We use cookies to enhance the usability of our website. If you continue, we'll assume that you are happy to receive all cookies. More information. Don't show this again.
RPL11
HPA
RESOURCES
  • TISSUE
  • BRAIN
  • SINGLE CELL
  • SUBCELLULAR
  • CANCER
  • BLOOD
  • CELL LINE
  • STRUCTURE & INTERACTION
ABOUT
  • INTRODUCTION
  • HISTORY
  • ORGANIZATION
  • PUBLICATIONS
  • ANTIBODY SUBMISSION
  • ANTIBODY AVAILABILITY
  • ACKNOWLEDGMENTS
  • CONTACT
NEWS
  • NEWS ARTICLES
  • PRESS ROOM
LEARN
  • DICTIONARY
  • PROTEIN CLASSES
  • PROTEIN EVIDENCE
  • METHODS
  • EDUCATIONAL VIDEOS
DATA
  • DOWNLOADABLE DATA
  • PUBLICATION DATA
  • RELEASE HISTORY
HELP
  • ANTIBODY VALIDATION
  • ASSAYS & ANNOTATION
  • DISCLAIMER
  • HELP & FAQ
  • PRIVACY STATEMENT
  • LICENCE & CITATION
Fields »
Search result

Field
Term
Gene name
Class
Subclass
Class
Keyword
Chromosome
External id
Tissue
Cell type
Expression
Antibody panel
Tissue
Main location
Patient ID
Annotation
Tissue
Category
Tau score
Cluster
Reliability
Brain region
Category
Tau score
Brain region
Category
Tau score
Brain region
Category
Tau score
Cluster
Reliability
Tissue
Cell type
Enrichment
Cell type
Category
Tau score
Cell type
Category
Tau score
Cell type
Category
Tau score
Cell lineage
Category
Tau score
Cluster
Cluster
Location
Searches
Location
Cell line
Class
Type
Phase
Reliability
Cancer
Prognosis
Cancer
Category
Cancer
Category
Tau score
Cluster
Variants
Interacting gene (ensg_id)
Type
Number of interactions
Pathway
Category
Score
Score
Score
Validation
Validation
Validation
Validation
Antibodies
Data type
Column


  • SUMMARY

  • TISSUE

  • BRAIN

  • SINGLE CELL

  • SUBCELL

  • CANCER

  • BLOOD

  • CELL LINE

  • STRUCT & INT

  • RPL11
TISSUE PRIMARY DATA SKIN Show tissue menu
ADIPOSE TISSUE ADRENAL GLAND AMYGDALA APPENDIX BASAL GANGLIA BONE MARROW BREAST BRONCHUS CEREBELLUM CEREBRAL CORTEX CERVIX CHOROID PLEXUS COLON DUODENUM
ENDOMETRIUM EPIDIDYMIS ESOPHAGUS FALLOPIAN TUBE GALLBLADDER HEART MUSCLE HIPPOCAMPAL FORMATION HYPOTHALAMUS KIDNEY LIVER LUNG LYMPH NODE MIDBRAIN NASOPHARYNX
ORAL MUCOSA OVARY PANCREAS PARATHYROID GLAND PITUITARY GLAND PLACENTA PROSTATE RECTUM RETINA SALIVARY GLAND SEMINAL VESICLE SKELETAL MUSCLE SKIN SMALL INTESTINE
SMOOTH MUSCLE SOFT TISSUE SPINAL CORD SPLEEN STOMACH TESTIS THYMUS THYROID GLAND TONGUE TONSIL URINARY BLADDER VAGINA
ANTIBODIES
AND
VALIDATION
Dictionary
Skin
Tissue proteome
Skin
SKIN - Expression summary
Protein expression
Skini

On the top, protein expression in current human tissue, based on all annotated cell types, is reported with the units not detected (n), low (l), medium (m) and high (h). Underneath, protein expression in each annotated cell type are reported using the same units.

Protein expression data is based on knowledge-based annotation. For genes where more than one antibody has been used, a collective score is set.

If knowledge-based annotation could not be performed for a gene, no data is displayed here. View antibody staining data further down this page.

h
m
l
n
Epidermal cells: Medium
Fibroblasts: Low
Keratinocytes: Low
Langerhans: Not detected
Melanocytes: Low
RNA expressioni

A summary of mRNA expression data available for current tissue based on several datasets. The mRNA expression levels in human tissues are based on RNA-seq data generated by the Human Protein Atlas (HPA), Genotype-Tissue Expression (GTEx) portal and CAGE data generated by the FANTOM5 consortium. Consensus normalized expression levels for human tissues was created by combining the data from HPA and GTEx datasets.

The mRNA expression levels in pig are based on RNA-seq data generated by the Human Protein Atlas (HPA), and for mouse, HPA data and in situ hybridization generated by the Allen brain atlas are reported.

Scroll down to view mRNA expression data in more detail.
Consensus:2667.8 nTPM
HPA:509.5 nTPM
GTEx:2667.8 nTPM

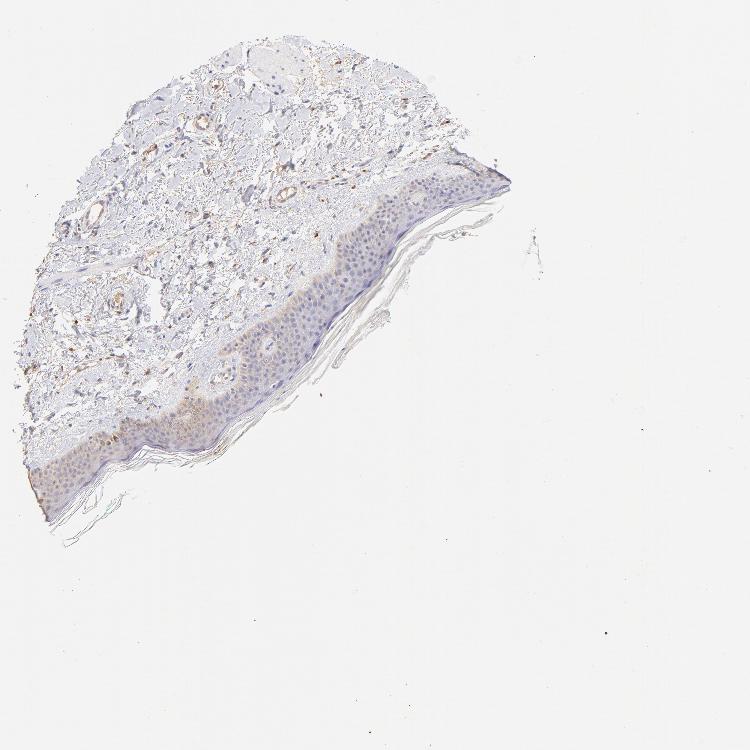
SKIN 1 - Antibody stainingi

Antibody staining in the annotated cell types in the current human tissue is reported as not detected, low, medium, or high, based on conventional immunohistochemistry profiling in selected tissues. This score is based on the combination of the staining intensity and fraction of stained cells.

Each image is clickable and will lead to virtual microscopy that enables deeper exploration of all samples and also displays staining intensity scores, fraction scores and subcellular localization as well as patient and tissue information for each sample.

Antibody HPA002734
Langerhans Not detected
Fibroblasts Low
Keratinocytes Low
Melanocytes Low


SKIN 2 - Antibody stainingi

Antibody staining in the annotated cell types in the current human tissue is reported as not detected, low, medium, or high, based on conventional immunohistochemistry profiling in selected tissues. This score is based on the combination of the staining intensity and fraction of stained cells.

Each image is clickable and will lead to virtual microscopy that enables deeper exploration of all samples and also displays staining intensity scores, fraction scores and subcellular localization as well as patient and tissue information for each sample.

Antibody HPA002734
Epidermal cells Medium
 
 
 



SKIN - HPA RNA-seqi

The RNA-seq details section shows detailed information about the individual samples used for the transcript profiling and results of the RNA-seq analysis.

Information about each individual sample is listed below, including gender, age, a tissue section image and estimated fractions of cell types. nTPM (normalized transcripts per million) values give a quantification of the gene abundance which is comparable between different genes and samples.
Average nTPMi

Max subtype nTPM is the value for the subtype with the largest average nTPM across the subtype samples.

509.5
overview
Female, age 34
Skin sample 225
nTPM: 570
Cell types%
Keratinocytes:
60

Other cell types:
40

overview
Female, age 30
Skin sample 226
nTPM: 460.5
Cell types%
Keratinocytes:
55

Other cell types:
45

N/A
Male, age 57
Skin sample 227
nTPM: 498

SKIN - GTEx RNA-seqi

RNA-Seq data generated by the Genotype-Tissue Expression (GTEx) project from human tissues is reported as mean nTPM. More information can be found on the GTEx portal.

Distribution across the dataset is visualized with box plots, shown as median and 25th and 75th percentiles. Points are displayed as outliers if they are above or below 1.5 times the interquartile range. nTPM values of the individual samples are presented next to the box plot.
Max subtype nTPMi

Max subtype nTPM is the value for the subtype with the largest average nTPM across the subtype samples.

2667.8
GTEx sample id Sample description nTPM
Skin - Not Sun Exposed (Suprapubic)
Average nTPM: 2667.8
Samples: 604

Max nTPM: 5213.6
Min nTPM: 1354.5
Std nTPM: 568.9
Median nTPM: 2617.7
GTEX-ZF3C-0626-SM-DO92O 50-59 years, female 5213.6
GTEX-15RIG-0726-SM-7KUM7 40-49 years, male 4718.6
GTEX-1PIGE-1826-SM-E8VOU 20-29 years, male 4631.7
GTEX-144FL-0626-SM-5LU43 50-59 years, male 4590.5
GTEX-1RAZQ-1326-SM-E9TK6 30-39 years, male 4483.9
GTEX-ZPCL-1126-SM-4WWFE 60-69 years, female 4399.0
GTEX-1LKK1-2626-SM-DKPQE 50-59 years, female 4333.1
GTEX-11OF3-0126-SM-5PNYF 60-69 years, male 4329.7
GTEX-14ICL-1626-SM-5YYAO 30-39 years, male 4241.0
GTEX-1H1ZS-2726-SM-9WG75 70-79 years, male 4216.7
GTEX-ZYW4-0626-SM-59HJR 60-69 years, male 4202.5
GTEX-1E2YA-2126-SM-7MXUO 50-59 years, male 4179.5
GTEX-15UF6-1926-SM-7KUDV 70-79 years, female 4151.1
GTEX-14C39-1726-SM-5RQIL 40-49 years, male 4137.0
GTEX-Y9LG-1126-SM-4VBQ7 30-39 years, male 4132.7
GTEX-1S82U-1026-SM-E6CJK 30-39 years, female 4102.3
GTEX-1117F-2926-SM-5GZYI 60-69 years, female 3972.5
GTEX-1H3VE-0726-SM-9YFL5 40-49 years, male 3872.7
GTEX-17HII-1426-SM-7EPGG 50-59 years, male 3872.1
GTEX-1I1GT-1026-SM-ARZLV 60-69 years, female 3863.5
GTEX-1GPI7-1826-SM-9KNU1 20-29 years, male 3795.2
GTEX-1S82P-2126-SM-E6CI5 60-69 years, female 3752.2
GTEX-ZE7O-2726-SM-51MT5 50-59 years, female 3745.9
GTEX-Y3I4-1726-SM-4TT89 50-59 years, male 3723.8
GTEX-ZYY3-2926-SM-5GIEB 60-69 years, female 3717.5
GTEX-Y5V6-2326-SM-4VDSA 60-69 years, male 3702.0
GTEX-1399Q-2326-SM-5KM2X 40-49 years, male 3700.3
GTEX-WHSB-1326-SM-3LK6W 50-59 years, male 3680.7
GTEX-ZF29-0926-SM-4WKFZ 60-69 years, female 3678.4
GTEX-13X6H-0926-SM-5SIB2 50-59 years, female 3675.1
GTEX-WI4N-2726-SM-3LK7Y 40-49 years, female 3661.3
GTEX-131XH-0126-SM-5LZUY 50-59 years, male 3660.2
GTEX-XQ8I-0926-SM-4BOOF 50-59 years, male 3613.1
GTEX-13RTJ-0126-SM-5S2NN 60-69 years, male 3609.3
GTEX-13NYS-0626-SM-5L3F1 60-69 years, male 3607.9
GTEX-15RIE-1926-SM-7KUKJ 60-69 years, male 3598.7
GTEX-14753-0726-SM-5QGQO 60-69 years, male 3593.1
GTEX-ZVZP-1226-SM-5GID7 50-59 years, male 3587.6
GTEX-148VJ-0626-SM-5LUAW 70-79 years, male 3572.7
GTEX-14DAR-1226-SM-73KYV 50-59 years, male 3555.1
GTEX-1CB4J-1326-SM-7P8RX 60-69 years, male 3544.2
GTEX-1QP2A-1726-SM-E76QC 50-59 years, male 3539.3
GTEX-1LG7Y-2526-SM-EWRO7 50-59 years, male 3537.5
GTEX-13IVO-0726-SM-5LZYV 70-79 years, male 3504.4
GTEX-1M4P7-0726-SM-E6CJ3 60-69 years, male 3496.8
GTEX-ZTTD-2826-SM-4YCFA 50-59 years, male 3493.4
GTEX-13W3W-0726-SM-5IJDQ 60-69 years, female 3491.7
GTEX-15DYW-2726-SM-6EU2I 60-69 years, female 3477.0
GTEX-13FTY-2126-SM-5IFFB 40-49 years, female 3461.8
GTEX-13112-0126-SM-5P9IU 50-59 years, male 3455.3
GTEX-ZF2S-1626-SM-57WES 50-59 years, female 3447.0
GTEX-13NYB-0126-SM-5J1MD 40-49 years, male 3427.1
GTEX-1HCUA-0826-SM-ADEHM 50-59 years, female 3424.9
GTEX-1JJE9-2626-SM-ARZMT 70-79 years, male 3424.8
GTEX-1S3DN-2126-SM-E9TIN 50-59 years, male 3410.0
GTEX-15RJE-2826-SM-7KUM9 40-49 years, male 3404.5
GTEX-XMD2-2126-SM-4YCF8 60-69 years, female 3401.4
GTEX-1R46S-2426-SM-E76QA 60-69 years, female 3388.0
GTEX-1QPFJ-1926-SM-EVYBD 30-39 years, female 3387.9
GTEX-15SKB-2826-SM-6PAMH 60-69 years, male 3376.4
GTEX-1J1OQ-0126-SM-D4P2N 40-49 years, female 3375.2
GTEX-16YQH-2226-SM-7IGM2 30-39 years, male 3355.2
GTEX-147GR-2426-SM-5ZZWQ 60-69 years, male 3343.2
GTEX-11DXX-2126-SM-5PNYR 60-69 years, female 3340.2
GTEX-11WQK-1026-SM-5EQLX 50-59 years, male 3336.6
GTEX-1H2FU-0926-SM-9WPPT 60-69 years, female 3317.9
GTEX-1LSVX-2526-SM-DIPEU 60-69 years, male 3314.4
GTEX-ZVE1-0726-SM-51MRN 50-59 years, female 3313.6
GTEX-1PPH7-1126-SM-DTX9A 40-49 years, male 3303.8
GTEX-1QP9N-1226-SM-E76QN 30-39 years, male 3303.5
GTEX-12WSK-2126-SM-5CVNC 40-49 years, female 3301.2
GTEX-18D9A-1426-SM-7LT8M 30-39 years, female 3299.5
GTEX-183WM-0326-SM-72D5V 70-79 years, female 3288.5
GTEX-1CAMS-2226-SM-7PBXQ 40-49 years, female 3286.5
GTEX-13X6K-0626-SM-5LU5D 60-69 years, female 3284.7
GTEX-11P81-2226-SM-5PNYI 30-39 years, female 3280.4
GTEX-1399R-1326-SM-5PNYS 30-39 years, male 3274.7
GTEX-14E1K-2026-SM-7DUEI 50-59 years, male 3270.5
GTEX-1ICLZ-0326-SM-ARL82 60-69 years, male 3262.3
GTEX-13NYC-0126-SM-5L3F4 60-69 years, male 3257.8
GTEX-X585-2426-SM-46MW2 50-59 years, male 3256.6
GTEX-1HFI6-0126-SM-CNPPI 40-49 years, male 3254.4
GTEX-1GN1V-2826-SM-9JGIA 60-69 years, male 3246.2
GTEX-13JVG-0726-SM-5KM16 60-69 years, male 3239.0
GTEX-1NSGN-0726-SM-DTXEF 50-59 years, male 3238.9
GTEX-14ABY-2026-SM-62LDL 50-59 years, male 3238.4
GTEX-1LGRB-0926-SM-COH3K 50-59 years, female 3238.3
GTEX-ZZPU-0826-SM-5GZX5 50-59 years, female 3235.6
GTEX-12ZZZ-0726-SM-5GCNZ 60-69 years, male 3225.8
GTEX-13PL6-1126-SM-5L3IE 40-49 years, female 3224.6
GTEX-13QJC-0126-SM-5ZZWJ 60-69 years, female 3220.7
GTEX-1LVA9-2626-SM-EVYD4 50-59 years, male 3215.6
GTEX-17EVP-2626-SM-7IGMA 40-49 years, male 3214.6
GTEX-13PDP-0726-SM-5L3HP 60-69 years, male 3212.7
GTEX-1HB9E-0126-SM-CM2S5 50-59 years, male 3211.6
GTEX-1H11D-1826-SM-9QEHM 40-49 years, male 3211.2
GTEX-14LZ3-0126-SM-69LPM 60-69 years, female 3211.0
GTEX-11ZU8-0126-SM-5EQ58 60-69 years, male 3201.7
GTEX-1IDJI-0126-SM-CMKHS 50-59 years, female 3197.2
GTEX-1HSGN-0826-SM-ACKW3 40-49 years, female 3190.4
GTEX-1HBPN-0126-SM-CGQEF 50-59 years, male 3188.6
GTEX-11DZ1-2426-SM-5GZZX 50-59 years, male 3188.3
GTEX-17HHE-1326-SM-7EWDZ 50-59 years, male 3187.1
GTEX-1A3MW-0626-SM-731CB 60-69 years, female 3186.4
GTEX-Z93S-1626-SM-5CVMB 50-59 years, male 3177.6
GTEX-14XAO-1226-SM-6EU1C 60-69 years, female 3171.8
GTEX-ZT9X-1526-SM-5DUXD 40-49 years, male 3171.5
GTEX-1QP28-1126-SM-EVYC4 50-59 years, female 3165.8
GTEX-ZLV1-1526-SM-DO91J 60-69 years, female 3163.1
GTEX-1IKJJ-2226-SM-CJI4C 60-69 years, male 3157.9
GTEX-17MFQ-1526-SM-7KFRR 20-29 years, male 3149.5
GTEX-14JG1-1526-SM-5YY9X 40-49 years, male 3148.0
GTEX-144GO-2026-SM-5O99P 60-69 years, male 3147.4
GTEX-Y5LM-0926-SM-6LLJG 40-49 years, female 3142.5
GTEX-1C6WA-2626-SM-7MKGM 60-69 years, male 3142.3
GTEX-14PJ6-2626-SM-6EU2T 60-69 years, female 3138.0
GTEX-13OVH-0526-SM-5L3E6 70-79 years, male 3131.7
GTEX-ZYT6-2326-SM-5GZY3 30-39 years, male 3130.7
GTEX-XV7Q-1826-SM-4BRUV 40-49 years, female 3126.7
GTEX-1399S-0126-SM-5IJCF 30-39 years, female 3124.9
GTEX-14PII-0726-SM-6EU2B 60-69 years, male 3119.3
GTEX-1C6VQ-1226-SM-73KYD 50-59 years, male 3111.4
GTEX-ZAB4-2126-SM-5HL8U 40-49 years, male 3111.4
GTEX-1OJC4-2726-SM-E76PJ 50-59 years, female 3103.0
GTEX-1399U-1126-SM-5L3DB 50-59 years, female 3102.6
GTEX-14LLW-2626-SM-62LDZ 70-79 years, female 3095.9
GTEX-1LVAM-0726-SM-E6CIL 50-59 years, female 3093.3
GTEX-13YAN-0226-SM-5TDC6 60-69 years, male 3088.2
GTEX-1EH9U-2826-SM-7DUGT 60-69 years, male 3084.7
GTEX-1JJ6O-2726-SM-CNPOG 60-69 years, male 3079.9
GTEX-1GMRU-2126-SM-7P8RA 50-59 years, male 3076.4
GTEX-145MG-1526-SM-5Q5EM 50-59 years, male 3073.7
GTEX-ZYFG-1526-SM-5GZYM 60-69 years, female 3066.8
GTEX-1HR9M-2226-SM-CNPPY 60-69 years, male 3062.1
GTEX-1JMQJ-0826-SM-CNPP7 50-59 years, male 3060.0
GTEX-1R9PM-1926-SM-EVR3O 20-29 years, male 3059.1
GTEX-133LE-2326-SM-5K7W3 20-29 years, female 3056.5
GTEX-12WSA-0426-SM-5EQ5X 60-69 years, male 3056.2
GTEX-14PJ4-0226-SM-5YY92 60-69 years, male 3053.7
GTEX-X8HC-0626-SM-4E3HQ 50-59 years, female 3043.2
GTEX-15DDE-2926-SM-6LLJ3 50-59 years, female 3038.6
GTEX-1HKZK-0726-SM-ACKW2 40-49 years, male 3037.3
GTEX-1H23P-0626-SM-9WG6T 60-69 years, male 3035.5
GTEX-1S5ZU-2526-SM-E6CIF 20-29 years, female 3029.1
GTEX-1HFI7-2326-SM-CGQFS 50-59 years, female 3026.2
GTEX-ZA64-1026-SM-5HL8R 20-29 years, male 3024.7
GTEX-15EO6-2426-SM-6PALZ 50-59 years, male 3023.1
GTEX-YECK-0326-SM-4W1YS 60-69 years, male 3020.2
GTEX-13SLW-0626-SM-5Q5ER 70-79 years, male 3016.2
GTEX-16MTA-0926-SM-6M47Z 50-59 years, male 3015.6
GTEX-WH7G-2026-SM-3NMBL 40-49 years, male 3009.8
GTEX-11DXY-0126-SM-5H11Q 60-69 years, male 3001.9
GTEX-UPK5-0426-SM-3GAEK 40-49 years, male 3000.5
GTEX-1GN73-0726-SM-7P8TJ 60-69 years, male 2989.6
GTEX-1K2DU-1226-SM-CYPT4 20-29 years, male 2988.8
GTEX-1313W-0626-SM-5EQ4H 50-59 years, female 2988.2
GTEX-Y3IK-1626-SM-4YCF5 50-59 years, female 2981.3
GTEX-11PRG-0726-SM-5EGL1 50-59 years, male 2976.2
GTEX-1PPH8-0126-SM-EWRN8 20-29 years, male 2970.4
GTEX-1JMQK-1226-SM-D4P2S 60-69 years, male 2967.0
GTEX-1122O-1026-SM-9WYSF 60-69 years, female 2964.9
GTEX-ZAJG-1526-SM-5CVML 50-59 years, female 2963.4
GTEX-144GM-0526-SM-79OJO 20-29 years, male 2959.8
GTEX-1QW4Y-1126-SM-DTXE3 30-39 years, male 2956.0
GTEX-15G19-2426-SM-7KUMR 60-69 years, male 2948.9
GTEX-1BAJH-2426-SM-7IGP8 70-79 years, male 2948.2
GTEX-1K2DA-1026-SM-CGQGF 50-59 years, male 2947.7
GTEX-1JJEA-1826-SM-ARU8P 60-69 years, male 2947.6
GTEX-13D11-0926-SM-5J2NC 50-59 years, female 2946.8
GTEX-11ZTT-2126-SM-5CVLO 60-69 years, female 2943.4
GTEX-139UW-0326-SM-5J1ML 60-69 years, male 2943.1
GTEX-1IKOE-1426-SM-CE6T7 30-39 years, female 2941.7
GTEX-YEC4-1826-SM-4W1YP 40-49 years, male 2939.1
GTEX-1JKYR-0626-SM-ARL8R 20-29 years, male 2930.2
GTEX-1ICLY-0826-SM-CMKG1 50-59 years, male 2926.0
GTEX-1A3MV-1826-SM-731CD 30-39 years, male 2914.2
GTEX-1RMOY-1326-SM-E9TIH 50-59 years, male 2913.7
GTEX-1JMQL-2226-SM-CNPP4 50-59 years, female 2908.1
GTEX-XUW1-0926-SM-4BONX 50-59 years, female 2907.0
GTEX-1I1GU-0926-SM-ACKVS 40-49 years, male 2906.4
GTEX-Y111-0626-SM-4SOIT 50-59 years, male 2905.3
GTEX-139D8-1126-SM-5LU8W 30-39 years, female 2903.2
GTEX-1JN76-0626-SM-CKZOQ 20-29 years, female 2889.7
GTEX-15ER7-0626-SM-6PANF 20-29 years, female 2889.1
GTEX-1H3O1-1326-SM-9MQLD 60-69 years, male 2887.7
GTEX-1RAZS-2526-SM-E6CHT 50-59 years, male 2885.9
GTEX-1HSMO-0626-SM-ACKXC 60-69 years, male 2875.2
GTEX-1F5PK-2226-SM-7SB6N 50-59 years, male 2874.6
GTEX-1AYD5-2626-SM-7PBXY 50-59 years, male 2869.2
GTEX-11UD2-2526-SM-5CVNU 50-59 years, male 2866.8
GTEX-1HBPM-0726-SM-9YFL7 60-69 years, female 2864.1
GTEX-13OVJ-0826-SM-5J1OK 50-59 years, female 2862.6
GTEX-14A5H-0826-SM-5QGPJ 60-69 years, male 2861.8
GTEX-1J1R8-2026-SM-CL53Y 40-49 years, male 2854.8
GTEX-ZVT2-0126-SM-5GIDQ 50-59 years, female 2851.3
GTEX-18A67-1626-SM-7LT9T 50-59 years, male 2848.0
GTEX-1F48J-0726-SM-7RHGS 50-59 years, female 2847.7
GTEX-13SLX-2226-SM-62LEP 50-59 years, female 2847.3
GTEX-1QAET-0326-SM-EVR3U 50-59 years, male 2842.1
GTEX-12WSF-1626-SM-7KUG5 70-79 years, male 2838.6
GTEX-1MJK3-0726-SM-E6CJC 20-29 years, male 2832.6
GTEX-1LVAO-2726-SM-E9TJ8 60-69 years, male 2830.7
GTEX-ZY6K-1426-SM-5GZX2 50-59 years, male 2829.4
GTEX-13NZ8-1226-SM-5KM4A 60-69 years, female 2829.1
GTEX-1H1DG-2426-SM-9QEHJ 70-79 years, male 2825.8
GTEX-1PPGY-1626-SM-EVYBL 60-69 years, male 2825.3
GTEX-1PIIG-2326-SM-DTXFR 30-39 years, male 2822.5
GTEX-15FZZ-0526-SM-7KUGD 30-39 years, female 2820.2
GTEX-14BIN-1126-SM-5RQJZ 50-59 years, female 2815.6
GTEX-1C64N-2626-SM-7PC2N 50-59 years, male 2811.8
GTEX-117YX-1926-SM-5GIEC 50-59 years, male 2806.3
GTEX-1KAFJ-0126-SM-DIPEK 50-59 years, male 2804.9
GTEX-1I1GS-2626-SM-B2LY3 60-69 years, male 2804.2
GTEX-111VG-1626-SM-5EGIO 60-69 years, male 2803.1
GTEX-X4EO-2926-SM-4E3JH 60-69 years, female 2801.7
GTEX-1AMFI-1326-SM-7939R 50-59 years, female 2798.9
GTEX-1EMGI-2326-SM-7PBYA 60-69 years, male 2798.6
GTEX-ZPIC-0526-SM-DO91W 40-49 years, female 2794.1
GTEX-14PHX-2226-SM-6EU2P 50-59 years, male 2788.1
GTEX-145ME-1726-SM-5Q5EU 40-49 years, female 2784.6
GTEX-11EQ9-1626-SM-5PNY8 30-39 years, male 2781.8
GTEX-1JK1U-0226-SM-ARZMX 60-69 years, male 2779.6
GTEX-14AS3-1526-SM-5Q5ED 40-49 years, female 2777.9
GTEX-1O9I2-0226-SM-EYYXD 50-59 years, male 2776.9
GTEX-139TU-0726-SM-5L3EK 60-69 years, male 2774.7
GTEX-1I1GP-1326-SM-A9G28 50-59 years, male 2773.1
GTEX-14E6E-0526-SM-793DN 30-39 years, male 2772.1
GTEX-145MH-2826-SM-5RQJF 50-59 years, male 2771.3
GTEX-139TS-2126-SM-5K7XC 60-69 years, male 2770.0
GTEX-15D1Q-2826-SM-6LLH7 40-49 years, male 2763.2
GTEX-1POEN-2326-SM-E9J2L 30-39 years, female 2762.9
GTEX-14PJN-1826-SM-6AJ98 30-39 years, male 2762.3
GTEX-14PHY-1226-SM-5ZZWK 60-69 years, female 2759.9
GTEX-1211K-1526-SM-5FQU4 60-69 years, female 2759.7
GTEX-1CB4I-0126-SM-7RHGG 50-59 years, male 2758.7
GTEX-147F3-1726-SM-5SIAW 50-59 years, female 2756.2
GTEX-14PJ5-1526-SM-6LLIL 60-69 years, female 2751.2
GTEX-14C38-0726-SM-5SI6M 50-59 years, male 2747.8
GTEX-1JMLX-0626-SM-ARL8T 50-59 years, male 2746.7
GTEX-1H4P4-2126-SM-9WYSL 50-59 years, male 2745.7
GTEX-15G1A-1626-SM-7KUKN 30-39 years, male 2743.8
GTEX-131XG-0326-SM-5L3DX 50-59 years, female 2743.5
GTEX-1PBJJ-1026-SM-E76OS 30-39 years, male 2742.9
GTEX-1HCU6-2526-SM-ADEHL 60-69 years, female 2733.0
GTEX-YFCO-1226-SM-5LUAT 40-49 years, male 2731.5
GTEX-ZXG5-2126-SM-59HKD 60-69 years, male 2730.1
GTEX-1RLM8-2926-SM-E8VON 50-59 years, male 2727.2
GTEX-XOT4-0626-SM-4B66L 60-69 years, female 2727.1
GTEX-XK95-0226-SM-4AT58 40-49 years, male 2724.5
GTEX-14PK6-0226-SM-62LF5 70-79 years, female 2723.0
GTEX-11NUK-2726-SM-5A5MC 50-59 years, male 2718.6
GTEX-1HT8W-0626-SM-A9G2H 30-39 years, male 2716.6
GTEX-1GZ2Q-0126-SM-9WG6M 40-49 years, male 2709.7
GTEX-17MF6-2626-SM-79OKQ 40-49 years, male 2709.6
GTEX-13X6I-1826-SM-5SIAO 60-69 years, male 2708.8
GTEX-1NV5F-0626-SM-DTXEG 60-69 years, female 2702.2
GTEX-16XZZ-0726-SM-7KUF2 60-69 years, male 2699.0
GTEX-1A8FM-0626-SM-7PC25 50-59 years, female 2697.1
GTEX-1IDJU-1726-SM-CMKHU 60-69 years, female 2695.4
GTEX-1J8EW-2726-SM-CY8HR 60-69 years, female 2694.8
GTEX-14C5O-0326-SM-5ZZUX 60-69 years, male 2693.4
GTEX-131XW-0626-SM-5PNVD 50-59 years, female 2691.7
GTEX-XBED-1926-SM-47JYP 60-69 years, male 2691.1
GTEX-13FHO-0426-SM-5L3F5 60-69 years, male 2691.0
GTEX-1GTWX-2026-SM-9YFLM 60-69 years, male 2690.2
GTEX-1B97I-0626-SM-73KUZ 40-49 years, male 2689.6
GTEX-139T8-0626-SM-5KLZX 60-69 years, male 2686.5
GTEX-1A8G6-2726-SM-731AR 60-69 years, male 2685.5
GTEX-ZU9S-1826-SM-5NQ9E 30-39 years, male 2683.7
GTEX-12BJ1-0926-SM-5EQ62 60-69 years, male 2682.9
GTEX-139TT-2126-SM-5LZWC 60-69 years, male 2682.5
GTEX-15CHQ-0326-SM-69LQD 60-69 years, male 2681.8
GTEX-11ZUS-2626-SM-5FQUR 30-39 years, male 2676.9
GTEX-1F6IF-0926-SM-7SB7M 60-69 years, male 2676.0
GTEX-13N11-2326-SM-5IJBF 50-59 years, female 2673.1
GTEX-1QMI2-2526-SM-E8VNZ 60-69 years, male 2672.0
GTEX-13QBU-1226-SM-5LU4G 40-49 years, female 2671.5
GTEX-145MI-0626-SM-5SI8S 60-69 years, female 2671.3
GTEX-1I1GV-0626-SM-ARL7M 60-69 years, male 2670.4
GTEX-1HR98-2226-SM-ADEI2 60-69 years, male 2669.5
GTEX-1IOXB-2726-SM-CM2RI 50-59 years, male 2668.8
GTEX-15EU6-2226-SM-6EU2L 50-59 years, male 2668.4
GTEX-1LSNM-0826-SM-DIPG8 50-59 years, male 2665.1
GTEX-1LB8K-0726-SM-D5OV2 50-59 years, male 2664.8
GTEX-1QCLY-0226-SM-EWRNH 30-39 years, male 2659.2
GTEX-13O3Q-0126-SM-5KM34 50-59 years, male 2657.4
GTEX-15SHW-0226-SM-7LTAT 60-69 years, male 2657.2
GTEX-1IDFM-0326-SM-ARL7V 60-69 years, male 2655.6
GTEX-1GZ4I-2626-SM-9KNU3 50-59 years, male 2655.4
GTEX-1GMR8-0626-SM-7RHI7 50-59 years, female 2653.6
GTEX-16MT8-2926-SM-7DUFO 60-69 years, female 2652.9
GTEX-ZLFU-1826-SM-4WWBV 40-49 years, male 2650.8
GTEX-14BMV-2826-SM-5TDED 50-59 years, male 2650.1
GTEX-YB5K-2026-SM-4VDT3 40-49 years, female 2648.8
GTEX-1LSNL-2726-SM-E9TKJ 50-59 years, male 2633.4
GTEX-14A6H-2026-SM-5Q5DD 30-39 years, male 2632.9
GTEX-1PDJ9-1226-SM-EXUSX 20-29 years, male 2631.9
GTEX-1N2EE-0626-SM-E76PW 60-69 years, male 2630.4
GTEX-16Z82-2626-SM-7KULU 60-69 years, male 2629.0
GTEX-XQ3S-1426-SM-4BOPR 20-29 years, male 2628.5
GTEX-1I19N-0126-SM-CYPSF 70-79 years, male 2620.1
GTEX-ZWKS-0626-SM-5GIDV 30-39 years, male 2619.6
GTEX-1477Z-0326-SM-7IGLA 60-69 years, male 2615.8
GTEX-14E6C-2426-SM-5S2NF 40-49 years, male 2613.2
GTEX-13FTX-1526-SM-5K7VJ 20-29 years, female 2605.9
GTEX-1269C-0126-SM-5EQ5L 60-69 years, female 2605.2
GTEX-1F88E-1626-SM-7SB8Z 60-69 years, female 2605.1
GTEX-ZYVF-0926-SM-5E44J 50-59 years, female 2604.7
GTEX-1IDJH-0126-SM-D3L92 70-79 years, male 2604.1
GTEX-1J8QM-2426-SM-A9SLS 60-69 years, female 2602.5
GTEX-145MF-0926-SM-5Q5EA 50-59 years, male 2597.5
GTEX-14PKV-1126-SM-6LLJ1 20-29 years, female 2595.8
GTEX-11O72-0626-SM-5PNYE 40-49 years, male 2594.9
GTEX-1CB4H-1126-SM-7MKGL 60-69 years, female 2594.1
GTEX-1B996-0426-SM-7EWF8 60-69 years, male 2590.8
GTEX-13VXT-1926-SM-5K7UO 20-29 years, female 2590.7
GTEX-18QFQ-1826-SM-72D52 30-39 years, male 2590.5
GTEX-18465-2826-SM-7LT9J 50-59 years, male 2590.4
GTEX-14JFF-0626-SM-5ZZVT 60-69 years, male 2586.5
GTEX-12696-0126-SM-5EQ4L 60-69 years, male 2586.4
GTEX-1HBPI-2126-SM-ARL9K 50-59 years, male 2584.8
GTEX-111CU-1126-SM-5EGIM 50-59 years, male 2584.5
GTEX-14B4R-1326-SM-5Q5EZ 30-39 years, male 2584.5
GTEX-XYKS-1426-SM-4BRUO 60-69 years, female 2583.7
GTEX-11VI4-1126-SM-5EQMD 40-49 years, female 2581.2
GTEX-13U4I-2226-SM-5LU5H 40-49 years, female 2578.8
GTEX-12WSJ-1126-SM-5LZVJ 40-49 years, female 2577.5
GTEX-1KXAM-1626-SM-D3LAD 60-69 years, male 2573.7
GTEX-146FQ-2126-SM-5RQHU 30-39 years, male 2572.5
GTEX-V1D1-2026-SM-3GAF4 50-59 years, male 2567.5
GTEX-145MN-1526-SM-5SI9T 30-39 years, male 2566.5
GTEX-145LS-0626-SM-7EPG7 60-69 years, female 2561.9
GTEX-145LU-1926-SM-79OJN 50-59 years, male 2561.2
GTEX-14PKU-0126-SM-6LLHV 40-49 years, female 2557.4
GTEX-ZE9C-2526-SM-5IJDR 60-69 years, male 2557.2
GTEX-1RB15-1326-SM-E76Q9 60-69 years, male 2557.0
GTEX-18D9B-0926-SM-7LG4U 60-69 years, male 2555.3
GTEX-16BQI-1326-SM-6M486 30-39 years, female 2555.1
GTEX-1MCC2-1826-SM-DIPEX 30-39 years, female 2551.8
GTEX-1N5O9-0926-SM-E9J3C 60-69 years, male 2550.6
GTEX-13O61-1426-SM-5KM3D 60-69 years, male 2548.8
GTEX-1C2JI-1026-SM-73KY1 50-59 years, male 2546.1
GTEX-12WSM-1926-SM-5BC65 60-69 years, male 2543.3
GTEX-1AX8Z-0726-SM-73KTS 60-69 years, male 2537.6
GTEX-13FH7-1126-SM-5K7UG 50-59 years, female 2535.8
GTEX-1I1HK-2326-SM-CKZOH 60-69 years, male 2535.1
GTEX-1JN1M-2726-SM-CY8I4 60-69 years, female 2533.4
GTEX-111YS-1526-SM-5GZYW 60-69 years, male 2523.6
GTEX-XBEW-1126-SM-4QARW 40-49 years, male 2520.7
GTEX-1OJC3-1226-SM-DTXER 20-29 years, male 2518.8
GTEX-1J8Q3-0526-SM-ARL8U 60-69 years, male 2517.7
GTEX-1R9PN-0426-SM-DTXDT 40-49 years, female 2514.0
GTEX-12584-0726-SM-5FQTK 40-49 years, male 2513.4
GTEX-1LVAN-0626-SM-CNPOQ 50-59 years, female 2510.2
GTEX-12WSH-1526-SM-5BC5W 50-59 years, male 2509.2
GTEX-1497J-0226-SM-5QGPU 60-69 years, male 2508.2
GTEX-1F75A-0726-SM-7RHHD 50-59 years, male 2508.1
GTEX-12KS4-2126-SM-5FQUT 30-39 years, male 2506.3
GTEX-11WQC-1826-SM-5GU59 60-69 years, male 2506.1
GTEX-1S831-1826-SM-EWROF 20-29 years, male 2502.8
GTEX-ZDTT-0426-SM-4WKFL 60-69 years, male 2500.8
GTEX-X5EB-1926-SM-4E3IW 40-49 years, male 2498.3
GTEX-1GMR2-0826-SM-7PC3V 50-59 years, male 2498.3
GTEX-1HCU7-0726-SM-A9SL1 50-59 years, male 2496.1
GTEX-11GSP-2326-SM-5HL63 60-69 years, female 2495.9
GTEX-1JN6P-2926-SM-CL54D 60-69 years, male 2495.5
GTEX-1JKYN-0826-SM-ARU8S 30-39 years, male 2493.8
GTEX-13VXU-0626-SM-5L3F9 50-59 years, male 2493.2
GTEX-13PVR-0426-SM-5RQK2 60-69 years, female 2486.4
GTEX-W5X1-2526-SM-3GILC 40-49 years, female 2485.4
GTEX-1I4MK-0126-SM-CY8G6 50-59 years, female 2484.8
GTEX-1GZ4H-0526-SM-9KNU9 50-59 years, female 2483.6
GTEX-13N1W-2426-SM-5IJD1 70-79 years, male 2471.8
GTEX-13OVG-1626-SM-5J1NF 60-69 years, male 2469.8
GTEX-1KANB-2826-SM-CY8I6 50-59 years, male 2467.0
GTEX-1192X-2726-SM-5N9DN 50-59 years, male 2465.0
GTEX-1JMPZ-0726-SM-CY8HZ 30-39 years, male 2459.7
GTEX-1B8KE-1126-SM-7EPHI 50-59 years, male 2459.5
GTEX-XPVG-2126-SM-4B667 50-59 years, male 2459.3
GTEX-1A8G7-1326-SM-73KVM 60-69 years, male 2459.0
GTEX-1J8Q2-2626-SM-ACKWQ 60-69 years, male 2457.9
GTEX-1GPI6-1926-SM-9KNV7 60-69 years, male 2452.4
GTEX-1F6RS-2026-SM-7RHHC 60-69 years, female 2451.2
GTEX-ZC5H-1526-SM-5HL9Y 40-49 years, female 2450.0
GTEX-1KANA-1326-SM-DIPFA 20-29 years, male 2448.3
GTEX-13FLV-0126-SM-5K7WT 50-59 years, male 2444.7
GTEX-13FTW-0326-SM-5K7UW 40-49 years, male 2442.4
GTEX-1EN7A-2426-SM-793DB 40-49 years, male 2441.9
GTEX-1JMOU-1026-SM-CYPSS 60-69 years, female 2441.2
GTEX-1LBAC-0826-SM-CY8IJ 20-29 years, male 2441.2
GTEX-XBEC-0726-SM-4QARZ 50-59 years, male 2439.9
GTEX-ZYFD-0626-SM-5E44E 50-59 years, male 2436.5
GTEX-1B8L1-2226-SM-7P8PT 60-69 years, male 2434.5
GTEX-1GF9W-1426-SM-7PBYM 60-69 years, male 2428.9
GTEX-1F5PL-0926-SM-7PC2W 40-49 years, female 2427.5
GTEX-11DXZ-2026-SM-5987S 50-59 years, male 2424.7
GTEX-1B8SF-0126-SM-7DUG3 60-69 years, male 2421.3
GTEX-1C6VR-0126-SM-7RHGB 60-69 years, male 2420.8
GTEX-1212Z-0126-SM-59HK4 60-69 years, male 2415.5
GTEX-1KD5A-0126-SM-E9U54 50-59 years, male 2410.1
GTEX-1HSKV-1226-SM-ADEI4 60-69 years, male 2406.5
GTEX-13G51-1826-SM-5KLZH 60-69 years, male 2403.4
GTEX-11DYG-1526-SM-5A5JS 60-69 years, male 2399.5
GTEX-ZDYS-2426-SM-4WKGI 50-59 years, male 2398.6
GTEX-X4EP-0626-SM-3P621 60-69 years, female 2398.1
GTEX-1K9T9-1526-SM-DIPFR 50-59 years, female 2394.9
GTEX-1HSMP-0926-SM-A9SKX 70-79 years, male 2393.1
GTEX-XAJ8-1426-SM-47JYM 40-49 years, male 2383.5
GTEX-ZTX8-1326-SM-4YCEL 20-29 years, male 2376.4
GTEX-1F52S-2926-SM-7MKGA 60-69 years, female 2372.2
GTEX-1GF9V-0826-SM-9KNUV 60-69 years, male 2369.7
GTEX-12WSL-2026-SM-5GCML 50-59 years, male 2368.8
GTEX-ZGAY-1826-SM-DO91Q 40-49 years, female 2368.2
GTEX-14BMU-1226-SM-5S2OR 20-29 years, female 2367.8
GTEX-1GZHY-0626-SM-9KNVC 50-59 years, female 2362.6
GTEX-16NPX-0726-SM-7KULC 50-59 years, male 2361.8
GTEX-144GL-0626-SM-5LU4D 50-59 years, male 2361.2
GTEX-1CB4E-0926-SM-7EPHT 60-69 years, male 2360.6
GTEX-ZVE2-2826-SM-5GU51 50-59 years, male 2360.1
GTEX-ZAK1-0626-SM-5HL8E 50-59 years, female 2359.6
GTEX-WXYG-2026-SM-4E3IY 50-59 years, female 2359.2
GTEX-1HC8U-1326-SM-9YFMJ 40-49 years, female 2357.8
GTEX-17EVQ-0126-SM-7IGLR 70-79 years, male 2357.7
GTEX-13PVQ-0626-SM-5LU47 50-59 years, male 2356.1
GTEX-ZPU1-1126-SM-4YCF3 40-49 years, male 2355.4
GTEX-12126-0826-SM-5FQTZ 20-29 years, male 2352.9
GTEX-11TUW-0626-SM-5LU9M 60-69 years, male 2350.6
GTEX-11EM3-1226-SM-5N9DD 20-29 years, female 2349.5
GTEX-1GN2E-0226-SM-9WG6K 60-69 years, male 2349.4
GTEX-1S83E-1326-SM-E6CJM 40-49 years, male 2346.9
GTEX-12ZZX-2426-SM-5GCOE 40-49 years, female 2346.8
GTEX-1H1CY-0126-SM-9YFLY 60-69 years, female 2345.7
GTEX-1QCLZ-2426-SM-EVYBW 60-69 years, female 2343.1
GTEX-ZYFC-0426-SM-5GICQ 50-59 years, male 2342.8
GTEX-17KNJ-2126-SM-718AM 50-59 years, male 2335.0
GTEX-1I6K6-1726-SM-CGQFD 30-39 years, male 2334.7
GTEX-13X6J-0626-SM-5LU5F 50-59 years, male 2331.6
GTEX-147F4-0726-SM-5TDDD 50-59 years, male 2330.6
GTEX-1MCYP-0526-SM-E9U6Q 20-29 years, female 2319.5
GTEX-1GN1U-0626-SM-9MQL9 50-59 years, female 2316.6
GTEX-13OW8-1026-SM-5J1NQ 60-69 years, male 2314.4
GTEX-12C56-1526-SM-5FQUQ 20-29 years, male 2314.0
GTEX-13O3O-2326-SM-5IJD6 60-69 years, female 2309.2
GTEX-16MT9-0126-SM-7EPI8 60-69 years, female 2305.5
GTEX-ZP4G-1426-SM-4WWCL 20-29 years, female 2304.4
GTEX-13113-1626-SM-5EQ4I 60-69 years, female 2302.7
GTEX-1HUB1-1426-SM-CGQF5 60-69 years, male 2297.7
GTEX-1B932-2326-SM-79OL5 40-49 years, female 2293.3
GTEX-1KANC-1226-SM-CYPT7 50-59 years, female 2289.4
GTEX-XXEK-1626-SM-4BRUZ 50-59 years, male 2284.0
GTEX-WFG8-2126-SM-3GIKQ 20-29 years, male 2283.3
GTEX-15CHC-1126-SM-6LLHQ 60-69 years, female 2280.3
GTEX-12WSD-0626-SM-5GCMW 60-69 years, female 2279.9
GTEX-1IL2V-1926-SM-B2LW8 70-79 years, male 2279.7
GTEX-1B8KZ-0326-SM-73KY4 50-59 years, male 2278.0
GTEX-1I6K7-1926-SM-B2LXR 40-49 years, male 2277.1
GTEX-17F9E-2326-SM-79OKD 50-59 years, male 2275.8
GTEX-1E1VI-0326-SM-793D1 50-59 years, male 2275.7
GTEX-11DXW-0826-SM-5H118 40-49 years, male 2273.9
GTEX-1LG7Z-1626-SM-CXKYR 30-39 years, male 2273.6
GTEX-11NSD-0626-SM-5A5LU 20-29 years, male 2269.3
GTEX-1LGOU-1326-SM-D3L8M 20-29 years, female 2269.3
GTEX-1R7EU-1626-SM-DTXG3 60-69 years, male 2266.7
GTEX-ZVT4-2426-SM-5GIEI 50-59 years, female 2265.0
GTEX-11LCK-2226-SM-5HL4Q 30-39 years, male 2264.1
GTEX-15CHR-1126-SM-7EWF4 50-59 years, male 2264.1
GTEX-ZDXO-3126-SM-5IJDF 60-69 years, male 2263.4
GTEX-13OW7-0426-SM-5K7VK 50-59 years, male 2257.4
GTEX-WK11-2726-SM-3NMAQ 50-59 years, male 2256.4
GTEX-YEC3-1326-SM-DO92X 50-59 years, male 2248.3
GTEX-1A32A-0626-SM-731AQ 50-59 years, female 2242.9
GTEX-X3Y1-2026-SM-3P5YM 40-49 years, male 2238.3
GTEX-1QEPI-2626-SM-DTXF4 60-69 years, female 2238.2
GTEX-1RAZR-2126-SM-E9U6T 40-49 years, male 2236.7
GTEX-13OW6-2726-SM-5J2OE 50-59 years, male 2235.0
GTEX-YJ8O-2526-SM-5HL85 40-49 years, female 2233.7
GTEX-1J8JJ-0626-SM-ARZMQ 60-69 years, female 2229.1
GTEX-Y8LW-1526-SM-5IFHL 50-59 years, female 2228.5
GTEX-139YR-1026-SM-5LZYN 50-59 years, male 2226.6
GTEX-1CAV2-0126-SM-7IGN7 40-49 years, female 2224.6
GTEX-VUSG-2326-SM-4KL1U 50-59 years, male 2215.1
GTEX-1F75W-2726-SM-7SB8H 60-69 years, male 2214.3
GTEX-UPJH-0226-SM-3GADV 50-59 years, male 2210.9
GTEX-13OVL-0126-SM-5L3GJ 50-59 years, male 2201.5
GTEX-17HHY-0426-SM-7DHLC 50-59 years, male 2197.6
GTEX-17F96-0126-SM-7EWDU 70-79 years, male 2194.9
GTEX-1H1DF-1126-SM-9WG7G 40-49 years, female 2194.7
GTEX-145LT-0526-SM-5LUB2 40-49 years, male 2189.5
GTEX-132AR-0326-SM-5KM2C 50-59 years, female 2184.5
GTEX-131YS-2826-SM-5EQ47 60-69 years, female 2179.8
GTEX-16NGA-0726-SM-731AO 40-49 years, female 2174.3
GTEX-1C475-1326-SM-7SB73 40-49 years, female 2162.1
GTEX-ZVTK-0226-SM-51MRG 20-29 years, male 2158.8
GTEX-1RAZA-2226-SM-E9U4X 20-29 years, male 2156.5
GTEX-1R9K4-2826-SM-DTX8F 60-69 years, male 2156.4
GTEX-18A7B-2726-SM-7LG56 70-79 years, male 2156.2
GTEX-12ZZY-0726-SM-5EQ66 60-69 years, male 2156.0
GTEX-1ICG6-1226-SM-A9SLN 70-79 years, female 2154.1
GTEX-U8XE-0226-SM-4E3J3 30-39 years, male 2149.9
GTEX-1GMR3-0126-SM-A9SLW 40-49 years, male 2149.8
GTEX-1JMQI-1726-SM-ARL93 50-59 years, male 2146.6
GTEX-1IE54-1126-SM-A9G2Z 40-49 years, female 2145.6
GTEX-1EKGG-0626-SM-7DUGJ 60-69 years, male 2142.0
GTEX-1JMPY-0226-SM-CKZOK 30-39 years, male 2138.0
GTEX-Y5V5-0126-SM-5S2NW 60-69 years, female 2137.8
GTEX-1KWVE-1026-SM-D3L9O 30-39 years, male 2132.9
GTEX-17F98-1326-SM-7DUEP 40-49 years, female 2121.9
GTEX-1HCU9-0426-SM-9WYSD 20-29 years, male 2120.0
GTEX-ZLWG-0826-SM-59888 50-59 years, female 2117.5
GTEX-1IDJF-2026-SM-CL53V 20-29 years, male 2107.6
GTEX-17HG3-2626-SM-7DUF2 30-39 years, female 2107.3
GTEX-11GS4-0226-SM-5HL77 60-69 years, male 2104.3
GTEX-1IDJD-2326-SM-ACKWX 30-39 years, male 2099.4
GTEX-11TT1-1826-SM-5EQLV 20-29 years, male 2094.6
GTEX-13OVK-1426-SM-6PAN7 40-49 years, male 2093.8
GTEX-1CAMQ-1326-SM-7P8RV 40-49 years, male 2092.3
GTEX-145MO-2826-SM-5LU96 60-69 years, male 2091.3
GTEX-1F88F-0126-SM-9WYSZ 60-69 years, female 2085.2
GTEX-1QP66-1226-SM-DTX7U 50-59 years, male 2074.0
GTEX-1HCVE-2726-SM-CL54F 50-59 years, male 2067.3
GTEX-1HGF4-0126-SM-CNPPX 60-69 years, male 2058.6
GTEX-1AMEY-0826-SM-72D65 30-39 years, female 2058.1
GTEX-17HGU-2326-SM-7DUFE 50-59 years, male 2056.0
GTEX-1EX96-1026-SM-7MKG2 50-59 years, male 2054.7
GTEX-13N2G-0226-SM-5K7VF 60-69 years, male 2038.4
GTEX-11EQ8-0926-SM-5H12V 60-69 years, male 2038.2
GTEX-1GL5R-1326-SM-7RHHF 50-59 years, male 2038.1
GTEX-ZDTS-0826-SM-4WKHL 60-69 years, male 2037.0
GTEX-ZZ64-1026-SM-5GZXG 20-29 years, male 2036.9
GTEX-1314G-1326-SM-5BC6E 30-39 years, male 2035.9
GTEX-147JS-0226-SM-5S2U9 60-69 years, male 2034.5
GTEX-13NZ9-2626-SM-5L3FK 50-59 years, male 2033.7
GTEX-14JG6-1426-SM-9WG7C 30-39 years, female 2032.8
GTEX-14DAQ-0626-SM-793DS 60-69 years, female 2027.8
GTEX-178AV-1726-SM-7KUL8 40-49 years, male 2027.3
GTEX-13OW5-2326-SM-5L3HO 60-69 years, male 2024.1
GTEX-WRHU-2826-SM-3MJG8 50-59 years, female 2022.4
GTEX-Y8E4-2026-SM-5IFJB 40-49 years, male 2021.7
GTEX-18A6Q-0626-SM-7KFRP 60-69 years, male 2020.8
GTEX-1F75B-0726-SM-7PC3R 50-59 years, male 2016.8
GTEX-WHWD-1826-SM-3LK6I 50-59 years, male 2012.0
GTEX-11EI6-2826-SM-5H11D 60-69 years, male 2010.2
GTEX-18D9U-0126-SM-731BM 40-49 years, male 2010.1
GTEX-WYJK-0526-SM-3NM8Z 50-59 years, male 2007.1
GTEX-1QP29-1826-SM-DTX9S 50-59 years, male 2004.4
GTEX-18A7A-0126-SM-731AH 50-59 years, female 2003.7
GTEX-WFON-1926-SM-3LK7L 40-49 years, male 1996.9
GTEX-1H3NZ-2726-SM-9WYTQ 60-69 years, male 1995.2
GTEX-1EWIQ-0326-SM-7DHMQ 70-79 years, female 1985.1
GTEX-1GF9X-1326-SM-7PC2Y 40-49 years, female 1982.3
GTEX-ZTSS-1426-SM-5985P 40-49 years, male 1978.4
GTEX-1IDJV-0126-SM-COH3Y 60-69 years, male 1974.7
GTEX-16GPK-0626-SM-7KFSF 60-69 years, male 1969.1
GTEX-1B933-2426-SM-7DHMD 50-59 years, female 1967.2
GTEX-14PJ2-0626-SM-6LLII 50-59 years, male 1955.8
GTEX-1H1E6-0426-SM-9WYUS 30-39 years, male 1953.6
GTEX-1EU9M-1426-SM-793AI 60-69 years, male 1943.0
GTEX-12WSC-2826-SM-5BC5Y 50-59 years, male 1942.9
GTEX-131XF-2626-SM-5EQ6K 60-69 years, male 1941.9
GTEX-1I1CD-0626-SM-CE6SW 60-69 years, female 1915.2
GTEX-1HSMQ-2626-SM-A9SML 50-59 years, male 1914.0
GTEX-1AX9I-2226-SM-73KUO 60-69 years, male 1897.3
GTEX-WY7C-2126-SM-3NB2R 50-59 years, male 1883.8
GTEX-1CB4F-1026-SM-7DUH1 60-69 years, male 1882.4
GTEX-16AAH-0626-SM-793C9 50-59 years, male 1881.8
GTEX-1CAMR-1326-SM-7PC1F 20-29 years, male 1876.8
GTEX-WYBS-0626-SM-3NMAS 60-69 years, female 1865.2
GTEX-111FC-2526-SM-5GZXU 60-69 years, male 1852.2
GTEX-WHSE-0126-SM-3NMBT 20-29 years, male 1825.4
GTEX-1L5NE-1126-SM-D3L9P 50-59 years, male 1823.5
GTEX-1A3MX-2626-SM-7PC24 60-69 years, male 1814.4
GTEX-ZT9W-1126-SM-57WDR 50-59 years, male 1809.2
GTEX-17F9Y-0126-SM-79OKX 70-79 years, female 1806.9
GTEX-17F97-2626-SM-7IGM5 50-59 years, male 1806.4
GTEX-1F6I4-2326-SM-7RHGL 60-69 years, male 1796.1
GTEX-14PJO-2526-SM-6AJBQ 60-69 years, male 1787.2
GTEX-1C64O-1326-SM-7MGWR 60-69 years, male 1785.0
GTEX-1H1DE-1326-SM-9KNUG 20-29 years, male 1776.4
GTEX-1AX9J-1326-SM-731BJ 60-69 years, male 1776.3
GTEX-WFG7-2026-SM-5SI7P 20-29 years, male 1773.1
GTEX-1HCU8-2526-SM-CE6RX 60-69 years, female 1769.9
GTEX-11P82-1426-SM-DTXFY 20-29 years, male 1769.3
GTEX-13JUV-2026-SM-5K7UA 40-49 years, female 1764.3
GTEX-YF7O-1526-SM-5IFI6 50-59 years, male 1758.0
GTEX-1IDJE-1426-SM-ADEIW 50-59 years, female 1750.3
GTEX-183FY-1026-SM-7939A 20-29 years, male 1747.1
GTEX-1GN1W-2426-SM-9KNUU 50-59 years, female 1737.1
GTEX-WEY5-2326-SM-3GIKK 40-49 years, female 1721.4
GTEX-14PJ3-1126-SM-5ZZVX 50-59 years, male 1719.6
GTEX-VJYA-1526-SM-3GIJV 60-69 years, male 1712.1
GTEX-1IY9M-2826-SM-ARU8H 60-69 years, male 1675.4
GTEX-ZVP2-0326-SM-57WBP 50-59 years, male 1646.2
GTEX-1IDJC-1526-SM-B2LW4 50-59 years, male 1641.6
GTEX-ZUA1-2626-SM-5NQ92 40-49 years, male 1633.5
GTEX-Y114-2126-SM-4TT8B 50-59 years, female 1628.0
GTEX-WYVS-1626-SM-3NM9R 40-49 years, female 1599.2
GTEX-1GF9U-2026-SM-7SB92 40-49 years, female 1597.3
GTEX-17JCI-2926-SM-7DUFF 60-69 years, female 1589.4
GTEX-1N2DV-1526-SM-DTXEP 40-49 years, male 1538.8
GTEX-11P7K-1126-SM-5HL4L 30-39 years, male 1533.2
GTEX-18A66-0626-SM-7LT8Z 60-69 years, male 1504.9
GTEX-15RJ7-2126-SM-6PAMD 40-49 years, male 1460.3
GTEX-WHPG-2626-SM-3NMBR 50-59 years, male 1382.7
GTEX-1F75I-2226-SM-7SB8U 40-49 years, male 1354.5
Show allShow less
Skin - Sun Exposed (Lower leg)
Average nTPM: 2440.7
Samples: 701

Max nTPM: 5426.3
Min nTPM: 1224.2
Std nTPM: 523.0
Median nTPM: 2404.8
GTEX-15UF6-0826-SM-6PALJ 70-79 years, female 5426.3
GTEX-15SB6-1726-SM-6PAME 50-59 years, female 4898.9
GTEX-1HSMO-0126-SM-CL547 60-69 years, male 4877.8
GTEX-14E6C-0126-SM-5RQIP 40-49 years, male 4341.5
GTEX-RVPV-0126-SM-EAZAW 60-69 years, male 4060.6
GTEX-13NZ8-0826-SM-5MR3I 60-69 years, female 3872.4
GTEX-O5YT-0126-SM-48TBW 20-29 years, male 3828.4
GTEX-1L5NE-2526-SM-E6CIE 50-59 years, male 3822.0
GTEX-P4PP-0126-SM-3LK69 30-39 years, female 3821.6
GTEX-UJHI-1526-SM-3DB99 50-59 years, female 3746.6
GTEX-11H98-0126-SM-5EGHG 50-59 years, male 3691.9
GTEX-13PDP-0126-SM-5L3HD 60-69 years, male 3678.3
GTEX-POMQ-2226-SM-2I5FK 20-29 years, female 3670.7
GTEX-1122O-2126-SM-5EGIR 60-69 years, female 3647.0
GTEX-1JN1M-0326-SM-CYPT3 60-69 years, female 3642.6
GTEX-183WM-0126-SM-7LTAB 70-79 years, female 3624.0
GTEX-NPJ8-0126-SM-2YUNR 40-49 years, male 3613.2
GTEX-144FL-0126-SM-5TDC8 50-59 years, male 3612.0
GTEX-18D9A-1926-SM-7LG6P 30-39 years, female 3600.2
GTEX-131XF-5016-SM-7MGWE 60-69 years, male 3594.6
GTEX-1H1ZS-0426-SM-9WG6G 70-79 years, male 3579.1
GTEX-14753-0426-SM-5NQAM 60-69 years, male 3574.4
GTEX-15RIG-0226-SM-7KFTL 40-49 years, male 3556.2
GTEX-W5X1-3026-SM-EAZAX 40-49 years, female 3549.5
GTEX-SN8G-0126-SM-32PLI 50-59 years, female 3539.7
GTEX-ZVZO-0126-SM-5A5L9 40-49 years, male 3526.1
GTEX-ZYFG-2326-SM-5E44B 60-69 years, female 3513.4
GTEX-WI4N-1026-SM-3LK7N 40-49 years, female 3513.1
GTEX-1PIIG-0226-SM-EWRN6 30-39 years, male 3512.8
GTEX-1JMQL-0226-SM-CNPP5 50-59 years, female 3507.7
GTEX-145LS-0126-SM-5QGP1 60-69 years, female 3502.2
GTEX-1JMPZ-0226-SM-CNPP1 30-39 years, male 3501.6
GTEX-117XS-2726-SM-5N9BL 60-69 years, male 3431.5
GTEX-1M5QR-1226-SM-EWROB 40-49 years, male 3417.6
GTEX-RTLS-0126-SM-447CA 60-69 years, female 3412.1
GTEX-13NYB-2526-SM-5K7Z6 40-49 years, male 3403.5
GTEX-1C6VQ-0126-SM-7P8RI 50-59 years, male 3389.1
GTEX-ZAJG-0126-SM-5HL94 50-59 years, female 3374.8
GTEX-145MO-0326-SM-5Q5B3 60-69 years, male 3371.9
GTEX-1MJK2-0426-SM-DTXE5 50-59 years, male 3370.2
GTEX-15ETS-0126-SM-7KUMW 40-49 years, female 3338.3
GTEX-1K2DU-2326-SM-E9TIV 20-29 years, male 3325.0
GTEX-145LT-1726-SM-5QGP3 40-49 years, male 3321.8
GTEX-Y5V6-2426-SM-4VDSB 60-69 years, male 3320.7
GTEX-PWO3-1526-SM-48TCM 60-69 years, female 3320.4
GTEX-PWCY-1826-SM-DHXIZ 20-29 years, female 3318.1
GTEX-TMZS-0126-SM-3DB9Q 60-69 years, male 3312.1
GTEX-QDVN-2026-SM-3GAEP 50-59 years, male 3309.0
GTEX-12WSA-0226-SM-5BC5V 60-69 years, male 3302.8
GTEX-OIZH-0126-SM-2HMIS 50-59 years, male 3290.5
GTEX-131XE-2326-SM-5PNZ2 50-59 years, male 3280.4
GTEX-1IDJH-0326-SM-A9SLQ 70-79 years, male 3268.0
GTEX-Q2AH-1626-SM-3GAF8 40-49 years, male 3247.5
GTEX-13OVH-0126-SM-5MR4B 70-79 years, male 3242.2
GTEX-TML8-1926-SM-32QOS 40-49 years, female 3215.2
GTEX-1OJC3-0126-SM-E76QX 20-29 years, male 3209.0
GTEX-Z93T-0126-SM-5HL5N 50-59 years, male 3204.4
GTEX-1JJ6O-0126-SM-E6CI8 60-69 years, male 3201.3
GTEX-12WSE-0526-SM-793B2 20-29 years, male 3192.5
GTEX-1ICLZ-0126-SM-CKZPO 60-69 years, male 3179.6
GTEX-1MA7W-2026-SM-E9TJ6 20-29 years, female 3168.0
GTEX-U412-0426-SM-3DB9O 60-69 years, male 3158.5
GTEX-15EOM-0126-SM-7KUGG 20-29 years, female 3157.1
GTEX-X8HC-0126-SM-4E3JW 50-59 years, female 3154.9
GTEX-16MT8-0426-SM-7KUEY 60-69 years, female 3153.6
GTEX-13NYS-0126-SM-5MR3W 60-69 years, male 3117.3
GTEX-1HSMP-0126-SM-E6CJS 70-79 years, male 3081.0
GTEX-13U4I-0126-SM-5LU38 40-49 years, female 3077.8
GTEX-U8T8-0126-SM-3DB94 60-69 years, male 3075.1
GTEX-1GF9U-2126-SM-7SB7L 40-49 years, female 3074.4
GTEX-1CAMS-0426-SM-7P8T2 40-49 years, female 3072.8
GTEX-1399U-2326-SM-5K7WY 50-59 years, female 3070.0
GTEX-11EQ9-2426-SM-5HL5T 30-39 years, male 3067.1
GTEX-1O97I-0326-SM-EYYX7 60-69 years, male 3063.0
GTEX-ZF3C-0126-SM-DO92D 50-59 years, female 3055.8
GTEX-145MN-2226-SM-5SIAU 30-39 years, male 3055.4
GTEX-1LC47-0326-SM-E9TJP 60-69 years, male 3051.5
GTEX-11UD1-0126-SM-5PNYG 40-49 years, female 3047.9
GTEX-1R46S-0626-SM-E9J41 60-69 years, female 3040.4
GTEX-17MF6-0126-SM-7LG4F 40-49 years, male 3039.1
GTEX-1HBPM-0226-SM-ARL9F 60-69 years, female 3035.9
GTEX-1PFEY-1526-SM-E76PP 30-39 years, male 3035.9
GTEX-QV44-1926-SM-2S1RF 50-59 years, male 3030.0
GTEX-14JG1-0426-SM-6ETZZ 40-49 years, male 3029.4
GTEX-11UD2-0226-SM-5EQKY 50-59 years, male 3026.7
GTEX-15D1Q-0126-SM-7KUG6 40-49 years, male 3024.0
GTEX-17HII-0226-SM-7LG4E 50-59 years, male 3017.5
GTEX-145MF-0626-SM-5LUAI 50-59 years, male 3011.3
GTEX-1KWVE-1426-SM-E9TJO 30-39 years, male 3003.8
GTEX-1RAZA-0126-SM-E6CI3 20-29 years, male 3003.8
GTEX-1KANB-0526-SM-E6CJH 50-59 years, male 2998.0
GTEX-X585-0226-SM-4QAS2 50-59 years, male 2995.5
GTEX-11GSO-2426-SM-5A5LY 60-69 years, male 2994.5
GTEX-OIZG-0726-SM-33HBL 50-59 years, male 2993.6
GTEX-PLZ6-1426-SM-DKPOT 30-39 years, male 2991.6
GTEX-ZVTK-0426-SM-51MRS 20-29 years, male 2985.1
GTEX-ZPIC-1726-SM-DHXIU 40-49 years, female 2981.5
GTEX-13OVI-1426-SM-5L3EY 60-69 years, female 2980.4
GTEX-X4EP-0126-SM-3P5YV 60-69 years, female 2976.2
GTEX-1A3MW-0126-SM-73KXX 60-69 years, female 2973.0
GTEX-11DYG-0126-SM-59883 60-69 years, male 2970.3
GTEX-139TS-2826-SM-5J1OO 60-69 years, male 2954.9
GTEX-X4XX-0126-SM-3NMC2 60-69 years, male 2949.3
GTEX-XBEW-0626-SM-4QASP 40-49 years, male 2940.7
GTEX-ZAB4-0226-SM-5N9F5 40-49 years, male 2940.5
GTEX-1H4P4-0726-SM-9YFLR 50-59 years, male 2935.4
GTEX-1PWST-0226-SM-E76QJ 70-79 years, male 2931.5
GTEX-1JKYR-0126-SM-CNPOJ 20-29 years, male 2928.0
GTEX-1I1GT-0626-SM-CGQER 60-69 years, female 2925.0
GTEX-TSE9-0126-SM-3DB83 60-69 years, female 2918.8
GTEX-Y5LM-1926-SM-5RQJH 40-49 years, female 2916.6
GTEX-18QFQ-0126-SM-731BE 30-39 years, male 2915.3
GTEX-1RB15-2126-SM-E9TIM 60-69 years, male 2915.0
GTEX-Z93S-0126-SM-5HL7M 50-59 years, male 2911.4
GTEX-VJWN-0126-SM-3GIK7 50-59 years, female 2908.9
GTEX-1I1GV-0526-SM-A9G29 60-69 years, male 2906.4
GTEX-P4QT-0126-SM-2I3FL 50-59 years, female 2904.1
GTEX-13PVR-2326-SM-5QGR1 60-69 years, female 2898.5
GTEX-1A3MX-0126-SM-731BR 60-69 years, male 2895.8
GTEX-14XAO-2326-SM-6EU1B 60-69 years, female 2893.6
GTEX-12126-0326-SM-5PNW3 20-29 years, male 2884.4
GTEX-1QAET-0926-SM-E76QM 50-59 years, male 2883.5
GTEX-ZYY3-0126-SM-5GZY5 60-69 years, female 2882.4
GTEX-1GZ2Q-0226-SM-7P8TL 40-49 years, male 2882.3
GTEX-1LB8K-0226-SM-EWRNW 50-59 years, male 2874.3
GTEX-14PN4-0126-SM-6EU2V 50-59 years, male 2873.3
GTEX-1313W-0126-SM-5LZUN 50-59 years, female 2871.0
GTEX-111FC-0126-SM-5N9DL 60-69 years, male 2869.8
GTEX-1HGF4-2426-SM-ACKXM 60-69 years, male 2869.7
GTEX-13RTK-1426-SM-5QGQJ 20-29 years, male 2868.4
GTEX-ZE9C-2726-SM-57WB5 60-69 years, male 2867.1
GTEX-11WQK-0526-SM-5EQLD 50-59 years, male 2865.8
GTEX-145ME-1826-SM-5SI9G 40-49 years, female 2865.3
GTEX-ZVZP-2426-SM-59HKJ 50-59 years, male 2860.2
GTEX-1GTWX-0126-SM-9YFLK 60-69 years, male 2847.5
GTEX-1GF9W-0326-SM-9KNUN 60-69 years, male 2845.4
GTEX-1212Z-2526-SM-5EGKP 60-69 years, male 2838.3
GTEX-13S7M-0126-SM-5SI6A 60-69 years, female 2835.0
GTEX-1PDJ9-0326-SM-DTX95 20-29 years, male 2832.0
GTEX-14JG6-2226-SM-6EU2G 30-39 years, female 2825.6
GTEX-1QP66-1726-SM-E8VO1 50-59 years, male 2821.5
GTEX-XPVG-2626-SM-4B669 50-59 years, male 2820.8
GTEX-14E6D-0126-SM-62LDV 50-59 years, male 2816.2
GTEX-17JCI-0126-SM-7LG5G 60-69 years, female 2815.6
GTEX-11TTK-0126-SM-5987B 60-69 years, female 2814.3
GTEX-ZVT2-2526-SM-51MT1 50-59 years, female 2807.6
GTEX-1R9PM-2026-SM-E76OY 20-29 years, male 2805.8
GTEX-1N2EF-0226-SM-EYYXB 60-69 years, male 2800.8
GTEX-13RTJ-2426-SM-5S2Q2 60-69 years, male 2793.0
GTEX-SIU8-0126-SM-2XCDT 50-59 years, male 2792.4
GTEX-1KANC-1526-SM-D3LAB 50-59 years, female 2788.1
GTEX-13O3P-0126-SM-5KM4S 50-59 years, male 2785.7
GTEX-SUCS-1926-SM-32PM3 70-79 years, male 2777.7
GTEX-13NZB-2526-SM-5J1OM 30-39 years, male 2775.8
GTEX-1LH75-2426-SM-E9TJE 50-59 years, female 2775.6
GTEX-X261-0126-SM-3NMD6 50-59 years, male 2774.9
GTEX-14PK6-1926-SM-6ETZU 70-79 years, female 2773.6
GTEX-O5YW-0126-SM-3LK6D 50-59 years, male 2766.5
GTEX-14PJ6-2126-SM-6EU1V 60-69 years, female 2765.2
GTEX-131XH-2226-SM-5DUXJ 50-59 years, male 2761.4
GTEX-T6MN-0126-SM-32PLP 50-59 years, male 2759.4
GTEX-QESD-1426-SM-2S1R9 20-29 years, male 2758.3
GTEX-1HB9E-0226-SM-E9U4R 50-59 years, male 2757.6
GTEX-11DZ1-0126-SM-5985Q 50-59 years, male 2751.7
GTEX-169BO-1326-SM-9MQK2 50-59 years, male 2747.4
GTEX-13IVO-0126-SM-5J1NG 70-79 years, male 2746.8
GTEX-X4XY-0226-SM-4E3IZ 60-69 years, male 2743.1
GTEX-133LE-1826-SM-5J1MV 20-29 years, female 2742.5
GTEX-12ZZZ-0626-SM-5DUXI 60-69 years, male 2739.3
GTEX-1E2YA-0126-SM-9KNUC 50-59 years, male 2739.3
GTEX-1LG7Z-1726-SM-D3LA4 30-39 years, male 2735.1
GTEX-14ICK-0226-SM-6EU25 40-49 years, male 2730.4
GTEX-1JMLX-0226-SM-CM2RO 50-59 years, male 2728.9
GTEX-1IOXB-0126-SM-ARL8G 50-59 years, male 2724.9
GTEX-1MCQQ-0826-SM-DLHC2 60-69 years, male 2721.8
GTEX-R45C-0126-SM-EAZ2R 60-69 years, female 2719.2
GTEX-1LSNM-1926-SM-E6CII 50-59 years, male 2712.8
GTEX-1CAMQ-0226-SM-7IGPK 40-49 years, male 2712.2
GTEX-13OVK-2026-SM-7KUEO 40-49 years, male 2711.5
GTEX-1EWIQ-0126-SM-7RHH2 70-79 years, female 2708.9
GTEX-X5EB-2226-SM-46MW4 40-49 years, male 2704.1
GTEX-1GZ4H-1726-SM-7PBZJ 50-59 years, female 2703.7
GTEX-14LZ3-0226-SM-62LET 60-69 years, female 2702.0
GTEX-YFC4-0126-SM-5CVLY 40-49 years, female 2701.5
GTEX-1LGOU-2026-SM-DIPFF 20-29 years, female 2699.4
GTEX-1GN2E-0426-SM-9MQKX 60-69 years, male 2697.8
GTEX-U8XE-0326-SM-3DB8P 30-39 years, male 2694.5
GTEX-P4PQ-0126-SM-2S1NM 60-69 years, male 2691.1
GTEX-1JMQK-0226-SM-CL543 60-69 years, male 2690.2
GTEX-1AX8Z-0126-SM-7DHM6 60-69 years, male 2682.3
GTEX-13SLW-0126-SM-5SI6C 70-79 years, male 2671.7
GTEX-S7SE-0126-SM-2XCD5 50-59 years, male 2667.1
GTEX-1LVAN-0226-SM-COH3S 50-59 years, female 2665.1
GTEX-11OC5-0126-SM-5HL6A 60-69 years, male 2663.9
GTEX-1K2DA-1826-SM-CGQGT 50-59 years, male 2663.9
GTEX-XQ8I-0426-SM-4BOPO 50-59 years, male 2663.7
GTEX-S33H-1026-SM-EZ6L6 30-39 years, male 2659.6
GTEX-1RLM8-2326-SM-EWRN4 50-59 years, male 2657.5
GTEX-139T8-0126-SM-5K7XZ 60-69 years, male 2656.8
GTEX-12696-2426-SM-5EQ6H 60-69 years, male 2653.9
GTEX-15EU6-0426-SM-6PAN5 50-59 years, male 2653.7
GTEX-1H1DG-0126-SM-9WYU2 70-79 years, male 2653.1
GTEX-1LG7Y-0526-SM-DKPQC 50-59 years, male 2653.0
GTEX-1HT8W-0126-SM-CNPPP 30-39 years, male 2649.3
GTEX-Y8DK-0126-SM-4TT3L 60-69 years, male 2648.6
GTEX-1LGRB-2526-SM-CNPPQ 50-59 years, female 2647.9
GTEX-13X6J-0126-SM-5QGOU 50-59 years, male 2647.8
GTEX-1HBPI-1526-SM-C1YQ1 50-59 years, male 2647.8
GTEX-1HSGN-0226-SM-CGQFV 40-49 years, female 2647.6
GTEX-1OFPY-2426-SM-DTXEJ 60-69 years, male 2647.5
GTEX-PSDG-0226-SM-DKPOZ 50-59 years, male 2639.4
GTEX-S95S-1226-SM-4GICG 60-69 years, male 2634.9
GTEX-13O3Q-2426-SM-5IJBR 50-59 years, male 2631.1
GTEX-OOBJ-0126-SM-E6CJW 60-69 years, male 2631.1
GTEX-TMMY-0226-SM-33HBA 40-49 years, female 2628.3
GTEX-117YW-2626-SM-5GZZH 50-59 years, male 2623.1
GTEX-XMD2-0126-SM-4YCDU 60-69 years, female 2623.0
GTEX-1MCYP-1926-SM-E9J2R 20-29 years, female 2620.0
GTEX-14PII-0226-SM-6EU1T 60-69 years, male 2618.7
GTEX-13113-5016-SM-7EPIP 60-69 years, female 2618.4
GTEX-1HCVE-0126-SM-CGQEU 50-59 years, male 2618.0
GTEX-ZYT6-0226-SM-5NQ6T 30-39 years, male 2617.7
GTEX-139D8-0226-SM-5KLZO 30-39 years, female 2616.9
GTEX-13FTY-0526-SM-5L3EV 40-49 years, female 2614.2
GTEX-X4EO-0326-SM-3P5YO 60-69 years, female 2612.1
GTEX-14DAR-2026-SM-5S2O3 50-59 years, male 2606.2
GTEX-1GZHY-0326-SM-9QEHI 50-59 years, female 2604.2
GTEX-1R7EV-2426-SM-EVYBG 40-49 years, male 2597.3
GTEX-1GPI7-0126-SM-9MQL8 20-29 years, male 2596.7
GTEX-14PHX-2326-SM-62LEM 50-59 years, male 2596.1
GTEX-1S82Z-0826-SM-E6CHY 30-39 years, female 2596.1
GTEX-R3RS-0126-SM-3GIJL 40-49 years, female 2593.0
GTEX-1IDFM-0126-SM-COH2V 60-69 years, male 2592.0
GTEX-WVJS-0126-SM-4MVOT 50-59 years, male 2585.3
GTEX-1HCU8-0626-SM-A9SM9 60-69 years, female 2585.0
GTEX-XQ3S-1526-SM-4BOOC 20-29 years, male 2575.7
GTEX-1JMQJ-0526-SM-CYPSU 50-59 years, male 2574.7
GTEX-S32W-2126-SM-2XCB1 50-59 years, female 2573.9
GTEX-13W46-0226-SM-5SIAG 50-59 years, male 2572.6
GTEX-13JUV-2726-SM-5LZZ8 40-49 years, female 2570.4
GTEX-1QPFJ-0226-SM-E76PB 30-39 years, female 2570.4
GTEX-NFK9-0226-SM-2HMKQ 40-49 years, male 2568.7
GTEX-1HFI6-0226-SM-ADEHZ 40-49 years, male 2567.8
GTEX-ZV68-0126-SM-59HKS 50-59 years, female 2567.4
GTEX-1497J-2426-SM-7IGNX 60-69 years, male 2561.7
GTEX-QCQG-1726-SM-3GIJ9 50-59 years, female 2561.7
GTEX-ZWKS-0126-SM-5SIAA 30-39 years, male 2561.7
GTEX-13RTL-0126-SM-7LG5S 40-49 years, male 2559.7
GTEX-1IDJF-0126-SM-CM2RS 20-29 years, male 2558.4
GTEX-1MUQO-0126-SM-EAZ58 60-69 years, male 2558.3
GTEX-ZE7O-0126-SM-57WC1 50-59 years, female 2558.2
GTEX-ZYFC-0226-SM-5NQ75 50-59 years, male 2557.3
GTEX-11P82-1626-SM-59879 20-29 years, male 2553.9
GTEX-16YQH-0126-SM-7DUFJ 30-39 years, male 2552.8
GTEX-1QP9N-1426-SM-DTXFL 30-39 years, male 2551.6
GTEX-11ZTS-0126-SM-5EQ6M 60-69 years, female 2551.5
GTEX-1KXAM-2226-SM-CYPTC 60-69 years, male 2548.7
GTEX-1GN73-0226-SM-9WG67 60-69 years, male 2548.1
GTEX-1MGNQ-0126-SM-EVYCJ 40-49 years, male 2547.8
GTEX-1GMR3-1926-SM-9KNUZ 40-49 years, male 2546.8
GTEX-1S5ZA-0126-SM-EVYCV 20-29 years, male 2543.9
GTEX-1H1CY-2826-SM-9MQM3 60-69 years, female 2541.0
GTEX-1N2DV-0226-SM-E6CJ6 40-49 years, male 2540.9
GTEX-17HHY-0126-SM-7LG5D 50-59 years, male 2540.2
GTEX-14C5O-0126-SM-5SI6N 60-69 years, male 2538.4
GTEX-13X6I-0626-SM-5QGP9 60-69 years, male 2534.3
GTEX-146FQ-0126-SM-5NQA9 30-39 years, male 2533.8
GTEX-1J1R8-1726-SM-ARL8M 40-49 years, male 2532.7
GTEX-1I1GQ-0126-SM-COH3H 50-59 years, male 2532.4
GTEX-139UW-2826-SM-5L3E7 60-69 years, male 2529.6
GTEX-1S3DN-2226-SM-EVYCD 50-59 years, male 2519.6
GTEX-XUYS-0126-SM-47JWZ 50-59 years, male 2517.8
GTEX-14A5I-0126-SM-5TDEA 50-59 years, female 2517.0
GTEX-14E6E-1826-SM-5S2R7 30-39 years, male 2514.7
GTEX-1HCU6-0126-SM-CL54K 60-69 years, female 2512.2
GTEX-1ICLY-0126-SM-D4P36 50-59 years, male 2510.8
GTEX-13FHO-0226-SM-5IFGY 60-69 years, male 2509.2
GTEX-11LCK-1026-SM-5A5KB 30-39 years, male 2509.1
GTEX-1F5PL-0326-SM-7P8PQ 40-49 years, female 2507.8
GTEX-11TT1-2526-SM-5EGIB 20-29 years, male 2507.1
GTEX-T2YK-0526-SM-32QPJ 50-59 years, male 2507.1
GTEX-11ZU8-2526-SM-5EQKI 60-69 years, male 2506.6
GTEX-1IKJJ-0126-SM-CNPQB 60-69 years, male 2506.6
GTEX-1S82Y-2026-SM-EVYCM 40-49 years, male 2504.0
GTEX-17EVQ-0226-SM-7LG4P 70-79 years, male 2502.2
GTEX-1IKOH-0226-SM-COH4E 60-69 years, female 2501.5
GTEX-ZDYS-2026-SM-5HL5L 50-59 years, male 2499.7
GTEX-1KD4Q-0226-SM-E9TJ9 40-49 years, male 2496.9
GTEX-ZU9S-0226-SM-5E441 30-39 years, male 2494.9
GTEX-1M4P7-0226-SM-DIPEV 60-69 years, male 2490.5
GTEX-14BIM-0226-SM-7IGLD 60-69 years, female 2490.1
GTEX-1HSEH-0126-SM-ACKXN 60-69 years, male 2489.5
GTEX-1AYCT-2426-SM-7IGQ3 50-59 years, male 2488.8
GTEX-WH7G-2326-SM-3NMBC 40-49 years, male 2487.3
GTEX-11EI6-0126-SM-5985R 60-69 years, male 2486.2
GTEX-18A7B-0126-SM-7LG64 70-79 years, male 2482.6
GTEX-13N11-2526-SM-5K7UE 50-59 years, female 2482.1
GTEX-1399T-2826-SM-5KLYZ 60-69 years, male 2480.7
GTEX-PLZ4-0126-SM-5SI8O 50-59 years, female 2480.5
GTEX-1I1GP-2226-SM-CGQFK 50-59 years, male 2473.2
GTEX-15ER7-0326-SM-7KUEV 20-29 years, female 2473.0
GTEX-12ZZY-0226-SM-5LZVE 60-69 years, male 2470.2
GTEX-OXRN-0126-SM-48TDM 50-59 years, male 2470.1
GTEX-13CF3-2426-SM-5IFGX 60-69 years, female 2467.1
GTEX-13X6H-2126-SM-7EWD5 50-59 years, female 2466.8
GTEX-1CB4H-0226-SM-7PBXM 60-69 years, female 2466.6
GTEX-1LBAC-0126-SM-DIPEZ 20-29 years, male 2464.7
GTEX-1F52S-0126-SM-9MQJU 60-69 years, female 2464.5
GTEX-1JJEA-0326-SM-CNPOT 60-69 years, male 2464.3
GTEX-14A5H-0426-SM-5QGQF 60-69 years, male 2463.7
GTEX-1B933-0126-SM-7PC29 50-59 years, female 2460.0
GTEX-1GMRU-0126-SM-9YFLV 50-59 years, male 2458.9
GTEX-1KANA-0726-SM-D3L9I 20-29 years, male 2455.8
GTEX-PLZ5-2026-SM-2S1O4 50-59 years, male 2454.5
GTEX-1HBPN-0226-SM-9YFM1 50-59 years, male 2452.4
GTEX-1QMI2-0226-SM-EVYBX 60-69 years, male 2451.2
GTEX-148VI-1626-SM-5SI6E 60-69 years, female 2449.8
GTEX-RWS6-2026-SM-2XCB5 60-69 years, female 2449.0
GTEX-183FY-0126-SM-7LT9P 20-29 years, male 2447.2
GTEX-Y8E4-0626-SM-4WWDL 40-49 years, male 2446.8
GTEX-Y3IK-2426-SM-4WWDU 50-59 years, female 2446.4
GTEX-16NGA-1726-SM-731B4 40-49 years, female 2446.1
GTEX-11EM3-2426-SM-59861 20-29 years, female 2443.1
GTEX-X638-0126-SM-47JZ8 70-79 years, female 2442.6
GTEX-1H3O1-0426-SM-9YFKY 60-69 years, male 2441.6
GTEX-1269C-2526-SM-5EGJ3 60-69 years, female 2438.6
GTEX-1R7EU-0226-SM-EVR4G 60-69 years, male 2438.0
GTEX-13OW8-1326-SM-5J1OW 60-69 years, male 2435.4
GTEX-1AMFI-2026-SM-731BH 50-59 years, female 2434.9
GTEX-WYJK-0126-SM-3NMAB 50-59 years, male 2433.0
GTEX-T2IS-0126-SM-4DM6O 20-29 years, female 2431.5
GTEX-1H3NZ-0126-SM-ACKX7 60-69 years, male 2430.9
GTEX-1F75A-0126-SM-7RHGM 50-59 years, male 2429.3
GTEX-1PIGE-0126-SM-EVYBJ 20-29 years, male 2427.8
GTEX-11DXY-2626-SM-5GIE7 60-69 years, male 2425.1
GTEX-14BMV-0126-SM-5S2PO 50-59 years, male 2421.1
GTEX-OHPL-0126-SM-2HMJ7 60-69 years, female 2420.2
GTEX-U3ZH-2026-SM-3DB78 30-39 years, male 2419.6
GTEX-1J1OQ-0226-SM-CYPSH 40-49 years, female 2419.1
GTEX-18465-0126-SM-731BN 50-59 years, male 2418.1
GTEX-1A3MV-1926-SM-718BT 30-39 years, male 2415.3
GTEX-16XZZ-0126-SM-793DV 60-69 years, male 2413.1
GTEX-ZV6S-2326-SM-4YCEY 40-49 years, female 2412.8
GTEX-1KAFJ-2026-SM-CY8ID 50-59 years, male 2412.0
GTEX-13VXU-0126-SM-5SI9F 50-59 years, male 2411.3
GTEX-15DDE-0126-SM-6LPKH 50-59 years, female 2408.9
GTEX-1IDJU-2626-SM-CM2RT 60-69 years, female 2408.7
GTEX-1IL2V-0126-SM-CM2TX 70-79 years, male 2407.4
GTEX-1GF9V-0326-SM-7RHI5 60-69 years, male 2407.3
GTEX-ZDTT-2726-SM-4WKF8 60-69 years, male 2405.6
GTEX-1B8SG-0126-SM-73KZ3 50-59 years, male 2404.8
GTEX-1F7RK-0126-SM-7PC2S 20-29 years, female 2403.6
GTEX-148VJ-0126-SM-5TDDN 70-79 years, male 2397.2
GTEX-1B8SF-1426-SM-7DUGL 60-69 years, male 2396.8
GTEX-1JJE9-0326-SM-CL53Z 70-79 years, male 2395.7
GTEX-RWSA-0126-SM-2XCBB 40-49 years, male 2395.5
GTEX-1IKK5-0626-SM-ARL8A 60-69 years, male 2393.8
GTEX-1128S-2326-SM-5GZZY 60-69 years, female 2388.8
GTEX-1QP67-1626-SM-EAZ3X 40-49 years, female 2388.1
GTEX-QVJO-1626-SM-2S1QW 60-69 years, female 2387.2
GTEX-1GN1V-0126-SM-9WPOS 60-69 years, male 2383.5
GTEX-13D11-2426-SM-5KM1V 50-59 years, female 2380.5
GTEX-11DXW-0226-SM-5H122 40-49 years, male 2379.9
GTEX-147F4-0226-SM-5QGPW 50-59 years, male 2375.7
GTEX-ZAK1-0126-SM-5IJD3 50-59 years, female 2374.8
GTEX-1QCLY-0326-SM-E8VOG 30-39 years, male 2371.2
GTEX-14PN3-2426-SM-6LLHS 60-69 years, female 2368.3
GTEX-1POEN-0126-SM-EYYXJ 30-39 years, female 2364.0
GTEX-1C64N-0126-SM-793D7 50-59 years, male 2363.8
GTEX-111VG-2426-SM-5GZXD 60-69 years, male 2359.9
GTEX-13O21-1426-SM-5K7XI 50-59 years, male 2359.8
GTEX-SSA3-0126-SM-32QPU 60-69 years, male 2359.0
GTEX-1H3VE-0326-SM-9YFLH 40-49 years, male 2358.0
GTEX-1EU9M-0226-SM-7P8SP 60-69 years, male 2356.6
GTEX-1S83E-0126-SM-EWRO4 40-49 years, male 2355.0
GTEX-14BMU-2226-SM-5TDE9 20-29 years, female 2354.0
GTEX-11ZVC-2526-SM-5FQTE 50-59 years, female 2351.5
GTEX-1JN76-0126-SM-CNPPE 20-29 years, female 2350.5
GTEX-13OW7-0126-SM-5MR3B 50-59 years, male 2349.8
GTEX-16BQI-0226-SM-7KUEX 30-39 years, female 2349.8
GTEX-1HSKV-0226-SM-A9SKJ 60-69 years, male 2346.5
GTEX-XAJ8-0826-SM-47JY6 40-49 years, male 2343.8
GTEX-ZVE2-0226-SM-59HJB 50-59 years, male 2342.0
GTEX-1EX96-1626-SM-7PBXR 50-59 years, male 2339.6
GTEX-1I19N-0326-SM-ACKVX 70-79 years, male 2338.7
GTEX-15SHU-0126-SM-7KUEH 40-49 years, female 2334.9
GTEX-13FXS-0226-SM-5IJCK 50-59 years, male 2334.2
GTEX-1JMOU-1526-SM-CL54I 60-69 years, female 2329.9
GTEX-13OVJ-0126-SM-5KM36 50-59 years, female 2328.4
GTEX-XUW1-0426-SM-4BOOT 50-59 years, female 2328.2
GTEX-1IGQW-0126-SM-COH42 60-69 years, male 2327.6
GTEX-14LLW-0126-SM-6LLIO 70-79 years, female 2327.1
GTEX-1N2DW-0226-SM-E9TK2 50-59 years, male 2326.8
GTEX-131YS-0126-SM-5KM1M 60-69 years, female 2325.3
GTEX-145LV-2126-SM-5LU8N 50-59 years, male 2325.3
GTEX-QDT8-0126-SM-48TZ1 30-39 years, female 2324.4
GTEX-17MFQ-1726-SM-793C7 20-29 years, male 2323.2
GTEX-WZTO-0126-SM-3NM95 40-49 years, male 2321.1
GTEX-1JMQI-2226-SM-CM2SD 50-59 years, male 2319.4
GTEX-1HCUA-2426-SM-ADEIS 50-59 years, female 2317.4
GTEX-1C64O-0126-SM-7SB8P 60-69 years, male 2311.5
GTEX-1CAV2-2226-SM-7P8P2 40-49 years, female 2308.6
GTEX-13112-2826-SM-5DUWH 50-59 years, male 2307.0
GTEX-WFON-2126-SM-3LK7O 40-49 years, male 2303.5
GTEX-18A67-0126-SM-7LG5P 50-59 years, male 2302.8
GTEX-OXRO-0126-SM-2YUN4 60-69 years, female 2301.5
GTEX-1RDX4-0126-SM-E9J4P 50-59 years, female 2300.7
GTEX-YB5E-2026-SM-5IFIS 40-49 years, male 2300.4
GTEX-QEG4-0226-SM-2S1PY 30-39 years, male 2299.2
GTEX-ZY6K-1826-SM-5GZXK 50-59 years, male 2298.3
GTEX-YJ89-0126-SM-4TT3X 60-69 years, male 2296.5
GTEX-UPJH-0326-SM-3GADU 50-59 years, male 2294.0
GTEX-12WSG-2826-SM-E9J4H 50-59 years, female 2293.8
GTEX-1H1DE-2126-SM-9WG6R 20-29 years, male 2292.4
GTEX-1A32A-0126-SM-718B1 50-59 years, female 2286.1
GTEX-1GPI6-0126-SM-9WG69 60-69 years, male 2286.1
GTEX-14PJM-0226-SM-62LF1 50-59 years, female 2283.4
GTEX-1R9K4-0126-SM-DTX9X 60-69 years, male 2283.0
GTEX-15G19-0126-SM-6PANQ 60-69 years, male 2282.8
GTEX-PX3G-0126-SM-2I3EN 20-29 years, female 2281.6
GTEX-WOFL-0126-SM-3MJG2 60-69 years, male 2280.4
GTEX-13W3W-2426-SM-5LU5B 60-69 years, female 2275.3
GTEX-1F6RS-0126-SM-9MQKZ 60-69 years, female 2271.5
GTEX-13QJ3-0326-SM-5S2RA 50-59 years, male 2270.0
GTEX-SJXC-0126-SM-2XCFF 60-69 years, male 2264.2
GTEX-1OJC4-0126-SM-E9J2E 50-59 years, female 2262.5
GTEX-14PHW-0126-SM-6LLJI 60-69 years, female 2260.8
GTEX-XV7Q-2526-SM-4BRV9 40-49 years, female 2258.4
GTEX-X62O-0126-SM-4E3JN 50-59 years, male 2258.2
GTEX-1J8Q2-0526-SM-CM2RW 60-69 years, male 2257.8
GTEX-1399R-2726-SM-5IJBA 30-39 years, male 2257.7
GTEX-ZF29-2326-SM-DO92K 60-69 years, female 2257.2
GTEX-18D9B-0526-SM-7LTAS 60-69 years, male 2250.9
GTEX-147F3-0526-SM-5SI98 50-59 years, female 2250.7
GTEX-1H23P-0126-SM-ADEJ3 60-69 years, male 2250.5
GTEX-14BIL-0126-SM-5SI92 50-59 years, male 2240.5
GTEX-WFG8-2226-SM-3GIL9 20-29 years, male 2240.4
GTEX-T5JC-0426-SM-32PLO 20-29 years, male 2240.3
GTEX-1F48J-0126-SM-7P8TT 50-59 years, female 2237.9
GTEX-11DXX-2426-SM-5GZZW 60-69 years, female 2233.0
GTEX-147GR-0526-SM-5S2MY 60-69 years, male 2232.0
GTEX-12WSC-0126-SM-5EQ4P 50-59 years, male 2231.2
GTEX-1J8Q3-1626-SM-CMKGC 60-69 years, male 2231.1
GTEX-1I4MK-2226-SM-ACKWD 50-59 years, female 2230.2
GTEX-1JN6P-0126-SM-D3L98 60-69 years, male 2226.9
GTEX-ZXES-1826-SM-5E43S 30-39 years, female 2226.5
GTEX-144GL-0126-SM-5TDE2 50-59 years, male 2226.1
GTEX-WXYG-2326-SM-4E3I6 50-59 years, female 2225.5
GTEX-ZVT4-0126-SM-DTXFN 50-59 years, female 2225.2
GTEX-Q2AG-0126-SM-33HBV 40-49 years, female 2224.6
GTEX-T8EM-1026-SM-3DB7M 40-49 years, male 2224.0
GTEX-17F98-0626-SM-79OMX 40-49 years, female 2222.0
GTEX-13FTX-1826-SM-5J1NX 20-29 years, female 2219.5
GTEX-13OVL-0226-SM-5L3E9 50-59 years, male 2219.4
GTEX-1B8L1-2526-SM-9WYTF 60-69 years, male 2218.5
GTEX-1PPH7-2326-SM-EVYB8 40-49 years, male 2214.7
GTEX-ZQG8-1626-SM-DHXIT 60-69 years, female 2214.6
GTEX-14BIN-0626-SM-793DP 50-59 years, female 2212.5
GTEX-U3ZM-1526-SM-3DB9D 40-49 years, male 2211.8
GTEX-1I1CD-0126-SM-CM2TK 60-69 years, female 2210.3
GTEX-1314G-1526-SM-5EGK2 30-39 years, male 2204.8
GTEX-18A6Q-0126-SM-731BZ 60-69 years, male 2202.2
GTEX-1HKZK-0326-SM-9WYUH 40-49 years, male 2198.0
GTEX-13FHP-0126-SM-5IJBG 50-59 years, male 2197.6
GTEX-ZYW4-0126-SM-5E44A 60-69 years, male 2197.6
GTEX-17GQL-2026-SM-718BA 60-69 years, male 2191.7
GTEX-13OW6-0426-SM-5L3HM 50-59 years, male 2190.2
GTEX-17F96-1626-SM-7DUFL 70-79 years, male 2188.8
GTEX-VJYA-1126-SM-3GIJU 60-69 years, male 2184.6
GTEX-11DXZ-2326-SM-5EGGV 50-59 years, male 2184.4
GTEX-1HR98-0126-SM-B2LWI 60-69 years, male 2179.7
GTEX-SNMC-1226-SM-2XCFP 20-29 years, male 2176.1
GTEX-15CHC-2126-SM-6EU21 60-69 years, female 2175.7
GTEX-146FH-0126-SM-5QGPP 50-59 years, female 2175.2
GTEX-1ICG6-2526-SM-CGQFZ 70-79 years, female 2175.1
GTEX-Y111-0126-SM-4SOIV 50-59 years, male 2174.3
GTEX-145MI-0526-SM-5O9A8 60-69 years, female 2169.4
GTEX-1HCU7-0226-SM-CL545 50-59 years, male 2159.8
GTEX-OXRP-0126-SM-3NB32 60-69 years, female 2150.7
GTEX-18A66-0226-SM-718BD 60-69 years, male 2150.1
GTEX-12ZZX-0126-SM-5EGK9 40-49 years, female 2147.4
GTEX-1J8EW-0126-SM-CJI4F 60-69 years, female 2146.9
GTEX-T5JW-1626-SM-3GADZ 20-29 years, female 2145.1
GTEX-VUSG-2526-SM-4KL1V 50-59 years, male 2143.6
GTEX-139T4-0226-SM-5HL5S 50-59 years, female 2142.4
GTEX-1F75B-0126-SM-9KNVL 50-59 years, male 2140.9
GTEX-1EMGI-0126-SM-9KNUE 60-69 years, male 2135.8
GTEX-1HCU9-1526-SM-A9SL7 20-29 years, male 2135.5
GTEX-1J8QM-2126-SM-CYPSJ 60-69 years, female 2134.3
GTEX-11VI4-1726-SM-5CVLH 40-49 years, female 2128.0
GTEX-ZDTS-0126-SM-4WAY5 60-69 years, male 2127.5
GTEX-13NZA-0226-SM-5K7Z7 60-69 years, male 2125.7
GTEX-Y3I4-2126-SM-4TT7C 50-59 years, male 2125.6
GTEX-14PJ3-1826-SM-62LEX 50-59 years, male 2125.0
GTEX-11NSD-2226-SM-5986V 20-29 years, male 2120.9
GTEX-XXEK-2226-SM-4BRUM 50-59 years, male 2120.3
GTEX-QDVJ-1726-SM-2I5FX 50-59 years, male 2119.4
GTEX-15DCD-0126-SM-7KUEK 70-79 years, female 2118.8
GTEX-13VXT-0126-SM-5LU4I 20-29 years, female 2118.4
GTEX-ZTX8-1426-SM-5DUVO 20-29 years, male 2117.9
GTEX-13O3O-0126-SM-E9J49 60-69 years, female 2117.8
GTEX-11OF3-2626-SM-5GU7F 60-69 years, male 2116.6
GTEX-18D9U-0226-SM-718BP 40-49 years, male 2116.5
GTEX-12C56-1726-SM-5EQ61 20-29 years, male 2115.4
GTEX-1AX9J-0226-SM-73KXM 60-69 years, male 2114.5
GTEX-1C4CL-0526-SM-73KVK 30-39 years, male 2110.7
GTEX-1CB4I-0226-SM-79OLH 50-59 years, male 2108.3
GTEX-1211K-2026-SM-5EQ4Z 60-69 years, female 2107.1
GTEX-11XUK-2026-SM-5EQLF 40-49 years, female 2104.1
GTEX-15UKP-0426-SM-7KUFQ 20-29 years, male 2099.8
GTEX-RNOR-0126-SM-E9J4R 50-59 years, female 2098.7
GTEX-1GN1U-0126-SM-7PBZK 50-59 years, female 2097.9
GTEX-1K9T9-0126-SM-EVYCF 50-59 years, female 2094.8
GTEX-13N2G-2626-SM-5J1OT 60-69 years, male 2094.5
GTEX-1CB4J-0626-SM-7DHMP 60-69 years, male 2093.0
GTEX-131XW-0426-SM-5LZWP 50-59 years, female 2091.7
GTEX-16NPX-0226-SM-79OMT 50-59 years, male 2091.1
GTEX-11EMC-2926-SM-5EQ4F 60-69 years, female 2089.3
GTEX-17HGU-0226-SM-7DHKV 50-59 years, male 2087.7
GTEX-1QP29-0626-SM-EWRMX 50-59 years, male 2085.6
GTEX-WYVS-2126-SM-3NMA3 40-49 years, female 2084.3
GTEX-XYKS-2126-SM-4E3IB 60-69 years, female 2080.4
GTEX-1PPH8-0226-SM-E8VND 20-29 years, male 2079.6
GTEX-1HFI7-1826-SM-ACKXH 50-59 years, female 2077.8
GTEX-X88G-0126-SM-47JZ3 30-39 years, male 2076.9
GTEX-P44H-0226-SM-2XCEU 40-49 years, male 2068.3
GTEX-1NHNU-1026-SM-E9J2A 50-59 years, male 2067.4
GTEX-1JK1U-2026-SM-CM2RZ 60-69 years, male 2064.1
GTEX-Y5V5-2326-SM-4V6GA 60-69 years, female 2062.6
GTEX-1AMEY-1326-SM-73KYK 30-39 years, female 2061.8
GTEX-ZVT3-0126-SM-5GU6I 60-69 years, female 2061.0
GTEX-1LNCM-1126-SM-E9U5E 50-59 years, female 2057.3
GTEX-ZAB5-1826-SM-5HL7C 50-59 years, male 2056.1
GTEX-17KNJ-2326-SM-7DHLQ 50-59 years, male 2050.1
GTEX-YEC4-2126-SM-5IFJH 40-49 years, male 2047.9
GTEX-1JMPY-1326-SM-ARL8Y 30-39 years, male 2045.4
GTEX-ZTSS-1926-SM-57WEW 40-49 years, male 2044.2
GTEX-ZZPT-0226-SM-5E43X 50-59 years, male 2038.1
GTEX-11O72-0126-SM-59887 40-49 years, male 2035.2
GTEX-13FH7-2026-SM-E9J4I 50-59 years, female 2035.2
GTEX-ZZ64-1726-SM-5GZYB 20-29 years, male 2033.6
GTEX-1EKGG-0226-SM-9WYTH 60-69 years, male 2030.0
GTEX-117YX-2326-SM-5H12W 50-59 years, male 2029.8
GTEX-1B996-0226-SM-7RHGO 60-69 years, male 2029.0
GTEX-13O1R-0126-SM-5L3EH 60-69 years, male 2028.6
GTEX-1BAJH-0526-SM-793CQ 70-79 years, male 2025.6
GTEX-ZXG5-0126-SM-5GIEU 60-69 years, male 2022.6
GTEX-11NUK-0126-SM-5A5L3 50-59 years, male 2022.0
GTEX-OXRK-0226-SM-3NB2G 50-59 years, female 2020.1
GTEX-1NV5F-0226-SM-E8VNY 60-69 years, female 2019.4
GTEX-139TU-0126-SM-5K7WH 60-69 years, male 2015.1
GTEX-1I1GU-2226-SM-CGQFA 40-49 years, male 2014.5
GTEX-145LU-0126-SM-5TDCB 50-59 years, male 2013.7
GTEX-1CB4G-0226-SM-7PC3O 60-69 years, male 2012.9
GTEX-11ZTT-2426-SM-5EQLS 60-69 years, female 2008.1
GTEX-1B8KE-2126-SM-73KYX 50-59 years, male 2008.0
GTEX-ZC5H-0226-SM-4WAY9 40-49 years, female 2007.9
GTEX-17EVP-0326-SM-7DHLG 40-49 years, male 2007.5
GTEX-ZF28-0126-SM-4WKGK 60-69 years, male 2006.5
GTEX-131XG-2626-SM-5KM17 50-59 years, female 2006.1
GTEX-113JC-2326-SM-5EQ4E 50-59 years, female 2002.0
GTEX-1RQEC-0426-SM-E6CHU 60-69 years, male 1997.9
GTEX-16GPK-0126-SM-7DHLE 60-69 years, male 1993.8
GTEX-1GMR8-0126-SM-9WYTM 50-59 years, female 1991.3
GTEX-1J8JJ-0226-SM-CL53I 60-69 years, female 1991.2
GTEX-WQUQ-0426-SM-3MJFU 60-69 years, male 1989.8
GTEX-13YAN-0326-SM-5O9DF 60-69 years, male 1986.7
GTEX-11GS4-2726-SM-5A5LE 60-69 years, male 1985.7
GTEX-17HHE-2026-SM-79OKF 50-59 years, male 1982.7
GTEX-1HSMQ-1226-SM-CGQFX 50-59 years, male 1981.3
GTEX-13FTW-2626-SM-5K7WL 40-49 years, male 1979.5
GTEX-WRHK-1426-SM-3MJF9 20-29 years, female 1977.5
GTEX-132NY-0326-SM-5IJBL 60-69 years, male 1976.9
GTEX-11GSP-2526-SM-5N9BP 60-69 years, female 1975.6
GTEX-13CF2-2526-SM-5LZYX 60-69 years, male 1975.1
GTEX-1F88F-2726-SM-7PBZZ 60-69 years, female 1973.3
GTEX-17F97-0326-SM-7LG5B 50-59 years, male 1971.9
GTEX-YJ8A-0426-SM-5IFID 20-29 years, male 1969.6
GTEX-1I1GR-0126-SM-CL55F 60-69 years, male 1964.5
GTEX-WY7C-2326-SM-3NB2U 50-59 years, male 1962.5
GTEX-ZGAY-0526-SM-4WWBB 40-49 years, female 1959.9
GTEX-1EN7A-0126-SM-7SB81 40-49 years, male 1959.3
GTEX-XBED-2226-SM-47JYQ 60-69 years, male 1957.7
GTEX-14DAQ-0126-SM-5S2MQ 60-69 years, female 1953.3
GTEX-139TT-0126-SM-5K7Y5 60-69 years, male 1951.2
GTEX-1QW4Y-1526-SM-EAZ3Z 30-39 years, male 1948.1
GTEX-1B97I-1626-SM-73KYO 40-49 years, male 1939.3
GTEX-ZTPG-0326-SM-5O9AX 20-29 years, female 1937.7
GTEX-1C6VR-2426-SM-79OLD 60-69 years, male 1928.8
GTEX-1CAMR-1926-SM-7EPI2 20-29 years, male 1926.5
GTEX-1AX9K-2326-SM-73KWU 50-59 years, male 1925.3
GTEX-QLQ7-1626-SM-2S1R8 60-69 years, male 1925.1
GTEX-14ABY-0226-SM-5TDCQ 50-59 years, male 1920.8
GTEX-S7PM-0126-SM-4AD6S 60-69 years, male 1920.5
GTEX-1E1VI-0126-SM-7DHMZ 50-59 years, male 1918.1
GTEX-144GN-2326-SM-5LU4F 50-59 years, male 1916.9
GTEX-R55G-2526-SM-2TC6D 40-49 years, female 1912.0
GTEX-1CB4F-0426-SM-9KNV4 60-69 years, male 1908.2
GTEX-OOBK-0126-SM-2YUND 40-49 years, male 1905.7
GTEX-17HG3-2226-SM-7938L 30-39 years, female 1902.5
GTEX-RM2N-1426-SM-2TF4H 50-59 years, male 1901.3
GTEX-ZYFD-0126-SM-5GIDL 50-59 years, male 1900.0
GTEX-1MA7X-2226-SM-E6CIY 60-69 years, male 1893.5
GTEX-1IE54-0126-SM-CMKHW 40-49 years, female 1891.6
GTEX-W5WG-1826-SM-4KL2Y 50-59 years, female 1891.0
GTEX-Y8LW-1826-SM-5S2MV 50-59 years, female 1890.9
GTEX-15DYW-0126-SM-7KULE 60-69 years, female 1889.7
GTEX-13OW5-0126-SM-DTXFS 60-69 years, male 1887.5
GTEX-1I1HK-0126-SM-COH49 60-69 years, male 1887.2
GTEX-1QEPI-0126-SM-EWRMQ 60-69 years, female 1885.4
GTEX-OXRL-0126-SM-2YUMP 50-59 years, male 1882.8
GTEX-14A6H-0126-SM-5QGPK 30-39 years, male 1878.6
GTEX-1GL5R-1826-SM-9KNUY 50-59 years, male 1873.3
GTEX-12584-0126-SM-5EGKQ 40-49 years, male 1872.5
GTEX-12WSN-5019-SM-79OM6 40-49 years, male 1871.8
GTEX-1GF9X-2026-SM-7PC3A 40-49 years, female 1871.0
GTEX-1H3VY-0126-SM-ACKXD 50-59 years, male 1869.1
GTEX-1C475-1826-SM-73KWA 40-49 years, female 1861.7
GTEX-1IL2U-0226-SM-CE6T8 60-69 years, male 1861.6
GTEX-ZUA1-0126-SM-5GU76 40-49 years, male 1856.6
GTEX-13N1W-0126-SM-5K7VT 70-79 years, male 1852.8
GTEX-OIZF-0126-SM-7SB8I 60-69 years, male 1847.6
GTEX-1HUB1-0426-SM-E9U4U 60-69 years, male 1844.8
GTEX-Q2AI-1326-SM-2S1PL 40-49 years, male 1843.4
GTEX-1H11D-0226-SM-9WG6Z 40-49 years, male 1838.8
GTEX-15F5U-1526-SM-6PANO 40-49 years, male 1838.1
GTEX-ZQUD-1426-SM-57WER 30-39 years, male 1838.0
GTEX-1I6K6-0126-SM-A9SLE 30-39 years, male 1837.8
GTEX-13SLX-0526-SM-5S2ON 50-59 years, female 1834.8
GTEX-Z9EW-1626-SM-5CVMN 40-49 years, male 1833.2
GTEX-12KS4-0326-SM-5EQ41 30-39 years, male 1832.6
GTEX-1QP2A-0126-SM-E9J43 50-59 years, male 1827.6
GTEX-ZEX8-2426-SM-4WKG4 50-59 years, male 1827.5
GTEX-U3ZN-2326-SM-3DB7W 30-39 years, female 1827.0
GTEX-1CB4E-2226-SM-793DC 60-69 years, male 1826.5
GTEX-11P81-2326-SM-59875 30-39 years, female 1823.5
GTEX-1C6WA-0126-SM-7PC2B 60-69 years, male 1823.5
GTEX-1KD5A-0226-SM-D5OV3 50-59 years, male 1813.5
GTEX-18A7A-0226-SM-718BH 50-59 years, female 1812.2
GTEX-1F6IF-0726-SM-7P8TW 60-69 years, male 1805.5
GTEX-1C2JI-1826-SM-73KXC 50-59 years, male 1804.1
GTEX-1PBJI-0526-SM-E8VNK 20-29 years, female 1803.4
GTEX-PW2O-1526-SM-7RHHB 20-29 years, male 1799.8
GTEX-1192X-0226-SM-5H12D 50-59 years, male 1797.6
GTEX-13OVG-1926-SM-5L3DK 60-69 years, male 1797.4
GTEX-1JKYN-1326-SM-CGQG9 30-39 years, male 1795.7
GTEX-1F5PK-2426-SM-7RHHY 50-59 years, male 1795.2
GTEX-15SHW-0326-SM-6PAML 60-69 years, male 1794.7
GTEX-17EUY-0426-SM-793BD 20-29 years, male 1793.0
GTEX-YB5K-2126-SM-4WWDJ 40-49 years, female 1790.4
GTEX-16XZY-2126-SM-79OK1 70-79 years, male 1784.6
GTEX-12WSJ-1826-SM-5GCNY 40-49 years, female 1772.2
GTEX-11TUW-2726-SM-E9J4M 60-69 years, male 1766.6
GTEX-ZDXO-3026-SM-5J1N5 60-69 years, male 1759.3
GTEX-RN64-0126-SM-2TC68 50-59 years, male 1756.1
GTEX-13G51-2526-SM-5LZYK 60-69 years, male 1753.0
GTEX-ZF2S-2326-SM-4WWCE 50-59 years, female 1752.3
GTEX-1192W-2626-SM-5Q5AF 60-69 years, male 1750.3
GTEX-13NYC-0326-SM-E9J4S 60-69 years, male 1743.7
GTEX-R55E-0126-SM-2TC5Y 20-29 years, male 1738.2
GTEX-1H1E6-1726-SM-ACKVK 30-39 years, male 1735.2
GTEX-11WQC-2526-SM-5CVLE 60-69 years, male 1734.4
GTEX-1AYD5-2426-SM-73KXR 50-59 years, male 1731.0
GTEX-1A8FM-0226-SM-7SB7Q 50-59 years, female 1731.0
GTEX-T6MO-1626-SM-32QOM 40-49 years, female 1720.4
GTEX-1R9PO-2126-SM-E9J4O 60-69 years, female 1716.3
GTEX-PVOW-0126-SM-2XCFA 40-49 years, male 1715.4
GTEX-1IY9M-0126-SM-D3L8S 60-69 years, male 1709.8
GTEX-12WSL-2526-SM-5GCNJ 50-59 years, male 1703.4
GTEX-1C6VS-0526-SM-7DUEN 60-69 years, male 1699.6
GTEX-1AX9I-0126-SM-7SB74 60-69 years, male 1698.9
GTEX-QLQW-1126-SM-2S1Q8 30-39 years, male 1687.8
GTEX-TKQ1-1026-SM-4GICL 30-39 years, male 1682.2
GTEX-14E7W-0126-SM-6LLJ9 70-79 years, male 1676.5
GTEX-1F75I-0326-SM-9YFLU 40-49 years, male 1671.2
GTEX-XUZC-1726-SM-4BRWS 30-39 years, female 1658.3
GTEX-12WSD-0126-SM-59HKN 60-69 years, female 1657.5
GTEX-13111-1626-SM-5EGJY 50-59 years, male 1642.2
GTEX-1GN1W-0526-SM-9MQJQ 50-59 years, female 1636.6
GTEX-Q734-1926-SM-2I5EV 40-49 years, female 1623.0
GTEX-RUSQ-1526-SM-2TF62 50-59 years, male 1620.4
GTEX-V1D1-2226-SM-3NMAX 50-59 years, male 1610.5
GTEX-1I1GS-0126-SM-B2LVW 60-69 years, male 1609.0
GTEX-1RAZQ-0726-SM-EAZ43 30-39 years, male 1592.9
GTEX-113IC-0126-SM-5HL6T 60-69 years, male 1589.1
GTEX-RU72-0926-SM-2TF6B 50-59 years, female 1588.9
GTEX-OHPM-0126-SM-2YUN9 50-59 years, male 1587.9
GTEX-1HBPH-0426-SM-B2LW5 40-49 years, female 1581.6
GTEX-1B8KZ-2026-SM-7DHMB 50-59 years, male 1578.3
GTEX-SE5C-1626-SM-2XCE3 40-49 years, female 1566.2
GTEX-146FR-1326-SM-E9J48 60-69 years, female 1554.6
GTEX-12WSK-2326-SM-5GCOH 40-49 years, female 1533.2
GTEX-14JIY-0126-SM-6LLH6 60-69 years, male 1526.2
GTEX-16AAH-1726-SM-7939C 50-59 years, male 1520.2
GTEX-11ZUS-0626-SM-59885 30-39 years, male 1519.9
GTEX-Y114-2426-SM-4TT8A 50-59 years, female 1519.7
GTEX-1F6I4-0126-SM-9MQL2 60-69 years, male 1496.0
GTEX-1H2FU-0126-SM-9WYSI 60-69 years, female 1473.4
GTEX-U4B1-1826-SM-4DXSU 40-49 years, male 1448.2
GTEX-15SDE-2226-SM-7IGLO 50-59 years, female 1395.2
GTEX-11P7K-2126-SM-5GU7G 30-39 years, male 1224.2
Show allShow less

Contact

  • NEWS ARTICLES
  • PRESS ROOM

The Project

  • INTRODUCTION
  • ORGANIZATION
  • PUBLICATIONS

The Human Protein Atlas

  • DOWNLOADABLE DATA
  • LICENCE & CITATION
  • HELP & FAQ
The Human Protein Atlas project is funded
by the Knut & Alice Wallenberg Foundation.


contact@proteinatlas.org