We use cookies to enhance the usability of our website. If you continue, we'll assume that you are happy to receive all cookies. More information. Don't show this again.
RPL27A
HPA
RESOURCES
  • TISSUE
  • BRAIN
  • SINGLE CELL
  • SUBCELLULAR
  • CANCER
  • BLOOD
  • CELL LINE
  • STRUCTURE & INTERACTION
ABOUT
  • INTRODUCTION
  • HISTORY
  • ORGANIZATION
  • PUBLICATIONS
  • ANTIBODY SUBMISSION
  • ANTIBODY AVAILABILITY
  • ACKNOWLEDGMENTS
  • CONTACT
NEWS
  • NEWS ARTICLES
  • PRESS ROOM
LEARN
  • DICTIONARY
  • PROTEIN CLASSES
  • PROTEIN EVIDENCE
  • METHODS
  • EDUCATIONAL VIDEOS
DATA
  • DOWNLOADABLE DATA
  • PUBLICATION DATA
  • RELEASE HISTORY
HELP
  • ANTIBODY VALIDATION
  • ASSAYS & ANNOTATION
  • DISCLAIMER
  • HELP & FAQ
  • PRIVACY STATEMENT
  • LICENCE & CITATION
Fields »
Search result

Field
Term
Gene name
Class
Subclass
Class
Keyword
Chromosome
External id
Tissue
Cell type
Expression
Antibody panel
Tissue
Main location
Patient ID
Annotation
Tissue
Category
Tau score
Cluster
Reliability
Brain region
Category
Tau score
Brain region
Category
Tau score
Brain region
Category
Tau score
Cluster
Reliability
Tissue
Cell type
Enrichment
Cell type
Category
Tau score
Cell type
Category
Tau score
Cell type
Category
Tau score
Cell lineage
Category
Tau score
Cluster
Cluster
Location
Searches
Location
Cell line
Class
Type
Phase
Reliability
Cancer
Prognosis
Cancer
Category
Cancer
Category
Tau score
Cluster
Variants
Interacting gene (ensg_id)
Type
Number of interactions
Pathway
Category
Score
Score
Score
Validation
Validation
Validation
Validation
Antibodies
Data type
Column


  • SUMMARY

  • TISSUE

  • BRAIN

  • SINGLE CELL

  • SUBCELL

  • CANCER

  • BLOOD

  • CELL LINE

  • STRUCT & INT

  • RPL27A
TISSUE PRIMARY DATA SKIN Show tissue menu
ADIPOSE TISSUE ADRENAL GLAND AMYGDALA APPENDIX BASAL GANGLIA BONE MARROW BREAST BRONCHUS CEREBELLUM CEREBRAL CORTEX CERVIX CHOROID PLEXUS COLON DUODENUM
ENDOMETRIUM EPIDIDYMIS ESOPHAGUS FALLOPIAN TUBE GALLBLADDER HEART MUSCLE HIPPOCAMPAL FORMATION HYPOTHALAMUS KIDNEY LIVER LUNG LYMPH NODE MIDBRAIN NASOPHARYNX
ORAL MUCOSA OVARY PANCREAS PARATHYROID GLAND PITUITARY GLAND PLACENTA PROSTATE RECTUM RETINA SALIVARY GLAND SEMINAL VESICLE SKELETAL MUSCLE SKIN SMALL INTESTINE
SMOOTH MUSCLE SOFT TISSUE SPINAL CORD SPLEEN STOMACH TESTIS THYMUS THYROID GLAND TONGUE TONSIL URINARY BLADDER VAGINA
ANTIBODIES
AND
VALIDATION
Dictionary
Skin
Tissue proteome
Skin
SKIN - Expression summary
Protein expression
Skini

On the top, protein expression in current human tissue, based on all annotated cell types, is reported with the units not detected (n), low (l), medium (m) and high (h). Underneath, protein expression in each annotated cell type are reported using the same units.

Protein expression data is based on knowledge-based annotation. For genes where more than one antibody has been used, a collective score is set.

If knowledge-based annotation could not be performed for a gene, no data is displayed here. View antibody staining data further down this page.

h
m
l
n
Cells in basal layer: Medium
Cells in corneal layer: Not detected
Cells in granular layer: Medium
Cells in spinous layer: Medium
Eccrine glands: Medium
Endothelial cells: Low
Extracellular matrix: Not detected
Fibrohistiocytic cells: Medium
Hair follicles: Medium
Langerhans cells: Medium
Lymphocytes: Medium
Melanocytes: Medium
Sebaceous glands: Medium
Vascular mural cells: Not detected
RNA expressioni

A summary of mRNA expression data available for current tissue based on several datasets. The mRNA expression levels in human tissues are based on RNA-seq data generated by the Human Protein Atlas (HPA), Genotype-Tissue Expression (GTEx) portal and CAGE data generated by the FANTOM5 consortium. Consensus normalized expression levels for human tissues was created by combining the data from HPA and GTEx datasets.

The mRNA expression levels in pig are based on RNA-seq data generated by the Human Protein Atlas (HPA), and for mouse, HPA data and in situ hybridization generated by the Allen brain atlas are reported.

Scroll down to view mRNA expression data in more detail.
Consensus:2647.3 nTPM
HPA:903.1 nTPM
GTEx:2647.3 nTPM

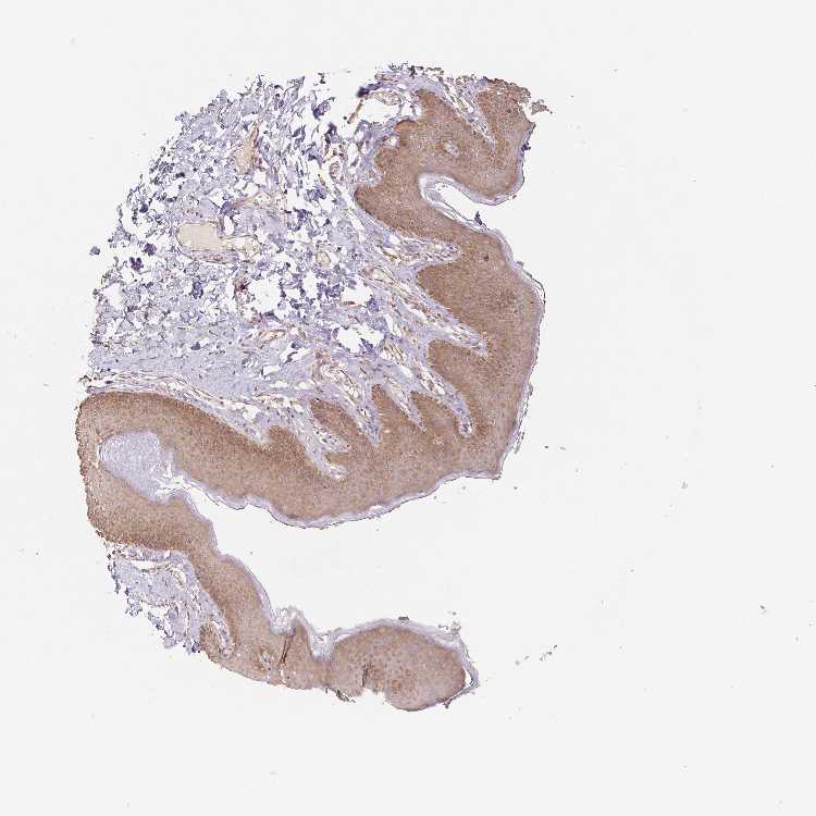
SKIN 1 - Antibody stainingi

Antibody staining in the annotated cell types in the current human tissue is reported as not detected, low, medium, or high, based on conventional immunohistochemistry profiling in selected tissues. This score is based on the combination of the staining intensity and fraction of stained cells.

Each image is clickable and will lead to virtual microscopy that enables deeper exploration of all samples and also displays staining intensity scores, fraction scores and subcellular localization as well as patient and tissue information for each sample.

Antibody HPA060776Antibody HPA063379
Langerhans Not detected-
Cells in basal layer -Low
Cells in corneal layer -Not detected
Cells in granular layer -Low
Cells in spinous layer -Low
Eccrine glands -Medium
Endothelial cells -Low
Extracellular matrix -Not detected
Fibroblasts Not detected-
Fibrohistiocytic cells -Low
Hair follicles -Medium
Keratinocytes Medium-
Langerhans cells -Low
Lymphocytes -Low
Melanocytes Not detectedLow
Sebaceous glands -Medium
Vascular mural cells -Not detected


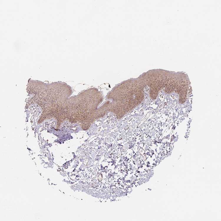
SKIN 2 - Antibody stainingi

Antibody staining in the annotated cell types in the current human tissue is reported as not detected, low, medium, or high, based on conventional immunohistochemistry profiling in selected tissues. This score is based on the combination of the staining intensity and fraction of stained cells.

Each image is clickable and will lead to virtual microscopy that enables deeper exploration of all samples and also displays staining intensity scores, fraction scores and subcellular localization as well as patient and tissue information for each sample.

Antibody HPA060776Antibody HPA063379
Cells in basal layer -Medium
Cells in corneal layer -Not detected
Cells in granular layer -Medium
Cells in spinous layer -Medium
Endothelial cells -Low
Epidermal cells Medium-
Extracellular matrix -Not detected
Fibrohistiocytic cells -Medium
Langerhans cells -Medium
Lymphocytes -Medium
Melanocytes -Medium
Vascular mural cells -Not detected
  
  
  
  
  


SKIN - HPA RNA-seqi

The RNA-seq details section shows detailed information about the individual samples used for the transcript profiling and results of the RNA-seq analysis.

Information about each individual sample is listed below, including gender, age, a tissue section image and estimated fractions of cell types. nTPM (normalized transcripts per million) values give a quantification of the gene abundance which is comparable between different genes and samples.
Average nTPMi

Max subtype nTPM is the value for the subtype with the largest average nTPM across the subtype samples.

903.1
overview
Female, age 34
Skin sample 225
nTPM: 825.9
Cell types%
Keratinocytes:
60

Other cell types:
40

overview
Female, age 30
Skin sample 226
nTPM: 511.5
Cell types%
Keratinocytes:
55

Other cell types:
45

N/A
Male, age 57
Skin sample 227
nTPM: 1371.8

SKIN - GTEx RNA-seqi

RNA-Seq data generated by the Genotype-Tissue Expression (GTEx) project from human tissues is reported as mean nTPM. More information can be found on the GTEx portal.

Distribution across the dataset is visualized with box plots, shown as median and 25th and 75th percentiles. Points are displayed as outliers if they are above or below 1.5 times the interquartile range. nTPM values of the individual samples are presented next to the box plot.
Max subtype nTPMi

Max subtype nTPM is the value for the subtype with the largest average nTPM across the subtype samples.

2647.3
GTEx sample id Sample description nTPM
Skin - Not Sun Exposed (Suprapubic)
Average nTPM: 2647.3
Samples: 604

Max nTPM: 5328.4
Min nTPM: 1302.5
Std nTPM: 620.2
Median nTPM: 2558.7
GTEX-1OJC3-1226-SM-DTXER 20-29 years, male 5328.4
GTEX-1IKOE-1426-SM-CE6T7 30-39 years, female 5273.1
GTEX-ZTX8-1326-SM-4YCEL 20-29 years, male 5176.9
GTEX-1PIGE-1826-SM-E8VOU 20-29 years, male 4728.5
GTEX-X585-2426-SM-46MW2 50-59 years, male 4608.1
GTEX-ZF3C-0626-SM-DO92O 50-59 years, female 4580.1
GTEX-1E2YA-2126-SM-7MXUO 50-59 years, male 4521.7
GTEX-1RAZQ-1326-SM-E9TK6 30-39 years, male 4386.0
GTEX-144FL-0626-SM-5LU43 50-59 years, male 4365.6
GTEX-15RIG-0726-SM-7KUM7 40-49 years, male 4358.0
GTEX-1LKK1-2626-SM-DKPQE 50-59 years, female 4251.7
GTEX-1399Q-2326-SM-5KM2X 40-49 years, male 4180.7
GTEX-1PPH8-0126-SM-EWRN8 20-29 years, male 4178.8
GTEX-XBEW-1126-SM-4QARW 40-49 years, male 4097.8
GTEX-ZPCL-1126-SM-4WWFE 60-69 years, female 4080.7
GTEX-Y9LG-1126-SM-4VBQ7 30-39 years, male 4055.4
GTEX-11OF3-0126-SM-5PNYF 60-69 years, male 4052.9
GTEX-1H2FU-0926-SM-9WPPT 60-69 years, female 3956.7
GTEX-1CAMS-2226-SM-7PBXQ 40-49 years, female 3948.5
GTEX-1J1OQ-0126-SM-D4P2N 40-49 years, female 3932.7
GTEX-WI4N-2726-SM-3LK7Y 40-49 years, female 3922.8
GTEX-1HBPN-0126-SM-CGQEF 50-59 years, male 3918.5
GTEX-1399S-0126-SM-5IJCF 30-39 years, female 3916.1
GTEX-1S82P-2126-SM-E6CI5 60-69 years, female 3912.4
GTEX-1HCUA-0826-SM-ADEHM 50-59 years, female 3900.6
GTEX-14ICL-1626-SM-5YYAO 30-39 years, male 3895.2
GTEX-1H3VE-0726-SM-9YFL5 40-49 years, male 3894.9
GTEX-1QP9N-1226-SM-E76QN 30-39 years, male 3893.1
GTEX-1H1ZS-2726-SM-9WG75 70-79 years, male 3885.5
GTEX-1117F-2926-SM-5GZYI 60-69 years, female 3882.9
GTEX-15UF6-1926-SM-7KUDV 70-79 years, female 3870.0
GTEX-ZTTD-2826-SM-4YCFA 50-59 years, male 3856.6
GTEX-Y111-0626-SM-4SOIT 50-59 years, male 3850.3
GTEX-WFG7-2026-SM-5SI7P 20-29 years, male 3839.1
GTEX-13JVG-0726-SM-5KM16 60-69 years, male 3817.8
GTEX-Y114-2126-SM-4TT8B 50-59 years, female 3811.1
GTEX-1AYD5-2626-SM-7PBXY 50-59 years, male 3780.0
GTEX-11DYG-1526-SM-5A5JS 60-69 years, male 3771.1
GTEX-13YAN-0226-SM-5TDC6 60-69 years, male 3740.1
GTEX-1MJK3-0726-SM-E6CJC 20-29 years, male 3700.3
GTEX-1NV5F-0626-SM-DTXEG 60-69 years, female 3681.4
GTEX-1JMPY-0226-SM-CKZOK 30-39 years, male 3667.3
GTEX-1S5ZU-2526-SM-E6CIF 20-29 years, female 3667.2
GTEX-12WSJ-1126-SM-5LZVJ 40-49 years, female 3660.8
GTEX-1JMLX-0626-SM-ARL8T 50-59 years, male 3636.1
GTEX-ZYW4-0626-SM-59HJR 60-69 years, male 3624.3
GTEX-ZVZP-1226-SM-5GID7 50-59 years, male 3615.9
GTEX-1GPI7-1826-SM-9KNU1 20-29 years, male 3609.3
GTEX-13NYB-0126-SM-5J1MD 40-49 years, male 3606.7
GTEX-1ICLZ-0326-SM-ARL82 60-69 years, male 3592.8
GTEX-11DXZ-2026-SM-5987S 50-59 years, male 3591.7
GTEX-13NYS-0626-SM-5L3F1 60-69 years, male 3591.6
GTEX-1S82U-1026-SM-E6CJK 30-39 years, female 3579.5
GTEX-13IVO-0726-SM-5LZYV 70-79 years, male 3567.2
GTEX-13RTJ-0126-SM-5S2NN 60-69 years, male 3546.3
GTEX-13W3W-0726-SM-5IJDQ 60-69 years, female 3524.9
GTEX-1NSGN-0726-SM-DTXEF 50-59 years, male 3519.6
GTEX-14E1K-2026-SM-7DUEI 50-59 years, male 3501.5
GTEX-11PRG-0726-SM-5EGL1 50-59 years, male 3496.0
GTEX-1K2DA-1026-SM-CGQGF 50-59 years, male 3493.9
GTEX-1R9PM-1926-SM-EVR3O 20-29 years, male 3488.8
GTEX-16MTA-0926-SM-6M47Z 50-59 years, male 3481.0
GTEX-1I1GT-1026-SM-ARZLV 60-69 years, female 3480.3
GTEX-1A3MW-0626-SM-731CB 60-69 years, female 3473.0
GTEX-ZF29-0926-SM-4WKFZ 60-69 years, female 3463.8
GTEX-1LVAM-0726-SM-E6CIL 50-59 years, female 3452.2
GTEX-131XH-0126-SM-5LZUY 50-59 years, male 3447.2
GTEX-1LVA9-2626-SM-EVYD4 50-59 years, male 3420.4
GTEX-14C39-1726-SM-5RQIL 40-49 years, male 3419.6
GTEX-1LSVX-2526-SM-DIPEU 60-69 years, male 3412.2
GTEX-1LG7Y-2526-SM-EWRO7 50-59 years, male 3412.0
GTEX-1JMQK-1226-SM-D4P2S 60-69 years, male 3385.9
GTEX-1RMOY-1326-SM-E9TIH 50-59 years, male 3376.4
GTEX-144GO-2026-SM-5O99P 60-69 years, male 3367.9
GTEX-131XG-0326-SM-5L3DX 50-59 years, female 3365.6
GTEX-1H11D-1826-SM-9QEHM 40-49 years, male 3358.2
GTEX-14753-0726-SM-5QGQO 60-69 years, male 3353.9
GTEX-14DAR-1226-SM-73KYV 50-59 years, male 3345.8
GTEX-15RJE-2826-SM-7KUM9 40-49 years, male 3344.1
GTEX-12WSH-1526-SM-5BC5W 50-59 years, male 3336.1
GTEX-1LVAN-0626-SM-CNPOQ 50-59 years, female 3298.6
GTEX-1HB9E-0126-SM-CM2S5 50-59 years, male 3298.4
GTEX-ZE7O-2726-SM-51MT5 50-59 years, female 3288.0
GTEX-Y5V6-2326-SM-4VDSA 60-69 years, male 3287.3
GTEX-1PPH7-1126-SM-DTX9A 40-49 years, male 3282.1
GTEX-ZF2S-1626-SM-57WES 50-59 years, female 3272.7
GTEX-1QW4Y-1126-SM-DTXE3 30-39 years, male 3265.3
GTEX-1JMQJ-0826-SM-CNPP7 50-59 years, male 3260.1
GTEX-1RAZS-2526-SM-E6CHT 50-59 years, male 3257.4
GTEX-13PL6-1126-SM-5L3IE 40-49 years, female 3253.5
GTEX-13NYC-0126-SM-5L3F4 60-69 years, male 3226.2
GTEX-1JMQL-2226-SM-CNPP4 50-59 years, female 3222.9
GTEX-15SKB-2826-SM-6PAMH 60-69 years, male 3209.6
GTEX-147F4-0726-SM-5TDDD 50-59 years, male 3208.6
GTEX-1C6WA-2626-SM-7MKGM 60-69 years, male 3207.1
GTEX-Y3IK-1626-SM-4YCF5 50-59 years, female 3205.3
GTEX-15RIE-1926-SM-7KUKJ 60-69 years, male 3195.9
GTEX-1I1GU-0926-SM-ACKVS 40-49 years, male 3193.1
GTEX-13X6H-0926-SM-5SIB2 50-59 years, female 3190.7
GTEX-13PDP-0726-SM-5L3HP 60-69 years, male 3189.9
GTEX-11DZ1-2426-SM-5GZZX 50-59 years, male 3182.7
GTEX-1QP2A-1726-SM-E76QC 50-59 years, male 3167.8
GTEX-1CB4J-1326-SM-7P8RX 60-69 years, male 3164.1
GTEX-1HCU6-2526-SM-ADEHL 60-69 years, female 3153.6
GTEX-1HR9M-2226-SM-CNPPY 60-69 years, male 3143.5
GTEX-1M4P7-0726-SM-E6CJ3 60-69 years, male 3141.7
GTEX-1C6VQ-1226-SM-73KYD 50-59 years, male 3140.1
GTEX-18QFQ-1826-SM-72D52 30-39 years, male 3139.3
GTEX-1LGRB-0926-SM-COH3K 50-59 years, female 3138.5
GTEX-16YQH-2226-SM-7IGM2 30-39 years, male 3125.6
GTEX-1313W-0626-SM-5EQ4H 50-59 years, female 3124.3
GTEX-148VJ-0626-SM-5LUAW 70-79 years, male 3124.1
GTEX-17MFQ-1526-SM-7KFRR 20-29 years, male 3121.2
GTEX-ZT9X-1526-SM-5DUXD 40-49 years, male 3120.6
GTEX-ZYY3-2926-SM-5GIEB 60-69 years, female 3114.8
GTEX-1LVAO-2726-SM-E9TJ8 60-69 years, male 3096.4
GTEX-14LZ3-0126-SM-69LPM 60-69 years, female 3091.0
GTEX-11DXX-2126-SM-5PNYR 60-69 years, female 3085.6
GTEX-11ZU8-0126-SM-5EQ58 60-69 years, male 3082.3
GTEX-1R9K4-2826-SM-DTX8F 60-69 years, male 3080.6
GTEX-1IKJJ-2226-SM-CJI4C 60-69 years, male 3080.2
GTEX-11NUK-2726-SM-5A5MC 50-59 years, male 3080.1
GTEX-1S3DN-2126-SM-E9TIN 50-59 years, male 3076.1
GTEX-ZVE1-0726-SM-51MRN 50-59 years, female 3070.0
GTEX-139UW-0326-SM-5J1ML 60-69 years, male 3067.2
GTEX-11WQK-1026-SM-5EQLX 50-59 years, male 3066.2
GTEX-13112-0126-SM-5P9IU 50-59 years, male 3063.6
GTEX-X8HC-0626-SM-4E3HQ 50-59 years, female 3061.1
GTEX-ZLFU-1826-SM-4WWBV 40-49 years, male 3060.0
GTEX-12WSA-0426-SM-5EQ5X 60-69 years, male 3055.8
GTEX-1OJC4-2726-SM-E76PJ 50-59 years, female 3055.4
GTEX-YECK-0326-SM-4W1YS 60-69 years, male 3055.3
GTEX-ZYT6-2326-SM-5GZY3 30-39 years, male 3055.0
GTEX-1S831-1826-SM-EWROF 20-29 years, male 3053.8
GTEX-1IDJI-0126-SM-CMKHS 50-59 years, female 3048.9
GTEX-14ABY-2026-SM-62LDL 50-59 years, male 3039.1
GTEX-1LBAC-0826-SM-CY8IJ 20-29 years, male 3037.1
GTEX-11WQC-1826-SM-5GU59 60-69 years, male 3031.1
GTEX-1EMGI-2326-SM-7PBYA 60-69 years, male 3029.4
GTEX-1B97I-0626-SM-73KUZ 40-49 years, male 3026.7
GTEX-13FTY-2126-SM-5IFFB 40-49 years, female 3026.0
GTEX-ZAB4-2126-SM-5HL8U 40-49 years, male 3025.0
GTEX-15G19-2426-SM-7KUMR 60-69 years, male 3021.0
GTEX-17HII-1426-SM-7EPGG 50-59 years, male 3019.4
GTEX-11DXY-0126-SM-5H11Q 60-69 years, male 3018.9
GTEX-ZLV1-1526-SM-DO91J 60-69 years, female 3012.5
GTEX-1LSNM-0826-SM-DIPG8 50-59 years, male 3009.1
GTEX-15G1A-1626-SM-7KUKN 30-39 years, male 3008.1
GTEX-14JG1-1526-SM-5YY9X 40-49 years, male 3002.2
GTEX-1H3O1-1326-SM-9MQLD 60-69 years, male 2997.5
GTEX-1QP28-1126-SM-EVYC4 50-59 years, female 2996.3
GTEX-ZY6K-1426-SM-5GZX2 50-59 years, male 2995.0
GTEX-1BAJH-2426-SM-7IGP8 70-79 years, male 2983.9
GTEX-13SLX-2226-SM-62LEP 50-59 years, female 2982.3
GTEX-1HFI6-0126-SM-CNPPI 40-49 years, male 2978.8
GTEX-1QPFJ-1926-SM-EVYBD 30-39 years, female 2974.3
GTEX-15SHW-0226-SM-7LTAT 60-69 years, male 2973.2
GTEX-1C64N-2626-SM-7PC2N 50-59 years, male 2968.0
GTEX-XMD2-2126-SM-4YCF8 60-69 years, female 2966.2
GTEX-1R46S-2426-SM-E76QA 60-69 years, female 2965.8
GTEX-1HGF4-0126-SM-CNPPX 60-69 years, male 2959.8
GTEX-1RLM8-2926-SM-E8VON 50-59 years, male 2959.7
GTEX-WH7G-2026-SM-3NMBL 40-49 years, male 2959.3
GTEX-14PHY-1226-SM-5ZZWK 60-69 years, female 2958.9
GTEX-1LSNL-2726-SM-E9TKJ 50-59 years, male 2955.2
GTEX-ZA64-1026-SM-5HL8R 20-29 years, male 2954.2
GTEX-13N11-2326-SM-5IJBF 50-59 years, female 2953.5
GTEX-12WSK-2126-SM-5CVNC 40-49 years, female 2934.9
GTEX-1PBJJ-1026-SM-E76OS 30-39 years, male 2923.0
GTEX-1497J-0226-SM-5QGPU 60-69 years, male 2913.1
GTEX-117YX-1926-SM-5GIEC 50-59 years, male 2910.4
GTEX-1PIIG-2326-SM-DTXFR 30-39 years, male 2910.4
GTEX-ZWKS-0626-SM-5GIDV 30-39 years, male 2909.8
GTEX-1JJEA-1826-SM-ARU8P 60-69 years, male 2905.7
GTEX-1QAET-0326-SM-EVR3U 50-59 years, male 2904.3
GTEX-14A5H-0826-SM-5QGPJ 60-69 years, male 2900.6
GTEX-1PPGY-1626-SM-EVYBL 60-69 years, male 2895.5
GTEX-13SLW-0626-SM-5Q5ER 70-79 years, male 2894.9
GTEX-11P7K-1126-SM-5HL4L 30-39 years, male 2894.3
GTEX-14XAO-1226-SM-6EU1C 60-69 years, female 2891.6
GTEX-1QCLY-0226-SM-EWRNH 30-39 years, male 2889.2
GTEX-1I1GP-1326-SM-A9G28 50-59 years, male 2883.9
GTEX-1GN1V-2826-SM-9JGIA 60-69 years, male 2877.8
GTEX-13FTX-1526-SM-5K7VJ 20-29 years, female 2863.5
GTEX-12ZZZ-0726-SM-5GCNZ 60-69 years, male 2862.9
GTEX-WXYG-2026-SM-4E3IY 50-59 years, female 2861.6
GTEX-14PJ6-2626-SM-6EU2T 60-69 years, female 2858.0
GTEX-183WM-0326-SM-72D5V 70-79 years, female 2857.0
GTEX-14LLW-2626-SM-62LDZ 70-79 years, female 2854.6
GTEX-1I1GS-2626-SM-B2LY3 60-69 years, male 2850.8
GTEX-18A67-1626-SM-7LT9T 50-59 years, male 2847.6
GTEX-111VG-1626-SM-5EGIO 60-69 years, male 2847.1
GTEX-ZZPU-0826-SM-5GZX5 50-59 years, female 2845.3
GTEX-1GMRU-2126-SM-7P8RA 50-59 years, male 2844.8
GTEX-12126-0826-SM-5FQTZ 20-29 years, male 2843.7
GTEX-1R9PN-0426-SM-DTXDT 40-49 years, female 2839.1
GTEX-14PII-0726-SM-6EU2B 60-69 years, male 2833.7
GTEX-1ICLY-0826-SM-CMKG1 50-59 years, male 2833.0
GTEX-1KAFJ-0126-SM-DIPEK 50-59 years, male 2832.0
GTEX-1O9I2-0226-SM-EYYXD 50-59 years, male 2830.8
GTEX-1JN76-0626-SM-CKZOQ 20-29 years, female 2829.2
GTEX-XK95-0226-SM-4AT58 40-49 years, male 2827.4
GTEX-1MCYP-0526-SM-E9U6Q 20-29 years, female 2826.6
GTEX-147GR-2426-SM-5ZZWQ 60-69 years, male 2825.3
GTEX-145MN-1526-SM-5SI9T 30-39 years, male 2825.0
GTEX-ZPIC-0526-SM-DO91W 40-49 years, female 2822.7
GTEX-1399R-1326-SM-5PNYS 30-39 years, male 2815.2
GTEX-11ZTT-2126-SM-5CVLO 60-69 years, female 2812.3
GTEX-15DYW-2726-SM-6EU2I 60-69 years, female 2811.3
GTEX-1POEN-2326-SM-E9J2L 30-39 years, female 2810.3
GTEX-14PK6-0226-SM-62LF5 70-79 years, female 2810.1
GTEX-Z93S-1626-SM-5CVMB 50-59 years, male 2808.3
GTEX-17F9E-2326-SM-79OKD 50-59 years, male 2802.9
GTEX-139TU-0726-SM-5L3EK 60-69 years, male 2801.1
GTEX-ZDYS-2426-SM-4WKGI 50-59 years, male 2787.5
GTEX-1J8EW-2726-SM-CY8HR 60-69 years, female 2787.3
GTEX-ZDTT-0426-SM-4WKFL 60-69 years, male 2782.0
GTEX-1N2DV-1526-SM-DTXEP 40-49 years, male 2777.2
GTEX-13NZ8-1226-SM-5KM4A 60-69 years, female 2774.8
GTEX-ZP4G-1426-SM-4WWCL 20-29 years, female 2770.4
GTEX-1KANB-2826-SM-CY8I6 50-59 years, male 2760.4
GTEX-13QJC-0126-SM-5ZZWJ 60-69 years, female 2755.9
GTEX-145MG-1526-SM-5Q5EM 50-59 years, male 2755.5
GTEX-1HKZK-0726-SM-ACKW2 40-49 years, male 2749.1
GTEX-1KXAM-1626-SM-D3LAD 60-69 years, male 2748.6
GTEX-ZYFG-1526-SM-5GZYM 60-69 years, female 2747.4
GTEX-15DDE-2926-SM-6LLJ3 50-59 years, female 2744.9
GTEX-17HHE-1326-SM-7EWDZ 50-59 years, male 2740.5
GTEX-W5X1-2526-SM-3GILC 40-49 years, female 2740.4
GTEX-1JMPZ-0726-SM-CY8HZ 30-39 years, male 2736.4
GTEX-1F48J-0726-SM-7RHGS 50-59 years, female 2733.5
GTEX-1F52S-2926-SM-7MKGA 60-69 years, female 2731.0
GTEX-XQ8I-0926-SM-4BOOF 50-59 years, male 2724.2
GTEX-UPK5-0426-SM-3GAEK 40-49 years, male 2723.6
GTEX-1192X-2726-SM-5N9DN 50-59 years, male 2721.9
GTEX-WHSB-1326-SM-3LK6W 50-59 years, male 2721.6
GTEX-14PJ4-0226-SM-5YY92 60-69 years, male 2721.1
GTEX-17EVP-2626-SM-7IGMA 40-49 years, male 2720.9
GTEX-YFCO-1226-SM-5LUAT 40-49 years, male 2718.8
GTEX-1JJ6O-2726-SM-CNPOG 60-69 years, male 2708.5
GTEX-1HFI7-2326-SM-CGQFS 50-59 years, female 2705.9
GTEX-1HSMP-0926-SM-A9SKX 70-79 years, male 2702.7
GTEX-1JK1U-0226-SM-ARZMX 60-69 years, male 2699.4
GTEX-1EX96-1026-SM-7MKG2 50-59 years, male 2697.1
GTEX-YEC4-1826-SM-4W1YP 40-49 years, male 2696.3
GTEX-15EO6-2426-SM-6PALZ 50-59 years, male 2696.2
GTEX-ZAK1-0626-SM-5HL8E 50-59 years, female 2688.9
GTEX-1GTWX-2026-SM-9YFLM 60-69 years, male 2683.6
GTEX-14PHX-2226-SM-6EU2P 50-59 years, male 2681.9
GTEX-111CU-1126-SM-5EGIM 50-59 years, male 2681.4
GTEX-16MT9-0126-SM-7EPI8 60-69 years, female 2679.9
GTEX-139D8-1126-SM-5LU8W 30-39 years, female 2677.1
GTEX-1JMQI-1726-SM-ARL93 50-59 years, male 2674.0
GTEX-1JN1M-2726-SM-CY8I4 60-69 years, female 2672.2
GTEX-15ER7-0626-SM-6PANF 20-29 years, female 2671.0
GTEX-1I1GV-0626-SM-ARL7M 60-69 years, male 2664.4
GTEX-1HBPM-0726-SM-9YFL7 60-69 years, female 2663.2
GTEX-1IOXB-2726-SM-CM2RI 50-59 years, male 2660.9
GTEX-1I19N-0126-SM-CYPSF 70-79 years, male 2653.3
GTEX-1J1R8-2026-SM-CL53Y 40-49 years, male 2645.7
GTEX-1F6I4-2326-SM-7RHGL 60-69 years, male 2643.2
GTEX-1HT8W-0626-SM-A9G2H 30-39 years, male 2639.0
GTEX-1HR98-2226-SM-ADEI2 60-69 years, male 2636.9
GTEX-13G51-1826-SM-5KLZH 60-69 years, male 2636.7
GTEX-XV7Q-1826-SM-4BRUV 40-49 years, female 2636.5
GTEX-1F5PK-2226-SM-7SB6N 50-59 years, male 2636.4
GTEX-XYKS-1426-SM-4BRUO 60-69 years, female 2635.6
GTEX-1IL2V-1926-SM-B2LW8 70-79 years, male 2633.9
GTEX-1JJE9-2626-SM-ARZMT 70-79 years, male 2632.7
GTEX-1I1HK-2326-SM-CKZOH 60-69 years, male 2632.3
GTEX-1IDFM-0326-SM-ARL7V 60-69 years, male 2629.1
GTEX-1399U-1126-SM-5L3DB 50-59 years, female 2625.5
GTEX-1HSGN-0826-SM-ACKW3 40-49 years, female 2625.3
GTEX-14C38-0726-SM-5SI6M 50-59 years, male 2622.2
GTEX-1GZ2Q-0126-SM-9WG6M 40-49 years, male 2620.4
GTEX-11ZUS-2626-SM-5FQUR 30-39 years, male 2617.2
GTEX-13OVJ-0826-SM-5J1OK 50-59 years, female 2615.1
GTEX-ZAJG-1526-SM-5CVML 50-59 years, female 2612.4
GTEX-17MF6-2626-SM-79OKQ 40-49 years, male 2611.8
GTEX-1F88E-1626-SM-7SB8Z 60-69 years, female 2609.2
GTEX-1EH9U-2826-SM-7DUGT 60-69 years, male 2608.4
GTEX-1A3MV-1826-SM-731CD 30-39 years, male 2603.3
GTEX-ZDTS-0826-SM-4WKHL 60-69 years, male 2597.1
GTEX-1GN73-0726-SM-7P8TJ 60-69 years, male 2596.9
GTEX-14PJ5-1526-SM-6LLIL 60-69 years, female 2595.9
GTEX-18D9U-0126-SM-731BM 40-49 years, male 2594.6
GTEX-1HCU7-0726-SM-A9SL1 50-59 years, male 2591.9
GTEX-139TT-2126-SM-5LZWC 60-69 years, male 2591.6
GTEX-13OVH-0526-SM-5L3E6 70-79 years, male 2589.5
GTEX-ZC5H-1526-SM-5HL9Y 40-49 years, female 2589.4
GTEX-1CAMQ-1326-SM-7P8RV 40-49 years, male 2588.6
GTEX-14E6E-0526-SM-793DN 30-39 years, male 2588.0
GTEX-1GZ4I-2626-SM-9KNU3 50-59 years, male 2585.2
GTEX-13X6I-1826-SM-5SIAO 60-69 years, male 2581.4
GTEX-1A8G7-1326-SM-73KVM 60-69 years, male 2581.2
GTEX-13FHO-0426-SM-5L3F5 60-69 years, male 2581.0
GTEX-18D9A-1426-SM-7LT8M 30-39 years, female 2571.0
GTEX-16AAH-0626-SM-793C9 50-59 years, male 2569.7
GTEX-1N2EE-0626-SM-E76PW 60-69 years, male 2565.9
GTEX-1HBPI-2126-SM-ARL9K 50-59 years, male 2563.1
GTEX-14C5O-0326-SM-5ZZUX 60-69 years, male 2561.7
GTEX-18465-2826-SM-7LT9J 50-59 years, male 2559.6
GTEX-1H1CY-0126-SM-9YFLY 60-69 years, female 2557.8
GTEX-1211K-1526-SM-5FQU4 60-69 years, female 2550.1
GTEX-1JMOU-1026-SM-CYPSS 60-69 years, female 2548.5
GTEX-1IDJH-0126-SM-D3L92 70-79 years, male 2546.9
GTEX-1IDJU-1726-SM-CMKHU 60-69 years, female 2546.2
GTEX-12WSM-1926-SM-5BC65 60-69 years, male 2541.6
GTEX-11P81-2226-SM-5PNYI 30-39 years, female 2541.3
GTEX-ZYVF-0926-SM-5E44J 50-59 years, female 2541.1
GTEX-12KS4-2126-SM-5FQUT 30-39 years, male 2539.9
GTEX-X5EB-1926-SM-4E3IW 40-49 years, male 2539.4
GTEX-1C2JI-1026-SM-73KY1 50-59 years, male 2538.2
GTEX-1GZ4H-0526-SM-9KNU9 50-59 years, female 2536.6
GTEX-14BMV-2826-SM-5TDED 50-59 years, male 2535.1
GTEX-1CAMR-1326-SM-7PC1F 20-29 years, male 2533.1
GTEX-XQ3S-1426-SM-4BOPR 20-29 years, male 2527.1
GTEX-ZE9C-2526-SM-5IJDR 60-69 years, male 2527.1
GTEX-145MH-2826-SM-5RQJF 50-59 years, male 2521.7
GTEX-11UD2-2526-SM-5CVNU 50-59 years, male 2514.3
GTEX-139YR-1026-SM-5LZYN 50-59 years, male 2513.2
GTEX-1AX8Z-0726-SM-73KTS 60-69 years, male 2510.5
GTEX-139T8-0626-SM-5KLZX 60-69 years, male 2508.1
GTEX-12WSD-0626-SM-5GCMW 60-69 years, female 2504.6
GTEX-145ME-1726-SM-5Q5EU 40-49 years, female 2503.7
GTEX-XOT4-0626-SM-4B66L 60-69 years, female 2503.7
GTEX-ZPU1-1126-SM-4YCF3 40-49 years, male 2500.7
GTEX-1JKYR-0626-SM-ARL8R 20-29 years, male 2500.5
GTEX-14PJO-2526-SM-6AJBQ 60-69 years, male 2498.7
GTEX-1A8G6-2726-SM-731AR 60-69 years, male 2494.1
GTEX-XBED-1926-SM-47JYP 60-69 years, male 2493.8
GTEX-1S83E-1326-SM-E6CJM 40-49 years, male 2491.2
GTEX-15CHQ-0326-SM-69LQD 60-69 years, male 2488.7
GTEX-1KD5A-0126-SM-E9U54 50-59 years, male 2480.2
GTEX-13D11-0926-SM-5J2NC 50-59 years, female 2479.6
GTEX-14JFF-0626-SM-5ZZVT 60-69 years, male 2478.9
GTEX-ZDXO-3126-SM-5IJDF 60-69 years, male 2476.8
GTEX-15D1Q-2826-SM-6LLH7 40-49 years, male 2466.0
GTEX-1H23P-0626-SM-9WG6T 60-69 years, male 2465.2
GTEX-139TS-2126-SM-5K7XC 60-69 years, male 2462.1
GTEX-1F75I-2226-SM-7SB8U 40-49 years, male 2461.6
GTEX-1N5O9-0926-SM-E9J3C 60-69 years, male 2460.3
GTEX-1HC8U-1326-SM-9YFMJ 40-49 years, female 2459.5
GTEX-14E6C-2426-SM-5S2NF 40-49 years, male 2450.7
GTEX-X4EO-2926-SM-4E3JH 60-69 years, female 2446.0
GTEX-1A8FM-0626-SM-7PC25 50-59 years, female 2445.8
GTEX-13O61-1426-SM-5KM3D 60-69 years, male 2439.2
GTEX-1H1DG-2426-SM-9QEHJ 70-79 years, male 2439.2
GTEX-1HSMO-0626-SM-ACKXC 60-69 years, male 2433.7
GTEX-111YS-1526-SM-5GZYW 60-69 years, male 2433.5
GTEX-1LB8K-0726-SM-D5OV2 50-59 years, male 2432.7
GTEX-13VXU-0626-SM-5L3F9 50-59 years, male 2426.1
GTEX-145MF-0926-SM-5Q5EA 50-59 years, male 2423.8
GTEX-1GPI6-1926-SM-9KNV7 60-69 years, male 2423.3
GTEX-12BJ1-0926-SM-5EQ62 60-69 years, male 2418.8
GTEX-12696-0126-SM-5EQ4L 60-69 years, male 2413.6
GTEX-12WSF-1626-SM-7KUG5 70-79 years, male 2413.1
GTEX-12ZZX-2426-SM-5GCOE 40-49 years, female 2411.1
GTEX-1B8KE-1126-SM-7EPHI 50-59 years, male 2410.8
GTEX-14PJN-1826-SM-6AJ98 30-39 years, male 2409.3
GTEX-YEC3-1326-SM-DO92X 50-59 years, male 2409.3
GTEX-1122O-1026-SM-9WYSF 60-69 years, female 2407.9
GTEX-1R7EU-1626-SM-DTXG3 60-69 years, male 2405.2
GTEX-14AS3-1526-SM-5Q5ED 40-49 years, female 2404.9
GTEX-ZXG5-2126-SM-59HKD 60-69 years, male 2402.2
GTEX-1PDJ9-1226-SM-EXUSX 20-29 years, male 2401.7
GTEX-132AR-0326-SM-5KM2C 50-59 years, female 2400.1
GTEX-12ZZY-0726-SM-5EQ66 60-69 years, male 2382.4
GTEX-1K2DU-1226-SM-CYPT4 20-29 years, male 2382.1
GTEX-11GSP-2326-SM-5HL63 60-69 years, female 2380.3
GTEX-1ICG6-1226-SM-A9SLN 70-79 years, female 2379.4
GTEX-V1D1-2026-SM-3GAF4 50-59 years, male 2379.1
GTEX-146FQ-2126-SM-5RQHU 30-39 years, male 2372.9
GTEX-13X6K-0626-SM-5LU5D 60-69 years, female 2370.0
GTEX-1RB15-1326-SM-E76Q9 60-69 years, male 2368.9
GTEX-Y5LM-0926-SM-6LLJG 40-49 years, female 2367.2
GTEX-11EQ9-1626-SM-5PNY8 30-39 years, male 2366.4
GTEX-133LE-2326-SM-5K7W3 20-29 years, female 2364.9
GTEX-17KNJ-2126-SM-718AM 50-59 years, male 2364.7
GTEX-147F3-1726-SM-5SIAW 50-59 years, female 2361.9
GTEX-144GM-0526-SM-79OJO 20-29 years, male 2357.7
GTEX-17F96-0126-SM-7EWDU 70-79 years, male 2354.5
GTEX-1H4P4-2126-SM-9WYSL 50-59 years, male 2350.7
GTEX-1MCC2-1826-SM-DIPEX 30-39 years, female 2350.5
GTEX-1CB4I-0126-SM-7RHGG 50-59 years, male 2348.3
GTEX-14A6H-2026-SM-5Q5DD 30-39 years, male 2341.4
GTEX-ZVE2-2826-SM-5GU51 50-59 years, male 2338.8
GTEX-XXEK-1626-SM-4BRUZ 50-59 years, male 2335.7
GTEX-11TUW-0626-SM-5LU9M 60-69 years, male 2335.5
GTEX-131XF-2626-SM-5EQ6K 60-69 years, male 2335.2
GTEX-11NSD-0626-SM-5A5LU 20-29 years, male 2333.9
GTEX-12584-0726-SM-5FQTK 40-49 years, male 2331.4
GTEX-13VXT-1926-SM-5K7UO 20-29 years, female 2329.1
GTEX-18D9B-0926-SM-7LG4U 60-69 years, male 2327.0
GTEX-1QMI2-2526-SM-E8VNZ 60-69 years, male 2326.1
GTEX-XBEC-0726-SM-4QARZ 50-59 years, male 2325.1
GTEX-ZVT2-0126-SM-5GIDQ 50-59 years, female 2324.2
GTEX-ZU9S-1826-SM-5NQ9E 30-39 years, male 2324.1
GTEX-1J8QM-2426-SM-A9SLS 60-69 years, female 2320.6
GTEX-ZVP2-0326-SM-57WBP 50-59 years, male 2320.2
GTEX-14PJ3-1126-SM-5ZZVX 50-59 years, male 2319.8
GTEX-1JN6P-2926-SM-CL54D 60-69 years, male 2319.8
GTEX-11O72-0626-SM-5PNYE 40-49 years, male 2319.3
GTEX-1F75B-0726-SM-7PC3R 50-59 years, male 2316.7
GTEX-UPJH-0226-SM-3GADV 50-59 years, male 2313.6
GTEX-1F6IF-0926-SM-7SB7M 60-69 years, male 2312.2
GTEX-1C64O-1326-SM-7MGWR 60-69 years, male 2310.7
GTEX-1LGOU-1326-SM-D3L8M 20-29 years, female 2308.8
GTEX-1J8Q3-0526-SM-ARL8U 60-69 years, male 2306.9
GTEX-144GL-0626-SM-5LU4D 50-59 years, male 2305.9
GTEX-1GN1U-0626-SM-9MQL9 50-59 years, female 2303.4
GTEX-11VI4-1126-SM-5EQMD 40-49 years, female 2303.2
GTEX-13N1W-2426-SM-5IJD1 70-79 years, male 2301.8
GTEX-1I6K7-1926-SM-B2LXR 40-49 years, male 2301.8
GTEX-Y8LW-1526-SM-5IFHL 50-59 years, female 2300.3
GTEX-1GMR2-0826-SM-7PC3V 50-59 years, male 2299.0
GTEX-14BIN-1126-SM-5RQJZ 50-59 years, female 2298.3
GTEX-1E1VI-0326-SM-793D1 50-59 years, male 2293.1
GTEX-11EQ8-0926-SM-5H12V 60-69 years, male 2292.9
GTEX-16XZZ-0726-SM-7KUF2 60-69 years, male 2292.1
GTEX-16NGA-0726-SM-731AO 40-49 years, female 2287.2
GTEX-XPVG-2126-SM-4B667 50-59 years, male 2285.0
GTEX-16BQI-1326-SM-6M486 30-39 years, female 2280.0
GTEX-1F5PL-0926-SM-7PC2W 40-49 years, female 2277.6
GTEX-1LG7Z-1626-SM-CXKYR 30-39 years, male 2275.7
GTEX-131XW-0626-SM-5PNVD 50-59 years, female 2273.3
GTEX-1H1DF-1126-SM-9WG7G 40-49 years, female 2271.5
GTEX-1HSMQ-2626-SM-A9SML 50-59 years, male 2269.2
GTEX-16MT8-2926-SM-7DUFO 60-69 years, female 2263.1
GTEX-1I4MK-0126-SM-CY8G6 50-59 years, female 2259.4
GTEX-18A6Q-0626-SM-7KFRP 60-69 years, male 2258.1
GTEX-11P82-1426-SM-DTXFY 20-29 years, male 2257.5
GTEX-1269C-0126-SM-5EQ5L 60-69 years, female 2256.7
GTEX-1IDJF-2026-SM-CL53V 20-29 years, male 2254.0
GTEX-1AX9I-2226-SM-73KUO 60-69 years, male 2250.1
GTEX-ZYFC-0426-SM-5GICQ 50-59 years, male 2247.0
GTEX-13OW6-2726-SM-5J2OE 50-59 years, male 2245.8
GTEX-1CB4E-0926-SM-7EPHT 60-69 years, male 2244.1
GTEX-12C56-1526-SM-5FQUQ 20-29 years, male 2242.9
GTEX-145LU-1926-SM-79OJN 50-59 years, male 2237.5
GTEX-16Z82-2626-SM-7KULU 60-69 years, male 2236.1
GTEX-ZYFD-0626-SM-5E44E 50-59 years, male 2235.6
GTEX-1F6RS-2026-SM-7RHHC 60-69 years, female 2232.3
GTEX-1HCVE-2726-SM-CL54F 50-59 years, male 2232.1
GTEX-17F9Y-0126-SM-79OKX 70-79 years, female 2230.1
GTEX-1EU9M-1426-SM-793AI 60-69 years, male 2229.2
GTEX-1HSKV-1226-SM-ADEI4 60-69 years, male 2220.3
GTEX-1H1E6-0426-SM-9WYUS 30-39 years, male 2219.0
GTEX-1RAZR-2126-SM-E9U6T 40-49 years, male 2218.7
GTEX-1477Z-0326-SM-7IGLA 60-69 years, male 2218.4
GTEX-13O3O-2326-SM-5IJD6 60-69 years, female 2216.3
GTEX-13OVG-1626-SM-5J1NF 60-69 years, male 2213.7
GTEX-14B4R-1326-SM-5Q5EZ 30-39 years, male 2213.7
GTEX-1RAZA-2226-SM-E9U4X 20-29 years, male 2212.8
GTEX-XAJ8-1426-SM-47JYM 40-49 years, male 2211.3
GTEX-1A32A-0626-SM-731AQ 50-59 years, female 2210.2
GTEX-1I1CD-0626-SM-CE6SW 60-69 years, female 2206.3
GTEX-1J8Q2-2626-SM-ACKWQ 60-69 years, male 2205.0
GTEX-1HUB1-1426-SM-CGQF5 60-69 years, male 2204.9
GTEX-1K9T9-1526-SM-DIPFR 50-59 years, female 2202.7
GTEX-1I6K6-1726-SM-CGQFD 30-39 years, male 2202.2
GTEX-13NZ9-2626-SM-5L3FK 50-59 years, male 2201.8
GTEX-1B8L1-2226-SM-7P8PT 60-69 years, male 2199.3
GTEX-1IE54-1126-SM-A9G2Z 40-49 years, female 2198.7
GTEX-15EU6-2226-SM-6EU2L 50-59 years, male 2195.4
GTEX-1EN7A-2426-SM-793DB 40-49 years, male 2194.9
GTEX-X3Y1-2026-SM-3P5YM 40-49 years, male 2186.1
GTEX-VUSG-2326-SM-4KL1U 50-59 years, male 2185.4
GTEX-XUW1-0926-SM-4BONX 50-59 years, female 2182.0
GTEX-1B996-0426-SM-7EWF8 60-69 years, male 2181.8
GTEX-1GMR8-0626-SM-7RHI7 50-59 years, female 2179.8
GTEX-15CHR-1126-SM-7EWF4 50-59 years, male 2174.4
GTEX-X4EP-0626-SM-3P621 60-69 years, female 2170.1
GTEX-13O3Q-0126-SM-5KM34 50-59 years, male 2168.1
GTEX-1KANC-1226-SM-CYPT7 50-59 years, female 2167.5
GTEX-1GF9V-0826-SM-9KNUV 60-69 years, male 2167.4
GTEX-13QBU-1226-SM-5LU4G 40-49 years, female 2166.4
GTEX-1KANA-1326-SM-DIPFA 20-29 years, male 2165.3
GTEX-Y8E4-2026-SM-5IFJB 40-49 years, male 2158.3
GTEX-1F88F-0126-SM-9WYSZ 60-69 years, female 2156.6
GTEX-145MI-0626-SM-5SI8S 60-69 years, female 2152.6
GTEX-1F75A-0726-SM-7RHHD 50-59 years, male 2151.5
GTEX-145LS-0626-SM-7EPG7 60-69 years, female 2150.8
GTEX-11DXW-0826-SM-5H118 40-49 years, male 2146.5
GTEX-12WSL-2026-SM-5GCML 50-59 years, male 2144.4
GTEX-1CB4H-1126-SM-7MKGL 60-69 years, female 2135.4
GTEX-13FTW-0326-SM-5K7UW 40-49 years, male 2134.6
GTEX-1QEPI-2626-SM-DTXF4 60-69 years, female 2131.3
GTEX-13FLV-0126-SM-5K7WT 50-59 years, male 2130.1
GTEX-11LCK-2226-SM-5HL4Q 30-39 years, male 2129.1
GTEX-1C475-1326-SM-7SB73 40-49 years, female 2126.4
GTEX-YB5K-2026-SM-4VDT3 40-49 years, female 2120.8
GTEX-1KWVE-1026-SM-D3L9O 30-39 years, male 2119.8
GTEX-1B8SF-0126-SM-7DUG3 60-69 years, male 2117.7
GTEX-13OW8-1026-SM-5J1NQ 60-69 years, male 2115.7
GTEX-16NPX-0726-SM-7KULC 50-59 years, male 2113.5
GTEX-11EM3-1226-SM-5N9DD 20-29 years, female 2111.8
GTEX-1F75W-2726-SM-7SB8H 60-69 years, male 2111.6
GTEX-1IDJD-2326-SM-ACKWX 30-39 years, male 2111.6
GTEX-11TT1-1826-SM-5EQLV 20-29 years, male 2110.3
GTEX-17F97-2626-SM-7IGM5 50-59 years, male 2106.8
GTEX-17EVQ-0126-SM-7IGLR 70-79 years, male 2106.7
GTEX-13OVL-0126-SM-5L3GJ 50-59 years, male 2081.7
GTEX-ZVT4-2426-SM-5GIEI 50-59 years, female 2078.6
GTEX-ZGAY-1826-SM-DO91Q 40-49 years, female 2077.7
GTEX-YJ8O-2526-SM-5HL85 40-49 years, female 2071.5
GTEX-1J8JJ-0626-SM-ARZMQ 60-69 years, female 2070.8
GTEX-1QP29-1826-SM-DTX9S 50-59 years, male 2067.2
GTEX-WY7C-2126-SM-3NB2R 50-59 years, male 2065.4
GTEX-13113-1626-SM-5EQ4I 60-69 years, female 2064.4
GTEX-13U4I-2226-SM-5LU5H 40-49 years, female 2061.8
GTEX-13FH7-1126-SM-5K7UG 50-59 years, female 2060.9
GTEX-13PVR-0426-SM-5RQK2 60-69 years, female 2056.8
GTEX-13OW5-2326-SM-5L3HO 60-69 years, male 2055.3
GTEX-WHSE-0126-SM-3NMBT 20-29 years, male 2054.9
GTEX-15FZZ-0526-SM-7KUGD 30-39 years, female 2050.2
GTEX-17HHY-0426-SM-7DHLC 50-59 years, male 2049.1
GTEX-ZVTK-0226-SM-51MRG 20-29 years, male 2048.3
GTEX-1GZHY-0626-SM-9KNVC 50-59 years, female 2043.9
GTEX-1GN2E-0226-SM-9WG6K 60-69 years, male 2038.2
GTEX-131YS-2826-SM-5EQ47 60-69 years, female 2035.0
GTEX-1314G-1326-SM-5BC6E 30-39 years, male 2034.5
GTEX-1B8KZ-0326-SM-73KY4 50-59 years, male 2031.7
GTEX-13PVQ-0626-SM-5LU47 50-59 years, male 2028.7
GTEX-13OVK-1426-SM-6PAN7 40-49 years, male 2028.3
GTEX-14PKV-1126-SM-6LLJ1 20-29 years, female 2025.1
GTEX-17HGU-2326-SM-7DUFE 50-59 years, male 2021.3
GTEX-14BMU-1226-SM-5S2OR 20-29 years, female 2008.9
GTEX-1GF9W-1426-SM-7PBYM 60-69 years, male 2007.3
GTEX-12WSC-2826-SM-5BC5Y 50-59 years, male 2002.0
GTEX-13OW7-0426-SM-5K7VK 50-59 years, male 2002.0
GTEX-1IDJV-0126-SM-COH3Y 60-69 years, male 2001.4
GTEX-1IDJC-1526-SM-B2LW4 50-59 years, male 1997.4
GTEX-1JKYN-0826-SM-ARU8S 30-39 years, male 1996.8
GTEX-18A7A-0126-SM-731AH 50-59 years, female 1990.0
GTEX-11GS4-0226-SM-5HL77 60-69 years, male 1987.4
GTEX-ZZ64-1026-SM-5GZXG 20-29 years, male 1982.8
GTEX-Y3I4-1726-SM-4TT89 50-59 years, male 1979.2
GTEX-13X6J-0626-SM-5LU5F 50-59 years, male 1973.8
GTEX-1L5NE-1126-SM-D3L9P 50-59 years, male 1970.3
GTEX-1C6VR-0126-SM-7RHGB 60-69 years, male 1968.2
GTEX-1H1DE-1326-SM-9KNUG 20-29 years, male 1960.5
GTEX-1GF9X-1326-SM-7PC2Y 40-49 years, female 1959.3
GTEX-14PKU-0126-SM-6LLHV 40-49 years, female 1958.5
GTEX-1AMFI-1326-SM-7939R 50-59 years, female 1958.3
GTEX-1HCU8-2526-SM-CE6RX 60-69 years, female 1957.4
GTEX-16GPK-0626-SM-7KFSF 60-69 years, male 1954.4
GTEX-1B932-2326-SM-79OL5 40-49 years, female 1949.6
GTEX-145LT-0526-SM-5LUB2 40-49 years, male 1946.4
GTEX-1QCLZ-2426-SM-EVYBW 60-69 years, female 1942.9
GTEX-17HG3-2626-SM-7DUF2 30-39 years, female 1941.9
GTEX-1QP66-1226-SM-DTX7U 50-59 years, male 1931.4
GTEX-14JG6-1426-SM-9WG7C 30-39 years, female 1927.0
GTEX-183FY-1026-SM-7939A 20-29 years, male 1923.6
GTEX-1212Z-0126-SM-59HK4 60-69 years, male 1920.5
GTEX-14DAQ-0626-SM-793DS 60-69 years, female 1914.8
GTEX-1EKGG-0626-SM-7DUGJ 60-69 years, male 1905.2
GTEX-145MO-2826-SM-5LU96 60-69 years, male 1901.6
GTEX-WEY5-2326-SM-3GIKK 40-49 years, female 1893.5
GTEX-17F98-1326-SM-7DUEP 40-49 years, female 1886.9
GTEX-WFG8-2126-SM-3GIKQ 20-29 years, male 1886.6
GTEX-1GL5R-1326-SM-7RHHF 50-59 years, male 1883.5
GTEX-1CB4F-1026-SM-7DUH1 60-69 years, male 1882.7
GTEX-1CAV2-0126-SM-7IGN7 40-49 years, female 1869.4
GTEX-WHWD-1826-SM-3LK6I 50-59 years, male 1867.9
GTEX-15RJ7-2126-SM-6PAMD 40-49 years, male 1867.8
GTEX-1AX9J-1326-SM-731BJ 60-69 years, male 1866.3
GTEX-U8XE-0226-SM-4E3J3 30-39 years, male 1861.8
GTEX-Y5V5-0126-SM-5S2NW 60-69 years, female 1857.4
GTEX-1IY9M-2826-SM-ARU8H 60-69 years, male 1850.2
GTEX-18A7B-2726-SM-7LG56 70-79 years, male 1834.7
GTEX-1GMR3-0126-SM-A9SLW 40-49 years, male 1832.9
GTEX-WHPG-2626-SM-3NMBR 50-59 years, male 1831.2
GTEX-1B933-2426-SM-7DHMD 50-59 years, female 1813.2
GTEX-1HCU9-0426-SM-9WYSD 20-29 years, male 1808.9
GTEX-1H3NZ-2726-SM-9WYTQ 60-69 years, male 1807.6
GTEX-WFON-1926-SM-3LK7L 40-49 years, male 1806.0
GTEX-18A66-0626-SM-7LT8Z 60-69 years, male 1800.8
GTEX-WK11-2726-SM-3NMAQ 50-59 years, male 1796.3
GTEX-14PJ2-0626-SM-6LLII 50-59 years, male 1795.2
GTEX-VJYA-1526-SM-3GIJV 60-69 years, male 1784.1
GTEX-WYJK-0526-SM-3NM8Z 50-59 years, male 1782.0
GTEX-WRHU-2826-SM-3MJG8 50-59 years, female 1766.6
GTEX-13N2G-0226-SM-5K7VF 60-69 years, male 1761.5
GTEX-1EWIQ-0326-SM-7DHMQ 70-79 years, female 1756.7
GTEX-111FC-2526-SM-5GZXU 60-69 years, male 1732.1
GTEX-178AV-1726-SM-7KUL8 40-49 years, male 1684.0
GTEX-13JUV-2026-SM-5K7UA 40-49 years, female 1680.8
GTEX-ZLWG-0826-SM-59888 50-59 years, female 1680.7
GTEX-15CHC-1126-SM-6LLHQ 60-69 years, female 1660.8
GTEX-147JS-0226-SM-5S2U9 60-69 years, male 1656.7
GTEX-ZT9W-1126-SM-57WDR 50-59 years, male 1653.4
GTEX-YF7O-1526-SM-5IFI6 50-59 years, male 1639.2
GTEX-1GN1W-2426-SM-9KNUU 50-59 years, female 1623.5
GTEX-11EI6-2826-SM-5H11D 60-69 years, male 1617.4
GTEX-ZTSS-1426-SM-5985P 40-49 years, male 1585.7
GTEX-1AMEY-0826-SM-72D65 30-39 years, female 1564.3
GTEX-1IDJE-1426-SM-ADEIW 50-59 years, female 1538.4
GTEX-17JCI-2926-SM-7DUFF 60-69 years, female 1520.8
GTEX-ZUA1-2626-SM-5NQ92 40-49 years, male 1492.9
GTEX-1GF9U-2026-SM-7SB92 40-49 years, female 1464.1
GTEX-WYBS-0626-SM-3NMAS 60-69 years, female 1422.5
GTEX-1A3MX-2626-SM-7PC24 60-69 years, male 1412.9
GTEX-WYVS-1626-SM-3NM9R 40-49 years, female 1302.5
Show allShow less
Skin - Sun Exposed (Lower leg)
Average nTPM: 2467.3
Samples: 701

Max nTPM: 5750.2
Min nTPM: 1285.0
Std nTPM: 634.5
Median nTPM: 2371.6
GTEX-15SB6-1726-SM-6PAME 50-59 years, female 5750.2
GTEX-W5X1-3026-SM-EAZAX 40-49 years, female 5678.6
GTEX-15UF6-0826-SM-6PALJ 70-79 years, female 5078.0
GTEX-1399U-2326-SM-5K7WY 50-59 years, female 5063.8
GTEX-1L5NE-2526-SM-E6CIE 50-59 years, male 4859.0
GTEX-14E6C-0126-SM-5RQIP 40-49 years, male 4783.3
GTEX-1HSMO-0126-SM-CL547 60-69 years, male 4756.4
GTEX-O5YT-0126-SM-48TBW 20-29 years, male 4577.2
GTEX-1JMQL-0226-SM-CNPP5 50-59 years, female 4538.1
GTEX-RVPV-0126-SM-EAZAW 60-69 years, male 4438.8
GTEX-OIZG-0726-SM-33HBL 50-59 years, male 4323.6
GTEX-Y3IK-2426-SM-4WWDU 50-59 years, female 4276.8
GTEX-1JMLX-0226-SM-CM2RO 50-59 years, male 4240.2
GTEX-1OJC3-0126-SM-E76QX 20-29 years, male 4128.3
GTEX-1JN1M-0326-SM-CYPT3 60-69 years, female 4012.5
GTEX-1JMPZ-0226-SM-CNPP1 30-39 years, male 4000.8
GTEX-ZVTK-0426-SM-51MRS 20-29 years, male 3987.4
GTEX-POMQ-2226-SM-2I5FK 20-29 years, female 3975.9
GTEX-1K2DA-1826-SM-CGQGT 50-59 years, male 3936.2
GTEX-1M5QR-1226-SM-EWROB 40-49 years, male 3927.6
GTEX-13NZ8-0826-SM-5MR3I 60-69 years, female 3923.5
GTEX-ZVZO-0126-SM-5A5L9 40-49 years, male 3887.2
GTEX-T2YK-0526-SM-32QPJ 50-59 years, male 3868.4
GTEX-1PDJ9-0326-SM-DTX95 20-29 years, male 3865.0
GTEX-11UD1-0126-SM-5PNYG 40-49 years, female 3846.7
GTEX-13NYB-2526-SM-5K7Z6 40-49 years, male 3836.1
GTEX-1R9PM-2026-SM-E76OY 20-29 years, male 3768.8
GTEX-18QFQ-0126-SM-731BE 30-39 years, male 3662.1
GTEX-OOBJ-0126-SM-E6CJW 60-69 years, male 3633.3
GTEX-1QP9N-1426-SM-DTXFL 30-39 years, male 3618.5
GTEX-1MJK2-0426-SM-DTXE5 50-59 years, male 3604.9
GTEX-144FL-0126-SM-5TDC8 50-59 years, male 3594.3
GTEX-183WM-0126-SM-7LTAB 70-79 years, female 3585.6
GTEX-1PIIG-0226-SM-EWRN6 30-39 years, male 3578.6
GTEX-117XS-2726-SM-5N9BL 60-69 years, male 3574.3
GTEX-Z93T-0126-SM-5HL5N 50-59 years, male 3566.1
GTEX-P4PP-0126-SM-3LK69 30-39 years, female 3564.7
GTEX-1NV5F-0226-SM-E8VNY 60-69 years, female 3547.0
GTEX-14753-0426-SM-5NQAM 60-69 years, male 3519.8
GTEX-1PFEY-1526-SM-E76PP 30-39 years, male 3508.3
GTEX-1KANC-1526-SM-D3LAB 50-59 years, female 3508.1
GTEX-13FXS-0226-SM-5IJCK 50-59 years, male 3496.1
GTEX-1HBPM-0226-SM-ARL9F 60-69 years, female 3490.3
GTEX-ZF3C-0126-SM-DO92D 50-59 years, female 3486.1
GTEX-1RAZA-0126-SM-E6CI3 20-29 years, male 3481.3
GTEX-1LBAC-0126-SM-DIPEZ 20-29 years, male 3476.3
GTEX-131XF-5016-SM-7MGWE 60-69 years, male 3472.4
GTEX-TMZS-0126-SM-3DB9Q 60-69 years, male 3470.7
GTEX-X8HC-0126-SM-4E3JW 50-59 years, female 3467.6
GTEX-12WSA-0226-SM-5BC5V 60-69 years, male 3439.4
GTEX-1I1GV-0526-SM-A9G29 60-69 years, male 3438.3
GTEX-1497J-2426-SM-7IGNX 60-69 years, male 3436.9
GTEX-X585-0226-SM-4QAS2 50-59 years, male 3412.1
GTEX-TML8-1926-SM-32QOS 40-49 years, female 3405.3
GTEX-1IKK5-0626-SM-ARL8A 60-69 years, male 3399.6
GTEX-WI4N-1026-SM-3LK7N 40-49 years, female 3397.4
GTEX-11DYG-0126-SM-59883 60-69 years, male 3389.9
GTEX-Y8DK-0126-SM-4TT3L 60-69 years, male 3381.8
GTEX-UJHI-1526-SM-3DB99 50-59 years, female 3371.3
GTEX-1PWST-0226-SM-E76QJ 70-79 years, male 3335.1
GTEX-1122O-2126-SM-5EGIR 60-69 years, female 3334.3
GTEX-13PDP-0126-SM-5L3HD 60-69 years, male 3321.9
GTEX-1HSGN-0226-SM-CGQFV 40-49 years, female 3303.7
GTEX-11DXZ-2326-SM-5EGGV 50-59 years, male 3283.1
GTEX-1IOXB-0126-SM-ARL8G 50-59 years, male 3278.3
GTEX-139UW-2826-SM-5L3E7 60-69 years, male 3275.5
GTEX-13CF2-2526-SM-5LZYX 60-69 years, male 3266.4
GTEX-11UD2-0226-SM-5EQKY 50-59 years, male 3265.9
GTEX-ZYFG-2326-SM-5E44B 60-69 years, female 3262.2
GTEX-1ICLZ-0126-SM-CKZPO 60-69 years, male 3261.9
GTEX-1KWVE-1426-SM-E9TJO 30-39 years, male 3255.8
GTEX-ZE9C-2726-SM-57WB5 60-69 years, male 3247.6
GTEX-1HSMP-0126-SM-E6CJS 70-79 years, male 3245.7
GTEX-X88G-0126-SM-47JZ3 30-39 years, male 3243.9
GTEX-ZWKS-0126-SM-5SIAA 30-39 years, male 3231.8
GTEX-13NYS-0126-SM-5MR3W 60-69 years, male 3228.6
GTEX-1JMQJ-0526-SM-CYPSU 50-59 years, male 3226.1
GTEX-T6MN-0126-SM-32PLP 50-59 years, male 3210.1
GTEX-1LG7Z-1726-SM-D3LA4 30-39 years, male 3189.0
GTEX-1CAMS-0426-SM-7P8T2 40-49 years, female 3157.6
GTEX-12126-0326-SM-5PNW3 20-29 years, male 3156.7
GTEX-O5YW-0126-SM-3LK6D 50-59 years, male 3154.6
GTEX-OIZH-0126-SM-2HMIS 50-59 years, male 3154.2
GTEX-18D9A-1926-SM-7LG6P 30-39 years, female 3151.9
GTEX-Y5V6-2426-SM-4VDSB 60-69 years, male 3150.4
GTEX-1MA7W-2026-SM-E9TJ6 20-29 years, female 3146.1
GTEX-145MN-2226-SM-5SIAU 30-39 years, male 3145.9
GTEX-1IDJH-0326-SM-A9SLQ 70-79 years, male 3145.8
GTEX-1LVAN-0226-SM-COH3S 50-59 years, female 3144.9
GTEX-1JMPY-1326-SM-ARL8Y 30-39 years, male 3143.8
GTEX-11H98-0126-SM-5EGHG 50-59 years, male 3128.0
GTEX-Y111-0126-SM-4SOIV 50-59 years, male 3123.6
GTEX-Z93S-0126-SM-5HL7M 50-59 years, male 3119.2
GTEX-1QAET-0926-SM-E76QM 50-59 years, male 3118.5
GTEX-1H1ZS-0426-SM-9WG6G 70-79 years, male 3116.6
GTEX-X4XX-0126-SM-3NMC2 60-69 years, male 3114.8
GTEX-RTLS-0126-SM-447CA 60-69 years, female 3103.7
GTEX-U412-0426-SM-3DB9O 60-69 years, male 3096.2
GTEX-XYKS-2126-SM-4E3IB 60-69 years, female 3094.5
GTEX-1KD4Q-0226-SM-E9TJ9 40-49 years, male 3092.7
GTEX-1LSNM-1926-SM-E6CII 50-59 years, male 3092.6
GTEX-1JJ6O-0126-SM-E6CI8 60-69 years, male 3091.6
GTEX-1GZ2Q-0226-SM-7P8TL 40-49 years, male 3077.2
GTEX-1HGF4-2426-SM-ACKXM 60-69 years, male 3076.8
GTEX-139TS-2826-SM-5J1OO 60-69 years, male 3071.8
GTEX-P4QT-0126-SM-2I3FL 50-59 years, female 3071.0
GTEX-ZAJG-0126-SM-5HL94 50-59 years, female 3069.8
GTEX-1N2DW-0226-SM-E9TK2 50-59 years, male 3069.2
GTEX-U8T8-0126-SM-3DB94 60-69 years, male 3065.6
GTEX-1HB9E-0226-SM-E9U4R 50-59 years, male 3064.1
GTEX-145LT-1726-SM-5QGP3 40-49 years, male 3062.5
GTEX-S33H-1026-SM-EZ6L6 30-39 years, male 3061.0
GTEX-1LGOU-2026-SM-DIPFF 20-29 years, female 3046.3
GTEX-1S5ZA-0126-SM-EVYCV 20-29 years, male 3038.0
GTEX-1PPH8-0226-SM-E8VND 20-29 years, male 3030.9
GTEX-145LS-0126-SM-5QGP1 60-69 years, female 3025.5
GTEX-PLZ6-1426-SM-DKPOT 30-39 years, male 3021.5
GTEX-13FTW-2626-SM-5K7WL 40-49 years, male 3017.1
GTEX-1H1CY-2826-SM-9MQM3 60-69 years, female 3008.9
GTEX-1OFPY-2426-SM-DTXEJ 60-69 years, male 3008.5
GTEX-131XE-2326-SM-5PNZ2 50-59 years, male 3005.8
GTEX-SUCS-1926-SM-32PM3 70-79 years, male 3003.4
GTEX-1RB15-2126-SM-E9TIM 60-69 years, male 3003.2
GTEX-1KANB-0526-SM-E6CJH 50-59 years, male 2998.3
GTEX-1HFI6-0226-SM-ADEHZ 40-49 years, male 2981.4
GTEX-NPJ8-0126-SM-2YUNR 40-49 years, male 2981.2
GTEX-1LC47-0326-SM-E9TJP 60-69 years, male 2981.2
GTEX-PSDG-0226-SM-DKPOZ 50-59 years, male 2972.0
GTEX-1LGRB-2526-SM-CNPPQ 50-59 years, female 2959.7
GTEX-1JMQK-0226-SM-CL543 60-69 years, male 2952.4
GTEX-XBEW-0626-SM-4QASP 40-49 years, male 2951.6
GTEX-1CAV2-2226-SM-7P8P2 40-49 years, female 2949.1
GTEX-145MF-0626-SM-5LUAI 50-59 years, male 2941.5
GTEX-1QP66-1726-SM-E8VO1 50-59 years, male 2940.9
GTEX-1H3VE-0326-SM-9YFLH 40-49 years, male 2940.6
GTEX-QDVN-2026-SM-3GAEP 50-59 years, male 2940.2
GTEX-1O97I-0326-SM-EYYX7 60-69 years, male 2937.6
GTEX-1LB8K-0226-SM-EWRNW 50-59 years, male 2933.6
GTEX-1211K-2026-SM-5EQ4Z 60-69 years, female 2931.6
GTEX-1J1OQ-0226-SM-CYPSH 40-49 years, female 2926.0
GTEX-1C6VQ-0126-SM-7P8RI 50-59 years, male 2924.0
GTEX-13RTK-1426-SM-5QGQJ 20-29 years, male 2922.7
GTEX-12WSE-0526-SM-793B2 20-29 years, male 2922.3
GTEX-15RIG-0226-SM-7KFTL 40-49 years, male 2911.1
GTEX-1S82Z-0826-SM-E6CHY 30-39 years, female 2910.4
GTEX-Y114-2426-SM-4TT8A 50-59 years, female 2908.7
GTEX-Y5LM-1926-SM-5RQJH 40-49 years, female 2902.1
GTEX-ZGAY-0526-SM-4WWBB 40-49 years, female 2902.1
GTEX-139T8-0126-SM-5K7XZ 60-69 years, male 2897.8
GTEX-1IDJF-0126-SM-CM2RS 20-29 years, male 2895.1
GTEX-ZDYS-2026-SM-5HL5L 50-59 years, male 2892.8
GTEX-13O3P-0126-SM-5KM4S 50-59 years, male 2889.8
GTEX-ZPIC-1726-SM-DHXIU 40-49 years, female 2866.7
GTEX-SIU8-0126-SM-2XCDT 50-59 years, male 2857.8
GTEX-1MGNQ-0126-SM-EVYCJ 40-49 years, male 2856.0
GTEX-1S83E-0126-SM-EWRO4 40-49 years, male 2855.3
GTEX-1399R-2726-SM-5IJBA 30-39 years, male 2853.5
GTEX-13OVI-1426-SM-5L3EY 60-69 years, female 2852.7
GTEX-RNOR-0126-SM-E9J4R 50-59 years, female 2851.3
GTEX-11WQK-0526-SM-5EQLD 50-59 years, male 2847.8
GTEX-1MUQO-0126-SM-EAZ58 60-69 years, male 2846.9
GTEX-15ETS-0126-SM-7KUMW 40-49 years, female 2846.0
GTEX-14PHX-2326-SM-62LEM 50-59 years, male 2836.4
GTEX-1HCU6-0126-SM-CL54K 60-69 years, female 2831.5
GTEX-1R46S-0626-SM-E9J41 60-69 years, female 2824.4
GTEX-1GPI7-0126-SM-9MQL8 20-29 years, male 2820.1
GTEX-1A3MW-0126-SM-73KXX 60-69 years, female 2812.1
GTEX-1K2DU-2326-SM-E9TIV 20-29 years, male 2805.8
GTEX-13FHO-0226-SM-5IFGY 60-69 years, male 2801.0
GTEX-ZAB4-0226-SM-5N9F5 40-49 years, male 2798.2
GTEX-WXYG-2326-SM-4E3I6 50-59 years, female 2793.6
GTEX-11GSO-2426-SM-5A5LY 60-69 years, male 2793.3
GTEX-145MO-0326-SM-5Q5B3 60-69 years, male 2790.9
GTEX-1HCUA-2426-SM-ADEIS 50-59 years, female 2789.2
GTEX-1RLM8-2326-SM-EWRN4 50-59 years, male 2784.9
GTEX-1R7EV-2426-SM-EVYBG 40-49 years, male 2783.1
GTEX-YJ89-0126-SM-4TT3X 60-69 years, male 2782.5
GTEX-ZDTS-0126-SM-4WAY5 60-69 years, male 2780.1
GTEX-13O3Q-2426-SM-5IJBR 50-59 years, male 2773.6
GTEX-11DZ1-0126-SM-5985Q 50-59 years, male 2773.1
GTEX-1LH75-2426-SM-E9TJE 50-59 years, female 2772.8
GTEX-1I1GT-0626-SM-CGQER 60-69 years, female 2768.3
GTEX-13FHP-0126-SM-5IJBG 50-59 years, male 2768.0
GTEX-11EQ9-2426-SM-5HL5T 30-39 years, male 2767.9
GTEX-QV44-1926-SM-2S1RF 50-59 years, male 2767.7
GTEX-WVJS-0126-SM-4MVOT 50-59 years, male 2750.6
GTEX-1H4P4-0726-SM-9YFLR 50-59 years, male 2749.9
GTEX-1GN2E-0426-SM-9MQKX 60-69 years, male 2745.8
GTEX-14PN4-0126-SM-6EU2V 50-59 years, male 2744.7
GTEX-1313W-0126-SM-5LZUN 50-59 years, female 2743.2
GTEX-WFG8-2226-SM-3GIL9 20-29 years, male 2742.8
GTEX-14ICK-0226-SM-6EU25 40-49 years, male 2742.2
GTEX-PWCY-1826-SM-DHXIZ 20-29 years, female 2740.2
GTEX-1R9K4-0126-SM-DTX9X 60-69 years, male 2740.0
GTEX-1HT8W-0126-SM-CNPPP 30-39 years, male 2736.8
GTEX-1EMGI-0126-SM-9KNUE 60-69 years, male 2735.6
GTEX-1JN6P-0126-SM-D3L98 60-69 years, male 2735.5
GTEX-1B8KE-2126-SM-73KYX 50-59 years, male 2733.7
GTEX-YB5E-2026-SM-5IFIS 40-49 years, male 2729.5
GTEX-14PII-0226-SM-6EU1T 60-69 years, male 2729.0
GTEX-1EWIQ-0126-SM-7RHH2 70-79 years, female 2728.7
GTEX-13CF3-2426-SM-5IFGX 60-69 years, female 2724.5
GTEX-14JG1-0426-SM-6ETZZ 40-49 years, male 2724.1
GTEX-1HBPI-1526-SM-C1YQ1 50-59 years, male 2720.7
GTEX-ZE7O-0126-SM-57WC1 50-59 years, female 2717.9
GTEX-1GZ4H-1726-SM-7PBZJ 50-59 years, female 2712.4
GTEX-ZYFD-0126-SM-5GIDL 50-59 years, male 2710.9
GTEX-13YAN-0326-SM-5O9DF 60-69 years, male 2709.6
GTEX-1JMQI-2226-SM-CM2SD 50-59 years, male 2707.2
GTEX-14PK6-1926-SM-6ETZU 70-79 years, female 2702.4
GTEX-R45C-0126-SM-EAZ2R 60-69 years, female 2696.9
GTEX-1RDX4-0126-SM-E9J4P 50-59 years, female 2695.2
GTEX-ZY6K-1826-SM-5GZXK 50-59 years, male 2689.2
GTEX-13NZB-2526-SM-5J1OM 30-39 years, male 2685.8
GTEX-1GF9U-2126-SM-7SB7L 40-49 years, female 2684.2
GTEX-SN8G-0126-SM-32PLI 50-59 years, female 2683.7
GTEX-1J1R8-1726-SM-ARL8M 40-49 years, male 2681.5
GTEX-13JUV-2726-SM-5LZZ8 40-49 years, female 2675.3
GTEX-13SLW-0126-SM-5SI6C 70-79 years, male 2675.3
GTEX-1I1GP-2226-SM-CGQFK 50-59 years, male 2667.0
GTEX-17F98-0626-SM-79OMX 40-49 years, female 2664.6
GTEX-1S3DN-2226-SM-EVYCD 50-59 years, male 2663.2
GTEX-1ICLY-0126-SM-D4P36 50-59 years, male 2658.2
GTEX-QCQG-1726-SM-3GIJ9 50-59 years, female 2654.2
GTEX-1HCVE-0126-SM-CGQEU 50-59 years, male 2653.7
GTEX-139D8-0226-SM-5KLZO 30-39 years, female 2651.1
GTEX-1KXAM-2226-SM-CYPTC 60-69 years, male 2644.2
GTEX-ZV6S-2326-SM-4YCEY 40-49 years, female 2643.5
GTEX-1IDFM-0126-SM-COH2V 60-69 years, male 2639.8
GTEX-11TT1-2526-SM-5EGIB 20-29 years, male 2639.2
GTEX-Q2AH-1626-SM-3GAF8 40-49 years, male 2637.8
GTEX-1HR98-0126-SM-B2LWI 60-69 years, male 2637.3
GTEX-1CAMQ-0226-SM-7IGPK 40-49 years, male 2635.8
GTEX-1F6RS-0126-SM-9MQKZ 60-69 years, female 2630.4
GTEX-145ME-1826-SM-5SI9G 40-49 years, female 2629.9
GTEX-111FC-0126-SM-5N9DL 60-69 years, male 2627.2
GTEX-1JKYR-0126-SM-CNPOJ 20-29 years, male 2625.5
GTEX-Y8E4-0626-SM-4WWDL 40-49 years, male 2625.0
GTEX-ZVZP-2426-SM-59HKJ 50-59 years, male 2624.9
GTEX-1MCYP-1926-SM-E9J2R 20-29 years, female 2623.5
GTEX-1N2DV-0226-SM-E6CJ6 40-49 years, male 2622.6
GTEX-13IVO-0126-SM-5J1NG 70-79 years, male 2622.5
GTEX-QESD-1426-SM-2S1R9 20-29 years, male 2622.2
GTEX-13X6J-0126-SM-5QGOU 50-59 years, male 2619.8
GTEX-1H1DG-0126-SM-9WYU2 70-79 years, male 2614.9
GTEX-1PIGE-0126-SM-EVYBJ 20-29 years, male 2614.3
GTEX-1H3O1-0426-SM-9YFKY 60-69 years, male 2609.9
GTEX-132NY-0326-SM-5IJBL 60-69 years, male 2603.5
GTEX-14E6E-1826-SM-5S2R7 30-39 years, male 2601.6
GTEX-14E6D-0126-SM-62LDV 50-59 years, male 2598.3
GTEX-X4EP-0126-SM-3P5YV 60-69 years, female 2587.0
GTEX-1HBPN-0226-SM-9YFM1 50-59 years, male 2586.2
GTEX-1R7EU-0226-SM-EVR4G 60-69 years, male 2585.1
GTEX-1E2YA-0126-SM-9KNUC 50-59 years, male 2581.4
GTEX-12696-2426-SM-5EQ6H 60-69 years, male 2577.2
GTEX-1HCU8-0626-SM-A9SM9 60-69 years, female 2576.4
GTEX-14PJ6-2126-SM-6EU1V 60-69 years, female 2576.2
GTEX-13PVR-2326-SM-5QGR1 60-69 years, female 2574.5
GTEX-11DXW-0226-SM-5H122 40-49 years, male 2573.4
GTEX-S95S-1226-SM-4GICG 60-69 years, male 2571.3
GTEX-117YW-2626-SM-5GZZH 50-59 years, male 2571.1
GTEX-YFC4-0126-SM-5CVLY 40-49 years, female 2568.6
GTEX-1EX96-1626-SM-7PBXR 50-59 years, male 2564.6
GTEX-XPVG-2626-SM-4B669 50-59 years, male 2562.6
GTEX-X4XY-0226-SM-4E3IZ 60-69 years, male 2562.1
GTEX-1QCLY-0326-SM-E8VOG 30-39 years, male 2560.6
GTEX-1AX8Z-0126-SM-7DHM6 60-69 years, male 2560.5
GTEX-17MF6-0126-SM-7LG4F 40-49 years, male 2560.3
GTEX-ZYFC-0226-SM-5NQ75 50-59 years, male 2559.9
GTEX-1QPFJ-0226-SM-E76PB 30-39 years, female 2556.1
GTEX-1GF9W-0326-SM-9KNUN 60-69 years, male 2554.0
GTEX-ZTX8-1426-SM-5DUVO 20-29 years, male 2553.9
GTEX-13OVH-0126-SM-5MR4B 70-79 years, male 2551.2
GTEX-1C64O-0126-SM-7SB8P 60-69 years, male 2541.4
GTEX-1KAFJ-2026-SM-CY8ID 50-59 years, male 2537.8
GTEX-1JJEA-0326-SM-CNPOT 60-69 years, male 2537.7
GTEX-146FQ-0126-SM-5NQA9 30-39 years, male 2534.5
GTEX-1ICG6-2526-SM-CGQFZ 70-79 years, female 2534.4
GTEX-13VXU-0126-SM-5SI9F 50-59 years, male 2533.4
GTEX-ZV68-0126-SM-59HKS 50-59 years, female 2528.4
GTEX-14LZ3-0226-SM-62LET 60-69 years, female 2523.1
GTEX-13U4I-0126-SM-5LU38 40-49 years, female 2521.3
GTEX-12WSG-2826-SM-E9J4H 50-59 years, female 2515.9
GTEX-1C4CL-0526-SM-73KVK 30-39 years, male 2508.1
GTEX-13O21-1426-SM-5K7XI 50-59 years, male 2505.4
GTEX-117YX-2326-SM-5H12W 50-59 years, male 2504.2
GTEX-XAJ8-0826-SM-47JY6 40-49 years, male 2503.6
GTEX-Y5V5-2326-SM-4V6GA 60-69 years, female 2502.8
GTEX-ZYY3-0126-SM-5GZY5 60-69 years, female 2502.6
GTEX-169BO-1326-SM-9MQK2 50-59 years, male 2502.2
GTEX-1S82Y-2026-SM-EVYCM 40-49 years, male 2499.9
GTEX-ZAK1-0126-SM-5IJD3 50-59 years, female 2494.5
GTEX-1KANA-0726-SM-D3L9I 20-29 years, male 2493.5
GTEX-ZDTT-2726-SM-4WKF8 60-69 years, male 2493.2
GTEX-1GTWX-0126-SM-9YFLK 60-69 years, male 2492.7
GTEX-15D1Q-0126-SM-7KUG6 40-49 years, male 2491.6
GTEX-X261-0126-SM-3NMD6 50-59 years, male 2487.5
GTEX-13X6H-2126-SM-7EWD5 50-59 years, female 2487.0
GTEX-18465-0126-SM-731BN 50-59 years, male 2486.4
GTEX-18D9U-0226-SM-718BP 40-49 years, male 2484.9
GTEX-12WSJ-1826-SM-5GCNY 40-49 years, female 2484.7
GTEX-1GZHY-0326-SM-9QEHI 50-59 years, female 2478.6
GTEX-1JN76-0126-SM-CNPPE 20-29 years, female 2475.1
GTEX-1I1GQ-0126-SM-COH3H 50-59 years, male 2473.7
GTEX-NFK9-0226-SM-2HMKQ 40-49 years, male 2470.3
GTEX-13W46-0226-SM-5SIAG 50-59 years, male 2465.6
GTEX-1CB4E-2226-SM-793DC 60-69 years, male 2464.8
GTEX-1M4P7-0226-SM-DIPEV 60-69 years, male 2464.4
GTEX-17JCI-0126-SM-7LG5G 60-69 years, female 2462.0
GTEX-T6MO-1626-SM-32QOM 40-49 years, female 2460.9
GTEX-1LG7Y-0526-SM-DKPQC 50-59 years, male 2460.7
GTEX-1GMRU-0126-SM-9YFLV 50-59 years, male 2460.4
GTEX-XUZC-1726-SM-4BRWS 30-39 years, female 2459.4
GTEX-13X6I-0626-SM-5QGP9 60-69 years, male 2458.9
GTEX-15G19-0126-SM-6PANQ 60-69 years, male 2458.6
GTEX-PWO3-1526-SM-48TCM 60-69 years, female 2458.0
GTEX-1N2EF-0226-SM-EYYXB 60-69 years, male 2457.5
GTEX-12ZZY-0226-SM-5LZVE 60-69 years, male 2453.3
GTEX-1HSEH-0126-SM-ACKXN 60-69 years, male 2453.1
GTEX-11OC5-0126-SM-5HL6A 60-69 years, male 2452.3
GTEX-13FH7-2026-SM-E9J4I 50-59 years, female 2449.3
GTEX-15ER7-0326-SM-7KUEV 20-29 years, female 2445.6
GTEX-1F5PL-0326-SM-7P8PQ 40-49 years, female 2441.4
GTEX-1IKJJ-0126-SM-CNPQB 60-69 years, male 2435.2
GTEX-ZVT2-2526-SM-51MT1 50-59 years, female 2434.2
GTEX-1C64N-0126-SM-793D7 50-59 years, male 2425.9
GTEX-131XH-2226-SM-5DUXJ 50-59 years, male 2422.6
GTEX-WYJK-0126-SM-3NMAB 50-59 years, male 2419.0
GTEX-18A6Q-0126-SM-731BZ 60-69 years, male 2418.2
GTEX-14BMU-2226-SM-5TDE9 20-29 years, female 2416.8
GTEX-1J8QM-2126-SM-CYPSJ 60-69 years, female 2416.2
GTEX-1F75A-0126-SM-7RHGM 50-59 years, male 2409.9
GTEX-1B8L1-2526-SM-9WYTF 60-69 years, male 2408.9
GTEX-14JG6-2226-SM-6EU2G 30-39 years, female 2407.4
GTEX-1A3MX-0126-SM-731BR 60-69 years, male 2405.7
GTEX-13S7M-0126-SM-5SI6A 60-69 years, female 2401.5
GTEX-VJYA-1126-SM-3GIJU 60-69 years, male 2401.4
GTEX-17MFQ-1726-SM-793C7 20-29 years, male 2400.1
GTEX-14A5H-0426-SM-5QGQF 60-69 years, male 2398.2
GTEX-1GN73-0226-SM-9WG67 60-69 years, male 2398.2
GTEX-1AX9J-0226-SM-73KXM 60-69 years, male 2398.0
GTEX-WH7G-2326-SM-3NMBC 40-49 years, male 2394.4
GTEX-1MCQQ-0826-SM-DLHC2 60-69 years, male 2385.6
GTEX-15EU6-0426-SM-6PAN5 50-59 years, male 2384.4
GTEX-1GN1U-0126-SM-7PBZK 50-59 years, female 2383.9
GTEX-U8XE-0326-SM-3DB8P 30-39 years, male 2380.2
GTEX-1IKOH-0226-SM-COH4E 60-69 years, female 2375.0
GTEX-12ZZZ-0626-SM-5DUXI 60-69 years, male 2374.4
GTEX-1F52S-0126-SM-9MQJU 60-69 years, female 2372.8
GTEX-X5EB-2226-SM-46MW4 40-49 years, male 2371.8
GTEX-11TUW-2726-SM-E9J4M 60-69 years, male 2371.6
GTEX-XQ8I-0426-SM-4BOPO 50-59 years, male 2370.8
GTEX-XUYS-0126-SM-47JWZ 50-59 years, male 2368.8
GTEX-1I4MK-2226-SM-ACKWD 50-59 years, female 2359.7
GTEX-1OJC4-0126-SM-E9J2E 50-59 years, female 2356.4
GTEX-1BAJH-0526-SM-793CQ 70-79 years, male 2355.0
GTEX-T8EM-1026-SM-3DB7M 40-49 years, male 2350.0
GTEX-1399T-2826-SM-5KLYZ 60-69 years, male 2347.5
GTEX-12C56-1726-SM-5EQ61 20-29 years, male 2345.7
GTEX-1B8SF-1426-SM-7DUGL 60-69 years, male 2344.6
GTEX-1IGQW-0126-SM-COH42 60-69 years, male 2343.9
GTEX-16XZZ-0126-SM-793DV 60-69 years, male 2343.2
GTEX-1HSKV-0226-SM-A9SKJ 60-69 years, male 2342.4
GTEX-ZTPG-0326-SM-5O9AX 20-29 years, female 2336.5
GTEX-ZXES-1826-SM-5E43S 30-39 years, female 2331.7
GTEX-14DAR-2026-SM-5S2O3 50-59 years, male 2329.2
GTEX-S7SE-0126-SM-2XCD5 50-59 years, male 2324.8
GTEX-13RTJ-2426-SM-5S2Q2 60-69 years, male 2324.2
GTEX-1192X-0226-SM-5H12D 50-59 years, male 2323.3
GTEX-183FY-0126-SM-7LT9P 20-29 years, male 2321.2
GTEX-XMD2-0126-SM-4YCDU 60-69 years, female 2320.0
GTEX-1H3NZ-0126-SM-ACKX7 60-69 years, male 2317.2
GTEX-ZZ64-1726-SM-5GZYB 20-29 years, male 2313.5
GTEX-15EOM-0126-SM-7KUGG 20-29 years, female 2309.8
GTEX-TKQ1-1026-SM-4GICL 30-39 years, male 2307.4
GTEX-1CB4I-0226-SM-79OLH 50-59 years, male 2305.1
GTEX-1GF9X-2026-SM-7PC3A 40-49 years, female 2305.1
GTEX-14C5O-0126-SM-5SI6N 60-69 years, male 2302.6
GTEX-PX3G-0126-SM-2I3EN 20-29 years, female 2302.6
GTEX-1AYD5-2426-SM-73KXR 50-59 years, male 2298.6
GTEX-14A5I-0126-SM-5TDEA 50-59 years, female 2298.3
GTEX-13OVK-2026-SM-7KUEO 40-49 years, male 2297.6
GTEX-1314G-1526-SM-5EGK2 30-39 years, male 2294.1
GTEX-1J8Q3-1626-SM-CMKGC 60-69 years, male 2293.7
GTEX-131XG-2626-SM-5KM17 50-59 years, female 2293.4
GTEX-SNMC-1226-SM-2XCFP 20-29 years, male 2290.6
GTEX-13N11-2526-SM-5K7UE 50-59 years, female 2289.9
GTEX-16GPK-0126-SM-7DHLE 60-69 years, male 2289.4
GTEX-SJXC-0126-SM-2XCFF 60-69 years, male 2271.7
GTEX-P4PQ-0126-SM-2S1NM 60-69 years, male 2271.6
GTEX-17HII-0226-SM-7LG4E 50-59 years, male 2271.5
GTEX-T5JC-0426-SM-32PLO 20-29 years, male 2270.7
GTEX-1F75B-0126-SM-9KNVL 50-59 years, male 2269.1
GTEX-11OF3-2626-SM-5GU7F 60-69 years, male 2268.7
GTEX-1POEN-0126-SM-EYYXJ 30-39 years, female 2268.1
GTEX-1GMR3-1926-SM-9KNUZ 40-49 years, male 2264.0
GTEX-11ZTS-0126-SM-5EQ6M 60-69 years, female 2261.4
GTEX-145LV-2126-SM-5LU8N 50-59 years, male 2259.5
GTEX-111VG-2426-SM-5GZXD 60-69 years, male 2258.5
GTEX-1212Z-2526-SM-5EGKP 60-69 years, male 2258.3
GTEX-16MT8-0426-SM-7KUEY 60-69 years, female 2257.6
GTEX-U3ZH-2026-SM-3DB78 30-39 years, male 2257.3
GTEX-1JMOU-1526-SM-CL54I 60-69 years, female 2253.9
GTEX-131YS-0126-SM-5KM1M 60-69 years, female 2253.7
GTEX-1B97I-1626-SM-73KYO 40-49 years, male 2251.1
GTEX-ZYT6-0226-SM-5NQ6T 30-39 years, male 2250.4
GTEX-YEC4-2126-SM-5IFJH 40-49 years, male 2250.2
GTEX-OXRK-0226-SM-3NB2G 50-59 years, female 2247.3
GTEX-13112-2826-SM-5DUWH 50-59 years, male 2246.3
GTEX-14PJM-0226-SM-62LF1 50-59 years, female 2245.6
GTEX-17HHY-0126-SM-7LG5D 50-59 years, male 2242.8
GTEX-11XUK-2026-SM-5EQLF 40-49 years, female 2238.8
GTEX-1IL2U-0226-SM-CE6T8 60-69 years, male 2237.6
GTEX-PVOW-0126-SM-2XCFA 40-49 years, male 2236.9
GTEX-XQ3S-1526-SM-4BOOC 20-29 years, male 2235.9
GTEX-13OVJ-0126-SM-5KM36 50-59 years, female 2235.1
GTEX-1J8JJ-0226-SM-CL53I 60-69 years, female 2235.0
GTEX-17F96-1626-SM-7DUFL 70-79 years, male 2231.2
GTEX-1J8EW-0126-SM-CJI4F 60-69 years, female 2225.9
GTEX-1A32A-0126-SM-718B1 50-59 years, female 2225.7
GTEX-Q2AI-1326-SM-2S1PL 40-49 years, male 2225.3
GTEX-14XAO-2326-SM-6EU1B 60-69 years, female 2224.1
GTEX-1NHNU-1026-SM-E9J2A 50-59 years, male 2218.2
GTEX-1QMI2-0226-SM-EVYBX 60-69 years, male 2218.1
GTEX-13OVL-0226-SM-5L3E9 50-59 years, male 2218.0
GTEX-16NGA-1726-SM-731B4 40-49 years, female 2216.6
GTEX-1IL2V-0126-SM-CM2TX 70-79 years, male 2215.9
GTEX-1AYCT-2426-SM-7IGQ3 50-59 years, male 2210.1
GTEX-1I1CD-0126-SM-CM2TK 60-69 years, female 2209.2
GTEX-T5JW-1626-SM-3GADZ 20-29 years, female 2209.0
GTEX-11EM3-2426-SM-59861 20-29 years, female 2206.1
GTEX-WY7C-2326-SM-3NB2U 50-59 years, male 2198.3
GTEX-SSA3-0126-SM-32QPU 60-69 years, male 2196.1
GTEX-17EVQ-0226-SM-7LG4P 70-79 years, male 2195.7
GTEX-TSE9-0126-SM-3DB83 60-69 years, female 2194.4
GTEX-1LNCM-1126-SM-E9U5E 50-59 years, female 2193.8
GTEX-1HCU7-0226-SM-CL545 50-59 years, male 2193.3
GTEX-13O3O-0126-SM-E9J49 60-69 years, female 2190.3
GTEX-QEG4-0226-SM-2S1PY 30-39 years, male 2187.0
GTEX-13113-5016-SM-7EPIP 60-69 years, female 2178.2
GTEX-1HKZK-0326-SM-9WYUH 40-49 years, male 2172.2
GTEX-13RTL-0126-SM-7LG5S 40-49 years, male 2170.4
GTEX-RWS6-2026-SM-2XCB5 60-69 years, female 2170.2
GTEX-1AMFI-2026-SM-731BH 50-59 years, female 2169.3
GTEX-VJWN-0126-SM-3GIK7 50-59 years, female 2169.3
GTEX-1B8SG-0126-SM-73KZ3 50-59 years, male 2168.1
GTEX-QVJO-1626-SM-2S1QW 60-69 years, female 2166.7
GTEX-ZC5H-0226-SM-4WAY9 40-49 years, female 2164.7
GTEX-148VI-1626-SM-5SI6E 60-69 years, female 2164.1
GTEX-1RQEC-0426-SM-E6CHU 60-69 years, male 2163.8
GTEX-15DDE-0126-SM-6LPKH 50-59 years, female 2162.7
GTEX-11DXY-2626-SM-5GIE7 60-69 years, male 2162.6
GTEX-ZU9S-0226-SM-5E441 30-39 years, male 2162.0
GTEX-UPJH-0326-SM-3GADU 50-59 years, male 2158.4
GTEX-13OW7-0126-SM-5MR3B 50-59 years, male 2157.5
GTEX-X4EO-0326-SM-3P5YO 60-69 years, female 2155.0
GTEX-R3RS-0126-SM-3GIJL 40-49 years, female 2154.4
GTEX-13FTY-0526-SM-5L3EV 40-49 years, female 2153.9
GTEX-1JJE9-0326-SM-CL53Z 70-79 years, male 2153.2
GTEX-OXRN-0126-SM-48TDM 50-59 years, male 2152.1
GTEX-T2IS-0126-SM-4DM6O 20-29 years, female 2151.8
GTEX-147F4-0226-SM-5QGPW 50-59 years, male 2150.9
GTEX-12ZZX-0126-SM-5EGK9 40-49 years, female 2148.3
GTEX-148VJ-0126-SM-5TDDN 70-79 years, male 2142.3
GTEX-1GPI6-0126-SM-9WG69 60-69 years, male 2142.3
GTEX-1B933-0126-SM-7PC29 50-59 years, female 2139.9
GTEX-1HCU9-1526-SM-A9SL7 20-29 years, male 2139.1
GTEX-11TTK-0126-SM-5987B 60-69 years, female 2138.0
GTEX-ZF28-0126-SM-4WKGK 60-69 years, male 2136.9
GTEX-1GN1V-0126-SM-9WPOS 60-69 years, male 2135.9
GTEX-11GS4-2726-SM-5A5LE 60-69 years, male 2135.5
GTEX-12WSK-2326-SM-5GCOH 40-49 years, female 2134.5
GTEX-1CB4H-0226-SM-7PBXM 60-69 years, female 2133.9
GTEX-11LCK-1026-SM-5A5KB 30-39 years, male 2133.7
GTEX-ZF29-2326-SM-DO92K 60-69 years, female 2132.5
GTEX-1I1GU-2226-SM-CGQFA 40-49 years, male 2130.7
GTEX-13D11-2426-SM-5KM1V 50-59 years, female 2129.2
GTEX-ZVT4-0126-SM-DTXFN 50-59 years, female 2127.6
GTEX-XBED-2226-SM-47JYQ 60-69 years, male 2126.4
GTEX-13OW8-1326-SM-5J1OW 60-69 years, male 2124.2
GTEX-1I6K6-0126-SM-A9SLE 30-39 years, male 2121.7
GTEX-1CB4F-0426-SM-9KNV4 60-69 years, male 2116.6
GTEX-18A67-0126-SM-7LG5P 50-59 years, male 2114.6
GTEX-11WQC-2526-SM-5CVLE 60-69 years, male 2111.9
GTEX-1H1DE-2126-SM-9WG6R 20-29 years, male 2110.9
GTEX-13111-1626-SM-5EGJY 50-59 years, male 2110.6
GTEX-S7PM-0126-SM-4AD6S 60-69 years, male 2107.1
GTEX-14PJ3-1826-SM-62LEX 50-59 years, male 2106.3
GTEX-W5WG-1826-SM-4KL2Y 50-59 years, female 2105.8
GTEX-17HG3-2226-SM-7938L 30-39 years, female 2103.4
GTEX-1IDJU-2626-SM-CM2RT 60-69 years, female 2101.9
GTEX-VUSG-2526-SM-4KL1V 50-59 years, male 2099.5
GTEX-1EU9M-0226-SM-7P8SP 60-69 years, male 2097.4
GTEX-U3ZN-2326-SM-3DB7W 30-39 years, female 2097.1
GTEX-145LU-0126-SM-5TDCB 50-59 years, male 2096.8
GTEX-1H11D-0226-SM-9WG6Z 40-49 years, male 2096.1
GTEX-1I19N-0326-SM-ACKVX 70-79 years, male 2095.4
GTEX-P44H-0226-SM-2XCEU 40-49 years, male 2093.4
GTEX-11P82-1626-SM-59879 20-29 years, male 2088.2
GTEX-WZTO-0126-SM-3NM95 40-49 years, male 2086.8
GTEX-11P7K-2126-SM-5GU7G 30-39 years, male 2085.8
GTEX-PLZ4-0126-SM-5SI8O 50-59 years, female 2084.0
GTEX-XV7Q-2526-SM-4BRV9 40-49 years, female 2083.6
GTEX-WFON-2126-SM-3LK7O 40-49 years, male 2076.2
GTEX-14BIN-0626-SM-793DP 50-59 years, female 2070.6
GTEX-11ZU8-2526-SM-5EQKI 60-69 years, male 2068.8
GTEX-ZVT3-0126-SM-5GU6I 60-69 years, female 2068.7
GTEX-1J8Q2-0526-SM-CM2RW 60-69 years, male 2068.6
GTEX-ZAB5-1826-SM-5HL7C 50-59 years, male 2068.5
GTEX-1F48J-0126-SM-7P8TT 50-59 years, female 2066.8
GTEX-1GF9V-0326-SM-7RHI5 60-69 years, male 2062.7
GTEX-12584-0126-SM-5EGKQ 40-49 years, male 2062.0
GTEX-14PN3-2426-SM-6LLHS 60-69 years, female 2060.1
GTEX-16YQH-0126-SM-7DUFJ 30-39 years, male 2055.4
GTEX-13NYC-0326-SM-E9J4S 60-69 years, male 2054.1
GTEX-ZZPT-0226-SM-5E43X 50-59 years, male 2053.7
GTEX-144GN-2326-SM-5LU4F 50-59 years, male 2049.9
GTEX-13G51-2526-SM-5LZYK 60-69 years, male 2044.2
GTEX-1MA7X-2226-SM-E6CIY 60-69 years, male 2044.2
GTEX-18A66-0226-SM-718BD 60-69 years, male 2044.1
GTEX-1CB4J-0626-SM-7DHMP 60-69 years, male 2041.9
GTEX-OHPL-0126-SM-2HMJ7 60-69 years, female 2040.7
GTEX-XXEK-2226-SM-4BRUM 50-59 years, male 2038.7
GTEX-1F6I4-0126-SM-9MQL2 60-69 years, male 2036.7
GTEX-133LE-1826-SM-5J1MV 20-29 years, female 2034.1
GTEX-X62O-0126-SM-4E3JN 50-59 years, male 2032.8
GTEX-1K9T9-0126-SM-EVYCF 50-59 years, female 2030.4
GTEX-1A3MV-1926-SM-718BT 30-39 years, male 2028.6
GTEX-1F7RK-0126-SM-7PC2S 20-29 years, female 2027.9
GTEX-17GQL-2026-SM-718BA 60-69 years, male 2027.4
GTEX-ZVE2-0226-SM-59HJB 50-59 years, male 2027.3
GTEX-17EUY-0426-SM-793BD 20-29 years, male 2025.3
GTEX-1F6IF-0726-SM-7P8TW 60-69 years, male 2024.1
GTEX-1HSMQ-1226-SM-CGQFX 50-59 years, male 2023.6
GTEX-11ZVC-2526-SM-5FQTE 50-59 years, female 2020.7
GTEX-1AMEY-1326-SM-73KYK 30-39 years, female 2018.5
GTEX-1QP29-0626-SM-EWRMX 50-59 years, male 2016.4
GTEX-1CB4G-0226-SM-7PC3O 60-69 years, male 2013.6
GTEX-TMMY-0226-SM-33HBA 40-49 years, female 2011.5
GTEX-ZQG8-1626-SM-DHXIT 60-69 years, female 2010.7
GTEX-11DXX-2426-SM-5GZZW 60-69 years, female 2010.1
GTEX-15SHU-0126-SM-7KUEH 40-49 years, female 2007.6
GTEX-17KNJ-2326-SM-7DHLQ 50-59 years, male 2007.3
GTEX-1PBJI-0526-SM-E8VNK 20-29 years, female 2006.3
GTEX-144GL-0126-SM-5TDE2 50-59 years, male 2003.2
GTEX-14BIM-0226-SM-7IGLD 60-69 years, female 1998.6
GTEX-11NUK-0126-SM-5A5L3 50-59 years, male 1997.2
GTEX-1JK1U-2026-SM-CM2RZ 60-69 years, male 1997.2
GTEX-12WSD-0126-SM-59HKN 60-69 years, female 1992.8
GTEX-ZTSS-1926-SM-57WEW 40-49 years, male 1987.7
GTEX-1QP67-1626-SM-EAZ3X 40-49 years, female 1987.2
GTEX-13QJ3-0326-SM-5S2RA 50-59 years, male 1984.6
GTEX-1CAMR-1926-SM-7EPI2 20-29 years, male 1984.6
GTEX-12KS4-0326-SM-5EQ41 30-39 years, male 1984.1
GTEX-YB5K-2126-SM-4WWDJ 40-49 years, female 1978.7
GTEX-1I1GR-0126-SM-CL55F 60-69 years, male 1978.4
GTEX-18D9B-0526-SM-7LTAS 60-69 years, male 1972.1
GTEX-1PPH7-2326-SM-EVYB8 40-49 years, male 1972.0
GTEX-139T4-0226-SM-5HL5S 50-59 years, female 1968.4
GTEX-OXRP-0126-SM-3NB32 60-69 years, female 1960.3
GTEX-13N2G-2626-SM-5J1OT 60-69 years, male 1958.9
GTEX-1AX9I-0126-SM-7SB74 60-69 years, male 1958.4
GTEX-18A7A-0226-SM-718BH 50-59 years, female 1957.8
GTEX-1I1GS-0126-SM-B2LVW 60-69 years, male 1955.5
GTEX-1269C-2526-SM-5EGJ3 60-69 years, female 1953.9
GTEX-1HUB1-0426-SM-E9U4U 60-69 years, male 1952.7
GTEX-13FTX-1826-SM-5J1NX 20-29 years, female 1945.9
GTEX-12WSC-0126-SM-5EQ4P 50-59 years, male 1941.7
GTEX-WOFL-0126-SM-3MJG2 60-69 years, male 1940.6
GTEX-147F3-0526-SM-5SI98 50-59 years, female 1934.1
GTEX-13OW6-0426-SM-5L3HM 50-59 years, male 1933.4
GTEX-X638-0126-SM-47JZ8 70-79 years, female 1933.0
GTEX-RWSA-0126-SM-2XCBB 40-49 years, male 1931.7
GTEX-17HHE-2026-SM-79OKF 50-59 years, male 1931.1
GTEX-16NPX-0226-SM-79OMT 50-59 years, male 1930.9
GTEX-145MI-0526-SM-5O9A8 60-69 years, female 1929.3
GTEX-1H3VY-0126-SM-ACKXD 50-59 years, male 1928.7
GTEX-XUW1-0426-SM-4BOOT 50-59 years, female 1924.0
GTEX-1C2JI-1826-SM-73KXC 50-59 years, male 1920.5
GTEX-WQUQ-0426-SM-3MJFU 60-69 years, male 1917.2
GTEX-1GMR8-0126-SM-9WYTM 50-59 years, female 1917.0
GTEX-11EI6-0126-SM-5985R 60-69 years, male 1916.6
GTEX-1128S-2326-SM-5GZZY 60-69 years, female 1905.1
GTEX-1EKGG-0226-SM-9WYTH 60-69 years, male 1893.5
GTEX-1B996-0226-SM-7RHGO 60-69 years, male 1887.5
GTEX-1I1HK-0126-SM-COH49 60-69 years, male 1884.9
GTEX-U3ZM-1526-SM-3DB9D 40-49 years, male 1882.9
GTEX-WRHK-1426-SM-3MJF9 20-29 years, female 1877.2
GTEX-14PHW-0126-SM-6LLJI 60-69 years, female 1876.7
GTEX-QDT8-0126-SM-48TZ1 30-39 years, female 1872.9
GTEX-11VI4-1726-SM-5CVLH 40-49 years, female 1872.4
GTEX-1QW4Y-1526-SM-EAZ3Z 30-39 years, male 1866.8
GTEX-13W3W-2426-SM-5LU5B 60-69 years, female 1866.3
GTEX-ZQUD-1426-SM-57WER 30-39 years, male 1865.9
GTEX-14ABY-0226-SM-5TDCQ 50-59 years, male 1864.4
GTEX-1AX9K-2326-SM-73KWU 50-59 years, male 1862.2
GTEX-146FH-0126-SM-5QGPP 50-59 years, female 1861.6
GTEX-QDVJ-1726-SM-2I5FX 50-59 years, male 1860.5
GTEX-YJ8A-0426-SM-5IFID 20-29 years, male 1859.1
GTEX-1QP2A-0126-SM-E9J43 50-59 years, male 1859.1
GTEX-11GSP-2526-SM-5N9BP 60-69 years, female 1859.0
GTEX-14BIL-0126-SM-5SI92 50-59 years, male 1856.3
GTEX-17F97-0326-SM-7LG5B 50-59 years, male 1855.5
GTEX-1H2FU-0126-SM-9WYSI 60-69 years, female 1854.9
GTEX-14A6H-0126-SM-5QGPK 30-39 years, male 1848.1
GTEX-13NZA-0226-SM-5K7Z7 60-69 years, male 1844.5
GTEX-Q2AG-0126-SM-33HBV 40-49 years, female 1842.6
GTEX-1JKYN-1326-SM-CGQG9 30-39 years, male 1842.0
GTEX-14BMV-0126-SM-5S2PO 50-59 years, male 1839.7
GTEX-15SHW-0326-SM-6PAML 60-69 years, male 1833.9
GTEX-17HGU-0226-SM-7DHKV 50-59 years, male 1831.5
GTEX-14LLW-0126-SM-6LLIO 70-79 years, female 1831.0
GTEX-1F75I-0326-SM-9YFLU 40-49 years, male 1826.1
GTEX-11NSD-2226-SM-5986V 20-29 years, male 1820.0
GTEX-OIZF-0126-SM-7SB8I 60-69 years, male 1816.1
GTEX-ZEX8-2426-SM-4WKG4 50-59 years, male 1815.6
GTEX-131XW-0426-SM-5LZWP 50-59 years, female 1814.4
GTEX-11EMC-2926-SM-5EQ4F 60-69 years, female 1814.1
GTEX-15DCD-0126-SM-7KUEK 70-79 years, female 1812.9
GTEX-1H23P-0126-SM-ADEJ3 60-69 years, male 1812.4
GTEX-13OW5-0126-SM-DTXFS 60-69 years, male 1810.5
GTEX-113JC-2326-SM-5EQ4E 50-59 years, female 1807.4
GTEX-14DAQ-0126-SM-5S2MQ 60-69 years, female 1800.3
GTEX-WYVS-2126-SM-3NMA3 40-49 years, female 1790.6
GTEX-16BQI-0226-SM-7KUEX 30-39 years, female 1789.1
GTEX-147GR-0526-SM-5S2MY 60-69 years, male 1787.6
GTEX-1F88F-2726-SM-7PBZZ 60-69 years, female 1783.1
GTEX-1C475-1826-SM-73KWA 40-49 years, female 1782.0
GTEX-13VXT-0126-SM-5LU4I 20-29 years, female 1781.2
GTEX-11ZTT-2426-SM-5EQLS 60-69 years, female 1781.0
GTEX-18A7B-0126-SM-7LG64 70-79 years, male 1780.0
GTEX-ZF2S-2326-SM-4WWCE 50-59 years, female 1776.3
GTEX-1IE54-0126-SM-CMKHW 40-49 years, female 1770.3
GTEX-PLZ5-2026-SM-2S1O4 50-59 years, male 1769.3
GTEX-139TT-0126-SM-5K7Y5 60-69 years, male 1768.8
GTEX-15UKP-0426-SM-7KUFQ 20-29 years, male 1765.5
GTEX-15F5U-1526-SM-6PANO 40-49 years, male 1761.5
GTEX-1IY9M-0126-SM-D3L8S 60-69 years, male 1760.5
GTEX-17EVP-0326-SM-7DHLG 40-49 years, male 1754.3
GTEX-ZDXO-3026-SM-5J1N5 60-69 years, male 1750.5
GTEX-S32W-2126-SM-2XCB1 50-59 years, female 1749.5
GTEX-1R9PO-2126-SM-E9J4O 60-69 years, female 1747.2
GTEX-1GL5R-1826-SM-9KNUY 50-59 years, male 1743.8
GTEX-1HFI7-1826-SM-ACKXH 50-59 years, female 1743.5
GTEX-16AAH-1726-SM-7939C 50-59 years, male 1736.2
GTEX-12WSN-5019-SM-79OM6 40-49 years, male 1726.5
GTEX-12WSL-2526-SM-5GCNJ 50-59 years, male 1721.1
GTEX-11O72-0126-SM-59887 40-49 years, male 1709.4
GTEX-1C6WA-0126-SM-7PC2B 60-69 years, male 1701.5
GTEX-1HBPH-0426-SM-B2LW5 40-49 years, female 1700.3
GTEX-RM2N-1426-SM-2TF4H 50-59 years, male 1698.8
GTEX-OXRO-0126-SM-2YUN4 60-69 years, female 1696.8
GTEX-1C6VR-2426-SM-79OLD 60-69 years, male 1693.6
GTEX-13O1R-0126-SM-5L3EH 60-69 years, male 1684.2
GTEX-139TU-0126-SM-5K7WH 60-69 years, male 1682.3
GTEX-PW2O-1526-SM-7RHHB 20-29 years, male 1682.2
GTEX-1KD5A-0226-SM-D5OV3 50-59 years, male 1673.3
GTEX-15CHC-2126-SM-6EU21 60-69 years, female 1664.9
GTEX-RUSQ-1526-SM-2TF62 50-59 years, male 1655.6
GTEX-1H1E6-1726-SM-ACKVK 30-39 years, male 1654.4
GTEX-SE5C-1626-SM-2XCE3 40-49 years, female 1650.2
GTEX-13SLX-0526-SM-5S2ON 50-59 years, female 1649.8
GTEX-1QEPI-0126-SM-EWRMQ 60-69 years, female 1641.2
GTEX-V1D1-2226-SM-3NMAX 50-59 years, male 1626.9
GTEX-ZYW4-0126-SM-5E44A 60-69 years, male 1626.6
GTEX-QLQ7-1626-SM-2S1R8 60-69 years, male 1619.8
GTEX-1E1VI-0126-SM-7DHMZ 50-59 years, male 1610.7
GTEX-11P81-2326-SM-59875 30-39 years, female 1609.0
GTEX-Y8LW-1826-SM-5S2MV 50-59 years, female 1605.9
GTEX-16XZY-2126-SM-79OK1 70-79 years, male 1596.0
GTEX-1B8KZ-2026-SM-7DHMB 50-59 years, male 1593.5
GTEX-13OVG-1926-SM-5L3DK 60-69 years, male 1589.1
GTEX-1F5PK-2426-SM-7RHHY 50-59 years, male 1586.1
GTEX-Z9EW-1626-SM-5CVMN 40-49 years, male 1579.0
GTEX-QLQW-1126-SM-2S1Q8 30-39 years, male 1576.2
GTEX-Q734-1926-SM-2I5EV 40-49 years, female 1571.7
GTEX-113IC-0126-SM-5HL6T 60-69 years, male 1565.7
GTEX-1GN1W-0526-SM-9MQJQ 50-59 years, female 1562.8
GTEX-OHPM-0126-SM-2YUN9 50-59 years, male 1561.9
GTEX-146FR-1326-SM-E9J48 60-69 years, female 1560.1
GTEX-1RAZQ-0726-SM-EAZ43 30-39 years, male 1557.0
GTEX-1192W-2626-SM-5Q5AF 60-69 years, male 1538.6
GTEX-15SDE-2226-SM-7IGLO 50-59 years, female 1527.8
GTEX-1C6VS-0526-SM-7DUEN 60-69 years, male 1521.8
GTEX-OXRL-0126-SM-2YUMP 50-59 years, male 1516.3
GTEX-RU72-0926-SM-2TF6B 50-59 years, female 1507.9
GTEX-ZUA1-0126-SM-5GU76 40-49 years, male 1506.5
GTEX-OOBK-0126-SM-2YUND 40-49 years, male 1500.5
GTEX-ZXG5-0126-SM-5GIEU 60-69 years, male 1499.0
GTEX-1A8FM-0226-SM-7SB7Q 50-59 years, female 1477.8
GTEX-15DYW-0126-SM-7KULE 60-69 years, female 1462.0
GTEX-13N1W-0126-SM-5K7VT 70-79 years, male 1442.1
GTEX-14E7W-0126-SM-6LLJ9 70-79 years, male 1436.0
GTEX-11ZUS-0626-SM-59885 30-39 years, male 1407.1
GTEX-R55E-0126-SM-2TC5Y 20-29 years, male 1382.8
GTEX-U4B1-1826-SM-4DXSU 40-49 years, male 1365.8
GTEX-R55G-2526-SM-2TC6D 40-49 years, female 1365.3
GTEX-1EN7A-0126-SM-7SB81 40-49 years, male 1354.1
GTEX-14JIY-0126-SM-6LLH6 60-69 years, male 1335.9
GTEX-RN64-0126-SM-2TC68 50-59 years, male 1304.6
GTEX-Y3I4-2126-SM-4TT7C 50-59 years, male 1285.0
Show allShow less

Contact

  • NEWS ARTICLES
  • PRESS ROOM

The Project

  • INTRODUCTION
  • ORGANIZATION
  • PUBLICATIONS

The Human Protein Atlas

  • DOWNLOADABLE DATA
  • LICENCE & CITATION
  • HELP & FAQ
The Human Protein Atlas project is funded
by the Knut & Alice Wallenberg Foundation.


contact@proteinatlas.org