We use cookies to enhance the usability of our website. If you continue, we'll assume that you are happy to receive all cookies. More information. Don't show this again.
HSPD1
HPA
RESOURCES
  • TISSUE
  • BRAIN
  • SINGLE CELL
  • SUBCELLULAR
  • CANCER
  • BLOOD
  • CELL LINE
  • STRUCTURE & INTERACTION
ABOUT
  • INTRODUCTION
  • HISTORY
  • ORGANIZATION
  • PUBLICATIONS
  • ANTIBODY SUBMISSION
  • ANTIBODY AVAILABILITY
  • ACKNOWLEDGMENTS
  • CONTACT
NEWS
  • NEWS ARTICLES
  • PRESS ROOM
LEARN
  • DICTIONARY
  • PROTEIN CLASSES
  • PROTEIN EVIDENCE
  • METHODS
  • EDUCATIONAL VIDEOS
DATA
  • DOWNLOADABLE DATA
  • PUBLICATION DATA
  • RELEASE HISTORY
HELP
  • ANTIBODY VALIDATION
  • ASSAYS & ANNOTATION
  • DISCLAIMER
  • HELP & FAQ
  • PRIVACY STATEMENT
  • LICENCE & CITATION
Fields »
Search result

Field
Term
Gene name
Class
Subclass
Class
Keyword
Chromosome
External id
Tissue
Cell type
Expression
Antibody panel
Tissue
Main location
Patient ID
Annotation
Tissue
Category
Tau score
Cluster
Reliability
Brain region
Category
Tau score
Brain region
Category
Tau score
Brain region
Category
Tau score
Cluster
Reliability
Tissue
Cell type
Enrichment
Cell type
Category
Tau score
Cell type
Category
Tau score
Cell type
Category
Tau score
Cell lineage
Category
Tau score
Cluster
Cluster
Location
Searches
Location
Cell line
Class
Type
Phase
Reliability
Cancer
Prognosis
Cancer
Category
Cancer
Category
Tau score
Cluster
Variants
Interacting gene (ensg_id)
Type
Number of interactions
Pathway
Category
Score
Score
Score
Validation
Validation
Validation
Validation
Antibodies
Data type
Column


  • SUMMARY

  • TISSUE

  • BRAIN

  • SINGLE CELL

  • SUBCELL

  • CANCER

  • BLOOD

  • CELL LINE

  • STRUCT & INT

  • HSPD1
TISSUE PRIMARY DATA SKIN Show tissue menu
ADIPOSE TISSUE ADRENAL GLAND AMYGDALA APPENDIX BASAL GANGLIA BONE MARROW BREAST BRONCHUS CEREBELLUM CEREBRAL CORTEX CERVIX CHOROID PLEXUS COLON DUODENUM
ENDOMETRIUM EPIDIDYMIS ESOPHAGUS FALLOPIAN TUBE GALLBLADDER HEART MUSCLE HIPPOCAMPAL FORMATION HYPOTHALAMUS KIDNEY LIVER LUNG LYMPH NODE MIDBRAIN ORAL MUCOSA
OVARY PANCREAS PARATHYROID GLAND PITUITARY GLAND PLACENTA PROSTATE RECTUM RETINA SALIVARY GLAND SEMINAL VESICLE SKELETAL MUSCLE SKIN SMALL INTESTINE SMOOTH MUSCLE
SOFT TISSUE SPINAL CORD SPLEEN STOMACH TESTIS THYMUS THYROID GLAND TONGUE TONSIL URINARY BLADDER VAGINA
ANTIBODIES
AND
VALIDATION
Dictionary
Skin
Tissue proteome
Skin
SKIN - Expression summary
Protein expression
Skini

On the top, protein expression in current human tissue, based on all annotated cell types, is reported with the units not detected (n), low (l), medium (m) and high (h). Underneath, protein expression in each annotated cell type are reported using the same units.

Protein expression data is based on knowledge-based annotation. For genes where more than one antibody has been used, a collective score is set.

If knowledge-based annotation could not be performed for a gene, no data is displayed here. View antibody staining data further down this page.

h
m
l
n
Cells in basal layer: High
Cells in corneal layer: Not detected
Cells in granular layer: Low
Cells in spinous layer: Medium
Endothelial cells: Medium
Extracellular matrix: Not detected
Fibrohistiocytic cells: Medium
Hair follicles: Medium
Langerhans cells: Medium
Lymphocytes: Medium
Melanocytes: High
Sebaceous glands: Medium
Vascular mural cells: Not detected
RNA expressioni

A summary of mRNA expression data available for current tissue based on several datasets. The mRNA expression levels in human tissues are based on RNA-seq data generated by the Human Protein Atlas (HPA), Genotype-Tissue Expression (GTEx) portal and CAGE data generated by the FANTOM5 consortium. Consensus normalized expression levels for human tissues was created by combining the data from HPA and GTEx datasets.

The mRNA expression levels in pig are based on RNA-seq data generated by the Human Protein Atlas (HPA), and for mouse, HPA data and in situ hybridization generated by the Allen brain atlas are reported.

Scroll down to view mRNA expression data in more detail.
Consensus:80.7 nTPM
HPA:56.3 nTPM
GTEx:80.7 nTPM

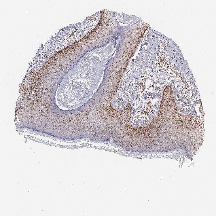
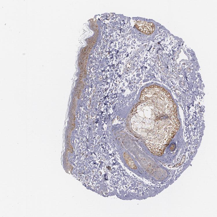
SKIN 1 - Antibody stainingi

Antibody staining in the annotated cell types in the current human tissue is reported as not detected, low, medium, or high, based on conventional immunohistochemistry profiling in selected tissues. This score is based on the combination of the staining intensity and fraction of stained cells.

Each image is clickable and will lead to virtual microscopy that enables deeper exploration of all samples and also displays staining intensity scores, fraction scores and subcellular localization as well as patient and tissue information for each sample.

Antibody HPA001523Antibody CAB002775Antibody CAB072816
Langerhans -Not detectedMedium
Cells in basal layer Medium--
Cells in corneal layer Not detected--
Cells in granular layer Not detected--
Cells in spinous layer Medium--
Endothelial cells Low--
Extracellular matrix Not detected--
Fibroblasts -Not detectedHigh
Fibrohistiocytic cells Medium--
Hair follicles Low--
Keratinocytes -Not detectedMedium
Langerhans cells Medium--
Lymphocytes Not detected--
Melanocytes MediumLowMedium
Sebaceous glands Medium--
Vascular mural cells Not detected--





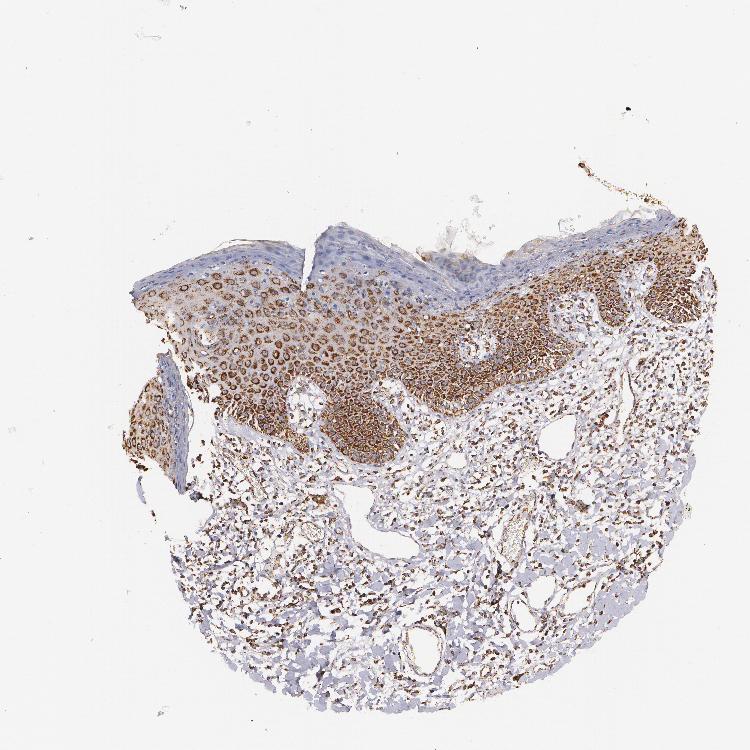
SKIN 2 - Antibody stainingi

Antibody staining in the annotated cell types in the current human tissue is reported as not detected, low, medium, or high, based on conventional immunohistochemistry profiling in selected tissues. This score is based on the combination of the staining intensity and fraction of stained cells.

Each image is clickable and will lead to virtual microscopy that enables deeper exploration of all samples and also displays staining intensity scores, fraction scores and subcellular localization as well as patient and tissue information for each sample.

Antibody HPA001523Antibody CAB002775Antibody CAB072816
Cells in basal layer High--
Cells in corneal layer Not detected--
Cells in granular layer Low--
Cells in spinous layer Medium--
Endothelial cells Medium--
Epidermal cells -MediumHigh
Extracellular matrix Not detected--
Fibrohistiocytic cells Medium--
Hair follicles Medium--
Langerhans cells Medium--
Lymphocytes Medium--
Melanocytes High--
Vascular mural cells Not detected--
   
   
   






SKIN - HPA RNA-seqi

The RNA-seq details section shows detailed information about the individual samples used for the transcript profiling and results of the RNA-seq analysis.

Information about each individual sample is listed below, including gender, age, a tissue section image and estimated fractions of cell types. nTPM (normalized transcripts per million) values give a quantification of the gene abundance which is comparable between different genes and samples.
Average nTPMi

Max subtype nTPM is the value for the subtype with the largest average nTPM across the subtype samples.

56.3
overview
Female, age 34
Skin sample 225
nTPM: 61.6
Cell types%
Keratinocytes:
60

Other cell types:
40

overview
Female, age 30
Skin sample 226
nTPM: 66.2
Cell types%
Keratinocytes:
55

Other cell types:
45

N/A
Male, age 57
Skin sample 227
nTPM: 41.2

SKIN - GTEx RNA-seqi

RNA-Seq data generated by the Genotype-Tissue Expression (GTEx) project from human tissues is reported as mean nTPM. More information can be found on the GTEx portal.

Distribution across the dataset is visualized with box plots, shown as median and 25th and 75th percentiles. Points are displayed as outliers if they are above or below 1.5 times the interquartile range. nTPM values of the individual samples are presented next to the box plot.
Max subtype nTPMi

Max subtype nTPM is the value for the subtype with the largest average nTPM across the subtype samples.

80.7
GTEx sample id Sample description nTPM
Skin - Not Sun Exposed (Suprapubic)
Average nTPM: 80.7
Samples: 604

Max nTPM: 299.0
Min nTPM: 36.2
Std nTPM: 30.3
Median nTPM: 73.7
GTEX-ZLV1-1526-SM-DO91J 60-69 years, female 299.0
GTEX-1F6RS-2026-SM-7RHHC 60-69 years, female 284.1
GTEX-14A5H-0826-SM-5QGPJ 60-69 years, male 278.5
GTEX-13QBU-1226-SM-5LU4G 40-49 years, female 246.9
GTEX-11WQK-1026-SM-5EQLX 50-59 years, male 231.3
GTEX-15G19-2426-SM-7KUMR 60-69 years, male 199.6
GTEX-1J8Q3-0526-SM-ARL8U 60-69 years, male 198.3
GTEX-13NYC-0126-SM-5L3F4 60-69 years, male 191.8
GTEX-11EQ8-0926-SM-5H12V 60-69 years, male 184.0
GTEX-1ICLZ-0326-SM-ARL82 60-69 years, male 183.8
GTEX-13NZ8-1226-SM-5KM4A 60-69 years, female 179.3
GTEX-1HSMP-0926-SM-A9SKX 70-79 years, male 177.9
GTEX-U8XE-0226-SM-4E3J3 30-39 years, male 168.2
GTEX-15RIE-1926-SM-7KUKJ 60-69 years, male 166.1
GTEX-ZVE1-0726-SM-51MRN 50-59 years, female 161.5
GTEX-14XAO-1226-SM-6EU1C 60-69 years, female 157.1
GTEX-11DZ1-2426-SM-5GZZX 50-59 years, male 157.0
GTEX-1NSGN-0726-SM-DTXEF 50-59 years, male 154.4
GTEX-1R9PN-0426-SM-DTXDT 40-49 years, female 154.3
GTEX-WHSE-0126-SM-3NMBT 20-29 years, male 149.0
GTEX-16MT9-0126-SM-7EPI8 60-69 years, female 147.4
GTEX-13IVO-0726-SM-5LZYV 70-79 years, male 146.5
GTEX-1S83E-1326-SM-E6CJM 40-49 years, male 146.3
GTEX-1399Q-2326-SM-5KM2X 40-49 years, male 144.6
GTEX-1F88E-1626-SM-7SB8Z 60-69 years, female 144.4
GTEX-XYKS-1426-SM-4BRUO 60-69 years, female 142.5
GTEX-1F5PK-2226-SM-7SB6N 50-59 years, male 141.3
GTEX-14C38-0726-SM-5SI6M 50-59 years, male 140.6
GTEX-1H1DG-2426-SM-9QEHJ 70-79 years, male 139.8
GTEX-15G1A-1626-SM-7KUKN 30-39 years, male 137.7
GTEX-14PJ3-1126-SM-5ZZVX 50-59 years, male 135.3
GTEX-ZYFD-0626-SM-5E44E 50-59 years, male 133.9
GTEX-13NYS-0626-SM-5L3F1 60-69 years, male 129.3
GTEX-1H1DF-1126-SM-9WG7G 40-49 years, female 128.6
GTEX-1JMQK-1226-SM-D4P2S 60-69 years, male 127.9
GTEX-1JN1M-2726-SM-CY8I4 60-69 years, female 127.6
GTEX-XK95-0226-SM-4AT58 40-49 years, male 126.9
GTEX-1HT8W-0626-SM-A9G2H 30-39 years, male 125.1
GTEX-1I1GU-0926-SM-ACKVS 40-49 years, male 125.0
GTEX-1HSMO-0626-SM-ACKXC 60-69 years, male 121.9
GTEX-1A3MW-0626-SM-731CB 60-69 years, female 121.5
GTEX-XMD2-2126-SM-4YCF8 60-69 years, female 120.5
GTEX-139D8-1126-SM-5LU8W 30-39 years, female 119.8
GTEX-132AR-0326-SM-5KM2C 50-59 years, female 119.1
GTEX-11DXX-2126-SM-5PNYR 60-69 years, female 118.2
GTEX-14LZ3-0126-SM-69LPM 60-69 years, female 117.8
GTEX-1A3MX-2626-SM-7PC24 60-69 years, male 117.3
GTEX-144GL-0626-SM-5LU4D 50-59 years, male 117.0
GTEX-13PDP-0726-SM-5L3HP 60-69 years, male 116.8
GTEX-14E6C-2426-SM-5S2NF 40-49 years, male 116.1
GTEX-1GMR3-0126-SM-A9SLW 40-49 years, male 115.3
GTEX-1RAZA-2226-SM-E9U4X 20-29 years, male 114.5
GTEX-1PIGE-1826-SM-E8VOU 20-29 years, male 114.2
GTEX-131YS-2826-SM-5EQ47 60-69 years, female 114.0
GTEX-1JKYR-0626-SM-ARL8R 20-29 years, male 114.0
GTEX-ZAJG-1526-SM-5CVML 50-59 years, female 113.9
GTEX-144FL-0626-SM-5LU43 50-59 years, male 113.0
GTEX-1ICG6-1226-SM-A9SLN 70-79 years, female 112.6
GTEX-15DDE-2926-SM-6LLJ3 50-59 years, female 112.5
GTEX-VUSG-2326-SM-4KL1U 50-59 years, male 112.1
GTEX-15UF6-1926-SM-7KUDV 70-79 years, female 111.1
GTEX-WEY5-2326-SM-3GIKK 40-49 years, female 110.8
GTEX-1PPH7-1126-SM-DTX9A 40-49 years, male 109.6
GTEX-1CB4I-0126-SM-7RHGG 50-59 years, male 109.5
GTEX-Y5LM-0926-SM-6LLJG 40-49 years, female 109.2
GTEX-ZTTD-2826-SM-4YCFA 50-59 years, male 109.2
GTEX-1JMQL-2226-SM-CNPP4 50-59 years, female 109.1
GTEX-1GN1W-2426-SM-9KNUU 50-59 years, female 108.9
GTEX-1H3VE-0726-SM-9YFL5 40-49 years, male 108.2
GTEX-1F5PL-0926-SM-7PC2W 40-49 years, female 107.8
GTEX-WH7G-2026-SM-3NMBL 40-49 years, male 107.7
GTEX-18A66-0626-SM-7LT8Z 60-69 years, male 107.5
GTEX-1I19N-0126-SM-CYPSF 70-79 years, male 107.0
GTEX-1313W-0626-SM-5EQ4H 50-59 years, female 106.9
GTEX-11TT1-1826-SM-5EQLV 20-29 years, male 106.2
GTEX-1JN76-0626-SM-CKZOQ 20-29 years, female 106.2
GTEX-17F9Y-0126-SM-79OKX 70-79 years, female 106.0
GTEX-14E6E-0526-SM-793DN 30-39 years, male 105.8
GTEX-1H1DE-1326-SM-9KNUG 20-29 years, male 105.6
GTEX-1L5NE-1126-SM-D3L9P 50-59 years, male 105.5
GTEX-1H2FU-0926-SM-9WPPT 60-69 years, female 105.2
GTEX-1HR98-2226-SM-ADEI2 60-69 years, male 105.2
GTEX-1ICLY-0826-SM-CMKG1 50-59 years, male 104.7
GTEX-15SHW-0226-SM-7LTAT 60-69 years, male 104.2
GTEX-12WSK-2126-SM-5CVNC 40-49 years, female 104.0
GTEX-XXEK-1626-SM-4BRUZ 50-59 years, male 104.0
GTEX-WK11-2726-SM-3NMAQ 50-59 years, male 103.6
GTEX-1IKOE-1426-SM-CE6T7 30-39 years, female 103.3
GTEX-WI4N-2726-SM-3LK7Y 40-49 years, female 102.8
GTEX-1H11D-1826-SM-9QEHM 40-49 years, male 101.6
GTEX-1HFI6-0126-SM-CNPPI 40-49 years, male 101.3
GTEX-1OJC4-2726-SM-E76PJ 50-59 years, female 101.2
GTEX-1F48J-0726-SM-7RHGS 50-59 years, female 99.8
GTEX-145LT-0526-SM-5LUB2 40-49 years, male 99.4
GTEX-1F6IF-0926-SM-7SB7M 60-69 years, male 99.2
GTEX-1IDJF-2026-SM-CL53V 20-29 years, male 99.0
GTEX-13G51-1826-SM-5KLZH 60-69 years, male 98.8
GTEX-X4EP-0626-SM-3P621 60-69 years, female 98.2
GTEX-14PK6-0226-SM-62LF5 70-79 years, female 98.1
GTEX-ZU9S-1826-SM-5NQ9E 30-39 years, male 97.7
GTEX-11DXY-0126-SM-5H11Q 60-69 years, male 97.5
GTEX-1QCLY-0226-SM-EWRNH 30-39 years, male 97.5
GTEX-1F52S-2926-SM-7MKGA 60-69 years, female 97.2
GTEX-13OVG-1626-SM-5J1NF 60-69 years, male 97.1
GTEX-ZYW4-0626-SM-59HJR 60-69 years, male 97.0
GTEX-1H23P-0626-SM-9WG6T 60-69 years, male 97.0
GTEX-178AV-1726-SM-7KUL8 40-49 years, male 96.9
GTEX-14C39-1726-SM-5RQIL 40-49 years, male 96.8
GTEX-18D9B-0926-SM-7LG4U 60-69 years, male 96.7
GTEX-13RTJ-0126-SM-5S2NN 60-69 years, male 96.3
GTEX-13W3W-0726-SM-5IJDQ 60-69 years, female 96.2
GTEX-1E2YA-2126-SM-7MXUO 50-59 years, male 95.5
GTEX-1HB9E-0126-SM-CM2S5 50-59 years, male 95.4
GTEX-117YX-1926-SM-5GIEC 50-59 years, male 95.0
GTEX-ZE7O-2726-SM-51MT5 50-59 years, female 94.8
GTEX-1AX8Z-0726-SM-73KTS 60-69 years, male 94.2
GTEX-1LVAO-2726-SM-E9TJ8 60-69 years, male 93.9
GTEX-1PPH8-0126-SM-EWRN8 20-29 years, male 93.9
GTEX-1F88F-0126-SM-9WYSZ 60-69 years, female 93.6
GTEX-17KNJ-2126-SM-718AM 50-59 years, male 93.2
GTEX-1HR9M-2226-SM-CNPPY 60-69 years, male 93.2
GTEX-XBED-1926-SM-47JYP 60-69 years, male 92.9
GTEX-15SKB-2826-SM-6PAMH 60-69 years, male 92.7
GTEX-ZYY3-2926-SM-5GIEB 60-69 years, female 92.7
GTEX-1IDFM-0326-SM-ARL7V 60-69 years, male 92.6
GTEX-1F75B-0726-SM-7PC3R 50-59 years, male 92.4
GTEX-UPK5-0426-SM-3GAEK 40-49 years, male 92.2
GTEX-14AS3-1526-SM-5Q5ED 40-49 years, female 91.9
GTEX-14BMV-2826-SM-5TDED 50-59 years, male 91.9
GTEX-1J8QM-2426-SM-A9SLS 60-69 years, female 91.8
GTEX-1IDJV-0126-SM-COH3Y 60-69 years, male 91.6
GTEX-12KS4-2126-SM-5FQUT 30-39 years, male 91.3
GTEX-17F96-0126-SM-7EWDU 70-79 years, male 91.2
GTEX-1117F-2926-SM-5GZYI 60-69 years, female 91.1
GTEX-1QAET-0326-SM-EVR3U 50-59 years, male 91.1
GTEX-12ZZX-2426-SM-5GCOE 40-49 years, female 91.0
GTEX-16YQH-2226-SM-7IGM2 30-39 years, male 90.8
GTEX-1QP66-1226-SM-DTX7U 50-59 years, male 90.8
GTEX-1CAMQ-1326-SM-7P8RV 40-49 years, male 90.7
GTEX-16XZZ-0726-SM-7KUF2 60-69 years, male 90.6
GTEX-1K2DU-1226-SM-CYPT4 20-29 years, male 90.5
GTEX-W5X1-2526-SM-3GILC 40-49 years, female 90.4
GTEX-ZY6K-1426-SM-5GZX2 50-59 years, male 90.3
GTEX-1LG7Y-2526-SM-EWRO7 50-59 years, male 90.2
GTEX-13OVH-0526-SM-5L3E6 70-79 years, male 90.1
GTEX-147GR-2426-SM-5ZZWQ 60-69 years, male 90.1
GTEX-16AAH-0626-SM-793C9 50-59 years, male 90.1
GTEX-1HBPM-0726-SM-9YFL7 60-69 years, female 90.1
GTEX-1B8KZ-0326-SM-73KY4 50-59 years, male 89.9
GTEX-YB5K-2026-SM-4VDT3 40-49 years, female 89.9
GTEX-ZVP2-0326-SM-57WBP 50-59 years, male 89.3
GTEX-ZPU1-1126-SM-4YCF3 40-49 years, male 89.2
GTEX-1HCU7-0726-SM-A9SL1 50-59 years, male 89.2
GTEX-14A6H-2026-SM-5Q5DD 30-39 years, male 89.1
GTEX-VJYA-1526-SM-3GIJV 60-69 years, male 89.1
GTEX-1A8G7-1326-SM-73KVM 60-69 years, male 88.7
GTEX-1I6K6-1726-SM-CGQFD 30-39 years, male 88.7
GTEX-15ER7-0626-SM-6PANF 20-29 years, female 88.5
GTEX-15D1Q-2826-SM-6LLH7 40-49 years, male 88.4
GTEX-ZWKS-0626-SM-5GIDV 30-39 years, male 88.3
GTEX-1MCYP-0526-SM-E9U6Q 20-29 years, female 88.2
GTEX-1O9I2-0226-SM-EYYXD 50-59 years, male 88.1
GTEX-1314G-1326-SM-5BC6E 30-39 years, male 88.0
GTEX-YEC3-1326-SM-DO92X 50-59 years, male 87.9
GTEX-18A6Q-0626-SM-7KFRP 60-69 years, male 87.7
GTEX-ZYVF-0926-SM-5E44J 50-59 years, female 87.7
GTEX-1H1E6-0426-SM-9WYUS 30-39 years, male 87.6
GTEX-11ZUS-2626-SM-5FQUR 30-39 years, male 87.1
GTEX-14JFF-0626-SM-5ZZVT 60-69 years, male 86.9
GTEX-1EX96-1026-SM-7MKG2 50-59 years, male 86.8
GTEX-ZXG5-2126-SM-59HKD 60-69 years, male 86.8
GTEX-14PJ5-1526-SM-6LLIL 60-69 years, female 86.7
GTEX-X8HC-0626-SM-4E3HQ 50-59 years, female 86.5
GTEX-17HG3-2626-SM-7DUF2 30-39 years, female 86.4
GTEX-Y5V6-2326-SM-4VDSA 60-69 years, male 86.3
GTEX-12584-0726-SM-5FQTK 40-49 years, male 86.2
GTEX-1C6VQ-1226-SM-73KYD 50-59 years, male 86.2
GTEX-139TS-2126-SM-5K7XC 60-69 years, male 86.0
GTEX-1GPI7-1826-SM-9KNU1 20-29 years, male 86.0
GTEX-1399S-0126-SM-5IJCF 30-39 years, female 85.9
GTEX-XQ8I-0926-SM-4BOOF 50-59 years, male 85.9
GTEX-1GZ2Q-0126-SM-9WG6M 40-49 years, male 85.9
GTEX-13NZ9-2626-SM-5L3FK 50-59 years, male 85.8
GTEX-13SLW-0626-SM-5Q5ER 70-79 years, male 85.8
GTEX-11DXW-0826-SM-5H118 40-49 years, male 85.5
GTEX-ZF3C-0626-SM-DO92O 50-59 years, female 85.5
GTEX-12WSH-1526-SM-5BC5W 50-59 years, male 85.4
GTEX-1HKZK-0726-SM-ACKW2 40-49 years, male 85.4
GTEX-1GZ4I-2626-SM-9KNU3 50-59 years, male 85.1
GTEX-1B8L1-2226-SM-7P8PT 60-69 years, male 85.0
GTEX-13PL6-1126-SM-5L3IE 40-49 years, female 84.8
GTEX-16NGA-0726-SM-731AO 40-49 years, female 84.7
GTEX-1GF9X-1326-SM-7PC2Y 40-49 years, female 84.5
GTEX-ZPIC-0526-SM-DO91W 40-49 years, female 84.5
GTEX-1I6K7-1926-SM-B2LXR 40-49 years, male 84.3
GTEX-139YR-1026-SM-5LZYN 50-59 years, male 84.1
GTEX-1R7EU-1626-SM-DTXG3 60-69 years, male 84.1
GTEX-13PVR-0426-SM-5RQK2 60-69 years, female 83.9
GTEX-1AYD5-2626-SM-7PBXY 50-59 years, male 83.8
GTEX-14BMU-1226-SM-5S2OR 20-29 years, female 83.7
GTEX-13OW6-2726-SM-5J2OE 50-59 years, male 83.6
GTEX-1NV5F-0626-SM-DTXEG 60-69 years, female 83.6
GTEX-13NYB-0126-SM-5J1MD 40-49 years, male 83.4
GTEX-1KD5A-0126-SM-E9U54 50-59 years, male 83.4
GTEX-ZA64-1026-SM-5HL8R 20-29 years, male 83.3
GTEX-1I1CD-0626-SM-CE6SW 60-69 years, female 83.1
GTEX-ZYT6-2326-SM-5GZY3 30-39 years, male 83.0
GTEX-1I1HK-2326-SM-CKZOH 60-69 years, male 82.8
GTEX-148VJ-0626-SM-5LUAW 70-79 years, male 82.6
GTEX-183WM-0326-SM-72D5V 70-79 years, female 82.4
GTEX-13X6K-0626-SM-5LU5D 60-69 years, female 81.8
GTEX-144GO-2026-SM-5O99P 60-69 years, male 81.7
GTEX-15CHC-1126-SM-6LLHQ 60-69 years, female 81.6
GTEX-1E1VI-0326-SM-793D1 50-59 years, male 81.6
GTEX-14PHY-1226-SM-5ZZWK 60-69 years, female 81.3
GTEX-1BAJH-2426-SM-7IGP8 70-79 years, male 81.3
GTEX-1KANB-2826-SM-CY8I6 50-59 years, male 81.0
GTEX-14PJO-2526-SM-6AJBQ 60-69 years, male 80.9
GTEX-1IDJC-1526-SM-B2LW4 50-59 years, male 80.7
GTEX-1CB4J-1326-SM-7P8RX 60-69 years, male 80.6
GTEX-1GMR8-0626-SM-7RHI7 50-59 years, female 80.3
GTEX-144GM-0526-SM-79OJO 20-29 years, male 79.9
GTEX-1LKK1-2626-SM-DKPQE 50-59 years, female 79.9
GTEX-1LVAN-0626-SM-CNPOQ 50-59 years, female 79.9
GTEX-1I1GP-1326-SM-A9G28 50-59 years, male 79.7
GTEX-13YAN-0226-SM-5TDC6 60-69 years, male 79.6
GTEX-1POEN-2326-SM-E9J2L 30-39 years, female 79.6
GTEX-X3Y1-2026-SM-3P5YM 40-49 years, male 79.5
GTEX-1HBPN-0126-SM-CGQEF 50-59 years, male 79.5
GTEX-17HGU-2326-SM-7DUFE 50-59 years, male 79.4
GTEX-WFG8-2126-SM-3GIKQ 20-29 years, male 79.4
GTEX-12WSD-0626-SM-5GCMW 60-69 years, female 79.2
GTEX-1IOXB-2726-SM-CM2RI 50-59 years, male 79.2
GTEX-13QJC-0126-SM-5ZZWJ 60-69 years, female 79.1
GTEX-1CAMR-1326-SM-7PC1F 20-29 years, male 78.9
GTEX-1J1OQ-0126-SM-D4P2N 40-49 years, female 78.8
GTEX-11UD2-2526-SM-5CVNU 50-59 years, male 78.7
GTEX-1CB4H-1126-SM-7MKGL 60-69 years, female 78.7
GTEX-1A8G6-2726-SM-731AR 60-69 years, male 78.5
GTEX-13O3O-2326-SM-5IJD6 60-69 years, female 78.2
GTEX-13JVG-0726-SM-5KM16 60-69 years, male 78.1
GTEX-1S3DN-2126-SM-E9TIN 50-59 years, male 78.1
GTEX-13X6I-1826-SM-5SIAO 60-69 years, male 78.0
GTEX-15EO6-2426-SM-6PALZ 50-59 years, male 78.0
GTEX-1H3NZ-2726-SM-9WYTQ 60-69 years, male 78.0
GTEX-1C64O-1326-SM-7MGWR 60-69 years, male 77.9
GTEX-14LLW-2626-SM-62LDZ 70-79 years, female 77.8
GTEX-1JMOU-1026-SM-CYPSS 60-69 years, female 77.8
GTEX-1LSNL-2726-SM-E9TKJ 50-59 years, male 77.6
GTEX-14DAQ-0626-SM-793DS 60-69 years, female 77.5
GTEX-1F75I-2226-SM-7SB8U 40-49 years, male 77.5
GTEX-14B4R-1326-SM-5Q5EZ 30-39 years, male 77.3
GTEX-13FTY-2126-SM-5IFFB 40-49 years, female 77.2
GTEX-14PII-0726-SM-6EU2B 60-69 years, male 77.2
GTEX-16NPX-0726-SM-7KULC 50-59 years, male 77.2
GTEX-1JJ6O-2726-SM-CNPOG 60-69 years, male 77.0
GTEX-13FTX-1526-SM-5K7VJ 20-29 years, female 76.9
GTEX-15RJE-2826-SM-7KUM9 40-49 years, male 76.9
GTEX-145MI-0626-SM-5SI8S 60-69 years, female 76.6
GTEX-X585-2426-SM-46MW2 50-59 years, male 76.6
GTEX-139UW-0326-SM-5J1ML 60-69 years, male 76.5
GTEX-ZF29-0926-SM-4WKFZ 60-69 years, female 76.4
GTEX-ZVZP-1226-SM-5GID7 50-59 years, male 76.4
GTEX-13FHO-0426-SM-5L3F5 60-69 years, male 76.3
GTEX-1C6VR-0126-SM-7RHGB 60-69 years, male 76.2
GTEX-1F6I4-2326-SM-7RHGL 60-69 years, male 76.2
GTEX-1K2DA-1026-SM-CGQGF 50-59 years, male 76.2
GTEX-1RAZQ-1326-SM-E9TK6 30-39 years, male 76.2
GTEX-14C5O-0326-SM-5ZZUX 60-69 years, male 76.1
GTEX-1GN1V-2826-SM-9JGIA 60-69 years, male 76.1
GTEX-1LSVX-2526-SM-DIPEU 60-69 years, male 76.1
GTEX-ZDXO-3126-SM-5IJDF 60-69 years, male 76.0
GTEX-1C64N-2626-SM-7PC2N 50-59 years, male 75.8
GTEX-139T8-0626-SM-5KLZX 60-69 years, male 75.7
GTEX-12BJ1-0926-SM-5EQ62 60-69 years, male 75.6
GTEX-13FLV-0126-SM-5K7WT 50-59 years, male 75.6
GTEX-12696-0126-SM-5EQ4L 60-69 years, male 75.4
GTEX-WYJK-0526-SM-3NM8Z 50-59 years, male 75.4
GTEX-YFCO-1226-SM-5LUAT 40-49 years, male 75.4
GTEX-1H3O1-1326-SM-9MQLD 60-69 years, male 75.4
GTEX-145MO-2826-SM-5LU96 60-69 years, male 75.3
GTEX-1IL2V-1926-SM-B2LW8 70-79 years, male 75.3
GTEX-13VXT-1926-SM-5K7UO 20-29 years, female 75.0
GTEX-1C2JI-1026-SM-73KY1 50-59 years, male 75.0
GTEX-WXYG-2026-SM-4E3IY 50-59 years, female 74.9
GTEX-ZPCL-1126-SM-4WWFE 60-69 years, female 74.8
GTEX-111YS-1526-SM-5GZYW 60-69 years, male 74.6
GTEX-1B932-2326-SM-79OL5 40-49 years, female 74.6
GTEX-1PBJJ-1026-SM-E76OS 30-39 years, male 74.5
GTEX-15RIG-0726-SM-7KUM7 40-49 years, male 74.4
GTEX-WHWD-1826-SM-3LK6I 50-59 years, male 74.3
GTEX-1CAMS-2226-SM-7PBXQ 40-49 years, female 74.3
GTEX-1H1CY-0126-SM-9YFLY 60-69 years, female 74.3
GTEX-1JJEA-1826-SM-ARU8P 60-69 years, male 74.3
GTEX-1J8Q2-2626-SM-ACKWQ 60-69 years, male 74.2
GTEX-1LGRB-0926-SM-COH3K 50-59 years, female 74.2
GTEX-1CB4E-0926-SM-7EPHT 60-69 years, male 74.1
GTEX-145LS-0626-SM-7EPG7 60-69 years, female 73.9
GTEX-18A7A-0126-SM-731AH 50-59 years, female 73.9
GTEX-12WSL-2026-SM-5GCML 50-59 years, male 73.8
GTEX-1HSMQ-2626-SM-A9SML 50-59 years, male 73.8
GTEX-12WSM-1926-SM-5BC65 60-69 years, male 73.7
GTEX-1I4MK-0126-SM-CY8G6 50-59 years, female 73.7
GTEX-WFON-1926-SM-3LK7L 40-49 years, male 73.6
GTEX-1GF9U-2026-SM-7SB92 40-49 years, female 73.6
GTEX-1HCU9-0426-SM-9WYSD 20-29 years, male 73.6
GTEX-1KANC-1226-SM-CYPT7 50-59 years, female 73.6
GTEX-ZYFG-1526-SM-5GZYM 60-69 years, female 73.5
GTEX-ZE9C-2526-SM-5IJDR 60-69 years, male 73.3
GTEX-1JMPZ-0726-SM-CY8HZ 30-39 years, male 73.3
GTEX-1LGOU-1326-SM-D3L8M 20-29 years, female 73.3
GTEX-1RLM8-2926-SM-E8VON 50-59 years, male 73.2
GTEX-1477Z-0326-SM-7IGLA 60-69 years, male 73.1
GTEX-WYBS-0626-SM-3NMAS 60-69 years, female 73.1
GTEX-11P82-1426-SM-DTXFY 20-29 years, male 73.1
GTEX-1IDJH-0126-SM-D3L92 70-79 years, male 73.0
GTEX-14PKU-0126-SM-6LLHV 40-49 years, female 72.9
GTEX-18A67-1626-SM-7LT9T 50-59 years, male 72.9
GTEX-ZVE2-2826-SM-5GU51 50-59 years, male 72.9
GTEX-11P7K-1126-SM-5HL4L 30-39 years, male 72.8
GTEX-13X6H-0926-SM-5SIB2 50-59 years, female 72.7
GTEX-1AMEY-0826-SM-72D65 30-39 years, female 72.7
GTEX-WY7C-2126-SM-3NB2R 50-59 years, male 72.6
GTEX-1122O-1026-SM-9WYSF 60-69 years, female 72.6
GTEX-1AX9I-2226-SM-73KUO 60-69 years, male 72.4
GTEX-14753-0726-SM-5QGQO 60-69 years, male 72.2
GTEX-11TUW-0626-SM-5LU9M 60-69 years, male 72.1
GTEX-145MF-0926-SM-5Q5EA 50-59 years, male 72.1
GTEX-11WQC-1826-SM-5GU59 60-69 years, male 72.0
GTEX-14PJ6-2626-SM-6EU2T 60-69 years, female 72.0
GTEX-ZVT4-2426-SM-5GIEI 50-59 years, female 72.0
GTEX-1QCLZ-2426-SM-EVYBW 60-69 years, female 72.0
GTEX-12WSJ-1126-SM-5LZVJ 40-49 years, female 71.9
GTEX-ZLFU-1826-SM-4WWBV 40-49 years, male 71.9
GTEX-14PJN-1826-SM-6AJ98 30-39 years, male 71.7
GTEX-15CHR-1126-SM-7EWF4 50-59 years, male 71.7
GTEX-17MFQ-1526-SM-7KFRR 20-29 years, male 71.7
GTEX-1B97I-0626-SM-73KUZ 40-49 years, male 71.6
GTEX-14PJ2-0626-SM-6LLII 50-59 years, male 71.3
GTEX-1JN6P-2926-SM-CL54D 60-69 years, male 71.3
GTEX-1A8FM-0626-SM-7PC25 50-59 years, female 71.2
GTEX-131XH-0126-SM-5LZUY 50-59 years, male 71.1
GTEX-13OVJ-0826-SM-5J1OK 50-59 years, female 71.1
GTEX-ZTSS-1426-SM-5985P 40-49 years, male 71.0
GTEX-12126-0826-SM-5FQTZ 20-29 years, male 70.8
GTEX-ZZ64-1026-SM-5GZXG 20-29 years, male 70.8
GTEX-13PVQ-0626-SM-5LU47 50-59 years, male 70.6
GTEX-WFG7-2026-SM-5SI7P 20-29 years, male 70.6
GTEX-13FH7-1126-SM-5K7UG 50-59 years, female 70.5
GTEX-145MG-1526-SM-5Q5EM 50-59 years, male 70.4
GTEX-1AMFI-1326-SM-7939R 50-59 years, female 70.3
GTEX-XV7Q-1826-SM-4BRUV 40-49 years, female 70.3
GTEX-1F75A-0726-SM-7RHHD 50-59 years, male 70.3
GTEX-ZDTS-0826-SM-4WKHL 60-69 years, male 70.1
GTEX-13OW5-2326-SM-5L3HO 60-69 years, male 70.0
GTEX-1IDJD-2326-SM-ACKWX 30-39 years, male 70.0
GTEX-1KXAM-1626-SM-D3LAD 60-69 years, male 70.0
GTEX-133LE-2326-SM-5K7W3 20-29 years, female 69.9
GTEX-ZLWG-0826-SM-59888 50-59 years, female 69.9
GTEX-1J8EW-2726-SM-CY8HR 60-69 years, female 69.8
GTEX-16MTA-0926-SM-6M47Z 50-59 years, male 69.7
GTEX-15EU6-2226-SM-6EU2L 50-59 years, male 69.5
GTEX-1R46S-2426-SM-E76QA 60-69 years, female 69.5
GTEX-145MN-1526-SM-5SI9T 30-39 years, male 69.4
GTEX-1F75W-2726-SM-7SB8H 60-69 years, male 69.3
GTEX-1GF9W-1426-SM-7PBYM 60-69 years, male 69.2
GTEX-1GF9V-0826-SM-9KNUV 60-69 years, male 69.1
GTEX-1192X-2726-SM-5N9DN 50-59 years, male 69.0
GTEX-131XG-0326-SM-5L3DX 50-59 years, female 69.0
GTEX-17EVQ-0126-SM-7IGLR 70-79 years, male 69.0
GTEX-1LVAM-0726-SM-E6CIL 50-59 years, female 69.0
GTEX-1QP29-1826-SM-DTX9S 50-59 years, male 69.0
GTEX-1QPFJ-1926-SM-EVYBD 30-39 years, female 68.9
GTEX-13U4I-2226-SM-5LU5H 40-49 years, female 68.8
GTEX-17F97-2626-SM-7IGM5 50-59 years, male 68.7
GTEX-12WSF-1626-SM-7KUG5 70-79 years, male 68.5
GTEX-V1D1-2026-SM-3GAF4 50-59 years, male 68.5
GTEX-11GS4-0226-SM-5HL77 60-69 years, male 68.3
GTEX-17F9E-2326-SM-79OKD 50-59 years, male 68.3
GTEX-14ABY-2026-SM-62LDL 50-59 years, male 68.2
GTEX-1269C-0126-SM-5EQ5L 60-69 years, female 68.1
GTEX-13N11-2326-SM-5IJBF 50-59 years, female 68.1
GTEX-16GPK-0626-SM-7KFSF 60-69 years, male 68.0
GTEX-YEC4-1826-SM-4W1YP 40-49 years, male 67.9
GTEX-1QEPI-2626-SM-DTXF4 60-69 years, female 67.9
GTEX-11ZTT-2126-SM-5CVLO 60-69 years, female 67.7
GTEX-16Z82-2626-SM-7KULU 60-69 years, male 67.7
GTEX-1EN7A-2426-SM-793DB 40-49 years, male 67.7
GTEX-1GMR2-0826-SM-7PC3V 50-59 years, male 67.7
GTEX-1MCC2-1826-SM-DIPEX 30-39 years, female 67.7
GTEX-145LU-1926-SM-79OJN 50-59 years, male 67.6
GTEX-14E1K-2026-SM-7DUEI 50-59 years, male 67.6
GTEX-1GZ4H-0526-SM-9KNU9 50-59 years, female 67.6
GTEX-1K9T9-1526-SM-DIPFR 50-59 years, female 67.6
GTEX-11VI4-1126-SM-5EQMD 40-49 years, female 67.5
GTEX-1HGF4-0126-SM-CNPPX 60-69 years, male 67.5
GTEX-1IDJE-1426-SM-ADEIW 50-59 years, female 67.4
GTEX-1R9K4-2826-SM-DTX8F 60-69 years, male 67.4
GTEX-1RAZR-2126-SM-E9U6T 40-49 years, male 67.2
GTEX-14ICL-1626-SM-5YYAO 30-39 years, male 67.1
GTEX-1J8JJ-0626-SM-ARZMQ 60-69 years, female 67.1
GTEX-1IDJI-0126-SM-CMKHS 50-59 years, female 67.0
GTEX-1LVA9-2626-SM-EVYD4 50-59 years, male 67.0
GTEX-1PDJ9-1226-SM-EXUSX 20-29 years, male 67.0
GTEX-1QMI2-2526-SM-E8VNZ 60-69 years, male 67.0
GTEX-14PJ4-0226-SM-5YY92 60-69 years, male 66.9
GTEX-1QP2A-1726-SM-E76QC 50-59 years, male 66.6
GTEX-ZF2S-1626-SM-57WES 50-59 years, female 66.3
GTEX-ZVTK-0226-SM-51MRG 20-29 years, male 66.3
GTEX-1HCVE-2726-SM-CL54F 50-59 years, male 66.2
GTEX-1KANA-1326-SM-DIPFA 20-29 years, male 66.2
GTEX-1N2DV-1526-SM-DTXEP 40-49 years, male 66.0
GTEX-146FQ-2126-SM-5RQHU 30-39 years, male 65.9
GTEX-11ZU8-0126-SM-5EQ58 60-69 years, male 65.8
GTEX-XPVG-2126-SM-4B667 50-59 years, male 65.8
GTEX-1H1ZS-2726-SM-9WG75 70-79 years, male 65.8
GTEX-111VG-1626-SM-5EGIO 60-69 years, male 65.7
GTEX-12WSC-2826-SM-5BC5Y 50-59 years, male 65.6
GTEX-14PKV-1126-SM-6LLJ1 20-29 years, female 65.6
GTEX-1EMGI-2326-SM-7PBYA 60-69 years, male 65.6
GTEX-1RMOY-1326-SM-E9TIH 50-59 years, male 65.6
GTEX-13N2G-0226-SM-5K7VF 60-69 years, male 65.5
GTEX-1S5ZU-2526-SM-E6CIF 20-29 years, female 65.5
GTEX-13O3Q-0126-SM-5KM34 50-59 years, male 65.4
GTEX-1R9PM-1926-SM-EVR3O 20-29 years, male 65.4
GTEX-11OF3-0126-SM-5PNYF 60-69 years, male 65.3
GTEX-18D9A-1426-SM-7LT8M 30-39 years, female 65.3
GTEX-1S82U-1026-SM-E6CJK 30-39 years, female 65.3
GTEX-147JS-0226-SM-5S2U9 60-69 years, male 65.2
GTEX-11EM3-1226-SM-5N9DD 20-29 years, female 64.9
GTEX-13FTW-0326-SM-5K7UW 40-49 years, male 64.8
GTEX-1JMQI-1726-SM-ARL93 50-59 years, male 64.8
GTEX-11P81-2226-SM-5PNYI 30-39 years, female 64.7
GTEX-139TU-0726-SM-5L3EK 60-69 years, male 64.7
GTEX-ZDTT-0426-SM-4WKFL 60-69 years, male 64.7
GTEX-13JUV-2026-SM-5K7UA 40-49 years, female 64.5
GTEX-1GN73-0726-SM-7P8TJ 60-69 years, male 64.5
GTEX-1S831-1826-SM-EWROF 20-29 years, male 64.5
GTEX-12WSA-0426-SM-5EQ5X 60-69 years, male 64.4
GTEX-183FY-1026-SM-7939A 20-29 years, male 64.3
GTEX-1B996-0426-SM-7EWF8 60-69 years, male 64.1
GTEX-1QP28-1126-SM-EVYC4 50-59 years, female 64.1
GTEX-1CAV2-0126-SM-7IGN7 40-49 years, female 64.0
GTEX-ZT9X-1526-SM-5DUXD 40-49 years, male 64.0
GTEX-WRHU-2826-SM-3MJG8 50-59 years, female 63.9
GTEX-11PRG-0726-SM-5EGL1 50-59 years, male 63.8
GTEX-1HC8U-1326-SM-9YFMJ 40-49 years, female 63.8
GTEX-1M4P7-0726-SM-E6CJ3 60-69 years, male 63.7
GTEX-17F98-1326-SM-7DUEP 40-49 years, female 63.6
GTEX-XBEW-1126-SM-4QARW 40-49 years, male 63.5
GTEX-13OW8-1026-SM-5J1NQ 60-69 years, male 63.3
GTEX-14JG1-1526-SM-5YY9X 40-49 years, male 63.2
GTEX-1EU9M-1426-SM-793AI 60-69 years, male 63.1
GTEX-1212Z-0126-SM-59HK4 60-69 years, male 63.0
GTEX-1EH9U-2826-SM-7DUGT 60-69 years, male 63.0
GTEX-WHSB-1326-SM-3LK6W 50-59 years, male 63.0
GTEX-147F3-1726-SM-5SIAW 50-59 years, female 62.9
GTEX-1I1GS-2626-SM-B2LY3 60-69 years, male 62.9
GTEX-1A32A-0626-SM-731AQ 50-59 years, female 62.6
GTEX-YF7O-1526-SM-5IFI6 50-59 years, male 62.6
GTEX-ZC5H-1526-SM-5HL9Y 40-49 years, female 62.4
GTEX-1PPGY-1626-SM-EVYBL 60-69 years, male 62.4
GTEX-ZAK1-0626-SM-5HL8E 50-59 years, female 62.2
GTEX-13OVK-1426-SM-6PAN7 40-49 years, male 62.1
GTEX-ZZPU-0826-SM-5GZX5 50-59 years, female 62.1
GTEX-13112-0126-SM-5P9IU 50-59 years, male 62.0
GTEX-18D9U-0126-SM-731BM 40-49 years, male 62.0
GTEX-Y114-2126-SM-4TT8B 50-59 years, female 61.8
GTEX-13O61-1426-SM-5KM3D 60-69 years, male 61.7
GTEX-111FC-2526-SM-5GZXU 60-69 years, male 61.5
GTEX-13OVL-0126-SM-5L3GJ 50-59 years, male 61.5
GTEX-ZTX8-1326-SM-4YCEL 20-29 years, male 61.5
GTEX-1GL5R-1326-SM-7RHHF 50-59 years, male 61.5
GTEX-1399R-1326-SM-5PNYS 30-39 years, male 61.4
GTEX-14BIN-1126-SM-5RQJZ 50-59 years, female 61.4
GTEX-1LBAC-0826-SM-CY8IJ 20-29 years, male 61.4
GTEX-ZUA1-2626-SM-5NQ92 40-49 years, male 61.3
GTEX-1IE54-1126-SM-A9G2Z 40-49 years, female 61.3
GTEX-13113-1626-SM-5EQ4I 60-69 years, female 61.2
GTEX-1LG7Z-1626-SM-CXKYR 30-39 years, male 60.7
GTEX-17HHY-0426-SM-7DHLC 50-59 years, male 60.6
GTEX-XUW1-0926-SM-4BONX 50-59 years, female 60.6
GTEX-YECK-0326-SM-4W1YS 60-69 years, male 60.6
GTEX-Z93S-1626-SM-5CVMB 50-59 years, male 60.6
GTEX-1QW4Y-1126-SM-DTXE3 30-39 years, male 60.6
GTEX-11EQ9-1626-SM-5PNY8 30-39 years, male 60.3
GTEX-1KAFJ-0126-SM-DIPEK 50-59 years, male 60.2
GTEX-X5EB-1926-SM-4E3IW 40-49 years, male 59.9
GTEX-1JJE9-2626-SM-ARZMT 70-79 years, male 59.9
GTEX-UPJH-0226-SM-3GADV 50-59 years, male 59.6
GTEX-1JKYN-0826-SM-ARU8S 30-39 years, male 59.5
GTEX-ZGAY-1826-SM-DO91Q 40-49 years, female 59.5
GTEX-ZT9W-1126-SM-57WDR 50-59 years, male 59.4
GTEX-1RB15-1326-SM-E76Q9 60-69 years, male 59.4
GTEX-1GPI6-1926-SM-9KNV7 60-69 years, male 59.0
GTEX-15CHQ-0326-SM-69LQD 60-69 years, male 58.9
GTEX-16BQI-1326-SM-6M486 30-39 years, female 58.9
GTEX-11O72-0626-SM-5PNYE 40-49 years, male 58.8
GTEX-145MH-2826-SM-5RQJF 50-59 years, male 58.8
GTEX-1C6WA-2626-SM-7MKGM 60-69 years, male 58.8
GTEX-XBEC-0726-SM-4QARZ 50-59 years, male 58.8
GTEX-1IDJU-1726-SM-CMKHU 60-69 years, female 58.6
GTEX-1IY9M-2826-SM-ARU8H 60-69 years, male 58.6
GTEX-1J1R8-2026-SM-CL53Y 40-49 years, male 58.6
GTEX-1HCU6-2526-SM-ADEHL 60-69 years, female 58.5
GTEX-13SLX-2226-SM-62LEP 50-59 years, female 58.4
GTEX-XAJ8-1426-SM-47JYM 40-49 years, male 58.4
GTEX-11NUK-2726-SM-5A5MC 50-59 years, male 58.3
GTEX-1JMQJ-0826-SM-CNPP7 50-59 years, male 58.3
GTEX-15RJ7-2126-SM-6PAMD 40-49 years, male 58.2
GTEX-Y111-0626-SM-4SOIT 50-59 years, male 58.2
GTEX-1HSGN-0826-SM-ACKW3 40-49 years, female 58.0
GTEX-1211K-1526-SM-5FQU4 60-69 years, female 57.9
GTEX-1HCUA-0826-SM-ADEHM 50-59 years, female 57.8
GTEX-13VXU-0626-SM-5L3F9 50-59 years, male 57.7
GTEX-147F4-0726-SM-5TDDD 50-59 years, male 57.6
GTEX-14JG6-1426-SM-9WG7C 30-39 years, female 57.6
GTEX-Y3I4-1726-SM-4TT89 50-59 years, male 57.3
GTEX-YJ8O-2526-SM-5HL85 40-49 years, female 57.0
GTEX-1LSNM-0826-SM-DIPG8 50-59 years, male 57.0
GTEX-1QP9N-1226-SM-E76QN 30-39 years, male 57.0
GTEX-1B8KE-1126-SM-7EPHI 50-59 years, male 56.8
GTEX-18A7B-2726-SM-7LG56 70-79 years, male 56.7
GTEX-XOT4-0626-SM-4B66L 60-69 years, female 56.7
GTEX-Y8E4-2026-SM-5IFJB 40-49 years, male 56.7
GTEX-139TT-2126-SM-5LZWC 60-69 years, male 56.6
GTEX-13X6J-0626-SM-5LU5F 50-59 years, male 56.6
GTEX-ZP4G-1426-SM-4WWCL 20-29 years, female 56.6
GTEX-1S82P-2126-SM-E6CI5 60-69 years, female 56.6
GTEX-1399U-1126-SM-5L3DB 50-59 years, female 56.4
GTEX-1EWIQ-0326-SM-7DHMQ 70-79 years, female 56.3
GTEX-1JK1U-0226-SM-ARZMX 60-69 years, male 56.3
GTEX-13D11-0926-SM-5J2NC 50-59 years, female 56.2
GTEX-1CB4F-1026-SM-7DUH1 60-69 years, male 56.2
GTEX-X4EO-2926-SM-4E3JH 60-69 years, female 56.2
GTEX-13N1W-2426-SM-5IJD1 70-79 years, male 55.8
GTEX-17EVP-2626-SM-7IGMA 40-49 years, male 55.8
GTEX-18QFQ-1826-SM-72D52 30-39 years, male 55.6
GTEX-XQ3S-1426-SM-4BOPR 20-29 years, male 55.4
GTEX-17MF6-2626-SM-79OKQ 40-49 years, male 55.3
GTEX-1GN1U-0626-SM-9MQL9 50-59 years, female 55.3
GTEX-17HII-1426-SM-7EPGG 50-59 years, male 55.0
GTEX-145ME-1726-SM-5Q5EU 40-49 years, female 54.9
GTEX-1HFI7-2326-SM-CGQFS 50-59 years, female 54.6
GTEX-11DYG-1526-SM-5A5JS 60-69 years, male 54.4
GTEX-1B8SF-0126-SM-7DUG3 60-69 years, male 54.4
GTEX-18465-2826-SM-7LT9J 50-59 years, male 54.3
GTEX-1GN2E-0226-SM-9WG6K 60-69 years, male 54.3
GTEX-1HBPI-2126-SM-ARL9K 50-59 years, male 54.3
GTEX-Y5V5-0126-SM-5S2NW 60-69 years, female 54.1
GTEX-12ZZY-0726-SM-5EQ66 60-69 years, male 54.0
GTEX-1A3MV-1826-SM-731CD 30-39 years, male 54.0
GTEX-12C56-1526-SM-5FQUQ 20-29 years, male 53.5
GTEX-11DXZ-2026-SM-5987S 50-59 years, male 53.4
GTEX-131XW-0626-SM-5PNVD 50-59 years, female 53.4
GTEX-ZDYS-2426-SM-4WKGI 50-59 years, male 53.4
GTEX-13OW7-0426-SM-5K7VK 50-59 years, male 53.2
GTEX-1C475-1326-SM-7SB73 40-49 years, female 53.2
GTEX-1HSKV-1226-SM-ADEI4 60-69 years, male 53.2
GTEX-1MJK3-0726-SM-E6CJC 20-29 years, male 53.1
GTEX-1KWVE-1026-SM-D3L9O 30-39 years, male 52.8
GTEX-1GTWX-2026-SM-9YFLM 60-69 years, male 52.6
GTEX-Y9LG-1126-SM-4VBQ7 30-39 years, male 52.5
GTEX-1GZHY-0626-SM-9KNVC 50-59 years, female 52.4
GTEX-Y3IK-1626-SM-4YCF5 50-59 years, female 51.8
GTEX-1HCU8-2526-SM-CE6RX 60-69 years, female 51.8
GTEX-1JMPY-0226-SM-CKZOK 30-39 years, male 51.8
GTEX-17JCI-2926-SM-7DUFF 60-69 years, female 51.7
GTEX-12ZZZ-0726-SM-5GCNZ 60-69 years, male 51.4
GTEX-1OJC3-1226-SM-DTXER 20-29 years, male 51.2
GTEX-1EKGG-0626-SM-7DUGJ 60-69 years, male 50.9
GTEX-111CU-1126-SM-5EGIM 50-59 years, male 50.8
GTEX-1N2EE-0626-SM-E76PW 60-69 years, male 50.8
GTEX-1N5O9-0926-SM-E9J3C 60-69 years, male 50.6
GTEX-14PHX-2226-SM-6EU2P 50-59 years, male 50.5
GTEX-1LB8K-0726-SM-D5OV2 50-59 years, male 50.5
GTEX-WHPG-2626-SM-3NMBR 50-59 years, male 50.2
GTEX-11GSP-2326-SM-5HL63 60-69 years, female 50.0
GTEX-15DYW-2726-SM-6EU2I 60-69 years, female 49.9
GTEX-1GMRU-2126-SM-7P8RA 50-59 years, male 49.9
GTEX-1I1GT-1026-SM-ARZLV 60-69 years, female 49.7
GTEX-1AX9J-1326-SM-731BJ 60-69 years, male 49.5
GTEX-16MT8-2926-SM-7DUFO 60-69 years, female 48.4
GTEX-14DAR-1226-SM-73KYV 50-59 years, male 48.2
GTEX-1I1GV-0626-SM-ARL7M 60-69 years, male 48.0
GTEX-11NSD-0626-SM-5A5LU 20-29 years, male 47.9
GTEX-WYVS-1626-SM-3NM9R 40-49 years, female 47.5
GTEX-Y8LW-1526-SM-5IFHL 50-59 years, female 47.5
GTEX-ZVT2-0126-SM-5GIDQ 50-59 years, female 47.4
GTEX-1HUB1-1426-SM-CGQF5 60-69 years, male 47.1
GTEX-11EI6-2826-SM-5H11D 60-69 years, male 46.9
GTEX-1B933-2426-SM-7DHMD 50-59 years, female 46.9
GTEX-1RAZS-2526-SM-E6CHT 50-59 years, male 46.5
GTEX-131XF-2626-SM-5EQ6K 60-69 years, male 46.1
GTEX-1H4P4-2126-SM-9WYSL 50-59 years, male 45.4
GTEX-11LCK-2226-SM-5HL4Q 30-39 years, male 45.2
GTEX-ZYFC-0426-SM-5GICQ 50-59 years, male 45.2
GTEX-1PIIG-2326-SM-DTXFR 30-39 years, male 45.0
GTEX-1JMLX-0626-SM-ARL8T 50-59 years, male 44.7
GTEX-1IKJJ-2226-SM-CJI4C 60-69 years, male 44.1
GTEX-ZAB4-2126-SM-5HL8U 40-49 years, male 43.5
GTEX-1497J-0226-SM-5QGPU 60-69 years, male 40.1
GTEX-17HHE-1326-SM-7EWDZ 50-59 years, male 37.2
GTEX-15FZZ-0526-SM-7KUGD 30-39 years, female 36.2
Show allShow less
Skin - Sun Exposed (Lower leg)
Average nTPM: 65.6
Samples: 701

Max nTPM: 461.0
Min nTPM: 31.9
Std nTPM: 29.8
Median nTPM: 60.9
GTEX-11WQK-0526-SM-5EQLD 50-59 years, male 461.0
GTEX-15EOM-0126-SM-7KUGG 20-29 years, female 390.9
GTEX-XYKS-2126-SM-4E3IB 60-69 years, female 336.0
GTEX-183WM-0126-SM-7LTAB 70-79 years, female 196.1
GTEX-1LBAC-0126-SM-DIPEZ 20-29 years, male 195.6
GTEX-14E6E-1826-SM-5S2R7 30-39 years, male 168.2
GTEX-POMQ-2226-SM-2I5FK 20-29 years, female 159.0
GTEX-14E6C-0126-SM-5RQIP 40-49 years, male 158.7
GTEX-15G19-0126-SM-6PANQ 60-69 years, male 150.2
GTEX-13NYS-0126-SM-5MR3W 60-69 years, male 148.4
GTEX-SE5C-1626-SM-2XCE3 40-49 years, female 140.5
GTEX-O5YT-0126-SM-48TBW 20-29 years, male 138.0
GTEX-1JMQL-0226-SM-CNPP5 50-59 years, female 134.2
GTEX-OXRK-0226-SM-3NB2G 50-59 years, female 124.2
GTEX-11O72-0126-SM-59887 40-49 years, male 120.8
GTEX-U8XE-0326-SM-3DB8P 30-39 years, male 119.6
GTEX-T2YK-0526-SM-32QPJ 50-59 years, male 119.2
GTEX-XMD2-0126-SM-4YCDU 60-69 years, female 119.1
GTEX-14BIM-0226-SM-7IGLD 60-69 years, female 118.5
GTEX-14PK6-1926-SM-6ETZU 70-79 years, female 117.7
GTEX-15UKP-0426-SM-7KUFQ 20-29 years, male 117.6
GTEX-13NYC-0326-SM-E9J4S 60-69 years, male 117.3
GTEX-1A3MX-0126-SM-731BR 60-69 years, male 115.8
GTEX-OOBK-0126-SM-2YUND 40-49 years, male 115.8
GTEX-RUSQ-1526-SM-2TF62 50-59 years, male 115.8
GTEX-18D9B-0526-SM-7LTAS 60-69 years, male 115.4
GTEX-SNMC-1226-SM-2XCFP 20-29 years, male 114.8
GTEX-W5X1-3026-SM-EAZAX 40-49 years, female 114.1
GTEX-SJXC-0126-SM-2XCFF 60-69 years, male 112.8
GTEX-Q734-1926-SM-2I5EV 40-49 years, female 108.4
GTEX-1IE54-0126-SM-CMKHW 40-49 years, female 107.7
GTEX-14XAO-2326-SM-6EU1B 60-69 years, female 106.9
GTEX-1M5QR-1226-SM-EWROB 40-49 years, male 104.1
GTEX-OIZH-0126-SM-2HMIS 50-59 years, male 103.4
GTEX-X4XY-0226-SM-4E3IZ 60-69 years, male 103.3
GTEX-NPJ8-0126-SM-2YUNR 40-49 years, male 101.9
GTEX-1A3MW-0126-SM-73KXX 60-69 years, female 101.3
GTEX-14LZ3-0226-SM-62LET 60-69 years, female 100.2
GTEX-OHPL-0126-SM-2HMJ7 60-69 years, female 99.4
GTEX-ZAJG-0126-SM-5HL94 50-59 years, female 99.2
GTEX-YJ8A-0426-SM-5IFID 20-29 years, male 99.0
GTEX-ZTPG-0326-SM-5O9AX 20-29 years, female 98.0
GTEX-ZU9S-0226-SM-5E441 30-39 years, male 97.9
GTEX-15UF6-0826-SM-6PALJ 70-79 years, female 97.8
GTEX-WVJS-0126-SM-4MVOT 50-59 years, male 96.8
GTEX-11TTK-0126-SM-5987B 60-69 years, female 96.7
GTEX-PLZ4-0126-SM-5SI8O 50-59 years, female 94.6
GTEX-1I1GU-2226-SM-CGQFA 40-49 years, male 94.6
GTEX-1GF9X-2026-SM-7PC3A 40-49 years, female 94.3
GTEX-1LC47-0326-SM-E9TJP 60-69 years, male 94.3
GTEX-15D1Q-0126-SM-7KUG6 40-49 years, male 94.2
GTEX-1H1E6-1726-SM-ACKVK 30-39 years, male 93.4
GTEX-1H23P-0126-SM-ADEJ3 60-69 years, male 92.8
GTEX-1AX9K-2326-SM-73KWU 50-59 years, male 92.0
GTEX-XXEK-2226-SM-4BRUM 50-59 years, male 91.9
GTEX-1F6RS-0126-SM-9MQKZ 60-69 years, female 91.8
GTEX-ZVZO-0126-SM-5A5L9 40-49 years, male 91.3
GTEX-14ICK-0226-SM-6EU25 40-49 years, male 91.2
GTEX-11NSD-2226-SM-5986V 20-29 years, male 90.9
GTEX-1EX96-1626-SM-7PBXR 50-59 years, male 90.7
GTEX-1GMR3-1926-SM-9KNUZ 40-49 years, male 90.6
GTEX-1HR98-0126-SM-B2LWI 60-69 years, male 90.0
GTEX-1R9K4-0126-SM-DTX9X 60-69 years, male 89.8
GTEX-1ICLZ-0126-SM-CKZPO 60-69 years, male 88.9
GTEX-1L5NE-2526-SM-E6CIE 50-59 years, male 88.7
GTEX-13W3W-2426-SM-5LU5B 60-69 years, female 88.6
GTEX-11TT1-2526-SM-5EGIB 20-29 years, male 88.2
GTEX-144FL-0126-SM-5TDC8 50-59 years, male 88.1
GTEX-13OW5-0126-SM-DTXFS 60-69 years, male 88.0
GTEX-RVPV-0126-SM-EAZAW 60-69 years, male 88.0
GTEX-WFG8-2226-SM-3GIL9 20-29 years, male 87.9
GTEX-1CAMS-0426-SM-7P8T2 40-49 years, female 87.7
GTEX-PVOW-0126-SM-2XCFA 40-49 years, male 87.3
GTEX-QESD-1426-SM-2S1R9 20-29 years, male 87.0
GTEX-QDVJ-1726-SM-2I5FX 50-59 years, male 86.4
GTEX-1HFI6-0226-SM-ADEHZ 40-49 years, male 86.0
GTEX-1QP67-1626-SM-EAZ3X 40-49 years, female 85.4
GTEX-1HCU7-0226-SM-CL545 50-59 years, male 85.2
GTEX-11DZ1-0126-SM-5985Q 50-59 years, male 85.1
GTEX-1F5PL-0326-SM-7P8PQ 40-49 years, female 85.0
GTEX-14BMU-2226-SM-5TDE9 20-29 years, female 84.7
GTEX-Z9EW-1626-SM-5CVMN 40-49 years, male 84.7
GTEX-1I19N-0326-SM-ACKVX 70-79 years, male 84.6
GTEX-1RLM8-2326-SM-EWRN4 50-59 years, male 83.7
GTEX-11P82-1626-SM-59879 20-29 years, male 82.9
GTEX-14PN4-0126-SM-6EU2V 50-59 years, male 82.8
GTEX-1KD4Q-0226-SM-E9TJ9 40-49 years, male 82.8
GTEX-WY7C-2326-SM-3NB2U 50-59 years, male 82.5
GTEX-117YX-2326-SM-5H12W 50-59 years, male 82.2
GTEX-11TUW-2726-SM-E9J4M 60-69 years, male 82.2
GTEX-14PJ3-1826-SM-62LEX 50-59 years, male 82.1
GTEX-QDVN-2026-SM-3GAEP 50-59 years, male 82.1
GTEX-ZF3C-0126-SM-DO92D 50-59 years, female 82.0
GTEX-1LGRB-2526-SM-CNPPQ 50-59 years, female 81.9
GTEX-11OF3-2626-SM-5GU7F 60-69 years, male 81.6
GTEX-1K9T9-0126-SM-EVYCF 50-59 years, female 81.5
GTEX-1ICG6-2526-SM-CGQFZ 70-79 years, female 81.4
GTEX-13RTJ-2426-SM-5S2Q2 60-69 years, male 81.2
GTEX-1HCUA-2426-SM-ADEIS 50-59 years, female 81.2
GTEX-14BIN-0626-SM-793DP 50-59 years, female 81.1
GTEX-183FY-0126-SM-7LT9P 20-29 years, male 81.1
GTEX-1I6K6-0126-SM-A9SLE 30-39 years, male 81.1
GTEX-1N2EF-0226-SM-EYYXB 60-69 years, male 81.0
GTEX-13G51-2526-SM-5LZYK 60-69 years, male 80.7
GTEX-1F52S-0126-SM-9MQJU 60-69 years, female 80.7
GTEX-13FHO-0226-SM-5IFGY 60-69 years, male 80.5
GTEX-12WSL-2526-SM-5GCNJ 50-59 years, male 80.3
GTEX-1LGOU-2026-SM-DIPFF 20-29 years, female 80.3
GTEX-145LS-0126-SM-5QGP1 60-69 years, female 80.2
GTEX-13OVK-2026-SM-7KUEO 40-49 years, male 80.1
GTEX-1GZ2Q-0226-SM-7P8TL 40-49 years, male 80.1
GTEX-11WQC-2526-SM-5CVLE 60-69 years, male 79.7
GTEX-X88G-0126-SM-47JZ3 30-39 years, male 79.4
GTEX-RWS6-2026-SM-2XCB5 60-69 years, female 79.2
GTEX-1HSMO-0126-SM-CL547 60-69 years, male 79.1
GTEX-Y5LM-1926-SM-5RQJH 40-49 years, female 79.0
GTEX-16XZY-2126-SM-79OK1 70-79 years, male 78.8
GTEX-WI4N-1026-SM-3LK7N 40-49 years, female 78.8
GTEX-1F75I-0326-SM-9YFLU 40-49 years, male 78.7
GTEX-13N2G-2626-SM-5J1OT 60-69 years, male 78.4
GTEX-1F5PK-2426-SM-7RHHY 50-59 years, male 78.3
GTEX-13NZ8-0826-SM-5MR3I 60-69 years, female 78.1
GTEX-1M4P7-0226-SM-DIPEV 60-69 years, male 77.9
GTEX-PWO3-1526-SM-48TCM 60-69 years, female 77.8
GTEX-ZE9C-2726-SM-57WB5 60-69 years, male 77.6
GTEX-1R7EU-0226-SM-EVR4G 60-69 years, male 77.6
GTEX-ZYFD-0126-SM-5GIDL 50-59 years, male 77.1
GTEX-1GMR8-0126-SM-9WYTM 50-59 years, female 77.1
GTEX-1KANA-0726-SM-D3L9I 20-29 years, male 77.1
GTEX-12WSN-5019-SM-79OM6 40-49 years, male 76.7
GTEX-XQ8I-0426-SM-4BOPO 50-59 years, male 76.5
GTEX-12ZZX-0126-SM-5EGK9 40-49 years, female 76.3
GTEX-13FTX-1826-SM-5J1NX 20-29 years, female 76.2
GTEX-145LT-1726-SM-5QGP3 40-49 years, male 76.2
GTEX-R45C-0126-SM-EAZ2R 60-69 years, female 76.2
GTEX-1JK1U-2026-SM-CM2RZ 60-69 years, male 76.1
GTEX-139T8-0126-SM-5K7XZ 60-69 years, male 75.9
GTEX-1IDFM-0126-SM-COH2V 60-69 years, male 75.9
GTEX-14A5H-0426-SM-5QGQF 60-69 years, male 75.7
GTEX-1HB9E-0226-SM-E9U4R 50-59 years, male 75.7
GTEX-P44H-0226-SM-2XCEU 40-49 years, male 75.4
GTEX-1497J-2426-SM-7IGNX 60-69 years, male 75.1
GTEX-13FHP-0126-SM-5IJBG 50-59 years, male 74.9
GTEX-T8EM-1026-SM-3DB7M 40-49 years, male 74.8
GTEX-RM2N-1426-SM-2TF4H 50-59 years, male 74.7
GTEX-Y5V6-2426-SM-4VDSB 60-69 years, male 74.7
GTEX-1PPH7-2326-SM-EVYB8 40-49 years, male 74.7
GTEX-OIZF-0126-SM-7SB8I 60-69 years, male 74.6
GTEX-1NV5F-0226-SM-E8VNY 60-69 years, female 74.4
GTEX-ZVE2-0226-SM-59HJB 50-59 years, male 74.3
GTEX-1B97I-1626-SM-73KYO 40-49 years, male 74.2
GTEX-14753-0426-SM-5NQAM 60-69 years, male 74.1
GTEX-18A7A-0226-SM-718BH 50-59 years, female 74.0
GTEX-QLQW-1126-SM-2S1Q8 30-39 years, male 73.9
GTEX-TKQ1-1026-SM-4GICL 30-39 years, male 73.9
GTEX-1JN1M-0326-SM-CYPT3 60-69 years, female 73.8
GTEX-X62O-0126-SM-4E3JN 50-59 years, male 73.7
GTEX-1LH75-2426-SM-E9TJE 50-59 years, female 73.6
GTEX-13O3P-0126-SM-5KM4S 50-59 years, male 73.5
GTEX-U4B1-1826-SM-4DXSU 40-49 years, male 73.5
GTEX-XBEW-0626-SM-4QASP 40-49 years, male 73.5
GTEX-1JMQK-0226-SM-CL543 60-69 years, male 73.1
GTEX-X261-0126-SM-3NMD6 50-59 years, male 72.9
GTEX-XAJ8-0826-SM-47JY6 40-49 years, male 72.8
GTEX-11DXX-2426-SM-5GZZW 60-69 years, female 72.7
GTEX-13PVR-2326-SM-5QGR1 60-69 years, female 72.7
GTEX-W5WG-1826-SM-4KL2Y 50-59 years, female 72.7
GTEX-1B996-0226-SM-7RHGO 60-69 years, male 72.7
GTEX-139UW-2826-SM-5L3E7 60-69 years, male 72.5
GTEX-XV7Q-2526-SM-4BRV9 40-49 years, female 72.5
GTEX-S7SE-0126-SM-2XCD5 50-59 years, male 72.4
GTEX-1JJEA-0326-SM-CNPOT 60-69 years, male 72.4
GTEX-13O1R-0126-SM-5L3EH 60-69 years, male 72.1
GTEX-WZTO-0126-SM-3NM95 40-49 years, male 72.1
GTEX-OIZG-0726-SM-33HBL 50-59 years, male 72.0
GTEX-SUCS-1926-SM-32PM3 70-79 years, male 72.0
GTEX-T6MO-1626-SM-32QOM 40-49 years, female 72.0
GTEX-1HBPH-0426-SM-B2LW5 40-49 years, female 71.9
GTEX-1NHNU-1026-SM-E9J2A 50-59 years, male 71.9
GTEX-1GZ4H-1726-SM-7PBZJ 50-59 years, female 71.8
GTEX-P4PP-0126-SM-3LK69 30-39 years, female 71.7
GTEX-145MF-0626-SM-5LUAI 50-59 years, male 71.6
GTEX-14PHW-0126-SM-6LLJI 60-69 years, female 71.6
GTEX-WOFL-0126-SM-3MJG2 60-69 years, male 71.5
GTEX-1KD5A-0226-SM-D5OV3 50-59 years, male 71.5
GTEX-1H2FU-0126-SM-9WYSI 60-69 years, female 71.4
GTEX-1LNCM-1126-SM-E9U5E 50-59 years, female 71.4
GTEX-ZY6K-1826-SM-5GZXK 50-59 years, male 71.3
GTEX-15SB6-1726-SM-6PAME 50-59 years, female 71.2
GTEX-TSE9-0126-SM-3DB83 60-69 years, female 71.2
GTEX-1JKYR-0126-SM-CNPOJ 20-29 years, male 71.2
GTEX-11XUK-2026-SM-5EQLF 40-49 years, female 70.9
GTEX-1C6VR-2426-SM-79OLD 60-69 years, male 70.9
GTEX-ZWKS-0126-SM-5SIAA 30-39 years, male 70.9
GTEX-R3RS-0126-SM-3GIJL 40-49 years, female 70.8
GTEX-1GF9U-2126-SM-7SB7L 40-49 years, female 70.8
GTEX-Y3IK-2426-SM-4WWDU 50-59 years, female 70.5
GTEX-144GN-2326-SM-5LU4F 50-59 years, male 70.3
GTEX-TMMY-0226-SM-33HBA 40-49 years, female 70.2
GTEX-OXRN-0126-SM-48TDM 50-59 years, male 70.1
GTEX-1H3NZ-0126-SM-ACKX7 60-69 years, male 70.1
GTEX-13VXT-0126-SM-5LU4I 20-29 years, female 70.0
GTEX-131XF-5016-SM-7MGWE 60-69 years, male 70.0
GTEX-VJWN-0126-SM-3GIK7 50-59 years, female 69.9
GTEX-YEC4-2126-SM-5IFJH 40-49 years, male 69.8
GTEX-1122O-2126-SM-5EGIR 60-69 years, female 69.7
GTEX-139D8-0226-SM-5KLZO 30-39 years, female 69.7
GTEX-1RAZQ-0726-SM-EAZ43 30-39 years, male 69.7
GTEX-ZZPT-0226-SM-5E43X 50-59 years, male 69.6
GTEX-ZE7O-0126-SM-57WC1 50-59 years, female 69.3
GTEX-QV44-1926-SM-2S1RF 50-59 years, male 69.2
GTEX-1R9PO-2126-SM-E9J4O 60-69 years, female 69.2
GTEX-146FR-1326-SM-E9J48 60-69 years, female 69.1
GTEX-11UD2-0226-SM-5EQKY 50-59 years, male 69.0
GTEX-Y114-2426-SM-4TT8A 50-59 years, female 69.0
GTEX-1IDJF-0126-SM-CM2RS 20-29 years, male 68.9
GTEX-1S5ZA-0126-SM-EVYCV 20-29 years, male 68.9
GTEX-111FC-0126-SM-5N9DL 60-69 years, male 68.8
GTEX-1CB4I-0226-SM-79OLH 50-59 years, male 68.8
GTEX-Y3I4-2126-SM-4TT7C 50-59 years, male 68.8
GTEX-1192X-0226-SM-5H12D 50-59 years, male 68.7
GTEX-146FH-0126-SM-5QGPP 50-59 years, female 68.7
GTEX-14ABY-0226-SM-5TDCQ 50-59 years, male 68.4
GTEX-1CAMR-1926-SM-7EPI2 20-29 years, male 68.4
GTEX-1192W-2626-SM-5Q5AF 60-69 years, male 68.2
GTEX-1J8JJ-0226-SM-CL53I 60-69 years, female 68.1
GTEX-1399T-2826-SM-5KLYZ 60-69 years, male 67.9
GTEX-ZV68-0126-SM-59HKS 50-59 years, female 67.9
GTEX-1C64O-0126-SM-7SB8P 60-69 years, male 67.9
GTEX-133LE-1826-SM-5J1MV 20-29 years, female 67.8
GTEX-1CB4E-2226-SM-793DC 60-69 years, male 67.8
GTEX-1K2DA-1826-SM-CGQGT 50-59 years, male 67.8
GTEX-13X6I-0626-SM-5QGP9 60-69 years, male 67.7
GTEX-1K2DU-2326-SM-E9TIV 20-29 years, male 67.6
GTEX-1211K-2026-SM-5EQ4Z 60-69 years, female 67.5
GTEX-1JMPZ-0226-SM-CNPP1 30-39 years, male 67.5
GTEX-14C5O-0126-SM-5SI6N 60-69 years, male 67.4
GTEX-1EMGI-0126-SM-9KNUE 60-69 years, male 67.3
GTEX-1MJK2-0426-SM-DTXE5 50-59 years, male 67.3
GTEX-WRHK-1426-SM-3MJF9 20-29 years, female 67.2
GTEX-132NY-0326-SM-5IJBL 60-69 years, male 67.1
GTEX-1F6I4-0126-SM-9MQL2 60-69 years, male 67.1
GTEX-12696-2426-SM-5EQ6H 60-69 years, male 67.0
GTEX-15EU6-0426-SM-6PAN5 50-59 years, male 66.8
GTEX-1QP2A-0126-SM-E9J43 50-59 years, male 66.8
GTEX-1GN2E-0426-SM-9MQKX 60-69 years, male 66.7
GTEX-1HBPM-0226-SM-ARL9F 60-69 years, female 66.7
GTEX-16AAH-1726-SM-7939C 50-59 years, male 66.3
GTEX-13SLW-0126-SM-5SI6C 70-79 years, male 66.2
GTEX-WYJK-0126-SM-3NMAB 50-59 years, male 66.2
GTEX-12WSE-0526-SM-793B2 20-29 years, male 66.1
GTEX-18A67-0126-SM-7LG5P 50-59 years, male 66.1
GTEX-VUSG-2526-SM-4KL1V 50-59 years, male 66.1
GTEX-1JJE9-0326-SM-CL53Z 70-79 years, male 66.1
GTEX-WFON-2126-SM-3LK7O 40-49 years, male 66.0
GTEX-ZC5H-0226-SM-4WAY9 40-49 years, female 66.0
GTEX-1JMQI-2226-SM-CM2SD 50-59 years, male 65.9
GTEX-1MUQO-0126-SM-EAZ58 60-69 years, male 65.9
GTEX-1N2DW-0226-SM-E9TK2 50-59 years, male 65.9
GTEX-1C475-1826-SM-73KWA 40-49 years, female 65.8
GTEX-ZVZP-2426-SM-59HKJ 50-59 years, male 65.8
GTEX-V1D1-2226-SM-3NMAX 50-59 years, male 65.7
GTEX-ZTX8-1426-SM-5DUVO 20-29 years, male 65.7
GTEX-VJYA-1126-SM-3GIJU 60-69 years, male 65.6
GTEX-WXYG-2326-SM-4E3I6 50-59 years, female 65.6
GTEX-1B8L1-2526-SM-9WYTF 60-69 years, male 65.4
GTEX-Q2AI-1326-SM-2S1PL 40-49 years, male 65.3
GTEX-1IL2V-0126-SM-CM2TX 70-79 years, male 65.3
GTEX-1AMEY-1326-SM-73KYK 30-39 years, female 65.2
GTEX-P4PQ-0126-SM-2S1NM 60-69 years, male 65.2
GTEX-1HCU8-0626-SM-A9SM9 60-69 years, female 65.2
GTEX-T5JC-0426-SM-32PLO 20-29 years, male 65.1
GTEX-1HBPN-0226-SM-9YFM1 50-59 years, male 65.1
GTEX-11ZTT-2426-SM-5EQLS 60-69 years, female 65.0
GTEX-1GL5R-1826-SM-9KNUY 50-59 years, male 64.9
GTEX-1H11D-0226-SM-9WG6Z 40-49 years, male 64.9
GTEX-1QP29-0626-SM-EWRMX 50-59 years, male 64.9
GTEX-14JG6-2226-SM-6EU2G 30-39 years, female 64.8
GTEX-1ICLY-0126-SM-D4P36 50-59 years, male 64.8
GTEX-PWCY-1826-SM-DHXIZ 20-29 years, female 64.8
GTEX-12126-0326-SM-5PNW3 20-29 years, male 64.7
GTEX-1AX8Z-0126-SM-7DHM6 60-69 years, male 64.7
GTEX-1JKYN-1326-SM-CGQG9 30-39 years, male 64.7
GTEX-1BAJH-0526-SM-793CQ 70-79 years, male 64.6
GTEX-1PDJ9-0326-SM-DTX95 20-29 years, male 64.6
GTEX-13RTK-1426-SM-5QGQJ 20-29 years, male 64.5
GTEX-145LU-0126-SM-5TDCB 50-59 years, male 64.4
GTEX-13NYB-2526-SM-5K7Z6 40-49 years, male 64.3
GTEX-1J8QM-2126-SM-CYPSJ 60-69 years, female 64.2
GTEX-1B8SF-1426-SM-7DUGL 60-69 years, male 64.1
GTEX-X8HC-0126-SM-4E3JW 50-59 years, female 64.1
GTEX-ZV6S-2326-SM-4YCEY 40-49 years, female 64.1
GTEX-11NUK-0126-SM-5A5L3 50-59 years, male 64.0
GTEX-1H3VE-0326-SM-9YFLH 40-49 years, male 63.9
GTEX-11EQ9-2426-SM-5HL5T 30-39 years, male 63.8
GTEX-12584-0126-SM-5EGKQ 40-49 years, male 63.8
GTEX-13OVH-0126-SM-5MR4B 70-79 years, male 63.8
GTEX-17EUY-0426-SM-793BD 20-29 years, male 63.8
GTEX-OXRO-0126-SM-2YUN4 60-69 years, female 63.8
GTEX-ZAB5-1826-SM-5HL7C 50-59 years, male 63.8
GTEX-13CF3-2426-SM-5IFGX 60-69 years, female 63.7
GTEX-1C64N-0126-SM-793D7 50-59 years, male 63.6
GTEX-1C6WA-0126-SM-7PC2B 60-69 years, male 63.6
GTEX-1QMI2-0226-SM-EVYBX 60-69 years, male 63.6
GTEX-S33H-1026-SM-EZ6L6 30-39 years, male 63.6
GTEX-14PN3-2426-SM-6LLHS 60-69 years, female 63.4
GTEX-1OFPY-2426-SM-DTXEJ 60-69 years, male 63.4
GTEX-13OW6-0426-SM-5L3HM 50-59 years, male 63.0
GTEX-S7PM-0126-SM-4AD6S 60-69 years, male 63.0
GTEX-U8T8-0126-SM-3DB94 60-69 years, male 63.0
GTEX-1F75B-0126-SM-9KNVL 50-59 years, male 62.9
GTEX-15DDE-0126-SM-6LPKH 50-59 years, female 62.8
GTEX-OHPM-0126-SM-2YUN9 50-59 years, male 62.7
GTEX-Y8E4-0626-SM-4WWDL 40-49 years, male 62.7
GTEX-1HCU9-1526-SM-A9SL7 20-29 years, male 62.7
GTEX-1C2JI-1826-SM-73KXC 50-59 years, male 62.6
GTEX-OXRP-0126-SM-3NB32 60-69 years, female 62.6
GTEX-1R9PM-2026-SM-E76OY 20-29 years, male 62.6
GTEX-XUW1-0426-SM-4BOOT 50-59 years, female 62.5
GTEX-ZAK1-0126-SM-5IJD3 50-59 years, female 62.5
GTEX-1QAET-0926-SM-E76QM 50-59 years, male 62.5
GTEX-1GN1V-0126-SM-9WPOS 60-69 years, male 62.4
GTEX-1GN1W-0526-SM-9MQJQ 50-59 years, female 62.3
GTEX-1GPI7-0126-SM-9MQL8 20-29 years, male 62.3
GTEX-1PWST-0226-SM-E76QJ 70-79 years, male 62.3
GTEX-139T4-0226-SM-5HL5S 50-59 years, female 62.2
GTEX-17GQL-2026-SM-718BA 60-69 years, male 62.2
GTEX-SSA3-0126-SM-32QPU 60-69 years, male 62.2
GTEX-X4EP-0126-SM-3P5YV 60-69 years, female 62.2
GTEX-1CB4H-0226-SM-7PBXM 60-69 years, female 62.1
GTEX-TMZS-0126-SM-3DB9Q 60-69 years, male 61.9
GTEX-1QPFJ-0226-SM-E76PB 30-39 years, female 61.8
GTEX-1H1DE-2126-SM-9WG6R 20-29 years, male 61.7
GTEX-PLZ6-1426-SM-DKPOT 30-39 years, male 61.7
GTEX-12WSK-2326-SM-5GCOH 40-49 years, female 61.6
GTEX-11P81-2326-SM-59875 30-39 years, female 61.5
GTEX-ZYT6-0226-SM-5NQ6T 30-39 years, male 61.5
GTEX-1EKGG-0226-SM-9WYTH 60-69 years, male 61.4
GTEX-QLQ7-1626-SM-2S1R8 60-69 years, male 61.3
GTEX-17KNJ-2326-SM-7DHLQ 50-59 years, male 61.2
GTEX-YB5K-2126-SM-4WWDJ 40-49 years, female 61.2
GTEX-1J8Q3-1626-SM-CMKGC 60-69 years, male 61.2
GTEX-1R46S-0626-SM-E9J41 60-69 years, female 61.2
GTEX-11DXZ-2326-SM-5EGGV 50-59 years, male 61.1
GTEX-139TS-2826-SM-5J1OO 60-69 years, male 61.1
GTEX-1F88F-2726-SM-7PBZZ 60-69 years, female 61.1
GTEX-1I4MK-2226-SM-ACKWD 50-59 years, female 61.1
GTEX-1QW4Y-1526-SM-EAZ3Z 30-39 years, male 61.1
GTEX-11DXY-2626-SM-5GIE7 60-69 years, male 61.0
GTEX-17F98-0626-SM-79OMX 40-49 years, female 61.0
GTEX-145MI-0526-SM-5O9A8 60-69 years, female 60.9
GTEX-1AMFI-2026-SM-731BH 50-59 years, female 60.9
GTEX-1LVAN-0226-SM-COH3S 50-59 years, female 60.9
GTEX-R55G-2526-SM-2TC6D 40-49 years, female 60.8
GTEX-18D9U-0226-SM-718BP 40-49 years, male 60.6
GTEX-15CHC-2126-SM-6EU21 60-69 years, female 60.5
GTEX-XUZC-1726-SM-4BRWS 30-39 years, female 60.5
GTEX-13NZB-2526-SM-5J1OM 30-39 years, male 60.4
GTEX-1HSMP-0126-SM-E6CJS 70-79 years, male 60.4
GTEX-1KANB-0526-SM-E6CJH 50-59 years, male 60.4
GTEX-1RB15-2126-SM-E9TIM 60-69 years, male 60.2
GTEX-ZYFG-2326-SM-5E44B 60-69 years, female 59.8
GTEX-11H98-0126-SM-5EGHG 50-59 years, male 59.7
GTEX-12ZZZ-0626-SM-5DUXI 60-69 years, male 59.7
GTEX-145LV-2126-SM-5LU8N 50-59 years, male 59.7
GTEX-1LG7Z-1726-SM-D3LA4 30-39 years, male 59.7
GTEX-12WSJ-1826-SM-5GCNY 40-49 years, female 59.6
GTEX-1CB4J-0626-SM-7DHMP 60-69 years, male 59.6
GTEX-1E2YA-0126-SM-9KNUC 50-59 years, male 59.4
GTEX-1JN76-0126-SM-CNPPE 20-29 years, female 59.4
GTEX-111VG-2426-SM-5GZXD 60-69 years, male 59.1
GTEX-1B8SG-0126-SM-73KZ3 50-59 years, male 59.1
GTEX-1C6VQ-0126-SM-7P8RI 50-59 years, male 59.1
GTEX-1O97I-0326-SM-EYYX7 60-69 years, male 59.1
GTEX-1EU9M-0226-SM-7P8SP 60-69 years, male 59.0
GTEX-1HKZK-0326-SM-9WYUH 40-49 years, male 59.0
GTEX-1MCYP-1926-SM-E9J2R 20-29 years, female 59.0
GTEX-1H1DG-0126-SM-9WYU2 70-79 years, male 58.9
GTEX-13FXS-0226-SM-5IJCK 50-59 years, male 58.8
GTEX-13PDP-0126-SM-5L3HD 60-69 years, male 58.8
GTEX-SIU8-0126-SM-2XCDT 50-59 years, male 58.8
GTEX-ZZ64-1726-SM-5GZYB 20-29 years, male 58.8
GTEX-13D11-2426-SM-5KM1V 50-59 years, female 58.7
GTEX-1F48J-0126-SM-7P8TT 50-59 years, female 58.7
GTEX-1H1CY-2826-SM-9MQM3 60-69 years, female 58.7
GTEX-147F3-0526-SM-5SI98 50-59 years, female 58.6
GTEX-14DAQ-0126-SM-5S2MQ 60-69 years, female 58.5
GTEX-17F96-1626-SM-7DUFL 70-79 years, male 58.5
GTEX-XPVG-2626-SM-4B669 50-59 years, male 58.3
GTEX-18D9A-1926-SM-7LG6P 30-39 years, female 58.2
GTEX-ZDYS-2026-SM-5HL5L 50-59 years, male 58.2
GTEX-ZQUD-1426-SM-57WER 30-39 years, male 58.1
GTEX-1IDJU-2626-SM-CM2RT 60-69 years, female 58.0
GTEX-1QEPI-0126-SM-EWRMQ 60-69 years, female 58.0
GTEX-1HSMQ-1226-SM-CGQFX 50-59 years, male 57.9
GTEX-1PBJI-0526-SM-E8VNK 20-29 years, female 57.9
GTEX-13O3Q-2426-SM-5IJBR 50-59 years, male 57.8
GTEX-1B8KZ-2026-SM-7DHMB 50-59 years, male 57.8
GTEX-Q2AH-1626-SM-3GAF8 40-49 years, male 57.8
GTEX-1GN73-0226-SM-9WG67 60-69 years, male 57.8
GTEX-1R7EV-2426-SM-EVYBG 40-49 years, male 57.8
GTEX-11ZUS-0626-SM-59885 30-39 years, male 57.7
GTEX-1A32A-0126-SM-718B1 50-59 years, female 57.7
GTEX-1A3MV-1926-SM-718BT 30-39 years, male 57.6
GTEX-1128S-2326-SM-5GZZY 60-69 years, female 57.5
GTEX-14LLW-0126-SM-6LLIO 70-79 years, female 57.5
GTEX-OXRL-0126-SM-2YUMP 50-59 years, male 57.5
GTEX-U3ZH-2026-SM-3DB78 30-39 years, male 57.5
GTEX-13OVL-0226-SM-5L3E9 50-59 years, male 57.3
GTEX-145ME-1826-SM-5SI9G 40-49 years, female 57.3
GTEX-1KXAM-2226-SM-CYPTC 60-69 years, male 57.3
GTEX-11ZTS-0126-SM-5EQ6M 60-69 years, female 57.2
GTEX-13X6H-2126-SM-7EWD5 50-59 years, female 57.2
GTEX-16XZZ-0126-SM-793DV 60-69 years, male 57.2
GTEX-1GF9W-0326-SM-9KNUN 60-69 years, male 57.2
GTEX-1J8Q2-0526-SM-CM2RW 60-69 years, male 57.2
GTEX-1AX9J-0226-SM-73KXM 60-69 years, male 57.1
GTEX-ZXG5-0126-SM-5GIEU 60-69 years, male 57.1
GTEX-14A5I-0126-SM-5TDEA 50-59 years, female 57.0
GTEX-PW2O-1526-SM-7RHHB 20-29 years, male 57.0
GTEX-131XE-2326-SM-5PNZ2 50-59 years, male 56.9
GTEX-11EM3-2426-SM-59861 20-29 years, female 56.8
GTEX-131XG-2626-SM-5KM17 50-59 years, female 56.8
GTEX-13FH7-2026-SM-E9J4I 50-59 years, female 56.7
GTEX-1B933-0126-SM-7PC29 50-59 years, female 56.7
GTEX-1212Z-2526-SM-5EGKP 60-69 years, male 56.6
GTEX-X638-0126-SM-47JZ8 70-79 years, female 56.6
GTEX-1RQEC-0426-SM-E6CHU 60-69 years, male 56.5
GTEX-13IVO-0126-SM-5J1NG 70-79 years, male 56.4
GTEX-146FQ-0126-SM-5NQA9 30-39 years, male 56.4
GTEX-1IKJJ-0126-SM-CNPQB 60-69 years, male 56.4
GTEX-147GR-0526-SM-5S2MY 60-69 years, male 56.3
GTEX-1F7RK-0126-SM-7PC2S 20-29 years, female 56.2
GTEX-1IGQW-0126-SM-COH42 60-69 years, male 56.2
GTEX-S32W-2126-SM-2XCB1 50-59 years, female 56.1
GTEX-UJHI-1526-SM-3DB99 50-59 years, female 56.1
GTEX-1HSGN-0226-SM-CGQFV 40-49 years, female 55.9
GTEX-ZTSS-1926-SM-57WEW 40-49 years, male 55.8
GTEX-12KS4-0326-SM-5EQ41 30-39 years, male 55.7
GTEX-12ZZY-0226-SM-5LZVE 60-69 years, male 55.6
GTEX-16NPX-0226-SM-79OMT 50-59 years, male 55.6
GTEX-ZVT3-0126-SM-5GU6I 60-69 years, female 55.5
GTEX-1J8EW-0126-SM-CJI4F 60-69 years, female 55.4
GTEX-X4XX-0126-SM-3NMC2 60-69 years, male 55.3
GTEX-1GZHY-0326-SM-9QEHI 50-59 years, female 55.3
GTEX-1N2DV-0226-SM-E6CJ6 40-49 years, male 55.2
GTEX-1CAMQ-0226-SM-7IGPK 40-49 years, male 55.1
GTEX-YFC4-0126-SM-5CVLY 40-49 years, female 55.0
GTEX-YJ89-0126-SM-4TT3X 60-69 years, male 55.0
GTEX-P4QT-0126-SM-2I3FL 50-59 years, female 54.9
GTEX-ZDXO-3026-SM-5J1N5 60-69 years, male 54.9
GTEX-1PIGE-0126-SM-EVYBJ 20-29 years, male 54.6
GTEX-18A6Q-0126-SM-731BZ 60-69 years, male 54.5
GTEX-S95S-1226-SM-4GICG 60-69 years, male 54.5
GTEX-13RTL-0126-SM-7LG5S 40-49 years, male 54.4
GTEX-PX3G-0126-SM-2I3EN 20-29 years, female 54.3
GTEX-1399R-2726-SM-5IJBA 30-39 years, male 54.2
GTEX-1QP66-1726-SM-E8VO1 50-59 years, male 54.2
GTEX-14PJ6-2126-SM-6EU1V 60-69 years, female 54.1
GTEX-QVJO-1626-SM-2S1QW 60-69 years, female 54.1
GTEX-1IOXB-0126-SM-ARL8G 50-59 years, male 54.1
GTEX-13FTW-2626-SM-5K7WL 40-49 years, male 53.9
GTEX-1PPH8-0226-SM-E8VND 20-29 years, male 53.8
GTEX-11UD1-0126-SM-5PNYG 40-49 years, female 53.7
GTEX-16NGA-1726-SM-731B4 40-49 years, female 53.7
GTEX-17EVQ-0226-SM-7LG4P 70-79 years, male 53.7
GTEX-1B8KE-2126-SM-73KYX 50-59 years, male 53.7
GTEX-13SLX-0526-SM-5S2ON 50-59 years, female 53.6
GTEX-ZDTT-2726-SM-4WKF8 60-69 years, male 53.6
GTEX-1PFEY-1526-SM-E76PP 30-39 years, male 53.6
GTEX-1S82Z-0826-SM-E6CHY 30-39 years, female 53.6
GTEX-QDT8-0126-SM-48TZ1 30-39 years, female 53.5
GTEX-169BO-1326-SM-9MQK2 50-59 years, male 53.5
GTEX-1S83E-0126-SM-EWRO4 40-49 years, male 53.5
GTEX-11EI6-0126-SM-5985R 60-69 years, male 53.4
GTEX-11ZU8-2526-SM-5EQKI 60-69 years, male 53.3
GTEX-14BIL-0126-SM-5SI92 50-59 years, male 53.3
GTEX-1HCVE-0126-SM-CGQEU 50-59 years, male 53.3
GTEX-ZQG8-1626-SM-DHXIT 60-69 years, female 53.3
GTEX-WQUQ-0426-SM-3MJFU 60-69 years, male 53.2
GTEX-113JC-2326-SM-5EQ4E 50-59 years, female 53.1
GTEX-16BQI-0226-SM-7KUEX 30-39 years, female 53.1
GTEX-1IY9M-0126-SM-D3L8S 60-69 years, male 53.0
GTEX-11OC5-0126-SM-5HL6A 60-69 years, male 52.8
GTEX-1AYCT-2426-SM-7IGQ3 50-59 years, male 52.8
GTEX-15ETS-0126-SM-7KUMW 40-49 years, female 52.7
GTEX-15SHW-0326-SM-6PAML 60-69 years, male 52.7
GTEX-14DAR-2026-SM-5S2O3 50-59 years, male 52.6
GTEX-1GTWX-0126-SM-9YFLK 60-69 years, male 52.6
GTEX-PLZ5-2026-SM-2S1O4 50-59 years, male 52.5
GTEX-13U4I-0126-SM-5LU38 40-49 years, female 52.4
GTEX-1GF9V-0326-SM-7RHI5 60-69 years, male 52.4
GTEX-1HSEH-0126-SM-ACKXN 60-69 years, male 52.4
GTEX-1HT8W-0126-SM-CNPPP 30-39 years, male 52.4
GTEX-1MCQQ-0826-SM-DLHC2 60-69 years, male 52.4
GTEX-145MN-2226-SM-5SIAU 30-39 years, male 52.3
GTEX-1J1OQ-0226-SM-CYPSH 40-49 years, female 52.2
GTEX-1KANC-1526-SM-D3LAB 50-59 years, female 52.2
GTEX-14E6D-0126-SM-62LDV 50-59 years, male 52.0
GTEX-TML8-1926-SM-32QOS 40-49 years, female 52.0
GTEX-Y8DK-0126-SM-4TT3L 60-69 years, male 52.0
GTEX-1JMOU-1526-SM-CL54I 60-69 years, female 52.0
GTEX-15F5U-1526-SM-6PANO 40-49 years, male 51.9
GTEX-1F75A-0126-SM-7RHGM 50-59 years, male 51.9
GTEX-ZVT2-2526-SM-51MT1 50-59 years, female 51.8
GTEX-13O3O-0126-SM-E9J49 60-69 years, female 51.8
GTEX-1MGNQ-0126-SM-EVYCJ 40-49 years, male 51.8
GTEX-QCQG-1726-SM-3GIJ9 50-59 years, female 51.7
GTEX-OOBJ-0126-SM-E6CJW 60-69 years, male 51.7
GTEX-18465-0126-SM-731BN 50-59 years, male 51.6
GTEX-RTLS-0126-SM-447CA 60-69 years, female 51.5
GTEX-1QCLY-0326-SM-E8VOG 30-39 years, male 51.5
GTEX-RN64-0126-SM-2TC68 50-59 years, male 51.4
GTEX-12WSA-0226-SM-5BC5V 60-69 years, male 51.3
GTEX-147F4-0226-SM-5QGPW 50-59 years, male 51.3
GTEX-1IDJH-0326-SM-A9SLQ 70-79 years, male 51.3
GTEX-XBED-2226-SM-47JYQ 60-69 years, male 51.2
GTEX-1I1GT-0626-SM-CGQER 60-69 years, female 51.2
GTEX-ZEX8-2426-SM-4WKG4 50-59 years, male 51.1
GTEX-WH7G-2326-SM-3NMBC 40-49 years, male 51.0
GTEX-1GPI6-0126-SM-9WG69 60-69 years, male 50.8
GTEX-ZVTK-0426-SM-51MRS 20-29 years, male 50.7
GTEX-1I1GP-2226-SM-CGQFK 50-59 years, male 50.7
GTEX-11EMC-2926-SM-5EQ4F 60-69 years, female 50.6
GTEX-13N11-2526-SM-5K7UE 50-59 years, female 50.6
GTEX-1QP9N-1426-SM-DTXFL 30-39 years, male 50.6
GTEX-17MFQ-1726-SM-793C7 20-29 years, male 50.5
GTEX-U3ZN-2326-SM-3DB7W 30-39 years, female 50.5
GTEX-1AX9I-0126-SM-7SB74 60-69 years, male 50.5
GTEX-18QFQ-0126-SM-731BE 30-39 years, male 50.3
GTEX-131XW-0426-SM-5LZWP 50-59 years, female 50.2
GTEX-13VXU-0126-SM-5SI9F 50-59 years, male 50.0
GTEX-15SHU-0126-SM-7KUEH 40-49 years, female 50.0
GTEX-1I1GS-0126-SM-B2LVW 60-69 years, male 50.0
GTEX-11DXW-0226-SM-5H122 40-49 years, male 49.9
GTEX-11VI4-1726-SM-5CVLH 40-49 years, female 49.9
GTEX-13113-5016-SM-7EPIP 60-69 years, female 49.9
GTEX-16MT8-0426-SM-7KUEY 60-69 years, female 49.9
GTEX-18A66-0226-SM-718BD 60-69 years, male 49.9
GTEX-1HFI7-1826-SM-ACKXH 50-59 years, female 49.9
GTEX-1J1R8-1726-SM-ARL8M 40-49 years, male 49.8
GTEX-15RIG-0226-SM-7KFTL 40-49 years, male 49.7
GTEX-17JCI-0126-SM-7LG5G 60-69 years, female 49.7
GTEX-T5JW-1626-SM-3GADZ 20-29 years, female 49.7
GTEX-1IKK5-0626-SM-ARL8A 60-69 years, male 49.7
GTEX-1C6VS-0526-SM-7DUEN 60-69 years, male 49.6
GTEX-XQ3S-1526-SM-4BOOC 20-29 years, male 49.6
GTEX-PSDG-0226-SM-DKPOZ 50-59 years, male 49.6
GTEX-ZPIC-1726-SM-DHXIU 40-49 years, female 49.6
GTEX-145MO-0326-SM-5Q5B3 60-69 years, male 49.5
GTEX-14PII-0226-SM-6EU1T 60-69 years, male 49.5
GTEX-1C4CL-0526-SM-73KVK 30-39 years, male 49.4
GTEX-XUYS-0126-SM-47JWZ 50-59 years, male 49.3
GTEX-1CB4G-0226-SM-7PC3O 60-69 years, male 49.2
GTEX-1PIIG-0226-SM-EWRN6 30-39 years, male 49.2
GTEX-1S3DN-2226-SM-EVYCD 50-59 years, male 49.2
GTEX-13112-2826-SM-5DUWH 50-59 years, male 49.0
GTEX-1KAFJ-2026-SM-CY8ID 50-59 years, male 49.0
GTEX-18A7B-0126-SM-7LG64 70-79 years, male 48.9
GTEX-ZVT4-0126-SM-DTXFN 50-59 years, female 48.9
GTEX-17F97-0326-SM-7LG5B 50-59 years, male 48.8
GTEX-SN8G-0126-SM-32PLI 50-59 years, female 48.8
GTEX-13W46-0226-SM-5SIAG 50-59 years, male 48.7
GTEX-1AYD5-2426-SM-73KXR 50-59 years, male 48.7
GTEX-1HBPI-1526-SM-C1YQ1 50-59 years, male 48.7
GTEX-15DCD-0126-SM-7KUEK 70-79 years, female 48.6
GTEX-T2IS-0126-SM-4DM6O 20-29 years, female 48.6
GTEX-X585-0226-SM-4QAS2 50-59 years, male 48.6
GTEX-1EWIQ-0126-SM-7RHH2 70-79 years, female 48.6
GTEX-11GS4-2726-SM-5A5LE 60-69 years, male 48.4
GTEX-13OVJ-0126-SM-5KM36 50-59 years, female 48.4
GTEX-148VJ-0126-SM-5TDDN 70-79 years, male 48.4
GTEX-16GPK-0126-SM-7DHLE 60-69 years, male 48.4
GTEX-1HGF4-2426-SM-ACKXM 60-69 years, male 48.4
GTEX-17MF6-0126-SM-7LG4F 40-49 years, male 48.2
GTEX-16YQH-0126-SM-7DUFJ 30-39 years, male 48.1
GTEX-RU72-0926-SM-2TF6B 50-59 years, female 48.1
GTEX-13CF2-2526-SM-5LZYX 60-69 years, male 48.0
GTEX-14JIY-0126-SM-6LLH6 60-69 years, male 48.0
GTEX-Y8LW-1826-SM-5S2MV 50-59 years, female 48.0
GTEX-11ZVC-2526-SM-5FQTE 50-59 years, female 47.9
GTEX-1H3O1-0426-SM-9YFKY 60-69 years, male 47.9
GTEX-131YS-0126-SM-5KM1M 60-69 years, female 47.8
GTEX-1LSNM-1926-SM-E6CII 50-59 years, male 47.8
GTEX-117XS-2726-SM-5N9BL 60-69 years, male 47.7
GTEX-12WSC-0126-SM-5EQ4P 50-59 years, male 47.7
GTEX-11LCK-1026-SM-5A5KB 30-39 years, male 47.6
GTEX-13S7M-0126-SM-5SI6A 60-69 years, female 47.6
GTEX-14BMV-0126-SM-5S2PO 50-59 years, male 47.6
GTEX-U412-0426-SM-3DB9O 60-69 years, male 47.5
GTEX-1H1ZS-0426-SM-9WG6G 70-79 years, male 47.5
GTEX-ZF29-2326-SM-DO92K 60-69 years, female 47.5
GTEX-Z93T-0126-SM-5HL5N 50-59 years, male 47.4
GTEX-17HHY-0126-SM-7LG5D 50-59 years, male 47.3
GTEX-X5EB-2226-SM-46MW4 40-49 years, male 47.3
GTEX-1LB8K-0226-SM-EWRNW 50-59 years, male 47.3
GTEX-ZXES-1826-SM-5E43S 30-39 years, female 47.2
GTEX-139TT-0126-SM-5K7Y5 60-69 years, male 46.8
GTEX-NFK9-0226-SM-2HMKQ 40-49 years, male 46.8
GTEX-1IL2U-0226-SM-CE6T8 60-69 years, male 46.8
GTEX-1I1GV-0526-SM-A9G29 60-69 years, male 46.7
GTEX-131XH-2226-SM-5DUXJ 50-59 years, male 46.6
GTEX-1POEN-0126-SM-EYYXJ 30-39 years, female 46.5
GTEX-1RDX4-0126-SM-E9J4P 50-59 years, female 46.5
GTEX-13111-1626-SM-5EGJY 50-59 years, male 46.4
GTEX-1H3VY-0126-SM-ACKXD 50-59 years, male 46.4
GTEX-1CB4F-0426-SM-9KNV4 60-69 years, male 46.2
GTEX-13O21-1426-SM-5K7XI 50-59 years, male 46.1
GTEX-17HGU-0226-SM-7DHKV 50-59 years, male 46.0
GTEX-Q2AG-0126-SM-33HBV 40-49 years, female 46.0
GTEX-ZUA1-0126-SM-5GU76 40-49 years, male 46.0
GTEX-13OVI-1426-SM-5L3EY 60-69 years, female 45.9
GTEX-QEG4-0226-SM-2S1PY 30-39 years, male 45.9
GTEX-O5YW-0126-SM-3LK6D 50-59 years, male 45.8
GTEX-YB5E-2026-SM-5IFIS 40-49 years, male 45.8
GTEX-1HUB1-0426-SM-E9U4U 60-69 years, male 45.7
GTEX-1OJC3-0126-SM-E76QX 20-29 years, male 45.7
GTEX-RNOR-0126-SM-E9J4R 50-59 years, female 45.6
GTEX-14PJM-0226-SM-62LF1 50-59 years, female 45.4
GTEX-1I1HK-0126-SM-COH49 60-69 years, male 45.4
GTEX-1OJC4-0126-SM-E9J2E 50-59 years, female 45.4
GTEX-13NZA-0226-SM-5K7Z7 60-69 years, male 45.3
GTEX-1E1VI-0126-SM-7DHMZ 50-59 years, male 45.2
GTEX-1JMPY-1326-SM-ARL8Y 30-39 years, male 45.1
GTEX-1S82Y-2026-SM-EVYCM 40-49 years, male 45.1
GTEX-12C56-1726-SM-5EQ61 20-29 years, male 44.9
GTEX-12WSD-0126-SM-59HKN 60-69 years, female 44.9
GTEX-Z93S-0126-SM-5HL7M 50-59 years, male 44.9
GTEX-139TU-0126-SM-5K7WH 60-69 years, male 44.8
GTEX-1LG7Y-0526-SM-DKPQC 50-59 years, male 44.7
GTEX-14PHX-2326-SM-62LEM 50-59 years, male 44.5
GTEX-15SDE-2226-SM-7IGLO 50-59 years, female 44.5
GTEX-U3ZM-1526-SM-3DB9D 40-49 years, male 44.5
GTEX-14A6H-0126-SM-5QGPK 30-39 years, male 44.3
GTEX-1269C-2526-SM-5EGJ3 60-69 years, female 44.2
GTEX-ZDTS-0126-SM-4WAY5 60-69 years, male 44.1
GTEX-11P7K-2126-SM-5GU7G 30-39 years, male 43.9
GTEX-13YAN-0326-SM-5O9DF 60-69 years, male 43.9
GTEX-17HG3-2226-SM-7938L 30-39 years, female 43.9
GTEX-Y5V5-2326-SM-4V6GA 60-69 years, female 43.9
GTEX-ZF2S-2326-SM-4WWCE 50-59 years, female 43.8
GTEX-1JMQJ-0526-SM-CYPSU 50-59 years, male 43.7
GTEX-13N1W-0126-SM-5K7VT 70-79 years, male 43.6
GTEX-15ER7-0326-SM-7KUEV 20-29 years, female 43.4
GTEX-1MA7X-2226-SM-E6CIY 60-69 years, male 43.4
GTEX-1313W-0126-SM-5LZUN 50-59 years, female 43.1
GTEX-117YW-2626-SM-5GZZH 50-59 years, male 43.0
GTEX-13FTY-0526-SM-5L3EV 40-49 years, female 43.0
GTEX-ZYY3-0126-SM-5GZY5 60-69 years, female 43.0
GTEX-1JJ6O-0126-SM-E6CI8 60-69 years, male 43.0
GTEX-Y111-0126-SM-4SOIV 50-59 years, male 42.9
GTEX-1314G-1526-SM-5EGK2 30-39 years, male 42.8
GTEX-148VI-1626-SM-5SI6E 60-69 years, female 42.6
GTEX-1HSKV-0226-SM-A9SKJ 60-69 years, male 42.6
GTEX-T6MN-0126-SM-32PLP 50-59 years, male 42.5
GTEX-1A8FM-0226-SM-7SB7Q 50-59 years, female 42.5
GTEX-14JG1-0426-SM-6ETZZ 40-49 years, male 42.4
GTEX-1GN1U-0126-SM-7PBZK 50-59 years, female 42.4
GTEX-1I1CD-0126-SM-CM2TK 60-69 years, female 42.3
GTEX-1RAZA-0126-SM-E6CI3 20-29 years, male 42.3
GTEX-ZGAY-0526-SM-4WWBB 40-49 years, female 42.2
GTEX-1CAV2-2226-SM-7P8P2 40-49 years, female 42.2
GTEX-144GL-0126-SM-5TDE2 50-59 years, male 41.8
GTEX-1JN6P-0126-SM-D3L98 60-69 years, male 41.8
GTEX-ZYW4-0126-SM-5E44A 60-69 years, male 41.3
GTEX-1I1GQ-0126-SM-COH3H 50-59 years, male 41.3
GTEX-1MA7W-2026-SM-E9TJ6 20-29 years, female 41.1
GTEX-1KWVE-1426-SM-E9TJO 30-39 years, male 41.0
GTEX-1H4P4-0726-SM-9YFLR 50-59 years, male 40.9
GTEX-13OVG-1926-SM-5L3DK 60-69 years, male 40.7
GTEX-17EVP-0326-SM-7DHLG 40-49 years, male 40.7
GTEX-1F6IF-0726-SM-7P8TW 60-69 years, male 40.7
GTEX-11GSO-2426-SM-5A5LY 60-69 years, male 40.6
GTEX-X4EO-0326-SM-3P5YO 60-69 years, female 40.6
GTEX-13QJ3-0326-SM-5S2RA 50-59 years, male 40.4
GTEX-1GMRU-0126-SM-9YFLV 50-59 years, male 40.3
GTEX-1399U-2326-SM-5K7WY 50-59 years, female 40.2
GTEX-17HII-0226-SM-7LG4E 50-59 years, male 40.1
GTEX-12WSG-2826-SM-E9J4H 50-59 years, female 40.0
GTEX-13JUV-2726-SM-5LZZ8 40-49 years, female 39.8
GTEX-1EN7A-0126-SM-7SB81 40-49 years, male 39.7
GTEX-13OW7-0126-SM-5MR3B 50-59 years, male 39.5
GTEX-11DYG-0126-SM-59883 60-69 years, male 39.4
GTEX-R55E-0126-SM-2TC5Y 20-29 years, male 39.4
GTEX-13X6J-0126-SM-5QGOU 50-59 years, male 39.3
GTEX-13OW8-1326-SM-5J1OW 60-69 years, male 39.1
GTEX-ZF28-0126-SM-4WKGK 60-69 years, male 39.1
GTEX-1IKOH-0226-SM-COH4E 60-69 years, female 39.1
GTEX-RWSA-0126-SM-2XCBB 40-49 years, male 38.9
GTEX-113IC-0126-SM-5HL6T 60-69 years, male 38.8
GTEX-11GSP-2526-SM-5N9BP 60-69 years, female 36.7
GTEX-1I1GR-0126-SM-CL55F 60-69 years, male 36.6
GTEX-UPJH-0326-SM-3GADU 50-59 years, male 36.5
GTEX-1HCU6-0126-SM-CL54K 60-69 years, female 35.7
GTEX-14E7W-0126-SM-6LLJ9 70-79 years, male 35.5
GTEX-1JMLX-0226-SM-CM2RO 50-59 years, male 35.3
GTEX-15DYW-0126-SM-7KULE 60-69 years, female 35.2
GTEX-ZAB4-0226-SM-5N9F5 40-49 years, male 34.9
GTEX-17HHE-2026-SM-79OKF 50-59 years, male 34.6
GTEX-ZYFC-0226-SM-5NQ75 50-59 years, male 33.8
GTEX-WYVS-2126-SM-3NMA3 40-49 years, female 31.9
Show allShow less

Contact

  • NEWS ARTICLES
  • PRESS ROOM

The Project

  • INTRODUCTION
  • ORGANIZATION
  • PUBLICATIONS

The Human Protein Atlas

  • DOWNLOADABLE DATA
  • LICENCE & CITATION
  • HELP & FAQ
The Human Protein Atlas project is funded
by the Knut & Alice Wallenberg Foundation.


contact@proteinatlas.org