We use cookies to enhance the usability of our website. If you continue, we'll assume that you are happy to receive all cookies. More information. Don't show this again.
MCL1
HPA
RESOURCES
  • TISSUE
  • BRAIN
  • SINGLE CELL
  • SUBCELLULAR
  • CANCER
  • BLOOD
  • CELL LINE
  • STRUCTURE & INTERACTION
ABOUT
  • INTRODUCTION
  • HISTORY
  • ORGANIZATION
  • PUBLICATIONS
  • ANTIBODY SUBMISSION
  • ANTIBODY AVAILABILITY
  • ACKNOWLEDGMENTS
  • CONTACT
NEWS
  • NEWS ARTICLES
  • PRESS ROOM
LEARN
  • DICTIONARY
  • PROTEIN CLASSES
  • PROTEIN EVIDENCE
  • METHODS
  • EDUCATIONAL VIDEOS
DATA
  • DOWNLOADABLE DATA
  • PUBLICATION DATA
  • RELEASE HISTORY
HELP
  • ANTIBODY VALIDATION
  • ASSAYS & ANNOTATION
  • DISCLAIMER
  • HELP & FAQ
  • PRIVACY STATEMENT
  • LICENCE & CITATION
Fields »
Search result

Field
Term
Gene name
Class
Subclass
Class
Keyword
Chromosome
External id
Tissue
Cell type
Expression
Antibody panel
Tissue
Main location
Patient ID
Annotation
Tissue
Category
Tau score
Cluster
Reliability
Brain region
Category
Tau score
Brain region
Category
Tau score
Brain region
Category
Tau score
Cluster
Reliability
Tissue
Cell type
Enrichment
Cell type
Category
Tau score
Cell type
Category
Tau score
Cell type
Category
Tau score
Cell lineage
Category
Tau score
Cluster
Cluster
Location
Searches
Location
Cell line
Class
Type
Phase
Reliability
Cancer
Prognosis
Cancer
Category
Cancer
Category
Tau score
Cluster
Variants
Interacting gene (ensg_id)
Type
Number of interactions
Pathway
Category
Score
Score
Score
Validation
Validation
Validation
Validation
Antibodies
Data type
Column


  • SUMMARY

  • TISSUE

  • BRAIN

  • SINGLE CELL

  • SUBCELL

  • CANCER

  • BLOOD

  • CELL LINE

  • STRUCT & INT

  • MCL1
TISSUE PRIMARY DATA SKIN Show tissue menu
ADIPOSE TISSUE ADRENAL GLAND AMYGDALA APPENDIX BASAL GANGLIA BONE MARROW BREAST BRONCHUS CEREBELLUM CEREBRAL CORTEX CERVIX CHOROID PLEXUS COLON DUODENUM
ENDOMETRIUM EPIDIDYMIS ESOPHAGUS FALLOPIAN TUBE GALLBLADDER HEART MUSCLE HIPPOCAMPAL FORMATION HYPOTHALAMUS KIDNEY LIVER LUNG LYMPH NODE MIDBRAIN NASOPHARYNX
ORAL MUCOSA OVARY PANCREAS PARATHYROID GLAND PITUITARY GLAND PLACENTA PROSTATE RECTUM RETINA SALIVARY GLAND SEMINAL VESICLE SKELETAL MUSCLE SKIN SMALL INTESTINE
SMOOTH MUSCLE SOFT TISSUE SPINAL CORD SPLEEN STOMACH TESTIS THYMUS THYROID GLAND TONGUE TONSIL URINARY BLADDER VAGINA
ANTIBODIES
AND
VALIDATION
Dictionary
Skin
Tissue proteome
Skin
SKIN - Expression summary
Protein expression
Skini

On the top, protein expression in current human tissue, based on all annotated cell types, is reported with the units not detected (n), low (l), medium (m) and high (h). Underneath, protein expression in each annotated cell type are reported using the same units.

Protein expression data is based on knowledge-based annotation. For genes where more than one antibody has been used, a collective score is set.

If knowledge-based annotation could not be performed for a gene, no data is displayed here. View antibody staining data further down this page.

h
m
l
n
Epidermal cells: Medium
Fibroblasts: Medium
Keratinocytes: Medium
Langerhans: Medium
Melanocytes: Medium
RNA expressioni

A summary of mRNA expression data available for current tissue based on several datasets. The mRNA expression levels in human tissues are based on RNA-seq data generated by the Human Protein Atlas (HPA), Genotype-Tissue Expression (GTEx) portal and CAGE data generated by the FANTOM5 consortium. Consensus normalized expression levels for human tissues was created by combining the data from HPA and GTEx datasets.

The mRNA expression levels in pig are based on RNA-seq data generated by the Human Protein Atlas (HPA), and for mouse, HPA data and in situ hybridization generated by the Allen brain atlas are reported.

Scroll down to view mRNA expression data in more detail.
Consensus:183.4 nTPM
HPA:67.7 nTPM
GTEx:183.4 nTPM

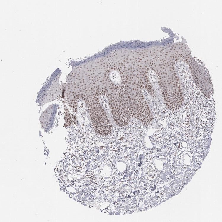
SKIN 1 - Antibody stainingi

Antibody staining in the annotated cell types in the current human tissue is reported as not detected, low, medium, or high, based on conventional immunohistochemistry profiling in selected tissues. This score is based on the combination of the staining intensity and fraction of stained cells.

Each image is clickable and will lead to virtual microscopy that enables deeper exploration of all samples and also displays staining intensity scores, fraction scores and subcellular localization as well as patient and tissue information for each sample.

Antibody HPA008455Antibody HPA031125Antibody CAB002781Antibody CAB068195
Langerhans Not detectedLowMediumMedium
Fibroblasts Not detectedMediumLowNot detected
Keratinocytes Not detectedMediumMediumLow
Melanocytes Not detectedMediumMediumNot detected






SKIN 2 - Antibody stainingi

Antibody staining in the annotated cell types in the current human tissue is reported as not detected, low, medium, or high, based on conventional immunohistochemistry profiling in selected tissues. This score is based on the combination of the staining intensity and fraction of stained cells.

Each image is clickable and will lead to virtual microscopy that enables deeper exploration of all samples and also displays staining intensity scores, fraction scores and subcellular localization as well as patient and tissue information for each sample.

Antibody HPA008455Antibody HPA031125Antibody CAB002781Antibody CAB068195
Epidermal cells MediumMediumHighMedium
    
    
    







SKIN - HPA RNA-seqi

The RNA-seq details section shows detailed information about the individual samples used for the transcript profiling and results of the RNA-seq analysis.

Information about each individual sample is listed below, including gender, age, a tissue section image and estimated fractions of cell types. nTPM (normalized transcripts per million) values give a quantification of the gene abundance which is comparable between different genes and samples.
Average nTPMi

Max subtype nTPM is the value for the subtype with the largest average nTPM across the subtype samples.

67.7
overview
Female, age 34
Skin sample 225
nTPM: 72
Cell types%
Keratinocytes:
60

Other cell types:
40

overview
Female, age 30
Skin sample 226
nTPM: 79.4
Cell types%
Keratinocytes:
55

Other cell types:
45

N/A
Male, age 57
Skin sample 227
nTPM: 51.6

SKIN - GTEx RNA-seqi

RNA-Seq data generated by the Genotype-Tissue Expression (GTEx) project from human tissues is reported as mean nTPM. More information can be found on the GTEx portal.

Distribution across the dataset is visualized with box plots, shown as median and 25th and 75th percentiles. Points are displayed as outliers if they are above or below 1.5 times the interquartile range. nTPM values of the individual samples are presented next to the box plot.
Max subtype nTPMi

Max subtype nTPM is the value for the subtype with the largest average nTPM across the subtype samples.

183.4
GTEx sample id Sample description nTPM
Skin - Not Sun Exposed (Suprapubic)
Average nTPM: 183.4
Samples: 604

Max nTPM: 737.0
Min nTPM: 59.5
Std nTPM: 72.6
Median nTPM: 170.9
GTEX-1F6RS-2026-SM-7RHHC 60-69 years, female 737.0
GTEX-1IDFM-0326-SM-ARL7V 60-69 years, male 636.1
GTEX-13YAN-0226-SM-5TDC6 60-69 years, male 608.7
GTEX-13PDP-0726-SM-5L3HP 60-69 years, male 481.6
GTEX-1A8G7-1326-SM-73KVM 60-69 years, male 452.8
GTEX-1PPH7-1126-SM-DTX9A 40-49 years, male 431.4
GTEX-1HBPM-0726-SM-9YFL7 60-69 years, female 407.6
GTEX-1H3VE-0726-SM-9YFL5 40-49 years, male 401.2
GTEX-1JN6P-2926-SM-CL54D 60-69 years, male 397.2
GTEX-13NZ8-1226-SM-5KM4A 60-69 years, female 391.1
GTEX-1JMQL-2226-SM-CNPP4 50-59 years, female 370.3
GTEX-1NV5F-0626-SM-DTXEG 60-69 years, female 368.1
GTEX-15ER7-0626-SM-6PANF 20-29 years, female 360.6
GTEX-ZVE1-0726-SM-51MRN 50-59 years, female 355.0
GTEX-139D8-1126-SM-5LU8W 30-39 years, female 352.1
GTEX-1LKK1-2626-SM-DKPQE 50-59 years, female 341.3
GTEX-1HR9M-2226-SM-CNPPY 60-69 years, male 339.0
GTEX-1F48J-0726-SM-7RHGS 50-59 years, female 338.9
GTEX-1PDJ9-1226-SM-EXUSX 20-29 years, male 336.8
GTEX-ZYY3-2926-SM-5GIEB 60-69 years, female 336.3
GTEX-1R9K4-2826-SM-DTX8F 60-69 years, male 334.5
GTEX-1HCU7-0726-SM-A9SL1 50-59 years, male 332.4
GTEX-13QBU-1226-SM-5LU4G 40-49 years, female 330.5
GTEX-WYBS-0626-SM-3NMAS 60-69 years, female 330.5
GTEX-ZYVF-0926-SM-5E44J 50-59 years, female 329.6
GTEX-11EQ8-0926-SM-5H12V 60-69 years, male 329.2
GTEX-13IVO-0726-SM-5LZYV 70-79 years, male 326.4
GTEX-1313W-0626-SM-5EQ4H 50-59 years, female 325.5
GTEX-1LG7Y-2526-SM-EWRO7 50-59 years, male 323.0
GTEX-13SLW-0626-SM-5Q5ER 70-79 years, male 322.3
GTEX-ZVT4-2426-SM-5GIEI 50-59 years, female 319.6
GTEX-1F88E-1626-SM-7SB8Z 60-69 years, female 310.0
GTEX-1HKZK-0726-SM-ACKW2 40-49 years, male 305.6
GTEX-147JS-0226-SM-5S2U9 60-69 years, male 305.5
GTEX-X8HC-0626-SM-4E3HQ 50-59 years, female 305.2
GTEX-XMD2-2126-SM-4YCF8 60-69 years, female 305.1
GTEX-144FL-0626-SM-5LU43 50-59 years, male 304.1
GTEX-145MI-0626-SM-5SI8S 60-69 years, female 301.6
GTEX-1IE54-1126-SM-A9G2Z 40-49 years, female 300.4
GTEX-13VXT-1926-SM-5K7UO 20-29 years, female 299.6
GTEX-13PL6-1126-SM-5L3IE 40-49 years, female 299.2
GTEX-1F75B-0726-SM-7PC3R 50-59 years, male 297.9
GTEX-14C5O-0326-SM-5ZZUX 60-69 years, male 296.4
GTEX-1CAMS-2226-SM-7PBXQ 40-49 years, female 295.8
GTEX-17F9Y-0126-SM-79OKX 70-79 years, female 295.0
GTEX-1J8Q2-2626-SM-ACKWQ 60-69 years, male 292.9
GTEX-13X6H-0926-SM-5SIB2 50-59 years, female 285.7
GTEX-139T8-0626-SM-5KLZX 60-69 years, male 284.1
GTEX-12WSM-1926-SM-5BC65 60-69 years, male 283.1
GTEX-ZYFD-0626-SM-5E44E 50-59 years, male 280.4
GTEX-13NYC-0126-SM-5L3F4 60-69 years, male 277.4
GTEX-ZAB4-2126-SM-5HL8U 40-49 years, male 277.2
GTEX-15UF6-1926-SM-7KUDV 70-79 years, female 275.2
GTEX-12WSK-2126-SM-5CVNC 40-49 years, female 274.4
GTEX-18D9B-0926-SM-7LG4U 60-69 years, male 273.5
GTEX-15SKB-2826-SM-6PAMH 60-69 years, male 273.4
GTEX-1KAFJ-0126-SM-DIPEK 50-59 years, male 272.5
GTEX-1LSVX-2526-SM-DIPEU 60-69 years, male 270.1
GTEX-ZLV1-1526-SM-DO91J 60-69 years, female 269.9
GTEX-1I1GS-2626-SM-B2LY3 60-69 years, male 269.3
GTEX-1CB4H-1126-SM-7MKGL 60-69 years, female 268.2
GTEX-1K2DU-1226-SM-CYPT4 20-29 years, male 268.2
GTEX-12WSH-1526-SM-5BC5W 50-59 years, male 267.7
GTEX-1GZ4I-2626-SM-9KNU3 50-59 years, male 267.7
GTEX-1F52S-2926-SM-7MKGA 60-69 years, female 267.5
GTEX-1I1GT-1026-SM-ARZLV 60-69 years, female 264.8
GTEX-1GN1V-2826-SM-9JGIA 60-69 years, male 264.0
GTEX-139UW-0326-SM-5J1ML 60-69 years, male 262.8
GTEX-15DDE-2926-SM-6LLJ3 50-59 years, female 261.0
GTEX-147F4-0726-SM-5TDDD 50-59 years, male 259.3
GTEX-1I1GU-0926-SM-ACKVS 40-49 years, male 258.3
GTEX-148VJ-0626-SM-5LUAW 70-79 years, male 255.7
GTEX-1GZ4H-0526-SM-9KNU9 50-59 years, female 255.3
GTEX-1HSMQ-2626-SM-A9SML 50-59 years, male 255.3
GTEX-1J8Q3-0526-SM-ARL8U 60-69 years, male 254.8
GTEX-14LLW-2626-SM-62LDZ 70-79 years, female 254.2
GTEX-13RTJ-0126-SM-5S2NN 60-69 years, male 254.1
GTEX-1CB4J-1326-SM-7P8RX 60-69 years, male 253.8
GTEX-145LU-1926-SM-79OJN 50-59 years, male 253.4
GTEX-1ICLY-0826-SM-CMKG1 50-59 years, male 253.0
GTEX-15G19-2426-SM-7KUMR 60-69 years, male 251.6
GTEX-1EN7A-2426-SM-793DB 40-49 years, male 250.5
GTEX-1JJ6O-2726-SM-CNPOG 60-69 years, male 250.3
GTEX-1HSMO-0626-SM-ACKXC 60-69 years, male 248.9
GTEX-17EVP-2626-SM-7IGMA 40-49 years, male 248.5
GTEX-1H1DE-1326-SM-9KNUG 20-29 years, male 247.4
GTEX-16BQI-1326-SM-6M486 30-39 years, female 245.5
GTEX-1IDJV-0126-SM-COH3Y 60-69 years, male 244.4
GTEX-1CAMQ-1326-SM-7P8RV 40-49 years, male 243.7
GTEX-1314G-1326-SM-5BC6E 30-39 years, male 243.6
GTEX-11TUW-0626-SM-5LU9M 60-69 years, male 243.1
GTEX-1GTWX-2026-SM-9YFLM 60-69 years, male 243.1
GTEX-16MT8-2926-SM-7DUFO 60-69 years, female 242.6
GTEX-1IDJI-0126-SM-CMKHS 50-59 years, female 242.4
GTEX-14ICL-1626-SM-5YYAO 30-39 years, male 239.3
GTEX-1PBJJ-1026-SM-E76OS 30-39 years, male 239.1
GTEX-1C2JI-1026-SM-73KY1 50-59 years, male 238.2
GTEX-1QP28-1126-SM-EVYC4 50-59 years, female 238.0
GTEX-1JJE9-2626-SM-ARZMT 70-79 years, male 237.0
GTEX-11LCK-2226-SM-5HL4Q 30-39 years, male 236.8
GTEX-1JMOU-1026-SM-CYPSS 60-69 years, female 236.8
GTEX-1B932-2326-SM-79OL5 40-49 years, female 236.1
GTEX-ZVE2-2826-SM-5GU51 50-59 years, male 235.1
GTEX-15D1Q-2826-SM-6LLH7 40-49 years, male 235.0
GTEX-WHSE-0126-SM-3NMBT 20-29 years, male 234.2
GTEX-ZF3C-0626-SM-DO92O 50-59 years, female 233.2
GTEX-1HFI7-2326-SM-CGQFS 50-59 years, female 232.3
GTEX-1J1OQ-0126-SM-D4P2N 40-49 years, female 232.0
GTEX-XBED-1926-SM-47JYP 60-69 years, male 231.4
GTEX-1QP29-1826-SM-DTX9S 50-59 years, male 230.9
GTEX-1R46S-2426-SM-E76QA 60-69 years, female 230.0
GTEX-14C38-0726-SM-5SI6M 50-59 years, male 229.4
GTEX-1C6VQ-1226-SM-73KYD 50-59 years, male 228.8
GTEX-13N1W-2426-SM-5IJD1 70-79 years, male 228.6
GTEX-XV7Q-1826-SM-4BRUV 40-49 years, female 227.6
GTEX-146FQ-2126-SM-5RQHU 30-39 years, male 227.3
GTEX-1ICG6-1226-SM-A9SLN 70-79 years, female 227.1
GTEX-1HCVE-2726-SM-CL54F 50-59 years, male 226.6
GTEX-ZU9S-1826-SM-5NQ9E 30-39 years, male 226.2
GTEX-1QW4Y-1126-SM-DTXE3 30-39 years, male 226.2
GTEX-13OW5-2326-SM-5L3HO 60-69 years, male 225.9
GTEX-ZDXO-3126-SM-5IJDF 60-69 years, male 225.4
GTEX-15RJE-2826-SM-7KUM9 40-49 years, male 225.0
GTEX-11ZU8-0126-SM-5EQ58 60-69 years, male 224.4
GTEX-V1D1-2026-SM-3GAF4 50-59 years, male 224.4
GTEX-ZY6K-1426-SM-5GZX2 50-59 years, male 224.0
GTEX-14C39-1726-SM-5RQIL 40-49 years, male 223.5
GTEX-13QJC-0126-SM-5ZZWJ 60-69 years, female 223.4
GTEX-13X6I-1826-SM-5SIAO 60-69 years, male 222.5
GTEX-WI4N-2726-SM-3LK7Y 40-49 years, female 221.4
GTEX-1PPH8-0126-SM-EWRN8 20-29 years, male 220.0
GTEX-1QPFJ-1926-SM-EVYBD 30-39 years, female 219.9
GTEX-13OW7-0426-SM-5K7VK 50-59 years, male 219.4
GTEX-1R7EU-1626-SM-DTXG3 60-69 years, male 219.2
GTEX-1EH9U-2826-SM-7DUGT 60-69 years, male 218.8
GTEX-13OVK-1426-SM-6PAN7 40-49 years, male 217.7
GTEX-1J8QM-2426-SM-A9SLS 60-69 years, female 217.1
GTEX-13O3O-2326-SM-5IJD6 60-69 years, female 217.0
GTEX-1A32A-0626-SM-731AQ 50-59 years, female 216.4
GTEX-13NYS-0626-SM-5L3F1 60-69 years, male 215.6
GTEX-WFG8-2126-SM-3GIKQ 20-29 years, male 215.5
GTEX-ZGAY-1826-SM-DO91Q 40-49 years, female 215.2
GTEX-1F5PL-0926-SM-7PC2W 40-49 years, female 214.8
GTEX-1H11D-1826-SM-9QEHM 40-49 years, male 213.9
GTEX-13FTW-0326-SM-5K7UW 40-49 years, male 213.3
GTEX-131XF-2626-SM-5EQ6K 60-69 years, male 213.1
GTEX-1HGF4-0126-SM-CNPPX 60-69 years, male 212.4
GTEX-11ZUS-2626-SM-5FQUR 30-39 years, male 212.1
GTEX-1HB9E-0126-SM-CM2S5 50-59 years, male 212.1
GTEX-1211K-1526-SM-5FQU4 60-69 years, female 212.0
GTEX-17MF6-2626-SM-79OKQ 40-49 years, male 211.8
GTEX-16NPX-0726-SM-7KULC 50-59 years, male 211.5
GTEX-1IKOE-1426-SM-CE6T7 30-39 years, female 210.6
GTEX-1JMPZ-0726-SM-CY8HZ 30-39 years, male 209.9
GTEX-1ICLZ-0326-SM-ARL82 60-69 years, male 209.5
GTEX-1GL5R-1326-SM-7RHHF 50-59 years, male 209.3
GTEX-1JMQK-1226-SM-D4P2S 60-69 years, male 209.3
GTEX-12584-0726-SM-5FQTK 40-49 years, male 209.0
GTEX-1QP2A-1726-SM-E76QC 50-59 years, male 209.0
GTEX-11DXW-0826-SM-5H118 40-49 years, male 208.9
GTEX-1RAZQ-1326-SM-E9TK6 30-39 years, male 208.3
GTEX-1LVAN-0626-SM-CNPOQ 50-59 years, female 207.8
GTEX-14753-0726-SM-5QGQO 60-69 years, male 207.7
GTEX-133LE-2326-SM-5K7W3 20-29 years, female 207.5
GTEX-14PJO-2526-SM-6AJBQ 60-69 years, male 207.4
GTEX-ZA64-1026-SM-5HL8R 20-29 years, male 207.2
GTEX-18A67-1626-SM-7LT9T 50-59 years, male 206.4
GTEX-17F97-2626-SM-7IGM5 50-59 years, male 206.1
GTEX-1C64N-2626-SM-7PC2N 50-59 years, male 205.1
GTEX-1EMGI-2326-SM-7PBYA 60-69 years, male 205.1
GTEX-14PHY-1226-SM-5ZZWK 60-69 years, female 204.9
GTEX-1GMR8-0626-SM-7RHI7 50-59 years, female 204.5
GTEX-1F5PK-2226-SM-7SB6N 50-59 years, male 204.4
GTEX-1H4P4-2126-SM-9WYSL 50-59 years, male 204.4
GTEX-1JN1M-2726-SM-CY8I4 60-69 years, female 204.4
GTEX-XUW1-0926-SM-4BONX 50-59 years, female 204.0
GTEX-X4EP-0626-SM-3P621 60-69 years, female 203.8
GTEX-1HSKV-1226-SM-ADEI4 60-69 years, male 203.1
GTEX-1RLM8-2926-SM-E8VON 50-59 years, male 202.9
GTEX-18QFQ-1826-SM-72D52 30-39 years, male 201.5
GTEX-15G1A-1626-SM-7KUKN 30-39 years, male 201.4
GTEX-1A8FM-0626-SM-7PC25 50-59 years, female 201.2
GTEX-ZXG5-2126-SM-59HKD 60-69 years, male 201.1
GTEX-13112-0126-SM-5P9IU 50-59 years, male 200.0
GTEX-XK95-0226-SM-4AT58 40-49 years, male 199.8
GTEX-11PRG-0726-SM-5EGL1 50-59 years, male 199.5
GTEX-1AYD5-2626-SM-7PBXY 50-59 years, male 199.5
GTEX-16AAH-0626-SM-793C9 50-59 years, male 199.3
GTEX-1H1DF-1126-SM-9WG7G 40-49 years, female 199.1
GTEX-1M4P7-0726-SM-E6CJ3 60-69 years, male 199.0
GTEX-1GZHY-0626-SM-9KNVC 50-59 years, female 198.9
GTEX-13OVG-1626-SM-5J1NF 60-69 years, male 198.8
GTEX-12ZZZ-0726-SM-5GCNZ 60-69 years, male 198.2
GTEX-11P81-2226-SM-5PNYI 30-39 years, female 197.6
GTEX-1N2EE-0626-SM-E76PW 60-69 years, male 197.5
GTEX-16MT9-0126-SM-7EPI8 60-69 years, female 197.4
GTEX-18D9A-1426-SM-7LT8M 30-39 years, female 197.4
GTEX-U8XE-0226-SM-4E3J3 30-39 years, male 197.3
GTEX-1H23P-0626-SM-9WG6T 60-69 years, male 197.0
GTEX-1HR98-2226-SM-ADEI2 60-69 years, male 196.9
GTEX-ZLFU-1826-SM-4WWBV 40-49 years, male 196.7
GTEX-1HCU9-0426-SM-9WYSD 20-29 years, male 196.6
GTEX-1HUB1-1426-SM-CGQF5 60-69 years, male 196.6
GTEX-14PJ4-0226-SM-5YY92 60-69 years, male 196.2
GTEX-15EO6-2426-SM-6PALZ 50-59 years, male 196.2
GTEX-1477Z-0326-SM-7IGLA 60-69 years, male 195.8
GTEX-WEY5-2326-SM-3GIKK 40-49 years, female 195.2
GTEX-1LVAO-2726-SM-E9TJ8 60-69 years, male 195.2
GTEX-144GM-0526-SM-79OJO 20-29 years, male 194.9
GTEX-1F75I-2226-SM-7SB8U 40-49 years, male 194.8
GTEX-14PK6-0226-SM-62LF5 70-79 years, female 193.6
GTEX-1O9I2-0226-SM-EYYXD 50-59 years, male 193.6
GTEX-11O72-0626-SM-5PNYE 40-49 years, male 193.5
GTEX-1399Q-2326-SM-5KM2X 40-49 years, male 193.5
GTEX-13OW6-2726-SM-5J2OE 50-59 years, male 193.5
GTEX-17HII-1426-SM-7EPGG 50-59 years, male 193.5
GTEX-1HSGN-0826-SM-ACKW3 40-49 years, female 193.4
GTEX-13OVH-0526-SM-5L3E6 70-79 years, male 193.2
GTEX-1117F-2926-SM-5GZYI 60-69 years, female 192.6
GTEX-14LZ3-0126-SM-69LPM 60-69 years, female 192.6
GTEX-1GF9W-1426-SM-7PBYM 60-69 years, male 192.0
GTEX-1B8SF-0126-SM-7DUG3 60-69 years, male 191.8
GTEX-13FHO-0426-SM-5L3F5 60-69 years, male 191.7
GTEX-1S5ZU-2526-SM-E6CIF 20-29 years, female 191.2
GTEX-YFCO-1226-SM-5LUAT 40-49 years, male 191.0
GTEX-X5EB-1926-SM-4E3IW 40-49 years, male 190.2
GTEX-14PJ5-1526-SM-6LLIL 60-69 years, female 190.1
GTEX-17HGU-2326-SM-7DUFE 50-59 years, male 190.1
GTEX-183WM-0326-SM-72D5V 70-79 years, female 190.1
GTEX-11DXY-0126-SM-5H11Q 60-69 years, male 190.0
GTEX-ZF29-0926-SM-4WKFZ 60-69 years, female 189.8
GTEX-11NUK-2726-SM-5A5MC 50-59 years, male 189.7
GTEX-1B97I-0626-SM-73KUZ 40-49 years, male 188.7
GTEX-1AX9I-2226-SM-73KUO 60-69 years, male 188.6
GTEX-WHSB-1326-SM-3LK6W 50-59 years, male 188.3
GTEX-11ZTT-2126-SM-5CVLO 60-69 years, female 188.2
GTEX-17KNJ-2126-SM-718AM 50-59 years, male 187.6
GTEX-1C6WA-2626-SM-7MKGM 60-69 years, male 187.5
GTEX-1C475-1326-SM-7SB73 40-49 years, female 187.5
GTEX-1MCC2-1826-SM-DIPEX 30-39 years, female 187.5
GTEX-Y9LG-1126-SM-4VBQ7 30-39 years, male 187.2
GTEX-1HBPN-0126-SM-CGQEF 50-59 years, male 187.0
GTEX-14E6C-2426-SM-5S2NF 40-49 years, male 186.7
GTEX-139YR-1026-SM-5LZYN 50-59 years, male 186.6
GTEX-1JKYR-0626-SM-ARL8R 20-29 years, male 186.4
GTEX-1IDJF-2026-SM-CL53V 20-29 years, male 185.9
GTEX-Y8LW-1526-SM-5IFHL 50-59 years, female 185.8
GTEX-13FTX-1526-SM-5K7VJ 20-29 years, female 185.7
GTEX-1GMRU-2126-SM-7P8RA 50-59 years, male 185.6
GTEX-X4EO-2926-SM-4E3JH 60-69 years, female 185.4
GTEX-ZDTS-0826-SM-4WKHL 60-69 years, male 184.5
GTEX-1IKJJ-2226-SM-CJI4C 60-69 years, male 184.5
GTEX-131XW-0626-SM-5PNVD 50-59 years, female 184.0
GTEX-X585-2426-SM-46MW2 50-59 years, male 183.9
GTEX-1I1CD-0626-SM-CE6SW 60-69 years, female 183.8
GTEX-1LB8K-0726-SM-D5OV2 50-59 years, male 183.8
GTEX-1NSGN-0726-SM-DTXEF 50-59 years, male 183.8
GTEX-YECK-0326-SM-4W1YS 60-69 years, male 183.3
GTEX-1JMPY-0226-SM-CKZOK 30-39 years, male 183.2
GTEX-ZYW4-0626-SM-59HJR 60-69 years, male 182.8
GTEX-1GN1W-2426-SM-9KNUU 50-59 years, female 182.8
GTEX-XQ8I-0926-SM-4BOOF 50-59 years, male 182.7
GTEX-1A3MW-0626-SM-731CB 60-69 years, female 181.9
GTEX-1MCYP-0526-SM-E9U6Q 20-29 years, female 181.5
GTEX-WYJK-0526-SM-3NM8Z 50-59 years, male 181.1
GTEX-1GF9V-0826-SM-9KNUV 60-69 years, male 181.0
GTEX-13D11-0926-SM-5J2NC 50-59 years, female 180.7
GTEX-147F3-1726-SM-5SIAW 50-59 years, female 180.1
GTEX-145ME-1726-SM-5Q5EU 40-49 years, female 179.8
GTEX-1CB4E-0926-SM-7EPHT 60-69 years, male 179.4
GTEX-ZYFG-1526-SM-5GZYM 60-69 years, female 178.9
GTEX-1H3O1-1326-SM-9MQLD 60-69 years, male 178.7
GTEX-11DZ1-2426-SM-5GZZX 50-59 years, male 178.4
GTEX-1HCU6-2526-SM-ADEHL 60-69 years, female 178.2
GTEX-1N5O9-0926-SM-E9J3C 60-69 years, male 178.2
GTEX-1B8KZ-0326-SM-73KY4 50-59 years, male 178.1
GTEX-1GF9X-1326-SM-7PC2Y 40-49 years, female 177.3
GTEX-16XZZ-0726-SM-7KUF2 60-69 years, male 177.2
GTEX-Y3I4-1726-SM-4TT89 50-59 years, male 177.1
GTEX-15SHW-0226-SM-7LTAT 60-69 years, male 177.0
GTEX-14B4R-1326-SM-5Q5EZ 30-39 years, male 176.4
GTEX-14PKU-0126-SM-6LLHV 40-49 years, female 176.1
GTEX-145MF-0926-SM-5Q5EA 50-59 years, male 176.0
GTEX-14PJN-1826-SM-6AJ98 30-39 years, male 175.5
GTEX-14BMU-1226-SM-5S2OR 20-29 years, female 175.4
GTEX-13W3W-0726-SM-5IJDQ 60-69 years, female 175.2
GTEX-117YX-1926-SM-5GIEC 50-59 years, male 175.1
GTEX-13JUV-2026-SM-5K7UA 40-49 years, female 175.1
GTEX-XBEW-1126-SM-4QARW 40-49 years, male 174.6
GTEX-1AMEY-0826-SM-72D65 30-39 years, female 173.8
GTEX-1CAV2-0126-SM-7IGN7 40-49 years, female 173.8
GTEX-131XG-0326-SM-5L3DX 50-59 years, female 173.6
GTEX-1AMFI-1326-SM-7939R 50-59 years, female 173.5
GTEX-ZZPU-0826-SM-5GZX5 50-59 years, female 173.4
GTEX-ZZ64-1026-SM-5GZXG 20-29 years, male 173.1
GTEX-1RMOY-1326-SM-E9TIH 50-59 years, male 173.0
GTEX-1IDJD-2326-SM-ACKWX 30-39 years, male 172.4
GTEX-ZDYS-2426-SM-4WKGI 50-59 years, male 172.3
GTEX-1QAET-0326-SM-EVR3U 50-59 years, male 171.9
GTEX-1122O-1026-SM-9WYSF 60-69 years, female 171.7
GTEX-12KS4-2126-SM-5FQUT 30-39 years, male 171.4
GTEX-1L5NE-1126-SM-D3L9P 50-59 years, male 171.3
GTEX-12696-0126-SM-5EQ4L 60-69 years, male 170.6
GTEX-ZAJG-1526-SM-5CVML 50-59 years, female 170.4
GTEX-1HCUA-0826-SM-ADEHM 50-59 years, female 170.0
GTEX-1JK1U-0226-SM-ARZMX 60-69 years, male 170.0
GTEX-1LGRB-0926-SM-COH3K 50-59 years, female 169.8
GTEX-1497J-0226-SM-5QGPU 60-69 years, male 169.4
GTEX-1C64O-1326-SM-7MGWR 60-69 years, male 169.0
GTEX-1A3MV-1826-SM-731CD 30-39 years, male 168.5
GTEX-11EM3-1226-SM-5N9DD 20-29 years, female 168.4
GTEX-14XAO-1226-SM-6EU1C 60-69 years, female 168.3
GTEX-1B996-0426-SM-7EWF8 60-69 years, male 168.3
GTEX-ZTX8-1326-SM-4YCEL 20-29 years, male 168.3
GTEX-14PII-0726-SM-6EU2B 60-69 years, male 168.2
GTEX-13FTY-2126-SM-5IFFB 40-49 years, female 167.7
GTEX-1GN1U-0626-SM-9MQL9 50-59 years, female 167.3
GTEX-13113-1626-SM-5EQ4I 60-69 years, female 167.0
GTEX-1I6K6-1726-SM-CGQFD 30-39 years, male 166.7
GTEX-YJ8O-2526-SM-5HL85 40-49 years, female 166.0
GTEX-ZTSS-1426-SM-5985P 40-49 years, male 165.6
GTEX-1S83E-1326-SM-E6CJM 40-49 years, male 165.4
GTEX-ZC5H-1526-SM-5HL9Y 40-49 years, female 164.5
GTEX-13OW8-1026-SM-5J1NQ 60-69 years, male 164.3
GTEX-1KXAM-1626-SM-D3LAD 60-69 years, male 164.3
GTEX-1JKYN-0826-SM-ARU8S 30-39 years, male 163.7
GTEX-WK11-2726-SM-3NMAQ 50-59 years, male 163.5
GTEX-1GMR3-0126-SM-A9SLW 40-49 years, male 163.5
GTEX-12WSJ-1126-SM-5LZVJ 40-49 years, female 163.3
GTEX-1IDJH-0126-SM-D3L92 70-79 years, male 163.0
GTEX-1GN73-0726-SM-7P8TJ 60-69 years, male 162.8
GTEX-1A3MX-2626-SM-7PC24 60-69 years, male 162.7
GTEX-ZWKS-0626-SM-5GIDV 30-39 years, male 162.6
GTEX-1S82P-2126-SM-E6CI5 60-69 years, female 162.6
GTEX-1399U-1126-SM-5L3DB 50-59 years, female 162.4
GTEX-13OVJ-0826-SM-5J1OK 50-59 years, female 162.3
GTEX-1H3NZ-2726-SM-9WYTQ 60-69 years, male 162.0
GTEX-X3Y1-2026-SM-3P5YM 40-49 years, male 161.9
GTEX-XAJ8-1426-SM-47JYM 40-49 years, male 161.9
GTEX-1I4MK-0126-SM-CY8G6 50-59 years, female 161.8
GTEX-Z93S-1626-SM-5CVMB 50-59 years, male 161.5
GTEX-ZTTD-2826-SM-4YCFA 50-59 years, male 161.5
GTEX-16NGA-0726-SM-731AO 40-49 years, female 160.8
GTEX-WFG7-2026-SM-5SI7P 20-29 years, male 160.6
GTEX-14E1K-2026-SM-7DUEI 50-59 years, male 160.4
GTEX-1R9PN-0426-SM-DTXDT 40-49 years, female 159.6
GTEX-ZLWG-0826-SM-59888 50-59 years, female 159.3
GTEX-15FZZ-0526-SM-7KUGD 30-39 years, female 158.9
GTEX-144GL-0626-SM-5LU4D 50-59 years, male 158.8
GTEX-12WSL-2026-SM-5GCML 50-59 years, male 158.4
GTEX-1GPI6-1926-SM-9KNV7 60-69 years, male 158.2
GTEX-1H1DG-2426-SM-9QEHJ 70-79 years, male 158.2
GTEX-1JJEA-1826-SM-ARU8P 60-69 years, male 158.1
GTEX-1IDJU-1726-SM-CMKHU 60-69 years, female 157.2
GTEX-1K9T9-1526-SM-DIPFR 50-59 years, female 156.7
GTEX-11EI6-2826-SM-5H11D 60-69 years, male 156.6
GTEX-145MO-2826-SM-5LU96 60-69 years, male 156.6
GTEX-UPJH-0226-SM-3GADV 50-59 years, male 156.1
GTEX-ZVZP-1226-SM-5GID7 50-59 years, male 156.1
GTEX-1399S-0126-SM-5IJCF 30-39 years, female 156.0
GTEX-11WQK-1026-SM-5EQLX 50-59 years, male 155.8
GTEX-WH7G-2026-SM-3NMBL 40-49 years, male 155.8
GTEX-12WSF-1626-SM-7KUG5 70-79 years, male 155.5
GTEX-145LS-0626-SM-7EPG7 60-69 years, female 155.4
GTEX-12BJ1-0926-SM-5EQ62 60-69 years, male 155.1
GTEX-14PKV-1126-SM-6LLJ1 20-29 years, female 154.5
GTEX-14PJ6-2626-SM-6EU2T 60-69 years, female 154.4
GTEX-131YS-2826-SM-5EQ47 60-69 years, female 154.3
GTEX-1JMQI-1726-SM-ARL93 50-59 years, male 154.2
GTEX-13JVG-0726-SM-5KM16 60-69 years, male 153.5
GTEX-XQ3S-1426-SM-4BOPR 20-29 years, male 153.5
GTEX-14DAR-1226-SM-73KYV 50-59 years, male 153.2
GTEX-1IOXB-2726-SM-CM2RI 50-59 years, male 153.2
GTEX-1H2FU-0926-SM-9WPPT 60-69 years, female 153.1
GTEX-1QCLZ-2426-SM-EVYBW 60-69 years, female 152.9
GTEX-1GPI7-1826-SM-9KNU1 20-29 years, male 152.8
GTEX-1S82U-1026-SM-E6CJK 30-39 years, female 152.7
GTEX-WXYG-2026-SM-4E3IY 50-59 years, female 152.0
GTEX-17F9E-2326-SM-79OKD 50-59 years, male 151.6
GTEX-13PVR-0426-SM-5RQK2 60-69 years, female 151.5
GTEX-1QP9N-1226-SM-E76QN 30-39 years, male 151.2
GTEX-1J1R8-2026-SM-CL53Y 40-49 years, male 150.8
GTEX-14JFF-0626-SM-5ZZVT 60-69 years, male 150.6
GTEX-14BMV-2826-SM-5TDED 50-59 years, male 150.5
GTEX-ZT9X-1526-SM-5DUXD 40-49 years, male 150.5
GTEX-14A6H-2026-SM-5Q5DD 30-39 years, male 149.9
GTEX-13N2G-0226-SM-5K7VF 60-69 years, male 149.8
GTEX-11DXZ-2026-SM-5987S 50-59 years, male 149.6
GTEX-17F98-1326-SM-7DUEP 40-49 years, female 149.6
GTEX-183FY-1026-SM-7939A 20-29 years, male 149.0
GTEX-13FH7-1126-SM-5K7UG 50-59 years, female 148.9
GTEX-1F6I4-2326-SM-7RHGL 60-69 years, male 148.7
GTEX-12ZZY-0726-SM-5EQ66 60-69 years, male 148.6
GTEX-VUSG-2326-SM-4KL1U 50-59 years, male 148.3
GTEX-1POEN-2326-SM-E9J2L 30-39 years, female 147.9
GTEX-1QCLY-0226-SM-EWRNH 30-39 years, male 147.6
GTEX-Y114-2126-SM-4TT8B 50-59 years, female 147.3
GTEX-1269C-0126-SM-5EQ5L 60-69 years, female 147.2
GTEX-14PHX-2226-SM-6EU2P 50-59 years, male 147.2
GTEX-1HT8W-0626-SM-A9G2H 30-39 years, male 146.9
GTEX-14DAQ-0626-SM-793DS 60-69 years, female 146.2
GTEX-144GO-2026-SM-5O99P 60-69 years, male 146.1
GTEX-1HCU8-2526-SM-CE6RX 60-69 years, female 146.1
GTEX-15CHR-1126-SM-7EWF4 50-59 years, male 146.0
GTEX-1CAMR-1326-SM-7PC1F 20-29 years, male 146.0
GTEX-1A8G6-2726-SM-731AR 60-69 years, male 145.7
GTEX-13X6K-0626-SM-5LU5D 60-69 years, female 145.5
GTEX-1RAZR-2126-SM-E9U6T 40-49 years, male 145.5
GTEX-VJYA-1526-SM-3GIJV 60-69 years, male 145.3
GTEX-15EU6-2226-SM-6EU2L 50-59 years, male 145.2
GTEX-14PJ3-1126-SM-5ZZVX 50-59 years, male 145.0
GTEX-12WSC-2826-SM-5BC5Y 50-59 years, male 144.8
GTEX-1RB15-1326-SM-E76Q9 60-69 years, male 144.7
GTEX-1JN76-0626-SM-CKZOQ 20-29 years, female 144.4
GTEX-WHWD-1826-SM-3LK6I 50-59 years, male 144.0
GTEX-1LVAM-0726-SM-E6CIL 50-59 years, female 144.0
GTEX-ZPIC-0526-SM-DO91W 40-49 years, female 144.0
GTEX-1EKGG-0626-SM-7DUGJ 60-69 years, male 143.8
GTEX-17MFQ-1526-SM-7KFRR 20-29 years, male 143.7
GTEX-ZE7O-2726-SM-51MT5 50-59 years, female 143.7
GTEX-16YQH-2226-SM-7IGM2 30-39 years, male 143.4
GTEX-1J8EW-2726-SM-CY8HR 60-69 years, female 143.2
GTEX-1IL2V-1926-SM-B2LW8 70-79 years, male 143.0
GTEX-ZVT2-0126-SM-5GIDQ 50-59 years, female 142.9
GTEX-15DYW-2726-SM-6EU2I 60-69 years, female 142.6
GTEX-16MTA-0926-SM-6M47Z 50-59 years, male 142.4
GTEX-1BAJH-2426-SM-7IGP8 70-79 years, male 142.1
GTEX-14JG6-1426-SM-9WG7C 30-39 years, female 141.6
GTEX-1GZ2Q-0126-SM-9WG6M 40-49 years, male 141.1
GTEX-1LGOU-1326-SM-D3L8M 20-29 years, female 141.1
GTEX-12C56-1526-SM-5FQUQ 20-29 years, male 141.0
GTEX-11P82-1426-SM-DTXFY 20-29 years, male 141.0
GTEX-1CB4I-0126-SM-7RHGG 50-59 years, male 140.7
GTEX-13U4I-2226-SM-5LU5H 40-49 years, female 140.3
GTEX-1N2DV-1526-SM-DTXEP 40-49 years, male 140.1
GTEX-XOT4-0626-SM-4B66L 60-69 years, female 139.9
GTEX-1RAZA-2226-SM-E9U4X 20-29 years, male 139.4
GTEX-18D9U-0126-SM-731BM 40-49 years, male 139.2
GTEX-1JMQJ-0826-SM-CNPP7 50-59 years, male 139.0
GTEX-17F96-0126-SM-7EWDU 70-79 years, male 138.7
GTEX-1I1HK-2326-SM-CKZOH 60-69 years, male 138.6
GTEX-1OJC3-1226-SM-DTXER 20-29 years, male 138.6
GTEX-14AS3-1526-SM-5Q5ED 40-49 years, female 138.4
GTEX-11VI4-1126-SM-5EQMD 40-49 years, female 138.2
GTEX-178AV-1726-SM-7KUL8 40-49 years, male 138.2
GTEX-1KD5A-0126-SM-E9U54 50-59 years, male 138.0
GTEX-1GMR2-0826-SM-7PC3V 50-59 years, male 137.8
GTEX-1QP66-1226-SM-DTX7U 50-59 years, male 137.3
GTEX-YF7O-1526-SM-5IFI6 50-59 years, male 137.2
GTEX-1JMLX-0626-SM-ARL8T 50-59 years, male 136.8
GTEX-12WSA-0426-SM-5EQ5X 60-69 years, male 136.7
GTEX-18A7B-2726-SM-7LG56 70-79 years, male 136.7
GTEX-1PIIG-2326-SM-DTXFR 30-39 years, male 136.7
GTEX-1S831-1826-SM-EWROF 20-29 years, male 136.7
GTEX-ZPCL-1126-SM-4WWFE 60-69 years, female 136.3
GTEX-1LSNL-2726-SM-E9TKJ 50-59 years, male 136.2
GTEX-1B933-2426-SM-7DHMD 50-59 years, female 135.8
GTEX-1H1ZS-2726-SM-9WG75 70-79 years, male 135.7
GTEX-1GF9U-2026-SM-7SB92 40-49 years, female 135.6
GTEX-13O61-1426-SM-5KM3D 60-69 years, male 135.5
GTEX-1CB4F-1026-SM-7DUH1 60-69 years, male 135.5
GTEX-13VXU-0626-SM-5L3F9 50-59 years, male 135.2
GTEX-12ZZX-2426-SM-5GCOE 40-49 years, female 135.0
GTEX-1PPGY-1626-SM-EVYBL 60-69 years, male 135.0
GTEX-1HFI6-0126-SM-CNPPI 40-49 years, male 134.6
GTEX-18465-2826-SM-7LT9J 50-59 years, male 134.0
GTEX-ZT9W-1126-SM-57WDR 50-59 years, male 133.7
GTEX-1S3DN-2126-SM-E9TIN 50-59 years, male 133.4
GTEX-1B8KE-1126-SM-7EPHI 50-59 years, male 133.2
GTEX-11GS4-0226-SM-5HL77 60-69 years, male 133.1
GTEX-ZDTT-0426-SM-4WKFL 60-69 years, male 132.4
GTEX-1IDJC-1526-SM-B2LW4 50-59 years, male 132.3
GTEX-145LT-0526-SM-5LUB2 40-49 years, male 132.0
GTEX-14E6E-0526-SM-793DN 30-39 years, male 132.0
GTEX-1I1GV-0626-SM-ARL7M 60-69 years, male 131.6
GTEX-12126-0826-SM-5FQTZ 20-29 years, male 131.5
GTEX-1MJK3-0726-SM-E6CJC 20-29 years, male 131.4
GTEX-1K2DA-1026-SM-CGQGF 50-59 years, male 131.2
GTEX-1KANC-1226-SM-CYPT7 50-59 years, female 131.2
GTEX-1EX96-1026-SM-7MKG2 50-59 years, male 131.0
GTEX-1AX9J-1326-SM-731BJ 60-69 years, male 129.6
GTEX-XXEK-1626-SM-4BRUZ 50-59 years, male 129.4
GTEX-XYKS-1426-SM-4BRUO 60-69 years, female 129.3
GTEX-ZVP2-0326-SM-57WBP 50-59 years, male 129.2
GTEX-WY7C-2126-SM-3NB2R 50-59 years, male 129.1
GTEX-1I19N-0126-SM-CYPSF 70-79 years, male 129.1
GTEX-111CU-1126-SM-5EGIM 50-59 years, male 128.3
GTEX-1H1E6-0426-SM-9WYUS 30-39 years, male 128.2
GTEX-12WSD-0626-SM-5GCMW 60-69 years, female 127.9
GTEX-13PVQ-0626-SM-5LU47 50-59 years, male 127.9
GTEX-XBEC-0726-SM-4QARZ 50-59 years, male 127.2
GTEX-ZP4G-1426-SM-4WWCL 20-29 years, female 126.8
GTEX-Y5V5-0126-SM-5S2NW 60-69 years, female 126.7
GTEX-1IDJE-1426-SM-ADEIW 50-59 years, female 126.2
GTEX-1E2YA-2126-SM-7MXUO 50-59 years, male 126.1
GTEX-1LSNM-0826-SM-DIPG8 50-59 years, male 125.5
GTEX-ZE9C-2526-SM-5IJDR 60-69 years, male 125.4
GTEX-11EQ9-1626-SM-5PNY8 30-39 years, male 125.3
GTEX-YEC4-1826-SM-4W1YP 40-49 years, male 125.1
GTEX-Y8E4-2026-SM-5IFJB 40-49 years, male 124.5
GTEX-15CHC-1126-SM-6LLHQ 60-69 years, female 123.8
GTEX-16Z82-2626-SM-7KULU 60-69 years, male 123.8
GTEX-Y5LM-0926-SM-6LLJG 40-49 years, female 123.8
GTEX-13N11-2326-SM-5IJBF 50-59 years, female 123.7
GTEX-1R9PM-1926-SM-EVR3O 20-29 years, male 123.6
GTEX-15RIG-0726-SM-7KUM7 40-49 years, male 123.3
GTEX-13SLX-2226-SM-62LEP 50-59 years, female 122.9
GTEX-11UD2-2526-SM-5CVNU 50-59 years, male 122.7
GTEX-ZF2S-1626-SM-57WES 50-59 years, female 122.4
GTEX-1LG7Z-1626-SM-CXKYR 30-39 years, male 122.0
GTEX-WYVS-1626-SM-3NM9R 40-49 years, female 121.9
GTEX-XPVG-2126-SM-4B667 50-59 years, male 121.9
GTEX-17EVQ-0126-SM-7IGLR 70-79 years, male 121.4
GTEX-1AX8Z-0726-SM-73KTS 60-69 years, male 120.6
GTEX-132AR-0326-SM-5KM2C 50-59 years, female 120.4
GTEX-147GR-2426-SM-5ZZWQ 60-69 years, male 120.4
GTEX-14A5H-0826-SM-5QGPJ 60-69 years, male 120.1
GTEX-13OVL-0126-SM-5L3GJ 50-59 years, male 119.3
GTEX-131XH-0126-SM-5LZUY 50-59 years, male 119.0
GTEX-1I1GP-1326-SM-A9G28 50-59 years, male 118.0
GTEX-YEC3-1326-SM-DO92X 50-59 years, male 117.6
GTEX-1192X-2726-SM-5N9DN 50-59 years, male 117.3
GTEX-139TU-0726-SM-5L3EK 60-69 years, male 117.2
GTEX-13FLV-0126-SM-5K7WT 50-59 years, male 117.1
GTEX-1KANA-1326-SM-DIPFA 20-29 years, male 117.1
GTEX-14BIN-1126-SM-5RQJZ 50-59 years, female 116.0
GTEX-1B8L1-2226-SM-7P8PT 60-69 years, male 115.8
GTEX-1LBAC-0826-SM-CY8IJ 20-29 years, male 115.6
GTEX-1IY9M-2826-SM-ARU8H 60-69 years, male 115.5
GTEX-1F88F-0126-SM-9WYSZ 60-69 years, female 115.4
GTEX-17HHE-1326-SM-7EWDZ 50-59 years, male 114.5
GTEX-WHPG-2626-SM-3NMBR 50-59 years, male 113.9
GTEX-1HC8U-1326-SM-9YFMJ 40-49 years, female 113.9
GTEX-1C6VR-0126-SM-7RHGB 60-69 years, male 113.8
GTEX-11TT1-1826-SM-5EQLV 20-29 years, male 113.6
GTEX-17HHY-0426-SM-7DHLC 50-59 years, male 113.5
GTEX-1J8JJ-0626-SM-ARZMQ 60-69 years, female 113.2
GTEX-18A66-0626-SM-7LT8Z 60-69 years, male 112.8
GTEX-11DXX-2126-SM-5PNYR 60-69 years, female 112.6
GTEX-111YS-1526-SM-5GZYW 60-69 years, male 112.1
GTEX-145MN-1526-SM-5SI9T 30-39 years, male 111.8
GTEX-1GN2E-0226-SM-9WG6K 60-69 years, male 111.8
GTEX-145MH-2826-SM-5RQJF 50-59 years, male 111.1
GTEX-15CHQ-0326-SM-69LQD 60-69 years, male 111.0
GTEX-1HSMP-0926-SM-A9SKX 70-79 years, male 110.9
GTEX-ZYFC-0426-SM-5GICQ 50-59 years, male 110.0
GTEX-11WQC-1826-SM-5GU59 60-69 years, male 109.9
GTEX-17JCI-2926-SM-7DUFF 60-69 years, female 109.8
GTEX-1QMI2-2526-SM-E8VNZ 60-69 years, male 109.7
GTEX-WFON-1926-SM-3LK7L 40-49 years, male 109.6
GTEX-11GSP-2326-SM-5HL63 60-69 years, female 108.9
GTEX-W5X1-2526-SM-3GILC 40-49 years, female 108.5
GTEX-17HG3-2626-SM-7DUF2 30-39 years, female 107.1
GTEX-16GPK-0626-SM-7KFSF 60-69 years, male 106.8
GTEX-1HBPI-2126-SM-ARL9K 50-59 years, male 106.7
GTEX-1OJC4-2726-SM-E76PJ 50-59 years, female 106.2
GTEX-13NZ9-2626-SM-5L3FK 50-59 years, male 105.5
GTEX-13O3Q-0126-SM-5KM34 50-59 years, male 105.3
GTEX-18A7A-0126-SM-731AH 50-59 years, female 104.6
GTEX-14PJ2-0626-SM-6LLII 50-59 years, male 103.7
GTEX-1212Z-0126-SM-59HK4 60-69 years, male 103.2
GTEX-1EU9M-1426-SM-793AI 60-69 years, male 103.2
GTEX-ZUA1-2626-SM-5NQ92 40-49 years, male 103.2
GTEX-111FC-2526-SM-5GZXU 60-69 years, male 103.1
GTEX-11P7K-1126-SM-5HL4L 30-39 years, male 102.0
GTEX-139TS-2126-SM-5K7XC 60-69 years, male 102.0
GTEX-1F75W-2726-SM-7SB8H 60-69 years, male 101.4
GTEX-Y3IK-1626-SM-4YCF5 50-59 years, female 100.9
GTEX-YB5K-2026-SM-4VDT3 40-49 years, female 98.4
GTEX-13NYB-0126-SM-5J1MD 40-49 years, male 98.2
GTEX-WRHU-2826-SM-3MJG8 50-59 years, female 98.2
GTEX-1I6K7-1926-SM-B2LXR 40-49 years, male 98.2
GTEX-13G51-1826-SM-5KLZH 60-69 years, male 98.1
GTEX-Y111-0626-SM-4SOIT 50-59 years, male 96.5
GTEX-11DYG-1526-SM-5A5JS 60-69 years, male 95.9
GTEX-139TT-2126-SM-5LZWC 60-69 years, male 95.2
GTEX-18A6Q-0626-SM-7KFRP 60-69 years, male 95.2
GTEX-14JG1-1526-SM-5YY9X 40-49 years, male 94.8
GTEX-1PIGE-1826-SM-E8VOU 20-29 years, male 94.4
GTEX-1LVA9-2626-SM-EVYD4 50-59 years, male 94.1
GTEX-1KWVE-1026-SM-D3L9O 30-39 years, male 93.3
GTEX-1H1CY-0126-SM-9YFLY 60-69 years, female 93.2
GTEX-15RJ7-2126-SM-6PAMD 40-49 years, male 92.9
GTEX-UPK5-0426-SM-3GAEK 40-49 years, male 91.1
GTEX-1RAZS-2526-SM-E6CHT 50-59 years, male 90.9
GTEX-111VG-1626-SM-5EGIO 60-69 years, male 89.7
GTEX-15RIE-1926-SM-7KUKJ 60-69 years, male 89.6
GTEX-11OF3-0126-SM-5PNYF 60-69 years, male 89.3
GTEX-14ABY-2026-SM-62LDL 50-59 years, male 88.0
GTEX-1399R-1326-SM-5PNYS 30-39 years, male 87.3
GTEX-1F6IF-0926-SM-7SB7M 60-69 years, male 86.2
GTEX-11NSD-0626-SM-5A5LU 20-29 years, male 86.0
GTEX-1EWIQ-0326-SM-7DHMQ 70-79 years, female 85.9
GTEX-145MG-1526-SM-5Q5EM 50-59 years, male 85.7
GTEX-ZYT6-2326-SM-5GZY3 30-39 years, male 85.6
GTEX-13X6J-0626-SM-5LU5F 50-59 years, male 85.3
GTEX-ZAK1-0626-SM-5HL8E 50-59 years, female 85.3
GTEX-ZPU1-1126-SM-4YCF3 40-49 years, male 83.3
GTEX-1F75A-0726-SM-7RHHD 50-59 years, male 83.1
GTEX-1KANB-2826-SM-CY8I6 50-59 years, male 82.9
GTEX-1QEPI-2626-SM-DTXF4 60-69 years, female 80.9
GTEX-Y5V6-2326-SM-4VDSA 60-69 years, male 74.9
GTEX-1E1VI-0326-SM-793D1 50-59 years, male 73.2
GTEX-ZVTK-0226-SM-51MRG 20-29 years, male 59.5
Show allShow less
Skin - Sun Exposed (Lower leg)
Average nTPM: 156.3
Samples: 701

Max nTPM: 546.4
Min nTPM: 57.9
Std nTPM: 56.1
Median nTPM: 149.0
GTEX-14E6C-0126-SM-5RQIP 40-49 years, male 546.4
GTEX-1JMQL-0226-SM-CNPP5 50-59 years, female 435.1
GTEX-1PDJ9-0326-SM-DTX95 20-29 years, male 428.7
GTEX-1F6RS-0126-SM-9MQKZ 60-69 years, female 383.3
GTEX-1L5NE-2526-SM-E6CIE 50-59 years, male 381.8
GTEX-ZTX8-1426-SM-5DUVO 20-29 years, male 373.9
GTEX-SNMC-1226-SM-2XCFP 20-29 years, male 357.0
GTEX-ZWKS-0126-SM-5SIAA 30-39 years, male 345.3
GTEX-ZV6S-2326-SM-4YCEY 40-49 years, female 342.9
GTEX-1HCU7-0226-SM-CL545 50-59 years, male 332.1
GTEX-1R7EV-2426-SM-EVYBG 40-49 years, male 331.3
GTEX-14LLW-0126-SM-6LLIO 70-79 years, female 316.5
GTEX-17GQL-2026-SM-718BA 60-69 years, male 316.0
GTEX-P44H-0226-SM-2XCEU 40-49 years, male 312.0
GTEX-13NYC-0326-SM-E9J4S 60-69 years, male 309.9
GTEX-R45C-0126-SM-EAZ2R 60-69 years, female 301.7
GTEX-1M5QR-1226-SM-EWROB 40-49 years, male 299.6
GTEX-1LVAN-0226-SM-COH3S 50-59 years, female 299.1
GTEX-P4QT-0126-SM-2I3FL 50-59 years, female 297.5
GTEX-15EOM-0126-SM-7KUGG 20-29 years, female 294.1
GTEX-1I1GT-0626-SM-CGQER 60-69 years, female 293.9
GTEX-13YAN-0326-SM-5O9DF 60-69 years, male 290.8
GTEX-1B97I-1626-SM-73KYO 40-49 years, male 282.4
GTEX-13NYS-0126-SM-5MR3W 60-69 years, male 279.2
GTEX-1192W-2626-SM-5Q5AF 60-69 years, male 276.2
GTEX-S32W-2126-SM-2XCB1 50-59 years, female 270.4
GTEX-T6MO-1626-SM-32QOM 40-49 years, female 265.7
GTEX-T8EM-1026-SM-3DB7M 40-49 years, male 265.2
GTEX-1HBPM-0226-SM-ARL9F 60-69 years, female 264.5
GTEX-1JN1M-0326-SM-CYPT3 60-69 years, female 262.9
GTEX-1QPFJ-0226-SM-E76PB 30-39 years, female 262.9
GTEX-1HCU8-0626-SM-A9SM9 60-69 years, female 261.4
GTEX-11EQ9-2426-SM-5HL5T 30-39 years, male 258.9
GTEX-18D9A-1926-SM-7LG6P 30-39 years, female 258.0
GTEX-1H3VE-0326-SM-9YFLH 40-49 years, male 256.0
GTEX-1J1OQ-0226-SM-CYPSH 40-49 years, female 252.5
GTEX-15ETS-0126-SM-7KUMW 40-49 years, female 249.7
GTEX-1GMR8-0126-SM-9WYTM 50-59 years, female 247.6
GTEX-X261-0126-SM-3NMD6 50-59 years, male 246.2
GTEX-1GZ4H-1726-SM-7PBZJ 50-59 years, female 245.7
GTEX-Y5LM-1926-SM-5RQJH 40-49 years, female 244.7
GTEX-1HFI7-1826-SM-ACKXH 50-59 years, female 244.2
GTEX-14E6E-1826-SM-5S2R7 30-39 years, male 244.1
GTEX-145ME-1826-SM-5SI9G 40-49 years, female 243.3
GTEX-1F5PK-2426-SM-7RHHY 50-59 years, male 241.5
GTEX-OXRK-0226-SM-3NB2G 50-59 years, female 238.8
GTEX-15UF6-0826-SM-6PALJ 70-79 years, female 238.2
GTEX-13PDP-0126-SM-5L3HD 60-69 years, male 237.4
GTEX-1HSGN-0226-SM-CGQFV 40-49 years, female 236.9
GTEX-ZYFD-0126-SM-5GIDL 50-59 years, male 236.0
GTEX-1M4P7-0226-SM-DIPEV 60-69 years, male 235.7
GTEX-PSDG-0226-SM-DKPOZ 50-59 years, male 235.6
GTEX-1JMPZ-0226-SM-CNPP1 30-39 years, male 235.2
GTEX-144FL-0126-SM-5TDC8 50-59 years, male 234.6
GTEX-QDVN-2026-SM-3GAEP 50-59 years, male 232.4
GTEX-1JMOU-1526-SM-CL54I 60-69 years, female 232.4
GTEX-WFG8-2226-SM-3GIL9 20-29 years, male 232.3
GTEX-1J8QM-2126-SM-CYPSJ 60-69 years, female 232.3
GTEX-11DZ1-0126-SM-5985Q 50-59 years, male 231.3
GTEX-14A5I-0126-SM-5TDEA 50-59 years, female 230.6
GTEX-XBEW-0626-SM-4QASP 40-49 years, male 230.4
GTEX-1KAFJ-2026-SM-CY8ID 50-59 years, male 230.3
GTEX-1GL5R-1826-SM-9KNUY 50-59 years, male 229.8
GTEX-145LS-0126-SM-5QGP1 60-69 years, female 228.7
GTEX-1H1E6-1726-SM-ACKVK 30-39 years, male 228.4
GTEX-1LGRB-2526-SM-CNPPQ 50-59 years, female 228.3
GTEX-133LE-1826-SM-5J1MV 20-29 years, female 228.2
GTEX-1QMI2-0226-SM-EVYBX 60-69 years, male 226.4
GTEX-1NV5F-0226-SM-E8VNY 60-69 years, female 225.8
GTEX-148VJ-0126-SM-5TDDN 70-79 years, male 225.3
GTEX-1PWST-0226-SM-E76QJ 70-79 years, male 221.9
GTEX-UJHI-1526-SM-3DB99 50-59 years, female 221.4
GTEX-1R46S-0626-SM-E9J41 60-69 years, female 220.5
GTEX-1F75B-0126-SM-9KNVL 50-59 years, male 219.7
GTEX-13OVK-2026-SM-7KUEO 40-49 years, male 219.6
GTEX-1HCU9-1526-SM-A9SL7 20-29 years, male 217.9
GTEX-17EUY-0426-SM-793BD 20-29 years, male 217.0
GTEX-1CB4H-0226-SM-7PBXM 60-69 years, female 216.8
GTEX-15RIG-0226-SM-7KFTL 40-49 years, male 216.3
GTEX-1LH75-2426-SM-E9TJE 50-59 years, female 216.3
GTEX-13CF3-2426-SM-5IFGX 60-69 years, female 215.7
GTEX-ZF3C-0126-SM-DO92D 50-59 years, female 215.1
GTEX-14PHW-0126-SM-6LLJI 60-69 years, female 213.8
GTEX-13OW5-0126-SM-DTXFS 60-69 years, male 213.1
GTEX-XV7Q-2526-SM-4BRV9 40-49 years, female 212.8
GTEX-13113-5016-SM-7EPIP 60-69 years, female 211.5
GTEX-1HGF4-2426-SM-ACKXM 60-69 years, male 210.9
GTEX-1122O-2126-SM-5EGIR 60-69 years, female 210.5
GTEX-183WM-0126-SM-7LTAB 70-79 years, female 209.7
GTEX-14BMU-2226-SM-5TDE9 20-29 years, female 209.4
GTEX-14C5O-0126-SM-5SI6N 60-69 years, male 208.7
GTEX-1GMR3-1926-SM-9KNUZ 40-49 years, male 208.6
GTEX-13RTJ-2426-SM-5S2Q2 60-69 years, male 207.7
GTEX-NPJ8-0126-SM-2YUNR 40-49 years, male 207.4
GTEX-15G19-0126-SM-6PANQ 60-69 years, male 207.0
GTEX-X8HC-0126-SM-4E3JW 50-59 years, female 206.6
GTEX-14LZ3-0226-SM-62LET 60-69 years, female 206.0
GTEX-TSE9-0126-SM-3DB83 60-69 years, female 205.4
GTEX-11TTK-0126-SM-5987B 60-69 years, female 204.6
GTEX-1128S-2326-SM-5GZZY 60-69 years, female 204.3
GTEX-1HCUA-2426-SM-ADEIS 50-59 years, female 204.2
GTEX-1LC47-0326-SM-E9TJP 60-69 years, male 204.2
GTEX-11ZU8-2526-SM-5EQKI 60-69 years, male 203.9
GTEX-ZVZP-2426-SM-59HKJ 50-59 years, male 202.7
GTEX-QDVJ-1726-SM-2I5FX 50-59 years, male 202.5
GTEX-1LGOU-2026-SM-DIPFF 20-29 years, female 202.3
GTEX-OIZH-0126-SM-2HMIS 50-59 years, male 202.2
GTEX-WVJS-0126-SM-4MVOT 50-59 years, male 201.4
GTEX-1I4MK-2226-SM-ACKWD 50-59 years, female 201.3
GTEX-PLZ4-0126-SM-5SI8O 50-59 years, female 201.2
GTEX-14PJ6-2126-SM-6EU1V 60-69 years, female 200.6
GTEX-1J8Q3-1626-SM-CMKGC 60-69 years, male 200.6
GTEX-1KXAM-2226-SM-CYPTC 60-69 years, male 200.4
GTEX-11P82-1626-SM-59879 20-29 years, male 200.1
GTEX-1JJE9-0326-SM-CL53Z 70-79 years, male 200.1
GTEX-1QCLY-0326-SM-E8VOG 30-39 years, male 200.1
GTEX-VJWN-0126-SM-3GIK7 50-59 years, female 199.6
GTEX-ZGAY-0526-SM-4WWBB 40-49 years, female 199.6
GTEX-11WQK-0526-SM-5EQLD 50-59 years, male 198.5
GTEX-1PPH7-2326-SM-EVYB8 40-49 years, male 196.9
GTEX-17HII-0226-SM-7LG4E 50-59 years, male 196.6
GTEX-1211K-2026-SM-5EQ4Z 60-69 years, female 196.5
GTEX-ZAJG-0126-SM-5HL94 50-59 years, female 196.5
GTEX-1IDJF-0126-SM-CM2RS 20-29 years, male 196.1
GTEX-1N2EF-0226-SM-EYYXB 60-69 years, male 195.8
GTEX-12584-0126-SM-5EGKQ 40-49 years, male 195.4
GTEX-1399R-2726-SM-5IJBA 30-39 years, male 195.4
GTEX-ZTSS-1926-SM-57WEW 40-49 years, male 195.4
GTEX-Y8LW-1826-SM-5S2MV 50-59 years, female 195.3
GTEX-1E2YA-0126-SM-9KNUC 50-59 years, male 195.2
GTEX-ZF28-0126-SM-4WKGK 60-69 years, male 194.9
GTEX-117YX-2326-SM-5H12W 50-59 years, male 194.8
GTEX-131XW-0426-SM-5LZWP 50-59 years, female 194.8
GTEX-17MF6-0126-SM-7LG4F 40-49 years, male 194.8
GTEX-1JK1U-2026-SM-CM2RZ 60-69 years, male 194.2
GTEX-O5YT-0126-SM-48TBW 20-29 years, male 193.7
GTEX-14BIM-0226-SM-7IGLD 60-69 years, female 193.5
GTEX-1H2FU-0126-SM-9WYSI 60-69 years, female 193.0
GTEX-145LT-1726-SM-5QGP3 40-49 years, male 192.6
GTEX-1ICLZ-0126-SM-CKZPO 60-69 years, male 192.5
GTEX-1A3MV-1926-SM-718BT 30-39 years, male 192.0
GTEX-15SHU-0126-SM-7KUEH 40-49 years, female 191.2
GTEX-WRHK-1426-SM-3MJF9 20-29 years, female 191.2
GTEX-1C475-1826-SM-73KWA 40-49 years, female 190.9
GTEX-XUW1-0426-SM-4BOOT 50-59 years, female 190.5
GTEX-18A66-0226-SM-718BD 60-69 years, male 189.0
GTEX-131XF-5016-SM-7MGWE 60-69 years, male 189.0
GTEX-ZVT4-0126-SM-DTXFN 50-59 years, female 188.9
GTEX-11DXX-2426-SM-5GZZW 60-69 years, female 188.6
GTEX-SUCS-1926-SM-32PM3 70-79 years, male 188.3
GTEX-1HCVE-0126-SM-CGQEU 50-59 years, male 187.9
GTEX-OXRN-0126-SM-48TDM 50-59 years, male 187.3
GTEX-15UKP-0426-SM-7KUFQ 20-29 years, male 187.1
GTEX-1JN6P-0126-SM-D3L98 60-69 years, male 187.1
GTEX-ZXG5-0126-SM-5GIEU 60-69 years, male 186.8
GTEX-ZDTT-2726-SM-4WKF8 60-69 years, male 185.9
GTEX-1C64O-0126-SM-7SB8P 60-69 years, male 185.7
GTEX-13SLW-0126-SM-5SI6C 70-79 years, male 185.6
GTEX-14ICK-0226-SM-6EU25 40-49 years, male 185.3
GTEX-12WSA-0226-SM-5BC5V 60-69 years, male 185.2
GTEX-1KANC-1526-SM-D3LAB 50-59 years, female 185.1
GTEX-XPVG-2626-SM-4B669 50-59 years, male 184.7
GTEX-11LCK-1026-SM-5A5KB 30-39 years, male 184.6
GTEX-Q2AH-1626-SM-3GAF8 40-49 years, male 184.5
GTEX-1K2DU-2326-SM-E9TIV 20-29 years, male 184.4
GTEX-13FTX-1826-SM-5J1NX 20-29 years, female 184.3
GTEX-1RB15-2126-SM-E9TIM 60-69 years, male 184.1
GTEX-1I1GS-0126-SM-B2LVW 60-69 years, male 183.7
GTEX-1CAMS-0426-SM-7P8T2 40-49 years, female 182.8
GTEX-14PHX-2326-SM-62LEM 50-59 years, male 182.7
GTEX-16AAH-1726-SM-7939C 50-59 years, male 182.7
GTEX-17KNJ-2326-SM-7DHLQ 50-59 years, male 182.6
GTEX-X4EO-0326-SM-3P5YO 60-69 years, female 182.5
GTEX-14JG6-2226-SM-6EU2G 30-39 years, female 181.8
GTEX-145MN-2226-SM-5SIAU 30-39 years, male 181.6
GTEX-1QP66-1726-SM-E8VO1 50-59 years, male 181.6
GTEX-1QP29-0626-SM-EWRMX 50-59 years, male 181.5
GTEX-13VXT-0126-SM-5LU4I 20-29 years, female 181.3
GTEX-1S3DN-2226-SM-EVYCD 50-59 years, male 181.3
GTEX-1LG7Z-1726-SM-D3LA4 30-39 years, male 180.7
GTEX-1JN76-0126-SM-CNPPE 20-29 years, female 180.5
GTEX-ZYY3-0126-SM-5GZY5 60-69 years, female 180.4
GTEX-13OVJ-0126-SM-5KM36 50-59 years, female 180.1
GTEX-13D11-2426-SM-5KM1V 50-59 years, female 179.9
GTEX-1PFEY-1526-SM-E76PP 30-39 years, male 179.6
GTEX-U8T8-0126-SM-3DB94 60-69 years, male 179.4
GTEX-ZYFG-2326-SM-5E44B 60-69 years, female 179.3
GTEX-12WSL-2526-SM-5GCNJ 50-59 years, male 179.1
GTEX-14DAR-2026-SM-5S2O3 50-59 years, male 178.7
GTEX-113IC-0126-SM-5HL6T 60-69 years, male 178.6
GTEX-YB5E-2026-SM-5IFIS 40-49 years, male 178.6
GTEX-X4XY-0226-SM-4E3IZ 60-69 years, male 178.3
GTEX-11VI4-1726-SM-5CVLH 40-49 years, female 178.2
GTEX-OIZF-0126-SM-7SB8I 60-69 years, male 178.1
GTEX-1F48J-0126-SM-7P8TT 50-59 years, female 178.0
GTEX-1IDJU-2626-SM-CM2RT 60-69 years, female 177.9
GTEX-14PN3-2426-SM-6LLHS 60-69 years, female 177.7
GTEX-13111-1626-SM-5EGJY 50-59 years, male 177.5
GTEX-1CB4I-0226-SM-79OLH 50-59 years, male 177.5
GTEX-13O3P-0126-SM-5KM4S 50-59 years, male 177.3
GTEX-TKQ1-1026-SM-4GICL 30-39 years, male 177.3
GTEX-13RTK-1426-SM-5QGQJ 20-29 years, male 177.0
GTEX-13FH7-2026-SM-E9J4I 50-59 years, female 176.9
GTEX-13PVR-2326-SM-5QGR1 60-69 years, female 176.8
GTEX-15EU6-0426-SM-6PAN5 50-59 years, male 176.8
GTEX-RVPV-0126-SM-EAZAW 60-69 years, male 176.7
GTEX-1AX9K-2326-SM-73KWU 50-59 years, male 176.5
GTEX-1QAET-0926-SM-E76QM 50-59 years, male 176.5
GTEX-145MO-0326-SM-5Q5B3 60-69 years, male 176.4
GTEX-12WSJ-1826-SM-5GCNY 40-49 years, female 176.3
GTEX-1JKYN-1326-SM-CGQG9 30-39 years, male 176.2
GTEX-1KANA-0726-SM-D3L9I 20-29 years, male 176.2
GTEX-146FH-0126-SM-5QGPP 50-59 years, female 175.8
GTEX-1MUQO-0126-SM-EAZ58 60-69 years, male 175.4
GTEX-12WSN-5019-SM-79OM6 40-49 years, male 175.3
GTEX-1ICLY-0126-SM-D4P36 50-59 years, male 175.1
GTEX-16MT8-0426-SM-7KUEY 60-69 years, female 174.7
GTEX-1HCU6-0126-SM-CL54K 60-69 years, female 174.6
GTEX-1HSEH-0126-SM-ACKXN 60-69 years, male 174.5
GTEX-13OVH-0126-SM-5MR4B 70-79 years, male 174.4
GTEX-1H3NZ-0126-SM-ACKX7 60-69 years, male 174.4
GTEX-145LV-2126-SM-5LU8N 50-59 years, male 174.1
GTEX-12ZZZ-0626-SM-5DUXI 60-69 years, male 174.0
GTEX-1HKZK-0326-SM-9WYUH 40-49 years, male 174.0
GTEX-13JUV-2726-SM-5LZZ8 40-49 years, female 173.8
GTEX-13X6H-2126-SM-7EWD5 50-59 years, female 173.8
GTEX-ZVE2-0226-SM-59HJB 50-59 years, male 173.4
GTEX-1HB9E-0226-SM-E9U4R 50-59 years, male 173.0
GTEX-1OFPY-2426-SM-DTXEJ 60-69 years, male 171.9
GTEX-15F5U-1526-SM-6PANO 40-49 years, male 171.1
GTEX-1CAMQ-0226-SM-7IGPK 40-49 years, male 170.9
GTEX-1MA7W-2026-SM-E9TJ6 20-29 years, female 170.8
GTEX-1AX9J-0226-SM-73KXM 60-69 years, male 170.6
GTEX-PWO3-1526-SM-48TCM 60-69 years, female 170.6
GTEX-1F52S-0126-SM-9MQJU 60-69 years, female 170.6
GTEX-1JMQK-0226-SM-CL543 60-69 years, male 170.5
GTEX-1R9PO-2126-SM-E9J4O 60-69 years, female 170.3
GTEX-ZZPT-0226-SM-5E43X 50-59 years, male 170.1
GTEX-OXRP-0126-SM-3NB32 60-69 years, female 169.7
GTEX-12C56-1726-SM-5EQ61 20-29 years, male 169.6
GTEX-P4PQ-0126-SM-2S1NM 60-69 years, male 169.5
GTEX-13NZ8-0826-SM-5MR3I 60-69 years, female 169.4
GTEX-17F97-0326-SM-7LG5B 50-59 years, male 169.2
GTEX-12696-2426-SM-5EQ6H 60-69 years, male 168.7
GTEX-139T8-0126-SM-5K7XZ 60-69 years, male 168.6
GTEX-1GF9U-2126-SM-7SB7L 40-49 years, female 168.3
GTEX-1NHNU-1026-SM-E9J2A 50-59 years, male 168.3
GTEX-147F3-0526-SM-5SI98 50-59 years, female 168.2
GTEX-16NGA-1726-SM-731B4 40-49 years, female 168.2
GTEX-1JMQI-2226-SM-CM2SD 50-59 years, male 168.1
GTEX-Y3IK-2426-SM-4WWDU 50-59 years, female 168.0
GTEX-13IVO-0126-SM-5J1NG 70-79 years, male 167.8
GTEX-17F96-1626-SM-7DUFL 70-79 years, male 167.5
GTEX-1I1GU-2226-SM-CGQFA 40-49 years, male 167.4
GTEX-XMD2-0126-SM-4YCDU 60-69 years, female 167.2
GTEX-1IGQW-0126-SM-COH42 60-69 years, male 167.1
GTEX-1IKOH-0226-SM-COH4E 60-69 years, female 166.9
GTEX-ZZ64-1726-SM-5GZYB 20-29 years, male 166.7
GTEX-1J8Q2-0526-SM-CM2RW 60-69 years, male 166.7
GTEX-1R7EU-0226-SM-EVR4G 60-69 years, male 166.3
GTEX-14PN4-0126-SM-6EU2V 50-59 years, male 166.0
GTEX-1PPH8-0226-SM-E8VND 20-29 years, male 165.7
GTEX-PLZ6-1426-SM-DKPOT 30-39 years, male 165.6
GTEX-11H98-0126-SM-5EGHG 50-59 years, male 165.5
GTEX-1AMFI-2026-SM-731BH 50-59 years, female 165.1
GTEX-14753-0426-SM-5NQAM 60-69 years, male 165.0
GTEX-XQ8I-0426-SM-4BOPO 50-59 years, male 165.0
GTEX-13W3W-2426-SM-5LU5B 60-69 years, female 164.9
GTEX-1CB4J-0626-SM-7DHMP 60-69 years, male 164.3
GTEX-16XZZ-0126-SM-793DV 60-69 years, male 164.0
GTEX-1S5ZA-0126-SM-EVYCV 20-29 years, male 163.9
GTEX-TMMY-0226-SM-33HBA 40-49 years, female 163.7
GTEX-OOBK-0126-SM-2YUND 40-49 years, male 163.6
GTEX-OXRO-0126-SM-2YUN4 60-69 years, female 163.4
GTEX-11NSD-2226-SM-5986V 20-29 years, male 163.2
GTEX-WOFL-0126-SM-3MJG2 60-69 years, male 163.2
GTEX-1I6K6-0126-SM-A9SLE 30-39 years, male 163.2
GTEX-1B996-0226-SM-7RHGO 60-69 years, male 163.0
GTEX-P4PP-0126-SM-3LK69 30-39 years, female 162.9
GTEX-1A3MW-0126-SM-73KXX 60-69 years, female 162.8
GTEX-11ZTT-2426-SM-5EQLS 60-69 years, female 162.6
GTEX-1EX96-1626-SM-7PBXR 50-59 years, male 162.0
GTEX-1QP2A-0126-SM-E9J43 50-59 years, male 161.4
GTEX-131XE-2326-SM-5PNZ2 50-59 years, male 161.2
GTEX-1IKJJ-0126-SM-CNPQB 60-69 years, male 161.0
GTEX-SN8G-0126-SM-32PLI 50-59 years, female 160.9
GTEX-1IDFM-0126-SM-COH2V 60-69 years, male 160.7
GTEX-ZYW4-0126-SM-5E44A 60-69 years, male 160.5
GTEX-1OJC3-0126-SM-E76QX 20-29 years, male 160.2
GTEX-X585-0226-SM-4QAS2 50-59 years, male 160.1
GTEX-1IE54-0126-SM-CMKHW 40-49 years, female 159.9
GTEX-1HBPN-0226-SM-9YFM1 50-59 years, male 158.9
GTEX-11DYG-0126-SM-59883 60-69 years, male 158.5
GTEX-WXYG-2326-SM-4E3I6 50-59 years, female 158.3
GTEX-1B8KZ-2026-SM-7DHMB 50-59 years, male 158.2
GTEX-13O21-1426-SM-5K7XI 50-59 years, male 158.0
GTEX-1C2JI-1826-SM-73KXC 50-59 years, male 157.8
GTEX-1QP9N-1426-SM-DTXFL 30-39 years, male 157.8
GTEX-1F5PL-0326-SM-7P8PQ 40-49 years, female 157.7
GTEX-1GN1U-0126-SM-7PBZK 50-59 years, female 157.6
GTEX-13NZA-0226-SM-5K7Z7 60-69 years, male 157.3
GTEX-NFK9-0226-SM-2HMKQ 40-49 years, male 157.3
GTEX-ZDTS-0126-SM-4WAY5 60-69 years, male 157.2
GTEX-12WSK-2326-SM-5GCOH 40-49 years, female 156.9
GTEX-1R9K4-0126-SM-DTX9X 60-69 years, male 156.9
GTEX-OHPM-0126-SM-2YUN9 50-59 years, male 156.7
GTEX-139UW-2826-SM-5L3E7 60-69 years, male 156.6
GTEX-13O1R-0126-SM-5L3EH 60-69 years, male 156.6
GTEX-T5JW-1626-SM-3GADZ 20-29 years, female 156.6
GTEX-14BIL-0126-SM-5SI92 50-59 years, male 156.5
GTEX-WFON-2126-SM-3LK7O 40-49 years, male 156.4
GTEX-XBED-2226-SM-47JYQ 60-69 years, male 156.4
GTEX-13QJ3-0326-SM-5S2RA 50-59 years, male 156.3
GTEX-RWS6-2026-SM-2XCB5 60-69 years, female 156.3
GTEX-1F75I-0326-SM-9YFLU 40-49 years, male 155.9
GTEX-1CB4E-2226-SM-793DC 60-69 years, male 155.5
GTEX-ZU9S-0226-SM-5E441 30-39 years, male 155.5
GTEX-1B8KE-2126-SM-73KYX 50-59 years, male 155.3
GTEX-131XG-2626-SM-5KM17 50-59 years, female 155.0
GTEX-1H1DG-0126-SM-9WYU2 70-79 years, male 154.7
GTEX-1CAMR-1926-SM-7EPI2 20-29 years, male 154.5
GTEX-1GZHY-0326-SM-9QEHI 50-59 years, female 154.1
GTEX-ZDYS-2026-SM-5HL5L 50-59 years, male 153.7
GTEX-13OVG-1926-SM-5L3DK 60-69 years, male 153.6
GTEX-1I19N-0326-SM-ACKVX 70-79 years, male 153.5
GTEX-QCQG-1726-SM-3GIJ9 50-59 years, female 153.2
GTEX-13S7M-0126-SM-5SI6A 60-69 years, female 153.0
GTEX-139T4-0226-SM-5HL5S 50-59 years, female 152.3
GTEX-1KD5A-0226-SM-D5OV3 50-59 years, male 152.1
GTEX-O5YW-0126-SM-3LK6D 50-59 years, male 152.0
GTEX-1RLM8-2326-SM-EWRN4 50-59 years, male 152.0
GTEX-1JMQJ-0526-SM-CYPSU 50-59 years, male 151.9
GTEX-RUSQ-1526-SM-2TF62 50-59 years, male 151.7
GTEX-16NPX-0226-SM-79OMT 50-59 years, male 150.9
GTEX-1MGNQ-0126-SM-EVYCJ 40-49 years, male 150.8
GTEX-U4B1-1826-SM-4DXSU 40-49 years, male 150.7
GTEX-146FQ-0126-SM-5NQA9 30-39 years, male 150.6
GTEX-ZY6K-1826-SM-5GZXK 50-59 years, male 150.5
GTEX-18D9U-0226-SM-718BP 40-49 years, male 150.4
GTEX-13OVI-1426-SM-5L3EY 60-69 years, female 150.3
GTEX-ZAB4-0226-SM-5N9F5 40-49 years, male 150.2
GTEX-11P7K-2126-SM-5GU7G 30-39 years, male 150.1
GTEX-QV44-1926-SM-2S1RF 50-59 years, male 150.0
GTEX-1H23P-0126-SM-ADEJ3 60-69 years, male 150.0
GTEX-1LSNM-1926-SM-E6CII 50-59 years, male 150.0
GTEX-WQUQ-0426-SM-3MJFU 60-69 years, male 149.9
GTEX-14PK6-1926-SM-6ETZU 70-79 years, female 149.7
GTEX-147GR-0526-SM-5S2MY 60-69 years, male 149.3
GTEX-U412-0426-SM-3DB9O 60-69 years, male 149.1
GTEX-ZC5H-0226-SM-4WAY9 40-49 years, female 149.0
GTEX-1JJEA-0326-SM-CNPOT 60-69 years, male 149.0
GTEX-1N2DW-0226-SM-E9TK2 50-59 years, male 148.8
GTEX-WYJK-0126-SM-3NMAB 50-59 years, male 148.7
GTEX-1JKYR-0126-SM-CNPOJ 20-29 years, male 148.7
GTEX-ZVZO-0126-SM-5A5L9 40-49 years, male 148.6
GTEX-ZF29-2326-SM-DO92K 60-69 years, female 148.6
GTEX-11EM3-2426-SM-59861 20-29 years, female 148.3
GTEX-14XAO-2326-SM-6EU1B 60-69 years, female 148.3
GTEX-T2YK-0526-SM-32QPJ 50-59 years, male 148.3
GTEX-X4EP-0126-SM-3P5YV 60-69 years, female 148.1
GTEX-145MI-0526-SM-5O9A8 60-69 years, female 148.0
GTEX-139D8-0226-SM-5KLZO 30-39 years, female 147.8
GTEX-1H1DE-2126-SM-9WG6R 20-29 years, male 147.8
GTEX-ZF2S-2326-SM-4WWCE 50-59 years, female 147.5
GTEX-1GF9X-2026-SM-7PC3A 40-49 years, female 147.4
GTEX-1JJ6O-0126-SM-E6CI8 60-69 years, male 147.1
GTEX-1HUB1-0426-SM-E9U4U 60-69 years, male 147.0
GTEX-1J1R8-1726-SM-ARL8M 40-49 years, male 147.0
GTEX-13X6I-0626-SM-5QGP9 60-69 years, male 146.7
GTEX-12KS4-0326-SM-5EQ41 30-39 years, male 146.6
GTEX-13FHO-0226-SM-5IFGY 60-69 years, male 146.2
GTEX-1H3O1-0426-SM-9YFKY 60-69 years, male 146.2
GTEX-13OW8-1326-SM-5J1OW 60-69 years, male 145.6
GTEX-15D1Q-0126-SM-7KUG6 40-49 years, male 145.6
GTEX-ZXES-1826-SM-5E43S 30-39 years, female 145.6
GTEX-1C6VS-0526-SM-7DUEN 60-69 years, male 145.3
GTEX-1GN1W-0526-SM-9MQJQ 50-59 years, female 145.2
GTEX-1GN2E-0426-SM-9MQKX 60-69 years, male 145.1
GTEX-13FTY-0526-SM-5L3EV 40-49 years, female 144.9
GTEX-13N2G-2626-SM-5J1OT 60-69 years, male 144.9
GTEX-X62O-0126-SM-4E3JN 50-59 years, male 144.7
GTEX-S7PM-0126-SM-4AD6S 60-69 years, male 144.4
GTEX-U3ZM-1526-SM-3DB9D 40-49 years, male 144.0
GTEX-1GF9V-0326-SM-7RHI5 60-69 years, male 144.0
GTEX-11O72-0126-SM-59887 40-49 years, male 142.6
GTEX-16GPK-0126-SM-7DHLE 60-69 years, male 142.2
GTEX-1K2DA-1826-SM-CGQGT 50-59 years, male 142.2
GTEX-1AX9I-0126-SM-7SB74 60-69 years, male 142.0
GTEX-1JMPY-1326-SM-ARL8Y 30-39 years, male 141.6
GTEX-16XZY-2126-SM-79OK1 70-79 years, male 141.5
GTEX-13N11-2526-SM-5K7UE 50-59 years, female 140.7
GTEX-X638-0126-SM-47JZ8 70-79 years, female 140.6
GTEX-1I1GP-2226-SM-CGQFK 50-59 years, male 140.6
GTEX-11DXW-0226-SM-5H122 40-49 years, male 140.5
GTEX-17F98-0626-SM-79OMX 40-49 years, female 140.3
GTEX-1HT8W-0126-SM-CNPPP 30-39 years, male 140.1
GTEX-1LG7Y-0526-SM-DKPQC 50-59 years, male 140.0
GTEX-Y114-2426-SM-4TT8A 50-59 years, female 139.6
GTEX-16YQH-0126-SM-7DUFJ 30-39 years, male 138.9
GTEX-R55G-2526-SM-2TC6D 40-49 years, female 138.9
GTEX-13O3O-0126-SM-E9J49 60-69 years, female 138.9
GTEX-ZQG8-1626-SM-DHXIT 60-69 years, female 138.4
GTEX-13FTW-2626-SM-5K7WL 40-49 years, male 138.3
GTEX-14E6D-0126-SM-62LDV 50-59 years, male 138.3
GTEX-W5WG-1826-SM-4KL2Y 50-59 years, female 138.2
GTEX-T5JC-0426-SM-32PLO 20-29 years, male 138.1
GTEX-Y3I4-2126-SM-4TT7C 50-59 years, male 138.1
GTEX-131YS-0126-SM-5KM1M 60-69 years, female 138.0
GTEX-WH7G-2326-SM-3NMBC 40-49 years, male 138.0
GTEX-1A3MX-0126-SM-731BR 60-69 years, male 137.7
GTEX-11P81-2326-SM-59875 30-39 years, female 137.6
GTEX-183FY-0126-SM-7LT9P 20-29 years, male 137.6
GTEX-169BO-1326-SM-9MQK2 50-59 years, male 137.1
GTEX-11UD2-0226-SM-5EQKY 50-59 years, male 137.0
GTEX-1IL2U-0226-SM-CE6T8 60-69 years, male 137.0
GTEX-15CHC-2126-SM-6EU21 60-69 years, female 136.6
GTEX-OHPL-0126-SM-2HMJ7 60-69 years, female 136.5
GTEX-1399U-2326-SM-5K7WY 50-59 years, female 136.0
GTEX-13N1W-0126-SM-5K7VT 70-79 years, male 136.0
GTEX-QLQ7-1626-SM-2S1R8 60-69 years, male 136.0
GTEX-YEC4-2126-SM-5IFJH 40-49 years, male 135.9
GTEX-1GPI7-0126-SM-9MQL8 20-29 years, male 135.5
GTEX-14DAQ-0126-SM-5S2MQ 60-69 years, female 135.4
GTEX-1GZ2Q-0226-SM-7P8TL 40-49 years, male 135.4
GTEX-113JC-2326-SM-5EQ4E 50-59 years, female 135.3
GTEX-RTLS-0126-SM-447CA 60-69 years, female 135.2
GTEX-1AMEY-1326-SM-73KYK 30-39 years, female 135.1
GTEX-Z93T-0126-SM-5HL5N 50-59 years, male 135.0
GTEX-1ICG6-2526-SM-CGQFZ 70-79 years, female 135.0
GTEX-1QP67-1626-SM-EAZ3X 40-49 years, female 135.0
GTEX-1C6VQ-0126-SM-7P8RI 50-59 years, male 134.8
GTEX-1CAV2-2226-SM-7P8P2 40-49 years, female 134.8
GTEX-117XS-2726-SM-5N9BL 60-69 years, male 134.5
GTEX-WI4N-1026-SM-3LK7N 40-49 years, female 134.2
GTEX-1HSMQ-1226-SM-CGQFX 50-59 years, male 134.2
GTEX-1S83E-0126-SM-EWRO4 40-49 years, male 134.1
GTEX-ZPIC-1726-SM-DHXIU 40-49 years, female 133.7
GTEX-15SHW-0326-SM-6PAML 60-69 years, male 133.3
GTEX-1H3VY-0126-SM-ACKXD 50-59 years, male 133.0
GTEX-17MFQ-1726-SM-793C7 20-29 years, male 132.4
GTEX-1I1CD-0126-SM-CM2TK 60-69 years, female 132.2
GTEX-RM2N-1426-SM-2TF4H 50-59 years, male 132.1
GTEX-1POEN-0126-SM-EYYXJ 30-39 years, female 131.7
GTEX-1497J-2426-SM-7IGNX 60-69 years, male 131.4
GTEX-X5EB-2226-SM-46MW4 40-49 years, male 131.2
GTEX-11GSO-2426-SM-5A5LY 60-69 years, male 130.9
GTEX-146FR-1326-SM-E9J48 60-69 years, female 130.9
GTEX-X88G-0126-SM-47JZ3 30-39 years, male 130.8
GTEX-WY7C-2326-SM-3NB2U 50-59 years, male 130.2
GTEX-YB5K-2126-SM-4WWDJ 40-49 years, female 130.0
GTEX-TML8-1926-SM-32QOS 40-49 years, female 129.7
GTEX-QVJO-1626-SM-2S1QW 60-69 years, female 129.5
GTEX-XYKS-2126-SM-4E3IB 60-69 years, female 129.5
GTEX-OXRL-0126-SM-2YUMP 50-59 years, male 129.4
GTEX-1S82Z-0826-SM-E6CHY 30-39 years, female 129.2
GTEX-ZTPG-0326-SM-5O9AX 20-29 years, female 129.1
GTEX-15DDE-0126-SM-6LPKH 50-59 years, female 128.9
GTEX-QDT8-0126-SM-48TZ1 30-39 years, female 128.9
GTEX-1R9PM-2026-SM-E76OY 20-29 years, male 128.6
GTEX-S95S-1226-SM-4GICG 60-69 years, male 128.0
GTEX-SSA3-0126-SM-32QPU 60-69 years, male 127.9
GTEX-17HHE-2026-SM-79OKF 50-59 years, male 127.7
GTEX-XUZC-1726-SM-4BRWS 30-39 years, female 127.6
GTEX-1AYD5-2426-SM-73KXR 50-59 years, male 127.3
GTEX-132NY-0326-SM-5IJBL 60-69 years, male 127.2
GTEX-X4XX-0126-SM-3NMC2 60-69 years, male 127.1
GTEX-1314G-1526-SM-5EGK2 30-39 years, male 127.0
GTEX-131XH-2226-SM-5DUXJ 50-59 years, male 126.6
GTEX-13RTL-0126-SM-7LG5S 40-49 years, male 126.4
GTEX-111VG-2426-SM-5GZXD 60-69 years, male 126.2
GTEX-12WSG-2826-SM-E9J4H 50-59 years, female 126.2
GTEX-POMQ-2226-SM-2I5FK 20-29 years, female 126.1
GTEX-ZQUD-1426-SM-57WER 30-39 years, male 125.9
GTEX-1A32A-0126-SM-718B1 50-59 years, female 125.7
GTEX-XAJ8-0826-SM-47JY6 40-49 years, male 125.6
GTEX-1GPI6-0126-SM-9WG69 60-69 years, male 125.3
GTEX-11UD1-0126-SM-5PNYG 40-49 years, female 124.6
GTEX-11XUK-2026-SM-5EQLF 40-49 years, female 124.6
GTEX-13O3Q-2426-SM-5IJBR 50-59 years, male 124.6
GTEX-11DXZ-2326-SM-5EGGV 50-59 years, male 124.5
GTEX-11ZVC-2526-SM-5FQTE 50-59 years, female 124.2
GTEX-1K9T9-0126-SM-EVYCF 50-59 years, female 124.1
GTEX-13NZB-2526-SM-5J1OM 30-39 years, male 123.6
GTEX-17EVQ-0226-SM-7LG4P 70-79 years, male 123.6
GTEX-1CB4F-0426-SM-9KNV4 60-69 years, male 123.6
GTEX-1MCYP-1926-SM-E9J2R 20-29 years, female 123.3
GTEX-1N2DV-0226-SM-E6CJ6 40-49 years, male 123.1
GTEX-17EVP-0326-SM-7DHLG 40-49 years, male 122.8
GTEX-OIZG-0726-SM-33HBL 50-59 years, male 122.5
GTEX-15DCD-0126-SM-7KUEK 70-79 years, female 122.4
GTEX-QLQW-1126-SM-2S1Q8 30-39 years, male 122.4
GTEX-11EMC-2926-SM-5EQ4F 60-69 years, female 122.3
GTEX-18QFQ-0126-SM-731BE 30-39 years, male 122.2
GTEX-1B8SG-0126-SM-73KZ3 50-59 years, male 121.9
GTEX-16BQI-0226-SM-7KUEX 30-39 years, female 121.5
GTEX-V1D1-2226-SM-3NMAX 50-59 years, male 121.5
GTEX-1PBJI-0526-SM-E8VNK 20-29 years, female 121.4
GTEX-15SDE-2226-SM-7IGLO 50-59 years, female 121.2
GTEX-1HSMP-0126-SM-E6CJS 70-79 years, male 121.2
GTEX-ZE9C-2726-SM-57WB5 60-69 years, male 121.1
GTEX-18D9B-0526-SM-7LTAS 60-69 years, male 121.0
GTEX-1I1GR-0126-SM-CL55F 60-69 years, male 121.0
GTEX-PVOW-0126-SM-2XCFA 40-49 years, male 120.9
GTEX-PW2O-1526-SM-7RHHB 20-29 years, male 120.9
GTEX-PLZ5-2026-SM-2S1O4 50-59 years, male 120.8
GTEX-1GTWX-0126-SM-9YFLK 60-69 years, male 120.5
GTEX-1C4CL-0526-SM-73KVK 30-39 years, male 120.4
GTEX-1F6IF-0726-SM-7P8TW 60-69 years, male 120.3
GTEX-1GN1V-0126-SM-9WPOS 60-69 years, male 120.3
GTEX-XXEK-2226-SM-4BRUM 50-59 years, male 120.2
GTEX-ZV68-0126-SM-59HKS 50-59 years, female 119.9
GTEX-Z93S-0126-SM-5HL7M 50-59 years, male 119.7
GTEX-1QW4Y-1526-SM-EAZ3Z 30-39 years, male 119.7
GTEX-1JMLX-0226-SM-CM2RO 50-59 years, male 119.5
GTEX-1RAZA-0126-SM-E6CI3 20-29 years, male 119.5
GTEX-1RDX4-0126-SM-E9J4P 50-59 years, female 119.4
GTEX-1S82Y-2026-SM-EVYCM 40-49 years, male 119.4
GTEX-1F7RK-0126-SM-7PC2S 20-29 years, female 119.3
GTEX-PWCY-1826-SM-DHXIZ 20-29 years, female 119.2
GTEX-Z9EW-1626-SM-5CVMN 40-49 years, male 119.1
GTEX-1GF9W-0326-SM-9KNUN 60-69 years, male 119.0
GTEX-18A7B-0126-SM-7LG64 70-79 years, male 118.9
GTEX-1PIGE-0126-SM-EVYBJ 20-29 years, male 118.9
GTEX-1HSMO-0126-SM-CL547 60-69 years, male 118.6
GTEX-R3RS-0126-SM-3GIJL 40-49 years, female 118.5
GTEX-YJ8A-0426-SM-5IFID 20-29 years, male 118.3
GTEX-Q2AI-1326-SM-2S1PL 40-49 years, male 118.2
GTEX-T2IS-0126-SM-4DM6O 20-29 years, female 118.2
GTEX-12WSC-0126-SM-5EQ4P 50-59 years, male 117.5
GTEX-SJXC-0126-SM-2XCFF 60-69 years, male 117.3
GTEX-14PJ3-1826-SM-62LEX 50-59 years, male 117.1
GTEX-13W46-0226-SM-5SIAG 50-59 years, male 116.5
GTEX-12WSD-0126-SM-59HKN 60-69 years, female 116.3
GTEX-1A8FM-0226-SM-7SB7Q 50-59 years, female 116.0
GTEX-1BAJH-0526-SM-793CQ 70-79 years, male 115.7
GTEX-VJYA-1126-SM-3GIJU 60-69 years, male 115.4
GTEX-1HR98-0126-SM-B2LWI 60-69 years, male 115.1
GTEX-1OJC4-0126-SM-E9J2E 50-59 years, female 115.0
GTEX-13VXU-0126-SM-5SI9F 50-59 years, male 114.8
GTEX-18A67-0126-SM-7LG5P 50-59 years, male 114.6
GTEX-1B8SF-1426-SM-7DUGL 60-69 years, male 114.3
GTEX-1AX8Z-0126-SM-7DHM6 60-69 years, male 114.0
GTEX-Y8E4-0626-SM-4WWDL 40-49 years, male 113.9
GTEX-YFC4-0126-SM-5CVLY 40-49 years, female 113.8
GTEX-Q2AG-0126-SM-33HBV 40-49 years, female 113.1
GTEX-U8XE-0326-SM-3DB8P 30-39 years, male 113.0
GTEX-ZAB5-1826-SM-5HL7C 50-59 years, male 112.9
GTEX-11TUW-2726-SM-E9J4M 60-69 years, male 112.7
GTEX-1LBAC-0126-SM-DIPEZ 20-29 years, male 112.7
GTEX-UPJH-0326-SM-3GADU 50-59 years, male 112.3
GTEX-OOBJ-0126-SM-E6CJW 60-69 years, male 111.9
GTEX-13SLX-0526-SM-5S2ON 50-59 years, female 111.5
GTEX-11TT1-2526-SM-5EGIB 20-29 years, male 111.1
GTEX-1HSKV-0226-SM-A9SKJ 60-69 years, male 111.1
GTEX-1H1ZS-0426-SM-9WG6G 70-79 years, male 111.0
GTEX-Q734-1926-SM-2I5EV 40-49 years, female 110.7
GTEX-ZVT2-2526-SM-51MT1 50-59 years, female 110.7
GTEX-11EI6-0126-SM-5985R 60-69 years, male 109.9
GTEX-11ZTS-0126-SM-5EQ6M 60-69 years, female 109.8
GTEX-1269C-2526-SM-5EGJ3 60-69 years, female 109.5
GTEX-1RAZQ-0726-SM-EAZ43 30-39 years, male 109.5
GTEX-12WSE-0526-SM-793B2 20-29 years, male 109.2
GTEX-144GN-2326-SM-5LU4F 50-59 years, male 108.8
GTEX-VUSG-2526-SM-4KL1V 50-59 years, male 108.7
GTEX-1HBPH-0426-SM-B2LW5 40-49 years, female 108.5
GTEX-1IL2V-0126-SM-CM2TX 70-79 years, male 108.3
GTEX-13FHP-0126-SM-5IJBG 50-59 years, male 108.2
GTEX-RU72-0926-SM-2TF6B 50-59 years, female 108.2
GTEX-1LB8K-0226-SM-EWRNW 50-59 years, male 107.9
GTEX-Y5V5-2326-SM-4V6GA 60-69 years, female 107.8
GTEX-1EU9M-0226-SM-7P8SP 60-69 years, male 107.7
GTEX-1H1CY-2826-SM-9MQM3 60-69 years, female 107.2
GTEX-RWSA-0126-SM-2XCBB 40-49 years, male 107.0
GTEX-U3ZN-2326-SM-3DB7W 30-39 years, female 106.9
GTEX-1EMGI-0126-SM-9KNUE 60-69 years, male 106.9
GTEX-14PJM-0226-SM-62LF1 50-59 years, female 106.6
GTEX-12126-0326-SM-5PNW3 20-29 years, male 106.4
GTEX-1F88F-2726-SM-7PBZZ 60-69 years, female 106.4
GTEX-1192X-0226-SM-5H12D 50-59 years, male 106.3
GTEX-15ER7-0326-SM-7KUEV 20-29 years, female 106.2
GTEX-W5X1-3026-SM-EAZAX 40-49 years, female 106.1
GTEX-17HGU-0226-SM-7DHKV 50-59 years, male 106.0
GTEX-13OW7-0126-SM-5MR3B 50-59 years, male 105.9
GTEX-18A6Q-0126-SM-731BZ 60-69 years, male 105.9
GTEX-1IDJH-0326-SM-A9SLQ 70-79 years, male 105.7
GTEX-14PII-0226-SM-6EU1T 60-69 years, male 105.6
GTEX-11DXY-2626-SM-5GIE7 60-69 years, male 105.5
GTEX-139TS-2826-SM-5J1OO 60-69 years, male 105.5
GTEX-14JIY-0126-SM-6LLH6 60-69 years, male 105.5
GTEX-145LU-0126-SM-5TDCB 50-59 years, male 105.2
GTEX-18A7A-0226-SM-718BH 50-59 years, female 105.1
GTEX-1IKK5-0626-SM-ARL8A 60-69 years, male 104.4
GTEX-1GMRU-0126-SM-9YFLV 50-59 years, male 104.2
GTEX-147F4-0226-SM-5QGPW 50-59 years, male 103.8
GTEX-145MF-0626-SM-5LUAI 50-59 years, male 103.4
GTEX-ZVT3-0126-SM-5GU6I 60-69 years, female 103.2
GTEX-1H4P4-0726-SM-9YFLR 50-59 years, male 103.2
GTEX-ZDXO-3026-SM-5J1N5 60-69 years, male 102.5
GTEX-ZE7O-0126-SM-57WC1 50-59 years, female 102.5
GTEX-1GN73-0226-SM-9WG67 60-69 years, male 102.5
GTEX-14A5H-0426-SM-5QGQF 60-69 years, male 102.3
GTEX-13FXS-0226-SM-5IJCK 50-59 years, male 101.7
GTEX-11OC5-0126-SM-5HL6A 60-69 years, male 101.4
GTEX-13CF2-2526-SM-5LZYX 60-69 years, male 101.4
GTEX-14BIN-0626-SM-793DP 50-59 years, female 101.4
GTEX-QEG4-0226-SM-2S1PY 30-39 years, male 100.7
GTEX-1399T-2826-SM-5KLYZ 60-69 years, male 100.5
GTEX-RN64-0126-SM-2TC68 50-59 years, male 100.3
GTEX-1C6WA-0126-SM-7PC2B 60-69 years, male 100.2
GTEX-ZAK1-0126-SM-5IJD3 50-59 years, female 100.0
GTEX-139TU-0126-SM-5K7WH 60-69 years, male 99.9
GTEX-RNOR-0126-SM-E9J4R 50-59 years, female 99.9
GTEX-148VI-1626-SM-5SI6E 60-69 years, female 99.6
GTEX-1PIIG-0226-SM-EWRN6 30-39 years, male 99.3
GTEX-18465-0126-SM-731BN 50-59 years, male 99.0
GTEX-Y5V6-2426-SM-4VDSB 60-69 years, male 99.0
GTEX-ZEX8-2426-SM-4WKG4 50-59 years, male 98.9
GTEX-1313W-0126-SM-5LZUN 50-59 years, female 98.7
GTEX-1E1VI-0126-SM-7DHMZ 50-59 years, male 98.5
GTEX-WYVS-2126-SM-3NMA3 40-49 years, female 98.5
GTEX-139TT-0126-SM-5K7Y5 60-69 years, male 98.4
GTEX-15SB6-1726-SM-6PAME 50-59 years, female 97.6
GTEX-11GS4-2726-SM-5A5LE 60-69 years, male 96.8
GTEX-1C6VR-2426-SM-79OLD 60-69 years, male 96.7
GTEX-ZYT6-0226-SM-5NQ6T 30-39 years, male 96.7
GTEX-1I1GQ-0126-SM-COH3H 50-59 years, male 96.4
GTEX-11WQC-2526-SM-5CVLE 60-69 years, male 96.1
GTEX-T6MN-0126-SM-32PLP 50-59 years, male 96.1
GTEX-QESD-1426-SM-2S1R9 20-29 years, male 95.6
GTEX-Y111-0126-SM-4SOIV 50-59 years, male 95.6
GTEX-1AYCT-2426-SM-7IGQ3 50-59 years, male 95.0
GTEX-111FC-0126-SM-5N9DL 60-69 years, male 94.7
GTEX-1H11D-0226-SM-9WG6Z 40-49 years, male 94.5
GTEX-1IOXB-0126-SM-ARL8G 50-59 years, male 94.3
GTEX-1F6I4-0126-SM-9MQL2 60-69 years, male 94.1
GTEX-117YW-2626-SM-5GZZH 50-59 years, male 93.9
GTEX-14ABY-0226-SM-5TDCQ 50-59 years, male 93.8
GTEX-1HBPI-1526-SM-C1YQ1 50-59 years, male 93.8
GTEX-WZTO-0126-SM-3NM95 40-49 years, male 93.7
GTEX-1CB4G-0226-SM-7PC3O 60-69 years, male 93.4
GTEX-1B933-0126-SM-7PC29 50-59 years, female 93.1
GTEX-1HFI6-0226-SM-ADEHZ 40-49 years, male 93.1
GTEX-11OF3-2626-SM-5GU7F 60-69 years, male 92.9
GTEX-15DYW-0126-SM-7KULE 60-69 years, female 92.5
GTEX-13X6J-0126-SM-5QGOU 50-59 years, male 92.1
GTEX-1F75A-0126-SM-7RHGM 50-59 years, male 92.1
GTEX-14BMV-0126-SM-5S2PO 50-59 years, male 91.3
GTEX-1O97I-0326-SM-EYYX7 60-69 years, male 91.3
GTEX-17HHY-0126-SM-7LG5D 50-59 years, male 90.5
GTEX-YJ89-0126-SM-4TT3X 60-69 years, male 90.3
GTEX-13OVL-0226-SM-5L3E9 50-59 years, male 90.1
GTEX-13OW6-0426-SM-5L3HM 50-59 years, male 90.1
GTEX-1I1GV-0526-SM-A9G29 60-69 years, male 89.9
GTEX-14A6H-0126-SM-5QGPK 30-39 years, male 89.8
GTEX-U3ZH-2026-SM-3DB78 30-39 years, male 89.8
GTEX-Y8DK-0126-SM-4TT3L 60-69 years, male 89.6
GTEX-11ZUS-0626-SM-59885 30-39 years, male 89.2
GTEX-1I1HK-0126-SM-COH49 60-69 years, male 89.1
GTEX-1J8JJ-0226-SM-CL53I 60-69 years, female 88.9
GTEX-11NUK-0126-SM-5A5L3 50-59 years, male 88.0
GTEX-1212Z-2526-SM-5EGKP 60-69 years, male 87.8
GTEX-11GSP-2526-SM-5N9BP 60-69 years, female 87.5
GTEX-1MCQQ-0826-SM-DLHC2 60-69 years, male 87.5
GTEX-SE5C-1626-SM-2XCE3 40-49 years, female 87.5
GTEX-13112-2826-SM-5DUWH 50-59 years, male 87.2
GTEX-1EWIQ-0126-SM-7RHH2 70-79 years, female 87.2
GTEX-17JCI-0126-SM-7LG5G 60-69 years, female 87.0
GTEX-13U4I-0126-SM-5LU38 40-49 years, female 86.9
GTEX-14E7W-0126-SM-6LLJ9 70-79 years, male 86.6
GTEX-12ZZY-0226-SM-5LZVE 60-69 years, male 86.5
GTEX-ZYFC-0226-SM-5NQ75 50-59 years, male 86.3
GTEX-1KD4Q-0226-SM-E9TJ9 40-49 years, male 86.1
GTEX-1B8L1-2526-SM-9WYTF 60-69 years, male 85.3
GTEX-13NYB-2526-SM-5K7Z6 40-49 years, male 84.7
GTEX-ZVTK-0426-SM-51MRS 20-29 years, male 84.6
GTEX-14JG1-0426-SM-6ETZZ 40-49 years, male 84.4
GTEX-1MA7X-2226-SM-E6CIY 60-69 years, male 84.3
GTEX-17HG3-2226-SM-7938L 30-39 years, female 82.2
GTEX-1EN7A-0126-SM-7SB81 40-49 years, male 81.3
GTEX-1J8EW-0126-SM-CJI4F 60-69 years, female 81.2
GTEX-S7SE-0126-SM-2XCD5 50-59 years, male 81.0
GTEX-1KWVE-1426-SM-E9TJO 30-39 years, male 80.7
GTEX-1IY9M-0126-SM-D3L8S 60-69 years, male 80.3
GTEX-R55E-0126-SM-2TC5Y 20-29 years, male 80.1
GTEX-1C64N-0126-SM-793D7 50-59 years, male 80.0
GTEX-1LNCM-1126-SM-E9U5E 50-59 years, female 79.7
GTEX-S33H-1026-SM-EZ6L6 30-39 years, male 79.7
GTEX-144GL-0126-SM-5TDE2 50-59 years, male 78.7
GTEX-XUYS-0126-SM-47JWZ 50-59 years, male 78.6
GTEX-SIU8-0126-SM-2XCDT 50-59 years, male 76.5
GTEX-12ZZX-0126-SM-5EGK9 40-49 years, female 76.3
GTEX-1EKGG-0226-SM-9WYTH 60-69 years, male 74.1
GTEX-TMZS-0126-SM-3DB9Q 60-69 years, male 73.8
GTEX-1QEPI-0126-SM-EWRMQ 60-69 years, female 73.7
GTEX-1MJK2-0426-SM-DTXE5 50-59 years, male 73.4
GTEX-PX3G-0126-SM-2I3EN 20-29 years, female 73.1
GTEX-XQ3S-1526-SM-4BOOC 20-29 years, male 71.1
GTEX-13G51-2526-SM-5LZYK 60-69 years, male 71.0
GTEX-ZUA1-0126-SM-5GU76 40-49 years, male 69.5
GTEX-1RQEC-0426-SM-E6CHU 60-69 years, male 61.7
GTEX-1KANB-0526-SM-E6CJH 50-59 years, male 57.9
Show allShow less

Contact

  • NEWS ARTICLES
  • PRESS ROOM

The Project

  • INTRODUCTION
  • ORGANIZATION
  • PUBLICATIONS

The Human Protein Atlas

  • DOWNLOADABLE DATA
  • LICENCE & CITATION
  • HELP & FAQ
The Human Protein Atlas project is funded
by the Knut & Alice Wallenberg Foundation.


contact@proteinatlas.org