We use cookies to enhance the usability of our website. If you continue, we'll assume that you are happy to receive all cookies. More information. Don't show this again.
TPT1
HPA
RESOURCES
  • TISSUE
  • BRAIN
  • SINGLE CELL
  • SUBCELLULAR
  • CANCER
  • BLOOD
  • CELL LINE
  • STRUCTURE & INTERACTION
ABOUT
  • INTRODUCTION
  • HISTORY
  • ORGANIZATION
  • PUBLICATIONS
  • ANTIBODY SUBMISSION
  • ANTIBODY AVAILABILITY
  • ACKNOWLEDGMENTS
  • CONTACT
NEWS
  • NEWS ARTICLES
  • PRESS ROOM
LEARN
  • DICTIONARY
  • PROTEIN CLASSES
  • PROTEIN EVIDENCE
  • METHODS
  • EDUCATIONAL VIDEOS
DATA
  • DOWNLOADABLE DATA
  • PUBLICATION DATA
  • RELEASE HISTORY
HELP
  • ANTIBODY VALIDATION
  • ASSAYS & ANNOTATION
  • DISCLAIMER
  • HELP & FAQ
  • PRIVACY STATEMENT
  • LICENCE & CITATION
Fields »
Search result

Field
Term
Gene name
Class
Subclass
Class
Keyword
Chromosome
External id
Tissue
Cell type
Expression
Antibody panel
Tissue
Main location
Patient ID
Annotation
Tissue
Category
Tau score
Cluster
Reliability
Brain region
Category
Tau score
Brain region
Category
Tau score
Brain region
Category
Tau score
Cluster
Reliability
Tissue
Cell type
Enrichment
Cell type
Category
Tau score
Cell type
Category
Tau score
Cell type
Category
Tau score
Cell lineage
Category
Tau score
Cluster
Cluster
Location
Searches
Location
Cell line
Class
Type
Phase
Reliability
Cancer
Prognosis
Cancer
Category
Cancer
Category
Tau score
Cluster
Variants
Interacting gene (ensg_id)
Type
Number of interactions
Pathway
Category
Score
Score
Score
Validation
Validation
Validation
Validation
Antibodies
Data type
Column


  • SUMMARY

  • TISSUE

  • BRAIN

  • SINGLE CELL

  • SUBCELL

  • CANCER

  • BLOOD

  • CELL LINE

  • STRUCT & INT

  • TPT1
TISSUE PRIMARY DATA SKIN Show tissue menu
ADIPOSE TISSUE ADRENAL GLAND AMYGDALA APPENDIX BASAL GANGLIA BONE MARROW BREAST BRONCHUS CEREBELLUM CEREBRAL CORTEX CERVIX CHOROID PLEXUS COLON DUODENUM
ENDOMETRIUM EPIDIDYMIS ESOPHAGUS FALLOPIAN TUBE GALLBLADDER HEART MUSCLE HIPPOCAMPAL FORMATION HYPOTHALAMUS KIDNEY LIVER LUNG LYMPH NODE MIDBRAIN NASOPHARYNX
ORAL MUCOSA OVARY PANCREAS PARATHYROID GLAND PITUITARY GLAND PLACENTA PROSTATE RECTUM RETINA SALIVARY GLAND SEMINAL VESICLE SKELETAL MUSCLE SKIN SMALL INTESTINE
SMOOTH MUSCLE SOFT TISSUE SPINAL CORD SPLEEN STOMACH TESTIS THYMUS THYROID GLAND TONGUE TONSIL URINARY BLADDER VAGINA
ANTIBODIES
AND
VALIDATION
Dictionary
Skin
Tissue proteome
Skin
SKIN - Expression summary
Protein expression
Skini

On the top, protein expression in current human tissue, based on all annotated cell types, is reported with the units not detected (n), low (l), medium (m) and high (h). Underneath, protein expression in each annotated cell type are reported using the same units.

Protein expression data is based on knowledge-based annotation. For genes where more than one antibody has been used, a collective score is set.

If knowledge-based annotation could not be performed for a gene, no data is displayed here. View antibody staining data further down this page.

h
m
l
n
Epidermal cells: Medium
Fibroblasts: Low
Keratinocytes: Medium
Langerhans: Low
Melanocytes: Medium
RNA expressioni

A summary of mRNA expression data available for current tissue based on several datasets. The mRNA expression levels in human tissues are based on RNA-seq data generated by the Human Protein Atlas (HPA), Genotype-Tissue Expression (GTEx) portal and CAGE data generated by the FANTOM5 consortium. Consensus normalized expression levels for human tissues was created by combining the data from HPA and GTEx datasets.

The mRNA expression levels in pig are based on RNA-seq data generated by the Human Protein Atlas (HPA), and for mouse, HPA data and in situ hybridization generated by the Allen brain atlas are reported.

Scroll down to view mRNA expression data in more detail.
Consensus:3365.7 nTPM
HPA:3054.5 nTPM
GTEx:3365.7 nTPM

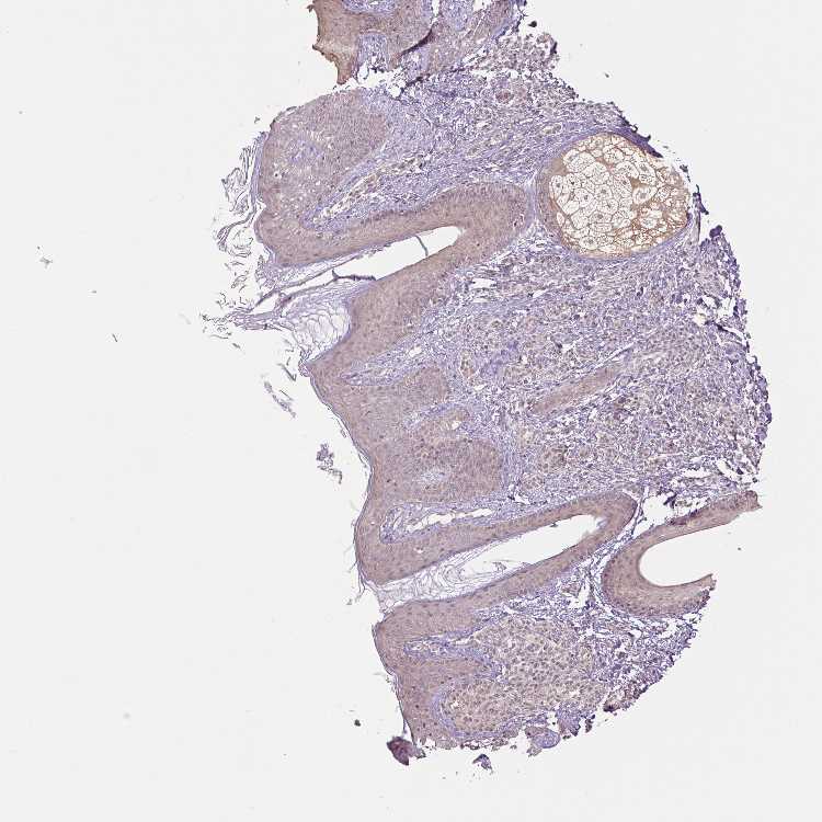
SKIN 1 - Antibody stainingi

Antibody staining in the annotated cell types in the current human tissue is reported as not detected, low, medium, or high, based on conventional immunohistochemistry profiling in selected tissues. This score is based on the combination of the staining intensity and fraction of stained cells.

Each image is clickable and will lead to virtual microscopy that enables deeper exploration of all samples and also displays staining intensity scores, fraction scores and subcellular localization as well as patient and tissue information for each sample.

Antibody HPA039437Antibody HPA073929Antibody CAB008364
Langerhans LowHighLow
Fibroblasts LowHighLow
Keratinocytes LowMediumMedium
Melanocytes LowHighMedium






SKIN 2 - Antibody stainingi

Antibody staining in the annotated cell types in the current human tissue is reported as not detected, low, medium, or high, based on conventional immunohistochemistry profiling in selected tissues. This score is based on the combination of the staining intensity and fraction of stained cells.

Each image is clickable and will lead to virtual microscopy that enables deeper exploration of all samples and also displays staining intensity scores, fraction scores and subcellular localization as well as patient and tissue information for each sample.

Antibody HPA039437Antibody HPA073929Antibody CAB008364
Epidermal cells MediumHighMedium
   
   
   






SKIN - HPA RNA-seqi

The RNA-seq details section shows detailed information about the individual samples used for the transcript profiling and results of the RNA-seq analysis.

Information about each individual sample is listed below, including gender, age, a tissue section image and estimated fractions of cell types. nTPM (normalized transcripts per million) values give a quantification of the gene abundance which is comparable between different genes and samples.
Average nTPMi

Max subtype nTPM is the value for the subtype with the largest average nTPM across the subtype samples.

3054.5
overview
Female, age 34
Skin sample 225
nTPM: 3476.3
Cell types%
Keratinocytes:
60

Other cell types:
40

overview
Female, age 30
Skin sample 226
nTPM: 3154.9
Cell types%
Keratinocytes:
55

Other cell types:
45

N/A
Male, age 57
Skin sample 227
nTPM: 2532.4

SKIN - GTEx RNA-seqi

RNA-Seq data generated by the Genotype-Tissue Expression (GTEx) project from human tissues is reported as mean nTPM. More information can be found on the GTEx portal.

Distribution across the dataset is visualized with box plots, shown as median and 25th and 75th percentiles. Points are displayed as outliers if they are above or below 1.5 times the interquartile range. nTPM values of the individual samples are presented next to the box plot.
Max subtype nTPMi

Max subtype nTPM is the value for the subtype with the largest average nTPM across the subtype samples.

3365.7
GTEx sample id Sample description nTPM
Skin - Not Sun Exposed (Suprapubic)
Average nTPM: 3365.7
Samples: 604

Max nTPM: 6542.0
Min nTPM: 1414.2
Std nTPM: 831.4
Median nTPM: 3321.8
GTEX-11DZ1-2426-SM-5GZZX 50-59 years, male 6542.0
GTEX-1PIGE-1826-SM-E8VOU 20-29 years, male 6236.9
GTEX-ZY6K-1426-SM-5GZX2 50-59 years, male 5861.7
GTEX-1LKK1-2626-SM-DKPQE 50-59 years, female 5833.5
GTEX-1F48J-0726-SM-7RHGS 50-59 years, female 5690.0
GTEX-15UF6-1926-SM-7KUDV 70-79 years, female 5616.9
GTEX-1117F-2926-SM-5GZYI 60-69 years, female 5541.1
GTEX-ZF3C-0626-SM-DO92O 50-59 years, female 5517.0
GTEX-144GO-2026-SM-5O99P 60-69 years, male 5424.1
GTEX-13NZ8-1226-SM-5KM4A 60-69 years, female 5359.2
GTEX-ZVZP-1226-SM-5GID7 50-59 years, male 5356.9
GTEX-ZYW4-0626-SM-59HJR 60-69 years, male 5187.6
GTEX-ZTTD-2826-SM-4YCFA 50-59 years, male 5166.0
GTEX-1QPFJ-1926-SM-EVYBD 30-39 years, female 5162.5
GTEX-15RIE-1926-SM-7KUKJ 60-69 years, male 5114.8
GTEX-ZF29-0926-SM-4WKFZ 60-69 years, female 5109.5
GTEX-1F6RS-2026-SM-7RHHC 60-69 years, female 5095.8
GTEX-1I1GT-1026-SM-ARZLV 60-69 years, female 5073.4
GTEX-13QBU-1226-SM-5LU4G 40-49 years, female 5063.5
GTEX-14A5H-0826-SM-5QGPJ 60-69 years, male 5061.5
GTEX-ZF2S-1626-SM-57WES 50-59 years, female 5049.0
GTEX-13NYS-0626-SM-5L3F1 60-69 years, male 5018.0
GTEX-1HBPM-0726-SM-9YFL7 60-69 years, female 4990.5
GTEX-ZAJG-1526-SM-5CVML 50-59 years, female 4971.9
GTEX-1PPH7-1126-SM-DTX9A 40-49 years, male 4941.9
GTEX-1ICLY-0826-SM-CMKG1 50-59 years, male 4924.1
GTEX-13FTY-2126-SM-5IFFB 40-49 years, female 4876.7
GTEX-ZVE1-0726-SM-51MRN 50-59 years, female 4825.6
GTEX-13IVO-0726-SM-5LZYV 70-79 years, male 4807.5
GTEX-1F5PK-2226-SM-7SB6N 50-59 years, male 4797.7
GTEX-1QP2A-1726-SM-E76QC 50-59 years, male 4792.4
GTEX-14ICL-1626-SM-5YYAO 30-39 years, male 4774.9
GTEX-Y5V6-2326-SM-4VDSA 60-69 years, male 4771.8
GTEX-1AMFI-1326-SM-7939R 50-59 years, female 4750.4
GTEX-1A3MW-0626-SM-731CB 60-69 years, female 4727.1
GTEX-13NYC-0126-SM-5L3F4 60-69 years, male 4727.0
GTEX-14DAR-1226-SM-73KYV 50-59 years, male 4726.8
GTEX-1HSMO-0626-SM-ACKXC 60-69 years, male 4704.1
GTEX-14E6C-2426-SM-5S2NF 40-49 years, male 4702.8
GTEX-ZPCL-1126-SM-4WWFE 60-69 years, female 4700.0
GTEX-15SKB-2826-SM-6PAMH 60-69 years, male 4698.5
GTEX-1GF9X-1326-SM-7PC2Y 40-49 years, female 4692.4
GTEX-144GM-0526-SM-79OJO 20-29 years, male 4690.9
GTEX-12WSK-2126-SM-5CVNC 40-49 years, female 4686.3
GTEX-1R7EU-1626-SM-DTXG3 60-69 years, male 4674.6
GTEX-XQ8I-0926-SM-4BOOF 50-59 years, male 4668.1
GTEX-ZE7O-2726-SM-51MT5 50-59 years, female 4656.2
GTEX-1E2YA-2126-SM-7MXUO 50-59 years, male 4636.9
GTEX-1F88E-1626-SM-7SB8Z 60-69 years, female 4633.7
GTEX-XMD2-2126-SM-4YCF8 60-69 years, female 4624.5
GTEX-1H1ZS-2726-SM-9WG75 70-79 years, male 4621.7
GTEX-13PDP-0726-SM-5L3HP 60-69 years, male 4596.7
GTEX-Y9LG-1126-SM-4VBQ7 30-39 years, male 4589.1
GTEX-UPK5-0426-SM-3GAEK 40-49 years, male 4584.2
GTEX-ZYY3-2926-SM-5GIEB 60-69 years, female 4577.6
GTEX-13X6H-0926-SM-5SIB2 50-59 years, female 4563.5
GTEX-1399Q-2326-SM-5KM2X 40-49 years, male 4562.7
GTEX-14LZ3-0126-SM-69LPM 60-69 years, female 4548.7
GTEX-1F5PL-0926-SM-7PC2W 40-49 years, female 4520.6
GTEX-1LVAM-0726-SM-E6CIL 50-59 years, female 4518.7
GTEX-ZZPU-0826-SM-5GZX5 50-59 years, female 4514.8
GTEX-1JJ6O-2726-SM-CNPOG 60-69 years, male 4494.6
GTEX-1NSGN-0726-SM-DTXEF 50-59 years, male 4474.8
GTEX-13OVH-0526-SM-5L3E6 70-79 years, male 4471.4
GTEX-1R46S-2426-SM-E76QA 60-69 years, female 4463.7
GTEX-1H3VE-0726-SM-9YFL5 40-49 years, male 4455.4
GTEX-183WM-0326-SM-72D5V 70-79 years, female 4449.9
GTEX-ZYT6-2326-SM-5GZY3 30-39 years, male 4424.5
GTEX-1LGRB-0926-SM-COH3K 50-59 years, female 4420.7
GTEX-15ER7-0626-SM-6PANF 20-29 years, female 4409.6
GTEX-1S82P-2126-SM-E6CI5 60-69 years, female 4400.0
GTEX-14XAO-1226-SM-6EU1C 60-69 years, female 4372.4
GTEX-11DXY-0126-SM-5H11Q 60-69 years, male 4363.4
GTEX-1RAZQ-1326-SM-E9TK6 30-39 years, male 4363.1
GTEX-14B4R-1326-SM-5Q5EZ 30-39 years, male 4345.9
GTEX-1IDFM-0326-SM-ARL7V 60-69 years, male 4345.4
GTEX-ZLV1-1526-SM-DO91J 60-69 years, female 4342.9
GTEX-15DYW-2726-SM-6EU2I 60-69 years, female 4327.2
GTEX-14C5O-0326-SM-5ZZUX 60-69 years, male 4321.3
GTEX-11WQK-1026-SM-5EQLX 50-59 years, male 4308.4
GTEX-148VJ-0626-SM-5LUAW 70-79 years, male 4300.0
GTEX-YB5K-2026-SM-4VDT3 40-49 years, female 4295.0
GTEX-1HR9M-2226-SM-CNPPY 60-69 years, male 4291.6
GTEX-YECK-0326-SM-4W1YS 60-69 years, male 4286.7
GTEX-1H2FU-0926-SM-9WPPT 60-69 years, female 4277.0
GTEX-12WSL-2026-SM-5GCML 50-59 years, male 4264.9
GTEX-15RIG-0726-SM-7KUM7 40-49 years, male 4256.3
GTEX-144GL-0626-SM-5LU4D 50-59 years, male 4243.9
GTEX-13YAN-0226-SM-5TDC6 60-69 years, male 4237.2
GTEX-1JMQL-2226-SM-CNPP4 50-59 years, female 4221.7
GTEX-1CB4J-1326-SM-7P8RX 60-69 years, male 4220.1
GTEX-1J8Q3-0526-SM-ARL8U 60-69 years, male 4207.8
GTEX-XBED-1926-SM-47JYP 60-69 years, male 4196.9
GTEX-16YQH-2226-SM-7IGM2 30-39 years, male 4195.3
GTEX-13RTJ-0126-SM-5S2NN 60-69 years, male 4191.5
GTEX-14PJ4-0226-SM-5YY92 60-69 years, male 4170.9
GTEX-14A6H-2026-SM-5Q5DD 30-39 years, male 4164.6
GTEX-1HFI7-2326-SM-CGQFS 50-59 years, female 4157.2
GTEX-1M4P7-0726-SM-E6CJ3 60-69 years, male 4155.5
GTEX-1C6VQ-1226-SM-73KYD 50-59 years, male 4154.9
GTEX-1JKYR-0626-SM-ARL8R 20-29 years, male 4149.5
GTEX-17MF6-2626-SM-79OKQ 40-49 years, male 4134.4
GTEX-1IDJI-0126-SM-CMKHS 50-59 years, female 4129.5
GTEX-1IKJJ-2226-SM-CJI4C 60-69 years, male 4121.6
GTEX-1QP9N-1226-SM-E76QN 30-39 years, male 4117.4
GTEX-1HFI6-0126-SM-CNPPI 40-49 years, male 4109.8
GTEX-144FL-0626-SM-5LU43 50-59 years, male 4108.8
GTEX-1ICLZ-0326-SM-ARL82 60-69 years, male 4104.7
GTEX-1H1DG-2426-SM-9QEHJ 70-79 years, male 4101.8
GTEX-1S5ZU-2526-SM-E6CIF 20-29 years, female 4100.9
GTEX-YEC4-1826-SM-4W1YP 40-49 years, male 4097.1
GTEX-17MFQ-1526-SM-7KFRR 20-29 years, male 4086.6
GTEX-11LCK-2226-SM-5HL4Q 30-39 years, male 4061.9
GTEX-1JJE9-2626-SM-ARZMT 70-79 years, male 4044.4
GTEX-117YX-1926-SM-5GIEC 50-59 years, male 4035.0
GTEX-1C2JI-1026-SM-73KY1 50-59 years, male 4025.9
GTEX-14PKU-0126-SM-6LLHV 40-49 years, female 4020.1
GTEX-1I6K6-1726-SM-CGQFD 30-39 years, male 4006.3
GTEX-139T8-0626-SM-5KLZX 60-69 years, male 4001.1
GTEX-1F6IF-0926-SM-7SB7M 60-69 years, male 3999.1
GTEX-1I19N-0126-SM-CYPSF 70-79 years, male 3988.3
GTEX-145MF-0926-SM-5Q5EA 50-59 years, male 3983.2
GTEX-17HHE-1326-SM-7EWDZ 50-59 years, male 3977.6
GTEX-1HR98-2226-SM-ADEI2 60-69 years, male 3977.2
GTEX-1J8QM-2426-SM-A9SLS 60-69 years, female 3968.7
GTEX-Y5LM-0926-SM-6LLJG 40-49 years, female 3966.0
GTEX-1LG7Y-2526-SM-EWRO7 50-59 years, male 3964.5
GTEX-13112-0126-SM-5P9IU 50-59 years, male 3953.8
GTEX-14753-0726-SM-5QGQO 60-69 years, male 3953.4
GTEX-1HSKV-1226-SM-ADEI4 60-69 years, male 3947.5
GTEX-11OF3-0126-SM-5PNYF 60-69 years, male 3934.6
GTEX-ZYFG-1526-SM-5GZYM 60-69 years, female 3927.3
GTEX-1GN73-0726-SM-7P8TJ 60-69 years, male 3923.1
GTEX-1HCVE-2726-SM-CL54F 50-59 years, male 3920.3
GTEX-12WSM-1926-SM-5BC65 60-69 years, male 3910.4
GTEX-1K2DU-1226-SM-CYPT4 20-29 years, male 3904.3
GTEX-131XH-0126-SM-5LZUY 50-59 years, male 3900.5
GTEX-14E1K-2026-SM-7DUEI 50-59 years, male 3893.5
GTEX-11DXX-2126-SM-5PNYR 60-69 years, female 3890.6
GTEX-1F75W-2726-SM-7SB8H 60-69 years, male 3887.8
GTEX-1RAZA-2226-SM-E9U4X 20-29 years, male 3873.5
GTEX-1399R-1326-SM-5PNYS 30-39 years, male 3869.3
GTEX-14AS3-1526-SM-5Q5ED 40-49 years, female 3866.2
GTEX-14BMV-2826-SM-5TDED 50-59 years, male 3865.8
GTEX-13FHO-0426-SM-5L3F5 60-69 years, male 3863.8
GTEX-13SLW-0626-SM-5Q5ER 70-79 years, male 3861.9
GTEX-1IKOE-1426-SM-CE6T7 30-39 years, female 3860.8
GTEX-139D8-1126-SM-5LU8W 30-39 years, female 3858.0
GTEX-ZLFU-1826-SM-4WWBV 40-49 years, male 3856.8
GTEX-13VXT-1926-SM-5K7UO 20-29 years, female 3849.7
GTEX-13OVJ-0826-SM-5J1OK 50-59 years, female 3849.2
GTEX-1GPI7-1826-SM-9KNU1 20-29 years, male 3848.8
GTEX-1S83E-1326-SM-E6CJM 40-49 years, male 3846.3
GTEX-133LE-2326-SM-5K7W3 20-29 years, female 3844.7
GTEX-1LVAO-2726-SM-E9TJ8 60-69 years, male 3844.6
GTEX-1A8G6-2726-SM-731AR 60-69 years, male 3838.7
GTEX-WHSB-1326-SM-3LK6W 50-59 years, male 3836.0
GTEX-18D9A-1426-SM-7LT8M 30-39 years, female 3831.3
GTEX-1JN1M-2726-SM-CY8I4 60-69 years, female 3828.1
GTEX-1J1R8-2026-SM-CL53Y 40-49 years, male 3825.0
GTEX-1313W-0626-SM-5EQ4H 50-59 years, female 3824.6
GTEX-1LB8K-0726-SM-D5OV2 50-59 years, male 3818.1
GTEX-147F3-1726-SM-5SIAW 50-59 years, female 3811.8
GTEX-11EQ9-1626-SM-5PNY8 30-39 years, male 3806.8
GTEX-111YS-1526-SM-5GZYW 60-69 years, male 3805.5
GTEX-1QP29-1826-SM-DTX9S 50-59 years, male 3804.9
GTEX-13X6K-0626-SM-5LU5D 60-69 years, female 3804.7
GTEX-Z93S-1626-SM-5CVMB 50-59 years, male 3801.7
GTEX-11P81-2226-SM-5PNYI 30-39 years, female 3795.6
GTEX-13O3O-2326-SM-5IJD6 60-69 years, female 3789.3
GTEX-146FQ-2126-SM-5RQHU 30-39 years, male 3775.7
GTEX-ZYVF-0926-SM-5E44J 50-59 years, female 3770.5
GTEX-1NV5F-0626-SM-DTXEG 60-69 years, female 3762.4
GTEX-1RLM8-2926-SM-E8VON 50-59 years, male 3757.7
GTEX-XV7Q-1826-SM-4BRUV 40-49 years, female 3754.4
GTEX-XAJ8-1426-SM-47JYM 40-49 years, male 3754.3
GTEX-15EU6-2226-SM-6EU2L 50-59 years, male 3745.7
GTEX-1JN76-0626-SM-CKZOQ 20-29 years, female 3737.7
GTEX-1E1VI-0326-SM-793D1 50-59 years, male 3736.6
GTEX-14PJ6-2626-SM-6EU2T 60-69 years, female 3734.7
GTEX-1LSVX-2526-SM-DIPEU 60-69 years, male 3728.9
GTEX-1A8FM-0626-SM-7PC25 50-59 years, female 3725.1
GTEX-1B932-2326-SM-79OL5 40-49 years, female 3721.3
GTEX-1S82U-1026-SM-E6CJK 30-39 years, female 3717.8
GTEX-1QMI2-2526-SM-E8VNZ 60-69 years, male 3708.3
GTEX-11EQ8-0926-SM-5H12V 60-69 years, male 3706.4
GTEX-1GMR8-0626-SM-7RHI7 50-59 years, female 3703.7
GTEX-1399S-0126-SM-5IJCF 30-39 years, female 3694.8
GTEX-1RAZS-2526-SM-E6CHT 50-59 years, male 3693.6
GTEX-14PJN-1826-SM-6AJ98 30-39 years, male 3693.2
GTEX-139TT-2126-SM-5LZWC 60-69 years, male 3689.6
GTEX-1GN1V-2826-SM-9JGIA 60-69 years, male 3677.4
GTEX-1GZ4I-2626-SM-9KNU3 50-59 years, male 3673.7
GTEX-1KXAM-1626-SM-D3LAD 60-69 years, male 3672.4
GTEX-1H1DF-1126-SM-9WG7G 40-49 years, female 3672.1
GTEX-13W3W-0726-SM-5IJDQ 60-69 years, female 3671.2
GTEX-ZVT2-0126-SM-5GIDQ 50-59 years, female 3668.8
GTEX-14JG1-1526-SM-5YY9X 40-49 years, male 3663.4
GTEX-ZGAY-1826-SM-DO91Q 40-49 years, female 3660.3
GTEX-11EM3-1226-SM-5N9DD 20-29 years, female 3659.8
GTEX-13FTW-0326-SM-5K7UW 40-49 years, male 3657.4
GTEX-1122O-1026-SM-9WYSF 60-69 years, female 3657.3
GTEX-1LVA9-2626-SM-EVYD4 50-59 years, male 3655.0
GTEX-1OJC4-2726-SM-E76PJ 50-59 years, female 3654.3
GTEX-131YS-2826-SM-5EQ47 60-69 years, female 3653.3
GTEX-14BMU-1226-SM-5S2OR 20-29 years, female 3652.2
GTEX-ZXG5-2126-SM-59HKD 60-69 years, male 3650.7
GTEX-1C6WA-2626-SM-7MKGM 60-69 years, male 3650.0
GTEX-11ZUS-2626-SM-5FQUR 30-39 years, male 3646.9
GTEX-18A67-1626-SM-7LT9T 50-59 years, male 3646.3
GTEX-1HUB1-1426-SM-CGQF5 60-69 years, male 3644.8
GTEX-1H4P4-2126-SM-9WYSL 50-59 years, male 3642.6
GTEX-1B8L1-2226-SM-7P8PT 60-69 years, male 3640.8
GTEX-1HSGN-0826-SM-ACKW3 40-49 years, female 3639.3
GTEX-1JK1U-0226-SM-ARZMX 60-69 years, male 3631.3
GTEX-15RJE-2826-SM-7KUM9 40-49 years, male 3629.9
GTEX-1HT8W-0626-SM-A9G2H 30-39 years, male 3623.8
GTEX-1GZHY-0626-SM-9KNVC 50-59 years, female 3613.1
GTEX-1IDJU-1726-SM-CMKHU 60-69 years, female 3610.5
GTEX-1IDJH-0126-SM-D3L92 70-79 years, male 3609.9
GTEX-12584-0726-SM-5FQTK 40-49 years, male 3605.3
GTEX-1497J-0226-SM-5QGPU 60-69 years, male 3598.5
GTEX-147GR-2426-SM-5ZZWQ 60-69 years, male 3596.9
GTEX-15G1A-1626-SM-7KUKN 30-39 years, male 3595.5
GTEX-1HC8U-1326-SM-9YFMJ 40-49 years, female 3588.8
GTEX-1JMPZ-0726-SM-CY8HZ 30-39 years, male 3588.6
GTEX-YF7O-1526-SM-5IFI6 50-59 years, male 3583.6
GTEX-1GMRU-2126-SM-7P8RA 50-59 years, male 3582.8
GTEX-12WSA-0426-SM-5EQ5X 60-69 years, male 3580.9
GTEX-13PVR-0426-SM-5RQK2 60-69 years, female 3578.0
GTEX-14ABY-2026-SM-62LDL 50-59 years, male 3575.1
GTEX-1L5NE-1126-SM-D3L9P 50-59 years, male 3571.6
GTEX-YFCO-1226-SM-5LUAT 40-49 years, male 3567.1
GTEX-1BAJH-2426-SM-7IGP8 70-79 years, male 3564.4
GTEX-1PBJJ-1026-SM-E76OS 30-39 years, male 3560.9
GTEX-14C38-0726-SM-5SI6M 50-59 years, male 3555.5
GTEX-1KANC-1226-SM-CYPT7 50-59 years, female 3554.7
GTEX-ZE9C-2526-SM-5IJDR 60-69 years, male 3551.0
GTEX-1CB4H-1126-SM-7MKGL 60-69 years, female 3547.5
GTEX-1KANB-2826-SM-CY8I6 50-59 years, male 3540.2
GTEX-1399U-1126-SM-5L3DB 50-59 years, female 3537.7
GTEX-11UD2-2526-SM-5CVNU 50-59 years, male 3537.5
GTEX-11ZTT-2126-SM-5CVLO 60-69 years, female 3525.0
GTEX-16XZZ-0726-SM-7KUF2 60-69 years, male 3522.5
GTEX-145MH-2826-SM-5RQJF 50-59 years, male 3520.2
GTEX-145MO-2826-SM-5LU96 60-69 years, male 3518.4
GTEX-183FY-1026-SM-7939A 20-29 years, male 3516.5
GTEX-1IDJF-2026-SM-CL53V 20-29 years, male 3515.5
GTEX-1LSNL-2726-SM-E9TKJ 50-59 years, male 3513.9
GTEX-1A32A-0626-SM-731AQ 50-59 years, female 3512.2
GTEX-14LLW-2626-SM-62LDZ 70-79 years, female 3509.0
GTEX-17EVP-2626-SM-7IGMA 40-49 years, male 3504.9
GTEX-ZVE2-2826-SM-5GU51 50-59 years, male 3504.8
GTEX-15EO6-2426-SM-6PALZ 50-59 years, male 3504.3
GTEX-1C64N-2626-SM-7PC2N 50-59 years, male 3502.9
GTEX-1IOXB-2726-SM-CM2RI 50-59 years, male 3494.4
GTEX-1GF9U-2026-SM-7SB92 40-49 years, female 3489.3
GTEX-12ZZZ-0726-SM-5GCNZ 60-69 years, male 3484.5
GTEX-12BJ1-0926-SM-5EQ62 60-69 years, male 3472.4
GTEX-16NPX-0726-SM-7KULC 50-59 years, male 3470.5
GTEX-WH7G-2026-SM-3NMBL 40-49 years, male 3467.5
GTEX-13N11-2326-SM-5IJBF 50-59 years, female 3459.1
GTEX-12696-0126-SM-5EQ4L 60-69 years, male 3450.2
GTEX-17HHY-0426-SM-7DHLC 50-59 years, male 3443.2
GTEX-ZYFD-0626-SM-5E44E 50-59 years, male 3443.2
GTEX-1GN2E-0226-SM-9WG6K 60-69 years, male 3440.1
GTEX-13VXU-0626-SM-5L3F9 50-59 years, male 3438.4
GTEX-1H3NZ-2726-SM-9WYTQ 60-69 years, male 3438.1
GTEX-139UW-0326-SM-5J1ML 60-69 years, male 3438.0
GTEX-1HBPI-2126-SM-ARL9K 50-59 years, male 3434.7
GTEX-U8XE-0226-SM-4E3J3 30-39 years, male 3431.8
GTEX-1RB15-1326-SM-E76Q9 60-69 years, male 3429.8
GTEX-1EN7A-2426-SM-793DB 40-49 years, male 3429.2
GTEX-14BIN-1126-SM-5RQJZ 50-59 years, female 3401.9
GTEX-18D9B-0926-SM-7LG4U 60-69 years, male 3399.5
GTEX-13X6J-0626-SM-5LU5F 50-59 years, male 3397.0
GTEX-1269C-0126-SM-5EQ5L 60-69 years, female 3394.7
GTEX-13X6I-1826-SM-5SIAO 60-69 years, male 3392.1
GTEX-145LU-1926-SM-79OJN 50-59 years, male 3381.4
GTEX-13113-1626-SM-5EQ4I 60-69 years, female 3370.1
GTEX-12WSH-1526-SM-5BC5W 50-59 years, male 3370.0
GTEX-ZLWG-0826-SM-59888 50-59 years, female 3369.7
GTEX-ZYFC-0426-SM-5GICQ 50-59 years, male 3369.6
GTEX-13OW8-1026-SM-5J1NQ 60-69 years, male 3366.1
GTEX-1QEPI-2626-SM-DTXF4 60-69 years, female 3365.4
GTEX-13N1W-2426-SM-5IJD1 70-79 years, male 3362.9
GTEX-1H11D-1826-SM-9QEHM 40-49 years, male 3355.2
GTEX-1I1GS-2626-SM-B2LY3 60-69 years, male 3351.5
GTEX-Y3I4-1726-SM-4TT89 50-59 years, male 3350.5
GTEX-ZWKS-0626-SM-5GIDV 30-39 years, male 3348.8
GTEX-1HKZK-0726-SM-ACKW2 40-49 years, male 3347.2
GTEX-1KWVE-1026-SM-D3L9O 30-39 years, male 3339.5
GTEX-X4EO-2926-SM-4E3JH 60-69 years, female 3338.4
GTEX-1N5O9-0926-SM-E9J3C 60-69 years, male 3336.9
GTEX-1HCUA-0826-SM-ADEHM 50-59 years, female 3335.8
GTEX-145ME-1726-SM-5Q5EU 40-49 years, female 3335.6
GTEX-12ZZX-2426-SM-5GCOE 40-49 years, female 3330.6
GTEX-13PL6-1126-SM-5L3IE 40-49 years, female 3330.3
GTEX-1MCC2-1826-SM-DIPEX 30-39 years, female 3329.8
GTEX-15FZZ-0526-SM-7KUGD 30-39 years, female 3326.8
GTEX-X5EB-1926-SM-4E3IW 40-49 years, male 3324.2
GTEX-12KS4-2126-SM-5FQUT 30-39 years, male 3322.5
GTEX-ZA64-1026-SM-5HL8R 20-29 years, male 3321.1
GTEX-15G19-2426-SM-7KUMR 60-69 years, male 3319.9
GTEX-12C56-1526-SM-5FQUQ 20-29 years, male 3319.8
GTEX-13OVL-0126-SM-5L3GJ 50-59 years, male 3316.8
GTEX-14E6E-0526-SM-793DN 30-39 years, male 3307.9
GTEX-16BQI-1326-SM-6M486 30-39 years, female 3303.7
GTEX-1I1GP-1326-SM-A9G28 50-59 years, male 3296.4
GTEX-14PJ5-1526-SM-6LLIL 60-69 years, female 3293.9
GTEX-ZDYS-2426-SM-4WKGI 50-59 years, male 3288.7
GTEX-1RAZR-2126-SM-E9U6T 40-49 years, male 3283.3
GTEX-1PPGY-1626-SM-EVYBL 60-69 years, male 3277.4
GTEX-VUSG-2326-SM-4KL1U 50-59 years, male 3274.6
GTEX-1QP28-1126-SM-EVYC4 50-59 years, female 3264.0
GTEX-1R9PN-0426-SM-DTXDT 40-49 years, female 3262.0
GTEX-14C39-1726-SM-5RQIL 40-49 years, male 3260.7
GTEX-15D1Q-2826-SM-6LLH7 40-49 years, male 3260.3
GTEX-1477Z-0326-SM-7IGLA 60-69 years, male 3259.4
GTEX-XUW1-0926-SM-4BONX 50-59 years, female 3257.3
GTEX-1I1GV-0626-SM-ARL7M 60-69 years, male 3256.2
GTEX-1O9I2-0226-SM-EYYXD 50-59 years, male 3253.9
GTEX-1GTWX-2026-SM-9YFLM 60-69 years, male 3253.5
GTEX-1GL5R-1326-SM-7RHHF 50-59 years, male 3252.6
GTEX-11TUW-0626-SM-5LU9M 60-69 years, male 3246.6
GTEX-1HBPN-0126-SM-CGQEF 50-59 years, male 3246.6
GTEX-1EH9U-2826-SM-7DUGT 60-69 years, male 3246.1
GTEX-12WSC-2826-SM-5BC5Y 50-59 years, male 3246.0
GTEX-17HII-1426-SM-7EPGG 50-59 years, male 3242.5
GTEX-14PII-0726-SM-6EU2B 60-69 years, male 3236.0
GTEX-13D11-0926-SM-5J2NC 50-59 years, female 3234.9
GTEX-1B8SF-0126-SM-7DUG3 60-69 years, male 3229.4
GTEX-1I6K7-1926-SM-B2LXR 40-49 years, male 3227.0
GTEX-11O72-0626-SM-5PNYE 40-49 years, male 3221.9
GTEX-1QW4Y-1126-SM-DTXE3 30-39 years, male 3219.5
GTEX-1A8G7-1326-SM-73KVM 60-69 years, male 3216.5
GTEX-13QJC-0126-SM-5ZZWJ 60-69 years, female 3215.5
GTEX-14JFF-0626-SM-5ZZVT 60-69 years, male 3214.0
GTEX-1QP66-1226-SM-DTX7U 50-59 years, male 3193.8
GTEX-YEC3-1326-SM-DO92X 50-59 years, male 3192.7
GTEX-1JMQK-1226-SM-D4P2S 60-69 years, male 3191.3
GTEX-1GN1U-0626-SM-9MQL9 50-59 years, female 3190.5
GTEX-ZZ64-1026-SM-5GZXG 20-29 years, male 3190.0
GTEX-12WSD-0626-SM-5GCMW 60-69 years, female 3188.2
GTEX-1I1CD-0626-SM-CE6SW 60-69 years, female 3180.8
GTEX-11NUK-2726-SM-5A5MC 50-59 years, male 3171.1
GTEX-1JJEA-1826-SM-ARU8P 60-69 years, male 3167.3
GTEX-XYKS-1426-SM-4BRUO 60-69 years, female 3160.1
GTEX-1GMR3-0126-SM-A9SLW 40-49 years, male 3159.8
GTEX-ZT9X-1526-SM-5DUXD 40-49 years, male 3158.9
GTEX-1314G-1326-SM-5BC6E 30-39 years, male 3155.2
GTEX-14JG6-1426-SM-9WG7C 30-39 years, female 3150.1
GTEX-ZVT4-2426-SM-5GIEI 50-59 years, female 3142.9
GTEX-YJ8O-2526-SM-5HL85 40-49 years, female 3140.7
GTEX-15SHW-0226-SM-7LTAT 60-69 years, male 3138.5
GTEX-18A7B-2726-SM-7LG56 70-79 years, male 3132.9
GTEX-13NZ9-2626-SM-5L3FK 50-59 years, male 3127.8
GTEX-178AV-1726-SM-7KUL8 40-49 years, male 3123.9
GTEX-ZDTT-0426-SM-4WKFL 60-69 years, male 3123.4
GTEX-15DDE-2926-SM-6LLJ3 50-59 years, female 3123.1
GTEX-1S3DN-2126-SM-E9TIN 50-59 years, male 3122.4
GTEX-1N2EE-0626-SM-E76PW 60-69 years, male 3121.8
GTEX-1GF9W-1426-SM-7PBYM 60-69 years, male 3120.8
GTEX-WFG8-2126-SM-3GIKQ 20-29 years, male 3120.6
GTEX-1IL2V-1926-SM-B2LW8 70-79 years, male 3115.8
GTEX-145MI-0626-SM-5SI8S 60-69 years, female 3115.3
GTEX-WK11-2726-SM-3NMAQ 50-59 years, male 3109.3
GTEX-1I1GU-0926-SM-ACKVS 40-49 years, male 3102.0
GTEX-111CU-1126-SM-5EGIM 50-59 years, male 3100.4
GTEX-1211K-1526-SM-5FQU4 60-69 years, female 3099.7
GTEX-1F52S-2926-SM-7MKGA 60-69 years, female 3093.4
GTEX-13OW7-0426-SM-5K7VK 50-59 years, male 3091.0
GTEX-13OVG-1626-SM-5J1NF 60-69 years, male 3086.4
GTEX-13FLV-0126-SM-5K7WT 50-59 years, male 3085.7
GTEX-1R9PM-1926-SM-EVR3O 20-29 years, male 3083.2
GTEX-1HCU7-0726-SM-A9SL1 50-59 years, male 3078.7
GTEX-11VI4-1126-SM-5EQMD 40-49 years, female 3070.3
GTEX-15CHQ-0326-SM-69LQD 60-69 years, male 3069.9
GTEX-1J8JJ-0626-SM-ARZMQ 60-69 years, female 3069.0
GTEX-1B933-2426-SM-7DHMD 50-59 years, female 3061.7
GTEX-111VG-1626-SM-5EGIO 60-69 years, male 3060.4
GTEX-1QCLZ-2426-SM-EVYBW 60-69 years, female 3057.5
GTEX-1K2DA-1026-SM-CGQGF 50-59 years, male 3052.3
GTEX-13NYB-0126-SM-5J1MD 40-49 years, male 3051.4
GTEX-1EMGI-2326-SM-7PBYA 60-69 years, male 3050.0
GTEX-11EI6-2826-SM-5H11D 60-69 years, male 3048.6
GTEX-1AYD5-2626-SM-7PBXY 50-59 years, male 3045.8
GTEX-Y5V5-0126-SM-5S2NW 60-69 years, female 3044.5
GTEX-1PDJ9-1226-SM-EXUSX 20-29 years, male 3038.7
GTEX-13O3Q-0126-SM-5KM34 50-59 years, male 3035.2
GTEX-13SLX-2226-SM-62LEP 50-59 years, female 3033.6
GTEX-1B8KZ-0326-SM-73KY4 50-59 years, male 3031.8
GTEX-14PHY-1226-SM-5ZZWK 60-69 years, female 3023.6
GTEX-131XG-0326-SM-5L3DX 50-59 years, female 3023.4
GTEX-14PJ2-0626-SM-6LLII 50-59 years, male 3020.0
GTEX-1LGOU-1326-SM-D3L8M 20-29 years, female 3018.9
GTEX-ZPIC-0526-SM-DO91W 40-49 years, female 3018.8
GTEX-17EVQ-0126-SM-7IGLR 70-79 years, male 3017.8
GTEX-XK95-0226-SM-4AT58 40-49 years, male 3014.4
GTEX-1I1HK-2326-SM-CKZOH 60-69 years, male 3012.4
GTEX-11WQC-1826-SM-5GU59 60-69 years, male 3005.1
GTEX-1HCU6-2526-SM-ADEHL 60-69 years, female 2997.9
GTEX-1HSMP-0926-SM-A9SKX 70-79 years, male 2993.2
GTEX-1KANA-1326-SM-DIPFA 20-29 years, male 2992.5
GTEX-1J8Q2-2626-SM-ACKWQ 60-69 years, male 2991.3
GTEX-13O61-1426-SM-5KM3D 60-69 years, male 2979.7
GTEX-WYBS-0626-SM-3NMAS 60-69 years, female 2976.6
GTEX-18QFQ-1826-SM-72D52 30-39 years, male 2970.9
GTEX-13PVQ-0626-SM-5LU47 50-59 years, male 2968.4
GTEX-1OJC3-1226-SM-DTXER 20-29 years, male 2963.9
GTEX-12126-0826-SM-5FQTZ 20-29 years, male 2961.0
GTEX-1H1CY-0126-SM-9YFLY 60-69 years, female 2954.2
GTEX-ZP4G-1426-SM-4WWCL 20-29 years, female 2954.0
GTEX-147JS-0226-SM-5S2U9 60-69 years, male 2953.5
GTEX-1CAV2-0126-SM-7IGN7 40-49 years, female 2951.4
GTEX-1C6VR-0126-SM-7RHGB 60-69 years, male 2942.2
GTEX-1KD5A-0126-SM-E9U54 50-59 years, male 2930.5
GTEX-1POEN-2326-SM-E9J2L 30-39 years, female 2930.3
GTEX-VJYA-1526-SM-3GIJV 60-69 years, male 2923.2
GTEX-1GZ2Q-0126-SM-9WG6M 40-49 years, male 2922.7
GTEX-16MT9-0126-SM-7EPI8 60-69 years, female 2922.1
GTEX-1ICG6-1226-SM-A9SLN 70-79 years, female 2920.8
GTEX-1JMQJ-0826-SM-CNPP7 50-59 years, male 2918.5
GTEX-14PHX-2226-SM-6EU2P 50-59 years, male 2918.3
GTEX-1PIIG-2326-SM-DTXFR 30-39 years, male 2914.4
GTEX-13FH7-1126-SM-5K7UG 50-59 years, female 2914.1
GTEX-1CB4I-0126-SM-7RHGG 50-59 years, male 2911.9
GTEX-17F98-1326-SM-7DUEP 40-49 years, female 2911.5
GTEX-1H3O1-1326-SM-9MQLD 60-69 years, male 2908.5
GTEX-ZU9S-1826-SM-5NQ9E 30-39 years, male 2903.5
GTEX-11DXW-0826-SM-5H118 40-49 years, male 2903.0
GTEX-1GF9V-0826-SM-9KNUV 60-69 years, male 2901.2
GTEX-1QAET-0326-SM-EVR3U 50-59 years, male 2894.7
GTEX-1HB9E-0126-SM-CM2S5 50-59 years, male 2892.7
GTEX-1QCLY-0226-SM-EWRNH 30-39 years, male 2884.7
GTEX-145MN-1526-SM-5SI9T 30-39 years, male 2883.7
GTEX-X8HC-0626-SM-4E3HQ 50-59 years, female 2880.5
GTEX-1JMOU-1026-SM-CYPSS 60-69 years, female 2880.4
GTEX-139TU-0726-SM-5L3EK 60-69 years, male 2880.2
GTEX-16Z82-2626-SM-7KULU 60-69 years, male 2872.0
GTEX-145MG-1526-SM-5Q5EM 50-59 years, male 2868.4
GTEX-1MJK3-0726-SM-E6CJC 20-29 years, male 2866.9
GTEX-12WSF-1626-SM-7KUG5 70-79 years, male 2866.3
GTEX-1F75B-0726-SM-7PC3R 50-59 years, male 2854.2
GTEX-1S831-1826-SM-EWROF 20-29 years, male 2853.8
GTEX-1HCU9-0426-SM-9WYSD 20-29 years, male 2852.3
GTEX-ZAK1-0626-SM-5HL8E 50-59 years, female 2851.5
GTEX-XBEC-0726-SM-4QARZ 50-59 years, male 2843.9
GTEX-1PPH8-0126-SM-EWRN8 20-29 years, male 2841.9
GTEX-131XW-0626-SM-5PNVD 50-59 years, female 2832.2
GTEX-13JUV-2026-SM-5K7UA 40-49 years, female 2826.5
GTEX-1JN6P-2926-SM-CL54D 60-69 years, male 2825.2
GTEX-WXYG-2026-SM-4E3IY 50-59 years, female 2820.1
GTEX-1K9T9-1526-SM-DIPFR 50-59 years, female 2817.5
GTEX-1EU9M-1426-SM-793AI 60-69 years, male 2812.8
GTEX-11GSP-2326-SM-5HL63 60-69 years, female 2795.5
GTEX-1AMEY-0826-SM-72D65 30-39 years, female 2787.0
GTEX-1J1OQ-0126-SM-D4P2N 40-49 years, female 2769.7
GTEX-16GPK-0626-SM-7KFSF 60-69 years, male 2766.6
GTEX-UPJH-0226-SM-3GADV 50-59 years, male 2762.0
GTEX-17HG3-2626-SM-7DUF2 30-39 years, female 2761.5
GTEX-16NGA-0726-SM-731AO 40-49 years, female 2757.5
GTEX-1IE54-1126-SM-A9G2Z 40-49 years, female 2757.1
GTEX-11TT1-1826-SM-5EQLV 20-29 years, male 2753.5
GTEX-1IDJD-2326-SM-ACKWX 30-39 years, male 2752.9
GTEX-V1D1-2026-SM-3GAF4 50-59 years, male 2750.4
GTEX-1IDJV-0126-SM-COH3Y 60-69 years, male 2750.2
GTEX-1JKYN-0826-SM-ARU8S 30-39 years, male 2744.2
GTEX-139YR-1026-SM-5LZYN 50-59 years, male 2739.6
GTEX-ZVTK-0226-SM-51MRG 20-29 years, male 2736.0
GTEX-1IDJE-1426-SM-ADEIW 50-59 years, female 2725.9
GTEX-13N2G-0226-SM-5K7VF 60-69 years, male 2725.8
GTEX-X4EP-0626-SM-3P621 60-69 years, female 2723.7
GTEX-13OW6-2726-SM-5J2OE 50-59 years, male 2720.2
GTEX-1HCU8-2526-SM-CE6RX 60-69 years, female 2720.2
GTEX-145LT-0526-SM-5LUB2 40-49 years, male 2716.8
GTEX-1F75A-0726-SM-7RHHD 50-59 years, male 2714.7
GTEX-1B996-0426-SM-7EWF8 60-69 years, male 2710.3
GTEX-1CAMS-2226-SM-7PBXQ 40-49 years, female 2691.4
GTEX-13FTX-1526-SM-5K7VJ 20-29 years, female 2687.2
GTEX-1KAFJ-0126-SM-DIPEK 50-59 years, male 2668.5
GTEX-139TS-2126-SM-5K7XC 60-69 years, male 2653.2
GTEX-1A3MV-1826-SM-731CD 30-39 years, male 2649.6
GTEX-ZAB4-2126-SM-5HL8U 40-49 years, male 2645.1
GTEX-XXEK-1626-SM-4BRUZ 50-59 years, male 2639.5
GTEX-ZUA1-2626-SM-5NQ92 40-49 years, male 2634.2
GTEX-ZC5H-1526-SM-5HL9Y 40-49 years, female 2631.9
GTEX-1B8KE-1126-SM-7EPHI 50-59 years, male 2630.2
GTEX-1AX8Z-0726-SM-73KTS 60-69 years, male 2623.2
GTEX-15CHC-1126-SM-6LLHQ 60-69 years, female 2620.0
GTEX-12ZZY-0726-SM-5EQ66 60-69 years, male 2609.4
GTEX-ZPU1-1126-SM-4YCF3 40-49 years, male 2608.7
GTEX-1GMR2-0826-SM-7PC3V 50-59 years, male 2605.8
GTEX-14PK6-0226-SM-62LF5 70-79 years, female 2602.1
GTEX-Y3IK-1626-SM-4YCF5 50-59 years, female 2601.3
GTEX-17KNJ-2126-SM-718AM 50-59 years, male 2600.3
GTEX-11ZU8-0126-SM-5EQ58 60-69 years, male 2599.3
GTEX-131XF-2626-SM-5EQ6K 60-69 years, male 2595.0
GTEX-1EX96-1026-SM-7MKG2 50-59 years, male 2581.7
GTEX-1GZ4H-0526-SM-9KNU9 50-59 years, female 2580.6
GTEX-145LS-0626-SM-7EPG7 60-69 years, female 2569.6
GTEX-13G51-1826-SM-5KLZH 60-69 years, male 2557.6
GTEX-1MCYP-0526-SM-E9U6Q 20-29 years, female 2552.4
GTEX-14DAQ-0626-SM-793DS 60-69 years, female 2549.0
GTEX-1H23P-0626-SM-9WG6T 60-69 years, male 2548.2
GTEX-1AX9I-2226-SM-73KUO 60-69 years, male 2541.5
GTEX-1GPI6-1926-SM-9KNV7 60-69 years, male 2540.7
GTEX-XPVG-2126-SM-4B667 50-59 years, male 2536.6
GTEX-1EKGG-0626-SM-7DUGJ 60-69 years, male 2520.6
GTEX-1C475-1326-SM-7SB73 40-49 years, female 2516.3
GTEX-X585-2426-SM-46MW2 50-59 years, male 2513.8
GTEX-14PKV-1126-SM-6LLJ1 20-29 years, female 2511.4
GTEX-1192X-2726-SM-5N9DN 50-59 years, male 2508.0
GTEX-WFON-1926-SM-3LK7L 40-49 years, male 2500.5
GTEX-ZTX8-1326-SM-4YCEL 20-29 years, male 2493.7
GTEX-1212Z-0126-SM-59HK4 60-69 years, male 2484.9
GTEX-1JMPY-0226-SM-CKZOK 30-39 years, male 2483.3
GTEX-111FC-2526-SM-5GZXU 60-69 years, male 2470.2
GTEX-1J8EW-2726-SM-CY8HR 60-69 years, female 2469.6
GTEX-1EWIQ-0326-SM-7DHMQ 70-79 years, female 2464.0
GTEX-1AX9J-1326-SM-731BJ 60-69 years, male 2444.9
GTEX-16MT8-2926-SM-7DUFO 60-69 years, female 2442.0
GTEX-1F88F-0126-SM-9WYSZ 60-69 years, female 2438.8
GTEX-11NSD-0626-SM-5A5LU 20-29 years, male 2437.4
GTEX-1LG7Z-1626-SM-CXKYR 30-39 years, male 2428.4
GTEX-XOT4-0626-SM-4B66L 60-69 years, female 2426.5
GTEX-1I4MK-0126-SM-CY8G6 50-59 years, female 2415.4
GTEX-1LVAN-0626-SM-CNPOQ 50-59 years, female 2408.1
GTEX-13U4I-2226-SM-5LU5H 40-49 years, female 2405.2
GTEX-13OW5-2326-SM-5L3HO 60-69 years, male 2404.8
GTEX-1CAMQ-1326-SM-7P8RV 40-49 years, male 2401.6
GTEX-ZT9W-1126-SM-57WDR 50-59 years, male 2397.7
GTEX-11DYG-1526-SM-5A5JS 60-69 years, male 2386.0
GTEX-13OVK-1426-SM-6PAN7 40-49 years, male 2372.5
GTEX-ZDXO-3126-SM-5IJDF 60-69 years, male 2371.9
GTEX-1A3MX-2626-SM-7PC24 60-69 years, male 2371.6
GTEX-18465-2826-SM-7LT9J 50-59 years, male 2362.0
GTEX-1F75I-2226-SM-7SB8U 40-49 years, male 2354.4
GTEX-1R9K4-2826-SM-DTX8F 60-69 years, male 2354.1
GTEX-18A6Q-0626-SM-7KFRP 60-69 years, male 2353.6
GTEX-1LBAC-0826-SM-CY8IJ 20-29 years, male 2340.0
GTEX-1RMOY-1326-SM-E9TIH 50-59 years, male 2337.3
GTEX-1H1E6-0426-SM-9WYUS 30-39 years, male 2325.4
GTEX-WYJK-0526-SM-3NM8Z 50-59 years, male 2320.7
GTEX-Y8LW-1526-SM-5IFHL 50-59 years, female 2317.6
GTEX-WHWD-1826-SM-3LK6I 50-59 years, male 2313.1
GTEX-11GS4-0226-SM-5HL77 60-69 years, male 2310.4
GTEX-1N2DV-1526-SM-DTXEP 40-49 years, male 2307.9
GTEX-12WSJ-1126-SM-5LZVJ 40-49 years, female 2297.9
GTEX-11P7K-1126-SM-5HL4L 30-39 years, male 2289.9
GTEX-WRHU-2826-SM-3MJG8 50-59 years, female 2267.3
GTEX-18A7A-0126-SM-731AH 50-59 years, female 2252.9
GTEX-16MTA-0926-SM-6M47Z 50-59 years, male 2235.4
GTEX-11DXZ-2026-SM-5987S 50-59 years, male 2234.1
GTEX-1B97I-0626-SM-73KUZ 40-49 years, male 2232.5
GTEX-11PRG-0726-SM-5EGL1 50-59 years, male 2231.5
GTEX-WEY5-2326-SM-3GIKK 40-49 years, female 2218.3
GTEX-1GN1W-2426-SM-9KNUU 50-59 years, female 2210.7
GTEX-WI4N-2726-SM-3LK7Y 40-49 years, female 2206.4
GTEX-WYVS-1626-SM-3NM9R 40-49 years, female 2184.0
GTEX-XQ3S-1426-SM-4BOPR 20-29 years, male 2170.1
GTEX-W5X1-2526-SM-3GILC 40-49 years, female 2168.1
GTEX-1LSNM-0826-SM-DIPG8 50-59 years, male 2167.1
GTEX-1HSMQ-2626-SM-A9SML 50-59 years, male 2159.6
GTEX-17JCI-2926-SM-7DUFF 60-69 years, female 2146.5
GTEX-132AR-0326-SM-5KM2C 50-59 years, female 2126.8
GTEX-1IDJC-1526-SM-B2LW4 50-59 years, male 2111.2
GTEX-17F9E-2326-SM-79OKD 50-59 years, male 2090.2
GTEX-ZVP2-0326-SM-57WBP 50-59 years, male 2078.2
GTEX-1CB4E-0926-SM-7EPHT 60-69 years, male 2076.9
GTEX-13JVG-0726-SM-5KM16 60-69 years, male 2062.2
GTEX-Y8E4-2026-SM-5IFJB 40-49 years, male 2055.4
GTEX-WHSE-0126-SM-3NMBT 20-29 years, male 2037.3
GTEX-11P82-1426-SM-DTXFY 20-29 years, male 2033.6
GTEX-17HGU-2326-SM-7DUFE 50-59 years, male 2032.8
GTEX-1JMLX-0626-SM-ARL8T 50-59 years, male 2031.6
GTEX-X3Y1-2026-SM-3P5YM 40-49 years, male 2011.1
GTEX-147F4-0726-SM-5TDDD 50-59 years, male 2009.5
GTEX-18A66-0626-SM-7LT8Z 60-69 years, male 2002.0
GTEX-ZTSS-1426-SM-5985P 40-49 years, male 1993.9
GTEX-15CHR-1126-SM-7EWF4 50-59 years, male 1988.4
GTEX-1CAMR-1326-SM-7PC1F 20-29 years, male 1985.5
GTEX-16AAH-0626-SM-793C9 50-59 years, male 1974.6
GTEX-1C64O-1326-SM-7MGWR 60-69 years, male 1939.9
GTEX-14PJ3-1126-SM-5ZZVX 50-59 years, male 1930.9
GTEX-WY7C-2126-SM-3NB2R 50-59 years, male 1924.5
GTEX-XBEW-1126-SM-4QARW 40-49 years, male 1921.9
GTEX-14PJO-2526-SM-6AJBQ 60-69 years, male 1910.1
GTEX-1CB4F-1026-SM-7DUH1 60-69 years, male 1906.1
GTEX-WFG7-2026-SM-5SI7P 20-29 years, male 1898.3
GTEX-1F6I4-2326-SM-7RHGL 60-69 years, male 1883.7
GTEX-Y111-0626-SM-4SOIT 50-59 years, male 1874.6
GTEX-18D9U-0126-SM-731BM 40-49 years, male 1833.4
GTEX-1JMQI-1726-SM-ARL93 50-59 years, male 1817.4
GTEX-ZDTS-0826-SM-4WKHL 60-69 years, male 1783.1
GTEX-1IY9M-2826-SM-ARU8H 60-69 years, male 1754.9
GTEX-Y114-2126-SM-4TT8B 50-59 years, female 1754.0
GTEX-17F9Y-0126-SM-79OKX 70-79 years, female 1740.1
GTEX-1H1DE-1326-SM-9KNUG 20-29 years, male 1704.0
GTEX-17F96-0126-SM-7EWDU 70-79 years, male 1695.6
GTEX-15RJ7-2126-SM-6PAMD 40-49 years, male 1623.1
GTEX-1HGF4-0126-SM-CNPPX 60-69 years, male 1615.5
GTEX-WHPG-2626-SM-3NMBR 50-59 years, male 1591.9
GTEX-17F97-2626-SM-7IGM5 50-59 years, male 1414.2
Show allShow less
Skin - Sun Exposed (Lower leg)
Average nTPM: 3160.0
Samples: 701

Max nTPM: 10716.9
Min nTPM: 1203.0
Std nTPM: 864.0
Median nTPM: 3069.6
GTEX-SE5C-1626-SM-2XCE3 40-49 years, female 10716.9
GTEX-183WM-0126-SM-7LTAB 70-79 years, female 7699.6
GTEX-1122O-2126-SM-5EGIR 60-69 years, female 7418.8
GTEX-1HSMO-0126-SM-CL547 60-69 years, male 6974.3
GTEX-15EOM-0126-SM-7KUGG 20-29 years, female 6524.8
GTEX-14E6C-0126-SM-5RQIP 40-49 years, male 6520.7
GTEX-131XF-5016-SM-7MGWE 60-69 years, male 6251.9
GTEX-11H98-0126-SM-5EGHG 50-59 years, male 5962.6
GTEX-15UF6-0826-SM-6PALJ 70-79 years, female 5902.7
GTEX-POMQ-2226-SM-2I5FK 20-29 years, female 5896.4
GTEX-15SB6-1726-SM-6PAME 50-59 years, female 5778.0
GTEX-145LS-0126-SM-5QGP1 60-69 years, female 5614.6
GTEX-12WSA-0226-SM-5BC5V 60-69 years, male 5381.6
GTEX-144FL-0126-SM-5TDC8 50-59 years, male 5312.3
GTEX-1C6VQ-0126-SM-7P8RI 50-59 years, male 5293.3
GTEX-13113-5016-SM-7EPIP 60-69 years, female 5186.8
GTEX-145LT-1726-SM-5QGP3 40-49 years, male 5180.3
GTEX-15EU6-0426-SM-6PAN5 50-59 years, male 5023.9
GTEX-13NZ8-0826-SM-5MR3I 60-69 years, female 4972.2
GTEX-1ICLZ-0126-SM-CKZPO 60-69 years, male 4965.9
GTEX-1A3MW-0126-SM-73KXX 60-69 years, female 4936.8
GTEX-145MO-0326-SM-5Q5B3 60-69 years, male 4912.3
GTEX-1K2DU-2326-SM-E9TIV 20-29 years, male 4903.9
GTEX-13OVH-0126-SM-5MR4B 70-79 years, male 4899.6
GTEX-Z93T-0126-SM-5HL5N 50-59 years, male 4876.1
GTEX-1I1GT-0626-SM-CGQER 60-69 years, female 4853.2
GTEX-11DZ1-0126-SM-5985Q 50-59 years, male 4786.2
GTEX-1JJ6O-0126-SM-E6CI8 60-69 years, male 4778.2
GTEX-14A5I-0126-SM-5TDEA 50-59 years, female 4727.4
GTEX-12WSN-5019-SM-79OM6 40-49 years, male 4715.4
GTEX-1R9K4-0126-SM-DTX9X 60-69 years, male 4712.9
GTEX-1R46S-0626-SM-E9J41 60-69 years, female 4699.6
GTEX-13PDP-0126-SM-5L3HD 60-69 years, male 4663.3
GTEX-11TTK-0126-SM-5987B 60-69 years, female 4638.1
GTEX-RVPV-0126-SM-EAZAW 60-69 years, male 4615.4
GTEX-13NYS-0126-SM-5MR3W 60-69 years, male 4582.5
GTEX-1PDJ9-0326-SM-DTX95 20-29 years, male 4573.2
GTEX-UJHI-1526-SM-3DB99 50-59 years, female 4539.9
GTEX-ZVT2-2526-SM-51MT1 50-59 years, female 4461.4
GTEX-131XE-2326-SM-5PNZ2 50-59 years, male 4434.3
GTEX-ZVZP-2426-SM-59HKJ 50-59 years, male 4416.9
GTEX-14PHW-0126-SM-6LLJI 60-69 years, female 4412.4
GTEX-X4XY-0226-SM-4E3IZ 60-69 years, male 4410.6
GTEX-XBEW-0626-SM-4QASP 40-49 years, male 4408.8
GTEX-VJWN-0126-SM-3GIK7 50-59 years, female 4394.2
GTEX-13X6I-0626-SM-5QGP9 60-69 years, male 4382.9
GTEX-11WQK-0526-SM-5EQLD 50-59 years, male 4368.2
GTEX-13NYB-2526-SM-5K7Z6 40-49 years, male 4356.0
GTEX-PWO3-1526-SM-48TCM 60-69 years, female 4353.6
GTEX-139D8-0226-SM-5KLZO 30-39 years, female 4337.0
GTEX-1LC47-0326-SM-E9TJP 60-69 years, male 4320.8
GTEX-ZV6S-2326-SM-4YCEY 40-49 years, female 4320.6
GTEX-1GZ4H-1726-SM-7PBZJ 50-59 years, female 4298.1
GTEX-1K2DA-1826-SM-CGQGT 50-59 years, male 4275.7
GTEX-1QP67-1626-SM-EAZ3X 40-49 years, female 4265.0
GTEX-1H4P4-0726-SM-9YFLR 50-59 years, male 4246.7
GTEX-1S82Z-0826-SM-E6CHY 30-39 years, female 4227.2
GTEX-1JMPZ-0226-SM-CNPP1 30-39 years, male 4227.0
GTEX-1HB9E-0226-SM-E9U4R 50-59 years, male 4185.5
GTEX-1F48J-0126-SM-7P8TT 50-59 years, female 4182.9
GTEX-14C5O-0126-SM-5SI6N 60-69 years, male 4144.9
GTEX-TMMY-0226-SM-33HBA 40-49 years, female 4137.8
GTEX-1JK1U-2026-SM-CM2RZ 60-69 years, male 4130.5
GTEX-14BIL-0126-SM-5SI92 50-59 years, male 4128.3
GTEX-QDVN-2026-SM-3GAEP 50-59 years, male 4118.3
GTEX-13W46-0226-SM-5SIAG 50-59 years, male 4106.8
GTEX-1PWST-0226-SM-E76QJ 70-79 years, male 4104.7
GTEX-1IKJJ-0126-SM-CNPQB 60-69 years, male 4098.8
GTEX-1F52S-0126-SM-9MQJU 60-69 years, female 4084.0
GTEX-1MUQO-0126-SM-EAZ58 60-69 years, male 4082.5
GTEX-13IVO-0126-SM-5J1NG 70-79 years, male 4071.1
GTEX-ZYT6-0226-SM-5NQ6T 30-39 years, male 4070.6
GTEX-1O97I-0326-SM-EYYX7 60-69 years, male 4057.7
GTEX-1H1ZS-0426-SM-9WG6G 70-79 years, male 4055.3
GTEX-12WSE-0526-SM-793B2 20-29 years, male 4047.1
GTEX-1MA7W-2026-SM-E9TJ6 20-29 years, female 4046.2
GTEX-ZVE2-0226-SM-59HJB 50-59 years, male 4025.1
GTEX-15D1Q-0126-SM-7KUG6 40-49 years, male 4014.6
GTEX-ZVZO-0126-SM-5A5L9 40-49 years, male 4004.6
GTEX-1LH75-2426-SM-E9TJE 50-59 years, female 3980.0
GTEX-1RLM8-2326-SM-EWRN4 50-59 years, male 3973.5
GTEX-13RTK-1426-SM-5QGQJ 20-29 years, male 3968.2
GTEX-ZE9C-2726-SM-57WB5 60-69 years, male 3966.4
GTEX-ZYY3-0126-SM-5GZY5 60-69 years, female 3965.6
GTEX-1ICLY-0126-SM-D4P36 50-59 years, male 3964.1
GTEX-146FH-0126-SM-5QGPP 50-59 years, female 3954.9
GTEX-XAJ8-0826-SM-47JY6 40-49 years, male 3945.1
GTEX-13PVR-2326-SM-5QGR1 60-69 years, female 3943.7
GTEX-13OVI-1426-SM-5L3EY 60-69 years, female 3941.0
GTEX-1PIIG-0226-SM-EWRN6 30-39 years, male 3939.3
GTEX-ZDTT-2726-SM-4WKF8 60-69 years, male 3937.9
GTEX-17MF6-0126-SM-7LG4F 40-49 years, male 3937.1
GTEX-1IDJH-0326-SM-A9SLQ 70-79 years, male 3923.5
GTEX-15RIG-0226-SM-7KFTL 40-49 years, male 3897.7
GTEX-14DAR-2026-SM-5S2O3 50-59 years, male 3889.1
GTEX-13JUV-2726-SM-5LZZ8 40-49 years, female 3886.4
GTEX-11EQ9-2426-SM-5HL5T 30-39 years, male 3880.0
GTEX-17HII-0226-SM-7LG4E 50-59 years, male 3879.9
GTEX-X585-0226-SM-4QAS2 50-59 years, male 3876.1
GTEX-1IDFM-0126-SM-COH2V 60-69 years, male 3858.5
GTEX-1497J-2426-SM-7IGNX 60-69 years, male 3858.1
GTEX-1PIGE-0126-SM-EVYBJ 20-29 years, male 3851.7
GTEX-O5YT-0126-SM-48TBW 20-29 years, male 3846.5
GTEX-Y5V6-2426-SM-4VDSB 60-69 years, male 3846.0
GTEX-1C64N-0126-SM-793D7 50-59 years, male 3845.1
GTEX-13U4I-0126-SM-5LU38 40-49 years, female 3845.0
GTEX-1J8QM-2126-SM-CYPSJ 60-69 years, female 3844.9
GTEX-14E6D-0126-SM-62LDV 50-59 years, male 3838.8
GTEX-1N2EF-0226-SM-EYYXB 60-69 years, male 3824.5
GTEX-1LVAN-0226-SM-COH3S 50-59 years, female 3817.5
GTEX-11EI6-0126-SM-5985R 60-69 years, male 3816.7
GTEX-1IDJU-2626-SM-CM2RT 60-69 years, female 3814.8
GTEX-1GF9U-2126-SM-7SB7L 40-49 years, female 3809.3
GTEX-SN8G-0126-SM-32PLI 50-59 years, female 3804.5
GTEX-WVJS-0126-SM-4MVOT 50-59 years, male 3799.7
GTEX-WOFL-0126-SM-3MJG2 60-69 years, male 3796.6
GTEX-1HSGN-0226-SM-CGQFV 40-49 years, female 3793.1
GTEX-PLZ6-1426-SM-DKPOT 30-39 years, male 3792.2
GTEX-18D9A-1926-SM-7LG6P 30-39 years, female 3791.2
GTEX-11UD2-0226-SM-5EQKY 50-59 years, male 3785.3
GTEX-148VJ-0126-SM-5TDDN 70-79 years, male 3779.9
GTEX-1F7RK-0126-SM-7PC2S 20-29 years, female 3779.9
GTEX-P4PP-0126-SM-3LK69 30-39 years, female 3773.5
GTEX-14753-0426-SM-5NQAM 60-69 years, male 3772.7
GTEX-17F96-1626-SM-7DUFL 70-79 years, male 3770.2
GTEX-1JJEA-0326-SM-CNPOT 60-69 years, male 3768.8
GTEX-ZAJG-0126-SM-5HL94 50-59 years, female 3761.2
GTEX-1GPI7-0126-SM-9MQL8 20-29 years, male 3759.4
GTEX-11LCK-1026-SM-5A5KB 30-39 years, male 3752.5
GTEX-1QMI2-0226-SM-EVYBX 60-69 years, male 3749.5
GTEX-OIZH-0126-SM-2HMIS 50-59 years, male 3735.1
GTEX-1H1DG-0126-SM-9WYU2 70-79 years, male 3731.5
GTEX-OIZG-0726-SM-33HBL 50-59 years, male 3730.1
GTEX-11ZU8-2526-SM-5EQKI 60-69 years, male 3724.5
GTEX-1L5NE-2526-SM-E6CIE 50-59 years, male 3716.2
GTEX-13OVJ-0126-SM-5KM36 50-59 years, female 3716.0
GTEX-13N2G-2626-SM-5J1OT 60-69 years, male 3695.4
GTEX-1E2YA-0126-SM-9KNUC 50-59 years, male 3693.1
GTEX-14JG6-2226-SM-6EU2G 30-39 years, female 3691.3
GTEX-14E6E-1826-SM-5S2R7 30-39 years, male 3691.2
GTEX-17JCI-0126-SM-7LG5G 60-69 years, female 3687.2
GTEX-18A66-0226-SM-718BD 60-69 years, male 3682.9
GTEX-111VG-2426-SM-5GZXD 60-69 years, male 3681.3
GTEX-145ME-1826-SM-5SI9G 40-49 years, female 3678.4
GTEX-1LSNM-1926-SM-E6CII 50-59 years, male 3676.4
GTEX-12ZZY-0226-SM-5LZVE 60-69 years, male 3675.4
GTEX-XUYS-0126-SM-47JWZ 50-59 years, male 3666.1
GTEX-ZPIC-1726-SM-DHXIU 40-49 years, female 3661.7
GTEX-11DXW-0226-SM-5H122 40-49 years, male 3661.6
GTEX-X638-0126-SM-47JZ8 70-79 years, female 3659.7
GTEX-11EM3-2426-SM-59861 20-29 years, female 3656.7
GTEX-13OVK-2026-SM-7KUEO 40-49 years, male 3651.7
GTEX-1M4P7-0226-SM-DIPEV 60-69 years, male 3649.0
GTEX-1HT8W-0126-SM-CNPPP 30-39 years, male 3642.9
GTEX-16NGA-1726-SM-731B4 40-49 years, female 3640.5
GTEX-1JN1M-0326-SM-CYPT3 60-69 years, female 3636.8
GTEX-14PK6-1926-SM-6ETZU 70-79 years, female 3632.8
GTEX-PWCY-1826-SM-DHXIZ 20-29 years, female 3630.6
GTEX-S95S-1226-SM-4GICG 60-69 years, male 3628.1
GTEX-1QPFJ-0226-SM-E76PB 30-39 years, female 3624.6
GTEX-1I1GQ-0126-SM-COH3H 50-59 years, male 3620.2
GTEX-1OJC3-0126-SM-E76QX 20-29 years, male 3618.9
GTEX-13VXT-0126-SM-5LU4I 20-29 years, female 3618.5
GTEX-XPVG-2626-SM-4B669 50-59 years, male 3603.9
GTEX-1AMFI-2026-SM-731BH 50-59 years, female 3600.8
GTEX-131XH-2226-SM-5DUXJ 50-59 years, male 3598.9
GTEX-1PPH7-2326-SM-EVYB8 40-49 years, male 3598.6
GTEX-18A67-0126-SM-7LG5P 50-59 years, male 3597.5
GTEX-1B8SG-0126-SM-73KZ3 50-59 years, male 3597.2
GTEX-1JMOU-1526-SM-CL54I 60-69 years, female 3596.3
GTEX-ZQG8-1626-SM-DHXIT 60-69 years, female 3588.6
GTEX-1MJK2-0426-SM-DTXE5 50-59 years, male 3580.6
GTEX-PLZ4-0126-SM-5SI8O 50-59 years, female 3580.4
GTEX-TML8-1926-SM-32QOS 40-49 years, female 3578.7
GTEX-1A3MX-0126-SM-731BR 60-69 years, male 3578.2
GTEX-1JMQK-0226-SM-CL543 60-69 years, male 3566.2
GTEX-1IL2V-0126-SM-CM2TX 70-79 years, male 3556.4
GTEX-13X6J-0126-SM-5QGOU 50-59 years, male 3555.0
GTEX-16MT8-0426-SM-7KUEY 60-69 years, female 3552.9
GTEX-Y8E4-0626-SM-4WWDL 40-49 years, male 3548.5
GTEX-11O72-0126-SM-59887 40-49 years, male 3540.8
GTEX-1HCU7-0226-SM-CL545 50-59 years, male 3531.8
GTEX-13NZB-2526-SM-5J1OM 30-39 years, male 3528.9
GTEX-ZWKS-0126-SM-5SIAA 30-39 years, male 3526.5
GTEX-S7SE-0126-SM-2XCD5 50-59 years, male 3525.3
GTEX-1LB8K-0226-SM-EWRNW 50-59 years, male 3517.6
GTEX-TSE9-0126-SM-3DB83 60-69 years, female 3516.0
GTEX-ZU9S-0226-SM-5E441 30-39 years, male 3514.7
GTEX-1212Z-2526-SM-5EGKP 60-69 years, male 3512.9
GTEX-1B8L1-2526-SM-9WYTF 60-69 years, male 3508.7
GTEX-Z93S-0126-SM-5HL7M 50-59 years, male 3504.9
GTEX-17MFQ-1726-SM-793C7 20-29 years, male 3503.0
GTEX-1A3MV-1926-SM-718BT 30-39 years, male 3500.9
GTEX-183FY-0126-SM-7LT9P 20-29 years, male 3495.9
GTEX-1MCQQ-0826-SM-DLHC2 60-69 years, male 3488.2
GTEX-1AX8Z-0126-SM-7DHM6 60-69 years, male 3479.6
GTEX-144GL-0126-SM-5TDE2 50-59 years, male 3476.2
GTEX-1IGQW-0126-SM-COH42 60-69 years, male 3470.8
GTEX-ZDYS-2026-SM-5HL5L 50-59 years, male 3463.2
GTEX-Q2AH-1626-SM-3GAF8 40-49 years, male 3463.0
GTEX-14BIN-0626-SM-793DP 50-59 years, female 3458.3
GTEX-14LZ3-0226-SM-62LET 60-69 years, female 3458.0
GTEX-111FC-0126-SM-5N9DL 60-69 years, male 3457.8
GTEX-1R9PM-2026-SM-E76OY 20-29 years, male 3446.3
GTEX-ZXES-1826-SM-5E43S 30-39 years, female 3444.1
GTEX-1HSMP-0126-SM-E6CJS 70-79 years, male 3444.1
GTEX-1I19N-0326-SM-ACKVX 70-79 years, male 3440.2
GTEX-16BQI-0226-SM-7KUEX 30-39 years, female 3440.0
GTEX-T8EM-1026-SM-3DB7M 40-49 years, male 3438.5
GTEX-14XAO-2326-SM-6EU1B 60-69 years, female 3434.0
GTEX-148VI-1626-SM-5SI6E 60-69 years, female 3421.2
GTEX-1GMR3-1926-SM-9KNUZ 40-49 years, male 3413.4
GTEX-1S5ZA-0126-SM-EVYCV 20-29 years, male 3410.6
GTEX-ZYFG-2326-SM-5E44B 60-69 years, female 3406.7
GTEX-Y5LM-1926-SM-5RQJH 40-49 years, female 3399.9
GTEX-1JJE9-0326-SM-CL53Z 70-79 years, male 3399.9
GTEX-13FHO-0226-SM-5IFGY 60-69 years, male 3399.3
GTEX-1KANA-0726-SM-D3L9I 20-29 years, male 3390.8
GTEX-13CF3-2426-SM-5IFGX 60-69 years, female 3389.7
GTEX-13O1R-0126-SM-5L3EH 60-69 years, male 3389.7
GTEX-14LLW-0126-SM-6LLIO 70-79 years, female 3388.0
GTEX-1KANC-1526-SM-D3LAB 50-59 years, female 3384.2
GTEX-S32W-2126-SM-2XCB1 50-59 years, female 3383.3
GTEX-1ICG6-2526-SM-CGQFZ 70-79 years, female 3379.2
GTEX-12WSC-0126-SM-5EQ4P 50-59 years, male 3378.3
GTEX-13D11-2426-SM-5KM1V 50-59 years, female 3375.4
GTEX-XMD2-0126-SM-4YCDU 60-69 years, female 3373.9
GTEX-15DDE-0126-SM-6LPKH 50-59 years, female 3372.8
GTEX-13RTL-0126-SM-7LG5S 40-49 years, male 3369.6
GTEX-14BMV-0126-SM-5S2PO 50-59 years, male 3368.3
GTEX-1LBAC-0126-SM-DIPEZ 20-29 years, male 3366.1
GTEX-1QW4Y-1526-SM-EAZ3Z 30-39 years, male 3358.8
GTEX-11VI4-1726-SM-5CVLH 40-49 years, female 3357.7
GTEX-1CB4H-0226-SM-7PBXM 60-69 years, female 3351.5
GTEX-16YQH-0126-SM-7DUFJ 30-39 years, male 3350.9
GTEX-ZF29-2326-SM-DO92K 60-69 years, female 3350.6
GTEX-1EU9M-0226-SM-7P8SP 60-69 years, male 3347.0
GTEX-ZY6K-1826-SM-5GZXK 50-59 years, male 3343.0
GTEX-1HUB1-0426-SM-E9U4U 60-69 years, male 3343.0
GTEX-1RB15-2126-SM-E9TIM 60-69 years, male 3336.8
GTEX-X261-0126-SM-3NMD6 50-59 years, male 3333.5
GTEX-11DXY-2626-SM-5GIE7 60-69 years, male 3333.3
GTEX-1POEN-0126-SM-EYYXJ 30-39 years, female 3325.3
GTEX-RWS6-2026-SM-2XCB5 60-69 years, female 3322.5
GTEX-X88G-0126-SM-47JZ3 30-39 years, male 3313.5
GTEX-1F88F-2726-SM-7PBZZ 60-69 years, female 3309.6
GTEX-1H3NZ-0126-SM-ACKX7 60-69 years, male 3298.4
GTEX-1B996-0226-SM-7RHGO 60-69 years, male 3295.9
GTEX-1J1R8-1726-SM-ARL8M 40-49 years, male 3293.6
GTEX-146FR-1326-SM-E9J48 60-69 years, female 3291.2
GTEX-13S7M-0126-SM-5SI6A 60-69 years, female 3290.0
GTEX-1IE54-0126-SM-CMKHW 40-49 years, female 3285.7
GTEX-QCQG-1726-SM-3GIJ9 50-59 years, female 3282.1
GTEX-12WSG-2826-SM-E9J4H 50-59 years, female 3280.9
GTEX-17EVQ-0226-SM-7LG4P 70-79 years, male 3280.7
GTEX-1F75I-0326-SM-9YFLU 40-49 years, male 3279.5
GTEX-13QJ3-0326-SM-5S2RA 50-59 years, male 3278.9
GTEX-1J8Q2-0526-SM-CM2RW 60-69 years, male 3276.5
GTEX-1GTWX-0126-SM-9YFLK 60-69 years, male 3270.0
GTEX-1MCYP-1926-SM-E9J2R 20-29 years, female 3263.4
GTEX-145MF-0626-SM-5LUAI 50-59 years, male 3262.7
GTEX-11OC5-0126-SM-5HL6A 60-69 years, male 3261.6
GTEX-X8HC-0126-SM-4E3JW 50-59 years, female 3260.5
GTEX-13OVL-0226-SM-5L3E9 50-59 years, male 3260.3
GTEX-13OW8-1326-SM-5J1OW 60-69 years, male 3256.4
GTEX-1J8Q3-1626-SM-CMKGC 60-69 years, male 3256.1
GTEX-1HCU8-0626-SM-A9SM9 60-69 years, female 3250.6
GTEX-1I1GU-2226-SM-CGQFA 40-49 years, male 3247.8
GTEX-T2IS-0126-SM-4DM6O 20-29 years, female 3247.3
GTEX-145LU-0126-SM-5TDCB 50-59 years, male 3244.8
GTEX-1JN76-0126-SM-CNPPE 20-29 years, female 3244.3
GTEX-1GF9V-0326-SM-7RHI5 60-69 years, male 3244.2
GTEX-ZZPT-0226-SM-5E43X 50-59 years, male 3244.1
GTEX-14ABY-0226-SM-5TDCQ 50-59 years, male 3243.9
GTEX-RTLS-0126-SM-447CA 60-69 years, female 3240.0
GTEX-169BO-1326-SM-9MQK2 50-59 years, male 3239.5
GTEX-11XUK-2026-SM-5EQLF 40-49 years, female 3236.0
GTEX-1HSMQ-1226-SM-CGQFX 50-59 years, male 3233.9
GTEX-11GSO-2426-SM-5A5LY 60-69 years, male 3232.6
GTEX-1R7EV-2426-SM-EVYBG 40-49 years, male 3232.1
GTEX-Z9EW-1626-SM-5CVMN 40-49 years, male 3226.1
GTEX-1JKYN-1326-SM-CGQG9 30-39 years, male 3224.5
GTEX-15ETS-0126-SM-7KUMW 40-49 years, female 3222.9
GTEX-1KWVE-1426-SM-E9TJO 30-39 years, male 3214.2
GTEX-SSA3-0126-SM-32QPU 60-69 years, male 3214.1
GTEX-12696-2426-SM-5EQ6H 60-69 years, male 3213.8
GTEX-1I1GR-0126-SM-CL55F 60-69 years, male 3213.7
GTEX-1OFPY-2426-SM-DTXEJ 60-69 years, male 3210.3
GTEX-1LGOU-2026-SM-DIPFF 20-29 years, female 3208.9
GTEX-13FTX-1826-SM-5J1NX 20-29 years, female 3205.3
GTEX-1314G-1526-SM-5EGK2 30-39 years, male 3204.7
GTEX-1HBPN-0226-SM-9YFM1 50-59 years, male 3202.7
GTEX-QESD-1426-SM-2S1R9 20-29 years, male 3202.3
GTEX-1GN73-0226-SM-9WG67 60-69 years, male 3201.4
GTEX-13O3Q-2426-SM-5IJBR 50-59 years, male 3200.7
GTEX-1KANB-0526-SM-E6CJH 50-59 years, male 3199.0
GTEX-1RAZA-0126-SM-E6CI3 20-29 years, male 3195.2
GTEX-1IDJF-0126-SM-CM2RS 20-29 years, male 3192.4
GTEX-14A5H-0426-SM-5QGQF 60-69 years, male 3189.1
GTEX-1KXAM-2226-SM-CYPTC 60-69 years, male 3187.7
GTEX-1GN2E-0426-SM-9MQKX 60-69 years, male 3186.7
GTEX-14JG1-0426-SM-6ETZZ 40-49 years, male 3186.0
GTEX-131XW-0426-SM-5LZWP 50-59 years, female 3181.5
GTEX-11DXX-2426-SM-5GZZW 60-69 years, female 3177.7
GTEX-ZXG5-0126-SM-5GIEU 60-69 years, male 3177.2
GTEX-1C64O-0126-SM-7SB8P 60-69 years, male 3170.3
GTEX-13RTJ-2426-SM-5S2Q2 60-69 years, male 3166.0
GTEX-1HCVE-0126-SM-CGQEU 50-59 years, male 3163.3
GTEX-117XS-2726-SM-5N9BL 60-69 years, male 3163.1
GTEX-WI4N-1026-SM-3LK7N 40-49 years, female 3161.9
GTEX-VJYA-1126-SM-3GIJU 60-69 years, male 3161.1
GTEX-1RAZQ-0726-SM-EAZ43 30-39 years, male 3160.0
GTEX-X4EO-0326-SM-3P5YO 60-69 years, female 3158.2
GTEX-X62O-0126-SM-4E3JN 50-59 years, male 3156.4
GTEX-1HFI7-1826-SM-ACKXH 50-59 years, female 3154.8
GTEX-P4PQ-0126-SM-2S1NM 60-69 years, male 3151.5
GTEX-1CAMQ-0226-SM-7IGPK 40-49 years, male 3150.1
GTEX-1IKOH-0226-SM-COH4E 60-69 years, female 3146.2
GTEX-13OW6-0426-SM-5L3HM 50-59 years, male 3143.2
GTEX-139TT-0126-SM-5K7Y5 60-69 years, male 3143.0
GTEX-11P82-1626-SM-59879 20-29 years, male 3142.9
GTEX-SJXC-0126-SM-2XCFF 60-69 years, male 3140.3
GTEX-14PJM-0226-SM-62LF1 50-59 years, female 3138.5
GTEX-R45C-0126-SM-EAZ2R 60-69 years, female 3136.0
GTEX-1CB4J-0626-SM-7DHMP 60-69 years, male 3129.3
GTEX-1F75A-0126-SM-7RHGM 50-59 years, male 3129.2
GTEX-15G19-0126-SM-6PANQ 60-69 years, male 3124.1
GTEX-15UKP-0426-SM-7KUFQ 20-29 years, male 3123.9
GTEX-11ZTT-2426-SM-5EQLS 60-69 years, female 3123.6
GTEX-1R9PO-2126-SM-E9J4O 60-69 years, female 3117.5
GTEX-RWSA-0126-SM-2XCBB 40-49 years, male 3117.1
GTEX-1269C-2526-SM-5EGJ3 60-69 years, female 3116.9
GTEX-X4XX-0126-SM-3NMC2 60-69 years, male 3115.8
GTEX-1N2DV-0226-SM-E6CJ6 40-49 years, male 3113.6
GTEX-TMZS-0126-SM-3DB9Q 60-69 years, male 3111.9
GTEX-145MI-0526-SM-5O9A8 60-69 years, female 3108.6
GTEX-1H23P-0126-SM-ADEJ3 60-69 years, male 3108.0
GTEX-14PN3-2426-SM-6LLHS 60-69 years, female 3106.9
GTEX-13W3W-2426-SM-5LU5B 60-69 years, female 3103.8
GTEX-1GPI6-0126-SM-9WG69 60-69 years, male 3102.2
GTEX-14A6H-0126-SM-5QGPK 30-39 years, male 3098.1
GTEX-WFG8-2226-SM-3GIL9 20-29 years, male 3094.6
GTEX-W5X1-3026-SM-EAZAX 40-49 years, female 3092.2
GTEX-1GL5R-1826-SM-9KNUY 50-59 years, male 3090.4
GTEX-1GF9W-0326-SM-9KNUN 60-69 years, male 3087.2
GTEX-U8XE-0326-SM-3DB8P 30-39 years, male 3084.1
GTEX-QV44-1926-SM-2S1RF 50-59 years, male 3080.4
GTEX-147F3-0526-SM-5SI98 50-59 years, female 3077.6
GTEX-1NHNU-1026-SM-E9J2A 50-59 years, male 3077.4
GTEX-14PJ3-1826-SM-62LEX 50-59 years, male 3069.7
GTEX-Y8LW-1826-SM-5S2MV 50-59 years, female 3069.6
GTEX-1GMR8-0126-SM-9WYTM 50-59 years, female 3066.8
GTEX-1GMRU-0126-SM-9YFLV 50-59 years, male 3063.4
GTEX-1JMQI-2226-SM-CM2SD 50-59 years, male 3060.7
GTEX-18D9B-0526-SM-7LTAS 60-69 years, male 3059.5
GTEX-1F5PK-2426-SM-7RHHY 50-59 years, male 3055.9
GTEX-13NYC-0326-SM-E9J4S 60-69 years, male 3054.3
GTEX-14PJ6-2126-SM-6EU1V 60-69 years, female 3054.2
GTEX-VUSG-2526-SM-4KL1V 50-59 years, male 3052.0
GTEX-13SLX-0526-SM-5S2ON 50-59 years, female 3051.5
GTEX-XUW1-0426-SM-4BOOT 50-59 years, female 3051.3
GTEX-1K9T9-0126-SM-EVYCF 50-59 years, female 3050.9
GTEX-1313W-0126-SM-5LZUN 50-59 years, female 3045.9
GTEX-14PII-0226-SM-6EU1T 60-69 years, male 3044.7
GTEX-18A7B-0126-SM-7LG64 70-79 years, male 3044.2
GTEX-16XZZ-0126-SM-793DV 60-69 years, male 3041.6
GTEX-17HHY-0126-SM-7LG5D 50-59 years, male 3038.8
GTEX-1F6RS-0126-SM-9MQKZ 60-69 years, female 3037.1
GTEX-1HSKV-0226-SM-A9SKJ 60-69 years, male 3036.2
GTEX-ZZ64-1726-SM-5GZYB 20-29 years, male 3034.3
GTEX-Q2AG-0126-SM-33HBV 40-49 years, female 3031.2
GTEX-1HCU6-0126-SM-CL54K 60-69 years, female 3030.5
GTEX-OXRN-0126-SM-48TDM 50-59 years, male 3027.9
GTEX-17EVP-0326-SM-7DHLG 40-49 years, male 3025.7
GTEX-145MN-2226-SM-5SIAU 30-39 years, male 3022.5
GTEX-133LE-1826-SM-5J1MV 20-29 years, female 3020.6
GTEX-1HCUA-2426-SM-ADEIS 50-59 years, female 3018.7
GTEX-1EWIQ-0126-SM-7RHH2 70-79 years, female 3018.5
GTEX-1H3O1-0426-SM-9YFKY 60-69 years, male 3016.0
GTEX-1QP2A-0126-SM-E9J43 50-59 years, male 3015.8
GTEX-1I1GP-2226-SM-CGQFK 50-59 years, male 3015.1
GTEX-1QCLY-0326-SM-E8VOG 30-39 years, male 3014.6
GTEX-11WQC-2526-SM-5CVLE 60-69 years, male 3014.2
GTEX-1GN1U-0126-SM-7PBZK 50-59 years, female 3014.2
GTEX-1128S-2326-SM-5GZZY 60-69 years, female 3013.9
GTEX-OXRP-0126-SM-3NB32 60-69 years, female 3013.8
GTEX-WXYG-2326-SM-4E3I6 50-59 years, female 3009.9
GTEX-1R7EU-0226-SM-EVR4G 60-69 years, male 3009.1
GTEX-1JKYR-0126-SM-CNPOJ 20-29 years, male 2998.5
GTEX-ZYW4-0126-SM-5E44A 60-69 years, male 2992.6
GTEX-11ZVC-2526-SM-5FQTE 50-59 years, female 2992.1
GTEX-11OF3-2626-SM-5GU7F 60-69 years, male 2989.4
GTEX-1GZHY-0326-SM-9QEHI 50-59 years, female 2989.2
GTEX-1S3DN-2226-SM-EVYCD 50-59 years, male 2985.2
GTEX-117YW-2626-SM-5GZZH 50-59 years, male 2985.0
GTEX-1M5QR-1226-SM-EWROB 40-49 years, male 2983.7
GTEX-ZVT4-0126-SM-DTXFN 50-59 years, female 2978.6
GTEX-1GN1W-0526-SM-9MQJQ 50-59 years, female 2977.4
GTEX-145LV-2126-SM-5LU8N 50-59 years, male 2972.9
GTEX-XQ8I-0426-SM-4BOPO 50-59 years, male 2970.3
GTEX-1399T-2826-SM-5KLYZ 60-69 years, male 2969.3
GTEX-R3RS-0126-SM-3GIJL 40-49 years, female 2968.6
GTEX-14BIM-0226-SM-7IGLD 60-69 years, female 2968.2
GTEX-U3ZH-2026-SM-3DB78 30-39 years, male 2966.1
GTEX-11DYG-0126-SM-59883 60-69 years, male 2963.7
GTEX-15SHU-0126-SM-7KUEH 40-49 years, female 2959.3
GTEX-U8T8-0126-SM-3DB94 60-69 years, male 2956.1
GTEX-13O3P-0126-SM-5KM4S 50-59 years, male 2954.7
GTEX-13VXU-0126-SM-5SI9F 50-59 years, male 2954.3
GTEX-1S83E-0126-SM-EWRO4 40-49 years, male 2953.5
GTEX-ZTX8-1426-SM-5DUVO 20-29 years, male 2950.6
GTEX-ZF3C-0126-SM-DO92D 50-59 years, female 2949.4
GTEX-1KAFJ-2026-SM-CY8ID 50-59 years, male 2947.1
GTEX-1AX9K-2326-SM-73KWU 50-59 years, male 2942.7
GTEX-16XZY-2126-SM-79OK1 70-79 years, male 2940.7
GTEX-1LGRB-2526-SM-CNPPQ 50-59 years, female 2940.4
GTEX-T5JW-1626-SM-3GADZ 20-29 years, female 2938.3
GTEX-1GZ2Q-0226-SM-7P8TL 40-49 years, male 2935.4
GTEX-12ZZZ-0626-SM-5DUXI 60-69 years, male 2935.0
GTEX-ZF2S-2326-SM-4WWCE 50-59 years, female 2932.5
GTEX-1KD4Q-0226-SM-E9TJ9 40-49 years, male 2932.5
GTEX-X5EB-2226-SM-46MW4 40-49 years, male 2932.3
GTEX-13N11-2526-SM-5K7UE 50-59 years, female 2932.0
GTEX-1F5PL-0326-SM-7P8PQ 40-49 years, female 2928.8
GTEX-1IOXB-0126-SM-ARL8G 50-59 years, male 2927.2
GTEX-117YX-2326-SM-5H12W 50-59 years, male 2924.7
GTEX-X4EP-0126-SM-3P5YV 60-69 years, female 2923.5
GTEX-NFK9-0226-SM-2HMKQ 40-49 years, male 2923.2
GTEX-12ZZX-0126-SM-5EGK9 40-49 years, female 2915.4
GTEX-1QP9N-1426-SM-DTXFL 30-39 years, male 2911.3
GTEX-XBED-2226-SM-47JYQ 60-69 years, male 2908.6
GTEX-1AMEY-1326-SM-73KYK 30-39 years, female 2905.7
GTEX-1JMQJ-0526-SM-CYPSU 50-59 years, male 2904.9
GTEX-1CAMS-0426-SM-7P8T2 40-49 years, female 2903.4
GTEX-13112-2826-SM-5DUWH 50-59 years, male 2902.9
GTEX-17GQL-2026-SM-718BA 60-69 years, male 2901.7
GTEX-1LG7Z-1726-SM-D3LA4 30-39 years, male 2901.6
GTEX-P4QT-0126-SM-2I3FL 50-59 years, female 2895.9
GTEX-12WSL-2526-SM-5GCNJ 50-59 years, male 2892.2
GTEX-1QP66-1726-SM-E8VO1 50-59 years, male 2882.7
GTEX-13OW7-0126-SM-5MR3B 50-59 years, male 2882.3
GTEX-1A8FM-0226-SM-7SB7Q 50-59 years, female 2879.7
GTEX-113JC-2326-SM-5EQ4E 50-59 years, female 2879.4
GTEX-14PN4-0126-SM-6EU2V 50-59 years, male 2878.7
GTEX-139T8-0126-SM-5K7XZ 60-69 years, male 2875.1
GTEX-1JMQL-0226-SM-CNPP5 50-59 years, female 2875.1
GTEX-11TT1-2526-SM-5EGIB 20-29 years, male 2874.1
GTEX-14DAQ-0126-SM-5S2MQ 60-69 years, female 2868.9
GTEX-1OJC4-0126-SM-E9J2E 50-59 years, female 2868.1
GTEX-1C475-1826-SM-73KWA 40-49 years, female 2867.5
GTEX-11GS4-2726-SM-5A5LE 60-69 years, male 2865.4
GTEX-1211K-2026-SM-5EQ4Z 60-69 years, female 2859.1
GTEX-1S82Y-2026-SM-EVYCM 40-49 years, male 2859.1
GTEX-1B8SF-1426-SM-7DUGL 60-69 years, male 2856.9
GTEX-ZE7O-0126-SM-57WC1 50-59 years, female 2852.7
GTEX-1MA7X-2226-SM-E6CIY 60-69 years, male 2850.2
GTEX-1I1CD-0126-SM-CM2TK 60-69 years, female 2847.7
GTEX-18465-0126-SM-731BN 50-59 years, male 2842.6
GTEX-13FHP-0126-SM-5IJBG 50-59 years, male 2836.6
GTEX-ZUA1-0126-SM-5GU76 40-49 years, male 2835.2
GTEX-17HGU-0226-SM-7DHKV 50-59 years, male 2828.5
GTEX-QDVJ-1726-SM-2I5FX 50-59 years, male 2827.6
GTEX-147GR-0526-SM-5S2MY 60-69 years, male 2827.5
GTEX-1HBPI-1526-SM-C1YQ1 50-59 years, male 2824.5
GTEX-Y8DK-0126-SM-4TT3L 60-69 years, male 2816.7
GTEX-12584-0126-SM-5EGKQ 40-49 years, male 2814.6
GTEX-13X6H-2126-SM-7EWD5 50-59 years, female 2809.4
GTEX-NPJ8-0126-SM-2YUNR 40-49 years, male 2801.9
GTEX-13N1W-0126-SM-5K7VT 70-79 years, male 2799.5
GTEX-1HFI6-0226-SM-ADEHZ 40-49 years, male 2799.4
GTEX-PLZ5-2026-SM-2S1O4 50-59 years, male 2798.0
GTEX-1192W-2626-SM-5Q5AF 60-69 years, male 2791.7
GTEX-1GN1V-0126-SM-9WPOS 60-69 years, male 2791.3
GTEX-1LG7Y-0526-SM-DKPQC 50-59 years, male 2790.9
GTEX-13OVG-1926-SM-5L3DK 60-69 years, male 2790.8
GTEX-1I4MK-2226-SM-ACKWD 50-59 years, female 2771.8
GTEX-1MGNQ-0126-SM-EVYCJ 40-49 years, male 2767.2
GTEX-OXRO-0126-SM-2YUN4 60-69 years, female 2761.2
GTEX-12KS4-0326-SM-5EQ41 30-39 years, male 2759.1
GTEX-147F4-0226-SM-5QGPW 50-59 years, male 2754.2
GTEX-OOBK-0126-SM-2YUND 40-49 years, male 2753.1
GTEX-15SHW-0326-SM-6PAML 60-69 years, male 2752.5
GTEX-V1D1-2226-SM-3NMAX 50-59 years, male 2752.5
GTEX-15DYW-0126-SM-7KULE 60-69 years, female 2751.4
GTEX-1GF9X-2026-SM-7PC3A 40-49 years, female 2746.8
GTEX-1B933-0126-SM-7PC29 50-59 years, female 2744.9
GTEX-1QEPI-0126-SM-EWRMQ 60-69 years, female 2744.1
GTEX-14ICK-0226-SM-6EU25 40-49 years, male 2744.0
GTEX-YB5E-2026-SM-5IFIS 40-49 years, male 2740.3
GTEX-11NSD-2226-SM-5986V 20-29 years, male 2740.2
GTEX-1C6VS-0526-SM-7DUEN 60-69 years, male 2726.4
GTEX-1HSEH-0126-SM-ACKXN 60-69 years, male 2724.4
GTEX-1399R-2726-SM-5IJBA 30-39 years, male 2718.8
GTEX-YEC4-2126-SM-5IFJH 40-49 years, male 2713.8
GTEX-17HHE-2026-SM-79OKF 50-59 years, male 2711.7
GTEX-1C2JI-1826-SM-73KXC 50-59 years, male 2709.2
GTEX-PSDG-0226-SM-DKPOZ 50-59 years, male 2708.6
GTEX-11P81-2326-SM-59875 30-39 years, female 2705.1
GTEX-1PPH8-0226-SM-E8VND 20-29 years, male 2704.6
GTEX-ZAB5-1826-SM-5HL7C 50-59 years, male 2701.2
GTEX-1HGF4-2426-SM-ACKXM 60-69 years, male 2698.4
GTEX-11TUW-2726-SM-E9J4M 60-69 years, male 2695.2
GTEX-18QFQ-0126-SM-731BE 30-39 years, male 2693.3
GTEX-17EUY-0426-SM-793BD 20-29 years, male 2693.1
GTEX-13NZA-0226-SM-5K7Z7 60-69 years, male 2692.5
GTEX-1AX9J-0226-SM-73KXM 60-69 years, male 2692.2
GTEX-P44H-0226-SM-2XCEU 40-49 years, male 2681.0
GTEX-WYJK-0126-SM-3NMAB 50-59 years, male 2677.4
GTEX-139TS-2826-SM-5J1OO 60-69 years, male 2666.9
GTEX-1E1VI-0126-SM-7DHMZ 50-59 years, male 2665.6
GTEX-T2YK-0526-SM-32QPJ 50-59 years, male 2665.5
GTEX-ZC5H-0226-SM-4WAY9 40-49 years, female 2663.4
GTEX-1HBPM-0226-SM-ARL9F 60-69 years, female 2661.8
GTEX-17KNJ-2326-SM-7DHLQ 50-59 years, male 2658.5
GTEX-1KD5A-0226-SM-D5OV3 50-59 years, male 2656.6
GTEX-1LNCM-1126-SM-E9U5E 50-59 years, female 2655.7
GTEX-15ER7-0326-SM-7KUEV 20-29 years, female 2652.9
GTEX-14BMU-2226-SM-5TDE9 20-29 years, female 2646.3
GTEX-ZVT3-0126-SM-5GU6I 60-69 years, female 2645.3
GTEX-1EN7A-0126-SM-7SB81 40-49 years, male 2644.8
GTEX-Y5V5-2326-SM-4V6GA 60-69 years, female 2641.9
GTEX-1PFEY-1526-SM-E76PP 30-39 years, male 2641.5
GTEX-U412-0426-SM-3DB9O 60-69 years, male 2639.4
GTEX-ZAK1-0126-SM-5IJD3 50-59 years, female 2639.4
GTEX-1RDX4-0126-SM-E9J4P 50-59 years, female 2635.5
GTEX-1QAET-0926-SM-E76QM 50-59 years, male 2632.0
GTEX-1I1HK-0126-SM-COH49 60-69 years, male 2631.7
GTEX-OOBJ-0126-SM-E6CJW 60-69 years, male 2631.0
GTEX-16NPX-0226-SM-79OMT 50-59 years, male 2629.3
GTEX-SIU8-0126-SM-2XCDT 50-59 years, male 2626.1
GTEX-14PHX-2326-SM-62LEM 50-59 years, male 2623.6
GTEX-1EKGG-0226-SM-9WYTH 60-69 years, male 2622.2
GTEX-WYVS-2126-SM-3NMA3 40-49 years, female 2618.6
GTEX-1H3VE-0326-SM-9YFLH 40-49 years, male 2617.8
GTEX-113IC-0126-SM-5HL6T 60-69 years, male 2614.9
GTEX-Y3I4-2126-SM-4TT7C 50-59 years, male 2608.9
GTEX-11UD1-0126-SM-5PNYG 40-49 years, female 2594.3
GTEX-16AAH-1726-SM-7939C 50-59 years, male 2585.2
GTEX-1H3VY-0126-SM-ACKXD 50-59 years, male 2582.5
GTEX-139UW-2826-SM-5L3E7 60-69 years, male 2577.4
GTEX-1PBJI-0526-SM-E8VNK 20-29 years, female 2576.5
GTEX-11ZUS-0626-SM-59885 30-39 years, male 2576.0
GTEX-1C4CL-0526-SM-73KVK 30-39 years, male 2574.8
GTEX-1JN6P-0126-SM-D3L98 60-69 years, male 2573.6
GTEX-1QP29-0626-SM-EWRMX 50-59 years, male 2558.5
GTEX-ZGAY-0526-SM-4WWBB 40-49 years, female 2555.6
GTEX-13FH7-2026-SM-E9J4I 50-59 years, female 2555.4
GTEX-13FTY-0526-SM-5L3EV 40-49 years, female 2551.4
GTEX-ZV68-0126-SM-59HKS 50-59 years, female 2546.3
GTEX-1192X-0226-SM-5H12D 50-59 years, male 2544.7
GTEX-SUCS-1926-SM-32PM3 70-79 years, male 2541.2
GTEX-13O3O-0126-SM-E9J49 60-69 years, female 2541.1
GTEX-T5JC-0426-SM-32PLO 20-29 years, male 2537.0
GTEX-UPJH-0326-SM-3GADU 50-59 years, male 2532.5
GTEX-14JIY-0126-SM-6LLH6 60-69 years, male 2531.4
GTEX-13OW5-0126-SM-DTXFS 60-69 years, male 2528.2
GTEX-15DCD-0126-SM-7KUEK 70-79 years, female 2528.0
GTEX-1H1CY-2826-SM-9MQM3 60-69 years, female 2525.7
GTEX-16GPK-0126-SM-7DHLE 60-69 years, male 2521.0
GTEX-ZAB4-0226-SM-5N9F5 40-49 years, male 2520.2
GTEX-S33H-1026-SM-EZ6L6 30-39 years, male 2520.1
GTEX-YFC4-0126-SM-5CVLY 40-49 years, female 2519.5
GTEX-XV7Q-2526-SM-4BRV9 40-49 years, female 2519.2
GTEX-ZTPG-0326-SM-5O9AX 20-29 years, female 2518.9
GTEX-SNMC-1226-SM-2XCFP 20-29 years, male 2513.8
GTEX-1J8EW-0126-SM-CJI4F 60-69 years, female 2507.3
GTEX-1HKZK-0326-SM-9WYUH 40-49 years, male 2498.2
GTEX-OXRK-0226-SM-3NB2G 50-59 years, female 2495.3
GTEX-OIZF-0126-SM-7SB8I 60-69 years, male 2494.5
GTEX-1H1E6-1726-SM-ACKVK 30-39 years, male 2493.9
GTEX-1A32A-0126-SM-718B1 50-59 years, female 2493.3
GTEX-1B97I-1626-SM-73KYO 40-49 years, male 2487.5
GTEX-YJ8A-0426-SM-5IFID 20-29 years, male 2479.9
GTEX-17F98-0626-SM-79OMX 40-49 years, female 2479.3
GTEX-11EMC-2926-SM-5EQ4F 60-69 years, female 2477.9
GTEX-1C6WA-0126-SM-7PC2B 60-69 years, male 2475.6
GTEX-13O21-1426-SM-5K7XI 50-59 years, male 2474.1
GTEX-ZF28-0126-SM-4WKGK 60-69 years, male 2472.8
GTEX-1CB4G-0226-SM-7PC3O 60-69 years, male 2465.8
GTEX-WFON-2126-SM-3LK7O 40-49 years, male 2462.9
GTEX-1B8KE-2126-SM-73KYX 50-59 years, male 2458.8
GTEX-1H1DE-2126-SM-9WG6R 20-29 years, male 2455.7
GTEX-131YS-0126-SM-5KM1M 60-69 years, female 2452.0
GTEX-XQ3S-1526-SM-4BOOC 20-29 years, male 2451.0
GTEX-1NV5F-0226-SM-E8VNY 60-69 years, female 2449.3
GTEX-YJ89-0126-SM-4TT3X 60-69 years, male 2447.8
GTEX-11ZTS-0126-SM-5EQ6M 60-69 years, female 2436.1
GTEX-13FXS-0226-SM-5IJCK 50-59 years, male 2435.9
GTEX-13SLW-0126-SM-5SI6C 70-79 years, male 2433.0
GTEX-12126-0326-SM-5PNW3 20-29 years, male 2431.2
GTEX-1HBPH-0426-SM-B2LW5 40-49 years, female 2412.6
GTEX-U4B1-1826-SM-4DXSU 40-49 years, male 2409.6
GTEX-ZEX8-2426-SM-4WKG4 50-59 years, male 2408.2
GTEX-1EMGI-0126-SM-9KNUE 60-69 years, male 2404.7
GTEX-WH7G-2326-SM-3NMBC 40-49 years, male 2403.0
GTEX-1N2DW-0226-SM-E9TK2 50-59 years, male 2397.3
GTEX-U3ZM-1526-SM-3DB9D 40-49 years, male 2394.1
GTEX-ZYFC-0226-SM-5NQ75 50-59 years, male 2386.9
GTEX-ZVTK-0426-SM-51MRS 20-29 years, male 2379.0
GTEX-1HR98-0126-SM-B2LWI 60-69 years, male 2369.6
GTEX-139T4-0226-SM-5HL5S 50-59 years, female 2368.6
GTEX-ZDTS-0126-SM-4WAY5 60-69 years, male 2368.2
GTEX-QVJO-1626-SM-2S1QW 60-69 years, female 2367.1
GTEX-15CHC-2126-SM-6EU21 60-69 years, female 2361.1
GTEX-1399U-2326-SM-5K7WY 50-59 years, female 2345.8
GTEX-RN64-0126-SM-2TC68 50-59 years, male 2327.3
GTEX-1J1OQ-0226-SM-CYPSH 40-49 years, female 2324.3
GTEX-T6MN-0126-SM-32PLP 50-59 years, male 2319.2
GTEX-1C6VR-2426-SM-79OLD 60-69 years, male 2308.7
GTEX-W5WG-1826-SM-4KL2Y 50-59 years, female 2303.7
GTEX-139TU-0126-SM-5K7WH 60-69 years, male 2296.5
GTEX-1AYD5-2426-SM-73KXR 50-59 years, male 2282.5
GTEX-11DXZ-2326-SM-5EGGV 50-59 years, male 2278.5
GTEX-1JMLX-0226-SM-CM2RO 50-59 years, male 2275.5
GTEX-13YAN-0326-SM-5O9DF 60-69 years, male 2273.5
GTEX-17HG3-2226-SM-7938L 30-39 years, female 2270.6
GTEX-1AYCT-2426-SM-7IGQ3 50-59 years, male 2262.2
GTEX-12C56-1726-SM-5EQ61 20-29 years, male 2258.8
GTEX-11NUK-0126-SM-5A5L3 50-59 years, male 2249.8
GTEX-13G51-2526-SM-5LZYK 60-69 years, male 2249.0
GTEX-1BAJH-0526-SM-793CQ 70-79 years, male 2247.6
GTEX-146FQ-0126-SM-5NQA9 30-39 years, male 2241.0
GTEX-U3ZN-2326-SM-3DB7W 30-39 years, female 2227.7
GTEX-ZTSS-1926-SM-57WEW 40-49 years, male 2224.7
GTEX-ZQUD-1426-SM-57WER 30-39 years, male 2223.7
GTEX-1I1GV-0526-SM-A9G29 60-69 years, male 2220.2
GTEX-15F5U-1526-SM-6PANO 40-49 years, male 2219.6
GTEX-T6MO-1626-SM-32QOM 40-49 years, female 2218.5
GTEX-14E7W-0126-SM-6LLJ9 70-79 years, male 2211.0
GTEX-WY7C-2326-SM-3NB2U 50-59 years, male 2210.3
GTEX-1CAMR-1926-SM-7EPI2 20-29 years, male 2209.3
GTEX-18A6Q-0126-SM-731BZ 60-69 years, male 2204.2
GTEX-144GN-2326-SM-5LU4F 50-59 years, male 2200.2
GTEX-WZTO-0126-SM-3NM95 40-49 years, male 2199.1
GTEX-RUSQ-1526-SM-2TF62 50-59 years, male 2196.0
GTEX-YB5K-2126-SM-4WWDJ 40-49 years, female 2191.5
GTEX-QDT8-0126-SM-48TZ1 30-39 years, female 2181.3
GTEX-QEG4-0226-SM-2S1PY 30-39 years, male 2180.2
GTEX-Y3IK-2426-SM-4WWDU 50-59 years, female 2175.6
GTEX-R55E-0126-SM-2TC5Y 20-29 years, male 2174.8
GTEX-1EX96-1626-SM-7PBXR 50-59 years, male 2173.2
GTEX-1I6K6-0126-SM-A9SLE 30-39 years, male 2167.4
GTEX-O5YW-0126-SM-3LK6D 50-59 years, male 2166.2
GTEX-WRHK-1426-SM-3MJF9 20-29 years, female 2157.5
GTEX-17F97-0326-SM-7LG5B 50-59 years, male 2153.5
GTEX-1J8JJ-0226-SM-CL53I 60-69 years, female 2142.5
GTEX-1IY9M-0126-SM-D3L8S 60-69 years, male 2131.6
GTEX-XYKS-2126-SM-4E3IB 60-69 years, female 2124.3
GTEX-R55G-2526-SM-2TC6D 40-49 years, female 2107.8
GTEX-13CF2-2526-SM-5LZYX 60-69 years, male 2107.3
GTEX-XXEK-2226-SM-4BRUM 50-59 years, male 2104.1
GTEX-PVOW-0126-SM-2XCFA 40-49 years, male 2099.4
GTEX-OHPL-0126-SM-2HMJ7 60-69 years, female 2096.7
GTEX-132NY-0326-SM-5IJBL 60-69 years, male 2089.2
GTEX-1HCU9-1526-SM-A9SL7 20-29 years, male 2087.6
GTEX-1JMPY-1326-SM-ARL8Y 30-39 years, male 2086.1
GTEX-ZYFD-0126-SM-5GIDL 50-59 years, male 2082.2
GTEX-1H11D-0226-SM-9WG6Z 40-49 years, male 2080.4
GTEX-S7PM-0126-SM-4AD6S 60-69 years, male 2077.2
GTEX-WQUQ-0426-SM-3MJFU 60-69 years, male 2058.6
GTEX-RNOR-0126-SM-E9J4R 50-59 years, female 2037.0
GTEX-1RQEC-0426-SM-E6CHU 60-69 years, male 2031.3
GTEX-1H2FU-0126-SM-9WYSI 60-69 years, female 2027.7
GTEX-1F75B-0126-SM-9KNVL 50-59 years, male 2027.4
GTEX-11GSP-2526-SM-5N9BP 60-69 years, female 2023.9
GTEX-QLQ7-1626-SM-2S1R8 60-69 years, male 2015.9
GTEX-12WSJ-1826-SM-5GCNY 40-49 years, female 2015.2
GTEX-131XG-2626-SM-5KM17 50-59 years, female 1996.1
GTEX-1CAV2-2226-SM-7P8P2 40-49 years, female 1974.8
GTEX-1CB4I-0226-SM-79OLH 50-59 years, male 1965.8
GTEX-1IKK5-0626-SM-ARL8A 60-69 years, male 1957.8
GTEX-18A7A-0226-SM-718BH 50-59 years, female 1957.7
GTEX-1CB4F-0426-SM-9KNV4 60-69 years, male 1956.6
GTEX-PW2O-1526-SM-7RHHB 20-29 years, male 1953.0
GTEX-1B8KZ-2026-SM-7DHMB 50-59 years, male 1951.1
GTEX-1AX9I-0126-SM-7SB74 60-69 years, male 1948.9
GTEX-1IL2U-0226-SM-CE6T8 60-69 years, male 1948.3
GTEX-12WSD-0126-SM-59HKN 60-69 years, female 1917.1
GTEX-1CB4E-2226-SM-793DC 60-69 years, male 1897.4
GTEX-13111-1626-SM-5EGJY 50-59 years, male 1897.0
GTEX-18D9U-0226-SM-718BP 40-49 years, male 1887.1
GTEX-PX3G-0126-SM-2I3EN 20-29 years, female 1871.0
GTEX-Y111-0126-SM-4SOIV 50-59 years, male 1861.9
GTEX-1F6IF-0726-SM-7P8TW 60-69 years, male 1852.8
GTEX-QLQW-1126-SM-2S1Q8 30-39 years, male 1810.5
GTEX-Q2AI-1326-SM-2S1PL 40-49 years, male 1792.0
GTEX-Y114-2426-SM-4TT8A 50-59 years, female 1786.4
GTEX-13FTW-2626-SM-5K7WL 40-49 years, male 1761.7
GTEX-ZDXO-3026-SM-5J1N5 60-69 years, male 1758.8
GTEX-OHPM-0126-SM-2YUN9 50-59 years, male 1748.8
GTEX-OXRL-0126-SM-2YUMP 50-59 years, male 1724.0
GTEX-XUZC-1726-SM-4BRWS 30-39 years, female 1675.0
GTEX-RM2N-1426-SM-2TF4H 50-59 years, male 1669.8
GTEX-12WSK-2326-SM-5GCOH 40-49 years, female 1661.7
GTEX-TKQ1-1026-SM-4GICL 30-39 years, male 1650.4
GTEX-1F6I4-0126-SM-9MQL2 60-69 years, male 1644.0
GTEX-RU72-0926-SM-2TF6B 50-59 years, female 1618.2
GTEX-1I1GS-0126-SM-B2LVW 60-69 years, male 1554.7
GTEX-Q734-1926-SM-2I5EV 40-49 years, female 1511.7
GTEX-11P7K-2126-SM-5GU7G 30-39 years, male 1204.7
GTEX-15SDE-2226-SM-7IGLO 50-59 years, female 1203.0
Show allShow less

Contact

  • NEWS ARTICLES
  • PRESS ROOM

The Project

  • INTRODUCTION
  • ORGANIZATION
  • PUBLICATIONS

The Human Protein Atlas

  • DOWNLOADABLE DATA
  • LICENCE & CITATION
  • HELP & FAQ
The Human Protein Atlas project is funded
by the Knut & Alice Wallenberg Foundation.


contact@proteinatlas.org