We use cookies to enhance the usability of our website. If you continue, we'll assume that you are happy to receive all cookies. More information. Don't show this again.
LGALS3
HPA
RESOURCES
  • TISSUE
  • BRAIN
  • SINGLE CELL
  • SUBCELLULAR
  • CANCER
  • BLOOD
  • CELL LINE
  • STRUCTURE & INTERACTION
ABOUT
  • INTRODUCTION
  • HISTORY
  • ORGANIZATION
  • PUBLICATIONS
  • ANTIBODY SUBMISSION
  • ANTIBODY AVAILABILITY
  • ACKNOWLEDGMENTS
  • CONTACT
NEWS
  • NEWS ARTICLES
  • PRESS ROOM
LEARN
  • DICTIONARY
  • PROTEIN CLASSES
  • PROTEIN EVIDENCE
  • METHODS
  • EDUCATIONAL VIDEOS
DATA
  • DOWNLOADABLE DATA
  • PUBLICATION DATA
  • RELEASE HISTORY
HELP
  • ANTIBODY VALIDATION
  • ASSAYS & ANNOTATION
  • DISCLAIMER
  • HELP & FAQ
  • PRIVACY STATEMENT
  • LICENCE & CITATION
Fields »
Search result

Field
Term
Gene name
Class
Subclass
Class
Keyword
Chromosome
External id
Tissue
Cell type
Expression
Antibody panel
Tissue
Main location
Patient ID
Annotation
Tissue
Category
Tau score
Cluster
Reliability
Brain region
Category
Tau score
Brain region
Category
Tau score
Brain region
Category
Tau score
Cluster
Reliability
Tissue
Cell type
Enrichment
Cell type
Category
Tau score
Cell type
Category
Tau score
Cell type
Category
Tau score
Cell lineage
Category
Tau score
Cluster
Cluster
Location
Searches
Location
Cell line
Class
Type
Phase
Reliability
Cancer
Prognosis
Cancer
Category
Cancer
Category
Tau score
Cluster
Variants
Interacting gene (ensg_id)
Type
Number of interactions
Pathway
Category
Score
Score
Score
Validation
Validation
Validation
Validation
Antibodies
Data type
Column


  • SUMMARY

  • TISSUE

  • BRAIN

  • SINGLE CELL

  • SUBCELL

  • CANCER

  • BLOOD

  • CELL LINE

  • STRUCT & INT

  • LGALS3
TISSUE PRIMARY DATA BREAST Show tissue menu
ADIPOSE TISSUE ADRENAL GLAND AMYGDALA APPENDIX BASAL GANGLIA BONE MARROW BREAST BRONCHUS CEREBELLUM CEREBRAL CORTEX CERVIX CHOROID PLEXUS COLON DUODENUM
ENDOMETRIUM EPIDIDYMIS ESOPHAGUS FALLOPIAN TUBE GALLBLADDER HEART MUSCLE HIPPOCAMPAL FORMATION HYPOTHALAMUS KIDNEY LIVER LUNG LYMPH NODE MIDBRAIN NASOPHARYNX
ORAL MUCOSA OVARY PANCREAS PARATHYROID GLAND PITUITARY GLAND PLACENTA PROSTATE RECTUM RETINA SALIVARY GLAND SEMINAL VESICLE SKELETAL MUSCLE SKIN SMALL INTESTINE
SMOOTH MUSCLE SOFT TISSUE SPINAL CORD SPLEEN STOMACH TESTIS THYMUS THYROID GLAND TONGUE TONSIL URINARY BLADDER VAGINA
ANTIBODIES
AND
VALIDATION
Dictionary
Breast
Tissue proteome
Breast
BREAST - Expression summary
Protein expression
Breasti

On the top, protein expression in current human tissue, based on all annotated cell types, is reported with the units not detected (n), low (l), medium (m) and high (h). Underneath, protein expression in each annotated cell type are reported using the same units.

Protein expression data is based on knowledge-based annotation. For genes where more than one antibody has been used, a collective score is set.

If knowledge-based annotation could not be performed for a gene, no data is displayed here. View antibody staining data further down this page.

h
m
l
n
Adipocytes: Medium
Glandular cells: Medium
Myoepithelial cells: Medium
RNA expressioni

A summary of mRNA expression data available for current tissue based on several datasets. The mRNA expression levels in human tissues are based on RNA-seq data generated by the Human Protein Atlas (HPA), Genotype-Tissue Expression (GTEx) portal and CAGE data generated by the FANTOM5 consortium. Consensus normalized expression levels for human tissues was created by combining the data from HPA and GTEx datasets.

The mRNA expression levels in pig are based on RNA-seq data generated by the Human Protein Atlas (HPA), and for mouse, HPA data and in situ hybridization generated by the Allen brain atlas are reported.

Scroll down to view mRNA expression data in more detail.
Consensus:312.6 nTPM
HPA:309.4 nTPM
GTEx:312.6 nTPM
FANTOM5:474.5 Scaled Tags Per Million

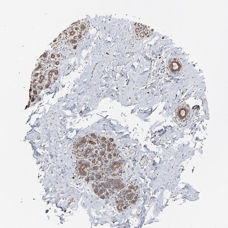
BREAST - Antibody stainingi

Antibody staining in the annotated cell types in the current human tissue is reported as not detected, low, medium, or high, based on conventional immunohistochemistry profiling in selected tissues. This score is based on the combination of the staining intensity and fraction of stained cells.

Each image is clickable and will lead to virtual microscopy that enables deeper exploration of all samples and also displays staining intensity scores, fraction scores and subcellular localization as well as patient and tissue information for each sample.

Antibody HPA003162Antibody CAB005191
Adipocytes MediumMedium
Glandular cells MediumHigh
Myoepithelial cells MediumHigh



BREAST - HPA RNA-seqi

The RNA-seq details section shows detailed information about the individual samples used for the transcript profiling and results of the RNA-seq analysis.

Information about each individual sample is listed below, including gender, age, a tissue section image and estimated fractions of cell types. nTPM (normalized transcripts per million) values give a quantification of the gene abundance which is comparable between different genes and samples.
Average nTPMi

Max subtype nTPM is the value for the subtype with the largest average nTPM across the subtype samples.

309.4
overview
Female, age 52
Breast sample 373
nTPM: 386.5
Cell types%
Glandular cells:
15

Adipocytes:
5

Other cell types:
80

overview
Female, age 80
Breast sample 390
nTPM: 501.8
Cell types%
Glandular cells:
5

Adipocytes:
15

Other cell types:
80

overview
Female, age 47
Breast sample 405
nTPM: 227.9
Cell types%
Glandular cells:
5

Adipocytes:
5

Other cell types:
90

overview
Female, age 38
Breast sample 410
nTPM: 121.3
Cell types%
Glandular cells:
40

Adipocytes:
5

Other cell types:
55


BREAST - GTEx RNA-seqi

RNA-Seq data generated by the Genotype-Tissue Expression (GTEx) project from human tissues is reported as mean nTPM. More information can be found on the GTEx portal.

Distribution across the dataset is visualized with box plots, shown as median and 25th and 75th percentiles. Points are displayed as outliers if they are above or below 1.5 times the interquartile range. nTPM values of the individual samples are presented next to the box plot.
Max subtype nTPMi

Max subtype nTPM is the value for the subtype with the largest average nTPM across the subtype samples.

312.6
GTEx sample id Sample description nTPM
Breast - Mammary Tissue
Average nTPM: 312.6
Samples: 459

Max nTPM: 869.1
Min nTPM: 123.5
Std nTPM: 113.2
Median nTPM: 290.8
GTEX-1F5PK-2126-SM-7PC28 50-59 years, male 869.1
GTEX-1R7EV-1526-SM-E8VOD 40-49 years, male 834.0
GTEX-ZTPG-2826-SM-57WGA 20-29 years, female 798.5
GTEX-1N2EF-2226-SM-E9J33 60-69 years, male 721.4
GTEX-1ICLZ-0426-SM-B2LW2 60-69 years, male 701.3
GTEX-14PN4-0626-SM-62LFP 50-59 years, male 684.5
GTEX-14ABY-2126-SM-5QGQZ 50-59 years, male 635.4
GTEX-XMK1-1126-SM-4IHJ8 40-49 years, male 628.4
GTEX-13W46-0826-SM-5LU3H 50-59 years, male 626.9
GTEX-ZAB4-2526-SM-5HL8M 40-49 years, male 619.6
GTEX-1JJEA-2726-SM-ARL8V 60-69 years, male 618.9
GTEX-1B8SG-1226-SM-7IGPF 50-59 years, male 598.3
GTEX-1JJE9-2326-SM-ARL8Q 70-79 years, male 576.8
GTEX-1H1ZS-0126-SM-9YFKQ 70-79 years, male 553.8
GTEX-1JN6P-2426-SM-ARL99 60-69 years, male 550.8
GTEX-14AS3-1626-SM-5S2OY 40-49 years, female 550.4
GTEX-1R9JW-0326-SM-EAZ45 30-39 years, female 549.8
GTEX-1N2EE-2126-SM-E8VNN 60-69 years, male 545.9
GTEX-144GM-0926-SM-5O994 20-29 years, male 544.4
GTEX-1I19N-2826-SM-CL55D 70-79 years, male 543.1
GTEX-ZLFU-2126-SM-DO931 40-49 years, male 542.7
GTEX-13O3Q-2226-SM-5KM4O 50-59 years, male 542.1
GTEX-1QMI2-0726-SM-E9J4F 60-69 years, male 536.9
GTEX-ZYFC-0826-SM-5E44K 50-59 years, male 535.8
GTEX-13VXU-2826-SM-664MA 50-59 years, male 535.6
GTEX-1NV8Z-2826-SM-E8VME 60-69 years, male 532.7
GTEX-1NUQO-2226-SM-E9U68 20-29 years, female 524.8
GTEX-S7SE-0826-SM-4AT4D 50-59 years, male 519.0
GTEX-13SLW-2526-SM-62LDQ 70-79 years, male 511.7
GTEX-132NY-0826-SM-5K7Y7 60-69 years, male 507.6
GTEX-11DXY-2326-SM-5GICW 60-69 years, male 506.1
GTEX-YB5E-1726-SM-5IFJ3 40-49 years, male 503.9
GTEX-1IOXB-1926-SM-ARL8E 50-59 years, male 502.0
GTEX-1I1GV-2426-SM-CGQFM 60-69 years, male 499.3
GTEX-11OF3-1926-SM-59889 60-69 years, male 495.3
GTEX-1PPGY-1526-SM-EVYBK 60-69 years, male 488.2
GTEX-1JMOU-2026-SM-CMKGU 60-69 years, female 485.0
GTEX-1IDJH-2226-SM-E6CJV 70-79 years, male 479.7
GTEX-12KS4-0126-SM-5Q5A5 30-39 years, male 479.0
GTEX-15RJE-2626-SM-7KFT1 40-49 years, male 471.0
GTEX-1M4P7-2626-SM-E9U5F 60-69 years, male 468.9
GTEX-XQ3S-1326-SM-4BOPQ 20-29 years, male 465.5
GTEX-11NV4-2026-SM-5N9DG 60-69 years, male 464.9
GTEX-183WM-0726-SM-7LTAA 70-79 years, female 464.8
GTEX-14BMV-0626-SM-793AU 50-59 years, male 463.4
GTEX-1GN2E-2226-SM-9WG6J 60-69 years, male 462.4
GTEX-1HT8W-2226-SM-CGQEC 30-39 years, male 461.3
GTEX-1HSMO-0826-SM-ADEIV 60-69 years, male 458.6
GTEX-12WSK-2226-SM-5GCO5 40-49 years, female 449.7
GTEX-1H4P4-2226-SM-9MQKQ 50-59 years, male 449.7
GTEX-X62O-0526-SM-EWRMA 50-59 years, male 444.0
GTEX-1I1GP-0426-SM-COH3N 50-59 years, male 438.8
GTEX-1IDJF-2326-SM-ARL86 20-29 years, male 438.1
GTEX-Y8E4-1626-SM-5S2MW 40-49 years, male 436.9
GTEX-T2IS-1526-SM-32QPR 20-29 years, female 435.4
GTEX-14PJO-0726-SM-69LO8 60-69 years, male 434.4
GTEX-11ONC-2126-SM-5HL6E 60-69 years, male 432.1
GTEX-14E6C-1326-SM-62LEQ 40-49 years, male 428.8
GTEX-1HR98-0426-SM-COH36 60-69 years, male 427.7
GTEX-11WQC-1726-SM-5GU4W 60-69 years, male 426.5
GTEX-145MF-2226-SM-7EPIR 50-59 years, male 426.1
GTEX-13OW8-0226-SM-5K7UP 60-69 years, male 423.6
GTEX-YECK-0726-SM-EZ6LV 60-69 years, male 422.7
GTEX-ZQG8-0726-SM-5P9H9 60-69 years, female 421.1
GTEX-13O3O-0826-SM-5K7WE 60-69 years, female 420.8
GTEX-1IDFM-0426-SM-B2LVV 60-69 years, male 418.5
GTEX-13QJ3-0826-SM-7DHKK 50-59 years, male 418.2
GTEX-U8XE-0826-SM-4E3J1 30-39 years, male 415.4
GTEX-1HC8U-0826-SM-ADEIL 40-49 years, female 412.8
GTEX-1QEPI-0926-SM-DTXF3 60-69 years, female 412.8
GTEX-1QP9N-1826-SM-E8VMP 30-39 years, male 412.0
GTEX-1MA7X-1626-SM-E9U5B 60-69 years, male 410.9
GTEX-XYKS-1326-SM-4BRUN 60-69 years, female 409.4
GTEX-1H23P-0726-SM-9WG7K 60-69 years, male 407.9
GTEX-REY6-2426-SM-48FF5 60-69 years, male 405.7
GTEX-1MCC2-2126-SM-EWRON 30-39 years, female 405.0
GTEX-117XS-1926-SM-5GICO 60-69 years, male 404.5
GTEX-15UF6-0126-SM-6PAMB 70-79 years, female 402.9
GTEX-17F97-2526-SM-7EWDV 50-59 years, male 402.5
GTEX-18A66-1726-SM-7LG5N 60-69 years, male 401.6
GTEX-1EKGG-2626-SM-7IGPY 60-69 years, male 400.1
GTEX-1I6K6-0826-SM-ARL7Z 30-39 years, male 394.6
GTEX-14753-2426-SM-5LU8U 60-69 years, male 394.3
GTEX-11TUW-1826-SM-5BC5D 60-69 years, male 393.8
GTEX-1C6VQ-0426-SM-79OOX 50-59 years, male 393.8
GTEX-1LSNL-2826-SM-E9U5L 50-59 years, male 392.8
GTEX-1IGQW-0926-SM-ADEH6 60-69 years, male 390.7
GTEX-WFON-1826-SM-3GILG 40-49 years, male 389.3
GTEX-11ZUS-0826-SM-5FQUY 30-39 years, male 389.2
GTEX-VUSG-2226-SM-4KKZO 50-59 years, male 388.6
GTEX-X4XY-0926-SM-4E3JD 60-69 years, male 388.1
GTEX-RUSQ-2026-SM-4GIAK 50-59 years, male 387.8
GTEX-1AMEY-1026-SM-718AA 30-39 years, female 385.1
GTEX-1S82U-1126-SM-E9U6I 30-39 years, female 384.5
GTEX-15UF7-0726-SM-6M46D 40-49 years, male 384.4
GTEX-18A7A-0726-SM-7LTAI 50-59 years, female 382.8
GTEX-11O72-2126-SM-5N9FO 40-49 years, male 382.6
GTEX-1HUB1-1626-SM-CM2SL 60-69 years, male 382.1
GTEX-1MJK2-2226-SM-EVYCR 50-59 years, male 381.8
GTEX-13PVQ-1026-SM-5KM3M 50-59 years, male 381.3
GTEX-16BQI-1026-SM-7KUEA 30-39 years, female 376.7
GTEX-ZYW4-0826-SM-5GIDG 60-69 years, male 376.2
GTEX-1AX9I-0726-SM-73KWV 60-69 years, male 375.4
GTEX-15EOM-5019-SM-793DK 20-29 years, female 372.6
GTEX-S33H-0326-SM-4AD6N 30-39 years, male 372.0
GTEX-XMD2-0926-SM-4WWEF 60-69 years, female 370.8
GTEX-13SLX-2326-SM-5ZZWE 50-59 years, female 370.5
GTEX-WOFL-0826-SM-3MJG1 60-69 years, male 370.2
GTEX-YJ8O-2226-SM-5IFHW 40-49 years, female 370.2
GTEX-16YQH-2826-SM-6PAMY 30-39 years, male 369.3
GTEX-18465-2026-SM-718AP 50-59 years, male 368.3
GTEX-1KD4Q-2326-SM-D4P3M 40-49 years, male 368.3
GTEX-ZLWG-1926-SM-DO92J 50-59 years, female 368.2
GTEX-14E7W-0826-SM-62LEJ 70-79 years, male 367.7
GTEX-11TT1-2126-SM-5GU5Y 20-29 years, male 367.2
GTEX-1H1DG-0526-SM-9YFLN 70-79 years, male 366.7
GTEX-ZPIC-1126-SM-5BC7F 40-49 years, female 366.5
GTEX-1KANC-1426-SM-CYPT9 50-59 years, female 366.3
GTEX-1GPI7-0926-SM-7PC3J 20-29 years, male 365.9
GTEX-139T6-1626-SM-5PNYZ 50-59 years, male 365.8
GTEX-11GSP-0926-SM-9WYSG 60-69 years, female 365.4
GTEX-13S86-1226-SM-5S2OA 40-49 years, male 363.6
GTEX-15G19-2126-SM-6M48J 60-69 years, male 363.1
GTEX-1NHNU-0926-SM-E9J2T 50-59 years, male 362.0
GTEX-14ICK-2426-SM-6EU27 40-49 years, male 361.6
GTEX-1313W-0826-SM-5EQ4T 50-59 years, female 361.5
GTEX-QMRM-1626-SM-D4P1U 50-59 years, male 359.6
GTEX-14LLW-0626-SM-62LFC 70-79 years, female 355.7
GTEX-17HGU-1326-SM-79OKB 50-59 years, male 355.2
GTEX-1C6WA-2426-SM-7SB86 60-69 years, male 355.1
GTEX-ZVZQ-0826-SM-51MRF 60-69 years, female 353.9
GTEX-1RLM8-2226-SM-EVYD1 50-59 years, male 353.1
GTEX-SE5C-2126-SM-4BRUJ 40-49 years, female 350.9
GTEX-1QP29-1726-SM-E8VMQ 50-59 years, male 350.7
GTEX-1JKYR-0926-SM-CMKGJ 20-29 years, male 350.5
GTEX-17F96-2426-SM-7IGLN 70-79 years, male 350.2
GTEX-1LBAC-0926-SM-CXKY9 20-29 years, male 350.0
GTEX-18A6Q-0926-SM-7LG4N 60-69 years, male 349.8
GTEX-ZVT4-1026-SM-57WC4 50-59 years, female 349.7
GTEX-Y9LG-1426-SM-5IFJZ 30-39 years, male 348.6
GTEX-11PRG-0826-SM-5EQ6A 50-59 years, male 348.4
GTEX-TKQ1-0226-SM-33HB5 30-39 years, male 347.7
GTEX-18D9A-1526-SM-7LG4J 30-39 years, female 347.2
GTEX-1QCLZ-2326-SM-DTXDO 60-69 years, female 347.0
GTEX-11GSO-1926-SM-5A5K3 60-69 years, male 346.5
GTEX-145LT-0726-SM-5S2VM 40-49 years, male 345.2
GTEX-ZYT6-0126-SM-5E45J 30-39 years, male 344.4
GTEX-132AR-0826-SM-5EGK6 50-59 years, female 343.2
GTEX-1GF9V-2526-SM-7SB8K 60-69 years, male 342.1
GTEX-1BAJH-0826-SM-7EWEF 70-79 years, male 342.0
GTEX-1HBPM-0126-SM-ARL9E 60-69 years, female 341.1
GTEX-1F75A-1826-SM-7SB8G 50-59 years, male 340.4
GTEX-ZTTD-1026-SM-51MRD 50-59 years, male 340.2
GTEX-1HCU8-0126-SM-ADEHH 60-69 years, female 340.1
GTEX-PSDG-1626-SM-48TCQ 50-59 years, male 339.0
GTEX-18A7B-2626-SM-7LG55 70-79 years, male 336.6
GTEX-1F75I-2026-SM-7SB7N 40-49 years, male 336.0
GTEX-1B933-2526-SM-7IGO5 50-59 years, female 334.9
GTEX-1MJK3-1126-SM-E9J3F 20-29 years, male 334.3
GTEX-VJWN-0726-SM-3GIJ8 50-59 years, female 333.4
GTEX-17F9E-2526-SM-7MGW2 50-59 years, male 333.2
GTEX-14H4A-2526-SM-5YYAY 40-49 years, female 332.7
GTEX-ZUA1-1526-SM-59HLS 40-49 years, male 329.8
GTEX-13FTW-1426-SM-5LZWZ 40-49 years, male 329.1
GTEX-15FZZ-0726-SM-7KUFZ 30-39 years, female 328.8
GTEX-1IKJJ-2326-SM-COH3U 60-69 years, male 327.5
GTEX-1QPFJ-2026-SM-EVYBE 30-39 years, female 327.2
GTEX-17EVQ-0426-SM-7LG57 70-79 years, male 327.1
GTEX-17MFQ-0926-SM-7LG4S 20-29 years, male 326.2
GTEX-ZVT2-1826-SM-5NQ8W 50-59 years, female 325.5
GTEX-1E2YA-2726-SM-7IGPW 50-59 years, male 324.3
GTEX-11P82-1326-SM-5HL62 20-29 years, male 324.1
GTEX-TKQ2-1826-SM-33HB2 50-59 years, male 324.0
GTEX-11EQ9-1826-SM-5Q5AJ 30-39 years, male 323.4
GTEX-13CF2-2026-SM-5K7VI 60-69 years, male 323.1
GTEX-YB5K-1626-SM-5IFIN 40-49 years, female 322.7
GTEX-144GL-2026-SM-5LU3O 50-59 years, male 322.5
GTEX-1I1GT-1126-SM-ARL7J 60-69 years, female 321.9
GTEX-13113-5013-SM-7SB7G 60-69 years, female 320.9
GTEX-145MO-0826-SM-5NQBL 60-69 years, male 319.8
GTEX-U412-1826-SM-4DXTJ 60-69 years, male 318.9
GTEX-17MF6-0326-SM-7EPH5 40-49 years, male 318.3
GTEX-1ICG6-1326-SM-ACKWR 70-79 years, female 318.1
GTEX-1RAZS-1226-SM-E8VMT 50-59 years, male 317.5
GTEX-1CB4G-2326-SM-79OOI 60-69 years, male 316.5
GTEX-R3RS-0626-SM-48FE1 40-49 years, female 315.7
GTEX-ZVTK-0326-SM-51MRR 20-29 years, male 315.6
GTEX-1GMRU-0826-SM-9WYT7 50-59 years, male 314.6
GTEX-WY7C-2726-SM-3NB3P 50-59 years, male 314.4
GTEX-1CB4E-0226-SM-79OLW 60-69 years, male 313.8
GTEX-1KD5A-1926-SM-DKPQA 50-59 years, male 313.6
GTEX-XOT4-0726-SM-4GIAW 60-69 years, female 311.1
GTEX-14DAR-1326-SM-7DUEG 50-59 years, male 310.7
GTEX-1GF9U-1726-SM-7MGY5 40-49 years, female 309.4
GTEX-13FHO-0826-SM-5L3E8 60-69 years, male 308.4
GTEX-1EN7A-1426-SM-7PBY4 40-49 years, male 308.0
GTEX-11DXW-0626-SM-5N9ER 40-49 years, male 306.1
GTEX-11DXZ-1926-SM-5GZZL 50-59 years, male 306.1
GTEX-W5X1-2326-SM-3GIL6 40-49 years, female 306.1
GTEX-1HCVE-2626-SM-ADEJ8 50-59 years, male 306.0
GTEX-QVJO-1826-SM-447C9 60-69 years, female 305.9
GTEX-131XW-0726-SM-5EGK3 50-59 years, female 305.4
GTEX-1KAFJ-0226-SM-DIPEL 50-59 years, male 305.2
GTEX-13D11-1026-SM-5IJFB 50-59 years, female 305.0
GTEX-17KNJ-2026-SM-7LG53 50-59 years, male 304.6
GTEX-183FY-1126-SM-7DHLJ 20-29 years, male 304.5
GTEX-XV7Q-2326-SM-4BRVZ 40-49 years, female 304.3
GTEX-1IE54-0626-SM-ARL8D 40-49 years, female 302.9
GTEX-1GZHY-0726-SM-9WG6B 50-59 years, female 301.8
GTEX-1JMLX-2026-SM-CMKGN 50-59 years, male 301.8
GTEX-1A3MX-2726-SM-718B6 60-69 years, male 301.3
GTEX-117YX-1426-SM-5H12H 50-59 years, male 300.4
GTEX-13FTX-1126-SM-5N9EN 20-29 years, female 299.4
GTEX-U3ZN-1926-SM-4DXSG 30-39 years, female 299.4
GTEX-1GPI6-0626-SM-7RHHJ 60-69 years, male 299.4
GTEX-1H11D-1526-SM-9MQJY 40-49 years, male 298.4
GTEX-1F75B-0626-SM-7SB8A 50-59 years, male 298.2
GTEX-Z9EW-1526-SM-EZ6LU 40-49 years, male 298.1
GTEX-X261-0626-SM-3NMD9 50-59 years, male 297.7
GTEX-11P7K-0726-SM-5EGKX 30-39 years, male 297.2
GTEX-13CF3-2126-SM-5IFJP 60-69 years, female 297.0
GTEX-ZT9W-2026-SM-51MRA 50-59 years, male 296.2
GTEX-1ICLY-1726-SM-B2LVT 50-59 years, male 296.2
GTEX-WRHU-0326-SM-3MJFY 50-59 years, female 295.3
GTEX-17JCI-0726-SM-7EPH1 60-69 years, female 294.4
GTEX-145ME-1526-SM-5Q5F2 40-49 years, female 293.3
GTEX-13NZ9-1026-SM-5MR5K 50-59 years, male 292.9
GTEX-14PKU-0426-SM-6EU1P 40-49 years, female 291.6
GTEX-ZDTT-2126-SM-DKPOM 60-69 years, male 291.3
GTEX-1J8EW-2626-SM-CL53E 60-69 years, female 290.8
GTEX-1HCU9-0326-SM-9WYSC 20-29 years, male 290.6
GTEX-1LG7Z-0726-SM-CXKYD 30-39 years, male 290.2
GTEX-1399U-1826-SM-5PNZ1 50-59 years, female 289.7
GTEX-1HFI7-0126-SM-CGQFQ 50-59 years, female 289.7
GTEX-1IDJU-1826-SM-CMKHV 60-69 years, female 289.7
GTEX-WI4N-1426-SM-3LK7H 40-49 years, female 288.6
GTEX-1QW4Y-1026-SM-DTXE2 30-39 years, male 288.3
GTEX-1RQEC-2026-SM-DTXDM 60-69 years, male 287.8
GTEX-1LC47-1226-SM-D4P44 60-69 years, male 286.6
GTEX-Y3I4-1526-SM-4TT7K 50-59 years, male 286.3
GTEX-1PPH7-0826-SM-E8VNX 40-49 years, male 285.6
GTEX-1GZ4I-2826-SM-9MQK5 50-59 years, male 285.1
GTEX-17GQL-0326-SM-7LG5U 60-69 years, male 284.7
GTEX-139TU-0626-SM-5KM3X 60-69 years, male 283.5
GTEX-S32W-2026-SM-4AD6E 50-59 years, female 282.9
GTEX-1AX8Z-0926-SM-731AW 60-69 years, male 282.5
GTEX-1CB4J-1826-SM-7EWF9 60-69 years, male 282.5
GTEX-1A8G7-2426-SM-731AK 60-69 years, male 281.8
GTEX-1117F-2826-SM-5GZXL 60-69 years, female 280.8
GTEX-R53T-1526-SM-48FEK 50-59 years, female 280.0
GTEX-1R46S-2526-SM-E8VN2 60-69 years, female 279.4
GTEX-UTHO-1026-SM-3GAF7 60-69 years, male 279.3
GTEX-11DZ1-0326-SM-5N9BN 50-59 years, male 278.9
GTEX-12BJ1-1826-SM-5HL9N 60-69 years, male 278.1
GTEX-15SHW-1326-SM-6PAL8 60-69 years, male 278.1
GTEX-17HHY-0926-SM-793C1 50-59 years, male 278.1
GTEX-YEC3-1026-SM-5IFI5 50-59 years, male 277.9
GTEX-11NSD-0926-SM-5N9DR 20-29 years, male 276.9
GTEX-131YS-0626-SM-5EGKL 60-69 years, female 276.1
GTEX-X4EP-2926-SM-3P5YQ 60-69 years, female 276.1
GTEX-ZY6K-1626-SM-5GZWV 50-59 years, male 276.1
GTEX-1GMR3-2626-SM-7RHHG 40-49 years, male 275.8
GTEX-1211K-1926-SM-5EQLB 60-69 years, female 274.9
GTEX-14B4R-1226-SM-5TDDT 30-39 years, male 274.8
GTEX-1IDJE-0826-SM-CKZNZ 50-59 years, female 274.5
GTEX-133LE-1726-SM-5K7VQ 20-29 years, female 273.8
GTEX-1QP28-1226-SM-E9J2M 50-59 years, female 273.4
GTEX-11ZTT-2326-SM-5EQLG 60-69 years, female 271.6
GTEX-ZEX8-2226-SM-57WC6 50-59 years, male 270.4
GTEX-1EWIQ-1726-SM-7SB7T 70-79 years, female 270.2
GTEX-1I4MK-1626-SM-CM2TJ 50-59 years, female 270.1
GTEX-1R9PN-0326-SM-DTX85 40-49 years, female 270.1
GTEX-1LNCM-0226-SM-DIPF4 50-59 years, female 269.9
GTEX-QDT8-0626-SM-48TYW 30-39 years, female 269.1
GTEX-ZDYS-1126-SM-5K7UB 50-59 years, male 269.0
GTEX-Y111-2026-SM-4SOJA 50-59 years, male 268.5
GTEX-17EVP-0226-SM-79OND 40-49 years, male 268.4
GTEX-1PDJ9-1126-SM-EXUSW 20-29 years, male 266.8
GTEX-ZAK1-1326-SM-EVYAS 50-59 years, female 265.8
GTEX-WYBS-0926-SM-3NM94 60-69 years, female 265.2
GTEX-1IY9M-2726-SM-CMKG5 60-69 years, male 265.1
GTEX-12WSM-1726-SM-5BC6J 60-69 years, male 264.9
GTEX-1I1GU-1026-SM-ADEHJ 40-49 years, male 263.8
GTEX-169BO-1126-SM-7MGWN 50-59 years, male 262.7
GTEX-1314G-1226-SM-5BC6D 30-39 years, male 261.3
GTEX-S4Q7-1126-SM-4AD6R 20-29 years, male 260.5
GTEX-1C6VS-0726-SM-7EPHF 60-69 years, male 260.0
GTEX-1JKYN-0726-SM-ARZMY 30-39 years, male 259.9
GTEX-15ETS-0626-SM-7KUMX 40-49 years, female 259.7
GTEX-13O61-1826-SM-5KM4I 60-69 years, male 259.0
GTEX-1CAMR-1426-SM-793BO 20-29 years, male 258.9
GTEX-Y114-2026-SM-4TT7L 50-59 years, female 258.3
GTEX-ZF3C-2326-SM-5S2NC 50-59 years, female 258.2
GTEX-1IKOE-1326-SM-CE6T6 30-39 years, female 258.0
GTEX-1H3VY-0926-SM-ACKXE 50-59 years, male 257.9
GTEX-Y8LW-1626-SM-5IFHX 50-59 years, female 256.9
GTEX-Y5V6-2126-SM-4WWFX 60-69 years, male 256.6
GTEX-ZGAY-1726-SM-DO91P 40-49 years, female 256.3
GTEX-1C475-1226-SM-7SB72 40-49 years, female 255.6
GTEX-1S82Z-0726-SM-E6CHX 30-39 years, female 255.4
GTEX-1B97I-0426-SM-79OL7 40-49 years, male 255.2
GTEX-11EI6-0626-SM-5985T 60-69 years, male 254.8
GTEX-Y5LM-1726-SM-4VDSX 40-49 years, female 254.4
GTEX-1JN1M-3026-SM-CMKGK 60-69 years, female 254.4
GTEX-S341-1526-SM-4AD6K 40-49 years, female 254.1
GTEX-1N5O9-1126-SM-DTXEQ 60-69 years, male 253.5
GTEX-14A5I-0726-SM-5TDEB 50-59 years, female 252.9
GTEX-1EU9M-2826-SM-7EWFH 60-69 years, male 252.9
GTEX-1JMPZ-1626-SM-COH31 30-39 years, male 252.6
GTEX-XBED-1626-SM-47JYN 60-69 years, male 252.5
GTEX-ZV6S-1826-SM-5NQ8D 40-49 years, female 251.3
GTEX-13QIC-2326-SM-5LU5N 60-69 years, female 251.2
GTEX-1J8QM-2026-SM-ARZMW 60-69 years, female 250.9
GTEX-13N1W-0626-SM-5MR4U 70-79 years, male 250.0
GTEX-ZQUD-1926-SM-51MSA 30-39 years, male 249.4
GTEX-145MN-1926-SM-5SIAI 30-39 years, male 248.9
GTEX-13NZB-2126-SM-5MR4Y 30-39 years, male 247.7
GTEX-1AX9J-1126-SM-731B7 60-69 years, male 247.0
GTEX-ZV7C-1826-SM-5NQ83 50-59 years, male 246.9
GTEX-147F4-2826-SM-5NQBN 50-59 years, male 246.8
GTEX-1HCU7-1026-SM-ADEIP 50-59 years, male 246.0
GTEX-1QCLY-1626-SM-DTXDW 30-39 years, male 245.9
GTEX-14PJ4-2126-SM-6ETZJ 60-69 years, male 245.0
GTEX-1K9T9-1426-SM-DIPFQ 50-59 years, female 245.0
GTEX-1OKEX-0826-SM-E9J2B 60-69 years, male 245.0
GTEX-17F98-0526-SM-79OK5 40-49 years, female 244.9
GTEX-1H1CY-2226-SM-9WG7E 60-69 years, female 244.9
GTEX-11EM3-1326-SM-5N9C6 20-29 years, female 243.4
GTEX-ZWKS-2826-SM-5NQ74 30-39 years, male 243.1
GTEX-13PVR-2226-SM-7DHKP 60-69 years, female 242.9
GTEX-XQ8I-2426-SM-4WAXY 50-59 years, male 242.7
GTEX-1B8L1-2426-SM-9WYTE 60-69 years, male 242.4
GTEX-WHSB-1926-SM-EXOHH 50-59 years, male 241.7
GTEX-18QFQ-0826-SM-718AX 30-39 years, male 241.6
GTEX-S4UY-0726-SM-4AD6X 40-49 years, female 241.5
GTEX-Y5V5-2126-SM-4WWFO 60-69 years, female 241.5
GTEX-X15G-1626-SM-3NMB3 50-59 years, female 239.6
GTEX-ZU9S-1926-SM-5NQBP 30-39 years, male 238.7
GTEX-1B8KZ-1526-SM-7DUG7 50-59 years, male 238.6
GTEX-ZZ64-1226-SM-5E43R 20-29 years, male 237.2
GTEX-1F6I4-2526-SM-7SB8F 60-69 years, male 236.8
GTEX-1IKOH-2326-SM-CM2TW 60-69 years, female 236.7
GTEX-1J8Q3-1326-SM-CMKI1 60-69 years, male 236.6
GTEX-1B8KE-1226-SM-73KWK 50-59 years, male 236.5
GTEX-1HSKV-2026-SM-CMKGX 60-69 years, male 236.4
GTEX-T2YK-2226-SM-32QPT 50-59 years, male 235.6
GTEX-1R9PM-1826-SM-EVYBH 20-29 years, male 235.6
GTEX-1I6K7-1026-SM-A9SLK 40-49 years, male 235.3
GTEX-ZA64-1526-SM-5CVMD 20-29 years, male 235.0
GTEX-13NZ8-0126-SM-5IJCT 60-69 years, female 232.6
GTEX-1LVAN-1326-SM-CNPQE 50-59 years, female 231.8
GTEX-146FH-0826-SM-5SI8T 50-59 years, female 231.7
GTEX-17EUY-1926-SM-7DUF6 20-29 years, male 230.9
GTEX-V955-2026-SM-3GAFA 60-69 years, male 229.8
GTEX-ZLV1-1426-SM-DO92Z 60-69 years, female 229.7
GTEX-WXYG-2226-SM-4E3IM 50-59 years, female 229.5
GTEX-ZAJG-0626-SM-5HL8X 50-59 years, female 229.1
GTEX-YFCO-1826-SM-4W1YH 40-49 years, male 228.5
GTEX-1122O-1226-SM-5H113 60-69 years, female 227.8
GTEX-UJHI-1426-SM-3DB9C 50-59 years, female 227.5
GTEX-1LSVX-2426-SM-E6CJX 60-69 years, male 227.3
GTEX-1K2DA-1726-SM-CGQGS 50-59 years, male 226.7
GTEX-QEL4-2126-SM-447AE 50-59 years, male 226.6
GTEX-1I1HK-2426-SM-ADEHX 60-69 years, male 226.6
GTEX-1192X-2326-SM-5987X 50-59 years, male 226.3
GTEX-R55D-0826-SM-48FEA 50-59 years, male 226.2
GTEX-11EMC-2026-SM-5A5JV 60-69 years, female 225.3
GTEX-1MA7W-1026-SM-DKPQK 20-29 years, female 224.4
GTEX-TML8-1226-SM-32QON 40-49 years, female 224.0
GTEX-1HBPN-2326-SM-9WPPU 50-59 years, male 224.0
GTEX-1P4AB-1826-SM-E76PU 50-59 years, male 223.3
GTEX-ZF29-1926-SM-5S2P1 60-69 years, female 222.1
GTEX-T5JC-2126-SM-32PMO 20-29 years, male 221.4
GTEX-1A3MV-1626-SM-731C1 30-39 years, male 221.3
GTEX-1CAMS-1426-SM-7IGPM 40-49 years, female 221.0
GTEX-17HHE-1426-SM-7EPH4 50-59 years, male 219.6
GTEX-1KXAM-1026-SM-CY8IA 60-69 years, male 219.5
GTEX-XGQ4-0926-SM-4AT4U 50-59 years, male 218.9
GTEX-1HCUA-0726-SM-ACKVU 50-59 years, female 218.5
GTEX-ZZPU-0626-SM-5E43T 50-59 years, female 217.8
GTEX-1269C-2426-SM-5FQSN 60-69 years, female 216.4
GTEX-1R7EU-1226-SM-E8VMR 60-69 years, male 216.2
GTEX-11GS4-2126-SM-5A5KR 60-69 years, male 215.5
GTEX-1KANA-2026-SM-DIPFB 20-29 years, male 213.7
GTEX-1B932-0826-SM-73KXG 40-49 years, female 213.4
GTEX-16NGA-0826-SM-718AF 40-49 years, female 212.3
GTEX-ZDXO-0126-SM-5S2ND 60-69 years, male 212.2
GTEX-1HR9M-2426-SM-ACKXI 60-69 years, male 211.3
GTEX-1HKZK-1826-SM-ADEJ2 40-49 years, male 211.0
GTEX-1GF9X-1026-SM-ACKX2 40-49 years, female 210.9
GTEX-XUW1-2326-SM-4BOO5 50-59 years, female 210.2
GTEX-1JMPY-0526-SM-CL54O 30-39 years, male 208.9
GTEX-11P81-1926-SM-5BC53 30-39 years, female 208.4
GTEX-XMD1-0826-SM-4AT52 60-69 years, male 208.4
GTEX-U3ZH-1426-SM-4DXSR 30-39 years, male 208.1
GTEX-1C64O-0726-SM-7DUFU 60-69 years, male 207.1
GTEX-S4P3-1326-SM-4AD6V 50-59 years, female 206.6
GTEX-13N11-1726-SM-5J1OJ 50-59 years, female 204.8
GTEX-14E6E-1326-SM-5S2NR 30-39 years, male 204.3
GTEX-17HG3-0126-SM-7IGNH 30-39 years, female 204.1
GTEX-RU72-0626-SM-46MUI 50-59 years, female 202.0
GTEX-1GMR2-1926-SM-9MQLZ 50-59 years, male 200.9
GTEX-1JMQK-2626-SM-COH2W 60-69 years, male 199.8
GTEX-13PL6-2926-SM-5L3I2 40-49 years, female 199.6
GTEX-1F5PL-1026-SM-7RHI1 40-49 years, female 199.1
GTEX-13W3W-1226-SM-5LU4H 60-69 years, female 198.5
GTEX-11WQK-2426-SM-5GU5C 50-59 years, male 198.4
GTEX-TMMY-0726-SM-33HBE 40-49 years, female 198.2
GTEX-11LCK-2426-SM-5HL5F 30-39 years, male 197.8
GTEX-RWS6-1926-SM-47JXY 60-69 years, female 197.8
GTEX-14PHY-1926-SM-5YY95 60-69 years, female 196.9
GTEX-ZTX8-1226-SM-4YCE9 20-29 years, male 196.7
GTEX-WYJK-1326-SM-3NB2T 50-59 years, male 196.5
GTEX-1HSEH-2026-SM-ADEHN 60-69 years, male 194.9
GTEX-Q2AG-0326-SM-48U1O 40-49 years, female 193.9
GTEX-1L5NE-2126-SM-CY8IH 50-59 years, male 193.0
GTEX-Y3IK-2326-SM-4WWDT 50-59 years, female 192.3
GTEX-ZXES-0826-SM-5E43C 30-39 years, female 191.3
GTEX-11I78-2226-SM-5PNYA 50-59 years, female 188.1
GTEX-UPK5-2326-SM-3P5Z8 40-49 years, male 186.9
GTEX-ZVE2-1226-SM-5NQ8R 50-59 years, male 183.3
GTEX-1LVAM-0926-SM-E9TJ2 50-59 years, female 183.3
GTEX-1LSNM-1326-SM-E9TJ1 50-59 years, male 183.1
GTEX-12WSN-1326-SM-5GCNT 40-49 years, male 181.6
GTEX-1J8Q2-2726-SM-A9G2X 60-69 years, male 181.4
GTEX-12ZZX-1126-SM-5EGKB 40-49 years, female 180.4
GTEX-WYVS-1726-SM-3NMAY 40-49 years, female 180.0
GTEX-14BMU-1626-SM-5TDE7 20-29 years, female 179.8
GTEX-111YS-1926-SM-5GICC 60-69 years, male 179.6
GTEX-1RAZQ-1226-SM-EWRNL 30-39 years, male 178.2
GTEX-1MCYP-0126-SM-E6CIS 20-29 years, female 177.2
GTEX-ZF2S-2026-SM-5E461 50-59 years, female 176.0
GTEX-WFG8-2026-SM-EXOHO 20-29 years, male 175.6
GTEX-ZC5H-2626-SM-5J2MG 40-49 years, female 174.3
GTEX-1GN1W-1926-SM-7P8TH 50-59 years, female 173.7
GTEX-1JK1U-1826-SM-ARL8W 60-69 years, male 172.6
GTEX-13OW5-2226-SM-5L3HC 60-69 years, male 170.2
GTEX-1GZ4H-0326-SM-7P8QX 50-59 years, female 167.2
GTEX-132Q8-1426-SM-5EGK7 60-69 years, male 166.8
GTEX-QEG5-0726-SM-D4P1T 20-29 years, male 162.7
GTEX-T6MO-0326-SM-32QOK 40-49 years, female 161.7
GTEX-YFC4-1426-SM-5IFJG 40-49 years, female 161.7
GTEX-1H1E6-0926-SM-9YFLT 30-39 years, male 161.2
GTEX-RU1J-0626-SM-4WAWY 20-29 years, female 159.3
GTEX-T6MN-0726-SM-32PML 50-59 years, male 153.3
GTEX-1GN1U-0526-SM-9KNTT 50-59 years, female 152.7
GTEX-15ER7-1626-SM-6PAMZ 20-29 years, female 151.5
GTEX-1M5QR-2526-SM-E9U5P 40-49 years, male 149.3
GTEX-XUZC-1626-SM-4BRVP 30-39 years, female 147.1
GTEX-13FTY-2226-SM-5J1ND 40-49 years, female 145.2
GTEX-1LGRB-1826-SM-CNPQL 50-59 years, female 144.3
GTEX-1B97J-0426-SM-79OLQ 50-59 years, female 143.9
GTEX-1HSGN-1526-SM-A9SMO 40-49 years, female 138.4
GTEX-13O3P-0826-SM-5L3DH 50-59 years, male 131.9
GTEX-1GZ2Q-2626-SM-7MXV9 40-49 years, male 127.7
GTEX-1POEN-0926-SM-DTX88 30-39 years, female 126.1
GTEX-1GMR8-0726-SM-9KNVI 50-59 years, female 124.4
GTEX-139T8-0826-SM-5L3DE 60-69 years, male 123.7
GTEX-T5JW-2026-SM-4DM63 20-29 years, female 123.5
Show allShow less

BREAST - FANTOM5 CAGEi

RNA expression in human tissues obtained through Cap Analysis of Gene Expression (CAGE) generated by the FANTOM5 project are reported as Scaled Tags Per Million.

Max subtype Scaled Tags Per Millioni

Max subtype Scaled Tags Per Million is the value for the subtype with the largest average Scaled Tags Per Million across the subtype samples.

474.5
FANTOM5 sample id Sample description Scaled Tags Per Million
Breast
Scaled Tags Per Million: 474.5
FF:10080-102A8 77 years, female 474.5

Contact

  • NEWS ARTICLES
  • PRESS ROOM

The Project

  • INTRODUCTION
  • ORGANIZATION
  • PUBLICATIONS

The Human Protein Atlas

  • DOWNLOADABLE DATA
  • LICENCE & CITATION
  • HELP & FAQ
The Human Protein Atlas project is funded
by the Knut & Alice Wallenberg Foundation.


contact@proteinatlas.org