We use cookies to enhance the usability of our website. If you continue, we'll assume that you are happy to receive all cookies. More information. Don't show this again.
ALDH1A1
HPA
RESOURCES
  • TISSUE
  • BRAIN
  • SINGLE CELL
  • SUBCELLULAR
  • CANCER
  • BLOOD
  • CELL LINE
  • STRUCTURE & INTERACTION
ABOUT
  • INTRODUCTION
  • HISTORY
  • ORGANIZATION
  • PUBLICATIONS
  • ANTIBODY SUBMISSION
  • ANTIBODY AVAILABILITY
  • ACKNOWLEDGMENTS
  • CONTACT
NEWS
  • NEWS ARTICLES
  • PRESS ROOM
LEARN
  • DICTIONARY
  • PROTEIN CLASSES
  • PROTEIN EVIDENCE
  • METHODS
  • EDUCATIONAL VIDEOS
DATA
  • DOWNLOADABLE DATA
  • PUBLICATION DATA
  • RELEASE HISTORY
HELP
  • ANTIBODY VALIDATION
  • ASSAYS & ANNOTATION
  • DISCLAIMER
  • HELP & FAQ
  • PRIVACY STATEMENT
  • LICENCE & CITATION
Fields »
Search result

Field
Term
Gene name
Class
Subclass
Class
Keyword
Chromosome
External id
Tissue
Cell type
Expression
Antibody panel
Tissue
Main location
Patient ID
Annotation
Tissue
Category
Tau score
Cluster
Reliability
Brain region
Category
Tau score
Brain region
Category
Tau score
Brain region
Category
Tau score
Cluster
Reliability
Tissue
Cell type
Enrichment
Cell type
Category
Tau score
Cell type
Category
Tau score
Cell type
Category
Tau score
Cell lineage
Category
Tau score
Cluster
Cluster
Location
Searches
Location
Cell line
Class
Type
Phase
Reliability
Cancer
Prognosis
Cancer
Category
Cancer
Category
Tau score
Cluster
Variants
Interacting gene (ensg_id)
Type
Number of interactions
Pathway
Category
Score
Score
Score
Validation
Validation
Validation
Validation
Antibodies
Data type
Column


  • SUMMARY

  • TISSUE

  • BRAIN

  • SINGLE CELL

  • SUBCELL

  • CANCER

  • BLOOD

  • CELL LINE

  • STRUCT & INT

  • ALDH1A1
TISSUE PRIMARY DATA THYROID GLAND Show tissue menu
ADIPOSE TISSUE ADRENAL GLAND AMYGDALA APPENDIX BASAL GANGLIA BONE MARROW BREAST BRONCHUS CEREBELLUM CEREBRAL CORTEX CERVIX CHOROID PLEXUS COLON DUODENUM
ENDOMETRIUM EPIDIDYMIS ESOPHAGUS FALLOPIAN TUBE GALLBLADDER HEART MUSCLE HIPPOCAMPAL FORMATION HYPOTHALAMUS KIDNEY LIVER LUNG LYMPH NODE MIDBRAIN NASOPHARYNX
ORAL MUCOSA OVARY PANCREAS PARATHYROID GLAND PITUITARY GLAND PLACENTA PROSTATE RECTUM RETINA SALIVARY GLAND SEMINAL VESICLE SKELETAL MUSCLE SKIN SMALL INTESTINE
SMOOTH MUSCLE SOFT TISSUE SPINAL CORD SPLEEN STOMACH TESTIS THYMUS THYROID GLAND TONGUE TONSIL URINARY BLADDER VAGINA
ANTIBODIES
AND
VALIDATION
Dictionary
Thyroid gland
Tissue proteome
Thyroid gland
THYROID GLAND - Expression summary
Protein expression
Thyroid glandi

On the top, protein expression in current human tissue, based on all annotated cell types, is reported with the units not detected (n), low (l), medium (m) and high (h). Underneath, protein expression in each annotated cell type are reported using the same units.

Protein expression data is based on knowledge-based annotation. For genes where more than one antibody has been used, a collective score is set.

If knowledge-based annotation could not be performed for a gene, no data is displayed here. View antibody staining data further down this page.

h
m
l
n
Glandular cells: Medium
RNA expressioni

A summary of mRNA expression data available for current tissue based on several datasets. The mRNA expression levels in human tissues are based on RNA-seq data generated by the Human Protein Atlas (HPA), Genotype-Tissue Expression (GTEx) portal and CAGE data generated by the FANTOM5 consortium. Consensus normalized expression levels for human tissues was created by combining the data from HPA and GTEx datasets.

The mRNA expression levels in pig are based on RNA-seq data generated by the Human Protein Atlas (HPA), and for mouse, HPA data and in situ hybridization generated by the Allen brain atlas are reported.

Scroll down to view mRNA expression data in more detail.
Consensus:205.3 nTPM
HPA:205.3 nTPM
GTEx:129.1 nTPM
FANTOM5:274.6 Scaled Tags Per Million

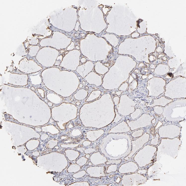
THYROID GLAND - Antibody stainingi

Antibody staining in the annotated cell types in the current human tissue is reported as not detected, low, medium, or high, based on conventional immunohistochemistry profiling in selected tissues. This score is based on the combination of the staining intensity and fraction of stained cells.

Each image is clickable and will lead to virtual microscopy that enables deeper exploration of all samples and also displays staining intensity scores, fraction scores and subcellular localization as well as patient and tissue information for each sample.

Antibody HPA002123Antibody CAB020690
Glandular cells MediumMedium





THYROID GLAND - HPA RNA-seqi

The RNA-seq details section shows detailed information about the individual samples used for the transcript profiling and results of the RNA-seq analysis.

Information about each individual sample is listed below, including gender, age, a tissue section image and estimated fractions of cell types. nTPM (normalized transcripts per million) values give a quantification of the gene abundance which is comparable between different genes and samples.
Average nTPMi

Max subtype nTPM is the value for the subtype with the largest average nTPM across the subtype samples.

205.3
overview
Female, age 20
Thyroid gland sample 249
nTPM: 246.3
Cell types%
Glandular cells:
70

Endothelial cells:
20

Other cell types:
10

overview
Female, age 55
Thyroid gland sample 250
nTPM: 72.8
Cell types%
Glandular cells:
70

Endothelial cells:
20

Other cell types:
10

overview
Female, age 58
Thyroid gland sample 251
nTPM: 276.5
Cell types%
Glandular cells:
70

Endothelial cells:
15

Other cell types:
15

overview
Female, age 48
Thyroid gland sample 252
nTPM: 163.3
Cell types%
Glandular cells:
70

Endothelial cells:
20

Other cell types:
10

overview
Male, age 21
Thyroid gland sample 363
nTPM: 267.8
Cell types%
Glandular cells:
75

Endothelial cells:
10

Other cell types:
15


THYROID GLAND - GTEx RNA-seqi

RNA-Seq data generated by the Genotype-Tissue Expression (GTEx) project from human tissues is reported as mean nTPM. More information can be found on the GTEx portal.

Distribution across the dataset is visualized with box plots, shown as median and 25th and 75th percentiles. Points are displayed as outliers if they are above or below 1.5 times the interquartile range. nTPM values of the individual samples are presented next to the box plot.
Max subtype nTPMi

Max subtype nTPM is the value for the subtype with the largest average nTPM across the subtype samples.

129.1
GTEx sample id Sample description nTPM
Thyroid
Average nTPM: 129.1
Samples: 653

Max nTPM: 362.1
Min nTPM: 6.3
Std nTPM: 42.4
Median nTPM: 128.3
GTEX-1GZ4H-0226-SM-9JGGJ 50-59 years, female 362.1
GTEX-1AX9I-0626-SM-72D54 60-69 years, male 319.8
GTEX-OHPM-2626-SM-33HC5 50-59 years, male 275.1
GTEX-14BMV-0726-SM-73KVE 50-59 years, male 258.1
GTEX-1MGNQ-0726-SM-DPRYH 40-49 years, male 248.6
GTEX-OIZI-0726-SM-2XCEI 40-49 years, male 247.8
GTEX-Y5V5-0326-SM-5RQJG 60-69 years, female 238.3
GTEX-1MJK2-0826-SM-DTXE8 50-59 years, male 236.7
GTEX-15RIF-0326-SM-7KUFR 20-29 years, male 234.3
GTEX-1A8FM-0726-SM-7DUGK 50-59 years, female 233.6
GTEX-RNOR-0926-SM-2TF56 50-59 years, female 230.3
GTEX-18465-1426-SM-7KFTF 50-59 years, male 228.9
GTEX-1RDX4-0926-SM-E9U6D 50-59 years, female 228.8
GTEX-ZQG8-0926-SM-57WFF 60-69 years, female 225.3
GTEX-1N5O9-1026-SM-DTX8Y 60-69 years, male 223.8
GTEX-1JJEA-0626-SM-D3L96 60-69 years, male 220.7
GTEX-11VI4-0226-SM-5GU6C 40-49 years, female 216.3
GTEX-13VXU-0826-SM-5KLZ2 50-59 years, male 216.0
GTEX-12ZZZ-1226-SM-59HK1 60-69 years, male 215.7
GTEX-1HSGN-0726-SM-A9G2F 40-49 years, female 212.1
GTEX-15EU6-1426-SM-6M48E 50-59 years, male 211.9
GTEX-1B97J-0626-SM-7P8RU 50-59 years, female 211.7
GTEX-145MH-0426-SM-5LU8T 50-59 years, male 211.6
GTEX-1IKOH-0626-SM-CJI35 60-69 years, female 211.4
GTEX-SJXC-0726-SM-2XCFJ 60-69 years, male 209.9
GTEX-11DXZ-0926-SM-5N9CG 50-59 years, male 207.8
GTEX-1PDJ9-0826-SM-E76PS 20-29 years, male 207.5
GTEX-1B933-1026-SM-7P8RO 50-59 years, female 205.1
GTEX-1JMQJ-2026-SM-CNPP9 50-59 years, male 204.0
GTEX-1AMFI-0526-SM-7189M 50-59 years, female 203.4
GTEX-Y114-0626-SM-4TT98 50-59 years, female 203.4
GTEX-18A7A-0826-SM-7KFTJ 50-59 years, female 203.2
GTEX-T2IS-0626-SM-32QP6 20-29 years, female 202.9
GTEX-113JC-0126-SM-5EGJW 50-59 years, female 198.1
GTEX-YB5E-0626-SM-4VDSE 40-49 years, male 198.1
GTEX-1BAJH-0926-SM-79OO6 70-79 years, male 196.0
GTEX-11DXY-0426-SM-5H12R 60-69 years, male 195.7
GTEX-W5X1-0426-SM-3GILB 40-49 years, female 194.0
GTEX-1PPGY-1426-SM-EVR3R 60-69 years, male 193.4
GTEX-1EWIQ-0826-SM-7MXTH 70-79 years, female 191.7
GTEX-1EMGI-0826-SM-7EPHY 60-69 years, male 190.6
GTEX-13FLW-0326-SM-5J2M4 50-59 years, male 190.3
GTEX-1LVAN-0726-SM-CNNPF 50-59 years, female 190.1
GTEX-1LG7Y-0626-SM-DHXJM 50-59 years, male 189.7
GTEX-139TS-0126-SM-5K7XJ 60-69 years, male 189.4
GTEX-15CHQ-0826-SM-69LOT 60-69 years, male 189.3
GTEX-11OF3-0626-SM-5BC4Y 60-69 years, male 188.3
GTEX-1I1GV-0726-SM-ARZLY 60-69 years, male 187.2
GTEX-1JMLX-0826-SM-CNNPP 50-59 years, male 186.0
GTEX-1B8L1-1626-SM-7IGMH 60-69 years, male 185.6
GTEX-1RAZA-0826-SM-EAZ4I 20-29 years, male 185.1
GTEX-1MCC2-0526-SM-DHXJS 30-39 years, female 184.0
GTEX-1RQED-0926-SM-EWRNZ 60-69 years, male 183.0
GTEX-17EVP-0126-SM-7EPHW 40-49 years, male 182.6
GTEX-15SB6-1526-SM-7KUMQ 50-59 years, female 182.5
GTEX-13OW7-0826-SM-5L3EL 50-59 years, male 181.8
GTEX-14PK6-0426-SM-6EU1J 70-79 years, female 181.4
GTEX-18QFQ-0726-SM-7LG6D 30-39 years, male 181.4
GTEX-13FXS-0726-SM-5LZXJ 50-59 years, male 181.1
GTEX-17JCI-0626-SM-7IGM7 60-69 years, female 181.0
GTEX-RN64-0626-SM-2TC5V 50-59 years, male 180.2
GTEX-WK11-0926-SM-3NMAU 50-59 years, male 180.0
GTEX-PLZ4-1226-SM-2I5FE 50-59 years, female 178.3
GTEX-1E1VI-0726-SM-7P8QJ 50-59 years, male 178.0
GTEX-1QP6S-2526-SM-DTX9Z 40-49 years, male 177.9
GTEX-YFCO-0326-SM-4W1ZP 40-49 years, male 177.8
GTEX-117YX-1226-SM-5H11S 50-59 years, male 176.6
GTEX-T6MO-0226-SM-32QOL 40-49 years, female 176.1
GTEX-1RQEC-1026-SM-EVR5B 60-69 years, male 176.0
GTEX-1RAZR-1126-SM-E6CRC 40-49 years, male 175.8
GTEX-13O61-0226-SM-5KM52 60-69 years, male 175.7
GTEX-1HBPI-0826-SM-9WYTX 50-59 years, male 175.3
GTEX-1IGQW-0626-SM-C1YR9 60-69 years, male 174.7
GTEX-13FTW-0626-SM-5IFEX 40-49 years, male 173.9
GTEX-13NZA-1026-SM-5MR48 60-69 years, male 173.6
GTEX-131XH-0526-SM-5DUX7 50-59 years, male 173.4
GTEX-13PL6-1026-SM-5L3E5 40-49 years, female 173.4
GTEX-Y5LM-0626-SM-4V6G4 40-49 years, female 173.3
GTEX-OOBJ-2626-SM-2I3F6 60-69 years, male 172.9
GTEX-ZYFG-0626-SM-5GZYA 60-69 years, female 172.9
GTEX-14ASI-0726-SM-5Q5DC 60-69 years, male 172.3
GTEX-14PJ3-0126-SM-69LQP 50-59 years, male 172.2
GTEX-SE5C-0726-SM-4BRWY 40-49 years, female 172.0
GTEX-1GN1U-0826-SM-9WPPX 50-59 years, female 171.8
GTEX-17HHE-0426-SM-79OK3 50-59 years, male 171.7
GTEX-QXCU-0326-SM-2TC63 50-59 years, male 171.4
GTEX-11ZTT-1026-SM-5EQKF 60-69 years, female 171.3
GTEX-12ZZY-0826-SM-5EQMT 60-69 years, male 171.3
GTEX-RM2N-0526-SM-2TF4N 50-59 years, male 171.1
GTEX-ZDYS-0626-SM-5J2N5 50-59 years, male 170.9
GTEX-1B97I-0326-SM-7DUGB 40-49 years, male 170.8
GTEX-ZGAY-1026-SM-4WWBR 40-49 years, female 170.2
GTEX-WYBS-1926-SM-3NM8N 60-69 years, female 169.9
GTEX-15RIE-0426-SM-7KUMH 60-69 years, male 169.8
GTEX-139T6-0326-SM-5J2LY 50-59 years, male 169.6
GTEX-11ZVC-0126-SM-5986G 50-59 years, female 169.5
GTEX-1C6VQ-0526-SM-7MGWD 50-59 years, male 168.9
GTEX-1S83E-0726-SM-EV7B6 40-49 years, male 168.9
GTEX-1R9JW-0226-SM-EVR4K 30-39 years, female 168.8
GTEX-ZPCL-0126-SM-4WWC8 60-69 years, female 168.6
GTEX-1LVAM-0826-SM-EV79X 50-59 years, female 168.6
GTEX-WH7G-0526-SM-3NMBI 40-49 years, male 168.5
GTEX-1QEPI-0726-SM-E76QG 60-69 years, female 168.1
GTEX-ZLWG-0526-SM-4WWFB 50-59 years, female 167.0
GTEX-1I6K7-1126-SM-A96SW 40-49 years, male 166.8
GTEX-V955-0426-SM-3GAEL 60-69 years, male 166.7
GTEX-111VG-0526-SM-5N9BW 60-69 years, male 166.4
GTEX-1HB9E-0826-SM-CNNQJ 50-59 years, male 166.4
GTEX-ZAB5-0726-SM-5P9JG 50-59 years, male 166.3
GTEX-14E7W-0926-SM-5YYA4 70-79 years, male 166.2
GTEX-11NUK-1026-SM-5HL5J 50-59 years, male 165.4
GTEX-15EO6-0126-SM-6LPKJ 50-59 years, male 165.4
GTEX-1QP66-0326-SM-DTX7V 50-59 years, male 165.4
GTEX-1MA7X-0926-SM-DIPEJ 60-69 years, male 165.0
GTEX-1I1GQ-0826-SM-CNNQR 50-59 years, male 164.7
GTEX-139UW-0126-SM-5KM1B 60-69 years, male 164.6
GTEX-1P4AB-1126-SM-DTX94 50-59 years, male 164.6
GTEX-13OVK-0226-SM-6M472 40-49 years, male 164.5
GTEX-1IKJJ-1026-SM-A96SQ 60-69 years, male 164.5
GTEX-1FIGZ-0226-SM-7P8QR 40-49 years, male 164.3
GTEX-1GN2E-0826-SM-9WYT8 60-69 years, male 163.9
GTEX-REY6-0526-SM-2TF5M 60-69 years, male 163.8
GTEX-RVPV-1226-SM-2TF73 60-69 years, male 163.8
GTEX-T6MN-0626-SM-32PM9 50-59 years, male 163.4
GTEX-15ER7-0726-SM-7KUMF 20-29 years, female 163.3
GTEX-13N11-1026-SM-5K7XQ 50-59 years, female 163.1
GTEX-1H11D-0626-SM-9WPQ1 40-49 years, male 163.0
GTEX-18D9A-0126-SM-7KFSI 30-39 years, female 162.7
GTEX-ZF3C-0826-SM-DO11E 50-59 years, female 162.3
GTEX-WFJO-0226-SM-3GIKW 30-39 years, male 162.0
GTEX-ZVZP-1026-SM-5GICI 50-59 years, male 161.8
GTEX-1KD4Q-1026-SM-CXZKJ 40-49 years, male 161.3
GTEX-131YS-0726-SM-5P9G9 60-69 years, female 161.2
GTEX-1F75A-0326-SM-7MXTR 50-59 years, male 161.2
GTEX-1K2DA-1526-SM-CGQGQ 50-59 years, male 160.8
GTEX-14ABY-0926-SM-5Q5DY 50-59 years, male 160.6
GTEX-13OW6-0726-SM-5L3FX 50-59 years, male 160.4
GTEX-16YQH-0326-SM-6LPJV 30-39 years, male 160.1
GTEX-1IL2V-0626-SM-ARU7S 70-79 years, male 160.0
GTEX-1GPI7-0726-SM-9WG84 20-29 years, male 159.6
GTEX-Y111-1926-SM-4SOIS 50-59 years, male 159.4
GTEX-1CB4F-0826-SM-793CV 60-69 years, male 159.3
GTEX-13FTY-0726-SM-5J2OH 40-49 years, female 159.1
GTEX-17F96-0526-SM-79OLE 70-79 years, male 159.0
GTEX-P44G-0626-SM-2I5EO 30-39 years, male 159.0
GTEX-15ETS-0526-SM-6PAN3 40-49 years, female 158.6
GTEX-1IY9M-1026-SM-A96TG 60-69 years, male 158.6
GTEX-1HBPH-0926-SM-A9SME 40-49 years, female 158.5
GTEX-WL46-0126-SM-3TW8I 50-59 years, male 158.2
GTEX-11EM3-0126-SM-5985K 20-29 years, female 158.1
GTEX-WY7C-0226-SM-3NB37 50-59 years, male 158.0
GTEX-XLM4-0726-SM-4AT64 60-69 years, male 157.9
GTEX-14PJ6-0326-SM-6871H 60-69 years, female 157.5
GTEX-1QMI2-0826-SM-EXUT4 60-69 years, male 157.0
GTEX-12WSD-0926-SM-5GCNL 60-69 years, female 156.9
GTEX-ZZPU-1326-SM-5GZWS 50-59 years, female 156.3
GTEX-ZPU1-0426-SM-4WWCA 40-49 years, male 156.1
GTEX-1IDJH-0826-SM-CE6SY 70-79 years, male 156.1
GTEX-12WSE-1226-SM-73KUF 20-29 years, male 156.0
GTEX-1PIIG-2026-SM-EVR43 30-39 years, male 156.0
GTEX-18A6Q-0726-SM-7LT8Y 60-69 years, male 155.9
GTEX-PWCY-2326-SM-2I3EQ 20-29 years, female 155.9
GTEX-R53T-0526-SM-3GADL 50-59 years, female 155.9
GTEX-1O97I-1026-SM-E76PI 60-69 years, male 155.8
GTEX-OIZG-0226-SM-2TC5L 50-59 years, male 155.6
GTEX-ZYT6-0426-SM-5GID3 30-39 years, male 155.2
GTEX-1HGF4-0726-SM-9WYU9 60-69 years, male 155.2
GTEX-1CAMS-0826-SM-7P8P1 40-49 years, female 155.1
GTEX-1HT8W-1526-SM-CE6S3 30-39 years, male 155.0
GTEX-1GN1W-0126-SM-7MXV7 50-59 years, female 154.8
GTEX-1QPFJ-0626-SM-DTX7Y 30-39 years, female 154.8
GTEX-13O3Q-0626-SM-5IJG1 50-59 years, male 154.2
GTEX-1J8JJ-0726-SM-AHZ3E 60-69 years, female 154.2
GTEX-13QJ3-0926-SM-73KX5 50-59 years, male 154.1
GTEX-ZAK1-0726-SM-5HL8Q 50-59 years, female 153.7
GTEX-1LB8K-0626-SM-D4P3Z 50-59 years, male 153.6
GTEX-144GL-1226-SM-5O9A4 50-59 years, male 153.4
GTEX-17HHY-0826-SM-7EPID 50-59 years, male 153.3
GTEX-13OW8-0126-SM-5IJE5 60-69 years, male 153.2
GTEX-15SHU-0726-SM-7KUFI 40-49 years, female 153.1
GTEX-VUSG-0426-SM-3GIKD 50-59 years, male 152.7
GTEX-11EI6-0726-SM-59866 60-69 years, male 151.7
GTEX-11TTK-0826-SM-5N9EG 60-69 years, female 151.6
GTEX-16GPK-0926-SM-6LPJ9 60-69 years, male 151.6
GTEX-13QBU-0626-SM-5J2OG 40-49 years, female 151.4
GTEX-1399T-0126-SM-5KM15 60-69 years, male 151.2
GTEX-N7MS-2326-SM-2HMLD 60-69 years, male 151.2
GTEX-XMK1-0626-SM-4B65A 40-49 years, male 151.2
GTEX-145MG-0826-SM-5Q5C2 50-59 years, male 150.9
GTEX-1LBAC-0726-SM-D3L9U 20-29 years, male 150.7
GTEX-1I1GR-1126-SM-A9G2I 60-69 years, male 150.6
GTEX-1JKYN-1126-SM-CGQG5 30-39 years, male 150.4
GTEX-1F52S-0526-SM-7P8TP 60-69 years, female 150.3
GTEX-ZYY3-1926-SM-5GZXS 60-69 years, female 149.8
GTEX-Q2AG-0826-SM-2HMKF 40-49 years, female 149.7
GTEX-1HR98-0326-SM-CGQEL 60-69 years, male 149.6
GTEX-1PIGE-0726-SM-DPRZD 20-29 years, male 149.6
GTEX-12WSK-0926-SM-5CVNQ 40-49 years, female 149.2
GTEX-P78B-0526-SM-2I5F7 40-49 years, female 148.9
GTEX-R55E-0826-SM-2TC5M 20-29 years, male 148.9
GTEX-11NSD-0126-SM-5987F 20-29 years, male 148.7
GTEX-1KD5A-0426-SM-D4P3X 50-59 years, male 148.5
GTEX-1EX96-0126-SM-9KNVH 50-59 years, male 148.1
GTEX-RWSA-0826-SM-2XCBF 40-49 years, male 148.0
GTEX-ZZ64-0126-SM-5GZXA 20-29 years, male 148.0
GTEX-1C64N-1026-SM-79ONM 50-59 years, male 147.9
GTEX-1IL2U-0826-SM-CL53Q 60-69 years, male 147.9
GTEX-13O21-2226-SM-5MR3L 50-59 years, male 147.8
GTEX-QV44-0826-SM-2S1RG 50-59 years, male 147.8
GTEX-1ICG6-0426-SM-ARU7M 70-79 years, female 147.7
GTEX-117YW-0126-SM-5EGGN 50-59 years, male 147.6
GTEX-1477Z-0226-SM-5TDCI 60-69 years, male 147.4
GTEX-XOT4-1526-SM-EAZ2W 60-69 years, female 147.4
GTEX-1C6VR-0426-SM-7IGN6 60-69 years, male 147.2
GTEX-OXRP-0326-SM-33HBJ 60-69 years, female 147.2
GTEX-11DYG-0826-SM-5N9GH 60-69 years, male 146.6
GTEX-12WSC-0826-SM-5EQ5Q 50-59 years, male 146.6
GTEX-111CU-0226-SM-5GZXC 50-59 years, male 146.5
GTEX-WHSE-0626-SM-4RGNF 20-29 years, male 146.4
GTEX-ZT9W-0226-SM-7SB6H 50-59 years, male 145.9
GTEX-1192X-1126-SM-5EGGU 50-59 years, male 145.8
GTEX-1B8KE-0626-SM-7189H 50-59 years, male 145.6
GTEX-R3RS-0726-SM-3GIJR 40-49 years, female 145.6
GTEX-1313W-0726-SM-5EGK1 50-59 years, female 145.5
GTEX-1A8G6-0626-SM-7IGNB 60-69 years, male 145.5
GTEX-1HFI7-0326-SM-9WPOX 50-59 years, female 145.1
GTEX-1IDJU-1626-SM-CJI4B 60-69 years, female 145.0
GTEX-1F6IF-1126-SM-9KNV2 60-69 years, male 144.9
GTEX-1399R-0126-SM-5IFEV 30-39 years, male 144.8
GTEX-16BQI-0726-SM-6LPJZ 30-39 years, female 144.1
GTEX-WVLH-0626-SM-3MJG7 50-59 years, male 144.1
GTEX-ZTX8-0626-SM-59HKC 20-29 years, male 143.9
GTEX-1HUB1-1226-SM-B2LWX 60-69 years, male 143.7
GTEX-1QP67-0326-SM-EVR45 40-49 years, female 143.4
GTEX-11GS4-0826-SM-5986J 60-69 years, male 143.2
GTEX-1A8G7-1026-SM-73KVA 60-69 years, male 143.2
GTEX-1HC8U-1226-SM-9WYUW 40-49 years, female 143.1
GTEX-13N1W-0826-SM-5MR5J 70-79 years, male 142.8
GTEX-13NYB-0726-SM-5MR4J 40-49 years, male 142.6
GTEX-1I1GP-0326-SM-CNPQ4 50-59 years, male 142.6
GTEX-ZUA1-0926-SM-4YCDX 40-49 years, male 142.3
GTEX-WRHU-0926-SM-4E3IG 50-59 years, female 142.1
GTEX-1R9K5-0726-SM-EAZ4E 50-59 years, male 142.1
GTEX-1LG7Z-0526-SM-D4P3Q 30-39 years, male 141.9
GTEX-139YR-1226-SM-5IFEU 50-59 years, male 141.8
GTEX-1HBPN-1226-SM-B2LW9 50-59 years, male 141.8
GTEX-146FR-0326-SM-5SI8U 60-69 years, female 141.6
GTEX-15CHR-1726-SM-7DUGW 50-59 years, male 141.6
GTEX-1GZ4I-0626-SM-9WPPN 50-59 years, male 141.3
GTEX-X15G-0526-SM-3NMB7 50-59 years, female 141.1
GTEX-1212Z-0426-SM-5FQT6 60-69 years, male 140.9
GTEX-13FLV-0226-SM-5J2OF 50-59 years, male 140.6
GTEX-1CB4E-0326-SM-7MXT3 60-69 years, male 140.5
GTEX-117XS-0526-SM-5987Q 60-69 years, male 140.4
GTEX-13RTK-0326-SM-5RQHS 20-29 years, male 140.3
GTEX-13X6J-0826-SM-5LU32 50-59 years, male 140.3
GTEX-1KANC-0826-SM-D3LA8 50-59 years, female 140.2
GTEX-13D11-0226-SM-5LZXL 50-59 years, female 140.1
GTEX-1PFEY-0226-SM-EVR3M 30-39 years, male 140.0
GTEX-ZPIC-0226-SM-DO91T 40-49 years, female 139.7
GTEX-T8EM-0226-SM-3DB7C 40-49 years, male 139.5
GTEX-S341-0226-SM-D4P1Y 40-49 years, female 139.4
GTEX-WFG8-0426-SM-3GILD 20-29 years, male 139.3
GTEX-17F9E-0626-SM-79ON5 50-59 years, male 138.9
GTEX-11O72-2326-SM-5BC7H 40-49 years, male 138.7
GTEX-1F75B-0826-SM-9QEIT 50-59 years, male 138.7
GTEX-17HG3-0226-SM-7EWEA 30-39 years, female 138.6
GTEX-1H1CY-0726-SM-9OSXX 60-69 years, female 138.6
GTEX-1RMOY-0126-SM-EWRNN 50-59 years, male 138.4
GTEX-13112-0326-SM-5P9IW 50-59 years, male 138.1
GTEX-14C5O-0826-SM-5TDEG 60-69 years, male 137.7
GTEX-1EN7A-1026-SM-7IGPZ 40-49 years, male 137.7
GTEX-OIZF-2626-SM-7P8QZ 60-69 years, male 137.6
GTEX-12BJ1-0426-SM-5FQSO 60-69 years, male 137.1
GTEX-1OFPY-1526-SM-DTX8R 60-69 years, male 136.9
GTEX-14PKV-0626-SM-6AJA2 20-29 years, female 136.6
GTEX-16Z82-0426-SM-7EPGX 60-69 years, male 136.5
GTEX-ZVP2-0426-SM-57WC2 50-59 years, male 136.5
GTEX-S7SE-0726-SM-2XCD7 50-59 years, male 136.0
GTEX-1F5PL-0826-SM-7MXU7 40-49 years, female 136.0
GTEX-16AAH-0326-SM-7DHML 50-59 years, male 135.9
GTEX-14E6E-0326-SM-73KY6 30-39 years, male 135.6
GTEX-1CB4I-0726-SM-7DUGS 50-59 years, male 135.5
GTEX-1B8KZ-0426-SM-731DP 50-59 years, male 135.4
GTEX-1C2JI-0326-SM-7EWFD 50-59 years, male 135.2
GTEX-14A6H-2426-SM-5Q5BO 30-39 years, male 135.1
GTEX-15D1Q-0626-SM-6AJAZ 40-49 years, male 135.0
GTEX-ZYFD-0826-SM-5NQ9A 50-59 years, male 134.8
GTEX-183FY-0626-SM-79OKR 20-29 years, male 134.6
GTEX-ZTSS-0226-SM-59877 40-49 years, male 134.1
GTEX-1KXAM-1726-SM-D3LAE 60-69 years, male 134.1
GTEX-111FC-1026-SM-5GZX1 60-69 years, male 133.8
GTEX-1M4P7-0626-SM-EVR51 60-69 years, male 133.5
GTEX-SNOS-0226-SM-32PLR 40-49 years, male 133.4
GTEX-1AX9J-2126-SM-731DD 60-69 years, male 133.3
GTEX-14BIN-0126-SM-5TDCG 50-59 years, female 133.2
GTEX-1GMR3-0726-SM-9WPOF 40-49 years, male 133.0
GTEX-1EH9U-0926-SM-7EWF1 60-69 years, male 132.7
GTEX-YF7O-0726-SM-4W213 50-59 years, male 132.6
GTEX-17HGU-0826-SM-7EWE5 50-59 years, male 132.4
GTEX-1128S-0126-SM-5H12S 60-69 years, female 132.2
GTEX-13U4I-0526-SM-5LU59 40-49 years, female 132.0
GTEX-Q734-0526-SM-2I3EH 40-49 years, female 132.0
GTEX-1HCVE-0726-SM-A96SH 50-59 years, male 131.6
GTEX-15CHC-0126-SM-5YYBA 60-69 years, female 131.4
GTEX-1HSKV-1026-SM-B2LWK 60-69 years, male 131.3
GTEX-ZDTS-0926-SM-5YY9D 60-69 years, male 131.1
GTEX-ZVZQ-0626-SM-59HJU 60-69 years, female 131.1
GTEX-14JIY-1226-SM-6871R 60-69 years, male 130.8
GTEX-XBEW-0126-SM-4AT66 40-49 years, male 130.7
GTEX-12WSH-0226-SM-5GCOG 50-59 years, male 130.6
GTEX-Z9EW-0226-SM-5CVM7 40-49 years, male 130.5
GTEX-1HCU9-0226-SM-9WPNT 20-29 years, male 130.5
GTEX-147GR-0726-SM-5S2PL 60-69 years, male 130.4
GTEX-18D9B-0726-SM-72D6K 60-69 years, male 130.3
GTEX-14PKU-0326-SM-6AJA7 40-49 years, female 130.1
GTEX-XV7Q-0326-SM-4BRVM 40-49 years, female 130.1
GTEX-1JN6P-0626-SM-ARZN6 60-69 years, male 130.1
GTEX-18D9U-1026-SM-72D5R 40-49 years, male 130.0
GTEX-OXRL-2626-SM-2I3F1 50-59 years, male 129.7
GTEX-1HFI6-1326-SM-A9SL8 40-49 years, male 129.4
GTEX-U412-0726-SM-EVR2Y 60-69 years, male 129.3
GTEX-1J8EW-1126-SM-A96T8 60-69 years, female 129.2
GTEX-14B4R-0126-SM-5TDE4 30-39 years, male 128.8
GTEX-1F88F-0726-SM-7P8R7 60-69 years, female 128.8
GTEX-YB5K-0526-SM-5LUAS 40-49 years, female 128.5
GTEX-1GZHY-1426-SM-9WG5H 50-59 years, female 128.3
GTEX-ZA64-0426-SM-5HL96 20-29 years, male 127.9
GTEX-13111-0226-SM-5EQ55 50-59 years, male 127.8
GTEX-1IOXB-1026-SM-CJI4D 50-59 years, male 127.8
GTEX-YEC3-0826-SM-4WWFP 50-59 years, male 127.6
GTEX-13FHP-0926-SM-5L3EC 50-59 years, male 127.4
GTEX-15RJE-1326-SM-6LPI6 40-49 years, male 127.3
GTEX-1GF9V-0926-SM-9KNW7 60-69 years, male 127.3
GTEX-1OJC3-0626-SM-E8VMO 20-29 years, male 127.1
GTEX-1122O-0226-SM-5N9DA 60-69 years, female 127.0
GTEX-13X6H-0526-SM-5LU4Q 50-59 years, female 126.9
GTEX-ZQUD-0126-SM-7EPIS 30-39 years, male 126.2
GTEX-14PN3-0826-SM-69LOS 60-69 years, female 126.0
GTEX-16MT8-0626-SM-6M47Q 60-69 years, female 125.9
GTEX-13PVR-0626-SM-5S2RC 60-69 years, female 125.7
GTEX-17GQL-0226-SM-7LTAK 60-69 years, male 125.6
GTEX-ZY6K-0226-SM-5SIAY 50-59 years, male 125.5
GTEX-1F48J-0926-SM-7P8PZ 50-59 years, female 125.5
GTEX-ZT9X-0226-SM-51MT2 40-49 years, male 125.3
GTEX-11GSO-0626-SM-5A5LW 60-69 years, male 124.8
GTEX-1GTWX-0726-SM-9WPPA 60-69 years, male 124.8
GTEX-1R9PM-0226-SM-DPRY7 20-29 years, male 124.7
GTEX-1AMEY-0126-SM-73KTX 30-39 years, female 124.5
GTEX-1JKYR-0826-SM-ARU8L 20-29 years, male 124.4
GTEX-RTLS-0626-SM-5SI7Z 60-69 years, female 123.9
GTEX-18A67-0826-SM-7KFTI 50-59 years, male 123.6
GTEX-1HKZK-0826-SM-A9G2C 40-49 years, male 123.5
GTEX-VJYA-0426-SM-3GIJK 60-69 years, male 123.1
GTEX-ZF29-0726-SM-DO92H 60-69 years, female 122.9
GTEX-145LU-0426-SM-5O9AH 50-59 years, male 122.8
GTEX-14ICL-0426-SM-5RQJ3 30-39 years, male 122.8
GTEX-ZVT3-0726-SM-5GICN 60-69 years, female 122.8
GTEX-11EMC-0226-SM-5EGLP 60-69 years, female 122.5
GTEX-11P81-0126-SM-5HL5Y 30-39 years, female 121.9
GTEX-13OW5-0626-SM-5J2N2 60-69 years, male 121.8
GTEX-11ZTS-1126-SM-5LU9X 60-69 years, female 121.7
GTEX-1IKOE-0926-SM-ARU7X 30-39 years, female 121.5
GTEX-1HSMQ-0526-SM-A96TY 50-59 years, male 121.4
GTEX-Y9LG-0426-SM-4VBRT 30-39 years, male 121.2
GTEX-13FH7-0126-SM-5KLZ1 50-59 years, female 121.1
GTEX-145LT-0226-SM-5S2QK 40-49 years, male 121.1
GTEX-R55C-0626-SM-2TF4Q 40-49 years, male 121.1
GTEX-14PJ4-0326-SM-664OT 60-69 years, male 121.0
GTEX-18A66-0826-SM-72D5Z 60-69 years, male 120.9
GTEX-1HR9M-0626-SM-A96S6 60-69 years, male 120.9
GTEX-16NPX-1426-SM-6LPK3 50-59 years, male 120.7
GTEX-ZE7O-1126-SM-57WC8 50-59 years, female 120.7
GTEX-1PBJJ-1926-SM-DTX8T 30-39 years, male 120.7
GTEX-1A3MV-0326-SM-73KW7 30-39 years, male 120.6
GTEX-1C4CL-0726-SM-7IGP9 30-39 years, male 119.7
GTEX-1GF9X-0126-SM-A9G38 40-49 years, female 119.5
GTEX-RU72-0126-SM-2TF6Z 50-59 years, female 119.3
GTEX-1B8SF-0626-SM-73KVV 60-69 years, male 119.2
GTEX-17F97-0626-SM-7IGOH 50-59 years, male 119.0
GTEX-P4QT-2626-SM-2I3FM 50-59 years, female 119.0
GTEX-WWYW-0826-SM-3NB2X 50-59 years, female 118.8
GTEX-1GMRU-1126-SM-9KNV1 50-59 years, male 118.7
GTEX-WHPG-0226-SM-3NMB9 50-59 years, male 118.6
GTEX-1AX9K-0626-SM-73KVD 50-59 years, male 118.5
GTEX-YEC4-0626-SM-5CVLU 40-49 years, male 118.4
GTEX-14PQA-1226-SM-6M47A 50-59 years, female 118.2
GTEX-OXRK-0626-SM-2HMJ5 50-59 years, female 118.0
GTEX-15DZA-0226-SM-7KFS6 30-39 years, female 117.7
GTEX-1GL5R-0626-SM-7PBZY 50-59 years, male 117.7
GTEX-WYJK-1626-SM-3NM9J 50-59 years, male 117.5
GTEX-12584-0826-SM-5FQSK 40-49 years, male 117.4
GTEX-13RTJ-0326-SM-5YYAE 60-69 years, male 117.2
GTEX-11I78-0526-SM-5986A 50-59 years, female 116.5
GTEX-131XG-0226-SM-5IFG1 50-59 years, female 116.5
GTEX-17KNJ-1026-SM-79ONK 50-59 years, male 116.5
GTEX-1AYCT-0226-SM-73KVB 50-59 years, male 116.4
GTEX-15SHV-0426-SM-6M476 60-69 years, male 116.0
GTEX-1269C-0226-SM-5EGKS 60-69 years, female 115.8
GTEX-QLQ7-0726-SM-2I5G2 60-69 years, male 115.8
GTEX-11TT1-1126-SM-5P9GV 20-29 years, male 115.7
GTEX-UJMC-0326-SM-3GAE2 50-59 years, male 115.5
GTEX-SIU8-0626-SM-2XCDN 50-59 years, male 115.3
GTEX-U3ZN-0326-SM-3DB86 30-39 years, female 115.1
GTEX-1399U-0326-SM-5P9G5 50-59 years, female 115.0
GTEX-14753-0926-SM-5Q5BI 60-69 years, male 115.0
GTEX-1CB4H-0126-SM-7IGN2 60-69 years, female 115.0
GTEX-1GN73-0826-SM-9OSW4 60-69 years, male 115.0
GTEX-11EQ9-0626-SM-5A5K1 30-39 years, male 114.7
GTEX-1LSVX-0726-SM-E9TJG 60-69 years, male 114.7
GTEX-U4B1-0626-SM-3DB8L 40-49 years, male 114.3
GTEX-1192W-0126-SM-5EGGS 60-69 years, male 114.2
GTEX-12ZZX-1226-SM-5EGHS 40-49 years, female 114.2
GTEX-17EVQ-0526-SM-7KFSK 70-79 years, male 114.2
GTEX-1I1GT-0826-SM-B2LWO 60-69 years, female 114.1
GTEX-1K9T9-0826-SM-EAZ4X 50-59 years, female 113.6
GTEX-11P7K-0226-SM-5986Z 30-39 years, male 113.5
GTEX-15G1A-0326-SM-6M467 30-39 years, male 113.3
GTEX-1GF9W-0626-SM-7MXVJ 60-69 years, male 113.2
GTEX-Y3IK-0526-SM-4WWE3 50-59 years, female 113.1
GTEX-1QP28-0626-SM-E76P5 50-59 years, female 112.9
GTEX-TSE9-0626-SM-3DB8B 60-69 years, female 112.7
GTEX-1EU9M-0626-SM-7MXUT 60-69 years, male 112.6
GTEX-1RAZS-1026-SM-E9TID 50-59 years, male 112.4
GTEX-WXYG-0226-SM-3NB2Y 50-59 years, female 112.3
GTEX-14ICK-1626-SM-6ETZX 40-49 years, male 112.2
GTEX-14AS3-0226-SM-5Q5B6 40-49 years, female 112.1
GTEX-13PVQ-0726-SM-5L3GI 50-59 years, male 111.8
GTEX-15RJ7-0326-SM-6M47H 40-49 years, male 111.8
GTEX-Y5V6-0526-SM-4VBRV 60-69 years, male 111.4
GTEX-13G51-1226-SM-5K7Z3 60-69 years, male 111.3
GTEX-1EKGG-0726-SM-7IGPX 60-69 years, male 111.3
GTEX-XUZC-0126-SM-4BOO6 30-39 years, female 111.3
GTEX-13JVG-0926-SM-5IJE1 60-69 years, male 111.2
GTEX-1J8Q3-0226-SM-C1YR4 60-69 years, male 111.0
GTEX-13VXT-0626-SM-5SIA1 20-29 years, female 110.8
GTEX-1JJE9-0226-SM-CY8HU 70-79 years, male 110.8
GTEX-13OVG-0226-SM-5LU93 60-69 years, male 109.8
GTEX-16XZZ-0826-SM-7IGM3 60-69 years, male 109.8
GTEX-NFK9-0726-SM-2HMJW 40-49 years, male 109.7
GTEX-1QP2A-0626-SM-DTX9C 50-59 years, male 109.7
GTEX-14XAO-0426-SM-6AJB6 60-69 years, female 108.9
GTEX-QV31-0726-SM-3GAEG 30-39 years, male 108.9
GTEX-SUCS-0226-SM-32PLQ 70-79 years, male 108.6
GTEX-T5JW-1226-SM-3GACY 20-29 years, female 108.0
GTEX-ZF28-0826-SM-4WKGJ 60-69 years, male 107.5
GTEX-XXEK-1326-SM-4BRV1 50-59 years, male 107.4
GTEX-1H1E6-0326-SM-9OSWE 30-39 years, male 107.4
GTEX-1C6VS-0826-SM-7EWEI 60-69 years, male 107.3
GTEX-11GSP-0126-SM-5A5KU 60-69 years, female 107.0
GTEX-PX3G-2626-SM-2I3EG 20-29 years, female 107.0
GTEX-15FZZ-0226-SM-6LLI4 30-39 years, female 106.9
GTEX-1B8SG-1126-SM-7IGMT 50-59 years, male 106.8
GTEX-ZXG5-0926-SM-5NQ8H 60-69 years, male 106.7
GTEX-1QCLZ-0626-SM-E6CR2 60-69 years, female 106.7
GTEX-1HSMO-0726-SM-A96TM 60-69 years, male 106.5
GTEX-131XE-0126-SM-5LZVC 50-59 years, male 106.4
GTEX-X4LF-0426-SM-3NMB5 50-59 years, male 106.4
GTEX-1F75I-0926-SM-7MXUU 40-49 years, male 106.3
GTEX-RN5K-2826-SM-EZ6L3 50-59 years, female 106.3
GTEX-ZV6S-0226-SM-59HJT 40-49 years, female 106.2
GTEX-1HCUA-0126-SM-B2LWC 50-59 years, female 106.2
GTEX-WHSB-1626-SM-3LK6J 50-59 years, male 105.9
GTEX-1211K-0726-SM-5FQUW 60-69 years, female 105.8
GTEX-12WSL-0626-SM-5GCOY 50-59 years, male 105.5
GTEX-S7SF-0226-SM-5SI7H 20-29 years, female 105.5
GTEX-1PBJI-0726-SM-EXUSQ 20-29 years, female 105.5
GTEX-PWN1-2626-SM-2I3FH 40-49 years, female 105.3
GTEX-11P82-0226-SM-5HL4O 20-29 years, male 105.2
GTEX-U3ZM-0126-SM-3DB8M 40-49 years, male 105.0
GTEX-ZDXO-1726-SM-5HL6L 60-69 years, male 104.9
GTEX-1IDJC-1026-SM-A96T2 50-59 years, male 104.7
GTEX-17MF6-0626-SM-7LT8D 40-49 years, male 104.6
GTEX-14JG6-1326-SM-9OSXU 30-39 years, female 104.6
GTEX-Y3I4-0226-SM-4TT27 50-59 years, male 104.5
GTEX-ZLFU-0626-SM-4WWBO 40-49 years, male 104.2
GTEX-131XF-1826-SM-5EGKG 60-69 years, male 103.7
GTEX-RWS6-0626-SM-2XCAS 60-69 years, female 103.7
GTEX-11TUW-0226-SM-5LU8X 60-69 years, male 103.4
GTEX-1CAMQ-1126-SM-7EWFE 40-49 years, male 103.4
GTEX-V1D1-0926-SM-4JBHQ 50-59 years, male 103.4
GTEX-1IE54-0926-SM-A9G2Y 40-49 years, female 103.1
GTEX-1J8QM-0726-SM-CE6RF 60-69 years, female 102.9
GTEX-1PPH8-0926-SM-DTX9U 20-29 years, male 102.9
GTEX-1MUQO-0726-SM-E9TJM 60-69 years, male 102.6
GTEX-ZC5H-0626-SM-5LU9K 40-49 years, female 102.5
GTEX-XUW1-1026-SM-4BONY 50-59 years, female 102.4
GTEX-1JK1U-0326-SM-CXZJH 60-69 years, male 102.3
GTEX-11LCK-0526-SM-5A5M9 30-39 years, male 102.2
GTEX-WYVS-0326-SM-3NM9V 40-49 years, female 101.9
GTEX-1J1R8-0126-SM-CJI36 40-49 years, male 101.8
GTEX-13OVJ-0626-SM-5J2O2 50-59 years, female 101.6
GTEX-144GO-0126-SM-5LUAO 60-69 years, male 101.2
GTEX-14DAQ-0826-SM-73KWT 60-69 years, female 101.2
GTEX-1LGRB-1226-SM-CNNPS 50-59 years, female 100.9
GTEX-13O3O-0926-SM-5KM1F 60-69 years, female 100.6
GTEX-1GMR8-0826-SM-9KNUR 50-59 years, female 100.4
GTEX-13S86-1126-SM-5RQJX 40-49 years, male 99.9
GTEX-12WSN-0726-SM-5GCMS 40-49 years, male 99.8
GTEX-1C475-0226-SM-7MGXM 40-49 years, female 99.8
GTEX-1H1DF-1026-SM-9QEJ1 40-49 years, female 99.5
GTEX-1NV5F-0726-SM-DTXEH 60-69 years, female 99.1
GTEX-XBED-0126-SM-47JY7 60-69 years, male 97.9
GTEX-11DZ1-2726-SM-5A5KH 50-59 years, male 97.7
GTEX-12696-0326-SM-5EGL4 60-69 years, male 97.2
GTEX-16XZY-0726-SM-79OMU 70-79 years, male 97.1
GTEX-11DXX-0226-SM-5P9HL 60-69 years, female 96.9
GTEX-1J1OQ-0526-SM-A9G2P 40-49 years, female 96.6
GTEX-U8T8-2326-SM-3DB96 60-69 years, male 96.5
GTEX-16MTA-0726-SM-7KUL4 50-59 years, male 95.8
GTEX-17HII-1926-SM-79OLB 50-59 years, male 95.8
GTEX-TKQ1-0126-SM-33HB3 30-39 years, male 95.8
GTEX-WEY5-0526-SM-3GIKZ 40-49 years, female 95.8
GTEX-W5WG-1426-SM-4KKZP 50-59 years, female 95.4
GTEX-X4XY-0826-SM-4E3JM 60-69 years, male 95.4
GTEX-1OJC4-0526-SM-E6CQV 50-59 years, female 95.4
GTEX-OHPK-2626-SM-2HMK9 50-59 years, female 95.0
GTEX-1JMPY-0126-SM-CJI39 30-39 years, male 94.0
GTEX-1CAMR-0226-SM-7DUGO 20-29 years, male 93.6
GTEX-1QP9N-0126-SM-DPRZS 30-39 years, male 93.3
GTEX-132NY-1026-SM-5P9IY 60-69 years, male 92.9
GTEX-132QS-0326-SM-5IJFN 60-69 years, male 92.8
GTEX-1HSEH-0826-SM-B2LXE 60-69 years, male 92.8
GTEX-14BMU-0226-SM-5S2QA 20-29 years, female 92.7
GTEX-1I1GU-0826-SM-ARZM5 40-49 years, male 92.6
GTEX-146FQ-0726-SM-5LUA7 30-39 years, male 92.5
GTEX-1RAZQ-0926-SM-EAZ4Q 30-39 years, male 92.0
GTEX-14PHW-2926-SM-6AJBA 60-69 years, female 91.8
GTEX-S32W-0726-SM-2XCBL 50-59 years, female 91.5
GTEX-178AV-0726-SM-6LPJI 40-49 years, male 91.3
GTEX-13W46-0926-SM-5LU3T 50-59 years, male 91.1
GTEX-X4XX-0926-SM-46MV7 60-69 years, male 91.1
GTEX-13N2G-0726-SM-5MR38 60-69 years, male 91.0
GTEX-1KAFJ-0426-SM-DHXJH 50-59 years, male 91.0
GTEX-147F4-0826-SM-5QGRB 50-59 years, male 90.9
GTEX-WFG7-0326-SM-DKPO8 20-29 years, male 90.6
GTEX-1GF9U-0226-SM-7P8TY 40-49 years, female 90.2
GTEX-1S5ZU-0726-SM-EWROH 20-29 years, female 90.1
GTEX-183WM-2626-SM-7KFRY 70-79 years, female 89.8
GTEX-ZYFC-0926-SM-5GZWW 50-59 years, male 89.7
GTEX-Z93S-0526-SM-EVYB4 50-59 years, male 89.5
GTEX-1NUQO-0926-SM-DTXEX 20-29 years, female 88.8
GTEX-X261-0726-SM-EZ6MH 50-59 years, male 88.7
GTEX-ZLV1-0126-SM-4WWBZ 60-69 years, female 87.8
GTEX-1GZ2Q-0826-SM-7P8TK 40-49 years, male 87.7
GTEX-1H3VE-0826-SM-9KNVQ 40-49 years, male 87.2
GTEX-QDVN-0626-SM-2I3FP 50-59 years, male 87.1
GTEX-13OVI-0826-SM-5KLZ8 60-69 years, female 86.8
GTEX-1497J-0126-SM-5Q5BK 60-69 years, male 86.8
GTEX-TMMY-0826-SM-33HB9 40-49 years, female 86.5
GTEX-111YS-0726-SM-5GZY8 60-69 years, male 86.4
GTEX-Q2AI-0326-SM-2I3EK 40-49 years, male 86.3
GTEX-16NGA-0326-SM-718AJ 40-49 years, female 86.2
GTEX-1H1DG-0726-SM-A96TN 70-79 years, male 86.0
GTEX-13QJC-0826-SM-5RQKC 60-69 years, female 84.1
GTEX-1GN1V-0626-SM-7P8QU 60-69 years, male 84.1
GTEX-O5YV-1526-SM-EV799 60-69 years, female 84.0
GTEX-RU1J-0226-SM-2TF5Y 20-29 years, female 83.8
GTEX-11UD2-0626-SM-5GU6L 50-59 years, male 82.9
GTEX-17F9Y-0526-SM-7EWDC 70-79 years, female 82.6
GTEX-14C39-0226-SM-5TDDW 40-49 years, male 82.4
GTEX-13113-0126-SM-5LZVX 60-69 years, female 82.2
GTEX-ZTPG-0826-SM-5DUVC 20-29 years, female 82.2
GTEX-U3ZH-0226-SM-3DB7B 30-39 years, male 81.5
GTEX-1B932-0926-SM-73KUP 40-49 years, female 81.2
GTEX-1HCU7-0826-SM-B2LX7 50-59 years, male 81.2
GTEX-1QAET-0226-SM-EVR3T 50-59 years, male 80.9
GTEX-14PJM-1326-SM-664NX 50-59 years, female 80.7
GTEX-ZYVF-1126-SM-5E458 50-59 years, female 80.4
GTEX-14PII-0826-SM-6871S 60-69 years, male 80.1
GTEX-1R9K4-0726-SM-EWRN2 60-69 years, male 80.0
GTEX-Y8E4-0126-SM-4VBQ2 40-49 years, male 79.7
GTEX-QEG5-0826-SM-2I5GF 20-29 years, male 79.5
GTEX-QEL4-0726-SM-3GIJ5 50-59 years, male 79.5
GTEX-15G19-0626-SM-6M474 60-69 years, male 79.1
GTEX-YJ89-0726-SM-5P9F7 60-69 years, male 78.9
GTEX-1O9I2-1226-SM-E6CQC 50-59 years, male 78.9
GTEX-1I19N-0226-SM-CE6ST 70-79 years, male 78.6
GTEX-15DDE-0626-SM-69LOK 50-59 years, female 78.5
GTEX-1LGOU-0126-SM-EV79W 20-29 years, female 78.3
GTEX-148VJ-0726-SM-5LU8J 70-79 years, male 77.4
GTEX-ZV7C-0126-SM-57WDE 50-59 years, male 77.2
GTEX-15UF6-1126-SM-6LPJ3 70-79 years, female 77.1
GTEX-1AX8Z-0826-SM-7DUFZ 60-69 years, male 76.3
GTEX-QDVJ-0226-SM-2I5FV 50-59 years, male 76.0
GTEX-14PJO-0626-SM-6LLHH 60-69 years, male 75.9
GTEX-1H2FU-0626-SM-9WPPS 60-69 years, female 75.4
GTEX-11EQ8-0826-SM-5N9FG 60-69 years, male 75.0
GTEX-OXRN-1526-SM-E6CHM 50-59 years, male 74.8
GTEX-13NZ8-0226-SM-5J2OK 60-69 years, female 74.7
GTEX-1QCLY-0826-SM-DTX8A 30-39 years, male 74.5
GTEX-1HBPM-0926-SM-ARL9C 60-69 years, female 74.1
GTEX-12WSJ-0326-SM-5GCMT 40-49 years, female 74.0
GTEX-P4QS-2626-SM-2I3EV 60-69 years, male 73.7
GTEX-13O3P-0726-SM-5J2OM 50-59 years, male 73.3
GTEX-145MI-1126-SM-5O9AK 60-69 years, female 73.3
GTEX-133LE-0326-SM-5P9G4 20-29 years, female 73.1
GTEX-13O1R-0826-SM-5J2MB 60-69 years, male 72.9
GTEX-1CB4G-1526-SM-7P8QG 60-69 years, male 72.4
GTEX-1K2DU-0126-SM-E9TIU 20-29 years, male 72.3
GTEX-1JMQK-2126-SM-CY8I2 60-69 years, male 71.3
GTEX-ZYW4-1126-SM-5SI99 60-69 years, male 71.0
GTEX-1RNSC-1126-SM-E9TIP 60-69 years, male 70.3
GTEX-13CF3-0926-SM-5LZZC 60-69 years, female 69.9
GTEX-POYW-0826-SM-2XCEM 60-69 years, male 69.4
GTEX-13YAN-0926-SM-5O9C3 60-69 years, male 68.8
GTEX-1R46S-0426-SM-EVR48 60-69 years, female 68.5
GTEX-13PDP-1026-SM-5L3FA 60-69 years, male 68.4
GTEX-13IVO-0926-SM-5KLZP 70-79 years, male 68.0
GTEX-1I1GS-0726-SM-C1YS7 60-69 years, male 67.7
GTEX-169BO-0326-SM-7EPIM 50-59 years, male 67.3
GTEX-1JJ6O-0626-SM-AHZ3H 60-69 years, male 67.3
GTEX-148VI-0526-SM-5TDDG 60-69 years, female 67.1
GTEX-1H1DE-0226-SM-ARZN8 20-29 years, male 66.0
GTEX-14A5H-0726-SM-5Q5DW 60-69 years, male 65.5
GTEX-11XUK-0226-SM-5EQLW 40-49 years, female 65.2
GTEX-1ICLY-0726-SM-A96TB 50-59 years, male 65.1
GTEX-144GM-0226-SM-5Q5CB 20-29 years, male 64.9
GTEX-1ICLZ-0526-SM-ARZM8 60-69 years, male 64.4
GTEX-ZAJG-0726-SM-5HL9A 50-59 years, female 64.1
GTEX-1LH75-0626-SM-DIPG3 50-59 years, female 63.7
GTEX-QDT8-1226-SM-EVR35 30-39 years, female 62.5
GTEX-1MJK3-0326-SM-DTX96 20-29 years, male 61.8
GTEX-R55G-0726-SM-2TC6J 40-49 years, female 61.7
GTEX-X5EB-0726-SM-46MVR 40-49 years, male 61.1
GTEX-X8HC-0726-SM-46MWG 50-59 years, female 61.1
GTEX-XGQ4-0426-SM-4AT4I 50-59 years, male 60.7
GTEX-12WSG-0226-SM-5EGIF 50-59 years, female 60.6
GTEX-SN8G-1526-SM-4DM79 50-59 years, female 60.5
GTEX-P4PQ-2626-SM-33HC9 60-69 years, male 60.4
GTEX-1QW4Y-0226-SM-EAZ3U 30-39 years, male 59.3
GTEX-1H1ZS-0726-SM-A9G3K 70-79 years, male 58.2
GTEX-1I6K6-0726-SM-B2LX4 30-39 years, male 58.1
GTEX-132AR-1126-SM-5P9GA 50-59 years, female 58.0
GTEX-11NV4-0626-SM-5N9BR 60-69 years, male 57.3
GTEX-OXRO-1226-SM-48TDL 60-69 years, female 56.1
GTEX-1JMPZ-0626-SM-CY8HY 30-39 years, male 56.0
GTEX-1PWST-0726-SM-EWRMO 70-79 years, male 53.0
GTEX-14E6C-2626-SM-5RQJP 40-49 years, male 52.7
GTEX-13NZ9-1126-SM-5MR37 50-59 years, male 52.3
GTEX-145ME-0126-SM-5S2QM 40-49 years, female 50.3
GTEX-14PN4-1526-SM-6871V 50-59 years, male 49.8
GTEX-OHPL-2626-SM-2HMJA 60-69 years, female 47.8
GTEX-YFC4-2626-SM-5P9FQ 40-49 years, female 45.9
GTEX-13FHO-0926-SM-5N9EW 60-69 years, male 44.1
GTEX-13NYC-2426-SM-5MR3K 60-69 years, male 43.5
GTEX-1CB4J-1426-SM-7MKFR 60-69 years, male 39.5
GTEX-14C38-0826-SM-5S2U8 50-59 years, male 38.8
GTEX-WOFL-0726-SM-3MJG4 60-69 years, male 36.2
GTEX-Q2AH-0726-SM-2I3EA 40-49 years, male 31.9
GTEX-1JMQL-0926-SM-CJI3F 50-59 years, female 25.5
GTEX-RUSQ-1026-SM-2TF6V 50-59 years, male 23.9
GTEX-XYKS-0826-SM-4BRVF 60-69 years, female 6.3
Show allShow less

THYROID GLAND - FANTOM5 CAGEi

RNA expression in human tissues obtained through Cap Analysis of Gene Expression (CAGE) generated by the FANTOM5 project are reported as Scaled Tags Per Million.

Max subtype Scaled Tags Per Millioni

Max subtype Scaled Tags Per Million is the value for the subtype with the largest average Scaled Tags Per Million across the subtype samples.

274.6
FANTOM5 sample id Sample description Scaled Tags Per Million
Thyroid
Scaled Tags Per Million: 274.6
FF:10028-101E1 67,68,78 years, mixed 274.6

Contact

  • NEWS ARTICLES
  • PRESS ROOM

The Project

  • INTRODUCTION
  • ORGANIZATION
  • PUBLICATIONS

The Human Protein Atlas

  • DOWNLOADABLE DATA
  • LICENCE & CITATION
  • HELP & FAQ
The Human Protein Atlas project is funded
by the Knut & Alice Wallenberg Foundation.


contact@proteinatlas.org