We use cookies to enhance the usability of our website. If you continue, we'll assume that you are happy to receive all cookies. More information. Don't show this again.
ALDH1A1
HPA
RESOURCES
  • TISSUE
  • BRAIN
  • SINGLE CELL
  • SUBCELLULAR
  • CANCER
  • BLOOD
  • CELL LINE
  • STRUCTURE & INTERACTION
ABOUT
  • INTRODUCTION
  • HISTORY
  • ORGANIZATION
  • PUBLICATIONS
  • ANTIBODY SUBMISSION
  • ANTIBODY AVAILABILITY
  • ACKNOWLEDGMENTS
  • CONTACT
NEWS
  • NEWS ARTICLES
  • PRESS ROOM
LEARN
  • DICTIONARY
  • PROTEIN CLASSES
  • PROTEIN EVIDENCE
  • METHODS
  • EDUCATIONAL VIDEOS
DATA
  • DOWNLOADABLE DATA
  • PUBLICATION DATA
  • RELEASE HISTORY
HELP
  • ANTIBODY VALIDATION
  • ASSAYS & ANNOTATION
  • DISCLAIMER
  • HELP & FAQ
  • PRIVACY STATEMENT
  • LICENCE & CITATION
Fields »
Search result

Field
Term
Gene name
Class
Subclass
Class
Keyword
Chromosome
External id
Tissue
Cell type
Expression
Antibody panel
Tissue
Main location
Patient ID
Annotation
Tissue
Category
Tau score
Cluster
Reliability
Brain region
Category
Tau score
Brain region
Category
Tau score
Brain region
Category
Tau score
Cluster
Reliability
Tissue
Cell type
Enrichment
Cell type
Category
Tau score
Cell type
Category
Tau score
Cell type
Category
Tau score
Cell lineage
Category
Tau score
Cluster
Cluster
Location
Searches
Location
Cell line
Class
Type
Phase
Reliability
Cancer
Prognosis
Cancer
Category
Cancer
Category
Tau score
Cluster
Variants
Interacting gene (ensg_id)
Type
Number of interactions
Pathway
Category
Score
Score
Score
Validation
Validation
Validation
Validation
Antibodies
Data type
Column


  • SUMMARY

  • TISSUE

  • BRAIN

  • SINGLE CELL

  • SUBCELL

  • CANCER

  • BLOOD

  • CELL LINE

  • STRUCT & INT

  • ALDH1A1
TISSUE PRIMARY DATA SKIN Show tissue menu
ADIPOSE TISSUE ADRENAL GLAND AMYGDALA APPENDIX BASAL GANGLIA BONE MARROW BREAST BRONCHUS CEREBELLUM CEREBRAL CORTEX CERVIX CHOROID PLEXUS COLON DUODENUM
ENDOMETRIUM EPIDIDYMIS ESOPHAGUS FALLOPIAN TUBE GALLBLADDER HEART MUSCLE HIPPOCAMPAL FORMATION HYPOTHALAMUS KIDNEY LIVER LUNG LYMPH NODE MIDBRAIN NASOPHARYNX
ORAL MUCOSA OVARY PANCREAS PARATHYROID GLAND PITUITARY GLAND PLACENTA PROSTATE RECTUM RETINA SALIVARY GLAND SEMINAL VESICLE SKELETAL MUSCLE SKIN SMALL INTESTINE
SMOOTH MUSCLE SOFT TISSUE SPINAL CORD SPLEEN STOMACH TESTIS THYMUS THYROID GLAND TONGUE TONSIL URINARY BLADDER VAGINA
ANTIBODIES
AND
VALIDATION
Dictionary
Skin
Tissue proteome
Skin
SKIN - Expression summary
Protein expression
Skini

On the top, protein expression in current human tissue, based on all annotated cell types, is reported with the units not detected (n), low (l), medium (m) and high (h). Underneath, protein expression in each annotated cell type are reported using the same units.

Protein expression data is based on knowledge-based annotation. For genes where more than one antibody has been used, a collective score is set.

If knowledge-based annotation could not be performed for a gene, no data is displayed here. View antibody staining data further down this page.

h
m
l
n
Epidermal cells: Low
Fibroblasts: Low
Keratinocytes: Not detected
Langerhans: Not detected
Melanocytes: Not detected
RNA expressioni

A summary of mRNA expression data available for current tissue based on several datasets. The mRNA expression levels in human tissues are based on RNA-seq data generated by the Human Protein Atlas (HPA), Genotype-Tissue Expression (GTEx) portal and CAGE data generated by the FANTOM5 consortium. Consensus normalized expression levels for human tissues was created by combining the data from HPA and GTEx datasets.

The mRNA expression levels in pig are based on RNA-seq data generated by the Human Protein Atlas (HPA), and for mouse, HPA data and in situ hybridization generated by the Allen brain atlas are reported.

Scroll down to view mRNA expression data in more detail.
Consensus:16.6 nTPM
HPA:10.2 nTPM
GTEx:16.6 nTPM

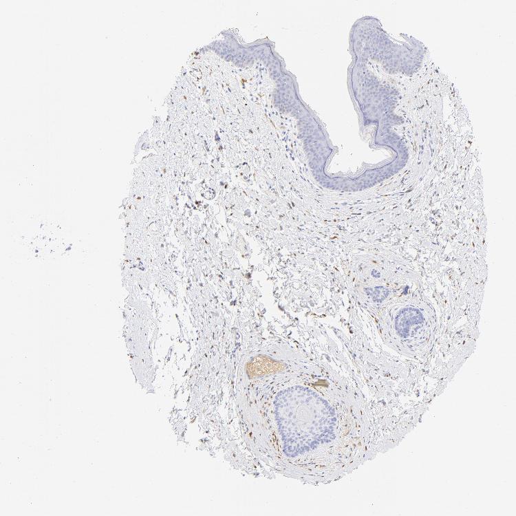
SKIN 1 - Antibody stainingi

Antibody staining in the annotated cell types in the current human tissue is reported as not detected, low, medium, or high, based on conventional immunohistochemistry profiling in selected tissues. This score is based on the combination of the staining intensity and fraction of stained cells.

Each image is clickable and will lead to virtual microscopy that enables deeper exploration of all samples and also displays staining intensity scores, fraction scores and subcellular localization as well as patient and tissue information for each sample.

Antibody HPA002123Antibody CAB020690
Langerhans Not detectedNot detected
Fibroblasts Not detectedMedium
Keratinocytes Not detectedNot detected
Melanocytes Not detectedNot detected

SKIN 2 - Antibody stainingi

Antibody staining in the annotated cell types in the current human tissue is reported as not detected, low, medium, or high, based on conventional immunohistochemistry profiling in selected tissues. This score is based on the combination of the staining intensity and fraction of stained cells.

Each image is clickable and will lead to virtual microscopy that enables deeper exploration of all samples and also displays staining intensity scores, fraction scores and subcellular localization as well as patient and tissue information for each sample.

Antibody HPA002123Antibody CAB020690
Epidermal cells MediumNot detected
  
  
  





SKIN - HPA RNA-seqi

The RNA-seq details section shows detailed information about the individual samples used for the transcript profiling and results of the RNA-seq analysis.

Information about each individual sample is listed below, including gender, age, a tissue section image and estimated fractions of cell types. nTPM (normalized transcripts per million) values give a quantification of the gene abundance which is comparable between different genes and samples.
Average nTPMi

Max subtype nTPM is the value for the subtype with the largest average nTPM across the subtype samples.

10.2
overview
Female, age 34
Skin sample 225
nTPM: 16
Cell types%
Keratinocytes:
60

Other cell types:
40

overview
Female, age 30
Skin sample 226
nTPM: 7.3
Cell types%
Keratinocytes:
55

Other cell types:
45

N/A
Male, age 57
Skin sample 227
nTPM: 7.4

SKIN - GTEx RNA-seqi

RNA-Seq data generated by the Genotype-Tissue Expression (GTEx) project from human tissues is reported as mean nTPM. More information can be found on the GTEx portal.

Distribution across the dataset is visualized with box plots, shown as median and 25th and 75th percentiles. Points are displayed as outliers if they are above or below 1.5 times the interquartile range. nTPM values of the individual samples are presented next to the box plot.
Max subtype nTPMi

Max subtype nTPM is the value for the subtype with the largest average nTPM across the subtype samples.

16.6
GTEx sample id Sample description nTPM
Skin - Not Sun Exposed (Suprapubic)
Average nTPM: 12.9
Samples: 604

Max nTPM: 67.1
Min nTPM: 1.3
Std nTPM: 7.5
Median nTPM: 11.4
GTEX-1399R-1326-SM-5PNYS 30-39 years, male 67.1
GTEX-1F75W-2726-SM-7SB8H 60-69 years, male 48.6
GTEX-ZYFG-1526-SM-5GZYM 60-69 years, female 46.6
GTEX-Y3IK-1626-SM-4YCF5 50-59 years, female 44.6
GTEX-1LBAC-0826-SM-CY8IJ 20-29 years, male 40.0
GTEX-1A32A-0626-SM-731AQ 50-59 years, female 36.7
GTEX-ZLWG-0826-SM-59888 50-59 years, female 36.7
GTEX-1F6IF-0926-SM-7SB7M 60-69 years, male 36.7
GTEX-13113-1626-SM-5EQ4I 60-69 years, female 36.1
GTEX-139YR-1026-SM-5LZYN 50-59 years, male 36.0
GTEX-1HUB1-1426-SM-CGQF5 60-69 years, male 35.7
GTEX-1IDJE-1426-SM-ADEIW 50-59 years, female 35.7
GTEX-15FZZ-0526-SM-7KUGD 30-39 years, female 35.5
GTEX-1JMOU-1026-SM-CYPSS 60-69 years, female 34.8
GTEX-1RAZR-2126-SM-E9U6T 40-49 years, male 33.8
GTEX-VJYA-1526-SM-3GIJV 60-69 years, male 33.6
GTEX-1I19N-0126-SM-CYPSF 70-79 years, male 33.0
GTEX-1E1VI-0326-SM-793D1 50-59 years, male 31.6
GTEX-UPK5-0426-SM-3GAEK 40-49 years, male 31.1
GTEX-Y8E4-2026-SM-5IFJB 40-49 years, male 31.1
GTEX-1IDJD-2326-SM-ACKWX 30-39 years, male 30.9
GTEX-ZF2S-1626-SM-57WES 50-59 years, female 30.4
GTEX-15RIE-1926-SM-7KUKJ 60-69 years, male 29.9
GTEX-14AS3-1526-SM-5Q5ED 40-49 years, female 29.6
GTEX-WYVS-1626-SM-3NM9R 40-49 years, female 28.8
GTEX-147JS-0226-SM-5S2U9 60-69 years, male 28.6
GTEX-14E1K-2026-SM-7DUEI 50-59 years, male 28.6
GTEX-YB5K-2026-SM-4VDT3 40-49 years, female 28.3
GTEX-1PIGE-1826-SM-E8VOU 20-29 years, male 28.3
GTEX-1477Z-0326-SM-7IGLA 60-69 years, male 27.9
GTEX-13OVK-1426-SM-6PAN7 40-49 years, male 27.5
GTEX-V1D1-2026-SM-3GAF4 50-59 years, male 26.5
GTEX-18A7A-0126-SM-731AH 50-59 years, female 25.9
GTEX-178AV-1726-SM-7KUL8 40-49 years, male 25.8
GTEX-17EVQ-0126-SM-7IGLR 70-79 years, male 25.8
GTEX-12WSF-1626-SM-7KUG5 70-79 years, male 25.6
GTEX-1CAV2-0126-SM-7IGN7 40-49 years, female 25.4
GTEX-1H1ZS-2726-SM-9WG75 70-79 years, male 25.4
GTEX-11EI6-2826-SM-5H11D 60-69 years, male 25.2
GTEX-1EWIQ-0326-SM-7DHMQ 70-79 years, female 24.9
GTEX-Y5V5-0126-SM-5S2NW 60-69 years, female 24.6
GTEX-X3Y1-2026-SM-3P5YM 40-49 years, male 24.5
GTEX-146FQ-2126-SM-5RQHU 30-39 years, male 24.0
GTEX-14DAR-1226-SM-73KYV 50-59 years, male 24.0
GTEX-ZGAY-1826-SM-DO91Q 40-49 years, female 24.0
GTEX-15CHQ-0326-SM-69LQD 60-69 years, male 23.8
GTEX-1QCLZ-2426-SM-EVYBW 60-69 years, female 23.8
GTEX-14PK6-0226-SM-62LF5 70-79 years, female 23.6
GTEX-ZLFU-1826-SM-4WWBV 40-49 years, male 23.6
GTEX-ZZPU-0826-SM-5GZX5 50-59 years, female 23.6
GTEX-1497J-0226-SM-5QGPU 60-69 years, male 23.5
GTEX-17JCI-2926-SM-7DUFF 60-69 years, female 23.2
GTEX-ZYW4-0626-SM-59HJR 60-69 years, male 22.9
GTEX-1RAZA-2226-SM-E9U4X 20-29 years, male 22.6
GTEX-1H1CY-0126-SM-9YFLY 60-69 years, female 22.2
GTEX-WYBS-0626-SM-3NMAS 60-69 years, female 22.1
GTEX-1H3NZ-2726-SM-9WYTQ 60-69 years, male 22.0
GTEX-11P7K-1126-SM-5HL4L 30-39 years, male 21.9
GTEX-X4EO-2926-SM-4E3JH 60-69 years, female 21.8
GTEX-17KNJ-2126-SM-718AM 50-59 years, male 21.7
GTEX-XBEC-0726-SM-4QARZ 50-59 years, male 21.7
GTEX-1IDJH-0126-SM-D3L92 70-79 years, male 21.7
GTEX-1C475-1326-SM-7SB73 40-49 years, female 21.6
GTEX-1117F-2926-SM-5GZYI 60-69 years, female 21.4
GTEX-131YS-2826-SM-5EQ47 60-69 years, female 21.4
GTEX-1A8FM-0626-SM-7PC25 50-59 years, female 21.4
GTEX-1F75B-0726-SM-7PC3R 50-59 years, male 21.2
GTEX-14PJ2-0626-SM-6LLII 50-59 years, male 21.1
GTEX-Y5V6-2326-SM-4VDSA 60-69 years, male 20.9
GTEX-ZAK1-0626-SM-5HL8E 50-59 years, female 20.8
GTEX-1C64N-2626-SM-7PC2N 50-59 years, male 20.8
GTEX-1S82P-2126-SM-E6CI5 60-69 years, female 20.8
GTEX-13U4I-2226-SM-5LU5H 40-49 years, female 20.5
GTEX-17F9E-2326-SM-79OKD 50-59 years, male 20.5
GTEX-XOT4-0626-SM-4B66L 60-69 years, female 20.5
GTEX-1F5PK-2226-SM-7SB6N 50-59 years, male 20.4
GTEX-1LGOU-1326-SM-D3L8M 20-29 years, female 20.4
GTEX-ZF3C-0626-SM-DO92O 50-59 years, female 20.3
GTEX-WEY5-2326-SM-3GIKK 40-49 years, female 20.2
GTEX-15UF6-1926-SM-7KUDV 70-79 years, female 20.0
GTEX-YJ8O-2526-SM-5HL85 40-49 years, female 20.0
GTEX-ZPU1-1126-SM-4YCF3 40-49 years, male 20.0
GTEX-11NSD-0626-SM-5A5LU 20-29 years, male 19.9
GTEX-12WSD-0626-SM-5GCMW 60-69 years, female 19.9
GTEX-1QEPI-2626-SM-DTXF4 60-69 years, female 19.8
GTEX-1AX9I-2226-SM-73KUO 60-69 years, male 19.5
GTEX-WXYG-2026-SM-4E3IY 50-59 years, female 19.4
GTEX-11NUK-2726-SM-5A5MC 50-59 years, male 19.3
GTEX-1IDJI-0126-SM-CMKHS 50-59 years, female 19.3
GTEX-12BJ1-0926-SM-5EQ62 60-69 years, male 19.2
GTEX-1GN1U-0626-SM-9MQL9 50-59 years, female 19.2
GTEX-13N11-2326-SM-5IJBF 50-59 years, female 19.0
GTEX-145ME-1726-SM-5Q5EU 40-49 years, female 19.0
GTEX-ZU9S-1826-SM-5NQ9E 30-39 years, male 19.0
GTEX-11EM3-1226-SM-5N9DD 20-29 years, female 18.9
GTEX-1B996-0426-SM-7EWF8 60-69 years, male 18.9
GTEX-1KANC-1226-SM-CYPT7 50-59 years, female 18.9
GTEX-1F75A-0726-SM-7RHHD 50-59 years, male 18.7
GTEX-16GPK-0626-SM-7KFSF 60-69 years, male 18.6
GTEX-13OW6-2726-SM-5J2OE 50-59 years, male 18.3
GTEX-ZVE2-2826-SM-5GU51 50-59 years, male 18.3
GTEX-14JG6-1426-SM-9WG7C 30-39 years, female 18.3
GTEX-145MN-1526-SM-5SI9T 30-39 years, male 18.2
GTEX-1KWVE-1026-SM-D3L9O 30-39 years, male 18.2
GTEX-131XW-0626-SM-5PNVD 50-59 years, female 18.1
GTEX-1HBPI-2126-SM-ARL9K 50-59 years, male 18.1
GTEX-1HCU6-2526-SM-ADEHL 60-69 years, female 18.1
GTEX-1B8KZ-0326-SM-73KY4 50-59 years, male 17.9
GTEX-1AYD5-2626-SM-7PBXY 50-59 years, male 17.9
GTEX-1K2DA-1026-SM-CGQGF 50-59 years, male 17.8
GTEX-16YQH-2226-SM-7IGM2 30-39 years, male 17.7
GTEX-15D1Q-2826-SM-6LLH7 40-49 years, male 17.6
GTEX-1LSNL-2726-SM-E9TKJ 50-59 years, male 17.6
GTEX-17MF6-2626-SM-79OKQ 40-49 years, male 17.5
GTEX-18A66-0626-SM-7LT8Z 60-69 years, male 17.5
GTEX-X4EP-0626-SM-3P621 60-69 years, female 17.4
GTEX-ZC5H-1526-SM-5HL9Y 40-49 years, female 17.4
GTEX-1S5ZU-2526-SM-E6CIF 20-29 years, female 17.4
GTEX-1HCU9-0426-SM-9WYSD 20-29 years, male 17.3
GTEX-1O9I2-0226-SM-EYYXD 50-59 years, male 17.3
GTEX-145LS-0626-SM-7EPG7 60-69 years, female 17.2
GTEX-145MG-1526-SM-5Q5EM 50-59 years, male 17.2
GTEX-17HHY-0426-SM-7DHLC 50-59 years, male 17.2
GTEX-ZDXO-3126-SM-5IJDF 60-69 years, male 17.2
GTEX-1JN6P-2926-SM-CL54D 60-69 years, male 17.1
GTEX-1LG7Z-1626-SM-CXKYR 30-39 years, male 17.1
GTEX-17HG3-2626-SM-7DUF2 30-39 years, female 17.0
GTEX-1CB4H-1126-SM-7MKGL 60-69 years, female 17.0
GTEX-WK11-2726-SM-3NMAQ 50-59 years, male 16.9
GTEX-1J8JJ-0626-SM-ARZMQ 60-69 years, female 16.8
GTEX-12WSA-0426-SM-5EQ5X 60-69 years, male 16.7
GTEX-1CAMR-1326-SM-7PC1F 20-29 years, male 16.7
GTEX-1QP66-1226-SM-DTX7U 50-59 years, male 16.7
GTEX-13SLX-2226-SM-62LEP 50-59 years, female 16.6
GTEX-12WSH-1526-SM-5BC5W 50-59 years, male 16.5
GTEX-139UW-0326-SM-5J1ML 60-69 years, male 16.5
GTEX-13O3O-2326-SM-5IJD6 60-69 years, female 16.5
GTEX-1RB15-1326-SM-E76Q9 60-69 years, male 16.5
GTEX-13OVL-0126-SM-5L3GJ 50-59 years, male 16.4
GTEX-13OW8-1026-SM-5J1NQ 60-69 years, male 16.4
GTEX-17F96-0126-SM-7EWDU 70-79 years, male 16.4
GTEX-1CB4I-0126-SM-7RHGG 50-59 years, male 16.4
GTEX-1IY9M-2826-SM-ARU8H 60-69 years, male 16.4
GTEX-12KS4-2126-SM-5FQUT 30-39 years, male 16.3
GTEX-13OVJ-0826-SM-5J1OK 50-59 years, female 16.3
GTEX-1HSMP-0926-SM-A9SKX 70-79 years, male 16.3
GTEX-13X6K-0626-SM-5LU5D 60-69 years, female 16.2
GTEX-15CHC-1126-SM-6LLHQ 60-69 years, female 16.2
GTEX-1LVAO-2726-SM-E9TJ8 60-69 years, male 16.2
GTEX-117YX-1926-SM-5GIEC 50-59 years, male 16.1
GTEX-ZVTK-0226-SM-51MRG 20-29 years, male 16.1
GTEX-1I6K7-1926-SM-B2LXR 40-49 years, male 16.1
GTEX-1RLM8-2926-SM-E8VON 50-59 years, male 16.1
GTEX-12584-0726-SM-5FQTK 40-49 years, male 16.0
GTEX-13FTW-0326-SM-5K7UW 40-49 years, male 16.0
GTEX-11GSP-2326-SM-5HL63 60-69 years, female 15.9
GTEX-1GTWX-2026-SM-9YFLM 60-69 years, male 15.9
GTEX-18465-2826-SM-7LT9J 50-59 years, male 15.8
GTEX-X5EB-1926-SM-4E3IW 40-49 years, male 15.8
GTEX-1I4MK-0126-SM-CY8G6 50-59 years, female 15.8
GTEX-111FC-2526-SM-5GZXU 60-69 years, male 15.7
GTEX-15RIG-0726-SM-7KUM7 40-49 years, male 15.7
GTEX-16Z82-2626-SM-7KULU 60-69 years, male 15.7
GTEX-1HC8U-1326-SM-9YFMJ 40-49 years, female 15.7
GTEX-11DXY-0126-SM-5H11Q 60-69 years, male 15.6
GTEX-13YAN-0226-SM-5TDC6 60-69 years, male 15.5
GTEX-WHPG-2626-SM-3NMBR 50-59 years, male 15.5
GTEX-14ABY-2026-SM-62LDL 50-59 years, male 15.4
GTEX-XMD2-2126-SM-4YCF8 60-69 years, female 15.4
GTEX-1JJ6O-2726-SM-CNPOG 60-69 years, male 15.4
GTEX-YEC4-1826-SM-4W1YP 40-49 years, male 15.3
GTEX-ZT9W-1126-SM-57WDR 50-59 years, male 15.3
GTEX-13N2G-0226-SM-5K7VF 60-69 years, male 15.2
GTEX-1LG7Y-2526-SM-EWRO7 50-59 years, male 15.2
GTEX-12ZZZ-0726-SM-5GCNZ 60-69 years, male 15.1
GTEX-139TS-2126-SM-5K7XC 60-69 years, male 15.1
GTEX-14JFF-0626-SM-5ZZVT 60-69 years, male 15.1
GTEX-1GMR3-0126-SM-A9SLW 40-49 years, male 15.1
GTEX-1IDJF-2026-SM-CL53V 20-29 years, male 15.1
GTEX-15RJ7-2126-SM-6PAMD 40-49 years, male 15.0
GTEX-1LVAN-0626-SM-CNPOQ 50-59 years, female 15.0
GTEX-1R9K4-2826-SM-DTX8F 60-69 years, male 15.0
GTEX-ZUA1-2626-SM-5NQ92 40-49 years, male 14.9
GTEX-1HKZK-0726-SM-ACKW2 40-49 years, male 14.9
GTEX-15DYW-2726-SM-6EU2I 60-69 years, female 14.8
GTEX-17MFQ-1526-SM-7KFRR 20-29 years, male 14.8
GTEX-13JUV-2026-SM-5K7UA 40-49 years, female 14.7
GTEX-18D9B-0926-SM-7LG4U 60-69 years, male 14.7
GTEX-11DZ1-2426-SM-5GZZX 50-59 years, male 14.5
GTEX-145LT-0526-SM-5LUB2 40-49 years, male 14.4
GTEX-1EN7A-2426-SM-793DB 40-49 years, male 14.4
GTEX-14PJ3-1126-SM-5ZZVX 50-59 years, male 14.3
GTEX-1B932-2326-SM-79OL5 40-49 years, female 14.3
GTEX-ZVP2-0326-SM-57WBP 50-59 years, male 14.3
GTEX-1KD5A-0126-SM-E9U54 50-59 years, male 14.3
GTEX-12126-0826-SM-5FQTZ 20-29 years, male 14.2
GTEX-14BMU-1226-SM-5S2OR 20-29 years, female 14.2
GTEX-ZDYS-2426-SM-4WKGI 50-59 years, male 14.2
GTEX-11EQ8-0926-SM-5H12V 60-69 years, male 14.1
GTEX-18D9U-0126-SM-731BM 40-49 years, male 14.1
GTEX-XXEK-1626-SM-4BRUZ 50-59 years, male 14.1
GTEX-1I1GP-1326-SM-A9G28 50-59 years, male 14.1
GTEX-1BAJH-2426-SM-7IGP8 70-79 years, male 14.0
GTEX-1KANB-2826-SM-CY8I6 50-59 years, male 14.0
GTEX-13OW5-2326-SM-5L3HO 60-69 years, male 13.9
GTEX-14PJ6-2626-SM-6EU2T 60-69 years, female 13.9
GTEX-15CHR-1126-SM-7EWF4 50-59 years, male 13.9
GTEX-13QBU-1226-SM-5LU4G 40-49 years, female 13.8
GTEX-18QFQ-1826-SM-72D52 30-39 years, male 13.8
GTEX-11P81-2226-SM-5PNYI 30-39 years, female 13.7
GTEX-12WSL-2026-SM-5GCML 50-59 years, male 13.7
GTEX-13PVQ-0626-SM-5LU47 50-59 years, male 13.7
GTEX-16MT8-2926-SM-7DUFO 60-69 years, female 13.7
GTEX-16NPX-0726-SM-7KULC 50-59 years, male 13.7
GTEX-XBEW-1126-SM-4QARW 40-49 years, male 13.7
GTEX-1F88E-1626-SM-7SB8Z 60-69 years, female 13.7
GTEX-1I1GS-2626-SM-B2LY3 60-69 years, male 13.6
GTEX-1QW4Y-1126-SM-DTXE3 30-39 years, male 13.5
GTEX-15SHW-0226-SM-7LTAT 60-69 years, male 13.4
GTEX-ZE7O-2726-SM-51MT5 50-59 years, female 13.4
GTEX-ZVT2-0126-SM-5GIDQ 50-59 years, female 13.4
GTEX-1JJE9-2626-SM-ARZMT 70-79 years, male 13.4
GTEX-1JMLX-0626-SM-ARL8T 50-59 years, male 13.4
GTEX-ZPIC-0526-SM-DO91W 40-49 years, female 13.4
GTEX-13FH7-1126-SM-5K7UG 50-59 years, female 13.3
GTEX-13N1W-2426-SM-5IJD1 70-79 years, male 13.3
GTEX-15ER7-0626-SM-6PANF 20-29 years, female 13.3
GTEX-17EVP-2626-SM-7IGMA 40-49 years, male 13.3
GTEX-18A6Q-0626-SM-7KFRP 60-69 years, male 13.3
GTEX-1CB4F-1026-SM-7DUH1 60-69 years, male 13.3
GTEX-11EQ9-1626-SM-5PNY8 30-39 years, male 13.2
GTEX-11DXX-2126-SM-5PNYR 60-69 years, female 13.1
GTEX-1I6K6-1726-SM-CGQFD 30-39 years, male 13.1
GTEX-1JMQK-1226-SM-D4P2S 60-69 years, male 13.1
GTEX-16NGA-0726-SM-731AO 40-49 years, female 13.0
GTEX-11VI4-1126-SM-5EQMD 40-49 years, female 12.9
GTEX-1AX9J-1326-SM-731BJ 60-69 years, male 12.9
GTEX-WY7C-2126-SM-3NB2R 50-59 years, male 12.9
GTEX-X8HC-0626-SM-4E3HQ 50-59 years, female 12.9
GTEX-1F6I4-2326-SM-7RHGL 60-69 years, male 12.9
GTEX-1GZHY-0626-SM-9KNVC 50-59 years, female 12.9
GTEX-1JKYN-0826-SM-ARU8S 30-39 years, male 12.9
GTEX-13O61-1426-SM-5KM3D 60-69 years, male 12.8
GTEX-147F3-1726-SM-5SIAW 50-59 years, female 12.8
GTEX-1314G-1326-SM-5BC6E 30-39 years, male 12.7
GTEX-13FLV-0126-SM-5K7WT 50-59 years, male 12.7
GTEX-17F97-2626-SM-7IGM5 50-59 years, male 12.7
GTEX-1E2YA-2126-SM-7MXUO 50-59 years, male 12.7
GTEX-WRHU-2826-SM-3MJG8 50-59 years, female 12.6
GTEX-XV7Q-1826-SM-4BRUV 40-49 years, female 12.6
GTEX-1C64O-1326-SM-7MGWR 60-69 years, male 12.6
GTEX-1GPI7-1826-SM-9KNU1 20-29 years, male 12.6
GTEX-12WSC-2826-SM-5BC5Y 50-59 years, male 12.5
GTEX-13112-0126-SM-5P9IU 50-59 years, male 12.5
GTEX-133LE-2326-SM-5K7W3 20-29 years, female 12.5
GTEX-13NZ9-2626-SM-5L3FK 50-59 years, male 12.5
GTEX-YF7O-1526-SM-5IFI6 50-59 years, male 12.5
GTEX-ZDTS-0826-SM-4WKHL 60-69 years, male 12.5
GTEX-13X6H-0926-SM-5SIB2 50-59 years, female 12.4
GTEX-13X6I-1826-SM-5SIAO 60-69 years, male 12.4
GTEX-14JG1-1526-SM-5YY9X 40-49 years, male 12.4
GTEX-15EO6-2426-SM-6PALZ 50-59 years, male 12.4
GTEX-16BQI-1326-SM-6M486 30-39 years, female 12.4
GTEX-17F98-1326-SM-7DUEP 40-49 years, female 12.4
GTEX-1GZ2Q-0126-SM-9WG6M 40-49 years, male 12.4
GTEX-139TU-0726-SM-5L3EK 60-69 years, male 12.3
GTEX-13OVG-1626-SM-5J1NF 60-69 years, male 12.3
GTEX-XYKS-1426-SM-4BRUO 60-69 years, female 12.3
GTEX-1M4P7-0726-SM-E6CJ3 60-69 years, male 12.3
GTEX-1S831-1826-SM-EWROF 20-29 years, male 12.3
GTEX-12C56-1526-SM-5FQUQ 20-29 years, male 12.2
GTEX-XK95-0226-SM-4AT58 40-49 years, male 12.2
GTEX-1L5NE-1126-SM-D3L9P 50-59 years, male 12.2
GTEX-13NYS-0626-SM-5L3F1 60-69 years, male 12.1
GTEX-14PHX-2226-SM-6EU2P 50-59 years, male 12.1
GTEX-VUSG-2326-SM-4KL1U 50-59 years, male 12.1
GTEX-1LSVX-2526-SM-DIPEU 60-69 years, male 12.1
GTEX-1QCLY-0226-SM-EWRNH 30-39 years, male 12.1
GTEX-11O72-0626-SM-5PNYE 40-49 years, male 12.0
GTEX-183FY-1026-SM-7939A 20-29 years, male 12.0
GTEX-1C6WA-2626-SM-7MKGM 60-69 years, male 12.0
GTEX-1H1DG-2426-SM-9QEHJ 70-79 years, male 12.0
GTEX-1HSKV-1226-SM-ADEI4 60-69 years, male 12.0
GTEX-1JN1M-2726-SM-CY8I4 60-69 years, female 12.0
GTEX-16XZZ-0726-SM-7KUF2 60-69 years, male 11.9
GTEX-1B97I-0626-SM-73KUZ 40-49 years, male 11.9
GTEX-1J8QM-2426-SM-A9SLS 60-69 years, female 11.9
GTEX-1NSGN-0726-SM-DTXEF 50-59 years, male 11.9
GTEX-1QMI2-2526-SM-E8VNZ 60-69 years, male 11.9
GTEX-13G51-1826-SM-5KLZH 60-69 years, male 11.8
GTEX-14PKV-1126-SM-6LLJ1 20-29 years, female 11.8
GTEX-12696-0126-SM-5EQ4L 60-69 years, male 11.7
GTEX-1AX8Z-0726-SM-73KTS 60-69 years, male 11.7
GTEX-ZYFC-0426-SM-5GICQ 50-59 years, male 11.7
GTEX-ZZ64-1026-SM-5GZXG 20-29 years, male 11.7
GTEX-18D9A-1426-SM-7LT8M 30-39 years, female 11.7
GTEX-1ICG6-1226-SM-A9SLN 70-79 years, female 11.7
GTEX-12ZZY-0726-SM-5EQ66 60-69 years, male 11.6
GTEX-ZA64-1026-SM-5HL8R 20-29 years, male 11.6
GTEX-1HCU8-2526-SM-CE6RX 60-69 years, female 11.6
GTEX-1EH9U-2826-SM-7DUGT 60-69 years, male 11.5
GTEX-1MJK3-0726-SM-E6CJC 20-29 years, male 11.5
GTEX-14PJO-2526-SM-6AJBQ 60-69 years, male 11.4
GTEX-YEC3-1326-SM-DO92X 50-59 years, male 11.4
GTEX-139T8-0626-SM-5KLZX 60-69 years, male 11.3
GTEX-139TT-2126-SM-5LZWC 60-69 years, male 11.3
GTEX-1B8SF-0126-SM-7DUG3 60-69 years, male 11.3
GTEX-ZAB4-2126-SM-5HL8U 40-49 years, male 11.3
GTEX-1GF9U-2026-SM-7SB92 40-49 years, female 11.3
GTEX-1K9T9-1526-SM-DIPFR 50-59 years, female 11.3
GTEX-11DXZ-2026-SM-5987S 50-59 years, male 11.1
GTEX-11WQC-1826-SM-5GU59 60-69 years, male 11.1
GTEX-XBED-1926-SM-47JYP 60-69 years, male 11.1
GTEX-1QP29-1826-SM-DTX9S 50-59 years, male 11.1
GTEX-13X6J-0626-SM-5LU5F 50-59 years, male 11.0
GTEX-WHWD-1826-SM-3LK6I 50-59 years, male 11.0
GTEX-1H11D-1826-SM-9QEHM 40-49 years, male 11.0
GTEX-1LVA9-2626-SM-EVYD4 50-59 years, male 11.0
GTEX-1PPGY-1626-SM-EVYBL 60-69 years, male 11.0
GTEX-1B8KE-1126-SM-7EPHI 50-59 years, male 10.9
GTEX-W5X1-2526-SM-3GILC 40-49 years, female 10.9
GTEX-Z93S-1626-SM-5CVMB 50-59 years, male 10.9
GTEX-1GMR2-0826-SM-7PC3V 50-59 years, male 10.9
GTEX-14DAQ-0626-SM-793DS 60-69 years, female 10.8
GTEX-ZXG5-2126-SM-59HKD 60-69 years, male 10.8
GTEX-1KXAM-1626-SM-D3LAD 60-69 years, male 10.8
GTEX-15RJE-2826-SM-7KUM9 40-49 years, male 10.7
GTEX-Y8LW-1526-SM-5IFHL 50-59 years, female 10.7
GTEX-1IDFM-0326-SM-ARL7V 60-69 years, male 10.7
GTEX-1N2EE-0626-SM-E76PW 60-69 years, male 10.7
GTEX-1A3MV-1826-SM-731CD 30-39 years, male 10.6
GTEX-U8XE-0226-SM-4E3J3 30-39 years, male 10.6
GTEX-131XH-0126-SM-5LZUY 50-59 years, male 10.5
GTEX-1B933-2426-SM-7DHMD 50-59 years, female 10.5
GTEX-ZVE1-0726-SM-51MRN 50-59 years, female 10.5
GTEX-1GMRU-2126-SM-7P8RA 50-59 years, male 10.5
GTEX-1QP9N-1226-SM-E76QN 30-39 years, male 10.5
GTEX-111YS-1526-SM-5GZYW 60-69 years, male 10.4
GTEX-1212Z-0126-SM-59HK4 60-69 years, male 10.4
GTEX-13OW7-0426-SM-5K7VK 50-59 years, male 10.4
GTEX-1EU9M-1426-SM-793AI 60-69 years, male 10.4
GTEX-1HSMO-0626-SM-ACKXC 60-69 years, male 10.4
GTEX-18A7B-2726-SM-7LG56 70-79 years, male 10.3
GTEX-1HR98-2226-SM-ADEI2 60-69 years, male 10.3
GTEX-13VXU-0626-SM-5L3F9 50-59 years, male 10.2
GTEX-ZP4G-1426-SM-4WWCL 20-29 years, female 10.2
GTEX-ZTSS-1426-SM-5985P 40-49 years, male 10.2
GTEX-1H1DF-1126-SM-9WG7G 40-49 years, female 10.2
GTEX-1H4P4-2126-SM-9WYSL 50-59 years, male 10.2
GTEX-1192X-2726-SM-5N9DN 50-59 years, male 10.1
GTEX-11GS4-0226-SM-5HL77 60-69 years, male 10.1
GTEX-11ZTT-2126-SM-5CVLO 60-69 years, female 10.1
GTEX-13NYB-0126-SM-5J1MD 40-49 years, male 10.1
GTEX-13PL6-1126-SM-5L3IE 40-49 years, female 10.1
GTEX-1I1HK-2326-SM-CKZOH 60-69 years, male 10.1
GTEX-1211K-1526-SM-5FQU4 60-69 years, female 10.0
GTEX-13RTJ-0126-SM-5S2NN 60-69 years, male 10.0
GTEX-ZAJG-1526-SM-5CVML 50-59 years, female 10.0
GTEX-1GF9W-1426-SM-7PBYM 60-69 years, male 10.0
GTEX-1HCUA-0826-SM-ADEHM 50-59 years, female 10.0
GTEX-1IDJC-1526-SM-B2LW4 50-59 years, male 10.0
GTEX-1IKJJ-2226-SM-CJI4C 60-69 years, male 9.9
GTEX-139D8-1126-SM-5LU8W 30-39 years, female 9.8
GTEX-X585-2426-SM-46MW2 50-59 years, male 9.8
GTEX-1GN2E-0226-SM-9WG6K 60-69 years, male 9.8
GTEX-131XF-2626-SM-5EQ6K 60-69 years, male 9.7
GTEX-17HGU-2326-SM-7DUFE 50-59 years, male 9.7
GTEX-XQ3S-1426-SM-4BOPR 20-29 years, male 9.7
GTEX-ZDTT-0426-SM-4WKFL 60-69 years, male 9.7
GTEX-1S3DN-2126-SM-E9TIN 50-59 years, male 9.7
GTEX-1A3MW-0626-SM-731CB 60-69 years, female 9.6
GTEX-1F52S-2926-SM-7MKGA 60-69 years, female 9.6
GTEX-YECK-0326-SM-4W1YS 60-69 years, male 9.6
GTEX-ZT9X-1526-SM-5DUXD 40-49 years, male 9.6
GTEX-11UD2-2526-SM-5CVNU 50-59 years, male 9.5
GTEX-13PVR-0426-SM-5RQK2 60-69 years, female 9.5
GTEX-14A6H-2026-SM-5Q5DD 30-39 years, male 9.5
GTEX-16MTA-0926-SM-6M47Z 50-59 years, male 9.5
GTEX-1EX96-1026-SM-7MKG2 50-59 years, male 9.5
GTEX-1POEN-2326-SM-E9J2L 30-39 years, female 9.5
GTEX-11DYG-1526-SM-5A5JS 60-69 years, male 9.4
GTEX-YFCO-1226-SM-5LUAT 40-49 years, male 9.4
GTEX-13W3W-0726-SM-5IJDQ 60-69 years, female 9.3
GTEX-12ZZX-2426-SM-5GCOE 40-49 years, female 9.2
GTEX-1A8G7-1326-SM-73KVM 60-69 years, male 9.2
GTEX-1LGRB-0926-SM-COH3K 50-59 years, female 9.2
GTEX-ZLV1-1526-SM-DO91J 60-69 years, female 9.2
GTEX-111CU-1126-SM-5EGIM 50-59 years, male 9.1
GTEX-12WSK-2126-SM-5CVNC 40-49 years, female 9.1
GTEX-183WM-0326-SM-72D5V 70-79 years, female 9.1
GTEX-1GZ4I-2626-SM-9KNU3 50-59 years, male 9.1
GTEX-1HFI6-0126-SM-CNPPI 40-49 years, male 9.1
GTEX-1LSNM-0826-SM-DIPG8 50-59 years, male 9.1
GTEX-132AR-0326-SM-5KM2C 50-59 years, female 9.0
GTEX-1399U-1126-SM-5L3DB 50-59 years, female 9.0
GTEX-11P82-1426-SM-DTXFY 20-29 years, male 9.0
GTEX-1F48J-0726-SM-7RHGS 50-59 years, female 9.0
GTEX-1HFI7-2326-SM-CGQFS 50-59 years, female 9.0
GTEX-1HSGN-0826-SM-ACKW3 40-49 years, female 9.0
GTEX-1LB8K-0726-SM-D5OV2 50-59 years, male 9.0
GTEX-1RAZS-2526-SM-E6CHT 50-59 years, male 9.0
GTEX-11DXW-0826-SM-5H118 40-49 years, male 8.9
GTEX-13VXT-1926-SM-5K7UO 20-29 years, female 8.9
GTEX-14PJN-1826-SM-6AJ98 30-39 years, male 8.9
GTEX-1GPI6-1926-SM-9KNV7 60-69 years, male 8.9
GTEX-1I1CD-0626-SM-CE6SW 60-69 years, female 8.9
GTEX-1KAFJ-0126-SM-DIPEK 50-59 years, male 8.9
GTEX-1QAET-0326-SM-EVR3U 50-59 years, male 8.9
GTEX-1GF9X-1326-SM-7PC2Y 40-49 years, female 8.8
GTEX-1H3VE-0726-SM-9YFL5 40-49 years, male 8.8
GTEX-1J8Q3-0526-SM-ARL8U 60-69 years, male 8.8
GTEX-145MF-0926-SM-5Q5EA 50-59 years, male 8.7
GTEX-1EKGG-0626-SM-7DUGJ 60-69 years, male 8.7
GTEX-WYJK-0526-SM-3NM8Z 50-59 years, male 8.7
GTEX-XQ8I-0926-SM-4BOOF 50-59 years, male 8.7
GTEX-1GMR8-0626-SM-7RHI7 50-59 years, female 8.7
GTEX-1JMQJ-0826-SM-CNPP7 50-59 years, male 8.7
GTEX-13D11-0926-SM-5J2NC 50-59 years, female 8.6
GTEX-14E6E-0526-SM-793DN 30-39 years, male 8.6
GTEX-XUW1-0926-SM-4BONX 50-59 years, female 8.6
GTEX-1F75I-2226-SM-7SB8U 40-49 years, male 8.5
GTEX-1GN1W-2426-SM-9KNUU 50-59 years, female 8.5
GTEX-1N5O9-0926-SM-E9J3C 60-69 years, male 8.5
GTEX-131XG-0326-SM-5L3DX 50-59 years, female 8.4
GTEX-14753-0726-SM-5QGQO 60-69 years, male 8.4
GTEX-14B4R-1326-SM-5Q5EZ 30-39 years, male 8.4
GTEX-14E6C-2426-SM-5S2NF 40-49 years, male 8.4
GTEX-WFG8-2126-SM-3GIKQ 20-29 years, male 8.4
GTEX-1MCC2-1826-SM-DIPEX 30-39 years, female 8.4
GTEX-14LZ3-0126-SM-69LPM 60-69 years, female 8.3
GTEX-1IDJU-1726-SM-CMKHU 60-69 years, female 8.3
GTEX-1RAZQ-1326-SM-E9TK6 30-39 years, male 8.3
GTEX-17F9Y-0126-SM-79OKX 70-79 years, female 8.2
GTEX-17HII-1426-SM-7EPGG 50-59 years, male 8.2
GTEX-1GF9V-0826-SM-9KNUV 60-69 years, male 8.2
GTEX-1IL2V-1926-SM-B2LW8 70-79 years, male 8.2
GTEX-1LVAM-0726-SM-E6CIL 50-59 years, female 8.2
GTEX-1QPFJ-1926-SM-EVYBD 30-39 years, female 8.2
GTEX-1S82U-1026-SM-E6CJK 30-39 years, female 8.2
GTEX-11LCK-2226-SM-5HL4Q 30-39 years, male 8.1
GTEX-17HHE-1326-SM-7EWDZ 50-59 years, male 8.1
GTEX-ZTTD-2826-SM-4YCFA 50-59 years, male 8.1
GTEX-144GM-0526-SM-79OJO 20-29 years, male 8.0
GTEX-WHSE-0126-SM-3NMBT 20-29 years, male 8.0
GTEX-1GL5R-1326-SM-7RHHF 50-59 years, male 8.0
GTEX-1IOXB-2726-SM-CM2RI 50-59 years, male 8.0
GTEX-1JMPZ-0726-SM-CY8HZ 30-39 years, male 8.0
GTEX-11ZUS-2626-SM-5FQUR 30-39 years, male 7.9
GTEX-13SLW-0626-SM-5Q5ER 70-79 years, male 7.9
GTEX-1B8L1-2226-SM-7P8PT 60-69 years, male 7.9
GTEX-11OF3-0126-SM-5PNYF 60-69 years, male 7.8
GTEX-13FTY-2126-SM-5IFFB 40-49 years, female 7.8
GTEX-13O3Q-0126-SM-5KM34 50-59 years, male 7.8
GTEX-148VJ-0626-SM-5LUAW 70-79 years, male 7.8
GTEX-14A5H-0826-SM-5QGPJ 60-69 years, male 7.8
GTEX-1F5PL-0926-SM-7PC2W 40-49 years, female 7.8
GTEX-14BIN-1126-SM-5RQJZ 50-59 years, female 7.7
GTEX-UPJH-0226-SM-3GADV 50-59 years, male 7.7
GTEX-WI4N-2726-SM-3LK7Y 40-49 years, female 7.7
GTEX-Y5LM-0926-SM-6LLJG 40-49 years, female 7.7
GTEX-145MO-2826-SM-5LU96 60-69 years, male 7.6
GTEX-14BMV-2826-SM-5TDED 50-59 years, male 7.6
GTEX-15SKB-2826-SM-6PAMH 60-69 years, male 7.6
GTEX-1AMFI-1326-SM-7939R 50-59 years, female 7.6
GTEX-16AAH-0626-SM-793C9 50-59 years, male 7.5
GTEX-1H2FU-0926-SM-9WPPT 60-69 years, female 7.5
GTEX-1K2DU-1226-SM-CYPT4 20-29 years, male 7.5
GTEX-1269C-0126-SM-5EQ5L 60-69 years, female 7.4
GTEX-145MH-2826-SM-5RQJF 50-59 years, male 7.4
GTEX-1C6VQ-1226-SM-73KYD 50-59 years, male 7.4
GTEX-1R9PM-1926-SM-EVR3O 20-29 years, male 7.4
GTEX-12WSM-1926-SM-5BC65 60-69 years, male 7.3
GTEX-15EU6-2226-SM-6EU2L 50-59 years, male 7.3
GTEX-1JKYR-0626-SM-ARL8R 20-29 years, male 7.3
GTEX-1OJC4-2726-SM-E76PJ 50-59 years, female 7.3
GTEX-13FTX-1526-SM-5K7VJ 20-29 years, female 7.2
GTEX-1JMQI-1726-SM-ARL93 50-59 years, male 7.2
GTEX-1F88F-0126-SM-9WYSZ 60-69 years, female 7.1
GTEX-XAJ8-1426-SM-47JYM 40-49 years, male 7.0
GTEX-ZWKS-0626-SM-5GIDV 30-39 years, male 7.0
GTEX-1H3O1-1326-SM-9MQLD 60-69 years, male 7.0
GTEX-1N2DV-1526-SM-DTXEP 40-49 years, male 7.0
GTEX-1PBJJ-1026-SM-E76OS 30-39 years, male 7.0
GTEX-1S83E-1326-SM-E6CJM 40-49 years, male 7.0
GTEX-13NYC-0126-SM-5L3F4 60-69 years, male 6.9
GTEX-Y114-2126-SM-4TT8B 50-59 years, female 6.9
GTEX-1I1GV-0626-SM-ARL7M 60-69 years, male 6.9
GTEX-1IE54-1126-SM-A9G2Z 40-49 years, female 6.9
GTEX-1PDJ9-1226-SM-EXUSX 20-29 years, male 6.9
GTEX-14C5O-0326-SM-5ZZUX 60-69 years, male 6.8
GTEX-14LLW-2626-SM-62LDZ 70-79 years, female 6.8
GTEX-XPVG-2126-SM-4B667 50-59 years, male 6.8
GTEX-ZPCL-1126-SM-4WWFE 60-69 years, female 6.8
GTEX-1CAMS-2226-SM-7PBXQ 40-49 years, female 6.8
GTEX-1GN73-0726-SM-7P8TJ 60-69 years, male 6.8
GTEX-1IKOE-1426-SM-CE6T7 30-39 years, female 6.8
GTEX-1J1R8-2026-SM-CL53Y 40-49 years, male 6.8
GTEX-145LU-1926-SM-79OJN 50-59 years, male 6.7
GTEX-147F4-0726-SM-5TDDD 50-59 years, male 6.7
GTEX-1A8G6-2726-SM-731AR 60-69 years, male 6.7
GTEX-1HCVE-2726-SM-CL54F 50-59 years, male 6.7
GTEX-13JVG-0726-SM-5KM16 60-69 years, male 6.6
GTEX-14ICL-1626-SM-5YYAO 30-39 years, male 6.6
GTEX-WFON-1926-SM-3LK7L 40-49 years, male 6.6
GTEX-WH7G-2026-SM-3NMBL 40-49 years, male 6.6
GTEX-1CAMQ-1326-SM-7P8RV 40-49 years, male 6.6
GTEX-1KANA-1326-SM-DIPFA 20-29 years, male 6.6
GTEX-16MT9-0126-SM-7EPI8 60-69 years, female 6.5
GTEX-1JN76-0626-SM-CKZOQ 20-29 years, female 6.5
GTEX-1LKK1-2626-SM-DKPQE 50-59 years, female 6.5
GTEX-144GO-2026-SM-5O99P 60-69 years, male 6.4
GTEX-1CB4E-0926-SM-7EPHT 60-69 years, male 6.4
GTEX-Y3I4-1726-SM-4TT89 50-59 years, male 6.4
GTEX-ZYT6-2326-SM-5GZY3 30-39 years, male 6.4
GTEX-1HGF4-0126-SM-CNPPX 60-69 years, male 6.4
GTEX-1R9PN-0426-SM-DTXDT 40-49 years, female 6.4
GTEX-ZF29-0926-SM-4WKFZ 60-69 years, female 6.3
GTEX-1JK1U-0226-SM-ARZMX 60-69 years, male 6.3
GTEX-1313W-0626-SM-5EQ4H 50-59 years, female 6.2
GTEX-13OVH-0526-SM-5L3E6 70-79 years, male 6.2
GTEX-13PDP-0726-SM-5L3HP 60-69 years, male 6.2
GTEX-145MI-0626-SM-5SI8S 60-69 years, female 6.2
GTEX-1399Q-2326-SM-5KM2X 40-49 years, male 6.1
GTEX-144FL-0626-SM-5LU43 50-59 years, male 6.1
GTEX-14PJ5-1526-SM-6LLIL 60-69 years, female 6.1
GTEX-1JJEA-1826-SM-ARU8P 60-69 years, male 6.1
GTEX-12WSJ-1126-SM-5LZVJ 40-49 years, female 6.0
GTEX-15DDE-2926-SM-6LLJ3 50-59 years, female 6.0
GTEX-1PIIG-2326-SM-DTXFR 30-39 years, male 6.0
GTEX-ZYFD-0626-SM-5E44E 50-59 years, male 5.9
GTEX-1122O-1026-SM-9WYSF 60-69 years, female 5.9
GTEX-1HCU7-0726-SM-A9SL1 50-59 years, male 5.9
GTEX-1OJC3-1226-SM-DTXER 20-29 years, male 5.9
GTEX-1H1E6-0426-SM-9WYUS 30-39 years, male 5.8
GTEX-1RMOY-1326-SM-E9TIH 50-59 years, male 5.8
GTEX-14PHY-1226-SM-5ZZWK 60-69 years, female 5.7
GTEX-1C2JI-1026-SM-73KY1 50-59 years, male 5.7
GTEX-ZVT4-2426-SM-5GIEI 50-59 years, female 5.7
GTEX-11TUW-0626-SM-5LU9M 60-69 years, male 5.6
GTEX-ZYVF-0926-SM-5E44J 50-59 years, female 5.6
GTEX-1ICLZ-0326-SM-ARL82 60-69 years, male 5.6
GTEX-1AMEY-0826-SM-72D65 30-39 years, female 5.5
GTEX-1MCYP-0526-SM-E9U6Q 20-29 years, female 5.5
GTEX-13FHO-0426-SM-5L3F5 60-69 years, male 5.4
GTEX-1QP28-1126-SM-EVYC4 50-59 years, female 5.4
GTEX-Y111-0626-SM-4SOIT 50-59 years, male 5.3
GTEX-1GZ4H-0526-SM-9KNU9 50-59 years, female 5.3
GTEX-1HBPM-0726-SM-9YFL7 60-69 years, female 5.3
GTEX-14PKU-0126-SM-6LLHV 40-49 years, female 5.2
GTEX-18A67-1626-SM-7LT9T 50-59 years, male 5.2
GTEX-1A3MX-2626-SM-7PC24 60-69 years, male 5.2
GTEX-1ICLY-0826-SM-CMKG1 50-59 years, male 5.2
GTEX-11ZU8-0126-SM-5EQ58 60-69 years, male 5.1
GTEX-147GR-2426-SM-5ZZWQ 60-69 years, male 5.1
GTEX-1C6VR-0126-SM-7RHGB 60-69 years, male 5.1
GTEX-1EMGI-2326-SM-7PBYA 60-69 years, male 5.1
GTEX-1H1DE-1326-SM-9KNUG 20-29 years, male 5.1
GTEX-1HSMQ-2626-SM-A9SML 50-59 years, male 5.1
GTEX-1IDJV-0126-SM-COH3Y 60-69 years, male 4.9
GTEX-11TT1-1826-SM-5EQLV 20-29 years, male 4.8
GTEX-ZE9C-2526-SM-5IJDR 60-69 years, male 4.8
GTEX-144GL-0626-SM-5LU4D 50-59 years, male 4.7
GTEX-1I1GT-1026-SM-ARZLV 60-69 years, female 4.7
GTEX-1J1OQ-0126-SM-D4P2N 40-49 years, female 4.7
GTEX-1JMQL-2226-SM-CNPP4 50-59 years, female 4.7
GTEX-1R7EU-1626-SM-DTXG3 60-69 years, male 4.7
GTEX-11PRG-0726-SM-5EGL1 50-59 years, male 4.6
GTEX-13NZ8-1226-SM-5KM4A 60-69 years, female 4.6
GTEX-15G19-2426-SM-7KUMR 60-69 years, male 4.6
GTEX-1HT8W-0626-SM-A9G2H 30-39 years, male 4.6
GTEX-ZY6K-1426-SM-5GZX2 50-59 years, male 4.5
GTEX-1GN1V-2826-SM-9JGIA 60-69 years, male 4.5
GTEX-WFG7-2026-SM-5SI7P 20-29 years, male 4.4
GTEX-1PPH8-0126-SM-EWRN8 20-29 years, male 4.4
GTEX-ZYY3-2926-SM-5GIEB 60-69 years, female 4.3
GTEX-1H23P-0626-SM-9WG6T 60-69 years, male 4.3
GTEX-1HB9E-0126-SM-CM2S5 50-59 years, male 4.2
GTEX-1HR9M-2226-SM-CNPPY 60-69 years, male 4.1
GTEX-13IVO-0726-SM-5LZYV 70-79 years, male 4.0
GTEX-Y9LG-1126-SM-4VBQ7 30-39 years, male 4.0
GTEX-1J8EW-2726-SM-CY8HR 60-69 years, female 4.0
GTEX-1J8Q2-2626-SM-ACKWQ 60-69 years, male 4.0
GTEX-WHSB-1326-SM-3LK6W 50-59 years, male 3.9
GTEX-1F6RS-2026-SM-7RHHC 60-69 years, female 3.9
GTEX-1PPH7-1126-SM-DTX9A 40-49 years, male 3.9
GTEX-1JMPY-0226-SM-CKZOK 30-39 years, male 3.8
GTEX-14PII-0726-SM-6EU2B 60-69 years, male 3.7
GTEX-14XAO-1226-SM-6EU1C 60-69 years, female 3.6
GTEX-11WQK-1026-SM-5EQLX 50-59 years, male 3.5
GTEX-1HBPN-0126-SM-CGQEF 50-59 years, male 3.5
GTEX-13QJC-0126-SM-5ZZWJ 60-69 years, female 3.4
GTEX-111VG-1626-SM-5EGIO 60-69 years, male 3.2
GTEX-ZTX8-1326-SM-4YCEL 20-29 years, male 3.2
GTEX-1R46S-2426-SM-E76QA 60-69 years, female 3.2
GTEX-14C38-0726-SM-5SI6M 50-59 years, male 3.1
GTEX-1I1GU-0926-SM-ACKVS 40-49 years, male 3.0
GTEX-15G1A-1626-SM-7KUKN 30-39 years, male 2.9
GTEX-ZVZP-1226-SM-5GID7 50-59 years, male 2.8
GTEX-1399S-0126-SM-5IJCF 30-39 years, female 2.7
GTEX-14C39-1726-SM-5RQIL 40-49 years, male 2.4
GTEX-14PJ4-0226-SM-5YY92 60-69 years, male 2.4
GTEX-1CB4J-1326-SM-7P8RX 60-69 years, male 1.8
GTEX-1QP2A-1726-SM-E76QC 50-59 years, male 1.8
GTEX-1NV5F-0626-SM-DTXEG 60-69 years, female 1.3
Show allShow less
Skin - Sun Exposed (Lower leg)
Average nTPM: 16.6
Samples: 701

Max nTPM: 71.4
Min nTPM: 1.2
Std nTPM: 9.8
Median nTPM: 14.2
GTEX-14JIY-0126-SM-6LLH6 60-69 years, male 71.4
GTEX-11TTK-0126-SM-5987B 60-69 years, female 68.2
GTEX-113IC-0126-SM-5HL6T 60-69 years, male 58.2
GTEX-X638-0126-SM-47JZ8 70-79 years, female 55.4
GTEX-1OJC4-0126-SM-E9J2E 50-59 years, female 55.4
GTEX-1QW4Y-1526-SM-EAZ3Z 30-39 years, male 51.2
GTEX-1JMOU-1526-SM-CL54I 60-69 years, female 49.0
GTEX-ZZPT-0226-SM-5E43X 50-59 years, male 48.5
GTEX-17HII-0226-SM-7LG4E 50-59 years, male 47.4
GTEX-1IY9M-0126-SM-D3L8S 60-69 years, male 45.8
GTEX-13RTL-0126-SM-7LG5S 40-49 years, male 45.0
GTEX-146FR-1326-SM-E9J48 60-69 years, female 45.0
GTEX-X4EO-0326-SM-3P5YO 60-69 years, female 43.6
GTEX-1HBPH-0426-SM-B2LW5 40-49 years, female 43.4
GTEX-1QP67-1626-SM-EAZ3X 40-49 years, female 42.8
GTEX-ZUA1-0126-SM-5GU76 40-49 years, male 42.5
GTEX-13NZA-0226-SM-5K7Z7 60-69 years, male 42.4
GTEX-13OVI-1426-SM-5L3EY 60-69 years, female 42.4
GTEX-1HUB1-0426-SM-E9U4U 60-69 years, male 41.6
GTEX-14BIL-0126-SM-5SI92 50-59 years, male 41.2
GTEX-RTLS-0126-SM-447CA 60-69 years, female 40.8
GTEX-1AYCT-2426-SM-7IGQ3 50-59 years, male 39.7
GTEX-11GS4-2726-SM-5A5LE 60-69 years, male 39.0
GTEX-1R9PO-2126-SM-E9J4O 60-69 years, female 39.0
GTEX-17EVQ-0226-SM-7LG4P 70-79 years, male 38.8
GTEX-1I1CD-0126-SM-CM2TK 60-69 years, female 38.3
GTEX-14PHW-0126-SM-6LLJI 60-69 years, female 38.1
GTEX-1A32A-0126-SM-718B1 50-59 years, female 38.1
GTEX-1QEPI-0126-SM-EWRMQ 60-69 years, female 37.4
GTEX-139T4-0226-SM-5HL5S 50-59 years, female 37.3
GTEX-PLZ4-0126-SM-5SI8O 50-59 years, female 37.2
GTEX-Z93T-0126-SM-5HL5N 50-59 years, male 37.2
GTEX-14LLW-0126-SM-6LLIO 70-79 years, female 37.1
GTEX-15DCD-0126-SM-7KUEK 70-79 years, female 35.7
GTEX-1H3NZ-0126-SM-ACKX7 60-69 years, male 35.6
GTEX-X62O-0126-SM-4E3JN 50-59 years, male 35.4
GTEX-11ZUS-0626-SM-59885 30-39 years, male 35.1
GTEX-1C6WA-0126-SM-7PC2B 60-69 years, male 34.7
GTEX-SE5C-1626-SM-2XCE3 40-49 years, female 34.6
GTEX-ZVT3-0126-SM-5GU6I 60-69 years, female 34.4
GTEX-1H2FU-0126-SM-9WYSI 60-69 years, female 34.3
GTEX-1HCU6-0126-SM-CL54K 60-69 years, female 34.1
GTEX-1LNCM-1126-SM-E9U5E 50-59 years, female 33.6
GTEX-1I1HK-0126-SM-COH49 60-69 years, male 33.5
GTEX-117YW-2626-SM-5GZZH 50-59 years, male 33.3
GTEX-ZDXO-3026-SM-5J1N5 60-69 years, male 33.3
GTEX-15SB6-1726-SM-6PAME 50-59 years, female 33.2
GTEX-145LU-0126-SM-5TDCB 50-59 years, male 32.9
GTEX-1IDFM-0126-SM-COH2V 60-69 years, male 32.6
GTEX-S33H-1026-SM-EZ6L6 30-39 years, male 32.6
GTEX-11NUK-0126-SM-5A5L3 50-59 years, male 32.4
GTEX-ZE7O-0126-SM-57WC1 50-59 years, female 32.4
GTEX-13O1R-0126-SM-5L3EH 60-69 years, male 32.3
GTEX-11GSP-2526-SM-5N9BP 60-69 years, female 32.2
GTEX-QDT8-0126-SM-48TZ1 30-39 years, female 32.2
GTEX-1B933-0126-SM-7PC29 50-59 years, female 32.2
GTEX-14ABY-0226-SM-5TDCQ 50-59 years, male 31.9
GTEX-13OW7-0126-SM-5MR3B 50-59 years, male 31.6
GTEX-OXRP-0126-SM-3NB32 60-69 years, female 31.6
GTEX-1C64O-0126-SM-7SB8P 60-69 years, male 31.4
GTEX-1497J-2426-SM-7IGNX 60-69 years, male 31.3
GTEX-12WSD-0126-SM-59HKN 60-69 years, female 31.1
GTEX-QCQG-1726-SM-3GIJ9 50-59 years, female 31.1
GTEX-11EMC-2926-SM-5EQ4F 60-69 years, female 31.0
GTEX-139TT-0126-SM-5K7Y5 60-69 years, male 31.0
GTEX-13O3O-0126-SM-E9J49 60-69 years, female 30.6
GTEX-14PK6-1926-SM-6ETZU 70-79 years, female 30.1
GTEX-ZQG8-1626-SM-DHXIT 60-69 years, female 30.1
GTEX-1GN1W-0526-SM-9MQJQ 50-59 years, female 30.0
GTEX-X4EP-0126-SM-3P5YV 60-69 years, female 29.9
GTEX-17HHY-0126-SM-7LG5D 50-59 years, male 29.8
GTEX-15DYW-0126-SM-7KULE 60-69 years, female 29.7
GTEX-13OVL-0226-SM-5L3E9 50-59 years, male 29.5
GTEX-V1D1-2226-SM-3NMAX 50-59 years, male 29.5
GTEX-1S82Y-2026-SM-EVYCM 40-49 years, male 29.5
GTEX-ZF28-0126-SM-4WKGK 60-69 years, male 29.4
GTEX-14A6H-0126-SM-5QGPK 30-39 years, male 29.2
GTEX-13QJ3-0326-SM-5S2RA 50-59 years, male 28.5
GTEX-R55E-0126-SM-2TC5Y 20-29 years, male 28.5
GTEX-1PIGE-0126-SM-EVYBJ 20-29 years, male 28.5
GTEX-13W46-0226-SM-5SIAG 50-59 years, male 28.3
GTEX-13OVJ-0126-SM-5KM36 50-59 years, female 28.2
GTEX-1MA7X-2226-SM-E6CIY 60-69 years, male 28.2
GTEX-U3ZN-2326-SM-3DB7W 30-39 years, female 28.0
GTEX-ZC5H-0226-SM-4WAY9 40-49 years, female 28.0
GTEX-14PJ6-2126-SM-6EU1V 60-69 years, female 27.9
GTEX-1F48J-0126-SM-7P8TT 50-59 years, female 27.9
GTEX-1AYD5-2426-SM-73KXR 50-59 years, male 27.8
GTEX-S7PM-0126-SM-4AD6S 60-69 years, male 27.7
GTEX-WY7C-2326-SM-3NB2U 50-59 years, male 27.7
GTEX-1F88F-2726-SM-7PBZZ 60-69 years, female 27.6
GTEX-14PJ3-1826-SM-62LEX 50-59 years, male 27.5
GTEX-15SHW-0326-SM-6PAML 60-69 years, male 27.3
GTEX-TML8-1926-SM-32QOS 40-49 years, female 27.3
GTEX-1RAZQ-0726-SM-EAZ43 30-39 years, male 27.3
GTEX-13FHO-0226-SM-5IFGY 60-69 years, male 27.2
GTEX-144GN-2326-SM-5LU4F 50-59 years, male 27.2
GTEX-1IE54-0126-SM-CMKHW 40-49 years, female 27.2
GTEX-1S82Z-0826-SM-E6CHY 30-39 years, female 27.2
GTEX-1F6IF-0726-SM-7P8TW 60-69 years, male 27.0
GTEX-U3ZH-2026-SM-3DB78 30-39 years, male 26.9
GTEX-1ICG6-2526-SM-CGQFZ 70-79 years, female 26.7
GTEX-11ZVC-2526-SM-5FQTE 50-59 years, female 26.5
GTEX-1PBJI-0526-SM-E8VNK 20-29 years, female 26.5
GTEX-1A8FM-0226-SM-7SB7Q 50-59 years, female 26.4
GTEX-1EKGG-0226-SM-9WYTH 60-69 years, male 26.4
GTEX-13N1W-0126-SM-5K7VT 70-79 years, male 26.3
GTEX-X5EB-2226-SM-46MW4 40-49 years, male 26.3
GTEX-1RAZA-0126-SM-E6CI3 20-29 years, male 26.3
GTEX-12KS4-0326-SM-5EQ41 30-39 years, male 26.0
GTEX-13VXU-0126-SM-5SI9F 50-59 years, male 26.0
GTEX-ZVE2-0226-SM-59HJB 50-59 years, male 25.7
GTEX-1F75A-0126-SM-7RHGM 50-59 years, male 25.7
GTEX-Q2AG-0126-SM-33HBV 40-49 years, female 25.6
GTEX-1I19N-0326-SM-ACKVX 70-79 years, male 25.6
GTEX-RNOR-0126-SM-E9J4R 50-59 years, female 25.6
GTEX-13OVG-1926-SM-5L3DK 60-69 years, male 25.5
GTEX-RU72-0926-SM-2TF6B 50-59 years, female 25.4
GTEX-WOFL-0126-SM-3MJG2 60-69 years, male 25.4
GTEX-XMD2-0126-SM-4YCDU 60-69 years, female 25.4
GTEX-VJYA-1126-SM-3GIJU 60-69 years, male 25.3
GTEX-1I1GS-0126-SM-B2LVW 60-69 years, male 25.3
GTEX-R45C-0126-SM-EAZ2R 60-69 years, female 25.2
GTEX-12WSG-2826-SM-E9J4H 50-59 years, female 25.1
GTEX-1C6VS-0526-SM-7DUEN 60-69 years, male 24.8
GTEX-SSA3-0126-SM-32QPU 60-69 years, male 24.7
GTEX-ZYY3-0126-SM-5GZY5 60-69 years, female 24.7
GTEX-169BO-1326-SM-9MQK2 50-59 years, male 24.7
GTEX-WH7G-2326-SM-3NMBC 40-49 years, male 24.4
GTEX-X4XX-0126-SM-3NMC2 60-69 years, male 24.3
GTEX-XUYS-0126-SM-47JWZ 50-59 years, male 24.2
GTEX-ZYW4-0126-SM-5E44A 60-69 years, male 24.2
GTEX-1MUQO-0126-SM-EAZ58 60-69 years, male 24.0
GTEX-TMZS-0126-SM-3DB9Q 60-69 years, male 23.9
GTEX-OIZF-0126-SM-7SB8I 60-69 years, male 23.9
GTEX-PW2O-1526-SM-7RHHB 20-29 years, male 23.8
GTEX-QLQW-1126-SM-2S1Q8 30-39 years, male 23.6
GTEX-1GN1V-0126-SM-9WPOS 60-69 years, male 23.6
GTEX-13G51-2526-SM-5LZYK 60-69 years, male 23.5
GTEX-OXRO-0126-SM-2YUN4 60-69 years, female 23.5
GTEX-13RTJ-2426-SM-5S2Q2 60-69 years, male 23.4
GTEX-1K9T9-0126-SM-EVYCF 50-59 years, female 23.3
GTEX-P4PP-0126-SM-3LK69 30-39 years, female 23.2
GTEX-RN64-0126-SM-2TC68 50-59 years, male 23.2
GTEX-1RQEC-0426-SM-E6CHU 60-69 years, male 23.2
GTEX-1C6VQ-0126-SM-7P8RI 50-59 years, male 22.9
GTEX-1GTWX-0126-SM-9YFLK 60-69 years, male 22.9
GTEX-11DZ1-0126-SM-5985Q 50-59 years, male 22.8
GTEX-ZEX8-2426-SM-4WKG4 50-59 years, male 22.8
GTEX-1IKOH-0226-SM-COH4E 60-69 years, female 22.8
GTEX-13FTX-1826-SM-5J1NX 20-29 years, female 22.7
GTEX-148VI-1626-SM-5SI6E 60-69 years, female 22.7
GTEX-13N11-2526-SM-5K7UE 50-59 years, female 22.6
GTEX-17F97-0326-SM-7LG5B 50-59 years, male 22.6
GTEX-1B8L1-2526-SM-9WYTF 60-69 years, male 22.6
GTEX-1HSMO-0126-SM-CL547 60-69 years, male 22.6
GTEX-VJWN-0126-SM-3GIK7 50-59 years, female 22.5
GTEX-1CB4G-0226-SM-7PC3O 60-69 years, male 22.5
GTEX-145LV-2126-SM-5LU8N 50-59 years, male 22.4
GTEX-15EOM-0126-SM-7KUGG 20-29 years, female 22.2
GTEX-1B8KZ-2026-SM-7DHMB 50-59 years, male 22.2
GTEX-P4PQ-0126-SM-2S1NM 60-69 years, male 22.0
GTEX-14PJM-0226-SM-62LF1 50-59 years, female 21.9
GTEX-11WQC-2526-SM-5CVLE 60-69 years, male 21.7
GTEX-15SDE-2226-SM-7IGLO 50-59 years, female 21.7
GTEX-18A66-0226-SM-718BD 60-69 years, male 21.6
GTEX-1LBAC-0126-SM-DIPEZ 20-29 years, male 21.6
GTEX-1MCQQ-0826-SM-DLHC2 60-69 years, male 21.5
GTEX-13S7M-0126-SM-5SI6A 60-69 years, female 21.4
GTEX-Y111-0126-SM-4SOIV 50-59 years, male 21.4
GTEX-ZVT2-2526-SM-51MT1 50-59 years, female 21.4
GTEX-11VI4-1726-SM-5CVLH 40-49 years, female 21.3
GTEX-16XZY-2126-SM-79OK1 70-79 years, male 21.3
GTEX-OXRL-0126-SM-2YUMP 50-59 years, male 21.3
GTEX-13NZ8-0826-SM-5MR3I 60-69 years, female 21.1
GTEX-SN8G-0126-SM-32PLI 50-59 years, female 21.1
GTEX-WYVS-2126-SM-3NMA3 40-49 years, female 21.1
GTEX-1GPI6-0126-SM-9WG69 60-69 years, male 21.0
GTEX-1J8EW-0126-SM-CJI4F 60-69 years, female 21.0
GTEX-14BIM-0226-SM-7IGLD 60-69 years, female 20.9
GTEX-Q734-1926-SM-2I5EV 40-49 years, female 20.9
GTEX-YJ8A-0426-SM-5IFID 20-29 years, male 20.9
GTEX-OXRK-0226-SM-3NB2G 50-59 years, female 20.8
GTEX-WVJS-0126-SM-4MVOT 50-59 years, male 20.8
GTEX-ZAB4-0226-SM-5N9F5 40-49 years, male 20.7
GTEX-1NHNU-1026-SM-E9J2A 50-59 years, male 20.6
GTEX-131XW-0426-SM-5LZWP 50-59 years, female 20.5
GTEX-15SHU-0126-SM-7KUEH 40-49 years, female 20.5
GTEX-18A7A-0226-SM-718BH 50-59 years, female 20.4
GTEX-1AX9I-0126-SM-7SB74 60-69 years, male 20.4
GTEX-1H1ZS-0426-SM-9WG6G 70-79 years, male 20.4
GTEX-SJXC-0126-SM-2XCFF 60-69 years, male 20.3
GTEX-14E7W-0126-SM-6LLJ9 70-79 years, male 20.1
GTEX-1PWST-0226-SM-E76QJ 70-79 years, male 20.1
GTEX-11DXX-2426-SM-5GZZW 60-69 years, female 20.0
GTEX-147F4-0226-SM-5QGPW 50-59 years, male 20.0
GTEX-13U4I-0126-SM-5LU38 40-49 years, female 19.9
GTEX-145MO-0326-SM-5Q5B3 60-69 years, male 19.9
GTEX-1IGQW-0126-SM-COH42 60-69 years, male 19.9
GTEX-X585-0226-SM-4QAS2 50-59 years, male 19.8
GTEX-1CAV2-2226-SM-7P8P2 40-49 years, female 19.8
GTEX-1ICLZ-0126-SM-CKZPO 60-69 years, male 19.8
GTEX-1GN1U-0126-SM-7PBZK 50-59 years, female 19.7
GTEX-1JN1M-0326-SM-CYPT3 60-69 years, female 19.7
GTEX-1313W-0126-SM-5LZUN 50-59 years, female 19.6
GTEX-1F6I4-0126-SM-9MQL2 60-69 years, male 19.6
GTEX-XUW1-0426-SM-4BOOT 50-59 years, female 19.5
GTEX-1LG7Y-0526-SM-DKPQC 50-59 years, male 19.4
GTEX-1269C-2526-SM-5EGJ3 60-69 years, female 19.3
GTEX-18465-0126-SM-731BN 50-59 years, male 19.3
GTEX-XV7Q-2526-SM-4BRV9 40-49 years, female 19.3
GTEX-1J8JJ-0226-SM-CL53I 60-69 years, female 19.3
GTEX-1GPI7-0126-SM-9MQL8 20-29 years, male 19.2
GTEX-1I1GP-2226-SM-CGQFK 50-59 years, male 19.2
GTEX-18A6Q-0126-SM-731BZ 60-69 years, male 19.1
GTEX-ZDTS-0126-SM-4WAY5 60-69 years, male 19.1
GTEX-OXRN-0126-SM-48TDM 50-59 years, male 19.0
GTEX-RVPV-0126-SM-EAZAW 60-69 years, male 19.0
GTEX-1POEN-0126-SM-EYYXJ 30-39 years, female 18.9
GTEX-139TS-2826-SM-5J1OO 60-69 years, male 18.8
GTEX-13SLX-0526-SM-5S2ON 50-59 years, female 18.8
GTEX-1KANB-0526-SM-E6CJH 50-59 years, male 18.8
GTEX-OOBJ-0126-SM-E6CJW 60-69 years, male 18.7
GTEX-11P81-2326-SM-59875 30-39 years, female 18.6
GTEX-QVJO-1626-SM-2S1QW 60-69 years, female 18.6
GTEX-11EI6-0126-SM-5985R 60-69 years, male 18.4
GTEX-1A3MW-0126-SM-73KXX 60-69 years, female 18.4
GTEX-Y8E4-0626-SM-4WWDL 40-49 years, male 18.4
GTEX-YFC4-0126-SM-5CVLY 40-49 years, female 18.4
GTEX-1F75B-0126-SM-9KNVL 50-59 years, male 18.4
GTEX-17MF6-0126-SM-7LG4F 40-49 years, male 18.3
GTEX-139D8-0226-SM-5KLZO 30-39 years, female 18.2
GTEX-PVOW-0126-SM-2XCFA 40-49 years, male 18.2
GTEX-PWO3-1526-SM-48TCM 60-69 years, female 18.2
GTEX-ZAB5-1826-SM-5HL7C 50-59 years, male 18.1
GTEX-ZE9C-2726-SM-57WB5 60-69 years, male 18.0
GTEX-11GSO-2426-SM-5A5LY 60-69 years, male 17.9
GTEX-11OF3-2626-SM-5GU7F 60-69 years, male 17.9
GTEX-T2IS-0126-SM-4DM6O 20-29 years, female 17.9
GTEX-WQUQ-0426-SM-3MJFU 60-69 years, male 17.9
GTEX-1HBPI-1526-SM-C1YQ1 50-59 years, male 17.9
GTEX-1N2DV-0226-SM-E6CJ6 40-49 years, male 17.9
GTEX-13X6J-0126-SM-5QGOU 50-59 years, male 17.8
GTEX-1AX9K-2326-SM-73KWU 50-59 years, male 17.8
GTEX-SIU8-0126-SM-2XCDT 50-59 years, male 17.8
GTEX-11O72-0126-SM-59887 40-49 years, male 17.7
GTEX-Y5LM-1926-SM-5RQJH 40-49 years, female 17.7
GTEX-ZAK1-0126-SM-5IJD3 50-59 years, female 17.7
GTEX-1RLM8-2326-SM-EWRN4 50-59 years, male 17.7
GTEX-183FY-0126-SM-7LT9P 20-29 years, male 17.6
GTEX-XQ3S-1526-SM-4BOOC 20-29 years, male 17.6
GTEX-ZYFD-0126-SM-5GIDL 50-59 years, male 17.6
GTEX-1RB15-2126-SM-E9TIM 60-69 years, male 17.6
GTEX-14JG6-2226-SM-6EU2G 30-39 years, female 17.5
GTEX-15UF6-0826-SM-6PALJ 70-79 years, female 17.5
GTEX-ZTPG-0326-SM-5O9AX 20-29 years, female 17.5
GTEX-1GN73-0226-SM-9WG67 60-69 years, male 17.5
GTEX-1H3VY-0126-SM-ACKXD 50-59 years, male 17.5
GTEX-12ZZY-0226-SM-5LZVE 60-69 years, male 17.4
GTEX-13O21-1426-SM-5K7XI 50-59 years, male 17.4
GTEX-16MT8-0426-SM-7KUEY 60-69 years, female 17.3
GTEX-WZTO-0126-SM-3NM95 40-49 years, male 17.3
GTEX-1H3O1-0426-SM-9YFKY 60-69 years, male 17.3
GTEX-1N2EF-0226-SM-EYYXB 60-69 years, male 17.3
GTEX-111VG-2426-SM-5GZXD 60-69 years, male 17.2
GTEX-14PHX-2326-SM-62LEM 50-59 years, male 17.2
GTEX-RWSA-0126-SM-2XCBB 40-49 years, male 17.2
GTEX-1JMQJ-0526-SM-CYPSU 50-59 years, male 17.2
GTEX-113JC-2326-SM-5EQ4E 50-59 years, female 17.1
GTEX-132NY-0326-SM-5IJBL 60-69 years, male 17.1
GTEX-1I1GR-0126-SM-CL55F 60-69 years, male 17.1
GTEX-11OC5-0126-SM-5HL6A 60-69 years, male 17.0
GTEX-148VJ-0126-SM-5TDDN 70-79 years, male 17.0
GTEX-QDVJ-1726-SM-2I5FX 50-59 years, male 17.0
GTEX-11DXY-2626-SM-5GIE7 60-69 years, male 16.9
GTEX-UPJH-0326-SM-3GADU 50-59 years, male 16.9
GTEX-W5X1-3026-SM-EAZAX 40-49 years, female 16.9
GTEX-1R46S-0626-SM-E9J41 60-69 years, female 16.8
GTEX-146FH-0126-SM-5QGPP 50-59 years, female 16.7
GTEX-17HHE-2026-SM-79OKF 50-59 years, male 16.7
GTEX-1JKYR-0126-SM-CNPOJ 20-29 years, male 16.6
GTEX-12ZZX-0126-SM-5EGK9 40-49 years, female 16.5
GTEX-13OW8-1326-SM-5J1OW 60-69 years, male 16.5
GTEX-1AX9J-0226-SM-73KXM 60-69 years, male 16.5
GTEX-1HGF4-2426-SM-ACKXM 60-69 years, male 16.5
GTEX-11H98-0126-SM-5EGHG 50-59 years, male 16.4
GTEX-1AX8Z-0126-SM-7DHM6 60-69 years, male 16.4
GTEX-QLQ7-1626-SM-2S1R8 60-69 years, male 16.4
GTEX-14DAQ-0126-SM-5S2MQ 60-69 years, female 16.3
GTEX-RUSQ-1526-SM-2TF62 50-59 years, male 16.3
GTEX-1QP29-0626-SM-EWRMX 50-59 years, male 16.3
GTEX-13VXT-0126-SM-5LU4I 20-29 years, female 16.2
GTEX-O5YW-0126-SM-3LK6D 50-59 years, male 16.2
GTEX-1MGNQ-0126-SM-EVYCJ 40-49 years, male 16.1
GTEX-1QP66-1726-SM-E8VO1 50-59 years, male 16.1
GTEX-147GR-0526-SM-5S2MY 60-69 years, male 16.0
GTEX-ZF3C-0126-SM-DO92D 50-59 years, female 16.0
GTEX-11ZTT-2426-SM-5EQLS 60-69 years, female 15.9
GTEX-17MFQ-1726-SM-793C7 20-29 years, male 15.9
GTEX-1R7EV-2426-SM-EVYBG 40-49 years, male 15.9
GTEX-11P82-1626-SM-59879 20-29 years, male 15.8
GTEX-12WSC-0126-SM-5EQ4P 50-59 years, male 15.8
GTEX-13PVR-2326-SM-5QGR1 60-69 years, female 15.8
GTEX-15D1Q-0126-SM-7KUG6 40-49 years, male 15.8
GTEX-17HGU-0226-SM-7DHKV 50-59 years, male 15.8
GTEX-18A7B-0126-SM-7LG64 70-79 years, male 15.8
GTEX-TSE9-0126-SM-3DB83 60-69 years, female 15.8
GTEX-1JN6P-0126-SM-D3L98 60-69 years, male 15.8
GTEX-1KD5A-0226-SM-D5OV3 50-59 years, male 15.8
GTEX-11P7K-2126-SM-5GU7G 30-39 years, male 15.6
GTEX-RWS6-2026-SM-2XCB5 60-69 years, female 15.6
GTEX-S7SE-0126-SM-2XCD5 50-59 years, male 15.6
GTEX-1EU9M-0226-SM-7P8SP 60-69 years, male 15.6
GTEX-1EWIQ-0126-SM-7RHH2 70-79 years, female 15.6
GTEX-16NGA-1726-SM-731B4 40-49 years, female 15.5
GTEX-1HFI6-0226-SM-ADEHZ 40-49 years, male 15.5
GTEX-OHPM-0126-SM-2YUN9 50-59 years, male 15.4
GTEX-ZF29-2326-SM-DO92K 60-69 years, female 15.4
GTEX-13YAN-0326-SM-5O9DF 60-69 years, male 15.3
GTEX-QEG4-0226-SM-2S1PY 30-39 years, male 15.3
GTEX-1QCLY-0326-SM-E8VOG 30-39 years, male 15.2
GTEX-13NYS-0126-SM-5MR3W 60-69 years, male 15.1
GTEX-1C2JI-1826-SM-73KXC 50-59 years, male 15.1
GTEX-XXEK-2226-SM-4BRUM 50-59 years, male 15.1
GTEX-1H11D-0226-SM-9WG6Z 40-49 years, male 15.1
GTEX-18QFQ-0126-SM-731BE 30-39 years, male 14.9
GTEX-WXYG-2326-SM-4E3I6 50-59 years, female 14.9
GTEX-1HKZK-0326-SM-9WYUH 40-49 years, male 14.9
GTEX-13D11-2426-SM-5KM1V 50-59 years, female 14.8
GTEX-145LT-1726-SM-5QGP3 40-49 years, male 14.8
GTEX-13PDP-0126-SM-5L3HD 60-69 years, male 14.7
GTEX-14E6D-0126-SM-62LDV 50-59 years, male 14.7
GTEX-1KD4Q-0226-SM-E9TJ9 40-49 years, male 14.7
GTEX-1JKYN-1326-SM-CGQG9 30-39 years, male 14.6
GTEX-12696-2426-SM-5EQ6H 60-69 years, male 14.5
GTEX-131XG-2626-SM-5KM17 50-59 years, female 14.5
GTEX-139T8-0126-SM-5K7XZ 60-69 years, male 14.5
GTEX-139TU-0126-SM-5K7WH 60-69 years, male 14.5
GTEX-15DDE-0126-SM-6LPKH 50-59 years, female 14.5
GTEX-YEC4-2126-SM-5IFJH 40-49 years, male 14.5
GTEX-ZDTT-2726-SM-4WKF8 60-69 years, male 14.5
GTEX-18D9B-0526-SM-7LTAS 60-69 years, male 14.4
GTEX-ZQUD-1426-SM-57WER 30-39 years, male 14.4
GTEX-OOBK-0126-SM-2YUND 40-49 years, male 14.3
GTEX-13CF2-2526-SM-5LZYX 60-69 years, male 14.2
GTEX-13O3Q-2426-SM-5IJBR 50-59 years, male 14.2
GTEX-16YQH-0126-SM-7DUFJ 30-39 years, male 14.2
GTEX-1AMEY-1326-SM-73KYK 30-39 years, female 14.2
GTEX-U8XE-0326-SM-3DB8P 30-39 years, male 14.2
GTEX-1GF9W-0326-SM-9KNUN 60-69 years, male 14.2
GTEX-1GZHY-0326-SM-9QEHI 50-59 years, female 14.2
GTEX-1JJE9-0326-SM-CL53Z 70-79 years, male 14.2
GTEX-1211K-2026-SM-5EQ4Z 60-69 years, female 14.1
GTEX-12WSN-5019-SM-79OM6 40-49 years, male 14.1
GTEX-WI4N-1026-SM-3LK7N 40-49 years, female 14.1
GTEX-Y3I4-2126-SM-4TT7C 50-59 years, male 14.1
GTEX-13112-2826-SM-5DUWH 50-59 years, male 14.0
GTEX-13OVK-2026-SM-7KUEO 40-49 years, male 14.0
GTEX-R55G-2526-SM-2TC6D 40-49 years, female 14.0
GTEX-ZU9S-0226-SM-5E441 30-39 years, male 13.9
GTEX-1F52S-0126-SM-9MQJU 60-69 years, female 13.9
GTEX-1314G-1526-SM-5EGK2 30-39 years, male 13.8
GTEX-15ETS-0126-SM-7KUMW 40-49 years, female 13.8
GTEX-12WSL-2526-SM-5GCNJ 50-59 years, male 13.7
GTEX-13IVO-0126-SM-5J1NG 70-79 years, male 13.7
GTEX-1C4CL-0526-SM-73KVK 30-39 years, male 13.7
GTEX-1HSMP-0126-SM-E6CJS 70-79 years, male 13.7
GTEX-QV44-1926-SM-2S1RF 50-59 years, male 13.6
GTEX-U3ZM-1526-SM-3DB9D 40-49 years, male 13.6
GTEX-ZGAY-0526-SM-4WWBB 40-49 years, female 13.6
GTEX-1O97I-0326-SM-EYYX7 60-69 years, male 13.6
GTEX-1192W-2626-SM-5Q5AF 60-69 years, male 13.5
GTEX-1E1VI-0126-SM-7DHMZ 50-59 years, male 13.5
GTEX-R3RS-0126-SM-3GIJL 40-49 years, female 13.5
GTEX-1GMRU-0126-SM-9YFLV 50-59 years, male 13.5
GTEX-1IKK5-0626-SM-ARL8A 60-69 years, male 13.5
GTEX-131YS-0126-SM-5KM1M 60-69 years, female 13.4
GTEX-1399U-2326-SM-5K7WY 50-59 years, female 13.4
GTEX-RM2N-1426-SM-2TF4H 50-59 years, male 13.4
GTEX-T2YK-0526-SM-32QPJ 50-59 years, male 13.4
GTEX-Y8LW-1826-SM-5S2MV 50-59 years, female 13.4
GTEX-ZVT4-0126-SM-DTXFN 50-59 years, female 13.4
GTEX-ZVTK-0426-SM-51MRS 20-29 years, male 13.3
GTEX-1H23P-0126-SM-ADEJ3 60-69 years, male 13.3
GTEX-1JJEA-0326-SM-CNPOT 60-69 years, male 13.3
GTEX-12C56-1726-SM-5EQ61 20-29 years, male 13.2
GTEX-OIZG-0726-SM-33HBL 50-59 years, male 13.2
GTEX-X88G-0126-SM-47JZ3 30-39 years, male 13.2
GTEX-XBEW-0626-SM-4QASP 40-49 years, male 13.2
GTEX-1JMQI-2226-SM-CM2SD 50-59 years, male 13.2
GTEX-ZPIC-1726-SM-DHXIU 40-49 years, female 13.2
GTEX-11UD1-0126-SM-5PNYG 40-49 years, female 13.1
GTEX-NFK9-0226-SM-2HMKQ 40-49 years, male 13.1
GTEX-X8HC-0126-SM-4E3JW 50-59 years, female 13.1
GTEX-146FQ-0126-SM-5NQA9 30-39 years, male 13.0
GTEX-17F98-0626-SM-79OMX 40-49 years, female 13.0
GTEX-Y5V5-2326-SM-4V6GA 60-69 years, female 12.9
GTEX-1JK1U-2026-SM-CM2RZ 60-69 years, male 12.9
GTEX-117YX-2326-SM-5H12W 50-59 years, male 12.8
GTEX-139UW-2826-SM-5L3E7 60-69 years, male 12.8
GTEX-14753-0426-SM-5NQAM 60-69 years, male 12.8
GTEX-17HG3-2226-SM-7938L 30-39 years, female 12.8
GTEX-1192X-0226-SM-5H12D 50-59 years, male 12.7
GTEX-13W3W-2426-SM-5LU5B 60-69 years, female 12.7
GTEX-13X6I-0626-SM-5QGP9 60-69 years, male 12.7
GTEX-1A3MV-1926-SM-718BT 30-39 years, male 12.7
GTEX-1EX96-1626-SM-7PBXR 50-59 years, male 12.7
GTEX-1GZ2Q-0226-SM-7P8TL 40-49 years, male 12.7
GTEX-1ICLY-0126-SM-D4P36 50-59 years, male 12.7
GTEX-144FL-0126-SM-5TDC8 50-59 years, male 12.6
GTEX-14DAR-2026-SM-5S2O3 50-59 years, male 12.6
GTEX-15CHC-2126-SM-6EU21 60-69 years, female 12.6
GTEX-P44H-0226-SM-2XCEU 40-49 years, male 12.6
GTEX-1GZ4H-1726-SM-7PBZJ 50-59 years, female 12.6
GTEX-1LB8K-0226-SM-EWRNW 50-59 years, male 12.6
GTEX-1H3VE-0326-SM-9YFLH 40-49 years, male 12.5
GTEX-1MCYP-1926-SM-E9J2R 20-29 years, female 12.5
GTEX-14ICK-0226-SM-6EU25 40-49 years, male 12.4
GTEX-17F96-1626-SM-7DUFL 70-79 years, male 12.4
GTEX-XAJ8-0826-SM-47JY6 40-49 years, male 12.4
GTEX-1EN7A-0126-SM-7SB81 40-49 years, male 12.4
GTEX-1F7RK-0126-SM-7PC2S 20-29 years, female 12.4
GTEX-111FC-0126-SM-5N9DL 60-69 years, male 12.3
GTEX-SNMC-1226-SM-2XCFP 20-29 years, male 12.3
GTEX-12WSJ-1826-SM-5GCNY 40-49 years, female 12.2
GTEX-1M4P7-0226-SM-DIPEV 60-69 years, male 12.2
GTEX-1GF9X-2026-SM-7PC3A 40-49 years, female 12.1
GTEX-1HBPM-0226-SM-ARL9F 60-69 years, female 12.1
GTEX-13OW6-0426-SM-5L3HM 50-59 years, male 12.0
GTEX-17KNJ-2326-SM-7DHLQ 50-59 years, male 12.0
GTEX-U412-0426-SM-3DB9O 60-69 years, male 12.0
GTEX-VUSG-2526-SM-4KL1V 50-59 years, male 12.0
GTEX-1GN2E-0426-SM-9MQKX 60-69 years, male 12.0
GTEX-1J1R8-1726-SM-ARL8M 40-49 years, male 12.0
GTEX-18A67-0126-SM-7LG5P 50-59 years, male 11.9
GTEX-NPJ8-0126-SM-2YUNR 40-49 years, male 11.9
GTEX-QDVN-2026-SM-3GAEP 50-59 years, male 11.9
GTEX-Y3IK-2426-SM-4WWDU 50-59 years, female 11.9
GTEX-1RDX4-0126-SM-E9J4P 50-59 years, female 11.9
GTEX-13NZB-2526-SM-5J1OM 30-39 years, male 11.8
GTEX-14BIN-0626-SM-793DP 50-59 years, female 11.8
GTEX-PLZ5-2026-SM-2S1O4 50-59 years, male 11.8
GTEX-1HSGN-0226-SM-CGQFV 40-49 years, female 11.8
GTEX-14PN3-2426-SM-6LLHS 60-69 years, female 11.7
GTEX-1CAMS-0426-SM-7P8T2 40-49 years, female 11.7
GTEX-1IDJF-0126-SM-CM2RS 20-29 years, male 11.7
GTEX-1QMI2-0226-SM-EVYBX 60-69 years, male 11.7
GTEX-16GPK-0126-SM-7DHLE 60-69 years, male 11.6
GTEX-U4B1-1826-SM-4DXSU 40-49 years, male 11.6
GTEX-ZYFG-2326-SM-5E44B 60-69 years, female 11.6
GTEX-1F5PK-2426-SM-7RHHY 50-59 years, male 11.6
GTEX-131XE-2326-SM-5PNZ2 50-59 years, male 11.5
GTEX-17EUY-0426-SM-793BD 20-29 years, male 11.5
GTEX-18D9U-0226-SM-718BP 40-49 years, male 11.5
GTEX-13RTK-1426-SM-5QGQJ 20-29 years, male 11.4
GTEX-16BQI-0226-SM-7KUEX 30-39 years, female 11.4
GTEX-TMMY-0226-SM-33HBA 40-49 years, female 11.4
GTEX-ZDYS-2026-SM-5HL5L 50-59 years, male 11.4
GTEX-1K2DA-1826-SM-CGQGT 50-59 years, male 11.4
GTEX-13FHP-0126-SM-5IJBG 50-59 years, male 11.3
GTEX-T6MN-0126-SM-32PLP 50-59 years, male 11.3
GTEX-Z9EW-1626-SM-5CVMN 40-49 years, male 11.3
GTEX-ZYFC-0226-SM-5NQ75 50-59 years, male 11.3
GTEX-1HSKV-0226-SM-A9SKJ 60-69 years, male 11.3
GTEX-1JMQK-0226-SM-CL543 60-69 years, male 11.3
GTEX-1PPH7-2326-SM-EVYB8 40-49 years, male 11.3
GTEX-13OW5-0126-SM-DTXFS 60-69 years, male 11.2
GTEX-1JMLX-0226-SM-CM2RO 50-59 years, male 11.2
GTEX-1399R-2726-SM-5IJBA 30-39 years, male 11.1
GTEX-13X6H-2126-SM-7EWD5 50-59 years, female 11.1
GTEX-16XZZ-0126-SM-793DV 60-69 years, male 11.1
GTEX-U8T8-0126-SM-3DB94 60-69 years, male 11.1
GTEX-XYKS-2126-SM-4E3IB 60-69 years, female 11.1
GTEX-11XUK-2026-SM-5EQLF 40-49 years, female 11.0
GTEX-1HSEH-0126-SM-ACKXN 60-69 years, male 11.0
GTEX-11DXW-0226-SM-5H122 40-49 years, male 10.9
GTEX-1B996-0226-SM-7RHGO 60-69 years, male 10.9
GTEX-1QPFJ-0226-SM-E76PB 30-39 years, female 10.9
GTEX-1S5ZA-0126-SM-EVYCV 20-29 years, male 10.9
GTEX-11EM3-2426-SM-59861 20-29 years, female 10.8
GTEX-Y8DK-0126-SM-4TT3L 60-69 years, male 10.8
GTEX-1HSMQ-1226-SM-CGQFX 50-59 years, male 10.8
GTEX-11ZU8-2526-SM-5EQKI 60-69 years, male 10.7
GTEX-14BMV-0126-SM-5S2PO 50-59 years, male 10.7
GTEX-1IOXB-0126-SM-ARL8G 50-59 years, male 10.7
GTEX-145LS-0126-SM-5QGP1 60-69 years, female 10.6
GTEX-1IL2V-0126-SM-CM2TX 70-79 years, male 10.6
GTEX-1J1OQ-0226-SM-CYPSH 40-49 years, female 10.6
GTEX-PWCY-1826-SM-DHXIZ 20-29 years, female 10.6
GTEX-13NYB-2526-SM-5K7Z6 40-49 years, male 10.5
GTEX-13SLW-0126-SM-5SI6C 70-79 years, male 10.5
GTEX-147F3-0526-SM-5SI98 50-59 years, female 10.5
GTEX-14C5O-0126-SM-5SI6N 60-69 years, male 10.5
GTEX-W5WG-1826-SM-4KL2Y 50-59 years, female 10.5
GTEX-1I4MK-2226-SM-ACKWD 50-59 years, female 10.5
GTEX-11LCK-1026-SM-5A5KB 30-39 years, male 10.3
GTEX-1HT8W-0126-SM-CNPPP 30-39 years, male 10.3
GTEX-1IDJU-2626-SM-CM2RT 60-69 years, female 10.3
GTEX-11NSD-2226-SM-5986V 20-29 years, male 10.2
GTEX-133LE-1826-SM-5J1MV 20-29 years, female 10.2
GTEX-ZAJG-0126-SM-5HL94 50-59 years, female 10.2
GTEX-131XH-2226-SM-5DUXJ 50-59 years, male 10.1
GTEX-QESD-1426-SM-2S1R9 20-29 years, male 10.1
GTEX-1I6K6-0126-SM-A9SLE 30-39 years, male 10.1
GTEX-1LC47-0326-SM-E9TJP 60-69 years, male 10.1
GTEX-1LH75-2426-SM-E9TJE 50-59 years, female 10.1
GTEX-1B8SF-1426-SM-7DUGL 60-69 years, male 10.0
GTEX-X4XY-0226-SM-4E3IZ 60-69 years, male 10.0
GTEX-12126-0326-SM-5PNW3 20-29 years, male 9.9
GTEX-12584-0126-SM-5EGKQ 40-49 years, male 9.9
GTEX-13113-5016-SM-7EPIP 60-69 years, female 9.9
GTEX-14E6C-0126-SM-5RQIP 40-49 years, male 9.9
GTEX-15F5U-1526-SM-6PANO 40-49 years, male 9.9
GTEX-1BAJH-0526-SM-793CQ 70-79 years, male 9.9
GTEX-YB5K-2126-SM-4WWDJ 40-49 years, female 9.9
GTEX-1I1GV-0526-SM-A9G29 60-69 years, male 9.9
GTEX-17EVP-0326-SM-7DHLG 40-49 years, male 9.8
GTEX-Y5V6-2426-SM-4VDSB 60-69 years, male 9.8
GTEX-1GF9U-2126-SM-7SB7L 40-49 years, female 9.8
GTEX-1KWVE-1426-SM-E9TJO 30-39 years, male 9.8
GTEX-1NV5F-0226-SM-E8VNY 60-69 years, female 9.8
GTEX-12ZZZ-0626-SM-5DUXI 60-69 years, male 9.7
GTEX-1B8KE-2126-SM-73KYX 50-59 years, male 9.7
GTEX-ZXG5-0126-SM-5GIEU 60-69 years, male 9.7
GTEX-1GMR8-0126-SM-9WYTM 50-59 years, female 9.7
GTEX-1AMFI-2026-SM-731BH 50-59 years, female 9.6
GTEX-1C6VR-2426-SM-79OLD 60-69 years, male 9.6
GTEX-1LGOU-2026-SM-DIPFF 20-29 years, female 9.6
GTEX-11EQ9-2426-SM-5HL5T 30-39 years, male 9.5
GTEX-14BMU-2226-SM-5TDE9 20-29 years, female 9.5
GTEX-1B8SG-0126-SM-73KZ3 50-59 years, male 9.5
GTEX-XBED-2226-SM-47JYQ 60-69 years, male 9.4
GTEX-1J8Q3-1626-SM-CMKGC 60-69 years, male 9.4
GTEX-1KAFJ-2026-SM-CY8ID 50-59 years, male 9.4
GTEX-1QP9N-1426-SM-DTXFL 30-39 years, male 9.4
GTEX-1S3DN-2226-SM-EVYCD 50-59 years, male 9.4
GTEX-14LZ3-0226-SM-62LET 60-69 years, female 9.3
GTEX-YJ89-0126-SM-4TT3X 60-69 years, male 9.3
GTEX-1F6RS-0126-SM-9MQKZ 60-69 years, female 9.3
GTEX-1JN76-0126-SM-CNPPE 20-29 years, female 9.3
GTEX-OIZH-0126-SM-2HMIS 50-59 years, male 9.2
GTEX-Q2AH-1626-SM-3GAF8 40-49 years, male 9.2
GTEX-S95S-1226-SM-4GICG 60-69 years, male 9.2
GTEX-SUCS-1926-SM-32PM3 70-79 years, male 9.2
GTEX-WYJK-0126-SM-3NMAB 50-59 years, male 9.2
GTEX-1H1E6-1726-SM-ACKVK 30-39 years, male 9.2
GTEX-1IL2U-0226-SM-CE6T8 60-69 years, male 9.2
GTEX-1JMPZ-0226-SM-CNPP1 30-39 years, male 9.2
GTEX-1R7EU-0226-SM-EVR4G 60-69 years, male 9.2
GTEX-15G19-0126-SM-6PANQ 60-69 years, male 9.1
GTEX-1J8QM-2126-SM-CYPSJ 60-69 years, female 9.1
GTEX-1QAET-0926-SM-E76QM 50-59 years, male 9.1
GTEX-T5JC-0426-SM-32PLO 20-29 years, male 9.0
GTEX-Y114-2426-SM-4TT8A 50-59 years, female 9.0
GTEX-Z93S-0126-SM-5HL7M 50-59 years, male 9.0
GTEX-1JMPY-1326-SM-ARL8Y 30-39 years, male 9.0
GTEX-1LGRB-2526-SM-CNPPQ 50-59 years, female 9.0
GTEX-13FH7-2026-SM-E9J4I 50-59 years, female 8.9
GTEX-1I1GQ-0126-SM-COH3H 50-59 years, male 8.9
GTEX-T6MO-1626-SM-32QOM 40-49 years, female 8.8
GTEX-1EMGI-0126-SM-9KNUE 60-69 years, male 8.8
GTEX-1HR98-0126-SM-B2LWI 60-69 years, male 8.8
GTEX-1PPH8-0226-SM-E8VND 20-29 years, male 8.8
GTEX-11ZTS-0126-SM-5EQ6M 60-69 years, female 8.7
GTEX-145MN-2226-SM-5SIAU 30-39 years, male 8.7
GTEX-1C64N-0126-SM-793D7 50-59 years, male 8.7
GTEX-1CAMR-1926-SM-7EPI2 20-29 years, male 8.7
GTEX-ZYT6-0226-SM-5NQ6T 30-39 years, male 8.7
GTEX-1K2DU-2326-SM-E9TIV 20-29 years, male 8.7
GTEX-1212Z-2526-SM-5EGKP 60-69 years, male 8.6
GTEX-ZVZO-0126-SM-5A5L9 40-49 years, male 8.6
GTEX-13FTY-0526-SM-5L3EV 40-49 years, female 8.5
GTEX-14PII-0226-SM-6EU1T 60-69 years, male 8.5
GTEX-XQ8I-0426-SM-4BOPO 50-59 years, male 8.4
GTEX-145MI-0526-SM-5O9A8 60-69 years, female 8.3
GTEX-Q2AI-1326-SM-2S1PL 40-49 years, male 8.3
GTEX-P4QT-0126-SM-2I3FL 50-59 years, female 8.2
GTEX-131XF-5016-SM-7MGWE 60-69 years, male 8.2
GTEX-1HCVE-0126-SM-CGQEU 50-59 years, male 8.2
GTEX-1KXAM-2226-SM-CYPTC 60-69 years, male 8.2
GTEX-14A5I-0126-SM-5TDEA 50-59 years, female 8.1
GTEX-1H1CY-2826-SM-9MQM3 60-69 years, female 8.1
GTEX-1H4P4-0726-SM-9YFLR 50-59 years, male 8.1
GTEX-15ER7-0326-SM-7KUEV 20-29 years, female 8.0
GTEX-1CB4E-2226-SM-793DC 60-69 years, male 8.0
GTEX-14XAO-2326-SM-6EU1B 60-69 years, female 7.9
GTEX-T8EM-1026-SM-3DB7M 40-49 years, male 7.9
GTEX-11TUW-2726-SM-E9J4M 60-69 years, male 7.9
GTEX-1F75I-0326-SM-9YFLU 40-49 years, male 7.9
GTEX-145ME-1826-SM-5SI9G 40-49 years, female 7.8
GTEX-WRHK-1426-SM-3MJF9 20-29 years, female 7.8
GTEX-1IDJH-0326-SM-A9SLQ 70-79 years, male 7.8
GTEX-11TT1-2526-SM-5EGIB 20-29 years, male 7.7
GTEX-13O3P-0126-SM-5KM4S 50-59 years, male 7.7
GTEX-14JG1-0426-SM-6ETZZ 40-49 years, male 7.7
GTEX-1CAMQ-0226-SM-7IGPK 40-49 years, male 7.7
GTEX-1CB4J-0626-SM-7DHMP 60-69 years, male 7.7
GTEX-1CB4F-0426-SM-9KNV4 60-69 years, male 7.7
GTEX-13N2G-2626-SM-5J1OT 60-69 years, male 7.6
GTEX-ZV6S-2326-SM-4YCEY 40-49 years, female 7.6
GTEX-13NYC-0326-SM-E9J4S 60-69 years, male 7.6
GTEX-1CB4H-0226-SM-7PBXM 60-69 years, female 7.6
GTEX-1I1GU-2226-SM-CGQFA 40-49 years, male 7.6
GTEX-1R9K4-0126-SM-DTX9X 60-69 years, male 7.5
GTEX-1S83E-0126-SM-EWRO4 40-49 years, male 7.5
GTEX-17GQL-2026-SM-718BA 60-69 years, male 7.4
GTEX-1A3MX-0126-SM-731BR 60-69 years, male 7.4
GTEX-1CB4I-0226-SM-79OLH 50-59 years, male 7.4
GTEX-YB5E-2026-SM-5IFIS 40-49 years, male 7.4
GTEX-1HBPN-0226-SM-9YFM1 50-59 years, male 7.4
GTEX-1HCUA-2426-SM-ADEIS 50-59 years, female 7.4
GTEX-1122O-2126-SM-5EGIR 60-69 years, female 7.3
GTEX-ZY6K-1826-SM-5GZXK 50-59 years, male 7.3
GTEX-ZZ64-1726-SM-5GZYB 20-29 years, male 7.3
GTEX-PLZ6-1426-SM-DKPOT 30-39 years, male 7.3
GTEX-117XS-2726-SM-5N9BL 60-69 years, male 7.2
GTEX-16NPX-0226-SM-79OMT 50-59 years, male 7.2
GTEX-1IKJJ-0126-SM-CNPQB 60-69 years, male 7.2
GTEX-16AAH-1726-SM-7939C 50-59 years, male 7.1
GTEX-1PDJ9-0326-SM-DTX95 20-29 years, male 7.1
GTEX-1HCU8-0626-SM-A9SM9 60-69 years, female 7.0
GTEX-1I1GT-0626-SM-CGQER 60-69 years, female 7.0
GTEX-1LG7Z-1726-SM-D3LA4 30-39 years, male 7.0
GTEX-1MJK2-0426-SM-DTXE5 50-59 years, male 7.0
GTEX-ZVZP-2426-SM-59HKJ 50-59 years, male 6.9
GTEX-1LVAN-0226-SM-COH3S 50-59 years, female 6.9
GTEX-1QP2A-0126-SM-E9J43 50-59 years, male 6.9
GTEX-PSDG-0226-SM-DKPOZ 50-59 years, male 6.9
GTEX-1128S-2326-SM-5GZZY 60-69 years, female 6.8
GTEX-13FXS-0226-SM-5IJCK 50-59 years, male 6.8
GTEX-144GL-0126-SM-5TDE2 50-59 years, male 6.8
GTEX-183WM-0126-SM-7LTAB 70-79 years, female 6.8
GTEX-POMQ-2226-SM-2I5FK 20-29 years, female 6.8
GTEX-ZV68-0126-SM-59HKS 50-59 years, female 6.8
GTEX-13FTW-2626-SM-5K7WL 40-49 years, male 6.7
GTEX-1GF9V-0326-SM-7RHI5 60-69 years, male 6.6
GTEX-1HCU9-1526-SM-A9SL7 20-29 years, male 6.6
GTEX-1J8Q2-0526-SM-CM2RW 60-69 years, male 6.6
GTEX-11DYG-0126-SM-59883 60-69 years, male 6.5
GTEX-15RIG-0226-SM-7KFTL 40-49 years, male 6.4
GTEX-1H1DE-2126-SM-9WG6R 20-29 years, male 6.4
GTEX-1HFI7-1826-SM-ACKXH 50-59 years, female 6.4
GTEX-13JUV-2726-SM-5LZZ8 40-49 years, female 6.3
GTEX-17JCI-0126-SM-7LG5G 60-69 years, female 6.3
GTEX-WFG8-2226-SM-3GIL9 20-29 years, male 6.3
GTEX-UJHI-1526-SM-3DB99 50-59 years, female 6.2
GTEX-12WSA-0226-SM-5BC5V 60-69 years, male 6.1
GTEX-1HB9E-0226-SM-E9U4R 50-59 years, male 6.1
GTEX-O5YT-0126-SM-48TBW 20-29 years, male 6.0
GTEX-ZTSS-1926-SM-57WEW 40-49 years, male 6.0
GTEX-1KANC-1526-SM-D3LAB 50-59 years, female 6.0
GTEX-18D9A-1926-SM-7LG6P 30-39 years, female 5.8
GTEX-1B97I-1626-SM-73KYO 40-49 years, male 5.8
GTEX-1E2YA-0126-SM-9KNUC 50-59 years, male 5.8
GTEX-13CF3-2426-SM-5IFGX 60-69 years, female 5.7
GTEX-X261-0126-SM-3NMD6 50-59 years, male 5.7
GTEX-ZF2S-2326-SM-4WWCE 50-59 years, female 5.7
GTEX-1LSNM-1926-SM-E6CII 50-59 years, male 5.7
GTEX-11WQK-0526-SM-5EQLD 50-59 years, male 5.6
GTEX-PX3G-0126-SM-2I3EN 20-29 years, female 5.6
GTEX-12WSK-2326-SM-5GCOH 40-49 years, female 5.5
GTEX-1H1DG-0126-SM-9WYU2 70-79 years, male 5.5
GTEX-1OJC3-0126-SM-E76QX 20-29 years, male 5.4
GTEX-11DXZ-2326-SM-5EGGV 50-59 years, male 5.3
GTEX-1C475-1826-SM-73KWA 40-49 years, female 5.3
GTEX-1MA7W-2026-SM-E9TJ6 20-29 years, female 5.2
GTEX-1399T-2826-SM-5KLYZ 60-69 years, male 5.1
GTEX-145MF-0626-SM-5LUAI 50-59 years, male 5.0
GTEX-1F5PL-0326-SM-7P8PQ 40-49 years, female 5.0
GTEX-1PFEY-1526-SM-E76PP 30-39 years, male 5.0
GTEX-12WSE-0526-SM-793B2 20-29 years, male 4.9
GTEX-WFON-2126-SM-3LK7O 40-49 years, male 4.8
GTEX-11UD2-0226-SM-5EQKY 50-59 years, male 4.7
GTEX-15UKP-0426-SM-7KUFQ 20-29 years, male 4.7
GTEX-OHPL-0126-SM-2HMJ7 60-69 years, female 4.7
GTEX-14PN4-0126-SM-6EU2V 50-59 years, male 4.6
GTEX-1HCU7-0226-SM-CL545 50-59 years, male 4.6
GTEX-ZXES-1826-SM-5E43S 30-39 years, female 4.5
GTEX-1OFPY-2426-SM-DTXEJ 60-69 years, male 4.5
GTEX-15EU6-0426-SM-6PAN5 50-59 years, male 4.4
GTEX-1GL5R-1826-SM-9KNUY 50-59 years, male 4.4
GTEX-1N2DW-0226-SM-E9TK2 50-59 years, male 4.4
GTEX-XPVG-2626-SM-4B669 50-59 years, male 4.3
GTEX-13OVH-0126-SM-5MR4B 70-79 years, male 4.2
GTEX-14A5H-0426-SM-5QGQF 60-69 years, male 4.1
GTEX-1M5QR-1226-SM-EWROB 40-49 years, male 4.0
GTEX-1PIIG-0226-SM-EWRN6 30-39 years, male 3.9
GTEX-14E6E-1826-SM-5S2R7 30-39 years, male 3.8
GTEX-1GMR3-1926-SM-9KNUZ 40-49 years, male 3.8
GTEX-S32W-2126-SM-2XCB1 50-59 years, female 3.6
GTEX-1JJ6O-0126-SM-E6CI8 60-69 years, male 3.6
GTEX-1R9PM-2026-SM-E76OY 20-29 years, male 3.6
GTEX-TKQ1-1026-SM-4GICL 30-39 years, male 3.5
GTEX-1KANA-0726-SM-D3L9I 20-29 years, male 3.3
GTEX-13111-1626-SM-5EGJY 50-59 years, male 3.1
GTEX-ZWKS-0126-SM-5SIAA 30-39 years, male 3.0
GTEX-T5JW-1626-SM-3GADZ 20-29 years, female 2.9
GTEX-XUZC-1726-SM-4BRWS 30-39 years, female 2.6
GTEX-1L5NE-2526-SM-E6CIE 50-59 years, male 2.1
GTEX-ZTX8-1426-SM-5DUVO 20-29 years, male 1.5
GTEX-1JMQL-0226-SM-CNPP5 50-59 years, female 1.2
Show allShow less

Contact

  • NEWS ARTICLES
  • PRESS ROOM

The Project

  • INTRODUCTION
  • ORGANIZATION
  • PUBLICATIONS

The Human Protein Atlas

  • DOWNLOADABLE DATA
  • LICENCE & CITATION
  • HELP & FAQ
The Human Protein Atlas project is funded
by the Knut & Alice Wallenberg Foundation.


contact@proteinatlas.org