We use cookies to enhance the usability of our website. If you continue, we'll assume that you are happy to receive all cookies. More information. Don't show this again.
MCL1
HPA
RESOURCES
  • TISSUE
  • BRAIN
  • SINGLE CELL
  • SUBCELLULAR
  • CANCER
  • BLOOD
  • CELL LINE
  • STRUCTURE & INTERACTION
ABOUT
  • INTRODUCTION
  • HISTORY
  • ORGANIZATION
  • PUBLICATIONS
  • ANTIBODY SUBMISSION
  • ANTIBODY AVAILABILITY
  • ACKNOWLEDGMENTS
  • CONTACT
NEWS
  • NEWS ARTICLES
  • PRESS ROOM
LEARN
  • DICTIONARY
  • PROTEIN CLASSES
  • PROTEIN EVIDENCE
  • METHODS
  • EDUCATIONAL VIDEOS
DATA
  • DOWNLOADABLE DATA
  • PUBLICATION DATA
  • RELEASE HISTORY
HELP
  • ANTIBODY VALIDATION
  • ASSAYS & ANNOTATION
  • DISCLAIMER
  • HELP & FAQ
  • PRIVACY STATEMENT
  • LICENCE & CITATION
Fields »
Search result

Field
Term
Gene name
Class
Subclass
Class
Keyword
Chromosome
External id
Tissue
Cell type
Expression
Antibody panel
Tissue
Main location
Patient ID
Annotation
Tissue
Category
Tau score
Cluster
Reliability
Brain region
Category
Tau score
Brain region
Category
Tau score
Brain region
Category
Tau score
Cluster
Reliability
Tissue
Cell type
Enrichment
Cell type
Category
Tau score
Cell type
Category
Tau score
Cell type
Category
Tau score
Cell lineage
Category
Tau score
Cluster
Cluster
Location
Searches
Location
Cell line
Class
Type
Phase
Reliability
Cancer
Prognosis
Cancer
Category
Cancer
Category
Tau score
Cluster
Variants
Interacting gene (ensg_id)
Type
Number of interactions
Pathway
Category
Score
Score
Score
Validation
Validation
Validation
Validation
Antibodies
Data type
Column


  • SUMMARY

  • TISSUE

  • BRAIN

  • SINGLE CELL

  • SUBCELL

  • CANCER

  • BLOOD

  • CELL LINE

  • STRUCT & INT

  • MCL1
TISSUE PRIMARY DATA HEART MUSCLE Show tissue menu
ADIPOSE TISSUE ADRENAL GLAND AMYGDALA APPENDIX BASAL GANGLIA BONE MARROW BREAST BRONCHUS CEREBELLUM CEREBRAL CORTEX CERVIX CHOROID PLEXUS COLON DUODENUM
ENDOMETRIUM EPIDIDYMIS ESOPHAGUS FALLOPIAN TUBE GALLBLADDER HEART MUSCLE HIPPOCAMPAL FORMATION HYPOTHALAMUS KIDNEY LIVER LUNG LYMPH NODE MIDBRAIN NASOPHARYNX
ORAL MUCOSA OVARY PANCREAS PARATHYROID GLAND PITUITARY GLAND PLACENTA PROSTATE RECTUM RETINA SALIVARY GLAND SEMINAL VESICLE SKELETAL MUSCLE SKIN SMALL INTESTINE
SMOOTH MUSCLE SOFT TISSUE SPINAL CORD SPLEEN STOMACH TESTIS THYMUS THYROID GLAND TONGUE TONSIL URINARY BLADDER VAGINA
ANTIBODIES
AND
VALIDATION
Dictionary
Heart muscle
Tissue proteome
Heart
HEART MUSCLE - Expression summary
Protein expression
Heart musclei

On the top, protein expression in current human tissue, based on all annotated cell types, is reported with the units not detected (n), low (l), medium (m) and high (h). Underneath, protein expression in each annotated cell type are reported using the same units.

Protein expression data is based on knowledge-based annotation. For genes where more than one antibody has been used, a collective score is set.

If knowledge-based annotation could not be performed for a gene, no data is displayed here. View antibody staining data further down this page.

h
m
l
n
Cardiomyocytes: Medium
RNA expressioni

A summary of mRNA expression data available for current tissue based on several datasets. The mRNA expression levels in human tissues are based on RNA-seq data generated by the Human Protein Atlas (HPA), Genotype-Tissue Expression (GTEx) portal and CAGE data generated by the FANTOM5 consortium. Consensus normalized expression levels for human tissues was created by combining the data from HPA and GTEx datasets.

The mRNA expression levels in pig are based on RNA-seq data generated by the Human Protein Atlas (HPA), and for mouse, HPA data and in situ hybridization generated by the Allen brain atlas are reported.

Scroll down to view mRNA expression data in more detail.
Consensus:134.8 nTPM
HPA:74.9 nTPM
GTEx:134.8 nTPM
FANTOM5:197.0 Scaled Tags Per Million

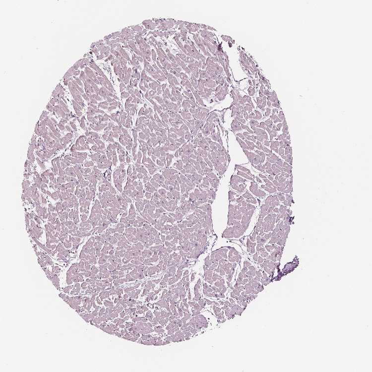
HEART MUSCLE - Antibody stainingi

Antibody staining in the annotated cell types in the current human tissue is reported as not detected, low, medium, or high, based on conventional immunohistochemistry profiling in selected tissues. This score is based on the combination of the staining intensity and fraction of stained cells.

Each image is clickable and will lead to virtual microscopy that enables deeper exploration of all samples and also displays staining intensity scores, fraction scores and subcellular localization as well as patient and tissue information for each sample.

Antibody HPA008455Antibody HPA031125Antibody CAB002781Antibody CAB068195
Cardiomyocytes Not detectedMediumNot detectedNot detected








HEART MUSCLE - HPA RNA-seqi

The RNA-seq details section shows detailed information about the individual samples used for the transcript profiling and results of the RNA-seq analysis.

Information about each individual sample is listed below, including gender, age, a tissue section image and estimated fractions of cell types. nTPM (normalized transcripts per million) values give a quantification of the gene abundance which is comparable between different genes and samples.
Average nTPMi

Max subtype nTPM is the value for the subtype with the largest average nTPM across the subtype samples.

74.9
overview
Female, age 48
Heart muscle sample 149
nTPM: 91.3
Cell types%
Myocytes:
15

Fibroblasts:
55

Endothelial cells:
25

Other cell types:
5

overview
Female, age 42
Heart muscle sample 150
nTPM: 82.4
Cell types%
Myocytes:
20

Fibroblasts:
45

Endothelial cells:
30

Other cell types:
5

overview
Male, age 53
Heart muscle sample 151
nTPM: 63.6
Cell types%
Myocytes:
20

Fibroblasts:
45

Endothelial cells:
30

Other cell types:
5

overview
Female, age 69
Heart muscle sample 152
nTPM: 62.1
Cell types%
Myocytes:
20

Fibroblasts:
45

Endothelial cells:
30

Other cell types:
5


HEART MUSCLE - GTEx RNA-seqi

RNA-Seq data generated by the Genotype-Tissue Expression (GTEx) project from human tissues is reported as mean nTPM. More information can be found on the GTEx portal.

Distribution across the dataset is visualized with box plots, shown as median and 25th and 75th percentiles. Points are displayed as outliers if they are above or below 1.5 times the interquartile range. nTPM values of the individual samples are presented next to the box plot.
Max subtype nTPMi

Max subtype nTPM is the value for the subtype with the largest average nTPM across the subtype samples.

134.8
GTEx sample id Sample description nTPM
Heart - Atrial Appendage
Average nTPM: 116.3
Samples: 429

Max nTPM: 394.1
Min nTPM: 36.5
Std nTPM: 53.7
Median nTPM: 103.0
GTEX-1CB4I-1526-SM-7DHMY 50-59 years, male 394.1
GTEX-WFG8-0726-SM-3GILP 20-29 years, male 357.7
GTEX-12584-1026-SM-59HK3 40-49 years, male 335.8
GTEX-13FTW-0826-SM-5K7XR 40-49 years, male 334.5
GTEX-17EVP-0526-SM-7EPGY 40-49 years, male 329.6
GTEX-1LSNL-0626-SM-DIPFJ 50-59 years, male 276.6
GTEX-1GN1V-1026-SM-CNPPS 60-69 years, male 272.4
GTEX-WWYW-1126-SM-3NB2Q 50-59 years, female 266.7
GTEX-1H1CY-0426-SM-9KNVD 60-69 years, female 265.8
GTEX-ZV7C-0526-SM-9WPNK 50-59 years, male 265.1
GTEX-WHSE-0826-SM-4SOJU 20-29 years, male 259.0
GTEX-15CHC-0326-SM-5ZZVP 60-69 years, female 256.9
GTEX-13FTZ-0326-SM-5J1O1 60-69 years, male 255.4
GTEX-1R9K4-1026-SM-EXUT1 60-69 years, male 255.3
GTEX-1C6VQ-0826-SM-7PBZT 50-59 years, male 255.2
GTEX-UTHO-1226-SM-3GAEE 60-69 years, male 249.0
GTEX-17MF6-0926-SM-7LTAL 40-49 years, male 242.2
GTEX-1IKOH-0926-SM-A9SLU 60-69 years, female 242.1
GTEX-1M5QR-1626-SM-E9U5O 40-49 years, male 239.8
GTEX-11EM3-0426-SM-5N9BZ 20-29 years, female 237.9
GTEX-1GMRU-1326-SM-9WYUI 50-59 years, male 235.3
GTEX-1RB15-0426-SM-E9U4Y 60-69 years, male 229.2
GTEX-13O21-0326-SM-5J1N9 50-59 years, male 223.7
GTEX-11WQK-0226-SM-5EQLI 50-59 years, male 223.3
GTEX-1KD5A-0926-SM-D4P3U 50-59 years, male 223.2
GTEX-1EMGI-1126-SM-9KNUF 60-69 years, male 221.8
GTEX-1HSMQ-0426-SM-ADEIM 50-59 years, male 220.5
GTEX-15ER7-0826-SM-6PALW 20-29 years, female 215.0
GTEX-13X6J-1226-SM-79OMF 50-59 years, male 211.0
GTEX-WRHU-1026-SM-4E3ID 50-59 years, female 211.0
GTEX-1F75I-1326-SM-7PBZX 40-49 years, male 210.3
GTEX-1C6WA-0826-SM-7PBXS 60-69 years, male 206.7
GTEX-18D9B-1126-SM-7KFSH 60-69 years, male 205.0
GTEX-16GPK-1226-SM-7LTAU 60-69 years, male 203.5
GTEX-ZVT4-1326-SM-5NQ8E 50-59 years, female 201.6
GTEX-1QPFJ-0926-SM-EVR3K 30-39 years, female 200.2
GTEX-18A7A-1226-SM-7LTAJ 50-59 years, female 199.9
GTEX-WYJK-1126-SM-3NM9Z 50-59 years, male 199.7
GTEX-18A67-1026-SM-731CE 50-59 years, male 194.7
GTEX-131YS-0826-SM-5PNYV 60-69 years, female 194.3
GTEX-14BIN-2126-SM-793AX 50-59 years, female 188.2
GTEX-1GZ4I-0826-SM-9WG6O 50-59 years, male 187.8
GTEX-11EQ8-1326-SM-5EGJQ 60-69 years, male 187.3
GTEX-131XE-0526-SM-5K7YT 50-59 years, male 186.2
GTEX-1HUB1-0726-SM-CGQF4 60-69 years, male 186.2
GTEX-1B8SF-1326-SM-7IGQJ 60-69 years, male 179.0
GTEX-13OW6-0926-SM-5L3GM 50-59 years, male 178.4
GTEX-14PHY-0326-SM-62LE3 60-69 years, female 174.4
GTEX-1313W-1126-SM-5EQ5U 50-59 years, female 172.9
GTEX-1IL2U-1226-SM-CL53P 60-69 years, male 172.9
GTEX-VJWN-1026-SM-4M1ZN 50-59 years, female 172.4
GTEX-YFC4-0426-SM-4TT3J 40-49 years, female 171.4
GTEX-WHPG-1026-SM-3NMBA 50-59 years, male 171.2
GTEX-11UD2-0926-SM-5CVL6 50-59 years, male 171.1
GTEX-13PL6-0826-SM-5IJBI 40-49 years, female 170.1
GTEX-1F6I4-0826-SM-7RHGK 60-69 years, male 169.2
GTEX-14PJ6-0626-SM-686Z6 60-69 years, female 169.1
GTEX-U8XE-0926-SM-3DB8V 30-39 years, male 168.4
GTEX-1MCC2-0226-SM-EVYD5 30-39 years, female 165.2
GTEX-15DCE-0826-SM-7KULW 20-29 years, male 165.0
GTEX-1A32A-1326-SM-73KWW 50-59 years, female 164.7
GTEX-1F88F-0326-SM-9KNV3 60-69 years, female 163.8
GTEX-1AX9I-1026-SM-73KYF 60-69 years, male 163.5
GTEX-15SHV-0526-SM-7KUEN 60-69 years, male 163.2
GTEX-ZT9W-0526-SM-57WFG 50-59 years, male 162.9
GTEX-1H3VY-1126-SM-A96TP 50-59 years, male 162.9
GTEX-17F9E-0726-SM-793A1 50-59 years, male 162.8
GTEX-1LB8K-0926-SM-D4P42 50-59 years, male 161.4
GTEX-1212Z-0726-SM-5EGI5 60-69 years, male 160.9
GTEX-1JJEA-0926-SM-CYPSO 60-69 years, male 159.8
GTEX-1C64N-0826-SM-7RHGQ 50-59 years, male 158.4
GTEX-1GZ2Q-0926-SM-7RHHN 40-49 years, male 157.3
GTEX-Y5V5-0726-SM-4VBPY 60-69 years, female 156.8
GTEX-1R7EV-0426-SM-DTX7Z 40-49 years, male 156.4
GTEX-1EU9M-1926-SM-7RHH4 60-69 years, male 154.9
GTEX-1GTWX-0926-SM-9MQKM 60-69 years, male 154.5
GTEX-1B996-1026-SM-793CF 60-69 years, male 153.7
GTEX-13O3Q-0326-SM-5L3FE 50-59 years, male 153.2
GTEX-13OVG-0426-SM-5KM2T 60-69 years, male 152.7
GTEX-XPT6-0226-SM-4B65L 20-29 years, male 152.6
GTEX-1HBPN-0926-SM-CGQEG 50-59 years, male 151.5
GTEX-XXEK-2026-SM-4BRVE 50-59 years, male 151.2
GTEX-13SLX-0926-SM-5S2NM 50-59 years, female 150.2
GTEX-X4XX-1126-SM-3NMBY 60-69 years, male 150.0
GTEX-UPK5-0226-SM-3GAEV 40-49 years, male 149.4
GTEX-12WSN-0226-SM-5DUXH 40-49 years, male 148.7
GTEX-1A8FM-1026-SM-7PC26 50-59 years, female 148.6
GTEX-1PPGY-0926-SM-DTXFF 60-69 years, male 148.3
GTEX-WFG7-0826-SM-3GIKU 20-29 years, male 148.0
GTEX-1E1VI-1426-SM-793CY 50-59 years, male 147.4
GTEX-14C39-0726-SM-5RQIK 40-49 years, male 146.7
GTEX-18A66-1126-SM-731C5 60-69 years, male 146.6
GTEX-ZYFD-2026-SM-5E459 50-59 years, male 145.8
GTEX-145LS-1326-SM-5Q5EP 60-69 years, female 145.5
GTEX-13NYB-0326-SM-5IJDP 40-49 years, male 144.2
GTEX-13QBU-0226-SM-5LU48 40-49 years, female 141.4
GTEX-1BAJH-1026-SM-7EWEG 70-79 years, male 140.9
GTEX-1HCUA-0626-SM-ACKVT 50-59 years, female 140.9
GTEX-146FR-0926-SM-5QGPE 60-69 years, female 140.6
GTEX-1POEN-0726-SM-DTXDU 30-39 years, female 140.2
GTEX-1JMLX-1826-SM-CNPOX 50-59 years, male 139.7
GTEX-WYBS-1226-SM-3NM9N 60-69 years, female 139.1
GTEX-1QP6S-1026-SM-DTXFW 40-49 years, male 138.7
GTEX-14BIL-0926-SM-7DHKN 50-59 years, male 138.6
GTEX-13PVQ-1326-SM-5LU4J 50-59 years, male 138.1
GTEX-1RLM8-0226-SM-E6CJY 50-59 years, male 138.0
GTEX-1HSMO-1126-SM-CGQF2 60-69 years, male 137.6
GTEX-13O3O-1426-SM-5KM2S 60-69 years, female 137.4
GTEX-1IL2V-1126-SM-CMKGH 70-79 years, male 136.9
GTEX-1I1HK-0626-SM-CNPQM 60-69 years, male 136.6
GTEX-148VJ-1426-SM-5TDE3 70-79 years, male 134.8
GTEX-1JJ6O-2226-SM-AHZ3I 60-69 years, male 134.7
GTEX-1GMR3-0426-SM-7PC17 40-49 years, male 134.4
GTEX-13PDP-1326-SM-5K7U9 60-69 years, male 134.1
GTEX-1HBPH-0226-SM-9WYSM 40-49 years, female 133.9
GTEX-1CB4E-0626-SM-7DHMW 60-69 years, male 133.8
GTEX-13PVR-0926-SM-5S2RB 60-69 years, female 133.2
GTEX-1IKK5-1726-SM-CM2RU 60-69 years, male 132.8
GTEX-V955-0826-SM-CYPR5 60-69 years, male 132.5
GTEX-1LGRB-1026-SM-CNPQD 50-59 years, female 132.4
GTEX-1LG7Y-1426-SM-D4P31 50-59 years, male 132.2
GTEX-13PL7-0726-SM-5KM1S 60-69 years, female 130.8
GTEX-1E2YA-0626-SM-7P8P4 50-59 years, male 130.5
GTEX-14PHX-0626-SM-5YY8Z 50-59 years, male 129.6
GTEX-13OW7-1626-SM-5IJDH 50-59 years, male 129.5
GTEX-WZTO-1226-SM-3NMAZ 40-49 years, male 129.4
GTEX-YEC3-0426-SM-CYPS8 50-59 years, male 128.9
GTEX-1HCU7-1226-SM-B2LX8 50-59 years, male 127.0
GTEX-1GF9V-1726-SM-9KNW4 60-69 years, male 126.7
GTEX-Y114-0126-SM-4TT8K 50-59 years, female 125.8
GTEX-14DAQ-1026-SM-793B1 60-69 years, female 125.3
GTEX-117XS-0726-SM-5H131 60-69 years, male 124.6
GTEX-1IDJF-0826-SM-ARU7N 20-29 years, male 124.4
GTEX-11NUK-0926-SM-5HL57 50-59 years, male 124.1
GTEX-11O72-1026-SM-5986B 40-49 years, male 124.0
GTEX-11ONC-1026-SM-5GU64 60-69 years, male 124.0
GTEX-15D1Q-0426-SM-6AJ9G 40-49 years, male 123.9
GTEX-1B8KE-0326-SM-73KTY 50-59 years, male 123.9
GTEX-15SKB-0926-SM-7KUFC 60-69 years, male 122.9
GTEX-1AX9J-0926-SM-73KXA 60-69 years, male 121.6
GTEX-ZG7Y-1426-SM-4WWBM 50-59 years, male 120.8
GTEX-11GSP-1226-SM-5985M 60-69 years, female 120.7
GTEX-1JMOU-0326-SM-ARL8X 60-69 years, female 120.7
GTEX-WEY5-0226-SM-3GIKN 40-49 years, female 120.6
GTEX-X8HC-1026-SM-46MWH 50-59 years, female 120.4
GTEX-1QMI2-1026-SM-DTX7T 60-69 years, male 120.1
GTEX-1GN73-2326-SM-9MQKV 60-69 years, male 119.9
GTEX-1IDJH-1126-SM-COH3R 70-79 years, male 119.9
GTEX-1CAMQ-0726-SM-7P8SG 40-49 years, male 119.4
GTEX-1HBPM-1026-SM-ARL9D 60-69 years, female 119.0
GTEX-18465-0726-SM-7LG4L 50-59 years, male 118.9
GTEX-18D9U-1426-SM-718BO 40-49 years, male 118.6
GTEX-ZDXO-0426-SM-4WKF6 60-69 years, male 117.9
GTEX-1NHNU-0626-SM-E6CP1 50-59 years, male 117.2
GTEX-14PJ4-0926-SM-5YY98 60-69 years, male 117.1
GTEX-13RTJ-0526-SM-62LDP 60-69 years, male 116.9
GTEX-1A8G6-1826-SM-73KY8 60-69 years, male 116.5
GTEX-1H3O1-0226-SM-9WYSW 60-69 years, male 116.5
GTEX-1HCVE-0826-SM-CM2SF 50-59 years, male 116.4
GTEX-1399U-0726-SM-5KM1D 50-59 years, female 116.0
GTEX-14C5O-1226-SM-664N3 60-69 years, male 115.4
GTEX-12BJ1-0326-SM-5FQUB 60-69 years, male 115.2
GTEX-11ZVC-0526-SM-5N9G1 50-59 years, female 115.1
GTEX-13S86-0326-SM-5SI6K 40-49 years, male 114.7
GTEX-1CAMS-1126-SM-7MXUQ 40-49 years, female 114.5
GTEX-1F75B-1126-SM-7RHGP 50-59 years, male 113.4
GTEX-1LVAN-1526-SM-CNPQN 50-59 years, female 113.1
GTEX-15SHU-0926-SM-6PAMK 40-49 years, female 112.6
GTEX-1IKJJ-0626-SM-CY8GF 60-69 years, male 112.5
GTEX-1B8L1-0426-SM-7SB76 60-69 years, male 112.2
GTEX-1I1GP-0626-SM-ARL7H 50-59 years, male 112.1
GTEX-13JVG-1126-SM-5KM2M 60-69 years, male 112.0
GTEX-1J8Q3-1126-SM-ARU8N 60-69 years, male 111.9
GTEX-12WSD-1226-SM-5HL9Q 60-69 years, female 111.8
GTEX-1192X-0726-SM-5987R 50-59 years, male 111.5
GTEX-1LH75-0526-SM-DIPG2 50-59 years, female 110.8
GTEX-1HFI6-0826-SM-9YFM2 40-49 years, male 110.7
GTEX-1EX96-2626-SM-9MQJV 50-59 years, male 110.5
GTEX-1117F-0726-SM-5GIEN 60-69 years, female 110.4
GTEX-1399T-0726-SM-5J1MH 60-69 years, male 109.6
GTEX-12WSA-1126-SM-5EGKU 60-69 years, male 109.4
GTEX-1F48J-1126-SM-9WYSY 50-59 years, female 109.2
GTEX-WOFL-1226-SM-4OOST 60-69 years, male 109.1
GTEX-1GMR2-1326-SM-9KNUT 50-59 years, male 109.1
GTEX-13VXT-0726-SM-5SIAD 20-29 years, female 109.0
GTEX-1211K-0226-SM-59HJY 60-69 years, female 108.6
GTEX-1JN6P-0826-SM-ARL97 60-69 years, male 108.5
GTEX-11EMC-0826-SM-59862 60-69 years, female 108.1
GTEX-13OVI-0326-SM-5K7X1 60-69 years, female 107.9
GTEX-1HSKV-0726-SM-ACKWE 60-69 years, male 107.7
GTEX-17F9Y-1226-SM-7EPGE 70-79 years, female 107.5
GTEX-XBEC-1226-SM-4AT65 50-59 years, male 107.5
GTEX-16YQH-0726-SM-7IGM1 30-39 years, male 107.3
GTEX-ZAJG-0926-SM-5Q5AB 50-59 years, female 107.3
GTEX-14PII-1026-SM-5ZZVW 60-69 years, male 106.8
GTEX-13JUV-0226-SM-5IJCC 40-49 years, female 106.3
GTEX-147JS-1326-SM-5SI6D 60-69 years, male 106.3
GTEX-1C2JI-0626-SM-7DHM1 50-59 years, male 105.8
GTEX-YECK-1226-SM-4W21G 60-69 years, male 105.6
GTEX-XYKS-0226-SM-4BRW3 60-69 years, female 105.5
GTEX-Y3IK-1026-SM-51MR7 50-59 years, female 105.1
GTEX-139YR-0526-SM-5L3DG 50-59 years, male 105.0
GTEX-1J8QM-0326-SM-CL53D 60-69 years, female 105.0
GTEX-11ZTT-0526-SM-5EQLA 60-69 years, female 104.9
GTEX-16MT8-0826-SM-7KULO 60-69 years, female 104.7
GTEX-11DXZ-0326-SM-5EGH1 50-59 years, male 104.6
GTEX-ZXG5-0626-SM-5NQ85 60-69 years, male 104.6
GTEX-1L5NE-0526-SM-DIPG5 50-59 years, male 104.5
GTEX-1H2FU-0826-SM-9WYSU 60-69 years, female 104.2
GTEX-14E1K-0826-SM-5ZZW9 50-59 years, male 104.1
GTEX-13FH7-0826-SM-5J2NW 50-59 years, female 104.0
GTEX-17JCI-0826-SM-7LT8W 60-69 years, female 103.7
GTEX-14PN3-0726-SM-6EU14 60-69 years, female 103.5
GTEX-Y8E4-0426-SM-4V6GB 40-49 years, male 103.2
GTEX-ZVT3-0826-SM-5GIC8 60-69 years, female 103.0
GTEX-12WSK-0526-SM-5CVNA 40-49 years, female 102.9
GTEX-1CB4H-0626-SM-7IGN3 60-69 years, female 102.8
GTEX-X261-0926-SM-3NMCY 50-59 years, male 102.8
GTEX-1IDJU-0626-SM-CKZOG 60-69 years, female 102.6
GTEX-13OW5-0926-SM-5L3GZ 60-69 years, male 102.0
GTEX-WQUQ-1326-SM-3MJFF 60-69 years, male 102.0
GTEX-147F4-1126-SM-5TDDE 50-59 years, male 101.9
GTEX-15UF7-1526-SM-6LPI7 40-49 years, male 101.7
GTEX-11LCK-0826-SM-5PNYD 30-39 years, male 101.6
GTEX-13CF2-0226-SM-5L3DV 60-69 years, male 101.6
GTEX-1A3MX-1226-SM-731B3 60-69 years, male 101.0
GTEX-1B932-1326-SM-79OM4 40-49 years, female 101.0
GTEX-13SLW-0826-SM-5QGP7 70-79 years, male 100.3
GTEX-14PJ2-1126-SM-69LOD 50-59 years, male 100.1
GTEX-WFON-0226-SM-3GIKR 40-49 years, male 100.0
GTEX-13NYS-1926-SM-5IJCB 60-69 years, male 98.6
GTEX-132AR-1926-SM-5EGK5 50-59 years, female 98.5
GTEX-1I1GR-1026-SM-A9SLC 60-69 years, male 98.1
GTEX-ZDTT-0326-SM-4WKF9 60-69 years, male 98.0
GTEX-111YS-0326-SM-5GZZ3 60-69 years, male 97.9
GTEX-13NZB-0426-SM-5KM26 30-39 years, male 97.9
GTEX-14H4A-0426-SM-5ZZWO 40-49 years, female 97.9
GTEX-WI4N-0726-SM-3TW93 40-49 years, female 97.8
GTEX-1I1GV-1426-SM-B2LXN 60-69 years, male 97.8
GTEX-1GN2E-1426-SM-7RHHI 60-69 years, male 97.6
GTEX-1H3NZ-1026-SM-A9SM5 60-69 years, male 97.1
GTEX-14BMV-1026-SM-5SI6B 50-59 years, male 96.8
GTEX-13O61-0426-SM-5L3ET 60-69 years, male 96.6
GTEX-1CB4G-0726-SM-79OOJ 60-69 years, male 96.1
GTEX-ZF3C-1126-SM-57WEG 50-59 years, female 95.6
GTEX-WL46-0726-SM-3LK5Z 50-59 years, male 95.2
GTEX-VUSG-0726-SM-3GIK1 50-59 years, male 95.1
GTEX-1GMR8-1026-SM-9MQLA 50-59 years, female 95.1
GTEX-1QEPI-1126-SM-E8VN7 60-69 years, female 95.1
GTEX-1IOXB-0726-SM-A9G32 50-59 years, male 94.6
GTEX-1JMQK-0926-SM-ARL96 60-69 years, male 94.5
GTEX-1KANC-0226-SM-E9TIW 50-59 years, female 94.4
GTEX-1I1CD-1326-SM-A9SMM 60-69 years, female 94.3
GTEX-1KXAM-1426-SM-D3LAC 60-69 years, male 94.1
GTEX-14PN4-0826-SM-69LON 50-59 years, male 93.9
GTEX-1IDJD-0226-SM-CKZOA 30-39 years, male 93.3
GTEX-XPVG-0726-SM-4B658 50-59 years, male 93.1
GTEX-117YW-0426-SM-5GZZZ 50-59 years, male 93.0
GTEX-1EWIQ-1126-SM-7EPIK 70-79 years, female 92.2
GTEX-ZLFU-0326-SM-4WWBK 40-49 years, male 92.1
GTEX-XQ8I-0226-SM-4BOPM 50-59 years, male 91.9
GTEX-15RJE-0726-SM-7KUEG 40-49 years, male 91.7
GTEX-13FXS-1026-SM-62LFQ 50-59 years, male 91.6
GTEX-17KNJ-0626-SM-7LT9L 50-59 years, male 91.3
GTEX-XQ3S-0526-SM-4BOQA 20-29 years, male 91.2
GTEX-12ZZY-1226-SM-5GCNK 60-69 years, male 91.1
GTEX-1LVAO-0626-SM-EWRNT 60-69 years, male 90.5
GTEX-117YX-0626-SM-5EGJI 50-59 years, male 90.4
GTEX-ZVT2-0926-SM-5GICE 50-59 years, female 90.0
GTEX-WY7C-1126-SM-3NB3A 50-59 years, male 89.7
GTEX-ZAB4-0926-SM-5CVN4 40-49 years, male 89.7
GTEX-16XZY-0526-SM-7DHKY 70-79 years, male 89.6
GTEX-1GN1U-1426-SM-7P8TF 50-59 years, female 89.6
GTEX-YJ8O-0826-SM-5CVM3 40-49 years, female 89.5
GTEX-ZZPT-0926-SM-5GICZ 50-59 years, male 89.5
GTEX-1GL5R-0426-SM-9WPOP 50-59 years, male 89.4
GTEX-1OFPY-0926-SM-DTX8Q 60-69 years, male 89.4
GTEX-16XZZ-1026-SM-7DHKS 60-69 years, male 89.3
GTEX-139TU-1926-SM-5J2OC 60-69 years, male 88.9
GTEX-1B8SG-0726-SM-79ONS 50-59 years, male 88.7
GTEX-11DXY-1026-SM-5987V 60-69 years, male 88.4
GTEX-15CHQ-1326-SM-6871Z 60-69 years, male 88.1
GTEX-YF7O-0526-SM-5P9IO 50-59 years, male 87.9
GTEX-1C64O-0926-SM-79OLN 60-69 years, male 87.0
GTEX-ZDTS-1226-SM-4WKGL 60-69 years, male 87.0
GTEX-1P4AB-0926-SM-E76PV 50-59 years, male 86.9
GTEX-15RIE-1326-SM-6PAMM 60-69 years, male 86.7
GTEX-1192W-0226-SM-5EGGT 60-69 years, male 86.6
GTEX-1H11D-1026-SM-9QEIU 40-49 years, male 86.6
GTEX-14C38-1326-SM-62LDK 50-59 years, male 86.2
GTEX-1EH9U-0626-SM-7PC33 60-69 years, male 85.8
GTEX-1477Z-1126-SM-5P9GK 60-69 years, male 85.6
GTEX-ZGAY-0226-SM-4WWAL 40-49 years, female 85.6
GTEX-1AYCT-0526-SM-7RHHS 50-59 years, male 85.6
GTEX-13N1W-0926-SM-5MR36 70-79 years, male 85.3
GTEX-1J8EW-0626-SM-CM2TY 60-69 years, female 84.8
GTEX-1NSGN-1226-SM-E76OL 50-59 years, male 84.8
GTEX-14XAO-0926-SM-69LPZ 60-69 years, female 84.6
GTEX-YB5K-0226-SM-5IFJE 40-49 years, female 84.6
GTEX-11TT1-1426-SM-5EGIA 20-29 years, male 84.5
GTEX-X5EB-0626-SM-46MVQ 40-49 years, male 84.4
GTEX-1HFI7-0526-SM-A9SMA 50-59 years, female 84.4
GTEX-1GF9U-0526-SM-7P8SK 40-49 years, female 84.3
GTEX-1QP29-1426-SM-DTX9Q 50-59 years, male 84.3
GTEX-14A5I-1026-SM-5Q5E3 50-59 years, female 84.2
GTEX-1MJIX-0426-SM-DTXEN 40-49 years, male 83.7
GTEX-131XF-0426-SM-5HL7U 60-69 years, male 83.6
GTEX-V1D1-0626-SM-4JBHN 50-59 years, male 83.5
GTEX-13FHP-0826-SM-5K7V5 50-59 years, male 83.0
GTEX-1H1DG-0826-SM-9QEIW 70-79 years, male 82.8
GTEX-ZF29-0426-SM-4WKFN 60-69 years, female 82.6
GTEX-WHWD-0326-SM-3LK6L 50-59 years, male 82.4
GTEX-ZEX8-0326-SM-DO92C 50-59 years, male 82.3
GTEX-ZYFG-0526-SM-5GZXX 60-69 years, female 82.2
GTEX-15SDE-1826-SM-7KUFN 50-59 years, female 81.9
GTEX-ZF2S-0826-SM-4WWBI 50-59 years, female 81.8
GTEX-1GN1W-0226-SM-7P8QY 50-59 years, female 81.8
GTEX-11TUW-1126-SM-5EQKJ 60-69 years, male 81.7
GTEX-ZUA1-0726-SM-4YCD9 40-49 years, male 81.4
GTEX-XV7Q-0726-SM-4BRV6 40-49 years, female 81.1
GTEX-XLM4-2026-SM-4AT4X 60-69 years, male 80.9
GTEX-1339X-0326-SM-5K7Z8 40-49 years, male 80.2
GTEX-13NZA-0826-SM-5K7WS 60-69 years, male 79.8
GTEX-1LSNM-0426-SM-E9TIZ 50-59 years, male 79.7
GTEX-1R9JW-0426-SM-E76QL 30-39 years, female 79.6
GTEX-1AX8Z-1126-SM-731CS 60-69 years, male 78.7
GTEX-1HT8W-1326-SM-CGQEN 30-39 years, male 78.7
GTEX-1CB4J-0226-SM-7P8T4 60-69 years, male 78.6
GTEX-111VG-0326-SM-5GZX7 60-69 years, male 78.5
GTEX-13O3P-1426-SM-5L3DT 50-59 years, male 78.4
GTEX-13FHO-1226-SM-5L3EF 60-69 years, male 78.2
GTEX-12WSI-0426-SM-5EQ5J 50-59 years, male 78.0
GTEX-131XG-0526-SM-5DUWF 50-59 years, female 77.9
GTEX-1445S-1226-SM-5O9BF 60-69 years, male 77.9
GTEX-11GS4-0426-SM-5N9CD 60-69 years, male 77.8
GTEX-132Q8-1126-SM-5K7XS 60-69 years, male 77.8
GTEX-17F96-0826-SM-7DHLU 70-79 years, male 77.7
GTEX-1JK1U-0626-SM-CKZOJ 60-69 years, male 77.3
GTEX-Y3I4-0526-SM-4TT6X 50-59 years, male 77.0
GTEX-X62O-0826-SM-46MW8 50-59 years, male 76.9
GTEX-13D11-1526-SM-5J2NA 50-59 years, female 76.4
GTEX-YEC4-0226-SM-4W1YG 40-49 years, male 76.3
GTEX-18A6Q-1526-SM-731CO 60-69 years, male 76.1
GTEX-14BIM-2726-SM-5Q5EG 60-69 years, female 75.9
GTEX-X3Y1-0226-SM-3P5Z5 40-49 years, male 75.7
GTEX-1J8Q2-1026-SM-ARU8I 60-69 years, male 75.2
GTEX-1QCLZ-1126-SM-EWRNB 60-69 years, female 75.1
GTEX-14PK6-0726-SM-6LLIX 70-79 years, female 75.0
GTEX-13X6K-1726-SM-7IGLG 60-69 years, female 73.8
GTEX-ZE7O-0626-SM-57WCD 50-59 years, female 73.7
GTEX-183WM-0926-SM-718AN 70-79 years, female 73.3
GTEX-145MN-0726-SM-5NQBH 30-39 years, male 73.1
GTEX-Z93S-0326-SM-5HL84 50-59 years, male 72.9
GTEX-14ASI-0826-SM-5Q5EB 60-69 years, male 72.7
GTEX-1ICG6-0726-SM-B2LY5 70-79 years, female 72.3
GTEX-ZDYS-0326-SM-5HL4W 50-59 years, male 71.8
GTEX-1I19N-0626-SM-A9SKY 70-79 years, male 71.6
GTEX-1I1GQ-1226-SM-CL55J 50-59 years, male 71.4
GTEX-1HC8U-0626-SM-B2LWB 40-49 years, female 71.3
GTEX-12ZZX-0726-SM-5EGKA 40-49 years, female 71.2
GTEX-16NPX-0826-SM-6M489 50-59 years, male 70.8
GTEX-13W3W-0526-SM-5LU3X 60-69 years, female 70.6
GTEX-ZPIC-0426-SM-DO91V 40-49 years, female 70.6
GTEX-1JMQL-1026-SM-CMKGV 50-59 years, female 70.0
GTEX-132QS-0526-SM-5IJC7 60-69 years, male 69.9
GTEX-1K2DU-0226-SM-DIPF6 20-29 years, male 69.4
GTEX-1B97J-0326-SM-7939H 50-59 years, female 69.2
GTEX-17HGU-1126-SM-793BP 50-59 years, male 68.9
GTEX-ZPU1-0726-SM-5HL6O 40-49 years, male 68.9
GTEX-ZZPU-1126-SM-5N9CW 50-59 years, female 68.9
GTEX-1MJK2-1626-SM-EVYCQ 50-59 years, male 68.9
GTEX-14E6C-0326-SM-5Q5EE 40-49 years, male 68.1
GTEX-11DXX-0526-SM-5PNVR 60-69 years, female 67.5
GTEX-1B933-0826-SM-79OMW 50-59 years, female 67.4
GTEX-12WSC-1026-SM-5EQ5Y 50-59 years, male 67.3
GTEX-1LGOU-0326-SM-D3LAM 20-29 years, female 67.0
GTEX-14A6H-0326-SM-5NQAN 30-39 years, male 66.9
GTEX-12WSE-0926-SM-5S2VX 20-29 years, male 66.7
GTEX-1IKOE-0626-SM-A9G31 30-39 years, female 66.5
GTEX-15CHR-0326-SM-7DHN3 50-59 years, male 66.4
GTEX-145LV-0226-SM-5S2QG 50-59 years, male 66.2
GTEX-13112-0526-SM-5EQ4S 50-59 years, male 65.7
GTEX-ZTPG-1326-SM-51MSQ 20-29 years, female 65.4
GTEX-13U4I-0626-SM-5LU5L 40-49 years, female 65.3
GTEX-ZPCL-0526-SM-DO91R 60-69 years, female 65.2
GTEX-13O1R-0926-SM-5L3DS 60-69 years, male 65.1
GTEX-13NZ9-0126-SM-5K7XV 50-59 years, male 64.6
GTEX-14PJM-0826-SM-6LLIW 50-59 years, female 64.4
GTEX-1HR98-1026-SM-CKZOM 60-69 years, male 64.1
GTEX-11NV4-0826-SM-5BC4S 60-69 years, male 63.9
GTEX-15EU6-1326-SM-6PANG 50-59 years, male 63.8
GTEX-ZAK1-1126-SM-5PNXU 50-59 years, female 63.5
GTEX-ZVZQ-0726-SM-51MR3 60-69 years, female 63.5
GTEX-14PJO-0826-SM-6ETZK 60-69 years, male 62.8
GTEX-1399R-1726-SM-5K7YJ 30-39 years, male 62.3
GTEX-1F75A-1026-SM-7PC3W 50-59 years, male 62.3
GTEX-WH7G-0326-SM-3NMBH 40-49 years, male 61.7
GTEX-13YAN-1426-SM-7EPG8 60-69 years, male 61.5
GTEX-11ZUS-0326-SM-5EQ4W 30-39 years, male 61.4
GTEX-XGQ4-0526-SM-4AT6C 50-59 years, male 61.4
GTEX-17GQL-0626-SM-731CN 60-69 years, male 61.1
GTEX-1KANB-1126-SM-DHXJT 50-59 years, male 60.8
GTEX-11P81-0526-SM-59873 30-39 years, female 60.7
GTEX-W5X1-0826-SM-3GILN 40-49 years, female 60.7
GTEX-1HSGN-0926-SM-CNNQM 40-49 years, female 60.4
GTEX-146FH-1126-SM-5NQAT 50-59 years, female 60.1
GTEX-12696-1226-SM-5FQSM 60-69 years, male 59.7
GTEX-1H1ZS-1026-SM-9WG6E 70-79 years, male 59.6
GTEX-XOT4-1126-SM-4B66E 60-69 years, female 59.0
GTEX-ZYFC-1026-SM-5GZX9 50-59 years, male 58.6
GTEX-1399S-0826-SM-5KM23 30-39 years, female 58.2
GTEX-1AX9K-0426-SM-73KUG 50-59 years, male 58.1
GTEX-1IY9M-0626-SM-D4P2L 60-69 years, male 57.4
GTEX-ZAB5-0126-SM-5CVMT 50-59 years, male 56.8
GTEX-1122O-0626-SM-5N9B9 60-69 years, female 56.7
GTEX-ZTTD-0626-SM-4YCCY 50-59 years, male 55.9
GTEX-13N11-0726-SM-5L3DP 50-59 years, female 55.2
GTEX-11DYG-1026-SM-5A5JQ 60-69 years, male 55.1
GTEX-111FC-0626-SM-5N9CU 60-69 years, male 54.9
GTEX-14E7W-1126-SM-5ZZVS 70-79 years, male 53.6
GTEX-132NY-1426-SM-5J1MJ 60-69 years, male 53.3
GTEX-144GL-1026-SM-5O99R 50-59 years, male 52.7
GTEX-1J1OQ-2226-SM-A96SS 40-49 years, female 52.7
GTEX-ZYVF-1826-SM-5E44F 50-59 years, female 52.6
GTEX-14JG1-0826-SM-5ZZWR 40-49 years, male 51.7
GTEX-WK11-0626-SM-3NMAV 50-59 years, male 51.6
GTEX-X4EP-0326-SM-3P5Z6 60-69 years, female 46.3
GTEX-12WSG-1226-SM-5EQ4C 50-59 years, female 42.5
GTEX-ZYT6-0926-SM-5GIEM 30-39 years, male 36.5
Show allShow less
Heart - Left Ventricle
Average nTPM: 134.8
Samples: 432

Max nTPM: 540.8
Min nTPM: 54.1
Std nTPM: 78.3
Median nTPM: 105.8
GTEX-1KD4Q-0726-SM-DIPGE 40-49 years, male 540.8
GTEX-1C6VQ-1126-SM-7EWET 50-59 years, male 530.6
GTEX-1IDJH-1026-SM-E9TKH 70-79 years, male 488.5
GTEX-17JCI-1126-SM-7IGMM 60-69 years, female 478.6
GTEX-1EN7A-0726-SM-7PBXT 40-49 years, male 443.7
GTEX-13OW8-2126-SM-5J1OS 60-69 years, male 440.2
GTEX-1269C-0826-SM-5N9EM 60-69 years, female 433.1
GTEX-12584-0926-SM-5FQTN 40-49 years, male 426.9
GTEX-WRHU-1226-SM-4E3IJ 50-59 years, female 415.6
GTEX-WWYW-1326-SM-3NB2S 50-59 years, female 399.2
GTEX-1F6IF-2526-SM-7P8TV 60-69 years, male 396.2
GTEX-P44G-0826-SM-2I5ES 30-39 years, male 391.9
GTEX-147F4-1226-SM-5NQAY 50-59 years, male 391.4
GTEX-13S86-0226-SM-5S2PJ 40-49 years, male 362.5
GTEX-147JS-1526-SM-5ZZWF 60-69 years, male 355.3
GTEX-1IKK5-1526-SM-CKZPW 60-69 years, male 343.9
GTEX-1GN1V-0826-SM-9KNU6 60-69 years, male 321.7
GTEX-131XH-0226-SM-5LZVB 50-59 years, male 318.9
GTEX-1EKGG-1126-SM-7MGXB 60-69 years, male 313.8
GTEX-OXRO-2026-SM-2YUMZ 60-69 years, female 308.1
GTEX-14BIL-1126-SM-79OMC 50-59 years, male 307.8
GTEX-1PPH7-2026-SM-E9J3N 40-49 years, male 304.8
GTEX-1HCU6-1026-SM-A9G25 60-69 years, female 286.2
GTEX-11ONC-0126-SM-5PNW6 60-69 years, male 277.8
GTEX-1212Z-0626-SM-5FQTB 60-69 years, male 272.7
GTEX-17F9Y-1326-SM-7MGW9 70-79 years, female 272.6
GTEX-1GF9V-1626-SM-7PBXL 60-69 years, male 268.3
GTEX-13JVG-1326-SM-5N9F8 60-69 years, male 268.0
GTEX-N7MT-1326-SM-2I3FV 60-69 years, female 263.0
GTEX-11O72-1126-SM-5N9E2 40-49 years, male 258.3
GTEX-17HII-1326-SM-7IGOB 50-59 years, male 257.8
GTEX-1EX96-2526-SM-7RHGW 50-59 years, male 257.2
GTEX-15DDE-1126-SM-6LLHN 50-59 years, female 256.8
GTEX-14A5I-1226-SM-5NQBW 50-59 years, female 250.9
GTEX-1I1GP-0826-SM-A96SD 50-59 years, male 240.2
GTEX-15ER7-1726-SM-6PAMX 20-29 years, female 240.1
GTEX-1R9K4-1326-SM-DTX8G 60-69 years, male 238.6
GTEX-11GSP-1326-SM-5A5KY 60-69 years, female 238.4
GTEX-14DAQ-1126-SM-664MT 60-69 years, female 232.0
GTEX-148VJ-1526-SM-5Q5DU 70-79 years, male 227.2
GTEX-WHSE-0926-SM-3NMBS 20-29 years, male 226.9
GTEX-1R9PO-0326-SM-DTXA1 60-69 years, female 224.3
GTEX-1JMLX-1626-SM-ARZMV 50-59 years, male 223.4
GTEX-1PPGY-1126-SM-E76OU 60-69 years, male 223.3
GTEX-1ICLY-1326-SM-CJI47 50-59 years, male 223.1
GTEX-RUSQ-0526-SM-2TF72 50-59 years, male 220.8
GTEX-12WSD-1126-SM-5EGJD 60-69 years, female 219.9
GTEX-145MO-1126-SM-5NQBX 60-69 years, male 219.2
GTEX-1H3NZ-1126-SM-9WYT9 60-69 years, male 218.4
GTEX-13N1W-1026-SM-5IJC5 70-79 years, male 217.1
GTEX-1GN2E-1326-SM-9KNVG 60-69 years, male 216.8
GTEX-ZYW4-0926-SM-59HJS 60-69 years, male 216.2
GTEX-XXEK-0926-SM-4BRWH 50-59 years, male 214.6
GTEX-14BIN-2226-SM-5YYA1 50-59 years, female 213.1
GTEX-RTLS-0826-SM-2TF5Q 60-69 years, female 212.2
GTEX-1IL2U-1326-SM-A9G2O 60-69 years, male 211.7
GTEX-1HCVE-1126-SM-9WPPG 50-59 years, male 210.9
GTEX-1GMRU-1526-SM-9WYT5 50-59 years, male 210.2
GTEX-1RAZS-0826-SM-E76QP 50-59 years, male 208.5
GTEX-15CHQ-1526-SM-69LPW 60-69 years, male 206.0
GTEX-1HSMO-1226-SM-CL548 60-69 years, male 203.7
GTEX-1A8G6-1626-SM-7MGWO 60-69 years, male 203.6
GTEX-1EMGI-1226-SM-793DD 60-69 years, male 203.4
GTEX-1LG7Y-1226-SM-CXZKD 50-59 years, male 201.4
GTEX-1GMR3-0326-SM-7P8QT 40-49 years, male 197.8
GTEX-1GZ4I-1026-SM-9KNV5 50-59 years, male 194.1
GTEX-1I1HK-0726-SM-B2LY4 60-69 years, male 192.3
GTEX-RN64-0826-SM-2TC62 50-59 years, male 191.3
GTEX-1JN6P-1126-SM-CKZON 60-69 years, male 189.2
GTEX-13PVQ-1226-SM-5IJDC 50-59 years, male 187.5
GTEX-V955-0726-SM-3GAFG 60-69 years, male 187.1
GTEX-1EU9M-1826-SM-7DUGU 60-69 years, male 185.8
GTEX-1JN1M-1026-SM-CNPOS 60-69 years, female 185.5
GTEX-11GS4-0526-SM-5A5KQ 60-69 years, male 185.4
GTEX-13OW5-1126-SM-5J1NR 60-69 years, male 185.3
GTEX-14C5O-1326-SM-5S2UW 60-69 years, male 184.5
GTEX-13FLV-0926-SM-5L3DZ 50-59 years, male 184.3
GTEX-1JMOU-0226-SM-CNNPD 60-69 years, female 181.4
GTEX-Y5V5-0626-SM-4VBPX 60-69 years, female 180.9
GTEX-1GN73-2426-SM-7RHFQ 60-69 years, male 179.2
GTEX-1JJ6O-2126-SM-CNNP6 60-69 years, male 174.0
GTEX-RWSA-0626-SM-2XCBD 40-49 years, male 173.7
GTEX-13FHP-1026-SM-5K7Y2 50-59 years, male 173.6
GTEX-117YW-0326-SM-5N9CY 50-59 years, male 172.9
GTEX-WK11-0826-SM-EZ6LH 50-59 years, male 172.9
GTEX-16YQH-0926-SM-793BC 30-39 years, male 171.8
GTEX-14C39-0926-SM-5TDDV 40-49 years, male 171.2
GTEX-X261-1426-SM-4PQZ1 50-59 years, male 170.9
GTEX-1EH9U-0826-SM-7IGPT 60-69 years, male 170.7
GTEX-1HCU7-1326-SM-CNPPW 50-59 years, male 169.4
GTEX-QESD-0526-SM-2I5G5 20-29 years, male 169.0
GTEX-1S3DN-0726-SM-E9TIO 50-59 years, male 169.0
GTEX-ZF3C-1226-SM-4WWCB 50-59 years, female 166.7
GTEX-1HBPH-0126-SM-CNNQ7 40-49 years, female 166.5
GTEX-1H1CY-0326-SM-9QEIZ 60-69 years, female 165.8
GTEX-1IKJJ-0826-SM-A96SP 60-69 years, male 164.1
GTEX-14PJ2-1026-SM-6EU1M 50-59 years, male 163.1
GTEX-11TUW-1026-SM-5GU7D 60-69 years, male 160.1
GTEX-U8XE-1126-SM-3DB8W 30-39 years, male 160.1
GTEX-13X6K-1826-SM-5O9CR 60-69 years, female 157.7
GTEX-1314G-0126-SM-5LZUL 30-39 years, male 156.8
GTEX-17MF6-0726-SM-7LT8E 40-49 years, male 156.5
GTEX-1LC47-1026-SM-D3LAH 60-69 years, male 154.6
GTEX-11EMC-0726-SM-5EGJO 60-69 years, female 153.8
GTEX-132AR-2026-SM-5IJG4 50-59 years, female 153.3
GTEX-1K9T9-1126-SM-D3L9E 50-59 years, female 153.0
GTEX-XV7Q-0826-SM-4BRV7 40-49 years, female 151.7
GTEX-WFG7-0726-SM-3GIKO 20-29 years, male 150.5
GTEX-WI4N-0626-SM-3TW8Z 40-49 years, female 148.9
GTEX-1J8Q2-1226-SM-A9G2W 60-69 years, male 148.3
GTEX-1JMQK-0626-SM-D4P2R 60-69 years, male 148.3
GTEX-1N2EF-2826-SM-E6CQF 60-69 years, male 147.7
GTEX-1GTWX-1026-SM-7P8QW 60-69 years, male 146.7
GTEX-1AX9I-1126-SM-7EPHH 60-69 years, male 146.3
GTEX-17GQL-0526-SM-72D5N 60-69 years, male 146.2
GTEX-13NZB-0226-SM-5KM1T 30-39 years, male 144.7
GTEX-15RJE-0626-SM-7KUKR 40-49 years, male 144.5
GTEX-14JIY-1126-SM-6EU28 60-69 years, male 142.9
GTEX-ZAJG-0826-SM-5PNVA 50-59 years, female 142.0
GTEX-1F48J-1026-SM-7P8SO 50-59 years, female 141.1
GTEX-ZLFU-0226-SM-4WWFH 40-49 years, male 140.3
GTEX-P44H-0726-SM-48TBT 40-49 years, male 140.2
GTEX-QEG4-0426-SM-33HC3 30-39 years, male 139.8
GTEX-13CF2-0426-SM-5KM1H 60-69 years, male 138.3
GTEX-1B996-1126-SM-73KWN 60-69 years, male 138.3
GTEX-1LGRB-1126-SM-CNPP2 50-59 years, female 137.2
GTEX-OHPL-0326-SM-33HC8 60-69 years, female 136.6
GTEX-14E1K-1026-SM-73KUR 50-59 years, male 136.3
GTEX-1KD5A-1026-SM-CY8I8 50-59 years, male 136.0
GTEX-13O3P-1626-SM-5K7X3 50-59 years, male 135.3
GTEX-X8HC-1626-SM-46MWE 50-59 years, female 135.3
GTEX-XBEC-1326-SM-4AT69 50-59 years, male 135.2
GTEX-11ZVC-0426-SM-5CVLD 50-59 years, female 134.6
GTEX-14PK6-0826-SM-5ZZVO 70-79 years, female 134.3
GTEX-T6MN-0926-SM-32PLX 50-59 years, male 133.9
GTEX-13O1R-1226-SM-5J1NU 60-69 years, male 133.5
GTEX-QEL4-0926-SM-3GAD1 50-59 years, male 133.4
GTEX-ZTPG-1226-SM-4YCDO 20-29 years, female 132.7
GTEX-1JJE9-1426-SM-ARL8P 70-79 years, male 132.6
GTEX-15SHW-1226-SM-6M46C 60-69 years, male 131.3
GTEX-12ZZW-1026-SM-5GCMM 50-59 years, male 131.1
GTEX-1IDJE-0326-SM-CM2TD 50-59 years, female 130.7
GTEX-1A3MW-1326-SM-7189P 60-69 years, female 130.3
GTEX-13FTZ-0226-SM-5K7X6 60-69 years, male 129.9
GTEX-Q2AH-0526-SM-2I3ED 40-49 years, male 129.9
GTEX-1LVAN-1726-SM-CNNR1 50-59 years, female 129.6
GTEX-13RTJ-0726-SM-5QGQN 60-69 years, male 129.4
GTEX-1LSNM-0526-SM-DIPG6 50-59 years, male 128.8
GTEX-YB5K-0126-SM-5IFJ2 40-49 years, female 128.6
GTEX-15SHU-1126-SM-7KUMB 40-49 years, female 128.3
GTEX-1ICLZ-1026-SM-A9SLF 60-69 years, male 127.5
GTEX-14C38-1426-SM-5RQHZ 50-59 years, male 126.9
GTEX-1J8Q3-1226-SM-CKZPT 60-69 years, male 126.8
GTEX-17KNJ-0826-SM-793A4 50-59 years, male 126.2
GTEX-1AX9J-1026-SM-72D6E 60-69 years, male 125.8
GTEX-1A3MX-1326-SM-72D58 60-69 years, male 125.1
GTEX-RU72-0326-SM-2TF5T 50-59 years, female 124.7
GTEX-PLZ5-0626-SM-2I5F8 50-59 years, male 124.2
GTEX-SIU8-0826-SM-2XCDQ 50-59 years, male 124.2
GTEX-16MT8-0926-SM-6M487 60-69 years, female 123.8
GTEX-QEG5-0926-SM-2TC64 20-29 years, male 123.8
GTEX-YFC4-0526-SM-5ZZVI 40-49 years, female 122.9
GTEX-YJ8O-0926-SM-EAZ2Z 40-49 years, female 122.7
GTEX-12WSN-5001-SM-7DHMK 40-49 years, male 122.5
GTEX-ZG7Y-0926-SM-5EQ6O 50-59 years, male 121.7
GTEX-1QP2A-1126-SM-EVR3H 50-59 years, male 121.6
GTEX-13X6I-1426-SM-5SI9Z 60-69 years, male 120.8
GTEX-1JMPZ-1426-SM-CJI3C 30-39 years, male 120.7
GTEX-ZDTS-1326-SM-6LLHE 60-69 years, male 119.6
GTEX-Y3IK-0826-SM-51MT8 50-59 years, female 119.3
GTEX-1H11D-1226-SM-9WPQ2 40-49 years, male 119.3
GTEX-12ZZZ-1726-SM-59HK5 60-69 years, male 119.2
GTEX-NPJ8-0426-SM-2HMK6 40-49 years, male 119.1
GTEX-1L5NE-0426-SM-E9TIX 50-59 years, male 118.6
GTEX-1MJIX-0326-SM-EVR42 40-49 years, male 118.2
GTEX-1HCUA-0526-SM-A9SMH 50-59 years, female 118.1
GTEX-QDVN-0326-SM-2I3FS 50-59 years, male 117.9
GTEX-11EM3-0626-SM-5H12Z 20-29 years, female 117.8
GTEX-1J8EW-0926-SM-A9G33 60-69 years, female 117.1
GTEX-V1D1-0526-SM-4JBGW 50-59 years, male 115.7
GTEX-1EWIQ-1426-SM-7IGOS 70-79 years, female 115.4
GTEX-OXRK-0826-SM-2HMK7 50-59 years, female 115.4
GTEX-117YX-1126-SM-5H128 50-59 years, male 115.1
GTEX-17HHY-1426-SM-7EWDQ 50-59 years, male 115.0
GTEX-13FTW-1026-SM-5L3E3 40-49 years, male 114.6
GTEX-WYJK-1026-SM-3NM8W 50-59 years, male 114.6
GTEX-QLQ7-0526-SM-2I5G3 60-69 years, male 114.3
GTEX-ZUA1-0826-SM-4YCDL 40-49 years, male 114.1
GTEX-12WSG-0526-SM-5FQTH 50-59 years, female 114.0
GTEX-WFON-0326-SM-3GIKX 40-49 years, male 114.0
GTEX-1B8L1-0526-SM-79ONX 60-69 years, male 113.4
GTEX-O5YT-0326-SM-32PKA 20-29 years, male 113.4
GTEX-1B8KE-0126-SM-793AM 50-59 years, male 113.3
GTEX-14PJ4-1126-SM-5YY91 60-69 years, male 113.2
GTEX-PSDG-0926-SM-2I5FP 50-59 years, male 112.7
GTEX-13NYB-0226-SM-5N9G4 40-49 years, male 112.3
GTEX-13YAN-1326-SM-5Q5F1 60-69 years, male 111.3
GTEX-1HBPM-1226-SM-A9SM8 60-69 years, female 109.7
GTEX-1PWST-1026-SM-DTXF2 70-79 years, male 109.5
GTEX-X15G-0426-SM-4PQZ6 50-59 years, female 109.4
GTEX-11TT1-1326-SM-5PNYM 20-29 years, male 109.1
GTEX-131XG-0626-SM-5GCMP 50-59 years, female 109.0
GTEX-1LB8K-1026-SM-DHXJJ 50-59 years, male 108.9
GTEX-UPK5-0326-SM-CYPR4 40-49 years, male 108.9
GTEX-1H23P-1226-SM-9QEJ2 60-69 years, male 108.6
GTEX-XPT6-0126-SM-4B65S 20-29 years, male 108.5
GTEX-O5YV-0326-SM-2I5H2 60-69 years, female 108.2
GTEX-P4QS-0326-SM-2I3EU 60-69 years, male 108.2
GTEX-13U4I-0826-SM-5SIBD 40-49 years, female 108.1
GTEX-N7MS-0826-SM-2HML4 60-69 years, male 108.1
GTEX-1LH75-0426-SM-E9TJF 50-59 years, female 107.3
GTEX-1497J-1226-SM-5Q5BL 60-69 years, male 107.1
GTEX-WFG8-0626-SM-3GILJ 20-29 years, male 106.9
GTEX-1R9JW-0526-SM-EWRNK 30-39 years, female 106.3
GTEX-1211K-0626-SM-5FQUZ 60-69 years, female 106.1
GTEX-139YR-0826-SM-5LZXY 50-59 years, male 105.8
GTEX-1RMOY-0626-SM-E9TIE 50-59 years, male 105.8
GTEX-16NPX-0926-SM-7KUEZ 50-59 years, male 105.7
GTEX-131XF-5001-SM-7DHLY 60-69 years, male 105.4
GTEX-SUCS-0326-SM-32PLL 70-79 years, male 105.3
GTEX-1IDJI-1026-SM-A96TE 50-59 years, female 105.2
GTEX-WY7C-0526-SM-3NB3D 50-59 years, male 104.4
GTEX-1F5PK-0326-SM-9KNUD 50-59 years, male 104.4
GTEX-1GL5R-0326-SM-9WYTJ 50-59 years, male 104.2
GTEX-132NY-1726-SM-5EGKK 60-69 years, male 103.7
GTEX-QMRM-0526-SM-2I5GA 50-59 years, male 103.6
GTEX-REY6-1026-SM-2TF4Y 60-69 years, male 103.5
GTEX-QV44-0526-SM-2S1RE 50-59 years, male 102.8
GTEX-1JJEA-0826-SM-CL53T 60-69 years, male 102.7
GTEX-11DXY-0826-SM-5EGGR 60-69 years, male 102.6
GTEX-14PJM-1126-SM-6LLHK 50-59 years, female 102.4
GTEX-POMQ-0326-SM-2I5FO 20-29 years, female 102.1
GTEX-1B97J-0726-SM-7RHG3 50-59 years, female 101.9
GTEX-Y5V6-0826-SM-4VBRU 60-69 years, male 101.8
GTEX-ZAB4-1026-SM-5HL7T 40-49 years, male 101.8
GTEX-14E6D-0926-SM-5S2QV 50-59 years, male 101.6
GTEX-QVJO-1926-SM-2S1QZ 60-69 years, female 101.6
GTEX-1HT8W-1726-SM-CNNQB 30-39 years, male 101.3
GTEX-XBED-0526-SM-47JY3 60-69 years, male 101.1
GTEX-UJMC-0526-SM-3GAE3 50-59 years, male 100.9
GTEX-RNOR-0826-SM-2TF5C 50-59 years, female 100.7
GTEX-ZDXO-0726-SM-57WBT 60-69 years, male 100.6
GTEX-16XZY-0426-SM-793BI 70-79 years, male 100.1
GTEX-131XE-0626-SM-5HL98 50-59 years, male 99.9
GTEX-1HC8U-0726-SM-ACKXL 40-49 years, female 99.8
GTEX-18A66-1226-SM-7LT8G 60-69 years, male 99.7
GTEX-12696-1126-SM-5FQTI 60-69 years, male 99.6
GTEX-12WSC-1126-SM-5EQ4G 50-59 years, male 99.2
GTEX-OHPM-0326-SM-33HCA 50-59 years, male 99.2
GTEX-S32W-0626-SM-2XCBG 50-59 years, female 98.9
GTEX-ZQUD-1526-SM-7IGO2 30-39 years, male 98.9
GTEX-QDVJ-0426-SM-2I5FW 50-59 years, male 98.8
GTEX-1QPFJ-1026-SM-E6CR6 30-39 years, female 98.8
GTEX-1RB15-0326-SM-E6CQB 60-69 years, male 98.8
GTEX-1B932-1026-SM-793CL 40-49 years, female 98.6
GTEX-14H4A-0626-SM-5ZZUT 40-49 years, female 98.0
GTEX-Y3I4-0626-SM-4TT7A 50-59 years, male 98.0
GTEX-1C64O-0826-SM-79OKZ 60-69 years, male 97.9
GTEX-U3ZH-0326-SM-3DB7A 30-39 years, male 97.9
GTEX-13OVL-0526-SM-5KLZQ 50-59 years, male 97.8
GTEX-14XAO-1126-SM-6EU11 60-69 years, female 97.8
GTEX-RWS6-0326-SM-2XCAP 60-69 years, female 97.7
GTEX-18D9B-1226-SM-72D6V 60-69 years, male 97.6
GTEX-R55C-0326-SM-3GAF1 40-49 years, male 97.4
GTEX-1CAMS-1326-SM-79OJR 40-49 years, female 97.2
GTEX-WHWD-0426-SM-3LK83 50-59 years, male 97.2
GTEX-O5YW-0326-SM-2I5EI 50-59 years, male 96.9
GTEX-ZGAY-0326-SM-57WF5 40-49 years, female 96.6
GTEX-Y114-0226-SM-4TT8W 50-59 years, female 96.4
GTEX-WEY5-0426-SM-3GIKT 40-49 years, female 95.8
GTEX-WQUQ-1426-SM-3MJFD 60-69 years, male 95.5
GTEX-1POEN-0626-SM-EVR4B 30-39 years, female 95.5
GTEX-1RQEC-0926-SM-EWROG 60-69 years, male 95.4
GTEX-XQ8I-0126-SM-4BOPL 50-59 years, male 95.0
GTEX-13PVR-1026-SM-5QGQW 60-69 years, female 94.7
GTEX-18465-0926-SM-731AY 50-59 years, male 94.6
GTEX-YEC4-0326-SM-4W216 40-49 years, male 94.5
GTEX-1AYCT-0426-SM-73KVZ 50-59 years, male 94.4
GTEX-15EOM-5007-SM-793DG 20-29 years, female 94.0
GTEX-13O3O-1526-SM-5KM1C 60-69 years, female 93.8
GTEX-U3ZN-1426-SM-3DB87 30-39 years, female 93.8
GTEX-1O9I2-1126-SM-DTXEA 50-59 years, male 93.8
GTEX-1B8SG-0826-SM-7EWF7 50-59 years, male 93.4
GTEX-T2IS-0426-SM-32QPE 20-29 years, female 93.3
GTEX-1MUQO-1226-SM-E9TJK 60-69 years, male 93.2
GTEX-ZYT6-1726-SM-5E44P 30-39 years, male 93.0
GTEX-1I1GQ-1426-SM-B2LWY 50-59 years, male 92.9
GTEX-1399R-1926-SM-5K7X8 30-39 years, male 92.8
GTEX-X3Y1-0426-SM-3P5Z4 40-49 years, male 92.8
GTEX-SE5C-0626-SM-2XCDV 40-49 years, female 92.5
GTEX-13FH7-0926-SM-5J2MR 50-59 years, female 92.4
GTEX-WHPG-0826-SM-3NMBF 50-59 years, male 92.3
GTEX-146FR-0626-SM-5RQJ1 60-69 years, female 92.2
GTEX-OOBJ-0326-SM-33HBO 60-69 years, male 92.1
GTEX-17F9E-0926-SM-7IGMG 50-59 years, male 92.0
GTEX-15RIE-1726-SM-7KUMU 60-69 years, male 91.9
GTEX-18D9U-1126-SM-72D5Y 40-49 years, male 91.8
GTEX-1CB4J-0326-SM-7PBZO 60-69 years, male 91.8
GTEX-ZF29-0226-SM-4WKHO 60-69 years, female 91.5
GTEX-111YS-0426-SM-5987O 60-69 years, male 91.4
GTEX-1CB4E-0526-SM-7MXTK 60-69 years, male 91.4
GTEX-1GF9U-0426-SM-7RHHA 40-49 years, female 91.4
GTEX-ZPIC-0826-SM-4WWFJ 40-49 years, female 91.1
GTEX-1E1VI-1326-SM-7IGQD 50-59 years, male 90.9
GTEX-1QCLZ-0926-SM-E6CQZ 60-69 years, female 90.9
GTEX-13W3W-0426-SM-5SI9D 60-69 years, female 90.8
GTEX-1AX8Z-5007-SM-AHZ36 60-69 years, male 90.5
GTEX-13OVG-0526-SM-5K7YD 60-69 years, male 90.4
GTEX-1HSMQ-0226-SM-C1YQL 50-59 years, male 90.4
GTEX-1IDJU-0726-SM-CNPQ9 60-69 years, female 90.4
GTEX-15DYW-1126-SM-6LPK5 60-69 years, female 90.1
GTEX-11I78-0826-SM-5A5K4 50-59 years, female 89.8
GTEX-1OFPY-1026-SM-EXUSO 60-69 years, male 89.8
GTEX-14PJ6-0726-SM-69LOL 60-69 years, female 89.7
GTEX-1M5QR-1026-SM-DHXK9 40-49 years, male 89.6
GTEX-132QS-0426-SM-5KLZ6 60-69 years, male 89.5
GTEX-1399T-0426-SM-5PNVJ 60-69 years, male 89.3
GTEX-13OW6-1126-SM-5L3HL 50-59 years, male 89.2
GTEX-13CF3-0726-SM-5J2MY 60-69 years, female 89.0
GTEX-R45C-0926-SM-3GAD4 60-69 years, female 89.0
GTEX-14A6H-0226-SM-5Q5DX 30-39 years, male 88.8
GTEX-1GN1W-0326-SM-9JGHF 50-59 years, female 88.7
GTEX-OIZF-0326-SM-3MJGY 60-69 years, male 88.7
GTEX-ZVT2-1026-SM-5GU55 50-59 years, female 88.2
GTEX-11DXX-0326-SM-5PNWC 60-69 years, female 87.9
GTEX-1QP29-1526-SM-EXUSY 50-59 years, male 87.9
GTEX-NFK9-0926-SM-2HMJU 40-49 years, male 87.8
GTEX-1CB4I-1626-SM-7RHGV 50-59 years, male 87.8
GTEX-ZEX8-0426-SM-DO92Y 50-59 years, male 87.7
GTEX-YF7O-0426-SM-5P9FS 50-59 years, male 87.2
GTEX-U4B1-0326-SM-3DB8K 40-49 years, male 87.1
GTEX-1BAJH-1626-SM-73KUV 70-79 years, male 87.0
GTEX-18A6Q-1626-SM-7KFTA 60-69 years, male 86.8
GTEX-1GMR2-1426-SM-7RHHK 50-59 years, male 86.8
GTEX-1HSGN-1126-SM-CJI4G 40-49 years, female 86.8
GTEX-1ICG6-0626-SM-ACKWS 70-79 years, female 86.5
GTEX-1J8QM-0426-SM-AHZ3X 60-69 years, female 86.5
GTEX-XPVG-0826-SM-4B654 50-59 years, male 86.4
GTEX-11LCK-0926-SM-5A5KA 30-39 years, male 86.2
GTEX-WH7G-0426-SM-3NMBJ 40-49 years, male 86.0
GTEX-ZVZP-0226-SM-5NQ73 50-59 years, male 86.0
GTEX-1399U-0526-SM-5K7YM 50-59 years, female 85.8
GTEX-OXRL-0326-SM-2I3F2 50-59 years, male 85.6
GTEX-1339X-0426-SM-5KLZY 40-49 years, male 85.4
GTEX-12BJ1-0226-SM-5LUA2 60-69 years, male 85.3
GTEX-WL46-0926-SM-3LK7T 50-59 years, male 85.0
GTEX-S33H-0526-SM-COH1W 30-39 years, male 84.9
GTEX-13O61-0526-SM-5J2M1 60-69 years, male 84.8
GTEX-111FC-0826-SM-5GZWO 60-69 years, male 84.7
GTEX-ZV7C-0326-SM-57WB1 50-59 years, male 84.2
GTEX-R55G-0526-SM-2TC5O 40-49 years, female 84.0
GTEX-1F75I-1126-SM-9WYUO 40-49 years, male 83.8
GTEX-ZDYS-0226-SM-5HL4K 50-59 years, male 83.3
GTEX-ZAB5-0226-SM-5CVMH 50-59 years, male 83.2
GTEX-1LGOU-0726-SM-E9TIY 20-29 years, female 83.2
GTEX-ZPCL-0426-SM-DNZZ4 60-69 years, female 83.2
GTEX-13N11-0426-SM-5KM3O 50-59 years, female 83.0
GTEX-ZF2S-1026-SM-9QEGK 50-59 years, female 82.9
GTEX-P78B-0426-SM-2I5F5 40-49 years, female 82.8
GTEX-WZTO-1326-SM-3NM8X 40-49 years, male 82.8
GTEX-OIZG-1126-SM-2HMIU 50-59 years, male 82.2
GTEX-13D11-1726-SM-5IFGQ 50-59 years, female 82.1
GTEX-15CHR-0226-SM-7PC2Z 50-59 years, male 81.9
GTEX-1C2JI-0526-SM-7EWEQ 50-59 years, male 81.8
GTEX-1KXAM-1326-SM-E9TJW 60-69 years, male 81.8
GTEX-1313W-1426-SM-5KLZU 50-59 years, female 81.1
GTEX-SNMC-0126-SM-2XCFO 20-29 years, male 81.0
GTEX-11DXZ-0626-SM-5GU77 50-59 years, male 80.6
GTEX-1H1ZS-1126-SM-9MQLJ 70-79 years, male 80.4
GTEX-ZYFG-0426-SM-5E43M 60-69 years, female 80.2
GTEX-OIZH-0326-SM-2HMKC 50-59 years, male 80.0
GTEX-1HFI7-0826-SM-A9G23 50-59 years, female 80.0
GTEX-14E7W-1226-SM-5RQIU 70-79 years, male 79.8
GTEX-1122O-0826-SM-5GICV 60-69 years, female 79.5
GTEX-145LV-0326-SM-5Q5BW 50-59 years, male 79.4
GTEX-XGQ4-0326-SM-4GIEE 50-59 years, male 79.3
GTEX-13SLX-1026-SM-5ZZUQ 50-59 years, female 79.2
GTEX-1AX9K-0526-SM-73KV1 50-59 years, male 78.6
GTEX-OHPK-0326-SM-2HMJO 50-59 years, female 78.6
GTEX-1I6K7-0626-SM-ARL7Q 40-49 years, male 78.3
GTEX-R53T-0926-SM-3GADH 50-59 years, female 78.2
GTEX-148VI-0326-SM-5RQK7 60-69 years, female 78.1
GTEX-1R9K5-1326-SM-E6CPR 50-59 years, male 77.7
GTEX-ZDTT-0726-SM-4WKFK 60-69 years, male 77.6
GTEX-1JK1U-0526-SM-CYPSQ 60-69 years, male 77.6
GTEX-YEC3-0726-SM-CMKFH 50-59 years, male 77.6
GTEX-13X6H-0426-SM-5LU4E 50-59 years, female 77.5
GTEX-P4PQ-0326-SM-2HMJ8 60-69 years, male 76.9
GTEX-1MCC2-0326-SM-EV7AK 30-39 years, female 76.6
GTEX-1R7EV-0326-SM-E76PA 40-49 years, male 76.3
GTEX-14JG1-1026-SM-6ETZY 40-49 years, male 75.7
GTEX-13QBU-0426-SM-5J2O4 40-49 years, female 75.6
GTEX-P4PP-0326-SM-33HC4 30-39 years, female 75.1
GTEX-11ZUS-0226-SM-5FQT8 30-39 years, male 74.9
GTEX-17HGU-1026-SM-79OKL 50-59 years, male 74.8
GTEX-1IDJF-0726-SM-CJI1U 20-29 years, male 74.5
GTEX-1F6I4-0726-SM-7PC2P 60-69 years, male 74.3
GTEX-14E6C-0426-SM-5YYA8 40-49 years, male 74.0
GTEX-1I1GV-1326-SM-A96SE 60-69 years, male 73.8
GTEX-XQ3S-0626-SM-4BOOB 20-29 years, male 73.6
GTEX-14PN3-0526-SM-69LQF 60-69 years, female 73.5
GTEX-16BQI-0926-SM-6M485 30-39 years, female 73.3
GTEX-14PHY-0226-SM-5ZZWM 60-69 years, female 73.2
GTEX-Y8E4-0326-SM-4VBRR 40-49 years, male 73.1
GTEX-1O97I-0826-SM-E8VNE 60-69 years, male 73.1
GTEX-12WSK-0626-SM-5LZUJ 40-49 years, female 73.0
GTEX-145MN-0626-SM-5QGRH 30-39 years, male 73.0
GTEX-13O21-2326-SM-5MR3X 50-59 years, male 72.7
GTEX-PVOW-0426-SM-5MR5R 40-49 years, male 72.3
GTEX-ZPU1-0626-SM-4YCDM 40-49 years, male 72.1
GTEX-12ZZY-1126-SM-5DUWQ 60-69 years, male 71.8
GTEX-ZZPU-0926-SM-5GZYT 50-59 years, female 71.5
GTEX-13112-0426-SM-5PNVC 50-59 years, male 71.1
GTEX-1OKEX-0726-SM-DPRYE 60-69 years, male 71.1
GTEX-146FH-1026-SM-5RQIF 50-59 years, female 70.9
GTEX-13VXT-1126-SM-5LU3A 20-29 years, female 70.7
GTEX-1399S-1026-SM-5KLZ9 30-39 years, female 70.4
GTEX-R55E-1026-SM-2TC5S 20-29 years, male 70.0
GTEX-1KANC-0426-SM-CXZK5 50-59 years, female 69.7
GTEX-PX3G-0326-SM-2I3EO 20-29 years, female 69.2
GTEX-ZYFC-1126-SM-5E44W 50-59 years, male 68.9
GTEX-OIZI-0926-SM-E6CHF 40-49 years, male 67.5
GTEX-14PHX-2126-SM-6EU2U 50-59 years, male 66.8
GTEX-PWCY-0526-SM-5P9HG 20-29 years, female 64.3
GTEX-1NV8Z-1526-SM-DTX8X 60-69 years, male 64.3
GTEX-18A67-1226-SM-7KFRS 50-59 years, male 63.7
GTEX-1CB4G-0826-SM-7DUGF 60-69 years, male 62.1
GTEX-15RJ7-0226-SM-7KUMN 40-49 years, male 61.7
GTEX-UJHI-0426-SM-3DB8Y 50-59 years, female 61.3
GTEX-15CHC-0426-SM-6LLHI 60-69 years, female 60.5
GTEX-1LVA9-0926-SM-EVR5G 50-59 years, male 56.1
GTEX-1IKOE-1026-SM-ARZMF 30-39 years, female 54.1
Show allShow less

HEART MUSCLE - FANTOM5 CAGEi

RNA expression in human tissues obtained through Cap Analysis of Gene Expression (CAGE) generated by the FANTOM5 project are reported as Scaled Tags Per Million.

Max subtype Scaled Tags Per Millioni

Max subtype Scaled Tags Per Million is the value for the subtype with the largest average Scaled Tags Per Million across the subtype samples.

197.0
FANTOM5 sample id Sample description Scaled Tags Per Million
Heart
Scaled Tags Per Million: 197.0
FF:10016-101C7 70,73,74 years, mixed 197.0
Left atrium
Scaled Tags Per Million: 109.8
FF:10079-102A7 40 years, male 109.8
Left ventricle
Scaled Tags Per Million: 180.8
FF:10078-102A6 73 years, female 180.8

Contact

  • NEWS ARTICLES
  • PRESS ROOM

The Project

  • INTRODUCTION
  • ORGANIZATION
  • PUBLICATIONS

The Human Protein Atlas

  • DOWNLOADABLE DATA
  • LICENCE & CITATION
  • HELP & FAQ
The Human Protein Atlas project is funded
by the Knut & Alice Wallenberg Foundation.


contact@proteinatlas.org