We use cookies to enhance the usability of our website. If you continue, we'll assume that you are happy to receive all cookies. More information. Don't show this again.
FABP5
HPA
RESOURCES
  • TISSUE
  • BRAIN
  • SINGLE CELL
  • SUBCELLULAR
  • CANCER
  • BLOOD
  • CELL LINE
  • STRUCTURE & INTERACTION
ABOUT
  • INTRODUCTION
  • HISTORY
  • ORGANIZATION
  • PUBLICATIONS
  • ANTIBODY SUBMISSION
  • ANTIBODY AVAILABILITY
  • ACKNOWLEDGMENTS
  • CONTACT
NEWS
  • NEWS ARTICLES
  • PRESS ROOM
LEARN
  • DICTIONARY
  • PROTEIN CLASSES
  • PROTEIN EVIDENCE
  • METHODS
  • EDUCATIONAL VIDEOS
DATA
  • DOWNLOADABLE DATA
  • PUBLICATION DATA
  • RELEASE HISTORY
HELP
  • ANTIBODY VALIDATION
  • ASSAYS & ANNOTATION
  • DISCLAIMER
  • HELP & FAQ
  • PRIVACY STATEMENT
  • LICENCE & CITATION
Fields »
Search result

Field
Term
Gene name
Class
Subclass
Class
Keyword
Chromosome
External id
Tissue
Cell type
Expression
Antibody panel
Tissue
Main location
Patient ID
Annotation
Tissue
Category
Tau score
Cluster
Reliability
Brain region
Category
Tau score
Brain region
Category
Tau score
Brain region
Category
Tau score
Cluster
Reliability
Tissue
Cell type
Enrichment
Cell type
Category
Tau score
Cell type
Category
Tau score
Cell type
Category
Tau score
Cell lineage
Category
Tau score
Cluster
Cluster
Location
Searches
Location
Cell line
Class
Type
Phase
Reliability
Cancer
Prognosis
Cancer
Category
Cancer
Category
Tau score
Cluster
Variants
Interacting gene (ensg_id)
Type
Number of interactions
Pathway
Category
Score
Score
Score
Validation
Validation
Validation
Validation
Antibodies
Data type
Column


  • SUMMARY

  • TISSUE

  • BRAIN

  • SINGLE CELL

  • SUBCELL

  • CANCER

  • BLOOD

  • CELL LINE

  • STRUCT & INT

  • FABP5
TISSUE PRIMARY DATA HEART MUSCLE Show tissue menu
ADIPOSE TISSUE ADRENAL GLAND AMYGDALA APPENDIX BASAL GANGLIA BONE MARROW BREAST BRONCHUS CEREBELLUM CEREBRAL CORTEX CERVIX CHOROID PLEXUS COLON DUODENUM
ENDOMETRIUM EPIDIDYMIS ESOPHAGUS FALLOPIAN TUBE GALLBLADDER HEART MUSCLE HIPPOCAMPAL FORMATION HYPOTHALAMUS KIDNEY LIVER LUNG LYMPH NODE MIDBRAIN NASOPHARYNX
ORAL MUCOSA OVARY PANCREAS PARATHYROID GLAND PITUITARY GLAND PLACENTA PROSTATE RECTUM RETINA SALIVARY GLAND SEMINAL VESICLE SKELETAL MUSCLE SKIN SMALL INTESTINE
SMOOTH MUSCLE SOFT TISSUE SPINAL CORD SPLEEN STOMACH TESTIS THYMUS THYROID GLAND TONGUE TONSIL URINARY BLADDER VAGINA
ANTIBODIES
AND
VALIDATION
Dictionary
Heart muscle
Tissue proteome
Heart
HEART MUSCLE - Expression summary
Protein expression
Heart musclei

On the top, protein expression in current human tissue, based on all annotated cell types, is reported with the units not detected (n), low (l), medium (m) and high (h). Underneath, protein expression in each annotated cell type are reported using the same units.

Protein expression data is based on knowledge-based annotation. For genes where more than one antibody has been used, a collective score is set.

If knowledge-based annotation could not be performed for a gene, no data is displayed here. View antibody staining data further down this page.

h
m
l
n
Cardiomyocytes: Not detected
RNA expressioni

A summary of mRNA expression data available for current tissue based on several datasets. The mRNA expression levels in human tissues are based on RNA-seq data generated by the Human Protein Atlas (HPA), Genotype-Tissue Expression (GTEx) portal and CAGE data generated by the FANTOM5 consortium. Consensus normalized expression levels for human tissues was created by combining the data from HPA and GTEx datasets.

The mRNA expression levels in pig are based on RNA-seq data generated by the Human Protein Atlas (HPA), and for mouse, HPA data and in situ hybridization generated by the Allen brain atlas are reported.

Scroll down to view mRNA expression data in more detail.
Consensus:332.8 nTPM
HPA:173.6 nTPM
GTEx:332.8 nTPM
FANTOM5:342.5 Scaled Tags Per Million

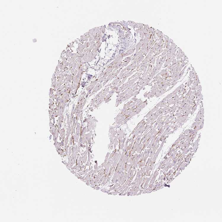
HEART MUSCLE - Antibody stainingi

Antibody staining in the annotated cell types in the current human tissue is reported as not detected, low, medium, or high, based on conventional immunohistochemistry profiling in selected tissues. This score is based on the combination of the staining intensity and fraction of stained cells.

Each image is clickable and will lead to virtual microscopy that enables deeper exploration of all samples and also displays staining intensity scores, fraction scores and subcellular localization as well as patient and tissue information for each sample.

Antibody HPA051895Antibody CAB017831Antibody CAB040577
Cardiomyocytes Not detectedLowNot detected







HEART MUSCLE - HPA RNA-seqi

The RNA-seq details section shows detailed information about the individual samples used for the transcript profiling and results of the RNA-seq analysis.

Information about each individual sample is listed below, including gender, age, a tissue section image and estimated fractions of cell types. nTPM (normalized transcripts per million) values give a quantification of the gene abundance which is comparable between different genes and samples.
Average nTPMi

Max subtype nTPM is the value for the subtype with the largest average nTPM across the subtype samples.

173.6
overview
Female, age 48
Heart muscle sample 149
nTPM: 184.7
Cell types%
Myocytes:
15

Fibroblasts:
55

Endothelial cells:
25

Other cell types:
5

overview
Female, age 42
Heart muscle sample 150
nTPM: 202.3
Cell types%
Myocytes:
20

Fibroblasts:
45

Endothelial cells:
30

Other cell types:
5

overview
Male, age 53
Heart muscle sample 151
nTPM: 142.8
Cell types%
Myocytes:
20

Fibroblasts:
45

Endothelial cells:
30

Other cell types:
5

overview
Female, age 69
Heart muscle sample 152
nTPM: 164.6
Cell types%
Myocytes:
20

Fibroblasts:
45

Endothelial cells:
30

Other cell types:
5


HEART MUSCLE - GTEx RNA-seqi

RNA-Seq data generated by the Genotype-Tissue Expression (GTEx) project from human tissues is reported as mean nTPM. More information can be found on the GTEx portal.

Distribution across the dataset is visualized with box plots, shown as median and 25th and 75th percentiles. Points are displayed as outliers if they are above or below 1.5 times the interquartile range. nTPM values of the individual samples are presented next to the box plot.
Max subtype nTPMi

Max subtype nTPM is the value for the subtype with the largest average nTPM across the subtype samples.

332.8
GTEx sample id Sample description nTPM
Heart - Atrial Appendage
Average nTPM: 144.2
Samples: 429

Max nTPM: 649.7
Min nTPM: 16.5
Std nTPM: 84.6
Median nTPM: 125.5
GTEX-1F6I4-0826-SM-7RHGK 60-69 years, male 649.7
GTEX-1HFI7-0526-SM-A9SMA 50-59 years, female 556.8
GTEX-14C39-0726-SM-5RQIK 40-49 years, male 475.2
GTEX-ZXG5-0626-SM-5NQ85 60-69 years, male 456.8
GTEX-1GF9U-0526-SM-7P8SK 40-49 years, female 447.7
GTEX-1C6WA-0826-SM-7PBXS 60-69 years, male 427.2
GTEX-1212Z-0726-SM-5EGI5 60-69 years, male 419.2
GTEX-1KD5A-0926-SM-D4P3U 50-59 years, male 418.1
GTEX-1KANC-0226-SM-E9TIW 50-59 years, female 390.8
GTEX-145MN-0726-SM-5NQBH 30-39 years, male 386.0
GTEX-ZE7O-0626-SM-57WCD 50-59 years, female 375.9
GTEX-13PL6-0826-SM-5IJBI 40-49 years, female 368.5
GTEX-1P4AB-0926-SM-E76PV 50-59 years, male 365.9
GTEX-1B932-1326-SM-79OM4 40-49 years, female 365.8
GTEX-18A6Q-1526-SM-731CO 60-69 years, male 339.3
GTEX-WYJK-1126-SM-3NM9Z 50-59 years, male 335.0
GTEX-ZUA1-0726-SM-4YCD9 40-49 years, male 331.9
GTEX-13W3W-0526-SM-5LU3X 60-69 years, female 329.2
GTEX-117YW-0426-SM-5GZZZ 50-59 years, male 329.0
GTEX-13FTZ-0326-SM-5J1O1 60-69 years, male 319.9
GTEX-1HCU7-1226-SM-B2LX8 50-59 years, male 310.1
GTEX-1H1CY-0426-SM-9KNVD 60-69 years, female 305.4
GTEX-Y3I4-0526-SM-4TT6X 50-59 years, male 304.0
GTEX-15SHU-0926-SM-6PAMK 40-49 years, female 291.0
GTEX-1POEN-0726-SM-DTXDU 30-39 years, female 290.7
GTEX-1MJK2-1626-SM-EVYCQ 50-59 years, male 288.4
GTEX-YEC4-0226-SM-4W1YG 40-49 years, male 282.1
GTEX-14PJ4-0926-SM-5YY98 60-69 years, male 279.0
GTEX-139YR-0526-SM-5L3DG 50-59 years, male 277.2
GTEX-14PJM-0826-SM-6LLIW 50-59 years, female 276.7
GTEX-1GN1V-1026-SM-CNPPS 60-69 years, male 273.2
GTEX-1C64N-0826-SM-7RHGQ 50-59 years, male 271.9
GTEX-12WSI-0426-SM-5EQ5J 50-59 years, male 269.9
GTEX-WQUQ-1326-SM-3MJFF 60-69 years, male 269.8
GTEX-1IKJJ-0626-SM-CY8GF 60-69 years, male 268.6
GTEX-13QBU-0226-SM-5LU48 40-49 years, female 267.8
GTEX-17F9Y-1226-SM-7EPGE 70-79 years, female 258.7
GTEX-ZDTT-0326-SM-4WKF9 60-69 years, male 256.1
GTEX-17EVP-0526-SM-7EPGY 40-49 years, male 255.2
GTEX-1KANB-1126-SM-DHXJT 50-59 years, male 251.6
GTEX-14BIN-2126-SM-793AX 50-59 years, female 247.3
GTEX-YF7O-0526-SM-5P9IO 50-59 years, male 246.7
GTEX-1C64O-0926-SM-79OLN 60-69 years, male 246.6
GTEX-1192X-0726-SM-5987R 50-59 years, male 245.9
GTEX-1HBPN-0926-SM-CGQEG 50-59 years, male 245.4
GTEX-15D1Q-0426-SM-6AJ9G 40-49 years, male 245.2
GTEX-15EU6-1326-SM-6PANG 50-59 years, male 241.6
GTEX-11DXX-0526-SM-5PNVR 60-69 years, female 238.6
GTEX-1QMI2-1026-SM-DTX7T 60-69 years, male 236.3
GTEX-13X6J-1226-SM-79OMF 50-59 years, male 234.3
GTEX-11ZVC-0526-SM-5N9G1 50-59 years, female 233.4
GTEX-1H11D-1026-SM-9QEIU 40-49 years, male 233.1
GTEX-1QP29-1426-SM-DTX9Q 50-59 years, male 232.1
GTEX-12BJ1-0326-SM-5FQUB 60-69 years, male 231.2
GTEX-1MJIX-0426-SM-DTXEN 40-49 years, male 231.0
GTEX-1F75B-1126-SM-7RHGP 50-59 years, male 230.7
GTEX-Z93S-0326-SM-5HL84 50-59 years, male 230.4
GTEX-1GMRU-1326-SM-9WYUI 50-59 years, male 229.6
GTEX-1IKOE-0626-SM-A9G31 30-39 years, female 228.8
GTEX-1122O-0626-SM-5N9B9 60-69 years, female 228.3
GTEX-131XF-0426-SM-5HL7U 60-69 years, male 228.1
GTEX-X4XX-1126-SM-3NMBY 60-69 years, male 226.4
GTEX-13D11-1526-SM-5J2NA 50-59 years, female 224.5
GTEX-146FH-1126-SM-5NQAT 50-59 years, female 222.9
GTEX-Y5V5-0726-SM-4VBPY 60-69 years, female 222.9
GTEX-1L5NE-0526-SM-DIPG5 50-59 years, male 222.2
GTEX-1LVAN-1526-SM-CNPQN 50-59 years, female 217.4
GTEX-13NZB-0426-SM-5KM26 30-39 years, male 217.1
GTEX-13SLW-0826-SM-5QGP7 70-79 years, male 213.1
GTEX-1JN6P-0826-SM-ARL97 60-69 years, male 212.9
GTEX-1A8G6-1826-SM-73KY8 60-69 years, male 210.4
GTEX-XPT6-0226-SM-4B65L 20-29 years, male 208.7
GTEX-ZLFU-0326-SM-4WWBK 40-49 years, male 208.7
GTEX-17GQL-0626-SM-731CN 60-69 years, male 208.3
GTEX-1IDJF-0826-SM-ARU7N 20-29 years, male 204.7
GTEX-1M5QR-1626-SM-E9U5O 40-49 years, male 203.8
GTEX-13S86-0326-SM-5SI6K 40-49 years, male 203.3
GTEX-1IOXB-0726-SM-A9G32 50-59 years, male 203.3
GTEX-13PDP-1326-SM-5K7U9 60-69 years, male 201.5
GTEX-16NPX-0826-SM-6M489 50-59 years, male 200.5
GTEX-17HGU-1126-SM-793BP 50-59 years, male 199.2
GTEX-1AX9J-0926-SM-73KXA 60-69 years, male 195.1
GTEX-12584-1026-SM-59HK3 40-49 years, male 193.9
GTEX-1PPGY-0926-SM-DTXFF 60-69 years, male 193.7
GTEX-12WSG-1226-SM-5EQ4C 50-59 years, female 192.6
GTEX-1GF9V-1726-SM-9KNW4 60-69 years, male 192.4
GTEX-WFG7-0826-SM-3GIKU 20-29 years, male 192.3
GTEX-111YS-0326-SM-5GZZ3 60-69 years, male 192.2
GTEX-YFC4-0426-SM-4TT3J 40-49 years, female 191.6
GTEX-ZZPT-0926-SM-5GICZ 50-59 years, male 191.0
GTEX-13NZA-0826-SM-5K7WS 60-69 years, male 190.2
GTEX-1399R-1726-SM-5K7YJ 30-39 years, male 190.1
GTEX-1EWIQ-1126-SM-7EPIK 70-79 years, female 189.1
GTEX-1QP6S-1026-SM-DTXFW 40-49 years, male 188.7
GTEX-1LSNM-0426-SM-E9TIZ 50-59 years, male 187.5
GTEX-13X6K-1726-SM-7IGLG 60-69 years, female 186.7
GTEX-1C6VQ-0826-SM-7PBZT 50-59 years, male 185.8
GTEX-145LS-1326-SM-5Q5EP 60-69 years, female 185.5
GTEX-1K2DU-0226-SM-DIPF6 20-29 years, male 185.4
GTEX-1KXAM-1426-SM-D3LAC 60-69 years, male 185.3
GTEX-13FXS-1026-SM-62LFQ 50-59 years, male 184.5
GTEX-14A5I-1026-SM-5Q5E3 50-59 years, female 184.2
GTEX-13VXT-0726-SM-5SIAD 20-29 years, female 182.2
GTEX-13O3O-1426-SM-5KM2S 60-69 years, female 181.5
GTEX-11GS4-0426-SM-5N9CD 60-69 years, male 181.4
GTEX-15SHV-0526-SM-7KUEN 60-69 years, male 178.0
GTEX-1E2YA-0626-SM-7P8P4 50-59 years, male 177.8
GTEX-1H3VY-1126-SM-A96TP 50-59 years, male 176.1
GTEX-1LGRB-1026-SM-CNPQD 50-59 years, female 175.1
GTEX-1GN1W-0226-SM-7P8QY 50-59 years, female 174.8
GTEX-13NYS-1926-SM-5IJCB 60-69 years, male 173.2
GTEX-VJWN-1026-SM-4M1ZN 50-59 years, female 173.0
GTEX-ZVT2-0926-SM-5GICE 50-59 years, female 172.0
GTEX-X62O-0826-SM-46MW8 50-59 years, male 171.9
GTEX-14E1K-0826-SM-5ZZW9 50-59 years, male 170.8
GTEX-12WSC-1026-SM-5EQ5Y 50-59 years, male 170.4
GTEX-1LSNL-0626-SM-DIPFJ 50-59 years, male 169.9
GTEX-11ONC-1026-SM-5GU64 60-69 years, male 166.6
GTEX-Y114-0126-SM-4TT8K 50-59 years, female 166.6
GTEX-1IL2V-1126-SM-CMKGH 70-79 years, male 166.5
GTEX-13RTJ-0526-SM-62LDP 60-69 years, male 166.2
GTEX-11DXY-1026-SM-5987V 60-69 years, male 165.7
GTEX-ZYFC-1026-SM-5GZX9 50-59 years, male 165.3
GTEX-ZTPG-1326-SM-51MSQ 20-29 years, female 165.1
GTEX-11P81-0526-SM-59873 30-39 years, female 164.3
GTEX-11TUW-1126-SM-5EQKJ 60-69 years, male 164.3
GTEX-XQ8I-0226-SM-4BOPM 50-59 years, male 164.0
GTEX-XPVG-0726-SM-4B658 50-59 years, male 163.6
GTEX-UTHO-1226-SM-3GAEE 60-69 years, male 163.2
GTEX-13PVR-0926-SM-5S2RB 60-69 years, female 162.2
GTEX-13OVI-0326-SM-5K7X1 60-69 years, female 161.7
GTEX-1F88F-0326-SM-9KNV3 60-69 years, female 159.8
GTEX-1OFPY-0926-SM-DTX8Q 60-69 years, male 159.2
GTEX-WI4N-0726-SM-3TW93 40-49 years, female 158.9
GTEX-1I1GQ-1226-SM-CL55J 50-59 years, male 158.7
GTEX-12696-1226-SM-5FQSM 60-69 years, male 158.2
GTEX-1JK1U-0626-SM-CKZOJ 60-69 years, male 157.8
GTEX-13NYB-0326-SM-5IJDP 40-49 years, male 156.9
GTEX-15RIE-1326-SM-6PAMM 60-69 years, male 156.8
GTEX-1B8SF-1326-SM-7IGQJ 60-69 years, male 156.7
GTEX-1AX9I-1026-SM-73KYF 60-69 years, male 156.5
GTEX-14BIL-0926-SM-7DHKN 50-59 years, male 156.3
GTEX-1HSKV-0726-SM-ACKWE 60-69 years, male 156.1
GTEX-14PK6-0726-SM-6LLIX 70-79 years, female 154.8
GTEX-12WSD-1226-SM-5HL9Q 60-69 years, female 154.4
GTEX-1RB15-0426-SM-E9U4Y 60-69 years, male 154.1
GTEX-ZT9W-0526-SM-57WFG 50-59 years, male 153.0
GTEX-1399S-0826-SM-5KM23 30-39 years, female 152.7
GTEX-16GPK-1226-SM-7LTAU 60-69 years, male 152.5
GTEX-14BIM-2726-SM-5Q5EG 60-69 years, female 152.1
GTEX-13NZ9-0126-SM-5K7XV 50-59 years, male 151.8
GTEX-1C2JI-0626-SM-7DHM1 50-59 years, male 150.5
GTEX-UPK5-0226-SM-3GAEV 40-49 years, male 150.0
GTEX-132QS-0526-SM-5IJC7 60-69 years, male 149.9
GTEX-117XS-0726-SM-5H131 60-69 years, male 149.5
GTEX-X261-0926-SM-3NMCY 50-59 years, male 148.2
GTEX-132Q8-1126-SM-5K7XS 60-69 years, male 147.1
GTEX-18D9B-1126-SM-7KFSH 60-69 years, male 146.2
GTEX-ZPU1-0726-SM-5HL6O 40-49 years, male 146.1
GTEX-1GZ2Q-0926-SM-7RHHN 40-49 years, male 145.8
GTEX-1B933-0826-SM-79OMW 50-59 years, female 145.5
GTEX-13O61-0426-SM-5L3ET 60-69 years, male 144.4
GTEX-W5X1-0826-SM-3GILN 40-49 years, female 144.4
GTEX-1I1HK-0626-SM-CNPQM 60-69 years, male 144.3
GTEX-1H2FU-0826-SM-9WYSU 60-69 years, female 144.1
GTEX-15UF7-1526-SM-6LPI7 40-49 years, male 143.7
GTEX-11O72-1026-SM-5986B 40-49 years, male 142.9
GTEX-1LG7Y-1426-SM-D4P31 50-59 years, male 142.6
GTEX-1F75A-1026-SM-7PC3W 50-59 years, male 142.1
GTEX-ZYFG-0526-SM-5GZXX 60-69 years, female 141.5
GTEX-ZF2S-0826-SM-4WWBI 50-59 years, female 141.2
GTEX-1399U-0726-SM-5KM1D 50-59 years, female 140.2
GTEX-1117F-0726-SM-5GIEN 60-69 years, female 139.9
GTEX-1H3NZ-1026-SM-A9SM5 60-69 years, male 139.4
GTEX-15SDE-1826-SM-7KUFN 50-59 years, female 138.9
GTEX-1F75I-1326-SM-7PBZX 40-49 years, male 138.6
GTEX-147JS-1326-SM-5SI6D 60-69 years, male 138.5
GTEX-WFON-0226-SM-3GIKR 40-49 years, male 138.5
GTEX-1IDJD-0226-SM-CKZOA 30-39 years, male 138.2
GTEX-ZPCL-0526-SM-DO91R 60-69 years, female 138.2
GTEX-WHSE-0826-SM-4SOJU 20-29 years, male 138.0
GTEX-ZEX8-0326-SM-DO92C 50-59 years, male 138.0
GTEX-ZYT6-0926-SM-5GIEM 30-39 years, male 137.6
GTEX-ZYVF-1826-SM-5E44F 50-59 years, female 137.4
GTEX-13U4I-0626-SM-5LU5L 40-49 years, female 137.0
GTEX-1JJ6O-2226-SM-AHZ3I 60-69 years, male 136.9
GTEX-WHWD-0326-SM-3LK6L 50-59 years, male 136.8
GTEX-13O3Q-0326-SM-5L3FE 50-59 years, male 136.5
GTEX-1MCC2-0226-SM-EVYD5 30-39 years, female 136.5
GTEX-1I1GR-1026-SM-A9SLC 60-69 years, male 136.2
GTEX-111VG-0326-SM-5GZX7 60-69 years, male 136.1
GTEX-1I1GV-1426-SM-B2LXN 60-69 years, male 136.1
GTEX-YEC3-0426-SM-CYPS8 50-59 years, male 134.3
GTEX-ZV7C-0526-SM-9WPNK 50-59 years, male 134.2
GTEX-148VJ-1426-SM-5TDE3 70-79 years, male 133.0
GTEX-14E6C-0326-SM-5Q5EE 40-49 years, male 133.0
GTEX-13CF2-0226-SM-5L3DV 60-69 years, male 132.9
GTEX-132AR-1926-SM-5EGK5 50-59 years, female 132.7
GTEX-13OW6-0926-SM-5L3GM 50-59 years, male 132.6
GTEX-1CB4J-0226-SM-7P8T4 60-69 years, male 132.5
GTEX-WRHU-1026-SM-4E3ID 50-59 years, female 132.2
GTEX-1JMLX-1826-SM-CNPOX 50-59 years, male 131.9
GTEX-XGQ4-0526-SM-4AT6C 50-59 years, male 131.8
GTEX-11EM3-0426-SM-5N9BZ 20-29 years, female 131.1
GTEX-ZAB5-0126-SM-5CVMT 50-59 years, male 130.5
GTEX-14PJ2-1126-SM-69LOD 50-59 years, male 130.2
GTEX-13FHP-0826-SM-5K7V5 50-59 years, male 129.4
GTEX-1B8KE-0326-SM-73KTY 50-59 years, male 129.1
GTEX-1A8FM-1026-SM-7PC26 50-59 years, female 128.7
GTEX-WOFL-1226-SM-4OOST 60-69 years, male 128.5
GTEX-14JG1-0826-SM-5ZZWR 40-49 years, male 128.3
GTEX-WEY5-0226-SM-3GIKN 40-49 years, female 127.5
GTEX-1EMGI-1126-SM-9KNUF 60-69 years, male 126.7
GTEX-12WSK-0526-SM-5CVNA 40-49 years, female 126.3
GTEX-13OW5-0926-SM-5L3GZ 60-69 years, male 125.5
GTEX-Y3IK-1026-SM-51MR7 50-59 years, female 125.4
GTEX-YJ8O-0826-SM-5CVM3 40-49 years, female 125.4
GTEX-1LH75-0526-SM-DIPG2 50-59 years, female 124.4
GTEX-ZDYS-0326-SM-5HL4W 50-59 years, male 124.2
GTEX-1EU9M-1926-SM-7RHH4 60-69 years, male 124.2
GTEX-ZF3C-1126-SM-57WEG 50-59 years, female 124.1
GTEX-1GMR8-1026-SM-9MQLA 50-59 years, female 123.3
GTEX-13YAN-1426-SM-7EPG8 60-69 years, male 122.4
GTEX-1B97J-0326-SM-7939H 50-59 years, female 121.0
GTEX-117YX-0626-SM-5EGJI 50-59 years, male 120.2
GTEX-139TU-1926-SM-5J2OC 60-69 years, male 120.1
GTEX-1AX9K-0426-SM-73KUG 50-59 years, male 120.1
GTEX-X5EB-0626-SM-46MVQ 40-49 years, male 119.7
GTEX-11LCK-0826-SM-5PNYD 30-39 years, male 119.1
GTEX-WH7G-0326-SM-3NMBH 40-49 years, male 119.0
GTEX-ZVT4-1326-SM-5NQ8E 50-59 years, female 119.0
GTEX-11EQ8-1326-SM-5EGJQ 60-69 years, male 118.9
GTEX-1IKOH-0926-SM-A9SLU 60-69 years, female 117.2
GTEX-13PL7-0726-SM-5KM1S 60-69 years, female 116.8
GTEX-15CHR-0326-SM-7DHN3 50-59 years, male 116.3
GTEX-11ZUS-0326-SM-5EQ4W 30-39 years, male 116.2
GTEX-14PN3-0726-SM-6EU14 60-69 years, female 116.2
GTEX-X3Y1-0226-SM-3P5Z5 40-49 years, male 116.1
GTEX-11EMC-0826-SM-59862 60-69 years, female 115.9
GTEX-15ER7-0826-SM-6PALW 20-29 years, female 115.9
GTEX-1CAMS-1126-SM-7MXUQ 40-49 years, female 115.0
GTEX-V955-0826-SM-CYPR5 60-69 years, male 114.9
GTEX-14A6H-0326-SM-5NQAN 30-39 years, male 114.6
GTEX-1JMOU-0326-SM-ARL8X 60-69 years, female 114.2
GTEX-ZPIC-0426-SM-DO91V 40-49 years, female 113.3
GTEX-1H3O1-0226-SM-9WYSW 60-69 years, male 112.8
GTEX-1477Z-1126-SM-5P9GK 60-69 years, male 112.7
GTEX-15SKB-0926-SM-7KUFC 60-69 years, male 112.4
GTEX-X8HC-1026-SM-46MWH 50-59 years, female 112.0
GTEX-1HT8W-1326-SM-CGQEN 30-39 years, male 112.0
GTEX-1HCUA-0626-SM-ACKVT 50-59 years, female 111.8
GTEX-XBEC-1226-SM-4AT65 50-59 years, male 111.5
GTEX-144GL-1026-SM-5O99R 50-59 years, male 111.2
GTEX-14PHY-0326-SM-62LE3 60-69 years, female 111.2
GTEX-11ZTT-0526-SM-5EQLA 60-69 years, female 110.6
GTEX-WHPG-1026-SM-3NMBA 50-59 years, male 110.5
GTEX-WL46-0726-SM-3LK5Z 50-59 years, male 109.9
GTEX-1NHNU-0626-SM-E6CP1 50-59 years, male 109.6
GTEX-1RLM8-0226-SM-E6CJY 50-59 years, male 109.4
GTEX-V1D1-0626-SM-4JBHN 50-59 years, male 109.2
GTEX-1GN2E-1426-SM-7RHHI 60-69 years, male 109.0
GTEX-11NV4-0826-SM-5BC4S 60-69 years, male 108.8
GTEX-14ASI-0826-SM-5Q5EB 60-69 years, male 108.5
GTEX-1EX96-2626-SM-9MQJV 50-59 years, male 108.0
GTEX-1H1ZS-1026-SM-9WG6E 70-79 years, male 107.9
GTEX-1AYCT-0526-SM-7RHHS 50-59 years, male 107.7
GTEX-14PJO-0826-SM-6ETZK 60-69 years, male 106.8
GTEX-17JCI-0826-SM-7LT8W 60-69 years, female 106.8
GTEX-18D9U-1426-SM-718BO 40-49 years, male 106.6
GTEX-1CB4E-0626-SM-7DHMW 60-69 years, male 106.6
GTEX-1J1OQ-2226-SM-A96SS 40-49 years, female 106.5
GTEX-18A7A-1226-SM-7LTAJ 50-59 years, female 106.2
GTEX-18465-0726-SM-7LG4L 50-59 years, male 105.7
GTEX-147F4-1126-SM-5TDDE 50-59 years, male 105.3
GTEX-13FH7-0826-SM-5J2NW 50-59 years, female 105.1
GTEX-1IDJU-0626-SM-CKZOG 60-69 years, female 104.9
GTEX-1J8Q3-1126-SM-ARU8N 60-69 years, male 104.8
GTEX-Y8E4-0426-SM-4V6GB 40-49 years, male 104.4
GTEX-11WQK-0226-SM-5EQLI 50-59 years, male 103.5
GTEX-131XG-0526-SM-5DUWF 50-59 years, female 103.4
GTEX-WFG8-0726-SM-3GILP 20-29 years, male 103.1
GTEX-XV7Q-0726-SM-4BRV6 40-49 years, female 102.8
GTEX-1BAJH-1026-SM-7EWEG 70-79 years, male 102.3
GTEX-YB5K-0226-SM-5IFJE 40-49 years, female 102.1
GTEX-1IKK5-1726-SM-CM2RU 60-69 years, male 101.6
GTEX-ZZPU-1126-SM-5N9CW 50-59 years, female 100.0
GTEX-1B8SG-0726-SM-79ONS 50-59 years, male 99.6
GTEX-1CB4H-0626-SM-7IGN3 60-69 years, female 99.4
GTEX-13112-0526-SM-5EQ4S 50-59 years, male 99.2
GTEX-12ZZY-1226-SM-5GCNK 60-69 years, male 98.9
GTEX-YECK-1226-SM-4W21G 60-69 years, male 97.9
GTEX-1QCLZ-1126-SM-EWRNB 60-69 years, female 97.9
GTEX-XOT4-1126-SM-4B66E 60-69 years, female 97.7
GTEX-11NUK-0926-SM-5HL57 50-59 years, male 97.0
GTEX-1LB8K-0926-SM-D4P42 50-59 years, male 96.9
GTEX-13SLX-0926-SM-5S2NM 50-59 years, female 96.8
GTEX-1A32A-1326-SM-73KWW 50-59 years, female 96.3
GTEX-16XZY-0526-SM-7DHKY 70-79 years, male 96.1
GTEX-ZAK1-1126-SM-5PNXU 50-59 years, female 96.1
GTEX-11GSP-1226-SM-5985M 60-69 years, female 95.9
GTEX-14H4A-0426-SM-5ZZWO 40-49 years, female 95.7
GTEX-16YQH-0726-SM-7IGM1 30-39 years, male 95.3
GTEX-ZVT3-0826-SM-5GIC8 60-69 years, female 95.2
GTEX-1192W-0226-SM-5EGGT 60-69 years, male 94.0
GTEX-145LV-0226-SM-5S2QG 50-59 years, male 93.7
GTEX-1GMR3-0426-SM-7PC17 40-49 years, male 93.5
GTEX-11DYG-1026-SM-5A5JQ 60-69 years, male 93.3
GTEX-146FR-0926-SM-5QGPE 60-69 years, female 92.8
GTEX-WYBS-1226-SM-3NM9N 60-69 years, female 92.4
GTEX-1CB4G-0726-SM-79OOJ 60-69 years, male 91.2
GTEX-13FTW-0826-SM-5K7XR 40-49 years, male 91.1
GTEX-1HC8U-0626-SM-B2LWB 40-49 years, female 90.9
GTEX-ZGAY-0226-SM-4WWAL 40-49 years, female 90.5
GTEX-15DCE-0826-SM-7KULW 20-29 years, male 89.5
GTEX-1LVAO-0626-SM-EWRNT 60-69 years, male 89.4
GTEX-ZF29-0426-SM-4WKFN 60-69 years, female 89.1
GTEX-1HFI6-0826-SM-9YFM2 40-49 years, male 88.7
GTEX-14C5O-1226-SM-664N3 60-69 years, male 88.6
GTEX-14PN4-0826-SM-69LON 50-59 years, male 88.6
GTEX-17KNJ-0626-SM-7LT9L 50-59 years, male 88.5
GTEX-1CAMQ-0726-SM-7P8SG 40-49 years, male 88.2
GTEX-1R9K4-1026-SM-EXUT1 60-69 years, male 87.8
GTEX-12ZZX-0726-SM-5EGKA 40-49 years, female 87.7
GTEX-1LGOU-0326-SM-D3LAM 20-29 years, female 87.5
GTEX-1HR98-1026-SM-CKZOM 60-69 years, male 87.3
GTEX-ZDXO-0426-SM-4WKF6 60-69 years, male 86.7
GTEX-13OVG-0426-SM-5KM2T 60-69 years, male 85.6
GTEX-12WSA-1126-SM-5EGKU 60-69 years, male 85.5
GTEX-1HUB1-0726-SM-CGQF4 60-69 years, male 84.8
GTEX-1399T-0726-SM-5J1MH 60-69 years, male 84.6
GTEX-1QEPI-1126-SM-E8VN7 60-69 years, female 84.2
GTEX-17MF6-0926-SM-7LTAL 40-49 years, male 83.7
GTEX-1GN73-2326-SM-9MQKV 60-69 years, male 83.7
GTEX-1EH9U-0626-SM-7PC33 60-69 years, male 82.9
GTEX-18A67-1026-SM-731CE 50-59 years, male 82.8
GTEX-14XAO-0926-SM-69LPZ 60-69 years, female 82.7
GTEX-1B996-1026-SM-793CF 60-69 years, male 82.4
GTEX-13JUV-0226-SM-5IJCC 40-49 years, female 81.2
GTEX-17F96-0826-SM-7DHLU 70-79 years, male 80.9
GTEX-ZTTD-0626-SM-4YCCY 50-59 years, male 80.5
GTEX-ZG7Y-1426-SM-4WWBM 50-59 years, male 80.2
GTEX-1A3MX-1226-SM-731B3 60-69 years, male 78.8
GTEX-WY7C-1126-SM-3NB3A 50-59 years, male 78.1
GTEX-1HSGN-0926-SM-CNNQM 40-49 years, female 77.6
GTEX-ZAB4-0926-SM-5CVN4 40-49 years, male 77.3
GTEX-1B8L1-0426-SM-7SB76 60-69 years, male 76.8
GTEX-1HSMO-1126-SM-CGQF2 60-69 years, male 76.5
GTEX-13FHO-1226-SM-5L3EF 60-69 years, male 76.3
GTEX-XYKS-0226-SM-4BRW3 60-69 years, female 76.3
GTEX-1AX8Z-1126-SM-731CS 60-69 years, male 75.9
GTEX-WK11-0626-SM-3NMAV 50-59 years, male 75.4
GTEX-1GL5R-0426-SM-9WPOP 50-59 years, male 75.2
GTEX-12WSN-0226-SM-5DUXH 40-49 years, male 74.9
GTEX-XQ3S-0526-SM-4BOQA 20-29 years, male 74.4
GTEX-WWYW-1126-SM-3NB2Q 50-59 years, female 74.1
GTEX-13OW7-1626-SM-5IJDH 50-59 years, male 73.9
GTEX-1IDJH-1126-SM-COH3R 70-79 years, male 73.3
GTEX-1211K-0226-SM-59HJY 60-69 years, female 72.8
GTEX-1339X-0326-SM-5K7Z8 40-49 years, male 72.6
GTEX-13N11-0726-SM-5L3DP 50-59 years, female 72.0
GTEX-1J8QM-0326-SM-CL53D 60-69 years, female 71.6
GTEX-XXEK-2026-SM-4BRVE 50-59 years, male 71.2
GTEX-14PJ6-0626-SM-686Z6 60-69 years, female 70.7
GTEX-12WSE-0926-SM-5S2VX 20-29 years, male 70.6
GTEX-1313W-1126-SM-5EQ5U 50-59 years, female 70.2
GTEX-132NY-1426-SM-5J1MJ 60-69 years, male 70.1
GTEX-1ICG6-0726-SM-B2LY5 70-79 years, female 70.1
GTEX-1HSMQ-0426-SM-ADEIM 50-59 years, male 69.7
GTEX-13N1W-0926-SM-5MR36 70-79 years, male 69.6
GTEX-1IY9M-0626-SM-D4P2L 60-69 years, male 69.3
GTEX-1NSGN-1226-SM-E76OL 50-59 years, male 67.9
GTEX-1QPFJ-0926-SM-EVR3K 30-39 years, female 67.2
GTEX-1R9JW-0426-SM-E76QL 30-39 years, female 67.0
GTEX-1JJEA-0926-SM-CYPSO 60-69 years, male 66.6
GTEX-131YS-0826-SM-5PNYV 60-69 years, female 66.5
GTEX-11UD2-0926-SM-5CVL6 50-59 years, male 66.3
GTEX-WZTO-1226-SM-3NMAZ 40-49 years, male 65.3
GTEX-14PHX-0626-SM-5YY8Z 50-59 years, male 65.1
GTEX-14DAQ-1026-SM-793B1 60-69 years, female 65.0
GTEX-1I19N-0626-SM-A9SKY 70-79 years, male 64.8
GTEX-ZVZQ-0726-SM-51MR3 60-69 years, female 64.3
GTEX-1F48J-1126-SM-9WYSY 50-59 years, female 64.0
GTEX-14E7W-1126-SM-5ZZVS 70-79 years, male 63.2
GTEX-15RJE-0726-SM-7KUEG 40-49 years, male 62.3
GTEX-18A66-1126-SM-731C5 60-69 years, male 62.2
GTEX-1E1VI-1426-SM-793CY 50-59 years, male 62.0
GTEX-1J8Q2-1026-SM-ARU8I 60-69 years, male 61.5
GTEX-16XZZ-1026-SM-7DHKS 60-69 years, male 60.8
GTEX-1R7EV-0426-SM-DTX7Z 40-49 years, male 60.3
GTEX-1445S-1226-SM-5O9BF 60-69 years, male 60.2
GTEX-14C38-1326-SM-62LDK 50-59 years, male 60.0
GTEX-14BMV-1026-SM-5SI6B 50-59 years, male 59.8
GTEX-XLM4-2026-SM-4AT4X 60-69 years, male 59.3
GTEX-1IL2U-1226-SM-CL53P 60-69 years, male 59.3
GTEX-11DXZ-0326-SM-5EGH1 50-59 years, male 58.9
GTEX-ZAJG-0926-SM-5Q5AB 50-59 years, female 58.5
GTEX-13O1R-0926-SM-5L3DS 60-69 years, male 58.1
GTEX-U8XE-0926-SM-3DB8V 30-39 years, male 57.4
GTEX-11TT1-1426-SM-5EGIA 20-29 years, male 56.8
GTEX-13O3P-1426-SM-5L3DT 50-59 years, male 55.9
GTEX-VUSG-0726-SM-3GIK1 50-59 years, male 53.8
GTEX-14PII-1026-SM-5ZZVW 60-69 years, male 52.8
GTEX-17F9E-0726-SM-793A1 50-59 years, male 52.2
GTEX-1HBPM-1026-SM-ARL9D 60-69 years, female 51.9
GTEX-1GMR2-1326-SM-9KNUT 50-59 years, male 51.6
GTEX-1GTWX-0926-SM-9MQKM 60-69 years, male 51.5
GTEX-13JVG-1126-SM-5KM2M 60-69 years, male 50.9
GTEX-1HBPH-0226-SM-9WYSM 40-49 years, female 50.9
GTEX-1HCVE-0826-SM-CM2SF 50-59 years, male 50.4
GTEX-15CHQ-1326-SM-6871Z 60-69 years, male 49.8
GTEX-13O21-0326-SM-5J1N9 50-59 years, male 49.4
GTEX-1CB4I-1526-SM-7DHMY 50-59 years, male 49.1
GTEX-ZDTS-1226-SM-4WKGL 60-69 years, male 48.3
GTEX-1J8EW-0626-SM-CM2TY 60-69 years, female 46.7
GTEX-15CHC-0326-SM-5ZZVP 60-69 years, female 45.0
GTEX-131XE-0526-SM-5K7YT 50-59 years, male 44.3
GTEX-111FC-0626-SM-5N9CU 60-69 years, male 43.4
GTEX-1H1DG-0826-SM-9QEIW 70-79 years, male 43.0
GTEX-13PVQ-1326-SM-5LU4J 50-59 years, male 41.9
GTEX-183WM-0926-SM-718AN 70-79 years, female 40.4
GTEX-1JMQK-0926-SM-ARL96 60-69 years, male 40.1
GTEX-1GN1U-1426-SM-7P8TF 50-59 years, female 38.5
GTEX-1I1GP-0626-SM-ARL7H 50-59 years, male 36.2
GTEX-1JMQL-1026-SM-CMKGV 50-59 years, female 35.1
GTEX-1GZ4I-0826-SM-9WG6O 50-59 years, male 32.2
GTEX-1I1CD-1326-SM-A9SMM 60-69 years, female 31.4
GTEX-ZYFD-2026-SM-5E459 50-59 years, male 30.8
GTEX-16MT8-0826-SM-7KULO 60-69 years, female 29.0
GTEX-X4EP-0326-SM-3P5Z6 60-69 years, female 16.5
Show allShow less
Heart - Left Ventricle
Average nTPM: 332.8
Samples: 432

Max nTPM: 2042.0
Min nTPM: 45.9
Std nTPM: 253.9
Median nTPM: 252.5
GTEX-1RAZS-0826-SM-E76QP 50-59 years, male 2042.0
GTEX-14BIL-1126-SM-79OMC 50-59 years, male 1585.7
GTEX-1O97I-0826-SM-E8VNE 60-69 years, male 1471.2
GTEX-1HCVE-1126-SM-9WPPG 50-59 years, male 1451.6
GTEX-X261-1426-SM-4PQZ1 50-59 years, male 1424.5
GTEX-15SHU-1126-SM-7KUMB 40-49 years, female 1389.8
GTEX-1269C-0826-SM-5N9EM 60-69 years, female 1217.9
GTEX-1GN2E-1326-SM-9KNVG 60-69 years, male 1213.0
GTEX-15CHQ-1526-SM-69LPW 60-69 years, male 1118.3
GTEX-ZUA1-0826-SM-4YCDL 40-49 years, male 1105.5
GTEX-13NYB-0226-SM-5N9G4 40-49 years, male 1086.6
GTEX-1JN6P-1126-SM-CKZON 60-69 years, male 1037.3
GTEX-15SHW-1226-SM-6M46C 60-69 years, male 999.4
GTEX-1C6VQ-1126-SM-7EWET 50-59 years, male 997.8
GTEX-14BIN-2226-SM-5YYA1 50-59 years, female 936.5
GTEX-14E7W-1226-SM-5RQIU 70-79 years, male 922.5
GTEX-148VJ-1526-SM-5Q5DU 70-79 years, male 908.4
GTEX-11ONC-0126-SM-5PNW6 60-69 years, male 891.9
GTEX-18465-0926-SM-731AY 50-59 years, male 848.0
GTEX-12ZZZ-1726-SM-59HK5 60-69 years, male 836.1
GTEX-11GSP-1326-SM-5A5KY 60-69 years, female 826.2
GTEX-17HHY-1426-SM-7EWDQ 50-59 years, male 823.5
GTEX-18A6Q-1626-SM-7KFTA 60-69 years, male 817.7
GTEX-T2IS-0426-SM-32QPE 20-29 years, female 811.1
GTEX-WK11-0826-SM-EZ6LH 50-59 years, male 801.0
GTEX-13FHP-1026-SM-5K7Y2 50-59 years, male 797.8
GTEX-1399T-0426-SM-5PNVJ 60-69 years, male 767.6
GTEX-131XH-0226-SM-5LZVB 50-59 years, male 767.0
GTEX-1NV8Z-1526-SM-DTX8X 60-69 years, male 757.7
GTEX-14C39-0926-SM-5TDDV 40-49 years, male 748.2
GTEX-17JCI-1126-SM-7IGMM 60-69 years, female 737.2
GTEX-1EWIQ-1426-SM-7IGOS 70-79 years, female 736.6
GTEX-1KD4Q-0726-SM-DIPGE 40-49 years, male 732.2
GTEX-1IKJJ-0826-SM-A96SP 60-69 years, male 729.5
GTEX-ZYT6-1726-SM-5E44P 30-39 years, male 729.3
GTEX-1IDJH-1026-SM-E9TKH 70-79 years, male 719.8
GTEX-15ER7-1726-SM-6PAMX 20-29 years, female 715.0
GTEX-12WSC-1126-SM-5EQ4G 50-59 years, male 711.2
GTEX-1H3NZ-1126-SM-9WYT9 60-69 years, male 709.3
GTEX-14PJ2-1026-SM-6EU1M 50-59 years, male 694.3
GTEX-1EN7A-0726-SM-7PBXT 40-49 years, male 692.4
GTEX-14JIY-1126-SM-6EU28 60-69 years, male 687.3
GTEX-145MO-1126-SM-5NQBX 60-69 years, male 662.9
GTEX-XBEC-1326-SM-4AT69 50-59 years, male 647.2
GTEX-1LB8K-1026-SM-DHXJJ 50-59 years, male 645.3
GTEX-1H1CY-0326-SM-9QEIZ 60-69 years, female 641.2
GTEX-WRHU-1226-SM-4E3IJ 50-59 years, female 640.1
GTEX-RN64-0826-SM-2TC62 50-59 years, male 620.4
GTEX-1EX96-2526-SM-7RHGW 50-59 years, male 614.7
GTEX-XQ8I-0126-SM-4BOPL 50-59 years, male 585.4
GTEX-11DXY-0826-SM-5EGGR 60-69 years, male 584.7
GTEX-117YW-0326-SM-5N9CY 50-59 years, male 579.3
GTEX-1EKGG-1126-SM-7MGXB 60-69 years, male 578.8
GTEX-12584-0926-SM-5FQTN 40-49 years, male 566.7
GTEX-14E6D-0926-SM-5S2QV 50-59 years, male 565.7
GTEX-1497J-1226-SM-5Q5BL 60-69 years, male 554.5
GTEX-147F4-1226-SM-5NQAY 50-59 years, male 552.0
GTEX-YJ8O-0926-SM-EAZ2Z 40-49 years, female 548.5
GTEX-PVOW-0426-SM-5MR5R 40-49 years, male 538.1
GTEX-ZF3C-1226-SM-4WWCB 50-59 years, female 536.9
GTEX-14A5I-1226-SM-5NQBW 50-59 years, female 520.7
GTEX-1I1GP-0826-SM-A96SD 50-59 years, male 513.2
GTEX-16BQI-0926-SM-6M485 30-39 years, female 508.5
GTEX-13OW8-2126-SM-5J1OS 60-69 years, male 508.2
GTEX-13NZB-0226-SM-5KM1T 30-39 years, male 503.0
GTEX-15CHR-0226-SM-7PC2Z 50-59 years, male 502.6
GTEX-13CF2-0426-SM-5KM1H 60-69 years, male 501.2
GTEX-1JMLX-1626-SM-ARZMV 50-59 years, male 500.1
GTEX-14C5O-1326-SM-5S2UW 60-69 years, male 500.0
GTEX-13JVG-1326-SM-5N9F8 60-69 years, male 498.1
GTEX-1A8G6-1626-SM-7MGWO 60-69 years, male 495.8
GTEX-S33H-0526-SM-COH1W 30-39 years, male 494.6
GTEX-Y3I4-0626-SM-4TT7A 50-59 years, male 481.7
GTEX-1PPGY-1126-SM-E76OU 60-69 years, male 480.3
GTEX-Y5V5-0626-SM-4VBPX 60-69 years, female 478.8
GTEX-1F6I4-0726-SM-7PC2P 60-69 years, male 477.0
GTEX-13X6K-1826-SM-5O9CR 60-69 years, female 475.6
GTEX-15RJE-0626-SM-7KUKR 40-49 years, male 471.0
GTEX-1M5QR-1026-SM-DHXK9 40-49 years, male 460.1
GTEX-1I1GV-1326-SM-A96SE 60-69 years, male 458.1
GTEX-1C64O-0826-SM-79OKZ 60-69 years, male 453.3
GTEX-147JS-1526-SM-5ZZWF 60-69 years, male 450.8
GTEX-12ZZY-1126-SM-5DUWQ 60-69 years, male 449.5
GTEX-1IKOE-1026-SM-ARZMF 30-39 years, female 443.1
GTEX-17F9Y-1326-SM-7MGW9 70-79 years, female 442.9
GTEX-1JMPZ-1426-SM-CJI3C 30-39 years, male 441.4
GTEX-1F6IF-2526-SM-7P8TV 60-69 years, male 440.2
GTEX-15DYW-1126-SM-6LPK5 60-69 years, female 439.0
GTEX-13D11-1726-SM-5IFGQ 50-59 years, female 437.9
GTEX-QVJO-1926-SM-2S1QZ 60-69 years, female 434.1
GTEX-1R9K5-1326-SM-E6CPR 50-59 years, male 426.5
GTEX-XPT6-0126-SM-4B65S 20-29 years, male 423.1
GTEX-1LG7Y-1226-SM-CXZKD 50-59 years, male 421.8
GTEX-1212Z-0626-SM-5FQTB 60-69 years, male 420.8
GTEX-1POEN-0626-SM-EVR4B 30-39 years, female 408.5
GTEX-14JG1-1026-SM-6ETZY 40-49 years, male 408.2
GTEX-14DAQ-1126-SM-664MT 60-69 years, female 406.6
GTEX-WQUQ-1426-SM-3MJFD 60-69 years, male 404.4
GTEX-Y5V6-0826-SM-4VBRU 60-69 years, male 404.3
GTEX-ZQUD-1526-SM-7IGO2 30-39 years, male 401.9
GTEX-WFG7-0726-SM-3GIKO 20-29 years, male 397.7
GTEX-1F75I-1126-SM-9WYUO 40-49 years, male 397.4
GTEX-1QP29-1526-SM-EXUSY 50-59 years, male 395.2
GTEX-1HT8W-1726-SM-CNNQB 30-39 years, male 393.5
GTEX-1HFI7-0826-SM-A9G23 50-59 years, female 392.6
GTEX-1HSMQ-0226-SM-C1YQL 50-59 years, male 390.2
GTEX-ZEX8-0426-SM-DO92Y 50-59 years, male 389.5
GTEX-OIZG-1126-SM-2HMIU 50-59 years, male 387.1
GTEX-1AX9I-1126-SM-7EPHH 60-69 years, male 386.2
GTEX-111YS-0426-SM-5987O 60-69 years, male 385.3
GTEX-Y114-0226-SM-4TT8W 50-59 years, female 383.4
GTEX-13QBU-0426-SM-5J2O4 40-49 years, female 383.1
GTEX-1AX9K-0526-SM-73KV1 50-59 years, male 382.9
GTEX-PSDG-0926-SM-2I5FP 50-59 years, male 382.1
GTEX-N7MT-1326-SM-2I3FV 60-69 years, female 379.6
GTEX-1GF9U-0426-SM-7RHHA 40-49 years, female 379.6
GTEX-WYJK-1026-SM-3NM8W 50-59 years, male 372.3
GTEX-1LSNM-0526-SM-DIPG6 50-59 years, male 371.1
GTEX-1GF9V-1626-SM-7PBXL 60-69 years, male 366.8
GTEX-1H1ZS-1126-SM-9MQLJ 70-79 years, male 365.9
GTEX-1B996-1126-SM-73KWN 60-69 years, male 365.2
GTEX-WFG8-0626-SM-3GILJ 20-29 years, male 362.8
GTEX-1LVA9-0926-SM-EVR5G 50-59 years, male 362.4
GTEX-1EH9U-0826-SM-7IGPT 60-69 years, male 360.4
GTEX-XPVG-0826-SM-4B654 50-59 years, male 349.7
GTEX-1MJIX-0326-SM-EVR42 40-49 years, male 348.1
GTEX-1JJ6O-2126-SM-CNNP6 60-69 years, male 347.7
GTEX-17MF6-0726-SM-7LT8E 40-49 years, male 347.1
GTEX-148VI-0326-SM-5RQK7 60-69 years, female 345.5
GTEX-ZYW4-0926-SM-59HJS 60-69 years, male 345.5
GTEX-13N1W-1026-SM-5IJC5 70-79 years, male 344.6
GTEX-ZAB5-0226-SM-5CVMH 50-59 years, male 343.1
GTEX-1MCC2-0326-SM-EV7AK 30-39 years, female 342.3
GTEX-145MN-0626-SM-5QGRH 30-39 years, male 341.6
GTEX-PLZ5-0626-SM-2I5F8 50-59 years, male 341.4
GTEX-WFON-0326-SM-3GIKX 40-49 years, male 335.4
GTEX-ZDTT-0726-SM-4WKFK 60-69 years, male 334.5
GTEX-18A67-1226-SM-7KFRS 50-59 years, male 333.6
GTEX-14PJ4-1126-SM-5YY91 60-69 years, male 331.3
GTEX-YEC4-0326-SM-4W216 40-49 years, male 330.6
GTEX-1IDJI-1026-SM-A96TE 50-59 years, female 325.1
GTEX-1HCU7-1326-SM-CNPPW 50-59 years, male 324.4
GTEX-1QP2A-1126-SM-EVR3H 50-59 years, male 324.3
GTEX-1ICLY-1326-SM-CJI47 50-59 years, male 323.1
GTEX-16NPX-0926-SM-7KUEZ 50-59 years, male 321.3
GTEX-V1D1-0526-SM-4JBGW 50-59 years, male 320.5
GTEX-1B8SG-0826-SM-7EWF7 50-59 years, male 319.5
GTEX-13OW6-1126-SM-5L3HL 50-59 years, male 318.9
GTEX-1LGOU-0726-SM-E9TIY 20-29 years, female 318.8
GTEX-1B932-1026-SM-793CL 40-49 years, female 318.4
GTEX-1QPFJ-1026-SM-E6CR6 30-39 years, female 318.4
GTEX-R53T-0926-SM-3GADH 50-59 years, female 317.8
GTEX-13O61-0526-SM-5J2M1 60-69 years, male 317.4
GTEX-1LGRB-1126-SM-CNPP2 50-59 years, female 317.3
GTEX-13O3O-1526-SM-5KM1C 60-69 years, female 317.2
GTEX-146FH-1026-SM-5RQIF 50-59 years, female 316.6
GTEX-XGQ4-0326-SM-4GIEE 50-59 years, male 316.6
GTEX-1J8Q3-1226-SM-CKZPT 60-69 years, male 314.8
GTEX-1F5PK-0326-SM-9KNUD 50-59 years, male 314.4
GTEX-18D9B-1226-SM-72D6V 60-69 years, male 312.9
GTEX-11DXX-0326-SM-5PNWC 60-69 years, female 308.7
GTEX-1313W-1426-SM-5KLZU 50-59 years, female 308.0
GTEX-1O9I2-1126-SM-DTXEA 50-59 years, male 305.4
GTEX-RTLS-0826-SM-2TF5Q 60-69 years, female 303.5
GTEX-1IDJE-0326-SM-CM2TD 50-59 years, female 303.2
GTEX-XBED-0526-SM-47JY3 60-69 years, male 301.8
GTEX-1AX9J-1026-SM-72D6E 60-69 years, male 301.1
GTEX-1RB15-0326-SM-E6CQB 60-69 years, male 300.5
GTEX-13OW5-1126-SM-5J1NR 60-69 years, male 300.3
GTEX-1K9T9-1126-SM-D3L9E 50-59 years, female 300.0
GTEX-11I78-0826-SM-5A5K4 50-59 years, female 298.3
GTEX-1RMOY-0626-SM-E9TIE 50-59 years, male 297.9
GTEX-11GS4-0526-SM-5A5KQ 60-69 years, male 297.6
GTEX-12696-1126-SM-5FQTI 60-69 years, male 296.1
GTEX-1B8L1-0526-SM-79ONX 60-69 years, male 294.0
GTEX-V955-0726-SM-3GAFG 60-69 years, male 293.6
GTEX-132QS-0426-SM-5KLZ6 60-69 years, male 292.6
GTEX-13X6I-1426-SM-5SI9Z 60-69 years, male 291.6
GTEX-12WSN-5001-SM-7DHMK 40-49 years, male 291.1
GTEX-1KANC-0426-SM-CXZK5 50-59 years, female 290.3
GTEX-1F48J-1026-SM-7P8SO 50-59 years, female 290.1
GTEX-1I1HK-0726-SM-B2LY4 60-69 years, male 288.7
GTEX-1LVAN-1726-SM-CNNR1 50-59 years, female 288.2
GTEX-13FH7-0926-SM-5J2MR 50-59 years, female 284.2
GTEX-1314G-0126-SM-5LZUL 30-39 years, male 282.9
GTEX-12WSD-1126-SM-5EGJD 60-69 years, female 282.4
GTEX-1E1VI-1326-SM-7IGQD 50-59 years, male 279.1
GTEX-SNMC-0126-SM-2XCFO 20-29 years, male 278.7
GTEX-13112-0426-SM-5PNVC 50-59 years, male 277.0
GTEX-O5YT-0326-SM-32PKA 20-29 years, male 276.8
GTEX-ZZPU-0926-SM-5GZYT 50-59 years, female 276.5
GTEX-1MUQO-1226-SM-E9TJK 60-69 years, male 276.0
GTEX-WHWD-0426-SM-3LK83 50-59 years, male 275.9
GTEX-UPK5-0326-SM-CYPR4 40-49 years, male 275.5
GTEX-WH7G-0426-SM-3NMBJ 40-49 years, male 274.3
GTEX-1399R-1926-SM-5K7X8 30-39 years, male 273.6
GTEX-1ICLZ-1026-SM-A9SLF 60-69 years, male 273.5
GTEX-13U4I-0826-SM-5SIBD 40-49 years, female 273.2
GTEX-1OKEX-0726-SM-DPRYE 60-69 years, male 273.1
GTEX-ZPCL-0426-SM-DNZZ4 60-69 years, female 271.7
GTEX-OIZI-0926-SM-E6CHF 40-49 years, male 271.2
GTEX-11O72-1126-SM-5N9E2 40-49 years, male 267.1
GTEX-ZDYS-0226-SM-5HL4K 50-59 years, male 261.9
GTEX-12BJ1-0226-SM-5LUA2 60-69 years, male 260.7
GTEX-O5YW-0326-SM-2I5EI 50-59 years, male 260.6
GTEX-13VXT-1126-SM-5LU3A 20-29 years, female 259.5
GTEX-1JMOU-0226-SM-CNNPD 60-69 years, female 259.3
GTEX-OIZH-0326-SM-2HMKC 50-59 years, male 257.9
GTEX-13SLX-1026-SM-5ZZUQ 50-59 years, female 257.7
GTEX-YEC3-0726-SM-CMKFH 50-59 years, male 255.9
GTEX-18D9U-1126-SM-72D5Y 40-49 years, male 255.7
GTEX-SE5C-0626-SM-2XCDV 40-49 years, female 253.3
GTEX-ZVT2-1026-SM-5GU55 50-59 years, female 253.3
GTEX-13OVG-0526-SM-5K7YD 60-69 years, male 252.9
GTEX-1B8KE-0126-SM-793AM 50-59 years, male 252.9
GTEX-P78B-0426-SM-2I5F5 40-49 years, female 252.6
GTEX-15RIE-1726-SM-7KUMU 60-69 years, male 252.5
GTEX-ZAB4-1026-SM-5HL7T 40-49 years, male 251.8
GTEX-1122O-0826-SM-5GICV 60-69 years, female 251.5
GTEX-1AX8Z-5007-SM-AHZ36 60-69 years, male 251.5
GTEX-1J8Q2-1226-SM-A9G2W 60-69 years, male 251.5
GTEX-SIU8-0826-SM-2XCDQ 50-59 years, male 249.3
GTEX-X3Y1-0426-SM-3P5Z4 40-49 years, male 249.1
GTEX-OXRK-0826-SM-2HMK7 50-59 years, female 249.0
GTEX-1OFPY-1026-SM-EXUSO 60-69 years, male 248.5
GTEX-QEG4-0426-SM-33HC3 30-39 years, male 248.3
GTEX-1JK1U-0526-SM-CYPSQ 60-69 years, male 245.9
GTEX-1339X-0426-SM-5KLZY 40-49 years, male 245.7
GTEX-11ZVC-0426-SM-5CVLD 50-59 years, female 245.5
GTEX-1CB4G-0826-SM-7DUGF 60-69 years, male 243.4
GTEX-12ZZW-1026-SM-5GCMM 50-59 years, male 243.3
GTEX-1EU9M-1826-SM-7DUGU 60-69 years, male 238.4
GTEX-14PHY-0226-SM-5ZZWM 60-69 years, female 237.7
GTEX-131XF-5001-SM-7DHLY 60-69 years, male 237.5
GTEX-PX3G-0326-SM-2I3EO 20-29 years, female 235.7
GTEX-14E1K-1026-SM-73KUR 50-59 years, male 234.2
GTEX-ZF29-0226-SM-4WKHO 60-69 years, female 234.2
GTEX-1L5NE-0426-SM-E9TIX 50-59 years, male 233.3
GTEX-WHPG-0826-SM-3NMBF 50-59 years, male 233.1
GTEX-YFC4-0526-SM-5ZZVI 40-49 years, female 232.8
GTEX-1KXAM-1326-SM-E9TJW 60-69 years, male 232.3
GTEX-17F9E-0926-SM-7IGMG 50-59 years, male 231.9
GTEX-13O21-2326-SM-5MR3X 50-59 years, male 231.0
GTEX-13FTW-1026-SM-5L3E3 40-49 years, male 230.8
GTEX-1GTWX-1026-SM-7P8QW 60-69 years, male 230.0
GTEX-1IL2U-1326-SM-A9G2O 60-69 years, male 229.9
GTEX-111FC-0826-SM-5GZWO 60-69 years, male 228.9
GTEX-14H4A-0626-SM-5ZZUT 40-49 years, female 228.4
GTEX-U4B1-0326-SM-3DB8K 40-49 years, male 228.0
GTEX-RU72-0326-SM-2TF5T 50-59 years, female 227.6
GTEX-13PVR-1026-SM-5QGQW 60-69 years, female 227.3
GTEX-ZVZP-0226-SM-5NQ73 50-59 years, male 226.6
GTEX-UJHI-0426-SM-3DB8Y 50-59 years, female 226.3
GTEX-14PJ6-0726-SM-69LOL 60-69 years, female 226.0
GTEX-ZGAY-0326-SM-57WF5 40-49 years, female 225.9
GTEX-11LCK-0926-SM-5A5KA 30-39 years, male 225.1
GTEX-N7MS-0826-SM-2HML4 60-69 years, male 224.9
GTEX-13FLV-0926-SM-5L3DZ 50-59 years, male 224.6
GTEX-ZPU1-0626-SM-4YCDM 40-49 years, male 223.9
GTEX-X15G-0426-SM-4PQZ6 50-59 years, female 223.7
GTEX-1CB4I-1626-SM-7RHGV 50-59 years, male 223.2
GTEX-18A66-1226-SM-7LT8G 60-69 years, male 223.1
GTEX-13N11-0426-SM-5KM3O 50-59 years, female 222.5
GTEX-1CAMS-1326-SM-79OJR 40-49 years, female 221.5
GTEX-R55C-0326-SM-3GAF1 40-49 years, male 220.2
GTEX-1JJE9-1426-SM-ARL8P 70-79 years, male 220.0
GTEX-1399S-1026-SM-5KLZ9 30-39 years, female 219.6
GTEX-1KD5A-1026-SM-CY8I8 50-59 years, male 219.6
GTEX-XV7Q-0826-SM-4BRV7 40-49 years, female 219.0
GTEX-P4PQ-0326-SM-2HMJ8 60-69 years, male 218.2
GTEX-13FTZ-0226-SM-5K7X6 60-69 years, male 218.1
GTEX-NFK9-0926-SM-2HMJU 40-49 years, male 217.5
GTEX-QEL4-0926-SM-3GAD1 50-59 years, male 217.4
GTEX-14PHX-2126-SM-6EU2U 50-59 years, male 217.2
GTEX-13YAN-1326-SM-5Q5F1 60-69 years, male 215.8
GTEX-U3ZH-0326-SM-3DB7A 30-39 years, male 215.4
GTEX-OIZF-0326-SM-3MJGY 60-69 years, male 214.1
GTEX-1R9K4-1326-SM-DTX8G 60-69 years, male 213.4
GTEX-15DDE-1126-SM-6LLHN 50-59 years, female 212.6
GTEX-146FR-0626-SM-5RQJ1 60-69 years, female 211.4
GTEX-139YR-0826-SM-5LZXY 50-59 years, male 211.3
GTEX-P4PP-0326-SM-33HC4 30-39 years, female 211.3
GTEX-RWS6-0326-SM-2XCAP 60-69 years, female 211.3
GTEX-1IKK5-1526-SM-CKZPW 60-69 years, male 210.9
GTEX-131XG-0626-SM-5GCMP 50-59 years, female 210.6
GTEX-13X6H-0426-SM-5LU4E 50-59 years, female 210.5
GTEX-16MT8-0926-SM-6M487 60-69 years, female 210.0
GTEX-OHPM-0326-SM-33HCA 50-59 years, male 209.5
GTEX-ZYFG-0426-SM-5E43M 60-69 years, female 208.7
GTEX-14PN3-0526-SM-69LQF 60-69 years, female 208.1
GTEX-OHPL-0326-SM-33HC8 60-69 years, female 206.4
GTEX-OXRL-0326-SM-2I3F2 50-59 years, male 206.2
GTEX-1IDJU-0726-SM-CNPQ9 60-69 years, female 206.1
GTEX-14PK6-0826-SM-5ZZVO 70-79 years, female 206.0
GTEX-1S3DN-0726-SM-E9TIO 50-59 years, male 205.8
GTEX-132NY-1726-SM-5EGKK 60-69 years, male 204.0
GTEX-117YX-1126-SM-5H128 50-59 years, male 202.7
GTEX-R55G-0526-SM-2TC5O 40-49 years, female 201.1
GTEX-13S86-0226-SM-5S2PJ 40-49 years, male 200.8
GTEX-1JJEA-0826-SM-CL53T 60-69 years, male 199.4
GTEX-1HCU6-1026-SM-A9G25 60-69 years, female 199.1
GTEX-U3ZN-1426-SM-3DB87 30-39 years, female 197.6
GTEX-1HC8U-0726-SM-ACKXL 40-49 years, female 197.6
GTEX-WY7C-0526-SM-3NB3D 50-59 years, male 197.4
GTEX-QV44-0526-SM-2S1RE 50-59 years, male 196.6
GTEX-1IDJF-0726-SM-CJI1U 20-29 years, male 195.2
GTEX-1JN1M-1026-SM-CNPOS 60-69 years, female 194.0
GTEX-ZLFU-0226-SM-4WWFH 40-49 years, male 193.2
GTEX-PWCY-0526-SM-5P9HG 20-29 years, female 192.8
GTEX-1C2JI-0526-SM-7EWEQ 50-59 years, male 192.6
GTEX-1CB4E-0526-SM-7MXTK 60-69 years, male 191.8
GTEX-1QCLZ-0926-SM-E6CQZ 60-69 years, female 191.8
GTEX-1HCUA-0526-SM-A9SMH 50-59 years, female 191.5
GTEX-QMRM-0526-SM-2I5GA 50-59 years, male 191.1
GTEX-ZDXO-0726-SM-57WBT 60-69 years, male 190.9
GTEX-1R9JW-0526-SM-EWRNK 30-39 years, female 190.5
GTEX-1GMR2-1426-SM-7RHHK 50-59 years, male 189.2
GTEX-1I1GQ-1426-SM-B2LWY 50-59 years, male 188.7
GTEX-OHPK-0326-SM-2HMJO 50-59 years, female 188.2
GTEX-1GZ4I-1026-SM-9KNV5 50-59 years, male 187.6
GTEX-WZTO-1326-SM-3NM8X 40-49 years, male 186.3
GTEX-YF7O-0426-SM-5P9FS 50-59 years, male 185.4
GTEX-Y8E4-0326-SM-4VBRR 40-49 years, male 185.3
GTEX-R45C-0926-SM-3GAD4 60-69 years, female 185.0
GTEX-WL46-0926-SM-3LK7T 50-59 years, male 184.0
GTEX-WEY5-0426-SM-3GIKT 40-49 years, female 183.7
GTEX-11EMC-0726-SM-5EGJO 60-69 years, female 182.5
GTEX-11TUW-1026-SM-5GU7D 60-69 years, male 182.4
GTEX-XQ3S-0626-SM-4BOOB 20-29 years, male 182.4
GTEX-1AYCT-0426-SM-73KVZ 50-59 years, male 182.2
GTEX-1I6K7-0626-SM-ARL7Q 40-49 years, male 182.2
GTEX-12WSK-0626-SM-5LZUJ 40-49 years, female 181.2
GTEX-R55E-1026-SM-2TC5S 20-29 years, male 180.2
GTEX-RNOR-0826-SM-2TF5C 50-59 years, female 179.9
GTEX-11DXZ-0626-SM-5GU77 50-59 years, male 179.0
GTEX-1R7EV-0326-SM-E76PA 40-49 years, male 176.7
GTEX-14A6H-0226-SM-5Q5DX 30-39 years, male 175.1
GTEX-NPJ8-0426-SM-2HMK6 40-49 years, male 174.7
GTEX-17KNJ-0826-SM-793A4 50-59 years, male 174.3
GTEX-1LC47-1026-SM-D3LAH 60-69 years, male 173.6
GTEX-UJMC-0526-SM-3GAE3 50-59 years, male 172.6
GTEX-13O3P-1626-SM-5K7X3 50-59 years, male 171.4
GTEX-14E6C-0426-SM-5YYA8 40-49 years, male 171.3
GTEX-P44H-0726-SM-48TBT 40-49 years, male 171.2
GTEX-17GQL-0526-SM-72D5N 60-69 years, male 170.9
GTEX-17HGU-1026-SM-79OKL 50-59 years, male 170.7
GTEX-1BAJH-1626-SM-73KUV 70-79 years, male 169.1
GTEX-13OVL-0526-SM-5KLZQ 50-59 years, male 168.8
GTEX-O5YV-0326-SM-2I5H2 60-69 years, female 167.9
GTEX-ZDTS-1326-SM-6LLHE 60-69 years, male 167.6
GTEX-13O1R-1226-SM-5J1NU 60-69 years, male 167.3
GTEX-ZV7C-0326-SM-57WB1 50-59 years, male 167.3
GTEX-POMQ-0326-SM-2I5FO 20-29 years, female 167.0
GTEX-1HBPM-1226-SM-A9SM8 60-69 years, female 166.6
GTEX-OOBJ-0326-SM-33HBO 60-69 years, male 165.7
GTEX-1H11D-1226-SM-9WPQ2 40-49 years, male 165.3
GTEX-1GN1W-0326-SM-9JGHF 50-59 years, female 164.5
GTEX-13W3W-0426-SM-5SI9D 60-69 years, female 164.3
GTEX-WWYW-1326-SM-3NB2S 50-59 years, female 164.0
GTEX-P4QS-0326-SM-2I3EU 60-69 years, male 163.5
GTEX-1PWST-1026-SM-DTXF2 70-79 years, male 162.0
GTEX-16YQH-0926-SM-793BC 30-39 years, male 161.9
GTEX-1GN73-2426-SM-7RHFQ 60-69 years, male 161.8
GTEX-1399U-0526-SM-5K7YM 50-59 years, female 159.2
GTEX-1GMR3-0326-SM-7P8QT 40-49 years, male 159.0
GTEX-1B97J-0726-SM-7RHG3 50-59 years, female 158.9
GTEX-17HII-1326-SM-7IGOB 50-59 years, male 156.8
GTEX-11EM3-0626-SM-5H12Z 20-29 years, female 156.6
GTEX-YB5K-0126-SM-5IFJ2 40-49 years, female 155.8
GTEX-1GN1V-0826-SM-9KNU6 60-69 years, male 154.1
GTEX-15CHC-0426-SM-6LLHI 60-69 years, female 153.9
GTEX-ZF2S-1026-SM-9QEGK 50-59 years, female 151.7
GTEX-X8HC-1626-SM-46MWE 50-59 years, female 150.5
GTEX-1J8QM-0426-SM-AHZ3X 60-69 years, female 147.7
GTEX-QDVJ-0426-SM-2I5FW 50-59 years, male 145.8
GTEX-RWSA-0626-SM-2XCBD 40-49 years, male 145.0
GTEX-131XE-0626-SM-5HL98 50-59 years, male 144.9
GTEX-15RJ7-0226-SM-7KUMN 40-49 years, male 142.7
GTEX-11ZUS-0226-SM-5FQT8 30-39 years, male 141.2
GTEX-13CF3-0726-SM-5J2MY 60-69 years, female 140.4
GTEX-S32W-0626-SM-2XCBG 50-59 years, female 139.1
GTEX-1GL5R-0326-SM-9WYTJ 50-59 years, male 138.5
GTEX-ZTPG-1226-SM-4YCDO 20-29 years, female 137.6
GTEX-REY6-1026-SM-2TF4Y 60-69 years, male 137.3
GTEX-ZG7Y-0926-SM-5EQ6O 50-59 years, male 137.0
GTEX-T6MN-0926-SM-32PLX 50-59 years, male 135.8
GTEX-QLQ7-0526-SM-2I5G3 60-69 years, male 134.8
GTEX-13RTJ-0726-SM-5QGQN 60-69 years, male 134.3
GTEX-145LV-0326-SM-5Q5BW 50-59 years, male 133.8
GTEX-1HSGN-1126-SM-CJI4G 40-49 years, female 131.9
GTEX-1A3MW-1326-SM-7189P 60-69 years, female 129.3
GTEX-1211K-0626-SM-5FQUZ 60-69 years, female 128.6
GTEX-1CB4J-0326-SM-7PBZO 60-69 years, male 126.4
GTEX-1EMGI-1226-SM-793DD 60-69 years, male 125.0
GTEX-13PVQ-1226-SM-5IJDC 50-59 years, male 124.8
GTEX-1PPH7-2026-SM-E9J3N 40-49 years, male 124.1
GTEX-1LH75-0426-SM-E9TJF 50-59 years, female 117.3
GTEX-WI4N-0626-SM-3TW8Z 40-49 years, female 117.2
GTEX-1HSMO-1226-SM-CL548 60-69 years, male 112.2
GTEX-16XZY-0426-SM-793BI 70-79 years, male 112.1
GTEX-ZYFC-1126-SM-5E44W 50-59 years, male 110.9
GTEX-1H23P-1226-SM-9QEJ2 60-69 years, male 109.1
GTEX-QDVN-0326-SM-2I3FS 50-59 years, male 106.5
GTEX-Q2AH-0526-SM-2I3ED 40-49 years, male 104.7
GTEX-12WSG-0526-SM-5FQTH 50-59 years, female 103.7
GTEX-Y3IK-0826-SM-51MT8 50-59 years, female 102.2
GTEX-14XAO-1126-SM-6EU11 60-69 years, female 99.9
GTEX-ZAJG-0826-SM-5PNVA 50-59 years, female 99.9
GTEX-OXRO-2026-SM-2YUMZ 60-69 years, female 99.7
GTEX-P44G-0826-SM-2I5ES 30-39 years, male 99.3
GTEX-XXEK-0926-SM-4BRWH 50-59 years, male 97.7
GTEX-11TT1-1326-SM-5PNYM 20-29 years, male 97.3
GTEX-14C38-1426-SM-5RQHZ 50-59 years, male 96.4
GTEX-1HBPH-0126-SM-CNNQ7 40-49 years, female 96.2
GTEX-1R9PO-0326-SM-DTXA1 60-69 years, female 92.4
GTEX-1GMRU-1526-SM-9WYT5 50-59 years, male 92.1
GTEX-15EOM-5007-SM-793DG 20-29 years, female 90.5
GTEX-1A3MX-1326-SM-72D58 60-69 years, male 87.2
GTEX-ZPIC-0826-SM-4WWFJ 40-49 years, female 87.0
GTEX-1JMQK-0626-SM-D4P2R 60-69 years, male 85.0
GTEX-1ICG6-0626-SM-ACKWS 70-79 years, female 77.6
GTEX-1J8EW-0926-SM-A9G33 60-69 years, female 77.5
GTEX-WHSE-0926-SM-3NMBS 20-29 years, male 72.6
GTEX-14PJM-1126-SM-6LLHK 50-59 years, female 71.9
GTEX-1RQEC-0926-SM-EWROG 60-69 years, male 71.8
GTEX-1N2EF-2826-SM-E6CQF 60-69 years, male 68.8
GTEX-132AR-2026-SM-5IJG4 50-59 years, female 66.6
GTEX-QEG5-0926-SM-2TC64 20-29 years, male 62.5
GTEX-RUSQ-0526-SM-2TF72 50-59 years, male 62.5
GTEX-SUCS-0326-SM-32PLL 70-79 years, male 46.5
GTEX-U8XE-1126-SM-3DB8W 30-39 years, male 46.3
GTEX-QESD-0526-SM-2I5G5 20-29 years, male 45.9
Show allShow less

HEART MUSCLE - FANTOM5 CAGEi

RNA expression in human tissues obtained through Cap Analysis of Gene Expression (CAGE) generated by the FANTOM5 project are reported as Scaled Tags Per Million.

Max subtype Scaled Tags Per Millioni

Max subtype Scaled Tags Per Million is the value for the subtype with the largest average Scaled Tags Per Million across the subtype samples.

342.5
FANTOM5 sample id Sample description Scaled Tags Per Million
Heart
Scaled Tags Per Million: 128.2
FF:10016-101C7 70,73,74 years, mixed 128.2
Left atrium
Scaled Tags Per Million: 342.5
FF:10079-102A7 40 years, male 342.5
Left ventricle
Scaled Tags Per Million: 179.8
FF:10078-102A6 73 years, female 179.8

Contact

  • NEWS ARTICLES
  • PRESS ROOM

The Project

  • INTRODUCTION
  • ORGANIZATION
  • PUBLICATIONS

The Human Protein Atlas

  • DOWNLOADABLE DATA
  • LICENCE & CITATION
  • HELP & FAQ
The Human Protein Atlas project is funded
by the Knut & Alice Wallenberg Foundation.


contact@proteinatlas.org