We use cookies to enhance the usability of our website. If you continue, we'll assume that you are happy to receive all cookies. More information. Don't show this again.
MAP1B
HPA
RESOURCES
  • TISSUE
  • BRAIN
  • SINGLE CELL
  • SUBCELLULAR
  • CANCER
  • BLOOD
  • CELL LINE
  • STRUCTURE & INTERACTION
ABOUT
  • INTRODUCTION
  • HISTORY
  • ORGANIZATION
  • PUBLICATIONS
  • ANTIBODY SUBMISSION
  • ANTIBODY AVAILABILITY
  • ACKNOWLEDGMENTS
  • CONTACT
NEWS
  • NEWS ARTICLES
  • PRESS ROOM
LEARN
  • DICTIONARY
  • PROTEIN CLASSES
  • PROTEIN EVIDENCE
  • METHODS
  • EDUCATIONAL VIDEOS
DATA
  • DOWNLOADABLE DATA
  • PUBLICATION DATA
  • RELEASE HISTORY
HELP
  • ANTIBODY VALIDATION
  • ASSAYS & ANNOTATION
  • DISCLAIMER
  • HELP & FAQ
  • PRIVACY STATEMENT
  • LICENCE & CITATION
Fields »
Search result

Field
Term
Gene name
Class
Subclass
Class
Keyword
Chromosome
External id
Tissue
Cell type
Expression
Antibody panel
Tissue
Main location
Patient ID
Annotation
Tissue
Category
Tau score
Cluster
Reliability
Brain region
Category
Tau score
Brain region
Category
Tau score
Brain region
Category
Tau score
Cluster
Reliability
Tissue
Cell type
Enrichment
Cell type
Category
Tau score
Cell type
Category
Tau score
Cell type
Category
Tau score
Cell lineage
Category
Tau score
Cluster
Cluster
Location
Searches
Location
Cell line
Class
Type
Phase
Reliability
Cancer
Prognosis
Cancer
Category
Cancer
Category
Tau score
Cluster
Variants
Interacting gene (ensg_id)
Type
Number of interactions
Pathway
Category
Score
Score
Score
Validation
Validation
Validation
Validation
Antibodies
Data type
Column


  • SUMMARY

  • TISSUE

  • BRAIN

  • SINGLE CELL

  • SUBCELL

  • CANCER

  • BLOOD

  • CELL LINE

  • STRUCT & INT

  • MAP1B
TISSUE PRIMARY DATA SKIN Show tissue menu
ADIPOSE TISSUE ADRENAL GLAND AMYGDALA APPENDIX BASAL GANGLIA BONE MARROW BREAST BRONCHUS CEREBELLUM CEREBRAL CORTEX CERVIX CHOROID PLEXUS COLON DUODENUM
ENDOMETRIUM EPIDIDYMIS ESOPHAGUS FALLOPIAN TUBE GALLBLADDER HEART MUSCLE HIPPOCAMPAL FORMATION HYPOTHALAMUS KIDNEY LIVER LUNG LYMPH NODE MIDBRAIN NASOPHARYNX
ORAL MUCOSA OVARY PANCREAS PARATHYROID GLAND PITUITARY GLAND PLACENTA PROSTATE RECTUM RETINA SALIVARY GLAND SEMINAL VESICLE SKELETAL MUSCLE SKIN SMALL INTESTINE
SMOOTH MUSCLE SOFT TISSUE SPINAL CORD SPLEEN STOMACH TESTIS THYMUS THYROID GLAND TONGUE TONSIL URINARY BLADDER VAGINA
ANTIBODIES
AND
VALIDATION
Dictionary
Skin
Tissue proteome
Skin
SKIN - Expression summary
Protein expression
Skini

On the top, protein expression in current human tissue, based on all annotated cell types, is reported with the units not detected (n), low (l), medium (m) and high (h). Underneath, protein expression in each annotated cell type are reported using the same units.

Protein expression data is based on knowledge-based annotation. For genes where more than one antibody has been used, a collective score is set.

If knowledge-based annotation could not be performed for a gene, no data is displayed here. View antibody staining data further down this page.

h
m
l
n
Arrector pili muscle cells: High
Cells in basal layer: Low
Cells in corneal layer: Not detected
Cells in granular layer: Not detected
Cells in spinous layer: Not detected
Eccrine glands: Not detected
Endothelial cells: Not detected
Extracellular matrix: Not detected
Fibrohistiocytic cells: Low
Hair follicles: Not detected
Langerhans cells: Not detected
Lymphocytes: Not detected
Melanocytes: Not detected
Sebaceous glands: Not detected
Vascular mural cells: Not detected
RNA expressioni

A summary of mRNA expression data available for current tissue based on several datasets. The mRNA expression levels in human tissues are based on RNA-seq data generated by the Human Protein Atlas (HPA), Genotype-Tissue Expression (GTEx) portal and CAGE data generated by the FANTOM5 consortium. Consensus normalized expression levels for human tissues was created by combining the data from HPA and GTEx datasets.

The mRNA expression levels in pig are based on RNA-seq data generated by the Human Protein Atlas (HPA), and for mouse, HPA data and in situ hybridization generated by the Allen brain atlas are reported.

Scroll down to view mRNA expression data in more detail.
Consensus:12.9 nTPM
HPA:10.5 nTPM
GTEx:12.9 nTPM

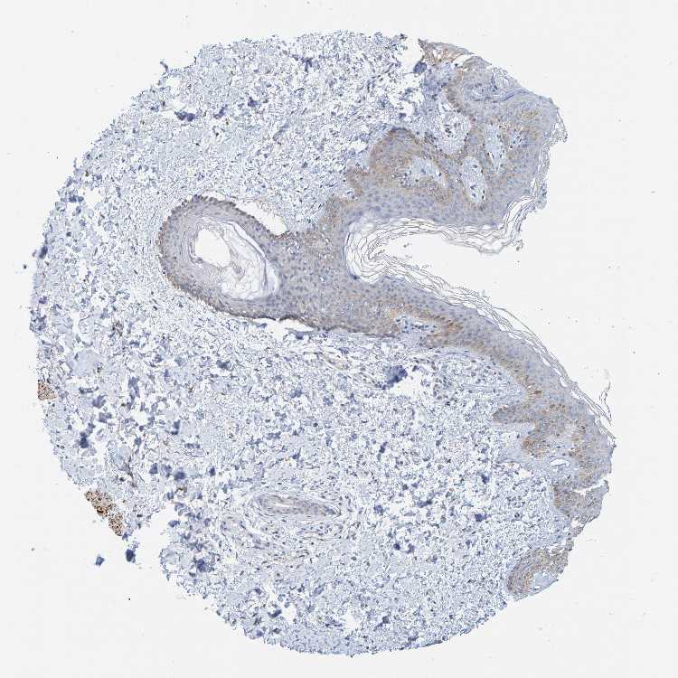
SKIN 1 - Antibody stainingi

Antibody staining in the annotated cell types in the current human tissue is reported as not detected, low, medium, or high, based on conventional immunohistochemistry profiling in selected tissues. This score is based on the combination of the staining intensity and fraction of stained cells.

Each image is clickable and will lead to virtual microscopy that enables deeper exploration of all samples and also displays staining intensity scores, fraction scores and subcellular localization as well as patient and tissue information for each sample.

Antibody HPA022275Antibody CAB009792
Langerhans -Not detected
Arrector pili muscle cells High-
Cells in basal layer Low-
Cells in corneal layer Not detected-
Cells in granular layer Not detected-
Cells in spinous layer Not detected-
Eccrine glands Not detected-
Endothelial cells Not detected-
Extracellular matrix Not detected-
Fibroblasts -Medium
Fibrohistiocytic cells Low-
Hair follicles Not detected-
Keratinocytes -Low
Langerhans cells Not detected-
Lymphocytes Not detected-
Melanocytes Not detectedMedium
Vascular mural cells Not detected-




SKIN 2 - Antibody stainingi

Antibody staining in the annotated cell types in the current human tissue is reported as not detected, low, medium, or high, based on conventional immunohistochemistry profiling in selected tissues. This score is based on the combination of the staining intensity and fraction of stained cells.

Each image is clickable and will lead to virtual microscopy that enables deeper exploration of all samples and also displays staining intensity scores, fraction scores and subcellular localization as well as patient and tissue information for each sample.

Antibody HPA022275Antibody CAB009792
Cells in basal layer Low-
Cells in corneal layer Not detected-
Cells in granular layer Not detected-
Cells in spinous layer Not detected-
Endothelial cells Not detected-
Epidermal cells -Not detected
Extracellular matrix Not detected-
Fibrohistiocytic cells Low-
Hair follicles Not detected-
Langerhans cells Not detected-
Lymphocytes Not detected-
Melanocytes Not detected-
Sebaceous glands Not detected-
Vascular mural cells Not detected-
  
  
  




SKIN - HPA RNA-seqi

The RNA-seq details section shows detailed information about the individual samples used for the transcript profiling and results of the RNA-seq analysis.

Information about each individual sample is listed below, including gender, age, a tissue section image and estimated fractions of cell types. nTPM (normalized transcripts per million) values give a quantification of the gene abundance which is comparable between different genes and samples.
Average nTPMi

Max subtype nTPM is the value for the subtype with the largest average nTPM across the subtype samples.

10.5
overview
Female, age 34
Skin sample 225
nTPM: 11.3
Cell types%
Keratinocytes:
60

Other cell types:
40

overview
Female, age 30
Skin sample 226
nTPM: 15.2
Cell types%
Keratinocytes:
55

Other cell types:
45

N/A
Male, age 57
Skin sample 227
nTPM: 4.9

SKIN - GTEx RNA-seqi

RNA-Seq data generated by the Genotype-Tissue Expression (GTEx) project from human tissues is reported as mean nTPM. More information can be found on the GTEx portal.

Distribution across the dataset is visualized with box plots, shown as median and 25th and 75th percentiles. Points are displayed as outliers if they are above or below 1.5 times the interquartile range. nTPM values of the individual samples are presented next to the box plot.
Max subtype nTPMi

Max subtype nTPM is the value for the subtype with the largest average nTPM across the subtype samples.

12.9
GTEx sample id Sample description nTPM
Skin - Not Sun Exposed (Suprapubic)
Average nTPM: 8.6
Samples: 604

Max nTPM: 39.1
Min nTPM: 1.3
Std nTPM: 4.1
Median nTPM: 7.9
GTEX-14DAR-1226-SM-73KYV 50-59 years, male 39.1
GTEX-12WSL-2026-SM-5GCML 50-59 years, male 38.3
GTEX-1AX9J-1326-SM-731BJ 60-69 years, male 30.7
GTEX-ZGAY-1826-SM-DO91Q 40-49 years, female 29.1
GTEX-1497J-0226-SM-5QGPU 60-69 years, male 27.2
GTEX-1QP29-1826-SM-DTX9S 50-59 years, male 26.3
GTEX-18D9B-0926-SM-7LG4U 60-69 years, male 24.3
GTEX-X3Y1-2026-SM-3P5YM 40-49 years, male 21.9
GTEX-14PKU-0126-SM-6LLHV 40-49 years, female 21.1
GTEX-ZT9W-1126-SM-57WDR 50-59 years, male 21.1
GTEX-1LG7Z-1626-SM-CXKYR 30-39 years, male 21.0
GTEX-1JKYN-0826-SM-ARU8S 30-39 years, male 19.6
GTEX-ZLFU-1826-SM-4WWBV 40-49 years, male 19.5
GTEX-16BQI-1326-SM-6M486 30-39 years, female 19.2
GTEX-Y8LW-1526-SM-5IFHL 50-59 years, female 18.8
GTEX-13FH7-1126-SM-5K7UG 50-59 years, female 18.5
GTEX-1L5NE-1126-SM-D3L9P 50-59 years, male 18.4
GTEX-1211K-1526-SM-5FQU4 60-69 years, female 18.2
GTEX-1HCUA-0826-SM-ADEHM 50-59 years, female 18.1
GTEX-16MTA-0926-SM-6M47Z 50-59 years, male 17.7
GTEX-13113-1626-SM-5EQ4I 60-69 years, female 17.6
GTEX-YF7O-1526-SM-5IFI6 50-59 years, male 17.0
GTEX-X5EB-1926-SM-4E3IW 40-49 years, male 16.9
GTEX-13N11-2326-SM-5IJBF 50-59 years, female 16.8
GTEX-13OVG-1626-SM-5J1NF 60-69 years, male 16.2
GTEX-1HR98-2226-SM-ADEI2 60-69 years, male 16.2
GTEX-1IDJC-1526-SM-B2LW4 50-59 years, male 16.1
GTEX-18A7B-2726-SM-7LG56 70-79 years, male 15.9
GTEX-YB5K-2026-SM-4VDT3 40-49 years, female 15.7
GTEX-1C475-1326-SM-7SB73 40-49 years, female 15.6
GTEX-1GPI6-1926-SM-9KNV7 60-69 years, male 15.6
GTEX-18D9U-0126-SM-731BM 40-49 years, male 15.4
GTEX-1S831-1826-SM-EWROF 20-29 years, male 15.3
GTEX-1HFI7-2326-SM-CGQFS 50-59 years, female 15.2
GTEX-13N2G-0226-SM-5K7VF 60-69 years, male 14.9
GTEX-17EVQ-0126-SM-7IGLR 70-79 years, male 14.9
GTEX-1F52S-2926-SM-7MKGA 60-69 years, female 14.8
GTEX-WFG8-2126-SM-3GIKQ 20-29 years, male 14.8
GTEX-1F75B-0726-SM-7PC3R 50-59 years, male 14.8
GTEX-13X6H-0926-SM-5SIB2 50-59 years, female 14.6
GTEX-1B996-0426-SM-7EWF8 60-69 years, male 14.6
GTEX-Y5V6-2326-SM-4VDSA 60-69 years, male 14.5
GTEX-ZZPU-0826-SM-5GZX5 50-59 years, female 14.4
GTEX-14PK6-0226-SM-62LF5 70-79 years, female 14.3
GTEX-1399R-1326-SM-5PNYS 30-39 years, male 14.2
GTEX-WYBS-0626-SM-3NMAS 60-69 years, female 14.0
GTEX-1GMR2-0826-SM-7PC3V 50-59 years, male 14.0
GTEX-1HUB1-1426-SM-CGQF5 60-69 years, male 13.9
GTEX-1JKYR-0626-SM-ARL8R 20-29 years, male 13.9
GTEX-14PKV-1126-SM-6LLJ1 20-29 years, female 13.8
GTEX-1H1DF-1126-SM-9WG7G 40-49 years, female 13.8
GTEX-1HSMQ-2626-SM-A9SML 50-59 years, male 13.8
GTEX-145ME-1726-SM-5Q5EU 40-49 years, female 13.7
GTEX-1QCLZ-2426-SM-EVYBW 60-69 years, female 13.7
GTEX-11EI6-2826-SM-5H11D 60-69 years, male 13.5
GTEX-1IDJI-0126-SM-CMKHS 50-59 years, female 13.5
GTEX-1A32A-0626-SM-731AQ 50-59 years, female 13.4
GTEX-1B932-2326-SM-79OL5 40-49 years, female 13.3
GTEX-13OVJ-0826-SM-5J1OK 50-59 years, female 13.2
GTEX-15FZZ-0526-SM-7KUGD 30-39 years, female 13.2
GTEX-ZA64-1026-SM-5HL8R 20-29 years, male 13.2
GTEX-1J8Q3-0526-SM-ARL8U 60-69 years, male 13.2
GTEX-1CAV2-0126-SM-7IGN7 40-49 years, female 13.1
GTEX-131XF-2626-SM-5EQ6K 60-69 years, male 13.0
GTEX-1GZ2Q-0126-SM-9WG6M 40-49 years, male 13.0
GTEX-1IDJU-1726-SM-CMKHU 60-69 years, female 13.0
GTEX-13YAN-0226-SM-5TDC6 60-69 years, male 12.8
GTEX-1J1R8-2026-SM-CL53Y 40-49 years, male 12.8
GTEX-1QEPI-2626-SM-DTXF4 60-69 years, female 12.8
GTEX-WEY5-2326-SM-3GIKK 40-49 years, female 12.7
GTEX-12C56-1526-SM-5FQUQ 20-29 years, male 12.6
GTEX-1HCU9-0426-SM-9WYSD 20-29 years, male 12.6
GTEX-14JG6-1426-SM-9WG7C 30-39 years, female 12.5
GTEX-1F75W-2726-SM-7SB8H 60-69 years, male 12.5
GTEX-1IDJF-2026-SM-CL53V 20-29 years, male 12.5
GTEX-13X6I-1826-SM-5SIAO 60-69 years, male 12.4
GTEX-145MN-1526-SM-5SI9T 30-39 years, male 12.4
GTEX-18QFQ-1826-SM-72D52 30-39 years, male 12.4
GTEX-1LGOU-1326-SM-D3L8M 20-29 years, female 12.4
GTEX-1IDJE-1426-SM-ADEIW 50-59 years, female 12.3
GTEX-1HR9M-2226-SM-CNPPY 60-69 years, male 12.2
GTEX-1LGRB-0926-SM-COH3K 50-59 years, female 12.2
GTEX-X585-2426-SM-46MW2 50-59 years, male 12.1
GTEX-Y5V5-0126-SM-5S2NW 60-69 years, female 12.1
GTEX-11ZTT-2126-SM-5CVLO 60-69 years, female 12.0
GTEX-117YX-1926-SM-5GIEC 50-59 years, male 11.9
GTEX-1399Q-2326-SM-5KM2X 40-49 years, male 11.9
GTEX-14BMU-1226-SM-5S2OR 20-29 years, female 11.9
GTEX-15RIG-0726-SM-7KUM7 40-49 years, male 11.9
GTEX-WFG7-2026-SM-5SI7P 20-29 years, male 11.9
GTEX-1JJ6O-2726-SM-CNPOG 60-69 years, male 11.9
GTEX-1N5O9-0926-SM-E9J3C 60-69 years, male 11.8
GTEX-ZU9S-1826-SM-5NQ9E 30-39 years, male 11.7
GTEX-1H3VE-0726-SM-9YFL5 40-49 years, male 11.7
GTEX-1RAZA-2226-SM-E9U4X 20-29 years, male 11.7
GTEX-14E6E-0526-SM-793DN 30-39 years, male 11.6
GTEX-11LCK-2226-SM-5HL4Q 30-39 years, male 11.5
GTEX-14ABY-2026-SM-62LDL 50-59 years, male 11.5
GTEX-17F9Y-0126-SM-79OKX 70-79 years, female 11.5
GTEX-X4EO-2926-SM-4E3JH 60-69 years, female 11.5
GTEX-ZVT2-0126-SM-5GIDQ 50-59 years, female 11.5
GTEX-111CU-1126-SM-5EGIM 50-59 years, male 11.4
GTEX-12ZZZ-0726-SM-5GCNZ 60-69 years, male 11.4
GTEX-139YR-1026-SM-5LZYN 50-59 years, male 11.4
GTEX-147F3-1726-SM-5SIAW 50-59 years, female 11.4
GTEX-18A66-0626-SM-7LT8Z 60-69 years, male 11.4
GTEX-1I6K6-1726-SM-CGQFD 30-39 years, male 11.4
GTEX-1LBAC-0826-SM-CY8IJ 20-29 years, male 11.4
GTEX-13D11-0926-SM-5J2NC 50-59 years, female 11.3
GTEX-1GF9U-2026-SM-7SB92 40-49 years, female 11.3
GTEX-14DAQ-0626-SM-793DS 60-69 years, female 11.2
GTEX-ZLWG-0826-SM-59888 50-59 years, female 11.2
GTEX-1HKZK-0726-SM-ACKW2 40-49 years, male 11.2
GTEX-1HSGN-0826-SM-ACKW3 40-49 years, female 11.2
GTEX-1JJE9-2626-SM-ARZMT 70-79 years, male 11.2
GTEX-1JMQK-1226-SM-D4P2S 60-69 years, male 11.2
GTEX-1R7EU-1626-SM-DTXG3 60-69 years, male 11.2
GTEX-1RAZR-2126-SM-E9U6T 40-49 years, male 11.2
GTEX-131XW-0626-SM-5PNVD 50-59 years, female 11.1
GTEX-13OW8-1026-SM-5J1NQ 60-69 years, male 11.1
GTEX-16MT8-2926-SM-7DUFO 60-69 years, female 11.1
GTEX-17MF6-2626-SM-79OKQ 40-49 years, male 11.1
GTEX-1IDJV-0126-SM-COH3Y 60-69 years, male 11.1
GTEX-1S82P-2126-SM-E6CI5 60-69 years, female 11.1
GTEX-13FTW-0326-SM-5K7UW 40-49 years, male 11.0
GTEX-WXYG-2026-SM-4E3IY 50-59 years, female 11.0
GTEX-Y5LM-0926-SM-6LLJG 40-49 years, female 11.0
GTEX-18D9A-1426-SM-7LT8M 30-39 years, female 11.0
GTEX-1314G-1326-SM-5BC6E 30-39 years, male 10.9
GTEX-1EX96-1026-SM-7MKG2 50-59 years, male 10.9
GTEX-1LVAM-0726-SM-E6CIL 50-59 years, female 10.9
GTEX-11DXZ-2026-SM-5987S 50-59 years, male 10.8
GTEX-13QBU-1226-SM-5LU4G 40-49 years, female 10.8
GTEX-17JCI-2926-SM-7DUFF 60-69 years, female 10.8
GTEX-WYVS-1626-SM-3NM9R 40-49 years, female 10.7
GTEX-ZF2S-1626-SM-57WES 50-59 years, female 10.7
GTEX-1GZ4H-0526-SM-9KNU9 50-59 years, female 10.7
GTEX-1I4MK-0126-SM-CY8G6 50-59 years, female 10.7
GTEX-12BJ1-0926-SM-5EQ62 60-69 years, male 10.6
GTEX-15RJ7-2126-SM-6PAMD 40-49 years, male 10.6
GTEX-1RAZS-2526-SM-E6CHT 50-59 years, male 10.6
GTEX-ZPIC-0526-SM-DO91W 40-49 years, female 10.6
GTEX-WFON-1926-SM-3LK7L 40-49 years, male 10.5
GTEX-1CB4I-0126-SM-7RHGG 50-59 years, male 10.5
GTEX-1GL5R-1326-SM-7RHHF 50-59 years, male 10.5
GTEX-11P7K-1126-SM-5HL4L 30-39 years, male 10.4
GTEX-ZVP2-0326-SM-57WBP 50-59 years, male 10.4
GTEX-1ICG6-1226-SM-A9SLN 70-79 years, female 10.4
GTEX-XBEC-0726-SM-4QARZ 50-59 years, male 10.3
GTEX-1S5ZU-2526-SM-E6CIF 20-29 years, female 10.3
GTEX-16Z82-2626-SM-7KULU 60-69 years, male 10.2
GTEX-1A3MV-1826-SM-731CD 30-39 years, male 10.2
GTEX-ZP4G-1426-SM-4WWCL 20-29 years, female 10.2
GTEX-1JMOU-1026-SM-CYPSS 60-69 years, female 10.2
GTEX-1F75I-2226-SM-7SB8U 40-49 years, male 10.1
GTEX-ZPU1-1126-SM-4YCF3 40-49 years, male 10.0
GTEX-ZVE2-2826-SM-5GU51 50-59 years, male 10.0
GTEX-1CAMR-1326-SM-7PC1F 20-29 years, male 10.0
GTEX-1F6I4-2326-SM-7RHGL 60-69 years, male 10.0
GTEX-183FY-1026-SM-7939A 20-29 years, male 9.9
GTEX-XV7Q-1826-SM-4BRUV 40-49 years, female 9.9
GTEX-YFCO-1226-SM-5LUAT 40-49 years, male 9.9
GTEX-YEC3-1326-SM-DO92X 50-59 years, male 9.9
GTEX-16NGA-0726-SM-731AO 40-49 years, female 9.8
GTEX-17HGU-2326-SM-7DUFE 50-59 years, male 9.8
GTEX-XPVG-2126-SM-4B667 50-59 years, male 9.8
GTEX-1MJK3-0726-SM-E6CJC 20-29 years, male 9.8
GTEX-13FLV-0126-SM-5K7WT 50-59 years, male 9.7
GTEX-18A7A-0126-SM-731AH 50-59 years, female 9.7
GTEX-ZC5H-1526-SM-5HL9Y 40-49 years, female 9.7
GTEX-1A8FM-0626-SM-7PC25 50-59 years, female 9.7
GTEX-1C6VR-0126-SM-7RHGB 60-69 years, male 9.7
GTEX-11NSD-0626-SM-5A5LU 20-29 years, male 9.6
GTEX-Y3I4-1726-SM-4TT89 50-59 years, male 9.6
GTEX-ZDXO-3126-SM-5IJDF 60-69 years, male 9.6
GTEX-ZTSS-1426-SM-5985P 40-49 years, male 9.6
GTEX-12WSK-2126-SM-5CVNC 40-49 years, female 9.5
GTEX-17F9E-2326-SM-79OKD 50-59 years, male 9.5
GTEX-1B97I-0626-SM-73KUZ 40-49 years, male 9.5
GTEX-WYJK-0526-SM-3NM8Z 50-59 years, male 9.5
GTEX-XOT4-0626-SM-4B66L 60-69 years, female 9.5
GTEX-Y3IK-1626-SM-4YCF5 50-59 years, female 9.5
GTEX-1122O-1026-SM-9WYSF 60-69 years, female 9.5
GTEX-1EMGI-2326-SM-7PBYA 60-69 years, male 9.5
GTEX-1GMR8-0626-SM-7RHI7 50-59 years, female 9.5
GTEX-1H3NZ-2726-SM-9WYTQ 60-69 years, male 9.5
GTEX-1QPFJ-1926-SM-EVYBD 30-39 years, female 9.5
GTEX-15CHR-1126-SM-7EWF4 50-59 years, male 9.4
GTEX-15SKB-2826-SM-6PAMH 60-69 years, male 9.4
GTEX-17HG3-2626-SM-7DUF2 30-39 years, female 9.4
GTEX-1JMQJ-0826-SM-CNPP7 50-59 years, male 9.4
GTEX-111YS-1526-SM-5GZYW 60-69 years, male 9.3
GTEX-11EQ9-1626-SM-5PNY8 30-39 years, male 9.3
GTEX-14PHX-2226-SM-6EU2P 50-59 years, male 9.3
GTEX-16AAH-0626-SM-793C9 50-59 years, male 9.3
GTEX-ZAK1-0626-SM-5HL8E 50-59 years, female 9.3
GTEX-1IDFM-0326-SM-ARL7V 60-69 years, male 9.3
GTEX-1KXAM-1626-SM-D3LAD 60-69 years, male 9.3
GTEX-1LSNL-2726-SM-E9TKJ 50-59 years, male 9.3
GTEX-1R9K4-2826-SM-DTX8F 60-69 years, male 9.3
GTEX-1212Z-0126-SM-59HK4 60-69 years, male 9.2
GTEX-131XG-0326-SM-5L3DX 50-59 years, female 9.2
GTEX-13PVQ-0626-SM-5LU47 50-59 years, male 9.2
GTEX-15CHQ-0326-SM-69LQD 60-69 years, male 9.2
GTEX-17F97-2626-SM-7IGM5 50-59 years, male 9.2
GTEX-V1D1-2026-SM-3GAF4 50-59 years, male 9.2
GTEX-ZYFG-1526-SM-5GZYM 60-69 years, female 9.2
GTEX-11VI4-1126-SM-5EQMD 40-49 years, female 9.1
GTEX-13SLW-0626-SM-5Q5ER 70-79 years, male 9.1
GTEX-VJYA-1526-SM-3GIJV 60-69 years, male 9.1
GTEX-1K2DA-1026-SM-CGQGF 50-59 years, male 9.1
GTEX-131XH-0126-SM-5LZUY 50-59 years, male 9.0
GTEX-139T8-0626-SM-5KLZX 60-69 years, male 9.0
GTEX-1EKGG-0626-SM-7DUGJ 60-69 years, male 9.0
GTEX-YEC4-1826-SM-4W1YP 40-49 years, male 9.0
GTEX-ZVTK-0226-SM-51MRG 20-29 years, male 9.0
GTEX-1IOXB-2726-SM-CM2RI 50-59 years, male 9.0
GTEX-1269C-0126-SM-5EQ5L 60-69 years, female 8.9
GTEX-132AR-0326-SM-5KM2C 50-59 years, female 8.9
GTEX-13W3W-0726-SM-5IJDQ 60-69 years, female 8.9
GTEX-146FQ-2126-SM-5RQHU 30-39 years, male 8.9
GTEX-15EU6-2226-SM-6EU2L 50-59 years, male 8.9
GTEX-XBED-1926-SM-47JYP 60-69 years, male 8.9
GTEX-1AYD5-2626-SM-7PBXY 50-59 years, male 8.9
GTEX-1IY9M-2826-SM-ARU8H 60-69 years, male 8.9
GTEX-1LVAN-0626-SM-CNPOQ 50-59 years, female 8.9
GTEX-13OVK-1426-SM-6PAN7 40-49 years, male 8.8
GTEX-13VXU-0626-SM-5L3F9 50-59 years, male 8.8
GTEX-17KNJ-2126-SM-718AM 50-59 years, male 8.8
GTEX-ZXG5-2126-SM-59HKD 60-69 years, male 8.8
GTEX-ZZ64-1026-SM-5GZXG 20-29 years, male 8.8
GTEX-1F5PL-0926-SM-7PC2W 40-49 years, female 8.8
GTEX-1J8EW-2726-SM-CY8HR 60-69 years, female 8.8
GTEX-1192X-2726-SM-5N9DN 50-59 years, male 8.7
GTEX-15ER7-0626-SM-6PANF 20-29 years, female 8.7
GTEX-178AV-1726-SM-7KUL8 40-49 years, male 8.7
GTEX-17EVP-2626-SM-7IGMA 40-49 years, male 8.7
GTEX-18A67-1626-SM-7LT9T 50-59 years, male 8.7
GTEX-1EWIQ-0326-SM-7DHMQ 70-79 years, female 8.7
GTEX-1C64O-1326-SM-7MGWR 60-69 years, male 8.7
GTEX-1H3O1-1326-SM-9MQLD 60-69 years, male 8.7
GTEX-1QMI2-2526-SM-E8VNZ 60-69 years, male 8.7
GTEX-145MO-2826-SM-5LU96 60-69 years, male 8.6
GTEX-15SHW-0226-SM-7LTAT 60-69 years, male 8.6
GTEX-16NPX-0726-SM-7KULC 50-59 years, male 8.6
GTEX-Y114-2126-SM-4TT8B 50-59 years, female 8.6
GTEX-1H1E6-0426-SM-9WYUS 30-39 years, male 8.6
GTEX-1KAFJ-0126-SM-DIPEK 50-59 years, male 8.6
GTEX-1M4P7-0726-SM-E6CJ3 60-69 years, male 8.6
GTEX-139D8-1126-SM-5LU8W 30-39 years, female 8.5
GTEX-13NYB-0126-SM-5J1MD 40-49 years, male 8.5
GTEX-1AX9I-2226-SM-73KUO 60-69 years, male 8.5
GTEX-UPK5-0426-SM-3GAEK 40-49 years, male 8.5
GTEX-1KANC-1226-SM-CYPT7 50-59 years, female 8.5
GTEX-11P81-2226-SM-5PNYI 30-39 years, female 8.4
GTEX-11PRG-0726-SM-5EGL1 50-59 years, male 8.4
GTEX-1AMFI-1326-SM-7939R 50-59 years, female 8.4
GTEX-WY7C-2126-SM-3NB2R 50-59 years, male 8.4
GTEX-XAJ8-1426-SM-47JYM 40-49 years, male 8.4
GTEX-1H1DE-1326-SM-9KNUG 20-29 years, male 8.4
GTEX-1K9T9-1526-SM-DIPFR 50-59 years, female 8.4
GTEX-11EQ8-0926-SM-5H12V 60-69 years, male 8.3
GTEX-13JUV-2026-SM-5K7UA 40-49 years, female 8.3
GTEX-YECK-0326-SM-4W1YS 60-69 years, male 8.3
GTEX-ZDYS-2426-SM-4WKGI 50-59 years, male 8.3
GTEX-1F6IF-0926-SM-7SB7M 60-69 years, male 8.3
GTEX-1GN1W-2426-SM-9KNUU 50-59 years, female 8.3
GTEX-1H1ZS-2726-SM-9WG75 70-79 years, male 8.3
GTEX-1I1CD-0626-SM-CE6SW 60-69 years, female 8.3
GTEX-14PJ2-0626-SM-6LLII 50-59 years, male 8.2
GTEX-1OJC3-1226-SM-DTXER 20-29 years, male 8.2
GTEX-12WSH-1526-SM-5BC5W 50-59 years, male 8.1
GTEX-13OW5-2326-SM-5L3HO 60-69 years, male 8.1
GTEX-144GO-2026-SM-5O99P 60-69 years, male 8.1
GTEX-145MI-0626-SM-5SI8S 60-69 years, female 8.1
GTEX-17F96-0126-SM-7EWDU 70-79 years, male 8.1
GTEX-17F98-1326-SM-7DUEP 40-49 years, female 8.1
GTEX-1B8KE-1126-SM-7EPHI 50-59 years, male 8.1
GTEX-XUW1-0926-SM-4BONX 50-59 years, female 8.1
GTEX-1F88E-1626-SM-7SB8Z 60-69 years, female 8.1
GTEX-1LSNM-0826-SM-DIPG8 50-59 years, male 8.1
GTEX-1R9PN-0426-SM-DTXDT 40-49 years, female 8.1
GTEX-12696-0126-SM-5EQ4L 60-69 years, male 8.0
GTEX-13OVL-0126-SM-5L3GJ 50-59 years, male 8.0
GTEX-13VXT-1926-SM-5K7UO 20-29 years, female 8.0
GTEX-145LS-0626-SM-7EPG7 60-69 years, female 8.0
GTEX-14A6H-2026-SM-5Q5DD 30-39 years, male 8.0
GTEX-14E6C-2426-SM-5S2NF 40-49 years, male 8.0
GTEX-WHSE-0126-SM-3NMBT 20-29 years, male 8.0
GTEX-1GF9V-0826-SM-9KNUV 60-69 years, male 8.0
GTEX-1GTWX-2026-SM-9YFLM 60-69 years, male 8.0
GTEX-1HCU8-2526-SM-CE6RX 60-69 years, female 8.0
GTEX-1HCVE-2726-SM-CL54F 50-59 years, male 8.0
GTEX-1HSKV-1226-SM-ADEI4 60-69 years, male 8.0
GTEX-1KANA-1326-SM-DIPFA 20-29 years, male 8.0
GTEX-1RB15-1326-SM-E76Q9 60-69 years, male 8.0
GTEX-ZLV1-1526-SM-DO91J 60-69 years, female 8.0
GTEX-1117F-2926-SM-5GZYI 60-69 years, female 7.9
GTEX-11EM3-1226-SM-5N9DD 20-29 years, female 7.9
GTEX-139TU-0726-SM-5L3EK 60-69 years, male 7.9
GTEX-13PVR-0426-SM-5RQK2 60-69 years, female 7.9
GTEX-1AX8Z-0726-SM-73KTS 60-69 years, male 7.9
GTEX-1F75A-0726-SM-7RHHD 50-59 years, male 7.9
GTEX-1J8JJ-0626-SM-ARZMQ 60-69 years, female 7.9
GTEX-1JMPY-0226-SM-CKZOK 30-39 years, male 7.9
GTEX-1KANB-2826-SM-CY8I6 50-59 years, male 7.9
GTEX-1QP66-1226-SM-DTX7U 50-59 years, male 7.9
GTEX-11DXW-0826-SM-5H118 40-49 years, male 7.8
GTEX-12KS4-2126-SM-5FQUT 30-39 years, male 7.8
GTEX-12WSA-0426-SM-5EQ5X 60-69 years, male 7.8
GTEX-14E1K-2026-SM-7DUEI 50-59 years, male 7.8
GTEX-14JG1-1526-SM-5YY9X 40-49 years, male 7.8
GTEX-15G1A-1626-SM-7KUKN 30-39 years, male 7.8
GTEX-Y8E4-2026-SM-5IFJB 40-49 years, male 7.8
GTEX-ZPCL-1126-SM-4WWFE 60-69 years, female 7.8
GTEX-ZWKS-0626-SM-5GIDV 30-39 years, male 7.8
GTEX-1JN6P-2926-SM-CL54D 60-69 years, male 7.8
GTEX-1LVA9-2626-SM-EVYD4 50-59 years, male 7.8
GTEX-15EO6-2426-SM-6PALZ 50-59 years, male 7.7
GTEX-XYKS-1426-SM-4BRUO 60-69 years, female 7.7
GTEX-ZYW4-0626-SM-59HJR 60-69 years, male 7.7
GTEX-11OF3-0126-SM-5PNYF 60-69 years, male 7.6
GTEX-13N1W-2426-SM-5IJD1 70-79 years, male 7.6
GTEX-13PDP-0726-SM-5L3HP 60-69 years, male 7.6
GTEX-14753-0726-SM-5QGQO 60-69 years, male 7.6
GTEX-17MFQ-1526-SM-7KFRR 20-29 years, male 7.6
GTEX-1C2JI-1026-SM-73KY1 50-59 years, male 7.6
GTEX-1CB4H-1126-SM-7MKGL 60-69 years, female 7.6
GTEX-ZDTS-0826-SM-4WKHL 60-69 years, male 7.6
GTEX-1O9I2-0226-SM-EYYXD 50-59 years, male 7.6
GTEX-1QW4Y-1126-SM-DTXE3 30-39 years, male 7.6
GTEX-11DYG-1526-SM-5A5JS 60-69 years, male 7.5
GTEX-13NZ9-2626-SM-5L3FK 50-59 years, male 7.5
GTEX-13U4I-2226-SM-5LU5H 40-49 years, female 7.5
GTEX-145LT-0526-SM-5LUB2 40-49 years, male 7.5
GTEX-14LLW-2626-SM-62LDZ 70-79 years, female 7.5
GTEX-1I1HK-2326-SM-CKZOH 60-69 years, male 7.5
GTEX-1MCC2-1826-SM-DIPEX 30-39 years, female 7.5
GTEX-13JVG-0726-SM-5KM16 60-69 years, male 7.4
GTEX-14PJ6-2626-SM-6EU2T 60-69 years, female 7.4
GTEX-1A3MW-0626-SM-731CB 60-69 years, female 7.4
GTEX-ZF29-0926-SM-4WKFZ 60-69 years, female 7.4
GTEX-14JFF-0626-SM-5ZZVT 60-69 years, male 7.4
GTEX-1C64N-2626-SM-7PC2N 50-59 years, male 7.4
GTEX-1CB4J-1326-SM-7P8RX 60-69 years, male 7.4
GTEX-11WQC-1826-SM-5GU59 60-69 years, male 7.3
GTEX-13O61-1426-SM-5KM3D 60-69 years, male 7.3
GTEX-16GPK-0626-SM-7KFSF 60-69 years, male 7.3
GTEX-18A6Q-0626-SM-7KFRP 60-69 years, male 7.3
GTEX-1F6RS-2026-SM-7RHHC 60-69 years, female 7.3
GTEX-1HC8U-1326-SM-9YFMJ 40-49 years, female 7.3
GTEX-1HSMO-0626-SM-ACKXC 60-69 years, male 7.3
GTEX-1ICLY-0826-SM-CMKG1 50-59 years, male 7.3
GTEX-1IKOE-1426-SM-CE6T7 30-39 years, female 7.3
GTEX-1JMLX-0626-SM-ARL8T 50-59 years, male 7.3
GTEX-1KWVE-1026-SM-D3L9O 30-39 years, male 7.3
GTEX-1OJC4-2726-SM-E76PJ 50-59 years, female 7.3
GTEX-14PJ5-1526-SM-6LLIL 60-69 years, female 7.2
GTEX-1A8G6-2726-SM-731AR 60-69 years, male 7.2
GTEX-1CB4E-0926-SM-7EPHT 60-69 years, male 7.2
GTEX-ZUA1-2626-SM-5NQ92 40-49 years, male 7.2
GTEX-1GPI7-1826-SM-9KNU1 20-29 years, male 7.2
GTEX-1GZHY-0626-SM-9KNVC 50-59 years, female 7.2
GTEX-1H1CY-0126-SM-9YFLY 60-69 years, female 7.2
GTEX-1QP9N-1226-SM-E76QN 30-39 years, male 7.2
GTEX-13NYS-0626-SM-5L3F1 60-69 years, male 7.1
GTEX-13NZ8-1226-SM-5KM4A 60-69 years, female 7.1
GTEX-183WM-0326-SM-72D5V 70-79 years, female 7.1
GTEX-1GF9X-1326-SM-7PC2Y 40-49 years, female 7.1
GTEX-1HSMP-0926-SM-A9SKX 70-79 years, male 7.1
GTEX-1I1GS-2626-SM-B2LY3 60-69 years, male 7.1
GTEX-1I6K7-1926-SM-B2LXR 40-49 years, male 7.1
GTEX-12WSF-1626-SM-7KUG5 70-79 years, male 7.0
GTEX-14LZ3-0126-SM-69LPM 60-69 years, female 7.0
GTEX-X8HC-0626-SM-4E3HQ 50-59 years, female 7.0
GTEX-1GF9W-1426-SM-7PBYM 60-69 years, male 7.0
GTEX-1J8Q2-2626-SM-ACKWQ 60-69 years, male 7.0
GTEX-1JN76-0626-SM-CKZOQ 20-29 years, female 7.0
GTEX-1QP28-1126-SM-EVYC4 50-59 years, female 7.0
GTEX-111FC-2526-SM-5GZXU 60-69 years, male 6.9
GTEX-11TT1-1826-SM-5EQLV 20-29 years, male 6.9
GTEX-13NYC-0126-SM-5L3F4 60-69 years, male 6.9
GTEX-13X6K-0626-SM-5LU5D 60-69 years, female 6.9
GTEX-144FL-0626-SM-5LU43 50-59 years, male 6.9
GTEX-14PHY-1226-SM-5ZZWK 60-69 years, female 6.9
GTEX-18465-2826-SM-7LT9J 50-59 years, male 6.9
GTEX-1AMEY-0826-SM-72D65 30-39 years, female 6.9
GTEX-ZE7O-2726-SM-51MT5 50-59 years, female 6.9
GTEX-1F48J-0726-SM-7RHGS 50-59 years, female 6.9
GTEX-1I1GT-1026-SM-ARZLV 60-69 years, female 6.9
GTEX-1I1GU-0926-SM-ACKVS 40-49 years, male 6.9
GTEX-1IE54-1126-SM-A9G2Z 40-49 years, female 6.9
GTEX-1J8QM-2426-SM-A9SLS 60-69 years, female 6.9
GTEX-11DZ1-2426-SM-5GZZX 50-59 years, male 6.8
GTEX-1399U-1126-SM-5L3DB 50-59 years, female 6.8
GTEX-139TS-2126-SM-5K7XC 60-69 years, male 6.8
GTEX-147JS-0226-SM-5S2U9 60-69 years, male 6.8
GTEX-1CB4F-1026-SM-7DUH1 60-69 years, male 6.8
GTEX-XMD2-2126-SM-4YCF8 60-69 years, female 6.8
GTEX-ZVE1-0726-SM-51MRN 50-59 years, female 6.8
GTEX-1IDJD-2326-SM-ACKWX 30-39 years, male 6.8
GTEX-14A5H-0826-SM-5QGPJ 60-69 years, male 6.7
GTEX-14BMV-2826-SM-5TDED 50-59 years, male 6.7
GTEX-14PII-0726-SM-6EU2B 60-69 years, male 6.7
GTEX-14PJ4-0226-SM-5YY92 60-69 years, male 6.7
GTEX-15RJE-2826-SM-7KUM9 40-49 years, male 6.7
GTEX-1GZ4I-2626-SM-9KNU3 50-59 years, male 6.7
GTEX-1H23P-0626-SM-9WG6T 60-69 years, male 6.7
GTEX-1I19N-0126-SM-CYPSF 70-79 years, male 6.7
GTEX-1JN1M-2726-SM-CY8I4 60-69 years, female 6.7
GTEX-14BIN-1126-SM-5RQJZ 50-59 years, female 6.6
GTEX-1CAMQ-1326-SM-7P8RV 40-49 years, male 6.6
GTEX-1F88F-0126-SM-9WYSZ 60-69 years, female 6.6
GTEX-1PBJJ-1026-SM-E76OS 30-39 years, male 6.6
GTEX-1PPGY-1626-SM-EVYBL 60-69 years, male 6.6
GTEX-13SLX-2226-SM-62LEP 50-59 years, female 6.5
GTEX-14AS3-1526-SM-5Q5ED 40-49 years, female 6.5
GTEX-WK11-2726-SM-3NMAQ 50-59 years, male 6.5
GTEX-WRHU-2826-SM-3MJG8 50-59 years, female 6.5
GTEX-ZAJG-1526-SM-5CVML 50-59 years, female 6.5
GTEX-1GN2E-0226-SM-9WG6K 60-69 years, male 6.5
GTEX-1KD5A-0126-SM-E9U54 50-59 years, male 6.5
GTEX-12126-0826-SM-5FQTZ 20-29 years, male 6.4
GTEX-13PL6-1126-SM-5L3IE 40-49 years, female 6.4
GTEX-145MG-1526-SM-5Q5EM 50-59 years, male 6.4
GTEX-16XZZ-0726-SM-7KUF2 60-69 years, male 6.4
GTEX-1F5PK-2226-SM-7SB6N 50-59 years, male 6.4
GTEX-1GN1V-2826-SM-9JGIA 60-69 years, male 6.4
GTEX-1N2DV-1526-SM-DTXEP 40-49 years, male 6.4
GTEX-12WSD-0626-SM-5GCMW 60-69 years, female 6.3
GTEX-15RIE-1926-SM-7KUKJ 60-69 years, male 6.3
GTEX-15UF6-1926-SM-7KUDV 70-79 years, female 6.3
GTEX-17HII-1426-SM-7EPGG 50-59 years, male 6.3
GTEX-Y9LG-1126-SM-4VBQ7 30-39 years, male 6.3
GTEX-1H11D-1826-SM-9QEHM 40-49 years, male 6.3
GTEX-1H2FU-0926-SM-9WPPT 60-69 years, female 6.2
GTEX-1JK1U-0226-SM-ARZMX 60-69 years, male 6.2
GTEX-1S3DN-2126-SM-E9TIN 50-59 years, male 6.2
GTEX-12WSC-2826-SM-5BC5Y 50-59 years, male 6.1
GTEX-14ICL-1626-SM-5YYAO 30-39 years, male 6.1
GTEX-1A8G7-1326-SM-73KVM 60-69 years, male 6.1
GTEX-1C6WA-2626-SM-7MKGM 60-69 years, male 6.1
GTEX-1E1VI-0326-SM-793D1 50-59 years, male 6.1
GTEX-Z93S-1626-SM-5CVMB 50-59 years, male 6.1
GTEX-1JMQI-1726-SM-ARL93 50-59 years, male 6.1
GTEX-1POEN-2326-SM-E9J2L 30-39 years, female 6.1
GTEX-1RLM8-2926-SM-E8VON 50-59 years, male 6.1
GTEX-12WSJ-1126-SM-5LZVJ 40-49 years, female 6.0
GTEX-14PJN-1826-SM-6AJ98 30-39 years, male 6.0
GTEX-14PJO-2526-SM-6AJBQ 60-69 years, male 6.0
GTEX-15CHC-1126-SM-6LLHQ 60-69 years, female 6.0
GTEX-1BAJH-2426-SM-7IGP8 70-79 years, male 6.0
GTEX-W5X1-2526-SM-3GILC 40-49 years, female 6.0
GTEX-11P82-1426-SM-DTXFY 20-29 years, male 6.0
GTEX-13RTJ-0126-SM-5S2NN 60-69 years, male 5.9
GTEX-XQ8I-0926-SM-4BOOF 50-59 years, male 5.9
GTEX-YJ8O-2526-SM-5HL85 40-49 years, female 5.9
GTEX-ZTX8-1326-SM-4YCEL 20-29 years, male 5.9
GTEX-1E2YA-2126-SM-7MXUO 50-59 years, male 5.9
GTEX-1HBPN-0126-SM-CGQEF 50-59 years, male 5.9
GTEX-1IL2V-1926-SM-B2LW8 70-79 years, male 5.9
GTEX-11NUK-2726-SM-5A5MC 50-59 years, male 5.8
GTEX-15DYW-2726-SM-6EU2I 60-69 years, female 5.8
GTEX-17HHY-0426-SM-7DHLC 50-59 years, male 5.8
GTEX-1B8SF-0126-SM-7DUG3 60-69 years, male 5.8
GTEX-XXEK-1626-SM-4BRUZ 50-59 years, male 5.8
GTEX-12584-0726-SM-5FQTK 40-49 years, male 5.7
GTEX-13O3Q-0126-SM-5KM34 50-59 years, male 5.7
GTEX-1477Z-0326-SM-7IGLA 60-69 years, male 5.7
GTEX-1EH9U-2826-SM-7DUGT 60-69 years, male 5.7
GTEX-1GN1U-0626-SM-9MQL9 50-59 years, female 5.7
GTEX-1HBPI-2126-SM-ARL9K 50-59 years, male 5.7
GTEX-1HCU6-2526-SM-ADEHL 60-69 years, female 5.7
GTEX-1I1GP-1326-SM-A9G28 50-59 years, male 5.7
GTEX-1JJEA-1826-SM-ARU8P 60-69 years, male 5.7
GTEX-1QP2A-1726-SM-E76QC 50-59 years, male 5.7
GTEX-1S82U-1026-SM-E6CJK 30-39 years, female 5.7
GTEX-11GSP-2326-SM-5HL63 60-69 years, female 5.6
GTEX-1399S-0126-SM-5IJCF 30-39 years, female 5.6
GTEX-ZT9X-1526-SM-5DUXD 40-49 years, male 5.6
GTEX-1H1DG-2426-SM-9QEHJ 70-79 years, male 5.6
GTEX-1HBPM-0726-SM-9YFL7 60-69 years, female 5.6
GTEX-1HCU7-0726-SM-A9SL1 50-59 years, male 5.6
GTEX-13OW7-0426-SM-5K7VK 50-59 years, male 5.5
GTEX-ZDTT-0426-SM-4WKFL 60-69 years, male 5.5
GTEX-ZYFC-0426-SM-5GICQ 50-59 years, male 5.5
GTEX-1B8L1-2226-SM-7P8PT 60-69 years, male 5.5
GTEX-1LVAO-2726-SM-E9TJ8 60-69 years, male 5.5
GTEX-1NV5F-0626-SM-DTXEG 60-69 years, female 5.5
GTEX-12WSM-1926-SM-5BC65 60-69 years, male 5.4
GTEX-1EN7A-2426-SM-793DB 40-49 years, male 5.4
GTEX-VUSG-2326-SM-4KL1U 50-59 years, male 5.4
GTEX-1IDJH-0126-SM-D3L92 70-79 years, male 5.4
GTEX-1LB8K-0726-SM-D5OV2 50-59 years, male 5.4
GTEX-1R9PM-1926-SM-EVR3O 20-29 years, male 5.4
GTEX-ZF3C-0626-SM-DO92O 50-59 years, female 5.4
GTEX-111VG-1626-SM-5EGIO 60-69 years, male 5.3
GTEX-11GS4-0226-SM-5HL77 60-69 years, male 5.3
GTEX-12ZZY-0726-SM-5EQ66 60-69 years, male 5.3
GTEX-WH7G-2026-SM-3NMBL 40-49 years, male 5.3
GTEX-1A3MX-2626-SM-7PC24 60-69 years, male 5.3
GTEX-1ICLZ-0326-SM-ARL82 60-69 years, male 5.3
GTEX-1PIGE-1826-SM-E8VOU 20-29 years, male 5.3
GTEX-1RMOY-1326-SM-E9TIH 50-59 years, male 5.3
GTEX-11UD2-2526-SM-5CVNU 50-59 years, male 5.2
GTEX-139TT-2126-SM-5LZWC 60-69 years, male 5.2
GTEX-15DDE-2926-SM-6LLJ3 50-59 years, female 5.2
GTEX-17HHE-1326-SM-7EWDZ 50-59 years, male 5.2
GTEX-1CAMS-2226-SM-7PBXQ 40-49 years, female 5.2
GTEX-1GMRU-2126-SM-7P8RA 50-59 years, male 5.2
GTEX-1I1GV-0626-SM-ARL7M 60-69 years, male 5.2
GTEX-11DXX-2126-SM-5PNYR 60-69 years, female 5.1
GTEX-139UW-0326-SM-5J1ML 60-69 years, male 5.1
GTEX-13IVO-0726-SM-5LZYV 70-79 years, male 5.1
GTEX-147GR-2426-SM-5ZZWQ 60-69 years, male 5.1
GTEX-1B8KZ-0326-SM-73KY4 50-59 years, male 5.1
GTEX-XK95-0226-SM-4AT58 40-49 years, male 5.1
GTEX-1HB9E-0126-SM-CM2S5 50-59 years, male 5.1
GTEX-1HFI6-0126-SM-CNPPI 40-49 years, male 5.1
GTEX-145LU-1926-SM-79OJN 50-59 years, male 5.0
GTEX-16MT9-0126-SM-7EPI8 60-69 years, female 5.0
GTEX-1C6VQ-1226-SM-73KYD 50-59 years, male 5.0
GTEX-WHPG-2626-SM-3NMBR 50-59 years, male 5.0
GTEX-WHWD-1826-SM-3LK6I 50-59 years, male 5.0
GTEX-1JMPZ-0726-SM-CY8HZ 30-39 years, male 5.0
GTEX-1R46S-2426-SM-E76QA 60-69 years, female 5.0
GTEX-133LE-2326-SM-5K7W3 20-29 years, female 4.9
GTEX-13FTX-1526-SM-5K7VJ 20-29 years, female 4.9
GTEX-147F4-0726-SM-5TDDD 50-59 years, male 4.9
GTEX-14B4R-1326-SM-5Q5EZ 30-39 years, male 4.9
GTEX-14PJ3-1126-SM-5ZZVX 50-59 years, male 4.9
GTEX-ZE9C-2526-SM-5IJDR 60-69 years, male 4.9
GTEX-ZTTD-2826-SM-4YCFA 50-59 years, male 4.9
GTEX-ZYFD-0626-SM-5E44E 50-59 years, male 4.9
GTEX-13G51-1826-SM-5KLZH 60-69 years, male 4.8
GTEX-13QJC-0126-SM-5ZZWJ 60-69 years, female 4.8
GTEX-144GL-0626-SM-5LU4D 50-59 years, male 4.8
GTEX-1B933-2426-SM-7DHMD 50-59 years, female 4.8
GTEX-XBEW-1126-SM-4QARW 40-49 years, male 4.8
GTEX-1IKJJ-2226-SM-CJI4C 60-69 years, male 4.8
GTEX-1LG7Y-2526-SM-EWRO7 50-59 years, male 4.8
GTEX-1RAZQ-1326-SM-E9TK6 30-39 years, male 4.8
GTEX-11O72-0626-SM-5PNYE 40-49 years, male 4.7
GTEX-13FHO-0426-SM-5L3F5 60-69 years, male 4.7
GTEX-13X6J-0626-SM-5LU5F 50-59 years, male 4.7
GTEX-14XAO-1226-SM-6EU1C 60-69 years, female 4.7
GTEX-1HGF4-0126-SM-CNPPX 60-69 years, male 4.7
GTEX-1N2EE-0626-SM-E76PW 60-69 years, male 4.7
GTEX-U8XE-0226-SM-4E3J3 30-39 years, male 4.6
GTEX-XQ3S-1426-SM-4BOPR 20-29 years, male 4.6
GTEX-131YS-2826-SM-5EQ47 60-69 years, female 4.5
GTEX-13OVH-0526-SM-5L3E6 70-79 years, male 4.5
GTEX-148VJ-0626-SM-5LUAW 70-79 years, male 4.5
GTEX-15G19-2426-SM-7KUMR 60-69 years, male 4.5
GTEX-1LSVX-2526-SM-DIPEU 60-69 years, male 4.5
GTEX-144GM-0526-SM-79OJO 20-29 years, male 4.4
GTEX-145MF-0926-SM-5Q5EA 50-59 years, male 4.4
GTEX-15D1Q-2826-SM-6LLH7 40-49 years, male 4.4
GTEX-WHSB-1326-SM-3LK6W 50-59 years, male 4.4
GTEX-ZAB4-2126-SM-5HL8U 40-49 years, male 4.4
GTEX-1H4P4-2126-SM-9WYSL 50-59 years, male 4.4
GTEX-UPJH-0226-SM-3GADV 50-59 years, male 4.3
GTEX-ZVT4-2426-SM-5GIEI 50-59 years, female 4.3
GTEX-1JMQL-2226-SM-CNPP4 50-59 years, female 4.3
GTEX-1K2DU-1226-SM-CYPT4 20-29 years, male 4.3
GTEX-1MCYP-0526-SM-E9U6Q 20-29 years, female 4.3
GTEX-1PDJ9-1226-SM-EXUSX 20-29 years, male 4.3
GTEX-1QAET-0326-SM-EVR3U 50-59 years, male 4.3
GTEX-11ZU8-0126-SM-5EQ58 60-69 years, male 4.2
GTEX-13O3O-2326-SM-5IJD6 60-69 years, female 4.2
GTEX-13OW6-2726-SM-5J2OE 50-59 years, male 4.2
GTEX-WI4N-2726-SM-3LK7Y 40-49 years, female 4.2
GTEX-ZYT6-2326-SM-5GZY3 30-39 years, male 4.2
GTEX-1J1OQ-0126-SM-D4P2N 40-49 years, female 4.2
GTEX-13112-0126-SM-5P9IU 50-59 years, male 4.1
GTEX-1QCLY-0226-SM-EWRNH 30-39 years, male 4.1
GTEX-11DXY-0126-SM-5H11Q 60-69 years, male 4.0
GTEX-14C5O-0326-SM-5ZZUX 60-69 years, male 4.0
GTEX-16YQH-2226-SM-7IGM2 30-39 years, male 4.0
GTEX-1GN73-0726-SM-7P8TJ 60-69 years, male 4.0
GTEX-13FTY-2126-SM-5IFFB 40-49 years, female 3.8
GTEX-1PPH7-1126-SM-DTX9A 40-49 years, male 3.8
GTEX-1313W-0626-SM-5EQ4H 50-59 years, female 3.7
GTEX-1GMR3-0126-SM-A9SLW 40-49 years, male 3.7
GTEX-1LKK1-2626-SM-DKPQE 50-59 years, female 3.7
GTEX-1NSGN-0726-SM-DTXEF 50-59 years, male 3.6
GTEX-145MH-2826-SM-5RQJF 50-59 years, male 3.5
GTEX-1EU9M-1426-SM-793AI 60-69 years, male 3.5
GTEX-ZVZP-1226-SM-5GID7 50-59 years, male 3.5
GTEX-11TUW-0626-SM-5LU9M 60-69 years, male 3.4
GTEX-11ZUS-2626-SM-5FQUR 30-39 years, male 3.3
GTEX-ZYY3-2926-SM-5GIEB 60-69 years, female 3.3
GTEX-1PIIG-2326-SM-DTXFR 30-39 years, male 3.3
GTEX-X4EP-0626-SM-3P621 60-69 years, female 3.2
GTEX-1S83E-1326-SM-E6CJM 40-49 years, male 3.1
GTEX-12ZZX-2426-SM-5GCOE 40-49 years, female 3.0
GTEX-ZYVF-0926-SM-5E44J 50-59 years, female 3.0
GTEX-1HT8W-0626-SM-A9G2H 30-39 years, male 3.0
GTEX-14C38-0726-SM-5SI6M 50-59 years, male 2.9
GTEX-1PPH8-0126-SM-EWRN8 20-29 years, male 2.9
GTEX-Y111-0626-SM-4SOIT 50-59 years, male 2.7
GTEX-ZY6K-1426-SM-5GZX2 50-59 years, male 2.7
GTEX-11WQK-1026-SM-5EQLX 50-59 years, male 2.4
GTEX-14C39-1726-SM-5RQIL 40-49 years, male 1.3
Show allShow less
Skin - Sun Exposed (Lower leg)
Average nTPM: 12.9
Samples: 701

Max nTPM: 73.6
Min nTPM: 2.4
Std nTPM: 6.7
Median nTPM: 11.6
GTEX-146FR-1326-SM-E9J48 60-69 years, female 73.6
GTEX-131XG-2626-SM-5KM17 50-59 years, female 44.8
GTEX-1RAZQ-0726-SM-EAZ43 30-39 years, male 39.5
GTEX-1B8KE-2126-SM-73KYX 50-59 years, male 39.3
GTEX-Y8LW-1826-SM-5S2MV 50-59 years, female 36.5
GTEX-13OVG-1926-SM-5L3DK 60-69 years, male 36.2
GTEX-OXRL-0126-SM-2YUMP 50-59 years, male 34.9
GTEX-12WSN-5019-SM-79OM6 40-49 years, male 34.3
GTEX-13OVI-1426-SM-5L3EY 60-69 years, female 32.6
GTEX-WH7G-2326-SM-3NMBC 40-49 years, male 32.3
GTEX-ZF28-0126-SM-4WKGK 60-69 years, male 31.0
GTEX-RM2N-1426-SM-2TF4H 50-59 years, male 30.7
GTEX-PLZ5-2026-SM-2S1O4 50-59 years, male 30.4
GTEX-14BIL-0126-SM-5SI92 50-59 years, male 29.8
GTEX-18A67-0126-SM-7LG5P 50-59 years, male 29.3
GTEX-1HSEH-0126-SM-ACKXN 60-69 years, male 29.1
GTEX-Y3I4-2126-SM-4TT7C 50-59 years, male 29.0
GTEX-14DAR-2026-SM-5S2O3 50-59 years, male 28.8
GTEX-RUSQ-1526-SM-2TF62 50-59 years, male 28.8
GTEX-U4B1-1826-SM-4DXSU 40-49 years, male 28.8
GTEX-1OJC4-0126-SM-E9J2E 50-59 years, female 28.8
GTEX-13X6H-2126-SM-7EWD5 50-59 years, female 28.7
GTEX-ZVT2-2526-SM-51MT1 50-59 years, female 28.6
GTEX-ZZPT-0226-SM-5E43X 50-59 years, male 28.5
GTEX-17HII-0226-SM-7LG4E 50-59 years, male 28.2
GTEX-RWS6-2026-SM-2XCB5 60-69 years, female 27.9
GTEX-Q2AI-1326-SM-2S1PL 40-49 years, male 27.5
GTEX-1GN1W-0526-SM-9MQJQ 50-59 years, female 27.4
GTEX-R45C-0126-SM-EAZ2R 60-69 years, female 27.4
GTEX-1HFI7-1826-SM-ACKXH 50-59 years, female 27.1
GTEX-1MUQO-0126-SM-EAZ58 60-69 years, male 26.8
GTEX-ZF29-2326-SM-DO92K 60-69 years, female 26.7
GTEX-1MGNQ-0126-SM-EVYCJ 40-49 years, male 26.5
GTEX-1QP67-1626-SM-EAZ3X 40-49 years, female 26.3
GTEX-1RAZA-0126-SM-E6CI3 20-29 years, male 26.3
GTEX-1JKYN-1326-SM-CGQG9 30-39 years, male 26.2
GTEX-14PN3-2426-SM-6LLHS 60-69 years, female 26.1
GTEX-1JMOU-1526-SM-CL54I 60-69 years, female 26.1
GTEX-11VI4-1726-SM-5CVLH 40-49 years, female 25.8
GTEX-13OVJ-0126-SM-5KM36 50-59 years, female 25.6
GTEX-YEC4-2126-SM-5IFJH 40-49 years, male 25.4
GTEX-NFK9-0226-SM-2HMKQ 40-49 years, male 25.2
GTEX-147F3-0526-SM-5SI98 50-59 years, female 24.7
GTEX-13FH7-2026-SM-E9J4I 50-59 years, female 24.7
GTEX-X5EB-2226-SM-46MW4 40-49 years, male 24.4
GTEX-1J8Q3-1626-SM-CMKGC 60-69 years, male 24.2
GTEX-17EVQ-0226-SM-7LG4P 70-79 years, male 24.1
GTEX-1AX9K-2326-SM-73KWU 50-59 years, male 24.1
GTEX-R55G-2526-SM-2TC6D 40-49 years, female 24.1
GTEX-1F48J-0126-SM-7P8TT 50-59 years, female 24.0
GTEX-1C6VS-0526-SM-7DUEN 60-69 years, male 23.8
GTEX-14JIY-0126-SM-6LLH6 60-69 years, male 23.6
GTEX-OHPM-0126-SM-2YUN9 50-59 years, male 23.5
GTEX-11ZTT-2426-SM-5EQLS 60-69 years, female 23.2
GTEX-QLQW-1126-SM-2S1Q8 30-39 years, male 23.1
GTEX-1I1GU-2226-SM-CGQFA 40-49 years, male 23.0
GTEX-1C64O-0126-SM-7SB8P 60-69 years, male 22.7
GTEX-O5YW-0126-SM-3LK6D 50-59 years, male 22.6
GTEX-1F5PK-2426-SM-7RHHY 50-59 years, male 22.6
GTEX-1AYD5-2426-SM-73KXR 50-59 years, male 22.5
GTEX-1PPH7-2326-SM-EVYB8 40-49 years, male 22.5
GTEX-1HBPH-0426-SM-B2LW5 40-49 years, female 22.3
GTEX-Z9EW-1626-SM-5CVMN 40-49 years, male 22.1
GTEX-12C56-1726-SM-5EQ61 20-29 years, male 22.0
GTEX-OXRP-0126-SM-3NB32 60-69 years, female 22.0
GTEX-18A7B-0126-SM-7LG64 70-79 years, male 21.9
GTEX-S95S-1226-SM-4GICG 60-69 years, male 21.9
GTEX-11LCK-1026-SM-5A5KB 30-39 years, male 21.8
GTEX-1F6I4-0126-SM-9MQL2 60-69 years, male 21.7
GTEX-13D11-2426-SM-5KM1V 50-59 years, female 21.6
GTEX-U3ZM-1526-SM-3DB9D 40-49 years, male 21.6
GTEX-11XUK-2026-SM-5EQLF 40-49 years, female 21.5
GTEX-1GF9U-2126-SM-7SB7L 40-49 years, female 21.4
GTEX-Q2AG-0126-SM-33HBV 40-49 years, female 21.2
GTEX-1J1R8-1726-SM-ARL8M 40-49 years, male 21.2
GTEX-TMMY-0226-SM-33HBA 40-49 years, female 21.0
GTEX-1CB4J-0626-SM-7DHMP 60-69 years, male 20.8
GTEX-144GN-2326-SM-5LU4F 50-59 years, male 20.7
GTEX-14PK6-1926-SM-6ETZU 70-79 years, female 20.7
GTEX-18QFQ-0126-SM-731BE 30-39 years, male 20.7
GTEX-113IC-0126-SM-5HL6T 60-69 years, male 20.4
GTEX-ZDTT-2726-SM-4WKF8 60-69 years, male 20.4
GTEX-1LNCM-1126-SM-E9U5E 50-59 years, female 20.3
GTEX-11DXX-2426-SM-5GZZW 60-69 years, female 20.2
GTEX-18D9B-0526-SM-7LTAS 60-69 years, male 20.1
GTEX-ZYW4-0126-SM-5E44A 60-69 years, male 20.0
GTEX-13W3W-2426-SM-5LU5B 60-69 years, female 19.9
GTEX-OXRK-0226-SM-3NB2G 50-59 years, female 19.9
GTEX-1HSMP-0126-SM-E6CJS 70-79 years, male 19.9
GTEX-YB5K-2126-SM-4WWDJ 40-49 years, female 19.8
GTEX-QVJO-1626-SM-2S1QW 60-69 years, female 19.6
GTEX-1192X-0226-SM-5H12D 50-59 years, male 19.4
GTEX-13O21-1426-SM-5K7XI 50-59 years, male 19.4
GTEX-Q2AH-1626-SM-3GAF8 40-49 years, male 19.4
GTEX-1HCUA-2426-SM-ADEIS 50-59 years, female 19.4
GTEX-1HUB1-0426-SM-E9U4U 60-69 years, male 19.4
GTEX-18D9U-0226-SM-718BP 40-49 years, male 19.3
GTEX-RU72-0926-SM-2TF6B 50-59 years, female 19.3
GTEX-V1D1-2226-SM-3NMAX 50-59 years, male 19.3
GTEX-XUW1-0426-SM-4BOOT 50-59 years, female 19.3
GTEX-11EMC-2926-SM-5EQ4F 60-69 years, female 19.2
GTEX-1AYCT-2426-SM-7IGQ3 50-59 years, male 19.2
GTEX-1H2FU-0126-SM-9WYSI 60-69 years, female 19.2
GTEX-1I1HK-0126-SM-COH49 60-69 years, male 19.2
GTEX-U8T8-0126-SM-3DB94 60-69 years, male 19.1
GTEX-1F52S-0126-SM-9MQJU 60-69 years, female 19.1
GTEX-13N11-2526-SM-5K7UE 50-59 years, female 18.8
GTEX-P4PQ-0126-SM-2S1NM 60-69 years, male 18.8
GTEX-1GZ4H-1726-SM-7PBZJ 50-59 years, female 18.8
GTEX-12WSL-2526-SM-5GCNJ 50-59 years, male 18.7
GTEX-145MO-0326-SM-5Q5B3 60-69 years, male 18.7
GTEX-XAJ8-0826-SM-47JY6 40-49 years, male 18.7
GTEX-1JMPY-1326-SM-ARL8Y 30-39 years, male 18.7
GTEX-1S82Z-0826-SM-E6CHY 30-39 years, female 18.7
GTEX-1AMEY-1326-SM-73KYK 30-39 years, female 18.4
GTEX-1I1CD-0126-SM-CM2TK 60-69 years, female 18.4
GTEX-1I4MK-2226-SM-ACKWD 50-59 years, female 18.4
GTEX-17EUY-0426-SM-793BD 20-29 years, male 18.3
GTEX-QV44-1926-SM-2S1RF 50-59 years, male 18.3
GTEX-1C6WA-0126-SM-7PC2B 60-69 years, male 18.3
GTEX-ZDXO-3026-SM-5J1N5 60-69 years, male 18.2
GTEX-15EOM-0126-SM-7KUGG 20-29 years, female 18.1
GTEX-1AX9J-0226-SM-73KXM 60-69 years, male 18.1
GTEX-1C2JI-1826-SM-73KXC 50-59 years, male 18.0
GTEX-1RLM8-2326-SM-EWRN4 50-59 years, male 18.0
GTEX-13NZ8-0826-SM-5MR3I 60-69 years, female 17.9
GTEX-13N1W-0126-SM-5K7VT 70-79 years, male 17.8
GTEX-QCQG-1726-SM-3GIJ9 50-59 years, female 17.8
GTEX-X62O-0126-SM-4E3JN 50-59 years, male 17.7
GTEX-13O3O-0126-SM-E9J49 60-69 years, female 17.7
GTEX-1GF9X-2026-SM-7PC3A 40-49 years, female 17.7
GTEX-ZXES-1826-SM-5E43S 30-39 years, female 17.6
GTEX-14753-0426-SM-5NQAM 60-69 years, male 17.5
GTEX-1JN76-0126-SM-CNPPE 20-29 years, female 17.5
GTEX-11GS4-2726-SM-5A5LE 60-69 years, male 17.4
GTEX-1IDFM-0126-SM-COH2V 60-69 years, male 17.2
GTEX-145LT-1726-SM-5QGP3 40-49 years, male 17.0
GTEX-11GSP-2526-SM-5N9BP 60-69 years, female 16.9
GTEX-1211K-2026-SM-5EQ4Z 60-69 years, female 16.9
GTEX-1H1ZS-0426-SM-9WG6G 70-79 years, male 16.9
GTEX-1IY9M-0126-SM-D3L8S 60-69 years, male 16.9
GTEX-15SHW-0326-SM-6PAML 60-69 years, male 16.7
GTEX-1GN1U-0126-SM-7PBZK 50-59 years, female 16.7
GTEX-11P7K-2126-SM-5GU7G 30-39 years, male 16.6
GTEX-15RIG-0226-SM-7KFTL 40-49 years, male 16.6
GTEX-OXRO-0126-SM-2YUN4 60-69 years, female 16.6
GTEX-ZQG8-1626-SM-DHXIT 60-69 years, female 16.6
GTEX-139TT-0126-SM-5K7Y5 60-69 years, male 16.5
GTEX-14LLW-0126-SM-6LLIO 70-79 years, female 16.5
GTEX-R55E-0126-SM-2TC5Y 20-29 years, male 16.5
GTEX-1MCYP-1926-SM-E9J2R 20-29 years, female 16.5
GTEX-1QW4Y-1526-SM-EAZ3Z 30-39 years, male 16.5
GTEX-117YX-2326-SM-5H12W 50-59 years, male 16.4
GTEX-16BQI-0226-SM-7KUEX 30-39 years, female 16.4
GTEX-1QP2A-0126-SM-E9J43 50-59 years, male 16.4
GTEX-W5WG-1826-SM-4KL2Y 50-59 years, female 16.3
GTEX-WYJK-0126-SM-3NMAB 50-59 years, male 16.3
GTEX-13NYC-0326-SM-E9J4S 60-69 years, male 16.3
GTEX-169BO-1326-SM-9MQK2 50-59 years, male 16.3
GTEX-1HSMO-0126-SM-CL547 60-69 years, male 16.3
GTEX-14JG6-2226-SM-6EU2G 30-39 years, female 16.2
GTEX-15SDE-2226-SM-7IGLO 50-59 years, female 16.2
GTEX-148VJ-0126-SM-5TDDN 70-79 years, male 16.1
GTEX-13CF3-2426-SM-5IFGX 60-69 years, female 16.0
GTEX-1AX9I-0126-SM-7SB74 60-69 years, male 16.0
GTEX-11GSO-2426-SM-5A5LY 60-69 years, male 15.9
GTEX-ZGAY-0526-SM-4WWBB 40-49 years, female 15.9
GTEX-1GMR8-0126-SM-9WYTM 50-59 years, female 15.9
GTEX-1QP29-0626-SM-EWRMX 50-59 years, male 15.9
GTEX-ZPIC-1726-SM-DHXIU 40-49 years, female 15.9
GTEX-1R7EV-2426-SM-EVYBG 40-49 years, male 15.8
GTEX-WY7C-2326-SM-3NB2U 50-59 years, male 15.7
GTEX-ZEX8-2426-SM-4WKG4 50-59 years, male 15.7
GTEX-13O1R-0126-SM-5L3EH 60-69 years, male 15.6
GTEX-XV7Q-2526-SM-4BRV9 40-49 years, female 15.6
GTEX-ZUA1-0126-SM-5GU76 40-49 years, male 15.6
GTEX-1H3VE-0326-SM-9YFLH 40-49 years, male 15.6
GTEX-WQUQ-0426-SM-3MJFU 60-69 years, male 15.5
GTEX-1H3VY-0126-SM-ACKXD 50-59 years, male 15.5
GTEX-OIZF-0126-SM-7SB8I 60-69 years, male 15.5
GTEX-13VXT-0126-SM-5LU4I 20-29 years, female 15.4
GTEX-15SHU-0126-SM-7KUEH 40-49 years, female 15.4
GTEX-17HHE-2026-SM-79OKF 50-59 years, male 15.4
GTEX-1HSGN-0226-SM-CGQFV 40-49 years, female 15.4
GTEX-1I6K6-0126-SM-A9SLE 30-39 years, male 15.4
GTEX-139TU-0126-SM-5K7WH 60-69 years, male 15.3
GTEX-13VXU-0126-SM-5SI9F 50-59 years, male 15.3
GTEX-1I1GS-0126-SM-B2LVW 60-69 years, male 15.3
GTEX-117YW-2626-SM-5GZZH 50-59 years, male 15.2
GTEX-1LBAC-0126-SM-DIPEZ 20-29 years, male 15.2
GTEX-ZVE2-0226-SM-59HJB 50-59 years, male 15.1
GTEX-1H1E6-1726-SM-ACKVK 30-39 years, male 15.1
GTEX-1HKZK-0326-SM-9WYUH 40-49 years, male 15.1
GTEX-12WSJ-1826-SM-5GCNY 40-49 years, female 15.0
GTEX-13X6I-0626-SM-5QGP9 60-69 years, male 15.0
GTEX-146FH-0126-SM-5QGPP 50-59 years, female 15.0
GTEX-1A32A-0126-SM-718B1 50-59 years, female 15.0
GTEX-1HCVE-0126-SM-CGQEU 50-59 years, male 15.0
GTEX-PLZ4-0126-SM-5SI8O 50-59 years, female 14.9
GTEX-1N2DV-0226-SM-E6CJ6 40-49 years, male 14.9
GTEX-11TTK-0126-SM-5987B 60-69 years, female 14.8
GTEX-13OW7-0126-SM-5MR3B 50-59 years, male 14.8
GTEX-ZDYS-2026-SM-5HL5L 50-59 years, male 14.8
GTEX-14BMU-2226-SM-5TDE9 20-29 years, female 14.7
GTEX-1CB4E-2226-SM-793DC 60-69 years, male 14.7
GTEX-1H3NZ-0126-SM-ACKX7 60-69 years, male 14.7
GTEX-1H3O1-0426-SM-9YFKY 60-69 years, male 14.7
GTEX-1IDJF-0126-SM-CM2RS 20-29 years, male 14.7
GTEX-1JKYR-0126-SM-CNPOJ 20-29 years, male 14.7
GTEX-1LGOU-2026-SM-DIPFF 20-29 years, female 14.7
GTEX-13NZA-0226-SM-5K7Z7 60-69 years, male 14.6
GTEX-14PII-0226-SM-6EU1T 60-69 years, male 14.6
GTEX-1C4CL-0526-SM-73KVK 30-39 years, male 14.6
GTEX-Q734-1926-SM-2I5EV 40-49 years, female 14.6
GTEX-X585-0226-SM-4QAS2 50-59 years, male 14.6
GTEX-1LSNM-1926-SM-E6CII 50-59 years, male 14.6
GTEX-QDVJ-1726-SM-2I5FX 50-59 years, male 14.5
GTEX-ZAB4-0226-SM-5N9F5 40-49 years, male 14.5
GTEX-1HBPN-0226-SM-9YFM1 50-59 years, male 14.5
GTEX-147F4-0226-SM-5QGPW 50-59 years, male 14.4
GTEX-1EMGI-0126-SM-9KNUE 60-69 years, male 14.4
GTEX-1GTWX-0126-SM-9YFLK 60-69 years, male 14.4
GTEX-Y114-2426-SM-4TT8A 50-59 years, female 14.3
GTEX-1GL5R-1826-SM-9KNUY 50-59 years, male 14.3
GTEX-U3ZN-2326-SM-3DB7W 30-39 years, female 14.1
GTEX-ZQUD-1426-SM-57WER 30-39 years, male 14.1
GTEX-139T8-0126-SM-5K7XZ 60-69 years, male 13.9
GTEX-14PJ3-1826-SM-62LEX 50-59 years, male 13.9
GTEX-1GPI6-0126-SM-9WG69 60-69 years, male 13.9
GTEX-1HSMQ-1226-SM-CGQFX 50-59 years, male 13.9
GTEX-139T4-0226-SM-5HL5S 50-59 years, female 13.8
GTEX-183FY-0126-SM-7LT9P 20-29 years, male 13.8
GTEX-1B8KZ-2026-SM-7DHMB 50-59 years, male 13.8
GTEX-1JK1U-2026-SM-CM2RZ 60-69 years, male 13.8
GTEX-11ZUS-0626-SM-59885 30-39 years, male 13.7
GTEX-SIU8-0126-SM-2XCDT 50-59 years, male 13.7
GTEX-XBED-2226-SM-47JYQ 60-69 years, male 13.7
GTEX-1C6VQ-0126-SM-7P8RI 50-59 years, male 13.7
GTEX-11OC5-0126-SM-5HL6A 60-69 years, male 13.6
GTEX-11WQC-2526-SM-5CVLE 60-69 years, male 13.6
GTEX-17F97-0326-SM-7LG5B 50-59 years, male 13.6
GTEX-17HGU-0226-SM-7DHKV 50-59 years, male 13.6
GTEX-X4XX-0126-SM-3NMC2 60-69 years, male 13.6
GTEX-1A8FM-0226-SM-7SB7Q 50-59 years, female 13.6
GTEX-1CB4G-0226-SM-7PC3O 60-69 years, male 13.6
GTEX-1ICG6-2526-SM-CGQFZ 70-79 years, female 13.6
GTEX-1IDJU-2626-SM-CM2RT 60-69 years, female 13.6
GTEX-1QCLY-0326-SM-E8VOG 30-39 years, male 13.6
GTEX-1QEPI-0126-SM-EWRMQ 60-69 years, female 13.6
GTEX-QLQ7-1626-SM-2S1R8 60-69 years, male 13.5
GTEX-ZAB5-1826-SM-5HL7C 50-59 years, male 13.5
GTEX-1F75I-0326-SM-9YFLU 40-49 years, male 13.5
GTEX-12WSD-0126-SM-59HKN 60-69 years, female 13.4
GTEX-1H23P-0126-SM-ADEJ3 60-69 years, male 13.4
GTEX-1LG7Y-0526-SM-DKPQC 50-59 years, male 13.4
GTEX-1R9PO-2126-SM-E9J4O 60-69 years, female 13.4
GTEX-11P82-1626-SM-59879 20-29 years, male 13.3
GTEX-13FTW-2626-SM-5K7WL 40-49 years, male 13.3
GTEX-13FTX-1826-SM-5J1NX 20-29 years, female 13.3
GTEX-145LV-2126-SM-5LU8N 50-59 years, male 13.3
GTEX-1F6IF-0726-SM-7P8TW 60-69 years, male 13.3
GTEX-1F75A-0126-SM-7RHGM 50-59 years, male 13.3
GTEX-1H1DE-2126-SM-9WG6R 20-29 years, male 13.3
GTEX-1IKOH-0226-SM-COH4E 60-69 years, female 13.3
GTEX-RNOR-0126-SM-E9J4R 50-59 years, female 13.3
GTEX-13OVL-0226-SM-5L3E9 50-59 years, male 13.2
GTEX-14XAO-2326-SM-6EU1B 60-69 years, female 13.2
GTEX-SSA3-0126-SM-32QPU 60-69 years, male 13.2
GTEX-1269C-2526-SM-5EGJ3 60-69 years, female 13.1
GTEX-1F88F-2726-SM-7PBZZ 60-69 years, female 13.1
GTEX-1HR98-0126-SM-B2LWI 60-69 years, male 13.1
GTEX-1LGRB-2526-SM-CNPPQ 50-59 years, female 13.1
GTEX-145MN-2226-SM-5SIAU 30-39 years, male 13.0
GTEX-1A3MV-1926-SM-718BT 30-39 years, male 13.0
GTEX-X638-0126-SM-47JZ8 70-79 years, female 13.0
GTEX-1B996-0226-SM-7RHGO 60-69 years, male 13.0
GTEX-1JJE9-0326-SM-CL53Z 70-79 years, male 13.0
GTEX-1399R-2726-SM-5IJBA 30-39 years, male 12.9
GTEX-13YAN-0326-SM-5O9DF 60-69 years, male 12.9
GTEX-17MF6-0126-SM-7LG4F 40-49 years, male 12.9
GTEX-WFG8-2226-SM-3GIL9 20-29 years, male 12.9
GTEX-1MA7X-2226-SM-E6CIY 60-69 years, male 12.9
GTEX-RTLS-0126-SM-447CA 60-69 years, female 12.8
GTEX-T6MO-1626-SM-32QOM 40-49 years, female 12.8
GTEX-1J8Q2-0526-SM-CM2RW 60-69 years, male 12.8
GTEX-12696-2426-SM-5EQ6H 60-69 years, male 12.7
GTEX-12WSK-2326-SM-5GCOH 40-49 years, female 12.7
GTEX-14E7W-0126-SM-6LLJ9 70-79 years, male 12.7
GTEX-SNMC-1226-SM-2XCFP 20-29 years, male 12.7
GTEX-Y5V6-2426-SM-4VDSB 60-69 years, male 12.7
GTEX-1KAFJ-2026-SM-CY8ID 50-59 years, male 12.7
GTEX-1128S-2326-SM-5GZZY 60-69 years, female 12.6
GTEX-1399U-2326-SM-5K7WY 50-59 years, female 12.6
GTEX-1A3MW-0126-SM-73KXX 60-69 years, female 12.6
GTEX-X4EO-0326-SM-3P5YO 60-69 years, female 12.6
GTEX-12WSG-2826-SM-E9J4H 50-59 years, female 12.6
GTEX-1F75B-0126-SM-9KNVL 50-59 years, male 12.6
GTEX-1HBPM-0226-SM-ARL9F 60-69 years, female 12.6
GTEX-1KXAM-2226-SM-CYPTC 60-69 years, male 12.6
GTEX-1MCQQ-0826-SM-DLHC2 60-69 years, male 12.6
GTEX-UPJH-0326-SM-3GADU 50-59 years, male 12.5
GTEX-1IE54-0126-SM-CMKHW 40-49 years, female 12.5
GTEX-1J8JJ-0226-SM-CL53I 60-69 years, female 12.5
GTEX-1JN1M-0326-SM-CYPT3 60-69 years, female 12.5
GTEX-1KD5A-0226-SM-D5OV3 50-59 years, male 12.5
GTEX-1PBJI-0526-SM-E8VNK 20-29 years, female 12.5
GTEX-PW2O-1526-SM-7RHHB 20-29 years, male 12.5
GTEX-14A6H-0126-SM-5QGPK 30-39 years, male 12.4
GTEX-14DAQ-0126-SM-5S2MQ 60-69 years, female 12.4
GTEX-SUCS-1926-SM-32PM3 70-79 years, male 12.4
GTEX-X8HC-0126-SM-4E3JW 50-59 years, female 12.4
GTEX-Y5LM-1926-SM-5RQJH 40-49 years, female 12.4
GTEX-16XZZ-0126-SM-793DV 60-69 years, male 12.3
GTEX-18A7A-0226-SM-718BH 50-59 years, female 12.3
GTEX-1NHNU-1026-SM-E9J2A 50-59 years, male 12.3
GTEX-1314G-1526-SM-5EGK2 30-39 years, male 12.2
GTEX-148VI-1626-SM-5SI6E 60-69 years, female 12.2
GTEX-14PHX-2326-SM-62LEM 50-59 years, male 12.2
GTEX-QDT8-0126-SM-48TZ1 30-39 years, female 12.2
GTEX-X261-0126-SM-3NMD6 50-59 years, male 12.2
GTEX-1R7EU-0226-SM-EVR4G 60-69 years, male 12.2
GTEX-12ZZZ-0626-SM-5DUXI 60-69 years, male 12.1
GTEX-R3RS-0126-SM-3GIJL 40-49 years, female 12.1
GTEX-ZC5H-0226-SM-4WAY9 40-49 years, female 12.1
GTEX-131XW-0426-SM-5LZWP 50-59 years, female 12.0
GTEX-14ABY-0226-SM-5TDCQ 50-59 years, male 12.0
GTEX-16AAH-1726-SM-7939C 50-59 years, male 12.0
GTEX-WXYG-2326-SM-4E3I6 50-59 years, female 12.0
GTEX-1B8L1-2526-SM-9WYTF 60-69 years, male 12.0
GTEX-1HFI6-0226-SM-ADEHZ 40-49 years, male 12.0
GTEX-1ICLY-0126-SM-D4P36 50-59 years, male 12.0
GTEX-1IL2U-0226-SM-CE6T8 60-69 years, male 12.0
GTEX-13W46-0226-SM-5SIAG 50-59 years, male 11.9
GTEX-15UKP-0426-SM-7KUFQ 20-29 years, male 11.9
GTEX-18A66-0226-SM-718BD 60-69 years, male 11.9
GTEX-1AMFI-2026-SM-731BH 50-59 years, female 11.9
GTEX-S7PM-0126-SM-4AD6S 60-69 years, male 11.9
GTEX-1K2DA-1826-SM-CGQGT 50-59 years, male 11.9
GTEX-13PVR-2326-SM-5QGR1 60-69 years, female 11.8
GTEX-QDVN-2026-SM-3GAEP 50-59 years, male 11.8
GTEX-T8EM-1026-SM-3DB7M 40-49 years, male 11.8
GTEX-1CAMS-0426-SM-7P8T2 40-49 years, female 11.8
GTEX-1HCU7-0226-SM-CL545 50-59 years, male 11.8
GTEX-1S82Y-2026-SM-EVYCM 40-49 years, male 11.8
GTEX-13RTL-0126-SM-7LG5S 40-49 years, male 11.7
GTEX-14BIM-0226-SM-7IGLD 60-69 years, female 11.7
GTEX-16MT8-0426-SM-7KUEY 60-69 years, female 11.7
GTEX-ZY6K-1826-SM-5GZXK 50-59 years, male 11.7
GTEX-13IVO-0126-SM-5J1NG 70-79 years, male 11.6
GTEX-14PHW-0126-SM-6LLJI 60-69 years, female 11.6
GTEX-15CHC-2126-SM-6EU21 60-69 years, female 11.6
GTEX-15DYW-0126-SM-7KULE 60-69 years, female 11.6
GTEX-Y5V5-2326-SM-4V6GA 60-69 years, female 11.6
GTEX-1EKGG-0226-SM-9WYTH 60-69 years, male 11.6
GTEX-1M4P7-0226-SM-DIPEV 60-69 years, male 11.6
GTEX-XMD2-0126-SM-4YCDU 60-69 years, female 11.5
GTEX-ZE7O-0126-SM-57WC1 50-59 years, female 11.5
GTEX-1HCU6-0126-SM-CL54K 60-69 years, female 11.5
GTEX-1PWST-0226-SM-E76QJ 70-79 years, male 11.5
GTEX-11NSD-2226-SM-5986V 20-29 years, male 11.4
GTEX-13QJ3-0326-SM-5S2RA 50-59 years, male 11.4
GTEX-16XZY-2126-SM-79OK1 70-79 years, male 11.4
GTEX-17GQL-2026-SM-718BA 60-69 years, male 11.4
GTEX-13N2G-2626-SM-5J1OT 60-69 years, male 11.3
GTEX-14ICK-0226-SM-6EU25 40-49 years, male 11.3
GTEX-1AX8Z-0126-SM-7DHM6 60-69 years, male 11.3
GTEX-P4QT-0126-SM-2I3FL 50-59 years, female 11.3
GTEX-1HGF4-2426-SM-ACKXM 60-69 years, male 11.3
GTEX-11DZ1-0126-SM-5985Q 50-59 years, male 11.2
GTEX-16NPX-0226-SM-79OMT 50-59 years, male 11.2
GTEX-1HCU9-1526-SM-A9SL7 20-29 years, male 11.2
GTEX-1RQEC-0426-SM-E6CHU 60-69 years, male 11.2
GTEX-11EM3-2426-SM-59861 20-29 years, female 11.1
GTEX-1C6VR-2426-SM-79OLD 60-69 years, male 11.1
GTEX-PWO3-1526-SM-48TCM 60-69 years, female 11.1
GTEX-1H11D-0226-SM-9WG6Z 40-49 years, male 11.1
GTEX-1QP9N-1426-SM-DTXFL 30-39 years, male 11.1
GTEX-111VG-2426-SM-5GZXD 60-69 years, male 11.0
GTEX-145MI-0526-SM-5O9A8 60-69 years, female 11.0
GTEX-14C5O-0126-SM-5SI6N 60-69 years, male 11.0
GTEX-15DCD-0126-SM-7KUEK 70-79 years, female 11.0
GTEX-15DDE-0126-SM-6LPKH 50-59 years, female 11.0
GTEX-TMZS-0126-SM-3DB9Q 60-69 years, male 11.0
GTEX-ZV6S-2326-SM-4YCEY 40-49 years, female 11.0
GTEX-139D8-0226-SM-5KLZO 30-39 years, female 10.9
GTEX-13PDP-0126-SM-5L3HD 60-69 years, male 10.9
GTEX-WVJS-0126-SM-4MVOT 50-59 years, male 10.9
GTEX-ZU9S-0226-SM-5E441 30-39 years, male 10.9
GTEX-1GZ2Q-0226-SM-7P8TL 40-49 years, male 10.9
GTEX-1JMQK-0226-SM-CL543 60-69 years, male 10.9
GTEX-1RB15-2126-SM-E9TIM 60-69 years, male 10.9
GTEX-13U4I-0126-SM-5LU38 40-49 years, female 10.8
GTEX-1CAV2-2226-SM-7P8P2 40-49 years, female 10.8
GTEX-1CB4F-0426-SM-9KNV4 60-69 years, male 10.8
GTEX-1I1GR-0126-SM-CL55F 60-69 years, male 10.8
GTEX-OOBJ-0126-SM-E6CJW 60-69 years, male 10.8
GTEX-13RTK-1426-SM-5QGQJ 20-29 years, male 10.7
GTEX-147GR-0526-SM-5S2MY 60-69 years, male 10.7
GTEX-1O97I-0326-SM-EYYX7 60-69 years, male 10.7
GTEX-11OF3-2626-SM-5GU7F 60-69 years, male 10.6
GTEX-131XH-2226-SM-5DUXJ 50-59 years, male 10.6
GTEX-13NYB-2526-SM-5K7Z6 40-49 years, male 10.6
GTEX-YJ8A-0426-SM-5IFID 20-29 years, male 10.6
GTEX-ZYFG-2326-SM-5E44B 60-69 years, female 10.6
GTEX-1F6RS-0126-SM-9MQKZ 60-69 years, female 10.6
GTEX-16NGA-1726-SM-731B4 40-49 years, female 10.5
GTEX-17KNJ-2326-SM-7DHLQ 50-59 years, male 10.5
GTEX-RN64-0126-SM-2TC68 50-59 years, male 10.5
GTEX-VJWN-0126-SM-3GIK7 50-59 years, female 10.5
GTEX-YB5E-2026-SM-5IFIS 40-49 years, male 10.5
GTEX-13SLW-0126-SM-5SI6C 70-79 years, male 10.4
GTEX-WRHK-1426-SM-3MJF9 20-29 years, female 10.4
GTEX-1LH75-2426-SM-E9TJE 50-59 years, female 10.4
GTEX-1S5ZA-0126-SM-EVYCV 20-29 years, male 10.4
GTEX-1BAJH-0526-SM-793CQ 70-79 years, male 10.3
GTEX-XYKS-2126-SM-4E3IB 60-69 years, female 10.3
GTEX-ZAJG-0126-SM-5HL94 50-59 years, female 10.3
GTEX-ZTSS-1926-SM-57WEW 40-49 years, male 10.3
GTEX-1JN6P-0126-SM-D3L98 60-69 years, male 10.3
GTEX-11UD1-0126-SM-5PNYG 40-49 years, female 10.2
GTEX-13S7M-0126-SM-5SI6A 60-69 years, female 10.2
GTEX-17HHY-0126-SM-7LG5D 50-59 years, male 10.2
GTEX-VJYA-1126-SM-3GIJU 60-69 years, male 10.2
GTEX-11EQ9-2426-SM-5HL5T 30-39 years, male 10.1
GTEX-13NZB-2526-SM-5J1OM 30-39 years, male 10.1
GTEX-1I19N-0326-SM-ACKVX 70-79 years, male 10.1
GTEX-1IOXB-0126-SM-ARL8G 50-59 years, male 10.1
GTEX-11ZU8-2526-SM-5EQKI 60-69 years, male 10.0
GTEX-11ZVC-2526-SM-5FQTE 50-59 years, female 10.0
GTEX-15G19-0126-SM-6PANQ 60-69 years, male 10.0
GTEX-TKQ1-1026-SM-4GICL 30-39 years, male 10.0
GTEX-WYVS-2126-SM-3NMA3 40-49 years, female 10.0
GTEX-Z93T-0126-SM-5HL5N 50-59 years, male 10.0
GTEX-ZDTS-0126-SM-4WAY5 60-69 years, male 10.0
GTEX-1GPI7-0126-SM-9MQL8 20-29 years, male 10.0
GTEX-1N2DW-0226-SM-E9TK2 50-59 years, male 10.0
GTEX-1R9K4-0126-SM-DTX9X 60-69 years, male 10.0
GTEX-1122O-2126-SM-5EGIR 60-69 years, female 9.9
GTEX-13CF2-2526-SM-5LZYX 60-69 years, male 9.9
GTEX-14PN4-0126-SM-6EU2V 50-59 years, male 9.9
GTEX-YJ89-0126-SM-4TT3X 60-69 years, male 9.9
GTEX-131XF-5016-SM-7MGWE 60-69 years, male 9.9
GTEX-1GMRU-0126-SM-9YFLV 50-59 years, male 9.9
GTEX-1GN73-0226-SM-9WG67 60-69 years, male 9.9
GTEX-15ETS-0126-SM-7KUMW 40-49 years, female 9.8
GTEX-OHPL-0126-SM-2HMJ7 60-69 years, female 9.8
GTEX-ZXG5-0126-SM-5GIEU 60-69 years, male 9.8
GTEX-1I1GP-2226-SM-CGQFK 50-59 years, male 9.8
GTEX-1J8QM-2126-SM-CYPSJ 60-69 years, female 9.8
GTEX-ZVT3-0126-SM-5GU6I 60-69 years, female 9.7
GTEX-ZVZP-2426-SM-59HKJ 50-59 years, male 9.7
GTEX-1CB4H-0226-SM-7PBXM 60-69 years, female 9.7
GTEX-1LG7Z-1726-SM-D3LA4 30-39 years, male 9.7
GTEX-11EI6-0126-SM-5985R 60-69 years, male 9.6
GTEX-14LZ3-0226-SM-62LET 60-69 years, female 9.6
GTEX-17MFQ-1726-SM-793C7 20-29 years, male 9.6
GTEX-NPJ8-0126-SM-2YUNR 40-49 years, male 9.6
GTEX-13OW5-0126-SM-DTXFS 60-69 years, male 9.6
GTEX-1H1DG-0126-SM-9WYU2 70-79 years, male 9.6
GTEX-18A6Q-0126-SM-731BZ 60-69 years, male 9.5
GTEX-SJXC-0126-SM-2XCFF 60-69 years, male 9.5
GTEX-1HSKV-0226-SM-A9SKJ 60-69 years, male 9.5
GTEX-PLZ6-1426-SM-DKPOT 30-39 years, male 9.5
GTEX-1497J-2426-SM-7IGNX 60-69 years, male 9.4
GTEX-U3ZH-2026-SM-3DB78 30-39 years, male 9.4
GTEX-ZV68-0126-SM-59HKS 50-59 years, female 9.4
GTEX-1GN1V-0126-SM-9WPOS 60-69 years, male 9.4
GTEX-1HB9E-0226-SM-E9U4R 50-59 years, male 9.4
GTEX-1I1GT-0626-SM-CGQER 60-69 years, female 9.4
GTEX-1JMQI-2226-SM-CM2SD 50-59 years, male 9.4
GTEX-1LC47-0326-SM-E9TJP 60-69 years, male 9.4
GTEX-1PIGE-0126-SM-EVYBJ 20-29 years, male 9.4
GTEX-13OW8-1326-SM-5J1OW 60-69 years, male 9.3
GTEX-13SLX-0526-SM-5S2ON 50-59 years, female 9.3
GTEX-QEG4-0226-SM-2S1PY 30-39 years, male 9.3
GTEX-12KS4-0326-SM-5EQ41 30-39 years, male 9.2
GTEX-146FQ-0126-SM-5NQA9 30-39 years, male 9.2
GTEX-1GZHY-0326-SM-9QEHI 50-59 years, female 9.2
GTEX-1PFEY-1526-SM-E76PP 30-39 years, male 9.2
GTEX-11DXW-0226-SM-5H122 40-49 years, male 9.1
GTEX-16GPK-0126-SM-7DHLE 60-69 years, male 9.1
GTEX-1E1VI-0126-SM-7DHMZ 50-59 years, male 9.1
GTEX-QESD-1426-SM-2S1R9 20-29 years, male 9.1
GTEX-ZE9C-2726-SM-57WB5 60-69 years, male 9.1
GTEX-1GF9W-0326-SM-9KNUN 60-69 years, male 9.1
GTEX-1JJEA-0326-SM-CNPOT 60-69 years, male 9.1
GTEX-1RDX4-0126-SM-E9J4P 50-59 years, female 9.1
GTEX-11NUK-0126-SM-5A5L3 50-59 years, male 9.0
GTEX-132NY-0326-SM-5IJBL 60-69 years, male 9.0
GTEX-13OVK-2026-SM-7KUEO 40-49 years, male 9.0
GTEX-1KANB-0526-SM-E6CJH 50-59 years, male 9.0
GTEX-1LVAN-0226-SM-COH3S 50-59 years, female 9.0
GTEX-1R46S-0626-SM-E9J41 60-69 years, female 9.0
GTEX-PWCY-1826-SM-DHXIZ 20-29 years, female 9.0
GTEX-11O72-0126-SM-59887 40-49 years, male 8.9
GTEX-11P81-2326-SM-59875 30-39 years, female 8.9
GTEX-14PJM-0226-SM-62LF1 50-59 years, female 8.9
GTEX-RWSA-0126-SM-2XCBB 40-49 years, male 8.9
GTEX-TSE9-0126-SM-3DB83 60-69 years, female 8.9
GTEX-VUSG-2526-SM-4KL1V 50-59 years, male 8.9
GTEX-1JMQJ-0526-SM-CYPSU 50-59 years, male 8.9
GTEX-1MJK2-0426-SM-DTXE5 50-59 years, male 8.9
GTEX-1PPH8-0226-SM-E8VND 20-29 years, male 8.9
GTEX-145ME-1826-SM-5SI9G 40-49 years, female 8.8
GTEX-SN8G-0126-SM-32PLI 50-59 years, female 8.7
GTEX-Y111-0126-SM-4SOIV 50-59 years, male 8.7
GTEX-Y8DK-0126-SM-4TT3L 60-69 years, male 8.7
GTEX-1S3DN-2226-SM-EVYCD 50-59 years, male 8.7
GTEX-13FHO-0226-SM-5IFGY 60-69 years, male 8.6
GTEX-14A5I-0126-SM-5TDEA 50-59 years, female 8.6
GTEX-ZWKS-0126-SM-5SIAA 30-39 years, male 8.6
GTEX-1EN7A-0126-SM-7SB81 40-49 years, male 8.6
GTEX-1EU9M-0226-SM-7P8SP 60-69 years, male 8.6
GTEX-1N2EF-0226-SM-EYYXB 60-69 years, male 8.6
GTEX-13FXS-0226-SM-5IJCK 50-59 years, male 8.5
GTEX-13O3P-0126-SM-5KM4S 50-59 years, male 8.5
GTEX-ZVTK-0426-SM-51MRS 20-29 years, male 8.5
GTEX-ZYFD-0126-SM-5GIDL 50-59 years, male 8.5
GTEX-1IGQW-0126-SM-COH42 60-69 years, male 8.5
GTEX-1K9T9-0126-SM-EVYCF 50-59 years, female 8.5
GTEX-1313W-0126-SM-5LZUN 50-59 years, female 8.4
GTEX-17EVP-0326-SM-7DHLG 40-49 years, male 8.4
GTEX-1CB4I-0226-SM-79OLH 50-59 years, male 8.4
GTEX-P4PP-0126-SM-3LK69 30-39 years, female 8.4
GTEX-YFC4-0126-SM-5CVLY 40-49 years, female 8.4
GTEX-ZZ64-1726-SM-5GZYB 20-29 years, male 8.4
GTEX-11TT1-2526-SM-5EGIB 20-29 years, male 8.3
GTEX-OIZH-0126-SM-2HMIS 50-59 years, male 8.3
GTEX-XUYS-0126-SM-47JWZ 50-59 years, male 8.3
GTEX-1B933-0126-SM-7PC29 50-59 years, female 8.3
GTEX-1JJ6O-0126-SM-E6CI8 60-69 years, male 8.3
GTEX-PSDG-0226-SM-DKPOZ 50-59 years, male 8.3
GTEX-12WSC-0126-SM-5EQ4P 50-59 years, male 8.2
GTEX-17F98-0626-SM-79OMX 40-49 years, female 8.2
GTEX-18465-0126-SM-731BN 50-59 years, male 8.2
GTEX-1C64N-0126-SM-793D7 50-59 years, male 8.2
GTEX-1E2YA-0126-SM-9KNUC 50-59 years, male 8.2
GTEX-1H4P4-0726-SM-9YFLR 50-59 years, male 8.2
GTEX-1LB8K-0226-SM-EWRNW 50-59 years, male 8.2
GTEX-1NV5F-0226-SM-E8VNY 60-69 years, female 8.2
GTEX-13O3Q-2426-SM-5IJBR 50-59 years, male 8.1
GTEX-14E6C-0126-SM-5RQIP 40-49 years, male 8.1
GTEX-1B8SG-0126-SM-73KZ3 50-59 years, male 8.1
GTEX-1B97I-1626-SM-73KYO 40-49 years, male 8.1
GTEX-S32W-2126-SM-2XCB1 50-59 years, female 8.1
GTEX-ZF2S-2326-SM-4WWCE 50-59 years, female 8.1
GTEX-ZYFC-0226-SM-5NQ75 50-59 years, male 8.1
GTEX-1EX96-1626-SM-7PBXR 50-59 years, male 8.1
GTEX-11ZTS-0126-SM-5EQ6M 60-69 years, female 8.0
GTEX-13RTJ-2426-SM-5S2Q2 60-69 years, male 8.0
GTEX-14PJ6-2126-SM-6EU1V 60-69 years, female 8.0
GTEX-XPVG-2626-SM-4B669 50-59 years, male 8.0
GTEX-1I1GQ-0126-SM-COH3H 50-59 years, male 8.0
GTEX-1IL2V-0126-SM-CM2TX 70-79 years, male 8.0
GTEX-1QPFJ-0226-SM-E76PB 30-39 years, female 8.0
GTEX-111FC-0126-SM-5N9DL 60-69 years, male 7.9
GTEX-16YQH-0126-SM-7DUFJ 30-39 years, male 7.9
GTEX-XQ8I-0426-SM-4BOPO 50-59 years, male 7.9
GTEX-1IKK5-0626-SM-ARL8A 60-69 years, male 7.9
GTEX-11DXZ-2326-SM-5EGGV 50-59 years, male 7.8
GTEX-139UW-2826-SM-5L3E7 60-69 years, male 7.8
GTEX-OIZG-0726-SM-33HBL 50-59 years, male 7.8
GTEX-OOBK-0126-SM-2YUND 40-49 years, male 7.8
GTEX-1QP66-1726-SM-E8VO1 50-59 years, male 7.8
GTEX-1B8SF-1426-SM-7DUGL 60-69 years, male 7.7
GTEX-13112-2826-SM-5DUWH 50-59 years, male 7.6
GTEX-XXEK-2226-SM-4BRUM 50-59 years, male 7.6
GTEX-ZYY3-0126-SM-5GZY5 60-69 years, female 7.6
GTEX-1OFPY-2426-SM-DTXEJ 60-69 years, male 7.6
GTEX-1POEN-0126-SM-EYYXJ 30-39 years, female 7.6
GTEX-1CAMR-1926-SM-7EPI2 20-29 years, male 7.5
GTEX-T2YK-0526-SM-32QPJ 50-59 years, male 7.5
GTEX-1J8EW-0126-SM-CJI4F 60-69 years, female 7.5
GTEX-1R9PM-2026-SM-E76OY 20-29 years, male 7.5
GTEX-13G51-2526-SM-5LZYK 60-69 years, male 7.4
GTEX-13X6J-0126-SM-5QGOU 50-59 years, male 7.4
GTEX-14BIN-0626-SM-793DP 50-59 years, female 7.4
GTEX-ZTPG-0326-SM-5O9AX 20-29 years, female 7.4
GTEX-1IKJJ-0126-SM-CNPQB 60-69 years, male 7.4
GTEX-S33H-1026-SM-EZ6L6 30-39 years, male 7.4
GTEX-113JC-2326-SM-5EQ4E 50-59 years, female 7.3
GTEX-1192W-2626-SM-5Q5AF 60-69 years, male 7.3
GTEX-17F96-1626-SM-7DUFL 70-79 years, male 7.3
GTEX-12584-0126-SM-5EGKQ 40-49 years, male 7.2
GTEX-13NYS-0126-SM-5MR3W 60-69 years, male 7.2
GTEX-T6MN-0126-SM-32PLP 50-59 years, male 7.2
GTEX-TML8-1926-SM-32QOS 40-49 years, female 7.2
GTEX-1GN2E-0426-SM-9MQKX 60-69 years, male 7.2
GTEX-1JMLX-0226-SM-CM2RO 50-59 years, male 7.2
GTEX-1QMI2-0226-SM-EVYBX 60-69 years, male 7.2
GTEX-ZVT4-0126-SM-DTXFN 50-59 years, female 7.2
GTEX-T2IS-0126-SM-4DM6O 20-29 years, female 7.0
GTEX-X4XY-0226-SM-4E3IZ 60-69 years, male 7.0
GTEX-1HBPI-1526-SM-C1YQ1 50-59 years, male 7.0
GTEX-1HCU8-0626-SM-A9SM9 60-69 years, female 7.0
GTEX-1KD4Q-0226-SM-E9TJ9 40-49 years, male 7.0
GTEX-13FTY-0526-SM-5L3EV 40-49 years, female 6.9
GTEX-14E6D-0126-SM-62LDV 50-59 years, male 6.9
GTEX-U412-0426-SM-3DB9O 60-69 years, male 6.9
GTEX-ZAK1-0126-SM-5IJD3 50-59 years, female 6.9
GTEX-12ZZX-0126-SM-5EGK9 40-49 years, female 6.8
GTEX-14BMV-0126-SM-5S2PO 50-59 years, male 6.8
GTEX-15SB6-1726-SM-6PAME 50-59 years, female 6.8
GTEX-PX3G-0126-SM-2I3EN 20-29 years, female 6.8
GTEX-WI4N-1026-SM-3LK7N 40-49 years, female 6.8
GTEX-Z93S-0126-SM-5HL7M 50-59 years, male 6.8
GTEX-11TUW-2726-SM-E9J4M 60-69 years, male 6.8
GTEX-1JMPZ-0226-SM-CNPP1 30-39 years, male 6.8
GTEX-Y8E4-0626-SM-4WWDL 40-49 years, male 6.7
GTEX-ZF3C-0126-SM-DO92D 50-59 years, female 6.7
GTEX-12ZZY-0226-SM-5LZVE 60-69 years, male 6.6
GTEX-13FHP-0126-SM-5IJBG 50-59 years, male 6.6
GTEX-15D1Q-0126-SM-7KUG6 40-49 years, male 6.6
GTEX-1A3MX-0126-SM-731BR 60-69 years, male 6.6
GTEX-PVOW-0126-SM-2XCFA 40-49 years, male 6.6
GTEX-T5JW-1626-SM-3GADZ 20-29 years, female 6.6
GTEX-1EWIQ-0126-SM-7RHH2 70-79 years, female 6.6
GTEX-1F7RK-0126-SM-7PC2S 20-29 years, female 6.6
GTEX-11H98-0126-SM-5EGHG 50-59 years, male 6.5
GTEX-12126-0326-SM-5PNW3 20-29 years, male 6.5
GTEX-15UF6-0826-SM-6PALJ 70-79 years, female 6.5
GTEX-P44H-0226-SM-2XCEU 40-49 years, male 6.5
GTEX-UJHI-1526-SM-3DB99 50-59 years, female 6.5
GTEX-1F5PL-0326-SM-7P8PQ 40-49 years, female 6.5
GTEX-1KANC-1526-SM-D3LAB 50-59 years, female 6.5
GTEX-1OJC3-0126-SM-E76QX 20-29 years, male 6.5
GTEX-133LE-1826-SM-5J1MV 20-29 years, female 6.4
GTEX-11DXY-2626-SM-5GIE7 60-69 years, male 6.3
GTEX-139TS-2826-SM-5J1OO 60-69 years, male 6.3
GTEX-1CAMQ-0226-SM-7IGPK 40-49 years, male 6.3
GTEX-WOFL-0126-SM-3MJG2 60-69 years, male 6.3
GTEX-1399T-2826-SM-5KLYZ 60-69 years, male 6.2
GTEX-144FL-0126-SM-5TDC8 50-59 years, male 6.2
GTEX-1I1GV-0526-SM-A9G29 60-69 years, male 6.2
GTEX-12WSA-0226-SM-5BC5V 60-69 years, male 6.1
GTEX-145LU-0126-SM-5TDCB 50-59 years, male 6.1
GTEX-XUZC-1726-SM-4BRWS 30-39 years, female 6.1
GTEX-1H1CY-2826-SM-9MQM3 60-69 years, female 6.1
GTEX-1ICLZ-0126-SM-CKZPO 60-69 years, male 6.1
GTEX-11DYG-0126-SM-59883 60-69 years, male 6.0
GTEX-145MF-0626-SM-5LUAI 50-59 years, male 6.0
GTEX-WZTO-0126-SM-3NM95 40-49 years, male 6.0
GTEX-XBEW-0626-SM-4QASP 40-49 years, male 6.0
GTEX-1MA7W-2026-SM-E9TJ6 20-29 years, female 6.0
GTEX-1212Z-2526-SM-5EGKP 60-69 years, male 5.9
GTEX-131YS-0126-SM-5KM1M 60-69 years, female 5.9
GTEX-15F5U-1526-SM-6PANO 40-49 years, male 5.8
GTEX-1J1OQ-0226-SM-CYPSH 40-49 years, female 5.8
GTEX-ZYT6-0226-SM-5NQ6T 30-39 years, male 5.7
GTEX-SE5C-1626-SM-2XCE3 40-49 years, female 5.7
GTEX-117XS-2726-SM-5N9BL 60-69 years, male 5.6
GTEX-13111-1626-SM-5EGJY 50-59 years, male 5.6
GTEX-WFON-2126-SM-3LK7O 40-49 years, male 5.6
GTEX-X88G-0126-SM-47JZ3 30-39 years, male 5.6
GTEX-1PDJ9-0326-SM-DTX95 20-29 years, male 5.5
GTEX-RVPV-0126-SM-EAZAW 60-69 years, male 5.5
GTEX-131XE-2326-SM-5PNZ2 50-59 years, male 5.4
GTEX-1S83E-0126-SM-EWRO4 40-49 years, male 5.4
GTEX-11UD2-0226-SM-5EQKY 50-59 years, male 5.3
GTEX-14JG1-0426-SM-6ETZZ 40-49 years, male 5.3
GTEX-O5YT-0126-SM-48TBW 20-29 years, male 5.3
GTEX-1K2DU-2326-SM-E9TIV 20-29 years, male 5.3
GTEX-11WQK-0526-SM-5EQLD 50-59 years, male 5.2
GTEX-13JUV-2726-SM-5LZZ8 40-49 years, female 5.2
GTEX-1IDJH-0326-SM-A9SLQ 70-79 years, male 5.1
GTEX-1KWVE-1426-SM-E9TJO 30-39 years, male 5.1
GTEX-W5X1-3026-SM-EAZAX 40-49 years, female 5.1
GTEX-17HG3-2226-SM-7938L 30-39 years, female 5.0
GTEX-17JCI-0126-SM-7LG5G 60-69 years, female 5.0
GTEX-1KANA-0726-SM-D3L9I 20-29 years, male 5.0
GTEX-OXRN-0126-SM-48TDM 50-59 years, male 4.9
GTEX-145LS-0126-SM-5QGP1 60-69 years, female 4.8
GTEX-15EU6-0426-SM-6PAN5 50-59 years, male 4.8
GTEX-S7SE-0126-SM-2XCD5 50-59 years, male 4.8
GTEX-Y3IK-2426-SM-4WWDU 50-59 years, female 4.8
GTEX-18D9A-1926-SM-7LG6P 30-39 years, female 4.7
GTEX-T5JC-0426-SM-32PLO 20-29 years, male 4.7
GTEX-U8XE-0326-SM-3DB8P 30-39 years, male 4.7
GTEX-13OVH-0126-SM-5MR4B 70-79 years, male 4.6
GTEX-13OW6-0426-SM-5L3HM 50-59 years, male 4.6
GTEX-14E6E-1826-SM-5S2R7 30-39 years, male 4.6
GTEX-ZTX8-1426-SM-5DUVO 20-29 years, male 4.6
GTEX-1GF9V-0326-SM-7RHI5 60-69 years, male 4.6
GTEX-1C475-1826-SM-73KWA 40-49 years, female 4.5
GTEX-1M5QR-1226-SM-EWROB 40-49 years, male 4.5
GTEX-13113-5016-SM-7EPIP 60-69 years, female 4.4
GTEX-XQ3S-1526-SM-4BOOC 20-29 years, male 4.3
GTEX-14A5H-0426-SM-5QGQF 60-69 years, male 4.2
GTEX-ZVZO-0126-SM-5A5L9 40-49 years, male 4.2
GTEX-15ER7-0326-SM-7KUEV 20-29 years, female 4.1
GTEX-144GL-0126-SM-5TDE2 50-59 years, male 3.9
GTEX-X4EP-0126-SM-3P5YV 60-69 years, female 3.7
GTEX-1HT8W-0126-SM-CNPPP 30-39 years, male 3.6
GTEX-1L5NE-2526-SM-E6CIE 50-59 years, male 3.6
GTEX-1GMR3-1926-SM-9KNUZ 40-49 years, male 3.2
GTEX-12WSE-0526-SM-793B2 20-29 years, male 2.9
GTEX-1PIIG-0226-SM-EWRN6 30-39 years, male 2.8
GTEX-183WM-0126-SM-7LTAB 70-79 years, female 2.7
GTEX-1QAET-0926-SM-E76QM 50-59 years, male 2.7
GTEX-POMQ-2226-SM-2I5FK 20-29 years, female 2.6
GTEX-1JMQL-0226-SM-CNPP5 50-59 years, female 2.4
Show allShow less

Contact

  • NEWS ARTICLES
  • PRESS ROOM

The Project

  • INTRODUCTION
  • ORGANIZATION
  • PUBLICATIONS

The Human Protein Atlas

  • DOWNLOADABLE DATA
  • LICENCE & CITATION
  • HELP & FAQ
The Human Protein Atlas project is funded
by the Knut & Alice Wallenberg Foundation.


contact@proteinatlas.org