We use cookies to enhance the usability of our website. If you continue, we'll assume that you are happy to receive all cookies. More information. Don't show this again.
RPS3
HPA
RESOURCES
  • TISSUE
  • BRAIN
  • SINGLE CELL
  • SUBCELLULAR
  • CANCER
  • BLOOD
  • CELL LINE
  • STRUCTURE & INTERACTION
ABOUT
  • INTRODUCTION
  • HISTORY
  • ORGANIZATION
  • PUBLICATIONS
  • ANTIBODY SUBMISSION
  • ANTIBODY AVAILABILITY
  • ACKNOWLEDGMENTS
  • CONTACT
NEWS
  • NEWS ARTICLES
  • PRESS ROOM
LEARN
  • DICTIONARY
  • PROTEIN CLASSES
  • PROTEIN EVIDENCE
  • METHODS
  • EDUCATIONAL VIDEOS
DATA
  • DOWNLOADABLE DATA
  • PUBLICATION DATA
  • RELEASE HISTORY
HELP
  • ANTIBODY VALIDATION
  • ASSAYS & ANNOTATION
  • DISCLAIMER
  • HELP & FAQ
  • PRIVACY STATEMENT
  • LICENCE & CITATION
Fields »
Search result

Field
Term
Gene name
Class
Subclass
Class
Keyword
Chromosome
External id
Tissue
Cell type
Expression
Antibody panel
Tissue
Main location
Patient ID
Annotation
Tissue
Category
Tau score
Cluster
Reliability
Brain region
Category
Tau score
Brain region
Category
Tau score
Brain region
Category
Tau score
Cluster
Reliability
Tissue
Cell type
Enrichment
Cell type
Category
Tau score
Cell type
Category
Tau score
Cell type
Category
Tau score
Cell lineage
Category
Tau score
Cluster
Cluster
Location
Searches
Location
Cell line
Class
Type
Phase
Reliability
Cancer
Prognosis
Cancer
Category
Cancer
Category
Tau score
Cluster
Variants
Interacting gene (ensg_id)
Type
Number of interactions
Pathway
Category
Score
Score
Score
Validation
Validation
Validation
Validation
Antibodies
Data type
Column


  • SUMMARY

  • TISSUE

  • BRAIN

  • SINGLE CELL

  • SUBCELL

  • CANCER

  • BLOOD

  • CELL LINE

  • STRUCT & INT

  • RPS3
TISSUE PRIMARY DATA SALIVARY GLAND Show tissue menu
ADIPOSE TISSUE ADRENAL GLAND AMYGDALA APPENDIX BASAL GANGLIA BONE MARROW BREAST BRONCHUS CEREBELLUM CEREBRAL CORTEX CERVIX CHOROID PLEXUS COLON DUODENUM
ENDOMETRIUM EPIDIDYMIS ESOPHAGUS FALLOPIAN TUBE GALLBLADDER HEART MUSCLE HIPPOCAMPAL FORMATION HYPOTHALAMUS KIDNEY LIVER LUNG LYMPH NODE MIDBRAIN NASOPHARYNX
ORAL MUCOSA OVARY PANCREAS PARATHYROID GLAND PITUITARY GLAND PLACENTA PROSTATE RECTUM RETINA SALIVARY GLAND SEMINAL VESICLE SKELETAL MUSCLE SKIN SMALL INTESTINE
SMOOTH MUSCLE SOFT TISSUE SPINAL CORD SPLEEN STOMACH TESTIS THYMUS THYROID GLAND TONGUE TONSIL URINARY BLADDER VAGINA
ANTIBODIES
AND
VALIDATION
Dictionary
Salivary gland
Tissue proteome
Salivary gland
SALIVARY GLAND - Expression summary
Protein expression
Salivary glandi

On the top, protein expression in current human tissue, based on all annotated cell types, is reported with the units not detected (n), low (l), medium (m) and high (h). Underneath, protein expression in each annotated cell type are reported using the same units.

Protein expression data is based on knowledge-based annotation. For genes where more than one antibody has been used, a collective score is set.

If knowledge-based annotation could not be performed for a gene, no data is displayed here. View antibody staining data further down this page.

h
m
l
n
Glandular cells: High
RNA expressioni

A summary of mRNA expression data available for current tissue based on several datasets. The mRNA expression levels in human tissues are based on RNA-seq data generated by the Human Protein Atlas (HPA), Genotype-Tissue Expression (GTEx) portal and CAGE data generated by the FANTOM5 consortium. Consensus normalized expression levels for human tissues was created by combining the data from HPA and GTEx datasets.

The mRNA expression levels in pig are based on RNA-seq data generated by the Human Protein Atlas (HPA), and for mouse, HPA data and in situ hybridization generated by the Allen brain atlas are reported.

Scroll down to view mRNA expression data in more detail.
Consensus:1018.9 nTPM
HPA:919.1 nTPM
GTEx:1018.9 nTPM
FANTOM5:1640.1 Scaled Tags Per Million

SALIVARY GLAND - Antibody stainingi

Antibody staining in the annotated cell types in the current human tissue is reported as not detected, low, medium, or high, based on conventional immunohistochemistry profiling in selected tissues. This score is based on the combination of the staining intensity and fraction of stained cells.

Each image is clickable and will lead to virtual microscopy that enables deeper exploration of all samples and also displays staining intensity scores, fraction scores and subcellular localization as well as patient and tissue information for each sample.

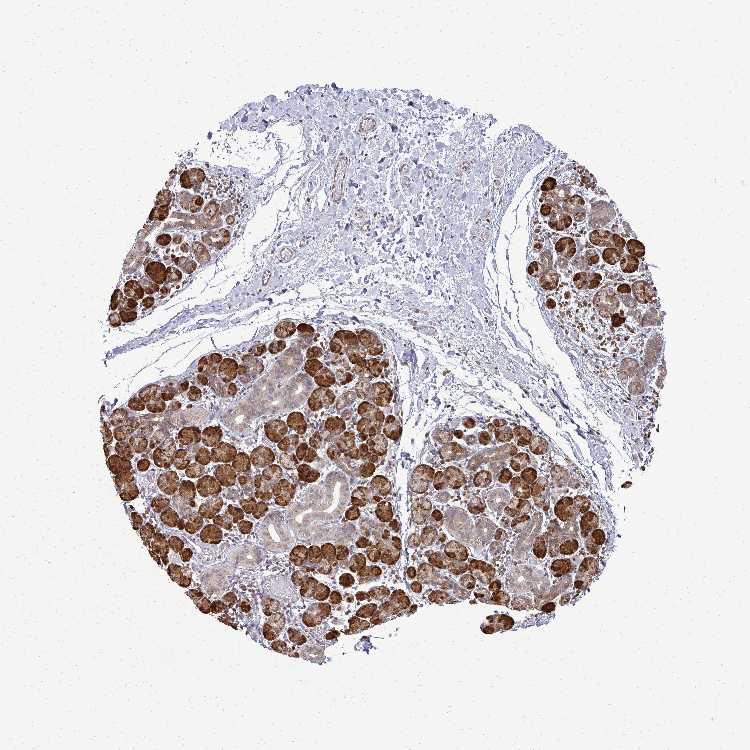
Antibody HPA063339
Glandular cells High



SALIVARY GLAND - HPA RNA-seqi

The RNA-seq details section shows detailed information about the individual samples used for the transcript profiling and results of the RNA-seq analysis.

Information about each individual sample is listed below, including gender, age, a tissue section image and estimated fractions of cell types. nTPM (normalized transcripts per million) values give a quantification of the gene abundance which is comparable between different genes and samples.
Average nTPMi

Max subtype nTPM is the value for the subtype with the largest average nTPM across the subtype samples.

919.1
overview
Female, age 68
Salivary gland sample 216
nTPM: 1032.1
Cell types%
Glandular cells:
45

Ductal cells:
25

Adipocytes:
5

Other cell types:
25

overview
Male, age 60
Salivary gland sample 217
nTPM: 793.2
Cell types%
Glandular cells:
55

Ductal cells:
20

Adipocytes:
5

Endothelial cells:
5

Other cell types:
15

overview
Female, age 21
Salivary gland sample 218
nTPM: 932
Cell types%
Glandular cells:
55

Ductal cells:
15

Adipocytes:
5

Endothelial cells:
5

Other cell types:
20


SALIVARY GLAND - GTEx RNA-seqi

RNA-Seq data generated by the Genotype-Tissue Expression (GTEx) project from human tissues is reported as mean nTPM. More information can be found on the GTEx portal.

Distribution across the dataset is visualized with box plots, shown as median and 25th and 75th percentiles. Points are displayed as outliers if they are above or below 1.5 times the interquartile range. nTPM values of the individual samples are presented next to the box plot.
Max subtype nTPMi

Max subtype nTPM is the value for the subtype with the largest average nTPM across the subtype samples.

1018.9
GTEx sample id Sample description nTPM
Minor Salivary Gland
Average nTPM: 1018.9
Samples: 162

Max nTPM: 2156.5
Min nTPM: 596.4
Std nTPM: 218.0
Median nTPM: 968.5
GTEX-1NSGN-0626-SM-E9J35 50-59 years, male 2156.5
GTEX-Y5LM-1826-SM-4VDT9 40-49 years, female 1750.2
GTEX-ZLWG-2026-SM-DO11F 50-59 years, female 1707.5
GTEX-ZLFU-2226-SM-EXUS7 40-49 years, male 1541.2
GTEX-12BJ1-2226-SM-5BC6G 60-69 years, male 1528.1
GTEX-ZQG8-2126-SM-4YCF1 60-69 years, female 1518.9
GTEX-ZT9W-2126-SM-51MSF 50-59 years, male 1488.1
GTEX-1KANC-1326-SM-CYPT8 50-59 years, female 1455.6
GTEX-1LKK1-2926-SM-EVR4Z 50-59 years, female 1438.3
GTEX-1R9K4-0526-SM-E76P1 60-69 years, male 1413.1
GTEX-ZF29-2126-SM-DNZYX 60-69 years, female 1399.0
GTEX-146FR-1226-SM-5SIA7 60-69 years, female 1374.6
GTEX-13QBU-2126-SM-5KLZN 40-49 years, female 1350.7
GTEX-1445S-2926-SM-5O993 60-69 years, male 1297.3
GTEX-1KD5A-2226-SM-EV79U 50-59 years, male 1284.2
GTEX-1GMR2-2026-SM-7MKHK 50-59 years, male 1280.7
GTEX-11EMC-2526-SM-5PNVU 60-69 years, female 1275.9
GTEX-ZE7O-2926-SM-51MSG 50-59 years, female 1263.6
GTEX-ZQUD-2126-SM-51MSY 30-39 years, male 1250.4
GTEX-11ZTS-3026-SM-5EQM7 60-69 years, female 1238.3
GTEX-Y5V6-2226-SM-4VDTC 60-69 years, male 1237.1
GTEX-1LVAO-2626-SM-EVR4S 60-69 years, male 1230.3
GTEX-1192X-2926-SM-5N9BA 50-59 years, male 1219.3
GTEX-13113-1526-SM-5EGHV 60-69 years, female 1202.8
GTEX-X3Y1-1926-SM-4PQZO 40-49 years, male 1200.2
GTEX-1AMEY-1126-SM-72D79 30-39 years, female 1180.9
GTEX-1RNSC-2926-SM-EV79L 60-69 years, male 1180.4
GTEX-1LSNL-2626-SM-EV7AT 50-59 years, male 1176.5
GTEX-14B4R-1426-SM-5Q5CG 30-39 years, male 1173.4
GTEX-1POEN-2226-SM-DPRXV 30-39 years, female 1170.7
GTEX-13VXT-1726-SM-5IFF5 20-29 years, female 1165.3
GTEX-15RJE-2726-SM-6LPJ1 40-49 years, male 1163.2
GTEX-ZPU1-2326-SM-57WEP 40-49 years, male 1158.7
GTEX-17KNJ-2726-SM-7KFRE 50-59 years, male 1155.5
GTEX-1CB4I-2526-SM-7MKG1 50-59 years, male 1136.8
GTEX-1LVA9-2526-SM-EVR5H 50-59 years, male 1134.2
GTEX-14PN4-2526-SM-686ZG 50-59 years, male 1129.4
GTEX-14E1K-2626-SM-664OJ 50-59 years, male 1125.2
GTEX-YF7O-2226-SM-5CVN8 50-59 years, male 1117.1
GTEX-1C6VR-0726-SM-7P8OV 60-69 years, male 1112.7
GTEX-X15G-2126-SM-4PQZR 50-59 years, female 1112.3
GTEX-13OVL-2926-SM-5IFG3 50-59 years, male 1111.2
GTEX-1GN1W-2526-SM-9JGHX 50-59 years, female 1110.9
GTEX-18D9U-2226-SM-7KFTN 40-49 years, male 1106.2
GTEX-11WQK-2926-SM-5EQKT 50-59 years, male 1101.4
GTEX-15SHV-2226-SM-6M464 60-69 years, male 1093.8
GTEX-1339X-2326-SM-5HL5B 40-49 years, male 1083.3
GTEX-WH7G-2126-SM-4M1XU 40-49 years, male 1080.0
GTEX-1HCU7-0126-SM-C1YR3 50-59 years, male 1080.0
GTEX-11NV4-1926-SM-5N9D4 60-69 years, male 1075.0
GTEX-ZAB5-2326-SM-5IJFR 50-59 years, male 1071.4
GTEX-1MCC2-2226-SM-EV7AJ 30-39 years, female 1070.4
GTEX-1MCQQ-2226-SM-DLHC4 60-69 years, male 1061.9
GTEX-1GF9X-0226-SM-7P8SM 40-49 years, female 1060.5
GTEX-1AYD5-2726-SM-7MXVG 50-59 years, male 1056.9
GTEX-1S82P-0726-SM-EVR4O 60-69 years, female 1056.6
GTEX-1QP9N-2026-SM-DPRZT 30-39 years, male 1051.8
GTEX-1MGNQ-1926-SM-DTX8L 40-49 years, male 1048.2
GTEX-1GPI7-0326-SM-7MKH6 20-29 years, male 1038.6
GTEX-XGQ4-2626-SM-4AT6B 50-59 years, male 1037.1
GTEX-11P82-0926-SM-5986X 20-29 years, male 1036.8
GTEX-1H4P4-2026-SM-9WPNV 50-59 years, male 1036.8
GTEX-ZP4G-1926-SM-57WDZ 20-29 years, female 1036.0
GTEX-11EQ9-2026-SM-5P9JI 30-39 years, male 1031.6
GTEX-1LC47-2426-SM-DHXKK 60-69 years, male 1028.4
GTEX-1R9PM-1726-SM-E8VOA 20-29 years, male 1024.3
GTEX-X261-2426-SM-4PQZU 50-59 years, male 1023.3
GTEX-131XH-2626-SM-5GCNP 50-59 years, male 1017.2
GTEX-XV7Q-2426-SM-4BRV8 40-49 years, female 1015.3
GTEX-1KD4Q-2526-SM-CXZKL 40-49 years, male 1009.1
GTEX-1R9K5-0626-SM-DPRZB 50-59 years, male 1005.2
GTEX-Y111-2626-SM-4TT24 50-59 years, male 998.2
GTEX-11P81-2026-SM-5P9GT 30-39 years, female 996.2
GTEX-1IOXB-2826-SM-AHZ32 50-59 years, male 993.6
GTEX-1OJC3-1026-SM-E6CQK 20-29 years, male 991.2
GTEX-12WSM-1826-SM-5BC64 60-69 years, male 987.9
GTEX-1I1HK-2526-SM-A96SM 60-69 years, male 986.7
GTEX-1JN6P-2526-SM-CNNPX 60-69 years, male 984.1
GTEX-18A7B-2826-SM-7KFTK 70-79 years, male 979.4
GTEX-1QMI2-0426-SM-EWRND 60-69 years, male 972.5
GTEX-1P4AB-2926-SM-EXOJR 50-59 years, male 970.6
GTEX-1117F-3026-SM-5GZYU 60-69 years, female 966.4
GTEX-ZA64-1726-SM-5CVMF 20-29 years, male 963.1
GTEX-WYVS-2026-SM-4RGNS 40-49 years, female 959.6
GTEX-14PJN-1726-SM-69LO7 30-39 years, male 957.9
GTEX-1HFI7-2426-SM-B2LXV 50-59 years, female 957.3
GTEX-11ZTT-2226-SM-5CVLP 60-69 years, female 957.2
GTEX-1GTWX-2526-SM-9JGHG 60-69 years, male 956.7
GTEX-1QEPI-0626-SM-E76QE 60-69 years, female 956.7
GTEX-11TUW-2426-SM-5EQKB 60-69 years, male 954.9
GTEX-111FC-2926-SM-5GZY7 60-69 years, male 954.6
GTEX-13QJC-2326-SM-5Q5CD 60-69 years, female 953.0
GTEX-1QCLZ-2526-SM-EXUST 60-69 years, female 952.5
GTEX-13111-2326-SM-5LZUQ 50-59 years, male 949.3
GTEX-13O21-1926-SM-5MR39 50-59 years, male 949.0
GTEX-15EU6-2626-SM-7KUN4 50-59 years, male 948.6
GTEX-1314G-2026-SM-5LZUM 30-39 years, male 946.8
GTEX-12WSN-2226-SM-5DUXT 40-49 years, male 945.0
GTEX-145ME-1626-SM-5RQI3 40-49 years, female 943.2
GTEX-1R9PO-2626-SM-E6CPU 60-69 years, female 943.1
GTEX-ZG7Y-2426-SM-DO11H 50-59 years, male 941.7
GTEX-1IDJC-1626-SM-AHZ2R 50-59 years, male 938.4
GTEX-13G51-2426-SM-5LZY8 60-69 years, male 938.1
GTEX-WFJO-2026-SM-4LVM3 30-39 years, male 938.0
GTEX-YB5K-1726-SM-5IFIZ 40-49 years, female 933.1
GTEX-1HSGN-0626-SM-A9G2E 40-49 years, female 932.2
GTEX-1I6K6-0626-SM-ARU7J 30-39 years, male 930.9
GTEX-1A3MV-1726-SM-72D68 30-39 years, male 924.1
GTEX-1AX8Z-0626-SM-731EH 60-69 years, male 917.0
GTEX-18QFQ-0626-SM-718AW 30-39 years, male 915.9
GTEX-1J8QM-1826-SM-A96TA 60-69 years, female 914.3
GTEX-1IY9M-2926-SM-A96TH 60-69 years, male 912.9
GTEX-1GN1V-2926-SM-9JGI3 60-69 years, male 909.1
GTEX-1I6K7-0926-SM-A96SV 40-49 years, male 906.1
GTEX-WHSB-2326-SM-4M1XK 50-59 years, male 903.6
GTEX-WY7C-1426-SM-4OND1 50-59 years, male 898.3
GTEX-13OVI-2326-SM-5KM47 60-69 years, female 894.5
GTEX-1IDJD-2526-SM-C1YSA 30-39 years, male 893.5
GTEX-1IE54-0826-SM-AHZ2Z 40-49 years, female 890.9
GTEX-12WSL-2126-SM-5GCNG 50-59 years, male 887.7
GTEX-1OJC4-3126-SM-EXOJK 50-59 years, female 877.6
GTEX-1B97J-2126-SM-79OL6 50-59 years, female 872.0
GTEX-1RAZA-0626-SM-EAZ4H 20-29 years, male 871.9
GTEX-1GZ2Q-2526-SM-9KNVW 40-49 years, male 867.3
GTEX-1B8SF-1826-SM-731DJ 60-69 years, male 862.9
GTEX-13NYB-2426-SM-5IFF4 40-49 years, male 857.8
GTEX-1LBAC-0626-SM-D3L9T 20-29 years, male 856.4
GTEX-WOFM-2126-SM-4OOSR 20-29 years, male 851.1
GTEX-1C64O-0626-SM-7DHL1 60-69 years, male 850.4
GTEX-X5EB-1726-SM-4E3J7 40-49 years, male 849.7
GTEX-13JVG-2926-SM-5J2N9 60-69 years, male 849.2
GTEX-131XF-2826-SM-5EGKH 60-69 years, male 848.4
GTEX-XMK1-2626-SM-4B65R 40-49 years, male 847.7
GTEX-1EH9U-2926-SM-7DHLX 60-69 years, male 845.7
GTEX-1HSEH-1826-SM-A96SA 60-69 years, male 841.9
GTEX-1PIEJ-0626-SM-DTX99 20-29 years, female 839.9
GTEX-1HSMQ-0926-SM-A96SI 50-59 years, male 834.7
GTEX-13OVK-1826-SM-6PALE 40-49 years, male 834.6
GTEX-1J1R8-1826-SM-AHZ3B 40-49 years, male 833.6
GTEX-ZXG5-2826-SM-5NQ8T 60-69 years, male 828.3
GTEX-1J8EW-2826-SM-A96T9 60-69 years, female 827.8
GTEX-1I4MK-1326-SM-B2LWT 50-59 years, female 821.6
GTEX-1H1CY-2326-SM-9OSXW 60-69 years, female 820.0
GTEX-14PJ3-1526-SM-664O9 50-59 years, male 805.6
GTEX-1HR9M-2526-SM-A9G3J 60-69 years, male 803.6
GTEX-1S83E-0626-SM-E9TKC 40-49 years, male 801.6
GTEX-1B8KZ-1726-SM-73KV7 50-59 years, male 801.5
GTEX-17MFQ-1626-SM-7938Z 20-29 years, male 798.2
GTEX-Y3I4-1926-SM-4TT8L 50-59 years, male 792.1
GTEX-1PPH8-1526-SM-E6CQO 20-29 years, male 776.6
GTEX-1JN1M-2426-SM-ARU93 60-69 years, female 774.8
GTEX-18A67-0626-SM-7KFSL 50-59 years, male 773.5
GTEX-15CHC-1226-SM-686ZH 60-69 years, female 751.0
GTEX-13CF2-2426-SM-5LZYL 60-69 years, male 749.7
GTEX-1C4CL-2026-SM-731EB 30-39 years, male 737.6
GTEX-1AX9K-2126-SM-72D7K 50-59 years, male 729.2
GTEX-ZC5H-2726-SM-5KLZW 40-49 years, female 715.4
GTEX-1C64N-2926-SM-79OLM 50-59 years, male 703.8
GTEX-178AV-1426-SM-6LLID 40-49 years, male 696.0
GTEX-14JIY-3026-SM-6EU1R 60-69 years, male 686.6
GTEX-1JKYR-0726-SM-AHZ3K 20-29 years, male 633.9
GTEX-1B932-0626-SM-731EM 40-49 years, female 596.4
Show allShow less

SALIVARY GLAND - FANTOM5 CAGEi

RNA expression in human tissues obtained through Cap Analysis of Gene Expression (CAGE) generated by the FANTOM5 project are reported as Scaled Tags Per Million.

Max subtype Scaled Tags Per Millioni

Max subtype Scaled Tags Per Million is the value for the subtype with the largest average Scaled Tags Per Million across the subtype samples.

1640.1
FANTOM5 sample id Sample description Scaled Tags Per Million
Parotid gland
Scaled Tags Per Million: 1640.1
FF:10199-103F1 23 years, male 1640.1
Salivary gland
Scaled Tags Per Million: 970.5
FF:10093-102C3 16-60 years, mixed 970.5
Submaxillary gland
Scaled Tags Per Million: 888.4
FF:10202-103F4 24 years, male 888.4

Contact

  • NEWS ARTICLES
  • PRESS ROOM

The Project

  • INTRODUCTION
  • ORGANIZATION
  • PUBLICATIONS

The Human Protein Atlas

  • DOWNLOADABLE DATA
  • LICENCE & CITATION
  • HELP & FAQ
The Human Protein Atlas project is funded
by the Knut & Alice Wallenberg Foundation.


contact@proteinatlas.org