We use cookies to enhance the usability of our website. If you continue, we'll assume that you are happy to receive all cookies. More information. Don't show this again.
TPM1
HPA
RESOURCES
  • TISSUE
  • BRAIN
  • SINGLE CELL
  • SUBCELLULAR
  • CANCER
  • BLOOD
  • CELL LINE
  • STRUCTURE & INTERACTION
ABOUT
  • INTRODUCTION
  • HISTORY
  • ORGANIZATION
  • PUBLICATIONS
  • ANTIBODY SUBMISSION
  • ANTIBODY AVAILABILITY
  • ACKNOWLEDGMENTS
  • CONTACT
NEWS
  • NEWS ARTICLES
  • PRESS ROOM
LEARN
  • DICTIONARY
  • PROTEIN CLASSES
  • PROTEIN EVIDENCE
  • METHODS
  • EDUCATIONAL VIDEOS
DATA
  • DOWNLOADABLE DATA
  • PUBLICATION DATA
  • RELEASE HISTORY
HELP
  • ANTIBODY VALIDATION
  • ASSAYS & ANNOTATION
  • DISCLAIMER
  • HELP & FAQ
  • PRIVACY STATEMENT
  • LICENCE & CITATION
Fields »
Search result

Field
Term
Gene name
Class
Subclass
Class
Keyword
Chromosome
External id
Tissue
Cell type
Expression
Antibody panel
Tissue
Main location
Patient ID
Annotation
Tissue
Category
Tau score
Cluster
Reliability
Brain region
Category
Tau score
Brain region
Category
Tau score
Brain region
Category
Tau score
Cluster
Reliability
Tissue
Cell type
Enrichment
Cell type
Category
Tau score
Cell type
Category
Tau score
Cell type
Category
Tau score
Cell lineage
Category
Tau score
Cluster
Cluster
Location
Searches
Location
Cell line
Class
Type
Phase
Reliability
Cancer
Prognosis
Cancer
Category
Cancer
Category
Tau score
Cluster
Variants
Interacting gene (ensg_id)
Type
Number of interactions
Pathway
Category
Score
Score
Score
Validation
Validation
Validation
Validation
Antibodies
Data type
Column


  • SUMMARY

  • TISSUE

  • BRAIN

  • SINGLE CELL

  • SUBCELL

  • CANCER

  • BLOOD

  • CELL LINE

  • STRUCT & INT

  • TPM1
TISSUE PRIMARY DATA SKIN Show tissue menu
ADIPOSE TISSUE ADRENAL GLAND AMYGDALA APPENDIX BASAL GANGLIA BONE MARROW BREAST BRONCHUS CEREBELLUM CEREBRAL CORTEX CERVIX CHOROID PLEXUS COLON DUODENUM
ENDOMETRIUM EPIDIDYMIS ESOPHAGUS FALLOPIAN TUBE GALLBLADDER HEART MUSCLE HIPPOCAMPAL FORMATION HYPOTHALAMUS KIDNEY LIVER LUNG LYMPH NODE MIDBRAIN NASOPHARYNX
ORAL MUCOSA OVARY PANCREAS PARATHYROID GLAND PITUITARY GLAND PLACENTA PROSTATE RECTUM RETINA SALIVARY GLAND SEMINAL VESICLE SKELETAL MUSCLE SKIN SMALL INTESTINE
SMOOTH MUSCLE SOFT TISSUE SPINAL CORD SPLEEN STOMACH TESTIS THYMUS THYROID GLAND TONGUE TONSIL URINARY BLADDER VAGINA
ANTIBODIES
AND
VALIDATION
Dictionary
Skin
Tissue proteome
Skin
SKIN - Expression summary
Protein expression
Skini

On the top, protein expression in current human tissue, based on all annotated cell types, is reported with the units not detected (n), low (l), medium (m) and high (h). Underneath, protein expression in each annotated cell type are reported using the same units.

Protein expression data is based on knowledge-based annotation. For genes where more than one antibody has been used, a collective score is set.

If knowledge-based annotation could not be performed for a gene, no data is displayed here. View antibody staining data further down this page.

h
m
l
n
Epidermal cells: Not detected
Fibroblasts: Not detected
Keratinocytes: Not detected
Langerhans: Not detected
Melanocytes: Not detected
RNA expressioni

A summary of mRNA expression data available for current tissue based on several datasets. The mRNA expression levels in human tissues are based on RNA-seq data generated by the Human Protein Atlas (HPA), Genotype-Tissue Expression (GTEx) portal and CAGE data generated by the FANTOM5 consortium. Consensus normalized expression levels for human tissues was created by combining the data from HPA and GTEx datasets.

The mRNA expression levels in pig are based on RNA-seq data generated by the Human Protein Atlas (HPA), and for mouse, HPA data and in situ hybridization generated by the Allen brain atlas are reported.

Scroll down to view mRNA expression data in more detail.
Consensus:145.8 nTPM
HPA:21.1 nTPM
GTEx:145.8 nTPM

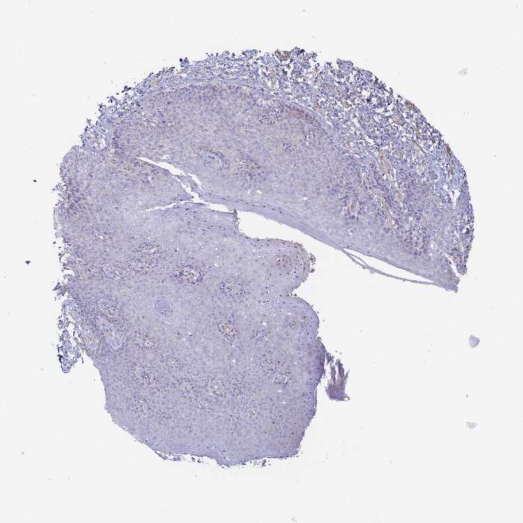
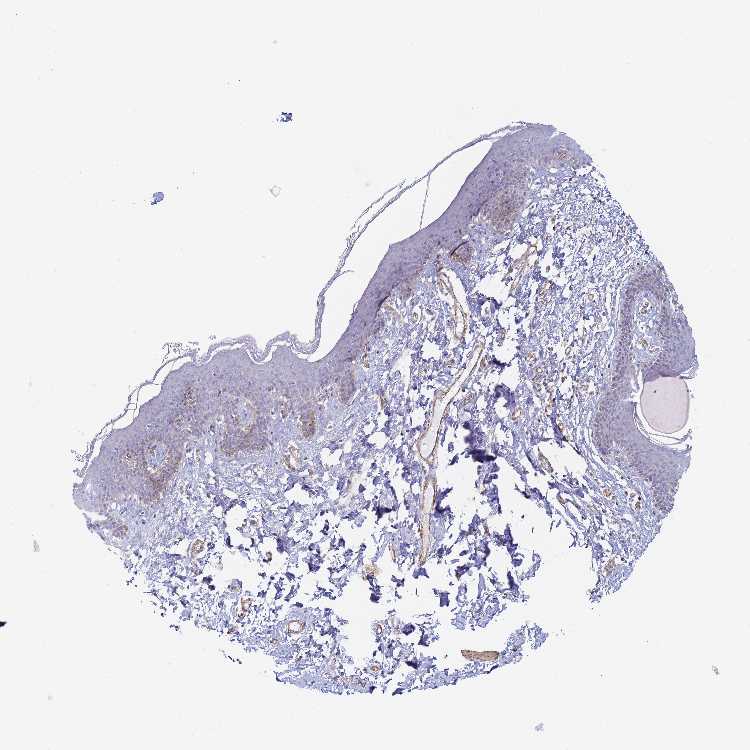
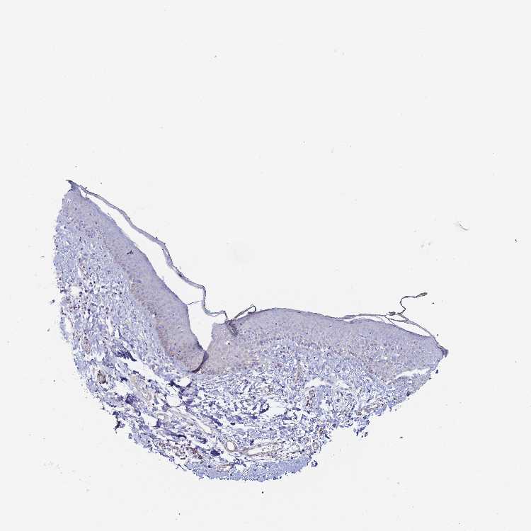
SKIN 1 - Antibody stainingi

Antibody staining in the annotated cell types in the current human tissue is reported as not detected, low, medium, or high, based on conventional immunohistochemistry profiling in selected tissues. This score is based on the combination of the staining intensity and fraction of stained cells.

Each image is clickable and will lead to virtual microscopy that enables deeper exploration of all samples and also displays staining intensity scores, fraction scores and subcellular localization as well as patient and tissue information for each sample.

Antibody HPA000261Antibody HPA009066Antibody HPA047089Antibody HPA053624Antibody CAB017698
Langerhans Not detectedNot detectedMediumLowNot detected
Fibroblasts Not detectedNot detectedMediumHighNot detected
Keratinocytes Not detectedLowMediumLowNot detected
Melanocytes Not detectedMediumMediumLowNot detected






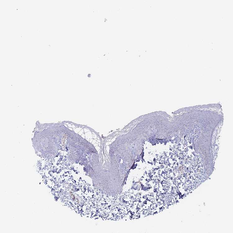
SKIN 2 - Antibody stainingi

Antibody staining in the annotated cell types in the current human tissue is reported as not detected, low, medium, or high, based on conventional immunohistochemistry profiling in selected tissues. This score is based on the combination of the staining intensity and fraction of stained cells.

Each image is clickable and will lead to virtual microscopy that enables deeper exploration of all samples and also displays staining intensity scores, fraction scores and subcellular localization as well as patient and tissue information for each sample.

Antibody HPA000261Antibody HPA009066Antibody HPA047089Antibody HPA053624Antibody CAB017698
Epidermal cells Not detectedNot detectedHighMediumNot detected
     
     
     









SKIN - HPA RNA-seqi

The RNA-seq details section shows detailed information about the individual samples used for the transcript profiling and results of the RNA-seq analysis.

Information about each individual sample is listed below, including gender, age, a tissue section image and estimated fractions of cell types. nTPM (normalized transcripts per million) values give a quantification of the gene abundance which is comparable between different genes and samples.
Average nTPMi

Max subtype nTPM is the value for the subtype with the largest average nTPM across the subtype samples.

21.1
overview
Female, age 34
Skin sample 225
nTPM: 24
Cell types%
Keratinocytes:
60

Other cell types:
40

overview
Female, age 30
Skin sample 226
nTPM: 16.8
Cell types%
Keratinocytes:
55

Other cell types:
45

N/A
Male, age 57
Skin sample 227
nTPM: 22.3

SKIN - GTEx RNA-seqi

RNA-Seq data generated by the Genotype-Tissue Expression (GTEx) project from human tissues is reported as mean nTPM. More information can be found on the GTEx portal.

Distribution across the dataset is visualized with box plots, shown as median and 25th and 75th percentiles. Points are displayed as outliers if they are above or below 1.5 times the interquartile range. nTPM values of the individual samples are presented next to the box plot.
Max subtype nTPMi

Max subtype nTPM is the value for the subtype with the largest average nTPM across the subtype samples.

145.8
GTEx sample id Sample description nTPM
Skin - Not Sun Exposed (Suprapubic)
Average nTPM: 135.0
Samples: 604

Max nTPM: 435.6
Min nTPM: 22.3
Std nTPM: 66.1
Median nTPM: 122.1
GTEX-16GPK-0626-SM-7KFSF 60-69 years, male 435.6
GTEX-ZUA1-2626-SM-5NQ92 40-49 years, male 427.6
GTEX-ZT9W-1126-SM-57WDR 50-59 years, male 408.0
GTEX-YF7O-1526-SM-5IFI6 50-59 years, male 391.4
GTEX-18A7B-2726-SM-7LG56 70-79 years, male 381.3
GTEX-1F75W-2726-SM-7SB8H 60-69 years, male 379.8
GTEX-YB5K-2026-SM-4VDT3 40-49 years, female 379.6
GTEX-1HUB1-1426-SM-CGQF5 60-69 years, male 365.3
GTEX-17EVQ-0126-SM-7IGLR 70-79 years, male 322.3
GTEX-X3Y1-2026-SM-3P5YM 40-49 years, male 319.9
GTEX-1F6IF-0926-SM-7SB7M 60-69 years, male 316.4
GTEX-11EI6-2826-SM-5H11D 60-69 years, male 315.6
GTEX-17JCI-2926-SM-7DUFF 60-69 years, female 309.7
GTEX-1399R-1326-SM-5PNYS 30-39 years, male 308.5
GTEX-1H1CY-0126-SM-9YFLY 60-69 years, female 303.4
GTEX-14PKV-1126-SM-6LLJ1 20-29 years, female 303.1
GTEX-145MO-2826-SM-5LU96 60-69 years, male 300.3
GTEX-11TT1-1826-SM-5EQLV 20-29 years, male 299.2
GTEX-1CAV2-0126-SM-7IGN7 40-49 years, female 298.4
GTEX-1AX9J-1326-SM-731BJ 60-69 years, male 298.2
GTEX-12WSL-2026-SM-5GCML 50-59 years, male 278.0
GTEX-111FC-2526-SM-5GZXU 60-69 years, male 275.2
GTEX-1LG7Z-1626-SM-CXKYR 30-39 years, male 274.2
GTEX-1JMOU-1026-SM-CYPSS 60-69 years, female 272.2
GTEX-1CB4I-0126-SM-7RHGG 50-59 years, male 264.5
GTEX-1JMQK-1226-SM-D4P2S 60-69 years, male 259.1
GTEX-ZVTK-0226-SM-51MRG 20-29 years, male 258.6
GTEX-ZU9S-1826-SM-5NQ9E 30-39 years, male 257.2
GTEX-WYJK-0526-SM-3NM8Z 50-59 years, male 256.6
GTEX-13JUV-2026-SM-5K7UA 40-49 years, female 255.8
GTEX-XPVG-2126-SM-4B667 50-59 years, male 255.6
GTEX-1RB15-1326-SM-E76Q9 60-69 years, male 250.4
GTEX-WH7G-2026-SM-3NMBL 40-49 years, male 248.5
GTEX-UPK5-0426-SM-3GAEK 40-49 years, male 248.1
GTEX-145LT-0526-SM-5LUB2 40-49 years, male 247.7
GTEX-14DAR-1226-SM-73KYV 50-59 years, male 246.8
GTEX-1QP66-1226-SM-DTX7U 50-59 years, male 242.0
GTEX-ZLFU-1826-SM-4WWBV 40-49 years, male 240.8
GTEX-14E6C-2426-SM-5S2NF 40-49 years, male 240.7
GTEX-YEC4-1826-SM-4W1YP 40-49 years, male 240.1
GTEX-18D9A-1426-SM-7LT8M 30-39 years, female 240.1
GTEX-1E1VI-0326-SM-793D1 50-59 years, male 239.4
GTEX-15RIE-1926-SM-7KUKJ 60-69 years, male 236.9
GTEX-WFG8-2126-SM-3GIKQ 20-29 years, male 236.3
GTEX-XMD2-2126-SM-4YCF8 60-69 years, female 234.5
GTEX-13PVR-0426-SM-5RQK2 60-69 years, female 233.9
GTEX-1HC8U-1326-SM-9YFMJ 40-49 years, female 233.4
GTEX-131YS-2826-SM-5EQ47 60-69 years, female 232.3
GTEX-V1D1-2026-SM-3GAF4 50-59 years, male 230.8
GTEX-1HFI6-0126-SM-CNPPI 40-49 years, male 230.8
GTEX-139TT-2126-SM-5LZWC 60-69 years, male 230.5
GTEX-1HSMP-0926-SM-A9SKX 70-79 years, male 228.0
GTEX-13OVG-1626-SM-5J1NF 60-69 years, male 227.5
GTEX-1H1ZS-2726-SM-9WG75 70-79 years, male 226.8
GTEX-1PIGE-1826-SM-E8VOU 20-29 years, male 226.6
GTEX-WFON-1926-SM-3LK7L 40-49 years, male 226.3
GTEX-1HCU8-2526-SM-CE6RX 60-69 years, female 225.5
GTEX-1I1GP-1326-SM-A9G28 50-59 years, male 224.5
GTEX-14JG6-1426-SM-9WG7C 30-39 years, female 223.6
GTEX-13FH7-1126-SM-5K7UG 50-59 years, female 223.3
GTEX-13X6K-0626-SM-5LU5D 60-69 years, female 223.1
GTEX-145ME-1726-SM-5Q5EU 40-49 years, female 223.0
GTEX-YJ8O-2526-SM-5HL85 40-49 years, female 222.0
GTEX-18A66-0626-SM-7LT8Z 60-69 years, male 221.6
GTEX-1JKYN-0826-SM-ARU8S 30-39 years, male 221.3
GTEX-1B933-2426-SM-7DHMD 50-59 years, female 219.0
GTEX-111YS-1526-SM-5GZYW 60-69 years, male 218.9
GTEX-1AX8Z-0726-SM-73KTS 60-69 years, male 217.2
GTEX-1O9I2-0226-SM-EYYXD 50-59 years, male 216.2
GTEX-12WSF-1626-SM-7KUG5 70-79 years, male 213.6
GTEX-1I6K7-1926-SM-B2LXR 40-49 years, male 213.3
GTEX-15RIG-0726-SM-7KUM7 40-49 years, male 212.3
GTEX-11EM3-1226-SM-5N9DD 20-29 years, female 212.2
GTEX-17F98-1326-SM-7DUEP 40-49 years, female 212.2
GTEX-YEC3-1326-SM-DO92X 50-59 years, male 211.7
GTEX-Y5V6-2326-SM-4VDSA 60-69 years, male 211.2
GTEX-18465-2826-SM-7LT9J 50-59 years, male 210.5
GTEX-WXYG-2026-SM-4E3IY 50-59 years, female 210.3
GTEX-16NPX-0726-SM-7KULC 50-59 years, male 210.1
GTEX-1GMR2-0826-SM-7PC3V 50-59 years, male 209.9
GTEX-13PVQ-0626-SM-5LU47 50-59 years, male 208.9
GTEX-139TU-0726-SM-5L3EK 60-69 years, male 207.3
GTEX-183FY-1026-SM-7939A 20-29 years, male 202.9
GTEX-12BJ1-0926-SM-5EQ62 60-69 years, male 202.8
GTEX-15CHQ-0326-SM-69LQD 60-69 years, male 202.3
GTEX-1B996-0426-SM-7EWF8 60-69 years, male 202.2
GTEX-XBEC-0726-SM-4QARZ 50-59 years, male 200.9
GTEX-1IDJE-1426-SM-ADEIW 50-59 years, female 200.7
GTEX-1JN6P-2926-SM-CL54D 60-69 years, male 199.7
GTEX-ZYFG-1526-SM-5GZYM 60-69 years, female 199.3
GTEX-1QCLZ-2426-SM-EVYBW 60-69 years, female 199.1
GTEX-13O3O-2326-SM-5IJD6 60-69 years, female 198.8
GTEX-14E6E-0526-SM-793DN 30-39 years, male 198.7
GTEX-1J8JJ-0626-SM-ARZMQ 60-69 years, female 197.8
GTEX-1GF9U-2026-SM-7SB92 40-49 years, female 196.1
GTEX-14PJO-2526-SM-6AJBQ 60-69 years, male 195.8
GTEX-Y3IK-1626-SM-4YCF5 50-59 years, female 195.5
GTEX-1N5O9-0926-SM-E9J3C 60-69 years, male 193.9
GTEX-14BMU-1226-SM-5S2OR 20-29 years, female 193.2
GTEX-1QP9N-1226-SM-E76QN 30-39 years, male 192.9
GTEX-1C64O-1326-SM-7MGWR 60-69 years, male 192.8
GTEX-13OW8-1026-SM-5J1NQ 60-69 years, male 192.3
GTEX-12WSC-2826-SM-5BC5Y 50-59 years, male 191.9
GTEX-1IDJF-2026-SM-CL53V 20-29 years, male 191.6
GTEX-13QBU-1226-SM-5LU4G 40-49 years, female 190.8
GTEX-1E2YA-2126-SM-7MXUO 50-59 years, male 190.4
GTEX-13NZ9-2626-SM-5L3FK 50-59 years, male 189.7
GTEX-12584-0726-SM-5FQTK 40-49 years, male 189.6
GTEX-1M4P7-0726-SM-E6CJ3 60-69 years, male 189.3
GTEX-1RAZA-2226-SM-E9U4X 20-29 years, male 189.2
GTEX-1QP29-1826-SM-DTX9S 50-59 years, male 189.1
GTEX-XYKS-1426-SM-4BRUO 60-69 years, female 188.2
GTEX-1A32A-0626-SM-731AQ 50-59 years, female 186.4
GTEX-ZZ64-1026-SM-5GZXG 20-29 years, male 186.3
GTEX-16MT8-2926-SM-7DUFO 60-69 years, female 186.1
GTEX-147F3-1726-SM-5SIAW 50-59 years, female 185.9
GTEX-ZYFD-0626-SM-5E44E 50-59 years, male 183.9
GTEX-ZPIC-0526-SM-DO91W 40-49 years, female 183.5
GTEX-1KANA-1326-SM-DIPFA 20-29 years, male 183.2
GTEX-14A5H-0826-SM-5QGPJ 60-69 years, male 183.1
GTEX-ZDXO-3126-SM-5IJDF 60-69 years, male 182.1
GTEX-1HCVE-2726-SM-CL54F 50-59 years, male 181.2
GTEX-ZDTS-0826-SM-4WKHL 60-69 years, male 181.0
GTEX-ZLWG-0826-SM-59888 50-59 years, female 180.1
GTEX-17MFQ-1526-SM-7KFRR 20-29 years, male 178.4
GTEX-XK95-0226-SM-4AT58 40-49 years, male 178.1
GTEX-11O72-0626-SM-5PNYE 40-49 years, male 177.6
GTEX-1L5NE-1126-SM-D3L9P 50-59 years, male 176.8
GTEX-11DXW-0826-SM-5H118 40-49 years, male 176.7
GTEX-14B4R-1326-SM-5Q5EZ 30-39 years, male 175.8
GTEX-14BMV-2826-SM-5TDED 50-59 years, male 175.7
GTEX-XQ3S-1426-SM-4BOPR 20-29 years, male 175.7
GTEX-1CAMR-1326-SM-7PC1F 20-29 years, male 175.6
GTEX-1QCLY-0226-SM-EWRNH 30-39 years, male 175.6
GTEX-1EWIQ-0326-SM-7DHMQ 70-79 years, female 174.8
GTEX-1LGOU-1326-SM-D3L8M 20-29 years, female 173.6
GTEX-13N1W-2426-SM-5IJD1 70-79 years, male 173.4
GTEX-15SHW-0226-SM-7LTAT 60-69 years, male 173.4
GTEX-11EQ9-1626-SM-5PNY8 30-39 years, male 173.3
GTEX-17HG3-2626-SM-7DUF2 30-39 years, female 173.1
GTEX-17F96-0126-SM-7EWDU 70-79 years, male 172.5
GTEX-ZDYS-2426-SM-4WKGI 50-59 years, male 172.4
GTEX-1RAZR-2126-SM-E9U6T 40-49 years, male 172.2
GTEX-1KANC-1226-SM-CYPT7 50-59 years, female 171.9
GTEX-ZYW4-0626-SM-59HJR 60-69 years, male 171.3
GTEX-145MN-1526-SM-5SI9T 30-39 years, male 171.2
GTEX-WRHU-2826-SM-3MJG8 50-59 years, female 170.7
GTEX-1IDJI-0126-SM-CMKHS 50-59 years, female 170.2
GTEX-144GO-2026-SM-5O99P 60-69 years, male 170.1
GTEX-1I19N-0126-SM-CYPSF 70-79 years, male 169.7
GTEX-1LSNL-2726-SM-E9TKJ 50-59 years, male 168.6
GTEX-12WSD-0626-SM-5GCMW 60-69 years, female 168.3
GTEX-1ICG6-1226-SM-A9SLN 70-79 years, female 167.9
GTEX-1J1R8-2026-SM-CL53Y 40-49 years, male 167.7
GTEX-1GMR3-0126-SM-A9SLW 40-49 years, male 167.2
GTEX-Z93S-1626-SM-5CVMB 50-59 years, male 166.4
GTEX-11DZ1-2426-SM-5GZZX 50-59 years, male 165.7
GTEX-146FQ-2126-SM-5RQHU 30-39 years, male 165.7
GTEX-1A3MV-1826-SM-731CD 30-39 years, male 165.7
GTEX-117YX-1926-SM-5GIEC 50-59 years, male 165.0
GTEX-14JG1-1526-SM-5YY9X 40-49 years, male 165.0
GTEX-1IDJC-1526-SM-B2LW4 50-59 years, male 164.9
GTEX-1AX9I-2226-SM-73KUO 60-69 years, male 164.3
GTEX-X4EP-0626-SM-3P621 60-69 years, female 164.1
GTEX-13SLX-2226-SM-62LEP 50-59 years, female 163.9
GTEX-145MF-0926-SM-5Q5EA 50-59 years, male 162.8
GTEX-11NSD-0626-SM-5A5LU 20-29 years, male 162.5
GTEX-1211K-1526-SM-5FQU4 60-69 years, female 162.5
GTEX-1I4MK-0126-SM-CY8G6 50-59 years, female 162.1
GTEX-17F9E-2326-SM-79OKD 50-59 years, male 162.0
GTEX-1I6K6-1726-SM-CGQFD 30-39 years, male 161.5
GTEX-131XW-0626-SM-5PNVD 50-59 years, female 161.2
GTEX-WK11-2726-SM-3NMAQ 50-59 years, male 161.0
GTEX-1MCC2-1826-SM-DIPEX 30-39 years, female 160.9
GTEX-14BIN-1126-SM-5RQJZ 50-59 years, female 160.1
GTEX-15DYW-2726-SM-6EU2I 60-69 years, female 159.9
GTEX-ZWKS-0626-SM-5GIDV 30-39 years, male 159.7
GTEX-1IY9M-2826-SM-ARU8H 60-69 years, male 158.4
GTEX-ZVE1-0726-SM-51MRN 50-59 years, female 158.3
GTEX-17HHE-1326-SM-7EWDZ 50-59 years, male 157.9
GTEX-11P7K-1126-SM-5HL4L 30-39 years, male 157.6
GTEX-XUW1-0926-SM-4BONX 50-59 years, female 157.1
GTEX-13OVL-0126-SM-5L3GJ 50-59 years, male 156.9
GTEX-1A8FM-0626-SM-7PC25 50-59 years, female 156.9
GTEX-16XZZ-0726-SM-7KUF2 60-69 years, male 156.7
GTEX-15ER7-0626-SM-6PANF 20-29 years, female 155.6
GTEX-ZVP2-0326-SM-57WBP 50-59 years, male 155.1
GTEX-1C475-1326-SM-7SB73 40-49 years, female 155.1
GTEX-1F5PK-2226-SM-7SB6N 50-59 years, male 154.6
GTEX-1JN1M-2726-SM-CY8I4 60-69 years, female 154.2
GTEX-15D1Q-2826-SM-6LLH7 40-49 years, male 154.0
GTEX-1KD5A-0126-SM-E9U54 50-59 years, male 153.2
GTEX-1N2EE-0626-SM-E76PW 60-69 years, male 152.7
GTEX-WEY5-2326-SM-3GIKK 40-49 years, female 152.6
GTEX-Y8LW-1526-SM-5IFHL 50-59 years, female 152.6
GTEX-WYVS-1626-SM-3NM9R 40-49 years, female 152.4
GTEX-1H1E6-0426-SM-9WYUS 30-39 years, male 152.0
GTEX-12696-0126-SM-5EQ4L 60-69 years, male 151.8
GTEX-1497J-0226-SM-5QGPU 60-69 years, male 151.2
GTEX-1HCU9-0426-SM-9WYSD 20-29 years, male 151.1
GTEX-ZGAY-1826-SM-DO91Q 40-49 years, female 150.9
GTEX-145MG-1526-SM-5Q5EM 50-59 years, male 150.5
GTEX-13OVJ-0826-SM-5J1OK 50-59 years, female 150.2
GTEX-1A8G6-2726-SM-731AR 60-69 years, male 149.9
GTEX-1117F-2926-SM-5GZYI 60-69 years, female 149.4
GTEX-ZVE2-2826-SM-5GU51 50-59 years, male 148.8
GTEX-14PJ2-0626-SM-6LLII 50-59 years, male 148.6
GTEX-1GZ2Q-0126-SM-9WG6M 40-49 years, male 148.5
GTEX-1PPH7-1126-SM-DTX9A 40-49 years, male 148.3
GTEX-15EU6-2226-SM-6EU2L 50-59 years, male 148.2
GTEX-13VXU-0626-SM-5L3F9 50-59 years, male 148.1
GTEX-14DAQ-0626-SM-793DS 60-69 years, female 148.0
GTEX-1KWVE-1026-SM-D3L9O 30-39 years, male 147.9
GTEX-ZAJG-1526-SM-5CVML 50-59 years, female 147.6
GTEX-132AR-0326-SM-5KM2C 50-59 years, female 147.5
GTEX-1A3MX-2626-SM-7PC24 60-69 years, male 147.2
GTEX-1HFI7-2326-SM-CGQFS 50-59 years, female 146.6
GTEX-1MJK3-0726-SM-E6CJC 20-29 years, male 146.1
GTEX-1LSVX-2526-SM-DIPEU 60-69 years, male 145.7
GTEX-16Z82-2626-SM-7KULU 60-69 years, male 144.9
GTEX-ZPU1-1126-SM-4YCF3 40-49 years, male 144.8
GTEX-1I1HK-2326-SM-CKZOH 60-69 years, male 144.7
GTEX-11VI4-1126-SM-5EQMD 40-49 years, female 144.3
GTEX-1192X-2726-SM-5N9DN 50-59 years, male 143.9
GTEX-11UD2-2526-SM-5CVNU 50-59 years, male 143.9
GTEX-1F5PL-0926-SM-7PC2W 40-49 years, female 143.7
GTEX-1GPI7-1826-SM-9KNU1 20-29 years, male 143.4
GTEX-13U4I-2226-SM-5LU5H 40-49 years, female 142.7
GTEX-WYBS-0626-SM-3NMAS 60-69 years, female 142.7
GTEX-1IDJD-2326-SM-ACKWX 30-39 years, male 142.7
GTEX-13N2G-0226-SM-5K7VF 60-69 years, male 142.3
GTEX-1IDJU-1726-SM-CMKHU 60-69 years, female 142.0
GTEX-ZXG5-2126-SM-59HKD 60-69 years, male 141.9
GTEX-16NGA-0726-SM-731AO 40-49 years, female 141.5
GTEX-15CHR-1126-SM-7EWF4 50-59 years, male 141.2
GTEX-ZTTD-2826-SM-4YCFA 50-59 years, male 141.0
GTEX-1S3DN-2126-SM-E9TIN 50-59 years, male 140.9
GTEX-17HHY-0426-SM-7DHLC 50-59 years, male 140.8
GTEX-178AV-1726-SM-7KUL8 40-49 years, male 140.6
GTEX-14JFF-0626-SM-5ZZVT 60-69 years, male 140.6
GTEX-1RMOY-1326-SM-E9TIH 50-59 years, male 140.1
GTEX-X5EB-1926-SM-4E3IW 40-49 years, male 139.3
GTEX-1F6I4-2326-SM-7RHGL 60-69 years, male 139.0
GTEX-14LZ3-0126-SM-69LPM 60-69 years, female 138.4
GTEX-1JJ6O-2726-SM-CNPOG 60-69 years, male 138.1
GTEX-18A6Q-0626-SM-7KFRP 60-69 years, male 137.8
GTEX-14ICL-1626-SM-5YYAO 30-39 years, male 137.5
GTEX-1CB4H-1126-SM-7MKGL 60-69 years, female 137.5
GTEX-1CAMQ-1326-SM-7P8RV 40-49 years, male 136.6
GTEX-1I1CD-0626-SM-CE6SW 60-69 years, female 135.9
GTEX-1S82P-2126-SM-E6CI5 60-69 years, female 135.7
GTEX-14PJ3-1126-SM-5ZZVX 50-59 years, male 135.5
GTEX-1PIIG-2326-SM-DTXFR 30-39 years, male 134.1
GTEX-1EH9U-2826-SM-7DUGT 60-69 years, male 133.9
GTEX-1S831-1826-SM-EWROF 20-29 years, male 133.9
GTEX-1K2DA-1026-SM-CGQGF 50-59 years, male 133.6
GTEX-1LG7Y-2526-SM-EWRO7 50-59 years, male 133.3
GTEX-1GN2E-0226-SM-9WG6K 60-69 years, male 133.0
GTEX-13N11-2326-SM-5IJBF 50-59 years, female 132.2
GTEX-1IDFM-0326-SM-ARL7V 60-69 years, male 132.0
GTEX-1JJE9-2626-SM-ARZMT 70-79 years, male 131.3
GTEX-13OVH-0526-SM-5L3E6 70-79 years, male 131.2
GTEX-X4EO-2926-SM-4E3JH 60-69 years, female 131.1
GTEX-14PHX-2226-SM-6EU2P 50-59 years, male 131.0
GTEX-XV7Q-1826-SM-4BRUV 40-49 years, female 130.9
GTEX-13112-0126-SM-5P9IU 50-59 years, male 130.0
GTEX-12WSH-1526-SM-5BC5W 50-59 years, male 129.9
GTEX-1H1DG-2426-SM-9QEHJ 70-79 years, male 129.6
GTEX-13OW6-2726-SM-5J2OE 50-59 years, male 129.1
GTEX-12C56-1526-SM-5FQUQ 20-29 years, male 128.9
GTEX-12KS4-2126-SM-5FQUT 30-39 years, male 128.8
GTEX-1LVAO-2726-SM-E9TJ8 60-69 years, male 128.8
GTEX-1212Z-0126-SM-59HK4 60-69 years, male 128.3
GTEX-139T8-0626-SM-5KLZX 60-69 years, male 128.0
GTEX-UPJH-0226-SM-3GADV 50-59 years, male 128.0
GTEX-17HGU-2326-SM-7DUFE 50-59 years, male 127.6
GTEX-11LCK-2226-SM-5HL4Q 30-39 years, male 127.3
GTEX-1POEN-2326-SM-E9J2L 30-39 years, female 127.3
GTEX-17MF6-2626-SM-79OKQ 40-49 years, male 126.9
GTEX-1CB4F-1026-SM-7DUH1 60-69 years, male 126.5
GTEX-VJYA-1526-SM-3GIJV 60-69 years, male 126.4
GTEX-139TS-2126-SM-5K7XC 60-69 years, male 126.2
GTEX-1GF9W-1426-SM-7PBYM 60-69 years, male 126.1
GTEX-13FTW-0326-SM-5K7UW 40-49 years, male 126.0
GTEX-ZA64-1026-SM-5HL8R 20-29 years, male 126.0
GTEX-13OVK-1426-SM-6PAN7 40-49 years, male 125.9
GTEX-131XF-2626-SM-5EQ6K 60-69 years, male 125.8
GTEX-1GZ4I-2626-SM-9KNU3 50-59 years, male 125.8
GTEX-1EN7A-2426-SM-793DB 40-49 years, male 125.7
GTEX-1IDJH-0126-SM-D3L92 70-79 years, male 125.1
GTEX-1KANB-2826-SM-CY8I6 50-59 years, male 125.0
GTEX-1RLM8-2926-SM-E8VON 50-59 years, male 125.0
GTEX-13X6H-0926-SM-5SIB2 50-59 years, female 124.9
GTEX-ZE7O-2726-SM-51MT5 50-59 years, female 124.8
GTEX-1LSNM-0826-SM-DIPG8 50-59 years, male 123.6
GTEX-Y8E4-2026-SM-5IFJB 40-49 years, male 123.5
GTEX-18D9U-0126-SM-731BM 40-49 years, male 123.2
GTEX-17KNJ-2126-SM-718AM 50-59 years, male 123.1
GTEX-15UF6-1926-SM-7KUDV 70-79 years, female 123.0
GTEX-16BQI-1326-SM-6M486 30-39 years, female 122.9
GTEX-131XH-0126-SM-5LZUY 50-59 years, male 122.6
GTEX-1GN1W-2426-SM-9KNUU 50-59 years, female 122.4
GTEX-12WSM-1926-SM-5BC65 60-69 years, male 121.8
GTEX-1QEPI-2626-SM-DTXF4 60-69 years, female 121.5
GTEX-145LS-0626-SM-7EPG7 60-69 years, female 121.2
GTEX-1R9PM-1926-SM-EVR3O 20-29 years, male 121.2
GTEX-XOT4-0626-SM-4B66L 60-69 years, female 121.1
GTEX-ZDTT-0426-SM-4WKFL 60-69 years, male 120.9
GTEX-1477Z-0326-SM-7IGLA 60-69 years, male 120.8
GTEX-ZAK1-0626-SM-5HL8E 50-59 years, female 120.6
GTEX-14C5O-0326-SM-5ZZUX 60-69 years, male 120.2
GTEX-1H3NZ-2726-SM-9WYTQ 60-69 years, male 120.1
GTEX-1F75B-0726-SM-7PC3R 50-59 years, male 119.8
GTEX-12126-0826-SM-5FQTZ 20-29 years, male 119.1
GTEX-1K9T9-1526-SM-DIPFR 50-59 years, female 119.0
GTEX-131XG-0326-SM-5L3DX 50-59 years, female 118.6
GTEX-1HKZK-0726-SM-ACKW2 40-49 years, male 118.6
GTEX-1HCU6-2526-SM-ADEHL 60-69 years, female 118.4
GTEX-1B8KZ-0326-SM-73KY4 50-59 years, male 118.2
GTEX-13X6J-0626-SM-5LU5F 50-59 years, male 117.9
GTEX-1IOXB-2726-SM-CM2RI 50-59 years, male 117.8
GTEX-14ABY-2026-SM-62LDL 50-59 years, male 117.6
GTEX-1JMPZ-0726-SM-CY8HZ 30-39 years, male 117.6
GTEX-12WSA-0426-SM-5EQ5X 60-69 years, male 117.2
GTEX-11DYG-1526-SM-5A5JS 60-69 years, male 117.1
GTEX-Y5LM-0926-SM-6LLJG 40-49 years, female 116.9
GTEX-1HBPN-0126-SM-CGQEF 50-59 years, male 115.9
GTEX-13RTJ-0126-SM-5S2NN 60-69 years, male 115.8
GTEX-18A7A-0126-SM-731AH 50-59 years, female 115.6
GTEX-XAJ8-1426-SM-47JYM 40-49 years, male 115.6
GTEX-1F75I-2226-SM-7SB8U 40-49 years, male 115.3
GTEX-1ICLY-0826-SM-CMKG1 50-59 years, male 115.3
GTEX-13G51-1826-SM-5KLZH 60-69 years, male 115.0
GTEX-WHWD-1826-SM-3LK6I 50-59 years, male 115.0
GTEX-ZYFC-0426-SM-5GICQ 50-59 years, male 114.6
GTEX-WY7C-2126-SM-3NB2R 50-59 years, male 114.4
GTEX-14753-0726-SM-5QGQO 60-69 years, male 114.2
GTEX-13X6I-1826-SM-5SIAO 60-69 years, male 113.8
GTEX-1A3MW-0626-SM-731CB 60-69 years, female 113.8
GTEX-ZTSS-1426-SM-5985P 40-49 years, male 113.4
GTEX-1LVAN-0626-SM-CNPOQ 50-59 years, female 113.4
GTEX-12ZZX-2426-SM-5GCOE 40-49 years, female 113.2
GTEX-1GTWX-2026-SM-9YFLM 60-69 years, male 112.5
GTEX-15RJ7-2126-SM-6PAMD 40-49 years, male 112.4
GTEX-16MTA-0926-SM-6M47Z 50-59 years, male 112.2
GTEX-Y5V5-0126-SM-5S2NW 60-69 years, female 111.4
GTEX-1HCUA-0826-SM-ADEHM 50-59 years, female 111.1
GTEX-11DXX-2126-SM-5PNYR 60-69 years, female 110.7
GTEX-1GL5R-1326-SM-7RHHF 50-59 years, male 110.7
GTEX-11NUK-2726-SM-5A5MC 50-59 years, male 110.5
GTEX-1HSMO-0626-SM-ACKXC 60-69 years, male 110.4
GTEX-1KXAM-1626-SM-D3LAD 60-69 years, male 110.4
GTEX-1JKYR-0626-SM-ARL8R 20-29 years, male 110.3
GTEX-1A8G7-1326-SM-73KVM 60-69 years, male 109.9
GTEX-ZLV1-1526-SM-DO91J 60-69 years, female 109.6
GTEX-18D9B-0926-SM-7LG4U 60-69 years, male 109.1
GTEX-Y3I4-1726-SM-4TT89 50-59 years, male 109.1
GTEX-1QAET-0326-SM-EVR3U 50-59 years, male 109.1
GTEX-1314G-1326-SM-5BC6E 30-39 years, male 108.8
GTEX-1J8Q3-0526-SM-ARL8U 60-69 years, male 108.2
GTEX-14PJN-1826-SM-6AJ98 30-39 years, male 106.5
GTEX-ZVT4-2426-SM-5GIEI 50-59 years, female 106.5
GTEX-1R7EU-1626-SM-DTXG3 60-69 years, male 106.5
GTEX-1R9K4-2826-SM-DTX8F 60-69 years, male 106.5
GTEX-16YQH-2226-SM-7IGM2 30-39 years, male 106.4
GTEX-1N2DV-1526-SM-DTXEP 40-49 years, male 106.2
GTEX-1I1GV-0626-SM-ARL7M 60-69 years, male 106.0
GTEX-1H4P4-2126-SM-9WYSL 50-59 years, male 105.5
GTEX-13W3W-0726-SM-5IJDQ 60-69 years, female 105.2
GTEX-11TUW-0626-SM-5LU9M 60-69 years, male 104.9
GTEX-ZZPU-0826-SM-5GZX5 50-59 years, female 104.8
GTEX-13VXT-1926-SM-5K7UO 20-29 years, female 104.5
GTEX-1LKK1-2626-SM-DKPQE 50-59 years, female 104.3
GTEX-14AS3-1526-SM-5Q5ED 40-49 years, female 104.2
GTEX-ZF3C-0626-SM-DO92O 50-59 years, female 104.1
GTEX-1PDJ9-1226-SM-EXUSX 20-29 years, male 103.9
GTEX-XBEW-1126-SM-4QARW 40-49 years, male 103.8
GTEX-ZAB4-2126-SM-5HL8U 40-49 years, male 103.6
GTEX-XBED-1926-SM-47JYP 60-69 years, male 103.3
GTEX-XQ8I-0926-SM-4BOOF 50-59 years, male 103.3
GTEX-YFCO-1226-SM-5LUAT 40-49 years, male 103.3
GTEX-15G19-2426-SM-7KUMR 60-69 years, male 102.7
GTEX-147JS-0226-SM-5S2U9 60-69 years, male 102.6
GTEX-1I1GS-2626-SM-B2LY3 60-69 years, male 102.2
GTEX-1F75A-0726-SM-7RHHD 50-59 years, male 101.9
GTEX-139YR-1026-SM-5LZYN 50-59 years, male 101.7
GTEX-1HGF4-0126-SM-CNPPX 60-69 years, male 101.6
GTEX-ZVT2-0126-SM-5GIDQ 50-59 years, female 101.3
GTEX-1JMQI-1726-SM-ARL93 50-59 years, male 101.2
GTEX-ZYT6-2326-SM-5GZY3 30-39 years, male 100.9
GTEX-15DDE-2926-SM-6LLJ3 50-59 years, female 100.6
GTEX-14LLW-2626-SM-62LDZ 70-79 years, female 100.5
GTEX-1JMLX-0626-SM-ARL8T 50-59 years, male 100.5
GTEX-14PK6-0226-SM-62LF5 70-79 years, female 100.3
GTEX-13113-1626-SM-5EQ4I 60-69 years, female 100.0
GTEX-X8HC-0626-SM-4E3HQ 50-59 years, female 99.5
GTEX-1S83E-1326-SM-E6CJM 40-49 years, male 99.5
GTEX-11ZUS-2626-SM-5FQUR 30-39 years, male 99.1
GTEX-11GSP-2326-SM-5HL63 60-69 years, female 98.9
GTEX-1IL2V-1926-SM-B2LW8 70-79 years, male 98.6
GTEX-ZP4G-1426-SM-4WWCL 20-29 years, female 98.1
GTEX-13OW7-0426-SM-5K7VK 50-59 years, male 98.0
GTEX-WHSE-0126-SM-3NMBT 20-29 years, male 98.0
GTEX-1F48J-0726-SM-7RHGS 50-59 years, female 98.0
GTEX-ZC5H-1526-SM-5HL9Y 40-49 years, female 97.9
GTEX-1S82U-1026-SM-E6CJK 30-39 years, female 97.9
GTEX-13NYC-0126-SM-5L3F4 60-69 years, male 97.7
GTEX-11ZTT-2126-SM-5CVLO 60-69 years, female 97.5
GTEX-13FLV-0126-SM-5K7WT 50-59 years, male 97.4
GTEX-1QPFJ-1926-SM-EVYBD 30-39 years, female 97.4
GTEX-1B97I-0626-SM-73KUZ 40-49 years, male 97.3
GTEX-11DXY-0126-SM-5H11Q 60-69 years, male 97.1
GTEX-147GR-2426-SM-5ZZWQ 60-69 years, male 97.1
GTEX-1HB9E-0126-SM-CM2S5 50-59 years, male 96.9
GTEX-1C6WA-2626-SM-7MKGM 60-69 years, male 96.4
GTEX-15CHC-1126-SM-6LLHQ 60-69 years, female 96.3
GTEX-11DXZ-2026-SM-5987S 50-59 years, male 96.1
GTEX-VUSG-2326-SM-4KL1U 50-59 years, male 95.7
GTEX-11P82-1426-SM-DTXFY 20-29 years, male 95.6
GTEX-1HSGN-0826-SM-ACKW3 40-49 years, female 95.6
GTEX-1HR98-2226-SM-ADEI2 60-69 years, male 95.3
GTEX-17EVP-2626-SM-7IGMA 40-49 years, male 94.7
GTEX-1K2DU-1226-SM-CYPT4 20-29 years, male 94.7
GTEX-1H1DF-1126-SM-9WG7G 40-49 years, female 93.8
GTEX-15EO6-2426-SM-6PALZ 50-59 years, male 93.4
GTEX-1F6RS-2026-SM-7RHHC 60-69 years, female 93.2
GTEX-1C64N-2626-SM-7PC2N 50-59 years, male 92.0
GTEX-1GMR8-0626-SM-7RHI7 50-59 years, female 92.0
GTEX-1H23P-0626-SM-9WG6T 60-69 years, male 92.0
GTEX-11EQ8-0926-SM-5H12V 60-69 years, male 91.0
GTEX-1F88E-1626-SM-7SB8Z 60-69 years, female 90.9
GTEX-15RJE-2826-SM-7KUM9 40-49 years, male 90.7
GTEX-1B932-2326-SM-79OL5 40-49 years, female 90.6
GTEX-1LBAC-0826-SM-CY8IJ 20-29 years, male 90.6
GTEX-16AAH-0626-SM-793C9 50-59 years, male 90.4
GTEX-14PHY-1226-SM-5ZZWK 60-69 years, female 90.1
GTEX-18A67-1626-SM-7LT9T 50-59 years, male 90.0
GTEX-1IDJV-0126-SM-COH3Y 60-69 years, male 89.7
GTEX-1RAZS-2526-SM-E6CHT 50-59 years, male 89.7
GTEX-13NZ8-1226-SM-5KM4A 60-69 years, female 89.5
GTEX-1AMEY-0826-SM-72D65 30-39 years, female 89.5
GTEX-1GZHY-0626-SM-9KNVC 50-59 years, female 89.5
GTEX-11P81-2226-SM-5PNYI 30-39 years, female 89.2
GTEX-133LE-2326-SM-5K7W3 20-29 years, female 89.2
GTEX-WHPG-2626-SM-3NMBR 50-59 years, male 89.2
GTEX-1R9PN-0426-SM-DTXDT 40-49 years, female 89.2
GTEX-17HII-1426-SM-7EPGG 50-59 years, male 89.1
GTEX-1LVAM-0726-SM-E6CIL 50-59 years, female 88.5
GTEX-1PPH8-0126-SM-EWRN8 20-29 years, male 88.3
GTEX-12ZZY-0726-SM-5EQ66 60-69 years, male 87.9
GTEX-1GMRU-2126-SM-7P8RA 50-59 years, male 87.9
GTEX-13NYS-0626-SM-5L3F1 60-69 years, male 87.8
GTEX-1QW4Y-1126-SM-DTXE3 30-39 years, male 87.8
GTEX-1PPGY-1626-SM-EVYBL 60-69 years, male 87.6
GTEX-111CU-1126-SM-5EGIM 50-59 years, male 87.5
GTEX-13NYB-0126-SM-5J1MD 40-49 years, male 87.5
GTEX-18QFQ-1826-SM-72D52 30-39 years, male 87.5
GTEX-XXEK-1626-SM-4BRUZ 50-59 years, male 87.5
GTEX-U8XE-0226-SM-4E3J3 30-39 years, male 87.0
GTEX-1QMI2-2526-SM-E8VNZ 60-69 years, male 87.0
GTEX-12ZZZ-0726-SM-5GCNZ 60-69 years, male 86.9
GTEX-1I1GU-0926-SM-ACKVS 40-49 years, male 86.6
GTEX-1RAZQ-1326-SM-E9TK6 30-39 years, male 86.4
GTEX-Y9LG-1126-SM-4VBQ7 30-39 years, male 86.2
GTEX-1GF9V-0826-SM-9KNUV 60-69 years, male 85.9
GTEX-12WSK-2126-SM-5CVNC 40-49 years, female 85.7
GTEX-W5X1-2526-SM-3GILC 40-49 years, female 85.7
GTEX-1LVA9-2626-SM-EVYD4 50-59 years, male 85.7
GTEX-17F97-2626-SM-7IGM5 50-59 years, male 85.5
GTEX-14PJ5-1526-SM-6LLIL 60-69 years, female 85.4
GTEX-1JK1U-0226-SM-ARZMX 60-69 years, male 85.0
GTEX-13D11-0926-SM-5J2NC 50-59 years, female 84.8
GTEX-1JN76-0626-SM-CKZOQ 20-29 years, female 84.7
GTEX-14PKU-0126-SM-6LLHV 40-49 years, female 84.6
GTEX-1B8L1-2226-SM-7P8PT 60-69 years, male 84.6
GTEX-1QP2A-1726-SM-E76QC 50-59 years, male 84.4
GTEX-1C2JI-1026-SM-73KY1 50-59 years, male 83.7
GTEX-1S5ZU-2526-SM-E6CIF 20-29 years, female 83.7
GTEX-13QJC-0126-SM-5ZZWJ 60-69 years, female 83.2
GTEX-1CB4J-1326-SM-7P8RX 60-69 years, male 83.2
GTEX-147F4-0726-SM-5TDDD 50-59 years, male 82.4
GTEX-1399U-1126-SM-5L3DB 50-59 years, female 81.8
GTEX-1B8KE-1126-SM-7EPHI 50-59 years, male 81.6
GTEX-1JMQJ-0826-SM-CNPP7 50-59 years, male 81.6
GTEX-1BAJH-2426-SM-7IGP8 70-79 years, male 81.4
GTEX-145LU-1926-SM-79OJN 50-59 years, male 81.2
GTEX-1KAFJ-0126-SM-DIPEK 50-59 years, male 80.9
GTEX-13OW5-2326-SM-5L3HO 60-69 years, male 80.5
GTEX-1CB4E-0926-SM-7EPHT 60-69 years, male 80.2
GTEX-1GN1U-0626-SM-9MQL9 50-59 years, female 80.2
GTEX-13O61-1426-SM-5KM3D 60-69 years, male 80.0
GTEX-183WM-0326-SM-72D5V 70-79 years, female 80.0
GTEX-11OF3-0126-SM-5PNYF 60-69 years, male 79.9
GTEX-1JMPY-0226-SM-CKZOK 30-39 years, male 79.8
GTEX-14A6H-2026-SM-5Q5DD 30-39 years, male 79.6
GTEX-WFG7-2026-SM-5SI7P 20-29 years, male 79.5
GTEX-11WQK-1026-SM-5EQLX 50-59 years, male 79.3
GTEX-WI4N-2726-SM-3LK7Y 40-49 years, female 79.3
GTEX-1HBPI-2126-SM-ARL9K 50-59 years, male 79.3
GTEX-1H3VE-0726-SM-9YFL5 40-49 years, male 78.6
GTEX-1NSGN-0726-SM-DTXEF 50-59 years, male 78.1
GTEX-139D8-1126-SM-5LU8W 30-39 years, female 78.0
GTEX-1J8QM-2426-SM-A9SLS 60-69 years, female 78.0
GTEX-13O3Q-0126-SM-5KM34 50-59 years, male 77.7
GTEX-1LGRB-0926-SM-COH3K 50-59 years, female 76.8
GTEX-1269C-0126-SM-5EQ5L 60-69 years, female 76.2
GTEX-11WQC-1826-SM-5GU59 60-69 years, male 75.8
GTEX-139UW-0326-SM-5J1ML 60-69 years, male 75.8
GTEX-17F9Y-0126-SM-79OKX 70-79 years, female 75.2
GTEX-15G1A-1626-SM-7KUKN 30-39 years, male 75.1
GTEX-ZF29-0926-SM-4WKFZ 60-69 years, female 74.7
GTEX-13YAN-0226-SM-5TDC6 60-69 years, male 73.8
GTEX-145MH-2826-SM-5RQJF 50-59 years, male 73.6
GTEX-14PJ6-2626-SM-6EU2T 60-69 years, female 73.2
GTEX-X585-2426-SM-46MW2 50-59 years, male 73.1
GTEX-1LB8K-0726-SM-D5OV2 50-59 years, male 73.1
GTEX-145MI-0626-SM-5SI8S 60-69 years, female 72.9
GTEX-14C38-0726-SM-5SI6M 50-59 years, male 71.6
GTEX-14E1K-2026-SM-7DUEI 50-59 years, male 71.4
GTEX-15FZZ-0526-SM-7KUGD 30-39 years, female 71.2
GTEX-1AYD5-2626-SM-7PBXY 50-59 years, male 70.6
GTEX-144GM-0526-SM-79OJO 20-29 years, male 70.4
GTEX-1F52S-2926-SM-7MKGA 60-69 years, female 70.4
GTEX-1EKGG-0626-SM-7DUGJ 60-69 years, male 70.0
GTEX-ZY6K-1426-SM-5GZX2 50-59 years, male 69.9
GTEX-1HSKV-1226-SM-ADEI4 60-69 years, male 69.6
GTEX-ZYVF-0926-SM-5E44J 50-59 years, female 69.4
GTEX-ZPCL-1126-SM-4WWFE 60-69 years, female 68.5
GTEX-1QP28-1126-SM-EVYC4 50-59 years, female 68.3
GTEX-1122O-1026-SM-9WYSF 60-69 years, female 67.9
GTEX-13FTX-1526-SM-5K7VJ 20-29 years, female 67.6
GTEX-14PII-0726-SM-6EU2B 60-69 years, male 67.2
GTEX-YECK-0326-SM-4W1YS 60-69 years, male 66.6
GTEX-1B8SF-0126-SM-7DUG3 60-69 years, male 66.2
GTEX-1C6VR-0126-SM-7RHGB 60-69 years, male 66.1
GTEX-ZT9X-1526-SM-5DUXD 40-49 years, male 65.9
GTEX-ZF2S-1626-SM-57WES 50-59 years, female 65.3
GTEX-1OJC3-1226-SM-DTXER 20-29 years, male 65.3
GTEX-1GZ4H-0526-SM-9KNU9 50-59 years, female 65.0
GTEX-13JVG-0726-SM-5KM16 60-69 years, male 64.8
GTEX-13IVO-0726-SM-5LZYV 70-79 years, male 64.7
GTEX-1HSMQ-2626-SM-A9SML 50-59 years, male 63.4
GTEX-11GS4-0226-SM-5HL77 60-69 years, male 63.3
GTEX-1IKJJ-2226-SM-CJI4C 60-69 years, male 62.4
GTEX-1F88F-0126-SM-9WYSZ 60-69 years, female 62.1
GTEX-ZTX8-1326-SM-4YCEL 20-29 years, male 62.0
GTEX-ZE9C-2526-SM-5IJDR 60-69 years, male 61.8
GTEX-1HR9M-2226-SM-CNPPY 60-69 years, male 61.6
GTEX-ZVZP-1226-SM-5GID7 50-59 years, male 61.0
GTEX-111VG-1626-SM-5EGIO 60-69 years, male 60.9
GTEX-1JMQL-2226-SM-CNPP4 50-59 years, female 60.6
GTEX-1ICLZ-0326-SM-ARL82 60-69 years, male 60.2
GTEX-1C6VQ-1226-SM-73KYD 50-59 years, male 59.5
GTEX-14XAO-1226-SM-6EU1C 60-69 years, female 59.2
GTEX-1H1DE-1326-SM-9KNUG 20-29 years, male 59.2
GTEX-13FHO-0426-SM-5L3F5 60-69 years, male 59.0
GTEX-1PBJJ-1026-SM-E76OS 30-39 years, male 58.8
GTEX-13FTY-2126-SM-5IFFB 40-49 years, female 58.3
GTEX-1GN73-0726-SM-7P8TJ 60-69 years, male 58.2
GTEX-1AMFI-1326-SM-7939R 50-59 years, female 58.0
GTEX-1J8Q2-2626-SM-ACKWQ 60-69 years, male 58.0
GTEX-Y114-2126-SM-4TT8B 50-59 years, female 57.4
GTEX-1GF9X-1326-SM-7PC2Y 40-49 years, female 56.9
GTEX-14C39-1726-SM-5RQIL 40-49 years, male 56.5
GTEX-1HCU7-0726-SM-A9SL1 50-59 years, male 55.1
GTEX-1H2FU-0926-SM-9WPPT 60-69 years, female 54.9
GTEX-1IKOE-1426-SM-CE6T7 30-39 years, female 54.9
GTEX-1H3O1-1326-SM-9MQLD 60-69 years, male 54.3
GTEX-1399S-0126-SM-5IJCF 30-39 years, female 54.2
GTEX-Y111-0626-SM-4SOIT 50-59 years, male 53.2
GTEX-1HBPM-0726-SM-9YFL7 60-69 years, female 52.8
GTEX-148VJ-0626-SM-5LUAW 70-79 years, male 52.6
GTEX-12WSJ-1126-SM-5LZVJ 40-49 years, female 52.3
GTEX-1CAMS-2226-SM-7PBXQ 40-49 years, female 52.0
GTEX-1399Q-2326-SM-5KM2X 40-49 years, male 51.9
GTEX-13SLW-0626-SM-5Q5ER 70-79 years, male 51.8
GTEX-15SKB-2826-SM-6PAMH 60-69 years, male 50.7
GTEX-11ZU8-0126-SM-5EQ58 60-69 years, male 50.0
GTEX-1EU9M-1426-SM-793AI 60-69 years, male 49.0
GTEX-144GL-0626-SM-5LU4D 50-59 years, male 48.8
GTEX-1I1GT-1026-SM-ARZLV 60-69 years, female 48.8
GTEX-16MT9-0126-SM-7EPI8 60-69 years, female 48.7
GTEX-1IE54-1126-SM-A9G2Z 40-49 years, female 48.0
GTEX-1J1OQ-0126-SM-D4P2N 40-49 years, female 47.6
GTEX-14PJ4-0226-SM-5YY92 60-69 years, male 47.1
GTEX-1R46S-2426-SM-E76QA 60-69 years, female 45.4
GTEX-13PL6-1126-SM-5L3IE 40-49 years, female 45.1
GTEX-144FL-0626-SM-5LU43 50-59 years, male 44.9
GTEX-1H11D-1826-SM-9QEHM 40-49 years, male 44.9
GTEX-1HT8W-0626-SM-A9G2H 30-39 years, male 44.4
GTEX-1EX96-1026-SM-7MKG2 50-59 years, male 43.8
GTEX-1GPI6-1926-SM-9KNV7 60-69 years, male 43.4
GTEX-1JJEA-1826-SM-ARU8P 60-69 years, male 42.9
GTEX-1MCYP-0526-SM-E9U6Q 20-29 years, female 41.9
GTEX-1OJC4-2726-SM-E76PJ 50-59 years, female 41.0
GTEX-ZYY3-2926-SM-5GIEB 60-69 years, female 40.0
GTEX-1NV5F-0626-SM-DTXEG 60-69 years, female 40.0
GTEX-WHSB-1326-SM-3LK6W 50-59 years, male 39.0
GTEX-13PDP-0726-SM-5L3HP 60-69 years, male 38.9
GTEX-1EMGI-2326-SM-7PBYA 60-69 years, male 38.8
GTEX-11PRG-0726-SM-5EGL1 50-59 years, male 38.0
GTEX-1J8EW-2726-SM-CY8HR 60-69 years, female 37.6
GTEX-1313W-0626-SM-5EQ4H 50-59 years, female 35.0
GTEX-1GN1V-2826-SM-9JGIA 60-69 years, male 22.3
Show allShow less
Skin - Sun Exposed (Lower leg)
Average nTPM: 145.8
Samples: 701

Max nTPM: 680.7
Min nTPM: 30.3
Std nTPM: 73.5
Median nTPM: 132.6
GTEX-SE5C-1626-SM-2XCE3 40-49 years, female 680.7
GTEX-146FR-1326-SM-E9J48 60-69 years, female 636.6
GTEX-1RAZQ-0726-SM-EAZ43 30-39 years, male 520.0
GTEX-1OJC4-0126-SM-E9J2E 50-59 years, female 492.9
GTEX-1GN1W-0526-SM-9MQJQ 50-59 years, female 445.6
GTEX-1HUB1-0426-SM-E9U4U 60-69 years, male 444.8
GTEX-147F4-0226-SM-5QGPW 50-59 years, male 433.2
GTEX-14JIY-0126-SM-6LLH6 60-69 years, male 430.3
GTEX-1AYCT-2426-SM-7IGQ3 50-59 years, male 421.0
GTEX-145LT-1726-SM-5QGP3 40-49 years, male 405.4
GTEX-1H1ZS-0426-SM-9WG6G 70-79 years, male 396.1
GTEX-1AYD5-2426-SM-73KXR 50-59 years, male 387.3
GTEX-139T4-0226-SM-5HL5S 50-59 years, female 384.5
GTEX-131XG-2626-SM-5KM17 50-59 years, female 363.6
GTEX-1I1HK-0126-SM-COH49 60-69 years, male 361.8
GTEX-11P7K-2126-SM-5GU7G 30-39 years, male 339.6
GTEX-11ZUS-0626-SM-59885 30-39 years, male 332.5
GTEX-1QCLY-0326-SM-E8VOG 30-39 years, male 328.7
GTEX-V1D1-2226-SM-3NMAX 50-59 years, male 328.2
GTEX-1QP67-1626-SM-EAZ3X 40-49 years, female 328.0
GTEX-ZUA1-0126-SM-5GU76 40-49 years, male 323.6
GTEX-ZEX8-2426-SM-4WKG4 50-59 years, male 323.3
GTEX-ZZPT-0226-SM-5E43X 50-59 years, male 318.8
GTEX-1F6I4-0126-SM-9MQL2 60-69 years, male 311.6
GTEX-1R9PO-2126-SM-E9J4O 60-69 years, female 310.3
GTEX-P4PQ-0126-SM-2S1NM 60-69 years, male 308.6
GTEX-1MGNQ-0126-SM-EVYCJ 40-49 years, male 300.7
GTEX-11GSP-2526-SM-5N9BP 60-69 years, female 294.2
GTEX-OXRL-0126-SM-2YUMP 50-59 years, male 294.1
GTEX-X62O-0126-SM-4E3JN 50-59 years, male 290.1
GTEX-117YW-2626-SM-5GZZH 50-59 years, male 282.7
GTEX-WH7G-2326-SM-3NMBC 40-49 years, male 279.2
GTEX-13OW7-0126-SM-5MR3B 50-59 years, male 276.0
GTEX-1RLM8-2326-SM-EWRN4 50-59 years, male 272.0
GTEX-1I19N-0326-SM-ACKVX 70-79 years, male 271.7
GTEX-1RQEC-0426-SM-E6CHU 60-69 years, male 269.4
GTEX-14BIL-0126-SM-5SI92 50-59 years, male 266.7
GTEX-ZF28-0126-SM-4WKGK 60-69 years, male 264.0
GTEX-1NHNU-1026-SM-E9J2A 50-59 years, male 263.8
GTEX-14BIM-0226-SM-7IGLD 60-69 years, female 261.8
GTEX-1AX9K-2326-SM-73KWU 50-59 years, male 259.1
GTEX-1F6IF-0726-SM-7P8TW 60-69 years, male 259.0
GTEX-U4B1-1826-SM-4DXSU 40-49 years, male 252.7
GTEX-15SDE-2226-SM-7IGLO 50-59 years, female 252.3
GTEX-1A3MV-1926-SM-718BT 30-39 years, male 252.1
GTEX-RTLS-0126-SM-447CA 60-69 years, female 251.5
GTEX-1N2DV-0226-SM-E6CJ6 40-49 years, male 249.7
GTEX-1PIGE-0126-SM-EVYBJ 20-29 years, male 249.4
GTEX-1LNCM-1126-SM-E9U5E 50-59 years, female 248.1
GTEX-1HBPH-0426-SM-B2LW5 40-49 years, female 248.0
GTEX-13W46-0226-SM-5SIAG 50-59 years, male 246.9
GTEX-1PPH7-2326-SM-EVYB8 40-49 years, male 245.7
GTEX-11H98-0126-SM-5EGHG 50-59 years, male 244.2
GTEX-15EOM-0126-SM-7KUGG 20-29 years, female 243.7
GTEX-11EMC-2926-SM-5EQ4F 60-69 years, female 243.5
GTEX-1EKGG-0226-SM-9WYTH 60-69 years, male 240.6
GTEX-1C2JI-1826-SM-73KXC 50-59 years, male 240.3
GTEX-1LG7Y-0526-SM-DKPQC 50-59 years, male 238.2
GTEX-1JMOU-1526-SM-CL54I 60-69 years, female 236.4
GTEX-SIU8-0126-SM-2XCDT 50-59 years, male 236.1
GTEX-139TT-0126-SM-5K7Y5 60-69 years, male 235.4
GTEX-RN64-0126-SM-2TC68 50-59 years, male 234.7
GTEX-14LLW-0126-SM-6LLIO 70-79 years, female 234.6
GTEX-13OW8-1326-SM-5J1OW 60-69 years, male 234.4
GTEX-S95S-1226-SM-4GICG 60-69 years, male 233.8
GTEX-Q734-1926-SM-2I5EV 40-49 years, female 233.2
GTEX-1QP29-0626-SM-EWRMX 50-59 years, male 230.1
GTEX-144GN-2326-SM-5LU4F 50-59 years, male 229.9
GTEX-17MF6-0126-SM-7LG4F 40-49 years, male 228.2
GTEX-1GTWX-0126-SM-9YFLK 60-69 years, male 227.6
GTEX-RUSQ-1526-SM-2TF62 50-59 years, male 227.1
GTEX-14PN3-2426-SM-6LLHS 60-69 years, female 225.1
GTEX-113IC-0126-SM-5HL6T 60-69 years, male 225.0
GTEX-1HSMP-0126-SM-E6CJS 70-79 years, male 224.5
GTEX-YEC4-2126-SM-5IFJH 40-49 years, male 220.1
GTEX-14A6H-0126-SM-5QGPK 30-39 years, male 219.5
GTEX-1ICG6-2526-SM-CGQFZ 70-79 years, female 218.7
GTEX-1HCVE-0126-SM-CGQEU 50-59 years, male 218.5
GTEX-1PBJI-0526-SM-E8VNK 20-29 years, female 217.7
GTEX-11ZU8-2526-SM-5EQKI 60-69 years, male 215.2
GTEX-1HKZK-0326-SM-9WYUH 40-49 years, male 214.8
GTEX-R55E-0126-SM-2TC5Y 20-29 years, male 214.4
GTEX-1C6WA-0126-SM-7PC2B 60-69 years, male 214.1
GTEX-14C5O-0126-SM-5SI6N 60-69 years, male 213.4
GTEX-11GS4-2726-SM-5A5LE 60-69 years, male 211.7
GTEX-U3ZM-1526-SM-3DB9D 40-49 years, male 211.7
GTEX-Y5V6-2426-SM-4VDSB 60-69 years, male 211.7
GTEX-13OVL-0226-SM-5L3E9 50-59 years, male 211.0
GTEX-13N1W-0126-SM-5K7VT 70-79 years, male 210.5
GTEX-1IDFM-0126-SM-COH2V 60-69 years, male 209.2
GTEX-14DAR-2026-SM-5S2O3 50-59 years, male 207.6
GTEX-R45C-0126-SM-EAZ2R 60-69 years, female 207.6
GTEX-12WSN-5019-SM-79OM6 40-49 years, male 206.8
GTEX-13VXT-0126-SM-5LU4I 20-29 years, female 206.7
GTEX-14BMU-2226-SM-5TDE9 20-29 years, female 206.3
GTEX-1AMEY-1326-SM-73KYK 30-39 years, female 206.2
GTEX-ZE9C-2726-SM-57WB5 60-69 years, male 206.2
GTEX-11DXX-2426-SM-5GZZW 60-69 years, female 206.0
GTEX-QCQG-1726-SM-3GIJ9 50-59 years, female 206.0
GTEX-1IGQW-0126-SM-COH42 60-69 years, male 205.7
GTEX-WZTO-0126-SM-3NM95 40-49 years, male 205.0
GTEX-X585-0226-SM-4QAS2 50-59 years, male 204.0
GTEX-13QJ3-0326-SM-5S2RA 50-59 years, male 203.9
GTEX-RWS6-2026-SM-2XCB5 60-69 years, female 202.6
GTEX-14E7W-0126-SM-6LLJ9 70-79 years, male 202.1
GTEX-13OVJ-0126-SM-5KM36 50-59 years, female 200.2
GTEX-XV7Q-2526-SM-4BRV9 40-49 years, female 199.8
GTEX-14PJ3-1826-SM-62LEX 50-59 years, male 198.9
GTEX-1M4P7-0226-SM-DIPEV 60-69 years, male 198.2
GTEX-R55G-2526-SM-2TC6D 40-49 years, female 198.0
GTEX-13O3O-0126-SM-E9J49 60-69 years, female 197.9
GTEX-1QP2A-0126-SM-E9J43 50-59 years, male 197.7
GTEX-13RTJ-2426-SM-5S2Q2 60-69 years, male 197.5
GTEX-11VI4-1726-SM-5CVLH 40-49 years, female 196.6
GTEX-17EVQ-0226-SM-7LG4P 70-79 years, male 195.6
GTEX-183FY-0126-SM-7LT9P 20-29 years, male 194.9
GTEX-QLQ7-1626-SM-2S1R8 60-69 years, male 194.9
GTEX-11EM3-2426-SM-59861 20-29 years, female 194.8
GTEX-15CHC-2126-SM-6EU21 60-69 years, female 194.8
GTEX-PWCY-1826-SM-DHXIZ 20-29 years, female 193.9
GTEX-11P82-1626-SM-59879 20-29 years, male 193.8
GTEX-1MCYP-1926-SM-E9J2R 20-29 years, female 193.8
GTEX-U3ZN-2326-SM-3DB7W 30-39 years, female 193.7
GTEX-13O21-1426-SM-5K7XI 50-59 years, male 193.0
GTEX-OXRO-0126-SM-2YUN4 60-69 years, female 192.7
GTEX-QLQW-1126-SM-2S1Q8 30-39 years, male 192.5
GTEX-1LC47-0326-SM-E9TJP 60-69 years, male 191.9
GTEX-1N2EF-0226-SM-EYYXB 60-69 years, male 191.6
GTEX-Q2AG-0126-SM-33HBV 40-49 years, female 191.2
GTEX-1KD5A-0226-SM-D5OV3 50-59 years, male 191.1
GTEX-1S82Y-2026-SM-EVYCM 40-49 years, male 190.7
GTEX-11TTK-0126-SM-5987B 60-69 years, female 189.9
GTEX-11ZTT-2426-SM-5EQLS 60-69 years, female 189.9
GTEX-1I1GU-2226-SM-CGQFA 40-49 years, male 189.5
GTEX-QEG4-0226-SM-2S1PY 30-39 years, male 189.3
GTEX-SUCS-1926-SM-32PM3 70-79 years, male 189.0
GTEX-14DAQ-0126-SM-5S2MQ 60-69 years, female 188.6
GTEX-ZAB4-0226-SM-5N9F5 40-49 years, male 188.3
GTEX-1QP66-1726-SM-E8VO1 50-59 years, male 187.4
GTEX-1F75I-0326-SM-9YFLU 40-49 years, male 186.8
GTEX-ZYW4-0126-SM-5E44A 60-69 years, male 186.0
GTEX-15SHU-0126-SM-7KUEH 40-49 years, female 185.8
GTEX-1I1GR-0126-SM-CL55F 60-69 years, male 184.9
GTEX-ZVT3-0126-SM-5GU6I 60-69 years, female 184.5
GTEX-ZDYS-2026-SM-5HL5L 50-59 years, male 184.3
GTEX-1HBPN-0226-SM-9YFM1 50-59 years, male 184.1
GTEX-1JJE9-0326-SM-CL53Z 70-79 years, male 184.1
GTEX-1HSEH-0126-SM-ACKXN 60-69 years, male 183.3
GTEX-ZF29-2326-SM-DO92K 60-69 years, female 182.7
GTEX-18A7B-0126-SM-7LG64 70-79 years, male 181.4
GTEX-1B8L1-2526-SM-9WYTF 60-69 years, male 180.9
GTEX-1RAZA-0126-SM-E6CI3 20-29 years, male 180.9
GTEX-RNOR-0126-SM-E9J4R 50-59 years, female 180.5
GTEX-O5YW-0126-SM-3LK6D 50-59 years, male 180.4
GTEX-1F75A-0126-SM-7RHGM 50-59 years, male 180.0
GTEX-1HCU6-0126-SM-CL54K 60-69 years, female 179.8
GTEX-X5EB-2226-SM-46MW4 40-49 years, male 179.6
GTEX-145LV-2126-SM-5LU8N 50-59 years, male 179.1
GTEX-14JG6-2226-SM-6EU2G 30-39 years, female 179.1
GTEX-1HCUA-2426-SM-ADEIS 50-59 years, female 178.7
GTEX-1I1GP-2226-SM-CGQFK 50-59 years, male 178.2
GTEX-11OC5-0126-SM-5HL6A 60-69 years, male 177.9
GTEX-X638-0126-SM-47JZ8 70-79 years, female 177.8
GTEX-11O72-0126-SM-59887 40-49 years, male 177.7
GTEX-15DYW-0126-SM-7KULE 60-69 years, female 177.1
GTEX-12C56-1726-SM-5EQ61 20-29 years, male 176.9
GTEX-17HII-0226-SM-7LG4E 50-59 years, male 176.8
GTEX-131YS-0126-SM-5KM1M 60-69 years, female 176.7
GTEX-11NSD-2226-SM-5986V 20-29 years, male 176.5
GTEX-QDT8-0126-SM-48TZ1 30-39 years, female 176.5
GTEX-1JMQK-0226-SM-CL543 60-69 years, male 176.5
GTEX-17F98-0626-SM-79OMX 40-49 years, female 176.1
GTEX-1MCQQ-0826-SM-DLHC2 60-69 years, male 175.5
GTEX-12WSL-2526-SM-5GCNJ 50-59 years, male 175.2
GTEX-18A67-0126-SM-7LG5P 50-59 years, male 174.5
GTEX-XUW1-0426-SM-4BOOT 50-59 years, female 174.4
GTEX-ZE7O-0126-SM-57WC1 50-59 years, female 174.4
GTEX-XYKS-2126-SM-4E3IB 60-69 years, female 174.2
GTEX-147F3-0526-SM-5SI98 50-59 years, female 174.1
GTEX-11DXW-0226-SM-5H122 40-49 years, male 173.7
GTEX-1CAMR-1926-SM-7EPI2 20-29 years, male 173.6
GTEX-14PJ6-2126-SM-6EU1V 60-69 years, female 173.1
GTEX-1R7EV-2426-SM-EVYBG 40-49 years, male 173.0
GTEX-131XF-5016-SM-7MGWE 60-69 years, male 172.6
GTEX-13NZA-0226-SM-5K7Z7 60-69 years, male 172.0
GTEX-1HSMO-0126-SM-CL547 60-69 years, male 172.0
GTEX-W5WG-1826-SM-4KL2Y 50-59 years, female 171.4
GTEX-PLZ4-0126-SM-5SI8O 50-59 years, female 171.2
GTEX-NFK9-0226-SM-2HMKQ 40-49 years, male 171.1
GTEX-1H1E6-1726-SM-ACKVK 30-39 years, male 171.1
GTEX-1JKYR-0126-SM-CNPOJ 20-29 years, male 170.4
GTEX-OIZG-0726-SM-33HBL 50-59 years, male 170.2
GTEX-11DZ1-0126-SM-5985Q 50-59 years, male 169.0
GTEX-1314G-1526-SM-5EGK2 30-39 years, male 168.8
GTEX-1A32A-0126-SM-718B1 50-59 years, female 168.6
GTEX-1QW4Y-1526-SM-EAZ3Z 30-39 years, male 168.2
GTEX-1IY9M-0126-SM-D3L8S 60-69 years, male 167.8
GTEX-13O3Q-2426-SM-5IJBR 50-59 years, male 167.5
GTEX-P4PP-0126-SM-3LK69 30-39 years, female 167.4
GTEX-1JMPY-1326-SM-ARL8Y 30-39 years, male 167.3
GTEX-13FHO-0226-SM-5IFGY 60-69 years, male 167.2
GTEX-14BMV-0126-SM-5S2PO 50-59 years, male 167.2
GTEX-15D1Q-0126-SM-7KUG6 40-49 years, male 167.2
GTEX-X4EO-0326-SM-3P5YO 60-69 years, female 167.1
GTEX-13NYB-2526-SM-5K7Z6 40-49 years, male 166.9
GTEX-12WSD-0126-SM-59HKN 60-69 years, female 166.2
GTEX-13W3W-2426-SM-5LU5B 60-69 years, female 165.4
GTEX-Y8LW-1826-SM-5S2MV 50-59 years, female 165.4
GTEX-14753-0426-SM-5NQAM 60-69 years, male 164.9
GTEX-145MO-0326-SM-5Q5B3 60-69 years, male 164.3
GTEX-1LSNM-1926-SM-E6CII 50-59 years, male 164.3
GTEX-13OVI-1426-SM-5L3EY 60-69 years, female 163.9
GTEX-TMMY-0226-SM-33HBA 40-49 years, female 163.8
GTEX-YJ8A-0426-SM-5IFID 20-29 years, male 163.5
GTEX-12ZZX-0126-SM-5EGK9 40-49 years, female 162.7
GTEX-15DCD-0126-SM-7KUEK 70-79 years, female 162.2
GTEX-16NGA-1726-SM-731B4 40-49 years, female 161.8
GTEX-Q2AI-1326-SM-2S1PL 40-49 years, male 161.7
GTEX-1I1GS-0126-SM-B2LVW 60-69 years, male 161.6
GTEX-16MT8-0426-SM-7KUEY 60-69 years, female 161.5
GTEX-S33H-1026-SM-EZ6L6 30-39 years, male 161.5
GTEX-14PK6-1926-SM-6ETZU 70-79 years, female 161.1
GTEX-1B933-0126-SM-7PC29 50-59 years, female 160.6
GTEX-UPJH-0326-SM-3GADU 50-59 years, male 160.4
GTEX-PLZ5-2026-SM-2S1O4 50-59 years, male 160.0
GTEX-139T8-0126-SM-5K7XZ 60-69 years, male 159.6
GTEX-NPJ8-0126-SM-2YUNR 40-49 years, male 159.5
GTEX-OOBK-0126-SM-2YUND 40-49 years, male 159.3
GTEX-13X6J-0126-SM-5QGOU 50-59 years, male 159.1
GTEX-17EUY-0426-SM-793BD 20-29 years, male 159.1
GTEX-1GN1V-0126-SM-9WPOS 60-69 years, male 158.4
GTEX-Z93S-0126-SM-5HL7M 50-59 years, male 158.3
GTEX-U3ZH-2026-SM-3DB78 30-39 years, male 158.1
GTEX-ZDXO-3026-SM-5J1N5 60-69 years, male 157.8
GTEX-146FH-0126-SM-5QGPP 50-59 years, female 157.5
GTEX-14PHW-0126-SM-6LLJI 60-69 years, female 157.5
GTEX-11LCK-1026-SM-5A5KB 30-39 years, male 157.4
GTEX-WVJS-0126-SM-4MVOT 50-59 years, male 157.2
GTEX-1CB4J-0626-SM-7DHMP 60-69 years, male 156.7
GTEX-ZQUD-1426-SM-57WER 30-39 years, male 156.6
GTEX-13IVO-0126-SM-5J1NG 70-79 years, male 156.4
GTEX-13O1R-0126-SM-5L3EH 60-69 years, male 156.1
GTEX-1399U-2326-SM-5K7WY 50-59 years, female 155.9
GTEX-S7PM-0126-SM-4AD6S 60-69 years, male 155.9
GTEX-ZDTS-0126-SM-4WAY5 60-69 years, male 155.9
GTEX-13FTY-0526-SM-5L3EV 40-49 years, female 155.8
GTEX-1F88F-2726-SM-7PBZZ 60-69 years, female 155.6
GTEX-Z9EW-1626-SM-5CVMN 40-49 years, male 155.3
GTEX-16XZZ-0126-SM-793DV 60-69 years, male 155.2
GTEX-16XZY-2126-SM-79OK1 70-79 years, male 154.4
GTEX-1CAMQ-0226-SM-7IGPK 40-49 years, male 154.3
GTEX-17F97-0326-SM-7LG5B 50-59 years, male 154.2
GTEX-XAJ8-0826-SM-47JY6 40-49 years, male 154.1
GTEX-TMZS-0126-SM-3DB9Q 60-69 years, male 154.0
GTEX-PLZ6-1426-SM-DKPOT 30-39 years, male 153.5
GTEX-OHPM-0126-SM-2YUN9 50-59 years, male 153.1
GTEX-1H3NZ-0126-SM-ACKX7 60-69 years, male 152.9
GTEX-11TT1-2526-SM-5EGIB 20-29 years, male 152.7
GTEX-13RTK-1426-SM-5QGQJ 20-29 years, male 152.6
GTEX-12126-0326-SM-5PNW3 20-29 years, male 152.5
GTEX-16YQH-0126-SM-7DUFJ 30-39 years, male 152.0
GTEX-1F48J-0126-SM-7P8TT 50-59 years, female 151.9
GTEX-1J1R8-1726-SM-ARL8M 40-49 years, male 151.9
GTEX-11NUK-0126-SM-5A5L3 50-59 years, male 151.7
GTEX-15RIG-0226-SM-7KFTL 40-49 years, male 151.4
GTEX-1H1DE-2126-SM-9WG6R 20-29 years, male 151.3
GTEX-1A3MW-0126-SM-73KXX 60-69 years, female 151.1
GTEX-1GPI7-0126-SM-9MQL8 20-29 years, male 150.8
GTEX-1R46S-0626-SM-E9J41 60-69 years, female 150.8
GTEX-11GSO-2426-SM-5A5LY 60-69 years, male 150.5
GTEX-131XW-0426-SM-5LZWP 50-59 years, female 150.3
GTEX-14ABY-0226-SM-5TDCQ 50-59 years, male 149.9
GTEX-1GN73-0226-SM-9WG67 60-69 years, male 149.3
GTEX-1AX8Z-0126-SM-7DHM6 60-69 years, male 149.2
GTEX-1C6VQ-0126-SM-7P8RI 50-59 years, male 149.2
GTEX-1I1CD-0126-SM-CM2TK 60-69 years, female 148.8
GTEX-18A7A-0226-SM-718BH 50-59 years, female 148.6
GTEX-1F7RK-0126-SM-7PC2S 20-29 years, female 148.6
GTEX-13PVR-2326-SM-5QGR1 60-69 years, female 148.5
GTEX-1K2DU-2326-SM-E9TIV 20-29 years, male 148.5
GTEX-1H3O1-0426-SM-9YFKY 60-69 years, male 148.0
GTEX-YB5K-2126-SM-4WWDJ 40-49 years, female 147.8
GTEX-1MA7X-2226-SM-E6CIY 60-69 years, male 147.5
GTEX-RVPV-0126-SM-EAZAW 60-69 years, male 147.5
GTEX-139TU-0126-SM-5K7WH 60-69 years, male 147.2
GTEX-Y3I4-2126-SM-4TT7C 50-59 years, male 147.1
GTEX-1H3VY-0126-SM-ACKXD 50-59 years, male 146.9
GTEX-14ICK-0226-SM-6EU25 40-49 years, male 146.7
GTEX-111VG-2426-SM-5GZXD 60-69 years, male 146.5
GTEX-11ZVC-2526-SM-5FQTE 50-59 years, female 146.5
GTEX-SJXC-0126-SM-2XCFF 60-69 years, male 146.4
GTEX-PW2O-1526-SM-7RHHB 20-29 years, male 145.1
GTEX-1313W-0126-SM-5LZUN 50-59 years, female 145.0
GTEX-169BO-1326-SM-9MQK2 50-59 years, male 144.9
GTEX-13N11-2526-SM-5K7UE 50-59 years, female 144.6
GTEX-ZDTT-2726-SM-4WKF8 60-69 years, male 144.2
GTEX-18A66-0226-SM-718BD 60-69 years, male 143.9
GTEX-OXRK-0226-SM-3NB2G 50-59 years, female 143.9
GTEX-RU72-0926-SM-2TF6B 50-59 years, female 143.8
GTEX-11WQC-2526-SM-5CVLE 60-69 years, male 143.7
GTEX-1HFI6-0226-SM-ADEHZ 40-49 years, male 143.7
GTEX-ZTPG-0326-SM-5O9AX 20-29 years, female 143.6
GTEX-1A8FM-0226-SM-7SB7Q 50-59 years, female 143.4
GTEX-148VJ-0126-SM-5TDDN 70-79 years, male 143.1
GTEX-QDVJ-1726-SM-2I5FX 50-59 years, male 142.8
GTEX-12ZZY-0226-SM-5LZVE 60-69 years, male 142.5
GTEX-18D9B-0526-SM-7LTAS 60-69 years, male 142.2
GTEX-1399T-2826-SM-5KLYZ 60-69 years, male 142.1
GTEX-WRHK-1426-SM-3MJF9 20-29 years, female 141.8
GTEX-1497J-2426-SM-7IGNX 60-69 years, male 141.7
GTEX-U8T8-0126-SM-3DB94 60-69 years, male 141.2
GTEX-1S82Z-0826-SM-E6CHY 30-39 years, female 141.2
GTEX-1JKYN-1326-SM-CGQG9 30-39 years, male 141.1
GTEX-1CB4G-0226-SM-7PC3O 60-69 years, male 140.9
GTEX-1KWVE-1426-SM-E9TJO 30-39 years, male 140.8
GTEX-1S5ZA-0126-SM-EVYCV 20-29 years, male 140.4
GTEX-1GPI6-0126-SM-9WG69 60-69 years, male 140.3
GTEX-14E6C-0126-SM-5RQIP 40-49 years, male 140.2
GTEX-1IKK5-0626-SM-ARL8A 60-69 years, male 140.2
GTEX-18QFQ-0126-SM-731BE 30-39 years, male 140.1
GTEX-139D8-0226-SM-5KLZO 30-39 years, female 139.9
GTEX-WOFL-0126-SM-3MJG2 60-69 years, male 139.9
GTEX-148VI-1626-SM-5SI6E 60-69 years, female 139.7
GTEX-17HHE-2026-SM-79OKF 50-59 years, male 139.5
GTEX-1GZ2Q-0226-SM-7P8TL 40-49 years, male 139.3
GTEX-1C64O-0126-SM-7SB8P 60-69 years, male 139.1
GTEX-13FH7-2026-SM-E9J4I 50-59 years, female 138.6
GTEX-1HCU8-0626-SM-A9SM9 60-69 years, female 138.6
GTEX-1JK1U-2026-SM-CM2RZ 60-69 years, male 138.3
GTEX-17HHY-0126-SM-7LG5D 50-59 years, male 138.0
GTEX-WY7C-2326-SM-3NB2U 50-59 years, male 137.9
GTEX-1MUQO-0126-SM-EAZ58 60-69 years, male 137.9
GTEX-X4EP-0126-SM-3P5YV 60-69 years, female 137.6
GTEX-XQ8I-0426-SM-4BOPO 50-59 years, male 137.5
GTEX-132NY-0326-SM-5IJBL 60-69 years, male 137.2
GTEX-13FTX-1826-SM-5J1NX 20-29 years, female 137.1
GTEX-17HGU-0226-SM-7DHKV 50-59 years, male 136.7
GTEX-SNMC-1226-SM-2XCFP 20-29 years, male 136.7
GTEX-1128S-2326-SM-5GZZY 60-69 years, female 136.6
GTEX-113JC-2326-SM-5EQ4E 50-59 years, female 136.5
GTEX-13OVG-1926-SM-5L3DK 60-69 years, male 136.4
GTEX-13NZ8-0826-SM-5MR3I 60-69 years, female 136.0
GTEX-1H1DG-0126-SM-9WYU2 70-79 years, male 135.8
GTEX-15SHW-0326-SM-6PAML 60-69 years, male 135.4
GTEX-1211K-2026-SM-5EQ4Z 60-69 years, female 135.1
GTEX-RM2N-1426-SM-2TF4H 50-59 years, male 135.1
GTEX-1J8Q3-1626-SM-CMKGC 60-69 years, male 133.6
GTEX-XMD2-0126-SM-4YCDU 60-69 years, female 133.1
GTEX-YFC4-0126-SM-5CVLY 40-49 years, female 132.9
GTEX-OHPL-0126-SM-2HMJ7 60-69 years, female 132.8
GTEX-1GF9U-2126-SM-7SB7L 40-49 years, female 132.6
GTEX-1HFI7-1826-SM-ACKXH 50-59 years, female 132.2
GTEX-13VXU-0126-SM-5SI9F 50-59 years, male 131.3
GTEX-VJWN-0126-SM-3GIK7 50-59 years, female 131.3
GTEX-147GR-0526-SM-5S2MY 60-69 years, male 131.0
GTEX-1QEPI-0126-SM-EWRMQ 60-69 years, female 130.9
GTEX-X8HC-0126-SM-4E3JW 50-59 years, female 130.7
GTEX-13CF2-2526-SM-5LZYX 60-69 years, male 130.6
GTEX-ZVT2-2526-SM-51MT1 50-59 years, female 130.0
GTEX-13RTL-0126-SM-7LG5S 40-49 years, male 129.8
GTEX-1HGF4-2426-SM-ACKXM 60-69 years, male 129.4
GTEX-1IKOH-0226-SM-COH4E 60-69 years, female 129.3
GTEX-13X6I-0626-SM-5QGP9 60-69 years, male 129.0
GTEX-ZYY3-0126-SM-5GZY5 60-69 years, female 128.9
GTEX-P44H-0226-SM-2XCEU 40-49 years, male 128.8
GTEX-ZY6K-1826-SM-5GZXK 50-59 years, male 128.7
GTEX-ZPIC-1726-SM-DHXIU 40-49 years, female 128.7
GTEX-1AX9I-0126-SM-7SB74 60-69 years, male 128.5
GTEX-145MF-0626-SM-5LUAI 50-59 years, male 128.3
GTEX-1269C-2526-SM-5EGJ3 60-69 years, female 128.0
GTEX-WYJK-0126-SM-3NMAB 50-59 years, male 127.8
GTEX-1AMFI-2026-SM-731BH 50-59 years, female 127.3
GTEX-13OVK-2026-SM-7KUEO 40-49 years, male 127.1
GTEX-1EU9M-0226-SM-7P8SP 60-69 years, male 127.1
GTEX-11XUK-2026-SM-5EQLF 40-49 years, female 126.7
GTEX-WXYG-2326-SM-4E3I6 50-59 years, female 126.7
GTEX-1B8KZ-2026-SM-7DHMB 50-59 years, male 126.5
GTEX-SN8G-0126-SM-32PLI 50-59 years, female 126.5
GTEX-15UKP-0426-SM-7KUFQ 20-29 years, male 126.3
GTEX-14E6D-0126-SM-62LDV 50-59 years, male 125.8
GTEX-OXRP-0126-SM-3NB32 60-69 years, female 125.7
GTEX-1KANA-0726-SM-D3L9I 20-29 years, male 125.3
GTEX-1GN1U-0126-SM-7PBZK 50-59 years, female 125.0
GTEX-18465-0126-SM-731BN 50-59 years, male 124.8
GTEX-1LBAC-0126-SM-DIPEZ 20-29 years, male 124.1
GTEX-1H23P-0126-SM-ADEJ3 60-69 years, male 123.9
GTEX-QV44-1926-SM-2S1RF 50-59 years, male 123.7
GTEX-1PPH8-0226-SM-E8VND 20-29 years, male 123.7
GTEX-146FQ-0126-SM-5NQA9 30-39 years, male 123.5
GTEX-ZC5H-0226-SM-4WAY9 40-49 years, female 123.1
GTEX-ZVE2-0226-SM-59HJB 50-59 years, male 123.1
GTEX-1KD4Q-0226-SM-E9TJ9 40-49 years, male 123.0
GTEX-1ICLY-0126-SM-D4P36 50-59 years, male 122.8
GTEX-11DXY-2626-SM-5GIE7 60-69 years, male 122.6
GTEX-1S3DN-2226-SM-EVYCD 50-59 years, male 122.6
GTEX-12ZZZ-0626-SM-5DUXI 60-69 years, male 122.3
GTEX-13SLX-0526-SM-5S2ON 50-59 years, female 122.2
GTEX-1E1VI-0126-SM-7DHMZ 50-59 years, male 121.9
GTEX-1IL2V-0126-SM-CM2TX 70-79 years, male 121.6
GTEX-14PN4-0126-SM-6EU2V 50-59 years, male 121.5
GTEX-1EWIQ-0126-SM-7RHH2 70-79 years, female 121.3
GTEX-WYVS-2126-SM-3NMA3 40-49 years, female 121.0
GTEX-1192W-2626-SM-5Q5AF 60-69 years, male 120.8
GTEX-14PJM-0226-SM-62LF1 50-59 years, female 120.8
GTEX-ZU9S-0226-SM-5E441 30-39 years, male 120.6
GTEX-13NZB-2526-SM-5J1OM 30-39 years, male 120.2
GTEX-16NPX-0226-SM-79OMT 50-59 years, male 120.2
GTEX-1A3MX-0126-SM-731BR 60-69 years, male 120.1
GTEX-T8EM-1026-SM-3DB7M 40-49 years, male 120.1
GTEX-1POEN-0126-SM-EYYXJ 30-39 years, female 120.1
GTEX-1C6VS-0526-SM-7DUEN 60-69 years, male 119.9
GTEX-RWSA-0126-SM-2XCBB 40-49 years, male 119.7
GTEX-X261-0126-SM-3NMD6 50-59 years, male 119.7
GTEX-15SB6-1726-SM-6PAME 50-59 years, female 119.6
GTEX-1J8QM-2126-SM-CYPSJ 60-69 years, female 119.6
GTEX-1GMRU-0126-SM-9YFLV 50-59 years, male 119.2
GTEX-ZVT4-0126-SM-DTXFN 50-59 years, female 118.9
GTEX-12WSG-2826-SM-E9J4H 50-59 years, female 118.8
GTEX-117YX-2326-SM-5H12W 50-59 years, male 118.7
GTEX-Q2AH-1626-SM-3GAF8 40-49 years, male 118.3
GTEX-T2IS-0126-SM-4DM6O 20-29 years, female 118.2
GTEX-Y111-0126-SM-4SOIV 50-59 years, male 118.2
GTEX-11EQ9-2426-SM-5HL5T 30-39 years, male 118.1
GTEX-11UD1-0126-SM-5PNYG 40-49 years, female 118.1
GTEX-17MFQ-1726-SM-793C7 20-29 years, male 117.8
GTEX-1HSMQ-1226-SM-CGQFX 50-59 years, male 117.6
GTEX-12696-2426-SM-5EQ6H 60-69 years, male 117.4
GTEX-13U4I-0126-SM-5LU38 40-49 years, female 117.4
GTEX-1HBPI-1526-SM-C1YQ1 50-59 years, male 117.4
GTEX-TSE9-0126-SM-3DB83 60-69 years, female 116.6
GTEX-1F5PK-2426-SM-7RHHY 50-59 years, male 116.6
GTEX-15ETS-0126-SM-7KUMW 40-49 years, female 116.4
GTEX-1J8Q2-0526-SM-CM2RW 60-69 years, male 116.2
GTEX-1LGOU-2026-SM-DIPFF 20-29 years, female 116.2
GTEX-1LGRB-2526-SM-CNPPQ 50-59 years, female 116.2
GTEX-R3RS-0126-SM-3GIJL 40-49 years, female 116.1
GTEX-ZAB5-1826-SM-5HL7C 50-59 years, male 116.1
GTEX-TML8-1926-SM-32QOS 40-49 years, female 115.6
GTEX-Y8DK-0126-SM-4TT3L 60-69 years, male 115.5
GTEX-1H2FU-0126-SM-9WYSI 60-69 years, female 115.5
GTEX-13S7M-0126-SM-5SI6A 60-69 years, female 115.4
GTEX-ZXES-1826-SM-5E43S 30-39 years, female 115.1
GTEX-XBED-2226-SM-47JYQ 60-69 years, male 114.8
GTEX-12584-0126-SM-5EGKQ 40-49 years, male 114.2
GTEX-1HR98-0126-SM-B2LWI 60-69 years, male 114.1
GTEX-15G19-0126-SM-6PANQ 60-69 years, male 113.6
GTEX-1NV5F-0226-SM-E8VNY 60-69 years, female 113.2
GTEX-Y5LM-1926-SM-5RQJH 40-49 years, female 113.1
GTEX-145MN-2226-SM-5SIAU 30-39 years, male 113.0
GTEX-1E2YA-0126-SM-9KNUC 50-59 years, male 112.9
GTEX-QVJO-1626-SM-2S1QW 60-69 years, female 112.8
GTEX-U412-0426-SM-3DB9O 60-69 years, male 112.6
GTEX-ZAK1-0126-SM-5IJD3 50-59 years, female 112.6
GTEX-1IE54-0126-SM-CMKHW 40-49 years, female 112.3
GTEX-OOBJ-0126-SM-E6CJW 60-69 years, male 112.1
GTEX-14A5I-0126-SM-5TDEA 50-59 years, female 112.0
GTEX-1192X-0226-SM-5H12D 50-59 years, male 111.9
GTEX-U8XE-0326-SM-3DB8P 30-39 years, male 111.6
GTEX-TKQ1-1026-SM-4GICL 30-39 years, male 111.2
GTEX-PWO3-1526-SM-48TCM 60-69 years, female 111.1
GTEX-ZGAY-0526-SM-4WWBB 40-49 years, female 110.9
GTEX-13SLW-0126-SM-5SI6C 70-79 years, male 110.8
GTEX-Z93T-0126-SM-5HL5N 50-59 years, male 110.6
GTEX-1CAV2-2226-SM-7P8P2 40-49 years, female 110.4
GTEX-1LH75-2426-SM-E9TJE 50-59 years, female 110.4
GTEX-1AX9J-0226-SM-73KXM 60-69 years, male 110.3
GTEX-1I6K6-0126-SM-A9SLE 30-39 years, male 110.0
GTEX-14BIN-0626-SM-793DP 50-59 years, female 109.8
GTEX-145ME-1826-SM-5SI9G 40-49 years, female 109.6
GTEX-ZQG8-1626-SM-DHXIT 60-69 years, female 109.2
GTEX-X4XY-0226-SM-4E3IZ 60-69 years, male 108.6
GTEX-1GZ4H-1726-SM-7PBZJ 50-59 years, female 108.6
GTEX-18D9U-0226-SM-718BP 40-49 years, male 108.1
GTEX-131XH-2226-SM-5DUXJ 50-59 years, male 108.0
GTEX-1N2DW-0226-SM-E9TK2 50-59 years, male 107.9
GTEX-1PFEY-1526-SM-E76PP 30-39 years, male 107.9
GTEX-11ZTS-0126-SM-5EQ6M 60-69 years, female 107.8
GTEX-1CB4F-0426-SM-9KNV4 60-69 years, male 107.8
GTEX-145LU-0126-SM-5TDCB 50-59 years, male 107.1
GTEX-15DDE-0126-SM-6LPKH 50-59 years, female 106.4
GTEX-1GF9V-0326-SM-7RHI5 60-69 years, male 106.3
GTEX-T6MO-1626-SM-32QOM 40-49 years, female 105.7
GTEX-1R7EU-0226-SM-EVR4G 60-69 years, male 105.7
GTEX-ZYFC-0226-SM-5NQ75 50-59 years, male 105.4
GTEX-1IDJF-0126-SM-CM2RS 20-29 years, male 105.3
GTEX-12WSJ-1826-SM-5GCNY 40-49 years, female 105.0
GTEX-11P81-2326-SM-59875 30-39 years, female 104.8
GTEX-1B996-0226-SM-7RHGO 60-69 years, male 104.7
GTEX-OIZF-0126-SM-7SB8I 60-69 years, male 104.5
GTEX-13D11-2426-SM-5KM1V 50-59 years, female 104.3
GTEX-XUYS-0126-SM-47JWZ 50-59 years, male 104.2
GTEX-WQUQ-0426-SM-3MJFU 60-69 years, male 103.9
GTEX-1J1OQ-0226-SM-CYPSH 40-49 years, female 103.9
GTEX-XXEK-2226-SM-4BRUM 50-59 years, male 103.5
GTEX-1JN1M-0326-SM-CYPT3 60-69 years, female 103.4
GTEX-ZYFD-0126-SM-5GIDL 50-59 years, male 103.0
GTEX-13CF3-2426-SM-5IFGX 60-69 years, female 102.5
GTEX-1F75B-0126-SM-9KNVL 50-59 years, male 102.3
GTEX-131XE-2326-SM-5PNZ2 50-59 years, male 102.2
GTEX-ZAJG-0126-SM-5HL94 50-59 years, female 102.0
GTEX-13PDP-0126-SM-5L3HD 60-69 years, male 101.9
GTEX-1BAJH-0526-SM-793CQ 70-79 years, male 101.8
GTEX-1JN76-0126-SM-CNPPE 20-29 years, female 101.6
GTEX-16BQI-0226-SM-7KUEX 30-39 years, female 101.5
GTEX-14LZ3-0226-SM-62LET 60-69 years, female 101.4
GTEX-1HBPM-0226-SM-ARL9F 60-69 years, female 100.8
GTEX-SSA3-0126-SM-32QPU 60-69 years, male 100.4
GTEX-XBEW-0626-SM-4QASP 40-49 years, male 100.3
GTEX-13OW6-0426-SM-5L3HM 50-59 years, male 100.1
GTEX-1QP9N-1426-SM-DTXFL 30-39 years, male 100.1
GTEX-1I1GV-0526-SM-A9G29 60-69 years, male 99.8
GTEX-14A5H-0426-SM-5QGQF 60-69 years, male 99.6
GTEX-1EN7A-0126-SM-7SB81 40-49 years, male 99.5
GTEX-13113-5016-SM-7EPIP 60-69 years, female 99.1
GTEX-14JG1-0426-SM-6ETZZ 40-49 years, male 99.0
GTEX-1HSKV-0226-SM-A9SKJ 60-69 years, male 98.9
GTEX-1IDJU-2626-SM-CM2RT 60-69 years, female 98.9
GTEX-1O97I-0326-SM-EYYX7 60-69 years, male 98.5
GTEX-1JMPZ-0226-SM-CNPP1 30-39 years, male 98.3
GTEX-W5X1-3026-SM-EAZAX 40-49 years, female 98.2
GTEX-1H1CY-2826-SM-9MQM3 60-69 years, female 98.1
GTEX-ZVZP-2426-SM-59HKJ 50-59 years, male 97.8
GTEX-1H4P4-0726-SM-9YFLR 50-59 years, male 97.5
GTEX-1GMR3-1926-SM-9KNUZ 40-49 years, male 97.3
GTEX-13NYS-0126-SM-5MR3W 60-69 years, male 97.2
GTEX-1GL5R-1826-SM-9KNUY 50-59 years, male 97.2
GTEX-144FL-0126-SM-5TDC8 50-59 years, male 97.1
GTEX-1KAFJ-2026-SM-CY8ID 50-59 years, male 97.1
GTEX-17HG3-2226-SM-7938L 30-39 years, female 96.9
GTEX-1122O-2126-SM-5EGIR 60-69 years, female 96.8
GTEX-13O3P-0126-SM-5KM4S 50-59 years, male 96.4
GTEX-15UF6-0826-SM-6PALJ 70-79 years, female 96.0
GTEX-1J8EW-0126-SM-CJI4F 60-69 years, female 96.0
GTEX-QESD-1426-SM-2S1R9 20-29 years, male 95.8
GTEX-1JMQJ-0526-SM-CYPSU 50-59 years, male 95.7
GTEX-1399R-2726-SM-5IJBA 30-39 years, male 95.2
GTEX-139TS-2826-SM-5J1OO 60-69 years, male 95.1
GTEX-1H3VE-0326-SM-9YFLH 40-49 years, male 94.9
GTEX-111FC-0126-SM-5N9DL 60-69 years, male 94.8
GTEX-12WSK-2326-SM-5GCOH 40-49 years, female 94.7
GTEX-1K2DA-1826-SM-CGQGT 50-59 years, male 94.6
GTEX-1I4MK-2226-SM-ACKWD 50-59 years, female 94.5
GTEX-Y8E4-0626-SM-4WWDL 40-49 years, male 94.4
GTEX-14PHX-2326-SM-62LEM 50-59 years, male 94.3
GTEX-1PWST-0226-SM-E76QJ 70-79 years, male 94.3
GTEX-18A6Q-0126-SM-731BZ 60-69 years, male 94.1
GTEX-1B8KE-2126-SM-73KYX 50-59 years, male 94.0
GTEX-VJYA-1126-SM-3GIJU 60-69 years, male 93.7
GTEX-QDVN-2026-SM-3GAEP 50-59 years, male 93.6
GTEX-1RB15-2126-SM-E9TIM 60-69 years, male 93.6
GTEX-14PII-0226-SM-6EU1T 60-69 years, male 93.5
GTEX-VUSG-2526-SM-4KL1V 50-59 years, male 93.4
GTEX-1H11D-0226-SM-9WG6Z 40-49 years, male 93.4
GTEX-1J8JJ-0226-SM-CL53I 60-69 years, female 93.4
GTEX-T5JC-0426-SM-32PLO 20-29 years, male 92.8
GTEX-1EX96-1626-SM-7PBXR 50-59 years, male 92.7
GTEX-1GZHY-0326-SM-9QEHI 50-59 years, female 92.5
GTEX-13G51-2526-SM-5LZYK 60-69 years, male 92.4
GTEX-14XAO-2326-SM-6EU1B 60-69 years, female 92.4
GTEX-1F5PL-0326-SM-7P8PQ 40-49 years, female 92.3
GTEX-ZXG5-0126-SM-5GIEU 60-69 years, male 91.4
GTEX-1HCU7-0226-SM-CL545 50-59 years, male 91.3
GTEX-1CB4I-0226-SM-79OLH 50-59 years, male 91.0
GTEX-12KS4-0326-SM-5EQ41 30-39 years, male 90.5
GTEX-16AAH-1726-SM-7939C 50-59 years, male 90.2
GTEX-1GF9X-2026-SM-7PC3A 40-49 years, female 90.2
GTEX-16GPK-0126-SM-7DHLE 60-69 years, male 89.5
GTEX-1HT8W-0126-SM-CNPPP 30-39 years, male 89.5
GTEX-11EI6-0126-SM-5985R 60-69 years, male 89.3
GTEX-17F96-1626-SM-7DUFL 70-79 years, male 89.3
GTEX-1I1GT-0626-SM-CGQER 60-69 years, female 89.1
GTEX-13FTW-2626-SM-5K7WL 40-49 years, male 88.8
GTEX-11UD2-0226-SM-5EQKY 50-59 years, male 88.7
GTEX-133LE-1826-SM-5J1MV 20-29 years, female 88.5
GTEX-1KANB-0526-SM-E6CJH 50-59 years, male 88.5
GTEX-1F6RS-0126-SM-9MQKZ 60-69 years, female 88.1
GTEX-PVOW-0126-SM-2XCFA 40-49 years, male 87.9
GTEX-ZVTK-0426-SM-51MRS 20-29 years, male 87.6
GTEX-13112-2826-SM-5DUWH 50-59 years, male 87.5
GTEX-13OW5-0126-SM-DTXFS 60-69 years, male 87.5
GTEX-1QPFJ-0226-SM-E76PB 30-39 years, female 87.5
GTEX-1GN2E-0426-SM-9MQKX 60-69 years, male 87.4
GTEX-1C6VR-2426-SM-79OLD 60-69 years, male 87.3
GTEX-1OFPY-2426-SM-DTXEJ 60-69 years, male 87.2
GTEX-13X6H-2126-SM-7EWD5 50-59 years, female 87.1
GTEX-17KNJ-2326-SM-7DHLQ 50-59 years, male 86.6
GTEX-1B8SG-0126-SM-73KZ3 50-59 years, male 86.4
GTEX-1EMGI-0126-SM-9KNUE 60-69 years, male 86.4
GTEX-Y114-2426-SM-4TT8A 50-59 years, female 86.2
GTEX-YB5E-2026-SM-5IFIS 40-49 years, male 86.2
GTEX-12WSC-0126-SM-5EQ4P 50-59 years, male 85.2
GTEX-1JMQI-2226-SM-CM2SD 50-59 years, male 85.1
GTEX-1JMLX-0226-SM-CM2RO 50-59 years, male 84.9
GTEX-12WSA-0226-SM-5BC5V 60-69 years, male 84.7
GTEX-S7SE-0126-SM-2XCD5 50-59 years, male 84.5
GTEX-ZTSS-1926-SM-57WEW 40-49 years, male 84.4
GTEX-1K9T9-0126-SM-EVYCF 50-59 years, female 84.2
GTEX-X88G-0126-SM-47JZ3 30-39 years, male 84.0
GTEX-1CB4H-0226-SM-7PBXM 60-69 years, female 83.6
GTEX-1IKJJ-0126-SM-CNPQB 60-69 years, male 83.6
GTEX-17GQL-2026-SM-718BA 60-69 years, male 83.3
GTEX-1KXAM-2226-SM-CYPTC 60-69 years, male 82.7
GTEX-1ICLZ-0126-SM-CKZPO 60-69 years, male 82.6
GTEX-13N2G-2626-SM-5J1OT 60-69 years, male 82.2
GTEX-WI4N-1026-SM-3LK7N 40-49 years, female 81.7
GTEX-13FXS-0226-SM-5IJCK 50-59 years, male 81.4
GTEX-OIZH-0126-SM-2HMIS 50-59 years, male 81.1
GTEX-1IOXB-0126-SM-ARL8G 50-59 years, male 81.1
GTEX-ZYFG-2326-SM-5E44B 60-69 years, female 80.9
GTEX-14E6E-1826-SM-5S2R7 30-39 years, male 80.8
GTEX-O5YT-0126-SM-48TBW 20-29 years, male 80.8
GTEX-XQ3S-1526-SM-4BOOC 20-29 years, male 80.8
GTEX-1F52S-0126-SM-9MQJU 60-69 years, female 80.7
GTEX-15EU6-0426-SM-6PAN5 50-59 years, male 80.6
GTEX-11WQK-0526-SM-5EQLD 50-59 years, male 80.2
GTEX-1RDX4-0126-SM-E9J4P 50-59 years, female 79.9
GTEX-XPVG-2626-SM-4B669 50-59 years, male 79.8
GTEX-WFON-2126-SM-3LK7O 40-49 years, male 78.8
GTEX-13FHP-0126-SM-5IJBG 50-59 years, male 77.8
GTEX-11OF3-2626-SM-5GU7F 60-69 years, male 77.7
GTEX-1CAMS-0426-SM-7P8T2 40-49 years, female 76.8
GTEX-13YAN-0326-SM-5O9DF 60-69 years, male 76.6
GTEX-1JJ6O-0126-SM-E6CI8 60-69 years, male 76.5
GTEX-139UW-2826-SM-5L3E7 60-69 years, male 76.4
GTEX-1LB8K-0226-SM-EWRNW 50-59 years, male 75.5
GTEX-1C4CL-0526-SM-73KVK 30-39 years, male 75.3
GTEX-ZZ64-1726-SM-5GZYB 20-29 years, male 75.3
GTEX-PSDG-0226-SM-DKPOZ 50-59 years, male 75.3
GTEX-1HSGN-0226-SM-CGQFV 40-49 years, female 75.2
GTEX-X4XX-0126-SM-3NMC2 60-69 years, male 75.0
GTEX-Y3IK-2426-SM-4WWDU 50-59 years, female 75.0
GTEX-1JN6P-0126-SM-D3L98 60-69 years, male 74.6
GTEX-OXRN-0126-SM-48TDM 50-59 years, male 74.2
GTEX-1I1GQ-0126-SM-COH3H 50-59 years, male 74.2
GTEX-WFG8-2226-SM-3GIL9 20-29 years, male 74.1
GTEX-145LS-0126-SM-5QGP1 60-69 years, female 73.9
GTEX-1QMI2-0226-SM-EVYBX 60-69 years, male 73.4
GTEX-13OVH-0126-SM-5MR4B 70-79 years, male 73.3
GTEX-1PDJ9-0326-SM-DTX95 20-29 years, male 73.3
GTEX-15F5U-1526-SM-6PANO 40-49 years, male 72.5
GTEX-ZV6S-2326-SM-4YCEY 40-49 years, female 72.3
GTEX-1CB4E-2226-SM-793DC 60-69 years, male 72.2
GTEX-1IDJH-0326-SM-A9SLQ 70-79 years, male 72.0
GTEX-117XS-2726-SM-5N9BL 60-69 years, male 70.8
GTEX-17EVP-0326-SM-7DHLG 40-49 years, male 70.4
GTEX-1GMR8-0126-SM-9WYTM 50-59 years, female 70.1
GTEX-1HCU9-1526-SM-A9SL7 20-29 years, male 70.0
GTEX-P4QT-0126-SM-2I3FL 50-59 years, female 69.8
GTEX-ZYT6-0226-SM-5NQ6T 30-39 years, male 68.8
GTEX-1GF9W-0326-SM-9KNUN 60-69 years, male 68.4
GTEX-1MA7W-2026-SM-E9TJ6 20-29 years, female 68.0
GTEX-145MI-0526-SM-5O9A8 60-69 years, female 67.8
GTEX-1LVAN-0226-SM-COH3S 50-59 years, female 67.7
GTEX-ZF3C-0126-SM-DO92D 50-59 years, female 67.6
GTEX-1M5QR-1226-SM-EWROB 40-49 years, male 67.1
GTEX-ZTX8-1426-SM-5DUVO 20-29 years, male 67.0
GTEX-11TUW-2726-SM-E9J4M 60-69 years, male 66.8
GTEX-1LG7Z-1726-SM-D3LA4 30-39 years, male 66.7
GTEX-144GL-0126-SM-5TDE2 50-59 years, male 66.1
GTEX-1OJC3-0126-SM-E76QX 20-29 years, male 65.7
GTEX-1R9K4-0126-SM-DTX9X 60-69 years, male 64.1
GTEX-1KANC-1526-SM-D3LAB 50-59 years, female 63.3
GTEX-1JJEA-0326-SM-CNPOT 60-69 years, male 62.3
GTEX-13NYC-0326-SM-E9J4S 60-69 years, male 62.2
GTEX-ZWKS-0126-SM-5SIAA 30-39 years, male 61.2
GTEX-1C64N-0126-SM-793D7 50-59 years, male 60.8
GTEX-17JCI-0126-SM-7LG5G 60-69 years, female 59.8
GTEX-1S83E-0126-SM-EWRO4 40-49 years, male 59.8
GTEX-T5JW-1626-SM-3GADZ 20-29 years, female 59.7
GTEX-15ER7-0326-SM-7KUEV 20-29 years, female 59.4
GTEX-T6MN-0126-SM-32PLP 50-59 years, male 59.4
GTEX-1B97I-1626-SM-73KYO 40-49 years, male 59.1
GTEX-1HB9E-0226-SM-E9U4R 50-59 years, male 58.7
GTEX-S32W-2126-SM-2XCB1 50-59 years, female 58.6
GTEX-1212Z-2526-SM-5EGKP 60-69 years, male 57.7
GTEX-1R9PM-2026-SM-E76OY 20-29 years, male 56.7
GTEX-13JUV-2726-SM-5LZZ8 40-49 years, female 56.6
GTEX-12WSE-0526-SM-793B2 20-29 years, male 56.1
GTEX-Y5V5-2326-SM-4V6GA 60-69 years, female 56.0
GTEX-11DYG-0126-SM-59883 60-69 years, male 55.3
GTEX-UJHI-1526-SM-3DB99 50-59 years, female 54.9
GTEX-1L5NE-2526-SM-E6CIE 50-59 years, male 54.8
GTEX-183WM-0126-SM-7LTAB 70-79 years, female 54.6
GTEX-ZVZO-0126-SM-5A5L9 40-49 years, male 54.0
GTEX-1MJK2-0426-SM-DTXE5 50-59 years, male 53.5
GTEX-1IL2U-0226-SM-CE6T8 60-69 years, male 53.0
GTEX-18D9A-1926-SM-7LG6P 30-39 years, female 52.4
GTEX-1QAET-0926-SM-E76QM 50-59 years, male 52.4
GTEX-XUZC-1726-SM-4BRWS 30-39 years, female 52.0
GTEX-1B8SF-1426-SM-7DUGL 60-69 years, male 51.7
GTEX-T2YK-0526-SM-32QPJ 50-59 years, male 51.6
GTEX-13111-1626-SM-5EGJY 50-59 years, male 49.5
GTEX-1C475-1826-SM-73KWA 40-49 years, female 49.3
GTEX-POMQ-2226-SM-2I5FK 20-29 years, female 47.9
GTEX-1PIIG-0226-SM-EWRN6 30-39 years, male 47.4
GTEX-YJ89-0126-SM-4TT3X 60-69 years, male 42.2
GTEX-ZF2S-2326-SM-4WWCE 50-59 years, female 41.4
GTEX-11DXZ-2326-SM-5EGGV 50-59 years, male 40.4
GTEX-1JMQL-0226-SM-CNPP5 50-59 years, female 38.4
GTEX-ZV68-0126-SM-59HKS 50-59 years, female 35.5
GTEX-PX3G-0126-SM-2I3EN 20-29 years, female 30.3
Show allShow less

Contact

  • NEWS ARTICLES
  • PRESS ROOM

The Project

  • INTRODUCTION
  • ORGANIZATION
  • PUBLICATIONS

The Human Protein Atlas

  • DOWNLOADABLE DATA
  • LICENCE & CITATION
  • HELP & FAQ
The Human Protein Atlas project is funded
by the Knut & Alice Wallenberg Foundation.


contact@proteinatlas.org