We use cookies to enhance the usability of our website. If you continue, we'll assume that you are happy to receive all cookies. More information. Don't show this again.
RPS3
HPA
RESOURCES
  • TISSUE
  • BRAIN
  • SINGLE CELL
  • SUBCELLULAR
  • CANCER
  • BLOOD
  • CELL LINE
  • STRUCTURE & INTERACTION
ABOUT
  • INTRODUCTION
  • HISTORY
  • ORGANIZATION
  • PUBLICATIONS
  • ANTIBODY SUBMISSION
  • ANTIBODY AVAILABILITY
  • ACKNOWLEDGMENTS
  • CONTACT
NEWS
  • NEWS ARTICLES
  • PRESS ROOM
LEARN
  • DICTIONARY
  • PROTEIN CLASSES
  • PROTEIN EVIDENCE
  • METHODS
  • EDUCATIONAL VIDEOS
DATA
  • DOWNLOADABLE DATA
  • PUBLICATION DATA
  • RELEASE HISTORY
HELP
  • ANTIBODY VALIDATION
  • ASSAYS & ANNOTATION
  • DISCLAIMER
  • HELP & FAQ
  • PRIVACY STATEMENT
  • LICENCE & CITATION
Fields »
Search result

Field
Term
Gene name
Class
Subclass
Class
Keyword
Chromosome
External id
Tissue
Cell type
Expression
Antibody panel
Tissue
Main location
Patient ID
Annotation
Tissue
Category
Tau score
Cluster
Reliability
Brain region
Category
Tau score
Brain region
Category
Tau score
Brain region
Category
Tau score
Cluster
Reliability
Tissue
Cell type
Enrichment
Cell type
Category
Tau score
Cell type
Category
Tau score
Cell type
Category
Tau score
Cell lineage
Category
Tau score
Cluster
Cluster
Location
Searches
Location
Cell line
Class
Type
Phase
Reliability
Cancer
Prognosis
Cancer
Category
Cancer
Category
Tau score
Cluster
Variants
Interacting gene (ensg_id)
Type
Number of interactions
Pathway
Category
Score
Score
Score
Validation
Validation
Validation
Validation
Antibodies
Data type
Column


  • SUMMARY

  • TISSUE

  • BRAIN

  • SINGLE CELL

  • SUBCELL

  • CANCER

  • BLOOD

  • CELL LINE

  • STRUCT & INT

  • RPS3
TISSUE PRIMARY DATA BREAST Show tissue menu
ADIPOSE TISSUE ADRENAL GLAND AMYGDALA APPENDIX BASAL GANGLIA BONE MARROW BREAST BRONCHUS CEREBELLUM CEREBRAL CORTEX CERVIX CHOROID PLEXUS COLON DUODENUM
ENDOMETRIUM EPIDIDYMIS ESOPHAGUS FALLOPIAN TUBE GALLBLADDER HEART MUSCLE HIPPOCAMPAL FORMATION HYPOTHALAMUS KIDNEY LIVER LUNG LYMPH NODE MIDBRAIN NASOPHARYNX
ORAL MUCOSA OVARY PANCREAS PARATHYROID GLAND PITUITARY GLAND PLACENTA PROSTATE RECTUM RETINA SALIVARY GLAND SEMINAL VESICLE SKELETAL MUSCLE SKIN SMALL INTESTINE
SMOOTH MUSCLE SOFT TISSUE SPINAL CORD SPLEEN STOMACH TESTIS THYMUS THYROID GLAND TONGUE TONSIL URINARY BLADDER VAGINA
ANTIBODIES
AND
VALIDATION
Dictionary
Breast
Tissue proteome
Breast
BREAST - Expression summary
Protein expression
Breasti

On the top, protein expression in current human tissue, based on all annotated cell types, is reported with the units not detected (n), low (l), medium (m) and high (h). Underneath, protein expression in each annotated cell type are reported using the same units.

Protein expression data is based on knowledge-based annotation. For genes where more than one antibody has been used, a collective score is set.

If knowledge-based annotation could not be performed for a gene, no data is displayed here. View antibody staining data further down this page.

h
m
l
n
Adipocytes: Not detected
Glandular cells: Medium
Myoepithelial cells: Medium
RNA expressioni

A summary of mRNA expression data available for current tissue based on several datasets. The mRNA expression levels in human tissues are based on RNA-seq data generated by the Human Protein Atlas (HPA), Genotype-Tissue Expression (GTEx) portal and CAGE data generated by the FANTOM5 consortium. Consensus normalized expression levels for human tissues was created by combining the data from HPA and GTEx datasets.

The mRNA expression levels in pig are based on RNA-seq data generated by the Human Protein Atlas (HPA), and for mouse, HPA data and in situ hybridization generated by the Allen brain atlas are reported.

Scroll down to view mRNA expression data in more detail.
Consensus:1884.0 nTPM
HPA:1884.0 nTPM
GTEx:1200.2 nTPM
FANTOM5:544.7 Scaled Tags Per Million

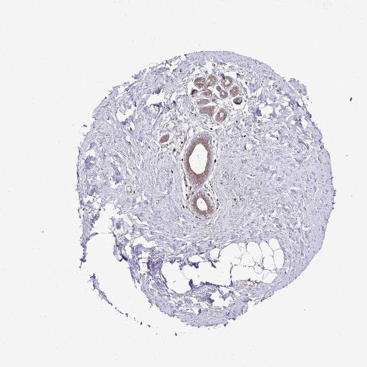
BREAST - Antibody stainingi

Antibody staining in the annotated cell types in the current human tissue is reported as not detected, low, medium, or high, based on conventional immunohistochemistry profiling in selected tissues. This score is based on the combination of the staining intensity and fraction of stained cells.

Each image is clickable and will lead to virtual microscopy that enables deeper exploration of all samples and also displays staining intensity scores, fraction scores and subcellular localization as well as patient and tissue information for each sample.

Antibody HPA063339
Adipocytes Not detected
Glandular cells Medium
Myoepithelial cells Medium



BREAST - HPA RNA-seqi

The RNA-seq details section shows detailed information about the individual samples used for the transcript profiling and results of the RNA-seq analysis.

Information about each individual sample is listed below, including gender, age, a tissue section image and estimated fractions of cell types. nTPM (normalized transcripts per million) values give a quantification of the gene abundance which is comparable between different genes and samples.
Average nTPMi

Max subtype nTPM is the value for the subtype with the largest average nTPM across the subtype samples.

1884.0
overview
Female, age 52
Breast sample 373
nTPM: 2528.5
Cell types%
Glandular cells:
15

Adipocytes:
5

Other cell types:
80

overview
Female, age 80
Breast sample 390
nTPM: 1012.9
Cell types%
Glandular cells:
5

Adipocytes:
15

Other cell types:
80

overview
Female, age 47
Breast sample 405
nTPM: 1351.6
Cell types%
Glandular cells:
5

Adipocytes:
5

Other cell types:
90

overview
Female, age 38
Breast sample 410
nTPM: 2643
Cell types%
Glandular cells:
40

Adipocytes:
5

Other cell types:
55


BREAST - GTEx RNA-seqi

RNA-Seq data generated by the Genotype-Tissue Expression (GTEx) project from human tissues is reported as mean nTPM. More information can be found on the GTEx portal.

Distribution across the dataset is visualized with box plots, shown as median and 25th and 75th percentiles. Points are displayed as outliers if they are above or below 1.5 times the interquartile range. nTPM values of the individual samples are presented next to the box plot.
Max subtype nTPMi

Max subtype nTPM is the value for the subtype with the largest average nTPM across the subtype samples.

1200.2
GTEx sample id Sample description nTPM
Breast - Mammary Tissue
Average nTPM: 1200.2
Samples: 459

Max nTPM: 4279.2
Min nTPM: 507.9
Std nTPM: 477.3
Median nTPM: 1090.3
GTEX-14AS3-1626-SM-5S2OY 40-49 years, female 4279.2
GTEX-1B8SG-1226-SM-7IGPF 50-59 years, male 3670.0
GTEX-14PN4-0626-SM-62LFP 50-59 years, male 3485.4
GTEX-1JJE9-2326-SM-ARL8Q 70-79 years, male 3335.0
GTEX-14ABY-2126-SM-5QGQZ 50-59 years, male 2882.7
GTEX-ZVT2-1826-SM-5NQ8W 50-59 years, female 2840.1
GTEX-145LT-0726-SM-5S2VM 40-49 years, male 2706.0
GTEX-1R9JW-0326-SM-EAZ45 30-39 years, female 2700.2
GTEX-11TT1-2126-SM-5GU5Y 20-29 years, male 2676.2
GTEX-1JJEA-2726-SM-ARL8V 60-69 years, male 2670.6
GTEX-1F75I-2026-SM-7SB7N 40-49 years, male 2660.3
GTEX-13SLW-2526-SM-62LDQ 70-79 years, male 2556.6
GTEX-1CAMS-1426-SM-7IGPM 40-49 years, female 2537.7
GTEX-14H4A-2526-SM-5YYAY 40-49 years, female 2503.5
GTEX-1ICLZ-0426-SM-B2LW2 60-69 years, male 2422.5
GTEX-1F5PK-2126-SM-7PC28 50-59 years, male 2347.5
GTEX-1AMEY-1026-SM-718AA 30-39 years, female 2203.6
GTEX-14PJO-0726-SM-69LO8 60-69 years, male 2125.0
GTEX-ZVE2-1226-SM-5NQ8R 50-59 years, male 2118.9
GTEX-16NGA-0826-SM-718AF 40-49 years, female 2096.0
GTEX-1I19N-2826-SM-CL55D 70-79 years, male 2092.4
GTEX-131XW-0726-SM-5EGK3 50-59 years, female 2049.2
GTEX-ZAJG-0626-SM-5HL8X 50-59 years, female 2028.3
GTEX-1H1DG-0526-SM-9YFLN 70-79 years, male 1995.8
GTEX-14BMU-1626-SM-5TDE7 20-29 years, female 1980.0
GTEX-13PL6-2926-SM-5L3I2 40-49 years, female 1974.6
GTEX-1IDJH-2226-SM-E6CJV 70-79 years, male 1960.9
GTEX-1CB4J-1826-SM-7EWF9 60-69 years, male 1950.4
GTEX-183WM-0726-SM-7LTAA 70-79 years, female 1942.5
GTEX-1IE54-0626-SM-ARL8D 40-49 years, female 1937.1
GTEX-11EM3-1326-SM-5N9C6 20-29 years, female 1928.8
GTEX-1399U-1826-SM-5PNZ1 50-59 years, female 1911.2
GTEX-ZGAY-1726-SM-DO91P 40-49 years, female 1885.7
GTEX-1GZ4H-0326-SM-7P8QX 50-59 years, female 1880.4
GTEX-1IKOE-1326-SM-CE6T6 30-39 years, female 1869.2
GTEX-131YS-0626-SM-5EGKL 60-69 years, female 1865.8
GTEX-ZYW4-0826-SM-5GIDG 60-69 years, male 1859.3
GTEX-13FHO-0826-SM-5L3E8 60-69 years, male 1852.3
GTEX-15G19-2126-SM-6M48J 60-69 years, male 1848.7
GTEX-XMD1-0826-SM-4AT52 60-69 years, male 1841.0
GTEX-14LLW-0626-SM-62LFC 70-79 years, female 1826.8
GTEX-1POEN-0926-SM-DTX88 30-39 years, female 1822.3
GTEX-1GN1W-1926-SM-7P8TH 50-59 years, female 1819.2
GTEX-ZF3C-2326-SM-5S2NC 50-59 years, female 1800.7
GTEX-14ICK-2426-SM-6EU27 40-49 years, male 1799.8
GTEX-13S86-1226-SM-5S2OA 40-49 years, male 1798.4
GTEX-ZXES-0826-SM-5E43C 30-39 years, female 1793.3
GTEX-1ICLY-1726-SM-B2LVT 50-59 years, male 1791.6
GTEX-RU1J-0626-SM-4WAWY 20-29 years, female 1772.5
GTEX-17EVQ-0426-SM-7LG57 70-79 years, male 1768.5
GTEX-17MF6-0326-SM-7EPH5 40-49 years, male 1756.0
GTEX-13SLX-2326-SM-5ZZWE 50-59 years, female 1748.9
GTEX-18A66-1726-SM-7LG5N 60-69 years, male 1748.7
GTEX-133LE-1726-SM-5K7VQ 20-29 years, female 1747.0
GTEX-1HCUA-0726-SM-ACKVU 50-59 years, female 1746.7
GTEX-13D11-1026-SM-5IJFB 50-59 years, female 1732.8
GTEX-ZTTD-1026-SM-51MRD 50-59 years, male 1720.3
GTEX-XMD2-0926-SM-4WWEF 60-69 years, female 1688.3
GTEX-ZAB4-2526-SM-5HL8M 40-49 years, male 1688.0
GTEX-139T8-0826-SM-5L3DE 60-69 years, male 1681.5
GTEX-1HCVE-2626-SM-ADEJ8 50-59 years, male 1667.5
GTEX-1192X-2326-SM-5987X 50-59 years, male 1660.6
GTEX-12ZZX-1126-SM-5EGKB 40-49 years, female 1657.1
GTEX-14PKU-0426-SM-6EU1P 40-49 years, female 1647.4
GTEX-1HC8U-0826-SM-ADEIL 40-49 years, female 1644.9
GTEX-1IDFM-0426-SM-B2LVV 60-69 years, male 1631.9
GTEX-1QPFJ-2026-SM-EVYBE 30-39 years, female 1627.2
GTEX-Y5LM-1726-SM-4VDSX 40-49 years, female 1620.2
GTEX-ZC5H-2626-SM-5J2MG 40-49 years, female 1616.9
GTEX-13113-5013-SM-7SB7G 60-69 years, female 1610.5
GTEX-1N2EF-2226-SM-E9J33 60-69 years, male 1602.9
GTEX-1IDJE-0826-SM-CKZNZ 50-59 years, female 1601.6
GTEX-1QP29-1726-SM-E8VMQ 50-59 years, male 1585.5
GTEX-1GN1U-0526-SM-9KNTT 50-59 years, female 1581.7
GTEX-13O3O-0826-SM-5K7WE 60-69 years, female 1563.1
GTEX-1MJK2-2226-SM-EVYCR 50-59 years, male 1560.5
GTEX-ZTX8-1226-SM-4YCE9 20-29 years, male 1559.9
GTEX-18A7A-0726-SM-7LTAI 50-59 years, female 1556.2
GTEX-145MF-2226-SM-7EPIR 50-59 years, male 1552.4
GTEX-1JMPZ-1626-SM-COH31 30-39 years, male 1544.6
GTEX-11WQC-1726-SM-5GU4W 60-69 years, male 1531.1
GTEX-1GPI7-0926-SM-7PC3J 20-29 years, male 1524.7
GTEX-1A8G7-2426-SM-731AK 60-69 years, male 1499.8
GTEX-1211K-1926-SM-5EQLB 60-69 years, female 1496.8
GTEX-1N2EE-2126-SM-E8VNN 60-69 years, male 1495.9
GTEX-1S82Z-0726-SM-E6CHX 30-39 years, female 1490.8
GTEX-1F5PL-1026-SM-7RHI1 40-49 years, female 1490.0
GTEX-VJWN-0726-SM-3GIJ8 50-59 years, female 1480.2
GTEX-1MCC2-2126-SM-EWRON 30-39 years, female 1468.7
GTEX-1PPGY-1526-SM-EVYBK 60-69 years, male 1454.1
GTEX-TMMY-0726-SM-33HBE 40-49 years, female 1452.7
GTEX-13O3P-0826-SM-5L3DH 50-59 years, male 1443.8
GTEX-QDT8-0626-SM-48TYW 30-39 years, female 1439.9
GTEX-11GSP-0926-SM-9WYSG 60-69 years, female 1436.9
GTEX-132Q8-1426-SM-5EGK7 60-69 years, male 1436.3
GTEX-1I1GT-1126-SM-ARL7J 60-69 years, female 1430.1
GTEX-1JN6P-2426-SM-ARL99 60-69 years, male 1418.7
GTEX-11P7K-0726-SM-5EGKX 30-39 years, male 1417.9
GTEX-15ER7-1626-SM-6PAMZ 20-29 years, female 1416.5
GTEX-15UF6-0126-SM-6PAMB 70-79 years, female 1409.7
GTEX-UTHO-1026-SM-3GAF7 60-69 years, male 1406.3
GTEX-1HSGN-1526-SM-A9SMO 40-49 years, female 1398.6
GTEX-1117F-2826-SM-5GZXL 60-69 years, female 1397.2
GTEX-11DZ1-0326-SM-5N9BN 50-59 years, male 1395.3
GTEX-1CB4E-0226-SM-79OLW 60-69 years, male 1395.1
GTEX-YFC4-1426-SM-5IFJG 40-49 years, female 1384.2
GTEX-14PHY-1926-SM-5YY95 60-69 years, female 1379.0
GTEX-11P82-1326-SM-5HL62 20-29 years, male 1377.7
GTEX-R3RS-0626-SM-48FE1 40-49 years, female 1377.1
GTEX-14753-2426-SM-5LU8U 60-69 years, male 1374.3
GTEX-14E6C-1326-SM-62LEQ 40-49 years, male 1373.5
GTEX-13W46-0826-SM-5LU3H 50-59 years, male 1369.4
GTEX-1P4AB-1826-SM-E76PU 50-59 years, male 1368.3
GTEX-13NZB-2126-SM-5MR4Y 30-39 years, male 1361.8
GTEX-ZLFU-2126-SM-DO931 40-49 years, male 1361.4
GTEX-1QMI2-0726-SM-E9J4F 60-69 years, male 1355.1
GTEX-1GPI6-0626-SM-7RHHJ 60-69 years, male 1353.3
GTEX-1S82U-1126-SM-E9U6I 30-39 years, female 1352.4
GTEX-X62O-0526-SM-EWRMA 50-59 years, male 1347.4
GTEX-1GMR2-1926-SM-9MQLZ 50-59 years, male 1341.5
GTEX-T2IS-1526-SM-32QPR 20-29 years, female 1338.6
GTEX-1R9PN-0326-SM-DTX85 40-49 years, female 1332.0
GTEX-1KAFJ-0226-SM-DIPEL 50-59 years, male 1331.4
GTEX-12WSK-2226-SM-5GCO5 40-49 years, female 1329.2
GTEX-1314G-1226-SM-5BC6D 30-39 years, male 1328.0
GTEX-15EOM-5019-SM-793DK 20-29 years, female 1325.1
GTEX-1HSMO-0826-SM-ADEIV 60-69 years, male 1320.2
GTEX-1MCYP-0126-SM-E6CIS 20-29 years, female 1315.9
GTEX-T6MO-0326-SM-32QOK 40-49 years, female 1314.3
GTEX-1JMQK-2626-SM-COH2W 60-69 years, male 1314.0
GTEX-Y3IK-2326-SM-4WWDT 50-59 years, female 1305.3
GTEX-11P81-1926-SM-5BC53 30-39 years, female 1300.5
GTEX-1MA7W-1026-SM-DKPQK 20-29 years, female 1296.5
GTEX-W5X1-2326-SM-3GIL6 40-49 years, female 1295.5
GTEX-WOFL-0826-SM-3MJG1 60-69 years, male 1291.9
GTEX-VUSG-2226-SM-4KKZO 50-59 years, male 1290.9
GTEX-17EUY-1926-SM-7DUF6 20-29 years, male 1290.7
GTEX-13O3Q-2226-SM-5KM4O 50-59 years, male 1286.9
GTEX-1GN2E-2226-SM-9WG6J 60-69 years, male 1286.4
GTEX-QEL4-2126-SM-447AE 50-59 years, male 1277.1
GTEX-XOT4-0726-SM-4GIAW 60-69 years, female 1273.0
GTEX-XYKS-1326-SM-4BRUN 60-69 years, female 1263.6
GTEX-ZVT4-1026-SM-57WC4 50-59 years, female 1263.3
GTEX-Y8E4-1626-SM-5S2MW 40-49 years, male 1262.7
GTEX-ZA64-1526-SM-5CVMD 20-29 years, male 1261.5
GTEX-1GF9X-1026-SM-ACKX2 40-49 years, female 1261.4
GTEX-1PDJ9-1126-SM-EXUSW 20-29 years, male 1258.8
GTEX-1JMLX-2026-SM-CMKGN 50-59 years, male 1256.5
GTEX-Y5V5-2126-SM-4WWFO 60-69 years, female 1251.6
GTEX-13W3W-1226-SM-5LU4H 60-69 years, female 1251.5
GTEX-15FZZ-0726-SM-7KUFZ 30-39 years, female 1249.7
GTEX-117YX-1426-SM-5H12H 50-59 years, male 1249.2
GTEX-132AR-0826-SM-5EGK6 50-59 years, female 1247.4
GTEX-11PRG-0826-SM-5EQ6A 50-59 years, male 1243.7
GTEX-1GMR8-0726-SM-9KNVI 50-59 years, female 1242.1
GTEX-ZZPU-0626-SM-5E43T 50-59 years, female 1240.9
GTEX-11WQK-2426-SM-5GU5C 50-59 years, male 1238.8
GTEX-17JCI-0726-SM-7EPH1 60-69 years, female 1236.7
GTEX-Y8LW-1626-SM-5IFHX 50-59 years, female 1236.5
GTEX-11EQ9-1826-SM-5Q5AJ 30-39 years, male 1233.5
GTEX-1R7EU-1226-SM-E8VMR 60-69 years, male 1229.8
GTEX-183FY-1126-SM-7DHLJ 20-29 years, male 1227.1
GTEX-SE5C-2126-SM-4BRUJ 40-49 years, female 1222.9
GTEX-ZLV1-1426-SM-DO92Z 60-69 years, female 1220.7
GTEX-1LVAM-0926-SM-E9TJ2 50-59 years, female 1218.7
GTEX-X15G-1626-SM-3NMB3 50-59 years, female 1214.7
GTEX-147F4-2826-SM-5NQBN 50-59 years, male 1214.2
GTEX-WYVS-1726-SM-3NMAY 40-49 years, female 1213.8
GTEX-RU72-0626-SM-46MUI 50-59 years, female 1212.3
GTEX-1LSVX-2426-SM-E6CJX 60-69 years, male 1208.5
GTEX-1M4P7-2626-SM-E9U5F 60-69 years, male 1205.2
GTEX-ZPIC-1126-SM-5BC7F 40-49 years, female 1203.5
GTEX-1B8KE-1226-SM-73KWK 50-59 years, male 1202.9
GTEX-S4Q7-1126-SM-4AD6R 20-29 years, male 1202.5
GTEX-1QEPI-0926-SM-DTXF3 60-69 years, female 1202.0
GTEX-13QIC-2326-SM-5LU5N 60-69 years, female 1198.0
GTEX-111YS-1926-SM-5GICC 60-69 years, male 1197.7
GTEX-139T6-1626-SM-5PNYZ 50-59 years, male 1196.9
GTEX-ZY6K-1626-SM-5GZWV 50-59 years, male 1195.7
GTEX-145MN-1926-SM-5SIAI 30-39 years, male 1195.4
GTEX-1C6VS-0726-SM-7EPHF 60-69 years, male 1185.0
GTEX-15RJE-2626-SM-7KFT1 40-49 years, male 1179.0
GTEX-1E2YA-2726-SM-7IGPW 50-59 years, male 1176.8
GTEX-17KNJ-2026-SM-7LG53 50-59 years, male 1174.0
GTEX-1H1CY-2226-SM-9WG7E 60-69 years, female 1173.5
GTEX-13NZ8-0126-SM-5IJCT 60-69 years, female 1166.4
GTEX-UJHI-1426-SM-3DB9C 50-59 years, female 1166.4
GTEX-1I6K6-0826-SM-ARL7Z 30-39 years, male 1165.3
GTEX-17F97-2526-SM-7EWDV 50-59 years, male 1164.9
GTEX-1H1ZS-0126-SM-9YFKQ 70-79 years, male 1162.9
GTEX-1IDJF-2326-SM-ARL86 20-29 years, male 1162.3
GTEX-1R46S-2526-SM-E8VN2 60-69 years, female 1156.0
GTEX-ZVTK-0326-SM-51MRR 20-29 years, male 1154.7
GTEX-ZEX8-2226-SM-57WC6 50-59 years, male 1153.5
GTEX-1RLM8-2226-SM-EVYD1 50-59 years, male 1153.4
GTEX-1KD4Q-2326-SM-D4P3M 40-49 years, male 1145.7
GTEX-ZF29-1926-SM-5S2P1 60-69 years, female 1145.0
GTEX-1LGRB-1826-SM-CNPQL 50-59 years, female 1144.3
GTEX-15UF7-0726-SM-6M46D 40-49 years, male 1142.2
GTEX-1LNCM-0226-SM-DIPF4 50-59 years, female 1139.6
GTEX-14A5I-0726-SM-5TDEB 50-59 years, female 1136.7
GTEX-1J8QM-2026-SM-ARZMW 60-69 years, female 1136.3
GTEX-ZWKS-2826-SM-5NQ74 30-39 years, male 1135.6
GTEX-11DXY-2326-SM-5GICW 60-69 years, male 1134.7
GTEX-1NHNU-0926-SM-E9J2T 50-59 years, male 1134.7
GTEX-ZF2S-2026-SM-5E461 50-59 years, female 1134.0
GTEX-1ICG6-1326-SM-ACKWR 70-79 years, female 1132.1
GTEX-S4UY-0726-SM-4AD6X 40-49 years, female 1125.9
GTEX-1I4MK-1626-SM-CM2TJ 50-59 years, female 1121.7
GTEX-13PVR-2226-SM-7DHKP 60-69 years, female 1121.1
GTEX-1HCU7-1026-SM-ADEIP 50-59 years, male 1120.6
GTEX-ZU9S-1926-SM-5NQBP 30-39 years, male 1118.7
GTEX-1HCU9-0326-SM-9WYSC 20-29 years, male 1116.3
GTEX-13N11-1726-SM-5J1OJ 50-59 years, female 1114.8
GTEX-ZV6S-1826-SM-5NQ8D 40-49 years, female 1114.1
GTEX-YFCO-1826-SM-4W1YH 40-49 years, male 1112.4
GTEX-1GZ2Q-2626-SM-7MXV9 40-49 years, male 1111.0
GTEX-1NUQO-2226-SM-E9U68 20-29 years, female 1107.8
GTEX-1AX8Z-0926-SM-731AW 60-69 years, male 1101.5
GTEX-Y114-2026-SM-4TT7L 50-59 years, female 1097.5
GTEX-1GMRU-0826-SM-9WYT7 50-59 years, male 1095.8
GTEX-1LVAN-1326-SM-CNPQE 50-59 years, female 1095.4
GTEX-15ETS-0626-SM-7KUMX 40-49 years, female 1095.3
GTEX-11EMC-2026-SM-5A5JV 60-69 years, female 1094.7
GTEX-11LCK-2426-SM-5HL5F 30-39 years, male 1094.7
GTEX-ZLWG-1926-SM-DO92J 50-59 years, female 1094.5
GTEX-S4P3-1326-SM-4AD6V 50-59 years, female 1092.7
GTEX-1B8KZ-1526-SM-7DUG7 50-59 years, male 1091.9
GTEX-17MFQ-0926-SM-7LG4S 20-29 years, male 1091.8
GTEX-16BQI-1026-SM-7KUEA 30-39 years, female 1090.3
GTEX-145MO-0826-SM-5NQBL 60-69 years, male 1089.7
GTEX-X4EP-2926-SM-3P5YQ 60-69 years, female 1088.8
GTEX-ZT9W-2026-SM-51MRA 50-59 years, male 1087.2
GTEX-WI4N-1426-SM-3LK7H 40-49 years, female 1080.8
GTEX-ZAK1-1326-SM-EVYAS 50-59 years, female 1075.5
GTEX-1B933-2526-SM-7IGO5 50-59 years, female 1074.8
GTEX-ZTPG-2826-SM-57WGA 20-29 years, female 1074.8
GTEX-1GZHY-0726-SM-9WG6B 50-59 years, female 1074.3
GTEX-Y9LG-1426-SM-5IFJZ 30-39 years, male 1069.2
GTEX-1122O-1226-SM-5H113 60-69 years, female 1068.3
GTEX-1K9T9-1426-SM-DIPFQ 50-59 years, female 1067.6
GTEX-WXYG-2226-SM-4E3IM 50-59 years, female 1066.4
GTEX-17HG3-0126-SM-7IGNH 30-39 years, female 1066.3
GTEX-1I1GU-1026-SM-ADEHJ 40-49 years, male 1063.7
GTEX-X4XY-0926-SM-4E3JD 60-69 years, male 1060.5
GTEX-S341-1526-SM-4AD6K 40-49 years, female 1058.0
GTEX-T2YK-2226-SM-32QPT 50-59 years, male 1057.9
GTEX-12KS4-0126-SM-5Q5A5 30-39 years, male 1057.6
GTEX-15SHW-1326-SM-6PAL8 60-69 years, male 1056.0
GTEX-T5JW-2026-SM-4DM63 20-29 years, female 1052.5
GTEX-X261-0626-SM-3NMD9 50-59 years, male 1052.5
GTEX-1313W-0826-SM-5EQ4T 50-59 years, female 1048.3
GTEX-11OF3-1926-SM-59889 60-69 years, male 1048.1
GTEX-13VXU-2826-SM-664MA 50-59 years, male 1042.8
GTEX-18D9A-1526-SM-7LG4J 30-39 years, female 1038.0
GTEX-TKQ1-0226-SM-33HB5 30-39 years, male 1037.7
GTEX-Z9EW-1526-SM-EZ6LU 40-49 years, male 1037.1
GTEX-ZDTT-2126-SM-DKPOM 60-69 years, male 1036.8
GTEX-XUZC-1626-SM-4BRVP 30-39 years, female 1036.5
GTEX-RWS6-1926-SM-47JXY 60-69 years, female 1035.6
GTEX-1IGQW-0926-SM-ADEH6 60-69 years, male 1035.6
GTEX-1JKYR-0926-SM-CMKGJ 20-29 years, male 1034.9
GTEX-17F96-2426-SM-7IGLN 70-79 years, male 1034.7
GTEX-146FH-0826-SM-5SI8T 50-59 years, female 1026.6
GTEX-1JMOU-2026-SM-CMKGU 60-69 years, female 1026.4
GTEX-1HR9M-2426-SM-ACKXI 60-69 years, male 1024.3
GTEX-1H23P-0726-SM-9WG7K 60-69 years, male 1021.2
GTEX-1HBPM-0126-SM-ARL9E 60-69 years, female 1020.3
GTEX-1HT8W-2226-SM-CGQEC 30-39 years, male 1019.6
GTEX-13FTY-2226-SM-5J1ND 40-49 years, female 1019.1
GTEX-1NV8Z-2826-SM-E8VME 60-69 years, male 1016.3
GTEX-ZZ64-1226-SM-5E43R 20-29 years, male 1014.9
GTEX-XBED-1626-SM-47JYN 60-69 years, male 1013.7
GTEX-14BMV-0626-SM-793AU 50-59 years, male 1012.3
GTEX-14PJ4-2126-SM-6ETZJ 60-69 years, male 1009.6
GTEX-U3ZN-1926-SM-4DXSG 30-39 years, female 1007.7
GTEX-11NV4-2026-SM-5N9DG 60-69 years, male 1006.3
GTEX-12BJ1-1826-SM-5HL9N 60-69 years, male 1006.1
GTEX-TML8-1226-SM-32QON 40-49 years, female 1005.8
GTEX-1BAJH-0826-SM-7EWEF 70-79 years, male 1005.4
GTEX-1GF9U-1726-SM-7MGY5 40-49 years, female 1005.3
GTEX-1J8Q2-2726-SM-A9G2X 60-69 years, male 1004.7
GTEX-18A6Q-0926-SM-7LG4N 60-69 years, male 1004.4
GTEX-XUW1-2326-SM-4BOO5 50-59 years, female 1000.5
GTEX-11EI6-0626-SM-5985T 60-69 years, male 1000.2
GTEX-Q2AG-0326-SM-48U1O 40-49 years, female 995.8
GTEX-1HCU8-0126-SM-ADEHH 60-69 years, female 995.3
GTEX-13PVQ-1026-SM-5KM3M 50-59 years, male 995.1
GTEX-1K2DA-1726-SM-CGQGS 50-59 years, male 995.0
GTEX-1HUB1-1626-SM-CM2SL 60-69 years, male 994.2
GTEX-ZVZQ-0826-SM-51MRF 60-69 years, female 993.8
GTEX-1RAZS-1226-SM-E8VMT 50-59 years, male 993.6
GTEX-1RQEC-2026-SM-DTXDM 60-69 years, male 992.8
GTEX-QVJO-1826-SM-447C9 60-69 years, female 991.3
GTEX-XGQ4-0926-SM-4AT4U 50-59 years, male 988.1
GTEX-1PPH7-0826-SM-E8VNX 40-49 years, male 987.8
GTEX-1C64O-0726-SM-7DUFU 60-69 years, male 987.1
GTEX-1LC47-1226-SM-D4P44 60-69 years, male 984.5
GTEX-1QCLY-1626-SM-DTXDW 30-39 years, male 982.8
GTEX-REY6-2426-SM-48FF5 60-69 years, male 982.3
GTEX-U3ZH-1426-SM-4DXSR 30-39 years, male 980.2
GTEX-ZQUD-1926-SM-51MSA 30-39 years, male 979.1
GTEX-WYJK-1326-SM-3NB2T 50-59 years, male 977.4
GTEX-WYBS-0926-SM-3NM94 60-69 years, female 976.6
GTEX-1KANA-2026-SM-DIPFB 20-29 years, male 970.7
GTEX-17F98-0526-SM-79OK5 40-49 years, female 967.9
GTEX-13OW5-2226-SM-5L3HC 60-69 years, male 966.9
GTEX-13O61-1826-SM-5KM4I 60-69 years, male 966.8
GTEX-1JK1U-1826-SM-ARL8W 60-69 years, male 966.5
GTEX-YB5K-1626-SM-5IFIN 40-49 years, female 963.9
GTEX-1AX9J-1126-SM-731B7 60-69 years, male 963.4
GTEX-18QFQ-0826-SM-718AX 30-39 years, male 963.3
GTEX-QEG5-0726-SM-D4P1T 20-29 years, male 962.7
GTEX-1H1E6-0926-SM-9YFLT 30-39 years, male 961.4
GTEX-1HKZK-1826-SM-ADEJ2 40-49 years, male 957.5
GTEX-1LSNM-1326-SM-E9TJ1 50-59 years, male 952.8
GTEX-1GMR3-2626-SM-7RHHG 40-49 years, male 949.5
GTEX-1JN1M-3026-SM-CMKGK 60-69 years, female 949.5
GTEX-ZV7C-1826-SM-5NQ83 50-59 years, male 948.4
GTEX-Y5V6-2126-SM-4WWFX 60-69 years, male 945.6
GTEX-13NZ9-1026-SM-5MR5K 50-59 years, male 944.1
GTEX-11I78-2226-SM-5PNYA 50-59 years, female 940.9
GTEX-1KXAM-1026-SM-CY8IA 60-69 years, male 939.9
GTEX-1J8EW-2626-SM-CL53E 60-69 years, female 939.0
GTEX-1I1HK-2426-SM-ADEHX 60-69 years, male 930.3
GTEX-1OKEX-0826-SM-E9J2B 60-69 years, male 928.9
GTEX-YB5E-1726-SM-5IFJ3 40-49 years, male 928.1
GTEX-ZYT6-0126-SM-5E45J 30-39 years, male 925.2
GTEX-U412-1826-SM-4DXTJ 60-69 years, male 924.8
GTEX-WFG8-2026-SM-EXOHO 20-29 years, male 924.1
GTEX-14B4R-1226-SM-5TDDT 30-39 years, male 922.9
GTEX-1QP28-1226-SM-E9J2M 50-59 years, female 922.8
GTEX-139TU-0626-SM-5KM3X 60-69 years, male 922.3
GTEX-1H3VY-0926-SM-ACKXE 50-59 years, male 921.6
GTEX-11GSO-1926-SM-5A5K3 60-69 years, male 920.5
GTEX-17F9E-2526-SM-7MGW2 50-59 years, male 919.5
GTEX-11DXZ-1926-SM-5GZZL 50-59 years, male 918.9
GTEX-132NY-0826-SM-5K7Y7 60-69 years, male 917.5
GTEX-Y3I4-1526-SM-4TT7K 50-59 years, male 916.4
GTEX-UPK5-2326-SM-3P5Z8 40-49 years, male 909.1
GTEX-S7SE-0826-SM-4AT4D 50-59 years, male 905.9
GTEX-1C475-1226-SM-7SB72 40-49 years, female 901.4
GTEX-1IOXB-1926-SM-ARL8E 50-59 years, male 898.8
GTEX-1L5NE-2126-SM-CY8IH 50-59 years, male 898.5
GTEX-12WSM-1726-SM-5BC6J 60-69 years, male 894.1
GTEX-1RAZQ-1226-SM-EWRNL 30-39 years, male 892.6
GTEX-1HBPN-2326-SM-9WPPU 50-59 years, male 890.5
GTEX-1R7EV-1526-SM-E8VOD 40-49 years, male 890.4
GTEX-1A3MX-2726-SM-718B6 60-69 years, male 890.0
GTEX-XMK1-1126-SM-4IHJ8 40-49 years, male 885.6
GTEX-1B97I-0426-SM-79OL7 40-49 years, male 884.9
GTEX-1JMPY-0526-SM-CL54O 30-39 years, male 883.6
GTEX-1GF9V-2526-SM-7SB8K 60-69 years, male 882.0
GTEX-1B932-0826-SM-73KXG 40-49 years, female 881.8
GTEX-14E7W-0826-SM-62LEJ 70-79 years, male 878.5
GTEX-1IKOH-2326-SM-CM2TW 60-69 years, female 874.4
GTEX-1I6K7-1026-SM-A9SLK 40-49 years, male 874.0
GTEX-1GZ4I-2826-SM-9MQK5 50-59 years, male 872.4
GTEX-13FTX-1126-SM-5N9EN 20-29 years, female 872.3
GTEX-WFON-1826-SM-3GILG 40-49 years, male 870.6
GTEX-WY7C-2726-SM-3NB3P 50-59 years, male 866.8
GTEX-1QCLZ-2326-SM-DTXDO 60-69 years, female 866.6
GTEX-1HR98-0426-SM-COH36 60-69 years, male 866.2
GTEX-WRHU-0326-SM-3MJFY 50-59 years, female 863.9
GTEX-XV7Q-2326-SM-4BRVZ 40-49 years, female 861.7
GTEX-1LG7Z-0726-SM-CXKYD 30-39 years, male 860.5
GTEX-1KD5A-1926-SM-DKPQA 50-59 years, male 858.6
GTEX-1H11D-1526-SM-9MQJY 40-49 years, male 857.9
GTEX-1M5QR-2526-SM-E9U5P 40-49 years, male 857.9
GTEX-XQ8I-2426-SM-4WAXY 50-59 years, male 854.9
GTEX-1C6VQ-0426-SM-79OOX 50-59 years, male 850.8
GTEX-1N5O9-1126-SM-DTXEQ 60-69 years, male 849.0
GTEX-13CF2-2026-SM-5K7VI 60-69 years, male 848.8
GTEX-1269C-2426-SM-5FQSN 60-69 years, female 847.1
GTEX-S32W-2026-SM-4AD6E 50-59 years, female 846.0
GTEX-1MJK3-1126-SM-E9J3F 20-29 years, male 845.3
GTEX-1I1GP-0426-SM-COH3N 50-59 years, male 837.3
GTEX-11GS4-2126-SM-5A5KR 60-69 years, male 836.1
GTEX-13CF3-2126-SM-5IFJP 60-69 years, female 835.7
GTEX-1KANC-1426-SM-CYPT9 50-59 years, female 835.7
GTEX-13QJ3-0826-SM-7DHKK 50-59 years, male 835.4
GTEX-12WSN-1326-SM-5GCNT 40-49 years, male 835.0
GTEX-169BO-1126-SM-7MGWN 50-59 years, male 827.1
GTEX-T5JC-2126-SM-32PMO 20-29 years, male 825.3
GTEX-1EKGG-2626-SM-7IGPY 60-69 years, male 824.8
GTEX-1F6I4-2526-SM-7SB8F 60-69 years, male 820.8
GTEX-17GQL-0326-SM-7LG5U 60-69 years, male 819.8
GTEX-18A7B-2626-SM-7LG55 70-79 years, male 818.2
GTEX-1A3MV-1626-SM-731C1 30-39 years, male 813.3
GTEX-1CAMR-1426-SM-793BO 20-29 years, male 809.9
GTEX-ZUA1-1526-SM-59HLS 40-49 years, male 808.9
GTEX-1QP9N-1826-SM-E8VMP 30-39 years, male 807.0
GTEX-1CB4G-2326-SM-79OOI 60-69 years, male 804.7
GTEX-U8XE-0826-SM-4E3J1 30-39 years, male 802.6
GTEX-144GM-0926-SM-5O994 20-29 years, male 801.4
GTEX-13OW8-0226-SM-5K7UP 60-69 years, male 797.6
GTEX-17HHE-1426-SM-7EPH4 50-59 years, male 796.1
GTEX-1R9PM-1826-SM-EVYBH 20-29 years, male 790.9
GTEX-117XS-1926-SM-5GICO 60-69 years, male 788.8
GTEX-1C6WA-2426-SM-7SB86 60-69 years, male 784.5
GTEX-Y111-2026-SM-4SOJA 50-59 years, male 784.3
GTEX-XQ3S-1326-SM-4BOPQ 20-29 years, male 783.7
GTEX-13N1W-0626-SM-5MR4U 70-79 years, male 782.7
GTEX-1AX9I-0726-SM-73KWV 60-69 years, male 775.3
GTEX-QMRM-1626-SM-D4P1U 50-59 years, male 774.8
GTEX-1F75B-0626-SM-7SB8A 50-59 years, male 769.5
GTEX-1IKJJ-2326-SM-COH3U 60-69 years, male 767.5
GTEX-1QW4Y-1026-SM-DTXE2 30-39 years, male 765.4
GTEX-1HFI7-0126-SM-CGQFQ 50-59 years, female 764.4
GTEX-13FTW-1426-SM-5LZWZ 40-49 years, male 760.4
GTEX-11O72-2126-SM-5N9FO 40-49 years, male 760.0
GTEX-RUSQ-2026-SM-4GIAK 50-59 years, male 759.0
GTEX-11DXW-0626-SM-5N9ER 40-49 years, male 756.0
GTEX-11NSD-0926-SM-5N9DR 20-29 years, male 753.8
GTEX-1H4P4-2226-SM-9MQKQ 50-59 years, male 753.4
GTEX-PSDG-1626-SM-48TCQ 50-59 years, male 750.5
GTEX-1IDJU-1826-SM-CMKHV 60-69 years, female 750.2
GTEX-ZDXO-0126-SM-5S2ND 60-69 years, male 749.8
GTEX-1B97J-0426-SM-79OLQ 50-59 years, female 749.6
GTEX-1J8Q3-1326-SM-CMKI1 60-69 years, male 748.2
GTEX-ZYFC-0826-SM-5E44K 50-59 years, male 742.3
GTEX-1LBAC-0926-SM-CXKY9 20-29 years, male 733.0
GTEX-YECK-0726-SM-EZ6LV 60-69 years, male 732.4
GTEX-ZQG8-0726-SM-5P9H9 60-69 years, female 730.0
GTEX-ZDYS-1126-SM-5K7UB 50-59 years, male 720.6
GTEX-16YQH-2826-SM-6PAMY 30-39 years, male 719.5
GTEX-S33H-0326-SM-4AD6N 30-39 years, male 716.5
GTEX-11ONC-2126-SM-5HL6E 60-69 years, male 715.4
GTEX-1EWIQ-1726-SM-7SB7T 70-79 years, female 713.8
GTEX-1EN7A-1426-SM-7PBY4 40-49 years, male 712.4
GTEX-11ZUS-0826-SM-5FQUY 30-39 years, male 710.4
GTEX-1B8L1-2426-SM-9WYTE 60-69 years, male 708.3
GTEX-17EVP-0226-SM-79OND 40-49 years, male 700.7
GTEX-1F75A-1826-SM-7SB8G 50-59 years, male 700.2
GTEX-1EU9M-2826-SM-7EWFH 60-69 years, male 693.9
GTEX-R55D-0826-SM-48FEA 50-59 years, male 692.4
GTEX-1MA7X-1626-SM-E9U5B 60-69 years, male 691.7
GTEX-14E6E-1326-SM-5S2NR 30-39 years, male 686.5
GTEX-1JKYN-0726-SM-ARZMY 30-39 years, male 670.6
GTEX-R53T-1526-SM-48FEK 50-59 years, female 665.0
GTEX-145ME-1526-SM-5Q5F2 40-49 years, female 659.9
GTEX-1IY9M-2726-SM-CMKG5 60-69 years, male 657.1
GTEX-V955-2026-SM-3GAFA 60-69 years, male 643.5
GTEX-1LSNL-2826-SM-E9U5L 50-59 years, male 643.2
GTEX-17HHY-0926-SM-793C1 50-59 years, male 638.7
GTEX-14DAR-1326-SM-7DUEG 50-59 years, male 636.6
GTEX-11ZTT-2326-SM-5EQLG 60-69 years, female 622.5
GTEX-144GL-2026-SM-5LU3O 50-59 years, male 599.8
GTEX-1HSEH-2026-SM-ADEHN 60-69 years, male 595.1
GTEX-WHSB-1926-SM-EXOHH 50-59 years, male 593.4
GTEX-YEC3-1026-SM-5IFI5 50-59 years, male 582.6
GTEX-1HSKV-2026-SM-CMKGX 60-69 years, male 582.3
GTEX-17HGU-1326-SM-79OKB 50-59 years, male 572.8
GTEX-18465-2026-SM-718AP 50-59 years, male 546.2
GTEX-T6MN-0726-SM-32PML 50-59 years, male 541.0
GTEX-YJ8O-2226-SM-5IFHW 40-49 years, female 539.0
GTEX-11TUW-1826-SM-5BC5D 60-69 years, male 528.6
GTEX-TKQ2-1826-SM-33HB2 50-59 years, male 521.2
GTEX-1I1GV-2426-SM-CGQFM 60-69 years, male 507.9
Show allShow less

BREAST - FANTOM5 CAGEi

RNA expression in human tissues obtained through Cap Analysis of Gene Expression (CAGE) generated by the FANTOM5 project are reported as Scaled Tags Per Million.

Max subtype Scaled Tags Per Millioni

Max subtype Scaled Tags Per Million is the value for the subtype with the largest average Scaled Tags Per Million across the subtype samples.

544.7
FANTOM5 sample id Sample description Scaled Tags Per Million
Breast
Scaled Tags Per Million: 544.7
FF:10080-102A8 77 years, female 544.7

Contact

  • NEWS ARTICLES
  • PRESS ROOM

The Project

  • INTRODUCTION
  • ORGANIZATION
  • PUBLICATIONS

The Human Protein Atlas

  • DOWNLOADABLE DATA
  • LICENCE & CITATION
  • HELP & FAQ
The Human Protein Atlas project is funded
by the Knut & Alice Wallenberg Foundation.


contact@proteinatlas.org