We use cookies to enhance the usability of our website. If you continue, we'll assume that you are happy to receive all cookies. More information. Don't show this again.
MCL1
HPA
RESOURCES
  • TISSUE
  • BRAIN
  • SINGLE CELL
  • SUBCELLULAR
  • CANCER
  • BLOOD
  • CELL LINE
  • STRUCTURE & INTERACTION
ABOUT
  • INTRODUCTION
  • HISTORY
  • ORGANIZATION
  • PUBLICATIONS
  • ANTIBODY SUBMISSION
  • ANTIBODY AVAILABILITY
  • ACKNOWLEDGMENTS
  • CONTACT
NEWS
  • NEWS ARTICLES
  • PRESS ROOM
LEARN
  • DICTIONARY
  • PROTEIN CLASSES
  • PROTEIN EVIDENCE
  • METHODS
  • EDUCATIONAL VIDEOS
DATA
  • DOWNLOADABLE DATA
  • PUBLICATION DATA
  • RELEASE HISTORY
HELP
  • ANTIBODY VALIDATION
  • ASSAYS & ANNOTATION
  • DISCLAIMER
  • HELP & FAQ
  • PRIVACY STATEMENT
  • LICENCE & CITATION
Fields »
Search result

Field
Term
Gene name
Class
Subclass
Class
Keyword
Chromosome
External id
Tissue
Cell type
Expression
Antibody panel
Tissue
Main location
Patient ID
Annotation
Tissue
Category
Tau score
Cluster
Reliability
Brain region
Category
Tau score
Brain region
Category
Tau score
Brain region
Category
Tau score
Cluster
Reliability
Tissue
Cell type
Enrichment
Cell type
Category
Tau score
Cell type
Category
Tau score
Cell type
Category
Tau score
Cell lineage
Category
Tau score
Cluster
Cluster
Location
Searches
Location
Cell line
Class
Type
Phase
Reliability
Cancer
Prognosis
Cancer
Category
Cancer
Category
Tau score
Cluster
Variants
Interacting gene (ensg_id)
Type
Number of interactions
Pathway
Category
Score
Score
Score
Validation
Validation
Validation
Validation
Antibodies
Data type
Column


  • SUMMARY

  • TISSUE

  • BRAIN

  • SINGLE CELL

  • SUBCELL

  • CANCER

  • BLOOD

  • CELL LINE

  • STRUCT & INT

  • MCL1
TISSUE PRIMARY DATA STOMACH Show tissue menu
ADIPOSE TISSUE ADRENAL GLAND AMYGDALA APPENDIX BASAL GANGLIA BONE MARROW BREAST BRONCHUS CEREBELLUM CEREBRAL CORTEX CERVIX CHOROID PLEXUS COLON DUODENUM
ENDOMETRIUM EPIDIDYMIS ESOPHAGUS FALLOPIAN TUBE GALLBLADDER HEART MUSCLE HIPPOCAMPAL FORMATION HYPOTHALAMUS KIDNEY LIVER LUNG LYMPH NODE MIDBRAIN NASOPHARYNX
ORAL MUCOSA OVARY PANCREAS PARATHYROID GLAND PITUITARY GLAND PLACENTA PROSTATE RECTUM RETINA SALIVARY GLAND SEMINAL VESICLE SKELETAL MUSCLE SKIN SMALL INTESTINE
SMOOTH MUSCLE SOFT TISSUE SPINAL CORD SPLEEN STOMACH TESTIS THYMUS THYROID GLAND TONGUE TONSIL URINARY BLADDER VAGINA
ANTIBODIES
AND
VALIDATION
Dictionary
Tissue proteome
Stomach
STOMACH - Expression summary
Protein expression
Stomachi

On the top, protein expression in current human tissue, based on all annotated cell types, is reported with the units not detected (n), low (l), medium (m) and high (h). Underneath, protein expression in each annotated cell type are reported using the same units.

Protein expression data is based on knowledge-based annotation. For genes where more than one antibody has been used, a collective score is set.

If knowledge-based annotation could not be performed for a gene, no data is displayed here. View antibody staining data further down this page.

h
m
l
n
Glandular cells: High
RNA expressioni

A summary of mRNA expression data available for current tissue based on several datasets. The mRNA expression levels in human tissues are based on RNA-seq data generated by the Human Protein Atlas (HPA), Genotype-Tissue Expression (GTEx) portal and CAGE data generated by the FANTOM5 consortium. Consensus normalized expression levels for human tissues was created by combining the data from HPA and GTEx datasets.

The mRNA expression levels in pig are based on RNA-seq data generated by the Human Protein Atlas (HPA), and for mouse, HPA data and in situ hybridization generated by the Allen brain atlas are reported.

Scroll down to view mRNA expression data in more detail.
Consensus:161.9 nTPM
HPA:93.2 nTPM
GTEx:161.9 nTPM

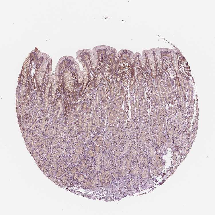
STOMACH 1 - Antibody stainingi

Antibody staining in the annotated cell types in the current human tissue is reported as not detected, low, medium, or high, based on conventional immunohistochemistry profiling in selected tissues. This score is based on the combination of the staining intensity and fraction of stained cells.

Each image is clickable and will lead to virtual microscopy that enables deeper exploration of all samples and also displays staining intensity scores, fraction scores and subcellular localization as well as patient and tissue information for each sample.

Antibody HPA008455Antibody HPA031125Antibody CAB002781Antibody CAB068195
Glandular cells MediumHighLowLow








STOMACH 2 - Antibody stainingi

Antibody staining in the annotated cell types in the current human tissue is reported as not detected, low, medium, or high, based on conventional immunohistochemistry profiling in selected tissues. This score is based on the combination of the staining intensity and fraction of stained cells.

Each image is clickable and will lead to virtual microscopy that enables deeper exploration of all samples and also displays staining intensity scores, fraction scores and subcellular localization as well as patient and tissue information for each sample.

Antibody HPA008455Antibody HPA031125Antibody CAB002781Antibody CAB068195
Glandular cells MediumHighNot detectedLow









STOMACH - HPA RNA-seqi

The RNA-seq details section shows detailed information about the individual samples used for the transcript profiling and results of the RNA-seq analysis.

Information about each individual sample is listed below, including gender, age, a tissue section image and estimated fractions of cell types. nTPM (normalized transcripts per million) values give a quantification of the gene abundance which is comparable between different genes and samples.
Average nTPMi

Max subtype nTPM is the value for the subtype with the largest average nTPM across the subtype samples.

93.2
overview
Female, age 33
Stomach sample 61
nTPM: 108.3
Cell types%
Glandular cells:
60

Smooth muscle cells:
5

Other cell types:
35

N/A
Male, age 82
Stomach sample 240
nTPM: 72.2
Cell types%
Glandular cells:
65

Smooth muscle cells:
5

Other cell types:
30

overview
Male, age 71
Stomach sample 241
nTPM: 96.1
Cell types%
Glandular cells:
50

Smooth muscle cells:
5

Other cell types:
45

overview
Female, age 66
Stomach sample 369
nTPM: 96.2
Cell types%
Glandular cells:
50

Smooth muscle cells:
10

Other cell types:
40


STOMACH - GTEx RNA-seqi

RNA-Seq data generated by the Genotype-Tissue Expression (GTEx) project from human tissues is reported as mean nTPM. More information can be found on the GTEx portal.

Distribution across the dataset is visualized with box plots, shown as median and 25th and 75th percentiles. Points are displayed as outliers if they are above or below 1.5 times the interquartile range. nTPM values of the individual samples are presented next to the box plot.
Max subtype nTPMi

Max subtype nTPM is the value for the subtype with the largest average nTPM across the subtype samples.

161.9
GTEx sample id Sample description nTPM
Stomach
Average nTPM: 161.9
Samples: 359

Max nTPM: 1435.7
Min nTPM: 47.1
Std nTPM: 150.2
Median nTPM: 109.2
GTEX-11NUK-2426-SM-5BC4U 50-59 years, male 1435.7
GTEX-1JMLX-2426-SM-CXZJQ 50-59 years, male 1328.0
GTEX-WFJO-1126-SM-4LVLZ 30-39 years, male 842.3
GTEX-1JMPY-0926-SM-ARL92 30-39 years, male 676.0
GTEX-1HSEH-1526-SM-B2LXG 60-69 years, male 651.8
GTEX-11P82-0726-SM-5PNYL 20-29 years, male 637.6
GTEX-1HSMQ-2426-SM-CE6RY 50-59 years, male 578.1
GTEX-ZYY3-1726-SM-5EGH3 60-69 years, female 569.6
GTEX-11EQ9-1226-SM-5987E 30-39 years, male 540.3
GTEX-1JMPZ-1826-SM-CXZJT 30-39 years, male 532.3
GTEX-13PVQ-2126-SM-5L3FW 50-59 years, male 530.8
GTEX-1HBPI-0726-SM-9WG7Z 50-59 years, male 519.1
GTEX-1GMRU-2526-SM-9WG7T 50-59 years, male 506.6
GTEX-R55G-1126-SM-48FDG 40-49 years, female 501.8
GTEX-12C56-0526-SM-5FQST 20-29 years, male 499.7
GTEX-1RQEC-2126-SM-DPS15 60-69 years, male 493.3
GTEX-1QMI2-2126-SM-DPRXQ 60-69 years, male 493.0
GTEX-13S7M-1826-SM-5RQK6 60-69 years, female 461.6
GTEX-1PIGE-1126-SM-EWRMV 20-29 years, male 460.9
GTEX-S4P3-0726-SM-4AD57 50-59 years, female 459.2
GTEX-1HCUA-1626-SM-A9SMG 50-59 years, female 446.4
GTEX-R55C-1026-SM-48FCM 40-49 years, male 444.6
GTEX-13OW6-2526-SM-5IJEC 50-59 years, male 422.4
GTEX-1A8G6-1426-SM-731EZ 60-69 years, male 419.8
GTEX-1JN1M-2926-SM-CNNPJ 60-69 years, female 412.8
GTEX-QXCU-1926-SM-48FE4 50-59 years, male 412.7
GTEX-RTLS-2626-SM-46MUJ 60-69 years, female 378.2
GTEX-13111-1226-SM-5GCNC 50-59 years, male 366.7
GTEX-15G19-1526-SM-6LPKP 60-69 years, male 364.1
GTEX-1AX9J-2626-SM-731EK 60-69 years, male 357.6
GTEX-R55D-1526-SM-48FEJ 50-59 years, male 356.9
GTEX-11EM3-1026-SM-5A5KL 20-29 years, female 353.8
GTEX-18A7A-2726-SM-7LG6U 50-59 years, female 309.3
GTEX-17EUY-1526-SM-793CA 20-29 years, male 306.7
GTEX-ZV6S-0926-SM-57WGB 40-49 years, female 303.1
GTEX-WEY5-1226-SM-4LMIQ 40-49 years, female 302.6
GTEX-15EU6-2526-SM-7KUGB 50-59 years, male 299.2
GTEX-TKQ1-0526-SM-4DXTG 30-39 years, male 294.3
GTEX-ZVT3-2126-SM-59HL2 60-69 years, female 292.4
GTEX-1H1DE-1226-SM-9JGHH 20-29 years, male 287.7
GTEX-1L5NE-1526-SM-DIPFW 50-59 years, male 280.6
GTEX-YJ8A-1526-SM-5P9FT 20-29 years, male 273.8
GTEX-13X6J-2126-SM-5TDCV 50-59 years, male 270.5
GTEX-1J8EW-2226-SM-AHZ3T 60-69 years, female 268.8
GTEX-1C64O-2226-SM-73KTV 60-69 years, male 263.8
GTEX-13OVI-2426-SM-5KM4J 60-69 years, female 263.7
GTEX-SNOS-0826-SM-4DM5N 40-49 years, male 261.9
GTEX-11TT1-0726-SM-5GU5A 20-29 years, male 260.1
GTEX-1PPH8-1326-SM-DTXFO 20-29 years, male 259.9
GTEX-RUSQ-1126-SM-EAZAU 50-59 years, male 257.9
GTEX-Y114-1226-SM-4TT88 50-59 years, female 257.1
GTEX-PLZ6-0826-SM-3P61K 30-39 years, male 249.4
GTEX-145MO-2226-SM-5Q5BN 60-69 years, male 245.3
GTEX-ZPIC-2026-SM-57WG3 40-49 years, female 240.2
GTEX-P4QT-1526-SM-3NMCT 50-59 years, female 237.7
GTEX-1MCYP-1126-SM-E9J2P 20-29 years, female 236.8
GTEX-P4PQ-1526-SM-3NMCK 60-69 years, male 236.2
GTEX-YEC3-1426-SM-D4P1S 50-59 years, male 235.8
GTEX-11P7K-1726-SM-5GU6F 30-39 years, male 235.4
GTEX-ZQUD-0826-SM-57WDQ 30-39 years, male 234.3
GTEX-1F5PK-1826-SM-7RHHX 50-59 years, male 224.6
GTEX-11GSP-2126-SM-5HL5E 60-69 years, female 222.8
GTEX-1I1HK-2026-SM-CNNRB 60-69 years, male 221.9
GTEX-Y5LM-1326-SM-5RQIS 40-49 years, female 220.5
GTEX-1LVAM-1426-SM-E9TJ4 50-59 years, female 209.1
GTEX-17KNJ-1526-SM-7LTA9 50-59 years, male 207.7
GTEX-16NGA-1526-SM-72D56 40-49 years, female 205.4
GTEX-12WSD-2326-SM-59HKQ 60-69 years, female 203.4
GTEX-1HCU8-1326-SM-C1YQQ 60-69 years, female 199.7
GTEX-13O61-1126-SM-5L3FI 60-69 years, male 198.7
GTEX-WHPG-0426-SM-4M1XW 50-59 years, male 198.7
GTEX-14B4R-0726-SM-5TDDR 30-39 years, male 198.6
GTEX-117YW-2226-SM-5N9DB 50-59 years, male 195.6
GTEX-ZA64-0826-SM-5HL9U 20-29 years, male 192.7
GTEX-UJHI-1026-SM-4IHJP 50-59 years, female 189.9
GTEX-14PKU-1126-SM-69LOU 40-49 years, female 189.2
GTEX-ZTX8-0426-SM-59HLG 20-29 years, male 187.6
GTEX-1QW4Y-0726-SM-DTX8E 30-39 years, male 187.0
GTEX-1R7EU-1126-SM-EAZ4M 60-69 years, male 185.8
GTEX-13X6H-1626-SM-5Q5CT 50-59 years, female 185.6
GTEX-NFK9-1526-SM-3LK7B 40-49 years, male 182.6
GTEX-1CB4E-1326-SM-7DUGD 60-69 years, male 182.2
GTEX-XBEW-1826-SM-4RTWX 40-49 years, male 182.1
GTEX-RU1J-0526-SM-46MUT 20-29 years, female 181.5
GTEX-1C475-1026-SM-7MKFJ 40-49 years, female 179.5
GTEX-U4B1-1026-SM-4DXT1 40-49 years, male 178.9
GTEX-145LT-1426-SM-5O9B3 40-49 years, male 175.7
GTEX-1S831-1126-SM-EWROI 20-29 years, male 175.6
GTEX-WH7G-1526-SM-4LVMX 40-49 years, male 174.1
GTEX-1QP67-1026-SM-EVR47 40-49 years, female 173.3
GTEX-1J8JJ-1726-SM-C1YQG 60-69 years, female 172.8
GTEX-XPVG-1526-SM-4B66C 50-59 years, male 170.4
GTEX-13CF3-1926-SM-5K7WF 60-69 years, female 170.0
GTEX-13QBU-1126-SM-5LU44 40-49 years, female 168.9
GTEX-1E1VI-2826-SM-7MGWU 50-59 years, male 167.7
GTEX-PWCY-0926-SM-48TD7 20-29 years, female 167.6
GTEX-1399U-1626-SM-5P9J3 50-59 years, female 167.3
GTEX-1GPI7-1326-SM-9KNVA 20-29 years, male 167.0
GTEX-1QP29-2326-SM-EXOJO 50-59 years, male 167.0
GTEX-Y9LG-1026-SM-5IFJN 30-39 years, male 166.6
GTEX-17MF6-2126-SM-7KFS7 40-49 years, male 163.0
GTEX-13RTK-0226-SM-5RQHR 20-29 years, male 162.6
GTEX-1S3DN-1526-SM-EVYCB 50-59 years, male 161.0
GTEX-Y3I4-1626-SM-4TT7W 50-59 years, male 159.9
GTEX-S4Q7-0726-SM-4AD5F 20-29 years, male 157.4
GTEX-17JCI-2226-SM-7LTA1 60-69 years, female 155.7
GTEX-QDVN-1226-SM-48TZ5 50-59 years, male 155.4
GTEX-1339X-1426-SM-5K7YO 40-49 years, male 155.2
GTEX-O5YW-1526-SM-3MJGL 50-59 years, male 153.7
GTEX-T8EM-1226-SM-4DM5J 40-49 years, male 152.9
GTEX-18D9B-2226-SM-718BM 60-69 years, male 152.1
GTEX-1A3MX-1926-SM-72D7F 60-69 years, male 150.8
GTEX-T6MO-0726-SM-4DM58 40-49 years, female 150.5
GTEX-146FH-2126-SM-5SI9U 50-59 years, female 148.7
GTEX-1A3MV-1226-SM-718BW 30-39 years, male 147.6
GTEX-132AR-2426-SM-5IFFD 50-59 years, female 147.5
GTEX-111YS-1126-SM-5GZYQ 60-69 years, male 145.0
GTEX-12WSJ-0926-SM-5P9JD 40-49 years, female 145.0
GTEX-13N1W-2026-SM-5K7YU 70-79 years, male 144.4
GTEX-OHPK-1526-SM-3MJGM 50-59 years, female 143.5
GTEX-QLQ7-0826-SM-447B3 60-69 years, male 143.2
GTEX-QV31-0626-SM-447C5 30-39 years, male 143.2
GTEX-OIZH-1526-SM-3NB1J 50-59 years, male 143.0
GTEX-146FR-2026-SM-5NQAI 60-69 years, female 142.8
GTEX-14BIL-1926-SM-73KYI 50-59 years, male 141.0
GTEX-1HR9M-2326-SM-CNPPZ 60-69 years, male 139.1
GTEX-11VI4-0326-SM-5EQ6L 40-49 years, female 138.9
GTEX-Q2AH-1126-SM-48TZM 40-49 years, male 137.7
GTEX-XUZC-0726-SM-4BOPH 30-39 years, female 137.7
GTEX-XAJ8-0326-SM-47JYI 40-49 years, male 137.5
GTEX-ZVP2-1626-SM-5GU5D 50-59 years, male 137.4
GTEX-WY7C-1726-SM-4ONCC 50-59 years, male 136.7
GTEX-QCQG-0526-SM-48U2A 50-59 years, female 136.6
GTEX-11WQK-2626-SM-5EQ4K 50-59 years, male 135.4
GTEX-1IDJF-1426-SM-ACKWK 20-29 years, male 134.7
GTEX-1JN76-0926-SM-ARZNH 20-29 years, female 133.2
GTEX-RM2N-0826-SM-48FD3 50-59 years, male 133.0
GTEX-S4UY-1626-SM-4AD55 40-49 years, female 132.4
GTEX-15SHW-2126-SM-6M46Y 60-69 years, male 132.2
GTEX-12WSK-1426-SM-5CVNN 40-49 years, female 131.6
GTEX-14PHY-0926-SM-5ZZWL 60-69 years, female 131.5
GTEX-1B8KE-1326-SM-73KVI 50-59 years, male 131.4
GTEX-14PN3-1326-SM-6AJ9U 60-69 years, female 130.4
GTEX-131XF-1226-SM-5HL8V 60-69 years, male 129.8
GTEX-17HII-2426-SM-7KFTT 50-59 years, male 129.8
GTEX-117YX-1026-SM-5H11V 50-59 years, male 127.1
GTEX-1J8Q3-1926-SM-C1YSJ 60-69 years, male 126.1
GTEX-YFCO-0826-SM-5LUAG 40-49 years, male 125.7
GTEX-133LE-1326-SM-5IFGO 20-29 years, female 124.8
GTEX-14E6E-0926-SM-664N8 30-39 years, male 121.6
GTEX-OHPM-1526-SM-EV796 50-59 years, male 121.3
GTEX-12BJ1-1726-SM-5HL9B 60-69 years, male 121.2
GTEX-1QCLY-1126-SM-EAZ4J 30-39 years, male 120.8
GTEX-13PVR-2126-SM-73KVR 60-69 years, female 120.5
GTEX-WHSB-1226-SM-4M1XR 50-59 years, male 118.7
GTEX-1QPFJ-1526-SM-DPRXT 30-39 years, female 118.6
GTEX-1CB4H-2426-SM-7PBYR 60-69 years, female 118.3
GTEX-131XE-2226-SM-5PNYX 50-59 years, male 117.9
GTEX-V955-1326-SM-4JBHR 60-69 years, male 117.8
GTEX-O5YV-1926-SM-EV797 60-69 years, female 117.5
GTEX-1LGOU-1526-SM-D3LAJ 20-29 years, female 116.4
GTEX-TKQ2-0926-SM-4DXU5 50-59 years, male 116.3
GTEX-SUCS-0926-SM-4DM4Z 70-79 years, male 115.8
GTEX-14E1K-1526-SM-664MN 50-59 years, male 115.1
GTEX-1211K-1426-SM-5FQTF 60-69 years, female 114.5
GTEX-QDT8-2026-SM-EZ6LS 30-39 years, female 114.4
GTEX-1KD5A-1426-SM-D4P3V 50-59 years, male 114.0
GTEX-1I1GT-1726-SM-C1YS3 60-69 years, female 113.8
GTEX-ZVZP-1726-SM-5GZWY 50-59 years, male 113.7
GTEX-1AMEY-1226-SM-731DU 30-39 years, female 113.0
GTEX-15G1A-1226-SM-7KUF3 30-39 years, male 112.9
GTEX-1IDJD-2426-SM-C1YS6 30-39 years, male 112.9
GTEX-1N2DV-0926-SM-E9TJT 40-49 years, male 112.8
GTEX-1JMQJ-1326-SM-D4P3B 50-59 years, male 111.7
GTEX-1QCLZ-1826-SM-DPRXP 60-69 years, female 111.5
GTEX-139YR-1926-SM-5LZXM 50-59 years, male 111.3
GTEX-SNMC-0626-SM-4DM6H 20-29 years, male 111.0
GTEX-1QP28-2126-SM-DTX8B 50-59 years, female 110.6
GTEX-111CU-0926-SM-5EGIK 50-59 years, male 110.1
GTEX-1I4MK-0926-SM-A9SLD 50-59 years, female 109.2
GTEX-1EH9U-2226-SM-7PBXX 60-69 years, male 108.9
GTEX-145ME-1026-SM-5O9B4 40-49 years, female 108.7
GTEX-QLQW-0726-SM-447AA 30-39 years, male 108.4
GTEX-139D8-2326-SM-5IFGE 30-39 years, female 107.6
GTEX-XV7Q-1326-SM-4BRWM 40-49 years, female 107.4
GTEX-1LBAC-1426-SM-CXZKT 20-29 years, male 107.3
GTEX-XXEK-0826-SM-4BRWG 50-59 years, male 106.5
GTEX-17HGU-2126-SM-7IGOV 50-59 years, male 106.4
GTEX-1NSGN-1926-SM-E9J36 50-59 years, male 106.3
GTEX-ZLFU-1326-SM-DO11R 40-49 years, male 106.3
GTEX-14DAR-0926-SM-73KUQ 50-59 years, male 106.2
GTEX-1QP2A-2126-SM-DPRZ7 50-59 years, male 106.1
GTEX-18D9A-0626-SM-7KFTY 30-39 years, female 106.0
GTEX-Y5V6-1326-SM-4VDTF 60-69 years, male 105.9
GTEX-11I78-1726-SM-5A5M3 50-59 years, female 105.8
GTEX-QMRM-1126-SM-447BN 50-59 years, male 105.0
GTEX-1K2DA-0826-SM-CGQGD 50-59 years, male 104.5
GTEX-13FTW-1726-SM-5KM2B 40-49 years, male 104.4
GTEX-WYJK-2526-SM-4ONDF 50-59 years, male 104.0
GTEX-ZF29-1526-SM-4WKF7 60-69 years, female 103.0
GTEX-132QS-1826-SM-5IFFN 60-69 years, male 102.7
GTEX-ZLWG-1526-SM-DO12F 50-59 years, female 102.0
GTEX-S341-0626-SM-4AD5T 40-49 years, female 101.8
GTEX-ZZPU-1426-SM-5GZZ6 50-59 years, female 101.3
GTEX-1LGRB-1726-SM-CNNRA 50-59 years, female 101.2
GTEX-ZZ64-0426-SM-5E43F 20-29 years, male 100.8
GTEX-13QJ3-2726-SM-5SI6L 50-59 years, male 100.6
GTEX-T5JC-1926-SM-4DM6Q 20-29 years, male 100.4
GTEX-1LVAN-2426-SM-CNNPZ 50-59 years, female 99.6
GTEX-XMK1-1526-SM-EYYVO 40-49 years, male 99.5
GTEX-OXRK-1626-SM-3NB17 50-59 years, female 99.4
GTEX-1E2YA-2426-SM-7EPIG 50-59 years, male 99.2
GTEX-1122O-1926-SM-5EGIQ 60-69 years, female 99.1
GTEX-15UF7-1226-SM-6M46G 40-49 years, male 98.9
GTEX-PLZ5-1226-SM-EXOHA 50-59 years, male 98.6
GTEX-13O3Q-2126-SM-5KM4C 50-59 years, male 98.3
GTEX-1H11D-2226-SM-9OSXN 40-49 years, male 98.3
GTEX-RWS6-0926-SM-47JXE 60-69 years, female 98.1
GTEX-11EI6-2426-SM-5PNVS 60-69 years, male 97.3
GTEX-14PJ3-1426-SM-664O8 50-59 years, male 96.9
GTEX-144GM-1726-SM-5O9AS 20-29 years, male 96.8
GTEX-YEC4-1426-SM-5IFHS 40-49 years, male 96.7
GTEX-POMQ-0826-SM-3P61H 20-29 years, female 95.9
GTEX-1H3NZ-2226-SM-9WYUT 60-69 years, male 95.4
GTEX-131XG-1226-SM-5EGH9 50-59 years, female 95.1
GTEX-1JKYN-1726-SM-AHZ48 30-39 years, male 95.1
GTEX-1B97J-1826-SM-7IGPP 50-59 years, female 94.8
GTEX-1H3VY-2326-SM-9WG81 50-59 years, male 94.7
GTEX-WXYG-1626-SM-4ONCR 50-59 years, female 94.0
GTEX-V1D1-1726-SM-4JBHB 50-59 years, male 93.5
GTEX-13FH7-1026-SM-5IJGF 50-59 years, female 93.4
GTEX-16AAH-1226-SM-79OO9 50-59 years, male 92.7
GTEX-Y8LW-0826-SM-4WWDO 50-59 years, female 92.3
GTEX-1MGNQ-1826-SM-DPRYI 40-49 years, male 92.2
GTEX-1GL5R-1926-SM-9WG7U 50-59 years, male 92.1
GTEX-14BMV-2226-SM-5RQHX 50-59 years, male 91.9
GTEX-ZGAY-1626-SM-DNZZ3 40-49 years, female 91.6
GTEX-14BMU-1126-SM-5RQJ8 20-29 years, female 91.5
GTEX-WFG7-1326-SM-4LMK1 20-29 years, male 91.5
GTEX-18A67-2626-SM-718AD 50-59 years, male 91.4
GTEX-WFG8-1326-SM-4LVN3 20-29 years, male 91.4
GTEX-1I6K7-1726-SM-B2LXQ 40-49 years, male 91.1
GTEX-1KXAM-0926-SM-CXZKA 60-69 years, male 90.8
GTEX-14JG6-1226-SM-664O6 30-39 years, female 90.7
GTEX-QV44-1226-SM-CJI1S 50-59 years, male 90.7
GTEX-1HFI7-1526-SM-9WG7W 50-59 years, female 90.6
GTEX-QDVJ-1426-SM-48U1Y 50-59 years, male 90.4
GTEX-13113-0726-SM-5LZUF 60-69 years, female 90.1
GTEX-W5WG-1726-SM-4LMI5 50-59 years, female 89.8
GTEX-ZT9W-1526-SM-4YCDE 50-59 years, male 89.8
GTEX-1F5PL-1426-SM-7MKFH 40-49 years, female 89.7
GTEX-Q2AI-0826-SM-48TZO 40-49 years, male 89.5
GTEX-1AMFI-1226-SM-731CZ 50-59 years, female 89.3
GTEX-1IDJU-1526-SM-CNNR3 60-69 years, female 89.2
GTEX-S4Z8-1226-SM-4AD6W 60-69 years, male 89.1
GTEX-1H1DG-2126-SM-9WPPB 70-79 years, male 88.9
GTEX-1MUQO-1926-SM-EAZ59 60-69 years, male 88.8
GTEX-1S82Z-1726-SM-E6CHZ 30-39 years, female 88.5
GTEX-ZV7C-1626-SM-5NQ7E 50-59 years, male 88.0
GTEX-P4PP-1526-SM-3P61M 30-39 years, female 87.6
GTEX-11DXX-1326-SM-5GIDZ 60-69 years, female 87.5
GTEX-1HBPN-1626-SM-9WPNP 50-59 years, male 87.2
GTEX-S95S-0826-SM-4B64N 60-69 years, male 86.5
GTEX-1MJIX-1126-SM-EV7AO 40-49 years, male 86.5
GTEX-1GZ4H-1026-SM-9OSXL 50-59 years, female 86.1
GTEX-S3XE-1026-SM-4AD4O 50-59 years, male 86.0
GTEX-15DZA-1126-SM-6LPK8 30-39 years, female 85.9
GTEX-14PJ4-1626-SM-664OB 60-69 years, male 85.7
GTEX-PWN1-1526-SM-48TDA 40-49 years, female 85.7
GTEX-VJYA-1026-SM-4KL21 60-69 years, male 84.5
GTEX-18QFQ-1226-SM-718AE 30-39 years, male 84.4
GTEX-1LG7Z-1226-SM-DHXK4 30-39 years, male 84.4
GTEX-TMMY-1626-SM-4DXTY 40-49 years, female 84.3
GTEX-Y3IK-1426-SM-4YCES 50-59 years, female 84.2
GTEX-XBED-1226-SM-4AT5V 60-69 years, male 84.1
GTEX-1R9K5-1026-SM-EAZ4F 50-59 years, male 84.1
GTEX-1B8KZ-1226-SM-793CP 50-59 years, male 83.7
GTEX-Y8E4-1526-SM-4WWDI 40-49 years, male 83.5
GTEX-1ICG6-1826-SM-AHZ2O 70-79 years, female 83.3
GTEX-1J8QM-1126-SM-C1YQB 60-69 years, female 83.3
GTEX-13FTX-0726-SM-5N9BI 20-29 years, female 83.2
GTEX-14PJ5-0826-SM-6AJAR 60-69 years, female 82.7
GTEX-14PHX-1026-SM-664OL 50-59 years, male 82.4
GTEX-1HKZK-1526-SM-B2LWG 40-49 years, male 82.2
GTEX-ZVT2-1626-SM-51MRC 50-59 years, female 82.1
GTEX-13D11-2126-SM-5IFH2 50-59 years, female 81.9
GTEX-ZF2S-1426-SM-57WET 50-59 years, female 81.9
GTEX-14ICL-0826-SM-5YY9W 30-39 years, male 81.7
GTEX-YB5E-1126-SM-664NU 40-49 years, male 81.7
GTEX-1LSNM-1026-SM-DHXL2 50-59 years, male 81.4
GTEX-15RIE-1026-SM-6LPJQ 60-69 years, male 81.1
GTEX-1AYCT-1326-SM-7MKHB 50-59 years, male 81.1
GTEX-144GN-1226-SM-5O991 50-59 years, male 80.5
GTEX-UPK5-2126-SM-4JBJK 40-49 years, male 80.4
GTEX-17F9E-2226-SM-7IGNC 50-59 years, male 80.2
GTEX-1B8L1-1526-SM-79OLK 60-69 years, male 80.1
GTEX-UJMC-1226-SM-4IHLI 50-59 years, male 79.6
GTEX-S7SF-0626-SM-4AD4V 20-29 years, female 79.3
GTEX-1H1E6-1626-SM-9OSWC 30-39 years, male 79.3
GTEX-1399R-1126-SM-5IFIO 30-39 years, male 79.0
GTEX-14PJ6-0826-SM-686Z9 60-69 years, female 79.0
GTEX-1F75I-1826-SM-7MKGX 40-49 years, male 78.7
GTEX-1GN1W-2126-SM-9JGI7 50-59 years, female 78.6
GTEX-1IL2V-2026-SM-ARZMA 70-79 years, male 78.1
GTEX-ZY6K-0726-SM-5A5L8 50-59 years, male 78.0
GTEX-WFON-1126-SM-4LVMA 40-49 years, male 77.3
GTEX-WYVS-1326-SM-4ONCQ 40-49 years, female 77.3
GTEX-ZP4G-1226-SM-4WWCJ 20-29 years, female 76.8
GTEX-1H23P-2726-SM-9JGHN 60-69 years, male 76.8
GTEX-15RIF-1126-SM-7KUG2 20-29 years, male 76.4
GTEX-1JK1U-1326-SM-AHZ45 60-69 years, male 75.2
GTEX-15CHR-1326-SM-79OLT 50-59 years, male 75.0
GTEX-WHWD-1426-SM-4OORU 50-59 years, male 75.0
GTEX-WZTO-2126-SM-4PQYW 40-49 years, male 75.0
GTEX-1CAMR-0726-SM-7EPIE 20-29 years, male 74.9
GTEX-1KANA-1126-SM-D3L9M 20-29 years, male 74.7
GTEX-1GF9U-1126-SM-AHZ4H 40-49 years, female 74.6
GTEX-13O21-0926-SM-5IFGT 50-59 years, male 74.5
GTEX-OOBJ-1526-SM-3NB1Q 60-69 years, male 74.4
GTEX-ZYFG-1326-SM-5GICJ 60-69 years, female 74.2
GTEX-P78B-1826-SM-3P5YX 40-49 years, female 74.0
GTEX-ZDYS-1926-SM-5HL59 50-59 years, male 74.0
GTEX-OIZF-1526-SM-2I5GR 60-69 years, male 73.5
GTEX-1RMOY-1126-SM-EV79E 50-59 years, male 73.4
GTEX-13OVK-0926-SM-7KUFX 40-49 years, male 72.8
GTEX-11NSD-1426-SM-5HL67 20-29 years, male 72.5
GTEX-ZLV1-0826-SM-DO11P 60-69 years, female 72.4
GTEX-ZPU1-1626-SM-4WWB2 40-49 years, male 71.5
GTEX-14PKV-1826-SM-69LO9 20-29 years, female 71.3
GTEX-PW2O-1226-SM-48TCH 20-29 years, male 71.2
GTEX-OXRL-1526-SM-E6CHQ 50-59 years, male 71.1
GTEX-17GQL-1226-SM-7KFTS 60-69 years, male 71.0
GTEX-17F98-1526-SM-7EWD8 40-49 years, female 70.7
GTEX-15DCE-1626-SM-6LPJM 20-29 years, male 70.6
GTEX-1B97I-1226-SM-7MGWQ 40-49 years, male 68.2
GTEX-Q734-1026-SM-48U16 40-49 years, female 68.0
GTEX-12696-1726-SM-5EQLH 60-69 years, male 67.4
GTEX-T5JW-0926-SM-4DM5K 20-29 years, female 66.9
GTEX-ZXES-1426-SM-5NQ8S 30-39 years, female 66.4
GTEX-1RB15-1026-SM-E9U6V 60-69 years, male 66.2
GTEX-1399S-1626-SM-5P9GI 30-39 years, female 65.8
GTEX-WRHK-0626-SM-4MVOE 20-29 years, female 65.8
GTEX-145MN-1326-SM-5NQ9S 30-39 years, male 64.5
GTEX-ZE7O-3026-SM-51MS4 50-59 years, female 64.5
GTEX-13U4I-2526-SM-5SI8Z 40-49 years, female 64.2
GTEX-ZAB4-1526-SM-5CVN7 40-49 years, male 63.8
GTEX-14DAQ-2826-SM-664MU 60-69 years, female 63.3
GTEX-18A66-2226-SM-7189E 60-69 years, male 62.5
GTEX-1RAZR-1526-SM-EAZ4U 40-49 years, male 62.4
GTEX-ZEX8-1626-SM-4WKG7 50-59 years, male 61.2
GTEX-1HT8W-2326-SM-A9SLA 30-39 years, male 61.2
GTEX-17HHE-1026-SM-79ON6 50-59 years, male 60.9
GTEX-U3ZN-2026-SM-4DXUC 30-39 years, female 60.6
GTEX-XQ8I-2026-SM-4BOOL 50-59 years, male 59.4
GTEX-ZYVF-2726-SM-5GID4 50-59 years, female 58.6
GTEX-R53T-1226-SM-48FCT 50-59 years, female 55.5
GTEX-X15G-1126-SM-4PQZG 50-59 years, female 54.9
GTEX-12WSG-2026-SM-5FQUU 50-59 years, female 49.7
GTEX-PX3G-1526-SM-48U11 20-29 years, female 47.1
Show allShow less

Contact

  • NEWS ARTICLES
  • PRESS ROOM

The Project

  • INTRODUCTION
  • ORGANIZATION
  • PUBLICATIONS

The Human Protein Atlas

  • DOWNLOADABLE DATA
  • LICENCE & CITATION
  • HELP & FAQ
The Human Protein Atlas project is funded
by the Knut & Alice Wallenberg Foundation.


contact@proteinatlas.org