We use cookies to enhance the usability of our website. If you continue, we'll assume that you are happy to receive all cookies. More information. Don't show this again.
FASN
HPA
RESOURCES
  • TISSUE
  • BRAIN
  • SINGLE CELL
  • SUBCELLULAR
  • CANCER
  • BLOOD
  • CELL LINE
  • STRUCTURE & INTERACTION
ABOUT
  • INTRODUCTION
  • HISTORY
  • ORGANIZATION
  • PUBLICATIONS
  • ANTIBODY SUBMISSION
  • ANTIBODY AVAILABILITY
  • ACKNOWLEDGMENTS
  • CONTACT
NEWS
  • NEWS ARTICLES
  • PRESS ROOM
LEARN
  • DICTIONARY
  • PROTEIN CLASSES
  • PROTEIN EVIDENCE
  • METHODS
  • EDUCATIONAL VIDEOS
DATA
  • DOWNLOADABLE DATA
  • PUBLICATION DATA
  • RELEASE HISTORY
HELP
  • ANTIBODY VALIDATION
  • ASSAYS & ANNOTATION
  • DISCLAIMER
  • HELP & FAQ
  • PRIVACY STATEMENT
  • LICENCE & CITATION
Fields »
Search result

Field
Term
Gene name
Class
Subclass
Class
Keyword
Chromosome
External id
Tissue
Cell type
Expression
Antibody panel
Tissue
Main location
Patient ID
Annotation
Tissue
Category
Tau score
Cluster
Reliability
Brain region
Category
Tau score
Brain region
Category
Tau score
Brain region
Category
Tau score
Cluster
Reliability
Tissue
Cell type
Enrichment
Cell type
Category
Tau score
Cell type
Category
Tau score
Cell type
Category
Tau score
Cell lineage
Category
Tau score
Cluster
Cluster
Location
Searches
Location
Cell line
Class
Type
Phase
Reliability
Cancer
Prognosis
Cancer
Category
Cancer
Category
Tau score
Cluster
Variants
Interacting gene (ensg_id)
Type
Number of interactions
Pathway
Category
Score
Score
Score
Validation
Validation
Validation
Validation
Antibodies
Data type
Column


  • SUMMARY

  • TISSUE

  • BRAIN

  • SINGLE CELL

  • SUBCELL

  • CANCER

  • BLOOD

  • CELL LINE

  • STRUCT & INT

  • FASN
TISSUE PRIMARY DATA SKIN Show tissue menu
ADIPOSE TISSUE ADRENAL GLAND AMYGDALA APPENDIX BASAL GANGLIA BONE MARROW BREAST BRONCHUS CEREBELLUM CEREBRAL CORTEX CERVIX CHOROID PLEXUS COLON DUODENUM
ENDOMETRIUM EPIDIDYMIS ESOPHAGUS FALLOPIAN TUBE GALLBLADDER HEART MUSCLE HIPPOCAMPAL FORMATION HYPOTHALAMUS KIDNEY LIVER LUNG LYMPH NODE MIDBRAIN NASOPHARYNX
ORAL MUCOSA OVARY PANCREAS PARATHYROID GLAND PITUITARY GLAND PLACENTA PROSTATE RECTUM RETINA SALIVARY GLAND SEMINAL VESICLE SKELETAL MUSCLE SKIN SMALL INTESTINE
SMOOTH MUSCLE SOFT TISSUE SPINAL CORD SPLEEN STOMACH TESTIS THYMUS THYROID GLAND TONGUE TONSIL URINARY BLADDER VAGINA
ANTIBODIES
AND
VALIDATION
Dictionary
Skin
Tissue proteome
Skin
SKIN - Expression summary
Protein expression
Skini

On the top, protein expression in current human tissue, based on all annotated cell types, is reported with the units not detected (n), low (l), medium (m) and high (h). Underneath, protein expression in each annotated cell type are reported using the same units.

Protein expression data is based on knowledge-based annotation. For genes where more than one antibody has been used, a collective score is set.

If knowledge-based annotation could not be performed for a gene, no data is displayed here. View antibody staining data further down this page.

h
m
l
n
Epidermal cells: Not detected
Fibroblasts: Not detected
Keratinocytes: Not detected
Langerhans: Not detected
Melanocytes: Not detected
RNA expressioni

A summary of mRNA expression data available for current tissue based on several datasets. The mRNA expression levels in human tissues are based on RNA-seq data generated by the Human Protein Atlas (HPA), Genotype-Tissue Expression (GTEx) portal and CAGE data generated by the FANTOM5 consortium. Consensus normalized expression levels for human tissues was created by combining the data from HPA and GTEx datasets.

The mRNA expression levels in pig are based on RNA-seq data generated by the Human Protein Atlas (HPA), and for mouse, HPA data and in situ hybridization generated by the Allen brain atlas are reported.

Scroll down to view mRNA expression data in more detail.
Consensus:86.7 nTPM
HPA:20.7 nTPM
GTEx:86.7 nTPM

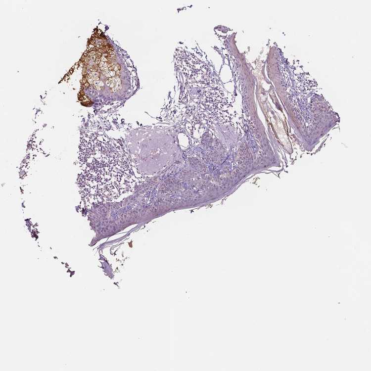
SKIN 1 - Antibody stainingi

Antibody staining in the annotated cell types in the current human tissue is reported as not detected, low, medium, or high, based on conventional immunohistochemistry profiling in selected tissues. This score is based on the combination of the staining intensity and fraction of stained cells.

Each image is clickable and will lead to virtual microscopy that enables deeper exploration of all samples and also displays staining intensity scores, fraction scores and subcellular localization as well as patient and tissue information for each sample.

Antibody HPA006461Antibody HPA056108Antibody CAB005192Antibody CAB015417
Langerhans Not detectedNot detectedNot detectedNot detected
Fibroblasts Not detectedNot detectedNot detectedNot detected
Keratinocytes Not detectedNot detectedNot detectedNot detected
Melanocytes Not detectedNot detectedNot detectedNot detected






SKIN 2 - Antibody stainingi

Antibody staining in the annotated cell types in the current human tissue is reported as not detected, low, medium, or high, based on conventional immunohistochemistry profiling in selected tissues. This score is based on the combination of the staining intensity and fraction of stained cells.

Each image is clickable and will lead to virtual microscopy that enables deeper exploration of all samples and also displays staining intensity scores, fraction scores and subcellular localization as well as patient and tissue information for each sample.

Antibody HPA006461Antibody HPA056108Antibody CAB005192Antibody CAB015417
Epidermal cells Not detectedNot detectedNot detectedNot detected
    
    
    









SKIN - HPA RNA-seqi

The RNA-seq details section shows detailed information about the individual samples used for the transcript profiling and results of the RNA-seq analysis.

Information about each individual sample is listed below, including gender, age, a tissue section image and estimated fractions of cell types. nTPM (normalized transcripts per million) values give a quantification of the gene abundance which is comparable between different genes and samples.
Average nTPMi

Max subtype nTPM is the value for the subtype with the largest average nTPM across the subtype samples.

20.7
overview
Female, age 34
Skin sample 225
nTPM: 12.6
Cell types%
Keratinocytes:
60

Other cell types:
40

overview
Female, age 30
Skin sample 226
nTPM: 6.6
Cell types%
Keratinocytes:
55

Other cell types:
45

N/A
Male, age 57
Skin sample 227
nTPM: 42.8

SKIN - GTEx RNA-seqi

RNA-Seq data generated by the Genotype-Tissue Expression (GTEx) project from human tissues is reported as mean nTPM. More information can be found on the GTEx portal.

Distribution across the dataset is visualized with box plots, shown as median and 25th and 75th percentiles. Points are displayed as outliers if they are above or below 1.5 times the interquartile range. nTPM values of the individual samples are presented next to the box plot.
Max subtype nTPMi

Max subtype nTPM is the value for the subtype with the largest average nTPM across the subtype samples.

86.7
GTEx sample id Sample description nTPM
Skin - Not Sun Exposed (Suprapubic)
Average nTPM: 86.7
Samples: 604

Max nTPM: 537.0
Min nTPM: 10.7
Std nTPM: 74.2
Median nTPM: 64.1
GTEX-YEC3-1326-SM-DO92X 50-59 years, male 537.0
GTEX-14PJ3-1126-SM-5ZZVX 50-59 years, male 524.0
GTEX-1HSMP-0926-SM-A9SKX 70-79 years, male 501.6
GTEX-1N2DV-1526-SM-DTXEP 40-49 years, male 476.9
GTEX-1F5PK-2226-SM-7SB6N 50-59 years, male 434.8
GTEX-1RAZA-2226-SM-E9U4X 20-29 years, male 418.6
GTEX-1QCLY-0226-SM-EWRNH 30-39 years, male 396.4
GTEX-17KNJ-2126-SM-718AM 50-59 years, male 378.2
GTEX-1GN1W-2426-SM-9KNUU 50-59 years, female 369.2
GTEX-1I6K7-1926-SM-B2LXR 40-49 years, male 346.0
GTEX-13OVG-1626-SM-5J1NF 60-69 years, male 336.9
GTEX-145LT-0526-SM-5LUB2 40-49 years, male 320.0
GTEX-11P7K-1126-SM-5HL4L 30-39 years, male 317.0
GTEX-1ICG6-1226-SM-A9SLN 70-79 years, female 314.7
GTEX-11DXX-2126-SM-5PNYR 60-69 years, female 310.1
GTEX-178AV-1726-SM-7KUL8 40-49 years, male 296.4
GTEX-ZPU1-1126-SM-4YCF3 40-49 years, male 289.6
GTEX-16NGA-0726-SM-731AO 40-49 years, female 287.1
GTEX-1GF9U-2026-SM-7SB92 40-49 years, female 286.6
GTEX-1GMR3-0126-SM-A9SLW 40-49 years, male 284.3
GTEX-1JN76-0626-SM-CKZOQ 20-29 years, female 282.8
GTEX-12BJ1-0926-SM-5EQ62 60-69 years, male 278.6
GTEX-11TT1-1826-SM-5EQLV 20-29 years, male 273.1
GTEX-ZZ64-1026-SM-5GZXG 20-29 years, male 270.7
GTEX-1PIGE-1826-SM-E8VOU 20-29 years, male 266.4
GTEX-1B8KZ-0326-SM-73KY4 50-59 years, male 263.9
GTEX-145MN-1526-SM-5SI9T 30-39 years, male 262.2
GTEX-1CB4I-0126-SM-7RHGG 50-59 years, male 260.0
GTEX-YEC4-1826-SM-4W1YP 40-49 years, male 243.7
GTEX-17F98-1326-SM-7DUEP 40-49 years, female 237.8
GTEX-1IY9M-2826-SM-ARU8H 60-69 years, male 236.2
GTEX-YB5K-2026-SM-4VDT3 40-49 years, female 232.6
GTEX-13PVR-0426-SM-5RQK2 60-69 years, female 232.1
GTEX-1S3DN-2126-SM-E9TIN 50-59 years, male 229.0
GTEX-WK11-2726-SM-3NMAQ 50-59 years, male 225.1
GTEX-ZDTS-0826-SM-4WKHL 60-69 years, male 222.4
GTEX-15RIE-1926-SM-7KUKJ 60-69 years, male 213.4
GTEX-14B4R-1326-SM-5Q5EZ 30-39 years, male 209.5
GTEX-ZPIC-0526-SM-DO91W 40-49 years, female 209.0
GTEX-ZDTT-0426-SM-4WKFL 60-69 years, male 205.5
GTEX-WEY5-2326-SM-3GIKK 40-49 years, female 204.8
GTEX-13X6K-0626-SM-5LU5D 60-69 years, female 203.9
GTEX-1IDJF-2026-SM-CL53V 20-29 years, male 202.8
GTEX-1AX8Z-0726-SM-73KTS 60-69 years, male 202.7
GTEX-17F96-0126-SM-7EWDU 70-79 years, male 200.7
GTEX-1CB4F-1026-SM-7DUH1 60-69 years, male 197.4
GTEX-111YS-1526-SM-5GZYW 60-69 years, male 196.0
GTEX-13PVQ-0626-SM-5LU47 50-59 years, male 194.6
GTEX-1E1VI-0326-SM-793D1 50-59 years, male 193.2
GTEX-1QW4Y-1126-SM-DTXE3 30-39 years, male 191.3
GTEX-1OJC3-1226-SM-DTXER 20-29 years, male 190.6
GTEX-Y114-2126-SM-4TT8B 50-59 years, female 187.9
GTEX-X3Y1-2026-SM-3P5YM 40-49 years, male 184.9
GTEX-1I6K6-1726-SM-CGQFD 30-39 years, male 184.6
GTEX-1JMQK-1226-SM-D4P2S 60-69 years, male 184.1
GTEX-1QCLZ-2426-SM-EVYBW 60-69 years, female 182.6
GTEX-1JN6P-2926-SM-CL54D 60-69 years, male 182.4
GTEX-12696-0126-SM-5EQ4L 60-69 years, male 178.3
GTEX-1B97I-0626-SM-73KUZ 40-49 years, male 176.1
GTEX-131XG-0326-SM-5L3DX 50-59 years, female 173.2
GTEX-1GF9V-0826-SM-9KNUV 60-69 years, male 169.5
GTEX-1CB4E-0926-SM-7EPHT 60-69 years, male 168.2
GTEX-1MCYP-0526-SM-E9U6Q 20-29 years, female 164.6
GTEX-1CAMR-1326-SM-7PC1F 20-29 years, male 162.4
GTEX-14PJN-1826-SM-6AJ98 30-39 years, male 161.7
GTEX-15RIG-0726-SM-7KUM7 40-49 years, male 161.0
GTEX-1LSNM-0826-SM-DIPG8 50-59 years, male 159.9
GTEX-Y5V6-2326-SM-4VDSA 60-69 years, male 159.1
GTEX-1I4MK-0126-SM-CY8G6 50-59 years, female 158.8
GTEX-1GN1U-0626-SM-9MQL9 50-59 years, female 158.0
GTEX-WFON-1926-SM-3LK7L 40-49 years, male 157.2
GTEX-ZTX8-1326-SM-4YCEL 20-29 years, male 155.6
GTEX-15CHR-1126-SM-7EWF4 50-59 years, male 154.6
GTEX-1B8KE-1126-SM-7EPHI 50-59 years, male 148.3
GTEX-1AX9I-2226-SM-73KUO 60-69 years, male 148.1
GTEX-1K2DA-1026-SM-CGQGF 50-59 years, male 146.7
GTEX-12WSF-1626-SM-7KUG5 70-79 years, male 145.0
GTEX-WFG7-2026-SM-5SI7P 20-29 years, male 144.5
GTEX-1B996-0426-SM-7EWF8 60-69 years, male 143.0
GTEX-ZVT4-2426-SM-5GIEI 50-59 years, female 143.0
GTEX-XPVG-2126-SM-4B667 50-59 years, male 141.0
GTEX-14JFF-0626-SM-5ZZVT 60-69 years, male 140.8
GTEX-13FH7-1126-SM-5K7UG 50-59 years, female 140.6
GTEX-13U4I-2226-SM-5LU5H 40-49 years, female 140.0
GTEX-14ICL-1626-SM-5YYAO 30-39 years, male 139.5
GTEX-1C64O-1326-SM-7MGWR 60-69 years, male 139.5
GTEX-14PJ6-2626-SM-6EU2T 60-69 years, female 139.2
GTEX-1PPH8-0126-SM-EWRN8 20-29 years, male 138.9
GTEX-11VI4-1126-SM-5EQMD 40-49 years, female 138.8
GTEX-ZDYS-2426-SM-4WKGI 50-59 years, male 138.6
GTEX-1GPI7-1826-SM-9KNU1 20-29 years, male 135.6
GTEX-WY7C-2126-SM-3NB2R 50-59 years, male 133.9
GTEX-1HC8U-1326-SM-9YFMJ 40-49 years, female 133.9
GTEX-18A66-0626-SM-7LT8Z 60-69 years, male 132.3
GTEX-1LVA9-2626-SM-EVYD4 50-59 years, male 131.0
GTEX-1RAZQ-1326-SM-E9TK6 30-39 years, male 129.7
GTEX-1QAET-0326-SM-EVR3U 50-59 years, male 129.6
GTEX-WHWD-1826-SM-3LK6I 50-59 years, male 128.4
GTEX-1JKYR-0626-SM-ARL8R 20-29 years, male 127.8
GTEX-1A3MV-1826-SM-731CD 30-39 years, male 127.6
GTEX-WHPG-2626-SM-3NMBR 50-59 years, male 126.8
GTEX-132AR-0326-SM-5KM2C 50-59 years, female 126.7
GTEX-1LG7Z-1626-SM-CXKYR 30-39 years, male 126.0
GTEX-WYJK-0526-SM-3NM8Z 50-59 years, male 125.9
GTEX-147F3-1726-SM-5SIAW 50-59 years, female 125.3
GTEX-11DXZ-2026-SM-5987S 50-59 years, male 121.8
GTEX-1KD5A-0126-SM-E9U54 50-59 years, male 121.7
GTEX-1JMPY-0226-SM-CKZOK 30-39 years, male 120.7
GTEX-14ABY-2026-SM-62LDL 50-59 years, male 120.0
GTEX-XXEK-1626-SM-4BRUZ 50-59 years, male 120.0
GTEX-11P82-1426-SM-DTXFY 20-29 years, male 119.1
GTEX-ZUA1-2626-SM-5NQ92 40-49 years, male 118.3
GTEX-16NPX-0726-SM-7KULC 50-59 years, male 117.2
GTEX-XBEW-1126-SM-4QARW 40-49 years, male 116.5
GTEX-Y8E4-2026-SM-5IFJB 40-49 years, male 115.4
GTEX-13N11-2326-SM-5IJBF 50-59 years, female 114.8
GTEX-16AAH-0626-SM-793C9 50-59 years, male 114.8
GTEX-14E6E-0526-SM-793DN 30-39 years, male 114.5
GTEX-1F75I-2226-SM-7SB8U 40-49 years, male 113.7
GTEX-14BMV-2826-SM-5TDED 50-59 years, male 113.3
GTEX-ZTTD-2826-SM-4YCFA 50-59 years, male 113.2
GTEX-1K9T9-1526-SM-DIPFR 50-59 years, female 113.0
GTEX-1H1E6-0426-SM-9WYUS 30-39 years, male 112.8
GTEX-1L5NE-1126-SM-D3L9P 50-59 years, male 112.1
GTEX-WFG8-2126-SM-3GIKQ 20-29 years, male 112.0
GTEX-1QPFJ-1926-SM-EVYBD 30-39 years, female 111.7
GTEX-1KANA-1326-SM-DIPFA 20-29 years, male 111.6
GTEX-1F6IF-0926-SM-7SB7M 60-69 years, male 111.1
GTEX-17HHE-1326-SM-7EWDZ 50-59 years, male 110.8
GTEX-ZA64-1026-SM-5HL8R 20-29 years, male 110.6
GTEX-13O3O-2326-SM-5IJD6 60-69 years, female 110.4
GTEX-1A8G7-1326-SM-73KVM 60-69 years, male 107.9
GTEX-1I1GP-1326-SM-A9G28 50-59 years, male 107.5
GTEX-1192X-2726-SM-5N9DN 50-59 years, male 107.0
GTEX-1GZ4H-0526-SM-9KNU9 50-59 years, female 107.0
GTEX-1QP2A-1726-SM-E76QC 50-59 years, male 106.7
GTEX-ZTSS-1426-SM-5985P 40-49 years, male 106.6
GTEX-14PJ4-0226-SM-5YY92 60-69 years, male 106.4
GTEX-1CAMQ-1326-SM-7P8RV 40-49 years, male 106.2
GTEX-11EQ9-1626-SM-5PNY8 30-39 years, male 105.8
GTEX-13FTX-1526-SM-5K7VJ 20-29 years, female 104.4
GTEX-UPJH-0226-SM-3GADV 50-59 years, male 103.5
GTEX-VJYA-1526-SM-3GIJV 60-69 years, male 102.6
GTEX-X585-2426-SM-46MW2 50-59 years, male 102.5
GTEX-WH7G-2026-SM-3NMBL 40-49 years, male 102.3
GTEX-12WSJ-1126-SM-5LZVJ 40-49 years, female 101.8
GTEX-14A5H-0826-SM-5QGPJ 60-69 years, male 101.8
GTEX-18D9A-1426-SM-7LT8M 30-39 years, female 101.2
GTEX-1HSMQ-2626-SM-A9SML 50-59 years, male 101.1
GTEX-1PPH7-1126-SM-DTX9A 40-49 years, male 100.7
GTEX-1I19N-0126-SM-CYPSF 70-79 years, male 100.6
GTEX-1GMR2-0826-SM-7PC3V 50-59 years, male 99.7
GTEX-12KS4-2126-SM-5FQUT 30-39 years, male 99.0
GTEX-X5EB-1926-SM-4E3IW 40-49 years, male 98.7
GTEX-1HBPN-0126-SM-CGQEF 50-59 years, male 98.5
GTEX-1H1DG-2426-SM-9QEHJ 70-79 years, male 98.4
GTEX-1QP66-1226-SM-DTX7U 50-59 years, male 98.1
GTEX-YJ8O-2526-SM-5HL85 40-49 years, female 97.2
GTEX-1IKOE-1426-SM-CE6T7 30-39 years, female 97.2
GTEX-1RB15-1326-SM-E76Q9 60-69 years, male 97.1
GTEX-1H1DE-1326-SM-9KNUG 20-29 years, male 96.8
GTEX-1IDJE-1426-SM-ADEIW 50-59 years, female 96.8
GTEX-ZVP2-0326-SM-57WBP 50-59 years, male 96.5
GTEX-1H2FU-0926-SM-9WPPT 60-69 years, female 96.4
GTEX-117YX-1926-SM-5GIEC 50-59 years, male 96.3
GTEX-ZDXO-3126-SM-5IJDF 60-69 years, male 96.0
GTEX-1ICLZ-0326-SM-ARL82 60-69 years, male 95.9
GTEX-1PDJ9-1226-SM-EXUSX 20-29 years, male 95.5
GTEX-1RMOY-1326-SM-E9TIH 50-59 years, male 95.2
GTEX-144GM-0526-SM-79OJO 20-29 years, male 94.3
GTEX-Y9LG-1126-SM-4VBQ7 30-39 years, male 94.1
GTEX-131YS-2826-SM-5EQ47 60-69 years, female 94.0
GTEX-ZY6K-1426-SM-5GZX2 50-59 years, male 93.6
GTEX-18A6Q-0626-SM-7KFRP 60-69 years, male 93.5
GTEX-14PHX-2226-SM-6EU2P 50-59 years, male 93.3
GTEX-14C5O-0326-SM-5ZZUX 60-69 years, male 93.1
GTEX-1AX9J-1326-SM-731BJ 60-69 years, male 92.4
GTEX-111FC-2526-SM-5GZXU 60-69 years, male 91.8
GTEX-XQ8I-0926-SM-4BOOF 50-59 years, male 91.8
GTEX-1R9PM-1926-SM-EVR3O 20-29 years, male 90.9
GTEX-183FY-1026-SM-7939A 20-29 years, male 90.2
GTEX-13NZ8-1226-SM-5KM4A 60-69 years, female 89.9
GTEX-1JKYN-0826-SM-ARU8S 30-39 years, male 89.9
GTEX-12WSD-0626-SM-5GCMW 60-69 years, female 89.7
GTEX-1QP9N-1226-SM-E76QN 30-39 years, male 89.3
GTEX-11NSD-0626-SM-5A5LU 20-29 years, male 88.8
GTEX-1IDJC-1526-SM-B2LW4 50-59 years, male 88.8
GTEX-1MJK3-0726-SM-E6CJC 20-29 years, male 88.8
GTEX-18D9U-0126-SM-731BM 40-49 years, male 88.7
GTEX-ZYFG-1526-SM-5GZYM 60-69 years, female 88.7
GTEX-1LVAN-0626-SM-CNPOQ 50-59 years, female 88.6
GTEX-1LVAM-0726-SM-E6CIL 50-59 years, female 88.5
GTEX-15SHW-0226-SM-7LTAT 60-69 years, male 88.1
GTEX-1QP28-1126-SM-EVYC4 50-59 years, female 88.0
GTEX-1IOXB-2726-SM-CM2RI 50-59 years, male 87.7
GTEX-1A3MX-2626-SM-7PC24 60-69 years, male 87.3
GTEX-ZF29-0926-SM-4WKFZ 60-69 years, female 87.1
GTEX-14AS3-1526-SM-5Q5ED 40-49 years, female 86.8
GTEX-1KXAM-1626-SM-D3LAD 60-69 years, male 85.5
GTEX-ZT9W-1126-SM-57WDR 50-59 years, male 84.9
GTEX-1497J-0226-SM-5QGPU 60-69 years, male 84.8
GTEX-14PJO-2526-SM-6AJBQ 60-69 years, male 84.5
GTEX-1HCU9-0426-SM-9WYSD 20-29 years, male 84.2
GTEX-1399S-0126-SM-5IJCF 30-39 years, female 83.8
GTEX-14PHY-1226-SM-5ZZWK 60-69 years, female 83.8
GTEX-1AMEY-0826-SM-72D65 30-39 years, female 83.8
GTEX-1I1GS-2626-SM-B2LY3 60-69 years, male 83.7
GTEX-11ZTT-2126-SM-5CVLO 60-69 years, female 83.6
GTEX-ZVZP-1226-SM-5GID7 50-59 years, male 83.6
GTEX-15CHC-1126-SM-6LLHQ 60-69 years, female 83.3
GTEX-ZLWG-0826-SM-59888 50-59 years, female 83.3
GTEX-XAJ8-1426-SM-47JYM 40-49 years, male 83.2
GTEX-Y5LM-0926-SM-6LLJG 40-49 years, female 83.2
GTEX-1GL5R-1326-SM-7RHHF 50-59 years, male 82.1
GTEX-15EU6-2226-SM-6EU2L 50-59 years, male 81.8
GTEX-13VXU-0626-SM-5L3F9 50-59 years, male 81.3
GTEX-1F6RS-2026-SM-7RHHC 60-69 years, female 81.2
GTEX-1I1GT-1026-SM-ARZLV 60-69 years, female 80.7
GTEX-ZPCL-1126-SM-4WWFE 60-69 years, female 80.5
GTEX-13OVK-1426-SM-6PAN7 40-49 years, male 80.2
GTEX-1C475-1326-SM-7SB73 40-49 years, female 80.2
GTEX-ZT9X-1526-SM-5DUXD 40-49 years, male 80.1
GTEX-ZP4G-1426-SM-4WWCL 20-29 years, female 80.0
GTEX-1JK1U-0226-SM-ARZMX 60-69 years, male 79.7
GTEX-WXYG-2026-SM-4E3IY 50-59 years, female 79.6
GTEX-14PKV-1126-SM-6LLJ1 20-29 years, female 79.5
GTEX-1C6VR-0126-SM-7RHGB 60-69 years, male 79.3
GTEX-18A7A-0126-SM-731AH 50-59 years, female 79.1
GTEX-13W3W-0726-SM-5IJDQ 60-69 years, female 79.0
GTEX-WHSE-0126-SM-3NMBT 20-29 years, male 79.0
GTEX-1PIIG-2326-SM-DTXFR 30-39 years, male 79.0
GTEX-1S82U-1026-SM-E6CJK 30-39 years, female 79.0
GTEX-XQ3S-1426-SM-4BOPR 20-29 years, male 78.9
GTEX-15D1Q-2826-SM-6LLH7 40-49 years, male 78.7
GTEX-1HBPI-2126-SM-ARL9K 50-59 years, male 78.7
GTEX-1N2EE-0626-SM-E76PW 60-69 years, male 78.5
GTEX-Y3I4-1726-SM-4TT89 50-59 years, male 78.2
GTEX-11EQ8-0926-SM-5H12V 60-69 years, male 78.1
GTEX-U8XE-0226-SM-4E3J3 30-39 years, male 78.0
GTEX-139TS-2126-SM-5K7XC 60-69 years, male 77.7
GTEX-13O61-1426-SM-5KM3D 60-69 years, male 77.3
GTEX-139TT-2126-SM-5LZWC 60-69 years, male 76.9
GTEX-14E1K-2026-SM-7DUEI 50-59 years, male 76.7
GTEX-XMD2-2126-SM-4YCF8 60-69 years, female 76.7
GTEX-1R7EU-1626-SM-DTXG3 60-69 years, male 76.7
GTEX-XK95-0226-SM-4AT58 40-49 years, male 76.2
GTEX-13VXT-1926-SM-5K7UO 20-29 years, female 76.1
GTEX-V1D1-2026-SM-3GAF4 50-59 years, male 75.3
GTEX-14JG6-1426-SM-9WG7C 30-39 years, female 74.9
GTEX-17HGU-2326-SM-7DUFE 50-59 years, male 74.8
GTEX-13FTW-0326-SM-5K7UW 40-49 years, male 74.7
GTEX-111VG-1626-SM-5EGIO 60-69 years, male 74.5
GTEX-139TU-0726-SM-5L3EK 60-69 years, male 74.5
GTEX-146FQ-2126-SM-5RQHU 30-39 years, male 74.2
GTEX-XBED-1926-SM-47JYP 60-69 years, male 73.8
GTEX-1QP29-1826-SM-DTX9S 50-59 years, male 73.8
GTEX-14PII-0726-SM-6EU2B 60-69 years, male 73.3
GTEX-ZWKS-0626-SM-5GIDV 30-39 years, male 73.1
GTEX-14PJ5-1526-SM-6LLIL 60-69 years, female 72.8
GTEX-15G1A-1626-SM-7KUKN 30-39 years, male 72.7
GTEX-17EVP-2626-SM-7IGMA 40-49 years, male 72.7
GTEX-1B8L1-2226-SM-7P8PT 60-69 years, male 72.7
GTEX-11ZUS-2626-SM-5FQUR 30-39 years, male 72.1
GTEX-17F9E-2326-SM-79OKD 50-59 years, male 71.8
GTEX-111CU-1126-SM-5EGIM 50-59 years, male 71.5
GTEX-WI4N-2726-SM-3LK7Y 40-49 years, female 71.5
GTEX-13G51-1826-SM-5KLZH 60-69 years, male 71.4
GTEX-131XF-2626-SM-5EQ6K 60-69 years, male 71.2
GTEX-1211K-1526-SM-5FQU4 60-69 years, female 71.1
GTEX-1F5PL-0926-SM-7PC2W 40-49 years, female 70.8
GTEX-14PKU-0126-SM-6LLHV 40-49 years, female 70.6
GTEX-Z93S-1626-SM-5CVMB 50-59 years, male 70.4
GTEX-WHSB-1326-SM-3LK6W 50-59 years, male 70.3
GTEX-1A8G6-2726-SM-731AR 60-69 years, male 70.1
GTEX-13D11-0926-SM-5J2NC 50-59 years, female 70.0
GTEX-1IDFM-0326-SM-ARL7V 60-69 years, male 70.0
GTEX-ZLV1-1526-SM-DO91J 60-69 years, female 70.0
GTEX-1IDJH-0126-SM-D3L92 70-79 years, male 69.6
GTEX-1KANB-2826-SM-CY8I6 50-59 years, male 69.2
GTEX-1C2JI-1026-SM-73KY1 50-59 years, male 69.0
GTEX-1R9PN-0426-SM-DTXDT 40-49 years, female 68.8
GTEX-14DAR-1226-SM-73KYV 50-59 years, male 68.6
GTEX-15RJ7-2126-SM-6PAMD 40-49 years, male 68.5
GTEX-1LSVX-2526-SM-DIPEU 60-69 years, male 68.4
GTEX-1C6WA-2626-SM-7MKGM 60-69 years, male 68.1
GTEX-XYKS-1426-SM-4BRUO 60-69 years, female 68.1
GTEX-16MTA-0926-SM-6M47Z 50-59 years, male 68.0
GTEX-18A67-1626-SM-7LT9T 50-59 years, male 67.3
GTEX-1S831-1826-SM-EWROF 20-29 years, male 67.3
GTEX-1EH9U-2826-SM-7DUGT 60-69 years, male 67.1
GTEX-1399U-1126-SM-5L3DB 50-59 years, female 66.9
GTEX-13NYS-0626-SM-5L3F1 60-69 years, male 66.6
GTEX-12C56-1526-SM-5FQUQ 20-29 years, male 66.3
GTEX-12WSK-2126-SM-5CVNC 40-49 years, female 66.3
GTEX-1HSKV-1226-SM-ADEI4 60-69 years, male 66.3
GTEX-YF7O-1526-SM-5IFI6 50-59 years, male 65.9
GTEX-18QFQ-1826-SM-72D52 30-39 years, male 65.5
GTEX-1J1R8-2026-SM-CL53Y 40-49 years, male 65.5
GTEX-1MCC2-1826-SM-DIPEX 30-39 years, female 64.5
GTEX-13OW6-2726-SM-5J2OE 50-59 years, male 64.3
GTEX-1S83E-1326-SM-E6CJM 40-49 years, male 64.3
GTEX-1GTWX-2026-SM-9YFLM 60-69 years, male 64.1
GTEX-1KANC-1226-SM-CYPT7 50-59 years, female 64.1
GTEX-1399Q-2326-SM-5KM2X 40-49 years, male 63.8
GTEX-1K2DU-1226-SM-CYPT4 20-29 years, male 63.7
GTEX-11TUW-0626-SM-5LU9M 60-69 years, male 63.6
GTEX-12WSH-1526-SM-5BC5W 50-59 years, male 63.6
GTEX-1HCU7-0726-SM-A9SL1 50-59 years, male 63.3
GTEX-1O9I2-0226-SM-EYYXD 50-59 years, male 62.9
GTEX-13FTY-2126-SM-5IFFB 40-49 years, female 62.8
GTEX-145MO-2826-SM-5LU96 60-69 years, male 62.3
GTEX-139D8-1126-SM-5LU8W 30-39 years, female 62.2
GTEX-133LE-2326-SM-5K7W3 20-29 years, female 62.0
GTEX-13FLV-0126-SM-5K7WT 50-59 years, male 62.0
GTEX-1HFI7-2326-SM-CGQFS 50-59 years, female 61.9
GTEX-1H3NZ-2726-SM-9WYTQ 60-69 years, male 61.7
GTEX-1B8SF-0126-SM-7DUG3 60-69 years, male 61.2
GTEX-1H11D-1826-SM-9QEHM 40-49 years, male 61.2
GTEX-YFCO-1226-SM-5LUAT 40-49 years, male 61.1
GTEX-17MFQ-1526-SM-7KFRR 20-29 years, male 61.0
GTEX-1HCUA-0826-SM-ADEHM 50-59 years, female 61.0
GTEX-1OJC4-2726-SM-E76PJ 50-59 years, female 61.0
GTEX-1LBAC-0826-SM-CY8IJ 20-29 years, male 60.4
GTEX-11O72-0626-SM-5PNYE 40-49 years, male 60.2
GTEX-WRHU-2826-SM-3MJG8 50-59 years, female 60.2
GTEX-1122O-1026-SM-9WYSF 60-69 years, female 59.9
GTEX-1NV5F-0626-SM-DTXEG 60-69 years, female 59.9
GTEX-1EN7A-2426-SM-793DB 40-49 years, male 59.6
GTEX-1IKJJ-2226-SM-CJI4C 60-69 years, male 59.6
GTEX-131XW-0626-SM-5PNVD 50-59 years, female 59.4
GTEX-13NYC-0126-SM-5L3F4 60-69 years, male 59.4
GTEX-14BMU-1226-SM-5S2OR 20-29 years, female 59.2
GTEX-14PK6-0226-SM-62LF5 70-79 years, female 58.9
GTEX-17HII-1426-SM-7EPGG 50-59 years, male 58.9
GTEX-1PBJJ-1026-SM-E76OS 30-39 years, male 58.9
GTEX-1HGF4-0126-SM-CNPPX 60-69 years, male 58.2
GTEX-147F4-0726-SM-5TDDD 50-59 years, male 58.1
GTEX-1J8Q3-0526-SM-ARL8U 60-69 years, male 58.1
GTEX-13QJC-0126-SM-5ZZWJ 60-69 years, female 57.9
GTEX-13NZ9-2626-SM-5L3FK 50-59 years, male 57.7
GTEX-14XAO-1226-SM-6EU1C 60-69 years, female 57.6
GTEX-1LG7Y-2526-SM-EWRO7 50-59 years, male 57.3
GTEX-XUW1-0926-SM-4BONX 50-59 years, female 57.2
GTEX-15EO6-2426-SM-6PALZ 50-59 years, male 57.1
GTEX-ZLFU-1826-SM-4WWBV 40-49 years, male 56.8
GTEX-1JMOU-1026-SM-CYPSS 60-69 years, female 56.7
GTEX-13112-0126-SM-5P9IU 50-59 years, male 56.6
GTEX-Y8LW-1526-SM-5IFHL 50-59 years, female 56.6
GTEX-ZF2S-1626-SM-57WES 50-59 years, female 56.5
GTEX-1NSGN-0726-SM-DTXEF 50-59 years, male 56.4
GTEX-11EM3-1226-SM-5N9DD 20-29 years, female 56.2
GTEX-16BQI-1326-SM-6M486 30-39 years, female 56.2
GTEX-1CAMS-2226-SM-7PBXQ 40-49 years, female 56.2
GTEX-1HCVE-2726-SM-CL54F 50-59 years, male 56.2
GTEX-12ZZZ-0726-SM-5GCNZ 60-69 years, male 56.0
GTEX-139UW-0326-SM-5J1ML 60-69 years, male 56.0
GTEX-1IE54-1126-SM-A9G2Z 40-49 years, female 56.0
GTEX-ZZPU-0826-SM-5GZX5 50-59 years, female 55.9
GTEX-13X6H-0926-SM-5SIB2 50-59 years, female 55.8
GTEX-11ZU8-0126-SM-5EQ58 60-69 years, male 55.5
GTEX-1LB8K-0726-SM-D5OV2 50-59 years, male 55.5
GTEX-1E2YA-2126-SM-7MXUO 50-59 years, male 55.4
GTEX-ZVT2-0126-SM-5GIDQ 50-59 years, female 55.3
GTEX-1HKZK-0726-SM-ACKW2 40-49 years, male 55.3
GTEX-1F6I4-2326-SM-7RHGL 60-69 years, male 55.2
GTEX-1IDJU-1726-SM-CMKHU 60-69 years, female 55.2
GTEX-1N5O9-0926-SM-E9J3C 60-69 years, male 55.0
GTEX-1J1OQ-0126-SM-D4P2N 40-49 years, female 54.8
GTEX-139YR-1026-SM-5LZYN 50-59 years, male 54.7
GTEX-X4EO-2926-SM-4E3JH 60-69 years, female 54.4
GTEX-1AYD5-2626-SM-7PBXY 50-59 years, male 54.3
GTEX-1GN73-0726-SM-7P8TJ 60-69 years, male 54.3
GTEX-12ZZY-0726-SM-5EQ66 60-69 years, male 54.2
GTEX-13113-1626-SM-5EQ4I 60-69 years, female 53.5
GTEX-1F75B-0726-SM-7PC3R 50-59 years, male 52.8
GTEX-1LVAO-2726-SM-E9TJ8 60-69 years, male 52.8
GTEX-16MT8-2926-SM-7DUFO 60-69 years, female 52.7
GTEX-11DXW-0826-SM-5H118 40-49 years, male 52.6
GTEX-VUSG-2326-SM-4KL1U 50-59 years, male 52.2
GTEX-14BIN-1126-SM-5RQJZ 50-59 years, female 52.1
GTEX-13RTJ-0126-SM-5S2NN 60-69 years, male 51.9
GTEX-1HFI6-0126-SM-CNPPI 40-49 years, male 51.6
GTEX-18D9B-0926-SM-7LG4U 60-69 years, male 51.5
GTEX-ZXG5-2126-SM-59HKD 60-69 years, male 51.5
GTEX-1LGRB-0926-SM-COH3K 50-59 years, female 51.5
GTEX-1J8QM-2426-SM-A9SLS 60-69 years, female 51.1
GTEX-1PPGY-1626-SM-EVYBL 60-69 years, male 50.6
GTEX-1S82P-2126-SM-E6CI5 60-69 years, female 50.4
GTEX-13PDP-0726-SM-5L3HP 60-69 years, male 50.2
GTEX-1RAZS-2526-SM-E6CHT 50-59 years, male 50.2
GTEX-ZVE2-2826-SM-5GU51 50-59 years, male 50.1
GTEX-15FZZ-0526-SM-7KUGD 30-39 years, female 49.9
GTEX-15CHQ-0326-SM-69LQD 60-69 years, male 49.8
GTEX-1H23P-0626-SM-9WG6T 60-69 years, male 49.7
GTEX-1LGOU-1326-SM-D3L8M 20-29 years, female 49.5
GTEX-11LCK-2226-SM-5HL4Q 30-39 years, male 49.3
GTEX-13OVH-0526-SM-5L3E6 70-79 years, male 49.1
GTEX-11WQC-1826-SM-5GU59 60-69 years, male 49.0
GTEX-1HSGN-0826-SM-ACKW3 40-49 years, female 48.9
GTEX-1GF9W-1426-SM-7PBYM 60-69 years, male 48.8
GTEX-1H4P4-2126-SM-9WYSL 50-59 years, male 48.7
GTEX-1GZHY-0626-SM-9KNVC 50-59 years, female 48.4
GTEX-139T8-0626-SM-5KLZX 60-69 years, male 48.0
GTEX-1CB4J-1326-SM-7P8RX 60-69 years, male 47.7
GTEX-16MT9-0126-SM-7EPI8 60-69 years, female 47.6
GTEX-12WSM-1926-SM-5BC65 60-69 years, male 47.5
GTEX-1GN2E-0226-SM-9WG6K 60-69 years, male 47.5
GTEX-1F52S-2926-SM-7MKGA 60-69 years, female 47.2
GTEX-1EMGI-2326-SM-7PBYA 60-69 years, male 47.2
GTEX-11DYG-1526-SM-5A5JS 60-69 years, male 47.0
GTEX-13QBU-1226-SM-5LU4G 40-49 years, female 47.0
GTEX-1JMQJ-0826-SM-CNPP7 50-59 years, male 47.0
GTEX-1LSNL-2726-SM-E9TKJ 50-59 years, male 47.0
GTEX-15G19-2426-SM-7KUMR 60-69 years, male 46.6
GTEX-ZAK1-0626-SM-5HL8E 50-59 years, female 46.6
GTEX-13NYB-0126-SM-5J1MD 40-49 years, male 46.4
GTEX-1JN1M-2726-SM-CY8I4 60-69 years, female 46.2
GTEX-ZYVF-0926-SM-5E44J 50-59 years, female 46.0
GTEX-12WSC-2826-SM-5BC5Y 50-59 years, male 45.8
GTEX-145MH-2826-SM-5RQJF 50-59 years, male 45.4
GTEX-13OW5-2326-SM-5L3HO 60-69 years, male 45.2
GTEX-14E6C-2426-SM-5S2NF 40-49 years, male 44.9
GTEX-1I1GV-0626-SM-ARL7M 60-69 years, male 44.9
GTEX-1JMPZ-0726-SM-CY8HZ 30-39 years, male 44.9
GTEX-1IDJD-2326-SM-ACKWX 30-39 years, male 44.8
GTEX-1M4P7-0726-SM-E6CJ3 60-69 years, male 44.5
GTEX-11EI6-2826-SM-5H11D 60-69 years, male 44.4
GTEX-14753-0726-SM-5QGQO 60-69 years, male 44.0
GTEX-1I1GU-0926-SM-ACKVS 40-49 years, male 44.0
GTEX-1EU9M-1426-SM-793AI 60-69 years, male 43.8
GTEX-11NUK-2726-SM-5A5MC 50-59 years, male 43.7
GTEX-131XH-0126-SM-5LZUY 50-59 years, male 43.7
GTEX-Y111-0626-SM-4SOIT 50-59 years, male 43.6
GTEX-145MG-1526-SM-5Q5EM 50-59 years, male 43.5
GTEX-1AMFI-1326-SM-7939R 50-59 years, female 43.5
GTEX-1KAFJ-0126-SM-DIPEK 50-59 years, male 43.5
GTEX-17F97-2626-SM-7IGM5 50-59 years, male 43.4
GTEX-1477Z-0326-SM-7IGLA 60-69 years, male 43.3
GTEX-ZYFD-0626-SM-5E44E 50-59 years, male 43.3
GTEX-ZU9S-1826-SM-5NQ9E 30-39 years, male 43.1
GTEX-1QMI2-2526-SM-E8VNZ 60-69 years, male 43.1
GTEX-18A7B-2726-SM-7LG56 70-79 years, male 42.9
GTEX-1212Z-0126-SM-59HK4 60-69 years, male 42.8
GTEX-13FHO-0426-SM-5L3F5 60-69 years, male 42.6
GTEX-X4EP-0626-SM-3P621 60-69 years, female 42.5
GTEX-11DZ1-2426-SM-5GZZX 50-59 years, male 42.2
GTEX-1JMLX-0626-SM-ARL8T 50-59 years, male 42.1
GTEX-12126-0826-SM-5FQTZ 20-29 years, male 41.8
GTEX-16Z82-2626-SM-7KULU 60-69 years, male 41.8
GTEX-17JCI-2926-SM-7DUFF 60-69 years, female 41.8
GTEX-ZYY3-2926-SM-5GIEB 60-69 years, female 41.7
GTEX-13JVG-0726-SM-5KM16 60-69 years, male 41.6
GTEX-11GSP-2326-SM-5HL63 60-69 years, female 41.4
GTEX-11P81-2226-SM-5PNYI 30-39 years, female 41.4
GTEX-145LU-1926-SM-79OJN 50-59 years, male 41.2
GTEX-1EKGG-0626-SM-7DUGJ 60-69 years, male 41.2
GTEX-1GF9X-1326-SM-7PC2Y 40-49 years, female 41.1
GTEX-1S5ZU-2526-SM-E6CIF 20-29 years, female 41.1
GTEX-16GPK-0626-SM-7KFSF 60-69 years, male 40.9
GTEX-11DXY-0126-SM-5H11Q 60-69 years, male 40.8
GTEX-ZVTK-0226-SM-51MRG 20-29 years, male 40.8
GTEX-1I1HK-2326-SM-CKZOH 60-69 years, male 40.7
GTEX-1J8EW-2726-SM-CY8HR 60-69 years, female 40.2
GTEX-ZE7O-2726-SM-51MT5 50-59 years, female 39.7
GTEX-145ME-1726-SM-5Q5EU 40-49 years, female 39.5
GTEX-17F9Y-0126-SM-79OKX 70-79 years, female 39.5
GTEX-1F75A-0726-SM-7RHHD 50-59 years, male 39.5
GTEX-11OF3-0126-SM-5PNYF 60-69 years, male 39.2
GTEX-ZAB4-2126-SM-5HL8U 40-49 years, male 39.2
GTEX-1269C-0126-SM-5EQ5L 60-69 years, female 39.1
GTEX-1HB9E-0126-SM-CM2S5 50-59 years, male 39.1
GTEX-ZAJG-1526-SM-5CVML 50-59 years, female 39.0
GTEX-1GZ4I-2626-SM-9KNU3 50-59 years, male 39.0
GTEX-1IL2V-1926-SM-B2LW8 70-79 years, male 38.9
GTEX-16XZZ-0726-SM-7KUF2 60-69 years, male 38.8
GTEX-15RJE-2826-SM-7KUM9 40-49 years, male 38.7
GTEX-1JJ6O-2726-SM-CNPOG 60-69 years, male 38.5
GTEX-YECK-0326-SM-4W1YS 60-69 years, male 38.0
GTEX-13X6J-0626-SM-5LU5F 50-59 years, male 37.7
GTEX-1A8FM-0626-SM-7PC25 50-59 years, female 37.4
GTEX-13OVJ-0826-SM-5J1OK 50-59 years, female 37.2
GTEX-12WSA-0426-SM-5EQ5X 60-69 years, male 37.0
GTEX-17HHY-0426-SM-7DHLC 50-59 years, male 36.9
GTEX-1RLM8-2926-SM-E8VON 50-59 years, male 36.9
GTEX-15DYW-2726-SM-6EU2I 60-69 years, female 36.5
GTEX-1EWIQ-0326-SM-7DHMQ 70-79 years, female 36.3
GTEX-1313W-0626-SM-5EQ4H 50-59 years, female 36.2
GTEX-13PL6-1126-SM-5L3IE 40-49 years, female 36.2
GTEX-Y3IK-1626-SM-4YCF5 50-59 years, female 36.2
GTEX-15ER7-0626-SM-6PANF 20-29 years, female 36.1
GTEX-1R46S-2426-SM-E76QA 60-69 years, female 36.1
GTEX-1R9K4-2826-SM-DTX8F 60-69 years, male 36.1
GTEX-144FL-0626-SM-5LU43 50-59 years, male 35.9
GTEX-1ICLY-0826-SM-CMKG1 50-59 years, male 35.9
GTEX-1LKK1-2626-SM-DKPQE 50-59 years, female 35.6
GTEX-144GL-0626-SM-5LU4D 50-59 years, male 35.4
GTEX-18465-2826-SM-7LT9J 50-59 years, male 35.4
GTEX-1GMRU-2126-SM-7P8RA 50-59 years, male 35.4
GTEX-12ZZX-2426-SM-5GCOE 40-49 years, female 35.3
GTEX-13IVO-0726-SM-5LZYV 70-79 years, male 35.3
GTEX-1HCU6-2526-SM-ADEHL 60-69 years, female 35.1
GTEX-13N2G-0226-SM-5K7VF 60-69 years, male 35.0
GTEX-X8HC-0626-SM-4E3HQ 50-59 years, female 34.9
GTEX-11UD2-2526-SM-5CVNU 50-59 years, male 34.8
GTEX-144GO-2026-SM-5O99P 60-69 years, male 34.8
GTEX-15UF6-1926-SM-7KUDV 70-79 years, female 34.7
GTEX-11WQK-1026-SM-5EQLX 50-59 years, male 34.6
GTEX-1B933-2426-SM-7DHMD 50-59 years, female 34.5
GTEX-ZE9C-2526-SM-5IJDR 60-69 years, male 34.5
GTEX-1GPI6-1926-SM-9KNV7 60-69 years, male 34.5
GTEX-ZYT6-2326-SM-5GZY3 30-39 years, male 34.4
GTEX-1J8JJ-0626-SM-ARZMQ 60-69 years, female 34.4
GTEX-147GR-2426-SM-5ZZWQ 60-69 years, male 34.1
GTEX-1C6VQ-1226-SM-73KYD 50-59 years, male 34.1
GTEX-13OW7-0426-SM-5K7VK 50-59 years, male 33.9
GTEX-13OW8-1026-SM-5J1NQ 60-69 years, male 33.4
GTEX-1JJEA-1826-SM-ARU8P 60-69 years, male 32.6
GTEX-14LZ3-0126-SM-69LPM 60-69 years, female 32.5
GTEX-ZGAY-1826-SM-DO91Q 40-49 years, female 32.5
GTEX-14C39-1726-SM-5RQIL 40-49 years, male 32.4
GTEX-1H1CY-0126-SM-9YFLY 60-69 years, female 32.2
GTEX-1C64N-2626-SM-7PC2N 50-59 years, male 32.1
GTEX-XBEC-0726-SM-4QARZ 50-59 years, male 32.0
GTEX-1F88F-0126-SM-9WYSZ 60-69 years, female 32.0
GTEX-1A3MW-0626-SM-731CB 60-69 years, female 31.8
GTEX-ZF3C-0626-SM-DO92O 50-59 years, female 31.8
GTEX-14LLW-2626-SM-62LDZ 70-79 years, female 31.7
GTEX-WYBS-0626-SM-3NMAS 60-69 years, female 31.7
GTEX-XOT4-0626-SM-4B66L 60-69 years, female 31.7
GTEX-1HT8W-0626-SM-A9G2H 30-39 years, male 31.7
GTEX-1J8Q2-2626-SM-ACKWQ 60-69 years, male 31.7
GTEX-1314G-1326-SM-5BC6E 30-39 years, male 31.5
GTEX-1RAZR-2126-SM-E9U6T 40-49 years, male 31.3
GTEX-14A6H-2026-SM-5Q5DD 30-39 years, male 31.1
GTEX-Y5V5-0126-SM-5S2NW 60-69 years, female 31.1
GTEX-1QEPI-2626-SM-DTXF4 60-69 years, female 30.6
GTEX-1JJE9-2626-SM-ARZMT 70-79 years, male 30.5
GTEX-W5X1-2526-SM-3GILC 40-49 years, female 30.4
GTEX-13N1W-2426-SM-5IJD1 70-79 years, male 30.3
GTEX-ZC5H-1526-SM-5HL9Y 40-49 years, female 30.1
GTEX-12WSL-2026-SM-5GCML 50-59 years, male 30.0
GTEX-1H1DF-1126-SM-9WG7G 40-49 years, female 30.0
GTEX-1IDJV-0126-SM-COH3Y 60-69 years, male 30.0
GTEX-12584-0726-SM-5FQTK 40-49 years, male 29.7
GTEX-13SLX-2226-SM-62LEP 50-59 years, female 29.7
GTEX-13O3Q-0126-SM-5KM34 50-59 years, male 29.6
GTEX-11GS4-0226-SM-5HL77 60-69 years, male 29.5
GTEX-1B932-2326-SM-79OL5 40-49 years, female 29.5
GTEX-1GMR8-0626-SM-7RHI7 50-59 years, female 29.3
GTEX-1KWVE-1026-SM-D3L9O 30-39 years, male 29.3
GTEX-145MF-0926-SM-5Q5EA 50-59 years, male 29.1
GTEX-UPK5-0426-SM-3GAEK 40-49 years, male 29.1
GTEX-1CB4H-1126-SM-7MKGL 60-69 years, female 28.9
GTEX-1HCU8-2526-SM-CE6RX 60-69 years, female 28.9
GTEX-147JS-0226-SM-5S2U9 60-69 years, male 28.8
GTEX-16YQH-2226-SM-7IGM2 30-39 years, male 28.8
GTEX-1EX96-1026-SM-7MKG2 50-59 years, male 28.7
GTEX-145LS-0626-SM-7EPG7 60-69 years, female 28.4
GTEX-1GZ2Q-0126-SM-9WG6M 40-49 years, male 28.4
GTEX-1JMQI-1726-SM-ARL93 50-59 years, male 28.3
GTEX-17EVQ-0126-SM-7IGLR 70-79 years, male 28.2
GTEX-1HUB1-1426-SM-CGQF5 60-69 years, male 27.5
GTEX-11PRG-0726-SM-5EGL1 50-59 years, male 27.3
GTEX-ZVE1-0726-SM-51MRN 50-59 years, female 26.7
GTEX-13X6I-1826-SM-5SIAO 60-69 years, male 26.6
GTEX-1H1ZS-2726-SM-9WG75 70-79 years, male 26.6
GTEX-1H3O1-1326-SM-9MQLD 60-69 years, male 26.5
GTEX-WYVS-1626-SM-3NM9R 40-49 years, female 26.3
GTEX-ZYFC-0426-SM-5GICQ 50-59 years, male 26.3
GTEX-ZYW4-0626-SM-59HJR 60-69 years, male 26.3
GTEX-1F88E-1626-SM-7SB8Z 60-69 years, female 25.9
GTEX-1A32A-0626-SM-731AQ 50-59 years, female 25.5
GTEX-1POEN-2326-SM-E9J2L 30-39 years, female 25.5
GTEX-145MI-0626-SM-5SI8S 60-69 years, female 25.4
GTEX-14C38-0726-SM-5SI6M 50-59 years, male 25.4
GTEX-XV7Q-1826-SM-4BRUV 40-49 years, female 25.3
GTEX-148VJ-0626-SM-5LUAW 70-79 years, male 25.1
GTEX-1399R-1326-SM-5PNYS 30-39 years, male 24.8
GTEX-1HR98-2226-SM-ADEI2 60-69 years, male 24.1
GTEX-13OVL-0126-SM-5L3GJ 50-59 years, male 24.0
GTEX-1GN1V-2826-SM-9JGIA 60-69 years, male 24.0
GTEX-13JUV-2026-SM-5K7UA 40-49 years, female 23.5
GTEX-14JG1-1526-SM-5YY9X 40-49 years, male 22.9
GTEX-1F48J-0726-SM-7RHGS 50-59 years, female 22.9
GTEX-1CAV2-0126-SM-7IGN7 40-49 years, female 22.4
GTEX-1BAJH-2426-SM-7IGP8 70-79 years, male 22.0
GTEX-1F75W-2726-SM-7SB8H 60-69 years, male 22.0
GTEX-1HBPM-0726-SM-9YFL7 60-69 years, female 21.5
GTEX-15DDE-2926-SM-6LLJ3 50-59 years, female 21.4
GTEX-1HR9M-2226-SM-CNPPY 60-69 years, male 21.0
GTEX-13SLW-0626-SM-5Q5ER 70-79 years, male 20.6
GTEX-17MF6-2626-SM-79OKQ 40-49 years, male 20.2
GTEX-1117F-2926-SM-5GZYI 60-69 years, female 20.1
GTEX-14DAQ-0626-SM-793DS 60-69 years, female 19.7
GTEX-13YAN-0226-SM-5TDC6 60-69 years, male 19.3
GTEX-17HG3-2626-SM-7DUF2 30-39 years, female 19.3
GTEX-1IDJI-0126-SM-CMKHS 50-59 years, female 18.6
GTEX-183WM-0326-SM-72D5V 70-79 years, female 18.5
GTEX-1JMQL-2226-SM-CNPP4 50-59 years, female 17.9
GTEX-1I1CD-0626-SM-CE6SW 60-69 years, female 17.5
GTEX-1HSMO-0626-SM-ACKXC 60-69 years, male 17.1
GTEX-15SKB-2826-SM-6PAMH 60-69 years, male 15.9
GTEX-14PJ2-0626-SM-6LLII 50-59 years, male 15.3
GTEX-1H3VE-0726-SM-9YFL5 40-49 years, male 10.7
Show allShow less
Skin - Sun Exposed (Lower leg)
Average nTPM: 64.5
Samples: 701

Max nTPM: 288.5
Min nTPM: 15.2
Std nTPM: 32.2
Median nTPM: 57.7
GTEX-11TT1-2526-SM-5EGIB 20-29 years, male 288.5
GTEX-1RAZQ-0726-SM-EAZ43 30-39 years, male 285.4
GTEX-1AX9J-0226-SM-73KXM 60-69 years, male 233.0
GTEX-14PJ3-1826-SM-62LEX 50-59 years, male 219.2
GTEX-Y3I4-2126-SM-4TT7C 50-59 years, male 198.3
GTEX-XUZC-1726-SM-4BRWS 30-39 years, female 194.1
GTEX-12696-2426-SM-5EQ6H 60-69 years, male 192.9
GTEX-S7PM-0126-SM-4AD6S 60-69 years, male 168.2
GTEX-QLQW-1126-SM-2S1Q8 30-39 years, male 165.9
GTEX-1KD4Q-0226-SM-E9TJ9 40-49 years, male 156.7
GTEX-1QP9N-1426-SM-DTXFL 30-39 years, male 155.6
GTEX-WZTO-0126-SM-3NM95 40-49 years, male 151.1
GTEX-T8EM-1026-SM-3DB7M 40-49 years, male 150.3
GTEX-17F98-0626-SM-79OMX 40-49 years, female 149.7
GTEX-169BO-1326-SM-9MQK2 50-59 years, male 148.8
GTEX-WY7C-2326-SM-3NB2U 50-59 years, male 147.8
GTEX-1R9PM-2026-SM-E76OY 20-29 years, male 145.9
GTEX-1B8KZ-2026-SM-7DHMB 50-59 years, male 142.6
GTEX-YJ8A-0426-SM-5IFID 20-29 years, male 142.6
GTEX-11NUK-0126-SM-5A5L3 50-59 years, male 138.6
GTEX-11P7K-2126-SM-5GU7G 30-39 years, male 135.0
GTEX-PWCY-1826-SM-DHXIZ 20-29 years, female 134.4
GTEX-1LG7Z-1726-SM-D3LA4 30-39 years, male 129.9
GTEX-1R7EU-0226-SM-EVR4G 60-69 years, male 129.7
GTEX-1CB4I-0226-SM-79OLH 50-59 years, male 129.6
GTEX-1MA7W-2026-SM-E9TJ6 20-29 years, female 128.2
GTEX-1S3DN-2226-SM-EVYCD 50-59 years, male 127.9
GTEX-1KANA-0726-SM-D3L9I 20-29 years, male 127.8
GTEX-YB5E-2026-SM-5IFIS 40-49 years, male 126.1
GTEX-1HSMP-0126-SM-E6CJS 70-79 years, male 125.7
GTEX-1KANC-1526-SM-D3LAB 50-59 years, female 125.4
GTEX-14C5O-0126-SM-5SI6N 60-69 years, male 125.2
GTEX-ZF29-2326-SM-DO92K 60-69 years, female 124.9
GTEX-1A3MX-0126-SM-731BR 60-69 years, male 124.0
GTEX-1GL5R-1826-SM-9KNUY 50-59 years, male 123.2
GTEX-Y114-2426-SM-4TT8A 50-59 years, female 120.8
GTEX-1N2DV-0226-SM-E6CJ6 40-49 years, male 120.5
GTEX-1A3MV-1926-SM-718BT 30-39 years, male 119.9
GTEX-1J1R8-1726-SM-ARL8M 40-49 years, male 119.4
GTEX-SJXC-0126-SM-2XCFF 60-69 years, male 119.3
GTEX-1JMLX-0226-SM-CM2RO 50-59 years, male 118.3
GTEX-13RTK-1426-SM-5QGQJ 20-29 years, male 118.0
GTEX-ZU9S-0226-SM-5E441 30-39 years, male 116.5
GTEX-PLZ6-1426-SM-DKPOT 30-39 years, male 115.1
GTEX-1B8KE-2126-SM-73KYX 50-59 years, male 114.8
GTEX-1K2DA-1826-SM-CGQGT 50-59 years, male 114.2
GTEX-139D8-0226-SM-5KLZO 30-39 years, female 113.2
GTEX-1I19N-0326-SM-ACKVX 70-79 years, male 112.8
GTEX-X5EB-2226-SM-46MW4 40-49 years, male 112.4
GTEX-14XAO-2326-SM-6EU1B 60-69 years, female 111.5
GTEX-TKQ1-1026-SM-4GICL 30-39 years, male 111.5
GTEX-WYJK-0126-SM-3NMAB 50-59 years, male 111.2
GTEX-1QMI2-0226-SM-EVYBX 60-69 years, male 111.1
GTEX-WFON-2126-SM-3LK7O 40-49 years, male 109.5
GTEX-16AAH-1726-SM-7939C 50-59 years, male 109.2
GTEX-Y8LW-1826-SM-5S2MV 50-59 years, female 109.2
GTEX-17EUY-0426-SM-793BD 20-29 years, male 108.8
GTEX-11DXZ-2326-SM-5EGGV 50-59 years, male 108.6
GTEX-139UW-2826-SM-5L3E7 60-69 years, male 108.4
GTEX-ZQUD-1426-SM-57WER 30-39 years, male 108.4
GTEX-11XUK-2026-SM-5EQLF 40-49 years, female 108.2
GTEX-U8T8-0126-SM-3DB94 60-69 years, male 108.2
GTEX-XBEW-0626-SM-4QASP 40-49 years, male 108.2
GTEX-R55G-2526-SM-2TC6D 40-49 years, female 108.1
GTEX-11DXX-2426-SM-5GZZW 60-69 years, female 107.4
GTEX-139TT-0126-SM-5K7Y5 60-69 years, male 107.4
GTEX-17F96-1626-SM-7DUFL 70-79 years, male 107.4
GTEX-17GQL-2026-SM-718BA 60-69 years, male 107.4
GTEX-1PPH8-0226-SM-E8VND 20-29 years, male 105.4
GTEX-14DAR-2026-SM-5S2O3 50-59 years, male 105.3
GTEX-17MFQ-1726-SM-793C7 20-29 years, male 105.1
GTEX-1C2JI-1826-SM-73KXC 50-59 years, male 104.9
GTEX-ZGAY-0526-SM-4WWBB 40-49 years, female 104.9
GTEX-18D9U-0226-SM-718BP 40-49 years, male 103.7
GTEX-1S5ZA-0126-SM-EVYCV 20-29 years, male 103.5
GTEX-13FXS-0226-SM-5IJCK 50-59 years, male 102.6
GTEX-11TUW-2726-SM-E9J4M 60-69 years, male 102.3
GTEX-XXEK-2226-SM-4BRUM 50-59 years, male 102.1
GTEX-1QCLY-0326-SM-E8VOG 30-39 years, male 101.8
GTEX-131XF-5016-SM-7MGWE 60-69 years, male 101.7
GTEX-1C4CL-0526-SM-73KVK 30-39 years, male 101.5
GTEX-13NZB-2526-SM-5J1OM 30-39 years, male 101.4
GTEX-11EM3-2426-SM-59861 20-29 years, female 100.5
GTEX-ZVT4-0126-SM-DTXFN 50-59 years, female 100.2
GTEX-1C475-1826-SM-73KWA 40-49 years, female 100.1
GTEX-1JKYR-0126-SM-CNPOJ 20-29 years, male 99.3
GTEX-SUCS-1926-SM-32PM3 70-79 years, male 99.1
GTEX-15CHC-2126-SM-6EU21 60-69 years, female 98.9
GTEX-S33H-1026-SM-EZ6L6 30-39 years, male 98.3
GTEX-13111-1626-SM-5EGJY 50-59 years, male 98.2
GTEX-1B8SF-1426-SM-7DUGL 60-69 years, male 97.7
GTEX-1OJC3-0126-SM-E76QX 20-29 years, male 96.5
GTEX-1BAJH-0526-SM-793CQ 70-79 years, male 96.4
GTEX-11P82-1626-SM-59879 20-29 years, male 96.3
GTEX-1F5PK-2426-SM-7RHHY 50-59 years, male 96.1
GTEX-XYKS-2126-SM-4E3IB 60-69 years, female 95.9
GTEX-1QP67-1626-SM-EAZ3X 40-49 years, female 95.8
GTEX-16NGA-1726-SM-731B4 40-49 years, female 95.5
GTEX-18D9A-1926-SM-7LG6P 30-39 years, female 94.9
GTEX-Y3IK-2426-SM-4WWDU 50-59 years, female 94.7
GTEX-1HGF4-2426-SM-ACKXM 60-69 years, male 94.7
GTEX-Y5V6-2426-SM-4VDSB 60-69 years, male 94.1
GTEX-1HBPN-0226-SM-9YFM1 50-59 years, male 94.0
GTEX-P4QT-0126-SM-2I3FL 50-59 years, female 93.3
GTEX-11LCK-1026-SM-5A5KB 30-39 years, male 92.1
GTEX-1JMPZ-0226-SM-CNPP1 30-39 years, male 91.6
GTEX-NFK9-0226-SM-2HMKQ 40-49 years, male 91.5
GTEX-1LSNM-1926-SM-E6CII 50-59 years, male 91.4
GTEX-12WSK-2326-SM-5GCOH 40-49 years, female 91.0
GTEX-1OFPY-2426-SM-DTXEJ 60-69 years, male 90.9
GTEX-13FTW-2626-SM-5K7WL 40-49 years, male 90.8
GTEX-1HSKV-0226-SM-A9SKJ 60-69 years, male 90.6
GTEX-1I1GU-2226-SM-CGQFA 40-49 years, male 90.6
GTEX-XAJ8-0826-SM-47JY6 40-49 years, male 90.1
GTEX-1RQEC-0426-SM-E6CHU 60-69 years, male 89.6
GTEX-ZPIC-1726-SM-DHXIU 40-49 years, female 89.3
GTEX-13OVL-0226-SM-5L3E9 50-59 years, male 88.8
GTEX-145LV-2126-SM-5LU8N 50-59 years, male 88.6
GTEX-1LBAC-0126-SM-DIPEZ 20-29 years, male 88.2
GTEX-1PIGE-0126-SM-EVYBJ 20-29 years, male 88.2
GTEX-16YQH-0126-SM-7DUFJ 30-39 years, male 87.4
GTEX-12WSG-2826-SM-E9J4H 50-59 years, female 87.4
GTEX-1J8Q3-1626-SM-CMKGC 60-69 years, male 87.3
GTEX-1JMPY-1326-SM-ARL8Y 30-39 years, male 87.2
GTEX-SNMC-1226-SM-2XCFP 20-29 years, male 87.1
GTEX-13O3O-0126-SM-E9J49 60-69 years, female 87.1
GTEX-ZXES-1826-SM-5E43S 30-39 years, female 86.7
GTEX-ZF3C-0126-SM-DO92D 50-59 years, female 86.7
GTEX-1F6RS-0126-SM-9MQKZ 60-69 years, female 86.6
GTEX-ZDTS-0126-SM-4WAY5 60-69 years, male 86.4
GTEX-15F5U-1526-SM-6PANO 40-49 years, male 86.1
GTEX-OHPL-0126-SM-2HMJ7 60-69 years, female 85.7
GTEX-1NHNU-1026-SM-E9J2A 50-59 years, male 85.7
GTEX-15ETS-0126-SM-7KUMW 40-49 years, female 85.6
GTEX-U3ZH-2026-SM-3DB78 30-39 years, male 85.5
GTEX-WQUQ-0426-SM-3MJFU 60-69 years, male 85.4
GTEX-YB5K-2126-SM-4WWDJ 40-49 years, female 85.1
GTEX-1LVAN-0226-SM-COH3S 50-59 years, female 85.0
GTEX-1IKK5-0626-SM-ARL8A 60-69 years, male 83.0
GTEX-13PVR-2326-SM-5QGR1 60-69 years, female 82.9
GTEX-T6MN-0126-SM-32PLP 50-59 years, male 82.8
GTEX-Q2AI-1326-SM-2S1PL 40-49 years, male 82.7
GTEX-RM2N-1426-SM-2TF4H 50-59 years, male 82.7
GTEX-WXYG-2326-SM-4E3I6 50-59 years, female 82.6
GTEX-1S82Z-0826-SM-E6CHY 30-39 years, female 82.5
GTEX-ZTX8-1426-SM-5DUVO 20-29 years, male 82.2
GTEX-131XG-2626-SM-5KM17 50-59 years, female 81.8
GTEX-14BIL-0126-SM-5SI92 50-59 years, male 81.8
GTEX-YEC4-2126-SM-5IFJH 40-49 years, male 81.8
GTEX-13FH7-2026-SM-E9J4I 50-59 years, female 81.7
GTEX-ZDYS-2026-SM-5HL5L 50-59 years, male 81.5
GTEX-1ICG6-2526-SM-CGQFZ 70-79 years, female 81.0
GTEX-17KNJ-2326-SM-7DHLQ 50-59 years, male 80.9
GTEX-1B97I-1626-SM-73KYO 40-49 years, male 80.8
GTEX-14ICK-0226-SM-6EU25 40-49 years, male 80.7
GTEX-1B996-0226-SM-7RHGO 60-69 years, male 80.7
GTEX-15UKP-0426-SM-7KUFQ 20-29 years, male 80.3
GTEX-1HSEH-0126-SM-ACKXN 60-69 years, male 80.2
GTEX-1JMQK-0226-SM-CL543 60-69 years, male 79.8
GTEX-T5JW-1626-SM-3GADZ 20-29 years, female 79.5
GTEX-145MN-2226-SM-5SIAU 30-39 years, male 79.3
GTEX-17EVP-0326-SM-7DHLG 40-49 years, male 79.0
GTEX-1PFEY-1526-SM-E76PP 30-39 years, male 79.0
GTEX-1QP2A-0126-SM-E9J43 50-59 years, male 79.0
GTEX-1399R-2726-SM-5IJBA 30-39 years, male 78.7
GTEX-1J1OQ-0226-SM-CYPSH 40-49 years, female 78.7
GTEX-OOBJ-0126-SM-E6CJW 60-69 years, male 78.7
GTEX-1QPFJ-0226-SM-E76PB 30-39 years, female 78.0
GTEX-1IY9M-0126-SM-D3L8S 60-69 years, male 77.8
GTEX-11DYG-0126-SM-59883 60-69 years, male 77.7
GTEX-1JJ6O-0126-SM-E6CI8 60-69 years, male 77.7
GTEX-OHPM-0126-SM-2YUN9 50-59 years, male 77.4
GTEX-1HSMQ-1226-SM-CGQFX 50-59 years, male 77.4
GTEX-O5YW-0126-SM-3LK6D 50-59 years, male 77.2
GTEX-12WSE-0526-SM-793B2 20-29 years, male 77.0
GTEX-18A7B-0126-SM-7LG64 70-79 years, male 76.5
GTEX-1399U-2326-SM-5K7WY 50-59 years, female 76.3
GTEX-12WSJ-1826-SM-5GCNY 40-49 years, female 76.1
GTEX-T5JC-0426-SM-32PLO 20-29 years, male 76.1
GTEX-1F5PL-0326-SM-7P8PQ 40-49 years, female 76.0
GTEX-Y8E4-0626-SM-4WWDL 40-49 years, male 75.9
GTEX-1GN1W-0526-SM-9MQJQ 50-59 years, female 75.8
GTEX-1I4MK-2226-SM-ACKWD 50-59 years, female 75.8
GTEX-1NV5F-0226-SM-E8VNY 60-69 years, female 75.7
GTEX-S95S-1226-SM-4GICG 60-69 years, male 75.4
GTEX-XBED-2226-SM-47JYQ 60-69 years, male 74.9
GTEX-QEG4-0226-SM-2S1PY 30-39 years, male 74.8
GTEX-ZVT2-2526-SM-51MT1 50-59 years, female 74.6
GTEX-ZYFC-0226-SM-5NQ75 50-59 years, male 74.6
GTEX-RWSA-0126-SM-2XCBB 40-49 years, male 74.5
GTEX-183FY-0126-SM-7LT9P 20-29 years, male 74.4
GTEX-PSDG-0226-SM-DKPOZ 50-59 years, male 74.4
GTEX-144GN-2326-SM-5LU4F 50-59 years, male 74.3
GTEX-16XZY-2126-SM-79OK1 70-79 years, male 74.3
GTEX-113JC-2326-SM-5EQ4E 50-59 years, female 74.2
GTEX-1HCVE-0126-SM-CGQEU 50-59 years, male 73.9
GTEX-T2YK-0526-SM-32QPJ 50-59 years, male 73.8
GTEX-12ZZY-0226-SM-5LZVE 60-69 years, male 73.4
GTEX-1I1GP-2226-SM-CGQFK 50-59 years, male 73.3
GTEX-14BMU-2226-SM-5TDE9 20-29 years, female 73.1
GTEX-1LGOU-2026-SM-DIPFF 20-29 years, female 73.0
GTEX-14PHX-2326-SM-62LEM 50-59 years, male 72.8
GTEX-13O21-1426-SM-5K7XI 50-59 years, male 72.5
GTEX-17HHE-2026-SM-79OKF 50-59 years, male 72.5
GTEX-RVPV-0126-SM-EAZAW 60-69 years, male 72.5
GTEX-1192X-0226-SM-5H12D 50-59 years, male 72.3
GTEX-OXRL-0126-SM-2YUMP 50-59 years, male 72.1
GTEX-1MCQQ-0826-SM-DLHC2 60-69 years, male 72.1
GTEX-UJHI-1526-SM-3DB99 50-59 years, female 71.7
GTEX-145LT-1726-SM-5QGP3 40-49 years, male 71.6
GTEX-POMQ-2226-SM-2I5FK 20-29 years, female 71.6
GTEX-XQ8I-0426-SM-4BOPO 50-59 years, male 71.6
GTEX-WH7G-2326-SM-3NMBC 40-49 years, male 71.3
GTEX-1AMEY-1326-SM-73KYK 30-39 years, female 71.0
GTEX-1CAV2-2226-SM-7P8P2 40-49 years, female 71.0
GTEX-QLQ7-1626-SM-2S1R8 60-69 years, male 70.9
GTEX-ZYFG-2326-SM-5E44B 60-69 years, female 70.9
GTEX-1MGNQ-0126-SM-EVYCJ 40-49 years, male 70.9
GTEX-1MJK2-0426-SM-DTXE5 50-59 years, male 70.9
GTEX-131XH-2226-SM-5DUXJ 50-59 years, male 70.8
GTEX-1399T-2826-SM-5KLYZ 60-69 years, male 70.6
GTEX-18D9B-0526-SM-7LTAS 60-69 years, male 70.5
GTEX-U8XE-0326-SM-3DB8P 30-39 years, male 70.3
GTEX-WI4N-1026-SM-3LK7N 40-49 years, female 70.3
GTEX-1CAMR-1926-SM-7EPI2 20-29 years, male 70.2
GTEX-13113-5016-SM-7EPIP 60-69 years, female 70.1
GTEX-1I6K6-0126-SM-A9SLE 30-39 years, male 70.1
GTEX-1JN76-0126-SM-CNPPE 20-29 years, female 70.1
GTEX-11O72-0126-SM-59887 40-49 years, male 70.0
GTEX-13G51-2526-SM-5LZYK 60-69 years, male 69.9
GTEX-1C6VR-2426-SM-79OLD 60-69 years, male 69.9
GTEX-139TU-0126-SM-5K7WH 60-69 years, male 69.8
GTEX-1B8SG-0126-SM-73KZ3 50-59 years, male 69.8
GTEX-1CB4E-2226-SM-793DC 60-69 years, male 69.8
GTEX-XQ3S-1526-SM-4BOOC 20-29 years, male 69.5
GTEX-ZZ64-1726-SM-5GZYB 20-29 years, male 69.5
GTEX-1EU9M-0226-SM-7P8SP 60-69 years, male 68.8
GTEX-12C56-1726-SM-5EQ61 20-29 years, male 68.7
GTEX-14PII-0226-SM-6EU1T 60-69 years, male 68.7
GTEX-11UD1-0126-SM-5PNYG 40-49 years, female 68.6
GTEX-1GF9W-0326-SM-9KNUN 60-69 years, male 68.6
GTEX-1S83E-0126-SM-EWRO4 40-49 years, male 68.5
GTEX-13FTX-1826-SM-5J1NX 20-29 years, female 68.2
GTEX-U412-0426-SM-3DB9O 60-69 years, male 68.2
GTEX-1PDJ9-0326-SM-DTX95 20-29 years, male 68.1
GTEX-QDVJ-1726-SM-2I5FX 50-59 years, male 68.0
GTEX-ZVZO-0126-SM-5A5L9 40-49 years, male 68.0
GTEX-1KXAM-2226-SM-CYPTC 60-69 years, male 68.0
GTEX-1POEN-0126-SM-EYYXJ 30-39 years, female 68.0
GTEX-W5WG-1826-SM-4KL2Y 50-59 years, female 67.9
GTEX-1AX9I-0126-SM-7SB74 60-69 years, male 67.9
GTEX-1RAZA-0126-SM-E6CI3 20-29 years, male 67.9
GTEX-1J8Q2-0526-SM-CM2RW 60-69 years, male 67.8
GTEX-11ZTS-0126-SM-5EQ6M 60-69 years, female 67.7
GTEX-1HSGN-0226-SM-CGQFV 40-49 years, female 67.7
GTEX-OXRK-0226-SM-3NB2G 50-59 years, female 67.3
GTEX-SN8G-0126-SM-32PLI 50-59 years, female 67.3
GTEX-1GZ4H-1726-SM-7PBZJ 50-59 years, female 67.3
GTEX-ZTSS-1926-SM-57WEW 40-49 years, male 67.2
GTEX-WRHK-1426-SM-3MJF9 20-29 years, female 67.1
GTEX-1PIIG-0226-SM-EWRN6 30-39 years, male 67.1
GTEX-111VG-2426-SM-5GZXD 60-69 years, male 66.9
GTEX-13NZ8-0826-SM-5MR3I 60-69 years, female 66.7
GTEX-11VI4-1726-SM-5CVLH 40-49 years, female 66.6
GTEX-133LE-1826-SM-5J1MV 20-29 years, female 66.6
GTEX-PLZ5-2026-SM-2S1O4 50-59 years, male 66.5
GTEX-ZWKS-0126-SM-5SIAA 30-39 years, male 66.5
GTEX-1QP66-1726-SM-E8VO1 50-59 years, male 66.5
GTEX-16BQI-0226-SM-7KUEX 30-39 years, female 66.4
GTEX-1HR98-0126-SM-B2LWI 60-69 years, male 66.3
GTEX-ZQG8-1626-SM-DHXIT 60-69 years, female 66.2
GTEX-117XS-2726-SM-5N9BL 60-69 years, male 66.1
GTEX-1E2YA-0126-SM-9KNUC 50-59 years, male 66.1
GTEX-17JCI-0126-SM-7LG5G 60-69 years, female 65.9
GTEX-QCQG-1726-SM-3GIJ9 50-59 years, female 65.6
GTEX-P4PP-0126-SM-3LK69 30-39 years, female 65.5
GTEX-11NSD-2226-SM-5986V 20-29 years, male 65.3
GTEX-17HII-0226-SM-7LG4E 50-59 years, male 65.3
GTEX-15SHW-0326-SM-6PAML 60-69 years, male 65.2
GTEX-ZF2S-2326-SM-4WWCE 50-59 years, female 65.2
GTEX-14PJ6-2126-SM-6EU1V 60-69 years, female 65.1
GTEX-15SHU-0126-SM-7KUEH 40-49 years, female 65.0
GTEX-13OW5-0126-SM-DTXFS 60-69 years, male 65.0
GTEX-15EU6-0426-SM-6PAN5 50-59 years, male 64.5
GTEX-17HG3-2226-SM-7938L 30-39 years, female 64.5
GTEX-14A5H-0426-SM-5QGQF 60-69 years, male 64.4
GTEX-11ZUS-0626-SM-59885 30-39 years, male 64.3
GTEX-145LU-0126-SM-5TDCB 50-59 years, male 64.3
GTEX-111FC-0126-SM-5N9DL 60-69 years, male 64.1
GTEX-OIZH-0126-SM-2HMIS 50-59 years, male 64.0
GTEX-1GF9V-0326-SM-7RHI5 60-69 years, male 63.7
GTEX-18A67-0126-SM-7LG5P 50-59 years, male 63.6
GTEX-ZAJG-0126-SM-5HL94 50-59 years, female 63.4
GTEX-1GN1U-0126-SM-7PBZK 50-59 years, female 63.4
GTEX-QVJO-1626-SM-2S1QW 60-69 years, female 63.2
GTEX-U3ZM-1526-SM-3DB9D 40-49 years, male 63.2
GTEX-1I1GQ-0126-SM-COH3H 50-59 years, male 63.2
GTEX-183WM-0126-SM-7LTAB 70-79 years, female 63.1
GTEX-1CAMQ-0226-SM-7IGPK 40-49 years, male 63.1
GTEX-18A66-0226-SM-718BD 60-69 years, male 63.0
GTEX-R55E-0126-SM-2TC5Y 20-29 years, male 63.0
GTEX-ZDTT-2726-SM-4WKF8 60-69 years, male 63.0
GTEX-13VXT-0126-SM-5LU4I 20-29 years, female 62.8
GTEX-14LLW-0126-SM-6LLIO 70-79 years, female 62.7
GTEX-ZVTK-0426-SM-51MRS 20-29 years, male 62.7
GTEX-1JN1M-0326-SM-CYPT3 60-69 years, female 62.7
GTEX-1MCYP-1926-SM-E9J2R 20-29 years, female 62.7
GTEX-117YX-2326-SM-5H12W 50-59 years, male 62.6
GTEX-1HCU9-1526-SM-A9SL7 20-29 years, male 62.5
GTEX-132NY-0326-SM-5IJBL 60-69 years, male 62.4
GTEX-1IDJF-0126-SM-CM2RS 20-29 years, male 62.4
GTEX-11EQ9-2426-SM-5HL5T 30-39 years, male 62.3
GTEX-12126-0326-SM-5PNW3 20-29 years, male 62.3
GTEX-1GPI7-0126-SM-9MQL8 20-29 years, male 62.0
GTEX-1I1GS-0126-SM-B2LVW 60-69 years, male 61.9
GTEX-13JUV-2726-SM-5LZZ8 40-49 years, female 61.7
GTEX-1EMGI-0126-SM-9KNUE 60-69 years, male 61.7
GTEX-XUW1-0426-SM-4BOOT 50-59 years, female 61.4
GTEX-1LB8K-0226-SM-EWRNW 50-59 years, male 61.3
GTEX-XPVG-2626-SM-4B669 50-59 years, male 60.9
GTEX-17HGU-0226-SM-7DHKV 50-59 years, male 60.8
GTEX-1N2EF-0226-SM-EYYXB 60-69 years, male 60.8
GTEX-PX3G-0126-SM-2I3EN 20-29 years, female 60.6
GTEX-1K2DU-2326-SM-E9TIV 20-29 years, male 60.6
GTEX-13FHO-0226-SM-5IFGY 60-69 years, male 60.2
GTEX-13SLW-0126-SM-5SI6C 70-79 years, male 60.0
GTEX-145MO-0326-SM-5Q5B3 60-69 years, male 60.0
GTEX-14PN4-0126-SM-6EU2V 50-59 years, male 60.0
GTEX-145ME-1826-SM-5SI9G 40-49 years, female 59.9
GTEX-18A7A-0226-SM-718BH 50-59 years, female 59.9
GTEX-1H23P-0126-SM-ADEJ3 60-69 years, male 59.9
GTEX-13OW6-0426-SM-5L3HM 50-59 years, male 59.8
GTEX-ZYT6-0226-SM-5NQ6T 30-39 years, male 59.8
GTEX-1MUQO-0126-SM-EAZ58 60-69 years, male 59.8
GTEX-14753-0426-SM-5NQAM 60-69 years, male 59.7
GTEX-1314G-1526-SM-5EGK2 30-39 years, male 59.4
GTEX-1EN7A-0126-SM-7SB81 40-49 years, male 59.3
GTEX-147F4-0226-SM-5QGPW 50-59 years, male 59.2
GTEX-Z93T-0126-SM-5HL5N 50-59 years, male 59.0
GTEX-1211K-2026-SM-5EQ4Z 60-69 years, female 58.9
GTEX-1LGRB-2526-SM-CNPPQ 50-59 years, female 58.9
GTEX-13X6H-2126-SM-7EWD5 50-59 years, female 58.6
GTEX-OXRN-0126-SM-48TDM 50-59 years, male 58.6
GTEX-U3ZN-2326-SM-3DB7W 30-39 years, female 58.2
GTEX-1RDX4-0126-SM-E9J4P 50-59 years, female 58.2
GTEX-X4EP-0126-SM-3P5YV 60-69 years, female 58.1
GTEX-1H11D-0226-SM-9WG6Z 40-49 years, male 58.1
GTEX-1H1DE-2126-SM-9WG6R 20-29 years, male 58.1
GTEX-X4EO-0326-SM-3P5YO 60-69 years, female 58.0
GTEX-X8HC-0126-SM-4E3JW 50-59 years, female 57.9
GTEX-1GZHY-0326-SM-9QEHI 50-59 years, female 57.7
GTEX-15RIG-0226-SM-7KFTL 40-49 years, male 57.6
GTEX-ZVZP-2426-SM-59HKJ 50-59 years, male 57.6
GTEX-1IL2U-0226-SM-CE6T8 60-69 years, male 57.6
GTEX-1CB4F-0426-SM-9KNV4 60-69 years, male 57.5
GTEX-13OW8-1326-SM-5J1OW 60-69 years, male 57.4
GTEX-1F75I-0326-SM-9YFLU 40-49 years, male 57.4
GTEX-1I1GT-0626-SM-CGQER 60-69 years, female 57.2
GTEX-O5YT-0126-SM-48TBW 20-29 years, male 57.1
GTEX-1B8L1-2526-SM-9WYTF 60-69 years, male 57.1
GTEX-Y8DK-0126-SM-4TT3L 60-69 years, male 57.0
GTEX-1KD5A-0226-SM-D5OV3 50-59 years, male 57.0
GTEX-1H1E6-1726-SM-ACKVK 30-39 years, male 56.8
GTEX-Z9EW-1626-SM-5CVMN 40-49 years, male 56.7
GTEX-16GPK-0126-SM-7DHLE 60-69 years, male 56.5
GTEX-X4XY-0226-SM-4E3IZ 60-69 years, male 56.5
GTEX-Y111-0126-SM-4SOIV 50-59 years, male 56.5
GTEX-1GMR3-1926-SM-9KNUZ 40-49 years, male 56.3
GTEX-1122O-2126-SM-5EGIR 60-69 years, female 56.2
GTEX-1QAET-0926-SM-E76QM 50-59 years, male 56.2
GTEX-12ZZZ-0626-SM-5DUXI 60-69 years, male 56.1
GTEX-1J8QM-2126-SM-CYPSJ 60-69 years, female 56.1
GTEX-1F52S-0126-SM-9MQJU 60-69 years, female 56.0
GTEX-1PPH7-2326-SM-EVYB8 40-49 years, male 56.0
GTEX-13FHP-0126-SM-5IJBG 50-59 years, male 55.9
GTEX-18QFQ-0126-SM-731BE 30-39 years, male 55.9
GTEX-ZYFD-0126-SM-5GIDL 50-59 years, male 55.9
GTEX-1QP29-0626-SM-EWRMX 50-59 years, male 55.9
GTEX-13OVK-2026-SM-7KUEO 40-49 years, male 55.8
GTEX-1JN6P-0126-SM-D3L98 60-69 years, male 55.6
GTEX-UPJH-0326-SM-3GADU 50-59 years, male 55.5
GTEX-1GF9X-2026-SM-7PC3A 40-49 years, female 55.5
GTEX-1GN73-0226-SM-9WG67 60-69 years, male 55.5
GTEX-14E6D-0126-SM-62LDV 50-59 years, male 55.3
GTEX-1AX8Z-0126-SM-7DHM6 60-69 years, male 55.3
GTEX-13O1R-0126-SM-5L3EH 60-69 years, male 55.0
GTEX-1HCU6-0126-SM-CL54K 60-69 years, female 55.0
GTEX-1KWVE-1426-SM-E9TJO 30-39 years, male 54.9
GTEX-1EKGG-0226-SM-9WYTH 60-69 years, male 54.8
GTEX-1IDJU-2626-SM-CM2RT 60-69 years, female 54.8
GTEX-1H1ZS-0426-SM-9WG6G 70-79 years, male 54.7
GTEX-1IOXB-0126-SM-ARL8G 50-59 years, male 54.7
GTEX-14BMV-0126-SM-5S2PO 50-59 years, male 54.6
GTEX-PW2O-1526-SM-7RHHB 20-29 years, male 54.6
GTEX-131YS-0126-SM-5KM1M 60-69 years, female 54.5
GTEX-145MI-0526-SM-5O9A8 60-69 years, female 54.5
GTEX-1HCU8-0626-SM-A9SM9 60-69 years, female 54.2
GTEX-12WSL-2526-SM-5GCNJ 50-59 years, male 54.1
GTEX-13D11-2426-SM-5KM1V 50-59 years, female 54.1
GTEX-13OVG-1926-SM-5L3DK 60-69 years, male 54.1
GTEX-ZAB4-0226-SM-5N9F5 40-49 years, male 54.1
GTEX-RWS6-2026-SM-2XCB5 60-69 years, female 53.9
GTEX-1GTWX-0126-SM-9YFLK 60-69 years, male 53.9
GTEX-13OVH-0126-SM-5MR4B 70-79 years, male 53.8
GTEX-146FQ-0126-SM-5NQA9 30-39 years, male 53.8
GTEX-W5X1-3026-SM-EAZAX 40-49 years, female 53.8
GTEX-12WSD-0126-SM-59HKN 60-69 years, female 53.7
GTEX-13FTY-0526-SM-5L3EV 40-49 years, female 53.7
GTEX-13NZA-0226-SM-5K7Z7 60-69 years, male 53.6
GTEX-ZE7O-0126-SM-57WC1 50-59 years, female 53.5
GTEX-1IL2V-0126-SM-CM2TX 70-79 years, male 53.5
GTEX-1H1DG-0126-SM-9WYU2 70-79 years, male 53.4
GTEX-ZVT3-0126-SM-5GU6I 60-69 years, female 53.3
GTEX-1EX96-1626-SM-7PBXR 50-59 years, male 53.3
GTEX-11DZ1-0126-SM-5985Q 50-59 years, male 53.2
GTEX-OIZG-0726-SM-33HBL 50-59 years, male 53.2
GTEX-Y5V5-2326-SM-4V6GA 60-69 years, female 53.2
GTEX-1JMQJ-0526-SM-CYPSU 50-59 years, male 53.2
GTEX-144GL-0126-SM-5TDE2 50-59 years, male 53.0
GTEX-1HBPI-1526-SM-C1YQ1 50-59 years, male 52.4
GTEX-13N11-2526-SM-5K7UE 50-59 years, female 52.3
GTEX-1AMFI-2026-SM-731BH 50-59 years, female 52.0
GTEX-ZAB5-1826-SM-5HL7C 50-59 years, male 52.0
GTEX-1L5NE-2526-SM-E6CIE 50-59 years, male 52.0
GTEX-14JG1-0426-SM-6ETZZ 40-49 years, male 51.9
GTEX-RTLS-0126-SM-447CA 60-69 years, female 51.9
GTEX-1R7EV-2426-SM-EVYBG 40-49 years, male 51.9
GTEX-1GZ2Q-0226-SM-7P8TL 40-49 years, male 51.8
GTEX-1497J-2426-SM-7IGNX 60-69 years, male 51.7
GTEX-X585-0226-SM-4QAS2 50-59 years, male 51.7
GTEX-13VXU-0126-SM-5SI9F 50-59 years, male 51.6
GTEX-17EVQ-0226-SM-7LG4P 70-79 years, male 51.6
GTEX-1H3VE-0326-SM-9YFLH 40-49 years, male 51.6
GTEX-15SB6-1726-SM-6PAME 50-59 years, female 51.5
GTEX-1E1VI-0126-SM-7DHMZ 50-59 years, male 51.4
GTEX-13CF3-2426-SM-5IFGX 60-69 years, female 51.2
GTEX-13RTJ-2426-SM-5S2Q2 60-69 years, male 51.1
GTEX-VJYA-1126-SM-3GIJU 60-69 years, male 51.1
GTEX-14PN3-2426-SM-6LLHS 60-69 years, female 51.0
GTEX-11GSO-2426-SM-5A5LY 60-69 years, male 50.9
GTEX-1HFI7-1826-SM-ACKXH 50-59 years, female 50.8
GTEX-R45C-0126-SM-EAZ2R 60-69 years, female 50.8
GTEX-14PJM-0226-SM-62LF1 50-59 years, female 50.7
GTEX-1S82Y-2026-SM-EVYCM 40-49 years, male 50.7
GTEX-1JK1U-2026-SM-CM2RZ 60-69 years, male 50.6
GTEX-12WSC-0126-SM-5EQ4P 50-59 years, male 50.5
GTEX-S7SE-0126-SM-2XCD5 50-59 years, male 50.5
GTEX-RU72-0926-SM-2TF6B 50-59 years, female 50.2
GTEX-TMMY-0226-SM-33HBA 40-49 years, female 50.2
GTEX-13S7M-0126-SM-5SI6A 60-69 years, female 50.1
GTEX-18465-0126-SM-731BN 50-59 years, male 50.1
GTEX-13CF2-2526-SM-5LZYX 60-69 years, male 49.9
GTEX-T6MO-1626-SM-32QOM 40-49 years, female 49.9
GTEX-13N1W-0126-SM-5K7VT 70-79 years, male 49.8
GTEX-13X6J-0126-SM-5QGOU 50-59 years, male 49.8
GTEX-11ZTT-2426-SM-5EQLS 60-69 years, female 49.7
GTEX-13O3P-0126-SM-5KM4S 50-59 years, male 49.7
GTEX-1GMRU-0126-SM-9YFLV 50-59 years, male 49.7
GTEX-1GN2E-0426-SM-9MQKX 60-69 years, male 49.7
GTEX-12WSN-5019-SM-79OM6 40-49 years, male 49.6
GTEX-1EWIQ-0126-SM-7RHH2 70-79 years, female 49.6
GTEX-13W3W-2426-SM-5LU5B 60-69 years, female 49.5
GTEX-145MF-0626-SM-5LUAI 50-59 years, male 49.5
GTEX-18A6Q-0126-SM-731BZ 60-69 years, male 49.2
GTEX-OOBK-0126-SM-2YUND 40-49 years, male 49.2
GTEX-1C64O-0126-SM-7SB8P 60-69 years, male 49.2
GTEX-1CAMS-0426-SM-7P8T2 40-49 years, female 49.2
GTEX-1LG7Y-0526-SM-DKPQC 50-59 years, male 49.1
GTEX-XUYS-0126-SM-47JWZ 50-59 years, male 48.9
GTEX-17F97-0326-SM-7LG5B 50-59 years, male 48.8
GTEX-11OF3-2626-SM-5GU7F 60-69 years, male 48.7
GTEX-SIU8-0126-SM-2XCDT 50-59 years, male 48.7
GTEX-1ICLY-0126-SM-D4P36 50-59 years, male 48.6
GTEX-12584-0126-SM-5EGKQ 40-49 years, male 48.5
GTEX-13YAN-0326-SM-5O9DF 60-69 years, male 48.5
GTEX-14E6E-1826-SM-5S2R7 30-39 years, male 48.5
GTEX-X88G-0126-SM-47JZ3 30-39 years, male 48.5
GTEX-U4B1-1826-SM-4DXSU 40-49 years, male 48.4
GTEX-1J8EW-0126-SM-CJI4F 60-69 years, female 48.4
GTEX-1KAFJ-2026-SM-CY8ID 50-59 years, male 48.4
GTEX-1C64N-0126-SM-793D7 50-59 years, male 48.3
GTEX-1H4P4-0726-SM-9YFLR 50-59 years, male 48.3
GTEX-1KANB-0526-SM-E6CJH 50-59 years, male 48.3
GTEX-12WSA-0226-SM-5BC5V 60-69 years, male 48.2
GTEX-13NYB-2526-SM-5K7Z6 40-49 years, male 48.0
GTEX-1M5QR-1226-SM-EWROB 40-49 years, male 47.9
GTEX-T2IS-0126-SM-4DM6O 20-29 years, female 47.7
GTEX-1HCU7-0226-SM-CL545 50-59 years, male 47.7
GTEX-11P81-2326-SM-59875 30-39 years, female 47.6
GTEX-OXRO-0126-SM-2YUN4 60-69 years, female 47.4
GTEX-13W46-0226-SM-5SIAG 50-59 years, male 47.3
GTEX-16XZZ-0126-SM-793DV 60-69 years, male 47.1
GTEX-13N2G-2626-SM-5J1OT 60-69 years, male 46.9
GTEX-1I1GV-0526-SM-A9G29 60-69 years, male 46.9
GTEX-11GS4-2726-SM-5A5LE 60-69 years, male 46.8
GTEX-ZV6S-2326-SM-4YCEY 40-49 years, female 46.6
GTEX-1AX9K-2326-SM-73KWU 50-59 years, male 46.3
GTEX-15ER7-0326-SM-7KUEV 20-29 years, female 46.2
GTEX-1GMR8-0126-SM-9WYTM 50-59 years, female 46.2
GTEX-1JKYN-1326-SM-CGQG9 30-39 years, male 46.2
GTEX-1I1GR-0126-SM-CL55F 60-69 years, male 46.1
GTEX-1LH75-2426-SM-E9TJE 50-59 years, female 46.1
GTEX-1JMQI-2226-SM-CM2SD 50-59 years, male 46.0
GTEX-1212Z-2526-SM-5EGKP 60-69 years, male 45.7
GTEX-13QJ3-0326-SM-5S2RA 50-59 years, male 45.6
GTEX-1H3VY-0126-SM-ACKXD 50-59 years, male 45.6
GTEX-1IKOH-0226-SM-COH4E 60-69 years, female 45.6
GTEX-1A8FM-0226-SM-7SB7Q 50-59 years, female 45.5
GTEX-P4PQ-0126-SM-2S1NM 60-69 years, male 45.4
GTEX-1C6WA-0126-SM-7PC2B 60-69 years, male 45.4
GTEX-11ZVC-2526-SM-5FQTE 50-59 years, female 45.2
GTEX-14A5I-0126-SM-5TDEA 50-59 years, female 45.1
GTEX-ZV68-0126-SM-59HKS 50-59 years, female 45.1
GTEX-1CB4J-0626-SM-7DHMP 60-69 years, male 45.0
GTEX-131XE-2326-SM-5PNZ2 50-59 years, male 44.8
GTEX-ZTPG-0326-SM-5O9AX 20-29 years, female 44.8
GTEX-QESD-1426-SM-2S1R9 20-29 years, male 44.6
GTEX-1HKZK-0326-SM-9WYUH 40-49 years, male 44.6
GTEX-1JJEA-0326-SM-CNPOT 60-69 years, male 44.6
GTEX-11OC5-0126-SM-5HL6A 60-69 years, male 44.4
GTEX-1H3O1-0426-SM-9YFKY 60-69 years, male 44.4
GTEX-1A32A-0126-SM-718B1 50-59 years, female 44.2
GTEX-11GSP-2526-SM-5N9BP 60-69 years, female 44.1
GTEX-1F6I4-0126-SM-9MQL2 60-69 years, male 43.8
GTEX-14LZ3-0226-SM-62LET 60-69 years, female 43.6
GTEX-ZAK1-0126-SM-5IJD3 50-59 years, female 43.6
GTEX-1N2DW-0226-SM-E9TK2 50-59 years, male 43.2
GTEX-NPJ8-0126-SM-2YUNR 40-49 years, male 43.1
GTEX-ZY6K-1826-SM-5GZXK 50-59 years, male 43.1
GTEX-1IKJJ-0126-SM-CNPQB 60-69 years, male 42.9
GTEX-17HHY-0126-SM-7LG5D 50-59 years, male 42.7
GTEX-RNOR-0126-SM-E9J4R 50-59 years, female 42.7
GTEX-YJ89-0126-SM-4TT3X 60-69 years, male 42.5
GTEX-1PBJI-0526-SM-E8VNK 20-29 years, female 42.4
GTEX-1F75B-0126-SM-9KNVL 50-59 years, male 42.3
GTEX-1313W-0126-SM-5LZUN 50-59 years, female 42.2
GTEX-11EI6-0126-SM-5985R 60-69 years, male 42.0
GTEX-1PWST-0226-SM-E76QJ 70-79 years, male 42.0
GTEX-14BIN-0626-SM-793DP 50-59 years, female 41.9
GTEX-WFG8-2226-SM-3GIL9 20-29 years, male 41.9
GTEX-1HB9E-0226-SM-E9U4R 50-59 years, male 41.9
GTEX-1128S-2326-SM-5GZZY 60-69 years, female 41.8
GTEX-11UD2-0226-SM-5EQKY 50-59 years, male 41.7
GTEX-13OVJ-0126-SM-5KM36 50-59 years, female 41.7
GTEX-1ICLZ-0126-SM-CKZPO 60-69 years, male 41.5
GTEX-14JG6-2226-SM-6EU2G 30-39 years, female 41.3
GTEX-15DYW-0126-SM-7KULE 60-69 years, female 41.3
GTEX-14E6C-0126-SM-5RQIP 40-49 years, male 41.0
GTEX-X4XX-0126-SM-3NMC2 60-69 years, male 40.9
GTEX-11H98-0126-SM-5EGHG 50-59 years, male 40.8
GTEX-15DCD-0126-SM-7KUEK 70-79 years, female 40.8
GTEX-Y5LM-1926-SM-5RQJH 40-49 years, female 40.8
GTEX-15EOM-0126-SM-7KUGG 20-29 years, female 40.7
GTEX-RUSQ-1526-SM-2TF62 50-59 years, male 40.7
GTEX-PLZ4-0126-SM-5SI8O 50-59 years, female 40.5
GTEX-12ZZX-0126-SM-5EGK9 40-49 years, female 40.3
GTEX-13112-2826-SM-5DUWH 50-59 years, male 40.3
GTEX-13OVI-1426-SM-5L3EY 60-69 years, female 40.3
GTEX-1F75A-0126-SM-7RHGM 50-59 years, male 40.1
GTEX-ZDXO-3026-SM-5J1N5 60-69 years, male 40.0
GTEX-OIZF-0126-SM-7SB8I 60-69 years, male 40.0
GTEX-1269C-2526-SM-5EGJ3 60-69 years, female 39.4
GTEX-1H2FU-0126-SM-9WYSI 60-69 years, female 39.4
GTEX-1IDJH-0326-SM-A9SLQ 70-79 years, male 39.4
GTEX-117YW-2626-SM-5GZZH 50-59 years, male 39.2
GTEX-1GF9U-2126-SM-7SB7L 40-49 years, female 39.1
GTEX-15DDE-0126-SM-6LPKH 50-59 years, female 39.0
GTEX-12KS4-0326-SM-5EQ41 30-39 years, male 38.9
GTEX-WYVS-2126-SM-3NMA3 40-49 years, female 38.9
GTEX-1R46S-0626-SM-E9J41 60-69 years, female 38.9
GTEX-1B933-0126-SM-7PC29 50-59 years, female 38.7
GTEX-SE5C-1626-SM-2XCE3 40-49 years, female 38.7
GTEX-147GR-0526-SM-5S2MY 60-69 years, male 38.6
GTEX-Z93S-0126-SM-5HL7M 50-59 years, male 38.5
GTEX-ZXG5-0126-SM-5GIEU 60-69 years, male 38.3
GTEX-1JMQL-0226-SM-CNPP5 50-59 years, female 38.3
GTEX-13NYS-0126-SM-5MR3W 60-69 years, male 38.2
GTEX-146FH-0126-SM-5QGPP 50-59 years, female 38.2
GTEX-144FL-0126-SM-5TDC8 50-59 years, male 38.0
GTEX-YFC4-0126-SM-5CVLY 40-49 years, female 38.0
GTEX-1H1CY-2826-SM-9MQM3 60-69 years, female 37.9
GTEX-1GN1V-0126-SM-9WPOS 60-69 years, male 37.7
GTEX-1HCUA-2426-SM-ADEIS 50-59 years, female 37.5
GTEX-1K9T9-0126-SM-EVYCF 50-59 years, female 37.5
GTEX-TML8-1926-SM-32QOS 40-49 years, female 37.4
GTEX-1I1HK-0126-SM-COH49 60-69 years, male 37.3
GTEX-11DXY-2626-SM-5GIE7 60-69 years, male 37.0
GTEX-147F3-0526-SM-5SI98 50-59 years, female 37.0
GTEX-TMZS-0126-SM-3DB9Q 60-69 years, male 36.9
GTEX-1AYCT-2426-SM-7IGQ3 50-59 years, male 36.8
GTEX-146FR-1326-SM-E9J48 60-69 years, female 36.5
GTEX-14PK6-1926-SM-6ETZU 70-79 years, female 36.3
GTEX-X261-0126-SM-3NMD6 50-59 years, male 36.3
GTEX-Q2AG-0126-SM-33HBV 40-49 years, female 36.2
GTEX-XMD2-0126-SM-4YCDU 60-69 years, female 36.2
GTEX-16MT8-0426-SM-7KUEY 60-69 years, female 36.1
GTEX-11EMC-2926-SM-5EQ4F 60-69 years, female 36.0
GTEX-13O3Q-2426-SM-5IJBR 50-59 years, male 35.9
GTEX-15SDE-2226-SM-7IGLO 50-59 years, female 35.8
GTEX-1R9K4-0126-SM-DTX9X 60-69 years, male 35.8
GTEX-11WQK-0526-SM-5EQLD 50-59 years, male 35.6
GTEX-11ZU8-2526-SM-5EQKI 60-69 years, male 35.5
GTEX-14JIY-0126-SM-6LLH6 60-69 years, male 35.4
GTEX-1HFI6-0226-SM-ADEHZ 40-49 years, male 35.4
GTEX-ZYY3-0126-SM-5GZY5 60-69 years, female 35.3
GTEX-QV44-1926-SM-2S1RF 50-59 years, male 35.2
GTEX-1CB4G-0226-SM-7PC3O 60-69 years, male 35.1
GTEX-1JMOU-1526-SM-CL54I 60-69 years, female 35.1
GTEX-14E7W-0126-SM-6LLJ9 70-79 years, male 35.0
GTEX-ZEX8-2426-SM-4WKG4 50-59 years, male 34.8
GTEX-R3RS-0126-SM-3GIJL 40-49 years, female 34.6
GTEX-1HT8W-0126-SM-CNPPP 30-39 years, male 34.6
GTEX-13OW7-0126-SM-5MR3B 50-59 years, male 34.4
GTEX-1C6VS-0526-SM-7DUEN 60-69 years, male 34.4
GTEX-14BIM-0226-SM-7IGLD 60-69 years, female 34.0
GTEX-1LC47-0326-SM-E9TJP 60-69 years, male 34.0
GTEX-13IVO-0126-SM-5J1NG 70-79 years, male 33.6
GTEX-13SLX-0526-SM-5S2ON 50-59 years, female 33.6
GTEX-14ABY-0226-SM-5TDCQ 50-59 years, male 33.6
GTEX-1CB4H-0226-SM-7PBXM 60-69 years, female 33.4
GTEX-OXRP-0126-SM-3NB32 60-69 years, female 33.3
GTEX-1HBPM-0226-SM-ARL9F 60-69 years, female 33.3
GTEX-13U4I-0126-SM-5LU38 40-49 years, female 33.1
GTEX-139TS-2826-SM-5J1OO 60-69 years, male 33.0
GTEX-1IGQW-0126-SM-COH42 60-69 years, male 32.9
GTEX-1J8JJ-0226-SM-CL53I 60-69 years, female 32.9
GTEX-1F6IF-0726-SM-7P8TW 60-69 years, male 32.8
GTEX-VUSG-2526-SM-4KL1V 50-59 years, male 32.7
GTEX-1F7RK-0126-SM-7PC2S 20-29 years, female 32.7
GTEX-ZYW4-0126-SM-5E44A 60-69 years, male 32.4
GTEX-15D1Q-0126-SM-7KUG6 40-49 years, male 32.2
GTEX-1RB15-2126-SM-E9TIM 60-69 years, male 32.1
GTEX-P44H-0226-SM-2XCEU 40-49 years, male 31.9
GTEX-15UF6-0826-SM-6PALJ 70-79 years, female 31.8
GTEX-RN64-0126-SM-2TC68 50-59 years, male 31.7
GTEX-S32W-2126-SM-2XCB1 50-59 years, female 31.7
GTEX-1JJE9-0326-SM-CL53Z 70-79 years, male 31.5
GTEX-11DXW-0226-SM-5H122 40-49 years, male 31.4
GTEX-ZVE2-0226-SM-59HJB 50-59 years, male 31.4
GTEX-1GPI6-0126-SM-9WG69 60-69 years, male 31.4
GTEX-13NYC-0326-SM-E9J4S 60-69 years, male 31.2
GTEX-Q2AH-1626-SM-3GAF8 40-49 years, male 31.1
GTEX-V1D1-2226-SM-3NMAX 50-59 years, male 31.1
GTEX-1F88F-2726-SM-7PBZZ 60-69 years, female 31.0
GTEX-1192W-2626-SM-5Q5AF 60-69 years, male 30.7
GTEX-ZF28-0126-SM-4WKGK 60-69 years, male 30.7
GTEX-1IDFM-0126-SM-COH2V 60-69 years, male 30.7
GTEX-148VJ-0126-SM-5TDDN 70-79 years, male 30.6
GTEX-WVJS-0126-SM-4MVOT 50-59 years, male 30.5
GTEX-1RLM8-2326-SM-EWRN4 50-59 years, male 30.4
GTEX-X62O-0126-SM-4E3JN 50-59 years, male 30.2
GTEX-1QEPI-0126-SM-EWRMQ 60-69 years, female 30.2
GTEX-13PDP-0126-SM-5L3HD 60-69 years, male 30.0
GTEX-14A6H-0126-SM-5QGPK 30-39 years, male 29.9
GTEX-148VI-1626-SM-5SI6E 60-69 years, female 29.7
GTEX-13RTL-0126-SM-7LG5S 40-49 years, male 29.6
GTEX-145LS-0126-SM-5QGP1 60-69 years, female 29.5
GTEX-1O97I-0326-SM-EYYX7 60-69 years, male 29.1
GTEX-ZE9C-2726-SM-57WB5 60-69 years, male 28.8
GTEX-13X6I-0626-SM-5QGP9 60-69 years, male 28.7
GTEX-1H3NZ-0126-SM-ACKX7 60-69 years, male 28.1
GTEX-139T8-0126-SM-5K7XZ 60-69 years, male 28.0
GTEX-1I1CD-0126-SM-CM2TK 60-69 years, female 28.0
GTEX-ZC5H-0226-SM-4WAY9 40-49 years, female 27.8
GTEX-TSE9-0126-SM-3DB83 60-69 years, female 27.6
GTEX-Q734-1926-SM-2I5EV 40-49 years, female 27.5
GTEX-16NPX-0226-SM-79OMT 50-59 years, male 27.4
GTEX-VJWN-0126-SM-3GIK7 50-59 years, female 27.1
GTEX-131XW-0426-SM-5LZWP 50-59 years, female 26.7
GTEX-113IC-0126-SM-5HL6T 60-69 years, male 26.4
GTEX-15G19-0126-SM-6PANQ 60-69 years, male 26.4
GTEX-1MA7X-2226-SM-E6CIY 60-69 years, male 26.3
GTEX-QDT8-0126-SM-48TZ1 30-39 years, female 26.2
GTEX-X638-0126-SM-47JZ8 70-79 years, female 26.2
GTEX-1IE54-0126-SM-CMKHW 40-49 years, female 26.2
GTEX-WOFL-0126-SM-3MJG2 60-69 years, male 25.6
GTEX-1LNCM-1126-SM-E9U5E 50-59 years, female 25.1
GTEX-ZUA1-0126-SM-5GU76 40-49 years, male 25.0
GTEX-ZZPT-0226-SM-5E43X 50-59 years, male 24.3
GTEX-11TTK-0126-SM-5987B 60-69 years, female 24.2
GTEX-XV7Q-2526-SM-4BRV9 40-49 years, female 23.8
GTEX-PWO3-1526-SM-48TCM 60-69 years, female 22.9
GTEX-139T4-0226-SM-5HL5S 50-59 years, female 22.3
GTEX-1F48J-0126-SM-7P8TT 50-59 years, female 22.3
GTEX-14DAQ-0126-SM-5S2MQ 60-69 years, female 22.2
GTEX-1AYD5-2426-SM-73KXR 50-59 years, male 22.1
GTEX-11WQC-2526-SM-5CVLE 60-69 years, male 21.5
GTEX-1A3MW-0126-SM-73KXX 60-69 years, female 21.4
GTEX-PVOW-0126-SM-2XCFA 40-49 years, male 21.4
GTEX-17MF6-0126-SM-7LG4F 40-49 years, male 21.2
GTEX-1QW4Y-1526-SM-EAZ3Z 30-39 years, male 21.2
GTEX-1HUB1-0426-SM-E9U4U 60-69 years, male 20.9
GTEX-QDVN-2026-SM-3GAEP 50-59 years, male 20.4
GTEX-14PHW-0126-SM-6LLJI 60-69 years, female 20.3
GTEX-1HBPH-0426-SM-B2LW5 40-49 years, female 20.0
GTEX-1R9PO-2126-SM-E9J4O 60-69 years, female 19.0
GTEX-1M4P7-0226-SM-DIPEV 60-69 years, male 17.8
GTEX-1OJC4-0126-SM-E9J2E 50-59 years, female 17.1
GTEX-1HSMO-0126-SM-CL547 60-69 years, male 16.6
GTEX-SSA3-0126-SM-32QPU 60-69 years, male 15.6
GTEX-1C6VQ-0126-SM-7P8RI 50-59 years, male 15.2
Show allShow less

Contact

  • NEWS ARTICLES
  • PRESS ROOM

The Project

  • INTRODUCTION
  • ORGANIZATION
  • PUBLICATIONS

The Human Protein Atlas

  • DOWNLOADABLE DATA
  • LICENCE & CITATION
  • HELP & FAQ
The Human Protein Atlas project is funded
by the Knut & Alice Wallenberg Foundation.


contact@proteinatlas.org