 712.8
FF:10080-102A8 77 years, female 712.8

Contact

  • NEWS ARTICLES
  • PRESS ROOM

The Project

  • INTRODUCTION
  • ORGANIZATION
  • PUBLICATIONS

The Human Protein Atlas

  • DOWNLOADABLE DATA
  • LICENCE & CITATION
  • HELP & FAQ
The Human Protein Atlas project is funded
by the Knut & Alice Wallenberg Foundation.


contact@proteinatlas.org