We use cookies to enhance the usability of our website. If you continue, we'll assume that you are happy to receive all cookies. More information. Don't show this again.
CTSB
HPA
RESOURCES
  • TISSUE
  • BRAIN
  • SINGLE CELL
  • SUBCELLULAR
  • CANCER
  • BLOOD
  • CELL LINE
  • STRUCTURE & INTERACTION
ABOUT
  • INTRODUCTION
  • HISTORY
  • ORGANIZATION
  • PUBLICATIONS
  • ANTIBODY SUBMISSION
  • ANTIBODY AVAILABILITY
  • ACKNOWLEDGMENTS
  • CONTACT
NEWS
  • NEWS ARTICLES
  • PRESS ROOM
LEARN
  • DICTIONARY
  • PROTEIN CLASSES
  • PROTEIN EVIDENCE
  • METHODS
  • EDUCATIONAL VIDEOS
DATA
  • DOWNLOADABLE DATA
  • PUBLICATION DATA
  • RELEASE HISTORY
HELP
  • ANTIBODY VALIDATION
  • ASSAYS & ANNOTATION
  • DISCLAIMER
  • HELP & FAQ
  • PRIVACY STATEMENT
  • LICENCE & CITATION
Fields »
Search result

Field
Term
Gene name
Class
Subclass
Class
Keyword
Chromosome
External id
Tissue
Cell type
Expression
Antibody panel
Tissue
Main location
Patient ID
Annotation
Tissue
Category
Tau score
Cluster
Reliability
Brain region
Category
Tau score
Brain region
Category
Tau score
Brain region
Category
Tau score
Cluster
Reliability
Tissue
Cell type
Enrichment
Cell type
Category
Tau score
Cell type
Category
Tau score
Cell type
Category
Tau score
Cell lineage
Category
Tau score
Cluster
Cluster
Location
Searches
Location
Cell line
Class
Type
Phase
Reliability
Cancer
Prognosis
Cancer
Category
Cancer
Category
Tau score
Cluster
Variants
Interacting gene (ensg_id)
Type
Number of interactions
Pathway
Category
Score
Score
Score
Validation
Validation
Validation
Validation
Antibodies
Data type
Column


  • SUMMARY

  • TISSUE

  • BRAIN

  • SINGLE CELL

  • SUBCELL

  • CANCER

  • BLOOD

  • CELL LINE

  • STRUCT & INT

  • CTSB
TISSUE PRIMARY DATA SALIVARY GLAND Show tissue menu
ADIPOSE TISSUE ADRENAL GLAND AMYGDALA APPENDIX BASAL GANGLIA BONE MARROW BREAST BRONCHUS CEREBELLUM CEREBRAL CORTEX CERVIX CHOROID PLEXUS COLON DUODENUM
ENDOMETRIUM EPIDIDYMIS ESOPHAGUS FALLOPIAN TUBE GALLBLADDER HEART MUSCLE HIPPOCAMPAL FORMATION HYPOTHALAMUS KIDNEY LIVER LUNG LYMPH NODE MIDBRAIN NASOPHARYNX
ORAL MUCOSA OVARY PANCREAS PARATHYROID GLAND PITUITARY GLAND PLACENTA PROSTATE RECTUM RETINA SALIVARY GLAND SEMINAL VESICLE SKELETAL MUSCLE SKIN SMALL INTESTINE
SMOOTH MUSCLE SOFT TISSUE SPINAL CORD SPLEEN STOMACH TESTIS THYMUS THYROID GLAND TONGUE TONSIL URINARY BLADDER VAGINA
ANTIBODIES
AND
VALIDATION
Dictionary
Salivary gland
Tissue proteome
Salivary gland
SALIVARY GLAND - Expression summary
Protein expression
Salivary glandi

On the top, protein expression in current human tissue, based on all annotated cell types, is reported with the units not detected (n), low (l), medium (m) and high (h). Underneath, protein expression in each annotated cell type are reported using the same units.

Protein expression data is based on knowledge-based annotation. For genes where more than one antibody has been used, a collective score is set.

If knowledge-based annotation could not be performed for a gene, no data is displayed here. View antibody staining data further down this page.

h
m
l
n
Glandular cells: Medium
RNA expressioni

A summary of mRNA expression data available for current tissue based on several datasets. The mRNA expression levels in human tissues are based on RNA-seq data generated by the Human Protein Atlas (HPA), Genotype-Tissue Expression (GTEx) portal and CAGE data generated by the FANTOM5 consortium. Consensus normalized expression levels for human tissues was created by combining the data from HPA and GTEx datasets.

The mRNA expression levels in pig are based on RNA-seq data generated by the Human Protein Atlas (HPA), and for mouse, HPA data and in situ hybridization generated by the Allen brain atlas are reported.

Scroll down to view mRNA expression data in more detail.
Consensus:424.4 nTPM
HPA:130.8 nTPM
GTEx:424.4 nTPM
FANTOM5:866.7 Scaled Tags Per Million

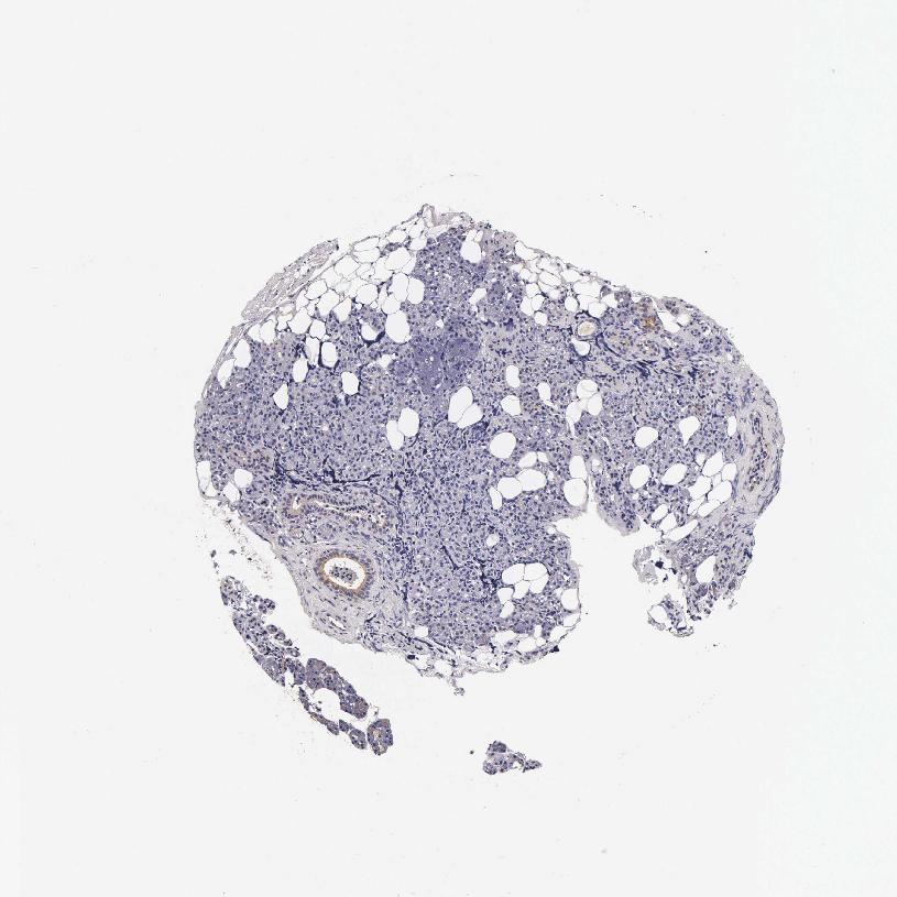
SALIVARY GLAND - Antibody stainingi

Antibody staining in the annotated cell types in the current human tissue is reported as not detected, low, medium, or high, based on conventional immunohistochemistry profiling in selected tissues. This score is based on the combination of the staining intensity and fraction of stained cells.

Each image is clickable and will lead to virtual microscopy that enables deeper exploration of all samples and also displays staining intensity scores, fraction scores and subcellular localization as well as patient and tissue information for each sample.

Antibody HPA018156Antibody HPA048998Antibody CAB000457
Glandular cells LowMediumNot detected






SALIVARY GLAND - HPA RNA-seqi

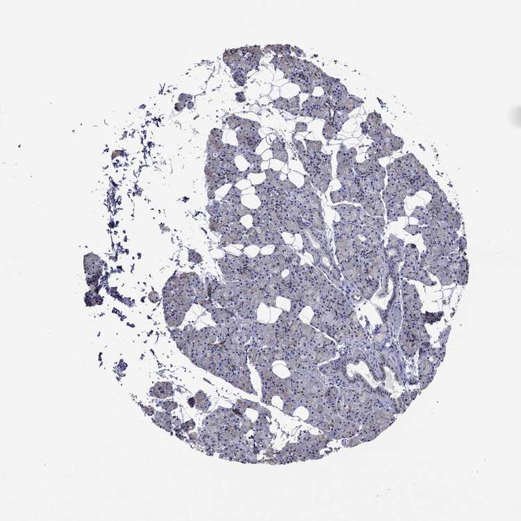
The RNA-seq details section shows detailed information about the individual samples used for the transcript profiling and results of the RNA-seq analysis.

Information about each individual sample is listed below, including gender, age, a tissue section image and estimated fractions of cell types. nTPM (normalized transcripts per million) values give a quantification of the gene abundance which is comparable between different genes and samples.
Average nTPMi

Max subtype nTPM is the value for the subtype with the largest average nTPM across the subtype samples.

130.8
overview
Female, age 68
Salivary gland sample 216
nTPM: 159.9
Cell types%
Glandular cells:
45

Ductal cells:
25

Adipocytes:
5

Other cell types:
25

overview
Male, age 60
Salivary gland sample 217
nTPM: 112.4
Cell types%
Glandular cells:
55

Ductal cells:
20

Adipocytes:
5

Endothelial cells:
5

Other cell types:
15

overview
Female, age 21
Salivary gland sample 218
nTPM: 120
Cell types%
Glandular cells:
55

Ductal cells:
15

Adipocytes:
5

Endothelial cells:
5

Other cell types:
20


SALIVARY GLAND - GTEx RNA-seqi

RNA-Seq data generated by the Genotype-Tissue Expression (GTEx) project from human tissues is reported as mean nTPM. More information can be found on the GTEx portal.

Distribution across the dataset is visualized with box plots, shown as median and 25th and 75th percentiles. Points are displayed as outliers if they are above or below 1.5 times the interquartile range. nTPM values of the individual samples are presented next to the box plot.
Max subtype nTPMi

Max subtype nTPM is the value for the subtype with the largest average nTPM across the subtype samples.

424.4
GTEx sample id Sample description nTPM
Minor Salivary Gland
Average nTPM: 424.4
Samples: 162

Max nTPM: 1140.8
Min nTPM: 135.7
Std nTPM: 209.8
Median nTPM: 355.0
GTEX-XMK1-2626-SM-4B65R 40-49 years, male 1140.8
GTEX-1PIEJ-0626-SM-DTX99 20-29 years, female 1035.8
GTEX-1PPH8-1526-SM-E6CQO 20-29 years, male 1020.3
GTEX-ZA64-1726-SM-5CVMF 20-29 years, male 1006.4
GTEX-WY7C-1426-SM-4OND1 50-59 years, male 976.2
GTEX-ZQG8-2126-SM-4YCF1 60-69 years, female 956.5
GTEX-1339X-2326-SM-5HL5B 40-49 years, male 953.6
GTEX-1R9K5-0626-SM-DPRZB 50-59 years, male 945.2
GTEX-18A67-0626-SM-7KFSL 50-59 years, male 861.7
GTEX-1C64O-0626-SM-7DHL1 60-69 years, male 799.5
GTEX-17KNJ-2726-SM-7KFRE 50-59 years, male 789.6
GTEX-1I6K7-0926-SM-A96SV 40-49 years, male 768.5
GTEX-ZXG5-2826-SM-5NQ8T 60-69 years, male 758.7
GTEX-18D9U-2226-SM-7KFTN 40-49 years, male 758.4
GTEX-11P82-0926-SM-5986X 20-29 years, male 746.7
GTEX-1HCU7-0126-SM-C1YR3 50-59 years, male 738.3
GTEX-1314G-2026-SM-5LZUM 30-39 years, male 737.8
GTEX-13OVK-1826-SM-6PALE 40-49 years, male 721.6
GTEX-11P81-2026-SM-5P9GT 30-39 years, female 719.3
GTEX-15EU6-2626-SM-7KUN4 50-59 years, male 712.7
GTEX-YF7O-2226-SM-5CVN8 50-59 years, male 712.0
GTEX-18QFQ-0626-SM-718AW 30-39 years, male 694.8
GTEX-13OVI-2326-SM-5KM47 60-69 years, female 691.7
GTEX-1GPI7-0326-SM-7MKH6 20-29 years, male 686.0
GTEX-1JKYR-0726-SM-AHZ3K 20-29 years, male 666.8
GTEX-1OJC3-1026-SM-E6CQK 20-29 years, male 663.6
GTEX-1MGNQ-1926-SM-DTX8L 40-49 years, male 640.4
GTEX-12WSL-2126-SM-5GCNG 50-59 years, male 637.8
GTEX-14PJ3-1526-SM-664O9 50-59 years, male 594.9
GTEX-WH7G-2126-SM-4M1XU 40-49 years, male 594.7
GTEX-1AX9K-2126-SM-72D7K 50-59 years, male 590.1
GTEX-1AYD5-2726-SM-7MXVG 50-59 years, male 577.4
GTEX-WFJO-2026-SM-4LVM3 30-39 years, male 570.4
GTEX-ZP4G-1926-SM-57WDZ 20-29 years, female 570.4
GTEX-ZG7Y-2426-SM-DO11H 50-59 years, male 568.5
GTEX-14PJN-1726-SM-69LO7 30-39 years, male 565.9
GTEX-ZLWG-2026-SM-DO11F 50-59 years, female 561.8
GTEX-13111-2326-SM-5LZUQ 50-59 years, male 550.7
GTEX-145ME-1626-SM-5RQI3 40-49 years, female 531.2
GTEX-11WQK-2926-SM-5EQKT 50-59 years, male 527.4
GTEX-1S83E-0626-SM-E9TKC 40-49 years, male 523.9
GTEX-WHSB-2326-SM-4M1XK 50-59 years, male 519.9
GTEX-ZPU1-2326-SM-57WEP 40-49 years, male 519.8
GTEX-1QP9N-2026-SM-DPRZT 30-39 years, male 508.9
GTEX-1I4MK-1326-SM-B2LWT 50-59 years, female 507.5
GTEX-Y3I4-1926-SM-4TT8L 50-59 years, male 503.1
GTEX-X261-2426-SM-4PQZU 50-59 years, male 499.9
GTEX-Y5LM-1826-SM-4VDT9 40-49 years, female 495.3
GTEX-ZLFU-2226-SM-EXUS7 40-49 years, male 487.5
GTEX-WOFM-2126-SM-4OOSR 20-29 years, male 484.4
GTEX-ZF29-2126-SM-DNZYX 60-69 years, female 482.9
GTEX-12WSN-2226-SM-5DUXT 40-49 years, male 481.7
GTEX-14PN4-2526-SM-686ZG 50-59 years, male 470.2
GTEX-ZT9W-2126-SM-51MSF 50-59 years, male 455.9
GTEX-15CHC-1226-SM-686ZH 60-69 years, female 455.6
GTEX-178AV-1426-SM-6LLID 40-49 years, male 446.3
GTEX-18A7B-2826-SM-7KFTK 70-79 years, male 443.2
GTEX-ZAB5-2326-SM-5IJFR 50-59 years, male 431.9
GTEX-1CB4I-2526-SM-7MKG1 50-59 years, male 429.4
GTEX-11EQ9-2026-SM-5P9JI 30-39 years, male 422.4
GTEX-1IDJD-2526-SM-C1YSA 30-39 years, male 417.8
GTEX-1J8QM-1826-SM-A96TA 60-69 years, female 408.0
GTEX-ZQUD-2126-SM-51MSY 30-39 years, male 407.6
GTEX-Y5V6-2226-SM-4VDTC 60-69 years, male 398.2
GTEX-1A3MV-1726-SM-72D68 30-39 years, male 396.1
GTEX-WYVS-2026-SM-4RGNS 40-49 years, female 389.0
GTEX-12BJ1-2226-SM-5BC6G 60-69 years, male 388.8
GTEX-1EH9U-2926-SM-7DHLX 60-69 years, male 388.8
GTEX-1I6K6-0626-SM-ARU7J 30-39 years, male 388.1
GTEX-YB5K-1726-SM-5IFIZ 40-49 years, female 387.0
GTEX-11ZTS-3026-SM-5EQM7 60-69 years, female 386.2
GTEX-1B932-0626-SM-731EM 40-49 years, female 378.9
GTEX-13QBU-2126-SM-5KLZN 40-49 years, female 375.9
GTEX-1J1R8-1826-SM-AHZ3B 40-49 years, male 373.2
GTEX-1AX8Z-0626-SM-731EH 60-69 years, male 371.5
GTEX-13QJC-2326-SM-5Q5CD 60-69 years, female 369.7
GTEX-1MCC2-2226-SM-EV7AJ 30-39 years, female 367.2
GTEX-1HR9M-2526-SM-A9G3J 60-69 years, male 363.4
GTEX-1LBAC-0626-SM-D3L9T 20-29 years, male 361.3
GTEX-1HSEH-1826-SM-A96SA 60-69 years, male 356.9
GTEX-1C4CL-2026-SM-731EB 30-39 years, male 355.8
GTEX-1JN6P-2526-SM-CNNPX 60-69 years, male 354.2
GTEX-1445S-2926-SM-5O993 60-69 years, male 350.3
GTEX-14E1K-2626-SM-664OJ 50-59 years, male 349.1
GTEX-1GMR2-2026-SM-7MKHK 50-59 years, male 345.6
GTEX-1KD5A-2226-SM-EV79U 50-59 years, male 341.1
GTEX-13VXT-1726-SM-5IFF5 20-29 years, female 340.9
GTEX-11EMC-2526-SM-5PNVU 60-69 years, female 337.6
GTEX-13113-1526-SM-5EGHV 60-69 years, female 336.9
GTEX-14B4R-1426-SM-5Q5CG 30-39 years, male 334.2
GTEX-X5EB-1726-SM-4E3J7 40-49 years, male 333.9
GTEX-1B97J-2126-SM-79OL6 50-59 years, female 333.4
GTEX-1HFI7-2426-SM-B2LXV 50-59 years, female 332.3
GTEX-17MFQ-1626-SM-7938Z 20-29 years, male 332.0
GTEX-1QCLZ-2526-SM-EXUST 60-69 years, female 328.7
GTEX-131XH-2626-SM-5GCNP 50-59 years, male 324.8
GTEX-1AMEY-1126-SM-72D79 30-39 years, female 324.1
GTEX-1LVA9-2526-SM-EVR5H 50-59 years, male 318.1
GTEX-XV7Q-2426-SM-4BRV8 40-49 years, female 318.0
GTEX-1LKK1-2926-SM-EVR4Z 50-59 years, female 315.5
GTEX-13O21-1926-SM-5MR39 50-59 years, male 312.7
GTEX-1IE54-0826-SM-AHZ2Z 40-49 years, female 303.2
GTEX-1LVAO-2626-SM-EVR4S 60-69 years, male 303.2
GTEX-1GF9X-0226-SM-7P8SM 40-49 years, female 302.8
GTEX-1192X-2926-SM-5N9BA 50-59 years, male 300.3
GTEX-111FC-2926-SM-5GZY7 60-69 years, male 300.0
GTEX-13OVL-2926-SM-5IFG3 50-59 years, male 298.0
GTEX-1QEPI-0626-SM-E76QE 60-69 years, female 296.5
GTEX-1IDJC-1626-SM-AHZ2R 50-59 years, male 294.7
GTEX-XGQ4-2626-SM-4AT6B 50-59 years, male 293.4
GTEX-1JN1M-2426-SM-ARU93 60-69 years, female 293.3
GTEX-1GTWX-2526-SM-9JGHG 60-69 years, male 292.6
GTEX-1GN1W-2526-SM-9JGHX 50-59 years, female 287.5
GTEX-1R9PM-1726-SM-E8VOA 20-29 years, male 287.5
GTEX-146FR-1226-SM-5SIA7 60-69 years, female 286.4
GTEX-13JVG-2926-SM-5J2N9 60-69 years, male 285.8
GTEX-1HSGN-0626-SM-A9G2E 40-49 years, female 284.8
GTEX-1R9PO-2626-SM-E6CPU 60-69 years, female 283.9
GTEX-11TUW-2426-SM-5EQKB 60-69 years, male 282.7
GTEX-1RAZA-0626-SM-EAZ4H 20-29 years, male 282.6
GTEX-1IY9M-2926-SM-A96TH 60-69 years, male 276.6
GTEX-13G51-2426-SM-5LZY8 60-69 years, male 273.9
GTEX-12WSM-1826-SM-5BC64 60-69 years, male 272.6
GTEX-1117F-3026-SM-5GZYU 60-69 years, female 271.4
GTEX-1C64N-2926-SM-79OLM 50-59 years, male 268.8
GTEX-1RNSC-2926-SM-EV79L 60-69 years, male 266.6
GTEX-1MCQQ-2226-SM-DLHC4 60-69 years, male 266.2
GTEX-1B8SF-1826-SM-731DJ 60-69 years, male 264.4
GTEX-15RJE-2726-SM-6LPJ1 40-49 years, male 263.9
GTEX-Y111-2626-SM-4TT24 50-59 years, male 256.6
GTEX-11NV4-1926-SM-5N9D4 60-69 years, male 256.4
GTEX-131XF-2826-SM-5EGKH 60-69 years, male 254.1
GTEX-1QMI2-0426-SM-EWRND 60-69 years, male 253.4
GTEX-X15G-2126-SM-4PQZR 50-59 years, female 251.6
GTEX-1S82P-0726-SM-EVR4O 60-69 years, female 247.8
GTEX-1P4AB-2926-SM-EXOJR 50-59 years, male 246.4
GTEX-1LSNL-2626-SM-EV7AT 50-59 years, male 246.1
GTEX-1POEN-2226-SM-DPRXV 30-39 years, female 242.2
GTEX-1GN1V-2926-SM-9JGI3 60-69 years, male 241.9
GTEX-1HSMQ-0926-SM-A96SI 50-59 years, male 241.9
GTEX-1C6VR-0726-SM-7P8OV 60-69 years, male 240.0
GTEX-1J8EW-2826-SM-A96T9 60-69 years, female 239.0
GTEX-1B8KZ-1726-SM-73KV7 50-59 years, male 237.3
GTEX-1KANC-1326-SM-CYPT8 50-59 years, female 232.4
GTEX-ZC5H-2726-SM-5KLZW 40-49 years, female 231.0
GTEX-1R9K4-0526-SM-E76P1 60-69 years, male 229.1
GTEX-11ZTT-2226-SM-5CVLP 60-69 years, female 221.5
GTEX-1I1HK-2526-SM-A96SM 60-69 years, male 220.8
GTEX-1H1CY-2326-SM-9OSXW 60-69 years, female 217.7
GTEX-15SHV-2226-SM-6M464 60-69 years, male 210.5
GTEX-1IOXB-2826-SM-AHZ32 50-59 years, male 205.6
GTEX-1NSGN-0626-SM-E9J35 50-59 years, male 200.9
GTEX-X3Y1-1926-SM-4PQZO 40-49 years, male 198.7
GTEX-1KD4Q-2526-SM-CXZKL 40-49 years, male 197.7
GTEX-1LC47-2426-SM-DHXKK 60-69 years, male 196.4
GTEX-1OJC4-3126-SM-EXOJK 50-59 years, female 188.5
GTEX-ZE7O-2926-SM-51MSG 50-59 years, female 187.5
GTEX-13NYB-2426-SM-5IFF4 40-49 years, male 187.0
GTEX-1GZ2Q-2526-SM-9KNVW 40-49 years, male 165.7
GTEX-1H4P4-2026-SM-9WPNV 50-59 years, male 147.2
GTEX-14JIY-3026-SM-6EU1R 60-69 years, male 137.6
GTEX-13CF2-2426-SM-5LZYL 60-69 years, male 135.7
Show allShow less

SALIVARY GLAND - FANTOM5 CAGEi

RNA expression in human tissues obtained through Cap Analysis of Gene Expression (CAGE) generated by the FANTOM5 project are reported as Scaled Tags Per Million.

Max subtype Scaled Tags Per Millioni

Max subtype Scaled Tags Per Million is the value for the subtype with the largest average Scaled Tags Per Million across the subtype samples.

866.7
FANTOM5 sample id Sample description Scaled Tags Per Million
Parotid gland
Scaled Tags Per Million: 866.7
FF:10199-103F1 23 years, male 866.7
Salivary gland
Scaled Tags Per Million: 606.0
FF:10093-102C3 16-60 years, mixed 606.0
Submaxillary gland
Scaled Tags Per Million: 528.2
FF:10202-103F4 24 years, male 528.2

Contact

  • NEWS ARTICLES
  • PRESS ROOM

The Project

  • INTRODUCTION
  • ORGANIZATION
  • PUBLICATIONS

The Human Protein Atlas

  • DOWNLOADABLE DATA
  • LICENCE & CITATION
  • HELP & FAQ
The Human Protein Atlas project is funded
by the Knut & Alice Wallenberg Foundation.


contact@proteinatlas.org