We use cookies to enhance the usability of our website. If you continue, we'll assume that you are happy to receive all cookies. More information. Don't show this again.
KLC1
HPA
RESOURCES
  • TISSUE
  • BRAIN
  • SINGLE CELL
  • SUBCELLULAR
  • CANCER
  • BLOOD
  • CELL LINE
  • STRUCTURE & INTERACTION
ABOUT
  • INTRODUCTION
  • HISTORY
  • ORGANIZATION
  • PUBLICATIONS
  • ANTIBODY SUBMISSION
  • ANTIBODY AVAILABILITY
  • ACKNOWLEDGMENTS
  • CONTACT
NEWS
  • NEWS ARTICLES
  • PRESS ROOM
LEARN
  • DICTIONARY
  • PROTEIN CLASSES
  • PROTEIN EVIDENCE
  • METHODS
  • EDUCATIONAL VIDEOS
DATA
  • DOWNLOADABLE DATA
  • PUBLICATION DATA
  • RELEASE HISTORY
HELP
  • ANTIBODY VALIDATION
  • ASSAYS & ANNOTATION
  • DISCLAIMER
  • HELP & FAQ
  • PRIVACY STATEMENT
  • LICENCE & CITATION
Fields »
Search result

Field
Term
Gene name
Class
Subclass
Class
Keyword
Chromosome
External id
Tissue
Cell type
Expression
Antibody panel
Tissue
Main location
Patient ID
Annotation
Tissue
Category
Tau score
Cluster
Reliability
Brain region
Category
Tau score
Brain region
Category
Tau score
Brain region
Category
Tau score
Cluster
Reliability
Tissue
Cell type
Enrichment
Cell type
Category
Tau score
Cell type
Category
Tau score
Cell type
Category
Tau score
Cell lineage
Category
Tau score
Cluster
Cluster
Location
Searches
Location
Cell line
Class
Type
Phase
Reliability
Cancer
Prognosis
Cancer
Category
Cancer
Category
Tau score
Cluster
Variants
Interacting gene (ensg_id)
Type
Number of interactions
Pathway
Category
Score
Score
Score
Validation
Validation
Validation
Validation
Antibodies
Data type
Column


  • SUMMARY

  • TISSUE

  • BRAIN

  • SINGLE CELL

  • SUBCELL

  • CANCER

  • BLOOD

  • CELL LINE

  • STRUCT & INT

  • KLC1
BRAIN CEREBELLUM Show tissue menu
AMYGDALA BASAL GANGLIA CEREBELLUM CEREBRAL CORTEX CHOROID PLEXUS HIPPOCAMPAL FORMATION HYPOTHALAMUS MEDULLA OBLONGATA
MIDBRAIN OLFACTORY BULB PITUITARY GLAND PONS RETINA SPINAL CORD THALAMUS WHITE MATTER
ANTIBODIES
AND
VALIDATION
Brain proteome
Cerebellum
CEREBELLUM - Expression summary
Protein expression
Cerebellumi

On the top, protein expression in current human tissue, based on all annotated cell types, is reported with the units not detected (n), low (l), medium (m) and high (h). Underneath, protein expression in each annotated cell type are reported using the same units.

Protein expression data is based on knowledge-based annotation. For genes where more than one antibody has been used, a collective score is set.

If knowledge-based annotation could not be performed for a gene, no data is displayed here. View antibody staining data further down this page.

h
m
l
n
Cells in granular layer: Not detected
Cells in molecular layer: Not detected
Purkinje cells: Not detected
RNA expressioni

A summary of mRNA expression data available for current tissue based on several datasets. The mRNA expression levels in human tissues are based on RNA-seq data generated by the Human Protein Atlas (HPA), Genotype-Tissue Expression (GTEx) portal and CAGE data generated by the FANTOM5 consortium. Consensus normalized expression levels for human tissues was created by combining the data from HPA and GTEx datasets.

The mRNA expression levels in pig are based on RNA-seq data generated by the Human Protein Atlas (HPA), and for mouse, HPA data and in situ hybridization generated by the Allen brain atlas are reported.

Scroll down to view mRNA expression data in more detail.
Consensus:514.6 nTPM
HPA Brain:338.9 nTPM
GTEx:514.6 nTPM
FANTOM5:343.9 Scaled Tags Per Million
Pig:246.6 nTPM
Mouse:347.5 nTPM
Allen mouse:15.4 Expression energy

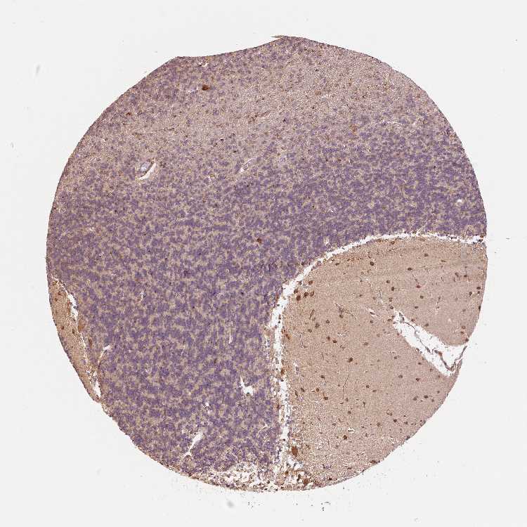
CEREBELLUM - Antibody stainingi

Antibody staining in the annotated cell types in the current human tissue is reported as not detected, low, medium, or high, based on conventional immunohistochemistry profiling in selected tissues. This score is based on the combination of the staining intensity and fraction of stained cells.

Each image is clickable and will lead to virtual microscopy that enables deeper exploration of all samples and also displays staining intensity scores, fraction scores and subcellular localization as well as patient and tissue information for each sample.

Antibody HPA044617Antibody HPA052450Antibody CAB009798
Purkinje cells MediumHighNot detected
Cells in granular layer MediumLowMedium
Cells in molecular layer HighHighNot detected







CEREBELLUM - HPA Brain RNA-seq
Max subtype nTPMi

Max subtype nTPM is the value for the subtype with the largest average nTPM across the subtype samples.

338.9
Sample id Sample description nTPM
Cerebellar cortex
nTPM: 338.9
2101 Male, age 74, right hemisphere 443.5
1768 Female, age 72, unknown 370.5
2006 Male, age 61, right hemisphere 367.4
1774 Male, age 80, left hemisphere 363.4
2055 Female, age 91, right hemisphere 327.3
1788 Male, age 55, unknown 301.8
1769 Male, age 76, right hemisphere 300.3
2003 Female, age 85, right hemisphere 237.1
Cerebellar nuclei
nTPM: 325.0
2783 Female, age 72, unknown 380.4
2177 Female, age 85, both hemispheres 363.2
2318 Male, age 74, left hemisphere 344.6
2882 Male, age 76, left hemisphere 326.3
1879 Male, age 55, unknown 317.3
1966 Female, age 91, left hemisphere 305.9
1871 Male, age 74, unknown 301.8
2175 Male, age 61, right hemisphere 295.2
2005 Male, age 80, left hemisphere 290.5
Flocculonodular lobe
nTPM: 319.1
1771 Male, age 80, left hemisphere 373.4
1792 Male, age 74, unknown 345.0
2176 Female, age 91, right hemisphere 328.5
2004 Male, age 61, right hemisphere 325.9
1765 Male, age 55, unknown 296.8
1767 Male, age 76, left hemisphere 294.5
1835 Female, age 85, right hemisphere 269.4
Vermis
nTPM: 325.6
1751 Male, age 74, right hemisphere 393.2
1928 Female, age 72, unknown 383.3
2834 Male, age 80, left hemisphere 329.6
1778 Female, age 91, left hemisphere 328.8
2460 Male, age 61, both hemispheres 302.2
1825 Male, age 74, unknown 301.3
1770 Male, age 76, left hemisphere 298.5
1988 Female, age 85, left hemisphere 297.2
1766 Male, age 55, unknown 296.1

CEREBELLUM - GTEx RNA-seqi

RNA-Seq data generated by the Genotype-Tissue Expression (GTEx) project from human tissues is reported as mean nTPM. More information can be found on the GTEx portal.

Distribution across the dataset is visualized with box plots, shown as median and 25th and 75th percentiles. Points are displayed as outliers if they are above or below 1.5 times the interquartile range. nTPM values of the individual samples are presented next to the box plot.
Max subtype nTPMi

Max subtype nTPM is the value for the subtype with the largest average nTPM across the subtype samples.

514.6
GTEx sample id Sample description nTPM
Brain - Cerebellar Hemisphere
Average nTPM: 514.6
Samples: 215

Max nTPM: 847.4
Min nTPM: 303.2
Std nTPM: 82.8
Median nTPM: 509.2
GTEX-12WSC-0011-R11a-SM-5GU5J 50-59 years, male 847.4
GTEX-13FLV-0011-R11a-SM-5LZZ7 50-59 years, male 793.3
GTEX-132Q8-0011-R11b-SM-5DUW9 60-69 years, male 746.5
GTEX-13X6J-0011-R11a-SM-5P9HE 50-59 years, male 725.6
GTEX-11ZUS-0011-R11b-SM-5BC7B 30-39 years, male 721.8
GTEX-1313W-0011-R11a-SM-5DUXN 50-59 years, female 713.1
GTEX-1F75W-0011-R11b-SM-AHZ34 60-69 years, male 697.1
GTEX-NL4W-0011-R11A-SM-2I3DW 50-59 years, male 682.1
GTEX-145MH-0011-R11a-SM-5P9HQ 50-59 years, male 678.4
GTEX-N7MS-0011-R11A-SM-2HMJS 60-69 years, male 677.6
GTEX-1H4P4-0011-R11b-SM-CE6S8 50-59 years, male 667.7
GTEX-1B8SG-0011-R11a-SM-7P8PF 50-59 years, male 655.8
GTEX-11EMC-0011-R11b-SM-DNZZK 60-69 years, female 655.1
GTEX-12WSD-0011-R11a-SM-9OSVC 60-69 years, female 654.3
GTEX-12ZZZ-0011-R11a-SM-5EGLC 60-69 years, male 652.4
GTEX-1F75A-0011-R11a-SM-AHZ35 50-59 years, male 635.1
GTEX-1F7RK-0011-R11b-SM-9QEI2 20-29 years, female 627.3
GTEX-16YQH-0011-R11b-SM-7LT98 30-39 years, male 626.8
GTEX-1B933-0011-R11a-SM-7P8PM 50-59 years, female 623.9
GTEX-12WSI-0011-R11b-SM-5P9EZ 50-59 years, male 619.2
GTEX-YJ89-0011-R11a-SM-4SOKA 60-69 years, male 617.5
GTEX-WL46-0011-R11A-SM-3MJFT 50-59 years, male 616.1
GTEX-131XH-0011-R11a-SM-5EGLN 50-59 years, male 614.6
GTEX-12WSH-0011-R11a-SM-5LZVM 50-59 years, male 614.3
GTEX-17EVQ-0011-R11a-SM-7LT9C 70-79 years, male 613.9
GTEX-ZVZQ-0011-R11a-SM-51MS6 60-69 years, female 612.3
GTEX-145LU-0011-R11b-SM-5P9JX 50-59 years, male 606.4
GTEX-13G51-0011-R11b-SM-5J2NE 60-69 years, male 606.3
GTEX-14E6D-0011-R11b-SM-664NP 50-59 years, male 598.1
GTEX-13X6I-0011-R11a-SM-5P9HN 60-69 years, male 594.7
GTEX-NL3H-0011-R11A-SM-2I3E6 60-69 years, male 593.4
GTEX-1R9K4-0011-R11a-SM-EZ6N9 60-69 years, male 589.7
GTEX-1KD4Q-0011-R11b-SM-EXOIE 40-49 years, male 589.5
GTEX-WWYW-0011-R11A-SM-3NB38 50-59 years, female 588.0
GTEX-1B8SF-0011-R11a-SM-79OOP 60-69 years, male 587.6
GTEX-1JMQJ-0011-R11a-SM-EXOJY 50-59 years, male 587.1
GTEX-1LG7Y-0011-R11a-SM-EXOIH 50-59 years, male 587.0
GTEX-13OW6-0011-R11a-SM-5L3H2 50-59 years, male 584.9
GTEX-ZE9C-0011-R11a-SM-4WKGG 60-69 years, male 578.7
GTEX-1E1VI-0011-R11a-SM-9OSWI 50-59 years, male 576.6
GTEX-ZF28-0011-R11a-SM-4WWEI 60-69 years, male 576.3
GTEX-WZTO-0011-R11A-SM-4E3K9 40-49 years, male 572.1
GTEX-16Z82-0011-R11a-SM-79OKJ 60-69 years, male 571.5
GTEX-17JCI-0011-R11a-SM-7189Y 60-69 years, female 571.5
GTEX-1F6I4-0011-R11b-SM-9OSWS 60-69 years, male 567.8
GTEX-12126-0011-R11a-SM-5BC6X 20-29 years, male 565.6
GTEX-ZDXO-0011-R11a-SM-4WWD9 60-69 years, male 565.1
GTEX-1IOXB-0011-R11a-SM-A9G1X 50-59 years, male 565.0
GTEX-1JJ6O-0011-R11b-SM-EXUS2 60-69 years, male 563.2
GTEX-139TT-0011-R11b-SM-5LZV1 60-69 years, male 561.7
GTEX-131XW-0011-R11a-SM-5DUV9 50-59 years, female 559.4
GTEX-11DZ1-0011-R11b-SM-DO11W 50-59 years, male 558.0
GTEX-1HFI6-0011-R11b-SM-A96RU 40-49 years, male 557.4
GTEX-13OW7-0011-R11a-SM-5O9DY 50-59 years, male 555.7
GTEX-11OF3-0011-R11a-SM-57WCR 60-69 years, male 555.2
GTEX-ZE7O-0011-R11a-SM-57WBC 50-59 years, female 554.5
GTEX-18A6Q-0011-R11a-SM-72D6H 60-69 years, male 553.7
GTEX-Z93S-0011-R11a-SM-4RGNN 50-59 years, male 551.7
GTEX-16GPK-0011-R11b-SM-7MKFF 60-69 years, male 551.0
GTEX-1C64N-0011-R11b-SM-7P8Q6 50-59 years, male 550.1
GTEX-XMD1-0011-R11A-SM-4AT5J 60-69 years, male 547.8
GTEX-17HII-0011-R11b-SM-7KFSX 50-59 years, male 547.4
GTEX-1B8L1-0011-R11b-SM-793DJ 60-69 years, male 546.9
GTEX-1GMRU-0011-R11b-SM-C1YQ4 50-59 years, male 546.0
GTEX-17EVP-0011-R11a-SM-7EWDL 40-49 years, male 545.6
GTEX-13O3Q-0011-R11b-SM-5KM2W 50-59 years, male 544.9
GTEX-12WSF-0011-R11a-SM-5LZVT 70-79 years, male 544.5
GTEX-X261-0011-R11A-SM-4E3JY 50-59 years, male 544.5
GTEX-1I19N-0011-R11b-SM-ARU6Y 70-79 years, male 544.0
GTEX-14ABY-0011-R11a-SM-5SI7C 50-59 years, male 542.2
GTEX-1J8Q2-0011-R11a-SM-A9SKI 60-69 years, male 542.2
GTEX-11EI6-0011-R11a-SM-DO11V 60-69 years, male 541.8
GTEX-11ZTS-0011-R11a-SM-DO113 60-69 years, female 540.5
GTEX-144GL-0011-R11b-SM-5P9F6 50-59 years, male 538.4
GTEX-131YS-0011-R11b-SM-5EGLM 60-69 years, female 534.2
GTEX-14PN4-0011-R11a-SM-686ZW 50-59 years, male 533.7
GTEX-1ICLZ-0011-R11a-SM-CJI3N 60-69 years, male 533.3
GTEX-1N2DW-0011-R11b-SM-EXOIL 50-59 years, male 531.9
GTEX-11DYG-0011-R11a-SM-DNZZP 60-69 years, male 529.7
GTEX-T5JC-0011-R11A-SM-32PMB 20-29 years, male 529.0
GTEX-1EKGG-0011-R11a-SM-9QEHZ 60-69 years, male 528.4
GTEX-13OVH-0011-R11b-SM-5KM4X 70-79 years, male 527.6
GTEX-13VXU-0011-R11b-SM-5O9DJ 50-59 years, male 526.6
GTEX-1H1CY-0011-R11a-SM-C1YQR 60-69 years, female 525.8
GTEX-14ASI-0011-R11b-SM-6AJBJ 60-69 years, male 525.6
GTEX-1LVAO-0011-R11b-SM-EXOI8 60-69 years, male 524.8
GTEX-1I1HK-0011-R11a-SM-B2LVN 60-69 years, male 522.2
GTEX-1HGF4-0011-R11a-SM-C1YRR 60-69 years, male 521.5
GTEX-1GZHY-0011-R11a-SM-C1YRQ 50-59 years, female 520.5
GTEX-18464-0011-R11a-SM-72D76 50-59 years, male 520.3
GTEX-1IGQW-0011-R11a-SM-C1YRV 60-69 years, male 519.0
GTEX-13FXS-0011-R11a-SM-5L3DM 50-59 years, male 517.9
GTEX-1HBPI-0011-R11b-SM-CE6SH 50-59 years, male 517.9
GTEX-13NYS-0011-R11b-SM-5MR4P 60-69 years, male 517.7
GTEX-1CB4G-0011-R11a-SM-9OSWG 60-69 years, male 517.5
GTEX-12WSE-0011-R11b-SM-5P9JW 20-29 years, male 517.3
GTEX-13JUV-0011-R11a-SM-5LZYH 40-49 years, female 516.9
GTEX-WVLH-0011-R11A-SM-3MJFO 50-59 years, male 516.8
GTEX-13OVL-0011-R11b-SM-5L3G7 50-59 years, male 516.7
GTEX-T2IS-0011-R11A-SM-32QPC 20-29 years, female 516.3
GTEX-13OW5-0011-R11b-SM-5L3GG 60-69 years, male 516.0
GTEX-13SLX-0011-R11b-SM-5O9C8 50-59 years, female 514.9
GTEX-ZUA1-0011-R11b-SM-51MTI 40-49 years, male 514.7
GTEX-11WQC-0011-R11b-SM-57WD6 60-69 years, male 514.6
GTEX-17HG3-0011-R11b-SM-7KFT4 30-39 years, female 514.5
GTEX-1I1GR-0011-R11a-SM-CM2T5 60-69 years, male 514.3
GTEX-15CHQ-0011-R11b-SM-686ZZ 60-69 years, male 512.7
GTEX-P44G-0011-R11A-SM-2I3FD 30-39 years, male 509.2
GTEX-S7SE-0011-R11A-SM-2XCDD 50-59 years, male 509.0
GTEX-UTHO-0011-R11A-SM-3GIJE 60-69 years, male 508.4
GTEX-1H3VE-0011-R11b-SM-C1YRP 40-49 years, male 505.6
GTEX-1F52S-0011-R11a-SM-CJI23 60-69 years, female 505.5
GTEX-Y8DK-0011-R11A-SM-4SOK2 60-69 years, male 504.9
GTEX-13JVG-0011-R11a-SM-5KM53 60-69 years, male 504.0
GTEX-RVPV-0011-R11A-SM-2TF6F 60-69 years, male 503.0
GTEX-1M4P7-0011-R11b-SM-EXOIK 60-69 years, male 502.9
GTEX-13FHP-0011-R11b-SM-5LZXP 50-59 years, male 501.1
GTEX-13CF2-0011-R11b-SM-5LZXO 60-69 years, male 500.4
GTEX-13NYB-0011-R11a-SM-5KM3Q 40-49 years, male 499.8
GTEX-ZVT3-0011-R11b-SM-57WBI 60-69 years, female 498.6
GTEX-1GZ4I-0011-R11b-SM-9OSWR 50-59 years, male 494.5
GTEX-1H3O1-0011-R11a-SM-A96RV 60-69 years, male 494.1
GTEX-13RTJ-0011-R11a-SM-5O9CK 60-69 years, male 493.9
GTEX-1N2EE-0011-R11b-SM-EXOIJ 60-69 years, male 493.9
GTEX-1I1GQ-0011-R11b-SM-CKZPA 50-59 years, male 493.7
GTEX-13FTY-0011-R11a-SM-5IJEA 40-49 years, female 493.4
GTEX-1LSVX-0011-R11b-SM-EXOIA 60-69 years, male 491.5
GTEX-13NZA-0011-R11b-SM-5KM4W 60-69 years, male 490.7
GTEX-1I1GV-0011-R11a-SM-CJI3Z 60-69 years, male 489.7
GTEX-1IDJH-0011-R11b-SM-C1YRT 70-79 years, male 489.2
GTEX-1IY9M-0011-R11b-SM-A96TI 60-69 years, male 487.7
GTEX-1JJEA-0011-R11a-SM-EXUTE 60-69 years, male 487.2
GTEX-14E7W-0011-R11a-SM-5ZZVA 70-79 years, male 486.4
GTEX-15DYW-0011-R11a-SM-6LPIT 60-69 years, female 485.7
GTEX-15ER7-0011-R11a-SM-6LPIL 20-29 years, female 484.8
GTEX-1BAJH-0011-R11b-SM-7IGLM 70-79 years, male 484.2
GTEX-11PRG-0011-R11b-SM-DNZZY 50-59 years, male 483.6
GTEX-X4XX-0011-R11A-SM-46MWQ 60-69 years, male 483.5
GTEX-13S7M-0011-R11b-SM-5P9HU 60-69 years, female 483.1
GTEX-1AX9I-0011-R11b-SM-7DHN4 60-69 years, male 481.6
GTEX-1HSKV-0011-R11b-SM-AHZ2E 60-69 years, male 481.6
GTEX-11DXY-0011-R11a-SM-DNZZN 60-69 years, male 481.3
GTEX-1399T-0011-R11a-SM-5J2O1 60-69 years, male 479.7
GTEX-13SLW-0011-R11a-SM-5SI8Q 70-79 years, male 479.4
GTEX-1H3NZ-0011-R11b-SM-CE6SF 60-69 years, male 478.4
GTEX-1IKOH-0011-R11a-SM-AHZ38 60-69 years, female 478.1
GTEX-13QIC-0011-R11b-SM-5O9BU 60-69 years, female 477.3
GTEX-15G19-0011-R11b-SM-6LPIH 60-69 years, male 476.6
GTEX-1GMR8-0011-R11b-SM-9OSX2 50-59 years, female 473.8
GTEX-17F97-0011-R11b-SM-7KFRQ 50-59 years, male 473.7
GTEX-WHSE-0011-R11A-SM-3P5YY 20-29 years, male 473.0
GTEX-18465-0011-R11a-SM-72D78 50-59 years, male 472.2
GTEX-1HCU6-0011-R11b-SM-AHZ2F 60-69 years, female 472.0
GTEX-16XZZ-0011-R11a-SM-7EPI3 60-69 years, male 471.5
GTEX-14C5O-0011-R11b-SM-6872H 60-69 years, male 471.4
GTEX-YFC4-0011-R11a-SM-4SOK6 40-49 years, female 470.9
GTEX-12WSM-0011-R11a-SM-5DUX8 60-69 years, male 469.3
GTEX-15EO6-0011-R11b-SM-6M47M 50-59 years, male 469.3
GTEX-14DAQ-0011-R11a-SM-664NO 60-69 years, female 469.1
GTEX-1I1GS-0011-R11a-SM-C1YRU 60-69 years, male 469.1
GTEX-13O3O-0011-R11b-SM-5KM4G 60-69 years, female 468.5
GTEX-11GSP-0011-R11b-SM-5NQ7V 60-69 years, female 468.2
GTEX-RU72-0011-R11A-SM-CM2U1 50-59 years, female 467.6
GTEX-1GN73-0011-R11b-SM-9OSX4 60-69 years, male 467.2
GTEX-13FHO-0011-R11b-SM-5LZYQ 60-69 years, male 466.7
GTEX-145MI-0011-R11a-SM-5P9JZ 60-69 years, female 466.4
GTEX-13CZV-0011-R11b-SM-5N9FN 60-69 years, male 461.7
GTEX-1J1OQ-0011-R11a-SM-A96S3 40-49 years, female 460.0
GTEX-1GF9W-0011-R11b-SM-9OSXG 60-69 years, male 459.3
GTEX-1IL2V-0011-R11a-SM-ARU6T 70-79 years, male 458.7
GTEX-1EMGI-0011-R11b-SM-9OSWX 60-69 years, male 456.4
GTEX-ZAB4-0011-R11a-SM-4SOKI 40-49 years, male 456.1
GTEX-R55E-0011-R11A-SM-2TC6I 20-29 years, male 455.1
GTEX-13X6K-0011-R11a-SM-5P9F5 60-69 years, female 454.8
GTEX-13PLJ-0011-R11b-SM-5O9BS 60-69 years, female 453.5
GTEX-T6MN-0011-R11A-SM-32QOX 50-59 years, male 452.1
GTEX-1A3MX-0011-R11b-SM-7DUGP 60-69 years, male 442.5
GTEX-NPJ8-0011-R11A-SM-2YUMS 40-49 years, male 441.9
GTEX-1LKK1-0011-R11a-SM-EXOIG 50-59 years, female 441.2
GTEX-13N2G-0011-R11a-SM-5MR3F 60-69 years, male 440.8
GTEX-12ZZX-0011-R11a-SM-5DUVJ 40-49 years, female 440.5
GTEX-1HUB1-0011-R11b-SM-CE6SC 60-69 years, male 440.2
GTEX-1CAV2-0011-R11a-SM-ARU8D 40-49 years, female 439.6
GTEX-13OW8-0011-R11a-SM-5L3GT 60-69 years, male 439.2
GTEX-1J8EW-0011-R11a-SM-AHZ37 60-69 years, female 438.9
GTEX-1IKK5-0011-R11a-SM-C1YRX 60-69 years, male 437.1
GTEX-183WM-0011-R11a-SM-718A5 70-79 years, female 436.8
GTEX-13PVQ-0011-R11a-SM-5O9DU 50-59 years, male 433.3
GTEX-14BIN-0011-R11a-SM-5SI79 50-59 years, female 430.3
GTEX-NPJ7-0011-R11A-SM-2I3E8 60-69 years, female 429.0
GTEX-Q2AG-0011-R11A-SM-2HMKZ 40-49 years, female 426.0
GTEX-X4EP-0011-R11B-SM-4QASK 60-69 years, female 423.7
GTEX-14BIM-0011-R11b-SM-5S2RN 60-69 years, female 420.9
GTEX-1R9PO-0011-R11b-SM-EZ6NB 60-69 years, female 416.2
GTEX-139UW-0011-R11a-SM-5IJGN 60-69 years, male 415.9
GTEX-11H98-0011-R11b-SM-5NQ6U 50-59 years, male 409.4
GTEX-P44H-0011-R11A-SM-2XCER 40-49 years, male 408.8
GTEX-11TTK-0011-R11b-SM-DO112 60-69 years, female 400.9
GTEX-15DCD-0011-R11a-SM-D4P1R 70-79 years, female 399.2
GTEX-1H1ZS-0011-R11a-SM-C1YQM 70-79 years, male 399.1
GTEX-1JMOU-0011-R11b-SM-EXUTA 60-69 years, female 393.3
GTEX-1HB9E-0011-R11b-SM-ARU79 50-59 years, male 389.2
GTEX-TSE9-0011-R11A-SM-3DB7N 60-69 years, female 389.1
GTEX-1IL2U-0011-R11a-SM-CE6SO 60-69 years, male 388.2
GTEX-13OVJ-0011-R11a-SM-5P9H8 50-59 years, female 387.9
GTEX-X585-0011-R11B-SM-46MUZ 50-59 years, male 384.6
GTEX-1GTWX-0011-R11b-SM-C1YQJ 60-69 years, male 379.8
GTEX-QMR6-0011-R11A-SM-32PKK 50-59 years, male 371.5
GTEX-OHPN-0011-R11A-SM-2I5FM 60-69 years, female 370.9
GTEX-16NPV-0011-R11a-SM-7IGMK 50-59 years, female 367.3
GTEX-1F48J-0011-R11b-SM-9OSWV 50-59 years, female 364.5
GTEX-N7MT-0011-R11A-SM-2I3DZ 60-69 years, female 342.5
GTEX-1H1DG-0011-R11a-SM-C1YQK 70-79 years, male 338.1
GTEX-QDT8-0011-R11A-SM-32PKD 30-39 years, female 324.1
GTEX-14C39-0011-R11b-SM-5YYAF 40-49 years, male 303.2
Show allShow less
Brain - Cerebellum
Average nTPM: 417.6
Samples: 241

Max nTPM: 707.0
Min nTPM: 286.5
Std nTPM: 62.0
Median nTPM: 414.4
GTEX-1C6WA-3326-SM-7MKGN 60-69 years, male 707.0
GTEX-WL46-2826-SM-3LK81 50-59 years, male 619.5
GTEX-1B8SG-1926-SM-73KUB 50-59 years, male 589.2
GTEX-1192X-3226-SM-5987D 50-59 years, male 582.9
GTEX-1MJK2-3026-SM-EV7A5 50-59 years, male 579.4
GTEX-12WSC-2926-SM-5BC5Z 50-59 years, male 562.9
GTEX-145MH-2926-SM-5Q5D2 50-59 years, male 540.9
GTEX-131XH-2926-SM-5LZU4 50-59 years, male 538.8
GTEX-1F75W-3126-SM-7P8SJ 60-69 years, male 537.9
GTEX-12WSE-2926-SM-5RQJ9 20-29 years, male 526.6
GTEX-16Z82-2926-SM-6LPJJ 60-69 years, male 521.8
GTEX-11O72-2826-SM-5HL6W 40-49 years, male 519.9
GTEX-1F75A-2926-SM-7MXVN 50-59 years, male 518.0
GTEX-13NYB-3226-SM-5J2ND 40-49 years, male 513.1
GTEX-ZYFD-2926-SM-5GID9 50-59 years, male 511.9
GTEX-1H4P4-2726-SM-9JGGB 50-59 years, male 507.3
GTEX-ZUA1-2926-SM-59HL3 40-49 years, male 505.2
GTEX-1RNSC-3126-SM-EVR4V 60-69 years, male 503.5
GTEX-1E1VI-2926-SM-7IGLT 50-59 years, male 502.9
GTEX-Y111-2826-SM-4TT3O 50-59 years, male 502.8
GTEX-1313W-3026-SM-5LZUZ 50-59 years, female 501.6
GTEX-X261-3126-SM-4PQZC 50-59 years, male 495.6
GTEX-12ZZZ-3126-SM-5LZU6 60-69 years, male 495.3
GTEX-14E6D-2926-SM-664OP 50-59 years, male 493.6
GTEX-UTHO-2926-SM-3P5Z9 60-69 years, male 489.7
GTEX-11DZ1-2926-SM-5A5KI 50-59 years, male 486.9
GTEX-1B8SF-3026-SM-731DX 60-69 years, male 485.6
GTEX-1GZHY-3026-SM-7MXVA 50-59 years, female 484.1
GTEX-1F6I4-3026-SM-7P8SI 60-69 years, male 483.0
GTEX-12WSH-3126-SM-5LZW8 50-59 years, male 481.2
GTEX-11OC5-0626-SM-5HL6M 60-69 years, male 480.7
GTEX-1LG7Y-3126-SM-EV7AS 50-59 years, male 478.2
GTEX-1IKOH-2826-SM-CNNRC 60-69 years, female 477.1
GTEX-1JMQJ-3126-SM-EV79G 50-59 years, male 475.4
GTEX-ZDXO-2926-SM-4WKFM 60-69 years, male 473.3
GTEX-T5JC-2326-SM-32PMR 20-29 years, male 472.9
GTEX-12ZZY-2926-SM-5DUXO 60-69 years, male 472.0
GTEX-1B933-3026-SM-731DB 50-59 years, female 471.7
GTEX-13OW5-3126-SM-5MR3Y 60-69 years, male 471.4
GTEX-11NUK-3026-SM-5986K 50-59 years, male 470.1
GTEX-145LU-2626-SM-5LU9Z 50-59 years, male 468.4
GTEX-15EO6-2926-SM-6M48D 50-59 years, male 467.1
GTEX-11ZUS-2826-SM-5EQKW 30-39 years, male 466.7
GTEX-Z93S-2826-SM-57WBL 50-59 years, male 466.1
GTEX-11NV4-2226-SM-5BC4T 60-69 years, male 464.3
GTEX-17EVQ-2726-SM-7EWDT 70-79 years, male 460.7
GTEX-X4XX-2926-SM-3NMB1 60-69 years, male 460.6
GTEX-1KD4Q-3026-SM-EV7A7 40-49 years, male 460.3
GTEX-13112-2926-SM-5DUWT 50-59 years, male 460.1
GTEX-1RDX4-3226-SM-DPS14 50-59 years, female 459.4
GTEX-14ABY-3026-SM-664NE 50-59 years, male 459.2
GTEX-1QEPI-3026-SM-EXOIW 60-69 years, female 458.2
GTEX-ZF28-2926-SM-4WKG1 60-69 years, male 457.0
GTEX-1IY9M-3126-SM-AHZ3A 60-69 years, male 455.9
GTEX-WWYW-3026-SM-3NB36 50-59 years, female 455.6
GTEX-1I1CD-2926-SM-A96SJ 60-69 years, female 455.3
GTEX-11EI6-2926-SM-5985U 60-69 years, male 455.1
GTEX-1NV8Z-3026-SM-DTX8Z 60-69 years, male 454.5
GTEX-ZZPT-2926-SM-5EQ5S 50-59 years, male 454.2
GTEX-1B8L1-3226-SM-7P8OX 60-69 years, male 452.8
GTEX-117XS-3126-SM-5GIDP 60-69 years, male 452.7
GTEX-T2IS-2926-SM-32QPO 20-29 years, female 452.7
GTEX-17EVP-2926-SM-793BU 40-49 years, male 452.3
GTEX-13SLX-3226-SM-5YYA6 50-59 years, female 452.0
GTEX-1H1CY-3026-SM-9OSW7 60-69 years, female 451.7
GTEX-WHSE-2926-SM-3NMBG 20-29 years, male 450.1
GTEX-13OW7-2926-SM-5MR3Z 50-59 years, male 450.0
GTEX-1PIIG-2826-SM-DTX7O 30-39 years, male 449.9
GTEX-1LSVX-2826-SM-EVR58 60-69 years, male 449.7
GTEX-12126-0926-SM-5FQTW 20-29 years, male 449.3
GTEX-16XZZ-2926-SM-6LPK4 60-69 years, male 446.8
GTEX-13VXU-3026-SM-5LU3K 50-59 years, male 446.7
GTEX-1399T-3126-SM-5IJFS 60-69 years, male 445.6
GTEX-17JCI-3026-SM-7EWDR 60-69 years, female 445.6
GTEX-1JN1M-3126-SM-AHZ4E 60-69 years, female 445.6
GTEX-14JIY-2326-SM-6AJAJ 60-69 years, male 443.9
GTEX-16YQH-2926-SM-6LPJE 30-39 years, male 443.7
GTEX-139TS-3126-SM-5LZWX 60-69 years, male 443.2
GTEX-11GSO-3026-SM-5Q5AL 60-69 years, male 443.1
GTEX-YJ89-2926-SM-5P9IT 60-69 years, male 443.1
GTEX-11GSP-3126-SM-5A5LL 60-69 years, female 439.7
GTEX-13FXS-3026-SM-5LZYO 50-59 years, male 439.6
GTEX-11EMC-3326-SM-5P9JH 60-69 years, female 439.2
GTEX-ZAK1-2926-SM-5HL9S 50-59 years, female 439.2
GTEX-1F52S-3026-SM-7P8PV 60-69 years, female 439.1
GTEX-1P4AB-3026-SM-EXOJS 50-59 years, male 438.2
GTEX-13FHP-2926-SM-5IJG9 50-59 years, male 436.6
GTEX-1EU9M-2926-SM-793DF 60-69 years, male 436.6
GTEX-1EX96-3126-SM-9JGGC 50-59 years, male 436.6
GTEX-131YS-3026-SM-5EGHY 60-69 years, female 436.3
GTEX-1POEN-2726-SM-E9U6B 30-39 years, female 435.5
GTEX-1A8G7-3026-SM-73KTT 60-69 years, male 434.8
GTEX-14ASI-2926-SM-5Q5DG 60-69 years, male 432.6
GTEX-1F6IF-3026-SM-7P8QN 60-69 years, male 432.5
GTEX-N7MS-2526-SM-2D7W3 60-69 years, male 431.7
GTEX-13O3O-3026-SM-5KM42 60-69 years, female 430.2
GTEX-13O3Q-3026-SM-5IJGD 50-59 years, male 430.2
GTEX-14PN4-3026-SM-664O4 50-59 years, male 428.6
GTEX-145MG-3126-SM-5Q5D3 50-59 years, male 428.5
GTEX-145MF-2826-SM-7EPGU 50-59 years, male 428.4
GTEX-14DAQ-3026-SM-5S2QZ 60-69 years, female 428.0
GTEX-1128S-2826-SM-5N9DI 60-69 years, female 427.5
GTEX-1HBPH-3026-SM-9WPNY 40-49 years, female 427.2
GTEX-1QP6S-3026-SM-EAZ4N 40-49 years, male 426.2
GTEX-1JJEA-2926-SM-C1YSK 60-69 years, male 425.4
GTEX-1C6VR-3026-SM-7IGLW 60-69 years, male 425.3
GTEX-ZAB4-2926-SM-57WCV 40-49 years, male 425.2
GTEX-13S7M-3026-SM-5S2QQ 60-69 years, female 423.4
GTEX-17HG3-2826-SM-7EPGO 30-39 years, female 422.6
GTEX-14BIM-3126-SM-5Q5C7 60-69 years, female 418.9
GTEX-18465-2926-SM-7KFSE 50-59 years, male 418.8
GTEX-14E7W-2926-SM-5S2R8 70-79 years, male 418.4
GTEX-111FC-3326-SM-5GZYV 60-69 years, male 417.6
GTEX-147GR-3126-SM-5S2PM 60-69 years, male 417.6
GTEX-13G51-3126-SM-5IJG7 60-69 years, male 417.2
GTEX-ZAJG-3026-SM-5HL92 50-59 years, female 417.2
GTEX-14BIN-3326-SM-5Q5E6 50-59 years, female 416.9
GTEX-13JVG-3226-SM-5IJGJ 60-69 years, male 416.6
GTEX-1EKGG-3126-SM-9WPO5 60-69 years, male 416.6
GTEX-13OVL-3026-SM-5IJF1 50-59 years, male 415.4
GTEX-1GF9V-3026-SM-7P8R8 60-69 years, male 414.4
GTEX-1A3MX-2926-SM-718B7 60-69 years, male 414.2
GTEX-17F97-2926-SM-7DUEQ 50-59 years, male 413.7
GTEX-1HSMO-2926-SM-C1YR5 60-69 years, male 413.5
GTEX-12WSD-3026-SM-5LZU7 60-69 years, female 413.3
GTEX-T6MN-2526-SM-32PMN 50-59 years, male 411.9
GTEX-1I1GV-3026-SM-CNNR9 60-69 years, male 411.9
GTEX-WZTO-2826-SM-3NM8P 40-49 years, male 411.7
GTEX-139TT-2626-SM-5LZUB 60-69 years, male 408.5
GTEX-14JFF-2826-SM-6871Q 60-69 years, male 407.2
GTEX-13QIC-3026-SM-5LU58 60-69 years, female 407.0
GTEX-XMD1-2826-SM-4AT5F 60-69 years, male 406.9
GTEX-1CB4G-2926-SM-7MKFQ 60-69 years, male 406.4
GTEX-15G19-2826-SM-6M48K 60-69 years, male 406.1
GTEX-13OVH-2926-SM-5IJFH 70-79 years, male 405.8
GTEX-1GZ2Q-3026-SM-9JGG3 40-49 years, male 405.8
GTEX-13CF2-3026-SM-5IFFX 60-69 years, male 405.2
GTEX-Y8DK-0726-SM-4TT3S 60-69 years, male 404.2
GTEX-13PVQ-2926-SM-5L3HJ 50-59 years, male 404.0
GTEX-15ER7-3026-SM-6M47W 20-29 years, female 403.5
GTEX-12ZZX-2826-SM-5BC6K 40-49 years, female 402.1
GTEX-1C64N-3126-SM-79OO3 50-59 years, male 401.7
GTEX-1I1HK-2726-SM-AHZ2M 60-69 years, male 401.7
GTEX-1GN73-3026-SM-7MXV8 60-69 years, male 401.4
GTEX-13RTJ-3126-SM-5S2Q4 60-69 years, male 400.9
GTEX-S7SE-2526-SM-2XCDL 50-59 years, male 400.8
GTEX-1JMQK-2926-SM-D4P2T 60-69 years, male 400.8
GTEX-1JJ6O-3026-SM-C1YQH 60-69 years, male 399.7
GTEX-XLM4-2926-SM-4AT59 60-69 years, male 399.5
GTEX-N7MT-1226-SM-DKPOK 60-69 years, female 399.5
GTEX-11PRG-2826-SM-5BC54 50-59 years, male 399.2
GTEX-11DXW-1026-SM-5H11K 40-49 years, male 398.9
GTEX-11ZTS-3226-SM-5EGID 60-69 years, female 398.8
GTEX-1A8G6-3126-SM-731D8 60-69 years, male 398.3
GTEX-WVLH-2926-SM-3MJG5 50-59 years, male 398.1
GTEX-11ONC-3026-SM-5985W 60-69 years, male 397.9
GTEX-147F4-3026-SM-5Q5BJ 50-59 years, male 397.3
GTEX-14JG1-2926-SM-686ZK 40-49 years, male 397.1
GTEX-1J1OQ-3126-SM-D4P2O 40-49 years, female 396.0
GTEX-14PJM-3026-SM-6LLHM 50-59 years, female 394.9
GTEX-13N2G-3126-SM-5IJGL 60-69 years, male 394.4
GTEX-1RQEC-3026-SM-DPRXM 60-69 years, male 394.2
GTEX-183WM-2726-SM-7KFRF 70-79 years, female 393.5
GTEX-13OW6-2926-SM-5KM29 50-59 years, male 393.2
GTEX-1E2YA-2926-SM-7MGWX 50-59 years, male 392.8
GTEX-1JJE9-3026-SM-CNNPA 70-79 years, male 392.8
GTEX-14BMV-2926-SM-5TDEE 50-59 years, male 392.6
GTEX-1IL2V-3026-SM-CYPSA 70-79 years, male 392.1
GTEX-1H3O1-1826-SM-A96TO 60-69 years, male 391.3
GTEX-1JMLX-3026-SM-EV79Q 50-59 years, male 388.9
GTEX-144GL-2926-SM-5O99F 50-59 years, male 387.8
GTEX-1EWIQ-3026-SM-7IGOJ 70-79 years, female 387.1
GTEX-1HBPI-2726-SM-9WPPF 50-59 years, male 384.1
GTEX-13X6I-2926-SM-5Q5C3 60-69 years, male 383.9
GTEX-ZVT3-2926-SM-5GU6M 60-69 years, female 381.7
GTEX-1R9PO-2826-SM-E6CPV 60-69 years, female 381.4
GTEX-1EMGI-3126-SM-7MXUR 60-69 years, male 381.0
GTEX-1KANB-3226-SM-D4P3G 50-59 years, male 379.5
GTEX-12WSM-2126-SM-5GCOC 60-69 years, male 378.3
GTEX-R55E-2526-SM-2TC6H 20-29 years, male 377.1
GTEX-1BAJH-3126-SM-7MGXY 70-79 years, male 376.8
GTEX-PWO3-1026-SM-2I5F2 60-69 years, female 376.5
GTEX-1KWVE-2226-SM-CXZKN 30-39 years, male 375.2
GTEX-1GZ4I-2926-SM-9JGGO 50-59 years, male 375.0
GTEX-13X6J-2926-SM-7EPGP 50-59 years, male 374.4
GTEX-PVOW-2626-SM-32PL8 40-49 years, male 374.4
GTEX-1F48J-2726-SM-7P8PW 50-59 years, female 374.3
GTEX-11ZVC-3026-SM-59HJM 50-59 years, female 373.8
GTEX-13OW8-2926-SM-5L3FV 60-69 years, male 373.2
GTEX-17HHY-2926-SM-79OJW 50-59 years, male 373.1
GTEX-18A6Q-2826-SM-7LTAO 60-69 years, male 373.1
GTEX-1HSKV-2926-SM-B2LWJ 60-69 years, male 372.9
GTEX-1IDJH-3126-SM-C1YQS 70-79 years, male 372.8
GTEX-ZYY3-3026-SM-5GIEJ 60-69 years, female 371.6
GTEX-15SHU-3026-SM-6LPIB 40-49 years, female 370.6
GTEX-15DYW-3026-SM-7KFRM 60-69 years, female 370.3
GTEX-17HII-2926-SM-79OMK 50-59 years, male 368.0
GTEX-1HCVE-2926-SM-9WPPJ 50-59 years, male 367.5
GTEX-11DYG-2926-SM-5H132 60-69 years, male 363.5
GTEX-11DXY-3126-SM-5N9BT 60-69 years, male 363.4
GTEX-P44G-2526-SM-2I5EK 30-39 years, male 362.8
GTEX-14C5O-2926-SM-5RQI1 60-69 years, male 362.5
GTEX-13OVJ-2726-SM-5IJG6 50-59 years, female 361.9
GTEX-13X6K-2826-SM-5O9DS 60-69 years, female 360.9
GTEX-NPJ8-2626-SM-2D7W2 40-49 years, male 359.1
GTEX-Q2AG-2826-SM-2HMJQ 40-49 years, female 358.5
GTEX-132Q8-2926-SM-5IFFP 60-69 years, male 356.4
GTEX-14A5I-2826-SM-5SIBF 50-59 years, female 356.0
GTEX-1R46S-3126-SM-DPRZ9 60-69 years, female 355.1
GTEX-13FHO-2926-SM-5L3ES 60-69 years, male 354.3
GTEX-1269C-3126-SM-5EGI6 60-69 years, female 353.6
GTEX-1EH9U-3126-SM-7MXU5 60-69 years, male 353.2
GTEX-QVJO-1325-SM-2S1QX 60-69 years, female 346.3
GTEX-RNOR-2226-SM-2TF5O 50-59 years, female 345.8
GTEX-RU72-2926-SM-2TF66 50-59 years, female 345.8
GTEX-1GTWX-2926-SM-7MXV4 60-69 years, male 340.7
GTEX-11TTK-2826-SM-5GU5K 60-69 years, female 339.9
GTEX-1H1ZS-2926-SM-9WPP2 70-79 years, male 339.9
GTEX-13JUV-3026-SM-5K7WX 40-49 years, female 338.4
GTEX-1H3NZ-2926-SM-9WPQ8 60-69 years, male 333.2
GTEX-1JMPZ-2826-SM-C1YRA 30-39 years, male 332.5
GTEX-1H1DG-2826-SM-9JGHB 70-79 years, male 328.5
GTEX-145LS-3026-SM-5O99S 60-69 years, female 326.3
GTEX-TSE9-2926-SM-3DB77 60-69 years, female 325.0
GTEX-14C39-3026-SM-5S2QE 40-49 years, male 320.7
GTEX-1B996-2926-SM-7MXUH 60-69 years, male 320.1
GTEX-YFC4-3026-SM-5IFJK 40-49 years, female 314.4
GTEX-QVUS-2926-SM-3GIJB 60-69 years, female 314.2
GTEX-1CB4H-3026-SM-79OLX 60-69 years, female 309.2
GTEX-1GF9W-2726-SM-9JGGW 60-69 years, male 308.9
GTEX-P44H-2426-SM-2XCEJ 40-49 years, male 308.8
GTEX-1JMOU-2826-SM-EV79R 60-69 years, female 306.2
GTEX-X4EP-3026-SM-3P5YP 60-69 years, female 305.8
GTEX-QMR6-1326-SM-32PLB 50-59 years, male 304.2
GTEX-1PWST-3026-SM-EAZ3H 70-79 years, male 302.3
GTEX-1HB9E-3126-SM-AHZ4M 50-59 years, male 296.0
GTEX-NPJ7-2826-SM-2I3FU 60-69 years, female 295.4
GTEX-QDT8-3026-SM-32PKB 30-39 years, female 294.9
GTEX-OHPN-2626-SM-2I5H1 60-69 years, female 294.0
GTEX-1H3VE-2826-SM-9WPOL 40-49 years, male 291.0
GTEX-14PJO-2926-SM-686ZI 60-69 years, male 286.5
Show allShow less

CEREBELLUM - FANTOM5 CAGEi

RNA expression in human tissues obtained through Cap Analysis of Gene Expression (CAGE) generated by the FANTOM5 project are reported as Scaled Tags Per Million.

Max subtype Scaled Tags Per Millioni

Max subtype Scaled Tags Per Million is the value for the subtype with the largest average Scaled Tags Per Million across the subtype samples.

343.9
FANTOM5 sample id Sample description Scaled Tags Per Million
Cerebellum
Scaled Tags Per Million: 343.9
FF:10083-102B2 22-68 years, mixed 380.8
FF:10166-103B4 76 years, female 307.0

CEREBELLUM - Pig RNA-seqi

RNA-seq data obtained from pig brain is reported as nTPM .

Normal distribution across the dataset is visualized with box plots, shown as median and 25th and 75th percentiles. Points are displayed as outliers if they are above or below 1.5 times the interquartile range. nTPM values of the individual samples are presented next to the box plot.
Max subtype nTPMi

Max subtype nTPM is the value for the subtype with the largest average nTPM across the subtype samples.

246.6
Pig sample Sample description nTPM
Cerebellum
nTPM: 246.6
Samples: 4

Max nTPM: 330.1
Min nTPM: 204.2
Sample A Female 330.1
Sample B Female 237.2
Sample C Male 204.2
Sample D Male 214.8

CEREBELLUM - Mouse RNA-seqi

RNA-seq data obtained from mouse brain is reported as nTPM .

Normal distribution across the dataset is visualized with box plots, shown as median and 25th and 75th percentiles. Points are displayed as outliers if they are above or below 1.5 times the interquartile range. nTPM values of the individual samples are presented next to the box plot.
Max subtype nTPMi

Max subtype nTPM is the value for the subtype with the largest average nTPM across the subtype samples.

347.5
Mouse sample Sample description nTPM
Cerebellum
nTPM: 347.5
Samples: 4

Max nTPM: 372.2
Min nTPM: 324.2
Sample A Male 372.2
Sample B Male 324.2
Sample C Female 350.4
Sample D Female 343.2

CEREBELLUM - Allen Mouse ISHi

In situ hybridization (ISH) data generated by the Allen brain atlas from mouse brain is reported as expression energy. For more details about a particular experiment, click on the corresponding Allen experiment ID.

Max subtype Expression energyi

Max subtype Expression energy is the value for the subtype with the largest average Expression energy across the subtype samples.

15.4
Allen experiment id Experiment description Expression energy
Cerebellum
Expression energy: 15.4
68844845 Antisense, RP_050222_02_E10, Mouse strain C57BL/6J (56 days, male) 15.4

Contact

  • NEWS ARTICLES
  • PRESS ROOM

The Project

  • INTRODUCTION
  • ORGANIZATION
  • PUBLICATIONS

The Human Protein Atlas

  • DOWNLOADABLE DATA
  • LICENCE & CITATION
  • HELP & FAQ
The Human Protein Atlas project is funded
by the Knut & Alice Wallenberg Foundation.


contact@proteinatlas.org