We use cookies to enhance the usability of our website. If you continue, we'll assume that you are happy to receive all cookies. More information. Don't show this again.
HSPD1
HPA
RESOURCES
  • TISSUE
  • BRAIN
  • SINGLE CELL
  • SUBCELLULAR
  • CANCER
  • BLOOD
  • CELL LINE
  • STRUCTURE & INTERACTION
ABOUT
  • INTRODUCTION
  • HISTORY
  • ORGANIZATION
  • PUBLICATIONS
  • ANTIBODY SUBMISSION
  • ANTIBODY AVAILABILITY
  • ACKNOWLEDGMENTS
  • CONTACT
NEWS
  • NEWS ARTICLES
  • PRESS ROOM
LEARN
  • DICTIONARY
  • PROTEIN CLASSES
  • PROTEIN EVIDENCE
  • METHODS
  • EDUCATIONAL VIDEOS
DATA
  • DOWNLOADABLE DATA
  • PUBLICATION DATA
  • RELEASE HISTORY
HELP
  • ANTIBODY VALIDATION
  • ASSAYS & ANNOTATION
  • DISCLAIMER
  • HELP & FAQ
  • PRIVACY STATEMENT
  • LICENCE & CITATION
Fields »
Search result

Field
Term
Gene name
Class
Subclass
Class
Keyword
Chromosome
External id
Tissue
Cell type
Expression
Antibody panel
Tissue
Main location
Patient ID
Annotation
Tissue
Category
Tau score
Cluster
Reliability
Brain region
Category
Tau score
Brain region
Category
Tau score
Brain region
Category
Tau score
Cluster
Reliability
Tissue
Cell type
Enrichment
Cell type
Category
Tau score
Cell type
Category
Tau score
Cell type
Category
Tau score
Cell lineage
Category
Tau score
Cluster
Cluster
Location
Searches
Location
Cell line
Class
Type
Phase
Reliability
Cancer
Prognosis
Cancer
Category
Cancer
Category
Tau score
Cluster
Variants
Interacting gene (ensg_id)
Type
Number of interactions
Pathway
Category
Score
Score
Score
Validation
Validation
Validation
Validation
Antibodies
Data type
Column


  • SUMMARY

  • TISSUE

  • BRAIN

  • SINGLE CELL

  • SUBCELL

  • CANCER

  • BLOOD

  • CELL LINE

  • STRUCT & INT

  • HSPD1
TISSUE PRIMARY DATA BREAST Show tissue menu
ADIPOSE TISSUE ADRENAL GLAND AMYGDALA APPENDIX BASAL GANGLIA BONE MARROW BREAST BRONCHUS CEREBELLUM CEREBRAL CORTEX CERVIX CHOROID PLEXUS COLON DUODENUM
ENDOMETRIUM EPIDIDYMIS ESOPHAGUS FALLOPIAN TUBE GALLBLADDER HEART MUSCLE HIPPOCAMPAL FORMATION HYPOTHALAMUS KIDNEY LIVER LUNG LYMPH NODE MIDBRAIN ORAL MUCOSA
OVARY PANCREAS PARATHYROID GLAND PITUITARY GLAND PLACENTA PROSTATE RECTUM RETINA SALIVARY GLAND SEMINAL VESICLE SKELETAL MUSCLE SKIN SMALL INTESTINE SMOOTH MUSCLE
SOFT TISSUE SPINAL CORD SPLEEN STOMACH TESTIS THYMUS THYROID GLAND TONGUE TONSIL URINARY BLADDER VAGINA
ANTIBODIES
AND
VALIDATION
Dictionary
Breast
Tissue proteome
Breast
BREAST - Expression summary
Protein expression
Breasti

On the top, protein expression in current human tissue, based on all annotated cell types, is reported with the units not detected (n), low (l), medium (m) and high (h). Underneath, protein expression in each annotated cell type are reported using the same units.

Protein expression data is based on knowledge-based annotation. For genes where more than one antibody has been used, a collective score is set.

If knowledge-based annotation could not be performed for a gene, no data is displayed here. View antibody staining data further down this page.

h
m
l
n
Adipocytes: Not detected
Glandular cells: Low
Myoepithelial cells: Not detected
RNA expressioni

A summary of mRNA expression data available for current tissue based on several datasets. The mRNA expression levels in human tissues are based on RNA-seq data generated by the Human Protein Atlas (HPA), Genotype-Tissue Expression (GTEx) portal and CAGE data generated by the FANTOM5 consortium. Consensus normalized expression levels for human tissues was created by combining the data from HPA and GTEx datasets.

The mRNA expression levels in pig are based on RNA-seq data generated by the Human Protein Atlas (HPA), and for mouse, HPA data and in situ hybridization generated by the Allen brain atlas are reported.

Scroll down to view mRNA expression data in more detail.
Consensus:163.6 nTPM
HPA:163.6 nTPM
GTEx:99.7 nTPM
FANTOM5:388.9 Scaled Tags Per Million

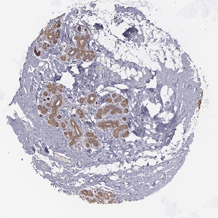
BREAST - Antibody stainingi

Antibody staining in the annotated cell types in the current human tissue is reported as not detected, low, medium, or high, based on conventional immunohistochemistry profiling in selected tissues. This score is based on the combination of the staining intensity and fraction of stained cells.

Each image is clickable and will lead to virtual microscopy that enables deeper exploration of all samples and also displays staining intensity scores, fraction scores and subcellular localization as well as patient and tissue information for each sample.

Antibody HPA001523Antibody CAB002775Antibody CAB072816
Adipocytes Not detectedNot detectedLow
Glandular cells MediumLowHigh
Myoepithelial cells MediumNot detectedMedium





BREAST - HPA RNA-seqi

The RNA-seq details section shows detailed information about the individual samples used for the transcript profiling and results of the RNA-seq analysis.

Information about each individual sample is listed below, including gender, age, a tissue section image and estimated fractions of cell types. nTPM (normalized transcripts per million) values give a quantification of the gene abundance which is comparable between different genes and samples.
Average nTPMi

Max subtype nTPM is the value for the subtype with the largest average nTPM across the subtype samples.

163.6
overview
Female, age 52
Breast sample 373
nTPM: 130.5
Cell types%
Glandular cells:
15

Adipocytes:
5

Other cell types:
80

overview
Female, age 80
Breast sample 390
nTPM: 64
Cell types%
Glandular cells:
5

Adipocytes:
15

Other cell types:
80

overview
Female, age 47
Breast sample 405
nTPM: 202.1
Cell types%
Glandular cells:
5

Adipocytes:
5

Other cell types:
90

overview
Female, age 38
Breast sample 410
nTPM: 257.9
Cell types%
Glandular cells:
40

Adipocytes:
5

Other cell types:
55


BREAST - GTEx RNA-seqi

RNA-Seq data generated by the Genotype-Tissue Expression (GTEx) project from human tissues is reported as mean nTPM. More information can be found on the GTEx portal.

Distribution across the dataset is visualized with box plots, shown as median and 25th and 75th percentiles. Points are displayed as outliers if they are above or below 1.5 times the interquartile range. nTPM values of the individual samples are presented next to the box plot.
Max subtype nTPMi

Max subtype nTPM is the value for the subtype with the largest average nTPM across the subtype samples.

99.7
GTEx sample id Sample description nTPM
Breast - Mammary Tissue
Average nTPM: 99.7
Samples: 459

Max nTPM: 528.5
Min nTPM: 40.4
Std nTPM: 51.7
Median nTPM: 87.6
GTEX-11P82-1326-SM-5HL62 20-29 years, male 528.5
GTEX-1ICG6-1326-SM-ACKWR 70-79 years, female 489.3
GTEX-1N2EF-2226-SM-E9J33 60-69 years, male 373.7
GTEX-132AR-0826-SM-5EGK6 50-59 years, female 348.8
GTEX-1HCU7-1026-SM-ADEIP 50-59 years, male 325.7
GTEX-1L5NE-2126-SM-CY8IH 50-59 years, male 311.8
GTEX-1CAMR-1426-SM-793BO 20-29 years, male 294.3
GTEX-WY7C-2726-SM-3NB3P 50-59 years, male 290.3
GTEX-117YX-1426-SM-5H12H 50-59 years, male 245.7
GTEX-X4XY-0926-SM-4E3JD 60-69 years, male 242.2
GTEX-11WQK-2426-SM-5GU5C 50-59 years, male 240.4
GTEX-15EOM-5019-SM-793DK 20-29 years, female 228.1
GTEX-1F5PK-2126-SM-7PC28 50-59 years, male 219.8
GTEX-1JN1M-3026-SM-CMKGK 60-69 years, female 218.3
GTEX-RUSQ-2026-SM-4GIAK 50-59 years, male 218.1
GTEX-1ICLY-1726-SM-B2LVT 50-59 years, male 212.1
GTEX-18A66-1726-SM-7LG5N 60-69 years, male 207.6
GTEX-UTHO-1026-SM-3GAF7 60-69 years, male 203.5
GTEX-13S86-1226-SM-5S2OA 40-49 years, male 201.6
GTEX-15G19-2126-SM-6M48J 60-69 years, male 198.2
GTEX-ZLWG-1926-SM-DO92J 50-59 years, female 193.5
GTEX-13PVQ-1026-SM-5KM3M 50-59 years, male 192.3
GTEX-11TUW-1826-SM-5BC5D 60-69 years, male 188.3
GTEX-11DZ1-0326-SM-5N9BN 50-59 years, male 187.2
GTEX-1H11D-1526-SM-9MQJY 40-49 years, male 183.5
GTEX-REY6-2426-SM-48FF5 60-69 years, male 179.9
GTEX-1A3MX-2726-SM-718B6 60-69 years, male 170.7
GTEX-U8XE-0826-SM-4E3J1 30-39 years, male 169.6
GTEX-1H23P-0726-SM-9WG7K 60-69 years, male 168.2
GTEX-1I1GP-0426-SM-COH3N 50-59 years, male 165.7
GTEX-13CF3-2126-SM-5IFJP 60-69 years, female 163.9
GTEX-PSDG-1626-SM-48TCQ 50-59 years, male 162.2
GTEX-ZLFU-2126-SM-DO931 40-49 years, male 162.2
GTEX-1R7EV-1526-SM-E8VOD 40-49 years, male 162.0
GTEX-1IDFM-0426-SM-B2LVV 60-69 years, male 160.6
GTEX-QEG5-0726-SM-D4P1T 20-29 years, male 160.4
GTEX-1ICLZ-0426-SM-B2LW2 60-69 years, male 159.5
GTEX-1HSEH-2026-SM-ADEHN 60-69 years, male 158.3
GTEX-183WM-0726-SM-7LTAA 70-79 years, female 157.7
GTEX-1NUQO-2226-SM-E9U68 20-29 years, female 157.4
GTEX-ZT9W-2026-SM-51MRA 50-59 years, male 155.5
GTEX-1HR9M-2426-SM-ACKXI 60-69 years, male 154.9
GTEX-ZQG8-0726-SM-5P9H9 60-69 years, female 154.8
GTEX-X261-0626-SM-3NMD9 50-59 years, male 153.1
GTEX-ZTTD-1026-SM-51MRD 50-59 years, male 153.1
GTEX-YB5K-1626-SM-5IFIN 40-49 years, female 151.9
GTEX-SE5C-2126-SM-4BRUJ 40-49 years, female 150.5
GTEX-17GQL-0326-SM-7LG5U 60-69 years, male 148.0
GTEX-1LC47-1226-SM-D4P44 60-69 years, male 147.0
GTEX-14E6E-1326-SM-5S2NR 30-39 years, male 146.1
GTEX-13FTX-1126-SM-5N9EN 20-29 years, female 145.8
GTEX-1I1GU-1026-SM-ADEHJ 40-49 years, male 143.5
GTEX-Y8E4-1626-SM-5S2MW 40-49 years, male 142.9
GTEX-1R9JW-0326-SM-EAZ45 30-39 years, female 140.4
GTEX-1H1DG-0526-SM-9YFLN 70-79 years, male 139.5
GTEX-1QP29-1726-SM-E8VMQ 50-59 years, male 139.5
GTEX-14PJO-0726-SM-69LO8 60-69 years, male 139.1
GTEX-ZA64-1526-SM-5CVMD 20-29 years, male 138.9
GTEX-Y5V6-2126-SM-4WWFX 60-69 years, male 136.2
GTEX-144GM-0926-SM-5O994 20-29 years, male 136.0
GTEX-1HCU9-0326-SM-9WYSC 20-29 years, male 135.8
GTEX-T2YK-2226-SM-32QPT 50-59 years, male 135.4
GTEX-XYKS-1326-SM-4BRUN 60-69 years, female 134.9
GTEX-14E6C-1326-SM-62LEQ 40-49 years, male 134.7
GTEX-S4Q7-1126-SM-4AD6R 20-29 years, male 133.4
GTEX-1PPH7-0826-SM-E8VNX 40-49 years, male 133.0
GTEX-ZZ64-1226-SM-5E43R 20-29 years, male 132.9
GTEX-11TT1-2126-SM-5GU5Y 20-29 years, male 132.6
GTEX-1LGRB-1826-SM-CNPQL 50-59 years, female 132.6
GTEX-QEL4-2126-SM-447AE 50-59 years, male 132.1
GTEX-12KS4-0126-SM-5Q5A5 30-39 years, male 131.3
GTEX-TKQ1-0226-SM-33HB5 30-39 years, male 130.8
GTEX-11ZTT-2326-SM-5EQLG 60-69 years, female 130.7
GTEX-1C6VQ-0426-SM-79OOX 50-59 years, male 128.9
GTEX-1HCU8-0126-SM-ADEHH 60-69 years, female 128.7
GTEX-ZTPG-2826-SM-57WGA 20-29 years, female 128.6
GTEX-13O3Q-2226-SM-5KM4O 50-59 years, male 127.6
GTEX-XGQ4-0926-SM-4AT4U 50-59 years, male 126.4
GTEX-13O3O-0826-SM-5K7WE 60-69 years, female 125.9
GTEX-ZPIC-1126-SM-5BC7F 40-49 years, female 125.3
GTEX-15UF7-0726-SM-6M46D 40-49 years, male 123.7
GTEX-ZDYS-1126-SM-5K7UB 50-59 years, male 123.2
GTEX-183FY-1126-SM-7DHLJ 20-29 years, male 122.3
GTEX-14753-2426-SM-5LU8U 60-69 years, male 121.4
GTEX-ZDXO-0126-SM-5S2ND 60-69 years, male 120.4
GTEX-13N1W-0626-SM-5MR4U 70-79 years, male 120.3
GTEX-1AMEY-1026-SM-718AA 30-39 years, female 120.1
GTEX-1GPI7-0926-SM-7PC3J 20-29 years, male 119.6
GTEX-WOFL-0826-SM-3MJG1 60-69 years, male 119.0
GTEX-T5JW-2026-SM-4DM63 20-29 years, female 118.7
GTEX-1J8Q2-2726-SM-A9G2X 60-69 years, male 118.7
GTEX-R55D-0826-SM-48FEA 50-59 years, male 118.3
GTEX-XQ8I-2426-SM-4WAXY 50-59 years, male 118.3
GTEX-S4UY-0726-SM-4AD6X 40-49 years, female 118.2
GTEX-1QP28-1226-SM-E9J2M 50-59 years, female 118.2
GTEX-1HSMO-0826-SM-ADEIV 60-69 years, male 117.8
GTEX-1IGQW-0926-SM-ADEH6 60-69 years, male 117.8
GTEX-1GF9U-1726-SM-7MGY5 40-49 years, female 116.8
GTEX-1RLM8-2226-SM-EVYD1 50-59 years, male 116.6
GTEX-1M4P7-2626-SM-E9U5F 60-69 years, male 116.5
GTEX-14BMV-0626-SM-793AU 50-59 years, male 115.7
GTEX-13W46-0826-SM-5LU3H 50-59 years, male 115.3
GTEX-V955-2026-SM-3GAFA 60-69 years, male 114.8
GTEX-1211K-1926-SM-5EQLB 60-69 years, female 114.7
GTEX-146FH-0826-SM-5SI8T 50-59 years, female 114.7
GTEX-XV7Q-2326-SM-4BRVZ 40-49 years, female 114.1
GTEX-X62O-0526-SM-EWRMA 50-59 years, male 113.8
GTEX-13FTW-1426-SM-5LZWZ 40-49 years, male 113.6
GTEX-1117F-2826-SM-5GZXL 60-69 years, female 113.3
GTEX-17F97-2526-SM-7EWDV 50-59 years, male 113.2
GTEX-13O61-1826-SM-5KM4I 60-69 years, male 112.5
GTEX-1KANC-1426-SM-CYPT9 50-59 years, female 112.5
GTEX-U412-1826-SM-4DXTJ 60-69 years, male 111.0
GTEX-145ME-1526-SM-5Q5F2 40-49 years, female 110.3
GTEX-S32W-2026-SM-4AD6E 50-59 years, female 110.0
GTEX-T6MO-0326-SM-32QOK 40-49 years, female 110.0
GTEX-1NHNU-0926-SM-E9J2T 50-59 years, male 109.6
GTEX-145MO-0826-SM-5NQBL 60-69 years, male 109.4
GTEX-13NZ8-0126-SM-5IJCT 60-69 years, female 108.7
GTEX-1GF9X-1026-SM-ACKX2 40-49 years, female 108.2
GTEX-13O3P-0826-SM-5L3DH 50-59 years, male 107.6
GTEX-1POEN-0926-SM-DTX88 30-39 years, female 107.6
GTEX-11O72-2126-SM-5N9FO 40-49 years, male 107.5
GTEX-1F75I-2026-SM-7SB7N 40-49 years, male 107.3
GTEX-13W3W-1226-SM-5LU4H 60-69 years, female 107.1
GTEX-YB5E-1726-SM-5IFJ3 40-49 years, male 106.7
GTEX-17HGU-1326-SM-79OKB 50-59 years, male 106.6
GTEX-1F5PL-1026-SM-7RHI1 40-49 years, female 106.6
GTEX-1KANA-2026-SM-DIPFB 20-29 years, male 105.8
GTEX-1OKEX-0826-SM-E9J2B 60-69 years, male 105.7
GTEX-17EVQ-0426-SM-7LG57 70-79 years, male 105.6
GTEX-13NZ9-1026-SM-5MR5K 50-59 years, male 105.5
GTEX-Y9LG-1426-SM-5IFJZ 30-39 years, male 105.4
GTEX-13113-5013-SM-7SB7G 60-69 years, female 104.9
GTEX-ZAJG-0626-SM-5HL8X 50-59 years, female 104.3
GTEX-VJWN-0726-SM-3GIJ8 50-59 years, female 103.9
GTEX-YEC3-1026-SM-5IFI5 50-59 years, male 103.7
GTEX-14ICK-2426-SM-6EU27 40-49 years, male 103.3
GTEX-1GMR8-0726-SM-9KNVI 50-59 years, female 103.2
GTEX-17F98-0526-SM-79OK5 40-49 years, female 103.0
GTEX-1JMQK-2626-SM-COH2W 60-69 years, male 102.9
GTEX-1PDJ9-1126-SM-EXUSW 20-29 years, male 102.6
GTEX-1S82Z-0726-SM-E6CHX 30-39 years, female 102.5
GTEX-ZQUD-1926-SM-51MSA 30-39 years, male 101.8
GTEX-1JMLX-2026-SM-CMKGN 50-59 years, male 101.8
GTEX-1QCLZ-2326-SM-DTXDO 60-69 years, female 101.7
GTEX-17MF6-0326-SM-7EPH5 40-49 years, male 101.6
GTEX-Z9EW-1526-SM-EZ6LU 40-49 years, male 101.5
GTEX-RU1J-0626-SM-4WAWY 20-29 years, female 101.4
GTEX-1I4MK-1626-SM-CM2TJ 50-59 years, female 101.1
GTEX-13OW5-2226-SM-5L3HC 60-69 years, male 100.7
GTEX-1R46S-2526-SM-E8VN2 60-69 years, female 100.4
GTEX-1HKZK-1826-SM-ADEJ2 40-49 years, male 100.0
GTEX-ZYW4-0826-SM-5GIDG 60-69 years, male 99.9
GTEX-1JK1U-1826-SM-ARL8W 60-69 years, male 99.6
GTEX-TKQ2-1826-SM-33HB2 50-59 years, male 99.2
GTEX-1HFI7-0126-SM-CGQFQ 50-59 years, female 99.2
GTEX-1C6VS-0726-SM-7EPHF 60-69 years, male 99.0
GTEX-1GZ2Q-2626-SM-7MXV9 40-49 years, male 99.0
GTEX-1IDJU-1826-SM-CMKHV 60-69 years, female 99.0
GTEX-1IKOE-1326-SM-CE6T6 30-39 years, female 98.6
GTEX-12WSN-1326-SM-5GCNT 40-49 years, male 98.4
GTEX-ZU9S-1926-SM-5NQBP 30-39 years, male 98.4
GTEX-1R9PN-0326-SM-DTX85 40-49 years, female 98.2
GTEX-1M5QR-2526-SM-E9U5P 40-49 years, male 98.0
GTEX-14AS3-1626-SM-5S2OY 40-49 years, female 97.7
GTEX-18D9A-1526-SM-7LG4J 30-39 years, female 97.5
GTEX-1KD5A-1926-SM-DKPQA 50-59 years, male 97.5
GTEX-YECK-0726-SM-EZ6LV 60-69 years, male 97.4
GTEX-1HC8U-0826-SM-ADEIL 40-49 years, female 97.1
GTEX-11I78-2226-SM-5PNYA 50-59 years, female 97.0
GTEX-1GMR2-1926-SM-9MQLZ 50-59 years, male 96.6
GTEX-1MJK2-2226-SM-EVYCR 50-59 years, male 96.5
GTEX-1A8G7-2426-SM-731AK 60-69 years, male 96.4
GTEX-1JJE9-2326-SM-ARL8Q 70-79 years, male 96.3
GTEX-1LG7Z-0726-SM-CXKYD 30-39 years, male 96.3
GTEX-ZAB4-2526-SM-5HL8M 40-49 years, male 96.1
GTEX-1GF9V-2526-SM-7SB8K 60-69 years, male 95.3
GTEX-11EQ9-1826-SM-5Q5AJ 30-39 years, male 95.2
GTEX-ZTX8-1226-SM-4YCE9 20-29 years, male 95.2
GTEX-14PHY-1926-SM-5YY95 60-69 years, female 95.1
GTEX-ZV6S-1826-SM-5NQ8D 40-49 years, female 95.1
GTEX-1LSNL-2826-SM-E9U5L 50-59 years, male 95.0
GTEX-1313W-0826-SM-5EQ4T 50-59 years, female 94.9
GTEX-R53T-1526-SM-48FEK 50-59 years, female 94.5
GTEX-13QJ3-0826-SM-7DHKK 50-59 years, male 94.3
GTEX-14PJ4-2126-SM-6ETZJ 60-69 years, male 93.9
GTEX-14PKU-0426-SM-6EU1P 40-49 years, female 93.8
GTEX-1LNCM-0226-SM-DIPF4 50-59 years, female 93.7
GTEX-1314G-1226-SM-5BC6D 30-39 years, male 93.6
GTEX-139T6-1626-SM-5PNYZ 50-59 years, male 93.4
GTEX-1HBPM-0126-SM-ARL9E 60-69 years, female 93.1
GTEX-1R7EU-1226-SM-E8VMR 60-69 years, male 93.0
GTEX-12WSM-1726-SM-5BC6J 60-69 years, male 92.8
GTEX-X4EP-2926-SM-3P5YQ 60-69 years, female 92.8
GTEX-1S82U-1126-SM-E9U6I 30-39 years, female 92.8
GTEX-ZC5H-2626-SM-5J2MG 40-49 years, female 92.6
GTEX-1RQEC-2026-SM-DTXDM 60-69 years, male 92.6
GTEX-1QP9N-1826-SM-E8VMP 30-39 years, male 92.3
GTEX-1B97J-0426-SM-79OLQ 50-59 years, female 92.2
GTEX-1MJK3-1126-SM-E9J3F 20-29 years, male 92.0
GTEX-WFG8-2026-SM-EXOHO 20-29 years, male 92.0
GTEX-1192X-2326-SM-5987X 50-59 years, male 91.9
GTEX-ZY6K-1626-SM-5GZWV 50-59 years, male 91.9
GTEX-1I19N-2826-SM-CL55D 70-79 years, male 91.9
GTEX-TMMY-0726-SM-33HBE 40-49 years, female 91.7
GTEX-1H3VY-0926-SM-ACKXE 50-59 years, male 91.5
GTEX-R3RS-0626-SM-48FE1 40-49 years, female 91.4
GTEX-Y114-2026-SM-4TT7L 50-59 years, female 90.8
GTEX-XMD2-0926-SM-4WWEF 60-69 years, female 90.7
GTEX-1QW4Y-1026-SM-DTXE2 30-39 years, male 90.3
GTEX-ZVE2-1226-SM-5NQ8R 50-59 years, male 90.2
GTEX-145LT-0726-SM-5S2VM 40-49 years, male 90.0
GTEX-S33H-0326-SM-4AD6N 30-39 years, male 89.9
GTEX-1KAFJ-0226-SM-DIPEL 50-59 years, male 89.5
GTEX-1EU9M-2826-SM-7EWFH 60-69 years, male 89.4
GTEX-14BMU-1626-SM-5TDE7 20-29 years, female 89.0
GTEX-ZWKS-2826-SM-5NQ74 30-39 years, male 88.9
GTEX-1QCLY-1626-SM-DTXDW 30-39 years, male 88.7
GTEX-1GMR3-2626-SM-7RHHG 40-49 years, male 88.6
GTEX-133LE-1726-SM-5K7VQ 20-29 years, female 88.4
GTEX-14B4R-1226-SM-5TDDT 30-39 years, male 88.4
GTEX-XMD1-0826-SM-4AT52 60-69 years, male 88.2
GTEX-145MF-2226-SM-7EPIR 50-59 years, male 88.1
GTEX-XMK1-1126-SM-4IHJ8 40-49 years, male 88.1
GTEX-1HSKV-2026-SM-CMKGX 60-69 years, male 88.1
GTEX-VUSG-2226-SM-4KKZO 50-59 years, male 87.8
GTEX-1GZHY-0726-SM-9WG6B 50-59 years, female 87.7
GTEX-1K2DA-1726-SM-CGQGS 50-59 years, male 87.7
GTEX-1MCC2-2126-SM-EWRON 30-39 years, female 87.6
GTEX-1NV8Z-2826-SM-E8VME 60-69 years, male 87.6
GTEX-1IDJF-2326-SM-ARL86 20-29 years, male 87.5
GTEX-18A6Q-0926-SM-7LG4N 60-69 years, male 87.4
GTEX-1JMOU-2026-SM-CMKGU 60-69 years, female 87.1
GTEX-1PPGY-1526-SM-EVYBK 60-69 years, male 87.0
GTEX-QMRM-1626-SM-D4P1U 50-59 years, male 86.4
GTEX-16YQH-2826-SM-6PAMY 30-39 years, male 86.2
GTEX-17MFQ-0926-SM-7LG4S 20-29 years, male 86.1
GTEX-1B932-0826-SM-73KXG 40-49 years, female 86.0
GTEX-W5X1-2326-SM-3GIL6 40-49 years, female 85.9
GTEX-1CAMS-1426-SM-7IGPM 40-49 years, female 85.5
GTEX-1F75B-0626-SM-7SB8A 50-59 years, male 85.5
GTEX-169BO-1126-SM-7MGWN 50-59 years, male 85.4
GTEX-1399U-1826-SM-5PNZ1 50-59 years, female 85.3
GTEX-12BJ1-1826-SM-5HL9N 60-69 years, male 85.1
GTEX-XQ3S-1326-SM-4BOPQ 20-29 years, male 85.1
GTEX-14PN4-0626-SM-62LFP 50-59 years, male 84.8
GTEX-1K9T9-1426-SM-DIPFQ 50-59 years, female 84.4
GTEX-12ZZX-1126-SM-5EGKB 40-49 years, female 84.3
GTEX-11NSD-0926-SM-5N9DR 20-29 years, male 84.1
GTEX-17JCI-0726-SM-7EPH1 60-69 years, female 84.0
GTEX-YFCO-1826-SM-4W1YH 40-49 years, male 84.0
GTEX-17F96-2426-SM-7IGLN 70-79 years, male 83.8
GTEX-ZDTT-2126-SM-DKPOM 60-69 years, male 83.7
GTEX-15ER7-1626-SM-6PAMZ 20-29 years, female 83.6
GTEX-WFON-1826-SM-3GILG 40-49 years, male 83.6
GTEX-ZV7C-1826-SM-5NQ83 50-59 years, male 83.3
GTEX-11P81-1926-SM-5BC53 30-39 years, female 83.1
GTEX-1LVAM-0926-SM-E9TJ2 50-59 years, female 83.1
GTEX-13NZB-2126-SM-5MR4Y 30-39 years, male 82.9
GTEX-XUZC-1626-SM-4BRVP 30-39 years, female 82.6
GTEX-13OW8-0226-SM-5K7UP 60-69 years, male 82.3
GTEX-ZYT6-0126-SM-5E45J 30-39 years, male 82.3
GTEX-1CB4E-0226-SM-79OLW 60-69 years, male 82.2
GTEX-13SLW-2526-SM-62LDQ 70-79 years, male 81.7
GTEX-1B8KZ-1526-SM-7DUG7 50-59 years, male 81.6
GTEX-139T8-0826-SM-5L3DE 60-69 years, male 81.2
GTEX-16NGA-0826-SM-718AF 40-49 years, female 81.0
GTEX-1LSNM-1326-SM-E9TJ1 50-59 years, male 81.0
GTEX-1IE54-0626-SM-ARL8D 40-49 years, female 80.8
GTEX-1J8Q3-1326-SM-CMKI1 60-69 years, male 80.7
GTEX-1H1E6-0926-SM-9YFLT 30-39 years, male 80.6
GTEX-145MN-1926-SM-5SIAI 30-39 years, male 80.4
GTEX-17HG3-0126-SM-7IGNH 30-39 years, female 80.4
GTEX-ZLV1-1426-SM-DO92Z 60-69 years, female 80.4
GTEX-1CB4J-1826-SM-7EWF9 60-69 years, male 79.8
GTEX-11EI6-0626-SM-5985T 60-69 years, male 79.7
GTEX-16BQI-1026-SM-7KUEA 30-39 years, female 79.7
GTEX-T2IS-1526-SM-32QPR 20-29 years, female 79.6
GTEX-1JKYR-0926-SM-CMKGJ 20-29 years, male 79.1
GTEX-Y5V5-2126-SM-4WWFO 60-69 years, female 79.0
GTEX-14ABY-2126-SM-5QGQZ 50-59 years, male 78.9
GTEX-1JJEA-2726-SM-ARL8V 60-69 years, male 78.7
GTEX-15SHW-1326-SM-6PAL8 60-69 years, male 78.6
GTEX-1GN1W-1926-SM-7P8TH 50-59 years, female 78.5
GTEX-17EUY-1926-SM-7DUF6 20-29 years, male 78.0
GTEX-11DXW-0626-SM-5N9ER 40-49 years, male 77.8
GTEX-1B8KE-1226-SM-73KWK 50-59 years, male 77.8
GTEX-UPK5-2326-SM-3P5Z8 40-49 years, male 77.8
GTEX-1B8SG-1226-SM-7IGPF 50-59 years, male 77.6
GTEX-1HT8W-2226-SM-CGQEC 30-39 years, male 77.5
GTEX-13SLX-2326-SM-5ZZWE 50-59 years, female 77.0
GTEX-14H4A-2526-SM-5YYAY 40-49 years, female 76.9
GTEX-1I6K6-0826-SM-ARL7Z 30-39 years, male 76.9
GTEX-1LVAN-1326-SM-CNPQE 50-59 years, female 76.8
GTEX-13FHO-0826-SM-5L3E8 60-69 years, male 76.7
GTEX-1B97I-0426-SM-79OL7 40-49 years, male 76.7
GTEX-1AX8Z-0926-SM-731AW 60-69 years, male 76.4
GTEX-14LLW-0626-SM-62LFC 70-79 years, female 76.3
GTEX-TML8-1226-SM-32QON 40-49 years, female 76.2
GTEX-U3ZH-1426-SM-4DXSR 30-39 years, male 76.2
GTEX-XUW1-2326-SM-4BOO5 50-59 years, female 75.8
GTEX-WYVS-1726-SM-3NMAY 40-49 years, female 75.4
GTEX-1HSGN-1526-SM-A9SMO 40-49 years, female 75.4
GTEX-T5JC-2126-SM-32PMO 20-29 years, male 75.3
GTEX-1QPFJ-2026-SM-EVYBE 30-39 years, female 75.3
GTEX-QDT8-0626-SM-48TYW 30-39 years, female 75.2
GTEX-1LSVX-2426-SM-E6CJX 60-69 years, male 75.1
GTEX-1RAZQ-1226-SM-EWRNL 30-39 years, male 75.1
GTEX-17F9E-2526-SM-7MGW2 50-59 years, male 75.0
GTEX-1GZ4H-0326-SM-7P8QX 50-59 years, female 74.8
GTEX-13PL6-2926-SM-5L3I2 40-49 years, female 74.6
GTEX-11EM3-1326-SM-5N9C6 20-29 years, female 74.5
GTEX-1AX9J-1126-SM-731B7 60-69 years, male 74.5
GTEX-ZVTK-0326-SM-51MRR 20-29 years, male 74.5
GTEX-11LCK-2426-SM-5HL5F 30-39 years, male 74.1
GTEX-1JKYN-0726-SM-ARZMY 30-39 years, male 74.1
GTEX-1LBAC-0926-SM-CXKY9 20-29 years, male 74.1
GTEX-17KNJ-2026-SM-7LG53 50-59 years, male 74.0
GTEX-1A3MV-1626-SM-731C1 30-39 years, male 74.0
GTEX-1I6K7-1026-SM-A9SLK 40-49 years, male 74.0
GTEX-1C64O-0726-SM-7DUFU 60-69 years, male 73.8
GTEX-11EMC-2026-SM-5A5JV 60-69 years, female 73.6
GTEX-Y3I4-1526-SM-4TT7K 50-59 years, male 73.6
GTEX-S7SE-0826-SM-4AT4D 50-59 years, male 73.5
GTEX-RU72-0626-SM-46MUI 50-59 years, female 73.2
GTEX-1QMI2-0726-SM-E9J4F 60-69 years, male 73.2
GTEX-11OF3-1926-SM-59889 60-69 years, male 73.1
GTEX-S4P3-1326-SM-4AD6V 50-59 years, female 73.0
GTEX-11ZUS-0826-SM-5FQUY 30-39 years, male 72.9
GTEX-14DAR-1326-SM-7DUEG 50-59 years, male 72.7
GTEX-WXYG-2226-SM-4E3IM 50-59 years, female 72.7
GTEX-18A7A-0726-SM-7LTAI 50-59 years, female 72.5
GTEX-RWS6-1926-SM-47JXY 60-69 years, female 72.2
GTEX-ZUA1-1526-SM-59HLS 40-49 years, male 71.8
GTEX-WI4N-1426-SM-3LK7H 40-49 years, female 71.7
GTEX-14A5I-0726-SM-5TDEB 50-59 years, female 71.6
GTEX-1H1ZS-0126-SM-9YFKQ 70-79 years, male 71.4
GTEX-Y3IK-2326-SM-4WWDT 50-59 years, female 71.0
GTEX-1F6I4-2526-SM-7SB8F 60-69 years, male 70.8
GTEX-1QEPI-0926-SM-DTXF3 60-69 years, female 70.7
GTEX-17EVP-0226-SM-79OND 40-49 years, male 70.6
GTEX-1B8L1-2426-SM-9WYTE 60-69 years, male 70.6
GTEX-1122O-1226-SM-5H113 60-69 years, female 70.2
GTEX-1MA7X-1626-SM-E9U5B 60-69 years, male 70.1
GTEX-WRHU-0326-SM-3MJFY 50-59 years, female 69.9
GTEX-11ONC-2126-SM-5HL6E 60-69 years, male 69.8
GTEX-WYJK-1326-SM-3NB2T 50-59 years, male 69.6
GTEX-1AX9I-0726-SM-73KWV 60-69 years, male 69.4
GTEX-1GZ4I-2826-SM-9MQK5 50-59 years, male 69.4
GTEX-1H1CY-2226-SM-9WG7E 60-69 years, female 69.3
GTEX-1IDJH-2226-SM-E6CJV 70-79 years, male 69.3
GTEX-11DXY-2326-SM-5GICW 60-69 years, male 69.2
GTEX-1IOXB-1926-SM-ARL8E 50-59 years, male 69.2
GTEX-1IKOH-2326-SM-CM2TW 60-69 years, female 69.1
GTEX-11DXZ-1926-SM-5GZZL 50-59 years, male 69.0
GTEX-14E7W-0826-SM-62LEJ 70-79 years, male 68.5
GTEX-ZF3C-2326-SM-5S2NC 50-59 years, female 68.4
GTEX-18QFQ-0826-SM-718AX 30-39 years, male 68.3
GTEX-ZYFC-0826-SM-5E44K 50-59 years, male 68.3
GTEX-Y111-2026-SM-4SOJA 50-59 years, male 68.2
GTEX-1KXAM-1026-SM-CY8IA 60-69 years, male 68.1
GTEX-Q2AG-0326-SM-48U1O 40-49 years, female 68.0
GTEX-11GSP-0926-SM-9WYSG 60-69 years, female 67.8
GTEX-1JN6P-2426-SM-ARL99 60-69 years, male 67.6
GTEX-1B933-2526-SM-7IGO5 50-59 years, female 67.0
GTEX-1P4AB-1826-SM-E76PU 50-59 years, male 67.0
GTEX-111YS-1926-SM-5GICC 60-69 years, male 66.8
GTEX-1HCVE-2626-SM-ADEJ8 50-59 years, male 66.8
GTEX-11P7K-0726-SM-5EGKX 30-39 years, male 66.7
GTEX-18A7B-2626-SM-7LG55 70-79 years, male 66.3
GTEX-13D11-1026-SM-5IJFB 50-59 years, female 66.1
GTEX-1EWIQ-1726-SM-7SB7T 70-79 years, female 66.1
GTEX-1J8EW-2626-SM-CL53E 60-69 years, female 66.1
GTEX-1EKGG-2626-SM-7IGPY 60-69 years, male 65.5
GTEX-XBED-1626-SM-47JYN 60-69 years, male 65.5
GTEX-WYBS-0926-SM-3NM94 60-69 years, female 65.4
GTEX-UJHI-1426-SM-3DB9C 50-59 years, female 65.3
GTEX-1JMPZ-1626-SM-COH31 30-39 years, male 65.3
GTEX-Y5LM-1726-SM-4VDSX 40-49 years, female 65.2
GTEX-YFC4-1426-SM-5IFJG 40-49 years, female 65.2
GTEX-1C475-1226-SM-7SB72 40-49 years, female 64.9
GTEX-1IY9M-2726-SM-CMKG5 60-69 years, male 64.9
GTEX-13FTY-2226-SM-5J1ND 40-49 years, female 64.8
GTEX-ZVT2-1826-SM-5NQ8W 50-59 years, female 64.3
GTEX-1E2YA-2726-SM-7IGPW 50-59 years, male 64.2
GTEX-QVJO-1826-SM-447C9 60-69 years, female 64.2
GTEX-WHSB-1926-SM-EXOHH 50-59 years, male 64.2
GTEX-1HR98-0426-SM-COH36 60-69 years, male 64.0
GTEX-ZGAY-1726-SM-DO91P 40-49 years, female 63.9
GTEX-1GPI6-0626-SM-7RHHJ 60-69 years, male 63.7
GTEX-YJ8O-2226-SM-5IFHW 40-49 years, female 63.5
GTEX-11GS4-2126-SM-5A5KR 60-69 years, male 63.2
GTEX-1269C-2426-SM-5FQSN 60-69 years, female 63.2
GTEX-15UF6-0126-SM-6PAMB 70-79 years, female 63.1
GTEX-132NY-0826-SM-5K7Y7 60-69 years, male 62.9
GTEX-1HCUA-0726-SM-ACKVU 50-59 years, female 62.7
GTEX-1C6WA-2426-SM-7SB86 60-69 years, male 62.5
GTEX-13PVR-2226-SM-7DHKP 60-69 years, female 62.4
GTEX-12WSK-2226-SM-5GCO5 40-49 years, female 62.2
GTEX-132Q8-1426-SM-5EGK7 60-69 years, male 62.2
GTEX-1I1GV-2426-SM-CGQFM 60-69 years, male 62.2
GTEX-1I1HK-2426-SM-ADEHX 60-69 years, male 61.4
GTEX-13VXU-2826-SM-664MA 50-59 years, male 61.3
GTEX-Y8LW-1626-SM-5IFHX 50-59 years, female 61.3
GTEX-147F4-2826-SM-5NQBN 50-59 years, male 61.1
GTEX-1IDJE-0826-SM-CKZNZ 50-59 years, female 61.0
GTEX-1N5O9-1126-SM-DTXEQ 60-69 years, male 61.0
GTEX-15RJE-2626-SM-7KFT1 40-49 years, male 60.9
GTEX-1J8QM-2026-SM-ARZMW 60-69 years, female 60.9
GTEX-1JMPY-0526-SM-CL54O 30-39 years, male 60.5
GTEX-144GL-2026-SM-5LU3O 50-59 years, male 60.4
GTEX-T6MN-0726-SM-32PML 50-59 years, male 60.4
GTEX-1KD4Q-2326-SM-D4P3M 40-49 years, male 60.2
GTEX-13N11-1726-SM-5J1OJ 50-59 years, female 59.9
GTEX-18465-2026-SM-718AP 50-59 years, male 59.9
GTEX-X15G-1626-SM-3NMB3 50-59 years, female 59.9
GTEX-1HBPN-2326-SM-9WPPU 50-59 years, male 59.7
GTEX-13CF2-2026-SM-5K7VI 60-69 years, male 59.4
GTEX-131YS-0626-SM-5EGKL 60-69 years, female 58.6
GTEX-1R9PM-1826-SM-EVYBH 20-29 years, male 58.6
GTEX-1MA7W-1026-SM-DKPQK 20-29 years, female 58.4
GTEX-1GN1U-0526-SM-9KNTT 50-59 years, female 58.1
GTEX-13QIC-2326-SM-5LU5N 60-69 years, female 58.0
GTEX-17HHY-0926-SM-793C1 50-59 years, male 58.0
GTEX-ZXES-0826-SM-5E43C 30-39 years, female 57.9
GTEX-15ETS-0626-SM-7KUMX 40-49 years, female 57.8
GTEX-U3ZN-1926-SM-4DXSG 30-39 years, female 57.8
GTEX-1I1GT-1126-SM-ARL7J 60-69 years, female 57.6
GTEX-139TU-0626-SM-5KM3X 60-69 years, male 57.4
GTEX-1BAJH-0826-SM-7EWEF 70-79 years, male 57.2
GTEX-ZAK1-1326-SM-EVYAS 50-59 years, female 57.2
GTEX-1HUB1-1626-SM-CM2SL 60-69 years, male 56.9
GTEX-11WQC-1726-SM-5GU4W 60-69 years, male 56.6
GTEX-11NV4-2026-SM-5N9DG 60-69 years, male 56.5
GTEX-1GMRU-0826-SM-9WYT7 50-59 years, male 56.3
GTEX-11GSO-1926-SM-5A5K3 60-69 years, male 56.2
GTEX-15FZZ-0726-SM-7KUFZ 30-39 years, female 56.0
GTEX-1H4P4-2226-SM-9MQKQ 50-59 years, male 56.0
GTEX-1GN2E-2226-SM-9WG6J 60-69 years, male 55.8
GTEX-ZF2S-2026-SM-5E461 50-59 years, female 55.3
GTEX-ZZPU-0626-SM-5E43T 50-59 years, female 55.2
GTEX-ZEX8-2226-SM-57WC6 50-59 years, male 54.3
GTEX-131XW-0726-SM-5EGK3 50-59 years, female 53.8
GTEX-S341-1526-SM-4AD6K 40-49 years, female 52.8
GTEX-XOT4-0726-SM-4GIAW 60-69 years, female 52.8
GTEX-ZF29-1926-SM-5S2P1 60-69 years, female 52.5
GTEX-1N2EE-2126-SM-E8VNN 60-69 years, male 52.5
GTEX-1IKJJ-2326-SM-COH3U 60-69 years, male 52.1
GTEX-17HHE-1426-SM-7EPH4 50-59 years, male 51.7
GTEX-ZVZQ-0826-SM-51MRF 60-69 years, female 51.3
GTEX-11PRG-0826-SM-5EQ6A 50-59 years, male 51.2
GTEX-ZVT4-1026-SM-57WC4 50-59 years, female 50.3
GTEX-1MCYP-0126-SM-E6CIS 20-29 years, female 50.3
GTEX-1F75A-1826-SM-7SB8G 50-59 years, male 48.0
GTEX-1CB4G-2326-SM-79OOI 60-69 years, male 45.9
GTEX-1RAZS-1226-SM-E8VMT 50-59 years, male 45.8
GTEX-1EN7A-1426-SM-7PBY4 40-49 years, male 40.5
GTEX-117XS-1926-SM-5GICO 60-69 years, male 40.4
Show allShow less

BREAST - FANTOM5 CAGEi

RNA expression in human tissues obtained through Cap Analysis of Gene Expression (CAGE) generated by the FANTOM5 project are reported as Scaled Tags Per Million.

Max subtype Scaled Tags Per Millioni

Max subtype Scaled Tags Per Million is the value for the subtype with the largest average Scaled Tags Per Million across the subtype samples.

388.9
FANTOM5 sample id Sample description Scaled Tags Per Million
Breast
Scaled Tags Per Million: 388.9
FF:10080-102A8 77 years, female 388.9

Contact

  • NEWS ARTICLES
  • PRESS ROOM

The Project

  • INTRODUCTION
  • ORGANIZATION
  • PUBLICATIONS

The Human Protein Atlas

  • DOWNLOADABLE DATA
  • LICENCE & CITATION
  • HELP & FAQ
The Human Protein Atlas project is funded
by the Knut & Alice Wallenberg Foundation.


contact@proteinatlas.org