We use cookies to enhance the usability of our website. If you continue, we'll assume that you are happy to receive all cookies. More information. Don't show this again.
HSPG2
HPA
RESOURCES
  • TISSUE
  • BRAIN
  • SINGLE CELL
  • SUBCELLULAR
  • CANCER
  • BLOOD
  • CELL LINE
  • STRUCTURE & INTERACTION
ABOUT
  • INTRODUCTION
  • HISTORY
  • ORGANIZATION
  • PUBLICATIONS
  • ANTIBODY SUBMISSION
  • ANTIBODY AVAILABILITY
  • ACKNOWLEDGMENTS
  • CONTACT
NEWS
  • NEWS ARTICLES
  • PRESS ROOM
LEARN
  • DICTIONARY
  • PROTEIN CLASSES
  • PROTEIN EVIDENCE
  • METHODS
  • EDUCATIONAL VIDEOS
DATA
  • DOWNLOADABLE DATA
  • PUBLICATION DATA
  • RELEASE HISTORY
HELP
  • ANTIBODY VALIDATION
  • ASSAYS & ANNOTATION
  • DISCLAIMER
  • HELP & FAQ
  • PRIVACY STATEMENT
  • LICENCE & CITATION
Fields »
Search result

Field
Term
Gene name
Class
Subclass
Class
Keyword
Chromosome
External id
Tissue
Cell type
Expression
Antibody panel
Tissue
Main location
Patient ID
Annotation
Tissue
Category
Tau score
Cluster
Reliability
Brain region
Category
Tau score
Brain region
Category
Tau score
Brain region
Category
Tau score
Cluster
Reliability
Tissue
Cell type
Enrichment
Cell type
Category
Tau score
Cell type
Category
Tau score
Cell type
Category
Tau score
Cell lineage
Category
Tau score
Cluster
Cluster
Location
Searches
Location
Cell line
Class
Type
Phase
Reliability
Cancer
Prognosis
Cancer
Category
Cancer
Category
Tau score
Cluster
Variants
Interacting gene (ensg_id)
Type
Number of interactions
Pathway
Category
Score
Score
Score
Validation
Validation
Validation
Validation
Antibodies
Data type
Column


  • SUMMARY

  • TISSUE

  • BRAIN

  • SINGLE CELL

  • SUBCELL

  • CANCER

  • BLOOD

  • CELL LINE

  • STRUCT & INT

  • HSPG2
TISSUE PRIMARY DATA PROSTATE Show tissue menu
ADIPOSE TISSUE ADRENAL GLAND AMYGDALA APPENDIX BASAL GANGLIA BONE MARROW BREAST BRONCHUS CEREBELLUM CEREBRAL CORTEX CERVIX CHOROID PLEXUS COLON DUODENUM
ENDOMETRIUM EPIDIDYMIS ESOPHAGUS FALLOPIAN TUBE GALLBLADDER HEART MUSCLE HIPPOCAMPAL FORMATION HYPOTHALAMUS KIDNEY LIVER LUNG LYMPH NODE MIDBRAIN NASOPHARYNX
ORAL MUCOSA OVARY PANCREAS PARATHYROID GLAND PITUITARY GLAND PLACENTA PROSTATE RECTUM RETINA SALIVARY GLAND SEMINAL VESICLE SKELETAL MUSCLE SKIN SMALL INTESTINE
SMOOTH MUSCLE SOFT TISSUE SPINAL CORD SPLEEN STOMACH TESTIS THYMUS THYROID GLAND TONGUE TONSIL URINARY BLADDER VAGINA
ANTIBODIES
AND
VALIDATION
Dictionary
Prostate
Tissue proteome
Prostate
PROSTATE - Expression summary
Protein expression
Prostatei

On the top, protein expression in current human tissue, based on all annotated cell types, is reported with the units not detected (n), low (l), medium (m) and high (h). Underneath, protein expression in each annotated cell type are reported using the same units.

Protein expression data is based on knowledge-based annotation. For genes where more than one antibody has been used, a collective score is set.

If knowledge-based annotation could not be performed for a gene, no data is displayed here. View antibody staining data further down this page.

h
m
l
n
Glandular cells: Not detected
RNA expressioni

A summary of mRNA expression data available for current tissue based on several datasets. The mRNA expression levels in human tissues are based on RNA-seq data generated by the Human Protein Atlas (HPA), Genotype-Tissue Expression (GTEx) portal and CAGE data generated by the FANTOM5 consortium. Consensus normalized expression levels for human tissues was created by combining the data from HPA and GTEx datasets.

The mRNA expression levels in pig are based on RNA-seq data generated by the Human Protein Atlas (HPA), and for mouse, HPA data and in situ hybridization generated by the Allen brain atlas are reported.

Scroll down to view mRNA expression data in more detail.
Consensus:58.4 nTPM
HPA:32.7 nTPM
GTEx:58.4 nTPM
FANTOM5:194.5 Scaled Tags Per Million

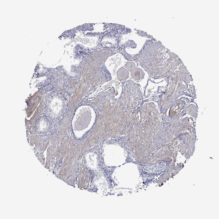
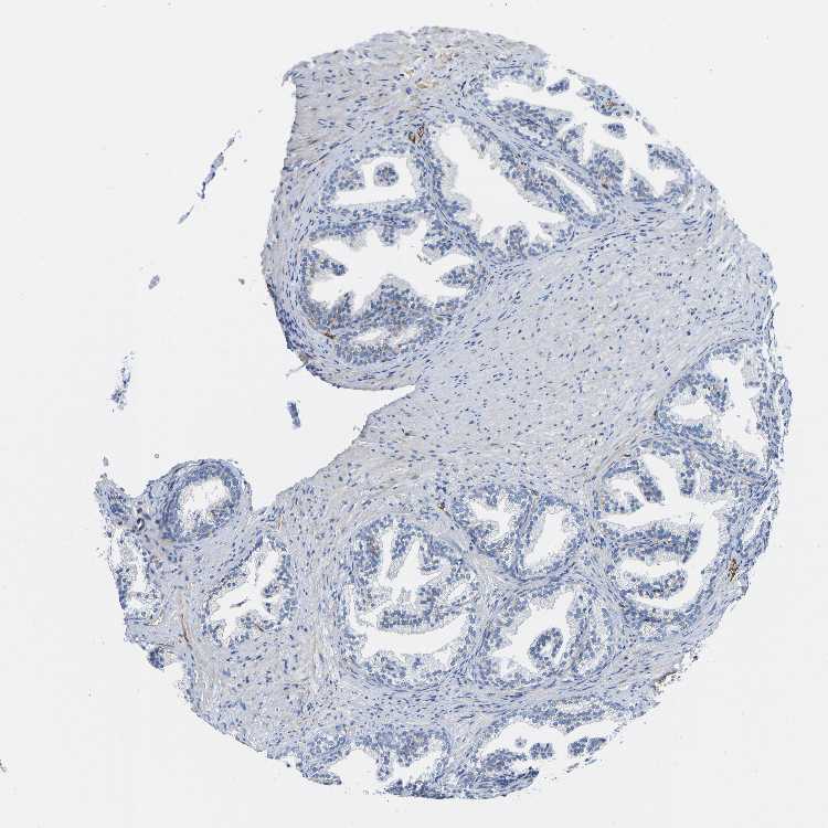
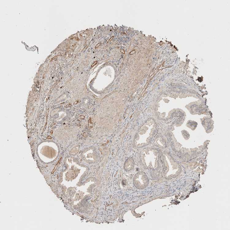
PROSTATE - Antibody stainingi

Antibody staining in the annotated cell types in the current human tissue is reported as not detected, low, medium, or high, based on conventional immunohistochemistry profiling in selected tissues. This score is based on the combination of the staining intensity and fraction of stained cells.

Each image is clickable and will lead to virtual microscopy that enables deeper exploration of all samples and also displays staining intensity scores, fraction scores and subcellular localization as well as patient and tissue information for each sample.

Antibody HPA018892Antibody HPA072690Antibody CAB009820Antibody CAB020718
Glandular cells Not detectedNot detectedMediumNot detected







PROSTATE - HPA RNA-seqi

The RNA-seq details section shows detailed information about the individual samples used for the transcript profiling and results of the RNA-seq analysis.

Information about each individual sample is listed below, including gender, age, a tissue section image and estimated fractions of cell types. nTPM (normalized transcripts per million) values give a quantification of the gene abundance which is comparable between different genes and samples.
Average nTPMi

Max subtype nTPM is the value for the subtype with the largest average nTPM across the subtype samples.

32.7
overview
Male, age 62
Prostate sample 59
nTPM: 49.1
Cell types%
Glandular cells:
30

Smooth muscle cells:
55

Skeletal muscle cells:
5

Other cell types:
10

N/A
Male, age 65
Prostate sample 205
nTPM: 51.6
Cell types%
Glandular cells:
20

Smooth muscle cells:
60

Other cell types:
20

overview
Male, age 65
Prostate sample 206
nTPM: 41.2
Cell types%
Glandular cells:
30

Smooth muscle cells:
65

Other cell types:
5

overview
Male, age 68
Prostate sample 207
nTPM: 35.5
Cell types%
Glandular cells:
30

Smooth muscle cells:
65

Other cell types:
5

overview
Male, age 60
Prostate sample 361
nTPM: 32.4
Cell types%
Glandular cells:
40

Smooth muscle cells:
55

Other cell types:
5

overview
Male, age 66
Prostate sample 364
nTPM: 22.1
Cell types%
Glandular cells:
50

Smooth muscle cells:
45

Other cell types:
5

overview
Male, age 63
Prostate sample 365
nTPM: 27
Cell types%
Glandular cells:
60

Smooth muscle cells:
35

Other cell types:
5

overview
Male, age 66
Prostate sample 388
nTPM: 11.4
Cell types%
Glandular cells:
65

Smooth muscle cells:
30

Other cell types:
5

overview
Male, age 58
Prostate sample 412
nTPM: 23.5
Cell types%
Glandular cells:
45

Smooth muscle cells:
50

Other cell types:
5


PROSTATE - GTEx RNA-seqi

RNA-Seq data generated by the Genotype-Tissue Expression (GTEx) project from human tissues is reported as mean nTPM. More information can be found on the GTEx portal.

Distribution across the dataset is visualized with box plots, shown as median and 25th and 75th percentiles. Points are displayed as outliers if they are above or below 1.5 times the interquartile range. nTPM values of the individual samples are presented next to the box plot.
Max subtype nTPMi

Max subtype nTPM is the value for the subtype with the largest average nTPM across the subtype samples.

58.4
GTEx sample id Sample description nTPM
Prostate
Average nTPM: 58.4
Samples: 245

Max nTPM: 321.7
Min nTPM: 7.4
Std nTPM: 38.5
Median nTPM: 48.4
GTEX-11DXZ-1826-SM-5H12Y 50-59 years, male 321.7
GTEX-1HBPN-2126-SM-9WPNQ 50-59 years, male 271.5
GTEX-1KXAM-1126-SM-E9TJU 60-69 years, male 223.1
GTEX-14PJ3-1726-SM-5ZZVH 50-59 years, male 186.1
GTEX-T5JC-1226-SM-4DM7C 20-29 years, male 176.6
GTEX-17HHE-1126-SM-793BS 50-59 years, male 169.4
GTEX-OOBK-2025-SM-3LK5S 40-49 years, male 154.8
GTEX-14C5O-2826-SM-5RQI6 60-69 years, male 147.1
GTEX-12696-2226-SM-5EQ65 60-69 years, male 142.5
GTEX-SUCS-1126-SM-4DM61 70-79 years, male 139.3
GTEX-WK11-2626-SM-4OOSK 50-59 years, male 134.9
GTEX-13111-1326-SM-5GCNO 50-59 years, male 132.6
GTEX-11EQ9-1726-SM-5HL6U 30-39 years, male 132.4
GTEX-16MTA-1426-SM-6PALY 50-59 years, male 130.9
GTEX-1S5ZA-1626-SM-E9TKG 20-29 years, male 129.8
GTEX-1AX9J-1426-SM-731BV 60-69 years, male 122.0
GTEX-1I6K7-2326-SM-ARZM2 40-49 years, male 120.0
GTEX-13RTJ-2126-SM-5S2PZ 60-69 years, male 114.2
GTEX-1PFEY-0626-SM-E76PH 30-39 years, male 113.1
GTEX-14DAR-1026-SM-73KV3 50-59 years, male 110.7
GTEX-15RIF-1526-SM-6M46K 20-29 years, male 109.4
GTEX-1AX9K-1526-SM-73KVP 50-59 years, male 100.7
GTEX-12BJ1-1226-SM-5LUAE 60-69 years, male 98.5
GTEX-1PWST-2626-SM-E8VN8 70-79 years, male 95.6
GTEX-P4QS-2026-SM-3NMCG 60-69 years, male 93.2
GTEX-1GN73-1626-SM-9WYTS 60-69 years, male 92.5
GTEX-1HFI6-2326-SM-9WYUN 40-49 years, male 90.8
GTEX-1AX9I-2326-SM-7PBXV 60-69 years, male 89.6
GTEX-1S3DN-1926-SM-E6CIR 50-59 years, male 87.8
GTEX-11P7K-0626-SM-5985Z 30-39 years, male 87.5
GTEX-1477Z-2226-SM-5QGPG 60-69 years, male 86.8
GTEX-ZVP2-0826-SM-59HJ6 50-59 years, male 86.7
GTEX-XPVG-2026-SM-4B65E 50-59 years, male 86.2
GTEX-145LT-0626-SM-5O99E 40-49 years, male 85.8
GTEX-111YS-1726-SM-5GIED 60-69 years, male 84.6
GTEX-1JKYN-0926-SM-AHZ47 30-39 years, male 83.7
GTEX-18QFQ-2026-SM-72D7J 30-39 years, male 83.3
GTEX-NPJ8-2426-SM-3MJHL 40-49 years, male 82.5
GTEX-1HSMO-2326-SM-CGQF3 60-69 years, male 81.9
GTEX-U8XE-2526-SM-4E3IT 30-39 years, male 81.2
GTEX-RM2N-1126-SM-48FCY 50-59 years, male 80.6
GTEX-1CB4G-2526-SM-7MXTG 60-69 years, male 80.4
GTEX-13O21-1126-SM-5N9EV 50-59 years, male 78.0
GTEX-T6MN-2126-SM-EZ6LC 50-59 years, male 78.0
GTEX-14PJ4-1226-SM-5YY9U 60-69 years, male 76.8
GTEX-VJYA-1226-SM-3GIJ6 60-69 years, male 76.1
GTEX-OIZF-2026-SM-3MJH1 60-69 years, male 75.5
GTEX-1GPI7-1626-SM-7P8TN 20-29 years, male 75.2
GTEX-ZG7Y-2226-SM-DO92I 50-59 years, male 75.0
GTEX-1S831-1226-SM-EVR5D 20-29 years, male 74.6
GTEX-XGQ4-1826-SM-4AT6F 50-59 years, male 74.4
GTEX-14PJ2-2126-SM-5YY96 50-59 years, male 72.6
GTEX-14E6E-1126-SM-5S2R4 30-39 years, male 71.6
GTEX-Q2AH-1426-SM-EXOHC 40-49 years, male 71.2
GTEX-XAJ8-0626-SM-47JY4 40-49 years, male 71.1
GTEX-132QS-1126-SM-5P9GC 60-69 years, male 70.4
GTEX-ZDYS-1226-SM-5IJF3 50-59 years, male 70.2
GTEX-1HSMQ-1826-SM-A9SMJ 50-59 years, male 70.0
GTEX-WFON-1626-SM-4LVMV 40-49 years, male 69.6
GTEX-1R7EU-0126-SM-EVR4F 60-69 years, male 68.7
GTEX-S3XE-1326-SM-4AD4H 50-59 years, male 68.5
GTEX-1C6WA-2326-SM-7P8OW 60-69 years, male 68.0
GTEX-QLQ7-1326-SM-CNNOR 60-69 years, male 67.1
GTEX-15CHR-1226-SM-79OON 50-59 years, male 66.9
GTEX-V955-1826-SM-4JBIL 60-69 years, male 66.6
GTEX-145LU-2126-SM-5Q5E9 50-59 years, male 65.8
GTEX-ZT9W-1626-SM-4YCDQ 50-59 years, male 64.0
GTEX-ZZ64-0926-SM-5E44L 20-29 years, male 64.0
GTEX-PLZ6-1126-SM-3P5ZR 30-39 years, male 63.8
GTEX-YJ8A-1126-SM-5IFJU 20-29 years, male 63.6
GTEX-XXEK-1226-SM-4BRUY 50-59 years, male 63.0
GTEX-1L5NE-1026-SM-D3LAP 50-59 years, male 63.0
GTEX-1J8Q3-0926-SM-A96SU 60-69 years, male 62.8
GTEX-SNOS-1026-SM-4DM4Y 40-49 years, male 62.4
GTEX-T8EM-1826-SM-4DM7F 40-49 years, male 62.4
GTEX-ZEX8-2026-SM-4WKF3 50-59 years, male 62.1
GTEX-17MFQ-1326-SM-718BX 20-29 years, male 61.2
GTEX-1C6VQ-2426-SM-7EWEU 50-59 years, male 61.1
GTEX-1F6I4-1326-SM-7P8QQ 60-69 years, male 61.0
GTEX-139T6-1526-SM-5P9G6 50-59 years, male 60.9
GTEX-1OKEX-1826-SM-DTX8J 60-69 years, male 60.7
GTEX-1399R-0526-SM-5IJEF 30-39 years, male 60.0
GTEX-1IDJF-2126-SM-AHZ2S 20-29 years, male 59.1
GTEX-13NYS-1026-SM-5KLZT 60-69 years, male 58.8
GTEX-14ICK-1826-SM-69LOP 40-49 years, male 58.7
GTEX-1LG7Z-0826-SM-CXKYN 30-39 years, male 58.7
GTEX-1QP2A-1526-SM-E6CPN 50-59 years, male 58.2
GTEX-OXRL-2026-SM-E6CHN 50-59 years, male 58.0
GTEX-1K2DA-1226-SM-CGQGH 50-59 years, male 57.7
GTEX-U3ZM-0926-SM-4DXSW 40-49 years, male 57.6
GTEX-1MGNQ-2226-SM-EV7A2 40-49 years, male 57.5
GTEX-WH7G-1726-SM-4LVKY 40-49 years, male 57.3
GTEX-11TT1-2026-SM-5EQM8 20-29 years, male 57.1
GTEX-OOBJ-2026-SM-3NB1R 60-69 years, male 56.1
GTEX-WY7C-2026-SM-4ONCM 50-59 years, male 55.8
GTEX-1OJC3-1926-SM-DPRYV 20-29 years, male 55.7
GTEX-111CU-1526-SM-5N9FS 50-59 years, male 55.6
GTEX-1JMLX-1226-SM-CY8HW 50-59 years, male 55.2
GTEX-1399T-1226-SM-5P9J5 60-69 years, male 54.8
GTEX-1JKYR-1726-SM-C1YR6 20-29 years, male 54.7
GTEX-13O61-1726-SM-5KM46 60-69 years, male 53.8
GTEX-ZTTD-2726-SM-57WFA 50-59 years, male 53.7
GTEX-14ABY-0726-SM-5Q5DF 50-59 years, male 52.5
GTEX-1HKZK-1626-SM-B2LWH 40-49 years, male 52.3
GTEX-1JMPZ-2326-SM-CE6RW 30-39 years, male 52.3
GTEX-14BIL-2126-SM-73KW3 50-59 years, male 52.1
GTEX-YB5E-1826-SM-5IFI4 40-49 years, male 52.1
GTEX-12C56-1326-SM-5FQSV 20-29 years, male 52.0
GTEX-14E6C-2826-SM-664NC 40-49 years, male 51.1
GTEX-1B8KZ-1626-SM-73KUU 50-59 years, male 50.7
GTEX-1GL5R-1226-SM-7MXUY 50-59 years, male 50.4
GTEX-ZTX8-1026-SM-5EGHD 20-29 years, male 50.3
GTEX-1QP6S-0726-SM-E76QS 40-49 years, male 50.3
GTEX-1B8KE-1026-SM-731EQ 50-59 years, male 49.9
GTEX-QV44-1526-SM-DHXIP 50-59 years, male 49.8
GTEX-SNMC-0926-SM-4DM5U 20-29 years, male 49.3
GTEX-WOFM-0326-SM-4OOSL 20-29 years, male 49.2
GTEX-OIZH-2026-SM-3NB1M 50-59 years, male 49.1
GTEX-1CAMR-1626-SM-79OLC 20-29 years, male 49.0
GTEX-18A66-2326-SM-7LT8Q 60-69 years, male 48.9
GTEX-P4PQ-2026-SM-E9U4E 60-69 years, male 48.8
GTEX-11P82-1126-SM-5BC5K 20-29 years, male 48.6
GTEX-1PIGE-1726-SM-E6CQH 20-29 years, male 48.4
GTEX-11NSD-0826-SM-5986S 20-29 years, male 47.9
GTEX-17EUY-2026-SM-79OMV 20-29 years, male 47.9
GTEX-U4B1-1426-SM-4DXTX 40-49 years, male 47.8
GTEX-13FHO-2826-SM-5K7ZA 60-69 years, male 47.2
GTEX-13N2G-1826-SM-5KM1I 60-69 years, male 46.9
GTEX-1B97I-0826-SM-731DN 40-49 years, male 46.9
GTEX-13G51-2326-SM-5LZXV 60-69 years, male 46.6
GTEX-1H3VY-2726-SM-A96TL 50-59 years, male 46.4
GTEX-1IL2U-2826-SM-A96SR 60-69 years, male 46.4
GTEX-1ICLZ-2626-SM-A9G2K 60-69 years, male 46.1
GTEX-QV31-1026-SM-CNNOS 30-39 years, male 46.1
GTEX-1H1E6-0526-SM-9WPQ3 30-39 years, male 46.0
GTEX-RWSA-2026-SM-47JX8 40-49 years, male 45.9
GTEX-WFG8-1826-SM-4LVM4 20-29 years, male 45.5
GTEX-146FQ-1726-SM-5QGPX 30-39 years, male 45.3
GTEX-1QCLY-1826-SM-DTX89 30-39 years, male 45.3
GTEX-1BAJH-0626-SM-7P8OY 70-79 years, male 44.9
GTEX-ZLFU-1726-SM-4WWBU 40-49 years, male 44.6
GTEX-178AV-0426-SM-6LPJG 40-49 years, male 44.4
GTEX-111FC-2026-SM-5GZYO 60-69 years, male 44.3
GTEX-QMRM-1426-SM-CM2U2 50-59 years, male 44.3
GTEX-1JMQK-2226-SM-ARU8U 60-69 years, male 43.8
GTEX-1KANA-1026-SM-D3L9L 20-29 years, male 43.8
GTEX-1I19N-2226-SM-A96TS 70-79 years, male 43.7
GTEX-XQ3S-2526-SM-4BOOG 20-29 years, male 43.3
GTEX-1N2EE-1026-SM-EXUS8 60-69 years, male 43.3
GTEX-WFG7-1826-SM-3GIL1 20-29 years, male 43.1
GTEX-Y9LG-1826-SM-4VBQC 30-39 years, male 42.9
GTEX-XMK1-1026-SM-4B65H 40-49 years, male 42.7
GTEX-11WQK-2726-SM-5EQMU 50-59 years, male 42.6
GTEX-1A3MV-0826-SM-72D6J 30-39 years, male 42.0
GTEX-145LV-1226-SM-5S2QH 50-59 years, male 41.7
GTEX-WZTO-0926-SM-4PQZ3 40-49 years, male 41.6
GTEX-1CB4F-2326-SM-7MKFO 60-69 years, male 41.5
GTEX-17HHY-2526-SM-7IGME 50-59 years, male 41.4
GTEX-QEG4-2226-SM-CXZJD 30-39 years, male 41.3
GTEX-U3ZH-0926-SM-4DXU4 30-39 years, male 41.0
GTEX-1MUQO-1526-SM-DPRYK 60-69 years, male 40.9
GTEX-11ZUS-2126-SM-5N9E6 30-39 years, male 40.6
GTEX-1LBAC-1926-SM-DHXK2 20-29 years, male 40.5
GTEX-RVPV-2526-SM-EYYVL 60-69 years, male 40.5
GTEX-1I1GU-1126-SM-A96S9 40-49 years, male 40.3
GTEX-1JK1U-0926-SM-AHZ43 60-69 years, male 40.3
GTEX-144GM-0826-SM-5O98R 20-29 years, male 40.1
GTEX-S95S-1026-SM-4B64M 60-69 years, male 39.7
GTEX-11O72-2726-SM-5HL6K 40-49 years, male 39.6
GTEX-1GZ2Q-2426-SM-9KNV8 40-49 years, male 39.5
GTEX-117YX-1526-SM-5H12T 50-59 years, male 39.0
GTEX-1I6K6-2126-SM-B2LX6 30-39 years, male 38.9
GTEX-16XZZ-2426-SM-7KULN 60-69 years, male 38.7
GTEX-1CB4E-1726-SM-7IGMS 60-69 years, male 38.2
GTEX-13FTW-1226-SM-5LZZ1 40-49 years, male 38.0
GTEX-X5EB-1826-SM-4E3K8 40-49 years, male 38.0
GTEX-1HBPI-0326-SM-A9G3N 50-59 years, male 37.8
GTEX-147JS-2826-SM-5YYA7 60-69 years, male 37.7
GTEX-ZYFD-2526-SM-5E45L 50-59 years, male 37.7
GTEX-S33H-1826-SM-4AD65 30-39 years, male 37.5
GTEX-14BMV-2326-SM-5RQJ4 50-59 years, male 37.0
GTEX-1H3NZ-2826-SM-9WPQ7 60-69 years, male 37.0
GTEX-Y8E4-2126-SM-5RQHO 40-49 years, male 36.9
GTEX-S4Q7-1026-SM-4AD75 20-29 years, male 36.6
GTEX-ZPU1-2026-SM-57WFI 40-49 years, male 36.4
GTEX-WYJK-0626-SM-4ONCZ 50-59 years, male 36.2
GTEX-1JN6P-2626-SM-D4P3C 60-69 years, male 36.2
GTEX-1P4AB-1926-SM-E6CQL 50-59 years, male 36.0
GTEX-1GZ4I-2226-SM-9WPPO 50-59 years, male 35.7
GTEX-1C64O-2026-SM-7IGPA 60-69 years, male 35.3
GTEX-1GF9V-0726-SM-9KNU4 60-69 years, male 35.3
GTEX-14PJO-2826-SM-6AJA6 60-69 years, male 35.0
GTEX-REY6-2126-SM-48FD9 60-69 years, male 35.0
GTEX-1JJ6O-0726-SM-CY8HS 60-69 years, male 34.7
GTEX-SIU8-2226-SM-EAZ2T 50-59 years, male 34.6
GTEX-13OW8-0426-SM-5J2NR 60-69 years, male 34.2
GTEX-16YQH-2326-SM-7EWDS 30-39 years, male 34.2
GTEX-SJXC-2026-SM-4DM6N 60-69 years, male 34.2
GTEX-1PPH8-1426-SM-DTXA3 20-29 years, male 34.2
GTEX-1IDJD-2026-SM-A96TC 30-39 years, male 34.1
GTEX-Q2AI-1126-SM-48U19 40-49 years, male 34.0
GTEX-117YW-1426-SM-5EGGO 50-59 years, male 33.8
GTEX-1QP29-0526-SM-EAZ3T 50-59 years, male 33.8
GTEX-1LSNL-2326-SM-DHXKN 50-59 years, male 32.6
GTEX-1IDJH-2426-SM-CNNQW 70-79 years, male 32.2
GTEX-11OF3-1726-SM-5GU5Q 60-69 years, male 31.6
GTEX-1EKGG-2826-SM-7MGXA 60-69 years, male 31.2
GTEX-132NY-2826-SM-5P9G2 60-69 years, male 30.0
GTEX-12ZZZ-2026-SM-5LZWJ 60-69 years, male 29.8
GTEX-1MJK2-0726-SM-DTXE7 50-59 years, male 29.7
GTEX-131XF-5013-SM-7EWFI 60-69 years, male 29.5
GTEX-1JJE9-0426-SM-D4P2P 70-79 years, male 29.4
GTEX-13FXS-2826-SM-5LZYC 50-59 years, male 29.2
GTEX-11TUW-2126-SM-5GU7B 60-69 years, male 28.8
GTEX-1E1VI-2726-SM-7MXVH 50-59 years, male 28.7
GTEX-1GF9W-2026-SM-7MXVO 60-69 years, male 28.6
GTEX-17HGU-2226-SM-7IGLI 50-59 years, male 28.4
GTEX-16GPK-2826-SM-6LPJ6 60-69 years, male 28.2
GTEX-1CAMQ-2226-SM-7MGWS 40-49 years, male 27.7
GTEX-1KAFJ-1226-SM-D4P46 50-59 years, male 27.3
GTEX-1LG7Y-2426-SM-EVR57 50-59 years, male 27.3
GTEX-QEG5-2426-SM-EYYVC 20-29 years, male 27.0
GTEX-1RAZQ-0826-SM-EVR4L 30-39 years, male 26.4
GTEX-NFK9-2226-SM-3MJGP 40-49 years, male 26.3
GTEX-YF7O-1926-SM-4W1YQ 50-59 years, male 25.3
GTEX-1KANB-2026-SM-DIPEY 50-59 years, male 25.1
GTEX-11DYG-2526-SM-5N9BB 60-69 years, male 25.0
GTEX-1I1GP-2026-SM-CE6SZ 50-59 years, male 24.7
GTEX-1AX8Z-5019-SM-AHZ2C 60-69 years, male 24.5
GTEX-ZY6K-1526-SM-5GZXE 50-59 years, male 24.4
GTEX-1CB4J-1526-SM-7MXVB 60-69 years, male 23.7
GTEX-1HSKV-1726-SM-C1YRO 60-69 years, male 23.5
GTEX-XQ8I-2526-SM-EAZB3 50-59 years, male 23.3
GTEX-UTHO-2726-SM-4JBH9 60-69 years, male 23.2
GTEX-148VJ-1826-SM-5Q5DV 70-79 years, male 21.7
GTEX-1EU9M-1526-SM-79OLI 60-69 years, male 21.7
GTEX-V1D1-1926-SM-4JBGX 50-59 years, male 20.7
GTEX-U412-2026-SM-4DXSI 60-69 years, male 20.6
GTEX-12WSN-5007-SM-7MGWH 40-49 years, male 20.1
GTEX-1I1GV-1926-SM-CNPQH 60-69 years, male 16.1
GTEX-17HII-2526-SM-7LT8C 50-59 years, male 14.1
GTEX-1EH9U-1826-SM-7P8QL 60-69 years, male 14.0
GTEX-1KWVE-1226-SM-EV7AG 30-39 years, male 13.2
GTEX-1GN2E-2026-SM-9JGGG 60-69 years, male 10.7
GTEX-ZUA1-2826-SM-59HLE 40-49 years, male 7.4
Show allShow less

PROSTATE - FANTOM5 CAGEi

RNA expression in human tissues obtained through Cap Analysis of Gene Expression (CAGE) generated by the FANTOM5 project are reported as Scaled Tags Per Million.

Max subtype Scaled Tags Per Millioni

Max subtype Scaled Tags Per Million is the value for the subtype with the largest average Scaled Tags Per Million across the subtype samples.

194.5
FANTOM5 sample id Sample description Scaled Tags Per Million
Prostate
Scaled Tags Per Million: 194.5
FF:10022-101D4 73,79,93 years, male 194.5

Contact

  • NEWS ARTICLES
  • PRESS ROOM

The Project

  • INTRODUCTION
  • ORGANIZATION
  • PUBLICATIONS

The Human Protein Atlas

  • DOWNLOADABLE DATA
  • LICENCE & CITATION
  • HELP & FAQ
The Human Protein Atlas project is funded
by the Knut & Alice Wallenberg Foundation.


contact@proteinatlas.org