We use cookies to enhance the usability of our website. If you continue, we'll assume that you are happy to receive all cookies. More information. Don't show this again.
ALDOA
HPA
RESOURCES
  • TISSUE
  • BRAIN
  • SINGLE CELL
  • SUBCELLULAR
  • CANCER
  • BLOOD
  • CELL LINE
  • STRUCTURE & INTERACTION
ABOUT
  • INTRODUCTION
  • HISTORY
  • ORGANIZATION
  • PUBLICATIONS
  • ANTIBODY SUBMISSION
  • ANTIBODY AVAILABILITY
  • ACKNOWLEDGMENTS
  • CONTACT
NEWS
  • NEWS ARTICLES
  • PRESS ROOM
LEARN
  • DICTIONARY
  • PROTEIN CLASSES
  • PROTEIN EVIDENCE
  • METHODS
  • EDUCATIONAL VIDEOS
DATA
  • DOWNLOADABLE DATA
  • PUBLICATION DATA
  • RELEASE HISTORY
HELP
  • ANTIBODY VALIDATION
  • ASSAYS & ANNOTATION
  • DISCLAIMER
  • HELP & FAQ
  • PRIVACY STATEMENT
  • LICENCE & CITATION
Fields »
Search result

Field
Term
Gene name
Class
Subclass
Class
Keyword
Chromosome
External id
Tissue
Cell type
Expression
Antibody panel
Tissue
Main location
Patient ID
Annotation
Tissue
Category
Tau score
Cluster
Reliability
Brain region
Category
Tau score
Brain region
Category
Tau score
Brain region
Category
Tau score
Cluster
Reliability
Tissue
Cell type
Enrichment
Cell type
Category
Tau score
Cell type
Category
Tau score
Cell type
Category
Tau score
Cell lineage
Category
Tau score
Cluster
Cluster
Location
Searches
Location
Cell line
Class
Type
Phase
Reliability
Cancer
Prognosis
Cancer
Category
Cancer
Category
Tau score
Cluster
Variants
Interacting gene (ensg_id)
Type
Number of interactions
Pathway
Category
Score
Score
Score
Validation
Validation
Validation
Validation
Antibodies
Data type
Column


  • SUMMARY

  • TISSUE

  • BRAIN

  • SINGLE CELL

  • SUBCELL

  • CANCER

  • BLOOD

  • CELL LINE

  • STRUCT & INT

  • ALDOA
TISSUE PRIMARY DATA SKIN Show tissue menu
ADIPOSE TISSUE ADRENAL GLAND AMYGDALA APPENDIX BASAL GANGLIA BONE MARROW BREAST BRONCHUS CEREBELLUM CEREBRAL CORTEX CERVIX CHOROID PLEXUS COLON DUODENUM
ENDOMETRIUM EPIDIDYMIS ESOPHAGUS FALLOPIAN TUBE GALLBLADDER HEART MUSCLE HIPPOCAMPAL FORMATION HYPOTHALAMUS KIDNEY LIVER LUNG LYMPH NODE MIDBRAIN NASOPHARYNX
ORAL MUCOSA OVARY PANCREAS PARATHYROID GLAND PITUITARY GLAND PLACENTA PROSTATE RECTUM RETINA SALIVARY GLAND SEMINAL VESICLE SKELETAL MUSCLE SKIN SMALL INTESTINE
SMOOTH MUSCLE SOFT TISSUE SPINAL CORD SPLEEN STOMACH TESTIS THYMUS THYROID GLAND TONGUE TONSIL URINARY BLADDER VAGINA
ANTIBODIES
AND
VALIDATION
Dictionary
Skin
Tissue proteome
Skin
SKIN - Expression summary
Protein expression
Skini

On the top, protein expression in current human tissue, based on all annotated cell types, is reported with the units not detected (n), low (l), medium (m) and high (h). Underneath, protein expression in each annotated cell type are reported using the same units.

Protein expression data is based on knowledge-based annotation. For genes where more than one antibody has been used, a collective score is set.

If knowledge-based annotation could not be performed for a gene, no data is displayed here. View antibody staining data further down this page.

h
m
l
n
Cells in basal layer: Low
Cells in corneal layer: Not detected
Cells in granular layer: Not detected
Cells in spinous layer: Not detected
Endothelial cells: Low
Extracellular matrix: Not detected
Fibrohistiocytic cells: Low
Langerhans cells: Not detected
Lymphocytes: Low
Melanocytes: Not detected
Vascular mural cells: Not detected
RNA expressioni

A summary of mRNA expression data available for current tissue based on several datasets. The mRNA expression levels in human tissues are based on RNA-seq data generated by the Human Protein Atlas (HPA), Genotype-Tissue Expression (GTEx) portal and CAGE data generated by the FANTOM5 consortium. Consensus normalized expression levels for human tissues was created by combining the data from HPA and GTEx datasets.

The mRNA expression levels in pig are based on RNA-seq data generated by the Human Protein Atlas (HPA), and for mouse, HPA data and in situ hybridization generated by the Allen brain atlas are reported.

Scroll down to view mRNA expression data in more detail.
Consensus:490.3 nTPM
HPA:490.3 nTPM
GTEx:395.9 nTPM

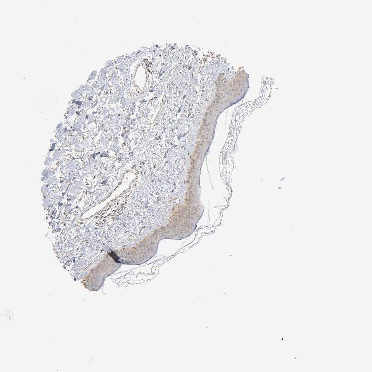
SKIN 1 - Antibody stainingi

Antibody staining in the annotated cell types in the current human tissue is reported as not detected, low, medium, or high, based on conventional immunohistochemistry profiling in selected tissues. This score is based on the combination of the staining intensity and fraction of stained cells.

Each image is clickable and will lead to virtual microscopy that enables deeper exploration of all samples and also displays staining intensity scores, fraction scores and subcellular localization as well as patient and tissue information for each sample.

Antibody HPA004177Antibody CAB006252
Langerhans -Not detected
Cells in basal layer Low-
Cells in corneal layer Not detected-
Cells in granular layer Not detected-
Cells in spinous layer Not detected-
Endothelial cells Low-
Extracellular matrix Not detected-
Fibroblasts -Not detected
Fibrohistiocytic cells Low-
Keratinocytes -Not detected
Langerhans cells Not detected-
Lymphocytes Low-
Melanocytes Not detectedNot detected
Vascular mural cells Not detected-



SKIN 2 - Antibody stainingi

Antibody staining in the annotated cell types in the current human tissue is reported as not detected, low, medium, or high, based on conventional immunohistochemistry profiling in selected tissues. This score is based on the combination of the staining intensity and fraction of stained cells.

Each image is clickable and will lead to virtual microscopy that enables deeper exploration of all samples and also displays staining intensity scores, fraction scores and subcellular localization as well as patient and tissue information for each sample.

Antibody HPA004177Antibody CAB006252
Cells in basal layer Low-
Cells in corneal layer Not detected-
Cells in granular layer Not detected-
Cells in spinous layer Not detected-
Endothelial cells Low-
Epidermal cells -Low
Extracellular matrix Not detected-
Fibrohistiocytic cells Low-
Langerhans cells Not detected-
Lymphocytes Low-
Melanocytes Not detected-
Vascular mural cells Not detected-
  
  



SKIN - HPA RNA-seqi

The RNA-seq details section shows detailed information about the individual samples used for the transcript profiling and results of the RNA-seq analysis.

Information about each individual sample is listed below, including gender, age, a tissue section image and estimated fractions of cell types. nTPM (normalized transcripts per million) values give a quantification of the gene abundance which is comparable between different genes and samples.
Average nTPMi

Max subtype nTPM is the value for the subtype with the largest average nTPM across the subtype samples.

490.3
overview
Female, age 34
Skin sample 225
nTPM: 543
Cell types%
Keratinocytes:
60

Other cell types:
40

overview
Female, age 30
Skin sample 226
nTPM: 426.8
Cell types%
Keratinocytes:
55

Other cell types:
45

N/A
Male, age 57
Skin sample 227
nTPM: 501.1

SKIN - GTEx RNA-seqi

RNA-Seq data generated by the Genotype-Tissue Expression (GTEx) project from human tissues is reported as mean nTPM. More information can be found on the GTEx portal.

Distribution across the dataset is visualized with box plots, shown as median and 25th and 75th percentiles. Points are displayed as outliers if they are above or below 1.5 times the interquartile range. nTPM values of the individual samples are presented next to the box plot.
Max subtype nTPMi

Max subtype nTPM is the value for the subtype with the largest average nTPM across the subtype samples.

395.9
GTEx sample id Sample description nTPM
Skin - Not Sun Exposed (Suprapubic)
Average nTPM: 378.0
Samples: 604

Max nTPM: 1076.0
Min nTPM: 118.0
Std nTPM: 128.7
Median nTPM: 355.3
GTEX-ZYVF-0926-SM-5E44J 50-59 years, female 1076.0
GTEX-WI4N-2726-SM-3LK7Y 40-49 years, female 950.0
GTEX-1A3MW-0626-SM-731CB 60-69 years, female 932.5
GTEX-1ICLZ-0326-SM-ARL82 60-69 years, male 854.9
GTEX-1HSMP-0926-SM-A9SKX 70-79 years, male 850.9
GTEX-15UF6-1926-SM-7KUDV 70-79 years, female 829.4
GTEX-14PJO-2526-SM-6AJBQ 60-69 years, male 825.3
GTEX-14E6C-2426-SM-5S2NF 40-49 years, male 823.6
GTEX-X585-2426-SM-46MW2 50-59 years, male 812.3
GTEX-13IVO-0726-SM-5LZYV 70-79 years, male 801.3
GTEX-WHSE-0126-SM-3NMBT 20-29 years, male 798.2
GTEX-11TT1-1826-SM-5EQLV 20-29 years, male 788.5
GTEX-11WQK-1026-SM-5EQLX 50-59 years, male 715.5
GTEX-1H23P-0626-SM-9WG6T 60-69 years, male 691.3
GTEX-14XAO-1226-SM-6EU1C 60-69 years, female 680.1
GTEX-131XG-0326-SM-5L3DX 50-59 years, female 673.8
GTEX-X8HC-0626-SM-4E3HQ 50-59 years, female 671.0
GTEX-139TS-2126-SM-5K7XC 60-69 years, male 669.8
GTEX-14PJ3-1126-SM-5ZZVX 50-59 years, male 666.8
GTEX-1IDJC-1526-SM-B2LW4 50-59 years, male 661.1
GTEX-ZDTS-0826-SM-4WKHL 60-69 years, male 652.6
GTEX-15DDE-2926-SM-6LLJ3 50-59 years, female 650.9
GTEX-11DYG-1526-SM-5A5JS 60-69 years, male 644.7
GTEX-1JMQL-2226-SM-CNPP4 50-59 years, female 643.8
GTEX-1N2DV-1526-SM-DTXEP 40-49 years, male 643.8
GTEX-1IKOE-1426-SM-CE6T7 30-39 years, female 640.9
GTEX-1I6K7-1926-SM-B2LXR 40-49 years, male 634.9
GTEX-WHWD-1826-SM-3LK6I 50-59 years, male 633.5
GTEX-1OJC3-1226-SM-DTXER 20-29 years, male 625.5
GTEX-ZPIC-0526-SM-DO91W 40-49 years, female 623.4
GTEX-ZYW4-0626-SM-59HJR 60-69 years, male 620.8
GTEX-13RTJ-0126-SM-5S2NN 60-69 years, male 617.5
GTEX-1JMQI-1726-SM-ARL93 50-59 years, male 616.1
GTEX-Y114-2126-SM-4TT8B 50-59 years, female 611.5
GTEX-1HGF4-0126-SM-CNPPX 60-69 years, male 608.9
GTEX-1E1VI-0326-SM-793D1 50-59 years, male 607.8
GTEX-XK95-0226-SM-4AT58 40-49 years, male 605.3
GTEX-11P7K-1126-SM-5HL4L 30-39 years, male 604.9
GTEX-1H2FU-0926-SM-9WPPT 60-69 years, female 600.8
GTEX-1IE54-1126-SM-A9G2Z 40-49 years, female 592.1
GTEX-1E2YA-2126-SM-7MXUO 50-59 years, male 587.6
GTEX-1IDFM-0326-SM-ARL7V 60-69 years, male 586.6
GTEX-ZC5H-1526-SM-5HL9Y 40-49 years, female 582.7
GTEX-14C38-0726-SM-5SI6M 50-59 years, male 580.1
GTEX-1R9K4-2826-SM-DTX8F 60-69 years, male 577.4
GTEX-1HCU7-0726-SM-A9SL1 50-59 years, male 564.7
GTEX-1I1GU-0926-SM-ACKVS 40-49 years, male 560.3
GTEX-13OVK-1426-SM-6PAN7 40-49 years, male 554.0
GTEX-1F75I-2226-SM-7SB8U 40-49 years, male 553.8
GTEX-14BMU-1226-SM-5S2OR 20-29 years, female 553.0
GTEX-15G1A-1626-SM-7KUKN 30-39 years, male 548.0
GTEX-1I19N-0126-SM-CYPSF 70-79 years, male 544.3
GTEX-14C39-1726-SM-5RQIL 40-49 years, male 542.6
GTEX-ZYFD-0626-SM-5E44E 50-59 years, male 541.1
GTEX-U8XE-0226-SM-4E3J3 30-39 years, male 539.1
GTEX-13OVH-0526-SM-5L3E6 70-79 years, male 538.8
GTEX-1PPH8-0126-SM-EWRN8 20-29 years, male 538.8
GTEX-12696-0126-SM-5EQ4L 60-69 years, male 534.4
GTEX-Y8LW-1526-SM-5IFHL 50-59 years, female 533.2
GTEX-Y8E4-2026-SM-5IFJB 40-49 years, male 530.0
GTEX-1JMLX-0626-SM-ARL8T 50-59 years, male 524.9
GTEX-1JN1M-2726-SM-CY8I4 60-69 years, female 524.8
GTEX-ZTX8-1326-SM-4YCEL 20-29 years, male 524.3
GTEX-11DXX-2126-SM-5PNYR 60-69 years, female 524.2
GTEX-1192X-2726-SM-5N9DN 50-59 years, male 524.0
GTEX-1PIIG-2326-SM-DTXFR 30-39 years, male 524.0
GTEX-13YAN-0226-SM-5TDC6 60-69 years, male 523.5
GTEX-1H1CY-0126-SM-9YFLY 60-69 years, female 518.7
GTEX-11DZ1-2426-SM-5GZZX 50-59 years, male 516.8
GTEX-ZE7O-2726-SM-51MT5 50-59 years, female 515.6
GTEX-1J8Q2-2626-SM-ACKWQ 60-69 years, male 513.5
GTEX-1PPH7-1126-SM-DTX9A 40-49 years, male 513.4
GTEX-14LZ3-0126-SM-69LPM 60-69 years, female 512.6
GTEX-XBED-1926-SM-47JYP 60-69 years, male 509.2
GTEX-11DXZ-2026-SM-5987S 50-59 years, male 508.9
GTEX-15SKB-2826-SM-6PAMH 60-69 years, male 508.0
GTEX-16MT8-2926-SM-7DUFO 60-69 years, female 507.3
GTEX-1B933-2426-SM-7DHMD 50-59 years, female 503.2
GTEX-17HHE-1326-SM-7EWDZ 50-59 years, male 501.8
GTEX-1RAZA-2226-SM-E9U4X 20-29 years, male 501.6
GTEX-148VJ-0626-SM-5LUAW 70-79 years, male 501.2
GTEX-11P82-1426-SM-DTXFY 20-29 years, male 500.2
GTEX-16XZZ-0726-SM-7KUF2 60-69 years, male 498.9
GTEX-12126-0826-SM-5FQTZ 20-29 years, male 498.7
GTEX-WH7G-2026-SM-3NMBL 40-49 years, male 498.2
GTEX-13OW5-2326-SM-5L3HO 60-69 years, male 497.2
GTEX-WFG7-2026-SM-5SI7P 20-29 years, male 496.2
GTEX-1HR9M-2226-SM-CNPPY 60-69 years, male 494.9
GTEX-12WSD-0626-SM-5GCMW 60-69 years, female 493.2
GTEX-147F4-0726-SM-5TDDD 50-59 years, male 492.5
GTEX-1497J-0226-SM-5QGPU 60-69 years, male 491.0
GTEX-145MI-0626-SM-5SI8S 60-69 years, female 490.9
GTEX-145MO-2826-SM-5LU96 60-69 years, male 490.1
GTEX-15RIE-1926-SM-7KUKJ 60-69 years, male 487.0
GTEX-18A66-0626-SM-7LT8Z 60-69 years, male 486.9
GTEX-11WQC-1826-SM-5GU59 60-69 years, male 484.8
GTEX-1QP66-1226-SM-DTX7U 50-59 years, male 484.4
GTEX-Y5LM-0926-SM-6LLJG 40-49 years, female 483.0
GTEX-145MG-1526-SM-5Q5EM 50-59 years, male 482.4
GTEX-144FL-0626-SM-5LU43 50-59 years, male 481.2
GTEX-13X6K-0626-SM-5LU5D 60-69 years, female 481.1
GTEX-17HGU-2326-SM-7DUFE 50-59 years, male 480.3
GTEX-15G19-2426-SM-7KUMR 60-69 years, male 480.1
GTEX-1JMQK-1226-SM-D4P2S 60-69 years, male 479.1
GTEX-139UW-0326-SM-5J1ML 60-69 years, male 479.0
GTEX-12WSF-1626-SM-7KUG5 70-79 years, male 477.8
GTEX-132AR-0326-SM-5KM2C 50-59 years, female 477.3
GTEX-111FC-2526-SM-5GZXU 60-69 years, male 476.9
GTEX-1RLM8-2926-SM-E8VON 50-59 years, male 476.4
GTEX-1GTWX-2026-SM-9YFLM 60-69 years, male 472.6
GTEX-1LSVX-2526-SM-DIPEU 60-69 years, male 472.4
GTEX-ZUA1-2626-SM-5NQ92 40-49 years, male 471.3
GTEX-1F6I4-2326-SM-7RHGL 60-69 years, male 470.2
GTEX-1O9I2-0226-SM-EYYXD 50-59 years, male 470.0
GTEX-16NGA-0726-SM-731AO 40-49 years, female 469.8
GTEX-ZYY3-2926-SM-5GIEB 60-69 years, female 468.4
GTEX-144GO-2026-SM-5O99P 60-69 years, male 467.3
GTEX-1HBPN-0126-SM-CGQEF 50-59 years, male 466.2
GTEX-11EQ9-1626-SM-5PNY8 30-39 years, male 465.9
GTEX-12WSJ-1126-SM-5LZVJ 40-49 years, female 464.7
GTEX-1JN76-0626-SM-CKZOQ 20-29 years, female 464.3
GTEX-13QJC-0126-SM-5ZZWJ 60-69 years, female 464.2
GTEX-YB5K-2026-SM-4VDT3 40-49 years, female 463.8
GTEX-1A3MX-2626-SM-7PC24 60-69 years, male 462.8
GTEX-XXEK-1626-SM-4BRUZ 50-59 years, male 462.3
GTEX-1I1CD-0626-SM-CE6SW 60-69 years, female 461.4
GTEX-WHPG-2626-SM-3NMBR 50-59 years, male 460.9
GTEX-YEC3-1326-SM-DO92X 50-59 years, male 460.3
GTEX-14A5H-0826-SM-5QGPJ 60-69 years, male 459.9
GTEX-139YR-1026-SM-5LZYN 50-59 years, male 459.4
GTEX-1GMR3-0126-SM-A9SLW 40-49 years, male 459.2
GTEX-12KS4-2126-SM-5FQUT 30-39 years, male 459.1
GTEX-1EH9U-2826-SM-7DUGT 60-69 years, male 457.7
GTEX-13JUV-2026-SM-5K7UA 40-49 years, female 457.6
GTEX-1ICG6-1226-SM-A9SLN 70-79 years, female 456.6
GTEX-131XF-2626-SM-5EQ6K 60-69 years, male 456.3
GTEX-1AX8Z-0726-SM-73KTS 60-69 years, male 456.0
GTEX-1B97I-0626-SM-73KUZ 40-49 years, male 455.0
GTEX-13SLX-2226-SM-62LEP 50-59 years, female 451.7
GTEX-18A7B-2726-SM-7LG56 70-79 years, male 451.0
GTEX-13W3W-0726-SM-5IJDQ 60-69 years, female 450.3
GTEX-1N5O9-0926-SM-E9J3C 60-69 years, male 447.6
GTEX-18A6Q-0626-SM-7KFRP 60-69 years, male 446.0
GTEX-18D9U-0126-SM-731BM 40-49 years, male 445.2
GTEX-Y111-0626-SM-4SOIT 50-59 years, male 445.2
GTEX-11EM3-1226-SM-5N9DD 20-29 years, female 444.7
GTEX-1IY9M-2826-SM-ARU8H 60-69 years, male 443.9
GTEX-1QAET-0326-SM-EVR3U 50-59 years, male 442.8
GTEX-13G51-1826-SM-5KLZH 60-69 years, male 442.6
GTEX-1H1DG-2426-SM-9QEHJ 70-79 years, male 442.1
GTEX-1S3DN-2126-SM-E9TIN 50-59 years, male 439.2
GTEX-ZTTD-2826-SM-4YCFA 50-59 years, male 438.9
GTEX-WEY5-2326-SM-3GIKK 40-49 years, female 438.8
GTEX-12ZZY-0726-SM-5EQ66 60-69 years, male 437.8
GTEX-1CAMS-2226-SM-7PBXQ 40-49 years, female 437.0
GTEX-13NYC-0126-SM-5L3F4 60-69 years, male 436.7
GTEX-1QW4Y-1126-SM-DTXE3 30-39 years, male 436.7
GTEX-Y5V6-2326-SM-4VDSA 60-69 years, male 435.0
GTEX-17F96-0126-SM-7EWDU 70-79 years, male 434.6
GTEX-ZPU1-1126-SM-4YCF3 40-49 years, male 434.2
GTEX-1AX9I-2226-SM-73KUO 60-69 years, male 433.7
GTEX-XBEW-1126-SM-4QARW 40-49 years, male 433.4
GTEX-1HCU6-2526-SM-ADEHL 60-69 years, female 432.8
GTEX-17F9Y-0126-SM-79OKX 70-79 years, female 432.7
GTEX-1I1GS-2626-SM-B2LY3 60-69 years, male 432.2
GTEX-15RJE-2826-SM-7KUM9 40-49 years, male 432.0
GTEX-1HC8U-1326-SM-9YFMJ 40-49 years, female 431.9
GTEX-13N11-2326-SM-5IJBF 50-59 years, female 430.9
GTEX-11O72-0626-SM-5PNYE 40-49 years, male 428.9
GTEX-1K2DU-1226-SM-CYPT4 20-29 years, male 428.6
GTEX-1LGOU-1326-SM-D3L8M 20-29 years, female 428.2
GTEX-13OVJ-0826-SM-5J1OK 50-59 years, female 426.7
GTEX-WY7C-2126-SM-3NB2R 50-59 years, male 425.7
GTEX-XMD2-2126-SM-4YCF8 60-69 years, female 424.6
GTEX-Z93S-1626-SM-5CVMB 50-59 years, male 424.0
GTEX-14ICL-1626-SM-5YYAO 30-39 years, male 422.4
GTEX-1IL2V-1926-SM-B2LW8 70-79 years, male 421.9
GTEX-11NSD-0626-SM-5A5LU 20-29 years, male 421.6
GTEX-1H1DE-1326-SM-9KNUG 20-29 years, male 420.8
GTEX-15SHW-0226-SM-7LTAT 60-69 years, male 420.3
GTEX-1J1OQ-0126-SM-D4P2N 40-49 years, female 420.2
GTEX-1JMOU-1026-SM-CYPSS 60-69 years, female 420.1
GTEX-111YS-1526-SM-5GZYW 60-69 years, male 419.3
GTEX-W5X1-2526-SM-3GILC 40-49 years, female 418.8
GTEX-13PDP-0726-SM-5L3HP 60-69 years, male 417.7
GTEX-1F75B-0726-SM-7PC3R 50-59 years, male 417.7
GTEX-1PBJJ-1026-SM-E76OS 30-39 years, male 417.4
GTEX-1GN1V-2826-SM-9JGIA 60-69 years, male 416.3
GTEX-1B8KZ-0326-SM-73KY4 50-59 years, male 415.9
GTEX-1I1GP-1326-SM-A9G28 50-59 years, male 414.8
GTEX-13D11-0926-SM-5J2NC 50-59 years, female 414.7
GTEX-13SLW-0626-SM-5Q5ER 70-79 years, male 414.0
GTEX-14PHY-1226-SM-5ZZWK 60-69 years, female 413.4
GTEX-1PIGE-1826-SM-E8VOU 20-29 years, male 411.7
GTEX-1L5NE-1126-SM-D3L9P 50-59 years, male 410.6
GTEX-X4EO-2926-SM-4E3JH 60-69 years, female 409.8
GTEX-131XH-0126-SM-5LZUY 50-59 years, male 409.4
GTEX-13NZ9-2626-SM-5L3FK 50-59 years, male 409.2
GTEX-13O3O-2326-SM-5IJD6 60-69 years, female 409.0
GTEX-1KD5A-0126-SM-E9U54 50-59 years, male 408.8
GTEX-1A8G7-1326-SM-73KVM 60-69 years, male 408.5
GTEX-1399S-0126-SM-5IJCF 30-39 years, female 408.2
GTEX-1R9PN-0426-SM-DTXDT 40-49 years, female 407.6
GTEX-131YS-2826-SM-5EQ47 60-69 years, female 407.0
GTEX-17F97-2626-SM-7IGM5 50-59 years, male 407.0
GTEX-ZVP2-0326-SM-57WBP 50-59 years, male 406.4
GTEX-14JFF-0626-SM-5ZZVT 60-69 years, male 406.1
GTEX-1QCLY-0226-SM-EWRNH 30-39 years, male 406.0
GTEX-1GN1U-0626-SM-9MQL9 50-59 years, female 404.3
GTEX-1477Z-0326-SM-7IGLA 60-69 years, male 403.2
GTEX-139TU-0726-SM-5L3EK 60-69 years, male 403.0
GTEX-1A8FM-0626-SM-7PC25 50-59 years, female 402.7
GTEX-ZYFC-0426-SM-5GICQ 50-59 years, male 401.5
GTEX-139TT-2126-SM-5LZWC 60-69 years, male 399.7
GTEX-1AYD5-2626-SM-7PBXY 50-59 years, male 399.6
GTEX-13X6H-0926-SM-5SIB2 50-59 years, female 398.6
GTEX-ZVE2-2826-SM-5GU51 50-59 years, male 397.0
GTEX-11DXW-0826-SM-5H118 40-49 years, male 396.9
GTEX-1HT8W-0626-SM-A9G2H 30-39 years, male 396.7
GTEX-13FTX-1526-SM-5K7VJ 20-29 years, female 394.3
GTEX-1LSNL-2726-SM-E9TKJ 50-59 years, male 394.3
GTEX-1H1DF-1126-SM-9WG7G 40-49 years, female 394.1
GTEX-ZAJG-1526-SM-5CVML 50-59 years, female 393.8
GTEX-15RJ7-2126-SM-6PAMD 40-49 years, male 393.6
GTEX-YEC4-1826-SM-4W1YP 40-49 years, male 393.5
GTEX-14E1K-2026-SM-7DUEI 50-59 years, male 392.2
GTEX-1PDJ9-1226-SM-EXUSX 20-29 years, male 391.8
GTEX-ZDXO-3126-SM-5IJDF 60-69 years, male 390.6
GTEX-ZA64-1026-SM-5HL8R 20-29 years, male 390.4
GTEX-1HBPI-2126-SM-ARL9K 50-59 years, male 390.0
GTEX-17EVQ-0126-SM-7IGLR 70-79 years, male 389.9
GTEX-11ZTT-2126-SM-5CVLO 60-69 years, female 389.8
GTEX-13U4I-2226-SM-5LU5H 40-49 years, female 389.5
GTEX-13JVG-0726-SM-5KM16 60-69 years, male 388.5
GTEX-147GR-2426-SM-5ZZWQ 60-69 years, male 388.5
GTEX-XYKS-1426-SM-4BRUO 60-69 years, female 388.3
GTEX-1PPGY-1626-SM-EVYBL 60-69 years, male 386.5
GTEX-17F9E-2326-SM-79OKD 50-59 years, male 386.2
GTEX-111VG-1626-SM-5EGIO 60-69 years, male 385.5
GTEX-15ER7-0626-SM-6PANF 20-29 years, female 385.5
GTEX-1J8JJ-0626-SM-ARZMQ 60-69 years, female 384.6
GTEX-1A8G6-2726-SM-731AR 60-69 years, male 384.5
GTEX-ZT9X-1526-SM-5DUXD 40-49 years, male 384.3
GTEX-1NSGN-0726-SM-DTXEF 50-59 years, male 383.5
GTEX-13OVG-1626-SM-5J1NF 60-69 years, male 383.2
GTEX-1F6RS-2026-SM-7RHHC 60-69 years, female 382.7
GTEX-1IKJJ-2226-SM-CJI4C 60-69 years, male 382.7
GTEX-1211K-1526-SM-5FQU4 60-69 years, female 382.1
GTEX-VUSG-2326-SM-4KL1U 50-59 years, male 380.7
GTEX-1117F-2926-SM-5GZYI 60-69 years, female 380.5
GTEX-1QP9N-1226-SM-E76QN 30-39 years, male 380.3
GTEX-13OVL-0126-SM-5L3GJ 50-59 years, male 378.6
GTEX-12BJ1-0926-SM-5EQ62 60-69 years, male 378.5
GTEX-1HFI7-2326-SM-CGQFS 50-59 years, female 377.9
GTEX-145MF-0926-SM-5Q5EA 50-59 years, male 377.5
GTEX-XOT4-0626-SM-4B66L 60-69 years, female 377.3
GTEX-1F88E-1626-SM-7SB8Z 60-69 years, female 377.2
GTEX-11EQ8-0926-SM-5H12V 60-69 years, male 376.7
GTEX-1I6K6-1726-SM-CGQFD 30-39 years, male 375.9
GTEX-1KANC-1226-SM-CYPT7 50-59 years, female 375.8
GTEX-WFG8-2126-SM-3GIKQ 20-29 years, male 375.2
GTEX-16AAH-0626-SM-793C9 50-59 years, male 374.5
GTEX-1399Q-2326-SM-5KM2X 40-49 years, male 374.0
GTEX-11DXY-0126-SM-5H11Q 60-69 years, male 373.7
GTEX-1JN6P-2926-SM-CL54D 60-69 years, male 373.6
GTEX-1RMOY-1326-SM-E9TIH 50-59 years, male 372.8
GTEX-XQ3S-1426-SM-4BOPR 20-29 years, male 372.4
GTEX-1HSMQ-2626-SM-A9SML 50-59 years, male 371.7
GTEX-1QEPI-2626-SM-DTXF4 60-69 years, female 371.7
GTEX-ZE9C-2526-SM-5IJDR 60-69 years, male 371.5
GTEX-1313W-0626-SM-5EQ4H 50-59 years, female 371.4
GTEX-1F52S-2926-SM-7MKGA 60-69 years, female 371.2
GTEX-11TUW-0626-SM-5LU9M 60-69 years, male 370.4
GTEX-ZF2S-1626-SM-57WES 50-59 years, female 369.9
GTEX-1C6VQ-1226-SM-73KYD 50-59 years, male 369.4
GTEX-1GN1W-2426-SM-9KNUU 50-59 years, female 367.5
GTEX-111CU-1126-SM-5EGIM 50-59 years, male 366.4
GTEX-1C64O-1326-SM-7MGWR 60-69 years, male 366.1
GTEX-14BMV-2826-SM-5TDED 50-59 years, male 365.7
GTEX-13NYS-0626-SM-5L3F1 60-69 years, male 364.9
GTEX-13FH7-1126-SM-5K7UG 50-59 years, female 364.8
GTEX-1HR98-2226-SM-ADEI2 60-69 years, male 364.7
GTEX-1RAZR-2126-SM-E9U6T 40-49 years, male 364.4
GTEX-14DAR-1226-SM-73KYV 50-59 years, male 362.0
GTEX-14ABY-2026-SM-62LDL 50-59 years, male 361.1
GTEX-1KAFJ-0126-SM-DIPEK 50-59 years, male 359.3
GTEX-ZDYS-2426-SM-4WKGI 50-59 years, male 359.0
GTEX-17HHY-0426-SM-7DHLC 50-59 years, male 358.9
GTEX-1BAJH-2426-SM-7IGP8 70-79 years, male 358.8
GTEX-11ZU8-0126-SM-5EQ58 60-69 years, male 358.6
GTEX-13112-0126-SM-5P9IU 50-59 years, male 358.4
GTEX-12WSL-2026-SM-5GCML 50-59 years, male 358.1
GTEX-14PJ5-1526-SM-6LLIL 60-69 years, female 358.0
GTEX-1H11D-1826-SM-9QEHM 40-49 years, male 357.9
GTEX-11OF3-0126-SM-5PNYF 60-69 years, male 357.6
GTEX-ZYT6-2326-SM-5GZY3 30-39 years, male 357.4
GTEX-14PJ2-0626-SM-6LLII 50-59 years, male 357.0
GTEX-14PII-0726-SM-6EU2B 60-69 years, male 356.6
GTEX-1R7EU-1626-SM-DTXG3 60-69 years, male 356.5
GTEX-17KNJ-2126-SM-718AM 50-59 years, male 355.7
GTEX-ZAB4-2126-SM-5HL8U 40-49 years, male 355.4
GTEX-1H3VE-0726-SM-9YFL5 40-49 years, male 355.4
GTEX-13NZ8-1226-SM-5KM4A 60-69 years, female 355.3
GTEX-1IDJF-2026-SM-CL53V 20-29 years, male 354.7
GTEX-13PVQ-0626-SM-5LU47 50-59 years, male 354.2
GTEX-12ZZX-2426-SM-5GCOE 40-49 years, female 353.9
GTEX-1HUB1-1426-SM-CGQF5 60-69 years, male 353.6
GTEX-1KWVE-1026-SM-D3L9O 30-39 years, male 353.3
GTEX-Y3IK-1626-SM-4YCF5 50-59 years, female 352.4
GTEX-Y3I4-1726-SM-4TT89 50-59 years, male 352.3
GTEX-18A7A-0126-SM-731AH 50-59 years, female 351.5
GTEX-1CB4J-1326-SM-7P8RX 60-69 years, male 351.5
GTEX-1399U-1126-SM-5L3DB 50-59 years, female 351.0
GTEX-18D9B-0926-SM-7LG4U 60-69 years, male 351.0
GTEX-1F6IF-0926-SM-7SB7M 60-69 years, male 350.8
GTEX-1K2DA-1026-SM-CGQGF 50-59 years, male 350.8
GTEX-17HG3-2626-SM-7DUF2 30-39 years, female 350.4
GTEX-18QFQ-1826-SM-72D52 30-39 years, male 350.0
GTEX-1EN7A-2426-SM-793DB 40-49 years, male 349.9
GTEX-146FQ-2126-SM-5RQHU 30-39 years, male 348.7
GTEX-1LKK1-2626-SM-DKPQE 50-59 years, female 348.2
GTEX-1GF9W-1426-SM-7PBYM 60-69 years, male 347.5
GTEX-17F98-1326-SM-7DUEP 40-49 years, female 347.1
GTEX-12584-0726-SM-5FQTK 40-49 years, male 346.8
GTEX-1RB15-1326-SM-E76Q9 60-69 years, male 346.5
GTEX-1QP28-1126-SM-EVYC4 50-59 years, female 345.6
GTEX-1JMPZ-0726-SM-CY8HZ 30-39 years, male 344.9
GTEX-1QCLZ-2426-SM-EVYBW 60-69 years, female 344.9
GTEX-1R46S-2426-SM-E76QA 60-69 years, female 344.3
GTEX-15D1Q-2826-SM-6LLH7 40-49 years, male 343.7
GTEX-1IDJV-0126-SM-COH3Y 60-69 years, male 343.1
GTEX-13OW6-2726-SM-5J2OE 50-59 years, male 342.9
GTEX-UPJH-0226-SM-3GADV 50-59 years, male 342.4
GTEX-1LVA9-2626-SM-EVYD4 50-59 years, male 342.3
GTEX-13PL6-1126-SM-5L3IE 40-49 years, female 342.2
GTEX-1F48J-0726-SM-7RHGS 50-59 years, female 341.9
GTEX-1JJ6O-2726-SM-CNPOG 60-69 years, male 341.5
GTEX-1CB4E-0926-SM-7EPHT 60-69 years, male 340.6
GTEX-117YX-1926-SM-5GIEC 50-59 years, male 340.5
GTEX-144GM-0526-SM-79OJO 20-29 years, male 340.4
GTEX-183FY-1026-SM-7939A 20-29 years, male 339.9
GTEX-144GL-0626-SM-5LU4D 50-59 years, male 339.6
GTEX-1H1E6-0426-SM-9WYUS 30-39 years, male 339.4
GTEX-14DAQ-0626-SM-793DS 60-69 years, female 338.3
GTEX-1J8QM-2426-SM-A9SLS 60-69 years, female 338.2
GTEX-11LCK-2226-SM-5HL4Q 30-39 years, male 337.9
GTEX-13NYB-0126-SM-5J1MD 40-49 years, male 337.1
GTEX-1B8KE-1126-SM-7EPHI 50-59 years, male 336.5
GTEX-15CHQ-0326-SM-69LQD 60-69 years, male 336.4
GTEX-12WSK-2126-SM-5CVNC 40-49 years, female 334.1
GTEX-ZYFG-1526-SM-5GZYM 60-69 years, female 333.2
GTEX-ZF29-0926-SM-4WKFZ 60-69 years, female 332.8
GTEX-ZZ64-1026-SM-5GZXG 20-29 years, male 332.1
GTEX-139D8-1126-SM-5LU8W 30-39 years, female 332.0
GTEX-145LS-0626-SM-7EPG7 60-69 years, female 331.9
GTEX-ZDTT-0426-SM-4WKFL 60-69 years, male 331.7
GTEX-ZT9W-1126-SM-57WDR 50-59 years, male 331.6
GTEX-1JMPY-0226-SM-CKZOK 30-39 years, male 331.6
GTEX-1AX9J-1326-SM-731BJ 60-69 years, male 330.5
GTEX-15EO6-2426-SM-6PALZ 50-59 years, male 330.2
GTEX-1RAZQ-1326-SM-E9TK6 30-39 years, male 329.8
GTEX-ZLWG-0826-SM-59888 50-59 years, female 329.4
GTEX-12WSA-0426-SM-5EQ5X 60-69 years, male 328.8
GTEX-1A32A-0626-SM-731AQ 50-59 years, female 328.5
GTEX-ZVT4-2426-SM-5GIEI 50-59 years, female 328.4
GTEX-1HCVE-2726-SM-CL54F 50-59 years, male 328.3
GTEX-X5EB-1926-SM-4E3IW 40-49 years, male 327.8
GTEX-WYBS-0626-SM-3NMAS 60-69 years, female 327.7
GTEX-WK11-2726-SM-3NMAQ 50-59 years, male 327.6
GTEX-1CAV2-0126-SM-7IGN7 40-49 years, female 327.0
GTEX-1B996-0426-SM-7EWF8 60-69 years, male 326.8
GTEX-1LG7Z-1626-SM-CXKYR 30-39 years, male 326.7
GTEX-147F3-1726-SM-5SIAW 50-59 years, female 326.5
GTEX-11EI6-2826-SM-5H11D 60-69 years, male 326.1
GTEX-1CAMR-1326-SM-7PC1F 20-29 years, male 324.8
GTEX-17MFQ-1526-SM-7KFRR 20-29 years, male 324.7
GTEX-1LSNM-0826-SM-DIPG8 50-59 years, male 324.3
GTEX-14LLW-2626-SM-62LDZ 70-79 years, female 324.0
GTEX-ZXG5-2126-SM-59HKD 60-69 years, male 323.0
GTEX-1GMR8-0626-SM-7RHI7 50-59 years, female 322.8
GTEX-11ZUS-2626-SM-5FQUR 30-39 years, male 321.7
GTEX-145LT-0526-SM-5LUB2 40-49 years, male 321.1
GTEX-14PHX-2226-SM-6EU2P 50-59 years, male 319.2
GTEX-1GZ4I-2626-SM-9KNU3 50-59 years, male 318.9
GTEX-XBEC-0726-SM-4QARZ 50-59 years, male 318.5
GTEX-ZU9S-1826-SM-5NQ9E 30-39 years, male 318.5
GTEX-14BIN-1126-SM-5RQJZ 50-59 years, female 317.9
GTEX-15CHR-1126-SM-7EWF4 50-59 years, male 317.4
GTEX-WFON-1926-SM-3LK7L 40-49 years, male 317.4
GTEX-145MN-1526-SM-5SI9T 30-39 years, male 316.8
GTEX-17MF6-2626-SM-79OKQ 40-49 years, male 316.4
GTEX-YF7O-1526-SM-5IFI6 50-59 years, male 315.0
GTEX-131XW-0626-SM-5PNVD 50-59 years, female 314.6
GTEX-14PJ4-0226-SM-5YY92 60-69 years, male 314.6
GTEX-1F75W-2726-SM-7SB8H 60-69 years, male 314.6
GTEX-13N1W-2426-SM-5IJD1 70-79 years, male 314.0
GTEX-14C5O-0326-SM-5ZZUX 60-69 years, male 314.0
GTEX-1QP29-1826-SM-DTX9S 50-59 years, male 314.0
GTEX-ZF3C-0626-SM-DO92O 50-59 years, female 313.7
GTEX-1GF9U-2026-SM-7SB92 40-49 years, female 312.7
GTEX-1B8SF-0126-SM-7DUG3 60-69 years, male 311.8
GTEX-1LG7Y-2526-SM-EWRO7 50-59 years, male 311.1
GTEX-1LVAO-2726-SM-E9TJ8 60-69 years, male 310.2
GTEX-1EX96-1026-SM-7MKG2 50-59 years, male 309.9
GTEX-1GN2E-0226-SM-9WG6K 60-69 years, male 309.6
GTEX-18A67-1626-SM-7LT9T 50-59 years, male 309.3
GTEX-1GZ2Q-0126-SM-9WG6M 40-49 years, male 309.2
GTEX-12WSC-2826-SM-5BC5Y 50-59 years, male 309.1
GTEX-13VXT-1926-SM-5K7UO 20-29 years, female 309.0
GTEX-13X6I-1826-SM-5SIAO 60-69 years, male 308.8
GTEX-1EU9M-1426-SM-793AI 60-69 years, male 308.7
GTEX-1I4MK-0126-SM-CY8G6 50-59 years, female 308.1
GTEX-17JCI-2926-SM-7DUFF 60-69 years, female 308.0
GTEX-YFCO-1226-SM-5LUAT 40-49 years, male 307.9
GTEX-1H3O1-1326-SM-9MQLD 60-69 years, male 307.9
GTEX-1HCU9-0426-SM-9WYSD 20-29 years, male 307.6
GTEX-12WSM-1926-SM-5BC65 60-69 years, male 307.3
GTEX-1KANB-2826-SM-CY8I6 50-59 years, male 306.1
GTEX-1HSMO-0626-SM-ACKXC 60-69 years, male 305.8
GTEX-1JMQJ-0826-SM-CNPP7 50-59 years, male 305.8
GTEX-1F5PK-2226-SM-7SB6N 50-59 years, male 305.7
GTEX-16GPK-0626-SM-7KFSF 60-69 years, male 305.5
GTEX-1HBPM-0726-SM-9YFL7 60-69 years, female 305.2
GTEX-1314G-1326-SM-5BC6E 30-39 years, male 305.1
GTEX-1KANA-1326-SM-DIPFA 20-29 years, male 305.1
GTEX-1I1HK-2326-SM-CKZOH 60-69 years, male 304.9
GTEX-YECK-0326-SM-4W1YS 60-69 years, male 303.5
GTEX-16MT9-0126-SM-7EPI8 60-69 years, female 303.4
GTEX-ZLFU-1826-SM-4WWBV 40-49 years, male 303.4
GTEX-14753-0726-SM-5QGQO 60-69 years, male 303.1
GTEX-13PVR-0426-SM-5RQK2 60-69 years, female 303.0
GTEX-13FHO-0426-SM-5L3F5 60-69 years, male 302.9
GTEX-13OW7-0426-SM-5K7VK 50-59 years, male 301.6
GTEX-13VXU-0626-SM-5L3F9 50-59 years, male 301.5
GTEX-1JK1U-0226-SM-ARZMX 60-69 years, male 301.1
GTEX-1KXAM-1626-SM-D3LAD 60-69 years, male 300.5
GTEX-145MH-2826-SM-5RQJF 50-59 years, male 300.1
GTEX-14PJN-1826-SM-6AJ98 30-39 years, male 300.1
GTEX-WHSB-1326-SM-3LK6W 50-59 years, male 299.2
GTEX-1GMRU-2126-SM-7P8RA 50-59 years, male 299.0
GTEX-1MCYP-0526-SM-E9U6Q 20-29 years, female 298.0
GTEX-13X6J-0626-SM-5LU5F 50-59 years, male 297.8
GTEX-13113-1626-SM-5EQ4I 60-69 years, female 296.9
GTEX-1IDJE-1426-SM-ADEIW 50-59 years, female 296.8
GTEX-1R9PM-1926-SM-EVR3O 20-29 years, male 296.7
GTEX-1HB9E-0126-SM-CM2S5 50-59 years, male 296.4
GTEX-13FLV-0126-SM-5K7WT 50-59 years, male 295.1
GTEX-1K9T9-1526-SM-DIPFR 50-59 years, female 294.7
GTEX-1J8Q3-0526-SM-ARL8U 60-69 years, male 294.5
GTEX-15EU6-2226-SM-6EU2L 50-59 years, male 294.3
GTEX-16MTA-0926-SM-6M47Z 50-59 years, male 294.0
GTEX-1NV5F-0626-SM-DTXEG 60-69 years, female 293.3
GTEX-X4EP-0626-SM-3P621 60-69 years, female 293.0
GTEX-ZVTK-0226-SM-51MRG 20-29 years, male 292.5
GTEX-11NUK-2726-SM-5A5MC 50-59 years, male 292.4
GTEX-12WSH-1526-SM-5BC5W 50-59 years, male 292.4
GTEX-1I1GT-1026-SM-ARZLV 60-69 years, female 291.5
GTEX-12ZZZ-0726-SM-5GCNZ 60-69 years, male 291.2
GTEX-15RIG-0726-SM-7KUM7 40-49 years, male 288.9
GTEX-WXYG-2026-SM-4E3IY 50-59 years, female 288.4
GTEX-1CAMQ-1326-SM-7P8RV 40-49 years, male 288.4
GTEX-11GSP-2326-SM-5HL63 60-69 years, female 287.2
GTEX-ZAK1-0626-SM-5HL8E 50-59 years, female 287.0
GTEX-14A6H-2026-SM-5Q5DD 30-39 years, male 286.9
GTEX-1C6WA-2626-SM-7MKGM 60-69 years, male 286.8
GTEX-11P81-2226-SM-5PNYI 30-39 years, female 286.6
GTEX-1QPFJ-1926-SM-EVYBD 30-39 years, female 286.2
GTEX-1EWIQ-0326-SM-7DHMQ 70-79 years, female 285.1
GTEX-1ICLY-0826-SM-CMKG1 50-59 years, male 285.1
GTEX-13FTY-2126-SM-5IFFB 40-49 years, female 284.9
GTEX-1C64N-2626-SM-7PC2N 50-59 years, male 284.3
GTEX-14JG1-1526-SM-5YY9X 40-49 years, male 284.1
GTEX-1IDJI-0126-SM-CMKHS 50-59 years, female 284.0
GTEX-178AV-1726-SM-7KUL8 40-49 years, male 283.8
GTEX-1I1GV-0626-SM-ARL7M 60-69 years, male 283.8
GTEX-1POEN-2326-SM-E9J2L 30-39 years, female 283.8
GTEX-1GMR2-0826-SM-7PC3V 50-59 years, male 282.9
GTEX-1CB4F-1026-SM-7DUH1 60-69 years, male 282.6
GTEX-133LE-2326-SM-5K7W3 20-29 years, female 281.8
GTEX-14JG6-1426-SM-9WG7C 30-39 years, female 280.1
GTEX-ZY6K-1426-SM-5GZX2 50-59 years, male 279.7
GTEX-1GPI6-1926-SM-9KNV7 60-69 years, male 279.7
GTEX-1A3MV-1826-SM-731CD 30-39 years, male 279.5
GTEX-16Z82-2626-SM-7KULU 60-69 years, male 279.1
GTEX-UPK5-0426-SM-3GAEK 40-49 years, male 279.0
GTEX-1C2JI-1026-SM-73KY1 50-59 years, male 276.5
GTEX-1C475-1326-SM-7SB73 40-49 years, female 276.0
GTEX-1LGRB-0926-SM-COH3K 50-59 years, female 276.0
GTEX-16NPX-0726-SM-7KULC 50-59 years, male 275.6
GTEX-1H3NZ-2726-SM-9WYTQ 60-69 years, male 275.4
GTEX-1MCC2-1826-SM-DIPEX 30-39 years, female 275.1
GTEX-12C56-1526-SM-5FQUQ 20-29 years, male 274.6
GTEX-1H4P4-2126-SM-9WYSL 50-59 years, male 274.1
GTEX-147JS-0226-SM-5S2U9 60-69 years, male 273.7
GTEX-1QMI2-2526-SM-E8VNZ 60-69 years, male 273.7
GTEX-1QP2A-1726-SM-E76QC 50-59 years, male 273.7
GTEX-1269C-0126-SM-5EQ5L 60-69 years, female 273.6
GTEX-16YQH-2226-SM-7IGM2 30-39 years, male 273.6
GTEX-1LVAN-0626-SM-CNPOQ 50-59 years, female 272.4
GTEX-1LBAC-0826-SM-CY8IJ 20-29 years, male 271.9
GTEX-1S831-1826-SM-EWROF 20-29 years, male 271.9
GTEX-1JJEA-1826-SM-ARU8P 60-69 years, male 271.7
GTEX-1N2EE-0626-SM-E76PW 60-69 years, male 270.8
GTEX-145ME-1726-SM-5Q5EU 40-49 years, female 270.5
GTEX-11PRG-0726-SM-5EGL1 50-59 years, male 268.5
GTEX-1GZ4H-0526-SM-9KNU9 50-59 years, female 268.5
GTEX-13O3Q-0126-SM-5KM34 50-59 years, male 267.8
GTEX-14B4R-1326-SM-5Q5EZ 30-39 years, male 266.8
GTEX-ZWKS-0626-SM-5GIDV 30-39 years, male 266.3
GTEX-145LU-1926-SM-79OJN 50-59 years, male 265.9
GTEX-Y9LG-1126-SM-4VBQ7 30-39 years, male 264.5
GTEX-1OJC4-2726-SM-E76PJ 50-59 years, female 264.5
GTEX-1F88F-0126-SM-9WYSZ 60-69 years, female 263.9
GTEX-1F5PL-0926-SM-7PC2W 40-49 years, female 263.6
GTEX-1JKYR-0626-SM-ARL8R 20-29 years, male 263.6
GTEX-15DYW-2726-SM-6EU2I 60-69 years, female 263.3
GTEX-13OW8-1026-SM-5J1NQ 60-69 years, male 263.1
GTEX-1HCUA-0826-SM-ADEHM 50-59 years, female 262.7
GTEX-16BQI-1326-SM-6M486 30-39 years, female 262.5
GTEX-13N2G-0226-SM-5K7VF 60-69 years, male 261.7
GTEX-YJ8O-2526-SM-5HL85 40-49 years, female 260.5
GTEX-ZVZP-1226-SM-5GID7 50-59 years, male 260.5
GTEX-1CB4I-0126-SM-7RHGG 50-59 years, male 259.7
GTEX-1IDJD-2326-SM-ACKWX 30-39 years, male 259.3
GTEX-1F75A-0726-SM-7RHHD 50-59 years, male 257.1
GTEX-11UD2-2526-SM-5CVNU 50-59 years, male 257.0
GTEX-1J8EW-2726-SM-CY8HR 60-69 years, female 256.5
GTEX-WYJK-0526-SM-3NM8Z 50-59 years, male 256.4
GTEX-1B932-2326-SM-79OL5 40-49 years, female 254.8
GTEX-1J1R8-2026-SM-CL53Y 40-49 years, male 254.4
GTEX-11GS4-0226-SM-5HL77 60-69 years, male 253.7
GTEX-13O61-1426-SM-5KM3D 60-69 years, male 253.7
GTEX-14PK6-0226-SM-62LF5 70-79 years, female 252.4
GTEX-1212Z-0126-SM-59HK4 60-69 years, male 252.0
GTEX-15CHC-1126-SM-6LLHQ 60-69 years, female 251.4
GTEX-1IOXB-2726-SM-CM2RI 50-59 years, male 251.3
GTEX-1GF9V-0826-SM-9KNUV 60-69 years, male 250.4
GTEX-13QBU-1226-SM-5LU4G 40-49 years, female 250.3
GTEX-1IDJH-0126-SM-D3L92 70-79 years, male 249.8
GTEX-18D9A-1426-SM-7LT8M 30-39 years, female 249.7
GTEX-1EKGG-0626-SM-7DUGJ 60-69 years, male 247.7
GTEX-XUW1-0926-SM-4BONX 50-59 years, female 244.3
GTEX-1HFI6-0126-SM-CNPPI 40-49 years, male 243.5
GTEX-1122O-1026-SM-9WYSF 60-69 years, female 243.3
GTEX-ZP4G-1426-SM-4WWCL 20-29 years, female 243.1
GTEX-XV7Q-1826-SM-4BRUV 40-49 years, female 242.8
GTEX-WRHU-2826-SM-3MJG8 50-59 years, female 241.4
GTEX-14AS3-1526-SM-5Q5ED 40-49 years, female 241.3
GTEX-X3Y1-2026-SM-3P5YM 40-49 years, male 241.3
GTEX-1CB4H-1126-SM-7MKGL 60-69 years, female 240.3
GTEX-1S82U-1026-SM-E6CJK 30-39 years, female 240.3
GTEX-ZVE1-0726-SM-51MRN 50-59 years, female 240.1
GTEX-1H1ZS-2726-SM-9WG75 70-79 years, male 239.8
GTEX-1GPI7-1826-SM-9KNU1 20-29 years, male 238.3
GTEX-VJYA-1526-SM-3GIJV 60-69 years, male 237.2
GTEX-1HSKV-1226-SM-ADEI4 60-69 years, male 235.6
GTEX-1HCU8-2526-SM-CE6RX 60-69 years, female 234.0
GTEX-11VI4-1126-SM-5EQMD 40-49 years, female 231.5
GTEX-1GZHY-0626-SM-9KNVC 50-59 years, female 231.1
GTEX-ZZPU-0826-SM-5GZX5 50-59 years, female 230.9
GTEX-1LB8K-0726-SM-D5OV2 50-59 years, male 230.3
GTEX-14PKV-1126-SM-6LLJ1 20-29 years, female 227.2
GTEX-18465-2826-SM-7LT9J 50-59 years, male 227.0
GTEX-1C6VR-0126-SM-7RHGB 60-69 years, male 225.9
GTEX-1IDJU-1726-SM-CMKHU 60-69 years, female 225.1
GTEX-17EVP-2626-SM-7IGMA 40-49 years, male 224.4
GTEX-14E6E-0526-SM-793DN 30-39 years, male 223.9
GTEX-1JKYN-0826-SM-ARU8S 30-39 years, male 222.2
GTEX-Y5V5-0126-SM-5S2NW 60-69 years, female 221.8
GTEX-ZGAY-1826-SM-DO91Q 40-49 years, female 221.5
GTEX-XPVG-2126-SM-4B667 50-59 years, male 221.4
GTEX-1GN73-0726-SM-7P8TJ 60-69 years, male 221.3
GTEX-183WM-0326-SM-72D5V 70-79 years, female 221.0
GTEX-WYVS-1626-SM-3NM9R 40-49 years, female 220.9
GTEX-1GF9X-1326-SM-7PC2Y 40-49 years, female 220.2
GTEX-1JJE9-2626-SM-ARZMT 70-79 years, male 219.3
GTEX-139T8-0626-SM-5KLZX 60-69 years, male 217.4
GTEX-13FTW-0326-SM-5K7UW 40-49 years, male 216.7
GTEX-ZTSS-1426-SM-5985P 40-49 years, male 214.2
GTEX-14PJ6-2626-SM-6EU2T 60-69 years, female 212.0
GTEX-ZPCL-1126-SM-4WWFE 60-69 years, female 203.6
GTEX-1EMGI-2326-SM-7PBYA 60-69 years, male 200.2
GTEX-V1D1-2026-SM-3GAF4 50-59 years, male 199.8
GTEX-ZLV1-1526-SM-DO91J 60-69 years, female 196.8
GTEX-1HKZK-0726-SM-ACKW2 40-49 years, male 191.1
GTEX-1B8L1-2226-SM-7P8PT 60-69 years, male 190.9
GTEX-1GL5R-1326-SM-7RHHF 50-59 years, male 189.5
GTEX-XAJ8-1426-SM-47JYM 40-49 years, male 187.1
GTEX-14PKU-0126-SM-6LLHV 40-49 years, female 185.1
GTEX-1HSGN-0826-SM-ACKW3 40-49 years, female 184.8
GTEX-1MJK3-0726-SM-E6CJC 20-29 years, male 183.0
GTEX-1399R-1326-SM-5PNYS 30-39 years, male 175.8
GTEX-17HII-1426-SM-7EPGG 50-59 years, male 169.9
GTEX-15FZZ-0526-SM-7KUGD 30-39 years, female 164.7
GTEX-XQ8I-0926-SM-4BOOF 50-59 years, male 154.3
GTEX-1RAZS-2526-SM-E6CHT 50-59 years, male 153.8
GTEX-1AMEY-0826-SM-72D65 30-39 years, female 152.1
GTEX-1M4P7-0726-SM-E6CJ3 60-69 years, male 147.2
GTEX-1LVAM-0726-SM-E6CIL 50-59 years, female 146.4
GTEX-1S82P-2126-SM-E6CI5 60-69 years, female 145.9
GTEX-1S5ZU-2526-SM-E6CIF 20-29 years, female 142.5
GTEX-1AMFI-1326-SM-7939R 50-59 years, female 139.8
GTEX-1S83E-1326-SM-E6CJM 40-49 years, male 139.2
GTEX-ZVT2-0126-SM-5GIDQ 50-59 years, female 118.0
Show allShow less
Skin - Sun Exposed (Lower leg)
Average nTPM: 395.9
Samples: 701

Max nTPM: 3493.6
Min nTPM: 60.4
Std nTPM: 188.2
Median nTPM: 356.5
GTEX-SE5C-1626-SM-2XCE3 40-49 years, female 3493.6
GTEX-11TT1-2526-SM-5EGIB 20-29 years, male 1306.8
GTEX-15UF6-0826-SM-6PALJ 70-79 years, female 1183.7
GTEX-1A3MX-0126-SM-731BR 60-69 years, male 1066.8
GTEX-1HSMO-0126-SM-CL547 60-69 years, male 992.3
GTEX-14XAO-2326-SM-6EU1B 60-69 years, female 989.1
GTEX-1A3MW-0126-SM-73KXX 60-69 years, female 917.4
GTEX-14E6C-0126-SM-5RQIP 40-49 years, male 904.9
GTEX-1JMQL-0226-SM-CNPP5 50-59 years, female 882.0
GTEX-SN8G-0126-SM-32PLI 50-59 years, female 870.6
GTEX-131XE-2326-SM-5PNZ2 50-59 years, male 869.9
GTEX-1IKK5-0626-SM-ARL8A 60-69 years, male 861.8
GTEX-1399U-2326-SM-5K7WY 50-59 years, female 857.6
GTEX-11DXZ-2326-SM-5EGGV 50-59 years, male 850.2
GTEX-1JMQI-2226-SM-CM2SD 50-59 years, male 831.4
GTEX-W5X1-3026-SM-EAZAX 40-49 years, female 829.0
GTEX-13CF2-2526-SM-5LZYX 60-69 years, male 826.8
GTEX-1QAET-0926-SM-E76QM 50-59 years, male 803.9
GTEX-TKQ1-1026-SM-4GICL 30-39 years, male 795.2
GTEX-1LC47-0326-SM-E9TJP 60-69 years, male 792.8
GTEX-1R9K4-0126-SM-DTX9X 60-69 years, male 789.3
GTEX-ZTPG-0326-SM-5O9AX 20-29 years, female 773.9
GTEX-15SB6-1726-SM-6PAME 50-59 years, female 769.8
GTEX-15EOM-0126-SM-7KUGG 20-29 years, female 755.1
GTEX-11UD1-0126-SM-5PNYG 40-49 years, female 750.1
GTEX-ZPIC-1726-SM-DHXIU 40-49 years, female 747.8
GTEX-13NYS-0126-SM-5MR3W 60-69 years, male 735.8
GTEX-1NV5F-0226-SM-E8VNY 60-69 years, female 733.5
GTEX-148VJ-0126-SM-5TDDN 70-79 years, male 729.3
GTEX-13X6H-2126-SM-7EWD5 50-59 years, female 689.8
GTEX-139UW-2826-SM-5L3E7 60-69 years, male 684.7
GTEX-1I6K6-0126-SM-A9SLE 30-39 years, male 682.4
GTEX-1JN76-0126-SM-CNPPE 20-29 years, female 676.0
GTEX-XYKS-2126-SM-4E3IB 60-69 years, female 669.4
GTEX-11TUW-2726-SM-E9J4M 60-69 years, male 668.4
GTEX-T5JC-0426-SM-32PLO 20-29 years, male 664.0
GTEX-145MI-0526-SM-5O9A8 60-69 years, female 662.6
GTEX-ZE9C-2726-SM-57WB5 60-69 years, male 658.1
GTEX-13YAN-0326-SM-5O9DF 60-69 years, male 655.6
GTEX-15D1Q-0126-SM-7KUG6 40-49 years, male 653.8
GTEX-X4XY-0226-SM-4E3IZ 60-69 years, male 653.7
GTEX-16XZZ-0126-SM-793DV 60-69 years, male 647.1
GTEX-ZF3C-0126-SM-DO92D 50-59 years, female 641.5
GTEX-Y111-0126-SM-4SOIV 50-59 years, male 638.4
GTEX-RUSQ-1526-SM-2TF62 50-59 years, male 637.3
GTEX-139TS-2826-SM-5J1OO 60-69 years, male 634.3
GTEX-ZTX8-1426-SM-5DUVO 20-29 years, male 633.9
GTEX-1K2DU-2326-SM-E9TIV 20-29 years, male 630.3
GTEX-1H3VE-0326-SM-9YFLH 40-49 years, male 630.1
GTEX-WI4N-1026-SM-3LK7N 40-49 years, female 626.6
GTEX-1F6RS-0126-SM-9MQKZ 60-69 years, female 622.5
GTEX-YJ8A-0426-SM-5IFID 20-29 years, male 621.6
GTEX-1H23P-0126-SM-ADEJ3 60-69 years, male 620.0
GTEX-1RLM8-2326-SM-EWRN4 50-59 years, male 619.0
GTEX-T2YK-0526-SM-32QPJ 50-59 years, male 618.1
GTEX-11WQK-0526-SM-5EQLD 50-59 years, male 613.1
GTEX-1H1DE-2126-SM-9WG6R 20-29 years, male 610.7
GTEX-O5YT-0126-SM-48TBW 20-29 years, male 598.8
GTEX-1H1DG-0126-SM-9WYU2 70-79 years, male 593.9
GTEX-RU72-0926-SM-2TF6B 50-59 years, female 591.7
GTEX-13OVH-0126-SM-5MR4B 70-79 years, male 590.7
GTEX-1B8KE-2126-SM-73KYX 50-59 years, male 590.3
GTEX-POMQ-2226-SM-2I5FK 20-29 years, female 588.0
GTEX-13NYB-2526-SM-5K7Z6 40-49 years, male 584.5
GTEX-1HGF4-2426-SM-ACKXM 60-69 years, male 583.7
GTEX-ZYFD-0126-SM-5GIDL 50-59 years, male 582.9
GTEX-ZE7O-0126-SM-57WC1 50-59 years, female 582.7
GTEX-1PDJ9-0326-SM-DTX95 20-29 years, male 580.3
GTEX-13PDP-0126-SM-5L3HD 60-69 years, male 579.6
GTEX-14PN4-0126-SM-6EU2V 50-59 years, male 578.4
GTEX-1PPH7-2326-SM-EVYB8 40-49 years, male 577.4
GTEX-Y8DK-0126-SM-4TT3L 60-69 years, male 575.9
GTEX-1HCU7-0226-SM-CL545 50-59 years, male 568.5
GTEX-15UKP-0426-SM-7KUFQ 20-29 years, male 567.4
GTEX-S33H-1026-SM-EZ6L6 30-39 years, male 561.8
GTEX-QESD-1426-SM-2S1R9 20-29 years, male 560.9
GTEX-15DDE-0126-SM-6LPKH 50-59 years, female 557.4
GTEX-13111-1626-SM-5EGJY 50-59 years, male 554.5
GTEX-1N2EF-0226-SM-EYYXB 60-69 years, male 554.2
GTEX-13O1R-0126-SM-5L3EH 60-69 years, male 554.1
GTEX-ZDTS-0126-SM-4WAY5 60-69 years, male 552.8
GTEX-12584-0126-SM-5EGKQ 40-49 years, male 551.6
GTEX-1AYCT-2426-SM-7IGQ3 50-59 years, male 548.2
GTEX-11H98-0126-SM-5EGHG 50-59 years, male 546.9
GTEX-OXRO-0126-SM-2YUN4 60-69 years, female 545.9
GTEX-S7PM-0126-SM-4AD6S 60-69 years, male 544.6
GTEX-ZAB4-0226-SM-5N9F5 40-49 years, male 544.5
GTEX-13OVI-1426-SM-5L3EY 60-69 years, female 544.3
GTEX-183WM-0126-SM-7LTAB 70-79 years, female 543.1
GTEX-RTLS-0126-SM-447CA 60-69 years, female 542.6
GTEX-18A6Q-0126-SM-731BZ 60-69 years, male 542.5
GTEX-VJWN-0126-SM-3GIK7 50-59 years, female 538.4
GTEX-14ICK-0226-SM-6EU25 40-49 years, male 538.1
GTEX-13U4I-0126-SM-5LU38 40-49 years, female 538.0
GTEX-1ICLZ-0126-SM-CKZPO 60-69 years, male 535.4
GTEX-NPJ8-0126-SM-2YUNR 40-49 years, male 535.3
GTEX-1IDJF-0126-SM-CM2RS 20-29 years, male 532.1
GTEX-13SLW-0126-SM-5SI6C 70-79 years, male 529.4
GTEX-1F75B-0126-SM-9KNVL 50-59 years, male 529.1
GTEX-11ZVC-2526-SM-5FQTE 50-59 years, female 528.1
GTEX-13FXS-0226-SM-5IJCK 50-59 years, male 528.1
GTEX-14A5I-0126-SM-5TDEA 50-59 years, female 527.6
GTEX-X4XX-0126-SM-3NMC2 60-69 years, male 522.9
GTEX-1JMQJ-0526-SM-CYPSU 50-59 years, male 522.9
GTEX-1497J-2426-SM-7IGNX 60-69 years, male 521.4
GTEX-1AX8Z-0126-SM-7DHM6 60-69 years, male 520.6
GTEX-132NY-0326-SM-5IJBL 60-69 years, male 519.4
GTEX-1R46S-0626-SM-E9J41 60-69 years, female 516.7
GTEX-12696-2426-SM-5EQ6H 60-69 years, male 513.2
GTEX-13G51-2526-SM-5LZYK 60-69 years, male 513.1
GTEX-146FH-0126-SM-5QGPP 50-59 years, female 512.8
GTEX-Y114-2426-SM-4TT8A 50-59 years, female 512.5
GTEX-X585-0226-SM-4QAS2 50-59 years, male 512.2
GTEX-1JMLX-0226-SM-CM2RO 50-59 years, male 511.3
GTEX-14PII-0226-SM-6EU1T 60-69 years, male 507.2
GTEX-117YX-2326-SM-5H12W 50-59 years, male 506.8
GTEX-131XG-2626-SM-5KM17 50-59 years, female 506.4
GTEX-1211K-2026-SM-5EQ4Z 60-69 years, female 504.2
GTEX-1R9PO-2126-SM-E9J4O 60-69 years, female 502.2
GTEX-11DZ1-0126-SM-5985Q 50-59 years, male 501.8
GTEX-12WSK-2326-SM-5GCOH 40-49 years, female 501.3
GTEX-1I1GU-2226-SM-CGQFA 40-49 years, male 501.3
GTEX-X8HC-0126-SM-4E3JW 50-59 years, female 499.8
GTEX-1C4CL-0526-SM-73KVK 30-39 years, male 498.4
GTEX-1CAV2-2226-SM-7P8P2 40-49 years, female 497.0
GTEX-R55G-2526-SM-2TC6D 40-49 years, female 495.7
GTEX-12WSJ-1826-SM-5GCNY 40-49 years, female 494.6
GTEX-14DAR-2026-SM-5S2O3 50-59 years, male 492.9
GTEX-1HFI7-1826-SM-ACKXH 50-59 years, female 492.4
GTEX-13O21-1426-SM-5K7XI 50-59 years, male 492.3
GTEX-1C6VQ-0126-SM-7P8RI 50-59 years, male 491.9
GTEX-17HG3-2226-SM-7938L 30-39 years, female 490.5
GTEX-1H1CY-2826-SM-9MQM3 60-69 years, female 489.5
GTEX-11WQC-2526-SM-5CVLE 60-69 years, male 488.0
GTEX-13X6J-0126-SM-5QGOU 50-59 years, male 487.8
GTEX-12126-0326-SM-5PNW3 20-29 years, male 487.0
GTEX-PSDG-0226-SM-DKPOZ 50-59 years, male 486.7
GTEX-Y5LM-1926-SM-5RQJH 40-49 years, female 486.5
GTEX-1JMPY-1326-SM-ARL8Y 30-39 years, male 484.2
GTEX-1RB15-2126-SM-E9TIM 60-69 years, male 483.6
GTEX-117YW-2626-SM-5GZZH 50-59 years, male 483.4
GTEX-1AX9I-0126-SM-7SB74 60-69 years, male 483.1
GTEX-Y3IK-2426-SM-4WWDU 50-59 years, female 481.0
GTEX-1JMQK-0226-SM-CL543 60-69 years, male 479.6
GTEX-OIZG-0726-SM-33HBL 50-59 years, male 479.4
GTEX-1JN1M-0326-SM-CYPT3 60-69 years, female 477.6
GTEX-1N2DW-0226-SM-E9TK2 50-59 years, male 477.2
GTEX-17EVQ-0226-SM-7LG4P 70-79 years, male 476.9
GTEX-1H3VY-0126-SM-ACKXD 50-59 years, male 475.6
GTEX-148VI-1626-SM-5SI6E 60-69 years, female 473.3
GTEX-1F6I4-0126-SM-9MQL2 60-69 years, male 472.2
GTEX-1EMGI-0126-SM-9KNUE 60-69 years, male 472.1
GTEX-1H3O1-0426-SM-9YFKY 60-69 years, male 470.2
GTEX-13IVO-0126-SM-5J1NG 70-79 years, male 469.8
GTEX-145LT-1726-SM-5QGP3 40-49 years, male 468.9
GTEX-ZVZO-0126-SM-5A5L9 40-49 years, male 468.6
GTEX-X261-0126-SM-3NMD6 50-59 years, male 467.9
GTEX-1K2DA-1826-SM-CGQGT 50-59 years, male 466.2
GTEX-ZYW4-0126-SM-5E44A 60-69 years, male 463.7
GTEX-144GN-2326-SM-5LU4F 50-59 years, male 463.0
GTEX-18QFQ-0126-SM-731BE 30-39 years, male 462.5
GTEX-14E6E-1826-SM-5S2R7 30-39 years, male 461.3
GTEX-1JN6P-0126-SM-D3L98 60-69 years, male 461.3
GTEX-Y3I4-2126-SM-4TT7C 50-59 years, male 460.7
GTEX-1HBPI-1526-SM-C1YQ1 50-59 years, male 459.6
GTEX-SIU8-0126-SM-2XCDT 50-59 years, male 457.5
GTEX-1OJC3-0126-SM-E76QX 20-29 years, male 456.1
GTEX-1HR98-0126-SM-B2LWI 60-69 years, male 455.3
GTEX-1KD4Q-0226-SM-E9TJ9 40-49 years, male 454.9
GTEX-1R7EV-2426-SM-EVYBG 40-49 years, male 454.2
GTEX-P4QT-0126-SM-2I3FL 50-59 years, female 451.9
GTEX-QEG4-0226-SM-2S1PY 30-39 years, male 451.8
GTEX-YB5E-2026-SM-5IFIS 40-49 years, male 451.7
GTEX-11P7K-2126-SM-5GU7G 30-39 years, male 451.6
GTEX-14PJ3-1826-SM-62LEX 50-59 years, male 451.1
GTEX-O5YW-0126-SM-3LK6D 50-59 years, male 450.6
GTEX-18A66-0226-SM-718BD 60-69 years, male 450.3
GTEX-13NYC-0326-SM-E9J4S 60-69 years, male 449.8
GTEX-ZU9S-0226-SM-5E441 30-39 years, male 449.7
GTEX-1PIIG-0226-SM-EWRN6 30-39 years, male 448.9
GTEX-12WSG-2826-SM-E9J4H 50-59 years, female 447.8
GTEX-1PWST-0226-SM-E76QJ 70-79 years, male 446.0
GTEX-ZGAY-0526-SM-4WWBB 40-49 years, female 445.7
GTEX-T6MN-0126-SM-32PLP 50-59 years, male 444.6
GTEX-1I4MK-2226-SM-ACKWD 50-59 years, female 444.4
GTEX-1HUB1-0426-SM-E9U4U 60-69 years, male 443.4
GTEX-YJ89-0126-SM-4TT3X 60-69 years, male 443.2
GTEX-1R7EU-0226-SM-EVR4G 60-69 years, male 442.9
GTEX-XBED-2226-SM-47JYQ 60-69 years, male 440.8
GTEX-1HCU6-0126-SM-CL54K 60-69 years, female 440.4
GTEX-11GS4-2726-SM-5A5LE 60-69 years, male 438.8
GTEX-13W46-0226-SM-5SIAG 50-59 years, male 437.6
GTEX-1CB4F-0426-SM-9KNV4 60-69 years, male 436.8
GTEX-1B8KZ-2026-SM-7DHMB 50-59 years, male 436.7
GTEX-1HB9E-0226-SM-E9U4R 50-59 years, male 436.6
GTEX-1GN2E-0426-SM-9MQKX 60-69 years, male 436.4
GTEX-15F5U-1526-SM-6PANO 40-49 years, male 436.2
GTEX-13NZ8-0826-SM-5MR3I 60-69 years, female 436.1
GTEX-1JMPZ-0226-SM-CNPP1 30-39 years, male 435.9
GTEX-1KANC-1526-SM-D3LAB 50-59 years, female 435.9
GTEX-1OFPY-2426-SM-DTXEJ 60-69 years, male 435.6
GTEX-1HBPH-0426-SM-B2LW5 40-49 years, female 435.0
GTEX-1HFI6-0226-SM-ADEHZ 40-49 years, male 433.9
GTEX-11P81-2326-SM-59875 30-39 years, female 433.5
GTEX-1RDX4-0126-SM-E9J4P 50-59 years, female 433.2
GTEX-1QP9N-1426-SM-DTXFL 30-39 years, male 432.8
GTEX-1I19N-0326-SM-ACKVX 70-79 years, male 432.2
GTEX-17EVP-0326-SM-7DHLG 40-49 years, male 430.9
GTEX-145MO-0326-SM-5Q5B3 60-69 years, male 430.3
GTEX-1IDFM-0126-SM-COH2V 60-69 years, male 430.2
GTEX-ZV68-0126-SM-59HKS 50-59 years, female 428.2
GTEX-1BAJH-0526-SM-793CQ 70-79 years, male 428.1
GTEX-X4EO-0326-SM-3P5YO 60-69 years, female 427.9
GTEX-1NHNU-1026-SM-E9J2A 50-59 years, male 427.8
GTEX-1LGRB-2526-SM-CNPPQ 50-59 years, female 426.4
GTEX-1GF9W-0326-SM-9KNUN 60-69 years, male 425.9
GTEX-11XUK-2026-SM-5EQLF 40-49 years, female 424.9
GTEX-1GN1V-0126-SM-9WPOS 60-69 years, male 424.5
GTEX-U8XE-0326-SM-3DB8P 30-39 years, male 423.8
GTEX-1I1GV-0526-SM-A9G29 60-69 years, male 423.5
GTEX-1PBJI-0526-SM-E8VNK 20-29 years, female 423.0
GTEX-14BIL-0126-SM-5SI92 50-59 years, male 422.6
GTEX-11DYG-0126-SM-59883 60-69 years, male 421.9
GTEX-18465-0126-SM-731BN 50-59 years, male 420.1
GTEX-1GPI6-0126-SM-9WG69 60-69 years, male 417.7
GTEX-11OF3-2626-SM-5GU7F 60-69 years, male 416.5
GTEX-1ICLY-0126-SM-D4P36 50-59 years, male 415.3
GTEX-XUZC-1726-SM-4BRWS 30-39 years, female 414.6
GTEX-18D9A-1926-SM-7LG6P 30-39 years, female 413.5
GTEX-13W3W-2426-SM-5LU5B 60-69 years, female 412.7
GTEX-15EU6-0426-SM-6PAN5 50-59 years, male 412.7
GTEX-1CB4E-2226-SM-793DC 60-69 years, male 411.8
GTEX-1192X-0226-SM-5H12D 50-59 years, male 411.6
GTEX-1I1GS-0126-SM-B2LVW 60-69 years, male 410.9
GTEX-1MJK2-0426-SM-DTXE5 50-59 years, male 410.4
GTEX-11OC5-0126-SM-5HL6A 60-69 years, male 409.9
GTEX-U4B1-1826-SM-4DXSU 40-49 years, male 408.6
GTEX-145MF-0626-SM-5LUAI 50-59 years, male 407.9
GTEX-13CF3-2426-SM-5IFGX 60-69 years, female 407.2
GTEX-17GQL-2026-SM-718BA 60-69 years, male 407.2
GTEX-1CAMR-1926-SM-7EPI2 20-29 years, male 407.2
GTEX-1GTWX-0126-SM-9YFLK 60-69 years, male 407.2
GTEX-XAJ8-0826-SM-47JY6 40-49 years, male 406.8
GTEX-1IGQW-0126-SM-COH42 60-69 years, male 403.6
GTEX-1AYD5-2426-SM-73KXR 50-59 years, male 403.5
GTEX-16MT8-0426-SM-7KUEY 60-69 years, female 401.5
GTEX-Q2AI-1326-SM-2S1PL 40-49 years, male 401.5
GTEX-1QCLY-0326-SM-E8VOG 30-39 years, male 401.4
GTEX-1S3DN-2226-SM-EVYCD 50-59 years, male 401.4
GTEX-WOFL-0126-SM-3MJG2 60-69 years, male 400.5
GTEX-113JC-2326-SM-5EQ4E 50-59 years, female 400.4
GTEX-1QP2A-0126-SM-E9J43 50-59 years, male 400.2
GTEX-RNOR-0126-SM-E9J4R 50-59 years, female 399.8
GTEX-1313W-0126-SM-5LZUN 50-59 years, female 399.7
GTEX-1HCUA-2426-SM-ADEIS 50-59 years, female 399.5
GTEX-11NUK-0126-SM-5A5L3 50-59 years, male 399.4
GTEX-11ZU8-2526-SM-5EQKI 60-69 years, male 399.1
GTEX-1I1GP-2226-SM-CGQFK 50-59 years, male 398.1
GTEX-1399R-2726-SM-5IJBA 30-39 years, male 397.9
GTEX-1J8JJ-0226-SM-CL53I 60-69 years, female 397.8
GTEX-1IE54-0126-SM-CMKHW 40-49 years, female 396.3
GTEX-U8T8-0126-SM-3DB94 60-69 years, male 395.8
GTEX-1ICG6-2526-SM-CGQFZ 70-79 years, female 394.4
GTEX-1PFEY-1526-SM-E76PP 30-39 years, male 393.7
GTEX-WH7G-2326-SM-3NMBC 40-49 years, male 393.3
GTEX-1HBPM-0226-SM-ARL9F 60-69 years, female 392.6
GTEX-1HCU9-1526-SM-A9SL7 20-29 years, male 392.5
GTEX-144FL-0126-SM-5TDC8 50-59 years, male 392.4
GTEX-1F6IF-0726-SM-7P8TW 60-69 years, male 390.6
GTEX-15SHU-0126-SM-7KUEH 40-49 years, female 390.2
GTEX-OIZH-0126-SM-2HMIS 50-59 years, male 389.7
GTEX-1GN1U-0126-SM-7PBZK 50-59 years, female 389.2
GTEX-1JKYN-1326-SM-CGQG9 30-39 years, male 388.6
GTEX-11UD2-0226-SM-5EQKY 50-59 years, male 388.5
GTEX-11O72-0126-SM-59887 40-49 years, male 388.4
GTEX-1KD5A-0226-SM-D5OV3 50-59 years, male 387.2
GTEX-131XW-0426-SM-5LZWP 50-59 years, female 387.0
GTEX-U412-0426-SM-3DB9O 60-69 years, male 387.0
GTEX-13RTJ-2426-SM-5S2Q2 60-69 years, male 386.8
GTEX-TSE9-0126-SM-3DB83 60-69 years, female 386.7
GTEX-1399T-2826-SM-5KLYZ 60-69 years, male 386.5
GTEX-11ZUS-0626-SM-59885 30-39 years, male 386.1
GTEX-1F75I-0326-SM-9YFLU 40-49 years, male 385.7
GTEX-WY7C-2326-SM-3NB2U 50-59 years, male 384.6
GTEX-131XH-2226-SM-5DUXJ 50-59 years, male 384.5
GTEX-1RAZQ-0726-SM-EAZ43 30-39 years, male 384.5
GTEX-13OW5-0126-SM-DTXFS 60-69 years, male 383.9
GTEX-131YS-0126-SM-5KM1M 60-69 years, female 383.0
GTEX-12WSE-0526-SM-793B2 20-29 years, male 382.4
GTEX-1314G-1526-SM-5EGK2 30-39 years, male 382.4
GTEX-131XF-5016-SM-7MGWE 60-69 years, male 381.9
GTEX-1J8QM-2126-SM-CYPSJ 60-69 years, female 380.7
GTEX-16GPK-0126-SM-7DHLE 60-69 years, male 380.5
GTEX-14JIY-0126-SM-6LLH6 60-69 years, male 379.2
GTEX-QDVJ-1726-SM-2I5FX 50-59 years, male 378.8
GTEX-147F4-0226-SM-5QGPW 50-59 years, male 376.3
GTEX-XXEK-2226-SM-4BRUM 50-59 years, male 376.0
GTEX-13PVR-2326-SM-5QGR1 60-69 years, female 374.6
GTEX-WRHK-1426-SM-3MJF9 20-29 years, female 374.4
GTEX-17HGU-0226-SM-7DHKV 50-59 years, male 374.3
GTEX-ZV6S-2326-SM-4YCEY 40-49 years, female 374.3
GTEX-Y5V6-2426-SM-4VDSB 60-69 years, male 373.6
GTEX-13FHP-0126-SM-5IJBG 50-59 years, male 373.4
GTEX-V1D1-2226-SM-3NMAX 50-59 years, male 373.4
GTEX-1JMOU-1526-SM-CL54I 60-69 years, female 373.4
GTEX-1GMRU-0126-SM-9YFLV 50-59 years, male 373.3
GTEX-1B8SG-0126-SM-73KZ3 50-59 years, male 372.0
GTEX-1LGOU-2026-SM-DIPFF 20-29 years, female 371.6
GTEX-13OVK-2026-SM-7KUEO 40-49 years, male 371.4
GTEX-YB5K-2126-SM-4WWDJ 40-49 years, female 371.3
GTEX-146FQ-0126-SM-5NQA9 30-39 years, male 371.2
GTEX-15G19-0126-SM-6PANQ 60-69 years, male 371.0
GTEX-14C5O-0126-SM-5SI6N 60-69 years, male 370.7
GTEX-SUCS-1926-SM-32PM3 70-79 years, male 370.2
GTEX-13FTW-2626-SM-5K7WL 40-49 years, male 369.5
GTEX-1B933-0126-SM-7PC29 50-59 years, female 369.5
GTEX-WYJK-0126-SM-3NMAB 50-59 years, male 368.5
GTEX-1KWVE-1426-SM-E9TJO 30-39 years, male 367.5
GTEX-13JUV-2726-SM-5LZZ8 40-49 years, female 367.2
GTEX-11GSP-2526-SM-5N9BP 60-69 years, female 366.7
GTEX-1S5ZA-0126-SM-EVYCV 20-29 years, male 366.3
GTEX-15ETS-0126-SM-7KUMW 40-49 years, female 365.7
GTEX-1KXAM-2226-SM-CYPTC 60-69 years, male 365.6
GTEX-13N1W-0126-SM-5K7VT 70-79 years, male 365.5
GTEX-15SHW-0326-SM-6PAML 60-69 years, male 365.4
GTEX-13O3Q-2426-SM-5IJBR 50-59 years, male 365.3
GTEX-12WSD-0126-SM-59HKN 60-69 years, female 364.6
GTEX-13O3O-0126-SM-E9J49 60-69 years, female 363.4
GTEX-ZVZP-2426-SM-59HKJ 50-59 years, male 363.3
GTEX-111VG-2426-SM-5GZXD 60-69 years, male 363.1
GTEX-P4PQ-0126-SM-2S1NM 60-69 years, male 362.8
GTEX-ZVTK-0426-SM-51MRS 20-29 years, male 362.8
GTEX-17KNJ-2326-SM-7DHLQ 50-59 years, male 362.7
GTEX-QVJO-1626-SM-2S1QW 60-69 years, female 362.6
GTEX-1J8EW-0126-SM-CJI4F 60-69 years, female 362.5
GTEX-17F98-0626-SM-79OMX 40-49 years, female 362.3
GTEX-QV44-1926-SM-2S1RF 50-59 years, male 362.0
GTEX-18A7B-0126-SM-7LG64 70-79 years, male 361.8
GTEX-117XS-2726-SM-5N9BL 60-69 years, male 361.6
GTEX-1R9PM-2026-SM-E76OY 20-29 years, male 360.7
GTEX-YFC4-0126-SM-5CVLY 40-49 years, female 360.6
GTEX-1PIGE-0126-SM-EVYBJ 20-29 years, male 360.1
GTEX-T6MO-1626-SM-32QOM 40-49 years, female 359.6
GTEX-1B97I-1626-SM-73KYO 40-49 years, male 359.1
GTEX-UPJH-0326-SM-3GADU 50-59 years, male 359.1
GTEX-1QP66-1726-SM-E8VO1 50-59 years, male 359.1
GTEX-RVPV-0126-SM-EAZAW 60-69 years, male 359.1
GTEX-14E6D-0126-SM-62LDV 50-59 years, male 358.2
GTEX-ZC5H-0226-SM-4WAY9 40-49 years, female 358.1
GTEX-1CB4G-0226-SM-7PC3O 60-69 years, male 357.3
GTEX-1GZ2Q-0226-SM-7P8TL 40-49 years, male 356.5
GTEX-18A7A-0226-SM-718BH 50-59 years, female 356.1
GTEX-1H2FU-0126-SM-9WYSI 60-69 years, female 356.1
GTEX-1S82Y-2026-SM-EVYCM 40-49 years, male 356.0
GTEX-17EUY-0426-SM-793BD 20-29 years, male 355.9
GTEX-14PJM-0226-SM-62LF1 50-59 years, female 355.8
GTEX-1AX9K-2326-SM-73KWU 50-59 years, male 355.5
GTEX-OXRK-0226-SM-3NB2G 50-59 years, female 355.3
GTEX-1LH75-2426-SM-E9TJE 50-59 years, female 355.3
GTEX-13OW7-0126-SM-5MR3B 50-59 years, male 355.2
GTEX-169BO-1326-SM-9MQK2 50-59 years, male 354.3
GTEX-X88G-0126-SM-47JZ3 30-39 years, male 354.2
GTEX-1MA7W-2026-SM-E9TJ6 20-29 years, female 354.0
GTEX-1I1CD-0126-SM-CM2TK 60-69 years, female 353.6
GTEX-ZWKS-0126-SM-5SIAA 30-39 years, male 353.0
GTEX-1269C-2526-SM-5EGJ3 60-69 years, female 352.6
GTEX-1MCQQ-0826-SM-DLHC2 60-69 years, male 352.3
GTEX-1QMI2-0226-SM-EVYBX 60-69 years, male 351.4
GTEX-1OJC4-0126-SM-E9J2E 50-59 years, female 351.3
GTEX-1J8Q2-0526-SM-CM2RW 60-69 years, male 351.2
GTEX-12ZZX-0126-SM-5EGK9 40-49 years, female 351.0
GTEX-PX3G-0126-SM-2I3EN 20-29 years, female 350.8
GTEX-139T8-0126-SM-5K7XZ 60-69 years, male 350.7
GTEX-ZF29-2326-SM-DO92K 60-69 years, female 350.2
GTEX-TMZS-0126-SM-3DB9Q 60-69 years, male 350.0
GTEX-1AX9J-0226-SM-73KXM 60-69 years, male 349.9
GTEX-ZDYS-2026-SM-5HL5L 50-59 years, male 349.1
GTEX-13VXU-0126-SM-5SI9F 50-59 years, male 348.7
GTEX-13FH7-2026-SM-E9J4I 50-59 years, female 348.6
GTEX-17F96-1626-SM-7DUFL 70-79 years, male 348.4
GTEX-1KAFJ-2026-SM-CY8ID 50-59 years, male 347.7
GTEX-S32W-2126-SM-2XCB1 50-59 years, female 347.6
GTEX-1IOXB-0126-SM-ARL8G 50-59 years, male 347.4
GTEX-1B8L1-2526-SM-9WYTF 60-69 years, male 346.8
GTEX-1GPI7-0126-SM-9MQL8 20-29 years, male 345.6
GTEX-14LZ3-0226-SM-62LET 60-69 years, female 345.4
GTEX-14BMU-2226-SM-5TDE9 20-29 years, female 344.9
GTEX-139T4-0226-SM-5HL5S 50-59 years, female 344.7
GTEX-QLQW-1126-SM-2S1Q8 30-39 years, male 344.7
GTEX-139TU-0126-SM-5K7WH 60-69 years, male 344.3
GTEX-QDVN-2026-SM-3GAEP 50-59 years, male 344.2
GTEX-1GMR3-1926-SM-9KNUZ 40-49 years, male 344.2
GTEX-P44H-0226-SM-2XCEU 40-49 years, male 343.2
GTEX-11ZTT-2426-SM-5EQLS 60-69 years, female 343.1
GTEX-1C2JI-1826-SM-73KXC 50-59 years, male 343.1
GTEX-1HSKV-0226-SM-A9SKJ 60-69 years, male 343.1
GTEX-UJHI-1526-SM-3DB99 50-59 years, female 343.0
GTEX-12WSA-0226-SM-5BC5V 60-69 years, male 342.3
GTEX-ZDTT-2726-SM-4WKF8 60-69 years, male 342.1
GTEX-14BIM-0226-SM-7IGLD 60-69 years, female 341.7
GTEX-13OVL-0226-SM-5L3E9 50-59 years, male 341.5
GTEX-13FTX-1826-SM-5J1NX 20-29 years, female 341.2
GTEX-ZYFC-0226-SM-5NQ75 50-59 years, male 340.9
GTEX-WFG8-2226-SM-3GIL9 20-29 years, male 340.1
GTEX-12C56-1726-SM-5EQ61 20-29 years, male 339.9
GTEX-1H4P4-0726-SM-9YFLR 50-59 years, male 339.8
GTEX-ZEX8-2426-SM-4WKG4 50-59 years, male 339.2
GTEX-147GR-0526-SM-5S2MY 60-69 years, male 338.6
GTEX-Y8E4-0626-SM-4WWDL 40-49 years, male 338.1
GTEX-13FHO-0226-SM-5IFGY 60-69 years, male 337.7
GTEX-1HSMQ-1226-SM-CGQFX 50-59 years, male 336.9
GTEX-1LBAC-0126-SM-DIPEZ 20-29 years, male 336.8
GTEX-1J1OQ-0226-SM-CYPSH 40-49 years, female 336.6
GTEX-PWCY-1826-SM-DHXIZ 20-29 years, female 336.6
GTEX-139D8-0226-SM-5KLZO 30-39 years, female 336.5
GTEX-111FC-0126-SM-5N9DL 60-69 years, male 336.4
GTEX-13RTK-1426-SM-5QGQJ 20-29 years, male 336.3
GTEX-1LNCM-1126-SM-E9U5E 50-59 years, female 336.1
GTEX-11ZTS-0126-SM-5EQ6M 60-69 years, female 335.6
GTEX-1MGNQ-0126-SM-EVYCJ 40-49 years, male 335.3
GTEX-X5EB-2226-SM-46MW4 40-49 years, male 335.2
GTEX-XMD2-0126-SM-4YCDU 60-69 years, female 335.1
GTEX-15ER7-0326-SM-7KUEV 20-29 years, female 334.9
GTEX-14A5H-0426-SM-5QGQF 60-69 years, male 334.8
GTEX-OHPM-0126-SM-2YUN9 50-59 years, male 334.8
GTEX-1C6WA-0126-SM-7PC2B 60-69 years, male 334.7
GTEX-11EQ9-2426-SM-5HL5T 30-39 years, male 334.6
GTEX-PVOW-0126-SM-2XCFA 40-49 years, male 333.8
GTEX-VJYA-1126-SM-3GIJU 60-69 years, male 332.8
GTEX-S95S-1226-SM-4GICG 60-69 years, male 332.5
GTEX-1CB4H-0226-SM-7PBXM 60-69 years, female 332.3
GTEX-ZAK1-0126-SM-5IJD3 50-59 years, female 332.1
GTEX-1GN1W-0526-SM-9MQJQ 50-59 years, female 331.4
GTEX-1HCU8-0626-SM-A9SM9 60-69 years, female 331.1
GTEX-11GSO-2426-SM-5A5LY 60-69 years, male 331.0
GTEX-1B996-0226-SM-7RHGO 60-69 years, male 330.9
GTEX-OHPL-0126-SM-2HMJ7 60-69 years, female 330.4
GTEX-1B8SF-1426-SM-7DUGL 60-69 years, male 330.2
GTEX-1L5NE-2526-SM-E6CIE 50-59 years, male 329.8
GTEX-1C475-1826-SM-73KWA 40-49 years, female 329.5
GTEX-13112-2826-SM-5DUWH 50-59 years, male 329.3
GTEX-13NZB-2526-SM-5J1OM 30-39 years, male 329.1
GTEX-14PHX-2326-SM-62LEM 50-59 years, male 328.5
GTEX-13N11-2526-SM-5K7UE 50-59 years, female 327.9
GTEX-OXRP-0126-SM-3NB32 60-69 years, female 327.9
GTEX-17HII-0226-SM-7LG4E 50-59 years, male 327.7
GTEX-ZTSS-1926-SM-57WEW 40-49 years, male 327.7
GTEX-11DXW-0226-SM-5H122 40-49 years, male 327.6
GTEX-S7SE-0126-SM-2XCD5 50-59 years, male 326.3
GTEX-1HT8W-0126-SM-CNPPP 30-39 years, male 326.2
GTEX-1QW4Y-1526-SM-EAZ3Z 30-39 years, male 326.1
GTEX-18D9U-0226-SM-718BP 40-49 years, male 326.0
GTEX-13X6I-0626-SM-5QGP9 60-69 years, male 325.7
GTEX-1C6VR-2426-SM-79OLD 60-69 years, male 325.1
GTEX-PLZ6-1426-SM-DKPOT 30-39 years, male 325.1
GTEX-1CB4I-0226-SM-79OLH 50-59 years, male 324.9
GTEX-14DAQ-0126-SM-5S2MQ 60-69 years, female 324.4
GTEX-Y8LW-1826-SM-5S2MV 50-59 years, female 323.6
GTEX-ZVE2-0226-SM-59HJB 50-59 years, male 323.6
GTEX-XPVG-2626-SM-4B669 50-59 years, male 323.2
GTEX-1J1R8-1726-SM-ARL8M 40-49 years, male 323.0
GTEX-ZVT4-0126-SM-DTXFN 50-59 years, female 322.9
GTEX-Z93S-0126-SM-5HL7M 50-59 years, male 322.2
GTEX-ZYY3-0126-SM-5GZY5 60-69 years, female 321.2
GTEX-Q2AH-1626-SM-3GAF8 40-49 years, male 321.1
GTEX-WZTO-0126-SM-3NM95 40-49 years, male 321.1
GTEX-12KS4-0326-SM-5EQ41 30-39 years, male 320.8
GTEX-VUSG-2526-SM-4KL1V 50-59 years, male 320.5
GTEX-1CB4J-0626-SM-7DHMP 60-69 years, male 320.3
GTEX-X4EP-0126-SM-3P5YV 60-69 years, female 318.7
GTEX-ZAJG-0126-SM-5HL94 50-59 years, female 318.7
GTEX-145LU-0126-SM-5TDCB 50-59 years, male 318.6
GTEX-14BIN-0626-SM-793DP 50-59 years, female 318.0
GTEX-XQ3S-1526-SM-4BOOC 20-29 years, male 317.3
GTEX-ZF28-0126-SM-4WKGK 60-69 years, male 317.3
GTEX-1EKGG-0226-SM-9WYTH 60-69 years, male 316.9
GTEX-ZZPT-0226-SM-5E43X 50-59 years, male 316.4
GTEX-13VXT-0126-SM-5LU4I 20-29 years, female 315.8
GTEX-R55E-0126-SM-2TC5Y 20-29 years, male 315.7
GTEX-11LCK-1026-SM-5A5KB 30-39 years, male 315.3
GTEX-1IL2V-0126-SM-CM2TX 70-79 years, male 314.1
GTEX-12ZZY-0226-SM-5LZVE 60-69 years, male 313.8
GTEX-ZDXO-3026-SM-5J1N5 60-69 years, male 313.7
GTEX-1LG7Y-0526-SM-DKPQC 50-59 years, male 313.2
GTEX-1M4P7-0226-SM-DIPEV 60-69 years, male 312.9
GTEX-1JJEA-0326-SM-CNPOT 60-69 years, male 312.5
GTEX-1HBPN-0226-SM-9YFM1 50-59 years, male 312.3
GTEX-11NSD-2226-SM-5986V 20-29 years, male 312.0
GTEX-1HSGN-0226-SM-CGQFV 40-49 years, female 311.7
GTEX-15DCD-0126-SM-7KUEK 70-79 years, female 311.4
GTEX-13D11-2426-SM-5KM1V 50-59 years, female 310.8
GTEX-1F75A-0126-SM-7RHGM 50-59 years, male 310.8
GTEX-YEC4-2126-SM-5IFJH 40-49 years, male 309.7
GTEX-OXRN-0126-SM-48TDM 50-59 years, male 308.5
GTEX-12WSL-2526-SM-5GCNJ 50-59 years, male 308.3
GTEX-1E1VI-0126-SM-7DHMZ 50-59 years, male 308.3
GTEX-ZZ64-1726-SM-5GZYB 20-29 years, male 308.2
GTEX-1EWIQ-0126-SM-7RHH2 70-79 years, female 308.1
GTEX-145MN-2226-SM-5SIAU 30-39 years, male 307.6
GTEX-1EU9M-0226-SM-7P8SP 60-69 years, male 307.4
GTEX-13OW6-0426-SM-5L3HM 50-59 years, male 306.1
GTEX-1M5QR-1226-SM-EWROB 40-49 years, male 306.0
GTEX-WVJS-0126-SM-4MVOT 50-59 years, male 305.9
GTEX-ZVT3-0126-SM-5GU6I 60-69 years, female 305.6
GTEX-14753-0426-SM-5NQAM 60-69 years, male 304.4
GTEX-13OVJ-0126-SM-5KM36 50-59 years, female 304.3
GTEX-11DXX-2426-SM-5GZZW 60-69 years, female 303.4
GTEX-14PN3-2426-SM-6LLHS 60-69 years, female 303.2
GTEX-X62O-0126-SM-4E3JN 50-59 years, male 302.9
GTEX-U3ZM-1526-SM-3DB9D 40-49 years, male 302.5
GTEX-1LG7Z-1726-SM-D3LA4 30-39 years, male 301.7
GTEX-ZVT2-2526-SM-51MT1 50-59 years, female 301.6
GTEX-1O97I-0326-SM-EYYX7 60-69 years, male 301.5
GTEX-1C64N-0126-SM-793D7 50-59 years, male 300.5
GTEX-RN64-0126-SM-2TC68 50-59 years, male 300.0
GTEX-11EMC-2926-SM-5EQ4F 60-69 years, female 299.9
GTEX-11TTK-0126-SM-5987B 60-69 years, female 299.9
GTEX-T8EM-1026-SM-3DB7M 40-49 years, male 299.7
GTEX-1H1ZS-0426-SM-9WG6G 70-79 years, male 299.7
GTEX-ZYT6-0226-SM-5NQ6T 30-39 years, male 299.6
GTEX-1IKJJ-0126-SM-CNPQB 60-69 years, male 299.6
GTEX-P4PP-0126-SM-3LK69 30-39 years, female 299.4
GTEX-QCQG-1726-SM-3GIJ9 50-59 years, female 299.4
GTEX-1QP29-0626-SM-EWRMX 50-59 years, male 299.3
GTEX-16AAH-1726-SM-7939C 50-59 years, male 298.8
GTEX-1I1GR-0126-SM-CL55F 60-69 years, male 298.8
GTEX-1IL2U-0226-SM-CE6T8 60-69 years, male 298.5
GTEX-1LB8K-0226-SM-EWRNW 50-59 years, male 297.2
GTEX-WFON-2126-SM-3LK7O 40-49 years, male 296.8
GTEX-WXYG-2326-SM-4E3I6 50-59 years, female 296.7
GTEX-1POEN-0126-SM-EYYXJ 30-39 years, female 296.6
GTEX-15SDE-2226-SM-7IGLO 50-59 years, female 296.0
GTEX-16XZY-2126-SM-79OK1 70-79 years, male 296.0
GTEX-1KANA-0726-SM-D3L9I 20-29 years, male 295.9
GTEX-PW2O-1526-SM-7RHHB 20-29 years, male 295.5
GTEX-1H1E6-1726-SM-ACKVK 30-39 years, male 295.4
GTEX-OXRL-0126-SM-2YUMP 50-59 years, male 294.8
GTEX-1A32A-0126-SM-718B1 50-59 years, female 294.5
GTEX-17MF6-0126-SM-7LG4F 40-49 years, male 293.8
GTEX-13S7M-0126-SM-5SI6A 60-69 years, female 293.7
GTEX-1MUQO-0126-SM-EAZ58 60-69 years, male 293.5
GTEX-WYVS-2126-SM-3NMA3 40-49 years, female 293.0
GTEX-OOBK-0126-SM-2YUND 40-49 years, male 292.8
GTEX-1J8Q3-1626-SM-CMKGC 60-69 years, male 292.7
GTEX-144GL-0126-SM-5TDE2 50-59 years, male 291.8
GTEX-1GN73-0226-SM-9WG67 60-69 years, male 291.5
GTEX-1E2YA-0126-SM-9KNUC 50-59 years, male 291.1
GTEX-1GF9X-2026-SM-7PC3A 40-49 years, female 291.1
GTEX-1IKOH-0226-SM-COH4E 60-69 years, female 291.1
GTEX-12WSN-5019-SM-79OM6 40-49 years, male 290.2
GTEX-1C6VS-0526-SM-7DUEN 60-69 years, male 289.9
GTEX-13OW8-1326-SM-5J1OW 60-69 years, male 289.6
GTEX-1A3MV-1926-SM-718BT 30-39 years, male 289.6
GTEX-T2IS-0126-SM-4DM6O 20-29 years, female 288.2
GTEX-Y5V5-2326-SM-4V6GA 60-69 years, female 288.0
GTEX-1F88F-2726-SM-7PBZZ 60-69 years, female 288.0
GTEX-14BMV-0126-SM-5S2PO 50-59 years, male 287.4
GTEX-1A8FM-0226-SM-7SB7Q 50-59 years, female 286.8
GTEX-139TT-0126-SM-5K7Y5 60-69 years, male 286.0
GTEX-QLQ7-1626-SM-2S1R8 60-69 years, male 286.0
GTEX-Q734-1926-SM-2I5EV 40-49 years, female 285.9
GTEX-R3RS-0126-SM-3GIJL 40-49 years, female 285.9
GTEX-1F5PL-0326-SM-7P8PQ 40-49 years, female 285.8
GTEX-1F48J-0126-SM-7P8TT 50-59 years, female 285.7
GTEX-11P82-1626-SM-59879 20-29 years, male 285.6
GTEX-Z93T-0126-SM-5HL5N 50-59 years, male 285.3
GTEX-16YQH-0126-SM-7DUFJ 30-39 years, male 285.2
GTEX-1F52S-0126-SM-9MQJU 60-69 years, female 285.2
GTEX-1IY9M-0126-SM-D3L8S 60-69 years, male 285.1
GTEX-12ZZZ-0626-SM-5DUXI 60-69 years, male 284.4
GTEX-1IDJH-0326-SM-A9SLQ 70-79 years, male 284.3
GTEX-1JJE9-0326-SM-CL53Z 70-79 years, male 282.7
GTEX-1CAMS-0426-SM-7P8T2 40-49 years, female 282.3
GTEX-W5WG-1826-SM-4KL2Y 50-59 years, female 282.0
GTEX-XBEW-0626-SM-4QASP 40-49 years, male 281.6
GTEX-14ABY-0226-SM-5TDCQ 50-59 years, male 279.0
GTEX-14PK6-1926-SM-6ETZU 70-79 years, female 278.7
GTEX-1GZ4H-1726-SM-7PBZJ 50-59 years, female 278.2
GTEX-WQUQ-0426-SM-3MJFU 60-69 years, male 278.1
GTEX-1GMR8-0126-SM-9WYTM 50-59 years, female 277.9
GTEX-1GZHY-0326-SM-9QEHI 50-59 years, female 277.8
GTEX-1QP67-1626-SM-EAZ3X 40-49 years, female 277.7
GTEX-17HHY-0126-SM-7LG5D 50-59 years, male 277.6
GTEX-XQ8I-0426-SM-4BOPO 50-59 years, male 277.5
GTEX-1JK1U-2026-SM-CM2RZ 60-69 years, male 277.5
GTEX-1K9T9-0126-SM-EVYCF 50-59 years, female 277.5
GTEX-1C64O-0126-SM-7SB8P 60-69 years, male 277.4
GTEX-1EX96-1626-SM-7PBXR 50-59 years, male 276.0
GTEX-1I1HK-0126-SM-COH49 60-69 years, male 275.9
GTEX-1I1GQ-0126-SM-COH3H 50-59 years, male 275.3
GTEX-13O3P-0126-SM-5KM4S 50-59 years, male 274.0
GTEX-1CAMQ-0226-SM-7IGPK 40-49 years, male 272.1
GTEX-1PPH8-0226-SM-E8VND 20-29 years, male 271.5
GTEX-1GF9V-0326-SM-7RHI5 60-69 years, male 271.2
GTEX-13QJ3-0326-SM-5S2RA 50-59 years, male 269.5
GTEX-16NGA-1726-SM-731B4 40-49 years, female 269.2
GTEX-1212Z-2526-SM-5EGKP 60-69 years, male 269.0
GTEX-17MFQ-1726-SM-793C7 20-29 years, male 268.9
GTEX-17JCI-0126-SM-7LG5G 60-69 years, female 267.2
GTEX-1EN7A-0126-SM-7SB81 40-49 years, male 266.6
GTEX-SNMC-1226-SM-2XCFP 20-29 years, male 266.3
GTEX-ZQG8-1626-SM-DHXIT 60-69 years, female 265.4
GTEX-R45C-0126-SM-EAZ2R 60-69 years, female 262.9
GTEX-1192W-2626-SM-5Q5AF 60-69 years, male 261.7
GTEX-ZQUD-1426-SM-57WER 30-39 years, male 261.7
GTEX-145LS-0126-SM-5QGP1 60-69 years, female 261.6
GTEX-13N2G-2626-SM-5J1OT 60-69 years, male 261.5
GTEX-1F7RK-0126-SM-7PC2S 20-29 years, female 261.2
GTEX-145LV-2126-SM-5LU8N 50-59 years, male 260.6
GTEX-13NZA-0226-SM-5K7Z7 60-69 years, male 260.5
GTEX-11EM3-2426-SM-59861 20-29 years, female 260.2
GTEX-15RIG-0226-SM-7KFTL 40-49 years, male 259.7
GTEX-1H11D-0226-SM-9WG6Z 40-49 years, male 258.7
GTEX-1122O-2126-SM-5EGIR 60-69 years, female 258.6
GTEX-15CHC-2126-SM-6EU21 60-69 years, female 257.7
GTEX-14JG1-0426-SM-6ETZZ 40-49 years, male 257.1
GTEX-QDT8-0126-SM-48TZ1 30-39 years, female 256.9
GTEX-1HSEH-0126-SM-ACKXN 60-69 years, male 256.9
GTEX-14A6H-0126-SM-5QGPK 30-39 years, male 256.3
GTEX-RM2N-1426-SM-2TF4H 50-59 years, male 255.2
GTEX-1AMEY-1326-SM-73KYK 30-39 years, female 254.3
GTEX-1128S-2326-SM-5GZZY 60-69 years, female 253.3
GTEX-OIZF-0126-SM-7SB8I 60-69 years, male 251.3
GTEX-RWSA-0126-SM-2XCBB 40-49 years, male 250.6
GTEX-SJXC-0126-SM-2XCFF 60-69 years, male 250.2
GTEX-146FR-1326-SM-E9J48 60-69 years, female 249.8
GTEX-NFK9-0226-SM-2HMKQ 40-49 years, male 249.6
GTEX-PLZ4-0126-SM-5SI8O 50-59 years, female 247.8
GTEX-1HSMP-0126-SM-E6CJS 70-79 years, male 247.0
GTEX-1JKYR-0126-SM-CNPOJ 20-29 years, male 246.3
GTEX-15DYW-0126-SM-7KULE 60-69 years, female 245.5
GTEX-Z9EW-1626-SM-5CVMN 40-49 years, male 245.4
GTEX-11EI6-0126-SM-5985R 60-69 years, male 243.2
GTEX-1AMFI-2026-SM-731BH 50-59 years, female 242.6
GTEX-133LE-1826-SM-5J1MV 20-29 years, female 242.4
GTEX-14JG6-2226-SM-6EU2G 30-39 years, female 241.7
GTEX-1MCYP-1926-SM-E9J2R 20-29 years, female 241.6
GTEX-11DXY-2626-SM-5GIE7 60-69 years, male 240.5
GTEX-13FTY-0526-SM-5L3EV 40-49 years, female 240.3
GTEX-XV7Q-2526-SM-4BRV9 40-49 years, female 239.9
GTEX-ZF2S-2326-SM-4WWCE 50-59 years, female 239.3
GTEX-17HHE-2026-SM-79OKF 50-59 years, male 238.9
GTEX-OOBJ-0126-SM-E6CJW 60-69 years, male 237.6
GTEX-13RTL-0126-SM-7LG5S 40-49 years, male 236.0
GTEX-1HKZK-0326-SM-9WYUH 40-49 years, male 235.9
GTEX-1QEPI-0126-SM-EWRMQ 60-69 years, female 235.7
GTEX-XUW1-0426-SM-4BOOT 50-59 years, female 235.3
GTEX-Q2AG-0126-SM-33HBV 40-49 years, female 234.1
GTEX-T5JW-1626-SM-3GADZ 20-29 years, female 234.0
GTEX-13113-5016-SM-7EPIP 60-69 years, female 233.8
GTEX-TML8-1926-SM-32QOS 40-49 years, female 233.1
GTEX-1I1GT-0626-SM-CGQER 60-69 years, female 232.2
GTEX-12WSC-0126-SM-5EQ4P 50-59 years, male 231.7
GTEX-183FY-0126-SM-7LT9P 20-29 years, male 231.1
GTEX-1HCVE-0126-SM-CGQEU 50-59 years, male 230.3
GTEX-PWO3-1526-SM-48TCM 60-69 years, female 227.8
GTEX-147F3-0526-SM-5SI98 50-59 years, female 227.5
GTEX-ZUA1-0126-SM-5GU76 40-49 years, male 227.1
GTEX-13SLX-0526-SM-5S2ON 50-59 years, female 227.0
GTEX-1GL5R-1826-SM-9KNUY 50-59 years, male 227.0
GTEX-18A67-0126-SM-7LG5P 50-59 years, male 226.2
GTEX-U3ZH-2026-SM-3DB78 30-39 years, male 224.8
GTEX-14E7W-0126-SM-6LLJ9 70-79 years, male 224.5
GTEX-1S83E-0126-SM-EWRO4 40-49 years, male 222.2
GTEX-113IC-0126-SM-5HL6T 60-69 years, male 220.6
GTEX-1GF9U-2126-SM-7SB7L 40-49 years, female 220.3
GTEX-18D9B-0526-SM-7LTAS 60-69 years, male 219.3
GTEX-17F97-0326-SM-7LG5B 50-59 years, male 217.9
GTEX-XUYS-0126-SM-47JWZ 50-59 years, male 217.2
GTEX-ZXG5-0126-SM-5GIEU 60-69 years, male 213.5
GTEX-14LLW-0126-SM-6LLIO 70-79 years, female 211.8
GTEX-145ME-1826-SM-5SI9G 40-49 years, female 211.4
GTEX-SSA3-0126-SM-32QPU 60-69 years, male 210.8
GTEX-X638-0126-SM-47JZ8 70-79 years, female 210.6
GTEX-16BQI-0226-SM-7KUEX 30-39 years, female 210.0
GTEX-ZAB5-1826-SM-5HL7C 50-59 years, male 208.8
GTEX-1H3NZ-0126-SM-ACKX7 60-69 years, male 207.5
GTEX-1QPFJ-0226-SM-E76PB 30-39 years, female 207.4
GTEX-1F5PK-2426-SM-7RHHY 50-59 years, male 205.1
GTEX-U3ZN-2326-SM-3DB7W 30-39 years, female 203.6
GTEX-11VI4-1726-SM-5CVLH 40-49 years, female 197.9
GTEX-1LVAN-0226-SM-COH3S 50-59 years, female 195.2
GTEX-ZYFG-2326-SM-5E44B 60-69 years, female 195.1
GTEX-PLZ5-2026-SM-2S1O4 50-59 years, male 194.5
GTEX-1IDJU-2626-SM-CM2RT 60-69 years, female 194.1
GTEX-13OVG-1926-SM-5L3DK 60-69 years, male 188.9
GTEX-RWS6-2026-SM-2XCB5 60-69 years, female 188.9
GTEX-1N2DV-0226-SM-E6CJ6 40-49 years, male 185.3
GTEX-ZXES-1826-SM-5E43S 30-39 years, female 185.0
GTEX-16NPX-0226-SM-79OMT 50-59 years, male 184.7
GTEX-14PHW-0126-SM-6LLJI 60-69 years, female 183.2
GTEX-TMMY-0226-SM-33HBA 40-49 years, female 183.0
GTEX-14PJ6-2126-SM-6EU1V 60-69 years, female 181.1
GTEX-1LSNM-1926-SM-E6CII 50-59 years, male 175.8
GTEX-1RQEC-0426-SM-E6CHU 60-69 years, male 163.7
GTEX-ZY6K-1826-SM-5GZXK 50-59 years, male 158.6
GTEX-1MA7X-2226-SM-E6CIY 60-69 years, male 158.2
GTEX-1JJ6O-0126-SM-E6CI8 60-69 years, male 146.9
GTEX-1KANB-0526-SM-E6CJH 50-59 years, male 141.6
GTEX-1RAZA-0126-SM-E6CI3 20-29 years, male 110.3
GTEX-1S82Z-0826-SM-E6CHY 30-39 years, female 60.4
Show allShow less

Contact

  • NEWS ARTICLES
  • PRESS ROOM

The Project

  • INTRODUCTION
  • ORGANIZATION
  • PUBLICATIONS

The Human Protein Atlas

  • DOWNLOADABLE DATA
  • LICENCE & CITATION
  • HELP & FAQ
The Human Protein Atlas project is funded
by the Knut & Alice Wallenberg Foundation.


contact@proteinatlas.org