We use cookies to enhance the usability of our website. If you continue, we'll assume that you are happy to receive all cookies. More information. Don't show this again.
RPL11
HPA
RESOURCES
  • TISSUE
  • BRAIN
  • SINGLE CELL
  • SUBCELLULAR
  • CANCER
  • BLOOD
  • CELL LINE
  • STRUCTURE & INTERACTION
ABOUT
  • INTRODUCTION
  • HISTORY
  • ORGANIZATION
  • PUBLICATIONS
  • ANTIBODY SUBMISSION
  • ANTIBODY AVAILABILITY
  • ACKNOWLEDGMENTS
  • CONTACT
NEWS
  • NEWS ARTICLES
  • PRESS ROOM
LEARN
  • DICTIONARY
  • PROTEIN CLASSES
  • PROTEIN EVIDENCE
  • METHODS
  • EDUCATIONAL VIDEOS
DATA
  • DOWNLOADABLE DATA
  • PUBLICATION DATA
  • RELEASE HISTORY
HELP
  • ANTIBODY VALIDATION
  • ASSAYS & ANNOTATION
  • DISCLAIMER
  • HELP & FAQ
  • PRIVACY STATEMENT
  • LICENCE & CITATION
Fields »
Search result

Field
Term
Gene name
Class
Subclass
Class
Keyword
Chromosome
External id
Tissue
Cell type
Expression
Antibody panel
Tissue
Main location
Patient ID
Annotation
Tissue
Category
Tau score
Cluster
Reliability
Brain region
Category
Tau score
Brain region
Category
Tau score
Brain region
Category
Tau score
Cluster
Reliability
Tissue
Cell type
Enrichment
Cell type
Category
Tau score
Cell type
Category
Tau score
Cell type
Category
Tau score
Cell lineage
Category
Tau score
Cluster
Cluster
Location
Searches
Location
Cell line
Class
Type
Phase
Reliability
Cancer
Prognosis
Cancer
Category
Cancer
Category
Tau score
Cluster
Variants
Interacting gene (ensg_id)
Type
Number of interactions
Pathway
Category
Score
Score
Score
Validation
Validation
Validation
Validation
Antibodies
Data type
Column


  • SUMMARY

  • TISSUE

  • BRAIN

  • SINGLE CELL

  • SUBCELL

  • CANCER

  • BLOOD

  • CELL LINE

  • STRUCT & INT

  • RPL11
TISSUE PRIMARY DATA SALIVARY GLAND Show tissue menu
ADIPOSE TISSUE ADRENAL GLAND AMYGDALA APPENDIX BASAL GANGLIA BONE MARROW BREAST BRONCHUS CEREBELLUM CEREBRAL CORTEX CERVIX CHOROID PLEXUS COLON DUODENUM
ENDOMETRIUM EPIDIDYMIS ESOPHAGUS FALLOPIAN TUBE GALLBLADDER HEART MUSCLE HIPPOCAMPAL FORMATION HYPOTHALAMUS KIDNEY LIVER LUNG LYMPH NODE MIDBRAIN NASOPHARYNX
ORAL MUCOSA OVARY PANCREAS PARATHYROID GLAND PITUITARY GLAND PLACENTA PROSTATE RECTUM RETINA SALIVARY GLAND SEMINAL VESICLE SKELETAL MUSCLE SKIN SMALL INTESTINE
SMOOTH MUSCLE SOFT TISSUE SPINAL CORD SPLEEN STOMACH TESTIS THYMUS THYROID GLAND TONGUE TONSIL URINARY BLADDER VAGINA
ANTIBODIES
AND
VALIDATION
Dictionary
Salivary gland
Tissue proteome
Salivary gland
SALIVARY GLAND - Expression summary
Protein expression
Salivary glandi

On the top, protein expression in current human tissue, based on all annotated cell types, is reported with the units not detected (n), low (l), medium (m) and high (h). Underneath, protein expression in each annotated cell type are reported using the same units.

Protein expression data is based on knowledge-based annotation. For genes where more than one antibody has been used, a collective score is set.

If knowledge-based annotation could not be performed for a gene, no data is displayed here. View antibody staining data further down this page.

h
m
l
n
Glandular cells: Medium
RNA expressioni

A summary of mRNA expression data available for current tissue based on several datasets. The mRNA expression levels in human tissues are based on RNA-seq data generated by the Human Protein Atlas (HPA), Genotype-Tissue Expression (GTEx) portal and CAGE data generated by the FANTOM5 consortium. Consensus normalized expression levels for human tissues was created by combining the data from HPA and GTEx datasets.

The mRNA expression levels in pig are based on RNA-seq data generated by the Human Protein Atlas (HPA), and for mouse, HPA data and in situ hybridization generated by the Allen brain atlas are reported.

Scroll down to view mRNA expression data in more detail.
Consensus:1711.2 nTPM
HPA:483.4 nTPM
GTEx:1711.2 nTPM
FANTOM5:891.7 Scaled Tags Per Million

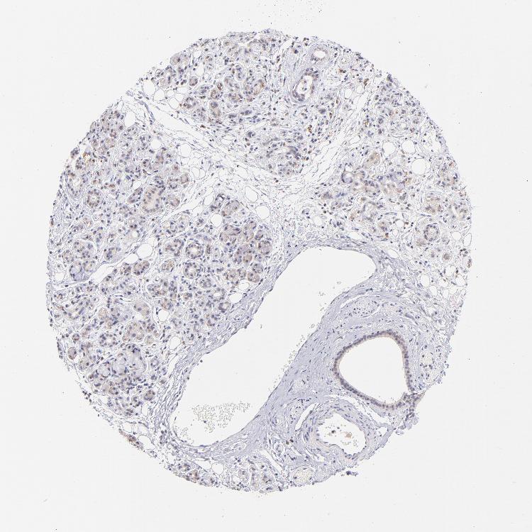
SALIVARY GLAND - Antibody stainingi

Antibody staining in the annotated cell types in the current human tissue is reported as not detected, low, medium, or high, based on conventional immunohistochemistry profiling in selected tissues. This score is based on the combination of the staining intensity and fraction of stained cells.

Each image is clickable and will lead to virtual microscopy that enables deeper exploration of all samples and also displays staining intensity scores, fraction scores and subcellular localization as well as patient and tissue information for each sample.

Antibody HPA002734
Glandular cells Medium



SALIVARY GLAND - HPA RNA-seqi

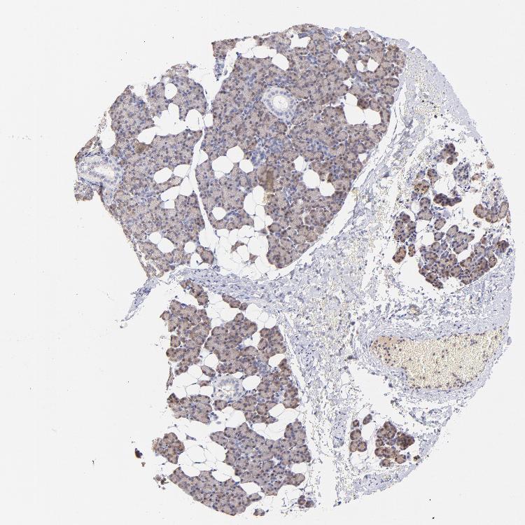
The RNA-seq details section shows detailed information about the individual samples used for the transcript profiling and results of the RNA-seq analysis.

Information about each individual sample is listed below, including gender, age, a tissue section image and estimated fractions of cell types. nTPM (normalized transcripts per million) values give a quantification of the gene abundance which is comparable between different genes and samples.
Average nTPMi

Max subtype nTPM is the value for the subtype with the largest average nTPM across the subtype samples.

483.4
overview
Female, age 68
Salivary gland sample 216
nTPM: 551.4
Cell types%
Glandular cells:
45

Ductal cells:
25

Adipocytes:
5

Other cell types:
25

overview
Male, age 60
Salivary gland sample 217
nTPM: 354.6
Cell types%
Glandular cells:
55

Ductal cells:
20

Adipocytes:
5

Endothelial cells:
5

Other cell types:
15

overview
Female, age 21
Salivary gland sample 218
nTPM: 544.2
Cell types%
Glandular cells:
55

Ductal cells:
15

Adipocytes:
5

Endothelial cells:
5

Other cell types:
20


SALIVARY GLAND - GTEx RNA-seqi

RNA-Seq data generated by the Genotype-Tissue Expression (GTEx) project from human tissues is reported as mean nTPM. More information can be found on the GTEx portal.

Distribution across the dataset is visualized with box plots, shown as median and 25th and 75th percentiles. Points are displayed as outliers if they are above or below 1.5 times the interquartile range. nTPM values of the individual samples are presented next to the box plot.
Max subtype nTPMi

Max subtype nTPM is the value for the subtype with the largest average nTPM across the subtype samples.

1711.2
GTEx sample id Sample description nTPM
Minor Salivary Gland
Average nTPM: 1711.2
Samples: 162

Max nTPM: 3378.3
Min nTPM: 1084.6
Std nTPM: 332.3
Median nTPM: 1637.0
GTEX-1NSGN-0626-SM-E9J35 50-59 years, male 3378.3
GTEX-1R9K4-0526-SM-E76P1 60-69 years, male 2845.5
GTEX-Y5LM-1826-SM-4VDT9 40-49 years, female 2697.4
GTEX-1KANC-1326-SM-CYPT8 50-59 years, female 2609.5
GTEX-1LKK1-2926-SM-EVR4Z 50-59 years, female 2577.3
GTEX-ZE7O-2926-SM-51MSG 50-59 years, female 2438.0
GTEX-1R9PM-1726-SM-E8VOA 20-29 years, male 2331.5
GTEX-ZLFU-2226-SM-EXUS7 40-49 years, male 2331.5
GTEX-ZLWG-2026-SM-DO11F 50-59 years, female 2295.1
GTEX-15RJE-2726-SM-6LPJ1 40-49 years, male 2223.2
GTEX-1GMR2-2026-SM-7MKHK 50-59 years, male 2199.3
GTEX-1KD5A-2226-SM-EV79U 50-59 years, male 2163.7
GTEX-1POEN-2226-SM-DPRXV 30-39 years, female 2161.1
GTEX-1LC47-2426-SM-DHXKK 60-69 years, male 2158.2
GTEX-12BJ1-2226-SM-5BC6G 60-69 years, male 2156.7
GTEX-ZQUD-2126-SM-51MSY 30-39 years, male 2155.8
GTEX-13VXT-1726-SM-5IFF5 20-29 years, female 2134.9
GTEX-146FR-1226-SM-5SIA7 60-69 years, female 2115.6
GTEX-1LVA9-2526-SM-EVR5H 50-59 years, male 2114.6
GTEX-1RNSC-2926-SM-EV79L 60-69 years, male 2110.7
GTEX-ZT9W-2126-SM-51MSF 50-59 years, male 2102.5
GTEX-13OVL-2926-SM-5IFG3 50-59 years, male 2076.6
GTEX-11EMC-2526-SM-5PNVU 60-69 years, female 2072.2
GTEX-ZF29-2126-SM-DNZYX 60-69 years, female 2062.5
GTEX-1AMEY-1126-SM-72D79 30-39 years, female 2048.3
GTEX-1LSNL-2626-SM-EV7AT 50-59 years, male 2031.0
GTEX-1LVAO-2626-SM-EVR4S 60-69 years, male 2023.7
GTEX-1S82P-0726-SM-EVR4O 60-69 years, female 1973.3
GTEX-1445S-2926-SM-5O993 60-69 years, male 1964.1
GTEX-Y5V6-2226-SM-4VDTC 60-69 years, male 1960.2
GTEX-Y111-2626-SM-4TT24 50-59 years, male 1956.4
GTEX-15SHV-2226-SM-6M464 60-69 years, male 1935.2
GTEX-1HCU7-0126-SM-C1YR3 50-59 years, male 1916.1
GTEX-13QBU-2126-SM-5KLZN 40-49 years, female 1896.0
GTEX-11EQ9-2026-SM-5P9JI 30-39 years, male 1895.9
GTEX-18D9U-2226-SM-7KFTN 40-49 years, male 1892.6
GTEX-1192X-2926-SM-5N9BA 50-59 years, male 1888.3
GTEX-XGQ4-2626-SM-4AT6B 50-59 years, male 1886.1
GTEX-1H4P4-2026-SM-9WPNV 50-59 years, male 1876.5
GTEX-1MCQQ-2226-SM-DLHC4 60-69 years, male 1858.1
GTEX-X3Y1-1926-SM-4PQZO 40-49 years, male 1843.3
GTEX-14B4R-1426-SM-5Q5CG 30-39 years, male 1839.7
GTEX-1CB4I-2526-SM-7MKG1 50-59 years, male 1834.7
GTEX-12WSN-2226-SM-5DUXT 40-49 years, male 1833.5
GTEX-ZQG8-2126-SM-4YCF1 60-69 years, female 1832.1
GTEX-17KNJ-2726-SM-7KFRE 50-59 years, male 1824.2
GTEX-1QMI2-0426-SM-EWRND 60-69 years, male 1821.6
GTEX-14E1K-2626-SM-664OJ 50-59 years, male 1803.0
GTEX-1GZ2Q-2526-SM-9KNVW 40-49 years, male 1799.0
GTEX-1MGNQ-1926-SM-DTX8L 40-49 years, male 1796.7
GTEX-18A7B-2826-SM-7KFTK 70-79 years, male 1796.3
GTEX-11NV4-1926-SM-5N9D4 60-69 years, male 1794.0
GTEX-11P81-2026-SM-5P9GT 30-39 years, female 1789.5
GTEX-1JN1M-2426-SM-ARU93 60-69 years, female 1778.0
GTEX-1QP9N-2026-SM-DPRZT 30-39 years, male 1775.7
GTEX-1GTWX-2526-SM-9JGHG 60-69 years, male 1761.2
GTEX-1KD4Q-2526-SM-CXZKL 40-49 years, male 1759.1
GTEX-1MCC2-2226-SM-EV7AJ 30-39 years, female 1756.2
GTEX-1339X-2326-SM-5HL5B 40-49 years, male 1754.4
GTEX-14PN4-2526-SM-686ZG 50-59 years, male 1751.2
GTEX-1C4CL-2026-SM-731EB 30-39 years, male 1750.6
GTEX-1P4AB-2926-SM-EXOJR 50-59 years, male 1746.9
GTEX-11WQK-2926-SM-5EQKT 50-59 years, male 1745.4
GTEX-11ZTS-3026-SM-5EQM7 60-69 years, female 1745.3
GTEX-1314G-2026-SM-5LZUM 30-39 years, male 1736.7
GTEX-1IDJD-2526-SM-C1YSA 30-39 years, male 1734.8
GTEX-1R9PO-2626-SM-E6CPU 60-69 years, female 1733.5
GTEX-11P82-0926-SM-5986X 20-29 years, male 1716.0
GTEX-1I6K6-0626-SM-ARU7J 30-39 years, male 1716.0
GTEX-11TUW-2426-SM-5EQKB 60-69 years, male 1700.9
GTEX-X261-2426-SM-4PQZU 50-59 years, male 1697.9
GTEX-1C6VR-0726-SM-7P8OV 60-69 years, male 1692.1
GTEX-1RAZA-0626-SM-EAZ4H 20-29 years, male 1672.3
GTEX-1IOXB-2826-SM-AHZ32 50-59 years, male 1669.9
GTEX-13G51-2426-SM-5LZY8 60-69 years, male 1667.3
GTEX-13QJC-2326-SM-5Q5CD 60-69 years, female 1662.0
GTEX-1GPI7-0326-SM-7MKH6 20-29 years, male 1658.2
GTEX-13NYB-2426-SM-5IFF4 40-49 years, male 1656.7
GTEX-111FC-2926-SM-5GZY7 60-69 years, male 1653.1
GTEX-1117F-3026-SM-5GZYU 60-69 years, female 1651.4
GTEX-14PJN-1726-SM-69LO7 30-39 years, male 1641.3
GTEX-ZPU1-2326-SM-57WEP 40-49 years, male 1632.6
GTEX-ZG7Y-2426-SM-DO11H 50-59 years, male 1630.2
GTEX-18QFQ-0626-SM-718AW 30-39 years, male 1622.4
GTEX-1LBAC-0626-SM-D3L9T 20-29 years, male 1622.4
GTEX-1QCLZ-2526-SM-EXUST 60-69 years, female 1612.8
GTEX-1A3MV-1726-SM-72D68 30-39 years, male 1610.4
GTEX-1OJC3-1026-SM-E6CQK 20-29 years, male 1609.6
GTEX-ZA64-1726-SM-5CVMF 20-29 years, male 1609.4
GTEX-YF7O-2226-SM-5CVN8 50-59 years, male 1607.1
GTEX-YB5K-1726-SM-5IFIZ 40-49 years, female 1605.4
GTEX-1B8SF-1826-SM-731DJ 60-69 years, male 1599.3
GTEX-131XH-2626-SM-5GCNP 50-59 years, male 1597.3
GTEX-X5EB-1726-SM-4E3J7 40-49 years, male 1596.5
GTEX-13113-1526-SM-5EGHV 60-69 years, female 1595.5
GTEX-1JN6P-2526-SM-CNNPX 60-69 years, male 1594.4
GTEX-15EU6-2626-SM-7KUN4 50-59 years, male 1593.7
GTEX-1AYD5-2726-SM-7MXVG 50-59 years, male 1593.3
GTEX-1QEPI-0626-SM-E76QE 60-69 years, female 1589.6
GTEX-1GF9X-0226-SM-7P8SM 40-49 years, female 1588.2
GTEX-1I1HK-2526-SM-A96SM 60-69 years, male 1582.3
GTEX-X15G-2126-SM-4PQZR 50-59 years, female 1580.5
GTEX-12WSM-1826-SM-5BC64 60-69 years, male 1580.2
GTEX-1S83E-0626-SM-E9TKC 40-49 years, male 1568.8
GTEX-WH7G-2126-SM-4M1XU 40-49 years, male 1567.6
GTEX-1IDJC-1626-SM-AHZ2R 50-59 years, male 1556.7
GTEX-1R9K5-0626-SM-DPRZB 50-59 years, male 1555.6
GTEX-13OVI-2326-SM-5KM47 60-69 years, female 1555.1
GTEX-1IY9M-2926-SM-A96TH 60-69 years, male 1550.1
GTEX-1GN1V-2926-SM-9JGI3 60-69 years, male 1537.6
GTEX-1HSGN-0626-SM-A9G2E 40-49 years, female 1535.3
GTEX-13111-2326-SM-5LZUQ 50-59 years, male 1534.5
GTEX-131XF-2826-SM-5EGKH 60-69 years, male 1532.0
GTEX-1OJC4-3126-SM-EXOJK 50-59 years, female 1526.7
GTEX-ZAB5-2326-SM-5IJFR 50-59 years, male 1526.3
GTEX-ZP4G-1926-SM-57WDZ 20-29 years, female 1512.7
GTEX-13OVK-1826-SM-6PALE 40-49 years, male 1511.8
GTEX-1HR9M-2526-SM-A9G3J 60-69 years, male 1511.6
GTEX-WOFM-2126-SM-4OOSR 20-29 years, male 1510.2
GTEX-1AX8Z-0626-SM-731EH 60-69 years, male 1509.9
GTEX-13JVG-2926-SM-5J2N9 60-69 years, male 1498.1
GTEX-XMK1-2626-SM-4B65R 40-49 years, male 1490.4
GTEX-11ZTT-2226-SM-5CVLP 60-69 years, female 1489.9
GTEX-1I4MK-1326-SM-B2LWT 50-59 years, female 1472.2
GTEX-WYVS-2026-SM-4RGNS 40-49 years, female 1463.5
GTEX-1IE54-0826-SM-AHZ2Z 40-49 years, female 1461.5
GTEX-1HFI7-2426-SM-B2LXV 50-59 years, female 1454.1
GTEX-13CF2-2426-SM-5LZYL 60-69 years, male 1449.2
GTEX-1J8QM-1826-SM-A96TA 60-69 years, female 1444.4
GTEX-1J1R8-1826-SM-AHZ3B 40-49 years, male 1443.1
GTEX-1HSEH-1826-SM-A96SA 60-69 years, male 1435.5
GTEX-1B8KZ-1726-SM-73KV7 50-59 years, male 1433.5
GTEX-1I6K7-0926-SM-A96SV 40-49 years, male 1430.1
GTEX-1J8EW-2826-SM-A96T9 60-69 years, female 1428.3
GTEX-1EH9U-2926-SM-7DHLX 60-69 years, male 1422.8
GTEX-12WSL-2126-SM-5GCNG 50-59 years, male 1421.3
GTEX-14PJ3-1526-SM-664O9 50-59 years, male 1415.7
GTEX-1H1CY-2326-SM-9OSXW 60-69 years, female 1414.1
GTEX-13O21-1926-SM-5MR39 50-59 years, male 1413.4
GTEX-14JIY-3026-SM-6EU1R 60-69 years, male 1412.6
GTEX-145ME-1626-SM-5RQI3 40-49 years, female 1411.7
GTEX-XV7Q-2426-SM-4BRV8 40-49 years, female 1402.7
GTEX-ZC5H-2726-SM-5KLZW 40-49 years, female 1390.8
GTEX-1PPH8-1526-SM-E6CQO 20-29 years, male 1386.5
GTEX-1GN1W-2526-SM-9JGHX 50-59 years, female 1378.8
GTEX-1PIEJ-0626-SM-DTX99 20-29 years, female 1372.0
GTEX-1HSMQ-0926-SM-A96SI 50-59 years, male 1364.8
GTEX-1C64N-2926-SM-79OLM 50-59 years, male 1362.2
GTEX-WFJO-2026-SM-4LVM3 30-39 years, male 1357.2
GTEX-15CHC-1226-SM-686ZH 60-69 years, female 1338.9
GTEX-1JKYR-0726-SM-AHZ3K 20-29 years, male 1337.1
GTEX-18A67-0626-SM-7KFSL 50-59 years, male 1311.2
GTEX-WHSB-2326-SM-4M1XK 50-59 years, male 1311.0
GTEX-1B97J-2126-SM-79OL6 50-59 years, female 1307.7
GTEX-ZXG5-2826-SM-5NQ8T 60-69 years, male 1307.5
GTEX-178AV-1426-SM-6LLID 40-49 years, male 1282.1
GTEX-17MFQ-1626-SM-7938Z 20-29 years, male 1272.8
GTEX-1C64O-0626-SM-7DHL1 60-69 years, male 1260.0
GTEX-WY7C-1426-SM-4OND1 50-59 years, male 1232.3
GTEX-Y3I4-1926-SM-4TT8L 50-59 years, male 1218.4
GTEX-1AX9K-2126-SM-72D7K 50-59 years, male 1167.5
GTEX-1B932-0626-SM-731EM 40-49 years, female 1084.6
Show allShow less

SALIVARY GLAND - FANTOM5 CAGEi

RNA expression in human tissues obtained through Cap Analysis of Gene Expression (CAGE) generated by the FANTOM5 project are reported as Scaled Tags Per Million.

Max subtype Scaled Tags Per Millioni

Max subtype Scaled Tags Per Million is the value for the subtype with the largest average Scaled Tags Per Million across the subtype samples.

891.7
FANTOM5 sample id Sample description Scaled Tags Per Million
Parotid gland
Scaled Tags Per Million: 416.2
FF:10199-103F1 23 years, male 416.2
Salivary gland
Scaled Tags Per Million: 891.7
FF:10093-102C3 16-60 years, mixed 891.7
Submaxillary gland
Scaled Tags Per Million: 435.8
FF:10202-103F4 24 years, male 435.8

Contact

  • NEWS ARTICLES
  • PRESS ROOM

The Project

  • INTRODUCTION
  • ORGANIZATION
  • PUBLICATIONS

The Human Protein Atlas

  • DOWNLOADABLE DATA
  • LICENCE & CITATION
  • HELP & FAQ
The Human Protein Atlas project is funded
by the Knut & Alice Wallenberg Foundation.


contact@proteinatlas.org