We use cookies to enhance the usability of our website. If you continue, we'll assume that you are happy to receive all cookies. More information. Don't show this again.
GFAP
HPA
RESOURCES
  • TISSUE
  • BRAIN
  • SINGLE CELL
  • SUBCELLULAR
  • CANCER
  • BLOOD
  • CELL LINE
  • STRUCTURE & INTERACTION
ABOUT
  • INTRODUCTION
  • HISTORY
  • ORGANIZATION
  • PUBLICATIONS
  • ANTIBODY SUBMISSION
  • ANTIBODY AVAILABILITY
  • ACKNOWLEDGMENTS
  • CONTACT
NEWS
  • NEWS ARTICLES
  • PRESS ROOM
LEARN
  • DICTIONARY
  • PROTEIN CLASSES
  • PROTEIN EVIDENCE
  • METHODS
  • EDUCATIONAL VIDEOS
DATA
  • DOWNLOADABLE DATA
  • PUBLICATION DATA
  • RELEASE HISTORY
HELP
  • ANTIBODY VALIDATION
  • ASSAYS & ANNOTATION
  • DISCLAIMER
  • HELP & FAQ
  • PRIVACY STATEMENT
  • LICENCE & CITATION
Fields »
Search result

Field
Term
Gene name
Class
Subclass
Class
Keyword
Chromosome
External id
Tissue
Cell type
Expression
Antibody panel
Tissue
Main location
Patient ID
Annotation
Tissue
Category
Tau score
Cluster
Reliability
Brain region
Category
Tau score
Brain region
Category
Tau score
Brain region
Category
Tau score
Cluster
Reliability
Tissue
Cell type
Enrichment
Cell type
Category
Tau score
Cell type
Category
Tau score
Cell type
Category
Tau score
Cell lineage
Category
Tau score
Cluster
Cluster
Location
Searches
Location
Cell line
Class
Type
Phase
Reliability
Cancer
Prognosis
Cancer
Category
Cancer
Category
Tau score
Cluster
Variants
Interacting gene (ensg_id)
Type
Number of interactions
Pathway
Category
Score
Score
Score
Validation
Validation
Validation
Validation
Antibodies
Data type
Column


  • SUMMARY

  • TISSUE

  • BRAIN

  • SINGLE CELL

  • SUBCELL

  • CANCER

  • BLOOD

  • CELL LINE

  • STRUCT & INT

  • GFAP
TISSUE PRIMARY DATA ADRENAL GLAND Show tissue menu
ADIPOSE TISSUE ADRENAL GLAND AMYGDALA APPENDIX BASAL GANGLIA BONE MARROW BREAST BRONCHUS CEREBELLUM CEREBRAL CORTEX CERVIX CHOROID PLEXUS COLON DUODENUM
ENDOMETRIUM EPIDIDYMIS ESOPHAGUS FALLOPIAN TUBE GALLBLADDER HEART MUSCLE HIPPOCAMPAL FORMATION HYPOTHALAMUS KIDNEY LIVER LUNG LYMPH NODE MIDBRAIN NASOPHARYNX
ORAL MUCOSA OVARY PANCREAS PARATHYROID GLAND PITUITARY GLAND PLACENTA PROSTATE RECTUM RETINA SALIVARY GLAND SEMINAL VESICLE SKELETAL MUSCLE SKIN SMALL INTESTINE
SMOOTH MUSCLE SOFT TISSUE SPINAL CORD SPLEEN STOMACH TESTIS THYMUS THYROID GLAND TONGUE TONSIL URINARY BLADDER VAGINA
ANTIBODIES
AND
VALIDATION
Dictionary
Adrenal gland
Tissue proteome
Adrenal gland
ADRENAL GLAND - Expression summary
Protein expression
Adrenal glandi

On the top, protein expression in current human tissue, based on all annotated cell types, is reported with the units not detected (n), low (l), medium (m) and high (h). Underneath, protein expression in each annotated cell type are reported using the same units.

Protein expression data is based on knowledge-based annotation. For genes where more than one antibody has been used, a collective score is set.

If knowledge-based annotation could not be performed for a gene, no data is displayed here. View antibody staining data further down this page.

h
m
l
n
Glandular cells: Not detected
RNA expressioni

A summary of mRNA expression data available for current tissue based on several datasets. The mRNA expression levels in human tissues are based on RNA-seq data generated by the Human Protein Atlas (HPA), Genotype-Tissue Expression (GTEx) portal and CAGE data generated by the FANTOM5 consortium. Consensus normalized expression levels for human tissues was created by combining the data from HPA and GTEx datasets.

The mRNA expression levels in pig are based on RNA-seq data generated by the Human Protein Atlas (HPA), and for mouse, HPA data and in situ hybridization generated by the Allen brain atlas are reported.

Scroll down to view mRNA expression data in more detail.
Consensus:1.7 nTPM
HPA:0.9 nTPM
GTEx:1.7 nTPM

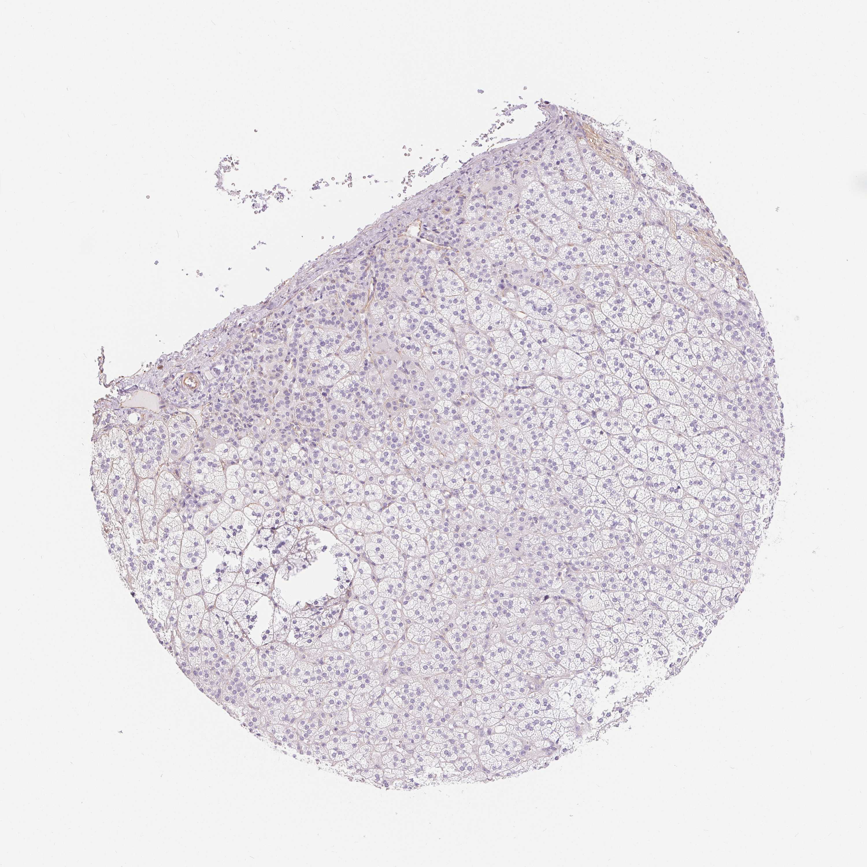
ADRENAL GLAND - Antibody stainingi

Antibody staining in the annotated cell types in the current human tissue is reported as not detected, low, medium, or high, based on conventional immunohistochemistry profiling in selected tissues. This score is based on the combination of the staining intensity and fraction of stained cells.

Each image is clickable and will lead to virtual microscopy that enables deeper exploration of all samples and also displays staining intensity scores, fraction scores and subcellular localization as well as patient and tissue information for each sample.

Antibody HPA056030Antibody HPA063513Antibody CAB000039
Glandular cells Not detectedNot detectedNot detected






ADRENAL GLAND - HPA RNA-seqi

The RNA-seq details section shows detailed information about the individual samples used for the transcript profiling and results of the RNA-seq analysis.

Information about each individual sample is listed below, including gender, age, a tissue section image and estimated fractions of cell types. nTPM (normalized transcripts per million) values give a quantification of the gene abundance which is comparable between different genes and samples.
Average nTPMi

Max subtype nTPM is the value for the subtype with the largest average nTPM across the subtype samples.

0.9
overview
Female, age 62
Adrenal gland sample 87
nTPM: 0
Cell types%
Cortical cells:
50

Medullary cells:
40

Other cell types:
10

overview
Female, age 36
Adrenal gland sample 88
nTPM: 2
Cell types%
Cortical cells:
50

Medullary cells:
40

Other cell types:
10

overview
Female, age 63
Adrenal gland sample 89
nTPM: 0.9
Cell types%
Cortical cells:
50

Medullary cells:
40

Other cell types:
10


ADRENAL GLAND - GTEx RNA-seqi

RNA-Seq data generated by the Genotype-Tissue Expression (GTEx) project from human tissues is reported as mean nTPM. More information can be found on the GTEx portal.

Distribution across the dataset is visualized with box plots, shown as median and 25th and 75th percentiles. Points are displayed as outliers if they are above or below 1.5 times the interquartile range. nTPM values of the individual samples are presented next to the box plot.
Max subtype nTPMi

Max subtype nTPM is the value for the subtype with the largest average nTPM across the subtype samples.

1.7
GTEx sample id Sample description nTPM
Adrenal Gland
Average nTPM: 1.7
Samples: 258

Max nTPM: 233.1
Min nTPM: 0.0
Std nTPM: 14.4
Median nTPM: 0.5
GTEX-1J8EW-1826-SM-C1YQW 60-69 years, female 233.1
GTEX-15DYW-2126-SM-6M47B 60-69 years, female 6.5
GTEX-1HBPI-1926-SM-CE6RT 50-59 years, male 5.1
GTEX-13OW7-2726-SM-5L3HN 50-59 years, male 5.0
GTEX-11EMC-0526-SM-5EGJN 60-69 years, female 4.7
GTEX-ZYFG-0926-SM-5BC5U 60-69 years, female 4.0
GTEX-13111-0326-SM-5DUXF 50-59 years, male 3.9
GTEX-1F75A-2026-SM-9KNTR 50-59 years, male 3.9
GTEX-15SHU-1926-SM-7KUMO 40-49 years, female 3.6
GTEX-131XF-0126-SM-5DUVF 60-69 years, male 3.3
GTEX-14H4A-0226-SM-5SI6Q 40-49 years, female 3.2
GTEX-ZLWG-0126-SM-4WWC5 50-59 years, female 3.0
GTEX-14DAQ-1826-SM-5S2VV 60-69 years, female 2.7
GTEX-1F5PK-0826-SM-7MXVI 50-59 years, male 2.7
GTEX-13O61-0126-SM-5KM4P 60-69 years, male 2.6
GTEX-16MT8-1626-SM-7EWDW 60-69 years, female 2.6
GTEX-1KWVE-0726-SM-D4P3O 30-39 years, male 2.6
GTEX-13PL7-1026-SM-5MR5C 60-69 years, female 2.5
GTEX-QLQ7-0126-SM-CL55R 60-69 years, male 2.5
GTEX-14A5H-2126-SM-7IGNV 60-69 years, male 2.3
GTEX-ZEX8-0626-SM-DO118 50-59 years, male 2.3
GTEX-ZLFU-0826-SM-4WWBP 40-49 years, male 2.2
GTEX-1HC8U-0226-SM-9WG7Q 40-49 years, female 2.2
GTEX-13D11-0426-SM-5LZYA 50-59 years, female 2.1
GTEX-14PJM-2226-SM-6AJAT 50-59 years, female 2.0
GTEX-131XG-1326-SM-5DUX4 50-59 years, female 1.9
GTEX-ZF2S-0126-SM-4WKFO 50-59 years, female 1.9
GTEX-QMRM-0126-SM-CJI1R 50-59 years, male 1.9
GTEX-OXRK-0126-SM-3NB1E 50-59 years, female 1.8
GTEX-ZDTT-0126-SM-4WKHA 60-69 years, male 1.8
GTEX-QEG5-1826-SM-CE6QW 20-29 years, male 1.8
GTEX-144GL-1826-SM-79OMB 50-59 years, male 1.7
GTEX-1I1GQ-2026-SM-ARU7F 50-59 years, male 1.7
GTEX-RNOR-1626-SM-EZ6MM 50-59 years, female 1.7
GTEX-1BAJH-2626-SM-7EPG6 70-79 years, male 1.6
GTEX-12WSD-2126-SM-5LZWK 60-69 years, female 1.5
GTEX-14PN3-1426-SM-686Z8 60-69 years, female 1.5
GTEX-1F88F-1526-SM-9JGG1 60-69 years, female 1.5
GTEX-OIZF-1326-SM-3MJGU 60-69 years, male 1.5
GTEX-PLZ5-0326-SM-3P614 50-59 years, male 1.4
GTEX-ZLV1-0226-SM-4WWC1 60-69 years, female 1.4
GTEX-1J8Q3-0326-SM-CE6TD 60-69 years, male 1.4
GTEX-145LT-0126-SM-5S2QJ 40-49 years, male 1.3
GTEX-14PJ6-0126-SM-686Z5 60-69 years, female 1.3
GTEX-OHPK-1326-SM-3MJGN 50-59 years, female 1.3
GTEX-OIZH-1326-SM-3NB1H 50-59 years, male 1.3
GTEX-Y3IK-0226-SM-51MRJ 50-59 years, female 1.3
GTEX-1EH9U-1726-SM-7P8QK 60-69 years, male 1.3
GTEX-11GSP-0326-SM-5A5KW 60-69 years, female 1.2
GTEX-14XAO-0326-SM-6ETZN 60-69 years, female 1.2
GTEX-ZYVF-1626-SM-5N9EH 50-59 years, female 1.2
GTEX-1LG7Z-0426-SM-D4P47 30-39 years, male 1.2
GTEX-ZPCL-0826-SM-DNZZ7 60-69 years, female 1.2
GTEX-132NY-2226-SM-5J2LZ 60-69 years, male 1.1
GTEX-13OVI-1226-SM-5J2ME 60-69 years, female 1.1
GTEX-15ER7-1126-SM-6M47F 20-29 years, female 1.1
GTEX-O5YV-1126-SM-3LK73 60-69 years, female 1.1
GTEX-TMMY-0126-SM-4DXTP 40-49 years, female 1.1
GTEX-1A8FM-1926-SM-7MXTX 50-59 years, female 1.1
GTEX-131YS-2026-SM-5P9J8 60-69 years, female 1.0
GTEX-14BMU-0126-SM-5S2Q9 20-29 years, female 1.0
GTEX-14JG6-0126-SM-68726 30-39 years, female 1.0
GTEX-Q2AH-0126-SM-48U2B 40-49 years, male 1.0
GTEX-Y9LG-0126-SM-5Q59W 30-39 years, male 1.0
GTEX-ZA64-0226-SM-5HL9C 20-29 years, male 1.0
GTEX-ZT9W-0126-SM-4YCFD 50-59 years, male 1.0
GTEX-12696-0626-SM-5EGGD 60-69 years, male 0.9
GTEX-14PJ4-0426-SM-6871F 60-69 years, male 0.9
GTEX-15EU6-0326-SM-6M48I 50-59 years, male 0.9
GTEX-1A32A-2126-SM-718AZ 50-59 years, female 0.9
GTEX-U3ZM-0226-SM-4DXTA 40-49 years, male 0.9
GTEX-WFG8-0126-SM-4LVMH 20-29 years, male 0.9
GTEX-ZVP2-0126-SM-5NQ7D 50-59 years, male 0.9
GTEX-1GN1V-1626-SM-7PBZF 60-69 years, male 0.9
GTEX-1HKZK-0126-SM-B2LWF 40-49 years, male 0.9
GTEX-1KD4Q-1826-SM-DIPFV 40-49 years, male 0.9
GTEX-12WSL-0326-SM-5CVMK 50-59 years, male 0.8
GTEX-12ZZZ-0926-SM-5N9EQ 60-69 years, male 0.8
GTEX-15CHR-0626-SM-7938V 50-59 years, male 0.8
GTEX-O5YT-1326-SM-3MJGR 20-29 years, male 0.8
GTEX-OHPL-1326-SM-3MJGG 60-69 years, female 0.8
GTEX-PLZ6-0226-SM-3P61I 30-39 years, male 0.8
GTEX-S4Q7-0226-SM-4AD5O 20-29 years, male 0.8
GTEX-1GMR3-0926-SM-9WPP9 40-49 years, male 0.8
GTEX-1I1GV-1826-SM-CNNR8 60-69 years, male 0.8
GTEX-1LGRB-0326-SM-CNPQC 50-59 years, female 0.8
GTEX-12WSN-0926-SM-5GCN1 40-49 years, male 0.7
GTEX-1399R-0326-SM-5KM1X 30-39 years, male 0.7
GTEX-14E1K-0626-SM-5S2PG 50-59 years, male 0.7
GTEX-17HGU-0126-SM-7DHLV 50-59 years, male 0.7
GTEX-1B8KZ-0126-SM-7DHM5 50-59 years, male 0.7
GTEX-U4B1-0126-SM-4DXSN 40-49 years, male 0.7
GTEX-Y5V5-1326-SM-4V6G9 60-69 years, female 0.7
GTEX-ZP4G-0126-SM-4YCE3 20-29 years, female 0.7
GTEX-1I1GU-0226-SM-AHZ2J 40-49 years, male 0.7
GTEX-111CU-0126-SM-5GZWZ 50-59 years, male 0.6
GTEX-11DXX-0126-SM-5EGH7 60-69 years, female 0.6
GTEX-1399U-0226-SM-5P9J2 50-59 years, female 0.6
GTEX-13OW6-1726-SM-5IJGI 50-59 years, male 0.6
GTEX-1B996-2026-SM-7MKG7 60-69 years, male 0.6
GTEX-R53T-0226-SM-48FEH 50-59 years, female 0.6
GTEX-S32W-0126-SM-4AD61 50-59 years, female 0.6
GTEX-X4EO-1726-SM-4QARN 60-69 years, female 0.6
GTEX-XMK1-0226-SM-4B65D 40-49 years, male 0.6
GTEX-1GN73-1526-SM-9WPP1 60-69 years, male 0.6
GTEX-1HCU6-1826-SM-C1YRN 60-69 years, female 0.6
GTEX-1I1GP-1826-SM-C1YS1 50-59 years, male 0.6
GTEX-1K2DU-0826-SM-DHXKA 20-29 years, male 0.6
GTEX-1LNCM-0826-SM-DHXL6 50-59 years, female 0.6
GTEX-11I78-1826-SM-5A5M4 50-59 years, female 0.5
GTEX-12WSJ-0126-SM-5GCOM 40-49 years, female 0.5
GTEX-13CF3-0126-SM-5IFFM 60-69 years, female 0.5
GTEX-13O1R-2326-SM-5IJF9 60-69 years, male 0.5
GTEX-13O3O-1626-SM-5KM1O 60-69 years, female 0.5
GTEX-13QBU-0526-SM-5IJFE 40-49 years, female 0.5
GTEX-13W3W-1326-SM-5LU4T 60-69 years, female 0.5
GTEX-14PKV-0726-SM-686ZF 20-29 years, female 0.5
GTEX-17HHE-0226-SM-79399 50-59 years, male 0.5
GTEX-18A6Q-1826-SM-72D6I 60-69 years, male 0.5
GTEX-1A3MV-0226-SM-731FS 30-39 years, male 0.5
GTEX-1AMFI-0626-SM-731DR 50-59 years, female 0.5
GTEX-1C475-0126-SM-731DC 40-49 years, female 0.5
GTEX-1EKGG-2126-SM-7MKFT 60-69 years, male 0.5
GTEX-OOBK-3125-SM-3LK5R 40-49 years, male 0.5
GTEX-P4QS-1326-SM-3NMCD 60-69 years, male 0.5
GTEX-S33H-1326-SM-4AD6A 30-39 years, male 0.5
GTEX-V1D1-0226-SM-4JBHG 50-59 years, male 0.5
GTEX-VUSG-1526-SM-4KKZH 50-59 years, male 0.5
GTEX-1GL5R-1026-SM-7P8U1 50-59 years, male 0.5
GTEX-1ICG6-0226-SM-AHZ2P 70-79 years, female 0.5
GTEX-1PIIG-1426-SM-EXOIS 30-39 years, male 0.5
GTEX-1QP29-0326-SM-E6CQ4 50-59 years, male 0.5
GTEX-1QP2A-2626-SM-EAZ3L 50-59 years, male 0.5
GTEX-1QPFJ-2526-SM-EXOJX 30-39 years, female 0.5
GTEX-1R7EV-1726-SM-E6CR8 40-49 years, male 0.5
GTEX-1RQEC-1926-SM-DTX7M 60-69 years, male 0.5
GTEX-R55E-1826-SM-EXOHD 20-29 years, male 0.5
GTEX-13FH7-0226-SM-5IFGG 50-59 years, female 0.4
GTEX-13O21-0126-SM-5IJE8 50-59 years, male 0.4
GTEX-14DAR-1726-SM-664MZ 50-59 years, male 0.4
GTEX-14PK6-0126-SM-664O1 70-79 years, female 0.4
GTEX-17KNJ-0326-SM-7KFS5 50-59 years, male 0.4
GTEX-1AX8Z-2426-SM-72D7D 60-69 years, male 0.4
GTEX-1B8L1-1326-SM-7MKG6 60-69 years, male 0.4
GTEX-NFK9-1726-SM-3TW8P 40-49 years, male 0.4
GTEX-P4QT-1326-SM-3NMD3 50-59 years, female 0.4
GTEX-PW2O-0226-SM-48TC7 20-29 years, male 0.4
GTEX-QDVJ-1126-SM-48U1U 50-59 years, male 0.4
GTEX-R55C-0226-SM-48FEO 40-49 years, male 0.4
GTEX-RUSQ-0226-SM-47JWT 50-59 years, male 0.4
GTEX-X4LF-0126-SM-4QAS7 50-59 years, male 0.4
GTEX-XV7Q-0226-SM-4BRVL 40-49 years, female 0.4
GTEX-ZT9X-0126-SM-4YCFC 40-49 years, male 0.4
GTEX-1CB4F-0126-SM-9JGGZ 60-69 years, male 0.4
GTEX-1IDJH-1726-SM-A96T3 70-79 years, male 0.4
GTEX-1JMLX-1126-SM-CXZJN 50-59 years, male 0.4
GTEX-1M5QR-1726-SM-EV7AU 40-49 years, male 0.4
GTEX-1NUQO-0626-SM-E6CQT 20-29 years, female 0.4
GTEX-1PPH8-0826-SM-DTX9T 20-29 years, male 0.4
GTEX-1QMI2-1926-SM-EAZ4B 60-69 years, male 0.4
GTEX-1S82P-1126-SM-EV79M 60-69 years, female 0.4
GTEX-111YS-0126-SM-5987T 60-69 years, male 0.3
GTEX-1122O-0326-SM-5H124 60-69 years, female 0.3
GTEX-11EM3-0326-SM-5A5KJ 20-29 years, female 0.3
GTEX-11EQ9-0126-SM-5986I 30-39 years, male 0.3
GTEX-11NSD-0226-SM-5A5LR 20-29 years, male 0.3
GTEX-11P7K-0126-SM-5986E 30-39 years, male 0.3
GTEX-11TT1-0126-SM-5LUAA 20-29 years, male 0.3
GTEX-11XUK-0126-SM-5CVLK 40-49 years, female 0.3
GTEX-1339X-0826-SM-5J2O6 40-49 years, male 0.3
GTEX-13N11-0826-SM-5IJFP 50-59 years, female 0.3
GTEX-14C38-1726-SM-5RQJC 50-59 years, male 0.3
GTEX-17HHY-2226-SM-7KFS4 50-59 years, male 0.3
GTEX-18D9B-1926-SM-7KFSV 60-69 years, male 0.3
GTEX-1A3MW-2126-SM-731DO 60-69 years, female 0.3
GTEX-1CAMR-0126-SM-79391 20-29 years, male 0.3
GTEX-1CAMS-0226-SM-79397 40-49 years, female 0.3
GTEX-QCQG-0126-SM-48U27 50-59 years, female 0.3
GTEX-QDVN-0426-SM-48TZ6 50-59 years, male 0.3
GTEX-QLQW-0226-SM-447BJ 30-39 years, male 0.3
GTEX-S4Z8-0126-SM-4GICC 60-69 years, male 0.3
GTEX-U3ZN-0826-SM-4DXSZ 30-39 years, female 0.3
GTEX-XUZC-0226-SM-4BOO7 30-39 years, female 0.3
GTEX-XYKS-0926-SM-4BRVG 60-69 years, female 0.3
GTEX-Y5V6-1926-SM-5IFIL 60-69 years, male 0.3
GTEX-YF7O-0126-SM-5IFIR 50-59 years, male 0.3
GTEX-YFCO-0126-SM-4W1YT 40-49 years, male 0.3
GTEX-ZVT2-0826-SM-5GIEO 50-59 years, female 0.3
GTEX-ZY6K-0126-SM-5SIAM 50-59 years, male 0.3
GTEX-ZZPU-1226-SM-5N9CK 50-59 years, female 0.3
GTEX-1AX9K-0126-SM-7PC1B 50-59 years, male 0.3
GTEX-1IDJU-0126-SM-CNNR2 60-69 years, female 0.3
GTEX-1KANB-2626-SM-EV7BF 50-59 years, male 0.3
GTEX-1PWST-2126-SM-DPRZ5 70-79 years, male 0.3
GTEX-1RAZQ-0226-SM-EV7BK 30-39 years, male 0.3
GTEX-117YX-0126-SM-5EGH5 50-59 years, male 0.2
GTEX-11DXY-1626-SM-5H12L 60-69 years, male 0.2
GTEX-11DXZ-0226-SM-5EGGZ 50-59 years, male 0.2
GTEX-1211K-0126-SM-59HJE 60-69 years, female 0.2
GTEX-12BJ1-0526-SM-5FQUD 60-69 years, male 0.2
GTEX-12WSK-0326-SM-5GCOJ 40-49 years, female 0.2
GTEX-132AR-1726-SM-5EGHQ 50-59 years, female 0.2
GTEX-1399S-0426-SM-5IFG5 30-39 years, female 0.2
GTEX-139YR-0126-SM-5IJEY 50-59 years, male 0.2
GTEX-145MN-0226-SM-5QGPY 30-39 years, male 0.2
GTEX-14753-1726-SM-5NQ9X 60-69 years, male 0.2
GTEX-16AAH-0226-SM-793A8 50-59 years, male 0.2
GTEX-16NGA-0126-SM-72D6U 40-49 years, female 0.2
GTEX-18A7A-1826-SM-7KFTU 50-59 years, female 0.2
GTEX-1AX9J-0626-SM-72D7L 60-69 years, male 0.2
GTEX-1B8KE-0926-SM-7189I 50-59 years, male 0.2
GTEX-QXCU-1326-SM-48FE2 50-59 years, male 0.2
GTEX-REY6-1726-SM-48FDL 60-69 years, male 0.2
GTEX-RM2N-0126-SM-48FDD 50-59 years, male 0.2
GTEX-S341-0126-SM-4AD64 40-49 years, female 0.2
GTEX-V955-0126-SM-4JBH5 60-69 years, male 0.2
GTEX-W5WG-1126-SM-4LMK4 50-59 years, female 0.2
GTEX-WYVS-0226-SM-4ONDK 40-49 years, female 0.2
GTEX-YB5E-0226-SM-5IFHI 40-49 years, male 0.2
GTEX-ZTSS-0326-SM-5987M 40-49 years, male 0.2
GTEX-1F75I-0126-SM-9WPPW 40-49 years, male 0.2
GTEX-1GF9V-2026-SM-9JGHS 60-69 years, male 0.2
GTEX-1H3VY-1826-SM-9JGI4 50-59 years, male 0.2
GTEX-1I1GT-0126-SM-B2LWM 60-69 years, female 0.2
GTEX-1JKYN-0126-SM-AHZ4C 30-39 years, male 0.2
GTEX-1KXAM-0326-SM-EV7AQ 60-69 years, male 0.2
GTEX-12WSG-0726-SM-5EGIG 50-59 years, female 0.1
GTEX-132QS-0126-SM-5IFH9 60-69 years, male 0.1
GTEX-13FTW-0126-SM-5IJED 40-49 years, male 0.1
GTEX-146FR-1526-SM-5SIB8 60-69 years, female 0.1
GTEX-14E6E-0126-SM-73KXH 30-39 years, male 0.1
GTEX-1F5PL-2326-SM-7MKFC 40-49 years, female 0.1
GTEX-PWCY-0226-SM-48TD8 20-29 years, female 0.1
GTEX-Q2AI-0226-SM-48U1D 40-49 years, male 0.1
GTEX-Q734-0126-SM-48U1E 40-49 years, female 0.1
GTEX-R55G-0126-SM-48FDS 40-49 years, female 0.1
GTEX-S3XE-0126-SM-4AD4R 50-59 years, male 0.1
GTEX-SUCS-0526-SM-4DM56 70-79 years, male 0.1
GTEX-TKQ2-0226-SM-4DM6V 50-59 years, male 0.1
GTEX-UJMC-0226-SM-4IHLH 50-59 years, male 0.1
GTEX-VJYA-0526-SM-4KL1R 60-69 years, male 0.1
GTEX-WHPG-1526-SM-4M1ZK 50-59 years, male 0.1
GTEX-WQUQ-0126-SM-4OOSS 60-69 years, male 0.1
GTEX-WY7C-0326-SM-4OND5 50-59 years, male 0.1
GTEX-XQ3S-1726-SM-4BOOD 20-29 years, male 0.1
GTEX-Y114-0526-SM-4TT8V 50-59 years, female 0.1
GTEX-ZUA1-1926-SM-5E45E 40-49 years, male 0.1
GTEX-1H1E6-1026-SM-9JGFZ 30-39 years, male 0.1
GTEX-1K2DA-0226-SM-CGQGW 50-59 years, male 0.1
GTEX-1LVAN-0826-SM-CNNPG 50-59 years, female 0.1
GTEX-13PVR-0226-SM-5RQJI 60-69 years, female 0.0
GTEX-147F4-2526-SM-5NQBB 50-59 years, male 0.0
GTEX-14A5I-2126-SM-5NQA8 50-59 years, female 0.0
GTEX-PX3G-1326-SM-48U18 20-29 years, female 0.0
GTEX-RWSA-1726-SM-47JX7 40-49 years, male 0.0
GTEX-T6MO-0126-SM-4DM6X 40-49 years, female 0.0
GTEX-Y5LM-0126-SM-4VBRL 40-49 years, female 0.0
GTEX-1H11D-2426-SM-9JGGN 40-49 years, male 0.0
Show allShow less

Contact

  • NEWS ARTICLES
  • PRESS ROOM

The Project

  • INTRODUCTION
  • ORGANIZATION
  • PUBLICATIONS

The Human Protein Atlas

  • DOWNLOADABLE DATA
  • LICENCE & CITATION
  • HELP & FAQ
The Human Protein Atlas project is funded
by the Knut & Alice Wallenberg Foundation.


contact@proteinatlas.org