We use cookies to enhance the usability of our website. If you continue, we'll assume that you are happy to receive all cookies. More information. Don't show this again.
FABP5
HPA
RESOURCES
  • TISSUE
  • BRAIN
  • SINGLE CELL
  • SUBCELLULAR
  • CANCER
  • BLOOD
  • CELL LINE
  • STRUCTURE & INTERACTION
ABOUT
  • INTRODUCTION
  • HISTORY
  • ORGANIZATION
  • PUBLICATIONS
  • ANTIBODY SUBMISSION
  • ANTIBODY AVAILABILITY
  • ACKNOWLEDGMENTS
  • CONTACT
NEWS
  • NEWS ARTICLES
  • PRESS ROOM
LEARN
  • DICTIONARY
  • PROTEIN CLASSES
  • PROTEIN EVIDENCE
  • METHODS
  • EDUCATIONAL VIDEOS
DATA
  • DOWNLOADABLE DATA
  • PUBLICATION DATA
  • RELEASE HISTORY
HELP
  • ANTIBODY VALIDATION
  • ASSAYS & ANNOTATION
  • DISCLAIMER
  • HELP & FAQ
  • PRIVACY STATEMENT
  • LICENCE & CITATION
Fields »
Search result

Field
Term
Gene name
Class
Subclass
Class
Keyword
Chromosome
External id
Tissue
Cell type
Expression
Antibody panel
Tissue
Main location
Patient ID
Annotation
Tissue
Category
Tau score
Cluster
Reliability
Brain region
Category
Tau score
Brain region
Category
Tau score
Brain region
Category
Tau score
Cluster
Reliability
Tissue
Cell type
Enrichment
Cell type
Category
Tau score
Cell type
Category
Tau score
Cell type
Category
Tau score
Cell lineage
Category
Tau score
Cluster
Cluster
Location
Searches
Location
Cell line
Class
Type
Phase
Reliability
Cancer
Prognosis
Cancer
Category
Cancer
Category
Tau score
Cluster
Variants
Interacting gene (ensg_id)
Type
Number of interactions
Pathway
Category
Score
Score
Score
Validation
Validation
Validation
Validation
Antibodies
Data type
Column


  • SUMMARY

  • TISSUE

  • BRAIN

  • SINGLE CELL

  • SUBCELL

  • CANCER

  • BLOOD

  • CELL LINE

  • STRUCT & INT

  • FABP5
TISSUE PRIMARY DATA SKIN Show tissue menu
ADIPOSE TISSUE ADRENAL GLAND AMYGDALA APPENDIX BASAL GANGLIA BONE MARROW BREAST BRONCHUS CEREBELLUM CEREBRAL CORTEX CERVIX CHOROID PLEXUS COLON DUODENUM
ENDOMETRIUM EPIDIDYMIS ESOPHAGUS FALLOPIAN TUBE GALLBLADDER HEART MUSCLE HIPPOCAMPAL FORMATION HYPOTHALAMUS KIDNEY LIVER LUNG LYMPH NODE MIDBRAIN NASOPHARYNX
ORAL MUCOSA OVARY PANCREAS PARATHYROID GLAND PITUITARY GLAND PLACENTA PROSTATE RECTUM RETINA SALIVARY GLAND SEMINAL VESICLE SKELETAL MUSCLE SKIN SMALL INTESTINE
SMOOTH MUSCLE SOFT TISSUE SPINAL CORD SPLEEN STOMACH TESTIS THYMUS THYROID GLAND TONGUE TONSIL URINARY BLADDER VAGINA
ANTIBODIES
AND
VALIDATION
Dictionary
Skin
Tissue proteome
Skin
SKIN - Expression summary
Protein expression
Skini

On the top, protein expression in current human tissue, based on all annotated cell types, is reported with the units not detected (n), low (l), medium (m) and high (h). Underneath, protein expression in each annotated cell type are reported using the same units.

Protein expression data is based on knowledge-based annotation. For genes where more than one antibody has been used, a collective score is set.

If knowledge-based annotation could not be performed for a gene, no data is displayed here. View antibody staining data further down this page.

h
m
l
n
Cells in basal layer: Not detected
Cells in corneal layer: High
Cells in granular layer: High
Cells in spinous layer: High
Endothelial cells: High
Extracellular matrix: Not detected
Fibrohistiocytic cells: Medium
Langerhans cells: Not detected
Lymphocytes: Not detected
Melanocytes: Not detected
Vascular mural cells: Not detected
RNA expressioni

A summary of mRNA expression data available for current tissue based on several datasets. The mRNA expression levels in human tissues are based on RNA-seq data generated by the Human Protein Atlas (HPA), Genotype-Tissue Expression (GTEx) portal and CAGE data generated by the FANTOM5 consortium. Consensus normalized expression levels for human tissues was created by combining the data from HPA and GTEx datasets.

The mRNA expression levels in pig are based on RNA-seq data generated by the Human Protein Atlas (HPA), and for mouse, HPA data and in situ hybridization generated by the Allen brain atlas are reported.

Scroll down to view mRNA expression data in more detail.
Consensus:670.6 nTPM
HPA:461.4 nTPM
GTEx:670.6 nTPM

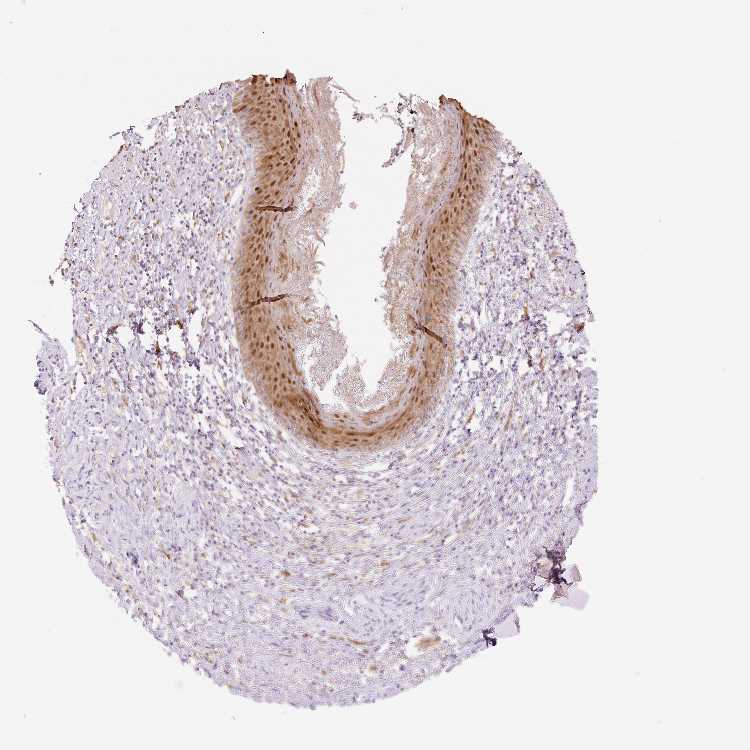
SKIN 1 - Antibody stainingi

Antibody staining in the annotated cell types in the current human tissue is reported as not detected, low, medium, or high, based on conventional immunohistochemistry profiling in selected tissues. This score is based on the combination of the staining intensity and fraction of stained cells.

Each image is clickable and will lead to virtual microscopy that enables deeper exploration of all samples and also displays staining intensity scores, fraction scores and subcellular localization as well as patient and tissue information for each sample.

Antibody HPA051895Antibody CAB017831Antibody CAB040577
Langerhans -Not detectedHigh
Cells in basal layer Not detected--
Cells in corneal layer High--
Cells in granular layer High--
Cells in spinous layer High--
Endothelial cells High--
Extracellular matrix Not detected--
Fibroblasts -Not detectedNot detected
Fibrohistiocytic cells Not detected--
Keratinocytes -MediumHigh
Langerhans cells Not detected--
Lymphocytes Not detected--
Melanocytes Not detectedNot detectedNot detected
Vascular mural cells Not detected--




SKIN 2 - Antibody stainingi

Antibody staining in the annotated cell types in the current human tissue is reported as not detected, low, medium, or high, based on conventional immunohistochemistry profiling in selected tissues. This score is based on the combination of the staining intensity and fraction of stained cells.

Each image is clickable and will lead to virtual microscopy that enables deeper exploration of all samples and also displays staining intensity scores, fraction scores and subcellular localization as well as patient and tissue information for each sample.

Antibody HPA051895Antibody CAB017831Antibody CAB040577
Cells in basal layer Not detected--
Cells in corneal layer Medium--
Cells in granular layer High--
Cells in spinous layer High--
Endothelial cells Low--
Epidermal cells -HighHigh
Extracellular matrix Not detected--
Fibrohistiocytic cells Medium--
Langerhans cells Not detected--
Lymphocytes Not detected--
Melanocytes Not detected--
Vascular mural cells Not detected--
   
   



SKIN - HPA RNA-seqi

The RNA-seq details section shows detailed information about the individual samples used for the transcript profiling and results of the RNA-seq analysis.

Information about each individual sample is listed below, including gender, age, a tissue section image and estimated fractions of cell types. nTPM (normalized transcripts per million) values give a quantification of the gene abundance which is comparable between different genes and samples.
Average nTPMi

Max subtype nTPM is the value for the subtype with the largest average nTPM across the subtype samples.

461.4
overview
Female, age 34
Skin sample 225
nTPM: 605.1
Cell types%
Keratinocytes:
60

Other cell types:
40

overview
Female, age 30
Skin sample 226
nTPM: 286.9
Cell types%
Keratinocytes:
55

Other cell types:
45

N/A
Male, age 57
Skin sample 227
nTPM: 492.1

SKIN - GTEx RNA-seqi

RNA-Seq data generated by the Genotype-Tissue Expression (GTEx) project from human tissues is reported as mean nTPM. More information can be found on the GTEx portal.

Distribution across the dataset is visualized with box plots, shown as median and 25th and 75th percentiles. Points are displayed as outliers if they are above or below 1.5 times the interquartile range. nTPM values of the individual samples are presented next to the box plot.
Max subtype nTPMi

Max subtype nTPM is the value for the subtype with the largest average nTPM across the subtype samples.

670.6
GTEx sample id Sample description nTPM
Skin - Not Sun Exposed (Suprapubic)
Average nTPM: 493.8
Samples: 604

Max nTPM: 2153.2
Min nTPM: 135.5
Std nTPM: 273.8
Median nTPM: 426.6
GTEX-1E2YA-2126-SM-7MXUO 50-59 years, male 2153.2
GTEX-ZYVF-0926-SM-5E44J 50-59 years, female 2091.4
GTEX-ZUA1-2626-SM-5NQ92 40-49 years, male 1835.0
GTEX-16MT9-0126-SM-7EPI8 60-69 years, female 1796.7
GTEX-ZY6K-1426-SM-5GZX2 50-59 years, male 1682.4
GTEX-1399S-0126-SM-5IJCF 30-39 years, female 1485.3
GTEX-WH7G-2026-SM-3NMBL 40-49 years, male 1457.7
GTEX-14LZ3-0126-SM-69LPM 60-69 years, female 1446.0
GTEX-1PPH8-0126-SM-EWRN8 20-29 years, male 1431.0
GTEX-1I1CD-0626-SM-CE6SW 60-69 years, female 1381.1
GTEX-16GPK-0626-SM-7KFSF 60-69 years, male 1313.7
GTEX-1GF9X-1326-SM-7PC2Y 40-49 years, female 1303.7
GTEX-11WQK-1026-SM-5EQLX 50-59 years, male 1245.0
GTEX-1E1VI-0326-SM-793D1 50-59 years, male 1243.6
GTEX-15RIE-1926-SM-7KUKJ 60-69 years, male 1218.5
GTEX-145MF-0926-SM-5Q5EA 50-59 years, male 1200.4
GTEX-1IKOE-1426-SM-CE6T7 30-39 years, female 1199.2
GTEX-1AX9J-1326-SM-731BJ 60-69 years, male 1165.4
GTEX-1O9I2-0226-SM-EYYXD 50-59 years, male 1149.1
GTEX-1PBJJ-1026-SM-E76OS 30-39 years, male 1133.5
GTEX-14XAO-1226-SM-6EU1C 60-69 years, female 1128.8
GTEX-15UF6-1926-SM-7KUDV 70-79 years, female 1114.8
GTEX-1S5ZU-2526-SM-E6CIF 20-29 years, female 1110.1
GTEX-18D9A-1426-SM-7LT8M 30-39 years, female 1083.3
GTEX-13PDP-0726-SM-5L3HP 60-69 years, male 1074.0
GTEX-ZWKS-0626-SM-5GIDV 30-39 years, male 1043.4
GTEX-145MG-1526-SM-5Q5EM 50-59 years, male 1043.2
GTEX-ZTTD-2826-SM-4YCFA 50-59 years, male 1034.0
GTEX-144GL-0626-SM-5LU4D 50-59 years, male 1024.5
GTEX-WFON-1926-SM-3LK7L 40-49 years, male 1011.5
GTEX-1RB15-1326-SM-E76Q9 60-69 years, male 1010.2
GTEX-ZYT6-2326-SM-5GZY3 30-39 years, male 996.9
GTEX-1N2EE-0626-SM-E76PW 60-69 years, male 991.5
GTEX-1H1CY-0126-SM-9YFLY 60-69 years, female 986.5
GTEX-1I1GP-1326-SM-A9G28 50-59 years, male 981.6
GTEX-12WSF-1626-SM-7KUG5 70-79 years, male 961.8
GTEX-1PIGE-1826-SM-E8VOU 20-29 years, male 954.2
GTEX-11TT1-1826-SM-5EQLV 20-29 years, male 953.0
GTEX-1ICLZ-0326-SM-ARL82 60-69 years, male 950.6
GTEX-1PIIG-2326-SM-DTXFR 30-39 years, male 949.5
GTEX-1R9PM-1926-SM-EVR3O 20-29 years, male 947.5
GTEX-ZYFD-0626-SM-5E44E 50-59 years, male 912.7
GTEX-14ICL-1626-SM-5YYAO 30-39 years, male 905.8
GTEX-145MO-2826-SM-5LU96 60-69 years, male 903.9
GTEX-1B933-2426-SM-7DHMD 50-59 years, female 903.9
GTEX-1LGRB-0926-SM-COH3K 50-59 years, female 897.7
GTEX-111VG-1626-SM-5EGIO 60-69 years, male 893.0
GTEX-1N5O9-0926-SM-E9J3C 60-69 years, male 882.4
GTEX-17EVQ-0126-SM-7IGLR 70-79 years, male 882.1
GTEX-ZPCL-1126-SM-4WWFE 60-69 years, female 879.6
GTEX-18A7B-2726-SM-7LG56 70-79 years, male 876.6
GTEX-1JMQL-2226-SM-CNPP4 50-59 years, female 871.6
GTEX-139D8-1126-SM-5LU8W 30-39 years, female 871.3
GTEX-1HSMP-0926-SM-A9SKX 70-79 years, male 870.0
GTEX-1F6RS-2026-SM-7RHHC 60-69 years, female 869.3
GTEX-14PHY-1226-SM-5ZZWK 60-69 years, female 868.1
GTEX-13IVO-0726-SM-5LZYV 70-79 years, male 863.7
GTEX-14BIN-1126-SM-5RQJZ 50-59 years, female 861.1
GTEX-11EQ8-0926-SM-5H12V 60-69 years, male 853.7
GTEX-13N1W-2426-SM-5IJD1 70-79 years, male 849.2
GTEX-18A66-0626-SM-7LT8Z 60-69 years, male 846.0
GTEX-1A8G6-2726-SM-731AR 60-69 years, male 843.5
GTEX-11DXX-2126-SM-5PNYR 60-69 years, female 830.9
GTEX-15ER7-0626-SM-6PANF 20-29 years, female 826.9
GTEX-139TT-2126-SM-5LZWC 60-69 years, male 823.4
GTEX-17F97-2626-SM-7IGM5 50-59 years, male 822.8
GTEX-14JG1-1526-SM-5YY9X 40-49 years, male 815.4
GTEX-1H2FU-0926-SM-9WPPT 60-69 years, female 813.3
GTEX-14PII-0726-SM-6EU2B 60-69 years, male 812.8
GTEX-15DDE-2926-SM-6LLJ3 50-59 years, female 812.3
GTEX-11DZ1-2426-SM-5GZZX 50-59 years, male 812.2
GTEX-11DYG-1526-SM-5A5JS 60-69 years, male 804.2
GTEX-17HHY-0426-SM-7DHLC 50-59 years, male 800.3
GTEX-1QP2A-1726-SM-E76QC 50-59 years, male 783.0
GTEX-ZF3C-0626-SM-DO92O 50-59 years, female 779.2
GTEX-13OVL-0126-SM-5L3GJ 50-59 years, male 774.9
GTEX-12WSC-2826-SM-5BC5Y 50-59 years, male 771.9
GTEX-1QPFJ-1926-SM-EVYBD 30-39 years, female 771.9
GTEX-11O72-0626-SM-5PNYE 40-49 years, male 767.5
GTEX-15SHW-0226-SM-7LTAT 60-69 years, male 767.0
GTEX-1HFI6-0126-SM-CNPPI 40-49 years, male 766.5
GTEX-1IDFM-0326-SM-ARL7V 60-69 years, male 763.2
GTEX-ZVT4-2426-SM-5GIEI 50-59 years, female 754.0
GTEX-1KANB-2826-SM-CY8I6 50-59 years, male 751.2
GTEX-13NZ9-2626-SM-5L3FK 50-59 years, male 750.0
GTEX-1OJC4-2726-SM-E76PJ 50-59 years, female 746.3
GTEX-1J1OQ-0126-SM-D4P2N 40-49 years, female 745.2
GTEX-131XW-0626-SM-5PNVD 50-59 years, female 743.7
GTEX-144GO-2026-SM-5O99P 60-69 years, male 741.2
GTEX-XMD2-2126-SM-4YCF8 60-69 years, female 737.5
GTEX-1J8Q2-2626-SM-ACKWQ 60-69 years, male 736.0
GTEX-1A3MW-0626-SM-731CB 60-69 years, female 735.0
GTEX-13NYB-0126-SM-5J1MD 40-49 years, male 734.3
GTEX-YECK-0326-SM-4W1YS 60-69 years, male 734.1
GTEX-1GF9U-2026-SM-7SB92 40-49 years, female 718.9
GTEX-XQ3S-1426-SM-4BOPR 20-29 years, male 718.5
GTEX-XK95-0226-SM-4AT58 40-49 years, male 710.6
GTEX-13X6K-0626-SM-5LU5D 60-69 years, female 706.9
GTEX-13NZ8-1226-SM-5KM4A 60-69 years, female 700.7
GTEX-13OW6-2726-SM-5J2OE 50-59 years, male 692.9
GTEX-1J8JJ-0626-SM-ARZMQ 60-69 years, female 691.1
GTEX-1S83E-1326-SM-E6CJM 40-49 years, male 690.7
GTEX-13O3O-2326-SM-5IJD6 60-69 years, female 687.3
GTEX-17MFQ-1526-SM-7KFRR 20-29 years, male 679.2
GTEX-131YS-2826-SM-5EQ47 60-69 years, female 675.2
GTEX-ZVE1-0726-SM-51MRN 50-59 years, female 674.8
GTEX-13G51-1826-SM-5KLZH 60-69 years, male 674.2
GTEX-WYJK-0526-SM-3NM8Z 50-59 years, male 673.8
GTEX-1192X-2726-SM-5N9DN 50-59 years, male 672.8
GTEX-14PJ4-0226-SM-5YY92 60-69 years, male 669.1
GTEX-ZDXO-3126-SM-5IJDF 60-69 years, male 668.6
GTEX-ZC5H-1526-SM-5HL9Y 40-49 years, female 667.1
GTEX-1HCU8-2526-SM-CE6RX 60-69 years, female 665.0
GTEX-14E1K-2026-SM-7DUEI 50-59 years, male 664.8
GTEX-1BAJH-2426-SM-7IGP8 70-79 years, male 664.2
GTEX-1AYD5-2626-SM-7PBXY 50-59 years, male 663.7
GTEX-17F9Y-0126-SM-79OKX 70-79 years, female 659.6
GTEX-18A6Q-0626-SM-7KFRP 60-69 years, male 658.6
GTEX-XPVG-2126-SM-4B667 50-59 years, male 657.0
GTEX-14BMV-2826-SM-5TDED 50-59 years, male 653.9
GTEX-145LU-1926-SM-79OJN 50-59 years, male 646.0
GTEX-1R7EU-1626-SM-DTXG3 60-69 years, male 644.9
GTEX-11DXW-0826-SM-5H118 40-49 years, male 639.4
GTEX-18A67-1626-SM-7LT9T 50-59 years, male 639.0
GTEX-13FTY-2126-SM-5IFFB 40-49 years, female 637.6
GTEX-1MJK3-0726-SM-E6CJC 20-29 years, male 637.6
GTEX-1JMQJ-0826-SM-CNPP7 50-59 years, male 637.2
GTEX-14A5H-0826-SM-5QGPJ 60-69 years, male 636.9
GTEX-1LKK1-2626-SM-DKPQE 50-59 years, female 636.2
GTEX-15RIG-0726-SM-7KUM7 40-49 years, male 635.8
GTEX-1GZ4H-0526-SM-9KNU9 50-59 years, female 631.7
GTEX-1IOXB-2726-SM-CM2RI 50-59 years, male 623.9
GTEX-1K2DU-1226-SM-CYPT4 20-29 years, male 618.9
GTEX-146FQ-2126-SM-5RQHU 30-39 years, male 618.7
GTEX-ZLV1-1526-SM-DO91J 60-69 years, female 618.2
GTEX-1CAMS-2226-SM-7PBXQ 40-49 years, female 617.9
GTEX-1CAMR-1326-SM-7PC1F 20-29 years, male 617.6
GTEX-1I1GV-0626-SM-ARL7M 60-69 years, male 615.0
GTEX-YFCO-1226-SM-5LUAT 40-49 years, male 614.9
GTEX-131XG-0326-SM-5L3DX 50-59 years, female 614.8
GTEX-ZF2S-1626-SM-57WES 50-59 years, female 614.2
GTEX-15SKB-2826-SM-6PAMH 60-69 years, male 613.4
GTEX-1AX9I-2226-SM-73KUO 60-69 years, male 612.6
GTEX-14A6H-2026-SM-5Q5DD 30-39 years, male 610.6
GTEX-17HG3-2626-SM-7DUF2 30-39 years, female 603.2
GTEX-ZLFU-1826-SM-4WWBV 40-49 years, male 602.3
GTEX-1QP9N-1226-SM-E76QN 30-39 years, male 602.2
GTEX-ZE9C-2526-SM-5IJDR 60-69 years, male 600.7
GTEX-14DAR-1226-SM-73KYV 50-59 years, male 599.2
GTEX-14PK6-0226-SM-62LF5 70-79 years, female 591.1
GTEX-1GMR8-0626-SM-7RHI7 50-59 years, female 589.8
GTEX-16MTA-0926-SM-6M47Z 50-59 years, male 589.6
GTEX-13OW8-1026-SM-5J1NQ 60-69 years, male 587.9
GTEX-UPJH-0226-SM-3GADV 50-59 years, male 585.7
GTEX-12126-0826-SM-5FQTZ 20-29 years, male 583.9
GTEX-12WSK-2126-SM-5CVNC 40-49 years, female 581.4
GTEX-1POEN-2326-SM-E9J2L 30-39 years, female 580.6
GTEX-1I6K7-1926-SM-B2LXR 40-49 years, male 579.8
GTEX-14JFF-0626-SM-5ZZVT 60-69 years, male 575.1
GTEX-1CB4H-1126-SM-7MKGL 60-69 years, female 571.8
GTEX-18465-2826-SM-7LT9J 50-59 years, male 567.8
GTEX-145LS-0626-SM-7EPG7 60-69 years, female 565.9
GTEX-1C6VQ-1226-SM-73KYD 50-59 years, male 565.6
GTEX-11EI6-2826-SM-5H11D 60-69 years, male 564.9
GTEX-15G19-2426-SM-7KUMR 60-69 years, male 563.9
GTEX-ZVZP-1226-SM-5GID7 50-59 years, male 563.0
GTEX-1H11D-1826-SM-9QEHM 40-49 years, male 562.9
GTEX-1KD5A-0126-SM-E9U54 50-59 years, male 561.5
GTEX-17JCI-2926-SM-7DUFF 60-69 years, female 561.3
GTEX-12KS4-2126-SM-5FQUT 30-39 years, male 558.2
GTEX-ZU9S-1826-SM-5NQ9E 30-39 years, male 558.1
GTEX-144FL-0626-SM-5LU43 50-59 years, male 557.0
GTEX-1JMOU-1026-SM-CYPSS 60-69 years, female 556.6
GTEX-111FC-2526-SM-5GZXU 60-69 years, male 556.5
GTEX-1I1GU-0926-SM-ACKVS 40-49 years, male 553.5
GTEX-YEC3-1326-SM-DO92X 50-59 years, male 551.4
GTEX-WHSE-0126-SM-3NMBT 20-29 years, male 547.3
GTEX-ZF29-0926-SM-4WKFZ 60-69 years, female 543.0
GTEX-1GN1V-2826-SM-9JGIA 60-69 years, male 543.0
GTEX-WHSB-1326-SM-3LK6W 50-59 years, male 541.4
GTEX-12ZZX-2426-SM-5GCOE 40-49 years, female 540.8
GTEX-1HGF4-0126-SM-CNPPX 60-69 years, male 536.4
GTEX-13QJC-0126-SM-5ZZWJ 60-69 years, female 536.3
GTEX-1F88E-1626-SM-7SB8Z 60-69 years, female 536.2
GTEX-14ABY-2026-SM-62LDL 50-59 years, male 534.7
GTEX-13NYC-0126-SM-5L3F4 60-69 years, male 533.2
GTEX-1GN1U-0626-SM-9MQL9 50-59 years, female 531.5
GTEX-1M4P7-0726-SM-E6CJ3 60-69 years, male 528.8
GTEX-ZAB4-2126-SM-5HL8U 40-49 years, male 527.7
GTEX-111YS-1526-SM-5GZYW 60-69 years, male 526.4
GTEX-13PL6-1126-SM-5L3IE 40-49 years, female 524.2
GTEX-15CHC-1126-SM-6LLHQ 60-69 years, female 523.5
GTEX-144GM-0526-SM-79OJO 20-29 years, male 521.5
GTEX-13OVJ-0826-SM-5J1OK 50-59 years, female 521.2
GTEX-16XZZ-0726-SM-7KUF2 60-69 years, male 520.3
GTEX-1JMPZ-0726-SM-CY8HZ 30-39 years, male 520.0
GTEX-ZXG5-2126-SM-59HKD 60-69 years, male 519.7
GTEX-V1D1-2026-SM-3GAF4 50-59 years, male 518.1
GTEX-14PJ3-1126-SM-5ZZVX 50-59 years, male 513.8
GTEX-1S82P-2126-SM-E6CI5 60-69 years, female 512.8
GTEX-1F52S-2926-SM-7MKGA 60-69 years, female 509.9
GTEX-13SLX-2226-SM-62LEP 50-59 years, female 509.8
GTEX-145MI-0626-SM-5SI8S 60-69 years, female 509.6
GTEX-ZE7O-2726-SM-51MT5 50-59 years, female 509.5
GTEX-1RAZS-2526-SM-E6CHT 50-59 years, male 507.5
GTEX-1JN1M-2726-SM-CY8I4 60-69 years, female 507.1
GTEX-17HGU-2326-SM-7DUFE 50-59 years, male 506.7
GTEX-1RAZQ-1326-SM-E9TK6 30-39 years, male 506.5
GTEX-111CU-1126-SM-5EGIM 50-59 years, male 504.6
GTEX-1C64O-1326-SM-7MGWR 60-69 years, male 504.4
GTEX-Y114-2126-SM-4TT8B 50-59 years, female 504.1
GTEX-1F6I4-2326-SM-7RHGL 60-69 years, male 503.2
GTEX-ZP4G-1426-SM-4WWCL 20-29 years, female 501.4
GTEX-12WSJ-1126-SM-5LZVJ 40-49 years, female 499.9
GTEX-17F98-1326-SM-7DUEP 40-49 years, female 495.4
GTEX-Y5LM-0926-SM-6LLJG 40-49 years, female 494.1
GTEX-15CHQ-0326-SM-69LQD 60-69 years, male 493.4
GTEX-1399U-1126-SM-5L3DB 50-59 years, female 492.9
GTEX-1HC8U-1326-SM-9YFMJ 40-49 years, female 491.5
GTEX-1399Q-2326-SM-5KM2X 40-49 years, male 489.9
GTEX-ZT9X-1526-SM-5DUXD 40-49 years, male 489.1
GTEX-W5X1-2526-SM-3GILC 40-49 years, female 488.5
GTEX-11UD2-2526-SM-5CVNU 50-59 years, male 488.0
GTEX-1CB4I-0126-SM-7RHGG 50-59 years, male 487.7
GTEX-1IL2V-1926-SM-B2LW8 70-79 years, male 487.5
GTEX-13FTX-1526-SM-5K7VJ 20-29 years, female 487.1
GTEX-WK11-2726-SM-3NMAQ 50-59 years, male 487.0
GTEX-13NYS-0626-SM-5L3F1 60-69 years, male 486.8
GTEX-13JUV-2026-SM-5K7UA 40-49 years, female 485.6
GTEX-1AX8Z-0726-SM-73KTS 60-69 years, male 485.0
GTEX-12WSH-1526-SM-5BC5W 50-59 years, male 484.2
GTEX-1QP66-1226-SM-DTX7U 50-59 years, male 484.2
GTEX-13112-0126-SM-5P9IU 50-59 years, male 482.7
GTEX-1NSGN-0726-SM-DTXEF 50-59 years, male 481.9
GTEX-183FY-1026-SM-7939A 20-29 years, male 481.4
GTEX-1NV5F-0626-SM-DTXEG 60-69 years, female 481.3
GTEX-1R46S-2426-SM-E76QA 60-69 years, female 481.1
GTEX-1QP29-1826-SM-DTX9S 50-59 years, male 480.0
GTEX-14PJO-2526-SM-6AJBQ 60-69 years, male 479.9
GTEX-WRHU-2826-SM-3MJG8 50-59 years, female 479.0
GTEX-11GSP-2326-SM-5HL63 60-69 years, female 478.9
GTEX-13VXU-0626-SM-5L3F9 50-59 years, male 478.3
GTEX-1A8FM-0626-SM-7PC25 50-59 years, female 478.3
GTEX-1HCU7-0726-SM-A9SL1 50-59 years, male 478.3
GTEX-1KAFJ-0126-SM-DIPEK 50-59 years, male 476.6
GTEX-X4EO-2926-SM-4E3JH 60-69 years, female 476.1
GTEX-1H4P4-2126-SM-9WYSL 50-59 years, male 474.8
GTEX-1C6VR-0126-SM-7RHGB 60-69 years, male 473.8
GTEX-12WSA-0426-SM-5EQ5X 60-69 years, male 473.5
GTEX-ZYY3-2926-SM-5GIEB 60-69 years, female 472.7
GTEX-1S831-1826-SM-EWROF 20-29 years, male 472.7
GTEX-1I1GT-1026-SM-ARZLV 60-69 years, female 472.6
GTEX-14PKV-1126-SM-6LLJ1 20-29 years, female 472.0
GTEX-XYKS-1426-SM-4BRUO 60-69 years, female 471.7
GTEX-1H23P-0626-SM-9WG6T 60-69 years, male 471.6
GTEX-WHPG-2626-SM-3NMBR 50-59 years, male 468.8
GTEX-1117F-2926-SM-5GZYI 60-69 years, female 468.6
GTEX-15FZZ-0526-SM-7KUGD 30-39 years, female 468.6
GTEX-17F9E-2326-SM-79OKD 50-59 years, male 468.4
GTEX-15RJE-2826-SM-7KUM9 40-49 years, male 467.0
GTEX-1QEPI-2626-SM-DTXF4 60-69 years, female 466.3
GTEX-1HSKV-1226-SM-ADEI4 60-69 years, male 464.9
GTEX-1R9PN-0426-SM-DTXDT 40-49 years, female 464.2
GTEX-1RMOY-1326-SM-E9TIH 50-59 years, male 463.9
GTEX-XV7Q-1826-SM-4BRUV 40-49 years, female 463.5
GTEX-14PJ5-1526-SM-6LLIL 60-69 years, female 463.0
GTEX-1MCYP-0526-SM-E9U6Q 20-29 years, female 462.5
GTEX-16Z82-2626-SM-7KULU 60-69 years, male 461.7
GTEX-139TU-0726-SM-5L3EK 60-69 years, male 460.4
GTEX-11EQ9-1626-SM-5PNY8 30-39 years, male 459.7
GTEX-11ZUS-2626-SM-5FQUR 30-39 years, male 459.6
GTEX-13OW5-2326-SM-5L3HO 60-69 years, male 457.8
GTEX-YJ8O-2526-SM-5HL85 40-49 years, female 457.7
GTEX-16NPX-0726-SM-7KULC 50-59 years, male 456.9
GTEX-XAJ8-1426-SM-47JYM 40-49 years, male 456.9
GTEX-XBEC-0726-SM-4QARZ 50-59 years, male 456.4
GTEX-1313W-0626-SM-5EQ4H 50-59 years, female 454.5
GTEX-13W3W-0726-SM-5IJDQ 60-69 years, female 452.3
GTEX-11LCK-2226-SM-5HL4Q 30-39 years, male 449.5
GTEX-1EKGG-0626-SM-7DUGJ 60-69 years, male 449.5
GTEX-ZZ64-1026-SM-5GZXG 20-29 years, male 449.5
GTEX-17EVP-2626-SM-7IGMA 40-49 years, male 448.0
GTEX-YF7O-1526-SM-5IFI6 50-59 years, male 446.3
GTEX-1R9K4-2826-SM-DTX8F 60-69 years, male 446.1
GTEX-1N2DV-1526-SM-DTXEP 40-49 years, male 442.2
GTEX-12ZZY-0726-SM-5EQ66 60-69 years, male 440.4
GTEX-1477Z-0326-SM-7IGLA 60-69 years, male 437.9
GTEX-1QP28-1126-SM-EVYC4 50-59 years, female 436.9
GTEX-14PJN-1826-SM-6AJ98 30-39 years, male 436.7
GTEX-133LE-2326-SM-5K7W3 20-29 years, female 436.2
GTEX-11ZU8-0126-SM-5EQ58 60-69 years, male 435.7
GTEX-1GZ4I-2626-SM-9KNU3 50-59 years, male 434.5
GTEX-15EO6-2426-SM-6PALZ 50-59 years, male 434.2
GTEX-1212Z-0126-SM-59HK4 60-69 years, male 431.6
GTEX-1LVAN-0626-SM-CNPOQ 50-59 years, female 430.2
GTEX-1EMGI-2326-SM-7PBYA 60-69 years, male 430.1
GTEX-1LB8K-0726-SM-D5OV2 50-59 years, male 430.1
GTEX-1122O-1026-SM-9WYSF 60-69 years, female 429.6
GTEX-ZPIC-0526-SM-DO91W 40-49 years, female 428.9
GTEX-ZVE2-2826-SM-5GU51 50-59 years, male 428.7
GTEX-1HBPI-2126-SM-ARL9K 50-59 years, male 427.2
GTEX-1S3DN-2126-SM-E9TIN 50-59 years, male 427.1
GTEX-13OVK-1426-SM-6PAN7 40-49 years, male 426.0
GTEX-13X6J-0626-SM-5LU5F 50-59 years, male 424.8
GTEX-1IE54-1126-SM-A9G2Z 40-49 years, female 424.7
GTEX-X585-2426-SM-46MW2 50-59 years, male 424.6
GTEX-14PJ2-0626-SM-6LLII 50-59 years, male 424.4
GTEX-1J8EW-2726-SM-CY8HR 60-69 years, female 424.4
GTEX-13U4I-2226-SM-5LU5H 40-49 years, female 423.6
GTEX-15G1A-1626-SM-7KUKN 30-39 years, male 423.0
GTEX-1GF9V-0826-SM-9KNUV 60-69 years, male 421.7
GTEX-1LSNL-2726-SM-E9TKJ 50-59 years, male 421.5
GTEX-15CHR-1126-SM-7EWF4 50-59 years, male 421.3
GTEX-147F4-0726-SM-5TDDD 50-59 years, male 421.0
GTEX-12WSD-0626-SM-5GCMW 60-69 years, female 420.5
GTEX-1QAET-0326-SM-EVR3U 50-59 years, male 420.5
GTEX-11P81-2226-SM-5PNYI 30-39 years, female 419.9
GTEX-1S82U-1026-SM-E6CJK 30-39 years, female 419.6
GTEX-ZYW4-0626-SM-59HJR 60-69 years, male 419.5
GTEX-1JMPY-0226-SM-CKZOK 30-39 years, male 419.3
GTEX-12584-0726-SM-5FQTK 40-49 years, male 419.2
GTEX-ZZPU-0826-SM-5GZX5 50-59 years, female 418.6
GTEX-17KNJ-2126-SM-718AM 50-59 years, male 418.2
GTEX-1K9T9-1526-SM-DIPFR 50-59 years, female 415.0
GTEX-14C5O-0326-SM-5ZZUX 60-69 years, male 414.3
GTEX-XBEW-1126-SM-4QARW 40-49 years, male 412.7
GTEX-139T8-0626-SM-5KLZX 60-69 years, male 412.6
GTEX-ZAJG-1526-SM-5CVML 50-59 years, female 412.2
GTEX-1A3MV-1826-SM-731CD 30-39 years, male 412.1
GTEX-ZDTT-0426-SM-4WKFL 60-69 years, male 410.7
GTEX-1I6K6-1726-SM-CGQFD 30-39 years, male 410.7
GTEX-YEC4-1826-SM-4W1YP 40-49 years, male 409.4
GTEX-1F88F-0126-SM-9WYSZ 60-69 years, female 409.2
GTEX-1IKJJ-2226-SM-CJI4C 60-69 years, male 408.9
GTEX-16YQH-2226-SM-7IGM2 30-39 years, male 408.8
GTEX-13PVQ-0626-SM-5LU47 50-59 years, male 408.7
GTEX-1GN2E-0226-SM-9WG6K 60-69 years, male 408.4
GTEX-WI4N-2726-SM-3LK7Y 40-49 years, female 407.3
GTEX-13SLW-0626-SM-5Q5ER 70-79 years, male 406.7
GTEX-XUW1-0926-SM-4BONX 50-59 years, female 406.7
GTEX-1HFI7-2326-SM-CGQFS 50-59 years, female 406.7
GTEX-14B4R-1326-SM-5Q5EZ 30-39 years, male 405.9
GTEX-13D11-0926-SM-5J2NC 50-59 years, female 405.7
GTEX-X4EP-0626-SM-3P621 60-69 years, female 405.4
GTEX-1C6WA-2626-SM-7MKGM 60-69 years, male 402.0
GTEX-16AAH-0626-SM-793C9 50-59 years, male 401.8
GTEX-14JG6-1426-SM-9WG7C 30-39 years, female 400.1
GTEX-Z93S-1626-SM-5CVMB 50-59 years, male 399.5
GTEX-1B8L1-2226-SM-7P8PT 60-69 years, male 399.5
GTEX-1H1DG-2426-SM-9QEHJ 70-79 years, male 399.2
GTEX-1PPH7-1126-SM-DTX9A 40-49 years, male 398.1
GTEX-1PPGY-1626-SM-EVYBL 60-69 years, male 395.5
GTEX-11WQC-1826-SM-5GU59 60-69 years, male 394.4
GTEX-1JK1U-0226-SM-ARZMX 60-69 years, male 394.4
GTEX-17MF6-2626-SM-79OKQ 40-49 years, male 392.0
GTEX-1JJ6O-2726-SM-CNPOG 60-69 years, male 390.6
GTEX-1LVAM-0726-SM-E6CIL 50-59 years, female 390.3
GTEX-147GR-2426-SM-5ZZWQ 60-69 years, male 388.7
GTEX-1JKYR-0626-SM-ARL8R 20-29 years, male 387.9
GTEX-1JJE9-2626-SM-ARZMT 70-79 years, male 386.1
GTEX-13X6I-1826-SM-5SIAO 60-69 years, male 382.2
GTEX-1F5PK-2226-SM-7SB6N 50-59 years, male 382.2
GTEX-ZDTS-0826-SM-4WKHL 60-69 years, male 380.0
GTEX-1I1HK-2326-SM-CKZOH 60-69 years, male 378.6
GTEX-1KANA-1326-SM-DIPFA 20-29 years, male 377.7
GTEX-Y9LG-1126-SM-4VBQ7 30-39 years, male 377.0
GTEX-14753-0726-SM-5QGQO 60-69 years, male 375.7
GTEX-147F3-1726-SM-5SIAW 50-59 years, female 375.6
GTEX-13VXT-1926-SM-5K7UO 20-29 years, female 375.4
GTEX-1JKYN-0826-SM-ARU8S 30-39 years, male 373.7
GTEX-1269C-0126-SM-5EQ5L 60-69 years, female 373.5
GTEX-1LG7Y-2526-SM-EWRO7 50-59 years, male 371.5
GTEX-1IY9M-2826-SM-ARU8H 60-69 years, male 370.5
GTEX-Y3IK-1626-SM-4YCF5 50-59 years, female 369.1
GTEX-1OJC3-1226-SM-DTXER 20-29 years, male 367.6
GTEX-1IDJF-2026-SM-CL53V 20-29 years, male 367.2
GTEX-1GMR3-0126-SM-A9SLW 40-49 years, male 364.6
GTEX-1C2JI-1026-SM-73KY1 50-59 years, male 364.4
GTEX-1F48J-0726-SM-7RHGS 50-59 years, female 363.8
GTEX-1F5PL-0926-SM-7PC2W 40-49 years, female 363.7
GTEX-139YR-1026-SM-5LZYN 50-59 years, male 363.0
GTEX-1LBAC-0826-SM-CY8IJ 20-29 years, male 361.7
GTEX-11ZTT-2126-SM-5CVLO 60-69 years, female 360.7
GTEX-1HBPN-0126-SM-CGQEF 50-59 years, male 360.2
GTEX-17HII-1426-SM-7EPGG 50-59 years, male 359.9
GTEX-1HT8W-0626-SM-A9G2H 30-39 years, male 359.8
GTEX-145MN-1526-SM-5SI9T 30-39 years, male 359.6
GTEX-1JN76-0626-SM-CKZOQ 20-29 years, female 359.6
GTEX-VJYA-1526-SM-3GIJV 60-69 years, male 358.9
GTEX-1RLM8-2926-SM-E8VON 50-59 years, male 358.7
GTEX-1HCU6-2526-SM-ADEHL 60-69 years, female 358.5
GTEX-14PJ6-2626-SM-6EU2T 60-69 years, female 358.0
GTEX-1J8QM-2426-SM-A9SLS 60-69 years, female 357.5
GTEX-1B8KE-1126-SM-7EPHI 50-59 years, male 357.0
GTEX-1L5NE-1126-SM-D3L9P 50-59 years, male 356.6
GTEX-1GL5R-1326-SM-7RHHF 50-59 years, male 355.0
GTEX-1MCC2-1826-SM-DIPEX 30-39 years, female 354.8
GTEX-1JJEA-1826-SM-ARU8P 60-69 years, male 353.4
GTEX-15DYW-2726-SM-6EU2I 60-69 years, female 352.2
GTEX-1EN7A-2426-SM-793DB 40-49 years, male 351.2
GTEX-ZVT2-0126-SM-5GIDQ 50-59 years, female 350.8
GTEX-VUSG-2326-SM-4KL1U 50-59 years, male 349.7
GTEX-1LSVX-2526-SM-DIPEU 60-69 years, male 348.9
GTEX-1AMFI-1326-SM-7939R 50-59 years, female 348.1
GTEX-1LSNM-0826-SM-DIPG8 50-59 years, male 347.4
GTEX-13YAN-0226-SM-5TDC6 60-69 years, male 347.0
GTEX-1IDJC-1526-SM-B2LW4 50-59 years, male 345.4
GTEX-14PKU-0126-SM-6LLHV 40-49 years, female 345.2
GTEX-1LVAO-2726-SM-E9TJ8 60-69 years, male 344.0
GTEX-17F96-0126-SM-7EWDU 70-79 years, male 343.8
GTEX-1H1ZS-2726-SM-9WG75 70-79 years, male 342.8
GTEX-11DXZ-2026-SM-5987S 50-59 years, male 340.8
GTEX-UPK5-0426-SM-3GAEK 40-49 years, male 340.5
GTEX-1IDJU-1726-SM-CMKHU 60-69 years, female 340.3
GTEX-1AMEY-0826-SM-72D65 30-39 years, female 339.0
GTEX-1F75I-2226-SM-7SB8U 40-49 years, male 338.9
GTEX-13O61-1426-SM-5KM3D 60-69 years, male 338.2
GTEX-14C38-0726-SM-5SI6M 50-59 years, male 337.5
GTEX-1CB4E-0926-SM-7EPHT 60-69 years, male 337.4
GTEX-1CB4J-1326-SM-7P8RX 60-69 years, male 336.4
GTEX-11DXY-0126-SM-5H11Q 60-69 years, male 335.9
GTEX-1HSGN-0826-SM-ACKW3 40-49 years, female 335.2
GTEX-11NSD-0626-SM-5A5LU 20-29 years, male 334.7
GTEX-145LT-0526-SM-5LUB2 40-49 years, male 333.8
GTEX-1EH9U-2826-SM-7DUGT 60-69 years, male 333.6
GTEX-13RTJ-0126-SM-5S2NN 60-69 years, male 333.1
GTEX-WY7C-2126-SM-3NB2R 50-59 years, male 332.5
GTEX-ZAK1-0626-SM-5HL8E 50-59 years, female 332.3
GTEX-11P7K-1126-SM-5HL4L 30-39 years, male 330.7
GTEX-1211K-1526-SM-5FQU4 60-69 years, female 330.6
GTEX-ZT9W-1126-SM-57WDR 50-59 years, male 330.1
GTEX-17HHE-1326-SM-7EWDZ 50-59 years, male 330.0
GTEX-1A8G7-1326-SM-73KVM 60-69 years, male 330.0
GTEX-WFG7-2026-SM-5SI7P 20-29 years, male 329.6
GTEX-Y5V6-2326-SM-4VDSA 60-69 years, male 328.3
GTEX-18QFQ-1826-SM-72D52 30-39 years, male 328.2
GTEX-11OF3-0126-SM-5PNYF 60-69 years, male 327.7
GTEX-12ZZZ-0726-SM-5GCNZ 60-69 years, male 326.0
GTEX-14E6E-0526-SM-793DN 30-39 years, male 325.8
GTEX-X8HC-0626-SM-4E3HQ 50-59 years, female 325.2
GTEX-WXYG-2026-SM-4E3IY 50-59 years, female 325.0
GTEX-1HCVE-2726-SM-CL54F 50-59 years, male 323.6
GTEX-15D1Q-2826-SM-6LLH7 40-49 years, male 323.5
GTEX-1HB9E-0126-SM-CM2S5 50-59 years, male 322.3
GTEX-1J1R8-2026-SM-CL53Y 40-49 years, male 322.3
GTEX-XOT4-0626-SM-4B66L 60-69 years, female 322.2
GTEX-1H3O1-1326-SM-9MQLD 60-69 years, male 321.9
GTEX-1EX96-1026-SM-7MKG2 50-59 years, male 320.4
GTEX-1HBPM-0726-SM-9YFL7 60-69 years, female 319.7
GTEX-1CAMQ-1326-SM-7P8RV 40-49 years, male 318.9
GTEX-1PDJ9-1226-SM-EXUSX 20-29 years, male 317.7
GTEX-1314G-1326-SM-5BC6E 30-39 years, male 317.5
GTEX-13PVR-0426-SM-5RQK2 60-69 years, female 316.8
GTEX-1GMRU-2126-SM-7P8RA 50-59 years, male 316.6
GTEX-ZDYS-2426-SM-4WKGI 50-59 years, male 316.3
GTEX-139UW-0326-SM-5J1ML 60-69 years, male 316.2
GTEX-14PHX-2226-SM-6EU2P 50-59 years, male 316.2
GTEX-XQ8I-0926-SM-4BOOF 50-59 years, male 315.8
GTEX-178AV-1726-SM-7KUL8 40-49 years, male 315.5
GTEX-WYBS-0626-SM-3NMAS 60-69 years, female 314.8
GTEX-16BQI-1326-SM-6M486 30-39 years, female 314.0
GTEX-WYVS-1626-SM-3NM9R 40-49 years, female 313.5
GTEX-ZVP2-0326-SM-57WBP 50-59 years, male 310.3
GTEX-1HCUA-0826-SM-ADEHM 50-59 years, female 308.4
GTEX-1JMQI-1726-SM-ARL93 50-59 years, male 308.1
GTEX-1IDJV-0126-SM-COH3Y 60-69 years, male 307.1
GTEX-145ME-1726-SM-5Q5EU 40-49 years, female 306.4
GTEX-183WM-0326-SM-72D5V 70-79 years, female 305.9
GTEX-ZPU1-1126-SM-4YCF3 40-49 years, male 303.8
GTEX-1F75W-2726-SM-7SB8H 60-69 years, male 302.9
GTEX-Y5V5-0126-SM-5S2NW 60-69 years, female 302.8
GTEX-1GPI7-1826-SM-9KNU1 20-29 years, male 301.1
GTEX-1LG7Z-1626-SM-CXKYR 30-39 years, male 300.1
GTEX-13FLV-0126-SM-5K7WT 50-59 years, male 299.5
GTEX-U8XE-0226-SM-4E3J3 30-39 years, male 298.7
GTEX-1GN73-0726-SM-7P8TJ 60-69 years, male 297.2
GTEX-1B8SF-0126-SM-7DUG3 60-69 years, male 296.5
GTEX-WFG8-2126-SM-3GIKQ 20-29 years, male 296.3
GTEX-1QCLY-0226-SM-EWRNH 30-39 years, male 296.2
GTEX-1QW4Y-1126-SM-DTXE3 30-39 years, male 295.3
GTEX-117YX-1926-SM-5GIEC 50-59 years, male 295.0
GTEX-13FTW-0326-SM-5K7UW 40-49 years, male 292.6
GTEX-XXEK-1626-SM-4BRUZ 50-59 years, male 292.1
GTEX-1F75A-0726-SM-7RHHD 50-59 years, male 292.1
GTEX-1B8KZ-0326-SM-73KY4 50-59 years, male 291.3
GTEX-YB5K-2026-SM-4VDT3 40-49 years, female 289.4
GTEX-1HR9M-2226-SM-CNPPY 60-69 years, male 288.5
GTEX-1C64N-2626-SM-7PC2N 50-59 years, male 288.2
GTEX-14AS3-1526-SM-5Q5ED 40-49 years, female 287.8
GTEX-13N2G-0226-SM-5K7VF 60-69 years, male 286.5
GTEX-132AR-0326-SM-5KM2C 50-59 years, female 285.2
GTEX-1QMI2-2526-SM-E8VNZ 60-69 years, male 284.0
GTEX-16MT8-2926-SM-7DUFO 60-69 years, female 283.5
GTEX-1KANC-1226-SM-CYPT7 50-59 years, female 283.4
GTEX-15RJ7-2126-SM-6PAMD 40-49 years, male 281.8
GTEX-1ICG6-1226-SM-A9SLN 70-79 years, female 281.7
GTEX-1EU9M-1426-SM-793AI 60-69 years, male 280.1
GTEX-Y8LW-1526-SM-5IFHL 50-59 years, female 280.1
GTEX-1399R-1326-SM-5PNYS 30-39 years, male 279.9
GTEX-12WSM-1926-SM-5BC65 60-69 years, male 279.4
GTEX-1QCLZ-2426-SM-EVYBW 60-69 years, female 279.1
GTEX-ZA64-1026-SM-5HL8R 20-29 years, male 278.7
GTEX-1497J-0226-SM-5QGPU 60-69 years, male 278.0
GTEX-14C39-1726-SM-5RQIL 40-49 years, male 277.2
GTEX-1GF9W-1426-SM-7PBYM 60-69 years, male 276.0
GTEX-13JVG-0726-SM-5KM16 60-69 years, male 274.6
GTEX-13O3Q-0126-SM-5KM34 50-59 years, male 274.2
GTEX-1F75B-0726-SM-7PC3R 50-59 years, male 273.5
GTEX-1LVA9-2626-SM-EVYD4 50-59 years, male 273.1
GTEX-11TUW-0626-SM-5LU9M 60-69 years, male 272.4
GTEX-1RAZR-2126-SM-E9U6T 40-49 years, male 272.4
GTEX-13FHO-0426-SM-5L3F5 60-69 years, male 271.0
GTEX-Y8E4-2026-SM-5IFJB 40-49 years, male 270.1
GTEX-X5EB-1926-SM-4E3IW 40-49 years, male 265.1
GTEX-1I1GS-2626-SM-B2LY3 60-69 years, male 265.1
GTEX-14LLW-2626-SM-62LDZ 70-79 years, female 262.7
GTEX-1RAZA-2226-SM-E9U4X 20-29 years, male 262.4
GTEX-1JMLX-0626-SM-ARL8T 50-59 years, male 261.8
GTEX-XBED-1926-SM-47JYP 60-69 years, male 261.6
GTEX-11NUK-2726-SM-5A5MC 50-59 years, male 259.5
GTEX-1I4MK-0126-SM-CY8G6 50-59 years, female 258.7
GTEX-148VJ-0626-SM-5LUAW 70-79 years, male 258.3
GTEX-1HR98-2226-SM-ADEI2 60-69 years, male 257.5
GTEX-1JMQK-1226-SM-D4P2S 60-69 years, male 256.8
GTEX-13QBU-1226-SM-5LU4G 40-49 years, female 256.2
GTEX-12BJ1-0926-SM-5EQ62 60-69 years, male 254.4
GTEX-11VI4-1126-SM-5EQMD 40-49 years, female 254.3
GTEX-1HSMQ-2626-SM-A9SML 50-59 years, male 253.3
GTEX-1GMR2-0826-SM-7PC3V 50-59 years, male 252.5
GTEX-ZGAY-1826-SM-DO91Q 40-49 years, female 251.5
GTEX-1H1E6-0426-SM-9WYUS 30-39 years, male 248.5
GTEX-ZVTK-0226-SM-51MRG 20-29 years, male 248.0
GTEX-1F6IF-0926-SM-7SB7M 60-69 years, male 247.6
GTEX-1JN6P-2926-SM-CL54D 60-69 years, male 247.4
GTEX-Y3I4-1726-SM-4TT89 50-59 years, male 244.9
GTEX-18D9B-0926-SM-7LG4U 60-69 years, male 244.7
GTEX-1H1DF-1126-SM-9WG7G 40-49 years, female 242.1
GTEX-1HKZK-0726-SM-ACKW2 40-49 years, male 241.4
GTEX-1KXAM-1626-SM-D3LAD 60-69 years, male 241.3
GTEX-13OVH-0526-SM-5L3E6 70-79 years, male 240.8
GTEX-1IDJD-2326-SM-ACKWX 30-39 years, male 237.1
GTEX-WEY5-2326-SM-3GIKK 40-49 years, female 236.5
GTEX-WHWD-1826-SM-3LK6I 50-59 years, male 235.9
GTEX-1ICLY-0826-SM-CMKG1 50-59 years, male 235.9
GTEX-ZLWG-0826-SM-59888 50-59 years, female 235.8
GTEX-1EWIQ-0326-SM-7DHMQ 70-79 years, female 233.1
GTEX-16NGA-0726-SM-731AO 40-49 years, female 233.0
GTEX-14DAQ-0626-SM-793DS 60-69 years, female 232.5
GTEX-13X6H-0926-SM-5SIB2 50-59 years, female 227.5
GTEX-1GN1W-2426-SM-9KNUU 50-59 years, female 224.8
GTEX-1B996-0426-SM-7EWF8 60-69 years, male 223.1
GTEX-1HCU9-0426-SM-9WYSD 20-29 years, male 222.6
GTEX-ZYFC-0426-SM-5GICQ 50-59 years, male 221.3
GTEX-11GS4-0226-SM-5HL77 60-69 years, male 221.0
GTEX-13113-1626-SM-5EQ4I 60-69 years, female 219.1
GTEX-1C475-1326-SM-7SB73 40-49 years, female 218.4
GTEX-1GTWX-2026-SM-9YFLM 60-69 years, male 218.4
GTEX-145MH-2826-SM-5RQJF 50-59 years, male 215.3
GTEX-1IDJE-1426-SM-ADEIW 50-59 years, female 213.8
GTEX-13OVG-1626-SM-5J1NF 60-69 years, male 213.4
GTEX-1B97I-0626-SM-73KUZ 40-49 years, male 213.2
GTEX-ZYFG-1526-SM-5GZYM 60-69 years, female 212.3
GTEX-14E6C-2426-SM-5S2NF 40-49 years, male 209.6
GTEX-11P82-1426-SM-DTXFY 20-29 years, male 209.4
GTEX-14BMU-1226-SM-5S2OR 20-29 years, female 209.0
GTEX-131XF-2626-SM-5EQ6K 60-69 years, male 207.1
GTEX-12C56-1526-SM-5FQUQ 20-29 years, male 206.7
GTEX-1B932-2326-SM-79OL5 40-49 years, female 205.7
GTEX-ZTSS-1426-SM-5985P 40-49 years, male 205.4
GTEX-1IDJH-0126-SM-D3L92 70-79 years, male 205.2
GTEX-11PRG-0726-SM-5EGL1 50-59 years, male 204.6
GTEX-18D9U-0126-SM-731BM 40-49 years, male 203.5
GTEX-147JS-0226-SM-5S2U9 60-69 years, male 201.2
GTEX-1GZHY-0626-SM-9KNVC 50-59 years, female 200.8
GTEX-15EU6-2226-SM-6EU2L 50-59 years, male 195.8
GTEX-12WSL-2026-SM-5GCML 50-59 years, male 194.7
GTEX-1KWVE-1026-SM-D3L9O 30-39 years, male 194.4
GTEX-Y111-0626-SM-4SOIT 50-59 years, male 191.0
GTEX-ZTX8-1326-SM-4YCEL 20-29 years, male 190.8
GTEX-13OW7-0426-SM-5K7VK 50-59 years, male 188.5
GTEX-18A7A-0126-SM-731AH 50-59 years, female 188.2
GTEX-1GPI6-1926-SM-9KNV7 60-69 years, male 188.1
GTEX-1K2DA-1026-SM-CGQGF 50-59 years, male 187.4
GTEX-1CAV2-0126-SM-7IGN7 40-49 years, female 186.4
GTEX-1CB4F-1026-SM-7DUH1 60-69 years, male 186.4
GTEX-1H1DE-1326-SM-9KNUG 20-29 years, male 184.6
GTEX-1HSMO-0626-SM-ACKXC 60-69 years, male 183.7
GTEX-1GZ2Q-0126-SM-9WG6M 40-49 years, male 181.4
GTEX-1J8Q3-0526-SM-ARL8U 60-69 years, male 178.0
GTEX-11EM3-1226-SM-5N9DD 20-29 years, female 177.1
GTEX-1H3VE-0726-SM-9YFL5 40-49 years, male 174.6
GTEX-X3Y1-2026-SM-3P5YM 40-49 years, male 166.4
GTEX-1H3NZ-2726-SM-9WYTQ 60-69 years, male 164.2
GTEX-131XH-0126-SM-5LZUY 50-59 years, male 164.0
GTEX-1LGOU-1326-SM-D3L8M 20-29 years, female 163.4
GTEX-1HUB1-1426-SM-CGQF5 60-69 years, male 160.0
GTEX-13N11-2326-SM-5IJBF 50-59 years, female 152.5
GTEX-12696-0126-SM-5EQ4L 60-69 years, male 152.4
GTEX-1A3MX-2626-SM-7PC24 60-69 years, male 151.4
GTEX-13FH7-1126-SM-5K7UG 50-59 years, female 149.0
GTEX-139TS-2126-SM-5K7XC 60-69 years, male 141.9
GTEX-1IDJI-0126-SM-CMKHS 50-59 years, female 140.3
GTEX-1I19N-0126-SM-CYPSF 70-79 years, male 136.2
GTEX-1A32A-0626-SM-731AQ 50-59 years, female 135.5
Show allShow less
Skin - Sun Exposed (Lower leg)
Average nTPM: 670.6
Samples: 701

Max nTPM: 4249.0
Min nTPM: 30.1
Std nTPM: 359.1
Median nTPM: 602.1
GTEX-POMQ-2226-SM-2I5FK 20-29 years, female 4249.0
GTEX-1R9K4-0126-SM-DTX9X 60-69 years, male 3674.5
GTEX-183WM-0126-SM-7LTAB 70-79 years, female 2407.1
GTEX-17JCI-0126-SM-7LG5G 60-69 years, female 2237.3
GTEX-1122O-2126-SM-5EGIR 60-69 years, female 2058.7
GTEX-111FC-0126-SM-5N9DL 60-69 years, male 1969.7
GTEX-14LZ3-0226-SM-62LET 60-69 years, female 1866.1
GTEX-1R9PM-2026-SM-E76OY 20-29 years, male 1729.8
GTEX-1L5NE-2526-SM-E6CIE 50-59 years, male 1644.8
GTEX-18D9A-1926-SM-7LG6P 30-39 years, female 1632.5
GTEX-ZYT6-0226-SM-5NQ6T 30-39 years, male 1615.3
GTEX-1GF9X-2026-SM-7PC3A 40-49 years, female 1611.6
GTEX-13PDP-0126-SM-5L3HD 60-69 years, male 1553.1
GTEX-ZPIC-1726-SM-DHXIU 40-49 years, female 1549.9
GTEX-14XAO-2326-SM-6EU1B 60-69 years, female 1546.1
GTEX-14BIM-0226-SM-7IGLD 60-69 years, female 1514.3
GTEX-1LBAC-0126-SM-DIPEZ 20-29 years, male 1490.0
GTEX-13NYB-2526-SM-5K7Z6 40-49 years, male 1430.1
GTEX-15SB6-1726-SM-6PAME 50-59 years, female 1417.8
GTEX-14PK6-1926-SM-6ETZU 70-79 years, female 1417.5
GTEX-1GF9V-0326-SM-7RHI5 60-69 years, male 1399.9
GTEX-1LB8K-0226-SM-EWRNW 50-59 years, male 1398.6
GTEX-131XE-2326-SM-5PNZ2 50-59 years, male 1394.3
GTEX-14PII-0226-SM-6EU1T 60-69 years, male 1374.3
GTEX-145LS-0126-SM-5QGP1 60-69 years, female 1370.0
GTEX-T2YK-0526-SM-32QPJ 50-59 years, male 1368.8
GTEX-OIZG-0726-SM-33HBL 50-59 years, male 1368.2
GTEX-1PIGE-0126-SM-EVYBJ 20-29 years, male 1365.8
GTEX-1LG7Z-1726-SM-D3LA4 30-39 years, male 1332.7
GTEX-OIZH-0126-SM-2HMIS 50-59 years, male 1315.4
GTEX-139D8-0226-SM-5KLZO 30-39 years, female 1279.1
GTEX-1B8SF-1426-SM-7DUGL 60-69 years, male 1273.2
GTEX-1399T-2826-SM-5KLYZ 60-69 years, male 1252.1
GTEX-1F5PL-0326-SM-7P8PQ 40-49 years, female 1245.5
GTEX-11WQK-0526-SM-5EQLD 50-59 years, male 1244.3
GTEX-WQUQ-0426-SM-3MJFU 60-69 years, male 1224.0
GTEX-14E6C-0126-SM-5RQIP 40-49 years, male 1222.4
GTEX-1KANC-1526-SM-D3LAB 50-59 years, female 1219.7
GTEX-UJHI-1526-SM-3DB99 50-59 years, female 1211.4
GTEX-ZU9S-0226-SM-5E441 30-39 years, male 1202.4
GTEX-1JMPZ-0226-SM-CNPP1 30-39 years, male 1198.0
GTEX-1HSKV-0226-SM-A9SKJ 60-69 years, male 1182.6
GTEX-Z93T-0126-SM-5HL5N 50-59 years, male 1182.3
GTEX-13OW5-0126-SM-DTXFS 60-69 years, male 1178.8
GTEX-1JJEA-0326-SM-CNPOT 60-69 years, male 1177.2
GTEX-1LGRB-2526-SM-CNPPQ 50-59 years, female 1172.2
GTEX-15G19-0126-SM-6PANQ 60-69 years, male 1159.3
GTEX-1F6RS-0126-SM-9MQKZ 60-69 years, female 1158.7
GTEX-1KANB-0526-SM-E6CJH 50-59 years, male 1154.1
GTEX-16BQI-0226-SM-7KUEX 30-39 years, female 1152.7
GTEX-12WSA-0226-SM-5BC5V 60-69 years, male 1144.0
GTEX-S7SE-0126-SM-2XCD5 50-59 years, male 1142.9
GTEX-TMMY-0226-SM-33HBA 40-49 years, female 1140.3
GTEX-1QPFJ-0226-SM-E76PB 30-39 years, female 1129.1
GTEX-1ICLZ-0126-SM-CKZPO 60-69 years, male 1124.1
GTEX-14E6E-1826-SM-5S2R7 30-39 years, male 1117.0
GTEX-15UF6-0826-SM-6PALJ 70-79 years, female 1095.2
GTEX-X4XY-0226-SM-4E3IZ 60-69 years, male 1091.0
GTEX-13FHP-0126-SM-5IJBG 50-59 years, male 1086.1
GTEX-1QEPI-0126-SM-EWRMQ 60-69 years, female 1082.9
GTEX-145MO-0326-SM-5Q5B3 60-69 years, male 1075.3
GTEX-13OW6-0426-SM-5L3HM 50-59 years, male 1075.0
GTEX-1I1GT-0626-SM-CGQER 60-69 years, female 1070.2
GTEX-14E6D-0126-SM-62LDV 50-59 years, male 1068.0
GTEX-111VG-2426-SM-5GZXD 60-69 years, male 1066.0
GTEX-1MJK2-0426-SM-DTXE5 50-59 years, male 1063.5
GTEX-ZQG8-1626-SM-DHXIT 60-69 years, female 1062.7
GTEX-117XS-2726-SM-5N9BL 60-69 years, male 1060.9
GTEX-1KAFJ-2026-SM-CY8ID 50-59 years, male 1058.0
GTEX-17KNJ-2326-SM-7DHLQ 50-59 years, male 1056.0
GTEX-18A67-0126-SM-7LG5P 50-59 years, male 1052.6
GTEX-1J8QM-2126-SM-CYPSJ 60-69 years, female 1045.6
GTEX-13OVK-2026-SM-7KUEO 40-49 years, male 1044.6
GTEX-XBEW-0626-SM-4QASP 40-49 years, male 1043.3
GTEX-13OVJ-0126-SM-5KM36 50-59 years, female 1038.5
GTEX-1CAV2-2226-SM-7P8P2 40-49 years, female 1037.0
GTEX-1JMLX-0226-SM-CM2RO 50-59 years, male 1031.9
GTEX-15ETS-0126-SM-7KUMW 40-49 years, female 1031.5
GTEX-R3RS-0126-SM-3GIJL 40-49 years, female 1029.1
GTEX-13IVO-0126-SM-5J1NG 70-79 years, male 1025.5
GTEX-12126-0326-SM-5PNW3 20-29 years, male 1023.9
GTEX-145MN-2226-SM-5SIAU 30-39 years, male 1022.5
GTEX-1LH75-2426-SM-E9TJE 50-59 years, female 1018.7
GTEX-T6MN-0126-SM-32PLP 50-59 years, male 1012.6
GTEX-1HGF4-2426-SM-ACKXM 60-69 years, male 1012.6
GTEX-1JMQL-0226-SM-CNPP5 50-59 years, female 1009.3
GTEX-12ZZY-0226-SM-5LZVE 60-69 years, male 1008.2
GTEX-15ER7-0326-SM-7KUEV 20-29 years, female 1002.7
GTEX-1E2YA-0126-SM-9KNUC 50-59 years, male 1000.8
GTEX-1CB4H-0226-SM-7PBXM 60-69 years, female 1000.6
GTEX-1N2EF-0226-SM-EYYXB 60-69 years, male 996.0
GTEX-1399R-2726-SM-5IJBA 30-39 years, male 992.0
GTEX-1H4P4-0726-SM-9YFLR 50-59 years, male 989.5
GTEX-13G51-2526-SM-5LZYK 60-69 years, male 988.7
GTEX-13NZB-2526-SM-5J1OM 30-39 years, male 985.8
GTEX-14C5O-0126-SM-5SI6N 60-69 years, male 981.3
GTEX-ZVT2-2526-SM-51MT1 50-59 years, female 980.5
GTEX-XAJ8-0826-SM-47JY6 40-49 years, male 980.1
GTEX-1O97I-0326-SM-EYYX7 60-69 years, male 979.1
GTEX-ZF2S-2326-SM-4WWCE 50-59 years, female 978.4
GTEX-16MT8-0426-SM-7KUEY 60-69 years, female 977.7
GTEX-1I1GQ-0126-SM-COH3H 50-59 years, male 976.1
GTEX-1KD4Q-0226-SM-E9TJ9 40-49 years, male 975.0
GTEX-Y8E4-0626-SM-4WWDL 40-49 years, male 973.3
GTEX-1KANA-0726-SM-D3L9I 20-29 years, male 973.3
GTEX-1K2DU-2326-SM-E9TIV 20-29 years, male 968.9
GTEX-1IL2V-0126-SM-CM2TX 70-79 years, male 961.1
GTEX-ZVE2-0226-SM-59HJB 50-59 years, male 960.4
GTEX-11EQ9-2426-SM-5HL5T 30-39 years, male 959.4
GTEX-15RIG-0226-SM-7KFTL 40-49 years, male 956.8
GTEX-ZXES-1826-SM-5E43S 30-39 years, female 956.4
GTEX-1PIIG-0226-SM-EWRN6 30-39 years, male 955.4
GTEX-NFK9-0226-SM-2HMKQ 40-49 years, male 951.7
GTEX-Y8DK-0126-SM-4TT3L 60-69 years, male 951.0
GTEX-1OJC3-0126-SM-E76QX 20-29 years, male 948.1
GTEX-X4XX-0126-SM-3NMC2 60-69 years, male 946.3
GTEX-14A5I-0126-SM-5TDEA 50-59 years, female 941.2
GTEX-1PDJ9-0326-SM-DTX95 20-29 years, male 938.0
GTEX-1C6VQ-0126-SM-7P8RI 50-59 years, male 936.9
GTEX-1LSNM-1926-SM-E6CII 50-59 years, male 932.2
GTEX-13OVH-0126-SM-5MR4B 70-79 years, male 927.7
GTEX-1KXAM-2226-SM-CYPTC 60-69 years, male 924.5
GTEX-148VI-1626-SM-5SI6E 60-69 years, female 921.2
GTEX-P4QT-0126-SM-2I3FL 50-59 years, female 920.2
GTEX-QVJO-1626-SM-2S1QW 60-69 years, female 918.9
GTEX-ZV6S-2326-SM-4YCEY 40-49 years, female 915.9
GTEX-131XH-2226-SM-5DUXJ 50-59 years, male 914.4
GTEX-WYVS-2126-SM-3NMA3 40-49 years, female 914.3
GTEX-1QMI2-0226-SM-EVYBX 60-69 years, male 911.3
GTEX-NPJ8-0126-SM-2YUNR 40-49 years, male 908.1
GTEX-1R7EU-0226-SM-EVR4G 60-69 years, male 902.3
GTEX-1HCU7-0226-SM-CL545 50-59 years, male 896.3
GTEX-ZVZO-0126-SM-5A5L9 40-49 years, male 895.7
GTEX-13NYC-0326-SM-E9J4S 60-69 years, male 893.8
GTEX-1RAZA-0126-SM-E6CI3 20-29 years, male 892.5
GTEX-ZF3C-0126-SM-DO92D 50-59 years, female 885.0
GTEX-13SLX-0526-SM-5S2ON 50-59 years, female 883.6
GTEX-131YS-0126-SM-5KM1M 60-69 years, female 881.1
GTEX-QDVJ-1726-SM-2I5FX 50-59 years, male 876.7
GTEX-1269C-2526-SM-5EGJ3 60-69 years, female 875.9
GTEX-U8XE-0326-SM-3DB8P 30-39 years, male 875.5
GTEX-OXRO-0126-SM-2YUN4 60-69 years, female 874.7
GTEX-15DCD-0126-SM-7KUEK 70-79 years, female 868.3
GTEX-1I1GV-0526-SM-A9G29 60-69 years, male 867.7
GTEX-1EWIQ-0126-SM-7RHH2 70-79 years, female 867.0
GTEX-ZV68-0126-SM-59HKS 50-59 years, female 863.8
GTEX-1A32A-0126-SM-718B1 50-59 years, female 862.9
GTEX-11DYG-0126-SM-59883 60-69 years, male 862.7
GTEX-W5X1-3026-SM-EAZAX 40-49 years, female 861.3
GTEX-PSDG-0226-SM-DKPOZ 50-59 years, male 855.7
GTEX-15CHC-2126-SM-6EU21 60-69 years, female 855.5
GTEX-14PN3-2426-SM-6LLHS 60-69 years, female 853.5
GTEX-1GZHY-0326-SM-9QEHI 50-59 years, female 850.1
GTEX-133LE-1826-SM-5J1MV 20-29 years, female 847.3
GTEX-Y3IK-2426-SM-4WWDU 50-59 years, female 846.9
GTEX-1JMQK-0226-SM-CL543 60-69 years, male 845.7
GTEX-U412-0426-SM-3DB9O 60-69 years, male 845.5
GTEX-X88G-0126-SM-47JZ3 30-39 years, male 843.0
GTEX-18A7B-0126-SM-7LG64 70-79 years, male 840.8
GTEX-ZWKS-0126-SM-5SIAA 30-39 years, male 840.7
GTEX-1N2DW-0226-SM-E9TK2 50-59 years, male 838.9
GTEX-17EVQ-0226-SM-7LG4P 70-79 years, male 838.6
GTEX-1S82Z-0826-SM-E6CHY 30-39 years, female 838.2
GTEX-1IKOH-0226-SM-COH4E 60-69 years, female 836.8
GTEX-1GZ4H-1726-SM-7PBZJ 50-59 years, female 836.4
GTEX-12WSG-2826-SM-E9J4H 50-59 years, female 835.6
GTEX-1F75A-0126-SM-7RHGM 50-59 years, male 834.5
GTEX-14JG1-0426-SM-6ETZZ 40-49 years, male 832.7
GTEX-1J8EW-0126-SM-CJI4F 60-69 years, female 830.0
GTEX-148VJ-0126-SM-5TDDN 70-79 years, male 826.7
GTEX-1JJ6O-0126-SM-E6CI8 60-69 years, male 825.3
GTEX-117YW-2626-SM-5GZZH 50-59 years, male 824.8
GTEX-1F52S-0126-SM-9MQJU 60-69 years, female 824.4
GTEX-14753-0426-SM-5NQAM 60-69 years, male 823.3
GTEX-13JUV-2726-SM-5LZZ8 40-49 years, female 821.5
GTEX-1JN76-0126-SM-CNPPE 20-29 years, female 817.9
GTEX-S32W-2126-SM-2XCB1 50-59 years, female 816.8
GTEX-1J1OQ-0226-SM-CYPSH 40-49 years, female 815.2
GTEX-1C475-1826-SM-73KWA 40-49 years, female 814.5
GTEX-1HSEH-0126-SM-ACKXN 60-69 years, male 813.4
GTEX-1B8L1-2526-SM-9WYTF 60-69 years, male 813.3
GTEX-1MCQQ-0826-SM-DLHC2 60-69 years, male 812.6
GTEX-17F97-0326-SM-7LG5B 50-59 years, male 809.1
GTEX-1GZ2Q-0226-SM-7P8TL 40-49 years, male 808.4
GTEX-ZVZP-2426-SM-59HKJ 50-59 years, male 807.6
GTEX-TSE9-0126-SM-3DB83 60-69 years, female 806.4
GTEX-T5JW-1626-SM-3GADZ 20-29 years, female 806.1
GTEX-1JKYR-0126-SM-CNPOJ 20-29 years, male 805.0
GTEX-1RQEC-0426-SM-E6CHU 60-69 years, male 804.8
GTEX-SNMC-1226-SM-2XCFP 20-29 years, male 804.2
GTEX-13FXS-0226-SM-5IJCK 50-59 years, male 802.0
GTEX-ZYFG-2326-SM-5E44B 60-69 years, female 801.6
GTEX-OOBJ-0126-SM-E6CJW 60-69 years, male 797.4
GTEX-Y5V6-2426-SM-4VDSB 60-69 years, male 794.8
GTEX-1OFPY-2426-SM-DTXEJ 60-69 years, male 789.7
GTEX-1HR98-0126-SM-B2LWI 60-69 years, male 789.4
GTEX-XMD2-0126-SM-4YCDU 60-69 years, female 789.0
GTEX-14BMV-0126-SM-5S2PO 50-59 years, male 788.6
GTEX-145MF-0626-SM-5LUAI 50-59 years, male 788.5
GTEX-1BAJH-0526-SM-793CQ 70-79 years, male 786.4
GTEX-1C64N-0126-SM-793D7 50-59 years, male 786.1
GTEX-15DDE-0126-SM-6LPKH 50-59 years, female 784.5
GTEX-1IKJJ-0126-SM-CNPQB 60-69 years, male 784.0
GTEX-1I4MK-2226-SM-ACKWD 50-59 years, female 780.7
GTEX-1JN1M-0326-SM-CYPT3 60-69 years, female 779.5
GTEX-1I1GR-0126-SM-CL55F 60-69 years, male 777.6
GTEX-14A5H-0426-SM-5QGQF 60-69 years, male 776.6
GTEX-1HCVE-0126-SM-CGQEU 50-59 years, male 774.4
GTEX-14DAR-2026-SM-5S2O3 50-59 years, male 774.3
GTEX-11GSP-2526-SM-5N9BP 60-69 years, female 773.7
GTEX-13FTY-0526-SM-5L3EV 40-49 years, female 772.8
GTEX-15DYW-0126-SM-7KULE 60-69 years, female 772.3
GTEX-139UW-2826-SM-5L3E7 60-69 years, male 771.5
GTEX-11EI6-0126-SM-5985R 60-69 years, male 770.6
GTEX-1JJE9-0326-SM-CL53Z 70-79 years, male 769.1
GTEX-1EU9M-0226-SM-7P8SP 60-69 years, male 767.1
GTEX-11ZTS-0126-SM-5EQ6M 60-69 years, female 765.6
GTEX-18D9B-0526-SM-7LTAS 60-69 years, male 765.3
GTEX-QESD-1426-SM-2S1R9 20-29 years, male 764.4
GTEX-169BO-1326-SM-9MQK2 50-59 years, male 763.6
GTEX-131XW-0426-SM-5LZWP 50-59 years, female 763.3
GTEX-X4EP-0126-SM-3P5YV 60-69 years, female 762.5
GTEX-144FL-0126-SM-5TDC8 50-59 years, male 762.0
GTEX-ZVT4-0126-SM-DTXFN 50-59 years, female 760.9
GTEX-1F6IF-0726-SM-7P8TW 60-69 years, male 760.8
GTEX-ZGAY-0526-SM-4WWBB 40-49 years, female 754.7
GTEX-ZAK1-0126-SM-5IJD3 50-59 years, female 748.2
GTEX-WVJS-0126-SM-4MVOT 50-59 years, male 745.0
GTEX-11H98-0126-SM-5EGHG 50-59 years, male 744.3
GTEX-11O72-0126-SM-59887 40-49 years, male 743.3
GTEX-16GPK-0126-SM-7DHLE 60-69 years, male 739.6
GTEX-1IDFM-0126-SM-COH2V 60-69 years, male 739.5
GTEX-13N2G-2626-SM-5J1OT 60-69 years, male 739.1
GTEX-Z9EW-1626-SM-5CVMN 40-49 years, male 738.9
GTEX-1GMR8-0126-SM-9WYTM 50-59 years, female 737.7
GTEX-WYJK-0126-SM-3NMAB 50-59 years, male 736.4
GTEX-1GN73-0226-SM-9WG67 60-69 years, male 735.7
GTEX-1S83E-0126-SM-EWRO4 40-49 years, male 734.5
GTEX-1GN1U-0126-SM-7PBZK 50-59 years, female 733.6
GTEX-SJXC-0126-SM-2XCFF 60-69 years, male 731.2
GTEX-Z93S-0126-SM-5HL7M 50-59 years, male 730.7
GTEX-14BIN-0626-SM-793DP 50-59 years, female 728.2
GTEX-13OW8-1326-SM-5J1OW 60-69 years, male 726.7
GTEX-1M5QR-1226-SM-EWROB 40-49 years, male 726.4
GTEX-1HCU8-0626-SM-A9SM9 60-69 years, female 724.6
GTEX-ZF29-2326-SM-DO92K 60-69 years, female 724.0
GTEX-XXEK-2226-SM-4BRUM 50-59 years, male 723.4
GTEX-13VXU-0126-SM-5SI9F 50-59 years, male 723.3
GTEX-1GF9W-0326-SM-9KNUN 60-69 years, male 719.7
GTEX-13O3Q-2426-SM-5IJBR 50-59 years, male 719.5
GTEX-1KWVE-1426-SM-E9TJO 30-39 years, male 717.6
GTEX-1EKGG-0226-SM-9WYTH 60-69 years, male 717.0
GTEX-1128S-2326-SM-5GZZY 60-69 years, female 713.4
GTEX-13CF2-2526-SM-5LZYX 60-69 years, male 711.6
GTEX-13111-1626-SM-5EGJY 50-59 years, male 711.3
GTEX-ZVTK-0426-SM-51MRS 20-29 years, male 711.3
GTEX-15F5U-1526-SM-6PANO 40-49 years, male 710.6
GTEX-1C6VR-2426-SM-79OLD 60-69 years, male 709.7
GTEX-1JMPY-1326-SM-ARL8Y 30-39 years, male 709.3
GTEX-11NSD-2226-SM-5986V 20-29 years, male 707.4
GTEX-12ZZZ-0626-SM-5DUXI 60-69 years, male 706.7
GTEX-1313W-0126-SM-5LZUN 50-59 years, female 706.7
GTEX-1POEN-0126-SM-EYYXJ 30-39 years, female 706.3
GTEX-1J8JJ-0226-SM-CL53I 60-69 years, female 705.0
GTEX-1LG7Y-0526-SM-DKPQC 50-59 years, male 704.6
GTEX-1M4P7-0226-SM-DIPEV 60-69 years, male 703.7
GTEX-13CF3-2426-SM-5IFGX 60-69 years, female 702.3
GTEX-11DZ1-0126-SM-5985Q 50-59 years, male 701.1
GTEX-1K2DA-1826-SM-CGQGT 50-59 years, male 700.2
GTEX-131XF-5016-SM-7MGWE 60-69 years, male 698.8
GTEX-13113-5016-SM-7EPIP 60-69 years, female 697.7
GTEX-14PJM-0226-SM-62LF1 50-59 years, female 696.4
GTEX-13X6I-0626-SM-5QGP9 60-69 years, male 695.5
GTEX-1JN6P-0126-SM-D3L98 60-69 years, male 695.4
GTEX-13NZA-0226-SM-5K7Z7 60-69 years, male 695.3
GTEX-145ME-1826-SM-5SI9G 40-49 years, female 694.9
GTEX-139TU-0126-SM-5K7WH 60-69 years, male 694.5
GTEX-11XUK-2026-SM-5EQLF 40-49 years, female 693.2
GTEX-14ICK-0226-SM-6EU25 40-49 years, male 691.4
GTEX-1H11D-0226-SM-9WG6Z 40-49 years, male 689.2
GTEX-1K9T9-0126-SM-EVYCF 50-59 years, female 689.0
GTEX-12ZZX-0126-SM-5EGK9 40-49 years, female 685.9
GTEX-1IDJU-2626-SM-CM2RT 60-69 years, female 685.6
GTEX-1MUQO-0126-SM-EAZ58 60-69 years, male 685.4
GTEX-1I6K6-0126-SM-A9SLE 30-39 years, male 684.8
GTEX-1LVAN-0226-SM-COH3S 50-59 years, female 684.6
GTEX-13RTL-0126-SM-7LG5S 40-49 years, male 683.9
GTEX-T2IS-0126-SM-4DM6O 20-29 years, female 683.7
GTEX-12WSC-0126-SM-5EQ4P 50-59 years, male 682.6
GTEX-1212Z-2526-SM-5EGKP 60-69 years, male 682.3
GTEX-1HB9E-0226-SM-E9U4R 50-59 years, male 682.3
GTEX-S95S-1226-SM-4GICG 60-69 years, male 679.3
GTEX-11TT1-2526-SM-5EGIB 20-29 years, male 678.6
GTEX-1HSGN-0226-SM-CGQFV 40-49 years, female 677.4
GTEX-13X6J-0126-SM-5QGOU 50-59 years, male 676.2
GTEX-Y5LM-1926-SM-5RQJH 40-49 years, female 674.7
GTEX-14PJ6-2126-SM-6EU1V 60-69 years, female 672.8
GTEX-1I1CD-0126-SM-CM2TK 60-69 years, female 670.5
GTEX-YB5K-2126-SM-4WWDJ 40-49 years, female 670.0
GTEX-ZQUD-1426-SM-57WER 30-39 years, male 669.3
GTEX-1GPI7-0126-SM-9MQL8 20-29 years, male 667.3
GTEX-147F3-0526-SM-5SI98 50-59 years, female 667.2
GTEX-Y8LW-1826-SM-5S2MV 50-59 years, female 666.4
GTEX-SN8G-0126-SM-32PLI 50-59 years, female 665.4
GTEX-145LT-1726-SM-5QGP3 40-49 years, male 657.9
GTEX-15EU6-0426-SM-6PAN5 50-59 years, male 657.9
GTEX-1JMQI-2226-SM-CM2SD 50-59 years, male 656.7
GTEX-144GL-0126-SM-5TDE2 50-59 years, male 656.3
GTEX-XPVG-2626-SM-4B669 50-59 years, male 655.4
GTEX-QV44-1926-SM-2S1RF 50-59 years, male 655.3
GTEX-1S3DN-2226-SM-EVYCD 50-59 years, male 654.5
GTEX-18A7A-0226-SM-718BH 50-59 years, female 651.2
GTEX-1F88F-2726-SM-7PBZZ 60-69 years, female 650.7
GTEX-1HSMP-0126-SM-E6CJS 70-79 years, male 650.1
GTEX-146FQ-0126-SM-5NQA9 30-39 years, male 648.4
GTEX-13W46-0226-SM-5SIAG 50-59 years, male 648.3
GTEX-ZDXO-3026-SM-5J1N5 60-69 years, male 647.8
GTEX-1R7EV-2426-SM-EVYBG 40-49 years, male 646.8
GTEX-18QFQ-0126-SM-731BE 30-39 years, male 645.6
GTEX-1A3MW-0126-SM-73KXX 60-69 years, female 645.1
GTEX-1CAMR-1926-SM-7EPI2 20-29 years, male 644.8
GTEX-XUW1-0426-SM-4BOOT 50-59 years, female 643.0
GTEX-1IL2U-0226-SM-CE6T8 60-69 years, male 642.3
GTEX-1HCU6-0126-SM-CL54K 60-69 years, female 641.3
GTEX-1IOXB-0126-SM-ARL8G 50-59 years, male 635.3
GTEX-13NZ8-0826-SM-5MR3I 60-69 years, female 633.8
GTEX-1B8SG-0126-SM-73KZ3 50-59 years, male 631.2
GTEX-YJ89-0126-SM-4TT3X 60-69 years, male 629.0
GTEX-131XG-2626-SM-5KM17 50-59 years, female 628.1
GTEX-13N1W-0126-SM-5K7VT 70-79 years, male 628.0
GTEX-ZAB5-1826-SM-5HL7C 50-59 years, male 627.7
GTEX-ZDTT-2726-SM-4WKF8 60-69 years, male 627.7
GTEX-Q2AG-0126-SM-33HBV 40-49 years, female 626.8
GTEX-1CB4E-2226-SM-793DC 60-69 years, male 625.9
GTEX-12WSE-0526-SM-793B2 20-29 years, male 625.4
GTEX-13PVR-2326-SM-5QGR1 60-69 years, female 623.3
GTEX-13O3P-0126-SM-5KM4S 50-59 years, male 623.1
GTEX-1J8Q2-0526-SM-CM2RW 60-69 years, male 622.5
GTEX-1B933-0126-SM-7PC29 50-59 years, female 619.6
GTEX-12WSL-2526-SM-5GCNJ 50-59 years, male 617.8
GTEX-1HT8W-0126-SM-CNPPP 30-39 years, male 615.6
GTEX-1RB15-2126-SM-E9TIM 60-69 years, male 615.0
GTEX-1C6VS-0526-SM-7DUEN 60-69 years, male 614.9
GTEX-RTLS-0126-SM-447CA 60-69 years, female 612.5
GTEX-ZYFC-0226-SM-5NQ75 50-59 years, male 611.0
GTEX-13OVL-0226-SM-5L3E9 50-59 years, male 609.9
GTEX-1QCLY-0326-SM-E8VOG 30-39 years, male 609.9
GTEX-1A3MX-0126-SM-731BR 60-69 years, male 608.7
GTEX-13O1R-0126-SM-5L3EH 60-69 years, male 607.8
GTEX-1CB4I-0226-SM-79OLH 50-59 years, male 606.7
GTEX-11OF3-2626-SM-5GU7F 60-69 years, male 602.1
GTEX-1GF9U-2126-SM-7SB7L 40-49 years, female 600.7
GTEX-1S5ZA-0126-SM-EVYCV 20-29 years, male 600.4
GTEX-XUZC-1726-SM-4BRWS 30-39 years, female 598.3
GTEX-13O3O-0126-SM-E9J49 60-69 years, female 598.3
GTEX-RVPV-0126-SM-EAZAW 60-69 years, male 596.5
GTEX-11ZU8-2526-SM-5EQKI 60-69 years, male 593.4
GTEX-13FTW-2626-SM-5K7WL 40-49 years, male 590.7
GTEX-14BMU-2226-SM-5TDE9 20-29 years, female 590.1
GTEX-1HCU9-1526-SM-A9SL7 20-29 years, male 589.9
GTEX-11TUW-2726-SM-E9J4M 60-69 years, male 589.2
GTEX-13O21-1426-SM-5K7XI 50-59 years, male 588.6
GTEX-17GQL-2026-SM-718BA 60-69 years, male 587.0
GTEX-1PPH8-0226-SM-E8VND 20-29 years, male 586.1
GTEX-ZYFD-0126-SM-5GIDL 50-59 years, male 585.9
GTEX-1I1GU-2226-SM-CGQFA 40-49 years, male 585.6
GTEX-16NPX-0226-SM-79OMT 50-59 years, male 584.2
GTEX-QCQG-1726-SM-3GIJ9 50-59 years, female 582.6
GTEX-13S7M-0126-SM-5SI6A 60-69 years, female 582.2
GTEX-1H1DG-0126-SM-9WYU2 70-79 years, male 581.5
GTEX-1HFI7-1826-SM-ACKXH 50-59 years, female 581.2
GTEX-WFON-2126-SM-3LK7O 40-49 years, male 579.2
GTEX-XV7Q-2526-SM-4BRV9 40-49 years, female 577.9
GTEX-ZE9C-2726-SM-57WB5 60-69 years, male 577.6
GTEX-1F7RK-0126-SM-7PC2S 20-29 years, female 575.2
GTEX-13FTX-1826-SM-5J1NX 20-29 years, female 574.6
GTEX-1CAMS-0426-SM-7P8T2 40-49 years, female 574.5
GTEX-1ICG6-2526-SM-CGQFZ 70-79 years, female 573.8
GTEX-11EMC-2926-SM-5EQ4F 60-69 years, female 572.5
GTEX-ZAB4-0226-SM-5N9F5 40-49 years, male 572.2
GTEX-1EN7A-0126-SM-7SB81 40-49 years, male 571.5
GTEX-18A6Q-0126-SM-731BZ 60-69 years, male 571.2
GTEX-1EMGI-0126-SM-9KNUE 60-69 years, male 570.7
GTEX-ZE7O-0126-SM-57WC1 50-59 years, female 569.8
GTEX-11OC5-0126-SM-5HL6A 60-69 years, male 568.3
GTEX-17HII-0226-SM-7LG4E 50-59 years, male 567.5
GTEX-16NGA-1726-SM-731B4 40-49 years, female 567.3
GTEX-1QP9N-1426-SM-DTXFL 30-39 years, male 566.8
GTEX-1399U-2326-SM-5K7WY 50-59 years, female 566.3
GTEX-1192W-2626-SM-5Q5AF 60-69 years, male 566.1
GTEX-U3ZH-2026-SM-3DB78 30-39 years, male 565.4
GTEX-WH7G-2326-SM-3NMBC 40-49 years, male 564.9
GTEX-15SHU-0126-SM-7KUEH 40-49 years, female 563.6
GTEX-1KD5A-0226-SM-D5OV3 50-59 years, male 563.6
GTEX-U8T8-0126-SM-3DB94 60-69 years, male 563.5
GTEX-UPJH-0326-SM-3GADU 50-59 years, male 562.6
GTEX-139T8-0126-SM-5K7XZ 60-69 years, male 562.1
GTEX-P4PP-0126-SM-3LK69 30-39 years, female 559.9
GTEX-1S82Y-2026-SM-EVYCM 40-49 years, male 559.8
GTEX-1PPH7-2326-SM-EVYB8 40-49 years, male 557.3
GTEX-13RTK-1426-SM-5QGQJ 20-29 years, male 555.7
GTEX-1H1CY-2826-SM-9MQM3 60-69 years, female 555.4
GTEX-11WQC-2526-SM-5CVLE 60-69 years, male 554.3
GTEX-YFC4-0126-SM-5CVLY 40-49 years, female 554.2
GTEX-1IGQW-0126-SM-COH42 60-69 years, male 553.0
GTEX-11DXW-0226-SM-5H122 40-49 years, male 551.1
GTEX-1PFEY-1526-SM-E76PP 30-39 years, male 550.5
GTEX-1PWST-0226-SM-E76QJ 70-79 years, male 550.0
GTEX-15SDE-2226-SM-7IGLO 50-59 years, female 548.1
GTEX-ZXG5-0126-SM-5GIEU 60-69 years, male 546.5
GTEX-1NV5F-0226-SM-E8VNY 60-69 years, female 546.1
GTEX-PWO3-1526-SM-48TCM 60-69 years, female 543.6
GTEX-17EVP-0326-SM-7DHLG 40-49 years, male 543.3
GTEX-1B996-0226-SM-7RHGO 60-69 years, male 543.3
GTEX-14PN4-0126-SM-6EU2V 50-59 years, male 542.8
GTEX-1314G-1526-SM-5EGK2 30-39 years, male 542.4
GTEX-1HSMO-0126-SM-CL547 60-69 years, male 541.5
GTEX-1MA7W-2026-SM-E9TJ6 20-29 years, female 541.0
GTEX-ZYY3-0126-SM-5GZY5 60-69 years, female 540.7
GTEX-15UKP-0426-SM-7KUFQ 20-29 years, male 540.4
GTEX-145LV-2126-SM-5LU8N 50-59 years, male 539.8
GTEX-1GMRU-0126-SM-9YFLV 50-59 years, male 539.5
GTEX-11GS4-2726-SM-5A5LE 60-69 years, male 538.3
GTEX-13NYS-0126-SM-5MR3W 60-69 years, male 537.6
GTEX-15EOM-0126-SM-7KUGG 20-29 years, female 537.6
GTEX-RN64-0126-SM-2TC68 50-59 years, male 537.6
GTEX-17F96-1626-SM-7DUFL 70-79 years, male 536.4
GTEX-ZVT3-0126-SM-5GU6I 60-69 years, female 533.6
GTEX-17MF6-0126-SM-7LG4F 40-49 years, male 533.2
GTEX-1CAMQ-0226-SM-7IGPK 40-49 years, male 532.8
GTEX-ZAJG-0126-SM-5HL94 50-59 years, female 532.8
GTEX-PWCY-1826-SM-DHXIZ 20-29 years, female 532.4
GTEX-1R46S-0626-SM-E9J41 60-69 years, female 532.2
GTEX-X4EO-0326-SM-3P5YO 60-69 years, female 529.4
GTEX-OXRP-0126-SM-3NB32 60-69 years, female 529.0
GTEX-WOFL-0126-SM-3MJG2 60-69 years, male 527.7
GTEX-VUSG-2526-SM-4KL1V 50-59 years, male 527.1
GTEX-XQ8I-0426-SM-4BOPO 50-59 years, male 526.1
GTEX-11UD1-0126-SM-5PNYG 40-49 years, female 521.8
GTEX-1J1R8-1726-SM-ARL8M 40-49 years, male 520.8
GTEX-13FHO-0226-SM-5IFGY 60-69 years, male 520.6
GTEX-1HFI6-0226-SM-ADEHZ 40-49 years, male 519.6
GTEX-11P81-2326-SM-59875 30-39 years, female 519.4
GTEX-TMZS-0126-SM-3DB9Q 60-69 years, male 518.8
GTEX-T5JC-0426-SM-32PLO 20-29 years, male 517.8
GTEX-1RDX4-0126-SM-E9J4P 50-59 years, female 516.0
GTEX-11ZVC-2526-SM-5FQTE 50-59 years, female 513.9
GTEX-SUCS-1926-SM-32PM3 70-79 years, male 513.8
GTEX-YB5E-2026-SM-5IFIS 40-49 years, male 513.1
GTEX-1C64O-0126-SM-7SB8P 60-69 years, male 512.3
GTEX-1EX96-1626-SM-7PBXR 50-59 years, male 511.7
GTEX-RWS6-2026-SM-2XCB5 60-69 years, female 511.4
GTEX-R45C-0126-SM-EAZ2R 60-69 years, female 511.2
GTEX-1I1GP-2226-SM-CGQFK 50-59 years, male 510.9
GTEX-13YAN-0326-SM-5O9DF 60-69 years, male 509.8
GTEX-1LGOU-2026-SM-DIPFF 20-29 years, female 509.0
GTEX-1A8FM-0226-SM-7SB7Q 50-59 years, female 508.4
GTEX-1C6WA-0126-SM-7PC2B 60-69 years, male 507.1
GTEX-14ABY-0226-SM-5TDCQ 50-59 years, male 504.8
GTEX-WFG8-2226-SM-3GIL9 20-29 years, male 504.8
GTEX-X8HC-0126-SM-4E3JW 50-59 years, female 504.7
GTEX-1JMQJ-0526-SM-CYPSU 50-59 years, male 504.6
GTEX-1GMR3-1926-SM-9KNUZ 40-49 years, male 504.1
GTEX-1LC47-0326-SM-E9TJP 60-69 years, male 503.5
GTEX-1I1HK-0126-SM-COH49 60-69 years, male 501.5
GTEX-OXRN-0126-SM-48TDM 50-59 years, male 501.1
GTEX-1H3NZ-0126-SM-ACKX7 60-69 years, male 501.1
GTEX-O5YT-0126-SM-48TBW 20-29 years, male 500.2
GTEX-X261-0126-SM-3NMD6 50-59 years, male 499.8
GTEX-13QJ3-0326-SM-5S2RA 50-59 years, male 499.7
GTEX-YJ8A-0426-SM-5IFID 20-29 years, male 499.2
GTEX-Q2AH-1626-SM-3GAF8 40-49 years, male 499.1
GTEX-14JG6-2226-SM-6EU2G 30-39 years, female 498.6
GTEX-1GN2E-0426-SM-9MQKX 60-69 years, male 498.5
GTEX-1HKZK-0326-SM-9WYUH 40-49 years, male 498.2
GTEX-11GSO-2426-SM-5A5LY 60-69 years, male 498.0
GTEX-OHPM-0126-SM-2YUN9 50-59 years, male 497.6
GTEX-14PHW-0126-SM-6LLJI 60-69 years, female 495.6
GTEX-WZTO-0126-SM-3NM95 40-49 years, male 493.8
GTEX-1AX9J-0226-SM-73KXM 60-69 years, male 492.6
GTEX-145MI-0526-SM-5O9A8 60-69 years, female 492.2
GTEX-TML8-1926-SM-32QOS 40-49 years, female 490.5
GTEX-XQ3S-1526-SM-4BOOC 20-29 years, male 490.4
GTEX-ZZPT-0226-SM-5E43X 50-59 years, male 489.9
GTEX-13SLW-0126-SM-5SI6C 70-79 years, male 488.0
GTEX-1MCYP-1926-SM-E9J2R 20-29 years, female 487.9
GTEX-11DXX-2426-SM-5GZZW 60-69 years, female 486.6
GTEX-11NUK-0126-SM-5A5L3 50-59 years, male 485.1
GTEX-S33H-1026-SM-EZ6L6 30-39 years, male 485.0
GTEX-Y111-0126-SM-4SOIV 50-59 years, male 483.2
GTEX-1E1VI-0126-SM-7DHMZ 50-59 years, male 481.9
GTEX-16AAH-1726-SM-7939C 50-59 years, male 480.5
GTEX-1IDJF-0126-SM-CM2RS 20-29 years, male 480.4
GTEX-QEG4-0226-SM-2S1PY 30-39 years, male 480.2
GTEX-T8EM-1026-SM-3DB7M 40-49 years, male 479.5
GTEX-RNOR-0126-SM-E9J4R 50-59 years, female 479.2
GTEX-18D9U-0226-SM-718BP 40-49 years, male 478.2
GTEX-14DAQ-0126-SM-5S2MQ 60-69 years, female 476.6
GTEX-W5WG-1826-SM-4KL2Y 50-59 years, female 476.2
GTEX-13U4I-0126-SM-5LU38 40-49 years, female 475.7
GTEX-VJWN-0126-SM-3GIK7 50-59 years, female 475.7
GTEX-12WSJ-1826-SM-5GCNY 40-49 years, female 475.0
GTEX-1AMFI-2026-SM-731BH 50-59 years, female 470.5
GTEX-Y5V5-2326-SM-4V6GA 60-69 years, female 470.4
GTEX-139TS-2826-SM-5J1OO 60-69 years, male 469.6
GTEX-18A66-0226-SM-718BD 60-69 years, male 469.5
GTEX-1JMOU-1526-SM-CL54I 60-69 years, female 469.1
GTEX-ZC5H-0226-SM-4WAY9 40-49 years, female 467.8
GTEX-18465-0126-SM-731BN 50-59 years, male 467.6
GTEX-VJYA-1126-SM-3GIJU 60-69 years, male 466.7
GTEX-17F98-0626-SM-79OMX 40-49 years, female 463.9
GTEX-13112-2826-SM-5DUWH 50-59 years, male 460.4
GTEX-1N2DV-0226-SM-E6CJ6 40-49 years, male 459.6
GTEX-OOBK-0126-SM-2YUND 40-49 years, male 456.5
GTEX-PLZ6-1426-SM-DKPOT 30-39 years, male 456.5
GTEX-PX3G-0126-SM-2I3EN 20-29 years, female 455.8
GTEX-16YQH-0126-SM-7DUFJ 30-39 years, male 455.7
GTEX-U3ZN-2326-SM-3DB7W 30-39 years, female 455.6
GTEX-WI4N-1026-SM-3LK7N 40-49 years, female 455.6
GTEX-13VXT-0126-SM-5LU4I 20-29 years, female 454.5
GTEX-17HHY-0126-SM-7LG5D 50-59 years, male 454.1
GTEX-1F48J-0126-SM-7P8TT 50-59 years, female 454.1
GTEX-11VI4-1726-SM-5CVLH 40-49 years, female 451.5
GTEX-1B8KE-2126-SM-73KYX 50-59 years, male 451.0
GTEX-132NY-0326-SM-5IJBL 60-69 years, male 450.7
GTEX-ZEX8-2426-SM-4WKG4 50-59 years, male 450.1
GTEX-1A3MV-1926-SM-718BT 30-39 years, male 450.0
GTEX-ZF28-0126-SM-4WKGK 60-69 years, male 448.5
GTEX-1B97I-1626-SM-73KYO 40-49 years, male 447.6
GTEX-XUYS-0126-SM-47JWZ 50-59 years, male 446.9
GTEX-XYKS-2126-SM-4E3IB 60-69 years, female 446.8
GTEX-1497J-2426-SM-7IGNX 60-69 years, male 445.5
GTEX-OXRK-0226-SM-3NB2G 50-59 years, female 444.1
GTEX-1GTWX-0126-SM-9YFLK 60-69 years, male 443.7
GTEX-X5EB-2226-SM-46MW4 40-49 years, male 443.1
GTEX-YEC4-2126-SM-5IFJH 40-49 years, male 442.8
GTEX-13RTJ-2426-SM-5S2Q2 60-69 years, male 442.3
GTEX-145LU-0126-SM-5TDCB 50-59 years, male 442.2
GTEX-12C56-1726-SM-5EQ61 20-29 years, male 440.1
GTEX-11UD2-0226-SM-5EQKY 50-59 years, male 438.6
GTEX-ZDTS-0126-SM-4WAY5 60-69 years, male 436.4
GTEX-TKQ1-1026-SM-4GICL 30-39 years, male 436.1
GTEX-ZZ64-1726-SM-5GZYB 20-29 years, male 434.8
GTEX-X585-0226-SM-4QAS2 50-59 years, male 432.1
GTEX-12WSD-0126-SM-59HKN 60-69 years, female 429.2
GTEX-1IDJH-0326-SM-A9SLQ 70-79 years, male 429.1
GTEX-11EM3-2426-SM-59861 20-29 years, female 428.5
GTEX-1JK1U-2026-SM-CM2RZ 60-69 years, male 426.7
GTEX-1HBPI-1526-SM-C1YQ1 50-59 years, male 426.5
GTEX-1QAET-0926-SM-E76QM 50-59 years, male 425.5
GTEX-13FH7-2026-SM-E9J4I 50-59 years, female 425.0
GTEX-11DXZ-2326-SM-5EGGV 50-59 years, male 424.1
GTEX-1H3VE-0326-SM-9YFLH 40-49 years, male 423.6
GTEX-RM2N-1426-SM-2TF4H 50-59 years, male 420.5
GTEX-1AX9I-0126-SM-7SB74 60-69 years, male 420.0
GTEX-1AYCT-2426-SM-7IGQ3 50-59 years, male 419.9
GTEX-ZYW4-0126-SM-5E44A 60-69 years, male 419.2
GTEX-T6MO-1626-SM-32QOM 40-49 years, female 418.7
GTEX-13D11-2426-SM-5KM1V 50-59 years, female 416.9
GTEX-1IE54-0126-SM-CMKHW 40-49 years, female 416.6
GTEX-1QP29-0626-SM-EWRMX 50-59 years, male 416.0
GTEX-13W3W-2426-SM-5LU5B 60-69 years, female 415.9
GTEX-SSA3-0126-SM-32QPU 60-69 years, male 415.1
GTEX-1H2FU-0126-SM-9WYSI 60-69 years, female 414.1
GTEX-X638-0126-SM-47JZ8 70-79 years, female 407.4
GTEX-16XZZ-0126-SM-793DV 60-69 years, male 406.6
GTEX-1C4CL-0526-SM-73KVK 30-39 years, male 405.9
GTEX-14LLW-0126-SM-6LLIO 70-79 years, female 405.2
GTEX-RWSA-0126-SM-2XCBB 40-49 years, male 404.8
GTEX-1HCUA-2426-SM-ADEIS 50-59 years, female 404.6
GTEX-139TT-0126-SM-5K7Y5 60-69 years, male 404.5
GTEX-Q2AI-1326-SM-2S1PL 40-49 years, male 402.3
GTEX-1MA7X-2226-SM-E6CIY 60-69 years, male 401.3
GTEX-17MFQ-1726-SM-793C7 20-29 years, male 401.2
GTEX-1F75B-0126-SM-9KNVL 50-59 years, male 400.8
GTEX-O5YW-0126-SM-3LK6D 50-59 years, male 399.8
GTEX-12KS4-0326-SM-5EQ41 30-39 years, male 399.1
GTEX-ZTX8-1426-SM-5DUVO 20-29 years, male 397.2
GTEX-1HSMQ-1226-SM-CGQFX 50-59 years, male 397.0
GTEX-WRHK-1426-SM-3MJF9 20-29 years, female 396.9
GTEX-ZTSS-1926-SM-57WEW 40-49 years, male 396.5
GTEX-1H3O1-0426-SM-9YFKY 60-69 years, male 396.2
GTEX-1PBJI-0526-SM-E8VNK 20-29 years, female 396.0
GTEX-14PHX-2326-SM-62LEM 50-59 years, male 394.4
GTEX-1IY9M-0126-SM-D3L8S 60-69 years, male 391.6
GTEX-11LCK-1026-SM-5A5KB 30-39 years, male 391.5
GTEX-13OVI-1426-SM-5L3EY 60-69 years, female 387.3
GTEX-12WSK-2326-SM-5GCOH 40-49 years, female 386.4
GTEX-RU72-0926-SM-2TF6B 50-59 years, female 386.0
GTEX-17HG3-2226-SM-7938L 30-39 years, female 382.6
GTEX-12584-0126-SM-5EGKQ 40-49 years, male 380.8
GTEX-P4PQ-0126-SM-2S1NM 60-69 years, male 379.2
GTEX-PW2O-1526-SM-7RHHB 20-29 years, male 378.1
GTEX-Y114-2426-SM-4TT8A 50-59 years, female 376.6
GTEX-1AX8Z-0126-SM-7DHM6 60-69 years, male 374.0
GTEX-146FH-0126-SM-5QGPP 50-59 years, female 371.3
GTEX-ZDYS-2026-SM-5HL5L 50-59 years, male 370.1
GTEX-1H23P-0126-SM-ADEJ3 60-69 years, male 368.3
GTEX-14PJ3-1826-SM-62LEX 50-59 years, male 367.5
GTEX-ZUA1-0126-SM-5GU76 40-49 years, male 365.5
GTEX-11DXY-2626-SM-5GIE7 60-69 years, male 363.6
GTEX-1RLM8-2326-SM-EWRN4 50-59 years, male 362.6
GTEX-ZY6K-1826-SM-5GZXK 50-59 years, male 361.1
GTEX-1GN1V-0126-SM-9WPOS 60-69 years, male 361.1
GTEX-1IKK5-0626-SM-ARL8A 60-69 years, male 359.2
GTEX-SIU8-0126-SM-2XCDT 50-59 years, male 359.1
GTEX-1H1ZS-0426-SM-9WG6G 70-79 years, male 356.8
GTEX-QDT8-0126-SM-48TZ1 30-39 years, female 355.9
GTEX-117YX-2326-SM-5H12W 50-59 years, male 355.3
GTEX-1F6I4-0126-SM-9MQL2 60-69 years, male 353.7
GTEX-1192X-0226-SM-5H12D 50-59 years, male 351.4
GTEX-QLQW-1126-SM-2S1Q8 30-39 years, male 350.5
GTEX-R55E-0126-SM-2TC5Y 20-29 years, male 344.5
GTEX-1AMEY-1326-SM-73KYK 30-39 years, female 343.5
GTEX-S7PM-0126-SM-4AD6S 60-69 years, male 343.2
GTEX-1GL5R-1826-SM-9KNUY 50-59 years, male 343.1
GTEX-WXYG-2326-SM-4E3I6 50-59 years, female 341.9
GTEX-U3ZM-1526-SM-3DB9D 40-49 years, male 340.9
GTEX-1QP66-1726-SM-E8VO1 50-59 years, male 340.9
GTEX-17HGU-0226-SM-7DHKV 50-59 years, male 340.8
GTEX-14A6H-0126-SM-5QGPK 30-39 years, male 340.3
GTEX-13X6H-2126-SM-7EWD5 50-59 years, female 335.2
GTEX-PVOW-0126-SM-2XCFA 40-49 years, male 335.1
GTEX-12696-2426-SM-5EQ6H 60-69 years, male 328.8
GTEX-1C2JI-1826-SM-73KXC 50-59 years, male 327.2
GTEX-17HHE-2026-SM-79OKF 50-59 years, male 325.7
GTEX-11P7K-2126-SM-5GU7G 30-39 years, male 325.3
GTEX-1CB4F-0426-SM-9KNV4 60-69 years, male 322.6
GTEX-PLZ4-0126-SM-5SI8O 50-59 years, female 322.5
GTEX-1QP2A-0126-SM-E9J43 50-59 years, male 321.8
GTEX-183FY-0126-SM-7LT9P 20-29 years, male 320.7
GTEX-RUSQ-1526-SM-2TF62 50-59 years, male 320.4
GTEX-Y3I4-2126-SM-4TT7C 50-59 years, male 319.3
GTEX-1HBPN-0226-SM-9YFM1 50-59 years, male 317.3
GTEX-147GR-0526-SM-5S2MY 60-69 years, male 317.2
GTEX-QDVN-2026-SM-3GAEP 50-59 years, male 317.0
GTEX-X62O-0126-SM-4E3JN 50-59 years, male 316.3
GTEX-1LNCM-1126-SM-E9U5E 50-59 years, female 315.2
GTEX-V1D1-2226-SM-3NMAX 50-59 years, male 314.8
GTEX-1I19N-0326-SM-ACKVX 70-79 years, male 312.0
GTEX-1211K-2026-SM-5EQ4Z 60-69 years, female 311.7
GTEX-13OVG-1926-SM-5L3DK 60-69 years, male 309.7
GTEX-1MGNQ-0126-SM-EVYCJ 40-49 years, male 309.7
GTEX-14E7W-0126-SM-6LLJ9 70-79 years, male 306.2
GTEX-1H3VY-0126-SM-ACKXD 50-59 years, male 304.4
GTEX-1OJC4-0126-SM-E9J2E 50-59 years, female 301.3
GTEX-1H1DE-2126-SM-9WG6R 20-29 years, male 301.2
GTEX-1F5PK-2426-SM-7RHHY 50-59 years, male 300.2
GTEX-1HBPM-0226-SM-ARL9F 60-69 years, female 299.9
GTEX-11P82-1626-SM-59879 20-29 years, male 299.5
GTEX-1GN1W-0526-SM-9MQJQ 50-59 years, female 298.7
GTEX-147F4-0226-SM-5QGPW 50-59 years, male 297.9
GTEX-1CB4G-0226-SM-7PC3O 60-69 years, male 295.6
GTEX-Q734-1926-SM-2I5EV 40-49 years, female 294.3
GTEX-16XZY-2126-SM-79OK1 70-79 years, male 294.0
GTEX-15SHW-0326-SM-6PAML 60-69 years, male 292.7
GTEX-OHPL-0126-SM-2HMJ7 60-69 years, female 291.3
GTEX-OIZF-0126-SM-7SB8I 60-69 years, male 290.7
GTEX-WY7C-2326-SM-3NB2U 50-59 years, male 289.1
GTEX-P44H-0226-SM-2XCEU 40-49 years, male 275.5
GTEX-113JC-2326-SM-5EQ4E 50-59 years, female 275.1
GTEX-R55G-2526-SM-2TC6D 40-49 years, female 274.7
GTEX-PLZ5-2026-SM-2S1O4 50-59 years, male 267.9
GTEX-17EUY-0426-SM-793BD 20-29 years, male 263.7
GTEX-1B8KZ-2026-SM-7DHMB 50-59 years, male 261.8
GTEX-1GPI6-0126-SM-9WG69 60-69 years, male 260.5
GTEX-QLQ7-1626-SM-2S1R8 60-69 years, male 260.3
GTEX-1CB4J-0626-SM-7DHMP 60-69 years, male 256.9
GTEX-139T4-0226-SM-5HL5S 50-59 years, female 254.7
GTEX-1AX9K-2326-SM-73KWU 50-59 years, male 252.5
GTEX-ZTPG-0326-SM-5O9AX 20-29 years, female 252.5
GTEX-13N11-2526-SM-5K7UE 50-59 years, female 251.6
GTEX-1I1GS-0126-SM-B2LVW 60-69 years, male 249.1
GTEX-15D1Q-0126-SM-7KUG6 40-49 years, male 246.6
GTEX-13OW7-0126-SM-5MR3B 50-59 years, male 242.1
GTEX-1ICLY-0126-SM-D4P36 50-59 years, male 241.8
GTEX-1QP67-1626-SM-EAZ3X 40-49 years, female 241.4
GTEX-1RAZQ-0726-SM-EAZ43 30-39 years, male 240.5
GTEX-113IC-0126-SM-5HL6T 60-69 years, male 239.4
GTEX-1JKYN-1326-SM-CGQG9 30-39 years, male 238.2
GTEX-XBED-2226-SM-47JYQ 60-69 years, male 233.9
GTEX-1J8Q3-1626-SM-CMKGC 60-69 years, male 228.4
GTEX-11ZTT-2426-SM-5EQLS 60-69 years, female 219.3
GTEX-144GN-2326-SM-5LU4F 50-59 years, male 216.6
GTEX-1H1E6-1726-SM-ACKVK 30-39 years, male 214.3
GTEX-14BIL-0126-SM-5SI92 50-59 years, male 209.1
GTEX-12WSN-5019-SM-79OM6 40-49 years, male 204.9
GTEX-11TTK-0126-SM-5987B 60-69 years, female 204.1
GTEX-1NHNU-1026-SM-E9J2A 50-59 years, male 203.2
GTEX-1HUB1-0426-SM-E9U4U 60-69 years, male 194.9
GTEX-1AYD5-2426-SM-73KXR 50-59 years, male 161.2
GTEX-OXRL-0126-SM-2YUMP 50-59 years, male 135.3
GTEX-1F75I-0326-SM-9YFLU 40-49 years, male 131.8
GTEX-SE5C-1626-SM-2XCE3 40-49 years, female 125.8
GTEX-1HBPH-0426-SM-B2LW5 40-49 years, female 105.2
GTEX-1R9PO-2126-SM-E9J4O 60-69 years, female 91.9
GTEX-1QW4Y-1526-SM-EAZ3Z 30-39 years, male 76.1
GTEX-146FR-1326-SM-E9J48 60-69 years, female 75.9
GTEX-14JIY-0126-SM-6LLH6 60-69 years, male 74.1
GTEX-11ZUS-0626-SM-59885 30-39 years, male 52.9
GTEX-U4B1-1826-SM-4DXSU 40-49 years, male 30.1
Show allShow less

Contact

  • NEWS ARTICLES
  • PRESS ROOM

The Project

  • INTRODUCTION
  • ORGANIZATION
  • PUBLICATIONS

The Human Protein Atlas

  • DOWNLOADABLE DATA
  • LICENCE & CITATION
  • HELP & FAQ
The Human Protein Atlas project is funded
by the Knut & Alice Wallenberg Foundation.


contact@proteinatlas.org