We use cookies to enhance the usability of our website. If you continue, we'll assume that you are happy to receive all cookies. More information. Don't show this again.
HSPG2
HPA
RESOURCES
  • TISSUE
  • BRAIN
  • SINGLE CELL
  • SUBCELLULAR
  • CANCER
  • BLOOD
  • CELL LINE
  • STRUCTURE & INTERACTION
ABOUT
  • INTRODUCTION
  • HISTORY
  • ORGANIZATION
  • PUBLICATIONS
  • ANTIBODY SUBMISSION
  • ANTIBODY AVAILABILITY
  • ACKNOWLEDGMENTS
  • CONTACT
NEWS
  • NEWS ARTICLES
  • PRESS ROOM
LEARN
  • DICTIONARY
  • PROTEIN CLASSES
  • PROTEIN EVIDENCE
  • METHODS
  • EDUCATIONAL VIDEOS
DATA
  • DOWNLOADABLE DATA
  • PUBLICATION DATA
  • RELEASE HISTORY
HELP
  • ANTIBODY VALIDATION
  • ASSAYS & ANNOTATION
  • DISCLAIMER
  • HELP & FAQ
  • PRIVACY STATEMENT
  • LICENCE & CITATION
Fields »
Search result

Field
Term
Gene name
Class
Subclass
Class
Keyword
Chromosome
External id
Tissue
Cell type
Expression
Antibody panel
Tissue
Main location
Patient ID
Annotation
Tissue
Category
Tau score
Cluster
Reliability
Brain region
Category
Tau score
Brain region
Category
Tau score
Brain region
Category
Tau score
Cluster
Reliability
Tissue
Cell type
Enrichment
Cell type
Category
Tau score
Cell type
Category
Tau score
Cell type
Category
Tau score
Cell lineage
Category
Tau score
Cluster
Cluster
Location
Searches
Location
Cell line
Class
Type
Phase
Reliability
Cancer
Prognosis
Cancer
Category
Cancer
Category
Tau score
Cluster
Variants
Interacting gene (ensg_id)
Type
Number of interactions
Pathway
Category
Score
Score
Score
Validation
Validation
Validation
Validation
Antibodies
Data type
Column


  • SUMMARY

  • TISSUE

  • BRAIN

  • SINGLE CELL

  • SUBCELL

  • CANCER

  • BLOOD

  • CELL LINE

  • STRUCT & INT

  • HSPG2
TISSUE PRIMARY DATA COLON Show tissue menu
ADIPOSE TISSUE ADRENAL GLAND AMYGDALA APPENDIX BASAL GANGLIA BONE MARROW BREAST BRONCHUS CEREBELLUM CEREBRAL CORTEX CERVIX CHOROID PLEXUS COLON DUODENUM
ENDOMETRIUM EPIDIDYMIS ESOPHAGUS FALLOPIAN TUBE GALLBLADDER HEART MUSCLE HIPPOCAMPAL FORMATION HYPOTHALAMUS KIDNEY LIVER LUNG LYMPH NODE MIDBRAIN NASOPHARYNX
ORAL MUCOSA OVARY PANCREAS PARATHYROID GLAND PITUITARY GLAND PLACENTA PROSTATE RECTUM RETINA SALIVARY GLAND SEMINAL VESICLE SKELETAL MUSCLE SKIN SMALL INTESTINE
SMOOTH MUSCLE SOFT TISSUE SPINAL CORD SPLEEN STOMACH TESTIS THYMUS THYROID GLAND TONGUE TONSIL URINARY BLADDER VAGINA
ANTIBODIES
AND
VALIDATION
Dictionary
Colon
Tissue proteome
Intestine
COLON - Expression summary
Protein expression
Coloni

On the top, protein expression in current human tissue, based on all annotated cell types, is reported with the units not detected (n), low (l), medium (m) and high (h). Underneath, protein expression in each annotated cell type are reported using the same units.

Protein expression data is based on knowledge-based annotation. For genes where more than one antibody has been used, a collective score is set.

If knowledge-based annotation could not be performed for a gene, no data is displayed here. View antibody staining data further down this page.

h
m
l
n
Endothelial cells: Medium
Glandular cells: Low
Peripheral nerve/ganglion: Not detected
RNA expressioni

A summary of mRNA expression data available for current tissue based on several datasets. The mRNA expression levels in human tissues are based on RNA-seq data generated by the Human Protein Atlas (HPA), Genotype-Tissue Expression (GTEx) portal and CAGE data generated by the FANTOM5 consortium. Consensus normalized expression levels for human tissues was created by combining the data from HPA and GTEx datasets.

The mRNA expression levels in pig are based on RNA-seq data generated by the Human Protein Atlas (HPA), and for mouse, HPA data and in situ hybridization generated by the Allen brain atlas are reported.

Scroll down to view mRNA expression data in more detail.
Consensus:147.9 nTPM
HPA:23.5 nTPM
GTEx:147.9 nTPM
FANTOM5:134.4 Scaled Tags Per Million

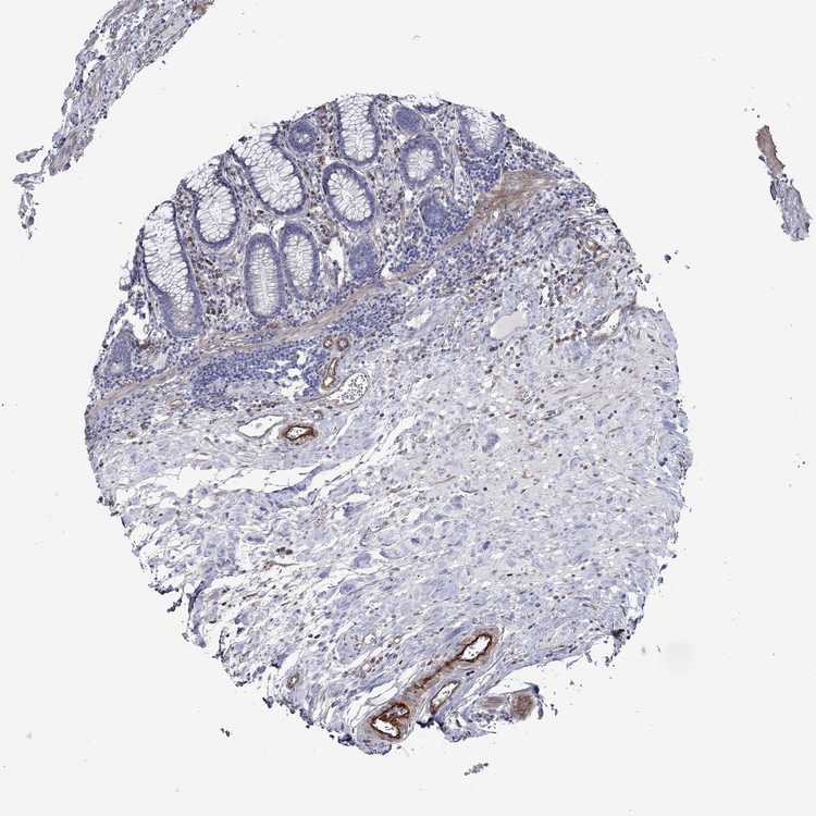
COLON - Antibody stainingi

Antibody staining in the annotated cell types in the current human tissue is reported as not detected, low, medium, or high, based on conventional immunohistochemistry profiling in selected tissues. This score is based on the combination of the staining intensity and fraction of stained cells.

Each image is clickable and will lead to virtual microscopy that enables deeper exploration of all samples and also displays staining intensity scores, fraction scores and subcellular localization as well as patient and tissue information for each sample.

Antibody HPA018892Antibody HPA072690Antibody CAB009820Antibody CAB020718
Endothelial cells LowNot detectedMediumMedium
Glandular cells LowNot detectedLowLow
Peripheral nerve/ganglion Not detectedNot detectedNot detected-








COLON - HPA RNA-seqi

The RNA-seq details section shows detailed information about the individual samples used for the transcript profiling and results of the RNA-seq analysis.

Information about each individual sample is listed below, including gender, age, a tissue section image and estimated fractions of cell types. nTPM (normalized transcripts per million) values give a quantification of the gene abundance which is comparable between different genes and samples.
Average nTPMi

Max subtype nTPM is the value for the subtype with the largest average nTPM across the subtype samples.

23.5
overview
Male, age 54
Colon sample 67
nTPM: 33
Cell types%
Glandular cells:
65

Smooth muscle cells:
10

Other cell types:
25

overview
Female, age 57
Colon sample 68
nTPM: 23.9
Cell types%
Glandular cells:
40

Smooth muscle cells:
5

Other cell types:
55

overview
Male, age 80
Colon sample 69
nTPM: 20.2
Cell types%
Glandular cells:
55

Smooth muscle cells:
5

Other cell types:
40

overview
Male, age 68
Colon sample 70
nTPM: 35.7
Cell types%
Glandular cells:
35

Smooth muscle cells:
10

Other cell types:
55

overview
Female, age 68
Colon sample 76
nTPM: 30.1
Cell types%
Glandular cells:
25

Smooth muscle cells:
5

Other cell types:
70

overview
Female, age 61
Colon sample 299
nTPM: 48.8
Cell types%
Glandular cells:
5

Smooth muscle cells:
65

Other cell types:
30

overview
Male, age 80
Colon sample 300
nTPM: 4.3
Cell types%
Glandular cells:
15

Smooth muscle cells:
20

Other cell types:
65

overview
Female, age 78
Colon sample 368
nTPM: 10.4
Cell types%
Glandular cells:
45

Smooth muscle cells:
5

Other cell types:
50

overview
Male, age 84
Colon sample 381
nTPM: 24.5
Cell types%
Glandular cells:
50

Smooth muscle cells:
15

Other cell types:
35

overview
Male, age 80
Colon sample 384
nTPM: 7.5
Cell types%
Glandular cells:
20

Smooth muscle cells:
35

Other cell types:
45

overview
Female, age 78
Colon sample 389
nTPM: 11.9
Cell types%
Glandular cells:
35

Smooth muscle cells:
10

Other cell types:
55

overview
Female, age 69
Colon sample 391
nTPM: 20.8
Cell types%
Glandular cells:
10

Smooth muscle cells:
45

Other cell types:
45

overview
Female, age 72
Colon sample 403
nTPM: 34.6
Cell types%
Glandular cells:
20

Smooth muscle cells:
15

Other cell types:
65


COLON - GTEx RNA-seqi

RNA-Seq data generated by the Genotype-Tissue Expression (GTEx) project from human tissues is reported as mean nTPM. More information can be found on the GTEx portal.

Distribution across the dataset is visualized with box plots, shown as median and 25th and 75th percentiles. Points are displayed as outliers if they are above or below 1.5 times the interquartile range. nTPM values of the individual samples are presented next to the box plot.
Max subtype nTPMi

Max subtype nTPM is the value for the subtype with the largest average nTPM across the subtype samples.

147.9
GTEx sample id Sample description nTPM
Colon - Sigmoid
Average nTPM: 147.9
Samples: 373

Max nTPM: 412.6
Min nTPM: 23.4
Std nTPM: 55.9
Median nTPM: 145.2
GTEX-1PBJJ-2026-SM-DTX8U 30-39 years, male 412.6
GTEX-1I1CD-2826-SM-A9SL4 60-69 years, female 358.1
GTEX-WY7C-1926-SM-4ONCI 50-59 years, male 349.9
GTEX-ZDTS-2726-SM-5L3E2 60-69 years, male 323.8
GTEX-13CF3-1326-SM-5LZXZ 60-69 years, female 302.3
GTEX-ZQG8-2426-SM-57WEE 60-69 years, female 301.5
GTEX-ZXES-1726-SM-5E43G 30-39 years, female 289.8
GTEX-139UW-2326-SM-5KM1Y 60-69 years, male 277.0
GTEX-15RIF-1426-SM-7KUKQ 20-29 years, male 275.4
GTEX-1GN73-2726-SM-9WYUB 60-69 years, male 273.0
GTEX-YFCO-1526-SM-5YYB8 40-49 years, male 262.4
GTEX-V955-1726-SM-4JBHF 60-69 years, male 260.3
GTEX-11EM3-1626-SM-5N9CO 20-29 years, female 258.5
GTEX-1AYCT-1926-SM-793AE 50-59 years, male 257.9
GTEX-XXEK-1826-SM-4BRVC 50-59 years, male 256.4
GTEX-16BQI-2026-SM-7KULQ 30-39 years, female 256.2
GTEX-1LB8K-2526-SM-DIPEQ 50-59 years, male 254.3
GTEX-18A6Q-2226-SM-7LG61 60-69 years, male 251.3
GTEX-1LG7Z-1326-SM-DIPF3 30-39 years, male 248.9
GTEX-11ZTT-1626-SM-5EQKR 60-69 years, female 246.0
GTEX-1B996-2726-SM-7DUGG 60-69 years, male 240.9
GTEX-14PK6-1826-SM-69LOM 70-79 years, female 239.7
GTEX-11I78-1326-SM-5PNY9 50-59 years, female 239.1
GTEX-11EQ9-1526-SM-5PNY7 30-39 years, male 237.4
GTEX-1IDJH-2826-SM-CJI49 70-79 years, male 235.9
GTEX-1B8KE-1526-SM-7DUG2 50-59 years, male 232.4
GTEX-13FTW-2126-SM-5K7YG 40-49 years, male 232.0
GTEX-Y114-1626-SM-4TT7I 50-59 years, female 229.3
GTEX-17HHE-1626-SM-7DHLN 50-59 years, male 229.2
GTEX-XAJ8-0726-SM-47JY5 40-49 years, male 226.4
GTEX-1CAMR-1026-SM-7P8QI 20-29 years, male 225.9
GTEX-1LGOU-1726-SM-D3L8P 20-29 years, female 223.4
GTEX-14C5O-2626-SM-5RQI5 60-69 years, male 222.2
GTEX-11EQ8-2626-SM-5N9BO 60-69 years, male 221.3
GTEX-1HSMO-2526-SM-A9SKP 60-69 years, male 221.3
GTEX-11DXZ-1626-SM-5GIDI 50-59 years, male 221.2
GTEX-14JG6-1626-SM-5YYBC 30-39 years, female 220.3
GTEX-1CB4F-1926-SM-7MKFN 60-69 years, male 216.9
GTEX-12BJ1-2026-SM-5FQUH 60-69 years, male 216.7
GTEX-13PVR-1726-SM-5Q5EC 60-69 years, female 216.1
GTEX-1JN76-1326-SM-ARU94 20-29 years, female 213.1
GTEX-YF7O-1626-SM-5IFII 50-59 years, male 211.8
GTEX-1E2YA-2526-SM-7IGOU 50-59 years, male 210.3
GTEX-11P7K-1826-SM-5HL5A 30-39 years, male 209.7
GTEX-145LT-0826-SM-5S2QL 40-49 years, male 206.7
GTEX-16MTA-1626-SM-6M47N 50-59 years, male 206.4
GTEX-1MGNQ-2126-SM-EV7AC 40-49 years, male 205.7
GTEX-14E6C-2226-SM-5QGQG 40-49 years, male 204.9
GTEX-1AX9K-1626-SM-73KUS 50-59 years, male 204.8
GTEX-WFG8-1726-SM-4LVM6 20-29 years, male 204.5
GTEX-13RTJ-1926-SM-5YYA2 60-69 years, male 204.4
GTEX-1J8QM-1226-SM-CY8HI 60-69 years, female 203.1
GTEX-15ER7-2826-SM-6PAN2 20-29 years, female 200.3
GTEX-1J8Q3-2426-SM-CL53S 60-69 years, male 200.3
GTEX-17F96-2126-SM-7KFSM 70-79 years, male 199.9
GTEX-1R7EU-1826-SM-DTX9L 60-69 years, male 199.6
GTEX-15DYW-2426-SM-7KUG8 60-69 years, female 199.1
GTEX-13OVI-2126-SM-5KM3U 60-69 years, female 199.0
GTEX-1KXAM-1926-SM-D3LAG 60-69 years, male 198.9
GTEX-ZF2S-1826-SM-4WKFF 50-59 years, female 198.1
GTEX-1C2JI-1726-SM-73KUW 50-59 years, male 197.8
GTEX-1N2EF-1726-SM-EXUSI 60-69 years, male 197.7
GTEX-11EMC-1426-SM-5N9E4 60-69 years, female 197.5
GTEX-1399R-2126-SM-5K7WZ 30-39 years, male 197.5
GTEX-183FY-1426-SM-7DHLM 20-29 years, male 196.6
GTEX-XUW1-1826-SM-4BOQD 50-59 years, female 196.6
GTEX-131XE-1026-SM-5EGKE 50-59 years, male 195.8
GTEX-WFG7-1626-SM-4LVMF 20-29 years, male 194.9
GTEX-1LSNL-1626-SM-E9TJY 50-59 years, male 193.2
GTEX-1J1OQ-2826-SM-D3L88 40-49 years, female 192.8
GTEX-1RAZR-2026-SM-E9TKE 40-49 years, male 191.6
GTEX-1HSGN-2226-SM-A9SL6 40-49 years, female 191.5
GTEX-1IKOE-2126-SM-A96T5 30-39 years, female 190.9
GTEX-14PN3-1926-SM-6EU1Y 60-69 years, female 190.2
GTEX-ZA64-1426-SM-5CVMC 20-29 years, male 190.2
GTEX-1CB4G-2726-SM-79OO4 60-69 years, male 190.1
GTEX-1RMOY-1726-SM-EVYC9 50-59 years, male 189.3
GTEX-14E6E-1726-SM-5S2R6 30-39 years, male 189.1
GTEX-1QP9N-0826-SM-DTX9O 30-39 years, male 188.1
GTEX-1JJEA-2526-SM-CY8HJ 60-69 years, male 187.7
GTEX-17HGU-2626-SM-79OKN 50-59 years, male 186.8
GTEX-1QP28-2226-SM-DTX8C 50-59 years, female 186.7
GTEX-111YS-1826-SM-5GIEP 60-69 years, male 186.1
GTEX-1K2DA-1626-SM-CGQGB 50-59 years, male 186.0
GTEX-ZV6S-1126-SM-57WE9 40-49 years, female 185.7
GTEX-11ONC-1926-SM-5GU75 60-69 years, male 184.2
GTEX-1B97I-1526-SM-73KUK 40-49 years, male 183.6
GTEX-1HCU7-2726-SM-A9G3D 50-59 years, male 181.6
GTEX-WXYG-1726-SM-4ONCU 50-59 years, female 181.2
GTEX-13FHO-2726-SM-5K7VG 60-69 years, male 181.0
GTEX-13G51-2126-SM-5IJD9 60-69 years, male 180.6
GTEX-18A66-2626-SM-72D67 60-69 years, male 179.6
GTEX-13QBU-2026-SM-5KLZB 40-49 years, female 179.3
GTEX-11ZTS-1526-SM-5N9G7 60-69 years, female 178.0
GTEX-139TS-2226-SM-5J2N1 60-69 years, male 177.3
GTEX-XQ8I-2326-SM-4BOQC 50-59 years, male 177.0
GTEX-ZVT3-2826-SM-5GU6A 60-69 years, female 176.9
GTEX-1HBPN-2026-SM-B2LWA 50-59 years, male 176.2
GTEX-ZYFG-1826-SM-5GZWX 60-69 years, female 176.0
GTEX-1R9JW-2126-SM-E76QT 30-39 years, female 175.6
GTEX-WYVS-1126-SM-4SOJX 40-49 years, female 175.5
GTEX-ZPIC-2626-SM-57WE2 40-49 years, female 175.4
GTEX-1HSEH-1926-SM-A96SB 60-69 years, male 175.2
GTEX-WHPG-1626-SM-4M1ZL 50-59 years, male 174.8
GTEX-14AS3-1026-SM-5TDD7 40-49 years, female 174.1
GTEX-1J8EW-2426-SM-CE6T5 60-69 years, female 174.1
GTEX-14PHX-1126-SM-5YYA5 50-59 years, male 174.0
GTEX-11P81-1426-SM-5P9JN 30-39 years, female 173.4
GTEX-ZPCL-1626-SM-57WGC 60-69 years, female 171.8
GTEX-131YS-2926-SM-5EGKI 60-69 years, female 171.5
GTEX-147JS-2626-SM-5S2UX 60-69 years, male 171.5
GTEX-1GMR3-2526-SM-7P8QS 40-49 years, male 170.8
GTEX-13OW5-2826-SM-5KM1G 60-69 years, male 170.0
GTEX-13X6J-2826-SM-7EPGA 50-59 years, male 168.9
GTEX-13CF2-1826-SM-5N9GK 60-69 years, male 167.7
GTEX-XBED-1726-SM-47JYO 60-69 years, male 167.1
GTEX-1EU9M-2726-SM-7P8QD 60-69 years, male 167.0
GTEX-1HFI7-1626-SM-9WYTR 50-59 years, female 167.0
GTEX-13OVJ-1826-SM-5KM2D 50-59 years, female 166.3
GTEX-1H1E6-1826-SM-A9G21 30-39 years, male 166.0
GTEX-1KANA-1726-SM-CY8IG 20-29 years, male 165.7
GTEX-1LVAM-1726-SM-DHXKQ 50-59 years, female 165.7
GTEX-132NY-2726-SM-5PNY2 60-69 years, male 165.1
GTEX-ZLFU-1426-SM-4WWEU 40-49 years, male 164.8
GTEX-16NGA-0926-SM-718AG 40-49 years, female 164.6
GTEX-139D8-2926-SM-5IJBM 30-39 years, female 164.3
GTEX-14PKV-1926-SM-686YU 20-29 years, female 164.0
GTEX-1RLM8-1726-SM-E9TKF 50-59 years, male 162.4
GTEX-1ICG6-2226-SM-B2LY7 70-79 years, female 162.1
GTEX-1L5NE-1926-SM-D3L9R 50-59 years, male 161.8
GTEX-ZPU1-1726-SM-4WWFV 40-49 years, male 161.3
GTEX-1HCUA-1926-SM-B2LWE 50-59 years, female 161.0
GTEX-ZYY3-2226-SM-5E45A 60-69 years, female 160.6
GTEX-1LVAO-2826-SM-E9TJH 60-69 years, male 160.4
GTEX-12KS4-2326-SM-5EGJB 30-39 years, male 160.0
GTEX-13OW8-2726-SM-5L3FZ 60-69 years, male 159.5
GTEX-117XS-2226-SM-5GIE1 60-69 years, male 159.3
GTEX-1LVAN-2626-SM-CNPQF 50-59 years, female 159.3
GTEX-11ZU8-1126-SM-5EQ5K 60-69 years, male 158.9
GTEX-14E1K-1626-SM-664MO 50-59 years, male 158.9
GTEX-111CU-1226-SM-5EGIN 50-59 years, male 158.8
GTEX-ZC5H-2426-SM-4WAZ6 40-49 years, female 158.7
GTEX-1H1ZS-2626-SM-9QEIX 70-79 years, male 158.4
GTEX-1LSVX-2026-SM-E9TJD 60-69 years, male 158.0
GTEX-1F5PK-1726-SM-7RHHW 50-59 years, male 157.8
GTEX-ZAB5-1426-SM-5HL9D 50-59 years, male 157.4
GTEX-1F5PL-1926-SM-7MXTP 40-49 years, female 157.4
GTEX-1I1GR-2226-SM-ARL7F 60-69 years, male 157.1
GTEX-1JJE9-2526-SM-ARU8K 70-79 years, male 157.1
GTEX-11GS4-1826-SM-5HL4T 60-69 years, male 156.3
GTEX-WFON-1326-SM-4LVMN 40-49 years, male 156.2
GTEX-13D11-0626-SM-5LZYY 50-59 years, female 155.8
GTEX-12ZZW-2426-SM-5DUWE 50-59 years, male 155.7
GTEX-1J1R8-1426-SM-CL55O 40-49 years, male 155.6
GTEX-1QW4Y-1426-SM-E76P3 30-39 years, male 155.6
GTEX-1R9PO-2026-SM-E9J4N 60-69 years, female 155.1
GTEX-1JKYR-2026-SM-CNPON 20-29 years, male 154.8
GTEX-Y3I4-1126-SM-4TT7Y 50-59 years, male 154.0
GTEX-1OFPY-1226-SM-E76OM 60-69 years, male 154.0
GTEX-15G1A-1926-SM-7KUFF 30-39 years, male 153.9
GTEX-ZG7Y-1826-SM-4WWD3 50-59 years, male 153.6
GTEX-ZF28-2526-SM-57WFH 60-69 years, male 153.5
GTEX-1R9K5-2226-SM-DTX9G 50-59 years, male 152.9
GTEX-11PRG-2026-SM-5GU5F 50-59 years, male 152.7
GTEX-139T6-1426-SM-5P9J7 50-59 years, male 152.1
GTEX-1AX9J-2526-SM-73KUY 60-69 years, male 151.9
GTEX-1HCVE-2326-SM-9WYUD 50-59 years, male 151.8
GTEX-1HSMQ-2526-SM-A9SMK 50-59 years, male 151.3
GTEX-1IL2U-2526-SM-C1YQV 60-69 years, male 151.2
GTEX-X15G-1526-SM-4PQZM 50-59 years, female 150.8
GTEX-1PIGE-1526-SM-DTXFC 20-29 years, male 150.8
GTEX-1JMQK-2326-SM-ARZN4 60-69 years, male 149.7
GTEX-14A5H-1626-SM-5SIAN 60-69 years, male 149.5
GTEX-13OVK-1026-SM-7KFTC 40-49 years, male 149.2
GTEX-1IDJI-2226-SM-CKZPM 50-59 years, female 148.0
GTEX-1GPI7-1926-SM-9KNUH 20-29 years, male 147.8
GTEX-1GZ4H-1326-SM-7P8TE 50-59 years, female 147.8
GTEX-1QPFJ-2426-SM-EVR3L 30-39 years, female 147.7
GTEX-XV7Q-2226-SM-4BRVY 40-49 years, female 147.6
GTEX-1A32A-2626-SM-73KX9 50-59 years, female 147.4
GTEX-1AMFI-1826-SM-73KWB 50-59 years, female 147.2
GTEX-13111-1926-SM-5GCOL 50-59 years, male 146.2
GTEX-1C475-1526-SM-7DHM3 40-49 years, female 145.9
GTEX-ZZ64-0826-SM-5E449 20-29 years, male 145.6
GTEX-ZP4G-1526-SM-57WE5 20-29 years, female 145.4
GTEX-ZE9C-2126-SM-4WKGY 60-69 years, male 145.3
GTEX-1JMQJ-2626-SM-CY8HQ 50-59 years, male 145.2
GTEX-YECK-2826-SM-5IFHF 60-69 years, male 144.8
GTEX-1A3MX-2326-SM-718B4 60-69 years, male 142.4
GTEX-11TT1-0926-SM-5GU5M 20-29 years, male 142.1
GTEX-13N2G-2226-SM-5IJCU 60-69 years, male 142.0
GTEX-1GMR8-2926-SM-9KNW5 50-59 years, female 141.8
GTEX-1S82P-2026-SM-E9TIQ 60-69 years, female 141.4
GTEX-1RDX4-1926-SM-E6CJJ 50-59 years, female 140.9
GTEX-18QFQ-1726-SM-731C9 30-39 years, male 140.7
GTEX-1C64N-2226-SM-7SB7C 50-59 years, male 140.6
GTEX-1QP2A-2226-SM-DTXF6 50-59 years, male 140.4
GTEX-147GR-2826-SM-5RQK8 60-69 years, male 140.0
GTEX-ZLWG-1826-SM-DO11I 50-59 years, female 139.9
GTEX-12696-1926-SM-5EGJT 60-69 years, male 139.3
GTEX-1H1DE-1626-SM-9KNU5 20-29 years, male 139.2
GTEX-14PJ3-1226-SM-5ZZVY 50-59 years, male 138.9
GTEX-14C39-1626-SM-5S2P4 40-49 years, male 138.8
GTEX-13FH7-1626-SM-5J2O9 50-59 years, female 137.7
GTEX-1GL5R-1726-SM-9KNUX 50-59 years, male 137.6
GTEX-12WSJ-1426-SM-5GCON 40-49 years, female 136.8
GTEX-1HSKV-2326-SM-A9SL9 60-69 years, male 136.8
GTEX-1JMLX-2526-SM-CY8HX 50-59 years, male 136.2
GTEX-12WSD-2626-SM-5EGJE 60-69 years, female 135.4
GTEX-13O61-1526-SM-5KM3P 60-69 years, male 134.6
GTEX-12WSM-1426-SM-5GCPA 60-69 years, male 134.1
GTEX-14BMU-1326-SM-5RQIH 20-29 years, female 133.8
GTEX-1JKYN-2226-SM-ARZNE 30-39 years, male 133.4
GTEX-1HBPM-2626-SM-9WYU5 60-69 years, female 133.3
GTEX-WQUQ-2626-SM-4MVNP 60-69 years, male 133.2
GTEX-Z93S-2626-SM-57WBX 50-59 years, male 132.4
GTEX-YJ8A-1726-SM-5P9IQ 20-29 years, male 132.0
GTEX-17GQL-1626-SM-7LG69 60-69 years, male 131.8
GTEX-1122O-1426-SM-5H11R 60-69 years, female 131.4
GTEX-ZVT4-2626-SM-5N9GJ 50-59 years, female 130.9
GTEX-1LG7Y-2226-SM-E9U5K 50-59 years, male 130.7
GTEX-12WSG-2426-SM-5EQLZ 50-59 years, female 129.5
GTEX-1HKZK-2026-SM-9WYUF 40-49 years, male 128.9
GTEX-15EO6-2326-SM-6LPKK 50-59 years, male 128.7
GTEX-WHWD-1526-SM-4OORV 50-59 years, male 128.7
GTEX-11DXX-1926-SM-5EGJK 60-69 years, female 128.5
GTEX-13X6K-2726-SM-5O9DG 60-69 years, female 128.4
GTEX-1N2DV-1826-SM-E6CJ5 40-49 years, male 128.3
GTEX-YJ8O-1426-SM-5PNV9 40-49 years, female 127.6
GTEX-XUZC-1526-SM-4BRV4 30-39 years, female 126.9
GTEX-13VXT-2026-SM-5L3EW 20-29 years, female 126.8
GTEX-1QP67-1426-SM-E8VOO 40-49 years, female 126.7
GTEX-1211K-1826-SM-5EGJ2 60-69 years, female 126.4
GTEX-16XZZ-2726-SM-7EWDO 60-69 years, male 126.1
GTEX-14DAQ-2926-SM-664MV 60-69 years, female 124.6
GTEX-1QCLZ-2026-SM-EAZ4A 60-69 years, female 124.6
GTEX-17MFQ-1226-SM-7KFSA 20-29 years, male 124.0
GTEX-ZYT6-2826-SM-5GICX 30-39 years, male 123.0
GTEX-1A3MV-1026-SM-72D5U 30-39 years, male 122.7
GTEX-1BAJH-2726-SM-7IGNJ 70-79 years, male 122.5
GTEX-1H3VE-2326-SM-9KNVU 40-49 years, male 122.4
GTEX-17KNJ-1826-SM-7LT9N 50-59 years, male 121.8
GTEX-145ME-1126-SM-5SIAT 40-49 years, female 121.6
GTEX-12ZZX-2726-SM-5N9FT 40-49 years, female 121.4
GTEX-1399U-2226-SM-5KLZI 50-59 years, female 121.2
GTEX-1P4AB-2626-SM-DTXEU 50-59 years, male 120.8
GTEX-11EI6-2626-SM-5PNVT 60-69 years, male 120.5
GTEX-1HCU6-2926-SM-B2LWV 60-69 years, female 120.4
GTEX-ZAB4-2426-SM-5HL8A 40-49 years, male 120.1
GTEX-15UF6-2726-SM-7KULY 70-79 years, female 119.7
GTEX-1H3NZ-2526-SM-9KNVO 60-69 years, male 119.7
GTEX-1HBPI-2226-SM-9WYTY 50-59 years, male 119.6
GTEX-15CHQ-2626-SM-686YZ 60-69 years, male 119.2
GTEX-1EH9U-1926-SM-7P8QM 60-69 years, male 119.2
GTEX-1PBJI-2526-SM-E6CP4 20-29 years, female 119.2
GTEX-18D9A-1326-SM-7LT8P 30-39 years, female 118.4
GTEX-1LBAC-1726-SM-D3L9W 20-29 years, male 118.1
GTEX-11TUW-2326-SM-5EQMO 60-69 years, male 117.6
GTEX-15F5U-1426-SM-7KUN2 40-49 years, male 117.5
GTEX-1F75W-2126-SM-7RHIA 60-69 years, male 117.5
GTEX-1RAZQ-2026-SM-E76P7 30-39 years, male 117.3
GTEX-14PJ4-1826-SM-5YY97 60-69 years, male 115.6
GTEX-1C4CL-1626-SM-7DUF3 30-39 years, male 115.4
GTEX-145MO-2626-SM-5QGPD 60-69 years, male 114.9
GTEX-1JMPZ-2626-SM-ARU8Z 30-39 years, male 114.9
GTEX-1HBPH-2526-SM-ACKXK 40-49 years, female 114.8
GTEX-1LKK1-2426-SM-DIPES 50-59 years, female 114.8
GTEX-15RJ7-1726-SM-6PAL3 40-49 years, male 114.5
GTEX-13U4I-2626-SM-5SI9C 40-49 years, female 114.0
GTEX-1B8L1-1926-SM-7IGND 60-69 years, male 113.4
GTEX-1H3VY-2526-SM-9KNW1 50-59 years, male 113.3
GTEX-1I1GP-2826-SM-A9SKZ 50-59 years, male 113.3
GTEX-ZLV1-1326-SM-DO11Q 60-69 years, female 112.8
GTEX-1EMGI-2626-SM-7IGNR 60-69 years, male 111.8
GTEX-1PDJ9-2026-SM-E76PT 20-29 years, male 111.8
GTEX-1I1GT-2026-SM-CKZPK 60-69 years, female 111.2
GTEX-13X6I-2726-SM-5Q5ET 60-69 years, male 110.4
GTEX-1GMRU-2626-SM-9WPPM 50-59 years, male 110.4
GTEX-14BIN-2426-SM-5TDCF 50-59 years, female 109.9
GTEX-13PL7-2426-SM-5J2N3 60-69 years, female 109.5
GTEX-12WSL-1826-SM-5LZW9 50-59 years, male 109.3
GTEX-131XG-1526-SM-5GCNQ 50-59 years, female 108.7
GTEX-X4EO-2726-SM-4E3HS 60-69 years, female 107.7
GTEX-1GF9X-1426-SM-7RHGX 40-49 years, female 107.5
GTEX-17JCI-2826-SM-7IGNA 60-69 years, female 107.1
GTEX-1I6K6-1926-SM-A96SN 30-39 years, male 107.0
GTEX-13PVQ-2726-SM-5L3H7 50-59 years, male 106.9
GTEX-1GTWX-2626-SM-9WPOT 60-69 years, male 106.8
GTEX-15DZA-1026-SM-6PAND 30-39 years, female 106.3
GTEX-1212Z-1826-SM-5FQSH 60-69 years, male 105.8
GTEX-145MH-2726-SM-5QGQ6 50-59 years, male 105.7
GTEX-1C6VQ-2626-SM-7IGMQ 50-59 years, male 104.9
GTEX-1S831-1726-SM-EWROJ 20-29 years, male 104.8
GTEX-1RQEC-2626-SM-EVR3Z 60-69 years, male 104.7
GTEX-1QCLY-2026-SM-EVR4C 30-39 years, male 104.4
GTEX-117YX-0526-SM-5EGJH 50-59 years, male 104.2
GTEX-13OW6-2226-SM-5N9FL 50-59 years, male 103.8
GTEX-YEC3-2026-SM-DKPOL 50-59 years, male 103.8
GTEX-ZY6K-1326-SM-5GZWP 50-59 years, male 103.2
GTEX-13SLW-2826-SM-5Q5ES 70-79 years, male 103.0
GTEX-1JK1U-1426-SM-CNPOW 60-69 years, male 102.8
GTEX-1LGRB-2026-SM-COH47 50-59 years, female 102.7
GTEX-1QP29-2526-SM-E6CQ3 50-59 years, male 102.4
GTEX-15RIE-2026-SM-7KFRW 60-69 years, male 102.1
GTEX-ZTTD-2626-SM-57WEX 50-59 years, male 101.9
GTEX-15UF7-1326-SM-7KUKV 40-49 years, male 101.8
GTEX-1PPH8-2226-SM-EWRN7 20-29 years, male 101.6
GTEX-15RJE-2226-SM-6M46A 40-49 years, male 101.4
GTEX-ZT9W-1726-SM-51MS3 50-59 years, male 100.9
GTEX-1GMR2-1826-SM-9KNUP 50-59 years, male 100.1
GTEX-WI4N-2226-SM-4OOS9 40-49 years, female 99.9
GTEX-1339X-1726-SM-5P9J9 40-49 years, male 97.9
GTEX-144GM-1126-SM-79OJK 20-29 years, male 96.3
GTEX-ZYFD-2226-SM-5E43P 50-59 years, male 96.3
GTEX-1JMPY-1026-SM-ARZN1 30-39 years, male 95.5
GTEX-1S5ZA-1426-SM-E6CJQ 20-29 years, male 95.4
GTEX-18465-2726-SM-7LT9I 50-59 years, male 95.3
GTEX-11DXY-2026-SM-5N9CZ 60-69 years, male 94.4
GTEX-ZF29-1826-SM-4WKG8 60-69 years, female 93.9
GTEX-14A5I-2426-SM-5Q5CP 50-59 years, female 93.6
GTEX-1IDJU-1926-SM-CL53W 60-69 years, female 93.3
GTEX-145LS-2926-SM-5O99G 60-69 years, female 92.5
GTEX-16Z82-2426-SM-7KUMS 60-69 years, male 91.3
GTEX-1PIEJ-1826-SM-EWRMN 20-29 years, female 90.9
GTEX-15ETS-2326-SM-7KUGC 40-49 years, female 90.4
GTEX-ZAJG-2626-SM-5S2NU 50-59 years, female 89.4
GTEX-11VI4-1426-SM-5GU6O 40-49 years, female 88.7
GTEX-WRHK-1126-SM-4MVOJ 20-29 years, female 88.7
GTEX-183WM-2526-SM-731BP 70-79 years, female 87.9
GTEX-132AR-2826-SM-5IJFV 50-59 years, female 87.8
GTEX-1B932-2126-SM-7IGMU 40-49 years, female 87.4
GTEX-1K9T9-2926-SM-E9TKD 50-59 years, female 87.2
GTEX-ZVT2-1726-SM-51MRO 50-59 years, female 86.6
GTEX-1CAMS-2626-SM-7PBY3 40-49 years, female 86.5
GTEX-WHSE-2726-SM-EZ6ML 20-29 years, male 85.8
GTEX-15G19-2726-SM-6LPKG 60-69 years, male 84.7
GTEX-ZE7O-2626-SM-51MSS 50-59 years, female 84.6
GTEX-12ZZY-2726-SM-5EQ45 60-69 years, male 83.4
GTEX-ZTSS-1226-SM-51MSZ 40-49 years, male 82.5
GTEX-17F9Y-2626-SM-7IGN9 70-79 years, female 81.7
GTEX-1HB9E-2526-SM-D4P35 50-59 years, male 81.2
GTEX-146FH-2426-SM-5Q5EW 50-59 years, female 80.9
GTEX-1J8JJ-2426-SM-D4P4A 60-69 years, female 79.6
GTEX-Y5LM-1426-SM-5RQJL 40-49 years, female 79.1
GTEX-1JN6P-2126-SM-ARL98 60-69 years, male 78.7
GTEX-ZVZQ-2626-SM-59HLB 60-69 years, female 78.1
GTEX-13O1R-2426-SM-5KLZZ 60-69 years, male 76.6
GTEX-18A67-2226-SM-7LT9Z 50-59 years, male 75.1
GTEX-13113-1426-SM-5EGHU 60-69 years, female 72.4
GTEX-1LSNM-1426-SM-E6CIH 50-59 years, male 71.6
GTEX-17HG3-1126-SM-7DUFC 30-39 years, female 70.3
GTEX-1H23P-2626-SM-9KNVN 60-69 years, male 70.1
GTEX-1PFEY-1726-SM-DPRZ4 30-39 years, male 69.6
GTEX-17EUY-1726-SM-79OK4 20-29 years, male 69.5
GTEX-Y9LG-1326-SM-4VBQB 30-39 years, male 69.2
GTEX-1C64O-2426-SM-7P8R3 60-69 years, male 68.2
GTEX-148VJ-2426-SM-5NQ9Y 70-79 years, male 68.0
GTEX-1PIIG-2126-SM-EXUSD 30-39 years, male 61.5
GTEX-1OJC3-1826-SM-DTX93 20-29 years, male 55.3
GTEX-Y8LW-1126-SM-4VDS4 50-59 years, female 53.6
GTEX-WYJK-2326-SM-4ONDN 50-59 years, male 51.9
GTEX-WH7G-1426-SM-4LVMU 40-49 years, male 48.7
GTEX-1477Z-2126-SM-5Q5CM 60-69 years, male 47.6
GTEX-1AMEY-1826-SM-72D5L 30-39 years, female 44.2
GTEX-Y5V6-1626-SM-4VDT2 60-69 years, male 44.1
GTEX-W5WG-2026-SM-4LMIB 50-59 years, female 40.9
GTEX-X5EB-1126-SM-46MVV 40-49 years, male 40.9
GTEX-15FZZ-1826-SM-6LLJP 30-39 years, female 38.4
GTEX-Y8E4-2326-SM-EAZAZ 40-49 years, male 37.2
GTEX-VJYA-2126-SM-4KL1O 60-69 years, male 36.8
GTEX-WOFM-1926-SM-4OOSP 20-29 years, male 36.6
GTEX-13W3W-2226-SM-5LU4M 60-69 years, female 32.1
GTEX-ZQUD-1026-SM-4YCEZ 30-39 years, male 23.4
Show allShow less
Colon - Transverse
Average nTPM: 82.1
Samples: 406

Max nTPM: 319.0
Min nTPM: 18.1
Std nTPM: 51.3
Median nTPM: 67.9
GTEX-14C5O-2526-SM-73KU2 60-69 years, male 319.0
GTEX-13FH7-1526-SM-5J2N6 50-59 years, female 282.6
GTEX-11GSP-1626-SM-5986N 60-69 years, female 276.3
GTEX-1LVAN-2526-SM-CNPPC 50-59 years, female 246.9
GTEX-XAJ8-0426-SM-47JYJ 40-49 years, male 246.1
GTEX-13OVG-1426-SM-5K7VP 60-69 years, male 235.9
GTEX-XGQ4-1226-SM-4AT67 50-59 years, male 228.2
GTEX-Y3I4-1426-SM-4TT9C 50-59 years, male 212.7
GTEX-1ICLZ-2426-SM-CKZOD 60-69 years, male 208.0
GTEX-17F96-2026-SM-79ON4 70-79 years, male 206.5
GTEX-17F9E-1826-SM-7IGMC 50-59 years, male 206.1
GTEX-WY7C-1626-SM-4ONC8 50-59 years, male 205.9
GTEX-15CHC-1626-SM-5ZZWS 60-69 years, female 205.4
GTEX-1C2JI-1626-SM-7EPHC 50-59 years, male 201.8
GTEX-13CF3-1426-SM-5K7YY 60-69 years, female 195.1
GTEX-14H4A-1926-SM-5ZZWN 40-49 years, female 193.3
GTEX-Z93S-2426-SM-5HL8N 50-59 years, male 192.2
GTEX-RWS6-1826-SM-47JXX 60-69 years, female 190.7
GTEX-Y8LW-1226-SM-4WWDP 50-59 years, female 190.1
GTEX-1S82U-0726-SM-E9TKI 30-39 years, female 187.6
GTEX-1LBAC-1626-SM-CXZKV 20-29 years, male 182.5
GTEX-11ZVC-2126-SM-5EGJ1 50-59 years, female 176.6
GTEX-15DZA-0926-SM-69LQ3 30-39 years, female 171.6
GTEX-1AX8Z-2726-SM-73KUC 60-69 years, male 168.0
GTEX-14PJ5-0926-SM-6LLIK 60-69 years, female 167.9
GTEX-16NGA-1026-SM-7KFS3 40-49 years, female 166.2
GTEX-U3ZH-1326-SM-4DXSF 30-39 years, male 166.2
GTEX-111YS-1626-SM-5GZZ9 60-69 years, male 165.1
GTEX-1HCVE-2526-SM-A9G2G 50-59 years, male 163.8
GTEX-17JCI-2626-SM-7EWE6 60-69 years, female 157.0
GTEX-14DAQ-2726-SM-5S2QY 60-69 years, female 156.5
GTEX-SNMC-1126-SM-4DM5M 20-29 years, male 155.7
GTEX-145ME-0826-SM-5O9AF 40-49 years, female 154.7
GTEX-1GMR2-1726-SM-9JGI2 50-59 years, male 154.1
GTEX-18QFQ-1526-SM-72D57 30-39 years, male 154.0
GTEX-1IGQW-2326-SM-CE6RV 60-69 years, male 153.2
GTEX-117YX-0826-SM-5H11J 50-59 years, male 152.1
GTEX-TKQ1-0626-SM-4DXTS 30-39 years, male 151.2
GTEX-14AS3-1126-SM-5Q5CR 40-49 years, female 150.2
GTEX-P78B-1726-SM-3P5ZV 40-49 years, female 149.1
GTEX-1J1OQ-2726-SM-AHZ3R 40-49 years, female 148.9
GTEX-15SHU-2526-SM-6M47D 40-49 years, female 147.9
GTEX-Y114-1526-SM-4TT79 50-59 years, female 146.3
GTEX-ZF29-1726-SM-4WKFV 60-69 years, female 145.8
GTEX-11TTK-2426-SM-5PNYO 60-69 years, female 145.5
GTEX-13O61-1626-SM-5KM3T 60-69 years, male 145.4
GTEX-U412-1726-SM-EZ6KX 60-69 years, male 144.8
GTEX-ZYFG-1926-SM-5GID5 60-69 years, female 143.5
GTEX-11EQ9-1426-SM-5987G 30-39 years, male 143.2
GTEX-11P81-1126-SM-5GU5G 30-39 years, female 140.8
GTEX-QLQ7-1126-SM-CYPRB 60-69 years, male 138.9
GTEX-13U4I-2426-SM-5LU34 40-49 years, female 138.3
GTEX-14PJ3-0926-SM-69LQG 50-59 years, male 137.4
GTEX-S3XE-1126-SM-4AD4N 50-59 years, male 136.1
GTEX-PSDG-1826-SM-EAZ2S 50-59 years, male 136.1
GTEX-18D9B-2526-SM-718BN 60-69 years, male 136.0
GTEX-12WSL-1626-SM-5GCMU 50-59 years, male 135.8
GTEX-1HCU7-2626-SM-C1YQO 50-59 years, male 135.2
GTEX-13VXT-2426-SM-5LU46 20-29 years, female 134.1
GTEX-13W3W-2126-SM-5K7UX 60-69 years, female 134.0
GTEX-1MCC2-1626-SM-DIPEW 30-39 years, female 132.6
GTEX-OXRL-1426-SM-3NM9E 50-59 years, male 132.2
GTEX-17EVQ-1826-SM-7IGPH 70-79 years, male 131.8
GTEX-13QJ3-2626-SM-9OSXQ 50-59 years, male 131.5
GTEX-ZAB4-2226-SM-5HL97 40-49 years, male 131.4
GTEX-QDVJ-1326-SM-48U1X 50-59 years, male 130.9
GTEX-13OW5-2626-SM-5MR3M 60-69 years, male 129.7
GTEX-1RMOY-1626-SM-EVYC8 50-59 years, male 128.8
GTEX-11O72-2226-SM-5PNW2 40-49 years, male 128.2
GTEX-YEC4-1926-SM-5IFHJ 40-49 years, male 128.1
GTEX-1C6VQ-2726-SM-73KUL 50-59 years, male 128.0
GTEX-1B996-2626-SM-73KZ1 60-69 years, male 127.0
GTEX-O5YW-1426-SM-3MJHF 50-59 years, male 126.6
GTEX-T6MO-0826-SM-4DM51 40-49 years, female 126.5
GTEX-1PPGY-2826-SM-DTX9H 60-69 years, male 126.2
GTEX-1JJ6O-2426-SM-ARU8J 60-69 years, male 124.4
GTEX-1LGOU-1626-SM-D3LAK 20-29 years, female 124.1
GTEX-1BAJH-2326-SM-7IGMO 70-79 years, male 123.6
GTEX-XXEK-1926-SM-4BRVD 50-59 years, male 123.6
GTEX-13O3P-2326-SM-5KM55 50-59 years, male 123.4
GTEX-1GN73-2626-SM-9KNUQ 60-69 years, male 122.7
GTEX-1GMR3-2826-SM-9WPOG 40-49 years, male 122.3
GTEX-ZV6S-1226-SM-59HLH 40-49 years, female 122.0
GTEX-1HSMP-2326-SM-D3L8R 70-79 years, male 121.4
GTEX-11ONC-2026-SM-5HL61 60-69 years, male 120.6
GTEX-1AYCT-1826-SM-731EG 50-59 years, male 120.6
GTEX-1AYD5-1726-SM-7RHFW 50-59 years, male 120.4
GTEX-XYKS-2226-SM-4E3IU 60-69 years, female 120.0
GTEX-15UF6-2626-SM-6M466 70-79 years, female 118.9
GTEX-1R9K5-2126-SM-E8VN1 50-59 years, male 118.8
GTEX-WEY5-1426-SM-4LMJ3 40-49 years, female 118.5
GTEX-1RAZQ-2126-SM-DTX9V 30-39 years, male 117.5
GTEX-1QW4Y-1326-SM-EWRMZ 30-39 years, male 117.4
GTEX-1N5O9-2726-SM-E76QH 60-69 years, male 116.9
GTEX-1IDJF-1826-SM-CKZOE 20-29 years, male 116.8
GTEX-1OKEX-1226-SM-DTXEC 60-69 years, male 115.7
GTEX-145MO-2426-SM-5NQ9W 60-69 years, male 115.1
GTEX-15G1A-1826-SM-7KUKO 30-39 years, male 115.1
GTEX-1IDJC-1326-SM-CL53H 50-59 years, male 114.9
GTEX-1MUQO-2626-SM-EWRO3 60-69 years, male 114.8
GTEX-1A3MV-1126-SM-718BS 30-39 years, male 113.2
GTEX-X5EB-0926-SM-46MVT 40-49 years, male 111.7
GTEX-ZYFC-2626-SM-5NQ6S 50-59 years, male 111.5
GTEX-ZXES-1626-SM-5NQ7L 30-39 years, female 111.2
GTEX-1NV5F-2226-SM-DTX8O 60-69 years, female 110.7
GTEX-14ICL-1226-SM-5S2RD 30-39 years, male 110.3
GTEX-1GZ4H-1226-SM-9KNUA 50-59 years, female 110.3
GTEX-X3Y1-1726-SM-4PQZL 40-49 years, male 110.2
GTEX-17F98-1026-SM-7IGO8 40-49 years, female 109.0
GTEX-S341-1426-SM-4AD6U 40-49 years, female 109.0
GTEX-1CB4F-2026-SM-79OLU 60-69 years, male 108.9
GTEX-1PPH8-2026-SM-DTX7P 20-29 years, male 108.9
GTEX-NFK9-2026-SM-3LK5K 40-49 years, male 108.4
GTEX-1AX9I-2626-SM-73KU5 60-69 years, male 108.0
GTEX-1C64O-2326-SM-73KU8 60-69 years, male 108.0
GTEX-ZYVF-2826-SM-5GIDK 50-59 years, female 107.7
GTEX-1JMPZ-2426-SM-C1YQP 30-39 years, male 107.5
GTEX-12ZZZ-2426-SM-5GCNN 60-69 years, male 106.7
GTEX-14E1K-1826-SM-793DT 50-59 years, male 106.6
GTEX-18A7B-2026-SM-72D71 70-79 years, male 106.6
GTEX-1CB4I-2226-SM-7P8SL 50-59 years, male 105.7
GTEX-OXRO-0726-SM-E9U4C 60-69 years, female 105.6
GTEX-15ER7-2926-SM-7KUFK 20-29 years, female 105.2
GTEX-WYJK-2226-SM-4ONDJ 50-59 years, male 104.2
GTEX-13OVI-2026-SM-5J1MU 60-69 years, female 104.1
GTEX-1HCU6-2726-SM-A9SKV 60-69 years, female 104.0
GTEX-1POEN-2026-SM-E6CRL 30-39 years, female 103.6
GTEX-111VG-2226-SM-5N9DU 60-69 years, male 103.4
GTEX-R45C-2126-SM-EZ6KZ 60-69 years, female 103.3
GTEX-18A7A-2226-SM-7LT8K 50-59 years, female 102.9
GTEX-XUW1-1926-SM-4BOP1 50-59 years, female 102.7
GTEX-WVJS-2426-SM-EZ6LI 50-59 years, male 102.1
GTEX-V955-1626-SM-4JBHJ 60-69 years, male 102.0
GTEX-1KANB-1526-SM-CXZK4 50-59 years, male 100.7
GTEX-145LS-2726-SM-5Q5D8 60-69 years, female 100.6
GTEX-1LG7Y-2126-SM-DIPER 50-59 years, male 100.6
GTEX-1JJE9-2426-SM-D3L8T 70-79 years, male 98.3
GTEX-1GZ4I-2426-SM-9WPPP 50-59 years, male 98.1
GTEX-15CHQ-2526-SM-6EU24 60-69 years, male 97.5
GTEX-17KNJ-1726-SM-7LG6A 50-59 years, male 97.5
GTEX-13OVK-0826-SM-7KULZ 40-49 years, male 96.1
GTEX-11TUW-2026-SM-5EQL8 60-69 years, male 95.7
GTEX-1H1DG-2226-SM-9WPPC 70-79 years, male 95.5
GTEX-WYVS-1826-SM-4OND6 40-49 years, female 95.2
GTEX-13O3O-2526-SM-5L3DR 60-69 years, female 94.6
GTEX-16Z82-2226-SM-6LPJ7 60-69 years, male 94.6
GTEX-1F75B-2726-SM-7P8QO 50-59 years, male 94.5
GTEX-OXRN-2026-SM-E6CHK 50-59 years, male 94.5
GTEX-1NHNU-2326-SM-E6CQE 50-59 years, male 94.3
GTEX-1AMEY-1926-SM-73KVT 30-39 years, female 93.0
GTEX-15DYW-2326-SM-6PAMU 60-69 years, female 92.7
GTEX-13FHP-2426-SM-5KLZ5 50-59 years, male 92.5
GTEX-14PJM-2626-SM-686ZD 50-59 years, female 92.5
GTEX-1IKK5-2726-SM-CNPQ6 60-69 years, male 92.5
GTEX-12WSJ-1526-SM-5GCNI 40-49 years, female 92.3
GTEX-SE5C-1526-SM-4BRWU 40-49 years, female 92.3
GTEX-QDVN-1326-SM-48TZ3 50-59 years, male 92.2
GTEX-1IDJD-2226-SM-A96TD 30-39 years, male 89.5
GTEX-15DCE-2026-SM-7KUFE 20-29 years, male 89.3
GTEX-1R9JW-2026-SM-EAZ4O 30-39 years, female 89.3
GTEX-17MF6-2426-SM-7LTAM 40-49 years, male 88.1
GTEX-1EH9U-2026-SM-7PBYS 60-69 years, male 88.1
GTEX-17GQL-1526-SM-7LTAC 60-69 years, male 87.8
GTEX-1GL5R-2426-SM-7MXV1 50-59 years, male 87.7
GTEX-S4UY-0826-SM-4AD4Z 40-49 years, female 87.3
GTEX-1HSGN-2626-SM-CE6S1 40-49 years, female 87.2
GTEX-RU1J-1326-SM-46MUL 20-29 years, female 87.1
GTEX-148VJ-2626-SM-5QGPI 70-79 years, male 86.3
GTEX-1JN1M-2626-SM-CY8I3 60-69 years, female 85.9
GTEX-1JMLX-2726-SM-CM2SB 50-59 years, male 85.0
GTEX-S4P3-1226-SM-4AD4Y 50-59 years, female 84.1
GTEX-1EMGI-2726-SM-7P8S4 60-69 years, male 84.1
GTEX-ZGAY-2126-SM-4YCFB 40-49 years, female 84.0
GTEX-1IOXB-2626-SM-CJI2N 50-59 years, male 83.8
GTEX-1QMI2-2626-SM-E6CR4 60-69 years, male 83.5
GTEX-1GF9U-1526-SM-7MXUW 40-49 years, female 82.4
GTEX-1LSVX-1726-SM-DHXJP 60-69 years, male 81.4
GTEX-16MT8-2726-SM-7IGLJ 60-69 years, female 80.6
GTEX-WH7G-1326-SM-4LVMS 40-49 years, male 80.6
GTEX-1H1DE-1526-SM-ARL9B 20-29 years, male 79.4
GTEX-147JS-2526-SM-5S2Q8 60-69 years, male 78.4
GTEX-WQUQ-2526-SM-4MVNO 60-69 years, male 78.3
GTEX-12KS4-2426-SM-5LU8P 30-39 years, male 78.2
GTEX-1MGNQ-2026-SM-EAZ51 40-49 years, male 77.6
GTEX-X4EO-2526-SM-EWRM8 60-69 years, female 77.6
GTEX-ZZ64-0726-SM-5GZX4 20-29 years, male 77.5
GTEX-16XZZ-2626-SM-6M47S 60-69 years, male 77.0
GTEX-SJXC-2226-SM-EVYAK 60-69 years, male 77.0
GTEX-PX3G-1426-SM-48U1J 20-29 years, female 76.3
GTEX-13OW6-2126-SM-5N9GL 50-59 years, male 76.2
GTEX-17HII-2726-SM-7MGVM 50-59 years, male 75.7
GTEX-O5YT-1426-SM-3MJHC 20-29 years, male 74.5
GTEX-1339X-1626-SM-5IJDN 40-49 years, male 74.0
GTEX-14BMV-2426-SM-5S2PP 50-59 years, male 73.2
GTEX-1RDX4-1826-SM-EVR54 50-59 years, female 73.2
GTEX-1KXAM-2126-SM-CY8I9 60-69 years, male 73.1
GTEX-14JG6-1726-SM-69LPL 30-39 years, female 72.3
GTEX-U3ZM-1126-SM-4DXUB 40-49 years, male 72.2
GTEX-1N2EF-1926-SM-DTX8M 60-69 years, male 71.9
GTEX-14ICK-1026-SM-6AJA4 40-49 years, male 69.4
GTEX-1I6K6-1826-SM-B2LX5 30-39 years, male 68.2
GTEX-1HFI7-1726-SM-A9G22 50-59 years, female 68.1
GTEX-1E2YA-2626-SM-7MGWW 50-59 years, male 68.0
GTEX-14BIN-3026-SM-5ZZUS 50-59 years, female 67.8
GTEX-144GN-1126-SM-5LU33 50-59 years, male 67.7
GTEX-Y8E4-2426-SM-4WWDN 40-49 years, male 67.3
GTEX-11NSD-1626-SM-5986U 20-29 years, male 66.8
GTEX-ZY6K-1226-SM-5GZYL 50-59 years, male 66.6
GTEX-ZP4G-1726-SM-4WWCM 20-29 years, female 66.4
GTEX-11P7K-1526-SM-5EGI7 30-39 years, male 66.3
GTEX-ZPCL-1826-SM-57WF1 60-69 years, female 66.3
GTEX-1JKYR-1926-SM-C1YR7 20-29 years, male 65.4
GTEX-VJYA-2026-SM-4KL1K 60-69 years, male 64.7
GTEX-X15G-1326-SM-4PQZJ 50-59 years, female 63.1
GTEX-ZG7Y-2126-SM-DO117 50-59 years, male 63.0
GTEX-P4PP-1426-SM-3NM9L 30-39 years, female 62.5
GTEX-13X6H-1926-SM-7EWD3 50-59 years, female 62.4
GTEX-144GL-2526-SM-5TDDL 50-59 years, male 62.3
GTEX-XQ8I-2126-SM-4BOOM 50-59 years, male 62.1
GTEX-15RIF-1326-SM-6LPKO 20-29 years, male 61.6
GTEX-178AV-1326-SM-6LPJX 40-49 years, male 61.6
GTEX-TKQ2-1326-SM-4DXT9 50-59 years, male 61.2
GTEX-PLZ6-0926-SM-3P5ZQ 30-39 years, male 60.6
GTEX-1I1GR-2526-SM-CNNQF 60-69 years, male 60.2
GTEX-1KANA-1926-SM-DHXKF 20-29 years, male 60.2
GTEX-Q734-1126-SM-48TZY 40-49 years, female 60.1
GTEX-P4QT-1426-SM-3NMCX 50-59 years, female 59.6
GTEX-1B932-2826-SM-73KUD 40-49 years, female 59.5
GTEX-ZDYS-2326-SM-4WKG6 50-59 years, male 59.3
GTEX-ZTSS-1126-SM-5985O 40-49 years, male 59.3
GTEX-OHPM-1426-SM-3TW8Y 50-59 years, male 58.9
GTEX-16NPV-2626-SM-6M484 50-59 years, female 58.8
GTEX-R55C-1126-SM-48FCJ 40-49 years, male 58.3
GTEX-1LH75-2126-SM-EVR5F 50-59 years, female 58.1
GTEX-Q2AI-0926-SM-48U1F 40-49 years, male 57.8
GTEX-1HKZK-2126-SM-A9SL3 40-49 years, male 57.8
GTEX-QMRM-1226-SM-447C6 50-59 years, male 57.3
GTEX-131XG-1826-SM-5LZV4 50-59 years, female 57.2
GTEX-146FQ-1926-SM-5NQBY 30-39 years, male 57.2
GTEX-XBEW-1926-SM-4SOJO 40-49 years, male 57.0
GTEX-131XE-0826-SM-5HL9W 50-59 years, male 56.4
GTEX-QLQW-0426-SM-447A7 30-39 years, male 56.0
GTEX-13OVJ-1726-SM-5IJDZ 50-59 years, female 55.5
GTEX-QEL4-1926-SM-D3L8D 50-59 years, male 54.9
GTEX-1QPFJ-2326-SM-E6CR7 30-39 years, female 54.4
GTEX-1MA7W-0626-SM-EV79Z 20-29 years, female 54.3
GTEX-PWCY-1026-SM-48TD4 20-29 years, female 54.2
GTEX-1HSEH-1726-SM-B2LXH 60-69 years, male 53.9
GTEX-1H3VY-2426-SM-9WPPD 50-59 years, male 53.1
GTEX-13S86-1626-SM-5Q5C5 40-49 years, male 53.0
GTEX-139TS-1926-SM-5IJFO 60-69 years, male 52.8
GTEX-14PKV-2126-SM-664O3 20-29 years, female 52.8
GTEX-13PVR-1626-SM-73KVF 60-69 years, female 52.4
GTEX-1S5VW-2926-SM-E9U6H 60-69 years, male 52.4
GTEX-1R7EU-1926-SM-E9U62 60-69 years, male 51.7
GTEX-1GPI7-1726-SM-7P8R1 20-29 years, male 51.4
GTEX-1HCU9-1326-SM-B2LXT 20-29 years, male 51.3
GTEX-1I1GT-1926-SM-ARU7D 60-69 years, female 50.4
GTEX-11VI4-1526-SM-5EQKC 40-49 years, female 50.2
GTEX-1I4MK-1126-SM-B2LWS 50-59 years, female 49.3
GTEX-1JK1U-1526-SM-AHZ46 60-69 years, male 49.3
GTEX-14C39-1926-SM-5ZZW5 40-49 years, male 49.2
GTEX-OIZH-1426-SM-3NB1O 50-59 years, male 48.7
GTEX-ZPU1-1926-SM-57WDT 40-49 years, male 48.6
GTEX-QCQG-1626-SM-48U26 50-59 years, female 48.5
GTEX-XBED-1526-SM-4AT5W 60-69 years, male 48.4
GTEX-1L5NE-2026-SM-CXZKR 50-59 years, male 47.7
GTEX-PWN1-1426-SM-48TDF 40-49 years, female 47.4
GTEX-1PWST-2426-SM-EWRMP 70-79 years, male 47.4
GTEX-R55G-1226-SM-48FDC 40-49 years, female 47.0
GTEX-WHSB-0926-SM-4M1XJ 50-59 years, male 46.8
GTEX-17HGU-2426-SM-7EWDP 50-59 years, male 46.7
GTEX-1CAMS-2526-SM-7EPH7 40-49 years, female 46.6
GTEX-1128S-1626-SM-5H12O 60-69 years, female 46.5
GTEX-UJMC-1326-SM-4IHLS 50-59 years, male 46.5
GTEX-QV31-0826-SM-CKZNC 30-39 years, male 46.4
GTEX-145LT-0926-SM-5LU9C 40-49 years, male 46.1
GTEX-11TT1-1026-SM-5PNW7 20-29 years, male 45.5
GTEX-OIZF-1426-SM-2HML2 60-69 years, male 45.0
GTEX-S7SF-1926-SM-4AT5B 20-29 years, female 44.8
GTEX-1R9PM-1526-SM-DPRY8 20-29 years, male 44.7
GTEX-1F75I-2426-SM-9WPOY 40-49 years, male 44.3
GTEX-1IDJU-2026-SM-A9SLM 60-69 years, female 44.3
GTEX-14XAO-2026-SM-69LOI 60-69 years, female 44.1
GTEX-1GF9X-1526-SM-7P8QP 40-49 years, female 44.0
GTEX-14JIY-3326-SM-6871E 60-69 years, male 43.8
GTEX-WFON-1426-SM-4LVMT 40-49 years, male 43.0
GTEX-Y5LM-1526-SM-4VDTA 40-49 years, female 41.7
GTEX-1399S-1926-SM-5J2M5 30-39 years, female 41.6
GTEX-1QCLZ-1926-SM-E6CR3 60-69 years, female 41.6
GTEX-W5WG-2426-SM-4LMI6 50-59 years, female 41.5
GTEX-1KANC-0926-SM-D3LA9 50-59 years, female 41.5
GTEX-13D11-0826-SM-5KLZJ 50-59 years, female 41.4
GTEX-YEC3-2426-SM-DO11A 50-59 years, male 41.4
GTEX-111CU-1426-SM-5GZYP 50-59 years, male 40.9
GTEX-11LCK-2026-SM-5A5MA 30-39 years, male 40.4
GTEX-13111-0726-SM-5DUVE 50-59 years, male 40.4
GTEX-OHPN-2026-SM-E9TIA 60-69 years, female 40.2
GTEX-R55D-1826-SM-48FEF 50-59 years, male 39.9
GTEX-14PHX-1526-SM-68717 50-59 years, male 39.8
GTEX-11I78-1226-SM-5A5K6 50-59 years, female 39.7
GTEX-13QBU-1826-SM-5IJG3 40-49 years, female 39.2
GTEX-117YW-1826-SM-5PNY5 50-59 years, male 38.2
GTEX-1C4CL-2126-SM-7IGQC 30-39 years, male 38.1
GTEX-1122O-1526-SM-5N9CL 60-69 years, female 38.0
GTEX-1CAMR-0926-SM-7MXTD 20-29 years, male 38.0
GTEX-1J1R8-1126-SM-CNPQ3 40-49 years, male 38.0
GTEX-1MJK3-0926-SM-EV7AY 20-29 years, male 37.9
GTEX-1211K-1726-SM-5FQUJ 60-69 years, female 37.5
GTEX-OXRK-1726-SM-3NB16 50-59 years, female 37.5
GTEX-14BMU-1526-SM-5TDE6 20-29 years, female 37.1
GTEX-15SB6-1226-SM-7KUMP 50-59 years, female 37.1
GTEX-17EUY-1826-SM-7DUEZ 20-29 years, male 37.0
GTEX-18D9U-1926-SM-7KFTM 40-49 years, male 36.8
GTEX-1HSMQ-2726-SM-C1YRE 50-59 years, male 36.8
GTEX-ZLWG-1726-SM-DNZZ2 50-59 years, female 36.7
GTEX-SNOS-1226-SM-4DM5H 40-49 years, male 36.3
GTEX-1H11D-2626-SM-9JGH4 40-49 years, male 36.3
GTEX-147GR-2726-SM-664OO 60-69 years, male 36.1
GTEX-13FTW-1826-SM-5IJEN 40-49 years, male 36.0
GTEX-PLZ5-1126-SM-3P613 50-59 years, male 35.9
GTEX-11EM3-1526-SM-5A5KN 20-29 years, female 35.8
GTEX-XUZC-1326-SM-4BRV2 30-39 years, female 35.7
GTEX-139YR-2126-SM-5KM11 50-59 years, male 35.6
GTEX-18A66-2426-SM-7KFSQ 60-69 years, male 35.6
GTEX-1JKYN-2326-SM-CGQG7 30-39 years, male 35.6
GTEX-15RIE-1826-SM-6M48P 60-69 years, male 35.4
GTEX-12C56-0626-SM-5EGGC 20-29 years, male 35.3
GTEX-Y9LG-1526-SM-4WWDR 30-39 years, male 35.3
GTEX-1AMFI-1726-SM-7189L 50-59 years, female 35.2
GTEX-ZDTT-1926-SM-5HL5W 60-69 years, male 35.2
GTEX-YF7O-1726-SM-5IFJ9 50-59 years, male 35.1
GTEX-1C475-1626-SM-731FP 40-49 years, female 34.9
GTEX-S4Q7-0826-SM-4AD5E 20-29 years, male 34.9
GTEX-1LG7Z-1426-SM-CXKYV 30-39 years, male 34.4
GTEX-RM2N-0926-SM-48FD1 50-59 years, male 34.3
GTEX-11DXX-1826-SM-5H126 60-69 years, female 34.2
GTEX-XMK1-1726-SM-4B64Z 40-49 years, male 33.9
GTEX-15CHR-1426-SM-7DUGV 50-59 years, male 33.8
GTEX-WFG7-1526-SM-4LVMG 20-29 years, male 33.7
GTEX-Q2AH-1226-SM-48TZL 40-49 years, male 33.6
GTEX-139T6-1326-SM-5IFFO 50-59 years, male 33.3
GTEX-1JN76-1226-SM-C1YRM 20-29 years, female 33.3
GTEX-ZLV1-1226-SM-4WWBX 60-69 years, female 33.2
GTEX-ZF2S-1926-SM-4WWAN 50-59 years, female 33.0
GTEX-1LVAM-1626-SM-EV79Y 50-59 years, female 32.9
GTEX-U3ZN-2126-SM-4DXU1 30-39 years, female 32.8
GTEX-1H1E6-1926-SM-9OSWD 30-39 years, male 32.4
GTEX-1LGRB-1426-SM-CNNPT 50-59 years, female 32.3
GTEX-1QCLY-1726-SM-DPRXY 30-39 years, male 32.3
GTEX-YB5E-1626-SM-5IFIQ 40-49 years, male 32.2
GTEX-ZVT2-1926-SM-5GU5T 50-59 years, female 32.1
GTEX-14PJ4-1926-SM-6LLHG 60-69 years, male 31.7
GTEX-1PIGE-1426-SM-E9U61 20-29 years, male 31.6
GTEX-XPVG-1826-SM-4B64X 50-59 years, male 31.5
GTEX-1N2DV-1426-SM-DPRYQ 40-49 years, male 31.3
GTEX-132AR-2726-SM-5PNVN 50-59 years, female 31.1
GTEX-1S3DN-1826-SM-EV79K 50-59 years, male 31.1
GTEX-R53T-1326-SM-48FCQ 50-59 years, female 31.0
GTEX-UJHI-1126-SM-4IHLN 50-59 years, female 31.0
GTEX-1K2DA-2026-SM-CGQGK 50-59 years, male 31.0
GTEX-1RAZA-1726-SM-DPS13 20-29 years, male 30.7
GTEX-WOFM-2026-SM-4OOSQ 20-29 years, male 30.6
GTEX-ZEX8-1926-SM-4WKFR 50-59 years, male 30.6
GTEX-U4B1-1126-SM-4DXV3 40-49 years, male 30.5
GTEX-Y3IK-1826-SM-4WWDS 50-59 years, female 30.4
GTEX-1JMPY-0426-SM-C1YQ3 30-39 years, male 30.4
GTEX-WHWD-1226-SM-4OOS1 50-59 years, male 30.2
GTEX-133LE-1526-SM-5IFEN 20-29 years, female 29.6
GTEX-1B8KZ-1326-SM-7DUG6 50-59 years, male 29.3
GTEX-17HHE-1826-SM-79OKE 50-59 years, male 29.2
GTEX-ZV7C-1526-SM-5NQ72 50-59 years, male 29.1
GTEX-144GM-1226-SM-5LU52 20-29 years, male 29.0
GTEX-14PK6-1726-SM-6871J 70-79 years, female 29.0
GTEX-14DAR-1526-SM-5RQIX 50-59 years, male 28.8
GTEX-18D9A-1126-SM-7KFRJ 30-39 years, female 28.8
GTEX-1NSGN-2326-SM-E9U5X 50-59 years, male 28.8
GTEX-T5JW-1126-SM-4DM5V 20-29 years, female 28.7
GTEX-1B8KE-1926-SM-731EE 50-59 years, male 28.4
GTEX-XV7Q-2126-SM-4BRVX 40-49 years, female 28.2
GTEX-1F5PK-1926-SM-7MXT7 50-59 years, male 27.7
GTEX-14E6E-1526-SM-5RQIG 30-39 years, male 27.5
GTEX-13O21-2426-SM-5MR4A 50-59 years, male 27.1
GTEX-147F3-1926-SM-5SIB9 50-59 years, female 27.1
GTEX-ZT9W-1826-SM-51MQX 50-59 years, male 27.1
GTEX-13PL7-2526-SM-5IFGR 60-69 years, female 26.6
GTEX-145MN-1726-SM-5SIA6 30-39 years, male 26.6
GTEX-1S83E-1626-SM-EV7B9 40-49 years, male 26.3
GTEX-1F5PL-2126-SM-7PC2O 40-49 years, female 26.2
GTEX-ZVP2-1526-SM-5NQ82 50-59 years, male 26.1
GTEX-1QP9N-1026-SM-E6CPX 30-39 years, male 25.7
GTEX-11P82-1026-SM-5BC5J 20-29 years, male 25.2
GTEX-ZPIC-2226-SM-57WDX 40-49 years, female 24.8
GTEX-1IKOE-2026-SM-AHZ31 30-39 years, female 24.8
GTEX-1K9T9-2826-SM-D4P3F 50-59 years, female 24.7
GTEX-1PFEY-1426-SM-E9U6U 30-39 years, male 24.5
GTEX-OOBJ-1426-SM-E6CHH 60-69 years, male 24.1
GTEX-11DXZ-1726-SM-5H12M 50-59 years, male 24.0
GTEX-1399U-1926-SM-5IFH7 50-59 years, female 24.0
GTEX-TML8-1326-SM-4DXTO 40-49 years, female 24.0
GTEX-1RAZR-1926-SM-E6CRF 40-49 years, male 23.6
GTEX-1PIEJ-2026-SM-E6CPA 20-29 years, female 23.5
GTEX-12BJ1-2126-SM-5BC5O 60-69 years, male 22.9
GTEX-1QP67-1326-SM-EAZ4D 40-49 years, female 22.3
GTEX-16AAH-1326-SM-7KFRG 50-59 years, male 22.0
GTEX-1399R-2226-SM-5P9JB 30-39 years, male 18.1
Show allShow less

COLON - FANTOM5 CAGEi

RNA expression in human tissues obtained through Cap Analysis of Gene Expression (CAGE) generated by the FANTOM5 project are reported as Scaled Tags Per Million.

Max subtype Scaled Tags Per Millioni

Max subtype Scaled Tags Per Million is the value for the subtype with the largest average Scaled Tags Per Million across the subtype samples.

134.4
FANTOM5 sample id Sample description Scaled Tags Per Million
Colon
Scaled Tags Per Million: 134.4
FF:10014-101C5 62,83,84 years, mixed 134.4

Contact

  • NEWS ARTICLES
  • PRESS ROOM

The Project

  • INTRODUCTION
  • ORGANIZATION
  • PUBLICATIONS

The Human Protein Atlas

  • DOWNLOADABLE DATA
  • LICENCE & CITATION
  • HELP & FAQ
The Human Protein Atlas project is funded
by the Knut & Alice Wallenberg Foundation.


contact@proteinatlas.org