We use cookies to enhance the usability of our website. If you continue, we'll assume that you are happy to receive all cookies. More information. Don't show this again.
RAB13
HPA
RESOURCES
  • TISSUE
  • BRAIN
  • SINGLE CELL
  • SUBCELLULAR
  • CANCER
  • BLOOD
  • CELL LINE
  • STRUCTURE & INTERACTION
ABOUT
  • INTRODUCTION
  • HISTORY
  • ORGANIZATION
  • PUBLICATIONS
  • ANTIBODY SUBMISSION
  • ANTIBODY AVAILABILITY
  • ACKNOWLEDGMENTS
  • CONTACT
NEWS
  • NEWS ARTICLES
  • PRESS ROOM
LEARN
  • DICTIONARY
  • PROTEIN CLASSES
  • PROTEIN EVIDENCE
  • METHODS
  • EDUCATIONAL VIDEOS
DATA
  • DOWNLOADABLE DATA
  • PUBLICATION DATA
  • RELEASE HISTORY
HELP
  • ANTIBODY VALIDATION
  • ASSAYS & ANNOTATION
  • DISCLAIMER
  • HELP & FAQ
  • PRIVACY STATEMENT
  • LICENCE & CITATION
Fields »
Search result

Field
Term
Gene name
Class
Subclass
Class
Keyword
Chromosome
External id
Tissue
Cell type
Expression
Antibody panel
Tissue
Main location
Patient ID
Annotation
Tissue
Category
Tau score
Cluster
Reliability
Brain region
Category
Tau score
Brain region
Category
Tau score
Brain region
Category
Tau score
Cluster
Reliability
Tissue
Cell type
Enrichment
Cell type
Category
Tau score
Cell type
Category
Tau score
Cell type
Category
Tau score
Cell lineage
Category
Tau score
Cluster
Cluster
Location
Searches
Location
Cell line
Class
Type
Phase
Reliability
Cancer
Prognosis
Cancer
Category
Cancer
Category
Tau score
Cluster
Variants
Interacting gene (ensg_id)
Type
Number of interactions
Pathway
Category
Score
Score
Score
Validation
Validation
Validation
Validation
Antibodies
Data type
Column


  • SUMMARY

  • TISSUE

  • BRAIN

  • SINGLE CELL

  • SUBCELL

  • CANCER

  • BLOOD

  • CELL LINE

  • STRUCT & INT

  • RAB13
TISSUE PRIMARY DATA STOMACH Show tissue menu
ADIPOSE TISSUE ADRENAL GLAND AMYGDALA APPENDIX BASAL GANGLIA BONE MARROW BREAST BRONCHUS CEREBELLUM CEREBRAL CORTEX CERVIX CHOROID PLEXUS COLON DUODENUM
ENDOMETRIUM EPIDIDYMIS ESOPHAGUS FALLOPIAN TUBE GALLBLADDER HEART MUSCLE HIPPOCAMPAL FORMATION HYPOTHALAMUS KIDNEY LIVER LUNG LYMPH NODE MIDBRAIN NASOPHARYNX
ORAL MUCOSA OVARY PANCREAS PARATHYROID GLAND PITUITARY GLAND PLACENTA PROSTATE RECTUM RETINA SALIVARY GLAND SEMINAL VESICLE SKELETAL MUSCLE SKIN SMALL INTESTINE
SMOOTH MUSCLE SOFT TISSUE SPINAL CORD SPLEEN STOMACH TESTIS THYMUS THYROID GLAND TONGUE TONSIL URINARY BLADDER VAGINA
ANTIBODIES
AND
VALIDATION
Dictionary
Tissue proteome
Stomach
STOMACH - Expression summary
Protein expression
Stomachi

On the top, protein expression in current human tissue, based on all annotated cell types, is reported with the units not detected (n), low (l), medium (m) and high (h). Underneath, protein expression in each annotated cell type are reported using the same units.

Protein expression data is based on knowledge-based annotation. For genes where more than one antibody has been used, a collective score is set.

If knowledge-based annotation could not be performed for a gene, no data is displayed here. View antibody staining data further down this page.

h
m
l
n
Glandular cells: Medium
RNA expressioni

A summary of mRNA expression data available for current tissue based on several datasets. The mRNA expression levels in human tissues are based on RNA-seq data generated by the Human Protein Atlas (HPA), Genotype-Tissue Expression (GTEx) portal and CAGE data generated by the FANTOM5 consortium. Consensus normalized expression levels for human tissues was created by combining the data from HPA and GTEx datasets.

The mRNA expression levels in pig are based on RNA-seq data generated by the Human Protein Atlas (HPA), and for mouse, HPA data and in situ hybridization generated by the Allen brain atlas are reported.

Scroll down to view mRNA expression data in more detail.
Consensus:119.7 nTPM
HPA:78.1 nTPM
GTEx:119.7 nTPM

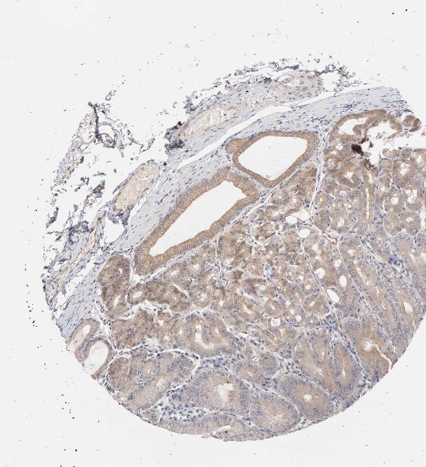
STOMACH 1 - Antibody stainingi

Antibody staining in the annotated cell types in the current human tissue is reported as not detected, low, medium, or high, based on conventional immunohistochemistry profiling in selected tissues. This score is based on the combination of the staining intensity and fraction of stained cells.

Each image is clickable and will lead to virtual microscopy that enables deeper exploration of all samples and also displays staining intensity scores, fraction scores and subcellular localization as well as patient and tissue information for each sample.

Antibody HPA003996
Glandular cells Medium

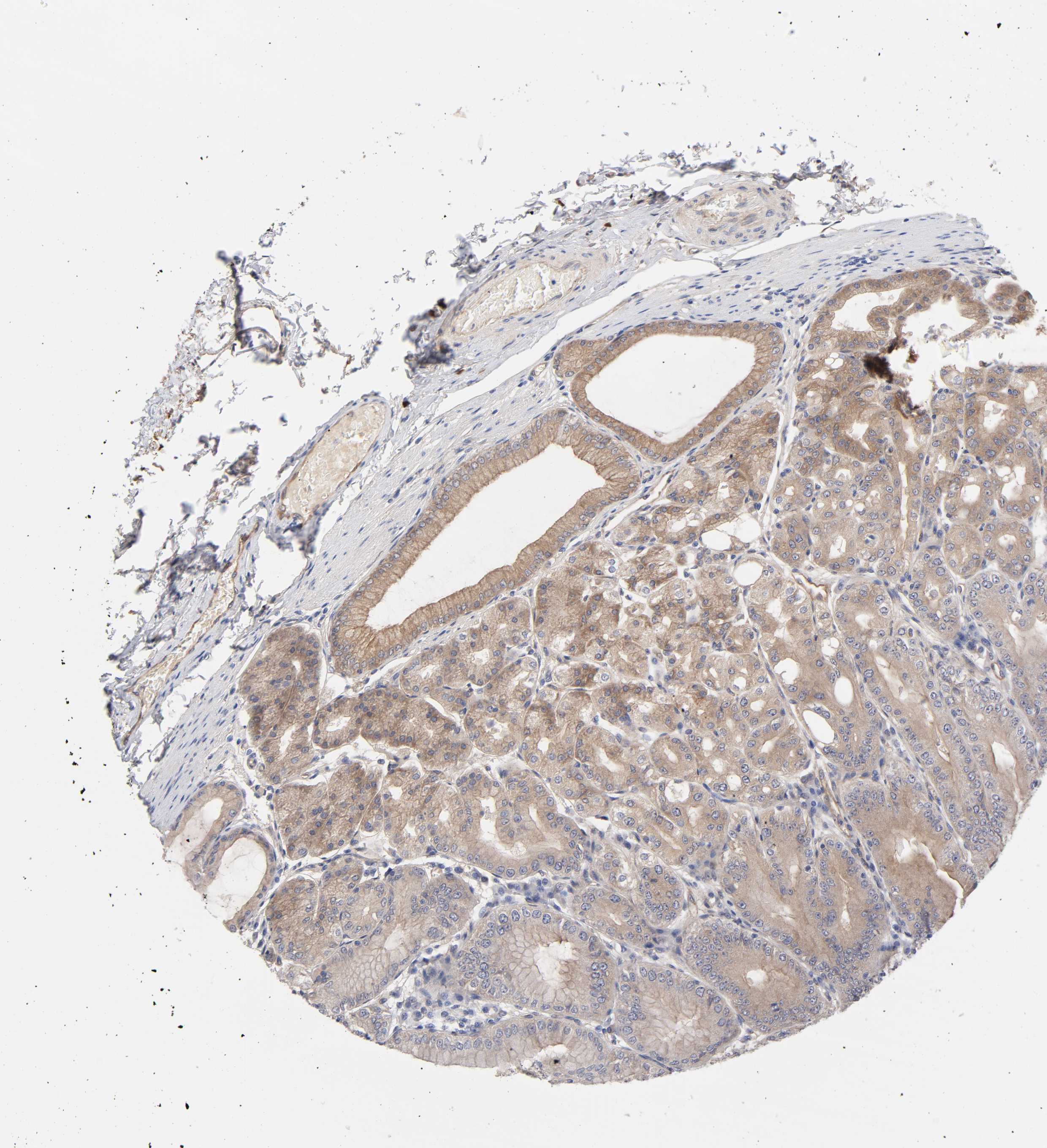
STOMACH 2 - Antibody stainingi

Antibody staining in the annotated cell types in the current human tissue is reported as not detected, low, medium, or high, based on conventional immunohistochemistry profiling in selected tissues. This score is based on the combination of the staining intensity and fraction of stained cells.

Each image is clickable and will lead to virtual microscopy that enables deeper exploration of all samples and also displays staining intensity scores, fraction scores and subcellular localization as well as patient and tissue information for each sample.

Antibody HPA003996
Glandular cells Medium



STOMACH - HPA RNA-seqi

The RNA-seq details section shows detailed information about the individual samples used for the transcript profiling and results of the RNA-seq analysis.

Information about each individual sample is listed below, including gender, age, a tissue section image and estimated fractions of cell types. nTPM (normalized transcripts per million) values give a quantification of the gene abundance which is comparable between different genes and samples.
Average nTPMi

Max subtype nTPM is the value for the subtype with the largest average nTPM across the subtype samples.

78.1
overview
Female, age 33
Stomach sample 61
nTPM: 79.3
Cell types%
Glandular cells:
60

Smooth muscle cells:
5

Other cell types:
35

N/A
Male, age 82
Stomach sample 240
nTPM: 72.7
Cell types%
Glandular cells:
65

Smooth muscle cells:
5

Other cell types:
30

overview
Male, age 71
Stomach sample 241
nTPM: 80.1
Cell types%
Glandular cells:
50

Smooth muscle cells:
5

Other cell types:
45

overview
Female, age 66
Stomach sample 369
nTPM: 80.1
Cell types%
Glandular cells:
50

Smooth muscle cells:
10

Other cell types:
40


STOMACH - GTEx RNA-seqi

RNA-Seq data generated by the Genotype-Tissue Expression (GTEx) project from human tissues is reported as mean nTPM. More information can be found on the GTEx portal.

Distribution across the dataset is visualized with box plots, shown as median and 25th and 75th percentiles. Points are displayed as outliers if they are above or below 1.5 times the interquartile range. nTPM values of the individual samples are presented next to the box plot.
Max subtype nTPMi

Max subtype nTPM is the value for the subtype with the largest average nTPM across the subtype samples.

119.7
GTEx sample id Sample description nTPM
Stomach
Average nTPM: 119.7
Samples: 359

Max nTPM: 234.4
Min nTPM: 69.3
Std nTPM: 25.1
Median nTPM: 117.4
GTEX-15G1A-1226-SM-7KUF3 30-39 years, male 234.4
GTEX-17EUY-1526-SM-793CA 20-29 years, male 223.7
GTEX-12WSJ-0926-SM-5P9JD 40-49 years, female 217.9
GTEX-ZYVF-2726-SM-5GID4 50-59 years, female 213.3
GTEX-1L5NE-1526-SM-DIPFW 50-59 years, male 208.1
GTEX-15RIF-1126-SM-7KUG2 20-29 years, male 206.3
GTEX-14PJ4-1626-SM-664OB 60-69 years, male 203.2
GTEX-1339X-1426-SM-5K7YO 40-49 years, male 199.0
GTEX-146FH-2126-SM-5SI9U 50-59 years, female 187.0
GTEX-1QP29-2326-SM-EXOJO 50-59 years, male 184.3
GTEX-144GM-1726-SM-5O9AS 20-29 years, male 181.0
GTEX-UPK5-2126-SM-4JBJK 40-49 years, male 180.7
GTEX-1MCYP-1126-SM-E9J2P 20-29 years, female 178.4
GTEX-15SHW-2126-SM-6M46Y 60-69 years, male 169.8
GTEX-14PKV-1826-SM-69LO9 20-29 years, female 169.5
GTEX-ZV6S-0926-SM-57WGB 40-49 years, female 164.7
GTEX-1LSNM-1026-SM-DHXL2 50-59 years, male 164.2
GTEX-1HCUA-1626-SM-A9SMG 50-59 years, female 163.3
GTEX-13X6H-1626-SM-5Q5CT 50-59 years, female 162.8
GTEX-12BJ1-1726-SM-5HL9B 60-69 years, male 161.1
GTEX-13O21-0926-SM-5IFGT 50-59 years, male 159.2
GTEX-RUSQ-1126-SM-EAZAU 50-59 years, male 158.8
GTEX-ZT9W-1526-SM-4YCDE 50-59 years, male 158.0
GTEX-15UF7-1226-SM-6M46G 40-49 years, male 157.4
GTEX-1JKYN-1726-SM-AHZ48 30-39 years, male 156.9
GTEX-1I6K7-1726-SM-B2LXQ 40-49 years, male 156.5
GTEX-QDVN-1226-SM-48TZ5 50-59 years, male 154.6
GTEX-Y3I4-1626-SM-4TT7W 50-59 years, male 154.6
GTEX-1I4MK-0926-SM-A9SLD 50-59 years, female 152.9
GTEX-1H23P-2726-SM-9JGHN 60-69 years, male 152.5
GTEX-1A3MX-1926-SM-72D7F 60-69 years, male 152.1
GTEX-1211K-1426-SM-5FQTF 60-69 years, female 152.0
GTEX-1LGRB-1726-SM-CNNRA 50-59 years, female 150.8
GTEX-1B97I-1226-SM-7MGWQ 40-49 years, male 150.5
GTEX-1GF9U-1126-SM-AHZ4H 40-49 years, female 150.5
GTEX-1F5PL-1426-SM-7MKFH 40-49 years, female 150.4
GTEX-17F9E-2226-SM-7IGNC 50-59 years, male 149.5
GTEX-1NSGN-1926-SM-E9J36 50-59 years, male 148.9
GTEX-13OVI-2426-SM-5KM4J 60-69 years, female 147.5
GTEX-15EU6-2526-SM-7KUGB 50-59 years, male 147.5
GTEX-R55C-1026-SM-48FCM 40-49 years, male 147.4
GTEX-PLZ5-1226-SM-EXOHA 50-59 years, male 147.3
GTEX-144GN-1226-SM-5O991 50-59 years, male 146.6
GTEX-ZV7C-1626-SM-5NQ7E 50-59 years, male 146.4
GTEX-1KXAM-0926-SM-CXZKA 60-69 years, male 146.2
GTEX-1CAMR-0726-SM-7EPIE 20-29 years, male 145.5
GTEX-1S831-1126-SM-EWROI 20-29 years, male 145.1
GTEX-ZZPU-1426-SM-5GZZ6 50-59 years, female 144.5
GTEX-13CF3-1926-SM-5K7WF 60-69 years, female 144.3
GTEX-WH7G-1526-SM-4LVMX 40-49 years, male 144.3
GTEX-Q2AI-0826-SM-48TZO 40-49 years, male 144.1
GTEX-14DAR-0926-SM-73KUQ 50-59 years, male 143.0
GTEX-WFG7-1326-SM-4LMK1 20-29 years, male 141.7
GTEX-1C475-1026-SM-7MKFJ 40-49 years, female 141.6
GTEX-ZA64-0826-SM-5HL9U 20-29 years, male 140.7
GTEX-WFG8-1326-SM-4LVN3 20-29 years, male 140.1
GTEX-WHSB-1226-SM-4M1XR 50-59 years, male 140.1
GTEX-1HBPN-1626-SM-9WPNP 50-59 years, male 139.8
GTEX-1EH9U-2226-SM-7PBXX 60-69 years, male 139.4
GTEX-17F98-1526-SM-7EWD8 40-49 years, female 138.8
GTEX-1H1DE-1226-SM-9JGHH 20-29 years, male 138.7
GTEX-1H1E6-1626-SM-9OSWC 30-39 years, male 137.6
GTEX-17HGU-2126-SM-7IGOV 50-59 years, male 137.1
GTEX-1IL2V-2026-SM-ARZMA 70-79 years, male 136.6
GTEX-13FTW-1726-SM-5KM2B 40-49 years, male 136.5
GTEX-QDVJ-1426-SM-48U1Y 50-59 years, male 136.1
GTEX-XMK1-1526-SM-EYYVO 40-49 years, male 135.2
GTEX-Y5LM-1326-SM-5RQIS 40-49 years, female 135.1
GTEX-14BMU-1126-SM-5RQJ8 20-29 years, female 134.9
GTEX-1LVAN-2426-SM-CNNPZ 50-59 years, female 134.8
GTEX-Y5V6-1326-SM-4VDTF 60-69 years, male 134.4
GTEX-15G19-1526-SM-6LPKP 60-69 years, male 134.0
GTEX-1H1DG-2126-SM-9WPPB 70-79 years, male 133.7
GTEX-1AYCT-1326-SM-7MKHB 50-59 years, male 133.4
GTEX-P4QT-1526-SM-3NMCT 50-59 years, female 133.1
GTEX-V955-1326-SM-4JBHR 60-69 years, male 133.0
GTEX-12C56-0526-SM-5FQST 20-29 years, male 132.2
GTEX-18A66-2226-SM-7189E 60-69 years, male 131.7
GTEX-Y3IK-1426-SM-4YCES 50-59 years, female 131.6
GTEX-131XG-1226-SM-5EGH9 50-59 years, female 131.1
GTEX-1MGNQ-1826-SM-DPRYI 40-49 years, male 131.1
GTEX-131XE-2226-SM-5PNYX 50-59 years, male 131.0
GTEX-18QFQ-1226-SM-718AE 30-39 years, male 130.8
GTEX-13FH7-1026-SM-5IJGF 50-59 years, female 130.6
GTEX-11EI6-2426-SM-5PNVS 60-69 years, male 130.2
GTEX-15DZA-1126-SM-6LPK8 30-39 years, female 130.0
GTEX-13O61-1126-SM-5L3FI 60-69 years, male 129.8
GTEX-XBED-1226-SM-4AT5V 60-69 years, male 129.8
GTEX-S4Q7-0726-SM-4AD5F 20-29 years, male 129.4
GTEX-145MN-1326-SM-5NQ9S 30-39 years, male 128.9
GTEX-T5JW-0926-SM-4DM5K 20-29 years, female 128.9
GTEX-13FTX-0726-SM-5N9BI 20-29 years, female 128.7
GTEX-ZZ64-0426-SM-5E43F 20-29 years, male 128.7
GTEX-1RB15-1026-SM-E9U6V 60-69 years, male 128.7
GTEX-W5WG-1726-SM-4LMI5 50-59 years, female 128.6
GTEX-1CB4H-2426-SM-7PBYR 60-69 years, female 128.6
GTEX-ZXES-1426-SM-5NQ8S 30-39 years, female 128.4
GTEX-1F75I-1826-SM-7MKGX 40-49 years, male 128.3
GTEX-1QCLZ-1826-SM-DPRXP 60-69 years, female 128.3
GTEX-Y8E4-1526-SM-4WWDI 40-49 years, male 128.0
GTEX-14E1K-1526-SM-664MN 50-59 years, male 127.8
GTEX-ZY6K-0726-SM-5A5L8 50-59 years, male 127.8
GTEX-1HCU8-1326-SM-C1YQQ 60-69 years, female 127.8
GTEX-1LG7Z-1226-SM-DHXK4 30-39 years, male 127.5
GTEX-14PKU-1126-SM-69LOU 40-49 years, female 127.0
GTEX-14E6E-0926-SM-664N8 30-39 years, male 126.9
GTEX-ZEX8-1626-SM-4WKG7 50-59 years, male 126.9
GTEX-1HR9M-2326-SM-CNPPZ 60-69 years, male 126.9
GTEX-1E2YA-2426-SM-7EPIG 50-59 years, male 126.8
GTEX-11EQ9-1226-SM-5987E 30-39 years, male 126.7
GTEX-S4P3-0726-SM-4AD57 50-59 years, female 126.4
GTEX-Q2AH-1126-SM-48TZM 40-49 years, male 126.3
GTEX-QMRM-1126-SM-447BN 50-59 years, male 126.2
GTEX-1HT8W-2326-SM-A9SLA 30-39 years, male 126.1
GTEX-ZLV1-0826-SM-DO11P 60-69 years, female 125.8
GTEX-13D11-2126-SM-5IFH2 50-59 years, female 125.7
GTEX-1HKZK-1526-SM-B2LWG 40-49 years, male 125.7
GTEX-OHPM-1526-SM-EV796 50-59 years, male 125.7
GTEX-QLQW-0726-SM-447AA 30-39 years, male 125.6
GTEX-T6MO-0726-SM-4DM58 40-49 years, female 125.6
GTEX-1JK1U-1326-SM-AHZ45 60-69 years, male 125.6
GTEX-146FR-2026-SM-5NQAI 60-69 years, female 125.5
GTEX-YJ8A-1526-SM-5P9FT 20-29 years, male 125.3
GTEX-ZP4G-1226-SM-4WWCJ 20-29 years, female 124.7
GTEX-YEC4-1426-SM-5IFHS 40-49 years, male 124.6
GTEX-111CU-0926-SM-5EGIK 50-59 years, male 124.5
GTEX-1399S-1626-SM-5P9GI 30-39 years, female 124.3
GTEX-1IDJD-2426-SM-C1YS6 30-39 years, male 124.3
GTEX-X15G-1126-SM-4PQZG 50-59 years, female 124.2
GTEX-12WSG-2026-SM-5FQUU 50-59 years, female 124.1
GTEX-1399R-1126-SM-5IFIO 30-39 years, male 124.1
GTEX-ZLFU-1326-SM-DO11R 40-49 years, male 124.0
GTEX-1B97J-1826-SM-7IGPP 50-59 years, female 123.7
GTEX-YB5E-1126-SM-664NU 40-49 years, male 123.5
GTEX-1JN1M-2926-SM-CNNPJ 60-69 years, female 123.5
GTEX-ZGAY-1626-SM-DNZZ3 40-49 years, female 123.5
GTEX-13U4I-2526-SM-5SI8Z 40-49 years, female 123.4
GTEX-14PHX-1026-SM-664OL 50-59 years, male 123.3
GTEX-139YR-1926-SM-5LZXM 50-59 years, male 123.2
GTEX-14PHY-0926-SM-5ZZWL 60-69 years, female 123.1
GTEX-SUCS-0926-SM-4DM4Z 70-79 years, male 123.1
GTEX-13113-0726-SM-5LZUF 60-69 years, female 123.0
GTEX-11WQK-2626-SM-5EQ4K 50-59 years, male 122.7
GTEX-R55G-1126-SM-48FDG 40-49 years, female 122.6
GTEX-ZYFG-1326-SM-5GICJ 60-69 years, female 122.6
GTEX-XUZC-0726-SM-4BOPH 30-39 years, female 122.5
GTEX-OXRK-1626-SM-3NB17 50-59 years, female 121.9
GTEX-1QPFJ-1526-SM-DPRXT 30-39 years, female 121.8
GTEX-ZYY3-1726-SM-5EGH3 60-69 years, female 121.7
GTEX-1HFI7-1526-SM-9WG7W 50-59 years, female 121.7
GTEX-WFON-1126-SM-4LVMA 40-49 years, male 121.5
GTEX-145MO-2226-SM-5Q5BN 60-69 years, male 121.2
GTEX-O5YV-1926-SM-EV797 60-69 years, female 121.2
GTEX-133LE-1326-SM-5IFGO 20-29 years, female 121.1
GTEX-Y8LW-0826-SM-4WWDO 50-59 years, female 121.1
GTEX-1AX9J-2626-SM-731EK 60-69 years, male 121.0
GTEX-S95S-0826-SM-4B64N 60-69 years, male 121.0
GTEX-ZVT2-1626-SM-51MRC 50-59 years, female 120.5
GTEX-131XF-1226-SM-5HL8V 60-69 years, male 120.0
GTEX-145LT-1426-SM-5O9B3 40-49 years, male 120.0
GTEX-TMMY-1626-SM-4DXTY 40-49 years, female 119.9
GTEX-1R9K5-1026-SM-EAZ4F 50-59 years, male 119.8
GTEX-117YX-1026-SM-5H11V 50-59 years, male 119.6
GTEX-132QS-1826-SM-5IFFN 60-69 years, male 119.6
GTEX-QDT8-2026-SM-EZ6LS 30-39 years, female 119.5
GTEX-PWN1-1526-SM-48TDA 40-49 years, female 119.4
GTEX-132AR-2426-SM-5IFFD 50-59 years, female 119.2
GTEX-16AAH-1226-SM-79OO9 50-59 years, male 119.0
GTEX-14PJ3-1426-SM-664O8 50-59 years, male 118.9
GTEX-P4PP-1526-SM-3P61M 30-39 years, female 118.8
GTEX-1QP2A-2126-SM-DPRZ7 50-59 years, male 118.8
GTEX-13QJ3-2726-SM-5SI6L 50-59 years, male 118.5
GTEX-1AMEY-1226-SM-731DU 30-39 years, female 118.4
GTEX-QLQ7-0826-SM-447B3 60-69 years, male 118.4
GTEX-QV31-0626-SM-447C5 30-39 years, male 118.3
GTEX-1N2DV-0926-SM-E9TJT 40-49 years, male 118.3
GTEX-1H3VY-2326-SM-9WG81 50-59 years, male 118.1
GTEX-RWS6-0926-SM-47JXE 60-69 years, female 117.9
GTEX-1KANA-1126-SM-D3L9M 20-29 years, male 117.9
GTEX-WY7C-1726-SM-4ONCC 50-59 years, male 117.4
GTEX-11NSD-1426-SM-5HL67 20-29 years, male 117.2
GTEX-13N1W-2026-SM-5K7YU 70-79 years, male 117.2
GTEX-13PVR-2126-SM-73KVR 60-69 years, female 117.2
GTEX-YEC3-1426-SM-D4P1S 50-59 years, male 116.8
GTEX-ZVZP-1726-SM-5GZWY 50-59 years, male 116.6
GTEX-1ICG6-1826-SM-AHZ2O 70-79 years, female 116.5
GTEX-OXRL-1526-SM-E6CHQ 50-59 years, male 116.5
GTEX-ZPIC-2026-SM-57WG3 40-49 years, female 116.3
GTEX-1RMOY-1126-SM-EV79E 50-59 years, male 116.1
GTEX-12WSK-1426-SM-5CVNN 40-49 years, female 116.0
GTEX-1GL5R-1926-SM-9WG7U 50-59 years, male 116.0
GTEX-ZLWG-1526-SM-DO12F 50-59 years, female 115.8
GTEX-POMQ-0826-SM-3P61H 20-29 years, female 115.4
GTEX-1LGOU-1526-SM-D3LAJ 20-29 years, female 115.3
GTEX-QV44-1226-SM-CJI1S 50-59 years, male 115.3
GTEX-ZAB4-1526-SM-5CVN7 40-49 years, male 115.2
GTEX-OHPK-1526-SM-3MJGM 50-59 years, female 115.0
GTEX-WHWD-1426-SM-4OORU 50-59 years, male 114.9
GTEX-XV7Q-1326-SM-4BRWM 40-49 years, female 114.9
GTEX-OIZH-1526-SM-3NB1J 50-59 years, male 114.6
GTEX-1E1VI-2826-SM-7MGWU 50-59 years, male 114.5
GTEX-13O3Q-2126-SM-5KM4C 50-59 years, male 114.4
GTEX-1F5PK-1826-SM-7RHHX 50-59 years, male 114.3
GTEX-17MF6-2126-SM-7KFS7 40-49 years, male 114.0
GTEX-1QP28-2126-SM-DTX8B 50-59 years, female 114.0
GTEX-VJYA-1026-SM-4KL21 60-69 years, male 113.9
GTEX-1JMLX-2426-SM-CXZJQ 50-59 years, male 113.7
GTEX-ZE7O-3026-SM-51MS4 50-59 years, female 113.4
GTEX-11VI4-0326-SM-5EQ6L 40-49 years, female 113.3
GTEX-WZTO-2126-SM-4PQYW 40-49 years, male 113.1
GTEX-1R7EU-1126-SM-EAZ4M 60-69 years, male 113.1
GTEX-WFJO-1126-SM-4LVLZ 30-39 years, male 113.0
GTEX-WRHK-0626-SM-4MVOE 20-29 years, female 113.0
GTEX-1AMFI-1226-SM-731CZ 50-59 years, female 112.9
GTEX-145ME-1026-SM-5O9B4 40-49 years, female 112.5
GTEX-14PJ6-0826-SM-686Z9 60-69 years, female 112.4
GTEX-1J8Q3-1926-SM-C1YSJ 60-69 years, male 112.4
GTEX-18A67-2626-SM-718AD 50-59 years, male 112.3
GTEX-WHPG-0426-SM-4M1XW 50-59 years, male 112.2
GTEX-17HII-2426-SM-7KFTT 50-59 years, male 111.7
GTEX-13RTK-0226-SM-5RQHR 20-29 years, male 111.6
GTEX-18D9B-2226-SM-718BM 60-69 years, male 111.4
GTEX-1GPI7-1326-SM-9KNVA 20-29 years, male 111.2
GTEX-17GQL-1226-SM-7KFTS 60-69 years, male 110.8
GTEX-QCQG-0526-SM-48U2A 50-59 years, female 110.5
GTEX-1RAZR-1526-SM-EAZ4U 40-49 years, male 110.5
GTEX-1J8QM-1126-SM-C1YQB 60-69 years, female 110.4
GTEX-Q734-1026-SM-48U16 40-49 years, female 110.3
GTEX-11EM3-1026-SM-5A5KL 20-29 years, female 109.3
GTEX-11I78-1726-SM-5A5M3 50-59 years, female 109.2
GTEX-13OVK-0926-SM-7KUFX 40-49 years, male 109.2
GTEX-T8EM-1226-SM-4DM5J 40-49 years, male 109.2
GTEX-S4Z8-1226-SM-4AD6W 60-69 years, male 109.1
GTEX-15DCE-1626-SM-6LPJM 20-29 years, male 108.8
GTEX-1JMQJ-1326-SM-D4P3B 50-59 years, male 108.8
GTEX-1399U-1626-SM-5P9J3 50-59 years, female 108.7
GTEX-17JCI-2226-SM-7LTA1 60-69 years, female 108.5
GTEX-14DAQ-2826-SM-664MU 60-69 years, female 108.4
GTEX-111YS-1126-SM-5GZYQ 60-69 years, male 108.0
GTEX-13QBU-1126-SM-5LU44 40-49 years, female 107.8
GTEX-1QMI2-2126-SM-DPRXQ 60-69 years, male 107.7
GTEX-1B8KE-1326-SM-73KVI 50-59 years, male 107.6
GTEX-UJMC-1226-SM-4IHLI 50-59 years, male 107.6
GTEX-1J8JJ-1726-SM-C1YQG 60-69 years, female 107.5
GTEX-1122O-1926-SM-5EGIQ 60-69 years, female 106.8
GTEX-14JG6-1226-SM-664O6 30-39 years, female 106.6
GTEX-ZF2S-1426-SM-57WET 50-59 years, female 106.6
GTEX-1MUQO-1926-SM-EAZ59 60-69 years, male 106.6
GTEX-1QP67-1026-SM-EVR47 40-49 years, female 106.6
GTEX-RM2N-0826-SM-48FD3 50-59 years, male 106.3
GTEX-1GN1W-2126-SM-9JGI7 50-59 years, female 106.3
GTEX-1QW4Y-0726-SM-DTX8E 30-39 years, male 105.9
GTEX-SNMC-0626-SM-4DM6H 20-29 years, male 105.5
GTEX-1K2DA-0826-SM-CGQGD 50-59 years, male 105.4
GTEX-1MJIX-1126-SM-EV7AO 40-49 years, male 105.3
GTEX-1RQEC-2126-SM-DPS15 60-69 years, male 104.8
GTEX-U4B1-1026-SM-4DXT1 40-49 years, male 104.3
GTEX-ZQUD-0826-SM-57WDQ 30-39 years, male 104.2
GTEX-18D9A-0626-SM-7KFTY 30-39 years, female 104.0
GTEX-PX3G-1526-SM-48U11 20-29 years, female 103.6
GTEX-ZDYS-1926-SM-5HL59 50-59 years, male 103.6
GTEX-14BMV-2226-SM-5RQHX 50-59 years, male 103.4
GTEX-1B8KZ-1226-SM-793CP 50-59 years, male 103.3
GTEX-R53T-1226-SM-48FCT 50-59 years, female 103.3
GTEX-SNOS-0826-SM-4DM5N 40-49 years, male 103.3
GTEX-PW2O-1226-SM-48TCH 20-29 years, male 103.2
GTEX-S3XE-1026-SM-4AD4O 50-59 years, male 103.2
GTEX-YFCO-0826-SM-5LUAG 40-49 years, male 103.2
GTEX-139D8-2326-SM-5IFGE 30-39 years, female 103.1
GTEX-WXYG-1626-SM-4ONCR 50-59 years, female 102.8
GTEX-1IDJU-1526-SM-CNNR3 60-69 years, female 102.8
GTEX-XXEK-0826-SM-4BRWG 50-59 years, male 102.6
GTEX-NFK9-1526-SM-3LK7B 40-49 years, male 102.4
GTEX-11TT1-0726-SM-5GU5A 20-29 years, male 102.2
GTEX-ZF29-1526-SM-4WKF7 60-69 years, female 102.2
GTEX-1KD5A-1426-SM-D4P3V 50-59 years, male 102.2
GTEX-1PIGE-1126-SM-EWRMV 20-29 years, male 102.2
GTEX-XBEW-1826-SM-4RTWX 40-49 years, male 102.1
GTEX-1A8G6-1426-SM-731EZ 60-69 years, male 102.0
GTEX-O5YW-1526-SM-3MJGL 50-59 years, male 101.9
GTEX-R55D-1526-SM-48FEJ 50-59 years, male 101.8
GTEX-14B4R-0726-SM-5TDDR 30-39 years, male 101.7
GTEX-13OW6-2526-SM-5IJEC 50-59 years, male 101.5
GTEX-18A7A-2726-SM-7LG6U 50-59 years, female 100.9
GTEX-WYVS-1326-SM-4ONCQ 40-49 years, female 100.8
GTEX-1CB4E-1326-SM-7DUGD 60-69 years, male 100.6
GTEX-UJHI-1026-SM-4IHJP 50-59 years, female 100.6
GTEX-T5JC-1926-SM-4DM6Q 20-29 years, male 99.7
GTEX-1HBPI-0726-SM-9WG7Z 50-59 years, male 99.5
GTEX-P4PQ-1526-SM-3NMCK 60-69 years, male 99.4
GTEX-11DXX-1326-SM-5GIDZ 60-69 years, female 98.7
GTEX-12696-1726-SM-5EQLH 60-69 years, male 98.5
GTEX-13X6J-2126-SM-5TDCV 50-59 years, male 98.4
GTEX-TKQ1-0526-SM-4DXTG 30-39 years, male 98.1
GTEX-PWCY-0926-SM-48TD7 20-29 years, female 97.8
GTEX-15RIE-1026-SM-6LPJQ 60-69 years, male 97.6
GTEX-ZPU1-1626-SM-4WWB2 40-49 years, male 97.6
GTEX-1PPH8-1326-SM-DTXFO 20-29 years, male 97.6
GTEX-V1D1-1726-SM-4JBHB 50-59 years, male 97.4
GTEX-1LBAC-1426-SM-CXZKT 20-29 years, male 97.4
GTEX-WYJK-2526-SM-4ONDF 50-59 years, male 97.3
GTEX-14PN3-1326-SM-6AJ9U 60-69 years, female 97.1
GTEX-WEY5-1226-SM-4LMIQ 40-49 years, female 97.1
GTEX-ZTX8-0426-SM-59HLG 20-29 years, male 96.9
GTEX-14PJ5-0826-SM-6AJAR 60-69 years, female 96.6
GTEX-XQ8I-2026-SM-4BOOL 50-59 years, male 96.6
GTEX-1J8EW-2226-SM-AHZ3T 60-69 years, female 96.6
GTEX-ZVP2-1626-SM-5GU5D 50-59 years, male 96.5
GTEX-RTLS-2626-SM-46MUJ 60-69 years, female 96.1
GTEX-S341-0626-SM-4AD5T 40-49 years, female 96.0
GTEX-17HHE-1026-SM-79ON6 50-59 years, male 95.7
GTEX-13111-1226-SM-5GCNC 50-59 years, male 94.4
GTEX-XAJ8-0326-SM-47JYI 40-49 years, male 93.9
GTEX-1H3NZ-2226-SM-9WYUT 60-69 years, male 93.8
GTEX-1B8L1-1526-SM-79OLK 60-69 years, male 93.7
GTEX-1GMRU-2526-SM-9WG7T 50-59 years, male 93.5
GTEX-P78B-1826-SM-3P5YX 40-49 years, female 93.3
GTEX-14BIL-1926-SM-73KYI 50-59 years, male 92.9
GTEX-OOBJ-1526-SM-3NB1Q 60-69 years, male 92.8
GTEX-1JN76-0926-SM-ARZNH 20-29 years, female 92.0
GTEX-13S7M-1826-SM-5RQK6 60-69 years, female 91.8
GTEX-Y9LG-1026-SM-5IFJN 30-39 years, male 91.6
GTEX-1I1HK-2026-SM-CNNRB 60-69 years, male 91.3
GTEX-1HSMQ-2426-SM-CE6RY 50-59 years, male 91.2
GTEX-TKQ2-0926-SM-4DXU5 50-59 years, male 91.0
GTEX-12WSD-2326-SM-59HKQ 60-69 years, female 90.8
GTEX-15CHR-1326-SM-79OLT 50-59 years, male 90.7
GTEX-1A3MV-1226-SM-718BW 30-39 years, male 90.7
GTEX-XPVG-1526-SM-4B66C 50-59 years, male 90.1
GTEX-1S3DN-1526-SM-EVYCB 50-59 years, male 89.6
GTEX-U3ZN-2026-SM-4DXUC 30-39 years, female 88.9
GTEX-17KNJ-1526-SM-7LTA9 50-59 years, male 88.8
GTEX-1HSEH-1526-SM-B2LXG 60-69 years, male 88.7
GTEX-1JMPY-0926-SM-ARL92 30-39 years, male 88.6
GTEX-S4UY-1626-SM-4AD55 40-49 years, female 88.3
GTEX-RU1J-0526-SM-46MUT 20-29 years, female 88.0
GTEX-1I1GT-1726-SM-C1YS3 60-69 years, female 87.9
GTEX-PLZ6-0826-SM-3P61K 30-39 years, male 86.4
GTEX-11P82-0726-SM-5PNYL 20-29 years, male 86.2
GTEX-1S82Z-1726-SM-E6CHZ 30-39 years, female 86.0
GTEX-11NUK-2426-SM-5BC4U 50-59 years, male 84.9
GTEX-16NGA-1526-SM-72D56 40-49 years, female 84.4
GTEX-ZVT3-2126-SM-59HL2 60-69 years, female 84.4
GTEX-OIZF-1526-SM-2I5GR 60-69 years, male 83.9
GTEX-1JMPZ-1826-SM-CXZJT 30-39 years, male 83.2
GTEX-1QCLY-1126-SM-EAZ4J 30-39 years, male 83.1
GTEX-14ICL-0826-SM-5YY9W 30-39 years, male 82.8
GTEX-1H11D-2226-SM-9OSXN 40-49 years, male 82.6
GTEX-1LVAM-1426-SM-E9TJ4 50-59 years, female 82.1
GTEX-1GZ4H-1026-SM-9OSXL 50-59 years, female 81.4
GTEX-117YW-2226-SM-5N9DB 50-59 years, male 80.9
GTEX-13PVQ-2126-SM-5L3FW 50-59 years, male 80.3
GTEX-1C64O-2226-SM-73KTV 60-69 years, male 79.9
GTEX-11GSP-2126-SM-5HL5E 60-69 years, female 79.5
GTEX-11P7K-1726-SM-5GU6F 30-39 years, male 78.6
GTEX-S7SF-0626-SM-4AD4V 20-29 years, female 78.6
GTEX-1IDJF-1426-SM-ACKWK 20-29 years, male 78.3
GTEX-QXCU-1926-SM-48FE4 50-59 years, male 76.6
GTEX-Y114-1226-SM-4TT88 50-59 years, female 69.3
Show allShow less

Contact

  • NEWS ARTICLES
  • PRESS ROOM

The Project

  • INTRODUCTION
  • ORGANIZATION
  • PUBLICATIONS

The Human Protein Atlas

  • DOWNLOADABLE DATA
  • LICENCE & CITATION
  • HELP & FAQ
The Human Protein Atlas project is funded
by the Knut & Alice Wallenberg Foundation.


contact@proteinatlas.org