We use cookies to enhance the usability of our website. If you continue, we'll assume that you are happy to receive all cookies. More information. Don't show this again.
FASN
HPA
RESOURCES
  • TISSUE
  • BRAIN
  • SINGLE CELL
  • SUBCELLULAR
  • CANCER
  • BLOOD
  • CELL LINE
  • STRUCTURE & INTERACTION
ABOUT
  • INTRODUCTION
  • HISTORY
  • ORGANIZATION
  • PUBLICATIONS
  • ANTIBODY SUBMISSION
  • ANTIBODY AVAILABILITY
  • ACKNOWLEDGMENTS
  • CONTACT
NEWS
  • NEWS ARTICLES
  • PRESS ROOM
LEARN
  • DICTIONARY
  • PROTEIN CLASSES
  • PROTEIN EVIDENCE
  • METHODS
  • EDUCATIONAL VIDEOS
DATA
  • DOWNLOADABLE DATA
  • PUBLICATION DATA
  • RELEASE HISTORY
HELP
  • ANTIBODY VALIDATION
  • ASSAYS & ANNOTATION
  • DISCLAIMER
  • HELP & FAQ
  • PRIVACY STATEMENT
  • LICENCE & CITATION
Fields »
Search result

Field
Term
Gene name
Class
Subclass
Class
Keyword
Chromosome
External id
Tissue
Cell type
Expression
Antibody panel
Tissue
Main location
Patient ID
Annotation
Tissue
Category
Tau score
Cluster
Reliability
Brain region
Category
Tau score
Brain region
Category
Tau score
Brain region
Category
Tau score
Cluster
Reliability
Tissue
Cell type
Enrichment
Cell type
Category
Tau score
Cell type
Category
Tau score
Cell type
Category
Tau score
Cell lineage
Category
Tau score
Cluster
Cluster
Location
Searches
Location
Cell line
Class
Type
Phase
Reliability
Cancer
Prognosis
Cancer
Category
Cancer
Category
Tau score
Cluster
Variants
Interacting gene (ensg_id)
Type
Number of interactions
Pathway
Category
Score
Score
Score
Validation
Validation
Validation
Validation
Antibodies
Data type
Column


  • SUMMARY

  • TISSUE

  • BRAIN

  • SINGLE CELL

  • SUBCELL

  • CANCER

  • BLOOD

  • CELL LINE

  • STRUCT & INT

  • FASN
TISSUE PRIMARY DATA STOMACH Show tissue menu
ADIPOSE TISSUE ADRENAL GLAND AMYGDALA APPENDIX BASAL GANGLIA BONE MARROW BREAST BRONCHUS CEREBELLUM CEREBRAL CORTEX CERVIX CHOROID PLEXUS COLON DUODENUM
ENDOMETRIUM EPIDIDYMIS ESOPHAGUS FALLOPIAN TUBE GALLBLADDER HEART MUSCLE HIPPOCAMPAL FORMATION HYPOTHALAMUS KIDNEY LIVER LUNG LYMPH NODE MIDBRAIN NASOPHARYNX
ORAL MUCOSA OVARY PANCREAS PARATHYROID GLAND PITUITARY GLAND PLACENTA PROSTATE RECTUM RETINA SALIVARY GLAND SEMINAL VESICLE SKELETAL MUSCLE SKIN SMALL INTESTINE
SMOOTH MUSCLE SOFT TISSUE SPINAL CORD SPLEEN STOMACH TESTIS THYMUS THYROID GLAND TONGUE TONSIL URINARY BLADDER VAGINA
ANTIBODIES
AND
VALIDATION
Dictionary
Tissue proteome
Stomach
STOMACH - Expression summary
Protein expression
Stomachi

On the top, protein expression in current human tissue, based on all annotated cell types, is reported with the units not detected (n), low (l), medium (m) and high (h). Underneath, protein expression in each annotated cell type are reported using the same units.

Protein expression data is based on knowledge-based annotation. For genes where more than one antibody has been used, a collective score is set.

If knowledge-based annotation could not be performed for a gene, no data is displayed here. View antibody staining data further down this page.

h
m
l
n
Glandular cells: Not detected
RNA expressioni

A summary of mRNA expression data available for current tissue based on several datasets. The mRNA expression levels in human tissues are based on RNA-seq data generated by the Human Protein Atlas (HPA), Genotype-Tissue Expression (GTEx) portal and CAGE data generated by the FANTOM5 consortium. Consensus normalized expression levels for human tissues was created by combining the data from HPA and GTEx datasets.

The mRNA expression levels in pig are based on RNA-seq data generated by the Human Protein Atlas (HPA), and for mouse, HPA data and in situ hybridization generated by the Allen brain atlas are reported.

Scroll down to view mRNA expression data in more detail.
Consensus:61.8 nTPM
HPA:12.5 nTPM
GTEx:61.8 nTPM

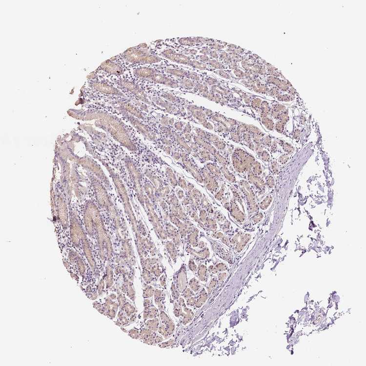
STOMACH 1 - Antibody stainingi

Antibody staining in the annotated cell types in the current human tissue is reported as not detected, low, medium, or high, based on conventional immunohistochemistry profiling in selected tissues. This score is based on the combination of the staining intensity and fraction of stained cells.

Each image is clickable and will lead to virtual microscopy that enables deeper exploration of all samples and also displays staining intensity scores, fraction scores and subcellular localization as well as patient and tissue information for each sample.

Antibody HPA006461Antibody HPA056108Antibody CAB005192Antibody CAB015417
Glandular cells LowNot detectedNot detectedLow








STOMACH 2 - Antibody stainingi

Antibody staining in the annotated cell types in the current human tissue is reported as not detected, low, medium, or high, based on conventional immunohistochemistry profiling in selected tissues. This score is based on the combination of the staining intensity and fraction of stained cells.

Each image is clickable and will lead to virtual microscopy that enables deeper exploration of all samples and also displays staining intensity scores, fraction scores and subcellular localization as well as patient and tissue information for each sample.

Antibody HPA006461Antibody HPA056108Antibody CAB005192Antibody CAB015417
Glandular cells LowNot detectedNot detectedNot detected






STOMACH - HPA RNA-seqi

The RNA-seq details section shows detailed information about the individual samples used for the transcript profiling and results of the RNA-seq analysis.

Information about each individual sample is listed below, including gender, age, a tissue section image and estimated fractions of cell types. nTPM (normalized transcripts per million) values give a quantification of the gene abundance which is comparable between different genes and samples.
Average nTPMi

Max subtype nTPM is the value for the subtype with the largest average nTPM across the subtype samples.

12.5
overview
Female, age 33
Stomach sample 61
nTPM: 13.7
Cell types%
Glandular cells:
60

Smooth muscle cells:
5

Other cell types:
35

N/A
Male, age 82
Stomach sample 240
nTPM: 10.7
Cell types%
Glandular cells:
65

Smooth muscle cells:
5

Other cell types:
30

overview
Male, age 71
Stomach sample 241
nTPM: 22.2
Cell types%
Glandular cells:
50

Smooth muscle cells:
5

Other cell types:
45

overview
Female, age 66
Stomach sample 369
nTPM: 3.5
Cell types%
Glandular cells:
50

Smooth muscle cells:
10

Other cell types:
40


STOMACH - GTEx RNA-seqi

RNA-Seq data generated by the Genotype-Tissue Expression (GTEx) project from human tissues is reported as mean nTPM. More information can be found on the GTEx portal.

Distribution across the dataset is visualized with box plots, shown as median and 25th and 75th percentiles. Points are displayed as outliers if they are above or below 1.5 times the interquartile range. nTPM values of the individual samples are presented next to the box plot.
Max subtype nTPMi

Max subtype nTPM is the value for the subtype with the largest average nTPM across the subtype samples.

61.8
GTEx sample id Sample description nTPM
Stomach
Average nTPM: 61.8
Samples: 359

Max nTPM: 1164.5
Min nTPM: 6.0
Std nTPM: 76.8
Median nTPM: 43.2
GTEX-1F5PK-1826-SM-7RHHX 50-59 years, male 1164.5
GTEX-1KXAM-0926-SM-CXZKA 60-69 years, male 293.4
GTEX-1HKZK-1526-SM-B2LWG 40-49 years, male 286.5
GTEX-ZPIC-2026-SM-57WG3 40-49 years, female 281.6
GTEX-1MJIX-1126-SM-EV7AO 40-49 years, male 275.8
GTEX-ZA64-0826-SM-5HL9U 20-29 years, male 242.9
GTEX-14DAR-0926-SM-73KUQ 50-59 years, male 242.0
GTEX-17F98-1526-SM-7EWD8 40-49 years, female 211.4
GTEX-Q2AI-0826-SM-48TZO 40-49 years, male 198.8
GTEX-1B97I-1226-SM-7MGWQ 40-49 years, male 197.9
GTEX-W5WG-1726-SM-4LMI5 50-59 years, female 186.4
GTEX-13PVR-2126-SM-73KVR 60-69 years, female 168.1
GTEX-1ICG6-1826-SM-AHZ2O 70-79 years, female 167.6
GTEX-PWN1-1526-SM-48TDA 40-49 years, female 163.9
GTEX-11TT1-0726-SM-5GU5A 20-29 years, male 162.5
GTEX-P4PP-1526-SM-3P61M 30-39 years, female 162.3
GTEX-14PKV-1826-SM-69LO9 20-29 years, female 158.8
GTEX-1C475-1026-SM-7MKFJ 40-49 years, female 157.7
GTEX-QCQG-0526-SM-48U2A 50-59 years, female 157.2
GTEX-ZF29-1526-SM-4WKF7 60-69 years, female 156.1
GTEX-1QP2A-2126-SM-DPRZ7 50-59 years, male 153.5
GTEX-YEC4-1426-SM-5IFHS 40-49 years, male 146.5
GTEX-UJMC-1226-SM-4IHLI 50-59 years, male 146.1
GTEX-14B4R-0726-SM-5TDDR 30-39 years, male 143.8
GTEX-QV31-0626-SM-447C5 30-39 years, male 139.9
GTEX-13FTW-1726-SM-5KM2B 40-49 years, male 136.7
GTEX-131XG-1226-SM-5EGH9 50-59 years, female 136.0
GTEX-XUZC-0726-SM-4BOPH 30-39 years, female 135.7
GTEX-1J8QM-1126-SM-C1YQB 60-69 years, female 135.7
GTEX-ZQUD-0826-SM-57WDQ 30-39 years, male 133.8
GTEX-1HBPN-1626-SM-9WPNP 50-59 years, male 128.0
GTEX-T5JW-0926-SM-4DM5K 20-29 years, female 127.9
GTEX-13FH7-1026-SM-5IJGF 50-59 years, female 127.3
GTEX-WRHK-0626-SM-4MVOE 20-29 years, female 125.8
GTEX-1LVAN-2426-SM-CNNPZ 50-59 years, female 124.0
GTEX-YB5E-1126-SM-664NU 40-49 years, male 123.9
GTEX-XBED-1226-SM-4AT5V 60-69 years, male 123.2
GTEX-1RQEC-2126-SM-DPS15 60-69 years, male 122.3
GTEX-WEY5-1226-SM-4LMIQ 40-49 years, female 122.1
GTEX-ZP4G-1226-SM-4WWCJ 20-29 years, female 121.3
GTEX-1QPFJ-1526-SM-DPRXT 30-39 years, female 121.2
GTEX-ZV7C-1626-SM-5NQ7E 50-59 years, male 120.0
GTEX-1GF9U-1126-SM-AHZ4H 40-49 years, female 118.5
GTEX-14PJ3-1426-SM-664O8 50-59 years, male 117.3
GTEX-14PHX-1026-SM-664OL 50-59 years, male 115.0
GTEX-NFK9-1526-SM-3LK7B 40-49 years, male 113.7
GTEX-15DZA-1126-SM-6LPK8 30-39 years, female 113.6
GTEX-14E6E-0926-SM-664N8 30-39 years, male 113.4
GTEX-1H1E6-1626-SM-9OSWC 30-39 years, male 112.5
GTEX-Y5V6-1326-SM-4VDTF 60-69 years, male 112.2
GTEX-145LT-1426-SM-5O9B3 40-49 years, male 111.8
GTEX-1LSNM-1026-SM-DHXL2 50-59 years, male 111.5
GTEX-ZZ64-0426-SM-5E43F 20-29 years, male 110.4
GTEX-145MN-1326-SM-5NQ9S 30-39 years, male 106.9
GTEX-14PJ4-1626-SM-664OB 60-69 years, male 104.8
GTEX-111CU-0926-SM-5EGIK 50-59 years, male 101.3
GTEX-QDVN-1226-SM-48TZ5 50-59 years, male 99.7
GTEX-1LG7Z-1226-SM-DHXK4 30-39 years, male 99.5
GTEX-ZT9W-1526-SM-4YCDE 50-59 years, male 98.9
GTEX-V955-1326-SM-4JBHR 60-69 years, male 98.6
GTEX-Y9LG-1026-SM-5IFJN 30-39 years, male 98.5
GTEX-13QBU-1126-SM-5LU44 40-49 years, female 97.6
GTEX-ZDYS-1926-SM-5HL59 50-59 years, male 96.5
GTEX-WFG7-1326-SM-4LMK1 20-29 years, male 96.4
GTEX-ZEX8-1626-SM-4WKG7 50-59 years, male 96.1
GTEX-OXRK-1626-SM-3NB17 50-59 years, female 95.9
GTEX-117YX-1026-SM-5H11V 50-59 years, male 95.0
GTEX-WXYG-1626-SM-4ONCR 50-59 years, female 94.7
GTEX-1L5NE-1526-SM-DIPFW 50-59 years, male 94.7
GTEX-1J8Q3-1926-SM-C1YSJ 60-69 years, male 94.6
GTEX-15G1A-1226-SM-7KUF3 30-39 years, male 94.0
GTEX-S4Z8-1226-SM-4AD6W 60-69 years, male 93.9
GTEX-WFON-1126-SM-4LVMA 40-49 years, male 93.8
GTEX-WHSB-1226-SM-4M1XR 50-59 years, male 93.4
GTEX-OHPK-1526-SM-3MJGM 50-59 years, female 92.8
GTEX-WFG8-1326-SM-4LVN3 20-29 years, male 92.8
GTEX-1122O-1926-SM-5EGIQ 60-69 years, female 91.8
GTEX-ZVT2-1626-SM-51MRC 50-59 years, female 91.5
GTEX-11DXX-1326-SM-5GIDZ 60-69 years, female 91.3
GTEX-1AMFI-1226-SM-731CZ 50-59 years, female 90.9
GTEX-1R7EU-1126-SM-EAZ4M 60-69 years, male 90.9
GTEX-OXRL-1526-SM-E6CHQ 50-59 years, male 90.7
GTEX-ZLWG-1526-SM-DO12F 50-59 years, female 90.5
GTEX-PWCY-0926-SM-48TD7 20-29 years, female 89.5
GTEX-1GZ4H-1026-SM-9OSXL 50-59 years, female 88.7
GTEX-1MUQO-1926-SM-EAZ59 60-69 years, male 88.4
GTEX-14BMU-1126-SM-5RQJ8 20-29 years, female 88.3
GTEX-ZYY3-1726-SM-5EGH3 60-69 years, female 87.4
GTEX-Y3I4-1626-SM-4TT7W 50-59 years, male 87.2
GTEX-1CAMR-0726-SM-7EPIE 20-29 years, male 86.5
GTEX-S3XE-1026-SM-4AD4O 50-59 years, male 86.0
GTEX-ZVZP-1726-SM-5GZWY 50-59 years, male 85.6
GTEX-13CF3-1926-SM-5K7WF 60-69 years, female 83.4
GTEX-QDVJ-1426-SM-48U1Y 50-59 years, male 82.2
GTEX-RM2N-0826-SM-48FD3 50-59 years, male 82.2
GTEX-1LGOU-1526-SM-D3LAJ 20-29 years, female 82.2
GTEX-144GN-1226-SM-5O991 50-59 years, male 81.7
GTEX-ZYFG-1326-SM-5GICJ 60-69 years, female 79.5
GTEX-1I1GT-1726-SM-C1YS3 60-69 years, female 79.5
GTEX-S341-0626-SM-4AD5T 40-49 years, female 79.2
GTEX-1GL5R-1926-SM-9WG7U 50-59 years, male 78.1
GTEX-ZGAY-1626-SM-DNZZ3 40-49 years, female 77.1
GTEX-Y8LW-0826-SM-4WWDO 50-59 years, female 76.9
GTEX-13O21-0926-SM-5IFGT 50-59 years, male 76.3
GTEX-YFCO-0826-SM-5LUAG 40-49 years, male 74.4
GTEX-1JKYN-1726-SM-AHZ48 30-39 years, male 74.1
GTEX-12696-1726-SM-5EQLH 60-69 years, male 72.9
GTEX-11GSP-2126-SM-5HL5E 60-69 years, female 72.7
GTEX-12BJ1-1726-SM-5HL9B 60-69 years, male 70.5
GTEX-1B97J-1826-SM-7IGPP 50-59 years, female 70.4
GTEX-ZLFU-1326-SM-DO11R 40-49 years, male 70.3
GTEX-QLQW-0726-SM-447AA 30-39 years, male 70.0
GTEX-RWS6-0926-SM-47JXE 60-69 years, female 69.3
GTEX-QMRM-1126-SM-447BN 50-59 years, male 68.5
GTEX-13FTX-0726-SM-5N9BI 20-29 years, female 68.4
GTEX-WY7C-1726-SM-4ONCC 50-59 years, male 67.9
GTEX-14JG6-1226-SM-664O6 30-39 years, female 67.1
GTEX-111YS-1126-SM-5GZYQ 60-69 years, male 66.1
GTEX-TMMY-1626-SM-4DXTY 40-49 years, female 65.8
GTEX-QLQ7-0826-SM-447B3 60-69 years, male 65.3
GTEX-S4Q7-0726-SM-4AD5F 20-29 years, male 65.2
GTEX-13D11-2126-SM-5IFH2 50-59 years, female 64.8
GTEX-U4B1-1026-SM-4DXT1 40-49 years, male 63.7
GTEX-11I78-1726-SM-5A5M3 50-59 years, female 63.3
GTEX-1I6K7-1726-SM-B2LXQ 40-49 years, male 62.1
GTEX-1H1DG-2126-SM-9WPPB 70-79 years, male 62.0
GTEX-11EM3-1026-SM-5A5KL 20-29 years, female 61.8
GTEX-1QCLZ-1826-SM-DPRXP 60-69 years, female 60.7
GTEX-1H23P-2726-SM-9JGHN 60-69 years, male 59.7
GTEX-18A66-2226-SM-7189E 60-69 years, male 59.4
GTEX-18A67-2626-SM-718AD 50-59 years, male 58.5
GTEX-1GN1W-2126-SM-9JGI7 50-59 years, female 58.3
GTEX-ZXES-1426-SM-5NQ8S 30-39 years, female 57.9
GTEX-14ICL-0826-SM-5YY9W 30-39 years, male 57.8
GTEX-1HBPI-0726-SM-9WG7Z 50-59 years, male 57.8
GTEX-1B8KE-1326-SM-73KVI 50-59 years, male 57.5
GTEX-12WSJ-0926-SM-5P9JD 40-49 years, female 57.3
GTEX-SNOS-0826-SM-4DM5N 40-49 years, male 57.1
GTEX-WHPG-0426-SM-4M1XW 50-59 years, male 57.1
GTEX-1JK1U-1326-SM-AHZ45 60-69 years, male 55.8
GTEX-1I4MK-0926-SM-A9SLD 50-59 years, female 55.3
GTEX-Q2AH-1126-SM-48TZM 40-49 years, male 55.2
GTEX-T6MO-0726-SM-4DM58 40-49 years, female 55.1
GTEX-1IDJU-1526-SM-CNNR3 60-69 years, female 54.9
GTEX-133LE-1326-SM-5IFGO 20-29 years, female 53.1
GTEX-1AMEY-1226-SM-731DU 30-39 years, female 52.9
GTEX-1399S-1626-SM-5P9GI 30-39 years, female 52.7
GTEX-ZZPU-1426-SM-5GZZ6 50-59 years, female 52.6
GTEX-13RTK-0226-SM-5RQHR 20-29 years, male 52.5
GTEX-1A3MV-1226-SM-718BW 30-39 years, male 52.4
GTEX-1KANA-1126-SM-D3L9M 20-29 years, male 52.0
GTEX-POMQ-0826-SM-3P61H 20-29 years, female 51.3
GTEX-14PJ5-0826-SM-6AJAR 60-69 years, female 51.2
GTEX-131XF-1226-SM-5HL8V 60-69 years, male 50.9
GTEX-15UF7-1226-SM-6M46G 40-49 years, male 50.9
GTEX-WYJK-2526-SM-4ONDF 50-59 years, male 50.9
GTEX-1A3MX-1926-SM-72D7F 60-69 years, male 50.5
GTEX-S95S-0826-SM-4B64N 60-69 years, male 49.6
GTEX-SUCS-0926-SM-4DM4Z 70-79 years, male 49.6
GTEX-PLZ5-1226-SM-EXOHA 50-59 years, male 49.3
GTEX-12WSK-1426-SM-5CVNN 40-49 years, female 49.1
GTEX-U3ZN-2026-SM-4DXUC 30-39 years, female 49.1
GTEX-Y5LM-1326-SM-5RQIS 40-49 years, female 48.9
GTEX-O5YW-1526-SM-3MJGL 50-59 years, male 48.4
GTEX-17EUY-1526-SM-793CA 20-29 years, male 48.3
GTEX-SNMC-0626-SM-4DM6H 20-29 years, male 47.9
GTEX-16AAH-1226-SM-79OO9 50-59 years, male 47.6
GTEX-18A7A-2726-SM-7LG6U 50-59 years, female 45.9
GTEX-OIZF-1526-SM-2I5GR 60-69 years, male 45.5
GTEX-15DCE-1626-SM-6LPJM 20-29 years, male 45.4
GTEX-S4UY-1626-SM-4AD55 40-49 years, female 45.3
GTEX-1HFI7-1526-SM-9WG7W 50-59 years, female 45.0
GTEX-1AYCT-1326-SM-7MKHB 50-59 years, male 44.2
GTEX-Y3IK-1426-SM-4YCES 50-59 years, female 44.0
GTEX-XQ8I-2026-SM-4BOOL 50-59 years, male 43.9
GTEX-1JMLX-2426-SM-CXZJQ 50-59 years, male 43.9
GTEX-1JMPY-0926-SM-ARL92 30-39 years, male 43.4
GTEX-1LGRB-1726-SM-CNNRA 50-59 years, female 43.3
GTEX-18D9A-0626-SM-7KFTY 30-39 years, female 43.2
GTEX-X15G-1126-SM-4PQZG 50-59 years, female 43.2
GTEX-ZAB4-1526-SM-5CVN7 40-49 years, male 43.1
GTEX-T8EM-1226-SM-4DM5J 40-49 years, male 42.9
GTEX-QXCU-1926-SM-48FE4 50-59 years, male 40.9
GTEX-OHPM-1526-SM-EV796 50-59 years, male 40.7
GTEX-1RB15-1026-SM-E9U6V 60-69 years, male 40.3
GTEX-1AX9J-2626-SM-731EK 60-69 years, male 40.0
GTEX-14PJ6-0826-SM-686Z9 60-69 years, female 39.8
GTEX-1QCLY-1126-SM-EAZ4J 30-39 years, male 39.5
GTEX-ZLV1-0826-SM-DO11P 60-69 years, female 39.5
GTEX-17F9E-2226-SM-7IGNC 50-59 years, male 39.4
GTEX-17MF6-2126-SM-7KFS7 40-49 years, male 39.3
GTEX-1LBAC-1426-SM-CXZKT 20-29 years, male 38.8
GTEX-1339X-1426-SM-5K7YO 40-49 years, male 38.7
GTEX-18QFQ-1226-SM-718AE 30-39 years, male 38.6
GTEX-1F75I-1826-SM-7MKGX 40-49 years, male 38.5
GTEX-15CHR-1326-SM-79OLT 50-59 years, male 37.9
GTEX-1RMOY-1126-SM-EV79E 50-59 years, male 37.8
GTEX-1A8G6-1426-SM-731EZ 60-69 years, male 37.5
GTEX-1HCUA-1626-SM-A9SMG 50-59 years, female 36.9
GTEX-ZVP2-1626-SM-5GU5D 50-59 years, male 36.3
GTEX-1HSEH-1526-SM-B2LXG 60-69 years, male 36.3
GTEX-132QS-1826-SM-5IFFN 60-69 years, male 36.1
GTEX-1QP29-2326-SM-EXOJO 50-59 years, male 35.9
GTEX-139D8-2326-SM-5IFGE 30-39 years, female 35.7
GTEX-13U4I-2526-SM-5SI8Z 40-49 years, female 35.7
GTEX-1399R-1126-SM-5IFIO 30-39 years, male 35.0
GTEX-11EQ9-1226-SM-5987E 30-39 years, male 34.2
GTEX-R55C-1026-SM-48FCM 40-49 years, male 34.0
GTEX-PW2O-1226-SM-48TCH 20-29 years, male 33.8
GTEX-13113-0726-SM-5LZUF 60-69 years, female 33.6
GTEX-145ME-1026-SM-5O9B4 40-49 years, female 33.6
GTEX-1MGNQ-1826-SM-DPRYI 40-49 years, male 33.3
GTEX-P4QT-1526-SM-3NMCT 50-59 years, female 33.1
GTEX-139YR-1926-SM-5LZXM 50-59 years, male 33.0
GTEX-1F5PL-1426-SM-7MKFH 40-49 years, female 32.7
GTEX-XV7Q-1326-SM-4BRWM 40-49 years, female 32.6
GTEX-12WSG-2026-SM-5FQUU 50-59 years, female 32.0
GTEX-16NGA-1526-SM-72D56 40-49 years, female 31.7
GTEX-17HHE-1026-SM-79ON6 50-59 years, male 31.7
GTEX-ZY6K-0726-SM-5A5L8 50-59 years, male 31.5
GTEX-1J8JJ-1726-SM-C1YQG 60-69 years, female 31.4
GTEX-1RAZR-1526-SM-EAZ4U 40-49 years, male 31.1
GTEX-QV44-1226-SM-CJI1S 50-59 years, male 30.8
GTEX-117YW-2226-SM-5N9DB 50-59 years, male 30.7
GTEX-1211K-1426-SM-5FQTF 60-69 years, female 30.7
GTEX-14BIL-1926-SM-73KYI 50-59 years, male 30.5
GTEX-17GQL-1226-SM-7KFTS 60-69 years, male 30.5
GTEX-11VI4-0326-SM-5EQ6L 40-49 years, female 30.0
GTEX-1H3VY-2326-SM-9WG81 50-59 years, male 29.6
GTEX-13PVQ-2126-SM-5L3FW 50-59 years, male 29.5
GTEX-11P7K-1726-SM-5GU6F 30-39 years, male 29.4
GTEX-1GMRU-2526-SM-9WG7T 50-59 years, male 29.1
GTEX-R53T-1226-SM-48FCT 50-59 years, female 28.9
GTEX-1IDJD-2426-SM-C1YS6 30-39 years, male 28.9
GTEX-XMK1-1526-SM-EYYVO 40-49 years, male 28.0
GTEX-17HII-2426-SM-7KFTT 50-59 years, male 27.3
GTEX-13OW6-2526-SM-5IJEC 50-59 years, male 27.2
GTEX-1J8EW-2226-SM-AHZ3T 60-69 years, female 26.6
GTEX-144GM-1726-SM-5O9AS 20-29 years, male 26.3
GTEX-R55G-1126-SM-48FDG 40-49 years, female 26.1
GTEX-1JMPZ-1826-SM-CXZJT 30-39 years, male 25.7
GTEX-1PPH8-1326-SM-DTXFO 20-29 years, male 25.7
GTEX-P78B-1826-SM-3P5YX 40-49 years, female 25.6
GTEX-XBEW-1826-SM-4RTWX 40-49 years, male 25.5
GTEX-XAJ8-0326-SM-47JYI 40-49 years, male 25.4
GTEX-11NSD-1426-SM-5HL67 20-29 years, male 24.6
GTEX-O5YV-1926-SM-EV797 60-69 years, female 24.5
GTEX-ZTX8-0426-SM-59HLG 20-29 years, male 24.4
GTEX-ZPU1-1626-SM-4WWB2 40-49 years, male 24.3
GTEX-13OVK-0926-SM-7KUFX 40-49 years, male 24.1
GTEX-1MCYP-1126-SM-E9J2P 20-29 years, female 23.9
GTEX-1I1HK-2026-SM-CNNRB 60-69 years, male 23.7
GTEX-145MO-2226-SM-5Q5BN 60-69 years, male 23.5
GTEX-TKQ1-0526-SM-4DXTG 30-39 years, male 23.5
GTEX-14PKU-1126-SM-69LOU 40-49 years, female 23.4
GTEX-146FR-2026-SM-5NQAI 60-69 years, female 22.9
GTEX-13X6H-1626-SM-5Q5CT 50-59 years, female 22.8
GTEX-XXEK-0826-SM-4BRWG 50-59 years, male 22.7
GTEX-132AR-2426-SM-5IFFD 50-59 years, female 22.2
GTEX-WFJO-1126-SM-4LVLZ 30-39 years, male 22.2
GTEX-V1D1-1726-SM-4JBHB 50-59 years, male 22.1
GTEX-1K2DA-0826-SM-CGQGD 50-59 years, male 22.1
GTEX-1HSMQ-2426-SM-CE6RY 50-59 years, male 22.0
GTEX-1399U-1626-SM-5P9J3 50-59 years, female 21.8
GTEX-18D9B-2226-SM-718BM 60-69 years, male 21.8
GTEX-RUSQ-1126-SM-EAZAU 50-59 years, male 21.8
GTEX-17HGU-2126-SM-7IGOV 50-59 years, male 21.7
GTEX-ZYVF-2726-SM-5GID4 50-59 years, female 21.7
GTEX-RU1J-0526-SM-46MUT 20-29 years, female 21.6
GTEX-YJ8A-1526-SM-5P9FT 20-29 years, male 21.6
GTEX-RTLS-2626-SM-46MUJ 60-69 years, female 21.4
GTEX-1S831-1126-SM-EWROI 20-29 years, male 21.4
GTEX-14PHY-0926-SM-5ZZWL 60-69 years, female 21.2
GTEX-PLZ6-0826-SM-3P61K 30-39 years, male 20.9
GTEX-WHWD-1426-SM-4OORU 50-59 years, male 20.5
GTEX-S4P3-0726-SM-4AD57 50-59 years, female 20.4
GTEX-1B8KZ-1226-SM-793CP 50-59 years, male 20.3
GTEX-OOBJ-1526-SM-3NB1Q 60-69 years, male 20.1
GTEX-15RIE-1026-SM-6LPJQ 60-69 years, male 20.0
GTEX-ZVT3-2126-SM-59HL2 60-69 years, female 20.0
GTEX-1S82Z-1726-SM-E6CHZ 30-39 years, female 19.9
GTEX-12C56-0526-SM-5FQST 20-29 years, male 19.4
GTEX-15EU6-2526-SM-7KUGB 50-59 years, male 19.4
GTEX-ZF2S-1426-SM-57WET 50-59 years, female 19.4
GTEX-11WQK-2626-SM-5EQ4K 50-59 years, male 19.2
GTEX-OIZH-1526-SM-3NB1J 50-59 years, male 19.2
GTEX-12WSD-2326-SM-59HKQ 60-69 years, female 19.1
GTEX-PX3G-1526-SM-48U11 20-29 years, female 19.1
GTEX-VJYA-1026-SM-4KL21 60-69 years, male 18.7
GTEX-15G19-1526-SM-6LPKP 60-69 years, male 18.5
GTEX-1E2YA-2426-SM-7EPIG 50-59 years, male 18.5
GTEX-UJHI-1026-SM-4IHJP 50-59 years, female 18.5
GTEX-WYVS-1326-SM-4ONCQ 40-49 years, female 18.4
GTEX-ZV6S-0926-SM-57WGB 40-49 years, female 18.4
GTEX-15SHW-2126-SM-6M46Y 60-69 years, male 18.2
GTEX-P4PQ-1526-SM-3NMCK 60-69 years, male 18.0
GTEX-XPVG-1526-SM-4B66C 50-59 years, male 17.8
GTEX-1H11D-2226-SM-9OSXN 40-49 years, male 17.8
GTEX-13111-1226-SM-5GCNC 50-59 years, male 17.5
GTEX-13X6J-2126-SM-5TDCV 50-59 years, male 17.5
GTEX-1LVAM-1426-SM-E9TJ4 50-59 years, female 17.4
GTEX-1GPI7-1326-SM-9KNVA 20-29 years, male 17.3
GTEX-13OVI-2426-SM-5KM4J 60-69 years, female 17.2
GTEX-S7SF-0626-SM-4AD4V 20-29 years, female 17.2
GTEX-WZTO-2126-SM-4PQYW 40-49 years, male 16.9
GTEX-1JN1M-2926-SM-CNNPJ 60-69 years, female 16.9
GTEX-11P82-0726-SM-5PNYL 20-29 years, male 16.8
GTEX-YEC3-1426-SM-D4P1S 50-59 years, male 16.8
GTEX-13N1W-2026-SM-5K7YU 70-79 years, male 16.7
GTEX-14DAQ-2826-SM-664MU 60-69 years, female 16.6
GTEX-14PN3-1326-SM-6AJ9U 60-69 years, female 16.6
GTEX-R55D-1526-SM-48FEJ 50-59 years, male 16.6
GTEX-1QW4Y-0726-SM-DTX8E 30-39 years, male 16.6
GTEX-1R9K5-1026-SM-EAZ4F 50-59 years, male 16.6
GTEX-Y8E4-1526-SM-4WWDI 40-49 years, male 16.5
GTEX-1PIGE-1126-SM-EWRMV 20-29 years, male 16.4
GTEX-131XE-2226-SM-5PNYX 50-59 years, male 16.3
GTEX-146FH-2126-SM-5SI9U 50-59 years, female 16.1
GTEX-1H1DE-1226-SM-9JGHH 20-29 years, male 16.1
GTEX-1N2DV-0926-SM-E9TJT 40-49 years, male 16.1
GTEX-1QP28-2126-SM-DTX8B 50-59 years, female 16.1
GTEX-Y114-1226-SM-4TT88 50-59 years, female 16.0
GTEX-Q734-1026-SM-48U16 40-49 years, female 15.9
GTEX-1CB4E-1326-SM-7DUGD 60-69 years, male 15.7
GTEX-1JMQJ-1326-SM-D4P3B 50-59 years, male 15.7
GTEX-WH7G-1526-SM-4LVMX 40-49 years, male 15.6
GTEX-TKQ2-0926-SM-4DXU5 50-59 years, male 15.5
GTEX-1IDJF-1426-SM-ACKWK 20-29 years, male 15.5
GTEX-14E1K-1526-SM-664MN 50-59 years, male 15.4
GTEX-1C64O-2226-SM-73KTV 60-69 years, male 15.4
GTEX-1JN76-0926-SM-ARZNH 20-29 years, female 15.0
GTEX-17JCI-2226-SM-7LTA1 60-69 years, female 14.6
GTEX-13O61-1126-SM-5L3FI 60-69 years, male 14.0
GTEX-11NUK-2426-SM-5BC4U 50-59 years, male 13.9
GTEX-17KNJ-1526-SM-7LTA9 50-59 years, male 13.9
GTEX-1H3NZ-2226-SM-9WYUT 60-69 years, male 13.7
GTEX-1S3DN-1526-SM-EVYCB 50-59 years, male 12.7
GTEX-1QMI2-2126-SM-DPRXQ 60-69 years, male 12.6
GTEX-13S7M-1826-SM-5RQK6 60-69 years, female 12.5
GTEX-1QP67-1026-SM-EVR47 40-49 years, female 12.4
GTEX-1NSGN-1926-SM-E9J36 50-59 years, male 11.5
GTEX-15RIF-1126-SM-7KUG2 20-29 years, male 11.1
GTEX-T5JC-1926-SM-4DM6Q 20-29 years, male 11.0
GTEX-14BMV-2226-SM-5RQHX 50-59 years, male 10.8
GTEX-13QJ3-2726-SM-5SI6L 50-59 years, male 10.7
GTEX-1CB4H-2426-SM-7PBYR 60-69 years, female 10.3
GTEX-1HR9M-2326-SM-CNPPZ 60-69 years, male 10.2
GTEX-11EI6-2426-SM-5PNVS 60-69 years, male 9.8
GTEX-QDT8-2026-SM-EZ6LS 30-39 years, female 9.8
GTEX-UPK5-2126-SM-4JBJK 40-49 years, male 9.7
GTEX-1HCU8-1326-SM-C1YQQ 60-69 years, female 9.6
GTEX-1KD5A-1426-SM-D4P3V 50-59 years, male 9.5
GTEX-1B8L1-1526-SM-79OLK 60-69 years, male 9.2
GTEX-1IL2V-2026-SM-ARZMA 70-79 years, male 9.1
GTEX-13O3Q-2126-SM-5KM4C 50-59 years, male 7.6
GTEX-1E1VI-2826-SM-7MGWU 50-59 years, male 7.6
GTEX-1EH9U-2226-SM-7PBXX 60-69 years, male 7.5
GTEX-ZE7O-3026-SM-51MS4 50-59 years, female 6.3
GTEX-1HT8W-2326-SM-A9SLA 30-39 years, male 6.0
Show allShow less

Contact

  • NEWS ARTICLES
  • PRESS ROOM

The Project

  • INTRODUCTION
  • ORGANIZATION
  • PUBLICATIONS

The Human Protein Atlas

  • DOWNLOADABLE DATA
  • LICENCE & CITATION
  • HELP & FAQ
The Human Protein Atlas project is funded
by the Knut & Alice Wallenberg Foundation.


contact@proteinatlas.org