We use cookies to enhance the usability of our website. If you continue, we'll assume that you are happy to receive all cookies. More information. Don't show this again.
UBC
HPA
RESOURCES
  • TISSUE
  • BRAIN
  • SINGLE CELL
  • SUBCELLULAR
  • CANCER
  • BLOOD
  • CELL LINE
  • STRUCTURE & INTERACTION
ABOUT
  • INTRODUCTION
  • HISTORY
  • ORGANIZATION
  • PUBLICATIONS
  • ANTIBODY SUBMISSION
  • ANTIBODY AVAILABILITY
  • ACKNOWLEDGMENTS
  • CONTACT
NEWS
  • NEWS ARTICLES
  • PRESS ROOM
LEARN
  • DICTIONARY
  • PROTEIN CLASSES
  • PROTEIN EVIDENCE
  • METHODS
  • EDUCATIONAL VIDEOS
DATA
  • DOWNLOADABLE DATA
  • PUBLICATION DATA
  • RELEASE HISTORY
HELP
  • ANTIBODY VALIDATION
  • ASSAYS & ANNOTATION
  • DISCLAIMER
  • HELP & FAQ
  • PRIVACY STATEMENT
  • LICENCE & CITATION
Fields »
Search result

Field
Term
Gene name
Class
Subclass
Class
Keyword
Chromosome
External id
Tissue
Cell type
Expression
Antibody panel
Tissue
Main location
Patient ID
Annotation
Tissue
Category
Tau score
Cluster
Reliability
Brain region
Category
Tau score
Brain region
Category
Tau score
Brain region
Category
Tau score
Cluster
Reliability
Tissue
Cell type
Enrichment
Cell type
Category
Tau score
Cell type
Category
Tau score
Cell type
Category
Tau score
Cell lineage
Category
Tau score
Cluster
Cluster
Location
Searches
Location
Cell line
Class
Type
Phase
Reliability
Cancer
Prognosis
Cancer
Category
Cancer
Category
Tau score
Cluster
Variants
Interacting gene (ensg_id)
Type
Number of interactions
Pathway
Category
Score
Score
Score
Validation
Validation
Validation
Validation
Antibodies
Data type
Column


  • SUMMARY

  • TISSUE

  • BRAIN

  • SINGLE CELL

  • SUBCELL

  • CANCER

  • BLOOD

  • CELL LINE

  • STRUCT & INT

  • UBC
TISSUE PRIMARY DATA SALIVARY GLAND Show tissue menu
ADIPOSE TISSUE ADRENAL GLAND AMYGDALA APPENDIX BASAL GANGLIA BONE MARROW BREAST BRONCHUS CEREBELLUM CEREBRAL CORTEX CERVIX CHOROID PLEXUS COLON DUODENUM
ENDOMETRIUM EPIDIDYMIS ESOPHAGUS FALLOPIAN TUBE GALLBLADDER HEART MUSCLE HIPPOCAMPAL FORMATION HYPOTHALAMUS KIDNEY LIVER LUNG LYMPH NODE MIDBRAIN NASOPHARYNX
ORAL MUCOSA OVARY PANCREAS PARATHYROID GLAND PITUITARY GLAND PLACENTA PROSTATE RECTUM RETINA SALIVARY GLAND SEMINAL VESICLE SKELETAL MUSCLE SKIN SMALL INTESTINE
SMOOTH MUSCLE SOFT TISSUE SPINAL CORD SPLEEN STOMACH TESTIS THYMUS THYROID GLAND TONGUE TONSIL URINARY BLADDER VAGINA
ANTIBODIES
AND
VALIDATION
Dictionary
Salivary gland
Tissue proteome
Salivary gland
SALIVARY GLAND - Expression summary
Protein expression
Salivary glandi

On the top, protein expression in current human tissue, based on all annotated cell types, is reported with the units not detected (n), low (l), medium (m) and high (h). Underneath, protein expression in each annotated cell type are reported using the same units.

Protein expression data is based on knowledge-based annotation. For genes where more than one antibody has been used, a collective score is set.

If knowledge-based annotation could not be performed for a gene, no data is displayed here. View antibody staining data further down this page.

h
m
l
n
Glandular cells: High
RNA expressioni

A summary of mRNA expression data available for current tissue based on several datasets. The mRNA expression levels in human tissues are based on RNA-seq data generated by the Human Protein Atlas (HPA), Genotype-Tissue Expression (GTEx) portal and CAGE data generated by the FANTOM5 consortium. Consensus normalized expression levels for human tissues was created by combining the data from HPA and GTEx datasets.

The mRNA expression levels in pig are based on RNA-seq data generated by the Human Protein Atlas (HPA), and for mouse, HPA data and in situ hybridization generated by the Allen brain atlas are reported.

Scroll down to view mRNA expression data in more detail.
Consensus:1082.7 nTPM
HPA:1082.7 nTPM
GTEx:650.4 nTPM
FANTOM5:2072.6 Scaled Tags Per Million

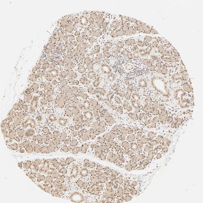
SALIVARY GLAND - Antibody stainingi

Antibody staining in the annotated cell types in the current human tissue is reported as not detected, low, medium, or high, based on conventional immunohistochemistry profiling in selected tissues. This score is based on the combination of the staining intensity and fraction of stained cells.

Each image is clickable and will lead to virtual microscopy that enables deeper exploration of all samples and also displays staining intensity scores, fraction scores and subcellular localization as well as patient and tissue information for each sample.

Antibody HPA041344Antibody HPA049132Antibody CAB000362Antibody CAB005419
Glandular cells MediumHighMediumMedium









SALIVARY GLAND - HPA RNA-seqi

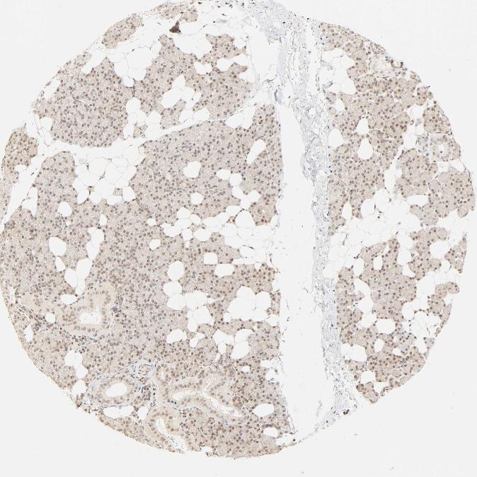
The RNA-seq details section shows detailed information about the individual samples used for the transcript profiling and results of the RNA-seq analysis.

Information about each individual sample is listed below, including gender, age, a tissue section image and estimated fractions of cell types. nTPM (normalized transcripts per million) values give a quantification of the gene abundance which is comparable between different genes and samples.
Average nTPMi

Max subtype nTPM is the value for the subtype with the largest average nTPM across the subtype samples.

1082.7
overview
Female, age 68
Salivary gland sample 216
nTPM: 1199
Cell types%
Glandular cells:
45

Ductal cells:
25

Adipocytes:
5

Other cell types:
25

overview
Male, age 60
Salivary gland sample 217
nTPM: 1001.7
Cell types%
Glandular cells:
55

Ductal cells:
20

Adipocytes:
5

Endothelial cells:
5

Other cell types:
15

overview
Female, age 21
Salivary gland sample 218
nTPM: 1047.3
Cell types%
Glandular cells:
55

Ductal cells:
15

Adipocytes:
5

Endothelial cells:
5

Other cell types:
20


SALIVARY GLAND - GTEx RNA-seqi

RNA-Seq data generated by the Genotype-Tissue Expression (GTEx) project from human tissues is reported as mean nTPM. More information can be found on the GTEx portal.

Distribution across the dataset is visualized with box plots, shown as median and 25th and 75th percentiles. Points are displayed as outliers if they are above or below 1.5 times the interquartile range. nTPM values of the individual samples are presented next to the box plot.
Max subtype nTPMi

Max subtype nTPM is the value for the subtype with the largest average nTPM across the subtype samples.

650.4
GTEx sample id Sample description nTPM
Minor Salivary Gland
Average nTPM: 650.4
Samples: 162

Max nTPM: 2075.8
Min nTPM: 245.9
Std nTPM: 271.0
Median nTPM: 582.0
GTEX-ZLFU-2226-SM-EXUS7 40-49 years, male 2075.8
GTEX-11EMC-2526-SM-5PNVU 60-69 years, female 1797.5
GTEX-ZLWG-2026-SM-DO11F 50-59 years, female 1750.5
GTEX-14E1K-2626-SM-664OJ 50-59 years, male 1564.4
GTEX-1HCU7-0126-SM-C1YR3 50-59 years, male 1203.5
GTEX-ZF29-2126-SM-DNZYX 60-69 years, female 1195.9
GTEX-12BJ1-2226-SM-5BC6G 60-69 years, male 1191.1
GTEX-11WQK-2926-SM-5EQKT 50-59 years, male 1153.9
GTEX-1R9K4-0526-SM-E76P1 60-69 years, male 1133.3
GTEX-11EQ9-2026-SM-5P9JI 30-39 years, male 1099.8
GTEX-ZPU1-2326-SM-57WEP 40-49 years, male 1094.1
GTEX-1GTWX-2526-SM-9JGHG 60-69 years, male 1074.7
GTEX-1LKK1-2926-SM-EVR4Z 50-59 years, female 1074.6
GTEX-1QCLZ-2526-SM-EXUST 60-69 years, female 1070.3
GTEX-1192X-2926-SM-5N9BA 50-59 years, male 1063.9
GTEX-ZT9W-2126-SM-51MSF 50-59 years, male 1029.5
GTEX-14JIY-3026-SM-6EU1R 60-69 years, male 1021.8
GTEX-131XH-2626-SM-5GCNP 50-59 years, male 992.6
GTEX-11ZTS-3026-SM-5EQM7 60-69 years, female 955.6
GTEX-13QBU-2126-SM-5KLZN 40-49 years, female 907.6
GTEX-1R9PM-1726-SM-E8VOA 20-29 years, male 907.1
GTEX-1R9PO-2626-SM-E6CPU 60-69 years, female 906.2
GTEX-XV7Q-2426-SM-4BRV8 40-49 years, female 896.8
GTEX-Y5LM-1826-SM-4VDT9 40-49 years, female 865.3
GTEX-1QP9N-2026-SM-DPRZT 30-39 years, male 850.7
GTEX-1LSNL-2626-SM-EV7AT 50-59 years, male 843.4
GTEX-14PJ3-1526-SM-664O9 50-59 years, male 840.2
GTEX-ZP4G-1926-SM-57WDZ 20-29 years, female 835.5
GTEX-14PN4-2526-SM-686ZG 50-59 years, male 826.5
GTEX-13OVI-2326-SM-5KM47 60-69 years, female 803.6
GTEX-1LVAO-2626-SM-EVR4S 60-69 years, male 800.4
GTEX-1445S-2926-SM-5O993 60-69 years, male 771.3
GTEX-1CB4I-2526-SM-7MKG1 50-59 years, male 752.5
GTEX-1I4MK-1326-SM-B2LWT 50-59 years, female 749.8
GTEX-ZC5H-2726-SM-5KLZW 40-49 years, female 737.9
GTEX-1C6VR-0726-SM-7P8OV 60-69 years, male 736.9
GTEX-WFJO-2026-SM-4LVM3 30-39 years, male 733.6
GTEX-1AMEY-1126-SM-72D79 30-39 years, female 728.5
GTEX-1EH9U-2926-SM-7DHLX 60-69 years, male 716.0
GTEX-1IOXB-2826-SM-AHZ32 50-59 years, male 712.8
GTEX-13CF2-2426-SM-5LZYL 60-69 years, male 711.1
GTEX-1H4P4-2026-SM-9WPNV 50-59 years, male 705.3
GTEX-1HFI7-2426-SM-B2LXV 50-59 years, female 702.9
GTEX-YF7O-2226-SM-5CVN8 50-59 years, male 693.9
GTEX-WH7G-2126-SM-4M1XU 40-49 years, male 683.1
GTEX-1JN1M-2426-SM-ARU93 60-69 years, female 679.7
GTEX-14B4R-1426-SM-5Q5CG 30-39 years, male 679.0
GTEX-1GPI7-0326-SM-7MKH6 20-29 years, male 678.7
GTEX-1QMI2-0426-SM-EWRND 60-69 years, male 670.5
GTEX-1GMR2-2026-SM-7MKHK 50-59 years, male 670.4
GTEX-1RNSC-2926-SM-EV79L 60-69 years, male 666.2
GTEX-11NV4-1926-SM-5N9D4 60-69 years, male 663.1
GTEX-ZQG8-2126-SM-4YCF1 60-69 years, female 657.4
GTEX-1GZ2Q-2526-SM-9KNVW 40-49 years, male 657.2
GTEX-1S82P-0726-SM-EVR4O 60-69 years, female 655.4
GTEX-11P81-2026-SM-5P9GT 30-39 years, female 654.2
GTEX-1LC47-2426-SM-DHXKK 60-69 years, male 653.4
GTEX-1PIEJ-0626-SM-DTX99 20-29 years, female 651.6
GTEX-Y3I4-1926-SM-4TT8L 50-59 years, male 649.9
GTEX-12WSN-2226-SM-5DUXT 40-49 years, male 639.3
GTEX-1AYD5-2726-SM-7MXVG 50-59 years, male 635.0
GTEX-17MFQ-1626-SM-7938Z 20-29 years, male 634.6
GTEX-1B8SF-1826-SM-731DJ 60-69 years, male 634.4
GTEX-13VXT-1726-SM-5IFF5 20-29 years, female 630.1
GTEX-YB5K-1726-SM-5IFIZ 40-49 years, female 624.4
GTEX-1OJC3-1026-SM-E6CQK 20-29 years, male 624.4
GTEX-11TUW-2426-SM-5EQKB 60-69 years, male 622.5
GTEX-1LVA9-2526-SM-EVR5H 50-59 years, male 619.8
GTEX-1IDJC-1626-SM-AHZ2R 50-59 years, male 618.3
GTEX-1KD5A-2226-SM-EV79U 50-59 years, male 614.4
GTEX-1I1HK-2526-SM-A96SM 60-69 years, male 613.0
GTEX-11ZTT-2226-SM-5CVLP 60-69 years, female 608.9
GTEX-11P82-0926-SM-5986X 20-29 years, male 607.3
GTEX-1117F-3026-SM-5GZYU 60-69 years, female 607.2
GTEX-1B97J-2126-SM-79OL6 50-59 years, female 600.6
GTEX-14PJN-1726-SM-69LO7 30-39 years, male 600.2
GTEX-1MGNQ-1926-SM-DTX8L 40-49 years, male 598.2
GTEX-1P4AB-2926-SM-EXOJR 50-59 years, male 594.9
GTEX-ZA64-1726-SM-5CVMF 20-29 years, male 593.5
GTEX-1J8QM-1826-SM-A96TA 60-69 years, female 591.9
GTEX-ZAB5-2326-SM-5IJFR 50-59 years, male 585.0
GTEX-131XF-2826-SM-5EGKH 60-69 years, male 579.1
GTEX-12WSM-1826-SM-5BC64 60-69 years, male 577.8
GTEX-15EU6-2626-SM-7KUN4 50-59 years, male 573.9
GTEX-13111-2326-SM-5LZUQ 50-59 years, male 572.4
GTEX-13QJC-2326-SM-5Q5CD 60-69 years, female 571.9
GTEX-13113-1526-SM-5EGHV 60-69 years, female 566.5
GTEX-18A7B-2826-SM-7KFTK 70-79 years, male 565.0
GTEX-1KANC-1326-SM-CYPT8 50-59 years, female 553.5
GTEX-1B8KZ-1726-SM-73KV7 50-59 years, male 549.6
GTEX-1IY9M-2926-SM-A96TH 60-69 years, male 549.5
GTEX-13O21-1926-SM-5MR39 50-59 years, male 548.4
GTEX-178AV-1426-SM-6LLID 40-49 years, male 547.8
GTEX-18D9U-2226-SM-7KFTN 40-49 years, male 547.1
GTEX-1S83E-0626-SM-E9TKC 40-49 years, male 546.3
GTEX-12WSL-2126-SM-5GCNG 50-59 years, male 546.2
GTEX-WOFM-2126-SM-4OOSR 20-29 years, male 545.2
GTEX-X5EB-1726-SM-4E3J7 40-49 years, male 545.0
GTEX-145ME-1626-SM-5RQI3 40-49 years, female 544.9
GTEX-1GF9X-0226-SM-7P8SM 40-49 years, female 539.8
GTEX-1MCQQ-2226-SM-DLHC4 60-69 years, male 536.1
GTEX-15CHC-1226-SM-686ZH 60-69 years, female 535.0
GTEX-1MCC2-2226-SM-EV7AJ 30-39 years, female 533.4
GTEX-15SHV-2226-SM-6M464 60-69 years, male 530.6
GTEX-18QFQ-0626-SM-718AW 30-39 years, male 530.3
GTEX-1339X-2326-SM-5HL5B 40-49 years, male 529.3
GTEX-1IE54-0826-SM-AHZ2Z 40-49 years, female 526.4
GTEX-15RJE-2726-SM-6LPJ1 40-49 years, male 524.8
GTEX-1POEN-2226-SM-DPRXV 30-39 years, female 520.9
GTEX-1HR9M-2526-SM-A9G3J 60-69 years, male 519.6
GTEX-1HSEH-1826-SM-A96SA 60-69 years, male 514.8
GTEX-1C64O-0626-SM-7DHL1 60-69 years, male 513.3
GTEX-1HSMQ-0926-SM-A96SI 50-59 years, male 512.3
GTEX-ZXG5-2826-SM-5NQ8T 60-69 years, male 507.2
GTEX-1AX8Z-0626-SM-731EH 60-69 years, male 502.8
GTEX-XMK1-2626-SM-4B65R 40-49 years, male 496.5
GTEX-1A3MV-1726-SM-72D68 30-39 years, male 493.5
GTEX-ZE7O-2926-SM-51MSG 50-59 years, female 493.4
GTEX-1IDJD-2526-SM-C1YSA 30-39 years, male 492.9
GTEX-WY7C-1426-SM-4OND1 50-59 years, male 492.5
GTEX-1KD4Q-2526-SM-CXZKL 40-49 years, male 492.3
GTEX-1C64N-2926-SM-79OLM 50-59 years, male 492.0
GTEX-Y5V6-2226-SM-4VDTC 60-69 years, male 487.9
GTEX-1J8EW-2826-SM-A96T9 60-69 years, female 484.4
GTEX-17KNJ-2726-SM-7KFRE 50-59 years, male 483.5
GTEX-1GN1V-2926-SM-9JGI3 60-69 years, male 482.0
GTEX-1JKYR-0726-SM-AHZ3K 20-29 years, male 479.3
GTEX-ZG7Y-2426-SM-DO11H 50-59 years, male 477.6
GTEX-1R9K5-0626-SM-DPRZB 50-59 years, male 475.8
GTEX-1JN6P-2526-SM-CNNPX 60-69 years, male 474.4
GTEX-1OJC4-3126-SM-EXOJK 50-59 years, female 470.5
GTEX-ZQUD-2126-SM-51MSY 30-39 years, male 469.6
GTEX-WHSB-2326-SM-4M1XK 50-59 years, male 468.8
GTEX-1QEPI-0626-SM-E76QE 60-69 years, female 467.4
GTEX-1GN1W-2526-SM-9JGHX 50-59 years, female 459.6
GTEX-146FR-1226-SM-5SIA7 60-69 years, female 456.9
GTEX-X261-2426-SM-4PQZU 50-59 years, male 456.7
GTEX-XGQ4-2626-SM-4AT6B 50-59 years, male 447.1
GTEX-X15G-2126-SM-4PQZR 50-59 years, female 441.5
GTEX-1I6K7-0926-SM-A96SV 40-49 years, male 440.0
GTEX-1J1R8-1826-SM-AHZ3B 40-49 years, male 429.9
GTEX-1PPH8-1526-SM-E6CQO 20-29 years, male 429.5
GTEX-13OVK-1826-SM-6PALE 40-49 years, male 426.1
GTEX-1AX9K-2126-SM-72D7K 50-59 years, male 426.1
GTEX-1H1CY-2326-SM-9OSXW 60-69 years, female 425.3
GTEX-X3Y1-1926-SM-4PQZO 40-49 years, male 421.9
GTEX-1314G-2026-SM-5LZUM 30-39 years, male 419.3
GTEX-1HSGN-0626-SM-A9G2E 40-49 years, female 418.7
GTEX-13NYB-2426-SM-5IFF4 40-49 years, male 417.5
GTEX-1RAZA-0626-SM-EAZ4H 20-29 years, male 414.3
GTEX-111FC-2926-SM-5GZY7 60-69 years, male 411.4
GTEX-WYVS-2026-SM-4RGNS 40-49 years, female 398.3
GTEX-1LBAC-0626-SM-D3L9T 20-29 years, male 395.8
GTEX-1B932-0626-SM-731EM 40-49 years, female 369.8
GTEX-13G51-2426-SM-5LZY8 60-69 years, male 360.3
GTEX-Y111-2626-SM-4TT24 50-59 years, male 351.4
GTEX-13OVL-2926-SM-5IFG3 50-59 years, male 346.9
GTEX-1I6K6-0626-SM-ARU7J 30-39 years, male 330.9
GTEX-18A67-0626-SM-7KFSL 50-59 years, male 320.7
GTEX-13JVG-2926-SM-5J2N9 60-69 years, male 294.8
GTEX-1NSGN-0626-SM-E9J35 50-59 years, male 281.4
GTEX-1C4CL-2026-SM-731EB 30-39 years, male 245.9
Show allShow less

SALIVARY GLAND - FANTOM5 CAGEi

RNA expression in human tissues obtained through Cap Analysis of Gene Expression (CAGE) generated by the FANTOM5 project are reported as Scaled Tags Per Million.

Max subtype Scaled Tags Per Millioni

Max subtype Scaled Tags Per Million is the value for the subtype with the largest average Scaled Tags Per Million across the subtype samples.

2072.6
FANTOM5 sample id Sample description Scaled Tags Per Million
Parotid gland
Scaled Tags Per Million: 1851.9
FF:10199-103F1 23 years, male 1851.9
Salivary gland
Scaled Tags Per Million: 2072.6
FF:10093-102C3 16-60 years, mixed 2072.6
Submaxillary gland
Scaled Tags Per Million: 963.3
FF:10202-103F4 24 years, male 963.3

Contact

  • NEWS ARTICLES
  • PRESS ROOM

The Project

  • INTRODUCTION
  • ORGANIZATION
  • PUBLICATIONS

The Human Protein Atlas

  • DOWNLOADABLE DATA
  • LICENCE & CITATION
  • HELP & FAQ
The Human Protein Atlas project is funded
by the Knut & Alice Wallenberg Foundation.


contact@proteinatlas.org