We use cookies to enhance the usability of our website. If you continue, we'll assume that you are happy to receive all cookies. More information. Don't show this again.
HNRNPDL
HPA
RESOURCES
  • TISSUE
  • BRAIN
  • SINGLE CELL
  • SUBCELLULAR
  • CANCER
  • BLOOD
  • CELL LINE
  • STRUCTURE & INTERACTION
ABOUT
  • INTRODUCTION
  • HISTORY
  • ORGANIZATION
  • PUBLICATIONS
  • ANTIBODY SUBMISSION
  • ANTIBODY AVAILABILITY
  • ACKNOWLEDGMENTS
  • CONTACT
NEWS
  • NEWS ARTICLES
  • PRESS ROOM
LEARN
  • DICTIONARY
  • PROTEIN CLASSES
  • PROTEIN EVIDENCE
  • METHODS
  • EDUCATIONAL VIDEOS
DATA
  • DOWNLOADABLE DATA
  • PUBLICATION DATA
  • RELEASE HISTORY
HELP
  • ANTIBODY VALIDATION
  • ASSAYS & ANNOTATION
  • DISCLAIMER
  • HELP & FAQ
  • PRIVACY STATEMENT
  • LICENCE & CITATION
Fields »
Search result

Field
Term
Gene name
Class
Subclass
Class
Keyword
Chromosome
External id
Tissue
Cell type
Expression
Antibody panel
Tissue
Main location
Patient ID
Annotation
Tissue
Category
Tau score
Cluster
Reliability
Brain region
Category
Tau score
Brain region
Category
Tau score
Brain region
Category
Tau score
Cluster
Reliability
Tissue
Cell type
Enrichment
Cell type
Category
Tau score
Cell type
Category
Tau score
Cell type
Category
Tau score
Cell lineage
Category
Tau score
Cluster
Cluster
Location
Searches
Location
Cell line
Class
Type
Phase
Reliability
Cancer
Prognosis
Cancer
Category
Cancer
Category
Tau score
Cluster
Variants
Interacting gene (ensg_id)
Type
Number of interactions
Pathway
Category
Score
Score
Score
Validation
Validation
Validation
Validation
Antibodies
Data type
Column


  • SUMMARY

  • TISSUE

  • BRAIN

  • SINGLE CELL

  • SUBCELL

  • CANCER

  • BLOOD

  • CELL LINE

  • STRUCT & INT

  • HNRNPDL
TISSUE PRIMARY DATA SKIN Show tissue menu
ADIPOSE TISSUE ADRENAL GLAND AMYGDALA APPENDIX BASAL GANGLIA BONE MARROW BREAST BRONCHUS CEREBELLUM CEREBRAL CORTEX CERVIX CHOROID PLEXUS COLON DUODENUM
ENDOMETRIUM EPIDIDYMIS ESOPHAGUS FALLOPIAN TUBE GALLBLADDER HEART MUSCLE HIPPOCAMPAL FORMATION HYPOTHALAMUS KIDNEY LIVER LUNG LYMPH NODE MIDBRAIN NASOPHARYNX
ORAL MUCOSA OVARY PANCREAS PARATHYROID GLAND PITUITARY GLAND PLACENTA PROSTATE RECTUM RETINA SALIVARY GLAND SEMINAL VESICLE SKELETAL MUSCLE SKIN SMALL INTESTINE
SMOOTH MUSCLE SOFT TISSUE SPINAL CORD SPLEEN STOMACH TESTIS THYMUS THYROID GLAND TONGUE TONSIL URINARY BLADDER VAGINA
ANTIBODIES
AND
VALIDATION
Dictionary
Skin
Tissue proteome
Skin
SKIN - Expression summary
Protein expression
Skini

On the top, protein expression in current human tissue, based on all annotated cell types, is reported with the units not detected (n), low (l), medium (m) and high (h). Underneath, protein expression in each annotated cell type are reported using the same units.

Protein expression data is based on knowledge-based annotation. For genes where more than one antibody has been used, a collective score is set.

If knowledge-based annotation could not be performed for a gene, no data is displayed here. View antibody staining data further down this page.

h
m
l
n
Arrector pili muscle cells: High
Cells in basal layer: Medium
Cells in corneal layer: Not detected
Cells in granular layer: High
Cells in spinous layer: High
Endothelial cells: High
Extracellular matrix: Not detected
Fibrohistiocytic cells: High
Hair follicles: High
Langerhans cells: High
Lymphocytes: High
Melanocytes: High
Sebaceous glands: High
Vascular mural cells: High
RNA expressioni

A summary of mRNA expression data available for current tissue based on several datasets. The mRNA expression levels in human tissues are based on RNA-seq data generated by the Human Protein Atlas (HPA), Genotype-Tissue Expression (GTEx) portal and CAGE data generated by the FANTOM5 consortium. Consensus normalized expression levels for human tissues was created by combining the data from HPA and GTEx datasets.

The mRNA expression levels in pig are based on RNA-seq data generated by the Human Protein Atlas (HPA), and for mouse, HPA data and in situ hybridization generated by the Allen brain atlas are reported.

Scroll down to view mRNA expression data in more detail.
Consensus:225.3 nTPM
HPA:127.3 nTPM
GTEx:225.3 nTPM

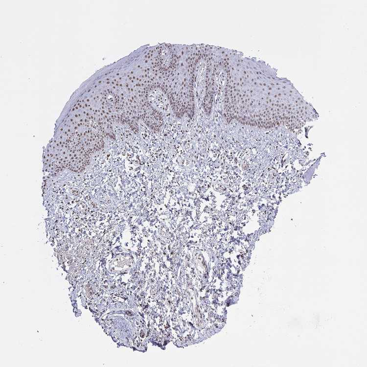
SKIN 1 - Antibody stainingi

Antibody staining in the annotated cell types in the current human tissue is reported as not detected, low, medium, or high, based on conventional immunohistochemistry profiling in selected tissues. This score is based on the combination of the staining intensity and fraction of stained cells.

Each image is clickable and will lead to virtual microscopy that enables deeper exploration of all samples and also displays staining intensity scores, fraction scores and subcellular localization as well as patient and tissue information for each sample.

Antibody HPA056820Antibody HPA063147
Langerhans -Medium
Cells in basal layer Medium-
Cells in corneal layer Not detected-
Cells in granular layer High-
Cells in spinous layer High-
Endothelial cells High-
Extracellular matrix Not detected-
Fibroblasts -Low
Fibrohistiocytic cells High-
Hair follicles High-
Keratinocytes -Medium
Langerhans cells Medium-
Lymphocytes High-
Melanocytes HighMedium
Sebaceous glands High-
Vascular mural cells High-



SKIN 2 - Antibody stainingi

Antibody staining in the annotated cell types in the current human tissue is reported as not detected, low, medium, or high, based on conventional immunohistochemistry profiling in selected tissues. This score is based on the combination of the staining intensity and fraction of stained cells.

Each image is clickable and will lead to virtual microscopy that enables deeper exploration of all samples and also displays staining intensity scores, fraction scores and subcellular localization as well as patient and tissue information for each sample.

Antibody HPA056820Antibody HPA063147
Arrector pili muscle cells High-
Cells in basal layer Medium-
Cells in corneal layer Not detected-
Cells in granular layer High-
Cells in spinous layer High-
Endothelial cells Medium-
Epidermal cells -Medium
Extracellular matrix Not detected-
Fibrohistiocytic cells Medium-
Langerhans cells High-
Lymphocytes High-
Melanocytes High-
Vascular mural cells High-
  
  
  



SKIN - HPA RNA-seqi

The RNA-seq details section shows detailed information about the individual samples used for the transcript profiling and results of the RNA-seq analysis.

Information about each individual sample is listed below, including gender, age, a tissue section image and estimated fractions of cell types. nTPM (normalized transcripts per million) values give a quantification of the gene abundance which is comparable between different genes and samples.
Average nTPMi

Max subtype nTPM is the value for the subtype with the largest average nTPM across the subtype samples.

127.3
overview
Female, age 34
Skin sample 225
nTPM: 124.6
Cell types%
Keratinocytes:
60

Other cell types:
40

overview
Female, age 30
Skin sample 226
nTPM: 141.8
Cell types%
Keratinocytes:
55

Other cell types:
45

N/A
Male, age 57
Skin sample 227
nTPM: 115.4

SKIN - GTEx RNA-seqi

RNA-Seq data generated by the Genotype-Tissue Expression (GTEx) project from human tissues is reported as mean nTPM. More information can be found on the GTEx portal.

Distribution across the dataset is visualized with box plots, shown as median and 25th and 75th percentiles. Points are displayed as outliers if they are above or below 1.5 times the interquartile range. nTPM values of the individual samples are presented next to the box plot.
Max subtype nTPMi

Max subtype nTPM is the value for the subtype with the largest average nTPM across the subtype samples.

225.3
GTEx sample id Sample description nTPM
Skin - Not Sun Exposed (Suprapubic)
Average nTPM: 225.3
Samples: 604

Max nTPM: 431.8
Min nTPM: 87.1
Std nTPM: 61.6
Median nTPM: 221.0
GTEX-13NZ8-1226-SM-5KM4A 60-69 years, female 431.8
GTEX-1C6WA-2626-SM-7MKGM 60-69 years, male 420.1
GTEX-13O3O-2326-SM-5IJD6 60-69 years, female 411.4
GTEX-11DZ1-2426-SM-5GZZX 50-59 years, male 399.3
GTEX-12WSK-2126-SM-5CVNC 40-49 years, female 398.8
GTEX-14E6C-2426-SM-5S2NF 40-49 years, male 397.7
GTEX-13NYC-0126-SM-5L3F4 60-69 years, male 396.2
GTEX-U8XE-0226-SM-4E3J3 30-39 years, male 396.0
GTEX-ZVT4-2426-SM-5GIEI 50-59 years, female 395.3
GTEX-1S5ZU-2526-SM-E6CIF 20-29 years, female 392.5
GTEX-1O9I2-0226-SM-EYYXD 50-59 years, male 391.6
GTEX-WHSE-0126-SM-3NMBT 20-29 years, male 391.5
GTEX-ZYY3-2926-SM-5GIEB 60-69 years, female 385.8
GTEX-1PPH8-0126-SM-EWRN8 20-29 years, male 385.5
GTEX-11UD2-2526-SM-5CVNU 50-59 years, male 380.7
GTEX-15D1Q-2826-SM-6LLH7 40-49 years, male 380.5
GTEX-ZY6K-1426-SM-5GZX2 50-59 years, male 376.4
GTEX-1JN6P-2926-SM-CL54D 60-69 years, male 375.6
GTEX-1JMQL-2226-SM-CNPP4 50-59 years, female 370.0
GTEX-1H4P4-2126-SM-9WYSL 50-59 years, male 368.2
GTEX-16XZZ-0726-SM-7KUF2 60-69 years, male 367.3
GTEX-1I1CD-0626-SM-CE6SW 60-69 years, female 361.6
GTEX-1HCU6-2526-SM-ADEHL 60-69 years, female 361.3
GTEX-ZU9S-1826-SM-5NQ9E 30-39 years, male 355.7
GTEX-145MI-0626-SM-5SI8S 60-69 years, female 353.7
GTEX-1ICLZ-0326-SM-ARL82 60-69 years, male 349.6
GTEX-148VJ-0626-SM-5LUAW 70-79 years, male 347.8
GTEX-ZAJG-1526-SM-5CVML 50-59 years, female 344.4
GTEX-1POEN-2326-SM-E9J2L 30-39 years, female 343.5
GTEX-XAJ8-1426-SM-47JYM 40-49 years, male 342.2
GTEX-13N1W-2426-SM-5IJD1 70-79 years, male 340.1
GTEX-1CAV2-0126-SM-7IGN7 40-49 years, female 339.7
GTEX-11GSP-2326-SM-5HL63 60-69 years, female 338.6
GTEX-1J1OQ-0126-SM-D4P2N 40-49 years, female 338.2
GTEX-13RTJ-0126-SM-5S2NN 60-69 years, male 337.9
GTEX-1GZHY-0626-SM-9KNVC 50-59 years, female 337.9
GTEX-ZYFD-0626-SM-5E44E 50-59 years, male 337.0
GTEX-1GPI7-1826-SM-9KNU1 20-29 years, male 336.6
GTEX-1LG7Z-1626-SM-CXKYR 30-39 years, male 335.6
GTEX-1GZ2Q-0126-SM-9WG6M 40-49 years, male 334.8
GTEX-11TUW-0626-SM-5LU9M 60-69 years, male 332.9
GTEX-1I1GU-0926-SM-ACKVS 40-49 years, male 331.7
GTEX-131YS-2826-SM-5EQ47 60-69 years, female 329.8
GTEX-WI4N-2726-SM-3LK7Y 40-49 years, female 328.3
GTEX-13OVJ-0826-SM-5J1OK 50-59 years, female 327.6
GTEX-ZVZP-1226-SM-5GID7 50-59 years, male 326.0
GTEX-ZVE1-0726-SM-51MRN 50-59 years, female 325.6
GTEX-12584-0726-SM-5FQTK 40-49 years, male 319.6
GTEX-1HKZK-0726-SM-ACKW2 40-49 years, male 315.9
GTEX-1399S-0126-SM-5IJCF 30-39 years, female 315.4
GTEX-1CB4I-0126-SM-7RHGG 50-59 years, male 314.6
GTEX-1LG7Y-2526-SM-EWRO7 50-59 years, male 314.3
GTEX-1F88E-1626-SM-7SB8Z 60-69 years, female 313.0
GTEX-1LKK1-2626-SM-DKPQE 50-59 years, female 312.8
GTEX-1IKJJ-2226-SM-CJI4C 60-69 years, male 311.0
GTEX-16MT9-0126-SM-7EPI8 60-69 years, female 310.9
GTEX-1L5NE-1126-SM-D3L9P 50-59 years, male 310.4
GTEX-1B97I-0626-SM-73KUZ 40-49 years, male 309.4
GTEX-1J8Q2-2626-SM-ACKWQ 60-69 years, male 309.0
GTEX-11DXY-0126-SM-5H11Q 60-69 years, male 306.3
GTEX-1MCYP-0526-SM-E9U6Q 20-29 years, female 304.4
GTEX-1GF9W-1426-SM-7PBYM 60-69 years, male 302.8
GTEX-1J8QM-2426-SM-A9SLS 60-69 years, female 302.3
GTEX-16GPK-0626-SM-7KFSF 60-69 years, male 301.8
GTEX-13OVH-0526-SM-5L3E6 70-79 years, male 299.5
GTEX-183WM-0326-SM-72D5V 70-79 years, female 299.0
GTEX-14PKU-0126-SM-6LLHV 40-49 years, female 298.7
GTEX-VUSG-2326-SM-4KL1U 50-59 years, male 297.9
GTEX-18465-2826-SM-7LT9J 50-59 years, male 297.8
GTEX-1EMGI-2326-SM-7PBYA 60-69 years, male 297.4
GTEX-17EVP-2626-SM-7IGMA 40-49 years, male 297.0
GTEX-17HII-1426-SM-7EPGG 50-59 years, male 296.6
GTEX-139T8-0626-SM-5KLZX 60-69 years, male 296.2
GTEX-1A8G7-1326-SM-73KVM 60-69 years, male 295.9
GTEX-1LVAO-2726-SM-E9TJ8 60-69 years, male 295.7
GTEX-144GO-2026-SM-5O99P 60-69 years, male 295.6
GTEX-V1D1-2026-SM-3GAF4 50-59 years, male 294.6
GTEX-WYJK-0526-SM-3NM8Z 50-59 years, male 293.9
GTEX-145MF-0926-SM-5Q5EA 50-59 years, male 292.1
GTEX-1CB4F-1026-SM-7DUH1 60-69 years, male 292.0
GTEX-1H23P-0626-SM-9WG6T 60-69 years, male 291.9
GTEX-13OVG-1626-SM-5J1NF 60-69 years, male 290.1
GTEX-ZVT2-0126-SM-5GIDQ 50-59 years, female 290.0
GTEX-14XAO-1226-SM-6EU1C 60-69 years, female 289.8
GTEX-1IKOE-1426-SM-CE6T7 30-39 years, female 289.6
GTEX-14PJ4-0226-SM-5YY92 60-69 years, male 288.3
GTEX-13OVK-1426-SM-6PAN7 40-49 years, male 287.7
GTEX-1JJE9-2626-SM-ARZMT 70-79 years, male 287.3
GTEX-ZGAY-1826-SM-DO91Q 40-49 years, female 286.4
GTEX-1ICLY-0826-SM-CMKG1 50-59 years, male 285.9
GTEX-145LS-0626-SM-7EPG7 60-69 years, female 285.7
GTEX-ZVTK-0226-SM-51MRG 20-29 years, male 285.3
GTEX-139UW-0326-SM-5J1ML 60-69 years, male 284.9
GTEX-1F48J-0726-SM-7RHGS 50-59 years, female 284.5
GTEX-1H3VE-0726-SM-9YFL5 40-49 years, male 283.6
GTEX-1IDFM-0326-SM-ARL7V 60-69 years, male 283.4
GTEX-1313W-0626-SM-5EQ4H 50-59 years, female 282.7
GTEX-ZTSS-1426-SM-5985P 40-49 years, male 282.5
GTEX-Y9LG-1126-SM-4VBQ7 30-39 years, male 280.8
GTEX-1JMPZ-0726-SM-CY8HZ 30-39 years, male 279.8
GTEX-15UF6-1926-SM-7KUDV 70-79 years, female 279.6
GTEX-13SLW-0626-SM-5Q5ER 70-79 years, male 279.5
GTEX-13VXU-0626-SM-5L3F9 50-59 years, male 278.9
GTEX-13112-0126-SM-5P9IU 50-59 years, male 278.7
GTEX-147JS-0226-SM-5S2U9 60-69 years, male 278.0
GTEX-11VI4-1126-SM-5EQMD 40-49 years, female 277.4
GTEX-1A32A-0626-SM-731AQ 50-59 years, female 277.3
GTEX-18D9A-1426-SM-7LT8M 30-39 years, female 277.2
GTEX-1CB4H-1126-SM-7MKGL 60-69 years, female 276.8
GTEX-1B996-0426-SM-7EWF8 60-69 years, male 276.3
GTEX-XQ8I-0926-SM-4BOOF 50-59 years, male 275.4
GTEX-111FC-2526-SM-5GZXU 60-69 years, male 275.3
GTEX-1J8JJ-0626-SM-ARZMQ 60-69 years, female 274.9
GTEX-1QCLY-0226-SM-EWRNH 30-39 years, male 274.5
GTEX-14C5O-0326-SM-5ZZUX 60-69 years, male 273.9
GTEX-15CHQ-0326-SM-69LQD 60-69 years, male 273.5
GTEX-1HFI6-0126-SM-CNPPI 40-49 years, male 273.1
GTEX-1F75B-0726-SM-7PC3R 50-59 years, male 272.9
GTEX-1A3MX-2626-SM-7PC24 60-69 years, male 270.8
GTEX-1H1DG-2426-SM-9QEHJ 70-79 years, male 270.6
GTEX-17F9Y-0126-SM-79OKX 70-79 years, female 269.9
GTEX-14PJ3-1126-SM-5ZZVX 50-59 years, male 269.3
GTEX-12696-0126-SM-5EQ4L 60-69 years, male 268.3
GTEX-11ZUS-2626-SM-5FQUR 30-39 years, male 267.7
GTEX-ZDXO-3126-SM-5IJDF 60-69 years, male 267.4
GTEX-1GMR8-0626-SM-7RHI7 50-59 years, female 267.2
GTEX-12ZZZ-0726-SM-5GCNZ 60-69 years, male 266.9
GTEX-Z93S-1626-SM-5CVMB 50-59 years, male 266.8
GTEX-14B4R-1326-SM-5Q5EZ 30-39 years, male 266.7
GTEX-11PRG-0726-SM-5EGL1 50-59 years, male 265.8
GTEX-1GN73-0726-SM-7P8TJ 60-69 years, male 265.6
GTEX-1IDJH-0126-SM-D3L92 70-79 years, male 265.1
GTEX-13X6I-1826-SM-5SIAO 60-69 years, male 264.6
GTEX-1AMEY-0826-SM-72D65 30-39 years, female 264.0
GTEX-1QP66-1226-SM-DTX7U 50-59 years, male 263.9
GTEX-1N2EE-0626-SM-E76PW 60-69 years, male 263.4
GTEX-1HBPN-0126-SM-CGQEF 50-59 years, male 263.3
GTEX-1PBJJ-1026-SM-E76OS 30-39 years, male 262.8
GTEX-ZWKS-0626-SM-5GIDV 30-39 years, male 262.4
GTEX-YEC4-1826-SM-4W1YP 40-49 years, male 262.2
GTEX-12WSL-2026-SM-5GCML 50-59 years, male 261.5
GTEX-14LLW-2626-SM-62LDZ 70-79 years, female 261.5
GTEX-15DYW-2726-SM-6EU2I 60-69 years, female 261.5
GTEX-1117F-2926-SM-5GZYI 60-69 years, female 261.4
GTEX-1JMOU-1026-SM-CYPSS 60-69 years, female 261.4
GTEX-WEY5-2326-SM-3GIKK 40-49 years, female 261.1
GTEX-1EH9U-2826-SM-7DUGT 60-69 years, male 260.9
GTEX-ZAB4-2126-SM-5HL8U 40-49 years, male 260.7
GTEX-14BMV-2826-SM-5TDED 50-59 years, male 260.5
GTEX-XV7Q-1826-SM-4BRUV 40-49 years, female 259.6
GTEX-1GMR3-0126-SM-A9SLW 40-49 years, male 259.4
GTEX-1S82U-1026-SM-E6CJK 30-39 years, female 259.4
GTEX-1LVAN-0626-SM-CNPOQ 50-59 years, female 258.5
GTEX-XPVG-2126-SM-4B667 50-59 years, male 258.2
GTEX-1H2FU-0926-SM-9WPPT 60-69 years, female 257.9
GTEX-1RLM8-2926-SM-E8VON 50-59 years, male 257.6
GTEX-1F75W-2726-SM-7SB8H 60-69 years, male 257.1
GTEX-17MF6-2626-SM-79OKQ 40-49 years, male 257.0
GTEX-14PJ6-2626-SM-6EU2T 60-69 years, female 256.9
GTEX-1MJK3-0726-SM-E6CJC 20-29 years, male 256.8
GTEX-13PVQ-0626-SM-5LU47 50-59 years, male 256.6
GTEX-145LT-0526-SM-5LUB2 40-49 years, male 256.0
GTEX-1HCU8-2526-SM-CE6RX 60-69 years, female 254.7
GTEX-1I4MK-0126-SM-CY8G6 50-59 years, female 254.3
GTEX-117YX-1926-SM-5GIEC 50-59 years, male 254.1
GTEX-147F4-0726-SM-5TDDD 50-59 years, male 253.3
GTEX-14DAQ-0626-SM-793DS 60-69 years, female 252.4
GTEX-11O72-0626-SM-5PNYE 40-49 years, male 252.3
GTEX-13JVG-0726-SM-5KM16 60-69 years, male 252.2
GTEX-WFG8-2126-SM-3GIKQ 20-29 years, male 251.6
GTEX-WH7G-2026-SM-3NMBL 40-49 years, male 251.5
GTEX-144GM-0526-SM-79OJO 20-29 years, male 250.1
GTEX-1F88F-0126-SM-9WYSZ 60-69 years, female 250.1
GTEX-18A67-1626-SM-7LT9T 50-59 years, male 250.0
GTEX-1CAMR-1326-SM-7PC1F 20-29 years, male 249.9
GTEX-ZF29-0926-SM-4WKFZ 60-69 years, female 249.1
GTEX-1CB4J-1326-SM-7P8RX 60-69 years, male 249.0
GTEX-17HHE-1326-SM-7EWDZ 50-59 years, male 248.9
GTEX-1GZ4H-0526-SM-9KNU9 50-59 years, female 248.9
GTEX-17EVQ-0126-SM-7IGLR 70-79 years, male 248.7
GTEX-1314G-1326-SM-5BC6E 30-39 years, male 248.6
GTEX-1QPFJ-1926-SM-EVYBD 30-39 years, female 248.5
GTEX-1122O-1026-SM-9WYSF 60-69 years, female 248.4
GTEX-ZLFU-1826-SM-4WWBV 40-49 years, male 248.3
GTEX-1AX9J-1326-SM-731BJ 60-69 years, male 248.0
GTEX-ZYW4-0626-SM-59HJR 60-69 years, male 248.0
GTEX-ZLV1-1526-SM-DO91J 60-69 years, female 247.9
GTEX-145ME-1726-SM-5Q5EU 40-49 years, female 247.3
GTEX-1R46S-2426-SM-E76QA 60-69 years, female 247.0
GTEX-1IDJD-2326-SM-ACKWX 30-39 years, male 246.8
GTEX-1HCU9-0426-SM-9WYSD 20-29 years, male 246.7
GTEX-13SLX-2226-SM-62LEP 50-59 years, female 246.6
GTEX-1C2JI-1026-SM-73KY1 50-59 years, male 246.6
GTEX-Y5LM-0926-SM-6LLJG 40-49 years, female 246.6
GTEX-14JFF-0626-SM-5ZZVT 60-69 years, male 246.5
GTEX-1PPH7-1126-SM-DTX9A 40-49 years, male 246.3
GTEX-14A6H-2026-SM-5Q5DD 30-39 years, male 245.9
GTEX-1269C-0126-SM-5EQ5L 60-69 years, female 245.8
GTEX-1A3MV-1826-SM-731CD 30-39 years, male 245.1
GTEX-14C38-0726-SM-5SI6M 50-59 years, male 245.0
GTEX-145MO-2826-SM-5LU96 60-69 years, male 244.7
GTEX-1HSMP-0926-SM-A9SKX 70-79 years, male 244.7
GTEX-ZE7O-2726-SM-51MT5 50-59 years, female 244.2
GTEX-1I1GP-1326-SM-A9G28 50-59 years, male 243.9
GTEX-1KANA-1326-SM-DIPFA 20-29 years, male 243.5
GTEX-1S3DN-2126-SM-E9TIN 50-59 years, male 243.3
GTEX-14PII-0726-SM-6EU2B 60-69 years, male 243.2
GTEX-1IDJI-0126-SM-CMKHS 50-59 years, female 243.2
GTEX-13FH7-1126-SM-5K7UG 50-59 years, female 243.0
GTEX-ZP4G-1426-SM-4WWCL 20-29 years, female 243.0
GTEX-1LSVX-2526-SM-DIPEU 60-69 years, male 243.0
GTEX-1K9T9-1526-SM-DIPFR 50-59 years, female 242.8
GTEX-1CB4E-0926-SM-7EPHT 60-69 years, male 242.3
GTEX-13OW7-0426-SM-5K7VK 50-59 years, male 242.0
GTEX-16BQI-1326-SM-6M486 30-39 years, female 241.9
GTEX-WY7C-2126-SM-3NB2R 50-59 years, male 241.7
GTEX-ZVE2-2826-SM-5GU51 50-59 years, male 241.6
GTEX-1K2DU-1226-SM-CYPT4 20-29 years, male 241.2
GTEX-XMD2-2126-SM-4YCF8 60-69 years, female 240.9
GTEX-13YAN-0226-SM-5TDC6 60-69 years, male 240.7
GTEX-15RJE-2826-SM-7KUM9 40-49 years, male 240.7
GTEX-1GZ4I-2626-SM-9KNU3 50-59 years, male 240.7
GTEX-133LE-2326-SM-5K7W3 20-29 years, female 240.5
GTEX-12WSM-1926-SM-5BC65 60-69 years, male 240.2
GTEX-XQ3S-1426-SM-4BOPR 20-29 years, male 240.0
GTEX-1I1GS-2626-SM-B2LY3 60-69 years, male 239.9
GTEX-1JJ6O-2726-SM-CNPOG 60-69 years, male 239.5
GTEX-1399U-1126-SM-5L3DB 50-59 years, female 239.3
GTEX-1GN1U-0626-SM-9MQL9 50-59 years, female 238.8
GTEX-1CAMS-2226-SM-7PBXQ 40-49 years, female 238.6
GTEX-15EO6-2426-SM-6PALZ 50-59 years, male 238.4
GTEX-ZDTS-0826-SM-4WKHL 60-69 years, male 238.1
GTEX-1HB9E-0126-SM-CM2S5 50-59 years, male 237.7
GTEX-1JMPY-0226-SM-CKZOK 30-39 years, male 237.5
GTEX-1GN1V-2826-SM-9JGIA 60-69 years, male 237.4
GTEX-1GF9V-0826-SM-9KNUV 60-69 years, male 237.2
GTEX-1GMR2-0826-SM-7PC3V 50-59 years, male 236.9
GTEX-1H3O1-1326-SM-9MQLD 60-69 years, male 236.7
GTEX-WK11-2726-SM-3NMAQ 50-59 years, male 236.5
GTEX-1QAET-0326-SM-EVR3U 50-59 years, male 236.4
GTEX-1AX8Z-0726-SM-73KTS 60-69 years, male 236.3
GTEX-1KXAM-1626-SM-D3LAD 60-69 years, male 235.8
GTEX-13OW6-2726-SM-5J2OE 50-59 years, male 235.6
GTEX-1J1R8-2026-SM-CL53Y 40-49 years, male 235.6
GTEX-1NSGN-0726-SM-DTXEF 50-59 years, male 234.7
GTEX-1192X-2726-SM-5N9DN 50-59 years, male 234.3
GTEX-ZLWG-0826-SM-59888 50-59 years, female 234.3
GTEX-13FHO-0426-SM-5L3F5 60-69 years, male 233.2
GTEX-13OW8-1026-SM-5J1NQ 60-69 years, male 232.7
GTEX-1E1VI-0326-SM-793D1 50-59 years, male 232.6
GTEX-13FTY-2126-SM-5IFFB 40-49 years, female 232.5
GTEX-13VXT-1926-SM-5K7UO 20-29 years, female 232.3
GTEX-UPK5-0426-SM-3GAEK 40-49 years, male 232.0
GTEX-1F5PK-2226-SM-7SB6N 50-59 years, male 232.0
GTEX-1GMRU-2126-SM-7P8RA 50-59 years, male 231.9
GTEX-1F6RS-2026-SM-7RHHC 60-69 years, female 231.7
GTEX-X4EO-2926-SM-4E3JH 60-69 years, female 231.6
GTEX-13QBU-1226-SM-5LU4G 40-49 years, female 230.8
GTEX-WRHU-2826-SM-3MJG8 50-59 years, female 230.8
GTEX-1RB15-1326-SM-E76Q9 60-69 years, male 230.8
GTEX-1HCUA-0826-SM-ADEHM 50-59 years, female 230.4
GTEX-1LVA9-2626-SM-EVYD4 50-59 years, male 229.5
GTEX-Y114-2126-SM-4TT8B 50-59 years, female 229.1
GTEX-1LSNM-0826-SM-DIPG8 50-59 years, male 229.1
GTEX-ZDYS-2426-SM-4WKGI 50-59 years, male 229.0
GTEX-1CAMQ-1326-SM-7P8RV 40-49 years, male 228.4
GTEX-1EKGG-0626-SM-7DUGJ 60-69 years, male 228.1
GTEX-1AMFI-1326-SM-7939R 50-59 years, female 228.0
GTEX-1HBPM-0726-SM-9YFL7 60-69 years, female 227.9
GTEX-ZUA1-2626-SM-5NQ92 40-49 years, male 227.7
GTEX-1JN1M-2726-SM-CY8I4 60-69 years, female 227.6
GTEX-1HSGN-0826-SM-ACKW3 40-49 years, female 227.5
GTEX-1H1ZS-2726-SM-9WG75 70-79 years, male 226.5
GTEX-1IDJE-1426-SM-ADEIW 50-59 years, female 226.5
GTEX-1ICG6-1226-SM-A9SLN 70-79 years, female 226.2
GTEX-11LCK-2226-SM-5HL4Q 30-39 years, male 225.8
GTEX-1MCC2-1826-SM-DIPEX 30-39 years, female 225.8
GTEX-12WSC-2826-SM-5BC5Y 50-59 years, male 225.7
GTEX-13W3W-0726-SM-5IJDQ 60-69 years, female 225.7
GTEX-ZYVF-0926-SM-5E44J 50-59 years, female 225.7
GTEX-1HSKV-1226-SM-ADEI4 60-69 years, male 225.5
GTEX-11EQ9-1626-SM-5PNY8 30-39 years, male 225.4
GTEX-17F98-1326-SM-7DUEP 40-49 years, female 224.7
GTEX-1EN7A-2426-SM-793DB 40-49 years, male 224.7
GTEX-13113-1626-SM-5EQ4I 60-69 years, female 224.6
GTEX-14BIN-1126-SM-5RQJZ 50-59 years, female 224.4
GTEX-1A3MW-0626-SM-731CB 60-69 years, female 224.4
GTEX-12WSA-0426-SM-5EQ5X 60-69 years, male 224.2
GTEX-13FLV-0126-SM-5K7WT 50-59 years, male 224.2
GTEX-YFCO-1226-SM-5LUAT 40-49 years, male 224.0
GTEX-11NUK-2726-SM-5A5MC 50-59 years, male 223.7
GTEX-1HC8U-1326-SM-9YFMJ 40-49 years, female 223.7
GTEX-11DXW-0826-SM-5H118 40-49 years, male 223.5
GTEX-XUW1-0926-SM-4BONX 50-59 years, female 223.2
GTEX-1JMQK-1226-SM-D4P2S 60-69 years, male 223.1
GTEX-XBEW-1126-SM-4QARW 40-49 years, male 222.3
GTEX-111CU-1126-SM-5EGIM 50-59 years, male 222.1
GTEX-12WSD-0626-SM-5GCMW 60-69 years, female 222.0
GTEX-1M4P7-0726-SM-E6CJ3 60-69 years, male 222.0
GTEX-ZTX8-1326-SM-4YCEL 20-29 years, male 221.8
GTEX-131XW-0626-SM-5PNVD 50-59 years, female 221.7
GTEX-1K2DA-1026-SM-CGQGF 50-59 years, male 221.3
GTEX-15CHR-1126-SM-7EWF4 50-59 years, male 220.7
GTEX-13X6K-0626-SM-5LU5D 60-69 years, female 220.6
GTEX-1LB8K-0726-SM-D5OV2 50-59 years, male 220.6
GTEX-1B933-2426-SM-7DHMD 50-59 years, female 220.2
GTEX-11EM3-1226-SM-5N9DD 20-29 years, female 220.0
GTEX-1I1GV-0626-SM-ARL7M 60-69 years, male 220.0
GTEX-1IDJV-0126-SM-COH3Y 60-69 years, male 220.0
GTEX-15CHC-1126-SM-6LLHQ 60-69 years, female 219.5
GTEX-XBEC-0726-SM-4QARZ 50-59 years, male 219.0
GTEX-ZVP2-0326-SM-57WBP 50-59 years, male 218.4
GTEX-17F9E-2326-SM-79OKD 50-59 years, male 218.2
GTEX-ZZ64-1026-SM-5GZXG 20-29 years, male 218.2
GTEX-1IDJC-1526-SM-B2LW4 50-59 years, male 218.0
GTEX-1LBAC-0826-SM-CY8IJ 20-29 years, male 217.9
GTEX-WFON-1926-SM-3LK7L 40-49 years, male 217.7
GTEX-1GPI6-1926-SM-9KNV7 60-69 years, male 217.4
GTEX-13PL6-1126-SM-5L3IE 40-49 years, female 216.8
GTEX-17MFQ-1526-SM-7KFRR 20-29 years, male 216.2
GTEX-1211K-1526-SM-5FQU4 60-69 years, female 215.9
GTEX-ZYT6-2326-SM-5GZY3 30-39 years, male 215.7
GTEX-1I1GT-1026-SM-ARZLV 60-69 years, female 215.6
GTEX-1N5O9-0926-SM-E9J3C 60-69 years, male 215.6
GTEX-1RAZQ-1326-SM-E9TK6 30-39 years, male 215.5
GTEX-13U4I-2226-SM-5LU5H 40-49 years, female 215.3
GTEX-145MN-1526-SM-5SI9T 30-39 years, male 215.0
GTEX-1GTWX-2026-SM-9YFLM 60-69 years, male 214.8
GTEX-YECK-0326-SM-4W1YS 60-69 years, male 213.8
GTEX-13O3Q-0126-SM-5KM34 50-59 years, male 213.4
GTEX-14C39-1726-SM-5RQIL 40-49 years, male 213.4
GTEX-ZF3C-0626-SM-DO92O 50-59 years, female 212.9
GTEX-13NYS-0626-SM-5L3F1 60-69 years, male 212.5
GTEX-ZZPU-0826-SM-5GZX5 50-59 years, female 212.0
GTEX-ZT9W-1126-SM-57WDR 50-59 years, male 211.9
GTEX-14ICL-1626-SM-5YYAO 30-39 years, male 211.5
GTEX-14PJ2-0626-SM-6LLII 50-59 years, male 211.3
GTEX-1HCVE-2726-SM-CL54F 50-59 years, male 211.2
GTEX-1C475-1326-SM-7SB73 40-49 years, female 210.9
GTEX-1KWVE-1026-SM-D3L9O 30-39 years, male 210.8
GTEX-ZA64-1026-SM-5HL8R 20-29 years, male 210.5
GTEX-1LGOU-1326-SM-D3L8M 20-29 years, female 210.4
GTEX-1IDJF-2026-SM-CL53V 20-29 years, male 209.9
GTEX-1J8EW-2726-SM-CY8HR 60-69 years, female 209.9
GTEX-1JK1U-0226-SM-ARZMX 60-69 years, male 209.6
GTEX-183FY-1026-SM-7939A 20-29 years, male 209.5
GTEX-1HUB1-1426-SM-CGQF5 60-69 years, male 209.2
GTEX-1JMQJ-0826-SM-CNPP7 50-59 years, male 208.0
GTEX-14PJN-1826-SM-6AJ98 30-39 years, male 207.9
GTEX-1QMI2-2526-SM-E8VNZ 60-69 years, male 207.7
GTEX-X8HC-0626-SM-4E3HQ 50-59 years, female 207.6
GTEX-14PKV-1126-SM-6LLJ1 20-29 years, female 207.4
GTEX-15EU6-2226-SM-6EU2L 50-59 years, male 207.0
GTEX-111VG-1626-SM-5EGIO 60-69 years, male 206.5
GTEX-12WSF-1626-SM-7KUG5 70-79 years, male 206.5
GTEX-13O61-1426-SM-5KM3D 60-69 years, male 206.3
GTEX-ZYFG-1526-SM-5GZYM 60-69 years, female 206.2
GTEX-144FL-0626-SM-5LU43 50-59 years, male 206.1
GTEX-1B8L1-2226-SM-7P8PT 60-69 years, male 206.1
GTEX-18A7B-2726-SM-7LG56 70-79 years, male 205.7
GTEX-WXYG-2026-SM-4E3IY 50-59 years, female 205.4
GTEX-1HFI7-2326-SM-CGQFS 50-59 years, female 205.4
GTEX-12BJ1-0926-SM-5EQ62 60-69 years, male 205.3
GTEX-1C6VQ-1226-SM-73KYD 50-59 years, male 205.1
GTEX-1QW4Y-1126-SM-DTXE3 30-39 years, male 205.1
GTEX-1E2YA-2126-SM-7MXUO 50-59 years, male 204.8
GTEX-14A5H-0826-SM-5QGPJ 60-69 years, male 203.6
GTEX-14PJO-2526-SM-6AJBQ 60-69 years, male 203.3
GTEX-1B932-2326-SM-79OL5 40-49 years, female 203.2
GTEX-1HT8W-0626-SM-A9G2H 30-39 years, male 203.1
GTEX-VJYA-1526-SM-3GIJV 60-69 years, male 203.0
GTEX-1IOXB-2726-SM-CM2RI 50-59 years, male 202.9
GTEX-11DXX-2126-SM-5PNYR 60-69 years, female 202.8
GTEX-1A8FM-0626-SM-7PC25 50-59 years, female 202.4
GTEX-1RAZA-2226-SM-E9U4X 20-29 years, male 202.4
GTEX-144GL-0626-SM-5LU4D 50-59 years, male 202.0
GTEX-1LSNL-2726-SM-E9TKJ 50-59 years, male 201.0
GTEX-1GL5R-1326-SM-7RHHF 50-59 years, male 200.8
GTEX-1PDJ9-1226-SM-EXUSX 20-29 years, male 200.4
GTEX-146FQ-2126-SM-5RQHU 30-39 years, male 200.0
GTEX-1497J-0226-SM-5QGPU 60-69 years, male 200.0
GTEX-YJ8O-2526-SM-5HL85 40-49 years, female 199.7
GTEX-15RJ7-2126-SM-6PAMD 40-49 years, male 199.4
GTEX-ZTTD-2826-SM-4YCFA 50-59 years, male 199.1
GTEX-11DXZ-2026-SM-5987S 50-59 years, male 199.0
GTEX-132AR-0326-SM-5KM2C 50-59 years, female 199.0
GTEX-1C64N-2626-SM-7PC2N 50-59 years, male 198.8
GTEX-139TT-2126-SM-5LZWC 60-69 years, male 198.5
GTEX-1R9PM-1926-SM-EVR3O 20-29 years, male 198.3
GTEX-13JUV-2026-SM-5K7UA 40-49 years, female 198.0
GTEX-17JCI-2926-SM-7DUFF 60-69 years, female 197.9
GTEX-15FZZ-0526-SM-7KUGD 30-39 years, female 197.5
GTEX-1IDJU-1726-SM-CMKHU 60-69 years, female 197.5
GTEX-YB5K-2026-SM-4VDT3 40-49 years, female 197.1
GTEX-1GF9U-2026-SM-7SB92 40-49 years, female 196.8
GTEX-WYBS-0626-SM-3NMAS 60-69 years, female 196.3
GTEX-1F75I-2226-SM-7SB8U 40-49 years, male 196.3
GTEX-11TT1-1826-SM-5EQLV 20-29 years, male 196.1
GTEX-1HGF4-0126-SM-CNPPX 60-69 years, male 196.0
GTEX-147F3-1726-SM-5SIAW 50-59 years, female 195.6
GTEX-11EQ8-0926-SM-5H12V 60-69 years, male 195.3
GTEX-12ZZY-0726-SM-5EQ66 60-69 years, male 195.2
GTEX-131XG-0326-SM-5L3DX 50-59 years, female 195.1
GTEX-12126-0826-SM-5FQTZ 20-29 years, male 194.8
GTEX-1QP28-1126-SM-EVYC4 50-59 years, female 193.2
GTEX-ZPCL-1126-SM-4WWFE 60-69 years, female 193.0
GTEX-1J8Q3-0526-SM-ARL8U 60-69 years, male 193.0
GTEX-1H1DE-1326-SM-9KNUG 20-29 years, male 192.9
GTEX-14BMU-1226-SM-5S2OR 20-29 years, female 192.7
GTEX-1GF9X-1326-SM-7PC2Y 40-49 years, female 192.7
GTEX-1R9K4-2826-SM-DTX8F 60-69 years, male 192.5
GTEX-1477Z-0326-SM-7IGLA 60-69 years, male 192.4
GTEX-131XF-2626-SM-5EQ6K 60-69 years, male 191.0
GTEX-XBED-1926-SM-47JYP 60-69 years, male 190.9
GTEX-1C64O-1326-SM-7MGWR 60-69 years, male 190.9
GTEX-1JKYR-0626-SM-ARL8R 20-29 years, male 190.9
GTEX-XK95-0226-SM-4AT58 40-49 years, male 190.6
GTEX-13FTW-0326-SM-5K7UW 40-49 years, male 190.5
GTEX-11EI6-2826-SM-5H11D 60-69 years, male 190.1
GTEX-1B8KE-1126-SM-7EPHI 50-59 years, male 190.1
GTEX-17HHY-0426-SM-7DHLC 50-59 years, male 189.7
GTEX-1IE54-1126-SM-A9G2Z 40-49 years, female 189.5
GTEX-15RIE-1926-SM-7KUKJ 60-69 years, male 189.4
GTEX-13PDP-0726-SM-5L3HP 60-69 years, male 188.9
GTEX-12WSH-1526-SM-5BC5W 50-59 years, male 188.7
GTEX-1JKYN-0826-SM-ARU8S 30-39 years, male 188.2
GTEX-13NYB-0126-SM-5J1MD 40-49 years, male 188.0
GTEX-1HR98-2226-SM-ADEI2 60-69 years, male 187.9
GTEX-1QCLZ-2426-SM-EVYBW 60-69 years, female 187.9
GTEX-11ZU8-0126-SM-5EQ58 60-69 years, male 187.1
GTEX-14DAR-1226-SM-73KYV 50-59 years, male 186.8
GTEX-17HG3-2626-SM-7DUF2 30-39 years, female 186.7
GTEX-16MT8-2926-SM-7DUFO 60-69 years, female 186.3
GTEX-1LGRB-0926-SM-COH3K 50-59 years, female 186.3
GTEX-11GS4-0226-SM-5HL77 60-69 years, male 185.5
GTEX-15ER7-0626-SM-6PANF 20-29 years, female 185.5
GTEX-Y3I4-1726-SM-4TT89 50-59 years, male 185.5
GTEX-13OVL-0126-SM-5L3GJ 50-59 years, male 185.2
GTEX-1B8KZ-0326-SM-73KY4 50-59 years, male 185.2
GTEX-1KANC-1226-SM-CYPT7 50-59 years, female 185.2
GTEX-15G1A-1626-SM-7KUKN 30-39 years, male 184.6
GTEX-139TU-0726-SM-5L3EK 60-69 years, male 184.4
GTEX-1I1HK-2326-SM-CKZOH 60-69 years, male 184.4
GTEX-145LU-1926-SM-79OJN 50-59 years, male 184.3
GTEX-1S83E-1326-SM-E6CJM 40-49 years, male 184.3
GTEX-ZYFC-0426-SM-5GICQ 50-59 years, male 184.1
GTEX-1GN1W-2426-SM-9KNUU 50-59 years, female 183.6
GTEX-1S831-1826-SM-EWROF 20-29 years, male 183.4
GTEX-14PHX-2226-SM-6EU2P 50-59 years, male 182.9
GTEX-1H1E6-0426-SM-9WYUS 30-39 years, male 182.7
GTEX-14LZ3-0126-SM-69LPM 60-69 years, female 182.3
GTEX-18QFQ-1826-SM-72D52 30-39 years, male 182.3
GTEX-YEC3-1326-SM-DO92X 50-59 years, male 182.3
GTEX-X5EB-1926-SM-4E3IW 40-49 years, male 181.5
GTEX-15SHW-0226-SM-7LTAT 60-69 years, male 181.2
GTEX-Y8LW-1526-SM-5IFHL 50-59 years, female 181.0
GTEX-1HSMO-0626-SM-ACKXC 60-69 years, male 180.9
GTEX-14PJ5-1526-SM-6LLIL 60-69 years, female 180.0
GTEX-14753-0726-SM-5QGQO 60-69 years, male 179.2
GTEX-12WSJ-1126-SM-5LZVJ 40-49 years, female 178.9
GTEX-1H3NZ-2726-SM-9WYTQ 60-69 years, male 178.9
GTEX-1OJC4-2726-SM-E76PJ 50-59 years, female 178.9
GTEX-X4EP-0626-SM-3P621 60-69 years, female 178.8
GTEX-178AV-1726-SM-7KUL8 40-49 years, male 178.1
GTEX-WYVS-1626-SM-3NM9R 40-49 years, female 177.9
GTEX-12KS4-2126-SM-5FQUT 30-39 years, male 177.6
GTEX-13X6J-0626-SM-5LU5F 50-59 years, male 177.3
GTEX-145MH-2826-SM-5RQJF 50-59 years, male 177.1
GTEX-16Z82-2626-SM-7KULU 60-69 years, male 177.0
GTEX-X3Y1-2026-SM-3P5YM 40-49 years, male 177.0
GTEX-1H1CY-0126-SM-9YFLY 60-69 years, female 177.0
GTEX-1A8G6-2726-SM-731AR 60-69 years, male 176.4
GTEX-1IL2V-1926-SM-B2LW8 70-79 years, male 175.8
GTEX-ZDTT-0426-SM-4WKFL 60-69 years, male 175.6
GTEX-131XH-0126-SM-5LZUY 50-59 years, male 175.5
GTEX-16NPX-0726-SM-7KULC 50-59 years, male 175.1
GTEX-XOT4-0626-SM-4B66L 60-69 years, female 174.7
GTEX-1399R-1326-SM-5PNYS 30-39 years, male 174.3
GTEX-16MTA-0926-SM-6M47Z 50-59 years, male 174.0
GTEX-15SKB-2826-SM-6PAMH 60-69 years, male 173.6
GTEX-Y111-0626-SM-4SOIT 50-59 years, male 173.4
GTEX-13N11-2326-SM-5IJBF 50-59 years, female 172.7
GTEX-1JMQI-1726-SM-ARL93 50-59 years, male 172.6
GTEX-1212Z-0126-SM-59HK4 60-69 years, male 172.5
GTEX-12C56-1526-SM-5FQUQ 20-29 years, male 172.3
GTEX-18D9U-0126-SM-731BM 40-49 years, male 171.6
GTEX-1PIIG-2326-SM-DTXFR 30-39 years, male 171.6
GTEX-1KANB-2826-SM-CY8I6 50-59 years, male 171.3
GTEX-17F97-2626-SM-7IGM5 50-59 years, male 171.2
GTEX-14E6E-0526-SM-793DN 30-39 years, male 171.1
GTEX-14JG6-1426-SM-9WG7C 30-39 years, female 170.9
GTEX-1PIGE-1826-SM-E8VOU 20-29 years, male 169.4
GTEX-YF7O-1526-SM-5IFI6 50-59 years, male 169.2
GTEX-1HR9M-2226-SM-CNPPY 60-69 years, male 169.1
GTEX-1S82P-2126-SM-E6CI5 60-69 years, female 168.3
GTEX-13FTX-1526-SM-5K7VJ 20-29 years, female 168.0
GTEX-1HCU7-0726-SM-A9SL1 50-59 years, male 167.8
GTEX-1R7EU-1626-SM-DTXG3 60-69 years, male 167.5
GTEX-111YS-1526-SM-5GZYW 60-69 years, male 167.2
GTEX-15G19-2426-SM-7KUMR 60-69 years, male 166.6
GTEX-14JG1-1526-SM-5YY9X 40-49 years, male 165.9
GTEX-1AYD5-2626-SM-7PBXY 50-59 years, male 165.8
GTEX-13IVO-0726-SM-5LZYV 70-79 years, male 165.7
GTEX-11P82-1426-SM-DTXFY 20-29 years, male 165.4
GTEX-1R9PN-0426-SM-DTXDT 40-49 years, female 165.1
GTEX-11ZTT-2126-SM-5CVLO 60-69 years, female 164.8
GTEX-1QEPI-2626-SM-DTXF4 60-69 years, female 164.4
GTEX-13QJC-0126-SM-5ZZWJ 60-69 years, female 163.1
GTEX-18A7A-0126-SM-731AH 50-59 years, female 163.0
GTEX-W5X1-2526-SM-3GILC 40-49 years, female 162.5
GTEX-1QP2A-1726-SM-E76QC 50-59 years, male 162.3
GTEX-11P7K-1126-SM-5HL4L 30-39 years, male 162.2
GTEX-14E1K-2026-SM-7DUEI 50-59 years, male 161.3
GTEX-13G51-1826-SM-5KLZH 60-69 years, male 161.1
GTEX-1QP29-1826-SM-DTX9S 50-59 years, male 160.9
GTEX-1F75A-0726-SM-7RHHD 50-59 years, male 159.9
GTEX-13N2G-0226-SM-5K7VF 60-69 years, male 159.8
GTEX-1PPGY-1626-SM-EVYBL 60-69 years, male 159.8
GTEX-ZE9C-2526-SM-5IJDR 60-69 years, male 159.7
GTEX-17F96-0126-SM-7EWDU 70-79 years, male 159.4
GTEX-11OF3-0126-SM-5PNYF 60-69 years, male 159.1
GTEX-16NGA-0726-SM-731AO 40-49 years, female 158.5
GTEX-14PK6-0226-SM-62LF5 70-79 years, female 158.4
GTEX-16YQH-2226-SM-7IGM2 30-39 years, male 158.1
GTEX-1I19N-0126-SM-CYPSF 70-79 years, male 157.9
GTEX-1H1DF-1126-SM-9WG7G 40-49 years, female 157.7
GTEX-ZT9X-1526-SM-5DUXD 40-49 years, male 157.4
GTEX-1I6K6-1726-SM-CGQFD 30-39 years, male 156.3
GTEX-1RMOY-1326-SM-E9TIH 50-59 years, male 156.3
GTEX-13PVR-0426-SM-5RQK2 60-69 years, female 155.9
GTEX-15RIG-0726-SM-7KUM7 40-49 years, male 155.9
GTEX-1QP9N-1226-SM-E76QN 30-39 years, male 155.9
GTEX-1EWIQ-0326-SM-7DHMQ 70-79 years, female 155.8
GTEX-1B8SF-0126-SM-7DUG3 60-69 years, male 155.6
GTEX-ZPU1-1126-SM-4YCF3 40-49 years, male 155.1
GTEX-1GN2E-0226-SM-9WG6K 60-69 years, male 154.9
GTEX-1399Q-2326-SM-5KM2X 40-49 years, male 154.4
GTEX-1C6VR-0126-SM-7RHGB 60-69 years, male 153.8
GTEX-1F6IF-0926-SM-7SB7M 60-69 years, male 153.5
GTEX-ZC5H-1526-SM-5HL9Y 40-49 years, female 152.8
GTEX-18A66-0626-SM-7LT8Z 60-69 years, male 152.0
GTEX-1OJC3-1226-SM-DTXER 20-29 years, male 151.6
GTEX-1BAJH-2426-SM-7IGP8 70-79 years, male 151.4
GTEX-1IY9M-2826-SM-ARU8H 60-69 years, male 151.2
GTEX-Y5V6-2326-SM-4VDSA 60-69 years, male 150.6
GTEX-17KNJ-2126-SM-718AM 50-59 years, male 150.5
GTEX-1H11D-1826-SM-9QEHM 40-49 years, male 150.2
GTEX-1AX9I-2226-SM-73KUO 60-69 years, male 149.7
GTEX-ZXG5-2126-SM-59HKD 60-69 years, male 149.7
GTEX-16AAH-0626-SM-793C9 50-59 years, male 149.3
GTEX-17HGU-2326-SM-7DUFE 50-59 years, male 149.0
GTEX-12ZZX-2426-SM-5GCOE 40-49 years, female 148.9
GTEX-ZF2S-1626-SM-57WES 50-59 years, female 148.7
GTEX-13X6H-0926-SM-5SIB2 50-59 years, female 148.5
GTEX-11DYG-1526-SM-5A5JS 60-69 years, male 147.8
GTEX-18A6Q-0626-SM-7KFRP 60-69 years, male 146.8
GTEX-1KD5A-0126-SM-E9U54 50-59 years, male 146.0
GTEX-13D11-0926-SM-5J2NC 50-59 years, female 145.6
GTEX-14AS3-1526-SM-5Q5ED 40-49 years, female 144.9
GTEX-15DDE-2926-SM-6LLJ3 50-59 years, female 144.4
GTEX-145MG-1526-SM-5Q5EM 50-59 years, male 144.3
GTEX-WHSB-1326-SM-3LK6W 50-59 years, male 144.3
GTEX-14ABY-2026-SM-62LDL 50-59 years, male 144.1
GTEX-139TS-2126-SM-5K7XC 60-69 years, male 143.9
GTEX-14PHY-1226-SM-5ZZWK 60-69 years, female 143.4
GTEX-1HSMQ-2626-SM-A9SML 50-59 years, male 141.8
GTEX-1JMLX-0626-SM-ARL8T 50-59 years, male 141.5
GTEX-1LVAM-0726-SM-E6CIL 50-59 years, female 141.4
GTEX-Y8E4-2026-SM-5IFJB 40-49 years, male 141.1
GTEX-11P81-2226-SM-5PNYI 30-39 years, female 140.6
GTEX-1KAFJ-0126-SM-DIPEK 50-59 years, male 140.6
GTEX-1NV5F-0626-SM-DTXEG 60-69 years, female 139.8
GTEX-ZPIC-0526-SM-DO91W 40-49 years, female 139.1
GTEX-11WQK-1026-SM-5EQLX 50-59 years, male 138.5
GTEX-1JN76-0626-SM-CKZOQ 20-29 years, female 138.4
GTEX-1N2DV-1526-SM-DTXEP 40-49 years, male 136.6
GTEX-1JJEA-1826-SM-ARU8P 60-69 years, male 135.9
GTEX-13OW5-2326-SM-5L3HO 60-69 years, male 132.2
GTEX-ZAK1-0626-SM-5HL8E 50-59 years, female 131.6
GTEX-11NSD-0626-SM-5A5LU 20-29 years, male 131.5
GTEX-1F52S-2926-SM-7MKGA 60-69 years, female 128.5
GTEX-1EU9M-1426-SM-793AI 60-69 years, male 127.9
GTEX-1RAZS-2526-SM-E6CHT 50-59 years, male 127.8
GTEX-Y5V5-0126-SM-5S2NW 60-69 years, female 127.0
GTEX-1I6K7-1926-SM-B2LXR 40-49 years, male 126.7
GTEX-UPJH-0226-SM-3GADV 50-59 years, male 126.4
GTEX-139D8-1126-SM-5LU8W 30-39 years, female 125.8
GTEX-13NZ9-2626-SM-5L3FK 50-59 years, male 125.0
GTEX-XXEK-1626-SM-4BRUZ 50-59 years, male 124.5
GTEX-11WQC-1826-SM-5GU59 60-69 years, male 123.9
GTEX-X585-2426-SM-46MW2 50-59 years, male 123.5
GTEX-18D9B-0926-SM-7LG4U 60-69 years, male 122.8
GTEX-1RAZR-2126-SM-E9U6T 40-49 years, male 121.9
GTEX-XYKS-1426-SM-4BRUO 60-69 years, female 120.6
GTEX-WHPG-2626-SM-3NMBR 50-59 years, male 120.4
GTEX-Y3IK-1626-SM-4YCF5 50-59 years, female 120.0
GTEX-1F5PL-0926-SM-7PC2W 40-49 years, female 119.4
GTEX-1EX96-1026-SM-7MKG2 50-59 years, male 117.2
GTEX-147GR-2426-SM-5ZZWQ 60-69 years, male 110.4
GTEX-WFG7-2026-SM-5SI7P 20-29 years, male 109.3
GTEX-1HBPI-2126-SM-ARL9K 50-59 years, male 108.1
GTEX-1F6I4-2326-SM-7RHGL 60-69 years, male 103.8
GTEX-139YR-1026-SM-5LZYN 50-59 years, male 94.1
GTEX-WHWD-1826-SM-3LK6I 50-59 years, male 87.1
Show allShow less
Skin - Sun Exposed (Lower leg)
Average nTPM: 182.6
Samples: 701

Max nTPM: 423.9
Min nTPM: 67.0
Std nTPM: 52.1
Median nTPM: 175.0
GTEX-X4XY-0226-SM-4E3IZ 60-69 years, male 423.9
GTEX-13CF3-2426-SM-5IFGX 60-69 years, female 365.5
GTEX-183WM-0126-SM-7LTAB 70-79 years, female 357.8
GTEX-ZAJG-0126-SM-5HL94 50-59 years, female 345.9
GTEX-1LH75-2426-SM-E9TJE 50-59 years, female 345.0
GTEX-SE5C-1626-SM-2XCE3 40-49 years, female 337.4
GTEX-1IKJJ-0126-SM-CNPQB 60-69 years, male 334.5
GTEX-14E6C-0126-SM-5RQIP 40-49 years, male 333.6
GTEX-13FTY-0526-SM-5L3EV 40-49 years, female 330.7
GTEX-13RTJ-2426-SM-5S2Q2 60-69 years, male 329.6
GTEX-Z93S-0126-SM-5HL7M 50-59 years, male 323.8
GTEX-11DZ1-0126-SM-5985Q 50-59 years, male 323.7
GTEX-12WSL-2526-SM-5GCNJ 50-59 years, male 319.0
GTEX-1I1GU-2226-SM-CGQFA 40-49 years, male 314.7
GTEX-1QPFJ-0226-SM-E76PB 30-39 years, female 309.1
GTEX-13QJ3-0326-SM-5S2RA 50-59 years, male 306.0
GTEX-14PJ6-2126-SM-6EU1V 60-69 years, female 303.5
GTEX-13W46-0226-SM-5SIAG 50-59 years, male 298.4
GTEX-1E2YA-0126-SM-9KNUC 50-59 years, male 298.0
GTEX-145LS-0126-SM-5QGP1 60-69 years, female 297.9
GTEX-1JN1M-0326-SM-CYPT3 60-69 years, female 296.6
GTEX-1N2EF-0226-SM-EYYXB 60-69 years, male 296.6
GTEX-1R46S-0626-SM-E9J41 60-69 years, female 293.4
GTEX-13IVO-0126-SM-5J1NG 70-79 years, male 289.5
GTEX-1A3MW-0126-SM-73KXX 60-69 years, female 289.4
GTEX-1B8SG-0126-SM-73KZ3 50-59 years, male 288.9
GTEX-146FH-0126-SM-5QGPP 50-59 years, female 287.4
GTEX-13X6I-0626-SM-5QGP9 60-69 years, male 287.2
GTEX-1J8Q2-0526-SM-CM2RW 60-69 years, male 285.5
GTEX-1192W-2626-SM-5Q5AF 60-69 years, male 282.1
GTEX-13OVH-0126-SM-5MR4B 70-79 years, male 281.7
GTEX-1R9PO-2126-SM-E9J4O 60-69 years, female 278.9
GTEX-14E7W-0126-SM-6LLJ9 70-79 years, male 277.8
GTEX-U8XE-0326-SM-3DB8P 30-39 years, male 276.8
GTEX-14LLW-0126-SM-6LLIO 70-79 years, female 275.7
GTEX-11H98-0126-SM-5EGHG 50-59 years, male 275.3
GTEX-ZVT4-0126-SM-DTXFN 50-59 years, female 274.4
GTEX-145ME-1826-SM-5SI9G 40-49 years, female 272.3
GTEX-14A6H-0126-SM-5QGPK 30-39 years, male 271.2
GTEX-ZXES-1826-SM-5E43S 30-39 years, female 270.3
GTEX-1JMOU-1526-SM-CL54I 60-69 years, female 269.9
GTEX-14C5O-0126-SM-5SI6N 60-69 years, male 269.3
GTEX-145LV-2126-SM-5LU8N 50-59 years, male 269.1
GTEX-11DXY-2626-SM-5GIE7 60-69 years, male 267.8
GTEX-1KWVE-1426-SM-E9TJO 30-39 years, male 267.8
GTEX-11TTK-0126-SM-5987B 60-69 years, female 267.5
GTEX-13FH7-2026-SM-E9J4I 50-59 years, female 267.5
GTEX-WFG8-2226-SM-3GIL9 20-29 years, male 267.1
GTEX-11GSO-2426-SM-5A5LY 60-69 years, male 267.0
GTEX-XPVG-2626-SM-4B669 50-59 years, male 263.6
GTEX-18A67-0126-SM-7LG5P 50-59 years, male 263.2
GTEX-1I1GT-0626-SM-CGQER 60-69 years, female 261.8
GTEX-16YQH-0126-SM-7DUFJ 30-39 years, male 261.6
GTEX-13O1R-0126-SM-5L3EH 60-69 years, male 260.1
GTEX-ZDYS-2026-SM-5HL5L 50-59 years, male 258.2
GTEX-ZYFG-2326-SM-5E44B 60-69 years, female 256.3
GTEX-PLZ4-0126-SM-5SI8O 50-59 years, female 255.8
GTEX-1I1GP-2226-SM-CGQFK 50-59 years, male 255.6
GTEX-13OW8-1326-SM-5J1OW 60-69 years, male 255.4
GTEX-15ER7-0326-SM-7KUEV 20-29 years, female 255.3
GTEX-1JMQL-0226-SM-CNPP5 50-59 years, female 255.1
GTEX-169BO-1326-SM-9MQK2 50-59 years, male 254.8
GTEX-T2YK-0526-SM-32QPJ 50-59 years, male 254.0
GTEX-12WSK-2326-SM-5GCOH 40-49 years, female 253.9
GTEX-1LG7Y-0526-SM-DKPQC 50-59 years, male 253.4
GTEX-139T4-0226-SM-5HL5S 50-59 years, female 253.1
GTEX-17MF6-0126-SM-7LG4F 40-49 years, male 251.7
GTEX-1OJC4-0126-SM-E9J2E 50-59 years, female 250.7
GTEX-1AX8Z-0126-SM-7DHM6 60-69 years, male 250.6
GTEX-ZU9S-0226-SM-5E441 30-39 years, male 250.5
GTEX-144FL-0126-SM-5TDC8 50-59 years, male 250.2
GTEX-113JC-2326-SM-5EQ4E 50-59 years, female 249.6
GTEX-144GL-0126-SM-5TDE2 50-59 years, male 249.2
GTEX-1CAMQ-0226-SM-7IGPK 40-49 years, male 249.1
GTEX-1GZ2Q-0226-SM-7P8TL 40-49 years, male 248.4
GTEX-QCQG-1726-SM-3GIJ9 50-59 years, female 247.9
GTEX-VUSG-2526-SM-4KL1V 50-59 years, male 246.8
GTEX-ZXG5-0126-SM-5GIEU 60-69 years, male 245.6
GTEX-13O3Q-2426-SM-5IJBR 50-59 years, male 244.6
GTEX-ZF28-0126-SM-4WKGK 60-69 years, male 244.4
GTEX-14ICK-0226-SM-6EU25 40-49 years, male 244.0
GTEX-WI4N-1026-SM-3LK7N 40-49 years, female 242.9
GTEX-1J1OQ-0226-SM-CYPSH 40-49 years, female 242.9
GTEX-V1D1-2226-SM-3NMAX 50-59 years, male 242.7
GTEX-1HCUA-2426-SM-ADEIS 50-59 years, female 242.7
GTEX-ZV6S-2326-SM-4YCEY 40-49 years, female 242.2
GTEX-U8T8-0126-SM-3DB94 60-69 years, male 241.9
GTEX-145MI-0526-SM-5O9A8 60-69 years, female 241.6
GTEX-15CHC-2126-SM-6EU21 60-69 years, female 241.6
GTEX-ZWKS-0126-SM-5SIAA 30-39 years, male 240.8
GTEX-ZVZO-0126-SM-5A5L9 40-49 years, male 240.3
GTEX-11UD2-0226-SM-5EQKY 50-59 years, male 240.2
GTEX-Q2AH-1626-SM-3GAF8 40-49 years, male 240.1
GTEX-13S7M-0126-SM-5SI6A 60-69 years, female 239.9
GTEX-17HHE-2026-SM-79OKF 50-59 years, male 239.7
GTEX-XUZC-1726-SM-4BRWS 30-39 years, female 239.4
GTEX-1HCU8-0626-SM-A9SM9 60-69 years, female 239.4
GTEX-17MFQ-1726-SM-793C7 20-29 years, male 239.3
GTEX-139UW-2826-SM-5L3E7 60-69 years, male 239.0
GTEX-1CB4J-0626-SM-7DHMP 60-69 years, male 238.7
GTEX-WRHK-1426-SM-3MJF9 20-29 years, female 238.1
GTEX-UPJH-0326-SM-3GADU 50-59 years, male 238.0
GTEX-1CB4H-0226-SM-7PBXM 60-69 years, female 237.9
GTEX-OHPL-0126-SM-2HMJ7 60-69 years, female 237.2
GTEX-15UKP-0426-SM-7KUFQ 20-29 years, male 237.1
GTEX-1JJE9-0326-SM-CL53Z 70-79 years, male 236.4
GTEX-1QP66-1726-SM-E8VO1 50-59 years, male 235.7
GTEX-12696-2426-SM-5EQ6H 60-69 years, male 235.1
GTEX-1A3MV-1926-SM-718BT 30-39 years, male 234.6
GTEX-1RAZQ-0726-SM-EAZ43 30-39 years, male 234.5
GTEX-1MCYP-1926-SM-E9J2R 20-29 years, female 233.8
GTEX-1HCVE-0126-SM-CGQEU 50-59 years, male 233.7
GTEX-1HT8W-0126-SM-CNPPP 30-39 years, male 233.5
GTEX-13113-5016-SM-7EPIP 60-69 years, female 232.6
GTEX-WYVS-2126-SM-3NMA3 40-49 years, female 231.9
GTEX-1HCU6-0126-SM-CL54K 60-69 years, female 231.6
GTEX-13NYB-2526-SM-5K7Z6 40-49 years, male 231.4
GTEX-1CAMR-1926-SM-7EPI2 20-29 years, male 230.1
GTEX-1PBJI-0526-SM-E8VNK 20-29 years, female 229.8
GTEX-QDVJ-1726-SM-2I5FX 50-59 years, male 229.6
GTEX-RVPV-0126-SM-EAZAW 60-69 years, male 229.6
GTEX-Y8LW-1826-SM-5S2MV 50-59 years, female 229.2
GTEX-1AMFI-2026-SM-731BH 50-59 years, female 228.9
GTEX-13N2G-2626-SM-5J1OT 60-69 years, male 228.5
GTEX-WH7G-2326-SM-3NMBC 40-49 years, male 228.4
GTEX-P44H-0226-SM-2XCEU 40-49 years, male 227.6
GTEX-145MF-0626-SM-5LUAI 50-59 years, male 227.4
GTEX-1I1GR-0126-SM-CL55F 60-69 years, male 227.4
GTEX-1RLM8-2326-SM-EWRN4 50-59 years, male 227.4
GTEX-11VI4-1726-SM-5CVLH 40-49 years, female 226.8
GTEX-1IDJH-0326-SM-A9SLQ 70-79 years, male 226.7
GTEX-111VG-2426-SM-5GZXD 60-69 years, male 226.6
GTEX-16XZY-2126-SM-79OK1 70-79 years, male 225.8
GTEX-1HBPN-0226-SM-9YFM1 50-59 years, male 225.5
GTEX-17EUY-0426-SM-793BD 20-29 years, male 224.8
GTEX-1LG7Z-1726-SM-D3LA4 30-39 years, male 224.5
GTEX-1128S-2326-SM-5GZZY 60-69 years, female 224.2
GTEX-U3ZN-2326-SM-3DB7W 30-39 years, female 223.9
GTEX-1E1VI-0126-SM-7DHMZ 50-59 years, male 223.6
GTEX-12WSN-5019-SM-79OM6 40-49 years, male 223.5
GTEX-147F4-0226-SM-5QGPW 50-59 years, male 223.4
GTEX-131XG-2626-SM-5KM17 50-59 years, female 223.1
GTEX-14A5I-0126-SM-5TDEA 50-59 years, female 222.8
GTEX-ZYW4-0126-SM-5E44A 60-69 years, male 222.8
GTEX-14JIY-0126-SM-6LLH6 60-69 years, male 222.6
GTEX-O5YT-0126-SM-48TBW 20-29 years, male 222.4
GTEX-QDT8-0126-SM-48TZ1 30-39 years, female 222.4
GTEX-ZGAY-0526-SM-4WWBB 40-49 years, female 222.3
GTEX-QESD-1426-SM-2S1R9 20-29 years, male 222.2
GTEX-15SDE-2226-SM-7IGLO 50-59 years, female 222.1
GTEX-PWO3-1526-SM-48TCM 60-69 years, female 222.1
GTEX-1GMR3-1926-SM-9KNUZ 40-49 years, male 222.1
GTEX-117XS-2726-SM-5N9BL 60-69 years, male 221.4
GTEX-18465-0126-SM-731BN 50-59 years, male 221.4
GTEX-13O3O-0126-SM-E9J49 60-69 years, female 221.4
GTEX-ZYY3-0126-SM-5GZY5 60-69 years, female 220.3
GTEX-R45C-0126-SM-EAZ2R 60-69 years, female 220.1
GTEX-1IKOH-0226-SM-COH4E 60-69 years, female 219.7
GTEX-1L5NE-2526-SM-E6CIE 50-59 years, male 219.7
GTEX-12584-0126-SM-5EGKQ 40-49 years, male 219.4
GTEX-11O72-0126-SM-59887 40-49 years, male 219.1
GTEX-1399R-2726-SM-5IJBA 30-39 years, male 218.7
GTEX-1HSMO-0126-SM-CL547 60-69 years, male 218.6
GTEX-U4B1-1826-SM-4DXSU 40-49 years, male 218.1
GTEX-1J8Q3-1626-SM-CMKGC 60-69 years, male 217.8
GTEX-14A5H-0426-SM-5QGQF 60-69 years, male 217.7
GTEX-RNOR-0126-SM-E9J4R 50-59 years, female 217.6
GTEX-1C6VS-0526-SM-7DUEN 60-69 years, male 216.9
GTEX-11EM3-2426-SM-59861 20-29 years, female 216.6
GTEX-12126-0326-SM-5PNW3 20-29 years, male 216.6
GTEX-1GF9V-0326-SM-7RHI5 60-69 years, male 216.6
GTEX-132NY-0326-SM-5IJBL 60-69 years, male 216.2
GTEX-1B996-0226-SM-7RHGO 60-69 years, male 216.0
GTEX-1JN6P-0126-SM-D3L98 60-69 years, male 215.9
GTEX-ZEX8-2426-SM-4WKG4 50-59 years, male 215.8
GTEX-1F7RK-0126-SM-7PC2S 20-29 years, female 215.5
GTEX-13OVJ-0126-SM-5KM36 50-59 years, female 214.5
GTEX-ZAB4-0226-SM-5N9F5 40-49 years, male 214.5
GTEX-1H1DE-2126-SM-9WG6R 20-29 years, male 214.5
GTEX-14PN4-0126-SM-6EU2V 50-59 years, male 213.8
GTEX-131XW-0426-SM-5LZWP 50-59 years, female 213.6
GTEX-X62O-0126-SM-4E3JN 50-59 years, male 213.6
GTEX-13NZB-2526-SM-5J1OM 30-39 years, male 213.3
GTEX-1POEN-0126-SM-EYYXJ 30-39 years, female 212.2
GTEX-12ZZZ-0626-SM-5DUXI 60-69 years, male 212.0
GTEX-1GN1U-0126-SM-7PBZK 50-59 years, female 211.7
GTEX-12WSG-2826-SM-E9J4H 50-59 years, female 211.4
GTEX-ZF29-2326-SM-DO92K 60-69 years, female 211.3
GTEX-1QCLY-0326-SM-E8VOG 30-39 years, male 211.1
GTEX-ZZ64-1726-SM-5GZYB 20-29 years, male 211.0
GTEX-XV7Q-2526-SM-4BRV9 40-49 years, female 210.6
GTEX-1IGQW-0126-SM-COH42 60-69 years, male 210.5
GTEX-Y114-2426-SM-4TT8A 50-59 years, female 210.4
GTEX-139D8-0226-SM-5KLZO 30-39 years, female 210.3
GTEX-1AMEY-1326-SM-73KYK 30-39 years, female 210.3
GTEX-OXRL-0126-SM-2YUMP 50-59 years, male 209.5
GTEX-1I1HK-0126-SM-COH49 60-69 years, male 209.3
GTEX-X4EO-0326-SM-3P5YO 60-69 years, female 209.1
GTEX-ZTSS-1926-SM-57WEW 40-49 years, male 207.7
GTEX-1EX96-1626-SM-7PBXR 50-59 years, male 207.2
GTEX-ZYFD-0126-SM-5GIDL 50-59 years, male 206.8
GTEX-11ZTT-2426-SM-5EQLS 60-69 years, female 206.7
GTEX-183FY-0126-SM-7LT9P 20-29 years, male 206.7
GTEX-1CB4F-0426-SM-9KNV4 60-69 years, male 205.7
GTEX-1ICLY-0126-SM-D4P36 50-59 years, male 205.7
GTEX-1CAV2-2226-SM-7P8P2 40-49 years, female 205.5
GTEX-15D1Q-0126-SM-7KUG6 40-49 years, male 205.4
GTEX-1C2JI-1826-SM-73KXC 50-59 years, male 205.4
GTEX-1S82Z-0826-SM-E6CHY 30-39 years, female 205.0
GTEX-OOBK-0126-SM-2YUND 40-49 years, male 204.8
GTEX-133LE-1826-SM-5J1MV 20-29 years, female 204.7
GTEX-YJ8A-0426-SM-5IFID 20-29 years, male 204.7
GTEX-ZQUD-1426-SM-57WER 30-39 years, male 204.1
GTEX-1PPH8-0226-SM-E8VND 20-29 years, male 203.5
GTEX-1S5ZA-0126-SM-EVYCV 20-29 years, male 202.4
GTEX-R3RS-0126-SM-3GIJL 40-49 years, female 202.1
GTEX-11ZU8-2526-SM-5EQKI 60-69 years, male 202.0
GTEX-17HII-0226-SM-7LG4E 50-59 years, male 202.0
GTEX-13NZA-0226-SM-5K7Z7 60-69 years, male 201.9
GTEX-1314G-1526-SM-5EGK2 30-39 years, male 201.5
GTEX-P4QT-0126-SM-2I3FL 50-59 years, female 201.5
GTEX-RTLS-0126-SM-447CA 60-69 years, female 201.2
GTEX-ZVE2-0226-SM-59HJB 50-59 years, male 201.1
GTEX-13OVG-1926-SM-5L3DK 60-69 years, male 200.6
GTEX-139TT-0126-SM-5K7Y5 60-69 years, male 200.4
GTEX-RWSA-0126-SM-2XCBB 40-49 years, male 200.1
GTEX-1H4P4-0726-SM-9YFLR 50-59 years, male 199.9
GTEX-1I1GQ-0126-SM-COH3H 50-59 years, male 199.5
GTEX-14BMV-0126-SM-5S2PO 50-59 years, male 199.4
GTEX-TKQ1-1026-SM-4GICL 30-39 years, male 199.4
GTEX-WZTO-0126-SM-3NM95 40-49 years, male 199.2
GTEX-15UF6-0826-SM-6PALJ 70-79 years, female 199.1
GTEX-1KXAM-2226-SM-CYPTC 60-69 years, male 199.1
GTEX-117YX-2326-SM-5H12W 50-59 years, male 198.8
GTEX-QDVN-2026-SM-3GAEP 50-59 years, male 198.5
GTEX-TMMY-0226-SM-33HBA 40-49 years, female 198.4
GTEX-WY7C-2326-SM-3NB2U 50-59 years, male 198.1
GTEX-1ICG6-2526-SM-CGQFZ 70-79 years, female 198.0
GTEX-QV44-1926-SM-2S1RF 50-59 years, male 197.5
GTEX-ZVT2-2526-SM-51MT1 50-59 years, female 197.4
GTEX-1IDFM-0126-SM-COH2V 60-69 years, male 197.2
GTEX-13N1W-0126-SM-5K7VT 70-79 years, male 196.7
GTEX-1GN1W-0526-SM-9MQJQ 50-59 years, female 196.7
GTEX-1IDJF-0126-SM-CM2RS 20-29 years, male 196.2
GTEX-11DXW-0226-SM-5H122 40-49 years, male 195.9
GTEX-1N2DW-0226-SM-E9TK2 50-59 years, male 195.9
GTEX-1GTWX-0126-SM-9YFLK 60-69 years, male 195.2
GTEX-14JG6-2226-SM-6EU2G 30-39 years, female 194.9
GTEX-1K2DU-2326-SM-E9TIV 20-29 years, male 194.9
GTEX-XBED-2226-SM-47JYQ 60-69 years, male 194.7
GTEX-17KNJ-2326-SM-7DHLQ 50-59 years, male 194.6
GTEX-O5YW-0126-SM-3LK6D 50-59 years, male 194.6
GTEX-11DXZ-2326-SM-5EGGV 50-59 years, male 194.2
GTEX-1H1DG-0126-SM-9WYU2 70-79 years, male 194.1
GTEX-1M4P7-0226-SM-DIPEV 60-69 years, male 194.1
GTEX-1H1ZS-0426-SM-9WG6G 70-79 years, male 193.9
GTEX-14PJ3-1826-SM-62LEX 50-59 years, male 193.7
GTEX-11DXX-2426-SM-5GZZW 60-69 years, female 193.3
GTEX-ZVZP-2426-SM-59HKJ 50-59 years, male 193.2
GTEX-PLZ5-2026-SM-2S1O4 50-59 years, male 193.1
GTEX-13RTK-1426-SM-5QGQJ 20-29 years, male 192.9
GTEX-PLZ6-1426-SM-DKPOT 30-39 years, male 192.9
GTEX-11EQ9-2426-SM-5HL5T 30-39 years, male 192.5
GTEX-11P7K-2126-SM-5GU7G 30-39 years, male 192.5
GTEX-14E6E-1826-SM-5S2R7 30-39 years, male 192.4
GTEX-1JJ6O-0126-SM-E6CI8 60-69 years, male 192.0
GTEX-ZF2S-2326-SM-4WWCE 50-59 years, female 191.8
GTEX-ZAB5-1826-SM-5HL7C 50-59 years, male 191.7
GTEX-1F6IF-0726-SM-7P8TW 60-69 years, male 191.6
GTEX-1S3DN-2226-SM-EVYCD 50-59 years, male 191.6
GTEX-13SLW-0126-SM-5SI6C 70-79 years, male 191.1
GTEX-PW2O-1526-SM-7RHHB 20-29 years, male 191.1
GTEX-17F98-0626-SM-79OMX 40-49 years, female 190.8
GTEX-T6MO-1626-SM-32QOM 40-49 years, female 190.7
GTEX-1CB4E-2226-SM-793DC 60-69 years, male 190.6
GTEX-OXRP-0126-SM-3NB32 60-69 years, female 190.2
GTEX-146FQ-0126-SM-5NQA9 30-39 years, male 190.1
GTEX-POMQ-2226-SM-2I5FK 20-29 years, female 190.1
GTEX-1H1CY-2826-SM-9MQM3 60-69 years, female 189.6
GTEX-ZE7O-0126-SM-57WC1 50-59 years, female 189.0
GTEX-ZZPT-0226-SM-5E43X 50-59 years, male 188.8
GTEX-131YS-0126-SM-5KM1M 60-69 years, female 188.6
GTEX-1CB4I-0226-SM-79OLH 50-59 years, male 188.3
GTEX-16GPK-0126-SM-7DHLE 60-69 years, male 188.2
GTEX-1GPI7-0126-SM-9MQL8 20-29 years, male 188.2
GTEX-VJWN-0126-SM-3GIK7 50-59 years, female 187.7
GTEX-ZYFC-0226-SM-5NQ75 50-59 years, male 187.5
GTEX-1GF9W-0326-SM-9KNUN 60-69 years, male 187.5
GTEX-1JKYR-0126-SM-CNPOJ 20-29 years, male 187.5
GTEX-15ETS-0126-SM-7KUMW 40-49 years, female 187.1
GTEX-1MGNQ-0126-SM-EVYCJ 40-49 years, male 187.0
GTEX-1RDX4-0126-SM-E9J4P 50-59 years, female 186.7
GTEX-Q2AG-0126-SM-33HBV 40-49 years, female 186.6
GTEX-13PDP-0126-SM-5L3HD 60-69 years, male 186.5
GTEX-1QP29-0626-SM-EWRMX 50-59 years, male 186.5
GTEX-U3ZM-1526-SM-3DB9D 40-49 years, male 186.2
GTEX-OXRO-0126-SM-2YUN4 60-69 years, female 186.1
GTEX-14BIL-0126-SM-5SI92 50-59 years, male 185.7
GTEX-145MN-2226-SM-5SIAU 30-39 years, male 185.6
GTEX-1KD4Q-0226-SM-E9TJ9 40-49 years, male 185.6
GTEX-16NPX-0226-SM-79OMT 50-59 years, male 185.2
GTEX-117YW-2626-SM-5GZZH 50-59 years, male 185.1
GTEX-12C56-1726-SM-5EQ61 20-29 years, male 184.0
GTEX-RUSQ-1526-SM-2TF62 50-59 years, male 183.7
GTEX-PVOW-0126-SM-2XCFA 40-49 years, male 183.5
GTEX-1B933-0126-SM-7PC29 50-59 years, female 183.5
GTEX-13CF2-2526-SM-5LZYX 60-69 years, male 183.2
GTEX-14E6D-0126-SM-62LDV 50-59 years, male 183.1
GTEX-13NZ8-0826-SM-5MR3I 60-69 years, female 182.6
GTEX-1KANA-0726-SM-D3L9I 20-29 years, male 182.6
GTEX-1PIIG-0226-SM-EWRN6 30-39 years, male 182.5
GTEX-1A8FM-0226-SM-7SB7Q 50-59 years, female 182.4
GTEX-YB5E-2026-SM-5IFIS 40-49 years, male 182.3
GTEX-Y3IK-2426-SM-4WWDU 50-59 years, female 182.1
GTEX-SSA3-0126-SM-32QPU 60-69 years, male 182.0
GTEX-Y5V6-2426-SM-4VDSB 60-69 years, male 182.0
GTEX-X8HC-0126-SM-4E3JW 50-59 years, female 181.7
GTEX-1LVAN-0226-SM-COH3S 50-59 years, female 181.7
GTEX-1EWIQ-0126-SM-7RHH2 70-79 years, female 181.2
GTEX-12WSD-0126-SM-59HKN 60-69 years, female 181.1
GTEX-11OC5-0126-SM-5HL6A 60-69 years, male 180.7
GTEX-ZYT6-0226-SM-5NQ6T 30-39 years, male 180.7
GTEX-S32W-2126-SM-2XCB1 50-59 years, female 180.5
GTEX-SNMC-1226-SM-2XCFP 20-29 years, male 180.2
GTEX-14PK6-1926-SM-6ETZU 70-79 years, female 180.1
GTEX-1I1CD-0126-SM-CM2TK 60-69 years, female 179.7
GTEX-X4EP-0126-SM-3P5YV 60-69 years, female 179.1
GTEX-ZTPG-0326-SM-5O9AX 20-29 years, female 179.0
GTEX-1C64O-0126-SM-7SB8P 60-69 years, male 179.0
GTEX-1HSMP-0126-SM-E6CJS 70-79 years, male 178.9
GTEX-1HCU9-1526-SM-A9SL7 20-29 years, male 178.7
GTEX-QVJO-1626-SM-2S1QW 60-69 years, female 178.6
GTEX-17EVP-0326-SM-7DHLG 40-49 years, male 178.5
GTEX-13112-2826-SM-5DUWH 50-59 years, male 178.2
GTEX-13O21-1426-SM-5K7XI 50-59 years, male 177.7
GTEX-1B8KE-2126-SM-73KYX 50-59 years, male 177.7
GTEX-12WSE-0526-SM-793B2 20-29 years, male 177.5
GTEX-11XUK-2026-SM-5EQLF 40-49 years, female 177.0
GTEX-12WSA-0226-SM-5BC5V 60-69 years, male 176.6
GTEX-13FHO-0226-SM-5IFGY 60-69 years, male 176.4
GTEX-13RTL-0126-SM-7LG5S 40-49 years, male 176.3
GTEX-12KS4-0326-SM-5EQ41 30-39 years, male 176.2
GTEX-XXEK-2226-SM-4BRUM 50-59 years, male 176.1
GTEX-11ZTS-0126-SM-5EQ6M 60-69 years, female 176.0
GTEX-Y3I4-2126-SM-4TT7C 50-59 years, male 175.9
GTEX-T5JW-1626-SM-3GADZ 20-29 years, female 175.6
GTEX-QLQ7-1626-SM-2S1R8 60-69 years, male 175.1
GTEX-R55E-0126-SM-2TC5Y 20-29 years, male 175.1
GTEX-1HSEH-0126-SM-ACKXN 60-69 years, male 175.1
GTEX-1JMPY-1326-SM-ARL8Y 30-39 years, male 175.1
GTEX-11TT1-2526-SM-5EGIB 20-29 years, male 175.0
GTEX-14PN3-2426-SM-6LLHS 60-69 years, female 175.0
GTEX-15RIG-0226-SM-7KFTL 40-49 years, male 175.0
GTEX-OIZG-0726-SM-33HBL 50-59 years, male 175.0
GTEX-1PFEY-1526-SM-E76PP 30-39 years, male 175.0
GTEX-1RAZA-0126-SM-E6CI3 20-29 years, male 175.0
GTEX-WOFL-0126-SM-3MJG2 60-69 years, male 174.5
GTEX-18D9A-1926-SM-7LG6P 30-39 years, female 174.3
GTEX-12WSC-0126-SM-5EQ4P 50-59 years, male 173.7
GTEX-TML8-1926-SM-32QOS 40-49 years, female 173.7
GTEX-11LCK-1026-SM-5A5KB 30-39 years, male 173.5
GTEX-T8EM-1026-SM-3DB7M 40-49 years, male 173.4
GTEX-Y5LM-1926-SM-5RQJH 40-49 years, female 173.3
GTEX-16XZZ-0126-SM-793DV 60-69 years, male 173.2
GTEX-1211K-2026-SM-5EQ4Z 60-69 years, female 173.1
GTEX-11EI6-0126-SM-5985R 60-69 years, male 173.0
GTEX-13SLX-0526-SM-5S2ON 50-59 years, female 172.9
GTEX-ZDXO-3026-SM-5J1N5 60-69 years, male 172.4
GTEX-1S82Y-2026-SM-EVYCM 40-49 years, male 172.3
GTEX-T5JC-0426-SM-32PLO 20-29 years, male 172.2
GTEX-TSE9-0126-SM-3DB83 60-69 years, female 172.1
GTEX-1LB8K-0226-SM-EWRNW 50-59 years, male 172.1
GTEX-1NHNU-1026-SM-E9J2A 50-59 years, male 172.1
GTEX-1M5QR-1226-SM-EWROB 40-49 years, male 171.7
GTEX-148VI-1626-SM-5SI6E 60-69 years, female 171.6
GTEX-1GF9U-2126-SM-7SB7L 40-49 years, female 171.4
GTEX-1C6WA-0126-SM-7PC2B 60-69 years, male 171.2
GTEX-1IL2V-0126-SM-CM2TX 70-79 years, male 171.2
GTEX-13OW6-0426-SM-5L3HM 50-59 years, male 171.0
GTEX-1HBPM-0226-SM-ARL9F 60-69 years, female 170.9
GTEX-11NUK-0126-SM-5A5L3 50-59 years, male 170.7
GTEX-17F96-1626-SM-7DUFL 70-79 years, male 170.6
GTEX-113IC-0126-SM-5HL6T 60-69 years, male 170.3
GTEX-OXRN-0126-SM-48TDM 50-59 years, male 170.3
GTEX-11P82-1626-SM-59879 20-29 years, male 169.9
GTEX-PWCY-1826-SM-DHXIZ 20-29 years, female 169.8
GTEX-11GSP-2526-SM-5N9BP 60-69 years, female 169.5
GTEX-PSDG-0226-SM-DKPOZ 50-59 years, male 169.5
GTEX-14BMU-2226-SM-5TDE9 20-29 years, female 169.4
GTEX-131XF-5016-SM-7MGWE 60-69 years, male 169.4
GTEX-W5X1-3026-SM-EAZAX 40-49 years, female 169.2
GTEX-ZVT3-0126-SM-5GU6I 60-69 years, female 169.0
GTEX-1O97I-0326-SM-EYYX7 60-69 years, male 169.0
GTEX-11TUW-2726-SM-E9J4M 60-69 years, male 168.7
GTEX-1PIGE-0126-SM-EVYBJ 20-29 years, male 168.7
GTEX-11GS4-2726-SM-5A5LE 60-69 years, male 168.4
GTEX-P4PQ-0126-SM-2S1NM 60-69 years, male 167.7
GTEX-XQ3S-1526-SM-4BOOC 20-29 years, male 167.7
GTEX-1A3MX-0126-SM-731BR 60-69 years, male 167.6
GTEX-S95S-1226-SM-4GICG 60-69 years, male 167.6
GTEX-1ICLZ-0126-SM-CKZPO 60-69 years, male 167.6
GTEX-1HUB1-0426-SM-E9U4U 60-69 years, male 167.5
GTEX-1C475-1826-SM-73KWA 40-49 years, female 167.4
GTEX-13FTX-1826-SM-5J1NX 20-29 years, female 167.3
GTEX-ZVTK-0426-SM-51MRS 20-29 years, male 167.3
GTEX-1F75I-0326-SM-9YFLU 40-49 years, male 167.1
GTEX-1PWST-0226-SM-E76QJ 70-79 years, male 167.1
GTEX-1GN1V-0126-SM-9WPOS 60-69 years, male 167.0
GTEX-1R7EV-2426-SM-EVYBG 40-49 years, male 166.7
GTEX-11EMC-2926-SM-5EQ4F 60-69 years, female 166.5
GTEX-T2IS-0126-SM-4DM6O 20-29 years, female 166.4
GTEX-1I19N-0326-SM-ACKVX 70-79 years, male 166.4
GTEX-146FR-1326-SM-E9J48 60-69 years, female 166.3
GTEX-14XAO-2326-SM-6EU1B 60-69 years, female 166.0
GTEX-VJYA-1126-SM-3GIJU 60-69 years, male 166.0
GTEX-13NYC-0326-SM-E9J4S 60-69 years, male 165.9
GTEX-14LZ3-0226-SM-62LET 60-69 years, female 165.4
GTEX-1IDJU-2626-SM-CM2RT 60-69 years, female 165.4
GTEX-1I1GV-0526-SM-A9G29 60-69 years, male 165.2
GTEX-RM2N-1426-SM-2TF4H 50-59 years, male 165.1
GTEX-X585-0226-SM-4QAS2 50-59 years, male 165.1
GTEX-RU72-0926-SM-2TF6B 50-59 years, female 165.0
GTEX-XUYS-0126-SM-47JWZ 50-59 years, male 164.5
GTEX-145LT-1726-SM-5QGP3 40-49 years, male 164.4
GTEX-1HSMQ-1226-SM-CGQFX 50-59 years, male 164.4
GTEX-13O3P-0126-SM-5KM4S 50-59 years, male 164.3
GTEX-1N2DV-0226-SM-E6CJ6 40-49 years, male 164.3
GTEX-15EOM-0126-SM-7KUGG 20-29 years, female 163.9
GTEX-XAJ8-0826-SM-47JY6 40-49 years, male 163.7
GTEX-1AX9I-0126-SM-7SB74 60-69 years, male 163.6
GTEX-15SHW-0326-SM-6PAML 60-69 years, male 163.3
GTEX-1GN2E-0426-SM-9MQKX 60-69 years, male 163.2
GTEX-ZQG8-1626-SM-DHXIT 60-69 years, female 163.2
GTEX-1OFPY-2426-SM-DTXEJ 60-69 years, male 162.8
GTEX-YB5K-2126-SM-4WWDJ 40-49 years, female 162.5
GTEX-QEG4-0226-SM-2S1PY 30-39 years, male 162.4
GTEX-1S83E-0126-SM-EWRO4 40-49 years, male 162.3
GTEX-13OW7-0126-SM-5MR3B 50-59 years, male 162.2
GTEX-WYJK-0126-SM-3NMAB 50-59 years, male 162.2
GTEX-RN64-0126-SM-2TC68 50-59 years, male 162.0
GTEX-1399T-2826-SM-5KLYZ 60-69 years, male 161.4
GTEX-SN8G-0126-SM-32PLI 50-59 years, female 161.1
GTEX-13W3W-2426-SM-5LU5B 60-69 years, female 161.0
GTEX-1JN76-0126-SM-CNPPE 20-29 years, female 160.9
GTEX-1QP67-1626-SM-EAZ3X 40-49 years, female 160.9
GTEX-1B8SF-1426-SM-7DUGL 60-69 years, male 160.6
GTEX-13FXS-0226-SM-5IJCK 50-59 years, male 160.5
GTEX-1CAMS-0426-SM-7P8T2 40-49 years, female 159.8
GTEX-16BQI-0226-SM-7KUEX 30-39 years, female 159.6
GTEX-ZTX8-1426-SM-5DUVO 20-29 years, male 159.3
GTEX-1F75B-0126-SM-9KNVL 50-59 years, male 159.3
GTEX-ZDTS-0126-SM-4WAY5 60-69 years, male 159.2
GTEX-1GZHY-0326-SM-9QEHI 50-59 years, female 159.1
GTEX-1QW4Y-1526-SM-EAZ3Z 30-39 years, male 159.1
GTEX-OOBJ-0126-SM-E6CJW 60-69 years, male 159.1
GTEX-1JK1U-2026-SM-CM2RZ 60-69 years, male 159.0
GTEX-1192X-0226-SM-5H12D 50-59 years, male 158.9
GTEX-SJXC-0126-SM-2XCFF 60-69 years, male 158.9
GTEX-1F6I4-0126-SM-9MQL2 60-69 years, male 158.9
GTEX-ZF3C-0126-SM-DO92D 50-59 years, female 158.7
GTEX-1HKZK-0326-SM-9WYUH 40-49 years, male 158.6
GTEX-145LU-0126-SM-5TDCB 50-59 years, male 158.5
GTEX-1AYCT-2426-SM-7IGQ3 50-59 years, male 158.4
GTEX-1GMRU-0126-SM-9YFLV 50-59 years, male 158.4
GTEX-18QFQ-0126-SM-731BE 30-39 years, male 158.1
GTEX-18A7B-0126-SM-7LG64 70-79 years, male 158.0
GTEX-1F75A-0126-SM-7RHGM 50-59 years, male 157.5
GTEX-1K2DA-1826-SM-CGQGT 50-59 years, male 157.3
GTEX-1R9PM-2026-SM-E76OY 20-29 years, male 157.2
GTEX-14DAR-2026-SM-5S2O3 50-59 years, male 157.1
GTEX-1HGF4-2426-SM-ACKXM 60-69 years, male 157.0
GTEX-14PJM-0226-SM-62LF1 50-59 years, female 156.9
GTEX-1CB4G-0226-SM-7PC3O 60-69 years, male 156.9
GTEX-U3ZH-2026-SM-3DB78 30-39 years, male 156.5
GTEX-1H2FU-0126-SM-9WYSI 60-69 years, female 156.3
GTEX-1F88F-2726-SM-7PBZZ 60-69 years, female 156.2
GTEX-16NGA-1726-SM-731B4 40-49 years, female 155.8
GTEX-1212Z-2526-SM-5EGKP 60-69 years, male 155.7
GTEX-14DAQ-0126-SM-5S2MQ 60-69 years, female 155.3
GTEX-11DYG-0126-SM-59883 60-69 years, male 155.1
GTEX-1497J-2426-SM-7IGNX 60-69 years, male 154.9
GTEX-1F48J-0126-SM-7P8TT 50-59 years, female 154.9
GTEX-1JKYN-1326-SM-CGQG9 30-39 years, male 154.9
GTEX-S33H-1026-SM-EZ6L6 30-39 years, male 154.8
GTEX-147GR-0526-SM-5S2MY 60-69 years, male 154.7
GTEX-1B8KZ-2026-SM-7DHMB 50-59 years, male 154.4
GTEX-1MUQO-0126-SM-EAZ58 60-69 years, male 154.4
GTEX-11ZUS-0626-SM-59885 30-39 years, male 154.0
GTEX-144GN-2326-SM-5LU4F 50-59 years, male 153.9
GTEX-17HGU-0226-SM-7DHKV 50-59 years, male 153.8
GTEX-1K9T9-0126-SM-EVYCF 50-59 years, female 152.7
GTEX-1LGRB-2526-SM-CNPPQ 50-59 years, female 152.7
GTEX-147F3-0526-SM-5SI98 50-59 years, female 152.6
GTEX-1122O-2126-SM-5EGIR 60-69 years, female 152.5
GTEX-145MO-0326-SM-5Q5B3 60-69 years, male 152.5
GTEX-16MT8-0426-SM-7KUEY 60-69 years, female 152.2
GTEX-SIU8-0126-SM-2XCDT 50-59 years, male 152.1
GTEX-1JMPZ-0226-SM-CNPP1 30-39 years, male 152.1
GTEX-RWS6-2026-SM-2XCB5 60-69 years, female 151.9
GTEX-S7PM-0126-SM-4AD6S 60-69 years, male 151.8
GTEX-14PHW-0126-SM-6LLJI 60-69 years, female 151.6
GTEX-1JMQK-0226-SM-CL543 60-69 years, male 151.5
GTEX-Q2AI-1326-SM-2S1PL 40-49 years, male 151.3
GTEX-NPJ8-0126-SM-2YUNR 40-49 years, male 151.0
GTEX-15G19-0126-SM-6PANQ 60-69 years, male 150.8
GTEX-148VJ-0126-SM-5TDDN 70-79 years, male 150.7
GTEX-X638-0126-SM-47JZ8 70-79 years, female 150.6
GTEX-13VXU-0126-SM-5SI9F 50-59 years, male 150.2
GTEX-1AYD5-2426-SM-73KXR 50-59 years, male 150.0
GTEX-YJ89-0126-SM-4TT3X 60-69 years, male 149.8
GTEX-1RB15-2126-SM-E9TIM 60-69 years, male 149.7
GTEX-1313W-0126-SM-5LZUN 50-59 years, female 149.6
GTEX-13U4I-0126-SM-5LU38 40-49 years, female 149.6
GTEX-131XH-2226-SM-5DUXJ 50-59 years, male 149.0
GTEX-17GQL-2026-SM-718BA 60-69 years, male 149.0
GTEX-1F6RS-0126-SM-9MQKZ 60-69 years, female 149.0
GTEX-1HSGN-0226-SM-CGQFV 40-49 years, female 148.9
GTEX-139T8-0126-SM-5K7XZ 60-69 years, male 148.8
GTEX-1J1R8-1726-SM-ARL8M 40-49 years, male 148.8
GTEX-13X6J-0126-SM-5QGOU 50-59 years, male 148.7
GTEX-WVJS-0126-SM-4MVOT 50-59 years, male 148.7
GTEX-15DYW-0126-SM-7KULE 60-69 years, female 148.5
GTEX-1HBPI-1526-SM-C1YQ1 50-59 years, male 148.3
GTEX-1KD5A-0226-SM-D5OV3 50-59 years, male 148.1
GTEX-139TS-2826-SM-5J1OO 60-69 years, male 147.9
GTEX-1RQEC-0426-SM-E6CHU 60-69 years, male 147.9
GTEX-SUCS-1926-SM-32PM3 70-79 years, male 147.8
GTEX-11OF3-2626-SM-5GU7F 60-69 years, male 147.6
GTEX-14JG1-0426-SM-6ETZZ 40-49 years, male 147.5
GTEX-1J8QM-2126-SM-CYPSJ 60-69 years, female 147.4
GTEX-TMZS-0126-SM-3DB9Q 60-69 years, male 147.2
GTEX-1JJEA-0326-SM-CNPOT 60-69 years, male 147.1
GTEX-OHPM-0126-SM-2YUN9 50-59 years, male 146.8
GTEX-S7SE-0126-SM-2XCD5 50-59 years, male 146.5
GTEX-1C64N-0126-SM-793D7 50-59 years, male 146.3
GTEX-13VXT-0126-SM-5LU4I 20-29 years, female 146.2
GTEX-14BIM-0226-SM-7IGLD 60-69 years, female 146.2
GTEX-17F97-0326-SM-7LG5B 50-59 years, male 146.2
GTEX-1GF9X-2026-SM-7PC3A 40-49 years, female 146.0
GTEX-1I1GS-0126-SM-B2LVW 60-69 years, male 145.9
GTEX-1GMR8-0126-SM-9WYTM 50-59 years, female 145.8
GTEX-12WSJ-1826-SM-5GCNY 40-49 years, female 145.7
GTEX-1EU9M-0226-SM-7P8SP 60-69 years, male 145.7
GTEX-1LNCM-1126-SM-E9U5E 50-59 years, female 145.7
GTEX-17HG3-2226-SM-7938L 30-39 years, female 145.5
GTEX-14PII-0226-SM-6EU1T 60-69 years, male 145.2
GTEX-1IOXB-0126-SM-ARL8G 50-59 years, male 144.9
GTEX-1HR98-0126-SM-B2LWI 60-69 years, male 144.7
GTEX-U412-0426-SM-3DB9O 60-69 years, male 144.6
GTEX-1KAFJ-2026-SM-CY8ID 50-59 years, male 144.5
GTEX-X4XX-0126-SM-3NMC2 60-69 years, male 144.4
GTEX-15EU6-0426-SM-6PAN5 50-59 years, male 144.3
GTEX-1PPH7-2326-SM-EVYB8 40-49 years, male 144.1
GTEX-YEC4-2126-SM-5IFJH 40-49 years, male 144.0
GTEX-1HSKV-0226-SM-A9SKJ 60-69 years, male 143.4
GTEX-1H3O1-0426-SM-9YFKY 60-69 years, male 143.1
GTEX-Y111-0126-SM-4SOIV 50-59 years, male 142.5
GTEX-1MA7X-2226-SM-E6CIY 60-69 years, male 142.1
GTEX-1JMQJ-0526-SM-CYPSU 50-59 years, male 141.4
GTEX-1H3NZ-0126-SM-ACKX7 60-69 years, male 141.1
GTEX-15F5U-1526-SM-6PANO 40-49 years, male 140.9
GTEX-18A66-0226-SM-718BD 60-69 years, male 140.9
GTEX-11WQC-2526-SM-5CVLE 60-69 years, male 140.8
GTEX-1GL5R-1826-SM-9KNUY 50-59 years, male 140.1
GTEX-X261-0126-SM-3NMD6 50-59 years, male 140.0
GTEX-ZUA1-0126-SM-5GU76 40-49 years, male 140.0
GTEX-1A32A-0126-SM-718B1 50-59 years, female 139.7
GTEX-Q734-1926-SM-2I5EV 40-49 years, female 139.7
GTEX-1JMLX-0226-SM-CM2RO 50-59 years, male 139.4
GTEX-1AX9K-2326-SM-73KWU 50-59 years, male 139.2
GTEX-1EN7A-0126-SM-7SB81 40-49 years, male 139.1
GTEX-1GZ4H-1726-SM-7PBZJ 50-59 years, female 138.3
GTEX-ZDTT-2726-SM-4WKF8 60-69 years, male 138.1
GTEX-1IKK5-0626-SM-ARL8A 60-69 years, male 137.9
GTEX-1H3VY-0126-SM-ACKXD 50-59 years, male 137.6
GTEX-13111-1626-SM-5EGJY 50-59 years, male 137.3
GTEX-13YAN-0326-SM-5O9DF 60-69 years, male 137.2
GTEX-1C4CL-0526-SM-73KVK 30-39 years, male 137.1
GTEX-1QP2A-0126-SM-E9J43 50-59 years, male 136.9
GTEX-1H11D-0226-SM-9WG6Z 40-49 years, male 136.7
GTEX-1OJC3-0126-SM-E76QX 20-29 years, male 136.7
GTEX-11ZVC-2526-SM-5FQTE 50-59 years, female 136.5
GTEX-WXYG-2326-SM-4E3I6 50-59 years, female 135.9
GTEX-15DCD-0126-SM-7KUEK 70-79 years, female 135.6
GTEX-1J8JJ-0226-SM-CL53I 60-69 years, female 134.7
GTEX-Z93T-0126-SM-5HL5N 50-59 years, male 134.2
GTEX-1H3VE-0326-SM-9YFLH 40-49 years, male 134.2
GTEX-1EMGI-0126-SM-9KNUE 60-69 years, male 134.1
GTEX-1HBPH-0426-SM-B2LW5 40-49 years, female 134.0
GTEX-13OVK-2026-SM-7KUEO 40-49 years, male 133.9
GTEX-1GPI6-0126-SM-9WG69 60-69 years, male 133.7
GTEX-1IL2U-0226-SM-CE6T8 60-69 years, male 133.6
GTEX-1H1E6-1726-SM-ACKVK 30-39 years, male 133.5
GTEX-1C6VQ-0126-SM-7P8RI 50-59 years, male 133.4
GTEX-1IY9M-0126-SM-D3L8S 60-69 years, male 133.4
GTEX-1BAJH-0526-SM-793CQ 70-79 years, male 133.3
GTEX-14PHX-2326-SM-62LEM 50-59 years, male 133.0
GTEX-OIZF-0126-SM-7SB8I 60-69 years, male 133.0
GTEX-QLQW-1126-SM-2S1Q8 30-39 years, male 132.8
GTEX-18A6Q-0126-SM-731BZ 60-69 years, male 132.7
GTEX-139TU-0126-SM-5K7WH 60-69 years, male 132.6
GTEX-W5WG-1826-SM-4KL2Y 50-59 years, female 132.4
GTEX-1QP9N-1426-SM-DTXFL 30-39 years, male 132.3
GTEX-X5EB-2226-SM-46MW4 40-49 years, male 132.1
GTEX-1R9K4-0126-SM-DTX9X 60-69 years, male 131.9
GTEX-T6MN-0126-SM-32PLP 50-59 years, male 131.7
GTEX-13FTW-2626-SM-5K7WL 40-49 years, male 131.1
GTEX-1F5PK-2426-SM-7RHHY 50-59 years, male 130.2
GTEX-1H23P-0126-SM-ADEJ3 60-69 years, male 130.1
GTEX-1B97I-1626-SM-73KYO 40-49 years, male 129.4
GTEX-1MJK2-0426-SM-DTXE5 50-59 years, male 129.3
GTEX-17HHY-0126-SM-7LG5D 50-59 years, male 128.7
GTEX-WQUQ-0426-SM-3MJFU 60-69 years, male 128.7
GTEX-ZY6K-1826-SM-5GZXK 50-59 years, male 128.4
GTEX-1C6VR-2426-SM-79OLD 60-69 years, male 128.3
GTEX-1QEPI-0126-SM-EWRMQ 60-69 years, female 128.0
GTEX-1EKGG-0226-SM-9WYTH 60-69 years, male 127.6
GTEX-1KANC-1526-SM-D3LAB 50-59 years, female 127.2
GTEX-111FC-0126-SM-5N9DL 60-69 years, male 126.8
GTEX-1LSNM-1926-SM-E6CII 50-59 years, male 125.4
GTEX-1GN73-0226-SM-9WG67 60-69 years, male 125.2
GTEX-1269C-2526-SM-5EGJ3 60-69 years, female 125.0
GTEX-XUW1-0426-SM-4BOOT 50-59 years, female 124.8
GTEX-1399U-2326-SM-5K7WY 50-59 years, female 124.7
GTEX-Y5V5-2326-SM-4V6GA 60-69 years, female 124.7
GTEX-1AX9J-0226-SM-73KXM 60-69 years, male 124.4
GTEX-NFK9-0226-SM-2HMKQ 40-49 years, male 124.4
GTEX-18A7A-0226-SM-718BH 50-59 years, female 123.8
GTEX-PX3G-0126-SM-2I3EN 20-29 years, female 122.9
GTEX-13N11-2526-SM-5K7UE 50-59 years, female 122.7
GTEX-14753-0426-SM-5NQAM 60-69 years, male 122.0
GTEX-13OVL-0226-SM-5L3E9 50-59 years, male 121.3
GTEX-UJHI-1526-SM-3DB99 50-59 years, female 121.1
GTEX-1MCQQ-0826-SM-DLHC2 60-69 years, male 120.2
GTEX-13JUV-2726-SM-5LZZ8 40-49 years, female 120.0
GTEX-R55G-2526-SM-2TC6D 40-49 years, female 119.7
GTEX-P4PP-0126-SM-3LK69 30-39 years, female 118.6
GTEX-13OVI-1426-SM-5L3EY 60-69 years, female 118.4
GTEX-1HB9E-0226-SM-E9U4R 50-59 years, male 118.4
GTEX-11UD1-0126-SM-5PNYG 40-49 years, female 118.0
GTEX-13D11-2426-SM-5KM1V 50-59 years, female 117.8
GTEX-ZPIC-1726-SM-DHXIU 40-49 years, female 116.8
GTEX-Y8DK-0126-SM-4TT3L 60-69 years, male 116.5
GTEX-12ZZX-0126-SM-5EGK9 40-49 years, female 116.0
GTEX-XMD2-0126-SM-4YCDU 60-69 years, female 115.4
GTEX-18D9U-0226-SM-718BP 40-49 years, male 115.3
GTEX-12ZZY-0226-SM-5LZVE 60-69 years, male 114.7
GTEX-14BIN-0626-SM-793DP 50-59 years, female 114.5
GTEX-1QMI2-0226-SM-EVYBX 60-69 years, male 113.5
GTEX-1R7EU-0226-SM-EVR4G 60-69 years, male 113.4
GTEX-15DDE-0126-SM-6LPKH 50-59 years, female 111.9
GTEX-1QAET-0926-SM-E76QM 50-59 years, male 111.0
GTEX-YFC4-0126-SM-5CVLY 40-49 years, female 110.2
GTEX-1PDJ9-0326-SM-DTX95 20-29 years, male 109.9
GTEX-1I4MK-2226-SM-ACKWD 50-59 years, female 109.7
GTEX-ZAK1-0126-SM-5IJD3 50-59 years, female 109.6
GTEX-17EVQ-0226-SM-7LG4P 70-79 years, male 109.4
GTEX-13OW5-0126-SM-DTXFS 60-69 years, male 108.3
GTEX-XQ8I-0426-SM-4BOPO 50-59 years, male 108.0
GTEX-11NSD-2226-SM-5986V 20-29 years, male 107.9
GTEX-OIZH-0126-SM-2HMIS 50-59 years, male 107.8
GTEX-14ABY-0226-SM-5TDCQ 50-59 years, male 107.6
GTEX-Y8E4-0626-SM-4WWDL 40-49 years, male 107.5
GTEX-X88G-0126-SM-47JZ3 30-39 years, male 107.3
GTEX-1F5PL-0326-SM-7P8PQ 40-49 years, female 105.9
GTEX-13NYS-0126-SM-5MR3W 60-69 years, male 105.5
GTEX-ZV68-0126-SM-59HKS 50-59 years, female 105.2
GTEX-1HCU7-0226-SM-CL545 50-59 years, male 104.4
GTEX-1HFI7-1826-SM-ACKXH 50-59 years, female 103.4
GTEX-1J8EW-0126-SM-CJI4F 60-69 years, female 102.2
GTEX-13G51-2526-SM-5LZYK 60-69 years, male 101.8
GTEX-WFON-2126-SM-3LK7O 40-49 years, male 99.2
GTEX-1KANB-0526-SM-E6CJH 50-59 years, male 97.5
GTEX-11P81-2326-SM-59875 30-39 years, female 97.0
GTEX-11WQK-0526-SM-5EQLD 50-59 years, male 96.9
GTEX-15SHU-0126-SM-7KUEH 40-49 years, female 96.3
GTEX-ZE9C-2726-SM-57WB5 60-69 years, male 96.0
GTEX-1F52S-0126-SM-9MQJU 60-69 years, female 95.0
GTEX-1HFI6-0226-SM-ADEHZ 40-49 years, male 94.6
GTEX-1LGOU-2026-SM-DIPFF 20-29 years, female 93.8
GTEX-18D9B-0526-SM-7LTAS 60-69 years, male 93.6
GTEX-Z9EW-1626-SM-5CVMN 40-49 years, male 93.6
GTEX-16AAH-1726-SM-7939C 50-59 years, male 92.3
GTEX-13FHP-0126-SM-5IJBG 50-59 years, male 91.6
GTEX-131XE-2326-SM-5PNZ2 50-59 years, male 91.4
GTEX-15SB6-1726-SM-6PAME 50-59 years, female 90.2
GTEX-13X6H-2126-SM-7EWD5 50-59 years, female 90.0
GTEX-OXRK-0226-SM-3NB2G 50-59 years, female 88.9
GTEX-1MA7W-2026-SM-E9TJ6 20-29 years, female 88.3
GTEX-1LC47-0326-SM-E9TJP 60-69 years, male 87.8
GTEX-XBEW-0626-SM-4QASP 40-49 years, male 87.1
GTEX-ZC5H-0226-SM-4WAY9 40-49 years, female 86.3
GTEX-1LBAC-0126-SM-DIPEZ 20-29 years, male 86.3
GTEX-1B8L1-2526-SM-9WYTF 60-69 years, male 85.9
GTEX-13PVR-2326-SM-5QGR1 60-69 years, female 83.3
GTEX-17JCI-0126-SM-7LG5G 60-69 years, female 83.2
GTEX-XYKS-2126-SM-4E3IB 60-69 years, female 82.5
GTEX-1IE54-0126-SM-CMKHW 40-49 years, female 77.9
GTEX-1I6K6-0126-SM-A9SLE 30-39 years, male 75.5
GTEX-1NV5F-0226-SM-E8VNY 60-69 years, female 72.2
GTEX-1JMQI-2226-SM-CM2SD 50-59 years, male 67.0
Show allShow less

Contact

  • NEWS ARTICLES
  • PRESS ROOM

The Project

  • INTRODUCTION
  • ORGANIZATION
  • PUBLICATIONS

The Human Protein Atlas

  • DOWNLOADABLE DATA
  • LICENCE & CITATION
  • HELP & FAQ
The Human Protein Atlas project is funded
by the Knut & Alice Wallenberg Foundation.


contact@proteinatlas.org