We use cookies to enhance the usability of our website. If you continue, we'll assume that you are happy to receive all cookies. More information. Don't show this again.
EEF2
HPA
RESOURCES
  • TISSUE
  • BRAIN
  • SINGLE CELL
  • SUBCELLULAR
  • CANCER
  • BLOOD
  • CELL LINE
  • STRUCTURE & INTERACTION
ABOUT
  • INTRODUCTION
  • HISTORY
  • ORGANIZATION
  • PUBLICATIONS
  • ANTIBODY SUBMISSION
  • ANTIBODY AVAILABILITY
  • ACKNOWLEDGMENTS
  • CONTACT
NEWS
  • NEWS ARTICLES
  • PRESS ROOM
LEARN
  • DICTIONARY
  • PROTEIN CLASSES
  • PROTEIN EVIDENCE
  • METHODS
  • EDUCATIONAL VIDEOS
DATA
  • DOWNLOADABLE DATA
  • PUBLICATION DATA
  • RELEASE HISTORY
HELP
  • ANTIBODY VALIDATION
  • ASSAYS & ANNOTATION
  • DISCLAIMER
  • HELP & FAQ
  • PRIVACY STATEMENT
  • LICENCE & CITATION
Fields »
Search result

Field
Term
Gene name
Class
Subclass
Class
Keyword
Chromosome
External id
Tissue
Cell type
Expression
Antibody panel
Tissue
Main location
Patient ID
Annotation
Tissue
Category
Tau score
Cluster
Reliability
Brain region
Category
Tau score
Brain region
Category
Tau score
Brain region
Category
Tau score
Cluster
Reliability
Tissue
Cell type
Enrichment
Cell type
Category
Tau score
Cell type
Category
Tau score
Cell type
Category
Tau score
Cell lineage
Category
Tau score
Cluster
Cluster
Location
Searches
Location
Cell line
Class
Type
Phase
Reliability
Cancer
Prognosis
Cancer
Category
Cancer
Category
Tau score
Cluster
Variants
Interacting gene (ensg_id)
Type
Number of interactions
Pathway
Category
Score
Score
Score
Validation
Validation
Validation
Validation
Antibodies
Data type
Column


  • SUMMARY

  • TISSUE

  • BRAIN

  • SINGLE CELL

  • SUBCELL

  • CANCER

  • BLOOD

  • CELL LINE

  • STRUCT & INT

  • EEF2
TISSUE PRIMARY DATA SKIN Show tissue menu
ADIPOSE TISSUE ADRENAL GLAND AMYGDALA APPENDIX BASAL GANGLIA BONE MARROW BREAST BRONCHUS CEREBELLUM CEREBRAL CORTEX CERVIX CHOROID PLEXUS COLON DUODENUM
ENDOMETRIUM EPIDIDYMIS ESOPHAGUS FALLOPIAN TUBE GALLBLADDER HEART MUSCLE HIPPOCAMPAL FORMATION HYPOTHALAMUS KIDNEY LIVER LUNG LYMPH NODE MIDBRAIN NASOPHARYNX
ORAL MUCOSA OVARY PANCREAS PARATHYROID GLAND PITUITARY GLAND PLACENTA PROSTATE RECTUM RETINA SALIVARY GLAND SEMINAL VESICLE SKELETAL MUSCLE SKIN SMALL INTESTINE
SMOOTH MUSCLE SOFT TISSUE SPINAL CORD SPLEEN STOMACH TESTIS THYMUS THYROID GLAND TONGUE TONSIL URINARY BLADDER VAGINA
ANTIBODIES
AND
VALIDATION
Dictionary
Skin
Tissue proteome
Skin
SKIN - Expression summary
Protein expression
Skini

On the top, protein expression in current human tissue, based on all annotated cell types, is reported with the units not detected (n), low (l), medium (m) and high (h). Underneath, protein expression in each annotated cell type are reported using the same units.

Protein expression data is based on knowledge-based annotation. For genes where more than one antibody has been used, a collective score is set.

If knowledge-based annotation could not be performed for a gene, no data is displayed here. View antibody staining data further down this page.

h
m
l
n
Epidermal cells: High
Fibroblasts: High
Keratinocytes: High
Langerhans: High
Melanocytes: High
RNA expressioni

A summary of mRNA expression data available for current tissue based on several datasets. The mRNA expression levels in human tissues are based on RNA-seq data generated by the Human Protein Atlas (HPA), Genotype-Tissue Expression (GTEx) portal and CAGE data generated by the FANTOM5 consortium. Consensus normalized expression levels for human tissues was created by combining the data from HPA and GTEx datasets.

The mRNA expression levels in pig are based on RNA-seq data generated by the Human Protein Atlas (HPA), and for mouse, HPA data and in situ hybridization generated by the Allen brain atlas are reported.

Scroll down to view mRNA expression data in more detail.
Consensus:1107.3 nTPM
HPA:698.1 nTPM
GTEx:1107.3 nTPM

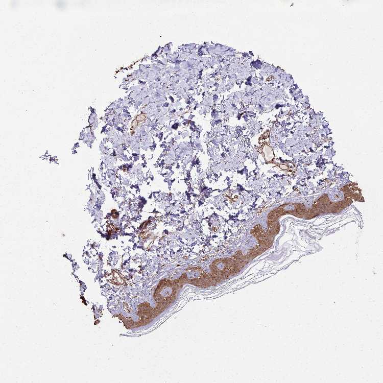
SKIN 1 - Antibody stainingi

Antibody staining in the annotated cell types in the current human tissue is reported as not detected, low, medium, or high, based on conventional immunohistochemistry profiling in selected tissues. This score is based on the combination of the staining intensity and fraction of stained cells.

Each image is clickable and will lead to virtual microscopy that enables deeper exploration of all samples and also displays staining intensity scores, fraction scores and subcellular localization as well as patient and tissue information for each sample.

Antibody HPA040534Antibody HPA057351Antibody CAB007795
Langerhans HighMediumHigh
Fibroblasts HighMediumMedium
Keratinocytes HighMediumHigh
Melanocytes HighMediumHigh




SKIN 2 - Antibody stainingi

Antibody staining in the annotated cell types in the current human tissue is reported as not detected, low, medium, or high, based on conventional immunohistochemistry profiling in selected tissues. This score is based on the combination of the staining intensity and fraction of stained cells.

Each image is clickable and will lead to virtual microscopy that enables deeper exploration of all samples and also displays staining intensity scores, fraction scores and subcellular localization as well as patient and tissue information for each sample.

Antibody HPA040534Antibody HPA057351Antibody CAB007795
Epidermal cells HighMediumHigh
   
   
   





SKIN - HPA RNA-seqi

The RNA-seq details section shows detailed information about the individual samples used for the transcript profiling and results of the RNA-seq analysis.

Information about each individual sample is listed below, including gender, age, a tissue section image and estimated fractions of cell types. nTPM (normalized transcripts per million) values give a quantification of the gene abundance which is comparable between different genes and samples.
Average nTPMi

Max subtype nTPM is the value for the subtype with the largest average nTPM across the subtype samples.

698.1
overview
Female, age 34
Skin sample 225
nTPM: 735.3
Cell types%
Keratinocytes:
60

Other cell types:
40

overview
Female, age 30
Skin sample 226
nTPM: 517
Cell types%
Keratinocytes:
55

Other cell types:
45

N/A
Male, age 57
Skin sample 227
nTPM: 841.9

SKIN - GTEx RNA-seqi

RNA-Seq data generated by the Genotype-Tissue Expression (GTEx) project from human tissues is reported as mean nTPM. More information can be found on the GTEx portal.

Distribution across the dataset is visualized with box plots, shown as median and 25th and 75th percentiles. Points are displayed as outliers if they are above or below 1.5 times the interquartile range. nTPM values of the individual samples are presented next to the box plot.
Max subtype nTPMi

Max subtype nTPM is the value for the subtype with the largest average nTPM across the subtype samples.

1107.3
GTEx sample id Sample description nTPM
Skin - Not Sun Exposed (Suprapubic)
Average nTPM: 1107.3
Samples: 604

Max nTPM: 3012.4
Min nTPM: 512.3
Std nTPM: 327.6
Median nTPM: 1066.8
GTEX-1OJC3-1226-SM-DTXER 20-29 years, male 3012.4
GTEX-ZTX8-1326-SM-4YCEL 20-29 years, male 2967.3
GTEX-15RIG-0726-SM-7KUM7 40-49 years, male 2762.6
GTEX-WFG7-2026-SM-5SI7P 20-29 years, male 2364.8
GTEX-1N2DV-1526-SM-DTXEP 40-49 years, male 2231.5
GTEX-WI4N-2726-SM-3LK7Y 40-49 years, female 2188.7
GTEX-X585-2426-SM-46MW2 50-59 years, male 2162.4
GTEX-15G1A-1626-SM-7KUKN 30-39 years, male 2133.8
GTEX-Y114-2126-SM-4TT8B 50-59 years, female 2092.4
GTEX-12WSJ-1126-SM-5LZVJ 40-49 years, female 2032.1
GTEX-1IKOE-1426-SM-CE6T7 30-39 years, female 2007.6
GTEX-1PPH8-0126-SM-EWRN8 20-29 years, male 1996.3
GTEX-1MCYP-0526-SM-E9U6Q 20-29 years, female 1990.1
GTEX-1LVAN-0626-SM-CNPOQ 50-59 years, female 1900.7
GTEX-Y5V6-2326-SM-4VDSA 60-69 years, male 1890.8
GTEX-ZPCL-1126-SM-4WWFE 60-69 years, female 1886.1
GTEX-ZYW4-0626-SM-59HJR 60-69 years, male 1873.0
GTEX-1CAMS-2226-SM-7PBXQ 40-49 years, female 1842.2
GTEX-1GPI7-1826-SM-9KNU1 20-29 years, male 1840.2
GTEX-11P7K-1126-SM-5HL4L 30-39 years, male 1799.3
GTEX-ZT9X-1526-SM-5DUXD 40-49 years, male 1780.6
GTEX-1NV5F-0626-SM-DTXEG 60-69 years, female 1769.8
GTEX-1QP9N-1226-SM-E76QN 30-39 years, male 1764.2
GTEX-WHWD-1826-SM-3LK6I 50-59 years, male 1757.9
GTEX-1JMPY-0226-SM-CKZOK 30-39 years, male 1746.7
GTEX-1F75I-2226-SM-7SB8U 40-49 years, male 1742.1
GTEX-1HCUA-0826-SM-ADEHM 50-59 years, female 1698.1
GTEX-1ICLZ-0326-SM-ARL82 60-69 years, male 1694.3
GTEX-1HSMQ-2626-SM-A9SML 50-59 years, male 1667.6
GTEX-1H2FU-0926-SM-9WPPT 60-69 years, female 1666.9
GTEX-11DXZ-2026-SM-5987S 50-59 years, male 1659.7
GTEX-13X6H-0926-SM-5SIB2 50-59 years, female 1645.3
GTEX-XBEW-1126-SM-4QARW 40-49 years, male 1637.4
GTEX-1399S-0126-SM-5IJCF 30-39 years, female 1629.0
GTEX-15UF6-1926-SM-7KUDV 70-79 years, female 1607.2
GTEX-17F9E-2326-SM-79OKD 50-59 years, male 1605.6
GTEX-14PHX-2226-SM-6EU2P 50-59 years, male 1603.0
GTEX-ZVP2-0326-SM-57WBP 50-59 years, male 1601.3
GTEX-1CAMQ-1326-SM-7P8RV 40-49 years, male 1599.7
GTEX-11DXX-2126-SM-5PNYR 60-69 years, female 1598.2
GTEX-14XAO-1226-SM-6EU1C 60-69 years, female 1594.0
GTEX-144FL-0626-SM-5LU43 50-59 years, male 1591.0
GTEX-1H1ZS-2726-SM-9WG75 70-79 years, male 1590.1
GTEX-ZF29-0926-SM-4WKFZ 60-69 years, female 1588.5
GTEX-Y3IK-1626-SM-4YCF5 50-59 years, female 1585.5
GTEX-YFCO-1226-SM-5LUAT 40-49 years, male 1583.3
GTEX-WHSB-1326-SM-3LK6W 50-59 years, male 1570.4
GTEX-131XF-2626-SM-5EQ6K 60-69 years, male 1566.9
GTEX-14ICL-1626-SM-5YYAO 30-39 years, male 1548.8
GTEX-16AAH-0626-SM-793C9 50-59 years, male 1545.5
GTEX-13W3W-0726-SM-5IJDQ 60-69 years, female 1542.3
GTEX-1PIGE-1826-SM-E8VOU 20-29 years, male 1539.6
GTEX-12WSK-2126-SM-5CVNC 40-49 years, female 1537.9
GTEX-1HBPN-0126-SM-CGQEF 50-59 years, male 1537.5
GTEX-14PJ4-0226-SM-5YY92 60-69 years, male 1524.9
GTEX-13O61-1426-SM-5KM3D 60-69 years, male 1516.4
GTEX-1H1DE-1326-SM-9KNUG 20-29 years, male 1514.3
GTEX-1E2YA-2126-SM-7MXUO 50-59 years, male 1498.9
GTEX-1HCU7-0726-SM-A9SL1 50-59 years, male 1493.0
GTEX-11ZU8-0126-SM-5EQ58 60-69 years, male 1492.6
GTEX-1JN76-0626-SM-CKZOQ 20-29 years, female 1491.3
GTEX-1B8KE-1126-SM-7EPHI 50-59 years, male 1489.6
GTEX-131XG-0326-SM-5L3DX 50-59 years, female 1488.4
GTEX-1LKK1-2626-SM-DKPQE 50-59 years, female 1482.7
GTEX-1S831-1826-SM-EWROF 20-29 years, male 1479.9
GTEX-13FTX-1526-SM-5K7VJ 20-29 years, female 1477.2
GTEX-1F6I4-2326-SM-7RHGL 60-69 years, male 1475.6
GTEX-Y111-0626-SM-4SOIT 50-59 years, male 1475.2
GTEX-11DYG-1526-SM-5A5JS 60-69 years, male 1474.4
GTEX-15RIE-1926-SM-7KUKJ 60-69 years, male 1473.9
GTEX-1QCLY-0226-SM-EWRNH 30-39 years, male 1471.2
GTEX-W5X1-2526-SM-3GILC 40-49 years, female 1466.1
GTEX-ZA64-1026-SM-5HL8R 20-29 years, male 1464.2
GTEX-15RJ7-2126-SM-6PAMD 40-49 years, male 1456.0
GTEX-1PDJ9-1226-SM-EXUSX 20-29 years, male 1454.2
GTEX-18QFQ-1826-SM-72D52 30-39 years, male 1445.3
GTEX-WXYG-2026-SM-4E3IY 50-59 years, female 1444.3
GTEX-1GZ4H-0526-SM-9KNU9 50-59 years, female 1441.7
GTEX-14PJ3-1126-SM-5ZZVX 50-59 years, male 1440.2
GTEX-Y3I4-1726-SM-4TT89 50-59 years, male 1438.2
GTEX-WHSE-0126-SM-3NMBT 20-29 years, male 1438.0
GTEX-1QP28-1126-SM-EVYC4 50-59 years, female 1433.0
GTEX-16MTA-0926-SM-6M47Z 50-59 years, male 1427.3
GTEX-1GN1W-2426-SM-9KNUU 50-59 years, female 1426.6
GTEX-11NSD-0626-SM-5A5LU 20-29 years, male 1420.4
GTEX-14PJO-2526-SM-6AJBQ 60-69 years, male 1420.0
GTEX-1LSNM-0826-SM-DIPG8 50-59 years, male 1411.9
GTEX-18D9B-0926-SM-7LG4U 60-69 years, male 1411.8
GTEX-ZF3C-0626-SM-DO92O 50-59 years, female 1403.3
GTEX-1AYD5-2626-SM-7PBXY 50-59 years, male 1397.6
GTEX-18D9A-1426-SM-7LT8M 30-39 years, female 1393.9
GTEX-Y8E4-2026-SM-5IFJB 40-49 years, male 1392.4
GTEX-13JVG-0726-SM-5KM16 60-69 years, male 1387.8
GTEX-14PJ5-1526-SM-6LLIL 60-69 years, female 1383.3
GTEX-11P81-2226-SM-5PNYI 30-39 years, female 1382.0
GTEX-1211K-1526-SM-5FQU4 60-69 years, female 1377.8
GTEX-13PDP-0726-SM-5L3HP 60-69 years, male 1377.4
GTEX-Y5LM-0926-SM-6LLJG 40-49 years, female 1375.1
GTEX-WH7G-2026-SM-3NMBL 40-49 years, male 1374.8
GTEX-1NSGN-0726-SM-DTXEF 50-59 years, male 1371.5
GTEX-15SHW-0226-SM-7LTAT 60-69 years, male 1369.2
GTEX-1MJK3-0726-SM-E6CJC 20-29 years, male 1363.2
GTEX-1CAMR-1326-SM-7PC1F 20-29 years, male 1362.8
GTEX-111CU-1126-SM-5EGIM 50-59 years, male 1360.6
GTEX-1I1GU-0926-SM-ACKVS 40-49 years, male 1360.2
GTEX-17F98-1326-SM-7DUEP 40-49 years, female 1355.9
GTEX-ZPU1-1126-SM-4YCF3 40-49 years, male 1355.8
GTEX-ZE7O-2726-SM-51MT5 50-59 years, female 1354.1
GTEX-17F97-2626-SM-7IGM5 50-59 years, male 1353.5
GTEX-1A3MW-0626-SM-731CB 60-69 years, female 1353.4
GTEX-13X6K-0626-SM-5LU5D 60-69 years, female 1347.7
GTEX-1GMRU-2126-SM-7P8RA 50-59 years, male 1344.9
GTEX-1QPFJ-1926-SM-EVYBD 30-39 years, female 1341.7
GTEX-1F6RS-2026-SM-7RHHC 60-69 years, female 1341.1
GTEX-1H3VE-0726-SM-9YFL5 40-49 years, male 1334.1
GTEX-11WQK-1026-SM-5EQLX 50-59 years, male 1332.3
GTEX-X3Y1-2026-SM-3P5YM 40-49 years, male 1331.8
GTEX-1GMR2-0826-SM-7PC3V 50-59 years, male 1326.5
GTEX-1HGF4-0126-SM-CNPPX 60-69 years, male 1325.1
GTEX-ZLV1-1526-SM-DO91J 60-69 years, female 1323.2
GTEX-ZVZP-1226-SM-5GID7 50-59 years, male 1322.7
GTEX-WHPG-2626-SM-3NMBR 50-59 years, male 1319.2
GTEX-1RAZQ-1326-SM-E9TK6 30-39 years, male 1319.1
GTEX-1K2DA-1026-SM-CGQGF 50-59 years, male 1318.8
GTEX-ZTTD-2826-SM-4YCFA 50-59 years, male 1315.9
GTEX-11OF3-0126-SM-5PNYF 60-69 years, male 1315.1
GTEX-12BJ1-0926-SM-5EQ62 60-69 years, male 1314.0
GTEX-145MN-1526-SM-5SI9T 30-39 years, male 1313.6
GTEX-11PRG-0726-SM-5EGL1 50-59 years, male 1311.8
GTEX-1122O-1026-SM-9WYSF 60-69 years, female 1308.4
GTEX-ZY6K-1426-SM-5GZX2 50-59 years, male 1305.5
GTEX-14C39-1726-SM-5RQIL 40-49 years, male 1305.4
GTEX-1JK1U-0226-SM-ARZMX 60-69 years, male 1303.1
GTEX-1B97I-0626-SM-73KUZ 40-49 years, male 1297.1
GTEX-ZDTS-0826-SM-4WKHL 60-69 years, male 1296.4
GTEX-15RJE-2826-SM-7KUM9 40-49 years, male 1291.4
GTEX-1CB4E-0926-SM-7EPHT 60-69 years, male 1290.7
GTEX-15ER7-0626-SM-6PANF 20-29 years, female 1287.9
GTEX-11P82-1426-SM-DTXFY 20-29 years, male 1286.8
GTEX-14AS3-1526-SM-5Q5ED 40-49 years, female 1286.3
GTEX-1HKZK-0726-SM-ACKW2 40-49 years, male 1285.2
GTEX-1PPH7-1126-SM-DTX9A 40-49 years, male 1283.1
GTEX-17HGU-2326-SM-7DUFE 50-59 years, male 1282.6
GTEX-131XH-0126-SM-5LZUY 50-59 years, male 1282.4
GTEX-16MT8-2926-SM-7DUFO 60-69 years, female 1281.8
GTEX-12C56-1526-SM-5FQUQ 20-29 years, male 1279.8
GTEX-1I1GT-1026-SM-ARZLV 60-69 years, female 1279.7
GTEX-1CB4J-1326-SM-7P8RX 60-69 years, male 1279.1
GTEX-ZYFG-1526-SM-5GZYM 60-69 years, female 1278.8
GTEX-1117F-2926-SM-5GZYI 60-69 years, female 1274.2
GTEX-144GM-0526-SM-79OJO 20-29 years, male 1271.7
GTEX-ZYY3-2926-SM-5GIEB 60-69 years, female 1269.3
GTEX-1S3DN-2126-SM-E9TIN 50-59 years, male 1269.2
GTEX-1399Q-2326-SM-5KM2X 40-49 years, male 1267.9
GTEX-13NYS-0626-SM-5L3F1 60-69 years, male 1267.6
GTEX-18A66-0626-SM-7LT8Z 60-69 years, male 1262.5
GTEX-13NYB-0126-SM-5J1MD 40-49 years, male 1261.3
GTEX-17HHE-1326-SM-7EWDZ 50-59 years, male 1258.8
GTEX-1S82P-2126-SM-E6CI5 60-69 years, female 1258.7
GTEX-18A67-1626-SM-7LT9T 50-59 years, male 1257.9
GTEX-YB5K-2026-SM-4VDT3 40-49 years, female 1254.9
GTEX-13D11-0926-SM-5J2NC 50-59 years, female 1254.4
GTEX-1JMLX-0626-SM-ARL8T 50-59 years, male 1251.1
GTEX-ZZPU-0826-SM-5GZX5 50-59 years, female 1250.6
GTEX-YEC4-1826-SM-4W1YP 40-49 years, male 1247.7
GTEX-1192X-2726-SM-5N9DN 50-59 years, male 1245.6
GTEX-11ZTT-2126-SM-5CVLO 60-69 years, female 1245.6
GTEX-1QP2A-1726-SM-E76QC 50-59 years, male 1245.0
GTEX-14PKV-1126-SM-6LLJ1 20-29 years, female 1243.5
GTEX-15EU6-2226-SM-6EU2L 50-59 years, male 1243.5
GTEX-ZPIC-0526-SM-DO91W 40-49 years, female 1242.9
GTEX-13IVO-0726-SM-5LZYV 70-79 years, male 1242.1
GTEX-1HSMP-0926-SM-A9SKX 70-79 years, male 1241.7
GTEX-ZDYS-2426-SM-4WKGI 50-59 years, male 1239.6
GTEX-ZF2S-1626-SM-57WES 50-59 years, female 1238.7
GTEX-1H1E6-0426-SM-9WYUS 30-39 years, male 1237.0
GTEX-1HSGN-0826-SM-ACKW3 40-49 years, female 1236.0
GTEX-ZDTT-0426-SM-4WKFL 60-69 years, male 1232.9
GTEX-1I6K7-1926-SM-B2LXR 40-49 years, male 1232.0
GTEX-1RMOY-1326-SM-E9TIH 50-59 years, male 1227.8
GTEX-WY7C-2126-SM-3NB2R 50-59 years, male 1226.6
GTEX-13PL6-1126-SM-5L3IE 40-49 years, female 1225.9
GTEX-1399U-1126-SM-5L3DB 50-59 years, female 1224.8
GTEX-13113-1626-SM-5EQ4I 60-69 years, female 1223.8
GTEX-1R9PM-1926-SM-EVR3O 20-29 years, male 1222.7
GTEX-12WSF-1626-SM-7KUG5 70-79 years, male 1220.7
GTEX-1IY9M-2826-SM-ARU8H 60-69 years, male 1219.7
GTEX-12WSH-1526-SM-5BC5W 50-59 years, male 1219.5
GTEX-13YAN-0226-SM-5TDC6 60-69 years, male 1217.4
GTEX-13VXT-1926-SM-5K7UO 20-29 years, female 1216.9
GTEX-1H11D-1826-SM-9QEHM 40-49 years, male 1214.4
GTEX-139TS-2126-SM-5K7XC 60-69 years, male 1213.9
GTEX-14DAR-1226-SM-73KYV 50-59 years, male 1211.3
GTEX-ZLFU-1826-SM-4WWBV 40-49 years, male 1210.9
GTEX-14PHY-1226-SM-5ZZWK 60-69 years, female 1208.7
GTEX-111YS-1526-SM-5GZYW 60-69 years, male 1207.7
GTEX-XBED-1926-SM-47JYP 60-69 years, male 1204.1
GTEX-17F96-0126-SM-7EWDU 70-79 years, male 1199.7
GTEX-1F52S-2926-SM-7MKGA 60-69 years, female 1199.6
GTEX-145ME-1726-SM-5Q5EU 40-49 years, female 1197.6
GTEX-147F3-1726-SM-5SIAW 50-59 years, female 1196.9
GTEX-1JKYR-0626-SM-ARL8R 20-29 years, male 1195.9
GTEX-14E6E-0526-SM-793DN 30-39 years, male 1195.4
GTEX-139YR-1026-SM-5LZYN 50-59 years, male 1193.9
GTEX-183WM-0326-SM-72D5V 70-79 years, female 1190.9
GTEX-1C6VQ-1226-SM-73KYD 50-59 years, male 1190.4
GTEX-13QBU-1226-SM-5LU4G 40-49 years, female 1186.9
GTEX-1AX8Z-0726-SM-73KTS 60-69 years, male 1186.1
GTEX-XQ8I-0926-SM-4BOOF 50-59 years, male 1182.4
GTEX-13FHO-0426-SM-5L3F5 60-69 years, male 1181.1
GTEX-1EX96-1026-SM-7MKG2 50-59 years, male 1178.9
GTEX-14JG6-1426-SM-9WG7C 30-39 years, female 1177.7
GTEX-X5EB-1926-SM-4E3IW 40-49 years, male 1174.6
GTEX-1S82U-1026-SM-E6CJK 30-39 years, female 1174.4
GTEX-1HFI7-2326-SM-CGQFS 50-59 years, female 1174.2
GTEX-11DZ1-2426-SM-5GZZX 50-59 years, male 1172.5
GTEX-YECK-0326-SM-4W1YS 60-69 years, male 1172.3
GTEX-ZLWG-0826-SM-59888 50-59 years, female 1171.3
GTEX-1313W-0626-SM-5EQ4H 50-59 years, female 1171.0
GTEX-17HII-1426-SM-7EPGG 50-59 years, male 1169.2
GTEX-14E1K-2026-SM-7DUEI 50-59 years, male 1168.7
GTEX-1C64N-2626-SM-7PC2N 50-59 years, male 1167.2
GTEX-XUW1-0926-SM-4BONX 50-59 years, female 1164.6
GTEX-17MFQ-1526-SM-7KFRR 20-29 years, male 1161.5
GTEX-15G19-2426-SM-7KUMR 60-69 years, male 1158.8
GTEX-1LBAC-0826-SM-CY8IJ 20-29 years, male 1156.5
GTEX-1LGOU-1326-SM-D3L8M 20-29 years, female 1155.3
GTEX-1K2DU-1226-SM-CYPT4 20-29 years, male 1153.8
GTEX-XXEK-1626-SM-4BRUZ 50-59 years, male 1153.2
GTEX-Z93S-1626-SM-5CVMB 50-59 years, male 1152.2
GTEX-144GO-2026-SM-5O99P 60-69 years, male 1149.6
GTEX-11EQ9-1626-SM-5PNY8 30-39 years, male 1148.5
GTEX-1JMQK-1226-SM-D4P2S 60-69 years, male 1148.1
GTEX-1J8EW-2726-SM-CY8HR 60-69 years, female 1144.2
GTEX-1LGRB-0926-SM-COH3K 50-59 years, female 1144.2
GTEX-146FQ-2126-SM-5RQHU 30-39 years, male 1143.2
GTEX-YEC3-1326-SM-DO92X 50-59 years, male 1140.2
GTEX-1QW4Y-1126-SM-DTXE3 30-39 years, male 1139.8
GTEX-1HT8W-0626-SM-A9G2H 30-39 years, male 1139.7
GTEX-14PK6-0226-SM-62LF5 70-79 years, female 1138.1
GTEX-17KNJ-2126-SM-718AM 50-59 years, male 1137.8
GTEX-1LVA9-2626-SM-EVYD4 50-59 years, male 1137.7
GTEX-ZZ64-1026-SM-5GZXG 20-29 years, male 1137.2
GTEX-1HSMO-0626-SM-ACKXC 60-69 years, male 1136.8
GTEX-ZP4G-1426-SM-4WWCL 20-29 years, female 1135.5
GTEX-1R7EU-1626-SM-DTXG3 60-69 years, male 1135.0
GTEX-147F4-0726-SM-5TDDD 50-59 years, male 1134.6
GTEX-1I1GS-2626-SM-B2LY3 60-69 years, male 1134.5
GTEX-147GR-2426-SM-5ZZWQ 60-69 years, male 1133.2
GTEX-1HC8U-1326-SM-9YFMJ 40-49 years, female 1132.4
GTEX-18D9U-0126-SM-731BM 40-49 years, male 1132.1
GTEX-14PJN-1826-SM-6AJ98 30-39 years, male 1128.3
GTEX-11TT1-1826-SM-5EQLV 20-29 years, male 1126.7
GTEX-1EH9U-2826-SM-7DUGT 60-69 years, male 1126.7
GTEX-1PIIG-2326-SM-DTXFR 30-39 years, male 1126.3
GTEX-14PKU-0126-SM-6LLHV 40-49 years, female 1126.0
GTEX-111VG-1626-SM-5EGIO 60-69 years, male 1125.1
GTEX-15DDE-2926-SM-6LLJ3 50-59 years, female 1121.7
GTEX-139D8-1126-SM-5LU8W 30-39 years, female 1114.8
GTEX-1I1GP-1326-SM-A9G28 50-59 years, male 1114.3
GTEX-1JJEA-1826-SM-ARU8P 60-69 years, male 1112.5
GTEX-133LE-2326-SM-5K7W3 20-29 years, female 1112.3
GTEX-13N11-2326-SM-5IJBF 50-59 years, female 1111.5
GTEX-13RTJ-0126-SM-5S2NN 60-69 years, male 1110.2
GTEX-1J1R8-2026-SM-CL53Y 40-49 years, male 1108.7
GTEX-1497J-0226-SM-5QGPU 60-69 years, male 1108.0
GTEX-14PJ6-2626-SM-6EU2T 60-69 years, female 1105.8
GTEX-16YQH-2226-SM-7IGM2 30-39 years, male 1104.7
GTEX-XQ3S-1426-SM-4BOPR 20-29 years, male 1101.7
GTEX-1F5PK-2226-SM-7SB6N 50-59 years, male 1100.8
GTEX-ZYVF-0926-SM-5E44J 50-59 years, female 1099.9
GTEX-17F9Y-0126-SM-79OKX 70-79 years, female 1099.6
GTEX-1C64O-1326-SM-7MGWR 60-69 years, male 1098.1
GTEX-145MH-2826-SM-5RQJF 50-59 years, male 1097.3
GTEX-1F48J-0726-SM-7RHGS 50-59 years, female 1097.0
GTEX-1RLM8-2926-SM-E8VON 50-59 years, male 1096.1
GTEX-14C38-0726-SM-5SI6M 50-59 years, male 1095.9
GTEX-11WQC-1826-SM-5GU59 60-69 years, male 1094.5
GTEX-13OVH-0526-SM-5L3E6 70-79 years, male 1094.1
GTEX-Y8LW-1526-SM-5IFHL 50-59 years, female 1093.9
GTEX-ZC5H-1526-SM-5HL9Y 40-49 years, female 1093.7
GTEX-14C5O-0326-SM-5ZZUX 60-69 years, male 1091.7
GTEX-12126-0826-SM-5FQTZ 20-29 years, male 1090.9
GTEX-11O72-0626-SM-5PNYE 40-49 years, male 1090.3
GTEX-15CHR-1126-SM-7EWF4 50-59 years, male 1090.0
GTEX-13FTW-0326-SM-5K7UW 40-49 years, male 1089.4
GTEX-13FTY-2126-SM-5IFFB 40-49 years, female 1087.9
GTEX-Y9LG-1126-SM-4VBQ7 30-39 years, male 1087.6
GTEX-WFG8-2126-SM-3GIKQ 20-29 years, male 1084.4
GTEX-14LZ3-0126-SM-69LPM 60-69 years, female 1081.2
GTEX-13QJC-0126-SM-5ZZWJ 60-69 years, female 1080.8
GTEX-1J8QM-2426-SM-A9SLS 60-69 years, female 1080.5
GTEX-1QAET-0326-SM-EVR3U 50-59 years, male 1080.5
GTEX-1KANA-1326-SM-DIPFA 20-29 years, male 1080.1
GTEX-13PVR-0426-SM-5RQK2 60-69 years, female 1079.6
GTEX-1IDJI-0126-SM-CMKHS 50-59 years, female 1079.5
GTEX-13OW5-2326-SM-5L3HO 60-69 years, male 1073.0
GTEX-11VI4-1126-SM-5EQMD 40-49 years, female 1071.3
GTEX-1JKYN-0826-SM-ARU8S 30-39 years, male 1070.5
GTEX-ZAJG-1526-SM-5CVML 50-59 years, female 1068.1
GTEX-ZXG5-2126-SM-59HKD 60-69 years, male 1067.8
GTEX-16NGA-0726-SM-731AO 40-49 years, female 1067.6
GTEX-1AX9I-2226-SM-73KUO 60-69 years, male 1065.9
GTEX-1HFI6-0126-SM-CNPPI 40-49 years, male 1065.6
GTEX-13U4I-2226-SM-5LU5H 40-49 years, female 1061.4
GTEX-1H23P-0626-SM-9WG6T 60-69 years, male 1060.7
GTEX-14ABY-2026-SM-62LDL 50-59 years, male 1060.6
GTEX-14BMU-1226-SM-5S2OR 20-29 years, female 1059.4
GTEX-1A3MV-1826-SM-731CD 30-39 years, male 1057.7
GTEX-1JJ6O-2726-SM-CNPOG 60-69 years, male 1057.5
GTEX-15EO6-2426-SM-6PALZ 50-59 years, male 1057.4
GTEX-ZAB4-2126-SM-5HL8U 40-49 years, male 1055.0
GTEX-ZVE1-0726-SM-51MRN 50-59 years, female 1050.5
GTEX-1QP29-1826-SM-DTX9S 50-59 years, male 1050.2
GTEX-1R46S-2426-SM-E76QA 60-69 years, female 1049.4
GTEX-1HR98-2226-SM-ADEI2 60-69 years, male 1046.8
GTEX-1JMOU-1026-SM-CYPSS 60-69 years, female 1040.8
GTEX-145LU-1926-SM-79OJN 50-59 years, male 1039.6
GTEX-1O9I2-0226-SM-EYYXD 50-59 years, male 1038.3
GTEX-1J1OQ-0126-SM-D4P2N 40-49 years, female 1038.0
GTEX-1GN1V-2826-SM-9JGIA 60-69 years, male 1037.4
GTEX-14753-0726-SM-5QGQO 60-69 years, male 1037.2
GTEX-13FH7-1126-SM-5K7UG 50-59 years, female 1036.8
GTEX-1PBJJ-1026-SM-E76OS 30-39 years, male 1035.3
GTEX-X8HC-0626-SM-4E3HQ 50-59 years, female 1034.6
GTEX-12ZZZ-0726-SM-5GCNZ 60-69 years, male 1034.1
GTEX-1JMQJ-0826-SM-CNPP7 50-59 years, male 1033.7
GTEX-12WSL-2026-SM-5GCML 50-59 years, male 1032.1
GTEX-1IDJD-2326-SM-ACKWX 30-39 years, male 1032.0
GTEX-13OVG-1626-SM-5J1NF 60-69 years, male 1030.3
GTEX-1F75B-0726-SM-7PC3R 50-59 years, male 1028.2
GTEX-12ZZX-2426-SM-5GCOE 40-49 years, female 1026.4
GTEX-1BAJH-2426-SM-7IGP8 70-79 years, male 1025.7
GTEX-1LSVX-2526-SM-DIPEU 60-69 years, male 1025.6
GTEX-139TU-0726-SM-5L3EK 60-69 years, male 1023.9
GTEX-1F75A-0726-SM-7RHHD 50-59 years, male 1023.5
GTEX-1I4MK-0126-SM-CY8G6 50-59 years, female 1023.3
GTEX-11EM3-1226-SM-5N9DD 20-29 years, female 1022.7
GTEX-1LVAM-0726-SM-E6CIL 50-59 years, female 1020.8
GTEX-ZVT2-0126-SM-5GIDQ 50-59 years, female 1019.0
GTEX-1HBPI-2126-SM-ARL9K 50-59 years, male 1017.6
GTEX-1KAFJ-0126-SM-DIPEK 50-59 years, male 1016.6
GTEX-1I6K6-1726-SM-CGQFD 30-39 years, male 1012.0
GTEX-117YX-1926-SM-5GIEC 50-59 years, male 1011.9
GTEX-14E6C-2426-SM-5S2NF 40-49 years, male 1009.7
GTEX-11NUK-2726-SM-5A5MC 50-59 years, male 1009.5
GTEX-1HB9E-0126-SM-CM2S5 50-59 years, male 1008.6
GTEX-UPJH-0226-SM-3GADV 50-59 years, male 1007.4
GTEX-132AR-0326-SM-5KM2C 50-59 years, female 1006.5
GTEX-1H1DF-1126-SM-9WG7G 40-49 years, female 1004.7
GTEX-ZGAY-1826-SM-DO91Q 40-49 years, female 1004.6
GTEX-ZYT6-2326-SM-5GZY3 30-39 years, male 1002.6
GTEX-1GZHY-0626-SM-9KNVC 50-59 years, female 1002.6
GTEX-12WSA-0426-SM-5EQ5X 60-69 years, male 999.1
GTEX-12ZZY-0726-SM-5EQ66 60-69 years, male 997.6
GTEX-1C475-1326-SM-7SB73 40-49 years, female 997.1
GTEX-ZWKS-0626-SM-5GIDV 30-39 years, male 995.6
GTEX-1EMGI-2326-SM-7PBYA 60-69 years, male 995.3
GTEX-1IDJF-2026-SM-CL53V 20-29 years, male 995.3
GTEX-16MT9-0126-SM-7EPI8 60-69 years, female 993.0
GTEX-1I19N-0126-SM-CYPSF 70-79 years, male 992.3
GTEX-16NPX-0726-SM-7KULC 50-59 years, male 992.1
GTEX-1GTWX-2026-SM-9YFLM 60-69 years, male 992.0
GTEX-1HCU9-0426-SM-9WYSD 20-29 years, male 990.8
GTEX-ZYFC-0426-SM-5GICQ 50-59 years, male 989.0
GTEX-145LT-0526-SM-5LUB2 40-49 years, male 987.3
GTEX-ZVTK-0226-SM-51MRG 20-29 years, male 984.8
GTEX-12WSD-0626-SM-5GCMW 60-69 years, female 983.9
GTEX-ZT9W-1126-SM-57WDR 50-59 years, male 983.0
GTEX-XPVG-2126-SM-4B667 50-59 years, male 981.1
GTEX-1S5ZU-2526-SM-E6CIF 20-29 years, female 980.9
GTEX-1F5PL-0926-SM-7PC2W 40-49 years, female 979.0
GTEX-1LG7Y-2526-SM-EWRO7 50-59 years, male 978.6
GTEX-1C6WA-2626-SM-7MKGM 60-69 years, male 976.3
GTEX-1PPGY-1626-SM-EVYBL 60-69 years, male 976.3
GTEX-1R9PN-0426-SM-DTXDT 40-49 years, female 974.9
GTEX-1IDJU-1726-SM-CMKHU 60-69 years, female 972.5
GTEX-WK11-2726-SM-3NMAQ 50-59 years, male 972.3
GTEX-ZAK1-0626-SM-5HL8E 50-59 years, female 971.8
GTEX-1GMR8-0626-SM-7RHI7 50-59 years, female 971.8
GTEX-1HCU6-2526-SM-ADEHL 60-69 years, female 971.7
GTEX-11ZUS-2626-SM-5FQUR 30-39 years, male 970.5
GTEX-13OVK-1426-SM-6PAN7 40-49 years, male 967.1
GTEX-16BQI-1326-SM-6M486 30-39 years, female 966.2
GTEX-1RB15-1326-SM-E76Q9 60-69 years, male 966.2
GTEX-145MG-1526-SM-5Q5EM 50-59 years, male 966.0
GTEX-1POEN-2326-SM-E9J2L 30-39 years, female 963.5
GTEX-WYBS-0626-SM-3NMAS 60-69 years, female 962.5
GTEX-1GZ2Q-0126-SM-9WG6M 40-49 years, male 961.9
GTEX-1J8Q3-0526-SM-ARL8U 60-69 years, male 960.5
GTEX-1E1VI-0326-SM-793D1 50-59 years, male 960.3
GTEX-11LCK-2226-SM-5HL4Q 30-39 years, male 959.8
GTEX-13G51-1826-SM-5KLZH 60-69 years, male 959.6
GTEX-1GF9V-0826-SM-9KNUV 60-69 years, male 955.5
GTEX-13OVJ-0826-SM-5J1OK 50-59 years, female 955.2
GTEX-ZYFD-0626-SM-5E44E 50-59 years, male 953.7
GTEX-1399R-1326-SM-5PNYS 30-39 years, male 953.3
GTEX-1GN73-0726-SM-7P8TJ 60-69 years, male 951.8
GTEX-14B4R-1326-SM-5Q5EZ 30-39 years, male 947.0
GTEX-WFON-1926-SM-3LK7L 40-49 years, male 945.8
GTEX-1AMFI-1326-SM-7939R 50-59 years, female 944.0
GTEX-XAJ8-1426-SM-47JYM 40-49 years, male 943.8
GTEX-1KXAM-1626-SM-D3LAD 60-69 years, male 941.7
GTEX-XV7Q-1826-SM-4BRUV 40-49 years, female 941.4
GTEX-1IDFM-0326-SM-ARL7V 60-69 years, male 940.7
GTEX-XMD2-2126-SM-4YCF8 60-69 years, female 940.4
GTEX-1KANC-1226-SM-CYPT7 50-59 years, female 939.8
GTEX-1JJE9-2626-SM-ARZMT 70-79 years, male 939.0
GTEX-12KS4-2126-SM-5FQUT 30-39 years, male 937.6
GTEX-1RAZA-2226-SM-E9U4X 20-29 years, male 935.5
GTEX-13X6I-1826-SM-5SIAO 60-69 years, male 934.7
GTEX-1R9K4-2826-SM-DTX8F 60-69 years, male 931.7
GTEX-1JMQL-2226-SM-CNPP4 50-59 years, female 931.1
GTEX-XK95-0226-SM-4AT58 40-49 years, male 931.0
GTEX-12584-0726-SM-5FQTK 40-49 years, male 928.9
GTEX-139UW-0326-SM-5J1ML 60-69 years, male 928.2
GTEX-16XZZ-0726-SM-7KUF2 60-69 years, male 926.2
GTEX-1MCC2-1826-SM-DIPEX 30-39 years, female 926.0
GTEX-1KANB-2826-SM-CY8I6 50-59 years, male 924.2
GTEX-1GPI6-1926-SM-9KNV7 60-69 years, male 921.7
GTEX-X4EP-0626-SM-3P621 60-69 years, female 920.8
GTEX-13NZ8-1226-SM-5KM4A 60-69 years, female 920.5
GTEX-18A6Q-0626-SM-7KFRP 60-69 years, male 920.2
GTEX-1A8G6-2726-SM-731AR 60-69 years, male 916.8
GTEX-1H3O1-1326-SM-9MQLD 60-69 years, male 915.4
GTEX-15FZZ-0526-SM-7KUGD 30-39 years, female 910.6
GTEX-13NYC-0126-SM-5L3F4 60-69 years, male 910.1
GTEX-1F6IF-0926-SM-7SB7M 60-69 years, male 909.6
GTEX-1HBPM-0726-SM-9YFL7 60-69 years, female 909.3
GTEX-1JN1M-2726-SM-CY8I4 60-69 years, female 908.5
GTEX-15D1Q-2826-SM-6LLH7 40-49 years, male 907.8
GTEX-YJ8O-2526-SM-5HL85 40-49 years, female 907.8
GTEX-1JMQI-1726-SM-ARL93 50-59 years, male 907.7
GTEX-1CB4H-1126-SM-7MKGL 60-69 years, female 902.9
GTEX-14LLW-2626-SM-62LDZ 70-79 years, female 899.9
GTEX-1GZ4I-2626-SM-9KNU3 50-59 years, male 898.9
GTEX-13O3Q-0126-SM-5KM34 50-59 years, male 898.2
GTEX-15CHQ-0326-SM-69LQD 60-69 years, male 897.9
GTEX-15DYW-2726-SM-6EU2I 60-69 years, female 895.7
GTEX-12696-0126-SM-5EQ4L 60-69 years, male 893.1
GTEX-1B996-0426-SM-7EWF8 60-69 years, male 888.8
GTEX-1IDJC-1526-SM-B2LW4 50-59 years, male 887.3
GTEX-1GF9W-1426-SM-7PBYM 60-69 years, male 887.1
GTEX-1EU9M-1426-SM-793AI 60-69 years, male 886.7
GTEX-13VXU-0626-SM-5L3F9 50-59 years, male 886.4
GTEX-139T8-0626-SM-5KLZX 60-69 years, male 886.2
GTEX-14PII-0726-SM-6EU2B 60-69 years, male 885.3
GTEX-WEY5-2326-SM-3GIKK 40-49 years, female 885.3
GTEX-11DXY-0126-SM-5H11Q 60-69 years, male 885.2
GTEX-18465-2826-SM-7LT9J 50-59 years, male 881.8
GTEX-XYKS-1426-SM-4BRUO 60-69 years, female 880.9
GTEX-1269C-0126-SM-5EQ5L 60-69 years, female 880.6
GTEX-1H1DG-2426-SM-9QEHJ 70-79 years, male 878.3
GTEX-16Z82-2626-SM-7KULU 60-69 years, male 875.1
GTEX-1GL5R-1326-SM-7RHHF 50-59 years, male 874.6
GTEX-1RAZR-2126-SM-E9U6T 40-49 years, male 874.3
GTEX-1LVAO-2726-SM-E9TJ8 60-69 years, male 871.9
GTEX-U8XE-0226-SM-4E3J3 30-39 years, male 871.6
GTEX-1IOXB-2726-SM-CM2RI 50-59 years, male 870.2
GTEX-14BIN-1126-SM-5RQJZ 50-59 years, female 869.0
GTEX-1GMR3-0126-SM-A9SLW 40-49 years, male 868.1
GTEX-1C2JI-1026-SM-73KY1 50-59 years, male 867.4
GTEX-X4EO-2926-SM-4E3JH 60-69 years, female 865.2
GTEX-17EVP-2626-SM-7IGMA 40-49 years, male 864.9
GTEX-18A7A-0126-SM-731AH 50-59 years, female 864.7
GTEX-1ICG6-1226-SM-A9SLN 70-79 years, female 864.4
GTEX-12WSM-1926-SM-5BC65 60-69 years, male 863.0
GTEX-1IKJJ-2226-SM-CJI4C 60-69 years, male 862.6
GTEX-1GF9X-1326-SM-7PC2Y 40-49 years, female 861.6
GTEX-ZU9S-1826-SM-5NQ9E 30-39 years, male 861.2
GTEX-178AV-1726-SM-7KUL8 40-49 years, male 860.9
GTEX-17HG3-2626-SM-7DUF2 30-39 years, female 859.3
GTEX-1IE54-1126-SM-A9G2Z 40-49 years, female 857.8
GTEX-13SLX-2226-SM-62LEP 50-59 years, female 855.8
GTEX-1314G-1326-SM-5BC6E 30-39 years, male 852.8
GTEX-1QCLZ-2426-SM-EVYBW 60-69 years, female 852.2
GTEX-1K9T9-1526-SM-DIPFR 50-59 years, female 845.7
GTEX-148VJ-0626-SM-5LUAW 70-79 years, male 844.4
GTEX-1KD5A-0126-SM-E9U54 50-59 years, male 844.1
GTEX-17MF6-2626-SM-79OKQ 40-49 years, male 843.9
GTEX-13PVQ-0626-SM-5LU47 50-59 years, male 842.6
GTEX-1LSNL-2726-SM-E9TKJ 50-59 years, male 841.6
GTEX-1A32A-0626-SM-731AQ 50-59 years, female 841.2
GTEX-1RAZS-2526-SM-E6CHT 50-59 years, male 839.3
GTEX-1I1GV-0626-SM-ARL7M 60-69 years, male 838.5
GTEX-1HCVE-2726-SM-CL54F 50-59 years, male 837.2
GTEX-ZE9C-2526-SM-5IJDR 60-69 years, male 836.5
GTEX-1B8SF-0126-SM-7DUG3 60-69 years, male 835.7
GTEX-14JG1-1526-SM-5YY9X 40-49 years, male 835.5
GTEX-1AMEY-0826-SM-72D65 30-39 years, female 832.2
GTEX-1CB4F-1026-SM-7DUH1 60-69 years, male 831.9
GTEX-13X6J-0626-SM-5LU5F 50-59 years, male 831.3
GTEX-XOT4-0626-SM-4B66L 60-69 years, female 830.2
GTEX-1B933-2426-SM-7DHMD 50-59 years, female 825.6
GTEX-1B8L1-2226-SM-7P8PT 60-69 years, male 824.0
GTEX-131YS-2826-SM-5EQ47 60-69 years, female 822.9
GTEX-ZTSS-1426-SM-5985P 40-49 years, male 821.0
GTEX-14BMV-2826-SM-5TDED 50-59 years, male 819.7
GTEX-11GS4-0226-SM-5HL77 60-69 years, male 819.3
GTEX-14A5H-0826-SM-5QGPJ 60-69 years, male 818.8
GTEX-183FY-1026-SM-7939A 20-29 years, male 817.1
GTEX-13112-0126-SM-5P9IU 50-59 years, male 816.6
GTEX-139TT-2126-SM-5LZWC 60-69 years, male 813.8
GTEX-1HSKV-1226-SM-ADEI4 60-69 years, male 812.9
GTEX-1L5NE-1126-SM-D3L9P 50-59 years, male 807.0
GTEX-1QMI2-2526-SM-E8VNZ 60-69 years, male 806.8
GTEX-1HR9M-2226-SM-CNPPY 60-69 years, male 806.6
GTEX-1ICLY-0826-SM-CMKG1 50-59 years, male 805.3
GTEX-1212Z-0126-SM-59HK4 60-69 years, male 803.3
GTEX-13JUV-2026-SM-5K7UA 40-49 years, female 801.5
GTEX-1H3NZ-2726-SM-9WYTQ 60-69 years, male 799.1
GTEX-1I1HK-2326-SM-CKZOH 60-69 years, male 798.4
GTEX-1C6VR-0126-SM-7RHGB 60-69 years, male 798.0
GTEX-13FLV-0126-SM-5K7WT 50-59 years, male 796.6
GTEX-ZVE2-2826-SM-5GU51 50-59 years, male 795.5
GTEX-13OW6-2726-SM-5J2OE 50-59 years, male 795.3
GTEX-1M4P7-0726-SM-E6CJ3 60-69 years, male 793.9
GTEX-ZDXO-3126-SM-5IJDF 60-69 years, male 793.8
GTEX-1IDJH-0126-SM-D3L92 70-79 years, male 793.6
GTEX-1IDJE-1426-SM-ADEIW 50-59 years, female 793.1
GTEX-1CB4I-0126-SM-7RHGG 50-59 years, male 791.9
GTEX-1B932-2326-SM-79OL5 40-49 years, female 790.1
GTEX-1QP66-1226-SM-DTX7U 50-59 years, male 789.6
GTEX-13OVL-0126-SM-5L3GJ 50-59 years, male 789.5
GTEX-WYJK-0526-SM-3NM8Z 50-59 years, male 787.9
GTEX-YF7O-1526-SM-5IFI6 50-59 years, male 784.5
GTEX-11UD2-2526-SM-5CVNU 50-59 years, male 783.4
GTEX-XBEC-0726-SM-4QARZ 50-59 years, male 779.1
GTEX-1H1CY-0126-SM-9YFLY 60-69 years, female 777.1
GTEX-145MF-0926-SM-5Q5EA 50-59 years, male 768.0
GTEX-17HHY-0426-SM-7DHLC 50-59 years, male 767.5
GTEX-1B8KZ-0326-SM-73KY4 50-59 years, male 766.8
GTEX-1LB8K-0726-SM-D5OV2 50-59 years, male 763.8
GTEX-1LG7Z-1626-SM-CXKYR 30-39 years, male 761.5
GTEX-13NZ9-2626-SM-5L3FK 50-59 years, male 758.9
GTEX-1J8Q2-2626-SM-ACKWQ 60-69 years, male 757.3
GTEX-14A6H-2026-SM-5Q5DD 30-39 years, male 755.0
GTEX-18A7B-2726-SM-7LG56 70-79 years, male 750.7
GTEX-1477Z-0326-SM-7IGLA 60-69 years, male 748.9
GTEX-11EQ8-0926-SM-5H12V 60-69 years, male 747.7
GTEX-12WSC-2826-SM-5BC5Y 50-59 years, male 747.6
GTEX-13SLW-0626-SM-5Q5ER 70-79 years, male 745.7
GTEX-1N5O9-0926-SM-E9J3C 60-69 years, male 744.1
GTEX-1EWIQ-0326-SM-7DHMQ 70-79 years, female 742.9
GTEX-1N2EE-0626-SM-E76PW 60-69 years, male 740.5
GTEX-13N2G-0226-SM-5K7VF 60-69 years, male 740.3
GTEX-1H4P4-2126-SM-9WYSL 50-59 years, male 739.5
GTEX-1A8FM-0626-SM-7PC25 50-59 years, female 737.3
GTEX-1JMPZ-0726-SM-CY8HZ 30-39 years, male 736.3
GTEX-WRHU-2826-SM-3MJG8 50-59 years, female 731.1
GTEX-1GN1U-0626-SM-9MQL9 50-59 years, female 730.3
GTEX-1EN7A-2426-SM-793DB 40-49 years, male 729.8
GTEX-ZVT4-2426-SM-5GIEI 50-59 years, female 729.6
GTEX-15SKB-2826-SM-6PAMH 60-69 years, male 729.5
GTEX-11EI6-2826-SM-5H11D 60-69 years, male 728.3
GTEX-1OJC4-2726-SM-E76PJ 50-59 years, female 726.5
GTEX-147JS-0226-SM-5S2U9 60-69 years, male 726.1
GTEX-13O3O-2326-SM-5IJD6 60-69 years, female 722.8
GTEX-1F88E-1626-SM-7SB8Z 60-69 years, female 722.7
GTEX-WYVS-1626-SM-3NM9R 40-49 years, female 721.0
GTEX-11DXW-0826-SM-5H118 40-49 years, male 715.0
GTEX-1EKGG-0626-SM-7DUGJ 60-69 years, male 712.3
GTEX-1GN2E-0226-SM-9WG6K 60-69 years, male 711.1
GTEX-17EVQ-0126-SM-7IGLR 70-79 years, male 706.9
GTEX-145MO-2826-SM-5LU96 60-69 years, male 705.5
GTEX-VUSG-2326-SM-4KL1U 50-59 years, male 704.4
GTEX-1S83E-1326-SM-E6CJM 40-49 years, male 704.2
GTEX-1F88F-0126-SM-9WYSZ 60-69 years, female 702.5
GTEX-13OW7-0426-SM-5K7VK 50-59 years, male 698.7
GTEX-15CHC-1126-SM-6LLHQ 60-69 years, female 697.6
GTEX-144GL-0626-SM-5LU4D 50-59 years, male 693.2
GTEX-Y5V5-0126-SM-5S2NW 60-69 years, female 691.1
GTEX-14JFF-0626-SM-5ZZVT 60-69 years, male 689.2
GTEX-1A3MX-2626-SM-7PC24 60-69 years, male 689.2
GTEX-131XW-0626-SM-5PNVD 50-59 years, female 687.0
GTEX-1IL2V-1926-SM-B2LW8 70-79 years, male 679.6
GTEX-11TUW-0626-SM-5LU9M 60-69 years, male 678.9
GTEX-1F75W-2726-SM-7SB8H 60-69 years, male 673.9
GTEX-1GF9U-2026-SM-7SB92 40-49 years, female 667.8
GTEX-ZUA1-2626-SM-5NQ92 40-49 years, male 663.6
GTEX-111FC-2526-SM-5GZXU 60-69 years, male 663.4
GTEX-13OW8-1026-SM-5J1NQ 60-69 years, male 661.3
GTEX-1JN6P-2926-SM-CL54D 60-69 years, male 661.0
GTEX-1AX9J-1326-SM-731BJ 60-69 years, male 659.1
GTEX-UPK5-0426-SM-3GAEK 40-49 years, male 647.4
GTEX-145LS-0626-SM-7EPG7 60-69 years, female 646.7
GTEX-13N1W-2426-SM-5IJD1 70-79 years, male 637.2
GTEX-1J8JJ-0626-SM-ARZMQ 60-69 years, female 636.8
GTEX-1HUB1-1426-SM-CGQF5 60-69 years, male 626.7
GTEX-1A8G7-1326-SM-73KVM 60-69 years, male 625.9
GTEX-1I1CD-0626-SM-CE6SW 60-69 years, female 615.0
GTEX-1CAV2-0126-SM-7IGN7 40-49 years, female 614.0
GTEX-14PJ2-0626-SM-6LLII 50-59 years, male 613.2
GTEX-11GSP-2326-SM-5HL63 60-69 years, female 609.0
GTEX-1IDJV-0126-SM-COH3Y 60-69 years, male 607.5
GTEX-1KWVE-1026-SM-D3L9O 30-39 years, male 607.3
GTEX-1QEPI-2626-SM-DTXF4 60-69 years, female 594.9
GTEX-14DAQ-0626-SM-793DS 60-69 years, female 593.1
GTEX-16GPK-0626-SM-7KFSF 60-69 years, male 581.3
GTEX-VJYA-1526-SM-3GIJV 60-69 years, male 579.9
GTEX-17JCI-2926-SM-7DUFF 60-69 years, female 576.1
GTEX-1HCU8-2526-SM-CE6RX 60-69 years, female 568.3
GTEX-145MI-0626-SM-5SI8S 60-69 years, female 529.3
GTEX-V1D1-2026-SM-3GAF4 50-59 years, male 512.3
Show allShow less
Skin - Sun Exposed (Lower leg)
Average nTPM: 1049.6
Samples: 701

Max nTPM: 2306.8
Min nTPM: 470.6
Std nTPM: 312.0
Median nTPM: 992.9
GTEX-1399U-2326-SM-5K7WY 50-59 years, female 2306.8
GTEX-15UF6-0826-SM-6PALJ 70-79 years, female 2256.7
GTEX-P4PP-0126-SM-3LK69 30-39 years, female 2226.8
GTEX-PX3G-0126-SM-2I3EN 20-29 years, female 2217.1
GTEX-OIZH-0126-SM-2HMIS 50-59 years, male 2209.9
GTEX-1QP9N-1426-SM-DTXFL 30-39 years, male 2126.0
GTEX-POMQ-2226-SM-2I5FK 20-29 years, female 2119.6
GTEX-W5X1-3026-SM-EAZAX 40-49 years, female 2087.1
GTEX-P4QT-0126-SM-2I3FL 50-59 years, female 2053.0
GTEX-1CAMS-0426-SM-7P8T2 40-49 years, female 1996.2
GTEX-ZYFG-2326-SM-5E44B 60-69 years, female 1996.1
GTEX-15SB6-1726-SM-6PAME 50-59 years, female 1975.2
GTEX-Q2AI-1326-SM-2S1PL 40-49 years, male 1972.7
GTEX-18D9A-1926-SM-7LG6P 30-39 years, female 1953.7
GTEX-WI4N-1026-SM-3LK7N 40-49 years, female 1933.4
GTEX-13FTW-2626-SM-5K7WL 40-49 years, male 1902.3
GTEX-O5YW-0126-SM-3LK6D 50-59 years, male 1887.8
GTEX-1NV5F-0226-SM-E8VNY 60-69 years, female 1863.4
GTEX-1PPH8-0226-SM-E8VND 20-29 years, male 1851.7
GTEX-UJHI-1526-SM-3DB99 50-59 years, female 1836.9
GTEX-XUZC-1726-SM-4BRWS 30-39 years, female 1835.3
GTEX-15ETS-0126-SM-7KUMW 40-49 years, female 1815.0
GTEX-Y3IK-2426-SM-4WWDU 50-59 years, female 1814.8
GTEX-O5YT-0126-SM-48TBW 20-29 years, male 1790.3
GTEX-Y114-2426-SM-4TT8A 50-59 years, female 1769.4
GTEX-NFK9-0226-SM-2HMKQ 40-49 years, male 1745.8
GTEX-OHPL-0126-SM-2HMJ7 60-69 years, female 1719.2
GTEX-SE5C-1626-SM-2XCE3 40-49 years, female 1692.3
GTEX-13YAN-0326-SM-5O9DF 60-69 years, male 1692.0
GTEX-1211K-2026-SM-5EQ4Z 60-69 years, female 1667.4
GTEX-12WSJ-1826-SM-5GCNY 40-49 years, female 1659.0
GTEX-1ICLZ-0126-SM-CKZPO 60-69 years, male 1654.6
GTEX-ZVTK-0426-SM-51MRS 20-29 years, male 1650.7
GTEX-Y5V6-2426-SM-4VDSB 60-69 years, male 1648.2
GTEX-ZF3C-0126-SM-DO92D 50-59 years, female 1645.9
GTEX-15EOM-0126-SM-7KUGG 20-29 years, female 1634.0
GTEX-13CF2-2526-SM-5LZYX 60-69 years, male 1627.5
GTEX-1MA7W-2026-SM-E9TJ6 20-29 years, female 1620.3
GTEX-TKQ1-1026-SM-4GICL 30-39 years, male 1617.8
GTEX-1HSMO-0126-SM-CL547 60-69 years, male 1591.6
GTEX-TMZS-0126-SM-3DB9Q 60-69 years, male 1590.8
GTEX-13X6H-2126-SM-7EWD5 50-59 years, female 1590.5
GTEX-1KANC-1526-SM-D3LAB 50-59 years, female 1588.6
GTEX-X88G-0126-SM-47JZ3 30-39 years, male 1588.1
GTEX-ZVZO-0126-SM-5A5L9 40-49 years, male 1581.7
GTEX-11UD1-0126-SM-5PNYG 40-49 years, female 1578.7
GTEX-11DXZ-2326-SM-5EGGV 50-59 years, male 1578.3
GTEX-14753-0426-SM-5NQAM 60-69 years, male 1576.6
GTEX-144FL-0126-SM-5TDC8 50-59 years, male 1569.7
GTEX-13OVI-1426-SM-5L3EY 60-69 years, female 1568.8
GTEX-ZTX8-1426-SM-5DUVO 20-29 years, male 1559.9
GTEX-ZVT2-2526-SM-51MT1 50-59 years, female 1558.8
GTEX-12WSK-2326-SM-5GCOH 40-49 years, female 1551.4
GTEX-1JMPZ-0226-SM-CNPP1 30-39 years, male 1545.0
GTEX-1I4MK-2226-SM-ACKWD 50-59 years, female 1544.6
GTEX-1PDJ9-0326-SM-DTX95 20-29 years, male 1544.1
GTEX-ZV68-0126-SM-59HKS 50-59 years, female 1536.9
GTEX-14XAO-2326-SM-6EU1B 60-69 years, female 1535.9
GTEX-WXYG-2326-SM-4E3I6 50-59 years, female 1531.6
GTEX-1LVAN-0226-SM-COH3S 50-59 years, female 1519.1
GTEX-NPJ8-0126-SM-2YUNR 40-49 years, male 1516.9
GTEX-S33H-1026-SM-EZ6L6 30-39 years, male 1514.8
GTEX-1LGOU-2026-SM-DIPFF 20-29 years, female 1509.9
GTEX-1S5ZA-0126-SM-EVYCV 20-29 years, male 1508.6
GTEX-QV44-1926-SM-2S1RF 50-59 years, male 1504.6
GTEX-1PFEY-1526-SM-E76PP 30-39 years, male 1502.6
GTEX-1PWST-0226-SM-E76QJ 70-79 years, male 1502.6
GTEX-11TT1-2526-SM-5EGIB 20-29 years, male 1498.0
GTEX-145MN-2226-SM-5SIAU 30-39 years, male 1496.7
GTEX-13NYS-0126-SM-5MR3W 60-69 years, male 1495.1
GTEX-PWCY-1826-SM-DHXIZ 20-29 years, female 1495.0
GTEX-1K2DA-1826-SM-CGQGT 50-59 years, male 1493.7
GTEX-1B97I-1626-SM-73KYO 40-49 years, male 1490.1
GTEX-WH7G-2326-SM-3NMBC 40-49 years, male 1463.6
GTEX-1HSGN-0226-SM-CGQFV 40-49 years, female 1454.0
GTEX-YB5E-2026-SM-5IFIS 40-49 years, male 1451.3
GTEX-15RIG-0226-SM-7KFTL 40-49 years, male 1441.2
GTEX-13NZ8-0826-SM-5MR3I 60-69 years, female 1440.1
GTEX-11DYG-0126-SM-59883 60-69 years, male 1438.5
GTEX-1EMGI-0126-SM-9KNUE 60-69 years, male 1428.2
GTEX-15F5U-1526-SM-6PANO 40-49 years, male 1427.0
GTEX-1MGNQ-0126-SM-EVYCJ 40-49 years, male 1425.0
GTEX-T2YK-0526-SM-32QPJ 50-59 years, male 1422.5
GTEX-1OJC3-0126-SM-E76QX 20-29 years, male 1420.6
GTEX-T6MN-0126-SM-32PLP 50-59 years, male 1420.0
GTEX-R45C-0126-SM-EAZ2R 60-69 years, female 1418.9
GTEX-13111-1626-SM-5EGJY 50-59 years, male 1415.7
GTEX-1R7EU-0226-SM-EVR4G 60-69 years, male 1414.8
GTEX-1497J-2426-SM-7IGNX 60-69 years, male 1408.4
GTEX-1B8KE-2126-SM-73KYX 50-59 years, male 1404.9
GTEX-14PHX-2326-SM-62LEM 50-59 years, male 1403.7
GTEX-1CAV2-2226-SM-7P8P2 40-49 years, female 1399.8
GTEX-1HBPM-0226-SM-ARL9F 60-69 years, female 1398.7
GTEX-YB5K-2126-SM-4WWDJ 40-49 years, female 1391.5
GTEX-183WM-0126-SM-7LTAB 70-79 years, female 1389.5
GTEX-XBEW-0626-SM-4QASP 40-49 years, male 1387.9
GTEX-13O3P-0126-SM-5KM4S 50-59 years, male 1387.7
GTEX-PLZ6-1426-SM-DKPOT 30-39 years, male 1382.3
GTEX-13FXS-0226-SM-5IJCK 50-59 years, male 1378.9
GTEX-1A3MW-0126-SM-73KXX 60-69 years, female 1378.1
GTEX-1122O-2126-SM-5EGIR 60-69 years, female 1377.8
GTEX-14E6C-0126-SM-5RQIP 40-49 years, male 1370.1
GTEX-1F5PL-0326-SM-7P8PQ 40-49 years, female 1367.9
GTEX-1HGF4-2426-SM-ACKXM 60-69 years, male 1365.1
GTEX-X4XX-0126-SM-3NMC2 60-69 years, male 1358.6
GTEX-Z93T-0126-SM-5HL5N 50-59 years, male 1357.2
GTEX-WRHK-1426-SM-3MJF9 20-29 years, female 1354.5
GTEX-1M5QR-1226-SM-EWROB 40-49 years, male 1350.3
GTEX-11WQK-0526-SM-5EQLD 50-59 years, male 1346.5
GTEX-1GF9W-0326-SM-9KNUN 60-69 years, male 1345.2
GTEX-WFON-2126-SM-3LK7O 40-49 years, male 1341.1
GTEX-1JMPY-1326-SM-ARL8Y 30-39 years, male 1335.2
GTEX-X4EP-0126-SM-3P5YV 60-69 years, female 1328.7
GTEX-1HCUA-2426-SM-ADEIS 50-59 years, female 1322.9
GTEX-ZDYS-2026-SM-5HL5L 50-59 years, male 1322.0
GTEX-1PIIG-0226-SM-EWRN6 30-39 years, male 1320.1
GTEX-1I6K6-0126-SM-A9SLE 30-39 years, male 1318.5
GTEX-XYKS-2126-SM-4E3IB 60-69 years, female 1316.6
GTEX-11H98-0126-SM-5EGHG 50-59 years, male 1315.8
GTEX-15SHU-0126-SM-7KUEH 40-49 years, female 1315.2
GTEX-1HFI6-0226-SM-ADEHZ 40-49 years, male 1314.4
GTEX-11P82-1626-SM-59879 20-29 years, male 1303.5
GTEX-QESD-1426-SM-2S1R9 20-29 years, male 1303.3
GTEX-11EM3-2426-SM-59861 20-29 years, female 1298.9
GTEX-1L5NE-2526-SM-E6CIE 50-59 years, male 1297.7
GTEX-1AX8Z-0126-SM-7DHM6 60-69 years, male 1294.7
GTEX-14ICK-0226-SM-6EU25 40-49 years, male 1291.7
GTEX-1H3VE-0326-SM-9YFLH 40-49 years, male 1291.5
GTEX-139UW-2826-SM-5L3E7 60-69 years, male 1290.0
GTEX-RM2N-1426-SM-2TF4H 50-59 years, male 1285.5
GTEX-1OFPY-2426-SM-DTXEJ 60-69 years, male 1284.4
GTEX-1MUQO-0126-SM-EAZ58 60-69 years, male 1281.5
GTEX-1CB4E-2226-SM-793DC 60-69 years, male 1274.9
GTEX-1JMQL-0226-SM-CNPP5 50-59 years, female 1273.1
GTEX-1JMLX-0226-SM-CM2RO 50-59 years, male 1272.7
GTEX-14PN4-0126-SM-6EU2V 50-59 years, male 1272.6
GTEX-18D9U-0226-SM-718BP 40-49 years, male 1272.2
GTEX-ZGAY-0526-SM-4WWBB 40-49 years, female 1269.7
GTEX-1GZ4H-1726-SM-7PBZJ 50-59 years, female 1268.9
GTEX-ZY6K-1826-SM-5GZXK 50-59 years, male 1268.3
GTEX-11P81-2326-SM-59875 30-39 years, female 1267.8
GTEX-Y5LM-1926-SM-5RQJH 40-49 years, female 1266.4
GTEX-13PVR-2326-SM-5QGR1 60-69 years, female 1262.4
GTEX-1H2FU-0126-SM-9WYSI 60-69 years, female 1261.1
GTEX-12126-0326-SM-5PNW3 20-29 years, male 1260.8
GTEX-P4PQ-0126-SM-2S1NM 60-69 years, male 1258.4
GTEX-1K2DU-2326-SM-E9TIV 20-29 years, male 1256.0
GTEX-Y8E4-0626-SM-4WWDL 40-49 years, male 1251.6
GTEX-RTLS-0126-SM-447CA 60-69 years, female 1251.2
GTEX-1QAET-0926-SM-E76QM 50-59 years, male 1248.5
GTEX-17F98-0626-SM-79OMX 40-49 years, female 1248.1
GTEX-13NYB-2526-SM-5K7Z6 40-49 years, male 1247.9
GTEX-XQ8I-0426-SM-4BOPO 50-59 years, male 1246.0
GTEX-QLQW-1126-SM-2S1Q8 30-39 years, male 1245.9
GTEX-ZTPG-0326-SM-5O9AX 20-29 years, female 1241.8
GTEX-ZAJG-0126-SM-5HL94 50-59 years, female 1232.2
GTEX-SUCS-1926-SM-32PM3 70-79 years, male 1231.9
GTEX-SNMC-1226-SM-2XCFP 20-29 years, male 1227.3
GTEX-S7PM-0126-SM-4AD6S 60-69 years, male 1226.5
GTEX-XUW1-0426-SM-4BOOT 50-59 years, female 1224.4
GTEX-13D11-2426-SM-5KM1V 50-59 years, female 1220.1
GTEX-1JKYR-0126-SM-CNPOJ 20-29 years, male 1215.4
GTEX-1192X-0226-SM-5H12D 50-59 years, male 1215.2
GTEX-OOBJ-0126-SM-E6CJW 60-69 years, male 1214.2
GTEX-1I1GV-0526-SM-A9G29 60-69 years, male 1213.5
GTEX-QDVJ-1726-SM-2I5FX 50-59 years, male 1213.4
GTEX-1HCU9-1526-SM-A9SL7 20-29 years, male 1213.2
GTEX-1R9PM-2026-SM-E76OY 20-29 years, male 1212.0
GTEX-18QFQ-0126-SM-731BE 30-39 years, male 1207.8
GTEX-ZXES-1826-SM-5E43S 30-39 years, female 1207.8
GTEX-OHPM-0126-SM-2YUN9 50-59 years, male 1207.5
GTEX-U412-0426-SM-3DB9O 60-69 years, male 1205.0
GTEX-131XF-5016-SM-7MGWE 60-69 years, male 1203.0
GTEX-1N2DW-0226-SM-E9TK2 50-59 years, male 1202.2
GTEX-11P7K-2126-SM-5GU7G 30-39 years, male 1200.3
GTEX-QLQ7-1626-SM-2S1R8 60-69 years, male 1198.3
GTEX-PSDG-0226-SM-DKPOZ 50-59 years, male 1198.2
GTEX-R55G-2526-SM-2TC6D 40-49 years, female 1197.6
GTEX-ZE7O-0126-SM-57WC1 50-59 years, female 1196.5
GTEX-PLZ5-2026-SM-2S1O4 50-59 years, male 1195.6
GTEX-1LC47-0326-SM-E9TJP 60-69 years, male 1195.1
GTEX-1HSEH-0126-SM-ACKXN 60-69 years, male 1194.6
GTEX-1LSNM-1926-SM-E6CII 50-59 years, male 1194.0
GTEX-U8T8-0126-SM-3DB94 60-69 years, male 1193.8
GTEX-OXRN-0126-SM-48TDM 50-59 years, male 1191.2
GTEX-Y111-0126-SM-4SOIV 50-59 years, male 1191.1
GTEX-146FQ-0126-SM-5NQA9 30-39 years, male 1190.4
GTEX-WYJK-0126-SM-3NMAB 50-59 years, male 1189.9
GTEX-17EUY-0426-SM-793BD 20-29 years, male 1187.6
GTEX-ZVZP-2426-SM-59HKJ 50-59 years, male 1185.2
GTEX-11XUK-2026-SM-5EQLF 40-49 years, female 1185.0
GTEX-W5WG-1826-SM-4KL2Y 50-59 years, female 1182.9
GTEX-QVJO-1626-SM-2S1QW 60-69 years, female 1179.4
GTEX-ZV6S-2326-SM-4YCEY 40-49 years, female 1176.0
GTEX-1LBAC-0126-SM-DIPEZ 20-29 years, male 1175.6
GTEX-1C4CL-0526-SM-73KVK 30-39 years, male 1172.0
GTEX-1JMQK-0226-SM-CL543 60-69 years, male 1171.0
GTEX-S95S-1226-SM-4GICG 60-69 years, male 1170.9
GTEX-1IKK5-0626-SM-ARL8A 60-69 years, male 1167.8
GTEX-183FY-0126-SM-7LT9P 20-29 years, male 1163.7
GTEX-X8HC-0126-SM-4E3JW 50-59 years, female 1162.5
GTEX-X261-0126-SM-3NMD6 50-59 years, male 1159.5
GTEX-11EQ9-2426-SM-5HL5T 30-39 years, male 1159.3
GTEX-14E6E-1826-SM-5S2R7 30-39 years, male 1159.0
GTEX-ZAB4-0226-SM-5N9F5 40-49 years, male 1157.9
GTEX-1GMR8-0126-SM-9WYTM 50-59 years, female 1155.0
GTEX-14BMU-2226-SM-5TDE9 20-29 years, female 1154.2
GTEX-1F6RS-0126-SM-9MQKZ 60-69 years, female 1153.5
GTEX-1LGRB-2526-SM-CNPPQ 50-59 years, female 1146.5
GTEX-XAJ8-0826-SM-47JY6 40-49 years, male 1144.0
GTEX-14JG6-2226-SM-6EU2G 30-39 years, female 1143.7
GTEX-SIU8-0126-SM-2XCDT 50-59 years, male 1143.4
GTEX-15EU6-0426-SM-6PAN5 50-59 years, male 1142.9
GTEX-1LG7Z-1726-SM-D3LA4 30-39 years, male 1141.6
GTEX-14PII-0226-SM-6EU1T 60-69 years, male 1140.7
GTEX-1MJK2-0426-SM-DTXE5 50-59 years, male 1140.0
GTEX-13O21-1426-SM-5K7XI 50-59 years, male 1137.8
GTEX-1C475-1826-SM-73KWA 40-49 years, female 1135.8
GTEX-PWO3-1526-SM-48TCM 60-69 years, female 1132.9
GTEX-11DZ1-0126-SM-5985Q 50-59 years, male 1132.7
GTEX-Y3I4-2126-SM-4TT7C 50-59 years, male 1132.0
GTEX-13RTK-1426-SM-5QGQJ 20-29 years, male 1128.8
GTEX-WFG8-2226-SM-3GIL9 20-29 years, male 1127.1
GTEX-RVPV-0126-SM-EAZAW 60-69 years, male 1127.0
GTEX-144GN-2326-SM-5LU4F 50-59 years, male 1126.3
GTEX-16MT8-0426-SM-7KUEY 60-69 years, female 1124.3
GTEX-YFC4-0126-SM-5CVLY 40-49 years, female 1122.2
GTEX-SN8G-0126-SM-32PLI 50-59 years, female 1118.2
GTEX-1IDJH-0326-SM-A9SLQ 70-79 years, male 1116.6
GTEX-X5EB-2226-SM-46MW4 40-49 years, male 1115.4
GTEX-13OVK-2026-SM-7KUEO 40-49 years, male 1114.7
GTEX-139TS-2826-SM-5J1OO 60-69 years, male 1113.4
GTEX-QEG4-0226-SM-2S1PY 30-39 years, male 1112.1
GTEX-139T8-0126-SM-5K7XZ 60-69 years, male 1110.9
GTEX-117XS-2726-SM-5N9BL 60-69 years, male 1109.0
GTEX-TML8-1926-SM-32QOS 40-49 years, female 1107.4
GTEX-ZWKS-0126-SM-5SIAA 30-39 years, male 1105.4
GTEX-RUSQ-1526-SM-2TF62 50-59 years, male 1105.3
GTEX-1399R-2726-SM-5IJBA 30-39 years, male 1104.0
GTEX-13OVJ-0126-SM-5KM36 50-59 years, female 1103.4
GTEX-1IDJF-0126-SM-CM2RS 20-29 years, male 1096.3
GTEX-12WSA-0226-SM-5BC5V 60-69 years, male 1095.9
GTEX-1313W-0126-SM-5LZUN 50-59 years, female 1094.3
GTEX-17EVQ-0226-SM-7LG4P 70-79 years, male 1094.1
GTEX-1S82Y-2026-SM-EVYCM 40-49 years, male 1091.8
GTEX-13113-5016-SM-7EPIP 60-69 years, female 1090.1
GTEX-1A3MX-0126-SM-731BR 60-69 years, male 1089.9
GTEX-1EWIQ-0126-SM-7RHH2 70-79 years, female 1088.4
GTEX-1J1R8-1726-SM-ARL8M 40-49 years, male 1088.3
GTEX-1R46S-0626-SM-E9J41 60-69 years, female 1085.3
GTEX-T8EM-1026-SM-3DB7M 40-49 years, male 1084.9
GTEX-ZZPT-0226-SM-5E43X 50-59 years, male 1083.2
GTEX-1AX9J-0226-SM-73KXM 60-69 years, male 1082.7
GTEX-1KD4Q-0226-SM-E9TJ9 40-49 years, male 1082.7
GTEX-13FHP-0126-SM-5IJBG 50-59 years, male 1082.6
GTEX-139D8-0226-SM-5KLZO 30-39 years, female 1081.7
GTEX-OXRK-0226-SM-3NB2G 50-59 years, female 1080.9
GTEX-132NY-0326-SM-5IJBL 60-69 years, male 1076.3
GTEX-13JUV-2726-SM-5LZZ8 40-49 years, female 1073.4
GTEX-12WSE-0526-SM-793B2 20-29 years, male 1072.6
GTEX-11OC5-0126-SM-5HL6A 60-69 years, male 1070.1
GTEX-U3ZH-2026-SM-3DB78 30-39 years, male 1069.7
GTEX-ZE9C-2726-SM-57WB5 60-69 years, male 1069.4
GTEX-145MO-0326-SM-5Q5B3 60-69 years, male 1068.6
GTEX-1F48J-0126-SM-7P8TT 50-59 years, female 1068.6
GTEX-1HB9E-0226-SM-E9U4R 50-59 years, male 1068.0
GTEX-1RB15-2126-SM-E9TIM 60-69 years, male 1067.6
GTEX-ZZ64-1726-SM-5GZYB 20-29 years, male 1066.8
GTEX-1JN1M-0326-SM-CYPT3 60-69 years, female 1066.6
GTEX-1J8QM-2126-SM-CYPSJ 60-69 years, female 1066.1
GTEX-WY7C-2326-SM-3NB2U 50-59 years, male 1065.7
GTEX-ZDTS-0126-SM-4WAY5 60-69 years, male 1064.8
GTEX-ZF29-2326-SM-DO92K 60-69 years, female 1064.2
GTEX-13NZB-2526-SM-5J1OM 30-39 years, male 1062.9
GTEX-1F75B-0126-SM-9KNVL 50-59 years, male 1062.3
GTEX-17HHY-0126-SM-7LG5D 50-59 years, male 1061.2
GTEX-14PK6-1926-SM-6ETZU 70-79 years, female 1060.9
GTEX-1GZHY-0326-SM-9QEHI 50-59 years, female 1058.3
GTEX-1KAFJ-2026-SM-CY8ID 50-59 years, male 1056.0
GTEX-SSA3-0126-SM-32QPU 60-69 years, male 1055.7
GTEX-13SLW-0126-SM-5SI6C 70-79 years, male 1055.6
GTEX-18A6Q-0126-SM-731BZ 60-69 years, male 1052.6
GTEX-11DXX-2426-SM-5GZZW 60-69 years, female 1052.1
GTEX-14JG1-0426-SM-6ETZZ 40-49 years, male 1052.1
GTEX-1H1ZS-0426-SM-9WG6G 70-79 years, male 1052.1
GTEX-T6MO-1626-SM-32QOM 40-49 years, female 1049.9
GTEX-16XZZ-0126-SM-793DV 60-69 years, male 1048.0
GTEX-U3ZM-1526-SM-3DB9D 40-49 years, male 1046.7
GTEX-Y8DK-0126-SM-4TT3L 60-69 years, male 1046.1
GTEX-145MF-0626-SM-5LUAI 50-59 years, male 1045.3
GTEX-17MF6-0126-SM-7LG4F 40-49 years, male 1042.5
GTEX-1GPI7-0126-SM-9MQL8 20-29 years, male 1039.9
GTEX-13VXT-0126-SM-5LU4I 20-29 years, female 1039.7
GTEX-1H1E6-1726-SM-ACKVK 30-39 years, male 1036.7
GTEX-12WSD-0126-SM-59HKN 60-69 years, female 1036.1
GTEX-ZPIC-1726-SM-DHXIU 40-49 years, female 1034.2
GTEX-1F6IF-0726-SM-7P8TW 60-69 years, male 1034.0
GTEX-12ZZZ-0626-SM-5DUXI 60-69 years, male 1033.7
GTEX-1GF9X-2026-SM-7PC3A 40-49 years, female 1033.1
GTEX-13FHO-0226-SM-5IFGY 60-69 years, male 1032.3
GTEX-XBED-2226-SM-47JYQ 60-69 years, male 1030.8
GTEX-145ME-1826-SM-5SI9G 40-49 years, female 1030.5
GTEX-13PDP-0126-SM-5L3HD 60-69 years, male 1030.4
GTEX-1QMI2-0226-SM-EVYBX 60-69 years, male 1028.1
GTEX-ZDTT-2726-SM-4WKF8 60-69 years, male 1027.1
GTEX-1QP66-1726-SM-E8VO1 50-59 years, male 1027.0
GTEX-ZU9S-0226-SM-5E441 30-39 years, male 1025.6
GTEX-12ZZX-0126-SM-5EGK9 40-49 years, female 1025.5
GTEX-12C56-1726-SM-5EQ61 20-29 years, male 1024.2
GTEX-1B8L1-2526-SM-9WYTF 60-69 years, male 1023.5
GTEX-Y5V5-2326-SM-4V6GA 60-69 years, female 1022.8
GTEX-1GF9U-2126-SM-7SB7L 40-49 years, female 1020.4
GTEX-1GL5R-1826-SM-9KNUY 50-59 years, male 1020.3
GTEX-13W3W-2426-SM-5LU5B 60-69 years, female 1020.2
GTEX-111FC-0126-SM-5N9DL 60-69 years, male 1018.1
GTEX-X4XY-0226-SM-4E3IZ 60-69 years, male 1017.8
GTEX-14PJ3-1826-SM-62LEX 50-59 years, male 1017.7
GTEX-1QCLY-0326-SM-E8VOG 30-39 years, male 1017.2
GTEX-1N2DV-0226-SM-E6CJ6 40-49 years, male 1016.8
GTEX-1H1CY-2826-SM-9MQM3 60-69 years, female 1015.3
GTEX-1269C-2526-SM-5EGJ3 60-69 years, female 1014.7
GTEX-1AYD5-2426-SM-73KXR 50-59 years, male 1013.3
GTEX-WQUQ-0426-SM-3MJFU 60-69 years, male 1010.7
GTEX-RU72-0926-SM-2TF6B 50-59 years, female 1010.1
GTEX-1HFI7-1826-SM-ACKXH 50-59 years, female 1009.7
GTEX-PLZ4-0126-SM-5SI8O 50-59 years, female 1009.4
GTEX-YEC4-2126-SM-5IFJH 40-49 years, male 1009.4
GTEX-ZQG8-1626-SM-DHXIT 60-69 years, female 1008.0
GTEX-1PIGE-0126-SM-EVYBJ 20-29 years, male 1007.8
GTEX-16AAH-1726-SM-7939C 50-59 years, male 1007.1
GTEX-17GQL-2026-SM-718BA 60-69 years, male 1007.0
GTEX-1J1OQ-0226-SM-CYPSH 40-49 years, female 1007.0
GTEX-1GMR3-1926-SM-9KNUZ 40-49 years, male 1006.3
GTEX-ZYFD-0126-SM-5GIDL 50-59 years, male 1005.7
GTEX-1QP67-1626-SM-EAZ3X 40-49 years, female 1005.2
GTEX-14C5O-0126-SM-5SI6N 60-69 years, male 1003.4
GTEX-1C6VQ-0126-SM-7P8RI 50-59 years, male 1003.3
GTEX-X638-0126-SM-47JZ8 70-79 years, female 1002.6
GTEX-WZTO-0126-SM-3NM95 40-49 years, male 1002.4
GTEX-1RAZA-0126-SM-E6CI3 20-29 years, male 1000.6
GTEX-1MCYP-1926-SM-E9J2R 20-29 years, female 1000.4
GTEX-133LE-1826-SM-5J1MV 20-29 years, female 999.1
GTEX-13OW7-0126-SM-5MR3B 50-59 years, male 999.1
GTEX-T5JW-1626-SM-3GADZ 20-29 years, female 997.4
GTEX-1I1GS-0126-SM-B2LVW 60-69 years, male 996.7
GTEX-YJ89-0126-SM-4TT3X 60-69 years, male 995.7
GTEX-1J8Q3-1626-SM-CMKGC 60-69 years, male 995.5
GTEX-15UKP-0426-SM-7KUFQ 20-29 years, male 995.4
GTEX-1HCU8-0626-SM-A9SM9 60-69 years, female 994.6
GTEX-11GS4-2726-SM-5A5LE 60-69 years, male 993.6
GTEX-1H3NZ-0126-SM-ACKX7 60-69 years, male 992.9
GTEX-1JN76-0126-SM-CNPPE 20-29 years, female 990.1
GTEX-1LNCM-1126-SM-E9U5E 50-59 years, female 990.0
GTEX-13U4I-0126-SM-5LU38 40-49 years, female 989.8
GTEX-1I1GT-0626-SM-CGQER 60-69 years, female 989.2
GTEX-1RLM8-2326-SM-EWRN4 50-59 years, male 989.0
GTEX-X585-0226-SM-4QAS2 50-59 years, male 987.5
GTEX-1H1DG-0126-SM-9WYU2 70-79 years, male 982.1
GTEX-11ZTS-0126-SM-5EQ6M 60-69 years, female 982.0
GTEX-12696-2426-SM-5EQ6H 60-69 years, male 981.9
GTEX-12584-0126-SM-5EGKQ 40-49 years, male 981.4
GTEX-U8XE-0326-SM-3DB8P 30-39 years, male 980.9
GTEX-1BAJH-0526-SM-793CQ 70-79 years, male 980.4
GTEX-17F96-1626-SM-7DUFL 70-79 years, male 980.3
GTEX-145LT-1726-SM-5QGP3 40-49 years, male 979.9
GTEX-1AYCT-2426-SM-7IGQ3 50-59 years, male 977.4
GTEX-11TTK-0126-SM-5987B 60-69 years, female 976.3
GTEX-18A7A-0226-SM-718BH 50-59 years, female 976.0
GTEX-XQ3S-1526-SM-4BOOC 20-29 years, male 975.3
GTEX-1KANA-0726-SM-D3L9I 20-29 years, male 973.1
GTEX-WOFL-0126-SM-3MJG2 60-69 years, male 971.6
GTEX-RNOR-0126-SM-E9J4R 50-59 years, female 969.1
GTEX-Q734-1926-SM-2I5EV 40-49 years, female 967.5
GTEX-145LV-2126-SM-5LU8N 50-59 years, male 967.3
GTEX-18A67-0126-SM-7LG5P 50-59 years, male 967.0
GTEX-1CB4F-0426-SM-9KNV4 60-69 years, male 966.8
GTEX-14PN3-2426-SM-6LLHS 60-69 years, female 966.3
GTEX-1F52S-0126-SM-9MQJU 60-69 years, female 965.9
GTEX-ZYT6-0226-SM-5NQ6T 30-39 years, male 964.6
GTEX-11NUK-0126-SM-5A5L3 50-59 years, male 963.9
GTEX-1GMRU-0126-SM-9YFLV 50-59 years, male 962.7
GTEX-1QPFJ-0226-SM-E76PB 30-39 years, female 962.6
GTEX-TSE9-0126-SM-3DB83 60-69 years, female 960.4
GTEX-1GZ2Q-0226-SM-7P8TL 40-49 years, male 960.4
GTEX-ZYFC-0226-SM-5NQ75 50-59 years, male 957.7
GTEX-1B8SF-1426-SM-7DUGL 60-69 years, male 957.5
GTEX-15ER7-0326-SM-7KUEV 20-29 years, female 956.1
GTEX-ZYY3-0126-SM-5GZY5 60-69 years, female 955.8
GTEX-T5JC-0426-SM-32PLO 20-29 years, male 955.0
GTEX-18A66-0226-SM-718BD 60-69 years, male 953.0
GTEX-131XE-2326-SM-5PNZ2 50-59 years, male 952.6
GTEX-1R9K4-0126-SM-DTX9X 60-69 years, male 952.6
GTEX-WVJS-0126-SM-4MVOT 50-59 years, male 951.8
GTEX-1CB4G-0226-SM-7PC3O 60-69 years, male 950.7
GTEX-1H11D-0226-SM-9WG6Z 40-49 years, male 950.7
GTEX-1JJ6O-0126-SM-E6CI8 60-69 years, male 949.1
GTEX-11GSO-2426-SM-5A5LY 60-69 years, male 948.9
GTEX-1A3MV-1926-SM-718BT 30-39 years, male 947.7
GTEX-14DAR-2026-SM-5S2O3 50-59 years, male 947.6
GTEX-XXEK-2226-SM-4BRUM 50-59 years, male 947.6
GTEX-1IDJU-2626-SM-CM2RT 60-69 years, female 947.4
GTEX-1H3VY-0126-SM-ACKXD 50-59 years, male 947.3
GTEX-XUYS-0126-SM-47JWZ 50-59 years, male 945.9
GTEX-1IL2U-0226-SM-CE6T8 60-69 years, male 944.8
GTEX-1GTWX-0126-SM-9YFLK 60-69 years, male 944.7
GTEX-1S83E-0126-SM-EWRO4 40-49 years, male 944.5
GTEX-1H1DE-2126-SM-9WG6R 20-29 years, male 943.9
GTEX-QDVN-2026-SM-3GAEP 50-59 years, male 943.1
GTEX-1CAMR-1926-SM-7EPI2 20-29 years, male 942.4
GTEX-1S3DN-2226-SM-EVYCD 50-59 years, male 942.4
GTEX-117YX-2326-SM-5H12W 50-59 years, male 941.5
GTEX-ZAK1-0126-SM-5IJD3 50-59 years, female 938.4
GTEX-XPVG-2626-SM-4B669 50-59 years, male 937.8
GTEX-17HII-0226-SM-7LG4E 50-59 years, male 937.5
GTEX-1IOXB-0126-SM-ARL8G 50-59 years, male 935.7
GTEX-13FTX-1826-SM-5J1NX 20-29 years, female 934.6
GTEX-1128S-2326-SM-5GZZY 60-69 years, female 933.6
GTEX-14PJ6-2126-SM-6EU1V 60-69 years, female 932.3
GTEX-1HSMP-0126-SM-E6CJS 70-79 years, male 932.3
GTEX-131YS-0126-SM-5KM1M 60-69 years, female 931.3
GTEX-15D1Q-0126-SM-7KUG6 40-49 years, male 929.4
GTEX-1HCU7-0226-SM-CL545 50-59 years, male 928.7
GTEX-1GN73-0226-SM-9WG67 60-69 years, male 927.7
GTEX-TMMY-0226-SM-33HBA 40-49 years, female 927.6
GTEX-ZVE2-0226-SM-59HJB 50-59 years, male 927.3
GTEX-146FH-0126-SM-5QGPP 50-59 years, female 926.9
GTEX-13N11-2526-SM-5K7UE 50-59 years, female 926.5
GTEX-13G51-2526-SM-5LZYK 60-69 years, male 926.1
GTEX-147F3-0526-SM-5SI98 50-59 years, female 925.1
GTEX-1C64O-0126-SM-7SB8P 60-69 years, male 924.8
GTEX-13VXU-0126-SM-5SI9F 50-59 years, male 923.0
GTEX-1I19N-0326-SM-ACKVX 70-79 years, male 922.9
GTEX-13CF3-2426-SM-5IFGX 60-69 years, female 922.7
GTEX-13OVL-0226-SM-5L3E9 50-59 years, male 921.5
GTEX-16BQI-0226-SM-7KUEX 30-39 years, female 921.0
GTEX-1HSMQ-1226-SM-CGQFX 50-59 years, male 917.6
GTEX-1H3O1-0426-SM-9YFKY 60-69 years, male 917.5
GTEX-1HSKV-0226-SM-A9SKJ 60-69 years, male 916.2
GTEX-169BO-1326-SM-9MQK2 50-59 years, male 915.8
GTEX-17F97-0326-SM-7LG5B 50-59 years, male 914.3
GTEX-17MFQ-1726-SM-793C7 20-29 years, male 913.0
GTEX-1JN6P-0126-SM-D3L98 60-69 years, male 912.3
GTEX-1B933-0126-SM-7PC29 50-59 years, female 911.0
GTEX-13X6J-0126-SM-5QGOU 50-59 years, male 910.3
GTEX-11NSD-2226-SM-5986V 20-29 years, male 909.2
GTEX-12WSN-5019-SM-79OM6 40-49 years, male 909.1
GTEX-1JJEA-0326-SM-CNPOT 60-69 years, male 907.8
GTEX-1H23P-0126-SM-ADEJ3 60-69 years, male 907.5
GTEX-1EX96-1626-SM-7PBXR 50-59 years, male 906.7
GTEX-Z93S-0126-SM-5HL7M 50-59 years, male 905.9
GTEX-1NHNU-1026-SM-E9J2A 50-59 years, male 905.3
GTEX-11VI4-1726-SM-5CVLH 40-49 years, female 904.5
GTEX-1R7EV-2426-SM-EVYBG 40-49 years, male 903.8
GTEX-1HBPI-1526-SM-C1YQ1 50-59 years, male 903.7
GTEX-ZQUD-1426-SM-57WER 30-39 years, male 903.4
GTEX-1C64N-0126-SM-793D7 50-59 years, male 898.3
GTEX-1HCU6-0126-SM-CL54K 60-69 years, female 897.3
GTEX-OOBK-0126-SM-2YUND 40-49 years, male 895.8
GTEX-1MCQQ-0826-SM-DLHC2 60-69 years, male 895.2
GTEX-13OW6-0426-SM-5L3HM 50-59 years, male 894.8
GTEX-11LCK-1026-SM-5A5KB 30-39 years, male 893.2
GTEX-1HBPN-0226-SM-9YFM1 50-59 years, male 889.6
GTEX-Q2AH-1626-SM-3GAF8 40-49 years, male 889.0
GTEX-Z9EW-1626-SM-5CVMN 40-49 years, male 888.6
GTEX-1JMQI-2226-SM-CM2SD 50-59 years, male 888.2
GTEX-131XG-2626-SM-5KM17 50-59 years, female 887.0
GTEX-17JCI-0126-SM-7LG5G 60-69 years, female 886.1
GTEX-1JK1U-2026-SM-CM2RZ 60-69 years, male 886.0
GTEX-1F75I-0326-SM-9YFLU 40-49 years, male 883.5
GTEX-13OW5-0126-SM-DTXFS 60-69 years, male 882.4
GTEX-OXRL-0126-SM-2YUMP 50-59 years, male 882.1
GTEX-S7SE-0126-SM-2XCD5 50-59 years, male 880.0
GTEX-16NGA-1726-SM-731B4 40-49 years, female 878.9
GTEX-1AMFI-2026-SM-731BH 50-59 years, female 878.6
GTEX-14LLW-0126-SM-6LLIO 70-79 years, female 877.0
GTEX-11EI6-0126-SM-5985R 60-69 years, male 873.2
GTEX-18D9B-0526-SM-7LTAS 60-69 years, male 873.2
GTEX-1PPH7-2326-SM-EVYB8 40-49 years, male 873.1
GTEX-16GPK-0126-SM-7DHLE 60-69 years, male 872.7
GTEX-13O1R-0126-SM-5L3EH 60-69 years, male 872.4
GTEX-1AMEY-1326-SM-73KYK 30-39 years, female 872.0
GTEX-1E2YA-0126-SM-9KNUC 50-59 years, male 872.0
GTEX-1KANB-0526-SM-E6CJH 50-59 years, male 871.2
GTEX-131XH-2226-SM-5DUXJ 50-59 years, male 869.8
GTEX-15SHW-0326-SM-6PAML 60-69 years, male 868.5
GTEX-1CB4I-0226-SM-79OLH 50-59 years, male 867.5
GTEX-17HGU-0226-SM-7DHKV 50-59 years, male 867.2
GTEX-13X6I-0626-SM-5QGP9 60-69 years, male 866.9
GTEX-14BIM-0226-SM-7IGLD 60-69 years, female 866.8
GTEX-15G19-0126-SM-6PANQ 60-69 years, male 866.5
GTEX-1314G-1526-SM-5EGK2 30-39 years, male 865.9
GTEX-T2IS-0126-SM-4DM6O 20-29 years, female 865.4
GTEX-11DXW-0226-SM-5H122 40-49 years, male 864.4
GTEX-RWS6-2026-SM-2XCB5 60-69 years, female 864.1
GTEX-ZC5H-0226-SM-4WAY9 40-49 years, female 863.3
GTEX-13OVH-0126-SM-5MR4B 70-79 years, male 862.4
GTEX-16NPX-0226-SM-79OMT 50-59 years, male 862.2
GTEX-11ZVC-2526-SM-5FQTE 50-59 years, female 861.3
GTEX-1GN2E-0426-SM-9MQKX 60-69 years, male 860.8
GTEX-1F75A-0126-SM-7RHGM 50-59 years, male 859.8
GTEX-R55E-0126-SM-2TC5Y 20-29 years, male 859.0
GTEX-1AX9I-0126-SM-7SB74 60-69 years, male 857.6
GTEX-13FH7-2026-SM-E9J4I 50-59 years, female 857.5
GTEX-1KXAM-2226-SM-CYPTC 60-69 years, male 855.9
GTEX-XMD2-0126-SM-4YCDU 60-69 years, female 855.7
GTEX-11WQC-2526-SM-5CVLE 60-69 years, male 853.9
GTEX-14PJM-0226-SM-62LF1 50-59 years, female 852.7
GTEX-11ZU8-2526-SM-5EQKI 60-69 years, male 852.4
GTEX-YJ8A-0426-SM-5IFID 20-29 years, male 852.0
GTEX-1CB4J-0626-SM-7DHMP 60-69 years, male 851.9
GTEX-1N2EF-0226-SM-EYYXB 60-69 years, male 851.8
GTEX-1F6I4-0126-SM-9MQL2 60-69 years, male 851.7
GTEX-1I1GU-2226-SM-CGQFA 40-49 years, male 850.0
GTEX-QDT8-0126-SM-48TZ1 30-39 years, female 849.8
GTEX-14PHW-0126-SM-6LLJI 60-69 years, female 846.0
GTEX-11TUW-2726-SM-E9J4M 60-69 years, male 844.3
GTEX-X4EO-0326-SM-3P5YO 60-69 years, female 844.1
GTEX-117YW-2626-SM-5GZZH 50-59 years, male 842.2
GTEX-12ZZY-0226-SM-5LZVE 60-69 years, male 841.4
GTEX-14E6D-0126-SM-62LDV 50-59 years, male 841.3
GTEX-1F5PK-2426-SM-7RHHY 50-59 years, male 840.9
GTEX-PW2O-1526-SM-7RHHB 20-29 years, male 837.8
GTEX-1HKZK-0326-SM-9WYUH 40-49 years, male 836.2
GTEX-1J8EW-0126-SM-CJI4F 60-69 years, female 834.0
GTEX-1JMQJ-0526-SM-CYPSU 50-59 years, male 833.2
GTEX-XV7Q-2526-SM-4BRV9 40-49 years, female 830.8
GTEX-1EKGG-0226-SM-9WYTH 60-69 years, male 828.9
GTEX-1GPI6-0126-SM-9WG69 60-69 years, male 828.9
GTEX-11OF3-2626-SM-5GU7F 60-69 years, male 828.3
GTEX-1CB4H-0226-SM-7PBXM 60-69 years, female 826.5
GTEX-1ICLY-0126-SM-D4P36 50-59 years, male 826.5
GTEX-1C6WA-0126-SM-7PC2B 60-69 years, male 826.2
GTEX-145LU-0126-SM-5TDCB 50-59 years, male 825.9
GTEX-11O72-0126-SM-59887 40-49 years, male 823.9
GTEX-1JKYN-1326-SM-CGQG9 30-39 years, male 823.5
GTEX-1HT8W-0126-SM-CNPPP 30-39 years, male 821.7
GTEX-OXRP-0126-SM-3NB32 60-69 years, female 817.1
GTEX-11UD2-0226-SM-5EQKY 50-59 years, male 817.0
GTEX-18465-0126-SM-731BN 50-59 years, male 816.9
GTEX-11ZTT-2426-SM-5EQLS 60-69 years, female 815.1
GTEX-1ICG6-2526-SM-CGQFZ 70-79 years, female 814.9
GTEX-1S82Z-0826-SM-E6CHY 30-39 years, female 812.8
GTEX-13RTL-0126-SM-7LG5S 40-49 years, male 812.4
GTEX-16YQH-0126-SM-7DUFJ 30-39 years, male 812.4
GTEX-SJXC-0126-SM-2XCFF 60-69 years, male 812.3
GTEX-1HCVE-0126-SM-CGQEU 50-59 years, male 811.7
GTEX-1JMOU-1526-SM-CL54I 60-69 years, female 811.6
GTEX-1B8SG-0126-SM-73KZ3 50-59 years, male 811.0
GTEX-113JC-2326-SM-5EQ4E 50-59 years, female 810.4
GTEX-U4B1-1826-SM-4DXSU 40-49 years, male 810.1
GTEX-147GR-0526-SM-5S2MY 60-69 years, male 809.3
GTEX-1EU9M-0226-SM-7P8SP 60-69 years, male 808.7
GTEX-13FTY-0526-SM-5L3EV 40-49 years, female 808.4
GTEX-1A32A-0126-SM-718B1 50-59 years, female 806.8
GTEX-1I1GP-2226-SM-CGQFK 50-59 years, male 805.1
GTEX-1C2JI-1826-SM-73KXC 50-59 years, male 805.0
GTEX-ZF2S-2326-SM-4WWCE 50-59 years, female 805.0
GTEX-1LB8K-0226-SM-EWRNW 50-59 years, male 803.8
GTEX-1HR98-0126-SM-B2LWI 60-69 years, male 802.9
GTEX-ZF28-0126-SM-4WKGK 60-69 years, male 800.9
GTEX-14BIN-0626-SM-793DP 50-59 years, female 795.6
GTEX-111VG-2426-SM-5GZXD 60-69 years, male 793.9
GTEX-1QP2A-0126-SM-E9J43 50-59 years, male 792.2
GTEX-OIZG-0726-SM-33HBL 50-59 years, male 792.0
GTEX-1K9T9-0126-SM-EVYCF 50-59 years, female 791.5
GTEX-1399T-2826-SM-5KLYZ 60-69 years, male 791.3
GTEX-1QW4Y-1526-SM-EAZ3Z 30-39 years, male 791.1
GTEX-148VI-1626-SM-5SI6E 60-69 years, female 791.0
GTEX-1O97I-0326-SM-EYYX7 60-69 years, male 786.9
GTEX-1M4P7-0226-SM-DIPEV 60-69 years, male 786.5
GTEX-17HG3-2226-SM-7938L 30-39 years, female 785.0
GTEX-145LS-0126-SM-5QGP1 60-69 years, female 783.8
GTEX-1QP29-0626-SM-EWRMX 50-59 years, male 783.6
GTEX-18A7B-0126-SM-7LG64 70-79 years, male 782.8
GTEX-1GN1W-0526-SM-9MQJQ 50-59 years, female 782.7
GTEX-13O3O-0126-SM-E9J49 60-69 years, female 781.6
GTEX-P44H-0226-SM-2XCEU 40-49 years, male 781.5
GTEX-13S7M-0126-SM-5SI6A 60-69 years, female 780.7
GTEX-13IVO-0126-SM-5J1NG 70-79 years, male 778.9
GTEX-13O3Q-2426-SM-5IJBR 50-59 years, male 776.6
GTEX-13112-2826-SM-5DUWH 50-59 years, male 775.3
GTEX-12WSL-2526-SM-5GCNJ 50-59 years, male 775.0
GTEX-17KNJ-2326-SM-7DHLQ 50-59 years, male 773.4
GTEX-ZXG5-0126-SM-5GIEU 60-69 years, male 770.8
GTEX-VUSG-2526-SM-4KL1V 50-59 years, male 770.0
GTEX-1LH75-2426-SM-E9TJE 50-59 years, female 768.8
GTEX-12WSG-2826-SM-E9J4H 50-59 years, female 767.5
GTEX-ZVT4-0126-SM-DTXFN 50-59 years, female 766.4
GTEX-1IKOH-0226-SM-COH4E 60-69 years, female 766.0
GTEX-ZTSS-1926-SM-57WEW 40-49 years, male 765.5
GTEX-14A5H-0426-SM-5QGQF 60-69 years, male 765.4
GTEX-UPJH-0326-SM-3GADU 50-59 years, male 764.9
GTEX-13W46-0226-SM-5SIAG 50-59 years, male 763.2
GTEX-14BIL-0126-SM-5SI92 50-59 years, male 760.4
GTEX-1AX9K-2326-SM-73KWU 50-59 years, male 760.2
GTEX-12KS4-0326-SM-5EQ41 30-39 years, male 759.8
GTEX-1B8KZ-2026-SM-7DHMB 50-59 years, male 759.8
GTEX-1H4P4-0726-SM-9YFLR 50-59 years, male 759.5
GTEX-147F4-0226-SM-5QGPW 50-59 years, male 757.7
GTEX-OIZF-0126-SM-7SB8I 60-69 years, male 757.1
GTEX-ZVT3-0126-SM-5GU6I 60-69 years, female 753.2
GTEX-11GSP-2526-SM-5N9BP 60-69 years, female 752.7
GTEX-RN64-0126-SM-2TC68 50-59 years, male 749.8
GTEX-12WSC-0126-SM-5EQ4P 50-59 years, male 749.5
GTEX-1B996-0226-SM-7RHGO 60-69 years, male 749.5
GTEX-14ABY-0226-SM-5TDCQ 50-59 years, male 747.8
GTEX-1J8JJ-0226-SM-CL53I 60-69 years, female 746.7
GTEX-11ZUS-0626-SM-59885 30-39 years, male 745.0
GTEX-14LZ3-0226-SM-62LET 60-69 years, female 743.4
GTEX-1I1CD-0126-SM-CM2TK 60-69 years, female 742.7
GTEX-1IY9M-0126-SM-D3L8S 60-69 years, male 742.7
GTEX-1C6VR-2426-SM-79OLD 60-69 years, male 741.1
GTEX-1LG7Y-0526-SM-DKPQC 50-59 years, male 740.1
GTEX-ZAB5-1826-SM-5HL7C 50-59 years, male 739.2
GTEX-139TT-0126-SM-5K7Y5 60-69 years, male 738.8
GTEX-146FR-1326-SM-E9J48 60-69 years, female 738.5
GTEX-1RAZQ-0726-SM-EAZ43 30-39 years, male 736.3
GTEX-VJYA-1126-SM-3GIJU 60-69 years, male 735.6
GTEX-17HHE-2026-SM-79OKF 50-59 years, male 733.9
GTEX-15DDE-0126-SM-6LPKH 50-59 years, female 732.7
GTEX-1GN1V-0126-SM-9WPOS 60-69 years, male 732.4
GTEX-1GF9V-0326-SM-7RHI5 60-69 years, male 731.8
GTEX-13OVG-1926-SM-5L3DK 60-69 years, male 728.9
GTEX-1I1GR-0126-SM-CL55F 60-69 years, male 725.7
GTEX-1POEN-0126-SM-EYYXJ 30-39 years, female 725.6
GTEX-ZYW4-0126-SM-5E44A 60-69 years, male 723.3
GTEX-11EMC-2926-SM-5EQ4F 60-69 years, female 721.0
GTEX-1GN1U-0126-SM-7PBZK 50-59 years, female 720.6
GTEX-15DCD-0126-SM-7KUEK 70-79 years, female 720.5
GTEX-1F7RK-0126-SM-7PC2S 20-29 years, female 716.9
GTEX-13NZA-0226-SM-5K7Z7 60-69 years, male 715.2
GTEX-14JIY-0126-SM-6LLH6 60-69 years, male 711.9
GTEX-13SLX-0526-SM-5S2ON 50-59 years, female 709.4
GTEX-OXRO-0126-SM-2YUN4 60-69 years, female 702.2
GTEX-X62O-0126-SM-4E3JN 50-59 years, male 701.0
GTEX-1RDX4-0126-SM-E9J4P 50-59 years, female 700.9
GTEX-QCQG-1726-SM-3GIJ9 50-59 years, female 700.0
GTEX-1IE54-0126-SM-CMKHW 40-49 years, female 698.0
GTEX-148VJ-0126-SM-5TDDN 70-79 years, male 690.2
GTEX-13RTJ-2426-SM-5S2Q2 60-69 years, male 690.1
GTEX-1JJE9-0326-SM-CL53Z 70-79 years, male 689.6
GTEX-1E1VI-0126-SM-7DHMZ 50-59 years, male 688.7
GTEX-13N2G-2626-SM-5J1OT 60-69 years, male 688.3
GTEX-1HUB1-0426-SM-E9U4U 60-69 years, male 686.3
GTEX-1R9PO-2126-SM-E9J4O 60-69 years, female 682.2
GTEX-14BMV-0126-SM-5S2PO 50-59 years, male 681.5
GTEX-PVOW-0126-SM-2XCFA 40-49 years, male 680.7
GTEX-Q2AG-0126-SM-33HBV 40-49 years, female 678.4
GTEX-1KWVE-1426-SM-E9TJO 30-39 years, male 678.4
GTEX-1MA7X-2226-SM-E6CIY 60-69 years, male 677.8
GTEX-1KD5A-0226-SM-D5OV3 50-59 years, male 677.5
GTEX-16XZY-2126-SM-79OK1 70-79 years, male 677.0
GTEX-1IL2V-0126-SM-CM2TX 70-79 years, male 676.5
GTEX-1CAMQ-0226-SM-7IGPK 40-49 years, male 674.5
GTEX-ZDXO-3026-SM-5J1N5 60-69 years, male 674.5
GTEX-1OJC4-0126-SM-E9J2E 50-59 years, female 674.2
GTEX-131XW-0426-SM-5LZWP 50-59 years, female 672.3
GTEX-13N1W-0126-SM-5K7VT 70-79 years, male 671.6
GTEX-ZEX8-2426-SM-4WKG4 50-59 years, male 670.9
GTEX-113IC-0126-SM-5HL6T 60-69 years, male 669.4
GTEX-1212Z-2526-SM-5EGKP 60-69 years, male 667.8
GTEX-15DYW-0126-SM-7KULE 60-69 years, female 667.7
GTEX-RWSA-0126-SM-2XCBB 40-49 years, male 664.2
GTEX-139T4-0226-SM-5HL5S 50-59 years, female 662.8
GTEX-U3ZN-2326-SM-3DB7W 30-39 years, female 656.1
GTEX-13QJ3-0326-SM-5S2RA 50-59 years, male 653.9
GTEX-ZUA1-0126-SM-5GU76 40-49 years, male 650.8
GTEX-1F88F-2726-SM-7PBZZ 60-69 years, female 644.6
GTEX-1IDFM-0126-SM-COH2V 60-69 years, male 644.5
GTEX-139TU-0126-SM-5K7WH 60-69 years, male 644.0
GTEX-15CHC-2126-SM-6EU21 60-69 years, female 640.8
GTEX-1IGQW-0126-SM-COH42 60-69 years, male 640.8
GTEX-11DXY-2626-SM-5GIE7 60-69 years, male 635.7
GTEX-1EN7A-0126-SM-7SB81 40-49 years, male 635.3
GTEX-1HBPH-0426-SM-B2LW5 40-49 years, female 634.2
GTEX-17EVP-0326-SM-7DHLG 40-49 years, male 626.7
GTEX-1J8Q2-0526-SM-CM2RW 60-69 years, male 624.9
GTEX-S32W-2126-SM-2XCB1 50-59 years, female 621.9
GTEX-Y8LW-1826-SM-5S2MV 50-59 years, female 620.2
GTEX-13NYC-0326-SM-E9J4S 60-69 years, male 618.8
GTEX-14DAQ-0126-SM-5S2MQ 60-69 years, female 617.8
GTEX-1I1HK-0126-SM-COH49 60-69 years, male 616.9
GTEX-WYVS-2126-SM-3NMA3 40-49 years, female 615.4
GTEX-1A8FM-0226-SM-7SB7Q 50-59 years, female 614.8
GTEX-14A5I-0126-SM-5TDEA 50-59 years, female 607.8
GTEX-14A6H-0126-SM-5QGPK 30-39 years, male 602.9
GTEX-1QEPI-0126-SM-EWRMQ 60-69 years, female 597.7
GTEX-R3RS-0126-SM-3GIJL 40-49 years, female 592.9
GTEX-144GL-0126-SM-5TDE2 50-59 years, male 591.7
GTEX-1I1GQ-0126-SM-COH3H 50-59 years, male 591.6
GTEX-1IKJJ-0126-SM-CNPQB 60-69 years, male 587.6
GTEX-V1D1-2226-SM-3NMAX 50-59 years, male 571.3
GTEX-1PBJI-0526-SM-E8VNK 20-29 years, female 570.4
GTEX-1RQEC-0426-SM-E6CHU 60-69 years, male 566.8
GTEX-VJWN-0126-SM-3GIK7 50-59 years, female 563.8
GTEX-1192W-2626-SM-5Q5AF 60-69 years, male 557.9
GTEX-1C6VS-0526-SM-7DUEN 60-69 years, male 555.4
GTEX-13OW8-1326-SM-5J1OW 60-69 years, male 543.2
GTEX-15SDE-2226-SM-7IGLO 50-59 years, female 534.1
GTEX-145MI-0526-SM-5O9A8 60-69 years, female 534.0
GTEX-14E7W-0126-SM-6LLJ9 70-79 years, male 470.6
Show allShow less

Contact

  • NEWS ARTICLES
  • PRESS ROOM

The Project

  • INTRODUCTION
  • ORGANIZATION
  • PUBLICATIONS

The Human Protein Atlas

  • DOWNLOADABLE DATA
  • LICENCE & CITATION
  • HELP & FAQ
The Human Protein Atlas project is funded
by the Knut & Alice Wallenberg Foundation.


contact@proteinatlas.org