We use cookies to enhance the usability of our website. If you continue, we'll assume that you are happy to receive all cookies. More information. Don't show this again.
HNRNPDL
HPA
RESOURCES
  • TISSUE
  • BRAIN
  • SINGLE CELL
  • SUBCELLULAR
  • CANCER
  • BLOOD
  • CELL LINE
  • STRUCTURE & INTERACTION
ABOUT
  • INTRODUCTION
  • HISTORY
  • ORGANIZATION
  • PUBLICATIONS
  • ANTIBODY SUBMISSION
  • ANTIBODY AVAILABILITY
  • ACKNOWLEDGMENTS
  • CONTACT
NEWS
  • NEWS ARTICLES
  • PRESS ROOM
LEARN
  • DICTIONARY
  • PROTEIN CLASSES
  • PROTEIN EVIDENCE
  • METHODS
  • EDUCATIONAL VIDEOS
DATA
  • DOWNLOADABLE DATA
  • PUBLICATION DATA
  • RELEASE HISTORY
HELP
  • ANTIBODY VALIDATION
  • ASSAYS & ANNOTATION
  • DISCLAIMER
  • HELP & FAQ
  • PRIVACY STATEMENT
  • LICENCE & CITATION
Fields »
Search result

Field
Term
Gene name
Class
Subclass
Class
Keyword
Chromosome
External id
Tissue
Cell type
Expression
Antibody panel
Tissue
Main location
Patient ID
Annotation
Tissue
Category
Tau score
Cluster
Reliability
Brain region
Category
Tau score
Brain region
Category
Tau score
Brain region
Category
Tau score
Cluster
Reliability
Tissue
Cell type
Enrichment
Cell type
Category
Tau score
Cell type
Category
Tau score
Cell type
Category
Tau score
Cell lineage
Category
Tau score
Cluster
Cluster
Location
Searches
Location
Cell line
Class
Type
Phase
Reliability
Cancer
Prognosis
Cancer
Category
Cancer
Category
Tau score
Cluster
Variants
Interacting gene (ensg_id)
Type
Number of interactions
Pathway
Category
Score
Score
Score
Validation
Validation
Validation
Validation
Antibodies
Data type
Column


  • SUMMARY

  • TISSUE

  • BRAIN

  • SINGLE CELL

  • SUBCELL

  • CANCER

  • BLOOD

  • CELL LINE

  • STRUCT & INT

  • HNRNPDL
TISSUE PRIMARY DATA BREAST Show tissue menu
ADIPOSE TISSUE ADRENAL GLAND AMYGDALA APPENDIX BASAL GANGLIA BONE MARROW BREAST BRONCHUS CEREBELLUM CEREBRAL CORTEX CERVIX CHOROID PLEXUS COLON DUODENUM
ENDOMETRIUM EPIDIDYMIS ESOPHAGUS FALLOPIAN TUBE GALLBLADDER HEART MUSCLE HIPPOCAMPAL FORMATION HYPOTHALAMUS KIDNEY LIVER LUNG LYMPH NODE MIDBRAIN NASOPHARYNX
ORAL MUCOSA OVARY PANCREAS PARATHYROID GLAND PITUITARY GLAND PLACENTA PROSTATE RECTUM RETINA SALIVARY GLAND SEMINAL VESICLE SKELETAL MUSCLE SKIN SMALL INTESTINE
SMOOTH MUSCLE SOFT TISSUE SPINAL CORD SPLEEN STOMACH TESTIS THYMUS THYROID GLAND TONGUE TONSIL URINARY BLADDER VAGINA
ANTIBODIES
AND
VALIDATION
Dictionary
Breast
Tissue proteome
Breast
BREAST - Expression summary
Protein expression
Breasti

On the top, protein expression in current human tissue, based on all annotated cell types, is reported with the units not detected (n), low (l), medium (m) and high (h). Underneath, protein expression in each annotated cell type are reported using the same units.

Protein expression data is based on knowledge-based annotation. For genes where more than one antibody has been used, a collective score is set.

If knowledge-based annotation could not be performed for a gene, no data is displayed here. View antibody staining data further down this page.

h
m
l
n
Adipocytes: Not detected
Glandular cells: Medium
Myoepithelial cells: Medium
RNA expressioni

A summary of mRNA expression data available for current tissue based on several datasets. The mRNA expression levels in human tissues are based on RNA-seq data generated by the Human Protein Atlas (HPA), Genotype-Tissue Expression (GTEx) portal and CAGE data generated by the FANTOM5 consortium. Consensus normalized expression levels for human tissues was created by combining the data from HPA and GTEx datasets.

The mRNA expression levels in pig are based on RNA-seq data generated by the Human Protein Atlas (HPA), and for mouse, HPA data and in situ hybridization generated by the Allen brain atlas are reported.

Scroll down to view mRNA expression data in more detail.
Consensus:250.6 nTPM
HPA:198.0 nTPM
GTEx:250.6 nTPM
FANTOM5:191.8 Scaled Tags Per Million

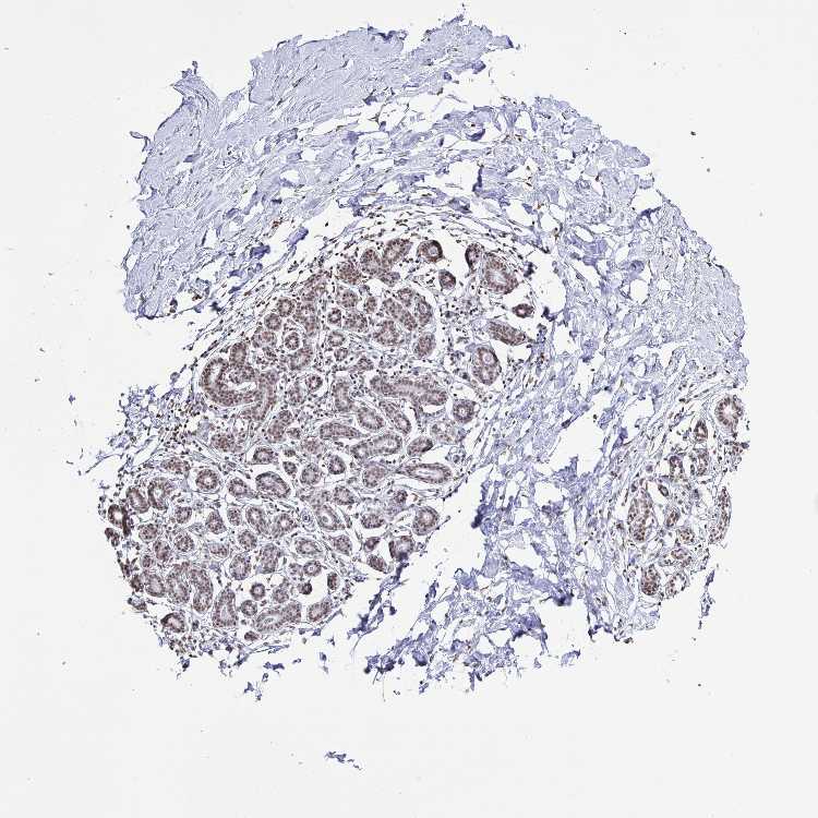
BREAST - Antibody stainingi

Antibody staining in the annotated cell types in the current human tissue is reported as not detected, low, medium, or high, based on conventional immunohistochemistry profiling in selected tissues. This score is based on the combination of the staining intensity and fraction of stained cells.

Each image is clickable and will lead to virtual microscopy that enables deeper exploration of all samples and also displays staining intensity scores, fraction scores and subcellular localization as well as patient and tissue information for each sample.

Antibody HPA056820Antibody HPA063147
Adipocytes Not detectedLow
Glandular cells MediumLow
Myoepithelial cells MediumHigh





BREAST - HPA RNA-seqi

The RNA-seq details section shows detailed information about the individual samples used for the transcript profiling and results of the RNA-seq analysis.

Information about each individual sample is listed below, including gender, age, a tissue section image and estimated fractions of cell types. nTPM (normalized transcripts per million) values give a quantification of the gene abundance which is comparable between different genes and samples.
Average nTPMi

Max subtype nTPM is the value for the subtype with the largest average nTPM across the subtype samples.

198.0
overview
Female, age 52
Breast sample 373
nTPM: 155.6
Cell types%
Glandular cells:
15

Adipocytes:
5

Other cell types:
80

overview
Female, age 80
Breast sample 390
nTPM: 218.1
Cell types%
Glandular cells:
5

Adipocytes:
15

Other cell types:
80

overview
Female, age 47
Breast sample 405
nTPM: 176.9
Cell types%
Glandular cells:
5

Adipocytes:
5

Other cell types:
90

overview
Female, age 38
Breast sample 410
nTPM: 241.3
Cell types%
Glandular cells:
40

Adipocytes:
5

Other cell types:
55


BREAST - GTEx RNA-seqi

RNA-Seq data generated by the Genotype-Tissue Expression (GTEx) project from human tissues is reported as mean nTPM. More information can be found on the GTEx portal.

Distribution across the dataset is visualized with box plots, shown as median and 25th and 75th percentiles. Points are displayed as outliers if they are above or below 1.5 times the interquartile range. nTPM values of the individual samples are presented next to the box plot.
Max subtype nTPMi

Max subtype nTPM is the value for the subtype with the largest average nTPM across the subtype samples.

250.6
GTEx sample id Sample description nTPM
Breast - Mammary Tissue
Average nTPM: 250.6
Samples: 459

Max nTPM: 613.6
Min nTPM: 100.6
Std nTPM: 62.0
Median nTPM: 240.9
GTEX-13PVQ-1026-SM-5KM3M 50-59 years, male 613.6
GTEX-1N2EF-2226-SM-E9J33 60-69 years, male 571.3
GTEX-11TUW-1826-SM-5BC5D 60-69 years, male 473.4
GTEX-1I1GP-0426-SM-COH3N 50-59 years, male 470.4
GTEX-14753-2426-SM-5LU8U 60-69 years, male 468.5
GTEX-14E6C-1326-SM-62LEQ 40-49 years, male 459.6
GTEX-13N1W-0626-SM-5MR4U 70-79 years, male 426.3
GTEX-1IDFM-0426-SM-B2LVV 60-69 years, male 425.7
GTEX-ZLFU-2126-SM-DO931 40-49 years, male 412.0
GTEX-11DZ1-0326-SM-5N9BN 50-59 years, male 405.2
GTEX-1ICLY-1726-SM-B2LVT 50-59 years, male 402.0
GTEX-U412-1826-SM-4DXTJ 60-69 years, male 398.8
GTEX-1H1DG-0526-SM-9YFLN 70-79 years, male 397.1
GTEX-X4XY-0926-SM-4E3JD 60-69 years, male 389.5
GTEX-1M4P7-2626-SM-E9U5F 60-69 years, male 386.7
GTEX-1C6VS-0726-SM-7EPHF 60-69 years, male 378.2
GTEX-ZA64-1526-SM-5CVMD 20-29 years, male 377.6
GTEX-1F75B-0626-SM-7SB8A 50-59 years, male 374.8
GTEX-14PN4-0626-SM-62LFP 50-59 years, male 371.8
GTEX-ZWKS-2826-SM-5NQ74 30-39 years, male 370.6
GTEX-1JN1M-3026-SM-CMKGK 60-69 years, female 368.8
GTEX-ZTX8-1226-SM-4YCE9 20-29 years, male 367.2
GTEX-ZTTD-1026-SM-51MRD 50-59 years, male 366.9
GTEX-13O3O-0826-SM-5K7WE 60-69 years, female 365.6
GTEX-ZYW4-0826-SM-5GIDG 60-69 years, male 356.7
GTEX-1H23P-0726-SM-9WG7K 60-69 years, male 355.9
GTEX-1GF9V-2526-SM-7SB8K 60-69 years, male 353.2
GTEX-1HCU8-0126-SM-ADEHH 60-69 years, female 353.2
GTEX-1GZ2Q-2626-SM-7MXV9 40-49 years, male 352.1
GTEX-13CF3-2126-SM-5IFJP 60-69 years, female 351.1
GTEX-1J8Q2-2726-SM-A9G2X 60-69 years, male 349.8
GTEX-WFG8-2026-SM-EXOHO 20-29 years, male 346.8
GTEX-REY6-2426-SM-48FF5 60-69 years, male 337.8
GTEX-11WQK-2426-SM-5GU5C 50-59 years, male 334.6
GTEX-ZZ64-1226-SM-5E43R 20-29 years, male 334.1
GTEX-1JN6P-2426-SM-ARL99 60-69 years, male 333.9
GTEX-1AX9J-1126-SM-731B7 60-69 years, male 333.8
GTEX-1I1GU-1026-SM-ADEHJ 40-49 years, male 333.4
GTEX-X261-0626-SM-3NMD9 50-59 years, male 332.6
GTEX-ZT9W-2026-SM-51MRA 50-59 years, male 332.3
GTEX-WYJK-1326-SM-3NB2T 50-59 years, male 330.3
GTEX-1JMLX-2026-SM-CMKGN 50-59 years, male 326.7
GTEX-Y9LG-1426-SM-5IFJZ 30-39 years, male 326.1
GTEX-1L5NE-2126-SM-CY8IH 50-59 years, male 325.6
GTEX-1JMPY-0526-SM-CL54O 30-39 years, male 325.0
GTEX-13SLX-2326-SM-5ZZWE 50-59 years, female 324.8
GTEX-145ME-1526-SM-5Q5F2 40-49 years, female 324.6
GTEX-1C6WA-2426-SM-7SB86 60-69 years, male 324.1
GTEX-144GM-0926-SM-5O994 20-29 years, male 323.3
GTEX-13NZ8-0126-SM-5IJCT 60-69 years, female 323.2
GTEX-R3RS-0626-SM-48FE1 40-49 years, female 319.6
GTEX-1JK1U-1826-SM-ARL8W 60-69 years, male 317.7
GTEX-1GMR2-1926-SM-9MQLZ 50-59 years, male 316.3
GTEX-1HSEH-2026-SM-ADEHN 60-69 years, male 316.3
GTEX-17EUY-1926-SM-7DUF6 20-29 years, male 316.2
GTEX-U8XE-0826-SM-4E3J1 30-39 years, male 312.5
GTEX-17MF6-0326-SM-7EPH5 40-49 years, male 312.0
GTEX-QEG5-0726-SM-D4P1T 20-29 years, male 311.5
GTEX-15SHW-1326-SM-6PAL8 60-69 years, male 307.9
GTEX-1IGQW-0926-SM-ADEH6 60-69 years, male 305.9
GTEX-1IDJF-2326-SM-ARL86 20-29 years, male 304.5
GTEX-WI4N-1426-SM-3LK7H 40-49 years, female 304.3
GTEX-1HCU7-1026-SM-ADEIP 50-59 years, male 303.2
GTEX-T2IS-1526-SM-32QPR 20-29 years, female 303.0
GTEX-1A3MX-2726-SM-718B6 60-69 years, male 302.7
GTEX-13O61-1826-SM-5KM4I 60-69 years, male 300.8
GTEX-1CAMR-1426-SM-793BO 20-29 years, male 300.4
GTEX-1AX9I-0726-SM-73KWV 60-69 years, male 300.2
GTEX-1GMR3-2626-SM-7RHHG 40-49 years, male 300.1
GTEX-1HBPM-0126-SM-ARL9E 60-69 years, female 300.1
GTEX-1C6VQ-0426-SM-79OOX 50-59 years, male 299.9
GTEX-T5JW-2026-SM-4DM63 20-29 years, female 299.9
GTEX-Y8LW-1626-SM-5IFHX 50-59 years, female 299.8
GTEX-111YS-1926-SM-5GICC 60-69 years, male 299.2
GTEX-12WSK-2226-SM-5GCO5 40-49 years, female 299.2
GTEX-VJWN-0726-SM-3GIJ8 50-59 years, female 298.4
GTEX-1POEN-0926-SM-DTX88 30-39 years, female 297.9
GTEX-15RJE-2626-SM-7KFT1 40-49 years, male 297.8
GTEX-14A5I-0726-SM-5TDEB 50-59 years, female 297.2
GTEX-14LLW-0626-SM-62LFC 70-79 years, female 296.5
GTEX-1JMOU-2026-SM-CMKGU 60-69 years, female 296.4
GTEX-XBED-1626-SM-47JYN 60-69 years, male 296.3
GTEX-ZGAY-1726-SM-DO91P 40-49 years, female 296.1
GTEX-14BMV-0626-SM-793AU 50-59 years, male 295.3
GTEX-13O3Q-2226-SM-5KM4O 50-59 years, male 294.1
GTEX-WYBS-0926-SM-3NM94 60-69 years, female 294.0
GTEX-11P82-1326-SM-5HL62 20-29 years, male 293.9
GTEX-1A3MV-1626-SM-731C1 30-39 years, male 293.8
GTEX-ZVT4-1026-SM-57WC4 50-59 years, female 293.5
GTEX-12WSM-1726-SM-5BC6J 60-69 years, male 293.2
GTEX-PSDG-1626-SM-48TCQ 50-59 years, male 292.8
GTEX-Y114-2026-SM-4TT7L 50-59 years, female 292.8
GTEX-18A66-1726-SM-7LG5N 60-69 years, male 292.7
GTEX-1314G-1226-SM-5BC6D 30-39 years, male 292.2
GTEX-15G19-2126-SM-6M48J 60-69 years, male 292.1
GTEX-ZV7C-1826-SM-5NQ83 50-59 years, male 291.8
GTEX-132NY-0826-SM-5K7Y7 60-69 years, male 291.4
GTEX-14PJ4-2126-SM-6ETZJ 60-69 years, male 290.4
GTEX-145MO-0826-SM-5NQBL 60-69 years, male 289.6
GTEX-1RLM8-2226-SM-EVYD1 50-59 years, male 289.0
GTEX-1B8SG-1226-SM-7IGPF 50-59 years, male 288.9
GTEX-17JCI-0726-SM-7EPH1 60-69 years, female 288.6
GTEX-14ICK-2426-SM-6EU27 40-49 years, male 288.0
GTEX-1IKOH-2326-SM-CM2TW 60-69 years, female 287.8
GTEX-11O72-2126-SM-5N9FO 40-49 years, male 287.5
GTEX-13W46-0826-SM-5LU3H 50-59 years, male 286.5
GTEX-1313W-0826-SM-5EQ4T 50-59 years, female 286.4
GTEX-1JMQK-2626-SM-COH2W 60-69 years, male 286.1
GTEX-11NV4-2026-SM-5N9DG 60-69 years, male 285.9
GTEX-13FHO-0826-SM-5L3E8 60-69 years, male 285.9
GTEX-14PKU-0426-SM-6EU1P 40-49 years, female 284.3
GTEX-14PJO-0726-SM-69LO8 60-69 years, male 284.1
GTEX-15UF7-0726-SM-6M46D 40-49 years, male 283.7
GTEX-1LGRB-1826-SM-CNPQL 50-59 years, female 283.3
GTEX-1GPI7-0926-SM-7PC3J 20-29 years, male 283.0
GTEX-17EVQ-0426-SM-7LG57 70-79 years, male 282.5
GTEX-17HG3-0126-SM-7IGNH 30-39 years, female 282.1
GTEX-139T6-1626-SM-5PNYZ 50-59 years, male 281.9
GTEX-1I4MK-1626-SM-CM2TJ 50-59 years, female 281.3
GTEX-1B97J-0426-SM-79OLQ 50-59 years, female 280.3
GTEX-17F98-0526-SM-79OK5 40-49 years, female 279.9
GTEX-11LCK-2426-SM-5HL5F 30-39 years, male 279.6
GTEX-1H1CY-2226-SM-9WG7E 60-69 years, female 279.1
GTEX-1HUB1-1626-SM-CM2SL 60-69 years, male 278.7
GTEX-1122O-1226-SM-5H113 60-69 years, female 278.3
GTEX-1LG7Z-0726-SM-CXKYD 30-39 years, male 277.9
GTEX-1GPI6-0626-SM-7RHHJ 60-69 years, male 277.8
GTEX-1LNCM-0226-SM-DIPF4 50-59 years, female 277.2
GTEX-1IKJJ-2326-SM-COH3U 60-69 years, male 276.8
GTEX-1GN1U-0526-SM-9KNTT 50-59 years, female 276.5
GTEX-ZQUD-1926-SM-51MSA 30-39 years, male 276.2
GTEX-13QJ3-0826-SM-7DHKK 50-59 years, male 275.9
GTEX-131XW-0726-SM-5EGK3 50-59 years, female 275.4
GTEX-18D9A-1526-SM-7LG4J 30-39 years, female 275.4
GTEX-1K2DA-1726-SM-CGQGS 50-59 years, male 275.4
GTEX-1I1GT-1126-SM-ARL7J 60-69 years, female 274.5
GTEX-1R46S-2526-SM-E8VN2 60-69 years, female 274.4
GTEX-ZF3C-2326-SM-5S2NC 50-59 years, female 274.0
GTEX-ZDYS-1126-SM-5K7UB 50-59 years, male 273.8
GTEX-ZLWG-1926-SM-DO92J 50-59 years, female 273.6
GTEX-1LSNM-1326-SM-E9TJ1 50-59 years, male 273.1
GTEX-11DXW-0626-SM-5N9ER 40-49 years, male 272.5
GTEX-1211K-1926-SM-5EQLB 60-69 years, female 270.8
GTEX-13FTX-1126-SM-5N9EN 20-29 years, female 270.8
GTEX-S4Q7-1126-SM-4AD6R 20-29 years, male 270.4
GTEX-12BJ1-1826-SM-5HL9N 60-69 years, male 270.2
GTEX-QEL4-2126-SM-447AE 50-59 years, male 270.2
GTEX-17EVP-0226-SM-79OND 40-49 years, male 269.9
GTEX-1S82U-1126-SM-E9U6I 30-39 years, female 269.8
GTEX-WRHU-0326-SM-3MJFY 50-59 years, female 269.5
GTEX-146FH-0826-SM-5SI8T 50-59 years, female 269.4
GTEX-1C475-1226-SM-7SB72 40-49 years, female 268.5
GTEX-1GZ4I-2826-SM-9MQK5 50-59 years, male 268.3
GTEX-1QCLY-1626-SM-DTXDW 30-39 years, male 265.2
GTEX-1AMEY-1026-SM-718AA 30-39 years, female 264.8
GTEX-1HCUA-0726-SM-ACKVU 50-59 years, female 264.6
GTEX-15UF6-0126-SM-6PAMB 70-79 years, female 264.4
GTEX-12WSN-1326-SM-5GCNT 40-49 years, male 264.2
GTEX-12KS4-0126-SM-5Q5A5 30-39 years, male 263.8
GTEX-ZV6S-1826-SM-5NQ8D 40-49 years, female 263.7
GTEX-18465-2026-SM-718AP 50-59 years, male 263.1
GTEX-RU72-0626-SM-46MUI 50-59 years, female 262.9
GTEX-1B933-2526-SM-7IGO5 50-59 years, female 262.6
GTEX-R55D-0826-SM-48FEA 50-59 years, male 261.6
GTEX-1KANC-1426-SM-CYPT9 50-59 years, female 260.9
GTEX-1RAZQ-1226-SM-EWRNL 30-39 years, male 260.8
GTEX-1B8KE-1226-SM-73KWK 50-59 years, male 260.7
GTEX-1MJK3-1126-SM-E9J3F 20-29 years, male 260.6
GTEX-14E7W-0826-SM-62LEJ 70-79 years, male 260.2
GTEX-1LVAN-1326-SM-CNPQE 50-59 years, female 259.3
GTEX-UTHO-1026-SM-3GAF7 60-69 years, male 258.5
GTEX-17F97-2526-SM-7EWDV 50-59 years, male 258.4
GTEX-1QP29-1726-SM-E8VMQ 50-59 years, male 258.4
GTEX-1HCU9-0326-SM-9WYSC 20-29 years, male 258.3
GTEX-YEC3-1026-SM-5IFI5 50-59 years, male 258.2
GTEX-ZF29-1926-SM-5S2P1 60-69 years, female 258.1
GTEX-17F96-2426-SM-7IGLN 70-79 years, male 257.2
GTEX-1P4AB-1826-SM-E76PU 50-59 years, male 257.1
GTEX-TKQ1-0226-SM-33HB5 30-39 years, male 256.9
GTEX-132Q8-1426-SM-5EGK7 60-69 years, male 256.5
GTEX-ZYT6-0126-SM-5E45J 30-39 years, male 256.0
GTEX-TMMY-0726-SM-33HBE 40-49 years, female 255.6
GTEX-11I78-2226-SM-5PNYA 50-59 years, female 255.4
GTEX-1LSVX-2426-SM-E6CJX 60-69 years, male 255.3
GTEX-169BO-1126-SM-7MGWN 50-59 years, male 255.1
GTEX-1IKOE-1326-SM-CE6T6 30-39 years, female 254.3
GTEX-1KAFJ-0226-SM-DIPEL 50-59 years, male 253.9
GTEX-1MA7W-1026-SM-DKPQK 20-29 years, female 253.8
GTEX-ZVT2-1826-SM-5NQ8W 50-59 years, female 253.4
GTEX-17GQL-0326-SM-7LG5U 60-69 years, male 253.1
GTEX-Z9EW-1526-SM-EZ6LU 40-49 years, male 252.8
GTEX-117YX-1426-SM-5H12H 50-59 years, male 252.7
GTEX-1KXAM-1026-SM-CY8IA 60-69 years, male 252.6
GTEX-13OW8-0226-SM-5K7UP 60-69 years, male 252.5
GTEX-14B4R-1226-SM-5TDDT 30-39 years, male 252.3
GTEX-1PDJ9-1126-SM-EXUSW 20-29 years, male 252.3
GTEX-13N11-1726-SM-5J1OJ 50-59 years, female 251.8
GTEX-ZAJG-0626-SM-5HL8X 50-59 years, female 251.8
GTEX-13OW5-2226-SM-5L3HC 60-69 years, male 251.4
GTEX-1N5O9-1126-SM-DTXEQ 60-69 years, male 250.3
GTEX-145MN-1926-SM-5SIAI 30-39 years, male 250.1
GTEX-XUZC-1626-SM-4BRVP 30-39 years, female 250.1
GTEX-T2YK-2226-SM-32QPT 50-59 years, male 249.6
GTEX-1E2YA-2726-SM-7IGPW 50-59 years, male 249.4
GTEX-14DAR-1326-SM-7DUEG 50-59 years, male 248.7
GTEX-S4UY-0726-SM-4AD6X 40-49 years, female 248.1
GTEX-YFCO-1826-SM-4W1YH 40-49 years, male 247.9
GTEX-S341-1526-SM-4AD6K 40-49 years, female 247.5
GTEX-ZU9S-1926-SM-5NQBP 30-39 years, male 247.4
GTEX-1JMPZ-1626-SM-COH31 30-39 years, male 247.1
GTEX-1CB4G-2326-SM-79OOI 60-69 years, male 247.0
GTEX-1MA7X-1626-SM-E9U5B 60-69 years, male 246.8
GTEX-1399U-1826-SM-5PNZ1 50-59 years, female 245.7
GTEX-11GS4-2126-SM-5A5KR 60-69 years, male 245.5
GTEX-1J8Q3-1326-SM-CMKI1 60-69 years, male 245.1
GTEX-1H3VY-0926-SM-ACKXE 50-59 years, male 244.8
GTEX-YECK-0726-SM-EZ6LV 60-69 years, male 244.6
GTEX-13S86-1226-SM-5S2OA 40-49 years, male 244.0
GTEX-1HSMO-0826-SM-ADEIV 60-69 years, male 244.0
GTEX-T5JC-2126-SM-32PMO 20-29 years, male 243.7
GTEX-RU1J-0626-SM-4WAWY 20-29 years, female 243.4
GTEX-1GF9X-1026-SM-ACKX2 40-49 years, female 243.1
GTEX-139TU-0626-SM-5KM3X 60-69 years, male 242.9
GTEX-1HR9M-2426-SM-ACKXI 60-69 years, male 242.7
GTEX-11GSO-1926-SM-5A5K3 60-69 years, male 242.0
GTEX-1HSGN-1526-SM-A9SMO 40-49 years, female 241.7
GTEX-1J8QM-2026-SM-ARZMW 60-69 years, female 241.6
GTEX-1KD4Q-2326-SM-D4P3M 40-49 years, male 241.1
GTEX-1IDJE-0826-SM-CKZNZ 50-59 years, female 241.0
GTEX-183WM-0726-SM-7LTAA 70-79 years, female 240.9
GTEX-ZY6K-1626-SM-5GZWV 50-59 years, male 240.9
GTEX-ZDXO-0126-SM-5S2ND 60-69 years, male 240.7
GTEX-13113-5013-SM-7SB7G 60-69 years, female 240.6
GTEX-1192X-2326-SM-5987X 50-59 years, male 240.5
GTEX-1EU9M-2826-SM-7EWFH 60-69 years, male 240.4
GTEX-XOT4-0726-SM-4GIAW 60-69 years, female 240.0
GTEX-X4EP-2926-SM-3P5YQ 60-69 years, female 239.6
GTEX-ZVE2-1226-SM-5NQ8R 50-59 years, male 239.1
GTEX-VUSG-2226-SM-4KKZO 50-59 years, male 238.7
GTEX-Y111-2026-SM-4SOJA 50-59 years, male 238.5
GTEX-1GZ4H-0326-SM-7P8QX 50-59 years, female 238.5
GTEX-17F9E-2526-SM-7MGW2 50-59 years, male 238.3
GTEX-15FZZ-0726-SM-7KUFZ 30-39 years, female 237.4
GTEX-S4P3-1326-SM-4AD6V 50-59 years, female 236.6
GTEX-16BQI-1026-SM-7KUEA 30-39 years, female 235.9
GTEX-ZYFC-0826-SM-5E44K 50-59 years, male 235.8
GTEX-ZVZQ-0826-SM-51MRF 60-69 years, female 235.7
GTEX-15ER7-1626-SM-6PAMZ 20-29 years, female 235.6
GTEX-UPK5-2326-SM-3P5Z8 40-49 years, male 235.4
GTEX-1RAZS-1226-SM-E8VMT 50-59 years, male 235.4
GTEX-XMD1-0826-SM-4AT52 60-69 years, male 235.0
GTEX-ZAB4-2526-SM-5HL8M 40-49 years, male 234.9
GTEX-1HCVE-2626-SM-ADEJ8 50-59 years, male 234.8
GTEX-18A7A-0726-SM-7LTAI 50-59 years, female 234.5
GTEX-YB5E-1726-SM-5IFJ3 40-49 years, male 234.3
GTEX-11ONC-2126-SM-5HL6E 60-69 years, male 234.2
GTEX-1R7EU-1226-SM-E8VMR 60-69 years, male 234.1
GTEX-QDT8-0626-SM-48TYW 30-39 years, female 233.4
GTEX-XMD2-0926-SM-4WWEF 60-69 years, female 233.3
GTEX-1J8EW-2626-SM-CL53E 60-69 years, female 233.0
GTEX-1PPGY-1526-SM-EVYBK 60-69 years, male 233.0
GTEX-11ZTT-2326-SM-5EQLG 60-69 years, female 232.9
GTEX-11DXZ-1926-SM-5GZZL 50-59 years, male 232.5
GTEX-1CB4E-0226-SM-79OLW 60-69 years, male 231.7
GTEX-1LBAC-0926-SM-CXKY9 20-29 years, male 231.0
GTEX-1ICG6-1326-SM-ACKWR 70-79 years, female 230.8
GTEX-147F4-2826-SM-5NQBN 50-59 years, male 230.6
GTEX-WYVS-1726-SM-3NMAY 40-49 years, female 230.6
GTEX-1NHNU-0926-SM-E9J2T 50-59 years, male 230.0
GTEX-1CB4J-1826-SM-7EWF9 60-69 years, male 229.9
GTEX-1IDJU-1826-SM-CMKHV 60-69 years, female 229.7
GTEX-12ZZX-1126-SM-5EGKB 40-49 years, female 229.2
GTEX-1IOXB-1926-SM-ARL8E 50-59 years, male 229.2
GTEX-1QMI2-0726-SM-E9J4F 60-69 years, male 228.7
GTEX-1EKGG-2626-SM-7IGPY 60-69 years, male 228.5
GTEX-1IY9M-2726-SM-CMKG5 60-69 years, male 228.5
GTEX-1A8G7-2426-SM-731AK 60-69 years, male 228.4
GTEX-11P7K-0726-SM-5EGKX 30-39 years, male 228.2
GTEX-1GZHY-0726-SM-9WG6B 50-59 years, female 228.2
GTEX-1GF9U-1726-SM-7MGY5 40-49 years, female 228.1
GTEX-ZAK1-1326-SM-EVYAS 50-59 years, female 228.0
GTEX-1B8KZ-1526-SM-7DUG7 50-59 years, male 227.8
GTEX-13QIC-2326-SM-5LU5N 60-69 years, female 227.7
GTEX-QVJO-1826-SM-447C9 60-69 years, female 227.5
GTEX-1KD5A-1926-SM-DKPQA 50-59 years, male 227.1
GTEX-1HKZK-1826-SM-ADEJ2 40-49 years, male 226.9
GTEX-1H1ZS-0126-SM-9YFKQ 70-79 years, male 226.4
GTEX-131YS-0626-SM-5EGKL 60-69 years, female 226.3
GTEX-133LE-1726-SM-5K7VQ 20-29 years, female 226.3
GTEX-Q2AG-0326-SM-48U1O 40-49 years, female 226.3
GTEX-1KANA-2026-SM-DIPFB 20-29 years, male 226.3
GTEX-1GMR8-0726-SM-9KNVI 50-59 years, female 226.0
GTEX-1HSKV-2026-SM-CMKGX 60-69 years, male 226.0
GTEX-ZUA1-1526-SM-59HLS 40-49 years, male 225.9
GTEX-1I6K6-0826-SM-ARL7Z 30-39 years, male 225.9
GTEX-11PRG-0826-SM-5EQ6A 50-59 years, male 225.8
GTEX-11DXY-2326-SM-5GICW 60-69 years, male 225.6
GTEX-1269C-2426-SM-5FQSN 60-69 years, female 225.6
GTEX-1NV8Z-2826-SM-E8VME 60-69 years, male 225.4
GTEX-13PL6-2926-SM-5L3I2 40-49 years, female 225.3
GTEX-1OKEX-0826-SM-E9J2B 60-69 years, male 225.3
GTEX-11ZUS-0826-SM-5FQUY 30-39 years, male 224.9
GTEX-18QFQ-0826-SM-718AX 30-39 years, male 224.5
GTEX-ZEX8-2226-SM-57WC6 50-59 years, male 224.4
GTEX-1QP9N-1826-SM-E8VMP 30-39 years, male 224.4
GTEX-QMRM-1626-SM-D4P1U 50-59 years, male 223.5
GTEX-1LSNL-2826-SM-E9U5L 50-59 years, male 223.0
GTEX-16YQH-2826-SM-6PAMY 30-39 years, male 222.0
GTEX-11GSP-0926-SM-9WYSG 60-69 years, female 222.0
GTEX-1GN1W-1926-SM-7P8TH 50-59 years, female 221.8
GTEX-S7SE-0826-SM-4AT4D 50-59 years, male 221.6
GTEX-13O3P-0826-SM-5L3DH 50-59 years, male 221.5
GTEX-13SLW-2526-SM-62LDQ 70-79 years, male 221.3
GTEX-ZPIC-1126-SM-5BC7F 40-49 years, female 221.3
GTEX-ZVTK-0326-SM-51MRR 20-29 years, male 221.1
GTEX-1NUQO-2226-SM-E9U68 20-29 years, female 220.6
GTEX-Y3I4-1526-SM-4TT7K 50-59 years, male 219.7
GTEX-1H4P4-2226-SM-9MQKQ 50-59 years, male 219.4
GTEX-XMK1-1126-SM-4IHJ8 40-49 years, male 219.3
GTEX-13W3W-1226-SM-5LU4H 60-69 years, female 219.2
GTEX-13VXU-2826-SM-664MA 50-59 years, male 218.9
GTEX-1GMRU-0826-SM-9WYT7 50-59 years, male 218.6
GTEX-YB5K-1626-SM-5IFIN 40-49 years, female 217.9
GTEX-XV7Q-2326-SM-4BRVZ 40-49 years, female 217.7
GTEX-1QPFJ-2026-SM-EVYBE 30-39 years, female 217.7
GTEX-15ETS-0626-SM-7KUMX 40-49 years, female 217.5
GTEX-117XS-1926-SM-5GICO 60-69 years, male 216.1
GTEX-WXYG-2226-SM-4E3IM 50-59 years, female 216.0
GTEX-X62O-0526-SM-EWRMA 50-59 years, male 215.9
GTEX-13FTY-2226-SM-5J1ND 40-49 years, female 215.7
GTEX-1JKYN-0726-SM-ARZMY 30-39 years, male 215.6
GTEX-1IDJH-2226-SM-E6CJV 70-79 years, male 215.3
GTEX-X15G-1626-SM-3NMB3 50-59 years, female 215.2
GTEX-1F75I-2026-SM-7SB7N 40-49 years, male 214.8
GTEX-Y5LM-1726-SM-4VDSX 40-49 years, female 214.6
GTEX-S32W-2026-SM-4AD6E 50-59 years, female 214.5
GTEX-ZZPU-0626-SM-5E43T 50-59 years, female 213.7
GTEX-139T8-0826-SM-5L3DE 60-69 years, male 212.9
GTEX-TKQ2-1826-SM-33HB2 50-59 years, male 212.8
GTEX-T6MO-0326-SM-32QOK 40-49 years, female 212.3
GTEX-1PPH7-0826-SM-E8VNX 40-49 years, male 211.7
GTEX-S33H-0326-SM-4AD6N 30-39 years, male 210.7
GTEX-18A7B-2626-SM-7LG55 70-79 years, male 210.6
GTEX-145MF-2226-SM-7EPIR 50-59 years, male 210.5
GTEX-Y8E4-1626-SM-5S2MW 40-49 years, male 210.5
GTEX-1MCC2-2126-SM-EWRON 30-39 years, female 209.6
GTEX-144GL-2026-SM-5LU3O 50-59 years, male 209.2
GTEX-ZQG8-0726-SM-5P9H9 60-69 years, female 208.9
GTEX-1C64O-0726-SM-7DUFU 60-69 years, male 208.3
GTEX-1K9T9-1426-SM-DIPFQ 50-59 years, female 208.3
GTEX-1AX8Z-0926-SM-731AW 60-69 years, male 208.1
GTEX-1F5PL-1026-SM-7RHI1 40-49 years, female 208.1
GTEX-Y3IK-2326-SM-4WWDT 50-59 years, female 208.0
GTEX-1MCYP-0126-SM-E6CIS 20-29 years, female 207.0
GTEX-11EQ9-1826-SM-5Q5AJ 30-39 years, male 206.9
GTEX-11EM3-1326-SM-5N9C6 20-29 years, female 206.8
GTEX-1F75A-1826-SM-7SB8G 50-59 years, male 206.5
GTEX-1117F-2826-SM-5GZXL 60-69 years, female 206.4
GTEX-11OF3-1926-SM-59889 60-69 years, male 205.9
GTEX-1H11D-1526-SM-9MQJY 40-49 years, male 204.9
GTEX-1HC8U-0826-SM-ADEIL 40-49 years, female 204.7
GTEX-1EWIQ-1726-SM-7SB7T 70-79 years, female 204.5
GTEX-1LC47-1226-SM-D4P44 60-69 years, male 204.4
GTEX-SE5C-2126-SM-4BRUJ 40-49 years, female 204.1
GTEX-TML8-1226-SM-32QON 40-49 years, female 204.0
GTEX-1N2EE-2126-SM-E8VNN 60-69 years, male 204.0
GTEX-1R7EV-1526-SM-E8VOD 40-49 years, male 204.0
GTEX-V955-2026-SM-3GAFA 60-69 years, male 203.8
GTEX-XQ3S-1326-SM-4BOPQ 20-29 years, male 203.7
GTEX-13CF2-2026-SM-5K7VI 60-69 years, male 203.4
GTEX-13FTW-1426-SM-5LZWZ 40-49 years, male 202.9
GTEX-17MFQ-0926-SM-7LG4S 20-29 years, male 202.7
GTEX-1I1GV-2426-SM-CGQFM 60-69 years, male 202.5
GTEX-1H1E6-0926-SM-9YFLT 30-39 years, male 202.1
GTEX-XQ8I-2426-SM-4WAXY 50-59 years, male 201.8
GTEX-1S82Z-0726-SM-E6CHX 30-39 years, female 201.8
GTEX-W5X1-2326-SM-3GIL6 40-49 years, female 201.1
GTEX-U3ZN-1926-SM-4DXSG 30-39 years, female 200.8
GTEX-1MJK2-2226-SM-EVYCR 50-59 years, male 200.8
GTEX-YJ8O-2226-SM-5IFHW 40-49 years, female 200.5
GTEX-T6MN-0726-SM-32PML 50-59 years, male 200.4
GTEX-1LVAM-0926-SM-E9TJ2 50-59 years, female 200.3
GTEX-11EI6-0626-SM-5985T 60-69 years, male 199.7
GTEX-1QCLZ-2326-SM-DTXDO 60-69 years, female 199.7
GTEX-18A6Q-0926-SM-7LG4N 60-69 years, male 198.5
GTEX-UJHI-1426-SM-3DB9C 50-59 years, female 198.4
GTEX-1HFI7-0126-SM-CGQFQ 50-59 years, female 197.4
GTEX-145LT-0726-SM-5S2VM 40-49 years, male 196.5
GTEX-11WQC-1726-SM-5GU4W 60-69 years, male 195.8
GTEX-17HHE-1426-SM-7EPH4 50-59 years, male 195.7
GTEX-1CAMS-1426-SM-7IGPM 40-49 years, female 195.5
GTEX-1QP28-1226-SM-E9J2M 50-59 years, female 195.1
GTEX-16NGA-0826-SM-718AF 40-49 years, female 192.9
GTEX-WY7C-2726-SM-3NB3P 50-59 years, male 192.7
GTEX-Y5V6-2126-SM-4WWFX 60-69 years, male 192.6
GTEX-ZDTT-2126-SM-DKPOM 60-69 years, male 192.3
GTEX-ZXES-0826-SM-5E43C 30-39 years, female 192.2
GTEX-YFC4-1426-SM-5IFJG 40-49 years, female 191.5
GTEX-ZLV1-1426-SM-DO92Z 60-69 years, female 191.5
GTEX-15EOM-5019-SM-793DK 20-29 years, female 190.4
GTEX-1QEPI-0926-SM-DTXF3 60-69 years, female 190.3
GTEX-1HT8W-2226-SM-CGQEC 30-39 years, male 190.0
GTEX-1B932-0826-SM-73KXG 40-49 years, female 189.4
GTEX-14H4A-2526-SM-5YYAY 40-49 years, female 188.8
GTEX-1HR98-0426-SM-COH36 60-69 years, male 188.7
GTEX-1R9JW-0326-SM-EAZ45 30-39 years, female 187.9
GTEX-1F5PK-2126-SM-7PC28 50-59 years, male 187.4
GTEX-17HHY-0926-SM-793C1 50-59 years, male 187.3
GTEX-1GN2E-2226-SM-9WG6J 60-69 years, male 187.2
GTEX-13PVR-2226-SM-7DHKP 60-69 years, female 186.8
GTEX-WOFL-0826-SM-3MJG1 60-69 years, male 186.5
GTEX-1B97I-0426-SM-79OL7 40-49 years, male 186.3
GTEX-1R9PN-0326-SM-DTX85 40-49 years, female 186.1
GTEX-WHSB-1926-SM-EXOHH 50-59 years, male 185.9
GTEX-1EN7A-1426-SM-7PBY4 40-49 years, male 184.8
GTEX-11EMC-2026-SM-5A5JV 60-69 years, female 183.1
GTEX-U3ZH-1426-SM-4DXSR 30-39 years, male 182.6
GTEX-RUSQ-2026-SM-4GIAK 50-59 years, male 181.5
GTEX-13NZ9-1026-SM-5MR5K 50-59 years, male 180.6
GTEX-1BAJH-0826-SM-7EWEF 70-79 years, male 180.0
GTEX-1JJE9-2326-SM-ARL8Q 70-79 years, male 179.8
GTEX-13NZB-2126-SM-5MR4Y 30-39 years, male 178.0
GTEX-14PHY-1926-SM-5YY95 60-69 years, female 177.2
GTEX-1I1HK-2426-SM-ADEHX 60-69 years, male 177.2
GTEX-RWS6-1926-SM-47JXY 60-69 years, female 177.0
GTEX-14ABY-2126-SM-5QGQZ 50-59 years, male 176.4
GTEX-1QW4Y-1026-SM-DTXE2 30-39 years, male 176.4
GTEX-1F6I4-2526-SM-7SB8F 60-69 years, male 176.1
GTEX-XYKS-1326-SM-4BRUN 60-69 years, female 175.0
GTEX-1HBPN-2326-SM-9WPPU 50-59 years, male 173.8
GTEX-17KNJ-2026-SM-7LG53 50-59 years, male 172.3
GTEX-XUW1-2326-SM-4BOO5 50-59 years, female 171.8
GTEX-183FY-1126-SM-7DHLJ 20-29 years, male 171.1
GTEX-1B8L1-2426-SM-9WYTE 60-69 years, male 170.4
GTEX-ZC5H-2626-SM-5J2MG 40-49 years, female 168.9
GTEX-11TT1-2126-SM-5GU5Y 20-29 years, male 168.4
GTEX-1ICLZ-0426-SM-B2LW2 60-69 years, male 167.9
GTEX-1JJEA-2726-SM-ARL8V 60-69 years, male 167.5
GTEX-XGQ4-0926-SM-4AT4U 50-59 years, male 167.1
GTEX-11P81-1926-SM-5BC53 30-39 years, female 164.3
GTEX-WFON-1826-SM-3GILG 40-49 years, male 163.0
GTEX-14BMU-1626-SM-5TDE7 20-29 years, female 162.8
GTEX-1M5QR-2526-SM-E9U5P 40-49 years, male 158.0
GTEX-1RQEC-2026-SM-DTXDM 60-69 years, male 155.5
GTEX-1I6K7-1026-SM-A9SLK 40-49 years, male 154.3
GTEX-13D11-1026-SM-5IJFB 50-59 years, female 150.1
GTEX-14E6E-1326-SM-5S2NR 30-39 years, male 148.7
GTEX-11NSD-0926-SM-5N9DR 20-29 years, male 148.1
GTEX-14AS3-1626-SM-5S2OY 40-49 years, female 147.8
GTEX-R53T-1526-SM-48FEK 50-59 years, female 146.3
GTEX-1I19N-2826-SM-CL55D 70-79 years, male 145.8
GTEX-ZF2S-2026-SM-5E461 50-59 years, female 145.0
GTEX-1IE54-0626-SM-ARL8D 40-49 years, female 142.4
GTEX-17HGU-1326-SM-79OKB 50-59 years, male 140.6
GTEX-1JKYR-0926-SM-CMKGJ 20-29 years, male 139.9
GTEX-132AR-0826-SM-5EGK6 50-59 years, female 138.1
GTEX-Y5V5-2126-SM-4WWFO 60-69 years, female 134.3
GTEX-1R9PM-1826-SM-EVYBH 20-29 years, male 133.1
GTEX-ZTPG-2826-SM-57WGA 20-29 years, female 100.6
Show allShow less

BREAST - FANTOM5 CAGEi

RNA expression in human tissues obtained through Cap Analysis of Gene Expression (CAGE) generated by the FANTOM5 project are reported as Scaled Tags Per Million.

Max subtype Scaled Tags Per Millioni

Max subtype Scaled Tags Per Million is the value for the subtype with the largest average Scaled Tags Per Million across the subtype samples.

191.8
FANTOM5 sample id Sample description Scaled Tags Per Million
Breast
Scaled Tags Per Million: 191.8
FF:10080-102A8 77 years, female 191.8

Contact

  • NEWS ARTICLES
  • PRESS ROOM

The Project

  • INTRODUCTION
  • ORGANIZATION
  • PUBLICATIONS

The Human Protein Atlas

  • DOWNLOADABLE DATA
  • LICENCE & CITATION
  • HELP & FAQ
The Human Protein Atlas project is funded
by the Knut & Alice Wallenberg Foundation.


contact@proteinatlas.org