We use cookies to enhance the usability of our website. If you continue, we'll assume that you are happy to receive all cookies. More information. Don't show this again.
HSPD1
HPA
RESOURCES
  • TISSUE
  • BRAIN
  • SINGLE CELL
  • SUBCELLULAR
  • CANCER
  • BLOOD
  • CELL LINE
  • STRUCTURE & INTERACTION
ABOUT
  • INTRODUCTION
  • HISTORY
  • ORGANIZATION
  • PUBLICATIONS
  • ANTIBODY SUBMISSION
  • ANTIBODY AVAILABILITY
  • ACKNOWLEDGMENTS
  • CONTACT
NEWS
  • NEWS ARTICLES
  • PRESS ROOM
LEARN
  • DICTIONARY
  • PROTEIN CLASSES
  • PROTEIN EVIDENCE
  • METHODS
  • EDUCATIONAL VIDEOS
DATA
  • DOWNLOADABLE DATA
  • PUBLICATION DATA
  • RELEASE HISTORY
HELP
  • ANTIBODY VALIDATION
  • ASSAYS & ANNOTATION
  • DISCLAIMER
  • HELP & FAQ
  • PRIVACY STATEMENT
  • LICENCE & CITATION
Fields »
Search result

Field
Term
Gene name
Class
Subclass
Class
Keyword
Chromosome
External id
Tissue
Cell type
Expression
Antibody panel
Tissue
Main location
Patient ID
Annotation
Tissue
Category
Tau score
Cluster
Reliability
Brain region
Category
Tau score
Brain region
Category
Tau score
Brain region
Category
Tau score
Cluster
Reliability
Tissue
Cell type
Enrichment
Cell type
Category
Tau score
Cell type
Category
Tau score
Cell type
Category
Tau score
Cell lineage
Category
Tau score
Cluster
Cluster
Location
Searches
Location
Cell line
Class
Type
Phase
Reliability
Cancer
Prognosis
Cancer
Category
Cancer
Category
Tau score
Cluster
Variants
Interacting gene (ensg_id)
Type
Number of interactions
Pathway
Category
Score
Score
Score
Validation
Validation
Validation
Validation
Antibodies
Data type
Column


  • SUMMARY

  • TISSUE

  • BRAIN

  • SINGLE CELL

  • SUBCELL

  • CANCER

  • BLOOD

  • CELL LINE

  • STRUCT & INT

  • HSPD1
TISSUE PRIMARY DATA STOMACH Show tissue menu
ADIPOSE TISSUE ADRENAL GLAND AMYGDALA APPENDIX BASAL GANGLIA BONE MARROW BREAST BRONCHUS CEREBELLUM CEREBRAL CORTEX CERVIX CHOROID PLEXUS COLON DUODENUM
ENDOMETRIUM EPIDIDYMIS ESOPHAGUS FALLOPIAN TUBE GALLBLADDER HEART MUSCLE HIPPOCAMPAL FORMATION HYPOTHALAMUS KIDNEY LIVER LUNG LYMPH NODE MIDBRAIN ORAL MUCOSA
OVARY PANCREAS PARATHYROID GLAND PITUITARY GLAND PLACENTA PROSTATE RECTUM RETINA SALIVARY GLAND SEMINAL VESICLE SKELETAL MUSCLE SKIN SMALL INTESTINE SMOOTH MUSCLE
SOFT TISSUE SPINAL CORD SPLEEN STOMACH TESTIS THYMUS THYROID GLAND TONGUE TONSIL URINARY BLADDER VAGINA
ANTIBODIES
AND
VALIDATION
Dictionary
Tissue proteome
Stomach
STOMACH - Expression summary
Protein expression
Stomachi

On the top, protein expression in current human tissue, based on all annotated cell types, is reported with the units not detected (n), low (l), medium (m) and high (h). Underneath, protein expression in each annotated cell type are reported using the same units.

Protein expression data is based on knowledge-based annotation. For genes where more than one antibody has been used, a collective score is set.

If knowledge-based annotation could not be performed for a gene, no data is displayed here. View antibody staining data further down this page.

h
m
l
n
Glandular cells: Medium
RNA expressioni

A summary of mRNA expression data available for current tissue based on several datasets. The mRNA expression levels in human tissues are based on RNA-seq data generated by the Human Protein Atlas (HPA), Genotype-Tissue Expression (GTEx) portal and CAGE data generated by the FANTOM5 consortium. Consensus normalized expression levels for human tissues was created by combining the data from HPA and GTEx datasets.

The mRNA expression levels in pig are based on RNA-seq data generated by the Human Protein Atlas (HPA), and for mouse, HPA data and in situ hybridization generated by the Allen brain atlas are reported.

Scroll down to view mRNA expression data in more detail.
Consensus:150.9 nTPM
HPA:92.3 nTPM
GTEx:150.9 nTPM

STOMACH 1 - Antibody stainingi

Antibody staining in the annotated cell types in the current human tissue is reported as not detected, low, medium, or high, based on conventional immunohistochemistry profiling in selected tissues. This score is based on the combination of the staining intensity and fraction of stained cells.

Each image is clickable and will lead to virtual microscopy that enables deeper exploration of all samples and also displays staining intensity scores, fraction scores and subcellular localization as well as patient and tissue information for each sample.

Antibody HPA001523Antibody CAB002775Antibody CAB072816
Glandular cells HighMediumHigh





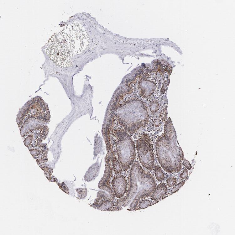
STOMACH 2 - Antibody stainingi

Antibody staining in the annotated cell types in the current human tissue is reported as not detected, low, medium, or high, based on conventional immunohistochemistry profiling in selected tissues. This score is based on the combination of the staining intensity and fraction of stained cells.

Each image is clickable and will lead to virtual microscopy that enables deeper exploration of all samples and also displays staining intensity scores, fraction scores and subcellular localization as well as patient and tissue information for each sample.

Antibody HPA001523Antibody CAB002775Antibody CAB072816
Glandular cells MediumMediumHigh






STOMACH - HPA RNA-seqi

The RNA-seq details section shows detailed information about the individual samples used for the transcript profiling and results of the RNA-seq analysis.

Information about each individual sample is listed below, including gender, age, a tissue section image and estimated fractions of cell types. nTPM (normalized transcripts per million) values give a quantification of the gene abundance which is comparable between different genes and samples.
Average nTPMi

Max subtype nTPM is the value for the subtype with the largest average nTPM across the subtype samples.

92.3
overview
Female, age 33
Stomach sample 61
nTPM: 88.8
Cell types%
Glandular cells:
60

Smooth muscle cells:
5

Other cell types:
35

N/A
Male, age 82
Stomach sample 240
nTPM: 71.3
Cell types%
Glandular cells:
65

Smooth muscle cells:
5

Other cell types:
30

overview
Male, age 71
Stomach sample 241
nTPM: 110.9
Cell types%
Glandular cells:
50

Smooth muscle cells:
5

Other cell types:
45

overview
Female, age 66
Stomach sample 369
nTPM: 98.3
Cell types%
Glandular cells:
50

Smooth muscle cells:
10

Other cell types:
40


STOMACH - GTEx RNA-seqi

RNA-Seq data generated by the Genotype-Tissue Expression (GTEx) project from human tissues is reported as mean nTPM. More information can be found on the GTEx portal.

Distribution across the dataset is visualized with box plots, shown as median and 25th and 75th percentiles. Points are displayed as outliers if they are above or below 1.5 times the interquartile range. nTPM values of the individual samples are presented next to the box plot.
Max subtype nTPMi

Max subtype nTPM is the value for the subtype with the largest average nTPM across the subtype samples.

150.9
GTEx sample id Sample description nTPM
Stomach
Average nTPM: 150.9
Samples: 359

Max nTPM: 1832.9
Min nTPM: 58.1
Std nTPM: 152.1
Median nTPM: 118.4
GTEX-1JN1M-2926-SM-CNNPJ 60-69 years, female 1832.9
GTEX-15G19-1526-SM-6LPKP 60-69 years, male 1285.5
GTEX-YJ8A-1526-SM-5P9FT 20-29 years, male 1153.2
GTEX-1QMI2-2126-SM-DPRXQ 60-69 years, male 907.2
GTEX-11TT1-0726-SM-5GU5A 20-29 years, male 851.3
GTEX-1A8G6-1426-SM-731EZ 60-69 years, male 693.5
GTEX-1HBPI-0726-SM-9WG7Z 50-59 years, male 630.2
GTEX-132AR-2426-SM-5IFFD 50-59 years, female 541.3
GTEX-117YW-2226-SM-5N9DB 50-59 years, male 530.7
GTEX-ZVT3-2126-SM-59HL2 60-69 years, female 496.9
GTEX-12WSG-2026-SM-5FQUU 50-59 years, female 456.4
GTEX-1JMPY-0926-SM-ARL92 30-39 years, male 436.1
GTEX-1HCU8-1326-SM-C1YQQ 60-69 years, female 382.7
GTEX-ZYY3-1726-SM-5EGH3 60-69 years, female 320.8
GTEX-18A7A-2726-SM-7LG6U 50-59 years, female 317.1
GTEX-13PVQ-2126-SM-5L3FW 50-59 years, male 313.9
GTEX-QLQW-0726-SM-447AA 30-39 years, male 312.0
GTEX-U4B1-1026-SM-4DXT1 40-49 years, male 297.6
GTEX-XBED-1226-SM-4AT5V 60-69 years, male 284.3
GTEX-UJHI-1026-SM-4IHJP 50-59 years, female 271.5
GTEX-17HGU-2126-SM-7IGOV 50-59 years, male 270.7
GTEX-1JMLX-2426-SM-CXZJQ 50-59 years, male 265.9
GTEX-1RAZR-1526-SM-EAZ4U 40-49 years, male 261.6
GTEX-131XG-1226-SM-5EGH9 50-59 years, female 261.4
GTEX-1L5NE-1526-SM-DIPFW 50-59 years, male 253.5
GTEX-11P82-0726-SM-5PNYL 20-29 years, male 250.4
GTEX-ZAB4-1526-SM-5CVN7 40-49 years, male 248.4
GTEX-13X6J-2126-SM-5TDCV 50-59 years, male 241.9
GTEX-1HSEH-1526-SM-B2LXG 60-69 years, male 235.4
GTEX-XXEK-0826-SM-4BRWG 50-59 years, male 228.2
GTEX-Q2AI-0826-SM-48TZO 40-49 years, male 226.3
GTEX-R53T-1226-SM-48FCT 50-59 years, female 223.3
GTEX-14PKV-1826-SM-69LO9 20-29 years, female 222.7
GTEX-14PJ4-1626-SM-664OB 60-69 years, male 210.1
GTEX-1HCUA-1626-SM-A9SMG 50-59 years, female 208.3
GTEX-17HII-2426-SM-7KFTT 50-59 years, male 207.1
GTEX-14B4R-0726-SM-5TDDR 30-39 years, male 205.3
GTEX-RUSQ-1126-SM-EAZAU 50-59 years, male 203.9
GTEX-ZYVF-2726-SM-5GID4 50-59 years, female 203.8
GTEX-1KANA-1126-SM-D3L9M 20-29 years, male 199.9
GTEX-1GMRU-2526-SM-9WG7T 50-59 years, male 197.8
GTEX-1F75I-1826-SM-7MKGX 40-49 years, male 197.7
GTEX-XV7Q-1326-SM-4BRWM 40-49 years, female 196.7
GTEX-OHPM-1526-SM-EV796 50-59 years, male 193.4
GTEX-14E6E-0926-SM-664N8 30-39 years, male 192.7
GTEX-Q734-1026-SM-48U16 40-49 years, female 191.6
GTEX-11WQK-2626-SM-5EQ4K 50-59 years, male 189.5
GTEX-1MCYP-1126-SM-E9J2P 20-29 years, female 181.4
GTEX-18A66-2226-SM-7189E 60-69 years, male 178.8
GTEX-Y5LM-1326-SM-5RQIS 40-49 years, female 178.3
GTEX-17EUY-1526-SM-793CA 20-29 years, male 177.8
GTEX-ZT9W-1526-SM-4YCDE 50-59 years, male 177.7
GTEX-1GF9U-1126-SM-AHZ4H 40-49 years, female 176.8
GTEX-144GM-1726-SM-5O9AS 20-29 years, male 174.8
GTEX-OXRK-1626-SM-3NB17 50-59 years, female 174.2
GTEX-1F5PK-1826-SM-7RHHX 50-59 years, male 173.2
GTEX-14BMU-1126-SM-5RQJ8 20-29 years, female 170.7
GTEX-PWN1-1526-SM-48TDA 40-49 years, female 170.5
GTEX-11EQ9-1226-SM-5987E 30-39 years, male 168.3
GTEX-11GSP-2126-SM-5HL5E 60-69 years, female 168.0
GTEX-15RIE-1026-SM-6LPJQ 60-69 years, male 166.3
GTEX-11NUK-2426-SM-5BC4U 50-59 years, male 166.2
GTEX-1AMEY-1226-SM-731DU 30-39 years, female 166.1
GTEX-1QCLZ-1826-SM-DPRXP 60-69 years, female 165.0
GTEX-R55D-1526-SM-48FEJ 50-59 years, male 164.7
GTEX-1MUQO-1926-SM-EAZ59 60-69 years, male 164.2
GTEX-1HFI7-1526-SM-9WG7W 50-59 years, female 163.1
GTEX-1RQEC-2126-SM-DPS15 60-69 years, male 163.0
GTEX-SNOS-0826-SM-4DM5N 40-49 years, male 160.6
GTEX-1IDJU-1526-SM-CNNR3 60-69 years, female 160.3
GTEX-1339X-1426-SM-5K7YO 40-49 years, male 160.2
GTEX-XMK1-1526-SM-EYYVO 40-49 years, male 159.2
GTEX-17GQL-1226-SM-7KFTS 60-69 years, male 158.9
GTEX-1J8JJ-1726-SM-C1YQG 60-69 years, female 158.8
GTEX-16AAH-1226-SM-79OO9 50-59 years, male 158.6
GTEX-17JCI-2226-SM-7LTA1 60-69 years, female 156.9
GTEX-11I78-1726-SM-5A5M3 50-59 years, female 154.8
GTEX-R55C-1026-SM-48FCM 40-49 years, male 154.7
GTEX-1LGOU-1526-SM-D3LAJ 20-29 years, female 152.9
GTEX-1RB15-1026-SM-E9U6V 60-69 years, male 152.8
GTEX-QV31-0626-SM-447C5 30-39 years, male 152.7
GTEX-ZA64-0826-SM-5HL9U 20-29 years, male 152.4
GTEX-11NSD-1426-SM-5HL67 20-29 years, male 151.3
GTEX-1I6K7-1726-SM-B2LXQ 40-49 years, male 150.1
GTEX-1I1HK-2026-SM-CNNRB 60-69 years, male 149.9
GTEX-R55G-1126-SM-48FDG 40-49 years, female 149.8
GTEX-OIZF-1526-SM-2I5GR 60-69 years, male 149.2
GTEX-13CF3-1926-SM-5K7WF 60-69 years, female 148.9
GTEX-W5WG-1726-SM-4LMI5 50-59 years, female 148.3
GTEX-1RMOY-1126-SM-EV79E 50-59 years, male 148.3
GTEX-13OVK-0926-SM-7KUFX 40-49 years, male 148.2
GTEX-WHPG-0426-SM-4M1XW 50-59 years, male 147.2
GTEX-1H1DG-2126-SM-9WPPB 70-79 years, male 146.4
GTEX-1IDJD-2426-SM-C1YS6 30-39 years, male 145.8
GTEX-QLQ7-0826-SM-447B3 60-69 years, male 145.4
GTEX-Q2AH-1126-SM-48TZM 40-49 years, male 145.3
GTEX-P4QT-1526-SM-3NMCT 50-59 years, female 145.1
GTEX-SUCS-0926-SM-4DM4Z 70-79 years, male 144.1
GTEX-111CU-0926-SM-5EGIK 50-59 years, male 144.0
GTEX-146FH-2126-SM-5SI9U 50-59 years, female 143.6
GTEX-RWS6-0926-SM-47JXE 60-69 years, female 143.6
GTEX-WEY5-1226-SM-4LMIQ 40-49 years, female 143.4
GTEX-1H1E6-1626-SM-9OSWC 30-39 years, male 143.4
GTEX-QV44-1226-SM-CJI1S 50-59 years, male 142.2
GTEX-ZDYS-1926-SM-5HL59 50-59 years, male 141.9
GTEX-1F5PL-1426-SM-7MKFH 40-49 years, female 141.8
GTEX-S4P3-0726-SM-4AD57 50-59 years, female 141.4
GTEX-1H23P-2726-SM-9JGHN 60-69 years, male 140.8
GTEX-17F9E-2226-SM-7IGNC 50-59 years, male 140.3
GTEX-1GL5R-1926-SM-9WG7U 50-59 years, male 140.2
GTEX-14BIL-1926-SM-73KYI 50-59 years, male 138.7
GTEX-14PJ3-1426-SM-664O8 50-59 years, male 138.2
GTEX-1R9K5-1026-SM-EAZ4F 50-59 years, male 138.2
GTEX-14PJ6-0826-SM-686Z9 60-69 years, female 137.8
GTEX-18A67-2626-SM-718AD 50-59 years, male 137.0
GTEX-12WSK-1426-SM-5CVNN 40-49 years, female 136.8
GTEX-1ICG6-1826-SM-AHZ2O 70-79 years, female 136.1
GTEX-ZZ64-0426-SM-5E43F 20-29 years, male 136.0
GTEX-1A3MX-1926-SM-72D7F 60-69 years, male 135.9
GTEX-T6MO-0726-SM-4DM58 40-49 years, female 135.8
GTEX-15CHR-1326-SM-79OLT 50-59 years, male 135.7
GTEX-1C475-1026-SM-7MKFJ 40-49 years, female 135.6
GTEX-13OW6-2526-SM-5IJEC 50-59 years, male 134.9
GTEX-14DAR-0926-SM-73KUQ 50-59 years, male 134.3
GTEX-ZY6K-0726-SM-5A5L8 50-59 years, male 134.2
GTEX-1CAMR-0726-SM-7EPIE 20-29 years, male 133.8
GTEX-X15G-1126-SM-4PQZG 50-59 years, female 133.8
GTEX-OHPK-1526-SM-3MJGM 50-59 years, female 132.8
GTEX-YB5E-1126-SM-664NU 40-49 years, male 132.8
GTEX-13FTX-0726-SM-5N9BI 20-29 years, female 132.7
GTEX-WFG7-1326-SM-4LMK1 20-29 years, male 132.7
GTEX-1399R-1126-SM-5IFIO 30-39 years, male 132.5
GTEX-133LE-1326-SM-5IFGO 20-29 years, female 132.2
GTEX-ZQUD-0826-SM-57WDQ 30-39 years, male 131.8
GTEX-WHSB-1226-SM-4M1XR 50-59 years, male 131.5
GTEX-Y5V6-1326-SM-4VDTF 60-69 years, male 130.5
GTEX-PWCY-0926-SM-48TD7 20-29 years, female 130.1
GTEX-T5JW-0926-SM-4DM5K 20-29 years, female 130.0
GTEX-1J8Q3-1926-SM-C1YSJ 60-69 years, male 128.5
GTEX-1B8KZ-1226-SM-793CP 50-59 years, male 128.4
GTEX-Y3IK-1426-SM-4YCES 50-59 years, female 128.1
GTEX-1JMPZ-1826-SM-CXZJT 30-39 years, male 127.8
GTEX-1B97I-1226-SM-7MGWQ 40-49 years, male 127.7
GTEX-1LGRB-1726-SM-CNNRA 50-59 years, female 127.4
GTEX-1PIGE-1126-SM-EWRMV 20-29 years, male 127.4
GTEX-1AMFI-1226-SM-731CZ 50-59 years, female 127.1
GTEX-ZPU1-1626-SM-4WWB2 40-49 years, male 127.0
GTEX-145LT-1426-SM-5O9B3 40-49 years, male 126.9
GTEX-1AYCT-1326-SM-7MKHB 50-59 years, male 126.7
GTEX-SNMC-0626-SM-4DM6H 20-29 years, male 126.7
GTEX-14JG6-1226-SM-664O6 30-39 years, female 126.6
GTEX-131XE-2226-SM-5PNYX 50-59 years, male 126.1
GTEX-15G1A-1226-SM-7KUF3 30-39 years, male 126.1
GTEX-1JK1U-1326-SM-AHZ45 60-69 years, male 126.0
GTEX-S341-0626-SM-4AD5T 40-49 years, female 125.2
GTEX-QDVJ-1426-SM-48U1Y 50-59 years, male 124.7
GTEX-12696-1726-SM-5EQLH 60-69 years, male 124.3
GTEX-ZLWG-1526-SM-DO12F 50-59 years, female 124.3
GTEX-1122O-1926-SM-5EGIQ 60-69 years, female 124.1
GTEX-YEC3-1426-SM-D4P1S 50-59 years, male 123.8
GTEX-17F98-1526-SM-7EWD8 40-49 years, female 123.5
GTEX-ZV7C-1626-SM-5NQ7E 50-59 years, male 123.4
GTEX-WFON-1126-SM-4LVMA 40-49 years, male 123.0
GTEX-13111-1226-SM-5GCNC 50-59 years, male 122.8
GTEX-WXYG-1626-SM-4ONCR 50-59 years, female 122.8
GTEX-O5YV-1926-SM-EV797 60-69 years, female 122.6
GTEX-S95S-0826-SM-4B64N 60-69 years, male 122.4
GTEX-13O21-0926-SM-5IFGT 50-59 years, male 122.3
GTEX-PLZ6-0826-SM-3P61K 30-39 years, male 122.0
GTEX-QMRM-1126-SM-447BN 50-59 years, male 122.0
GTEX-11EM3-1026-SM-5A5KL 20-29 years, female 121.5
GTEX-111YS-1126-SM-5GZYQ 60-69 years, male 121.4
GTEX-ZVZP-1726-SM-5GZWY 50-59 years, male 121.4
GTEX-1MJIX-1126-SM-EV7AO 40-49 years, male 119.9
GTEX-1H3VY-2326-SM-9WG81 50-59 years, male 119.8
GTEX-12WSJ-0926-SM-5P9JD 40-49 years, female 119.2
GTEX-VJYA-1026-SM-4KL21 60-69 years, male 119.0
GTEX-P78B-1826-SM-3P5YX 40-49 years, female 118.8
GTEX-WYVS-1326-SM-4ONCQ 40-49 years, female 118.6
GTEX-1J8QM-1126-SM-C1YQB 60-69 years, female 118.4
GTEX-XUZC-0726-SM-4BOPH 30-39 years, female 118.1
GTEX-POMQ-0826-SM-3P61H 20-29 years, female 116.9
GTEX-PLZ5-1226-SM-EXOHA 50-59 years, male 116.9
GTEX-1QPFJ-1526-SM-DPRXT 30-39 years, female 116.8
GTEX-18QFQ-1226-SM-718AE 30-39 years, male 116.7
GTEX-1R7EU-1126-SM-EAZ4M 60-69 years, male 116.5
GTEX-17KNJ-1526-SM-7LTA9 50-59 years, male 116.4
GTEX-OOBJ-1526-SM-3NB1Q 60-69 years, male 115.9
GTEX-13FTW-1726-SM-5KM2B 40-49 years, male 115.5
GTEX-WHWD-1426-SM-4OORU 50-59 years, male 115.4
GTEX-1B97J-1826-SM-7IGPP 50-59 years, female 115.2
GTEX-1HSMQ-2426-SM-CE6RY 50-59 years, male 115.2
GTEX-12BJ1-1726-SM-5HL9B 60-69 years, male 114.6
GTEX-1QP2A-2126-SM-DPRZ7 50-59 years, male 114.1
GTEX-1399S-1626-SM-5P9GI 30-39 years, female 114.0
GTEX-1J8EW-2226-SM-AHZ3T 60-69 years, female 113.8
GTEX-1HR9M-2326-SM-CNPPZ 60-69 years, male 113.5
GTEX-13FH7-1026-SM-5IJGF 50-59 years, female 113.4
GTEX-144GN-1226-SM-5O991 50-59 years, male 113.1
GTEX-15SHW-2126-SM-6M46Y 60-69 years, male 112.9
GTEX-ZPIC-2026-SM-57WG3 40-49 years, female 112.7
GTEX-1S831-1126-SM-EWROI 20-29 years, male 112.6
GTEX-1GN1W-2126-SM-9JGI7 50-59 years, female 112.4
GTEX-RM2N-0826-SM-48FD3 50-59 years, male 112.1
GTEX-11DXX-1326-SM-5GIDZ 60-69 years, female 111.5
GTEX-1GZ4H-1026-SM-9OSXL 50-59 years, female 111.4
GTEX-1HKZK-1526-SM-B2LWG 40-49 years, male 111.4
GTEX-QDT8-2026-SM-EZ6LS 30-39 years, female 111.3
GTEX-12C56-0526-SM-5FQST 20-29 years, male 110.8
GTEX-13PVR-2126-SM-73KVR 60-69 years, female 110.2
GTEX-WY7C-1726-SM-4ONCC 50-59 years, male 110.2
GTEX-S3XE-1026-SM-4AD4O 50-59 years, male 110.1
GTEX-13S7M-1826-SM-5RQK6 60-69 years, female 110.0
GTEX-ZP4G-1226-SM-4WWCJ 20-29 years, female 109.7
GTEX-13D11-2126-SM-5IFH2 50-59 years, female 109.4
GTEX-13QBU-1126-SM-5LU44 40-49 years, female 109.1
GTEX-S4Q7-0726-SM-4AD5F 20-29 years, male 108.9
GTEX-1QCLY-1126-SM-EAZ4J 30-39 years, male 108.1
GTEX-145MN-1326-SM-5NQ9S 30-39 years, male 107.8
GTEX-1H11D-2226-SM-9OSXN 40-49 years, male 107.8
GTEX-14PKU-1126-SM-69LOU 40-49 years, female 107.7
GTEX-13U4I-2526-SM-5SI8Z 40-49 years, female 107.6
GTEX-XBEW-1826-SM-4RTWX 40-49 years, male 107.5
GTEX-18D9A-0626-SM-7KFTY 30-39 years, female 107.3
GTEX-131XF-1226-SM-5HL8V 60-69 years, male 107.0
GTEX-14ICL-0826-SM-5YY9W 30-39 years, male 106.8
GTEX-1LG7Z-1226-SM-DHXK4 30-39 years, male 106.8
GTEX-1B8KE-1326-SM-73KVI 50-59 years, male 106.7
GTEX-ZTX8-0426-SM-59HLG 20-29 years, male 105.7
GTEX-OXRL-1526-SM-E6CHQ 50-59 years, male 105.3
GTEX-PX3G-1526-SM-48U11 20-29 years, female 104.9
GTEX-TKQ1-0526-SM-4DXTG 30-39 years, male 104.6
GTEX-RTLS-2626-SM-46MUJ 60-69 years, female 104.4
GTEX-139YR-1926-SM-5LZXM 50-59 years, male 104.2
GTEX-12WSD-2326-SM-59HKQ 60-69 years, female 104.0
GTEX-14PHX-1026-SM-664OL 50-59 years, male 104.0
GTEX-117YX-1026-SM-5H11V 50-59 years, male 103.9
GTEX-1A3MV-1226-SM-718BW 30-39 years, male 103.6
GTEX-1KXAM-0926-SM-CXZKA 60-69 years, male 103.4
GTEX-TMMY-1626-SM-4DXTY 40-49 years, female 103.3
GTEX-RU1J-0526-SM-46MUT 20-29 years, female 102.7
GTEX-13113-0726-SM-5LZUF 60-69 years, female 102.6
GTEX-P4PP-1526-SM-3P61M 30-39 years, female 102.6
GTEX-OIZH-1526-SM-3NB1J 50-59 years, male 102.5
GTEX-1JKYN-1726-SM-AHZ48 30-39 years, male 102.5
GTEX-Y8LW-0826-SM-4WWDO 50-59 years, female 102.2
GTEX-YFCO-0826-SM-5LUAG 40-49 years, male 101.6
GTEX-ZGAY-1626-SM-DNZZ3 40-49 years, female 101.6
GTEX-15UF7-1226-SM-6M46G 40-49 years, male 101.4
GTEX-ZF2S-1426-SM-57WET 50-59 years, female 101.2
GTEX-15RIF-1126-SM-7KUG2 20-29 years, male 101.1
GTEX-ZZPU-1426-SM-5GZZ6 50-59 years, female 101.0
GTEX-V955-1326-SM-4JBHR 60-69 years, male 100.6
GTEX-XQ8I-2026-SM-4BOOL 50-59 years, male 100.5
GTEX-WFG8-1326-SM-4LVN3 20-29 years, male 100.3
GTEX-WRHK-0626-SM-4MVOE 20-29 years, female 100.3
GTEX-YEC4-1426-SM-5IFHS 40-49 years, male 100.3
GTEX-17HHE-1026-SM-79ON6 50-59 years, male 100.0
GTEX-ZLV1-0826-SM-DO11P 60-69 years, female 99.5
GTEX-1HBPN-1626-SM-9WPNP 50-59 years, male 99.4
GTEX-PW2O-1226-SM-48TCH 20-29 years, male 98.8
GTEX-V1D1-1726-SM-4JBHB 50-59 years, male 98.8
GTEX-ZV6S-0926-SM-57WGB 40-49 years, female 98.7
GTEX-QCQG-0526-SM-48U2A 50-59 years, female 97.8
GTEX-ZF29-1526-SM-4WKF7 60-69 years, female 97.8
GTEX-14PHY-0926-SM-5ZZWL 60-69 years, female 97.3
GTEX-ZYFG-1326-SM-5GICJ 60-69 years, female 97.3
GTEX-S7SF-0626-SM-4AD4V 20-29 years, female 96.9
GTEX-1MGNQ-1826-SM-DPRYI 40-49 years, male 96.8
GTEX-XPVG-1526-SM-4B66C 50-59 years, male 96.7
GTEX-139D8-2326-SM-5IFGE 30-39 years, female 96.3
GTEX-QDVN-1226-SM-48TZ5 50-59 years, male 96.3
GTEX-UJMC-1226-SM-4IHLI 50-59 years, male 96.3
GTEX-S4UY-1626-SM-4AD55 40-49 years, female 96.2
GTEX-T8EM-1226-SM-4DM5J 40-49 years, male 96.2
GTEX-16NGA-1526-SM-72D56 40-49 years, female 96.1
GTEX-18D9B-2226-SM-718BM 60-69 years, male 96.1
GTEX-P4PQ-1526-SM-3NMCK 60-69 years, male 96.0
GTEX-1LVAN-2426-SM-CNNPZ 50-59 years, female 95.9
GTEX-13N1W-2026-SM-5K7YU 70-79 years, male 95.7
GTEX-1AX9J-2626-SM-731EK 60-69 years, male 95.4
GTEX-17MF6-2126-SM-7KFS7 40-49 years, male 94.6
GTEX-15DCE-1626-SM-6LPJM 20-29 years, male 94.1
GTEX-15EU6-2526-SM-7KUGB 50-59 years, male 94.1
GTEX-ZVT2-1626-SM-51MRC 50-59 years, female 94.0
GTEX-1E1VI-2826-SM-7MGWU 50-59 years, male 94.0
GTEX-1QP29-2326-SM-EXOJO 50-59 years, male 93.2
GTEX-ZLFU-1326-SM-DO11R 40-49 years, male 93.2
GTEX-1H3NZ-2226-SM-9WYUT 60-69 years, male 93.0
GTEX-1LBAC-1426-SM-CXZKT 20-29 years, male 93.0
GTEX-U3ZN-2026-SM-4DXUC 30-39 years, female 92.8
GTEX-WYJK-2526-SM-4ONDF 50-59 years, male 92.7
GTEX-14PJ5-0826-SM-6AJAR 60-69 years, female 92.6
GTEX-Y8E4-1526-SM-4WWDI 40-49 years, male 91.9
GTEX-Y3I4-1626-SM-4TT7W 50-59 years, male 91.0
GTEX-NFK9-1526-SM-3LK7B 40-49 years, male 90.9
GTEX-O5YW-1526-SM-3MJGL 50-59 years, male 90.5
GTEX-13X6H-1626-SM-5Q5CT 50-59 years, female 90.2
GTEX-132QS-1826-SM-5IFFN 60-69 years, male 90.1
GTEX-14PN3-1326-SM-6AJ9U 60-69 years, female 89.9
GTEX-WFJO-1126-SM-4LVLZ 30-39 years, male 89.3
GTEX-1GPI7-1326-SM-9KNVA 20-29 years, male 89.3
GTEX-15DZA-1126-SM-6LPK8 30-39 years, female 89.0
GTEX-1IDJF-1426-SM-ACKWK 20-29 years, male 88.6
GTEX-S4Z8-1226-SM-4AD6W 60-69 years, male 88.2
GTEX-1JMQJ-1326-SM-D4P3B 50-59 years, male 87.5
GTEX-ZEX8-1626-SM-4WKG7 50-59 years, male 87.1
GTEX-ZVP2-1626-SM-5GU5D 50-59 years, male 86.8
GTEX-QXCU-1926-SM-48FE4 50-59 years, male 86.7
GTEX-Y9LG-1026-SM-5IFJN 30-39 years, male 86.5
GTEX-1H1DE-1226-SM-9JGHH 20-29 years, male 86.5
GTEX-1CB4E-1326-SM-7DUGD 60-69 years, male 86.0
GTEX-145MO-2226-SM-5Q5BN 60-69 years, male 85.3
GTEX-1QP28-2126-SM-DTX8B 50-59 years, female 85.3
GTEX-1I4MK-0926-SM-A9SLD 50-59 years, female 85.2
GTEX-XAJ8-0326-SM-47JYI 40-49 years, male 84.6
GTEX-1K2DA-0826-SM-CGQGD 50-59 years, male 84.5
GTEX-1KD5A-1426-SM-D4P3V 50-59 years, male 83.8
GTEX-145ME-1026-SM-5O9B4 40-49 years, female 83.4
GTEX-T5JC-1926-SM-4DM6Q 20-29 years, male 82.7
GTEX-1CB4H-2426-SM-7PBYR 60-69 years, female 82.5
GTEX-14DAQ-2826-SM-664MU 60-69 years, female 82.3
GTEX-1I1GT-1726-SM-C1YS3 60-69 years, female 82.3
GTEX-14E1K-1526-SM-664MN 50-59 years, male 82.0
GTEX-13O61-1126-SM-5L3FI 60-69 years, male 81.8
GTEX-1399U-1626-SM-5P9J3 50-59 years, female 81.5
GTEX-1LVAM-1426-SM-E9TJ4 50-59 years, female 81.3
GTEX-WZTO-2126-SM-4PQYW 40-49 years, male 81.1
GTEX-1QW4Y-0726-SM-DTX8E 30-39 years, male 80.7
GTEX-Y114-1226-SM-4TT88 50-59 years, female 80.6
GTEX-ZXES-1426-SM-5NQ8S 30-39 years, female 79.6
GTEX-1S3DN-1526-SM-EVYCB 50-59 years, male 79.6
GTEX-13RTK-0226-SM-5RQHR 20-29 years, male 79.4
GTEX-1IL2V-2026-SM-ARZMA 70-79 years, male 78.9
GTEX-1QP67-1026-SM-EVR47 40-49 years, female 78.2
GTEX-11EI6-2426-SM-5PNVS 60-69 years, male 77.9
GTEX-1PPH8-1326-SM-DTXFO 20-29 years, male 77.8
GTEX-1LSNM-1026-SM-DHXL2 50-59 years, male 77.7
GTEX-1C64O-2226-SM-73KTV 60-69 years, male 77.5
GTEX-11P7K-1726-SM-5GU6F 30-39 years, male 77.2
GTEX-11VI4-0326-SM-5EQ6L 40-49 years, female 74.8
GTEX-1N2DV-0926-SM-E9TJT 40-49 years, male 74.1
GTEX-WH7G-1526-SM-4LVMX 40-49 years, male 73.8
GTEX-1211K-1426-SM-5FQTF 60-69 years, female 73.2
GTEX-UPK5-2126-SM-4JBJK 40-49 years, male 70.6
GTEX-13O3Q-2126-SM-5KM4C 50-59 years, male 70.4
GTEX-1B8L1-1526-SM-79OLK 60-69 years, male 70.4
GTEX-1E2YA-2426-SM-7EPIG 50-59 years, male 69.5
GTEX-1EH9U-2226-SM-7PBXX 60-69 years, male 67.7
GTEX-1JN76-0926-SM-ARZNH 20-29 years, female 67.4
GTEX-ZE7O-3026-SM-51MS4 50-59 years, female 67.3
GTEX-1S82Z-1726-SM-E6CHZ 30-39 years, female 67.3
GTEX-146FR-2026-SM-5NQAI 60-69 years, female 67.0
GTEX-14BMV-2226-SM-5RQHX 50-59 years, male 66.9
GTEX-1NSGN-1926-SM-E9J36 50-59 years, male 66.4
GTEX-13OVI-2426-SM-5KM4J 60-69 years, female 62.8
GTEX-13QJ3-2726-SM-5SI6L 50-59 years, male 59.6
GTEX-TKQ2-0926-SM-4DXU5 50-59 years, male 58.9
GTEX-1HT8W-2326-SM-A9SLA 30-39 years, male 58.1
Show allShow less

Contact

  • NEWS ARTICLES
  • PRESS ROOM

The Project

  • INTRODUCTION
  • ORGANIZATION
  • PUBLICATIONS

The Human Protein Atlas

  • DOWNLOADABLE DATA
  • LICENCE & CITATION
  • HELP & FAQ
The Human Protein Atlas project is funded
by the Knut & Alice Wallenberg Foundation.


contact@proteinatlas.org