We use cookies to enhance the usability of our website. If you continue, we'll assume that you are happy to receive all cookies. More information. Don't show this again.
ANXA5
HPA
RESOURCES
  • TISSUE
  • BRAIN
  • SINGLE CELL
  • SUBCELLULAR
  • CANCER
  • BLOOD
  • CELL LINE
  • STRUCTURE & INTERACTION
ABOUT
  • INTRODUCTION
  • HISTORY
  • ORGANIZATION
  • PUBLICATIONS
  • ANTIBODY SUBMISSION
  • ANTIBODY AVAILABILITY
  • ACKNOWLEDGMENTS
  • CONTACT
NEWS
  • NEWS ARTICLES
  • PRESS ROOM
LEARN
  • DICTIONARY
  • PROTEIN CLASSES
  • PROTEIN EVIDENCE
  • METHODS
  • EDUCATIONAL VIDEOS
DATA
  • DOWNLOADABLE DATA
  • PUBLICATION DATA
  • RELEASE HISTORY
HELP
  • ANTIBODY VALIDATION
  • ASSAYS & ANNOTATION
  • DISCLAIMER
  • HELP & FAQ
  • PRIVACY STATEMENT
  • LICENCE & CITATION
Fields »
Search result

Field
Term
Gene name
Class
Subclass
Class
Keyword
Chromosome
External id
Tissue
Cell type
Expression
Antibody panel
Tissue
Main location
Patient ID
Annotation
Tissue
Category
Tau score
Cluster
Reliability
Brain region
Category
Tau score
Brain region
Category
Tau score
Brain region
Category
Tau score
Cluster
Reliability
Tissue
Cell type
Enrichment
Cell type
Category
Tau score
Cell type
Category
Tau score
Cell type
Category
Tau score
Cell lineage
Category
Tau score
Cluster
Cluster
Location
Searches
Location
Cell line
Class
Type
Phase
Reliability
Cancer
Prognosis
Cancer
Category
Cancer
Category
Tau score
Cluster
Variants
Interacting gene (ensg_id)
Type
Number of interactions
Pathway
Category
Score
Score
Score
Validation
Validation
Validation
Validation
Antibodies
Data type
Column


  • SUMMARY

  • TISSUE

  • BRAIN

  • SINGLE CELL

  • SUBCELL

  • CANCER

  • BLOOD

  • CELL LINE

  • STRUCT & INT

  • ANXA5
TISSUE PRIMARY DATA BREAST Show tissue menu
ADIPOSE TISSUE ADRENAL GLAND AMYGDALA APPENDIX BASAL GANGLIA BONE MARROW BREAST BRONCHUS CEREBELLUM CEREBRAL CORTEX CERVIX CHOROID PLEXUS COLON DUODENUM
ENDOMETRIUM EPIDIDYMIS ESOPHAGUS FALLOPIAN TUBE GALLBLADDER HEART MUSCLE HIPPOCAMPAL FORMATION HYPOTHALAMUS KIDNEY LIVER LUNG LYMPH NODE MIDBRAIN NASOPHARYNX
ORAL MUCOSA OVARY PANCREAS PARATHYROID GLAND PITUITARY GLAND PLACENTA PROSTATE RECTUM RETINA SALIVARY GLAND SEMINAL VESICLE SKELETAL MUSCLE SKIN SMALL INTESTINE
SMOOTH MUSCLE SOFT TISSUE SPINAL CORD SPLEEN STOMACH TESTIS THYMUS THYROID GLAND TONGUE TONSIL URINARY BLADDER VAGINA
ANTIBODIES
AND
VALIDATION
Dictionary
Breast
Tissue proteome
Breast
BREAST - Expression summary
Protein expression
Breasti

On the top, protein expression in current human tissue, based on all annotated cell types, is reported with the units not detected (n), low (l), medium (m) and high (h). Underneath, protein expression in each annotated cell type are reported using the same units.

Protein expression data is based on knowledge-based annotation. For genes where more than one antibody has been used, a collective score is set.

If knowledge-based annotation could not be performed for a gene, no data is displayed here. View antibody staining data further down this page.

h
m
l
n
Adipocytes: Not detected
Glandular cells: Low
Myoepithelial cells: Low
RNA expressioni

A summary of mRNA expression data available for current tissue based on several datasets. The mRNA expression levels in human tissues are based on RNA-seq data generated by the Human Protein Atlas (HPA), Genotype-Tissue Expression (GTEx) portal and CAGE data generated by the FANTOM5 consortium. Consensus normalized expression levels for human tissues was created by combining the data from HPA and GTEx datasets.

The mRNA expression levels in pig are based on RNA-seq data generated by the Human Protein Atlas (HPA), and for mouse, HPA data and in situ hybridization generated by the Allen brain atlas are reported.

Scroll down to view mRNA expression data in more detail.
Consensus:303.8 nTPM
HPA:227.3 nTPM
GTEx:303.8 nTPM
FANTOM5:1136.8 Scaled Tags Per Million

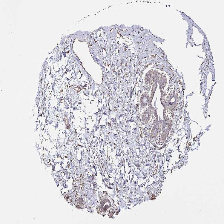
BREAST - Antibody stainingi

Antibody staining in the annotated cell types in the current human tissue is reported as not detected, low, medium, or high, based on conventional immunohistochemistry profiling in selected tissues. This score is based on the combination of the staining intensity and fraction of stained cells.

Each image is clickable and will lead to virtual microscopy that enables deeper exploration of all samples and also displays staining intensity scores, fraction scores and subcellular localization as well as patient and tissue information for each sample.

Antibody HPA035330Antibody CAB003677
Adipocytes MediumNot detected
Glandular cells Not detectedLow
Myoepithelial cells LowLow



BREAST - HPA RNA-seqi

The RNA-seq details section shows detailed information about the individual samples used for the transcript profiling and results of the RNA-seq analysis.

Information about each individual sample is listed below, including gender, age, a tissue section image and estimated fractions of cell types. nTPM (normalized transcripts per million) values give a quantification of the gene abundance which is comparable between different genes and samples.
Average nTPMi

Max subtype nTPM is the value for the subtype with the largest average nTPM across the subtype samples.

227.3
overview
Female, age 52
Breast sample 373
nTPM: 201.9
Cell types%
Glandular cells:
15

Adipocytes:
5

Other cell types:
80

overview
Female, age 80
Breast sample 390
nTPM: 388.3
Cell types%
Glandular cells:
5

Adipocytes:
15

Other cell types:
80

overview
Female, age 47
Breast sample 405
nTPM: 165.1
Cell types%
Glandular cells:
5

Adipocytes:
5

Other cell types:
90

overview
Female, age 38
Breast sample 410
nTPM: 154
Cell types%
Glandular cells:
40

Adipocytes:
5

Other cell types:
55


BREAST - GTEx RNA-seqi

RNA-Seq data generated by the Genotype-Tissue Expression (GTEx) project from human tissues is reported as mean nTPM. More information can be found on the GTEx portal.

Distribution across the dataset is visualized with box plots, shown as median and 25th and 75th percentiles. Points are displayed as outliers if they are above or below 1.5 times the interquartile range. nTPM values of the individual samples are presented next to the box plot.
Max subtype nTPMi

Max subtype nTPM is the value for the subtype with the largest average nTPM across the subtype samples.

303.8
GTEx sample id Sample description nTPM
Breast - Mammary Tissue
Average nTPM: 303.8
Samples: 459

Max nTPM: 931.7
Min nTPM: 87.9
Std nTPM: 152.5
Median nTPM: 267.7
GTEX-TKQ1-0226-SM-33HB5 30-39 years, male 931.7
GTEX-1JN1M-3026-SM-CMKGK 60-69 years, female 837.4
GTEX-1N2EF-2226-SM-E9J33 60-69 years, male 807.8
GTEX-1LG7Z-0726-SM-CXKYD 30-39 years, male 803.0
GTEX-11TUW-1826-SM-5BC5D 60-69 years, male 791.8
GTEX-13FTW-1426-SM-5LZWZ 40-49 years, male 766.7
GTEX-WY7C-2726-SM-3NB3P 50-59 years, male 738.3
GTEX-1HFI7-0126-SM-CGQFQ 50-59 years, female 735.9
GTEX-11ZTT-2326-SM-5EQLG 60-69 years, female 732.8
GTEX-1I1GP-0426-SM-COH3N 50-59 years, male 688.8
GTEX-WFON-1826-SM-3GILG 40-49 years, male 659.6
GTEX-1HSEH-2026-SM-ADEHN 60-69 years, male 659.3
GTEX-1OKEX-0826-SM-E9J2B 60-69 years, male 658.4
GTEX-1QP9N-1826-SM-E8VMP 30-39 years, male 655.5
GTEX-1KANC-1426-SM-CYPT9 50-59 years, female 623.6
GTEX-ZQG8-0726-SM-5P9H9 60-69 years, female 615.7
GTEX-RUSQ-2026-SM-4GIAK 50-59 years, male 611.4
GTEX-1J8Q3-1326-SM-CMKI1 60-69 years, male 603.8
GTEX-14E6E-1326-SM-5S2NR 30-39 years, male 602.0
GTEX-1IGQW-0926-SM-ADEH6 60-69 years, male 598.6
GTEX-11ONC-2126-SM-5HL6E 60-69 years, male 596.8
GTEX-1GF9U-1726-SM-7MGY5 40-49 years, female 596.0
GTEX-1F5PK-2126-SM-7PC28 50-59 years, male 590.7
GTEX-1AMEY-1026-SM-718AA 30-39 years, female 590.0
GTEX-13QJ3-0826-SM-7DHKK 50-59 years, male 582.1
GTEX-ZLWG-1926-SM-DO92J 50-59 years, female 581.0
GTEX-11P82-1326-SM-5HL62 20-29 years, male 579.4
GTEX-13CF3-2126-SM-5IFJP 60-69 years, female 574.7
GTEX-ZT9W-2026-SM-51MRA 50-59 years, male 563.8
GTEX-11EQ9-1826-SM-5Q5AJ 30-39 years, male 558.7
GTEX-1ICG6-1326-SM-ACKWR 70-79 years, female 555.3
GTEX-18D9A-1526-SM-7LG4J 30-39 years, female 555.2
GTEX-U8XE-0826-SM-4E3J1 30-39 years, male 550.4
GTEX-1S82Z-0726-SM-E6CHX 30-39 years, female 545.7
GTEX-1NHNU-0926-SM-E9J2T 50-59 years, male 545.3
GTEX-132AR-0826-SM-5EGK6 50-59 years, female 542.7
GTEX-13S86-1226-SM-5S2OA 40-49 years, male 536.4
GTEX-139T6-1626-SM-5PNYZ 50-59 years, male 534.4
GTEX-XGQ4-0926-SM-4AT4U 50-59 years, male 534.4
GTEX-183FY-1126-SM-7DHLJ 20-29 years, male 532.7
GTEX-1R7EV-1526-SM-E8VOD 40-49 years, male 530.9
GTEX-1LSNL-2826-SM-E9U5L 50-59 years, male 530.4
GTEX-1L5NE-2126-SM-CY8IH 50-59 years, male 522.8
GTEX-15UF7-0726-SM-6M46D 40-49 years, male 522.2
GTEX-S33H-0326-SM-4AD6N 30-39 years, male 520.5
GTEX-ZPIC-1126-SM-5BC7F 40-49 years, female 518.9
GTEX-14B4R-1226-SM-5TDDT 30-39 years, male 517.9
GTEX-R55D-0826-SM-48FEA 50-59 years, male 515.0
GTEX-1LBAC-0926-SM-CXKY9 20-29 years, male 515.0
GTEX-YEC3-1026-SM-5IFI5 50-59 years, male 513.4
GTEX-XYKS-1326-SM-4BRUN 60-69 years, female 512.0
GTEX-117YX-1426-SM-5H12H 50-59 years, male 511.7
GTEX-16YQH-2826-SM-6PAMY 30-39 years, male 506.3
GTEX-YECK-0726-SM-EZ6LV 60-69 years, male 504.4
GTEX-14PJ4-2126-SM-6ETZJ 60-69 years, male 503.6
GTEX-1MJK3-1126-SM-E9J3F 20-29 years, male 502.0
GTEX-1S82U-1126-SM-E9U6I 30-39 years, female 501.5
GTEX-1HSMO-0826-SM-ADEIV 60-69 years, male 501.3
GTEX-ZDYS-1126-SM-5K7UB 50-59 years, male 501.1
GTEX-PSDG-1626-SM-48TCQ 50-59 years, male 498.7
GTEX-12WSN-1326-SM-5GCNT 40-49 years, male 497.7
GTEX-145ME-1526-SM-5Q5F2 40-49 years, female 496.3
GTEX-S4Q7-1126-SM-4AD6R 20-29 years, male 489.7
GTEX-V955-2026-SM-3GAFA 60-69 years, male 489.4
GTEX-S32W-2026-SM-4AD6E 50-59 years, female 487.6
GTEX-Y8E4-1626-SM-5S2MW 40-49 years, male 486.9
GTEX-1IDJU-1826-SM-CMKHV 60-69 years, female 486.1
GTEX-1H1ZS-0126-SM-9YFKQ 70-79 years, male 485.6
GTEX-1H11D-1526-SM-9MQJY 40-49 years, male 479.0
GTEX-1JMOU-2026-SM-CMKGU 60-69 years, female 477.7
GTEX-1QP28-1226-SM-E9J2M 50-59 years, female 468.9
GTEX-Y5V6-2126-SM-4WWFX 60-69 years, male 467.5
GTEX-11NSD-0926-SM-5N9DR 20-29 years, male 467.4
GTEX-Z9EW-1526-SM-EZ6LU 40-49 years, male 466.8
GTEX-YFCO-1826-SM-4W1YH 40-49 years, male 463.6
GTEX-17HGU-1326-SM-79OKB 50-59 years, male 461.3
GTEX-XMK1-1126-SM-4IHJ8 40-49 years, male 459.3
GTEX-YB5E-1726-SM-5IFJ3 40-49 years, male 458.5
GTEX-XV7Q-2326-SM-4BRVZ 40-49 years, female 455.2
GTEX-17GQL-0326-SM-7LG5U 60-69 years, male 454.4
GTEX-ZDTT-2126-SM-DKPOM 60-69 years, male 453.9
GTEX-1QW4Y-1026-SM-DTXE2 30-39 years, male 452.4
GTEX-15EOM-5019-SM-793DK 20-29 years, female 450.7
GTEX-1I1GV-2426-SM-CGQFM 60-69 years, male 449.7
GTEX-1JKYN-0726-SM-ARZMY 30-39 years, male 449.3
GTEX-13N1W-0626-SM-5MR4U 70-79 years, male 445.0
GTEX-1C6VQ-0426-SM-79OOX 50-59 years, male 445.0
GTEX-1I6K6-0826-SM-ARL7Z 30-39 years, male 444.9
GTEX-13PVQ-1026-SM-5KM3M 50-59 years, male 443.6
GTEX-REY6-2426-SM-48FF5 60-69 years, male 443.2
GTEX-QMRM-1626-SM-D4P1U 50-59 years, male 441.8
GTEX-14DAR-1326-SM-7DUEG 50-59 years, male 431.8
GTEX-144GM-0926-SM-5O994 20-29 years, male 429.9
GTEX-1I1GU-1026-SM-ADEHJ 40-49 years, male 427.8
GTEX-SE5C-2126-SM-4BRUJ 40-49 years, female 427.4
GTEX-18A7B-2626-SM-7LG55 70-79 years, male 427.2
GTEX-1CAMR-1426-SM-793BO 20-29 years, male 427.2
GTEX-18A6Q-0926-SM-7LG4N 60-69 years, male 426.2
GTEX-ZV6S-1826-SM-5NQ8D 40-49 years, female 424.7
GTEX-17MFQ-0926-SM-7LG4S 20-29 years, male 423.5
GTEX-13113-5013-SM-7SB7G 60-69 years, female 419.8
GTEX-11DZ1-0326-SM-5N9BN 50-59 years, male 418.6
GTEX-11O72-2126-SM-5N9FO 40-49 years, male 418.6
GTEX-X4XY-0926-SM-4E3JD 60-69 years, male 416.4
GTEX-11WQK-2426-SM-5GU5C 50-59 years, male 416.3
GTEX-UTHO-1026-SM-3GAF7 60-69 years, male 415.4
GTEX-1RLM8-2226-SM-EVYD1 50-59 years, male 413.8
GTEX-1QPFJ-2026-SM-EVYBE 30-39 years, female 408.1
GTEX-12KS4-0126-SM-5Q5A5 30-39 years, male 407.6
GTEX-11OF3-1926-SM-59889 60-69 years, male 402.5
GTEX-13FTX-1126-SM-5N9EN 20-29 years, female 402.3
GTEX-XQ8I-2426-SM-4WAXY 50-59 years, male 400.5
GTEX-Y114-2026-SM-4TT7L 50-59 years, female 398.1
GTEX-1H23P-0726-SM-9WG7K 60-69 years, male 398.0
GTEX-1ICLZ-0426-SM-B2LW2 60-69 years, male 397.6
GTEX-132NY-0826-SM-5K7Y7 60-69 years, male 396.2
GTEX-YB5K-1626-SM-5IFIN 40-49 years, female 395.6
GTEX-1MA7X-1626-SM-E9U5B 60-69 years, male 395.0
GTEX-X261-0626-SM-3NMD9 50-59 years, male 393.4
GTEX-17F98-0526-SM-79OK5 40-49 years, female 391.7
GTEX-ZQUD-1926-SM-51MSA 30-39 years, male 391.7
GTEX-1KD5A-1926-SM-DKPQA 50-59 years, male 383.2
GTEX-1PDJ9-1126-SM-EXUSW 20-29 years, male 382.8
GTEX-12WSM-1726-SM-5BC6J 60-69 years, male 382.0
GTEX-1QCLZ-2326-SM-DTXDO 60-69 years, female 381.5
GTEX-ZAB4-2526-SM-5HL8M 40-49 years, male 381.3
GTEX-11ZUS-0826-SM-5FQUY 30-39 years, male 380.8
GTEX-17F97-2526-SM-7EWDV 50-59 years, male 377.5
GTEX-ZZ64-1226-SM-5E43R 20-29 years, male 376.9
GTEX-18A66-1726-SM-7LG5N 60-69 years, male 373.5
GTEX-Y5V5-2126-SM-4WWFO 60-69 years, female 371.2
GTEX-1H3VY-0926-SM-ACKXE 50-59 years, male 371.0
GTEX-1LC47-1226-SM-D4P44 60-69 years, male 368.4
GTEX-ZDXO-0126-SM-5S2ND 60-69 years, male 368.0
GTEX-WOFL-0826-SM-3MJG1 60-69 years, male 366.3
GTEX-YJ8O-2226-SM-5IFHW 40-49 years, female 365.9
GTEX-1HCU8-0126-SM-ADEHH 60-69 years, female 364.7
GTEX-1F75B-0626-SM-7SB8A 50-59 years, male 363.2
GTEX-13VXU-2826-SM-664MA 50-59 years, male 361.4
GTEX-TKQ2-1826-SM-33HB2 50-59 years, male 361.2
GTEX-145MN-1926-SM-5SIAI 30-39 years, male 360.7
GTEX-17F96-2426-SM-7IGLN 70-79 years, male 358.1
GTEX-1IOXB-1926-SM-ARL8E 50-59 years, male 357.5
GTEX-1NV8Z-2826-SM-E8VME 60-69 years, male 357.0
GTEX-1EWIQ-1726-SM-7SB7T 70-79 years, female 355.2
GTEX-12BJ1-1826-SM-5HL9N 60-69 years, male 355.0
GTEX-WHSB-1926-SM-EXOHH 50-59 years, male 353.2
GTEX-1GPI7-0926-SM-7PC3J 20-29 years, male 352.7
GTEX-13O61-1826-SM-5KM4I 60-69 years, male 352.5
GTEX-ZYFC-0826-SM-5E44K 50-59 years, male 350.1
GTEX-1R9JW-0326-SM-EAZ45 30-39 years, female 348.8
GTEX-1HC8U-0826-SM-ADEIL 40-49 years, female 347.3
GTEX-11DXZ-1926-SM-5GZZL 50-59 years, male 344.5
GTEX-1HT8W-2226-SM-CGQEC 30-39 years, male 343.4
GTEX-1GF9V-2526-SM-7SB8K 60-69 years, male 342.0
GTEX-14E6C-1326-SM-62LEQ 40-49 years, male 339.7
GTEX-X62O-0526-SM-EWRMA 50-59 years, male 338.8
GTEX-1H4P4-2226-SM-9MQKQ 50-59 years, male 335.8
GTEX-1211K-1926-SM-5EQLB 60-69 years, female 334.9
GTEX-ZA64-1526-SM-5CVMD 20-29 years, male 330.3
GTEX-1C475-1226-SM-7SB72 40-49 years, female 328.5
GTEX-ZYW4-0826-SM-5GIDG 60-69 years, male 327.5
GTEX-13O3O-0826-SM-5K7WE 60-69 years, female 326.7
GTEX-183WM-0726-SM-7LTAA 70-79 years, female 326.6
GTEX-17KNJ-2026-SM-7LG53 50-59 years, male 325.8
GTEX-1ICLY-1726-SM-B2LVT 50-59 years, male 325.7
GTEX-15RJE-2626-SM-7KFT1 40-49 years, male 324.3
GTEX-12WSK-2226-SM-5GCO5 40-49 years, female 322.9
GTEX-ZLFU-2126-SM-DO931 40-49 years, male 322.3
GTEX-1R9PM-1826-SM-EVYBH 20-29 years, male 322.0
GTEX-1A3MX-2726-SM-718B6 60-69 years, male 321.6
GTEX-16BQI-1026-SM-7KUEA 30-39 years, female 321.4
GTEX-1AX9J-1126-SM-731B7 60-69 years, male 320.7
GTEX-11I78-2226-SM-5PNYA 50-59 years, female 320.2
GTEX-1QMI2-0726-SM-E9J4F 60-69 years, male 320.2
GTEX-1HR9M-2426-SM-ACKXI 60-69 years, male 318.9
GTEX-146FH-0826-SM-5SI8T 50-59 years, female 316.9
GTEX-1EKGG-2626-SM-7IGPY 60-69 years, male 316.1
GTEX-1IDJF-2326-SM-ARL86 20-29 years, male 315.8
GTEX-1PPH7-0826-SM-E8VNX 40-49 years, male 315.3
GTEX-1JKYR-0926-SM-CMKGJ 20-29 years, male 313.2
GTEX-13O3Q-2226-SM-5KM4O 50-59 years, male 313.1
GTEX-ZVT4-1026-SM-57WC4 50-59 years, female 312.2
GTEX-1LSVX-2426-SM-E6CJX 60-69 years, male 312.1
GTEX-1122O-1226-SM-5H113 60-69 years, female 310.4
GTEX-117XS-1926-SM-5GICO 60-69 years, male 309.4
GTEX-1QEPI-0926-SM-DTXF3 60-69 years, female 308.8
GTEX-1IDFM-0426-SM-B2LVV 60-69 years, male 307.8
GTEX-R53T-1526-SM-48FEK 50-59 years, female 307.3
GTEX-XQ3S-1326-SM-4BOPQ 20-29 years, male 306.4
GTEX-ZTTD-1026-SM-51MRD 50-59 years, male 305.5
GTEX-14PJO-0726-SM-69LO8 60-69 years, male 305.3
GTEX-14BMV-0626-SM-793AU 50-59 years, male 304.5
GTEX-Y3I4-1526-SM-4TT7K 50-59 years, male 302.6
GTEX-1I19N-2826-SM-CL55D 70-79 years, male 301.4
GTEX-T5JW-2026-SM-4DM63 20-29 years, female 300.9
GTEX-ZVZQ-0826-SM-51MRF 60-69 years, female 298.5
GTEX-1117F-2826-SM-5GZXL 60-69 years, female 298.1
GTEX-1AX9I-0726-SM-73KWV 60-69 years, male 296.9
GTEX-Y9LG-1426-SM-5IFJZ 30-39 years, male 296.0
GTEX-11TT1-2126-SM-5GU5Y 20-29 years, male 295.2
GTEX-144GL-2026-SM-5LU3O 50-59 years, male 292.6
GTEX-11NV4-2026-SM-5N9DG 60-69 years, male 291.4
GTEX-11DXY-2326-SM-5GICW 60-69 years, male 290.7
GTEX-145MO-0826-SM-5NQBL 60-69 years, male 289.4
GTEX-14PKU-0426-SM-6EU1P 40-49 years, female 289.3
GTEX-1314G-1226-SM-5BC6D 30-39 years, male 287.6
GTEX-18465-2026-SM-718AP 50-59 years, male 287.6
GTEX-15G19-2126-SM-6M48J 60-69 years, male 286.3
GTEX-14ICK-2426-SM-6EU27 40-49 years, male 284.7
GTEX-11LCK-2426-SM-5HL5F 30-39 years, male 284.2
GTEX-1HR98-0426-SM-COH36 60-69 years, male 283.7
GTEX-1PPGY-1526-SM-EVYBK 60-69 years, male 283.2
GTEX-17F9E-2526-SM-7MGW2 50-59 years, male 283.0
GTEX-139TU-0626-SM-5KM3X 60-69 years, male 282.5
GTEX-1M4P7-2626-SM-E9U5F 60-69 years, male 282.3
GTEX-1C6WA-2426-SM-7SB86 60-69 years, male 281.9
GTEX-1HCU9-0326-SM-9WYSC 20-29 years, male 281.6
GTEX-145MF-2226-SM-7EPIR 50-59 years, male 279.7
GTEX-1HBPM-0126-SM-ARL9E 60-69 years, female 279.3
GTEX-1H1DG-0526-SM-9YFLN 70-79 years, male 279.1
GTEX-ZUA1-1526-SM-59HLS 40-49 years, male 276.8
GTEX-S7SE-0826-SM-4AT4D 50-59 years, male 276.1
GTEX-ZV7C-1826-SM-5NQ83 50-59 years, male 276.1
GTEX-11GSO-1926-SM-5A5K3 60-69 years, male 274.5
GTEX-1AX8Z-0926-SM-731AW 60-69 years, male 273.4
GTEX-1I4MK-1626-SM-CM2TJ 50-59 years, female 273.4
GTEX-13W46-0826-SM-5LU3H 50-59 years, male 271.7
GTEX-1313W-0826-SM-5EQ4T 50-59 years, female 268.0
GTEX-1IKOE-1326-SM-CE6T6 30-39 years, female 267.7
GTEX-1HCU7-1026-SM-ADEIP 50-59 years, male 267.5
GTEX-14753-2426-SM-5LU8U 60-69 years, male 264.6
GTEX-1IDJH-2226-SM-E6CJV 70-79 years, male 263.3
GTEX-18QFQ-0826-SM-718AX 30-39 years, male 262.8
GTEX-1JN6P-2426-SM-ARL99 60-69 years, male 262.3
GTEX-T6MO-0326-SM-32QOK 40-49 years, female 262.0
GTEX-1A3MV-1626-SM-731C1 30-39 years, male 261.4
GTEX-169BO-1126-SM-7MGWN 50-59 years, male 261.0
GTEX-ZWKS-2826-SM-5NQ74 30-39 years, male 260.4
GTEX-1B97I-0426-SM-79OL7 40-49 years, male 256.5
GTEX-13W3W-1226-SM-5LU4H 60-69 years, female 255.9
GTEX-WRHU-0326-SM-3MJFY 50-59 years, female 252.3
GTEX-133LE-1726-SM-5K7VQ 20-29 years, female 250.0
GTEX-1JMLX-2026-SM-CMKGN 50-59 years, male 249.8
GTEX-VJWN-0726-SM-3GIJ8 50-59 years, female 249.3
GTEX-ZYT6-0126-SM-5E45J 30-39 years, male 247.9
GTEX-13D11-1026-SM-5IJFB 50-59 years, female 247.6
GTEX-1E2YA-2726-SM-7IGPW 50-59 years, male 245.4
GTEX-1KXAM-1026-SM-CY8IA 60-69 years, male 245.1
GTEX-1GZHY-0726-SM-9WG6B 50-59 years, female 244.9
GTEX-11GSP-0926-SM-9WYSG 60-69 years, female 244.2
GTEX-1R46S-2526-SM-E8VN2 60-69 years, female 243.9
GTEX-14E7W-0826-SM-62LEJ 70-79 years, male 242.7
GTEX-VUSG-2226-SM-4KKZO 50-59 years, male 241.7
GTEX-17EVQ-0426-SM-7LG57 70-79 years, male 240.4
GTEX-1KD4Q-2326-SM-D4P3M 40-49 years, male 239.5
GTEX-1GN2E-2226-SM-9WG6J 60-69 years, male 237.9
GTEX-1R9PN-0326-SM-DTX85 40-49 years, female 237.9
GTEX-RWS6-1926-SM-47JXY 60-69 years, female 236.3
GTEX-1B8KE-1226-SM-73KWK 50-59 years, male 235.6
GTEX-WXYG-2226-SM-4E3IM 50-59 years, female 235.0
GTEX-1B8SG-1226-SM-7IGPF 50-59 years, male 234.5
GTEX-1B933-2526-SM-7IGO5 50-59 years, female 234.5
GTEX-1J8QM-2026-SM-ARZMW 60-69 years, female 234.2
GTEX-1HBPN-2326-SM-9WPPU 50-59 years, male 233.5
GTEX-13SLW-2526-SM-62LDQ 70-79 years, male 232.7
GTEX-1F75A-1826-SM-7SB8G 50-59 years, male 232.6
GTEX-14PN4-0626-SM-62LFP 50-59 years, male 231.1
GTEX-ZY6K-1626-SM-5GZWV 50-59 years, male 228.4
GTEX-1JJE9-2326-SM-ARL8Q 70-79 years, male 228.1
GTEX-W5X1-2326-SM-3GIL6 40-49 years, female 228.0
GTEX-11P81-1926-SM-5BC53 30-39 years, female 227.6
GTEX-QVJO-1826-SM-447C9 60-69 years, female 227.2
GTEX-XBED-1626-SM-47JYN 60-69 years, male 226.9
GTEX-13OW8-0226-SM-5K7UP 60-69 years, male 226.2
GTEX-17JCI-0726-SM-7EPH1 60-69 years, female 225.8
GTEX-14BMU-1626-SM-5TDE7 20-29 years, female 224.9
GTEX-13NZ9-1026-SM-5MR5K 50-59 years, male 223.4
GTEX-1MCC2-2126-SM-EWRON 30-39 years, female 222.9
GTEX-1B97J-0426-SM-79OLQ 50-59 years, female 221.6
GTEX-1MJK2-2226-SM-EVYCR 50-59 years, male 220.9
GTEX-ZLV1-1426-SM-DO92Z 60-69 years, female 220.5
GTEX-WI4N-1426-SM-3LK7H 40-49 years, female 220.0
GTEX-ZEX8-2226-SM-57WC6 50-59 years, male 218.8
GTEX-1399U-1826-SM-5PNZ1 50-59 years, female 217.7
GTEX-1F5PL-1026-SM-7RHI1 40-49 years, female 216.8
GTEX-11DXW-0626-SM-5N9ER 40-49 years, male 216.4
GTEX-1B8L1-2426-SM-9WYTE 60-69 years, male 216.3
GTEX-XUW1-2326-SM-4BOO5 50-59 years, female 216.1
GTEX-15SHW-1326-SM-6PAL8 60-69 years, male 214.7
GTEX-Y5LM-1726-SM-4VDSX 40-49 years, female 214.5
GTEX-1EN7A-1426-SM-7PBY4 40-49 years, male 214.3
GTEX-14AS3-1626-SM-5S2OY 40-49 years, female 213.9
GTEX-1LGRB-1826-SM-CNPQL 50-59 years, female 213.0
GTEX-17MF6-0326-SM-7EPH5 40-49 years, male 212.9
GTEX-Y8LW-1626-SM-5IFHX 50-59 years, female 212.9
GTEX-ZU9S-1926-SM-5NQBP 30-39 years, male 212.5
GTEX-11WQC-1726-SM-5GU4W 60-69 years, male 211.7
GTEX-1GMR3-2626-SM-7RHHG 40-49 years, male 211.7
GTEX-14PHY-1926-SM-5YY95 60-69 years, female 210.5
GTEX-17HG3-0126-SM-7IGNH 30-39 years, female 210.4
GTEX-1QP29-1726-SM-E8VMQ 50-59 years, male 209.9
GTEX-13NZ8-0126-SM-5IJCT 60-69 years, female 209.5
GTEX-XMD2-0926-SM-4WWEF 60-69 years, female 208.7
GTEX-145LT-0726-SM-5S2VM 40-49 years, male 208.6
GTEX-1GMR2-1926-SM-9MQLZ 50-59 years, male 207.4
GTEX-1GMRU-0826-SM-9WYT7 50-59 years, male 206.3
GTEX-U412-1826-SM-4DXTJ 60-69 years, male 206.2
GTEX-11EI6-0626-SM-5985T 60-69 years, male 205.2
GTEX-1GZ4I-2826-SM-9MQK5 50-59 years, male 203.7
GTEX-13CF2-2026-SM-5K7VI 60-69 years, male 203.1
GTEX-1JJEA-2726-SM-ARL8V 60-69 years, male 203.0
GTEX-1R7EU-1226-SM-E8VMR 60-69 years, male 202.6
GTEX-1GF9X-1026-SM-ACKX2 40-49 years, female 202.0
GTEX-S341-1526-SM-4AD6K 40-49 years, female 200.5
GTEX-1CB4E-0226-SM-79OLW 60-69 years, male 199.2
GTEX-TMMY-0726-SM-33HBE 40-49 years, female 198.2
GTEX-1LSNM-1326-SM-E9TJ1 50-59 years, male 197.9
GTEX-TML8-1226-SM-32QON 40-49 years, female 197.2
GTEX-ZVTK-0326-SM-51MRR 20-29 years, male 196.9
GTEX-1MA7W-1026-SM-DKPQK 20-29 years, female 196.6
GTEX-17HHY-0926-SM-793C1 50-59 years, male 195.8
GTEX-1KAFJ-0226-SM-DIPEL 50-59 years, male 195.5
GTEX-18A7A-0726-SM-7LTAI 50-59 years, female 194.4
GTEX-UJHI-1426-SM-3DB9C 50-59 years, female 193.4
GTEX-1B8KZ-1526-SM-7DUG7 50-59 years, male 193.2
GTEX-11P7K-0726-SM-5EGKX 30-39 years, male 192.1
GTEX-1N2EE-2126-SM-E8VNN 60-69 years, male 192.0
GTEX-1A8G7-2426-SM-731AK 60-69 years, male 190.8
GTEX-1K2DA-1726-SM-CGQGS 50-59 years, male 190.3
GTEX-Y111-2026-SM-4SOJA 50-59 years, male 190.2
GTEX-17EUY-1926-SM-7DUF6 20-29 years, male 189.2
GTEX-1HCVE-2626-SM-ADEJ8 50-59 years, male 188.5
GTEX-1F75I-2026-SM-7SB7N 40-49 years, male 187.4
GTEX-1MCYP-0126-SM-E6CIS 20-29 years, female 187.4
GTEX-QEL4-2126-SM-447AE 50-59 years, male 187.3
GTEX-1HCUA-0726-SM-ACKVU 50-59 years, female 187.3
GTEX-S4P3-1326-SM-4AD6V 50-59 years, female 184.9
GTEX-1I1GT-1126-SM-ARL7J 60-69 years, female 183.2
GTEX-147F4-2826-SM-5NQBN 50-59 years, male 181.9
GTEX-R3RS-0626-SM-48FE1 40-49 years, female 181.7
GTEX-1192X-2326-SM-5987X 50-59 years, male 181.4
GTEX-1IE54-0626-SM-ARL8D 40-49 years, female 180.9
GTEX-ZVT2-1826-SM-5NQ8W 50-59 years, female 180.6
GTEX-1RAZQ-1226-SM-EWRNL 30-39 years, male 179.9
GTEX-15UF6-0126-SM-6PAMB 70-79 years, female 178.9
GTEX-1J8Q2-2726-SM-A9G2X 60-69 years, male 178.1
GTEX-1C6VS-0726-SM-7EPHF 60-69 years, male 177.3
GTEX-QEG5-0726-SM-D4P1T 20-29 years, male 177.0
GTEX-13PVR-2226-SM-7DHKP 60-69 years, female 175.8
GTEX-17HHE-1426-SM-7EPH4 50-59 years, male 175.2
GTEX-1EU9M-2826-SM-7EWFH 60-69 years, male 174.9
GTEX-ZTX8-1226-SM-4YCE9 20-29 years, male 174.6
GTEX-1I6K7-1026-SM-A9SLK 40-49 years, male 174.2
GTEX-S4UY-0726-SM-4AD6X 40-49 years, female 174.0
GTEX-1LNCM-0226-SM-DIPF4 50-59 years, female 173.5
GTEX-1KANA-2026-SM-DIPFB 20-29 years, male 172.7
GTEX-Y3IK-2326-SM-4WWDT 50-59 years, female 172.2
GTEX-1GZ2Q-2626-SM-7MXV9 40-49 years, male 172.2
GTEX-ZZPU-0626-SM-5E43T 50-59 years, female 171.9
GTEX-1LVAM-0926-SM-E9TJ2 50-59 years, female 171.6
GTEX-15ETS-0626-SM-7KUMX 40-49 years, female 171.5
GTEX-WFG8-2026-SM-EXOHO 20-29 years, male 171.2
GTEX-UPK5-2326-SM-3P5Z8 40-49 years, male 171.1
GTEX-1H1CY-2226-SM-9WG7E 60-69 years, female 171.1
GTEX-1JK1U-1826-SM-ARL8W 60-69 years, male 171.1
GTEX-13FHO-0826-SM-5L3E8 60-69 years, male 169.6
GTEX-1K9T9-1426-SM-DIPFQ 50-59 years, female 168.8
GTEX-13NZB-2126-SM-5MR4Y 30-39 years, male 168.7
GTEX-1H1E6-0926-SM-9YFLT 30-39 years, male 167.7
GTEX-T6MN-0726-SM-32PML 50-59 years, male 167.5
GTEX-1HUB1-1626-SM-CM2SL 60-69 years, male 166.9
GTEX-WYJK-1326-SM-3NB2T 50-59 years, male 166.5
GTEX-1IDJE-0826-SM-CKZNZ 50-59 years, female 165.7
GTEX-1GN1W-1926-SM-7P8TH 50-59 years, female 164.7
GTEX-111YS-1926-SM-5GICC 60-69 years, male 163.6
GTEX-1J8EW-2626-SM-CL53E 60-69 years, female 163.4
GTEX-13QIC-2326-SM-5LU5N 60-69 years, female 163.1
GTEX-ZAK1-1326-SM-EVYAS 50-59 years, female 163.1
GTEX-ZF3C-2326-SM-5S2NC 50-59 years, female 162.4
GTEX-13O3P-0826-SM-5L3DH 50-59 years, male 161.7
GTEX-1I1HK-2426-SM-ADEHX 60-69 years, male 161.0
GTEX-17EVP-0226-SM-79OND 40-49 years, male 160.6
GTEX-ZGAY-1726-SM-DO91P 40-49 years, female 160.6
GTEX-14ABY-2126-SM-5QGQZ 50-59 years, male 160.3
GTEX-U3ZN-1926-SM-4DXSG 30-39 years, female 160.0
GTEX-1C64O-0726-SM-7DUFU 60-69 years, male 159.7
GTEX-1JMPZ-1626-SM-COH31 30-39 years, male 159.6
GTEX-X15G-1626-SM-3NMB3 50-59 years, female 159.2
GTEX-1GPI6-0626-SM-7RHHJ 60-69 years, male 157.8
GTEX-1HKZK-1826-SM-ADEJ2 40-49 years, male 157.8
GTEX-1F6I4-2526-SM-7SB8F 60-69 years, male 157.0
GTEX-1IY9M-2726-SM-CMKG5 60-69 years, male 156.8
GTEX-1RQEC-2026-SM-DTXDM 60-69 years, male 156.3
GTEX-QDT8-0626-SM-48TYW 30-39 years, female 156.0
GTEX-14A5I-0726-SM-5TDEB 50-59 years, female 154.8
GTEX-13SLX-2326-SM-5ZZWE 50-59 years, female 154.5
GTEX-15FZZ-0726-SM-7KUFZ 30-39 years, female 154.1
GTEX-15ER7-1626-SM-6PAMZ 20-29 years, female 153.6
GTEX-1QCLY-1626-SM-DTXDW 30-39 years, male 153.3
GTEX-1N5O9-1126-SM-DTXEQ 60-69 years, male 152.2
GTEX-1BAJH-0826-SM-7EWEF 70-79 years, male 151.5
GTEX-1NUQO-2226-SM-E9U68 20-29 years, female 151.3
GTEX-13OW5-2226-SM-5L3HC 60-69 years, male 150.6
GTEX-X4EP-2926-SM-3P5YQ 60-69 years, female 150.4
GTEX-11GS4-2126-SM-5A5KR 60-69 years, male 149.7
GTEX-1P4AB-1826-SM-E76PU 50-59 years, male 149.6
GTEX-1GZ4H-0326-SM-7P8QX 50-59 years, female 149.5
GTEX-11EMC-2026-SM-5A5JV 60-69 years, female 147.7
GTEX-RU1J-0626-SM-4WAWY 20-29 years, female 147.5
GTEX-1M5QR-2526-SM-E9U5P 40-49 years, male 147.5
GTEX-1IKOH-2326-SM-CM2TW 60-69 years, female 147.0
GTEX-T2IS-1526-SM-32QPR 20-29 years, female 146.9
GTEX-16NGA-0826-SM-718AF 40-49 years, female 146.8
GTEX-1CB4G-2326-SM-79OOI 60-69 years, male 146.2
GTEX-1B932-0826-SM-73KXG 40-49 years, female 146.1
GTEX-13N11-1726-SM-5J1OJ 50-59 years, female 145.8
GTEX-ZAJG-0626-SM-5HL8X 50-59 years, female 144.3
GTEX-13PL6-2926-SM-5L3I2 40-49 years, female 144.2
GTEX-ZF29-1926-SM-5S2P1 60-69 years, female 143.1
GTEX-WYBS-0926-SM-3NM94 60-69 years, female 142.9
GTEX-1JMPY-0526-SM-CL54O 30-39 years, male 142.9
GTEX-11EM3-1326-SM-5N9C6 20-29 years, female 142.8
GTEX-1RAZS-1226-SM-E8VMT 50-59 years, male 142.6
GTEX-YFC4-1426-SM-5IFJG 40-49 years, female 142.5
GTEX-T2YK-2226-SM-32QPT 50-59 years, male 142.0
GTEX-11PRG-0826-SM-5EQ6A 50-59 years, male 141.1
GTEX-1POEN-0926-SM-DTX88 30-39 years, female 140.9
GTEX-Q2AG-0326-SM-48U1O 40-49 years, female 140.1
GTEX-1269C-2426-SM-5FQSN 60-69 years, female 139.4
GTEX-131YS-0626-SM-5EGKL 60-69 years, female 139.2
GTEX-1IKJJ-2326-SM-COH3U 60-69 years, male 139.2
GTEX-1JMQK-2626-SM-COH2W 60-69 years, male 138.5
GTEX-1CB4J-1826-SM-7EWF9 60-69 years, male 136.9
GTEX-1HSKV-2026-SM-CMKGX 60-69 years, male 135.9
GTEX-T5JC-2126-SM-32PMO 20-29 years, male 134.4
GTEX-14H4A-2526-SM-5YYAY 40-49 years, female 131.1
GTEX-1CAMS-1426-SM-7IGPM 40-49 years, female 127.9
GTEX-RU72-0626-SM-46MUI 50-59 years, female 125.8
GTEX-ZVE2-1226-SM-5NQ8R 50-59 years, male 124.7
GTEX-14LLW-0626-SM-62LFC 70-79 years, female 124.6
GTEX-1LVAN-1326-SM-CNPQE 50-59 years, female 122.0
GTEX-XOT4-0726-SM-4GIAW 60-69 years, female 119.7
GTEX-XMD1-0826-SM-4AT52 60-69 years, male 118.3
GTEX-ZF2S-2026-SM-5E461 50-59 years, female 116.1
GTEX-U3ZH-1426-SM-4DXSR 30-39 years, male 114.3
GTEX-ZC5H-2626-SM-5J2MG 40-49 years, female 109.9
GTEX-WYVS-1726-SM-3NMAY 40-49 years, female 108.2
GTEX-12ZZX-1126-SM-5EGKB 40-49 years, female 106.6
GTEX-131XW-0726-SM-5EGK3 50-59 years, female 106.5
GTEX-ZXES-0826-SM-5E43C 30-39 years, female 105.4
GTEX-1GMR8-0726-SM-9KNVI 50-59 years, female 102.2
GTEX-1HSGN-1526-SM-A9SMO 40-49 years, female 98.5
GTEX-13FTY-2226-SM-5J1ND 40-49 years, female 98.0
GTEX-1GN1U-0526-SM-9KNTT 50-59 years, female 96.1
GTEX-ZTPG-2826-SM-57WGA 20-29 years, female 89.7
GTEX-132Q8-1426-SM-5EGK7 60-69 years, male 88.6
GTEX-139T8-0826-SM-5L3DE 60-69 years, male 87.9
GTEX-XUZC-1626-SM-4BRVP 30-39 years, female 87.9
Show allShow less

BREAST - FANTOM5 CAGEi

RNA expression in human tissues obtained through Cap Analysis of Gene Expression (CAGE) generated by the FANTOM5 project are reported as Scaled Tags Per Million.

Max subtype Scaled Tags Per Millioni

Max subtype Scaled Tags Per Million is the value for the subtype with the largest average Scaled Tags Per Million across the subtype samples.

1136.8
FANTOM5 sample id Sample description Scaled Tags Per Million
Breast
Scaled Tags Per Million: 1136.8
FF:10080-102A8 77 years, female 1136.8

Contact

  • NEWS ARTICLES
  • PRESS ROOM

The Project

  • INTRODUCTION
  • ORGANIZATION
  • PUBLICATIONS

The Human Protein Atlas

  • DOWNLOADABLE DATA
  • LICENCE & CITATION
  • HELP & FAQ
The Human Protein Atlas project is funded
by the Knut & Alice Wallenberg Foundation.


contact@proteinatlas.org