We use cookies to enhance the usability of our website. If you continue, we'll assume that you are happy to receive all cookies. More information. Don't show this again.
FASN
HPA
RESOURCES
  • TISSUE
  • BRAIN
  • SINGLE CELL
  • SUBCELLULAR
  • CANCER
  • BLOOD
  • CELL LINE
  • STRUCTURE & INTERACTION
ABOUT
  • INTRODUCTION
  • HISTORY
  • ORGANIZATION
  • PUBLICATIONS
  • ANTIBODY SUBMISSION
  • ANTIBODY AVAILABILITY
  • ACKNOWLEDGMENTS
  • CONTACT
NEWS
  • NEWS ARTICLES
  • PRESS ROOM
LEARN
  • DICTIONARY
  • PROTEIN CLASSES
  • PROTEIN EVIDENCE
  • METHODS
  • EDUCATIONAL VIDEOS
DATA
  • DOWNLOADABLE DATA
  • PUBLICATION DATA
  • RELEASE HISTORY
HELP
  • ANTIBODY VALIDATION
  • ASSAYS & ANNOTATION
  • DISCLAIMER
  • HELP & FAQ
  • PRIVACY STATEMENT
  • LICENCE & CITATION
Fields »
Search result

Field
Term
Gene name
Class
Subclass
Class
Keyword
Chromosome
External id
Tissue
Cell type
Expression
Antibody panel
Tissue
Main location
Patient ID
Annotation
Tissue
Category
Tau score
Cluster
Reliability
Brain region
Category
Tau score
Brain region
Category
Tau score
Brain region
Category
Tau score
Cluster
Reliability
Tissue
Cell type
Enrichment
Cell type
Category
Tau score
Cell type
Category
Tau score
Cell type
Category
Tau score
Cell lineage
Category
Tau score
Cluster
Cluster
Location
Searches
Location
Cell line
Class
Type
Phase
Reliability
Cancer
Prognosis
Cancer
Category
Cancer
Category
Tau score
Cluster
Variants
Interacting gene (ensg_id)
Type
Number of interactions
Pathway
Category
Score
Score
Score
Validation
Validation
Validation
Validation
Antibodies
Data type
Column


  • SUMMARY

  • TISSUE

  • BRAIN

  • SINGLE CELL

  • SUBCELL

  • CANCER

  • BLOOD

  • CELL LINE

  • STRUCT & INT

  • FASN
TISSUE PRIMARY DATA HEART MUSCLE Show tissue menu
ADIPOSE TISSUE ADRENAL GLAND AMYGDALA APPENDIX BASAL GANGLIA BONE MARROW BREAST BRONCHUS CEREBELLUM CEREBRAL CORTEX CERVIX CHOROID PLEXUS COLON DUODENUM
ENDOMETRIUM EPIDIDYMIS ESOPHAGUS FALLOPIAN TUBE GALLBLADDER HEART MUSCLE HIPPOCAMPAL FORMATION HYPOTHALAMUS KIDNEY LIVER LUNG LYMPH NODE MIDBRAIN NASOPHARYNX
ORAL MUCOSA OVARY PANCREAS PARATHYROID GLAND PITUITARY GLAND PLACENTA PROSTATE RECTUM RETINA SALIVARY GLAND SEMINAL VESICLE SKELETAL MUSCLE SKIN SMALL INTESTINE
SMOOTH MUSCLE SOFT TISSUE SPINAL CORD SPLEEN STOMACH TESTIS THYMUS THYROID GLAND TONGUE TONSIL URINARY BLADDER VAGINA
ANTIBODIES
AND
VALIDATION
Dictionary
Heart muscle
Tissue proteome
Heart
HEART MUSCLE - Expression summary
Protein expression
Heart musclei

On the top, protein expression in current human tissue, based on all annotated cell types, is reported with the units not detected (n), low (l), medium (m) and high (h). Underneath, protein expression in each annotated cell type are reported using the same units.

Protein expression data is based on knowledge-based annotation. For genes where more than one antibody has been used, a collective score is set.

If knowledge-based annotation could not be performed for a gene, no data is displayed here. View antibody staining data further down this page.

h
m
l
n
Cardiomyocytes: Not detected
RNA expressioni

A summary of mRNA expression data available for current tissue based on several datasets. The mRNA expression levels in human tissues are based on RNA-seq data generated by the Human Protein Atlas (HPA), Genotype-Tissue Expression (GTEx) portal and CAGE data generated by the FANTOM5 consortium. Consensus normalized expression levels for human tissues was created by combining the data from HPA and GTEx datasets.

The mRNA expression levels in pig are based on RNA-seq data generated by the Human Protein Atlas (HPA), and for mouse, HPA data and in situ hybridization generated by the Allen brain atlas are reported.

Scroll down to view mRNA expression data in more detail.
Consensus:21.2 nTPM
HPA:7.1 nTPM
GTEx:21.2 nTPM
FANTOM5:113.8 Scaled Tags Per Million

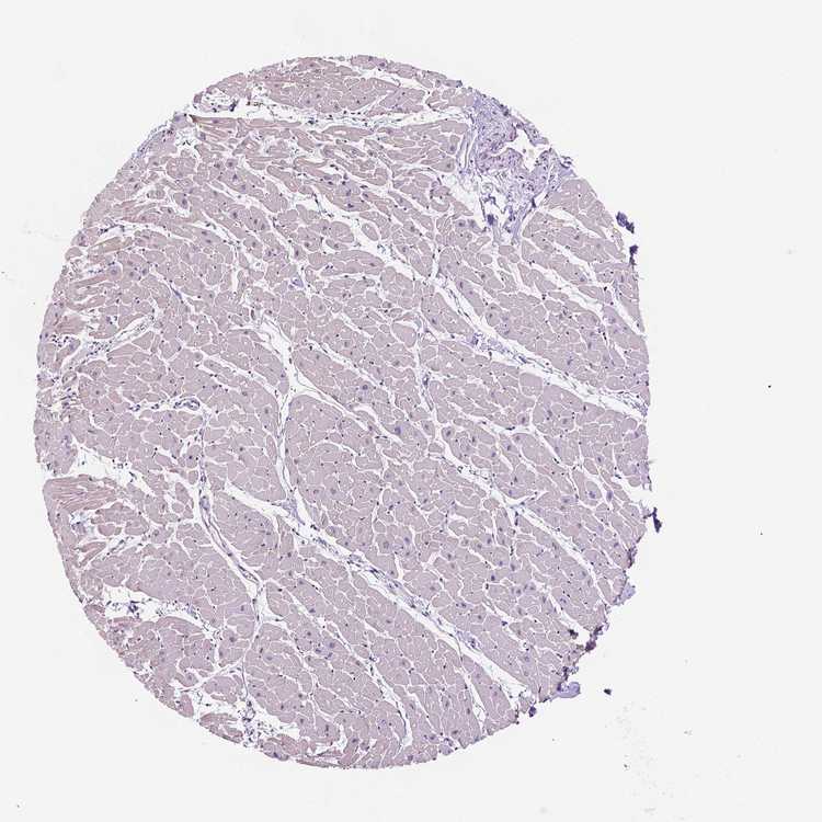
HEART MUSCLE - Antibody stainingi

Antibody staining in the annotated cell types in the current human tissue is reported as not detected, low, medium, or high, based on conventional immunohistochemistry profiling in selected tissues. This score is based on the combination of the staining intensity and fraction of stained cells.

Each image is clickable and will lead to virtual microscopy that enables deeper exploration of all samples and also displays staining intensity scores, fraction scores and subcellular localization as well as patient and tissue information for each sample.

Antibody HPA006461Antibody HPA056108Antibody CAB005192Antibody CAB015417
Cardiomyocytes Not detectedLowNot detectedNot detected









HEART MUSCLE - HPA RNA-seqi

The RNA-seq details section shows detailed information about the individual samples used for the transcript profiling and results of the RNA-seq analysis.

Information about each individual sample is listed below, including gender, age, a tissue section image and estimated fractions of cell types. nTPM (normalized transcripts per million) values give a quantification of the gene abundance which is comparable between different genes and samples.
Average nTPMi

Max subtype nTPM is the value for the subtype with the largest average nTPM across the subtype samples.

7.1
overview
Female, age 48
Heart muscle sample 149
nTPM: 2.5
Cell types%
Myocytes:
15

Fibroblasts:
55

Endothelial cells:
25

Other cell types:
5

overview
Female, age 42
Heart muscle sample 150
nTPM: 14.9
Cell types%
Myocytes:
20

Fibroblasts:
45

Endothelial cells:
30

Other cell types:
5

overview
Male, age 53
Heart muscle sample 151
nTPM: 3.3
Cell types%
Myocytes:
20

Fibroblasts:
45

Endothelial cells:
30

Other cell types:
5

overview
Female, age 69
Heart muscle sample 152
nTPM: 7.8
Cell types%
Myocytes:
20

Fibroblasts:
45

Endothelial cells:
30

Other cell types:
5


HEART MUSCLE - GTEx RNA-seqi

RNA-Seq data generated by the Genotype-Tissue Expression (GTEx) project from human tissues is reported as mean nTPM. More information can be found on the GTEx portal.

Distribution across the dataset is visualized with box plots, shown as median and 25th and 75th percentiles. Points are displayed as outliers if they are above or below 1.5 times the interquartile range. nTPM values of the individual samples are presented next to the box plot.
Max subtype nTPMi

Max subtype nTPM is the value for the subtype with the largest average nTPM across the subtype samples.

21.2
GTEx sample id Sample description nTPM
Heart - Atrial Appendage
Average nTPM: 21.2
Samples: 429

Max nTPM: 420.1
Min nTPM: 2.7
Std nTPM: 36.7
Median nTPM: 10.4
GTEX-13QBU-0226-SM-5LU48 40-49 years, female 420.1
GTEX-ZT9W-0526-SM-57WFG 50-59 years, male 229.8
GTEX-ZPIC-0426-SM-DO91V 40-49 years, female 188.2
GTEX-11DXX-0526-SM-5PNVR 60-69 years, female 183.7
GTEX-1211K-0226-SM-59HJY 60-69 years, female 183.2
GTEX-1CB4E-0626-SM-7DHMW 60-69 years, male 182.6
GTEX-14PN3-0726-SM-6EU14 60-69 years, female 177.1
GTEX-146FR-0926-SM-5QGPE 60-69 years, female 174.4
GTEX-ZVT2-0926-SM-5GICE 50-59 years, female 163.4
GTEX-1RB15-0426-SM-E9U4Y 60-69 years, male 159.6
GTEX-15SHV-0526-SM-7KUEN 60-69 years, male 143.2
GTEX-15CHC-0326-SM-5ZZVP 60-69 years, female 133.6
GTEX-11ZVC-0526-SM-5N9G1 50-59 years, female 129.5
GTEX-13D11-1526-SM-5J2NA 50-59 years, female 124.8
GTEX-1HBPN-0926-SM-CGQEG 50-59 years, male 124.3
GTEX-1J8Q3-1126-SM-ARU8N 60-69 years, male 122.6
GTEX-11EM3-0426-SM-5N9BZ 20-29 years, female 113.8
GTEX-1J8QM-0326-SM-CL53D 60-69 years, female 108.3
GTEX-16XZY-0526-SM-7DHKY 70-79 years, male 98.3
GTEX-WEY5-0226-SM-3GIKN 40-49 years, female 87.0
GTEX-1CB4I-1526-SM-7DHMY 50-59 years, male 85.0
GTEX-14BMV-1026-SM-5SI6B 50-59 years, male 84.0
GTEX-XPVG-0726-SM-4B658 50-59 years, male 81.9
GTEX-1GN1W-0226-SM-7P8QY 50-59 years, female 80.1
GTEX-XXEK-2026-SM-4BRVE 50-59 years, male 79.7
GTEX-WYJK-1126-SM-3NM9Z 50-59 years, male 75.7
GTEX-13FH7-0826-SM-5J2NW 50-59 years, female 67.9
GTEX-1CAMS-1126-SM-7MXUQ 40-49 years, female 66.5
GTEX-XQ8I-0226-SM-4BOPM 50-59 years, male 66.1
GTEX-Y114-0126-SM-4TT8K 50-59 years, female 57.7
GTEX-1I19N-0626-SM-A9SKY 70-79 years, male 51.0
GTEX-XGQ4-0526-SM-4AT6C 50-59 years, male 50.6
GTEX-14E6C-0326-SM-5Q5EE 40-49 years, male 48.0
GTEX-1B996-1026-SM-793CF 60-69 years, male 47.2
GTEX-1NHNU-0626-SM-E6CP1 50-59 years, male 46.3
GTEX-Y3I4-0526-SM-4TT6X 50-59 years, male 45.5
GTEX-13OW6-0926-SM-5L3GM 50-59 years, male 44.6
GTEX-1QCLZ-1126-SM-EWRNB 60-69 years, female 41.5
GTEX-1IDJU-0626-SM-CKZOG 60-69 years, female 41.0
GTEX-XYKS-0226-SM-4BRW3 60-69 years, female 38.4
GTEX-WHSE-0826-SM-4SOJU 20-29 years, male 37.7
GTEX-11LCK-0826-SM-5PNYD 30-39 years, male 37.4
GTEX-ZVT4-1326-SM-5NQ8E 50-59 years, female 37.4
GTEX-1AX9K-0426-SM-73KUG 50-59 years, male 37.0
GTEX-14BIL-0926-SM-7DHKN 50-59 years, male 36.4
GTEX-117YX-0626-SM-5EGJI 50-59 years, male 35.7
GTEX-13W3W-0526-SM-5LU3X 60-69 years, female 31.5
GTEX-14PHX-0626-SM-5YY8Z 50-59 years, male 31.5
GTEX-11TT1-1426-SM-5EGIA 20-29 years, male 30.6
GTEX-1HCUA-0626-SM-ACKVT 50-59 years, female 30.2
GTEX-1ICG6-0726-SM-B2LY5 70-79 years, female 29.9
GTEX-1POEN-0726-SM-DTXDU 30-39 years, female 29.9
GTEX-1MJK2-1626-SM-EVYCQ 50-59 years, male 29.7
GTEX-1R7EV-0426-SM-DTX7Z 40-49 years, male 29.7
GTEX-1R9JW-0426-SM-E76QL 30-39 years, female 29.4
GTEX-11DXY-1026-SM-5987V 60-69 years, male 28.4
GTEX-ZYFD-2026-SM-5E459 50-59 years, male 28.3
GTEX-1122O-0626-SM-5N9B9 60-69 years, female 27.9
GTEX-1GN1U-1426-SM-7P8TF 50-59 years, female 27.4
GTEX-1GL5R-0426-SM-9WPOP 50-59 years, male 27.0
GTEX-14PHY-0326-SM-62LE3 60-69 years, female 26.0
GTEX-11WQK-0226-SM-5EQLI 50-59 years, male 25.5
GTEX-1EU9M-1926-SM-7RHH4 60-69 years, male 25.4
GTEX-1I1GQ-1226-SM-CL55J 50-59 years, male 25.2
GTEX-14H4A-0426-SM-5ZZWO 40-49 years, female 25.1
GTEX-11ZTT-0526-SM-5EQLA 60-69 years, female 24.8
GTEX-1HFI6-0826-SM-9YFM2 40-49 years, male 24.6
GTEX-11TUW-1126-SM-5EQKJ 60-69 years, male 24.4
GTEX-ZPCL-0526-SM-DO91R 60-69 years, female 24.4
GTEX-15CHR-0326-SM-7DHN3 50-59 years, male 24.2
GTEX-ZF3C-1126-SM-57WEG 50-59 years, female 24.2
GTEX-ZZPU-1126-SM-5N9CW 50-59 years, female 23.9
GTEX-16YQH-0726-SM-7IGM1 30-39 years, male 23.4
GTEX-13VXT-0726-SM-5SIAD 20-29 years, female 23.2
GTEX-1C2JI-0626-SM-7DHM1 50-59 years, male 23.1
GTEX-12WSK-0526-SM-5CVNA 40-49 years, female 22.9
GTEX-13O3O-1426-SM-5KM2S 60-69 years, female 22.2
GTEX-V955-0826-SM-CYPR5 60-69 years, male 21.6
GTEX-1IDJF-0826-SM-ARU7N 20-29 years, male 21.4
GTEX-1I1GP-0626-SM-ARL7H 50-59 years, male 21.1
GTEX-18A67-1026-SM-731CE 50-59 years, male 21.0
GTEX-X62O-0826-SM-46MW8 50-59 years, male 20.7
GTEX-1J8EW-0626-SM-CM2TY 60-69 years, female 20.7
GTEX-ZEX8-0326-SM-DO92C 50-59 years, male 20.6
GTEX-13PVR-0926-SM-5S2RB 60-69 years, female 20.0
GTEX-YF7O-0526-SM-5P9IO 50-59 years, male 19.9
GTEX-1B8SG-0726-SM-79ONS 50-59 years, male 19.7
GTEX-12BJ1-0326-SM-5FQUB 60-69 years, male 19.6
GTEX-13O3Q-0326-SM-5L3FE 50-59 years, male 19.6
GTEX-14DAQ-1026-SM-793B1 60-69 years, female 19.6
GTEX-1IKOE-0626-SM-A9G31 30-39 years, female 19.3
GTEX-1F6I4-0826-SM-7RHGK 60-69 years, male 19.1
GTEX-13O21-0326-SM-5J1N9 50-59 years, male 19.0
GTEX-14XAO-0926-SM-69LPZ 60-69 years, female 19.0
GTEX-1KANB-1126-SM-DHXJT 50-59 years, male 19.0
GTEX-1GMR3-0426-SM-7PC17 40-49 years, male 18.7
GTEX-11ZUS-0326-SM-5EQ4W 30-39 years, male 18.2
GTEX-11O72-1026-SM-5986B 40-49 years, male 18.1
GTEX-13OW5-0926-SM-5L3GZ 60-69 years, male 18.1
GTEX-WHPG-1026-SM-3NMBA 50-59 years, male 18.1
GTEX-14C38-1326-SM-62LDK 50-59 years, male 18.0
GTEX-1K2DU-0226-SM-DIPF6 20-29 years, male 18.0
GTEX-1HBPH-0226-SM-9WYSM 40-49 years, female 17.9
GTEX-1MJIX-0426-SM-DTXEN 40-49 years, male 17.9
GTEX-XPT6-0226-SM-4B65L 20-29 years, male 17.5
GTEX-145MN-0726-SM-5NQBH 30-39 years, male 17.1
GTEX-17GQL-0626-SM-731CN 60-69 years, male 16.9
GTEX-1LH75-0526-SM-DIPG2 50-59 years, female 16.6
GTEX-U8XE-0926-SM-3DB8V 30-39 years, male 16.4
GTEX-ZGAY-0226-SM-4WWAL 40-49 years, female 16.4
GTEX-1QPFJ-0926-SM-EVR3K 30-39 years, female 16.4
GTEX-12696-1226-SM-5FQSM 60-69 years, male 16.2
GTEX-13O61-0426-SM-5L3ET 60-69 years, male 16.2
GTEX-1399U-0726-SM-5KM1D 50-59 years, female 15.7
GTEX-13FTW-0826-SM-5K7XR 40-49 years, male 15.7
GTEX-13X6K-1726-SM-7IGLG 60-69 years, female 15.7
GTEX-13SLX-0926-SM-5S2NM 50-59 years, female 15.6
GTEX-1HSGN-0926-SM-CNNQM 40-49 years, female 15.6
GTEX-1J1OQ-2226-SM-A96SS 40-49 years, female 15.6
GTEX-13FXS-1026-SM-62LFQ 50-59 years, male 15.5
GTEX-ZYVF-1826-SM-5E44F 50-59 years, female 15.5
GTEX-1L5NE-0526-SM-DIPG5 50-59 years, male 15.5
GTEX-14PK6-0726-SM-6LLIX 70-79 years, female 15.4
GTEX-1F48J-1126-SM-9WYSY 50-59 years, female 15.3
GTEX-1JMQL-1026-SM-CMKGV 50-59 years, female 15.3
GTEX-1EMGI-1126-SM-9KNUF 60-69 years, male 15.1
GTEX-WFG8-0726-SM-3GILP 20-29 years, male 14.9
GTEX-WY7C-1126-SM-3NB3A 50-59 years, male 14.9
GTEX-11EMC-0826-SM-59862 60-69 years, female 14.8
GTEX-11GSP-1226-SM-5985M 60-69 years, female 14.8
GTEX-WWYW-1126-SM-3NB2Q 50-59 years, female 14.8
GTEX-1H3VY-1126-SM-A96TP 50-59 years, male 14.6
GTEX-12WSI-0426-SM-5EQ5J 50-59 years, male 14.2
GTEX-1JJEA-0926-SM-CYPSO 60-69 years, male 14.2
GTEX-1MCC2-0226-SM-EVYD5 30-39 years, female 14.1
GTEX-1399T-0726-SM-5J1MH 60-69 years, male 14.0
GTEX-X8HC-1026-SM-46MWH 50-59 years, female 14.0
GTEX-15RIE-1326-SM-6PAMM 60-69 years, male 13.9
GTEX-1B97J-0326-SM-7939H 50-59 years, female 13.9
GTEX-13X6J-1226-SM-79OMF 50-59 years, male 13.8
GTEX-1JMOU-0326-SM-ARL8X 60-69 years, female 13.8
GTEX-132NY-1426-SM-5J1MJ 60-69 years, male 13.6
GTEX-13PVQ-1326-SM-5LU4J 50-59 years, male 13.6
GTEX-132AR-1926-SM-5EGK5 50-59 years, female 13.5
GTEX-V1D1-0626-SM-4JBHN 50-59 years, male 13.5
GTEX-WRHU-1026-SM-4E3ID 50-59 years, female 13.5
GTEX-15DCE-0826-SM-7KULW 20-29 years, male 13.4
GTEX-WI4N-0726-SM-3TW93 40-49 years, female 13.3
GTEX-1JK1U-0626-SM-CKZOJ 60-69 years, male 13.3
GTEX-1AX9J-0926-SM-73KXA 60-69 years, male 13.2
GTEX-131XE-0526-SM-5K7YT 50-59 years, male 13.1
GTEX-1339X-0326-SM-5K7Z8 40-49 years, male 13.1
GTEX-13OVI-0326-SM-5K7X1 60-69 years, female 13.1
GTEX-17JCI-0826-SM-7LT8W 60-69 years, female 13.1
GTEX-145LS-1326-SM-5Q5EP 60-69 years, female 13.0
GTEX-WYBS-1226-SM-3NM9N 60-69 years, female 12.9
GTEX-13OVG-0426-SM-5KM2T 60-69 years, male 12.8
GTEX-XOT4-1126-SM-4B66E 60-69 years, female 12.8
GTEX-ZDYS-0326-SM-5HL4W 50-59 years, male 12.8
GTEX-1H1ZS-1026-SM-9WG6E 70-79 years, male 12.8
GTEX-14PJ2-1126-SM-69LOD 50-59 years, male 12.7
GTEX-1A3MX-1226-SM-731B3 60-69 years, male 12.7
GTEX-YB5K-0226-SM-5IFJE 40-49 years, female 12.6
GTEX-1HC8U-0626-SM-B2LWB 40-49 years, female 12.6
GTEX-13S86-0326-SM-5SI6K 40-49 years, male 12.5
GTEX-1GF9V-1726-SM-9KNW4 60-69 years, male 12.4
GTEX-WFG7-0826-SM-3GIKU 20-29 years, male 12.3
GTEX-1IKK5-1726-SM-CM2RU 60-69 years, male 12.3
GTEX-132QS-0526-SM-5IJC7 60-69 years, male 12.2
GTEX-13PL7-0726-SM-5KM1S 60-69 years, female 12.2
GTEX-1HCVE-0826-SM-CM2SF 50-59 years, male 12.2
GTEX-11NUK-0926-SM-5HL57 50-59 years, male 12.1
GTEX-1313W-1126-SM-5EQ5U 50-59 years, female 12.1
GTEX-1A32A-1326-SM-73KWW 50-59 years, female 12.1
GTEX-15UF7-1526-SM-6LPI7 40-49 years, male 12.0
GTEX-1BAJH-1026-SM-7EWEG 70-79 years, male 12.0
GTEX-YEC4-0226-SM-4W1YG 40-49 years, male 12.0
GTEX-1KXAM-1426-SM-D3LAC 60-69 years, male 12.0
GTEX-1QP29-1426-SM-DTX9Q 50-59 years, male 12.0
GTEX-12WSG-1226-SM-5EQ4C 50-59 years, female 11.9
GTEX-13RTJ-0526-SM-62LDP 60-69 years, male 11.8
GTEX-17F9Y-1226-SM-7EPGE 70-79 years, female 11.8
GTEX-11DXZ-0326-SM-5EGH1 50-59 years, male 11.7
GTEX-14C39-0726-SM-5RQIK 40-49 years, male 11.7
GTEX-1GMR2-1326-SM-9KNUT 50-59 years, male 11.7
GTEX-13112-0526-SM-5EQ4S 50-59 years, male 11.6
GTEX-131XG-0526-SM-5DUWF 50-59 years, female 11.6
GTEX-18D9U-1426-SM-718BO 40-49 years, male 11.5
GTEX-XV7Q-0726-SM-4BRV6 40-49 years, female 11.5
GTEX-1HSMQ-0426-SM-ADEIM 50-59 years, male 11.5
GTEX-11P81-0526-SM-59873 30-39 years, female 11.4
GTEX-ZG7Y-1426-SM-4WWBM 50-59 years, male 11.4
GTEX-18A7A-1226-SM-7LTAJ 50-59 years, female 11.3
GTEX-WOFL-1226-SM-4OOST 60-69 years, male 11.2
GTEX-ZAJG-0926-SM-5Q5AB 50-59 years, female 11.2
GTEX-13N1W-0926-SM-5MR36 70-79 years, male 11.1
GTEX-15SHU-0926-SM-6PAMK 40-49 years, female 11.1
GTEX-11GS4-0426-SM-5N9CD 60-69 years, male 11.0
GTEX-14PJ6-0626-SM-686Z6 60-69 years, female 11.0
GTEX-1AYCT-0526-SM-7RHHS 50-59 years, male 11.0
GTEX-1HSMO-1126-SM-CGQF2 60-69 years, male 11.0
GTEX-XQ3S-0526-SM-4BOQA 20-29 years, male 10.9
GTEX-1HCU7-1226-SM-B2LX8 50-59 years, male 10.9
GTEX-ZF2S-0826-SM-4WWBI 50-59 years, female 10.8
GTEX-1H1DG-0826-SM-9QEIW 70-79 years, male 10.8
GTEX-1LGOU-0326-SM-D3LAM 20-29 years, female 10.8
GTEX-1RLM8-0226-SM-E6CJY 50-59 years, male 10.8
GTEX-14PN4-0826-SM-69LON 50-59 years, male 10.7
GTEX-ZDTT-0326-SM-4WKF9 60-69 years, male 10.7
GTEX-1EX96-2626-SM-9MQJV 50-59 years, male 10.6
GTEX-1GN1V-1026-SM-CNPPS 60-69 years, male 10.6
GTEX-1HSKV-0726-SM-ACKWE 60-69 years, male 10.6
GTEX-14BIM-2726-SM-5Q5EG 60-69 years, female 10.5
GTEX-YECK-1226-SM-4W21G 60-69 years, male 10.5
GTEX-17KNJ-0626-SM-7LT9L 50-59 years, male 10.4
GTEX-1HFI7-0526-SM-A9SMA 50-59 years, female 10.4
GTEX-1JMQK-0926-SM-ARL96 60-69 years, male 10.4
GTEX-X261-0926-SM-3NMCY 50-59 years, male 10.3
GTEX-ZYT6-0926-SM-5GIEM 30-39 years, male 10.3
GTEX-1C6WA-0826-SM-7PBXS 60-69 years, male 10.3
GTEX-1IOXB-0726-SM-A9G32 50-59 years, male 10.3
GTEX-11UD2-0926-SM-5CVL6 50-59 years, male 10.2
GTEX-ZDXO-0426-SM-4WKF6 60-69 years, male 10.2
GTEX-1JJ6O-2226-SM-AHZ3I 60-69 years, male 10.2
GTEX-ZE7O-0626-SM-57WCD 50-59 years, female 10.1
GTEX-ZF29-0426-SM-4WKFN 60-69 years, female 10.1
GTEX-1M5QR-1626-SM-E9U5O 40-49 years, male 10.1
GTEX-11DYG-1026-SM-5A5JQ 60-69 years, male 10.0
GTEX-13O3P-1426-SM-5L3DT 50-59 years, male 9.9
GTEX-14E7W-1126-SM-5ZZVS 70-79 years, male 9.9
GTEX-14PJ4-0926-SM-5YY98 60-69 years, male 9.9
GTEX-17F96-0826-SM-7DHLU 70-79 years, male 9.9
GTEX-12WSN-0226-SM-5DUXH 40-49 years, male 9.8
GTEX-131XF-0426-SM-5HL7U 60-69 years, male 9.8
GTEX-145LV-0226-SM-5S2QG 50-59 years, male 9.8
GTEX-14BIN-2126-SM-793AX 50-59 years, female 9.8
GTEX-ZPU1-0726-SM-5HL6O 40-49 years, male 9.8
GTEX-1J8Q2-1026-SM-ARU8I 60-69 years, male 9.8
GTEX-1LSNL-0626-SM-DIPFJ 50-59 years, male 9.8
GTEX-13JUV-0226-SM-5IJCC 40-49 years, female 9.7
GTEX-13O1R-0926-SM-5L3DS 60-69 years, male 9.7
GTEX-WH7G-0326-SM-3NMBH 40-49 years, male 9.7
GTEX-1H2FU-0826-SM-9WYSU 60-69 years, female 9.7
GTEX-1LVAN-1526-SM-CNPQN 50-59 years, female 9.7
GTEX-11ONC-1026-SM-5GU64 60-69 years, male 9.6
GTEX-13PDP-1326-SM-5K7U9 60-69 years, male 9.6
GTEX-1IL2V-1126-SM-CMKGH 70-79 years, male 9.6
GTEX-1399S-0826-SM-5KM23 30-39 years, female 9.5
GTEX-146FH-1126-SM-5NQAT 50-59 years, female 9.5
GTEX-1CB4H-0626-SM-7IGN3 60-69 years, female 9.5
GTEX-ZTTD-0626-SM-4YCCY 50-59 years, male 9.5
GTEX-15SDE-1826-SM-7KUFN 50-59 years, female 9.4
GTEX-1B8KE-0326-SM-73KTY 50-59 years, male 9.3
GTEX-WHWD-0326-SM-3LK6L 50-59 years, male 9.3
GTEX-14PJO-0826-SM-6ETZK 60-69 years, male 9.2
GTEX-1GZ4I-0826-SM-9WG6O 50-59 years, male 9.2
GTEX-1H3NZ-1026-SM-A9SM5 60-69 years, male 9.2
GTEX-ZTPG-1326-SM-51MSQ 20-29 years, female 9.1
GTEX-YFC4-0426-SM-4TT3J 40-49 years, female 9.0
GTEX-132Q8-1126-SM-5K7XS 60-69 years, male 8.9
GTEX-1399R-1726-SM-5K7YJ 30-39 years, male 8.9
GTEX-13JVG-1126-SM-5KM2M 60-69 years, male 8.9
GTEX-14JG1-0826-SM-5ZZWR 40-49 years, male 8.9
GTEX-18465-0726-SM-7LG4L 50-59 years, male 8.9
GTEX-ZYFG-0526-SM-5GZXX 60-69 years, female 8.9
GTEX-1F75I-1326-SM-7PBZX 40-49 years, male 8.9
GTEX-1117F-0726-SM-5GIEN 60-69 years, female 8.8
GTEX-139YR-0526-SM-5L3DG 50-59 years, male 8.8
GTEX-14A6H-0326-SM-5NQAN 30-39 years, male 8.8
GTEX-1QEPI-1126-SM-E8VN7 60-69 years, female 8.8
GTEX-X4XX-1126-SM-3NMBY 60-69 years, male 8.7
GTEX-XLM4-2026-SM-4AT4X 60-69 years, male 8.7
GTEX-1LB8K-0926-SM-D4P42 50-59 years, male 8.7
GTEX-1LSNM-0426-SM-E9TIZ 50-59 years, male 8.7
GTEX-111YS-0326-SM-5GZZ3 60-69 years, male 8.6
GTEX-1192W-0226-SM-5EGGT 60-69 years, male 8.6
GTEX-13N11-0726-SM-5L3DP 50-59 years, female 8.6
GTEX-15EU6-1326-SM-6PANG 50-59 years, male 8.6
GTEX-17F9E-0726-SM-793A1 50-59 years, male 8.6
GTEX-X3Y1-0226-SM-3P5Z5 40-49 years, male 8.6
GTEX-14A5I-1026-SM-5Q5E3 50-59 years, female 8.5
GTEX-1GMRU-1326-SM-9WYUI 50-59 years, male 8.5
GTEX-1GN73-2326-SM-9MQKV 60-69 years, male 8.5
GTEX-1H3O1-0226-SM-9WYSW 60-69 years, male 8.5
GTEX-1LGRB-1026-SM-CNPQD 50-59 years, female 8.5
GTEX-YEC3-0426-SM-CYPS8 50-59 years, male 8.5
GTEX-16NPX-0826-SM-6M489 50-59 years, male 8.4
GTEX-1A8G6-1826-SM-73KY8 60-69 years, male 8.4
GTEX-WQUQ-1326-SM-3MJFF 60-69 years, male 8.4
GTEX-1IDJD-0226-SM-CKZOA 30-39 years, male 8.4
GTEX-1IKOH-0926-SM-A9SLU 60-69 years, female 8.4
GTEX-1R9K4-1026-SM-EXUT1 60-69 years, male 8.4
GTEX-13U4I-0626-SM-5LU5L 40-49 years, female 8.3
GTEX-18A66-1126-SM-731C5 60-69 years, male 8.3
GTEX-1AX8Z-1126-SM-731CS 60-69 years, male 8.3
GTEX-147JS-1326-SM-5SI6D 60-69 years, male 8.2
GTEX-18A6Q-1526-SM-731CO 60-69 years, male 8.2
GTEX-1GMR8-1026-SM-9MQLA 50-59 years, female 8.2
GTEX-1H11D-1026-SM-9QEIU 40-49 years, male 8.2
GTEX-1IKJJ-0626-SM-CY8GF 60-69 years, male 8.2
GTEX-1OFPY-0926-SM-DTX8Q 60-69 years, male 8.2
GTEX-1QP6S-1026-SM-DTXFW 40-49 years, male 8.2
GTEX-1I1CD-1326-SM-A9SMM 60-69 years, female 8.1
GTEX-1I1HK-0626-SM-CNPQM 60-69 years, male 8.1
GTEX-12584-1026-SM-59HK3 40-49 years, male 7.9
GTEX-13SLW-0826-SM-5QGP7 70-79 years, male 7.9
GTEX-1445S-1226-SM-5O9BF 60-69 years, male 7.9
GTEX-144GL-1026-SM-5O99R 50-59 years, male 7.9
GTEX-15ER7-0826-SM-6PALW 20-29 years, female 7.9
GTEX-16GPK-1226-SM-7LTAU 60-69 years, male 7.9
GTEX-1GF9U-0526-SM-7P8SK 40-49 years, female 7.9
GTEX-117YW-0426-SM-5GZZZ 50-59 years, male 7.8
GTEX-1B933-0826-SM-79OMW 50-59 years, female 7.8
GTEX-1E2YA-0626-SM-7P8P4 50-59 years, male 7.8
GTEX-ZAB4-0926-SM-5CVN4 40-49 years, male 7.7
GTEX-1GZ2Q-0926-SM-7RHHN 40-49 years, male 7.7
GTEX-1AX9I-1026-SM-73KYF 60-69 years, male 7.6
GTEX-X5EB-0626-SM-46MVQ 40-49 years, male 7.6
GTEX-1192X-0726-SM-5987R 50-59 years, male 7.5
GTEX-12WSC-1026-SM-5EQ5Y 50-59 years, male 7.5
GTEX-139TU-1926-SM-5J2OC 60-69 years, male 7.5
GTEX-147F4-1126-SM-5TDDE 50-59 years, male 7.5
GTEX-1B8SF-1326-SM-7IGQJ 60-69 years, male 7.5
GTEX-WZTO-1226-SM-3NMAZ 40-49 years, male 7.5
GTEX-ZLFU-0326-SM-4WWBK 40-49 years, male 7.5
GTEX-1I1GR-1026-SM-A9SLC 60-69 years, male 7.5
GTEX-ZV7C-0526-SM-9WPNK 50-59 years, male 7.5
GTEX-131YS-0826-SM-5PNYV 60-69 years, female 7.4
GTEX-13NZA-0826-SM-5K7WS 60-69 years, male 7.4
GTEX-1EH9U-0626-SM-7PC33 60-69 years, male 7.4
GTEX-111FC-0626-SM-5N9CU 60-69 years, male 7.3
GTEX-12WSA-1126-SM-5EGKU 60-69 years, male 7.3
GTEX-16XZZ-1026-SM-7DHKS 60-69 years, male 7.3
GTEX-1B932-1326-SM-79OM4 40-49 years, female 7.3
GTEX-1F88F-0326-SM-9KNV3 60-69 years, female 7.3
GTEX-1P4AB-0926-SM-E76PV 50-59 years, male 7.3
GTEX-13CF2-0226-SM-5L3DV 60-69 years, male 7.2
GTEX-13PL6-0826-SM-5IJBI 40-49 years, female 7.2
GTEX-17HGU-1126-SM-793BP 50-59 years, male 7.2
GTEX-1HUB1-0726-SM-CGQF4 60-69 years, male 7.2
GTEX-12WSD-1226-SM-5HL9Q 60-69 years, female 7.1
GTEX-X4EP-0326-SM-3P5Z6 60-69 years, female 7.1
GTEX-1HBPM-1026-SM-ARL9D 60-69 years, female 7.1
GTEX-1LVAO-0626-SM-EWRNT 60-69 years, male 7.1
GTEX-13NZ9-0126-SM-5K7XV 50-59 years, male 7.0
GTEX-14E1K-0826-SM-5ZZW9 50-59 years, male 7.0
GTEX-1C64O-0926-SM-79OLN 60-69 years, male 7.0
GTEX-ZVZQ-0726-SM-51MR3 60-69 years, female 7.0
GTEX-1IDJH-1126-SM-COH3R 70-79 years, male 7.0
GTEX-1PPGY-0926-SM-DTXFF 60-69 years, male 7.0
GTEX-1212Z-0726-SM-5EGI5 60-69 years, male 6.9
GTEX-13NYS-1926-SM-5IJCB 60-69 years, male 6.9
GTEX-ZUA1-0726-SM-4YCD9 40-49 years, male 6.9
GTEX-1JN6P-0826-SM-ARL97 60-69 years, male 6.9
GTEX-12ZZY-1226-SM-5GCNK 60-69 years, male 6.8
GTEX-183WM-0926-SM-718AN 70-79 years, female 6.8
GTEX-18D9B-1126-SM-7KFSH 60-69 years, male 6.8
GTEX-ZXG5-0626-SM-5NQ85 60-69 years, male 6.8
GTEX-1F75B-1126-SM-7RHGP 50-59 years, male 6.8
GTEX-1JMLX-1826-SM-CNPOX 50-59 years, male 6.8
GTEX-14PII-1026-SM-5ZZVW 60-69 years, male 6.7
GTEX-1E1VI-1426-SM-793CY 50-59 years, male 6.7
GTEX-WFON-0226-SM-3GIKR 40-49 years, male 6.7
GTEX-ZAB5-0126-SM-5CVMT 50-59 years, male 6.7
GTEX-1HR98-1026-SM-CKZOM 60-69 years, male 6.7
GTEX-15CHQ-1326-SM-6871Z 60-69 years, male 6.6
GTEX-Y5V5-0726-SM-4VBPY 60-69 years, female 6.6
GTEX-1GTWX-0926-SM-9MQKM 60-69 years, male 6.6
GTEX-1IY9M-0626-SM-D4P2L 60-69 years, male 6.6
GTEX-WK11-0626-SM-3NMAV 50-59 years, male 6.5
GTEX-111VG-0326-SM-5GZX7 60-69 years, male 6.4
GTEX-13OW7-1626-SM-5IJDH 50-59 years, male 6.4
GTEX-14ASI-0826-SM-5Q5EB 60-69 years, male 6.4
GTEX-ZZPT-0926-SM-5GICZ 50-59 years, male 6.4
GTEX-11EQ8-1326-SM-5EGJQ 60-69 years, male 6.3
GTEX-12ZZX-0726-SM-5EGKA 40-49 years, female 6.3
GTEX-13FTZ-0326-SM-5J1O1 60-69 years, male 6.3
GTEX-13YAN-1426-SM-7EPG8 60-69 years, male 6.3
GTEX-1KD5A-0926-SM-D4P3U 50-59 years, male 6.3
GTEX-14C5O-1226-SM-664N3 60-69 years, male 6.2
GTEX-15SKB-0926-SM-7KUFC 60-69 years, male 6.2
GTEX-1EWIQ-1126-SM-7EPIK 70-79 years, female 6.2
GTEX-Y8E4-0426-SM-4V6GB 40-49 years, male 6.2
GTEX-ZAK1-1126-SM-5PNXU 50-59 years, female 6.2
GTEX-ZVT3-0826-SM-5GIC8 60-69 years, female 6.2
GTEX-ZYFC-1026-SM-5GZX9 50-59 years, male 6.2
GTEX-1GN2E-1426-SM-7RHHI 60-69 years, male 6.2
GTEX-1H1CY-0426-SM-9KNVD 60-69 years, female 6.2
GTEX-13NYB-0326-SM-5IJDP 40-49 years, male 6.1
GTEX-XBEC-1226-SM-4AT65 50-59 years, male 6.1
GTEX-1F75A-1026-SM-7PC3W 50-59 years, male 6.1
GTEX-15RJE-0726-SM-7KUEG 40-49 years, male 6.0
GTEX-1CAMQ-0726-SM-7P8SG 40-49 years, male 6.0
GTEX-117XS-0726-SM-5H131 60-69 years, male 5.9
GTEX-148VJ-1426-SM-5TDE3 70-79 years, male 5.9
GTEX-Y3IK-1026-SM-51MR7 50-59 years, female 5.8
GTEX-1C6VQ-0826-SM-7PBZT 50-59 years, male 5.8
GTEX-1IL2U-1226-SM-CL53P 60-69 years, male 5.8
GTEX-1NSGN-1226-SM-E76OL 50-59 years, male 5.8
GTEX-13NZB-0426-SM-5KM26 30-39 years, male 5.7
GTEX-15D1Q-0426-SM-6AJ9G 40-49 years, male 5.7
GTEX-12WSE-0926-SM-5S2VX 20-29 years, male 5.6
GTEX-17EVP-0526-SM-7EPGY 40-49 years, male 5.6
GTEX-1CB4G-0726-SM-79OOJ 60-69 years, male 5.6
GTEX-VJWN-1026-SM-4M1ZN 50-59 years, female 5.6
GTEX-ZDTS-1226-SM-4WKGL 60-69 years, male 5.6
GTEX-1I1GV-1426-SM-B2LXN 60-69 years, male 5.6
GTEX-1KANC-0226-SM-E9TIW 50-59 years, female 5.6
GTEX-16MT8-0826-SM-7KULO 60-69 years, female 5.5
GTEX-1LG7Y-1426-SM-D4P31 50-59 years, male 5.4
GTEX-13FHP-0826-SM-5K7V5 50-59 years, male 5.3
GTEX-YJ8O-0826-SM-5CVM3 40-49 years, female 5.3
GTEX-1A8FM-1026-SM-7PC26 50-59 years, female 5.3
GTEX-11NV4-0826-SM-5BC4S 60-69 years, male 5.2
GTEX-1QMI2-1026-SM-DTX7T 60-69 years, male 5.2
GTEX-1477Z-1126-SM-5P9GK 60-69 years, male 5.1
GTEX-WL46-0726-SM-3LK5Z 50-59 years, male 5.1
GTEX-1CB4J-0226-SM-7P8T4 60-69 years, male 5.1
GTEX-1HT8W-1326-SM-CGQEN 30-39 years, male 5.0
GTEX-17MF6-0926-SM-7LTAL 40-49 years, male 4.9
GTEX-VUSG-0726-SM-3GIK1 50-59 years, male 4.9
GTEX-1C64N-0826-SM-7RHGQ 50-59 years, male 4.8
GTEX-UPK5-0226-SM-3GAEV 40-49 years, male 4.7
GTEX-1B8L1-0426-SM-7SB76 60-69 years, male 4.7
GTEX-13FHO-1226-SM-5L3EF 60-69 years, male 4.4
GTEX-Z93S-0326-SM-5HL84 50-59 years, male 4.4
GTEX-UTHO-1226-SM-3GAEE 60-69 years, male 4.2
GTEX-W5X1-0826-SM-3GILN 40-49 years, female 3.5
GTEX-14PJM-0826-SM-6LLIW 50-59 years, female 2.7
Show allShow less
Heart - Left Ventricle
Average nTPM: 10.3
Samples: 432

Max nTPM: 134.5
Min nTPM: 2.9
Std nTPM: 10.4
Median nTPM: 7.4
GTEX-1IDJE-0326-SM-CM2TD 50-59 years, female 134.5
GTEX-14E1K-1026-SM-73KUR 50-59 years, male 88.8
GTEX-1R7EV-0326-SM-E76PA 40-49 years, male 70.4
GTEX-P44G-0826-SM-2I5ES 30-39 years, male 56.6
GTEX-1399U-0526-SM-5K7YM 50-59 years, female 54.5
GTEX-13CF3-0726-SM-5J2MY 60-69 years, female 51.4
GTEX-14PHX-2126-SM-6EU2U 50-59 years, male 50.5
GTEX-ZPIC-0826-SM-4WWFJ 40-49 years, female 43.3
GTEX-1EH9U-0826-SM-7IGPT 60-69 years, male 33.7
GTEX-15CHC-0426-SM-6LLHI 60-69 years, female 33.6
GTEX-14XAO-1126-SM-6EU11 60-69 years, female 32.3
GTEX-146FR-0626-SM-5RQJ1 60-69 years, female 32.0
GTEX-12WSK-0626-SM-5LZUJ 40-49 years, female 30.9
GTEX-X15G-0426-SM-4PQZ6 50-59 years, female 30.9
GTEX-1HSMO-1226-SM-CL548 60-69 years, male 30.9
GTEX-11DXX-0326-SM-5PNWC 60-69 years, female 29.6
GTEX-1RB15-0326-SM-E6CQB 60-69 years, male 28.6
GTEX-1CAMS-1326-SM-79OJR 40-49 years, female 28.1
GTEX-11TUW-1026-SM-5GU7D 60-69 years, male 26.5
GTEX-QESD-0526-SM-2I5G5 20-29 years, male 25.8
GTEX-1ICG6-0626-SM-ACKWS 70-79 years, female 25.1
GTEX-1JJE9-1426-SM-ARL8P 70-79 years, male 24.0
GTEX-U4B1-0326-SM-3DB8K 40-49 years, male 23.7
GTEX-1I6K7-0626-SM-ARL7Q 40-49 years, male 23.4
GTEX-XGQ4-0326-SM-4GIEE 50-59 years, male 23.2
GTEX-17HGU-1026-SM-79OKL 50-59 years, male 23.1
GTEX-1HBPH-0126-SM-CNNQ7 40-49 years, female 22.6
GTEX-11EM3-0626-SM-5H12Z 20-29 years, female 21.8
GTEX-P4QS-0326-SM-2I3EU 60-69 years, male 21.6
GTEX-17GQL-0526-SM-72D5N 60-69 years, male 20.8
GTEX-XV7Q-0826-SM-4BRV7 40-49 years, female 20.8
GTEX-XBED-0526-SM-47JY3 60-69 years, male 20.0
GTEX-145MO-1126-SM-5NQBX 60-69 years, male 19.8
GTEX-1K9T9-1126-SM-D3L9E 50-59 years, female 19.7
GTEX-13PVR-1026-SM-5QGQW 60-69 years, female 19.5
GTEX-1N2EF-2826-SM-E6CQF 60-69 years, male 19.5
GTEX-11I78-0826-SM-5A5K4 50-59 years, female 19.4
GTEX-16XZY-0426-SM-793BI 70-79 years, male 19.3
GTEX-1122O-0826-SM-5GICV 60-69 years, female 19.2
GTEX-11O72-1126-SM-5N9E2 40-49 years, male 19.2
GTEX-1IDJU-0726-SM-CNPQ9 60-69 years, female 19.2
GTEX-R53T-0926-SM-3GADH 50-59 years, female 19.0
GTEX-WHSE-0926-SM-3NMBS 20-29 years, male 19.0
GTEX-1I1GP-0826-SM-A96SD 50-59 years, male 18.6
GTEX-1I1HK-0726-SM-B2LY4 60-69 years, male 18.6
GTEX-YB5K-0126-SM-5IFJ2 40-49 years, female 18.4
GTEX-15EOM-5007-SM-793DG 20-29 years, female 18.2
GTEX-1GN1W-0326-SM-9JGHF 50-59 years, female 18.2
GTEX-13OW5-1126-SM-5J1NR 60-69 years, male 17.8
GTEX-1399S-1026-SM-5KLZ9 30-39 years, female 17.5
GTEX-ZZPU-0926-SM-5GZYT 50-59 years, female 16.9
GTEX-13O1R-1226-SM-5J1NU 60-69 years, male 16.5
GTEX-1IKK5-1526-SM-CKZPW 60-69 years, male 16.5
GTEX-1JMOU-0226-SM-CNNPD 60-69 years, female 16.2
GTEX-U8XE-1126-SM-3DB8W 30-39 years, male 15.8
GTEX-1HCU6-1026-SM-A9G25 60-69 years, female 15.7
GTEX-13FLV-0926-SM-5L3DZ 50-59 years, male 15.4
GTEX-12WSG-0526-SM-5FQTH 50-59 years, female 15.1
GTEX-13W3W-0426-SM-5SI9D 60-69 years, female 14.8
GTEX-WWYW-1326-SM-3NB2S 50-59 years, female 14.5
GTEX-SIU8-0826-SM-2XCDQ 50-59 years, male 14.3
GTEX-1OKEX-0726-SM-DPRYE 60-69 years, male 14.3
GTEX-1PWST-1026-SM-DTXF2 70-79 years, male 14.2
GTEX-18A66-1226-SM-7LT8G 60-69 years, male 14.1
GTEX-1A3MW-1326-SM-7189P 60-69 years, female 14.1
GTEX-13N1W-1026-SM-5IJC5 70-79 years, male 14.0
GTEX-14E6C-0426-SM-5YYA8 40-49 years, male 13.9
GTEX-WFG8-0626-SM-3GILJ 20-29 years, male 13.8
GTEX-R55G-0526-SM-2TC5O 40-49 years, female 13.6
GTEX-REY6-1026-SM-2TF4Y 60-69 years, male 13.5
GTEX-WI4N-0626-SM-3TW8Z 40-49 years, female 13.5
GTEX-1S3DN-0726-SM-E9TIO 50-59 years, male 13.5
GTEX-ZYW4-0926-SM-59HJS 60-69 years, male 13.4
GTEX-1B8SG-0826-SM-7EWF7 50-59 years, male 13.3
GTEX-WY7C-0526-SM-3NB3D 50-59 years, male 13.1
GTEX-13FH7-0926-SM-5J2MR 50-59 years, female 13.0
GTEX-131XG-0626-SM-5GCMP 50-59 years, female 12.8
GTEX-17JCI-1126-SM-7IGMM 60-69 years, female 12.8
GTEX-11ZVC-0426-SM-5CVLD 50-59 years, female 12.6
GTEX-14C38-1426-SM-5RQHZ 50-59 years, male 12.6
GTEX-PWCY-0526-SM-5P9HG 20-29 years, female 12.6
GTEX-11TT1-1326-SM-5PNYM 20-29 years, male 12.4
GTEX-PLZ5-0626-SM-2I5F8 50-59 years, male 12.4
GTEX-NPJ8-0426-SM-2HMK6 40-49 years, male 12.3
GTEX-O5YV-0326-SM-2I5H2 60-69 years, female 12.2
GTEX-1C2JI-0526-SM-7EWEQ 50-59 years, male 12.1
GTEX-1ICLY-1326-SM-CJI47 50-59 years, male 12.0
GTEX-1IDJF-0726-SM-CJI1U 20-29 years, male 12.0
GTEX-P78B-0426-SM-2I5F5 40-49 years, female 11.9
GTEX-QDVN-0326-SM-2I3FS 50-59 years, male 11.8
GTEX-14PJ2-1026-SM-6EU1M 50-59 years, male 11.6
GTEX-ZYT6-1726-SM-5E44P 30-39 years, male 11.6
GTEX-ZF2S-1026-SM-9QEGK 50-59 years, female 11.5
GTEX-RTLS-0826-SM-2TF5Q 60-69 years, female 11.4
GTEX-RNOR-0826-SM-2TF5C 50-59 years, female 11.3
GTEX-1339X-0426-SM-5KLZY 40-49 years, male 11.1
GTEX-13NYB-0226-SM-5N9G4 40-49 years, male 11.1
GTEX-1H11D-1226-SM-9WPQ2 40-49 years, male 11.1
GTEX-ZVT2-1026-SM-5GU55 50-59 years, female 11.0
GTEX-148VJ-1526-SM-5Q5DU 70-79 years, male 10.9
GTEX-14C39-0926-SM-5TDDV 40-49 years, male 10.9
GTEX-14PK6-0826-SM-5ZZVO 70-79 years, female 10.9
GTEX-1211K-0626-SM-5FQUZ 60-69 years, female 10.8
GTEX-13X6H-0426-SM-5LU4E 50-59 years, female 10.8
GTEX-1A3MX-1326-SM-72D58 60-69 years, male 10.8
GTEX-XXEK-0926-SM-4BRWH 50-59 years, male 10.8
GTEX-YF7O-0426-SM-5P9FS 50-59 years, male 10.7
GTEX-1GF9V-1626-SM-7PBXL 60-69 years, male 10.7
GTEX-WH7G-0426-SM-3NMBJ 40-49 years, male 10.6
GTEX-1I1GQ-1426-SM-B2LWY 50-59 years, male 10.6
GTEX-1LH75-0426-SM-E9TJF 50-59 years, female 10.6
GTEX-1QP2A-1126-SM-EVR3H 50-59 years, male 10.6
GTEX-1LC47-1026-SM-D3LAH 60-69 years, male 10.5
GTEX-14PN3-0526-SM-69LQF 60-69 years, female 10.4
GTEX-ZAB4-1026-SM-5HL7T 40-49 years, male 10.4
GTEX-1GL5R-0326-SM-9WYTJ 50-59 years, male 10.4
GTEX-13QBU-0426-SM-5J2O4 40-49 years, female 10.3
GTEX-145LV-0326-SM-5Q5BW 50-59 years, male 10.3
GTEX-16NPX-0926-SM-7KUEZ 50-59 years, male 10.3
GTEX-QEG5-0926-SM-2TC64 20-29 years, male 10.3
GTEX-1IKOE-1026-SM-ARZMF 30-39 years, female 10.2
GTEX-1JJ6O-2126-SM-CNNP6 60-69 years, male 10.2
GTEX-13O3P-1626-SM-5K7X3 50-59 years, male 10.1
GTEX-ZF3C-1226-SM-4WWCB 50-59 years, female 10.1
GTEX-1L5NE-0426-SM-E9TIX 50-59 years, male 10.1
GTEX-P44H-0726-SM-48TBT 40-49 years, male 10.0
GTEX-QEL4-0926-SM-3GAD1 50-59 years, male 10.0
GTEX-QVJO-1926-SM-2S1QZ 60-69 years, female 10.0
GTEX-SUCS-0326-SM-32PLL 70-79 years, male 10.0
GTEX-WEY5-0426-SM-3GIKT 40-49 years, female 9.9
GTEX-N7MT-1326-SM-2I3FV 60-69 years, female 9.8
GTEX-SE5C-0626-SM-2XCDV 40-49 years, female 9.8
GTEX-1F5PK-0326-SM-9KNUD 50-59 years, male 9.7
GTEX-13YAN-1326-SM-5Q5F1 60-69 years, male 9.6
GTEX-147F4-1226-SM-5NQAY 50-59 years, male 9.6
GTEX-1GN1V-0826-SM-9KNU6 60-69 years, male 9.6
GTEX-1H23P-1226-SM-9QEJ2 60-69 years, male 9.6
GTEX-1JN6P-1126-SM-CKZON 60-69 years, male 9.6
GTEX-11DXY-0826-SM-5EGGR 60-69 years, male 9.5
GTEX-RWS6-0326-SM-2XCAP 60-69 years, female 9.5
GTEX-1A8G6-1626-SM-7MGWO 60-69 years, male 9.5
GTEX-WL46-0926-SM-3LK7T 50-59 years, male 9.4
GTEX-ZAJG-0826-SM-5PNVA 50-59 years, female 9.4
GTEX-N7MS-0826-SM-2HML4 60-69 years, male 9.3
GTEX-Y8E4-0326-SM-4VBRR 40-49 years, male 9.3
GTEX-1LSNM-0526-SM-DIPG6 50-59 years, male 9.3
GTEX-13PVQ-1226-SM-5IJDC 50-59 years, male 9.2
GTEX-14PHY-0226-SM-5ZZWM 60-69 years, female 9.2
GTEX-RUSQ-0526-SM-2TF72 50-59 years, male 9.1
GTEX-1CB4E-0526-SM-7MXTK 60-69 years, male 9.1
GTEX-1HCUA-0526-SM-A9SMH 50-59 years, female 9.1
GTEX-1314G-0126-SM-5LZUL 30-39 years, male 9.0
GTEX-1AX9J-1026-SM-72D6E 60-69 years, male 9.0
GTEX-WHWD-0426-SM-3LK83 50-59 years, male 9.0
GTEX-1B8L1-0526-SM-79ONX 60-69 years, male 8.9
GTEX-1BAJH-1626-SM-73KUV 70-79 years, male 8.9
GTEX-UJMC-0526-SM-3GAE3 50-59 years, male 8.9
GTEX-WRHU-1226-SM-4E3IJ 50-59 years, female 8.9
GTEX-1J8Q2-1226-SM-A9G2W 60-69 years, male 8.9
GTEX-14A5I-1226-SM-5NQBW 50-59 years, female 8.8
GTEX-QDVJ-0426-SM-2I5FW 50-59 years, male 8.8
GTEX-1IL2U-1326-SM-A9G2O 60-69 years, male 8.8
GTEX-13112-0426-SM-5PNVC 50-59 years, male 8.7
GTEX-13X6K-1826-SM-5O9CR 60-69 years, female 8.6
GTEX-X261-1426-SM-4PQZ1 50-59 years, male 8.6
GTEX-ZTPG-1226-SM-4YCDO 20-29 years, female 8.6
GTEX-1GMR3-0326-SM-7P8QT 40-49 years, male 8.6
GTEX-1ICLZ-1026-SM-A9SLF 60-69 years, male 8.6
GTEX-ZPCL-0426-SM-DNZZ4 60-69 years, female 8.6
GTEX-13JVG-1326-SM-5N9F8 60-69 years, male 8.5
GTEX-14E6D-0926-SM-5S2QV 50-59 years, male 8.5
GTEX-1AX9K-0526-SM-73KV1 50-59 years, male 8.5
GTEX-1J8QM-0426-SM-AHZ3X 60-69 years, female 8.5
GTEX-11GS4-0526-SM-5A5KQ 60-69 years, male 8.4
GTEX-18D9B-1226-SM-72D6V 60-69 years, male 8.4
GTEX-1GF9U-0426-SM-7RHHA 40-49 years, female 8.4
GTEX-1HCU7-1326-SM-CNPPW 50-59 years, male 8.4
GTEX-12ZZW-1026-SM-5GCMM 50-59 years, male 8.3
GTEX-147JS-1526-SM-5ZZWF 60-69 years, male 8.3
GTEX-1H1ZS-1126-SM-9MQLJ 70-79 years, male 8.3
GTEX-1212Z-0626-SM-5FQTB 60-69 years, male 8.2
GTEX-13S86-0226-SM-5S2PJ 40-49 years, male 8.2
GTEX-14C5O-1326-SM-5S2UW 60-69 years, male 8.2
GTEX-14PJM-1126-SM-6LLHK 50-59 years, female 8.2
GTEX-ZDYS-0226-SM-5HL4K 50-59 years, male 8.2
GTEX-131XE-0626-SM-5HL98 50-59 years, male 8.1
GTEX-148VI-0326-SM-5RQK7 60-69 years, female 8.1
GTEX-17F9Y-1326-SM-7MGW9 70-79 years, female 8.1
GTEX-13O21-2326-SM-5MR3X 50-59 years, male 8.0
GTEX-14BIL-1126-SM-79OMC 50-59 years, male 8.0
GTEX-1C64O-0826-SM-79OKZ 60-69 years, male 7.9
GTEX-OIZH-0326-SM-2HMKC 50-59 years, male 7.9
GTEX-11GSP-1326-SM-5A5KY 60-69 years, female 7.8
GTEX-OHPL-0326-SM-33HC8 60-69 years, female 7.8
GTEX-QLQ7-0526-SM-2I5G3 60-69 years, male 7.8
GTEX-QMRM-0526-SM-2I5GA 50-59 years, male 7.8
GTEX-1EX96-2526-SM-7RHGW 50-59 years, male 7.8
GTEX-1OFPY-1026-SM-EXUSO 60-69 years, male 7.8
GTEX-14JIY-1126-SM-6EU28 60-69 years, male 7.7
GTEX-1O9I2-1126-SM-DTXEA 50-59 years, male 7.7
GTEX-1399T-0426-SM-5PNVJ 60-69 years, male 7.6
GTEX-13X6I-1426-SM-5SI9Z 60-69 years, male 7.6
GTEX-1HSGN-1126-SM-CJI4G 40-49 years, female 7.6
GTEX-1JK1U-0526-SM-CYPSQ 60-69 years, male 7.6
GTEX-132AR-2026-SM-5IJG4 50-59 years, female 7.5
GTEX-1497J-1226-SM-5Q5BL 60-69 years, male 7.5
GTEX-1AYCT-0426-SM-73KVZ 50-59 years, male 7.5
GTEX-1CB4I-1626-SM-7RHGV 50-59 years, male 7.5
GTEX-1EKGG-1126-SM-7MGXB 60-69 years, male 7.5
GTEX-1HCVE-1126-SM-9WPPG 50-59 years, male 7.5
GTEX-11LCK-0926-SM-5A5KA 30-39 years, male 7.4
GTEX-12BJ1-0226-SM-5LUA2 60-69 years, male 7.4
GTEX-12ZZY-1126-SM-5DUWQ 60-69 years, male 7.4
GTEX-17HII-1326-SM-7IGOB 50-59 years, male 7.4
GTEX-1C6VQ-1126-SM-7EWET 50-59 years, male 7.4
GTEX-ZGAY-0326-SM-57WF5 40-49 years, female 7.4
GTEX-1JMLX-1626-SM-ARZMV 50-59 years, male 7.4
GTEX-1NV8Z-1526-SM-DTX8X 60-69 years, male 7.4
GTEX-1R9K5-1326-SM-E6CPR 50-59 years, male 7.4
GTEX-ZEX8-0426-SM-DO92Y 50-59 years, male 7.4
GTEX-139YR-0826-SM-5LZXY 50-59 years, male 7.3
GTEX-13OVG-0526-SM-5K7YD 60-69 years, male 7.3
GTEX-1B996-1126-SM-73KWN 60-69 years, male 7.3
GTEX-13OW8-2126-SM-5J1OS 60-69 years, male 7.2
GTEX-15ER7-1726-SM-6PAMX 20-29 years, female 7.2
GTEX-OXRO-2026-SM-2YUMZ 60-69 years, female 7.2
GTEX-11EMC-0726-SM-5EGJO 60-69 years, female 7.1
GTEX-13RTJ-0726-SM-5QGQN 60-69 years, male 7.1
GTEX-ZDXO-0726-SM-57WBT 60-69 years, male 7.1
GTEX-15RIE-1726-SM-7KUMU 60-69 years, male 7.1
GTEX-1IKJJ-0826-SM-A96SP 60-69 years, male 7.1
GTEX-1JMQK-0626-SM-D4P2R 60-69 years, male 7.1
GTEX-111FC-0826-SM-5GZWO 60-69 years, male 7.0
GTEX-11ONC-0126-SM-5PNW6 60-69 years, male 7.0
GTEX-NFK9-0926-SM-2HMJU 40-49 years, male 7.0
GTEX-Q2AH-0526-SM-2I3ED 40-49 years, male 7.0
GTEX-WYJK-1026-SM-3NM8W 50-59 years, male 7.0
GTEX-XPVG-0826-SM-4B654 50-59 years, male 7.0
GTEX-ZAB5-0226-SM-5CVMH 50-59 years, male 7.0
GTEX-1M5QR-1026-SM-DHXK9 40-49 years, male 7.0
GTEX-117YX-1126-SM-5H128 50-59 years, male 6.9
GTEX-16YQH-0926-SM-793BC 30-39 years, male 6.9
GTEX-OHPM-0326-SM-33HCA 50-59 years, male 6.9
GTEX-X8HC-1626-SM-46MWE 50-59 years, female 6.9
GTEX-1HC8U-0726-SM-ACKXL 40-49 years, female 6.9
GTEX-111YS-0426-SM-5987O 60-69 years, male 6.8
GTEX-132QS-0426-SM-5KLZ6 60-69 years, male 6.8
GTEX-13FTW-1026-SM-5L3E3 40-49 years, male 6.8
GTEX-O5YW-0326-SM-2I5EI 50-59 years, male 6.8
GTEX-PVOW-0426-SM-5MR5R 40-49 years, male 6.8
GTEX-YFC4-0526-SM-5ZZVI 40-49 years, female 6.8
GTEX-ZYFC-1126-SM-5E44W 50-59 years, male 6.8
GTEX-1B97J-0726-SM-7RHG3 50-59 years, female 6.8
GTEX-14H4A-0626-SM-5ZZUT 40-49 years, female 6.7
GTEX-14PJ4-1126-SM-5YY91 60-69 years, male 6.7
GTEX-17HHY-1426-SM-7EWDQ 50-59 years, male 6.7
GTEX-OHPK-0326-SM-2HMJO 50-59 years, female 6.7
GTEX-1GZ4I-1026-SM-9KNV5 50-59 years, male 6.7
GTEX-1HSMQ-0226-SM-C1YQL 50-59 years, male 6.7
GTEX-1JMPZ-1426-SM-CJI3C 30-39 years, male 6.7
GTEX-1JN1M-1026-SM-CNPOS 60-69 years, female 6.7
GTEX-131XH-0226-SM-5LZVB 50-59 years, male 6.6
GTEX-OXRL-0326-SM-2I3F2 50-59 years, male 6.6
GTEX-WQUQ-1426-SM-3MJFD 60-69 years, male 6.6
GTEX-ZG7Y-0926-SM-5EQ6O 50-59 years, male 6.6
GTEX-13OW6-1126-SM-5L3HL 50-59 years, male 6.5
GTEX-13VXT-1126-SM-5LU3A 20-29 years, female 6.5
GTEX-U3ZN-1426-SM-3DB87 30-39 years, female 6.5
GTEX-ZDTT-0726-SM-4WKFK 60-69 years, male 6.5
GTEX-13N11-0426-SM-5KM3O 50-59 years, female 6.4
GTEX-OIZG-1126-SM-2HMIU 50-59 years, male 6.4
GTEX-Y114-0226-SM-4TT8W 50-59 years, female 6.4
GTEX-Y5V6-0826-SM-4VBRU 60-69 years, male 6.4
GTEX-1F6IF-2526-SM-7P8TV 60-69 years, male 6.4
GTEX-1F75I-1126-SM-9WYUO 40-49 years, male 6.4
GTEX-ZLFU-0226-SM-4WWFH 40-49 years, male 6.3
GTEX-13O61-0526-SM-5J2M1 60-69 years, male 6.2
GTEX-145MN-0626-SM-5QGRH 30-39 years, male 6.2
GTEX-1EMGI-1226-SM-793DD 60-69 years, male 6.2
GTEX-1GN2E-1326-SM-9KNVG 60-69 years, male 6.2
GTEX-1QPFJ-1026-SM-E6CR6 30-39 years, female 6.2
GTEX-OIZI-0926-SM-E6CHF 40-49 years, male 6.2
GTEX-131XF-5001-SM-7DHLY 60-69 years, male 6.1
GTEX-13FHP-1026-SM-5K7Y2 50-59 years, male 6.1
GTEX-QV44-0526-SM-2S1RE 50-59 years, male 6.1
GTEX-RN64-0826-SM-2TC62 50-59 years, male 6.1
GTEX-T2IS-0426-SM-32QPE 20-29 years, female 6.1
GTEX-ZUA1-0826-SM-4YCDL 40-49 years, male 6.1
GTEX-1MCC2-0326-SM-EV7AK 30-39 years, female 6.1
GTEX-1MJIX-0326-SM-EVR42 40-49 years, male 6.1
GTEX-1MUQO-1226-SM-E9TJK 60-69 years, male 6.1
GTEX-11DXZ-0626-SM-5GU77 50-59 years, male 6.0
GTEX-1269C-0826-SM-5N9EM 60-69 years, female 6.0
GTEX-15CHQ-1526-SM-69LPW 60-69 years, male 6.0
GTEX-OOBJ-0326-SM-33HBO 60-69 years, male 6.0
GTEX-RWSA-0626-SM-2XCBD 40-49 years, male 6.0
GTEX-XQ8I-0126-SM-4BOPL 50-59 years, male 6.0
GTEX-ZF29-0226-SM-4WKHO 60-69 years, female 6.0
GTEX-ZPU1-0626-SM-4YCDM 40-49 years, male 6.0
GTEX-1LGRB-1126-SM-CNPP2 50-59 years, female 6.0
GTEX-1LVA9-0926-SM-EVR5G 50-59 years, male 6.0
GTEX-1R9PO-0326-SM-DTXA1 60-69 years, female 6.0
GTEX-12696-1126-SM-5FQTI 60-69 years, male 5.9
GTEX-13SLX-1026-SM-5ZZUQ 50-59 years, female 5.9
GTEX-15RJE-0626-SM-7KUKR 40-49 years, male 5.9
GTEX-PSDG-0926-SM-2I5FP 50-59 years, male 5.9
GTEX-R55E-1026-SM-2TC5S 20-29 years, male 5.9
GTEX-XQ3S-0626-SM-4BOOB 20-29 years, male 5.9
GTEX-ZVZP-0226-SM-5NQ73 50-59 years, male 5.9
GTEX-1CB4J-0326-SM-7PBZO 60-69 years, male 5.9
GTEX-1GN73-2426-SM-7RHFQ 60-69 years, male 5.9
GTEX-1GTWX-1026-SM-7P8QW 60-69 years, male 5.9
GTEX-1KXAM-1326-SM-E9TJW 60-69 years, male 5.9
GTEX-12WSC-1126-SM-5EQ4G 50-59 years, male 5.8
GTEX-1B8KE-0126-SM-793AM 50-59 years, male 5.8
GTEX-T6MN-0926-SM-32PLX 50-59 years, male 5.8
GTEX-1F48J-1026-SM-7P8SO 50-59 years, female 5.8
GTEX-1GMR2-1426-SM-7RHHK 50-59 years, male 5.8
GTEX-1GMRU-1526-SM-9WYT5 50-59 years, male 5.8
GTEX-YEC3-0726-SM-CMKFH 50-59 years, male 5.8
GTEX-14DAQ-1126-SM-664MT 60-69 years, female 5.7
GTEX-U3ZH-0326-SM-3DB7A 30-39 years, male 5.7
GTEX-1J8Q3-1226-SM-CKZPT 60-69 years, male 5.7
GTEX-1LGOU-0726-SM-E9TIY 20-29 years, female 5.7
GTEX-1RAZS-0826-SM-E76QP 50-59 years, male 5.7
GTEX-OIZF-0326-SM-3MJGY 60-69 years, male 5.7
GTEX-UPK5-0326-SM-CYPR4 40-49 years, male 5.7
GTEX-OXRK-0826-SM-2HMK7 50-59 years, female 5.6
GTEX-POMQ-0326-SM-2I5FO 20-29 years, female 5.6
GTEX-SNMC-0126-SM-2XCFO 20-29 years, male 5.6
GTEX-X3Y1-0426-SM-3P5Z4 40-49 years, male 5.6
GTEX-1H1CY-0326-SM-9QEIZ 60-69 years, female 5.6
GTEX-1H3NZ-1126-SM-9WYT9 60-69 years, male 5.6
GTEX-1IDJH-1026-SM-E9TKH 70-79 years, male 5.6
GTEX-WK11-0826-SM-EZ6LH 50-59 years, male 5.6
GTEX-17F9E-0926-SM-7IGMG 50-59 years, male 5.5
GTEX-P4PQ-0326-SM-2HMJ8 60-69 years, male 5.5
GTEX-ZV7C-0326-SM-57WB1 50-59 years, male 5.5
GTEX-1PPH7-2026-SM-E9J3N 40-49 years, male 5.5
GTEX-12WSD-1126-SM-5EGJD 60-69 years, female 5.4
GTEX-13U4I-0826-SM-5SIBD 40-49 years, female 5.4
GTEX-146FH-1026-SM-5RQIF 50-59 years, female 5.4
GTEX-14A6H-0226-SM-5Q5DX 30-39 years, male 5.4
GTEX-14PJ6-0726-SM-69LOL 60-69 years, female 5.4
GTEX-S32W-0626-SM-2XCBG 50-59 years, female 5.4
GTEX-1KD4Q-0726-SM-DIPGE 40-49 years, male 5.4
GTEX-1O97I-0826-SM-E8VNE 60-69 years, male 5.4
GTEX-1RMOY-0626-SM-E9TIE 50-59 years, male 5.4
GTEX-1313W-1426-SM-5KLZU 50-59 years, female 5.3
GTEX-18465-0926-SM-731AY 50-59 years, male 5.3
GTEX-PX3G-0326-SM-2I3EO 20-29 years, female 5.3
GTEX-WFG7-0726-SM-3GIKO 20-29 years, male 5.3
GTEX-132NY-1726-SM-5EGKK 60-69 years, male 5.2
GTEX-16BQI-0926-SM-6M485 30-39 years, female 5.2
GTEX-16MT8-0926-SM-6M487 60-69 years, female 5.2
GTEX-18D9U-1126-SM-72D5Y 40-49 years, male 5.2
GTEX-1CB4G-0826-SM-7DUGF 60-69 years, male 5.2
GTEX-O5YT-0326-SM-32PKA 20-29 years, male 5.2
GTEX-R45C-0926-SM-3GAD4 60-69 years, female 5.2
GTEX-XPT6-0126-SM-4B65S 20-29 years, male 5.2
GTEX-1F6I4-0726-SM-7PC2P 60-69 years, male 5.2
GTEX-11ZUS-0226-SM-5FQT8 30-39 years, male 5.1
GTEX-1EU9M-1826-SM-7DUGU 60-69 years, male 5.1
GTEX-Y3I4-0626-SM-4TT7A 50-59 years, male 5.1
GTEX-15CHR-0226-SM-7PC2Z 50-59 years, male 5.1
GTEX-1HBPM-1226-SM-A9SM8 60-69 years, female 5.1
GTEX-13CF2-0426-SM-5KM1H 60-69 years, male 5.0
GTEX-13FTZ-0226-SM-5K7X6 60-69 years, male 5.0
GTEX-15RJ7-0226-SM-7KUMN 40-49 years, male 5.0
GTEX-1AX9I-1126-SM-7EPHH 60-69 years, male 5.0
GTEX-WHPG-0826-SM-3NMBF 50-59 years, male 5.0
GTEX-ZDTS-1326-SM-6LLHE 60-69 years, male 5.0
GTEX-1HFI7-0826-SM-A9G23 50-59 years, female 5.0
GTEX-1KANC-0426-SM-CXZK5 50-59 years, female 5.0
GTEX-1KD5A-1026-SM-CY8I8 50-59 years, male 5.0
GTEX-1AX8Z-5007-SM-AHZ36 60-69 years, male 4.9
GTEX-1LB8K-1026-SM-DHXJJ 50-59 years, male 4.9
GTEX-14E7W-1226-SM-5RQIU 70-79 years, male 4.8
GTEX-15DDE-1126-SM-6LLHN 50-59 years, female 4.8
GTEX-WZTO-1326-SM-3NM8X 40-49 years, male 4.8
GTEX-1IDJI-1026-SM-A96TE 50-59 years, female 4.8
GTEX-1R9JW-0526-SM-EWRNK 30-39 years, female 4.8
GTEX-12584-0926-SM-5FQTN 40-49 years, male 4.7
GTEX-13D11-1726-SM-5IFGQ 50-59 years, female 4.7
GTEX-15DYW-1126-SM-6LPK5 60-69 years, female 4.7
GTEX-R55C-0326-SM-3GAF1 40-49 years, male 4.7
GTEX-1I1GV-1326-SM-A96SE 60-69 years, male 4.7
GTEX-1J8EW-0926-SM-A9G33 60-69 years, female 4.7
GTEX-1LG7Y-1226-SM-CXZKD 50-59 years, male 4.7
GTEX-1PPGY-1126-SM-E76OU 60-69 years, male 4.7
GTEX-117YW-0326-SM-5N9CY 50-59 years, male 4.6
GTEX-13NZB-0226-SM-5KM1T 30-39 years, male 4.6
GTEX-13O3O-1526-SM-5KM1C 60-69 years, female 4.6
GTEX-17MF6-0726-SM-7LT8E 40-49 years, male 4.6
GTEX-18A6Q-1626-SM-7KFTA 60-69 years, male 4.6
GTEX-1HT8W-1726-SM-CNNQB 30-39 years, male 4.6
GTEX-15SHU-1126-SM-7KUMB 40-49 years, female 4.5
GTEX-18A67-1226-SM-7KFRS 50-59 years, male 4.5
GTEX-RU72-0326-SM-2TF5T 50-59 years, female 4.5
GTEX-ZQUD-1526-SM-7IGO2 30-39 years, male 4.5
GTEX-1QP29-1526-SM-EXUSY 50-59 years, male 4.5
GTEX-1RQEC-0926-SM-EWROG 60-69 years, male 4.5
GTEX-12WSN-5001-SM-7DHMK 40-49 years, male 4.4
GTEX-1B932-1026-SM-793CL 40-49 years, female 4.4
GTEX-1E1VI-1326-SM-7IGQD 50-59 years, male 4.4
GTEX-P4PP-0326-SM-33HC4 30-39 years, female 4.4
GTEX-14JG1-1026-SM-6ETZY 40-49 years, male 4.3
GTEX-YEC4-0326-SM-4W216 40-49 years, male 4.3
GTEX-1EN7A-0726-SM-7PBXT 40-49 years, male 4.3
GTEX-1R9K4-1326-SM-DTX8G 60-69 years, male 4.3
GTEX-S33H-0526-SM-COH1W 30-39 years, male 4.3
GTEX-YJ8O-0926-SM-EAZ2Z 40-49 years, female 4.3
GTEX-V1D1-0526-SM-4JBGW 50-59 years, male 4.2
GTEX-12ZZZ-1726-SM-59HK5 60-69 years, male 4.1
GTEX-14BIN-2226-SM-5YYA1 50-59 years, female 4.1
GTEX-17KNJ-0826-SM-793A4 50-59 years, male 4.1
GTEX-WFON-0326-SM-3GIKX 40-49 years, male 4.0
GTEX-1JJEA-0826-SM-CL53T 60-69 years, male 4.0
GTEX-1399R-1926-SM-5K7X8 30-39 years, male 3.9
GTEX-1LVAN-1726-SM-CNNR1 50-59 years, female 3.9
GTEX-UJHI-0426-SM-3DB8Y 50-59 years, female 3.8
GTEX-ZYFG-0426-SM-5E43M 60-69 years, female 3.8
GTEX-1EWIQ-1426-SM-7IGOS 70-79 years, female 3.7
GTEX-Y5V5-0626-SM-4VBPX 60-69 years, female 3.7
GTEX-13OVL-0526-SM-5KLZQ 50-59 years, male 3.6
GTEX-XBEC-1326-SM-4AT69 50-59 years, male 3.6
GTEX-1POEN-0626-SM-EVR4B 30-39 years, female 3.5
GTEX-15SHW-1226-SM-6M46C 60-69 years, male 3.4
GTEX-1QCLZ-0926-SM-E6CQZ 60-69 years, female 3.3
GTEX-QEG4-0426-SM-33HC3 30-39 years, male 3.1
GTEX-Y3IK-0826-SM-51MT8 50-59 years, female 3.1
GTEX-V955-0726-SM-3GAFG 60-69 years, male 2.9
Show allShow less

HEART MUSCLE - FANTOM5 CAGEi

RNA expression in human tissues obtained through Cap Analysis of Gene Expression (CAGE) generated by the FANTOM5 project are reported as Scaled Tags Per Million.

Max subtype Scaled Tags Per Millioni

Max subtype Scaled Tags Per Million is the value for the subtype with the largest average Scaled Tags Per Million across the subtype samples.

113.8
FANTOM5 sample id Sample description Scaled Tags Per Million
Heart
Scaled Tags Per Million: 59.7
FF:10016-101C7 70,73,74 years, mixed 59.7
Left atrium
Scaled Tags Per Million: 113.8
FF:10079-102A7 40 years, male 113.8
Left ventricle
Scaled Tags Per Million: 19.0
FF:10078-102A6 73 years, female 19.0

Contact

  • NEWS ARTICLES
  • PRESS ROOM

The Project

  • INTRODUCTION
  • ORGANIZATION
  • PUBLICATIONS

The Human Protein Atlas

  • DOWNLOADABLE DATA
  • LICENCE & CITATION
  • HELP & FAQ
The Human Protein Atlas project is funded
by the Knut & Alice Wallenberg Foundation.


contact@proteinatlas.org