We use cookies to enhance the usability of our website. If you continue, we'll assume that you are happy to receive all cookies. More information. Don't show this again.
MAP1B
HPA
RESOURCES
  • TISSUE
  • BRAIN
  • SINGLE CELL
  • SUBCELLULAR
  • CANCER
  • BLOOD
  • CELL LINE
  • STRUCTURE & INTERACTION
ABOUT
  • INTRODUCTION
  • HISTORY
  • ORGANIZATION
  • PUBLICATIONS
  • ANTIBODY SUBMISSION
  • ANTIBODY AVAILABILITY
  • ACKNOWLEDGMENTS
  • CONTACT
NEWS
  • NEWS ARTICLES
  • PRESS ROOM
LEARN
  • DICTIONARY
  • PROTEIN CLASSES
  • PROTEIN EVIDENCE
  • METHODS
  • EDUCATIONAL VIDEOS
DATA
  • DOWNLOADABLE DATA
  • PUBLICATION DATA
  • RELEASE HISTORY
HELP
  • ANTIBODY VALIDATION
  • ASSAYS & ANNOTATION
  • DISCLAIMER
  • HELP & FAQ
  • PRIVACY STATEMENT
  • LICENCE & CITATION
Fields »
Search result

Field
Term
Gene name
Class
Subclass
Class
Keyword
Chromosome
External id
Tissue
Cell type
Expression
Antibody panel
Tissue
Main location
Patient ID
Annotation
Tissue
Category
Tau score
Cluster
Reliability
Brain region
Category
Tau score
Brain region
Category
Tau score
Brain region
Category
Tau score
Cluster
Reliability
Tissue
Cell type
Enrichment
Cell type
Category
Tau score
Cell type
Category
Tau score
Cell type
Category
Tau score
Cell lineage
Category
Tau score
Cluster
Cluster
Location
Searches
Location
Cell line
Class
Type
Phase
Reliability
Cancer
Prognosis
Cancer
Category
Cancer
Category
Tau score
Cluster
Variants
Interacting gene (ensg_id)
Type
Number of interactions
Pathway
Category
Score
Score
Score
Validation
Validation
Validation
Validation
Antibodies
Data type
Column


  • SUMMARY

  • TISSUE

  • BRAIN

  • SINGLE CELL

  • SUBCELL

  • CANCER

  • BLOOD

  • CELL LINE

  • STRUCT & INT

  • MAP1B
TISSUE PRIMARY DATA COLON Show tissue menu
ADIPOSE TISSUE ADRENAL GLAND AMYGDALA APPENDIX BASAL GANGLIA BONE MARROW BREAST BRONCHUS CEREBELLUM CEREBRAL CORTEX CERVIX CHOROID PLEXUS COLON DUODENUM
ENDOMETRIUM EPIDIDYMIS ESOPHAGUS FALLOPIAN TUBE GALLBLADDER HEART MUSCLE HIPPOCAMPAL FORMATION HYPOTHALAMUS KIDNEY LIVER LUNG LYMPH NODE MIDBRAIN NASOPHARYNX
ORAL MUCOSA OVARY PANCREAS PARATHYROID GLAND PITUITARY GLAND PLACENTA PROSTATE RECTUM RETINA SALIVARY GLAND SEMINAL VESICLE SKELETAL MUSCLE SKIN SMALL INTESTINE
SMOOTH MUSCLE SOFT TISSUE SPINAL CORD SPLEEN STOMACH TESTIS THYMUS THYROID GLAND TONGUE TONSIL URINARY BLADDER VAGINA
ANTIBODIES
AND
VALIDATION
Dictionary
Colon
Tissue proteome
Intestine
COLON - Expression summary
Protein expression
Coloni

On the top, protein expression in current human tissue, based on all annotated cell types, is reported with the units not detected (n), low (l), medium (m) and high (h). Underneath, protein expression in each annotated cell type are reported using the same units.

Protein expression data is based on knowledge-based annotation. For genes where more than one antibody has been used, a collective score is set.

If knowledge-based annotation could not be performed for a gene, no data is displayed here. View antibody staining data further down this page.

h
m
l
n
Endocrine cells: Not detected
Endothelial cells: Not detected
Enterocytes: Not detected
Enterocytes - Microvilli: Not detected
Fibroblasts: Not detected
Goblet cells: Not detected
Mucosal lymphoid cells: Low
Peripheral nerve/ganglion: High
RNA expressioni

A summary of mRNA expression data available for current tissue based on several datasets. The mRNA expression levels in human tissues are based on RNA-seq data generated by the Human Protein Atlas (HPA), Genotype-Tissue Expression (GTEx) portal and CAGE data generated by the FANTOM5 consortium. Consensus normalized expression levels for human tissues was created by combining the data from HPA and GTEx datasets.

The mRNA expression levels in pig are based on RNA-seq data generated by the Human Protein Atlas (HPA), and for mouse, HPA data and in situ hybridization generated by the Allen brain atlas are reported.

Scroll down to view mRNA expression data in more detail.
Consensus:16.4 nTPM
HPA:5.0 nTPM
GTEx:16.4 nTPM
FANTOM5:70.7 Scaled Tags Per Million

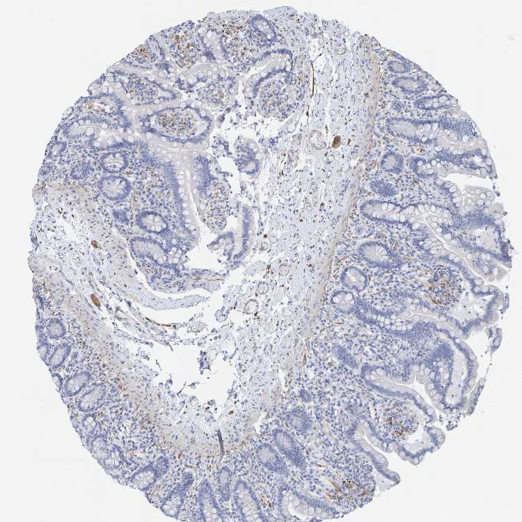
COLON - Antibody stainingi

Antibody staining in the annotated cell types in the current human tissue is reported as not detected, low, medium, or high, based on conventional immunohistochemistry profiling in selected tissues. This score is based on the combination of the staining intensity and fraction of stained cells.

Each image is clickable and will lead to virtual microscopy that enables deeper exploration of all samples and also displays staining intensity scores, fraction scores and subcellular localization as well as patient and tissue information for each sample.

Antibody HPA022275Antibody CAB009792
Endocrine cells Not detected-
Endothelial cells Not detectedLow
Enterocytes Not detected-
Enterocytes - Microvilli Not detected-
Fibroblasts Not detected-
Glandular cells -Medium
Goblet cells Not detected-
Mucosal lymphoid cells Low-
Peripheral nerve/ganglion HighHigh




COLON - HPA RNA-seqi

The RNA-seq details section shows detailed information about the individual samples used for the transcript profiling and results of the RNA-seq analysis.

Information about each individual sample is listed below, including gender, age, a tissue section image and estimated fractions of cell types. nTPM (normalized transcripts per million) values give a quantification of the gene abundance which is comparable between different genes and samples.
Average nTPMi

Max subtype nTPM is the value for the subtype with the largest average nTPM across the subtype samples.

5.0
overview
Male, age 54
Colon sample 67
nTPM: 5.6
Cell types%
Glandular cells:
65

Smooth muscle cells:
10

Other cell types:
25

overview
Female, age 57
Colon sample 68
nTPM: 4.5
Cell types%
Glandular cells:
40

Smooth muscle cells:
5

Other cell types:
55

overview
Male, age 80
Colon sample 69
nTPM: 2.1
Cell types%
Glandular cells:
55

Smooth muscle cells:
5

Other cell types:
40

overview
Male, age 68
Colon sample 70
nTPM: 8
Cell types%
Glandular cells:
35

Smooth muscle cells:
10

Other cell types:
55

overview
Female, age 68
Colon sample 76
nTPM: 6.5
Cell types%
Glandular cells:
25

Smooth muscle cells:
5

Other cell types:
70

overview
Female, age 61
Colon sample 299
nTPM: 6.2
Cell types%
Glandular cells:
5

Smooth muscle cells:
65

Other cell types:
30

overview
Male, age 80
Colon sample 300
nTPM: 5.2
Cell types%
Glandular cells:
15

Smooth muscle cells:
20

Other cell types:
65

overview
Female, age 78
Colon sample 368
nTPM: 2.7
Cell types%
Glandular cells:
45

Smooth muscle cells:
5

Other cell types:
50

overview
Male, age 84
Colon sample 381
nTPM: 6.4
Cell types%
Glandular cells:
50

Smooth muscle cells:
15

Other cell types:
35

overview
Male, age 80
Colon sample 384
nTPM: 2
Cell types%
Glandular cells:
20

Smooth muscle cells:
35

Other cell types:
45

overview
Female, age 78
Colon sample 389
nTPM: 3.6
Cell types%
Glandular cells:
35

Smooth muscle cells:
10

Other cell types:
55

overview
Female, age 69
Colon sample 391
nTPM: 6.9
Cell types%
Glandular cells:
10

Smooth muscle cells:
45

Other cell types:
45

overview
Female, age 72
Colon sample 403
nTPM: 5.1
Cell types%
Glandular cells:
20

Smooth muscle cells:
15

Other cell types:
65


COLON - GTEx RNA-seqi

RNA-Seq data generated by the Genotype-Tissue Expression (GTEx) project from human tissues is reported as mean nTPM. More information can be found on the GTEx portal.

Distribution across the dataset is visualized with box plots, shown as median and 25th and 75th percentiles. Points are displayed as outliers if they are above or below 1.5 times the interquartile range. nTPM values of the individual samples are presented next to the box plot.
Max subtype nTPMi

Max subtype nTPM is the value for the subtype with the largest average nTPM across the subtype samples.

16.4
GTEx sample id Sample description nTPM
Colon - Sigmoid
Average nTPM: 16.4
Samples: 373

Max nTPM: 55.3
Min nTPM: 1.4
Std nTPM: 7.3
Median nTPM: 14.8
GTEX-11I78-1326-SM-5PNY9 50-59 years, female 55.3
GTEX-1JN6P-2126-SM-ARL98 60-69 years, male 54.2
GTEX-ZDTS-2726-SM-5L3E2 60-69 years, male 47.0
GTEX-WY7C-1926-SM-4ONCI 50-59 years, male 39.7
GTEX-15G1A-1926-SM-7KUFF 30-39 years, male 38.0
GTEX-WXYG-1726-SM-4ONCU 50-59 years, female 36.5
GTEX-1J1OQ-2826-SM-D3L88 40-49 years, female 34.9
GTEX-1A3MX-2326-SM-718B4 60-69 years, male 34.6
GTEX-1QPFJ-2426-SM-EVR3L 30-39 years, female 34.4
GTEX-1N2EF-1726-SM-EXUSI 60-69 years, male 34.2
GTEX-145LT-0826-SM-5S2QL 40-49 years, male 33.8
GTEX-11EQ8-2626-SM-5N9BO 60-69 years, male 32.7
GTEX-13FTW-2126-SM-5K7YG 40-49 years, male 31.8
GTEX-1AX9J-2526-SM-73KUY 60-69 years, male 31.8
GTEX-XAJ8-0726-SM-47JY5 40-49 years, male 31.7
GTEX-YF7O-1626-SM-5IFII 50-59 years, male 31.4
GTEX-12BJ1-2026-SM-5FQUH 60-69 years, male 31.0
GTEX-1L5NE-1926-SM-D3L9R 50-59 years, male 30.8
GTEX-1LVAN-2626-SM-CNPQF 50-59 years, female 30.2
GTEX-139UW-2326-SM-5KM1Y 60-69 years, male 28.7
GTEX-1LG7Z-1326-SM-DIPF3 30-39 years, male 28.7
GTEX-1JJE9-2526-SM-ARU8K 70-79 years, male 28.5
GTEX-ZXES-1726-SM-5E43G 30-39 years, female 28.0
GTEX-1PBJJ-2026-SM-DTX8U 30-39 years, male 27.7
GTEX-16MTA-1626-SM-6M47N 50-59 years, male 27.6
GTEX-13OVI-2126-SM-5KM3U 60-69 years, female 27.4
GTEX-1CAMR-1026-SM-7P8QI 20-29 years, male 27.4
GTEX-13CF3-1326-SM-5LZXZ 60-69 years, female 27.0
GTEX-11ZTT-1626-SM-5EQKR 60-69 years, female 26.7
GTEX-13G51-2126-SM-5IJD9 60-69 years, male 26.6
GTEX-11EM3-1626-SM-5N9CO 20-29 years, female 26.1
GTEX-14BMU-1326-SM-5RQIH 20-29 years, female 25.7
GTEX-1GMR8-2926-SM-9KNW5 50-59 years, female 25.7
GTEX-1HBPH-2526-SM-ACKXK 40-49 years, female 25.3
GTEX-1K2DA-1626-SM-CGQGB 50-59 years, male 25.3
GTEX-15RIF-1426-SM-7KUKQ 20-29 years, male 25.1
GTEX-1GZ4H-1326-SM-7P8TE 50-59 years, female 25.0
GTEX-14PN3-1926-SM-6EU1Y 60-69 years, female 24.9
GTEX-YEC3-2026-SM-DKPOL 50-59 years, male 24.8
GTEX-WFG7-1626-SM-4LVMF 20-29 years, male 24.7
GTEX-1J1R8-1426-SM-CL55O 40-49 years, male 24.7
GTEX-1LVAO-2826-SM-E9TJH 60-69 years, male 24.7
GTEX-1E2YA-2526-SM-7IGOU 50-59 years, male 24.5
GTEX-14PKV-1926-SM-686YU 20-29 years, female 24.4
GTEX-1EH9U-1926-SM-7P8QM 60-69 years, male 24.3
GTEX-1JMQJ-2626-SM-CY8HQ 50-59 years, male 24.3
GTEX-17GQL-1626-SM-7LG69 60-69 years, male 24.2
GTEX-14A5H-1626-SM-5SIAN 60-69 years, male 23.9
GTEX-15RIE-2026-SM-7KFRW 60-69 years, male 23.9
GTEX-1H1E6-1826-SM-A9G21 30-39 years, male 23.3
GTEX-12ZZW-2426-SM-5DUWE 50-59 years, male 23.2
GTEX-ZE7O-2626-SM-51MSS 50-59 years, female 23.2
GTEX-1F5PK-1726-SM-7RHHW 50-59 years, male 23.2
GTEX-1JMQK-2326-SM-ARZN4 60-69 years, male 23.1
GTEX-11EMC-1426-SM-5N9E4 60-69 years, female 22.8
GTEX-1JKYN-2226-SM-ARZNE 30-39 years, male 22.7
GTEX-14C39-1626-SM-5S2P4 40-49 years, male 22.5
GTEX-1211K-1826-SM-5EGJ2 60-69 years, female 22.2
GTEX-15DYW-2426-SM-7KUG8 60-69 years, female 22.2
GTEX-Y3I4-1126-SM-4TT7Y 50-59 years, male 22.0
GTEX-ZF2S-1826-SM-4WKFF 50-59 years, female 21.8
GTEX-ZVT2-1726-SM-51MRO 50-59 years, female 21.8
GTEX-1A32A-2626-SM-73KX9 50-59 years, female 21.4
GTEX-ZV6S-1126-SM-57WE9 40-49 years, female 21.4
GTEX-1HSKV-2326-SM-A9SL9 60-69 years, male 21.4
GTEX-1RLM8-1726-SM-E9TKF 50-59 years, male 21.4
GTEX-WHSE-2726-SM-EZ6ML 20-29 years, male 21.4
GTEX-11ZTS-1526-SM-5N9G7 60-69 years, female 21.3
GTEX-13D11-0626-SM-5LZYY 50-59 years, female 21.3
GTEX-11GS4-1826-SM-5HL4T 60-69 years, male 21.2
GTEX-11DXZ-1626-SM-5GIDI 50-59 years, male 21.0
GTEX-12WSG-2426-SM-5EQLZ 50-59 years, female 21.0
GTEX-14JG6-1626-SM-5YYBC 30-39 years, female 21.0
GTEX-1LB8K-2526-SM-DIPEQ 50-59 years, male 21.0
GTEX-1IDJH-2826-SM-CJI49 70-79 years, male 20.9
GTEX-16Z82-2426-SM-7KUMS 60-69 years, male 20.8
GTEX-1MGNQ-2126-SM-EV7AC 40-49 years, male 20.8
GTEX-1399R-2126-SM-5K7WZ 30-39 years, male 20.7
GTEX-17F96-2126-SM-7KFSM 70-79 years, male 20.7
GTEX-1RDX4-1926-SM-E6CJJ 50-59 years, female 20.7
GTEX-WFG8-1726-SM-4LVM6 20-29 years, male 20.6
GTEX-1HSEH-1926-SM-A96SB 60-69 years, male 20.6
GTEX-13VXT-2026-SM-5L3EW 20-29 years, female 20.4
GTEX-1H1ZS-2626-SM-9QEIX 70-79 years, male 20.4
GTEX-14PHX-1126-SM-5YYA5 50-59 years, male 20.3
GTEX-YFCO-1526-SM-5YYB8 40-49 years, male 20.3
GTEX-1F5PL-1926-SM-7MXTP 40-49 years, female 20.3
GTEX-1R9JW-2126-SM-E76QT 30-39 years, female 20.3
GTEX-1GN73-2726-SM-9WYUB 60-69 years, male 20.2
GTEX-1KXAM-1926-SM-D3LAG 60-69 years, male 20.2
GTEX-1PBJI-2526-SM-E6CP4 20-29 years, female 20.2
GTEX-15DZA-1026-SM-6PAND 30-39 years, female 20.1
GTEX-1I1CD-2826-SM-A9SL4 60-69 years, female 20.1
GTEX-1LSNL-1626-SM-E9TJY 50-59 years, male 20.1
GTEX-14AS3-1026-SM-5TDD7 40-49 years, female 20.0
GTEX-14E6E-1726-SM-5S2R6 30-39 years, male 20.0
GTEX-1B8KE-1526-SM-7DUG2 50-59 years, male 20.0
GTEX-1B996-2726-SM-7DUGG 60-69 years, male 20.0
GTEX-13PVR-1726-SM-5Q5EC 60-69 years, female 19.9
GTEX-1BAJH-2726-SM-7IGNJ 70-79 years, male 19.9
GTEX-1HBPM-2626-SM-9WYU5 60-69 years, female 19.9
GTEX-13QBU-2026-SM-5KLZB 40-49 years, female 19.8
GTEX-1CAMS-2626-SM-7PBY3 40-49 years, female 19.5
GTEX-13O1R-2426-SM-5KLZZ 60-69 years, male 19.3
GTEX-18A66-2626-SM-72D67 60-69 years, male 19.3
GTEX-1CB4G-2726-SM-79OO4 60-69 years, male 19.3
GTEX-183FY-1426-SM-7DHLM 20-29 years, male 19.2
GTEX-1JKYR-2026-SM-CNPON 20-29 years, male 19.2
GTEX-1K9T9-2926-SM-E9TKD 50-59 years, female 19.2
GTEX-17HHE-1626-SM-7DHLN 50-59 years, male 19.1
GTEX-1C64N-2226-SM-7SB7C 50-59 years, male 19.1
GTEX-1LGOU-1726-SM-D3L8P 20-29 years, female 19.0
GTEX-1LVAM-1726-SM-DHXKQ 50-59 years, female 19.0
GTEX-1GL5R-1726-SM-9KNUX 50-59 years, male 18.9
GTEX-15EO6-2326-SM-6LPKK 50-59 years, male 18.8
GTEX-1QP67-1426-SM-E8VOO 40-49 years, female 18.8
GTEX-15RJE-2226-SM-6M46A 40-49 years, male 18.7
GTEX-1H1DE-1626-SM-9KNU5 20-29 years, male 18.6
GTEX-1CB4F-1926-SM-7MKFN 60-69 years, male 18.5
GTEX-148VJ-2426-SM-5NQ9Y 70-79 years, male 18.4
GTEX-ZPIC-2626-SM-57WE2 40-49 years, female 18.3
GTEX-1HCVE-2326-SM-9WYUD 50-59 years, male 18.3
GTEX-145LS-2926-SM-5O99G 60-69 years, female 18.2
GTEX-1QP9N-0826-SM-DTX9O 30-39 years, male 18.2
GTEX-13OVJ-1826-SM-5KM2D 50-59 years, female 18.1
GTEX-ZP4G-1526-SM-57WE5 20-29 years, female 18.1
GTEX-1HSMQ-2526-SM-A9SMK 50-59 years, male 18.1
GTEX-WFON-1326-SM-4LVMN 40-49 years, male 18.0
GTEX-1LSVX-2026-SM-E9TJD 60-69 years, male 18.0
GTEX-1C2JI-1726-SM-73KUW 50-59 years, male 17.9
GTEX-YJ8A-1726-SM-5P9IQ 20-29 years, male 17.9
GTEX-11TT1-0926-SM-5GU5M 20-29 years, male 17.8
GTEX-13RTJ-1926-SM-5YYA2 60-69 years, male 17.8
GTEX-ZA64-1426-SM-5CVMC 20-29 years, male 17.8
GTEX-1JK1U-1426-SM-CNPOW 60-69 years, male 17.7
GTEX-16BQI-2026-SM-7KULQ 30-39 years, female 17.6
GTEX-1EU9M-2726-SM-7P8QD 60-69 years, male 17.6
GTEX-1AX9K-1626-SM-73KUS 50-59 years, male 17.4
GTEX-X4EO-2726-SM-4E3HS 60-69 years, female 17.4
GTEX-ZQG8-2426-SM-57WEE 60-69 years, female 17.4
GTEX-1A3MV-1026-SM-72D5U 30-39 years, male 17.3
GTEX-1C475-1526-SM-7DHM3 40-49 years, female 17.3
GTEX-1H3VY-2526-SM-9KNW1 50-59 years, male 17.3
GTEX-14E1K-1626-SM-664MO 50-59 years, male 17.2
GTEX-ZVT4-2626-SM-5N9GJ 50-59 years, female 17.2
GTEX-1J8EW-2426-SM-CE6T5 60-69 years, female 17.2
GTEX-14PJ4-1826-SM-5YY97 60-69 years, male 17.1
GTEX-1IDJI-2226-SM-CKZPM 50-59 years, female 17.1
GTEX-1J8QM-1226-SM-CY8HI 60-69 years, female 17.1
GTEX-Y8LW-1126-SM-4VDS4 50-59 years, female 17.0
GTEX-1QP29-2526-SM-E6CQ3 50-59 years, male 17.0
GTEX-131XE-1026-SM-5EGKE 50-59 years, male 16.9
GTEX-1RMOY-1726-SM-EVYC9 50-59 years, male 16.9
GTEX-117YX-0526-SM-5EGJH 50-59 years, male 16.8
GTEX-13X6J-2826-SM-7EPGA 50-59 years, male 16.8
GTEX-1RQEC-2626-SM-EVR3Z 60-69 years, male 16.8
GTEX-ZLV1-1326-SM-DO11Q 60-69 years, female 16.8
GTEX-12ZZX-2726-SM-5N9FT 40-49 years, female 16.6
GTEX-1R9PO-2026-SM-E9J4N 60-69 years, female 16.5
GTEX-18A67-2226-SM-7LT9Z 50-59 years, male 16.4
GTEX-XXEK-1826-SM-4BRVC 50-59 years, male 16.4
GTEX-17EUY-1726-SM-79OK4 20-29 years, male 16.3
GTEX-14BIN-2426-SM-5TDCF 50-59 years, female 16.2
GTEX-1LGRB-2026-SM-COH47 50-59 years, female 16.2
GTEX-WI4N-2226-SM-4OOS9 40-49 years, female 16.1
GTEX-1QP2A-2226-SM-DTXF6 50-59 years, male 16.1
GTEX-13111-1926-SM-5GCOL 50-59 years, male 15.8
GTEX-ZLFU-1426-SM-4WWEU 40-49 years, male 15.8
GTEX-ZVZQ-2626-SM-59HLB 60-69 years, female 15.8
GTEX-1B97I-1526-SM-73KUK 40-49 years, male 15.7
GTEX-11EI6-2626-SM-5PNVT 60-69 years, male 15.6
GTEX-1R7EU-1826-SM-DTX9L 60-69 years, male 15.6
GTEX-12WSL-1826-SM-5LZW9 50-59 years, male 15.5
GTEX-1GMR2-1826-SM-9KNUP 50-59 years, male 15.5
GTEX-15CHQ-2626-SM-686YZ 60-69 years, male 15.4
GTEX-15UF6-2726-SM-7KULY 70-79 years, female 15.4
GTEX-1HSMO-2526-SM-A9SKP 60-69 years, male 15.4
GTEX-18QFQ-1726-SM-731C9 30-39 years, male 15.3
GTEX-1JMPY-1026-SM-ARZN1 30-39 years, male 15.3
GTEX-1AMFI-1826-SM-73KWB 50-59 years, female 15.2
GTEX-15ETS-2326-SM-7KUGC 40-49 years, female 15.1
GTEX-ZE9C-2126-SM-4WKGY 60-69 years, male 15.1
GTEX-1HKZK-2026-SM-9WYUF 40-49 years, male 15.1
GTEX-XBED-1726-SM-47JYO 60-69 years, male 15.0
GTEX-XQ8I-2326-SM-4BOQC 50-59 years, male 15.0
GTEX-11P7K-1826-SM-5HL5A 30-39 years, male 14.8
GTEX-139TS-2226-SM-5J2N1 60-69 years, male 14.8
GTEX-15F5U-1426-SM-7KUN2 40-49 years, male 14.8
GTEX-1IKOE-2126-SM-A96T5 30-39 years, female 14.8
GTEX-1RAZQ-2026-SM-E76P7 30-39 years, male 14.8
GTEX-14PJ3-1226-SM-5ZZVY 50-59 years, male 14.7
GTEX-15ER7-2826-SM-6PAN2 20-29 years, female 14.7
GTEX-ZAJG-2626-SM-5S2NU 50-59 years, female 14.7
GTEX-1HCUA-1926-SM-B2LWE 50-59 years, female 14.7
GTEX-1I1GT-2026-SM-CKZPK 60-69 years, female 14.7
GTEX-1LKK1-2426-SM-DIPES 50-59 years, female 14.7
GTEX-13SLW-2826-SM-5Q5ES 70-79 years, male 14.6
GTEX-1LSNM-1426-SM-E6CIH 50-59 years, male 14.6
GTEX-1QCLY-2026-SM-EVR4C 30-39 years, male 14.6
GTEX-139T6-1426-SM-5P9J7 50-59 years, male 14.5
GTEX-1B8L1-1926-SM-7IGND 60-69 years, male 14.5
GTEX-1JN76-1326-SM-ARU94 20-29 years, female 14.5
GTEX-1P4AB-2626-SM-DTXEU 50-59 years, male 14.5
GTEX-11DXX-1926-SM-5EGJK 60-69 years, female 14.4
GTEX-132AR-2826-SM-5IJFV 50-59 years, female 14.3
GTEX-1HFI7-1626-SM-9WYTR 50-59 years, female 14.3
GTEX-12WSJ-1426-SM-5GCON 40-49 years, female 14.2
GTEX-YECK-2826-SM-5IFHF 60-69 years, male 14.2
GTEX-Z93S-2626-SM-57WBX 50-59 years, male 14.2
GTEX-1IDJU-1926-SM-CL53W 60-69 years, female 14.2
GTEX-12KS4-2326-SM-5EGJB 30-39 years, male 14.1
GTEX-139D8-2926-SM-5IJBM 30-39 years, female 14.1
GTEX-1477Z-2126-SM-5Q5CM 60-69 years, male 14.1
GTEX-ZC5H-2426-SM-4WAZ6 40-49 years, female 14.1
GTEX-ZTSS-1226-SM-51MSZ 40-49 years, male 14.1
GTEX-1F75W-2126-SM-7RHIA 60-69 years, male 14.1
GTEX-12ZZY-2726-SM-5EQ45 60-69 years, male 14.0
GTEX-ZYFG-1826-SM-5GZWX 60-69 years, female 14.0
GTEX-11ZU8-1126-SM-5EQ5K 60-69 years, male 13.8
GTEX-1GPI7-1926-SM-9KNUH 20-29 years, male 13.8
GTEX-1122O-1426-SM-5H11R 60-69 years, female 13.7
GTEX-11TUW-2326-SM-5EQMO 60-69 years, male 13.7
GTEX-11DXY-2026-SM-5N9CZ 60-69 years, male 13.6
GTEX-12696-1926-SM-5EGJT 60-69 years, male 13.6
GTEX-13OW6-2226-SM-5N9FL 50-59 years, male 13.6
GTEX-15G19-2726-SM-6LPKG 60-69 years, male 13.6
GTEX-17KNJ-1826-SM-7LT9N 50-59 years, male 13.6
GTEX-1S5ZA-1426-SM-E6CJQ 20-29 years, male 13.6
GTEX-131XG-1526-SM-5GCNQ 50-59 years, female 13.5
GTEX-11EQ9-1526-SM-5PNY7 30-39 years, male 13.4
GTEX-1QCLZ-2026-SM-EAZ4A 60-69 years, female 13.4
GTEX-111YS-1826-SM-5GIEP 60-69 years, male 13.3
GTEX-16XZZ-2726-SM-7EWDO 60-69 years, male 13.3
GTEX-1LG7Y-2226-SM-E9U5K 50-59 years, male 13.3
GTEX-117XS-2226-SM-5GIE1 60-69 years, male 13.2
GTEX-12WSM-1426-SM-5GCPA 60-69 years, male 13.2
GTEX-18D9A-1326-SM-7LT8P 30-39 years, female 13.2
GTEX-ZF28-2526-SM-57WFH 60-69 years, male 13.2
GTEX-ZZ64-0826-SM-5E449 20-29 years, male 13.2
GTEX-1HSGN-2226-SM-A9SL6 40-49 years, female 13.2
GTEX-11VI4-1426-SM-5GU6O 40-49 years, female 13.1
GTEX-1C6VQ-2626-SM-7IGMQ 50-59 years, male 13.1
GTEX-1N2DV-1826-SM-E6CJ5 40-49 years, male 13.1
GTEX-1PIIG-2126-SM-EXUSD 30-39 years, male 13.1
GTEX-147GR-2826-SM-5RQK8 60-69 years, male 13.0
GTEX-183WM-2526-SM-731BP 70-79 years, female 13.0
GTEX-ZYT6-2826-SM-5GICX 30-39 years, male 13.0
GTEX-1H3NZ-2526-SM-9KNVO 60-69 years, male 13.0
GTEX-Y9LG-1326-SM-4VBQB 30-39 years, male 12.9
GTEX-ZYY3-2226-SM-5E45A 60-69 years, female 12.9
GTEX-14E6C-2226-SM-5QGQG 40-49 years, male 12.8
GTEX-1I1GP-2826-SM-A9SKZ 50-59 years, male 12.8
GTEX-Y114-1626-SM-4TT7I 50-59 years, female 12.7
GTEX-ZAB4-2426-SM-5HL8A 40-49 years, male 12.7
GTEX-1JJEA-2526-SM-CY8HJ 60-69 years, male 12.7
GTEX-1GTWX-2626-SM-9WPOT 60-69 years, male 12.6
GTEX-1QW4Y-1426-SM-E76P3 30-39 years, male 12.6
GTEX-144GM-1126-SM-79OJK 20-29 years, male 12.5
GTEX-V955-1726-SM-4JBHF 60-69 years, male 12.5
GTEX-1H3VE-2326-SM-9KNVU 40-49 years, male 12.5
GTEX-1HCU6-2926-SM-B2LWV 60-69 years, female 12.5
GTEX-16NGA-0926-SM-718AG 40-49 years, female 12.4
GTEX-17MFQ-1226-SM-7KFSA 20-29 years, male 12.4
GTEX-1GF9X-1426-SM-7RHGX 40-49 years, female 12.4
GTEX-1IL2U-2526-SM-C1YQV 60-69 years, male 12.4
GTEX-12WSD-2626-SM-5EGJE 60-69 years, female 12.3
GTEX-14C5O-2626-SM-5RQI5 60-69 years, male 12.3
GTEX-1AYCT-1926-SM-793AE 50-59 years, male 12.3
GTEX-ZPCL-1626-SM-57WGC 60-69 years, female 12.2
GTEX-ZVT3-2826-SM-5GU6A 60-69 years, female 12.2
GTEX-ZAB5-1426-SM-5HL9D 50-59 years, male 12.1
GTEX-1J8JJ-2426-SM-D4P4A 60-69 years, female 12.1
GTEX-ZT9W-1726-SM-51MS3 50-59 years, male 12.0
GTEX-1HBPI-2226-SM-9WYTY 50-59 years, male 12.0
GTEX-132NY-2726-SM-5PNY2 60-69 years, male 11.9
GTEX-1HCU7-2726-SM-A9G3D 50-59 years, male 11.9
GTEX-18465-2726-SM-7LT9I 50-59 years, male 11.8
GTEX-1J8Q3-2426-SM-CL53S 60-69 years, male 11.8
GTEX-1KANA-1726-SM-CY8IG 20-29 years, male 11.8
GTEX-Y5LM-1426-SM-5RQJL 40-49 years, female 11.7
GTEX-1JMLX-2526-SM-CY8HX 50-59 years, male 11.7
GTEX-1PDJ9-2026-SM-E76PT 20-29 years, male 11.7
GTEX-145MO-2626-SM-5QGPD 60-69 years, male 11.6
GTEX-147JS-2626-SM-5S2UX 60-69 years, male 11.6
GTEX-1GMRU-2626-SM-9WPPM 50-59 years, male 11.6
GTEX-13X6I-2726-SM-5Q5ET 60-69 years, male 11.5
GTEX-14DAQ-2926-SM-664MV 60-69 years, female 11.5
GTEX-1EMGI-2626-SM-7IGNR 60-69 years, male 11.5
GTEX-13OVK-1026-SM-7KFTC 40-49 years, male 11.4
GTEX-13OW8-2726-SM-5L3FZ 60-69 years, male 11.4
GTEX-14A5I-2426-SM-5Q5CP 50-59 years, female 11.4
GTEX-ZYFD-2226-SM-5E43P 50-59 years, male 11.3
GTEX-1GMR3-2526-SM-7P8QS 40-49 years, male 11.3
GTEX-1R9K5-2226-SM-DTX9G 50-59 years, male 11.3
GTEX-ZTTD-2626-SM-57WEX 50-59 years, male 11.2
GTEX-1QP28-2226-SM-DTX8C 50-59 years, female 11.2
GTEX-13O61-1526-SM-5KM3P 60-69 years, male 11.1
GTEX-18A6Q-2226-SM-7LG61 60-69 years, male 11.1
GTEX-1HBPN-2026-SM-B2LWA 50-59 years, male 11.1
GTEX-11PRG-2026-SM-5GU5F 50-59 years, male 11.0
GTEX-WYVS-1126-SM-4SOJX 40-49 years, female 11.0
GTEX-ZF29-1826-SM-4WKG8 60-69 years, female 10.9
GTEX-1ICG6-2226-SM-B2LY7 70-79 years, female 10.9
GTEX-17F9Y-2626-SM-7IGN9 70-79 years, female 10.8
GTEX-17HG3-1126-SM-7DUFC 30-39 years, female 10.8
GTEX-ZY6K-1326-SM-5GZWP 50-59 years, male 10.8
GTEX-1RAZR-2026-SM-E9TKE 40-49 years, male 10.8
GTEX-13FH7-1626-SM-5J2O9 50-59 years, female 10.7
GTEX-1339X-1726-SM-5P9J9 40-49 years, male 10.6
GTEX-13N2G-2226-SM-5IJCU 60-69 years, male 10.6
GTEX-WHPG-1626-SM-4M1ZL 50-59 years, male 10.6
GTEX-1PPH8-2226-SM-EWRN7 20-29 years, male 10.6
GTEX-1212Z-1826-SM-5FQSH 60-69 years, male 10.5
GTEX-111CU-1226-SM-5EGIN 50-59 years, male 10.3
GTEX-11P81-1426-SM-5P9JN 30-39 years, female 10.3
GTEX-15UF7-1326-SM-7KUKV 40-49 years, male 10.3
GTEX-17JCI-2826-SM-7IGNA 60-69 years, female 10.3
GTEX-1PIGE-1526-SM-DTXFC 20-29 years, male 10.3
GTEX-14PK6-1826-SM-69LOM 70-79 years, female 10.2
GTEX-YJ8O-1426-SM-5PNV9 40-49 years, female 10.1
GTEX-1399U-2226-SM-5KLZI 50-59 years, female 10.0
GTEX-13FHO-2726-SM-5K7VG 60-69 years, male 10.0
GTEX-1B932-2126-SM-7IGMU 40-49 years, female 10.0
GTEX-1H23P-2626-SM-9KNVN 60-69 years, male 10.0
GTEX-1LBAC-1726-SM-D3L9W 20-29 years, male 10.0
GTEX-1I1GR-2226-SM-ARL7F 60-69 years, male 9.9
GTEX-17HGU-2626-SM-79OKN 50-59 years, male 9.8
GTEX-WHWD-1526-SM-4OORV 50-59 years, male 9.8
GTEX-WRHK-1126-SM-4MVOJ 20-29 years, female 9.8
GTEX-13OW5-2826-SM-5KM1G 60-69 years, male 9.7
GTEX-13PVQ-2726-SM-5L3H7 50-59 years, male 9.7
GTEX-1S82P-2026-SM-E9TIQ 60-69 years, female 9.6
GTEX-145MH-2726-SM-5QGQ6 50-59 years, male 9.5
GTEX-1I6K6-1926-SM-A96SN 30-39 years, male 9.5
GTEX-1PIEJ-1826-SM-EWRMN 20-29 years, female 9.4
GTEX-13PL7-2426-SM-5J2N3 60-69 years, female 9.3
GTEX-WQUQ-2626-SM-4MVNP 60-69 years, male 9.3
GTEX-XUZC-1526-SM-4BRV4 30-39 years, female 9.3
GTEX-13X6K-2726-SM-5O9DG 60-69 years, female 9.1
GTEX-13U4I-2626-SM-5SI9C 40-49 years, female 8.9
GTEX-146FH-2426-SM-5Q5EW 50-59 years, female 8.9
GTEX-131YS-2926-SM-5EGKI 60-69 years, female 8.8
GTEX-X15G-1526-SM-4PQZM 50-59 years, female 8.8
GTEX-XV7Q-2226-SM-4BRVY 40-49 years, female 8.8
GTEX-11ONC-1926-SM-5GU75 60-69 years, male 8.6
GTEX-145ME-1126-SM-5SIAT 40-49 years, female 8.5
GTEX-ZG7Y-1826-SM-4WWD3 50-59 years, male 8.5
GTEX-1S831-1726-SM-EWROJ 20-29 years, male 8.4
GTEX-1C64O-2426-SM-7P8R3 60-69 years, male 8.2
GTEX-1JMPZ-2626-SM-ARU8Z 30-39 years, male 8.0
GTEX-1OFPY-1226-SM-E76OM 60-69 years, male 7.7
GTEX-ZLWG-1826-SM-DO11I 50-59 years, female 7.7
GTEX-XUW1-1826-SM-4BOQD 50-59 years, female 7.6
GTEX-1HB9E-2526-SM-D4P35 50-59 years, male 7.4
GTEX-1C4CL-1626-SM-7DUF3 30-39 years, male 7.0
GTEX-13CF2-1826-SM-5N9GK 60-69 years, male 6.2
GTEX-ZPU1-1726-SM-4WWFV 40-49 years, male 6.2
GTEX-1PFEY-1726-SM-DPRZ4 30-39 years, male 5.9
GTEX-Y8E4-2326-SM-EAZAZ 40-49 years, male 5.5
GTEX-15RJ7-1726-SM-6PAL3 40-49 years, male 5.3
GTEX-13113-1426-SM-5EGHU 60-69 years, female 4.0
GTEX-1OJC3-1826-SM-DTX93 20-29 years, male 4.0
GTEX-W5WG-2026-SM-4LMIB 50-59 years, female 3.9
GTEX-X5EB-1126-SM-46MVV 40-49 years, male 3.7
GTEX-15FZZ-1826-SM-6LLJP 30-39 years, female 3.0
GTEX-Y5V6-1626-SM-4VDT2 60-69 years, male 3.0
GTEX-1AMEY-1826-SM-72D5L 30-39 years, female 2.8
GTEX-WH7G-1426-SM-4LVMU 40-49 years, male 2.7
GTEX-13W3W-2226-SM-5LU4M 60-69 years, female 2.4
GTEX-WYJK-2326-SM-4ONDN 50-59 years, male 2.4
GTEX-VJYA-2126-SM-4KL1O 60-69 years, male 2.0
GTEX-WOFM-1926-SM-4OOSP 20-29 years, male 1.6
GTEX-ZQUD-1026-SM-4YCEZ 30-39 years, male 1.4
Show allShow less
Colon - Transverse
Average nTPM: 7.8
Samples: 406

Max nTPM: 34.5
Min nTPM: 0.8
Std nTPM: 6.1
Median nTPM: 6.1
GTEX-X5EB-0926-SM-46MVT 40-49 years, male 34.5
GTEX-1N2EF-1926-SM-DTX8M 60-69 years, male 31.6
GTEX-1GMR2-1726-SM-9JGI2 50-59 years, male 30.7
GTEX-13OVG-1426-SM-5K7VP 60-69 years, male 29.9
GTEX-13FH7-1526-SM-5J2N6 50-59 years, female 26.2
GTEX-1LVAN-2526-SM-CNPPC 50-59 years, female 25.8
GTEX-XAJ8-0426-SM-47JYJ 40-49 years, male 25.2
GTEX-1EH9U-2026-SM-7PBYS 60-69 years, male 25.2
GTEX-ZXES-1626-SM-5NQ7L 30-39 years, female 24.9
GTEX-1JN1M-2626-SM-CY8I3 60-69 years, female 24.0
GTEX-18A7B-2026-SM-72D71 70-79 years, male 23.6
GTEX-1ICLZ-2426-SM-CKZOD 60-69 years, male 21.4
GTEX-1LGOU-1626-SM-D3LAK 20-29 years, female 21.4
GTEX-12ZZZ-2426-SM-5GCNN 60-69 years, male 21.1
GTEX-1HSMP-2326-SM-D3L8R 70-79 years, male 20.7
GTEX-1OKEX-1226-SM-DTXEC 60-69 years, male 20.5
GTEX-13W3W-2126-SM-5K7UX 60-69 years, female 19.8
GTEX-1MUQO-2626-SM-EWRO3 60-69 years, male 19.7
GTEX-15CHQ-2526-SM-6EU24 60-69 years, male 19.6
GTEX-WY7C-1626-SM-4ONC8 50-59 years, male 19.3
GTEX-13QJ3-2626-SM-9OSXQ 50-59 years, male 19.1
GTEX-15CHC-1626-SM-5ZZWS 60-69 years, female 19.0
GTEX-13CF3-1426-SM-5K7YY 60-69 years, female 18.9
GTEX-1EMGI-2726-SM-7P8S4 60-69 years, male 18.8
GTEX-14PJ5-0926-SM-6LLIK 60-69 years, female 18.0
GTEX-14BMV-2426-SM-5S2PP 50-59 years, male 17.8
GTEX-WVJS-2426-SM-EZ6LI 50-59 years, male 17.8
GTEX-1MCC2-1626-SM-DIPEW 30-39 years, female 17.7
GTEX-1GZ4H-1226-SM-9KNUA 50-59 years, female 17.3
GTEX-1IDJC-1326-SM-CL53H 50-59 years, male 17.3
GTEX-1AX8Z-2726-SM-73KUC 60-69 years, male 17.2
GTEX-14C5O-2526-SM-73KU2 60-69 years, male 16.8
GTEX-1J1OQ-2726-SM-AHZ3R 40-49 years, female 16.8
GTEX-1RAZQ-2126-SM-DTX9V 30-39 years, male 16.6
GTEX-1IGQW-2326-SM-CE6RV 60-69 years, male 16.3
GTEX-117YX-0826-SM-5H11J 50-59 years, male 16.1
GTEX-15DZA-0926-SM-69LQ3 30-39 years, female 15.9
GTEX-1HCVE-2526-SM-A9G2G 50-59 years, male 15.9
GTEX-17F96-2026-SM-79ON4 70-79 years, male 15.8
GTEX-ZV6S-1226-SM-59HLH 40-49 years, female 15.7
GTEX-1R9K5-2126-SM-E8VN1 50-59 years, male 15.7
GTEX-148VJ-2626-SM-5QGPI 70-79 years, male 15.6
GTEX-V955-1626-SM-4JBHJ 60-69 years, male 15.6
GTEX-1F75B-2726-SM-7P8QO 50-59 years, male 15.6
GTEX-Y3I4-1426-SM-4TT9C 50-59 years, male 15.5
GTEX-1IKK5-2726-SM-CNPQ6 60-69 years, male 15.5
GTEX-1LG7Y-2126-SM-DIPER 50-59 years, male 15.5
GTEX-111YS-1626-SM-5GZZ9 60-69 years, male 15.3
GTEX-15UF6-2626-SM-6M466 70-79 years, female 15.3
GTEX-1AMEY-1926-SM-73KVT 30-39 years, female 15.3
GTEX-Z93S-2426-SM-5HL8N 50-59 years, male 15.3
GTEX-14ICL-1226-SM-5S2RD 30-39 years, male 14.9
GTEX-145LS-2726-SM-5Q5D8 60-69 years, female 14.8
GTEX-15SHU-2526-SM-6M47D 40-49 years, female 14.8
GTEX-111VG-2226-SM-5N9DU 60-69 years, male 14.7
GTEX-1AX9I-2626-SM-73KU5 60-69 years, male 14.7
GTEX-13OVI-2026-SM-5J1MU 60-69 years, female 14.5
GTEX-1CB4F-2026-SM-79OLU 60-69 years, male 14.3
GTEX-ZYVF-2826-SM-5GIDK 50-59 years, female 14.3
GTEX-TKQ1-0626-SM-4DXTS 30-39 years, male 14.2
GTEX-12WSL-1626-SM-5GCMU 50-59 years, male 14.1
GTEX-1B996-2626-SM-73KZ1 60-69 years, male 14.1
GTEX-1A3MV-1126-SM-718BS 30-39 years, male 14.0
GTEX-WEY5-1426-SM-4LMJ3 40-49 years, female 13.9
GTEX-1POEN-2026-SM-E6CRL 30-39 years, female 13.9
GTEX-U412-1726-SM-EZ6KX 60-69 years, male 13.9
GTEX-14DAQ-2726-SM-5S2QY 60-69 years, female 13.8
GTEX-14PJ3-0926-SM-69LQG 50-59 years, male 13.8
GTEX-U3ZH-1326-SM-4DXSF 30-39 years, male 13.7
GTEX-1JJE9-2426-SM-D3L8T 70-79 years, male 13.7
GTEX-17F98-1026-SM-7IGO8 40-49 years, female 13.4
GTEX-18QFQ-1526-SM-72D57 30-39 years, male 13.4
GTEX-1H1DG-2226-SM-9WPPC 70-79 years, male 13.4
GTEX-1C6VQ-2726-SM-73KUL 50-59 years, male 13.3
GTEX-1AYD5-1726-SM-7RHFW 50-59 years, male 13.3
GTEX-1HCU7-2626-SM-C1YQO 50-59 years, male 13.3
GTEX-1IDJF-1826-SM-CKZOE 20-29 years, male 13.3
GTEX-1GN73-2626-SM-9KNUQ 60-69 years, male 13.0
GTEX-12WSJ-1526-SM-5GCNI 40-49 years, female 12.9
GTEX-13O3P-2326-SM-5KM55 50-59 years, male 12.9
GTEX-S341-1426-SM-4AD6U 40-49 years, female 12.9
GTEX-QLQ7-1126-SM-CYPRB 60-69 years, male 12.8
GTEX-16NPV-2626-SM-6M484 50-59 years, female 12.7
GTEX-1339X-1626-SM-5IJDN 40-49 years, male 12.5
GTEX-1QMI2-2626-SM-E6CR4 60-69 years, male 12.5
GTEX-1HCU6-2726-SM-A9SKV 60-69 years, female 12.4
GTEX-17F9E-1826-SM-7IGMC 50-59 years, male 12.3
GTEX-18A7A-2226-SM-7LT8K 50-59 years, female 12.3
GTEX-1R9JW-2026-SM-EAZ4O 30-39 years, female 12.3
GTEX-T6MO-0826-SM-4DM51 40-49 years, female 12.2
GTEX-PSDG-1826-SM-EAZ2S 50-59 years, male 12.2
GTEX-17EVQ-1826-SM-7IGPH 70-79 years, male 12.1
GTEX-1GZ4I-2426-SM-9WPPP 50-59 years, male 12.0
GTEX-14E1K-1826-SM-793DT 50-59 years, male 11.9
GTEX-X4EO-2526-SM-EWRM8 60-69 years, female 11.9
GTEX-ZF29-1726-SM-4WKFV 60-69 years, female 11.8
GTEX-145ME-0826-SM-5O9AF 40-49 years, female 11.7
GTEX-1CB4I-2226-SM-7P8SL 50-59 years, male 11.7
GTEX-145MO-2426-SM-5NQ9W 60-69 years, male 11.6
GTEX-1GL5R-2426-SM-7MXV1 50-59 years, male 11.6
GTEX-16NGA-1026-SM-7KFS3 40-49 years, female 11.5
GTEX-1KANB-1526-SM-CXZK4 50-59 years, male 11.5
GTEX-1KXAM-2126-SM-CY8I9 60-69 years, male 11.5
GTEX-OXRO-0726-SM-E9U4C 60-69 years, female 11.5
GTEX-11GSP-1626-SM-5986N 60-69 years, female 11.4
GTEX-11O72-2226-SM-5PNW2 40-49 years, male 11.4
GTEX-1N5O9-2726-SM-E76QH 60-69 years, male 11.4
GTEX-11ZVC-2126-SM-5EGJ1 50-59 years, female 11.3
GTEX-14AS3-1126-SM-5Q5CR 40-49 years, female 11.2
GTEX-17JCI-2626-SM-7EWE6 60-69 years, female 11.2
GTEX-OXRL-1426-SM-3NM9E 50-59 years, male 11.2
GTEX-1IDJD-2226-SM-A96TD 30-39 years, male 11.2
GTEX-13O3O-2526-SM-5L3DR 60-69 years, female 11.1
GTEX-14H4A-1926-SM-5ZZWN 40-49 years, female 11.1
GTEX-18D9B-2526-SM-718BN 60-69 years, male 11.1
GTEX-YEC4-1926-SM-5IFHJ 40-49 years, male 11.1
GTEX-1LH75-2126-SM-EVR5F 50-59 years, female 11.1
GTEX-1S5VW-2926-SM-E9U6H 60-69 years, male 11.1
GTEX-11TUW-2026-SM-5EQL8 60-69 years, male 11.0
GTEX-NFK9-2026-SM-3LK5K 40-49 years, male 11.0
GTEX-17HII-2726-SM-7MGVM 50-59 years, male 11.0
GTEX-1PWST-2426-SM-EWRMP 70-79 years, male 11.0
GTEX-1RMOY-1626-SM-EVYC8 50-59 years, male 11.0
GTEX-1BAJH-2326-SM-7IGMO 70-79 years, male 10.9
GTEX-13VXT-2426-SM-5LU46 20-29 years, female 10.8
GTEX-1NV5F-2226-SM-DTX8O 60-69 years, female 10.8
GTEX-16Z82-2226-SM-6LPJ7 60-69 years, male 10.7
GTEX-O5YW-1426-SM-3MJHF 50-59 years, male 10.7
GTEX-1E2YA-2626-SM-7MGWW 50-59 years, male 10.7
GTEX-1JMLX-2726-SM-CM2SB 50-59 years, male 10.7
GTEX-15G1A-1826-SM-7KUKO 30-39 years, male 10.6
GTEX-1C64O-2326-SM-73KU8 60-69 years, male 10.6
GTEX-XXEK-1926-SM-4BRVD 50-59 years, male 10.6
GTEX-13OVK-0826-SM-7KULZ 40-49 years, male 10.5
GTEX-ZYFG-1926-SM-5GID5 60-69 years, female 10.5
GTEX-SJXC-2226-SM-EVYAK 60-69 years, male 10.5
GTEX-11EQ9-1426-SM-5987G 30-39 years, male 10.4
GTEX-11P81-1126-SM-5GU5G 30-39 years, female 10.4
GTEX-1HKZK-2126-SM-A9SL3 40-49 years, male 10.3
GTEX-ZAB4-2226-SM-5HL97 40-49 years, male 10.2
GTEX-1S82U-0726-SM-E9TKI 30-39 years, female 10.2
GTEX-11ONC-2026-SM-5HL61 60-69 years, male 10.1
GTEX-1JJ6O-2426-SM-ARU8J 60-69 years, male 10.0
GTEX-1PPGY-2826-SM-DTX9H 60-69 years, male 10.0
GTEX-13FHP-2426-SM-5KLZ5 50-59 years, male 9.8
GTEX-147JS-2526-SM-5S2Q8 60-69 years, male 9.8
GTEX-RWS6-1826-SM-47JXX 60-69 years, female 9.8
GTEX-1I1GT-1926-SM-ARU7D 60-69 years, female 9.8
GTEX-Y114-1526-SM-4TT79 50-59 years, female 9.5
GTEX-13O61-1626-SM-5KM3T 60-69 years, male 9.4
GTEX-R45C-2126-SM-EZ6KZ 60-69 years, female 9.4
GTEX-1QPFJ-2326-SM-E6CR7 30-39 years, female 9.2
GTEX-XGQ4-1226-SM-4AT67 50-59 years, male 9.1
GTEX-16MT8-2726-SM-7IGLJ 60-69 years, female 9.0
GTEX-1IOXB-2626-SM-CJI2N 50-59 years, male 8.9
GTEX-13OW5-2626-SM-5MR3M 60-69 years, male 8.7
GTEX-QDVJ-1326-SM-48U1X 50-59 years, male 8.7
GTEX-1HFI7-1726-SM-A9G22 50-59 years, female 8.6
GTEX-13U4I-2426-SM-5LU34 40-49 years, female 8.5
GTEX-1C2JI-1626-SM-7EPHC 50-59 years, male 8.5
GTEX-SNMC-1126-SM-4DM5M 20-29 years, male 8.5
GTEX-ZGAY-2126-SM-4YCFB 40-49 years, female 8.5
GTEX-1LBAC-1626-SM-CXZKV 20-29 years, male 8.3
GTEX-P78B-1726-SM-3P5ZV 40-49 years, female 8.2
GTEX-ZZ64-0726-SM-5GZX4 20-29 years, male 8.2
GTEX-1LSVX-1726-SM-DHXJP 60-69 years, male 8.2
GTEX-WQUQ-2526-SM-4MVNO 60-69 years, male 8.1
GTEX-XYKS-2226-SM-4E3IU 60-69 years, female 8.1
GTEX-144GL-2526-SM-5TDDL 50-59 years, male 8.0
GTEX-16XZZ-2626-SM-6M47S 60-69 years, male 7.9
GTEX-SE5C-1526-SM-4BRWU 40-49 years, female 7.9
GTEX-1HSGN-2626-SM-CE6S1 40-49 years, female 7.8
GTEX-1MGNQ-2026-SM-EAZ51 40-49 years, male 7.8
GTEX-1NHNU-2326-SM-E6CQE 50-59 years, male 7.8
GTEX-1QW4Y-1326-SM-EWRMZ 30-39 years, male 7.7
GTEX-O5YT-1426-SM-3MJHC 20-29 years, male 7.6
GTEX-14BIN-3026-SM-5ZZUS 50-59 years, female 7.5
GTEX-S3XE-1126-SM-4AD4N 50-59 years, male 7.4
GTEX-OXRN-2026-SM-E6CHK 50-59 years, male 7.4
GTEX-14PJM-2626-SM-686ZD 50-59 years, female 7.3
GTEX-RU1J-1326-SM-46MUL 20-29 years, female 7.3
GTEX-OHPN-2026-SM-E9TIA 60-69 years, female 7.3
GTEX-Y8LW-1226-SM-4WWDP 50-59 years, female 7.2
GTEX-17KNJ-1726-SM-7LG6A 50-59 years, male 7.1
GTEX-1IDJU-2026-SM-A9SLM 60-69 years, female 7.0
GTEX-1MA7W-0626-SM-EV79Z 20-29 years, female 6.9
GTEX-17GQL-1526-SM-7LTAC 60-69 years, male 6.8
GTEX-17MF6-2426-SM-7LTAM 40-49 years, male 6.8
GTEX-1GMR3-2826-SM-9WPOG 40-49 years, male 6.8
GTEX-11TTK-2426-SM-5PNYO 60-69 years, female 6.7
GTEX-ZPCL-1826-SM-57WF1 60-69 years, female 6.7
GTEX-11VI4-1526-SM-5EQKC 40-49 years, female 6.6
GTEX-15DYW-2326-SM-6PAMU 60-69 years, female 6.6
GTEX-OIZH-1426-SM-3NB1O 50-59 years, male 6.6
GTEX-WYJK-2226-SM-4ONDJ 50-59 years, male 6.6
GTEX-13OW6-2126-SM-5N9GL 50-59 years, male 6.5
GTEX-ZY6K-1226-SM-5GZYL 50-59 years, male 6.4
GTEX-Y8E4-2426-SM-4WWDN 40-49 years, male 6.3
GTEX-12KS4-2426-SM-5LU8P 30-39 years, male 6.2
GTEX-15DCE-2026-SM-7KUFE 20-29 years, male 6.2
GTEX-ZP4G-1726-SM-4WWCM 20-29 years, female 6.2
GTEX-1RDX4-1826-SM-EVR54 50-59 years, female 6.2
GTEX-1H1DE-1526-SM-ARL9B 20-29 years, male 6.1
GTEX-144GN-1126-SM-5LU33 50-59 years, male 6.0
GTEX-QDVN-1326-SM-48TZ3 50-59 years, male 6.0
GTEX-XUW1-1926-SM-4BOP1 50-59 years, female 6.0
GTEX-ZYFC-2626-SM-5NQ6S 50-59 years, male 6.0
GTEX-13X6H-1926-SM-7EWD3 50-59 years, female 5.9
GTEX-1AYCT-1826-SM-731EG 50-59 years, male 5.9
GTEX-13OVJ-1726-SM-5IJDZ 50-59 years, female 5.8
GTEX-14ICK-1026-SM-6AJA4 40-49 years, male 5.8
GTEX-1B932-2826-SM-73KUD 40-49 years, female 5.8
GTEX-1JMPZ-2426-SM-C1YQP 30-39 years, male 5.8
GTEX-11NSD-1626-SM-5986U 20-29 years, male 5.7
GTEX-1I1GR-2526-SM-CNNQF 60-69 years, male 5.7
GTEX-QEL4-1926-SM-D3L8D 50-59 years, male 5.6
GTEX-15ER7-2926-SM-7KUFK 20-29 years, female 5.5
GTEX-1PPH8-2026-SM-DTX7P 20-29 years, male 5.5
GTEX-1JKYR-1926-SM-C1YR7 20-29 years, male 5.4
GTEX-OHPM-1426-SM-3TW8Y 50-59 years, male 5.3
GTEX-X3Y1-1726-SM-4PQZL 40-49 years, male 5.2
GTEX-WYVS-1826-SM-4OND6 40-49 years, female 5.1
GTEX-11TT1-1026-SM-5PNW7 20-29 years, male 5.0
GTEX-14JG6-1726-SM-69LPL 30-39 years, female 5.0
GTEX-S4UY-0826-SM-4AD4Z 40-49 years, female 5.0
GTEX-1L5NE-2026-SM-CXZKR 50-59 years, male 5.0
GTEX-1128S-1626-SM-5H12O 60-69 years, female 4.9
GTEX-S4P3-1226-SM-4AD4Y 50-59 years, female 4.9
GTEX-1I6K6-1826-SM-B2LX5 30-39 years, male 4.9
GTEX-VJYA-2026-SM-4KL1K 60-69 years, male 4.8
GTEX-ZTSS-1126-SM-5985O 40-49 years, male 4.8
GTEX-15RIE-1826-SM-6M48P 60-69 years, male 4.7
GTEX-QMRM-1226-SM-447C6 50-59 years, male 4.7
GTEX-1H3VY-2426-SM-9WPPD 50-59 years, male 4.7
GTEX-1JK1U-1526-SM-AHZ46 60-69 years, male 4.7
GTEX-1R9PM-1526-SM-DPRY8 20-29 years, male 4.7
GTEX-15SB6-1226-SM-7KUMP 50-59 years, female 4.6
GTEX-WH7G-1326-SM-4LVMS 40-49 years, male 4.6
GTEX-ZG7Y-2126-SM-DO117 50-59 years, male 4.6
GTEX-13PVR-1626-SM-73KVF 60-69 years, female 4.5
GTEX-PX3G-1426-SM-48U1J 20-29 years, female 4.5
GTEX-178AV-1326-SM-6LPJX 40-49 years, male 4.4
GTEX-PWCY-1026-SM-48TD4 20-29 years, female 4.4
GTEX-R55C-1126-SM-48FCJ 40-49 years, male 4.3
GTEX-XQ8I-2126-SM-4BOOM 50-59 years, male 4.3
GTEX-1GPI7-1726-SM-7P8R1 20-29 years, male 4.3
GTEX-P4PP-1426-SM-3NM9L 30-39 years, female 4.2
GTEX-X15G-1326-SM-4PQZJ 50-59 years, female 4.0
GTEX-1GF9X-1526-SM-7P8QP 40-49 years, female 4.0
GTEX-1MJK3-0926-SM-EV7AY 20-29 years, male 3.9
GTEX-117YW-1826-SM-5PNY5 50-59 years, male 3.8
GTEX-11P7K-1526-SM-5EGI7 30-39 years, male 3.8
GTEX-PLZ6-0926-SM-3P5ZQ 30-39 years, male 3.8
GTEX-XBEW-1926-SM-4SOJO 40-49 years, male 3.8
GTEX-1F75I-2426-SM-9WPOY 40-49 years, male 3.7
GTEX-1QCLZ-1926-SM-E6CR3 60-69 years, female 3.7
GTEX-1R7EU-1926-SM-E9U62 60-69 years, male 3.7
GTEX-1S3DN-1826-SM-EV79K 50-59 years, male 3.7
GTEX-P4QT-1426-SM-3NMCX 50-59 years, female 3.6
GTEX-SNOS-1226-SM-4DM5H 40-49 years, male 3.6
GTEX-1GF9U-1526-SM-7MXUW 40-49 years, female 3.6
GTEX-1211K-1726-SM-5FQUJ 60-69 years, female 3.5
GTEX-17EUY-1826-SM-7DUEZ 20-29 years, male 3.5
GTEX-146FQ-1926-SM-5NQBY 30-39 years, male 3.4
GTEX-14C39-1926-SM-5ZZW5 40-49 years, male 3.4
GTEX-14PKV-2126-SM-664O3 20-29 years, female 3.4
GTEX-TKQ2-1326-SM-4DXT9 50-59 years, male 3.4
GTEX-1F5PL-2126-SM-7PC2O 40-49 years, female 3.4
GTEX-14BMU-1526-SM-5TDE6 20-29 years, female 3.3
GTEX-18A66-2426-SM-7KFSQ 60-69 years, male 3.3
GTEX-1CAMS-2526-SM-7EPH7 40-49 years, female 3.3
GTEX-139YR-2126-SM-5KM11 50-59 years, male 3.2
GTEX-18D9U-1926-SM-7KFTM 40-49 years, male 3.2
GTEX-U3ZM-1126-SM-4DXUB 40-49 years, male 3.2
GTEX-1HSEH-1726-SM-B2LXH 60-69 years, male 3.2
GTEX-1KANA-1926-SM-DHXKF 20-29 years, male 3.2
GTEX-YEC3-2426-SM-DO11A 50-59 years, male 3.2
GTEX-11LCK-2026-SM-5A5MA 30-39 years, male 3.1
GTEX-15RIF-1326-SM-6LPKO 20-29 years, male 3.1
GTEX-18D9A-1126-SM-7KFRJ 30-39 years, female 3.0
GTEX-Q734-1126-SM-48TZY 40-49 years, female 3.0
GTEX-WHSB-0926-SM-4M1XJ 50-59 years, male 3.0
GTEX-131XE-0826-SM-5HL9W 50-59 years, male 2.9
GTEX-Q2AI-0926-SM-48U1F 40-49 years, male 2.9
GTEX-QCQG-1626-SM-48U26 50-59 years, female 2.9
GTEX-ZDYS-2326-SM-4WKG6 50-59 years, male 2.9
GTEX-13S86-1626-SM-5Q5C5 40-49 years, male 2.8
GTEX-147F3-1926-SM-5SIB9 50-59 years, female 2.8
GTEX-1HCU9-1326-SM-B2LXT 20-29 years, male 2.8
GTEX-1KANC-0926-SM-D3LA9 50-59 years, female 2.8
GTEX-1NSGN-2326-SM-E9U5X 50-59 years, male 2.7
GTEX-1QP67-1326-SM-EAZ4D 40-49 years, female 2.7
GTEX-11DXX-1826-SM-5H126 60-69 years, female 2.6
GTEX-S7SF-1926-SM-4AT5B 20-29 years, female 2.6
GTEX-Y9LG-1526-SM-4WWDR 30-39 years, male 2.6
GTEX-ZPU1-1926-SM-57WDT 40-49 years, male 2.6
GTEX-11EM3-1526-SM-5A5KN 20-29 years, female 2.5
GTEX-13QBU-1826-SM-5IJG3 40-49 years, female 2.5
GTEX-145LT-0926-SM-5LU9C 40-49 years, male 2.5
GTEX-17HGU-2426-SM-7EWDP 50-59 years, male 2.5
GTEX-PWN1-1426-SM-48TDF 40-49 years, female 2.5
GTEX-S4Q7-0826-SM-4AD5E 20-29 years, male 2.5
GTEX-XBED-1526-SM-4AT5W 60-69 years, male 2.5
GTEX-1K9T9-2826-SM-D4P3F 50-59 years, female 2.5
GTEX-1PIGE-1426-SM-E9U61 20-29 years, male 2.5
GTEX-1RAZA-1726-SM-DPS13 20-29 years, male 2.5
GTEX-OIZF-1426-SM-2HML2 60-69 years, male 2.5
GTEX-QLQW-0426-SM-447A7 30-39 years, male 2.4
GTEX-RM2N-0926-SM-48FD1 50-59 years, male 2.4
GTEX-1LGRB-1426-SM-CNNPT 50-59 years, female 2.4
GTEX-1PIEJ-2026-SM-E6CPA 20-29 years, female 2.4
GTEX-133LE-1526-SM-5IFEN 20-29 years, female 2.3
GTEX-R55D-1826-SM-48FEF 50-59 years, male 2.3
GTEX-WFG7-1526-SM-4LVMG 20-29 years, male 2.3
GTEX-YB5E-1626-SM-5IFIQ 40-49 years, male 2.3
GTEX-1I4MK-1126-SM-B2LWS 50-59 years, female 2.3
GTEX-1JMPY-0426-SM-C1YQ3 30-39 years, male 2.3
GTEX-11I78-1226-SM-5A5K6 50-59 years, female 2.2
GTEX-13111-0726-SM-5DUVE 50-59 years, male 2.2
GTEX-131XG-1826-SM-5LZV4 50-59 years, female 2.2
GTEX-13FTW-1826-SM-5IJEN 40-49 years, male 2.2
GTEX-14JIY-3326-SM-6871E 60-69 years, male 2.2
GTEX-14PHX-1526-SM-68717 50-59 years, male 2.2
GTEX-14PJ4-1926-SM-6LLHG 60-69 years, male 2.2
GTEX-OXRK-1726-SM-3NB16 50-59 years, female 2.2
GTEX-1LVAM-1626-SM-EV79Y 50-59 years, female 2.2
GTEX-1QCLY-1726-SM-DPRXY 30-39 years, male 2.2
GTEX-W5WG-2426-SM-4LMI6 50-59 years, female 2.1
GTEX-Y5LM-1526-SM-4VDTA 40-49 years, female 2.1
GTEX-ZLV1-1226-SM-4WWBX 60-69 years, female 2.1
GTEX-1HSMQ-2726-SM-C1YRE 50-59 years, male 2.1
GTEX-1QP9N-1026-SM-E6CPX 30-39 years, male 2.1
GTEX-12BJ1-2126-SM-5BC5O 60-69 years, male 2.0
GTEX-147GR-2726-SM-664OO 60-69 years, male 2.0
GTEX-16AAH-1326-SM-7KFRG 50-59 years, male 2.0
GTEX-17HHE-1826-SM-79OKE 50-59 years, male 2.0
GTEX-1C475-1626-SM-731FP 40-49 years, female 2.0
GTEX-R53T-1326-SM-48FCQ 50-59 years, female 2.0
GTEX-139TS-1926-SM-5IJFO 60-69 years, male 1.9
GTEX-13D11-0826-SM-5KLZJ 50-59 years, female 1.9
GTEX-R55G-1226-SM-48FDC 40-49 years, female 1.9
GTEX-Y3IK-1826-SM-4WWDS 50-59 years, female 1.9
GTEX-YF7O-1726-SM-5IFJ9 50-59 years, male 1.9
GTEX-1122O-1526-SM-5N9CL 60-69 years, female 1.8
GTEX-12C56-0626-SM-5EGGC 20-29 years, male 1.8
GTEX-1AMFI-1726-SM-7189L 50-59 years, female 1.8
GTEX-1B8KE-1926-SM-731EE 50-59 years, male 1.8
GTEX-UJMC-1326-SM-4IHLS 50-59 years, male 1.8
GTEX-ZEX8-1926-SM-4WKFR 50-59 years, male 1.8
GTEX-ZF2S-1926-SM-4WWAN 50-59 years, female 1.8
GTEX-1LG7Z-1426-SM-CXKYV 30-39 years, male 1.8
GTEX-1PFEY-1426-SM-E9U6U 30-39 years, male 1.8
GTEX-1S83E-1626-SM-EV7B9 40-49 years, male 1.8
GTEX-QV31-0826-SM-CKZNC 30-39 years, male 1.8
GTEX-ZDTT-1926-SM-5HL5W 60-69 years, male 1.8
GTEX-14XAO-2026-SM-69LOI 60-69 years, female 1.7
GTEX-1C4CL-2126-SM-7IGQC 30-39 years, male 1.7
GTEX-XPVG-1826-SM-4B64X 50-59 years, male 1.7
GTEX-1JKYN-2326-SM-CGQG7 30-39 years, male 1.7
GTEX-ZLWG-1726-SM-DNZZ2 50-59 years, female 1.7
GTEX-111CU-1426-SM-5GZYP 50-59 years, male 1.6
GTEX-11P82-1026-SM-5BC5J 20-29 years, male 1.6
GTEX-13PL7-2526-SM-5IFGR 60-69 years, female 1.6
GTEX-14PK6-1726-SM-6871J 70-79 years, female 1.6
GTEX-PLZ5-1126-SM-3P613 50-59 years, male 1.6
GTEX-XMK1-1726-SM-4B64Z 40-49 years, male 1.6
GTEX-1F5PK-1926-SM-7MXT7 50-59 years, male 1.6
GTEX-OOBJ-1426-SM-E6CHH 60-69 years, male 1.6
GTEX-132AR-2726-SM-5PNVN 50-59 years, female 1.5
GTEX-1399S-1926-SM-5J2M5 30-39 years, female 1.5
GTEX-139T6-1326-SM-5IFFO 50-59 years, male 1.5
GTEX-WFON-1426-SM-4LVMT 40-49 years, male 1.5
GTEX-XV7Q-2126-SM-4BRVX 40-49 years, female 1.5
GTEX-ZVP2-1526-SM-5NQ82 50-59 years, male 1.5
GTEX-ZVT2-1926-SM-5GU5T 50-59 years, female 1.5
GTEX-1B8KZ-1326-SM-7DUG6 50-59 years, male 1.4
GTEX-U4B1-1126-SM-4DXV3 40-49 years, male 1.4
GTEX-WOFM-2026-SM-4OOSQ 20-29 years, male 1.4
GTEX-ZV7C-1526-SM-5NQ72 50-59 years, male 1.4
GTEX-145MN-1726-SM-5SIA6 30-39 years, male 1.3
GTEX-XUZC-1326-SM-4BRV2 30-39 years, female 1.3
GTEX-ZPIC-2226-SM-57WDX 40-49 years, female 1.3
GTEX-1J1R8-1126-SM-CNPQ3 40-49 years, male 1.3
GTEX-11DXZ-1726-SM-5H12M 50-59 years, male 1.2
GTEX-14DAR-1526-SM-5RQIX 50-59 years, male 1.2
GTEX-15CHR-1426-SM-7DUGV 50-59 years, male 1.2
GTEX-T5JW-1126-SM-4DM5V 20-29 years, female 1.2
GTEX-ZT9W-1826-SM-51MQX 50-59 years, male 1.2
GTEX-1H11D-2626-SM-9JGH4 40-49 years, male 1.2
GTEX-1IKOE-2026-SM-AHZ31 30-39 years, female 1.2
GTEX-1JN76-1226-SM-C1YRM 20-29 years, female 1.2
GTEX-1K2DA-2026-SM-CGQGK 50-59 years, male 1.2
GTEX-1N2DV-1426-SM-DPRYQ 40-49 years, male 1.2
GTEX-1399U-1926-SM-5IFH7 50-59 years, female 1.1
GTEX-13O21-2426-SM-5MR4A 50-59 years, male 1.1
GTEX-Q2AH-1226-SM-48TZL 40-49 years, male 1.1
GTEX-TML8-1326-SM-4DXTO 40-49 years, female 1.1
GTEX-1RAZR-1926-SM-E6CRF 40-49 years, male 1.1
GTEX-1399R-2226-SM-5P9JB 30-39 years, male 1.0
GTEX-144GM-1226-SM-5LU52 20-29 years, male 1.0
GTEX-14E6E-1526-SM-5RQIG 30-39 years, male 1.0
GTEX-U3ZN-2126-SM-4DXU1 30-39 years, female 1.0
GTEX-WHWD-1226-SM-4OOS1 50-59 years, male 1.0
GTEX-UJHI-1126-SM-4IHLN 50-59 years, female 0.9
GTEX-1H1E6-1926-SM-9OSWD 30-39 years, male 0.9
GTEX-1CAMR-0926-SM-7MXTD 20-29 years, male 0.8
Show allShow less

COLON - FANTOM5 CAGEi

RNA expression in human tissues obtained through Cap Analysis of Gene Expression (CAGE) generated by the FANTOM5 project are reported as Scaled Tags Per Million.

Max subtype Scaled Tags Per Millioni

Max subtype Scaled Tags Per Million is the value for the subtype with the largest average Scaled Tags Per Million across the subtype samples.

70.7
FANTOM5 sample id Sample description Scaled Tags Per Million
Colon
Scaled Tags Per Million: 70.7
FF:10014-101C5 62,83,84 years, mixed 70.7

Contact

  • NEWS ARTICLES
  • PRESS ROOM

The Project

  • INTRODUCTION
  • ORGANIZATION
  • PUBLICATIONS

The Human Protein Atlas

  • DOWNLOADABLE DATA
  • LICENCE & CITATION
  • HELP & FAQ
The Human Protein Atlas project is funded
by the Knut & Alice Wallenberg Foundation.


contact@proteinatlas.org