We use cookies to enhance the usability of our website. If you continue, we'll assume that you are happy to receive all cookies. More information. Don't show this again.
CTSB
HPA
RESOURCES
  • TISSUE
  • BRAIN
  • SINGLE CELL
  • SUBCELLULAR
  • CANCER
  • BLOOD
  • CELL LINE
  • STRUCTURE & INTERACTION
ABOUT
  • INTRODUCTION
  • HISTORY
  • ORGANIZATION
  • PUBLICATIONS
  • ANTIBODY SUBMISSION
  • ANTIBODY AVAILABILITY
  • ACKNOWLEDGMENTS
  • CONTACT
NEWS
  • NEWS ARTICLES
  • PRESS ROOM
LEARN
  • DICTIONARY
  • PROTEIN CLASSES
  • PROTEIN EVIDENCE
  • METHODS
  • EDUCATIONAL VIDEOS
DATA
  • DOWNLOADABLE DATA
  • PUBLICATION DATA
  • RELEASE HISTORY
HELP
  • ANTIBODY VALIDATION
  • ASSAYS & ANNOTATION
  • DISCLAIMER
  • HELP & FAQ
  • PRIVACY STATEMENT
  • LICENCE & CITATION
Fields »
Search result

Field
Term
Gene name
Class
Subclass
Class
Keyword
Chromosome
External id
Tissue
Cell type
Expression
Antibody panel
Tissue
Main location
Patient ID
Annotation
Tissue
Category
Tau score
Cluster
Reliability
Brain region
Category
Tau score
Brain region
Category
Tau score
Brain region
Category
Tau score
Cluster
Reliability
Tissue
Cell type
Enrichment
Cell type
Category
Tau score
Cell type
Category
Tau score
Cell type
Category
Tau score
Cell lineage
Category
Tau score
Cluster
Cluster
Location
Searches
Location
Cell line
Class
Type
Phase
Reliability
Cancer
Prognosis
Cancer
Category
Cancer
Category
Tau score
Cluster
Variants
Interacting gene (ensg_id)
Type
Number of interactions
Pathway
Category
Score
Score
Score
Validation
Validation
Validation
Validation
Antibodies
Data type
Column


  • SUMMARY

  • TISSUE

  • BRAIN

  • SINGLE CELL

  • SUBCELL

  • CANCER

  • BLOOD

  • CELL LINE

  • STRUCT & INT

  • CTSB
TISSUE PRIMARY DATA SKIN Show tissue menu
ADIPOSE TISSUE ADRENAL GLAND AMYGDALA APPENDIX BASAL GANGLIA BONE MARROW BREAST BRONCHUS CEREBELLUM CEREBRAL CORTEX CERVIX CHOROID PLEXUS COLON DUODENUM
ENDOMETRIUM EPIDIDYMIS ESOPHAGUS FALLOPIAN TUBE GALLBLADDER HEART MUSCLE HIPPOCAMPAL FORMATION HYPOTHALAMUS KIDNEY LIVER LUNG LYMPH NODE MIDBRAIN NASOPHARYNX
ORAL MUCOSA OVARY PANCREAS PARATHYROID GLAND PITUITARY GLAND PLACENTA PROSTATE RECTUM RETINA SALIVARY GLAND SEMINAL VESICLE SKELETAL MUSCLE SKIN SMALL INTESTINE
SMOOTH MUSCLE SOFT TISSUE SPINAL CORD SPLEEN STOMACH TESTIS THYMUS THYROID GLAND TONGUE TONSIL URINARY BLADDER VAGINA
ANTIBODIES
AND
VALIDATION
Dictionary
Skin
Tissue proteome
Skin
SKIN - Expression summary
Protein expression
Skini

On the top, protein expression in current human tissue, based on all annotated cell types, is reported with the units not detected (n), low (l), medium (m) and high (h). Underneath, protein expression in each annotated cell type are reported using the same units.

Protein expression data is based on knowledge-based annotation. For genes where more than one antibody has been used, a collective score is set.

If knowledge-based annotation could not be performed for a gene, no data is displayed here. View antibody staining data further down this page.

h
m
l
n
Cells in basal layer: Not detected
Cells in corneal layer: Not detected
Cells in granular layer: Not detected
Cells in spinous layer: Not detected
Eccrine glands: Medium
Endothelial cells: Low
Extracellular matrix: Not detected
Fibrohistiocytic cells: High
Hair follicles: Medium
Langerhans cells: Medium
Lymphocytes: Not detected
Melanocytes: Not detected
Sebaceous glands: Not detected
Vascular mural cells: Not detected
RNA expressioni

A summary of mRNA expression data available for current tissue based on several datasets. The mRNA expression levels in human tissues are based on RNA-seq data generated by the Human Protein Atlas (HPA), Genotype-Tissue Expression (GTEx) portal and CAGE data generated by the FANTOM5 consortium. Consensus normalized expression levels for human tissues was created by combining the data from HPA and GTEx datasets.

The mRNA expression levels in pig are based on RNA-seq data generated by the Human Protein Atlas (HPA), and for mouse, HPA data and in situ hybridization generated by the Allen brain atlas are reported.

Scroll down to view mRNA expression data in more detail.
Consensus:178.8 nTPM
HPA:76.8 nTPM
GTEx:178.8 nTPM

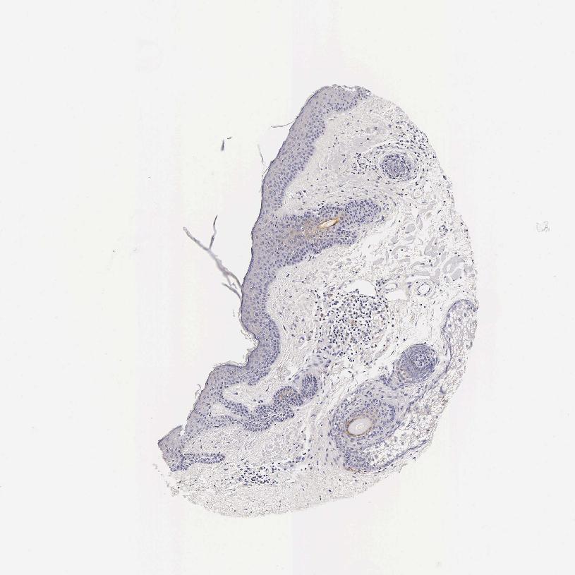
SKIN 1 - Antibody stainingi

Antibody staining in the annotated cell types in the current human tissue is reported as not detected, low, medium, or high, based on conventional immunohistochemistry profiling in selected tissues. This score is based on the combination of the staining intensity and fraction of stained cells.

Each image is clickable and will lead to virtual microscopy that enables deeper exploration of all samples and also displays staining intensity scores, fraction scores and subcellular localization as well as patient and tissue information for each sample.

Antibody HPA018156Antibody HPA048998Antibody CAB000457
Langerhans Medium-Not detected
Cells in basal layer -Not detected-
Cells in corneal layer -Not detected-
Cells in granular layer -Not detected-
Cells in spinous layer -Not detected-
Eccrine glands -Medium-
Endothelial cells -Low-
Extracellular matrix -Not detected-
Fibroblasts Medium-Not detected
Fibrohistiocytic cells -High-
Hair follicles -Medium-
Keratinocytes Medium-Not detected
Langerhans cells -Medium-
Lymphocytes -Not detected-
Melanocytes LowNot detectedNot detected
Sebaceous glands -Not detected-
Vascular mural cells -Not detected-





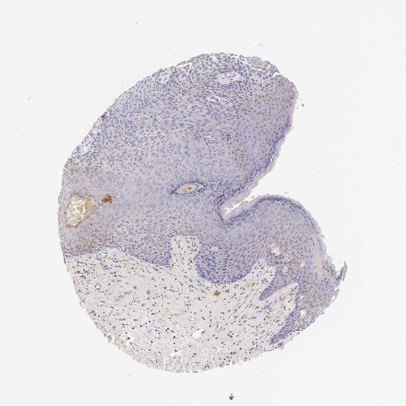
SKIN 2 - Antibody stainingi

Antibody staining in the annotated cell types in the current human tissue is reported as not detected, low, medium, or high, based on conventional immunohistochemistry profiling in selected tissues. This score is based on the combination of the staining intensity and fraction of stained cells.

Each image is clickable and will lead to virtual microscopy that enables deeper exploration of all samples and also displays staining intensity scores, fraction scores and subcellular localization as well as patient and tissue information for each sample.

Antibody HPA018156Antibody HPA048998Antibody CAB000457
Cells in basal layer -Not detected-
Cells in corneal layer -Not detected-
Cells in granular layer -Not detected-
Cells in spinous layer -Not detected-
Endothelial cells -Low-
Epidermal cells Low-Not detected
Extracellular matrix -Not detected-
Fibrohistiocytic cells -High-
Hair follicles -Not detected-
Langerhans cells -Medium-
Lymphocytes -Not detected-
Melanocytes -Not detected-
Vascular mural cells -Not detected-
   
   
   
   





SKIN - HPA RNA-seqi

The RNA-seq details section shows detailed information about the individual samples used for the transcript profiling and results of the RNA-seq analysis.

Information about each individual sample is listed below, including gender, age, a tissue section image and estimated fractions of cell types. nTPM (normalized transcripts per million) values give a quantification of the gene abundance which is comparable between different genes and samples.
Average nTPMi

Max subtype nTPM is the value for the subtype with the largest average nTPM across the subtype samples.

76.8
overview
Female, age 34
Skin sample 225
nTPM: 99.4
Cell types%
Keratinocytes:
60

Other cell types:
40

overview
Female, age 30
Skin sample 226
nTPM: 78.3
Cell types%
Keratinocytes:
55

Other cell types:
45

N/A
Male, age 57
Skin sample 227
nTPM: 52.6

SKIN - GTEx RNA-seqi

RNA-Seq data generated by the Genotype-Tissue Expression (GTEx) project from human tissues is reported as mean nTPM. More information can be found on the GTEx portal.

Distribution across the dataset is visualized with box plots, shown as median and 25th and 75th percentiles. Points are displayed as outliers if they are above or below 1.5 times the interquartile range. nTPM values of the individual samples are presented next to the box plot.
Max subtype nTPMi

Max subtype nTPM is the value for the subtype with the largest average nTPM across the subtype samples.

178.8
GTEx sample id Sample description nTPM
Skin - Not Sun Exposed (Suprapubic)
Average nTPM: 172.6
Samples: 604

Max nTPM: 1084.8
Min nTPM: 65.4
Std nTPM: 76.6
Median nTPM: 156.1
GTEX-1QP29-1826-SM-DTX9S 50-59 years, male 1084.8
GTEX-18D9B-0926-SM-7LG4U 60-69 years, male 636.6
GTEX-18A66-0626-SM-7LT8Z 60-69 years, male 465.5
GTEX-13113-1626-SM-5EQ4I 60-69 years, female 440.9
GTEX-ZT9W-1126-SM-57WDR 50-59 years, male 428.0
GTEX-1RLM8-2926-SM-E8VON 50-59 years, male 419.9
GTEX-1L5NE-1126-SM-D3L9P 50-59 years, male 417.6
GTEX-1IDJF-2026-SM-CL53V 20-29 years, male 411.1
GTEX-11WQK-1026-SM-5EQLX 50-59 years, male 391.4
GTEX-YF7O-1526-SM-5IFI6 50-59 years, male 357.3
GTEX-WHSE-0126-SM-3NMBT 20-29 years, male 352.0
GTEX-14PJO-2526-SM-6AJBQ 60-69 years, male 349.5
GTEX-1R9PN-0426-SM-DTXDT 40-49 years, female 349.5
GTEX-WH7G-2026-SM-3NMBL 40-49 years, male 343.5
GTEX-15UF6-1926-SM-7KUDV 70-79 years, female 336.5
GTEX-1JMOU-1026-SM-CYPSS 60-69 years, female 332.7
GTEX-1N2DV-1526-SM-DTXEP 40-49 years, male 330.6
GTEX-14BMU-1226-SM-5S2OR 20-29 years, female 329.1
GTEX-1JKYN-0826-SM-ARU8S 30-39 years, male 325.7
GTEX-139YR-1026-SM-5LZYN 50-59 years, male 323.5
GTEX-YFCO-1226-SM-5LUAT 40-49 years, male 317.1
GTEX-14JG6-1426-SM-9WG7C 30-39 years, female 311.8
GTEX-WFON-1926-SM-3LK7L 40-49 years, male 309.0
GTEX-U8XE-0226-SM-4E3J3 30-39 years, male 307.7
GTEX-15SHW-0226-SM-7LTAT 60-69 years, male 307.4
GTEX-183FY-1026-SM-7939A 20-29 years, male 306.6
GTEX-Y3IK-1626-SM-4YCF5 50-59 years, female 305.2
GTEX-1QP9N-1226-SM-E76QN 30-39 years, male 302.6
GTEX-12WSL-2026-SM-5GCML 50-59 years, male 297.2
GTEX-1IDJD-2326-SM-ACKWX 30-39 years, male 297.1
GTEX-WXYG-2026-SM-4E3IY 50-59 years, female 297.0
GTEX-ZZ64-1026-SM-5GZXG 20-29 years, male 294.6
GTEX-11P7K-1126-SM-5HL4L 30-39 years, male 294.1
GTEX-WI4N-2726-SM-3LK7Y 40-49 years, female 294.0
GTEX-YEC3-1326-SM-DO92X 50-59 years, male 294.0
GTEX-1PIGE-1826-SM-E8VOU 20-29 years, male 292.5
GTEX-14PJ3-1126-SM-5ZZVX 50-59 years, male 291.7
GTEX-14PKV-1126-SM-6LLJ1 20-29 years, female 290.3
GTEX-14DAR-1226-SM-73KYV 50-59 years, male 290.0
GTEX-14A5H-0826-SM-5QGPJ 60-69 years, male 289.0
GTEX-ZYFD-0626-SM-5E44E 50-59 years, male 288.2
GTEX-1C64O-1326-SM-7MGWR 60-69 years, male 287.1
GTEX-11EM3-1226-SM-5N9DD 20-29 years, female 286.2
GTEX-1HC8U-1326-SM-9YFMJ 40-49 years, female 279.4
GTEX-1399R-1326-SM-5PNYS 30-39 years, male 277.6
GTEX-1GL5R-1326-SM-7RHHF 50-59 years, male 275.0
GTEX-15RJ7-2126-SM-6PAMD 40-49 years, male 274.4
GTEX-ZTTD-2826-SM-4YCFA 50-59 years, male 274.3
GTEX-11DYG-1526-SM-5A5JS 60-69 years, male 273.3
GTEX-1AYD5-2626-SM-7PBXY 50-59 years, male 272.4
GTEX-17EVQ-0126-SM-7IGLR 70-79 years, male 272.0
GTEX-14PHX-2226-SM-6EU2P 50-59 years, male 271.6
GTEX-WFG7-2026-SM-5SI7P 20-29 years, male 271.3
GTEX-1E2YA-2126-SM-7MXUO 50-59 years, male 271.2
GTEX-1RMOY-1326-SM-E9TIH 50-59 years, male 270.3
GTEX-18D9A-1426-SM-7LT8M 30-39 years, female 267.9
GTEX-WHWD-1826-SM-3LK6I 50-59 years, male 266.4
GTEX-17F96-0126-SM-7EWDU 70-79 years, male 265.7
GTEX-1QP66-1226-SM-DTX7U 50-59 years, male 264.3
GTEX-1AX9J-1326-SM-731BJ 60-69 years, male 263.8
GTEX-111YS-1526-SM-5GZYW 60-69 years, male 262.1
GTEX-1497J-0226-SM-5QGPU 60-69 years, male 261.8
GTEX-1B933-2426-SM-7DHMD 50-59 years, female 259.7
GTEX-Y5LM-0926-SM-6LLJG 40-49 years, female 259.4
GTEX-WYBS-0626-SM-3NMAS 60-69 years, female 259.2
GTEX-1MJK3-0726-SM-E6CJC 20-29 years, male 258.5
GTEX-146FQ-2126-SM-5RQHU 30-39 years, male 256.5
GTEX-15RIE-1926-SM-7KUKJ 60-69 years, male 255.8
GTEX-18A7B-2726-SM-7LG56 70-79 years, male 255.0
GTEX-12BJ1-0926-SM-5EQ62 60-69 years, male 254.5
GTEX-1B8KE-1126-SM-7EPHI 50-59 years, male 253.6
GTEX-13O61-1426-SM-5KM3D 60-69 years, male 252.8
GTEX-132AR-0326-SM-5KM2C 50-59 years, female 252.5
GTEX-1GF9U-2026-SM-7SB92 40-49 years, female 252.2
GTEX-1A3MW-0626-SM-731CB 60-69 years, female 249.8
GTEX-145MN-1526-SM-5SI9T 30-39 years, male 249.3
GTEX-15G1A-1626-SM-7KUKN 30-39 years, male 249.3
GTEX-1E1VI-0326-SM-793D1 50-59 years, male 248.7
GTEX-1H1CY-0126-SM-9YFLY 60-69 years, female 248.1
GTEX-1IDJC-1526-SM-B2LW4 50-59 years, male 245.5
GTEX-1AX8Z-0726-SM-73KTS 60-69 years, male 243.9
GTEX-144FL-0626-SM-5LU43 50-59 years, male 243.3
GTEX-1S831-1826-SM-EWROF 20-29 years, male 241.8
GTEX-14E6C-2426-SM-5S2NF 40-49 years, male 241.3
GTEX-1RB15-1326-SM-E76Q9 60-69 years, male 241.3
GTEX-ZZPU-0826-SM-5GZX5 50-59 years, female 241.2
GTEX-1JN1M-2726-SM-CY8I4 60-69 years, female 237.9
GTEX-14C38-0726-SM-5SI6M 50-59 years, male 237.3
GTEX-VJYA-1526-SM-3GIJV 60-69 years, male 236.0
GTEX-13NZ9-2626-SM-5L3FK 50-59 years, male 235.9
GTEX-147F3-1726-SM-5SIAW 50-59 years, female 234.2
GTEX-1IDJE-1426-SM-ADEIW 50-59 years, female 233.0
GTEX-1IKOE-1426-SM-CE6T7 30-39 years, female 232.1
GTEX-1HSMP-0926-SM-A9SKX 70-79 years, male 230.8
GTEX-1EX96-1026-SM-7MKG2 50-59 years, male 230.0
GTEX-ZDYS-2426-SM-4WKGI 50-59 years, male 229.8
GTEX-145LT-0526-SM-5LUB2 40-49 years, male 228.5
GTEX-13OVK-1426-SM-6PAN7 40-49 years, male 227.6
GTEX-YEC4-1826-SM-4W1YP 40-49 years, male 227.6
GTEX-1I6K7-1926-SM-B2LXR 40-49 years, male 227.5
GTEX-1CAMR-1326-SM-7PC1F 20-29 years, male 225.4
GTEX-UPK5-0426-SM-3GAEK 40-49 years, male 224.4
GTEX-1F48J-0726-SM-7RHGS 50-59 years, female 224.4
GTEX-17F98-1326-SM-7DUEP 40-49 years, female 223.9
GTEX-1H1ZS-2726-SM-9WG75 70-79 years, male 222.4
GTEX-13OVG-1626-SM-5J1NF 60-69 years, male 222.2
GTEX-1S3DN-2126-SM-E9TIN 50-59 years, male 221.7
GTEX-1IDJI-0126-SM-CMKHS 50-59 years, female 221.5
GTEX-1211K-1526-SM-5FQU4 60-69 years, female 221.2
GTEX-XK95-0226-SM-4AT58 40-49 years, male 221.0
GTEX-11O72-0626-SM-5PNYE 40-49 years, male 220.7
GTEX-14ICL-1626-SM-5YYAO 30-39 years, male 218.7
GTEX-145MO-2826-SM-5LU96 60-69 years, male 218.6
GTEX-1QAET-0326-SM-EVR3U 50-59 years, male 218.6
GTEX-15RIG-0726-SM-7KUM7 40-49 years, male 216.7
GTEX-WYJK-0526-SM-3NM8Z 50-59 years, male 216.0
GTEX-XBEW-1126-SM-4QARW 40-49 years, male 214.2
GTEX-ZTX8-1326-SM-4YCEL 20-29 years, male 213.8
GTEX-WY7C-2126-SM-3NB2R 50-59 years, male 213.5
GTEX-1I1GP-1326-SM-A9G28 50-59 years, male 213.5
GTEX-XPVG-2126-SM-4B667 50-59 years, male 213.2
GTEX-1477Z-0326-SM-7IGLA 60-69 years, male 212.8
GTEX-16GPK-0626-SM-7KFSF 60-69 years, male 212.2
GTEX-13N11-2326-SM-5IJBF 50-59 years, female 212.1
GTEX-ZYW4-0626-SM-59HJR 60-69 years, male 210.7
GTEX-1HCU6-2526-SM-ADEHL 60-69 years, female 210.0
GTEX-1AX9I-2226-SM-73KUO 60-69 years, male 209.4
GTEX-1R7EU-1626-SM-DTXG3 60-69 years, male 209.4
GTEX-ZUA1-2626-SM-5NQ92 40-49 years, male 209.0
GTEX-12WSD-0626-SM-5GCMW 60-69 years, female 208.9
GTEX-14PK6-0226-SM-62LF5 70-79 years, female 208.9
GTEX-ZDTS-0826-SM-4WKHL 60-69 years, male 208.9
GTEX-13NYS-0626-SM-5L3F1 60-69 years, male 208.5
GTEX-Y8LW-1526-SM-5IFHL 50-59 years, female 207.9
GTEX-1GZ4H-0526-SM-9KNU9 50-59 years, female 207.4
GTEX-1JMQL-2226-SM-CNPP4 50-59 years, female 206.2
GTEX-18D9U-0126-SM-731BM 40-49 years, male 205.7
GTEX-11TT1-1826-SM-5EQLV 20-29 years, male 205.0
GTEX-ZT9X-1526-SM-5DUXD 40-49 years, male 204.8
GTEX-111CU-1126-SM-5EGIM 50-59 years, male 204.7
GTEX-WHPG-2626-SM-3NMBR 50-59 years, male 204.4
GTEX-1H2FU-0926-SM-9WPPT 60-69 years, female 203.9
GTEX-1OJC3-1226-SM-DTXER 20-29 years, male 203.2
GTEX-1HCU7-0726-SM-A9SL1 50-59 years, male 202.6
GTEX-13OVJ-0826-SM-5J1OK 50-59 years, female 202.4
GTEX-1R9PM-1926-SM-EVR3O 20-29 years, male 202.0
GTEX-11NSD-0626-SM-5A5LU 20-29 years, male 201.5
GTEX-17HGU-2326-SM-7DUFE 50-59 years, male 201.5
GTEX-1117F-2926-SM-5GZYI 60-69 years, female 200.5
GTEX-131XF-2626-SM-5EQ6K 60-69 years, male 200.4
GTEX-1F75W-2726-SM-7SB8H 60-69 years, male 200.1
GTEX-ZP4G-1426-SM-4WWCL 20-29 years, female 200.0
GTEX-11VI4-1126-SM-5EQMD 40-49 years, female 199.6
GTEX-WFG8-2126-SM-3GIKQ 20-29 years, male 199.6
GTEX-18A6Q-0626-SM-7KFRP 60-69 years, male 199.1
GTEX-1LGOU-1326-SM-D3L8M 20-29 years, female 198.8
GTEX-1R9K4-2826-SM-DTX8F 60-69 years, male 198.7
GTEX-11DZ1-2426-SM-5GZZX 50-59 years, male 198.5
GTEX-11LCK-2226-SM-5HL4Q 30-39 years, male 198.4
GTEX-XBED-1926-SM-47JYP 60-69 years, male 198.2
GTEX-1F6I4-2326-SM-7RHGL 60-69 years, male 197.9
GTEX-13FTW-0326-SM-5K7UW 40-49 years, male 197.8
GTEX-1LBAC-0826-SM-CY8IJ 20-29 years, male 197.8
GTEX-12126-0826-SM-5FQTZ 20-29 years, male 197.6
GTEX-Y8E4-2026-SM-5IFJB 40-49 years, male 197.6
GTEX-1I1CD-0626-SM-CE6SW 60-69 years, female 197.5
GTEX-ZY6K-1426-SM-5GZX2 50-59 years, male 196.6
GTEX-1JMLX-0626-SM-ARL8T 50-59 years, male 196.6
GTEX-1S82P-2126-SM-E6CI5 60-69 years, female 195.8
GTEX-1RAZA-2226-SM-E9U4X 20-29 years, male 194.9
GTEX-15EU6-2226-SM-6EU2L 50-59 years, male 194.6
GTEX-16AAH-0626-SM-793C9 50-59 years, male 194.5
GTEX-12WSF-1626-SM-7KUG5 70-79 years, male 193.9
GTEX-ZLV1-1526-SM-DO91J 60-69 years, female 193.7
GTEX-1F75A-0726-SM-7RHHD 50-59 years, male 193.6
GTEX-13PVR-0426-SM-5RQK2 60-69 years, female 193.1
GTEX-X585-2426-SM-46MW2 50-59 years, male 192.6
GTEX-ZGAY-1826-SM-DO91Q 40-49 years, female 192.5
GTEX-ZA64-1026-SM-5HL8R 20-29 years, male 192.4
GTEX-16NPX-0726-SM-7KULC 50-59 years, male 192.0
GTEX-ZWKS-0626-SM-5GIDV 30-39 years, male 191.2
GTEX-1QPFJ-1926-SM-EVYBD 30-39 years, female 190.1
GTEX-YB5K-2026-SM-4VDT3 40-49 years, female 189.8
GTEX-11P82-1426-SM-DTXFY 20-29 years, male 189.4
GTEX-11WQC-1826-SM-5GU59 60-69 years, male 189.2
GTEX-145MG-1526-SM-5Q5EM 50-59 years, male 188.9
GTEX-ZVP2-0326-SM-57WBP 50-59 years, male 188.6
GTEX-17F9E-2326-SM-79OKD 50-59 years, male 188.4
GTEX-1PIIG-2326-SM-DTXFR 30-39 years, male 188.0
GTEX-13X6I-1826-SM-5SIAO 60-69 years, male 187.7
GTEX-1F75B-0726-SM-7PC3R 50-59 years, male 187.2
GTEX-1H1DF-1126-SM-9WG7G 40-49 years, female 187.2
GTEX-1PPH8-0126-SM-EWRN8 20-29 years, male 186.7
GTEX-1KANC-1226-SM-CYPT7 50-59 years, female 186.6
GTEX-1GMR2-0826-SM-7PC3V 50-59 years, male 186.4
GTEX-15G19-2426-SM-7KUMR 60-69 years, male 186.1
GTEX-12WSJ-1126-SM-5LZVJ 40-49 years, female 185.8
GTEX-1GZHY-0626-SM-9KNVC 50-59 years, female 185.5
GTEX-11EI6-2826-SM-5H11D 60-69 years, male 184.8
GTEX-ZYVF-0926-SM-5E44J 50-59 years, female 184.5
GTEX-16NGA-0726-SM-731AO 40-49 years, female 184.2
GTEX-1H1E6-0426-SM-9WYUS 30-39 years, male 184.2
GTEX-12KS4-2126-SM-5FQUT 30-39 years, male 184.0
GTEX-13FH7-1126-SM-5K7UG 50-59 years, female 183.8
GTEX-1CAMQ-1326-SM-7P8RV 40-49 years, male 183.6
GTEX-1PPH7-1126-SM-DTX9A 40-49 years, male 183.3
GTEX-139TU-0726-SM-5L3EK 60-69 years, male 183.2
GTEX-UPJH-0226-SM-3GADV 50-59 years, male 182.3
GTEX-14C5O-0326-SM-5ZZUX 60-69 years, male 182.2
GTEX-1JMQK-1226-SM-D4P2S 60-69 years, male 182.1
GTEX-17MFQ-1526-SM-7KFRR 20-29 years, male 181.9
GTEX-X8HC-0626-SM-4E3HQ 50-59 years, female 181.8
GTEX-144GO-2026-SM-5O99P 60-69 years, male 180.4
GTEX-1KANA-1326-SM-DIPFA 20-29 years, male 180.3
GTEX-1F75I-2226-SM-7SB8U 40-49 years, male 180.0
GTEX-X5EB-1926-SM-4E3IW 40-49 years, male 179.9
GTEX-1GF9W-1426-SM-7PBYM 60-69 years, male 179.3
GTEX-1QCLY-0226-SM-EWRNH 30-39 years, male 179.3
GTEX-117YX-1926-SM-5GIEC 50-59 years, male 179.2
GTEX-17F97-2626-SM-7IGM5 50-59 years, male 179.1
GTEX-Y114-2126-SM-4TT8B 50-59 years, female 179.0
GTEX-ZPU1-1126-SM-4YCF3 40-49 years, male 179.0
GTEX-1F52S-2926-SM-7MKGA 60-69 years, female 178.6
GTEX-1A3MV-1826-SM-731CD 30-39 years, male 178.4
GTEX-14BMV-2826-SM-5TDED 50-59 years, male 178.2
GTEX-X3Y1-2026-SM-3P5YM 40-49 years, male 178.1
GTEX-16YQH-2226-SM-7IGM2 30-39 years, male 178.0
GTEX-13IVO-0726-SM-5LZYV 70-79 years, male 177.3
GTEX-ZC5H-1526-SM-5HL9Y 40-49 years, female 177.2
GTEX-WYVS-1626-SM-3NM9R 40-49 years, female 176.3
GTEX-18QFQ-1826-SM-72D52 30-39 years, male 176.1
GTEX-W5X1-2526-SM-3GILC 40-49 years, female 176.0
GTEX-1IY9M-2826-SM-ARU8H 60-69 years, male 175.8
GTEX-12ZZX-2426-SM-5GCOE 40-49 years, female 175.7
GTEX-YJ8O-2526-SM-5HL85 40-49 years, female 175.2
GTEX-14PJN-1826-SM-6AJ98 30-39 years, male 175.0
GTEX-147F4-0726-SM-5TDDD 50-59 years, male 174.7
GTEX-1EU9M-1426-SM-793AI 60-69 years, male 174.6
GTEX-11DXZ-2026-SM-5987S 50-59 years, male 174.2
GTEX-1HUB1-1426-SM-CGQF5 60-69 years, male 174.1
GTEX-11ZTT-2126-SM-5CVLO 60-69 years, female 173.9
GTEX-1N5O9-0926-SM-E9J3C 60-69 years, male 173.3
GTEX-1IDFM-0326-SM-ARL7V 60-69 years, male 173.2
GTEX-13G51-1826-SM-5KLZH 60-69 years, male 172.5
GTEX-1GF9X-1326-SM-7PC2Y 40-49 years, female 172.4
GTEX-1F6RS-2026-SM-7RHHC 60-69 years, female 172.3
GTEX-14B4R-1326-SM-5Q5EZ 30-39 years, male 172.0
GTEX-14C39-1726-SM-5RQIL 40-49 years, male 172.0
GTEX-ZDTT-0426-SM-4WKFL 60-69 years, male 172.0
GTEX-X4EO-2926-SM-4E3JH 60-69 years, female 171.4
GTEX-1H23P-0626-SM-9WG6T 60-69 years, male 171.2
GTEX-13QBU-1226-SM-5LU4G 40-49 years, female 169.2
GTEX-13X6K-0626-SM-5LU5D 60-69 years, female 169.2
GTEX-145ME-1726-SM-5Q5EU 40-49 years, female 169.2
GTEX-1QCLZ-2426-SM-EVYBW 60-69 years, female 169.2
GTEX-1KXAM-1626-SM-D3LAD 60-69 years, male 169.1
GTEX-12C56-1526-SM-5FQUQ 20-29 years, male 168.7
GTEX-13JUV-2026-SM-5K7UA 40-49 years, female 168.3
GTEX-1MCC2-1826-SM-DIPEX 30-39 years, female 168.2
GTEX-13YAN-0226-SM-5TDC6 60-69 years, male 168.0
GTEX-139TT-2126-SM-5LZWC 60-69 years, male 167.9
GTEX-12WSH-1526-SM-5BC5W 50-59 years, male 167.8
GTEX-1314G-1326-SM-5BC6E 30-39 years, male 167.7
GTEX-1K2DU-1226-SM-CYPT4 20-29 years, male 167.7
GTEX-ZYFG-1526-SM-5GZYM 60-69 years, female 167.6
GTEX-16MT8-2926-SM-7DUFO 60-69 years, female 167.4
GTEX-1GMRU-2126-SM-7P8RA 50-59 years, male 167.3
GTEX-1HSMQ-2626-SM-A9SML 50-59 years, male 167.2
GTEX-XXEK-1626-SM-4BRUZ 50-59 years, male 166.2
GTEX-XYKS-1426-SM-4BRUO 60-69 years, female 166.1
GTEX-15FZZ-0526-SM-7KUGD 30-39 years, female 165.9
GTEX-1C64N-2626-SM-7PC2N 50-59 years, male 165.8
GTEX-12ZZZ-0726-SM-5GCNZ 60-69 years, male 165.1
GTEX-1HGF4-0126-SM-CNPPX 60-69 years, male 164.8
GTEX-14PJ5-1526-SM-6LLIL 60-69 years, female 163.7
GTEX-ZAJG-1526-SM-5CVML 50-59 years, female 163.7
GTEX-ZLWG-0826-SM-59888 50-59 years, female 163.0
GTEX-1GMR3-0126-SM-A9SLW 40-49 years, male 162.9
GTEX-ZF2S-1626-SM-57WES 50-59 years, female 162.8
GTEX-YECK-0326-SM-4W1YS 60-69 years, male 162.4
GTEX-1JK1U-0226-SM-ARZMX 60-69 years, male 162.3
GTEX-131XG-0326-SM-5L3DX 50-59 years, female 162.2
GTEX-1CB4J-1326-SM-7P8RX 60-69 years, male 162.2
GTEX-14E1K-2026-SM-7DUEI 50-59 years, male 161.9
GTEX-1I1GU-0926-SM-ACKVS 40-49 years, male 161.9
GTEX-1I1GS-2626-SM-B2LY3 60-69 years, male 161.2
GTEX-11EQ8-0926-SM-5H12V 60-69 years, male 161.1
GTEX-14E6E-0526-SM-793DN 30-39 years, male 160.3
GTEX-1LVAO-2726-SM-E9TJ8 60-69 years, male 160.3
GTEX-13O3O-2326-SM-5IJD6 60-69 years, female 159.2
GTEX-XQ3S-1426-SM-4BOPR 20-29 years, male 158.9
GTEX-16MT9-0126-SM-7EPI8 60-69 years, female 158.8
GTEX-17HHE-1326-SM-7EWDZ 50-59 years, male 158.5
GTEX-1H3NZ-2726-SM-9WYTQ 60-69 years, male 158.1
GTEX-1HBPI-2126-SM-ARL9K 50-59 years, male 157.7
GTEX-11DXX-2126-SM-5PNYR 60-69 years, female 157.4
GTEX-1BAJH-2426-SM-7IGP8 70-79 years, male 157.3
GTEX-1KD5A-0126-SM-E9U54 50-59 years, male 157.0
GTEX-Z93S-1626-SM-5CVMB 50-59 years, male 156.9
GTEX-WEY5-2326-SM-3GIKK 40-49 years, female 156.6
GTEX-1F5PK-2226-SM-7SB6N 50-59 years, male 156.6
GTEX-14AS3-1526-SM-5Q5ED 40-49 years, female 156.2
GTEX-14PHY-1226-SM-5ZZWK 60-69 years, female 155.9
GTEX-1CB4I-0126-SM-7RHGG 50-59 years, male 155.9
GTEX-13D11-0926-SM-5J2NC 50-59 years, female 155.8
GTEX-15CHQ-0326-SM-69LQD 60-69 years, male 155.8
GTEX-16BQI-1326-SM-6M486 30-39 years, female 155.7
GTEX-1LVAN-0626-SM-CNPOQ 50-59 years, female 155.7
GTEX-13PDP-0726-SM-5L3HP 60-69 years, male 155.6
GTEX-ZPIC-0526-SM-DO91W 40-49 years, female 155.4
GTEX-1A8G6-2726-SM-731AR 60-69 years, male 154.6
GTEX-ZDXO-3126-SM-5IJDF 60-69 years, male 154.4
GTEX-14LZ3-0126-SM-69LPM 60-69 years, female 153.9
GTEX-111FC-2526-SM-5GZXU 60-69 years, male 153.6
GTEX-11DXW-0826-SM-5H118 40-49 years, male 153.2
GTEX-14XAO-1226-SM-6EU1C 60-69 years, female 152.9
GTEX-17F9Y-0126-SM-79OKX 70-79 years, female 152.5
GTEX-1F6IF-0926-SM-7SB7M 60-69 years, male 152.5
GTEX-ZVE1-0726-SM-51MRN 50-59 years, female 152.3
GTEX-16XZZ-0726-SM-7KUF2 60-69 years, male 152.0
GTEX-178AV-1726-SM-7KUL8 40-49 years, male 152.0
GTEX-1NV5F-0626-SM-DTXEG 60-69 years, female 151.9
GTEX-1N2EE-0626-SM-E76PW 60-69 years, male 151.8
GTEX-12WSK-2126-SM-5CVNC 40-49 years, female 151.7
GTEX-11EQ9-1626-SM-5PNY8 30-39 years, male 151.4
GTEX-13OW5-2326-SM-5L3HO 60-69 years, male 151.2
GTEX-1I6K6-1726-SM-CGQFD 30-39 years, male 150.9
GTEX-1192X-2726-SM-5N9DN 50-59 years, male 150.6
GTEX-144GM-0526-SM-79OJO 20-29 years, male 150.3
GTEX-1A8FM-0626-SM-7PC25 50-59 years, female 150.3
GTEX-ZE7O-2726-SM-51MT5 50-59 years, female 149.8
GTEX-15ER7-0626-SM-6PANF 20-29 years, female 149.5
GTEX-XBEC-0726-SM-4QARZ 50-59 years, male 149.4
GTEX-1LSVX-2526-SM-DIPEU 60-69 years, male 149.4
GTEX-ZVE2-2826-SM-5GU51 50-59 years, male 149.2
GTEX-ZLFU-1826-SM-4WWBV 40-49 years, male 148.9
GTEX-ZVT2-0126-SM-5GIDQ 50-59 years, female 148.9
GTEX-1O9I2-0226-SM-EYYXD 50-59 years, male 148.6
GTEX-12584-0726-SM-5FQTK 40-49 years, male 148.5
GTEX-1JJ6O-2726-SM-CNPOG 60-69 years, male 148.5
GTEX-16MTA-0926-SM-6M47Z 50-59 years, male 148.3
GTEX-1HFI6-0126-SM-CNPPI 40-49 years, male 148.2
GTEX-1HSMO-0626-SM-ACKXC 60-69 years, male 148.0
GTEX-ZVT4-2426-SM-5GIEI 50-59 years, female 147.7
GTEX-1F5PL-0926-SM-7PC2W 40-49 years, female 147.6
GTEX-14BIN-1126-SM-5RQJZ 50-59 years, female 147.5
GTEX-13FTX-1526-SM-5K7VJ 20-29 years, female 147.3
GTEX-111VG-1626-SM-5EGIO 60-69 years, male 146.9
GTEX-13RTJ-0126-SM-5S2NN 60-69 years, male 146.9
GTEX-1GPI7-1826-SM-9KNU1 20-29 years, male 146.8
GTEX-1RAZS-2526-SM-E6CHT 50-59 years, male 146.7
GTEX-ZVTK-0226-SM-51MRG 20-29 years, male 146.3
GTEX-17HG3-2626-SM-7DUF2 30-39 years, female 145.9
GTEX-1LG7Z-1626-SM-CXKYR 30-39 years, male 145.2
GTEX-1LSNM-0826-SM-DIPG8 50-59 years, male 145.1
GTEX-139TS-2126-SM-5K7XC 60-69 years, male 144.3
GTEX-1HCVE-2726-SM-CL54F 50-59 years, male 144.2
GTEX-1GN1W-2426-SM-9KNUU 50-59 years, female 143.9
GTEX-13FHO-0426-SM-5L3F5 60-69 years, male 143.4
GTEX-13PVQ-0626-SM-5LU47 50-59 years, male 143.1
GTEX-139D8-1126-SM-5LU8W 30-39 years, female 142.9
GTEX-14PJ4-0226-SM-5YY92 60-69 years, male 142.8
GTEX-1PBJJ-1026-SM-E76OS 30-39 years, male 142.8
GTEX-15DDE-2926-SM-6LLJ3 50-59 years, female 142.0
GTEX-18A67-1626-SM-7LT9T 50-59 years, male 142.0
GTEX-148VJ-0626-SM-5LUAW 70-79 years, male 141.9
GTEX-1RAZR-2126-SM-E9U6T 40-49 years, male 141.9
GTEX-1HBPM-0726-SM-9YFL7 60-69 years, female 141.8
GTEX-1B97I-0626-SM-73KUZ 40-49 years, male 141.6
GTEX-1S5ZU-2526-SM-E6CIF 20-29 years, female 141.5
GTEX-139T8-0626-SM-5KLZX 60-69 years, male 141.3
GTEX-Y3I4-1726-SM-4TT89 50-59 years, male 141.3
GTEX-14JFF-0626-SM-5ZZVT 60-69 years, male 141.1
GTEX-1HCU9-0426-SM-9WYSD 20-29 years, male 140.8
GTEX-17HHY-0426-SM-7DHLC 50-59 years, male 140.4
GTEX-18465-2826-SM-7LT9J 50-59 years, male 140.2
GTEX-1HBPN-0126-SM-CGQEF 50-59 years, male 139.9
GTEX-13X6H-0926-SM-5SIB2 50-59 years, female 139.7
GTEX-1C475-1326-SM-7SB73 40-49 years, female 139.6
GTEX-ZYFC-0426-SM-5GICQ 50-59 years, male 139.5
GTEX-145MF-0926-SM-5Q5EA 50-59 years, male 139.2
GTEX-X4EP-0626-SM-3P621 60-69 years, female 139.2
GTEX-17KNJ-2126-SM-718AM 50-59 years, male 139.1
GTEX-1JN76-0626-SM-CKZOQ 20-29 years, female 138.7
GTEX-XAJ8-1426-SM-47JYM 40-49 years, male 138.3
GTEX-WRHU-2826-SM-3MJG8 50-59 years, female 138.2
GTEX-12ZZY-0726-SM-5EQ66 60-69 years, male 138.1
GTEX-1CB4F-1026-SM-7DUH1 60-69 years, male 137.8
GTEX-17MF6-2626-SM-79OKQ 40-49 years, male 137.5
GTEX-1B8SF-0126-SM-7DUG3 60-69 years, male 137.1
GTEX-1RAZQ-1326-SM-E9TK6 30-39 years, male 136.7
GTEX-WHSB-1326-SM-3LK6W 50-59 years, male 136.5
GTEX-12WSC-2826-SM-5BC5Y 50-59 years, male 136.4
GTEX-13U4I-2226-SM-5LU5H 40-49 years, female 135.9
GTEX-1HKZK-0726-SM-ACKW2 40-49 years, male 135.7
GTEX-1IDJU-1726-SM-CMKHU 60-69 years, female 134.9
GTEX-1GN1U-0626-SM-9MQL9 50-59 years, female 134.8
GTEX-13NYB-0126-SM-5J1MD 40-49 years, male 134.6
GTEX-WK11-2726-SM-3NMAQ 50-59 years, male 134.6
GTEX-1LKK1-2626-SM-DKPQE 50-59 years, female 134.4
GTEX-1HSGN-0826-SM-ACKW3 40-49 years, female 134.3
GTEX-1K2DA-1026-SM-CGQGF 50-59 years, male 134.1
GTEX-1QP28-1126-SM-EVYC4 50-59 years, female 133.6
GTEX-1CAV2-0126-SM-7IGN7 40-49 years, female 133.0
GTEX-ZVZP-1226-SM-5GID7 50-59 years, male 132.7
GTEX-ZTSS-1426-SM-5985P 40-49 years, male 132.4
GTEX-1HT8W-0626-SM-A9G2H 30-39 years, male 132.4
GTEX-15RJE-2826-SM-7KUM9 40-49 years, male 132.0
GTEX-1CAMS-2226-SM-7PBXQ 40-49 years, female 132.0
GTEX-1GTWX-2026-SM-9YFLM 60-69 years, male 132.0
GTEX-147GR-2426-SM-5ZZWQ 60-69 years, male 131.9
GTEX-15D1Q-2826-SM-6LLH7 40-49 years, male 131.8
GTEX-1HCU8-2526-SM-CE6RX 60-69 years, female 131.6
GTEX-1J8JJ-0626-SM-ARZMQ 60-69 years, female 131.6
GTEX-1C2JI-1026-SM-73KY1 50-59 years, male 130.9
GTEX-1ICLZ-0326-SM-ARL82 60-69 years, male 130.7
GTEX-11P81-2226-SM-5PNYI 30-39 years, female 130.6
GTEX-13112-0126-SM-5P9IU 50-59 years, male 130.6
GTEX-1JMQI-1726-SM-ARL93 50-59 years, male 130.6
GTEX-17JCI-2926-SM-7DUFF 60-69 years, female 130.5
GTEX-1399S-0126-SM-5IJCF 30-39 years, female 130.1
GTEX-1C6WA-2626-SM-7MKGM 60-69 years, male 129.6
GTEX-1J8QM-2426-SM-A9SLS 60-69 years, female 129.6
GTEX-11ZU8-0126-SM-5EQ58 60-69 years, male 129.3
GTEX-1R46S-2426-SM-E76QA 60-69 years, female 129.1
GTEX-11OF3-0126-SM-5PNYF 60-69 years, male 128.9
GTEX-14PJ2-0626-SM-6LLII 50-59 years, male 128.8
GTEX-ZF29-0926-SM-4WKFZ 60-69 years, female 128.4
GTEX-ZPCL-1126-SM-4WWFE 60-69 years, female 128.4
GTEX-1HCUA-0826-SM-ADEHM 50-59 years, female 128.3
GTEX-15CHC-1126-SM-6LLHQ 60-69 years, female 128.1
GTEX-17HII-1426-SM-7EPGG 50-59 years, male 128.1
GTEX-139UW-0326-SM-5J1ML 60-69 years, male 127.8
GTEX-15CHR-1126-SM-7EWF4 50-59 years, male 127.7
GTEX-144GL-0626-SM-5LU4D 50-59 years, male 127.6
GTEX-ZAK1-0626-SM-5HL8E 50-59 years, female 127.6
GTEX-13OW6-2726-SM-5J2OE 50-59 years, male 127.2
GTEX-1EWIQ-0326-SM-7DHMQ 70-79 years, female 127.1
GTEX-13FLV-0126-SM-5K7WT 50-59 years, male 126.8
GTEX-14ABY-2026-SM-62LDL 50-59 years, male 126.8
GTEX-1A32A-0626-SM-731AQ 50-59 years, female 126.6
GTEX-14753-0726-SM-5QGQO 60-69 years, male 126.5
GTEX-1JJEA-1826-SM-ARU8P 60-69 years, male 126.5
GTEX-1LGRB-0926-SM-COH3K 50-59 years, female 126.5
GTEX-1H11D-1826-SM-9QEHM 40-49 years, male 126.4
GTEX-13N1W-2426-SM-5IJD1 70-79 years, male 125.9
GTEX-1IOXB-2726-SM-CM2RI 50-59 years, male 125.6
GTEX-1JMQJ-0826-SM-CNPP7 50-59 years, male 125.6
GTEX-1J8Q2-2626-SM-ACKWQ 60-69 years, male 125.5
GTEX-145MH-2826-SM-5RQJF 50-59 years, male 125.4
GTEX-ZAB4-2126-SM-5HL8U 40-49 years, male 124.8
GTEX-ZXG5-2126-SM-59HKD 60-69 years, male 124.7
GTEX-1S83E-1326-SM-E6CJM 40-49 years, male 124.5
GTEX-1JMPY-0226-SM-CKZOK 30-39 years, male 124.2
GTEX-12696-0126-SM-5EQ4L 60-69 years, male 124.0
GTEX-1399U-1126-SM-5L3DB 50-59 years, female 123.9
GTEX-145LU-1926-SM-79OJN 50-59 years, male 123.9
GTEX-133LE-2326-SM-5K7W3 20-29 years, female 123.7
GTEX-1LVAM-0726-SM-E6CIL 50-59 years, female 123.7
GTEX-1IE54-1126-SM-A9G2Z 40-49 years, female 123.6
GTEX-Y5V5-0126-SM-5S2NW 60-69 years, female 123.5
GTEX-18A7A-0126-SM-731AH 50-59 years, female 122.9
GTEX-15DYW-2726-SM-6EU2I 60-69 years, female 122.8
GTEX-1S82U-1026-SM-E6CJK 30-39 years, female 122.8
GTEX-13OVL-0126-SM-5L3GJ 50-59 years, male 122.7
GTEX-XUW1-0926-SM-4BONX 50-59 years, female 122.3
GTEX-1GZ4I-2626-SM-9KNU3 50-59 years, male 122.2
GTEX-XMD2-2126-SM-4YCF8 60-69 years, female 122.1
GTEX-1EN7A-2426-SM-793DB 40-49 years, male 122.0
GTEX-1B8KZ-0326-SM-73KY4 50-59 years, male 121.5
GTEX-1JKYR-0626-SM-ARL8R 20-29 years, male 121.1
GTEX-13FTY-2126-SM-5IFFB 40-49 years, female 120.5
GTEX-1PDJ9-1226-SM-EXUSX 20-29 years, male 120.1
GTEX-131YS-2826-SM-5EQ47 60-69 years, female 120.0
GTEX-183WM-0326-SM-72D5V 70-79 years, female 120.0
GTEX-1A8G7-1326-SM-73KVM 60-69 years, male 120.0
GTEX-XOT4-0626-SM-4B66L 60-69 years, female 119.7
GTEX-13PL6-1126-SM-5L3IE 40-49 years, female 119.5
GTEX-1GZ2Q-0126-SM-9WG6M 40-49 years, male 119.3
GTEX-14PKU-0126-SM-6LLHV 40-49 years, female 119.1
GTEX-1EH9U-2826-SM-7DUGT 60-69 years, male 118.9
GTEX-13VXT-1926-SM-5K7UO 20-29 years, female 118.7
GTEX-13NYC-0126-SM-5L3F4 60-69 years, male 118.6
GTEX-1GN73-0726-SM-7P8TJ 60-69 years, male 118.4
GTEX-1J1R8-2026-SM-CL53Y 40-49 years, male 118.3
GTEX-15SKB-2826-SM-6PAMH 60-69 years, male 118.1
GTEX-1I4MK-0126-SM-CY8G6 50-59 years, female 118.0
GTEX-1KWVE-1026-SM-D3L9O 30-39 years, male 117.9
GTEX-1A3MX-2626-SM-7PC24 60-69 years, male 117.7
GTEX-1C6VQ-1226-SM-73KYD 50-59 years, male 116.7
GTEX-1AMEY-0826-SM-72D65 30-39 years, female 116.4
GTEX-1J8EW-2726-SM-CY8HR 60-69 years, female 116.1
GTEX-V1D1-2026-SM-3GAF4 50-59 years, male 115.7
GTEX-1H1DG-2426-SM-9QEHJ 70-79 years, male 115.6
GTEX-14PII-0726-SM-6EU2B 60-69 years, male 115.3
GTEX-12WSA-0426-SM-5EQ5X 60-69 years, male 115.2
GTEX-1KAFJ-0126-SM-DIPEK 50-59 years, male 115.2
GTEX-1QEPI-2626-SM-DTXF4 60-69 years, female 115.0
GTEX-1GF9V-0826-SM-9KNUV 60-69 years, male 114.8
GTEX-1EKGG-0626-SM-7DUGJ 60-69 years, male 114.3
GTEX-1H1DE-1326-SM-9KNUG 20-29 years, male 114.3
GTEX-1NSGN-0726-SM-DTXEF 50-59 years, male 114.3
GTEX-XV7Q-1826-SM-4BRUV 40-49 years, female 113.7
GTEX-Y111-0626-SM-4SOIT 50-59 years, male 113.7
GTEX-1CB4H-1126-SM-7MKGL 60-69 years, female 113.6
GTEX-1J8Q3-0526-SM-ARL8U 60-69 years, male 113.6
GTEX-VUSG-2326-SM-4KL1U 50-59 years, male 113.5
GTEX-1399Q-2326-SM-5KM2X 40-49 years, male 113.4
GTEX-13SLX-2226-SM-62LEP 50-59 years, female 113.4
GTEX-Y5V6-2326-SM-4VDSA 60-69 years, male 113.4
GTEX-1HB9E-0126-SM-CM2S5 50-59 years, male 113.3
GTEX-14JG1-1526-SM-5YY9X 40-49 years, male 113.0
GTEX-13X6J-0626-SM-5LU5F 50-59 years, male 112.6
GTEX-14PJ6-2626-SM-6EU2T 60-69 years, female 112.3
GTEX-XQ8I-0926-SM-4BOOF 50-59 years, male 112.2
GTEX-147JS-0226-SM-5S2U9 60-69 years, male 111.3
GTEX-1CB4E-0926-SM-7EPHT 60-69 years, male 110.9
GTEX-1I1GT-1026-SM-ARZLV 60-69 years, female 110.9
GTEX-12WSM-1926-SM-5BC65 60-69 years, male 110.2
GTEX-1QP2A-1726-SM-E76QC 50-59 years, male 110.2
GTEX-1212Z-0126-SM-59HK4 60-69 years, male 109.7
GTEX-1LVA9-2626-SM-EVYD4 50-59 years, male 109.4
GTEX-11NUK-2726-SM-5A5MC 50-59 years, male 108.8
GTEX-1122O-1026-SM-9WYSF 60-69 years, female 108.8
GTEX-1I19N-0126-SM-CYPSF 70-79 years, male 108.5
GTEX-17EVP-2626-SM-7IGMA 40-49 years, male 108.0
GTEX-13N2G-0226-SM-5K7VF 60-69 years, male 107.7
GTEX-13OVH-0526-SM-5L3E6 70-79 years, male 107.7
GTEX-13VXU-0626-SM-5L3F9 50-59 years, male 107.2
GTEX-1QMI2-2526-SM-E8VNZ 60-69 years, male 107.0
GTEX-1KANB-2826-SM-CY8I6 50-59 years, male 106.8
GTEX-1ICG6-1226-SM-A9SLN 70-79 years, female 106.7
GTEX-1B8L1-2226-SM-7P8PT 60-69 years, male 106.4
GTEX-1IKJJ-2226-SM-CJI4C 60-69 years, male 106.2
GTEX-16Z82-2626-SM-7KULU 60-69 years, male 104.9
GTEX-131XW-0626-SM-5PNVD 50-59 years, female 104.6
GTEX-1HR9M-2226-SM-CNPPY 60-69 years, male 104.4
GTEX-ZYT6-2326-SM-5GZY3 30-39 years, male 104.2
GTEX-1QW4Y-1126-SM-DTXE3 30-39 years, male 103.7
GTEX-13NZ8-1226-SM-5KM4A 60-69 years, female 103.6
GTEX-14A6H-2026-SM-5Q5DD 30-39 years, male 103.6
GTEX-11ZUS-2626-SM-5FQUR 30-39 years, male 103.4
GTEX-1AMFI-1326-SM-7939R 50-59 years, female 102.8
GTEX-1LSNL-2726-SM-E9TKJ 50-59 years, male 102.5
GTEX-1IL2V-1926-SM-B2LW8 70-79 years, male 101.9
GTEX-1PPGY-1626-SM-EVYBL 60-69 years, male 101.9
GTEX-13QJC-0126-SM-5ZZWJ 60-69 years, female 101.2
GTEX-11DXY-0126-SM-5H11Q 60-69 years, male 100.9
GTEX-1F88E-1626-SM-7SB8Z 60-69 years, female 100.9
GTEX-1POEN-2326-SM-E9J2L 30-39 years, female 100.4
GTEX-15EO6-2426-SM-6PALZ 50-59 years, male 100.1
GTEX-131XH-0126-SM-5LZUY 50-59 years, male 99.9
GTEX-13SLW-0626-SM-5Q5ER 70-79 years, male 99.7
GTEX-11GS4-0226-SM-5HL77 60-69 years, male 99.6
GTEX-145LS-0626-SM-7EPG7 60-69 years, female 99.2
GTEX-1GN1V-2826-SM-9JGIA 60-69 years, male 98.6
GTEX-1HR98-2226-SM-ADEI2 60-69 years, male 98.5
GTEX-1K9T9-1526-SM-DIPFR 50-59 years, female 98.3
GTEX-1LB8K-0726-SM-D5OV2 50-59 years, male 97.4
GTEX-1B996-0426-SM-7EWF8 60-69 years, male 97.3
GTEX-ZU9S-1826-SM-5NQ9E 30-39 years, male 96.1
GTEX-1ICLY-0826-SM-CMKG1 50-59 years, male 95.9
GTEX-1EMGI-2326-SM-7PBYA 60-69 years, male 95.6
GTEX-13O3Q-0126-SM-5KM34 50-59 years, male 95.4
GTEX-Y9LG-1126-SM-4VBQ7 30-39 years, male 94.9
GTEX-ZE9C-2526-SM-5IJDR 60-69 years, male 94.9
GTEX-1LG7Y-2526-SM-EWRO7 50-59 years, male 94.7
GTEX-1JN6P-2926-SM-CL54D 60-69 years, male 94.5
GTEX-1M4P7-0726-SM-E6CJ3 60-69 years, male 94.0
GTEX-1HFI7-2326-SM-CGQFS 50-59 years, female 93.5
GTEX-1I1GV-0626-SM-ARL7M 60-69 years, male 93.3
GTEX-11UD2-2526-SM-5CVNU 50-59 years, male 92.8
GTEX-1IDJV-0126-SM-COH3Y 60-69 years, male 92.7
GTEX-1H3O1-1326-SM-9MQLD 60-69 years, male 91.9
GTEX-145MI-0626-SM-5SI8S 60-69 years, female 91.6
GTEX-11PRG-0726-SM-5EGL1 50-59 years, male 91.3
GTEX-1MCYP-0526-SM-E9U6Q 20-29 years, female 90.6
GTEX-1GPI6-1926-SM-9KNV7 60-69 years, male 90.4
GTEX-1H4P4-2126-SM-9WYSL 50-59 years, male 90.4
GTEX-1313W-0626-SM-5EQ4H 50-59 years, female 89.7
GTEX-1269C-0126-SM-5EQ5L 60-69 years, female 89.4
GTEX-13OW7-0426-SM-5K7VK 50-59 years, male 88.5
GTEX-11GSP-2326-SM-5HL63 60-69 years, female 88.4
GTEX-1GMR8-0626-SM-7RHI7 50-59 years, female 88.4
GTEX-1HSKV-1226-SM-ADEI4 60-69 years, male 87.8
GTEX-1IDJH-0126-SM-D3L92 70-79 years, male 87.6
GTEX-ZF3C-0626-SM-DO92O 50-59 years, female 87.1
GTEX-1JMPZ-0726-SM-CY8HZ 30-39 years, male 86.5
GTEX-1J1OQ-0126-SM-D4P2N 40-49 years, female 85.2
GTEX-13W3W-0726-SM-5IJDQ 60-69 years, female 84.6
GTEX-1F88F-0126-SM-9WYSZ 60-69 years, female 84.5
GTEX-13OW8-1026-SM-5J1NQ 60-69 years, male 84.2
GTEX-1B932-2326-SM-79OL5 40-49 years, female 82.8
GTEX-1C6VR-0126-SM-7RHGB 60-69 years, male 82.2
GTEX-1H3VE-0726-SM-9YFL5 40-49 years, male 82.2
GTEX-1I1HK-2326-SM-CKZOH 60-69 years, male 81.8
GTEX-11TUW-0626-SM-5LU9M 60-69 years, male 80.4
GTEX-14LLW-2626-SM-62LDZ 70-79 years, female 80.4
GTEX-1GN2E-0226-SM-9WG6K 60-69 years, male 77.5
GTEX-14DAQ-0626-SM-793DS 60-69 years, female 77.3
GTEX-13JVG-0726-SM-5KM16 60-69 years, male 75.0
GTEX-1JJE9-2626-SM-ARZMT 70-79 years, male 74.6
GTEX-1OJC4-2726-SM-E76PJ 50-59 years, female 69.8
GTEX-ZYY3-2926-SM-5GIEB 60-69 years, female 65.4
Show allShow less
Skin - Sun Exposed (Lower leg)
Average nTPM: 178.8
Samples: 701

Max nTPM: 560.1
Min nTPM: 78.1
Std nTPM: 64.8
Median nTPM: 162.7
GTEX-144GN-2326-SM-5LU4F 50-59 years, male 560.1
GTEX-Y3I4-2126-SM-4TT7C 50-59 years, male 554.2
GTEX-QDVN-2026-SM-3GAEP 50-59 years, male 516.8
GTEX-13OVJ-0126-SM-5KM36 50-59 years, female 492.8
GTEX-1PWST-0226-SM-E76QJ 70-79 years, male 470.0
GTEX-ZQG8-1626-SM-DHXIT 60-69 years, female 467.0
GTEX-RUSQ-1526-SM-2TF62 50-59 years, male 434.5
GTEX-1H2FU-0126-SM-9WYSI 60-69 years, female 424.0
GTEX-1H3VE-0326-SM-9YFLH 40-49 years, male 406.9
GTEX-Q734-1926-SM-2I5EV 40-49 years, female 395.0
GTEX-ZTPG-0326-SM-5O9AX 20-29 years, female 376.9
GTEX-183WM-0126-SM-7LTAB 70-79 years, female 363.1
GTEX-1R9K4-0126-SM-DTX9X 60-69 years, male 360.4
GTEX-X88G-0126-SM-47JZ3 30-39 years, male 357.4
GTEX-1AX8Z-0126-SM-7DHM6 60-69 years, male 351.0
GTEX-SUCS-1926-SM-32PM3 70-79 years, male 340.5
GTEX-17F98-0626-SM-79OMX 40-49 years, female 338.7
GTEX-11WQK-0526-SM-5EQLD 50-59 years, male 337.0
GTEX-1497J-2426-SM-7IGNX 60-69 years, male 334.8
GTEX-11TT1-2526-SM-5EGIB 20-29 years, male 333.0
GTEX-X4XY-0226-SM-4E3IZ 60-69 years, male 333.0
GTEX-POMQ-2226-SM-2I5FK 20-29 years, female 332.8
GTEX-13NYS-0126-SM-5MR3W 60-69 years, male 330.9
GTEX-1F48J-0126-SM-7P8TT 50-59 years, female 329.9
GTEX-1C6VQ-0126-SM-7P8RI 50-59 years, male 323.8
GTEX-17EUY-0426-SM-793BD 20-29 years, male 323.3
GTEX-WI4N-1026-SM-3LK7N 40-49 years, female 322.1
GTEX-SE5C-1626-SM-2XCE3 40-49 years, female 321.6
GTEX-1HBPM-0226-SM-ARL9F 60-69 years, female 317.1
GTEX-1QP67-1626-SM-EAZ3X 40-49 years, female 317.1
GTEX-12WSL-2526-SM-5GCNJ 50-59 years, male 314.4
GTEX-OIZH-0126-SM-2HMIS 50-59 years, male 313.7
GTEX-13OVG-1926-SM-5L3DK 60-69 years, male 312.6
GTEX-1ICLZ-0126-SM-CKZPO 60-69 years, male 312.2
GTEX-ZDYS-2026-SM-5HL5L 50-59 years, male 309.1
GTEX-1JKYN-1326-SM-CGQG9 30-39 years, male 303.7
GTEX-1RLM8-2326-SM-EWRN4 50-59 years, male 297.9
GTEX-14E6C-0126-SM-5RQIP 40-49 years, male 297.6
GTEX-OIZG-0726-SM-33HBL 50-59 years, male 296.8
GTEX-U4B1-1826-SM-4DXSU 40-49 years, male 293.4
GTEX-PSDG-0226-SM-DKPOZ 50-59 years, male 292.3
GTEX-18A66-0226-SM-718BD 60-69 years, male 288.8
GTEX-15UF6-0826-SM-6PALJ 70-79 years, female 285.9
GTEX-ZXES-1826-SM-5E43S 30-39 years, female 285.8
GTEX-14PN4-0126-SM-6EU2V 50-59 years, male 285.2
GTEX-12WSN-5019-SM-79OM6 40-49 years, male 284.9
GTEX-14PK6-1926-SM-6ETZU 70-79 years, female 282.7
GTEX-YJ8A-0426-SM-5IFID 20-29 years, male 280.8
GTEX-1A3MW-0126-SM-73KXX 60-69 years, female 278.9
GTEX-Y3IK-2426-SM-4WWDU 50-59 years, female 277.8
GTEX-1R7EU-0226-SM-EVR4G 60-69 years, male 276.8
GTEX-P4PQ-0126-SM-2S1NM 60-69 years, male 276.3
GTEX-144FL-0126-SM-5TDC8 50-59 years, male 276.1
GTEX-1PPH7-2326-SM-EVYB8 40-49 years, male 275.6
GTEX-ZVT2-2526-SM-51MT1 50-59 years, female 275.2
GTEX-1399U-2326-SM-5K7WY 50-59 years, female 274.7
GTEX-14ICK-0226-SM-6EU25 40-49 years, male 274.4
GTEX-1GZ4H-1726-SM-7PBZJ 50-59 years, female 273.2
GTEX-1211K-2026-SM-5EQ4Z 60-69 years, female 273.0
GTEX-XAJ8-0826-SM-47JY6 40-49 years, male 268.9
GTEX-145LT-1726-SM-5QGP3 40-49 years, male 265.7
GTEX-14BIL-0126-SM-5SI92 50-59 years, male 265.6
GTEX-WY7C-2326-SM-3NB2U 50-59 years, male 264.7
GTEX-PLZ4-0126-SM-5SI8O 50-59 years, female 263.6
GTEX-1N2DV-0226-SM-E6CJ6 40-49 years, male 260.9
GTEX-14753-0426-SM-5NQAM 60-69 years, male 258.1
GTEX-1LBAC-0126-SM-DIPEZ 20-29 years, male 257.6
GTEX-14PHX-2326-SM-62LEM 50-59 years, male 257.3
GTEX-1C6WA-0126-SM-7PC2B 60-69 years, male 256.7
GTEX-1ICG6-2526-SM-CGQFZ 70-79 years, female 256.3
GTEX-13VXT-0126-SM-5LU4I 20-29 years, female 254.4
GTEX-1K2DA-1826-SM-CGQGT 50-59 years, male 254.4
GTEX-145LV-2126-SM-5LU8N 50-59 years, male 252.9
GTEX-11XUK-2026-SM-5EQLF 40-49 years, female 250.4
GTEX-ZF3C-0126-SM-DO92D 50-59 years, female 250.3
GTEX-183FY-0126-SM-7LT9P 20-29 years, male 249.9
GTEX-YEC4-2126-SM-5IFJH 40-49 years, male 249.8
GTEX-1I1GU-2226-SM-CGQFA 40-49 years, male 249.2
GTEX-Q2AI-1326-SM-2S1PL 40-49 years, male 248.5
GTEX-111VG-2426-SM-5GZXD 60-69 years, male 248.2
GTEX-OOBK-0126-SM-2YUND 40-49 years, male 246.8
GTEX-13X6I-0626-SM-5QGP9 60-69 years, male 246.6
GTEX-1HCU6-0126-SM-CL54K 60-69 years, female 246.6
GTEX-PWCY-1826-SM-DHXIZ 20-29 years, female 245.3
GTEX-1PFEY-1526-SM-E76PP 30-39 years, male 243.4
GTEX-145MN-2226-SM-5SIAU 30-39 years, male 243.3
GTEX-1J8EW-0126-SM-CJI4F 60-69 years, female 242.4
GTEX-ZQUD-1426-SM-57WER 30-39 years, male 242.0
GTEX-1MA7W-2026-SM-E9TJ6 20-29 years, female 241.9
GTEX-QDT8-0126-SM-48TZ1 30-39 years, female 241.3
GTEX-ZGAY-0526-SM-4WWBB 40-49 years, female 241.2
GTEX-145MO-0326-SM-5Q5B3 60-69 years, male 240.9
GTEX-1KANC-1526-SM-D3LAB 50-59 years, female 238.3
GTEX-113IC-0126-SM-5HL6T 60-69 years, male 237.8
GTEX-X4EP-0126-SM-3P5YV 60-69 years, female 237.4
GTEX-13CF2-2526-SM-5LZYX 60-69 years, male 237.2
GTEX-15SHW-0326-SM-6PAML 60-69 years, male 236.6
GTEX-1JMQK-0226-SM-CL543 60-69 years, male 235.4
GTEX-117YX-2326-SM-5H12W 50-59 years, male 235.2
GTEX-11O72-0126-SM-59887 40-49 years, male 235.2
GTEX-SN8G-0126-SM-32PLI 50-59 years, female 233.6
GTEX-13NZ8-0826-SM-5MR3I 60-69 years, female 233.5
GTEX-O5YW-0126-SM-3LK6D 50-59 years, male 232.9
GTEX-11DZ1-0126-SM-5985Q 50-59 years, male 232.5
GTEX-13FTW-2626-SM-5K7WL 40-49 years, male 231.1
GTEX-1F6RS-0126-SM-9MQKZ 60-69 years, female 230.7
GTEX-XBEW-0626-SM-4QASP 40-49 years, male 230.6
GTEX-12584-0126-SM-5EGKQ 40-49 years, male 229.8
GTEX-1HB9E-0226-SM-E9U4R 50-59 years, male 229.6
GTEX-1AX9K-2326-SM-73KWU 50-59 years, male 229.3
GTEX-146FR-1326-SM-E9J48 60-69 years, female 228.2
GTEX-14BMU-2226-SM-5TDE9 20-29 years, female 227.7
GTEX-1CAV2-2226-SM-7P8P2 40-49 years, female 227.6
GTEX-1IDJF-0126-SM-CM2RS 20-29 years, male 227.3
GTEX-1AYD5-2426-SM-73KXR 50-59 years, male 226.6
GTEX-OXRL-0126-SM-2YUMP 50-59 years, male 226.2
GTEX-OXRK-0226-SM-3NB2G 50-59 years, female 225.1
GTEX-NPJ8-0126-SM-2YUNR 40-49 years, male 224.7
GTEX-15EOM-0126-SM-7KUGG 20-29 years, female 224.6
GTEX-15SB6-1726-SM-6PAME 50-59 years, female 224.4
GTEX-QLQW-1126-SM-2S1Q8 30-39 years, male 224.4
GTEX-18D9B-0526-SM-7LTAS 60-69 years, male 223.9
GTEX-1HUB1-0426-SM-E9U4U 60-69 years, male 223.7
GTEX-131XF-5016-SM-7MGWE 60-69 years, male 223.6
GTEX-Y5LM-1926-SM-5RQJH 40-49 years, female 222.7
GTEX-11EM3-2426-SM-59861 20-29 years, female 222.5
GTEX-ZZPT-0226-SM-5E43X 50-59 years, male 222.5
GTEX-14PJ3-1826-SM-62LEX 50-59 years, male 221.3
GTEX-13O1R-0126-SM-5L3EH 60-69 years, male 220.9
GTEX-1N2EF-0226-SM-EYYXB 60-69 years, male 220.8
GTEX-14JIY-0126-SM-6LLH6 60-69 years, male 220.5
GTEX-13O21-1426-SM-5K7XI 50-59 years, male 220.4
GTEX-OXRN-0126-SM-48TDM 50-59 years, male 220.1
GTEX-S33H-1026-SM-EZ6L6 30-39 years, male 219.8
GTEX-1QCLY-0326-SM-E8VOG 30-39 years, male 218.4
GTEX-X8HC-0126-SM-4E3JW 50-59 years, female 218.1
GTEX-1S3DN-2226-SM-EVYCD 50-59 years, male 217.4
GTEX-15UKP-0426-SM-7KUFQ 20-29 years, male 217.2
GTEX-ZF28-0126-SM-4WKGK 60-69 years, male 217.1
GTEX-1R9PO-2126-SM-E9J4O 60-69 years, female 217.1
GTEX-1I6K6-0126-SM-A9SLE 30-39 years, male 216.8
GTEX-TKQ1-1026-SM-4GICL 30-39 years, male 216.7
GTEX-WYJK-0126-SM-3NMAB 50-59 years, male 215.0
GTEX-13RTK-1426-SM-5QGQJ 20-29 years, male 214.7
GTEX-13FHO-0226-SM-5IFGY 60-69 years, male 214.1
GTEX-RTLS-0126-SM-447CA 60-69 years, female 214.0
GTEX-12WSK-2326-SM-5GCOH 40-49 years, female 213.8
GTEX-1K2DU-2326-SM-E9TIV 20-29 years, male 213.7
GTEX-11EMC-2926-SM-5EQ4F 60-69 years, female 213.0
GTEX-1NV5F-0226-SM-E8VNY 60-69 years, female 213.0
GTEX-ZF29-2326-SM-DO92K 60-69 years, female 212.5
GTEX-1A3MX-0126-SM-731BR 60-69 years, male 212.3
GTEX-1JKYR-0126-SM-CNPOJ 20-29 years, male 212.1
GTEX-146FQ-0126-SM-5NQA9 30-39 years, male 211.9
GTEX-139D8-0226-SM-5KLZO 30-39 years, female 211.2
GTEX-14DAR-2026-SM-5S2O3 50-59 years, male 211.2
GTEX-1LC47-0326-SM-E9TJP 60-69 years, male 210.8
GTEX-NFK9-0226-SM-2HMKQ 40-49 years, male 210.5
GTEX-11P7K-2126-SM-5GU7G 30-39 years, male 210.3
GTEX-17EVQ-0226-SM-7LG4P 70-79 years, male 210.2
GTEX-XBED-2226-SM-47JYQ 60-69 years, male 210.0
GTEX-YB5E-2026-SM-5IFIS 40-49 years, male 209.9
GTEX-S7PM-0126-SM-4AD6S 60-69 years, male 209.2
GTEX-12ZZX-0126-SM-5EGK9 40-49 years, female 209.1
GTEX-146FH-0126-SM-5QGPP 50-59 years, female 208.5
GTEX-X638-0126-SM-47JZ8 70-79 years, female 208.0
GTEX-ZDXO-3026-SM-5J1N5 60-69 years, male 207.8
GTEX-1HSEH-0126-SM-ACKXN 60-69 years, male 207.4
GTEX-P4QT-0126-SM-2I3FL 50-59 years, female 206.9
GTEX-TML8-1926-SM-32QOS 40-49 years, female 206.8
GTEX-13D11-2426-SM-5KM1V 50-59 years, female 206.6
GTEX-1QP9N-1426-SM-DTXFL 30-39 years, male 206.3
GTEX-13YAN-0326-SM-5O9DF 60-69 years, male 206.0
GTEX-1RAZQ-0726-SM-EAZ43 30-39 years, male 205.7
GTEX-R45C-0126-SM-EAZ2R 60-69 years, female 205.7
GTEX-13G51-2526-SM-5LZYK 60-69 years, male 205.2
GTEX-15D1Q-0126-SM-7KUG6 40-49 years, male 205.0
GTEX-T8EM-1026-SM-3DB7M 40-49 years, male 204.9
GTEX-117YW-2626-SM-5GZZH 50-59 years, male 204.7
GTEX-1R46S-0626-SM-E9J41 60-69 years, female 204.7
GTEX-1I4MK-2226-SM-ACKWD 50-59 years, female 204.6
GTEX-ZAB4-0226-SM-5N9F5 40-49 years, male 204.5
GTEX-1KANA-0726-SM-D3L9I 20-29 years, male 204.5
GTEX-1399R-2726-SM-5IJBA 30-39 years, male 204.4
GTEX-18QFQ-0126-SM-731BE 30-39 years, male 204.1
GTEX-1I1GS-0126-SM-B2LVW 60-69 years, male 203.9
GTEX-1F6IF-0726-SM-7P8TW 60-69 years, male 203.3
GTEX-1M4P7-0226-SM-DIPEV 60-69 years, male 203.3
GTEX-1J8QM-2126-SM-CYPSJ 60-69 years, female 203.2
GTEX-1QP66-1726-SM-E8VO1 50-59 years, male 202.8
GTEX-1C2JI-1826-SM-73KXC 50-59 years, male 202.4
GTEX-1JK1U-2026-SM-CM2RZ 60-69 years, male 202.2
GTEX-12WSJ-1826-SM-5GCNY 40-49 years, female 201.6
GTEX-1MGNQ-0126-SM-EVYCJ 40-49 years, male 201.5
GTEX-1CAMR-1926-SM-7EPI2 20-29 years, male 201.1
GTEX-13111-1626-SM-5EGJY 50-59 years, male 200.7
GTEX-OOBJ-0126-SM-E6CJW 60-69 years, male 200.7
GTEX-Q2AG-0126-SM-33HBV 40-49 years, female 200.5
GTEX-1QP29-0626-SM-EWRMX 50-59 years, male 200.4
GTEX-14C5O-0126-SM-5SI6N 60-69 years, male 199.7
GTEX-147F3-0526-SM-5SI98 50-59 years, female 198.7
GTEX-1GN1U-0126-SM-7PBZK 50-59 years, female 198.5
GTEX-ZC5H-0226-SM-4WAY9 40-49 years, female 198.0
GTEX-U8XE-0326-SM-3DB8P 30-39 years, male 197.6
GTEX-1JMOU-1526-SM-CL54I 60-69 years, female 196.7
GTEX-15SDE-2226-SM-7IGLO 50-59 years, female 196.5
GTEX-Y8LW-1826-SM-5S2MV 50-59 years, female 196.1
GTEX-XQ8I-0426-SM-4BOPO 50-59 years, male 195.5
GTEX-14XAO-2326-SM-6EU1B 60-69 years, female 195.3
GTEX-U3ZM-1526-SM-3DB9D 40-49 years, male 194.3
GTEX-WH7G-2326-SM-3NMBC 40-49 years, male 194.0
GTEX-1F75A-0126-SM-7RHGM 50-59 years, male 193.6
GTEX-17F96-1626-SM-7DUFL 70-79 years, male 193.1
GTEX-1LSNM-1926-SM-E6CII 50-59 years, male 193.0
GTEX-131XE-2326-SM-5PNZ2 50-59 years, male 192.7
GTEX-ZE7O-0126-SM-57WC1 50-59 years, female 192.7
GTEX-1HSGN-0226-SM-CGQFV 40-49 years, female 191.3
GTEX-1PDJ9-0326-SM-DTX95 20-29 years, male 191.3
GTEX-1122O-2126-SM-5EGIR 60-69 years, female 191.2
GTEX-11P82-1626-SM-59879 20-29 years, male 191.1
GTEX-WRHK-1426-SM-3MJF9 20-29 years, female 191.1
GTEX-YB5K-2126-SM-4WWDJ 40-49 years, female 191.1
GTEX-15G19-0126-SM-6PANQ 60-69 years, male 190.9
GTEX-1PIGE-0126-SM-EVYBJ 20-29 years, male 190.9
GTEX-113JC-2326-SM-5EQ4E 50-59 years, female 189.9
GTEX-ZDTT-2726-SM-4WKF8 60-69 years, male 189.9
GTEX-ZYFD-0126-SM-5GIDL 50-59 years, male 189.5
GTEX-1OFPY-2426-SM-DTXEJ 60-69 years, male 189.3
GTEX-Q2AH-1626-SM-3GAF8 40-49 years, male 188.8
GTEX-13CF3-2426-SM-5IFGX 60-69 years, female 188.7
GTEX-1J1R8-1726-SM-ARL8M 40-49 years, male 188.5
GTEX-1A3MV-1926-SM-718BT 30-39 years, male 187.5
GTEX-1B8L1-2526-SM-9WYTF 60-69 years, male 187.0
GTEX-1R9PM-2026-SM-E76OY 20-29 years, male 187.0
GTEX-W5X1-3026-SM-EAZAX 40-49 years, female 186.9
GTEX-X4XX-0126-SM-3NMC2 60-69 years, male 186.8
GTEX-11ZUS-0626-SM-59885 30-39 years, male 186.5
GTEX-1S5ZA-0126-SM-EVYCV 20-29 years, male 186.5
GTEX-1GF9W-0326-SM-9KNUN 60-69 years, male 186.1
GTEX-Y114-2426-SM-4TT8A 50-59 years, female 185.7
GTEX-1PPH8-0226-SM-E8VND 20-29 years, male 185.4
GTEX-1B8KE-2126-SM-73KYX 50-59 years, male 185.0
GTEX-13RTJ-2426-SM-5S2Q2 60-69 years, male 184.8
GTEX-13N1W-0126-SM-5K7VT 70-79 years, male 184.4
GTEX-Y8DK-0126-SM-4TT3L 60-69 years, male 184.4
GTEX-1KD5A-0226-SM-D5OV3 50-59 years, male 184.2
GTEX-1S82Z-0826-SM-E6CHY 30-39 years, female 184.0
GTEX-15F5U-1526-SM-6PANO 40-49 years, male 183.6
GTEX-SIU8-0126-SM-2XCDT 50-59 years, male 183.1
GTEX-WXYG-2326-SM-4E3I6 50-59 years, female 183.1
GTEX-1EKGG-0226-SM-9WYTH 60-69 years, male 183.1
GTEX-139T8-0126-SM-5K7XZ 60-69 years, male 182.9
GTEX-1JJ6O-0126-SM-E6CI8 60-69 years, male 182.2
GTEX-15EU6-0426-SM-6PAN5 50-59 years, male 182.0
GTEX-1IKK5-0626-SM-ARL8A 60-69 years, male 182.0
GTEX-13O3P-0126-SM-5KM4S 50-59 years, male 181.7
GTEX-13OVL-0226-SM-5L3E9 50-59 years, male 181.7
GTEX-13OVI-1426-SM-5L3EY 60-69 years, female 181.5
GTEX-12126-0326-SM-5PNW3 20-29 years, male 181.1
GTEX-17HII-0226-SM-7LG4E 50-59 years, male 181.0
GTEX-P4PP-0126-SM-3LK69 30-39 years, female 180.4
GTEX-T2YK-0526-SM-32QPJ 50-59 years, male 180.3
GTEX-RM2N-1426-SM-2TF4H 50-59 years, male 179.8
GTEX-ZVE2-0226-SM-59HJB 50-59 years, male 179.6
GTEX-14LLW-0126-SM-6LLIO 70-79 years, female 179.5
GTEX-ZYW4-0126-SM-5E44A 60-69 years, male 179.5
GTEX-1C64N-0126-SM-793D7 50-59 years, male 179.3
GTEX-T6MO-1626-SM-32QOM 40-49 years, female 179.2
GTEX-11H98-0126-SM-5EGHG 50-59 years, male 179.1
GTEX-1F5PK-2426-SM-7RHHY 50-59 years, male 178.9
GTEX-Z9EW-1626-SM-5CVMN 40-49 years, male 178.7
GTEX-T5JC-0426-SM-32PLO 20-29 years, male 178.3
GTEX-R55E-0126-SM-2TC5Y 20-29 years, male 178.2
GTEX-1GMR8-0126-SM-9WYTM 50-59 years, female 178.1
GTEX-1HFI6-0226-SM-ADEHZ 40-49 years, male 177.9
GTEX-16XZY-2126-SM-79OK1 70-79 years, male 177.8
GTEX-1CB4E-2226-SM-793DC 60-69 years, male 177.3
GTEX-1CB4G-0226-SM-7PC3O 60-69 years, male 177.2
GTEX-11WQC-2526-SM-5CVLE 60-69 years, male 177.0
GTEX-16AAH-1726-SM-7939C 50-59 years, male 176.9
GTEX-1N2DW-0226-SM-E9TK2 50-59 years, male 176.7
GTEX-1HCUA-2426-SM-ADEIS 50-59 years, female 176.2
GTEX-11TTK-0126-SM-5987B 60-69 years, female 176.0
GTEX-PLZ5-2026-SM-2S1O4 50-59 years, male 176.0
GTEX-1HGF4-2426-SM-ACKXM 60-69 years, male 175.6
GTEX-1MA7X-2226-SM-E6CIY 60-69 years, male 175.6
GTEX-17GQL-2026-SM-718BA 60-69 years, male 175.4
GTEX-1B8SF-1426-SM-7DUGL 60-69 years, male 175.4
GTEX-ZVZP-2426-SM-59HKJ 50-59 years, male 175.4
GTEX-XV7Q-2526-SM-4BRV9 40-49 years, female 175.2
GTEX-ZV68-0126-SM-59HKS 50-59 years, female 175.0
GTEX-16MT8-0426-SM-7KUEY 60-69 years, female 174.9
GTEX-ZF2S-2326-SM-4WWCE 50-59 years, female 174.9
GTEX-XYKS-2126-SM-4E3IB 60-69 years, female 174.8
GTEX-13OVK-2026-SM-7KUEO 40-49 years, male 174.7
GTEX-Y111-0126-SM-4SOIV 50-59 years, male 174.2
GTEX-QCQG-1726-SM-3GIJ9 50-59 years, female 174.1
GTEX-17MF6-0126-SM-7LG4F 40-49 years, male 173.5
GTEX-ZPIC-1726-SM-DHXIU 40-49 years, female 173.5
GTEX-X261-0126-SM-3NMD6 50-59 years, male 173.4
GTEX-1GPI7-0126-SM-9MQL8 20-29 years, male 173.1
GTEX-1OJC3-0126-SM-E76QX 20-29 years, male 172.7
GTEX-ZWKS-0126-SM-5SIAA 30-39 years, male 172.3
GTEX-1CB4I-0226-SM-79OLH 50-59 years, male 172.0
GTEX-TMZS-0126-SM-3DB9Q 60-69 years, male 172.0
GTEX-1LGOU-2026-SM-DIPFF 20-29 years, female 171.9
GTEX-13N11-2526-SM-5K7UE 50-59 years, female 171.6
GTEX-148VI-1626-SM-5SI6E 60-69 years, female 171.4
GTEX-Z93T-0126-SM-5HL5N 50-59 years, male 171.1
GTEX-1R7EV-2426-SM-EVYBG 40-49 years, male 171.0
GTEX-VJYA-1126-SM-3GIJU 60-69 years, male 170.8
GTEX-1J1OQ-0226-SM-CYPSH 40-49 years, female 170.5
GTEX-18D9U-0226-SM-718BP 40-49 years, male 170.4
GTEX-1RAZA-0126-SM-E6CI3 20-29 years, male 170.4
GTEX-12WSD-0126-SM-59HKN 60-69 years, female 169.6
GTEX-1GF9X-2026-SM-7PC3A 40-49 years, female 169.6
GTEX-13X6H-2126-SM-7EWD5 50-59 years, female 169.3
GTEX-18A7B-0126-SM-7LG64 70-79 years, male 169.2
GTEX-11GSP-2526-SM-5N9BP 60-69 years, female 169.1
GTEX-11DYG-0126-SM-59883 60-69 years, male 168.6
GTEX-14PJM-0226-SM-62LF1 50-59 years, female 168.6
GTEX-1CB4J-0626-SM-7DHMP 60-69 years, male 168.6
GTEX-S95S-1226-SM-4GICG 60-69 years, male 168.3
GTEX-X5EB-2226-SM-46MW4 40-49 years, male 168.3
GTEX-1192X-0226-SM-5H12D 50-59 years, male 168.1
GTEX-OHPM-0126-SM-2YUN9 50-59 years, male 168.0
GTEX-O5YT-0126-SM-48TBW 20-29 years, male 167.6
GTEX-12WSG-2826-SM-E9J4H 50-59 years, female 167.6
GTEX-XUW1-0426-SM-4BOOT 50-59 years, female 167.5
GTEX-XUZC-1726-SM-4BRWS 30-39 years, female 167.1
GTEX-1HSMP-0126-SM-E6CJS 70-79 years, male 166.8
GTEX-14BIM-0226-SM-7IGLD 60-69 years, female 166.5
GTEX-1JMPY-1326-SM-ARL8Y 30-39 years, male 166.5
GTEX-1S83E-0126-SM-EWRO4 40-49 years, male 166.5
GTEX-WVJS-0126-SM-4MVOT 50-59 years, male 165.9
GTEX-1HKZK-0326-SM-9WYUH 40-49 years, male 165.4
GTEX-1KXAM-2226-SM-CYPTC 60-69 years, male 165.4
GTEX-1S82Y-2026-SM-EVYCM 40-49 years, male 165.4
GTEX-13113-5016-SM-7EPIP 60-69 years, female 165.2
GTEX-1H23P-0126-SM-ADEJ3 60-69 years, male 165.2
GTEX-W5WG-1826-SM-4KL2Y 50-59 years, female 164.9
GTEX-1B933-0126-SM-7PC29 50-59 years, female 164.6
GTEX-T5JW-1626-SM-3GADZ 20-29 years, female 164.4
GTEX-ZY6K-1826-SM-5GZXK 50-59 years, male 164.4
GTEX-18D9A-1926-SM-7LG6P 30-39 years, female 163.7
GTEX-1QPFJ-0226-SM-E76PB 30-39 years, female 163.6
GTEX-1GN73-0226-SM-9WG67 60-69 years, male 163.3
GTEX-1H1DG-0126-SM-9WYU2 70-79 years, male 163.2
GTEX-QEG4-0226-SM-2S1PY 30-39 years, male 163.1
GTEX-13O3O-0126-SM-E9J49 60-69 years, female 162.9
GTEX-1JMQI-2226-SM-CM2SD 50-59 years, male 162.7
GTEX-ZEX8-2426-SM-4WKG4 50-59 years, male 162.6
GTEX-1JN1M-0326-SM-CYPT3 60-69 years, female 162.6
GTEX-1AX9I-0126-SM-7SB74 60-69 years, male 162.5
GTEX-1JMLX-0226-SM-CM2RO 50-59 years, male 162.5
GTEX-UPJH-0326-SM-3GADU 50-59 years, male 162.3
GTEX-11UD1-0126-SM-5PNYG 40-49 years, female 162.0
GTEX-11DXZ-2326-SM-5EGGV 50-59 years, male 161.8
GTEX-139TS-2826-SM-5J1OO 60-69 years, male 161.6
GTEX-1LVAN-0226-SM-COH3S 50-59 years, female 161.6
GTEX-11GS4-2726-SM-5A5LE 60-69 years, male 161.3
GTEX-1K9T9-0126-SM-EVYCF 50-59 years, female 161.1
GTEX-12WSA-0226-SM-5BC5V 60-69 years, male 160.8
GTEX-17F97-0326-SM-7LG5B 50-59 years, male 160.8
GTEX-1269C-2526-SM-5EGJ3 60-69 years, female 160.7
GTEX-1H1DE-2126-SM-9WG6R 20-29 years, male 160.6
GTEX-1MUQO-0126-SM-EAZ58 60-69 years, male 160.6
GTEX-1HBPI-1526-SM-C1YQ1 50-59 years, male 160.5
GTEX-18A6Q-0126-SM-731BZ 60-69 years, male 160.2
GTEX-18A67-0126-SM-7LG5P 50-59 years, male 159.8
GTEX-XXEK-2226-SM-4BRUM 50-59 years, male 159.8
GTEX-1EMGI-0126-SM-9KNUE 60-69 years, male 159.8
GTEX-15ETS-0126-SM-7KUMW 40-49 years, female 159.6
GTEX-1GN1W-0526-SM-9MQJQ 50-59 years, female 159.6
GTEX-14E6E-1826-SM-5S2R7 30-39 years, male 159.0
GTEX-P44H-0226-SM-2XCEU 40-49 years, male 159.0
GTEX-X4EO-0326-SM-3P5YO 60-69 years, female 159.0
GTEX-13VXU-0126-SM-5SI9F 50-59 years, male 158.9
GTEX-1F75B-0126-SM-9KNVL 50-59 years, male 158.8
GTEX-1CB4F-0426-SM-9KNV4 60-69 years, male 158.4
GTEX-1JMPZ-0226-SM-CNPP1 30-39 years, male 158.4
GTEX-117XS-2726-SM-5N9BL 60-69 years, male 158.2
GTEX-1RB15-2126-SM-E9TIM 60-69 years, male 158.0
GTEX-15DYW-0126-SM-7KULE 60-69 years, female 157.9
GTEX-U8T8-0126-SM-3DB94 60-69 years, male 157.9
GTEX-1HSMQ-1226-SM-CGQFX 50-59 years, male 157.8
GTEX-PX3G-0126-SM-2I3EN 20-29 years, female 157.5
GTEX-RN64-0126-SM-2TC68 50-59 years, male 157.5
GTEX-PLZ6-1426-SM-DKPOT 30-39 years, male 157.4
GTEX-12ZZZ-0626-SM-5DUXI 60-69 years, male 156.9
GTEX-1H3VY-0126-SM-ACKXD 50-59 years, male 156.5
GTEX-13FH7-2026-SM-E9J4I 50-59 years, female 156.2
GTEX-14BIN-0626-SM-793DP 50-59 years, female 156.0
GTEX-ZU9S-0226-SM-5E441 30-39 years, male 155.7
GTEX-16GPK-0126-SM-7DHLE 60-69 years, male 155.6
GTEX-1AX9J-0226-SM-73KXM 60-69 years, male 155.6
GTEX-14PII-0226-SM-6EU1T 60-69 years, male 155.5
GTEX-1F5PL-0326-SM-7P8PQ 40-49 years, female 155.5
GTEX-ZDTS-0126-SM-4WAY5 60-69 years, male 155.3
GTEX-14ABY-0226-SM-5TDCQ 50-59 years, male 154.7
GTEX-VUSG-2526-SM-4KL1V 50-59 years, male 154.7
GTEX-1C6VS-0526-SM-7DUEN 60-69 years, male 154.5
GTEX-17HHY-0126-SM-7LG5D 50-59 years, male 154.3
GTEX-ZUA1-0126-SM-5GU76 40-49 years, male 154.3
GTEX-14A6H-0126-SM-5QGPK 30-39 years, male 154.1
GTEX-1CAMS-0426-SM-7P8T2 40-49 years, female 154.0
GTEX-1B8SG-0126-SM-73KZ3 50-59 years, male 153.8
GTEX-111FC-0126-SM-5N9DL 60-69 years, male 153.7
GTEX-1F75I-0326-SM-9YFLU 40-49 years, male 153.3
GTEX-1POEN-0126-SM-EYYXJ 30-39 years, female 153.3
GTEX-WYVS-2126-SM-3NMA3 40-49 years, female 153.2
GTEX-11VI4-1726-SM-5CVLH 40-49 years, female 153.0
GTEX-1LNCM-1126-SM-E9U5E 50-59 years, female 153.0
GTEX-13W46-0226-SM-5SIAG 50-59 years, male 152.9
GTEX-1EX96-1626-SM-7PBXR 50-59 years, male 152.8
GTEX-11DXW-0226-SM-5H122 40-49 years, male 152.5
GTEX-QVJO-1626-SM-2S1QW 60-69 years, female 152.4
GTEX-1C64O-0126-SM-7SB8P 60-69 years, male 152.3
GTEX-R55G-2526-SM-2TC6D 40-49 years, female 152.2
GTEX-ZTX8-1426-SM-5DUVO 20-29 years, male 151.9
GTEX-11ZTS-0126-SM-5EQ6M 60-69 years, female 151.6
GTEX-11OF3-2626-SM-5GU7F 60-69 years, male 151.5
GTEX-13IVO-0126-SM-5J1NG 70-79 years, male 151.4
GTEX-XQ3S-1526-SM-4BOOC 20-29 years, male 151.1
GTEX-ZVTK-0426-SM-51MRS 20-29 years, male 151.1
GTEX-11NUK-0126-SM-5A5L3 50-59 years, male 151.0
GTEX-12KS4-0326-SM-5EQ41 30-39 years, male 150.9
GTEX-18A7A-0226-SM-718BH 50-59 years, female 150.9
GTEX-1H3NZ-0126-SM-ACKX7 60-69 years, male 150.9
GTEX-T6MN-0126-SM-32PLP 50-59 years, male 150.6
GTEX-PVOW-0126-SM-2XCFA 40-49 years, male 150.5
GTEX-1ICLY-0126-SM-D4P36 50-59 years, male 150.5
GTEX-WQUQ-0426-SM-3MJFU 60-69 years, male 150.4
GTEX-14PHW-0126-SM-6LLJI 60-69 years, female 150.3
GTEX-1EU9M-0226-SM-7P8SP 60-69 years, male 150.3
GTEX-13FXS-0226-SM-5IJCK 50-59 years, male 150.2
GTEX-1H11D-0226-SM-9WG6Z 40-49 years, male 150.1
GTEX-1J8JJ-0226-SM-CL53I 60-69 years, female 150.1
GTEX-1PIIG-0226-SM-EWRN6 30-39 years, male 150.0
GTEX-WFG8-2226-SM-3GIL9 20-29 years, male 149.9
GTEX-12C56-1726-SM-5EQ61 20-29 years, male 149.4
GTEX-1MJK2-0426-SM-DTXE5 50-59 years, male 149.3
GTEX-13QJ3-0326-SM-5S2RA 50-59 years, male 149.2
GTEX-145MI-0526-SM-5O9A8 60-69 years, female 149.0
GTEX-11DXX-2426-SM-5GZZW 60-69 years, female 148.7
GTEX-ZV6S-2326-SM-4YCEY 40-49 years, female 148.6
GTEX-1JN6P-0126-SM-D3L98 60-69 years, male 148.6
GTEX-1QEPI-0126-SM-EWRMQ 60-69 years, female 148.6
GTEX-1F52S-0126-SM-9MQJU 60-69 years, female 148.5
GTEX-131XG-2626-SM-5KM17 50-59 years, female 148.4
GTEX-QLQ7-1626-SM-2S1R8 60-69 years, male 148.4
GTEX-1NHNU-1026-SM-E9J2A 50-59 years, male 148.2
GTEX-11EI6-0126-SM-5985R 60-69 years, male 148.1
GTEX-1314G-1526-SM-5EGK2 30-39 years, male 147.7
GTEX-X585-0226-SM-4QAS2 50-59 years, male 147.7
GTEX-ZZ64-1726-SM-5GZYB 20-29 years, male 147.7
GTEX-15SHU-0126-SM-7KUEH 40-49 years, female 147.2
GTEX-14A5H-0426-SM-5QGQF 60-69 years, male 147.1
GTEX-15RIG-0226-SM-7KFTL 40-49 years, male 147.1
GTEX-1F7RK-0126-SM-7PC2S 20-29 years, female 147.1
GTEX-11ZU8-2526-SM-5EQKI 60-69 years, male 147.0
GTEX-15ER7-0326-SM-7KUEV 20-29 years, female 146.9
GTEX-TMMY-0226-SM-33HBA 40-49 years, female 146.5
GTEX-1I1GR-0126-SM-CL55F 60-69 years, male 146.2
GTEX-RWS6-2026-SM-2XCB5 60-69 years, female 145.9
GTEX-T2IS-0126-SM-4DM6O 20-29 years, female 145.9
GTEX-RWSA-0126-SM-2XCBB 40-49 years, male 145.5
GTEX-WOFL-0126-SM-3MJG2 60-69 years, male 145.4
GTEX-QESD-1426-SM-2S1R9 20-29 years, male 145.3
GTEX-1399T-2826-SM-5KLYZ 60-69 years, male 145.1
GTEX-1L5NE-2526-SM-E6CIE 50-59 years, male 144.8
GTEX-Y5V5-2326-SM-4V6GA 60-69 years, female 144.7
GTEX-ZAJG-0126-SM-5HL94 50-59 years, female 144.7
GTEX-1B8KZ-2026-SM-7DHMB 50-59 years, male 144.6
GTEX-1QAET-0926-SM-E76QM 50-59 years, male 144.6
GTEX-13OW6-0426-SM-5L3HM 50-59 years, male 144.5
GTEX-1QW4Y-1526-SM-EAZ3Z 30-39 years, male 144.5
GTEX-1H1E6-1726-SM-ACKVK 30-39 years, male 144.4
GTEX-13O3Q-2426-SM-5IJBR 50-59 years, male 144.2
GTEX-1JN76-0126-SM-CNPPE 20-29 years, female 144.1
GTEX-1LG7Z-1726-SM-D3LA4 30-39 years, male 144.1
GTEX-1F6I4-0126-SM-9MQL2 60-69 years, male 144.0
GTEX-132NY-0326-SM-5IJBL 60-69 years, male 143.9
GTEX-11OC5-0126-SM-5HL6A 60-69 years, male 143.8
GTEX-11TUW-2726-SM-E9J4M 60-69 years, male 143.8
GTEX-1CB4H-0226-SM-7PBXM 60-69 years, female 143.7
GTEX-13PVR-2326-SM-5QGR1 60-69 years, female 143.5
GTEX-1HBPH-0426-SM-B2LW5 40-49 years, female 143.5
GTEX-1HR98-0126-SM-B2LWI 60-69 years, male 143.5
GTEX-14JG6-2226-SM-6EU2G 30-39 years, female 143.3
GTEX-QDVJ-1726-SM-2I5FX 50-59 years, male 143.3
GTEX-17HHE-2026-SM-79OKF 50-59 years, male 143.1
GTEX-U412-0426-SM-3DB9O 60-69 years, male 143.1
GTEX-14PN3-2426-SM-6LLHS 60-69 years, female 143.0
GTEX-1H1CY-2826-SM-9MQM3 60-69 years, female 143.0
GTEX-17JCI-0126-SM-7LG5G 60-69 years, female 142.7
GTEX-15DDE-0126-SM-6LPKH 50-59 years, female 142.6
GTEX-16XZZ-0126-SM-793DV 60-69 years, male 142.5
GTEX-11P81-2326-SM-59875 30-39 years, female 142.4
GTEX-13NZB-2526-SM-5J1OM 30-39 years, male 142.1
GTEX-OXRP-0126-SM-3NB32 60-69 years, female 142.1
GTEX-S32W-2126-SM-2XCB1 50-59 years, female 142.1
GTEX-ZVT4-0126-SM-DTXFN 50-59 years, female 142.1
GTEX-17MFQ-1726-SM-793C7 20-29 years, male 141.9
GTEX-ZYFC-0226-SM-5NQ75 50-59 years, male 141.7
GTEX-1B996-0226-SM-7RHGO 60-69 years, male 141.2
GTEX-OIZF-0126-SM-7SB8I 60-69 years, male 141.2
GTEX-11ZTT-2426-SM-5EQLS 60-69 years, female 141.1
GTEX-1GZ2Q-0226-SM-7P8TL 40-49 years, male 141.1
GTEX-13FTX-1826-SM-5J1NX 20-29 years, female 141.0
GTEX-1LB8K-0226-SM-EWRNW 50-59 years, male 141.0
GTEX-U3ZH-2026-SM-3DB78 30-39 years, male 140.8
GTEX-RNOR-0126-SM-E9J4R 50-59 years, female 140.8
GTEX-17EVP-0326-SM-7DHLG 40-49 years, male 140.7
GTEX-ZVZO-0126-SM-5A5L9 40-49 years, male 140.7
GTEX-1GF9V-0326-SM-7RHI5 60-69 years, male 140.7
GTEX-13RTL-0126-SM-7LG5S 40-49 years, male 140.5
GTEX-1IL2U-0226-SM-CE6T8 60-69 years, male 140.3
GTEX-1EWIQ-0126-SM-7RHH2 70-79 years, female 140.2
GTEX-UJHI-1526-SM-3DB99 50-59 years, female 140.1
GTEX-YFC4-0126-SM-5CVLY 40-49 years, female 139.9
GTEX-11EQ9-2426-SM-5HL5T 30-39 years, male 139.8
GTEX-1KD4Q-0226-SM-E9TJ9 40-49 years, male 139.7
GTEX-139T4-0226-SM-5HL5S 50-59 years, female 139.4
GTEX-1128S-2326-SM-5GZZY 60-69 years, female 139.3
GTEX-QV44-1926-SM-2S1RF 50-59 years, male 139.1
GTEX-1GL5R-1826-SM-9KNUY 50-59 years, male 139.1
GTEX-1QMI2-0226-SM-EVYBX 60-69 years, male 139.1
GTEX-15DCD-0126-SM-7KUEK 70-79 years, female 138.9
GTEX-13NYC-0326-SM-E9J4S 60-69 years, male 138.9
GTEX-WZTO-0126-SM-3NM95 40-49 years, male 138.7
GTEX-1192W-2626-SM-5Q5AF 60-69 years, male 138.4
GTEX-1I1GV-0526-SM-A9G29 60-69 years, male 138.2
GTEX-SSA3-0126-SM-32QPU 60-69 years, male 137.9
GTEX-139TU-0126-SM-5K7WH 60-69 years, male 137.8
GTEX-18465-0126-SM-731BN 50-59 years, male 137.6
GTEX-13SLX-0526-SM-5S2ON 50-59 years, female 137.4
GTEX-ZVT3-0126-SM-5GU6I 60-69 years, female 137.1
GTEX-1I1CD-0126-SM-CM2TK 60-69 years, female 137.0
GTEX-ZE9C-2726-SM-57WB5 60-69 years, male 136.9
GTEX-XUYS-0126-SM-47JWZ 50-59 years, male 136.8
GTEX-1HCU8-0626-SM-A9SM9 60-69 years, female 136.6
GTEX-148VJ-0126-SM-5TDDN 70-79 years, male 136.5
GTEX-1HFI7-1826-SM-ACKXH 50-59 years, female 136.2
GTEX-X62O-0126-SM-4E3JN 50-59 years, male 136.0
GTEX-1IDFM-0126-SM-COH2V 60-69 years, male 135.8
GTEX-1RQEC-0426-SM-E6CHU 60-69 years, male 135.5
GTEX-13SLW-0126-SM-5SI6C 70-79 years, male 134.6
GTEX-1HCVE-0126-SM-CGQEU 50-59 years, male 134.3
GTEX-13X6J-0126-SM-5QGOU 50-59 years, male 134.0
GTEX-147GR-0526-SM-5S2MY 60-69 years, male 133.9
GTEX-15CHC-2126-SM-6EU21 60-69 years, female 133.9
GTEX-ZTSS-1926-SM-57WEW 40-49 years, male 133.8
GTEX-1GZHY-0326-SM-9QEHI 50-59 years, female 133.8
GTEX-1LG7Y-0526-SM-DKPQC 50-59 years, male 133.8
GTEX-1E1VI-0126-SM-7DHMZ 50-59 years, male 133.5
GTEX-1IDJU-2626-SM-CM2RT 60-69 years, female 132.9
GTEX-1313W-0126-SM-5LZUN 50-59 years, female 132.6
GTEX-RU72-0926-SM-2TF6B 50-59 years, female 132.6
GTEX-1JJEA-0326-SM-CNPOT 60-69 years, male 131.7
GTEX-RVPV-0126-SM-EAZAW 60-69 years, male 131.5
GTEX-13112-2826-SM-5DUWH 50-59 years, male 131.3
GTEX-1GMRU-0126-SM-9YFLV 50-59 years, male 131.2
GTEX-1J8Q3-1626-SM-CMKGC 60-69 years, male 131.2
GTEX-16YQH-0126-SM-7DUFJ 30-39 years, male 131.0
GTEX-11ZVC-2526-SM-5FQTE 50-59 years, female 130.7
GTEX-13OW7-0126-SM-5MR3B 50-59 years, male 130.6
GTEX-1HSMO-0126-SM-CL547 60-69 years, male 130.3
GTEX-Y8E4-0626-SM-4WWDL 40-49 years, male 130.1
GTEX-12ZZY-0226-SM-5LZVE 60-69 years, male 129.9
GTEX-1IY9M-0126-SM-D3L8S 60-69 years, male 129.8
GTEX-1I1GT-0626-SM-CGQER 60-69 years, female 129.7
GTEX-1M5QR-1226-SM-EWROB 40-49 years, male 129.6
GTEX-SNMC-1226-SM-2XCFP 20-29 years, male 129.3
GTEX-1A8FM-0226-SM-7SB7Q 50-59 years, female 129.3
GTEX-1JMQJ-0526-SM-CYPSU 50-59 years, male 129.2
GTEX-147F4-0226-SM-5QGPW 50-59 years, male 129.1
GTEX-12696-2426-SM-5EQ6H 60-69 years, male 128.7
GTEX-1LGRB-2526-SM-CNPPQ 50-59 years, female 128.7
GTEX-SJXC-0126-SM-2XCFF 60-69 years, male 128.5
GTEX-13OW5-0126-SM-DTXFS 60-69 years, male 128.4
GTEX-1HT8W-0126-SM-CNPPP 30-39 years, male 128.3
GTEX-11NSD-2226-SM-5986V 20-29 years, male 128.1
GTEX-145LU-0126-SM-5TDCB 50-59 years, male 128.1
GTEX-XMD2-0126-SM-4YCDU 60-69 years, female 127.9
GTEX-1F88F-2726-SM-7PBZZ 60-69 years, female 127.9
GTEX-ZYT6-0226-SM-5NQ6T 30-39 years, male 127.8
GTEX-S7SE-0126-SM-2XCD5 50-59 years, male 126.4
GTEX-1GN1V-0126-SM-9WPOS 60-69 years, male 126.4
GTEX-1HCU7-0226-SM-CL545 50-59 years, male 126.4
GTEX-1BAJH-0526-SM-793CQ 70-79 years, male 125.2
GTEX-13FHP-0126-SM-5IJBG 50-59 years, male 125.0
GTEX-16NGA-1726-SM-731B4 40-49 years, female 124.7
GTEX-14BMV-0126-SM-5S2PO 50-59 years, male 124.2
GTEX-145MF-0626-SM-5LUAI 50-59 years, male 123.8
GTEX-139TT-0126-SM-5K7Y5 60-69 years, male 123.7
GTEX-1GN2E-0426-SM-9MQKX 60-69 years, male 123.7
GTEX-13PDP-0126-SM-5L3HD 60-69 years, male 123.0
GTEX-11LCK-1026-SM-5A5KB 30-39 years, male 122.9
GTEX-1AMEY-1326-SM-73KYK 30-39 years, female 122.9
GTEX-1GMR3-1926-SM-9KNUZ 40-49 years, male 122.5
GTEX-1KWVE-1426-SM-E9TJO 30-39 years, male 122.5
GTEX-13NZA-0226-SM-5K7Z7 60-69 years, male 122.1
GTEX-1A32A-0126-SM-718B1 50-59 years, female 121.6
GTEX-11UD2-0226-SM-5EQKY 50-59 years, male 121.5
GTEX-131XW-0426-SM-5LZWP 50-59 years, female 121.1
GTEX-1H3O1-0426-SM-9YFKY 60-69 years, male 121.1
GTEX-139UW-2826-SM-5L3E7 60-69 years, male 120.6
GTEX-1MCYP-1926-SM-E9J2R 20-29 years, female 120.4
GTEX-OXRO-0126-SM-2YUN4 60-69 years, female 120.1
GTEX-169BO-1326-SM-9MQK2 50-59 years, male 119.9
GTEX-1AYCT-2426-SM-7IGQ3 50-59 years, male 119.5
GTEX-ZAK1-0126-SM-5IJD3 50-59 years, female 119.2
GTEX-1C475-1826-SM-73KWA 40-49 years, female 118.5
GTEX-16BQI-0226-SM-7KUEX 30-39 years, female 118.4
GTEX-1IKOH-0226-SM-COH4E 60-69 years, female 118.0
GTEX-1GF9U-2126-SM-7SB7L 40-49 years, female 117.8
GTEX-PW2O-1526-SM-7RHHB 20-29 years, male 117.4
GTEX-1KAFJ-2026-SM-CY8ID 50-59 years, male 117.2
GTEX-ZAB5-1826-SM-5HL7C 50-59 years, male 116.6
GTEX-1LH75-2426-SM-E9TJE 50-59 years, female 116.6
GTEX-17HG3-2226-SM-7938L 30-39 years, female 116.0
GTEX-1JMQL-0226-SM-CNPP5 50-59 years, female 115.7
GTEX-131YS-0126-SM-5KM1M 60-69 years, female 115.6
GTEX-14E6D-0126-SM-62LDV 50-59 years, male 115.6
GTEX-1GTWX-0126-SM-9YFLK 60-69 years, male 115.5
GTEX-Z93S-0126-SM-5HL7M 50-59 years, male 115.3
GTEX-17HGU-0226-SM-7DHKV 50-59 years, male 114.9
GTEX-11GSO-2426-SM-5A5LY 60-69 years, male 114.8
GTEX-145ME-1826-SM-5SI9G 40-49 years, female 114.8
GTEX-1HSKV-0226-SM-A9SKJ 60-69 years, male 114.7
GTEX-1I19N-0326-SM-ACKVX 70-79 years, male 114.7
GTEX-1I1GP-2226-SM-CGQFK 50-59 years, male 114.5
GTEX-1MCQQ-0826-SM-DLHC2 60-69 years, male 114.3
GTEX-14A5I-0126-SM-5TDEA 50-59 years, female 114.2
GTEX-14PJ6-2126-SM-6EU1V 60-69 years, female 114.2
GTEX-1QP2A-0126-SM-E9J43 50-59 years, male 114.2
GTEX-ZYY3-0126-SM-5GZY5 60-69 years, female 113.7
GTEX-XPVG-2626-SM-4B669 50-59 years, male 113.5
GTEX-1HBPN-0226-SM-9YFM1 50-59 years, male 113.4
GTEX-1J8Q2-0526-SM-CM2RW 60-69 years, male 113.3
GTEX-1IOXB-0126-SM-ARL8G 50-59 years, male 113.1
GTEX-1C4CL-0526-SM-73KVK 30-39 years, male 112.9
GTEX-OHPL-0126-SM-2HMJ7 60-69 years, female 112.6
GTEX-17KNJ-2326-SM-7DHLQ 50-59 years, male 112.5
GTEX-1B97I-1626-SM-73KYO 40-49 years, male 112.3
GTEX-13OVH-0126-SM-5MR4B 70-79 years, male 112.2
GTEX-U3ZN-2326-SM-3DB7W 30-39 years, female 112.1
GTEX-ZYFG-2326-SM-5E44B 60-69 years, female 112.1
GTEX-13N2G-2626-SM-5J1OT 60-69 years, male 111.4
GTEX-1CAMQ-0226-SM-7IGPK 40-49 years, male 111.2
GTEX-16NPX-0226-SM-79OMT 50-59 years, male 110.8
GTEX-13S7M-0126-SM-5SI6A 60-69 years, female 110.4
GTEX-ZXG5-0126-SM-5GIEU 60-69 years, male 109.9
GTEX-13JUV-2726-SM-5LZZ8 40-49 years, female 109.6
GTEX-1IE54-0126-SM-CMKHW 40-49 years, female 108.7
GTEX-1RDX4-0126-SM-E9J4P 50-59 years, female 108.0
GTEX-1E2YA-0126-SM-9KNUC 50-59 years, male 107.9
GTEX-1GPI6-0126-SM-9WG69 60-69 years, male 107.9
GTEX-1OJC4-0126-SM-E9J2E 50-59 years, female 107.7
GTEX-1C6VR-2426-SM-79OLD 60-69 years, male 107.6
GTEX-1IGQW-0126-SM-COH42 60-69 years, male 107.6
GTEX-13U4I-0126-SM-5LU38 40-49 years, female 107.2
GTEX-1O97I-0326-SM-EYYX7 60-69 years, male 106.7
GTEX-144GL-0126-SM-5TDE2 50-59 years, male 106.2
GTEX-133LE-1826-SM-5J1MV 20-29 years, female 105.7
GTEX-131XH-2226-SM-5DUXJ 50-59 years, male 105.5
GTEX-1HCU9-1526-SM-A9SL7 20-29 years, male 105.4
GTEX-1I1HK-0126-SM-COH49 60-69 years, male 105.1
GTEX-R3RS-0126-SM-3GIJL 40-49 years, female 104.9
GTEX-YJ89-0126-SM-4TT3X 60-69 years, male 104.4
GTEX-1KANB-0526-SM-E6CJH 50-59 years, male 103.7
GTEX-1212Z-2526-SM-5EGKP 60-69 years, male 103.6
GTEX-14DAQ-0126-SM-5S2MQ 60-69 years, female 103.4
GTEX-145LS-0126-SM-5QGP1 60-69 years, female 102.4
GTEX-1H1ZS-0426-SM-9WG6G 70-79 years, male 102.4
GTEX-13W3W-2426-SM-5LU5B 60-69 years, female 101.9
GTEX-Y5V6-2426-SM-4VDSB 60-69 years, male 100.5
GTEX-14JG1-0426-SM-6ETZZ 40-49 years, male 99.9
GTEX-1EN7A-0126-SM-7SB81 40-49 years, male 99.1
GTEX-1PBJI-0526-SM-E8VNK 20-29 years, female 98.6
GTEX-12WSE-0526-SM-793B2 20-29 years, male 98.3
GTEX-1IDJH-0326-SM-A9SLQ 70-79 years, male 97.8
GTEX-TSE9-0126-SM-3DB83 60-69 years, female 97.4
GTEX-12WSC-0126-SM-5EQ4P 50-59 years, male 94.8
GTEX-VJWN-0126-SM-3GIK7 50-59 years, female 94.5
GTEX-1IKJJ-0126-SM-CNPQB 60-69 years, male 93.2
GTEX-13OW8-1326-SM-5J1OW 60-69 years, male 92.7
GTEX-V1D1-2226-SM-3NMAX 50-59 years, male 92.3
GTEX-WFON-2126-SM-3LK7O 40-49 years, male 91.6
GTEX-1AMFI-2026-SM-731BH 50-59 years, female 91.5
GTEX-13NYB-2526-SM-5K7Z6 40-49 years, male 90.4
GTEX-14E7W-0126-SM-6LLJ9 70-79 years, male 90.4
GTEX-1I1GQ-0126-SM-COH3H 50-59 years, male 89.7
GTEX-PWO3-1526-SM-48TCM 60-69 years, female 89.2
GTEX-13FTY-0526-SM-5L3EV 40-49 years, female 88.9
GTEX-14LZ3-0226-SM-62LET 60-69 years, female 86.6
GTEX-1IL2V-0126-SM-CM2TX 70-79 years, male 85.0
GTEX-1H4P4-0726-SM-9YFLR 50-59 years, male 83.0
GTEX-11DXY-2626-SM-5GIE7 60-69 years, male 79.0
GTEX-1JJE9-0326-SM-CL53Z 70-79 years, male 78.1
Show allShow less

Contact

  • NEWS ARTICLES
  • PRESS ROOM

The Project

  • INTRODUCTION
  • ORGANIZATION
  • PUBLICATIONS

The Human Protein Atlas

  • DOWNLOADABLE DATA
  • LICENCE & CITATION
  • HELP & FAQ
The Human Protein Atlas project is funded
by the Knut & Alice Wallenberg Foundation.


contact@proteinatlas.org