We use cookies to enhance the usability of our website. If you continue, we'll assume that you are happy to receive all cookies. More information. Don't show this again.
FABP5
HPA
RESOURCES
  • TISSUE
  • BRAIN
  • SINGLE CELL
  • SUBCELLULAR
  • CANCER
  • BLOOD
  • CELL LINE
  • STRUCTURE & INTERACTION
ABOUT
  • INTRODUCTION
  • HISTORY
  • ORGANIZATION
  • PUBLICATIONS
  • ANTIBODY SUBMISSION
  • ANTIBODY AVAILABILITY
  • ACKNOWLEDGMENTS
  • CONTACT
NEWS
  • NEWS ARTICLES
  • PRESS ROOM
LEARN
  • DICTIONARY
  • PROTEIN CLASSES
  • PROTEIN EVIDENCE
  • METHODS
  • EDUCATIONAL VIDEOS
DATA
  • DOWNLOADABLE DATA
  • PUBLICATION DATA
  • RELEASE HISTORY
HELP
  • ANTIBODY VALIDATION
  • ASSAYS & ANNOTATION
  • DISCLAIMER
  • HELP & FAQ
  • PRIVACY STATEMENT
  • LICENCE & CITATION
Fields »
Search result

Field
Term
Gene name
Class
Subclass
Class
Keyword
Chromosome
External id
Tissue
Cell type
Expression
Antibody panel
Tissue
Main location
Patient ID
Annotation
Tissue
Category
Tau score
Cluster
Reliability
Brain region
Category
Tau score
Brain region
Category
Tau score
Brain region
Category
Tau score
Cluster
Reliability
Tissue
Cell type
Enrichment
Cell type
Category
Tau score
Cell type
Category
Tau score
Cell type
Category
Tau score
Cell lineage
Category
Tau score
Cluster
Cluster
Location
Searches
Location
Cell line
Class
Type
Phase
Reliability
Cancer
Prognosis
Cancer
Category
Cancer
Category
Tau score
Cluster
Variants
Interacting gene (ensg_id)
Type
Number of interactions
Pathway
Category
Score
Score
Score
Validation
Validation
Validation
Validation
Antibodies
Data type
Column


  • SUMMARY

  • TISSUE

  • BRAIN

  • SINGLE CELL

  • SUBCELL

  • CANCER

  • BLOOD

  • CELL LINE

  • STRUCT & INT

  • FABP5
TISSUE PRIMARY DATA BREAST Show tissue menu
ADIPOSE TISSUE ADRENAL GLAND AMYGDALA APPENDIX BASAL GANGLIA BONE MARROW BREAST BRONCHUS CEREBELLUM CEREBRAL CORTEX CERVIX CHOROID PLEXUS COLON DUODENUM
ENDOMETRIUM EPIDIDYMIS ESOPHAGUS FALLOPIAN TUBE GALLBLADDER HEART MUSCLE HIPPOCAMPAL FORMATION HYPOTHALAMUS KIDNEY LIVER LUNG LYMPH NODE MIDBRAIN NASOPHARYNX
ORAL MUCOSA OVARY PANCREAS PARATHYROID GLAND PITUITARY GLAND PLACENTA PROSTATE RECTUM RETINA SALIVARY GLAND SEMINAL VESICLE SKELETAL MUSCLE SKIN SMALL INTESTINE
SMOOTH MUSCLE SOFT TISSUE SPINAL CORD SPLEEN STOMACH TESTIS THYMUS THYROID GLAND TONGUE TONSIL URINARY BLADDER VAGINA
ANTIBODIES
AND
VALIDATION
Dictionary
Breast
Tissue proteome
Breast
BREAST - Expression summary
Protein expression
Breasti

On the top, protein expression in current human tissue, based on all annotated cell types, is reported with the units not detected (n), low (l), medium (m) and high (h). Underneath, protein expression in each annotated cell type are reported using the same units.

Protein expression data is based on knowledge-based annotation. For genes where more than one antibody has been used, a collective score is set.

If knowledge-based annotation could not be performed for a gene, no data is displayed here. View antibody staining data further down this page.

h
m
l
n
Adipocytes: Not detected
Glandular cells: Not detected
Myoepithelial cells: Not detected
RNA expressioni

A summary of mRNA expression data available for current tissue based on several datasets. The mRNA expression levels in human tissues are based on RNA-seq data generated by the Human Protein Atlas (HPA), Genotype-Tissue Expression (GTEx) portal and CAGE data generated by the FANTOM5 consortium. Consensus normalized expression levels for human tissues was created by combining the data from HPA and GTEx datasets.

The mRNA expression levels in pig are based on RNA-seq data generated by the Human Protein Atlas (HPA), and for mouse, HPA data and in situ hybridization generated by the Allen brain atlas are reported.

Scroll down to view mRNA expression data in more detail.
Consensus:233.9 nTPM
HPA:72.4 nTPM
GTEx:233.9 nTPM
FANTOM5:324.9 Scaled Tags Per Million

BREAST - Antibody stainingi

Antibody staining in the annotated cell types in the current human tissue is reported as not detected, low, medium, or high, based on conventional immunohistochemistry profiling in selected tissues. This score is based on the combination of the staining intensity and fraction of stained cells.

Each image is clickable and will lead to virtual microscopy that enables deeper exploration of all samples and also displays staining intensity scores, fraction scores and subcellular localization as well as patient and tissue information for each sample.

Antibody HPA051895Antibody CAB017831Antibody CAB040577
Adipocytes Not detectedNot detectedMedium
Glandular cells Not detectedNot detectedNot detected
Myoepithelial cells Not detectedNot detectedNot detected







BREAST - HPA RNA-seqi

The RNA-seq details section shows detailed information about the individual samples used for the transcript profiling and results of the RNA-seq analysis.

Information about each individual sample is listed below, including gender, age, a tissue section image and estimated fractions of cell types. nTPM (normalized transcripts per million) values give a quantification of the gene abundance which is comparable between different genes and samples.
Average nTPMi

Max subtype nTPM is the value for the subtype with the largest average nTPM across the subtype samples.

72.4
overview
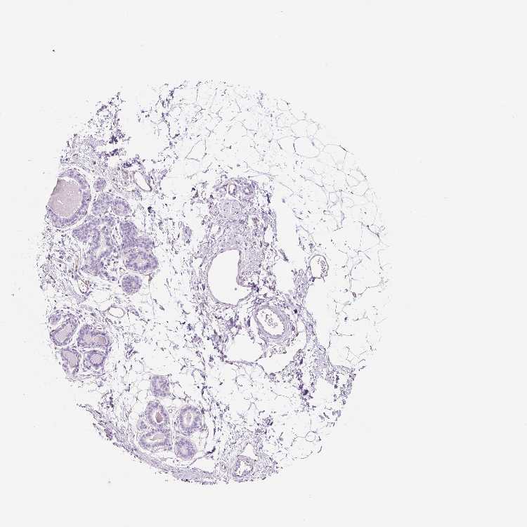
Female, age 52
Breast sample 373
nTPM: 58.3
Cell types%
Glandular cells:
15

Adipocytes:
5

Other cell types:
80

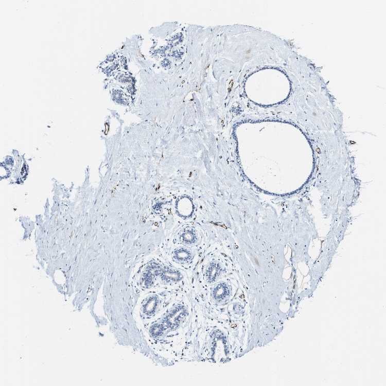
overview
Female, age 80
Breast sample 390
nTPM: 173.4
Cell types%
Glandular cells:
5

Adipocytes:
15

Other cell types:
80

overview
Female, age 47
Breast sample 405
nTPM: 20.4
Cell types%
Glandular cells:
5

Adipocytes:
5

Other cell types:
90

overview
Female, age 38
Breast sample 410
nTPM: 37.7
Cell types%
Glandular cells:
40

Adipocytes:
5

Other cell types:
55


BREAST - GTEx RNA-seqi

RNA-Seq data generated by the Genotype-Tissue Expression (GTEx) project from human tissues is reported as mean nTPM. More information can be found on the GTEx portal.

Distribution across the dataset is visualized with box plots, shown as median and 25th and 75th percentiles. Points are displayed as outliers if they are above or below 1.5 times the interquartile range. nTPM values of the individual samples are presented next to the box plot.
Max subtype nTPMi

Max subtype nTPM is the value for the subtype with the largest average nTPM across the subtype samples.

233.9
GTEx sample id Sample description nTPM
Breast - Mammary Tissue
Average nTPM: 233.9
Samples: 459

Max nTPM: 1218.2
Min nTPM: 11.1
Std nTPM: 183.5
Median nTPM: 186.7
GTEX-13QJ3-0826-SM-7DHKK 50-59 years, male 1218.2
GTEX-11P82-1326-SM-5HL62 20-29 years, male 1018.0
GTEX-18A7B-2626-SM-7LG55 70-79 years, male 875.6
GTEX-1CAMR-1426-SM-793BO 20-29 years, male 818.3
GTEX-ZWKS-2826-SM-5NQ74 30-39 years, male 760.3
GTEX-13VXU-2826-SM-664MA 50-59 years, male 759.9
GTEX-1R9PM-1826-SM-EVYBH 20-29 years, male 728.0
GTEX-13S86-1226-SM-5S2OA 40-49 years, male 724.3
GTEX-S7SE-0826-SM-4AT4D 50-59 years, male 701.8
GTEX-ZYT6-0126-SM-5E45J 30-39 years, male 687.9
GTEX-132AR-0826-SM-5EGK6 50-59 years, female 649.1
GTEX-16YQH-2826-SM-6PAMY 30-39 years, male 640.0
GTEX-1JN6P-2426-SM-ARL99 60-69 years, male 636.5
GTEX-1LSNL-2826-SM-E9U5L 50-59 years, male 632.5
GTEX-YECK-0726-SM-EZ6LV 60-69 years, male 629.4
GTEX-1JKYN-0726-SM-ARZMY 30-39 years, male 626.6
GTEX-1H11D-1526-SM-9MQJY 40-49 years, male 615.3
GTEX-1B8KE-1226-SM-73KWK 50-59 years, male 612.6
GTEX-145MF-2226-SM-7EPIR 50-59 years, male 610.8
GTEX-1LBAC-0926-SM-CXKY9 20-29 years, male 602.5
GTEX-11O72-2126-SM-5N9FO 40-49 years, male 596.2
GTEX-11DZ1-0326-SM-5N9BN 50-59 years, male 584.5
GTEX-14BMV-0626-SM-793AU 50-59 years, male 581.4
GTEX-183FY-1126-SM-7DHLJ 20-29 years, male 573.7
GTEX-1NV8Z-2826-SM-E8VME 60-69 years, male 571.0
GTEX-1H4P4-2226-SM-9MQKQ 50-59 years, male 569.5
GTEX-169BO-1126-SM-7MGWN 50-59 years, male 569.0
GTEX-13FTX-1126-SM-5N9EN 20-29 years, female 550.1
GTEX-1C6VQ-0426-SM-79OOX 50-59 years, male 546.4
GTEX-YB5E-1726-SM-5IFJ3 40-49 years, male 544.0
GTEX-11DXY-2326-SM-5GICW 60-69 years, male 532.7
GTEX-15RJE-2626-SM-7KFT1 40-49 years, male 528.4
GTEX-XQ3S-1326-SM-4BOPQ 20-29 years, male 523.2
GTEX-145MO-0826-SM-5NQBL 60-69 years, male 522.7
GTEX-1ICLZ-0426-SM-B2LW2 60-69 years, male 519.9
GTEX-WFON-1826-SM-3GILG 40-49 years, male 509.3
GTEX-11OF3-1926-SM-59889 60-69 years, male 508.7
GTEX-183WM-0726-SM-7LTAA 70-79 years, female 503.4
GTEX-1IOXB-1926-SM-ARL8E 50-59 years, male 501.0
GTEX-1F5PK-2126-SM-7PC28 50-59 years, male 500.7
GTEX-ZZ64-1226-SM-5E43R 20-29 years, male 500.3
GTEX-1PPGY-1526-SM-EVYBK 60-69 years, male 495.5
GTEX-14753-2426-SM-5LU8U 60-69 years, male 494.3
GTEX-17F96-2426-SM-7IGLN 70-79 years, male 493.2
GTEX-ZUA1-1526-SM-59HLS 40-49 years, male 492.7
GTEX-11NSD-0926-SM-5N9DR 20-29 years, male 491.2
GTEX-18465-2026-SM-718AP 50-59 years, male 488.7
GTEX-11ONC-2126-SM-5HL6E 60-69 years, male 488.1
GTEX-1AMEY-1026-SM-718AA 30-39 years, female 487.1
GTEX-11GSO-1926-SM-5A5K3 60-69 years, male 483.3
GTEX-1I1GP-0426-SM-COH3N 50-59 years, male 481.6
GTEX-1IDJF-2326-SM-ARL86 20-29 years, male 481.2
GTEX-S4Q7-1126-SM-4AD6R 20-29 years, male 475.5
GTEX-11TUW-1826-SM-5BC5D 60-69 years, male 467.8
GTEX-1MJK3-1126-SM-E9J3F 20-29 years, male 467.3
GTEX-X62O-0526-SM-EWRMA 50-59 years, male 464.3
GTEX-13PVQ-1026-SM-5KM3M 50-59 years, male 464.0
GTEX-1EWIQ-1726-SM-7SB7T 70-79 years, female 463.0
GTEX-1HT8W-2226-SM-CGQEC 30-39 years, male 458.2
GTEX-1H3VY-0926-SM-ACKXE 50-59 years, male 457.8
GTEX-17F9E-2526-SM-7MGW2 50-59 years, male 455.5
GTEX-1GF9U-1726-SM-7MGY5 40-49 years, female 448.8
GTEX-1H23P-0726-SM-9WG7K 60-69 years, male 443.7
GTEX-17HGU-1326-SM-79OKB 50-59 years, male 440.6
GTEX-R53T-1526-SM-48FEK 50-59 years, female 437.0
GTEX-1I1GT-1126-SM-ARL7J 60-69 years, female 432.5
GTEX-1LG7Z-0726-SM-CXKYD 30-39 years, male 431.4
GTEX-ZDXO-0126-SM-5S2ND 60-69 years, male 429.3
GTEX-ZQG8-0726-SM-5P9H9 60-69 years, female 427.8
GTEX-1IDFM-0426-SM-B2LVV 60-69 years, male 427.5
GTEX-1IGQW-0926-SM-ADEH6 60-69 years, male 426.4
GTEX-11ZUS-0826-SM-5FQUY 30-39 years, male 422.6
GTEX-1I1GV-2426-SM-CGQFM 60-69 years, male 418.0
GTEX-ZT9W-2026-SM-51MRA 50-59 years, male 417.8
GTEX-S32W-2026-SM-4AD6E 50-59 years, female 416.8
GTEX-R55D-0826-SM-48FEA 50-59 years, male 416.7
GTEX-17F97-2526-SM-7EWDV 50-59 years, male 414.2
GTEX-1I6K6-0826-SM-ARL7Z 30-39 years, male 412.9
GTEX-1HCU9-0326-SM-9WYSC 20-29 years, male 410.0
GTEX-S33H-0326-SM-4AD6N 30-39 years, male 409.4
GTEX-1KD5A-1926-SM-DKPQA 50-59 years, male 406.9
GTEX-1L5NE-2126-SM-CY8IH 50-59 years, male 401.8
GTEX-WHSB-1926-SM-EXOHH 50-59 years, male 401.6
GTEX-1LC47-1226-SM-D4P44 60-69 years, male 401.4
GTEX-1ICG6-1326-SM-ACKWR 70-79 years, female 400.8
GTEX-1ICLY-1726-SM-B2LVT 50-59 years, male 400.8
GTEX-1313W-0826-SM-5EQ4T 50-59 years, female 397.4
GTEX-117YX-1426-SM-5H12H 50-59 years, male 396.6
GTEX-1E2YA-2726-SM-7IGPW 50-59 years, male 389.7
GTEX-ZAB4-2526-SM-5HL8M 40-49 years, male 389.1
GTEX-1S82Z-0726-SM-E6CHX 30-39 years, female 387.6
GTEX-XGQ4-0926-SM-4AT4U 50-59 years, male 385.4
GTEX-144GM-0926-SM-5O994 20-29 years, male 378.5
GTEX-18A6Q-0926-SM-7LG4N 60-69 years, male 376.5
GTEX-ZLFU-2126-SM-DO931 40-49 years, male 374.9
GTEX-1AX9I-0726-SM-73KWV 60-69 years, male 373.8
GTEX-ZYFC-0826-SM-5E44K 50-59 years, male 372.0
GTEX-Y8E4-1626-SM-5S2MW 40-49 years, male 370.9
GTEX-PSDG-1626-SM-48TCQ 50-59 years, male 368.5
GTEX-1HFI7-0126-SM-CGQFQ 50-59 years, female 368.5
GTEX-11EQ9-1826-SM-5Q5AJ 30-39 years, male 367.2
GTEX-18A66-1726-SM-7LG5N 60-69 years, male 366.0
GTEX-1KANC-1426-SM-CYPT9 50-59 years, female 362.3
GTEX-1HSMO-0826-SM-ADEIV 60-69 years, male 358.5
GTEX-Z9EW-1526-SM-EZ6LU 40-49 years, male 357.9
GTEX-1GPI7-0926-SM-7PC3J 20-29 years, male 357.4
GTEX-117XS-1926-SM-5GICO 60-69 years, male 357.3
GTEX-1MA7X-1626-SM-E9U5B 60-69 years, male 356.6
GTEX-13OW8-0226-SM-5K7UP 60-69 years, male 349.5
GTEX-1GZ4I-2826-SM-9MQK5 50-59 years, male 349.0
GTEX-XMK1-1126-SM-4IHJ8 40-49 years, male 346.8
GTEX-1QP28-1226-SM-E9J2M 50-59 years, female 344.9
GTEX-14PJO-0726-SM-69LO8 60-69 years, male 342.8
GTEX-XQ8I-2426-SM-4WAXY 50-59 years, male 342.4
GTEX-1LNCM-0226-SM-DIPF4 50-59 years, female 342.3
GTEX-1S82U-1126-SM-E9U6I 30-39 years, female 340.5
GTEX-1HR98-0426-SM-COH36 60-69 years, male 339.0
GTEX-13O61-1826-SM-5KM4I 60-69 years, male 338.4
GTEX-YB5K-1626-SM-5IFIN 40-49 years, female 337.8
GTEX-12KS4-0126-SM-5Q5A5 30-39 years, male 337.4
GTEX-WY7C-2726-SM-3NB3P 50-59 years, male 337.4
GTEX-1A3MX-2726-SM-718B6 60-69 years, male 336.7
GTEX-1EU9M-2826-SM-7EWFH 60-69 years, male 336.6
GTEX-18D9A-1526-SM-7LG4J 30-39 years, female 335.7
GTEX-16BQI-1026-SM-7KUEA 30-39 years, female 335.1
GTEX-UTHO-1026-SM-3GAF7 60-69 years, male 331.9
GTEX-1QEPI-0926-SM-DTXF3 60-69 years, female 331.2
GTEX-1HSEH-2026-SM-ADEHN 60-69 years, male 330.4
GTEX-17GQL-0326-SM-7LG5U 60-69 years, male 329.8
GTEX-15UF7-0726-SM-6M46D 40-49 years, male 325.0
GTEX-YJ8O-2226-SM-5IFHW 40-49 years, female 324.0
GTEX-1HC8U-0826-SM-ADEIL 40-49 years, female 316.9
GTEX-1192X-2326-SM-5987X 50-59 years, male 315.1
GTEX-13CF3-2126-SM-5IFJP 60-69 years, female 313.4
GTEX-12BJ1-1826-SM-5HL9N 60-69 years, male 310.4
GTEX-1QMI2-0726-SM-E9J4F 60-69 years, male 309.9
GTEX-13N1W-0626-SM-5MR4U 70-79 years, male 309.3
GTEX-QVJO-1826-SM-447C9 60-69 years, female 308.6
GTEX-ZLWG-1926-SM-DO92J 50-59 years, female 307.9
GTEX-14E7W-0826-SM-62LEJ 70-79 years, male 307.7
GTEX-144GL-2026-SM-5LU3O 50-59 years, male 306.5
GTEX-139TU-0626-SM-5KM3X 60-69 years, male 305.9
GTEX-14PJ4-2126-SM-6ETZJ 60-69 years, male 303.7
GTEX-YEC3-1026-SM-5IFI5 50-59 years, male 303.5
GTEX-1JMOU-2026-SM-CMKGU 60-69 years, female 302.0
GTEX-13QIC-2326-SM-5LU5N 60-69 years, female 300.3
GTEX-13113-5013-SM-7SB7G 60-69 years, female 297.0
GTEX-ZVZQ-0826-SM-51MRF 60-69 years, female 294.0
GTEX-11I78-2226-SM-5PNYA 50-59 years, female 292.4
GTEX-1EKGG-2626-SM-7IGPY 60-69 years, male 291.8
GTEX-1HR9M-2426-SM-ACKXI 60-69 years, male 290.9
GTEX-11DXZ-1926-SM-5GZZL 50-59 years, male 288.9
GTEX-11ZTT-2326-SM-5EQLG 60-69 years, female 288.5
GTEX-1JKYR-0926-SM-CMKGJ 20-29 years, male 285.0
GTEX-1GF9V-2526-SM-7SB8K 60-69 years, male 284.4
GTEX-12WSN-1326-SM-5GCNT 40-49 years, male 280.4
GTEX-1IDJU-1826-SM-CMKHV 60-69 years, female 278.5
GTEX-1PPH7-0826-SM-E8VNX 40-49 years, male 278.4
GTEX-1K9T9-1426-SM-DIPFQ 50-59 years, female 278.1
GTEX-YFCO-1826-SM-4W1YH 40-49 years, male 277.6
GTEX-ZV6S-1826-SM-5NQ8D 40-49 years, female 276.9
GTEX-12WSM-1726-SM-5BC6J 60-69 years, male 275.3
GTEX-17MFQ-0926-SM-7LG4S 20-29 years, male 274.5
GTEX-TKQ2-1826-SM-33HB2 50-59 years, male 273.5
GTEX-1C6WA-2426-SM-7SB86 60-69 years, male 272.7
GTEX-1NHNU-0926-SM-E9J2T 50-59 years, male 272.2
GTEX-14E6C-1326-SM-62LEQ 40-49 years, male 271.1
GTEX-15ETS-0626-SM-7KUMX 40-49 years, female 270.8
GTEX-V955-2026-SM-3GAFA 60-69 years, male 268.6
GTEX-145ME-1526-SM-5Q5F2 40-49 years, female 268.3
GTEX-14E6E-1326-SM-5S2NR 30-39 years, male 266.7
GTEX-1OKEX-0826-SM-E9J2B 60-69 years, male 263.9
GTEX-1QW4Y-1026-SM-DTXE2 30-39 years, male 263.8
GTEX-1RLM8-2226-SM-EVYD1 50-59 years, male 262.9
GTEX-ZA64-1526-SM-5CVMD 20-29 years, male 258.4
GTEX-145MN-1926-SM-5SIAI 30-39 years, male 258.2
GTEX-QMRM-1626-SM-D4P1U 50-59 years, male 255.2
GTEX-1B933-2526-SM-7IGO5 50-59 years, female 254.3
GTEX-1H1ZS-0126-SM-9YFKQ 70-79 years, male 252.3
GTEX-REY6-2426-SM-48FF5 60-69 years, male 250.9
GTEX-14ICK-2426-SM-6EU27 40-49 years, male 250.5
GTEX-17EVP-0226-SM-79OND 40-49 years, male 250.0
GTEX-1R9JW-0326-SM-EAZ45 30-39 years, female 248.3
GTEX-13FTW-1426-SM-5LZWZ 40-49 years, male 246.6
GTEX-XV7Q-2326-SM-4BRVZ 40-49 years, female 241.3
GTEX-1M4P7-2626-SM-E9U5F 60-69 years, male 237.4
GTEX-1R7EV-1526-SM-E8VOD 40-49 years, male 236.3
GTEX-15G19-2126-SM-6M48J 60-69 years, male 236.1
GTEX-1HBPM-0126-SM-ARL9E 60-69 years, female 235.7
GTEX-1QPFJ-2026-SM-EVYBE 30-39 years, female 234.4
GTEX-Y9LG-1426-SM-5IFJZ 30-39 years, male 234.2
GTEX-1IKOE-1326-SM-CE6T6 30-39 years, female 233.7
GTEX-1P4AB-1826-SM-E76PU 50-59 years, male 232.5
GTEX-1HCU8-0126-SM-ADEHH 60-69 years, female 232.4
GTEX-14B4R-1226-SM-5TDDT 30-39 years, male 232.2
GTEX-15SHW-1326-SM-6PAL8 60-69 years, male 232.0
GTEX-1F75B-0626-SM-7SB8A 50-59 years, male 230.8
GTEX-17JCI-0726-SM-7EPH1 60-69 years, female 230.1
GTEX-WOFL-0826-SM-3MJG1 60-69 years, male 224.9
GTEX-ZVT4-1026-SM-57WC4 50-59 years, female 224.9
GTEX-1N2EF-2226-SM-E9J33 60-69 years, male 224.0
GTEX-1PDJ9-1126-SM-EXUSW 20-29 years, male 221.7
GTEX-1J8EW-2626-SM-CL53E 60-69 years, female 220.3
GTEX-11WQK-2426-SM-5GU5C 50-59 years, male 215.8
GTEX-1N2EE-2126-SM-E8VNN 60-69 years, male 213.6
GTEX-1I1GU-1026-SM-ADEHJ 40-49 years, male 211.1
GTEX-ZDYS-1126-SM-5K7UB 50-59 years, male 208.8
GTEX-TKQ1-0226-SM-33HB5 30-39 years, male 206.6
GTEX-13O3Q-2226-SM-5KM4O 50-59 years, male 206.2
GTEX-ZPIC-1126-SM-5BC7F 40-49 years, female 205.8
GTEX-X261-0626-SM-3NMD9 50-59 years, male 204.3
GTEX-1QCLZ-2326-SM-DTXDO 60-69 years, female 201.2
GTEX-1I4MK-1626-SM-CM2TJ 50-59 years, female 200.1
GTEX-XMD2-0926-SM-4WWEF 60-69 years, female 199.7
GTEX-1IDJH-2226-SM-E6CJV 70-79 years, male 197.6
GTEX-Y5V5-2126-SM-4WWFO 60-69 years, female 196.3
GTEX-13W46-0826-SM-5LU3H 50-59 years, male 195.4
GTEX-Y5V6-2126-SM-4WWFX 60-69 years, male 195.1
GTEX-146FH-0826-SM-5SI8T 50-59 years, female 194.0
GTEX-ZQUD-1926-SM-51MSA 30-39 years, male 193.1
GTEX-T5JW-2026-SM-4DM63 20-29 years, female 191.7
GTEX-14DAR-1326-SM-7DUEG 50-59 years, male 190.1
GTEX-RUSQ-2026-SM-4GIAK 50-59 years, male 190.1
GTEX-XUW1-2326-SM-4BOO5 50-59 years, female 189.6
GTEX-132NY-0826-SM-5K7Y7 60-69 years, male 189.3
GTEX-1HCU7-1026-SM-ADEIP 50-59 years, male 188.8
GTEX-17EVQ-0426-SM-7LG57 70-79 years, male 188.7
GTEX-1J8Q3-1326-SM-CMKI1 60-69 years, male 187.9
GTEX-WRHU-0326-SM-3MJFY 50-59 years, female 187.1
GTEX-139T6-1626-SM-5PNYZ 50-59 years, male 186.7
GTEX-1QP9N-1826-SM-E8VMP 30-39 years, male 186.2
GTEX-ZYW4-0826-SM-5GIDG 60-69 years, male 185.3
GTEX-1H1DG-0526-SM-9YFLN 70-79 years, male 184.9
GTEX-11NV4-2026-SM-5N9DG 60-69 years, male 183.8
GTEX-ZDTT-2126-SM-DKPOM 60-69 years, male 182.3
GTEX-S4UY-0726-SM-4AD6X 40-49 years, female 182.2
GTEX-1314G-1226-SM-5BC6D 30-39 years, male 180.9
GTEX-11DXW-0626-SM-5N9ER 40-49 years, male 179.4
GTEX-11P81-1926-SM-5BC53 30-39 years, female 178.6
GTEX-11GSP-0926-SM-9WYSG 60-69 years, female 178.5
GTEX-1F75A-1826-SM-7SB8G 50-59 years, male 178.4
GTEX-Y111-2026-SM-4SOJA 50-59 years, male 177.9
GTEX-1LGRB-1826-SM-CNPQL 50-59 years, female 176.1
GTEX-1117F-2826-SM-5GZXL 60-69 years, female 170.5
GTEX-ZTTD-1026-SM-51MRD 50-59 years, male 169.8
GTEX-15ER7-1626-SM-6PAMZ 20-29 years, female 167.3
GTEX-1KD4Q-2326-SM-D4P3M 40-49 years, male 165.7
GTEX-Y114-2026-SM-4TT7L 50-59 years, female 165.5
GTEX-11EI6-0626-SM-5985T 60-69 years, male 165.3
GTEX-1JJE9-2326-SM-ARL8Q 70-79 years, male 165.1
GTEX-1GZHY-0726-SM-9WG6B 50-59 years, female 164.2
GTEX-ZAK1-1326-SM-EVYAS 50-59 years, female 162.4
GTEX-1211K-1926-SM-5EQLB 60-69 years, female 162.3
GTEX-U8XE-0826-SM-4E3J1 30-39 years, male 162.0
GTEX-13NZ8-0126-SM-5IJCT 60-69 years, female 160.3
GTEX-1JN1M-3026-SM-CMKGK 60-69 years, female 160.2
GTEX-133LE-1726-SM-5K7VQ 20-29 years, female 159.9
GTEX-1AX9J-1126-SM-731B7 60-69 years, male 159.7
GTEX-14PKU-0426-SM-6EU1P 40-49 years, female 159.1
GTEX-1B8KZ-1526-SM-7DUG7 50-59 years, male 158.3
GTEX-X4XY-0926-SM-4E3JD 60-69 years, male 156.7
GTEX-14ABY-2126-SM-5QGQZ 50-59 years, male 156.3
GTEX-17MF6-0326-SM-7EPH5 40-49 years, male 155.1
GTEX-XYKS-1326-SM-4BRUN 60-69 years, female 155.1
GTEX-14AS3-1626-SM-5S2OY 40-49 years, female 154.9
GTEX-1LSVX-2426-SM-E6CJX 60-69 years, male 153.7
GTEX-15EOM-5019-SM-793DK 20-29 years, female 151.4
GTEX-1EN7A-1426-SM-7PBY4 40-49 years, male 148.8
GTEX-13NZ9-1026-SM-5MR5K 50-59 years, male 145.9
GTEX-ZTPG-2826-SM-57WGA 20-29 years, female 144.7
GTEX-1GMR2-1926-SM-9MQLZ 50-59 years, male 143.5
GTEX-SE5C-2126-SM-4BRUJ 40-49 years, female 142.9
GTEX-1I19N-2826-SM-CL55D 70-79 years, male 141.9
GTEX-1MCC2-2126-SM-EWRON 30-39 years, female 141.9
GTEX-VJWN-0726-SM-3GIJ8 50-59 years, female 139.4
GTEX-1C6VS-0726-SM-7EPHF 60-69 years, male 137.8
GTEX-13CF2-2026-SM-5K7VI 60-69 years, male 137.5
GTEX-QEL4-2126-SM-447AE 50-59 years, male 136.7
GTEX-13W3W-1226-SM-5LU4H 60-69 years, female 136.5
GTEX-1B8L1-2426-SM-9WYTE 60-69 years, male 136.3
GTEX-1399U-1826-SM-5PNZ1 50-59 years, female 134.7
GTEX-TML8-1226-SM-32QON 40-49 years, female 134.5
GTEX-T6MO-0326-SM-32QOK 40-49 years, female 134.1
GTEX-1C475-1226-SM-7SB72 40-49 years, female 133.0
GTEX-1I1HK-2426-SM-ADEHX 60-69 years, male 132.7
GTEX-1269C-2426-SM-5FQSN 60-69 years, female 131.4
GTEX-ZVT2-1826-SM-5NQ8W 50-59 years, female 131.4
GTEX-1JK1U-1826-SM-ARL8W 60-69 years, male 128.6
GTEX-17EUY-1926-SM-7DUF6 20-29 years, male 128.5
GTEX-1122O-1226-SM-5H113 60-69 years, female 127.9
GTEX-1JMLX-2026-SM-CMKGN 50-59 years, male 127.4
GTEX-U412-1826-SM-4DXTJ 60-69 years, male 126.8
GTEX-Q2AG-0326-SM-48U1O 40-49 years, female 126.3
GTEX-ZF3C-2326-SM-5S2NC 50-59 years, female 125.8
GTEX-13O3O-0826-SM-5K7WE 60-69 years, female 123.5
GTEX-18QFQ-0826-SM-718AX 30-39 years, male 123.5
GTEX-11LCK-2426-SM-5HL5F 30-39 years, male 121.2
GTEX-1GMRU-0826-SM-9WYT7 50-59 years, male 118.8
GTEX-UPK5-2326-SM-3P5Z8 40-49 years, male 118.3
GTEX-11TT1-2126-SM-5GU5Y 20-29 years, male 117.2
GTEX-ZEX8-2226-SM-57WC6 50-59 years, male 116.4
GTEX-17F98-0526-SM-79OK5 40-49 years, female 115.8
GTEX-T2YK-2226-SM-32QPT 50-59 years, male 115.8
GTEX-1LSNM-1326-SM-E9TJ1 50-59 years, male 115.6
GTEX-ZV7C-1826-SM-5NQ83 50-59 years, male 114.5
GTEX-18A7A-0726-SM-7LTAI 50-59 years, female 114.0
GTEX-1A8G7-2426-SM-731AK 60-69 years, male 114.0
GTEX-ZLV1-1426-SM-DO92Z 60-69 years, female 113.3
GTEX-1QP29-1726-SM-E8VMQ 50-59 years, male 113.2
GTEX-1AX8Z-0926-SM-731AW 60-69 years, male 113.0
GTEX-1R46S-2526-SM-E8VN2 60-69 years, female 111.1
GTEX-W5X1-2326-SM-3GIL6 40-49 years, female 110.2
GTEX-17HG3-0126-SM-7IGNH 30-39 years, female 109.3
GTEX-ZVE2-1226-SM-5NQ8R 50-59 years, male 109.3
GTEX-1A3MV-1626-SM-731C1 30-39 years, male 108.2
GTEX-17KNJ-2026-SM-7LG53 50-59 years, male 107.7
GTEX-1B97J-0426-SM-79OLQ 50-59 years, female 106.9
GTEX-ZVTK-0326-SM-51MRR 20-29 years, male 105.2
GTEX-U3ZN-1926-SM-4DXSG 30-39 years, female 103.9
GTEX-12WSK-2226-SM-5GCO5 40-49 years, female 103.4
GTEX-1HCVE-2626-SM-ADEJ8 50-59 years, male 101.5
GTEX-13D11-1026-SM-5IJFB 50-59 years, female 101.3
GTEX-1IKJJ-2326-SM-COH3U 60-69 years, male 100.6
GTEX-WXYG-2226-SM-4E3IM 50-59 years, female 99.4
GTEX-111YS-1926-SM-5GICC 60-69 years, male 99.2
GTEX-Y3I4-1526-SM-4TT7K 50-59 years, male 99.1
GTEX-UJHI-1426-SM-3DB9C 50-59 years, female 98.6
GTEX-1JJEA-2726-SM-ARL8V 60-69 years, male 96.4
GTEX-1RAZS-1226-SM-E8VMT 50-59 years, male 96.4
GTEX-1RQEC-2026-SM-DTXDM 60-69 years, male 96.1
GTEX-1IDJE-0826-SM-CKZNZ 50-59 years, female 95.1
GTEX-1H1CY-2226-SM-9WG7E 60-69 years, female 92.8
GTEX-1NUQO-2226-SM-E9U68 20-29 years, female 92.5
GTEX-RU72-0626-SM-46MUI 50-59 years, female 92.4
GTEX-WI4N-1426-SM-3LK7H 40-49 years, female 90.9
GTEX-Y5LM-1726-SM-4VDSX 40-49 years, female 90.6
GTEX-U3ZH-1426-SM-4DXSR 30-39 years, male 89.4
GTEX-ZY6K-1626-SM-5GZWV 50-59 years, male 89.0
GTEX-RU1J-0626-SM-4WAWY 20-29 years, female 88.8
GTEX-RWS6-1926-SM-47JXY 60-69 years, female 88.8
GTEX-13PVR-2226-SM-7DHKP 60-69 years, female 88.4
GTEX-13SLW-2526-SM-62LDQ 70-79 years, male 88.0
GTEX-13OW5-2226-SM-5L3HC 60-69 years, male 87.6
GTEX-1GZ4H-0326-SM-7P8QX 50-59 years, female 86.6
GTEX-17HHY-0926-SM-793C1 50-59 years, male 86.1
GTEX-1F5PL-1026-SM-7RHI1 40-49 years, female 84.2
GTEX-14BMU-1626-SM-5TDE7 20-29 years, female 84.1
GTEX-15FZZ-0726-SM-7KUFZ 30-39 years, female 83.9
GTEX-17HHE-1426-SM-7EPH4 50-59 years, male 83.5
GTEX-S4P3-1326-SM-4AD6V 50-59 years, female 82.5
GTEX-1MA7W-1026-SM-DKPQK 20-29 years, female 82.4
GTEX-1B932-0826-SM-73KXG 40-49 years, female 82.0
GTEX-1IKOH-2326-SM-CM2TW 60-69 years, female 80.3
GTEX-1F6I4-2526-SM-7SB8F 60-69 years, male 79.6
GTEX-14PN4-0626-SM-62LFP 50-59 years, male 78.4
GTEX-11WQC-1726-SM-5GU4W 60-69 years, male 77.5
GTEX-13SLX-2326-SM-5ZZWE 50-59 years, female 77.3
GTEX-1R9PN-0326-SM-DTX85 40-49 years, female 77.2
GTEX-1MCYP-0126-SM-E6CIS 20-29 years, female 77.1
GTEX-1KAFJ-0226-SM-DIPEL 50-59 years, male 73.3
GTEX-13NZB-2126-SM-5MR4Y 30-39 years, male 73.2
GTEX-1GPI6-0626-SM-7RHHJ 60-69 years, male 72.9
GTEX-1KXAM-1026-SM-CY8IA 60-69 years, male 71.9
GTEX-VUSG-2226-SM-4KKZO 50-59 years, male 70.3
GTEX-R3RS-0626-SM-48FE1 40-49 years, female 69.9
GTEX-1LVAM-0926-SM-E9TJ2 50-59 years, female 69.3
GTEX-1K2DA-1726-SM-CGQGS 50-59 years, male 67.0
GTEX-14PHY-1926-SM-5YY95 60-69 years, female 66.6
GTEX-TMMY-0726-SM-33HBE 40-49 years, female 66.6
GTEX-X15G-1626-SM-3NMB3 50-59 years, female 66.4
GTEX-1B8SG-1226-SM-7IGPF 50-59 years, male 65.2
GTEX-11PRG-0826-SM-5EQ6A 50-59 years, male 64.6
GTEX-1J8QM-2026-SM-ARZMW 60-69 years, female 64.3
GTEX-1HBPN-2326-SM-9WPPU 50-59 years, male 64.0
GTEX-1GF9X-1026-SM-ACKX2 40-49 years, female 63.1
GTEX-132Q8-1426-SM-5EGK7 60-69 years, male 63.0
GTEX-1M5QR-2526-SM-E9U5P 40-49 years, male 62.4
GTEX-1MJK2-2226-SM-EVYCR 50-59 years, male 62.4
GTEX-1J8Q2-2726-SM-A9G2X 60-69 years, male 61.5
GTEX-12ZZX-1126-SM-5EGKB 40-49 years, female 60.8
GTEX-Y3IK-2326-SM-4WWDT 50-59 years, female 60.5
GTEX-1RAZQ-1226-SM-EWRNL 30-39 years, male 60.0
GTEX-1GZ2Q-2626-SM-7MXV9 40-49 years, male 59.2
GTEX-1HKZK-1826-SM-ADEJ2 40-49 years, male 58.9
GTEX-ZZPU-0626-SM-5E43T 50-59 years, female 58.3
GTEX-Y8LW-1626-SM-5IFHX 50-59 years, female 58.2
GTEX-1HCUA-0726-SM-ACKVU 50-59 years, female 57.7
GTEX-1CB4G-2326-SM-79OOI 60-69 years, male 57.0
GTEX-XUZC-1626-SM-4BRVP 30-39 years, female 56.9
GTEX-11EMC-2026-SM-5A5JV 60-69 years, female 55.5
GTEX-13N11-1726-SM-5J1OJ 50-59 years, female 55.2
GTEX-1IY9M-2726-SM-CMKG5 60-69 years, male 54.4
GTEX-13PL6-2926-SM-5L3I2 40-49 years, female 53.7
GTEX-1B97I-0426-SM-79OL7 40-49 years, male 53.6
GTEX-1C64O-0726-SM-7DUFU 60-69 years, male 53.3
GTEX-XMD1-0826-SM-4AT52 60-69 years, male 52.3
GTEX-1GN2E-2226-SM-9WG6J 60-69 years, male 52.2
GTEX-S341-1526-SM-4AD6K 40-49 years, female 52.0
GTEX-1HUB1-1626-SM-CM2SL 60-69 years, male 50.7
GTEX-11GS4-2126-SM-5A5KR 60-69 years, male 50.6
GTEX-1JMPY-0526-SM-CL54O 30-39 years, male 49.1
GTEX-ZGAY-1726-SM-DO91P 40-49 years, female 47.9
GTEX-14LLW-0626-SM-62LFC 70-79 years, female 47.3
GTEX-1N5O9-1126-SM-DTXEQ 60-69 years, male 46.6
GTEX-147F4-2826-SM-5NQBN 50-59 years, male 46.5
GTEX-X4EP-2926-SM-3P5YQ 60-69 years, female 46.4
GTEX-1KANA-2026-SM-DIPFB 20-29 years, male 46.4
GTEX-1BAJH-0826-SM-7EWEF 70-79 years, male 46.3
GTEX-139T8-0826-SM-5L3DE 60-69 years, male 45.8
GTEX-WFG8-2026-SM-EXOHO 20-29 years, male 45.8
GTEX-14A5I-0726-SM-5TDEB 50-59 years, female 45.6
GTEX-QDT8-0626-SM-48TYW 30-39 years, female 45.3
GTEX-15UF6-0126-SM-6PAMB 70-79 years, female 43.0
GTEX-1CB4E-0226-SM-79OLW 60-69 years, male 42.4
GTEX-1JMPZ-1626-SM-COH31 30-39 years, male 42.0
GTEX-1POEN-0926-SM-DTX88 30-39 years, female 41.9
GTEX-1HSKV-2026-SM-CMKGX 60-69 years, male 41.6
GTEX-145LT-0726-SM-5S2VM 40-49 years, male 41.4
GTEX-1R7EU-1226-SM-E8VMR 60-69 years, male 41.2
GTEX-14H4A-2526-SM-5YYAY 40-49 years, female 41.1
GTEX-T6MN-0726-SM-32PML 50-59 years, male 40.5
GTEX-1IE54-0626-SM-ARL8D 40-49 years, female 38.7
GTEX-13O3P-0826-SM-5L3DH 50-59 years, male 38.4
GTEX-13FTY-2226-SM-5J1ND 40-49 years, female 38.3
GTEX-1F75I-2026-SM-7SB7N 40-49 years, male 38.3
GTEX-131YS-0626-SM-5EGKL 60-69 years, female 37.6
GTEX-1I6K7-1026-SM-A9SLK 40-49 years, male 37.4
GTEX-ZU9S-1926-SM-5NQBP 30-39 years, male 37.1
GTEX-1GN1W-1926-SM-7P8TH 50-59 years, female 36.7
GTEX-16NGA-0826-SM-718AF 40-49 years, female 35.9
GTEX-1QCLY-1626-SM-DTXDW 30-39 years, male 35.9
GTEX-1GMR8-0726-SM-9KNVI 50-59 years, female 35.8
GTEX-WYJK-1326-SM-3NB2T 50-59 years, male 35.2
GTEX-ZF29-1926-SM-5S2P1 60-69 years, female 34.3
GTEX-ZXES-0826-SM-5E43C 30-39 years, female 33.7
GTEX-1LVAN-1326-SM-CNPQE 50-59 years, female 33.2
GTEX-T2IS-1526-SM-32QPR 20-29 years, female 32.8
GTEX-1GMR3-2626-SM-7RHHG 40-49 years, male 31.1
GTEX-QEG5-0726-SM-D4P1T 20-29 years, male 30.5
GTEX-ZTX8-1226-SM-4YCE9 20-29 years, male 28.7
GTEX-1CAMS-1426-SM-7IGPM 40-49 years, female 28.3
GTEX-WYVS-1726-SM-3NMAY 40-49 years, female 28.0
GTEX-11EM3-1326-SM-5N9C6 20-29 years, female 27.8
GTEX-1HSGN-1526-SM-A9SMO 40-49 years, female 26.7
GTEX-ZF2S-2026-SM-5E461 50-59 years, female 25.9
GTEX-13FHO-0826-SM-5L3E8 60-69 years, male 24.1
GTEX-YFC4-1426-SM-5IFJG 40-49 years, female 23.4
GTEX-XBED-1626-SM-47JYN 60-69 years, male 23.3
GTEX-XOT4-0726-SM-4GIAW 60-69 years, female 23.3
GTEX-ZC5H-2626-SM-5J2MG 40-49 years, female 21.9
GTEX-ZAJG-0626-SM-5HL8X 50-59 years, female 19.9
GTEX-WYBS-0926-SM-3NM94 60-69 years, female 19.8
GTEX-1H1E6-0926-SM-9YFLT 30-39 years, male 19.7
GTEX-131XW-0726-SM-5EGK3 50-59 years, female 18.1
GTEX-1GN1U-0526-SM-9KNTT 50-59 years, female 17.8
GTEX-11P7K-0726-SM-5EGKX 30-39 years, male 17.3
GTEX-1JMQK-2626-SM-COH2W 60-69 years, male 17.3
GTEX-1CB4J-1826-SM-7EWF9 60-69 years, male 15.9
GTEX-T5JC-2126-SM-32PMO 20-29 years, male 11.1
Show allShow less

BREAST - FANTOM5 CAGEi

RNA expression in human tissues obtained through Cap Analysis of Gene Expression (CAGE) generated by the FANTOM5 project are reported as Scaled Tags Per Million.

Max subtype Scaled Tags Per Millioni

Max subtype Scaled Tags Per Million is the value for the subtype with the largest average Scaled Tags Per Million across the subtype samples.

324.9
FANTOM5 sample id Sample description Scaled Tags Per Million
Breast
Scaled Tags Per Million: 324.9
FF:10080-102A8 77 years, female 324.9

Contact

  • NEWS ARTICLES
  • PRESS ROOM

The Project

  • INTRODUCTION
  • ORGANIZATION
  • PUBLICATIONS

The Human Protein Atlas

  • DOWNLOADABLE DATA
  • LICENCE & CITATION
  • HELP & FAQ
The Human Protein Atlas project is funded
by the Knut & Alice Wallenberg Foundation.


contact@proteinatlas.org