We use cookies to enhance the usability of our website. If you continue, we'll assume that you are happy to receive all cookies. More information. Don't show this again.
RAB13
HPA
RESOURCES
  • TISSUE
  • BRAIN
  • SINGLE CELL
  • SUBCELLULAR
  • CANCER
  • BLOOD
  • CELL LINE
  • STRUCTURE & INTERACTION
ABOUT
  • INTRODUCTION
  • HISTORY
  • ORGANIZATION
  • PUBLICATIONS
  • ANTIBODY SUBMISSION
  • ANTIBODY AVAILABILITY
  • ACKNOWLEDGMENTS
  • CONTACT
NEWS
  • NEWS ARTICLES
  • PRESS ROOM
LEARN
  • DICTIONARY
  • PROTEIN CLASSES
  • PROTEIN EVIDENCE
  • METHODS
  • EDUCATIONAL VIDEOS
DATA
  • DOWNLOADABLE DATA
  • PUBLICATION DATA
  • RELEASE HISTORY
HELP
  • ANTIBODY VALIDATION
  • ASSAYS & ANNOTATION
  • DISCLAIMER
  • HELP & FAQ
  • PRIVACY STATEMENT
  • LICENCE & CITATION
Fields »
Search result

Field
Term
Gene name
Class
Subclass
Class
Keyword
Chromosome
External id
Tissue
Cell type
Expression
Antibody panel
Tissue
Main location
Patient ID
Annotation
Tissue
Category
Tau score
Cluster
Reliability
Brain region
Category
Tau score
Brain region
Category
Tau score
Brain region
Category
Tau score
Cluster
Reliability
Tissue
Cell type
Enrichment
Cell type
Category
Tau score
Cell type
Category
Tau score
Cell type
Category
Tau score
Cell lineage
Category
Tau score
Cluster
Cluster
Location
Searches
Location
Cell line
Class
Type
Phase
Reliability
Cancer
Prognosis
Cancer
Category
Cancer
Category
Tau score
Cluster
Variants
Interacting gene (ensg_id)
Type
Number of interactions
Pathway
Category
Score
Score
Score
Validation
Validation
Validation
Validation
Antibodies
Data type
Column


  • SUMMARY

  • TISSUE

  • BRAIN

  • SINGLE CELL

  • SUBCELL

  • CANCER

  • BLOOD

  • CELL LINE

  • STRUCT & INT

  • RAB13
TISSUE PRIMARY DATA PANCREAS Show tissue menu
ADIPOSE TISSUE ADRENAL GLAND AMYGDALA APPENDIX BASAL GANGLIA BONE MARROW BREAST BRONCHUS CEREBELLUM CEREBRAL CORTEX CERVIX CHOROID PLEXUS COLON DUODENUM
ENDOMETRIUM EPIDIDYMIS ESOPHAGUS FALLOPIAN TUBE GALLBLADDER HEART MUSCLE HIPPOCAMPAL FORMATION HYPOTHALAMUS KIDNEY LIVER LUNG LYMPH NODE MIDBRAIN NASOPHARYNX
ORAL MUCOSA OVARY PANCREAS PARATHYROID GLAND PITUITARY GLAND PLACENTA PROSTATE RECTUM RETINA SALIVARY GLAND SEMINAL VESICLE SKELETAL MUSCLE SKIN SMALL INTESTINE
SMOOTH MUSCLE SOFT TISSUE SPINAL CORD SPLEEN STOMACH TESTIS THYMUS THYROID GLAND TONGUE TONSIL URINARY BLADDER VAGINA
ANTIBODIES
AND
VALIDATION
Dictionary
Pancreas
Tissue proteome
Pancreas
PANCREAS - Expression summary
Protein expression
Pancreasi

On the top, protein expression in current human tissue, based on all annotated cell types, is reported with the units not detected (n), low (l), medium (m) and high (h). Underneath, protein expression in each annotated cell type are reported using the same units.

Protein expression data is based on knowledge-based annotation. For genes where more than one antibody has been used, a collective score is set.

If knowledge-based annotation could not be performed for a gene, no data is displayed here. View antibody staining data further down this page.

h
m
l
n
Exocrine glandular cells: Medium
Pancreatic endocrine cells: Low
RNA expressioni

A summary of mRNA expression data available for current tissue based on several datasets. The mRNA expression levels in human tissues are based on RNA-seq data generated by the Human Protein Atlas (HPA), Genotype-Tissue Expression (GTEx) portal and CAGE data generated by the FANTOM5 consortium. Consensus normalized expression levels for human tissues was created by combining the data from HPA and GTEx datasets.

The mRNA expression levels in pig are based on RNA-seq data generated by the Human Protein Atlas (HPA), and for mouse, HPA data and in situ hybridization generated by the Allen brain atlas are reported.

Scroll down to view mRNA expression data in more detail.
Consensus:111.8 nTPM
HPA:84.7 nTPM
GTEx:111.8 nTPM
FANTOM5:119.7 Scaled Tags Per Million

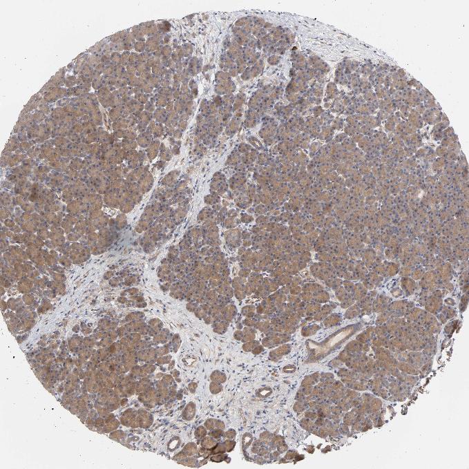
PANCREAS - Antibody stainingi

Antibody staining in the annotated cell types in the current human tissue is reported as not detected, low, medium, or high, based on conventional immunohistochemistry profiling in selected tissues. This score is based on the combination of the staining intensity and fraction of stained cells.

Each image is clickable and will lead to virtual microscopy that enables deeper exploration of all samples and also displays staining intensity scores, fraction scores and subcellular localization as well as patient and tissue information for each sample.

Antibody HPA003996
Exocrine glandular cells Medium
Pancreatic endocrine cells Low



PANCREAS - HPA RNA-seqi

The RNA-seq details section shows detailed information about the individual samples used for the transcript profiling and results of the RNA-seq analysis.

Information about each individual sample is listed below, including gender, age, a tissue section image and estimated fractions of cell types. nTPM (normalized transcripts per million) values give a quantification of the gene abundance which is comparable between different genes and samples.
Average nTPMi

Max subtype nTPM is the value for the subtype with the largest average nTPM across the subtype samples.

84.7
overview
Female, age 59
Pancreas sample 194
nTPM: 85.6
Cell types%
Exocrine glandular cells:
75

Pancreatic endocrine cells:
10

Ductal cells:
5

Other cell types:
10

overview
Male, age 60
Pancreas sample 195
nTPM: 83.8
Cell types%
Exocrine glandular cells:
90

Pancreatic endocrine cells:
5

Ductal cells:
5


PANCREAS - GTEx RNA-seqi

RNA-Seq data generated by the Genotype-Tissue Expression (GTEx) project from human tissues is reported as mean nTPM. More information can be found on the GTEx portal.

Distribution across the dataset is visualized with box plots, shown as median and 25th and 75th percentiles. Points are displayed as outliers if they are above or below 1.5 times the interquartile range. nTPM values of the individual samples are presented next to the box plot.
Max subtype nTPMi

Max subtype nTPM is the value for the subtype with the largest average nTPM across the subtype samples.

111.8
GTEx sample id Sample description nTPM
Pancreas
Average nTPM: 111.8
Samples: 328

Max nTPM: 182.2
Min nTPM: 55.0
Std nTPM: 17.0
Median nTPM: 111.2
GTEX-1AX9K-2026-SM-731D1 50-59 years, male 182.2
GTEX-1QW4Y-0926-SM-DPRY2 30-39 years, male 154.0
GTEX-11NSD-0526-SM-5A5LT 20-29 years, male 153.9
GTEX-144FL-1526-SM-5Q5CA 50-59 years, male 151.9
GTEX-1OKEX-1726-SM-E9U4F 60-69 years, male 149.7
GTEX-1LSNM-0726-SM-DHXL1 50-59 years, male 149.3
GTEX-WFG8-0326-SM-4LVN4 20-29 years, male 149.1
GTEX-1R7EU-0726-SM-DPRZM 60-69 years, male 147.7
GTEX-1399S-0326-SM-5IFFS 30-39 years, female 146.7
GTEX-Y3I4-0826-SM-4TT2A 50-59 years, male 146.0
GTEX-1N2DV-1726-SM-DPRYR 40-49 years, male 145.8
GTEX-OIZF-1026-SM-2HML5 60-69 years, male 145.7
GTEX-QV31-0226-SM-447BO 30-39 years, male 142.2
GTEX-QMRM-0326-SM-CKZNB 50-59 years, male 141.5
GTEX-13VXT-1226-SM-5LU3M 20-29 years, female 141.4
GTEX-1R7EV-1126-SM-DPRXU 40-49 years, male 139.8
GTEX-1LG7Z-0326-SM-DHXK3 30-39 years, male 139.3
GTEX-QLQW-0326-SM-447A8 30-39 years, male 139.0
GTEX-1JKYR-1026-SM-CGQGI 20-29 years, male 138.1
GTEX-1LGRB-0426-SM-CNNRD 50-59 years, female 138.1
GTEX-1JKYN-0426-SM-CGQG2 30-39 years, male 137.6
GTEX-WH7G-0826-SM-4LVMR 40-49 years, male 137.3
GTEX-ZG7Y-0326-SM-4WWEY 50-59 years, male 137.2
GTEX-1GF9X-1126-SM-7MKHC 40-49 years, female 137.2
GTEX-15SHV-1526-SM-6LLIB 60-69 years, male 137.1
GTEX-W5WG-0826-SM-4RGNE 50-59 years, female 137.0
GTEX-WHSB-0726-SM-4M1XQ 50-59 years, male 136.8
GTEX-WI4N-1826-SM-4OOSF 40-49 years, female 136.6
GTEX-1S83E-1426-SM-EV7B8 40-49 years, male 136.5
GTEX-13FTW-0526-SM-5IFIP 40-49 years, male 136.4
GTEX-18D9U-1626-SM-7KFTW 40-49 years, male 136.0
GTEX-WY7C-1026-SM-4OND3 50-59 years, male 135.5
GTEX-15CHR-2026-SM-7MXU2 50-59 years, male 135.0
GTEX-P4QS-1026-SM-3NMCW 60-69 years, male 134.1
GTEX-1339X-1026-SM-5IFH5 40-49 years, male 133.8
GTEX-15EU6-1126-SM-68721 50-59 years, male 133.7
GTEX-YEC3-0626-SM-CMKFG 50-59 years, male 133.0
GTEX-O5YT-1026-SM-3MJGF 20-29 years, male 132.9
GTEX-15RJ7-0826-SM-6LLI8 40-49 years, male 132.8
GTEX-17MF6-1426-SM-7IGOX 40-49 years, male 132.3
GTEX-WFON-0626-SM-4LVLX 40-49 years, male 132.2
GTEX-12BJ1-1126-SM-5EGGG 60-69 years, male 132.1
GTEX-14PJM-2126-SM-6AJAS 50-59 years, female 131.9
GTEX-18A67-1726-SM-7KFT9 50-59 years, male 131.1
GTEX-1QAET-1326-SM-E9U64 50-59 years, male 131.1
GTEX-1L5NE-0826-SM-DHXKU 50-59 years, male 131.0
GTEX-1OFPY-0626-SM-EXOJ4 60-69 years, male 130.2
GTEX-144GM-0726-SM-79OJQ 20-29 years, male 129.7
GTEX-YEC4-1326-SM-5IFHG 40-49 years, male 129.4
GTEX-1122O-0726-SM-5GIEV 60-69 years, female 128.4
GTEX-14AS3-0326-SM-5Q5DB 40-49 years, female 128.4
GTEX-17F9E-1426-SM-793BG 50-59 years, male 128.3
GTEX-1CAMR-1126-SM-7MGXF 20-29 years, male 128.2
GTEX-WFG7-0426-SM-4LMK5 20-29 years, male 128.1
GTEX-WYVS-0926-SM-4SOJV 40-49 years, female 128.1
GTEX-1IDJU-0326-SM-CGQEE 60-69 years, female 127.8
GTEX-U8XE-2026-SM-3DB8S 30-39 years, male 127.3
GTEX-1GMR3-1226-SM-7MGY1 40-49 years, male 127.2
GTEX-1N2EF-2126-SM-DPRYL 60-69 years, male 127.1
GTEX-1K2DU-1026-SM-DHXKC 20-29 years, male 127.0
GTEX-QDVN-0926-SM-2I5GL 50-59 years, male 126.7
GTEX-1NUQO-0826-SM-DPS16 20-29 years, female 126.3
GTEX-ZYW4-2126-SM-59HJ9 60-69 years, male 125.9
GTEX-XPVG-0326-SM-4B653 50-59 years, male 125.8
GTEX-1A3MW-1926-SM-7IGM8 60-69 years, female 125.3
GTEX-1PFEY-1126-SM-DPRZ3 30-39 years, male 125.2
GTEX-1F5PL-0726-SM-7MKH8 40-49 years, female 124.8
GTEX-Y9LG-0726-SM-4VDS3 30-39 years, male 124.8
GTEX-YF7O-1326-SM-4W1ZR 50-59 years, male 124.5
GTEX-17KNJ-1926-SM-7KFRV 50-59 years, male 124.4
GTEX-PLZ6-0726-SM-3P619 30-39 years, male 124.2
GTEX-1PWST-1526-SM-EXOIT 70-79 years, male 124.2
GTEX-139YR-1526-SM-5IFJ1 50-59 years, male 124.1
GTEX-1PBJI-2126-SM-DPRYG 20-29 years, female 123.8
GTEX-1QP29-1926-SM-DPRZO 50-59 years, male 123.8
GTEX-XMK1-0326-SM-4B652 40-49 years, male 123.5
GTEX-1I4MK-1026-SM-AHZ2H 50-59 years, female 123.1
GTEX-ZPU1-0226-SM-4WWC9 40-49 years, male 123.0
GTEX-Y5LM-0526-SM-4V6G3 40-49 years, female 122.8
GTEX-13D11-2226-SM-5IFEO 50-59 years, female 122.7
GTEX-13OVI-0526-SM-5IFFQ 60-69 years, female 122.6
GTEX-18A7A-1726-SM-7LT93 50-59 years, female 122.6
GTEX-18A66-2126-SM-7189D 60-69 years, male 122.4
GTEX-1S831-0626-SM-EV79N 20-29 years, male 122.4
GTEX-12WSN-0826-SM-5GCOF 40-49 years, male 122.3
GTEX-X15G-0726-SM-4PQZ5 50-59 years, female 122.3
GTEX-1R46S-1426-SM-EXOJD 60-69 years, female 122.2
GTEX-11DXX-0926-SM-5H112 60-69 years, female 121.9
GTEX-145MN-1426-SM-5SI9H 30-39 years, male 121.7
GTEX-1S82P-1026-SM-EAZ4W 60-69 years, female 121.6
GTEX-Y8E4-1326-SM-5IFIY 40-49 years, male 121.5
GTEX-WHWD-0726-SM-4OORX 50-59 years, male 121.4
GTEX-14PJN-1526-SM-6AJBP 30-39 years, male 121.3
GTEX-14PJ4-0726-SM-6872E 60-69 years, male 121.2
GTEX-13W3W-1026-SM-5IFG4 60-69 years, female 121.1
GTEX-1RAZQ-1426-SM-EV7B2 30-39 years, male 121.0
GTEX-QDVJ-1226-SM-48U1V 50-59 years, male 120.8
GTEX-WRHK-0226-SM-4MVOH 20-29 years, female 120.8
GTEX-P4PQ-1026-SM-3NMCN 60-69 years, male 120.7
GTEX-14DAR-0526-SM-664MX 50-59 years, male 120.5
GTEX-ZYFG-0826-SM-5BC5T 60-69 years, female 120.5
GTEX-17F98-0426-SM-79ONZ 40-49 years, female 120.3
GTEX-XBEW-1626-SM-4SOJP 40-49 years, male 119.9
GTEX-1CAMQ-1626-SM-7MGXG 40-49 years, male 119.9
GTEX-1CAMS-1926-SM-7DUEU 40-49 years, female 119.5
GTEX-R55G-0326-SM-48FDM 40-49 years, female 119.5
GTEX-T8EM-0826-SM-4DM76 40-49 years, male 119.4
GTEX-1CB4I-1326-SM-79OLY 50-59 years, male 119.3
GTEX-117YX-0226-SM-5EGH6 50-59 years, male 118.9
GTEX-QCQG-0426-SM-48U29 50-59 years, female 118.9
GTEX-1B932-1626-SM-731EA 40-49 years, female 118.5
GTEX-ZTPG-1026-SM-5DUWP 20-29 years, female 118.4
GTEX-1LVAN-1226-SM-CNNQY 50-59 years, female 118.3
GTEX-1I1GQ-2226-SM-B2LX1 50-59 years, male 118.2
GTEX-UJHI-0626-SM-3DB8T 50-59 years, female 118.0
GTEX-14PHY-1126-SM-664OR 60-69 years, female 117.9
GTEX-1RAZA-1626-SM-EV79I 20-29 years, male 117.6
GTEX-14PJ6-0926-SM-686ZA 60-69 years, female 117.5
GTEX-ZVP2-0726-SM-59HKY 50-59 years, male 117.5
GTEX-Y3IK-0426-SM-4WWE2 50-59 years, female 117.3
GTEX-15UF7-0826-SM-6M46E 40-49 years, male 117.2
GTEX-11XUK-0626-SM-5N9ES 40-49 years, female 117.0
GTEX-111YS-1226-SM-5EGGJ 60-69 years, male 116.6
GTEX-XUW1-1726-SM-4BOOZ 50-59 years, female 116.5
GTEX-YB5K-1826-SM-5IFJC 40-49 years, female 116.4
GTEX-ZT9W-0926-SM-57WFS 50-59 years, male 116.2
GTEX-1GN1W-1126-SM-9OSW3 50-59 years, female 116.2
GTEX-SNOS-0926-SM-4DM7A 40-49 years, male 115.6
GTEX-Q2AI-0426-SM-48U13 40-49 years, male 115.5
GTEX-1M5QR-0926-SM-DHXK8 40-49 years, male 115.5
GTEX-145ME-0326-SM-5S2QO 40-49 years, female 115.3
GTEX-1B97J-1526-SM-79ONI 50-59 years, female 115.3
GTEX-R53T-0426-SM-48FEM 50-59 years, female 115.3
GTEX-12WSL-0426-SM-5GCNX 50-59 years, male 114.7
GTEX-132AR-1826-SM-5EGHR 50-59 years, female 114.4
GTEX-15UF6-1826-SM-6LLI9 70-79 years, female 114.2
GTEX-1I1GT-0926-SM-AHZ2G 60-69 years, female 114.2
GTEX-1KXAM-0226-SM-EV7AP 60-69 years, male 114.2
GTEX-1MUQO-1426-SM-DPRYJ 60-69 years, male 114.2
GTEX-14PN4-1626-SM-6AJB5 50-59 years, male 114.0
GTEX-1H11D-0926-SM-9OSXO 40-49 years, male 114.0
GTEX-144GN-0826-SM-5LU5G 50-59 years, male 113.9
GTEX-ZAB4-1726-SM-5HL8C 40-49 years, male 113.7
GTEX-1C64O-1426-SM-7EWER 60-69 years, male 113.4
GTEX-15FZZ-0626-SM-7KFTO 30-39 years, female 113.3
GTEX-1AX8Z-1726-SM-731DE 60-69 years, male 113.3
GTEX-ZAB5-0826-SM-5P9FU 50-59 years, male 113.2
GTEX-15RIF-0626-SM-6LLI3 20-29 years, male 113.1
GTEX-TKQ2-0426-SM-4DXUO 50-59 years, male 113.1
GTEX-ZPIC-0926-SM-4WWFK 40-49 years, female 112.9
GTEX-131XE-1926-SM-5IFER 50-59 years, male 112.8
GTEX-18A6Q-1726-SM-7LT9A 60-69 years, male 112.7
GTEX-ZLWG-0326-SM-4WWC7 50-59 years, female 112.7
GTEX-OIZI-1526-SM-E6CHI 40-49 years, male 112.6
GTEX-131XG-1426-SM-5GCMO 50-59 years, female 112.5
GTEX-13O61-2126-SM-5IJEO 60-69 years, male 112.4
GTEX-14PN3-0126-SM-6AJAU 60-69 years, female 112.2
GTEX-PSDG-1526-SM-48TCY 50-59 years, male 112.0
GTEX-ZLFU-0726-SM-57WF6 40-49 years, male 111.9
GTEX-11P7K-0526-SM-5BC5I 30-39 years, male 111.8
GTEX-14JG6-0426-SM-68715 30-39 years, female 111.6
GTEX-WHPG-0326-SM-4M1XV 50-59 years, male 111.4
GTEX-1J8Q3-0626-SM-AHZ3V 60-69 years, male 111.4
GTEX-1K2DA-0326-SM-CGQGX 50-59 years, male 111.3
GTEX-ZP4G-0426-SM-4YCER 20-29 years, female 111.1
GTEX-132QS-0926-SM-5P9GB 60-69 years, male 111.0
GTEX-1399U-0926-SM-5IFHA 50-59 years, female 110.8
GTEX-PX3G-1026-SM-48TZW 20-29 years, female 110.8
GTEX-1H1E6-0826-SM-9WG83 30-39 years, male 110.8
GTEX-TMMY-1326-SM-4DXU9 40-49 years, female 110.5
GTEX-13N11-0226-SM-5KM3C 50-59 years, female 110.4
GTEX-S4P3-0626-SM-4AD59 50-59 years, female 110.4
GTEX-13CF3-1026-SM-5LZWY 60-69 years, female 110.3
GTEX-13FTX-1226-SM-5IFGN 20-29 years, female 110.3
GTEX-15SB6-0226-SM-6LLIA 50-59 years, female 110.3
GTEX-1K9T9-1726-SM-CXZK1 50-59 years, female 110.1
GTEX-YB5E-0526-SM-4VDSD 40-49 years, male 109.9
GTEX-1128S-0826-SM-5GZZI 60-69 years, female 109.8
GTEX-13PVR-0726-SM-5S2PX 60-69 years, female 109.4
GTEX-14PHX-2026-SM-6872C 50-59 years, male 109.4
GTEX-ZC5H-0826-SM-5N9FH 40-49 years, female 109.3
GTEX-QESD-0226-SM-447BH 20-29 years, male 109.1
GTEX-14ICL-1126-SM-5S2RE 30-39 years, male 109.0
GTEX-V955-0326-SM-4JBGV 60-69 years, male 108.9
GTEX-OHPM-1026-SM-3LK74 50-59 years, male 108.6
GTEX-1211K-1126-SM-5EGGB 60-69 years, female 108.5
GTEX-ZVZP-0626-SM-59HL5 50-59 years, male 107.9
GTEX-13X6H-0626-SM-5LU53 50-59 years, female 107.6
GTEX-XQ8I-1926-SM-4BOOK 50-59 years, male 107.5
GTEX-ZZPU-0726-SM-5N9C8 50-59 years, female 107.1
GTEX-QLQ7-0626-SM-CE6QX 60-69 years, male 107.1
GTEX-SE5C-0326-SM-4BRWX 40-49 years, female 107.0
GTEX-1A8FM-1826-SM-7MGXO 50-59 years, female 107.0
GTEX-1QP28-1026-SM-EAZ4K 50-59 years, female 107.0
GTEX-1NSGN-1726-SM-EXOJG 50-59 years, male 106.9
GTEX-12WSD-1626-SM-5GCNR 60-69 years, female 106.7
GTEX-OHPL-1026-SM-3MJGI 60-69 years, female 106.6
GTEX-R55D-1426-SM-48FEN 50-59 years, male 106.6
GTEX-Y114-0826-SM-4TT77 50-59 years, female 106.6
GTEX-ZVT2-2026-SM-5NQ8Q 50-59 years, female 106.4
GTEX-11LCK-0226-SM-5A5M6 30-39 years, male 106.0
GTEX-14PKU-0626-SM-6EU1Q 40-49 years, female 105.9
GTEX-14PJ3-0426-SM-6LLHF 50-59 years, male 105.7
GTEX-1R9K5-1226-SM-E6CPQ 50-59 years, male 105.7
GTEX-13U4I-1526-SM-5IFFF 40-49 years, female 105.6
GTEX-13SLX-1326-SM-5S2QS 50-59 years, female 105.5
GTEX-TML8-0526-SM-32QOQ 40-49 years, female 105.4
GTEX-11EQ9-1026-SM-5H134 30-39 years, male 105.2
GTEX-S33H-1226-SM-4AD69 30-39 years, male 105.1
GTEX-11VI4-0426-SM-5EGHZ 40-49 years, female 105.0
GTEX-Q734-0426-SM-48TZX 40-49 years, female 105.0
GTEX-S3XE-0526-SM-4AD4G 50-59 years, male 104.9
GTEX-1399R-0426-SM-5IJE3 30-39 years, male 104.8
GTEX-13FLV-0626-SM-5IFEY 50-59 years, male 104.8
GTEX-146FQ-1526-SM-5Q5CX 30-39 years, male 104.8
GTEX-X3Y1-0726-SM-3P5YU 40-49 years, male 104.6
GTEX-X4LF-0326-SM-4QAS9 50-59 years, male 104.6
GTEX-ZPCL-0726-SM-DO91S 60-69 years, female 104.2
GTEX-14C39-1026-SM-73KWG 40-49 years, male 103.9
GTEX-1MGNQ-1226-SM-EV7BM 40-49 years, male 103.8
GTEX-WYJK-2426-SM-4ONDQ 50-59 years, male 103.7
GTEX-1CB4F-1226-SM-7DHKU 60-69 years, male 103.6
GTEX-1I1GU-0326-SM-AHZ2K 40-49 years, male 103.6
GTEX-WFJO-0626-SM-4LVMC 30-39 years, male 103.4
GTEX-RM2N-0326-SM-48FD8 50-59 years, male 103.3
GTEX-111CU-0526-SM-5EGHK 50-59 years, male 102.9
GTEX-178AV-0226-SM-793B7 40-49 years, male 102.9
GTEX-WQUQ-2126-SM-4OOSO 60-69 years, male 102.9
GTEX-1C4CL-0926-SM-79OL2 30-39 years, male 102.7
GTEX-1GN1U-1126-SM-9WPPZ 50-59 years, female 102.7
GTEX-1GL5R-0926-SM-9JGFO 50-59 years, male 102.4
GTEX-1497J-0426-SM-5Q5CO 60-69 years, male 102.0
GTEX-S32W-0826-SM-4AD5Z 50-59 years, female 101.7
GTEX-1C2JI-0926-SM-731F1 50-59 years, male 101.6
GTEX-Q2AH-0926-SM-48TZK 40-49 years, male 101.6
GTEX-13O1R-1826-SM-5KM3B 60-69 years, male 101.5
GTEX-OXRK-1526-SM-E6CHJ 50-59 years, female 101.4
GTEX-11GSP-0426-SM-5A5KX 60-69 years, female 100.6
GTEX-1QEPI-1626-SM-EAZ3I 60-69 years, female 100.5
GTEX-11ONC-0526-SM-5BC57 60-69 years, male 100.3
GTEX-ZF3C-2026-SM-4WWB5 50-59 years, female 100.2
GTEX-13PL7-2226-SM-5L3IC 60-69 years, female 100.0
GTEX-15UKP-1326-SM-6LPI8 20-29 years, male 100.0
GTEX-T5JW-0226-SM-4DM7I 20-29 years, female 100.0
GTEX-XGQ4-0226-SM-4GIDS 50-59 years, male 99.6
GTEX-12WSK-0226-SM-5BC62 40-49 years, female 99.4
GTEX-14PJ2-1526-SM-686Z4 50-59 years, male 99.4
GTEX-1HSMO-2026-SM-CNNQO 60-69 years, male 99.3
GTEX-1B996-1326-SM-731EO 60-69 years, male 99.2
GTEX-16Z82-1726-SM-7MGX3 60-69 years, male 99.0
GTEX-1IDJC-0526-SM-AHZ2Q 50-59 years, male 98.8
GTEX-1O97I-1726-SM-EXOIP 60-69 years, male 98.8
GTEX-1AYCT-1226-SM-7EPGH 50-59 years, male 98.6
GTEX-RWS6-1126-SM-47JXC 60-69 years, female 98.5
GTEX-QEL4-1326-SM-447AD 50-59 years, male 98.4
GTEX-VJYA-0826-SM-4KL1M 60-69 years, male 98.2
GTEX-1IDJD-0126-SM-C1YQZ 30-39 years, male 98.2
GTEX-145MO-2126-SM-5Q5CZ 60-69 years, male 98.1
GTEX-14E6E-1426-SM-5RQI2 30-39 years, male 98.0
GTEX-1AMFI-0726-SM-731D9 50-59 years, female 97.8
GTEX-OOBK-1026-SM-48TC2 40-49 years, male 97.6
GTEX-Y8LW-1026-SM-5IFJY 50-59 years, female 97.5
GTEX-13YAN-2126-SM-5Q5C4 60-69 years, male 97.4
GTEX-17HHE-0526-SM-7DUGR 50-59 years, male 97.4
GTEX-1KANA-1526-SM-CXZKG 20-29 years, male 97.3
GTEX-ZF29-1126-SM-4WKGO 60-69 years, female 97.1
GTEX-12WSG-1026-SM-5EGII 50-59 years, female 97.0
GTEX-YFCO-1026-SM-5LU9S 40-49 years, male 97.0
GTEX-1B8KE-0726-SM-72D7G 50-59 years, male 96.5
GTEX-ZYY3-0826-SM-5E44R 60-69 years, female 96.5
GTEX-13FH7-1426-SM-5IFIC 50-59 years, female 95.4
GTEX-14PKV-0926-SM-6AJB4 20-29 years, female 95.4
GTEX-15DYW-1626-SM-6LLI1 60-69 years, female 95.4
GTEX-1AYD5-0326-SM-7EWEO 50-59 years, male 95.1
GTEX-16MT8-1726-SM-7EWE7 60-69 years, female 95.0
GTEX-1J8EW-1926-SM-CGQGR 60-69 years, female 94.7
GTEX-1JK1U-1026-SM-AHZ44 60-69 years, male 94.6
GTEX-XV7Q-0926-SM-4BRVQ 40-49 years, female 94.4
GTEX-146FR-0126-SM-5Q5F3 60-69 years, female 94.1
GTEX-VUSG-0326-SM-3GIJ7 50-59 years, male 93.9
GTEX-U4B1-0726-SM-4DXUA 40-49 years, male 93.6
GTEX-S95S-0726-SM-4B64H 60-69 years, male 93.5
GTEX-11I78-0626-SM-5A5LZ 50-59 years, female 93.4
GTEX-QV44-0426-SM-4R1KF 50-59 years, male 93.4
GTEX-OOBJ-1026-SM-3NB2L 60-69 years, male 92.8
GTEX-11TT1-0326-SM-5LUAY 20-29 years, male 92.6
GTEX-XBED-0226-SM-47JY8 60-69 years, male 92.5
GTEX-ZDTT-1126-SM-4WKFW 60-69 years, male 92.5
GTEX-1HKZK-1126-SM-9WG82 40-49 years, male 92.0
GTEX-ZV7C-0726-SM-59HKH 50-59 years, male 91.9
GTEX-1B8KZ-0926-SM-731D7 50-59 years, male 91.7
GTEX-SUCS-1426-SM-4DM5W 70-79 years, male 91.6
GTEX-14PK6-1026-SM-664NZ 70-79 years, female 91.2
GTEX-17HGU-2026-SM-79OKS 50-59 years, male 91.2
GTEX-NFK9-1626-SM-3LK5J 40-49 years, male 91.2
GTEX-1HSGN-1426-SM-A8NAA 40-49 years, female 90.9
GTEX-1QPFJ-2226-SM-EXOJW 30-39 years, female 90.5
GTEX-1JMPZ-1026-SM-CXZJS 30-39 years, male 90.4
GTEX-1C6VQ-1726-SM-7IGLQ 50-59 years, male 90.2
GTEX-ZDYS-2526-SM-4WKGU 50-59 years, male 90.2
GTEX-1IL2U-2326-SM-CNNQV 60-69 years, male 90.1
GTEX-N7MT-1626-SM-3LK71 60-69 years, female 89.3
GTEX-P4PP-1026-SM-3NM9O 30-39 years, female 89.3
GTEX-ZAK1-2326-SM-5CVMY 50-59 years, female 89.3
GTEX-ZYT6-1326-SM-5E453 30-39 years, male 89.2
GTEX-V1D1-0726-SM-4JBH7 50-59 years, male 88.9
GTEX-1PPH8-2326-SM-EAZ48 20-29 years, male 88.8
GTEX-WXYG-0826-SM-4ONC7 50-59 years, female 88.1
GTEX-UJMC-1126-SM-3GADP 50-59 years, male 88.0
GTEX-131XF-1426-SM-5BC68 60-69 years, male 87.9
GTEX-1H23P-2026-SM-9OSXY 60-69 years, male 87.8
GTEX-1QP2A-1326-SM-EAZ3K 50-59 years, male 87.8
GTEX-1H1DG-1426-SM-9OSXP 70-79 years, male 87.6
GTEX-ZEX8-1026-SM-4WKHE 50-59 years, male 86.9
GTEX-148VI-0826-SM-5TDDI 60-69 years, female 85.0
GTEX-PW2O-0826-SM-48TC5 20-29 years, male 84.5
GTEX-1GZ4H-0626-SM-9OSXJ 50-59 years, female 84.2
GTEX-14PJO-1826-SM-69LPR 60-69 years, male 81.6
GTEX-NPJ8-2126-SM-3MJGK 40-49 years, male 80.1
GTEX-XYKS-1226-SM-4BRVI 60-69 years, female 79.9
GTEX-1AX9J-1726-SM-731FF 60-69 years, male 79.7
GTEX-XXEK-1726-SM-4BRVB 50-59 years, male 77.5
GTEX-1CB4G-1826-SM-7MKGO 60-69 years, male 76.4
GTEX-X5EB-0526-SM-46MVP 40-49 years, male 75.7
GTEX-15SDE-0826-SM-6M463 50-59 years, female 73.4
GTEX-15ER7-1326-SM-6LPK9 20-29 years, female 71.1
GTEX-1B933-1726-SM-731FC 50-59 years, female 69.9
GTEX-14BMU-0726-SM-73KXS 20-29 years, female 55.0
Show allShow less

PANCREAS - FANTOM5 CAGEi

RNA expression in human tissues obtained through Cap Analysis of Gene Expression (CAGE) generated by the FANTOM5 project are reported as Scaled Tags Per Million.

Max subtype Scaled Tags Per Millioni

Max subtype Scaled Tags Per Million is the value for the subtype with the largest average Scaled Tags Per Million across the subtype samples.

119.7
FANTOM5 sample id Sample description Scaled Tags Per Million
Pancreas
Scaled Tags Per Million: 119.7
FF:10049-101G4 52 years, male 119.7

Contact

  • NEWS ARTICLES
  • PRESS ROOM

The Project

  • INTRODUCTION
  • ORGANIZATION
  • PUBLICATIONS

The Human Protein Atlas

  • DOWNLOADABLE DATA
  • LICENCE & CITATION
  • HELP & FAQ
The Human Protein Atlas project is funded
by the Knut & Alice Wallenberg Foundation.


contact@proteinatlas.org