We use cookies to enhance the usability of our website. If you continue, we'll assume that you are happy to receive all cookies. More information. Don't show this again.
HSPG2
HPA
RESOURCES
  • TISSUE
  • BRAIN
  • SINGLE CELL
  • SUBCELLULAR
  • CANCER
  • BLOOD
  • CELL LINE
  • STRUCTURE & INTERACTION
ABOUT
  • INTRODUCTION
  • HISTORY
  • ORGANIZATION
  • PUBLICATIONS
  • ANTIBODY SUBMISSION
  • ANTIBODY AVAILABILITY
  • ACKNOWLEDGMENTS
  • CONTACT
NEWS
  • NEWS ARTICLES
  • PRESS ROOM
LEARN
  • DICTIONARY
  • PROTEIN CLASSES
  • PROTEIN EVIDENCE
  • METHODS
  • EDUCATIONAL VIDEOS
DATA
  • DOWNLOADABLE DATA
  • PUBLICATION DATA
  • RELEASE HISTORY
HELP
  • ANTIBODY VALIDATION
  • ASSAYS & ANNOTATION
  • DISCLAIMER
  • HELP & FAQ
  • PRIVACY STATEMENT
  • LICENCE & CITATION
Fields »
Search result

Field
Term
Gene name
Class
Subclass
Class
Keyword
Chromosome
External id
Tissue
Cell type
Expression
Antibody panel
Tissue
Main location
Patient ID
Annotation
Tissue
Category
Tau score
Cluster
Reliability
Brain region
Category
Tau score
Brain region
Category
Tau score
Brain region
Category
Tau score
Cluster
Reliability
Tissue
Cell type
Enrichment
Cell type
Category
Tau score
Cell type
Category
Tau score
Cell type
Category
Tau score
Cell lineage
Category
Tau score
Cluster
Cluster
Location
Searches
Location
Cell line
Class
Type
Phase
Reliability
Cancer
Prognosis
Cancer
Category
Cancer
Category
Tau score
Cluster
Variants
Interacting gene (ensg_id)
Type
Number of interactions
Pathway
Category
Score
Score
Score
Validation
Validation
Validation
Validation
Antibodies
Data type
Column


  • SUMMARY

  • TISSUE

  • BRAIN

  • SINGLE CELL

  • SUBCELL

  • CANCER

  • BLOOD

  • CELL LINE

  • STRUCT & INT

  • HSPG2
TISSUE PRIMARY DATA BREAST Show tissue menu
ADIPOSE TISSUE ADRENAL GLAND AMYGDALA APPENDIX BASAL GANGLIA BONE MARROW BREAST BRONCHUS CEREBELLUM CEREBRAL CORTEX CERVIX CHOROID PLEXUS COLON DUODENUM
ENDOMETRIUM EPIDIDYMIS ESOPHAGUS FALLOPIAN TUBE GALLBLADDER HEART MUSCLE HIPPOCAMPAL FORMATION HYPOTHALAMUS KIDNEY LIVER LUNG LYMPH NODE MIDBRAIN NASOPHARYNX
ORAL MUCOSA OVARY PANCREAS PARATHYROID GLAND PITUITARY GLAND PLACENTA PROSTATE RECTUM RETINA SALIVARY GLAND SEMINAL VESICLE SKELETAL MUSCLE SKIN SMALL INTESTINE
SMOOTH MUSCLE SOFT TISSUE SPINAL CORD SPLEEN STOMACH TESTIS THYMUS THYROID GLAND TONGUE TONSIL URINARY BLADDER VAGINA
ANTIBODIES
AND
VALIDATION
Dictionary
Breast
Tissue proteome
Breast
BREAST - Expression summary
Protein expression
Breasti

On the top, protein expression in current human tissue, based on all annotated cell types, is reported with the units not detected (n), low (l), medium (m) and high (h). Underneath, protein expression in each annotated cell type are reported using the same units.

Protein expression data is based on knowledge-based annotation. For genes where more than one antibody has been used, a collective score is set.

If knowledge-based annotation could not be performed for a gene, no data is displayed here. View antibody staining data further down this page.

h
m
l
n
Adipocytes: Not detected
Glandular cells: Low
Myoepithelial cells: Low
RNA expressioni

A summary of mRNA expression data available for current tissue based on several datasets. The mRNA expression levels in human tissues are based on RNA-seq data generated by the Human Protein Atlas (HPA), Genotype-Tissue Expression (GTEx) portal and CAGE data generated by the FANTOM5 consortium. Consensus normalized expression levels for human tissues was created by combining the data from HPA and GTEx datasets.

The mRNA expression levels in pig are based on RNA-seq data generated by the Human Protein Atlas (HPA), and for mouse, HPA data and in situ hybridization generated by the Allen brain atlas are reported.

Scroll down to view mRNA expression data in more detail.
Consensus:93.0 nTPM
HPA:8.9 nTPM
GTEx:93.0 nTPM
FANTOM5:112.4 Scaled Tags Per Million

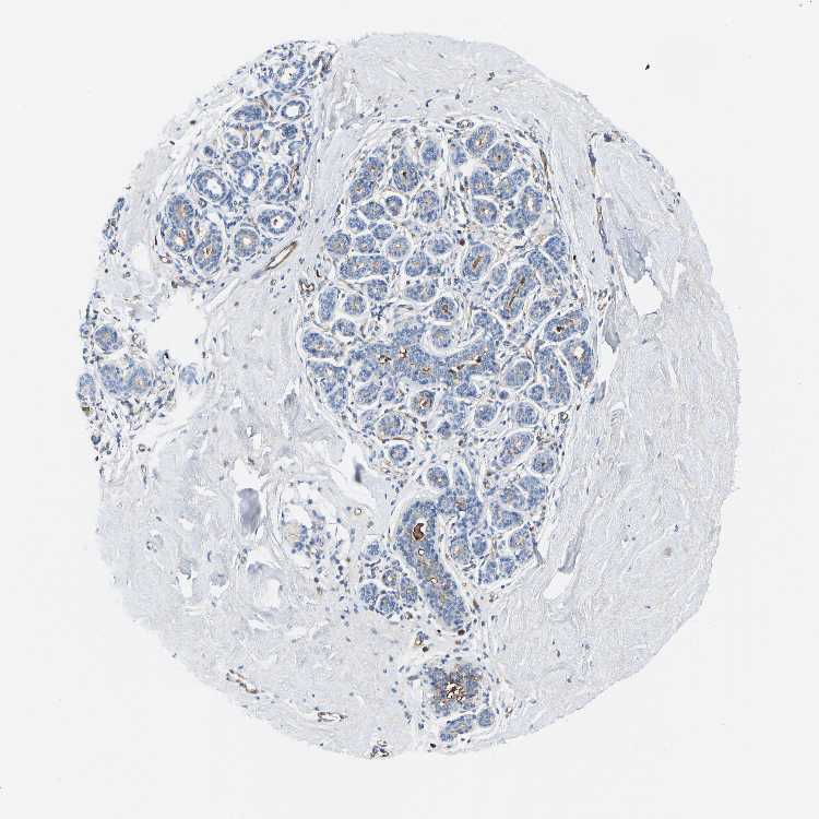
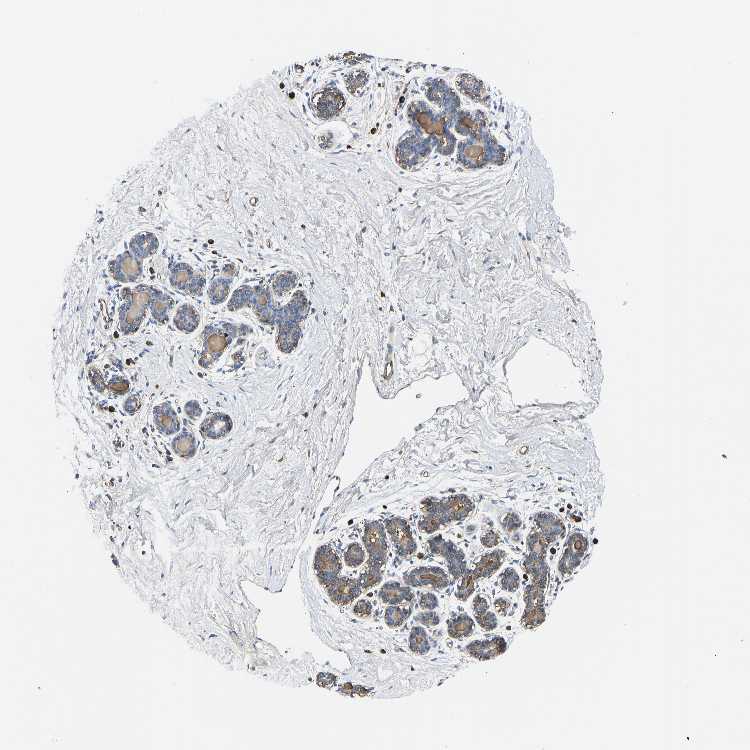
BREAST - Antibody stainingi

Antibody staining in the annotated cell types in the current human tissue is reported as not detected, low, medium, or high, based on conventional immunohistochemistry profiling in selected tissues. This score is based on the combination of the staining intensity and fraction of stained cells.

Each image is clickable and will lead to virtual microscopy that enables deeper exploration of all samples and also displays staining intensity scores, fraction scores and subcellular localization as well as patient and tissue information for each sample.

Antibody HPA018892Antibody HPA072690Antibody CAB020718
Adipocytes Not detectedNot detectedLow
Glandular cells LowNot detectedNot detected
Myoepithelial cells LowNot detectedLow






BREAST - HPA RNA-seqi

The RNA-seq details section shows detailed information about the individual samples used for the transcript profiling and results of the RNA-seq analysis.

Information about each individual sample is listed below, including gender, age, a tissue section image and estimated fractions of cell types. nTPM (normalized transcripts per million) values give a quantification of the gene abundance which is comparable between different genes and samples.
Average nTPMi

Max subtype nTPM is the value for the subtype with the largest average nTPM across the subtype samples.

8.9
overview
Female, age 52
Breast sample 373
nTPM: 11.1
Cell types%
Glandular cells:
15

Adipocytes:
5

Other cell types:
80

overview
Female, age 80
Breast sample 390
nTPM: 19.8
Cell types%
Glandular cells:
5

Adipocytes:
15

Other cell types:
80

overview
Female, age 47
Breast sample 405
nTPM: 1.5
Cell types%
Glandular cells:
5

Adipocytes:
5

Other cell types:
90

overview
Female, age 38
Breast sample 410
nTPM: 3.3
Cell types%
Glandular cells:
40

Adipocytes:
5

Other cell types:
55


BREAST - GTEx RNA-seqi

RNA-Seq data generated by the Genotype-Tissue Expression (GTEx) project from human tissues is reported as mean nTPM. More information can be found on the GTEx portal.

Distribution across the dataset is visualized with box plots, shown as median and 25th and 75th percentiles. Points are displayed as outliers if they are above or below 1.5 times the interquartile range. nTPM values of the individual samples are presented next to the box plot.
Max subtype nTPMi

Max subtype nTPM is the value for the subtype with the largest average nTPM across the subtype samples.

93.0
GTEx sample id Sample description nTPM
Breast - Mammary Tissue
Average nTPM: 93.0
Samples: 459

Max nTPM: 286.6
Min nTPM: 17.6
Std nTPM: 50.3
Median nTPM: 79.7
GTEX-ZDYS-1126-SM-5K7UB 50-59 years, male 286.6
GTEX-REY6-2426-SM-48FF5 60-69 years, male 245.0
GTEX-18A7B-2626-SM-7LG55 70-79 years, male 242.4
GTEX-183FY-1126-SM-7DHLJ 20-29 years, male 220.2
GTEX-14B4R-1226-SM-5TDDT 30-39 years, male 217.5
GTEX-17MF6-0326-SM-7EPH5 40-49 years, male 215.3
GTEX-ZQUD-1926-SM-51MSA 30-39 years, male 213.7
GTEX-XGQ4-0926-SM-4AT4U 50-59 years, male 209.6
GTEX-144GM-0926-SM-5O994 20-29 years, male 208.1
GTEX-11ZTT-2326-SM-5EQLG 60-69 years, female 200.8
GTEX-1IDJF-2326-SM-ARL86 20-29 years, male 200.4
GTEX-1PPH7-0826-SM-E8VNX 40-49 years, male 198.4
GTEX-1QP9N-1826-SM-E8VMP 30-39 years, male 197.8
GTEX-ZT9W-2026-SM-51MRA 50-59 years, male 195.9
GTEX-ZZ64-1226-SM-5E43R 20-29 years, male 194.5
GTEX-1QW4Y-1026-SM-DTXE2 30-39 years, male 194.3
GTEX-11DXY-2326-SM-5GICW 60-69 years, male 193.7
GTEX-WFON-1826-SM-3GILG 40-49 years, male 192.7
GTEX-14DAR-1326-SM-7DUEG 50-59 years, male 192.6
GTEX-1JKYN-0726-SM-ARZMY 30-39 years, male 186.4
GTEX-1AX9I-0726-SM-73KWV 60-69 years, male 186.0
GTEX-1HSMO-0826-SM-ADEIV 60-69 years, male 186.0
GTEX-17F9E-2526-SM-7MGW2 50-59 years, male 184.8
GTEX-WOFL-0826-SM-3MJG1 60-69 years, male 183.4
GTEX-ZQG8-0726-SM-5P9H9 60-69 years, female 182.6
GTEX-YEC3-1026-SM-5IFI5 50-59 years, male 182.1
GTEX-PSDG-1626-SM-48TCQ 50-59 years, male 180.0
GTEX-11ZUS-0826-SM-5FQUY 30-39 years, male 179.9
GTEX-WY7C-2726-SM-3NB3P 50-59 years, male 179.7
GTEX-YJ8O-2226-SM-5IFHW 40-49 years, female 178.9
GTEX-RUSQ-2026-SM-4GIAK 50-59 years, male 178.8
GTEX-12WSM-1726-SM-5BC6J 60-69 years, male 177.0
GTEX-139T6-1626-SM-5PNYZ 50-59 years, male 177.0
GTEX-1MJK3-1126-SM-E9J3F 20-29 years, male 175.8
GTEX-XMK1-1126-SM-4IHJ8 40-49 years, male 174.9
GTEX-1JKYR-0926-SM-CMKGJ 20-29 years, male 172.9
GTEX-Y9LG-1426-SM-5IFJZ 30-39 years, male 171.6
GTEX-11O72-2126-SM-5N9FO 40-49 years, male 171.3
GTEX-13FTX-1126-SM-5N9EN 20-29 years, female 168.6
GTEX-12WSN-1326-SM-5GCNT 40-49 years, male 168.4
GTEX-18465-2026-SM-718AP 50-59 years, male 168.1
GTEX-QVJO-1826-SM-447C9 60-69 years, female 167.8
GTEX-Z9EW-1526-SM-EZ6LU 40-49 years, male 166.9
GTEX-ZUA1-1526-SM-59HLS 40-49 years, male 165.0
GTEX-S4Q7-1126-SM-4AD6R 20-29 years, male 164.3
GTEX-1R7EV-1526-SM-E8VOD 40-49 years, male 164.1
GTEX-WHSB-1926-SM-EXOHH 50-59 years, male 163.6
GTEX-132NY-0826-SM-5K7Y7 60-69 years, male 163.3
GTEX-11OF3-1926-SM-59889 60-69 years, male 162.8
GTEX-Y5V6-2126-SM-4WWFX 60-69 years, male 162.2
GTEX-1S82Z-0726-SM-E6CHX 30-39 years, female 161.3
GTEX-15RJE-2626-SM-7KFT1 40-49 years, male 161.0
GTEX-13VXU-2826-SM-664MA 50-59 years, male 160.4
GTEX-1OKEX-0826-SM-E9J2B 60-69 years, male 159.3
GTEX-R55D-0826-SM-48FEA 50-59 years, male 158.9
GTEX-1GPI7-0926-SM-7PC3J 20-29 years, male 158.5
GTEX-17GQL-0326-SM-7LG5U 60-69 years, male 157.7
GTEX-14E6E-1326-SM-5S2NR 30-39 years, male 157.2
GTEX-117XS-1926-SM-5GICO 60-69 years, male 155.7
GTEX-1HFI7-0126-SM-CGQFQ 50-59 years, female 155.6
GTEX-17HGU-1326-SM-79OKB 50-59 years, male 154.9
GTEX-1E2YA-2726-SM-7IGPW 50-59 years, male 154.4
GTEX-ZYT6-0126-SM-5E45J 30-39 years, male 154.2
GTEX-1L5NE-2126-SM-CY8IH 50-59 years, male 153.5
GTEX-12BJ1-1826-SM-5HL9N 60-69 years, male 152.9
GTEX-145ME-1526-SM-5Q5F2 40-49 years, female 152.3
GTEX-1PDJ9-1126-SM-EXUSW 20-29 years, male 151.1
GTEX-13FTW-1426-SM-5LZWZ 40-49 years, male 150.1
GTEX-1EKGG-2626-SM-7IGPY 60-69 years, male 150.0
GTEX-1H11D-1526-SM-9MQJY 40-49 years, male 149.7
GTEX-ZYW4-0826-SM-5GIDG 60-69 years, male 149.3
GTEX-ZV6S-1826-SM-5NQ8D 40-49 years, female 149.1
GTEX-13N1W-0626-SM-5MR4U 70-79 years, male 149.0
GTEX-1LC47-1226-SM-D4P44 60-69 years, male 148.8
GTEX-144GL-2026-SM-5LU3O 50-59 years, male 148.7
GTEX-1LG7Z-0726-SM-CXKYD 30-39 years, male 148.6
GTEX-1B8L1-2426-SM-9WYTE 60-69 years, male 148.3
GTEX-11EQ9-1826-SM-5Q5AJ 30-39 years, male 147.8
GTEX-1NHNU-0926-SM-E9J2T 50-59 years, male 147.5
GTEX-12KS4-0126-SM-5Q5A5 30-39 years, male 147.3
GTEX-1KXAM-1026-SM-CY8IA 60-69 years, male 145.2
GTEX-YB5E-1726-SM-5IFJ3 40-49 years, male 144.8
GTEX-1IGQW-0926-SM-ADEH6 60-69 years, male 144.3
GTEX-169BO-1126-SM-7MGWN 50-59 years, male 144.0
GTEX-11LCK-2426-SM-5HL5F 30-39 years, male 143.5
GTEX-1AX9J-1126-SM-731B7 60-69 years, male 143.4
GTEX-18A6Q-0926-SM-7LG4N 60-69 years, male 143.3
GTEX-17MFQ-0926-SM-7LG4S 20-29 years, male 142.6
GTEX-1I1GV-2426-SM-CGQFM 60-69 years, male 142.4
GTEX-1R9PM-1826-SM-EVYBH 20-29 years, male 141.0
GTEX-1I1GP-0426-SM-COH3N 50-59 years, male 140.6
GTEX-1MA7X-1626-SM-E9U5B 60-69 years, male 140.1
GTEX-1ICLZ-0426-SM-B2LW2 60-69 years, male 139.8
GTEX-117YX-1426-SM-5H12H 50-59 years, male 139.6
GTEX-S32W-2026-SM-4AD6E 50-59 years, female 138.6
GTEX-14E7W-0826-SM-62LEJ 70-79 years, male 138.4
GTEX-1H4P4-2226-SM-9MQKQ 50-59 years, male 137.7
GTEX-13CF3-2126-SM-5IFJP 60-69 years, female 137.1
GTEX-1J8Q3-1326-SM-CMKI1 60-69 years, male 136.9
GTEX-11NSD-0926-SM-5N9DR 20-29 years, male 135.7
GTEX-1M4P7-2626-SM-E9U5F 60-69 years, male 135.3
GTEX-ZDTT-2126-SM-DKPOM 60-69 years, male 135.1
GTEX-YFCO-1826-SM-4W1YH 40-49 years, male 134.8
GTEX-1JMOU-2026-SM-CMKGU 60-69 years, female 134.7
GTEX-17F96-2426-SM-7IGLN 70-79 years, male 133.5
GTEX-1NV8Z-2826-SM-E8VME 60-69 years, male 133.5
GTEX-13O3Q-2226-SM-5KM4O 50-59 years, male 133.2
GTEX-11DXZ-1926-SM-5GZZL 50-59 years, male 132.3
GTEX-16YQH-2826-SM-6PAMY 30-39 years, male 132.0
GTEX-QMRM-1626-SM-D4P1U 50-59 years, male 131.7
GTEX-1CAMR-1426-SM-793BO 20-29 years, male 131.4
GTEX-1LSVX-2426-SM-E6CJX 60-69 years, male 131.2
GTEX-1KD5A-1926-SM-DKPQA 50-59 years, male 130.3
GTEX-1PPGY-1526-SM-EVYBK 60-69 years, male 130.2
GTEX-15EOM-5019-SM-793DK 20-29 years, female 130.1
GTEX-1HSEH-2026-SM-ADEHN 60-69 years, male 130.0
GTEX-11ONC-2126-SM-5HL6E 60-69 years, male 129.9
GTEX-1JN6P-2426-SM-ARL99 60-69 years, male 129.7
GTEX-1F5PK-2126-SM-7PC28 50-59 years, male 128.2
GTEX-183WM-0726-SM-7LTAA 70-79 years, female 128.1
GTEX-145MF-2226-SM-7EPIR 50-59 years, male 128.0
GTEX-ZLWG-1926-SM-DO92J 50-59 years, female 128.0
GTEX-1S82U-1126-SM-E9U6I 30-39 years, female 127.8
GTEX-14PJ4-2126-SM-6ETZJ 60-69 years, male 127.6
GTEX-X4XY-0926-SM-4E3JD 60-69 years, male 127.4
GTEX-U8XE-0826-SM-4E3J1 30-39 years, male 126.7
GTEX-YECK-0726-SM-EZ6LV 60-69 years, male 125.8
GTEX-145MO-0826-SM-5NQBL 60-69 years, male 125.6
GTEX-1IDJU-1826-SM-CMKHV 60-69 years, female 125.4
GTEX-14753-2426-SM-5LU8U 60-69 years, male 125.2
GTEX-11NV4-2026-SM-5N9DG 60-69 years, male 124.6
GTEX-YB5K-1626-SM-5IFIN 40-49 years, female 124.0
GTEX-1C6WA-2426-SM-7SB86 60-69 years, male 123.8
GTEX-Y3I4-1526-SM-4TT7K 50-59 years, male 122.7
GTEX-1IOXB-1926-SM-ARL8E 50-59 years, male 121.9
GTEX-14BMV-0626-SM-793AU 50-59 years, male 121.7
GTEX-ZLFU-2126-SM-DO931 40-49 years, male 121.5
GTEX-XV7Q-2326-SM-4BRVZ 40-49 years, female 121.2
GTEX-X62O-0526-SM-EWRMA 50-59 years, male 120.8
GTEX-TKQ1-0226-SM-33HB5 30-39 years, male 120.7
GTEX-1GF9V-2526-SM-7SB8K 60-69 years, male 120.5
GTEX-145MN-1926-SM-5SIAI 30-39 years, male 120.3
GTEX-V955-2026-SM-3GAFA 60-69 years, male 120.3
GTEX-ZA64-1526-SM-5CVMD 20-29 years, male 120.2
GTEX-TKQ2-1826-SM-33HB2 50-59 years, male 119.9
GTEX-13O61-1826-SM-5KM4I 60-69 years, male 119.1
GTEX-17KNJ-2026-SM-7LG53 50-59 years, male 118.6
GTEX-ZDXO-0126-SM-5S2ND 60-69 years, male 118.6
GTEX-ZVT4-1026-SM-57WC4 50-59 years, female 118.2
GTEX-1HR98-0426-SM-COH36 60-69 years, male 118.1
GTEX-WI4N-1426-SM-3LK7H 40-49 years, female 117.8
GTEX-13OW8-0226-SM-5K7UP 60-69 years, male 117.4
GTEX-XQ3S-1326-SM-4BOPQ 20-29 years, male 117.4
GTEX-R53T-1526-SM-48FEK 50-59 years, female 116.3
GTEX-XQ8I-2426-SM-4WAXY 50-59 years, male 115.3
GTEX-1H3VY-0926-SM-ACKXE 50-59 years, male 115.1
GTEX-1QCLZ-2326-SM-DTXDO 60-69 years, female 114.5
GTEX-18D9A-1526-SM-7LG4J 30-39 years, female 114.1
GTEX-11TUW-1826-SM-5BC5D 60-69 years, male 114.0
GTEX-11P82-1326-SM-5HL62 20-29 years, male 113.6
GTEX-13QJ3-0826-SM-7DHKK 50-59 years, male 113.4
GTEX-1QPFJ-2026-SM-EVYBE 30-39 years, female 113.0
GTEX-13PVQ-1026-SM-5KM3M 50-59 years, male 112.9
GTEX-1A3MV-1626-SM-731C1 30-39 years, male 112.8
GTEX-1QP28-1226-SM-E9J2M 50-59 years, female 112.2
GTEX-1C6VQ-0426-SM-79OOX 50-59 years, male 110.9
GTEX-1B8KE-1226-SM-73KWK 50-59 years, male 110.5
GTEX-1I1GU-1026-SM-ADEHJ 40-49 years, male 110.1
GTEX-1HCU7-1026-SM-ADEIP 50-59 years, male 110.0
GTEX-1EN7A-1426-SM-7PBY4 40-49 years, male 108.8
GTEX-Y8E4-1626-SM-5S2MW 40-49 years, male 107.7
GTEX-139TU-0626-SM-5KM3X 60-69 years, male 107.0
GTEX-1I19N-2826-SM-CL55D 70-79 years, male 107.0
GTEX-15UF7-0726-SM-6M46D 40-49 years, male 106.0
GTEX-1QMI2-0726-SM-E9J4F 60-69 years, male 105.9
GTEX-1LBAC-0926-SM-CXKY9 20-29 years, male 104.0
GTEX-1I6K6-0826-SM-ARL7Z 30-39 years, male 103.7
GTEX-1B933-2526-SM-7IGO5 50-59 years, female 103.0
GTEX-S7SE-0826-SM-4AT4D 50-59 years, male 102.7
GTEX-11GSO-1926-SM-5A5K3 60-69 years, male 102.5
GTEX-13W46-0826-SM-5LU3H 50-59 years, male 102.5
GTEX-17F97-2526-SM-7EWDV 50-59 years, male 100.8
GTEX-132AR-0826-SM-5EGK6 50-59 years, female 99.9
GTEX-17EVQ-0426-SM-7LG57 70-79 years, male 99.7
GTEX-1ICLY-1726-SM-B2LVT 50-59 years, male 99.6
GTEX-WYJK-1326-SM-3NB2T 50-59 years, male 99.1
GTEX-1HT8W-2226-SM-CGQEC 30-39 years, male 98.3
GTEX-ZYFC-0826-SM-5E44K 50-59 years, male 98.2
GTEX-ZAB4-2526-SM-5HL8M 40-49 years, male 96.5
GTEX-1313W-0826-SM-5EQ4T 50-59 years, female 96.2
GTEX-14E6C-1326-SM-62LEQ 40-49 years, male 95.6
GTEX-1JN1M-3026-SM-CMKGK 60-69 years, female 95.1
GTEX-1QEPI-0926-SM-DTXF3 60-69 years, female 95.1
GTEX-1IDJH-2226-SM-E6CJV 70-79 years, male 95.0
GTEX-16BQI-1026-SM-7KUEA 30-39 years, female 93.8
GTEX-1KANC-1426-SM-CYPT9 50-59 years, female 93.6
GTEX-1AX8Z-0926-SM-731AW 60-69 years, male 93.4
GTEX-Y8LW-1626-SM-5IFHX 50-59 years, female 93.4
GTEX-1KD4Q-2326-SM-D4P3M 40-49 years, male 93.4
GTEX-ZVZQ-0826-SM-51MRF 60-69 years, female 93.2
GTEX-1F75A-1826-SM-7SB8G 50-59 years, male 93.0
GTEX-17EVP-0226-SM-79OND 40-49 years, male 92.4
GTEX-1AMEY-1026-SM-718AA 30-39 years, female 92.3
GTEX-13113-5013-SM-7SB7G 60-69 years, female 92.3
GTEX-1GF9U-1726-SM-7MGY5 40-49 years, female 92.2
GTEX-1H23P-0726-SM-9WG7K 60-69 years, male 91.2
GTEX-1HCU9-0326-SM-9WYSC 20-29 years, male 91.2
GTEX-ZPIC-1126-SM-5BC7F 40-49 years, female 90.4
GTEX-13PVR-2226-SM-7DHKP 60-69 years, female 89.0
GTEX-146FH-0826-SM-5SI8T 50-59 years, female 88.4
GTEX-1ICG6-1326-SM-ACKWR 70-79 years, female 87.6
GTEX-1C475-1226-SM-7SB72 40-49 years, female 86.8
GTEX-1GZHY-0726-SM-9WG6B 50-59 years, female 86.5
GTEX-1EU9M-2826-SM-7EWFH 60-69 years, male 86.1
GTEX-1JMLX-2026-SM-CMKGN 50-59 years, male 85.7
GTEX-1HR9M-2426-SM-ACKXI 60-69 years, male 85.1
GTEX-ZLV1-1426-SM-DO92Z 60-69 years, female 84.7
GTEX-17HHY-0926-SM-793C1 50-59 years, male 84.2
GTEX-17F98-0526-SM-79OK5 40-49 years, female 84.1
GTEX-1HBPM-0126-SM-ARL9E 60-69 years, female 83.9
GTEX-S33H-0326-SM-4AD6N 30-39 years, male 83.8
GTEX-14PKU-0426-SM-6EU1P 40-49 years, female 83.6
GTEX-XUW1-2326-SM-4BOO5 50-59 years, female 83.5
GTEX-1H1ZS-0126-SM-9YFKQ 70-79 years, male 82.2
GTEX-13QIC-2326-SM-5LU5N 60-69 years, female 80.1
GTEX-1117F-2826-SM-5GZXL 60-69 years, female 80.0
GTEX-Y5V5-2126-SM-4WWFO 60-69 years, female 80.0
GTEX-1J8EW-2626-SM-CL53E 60-69 years, female 80.0
GTEX-1A3MX-2726-SM-718B6 60-69 years, male 79.8
GTEX-1R9JW-0326-SM-EAZ45 30-39 years, female 79.7
GTEX-1R9PN-0326-SM-DTX85 40-49 years, female 79.7
GTEX-1HCU8-0126-SM-ADEHH 60-69 years, female 79.6
GTEX-13W3W-1226-SM-5LU4H 60-69 years, female 79.0
GTEX-1C64O-0726-SM-7DUFU 60-69 years, male 78.9
GTEX-11DXW-0626-SM-5N9ER 40-49 years, male 78.3
GTEX-ZV7C-1826-SM-5NQ83 50-59 years, male 78.2
GTEX-XBED-1626-SM-47JYN 60-69 years, male 78.1
GTEX-TML8-1226-SM-32QON 40-49 years, female 77.9
GTEX-11GSP-0926-SM-9WYSG 60-69 years, female 77.8
GTEX-1EWIQ-1726-SM-7SB7T 70-79 years, female 77.8
GTEX-1LSNL-2826-SM-E9U5L 50-59 years, male 77.6
GTEX-18A66-1726-SM-7LG5N 60-69 years, male 77.5
GTEX-1HC8U-0826-SM-ADEIL 40-49 years, female 76.7
GTEX-Y111-2026-SM-4SOJA 50-59 years, male 75.7
GTEX-1KAFJ-0226-SM-DIPEL 50-59 years, male 75.6
GTEX-14PJO-0726-SM-69LO8 60-69 years, male 75.4
GTEX-11I78-2226-SM-5PNYA 50-59 years, female 75.3
GTEX-1I6K7-1026-SM-A9SLK 40-49 years, male 75.1
GTEX-RWS6-1926-SM-47JXY 60-69 years, female 75.0
GTEX-17HHE-1426-SM-7EPH4 50-59 years, male 74.6
GTEX-13D11-1026-SM-5IJFB 50-59 years, female 74.2
GTEX-12WSK-2226-SM-5GCO5 40-49 years, female 74.0
GTEX-ZWKS-2826-SM-5NQ74 30-39 years, male 73.8
GTEX-WRHU-0326-SM-3MJFY 50-59 years, female 73.6
GTEX-U412-1826-SM-4DXTJ 60-69 years, male 72.7
GTEX-11EI6-0626-SM-5985T 60-69 years, male 72.6
GTEX-14ICK-2426-SM-6EU27 40-49 years, male 72.6
GTEX-1K2DA-1726-SM-CGQGS 50-59 years, male 72.4
GTEX-T5JW-2026-SM-4DM63 20-29 years, female 72.3
GTEX-15SHW-1326-SM-6PAL8 60-69 years, male 72.0
GTEX-ZZPU-0626-SM-5E43T 50-59 years, female 70.5
GTEX-1MCC2-2126-SM-EWRON 30-39 years, female 70.2
GTEX-X261-0626-SM-3NMD9 50-59 years, male 70.1
GTEX-11P81-1926-SM-5BC53 30-39 years, female 69.9
GTEX-1B97J-0426-SM-79OLQ 50-59 years, female 69.5
GTEX-1211K-1926-SM-5EQLB 60-69 years, female 69.0
GTEX-1RLM8-2226-SM-EVYD1 50-59 years, male 68.4
GTEX-17JCI-0726-SM-7EPH1 60-69 years, female 68.3
GTEX-13CF2-2026-SM-5K7VI 60-69 years, male 67.7
GTEX-1IDFM-0426-SM-B2LVV 60-69 years, male 67.6
GTEX-1314G-1226-SM-5BC6D 30-39 years, male 67.5
GTEX-1GZ4I-2826-SM-9MQK5 50-59 years, male 67.5
GTEX-17HG3-0126-SM-7IGNH 30-39 years, female 67.3
GTEX-1122O-1226-SM-5H113 60-69 years, female 67.1
GTEX-Q2AG-0326-SM-48U1O 40-49 years, female 67.0
GTEX-SE5C-2126-SM-4BRUJ 40-49 years, female 66.9
GTEX-1R46S-2526-SM-E8VN2 60-69 years, female 66.9
GTEX-13S86-1226-SM-5S2OA 40-49 years, male 66.6
GTEX-11WQK-2426-SM-5GU5C 50-59 years, male 66.5
GTEX-WXYG-2226-SM-4E3IM 50-59 years, female 66.3
GTEX-16NGA-0826-SM-718AF 40-49 years, female 66.2
GTEX-1B97I-0426-SM-79OL7 40-49 years, male 65.9
GTEX-1M5QR-2526-SM-E9U5P 40-49 years, male 65.9
GTEX-UJHI-1426-SM-3DB9C 50-59 years, female 65.3
GTEX-1J8QM-2026-SM-ARZMW 60-69 years, female 65.3
GTEX-1JMQK-2626-SM-COH2W 60-69 years, male 65.3
GTEX-T6MO-0326-SM-32QOK 40-49 years, female 65.1
GTEX-1I1GT-1126-SM-ARL7J 60-69 years, female 64.6
GTEX-1I4MK-1626-SM-CM2TJ 50-59 years, female 64.6
GTEX-18QFQ-0826-SM-718AX 30-39 years, male 64.4
GTEX-13O3P-0826-SM-5L3DH 50-59 years, male 63.8
GTEX-1GMR2-1926-SM-9MQLZ 50-59 years, male 63.8
GTEX-1HBPN-2326-SM-9WPPU 50-59 years, male 63.5
GTEX-ZEX8-2226-SM-57WC6 50-59 years, male 63.3
GTEX-Y114-2026-SM-4TT7L 50-59 years, female 62.8
GTEX-11TT1-2126-SM-5GU5Y 20-29 years, male 62.5
GTEX-17EUY-1926-SM-7DUF6 20-29 years, male 61.7
GTEX-1F75B-0626-SM-7SB8A 50-59 years, male 61.4
GTEX-1269C-2426-SM-5FQSN 60-69 years, female 61.3
GTEX-11GS4-2126-SM-5A5KR 60-69 years, male 61.0
GTEX-133LE-1726-SM-5K7VQ 20-29 years, female 60.7
GTEX-WYBS-0926-SM-3NM94 60-69 years, female 60.7
GTEX-13FHO-0826-SM-5L3E8 60-69 years, male 60.4
GTEX-1GN2E-2226-SM-9WG6J 60-69 years, male 60.2
GTEX-1KANA-2026-SM-DIPFB 20-29 years, male 60.2
GTEX-UPK5-2326-SM-3P5Z8 40-49 years, male 59.9
GTEX-13OW5-2226-SM-5L3HC 60-69 years, male 59.6
GTEX-11WQC-1726-SM-5GU4W 60-69 years, male 59.2
GTEX-ZY6K-1626-SM-5GZWV 50-59 years, male 59.1
GTEX-1399U-1826-SM-5PNZ1 50-59 years, female 58.9
GTEX-11DZ1-0326-SM-5N9BN 50-59 years, male 58.7
GTEX-1CB4G-2326-SM-79OOI 60-69 years, male 58.4
GTEX-1LSNM-1326-SM-E9TJ1 50-59 years, male 58.1
GTEX-1J8Q2-2726-SM-A9G2X 60-69 years, male 57.7
GTEX-T2YK-2226-SM-32QPT 50-59 years, male 56.6
GTEX-UTHO-1026-SM-3GAF7 60-69 years, male 56.3
GTEX-15UF6-0126-SM-6PAMB 70-79 years, female 56.0
GTEX-1B8KZ-1526-SM-7DUG7 50-59 years, male 55.9
GTEX-X15G-1626-SM-3NMB3 50-59 years, female 55.7
GTEX-1BAJH-0826-SM-7EWEF 70-79 years, male 55.4
GTEX-1GZ2Q-2626-SM-7MXV9 40-49 years, male 55.3
GTEX-1N5O9-1126-SM-DTXEQ 60-69 years, male 54.8
GTEX-1I1HK-2426-SM-ADEHX 60-69 years, male 54.6
GTEX-1H1CY-2226-SM-9WG7E 60-69 years, female 54.3
GTEX-1CB4E-0226-SM-79OLW 60-69 years, male 53.7
GTEX-ZAK1-1326-SM-EVYAS 50-59 years, female 53.6
GTEX-1IKJJ-2326-SM-COH3U 60-69 years, male 53.5
GTEX-1F6I4-2526-SM-7SB8F 60-69 years, male 53.4
GTEX-14PN4-0626-SM-62LFP 50-59 years, male 53.1
GTEX-ZTX8-1226-SM-4YCE9 20-29 years, male 52.8
GTEX-1K9T9-1426-SM-DIPFQ 50-59 years, female 52.7
GTEX-11P7K-0726-SM-5EGKX 30-39 years, male 52.3
GTEX-111YS-1926-SM-5GICC 60-69 years, male 52.2
GTEX-U3ZN-1926-SM-4DXSG 30-39 years, female 52.2
GTEX-145LT-0726-SM-5S2VM 40-49 years, male 51.6
GTEX-1GMRU-0826-SM-9WYT7 50-59 years, male 51.6
GTEX-U3ZH-1426-SM-4DXSR 30-39 years, male 51.1
GTEX-1GZ4H-0326-SM-7P8QX 50-59 years, female 51.1
GTEX-WFG8-2026-SM-EXOHO 20-29 years, male 50.8
GTEX-T6MN-0726-SM-32PML 50-59 years, male 50.7
GTEX-1HCVE-2626-SM-ADEJ8 50-59 years, male 50.7
GTEX-ZGAY-1726-SM-DO91P 40-49 years, female 50.7
GTEX-13O3O-0826-SM-5K7WE 60-69 years, female 50.5
GTEX-13N11-1726-SM-5J1OJ 50-59 years, female 50.3
GTEX-15ER7-1626-SM-6PAMZ 20-29 years, female 50.1
GTEX-1H1DG-0526-SM-9YFLN 70-79 years, male 49.7
GTEX-ZTPG-2826-SM-57WGA 20-29 years, female 49.7
GTEX-1CB4J-1826-SM-7EWF9 60-69 years, male 49.4
GTEX-ZF3C-2326-SM-5S2NC 50-59 years, female 49.4
GTEX-15FZZ-0726-SM-7KUFZ 30-39 years, female 49.1
GTEX-1HKZK-1826-SM-ADEJ2 40-49 years, male 49.1
GTEX-X4EP-2926-SM-3P5YQ 60-69 years, female 49.0
GTEX-18A7A-0726-SM-7LTAI 50-59 years, female 48.8
GTEX-15ETS-0626-SM-7KUMX 40-49 years, female 48.4
GTEX-147F4-2826-SM-5NQBN 50-59 years, male 47.2
GTEX-1JJE9-2326-SM-ARL8Q 70-79 years, male 47.0
GTEX-ZXES-0826-SM-5E43C 30-39 years, female 46.9
GTEX-13NZ8-0126-SM-5IJCT 60-69 years, female 46.8
GTEX-S4UY-0726-SM-4AD6X 40-49 years, female 46.8
GTEX-ZF29-1926-SM-5S2P1 60-69 years, female 46.8
GTEX-1JMPY-0526-SM-CL54O 30-39 years, male 46.5
GTEX-1P4AB-1826-SM-E76PU 50-59 years, male 46.3
GTEX-1RAZS-1226-SM-E8VMT 50-59 years, male 46.0
GTEX-1JK1U-1826-SM-ARL8W 60-69 years, male 45.9
GTEX-1LGRB-1826-SM-CNPQL 50-59 years, female 45.9
GTEX-1192X-2326-SM-5987X 50-59 years, male 45.8
GTEX-1MJK2-2226-SM-EVYCR 50-59 years, male 45.8
GTEX-1R7EU-1226-SM-E8VMR 60-69 years, male 45.6
GTEX-1HSKV-2026-SM-CMKGX 60-69 years, male 45.2
GTEX-RU1J-0626-SM-4WAWY 20-29 years, female 44.7
GTEX-XYKS-1326-SM-4BRUN 60-69 years, female 44.6
GTEX-1N2EE-2126-SM-E8VNN 60-69 years, male 44.6
GTEX-ZAJG-0626-SM-5HL8X 50-59 years, female 44.5
GTEX-1GN1W-1926-SM-7P8TH 50-59 years, female 44.3
GTEX-14PHY-1926-SM-5YY95 60-69 years, female 44.1
GTEX-1F5PL-1026-SM-7RHI1 40-49 years, female 44.1
GTEX-13SLW-2526-SM-62LDQ 70-79 years, male 43.9
GTEX-1H1E6-0926-SM-9YFLT 30-39 years, male 43.9
GTEX-1C6VS-0726-SM-7EPHF 60-69 years, male 43.7
GTEX-ZVTK-0326-SM-51MRR 20-29 years, male 43.4
GTEX-QDT8-0626-SM-48TYW 30-39 years, female 43.3
GTEX-1RAZQ-1226-SM-EWRNL 30-39 years, male 43.2
GTEX-1IY9M-2726-SM-CMKG5 60-69 years, male 42.9
GTEX-1HCUA-0726-SM-ACKVU 50-59 years, female 42.8
GTEX-1LNCM-0226-SM-DIPF4 50-59 years, female 42.6
GTEX-1A8G7-2426-SM-731AK 60-69 years, male 42.3
GTEX-11EM3-1326-SM-5N9C6 20-29 years, female 42.2
GTEX-1IKOE-1326-SM-CE6T6 30-39 years, female 42.0
GTEX-1MA7W-1026-SM-DKPQK 20-29 years, female 42.0
GTEX-S4P3-1326-SM-4AD6V 50-59 years, female 41.8
GTEX-131YS-0626-SM-5EGKL 60-69 years, female 41.6
GTEX-1GN1U-0526-SM-9KNTT 50-59 years, female 41.5
GTEX-XMD2-0926-SM-4WWEF 60-69 years, female 40.8
GTEX-14BMU-1626-SM-5TDE7 20-29 years, female 40.7
GTEX-RU72-0626-SM-46MUI 50-59 years, female 40.6
GTEX-139T8-0826-SM-5L3DE 60-69 years, male 40.5
GTEX-YFC4-1426-SM-5IFJG 40-49 years, female 40.4
GTEX-W5X1-2326-SM-3GIL6 40-49 years, female 40.3
GTEX-Y3IK-2326-SM-4WWDT 50-59 years, female 40.2
GTEX-15G19-2126-SM-6M48J 60-69 years, male 39.6
GTEX-QEG5-0726-SM-D4P1T 20-29 years, male 39.6
GTEX-14A5I-0726-SM-5TDEB 50-59 years, female 39.1
GTEX-XMD1-0826-SM-4AT52 60-69 years, male 39.1
GTEX-VUSG-2226-SM-4KKZO 50-59 years, male 39.0
GTEX-XUZC-1626-SM-4BRVP 30-39 years, female 39.0
GTEX-1MCYP-0126-SM-E6CIS 20-29 years, female 38.8
GTEX-1GF9X-1026-SM-ACKX2 40-49 years, female 38.6
GTEX-1LVAM-0926-SM-E9TJ2 50-59 years, female 38.3
GTEX-1HSGN-1526-SM-A9SMO 40-49 years, female 38.2
GTEX-ZF2S-2026-SM-5E461 50-59 years, female 38.1
GTEX-ZTTD-1026-SM-51MRD 50-59 years, male 37.9
GTEX-1HUB1-1626-SM-CM2SL 60-69 years, male 37.5
GTEX-ZVT2-1826-SM-5NQ8W 50-59 years, female 37.1
GTEX-1NUQO-2226-SM-E9U68 20-29 years, female 37.1
GTEX-1IDJE-0826-SM-CKZNZ 50-59 years, female 36.8
GTEX-1QCLY-1626-SM-DTXDW 30-39 years, male 36.7
GTEX-14H4A-2526-SM-5YYAY 40-49 years, female 36.5
GTEX-13NZB-2126-SM-5MR4Y 30-39 years, male 36.4
GTEX-1B932-0826-SM-73KXG 40-49 years, female 36.4
GTEX-1GMR3-2626-SM-7RHHG 40-49 years, male 36.3
GTEX-13NZ9-1026-SM-5MR5K 50-59 years, male 35.4
GTEX-132Q8-1426-SM-5EGK7 60-69 years, male 34.9
GTEX-1QP29-1726-SM-E8VMQ 50-59 years, male 34.7
GTEX-13PL6-2926-SM-5L3I2 40-49 years, female 33.6
GTEX-1N2EF-2226-SM-E9J33 60-69 years, male 33.4
GTEX-1JMPZ-1626-SM-COH31 30-39 years, male 32.8
GTEX-1GPI6-0626-SM-7RHHJ 60-69 years, male 32.7
GTEX-S341-1526-SM-4AD6K 40-49 years, female 32.2
GTEX-QEL4-2126-SM-447AE 50-59 years, male 31.7
GTEX-1IKOH-2326-SM-CM2TW 60-69 years, female 31.7
GTEX-14AS3-1626-SM-5S2OY 40-49 years, female 31.6
GTEX-ZC5H-2626-SM-5J2MG 40-49 years, female 31.5
GTEX-11PRG-0826-SM-5EQ6A 50-59 years, male 31.4
GTEX-12ZZX-1126-SM-5EGKB 40-49 years, female 31.4
GTEX-VJWN-0726-SM-3GIJ8 50-59 years, female 31.2
GTEX-11EMC-2026-SM-5A5JV 60-69 years, female 31.1
GTEX-1IE54-0626-SM-ARL8D 40-49 years, female 30.7
GTEX-ZU9S-1926-SM-5NQBP 30-39 years, male 30.4
GTEX-T2IS-1526-SM-32QPR 20-29 years, female 30.1
GTEX-1POEN-0926-SM-DTX88 30-39 years, female 29.9
GTEX-XOT4-0726-SM-4GIAW 60-69 years, female 29.1
GTEX-R3RS-0626-SM-48FE1 40-49 years, female 29.0
GTEX-ZVE2-1226-SM-5NQ8R 50-59 years, male 28.9
GTEX-TMMY-0726-SM-33HBE 40-49 years, female 28.7
GTEX-1JJEA-2726-SM-ARL8V 60-69 years, male 27.7
GTEX-T5JC-2126-SM-32PMO 20-29 years, male 27.5
GTEX-1GMR8-0726-SM-9KNVI 50-59 years, female 26.7
GTEX-1CAMS-1426-SM-7IGPM 40-49 years, female 26.6
GTEX-14LLW-0626-SM-62LFC 70-79 years, female 25.9
GTEX-13FTY-2226-SM-5J1ND 40-49 years, female 25.3
GTEX-13SLX-2326-SM-5ZZWE 50-59 years, female 25.3
GTEX-1B8SG-1226-SM-7IGPF 50-59 years, male 25.2
GTEX-Y5LM-1726-SM-4VDSX 40-49 years, female 24.3
GTEX-131XW-0726-SM-5EGK3 50-59 years, female 23.3
GTEX-14ABY-2126-SM-5QGQZ 50-59 years, male 23.3
GTEX-1LVAN-1326-SM-CNPQE 50-59 years, female 22.5
GTEX-WYVS-1726-SM-3NMAY 40-49 years, female 22.0
GTEX-1RQEC-2026-SM-DTXDM 60-69 years, male 18.4
GTEX-1F75I-2026-SM-7SB7N 40-49 years, male 17.6
Show allShow less

BREAST - FANTOM5 CAGEi

RNA expression in human tissues obtained through Cap Analysis of Gene Expression (CAGE) generated by the FANTOM5 project are reported as Scaled Tags Per Million.

Max subtype Scaled Tags Per Millioni

Max subtype Scaled Tags Per Million is the value for the subtype with the largest average Scaled Tags Per Million across the subtype samples.

112.4
FANTOM5 sample id Sample description Scaled Tags Per Million
Breast
Scaled Tags Per Million: 112.4
FF:10080-102A8 77 years, female 112.4

Contact

  • NEWS ARTICLES
  • PRESS ROOM

The Project

  • INTRODUCTION
  • ORGANIZATION
  • PUBLICATIONS

The Human Protein Atlas

  • DOWNLOADABLE DATA
  • LICENCE & CITATION
  • HELP & FAQ
The Human Protein Atlas project is funded
by the Knut & Alice Wallenberg Foundation.


contact@proteinatlas.org