We use cookies to enhance the usability of our website. If you continue, we'll assume that you are happy to receive all cookies. More information. Don't show this again.
ANXA5
HPA
RESOURCES
  • TISSUE
  • BRAIN
  • SINGLE CELL
  • SUBCELLULAR
  • CANCER
  • BLOOD
  • CELL LINE
  • STRUCTURE & INTERACTION
ABOUT
  • INTRODUCTION
  • HISTORY
  • ORGANIZATION
  • PUBLICATIONS
  • ANTIBODY SUBMISSION
  • ANTIBODY AVAILABILITY
  • ACKNOWLEDGMENTS
  • CONTACT
NEWS
  • NEWS ARTICLES
  • PRESS ROOM
LEARN
  • DICTIONARY
  • PROTEIN CLASSES
  • PROTEIN EVIDENCE
  • METHODS
  • EDUCATIONAL VIDEOS
DATA
  • DOWNLOADABLE DATA
  • PUBLICATION DATA
  • RELEASE HISTORY
HELP
  • ANTIBODY VALIDATION
  • ASSAYS & ANNOTATION
  • DISCLAIMER
  • HELP & FAQ
  • PRIVACY STATEMENT
  • LICENCE & CITATION
Fields »
Search result

Field
Term
Gene name
Class
Subclass
Class
Keyword
Chromosome
External id
Tissue
Cell type
Expression
Antibody panel
Tissue
Main location
Patient ID
Annotation
Tissue
Category
Tau score
Cluster
Reliability
Brain region
Category
Tau score
Brain region
Category
Tau score
Brain region
Category
Tau score
Cluster
Reliability
Tissue
Cell type
Enrichment
Cell type
Category
Tau score
Cell type
Category
Tau score
Cell type
Category
Tau score
Cell lineage
Category
Tau score
Cluster
Cluster
Location
Searches
Location
Cell line
Class
Type
Phase
Reliability
Cancer
Prognosis
Cancer
Category
Cancer
Category
Tau score
Cluster
Variants
Interacting gene (ensg_id)
Type
Number of interactions
Pathway
Category
Score
Score
Score
Validation
Validation
Validation
Validation
Antibodies
Data type
Column


  • SUMMARY

  • TISSUE

  • BRAIN

  • SINGLE CELL

  • SUBCELL

  • CANCER

  • BLOOD

  • CELL LINE

  • STRUCT & INT

  • ANXA5
TISSUE PRIMARY DATA ESOPHAGUS Show tissue menu
ADIPOSE TISSUE ADRENAL GLAND AMYGDALA APPENDIX BASAL GANGLIA BONE MARROW BREAST BRONCHUS CEREBELLUM CEREBRAL CORTEX CERVIX CHOROID PLEXUS COLON DUODENUM
ENDOMETRIUM EPIDIDYMIS ESOPHAGUS FALLOPIAN TUBE GALLBLADDER HEART MUSCLE HIPPOCAMPAL FORMATION HYPOTHALAMUS KIDNEY LIVER LUNG LYMPH NODE MIDBRAIN NASOPHARYNX
ORAL MUCOSA OVARY PANCREAS PARATHYROID GLAND PITUITARY GLAND PLACENTA PROSTATE RECTUM RETINA SALIVARY GLAND SEMINAL VESICLE SKELETAL MUSCLE SKIN SMALL INTESTINE
SMOOTH MUSCLE SOFT TISSUE SPINAL CORD SPLEEN STOMACH TESTIS THYMUS THYROID GLAND TONGUE TONSIL URINARY BLADDER VAGINA
ANTIBODIES
AND
VALIDATION
Dictionary
Esophagus
Tissue proteome
Esophagus
ESOPHAGUS - Expression summary
Protein expression
Esophagusi

On the top, protein expression in current human tissue, based on all annotated cell types, is reported with the units not detected (n), low (l), medium (m) and high (h). Underneath, protein expression in each annotated cell type are reported using the same units.

Protein expression data is based on knowledge-based annotation. For genes where more than one antibody has been used, a collective score is set.

If knowledge-based annotation could not be performed for a gene, no data is displayed here. View antibody staining data further down this page.

h
m
l
n
Squamous epithelial cells: Not detected
RNA expressioni

A summary of mRNA expression data available for current tissue based on several datasets. The mRNA expression levels in human tissues are based on RNA-seq data generated by the Human Protein Atlas (HPA), Genotype-Tissue Expression (GTEx) portal and CAGE data generated by the FANTOM5 consortium. Consensus normalized expression levels for human tissues was created by combining the data from HPA and GTEx datasets.

The mRNA expression levels in pig are based on RNA-seq data generated by the Human Protein Atlas (HPA), and for mouse, HPA data and in situ hybridization generated by the Allen brain atlas are reported.

Scroll down to view mRNA expression data in more detail.
Consensus:130.6 nTPM
HPA:130.6 nTPM
GTEx:107.5 nTPM
FANTOM5:329.5 Scaled Tags Per Million

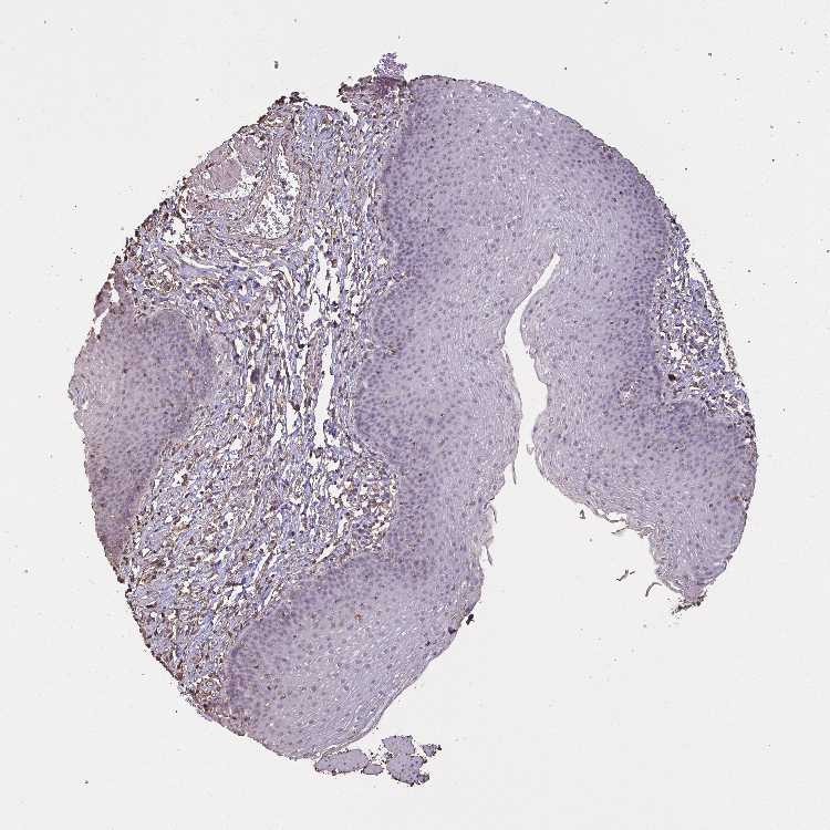
ESOPHAGUS - Antibody stainingi

Antibody staining in the annotated cell types in the current human tissue is reported as not detected, low, medium, or high, based on conventional immunohistochemistry profiling in selected tissues. This score is based on the combination of the staining intensity and fraction of stained cells.

Each image is clickable and will lead to virtual microscopy that enables deeper exploration of all samples and also displays staining intensity scores, fraction scores and subcellular localization as well as patient and tissue information for each sample.

Antibody HPA035330Antibody CAB003677
Squamous epithelial cells Not detectedNot detected




ESOPHAGUS - HPA RNA-seqi

The RNA-seq details section shows detailed information about the individual samples used for the transcript profiling and results of the RNA-seq analysis.

Information about each individual sample is listed below, including gender, age, a tissue section image and estimated fractions of cell types. nTPM (normalized transcripts per million) values give a quantification of the gene abundance which is comparable between different genes and samples.
Average nTPMi

Max subtype nTPM is the value for the subtype with the largest average nTPM across the subtype samples.

130.6
overview
Female, age 70
Esophagus sample 130
nTPM: 111.5
Cell types%
Squamous epithelial cells:
35

Smooth muscle cells:
15

Skeletal muscle cells:
5

Other cell types:
45

overview
Male, age 38
Esophagus sample 131
nTPM: 165.4
Cell types%
Squamous epithelial cells:
60

Smooth muscle cells:
20

Other cell types:
20

overview
Male, age 76
Esophagus sample 132
nTPM: 114.9
Cell types%
Squamous epithelial cells:
45

Smooth muscle cells:
15

Other cell types:
40


ESOPHAGUS - GTEx RNA-seqi

RNA-Seq data generated by the Genotype-Tissue Expression (GTEx) project from human tissues is reported as mean nTPM. More information can be found on the GTEx portal.

Distribution across the dataset is visualized with box plots, shown as median and 25th and 75th percentiles. Points are displayed as outliers if they are above or below 1.5 times the interquartile range. nTPM values of the individual samples are presented next to the box plot.
Max subtype nTPMi

Max subtype nTPM is the value for the subtype with the largest average nTPM across the subtype samples.

107.5
GTEx sample id Sample description nTPM
Esophagus - Mucosa
Average nTPM: 107.5
Samples: 555

Max nTPM: 240.3
Min nTPM: 41.2
Std nTPM: 29.4
Median nTPM: 102.1
GTEX-WHWD-0926-SM-4OORY 50-59 years, male 240.3
GTEX-1H3VY-2026-SM-9JGHK 50-59 years, male 235.0
GTEX-17F9E-1926-SM-7IGQF 50-59 years, male 227.4
GTEX-14PJ6-1026-SM-686ZB 60-69 years, female 224.6
GTEX-144GO-2726-SM-5O9A2 60-69 years, male 214.7
GTEX-13O61-0926-SM-5IFFE 60-69 years, male 213.2
GTEX-13JVG-2026-SM-5KM1N 60-69 years, male 206.5
GTEX-12WSG-5007-SM-7DUGZ 50-59 years, female 205.7
GTEX-RUSQ-0826-SM-47JWW 50-59 years, male 201.8
GTEX-13X6I-1026-SM-5LU4C 60-69 years, male 201.5
GTEX-1IDFM-1126-SM-A96SY 60-69 years, male 200.2
GTEX-12WSN-5013-SM-7P8P9 40-49 years, male 190.6
GTEX-XMK1-1326-SM-4B65Q 40-49 years, male 188.7
GTEX-1C6VQ-1826-SM-7EWEH 50-59 years, male 187.5
GTEX-1JMQK-2026-SM-C1YQN 60-69 years, male 186.6
GTEX-15RJ7-0926-SM-6LPJO 40-49 years, male 184.0
GTEX-1QP29-2126-SM-E6CPZ 50-59 years, male 183.5
GTEX-13SLX-1726-SM-5Q5E5 50-59 years, female 182.8
GTEX-15DCE-1326-SM-6LPJL 20-29 years, male 181.5
GTEX-1AX8Z-5016-SM-AHZ2B 60-69 years, male 176.7
GTEX-133LE-0626-SM-5IFFJ 20-29 years, female 176.0
GTEX-1M5QR-0726-SM-DHXK7 40-49 years, male 171.9
GTEX-15EOM-5013-SM-7MKF9 20-29 years, female 170.0
GTEX-11DYG-1326-SM-5N9DO 60-69 years, male 168.1
GTEX-TMMY-1126-SM-4DXSX 40-49 years, female 167.4
GTEX-16Z82-1926-SM-6M47U 60-69 years, male 167.2
GTEX-1F7RK-1526-SM-7P8T6 20-29 years, female 166.3
GTEX-1I1GP-1026-SM-C1YRZ 50-59 years, male 165.6
GTEX-17KNJ-1326-SM-7KFTG 50-59 years, male 165.3
GTEX-N7MS-1225-SM-3LK5G 60-69 years, male 161.9
GTEX-15DCD-1626-SM-6AJBH 70-79 years, female 161.0
GTEX-15UF6-2326-SM-6M465 70-79 years, female 161.0
GTEX-ZAB5-0926-SM-5CVMV 50-59 years, male 157.7
GTEX-1JKYR-2126-SM-CNNPC 20-29 years, male 157.4
GTEX-16MTA-0826-SM-6LLIC 50-59 years, male 156.2
GTEX-P4PP-0626-SM-3NM9X 30-39 years, female 154.8
GTEX-13NYB-0926-SM-5IFFA 40-49 years, male 154.7
GTEX-17F97-1326-SM-7MGVO 50-59 years, male 153.5
GTEX-14PK6-1326-SM-686ZE 70-79 years, female 152.8
GTEX-WEY5-0926-SM-4LMI4 40-49 years, female 152.4
GTEX-ZYFC-1626-SM-5N9EU 50-59 years, male 151.7
GTEX-SJXC-1426-SM-EYYVB 60-69 years, male 151.3
GTEX-1I6K7-1426-SM-B2LXP 40-49 years, male 150.6
GTEX-18A66-1426-SM-7KFRT 60-69 years, male 149.9
GTEX-1LGOU-0526-SM-D3LAO 20-29 years, female 149.7
GTEX-145LS-1826-SM-5LUAZ 60-69 years, female 148.9
GTEX-16A39-1026-SM-6LPJU 30-39 years, female 148.6
GTEX-1R7EU-0826-SM-DPRZL 60-69 years, male 147.6
GTEX-15SB6-0726-SM-6M48F 50-59 years, female 146.9
GTEX-18A67-2426-SM-7LT95 50-59 years, male 146.2
GTEX-X4LF-0626-SM-4QASB 50-59 years, male 146.0
GTEX-1GMR8-1826-SM-9WYUE 50-59 years, female 145.4
GTEX-15ETS-1926-SM-7KUN5 40-49 years, female 144.9
GTEX-TSE9-1226-SM-4DXTM 60-69 years, female 144.8
GTEX-11VI4-0526-SM-5EQ48 40-49 years, female 144.7
GTEX-RM2N-0726-SM-48FD5 50-59 years, male 144.1
GTEX-11DXX-1126-SM-5GZZK 60-69 years, female 143.7
GTEX-ZPU1-1426-SM-4WWFU 40-49 years, male 143.6
GTEX-15EO6-1026-SM-7KUG9 50-59 years, male 143.5
GTEX-ZTX8-0226-SM-5E44D 20-29 years, male 143.3
GTEX-15EU6-1626-SM-6LPKF 50-59 years, male 142.9
GTEX-13O21-0626-SM-5IJDI 50-59 years, male 141.9
GTEX-ZV68-0926-SM-59HK7 50-59 years, female 141.6
GTEX-ZEX8-1426-SM-4WKHQ 50-59 years, male 140.8
GTEX-P4QS-0626-SM-3NMD1 60-69 years, male 140.2
GTEX-1MA7W-0426-SM-E9TJ5 20-29 years, female 140.0
GTEX-12WSL-1526-SM-5GCP8 50-59 years, male 139.8
GTEX-16XZY-0926-SM-7938M 70-79 years, male 139.6
GTEX-R45C-1226-SM-48FEE 60-69 years, female 139.3
GTEX-1RAZA-1326-SM-DPS12 20-29 years, male 139.3
GTEX-1QPFJ-1226-SM-EAZ3M 30-39 years, female 138.8
GTEX-14PHY-0626-SM-664NN 60-69 years, female 138.4
GTEX-1ICG6-1926-SM-ARU7L 70-79 years, female 137.5
GTEX-1JK1U-1726-SM-CNNPM 60-69 years, male 137.1
GTEX-146FQ-1026-SM-5LU8I 30-39 years, male 137.0
GTEX-146FR-0426-SM-5SI97 60-69 years, female 136.6
GTEX-17MFQ-0526-SM-7KFTX 20-29 years, male 136.6
GTEX-1QEPI-1826-SM-EAZ3J 60-69 years, female 136.4
GTEX-11TT1-0526-SM-5P9JO 20-29 years, male 136.1
GTEX-1QP67-0726-SM-DPRY1 40-49 years, female 136.1
GTEX-T5JW-1326-SM-4DM5G 20-29 years, female 134.2
GTEX-145ME-5004-SM-7MGXP 40-49 years, female 134.2
GTEX-1H3NZ-1326-SM-9JGHI 60-69 years, male 134.1
GTEX-18QFQ-1026-SM-7LG6B 30-39 years, male 133.1
GTEX-1I1GV-2226-SM-ARU7E 60-69 years, male 132.5
GTEX-1LVA9-2126-SM-DLHBY 50-59 years, male 132.4
GTEX-183FY-1526-SM-7IGOW 20-29 years, male 132.2
GTEX-1GPI7-1026-SM-7MGY2 20-29 years, male 132.2
GTEX-13FTW-1626-SM-5KM4N 40-49 years, male 132.0
GTEX-1399U-1026-SM-5J1OC 50-59 years, female 131.0
GTEX-1KD4Q-1126-SM-CXZKK 40-49 years, male 130.0
GTEX-1QW4Y-0526-SM-EAZ3V 30-39 years, male 129.8
GTEX-13OVJ-1226-SM-5L3HA 50-59 years, female 129.7
GTEX-14ICL-0526-SM-5RQJ6 30-39 years, male 129.5
GTEX-13PVQ-1726-SM-5IFF3 50-59 years, male 129.3
GTEX-XLM4-2326-SM-4AT5E 60-69 years, male 129.0
GTEX-1F52S-1426-SM-7P8PU 60-69 years, female 128.8
GTEX-111YS-0926-SM-5EGGI 60-69 years, male 128.7
GTEX-1GN73-1926-SM-9JGGS 60-69 years, male 128.7
GTEX-U8XE-1726-SM-4E3IF 30-39 years, male 128.2
GTEX-ZAK1-1526-SM-5S2OV 50-59 years, female 127.8
GTEX-13G51-0926-SM-5IFFU 60-69 years, male 127.7
GTEX-16AAH-0726-SM-793A9 50-59 years, male 127.3
GTEX-13FLV-1126-SM-5J2NO 50-59 years, male 126.4
GTEX-R55D-1126-SM-48FEB 50-59 years, male 126.3
GTEX-XGQ4-1526-SM-4AT6H 50-59 years, male 126.3
GTEX-1J8QM-1926-SM-AHZ3Z 60-69 years, female 126.3
GTEX-1RAZR-1226-SM-E6CRD 40-49 years, male 126.2
GTEX-14PJ4-1526-SM-664OA 60-69 years, male 126.1
GTEX-132QS-1426-SM-5P9GE 60-69 years, male 125.7
GTEX-1PIGE-0926-SM-E9U5Z 20-29 years, male 125.7
GTEX-SNOS-0626-SM-4DM5F 40-49 years, male 125.4
GTEX-18A7A-2326-SM-7KFRH 50-59 years, female 124.9
GTEX-11EM3-0826-SM-5N9CC 20-29 years, female 124.7
GTEX-18A6Q-1226-SM-7KFS9 60-69 years, male 124.7
GTEX-ZT9X-0526-SM-5GCOP 40-49 years, male 124.7
GTEX-1PFEY-0826-SM-E9U6A 30-39 years, male 124.5
GTEX-ZYVF-2226-SM-5GIDD 50-59 years, female 124.4
GTEX-1F5PL-1726-SM-9QEGL 40-49 years, female 124.4
GTEX-1C475-0926-SM-7MKFI 40-49 years, female 123.4
GTEX-14DAQ-1426-SM-5RQJD 60-69 years, female 123.3
GTEX-1E1VI-1526-SM-7IGQ2 50-59 years, male 123.2
GTEX-ZQUD-0426-SM-57WFR 30-39 years, male 123.0
GTEX-1CB4F-1526-SM-7MKFM 60-69 years, male 122.6
GTEX-1LGRB-1626-SM-CNNR7 50-59 years, female 122.2
GTEX-OXRK-1326-SM-3NB1A 50-59 years, female 121.7
GTEX-1JMLX-2326-SM-CXZJP 50-59 years, male 121.7
GTEX-1JKYN-1526-SM-CGQGA 30-39 years, male 121.3
GTEX-WFJO-0826-SM-4LVM5 30-39 years, male 121.2
GTEX-14PKV-1726-SM-6871U 20-29 years, female 120.2
GTEX-17F98-1726-SM-7938O 40-49 years, female 120.2
GTEX-11EI6-1526-SM-5P9GL 60-69 years, male 119.9
GTEX-Y5LM-1026-SM-4VDSQ 40-49 years, female 119.9
GTEX-1EMGI-1926-SM-7938Y 60-69 years, male 119.8
GTEX-1BAJH-2026-SM-7P8OZ 70-79 years, male 119.8
GTEX-1JMPZ-2026-SM-C1YR8 30-39 years, male 119.3
GTEX-14BMU-0926-SM-5S2QB 20-29 years, female 119.2
GTEX-OXRL-0626-SM-3NM9C 50-59 years, male 119.0
GTEX-WRHK-0526-SM-4MVOF 20-29 years, female 119.0
GTEX-XYKS-1526-SM-4BRUP 60-69 years, female 118.9
GTEX-145MF-1426-SM-5O9B6 50-59 years, male 118.8
GTEX-1I4MK-0426-SM-B2LWQ 50-59 years, female 118.5
GTEX-1AMFI-0226-SM-731D5 50-59 years, female 118.4
GTEX-T6MO-0526-SM-4DM6R 40-49 years, female 118.3
GTEX-1HCU8-2226-SM-9WPOV 60-69 years, female 118.3
GTEX-14A6H-1326-SM-5NQBC 30-39 years, male 118.1
GTEX-11DZ1-2026-SM-5A5KG 50-59 years, male 118.0
GTEX-1K9T9-2026-SM-CXZK3 50-59 years, female 117.7
GTEX-117YW-1926-SM-5H121 50-59 years, male 117.6
GTEX-1H1DE-1026-SM-9JGH6 20-29 years, male 117.5
GTEX-1MJIX-0826-SM-DTXEO 40-49 years, male 117.5
GTEX-13QJ3-1726-SM-5RQK9 50-59 years, male 117.3
GTEX-144GN-0626-SM-5O9B2 50-59 years, male 117.3
GTEX-T8EM-0526-SM-4DM64 40-49 years, male 117.2
GTEX-1AX9K-1126-SM-731DQ 50-59 years, male 117.1
GTEX-RU1J-0326-SM-46MUM 20-29 years, female 116.8
GTEX-1JMQJ-1226-SM-D3L97 50-59 years, male 116.8
GTEX-ZF2S-1226-SM-4WWAX 50-59 years, female 116.5
GTEX-14E1K-1226-SM-5S2PD 50-59 years, male 116.4
GTEX-PWCY-0726-SM-48TCS 20-29 years, female 116.4
GTEX-14PJ3-0626-SM-6UGC5 50-59 years, male 116.3
GTEX-S341-0526-SM-4AD5U 40-49 years, female 116.2
GTEX-1GMR2-1526-SM-7MXV6 50-59 years, male 116.2
GTEX-WH7G-0926-SM-4LVMJ 40-49 years, male 116.1
GTEX-13X6H-1326-SM-5LU42 50-59 years, female 116.0
GTEX-P4QT-0626-SM-3NMCP 50-59 years, female 115.7
GTEX-SE5C-1226-SM-4BRWV 40-49 years, female 115.6
GTEX-PVOW-1626-SM-48TC9 40-49 years, male 115.3
GTEX-13CF3-1626-SM-5IFG9 60-69 years, female 115.2
GTEX-148VI-1026-SM-5TDDJ 60-69 years, female 115.2
GTEX-14BIN-2726-SM-5RQIE 50-59 years, female 115.2
GTEX-ZF29-1326-SM-DNZYV 60-69 years, female 115.2
GTEX-169BO-0526-SM-793AK 50-59 years, male 115.0
GTEX-1IKOE-1526-SM-C1YSD 30-39 years, female 114.8
GTEX-RTLS-1126-SM-46MUQ 60-69 years, female 114.5
GTEX-OIZI-1426-SM-3NB1T 40-49 years, male 114.4
GTEX-WK11-1026-SM-4OOS8 50-59 years, male 114.4
GTEX-1OJC3-0826-SM-DPRYU 20-29 years, male 114.4
GTEX-1269C-1026-SM-5N9EY 60-69 years, female 114.3
GTEX-ZYT6-1126-SM-5GZYR 30-39 years, male 114.3
GTEX-ZY6K-0626-SM-59HJL 50-59 years, male 114.0
GTEX-14BIM-1326-SM-7EWD1 60-69 years, female 113.9
GTEX-14E6E-0726-SM-5S2R3 30-39 years, male 113.7
GTEX-1212Z-2126-SM-5FQTM 60-69 years, male 113.5
GTEX-QEG5-1426-SM-447AS 20-29 years, male 113.4
GTEX-17HGU-1426-SM-7938G 50-59 years, male 113.3
GTEX-1LVAM-1126-SM-DHXKP 50-59 years, female 113.2
GTEX-1PPGY-1726-SM-EVR3S 60-69 years, male 113.1
GTEX-15RIF-0826-SM-6M47C 20-29 years, male 112.7
GTEX-Y8E4-1726-SM-5LU9G 40-49 years, male 112.7
GTEX-1PPH8-1626-SM-E6CQP 20-29 years, male 112.5
GTEX-15F5U-5010-SM-AHZ2D 40-49 years, male 111.0
GTEX-13O3Q-0826-SM-5IFGF 50-59 years, male 110.8
GTEX-1HCUA-1426-SM-9WPP7 50-59 years, female 110.8
GTEX-1MA7X-0726-SM-EV7AB 60-69 years, male 110.8
GTEX-14B4R-0326-SM-5TDDP 30-39 years, male 110.7
GTEX-Y3I4-1226-SM-4TT8N 50-59 years, male 110.4
GTEX-1S83E-0826-SM-EV7B7 40-49 years, male 110.4
GTEX-UPJH-1026-SM-EAZB2 50-59 years, male 110.3
GTEX-15RIE-0826-SM-6M47X 60-69 years, male 110.2
GTEX-1B8KE-1826-SM-731FD 50-59 years, male 110.1
GTEX-18D9A-0526-SM-7KFSW 30-39 years, female 109.7
GTEX-1OKEX-1326-SM-E9J2U 60-69 years, male 109.7
GTEX-1B97J-1026-SM-7MXTE 50-59 years, female 109.6
GTEX-145LU-0926-SM-79OJL 50-59 years, male 109.4
GTEX-131XF-0826-SM-5GICG 60-69 years, male 109.3
GTEX-1KANB-1826-SM-DHXJU 50-59 years, male 109.1
GTEX-PWN1-0626-SM-48TDT 40-49 years, female 109.0
GTEX-1HCU7-2126-SM-A96SG 50-59 years, male 109.0
GTEX-1R9PM-0926-SM-DPRYA 20-29 years, male 108.7
GTEX-146FH-1726-SM-5QGQ2 50-59 years, female 108.6
GTEX-WFG8-1226-SM-4V6EI 20-29 years, male 108.6
GTEX-147F3-0826-SM-5NQA7 50-59 years, female 108.5
GTEX-V955-1126-SM-4JBH3 60-69 years, male 108.3
GTEX-1F75I-1726-SM-7MKGW 40-49 years, male 108.2
GTEX-SNMC-0526-SM-4DM69 20-29 years, male 108.2
GTEX-13FTX-0526-SM-5IFGS 20-29 years, female 108.1
GTEX-XMD2-1326-SM-4YCET 60-69 years, female 108.0
GTEX-1EN7A-1226-SM-7MGX9 40-49 years, male 108.0
GTEX-1HC8U-1526-SM-9WPO4 40-49 years, female 107.9
GTEX-RU72-0726-SM-46MUW 50-59 years, female 107.8
GTEX-1A8FM-1526-SM-7MXTA 50-59 years, female 107.8
GTEX-145LT-1126-SM-5LUA1 40-49 years, male 107.7
GTEX-13PVR-1826-SM-5Q5CC 60-69 years, female 107.5
GTEX-WFON-0826-SM-4LVMI 40-49 years, male 107.4
GTEX-183WM-1726-SM-7KFT5 70-79 years, female 107.3
GTEX-1GL5R-1526-SM-7MKHO 50-59 years, male 107.3
GTEX-1GTWX-1326-SM-9JGHU 60-69 years, male 107.3
GTEX-1CB4I-1026-SM-7MKFZ 50-59 years, male 107.2
GTEX-UJMC-0926-SM-4IHLK 50-59 years, male 107.2
GTEX-X15G-0826-SM-4PQZD 50-59 years, female 107.2
GTEX-ZZPT-1426-SM-5N9C5 50-59 years, male 107.2
GTEX-14H4A-1626-SM-5SI69 40-49 years, female 107.1
GTEX-111CU-0726-SM-5GZYD 50-59 years, male 106.7
GTEX-1EKGG-1726-SM-7MXUP 60-69 years, male 106.6
GTEX-1QP28-1826-SM-EAZ4L 50-59 years, female 106.6
GTEX-1B8KZ-0726-SM-7938W 50-59 years, male 106.5
GTEX-P4PQ-0626-SM-3NMCU 60-69 years, male 106.5
GTEX-XV7Q-1126-SM-4BRVS 40-49 years, female 106.4
GTEX-17HHE-0926-SM-7938K 50-59 years, male 106.2
GTEX-12ZZX-1326-SM-5DUWI 40-49 years, female 106.1
GTEX-1GN1U-1826-SM-9JGH2 50-59 years, female 106.0
GTEX-1497J-2726-SM-5SI9W 60-69 years, male 105.9
GTEX-R53T-1126-SM-48FD4 50-59 years, female 105.8
GTEX-17EUY-1426-SM-7938X 20-29 years, male 105.7
GTEX-11EQ9-0726-SM-5A5K2 30-39 years, male 105.5
GTEX-YEC3-2526-SM-CXZIH 50-59 years, male 105.3
GTEX-144GM-1426-SM-5LU31 20-29 years, male 105.2
GTEX-1399R-0826-SM-5IJEL 30-39 years, male 105.1
GTEX-Y3IK-1126-SM-51MSV 50-59 years, female 105.1
GTEX-1I1CD-1726-SM-A9G3P 60-69 years, female 105.1
GTEX-1EWIQ-1526-SM-79OO7 70-79 years, female 105.0
GTEX-R55G-1026-SM-48FDI 40-49 years, female 104.7
GTEX-1QP2A-1926-SM-EXOJ9 50-59 years, male 104.7
GTEX-18D9U-2126-SM-7LG4Y 40-49 years, male 104.3
GTEX-11LCK-1726-SM-5S2OQ 30-39 years, male 104.0
GTEX-15DYW-1826-SM-6LPIY 60-69 years, female 104.0
GTEX-1J1R8-0326-SM-AHZ3D 40-49 years, male 104.0
GTEX-1QP9N-0926-SM-E9U5S 30-39 years, male 104.0
GTEX-13X6K-2126-SM-5O9D4 60-69 years, female 103.8
GTEX-SUCS-0726-SM-4DM7J 70-79 years, male 103.8
GTEX-11DXY-1426-SM-5N9CN 60-69 years, male 103.6
GTEX-Z9EW-0526-SM-5HL8S 40-49 years, male 103.6
GTEX-12WSD-1826-SM-5GCOA 60-69 years, female 103.5
GTEX-14PJM-1526-SM-664NY 50-59 years, female 103.4
GTEX-ZLFU-1126-SM-DO11K 40-49 years, male 103.3
GTEX-1399S-1326-SM-5P9GH 30-39 years, female 103.0
GTEX-1N2EE-2426-SM-EXOIO 60-69 years, male 102.8
GTEX-1F88F-1126-SM-7MKHL 60-69 years, female 102.7
GTEX-NPJ8-1926-SM-3MJGB 40-49 years, male 102.7
GTEX-OHPN-1026-SM-E9TI8 60-69 years, female 102.7
GTEX-XBED-1026-SM-48TCB 60-69 years, male 102.6
GTEX-131YS-1426-SM-5IJF7 60-69 years, female 102.5
GTEX-1RAZQ-1726-SM-EAZ4T 30-39 years, male 102.5
GTEX-139T6-0626-SM-5IFF9 50-59 years, male 102.4
GTEX-S4P3-0426-SM-4AD56 50-59 years, female 102.4
GTEX-1N2DV-2026-SM-EV7BL 40-49 years, male 102.2
GTEX-U3ZM-0526-SM-4DXTB 40-49 years, male 102.1
GTEX-13S86-0826-SM-5SI6J 40-49 years, male 102.0
GTEX-Y5V6-1026-SM-4VBS2 60-69 years, male 101.8
GTEX-1211K-0926-SM-5FQTL 60-69 years, female 101.6
GTEX-1HSGN-1626-SM-A96U2 40-49 years, female 101.6
GTEX-REY6-1326-SM-48FDO 60-69 years, male 101.5
GTEX-T2IS-0826-SM-4DM6L 20-29 years, female 101.5
GTEX-XUZC-0426-SM-4BOPE 30-39 years, female 101.5
GTEX-1AMEY-0226-SM-7189Q 30-39 years, female 101.3
GTEX-12ZZY-1426-SM-5N9EI 60-69 years, male 101.2
GTEX-1LSVX-1226-SM-DHXJN 60-69 years, male 101.2
GTEX-13D11-1926-SM-5IFGB 50-59 years, female 101.0
GTEX-Q2AI-0626-SM-48TZU 40-49 years, male 101.0
GTEX-S3XE-0926-SM-4AD4S 50-59 years, male 101.0
GTEX-YECK-1626-SM-5IFHQ 60-69 years, male 101.0
GTEX-ZYFG-1126-SM-5GICY 60-69 years, female 101.0
GTEX-13FHP-1526-SM-5IJGE 50-59 years, male 100.8
GTEX-1LNCM-0626-SM-EV7AI 50-59 years, female 100.6
GTEX-15UF7-0926-SM-6M46F 40-49 years, male 100.4
GTEX-1A32A-1826-SM-72D5G 50-59 years, female 100.2
GTEX-W5WG-1626-SM-4LMKG 50-59 years, female 100.2
GTEX-1LBAC-1226-SM-DHXK1 20-29 years, male 100.2
GTEX-11NSD-1126-SM-5N9BQ 20-29 years, male 100.1
GTEX-1QCLZ-1626-SM-E9U5R 60-69 years, female 100.1
GTEX-1R9K4-1926-SM-DPRZW 60-69 years, male 100.1
GTEX-VUSG-1226-SM-4KKZF 50-59 years, male 100.0
GTEX-OIZF-0626-SM-7MKHG 60-69 years, male 99.9
GTEX-WHSB-0426-SM-4M1XI 50-59 years, male 99.8
GTEX-1HKZK-1426-SM-A96U1 40-49 years, male 99.7
GTEX-11DXZ-1226-SM-5H11L 50-59 years, male 99.6
GTEX-QLQ7-0926-SM-447BC 60-69 years, male 99.6
GTEX-1H11D-2126-SM-9OSXM 40-49 years, male 99.6
GTEX-13QBU-1026-SM-5LU3R 40-49 years, female 99.5
GTEX-YJ89-1526-SM-5P9IR 60-69 years, male 99.5
GTEX-1MGNQ-1626-SM-EAZ4Z 40-49 years, male 99.5
GTEX-WHPG-1126-SM-4M1XT 50-59 years, male 99.4
GTEX-1NUQO-1126-SM-DTX98 20-29 years, female 99.4
GTEX-ZDYS-0826-SM-4WWCR 50-59 years, male 99.3
GTEX-16BQI-1526-SM-6LLIE 30-39 years, female 99.2
GTEX-Y5V5-1626-SM-4VDSG 60-69 years, female 99.1
GTEX-ZVT2-1326-SM-5E45H 50-59 years, female 99.1
GTEX-1NSGN-2026-SM-DPRYM 50-59 years, male 99.1
GTEX-145MO-1426-SM-DTX9W 60-69 years, male 99.0
GTEX-12ZZW-1726-SM-5DUVD 50-59 years, male 98.9
GTEX-ZVE2-1326-SM-5NQ94 50-59 years, male 98.9
GTEX-ZZ64-0226-SM-5E44X 20-29 years, male 98.9
GTEX-ZG7Y-1126-SM-4WWEZ 50-59 years, male 98.6
GTEX-ZVP2-1326-SM-57WCE 50-59 years, male 98.6
GTEX-QV44-1126-SM-CL55C 50-59 years, male 98.5
GTEX-13111-0826-SM-5LZV3 50-59 years, male 98.4
GTEX-14ICK-2026-SM-6AJB2 40-49 years, male 98.3
GTEX-13W3W-1626-SM-5LU35 60-69 years, female 98.2
GTEX-11GSP-1826-SM-5N9DQ 60-69 years, female 98.0
GTEX-1HSMQ-2026-SM-B2LY1 50-59 years, male 97.9
GTEX-17JCI-1226-SM-793D9 60-69 years, female 97.8
GTEX-P78B-1026-SM-3NMC4 40-49 years, female 97.8
GTEX-OOBK-0625-SM-3LK5P 40-49 years, male 97.6
GTEX-WOFM-0626-SM-4OOS3 20-29 years, male 97.6
GTEX-1LSNL-2226-SM-DHXKM 50-59 years, male 97.5
GTEX-Y9LG-0626-SM-4WWDH 30-39 years, male 97.2
GTEX-ZYY3-1526-SM-5SIA9 60-69 years, female 97.0
GTEX-1HBPI-0626-SM-9WPP4 50-59 years, male 97.0
GTEX-1B97I-0926-SM-731DZ 40-49 years, male 96.9
GTEX-ZAB4-1126-SM-5HL86 40-49 years, male 96.8
GTEX-QLQW-0526-SM-4R1KS 30-39 years, male 96.6
GTEX-1R9K5-1526-SM-DPRZA 50-59 years, male 96.4
GTEX-14JG6-0926-SM-6871Y 30-39 years, female 96.2
GTEX-14DAR-0826-SM-73KYJ 50-59 years, male 96.1
GTEX-TKQ1-0326-SM-4DXSM 30-39 years, male 95.9
GTEX-ZYW4-1326-SM-5E45N 60-69 years, male 95.9
GTEX-178AV-0526-SM-6LPJH 40-49 years, male 95.8
GTEX-1LG7Z-0926-SM-CXKYK 30-39 years, male 95.7
GTEX-1LVAN-2326-SM-CNNPY 50-59 years, female 95.6
GTEX-PLZ5-0926-SM-3TW8L 50-59 years, male 95.4
GTEX-1C2JI-1126-SM-731FH 50-59 years, male 94.8
GTEX-1GMR3-1526-SM-9JGGL 40-49 years, male 94.8
GTEX-12WSA-1426-SM-5EGJU 60-69 years, male 94.2
GTEX-13OVK-1126-SM-6PAMR 40-49 years, male 93.8
GTEX-18D9B-2026-SM-7LT96 60-69 years, male 93.8
GTEX-ZXES-1126-SM-5GZXN 30-39 years, female 93.6
GTEX-OIZG-1026-SM-3LK5X 50-59 years, male 93.5
GTEX-R3RS-1326-SM-48FE7 40-49 years, female 93.5
GTEX-17HII-1526-SM-9OSVD 50-59 years, male 93.5
GTEX-16NGA-1426-SM-718AC 40-49 years, female 93.4
GTEX-QCQG-0626-SM-48U21 50-59 years, female 93.4
GTEX-U3ZH-1026-SM-4DXUZ 30-39 years, male 93.4
GTEX-ZGAY-1126-SM-4WWBS 40-49 years, female 93.3
GTEX-12KS4-0926-SM-5BC5S 30-39 years, male 93.2
GTEX-WHSE-1526-SM-4M1XH 20-29 years, male 92.9
GTEX-WQUQ-1626-SM-4OOSH 60-69 years, male 92.8
GTEX-1B996-1826-SM-7MGY6 60-69 years, male 92.8
GTEX-1EU9M-2326-SM-7MKGS 60-69 years, male 92.6
GTEX-ZDTT-1326-SM-4WKFH 60-69 years, male 92.6
GTEX-139YR-1726-SM-5IFFK 50-59 years, male 92.5
GTEX-1K2DA-0626-SM-CGQGO 50-59 years, male 92.5
GTEX-139UW-1126-SM-5IJEJ 60-69 years, male 92.4
GTEX-14PJN-0526-SM-68724 30-39 years, male 92.4
GTEX-UJHI-0826-SM-4IHLM 50-59 years, female 92.3
GTEX-XBEW-1326-SM-4AT63 40-49 years, male 92.1
GTEX-1I1GQ-1726-SM-B2LWZ 50-59 years, male 92.1
GTEX-12BJ1-1626-SM-5HL8Y 60-69 years, male 91.9
GTEX-WFG7-1126-SM-4LMK3 20-29 years, male 91.9
GTEX-1QCLY-1526-SM-DPRXX 30-39 years, male 91.9
GTEX-QDVN-1026-SM-48TZA 50-59 years, male 91.8
GTEX-13U4I-1126-SM-5LU3S 40-49 years, female 91.7
GTEX-R55C-0826-SM-48FCL 40-49 years, male 91.7
GTEX-WVLH-1426-SM-4MVNX 50-59 years, male 91.4
GTEX-1122O-1726-SM-5GICM 60-69 years, female 91.3
GTEX-12WSK-1126-SM-5LZV8 40-49 years, female 91.2
GTEX-1AYD5-0926-SM-793AF 50-59 years, male 91.2
GTEX-Y111-1626-SM-57WCY 50-59 years, male 91.2
GTEX-15ER7-2126-SM-7939E 20-29 years, female 91.1
GTEX-1JMPY-0826-SM-AHZ4A 30-39 years, male 91.1
GTEX-Y8LW-0726-SM-5IFI1 50-59 years, female 91.0
GTEX-14C5O-1626-SM-73KYH 60-69 years, male 90.9
GTEX-OIZH-0626-SM-3NB1L 50-59 years, male 90.9
GTEX-Y114-0926-SM-4TT7J 50-59 years, female 90.6
GTEX-13FHO-1726-SM-DPRZX 60-69 years, male 90.6
GTEX-1F5PK-1526-SM-7MKGV 50-59 years, male 90.5
GTEX-QESD-0826-SM-47J4G 20-29 years, male 90.3
GTEX-XK95-1026-SM-4GIDV 40-49 years, male 90.2
GTEX-ZAJG-1326-SM-5S2NV 50-59 years, female 90.2
GTEX-11P82-0526-SM-5986P 20-29 years, male 90.1
GTEX-13OW8-2326-SM-5L3I9 60-69 years, male 90.1
GTEX-1IY9M-1626-SM-AHZ39 60-69 years, male 90.1
GTEX-U3ZN-1726-SM-4DXUQ 30-39 years, female 90.0
GTEX-X585-1226-SM-46MW7 50-59 years, male 90.0
GTEX-1MCYP-1026-SM-DPRYB 20-29 years, female 89.9
GTEX-YF7O-0926-SM-5IFIF 50-59 years, male 89.5
GTEX-13RTK-0526-SM-5S2QF 20-29 years, male 89.4
GTEX-1HBPH-1126-SM-A96TU 40-49 years, female 89.4
GTEX-1L5NE-1426-SM-DHXKV 50-59 years, male 89.4
GTEX-11P81-0826-SM-5P9GR 30-39 years, female 89.3
GTEX-14PJ5-0526-SM-664OE 60-69 years, female 89.3
GTEX-YB5E-0926-SM-4WWDQ 40-49 years, male 89.3
GTEX-1H1ZS-1526-SM-9OSXR 70-79 years, male 89.3
GTEX-ZUA1-1226-SM-5NQ6O 40-49 years, male 89.2
GTEX-16NPX-1626-SM-6LLI5 50-59 years, male 89.1
GTEX-PSDG-1326-SM-48TD2 50-59 years, male 89.1
GTEX-1J8EW-1326-SM-AHZ3S 60-69 years, female 89.1
GTEX-1RAZS-2626-SM-EV79C 50-59 years, male 89.1
GTEX-1A3MV-1326-SM-7LG6C 30-39 years, male 88.9
GTEX-1KXAM-0826-SM-CXZK9 60-69 years, male 88.6
GTEX-YB5K-0826-SM-5YYB7 40-49 years, female 88.3
GTEX-X4EO-1226-SM-4QARR 60-69 years, female 88.2
GTEX-11ZTS-2626-SM-5EGIC 60-69 years, female 88.1
GTEX-17EVQ-1926-SM-7IGOF 70-79 years, male 88.0
GTEX-1GN1W-2226-SM-9JGI5 50-59 years, female 88.0
GTEX-13OVG-0626-SM-5IFEP 60-69 years, male 87.9
GTEX-ZLWG-1326-SM-DNZYZ 50-59 years, female 87.6
GTEX-WXYG-1226-SM-4ONCJ 50-59 years, female 87.5
GTEX-12C56-1226-SM-5FQSU 20-29 years, male 87.4
GTEX-13PL7-0226-SM-731DT 60-69 years, female 87.3
GTEX-1HBPM-1426-SM-9WPPE 60-69 years, female 87.3
GTEX-QDVJ-0726-SM-48U1W 50-59 years, male 87.1
GTEX-1399Q-1126-SM-5P9JA 40-49 years, male 87.0
GTEX-15SHU-1426-SM-6LPIN 40-49 years, female 86.8
GTEX-1AX9I-1426-SM-7DHM8 60-69 years, male 86.8
GTEX-TML8-1526-SM-4DXUX 40-49 years, female 86.7
GTEX-QEG4-0726-SM-CNNRF 30-39 years, male 86.7
GTEX-OXRN-1726-SM-3NM9B 50-59 years, male 86.6
GTEX-1I1GU-1426-SM-B2LX3 40-49 years, male 86.5
GTEX-1HCVE-1226-SM-9WPPH 50-59 years, male 86.4
GTEX-RVPV-0526-SM-47JYL 60-69 years, male 86.2
GTEX-11TUW-1326-SM-5EQKV 60-69 years, male 86.1
GTEX-1H1DG-1226-SM-9JGH3 70-79 years, male 86.0
GTEX-1R9JW-1526-SM-DPRZK 30-39 years, female 85.9
GTEX-ZT9W-1326-SM-51MTB 50-59 years, male 85.7
GTEX-1CB4E-1026-SM-793AB 60-69 years, male 85.2
GTEX-1RDX4-2126-SM-EV7B3 50-59 years, female 84.7
GTEX-11EMC-2226-SM-5A5JW 60-69 years, female 84.6
GTEX-132AR-2226-SM-5J2NT 50-59 years, female 84.5
GTEX-V1D1-1026-SM-4JBHE 50-59 years, male 84.5
GTEX-YEC4-1026-SM-9WG7N 40-49 years, male 84.1
GTEX-132Q8-1826-SM-5EGIY 60-69 years, male 84.0
GTEX-1HGF4-0926-SM-9WPP8 60-69 years, male 83.9
GTEX-13FH7-0526-SM-5IJF8 50-59 years, female 83.8
GTEX-16MT8-1326-SM-6M47R 60-69 years, female 83.4
GTEX-1AX9J-1826-SM-731FM 60-69 years, male 83.4
GTEX-1KAFJ-0626-SM-D3L8X 50-59 years, male 83.4
GTEX-12696-1326-SM-5FQTJ 60-69 years, male 83.3
GTEX-1J1OQ-2526-SM-AHZ3Q 40-49 years, female 83.1
GTEX-1GF9U-0826-SM-7MXTZ 40-49 years, female 83.0
GTEX-1N2DW-1426-SM-EV7AZ 50-59 years, male 82.8
GTEX-T5JC-1726-SM-4DM6U 20-29 years, male 82.6
GTEX-ZPCL-1426-SM-57WEC 60-69 years, female 82.6
GTEX-13NZB-1226-SM-5J2MW 30-39 years, male 82.4
GTEX-1HB9E-1526-SM-D3LA6 50-59 years, male 82.4
GTEX-1IDJH-2026-SM-CNNQX 70-79 years, male 82.3
GTEX-S7SF-0926-SM-4AD4M 20-29 years, female 82.2
GTEX-1I1GS-2126-SM-ARU7G 60-69 years, male 82.2
GTEX-1CB4G-1326-SM-7MKFP 60-69 years, male 82.1
GTEX-1KANA-0626-SM-D4P3I 20-29 years, male 81.8
GTEX-18465-1126-SM-7LG6E 50-59 years, male 81.7
GTEX-ZA64-0626-SM-5HL9O 20-29 years, male 81.7
GTEX-U4B1-0826-SM-4DXTW 40-49 years, male 81.4
GTEX-1CB4J-2426-SM-7MXVC 60-69 years, male 81.3
GTEX-N7MT-0326-SM-48TDP 60-69 years, female 81.2
GTEX-14C38-2126-SM-5RQJO 50-59 years, male 81.1
GTEX-1MCC2-1926-SM-DHXJR 30-39 years, female 81.1
GTEX-O5YV-1026-SM-3LK72 60-69 years, female 81.0
GTEX-RNOR-1226-SM-48FDQ 50-59 years, female 80.9
GTEX-PLZ6-0526-SM-3P61C 30-39 years, male 80.8
GTEX-WYJK-1926-SM-4ONDP 50-59 years, male 80.4
GTEX-POYW-1326-SM-48TCG 60-69 years, male 80.3
GTEX-RWS6-0826-SM-47JXF 60-69 years, female 80.1
GTEX-1HSKV-2426-SM-A8N8K 60-69 years, male 79.6
GTEX-131XE-1426-SM-5HL7V 50-59 years, male 79.5
GTEX-1S82Y-1226-SM-EV7BD 40-49 years, male 79.4
GTEX-S32W-0926-SM-4AD5X 50-59 years, female 79.2
GTEX-XQ3S-1126-SM-4BOPK 20-29 years, male 78.9
GTEX-14AS3-0626-SM-5QGQD 40-49 years, female 78.6
GTEX-13W46-1926-SM-5J2MF 50-59 years, male 78.5
GTEX-X62O-2226-SM-46MW3 50-59 years, male 78.4
GTEX-1HFI6-1226-SM-A96SK 40-49 years, male 77.9
GTEX-S95S-0426-SM-4B64I 60-69 years, male 77.6
GTEX-R55E-1326-SM-48FCR 20-29 years, male 77.5
GTEX-ZF3C-1626-SM-4WWB4 50-59 years, female 77.4
GTEX-144FL-2726-SM-5O98Z 50-59 years, male 77.3
GTEX-1LB8K-1326-SM-CXZKB 50-59 years, male 77.3
GTEX-XQ8I-1526-SM-4BOOH 50-59 years, male 77.2
GTEX-1IDJF-1226-SM-C1YPX 20-29 years, male 76.9
GTEX-1MCQQ-1026-SM-EV7AX 60-69 years, male 76.8
GTEX-11P7K-1326-SM-5BC5G 30-39 years, male 76.6
GTEX-15RJE-0926-SM-6LLHZ 40-49 years, male 76.6
GTEX-11XUK-0826-SM-5GU6P 40-49 years, female 76.5
GTEX-RN64-1026-SM-48FDX 50-59 years, male 76.5
GTEX-Q2AG-1326-SM-43V8K 40-49 years, female 76.4
GTEX-139TU-1226-SM-5J2NL 60-69 years, male 76.2
GTEX-ZTPG-1626-SM-5DUX2 20-29 years, female 76.1
GTEX-17F96-2526-SM-7DHL3 70-79 years, male 75.5
GTEX-11ZU8-1526-SM-5EGHX 60-69 years, male 75.3
GTEX-1IDJD-1626-SM-C1YRC 30-39 years, male 75.3
GTEX-PLZ4-1626-SM-3P618 50-59 years, female 75.0
GTEX-WYVS-0726-SM-4ONDO 40-49 years, female 75.0
GTEX-11NUK-1326-SM-5P9GN 50-59 years, male 74.7
GTEX-13O1R-1326-SM-5IJF5 60-69 years, male 74.6
GTEX-11I78-1526-SM-5A5K7 50-59 years, female 74.5
GTEX-ZE9C-1126-SM-4WWBD 60-69 years, male 74.2
GTEX-131XG-1026-SM-5GCMX 50-59 years, female 73.2
GTEX-S33H-0826-SM-4AD5Y 30-39 years, male 73.1
GTEX-YFC4-1226-SM-5LU9R 40-49 years, female 73.1
GTEX-UPK5-1226-SM-4IHL8 40-49 years, male 72.8
GTEX-13OVI-2626-SM-5KM4T 60-69 years, female 72.4
GTEX-NFK9-1126-SM-3LK78 40-49 years, male 72.3
GTEX-QVUS-0626-SM-447CC 60-69 years, female 72.1
GTEX-1C64O-1826-SM-7DHM4 60-69 years, male 71.5
GTEX-13YAN-1926-SM-7EPH9 60-69 years, male 71.2
GTEX-S4Q7-0626-SM-4AD5M 20-29 years, male 71.1
GTEX-1B933-2026-SM-7EWFC 50-59 years, female 70.3
GTEX-1EX96-2226-SM-7MKGT 50-59 years, male 70.2
GTEX-1IKK5-1326-SM-AHZ2X 60-69 years, male 69.8
GTEX-1EH9U-2426-SM-7EWFG 60-69 years, male 69.3
GTEX-145MN-1026-SM-5NQ9G 30-39 years, male 68.5
GTEX-ZC5H-1326-SM-5HL7E 40-49 years, female 68.5
GTEX-11ONC-1526-SM-5GU6S 60-69 years, male 68.4
GTEX-1CB4H-1526-SM-7MXU4 60-69 years, female 67.8
GTEX-ZTSS-0626-SM-59867 40-49 years, male 66.5
GTEX-1CAMQ-2726-SM-7MKGD 40-49 years, male 66.4
GTEX-Q2AH-0826-SM-48TZN 40-49 years, male 66.1
GTEX-1K2DU-1726-SM-EV79S 20-29 years, male 65.9
GTEX-QEL4-1426-SM-447AC 50-59 years, male 65.8
GTEX-1I1GR-1326-SM-ARU7B 60-69 years, male 65.6
GTEX-XXEK-0326-SM-4BRVV 50-59 years, male 65.1
GTEX-1LG7Y-1726-SM-EV7AR 50-59 years, male 65.0
GTEX-1H23P-1426-SM-9JGH5 60-69 years, male 64.8
GTEX-1HCU6-1326-SM-A96TZ 60-69 years, female 64.8
GTEX-X3Y1-1326-SM-4PQZB 40-49 years, male 64.0
GTEX-ZLV1-0526-SM-4WWD4 60-69 years, female 63.8
GTEX-VJYA-0726-SM-4KL1T 60-69 years, male 63.4
GTEX-14JIY-0926-SM-6871D 60-69 years, male 60.9
GTEX-OXRP-0926-SM-48TC1 60-69 years, female 59.0
GTEX-X4XY-1726-SM-46MVO 60-69 years, male 57.3
GTEX-145LV-1326-SM-5S2QI 50-59 years, male 56.8
GTEX-148VJ-1026-SM-5LU98 70-79 years, male 55.5
GTEX-1RLM8-0726-SM-E6CRH 50-59 years, male 52.4
GTEX-T2YK-1326-SM-4DM6S 50-59 years, male 50.4
GTEX-X4EP-1626-SM-4QAS6 60-69 years, female 41.2
Show allShow less

ESOPHAGUS - FANTOM5 CAGEi

RNA expression in human tissues obtained through Cap Analysis of Gene Expression (CAGE) generated by the FANTOM5 project are reported as Scaled Tags Per Million.

Max subtype Scaled Tags Per Millioni

Max subtype Scaled Tags Per Million is the value for the subtype with the largest average Scaled Tags Per Million across the subtype samples.

329.5
FANTOM5 sample id Sample description Scaled Tags Per Million
Esophagus
Scaled Tags Per Million: 329.5
FF:10015-101C6 68,74,75 years, mixed 329.5

Contact

  • NEWS ARTICLES
  • PRESS ROOM

The Project

  • INTRODUCTION
  • ORGANIZATION
  • PUBLICATIONS

The Human Protein Atlas

  • DOWNLOADABLE DATA
  • LICENCE & CITATION
  • HELP & FAQ
The Human Protein Atlas project is funded
by the Knut & Alice Wallenberg Foundation.


contact@proteinatlas.org