We use cookies to enhance the usability of our website. If you continue, we'll assume that you are happy to receive all cookies. More information. Don't show this again.
ATG3
HPA
RESOURCES
  • TISSUE
  • BRAIN
  • SINGLE CELL
  • SUBCELLULAR
  • CANCER
  • BLOOD
  • CELL LINE
  • STRUCTURE & INTERACTION
ABOUT
  • INTRODUCTION
  • HISTORY
  • ORGANIZATION
  • PUBLICATIONS
  • ANTIBODY SUBMISSION
  • ANTIBODY AVAILABILITY
  • ACKNOWLEDGMENTS
  • CONTACT
NEWS
  • NEWS ARTICLES
  • PRESS ROOM
LEARN
  • DICTIONARY
  • PROTEIN CLASSES
  • PROTEIN EVIDENCE
  • METHODS
  • EDUCATIONAL VIDEOS
DATA
  • DOWNLOADABLE DATA
  • PUBLICATION DATA
  • RELEASE HISTORY
HELP
  • ANTIBODY VALIDATION
  • ASSAYS & ANNOTATION
  • DISCLAIMER
  • HELP & FAQ
  • PRIVACY STATEMENT
  • LICENCE & CITATION
Fields »
Search result

Field
Term
Gene name
Class
Subclass
Class
Keyword
Chromosome
External id
Tissue
Cell type
Expression
Antibody panel
Tissue
Main location
Patient ID
Annotation
Tissue
Category
Tau score
Cluster
Reliability
Brain region
Category
Tau score
Brain region
Category
Tau score
Brain region
Category
Tau score
Cluster
Reliability
Tissue
Cell type
Enrichment
Cell type
Category
Tau score
Cell type
Category
Tau score
Cell type
Category
Tau score
Cell lineage
Category
Tau score
Cluster
Cluster
Location
Searches
Location
Cell line
Class
Type
Phase
Reliability
Cancer
Prognosis
Cancer
Category
Cancer
Category
Tau score
Cluster
Variants
Interacting gene (ensg_id)
Type
Number of interactions
Pathway
Category
Score
Score
Score
Validation
Validation
Validation
Validation
Antibodies
Data type
Column


  • SUMMARY

  • TISSUE

  • BRAIN

  • SINGLE CELL

  • SUBCELL

  • CANCER

  • BLOOD

  • CELL LINE

  • STRUCT & INT

  • ATG3
TISSUE PRIMARY DATA CEREBELLUM Show tissue menu
ADIPOSE TISSUE ADRENAL GLAND AMYGDALA APPENDIX BASAL GANGLIA BONE MARROW BREAST BRONCHUS CEREBELLUM CEREBRAL CORTEX CERVIX CHOROID PLEXUS COLON DUODENUM
ENDOMETRIUM EPIDIDYMIS ESOPHAGUS FALLOPIAN TUBE GALLBLADDER HEART MUSCLE HIPPOCAMPAL FORMATION HYPOTHALAMUS KIDNEY LIVER LUNG LYMPH NODE MIDBRAIN NASOPHARYNX
ORAL MUCOSA OVARY PANCREAS PARATHYROID GLAND PITUITARY GLAND PLACENTA PROSTATE RECTUM RETINA SALIVARY GLAND SEMINAL VESICLE SKELETAL MUSCLE SKIN SMALL INTESTINE
SMOOTH MUSCLE SOFT TISSUE SPINAL CORD SPLEEN STOMACH TESTIS THYMUS THYROID GLAND TONGUE TONSIL URINARY BLADDER VAGINA
ANTIBODIES
AND
VALIDATION
Dictionary
Cerebellum
Tissue proteome
Cerebellum
CEREBELLUM - Expression summary
Protein expression
Cerebellumi

On the top, protein expression in current human tissue, based on all annotated cell types, is reported with the units not detected (n), low (l), medium (m) and high (h). Underneath, protein expression in each annotated cell type are reported using the same units.

Protein expression data is based on knowledge-based annotation. For genes where more than one antibody has been used, a collective score is set.

If knowledge-based annotation could not be performed for a gene, no data is displayed here. View antibody staining data further down this page.

h
m
l
n
Cells in granular layer: Low
Cells in molecular layer: Low
Purkinje cells: Low
RNA expressioni

A summary of mRNA expression data available for current tissue based on several datasets. The mRNA expression levels in human tissues are based on RNA-seq data generated by the Human Protein Atlas (HPA), Genotype-Tissue Expression (GTEx) portal and CAGE data generated by the FANTOM5 consortium. Consensus normalized expression levels for human tissues was created by combining the data from HPA and GTEx datasets.

The mRNA expression levels in pig are based on RNA-seq data generated by the Human Protein Atlas (HPA), and for mouse, HPA data and in situ hybridization generated by the Allen brain atlas are reported.

Scroll down to view mRNA expression data in more detail.
Consensus:25.2 nTPM
HPA Brain:60.7 nTPM
GTEx:25.2 nTPM
FANTOM5:61.1 Scaled Tags Per Million
Pig:60.9 nTPM
Mouse:51.8 nTPM
Allen mouse:1.5 Expression energy

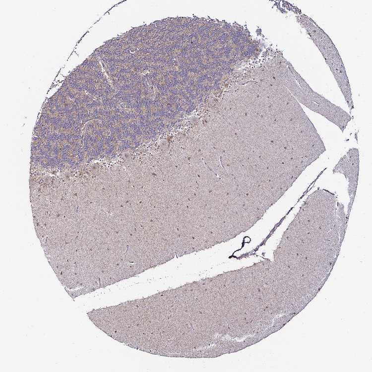
CEREBELLUM - Antibody stainingi

Antibody staining in the annotated cell types in the current human tissue is reported as not detected, low, medium, or high, based on conventional immunohistochemistry profiling in selected tissues. This score is based on the combination of the staining intensity and fraction of stained cells.

Each image is clickable and will lead to virtual microscopy that enables deeper exploration of all samples and also displays staining intensity scores, fraction scores and subcellular localization as well as patient and tissue information for each sample.

Antibody HPA040471Antibody CAB037260
Purkinje cells HighMedium
Cells in granular layer LowMedium
Cells in molecular layer HighMedium





CEREBELLUM - HPA Brain RNA-seq
Max subtype nTPMi

Max subtype nTPM is the value for the subtype with the largest average nTPM across the subtype samples.

60.7
Sample id Sample description nTPM
Cerebellar cortex
nTPM: 31.2
2006 Male, age 61, right hemisphere 37.8
1768 Female, age 72, unknown 37.6
2003 Female, age 85, right hemisphere 37.6
2101 Male, age 74, right hemisphere 32.6
1774 Male, age 80, left hemisphere 28.8
1769 Male, age 76, right hemisphere 27.6
2055 Female, age 91, right hemisphere 25.0
1788 Male, age 55, unknown 22.3
Cerebellar nuclei
nTPM: 60.7
2783 Female, age 72, unknown 80.2
1871 Male, age 74, unknown 68.4
1879 Male, age 55, unknown 64.6
2005 Male, age 80, left hemisphere 61.9
2175 Male, age 61, right hemisphere 57.8
2882 Male, age 76, left hemisphere 57.2
2177 Female, age 85, both hemispheres 53.6
1966 Female, age 91, left hemisphere 52.9
2318 Male, age 74, left hemisphere 49.4
Flocculonodular lobe
nTPM: 28.2
1765 Male, age 55, unknown 33.9
2004 Male, age 61, right hemisphere 32.6
1771 Male, age 80, left hemisphere 29.0
1792 Male, age 74, unknown 26.7
2176 Female, age 91, right hemisphere 26.1
1835 Female, age 85, right hemisphere 24.8
1767 Male, age 76, left hemisphere 24.5
Vermis
nTPM: 29.1
2834 Male, age 80, left hemisphere 33.9
1928 Female, age 72, unknown 32.1
1751 Male, age 74, right hemisphere 31.7
1766 Male, age 55, unknown 31.2
2460 Male, age 61, both hemispheres 30.0
1778 Female, age 91, left hemisphere 29.7
1770 Male, age 76, left hemisphere 26.9
1825 Male, age 74, unknown 25.4
1988 Female, age 85, left hemisphere 20.7

CEREBELLUM - GTEx RNA-seqi

RNA-Seq data generated by the Genotype-Tissue Expression (GTEx) project from human tissues is reported as mean nTPM. More information can be found on the GTEx portal.

Distribution across the dataset is visualized with box plots, shown as median and 25th and 75th percentiles. Points are displayed as outliers if they are above or below 1.5 times the interquartile range. nTPM values of the individual samples are presented next to the box plot.
Max subtype nTPMi

Max subtype nTPM is the value for the subtype with the largest average nTPM across the subtype samples.

25.2
GTEx sample id Sample description nTPM
Brain - Cerebellar Hemisphere
Average nTPM: 25.2
Samples: 215

Max nTPM: 43.2
Min nTPM: 18.4
Std nTPM: 3.7
Median nTPM: 24.6
GTEX-1B8SG-0011-R11a-SM-7P8PF 50-59 years, male 43.2
GTEX-16Z82-0011-R11a-SM-79OKJ 60-69 years, male 37.0
GTEX-12WSC-0011-R11a-SM-5GU5J 50-59 years, male 34.9
GTEX-13X6J-0011-R11a-SM-5P9HE 50-59 years, male 34.9
GTEX-1F75A-0011-R11a-SM-AHZ35 50-59 years, male 33.0
GTEX-11ZUS-0011-R11b-SM-5BC7B 30-39 years, male 32.9
GTEX-1CB4G-0011-R11a-SM-9OSWG 60-69 years, male 32.8
GTEX-1C64N-0011-R11b-SM-7P8Q6 50-59 years, male 32.4
GTEX-1F75W-0011-R11b-SM-AHZ34 60-69 years, male 32.2
GTEX-S7SE-0011-R11A-SM-2XCDD 50-59 years, male 31.8
GTEX-1313W-0011-R11a-SM-5DUXN 50-59 years, female 31.6
GTEX-17EVP-0011-R11a-SM-7EWDL 40-49 years, male 31.4
GTEX-N7MS-0011-R11A-SM-2HMJS 60-69 years, male 31.3
GTEX-12126-0011-R11a-SM-5BC6X 20-29 years, male 30.9
GTEX-14E7W-0011-R11a-SM-5ZZVA 70-79 years, male 30.9
GTEX-T2IS-0011-R11A-SM-32QPC 20-29 years, female 30.9
GTEX-1B933-0011-R11a-SM-7P8PM 50-59 years, female 30.8
GTEX-WHSE-0011-R11A-SM-3P5YY 20-29 years, male 30.7
GTEX-WL46-0011-R11A-SM-3MJFT 50-59 years, male 30.6
GTEX-15CHQ-0011-R11b-SM-686ZZ 60-69 years, male 30.4
GTEX-1EMGI-0011-R11b-SM-9OSWX 60-69 years, male 30.3
GTEX-1F6I4-0011-R11b-SM-9OSWS 60-69 years, male 30.3
GTEX-16YQH-0011-R11b-SM-7LT98 30-39 years, male 30.2
GTEX-12WSI-0011-R11b-SM-5P9EZ 50-59 years, male 30.1
GTEX-1R9PO-0011-R11b-SM-EZ6NB 60-69 years, female 30.1
GTEX-14ASI-0011-R11b-SM-6AJBJ 60-69 years, male 30.0
GTEX-1CAV2-0011-R11a-SM-ARU8D 40-49 years, female 30.0
GTEX-1GF9W-0011-R11b-SM-9OSXG 60-69 years, male 30.0
GTEX-ZVZQ-0011-R11a-SM-51MS6 60-69 years, female 29.9
GTEX-1R9K4-0011-R11a-SM-EZ6N9 60-69 years, male 29.9
GTEX-145MH-0011-R11a-SM-5P9HQ 50-59 years, male 29.8
GTEX-131XH-0011-R11a-SM-5EGLN 50-59 years, male 29.7
GTEX-1IGQW-0011-R11a-SM-C1YRV 60-69 years, male 29.6
GTEX-12WSH-0011-R11a-SM-5LZVM 50-59 years, male 29.5
GTEX-1F7RK-0011-R11b-SM-9QEI2 20-29 years, female 29.5
GTEX-13NYB-0011-R11a-SM-5KM3Q 40-49 years, male 29.3
GTEX-1HBPI-0011-R11b-SM-CE6SH 50-59 years, male 29.3
GTEX-11ZTS-0011-R11a-SM-DO113 60-69 years, female 29.2
GTEX-ZUA1-0011-R11b-SM-51MTI 40-49 years, male 28.9
GTEX-13FLV-0011-R11a-SM-5LZZ7 50-59 years, male 28.8
GTEX-1IKK5-0011-R11a-SM-C1YRX 60-69 years, male 28.8
GTEX-12ZZZ-0011-R11a-SM-5EGLC 60-69 years, male 28.7
GTEX-X585-0011-R11B-SM-46MUZ 50-59 years, male 28.6
GTEX-1GZ4I-0011-R11b-SM-9OSWR 50-59 years, male 28.6
GTEX-1EKGG-0011-R11a-SM-9QEHZ 60-69 years, male 28.5
GTEX-WWYW-0011-R11A-SM-3NB38 50-59 years, female 28.3
GTEX-18A6Q-0011-R11a-SM-72D6H 60-69 years, male 28.0
GTEX-1HGF4-0011-R11a-SM-C1YRR 60-69 years, male 28.0
GTEX-14ABY-0011-R11a-SM-5SI7C 50-59 years, male 27.9
GTEX-1I1GR-0011-R11a-SM-CM2T5 60-69 years, male 27.9
GTEX-1HSKV-0011-R11b-SM-AHZ2E 60-69 years, male 27.8
GTEX-1N2EE-0011-R11b-SM-EXOIJ 60-69 years, male 27.8
GTEX-1JJ6O-0011-R11b-SM-EXUS2 60-69 years, male 27.7
GTEX-14C5O-0011-R11b-SM-6872H 60-69 years, male 27.6
GTEX-1E1VI-0011-R11a-SM-9OSWI 50-59 years, male 27.6
GTEX-1HCU6-0011-R11b-SM-AHZ2F 60-69 years, female 27.5
GTEX-17HG3-0011-R11b-SM-7KFT4 30-39 years, female 27.4
GTEX-16GPK-0011-R11b-SM-7MKFF 60-69 years, male 27.3
GTEX-WZTO-0011-R11A-SM-4E3K9 40-49 years, male 27.2
GTEX-1LG7Y-0011-R11a-SM-EXOIH 50-59 years, male 27.2
GTEX-11DXY-0011-R11a-SM-DNZZN 60-69 years, male 27.1
GTEX-13VXU-0011-R11b-SM-5O9DJ 50-59 years, male 26.9
GTEX-P44H-0011-R11A-SM-2XCER 40-49 years, male 26.8
GTEX-1JJEA-0011-R11a-SM-EXUTE 60-69 years, male 26.8
GTEX-1M4P7-0011-R11b-SM-EXOIK 60-69 years, male 26.8
GTEX-132Q8-0011-R11b-SM-5DUW9 60-69 years, male 26.6
GTEX-13JUV-0011-R11a-SM-5LZYH 40-49 years, female 26.6
GTEX-17HII-0011-R11b-SM-7KFSX 50-59 years, male 26.6
GTEX-1I1GQ-0011-R11b-SM-CKZPA 50-59 years, male 26.5
GTEX-1H4P4-0011-R11b-SM-CE6S8 50-59 years, male 26.3
GTEX-15G19-0011-R11b-SM-6LPIH 60-69 years, male 26.2
GTEX-NL4W-0011-R11A-SM-2I3DW 50-59 years, male 26.2
GTEX-1GN73-0011-R11b-SM-9OSX4 60-69 years, male 26.2
GTEX-1JMQJ-0011-R11a-SM-EXOJY 50-59 years, male 26.2
GTEX-TSE9-0011-R11A-SM-3DB7N 60-69 years, female 26.1
GTEX-X261-0011-R11A-SM-4E3JY 50-59 years, male 26.1
GTEX-Z93S-0011-R11a-SM-4RGNN 50-59 years, male 26.1
GTEX-1IY9M-0011-R11b-SM-A96TI 60-69 years, male 26.1
GTEX-11H98-0011-R11b-SM-5NQ6U 50-59 years, male 25.9
GTEX-1GMR8-0011-R11b-SM-9OSX2 50-59 years, female 25.9
GTEX-1AX9I-0011-R11b-SM-7DHN4 60-69 years, male 25.8
GTEX-13OW6-0011-R11a-SM-5L3H2 50-59 years, male 25.7
GTEX-13X6I-0011-R11a-SM-5P9HN 60-69 years, male 25.6
GTEX-1LSVX-0011-R11b-SM-EXOIA 60-69 years, male 25.6
GTEX-13G51-0011-R11b-SM-5J2NE 60-69 years, male 25.4
GTEX-N7MT-0011-R11A-SM-2I3DZ 60-69 years, female 25.4
GTEX-YJ89-0011-R11a-SM-4SOKA 60-69 years, male 25.4
GTEX-1H1CY-0011-R11a-SM-C1YQR 60-69 years, female 25.4
GTEX-13FXS-0011-R11a-SM-5L3DM 50-59 years, male 25.3
GTEX-11PRG-0011-R11b-SM-DNZZY 50-59 years, male 25.3
GTEX-11TTK-0011-R11b-SM-DO112 60-69 years, female 25.3
GTEX-1GTWX-0011-R11b-SM-C1YQJ 60-69 years, male 25.2
GTEX-1IDJH-0011-R11b-SM-C1YRT 70-79 years, male 25.2
GTEX-UTHO-0011-R11A-SM-3GIJE 60-69 years, male 25.1
GTEX-X4EP-0011-R11B-SM-4QASK 60-69 years, female 25.1
GTEX-1IL2V-0011-R11a-SM-ARU6T 70-79 years, male 25.1
GTEX-12WSM-0011-R11a-SM-5DUX8 60-69 years, male 25.0
GTEX-1HFI6-0011-R11b-SM-A96RU 40-49 years, male 25.0
GTEX-15EO6-0011-R11b-SM-6M47M 50-59 years, male 24.9
GTEX-15ER7-0011-R11a-SM-6LPIL 20-29 years, female 24.9
GTEX-11DYG-0011-R11a-SM-DNZZP 60-69 years, male 24.8
GTEX-Y8DK-0011-R11A-SM-4SOK2 60-69 years, male 24.7
GTEX-1HB9E-0011-R11b-SM-ARU79 50-59 years, male 24.7
GTEX-1I1GS-0011-R11a-SM-C1YRU 60-69 years, male 24.7
GTEX-15DYW-0011-R11a-SM-6LPIT 60-69 years, female 24.6
GTEX-NL3H-0011-R11A-SM-2I3E6 60-69 years, male 24.6
GTEX-1F48J-0011-R11b-SM-9OSWV 50-59 years, female 24.6
GTEX-1F52S-0011-R11a-SM-CJI23 60-69 years, female 24.6
GTEX-13X6K-0011-R11a-SM-5P9F5 60-69 years, female 24.5
GTEX-1KD4Q-0011-R11b-SM-EXOIE 40-49 years, male 24.5
GTEX-13OVL-0011-R11b-SM-5L3G7 50-59 years, male 24.4
GTEX-1B8L1-0011-R11b-SM-793DJ 60-69 years, male 24.4
GTEX-QDT8-0011-R11A-SM-32PKD 30-39 years, female 24.4
GTEX-14E6D-0011-R11b-SM-664NP 50-59 years, male 24.3
GTEX-1N2DW-0011-R11b-SM-EXOIL 50-59 years, male 24.2
GTEX-13SLX-0011-R11b-SM-5O9C8 50-59 years, female 24.1
GTEX-T5JC-0011-R11A-SM-32PMB 20-29 years, male 24.1
GTEX-T6MN-0011-R11A-SM-32QOX 50-59 years, male 24.1
GTEX-ZE7O-0011-R11a-SM-57WBC 50-59 years, female 24.1
GTEX-12WSF-0011-R11a-SM-5LZVT 70-79 years, male 24.0
GTEX-131XW-0011-R11a-SM-5DUV9 50-59 years, female 23.9
GTEX-13NYS-0011-R11b-SM-5MR4P 60-69 years, male 23.9
GTEX-1JMOU-0011-R11b-SM-EXUTA 60-69 years, female 23.9
GTEX-1LKK1-0011-R11a-SM-EXOIG 50-59 years, female 23.9
GTEX-139TT-0011-R11b-SM-5LZV1 60-69 years, male 23.8
GTEX-13OW7-0011-R11a-SM-5O9DY 50-59 years, male 23.8
GTEX-YFC4-0011-R11a-SM-4SOK6 40-49 years, female 23.8
GTEX-11DZ1-0011-R11b-SM-DO11W 50-59 years, male 23.8
GTEX-15DCD-0011-R11a-SM-D4P1R 70-79 years, female 23.8
GTEX-1B8SF-0011-R11a-SM-79OOP 60-69 years, male 23.7
GTEX-1I1GV-0011-R11a-SM-CJI3Z 60-69 years, male 23.7
GTEX-1GMRU-0011-R11b-SM-C1YQ4 50-59 years, male 23.6
GTEX-17JCI-0011-R11a-SM-7189Y 60-69 years, female 23.5
GTEX-18465-0011-R11a-SM-72D78 50-59 years, male 23.5
GTEX-12WSD-0011-R11a-SM-9OSVC 60-69 years, female 23.5
GTEX-1IKOH-0011-R11a-SM-AHZ38 60-69 years, female 23.5
GTEX-12ZZX-0011-R11a-SM-5DUVJ 40-49 years, female 23.4
GTEX-ZDXO-0011-R11a-SM-4WWD9 60-69 years, male 23.4
GTEX-1I19N-0011-R11b-SM-ARU6Y 70-79 years, male 23.4
GTEX-1IL2U-0011-R11a-SM-CE6SO 60-69 years, male 23.4
GTEX-13O3Q-0011-R11b-SM-5KM2W 50-59 years, male 23.3
GTEX-1GZHY-0011-R11a-SM-C1YRQ 50-59 years, female 23.3
GTEX-RU72-0011-R11A-SM-CM2U1 50-59 years, female 23.3
GTEX-13OW8-0011-R11a-SM-5L3GT 60-69 years, male 23.2
GTEX-144GL-0011-R11b-SM-5P9F6 50-59 years, male 23.2
GTEX-14PN4-0011-R11a-SM-686ZW 50-59 years, male 23.2
GTEX-1LVAO-0011-R11b-SM-EXOI8 60-69 years, male 23.2
GTEX-1H1ZS-0011-R11a-SM-C1YQM 70-79 years, male 23.1
GTEX-11OF3-0011-R11a-SM-57WCR 60-69 years, male 23.0
GTEX-13QIC-0011-R11b-SM-5O9BU 60-69 years, female 23.0
GTEX-1H3O1-0011-R11a-SM-A96RV 60-69 years, male 23.0
GTEX-ZE9C-0011-R11a-SM-4WKGG 60-69 years, male 22.9
GTEX-13RTJ-0011-R11a-SM-5O9CK 60-69 years, male 22.8
GTEX-1A3MX-0011-R11b-SM-7DUGP 60-69 years, male 22.8
GTEX-13PLJ-0011-R11b-SM-5O9BS 60-69 years, female 22.6
GTEX-X4XX-0011-R11A-SM-46MWQ 60-69 years, male 22.6
GTEX-1I1HK-0011-R11a-SM-B2LVN 60-69 years, male 22.6
GTEX-12WSE-0011-R11b-SM-5P9JW 20-29 years, male 22.5
GTEX-1399T-0011-R11a-SM-5J2O1 60-69 years, male 22.5
GTEX-ZVT3-0011-R11b-SM-57WBI 60-69 years, female 22.5
GTEX-13S7M-0011-R11b-SM-5P9HU 60-69 years, female 22.4
GTEX-17F97-0011-R11b-SM-7KFRQ 50-59 years, male 22.4
GTEX-1BAJH-0011-R11b-SM-7IGLM 70-79 years, male 22.4
GTEX-1H3NZ-0011-R11b-SM-CE6SF 60-69 years, male 22.4
GTEX-14C39-0011-R11b-SM-5YYAF 40-49 years, male 22.3
GTEX-13FTY-0011-R11a-SM-5IJEA 40-49 years, female 22.2
GTEX-P44G-0011-R11A-SM-2I3FD 30-39 years, male 22.2
GTEX-1J8EW-0011-R11a-SM-AHZ37 60-69 years, female 22.2
GTEX-WVLH-0011-R11A-SM-3MJFO 50-59 years, male 22.1
GTEX-1H3VE-0011-R11b-SM-C1YRP 40-49 years, male 22.0
GTEX-13O3O-0011-R11b-SM-5KM4G 60-69 years, female 21.9
GTEX-14BIN-0011-R11a-SM-5SI79 50-59 years, female 21.9
GTEX-1J1OQ-0011-R11a-SM-A96S3 40-49 years, female 21.9
GTEX-11GSP-0011-R11b-SM-5NQ7V 60-69 years, female 21.7
GTEX-139UW-0011-R11a-SM-5IJGN 60-69 years, male 21.7
GTEX-13NZA-0011-R11b-SM-5KM4W 60-69 years, male 21.7
GTEX-QMR6-0011-R11A-SM-32PKK 50-59 years, male 21.7
GTEX-13CF2-0011-R11b-SM-5LZXO 60-69 years, male 21.6
GTEX-13FHP-0011-R11b-SM-5LZXP 50-59 years, male 21.6
GTEX-13N2G-0011-R11a-SM-5MR3F 60-69 years, male 21.6
GTEX-131YS-0011-R11b-SM-5EGLM 60-69 years, female 21.5
GTEX-13FHO-0011-R11b-SM-5LZYQ 60-69 years, male 21.5
GTEX-16XZZ-0011-R11a-SM-7EPI3 60-69 years, male 21.5
GTEX-183WM-0011-R11a-SM-718A5 70-79 years, female 21.5
GTEX-1H1DG-0011-R11a-SM-C1YQK 70-79 years, male 21.3
GTEX-1J8Q2-0011-R11a-SM-A9SKI 60-69 years, male 21.3
GTEX-OHPN-0011-R11A-SM-2I5FM 60-69 years, female 21.2
GTEX-11EMC-0011-R11b-SM-DNZZK 60-69 years, female 21.2
GTEX-1ICLZ-0011-R11a-SM-CJI3N 60-69 years, male 21.2
GTEX-1IOXB-0011-R11a-SM-A9G1X 50-59 years, male 21.2
GTEX-13OVH-0011-R11b-SM-5KM4X 70-79 years, male 21.1
GTEX-13SLW-0011-R11a-SM-5SI8Q 70-79 years, male 21.1
GTEX-145LU-0011-R11b-SM-5P9JX 50-59 years, male 21.1
GTEX-11EI6-0011-R11a-SM-DO11V 60-69 years, male 21.1
GTEX-ZF28-0011-R11a-SM-4WWEI 60-69 years, male 20.9
GTEX-17EVQ-0011-R11a-SM-7LT9C 70-79 years, male 20.8
GTEX-ZAB4-0011-R11a-SM-4SOKI 40-49 years, male 20.8
GTEX-11WQC-0011-R11b-SM-57WD6 60-69 years, male 20.6
GTEX-145MI-0011-R11a-SM-5P9JZ 60-69 years, female 20.4
GTEX-14BIM-0011-R11b-SM-5S2RN 60-69 years, female 20.3
GTEX-18464-0011-R11a-SM-72D76 50-59 years, male 20.3
GTEX-RVPV-0011-R11A-SM-2TF6F 60-69 years, male 20.3
GTEX-Q2AG-0011-R11A-SM-2HMKZ 40-49 years, female 20.2
GTEX-13PVQ-0011-R11a-SM-5O9DU 50-59 years, male 20.1
GTEX-XMD1-0011-R11A-SM-4AT5J 60-69 years, male 20.1
GTEX-NPJ7-0011-R11A-SM-2I3E8 60-69 years, female 20.0
GTEX-13OVJ-0011-R11a-SM-5P9H8 50-59 years, female 19.9
GTEX-13OW5-0011-R11b-SM-5L3GG 60-69 years, male 19.9
GTEX-13JVG-0011-R11a-SM-5KM53 60-69 years, male 19.8
GTEX-R55E-0011-R11A-SM-2TC6I 20-29 years, male 19.8
GTEX-14DAQ-0011-R11a-SM-664NO 60-69 years, female 19.4
GTEX-NPJ8-0011-R11A-SM-2YUMS 40-49 years, male 19.2
GTEX-1HUB1-0011-R11b-SM-CE6SC 60-69 years, male 19.2
GTEX-13CZV-0011-R11b-SM-5N9FN 60-69 years, male 18.4
GTEX-16NPV-0011-R11a-SM-7IGMK 50-59 years, female 18.4
Show allShow less
Brain - Cerebellum
Average nTPM: 22.0
Samples: 241

Max nTPM: 32.9
Min nTPM: 15.5
Std nTPM: 2.3
Median nTPM: 21.6
GTEX-1C6WA-3326-SM-7MKGN 60-69 years, male 32.9
GTEX-1BAJH-3126-SM-7MGXY 70-79 years, male 29.8
GTEX-WHSE-2926-SM-3NMBG 20-29 years, male 28.6
GTEX-1GF9V-3026-SM-7P8R8 60-69 years, male 27.9
GTEX-1PIIG-2826-SM-DTX7O 30-39 years, male 27.5
GTEX-ZAJG-3026-SM-5HL92 50-59 years, female 27.1
GTEX-13JUV-3026-SM-5K7WX 40-49 years, female 26.9
GTEX-1PWST-3026-SM-EAZ3H 70-79 years, male 26.8
GTEX-1EMGI-3126-SM-7MXUR 60-69 years, male 26.6
GTEX-1192X-3226-SM-5987D 50-59 years, male 26.1
GTEX-12WSC-2926-SM-5BC5Z 50-59 years, male 26.1
GTEX-13112-2926-SM-5DUWT 50-59 years, male 25.9
GTEX-14A5I-2826-SM-5SIBF 50-59 years, female 25.8
GTEX-PVOW-2626-SM-32PL8 40-49 years, male 25.8
GTEX-1F6IF-3026-SM-7P8QN 60-69 years, male 25.8
GTEX-1B996-2926-SM-7MXUH 60-69 years, male 25.5
GTEX-11GSP-3126-SM-5A5LL 60-69 years, female 25.4
GTEX-131XH-2926-SM-5LZU4 50-59 years, male 25.4
GTEX-1F48J-2726-SM-7P8PW 50-59 years, female 25.3
GTEX-11ONC-3026-SM-5985W 60-69 years, male 25.2
GTEX-12WSE-2926-SM-5RQJ9 20-29 years, male 25.2
GTEX-T2IS-2926-SM-32QPO 20-29 years, female 25.1
GTEX-WWYW-3026-SM-3NB36 50-59 years, female 25.0
GTEX-R55E-2526-SM-2TC6H 20-29 years, male 24.8
GTEX-X4EP-3026-SM-3P5YP 60-69 years, female 24.8
GTEX-1GF9W-2726-SM-9JGGW 60-69 years, male 24.8
GTEX-1JN1M-3126-SM-AHZ4E 60-69 years, female 24.8
GTEX-1RDX4-3226-SM-DPS14 50-59 years, female 24.7
GTEX-12ZZY-2926-SM-5DUXO 60-69 years, male 24.5
GTEX-12126-0926-SM-5FQTW 20-29 years, male 24.4
GTEX-ZAB4-2926-SM-57WCV 40-49 years, male 24.3
GTEX-1GZHY-3026-SM-7MXVA 50-59 years, female 24.3
GTEX-11GSO-3026-SM-5Q5AL 60-69 years, male 24.1
GTEX-18A6Q-2826-SM-7LTAO 60-69 years, male 24.1
GTEX-1B8SG-1926-SM-73KUB 50-59 years, male 24.1
GTEX-1MJK2-3026-SM-EV7A5 50-59 years, male 24.1
GTEX-1RQEC-3026-SM-DPRXM 60-69 years, male 24.1
GTEX-11NUK-3026-SM-5986K 50-59 years, male 24.0
GTEX-1313W-3026-SM-5LZUZ 50-59 years, female 23.9
GTEX-13OVL-3026-SM-5IJF1 50-59 years, male 23.9
GTEX-RU72-2926-SM-2TF66 50-59 years, female 23.9
GTEX-1H3VE-2826-SM-9WPOL 40-49 years, male 23.9
GTEX-145MG-3126-SM-5Q5D3 50-59 years, male 23.8
GTEX-15ER7-3026-SM-6M47W 20-29 years, female 23.8
GTEX-WVLH-2926-SM-3MJG5 50-59 years, male 23.8
GTEX-ZYFD-2926-SM-5GID9 50-59 years, male 23.8
GTEX-1POEN-2726-SM-E9U6B 30-39 years, female 23.8
GTEX-1LSVX-2826-SM-EVR58 60-69 years, male 23.7
GTEX-12WSD-3026-SM-5LZU7 60-69 years, female 23.6
GTEX-1HB9E-3126-SM-AHZ4M 50-59 years, male 23.6
GTEX-QVUS-2926-SM-3GIJB 60-69 years, female 23.5
GTEX-ZAK1-2926-SM-5HL9S 50-59 years, female 23.5
GTEX-1IKOH-2826-SM-CNNRC 60-69 years, female 23.5
GTEX-1NV8Z-3026-SM-DTX8Z 60-69 years, male 23.5
GTEX-11DZ1-2926-SM-5A5KI 50-59 years, male 23.4
GTEX-14PJO-2926-SM-686ZI 60-69 years, male 23.4
GTEX-1H1CY-3026-SM-9OSW7 60-69 years, female 23.4
GTEX-1JMQJ-3126-SM-EV79G 50-59 years, male 23.4
GTEX-12ZZX-2826-SM-5BC6K 40-49 years, female 23.3
GTEX-14PJM-3026-SM-6LLHM 50-59 years, female 23.3
GTEX-T5JC-2326-SM-32PMR 20-29 years, male 23.3
GTEX-1F75A-2926-SM-7MXVN 50-59 years, male 23.3
GTEX-139TT-2626-SM-5LZUB 60-69 years, male 23.2
GTEX-13PVQ-2926-SM-5L3HJ 50-59 years, male 23.2
GTEX-ZZPT-2926-SM-5EQ5S 50-59 years, male 23.2
GTEX-1R9PO-2826-SM-E6CPV 60-69 years, female 23.2
GTEX-RNOR-2226-SM-2TF5O 50-59 years, female 23.1
GTEX-1F6I4-3026-SM-7P8SI 60-69 years, male 23.1
GTEX-11DXW-1026-SM-5H11K 40-49 years, male 23.0
GTEX-WZTO-2826-SM-3NM8P 40-49 years, male 23.0
GTEX-X261-3126-SM-4PQZC 50-59 years, male 23.0
GTEX-1RNSC-3126-SM-EVR4V 60-69 years, male 23.0
GTEX-13VXU-3026-SM-5LU3K 50-59 years, male 22.9
GTEX-15DYW-3026-SM-7KFRM 60-69 years, female 22.9
GTEX-17EVP-2926-SM-793BU 40-49 years, male 22.9
GTEX-11NV4-2226-SM-5BC4T 60-69 years, male 22.8
GTEX-13OVJ-2726-SM-5IJG6 50-59 years, female 22.8
GTEX-17JCI-3026-SM-7EWDR 60-69 years, female 22.8
GTEX-11EI6-2926-SM-5985U 60-69 years, male 22.7
GTEX-1399T-3126-SM-5IJFS 60-69 years, male 22.7
GTEX-1JJE9-3026-SM-CNNPA 70-79 years, male 22.7
GTEX-13NYB-3226-SM-5J2ND 40-49 years, male 22.6
GTEX-14ABY-3026-SM-664NE 50-59 years, male 22.6
GTEX-14C5O-2926-SM-5RQI1 60-69 years, male 22.6
GTEX-T6MN-2526-SM-32PMN 50-59 years, male 22.6
GTEX-UTHO-2926-SM-3P5Z9 60-69 years, male 22.6
GTEX-1B8L1-3226-SM-7P8OX 60-69 years, male 22.6
GTEX-1EX96-3126-SM-9JGGC 50-59 years, male 22.6
GTEX-1F75W-3126-SM-7P8SJ 60-69 years, male 22.6
GTEX-117XS-3126-SM-5GIDP 60-69 years, male 22.5
GTEX-11DXY-3126-SM-5N9BT 60-69 years, male 22.5
GTEX-145MF-2826-SM-7EPGU 50-59 years, male 22.5
GTEX-147F4-3026-SM-5Q5BJ 50-59 years, male 22.5
GTEX-WL46-2826-SM-3LK81 50-59 years, male 22.5
GTEX-ZDXO-2926-SM-4WKFM 60-69 years, male 22.5
GTEX-1IY9M-3126-SM-AHZ3A 60-69 years, male 22.5
GTEX-14JIY-2326-SM-6AJAJ 60-69 years, male 22.4
GTEX-ZUA1-2926-SM-59HL3 40-49 years, male 22.4
GTEX-1H1ZS-2926-SM-9WPP2 70-79 years, male 22.4
GTEX-11ZUS-2826-SM-5EQKW 30-39 years, male 22.3
GTEX-13FXS-3026-SM-5LZYO 50-59 years, male 22.3
GTEX-13O3O-3026-SM-5KM42 60-69 years, female 22.2
GTEX-145LS-3026-SM-5O99S 60-69 years, female 22.2
GTEX-TSE9-2926-SM-3DB77 60-69 years, female 22.2
GTEX-1R46S-3126-SM-DPRZ9 60-69 years, female 22.2
GTEX-111FC-3326-SM-5GZYV 60-69 years, male 22.1
GTEX-13JVG-3226-SM-5IJGJ 60-69 years, male 22.1
GTEX-13X6K-2826-SM-5O9DS 60-69 years, female 22.1
GTEX-17HG3-2826-SM-7EPGO 30-39 years, female 22.1
GTEX-1QP6S-3026-SM-EAZ4N 40-49 years, male 22.1
GTEX-13X6J-2926-SM-7EPGP 50-59 years, male 22.0
GTEX-14PN4-3026-SM-664O4 50-59 years, male 22.0
GTEX-1F52S-3026-SM-7P8PV 60-69 years, female 22.0
GTEX-13OW5-3126-SM-5MR3Y 60-69 years, male 21.9
GTEX-14ASI-2926-SM-5Q5DG 60-69 years, male 21.9
GTEX-1CB4G-2926-SM-7MKFQ 60-69 years, male 21.8
GTEX-N7MS-2526-SM-2D7W3 60-69 years, male 21.8
GTEX-13SLX-3226-SM-5YYA6 50-59 years, female 21.7
GTEX-S7SE-2526-SM-2XCDL 50-59 years, male 21.7
GTEX-1LG7Y-3126-SM-EV7AS 50-59 years, male 21.7
GTEX-13OW6-2926-SM-5KM29 50-59 years, male 21.6
GTEX-1GZ2Q-3026-SM-9JGG3 40-49 years, male 21.6
GTEX-1QEPI-3026-SM-EXOIW 60-69 years, female 21.6
GTEX-11OC5-0626-SM-5HL6M 60-69 years, male 21.5
GTEX-131YS-3026-SM-5EGHY 60-69 years, female 21.5
GTEX-139TS-3126-SM-5LZWX 60-69 years, male 21.5
GTEX-13O3Q-3026-SM-5IJGD 50-59 years, male 21.5
GTEX-13X6I-2926-SM-5Q5C3 60-69 years, male 21.5
GTEX-145MH-2926-SM-5Q5D2 50-59 years, male 21.5
GTEX-14BMV-2926-SM-5TDEE 50-59 years, male 21.5
GTEX-YJ89-2926-SM-5P9IT 60-69 years, male 21.5
GTEX-1H4P4-2726-SM-9JGGB 50-59 years, male 21.5
GTEX-N7MT-1226-SM-DKPOK 60-69 years, female 21.5
GTEX-13N2G-3126-SM-5IJGL 60-69 years, male 21.4
GTEX-OHPN-2626-SM-2I5H1 60-69 years, female 21.4
GTEX-Q2AG-2826-SM-2HMJQ 40-49 years, female 21.4
GTEX-1JMQK-2926-SM-D4P2T 60-69 years, male 21.4
GTEX-1EH9U-3126-SM-7MXU5 60-69 years, male 21.3
GTEX-1I1HK-2726-SM-AHZ2M 60-69 years, male 21.3
GTEX-12WSH-3126-SM-5LZW8 50-59 years, male 21.2
GTEX-13S7M-3026-SM-5S2QQ 60-69 years, female 21.2
GTEX-1IL2V-3026-SM-CYPSA 70-79 years, male 21.2
GTEX-11TTK-2826-SM-5GU5K 60-69 years, female 21.1
GTEX-13OW8-2926-SM-5L3FV 60-69 years, male 21.1
GTEX-QDT8-3026-SM-32PKB 30-39 years, female 21.1
GTEX-132Q8-2926-SM-5IFFP 60-69 years, male 21.0
GTEX-13OW7-2926-SM-5MR3Z 50-59 years, male 21.0
GTEX-17HHY-2926-SM-79OJW 50-59 years, male 21.0
GTEX-Z93S-2826-SM-57WBL 50-59 years, male 21.0
GTEX-1I1GV-3026-SM-CNNR9 60-69 years, male 21.0
GTEX-11PRG-2826-SM-5BC54 50-59 years, male 20.9
GTEX-12WSM-2126-SM-5GCOC 60-69 years, male 20.9
GTEX-13CF2-3026-SM-5IFFX 60-69 years, male 20.9
GTEX-16Z82-2926-SM-6LPJJ 60-69 years, male 20.9
GTEX-1C64N-3126-SM-79OO3 50-59 years, male 20.9
GTEX-Y8DK-0726-SM-4TT3S 60-69 years, male 20.9
GTEX-1GN73-3026-SM-7MXV8 60-69 years, male 20.9
GTEX-1JJEA-2926-SM-C1YSK 60-69 years, male 20.9
GTEX-16XZZ-2926-SM-6LPK4 60-69 years, male 20.8
GTEX-1EWIQ-3026-SM-7IGOJ 70-79 years, female 20.8
GTEX-X4XX-2926-SM-3NMB1 60-69 years, male 20.8
GTEX-1H1DG-2826-SM-9JGHB 70-79 years, male 20.8
GTEX-1H3O1-1826-SM-A96TO 60-69 years, male 20.8
GTEX-1JMPZ-2826-SM-C1YRA 30-39 years, male 20.8
GTEX-11ZVC-3026-SM-59HJM 50-59 years, female 20.7
GTEX-14BIN-3326-SM-5Q5E6 50-59 years, female 20.7
GTEX-14JFF-2826-SM-6871Q 60-69 years, male 20.7
GTEX-NPJ7-2826-SM-2I3FU 60-69 years, female 20.7
GTEX-ZYY3-3026-SM-5GIEJ 60-69 years, female 20.7
GTEX-1GTWX-2926-SM-7MXV4 60-69 years, male 20.7
GTEX-1KWVE-2226-SM-CXZKN 30-39 years, male 20.7
GTEX-1269C-3126-SM-5EGI6 60-69 years, female 20.6
GTEX-13OVH-2926-SM-5IJFH 70-79 years, male 20.6
GTEX-15SHU-3026-SM-6LPIB 40-49 years, female 20.6
GTEX-1H3NZ-2926-SM-9WPQ8 60-69 years, male 20.6
GTEX-1HSKV-2926-SM-B2LWJ 60-69 years, male 20.6
GTEX-P44G-2526-SM-2I5EK 30-39 years, male 20.5
GTEX-Y111-2826-SM-4TT3O 50-59 years, male 20.5
GTEX-ZF28-2926-SM-4WKG1 60-69 years, male 20.5
GTEX-13FHP-2926-SM-5IJG9 50-59 years, male 20.4
GTEX-13QIC-3026-SM-5LU58 60-69 years, female 20.4
GTEX-145LU-2626-SM-5LU9Z 50-59 years, male 20.4
GTEX-14E6D-2926-SM-664OP 50-59 years, male 20.4
GTEX-14JG1-2926-SM-686ZK 40-49 years, male 20.4
GTEX-PWO3-1026-SM-2I5F2 60-69 years, female 20.4
GTEX-1IDJH-3126-SM-C1YQS 70-79 years, male 20.4
GTEX-12ZZZ-3126-SM-5LZU6 60-69 years, male 20.3
GTEX-1A3MX-2926-SM-718B7 60-69 years, male 20.3
GTEX-1C6VR-3026-SM-7IGLW 60-69 years, male 20.3
GTEX-1I1CD-2926-SM-A96SJ 60-69 years, female 20.3
GTEX-1E1VI-2926-SM-7IGLT 50-59 years, male 20.2
GTEX-1P4AB-3026-SM-EXOJS 50-59 years, male 20.2
GTEX-11DYG-2926-SM-5H132 60-69 years, male 20.1
GTEX-ZVT3-2926-SM-5GU6M 60-69 years, female 20.1
GTEX-14E7W-2926-SM-5S2R8 70-79 years, male 20.0
GTEX-183WM-2726-SM-7KFRF 70-79 years, female 20.0
GTEX-18465-2926-SM-7KFSE 50-59 years, male 20.0
GTEX-1B933-3026-SM-731DB 50-59 years, female 20.0
GTEX-YFC4-3026-SM-5IFJK 40-49 years, female 20.0
GTEX-13FHO-2926-SM-5L3ES 60-69 years, male 19.9
GTEX-14DAQ-3026-SM-5S2QZ 60-69 years, female 19.9
GTEX-15G19-2826-SM-6M48K 60-69 years, male 19.9
GTEX-1JMOU-2826-SM-EV79R 60-69 years, female 19.9
GTEX-15EO6-2926-SM-6M48D 50-59 years, male 19.8
GTEX-16YQH-2926-SM-6LPJE 30-39 years, male 19.8
GTEX-XMD1-2826-SM-4AT5F 60-69 years, male 19.8
GTEX-1KD4Q-3026-SM-EV7A7 40-49 years, male 19.8
GTEX-11O72-2826-SM-5HL6W 40-49 years, male 19.7
GTEX-11ZTS-3226-SM-5EGID 60-69 years, female 19.7
GTEX-17F97-2926-SM-7DUEQ 50-59 years, male 19.7
GTEX-11EMC-3326-SM-5P9JH 60-69 years, female 19.6
GTEX-13RTJ-3126-SM-5S2Q4 60-69 years, male 19.6
GTEX-147GR-3126-SM-5S2PM 60-69 years, male 19.6
GTEX-QMR6-1326-SM-32PLB 50-59 years, male 19.6
GTEX-1HBPI-2726-SM-9WPPF 50-59 years, male 19.6
GTEX-1HBPH-3026-SM-9WPNY 40-49 years, female 19.5
GTEX-1128S-2826-SM-5N9DI 60-69 years, female 19.4
GTEX-1EKGG-3126-SM-9WPO5 60-69 years, male 19.4
GTEX-1EU9M-2926-SM-793DF 60-69 years, male 19.3
GTEX-QVJO-1325-SM-2S1QX 60-69 years, female 19.3
GTEX-14BIM-3126-SM-5Q5C7 60-69 years, female 19.1
GTEX-14C39-3026-SM-5S2QE 40-49 years, male 19.1
GTEX-1B8SF-3026-SM-731DX 60-69 years, male 19.1
GTEX-P44H-2426-SM-2XCEJ 40-49 years, male 19.1
GTEX-1GZ4I-2926-SM-9JGGO 50-59 years, male 19.0
GTEX-1KANB-3226-SM-D4P3G 50-59 years, male 18.9
GTEX-17HII-2926-SM-79OMK 50-59 years, male 18.8
GTEX-13G51-3126-SM-5IJG7 60-69 years, male 18.7
GTEX-144GL-2926-SM-5O99F 50-59 years, male 18.7
GTEX-1J1OQ-3126-SM-D4P2O 40-49 years, female 18.7
GTEX-1HCVE-2926-SM-9WPPJ 50-59 years, male 18.6
GTEX-XLM4-2926-SM-4AT59 60-69 years, male 18.5
GTEX-1E2YA-2926-SM-7MGWX 50-59 years, male 18.5
GTEX-17EVQ-2726-SM-7EWDT 70-79 years, male 18.4
GTEX-1A8G6-3126-SM-731D8 60-69 years, male 18.2
GTEX-1JJ6O-3026-SM-C1YQH 60-69 years, male 18.2
GTEX-1A8G7-3026-SM-73KTT 60-69 years, male 18.1
GTEX-1JMLX-3026-SM-EV79Q 50-59 years, male 17.6
GTEX-1CB4H-3026-SM-79OLX 60-69 years, female 17.4
GTEX-NPJ8-2626-SM-2D7W2 40-49 years, male 15.7
GTEX-1HSMO-2926-SM-C1YR5 60-69 years, male 15.5
Show allShow less

CEREBELLUM - FANTOM5 CAGEi

RNA expression in human tissues obtained through Cap Analysis of Gene Expression (CAGE) generated by the FANTOM5 project are reported as Scaled Tags Per Million.

Max subtype Scaled Tags Per Millioni

Max subtype Scaled Tags Per Million is the value for the subtype with the largest average Scaled Tags Per Million across the subtype samples.

61.1
FANTOM5 sample id Sample description Scaled Tags Per Million
Cerebellum
Scaled Tags Per Million: 61.1
FF:10083-102B2 22-68 years, mixed 67.6
FF:10166-103B4 76 years, female 54.6

CEREBELLUM - Pig RNA-seqi

RNA-seq data obtained from pig brain is reported as nTPM .

Normal distribution across the dataset is visualized with box plots, shown as median and 25th and 75th percentiles. Points are displayed as outliers if they are above or below 1.5 times the interquartile range. nTPM values of the individual samples are presented next to the box plot.
Max subtype nTPMi

Max subtype nTPM is the value for the subtype with the largest average nTPM across the subtype samples.

60.9
Pig sample Sample description nTPM
Cerebellum
nTPM: 60.9
Samples: 4

Max nTPM: 75.9
Min nTPM: 53.6
Sample A Female 75.9
Sample B Female 55.6
Sample C Male 58.3
Sample D Male 53.6

CEREBELLUM - Mouse RNA-seqi

RNA-seq data obtained from mouse brain is reported as nTPM .

Normal distribution across the dataset is visualized with box plots, shown as median and 25th and 75th percentiles. Points are displayed as outliers if they are above or below 1.5 times the interquartile range. nTPM values of the individual samples are presented next to the box plot.
Max subtype nTPMi

Max subtype nTPM is the value for the subtype with the largest average nTPM across the subtype samples.

51.8
Mouse sample Sample description nTPM
Cerebellum
nTPM: 51.9
Samples: 4

Max nTPM: 52.6
Min nTPM: 51.3
Sample A Male 52.6
Sample B Male 52.1
Sample C Female 51.5
Sample D Female 51.3

CEREBELLUM - Allen Mouse ISHi

In situ hybridization (ISH) data generated by the Allen brain atlas from mouse brain is reported as expression energy. For more details about a particular experiment, click on the corresponding Allen experiment ID.

Max subtype Expression energyi

Max subtype Expression energy is the value for the subtype with the largest average Expression energy across the subtype samples.

1.5
Allen experiment id Experiment description Expression energy
Cerebellum
Expression energy: 1.5
70445592 Antisense, RP_050614_04_B07, Mouse strain C57BL/6J (56 days, male) 2.3
74988519 Antisense, RP_060315_05_E07, Mouse strain C57BL/6J (56 days, male) 0.7

Contact

  • NEWS ARTICLES
  • PRESS ROOM

The Project

  • INTRODUCTION
  • ORGANIZATION
  • PUBLICATIONS

The Human Protein Atlas

  • DOWNLOADABLE DATA
  • LICENCE & CITATION
  • HELP & FAQ
The Human Protein Atlas project is funded
by the Knut & Alice Wallenberg Foundation.


contact@proteinatlas.org