We use cookies to enhance the usability of our website. If you continue, we'll assume that you are happy to receive all cookies. More information. Don't show this again.
RAB13
HPA
RESOURCES
  • TISSUE
  • BRAIN
  • SINGLE CELL
  • SUBCELLULAR
  • CANCER
  • BLOOD
  • CELL LINE
  • STRUCTURE & INTERACTION
ABOUT
  • INTRODUCTION
  • HISTORY
  • ORGANIZATION
  • PUBLICATIONS
  • ANTIBODY SUBMISSION
  • ANTIBODY AVAILABILITY
  • ACKNOWLEDGMENTS
  • CONTACT
NEWS
  • NEWS ARTICLES
  • PRESS ROOM
LEARN
  • DICTIONARY
  • PROTEIN CLASSES
  • PROTEIN EVIDENCE
  • METHODS
  • EDUCATIONAL VIDEOS
DATA
  • DOWNLOADABLE DATA
  • PUBLICATION DATA
  • RELEASE HISTORY
HELP
  • ANTIBODY VALIDATION
  • ASSAYS & ANNOTATION
  • DISCLAIMER
  • HELP & FAQ
  • PRIVACY STATEMENT
  • LICENCE & CITATION
Fields »
Search result

Field
Term
Gene name
Class
Subclass
Class
Keyword
Chromosome
External id
Tissue
Cell type
Expression
Antibody panel
Tissue
Main location
Patient ID
Annotation
Tissue
Category
Tau score
Cluster
Reliability
Brain region
Category
Tau score
Brain region
Category
Tau score
Brain region
Category
Tau score
Cluster
Reliability
Tissue
Cell type
Enrichment
Cell type
Category
Tau score
Cell type
Category
Tau score
Cell type
Category
Tau score
Cell lineage
Category
Tau score
Cluster
Cluster
Location
Searches
Location
Cell line
Class
Type
Phase
Reliability
Cancer
Prognosis
Cancer
Category
Cancer
Category
Tau score
Cluster
Variants
Interacting gene (ensg_id)
Type
Number of interactions
Pathway
Category
Score
Score
Score
Validation
Validation
Validation
Validation
Antibodies
Data type
Column


  • SUMMARY

  • TISSUE

  • BRAIN

  • SINGLE CELL

  • SUBCELL

  • CANCER

  • BLOOD

  • CELL LINE

  • STRUCT & INT

  • RAB13
TISSUE PRIMARY DATA BREAST Show tissue menu
ADIPOSE TISSUE ADRENAL GLAND AMYGDALA APPENDIX BASAL GANGLIA BONE MARROW BREAST BRONCHUS CEREBELLUM CEREBRAL CORTEX CERVIX CHOROID PLEXUS COLON DUODENUM
ENDOMETRIUM EPIDIDYMIS ESOPHAGUS FALLOPIAN TUBE GALLBLADDER HEART MUSCLE HIPPOCAMPAL FORMATION HYPOTHALAMUS KIDNEY LIVER LUNG LYMPH NODE MIDBRAIN NASOPHARYNX
ORAL MUCOSA OVARY PANCREAS PARATHYROID GLAND PITUITARY GLAND PLACENTA PROSTATE RECTUM RETINA SALIVARY GLAND SEMINAL VESICLE SKELETAL MUSCLE SKIN SMALL INTESTINE
SMOOTH MUSCLE SOFT TISSUE SPINAL CORD SPLEEN STOMACH TESTIS THYMUS THYROID GLAND TONGUE TONSIL URINARY BLADDER VAGINA
ANTIBODIES
AND
VALIDATION
Dictionary
Breast
Tissue proteome
Breast
BREAST - Expression summary
Protein expression
Breasti

On the top, protein expression in current human tissue, based on all annotated cell types, is reported with the units not detected (n), low (l), medium (m) and high (h). Underneath, protein expression in each annotated cell type are reported using the same units.

Protein expression data is based on knowledge-based annotation. For genes where more than one antibody has been used, a collective score is set.

If knowledge-based annotation could not be performed for a gene, no data is displayed here. View antibody staining data further down this page.

h
m
l
n
Adipocytes: Low
Glandular cells: Low
Myoepithelial cells: Not detected
RNA expressioni

A summary of mRNA expression data available for current tissue based on several datasets. The mRNA expression levels in human tissues are based on RNA-seq data generated by the Human Protein Atlas (HPA), Genotype-Tissue Expression (GTEx) portal and CAGE data generated by the FANTOM5 consortium. Consensus normalized expression levels for human tissues was created by combining the data from HPA and GTEx datasets.

The mRNA expression levels in pig are based on RNA-seq data generated by the Human Protein Atlas (HPA), and for mouse, HPA data and in situ hybridization generated by the Allen brain atlas are reported.

Scroll down to view mRNA expression data in more detail.
Consensus:120.1 nTPM
HPA:70.4 nTPM
GTEx:120.1 nTPM
FANTOM5:95.9 Scaled Tags Per Million

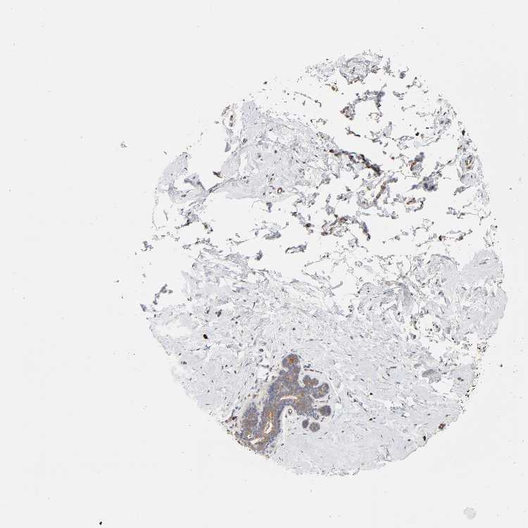
BREAST - Antibody stainingi

Antibody staining in the annotated cell types in the current human tissue is reported as not detected, low, medium, or high, based on conventional immunohistochemistry profiling in selected tissues. This score is based on the combination of the staining intensity and fraction of stained cells.

Each image is clickable and will lead to virtual microscopy that enables deeper exploration of all samples and also displays staining intensity scores, fraction scores and subcellular localization as well as patient and tissue information for each sample.

Antibody HPA003996
Adipocytes Low
Glandular cells Low
Myoepithelial cells Not detected



BREAST - HPA RNA-seqi

The RNA-seq details section shows detailed information about the individual samples used for the transcript profiling and results of the RNA-seq analysis.

Information about each individual sample is listed below, including gender, age, a tissue section image and estimated fractions of cell types. nTPM (normalized transcripts per million) values give a quantification of the gene abundance which is comparable between different genes and samples.
Average nTPMi

Max subtype nTPM is the value for the subtype with the largest average nTPM across the subtype samples.

70.4
overview
Female, age 52
Breast sample 373
nTPM: 57.7
Cell types%
Glandular cells:
15

Adipocytes:
5

Other cell types:
80

overview
Female, age 80
Breast sample 390
nTPM: 77.8
Cell types%
Glandular cells:
5

Adipocytes:
15

Other cell types:
80

overview
Female, age 47
Breast sample 405
nTPM: 90.9
Cell types%
Glandular cells:
5

Adipocytes:
5

Other cell types:
90

overview
Female, age 38
Breast sample 410
nTPM: 55.2
Cell types%
Glandular cells:
40

Adipocytes:
5

Other cell types:
55


BREAST - GTEx RNA-seqi

RNA-Seq data generated by the Genotype-Tissue Expression (GTEx) project from human tissues is reported as mean nTPM. More information can be found on the GTEx portal.

Distribution across the dataset is visualized with box plots, shown as median and 25th and 75th percentiles. Points are displayed as outliers if they are above or below 1.5 times the interquartile range. nTPM values of the individual samples are presented next to the box plot.
Max subtype nTPMi

Max subtype nTPM is the value for the subtype with the largest average nTPM across the subtype samples.

120.1
GTEx sample id Sample description nTPM
Breast - Mammary Tissue
Average nTPM: 120.1
Samples: 459

Max nTPM: 312.5
Min nTPM: 51.2
Std nTPM: 39.5
Median nTPM: 113.4
GTEX-1ICLZ-0426-SM-B2LW2 60-69 years, male 312.5
GTEX-1ICLY-1726-SM-B2LVT 50-59 years, male 293.3
GTEX-U8XE-0826-SM-4E3J1 30-39 years, male 241.0
GTEX-13QJ3-0826-SM-7DHKK 50-59 years, male 232.9
GTEX-132AR-0826-SM-5EGK6 50-59 years, female 232.2
GTEX-1LC47-1226-SM-D4P44 60-69 years, male 225.1
GTEX-11EQ9-1826-SM-5Q5AJ 30-39 years, male 219.7
GTEX-183WM-0726-SM-7LTAA 70-79 years, female 215.1
GTEX-1GPI7-0926-SM-7PC3J 20-29 years, male 205.4
GTEX-14PN4-0626-SM-62LFP 50-59 years, male 202.4
GTEX-1HSMO-0826-SM-ADEIV 60-69 years, male 202.4
GTEX-1C6VQ-0426-SM-79OOX 50-59 years, male 200.0
GTEX-14E6C-1326-SM-62LEQ 40-49 years, male 198.1
GTEX-14PJ4-2126-SM-6ETZJ 60-69 years, male 198.1
GTEX-183FY-1126-SM-7DHLJ 20-29 years, male 198.0
GTEX-11DZ1-0326-SM-5N9BN 50-59 years, male 197.5
GTEX-15RJE-2626-SM-7KFT1 40-49 years, male 197.0
GTEX-Z9EW-1526-SM-EZ6LU 40-49 years, male 196.4
GTEX-X4XY-0926-SM-4E3JD 60-69 years, male 194.8
GTEX-139T6-1626-SM-5PNYZ 50-59 years, male 193.8
GTEX-1I19N-2826-SM-CL55D 70-79 years, male 193.1
GTEX-13FTW-1426-SM-5LZWZ 40-49 years, male 192.8
GTEX-1GZ2Q-2626-SM-7MXV9 40-49 years, male 192.2
GTEX-1AMEY-1026-SM-718AA 30-39 years, female 191.5
GTEX-1OKEX-0826-SM-E9J2B 60-69 years, male 189.9
GTEX-1IGQW-0926-SM-ADEH6 60-69 years, male 189.8
GTEX-144GM-0926-SM-5O994 20-29 years, male 189.6
GTEX-1NUQO-2226-SM-E9U68 20-29 years, female 188.9
GTEX-WFON-1826-SM-3GILG 40-49 years, male 188.2
GTEX-13O3Q-2226-SM-5KM4O 50-59 years, male 186.0
GTEX-YB5E-1726-SM-5IFJ3 40-49 years, male 185.2
GTEX-15UF7-0726-SM-6M46D 40-49 years, male 183.1
GTEX-145MF-2226-SM-7EPIR 50-59 years, male 182.8
GTEX-TKQ1-0226-SM-33HB5 30-39 years, male 182.4
GTEX-13S86-1226-SM-5S2OA 40-49 years, male 182.1
GTEX-ZWKS-2826-SM-5NQ74 30-39 years, male 182.1
GTEX-1LG7Z-0726-SM-CXKYD 30-39 years, male 181.3
GTEX-14753-2426-SM-5LU8U 60-69 years, male 180.7
GTEX-17F9E-2526-SM-7MGW2 50-59 years, male 180.7
GTEX-RUSQ-2026-SM-4GIAK 50-59 years, male 178.9
GTEX-11WQK-2426-SM-5GU5C 50-59 years, male 177.1
GTEX-YFCO-1826-SM-4W1YH 40-49 years, male 176.8
GTEX-14PKU-0426-SM-6EU1P 40-49 years, female 176.7
GTEX-1F5PK-2126-SM-7PC28 50-59 years, male 175.7
GTEX-145MN-1926-SM-5SIAI 30-39 years, male 174.5
GTEX-17MF6-0326-SM-7EPH5 40-49 years, male 173.2
GTEX-1A3MX-2726-SM-718B6 60-69 years, male 173.0
GTEX-1H1DG-0526-SM-9YFLN 70-79 years, male 172.5
GTEX-S32W-2026-SM-4AD6E 50-59 years, female 172.2
GTEX-WOFL-0826-SM-3MJG1 60-69 years, male 171.8
GTEX-1JKYN-0726-SM-ARZMY 30-39 years, male 169.6
GTEX-S4Q7-1126-SM-4AD6R 20-29 years, male 169.4
GTEX-1I1GP-0426-SM-COH3N 50-59 years, male 168.8
GTEX-18A66-1726-SM-7LG5N 60-69 years, male 168.1
GTEX-1HC8U-0826-SM-ADEIL 40-49 years, female 168.1
GTEX-1IDFM-0426-SM-B2LVV 60-69 years, male 168.1
GTEX-17F96-2426-SM-7IGLN 70-79 years, male 167.6
GTEX-11LCK-2426-SM-5HL5F 30-39 years, male 167.3
GTEX-Y5V6-2126-SM-4WWFX 60-69 years, male 167.2
GTEX-WI4N-1426-SM-3LK7H 40-49 years, female 167.1
GTEX-1H23P-0726-SM-9WG7K 60-69 years, male 165.8
GTEX-11OF3-1926-SM-59889 60-69 years, male 165.0
GTEX-12WSK-2226-SM-5GCO5 40-49 years, female 164.5
GTEX-13O3P-0826-SM-5L3DH 50-59 years, male 164.4
GTEX-15G19-2126-SM-6M48J 60-69 years, male 164.0
GTEX-1AX8Z-0926-SM-731AW 60-69 years, male 163.4
GTEX-17MFQ-0926-SM-7LG4S 20-29 years, male 163.2
GTEX-Y8E4-1626-SM-5S2MW 40-49 years, male 163.1
GTEX-1HT8W-2226-SM-CGQEC 30-39 years, male 162.8
GTEX-1N2EF-2226-SM-E9J33 60-69 years, male 162.8
GTEX-V955-2026-SM-3GAFA 60-69 years, male 162.6
GTEX-ZAB4-2526-SM-5HL8M 40-49 years, male 161.5
GTEX-17F97-2526-SM-7EWDV 50-59 years, male 161.3
GTEX-XMK1-1126-SM-4IHJ8 40-49 years, male 161.1
GTEX-1HCU7-1026-SM-ADEIP 50-59 years, male 161.1
GTEX-14PJO-0726-SM-69LO8 60-69 years, male 160.8
GTEX-13D11-1026-SM-5IJFB 50-59 years, female 160.4
GTEX-1H1ZS-0126-SM-9YFKQ 70-79 years, male 159.4
GTEX-16YQH-2826-SM-6PAMY 30-39 years, male 158.6
GTEX-11NSD-0926-SM-5N9DR 20-29 years, male 158.4
GTEX-Y3I4-1526-SM-4TT7K 50-59 years, male 158.2
GTEX-18A7B-2626-SM-7LG55 70-79 years, male 157.9
GTEX-ZV6S-1826-SM-5NQ8D 40-49 years, female 157.9
GTEX-1JN6P-2426-SM-ARL99 60-69 years, male 157.4
GTEX-1IDJF-2326-SM-ARL86 20-29 years, male 156.4
GTEX-12BJ1-1826-SM-5HL9N 60-69 years, male 156.3
GTEX-14ICK-2426-SM-6EU27 40-49 years, male 156.1
GTEX-ZDTT-2126-SM-DKPOM 60-69 years, male 156.0
GTEX-WFG8-2026-SM-EXOHO 20-29 years, male 155.7
GTEX-13FTX-1126-SM-5N9EN 20-29 years, female 154.2
GTEX-1C6WA-2426-SM-7SB86 60-69 years, male 154.1
GTEX-1QP9N-1826-SM-E8VMP 30-39 years, male 153.9
GTEX-18D9A-1526-SM-7LG4J 30-39 years, female 153.5
GTEX-1GF9U-1726-SM-7MGY5 40-49 years, female 153.2
GTEX-XGQ4-0926-SM-4AT4U 50-59 years, male 153.0
GTEX-1JKYR-0926-SM-CMKGJ 20-29 years, male 152.9
GTEX-11TT1-2126-SM-5GU5Y 20-29 years, male 152.5
GTEX-1JN1M-3026-SM-CMKGK 60-69 years, female 152.4
GTEX-1H3VY-0926-SM-ACKXE 50-59 years, male 152.0
GTEX-1R7EV-1526-SM-E8VOD 40-49 years, male 152.0
GTEX-1QPFJ-2026-SM-EVYBE 30-39 years, female 151.7
GTEX-145LT-0726-SM-5S2VM 40-49 years, male 151.4
GTEX-1IDJH-2226-SM-E6CJV 70-79 years, male 149.5
GTEX-1NV8Z-2826-SM-E8VME 60-69 years, male 149.2
GTEX-1IOXB-1926-SM-ARL8E 50-59 years, male 149.1
GTEX-13113-5013-SM-7SB7G 60-69 years, female 149.0
GTEX-15EOM-5019-SM-793DK 20-29 years, female 148.9
GTEX-ZT9W-2026-SM-51MRA 50-59 years, male 148.4
GTEX-1I6K6-0826-SM-ARL7Z 30-39 years, male 148.4
GTEX-139TU-0626-SM-5KM3X 60-69 years, male 148.0
GTEX-11ZTT-2326-SM-5EQLG 60-69 years, female 147.9
GTEX-ZYW4-0826-SM-5GIDG 60-69 years, male 146.8
GTEX-QMRM-1626-SM-D4P1U 50-59 years, male 146.4
GTEX-17GQL-0326-SM-7LG5U 60-69 years, male 146.2
GTEX-13VXU-2826-SM-664MA 50-59 years, male 146.0
GTEX-1HFI7-0126-SM-CGQFQ 50-59 years, female 145.7
GTEX-117YX-1426-SM-5H12H 50-59 years, male 145.5
GTEX-1NHNU-0926-SM-E9J2T 50-59 years, male 145.5
GTEX-1QP28-1226-SM-E9J2M 50-59 years, female 145.0
GTEX-14E6E-1326-SM-5S2NR 30-39 years, male 144.7
GTEX-ZZ64-1226-SM-5E43R 20-29 years, male 144.1
GTEX-1PPGY-1526-SM-EVYBK 60-69 years, male 143.9
GTEX-1R9JW-0326-SM-EAZ45 30-39 years, female 143.6
GTEX-1MJK3-1126-SM-E9J3F 20-29 years, male 142.9
GTEX-1I1GU-1026-SM-ADEHJ 40-49 years, male 142.8
GTEX-13W46-0826-SM-5LU3H 50-59 years, male 142.2
GTEX-1LBAC-0926-SM-CXKY9 20-29 years, male 142.2
GTEX-1F75I-2026-SM-7SB7N 40-49 years, male 142.0
GTEX-14ABY-2126-SM-5QGQZ 50-59 years, male 141.8
GTEX-1R9PM-1826-SM-EVYBH 20-29 years, male 141.7
GTEX-UTHO-1026-SM-3GAF7 60-69 years, male 141.5
GTEX-12WSN-1326-SM-5GCNT 40-49 years, male 141.3
GTEX-X62O-0526-SM-EWRMA 50-59 years, male 141.2
GTEX-1E2YA-2726-SM-7IGPW 50-59 years, male 141.1
GTEX-R55D-0826-SM-48FEA 50-59 years, male 140.6
GTEX-132NY-0826-SM-5K7Y7 60-69 years, male 139.9
GTEX-ZA64-1526-SM-5CVMD 20-29 years, male 139.4
GTEX-1PPH7-0826-SM-E8VNX 40-49 years, male 139.0
GTEX-11O72-2126-SM-5N9FO 40-49 years, male 138.5
GTEX-1H4P4-2226-SM-9MQKQ 50-59 years, male 138.2
GTEX-ZTX8-1226-SM-4YCE9 20-29 years, male 137.3
GTEX-WY7C-2726-SM-3NB3P 50-59 years, male 137.2
GTEX-13PVQ-1026-SM-5KM3M 50-59 years, male 136.8
GTEX-1117F-2826-SM-5GZXL 60-69 years, female 136.5
GTEX-ZY6K-1626-SM-5GZWV 50-59 years, male 136.4
GTEX-17HGU-1326-SM-79OKB 50-59 years, male 136.3
GTEX-17F98-0526-SM-79OK5 40-49 years, female 136.1
GTEX-13FHO-0826-SM-5L3E8 60-69 years, male 135.3
GTEX-13NZ9-1026-SM-5MR5K 50-59 years, male 134.8
GTEX-1CAMR-1426-SM-793BO 20-29 years, male 134.3
GTEX-11GSO-1926-SM-5A5K3 60-69 years, male 134.0
GTEX-1B97I-0426-SM-79OL7 40-49 years, male 133.6
GTEX-QEG5-0726-SM-D4P1T 20-29 years, male 132.5
GTEX-1L5NE-2126-SM-CY8IH 50-59 years, male 131.5
GTEX-ZTTD-1026-SM-51MRD 50-59 years, male 131.3
GTEX-14B4R-1226-SM-5TDDT 30-39 years, male 131.2
GTEX-13SLW-2526-SM-62LDQ 70-79 years, male 130.1
GTEX-13N1W-0626-SM-5MR4U 70-79 years, male 129.6
GTEX-146FH-0826-SM-5SI8T 50-59 years, female 129.5
GTEX-17KNJ-2026-SM-7LG53 50-59 years, male 129.4
GTEX-1JMOU-2026-SM-CMKGU 60-69 years, female 129.4
GTEX-WHSB-1926-SM-EXOHH 50-59 years, male 129.3
GTEX-1AX9J-1126-SM-731B7 60-69 years, male 129.0
GTEX-SE5C-2126-SM-4BRUJ 40-49 years, female 128.8
GTEX-1J8Q3-1326-SM-CMKI1 60-69 years, male 128.8
GTEX-XYKS-1326-SM-4BRUN 60-69 years, female 128.6
GTEX-1QMI2-0726-SM-E9J4F 60-69 years, male 128.4
GTEX-1211K-1926-SM-5EQLB 60-69 years, female 128.3
GTEX-X261-0626-SM-3NMD9 50-59 years, male 128.2
GTEX-1HR9M-2426-SM-ACKXI 60-69 years, male 128.0
GTEX-ZQG8-0726-SM-5P9H9 60-69 years, female 127.7
GTEX-1M5QR-2526-SM-E9U5P 40-49 years, male 127.6
GTEX-11ZUS-0826-SM-5FQUY 30-39 years, male 127.3
GTEX-18A6Q-0926-SM-7LG4N 60-69 years, male 127.1
GTEX-1EKGG-2626-SM-7IGPY 60-69 years, male 127.1
GTEX-S33H-0326-SM-4AD6N 30-39 years, male 126.9
GTEX-1S82Z-0726-SM-E6CHX 30-39 years, female 126.7
GTEX-1B8SG-1226-SM-7IGPF 50-59 years, male 126.6
GTEX-ZDYS-1126-SM-5K7UB 50-59 years, male 126.4
GTEX-1M4P7-2626-SM-E9U5F 60-69 years, male 126.4
GTEX-1QP29-1726-SM-E8VMQ 50-59 years, male 126.4
GTEX-ZQUD-1926-SM-51MSA 30-39 years, male 126.3
GTEX-1HBPM-0126-SM-ARL9E 60-69 years, female 126.3
GTEX-1HSEH-2026-SM-ADEHN 60-69 years, male 125.9
GTEX-S7SE-0826-SM-4AT4D 50-59 years, male 125.8
GTEX-11TUW-1826-SM-5BC5D 60-69 years, male 125.5
GTEX-13O61-1826-SM-5KM4I 60-69 years, male 125.4
GTEX-1B8KE-1226-SM-73KWK 50-59 years, male 125.3
GTEX-11I78-2226-SM-5PNYA 50-59 years, female 125.2
GTEX-1KANC-1426-SM-CYPT9 50-59 years, female 125.1
GTEX-14PHY-1926-SM-5YY95 60-69 years, female 124.8
GTEX-ZYFC-0826-SM-5E44K 50-59 years, male 124.6
GTEX-Y9LG-1426-SM-5IFJZ 30-39 years, male 123.5
GTEX-ZEX8-2226-SM-57WC6 50-59 years, male 123.2
GTEX-14BMV-0626-SM-793AU 50-59 years, male 123.0
GTEX-1R7EU-1226-SM-E8VMR 60-69 years, male 122.2
GTEX-17EVQ-0426-SM-7LG57 70-79 years, male 122.0
GTEX-ZLV1-1426-SM-DO92Z 60-69 years, female 121.5
GTEX-1HR98-0426-SM-COH36 60-69 years, male 121.0
GTEX-ZPIC-1126-SM-5BC7F 40-49 years, female 120.9
GTEX-1KD5A-1926-SM-DKPQA 50-59 years, male 120.3
GTEX-13NZB-2126-SM-5MR4Y 30-39 years, male 119.8
GTEX-XMD1-0826-SM-4AT52 60-69 years, male 119.2
GTEX-ZYT6-0126-SM-5E45J 30-39 years, male 119.2
GTEX-12WSM-1726-SM-5BC6J 60-69 years, male 119.0
GTEX-11ONC-2126-SM-5HL6E 60-69 years, male 118.7
GTEX-YEC3-1026-SM-5IFI5 50-59 years, male 118.7
GTEX-16BQI-1026-SM-7KUEA 30-39 years, female 118.6
GTEX-13CF3-2126-SM-5IFJP 60-69 years, female 118.5
GTEX-ZLFU-2126-SM-DO931 40-49 years, male 118.4
GTEX-11NV4-2026-SM-5N9DG 60-69 years, male 118.2
GTEX-12KS4-0126-SM-5Q5A5 30-39 years, male 118.2
GTEX-14DAR-1326-SM-7DUEG 50-59 years, male 118.2
GTEX-1MA7X-1626-SM-E9U5B 60-69 years, male 118.1
GTEX-XV7Q-2326-SM-4BRVZ 40-49 years, female 117.8
GTEX-X4EP-2926-SM-3P5YQ 60-69 years, female 117.2
GTEX-1CB4J-1826-SM-7EWF9 60-69 years, male 117.1
GTEX-ZDXO-0126-SM-5S2ND 60-69 years, male 117.1
GTEX-1IDJU-1826-SM-CMKHV 60-69 years, female 117.0
GTEX-TKQ2-1826-SM-33HB2 50-59 years, male 116.1
GTEX-1QCLZ-2326-SM-DTXDO 60-69 years, female 116.1
GTEX-1HCU9-0326-SM-9WYSC 20-29 years, male 115.2
GTEX-1JJE9-2326-SM-ARL8Q 70-79 years, male 115.1
GTEX-YECK-0726-SM-EZ6LV 60-69 years, male 114.9
GTEX-QVJO-1826-SM-447C9 60-69 years, female 114.8
GTEX-1C475-1226-SM-7SB72 40-49 years, female 114.7
GTEX-XQ3S-1326-SM-4BOPQ 20-29 years, male 114.4
GTEX-1JMLX-2026-SM-CMKGN 50-59 years, male 114.2
GTEX-1LSNM-1326-SM-E9TJ1 50-59 years, male 113.6
GTEX-1PDJ9-1126-SM-EXUSW 20-29 years, male 113.4
GTEX-XQ8I-2426-SM-4WAXY 50-59 years, male 113.1
GTEX-169BO-1126-SM-7MGWN 50-59 years, male 113.0
GTEX-1R9PN-0326-SM-DTX85 40-49 years, female 112.6
GTEX-139T8-0826-SM-5L3DE 60-69 years, male 112.4
GTEX-1H1E6-0926-SM-9YFLT 30-39 years, male 112.2
GTEX-1KANA-2026-SM-DIPFB 20-29 years, male 112.2
GTEX-T5JW-2026-SM-4DM63 20-29 years, female 112.0
GTEX-YB5K-1626-SM-5IFIN 40-49 years, female 112.0
GTEX-145MO-0826-SM-5NQBL 60-69 years, male 111.9
GTEX-17HG3-0126-SM-7IGNH 30-39 years, female 111.6
GTEX-UJHI-1426-SM-3DB9C 50-59 years, female 110.9
GTEX-ZAJG-0626-SM-5HL8X 50-59 years, female 110.7
GTEX-133LE-1726-SM-5K7VQ 20-29 years, female 110.6
GTEX-11DXW-0626-SM-5N9ER 40-49 years, male 110.5
GTEX-REY6-2426-SM-48FF5 60-69 years, male 110.4
GTEX-1RAZQ-1226-SM-EWRNL 30-39 years, male 110.2
GTEX-1KXAM-1026-SM-CY8IA 60-69 years, male 110.1
GTEX-ZLWG-1926-SM-DO92J 50-59 years, female 110.1
GTEX-XUW1-2326-SM-4BOO5 50-59 years, female 109.9
GTEX-VUSG-2226-SM-4KKZO 50-59 years, male 109.2
GTEX-13W3W-1226-SM-5LU4H 60-69 years, female 109.1
GTEX-18QFQ-0826-SM-718AX 30-39 years, male 108.9
GTEX-1KD4Q-2326-SM-D4P3M 40-49 years, male 108.9
GTEX-PSDG-1626-SM-48TCQ 50-59 years, male 108.5
GTEX-1F75B-0626-SM-7SB8A 50-59 years, male 108.5
GTEX-1LGRB-1826-SM-CNPQL 50-59 years, female 107.8
GTEX-1LSVX-2426-SM-E6CJX 60-69 years, male 107.8
GTEX-17EUY-1926-SM-7DUF6 20-29 years, male 107.5
GTEX-1RQEC-2026-SM-DTXDM 60-69 years, male 107.5
GTEX-1LSNL-2826-SM-E9U5L 50-59 years, male 107.4
GTEX-1QW4Y-1026-SM-DTXE2 30-39 years, male 107.2
GTEX-1KAFJ-0226-SM-DIPEL 50-59 years, male 106.9
GTEX-1RLM8-2226-SM-EVYD1 50-59 years, male 106.5
GTEX-1314G-1226-SM-5BC6D 30-39 years, male 105.8
GTEX-1JK1U-1826-SM-ARL8W 60-69 years, male 105.7
GTEX-1S82U-1126-SM-E9U6I 30-39 years, female 105.7
GTEX-1AX9I-0726-SM-73KWV 60-69 years, male 105.1
GTEX-YFC4-1426-SM-5IFJG 40-49 years, female 104.8
GTEX-145ME-1526-SM-5Q5F2 40-49 years, female 104.5
GTEX-1I1GT-1126-SM-ARL7J 60-69 years, female 104.2
GTEX-1A8G7-2426-SM-731AK 60-69 years, male 104.0
GTEX-14E7W-0826-SM-62LEJ 70-79 years, male 103.8
GTEX-XBED-1626-SM-47JYN 60-69 years, male 103.6
GTEX-WYJK-1326-SM-3NB2T 50-59 years, male 103.3
GTEX-1I6K7-1026-SM-A9SLK 40-49 years, male 102.8
GTEX-ZUA1-1526-SM-59HLS 40-49 years, male 102.4
GTEX-Y111-2026-SM-4SOJA 50-59 years, male 102.2
GTEX-1HKZK-1826-SM-ADEJ2 40-49 years, male 101.9
GTEX-1I1GV-2426-SM-CGQFM 60-69 years, male 101.7
GTEX-1I4MK-1626-SM-CM2TJ 50-59 years, female 101.5
GTEX-14AS3-1626-SM-5S2OY 40-49 years, female 101.0
GTEX-15SHW-1326-SM-6PAL8 60-69 years, male 101.0
GTEX-1JJEA-2726-SM-ARL8V 60-69 years, male 100.5
GTEX-15UF6-0126-SM-6PAMB 70-79 years, female 100.1
GTEX-1GF9V-2526-SM-7SB8K 60-69 years, male 100.0
GTEX-1GN2E-2226-SM-9WG6J 60-69 years, male 99.7
GTEX-1192X-2326-SM-5987X 50-59 years, male 99.5
GTEX-1GMR2-1926-SM-9MQLZ 50-59 years, male 99.4
GTEX-1JMQK-2626-SM-COH2W 60-69 years, male 99.4
GTEX-1IDJE-0826-SM-CKZNZ 50-59 years, female 99.3
GTEX-13OW5-2226-SM-5L3HC 60-69 years, male 99.0
GTEX-ZXES-0826-SM-5E43C 30-39 years, female 99.0
GTEX-WYBS-0926-SM-3NM94 60-69 years, female 98.8
GTEX-1HCU8-0126-SM-ADEHH 60-69 years, female 98.7
GTEX-1EN7A-1426-SM-7PBY4 40-49 years, male 98.6
GTEX-11P81-1926-SM-5BC53 30-39 years, female 98.4
GTEX-13NZ8-0126-SM-5IJCT 60-69 years, female 98.4
GTEX-RWS6-1926-SM-47JXY 60-69 years, female 97.9
GTEX-11EI6-0626-SM-5985T 60-69 years, male 97.3
GTEX-T2YK-2226-SM-32QPT 50-59 years, male 97.1
GTEX-1122O-1226-SM-5H113 60-69 years, female 97.0
GTEX-YJ8O-2226-SM-5IFHW 40-49 years, female 96.8
GTEX-11DXZ-1926-SM-5GZZL 50-59 years, male 96.5
GTEX-ZVZQ-0826-SM-51MRF 60-69 years, female 96.3
GTEX-ZV7C-1826-SM-5NQ83 50-59 years, male 95.9
GTEX-ZVT2-1826-SM-5NQ8W 50-59 years, female 95.9
GTEX-13O3O-0826-SM-5K7WE 60-69 years, female 95.8
GTEX-1MA7W-1026-SM-DKPQK 20-29 years, female 95.4
GTEX-1R46S-2526-SM-E8VN2 60-69 years, female 95.4
GTEX-1IKOE-1326-SM-CE6T6 30-39 years, female 95.3
GTEX-13OW8-0226-SM-5K7UP 60-69 years, male 95.2
GTEX-ZZPU-0626-SM-5E43T 50-59 years, female 95.2
GTEX-11DXY-2326-SM-5GICW 60-69 years, male 94.9
GTEX-1A3MV-1626-SM-731C1 30-39 years, male 94.9
GTEX-1H11D-1526-SM-9MQJY 40-49 years, male 94.4
GTEX-1QEPI-0926-SM-DTXF3 60-69 years, female 94.4
GTEX-1HCUA-0726-SM-ACKVU 50-59 years, female 94.3
GTEX-111YS-1926-SM-5GICC 60-69 years, male 93.6
GTEX-1IE54-0626-SM-ARL8D 40-49 years, female 93.6
GTEX-ZVT4-1026-SM-57WC4 50-59 years, female 93.5
GTEX-1B933-2526-SM-7IGO5 50-59 years, female 93.4
GTEX-Y8LW-1626-SM-5IFHX 50-59 years, female 93.4
GTEX-13N11-1726-SM-5J1OJ 50-59 years, female 93.3
GTEX-1GZ4H-0326-SM-7P8QX 50-59 years, female 93.3
GTEX-1GMR3-2626-SM-7RHHG 40-49 years, male 92.6
GTEX-117XS-1926-SM-5GICO 60-69 years, male 92.5
GTEX-1LNCM-0226-SM-DIPF4 50-59 years, female 92.2
GTEX-15ETS-0626-SM-7KUMX 40-49 years, female 92.1
GTEX-XMD2-0926-SM-4WWEF 60-69 years, female 91.9
GTEX-1MCC2-2126-SM-EWRON 30-39 years, female 91.4
GTEX-ZF3C-2326-SM-5S2NC 50-59 years, female 90.9
GTEX-14H4A-2526-SM-5YYAY 40-49 years, female 90.4
GTEX-TMMY-0726-SM-33HBE 40-49 years, female 90.4
GTEX-1ICG6-1326-SM-ACKWR 70-79 years, female 90.2
GTEX-1HCVE-2626-SM-ADEJ8 50-59 years, male 90.1
GTEX-11EM3-1326-SM-5N9C6 20-29 years, female 89.7
GTEX-18465-2026-SM-718AP 50-59 years, male 89.5
GTEX-VJWN-0726-SM-3GIJ8 50-59 years, female 89.4
GTEX-1J8Q2-2726-SM-A9G2X 60-69 years, male 89.4
GTEX-QEL4-2126-SM-447AE 50-59 years, male 89.3
GTEX-1EWIQ-1726-SM-7SB7T 70-79 years, female 89.3
GTEX-1313W-0826-SM-5EQ4T 50-59 years, female 89.1
GTEX-1MJK2-2226-SM-EVYCR 50-59 years, male 89.1
GTEX-1I1HK-2426-SM-ADEHX 60-69 years, male 89.0
GTEX-1P4AB-1826-SM-E76PU 50-59 years, male 89.0
GTEX-UPK5-2326-SM-3P5Z8 40-49 years, male 88.7
GTEX-1B8L1-2426-SM-9WYTE 60-69 years, male 88.7
GTEX-ZF2S-2026-SM-5E461 50-59 years, female 88.6
GTEX-14BMU-1626-SM-5TDE7 20-29 years, female 88.1
GTEX-U412-1826-SM-4DXTJ 60-69 years, male 88.0
GTEX-R53T-1526-SM-48FEK 50-59 years, female 87.9
GTEX-1K2DA-1726-SM-CGQGS 50-59 years, male 87.7
GTEX-1EU9M-2826-SM-7EWFH 60-69 years, male 87.6
GTEX-1CB4E-0226-SM-79OLW 60-69 years, male 87.2
GTEX-RU1J-0626-SM-4WAWY 20-29 years, female 87.2
GTEX-Y5LM-1726-SM-4VDSX 40-49 years, female 87.0
GTEX-16NGA-0826-SM-718AF 40-49 years, female 86.9
GTEX-11P82-1326-SM-5HL62 20-29 years, male 86.7
GTEX-13PVR-2226-SM-7DHKP 60-69 years, female 86.7
GTEX-1399U-1826-SM-5PNZ1 50-59 years, female 86.1
GTEX-1HBPN-2326-SM-9WPPU 50-59 years, male 85.9
GTEX-147F4-2826-SM-5NQBN 50-59 years, male 85.8
GTEX-ZGAY-1726-SM-DO91P 40-49 years, female 85.7
GTEX-1J8QM-2026-SM-ARZMW 60-69 years, female 85.3
GTEX-1269C-2426-SM-5FQSN 60-69 years, female 85.2
GTEX-ZTPG-2826-SM-57WGA 20-29 years, female 85.0
GTEX-1QCLY-1626-SM-DTXDW 30-39 years, male 84.7
GTEX-ZU9S-1926-SM-5NQBP 30-39 years, male 84.4
GTEX-1CAMS-1426-SM-7IGPM 40-49 years, female 84.3
GTEX-Y114-2026-SM-4TT7L 50-59 years, female 84.2
GTEX-1GF9X-1026-SM-ACKX2 40-49 years, female 84.1
GTEX-ZVTK-0326-SM-51MRR 20-29 years, male 83.9
GTEX-1BAJH-0826-SM-7EWEF 70-79 years, male 83.8
GTEX-1K9T9-1426-SM-DIPFQ 50-59 years, female 83.6
GTEX-1F75A-1826-SM-7SB8G 50-59 years, male 83.4
GTEX-1N2EE-2126-SM-E8VNN 60-69 years, male 83.1
GTEX-11WQC-1726-SM-5GU4W 60-69 years, male 82.9
GTEX-1JMPZ-1626-SM-COH31 30-39 years, male 82.9
GTEX-1J8EW-2626-SM-CL53E 60-69 years, female 82.8
GTEX-17HHE-1426-SM-7EPH4 50-59 years, male 82.7
GTEX-14LLW-0626-SM-62LFC 70-79 years, female 82.5
GTEX-ZVE2-1226-SM-5NQ8R 50-59 years, male 82.4
GTEX-13PL6-2926-SM-5L3I2 40-49 years, female 82.2
GTEX-Q2AG-0326-SM-48U1O 40-49 years, female 82.2
GTEX-13CF2-2026-SM-5K7VI 60-69 years, male 81.1
GTEX-U3ZN-1926-SM-4DXSG 30-39 years, female 80.8
GTEX-17EVP-0226-SM-79OND 40-49 years, male 80.7
GTEX-S341-1526-SM-4AD6K 40-49 years, female 80.5
GTEX-Y3IK-2326-SM-4WWDT 50-59 years, female 80.5
GTEX-1C64O-0726-SM-7DUFU 60-69 years, male 80.3
GTEX-T6MO-0326-SM-32QOK 40-49 years, female 80.3
GTEX-Y5V5-2126-SM-4WWFO 60-69 years, female 80.0
GTEX-1F5PL-1026-SM-7RHI1 40-49 years, female 79.7
GTEX-1GZ4I-2826-SM-9MQK5 50-59 years, male 79.5
GTEX-1GN1W-1926-SM-7P8TH 50-59 years, female 79.4
GTEX-18A7A-0726-SM-7LTAI 50-59 years, female 79.1
GTEX-11EMC-2026-SM-5A5JV 60-69 years, female 78.9
GTEX-1POEN-0926-SM-DTX88 30-39 years, female 78.7
GTEX-11P7K-0726-SM-5EGKX 30-39 years, male 78.5
GTEX-1GMR8-0726-SM-9KNVI 50-59 years, female 78.4
GTEX-ZC5H-2626-SM-5J2MG 40-49 years, female 78.1
GTEX-144GL-2026-SM-5LU3O 50-59 years, male 78.0
GTEX-1CB4G-2326-SM-79OOI 60-69 years, male 78.0
GTEX-U3ZH-1426-SM-4DXSR 30-39 years, male 77.9
GTEX-X15G-1626-SM-3NMB3 50-59 years, female 77.8
GTEX-1GZHY-0726-SM-9WG6B 50-59 years, female 77.6
GTEX-132Q8-1426-SM-5EGK7 60-69 years, male 77.2
GTEX-1GPI6-0626-SM-7RHHJ 60-69 years, male 77.2
GTEX-1GMRU-0826-SM-9WYT7 50-59 years, male 76.8
GTEX-1LVAM-0926-SM-E9TJ2 50-59 years, female 76.8
GTEX-S4UY-0726-SM-4AD6X 40-49 years, female 76.5
GTEX-1HUB1-1626-SM-CM2SL 60-69 years, male 76.0
GTEX-1MCYP-0126-SM-E6CIS 20-29 years, female 76.0
GTEX-13QIC-2326-SM-5LU5N 60-69 years, female 75.2
GTEX-XUZC-1626-SM-4BRVP 30-39 years, female 74.9
GTEX-11GS4-2126-SM-5A5KR 60-69 years, male 74.6
GTEX-1IY9M-2726-SM-CMKG5 60-69 years, male 74.5
GTEX-TML8-1226-SM-32QON 40-49 years, female 74.3
GTEX-11GSP-0926-SM-9WYSG 60-69 years, female 74.3
GTEX-T6MN-0726-SM-32PML 50-59 years, male 74.1
GTEX-14A5I-0726-SM-5TDEB 50-59 years, female 73.4
GTEX-1C6VS-0726-SM-7EPHF 60-69 years, male 72.8
GTEX-W5X1-2326-SM-3GIL6 40-49 years, female 72.8
GTEX-WXYG-2226-SM-4E3IM 50-59 years, female 72.8
GTEX-15FZZ-0726-SM-7KUFZ 30-39 years, female 72.7
GTEX-1B8KZ-1526-SM-7DUG7 50-59 years, male 72.7
GTEX-S4P3-1326-SM-4AD6V 50-59 years, female 72.5
GTEX-13FTY-2226-SM-5J1ND 40-49 years, female 71.6
GTEX-WRHU-0326-SM-3MJFY 50-59 years, female 69.7
GTEX-1B932-0826-SM-73KXG 40-49 years, female 69.5
GTEX-ZAK1-1326-SM-EVYAS 50-59 years, female 69.5
GTEX-ZF29-1926-SM-5S2P1 60-69 years, female 69.4
GTEX-T5JC-2126-SM-32PMO 20-29 years, male 69.2
GTEX-1IKJJ-2326-SM-COH3U 60-69 years, male 69.2
GTEX-17JCI-0726-SM-7EPH1 60-69 years, female 68.8
GTEX-QDT8-0626-SM-48TYW 30-39 years, female 68.6
GTEX-R3RS-0626-SM-48FE1 40-49 years, female 68.4
GTEX-1H1CY-2226-SM-9WG7E 60-69 years, female 68.4
GTEX-1IKOH-2326-SM-CM2TW 60-69 years, female 67.9
GTEX-17HHY-0926-SM-793C1 50-59 years, male 67.6
GTEX-131YS-0626-SM-5EGKL 60-69 years, female 67.0
GTEX-1B97J-0426-SM-79OLQ 50-59 years, female 66.9
GTEX-15ER7-1626-SM-6PAMZ 20-29 years, female 66.2
GTEX-RU72-0626-SM-46MUI 50-59 years, female 65.9
GTEX-1F6I4-2526-SM-7SB8F 60-69 years, male 65.3
GTEX-11PRG-0826-SM-5EQ6A 50-59 years, male 64.8
GTEX-1HSKV-2026-SM-CMKGX 60-69 years, male 64.4
GTEX-1RAZS-1226-SM-E8VMT 50-59 years, male 64.2
GTEX-1LVAN-1326-SM-CNPQE 50-59 years, female 63.9
GTEX-13SLX-2326-SM-5ZZWE 50-59 years, female 63.4
GTEX-1GN1U-0526-SM-9KNTT 50-59 years, female 61.8
GTEX-12ZZX-1126-SM-5EGKB 40-49 years, female 61.2
GTEX-1N5O9-1126-SM-DTXEQ 60-69 years, male 60.8
GTEX-131XW-0726-SM-5EGK3 50-59 years, female 60.3
GTEX-T2IS-1526-SM-32QPR 20-29 years, female 59.7
GTEX-1JMPY-0526-SM-CL54O 30-39 years, male 58.3
GTEX-WYVS-1726-SM-3NMAY 40-49 years, female 54.6
GTEX-1HSGN-1526-SM-A9SMO 40-49 years, female 54.5
GTEX-XOT4-0726-SM-4GIAW 60-69 years, female 51.2
Show allShow less

BREAST - FANTOM5 CAGEi

RNA expression in human tissues obtained through Cap Analysis of Gene Expression (CAGE) generated by the FANTOM5 project are reported as Scaled Tags Per Million.

Max subtype Scaled Tags Per Millioni

Max subtype Scaled Tags Per Million is the value for the subtype with the largest average Scaled Tags Per Million across the subtype samples.

95.9
FANTOM5 sample id Sample description Scaled Tags Per Million
Breast
Scaled Tags Per Million: 95.9
FF:10080-102A8 77 years, female 95.9

Contact

  • NEWS ARTICLES
  • PRESS ROOM

The Project

  • INTRODUCTION
  • ORGANIZATION
  • PUBLICATIONS

The Human Protein Atlas

  • DOWNLOADABLE DATA
  • LICENCE & CITATION
  • HELP & FAQ
The Human Protein Atlas project is funded
by the Knut & Alice Wallenberg Foundation.


contact@proteinatlas.org