We use cookies to enhance the usability of our website. If you continue, we'll assume that you are happy to receive all cookies. More information. Don't show this again.
RPS21
HPA
RESOURCES
  • TISSUE
  • BRAIN
  • SINGLE CELL
  • SUBCELLULAR
  • CANCER
  • BLOOD
  • CELL LINE
  • STRUCTURE & INTERACTION
ABOUT
  • INTRODUCTION
  • HISTORY
  • ORGANIZATION
  • PUBLICATIONS
  • ANTIBODY SUBMISSION
  • ANTIBODY AVAILABILITY
  • ACKNOWLEDGMENTS
  • CONTACT
NEWS
  • NEWS ARTICLES
  • PRESS ROOM
LEARN
  • DICTIONARY
  • PROTEIN CLASSES
  • PROTEIN EVIDENCE
  • METHODS
  • EDUCATIONAL VIDEOS
DATA
  • DOWNLOADABLE DATA
  • PUBLICATION DATA
  • RELEASE HISTORY
HELP
  • ANTIBODY VALIDATION
  • ASSAYS & ANNOTATION
  • DISCLAIMER
  • HELP & FAQ
  • PRIVACY STATEMENT
  • LICENCE & CITATION
Fields »
Search result

Field
Term
Gene name
Class
Subclass
Class
Keyword
Chromosome
External id
Tissue
Cell type
Expression
Antibody panel
Tissue
Main location
Patient ID
Annotation
Tissue
Category
Tau score
Cluster
Reliability
Brain region
Category
Tau score
Brain region
Category
Tau score
Brain region
Category
Tau score
Cluster
Reliability
Tissue
Cell type
Enrichment
Cell type
Category
Tau score
Cell type
Category
Tau score
Cell type
Category
Tau score
Cell lineage
Category
Tau score
Cluster
Cluster
Location
Searches
Location
Cell line
Class
Type
Phase
Reliability
Cancer
Prognosis
Cancer
Category
Cancer
Category
Tau score
Cluster
Variants
Interacting gene (ensg_id)
Type
Number of interactions
Pathway
Category
Score
Score
Score
Validation
Validation
Validation
Validation
Antibodies
Data type
Column


  • SUMMARY

  • TISSUE

  • BRAIN

  • SINGLE CELL

  • SUBCELL

  • CANCER

  • BLOOD

  • CELL LINE

  • STRUCT & INT

  • RPS21
TISSUE PRIMARY DATA SKIN Show tissue menu
ADIPOSE TISSUE ADRENAL GLAND AMYGDALA APPENDIX BASAL GANGLIA BONE MARROW BREAST BRONCHUS CEREBELLUM CEREBRAL CORTEX CERVIX CHOROID PLEXUS COLON DUODENUM
ENDOMETRIUM EPIDIDYMIS ESOPHAGUS FALLOPIAN TUBE GALLBLADDER HEART MUSCLE HIPPOCAMPAL FORMATION HYPOTHALAMUS KIDNEY LIVER LUNG LYMPH NODE MIDBRAIN NASOPHARYNX
ORAL MUCOSA OVARY PANCREAS PARATHYROID GLAND PITUITARY GLAND PLACENTA PROSTATE RECTUM RETINA SALIVARY GLAND SEMINAL VESICLE SKELETAL MUSCLE SKIN SMALL INTESTINE
SMOOTH MUSCLE SOFT TISSUE SPINAL CORD SPLEEN STOMACH TESTIS THYMUS THYROID GLAND TONGUE TONSIL URINARY BLADDER VAGINA
ANTIBODIES
AND
VALIDATION
Dictionary
Skin
Tissue proteome
Skin
SKIN - Expression summary
Protein expression
Skini

On the top, protein expression in current human tissue, based on all annotated cell types, is reported with the units not detected (n), low (l), medium (m) and high (h). Underneath, protein expression in each annotated cell type are reported using the same units.

Protein expression data is based on knowledge-based annotation. For genes where more than one antibody has been used, a collective score is set.

If knowledge-based annotation could not be performed for a gene, no data is displayed here. View antibody staining data further down this page.

h
m
l
n
Epidermal cells: High
Fibroblasts: Medium
Keratinocytes: Medium
Langerhans: Medium
Melanocytes: Not detected
RNA expressioni

A summary of mRNA expression data available for current tissue based on several datasets. The mRNA expression levels in human tissues are based on RNA-seq data generated by the Human Protein Atlas (HPA), Genotype-Tissue Expression (GTEx) portal and CAGE data generated by the FANTOM5 consortium. Consensus normalized expression levels for human tissues was created by combining the data from HPA and GTEx datasets.

The mRNA expression levels in pig are based on RNA-seq data generated by the Human Protein Atlas (HPA), and for mouse, HPA data and in situ hybridization generated by the Allen brain atlas are reported.

Scroll down to view mRNA expression data in more detail.
Consensus:2846.1 nTPM
HPA:849.5 nTPM
GTEx:2846.1 nTPM

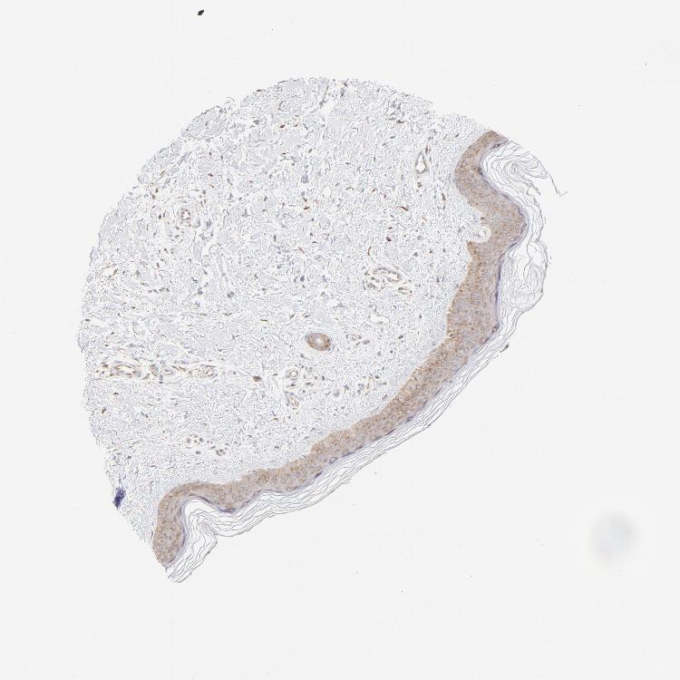
SKIN 1 - Antibody stainingi

Antibody staining in the annotated cell types in the current human tissue is reported as not detected, low, medium, or high, based on conventional immunohistochemistry profiling in selected tissues. This score is based on the combination of the staining intensity and fraction of stained cells.

Each image is clickable and will lead to virtual microscopy that enables deeper exploration of all samples and also displays staining intensity scores, fraction scores and subcellular localization as well as patient and tissue information for each sample.

Antibody HPA003371
Langerhans Medium
Fibroblasts Medium
Keratinocytes Medium
Melanocytes Not detected

SKIN 2 - Antibody stainingi

Antibody staining in the annotated cell types in the current human tissue is reported as not detected, low, medium, or high, based on conventional immunohistochemistry profiling in selected tissues. This score is based on the combination of the staining intensity and fraction of stained cells.

Each image is clickable and will lead to virtual microscopy that enables deeper exploration of all samples and also displays staining intensity scores, fraction scores and subcellular localization as well as patient and tissue information for each sample.

Antibody HPA003371
Epidermal cells High
 
 
 


SKIN - HPA RNA-seqi

The RNA-seq details section shows detailed information about the individual samples used for the transcript profiling and results of the RNA-seq analysis.

Information about each individual sample is listed below, including gender, age, a tissue section image and estimated fractions of cell types. nTPM (normalized transcripts per million) values give a quantification of the gene abundance which is comparable between different genes and samples.
Average nTPMi

Max subtype nTPM is the value for the subtype with the largest average nTPM across the subtype samples.

849.5
overview
Female, age 34
Skin sample 225
nTPM: 751
Cell types%
Keratinocytes:
60

Other cell types:
40

overview
Female, age 30
Skin sample 226
nTPM: 607
Cell types%
Keratinocytes:
55

Other cell types:
45

N/A
Male, age 57
Skin sample 227
nTPM: 1190.6

SKIN - GTEx RNA-seqi

RNA-Seq data generated by the Genotype-Tissue Expression (GTEx) project from human tissues is reported as mean nTPM. More information can be found on the GTEx portal.

Distribution across the dataset is visualized with box plots, shown as median and 25th and 75th percentiles. Points are displayed as outliers if they are above or below 1.5 times the interquartile range. nTPM values of the individual samples are presented next to the box plot.
Max subtype nTPMi

Max subtype nTPM is the value for the subtype with the largest average nTPM across the subtype samples.

2846.1
GTEx sample id Sample description nTPM
Skin - Not Sun Exposed (Suprapubic)
Average nTPM: 2846.1
Samples: 604

Max nTPM: 6373.0
Min nTPM: 1192.7
Std nTPM: 798.0
Median nTPM: 2690.8
GTEX-X585-2426-SM-46MW2 50-59 years, male 6373.0
GTEX-ZPCL-1126-SM-4WWFE 60-69 years, female 6069.9
GTEX-ZF3C-0626-SM-DO92O 50-59 years, female 6014.4
GTEX-ZTX8-1326-SM-4YCEL 20-29 years, male 5908.1
GTEX-1LKK1-2626-SM-DKPQE 50-59 years, female 5422.1
GTEX-144FL-0626-SM-5LU43 50-59 years, male 5330.4
GTEX-1399Q-2326-SM-5KM2X 40-49 years, male 5201.1
GTEX-15UF6-1926-SM-7KUDV 70-79 years, female 5113.1
GTEX-1OJC3-1226-SM-DTXER 20-29 years, male 5090.0
GTEX-1E2YA-2126-SM-7MXUO 50-59 years, male 5055.2
GTEX-15RIG-0726-SM-7KUM7 40-49 years, male 5011.6
GTEX-1QP9N-1226-SM-E76QN 30-39 years, male 4957.3
GTEX-WI4N-2726-SM-3LK7Y 40-49 years, female 4934.2
GTEX-1PIGE-1826-SM-E8VOU 20-29 years, male 4843.5
GTEX-1IKOE-1426-SM-CE6T7 30-39 years, female 4825.3
GTEX-Y114-2126-SM-4TT8B 50-59 years, female 4747.5
GTEX-13IVO-0726-SM-5LZYV 70-79 years, male 4714.5
GTEX-Y3I4-1726-SM-4TT89 50-59 years, male 4696.4
GTEX-1PPH8-0126-SM-EWRN8 20-29 years, male 4690.2
GTEX-Y9LG-1126-SM-4VBQ7 30-39 years, male 4663.2
GTEX-11OF3-0126-SM-5PNYF 60-69 years, male 4641.6
GTEX-ZYW4-0626-SM-59HJR 60-69 years, male 4583.7
GTEX-13JVG-0726-SM-5KM16 60-69 years, male 4579.7
GTEX-ZVZP-1226-SM-5GID7 50-59 years, male 4540.4
GTEX-XBEW-1126-SM-4QARW 40-49 years, male 4512.0
GTEX-14E1K-2026-SM-7DUEI 50-59 years, male 4506.6
GTEX-14ICL-1626-SM-5YYAO 30-39 years, male 4505.4
GTEX-1I1GT-1026-SM-ARZLV 60-69 years, female 4484.9
GTEX-WFG7-2026-SM-5SI7P 20-29 years, male 4474.7
GTEX-13NYB-0126-SM-5J1MD 40-49 years, male 4418.0
GTEX-Y5V6-2326-SM-4VDSA 60-69 years, male 4385.1
GTEX-1399S-0126-SM-5IJCF 30-39 years, female 4376.3
GTEX-ZE7O-2726-SM-51MT5 50-59 years, female 4355.7
GTEX-WHSB-1326-SM-3LK6W 50-59 years, male 4333.5
GTEX-13NYS-0626-SM-5L3F1 60-69 years, male 4295.7
GTEX-12WSJ-1126-SM-5LZVJ 40-49 years, female 4284.4
GTEX-XV7Q-1826-SM-4BRUV 40-49 years, female 4262.2
GTEX-14C39-1726-SM-5RQIL 40-49 years, male 4255.7
GTEX-1GPI7-1826-SM-9KNU1 20-29 years, male 4244.3
GTEX-1RAZQ-1326-SM-E9TK6 30-39 years, male 4229.4
GTEX-ZTTD-2826-SM-4YCFA 50-59 years, male 4206.8
GTEX-Y111-0626-SM-4SOIT 50-59 years, male 4180.9
GTEX-15RIE-1926-SM-7KUKJ 60-69 years, male 4166.9
GTEX-ZYY3-2926-SM-5GIEB 60-69 years, female 4165.3
GTEX-11DXX-2126-SM-5PNYR 60-69 years, female 4134.1
GTEX-ZVE1-0726-SM-51MRN 50-59 years, female 4131.2
GTEX-12WSA-0426-SM-5EQ5X 60-69 years, male 4107.2
GTEX-1117F-2926-SM-5GZYI 60-69 years, female 4097.1
GTEX-1CAMS-2226-SM-7PBXQ 40-49 years, female 4058.7
GTEX-13YAN-0226-SM-5TDC6 60-69 years, male 4055.2
GTEX-ZF29-0926-SM-4WKFZ 60-69 years, female 4035.8
GTEX-131XH-0126-SM-5LZUY 50-59 years, male 4027.2
GTEX-13NZ8-1226-SM-5KM4A 60-69 years, female 4018.6
GTEX-1HCUA-0826-SM-ADEHM 50-59 years, female 4016.0
GTEX-16YQH-2226-SM-7IGM2 30-39 years, male 4012.2
GTEX-XQ8I-0926-SM-4BOOF 50-59 years, male 4010.5
GTEX-13RTJ-0126-SM-5S2NN 60-69 years, male 4005.0
GTEX-17HII-1426-SM-7EPGG 50-59 years, male 3985.6
GTEX-13W3W-0726-SM-5IJDQ 60-69 years, female 3919.4
GTEX-1H3VE-0726-SM-9YFL5 40-49 years, male 3894.2
GTEX-144GO-2026-SM-5O99P 60-69 years, male 3868.5
GTEX-1H2FU-0926-SM-9WPPT 60-69 years, female 3861.9
GTEX-ZT9X-1526-SM-5DUXD 40-49 years, male 3858.0
GTEX-1NV5F-0626-SM-DTXEG 60-69 years, female 3830.5
GTEX-11DXZ-2026-SM-5987S 50-59 years, male 3830.3
GTEX-1QP2A-1726-SM-E76QC 50-59 years, male 3822.4
GTEX-13X6H-0926-SM-5SIB2 50-59 years, female 3818.4
GTEX-16MTA-0926-SM-6M47Z 50-59 years, male 3814.7
GTEX-148VJ-0626-SM-5LUAW 70-79 years, male 3810.4
GTEX-1J1OQ-0126-SM-D4P2N 40-49 years, female 3793.3
GTEX-13PDP-0726-SM-5L3HP 60-69 years, male 3788.3
GTEX-15RJE-2826-SM-7KUM9 40-49 years, male 3777.5
GTEX-XYKS-1426-SM-4BRUO 60-69 years, female 3750.0
GTEX-XUW1-0926-SM-4BONX 50-59 years, female 3729.7
GTEX-11ZU8-0126-SM-5EQ58 60-69 years, male 3724.4
GTEX-15DYW-2726-SM-6EU2I 60-69 years, female 3724.0
GTEX-Y3IK-1626-SM-4YCF5 50-59 years, female 3721.6
GTEX-11WQK-1026-SM-5EQLX 50-59 years, male 3717.1
GTEX-1NSGN-0726-SM-DTXEF 50-59 years, male 3700.8
GTEX-1AYD5-2626-SM-7PBXY 50-59 years, male 3691.0
GTEX-1HBPN-0126-SM-CGQEF 50-59 years, male 3685.7
GTEX-1QPFJ-1926-SM-EVYBD 30-39 years, female 3680.7
GTEX-ZAB4-2126-SM-5HL8U 40-49 years, male 3678.6
GTEX-14XAO-1226-SM-6EU1C 60-69 years, female 3673.3
GTEX-131XG-0326-SM-5L3DX 50-59 years, female 3672.1
GTEX-1RMOY-1326-SM-E9TIH 50-59 years, male 3663.9
GTEX-ZF2S-1626-SM-57WES 50-59 years, female 3655.6
GTEX-YFCO-1226-SM-5LUAT 40-49 years, male 3653.7
GTEX-11P81-2226-SM-5PNYI 30-39 years, female 3642.6
GTEX-1LSNM-0826-SM-DIPG8 50-59 years, male 3627.3
GTEX-11DZ1-2426-SM-5GZZX 50-59 years, male 3623.0
GTEX-18QFQ-1826-SM-72D52 30-39 years, male 3606.0
GTEX-XMD2-2126-SM-4YCF8 60-69 years, female 3597.9
GTEX-13FTY-2126-SM-5IFFB 40-49 years, female 3586.0
GTEX-1H1ZS-2726-SM-9WG75 70-79 years, male 3569.4
GTEX-1H11D-1826-SM-9QEHM 40-49 years, male 3562.7
GTEX-17HHE-1326-SM-7EWDZ 50-59 years, male 3562.4
GTEX-YECK-0326-SM-4W1YS 60-69 years, male 3554.7
GTEX-1A3MW-0626-SM-731CB 60-69 years, female 3547.8
GTEX-ZDTT-0426-SM-4WKFL 60-69 years, male 3542.6
GTEX-ZP4G-1426-SM-4WWCL 20-29 years, female 3528.6
GTEX-1GN1V-2826-SM-9JGIA 60-69 years, male 3527.3
GTEX-12WSK-2126-SM-5CVNC 40-49 years, female 3520.0
GTEX-13PL6-1126-SM-5L3IE 40-49 years, female 3507.8
GTEX-15DDE-2926-SM-6LLJ3 50-59 years, female 3502.9
GTEX-117YX-1926-SM-5GIEC 50-59 years, male 3495.1
GTEX-13FTX-1526-SM-5K7VJ 20-29 years, female 3495.0
GTEX-1JMLX-0626-SM-ARL8T 50-59 years, male 3476.2
GTEX-14PHX-2226-SM-6EU2P 50-59 years, male 3474.7
GTEX-ZY6K-1426-SM-5GZX2 50-59 years, male 3470.0
GTEX-1R9PM-1926-SM-EVR3O 20-29 years, male 3464.6
GTEX-13OVJ-0826-SM-5J1OK 50-59 years, female 3458.9
GTEX-11DYG-1526-SM-5A5JS 60-69 years, male 3455.7
GTEX-WH7G-2026-SM-3NMBL 40-49 years, male 3455.4
GTEX-13O61-1426-SM-5KM3D 60-69 years, male 3454.3
GTEX-1R46S-2426-SM-E76QA 60-69 years, female 3441.7
GTEX-13NYC-0126-SM-5L3F4 60-69 years, male 3440.5
GTEX-11PRG-0726-SM-5EGL1 50-59 years, male 3437.2
GTEX-1EH9U-2826-SM-7DUGT 60-69 years, male 3431.7
GTEX-14753-0726-SM-5QGQO 60-69 years, male 3427.6
GTEX-ZYT6-2326-SM-5GZY3 30-39 years, male 3422.6
GTEX-1K2DA-1026-SM-CGQGF 50-59 years, male 3417.3
GTEX-1LSVX-2526-SM-DIPEU 60-69 years, male 3415.7
GTEX-145MN-1526-SM-5SI9T 30-39 years, male 3408.8
GTEX-183WM-0326-SM-72D5V 70-79 years, female 3396.8
GTEX-14DAR-1226-SM-73KYV 50-59 years, male 3390.1
GTEX-15G19-2426-SM-7KUMR 60-69 years, male 3380.9
GTEX-14E6E-0526-SM-793DN 30-39 years, male 3374.2
GTEX-14PJ6-2626-SM-6EU2T 60-69 years, female 3373.7
GTEX-ZZPU-0826-SM-5GZX5 50-59 years, female 3373.4
GTEX-1JMPY-0226-SM-CKZOK 30-39 years, male 3370.8
GTEX-1LG7Y-2526-SM-EWRO7 50-59 years, male 3369.0
GTEX-1ICLZ-0326-SM-ARL82 60-69 years, male 3359.3
GTEX-1HB9E-0126-SM-CM2S5 50-59 years, male 3354.3
GTEX-ZXG5-2126-SM-59HKD 60-69 years, male 3351.7
GTEX-14PJ5-1526-SM-6LLIL 60-69 years, female 3347.9
GTEX-1PPH7-1126-SM-DTX9A 40-49 years, male 3345.5
GTEX-15SKB-2826-SM-6PAMH 60-69 years, male 3335.0
GTEX-139TU-0726-SM-5L3EK 60-69 years, male 3317.4
GTEX-13OVH-0526-SM-5L3E6 70-79 years, male 3317.2
GTEX-14LZ3-0126-SM-69LPM 60-69 years, female 3313.4
GTEX-15G1A-1626-SM-7KUKN 30-39 years, male 3310.8
GTEX-1S3DN-2126-SM-E9TIN 50-59 years, male 3308.4
GTEX-1QAET-0326-SM-EVR3U 50-59 years, male 3304.3
GTEX-12WSH-1526-SM-5BC5W 50-59 years, male 3300.3
GTEX-13SLW-0626-SM-5Q5ER 70-79 years, male 3297.3
GTEX-1313W-0626-SM-5EQ4H 50-59 years, female 3296.4
GTEX-14PHY-1226-SM-5ZZWK 60-69 years, female 3294.5
GTEX-17EVP-2626-SM-7IGMA 40-49 years, male 3292.8
GTEX-ZA64-1026-SM-5HL8R 20-29 years, male 3291.6
GTEX-WXYG-2026-SM-4E3IY 50-59 years, female 3288.6
GTEX-1LVAN-0626-SM-CNPOQ 50-59 years, female 3286.2
GTEX-13VXT-1926-SM-5K7UO 20-29 years, female 3283.9
GTEX-14PII-0726-SM-6EU2B 60-69 years, male 3281.9
GTEX-14PJ4-0226-SM-5YY92 60-69 years, male 3281.5
GTEX-1B97I-0626-SM-73KUZ 40-49 years, male 3268.5
GTEX-14A5H-0826-SM-5QGPJ 60-69 years, male 3254.2
GTEX-1JMQL-2226-SM-CNPP4 50-59 years, female 3245.5
GTEX-Z93S-1626-SM-5CVMB 50-59 years, male 3236.2
GTEX-13SLX-2226-SM-62LEP 50-59 years, female 3222.5
GTEX-1QP28-1126-SM-EVYC4 50-59 years, female 3210.1
GTEX-11DXY-0126-SM-5H11Q 60-69 years, male 3208.8
GTEX-1H3O1-1326-SM-9MQLD 60-69 years, male 3208.6
GTEX-111CU-1126-SM-5EGIM 50-59 years, male 3200.3
GTEX-1QW4Y-1126-SM-DTXE3 30-39 years, male 3199.4
GTEX-133LE-2326-SM-5K7W3 20-29 years, female 3195.7
GTEX-1CB4J-1326-SM-7P8RX 60-69 years, male 3191.0
GTEX-YEC4-1826-SM-4W1YP 40-49 years, male 3186.4
GTEX-1KAFJ-0126-SM-DIPEK 50-59 years, male 3181.9
GTEX-147F4-0726-SM-5TDDD 50-59 years, male 3177.8
GTEX-17MFQ-1526-SM-7KFRR 20-29 years, male 3175.7
GTEX-1497J-0226-SM-5QGPU 60-69 years, male 3175.0
GTEX-111VG-1626-SM-5EGIO 60-69 years, male 3174.0
GTEX-1LVA9-2626-SM-EVYD4 50-59 years, male 3170.2
GTEX-W5X1-2526-SM-3GILC 40-49 years, female 3164.6
GTEX-ZYFG-1526-SM-5GZYM 60-69 years, female 3162.6
GTEX-1C6VQ-1226-SM-73KYD 50-59 years, male 3161.8
GTEX-13112-0126-SM-5P9IU 50-59 years, male 3159.6
GTEX-1EMGI-2326-SM-7PBYA 60-69 years, male 3159.4
GTEX-15EU6-2226-SM-6EU2L 50-59 years, male 3159.3
GTEX-1HFI6-0126-SM-CNPPI 40-49 years, male 3152.8
GTEX-1QCLY-0226-SM-EWRNH 30-39 years, male 3150.7
GTEX-11ZTT-2126-SM-5CVLO 60-69 years, female 3150.2
GTEX-139UW-0326-SM-5J1ML 60-69 years, male 3141.9
GTEX-1F52S-2926-SM-7MKGA 60-69 years, female 3140.5
GTEX-1IDFM-0326-SM-ARL7V 60-69 years, male 3140.1
GTEX-1F5PK-2226-SM-7SB6N 50-59 years, male 3134.7
GTEX-13QJC-0126-SM-5ZZWJ 60-69 years, female 3132.7
GTEX-1K2DU-1226-SM-CYPT4 20-29 years, male 3132.5
GTEX-18D9A-1426-SM-7LT8M 30-39 years, female 3127.5
GTEX-XQ3S-1426-SM-4BOPR 20-29 years, male 3125.1
GTEX-1JN76-0626-SM-CKZOQ 20-29 years, female 3120.7
GTEX-11P7K-1126-SM-5HL4L 30-39 years, male 3116.9
GTEX-11WQC-1826-SM-5GU59 60-69 years, male 3116.8
GTEX-XOT4-0626-SM-4B66L 60-69 years, female 3114.7
GTEX-13X6I-1826-SM-5SIAO 60-69 years, male 3114.1
GTEX-1JMQK-1226-SM-D4P2S 60-69 years, male 3113.9
GTEX-XXEK-1626-SM-4BRUZ 50-59 years, male 3098.3
GTEX-ZYVF-0926-SM-5E44J 50-59 years, female 3091.8
GTEX-1HSMP-0926-SM-A9SKX 70-79 years, male 3085.6
GTEX-1JJEA-1826-SM-ARU8P 60-69 years, male 3082.5
GTEX-1H23P-0626-SM-9WG6T 60-69 years, male 3070.3
GTEX-ZVT2-0126-SM-5GIDQ 50-59 years, female 3069.3
GTEX-14LLW-2626-SM-62LDZ 70-79 years, female 3067.3
GTEX-XK95-0226-SM-4AT58 40-49 years, male 3060.4
GTEX-1S831-1826-SM-EWROF 20-29 years, male 3060.4
GTEX-18A67-1626-SM-7LT9T 50-59 years, male 3051.9
GTEX-13N11-2326-SM-5IJBF 50-59 years, female 3045.5
GTEX-1LGRB-0926-SM-COH3K 50-59 years, female 3041.9
GTEX-1IKJJ-2226-SM-CJI4C 60-69 years, male 3039.0
GTEX-ZLV1-1526-SM-DO91J 60-69 years, female 3035.4
GTEX-13D11-0926-SM-5J2NC 50-59 years, female 3029.1
GTEX-1JJE9-2626-SM-ARZMT 70-79 years, male 3025.2
GTEX-1JJ6O-2726-SM-CNPOG 60-69 years, male 3023.2
GTEX-X8HC-0626-SM-4E3HQ 50-59 years, female 3014.6
GTEX-145ME-1726-SM-5Q5EU 40-49 years, female 3008.5
GTEX-XPVG-2126-SM-4B667 50-59 years, male 3008.1
GTEX-ZDYS-2426-SM-4WKGI 50-59 years, male 2996.4
GTEX-1C6WA-2626-SM-7MKGM 60-69 years, male 2995.3
GTEX-111YS-1526-SM-5GZYW 60-69 years, male 2994.7
GTEX-147GR-2426-SM-5ZZWQ 60-69 years, male 2994.6
GTEX-1LBAC-0826-SM-CY8IJ 20-29 years, male 2980.3
GTEX-139TT-2126-SM-5LZWC 60-69 years, male 2974.2
GTEX-139T8-0626-SM-5KLZX 60-69 years, male 2973.9
GTEX-1HGF4-0126-SM-CNPPX 60-69 years, male 2972.2
GTEX-15EO6-2426-SM-6PALZ 50-59 years, male 2971.4
GTEX-11NUK-2726-SM-5A5MC 50-59 years, male 2966.3
GTEX-16AAH-0626-SM-793C9 50-59 years, male 2963.0
GTEX-Y5LM-0926-SM-6LLJG 40-49 years, female 2944.2
GTEX-139D8-1126-SM-5LU8W 30-39 years, female 2942.7
GTEX-14C38-0726-SM-5SI6M 50-59 years, male 2941.3
GTEX-ZPU1-1126-SM-4YCF3 40-49 years, male 2935.5
GTEX-14ABY-2026-SM-62LDL 50-59 years, male 2932.1
GTEX-1J8QM-2426-SM-A9SLS 60-69 years, female 2929.0
GTEX-1399U-1126-SM-5L3DB 50-59 years, female 2927.4
GTEX-1HR9M-2226-SM-CNPPY 60-69 years, male 2923.5
GTEX-1JMQJ-0826-SM-CNPP7 50-59 years, male 2918.2
GTEX-14JG1-1526-SM-5YY9X 40-49 years, male 2915.3
GTEX-14PK6-0226-SM-62LF5 70-79 years, female 2912.0
GTEX-1N2EE-0626-SM-E76PW 60-69 years, male 2903.0
GTEX-1HFI7-2326-SM-CGQFS 50-59 years, female 2895.5
GTEX-1R9PN-0426-SM-DTXDT 40-49 years, female 2893.6
GTEX-132AR-0326-SM-5KM2C 50-59 years, female 2893.4
GTEX-16MT8-2926-SM-7DUFO 60-69 years, female 2893.3
GTEX-ZWKS-0626-SM-5GIDV 30-39 years, male 2890.5
GTEX-1GN73-0726-SM-7P8TJ 60-69 years, male 2889.7
GTEX-1I1GU-0926-SM-ACKVS 40-49 years, male 2877.9
GTEX-12BJ1-0926-SM-5EQ62 60-69 years, male 2876.1
GTEX-13O3Q-0126-SM-5KM34 50-59 years, male 2870.0
GTEX-17F9E-2326-SM-79OKD 50-59 years, male 2854.4
GTEX-13X6K-0626-SM-5LU5D 60-69 years, female 2843.1
GTEX-15SHW-0226-SM-7LTAT 60-69 years, male 2842.7
GTEX-1N2DV-1526-SM-DTXEP 40-49 years, male 2836.1
GTEX-1S82P-2126-SM-E6CI5 60-69 years, female 2835.8
GTEX-17F96-0126-SM-7EWDU 70-79 years, male 2835.7
GTEX-14AS3-1526-SM-5Q5ED 40-49 years, female 2832.9
GTEX-1CAMQ-1326-SM-7P8RV 40-49 years, male 2832.2
GTEX-ZLFU-1826-SM-4WWBV 40-49 years, male 2830.3
GTEX-16XZZ-0726-SM-7KUF2 60-69 years, male 2829.9
GTEX-139TS-2126-SM-5K7XC 60-69 years, male 2826.2
GTEX-15CHR-1126-SM-7EWF4 50-59 years, male 2825.5
GTEX-1OJC4-2726-SM-E76PJ 50-59 years, female 2822.9
GTEX-1J1R8-2026-SM-CL53Y 40-49 years, male 2820.1
GTEX-1399R-1326-SM-5PNYS 30-39 years, male 2819.5
GTEX-1GMRU-2126-SM-7P8RA 50-59 years, male 2818.6
GTEX-15FZZ-0526-SM-7KUGD 30-39 years, female 2817.8
GTEX-X4EO-2926-SM-4E3JH 60-69 years, female 2805.7
GTEX-1BAJH-2426-SM-7IGP8 70-79 years, male 2796.6
GTEX-11UD2-2526-SM-5CVNU 50-59 years, male 2795.1
GTEX-XBED-1926-SM-47JYP 60-69 years, male 2789.6
GTEX-1HSMQ-2626-SM-A9SML 50-59 years, male 2789.6
GTEX-1KXAM-1626-SM-D3LAD 60-69 years, male 2789.2
GTEX-1I1GS-2626-SM-B2LY3 60-69 years, male 2786.0
GTEX-1192X-2726-SM-5N9DN 50-59 years, male 2783.9
GTEX-15CHQ-0326-SM-69LQD 60-69 years, male 2782.0
GTEX-ZAJG-1526-SM-5CVML 50-59 years, female 2775.7
GTEX-12ZZZ-0726-SM-5GCNZ 60-69 years, male 2773.5
GTEX-1HBPM-0726-SM-9YFL7 60-69 years, female 2771.9
GTEX-1GTWX-2026-SM-9YFLM 60-69 years, male 2769.2
GTEX-1IDJI-0126-SM-CMKHS 50-59 years, female 2764.1
GTEX-1JK1U-0226-SM-ARZMX 60-69 years, male 2759.5
GTEX-1LVAO-2726-SM-E9TJ8 60-69 years, male 2758.7
GTEX-1HCU7-0726-SM-A9SL1 50-59 years, male 2757.1
GTEX-1H1DG-2426-SM-9QEHJ 70-79 years, male 2756.6
GTEX-147F3-1726-SM-5SIAW 50-59 years, female 2752.2
GTEX-1C2JI-1026-SM-73KY1 50-59 years, male 2752.2
GTEX-16MT9-0126-SM-7EPI8 60-69 years, female 2745.4
GTEX-13VXU-0626-SM-5L3F9 50-59 years, male 2744.6
GTEX-12WSF-1626-SM-7KUG5 70-79 years, male 2742.0
GTEX-14C5O-0326-SM-5ZZUX 60-69 years, male 2739.0
GTEX-14A6H-2026-SM-5Q5DD 30-39 years, male 2733.5
GTEX-1ICLY-0826-SM-CMKG1 50-59 years, male 2732.6
GTEX-1MCC2-1826-SM-DIPEX 30-39 years, female 2729.9
GTEX-145MH-2826-SM-5RQJF 50-59 years, male 2728.8
GTEX-1CB4E-0926-SM-7EPHT 60-69 years, male 2725.6
GTEX-12126-0826-SM-5FQTZ 20-29 years, male 2725.2
GTEX-145LS-0626-SM-7EPG7 60-69 years, female 2715.0
GTEX-ZE9C-2526-SM-5IJDR 60-69 years, male 2703.3
GTEX-XAJ8-1426-SM-47JYM 40-49 years, male 2702.6
GTEX-1C64N-2626-SM-7PC2N 50-59 years, male 2701.5
GTEX-1A8G6-2726-SM-731AR 60-69 years, male 2699.4
GTEX-1O9I2-0226-SM-EYYXD 50-59 years, male 2695.2
GTEX-13FHO-0426-SM-5L3F5 60-69 years, male 2686.4
GTEX-13G51-1826-SM-5KLZH 60-69 years, male 2686.0
GTEX-1211K-1526-SM-5FQU4 60-69 years, female 2682.5
GTEX-1HKZK-0726-SM-ACKW2 40-49 years, male 2681.9
GTEX-18D9U-0126-SM-731BM 40-49 years, male 2680.9
GTEX-1PIIG-2326-SM-DTXFR 30-39 years, male 2677.1
GTEX-ZAK1-0626-SM-5HL8E 50-59 years, female 2673.9
GTEX-1JN1M-2726-SM-CY8I4 60-69 years, female 2673.8
GTEX-1F6RS-2026-SM-7RHHC 60-69 years, female 2669.4
GTEX-14PJ3-1126-SM-5ZZVX 50-59 years, male 2668.7
GTEX-ZDTS-0826-SM-4WKHL 60-69 years, male 2666.7
GTEX-1HCU6-2526-SM-ADEHL 60-69 years, female 2664.3
GTEX-11EQ8-0926-SM-5H12V 60-69 years, male 2662.0
GTEX-WY7C-2126-SM-3NB2R 50-59 years, male 2661.3
GTEX-14PJN-1826-SM-6AJ98 30-39 years, male 2653.9
GTEX-1PPGY-1626-SM-EVYBL 60-69 years, male 2651.4
GTEX-1HSMO-0626-SM-ACKXC 60-69 years, male 2651.3
GTEX-13FTW-0326-SM-5K7UW 40-49 years, male 2645.0
GTEX-1122O-1026-SM-9WYSF 60-69 years, female 2644.8
GTEX-145MG-1526-SM-5Q5EM 50-59 years, male 2638.6
GTEX-1477Z-0326-SM-7IGLA 60-69 years, male 2637.8
GTEX-14BIN-1126-SM-5RQJZ 50-59 years, female 2634.2
GTEX-1CB4I-0126-SM-7RHGG 50-59 years, male 2634.2
GTEX-1B996-0426-SM-7EWF8 60-69 years, male 2630.6
GTEX-14E6C-2426-SM-5S2NF 40-49 years, male 2626.9
GTEX-ZC5H-1526-SM-5HL9Y 40-49 years, female 2617.3
GTEX-1GZ4I-2626-SM-9KNU3 50-59 years, male 2610.8
GTEX-1E1VI-0326-SM-793D1 50-59 years, male 2610.3
GTEX-X5EB-1926-SM-4E3IW 40-49 years, male 2607.2
GTEX-1MJK3-0726-SM-E6CJC 20-29 years, male 2604.3
GTEX-1PBJJ-1026-SM-E76OS 30-39 years, male 2601.4
GTEX-13OVG-1626-SM-5J1NF 60-69 years, male 2600.6
GTEX-13U4I-2226-SM-5LU5H 40-49 years, female 2600.6
GTEX-ZYFD-0626-SM-5E44E 50-59 years, male 2597.4
GTEX-11ZUS-2626-SM-5FQUR 30-39 years, male 2593.0
GTEX-1PDJ9-1226-SM-EXUSX 20-29 years, male 2592.6
GTEX-12696-0126-SM-5EQ4L 60-69 years, male 2591.4
GTEX-1269C-0126-SM-5EQ5L 60-69 years, female 2586.0
GTEX-11VI4-1126-SM-5EQMD 40-49 years, female 2567.8
GTEX-1RLM8-2926-SM-E8VON 50-59 years, male 2566.8
GTEX-16BQI-1326-SM-6M486 30-39 years, female 2565.0
GTEX-1K9T9-1526-SM-DIPFR 50-59 years, female 2563.3
GTEX-1LB8K-0726-SM-D5OV2 50-59 years, male 2560.0
GTEX-1GZ4H-0526-SM-9KNU9 50-59 years, female 2559.8
GTEX-12ZZX-2426-SM-5GCOE 40-49 years, female 2559.2
GTEX-1HSGN-0826-SM-ACKW3 40-49 years, female 2556.9
GTEX-1A8G7-1326-SM-73KVM 60-69 years, male 2554.3
GTEX-131XW-0626-SM-5PNVD 50-59 years, female 2552.5
GTEX-1KANA-1326-SM-DIPFA 20-29 years, male 2552.2
GTEX-ZDXO-3126-SM-5IJDF 60-69 years, male 2549.4
GTEX-1JKYN-0826-SM-ARU8S 30-39 years, male 2547.8
GTEX-17KNJ-2126-SM-718AM 50-59 years, male 2537.7
GTEX-13QBU-1226-SM-5LU4G 40-49 years, female 2537.3
GTEX-144GM-0526-SM-79OJO 20-29 years, male 2536.8
GTEX-15ER7-0626-SM-6PANF 20-29 years, female 2532.4
GTEX-11TUW-0626-SM-5LU9M 60-69 years, male 2529.8
GTEX-1A8FM-0626-SM-7PC25 50-59 years, female 2526.3
GTEX-1IL2V-1926-SM-B2LW8 70-79 years, male 2525.7
GTEX-1MCYP-0526-SM-E9U6Q 20-29 years, female 2521.6
GTEX-18465-2826-SM-7LT9J 50-59 years, male 2518.8
GTEX-13OW6-2726-SM-5J2OE 50-59 years, male 2518.5
GTEX-11EQ9-1626-SM-5PNY8 30-39 years, male 2507.9
GTEX-1JN6P-2926-SM-CL54D 60-69 years, male 2507.3
GTEX-1GZ2Q-0126-SM-9WG6M 40-49 years, male 2506.2
GTEX-1B8KE-1126-SM-7EPHI 50-59 years, male 2506.0
GTEX-1A3MV-1826-SM-731CD 30-39 years, male 2503.1
GTEX-1F48J-0726-SM-7RHGS 50-59 years, female 2503.1
GTEX-1EN7A-2426-SM-793DB 40-49 years, male 2503.0
GTEX-1212Z-0126-SM-59HK4 60-69 years, male 2499.3
GTEX-1S82U-1026-SM-E6CJK 30-39 years, female 2498.7
GTEX-ZPIC-0526-SM-DO91W 40-49 years, female 2496.7
GTEX-146FQ-2126-SM-5RQHU 30-39 years, male 2496.3
GTEX-1I1HK-2326-SM-CKZOH 60-69 years, male 2493.6
GTEX-13OW8-1026-SM-5J1NQ 60-69 years, male 2486.3
GTEX-1CAMR-1326-SM-7PC1F 20-29 years, male 2486.1
GTEX-144GL-0626-SM-5LU4D 50-59 years, male 2485.9
GTEX-1EX96-1026-SM-7MKG2 50-59 years, male 2484.2
GTEX-16NPX-0726-SM-7KULC 50-59 years, male 2481.1
GTEX-XBEC-0726-SM-4QARZ 50-59 years, male 2477.7
GTEX-14PKV-1126-SM-6LLJ1 20-29 years, female 2476.8
GTEX-12KS4-2126-SM-5FQUT 30-39 years, male 2475.9
GTEX-1HR98-2226-SM-ADEI2 60-69 years, male 2474.6
GTEX-15D1Q-2826-SM-6LLH7 40-49 years, male 2461.6
GTEX-1R9K4-2826-SM-DTX8F 60-69 years, male 2455.4
GTEX-11NSD-0626-SM-5A5LU 20-29 years, male 2450.9
GTEX-X3Y1-2026-SM-3P5YM 40-49 years, male 2450.7
GTEX-11O72-0626-SM-5PNYE 40-49 years, male 2449.7
GTEX-1CB4H-1126-SM-7MKGL 60-69 years, female 2443.8
GTEX-16Z82-2626-SM-7KULU 60-69 years, male 2441.3
GTEX-12ZZY-0726-SM-5EQ66 60-69 years, male 2439.1
GTEX-1JMQI-1726-SM-ARL93 50-59 years, male 2438.8
GTEX-1JMPZ-0726-SM-CY8HZ 30-39 years, male 2438.4
GTEX-1POEN-2326-SM-E9J2L 30-39 years, female 2438.2
GTEX-1JKYR-0626-SM-ARL8R 20-29 years, male 2437.9
GTEX-145MI-0626-SM-5SI8S 60-69 years, female 2435.0
GTEX-13OW7-0426-SM-5K7VK 50-59 years, male 2434.0
GTEX-1GMR2-0826-SM-7PC3V 50-59 years, male 2432.8
GTEX-145MF-0926-SM-5Q5EA 50-59 years, male 2431.1
GTEX-14PJO-2526-SM-6AJBQ 60-69 years, male 2430.2
GTEX-131XF-2626-SM-5EQ6K 60-69 years, male 2429.2
GTEX-13O3O-2326-SM-5IJD6 60-69 years, female 2428.2
GTEX-1LVAM-0726-SM-E6CIL 50-59 years, female 2425.7
GTEX-1GF9V-0826-SM-9KNUV 60-69 years, male 2423.2
GTEX-13PVR-0426-SM-5RQK2 60-69 years, female 2421.2
GTEX-11GSP-2326-SM-5HL63 60-69 years, female 2419.5
GTEX-WHWD-1826-SM-3LK6I 50-59 years, male 2418.1
GTEX-139YR-1026-SM-5LZYN 50-59 years, male 2416.8
GTEX-Y8E4-2026-SM-5IFJB 40-49 years, male 2415.9
GTEX-1C64O-1326-SM-7MGWR 60-69 years, male 2414.8
GTEX-14PKU-0126-SM-6LLHV 40-49 years, female 2404.0
GTEX-1GN1U-0626-SM-9MQL9 50-59 years, female 2402.4
GTEX-1ICG6-1226-SM-A9SLN 70-79 years, female 2396.7
GTEX-14BMV-2826-SM-5TDED 50-59 years, male 2392.1
GTEX-17MF6-2626-SM-79OKQ 40-49 years, male 2388.1
GTEX-14JFF-0626-SM-5ZZVT 60-69 years, male 2381.2
GTEX-1KD5A-0126-SM-E9U54 50-59 years, male 2379.2
GTEX-1F5PL-0926-SM-7PC2W 40-49 years, female 2374.8
GTEX-X4EP-0626-SM-3P621 60-69 years, female 2372.9
GTEX-18D9B-0926-SM-7LG4U 60-69 years, male 2372.2
GTEX-VUSG-2326-SM-4KL1U 50-59 years, male 2370.9
GTEX-1I19N-0126-SM-CYPSF 70-79 years, male 2369.5
GTEX-1LSNL-2726-SM-E9TKJ 50-59 years, male 2368.1
GTEX-1GMR8-0626-SM-7RHI7 50-59 years, female 2367.9
GTEX-YB5K-2026-SM-4VDT3 40-49 years, female 2367.8
GTEX-1HC8U-1326-SM-9YFMJ 40-49 years, female 2358.2
GTEX-1KANB-2826-SM-CY8I6 50-59 years, male 2358.0
GTEX-1F6IF-0926-SM-7SB7M 60-69 years, male 2355.5
GTEX-1IDJU-1726-SM-CMKHU 60-69 years, female 2355.0
GTEX-13FH7-1126-SM-5K7UG 50-59 years, female 2353.0
GTEX-1GF9X-1326-SM-7PC2Y 40-49 years, female 2351.1
GTEX-1QMI2-2526-SM-E8VNZ 60-69 years, male 2343.3
GTEX-13NZ9-2626-SM-5L3FK 50-59 years, male 2339.1
GTEX-14B4R-1326-SM-5Q5EZ 30-39 years, male 2337.4
GTEX-16NGA-0726-SM-731AO 40-49 years, female 2331.0
GTEX-13OW5-2326-SM-5L3HO 60-69 years, male 2330.7
GTEX-1GPI6-1926-SM-9KNV7 60-69 years, male 2330.6
GTEX-12584-0726-SM-5FQTK 40-49 years, male 2329.8
GTEX-1F6I4-2326-SM-7RHGL 60-69 years, male 2328.5
GTEX-ZVT4-2426-SM-5GIEI 50-59 years, female 2323.9
GTEX-ZYFC-0426-SM-5GICQ 50-59 years, male 2322.8
GTEX-1B8SF-0126-SM-7DUG3 60-69 years, male 2317.6
GTEX-13FLV-0126-SM-5K7WT 50-59 years, male 2315.7
GTEX-1R7EU-1626-SM-DTXG3 60-69 years, male 2314.5
GTEX-1HBPI-2126-SM-ARL9K 50-59 years, male 2312.2
GTEX-1AX8Z-0726-SM-73KTS 60-69 years, male 2305.7
GTEX-1F88E-1626-SM-7SB8Z 60-69 years, female 2298.9
GTEX-YEC3-1326-SM-DO92X 50-59 years, male 2298.4
GTEX-1IOXB-2726-SM-CM2RI 50-59 years, male 2296.7
GTEX-14BMU-1226-SM-5S2OR 20-29 years, female 2296.3
GTEX-1HT8W-0626-SM-A9G2H 30-39 years, male 2295.6
GTEX-V1D1-2026-SM-3GAF4 50-59 years, male 2295.3
GTEX-11EM3-1226-SM-5N9DD 20-29 years, female 2294.8
GTEX-13113-1626-SM-5EQ4I 60-69 years, female 2290.0
GTEX-1H1CY-0126-SM-9YFLY 60-69 years, female 2288.4
GTEX-13N1W-2426-SM-5IJD1 70-79 years, male 2287.3
GTEX-145LT-0526-SM-5LUB2 40-49 years, male 2286.8
GTEX-13PVQ-0626-SM-5LU47 50-59 years, male 2286.1
GTEX-1I1GP-1326-SM-A9G28 50-59 years, male 2284.1
GTEX-1JMOU-1026-SM-CYPSS 60-69 years, female 2282.7
GTEX-1I1GV-0626-SM-ARL7M 60-69 years, male 2280.5
GTEX-ZVE2-2826-SM-5GU51 50-59 years, male 2272.4
GTEX-1GF9W-1426-SM-7PBYM 60-69 years, male 2265.9
GTEX-1J8Q3-0526-SM-ARL8U 60-69 years, male 2265.7
GTEX-Y8LW-1526-SM-5IFHL 50-59 years, female 2264.7
GTEX-1RB15-1326-SM-E76Q9 60-69 years, male 2261.3
GTEX-12WSD-0626-SM-5GCMW 60-69 years, female 2261.1
GTEX-ZU9S-1826-SM-5NQ9E 30-39 years, male 2257.3
GTEX-1I4MK-0126-SM-CY8G6 50-59 years, female 2257.3
GTEX-1F75I-2226-SM-7SB8U 40-49 years, male 2250.7
GTEX-1B932-2326-SM-79OL5 40-49 years, female 2250.1
GTEX-17EVQ-0126-SM-7IGLR 70-79 years, male 2238.6
GTEX-145LU-1926-SM-79OJN 50-59 years, male 2236.5
GTEX-1N5O9-0926-SM-E9J3C 60-69 years, male 2235.0
GTEX-12WSM-1926-SM-5BC65 60-69 years, male 2234.9
GTEX-1IDJH-0126-SM-D3L92 70-79 years, male 2232.3
GTEX-UPJH-0226-SM-3GADV 50-59 years, male 2231.3
GTEX-11DXW-0826-SM-5H118 40-49 years, male 2228.2
GTEX-UPK5-0426-SM-3GAEK 40-49 years, male 2227.4
GTEX-17F98-1326-SM-7DUEP 40-49 years, female 2223.8
GTEX-131YS-2826-SM-5EQ47 60-69 years, female 2222.7
GTEX-1CAV2-0126-SM-7IGN7 40-49 years, female 2216.9
GTEX-11LCK-2226-SM-5HL4Q 30-39 years, male 2207.6
GTEX-1AMFI-1326-SM-7939R 50-59 years, female 2202.9
GTEX-1S5ZU-2526-SM-E6CIF 20-29 years, female 2200.4
GTEX-1EKGG-0626-SM-7DUGJ 60-69 years, male 2200.1
GTEX-147JS-0226-SM-5S2U9 60-69 years, male 2190.3
GTEX-1GZHY-0626-SM-9KNVC 50-59 years, female 2188.1
GTEX-1LGOU-1326-SM-D3L8M 20-29 years, female 2177.6
GTEX-1I6K6-1726-SM-CGQFD 30-39 years, male 2174.5
GTEX-17HG3-2626-SM-7DUF2 30-39 years, female 2174.3
GTEX-1M4P7-0726-SM-E6CJ3 60-69 years, male 2168.9
GTEX-13X6J-0626-SM-5LU5F 50-59 years, male 2149.6
GTEX-13N2G-0226-SM-5K7VF 60-69 years, male 2147.5
GTEX-1F75A-0726-SM-7RHHD 50-59 years, male 2143.0
GTEX-U8XE-0226-SM-4E3J3 30-39 years, male 2138.1
GTEX-ZLWG-0826-SM-59888 50-59 years, female 2136.3
GTEX-1GL5R-1326-SM-7RHHF 50-59 years, male 2130.6
GTEX-1AMEY-0826-SM-72D65 30-39 years, female 2130.4
GTEX-ZVP2-0326-SM-57WBP 50-59 years, male 2127.9
GTEX-ZZ64-1026-SM-5GZXG 20-29 years, male 2125.8
GTEX-1B8L1-2226-SM-7P8PT 60-69 years, male 2122.7
GTEX-YJ8O-2526-SM-5HL85 40-49 years, female 2120.6
GTEX-Y5V5-0126-SM-5S2NW 60-69 years, female 2120.0
GTEX-1F75B-0726-SM-7PC3R 50-59 years, male 2116.4
GTEX-WRHU-2826-SM-3MJG8 50-59 years, female 2115.4
GTEX-12C56-1526-SM-5FQUQ 20-29 years, male 2110.7
GTEX-17HGU-2326-SM-7DUFE 50-59 years, male 2110.2
GTEX-1H1E6-0426-SM-9WYUS 30-39 years, male 2109.4
GTEX-1C6VR-0126-SM-7RHGB 60-69 years, male 2108.3
GTEX-15CHC-1126-SM-6LLHQ 60-69 years, female 2098.7
GTEX-11TT1-1826-SM-5EQLV 20-29 years, male 2096.4
GTEX-17F97-2626-SM-7IGM5 50-59 years, male 2094.0
GTEX-1I6K7-1926-SM-B2LXR 40-49 years, male 2093.3
GTEX-13OVL-0126-SM-5L3GJ 50-59 years, male 2083.2
GTEX-1KANC-1226-SM-CYPT7 50-59 years, female 2082.6
GTEX-1J8Q2-2626-SM-ACKWQ 60-69 years, male 2078.5
GTEX-1HCVE-2726-SM-CL54F 50-59 years, male 2074.0
GTEX-1H4P4-2126-SM-9WYSL 50-59 years, male 2073.1
GTEX-ZGAY-1826-SM-DO91Q 40-49 years, female 2071.5
GTEX-1CB4F-1026-SM-7DUH1 60-69 years, male 2069.8
GTEX-18A7B-2726-SM-7LG56 70-79 years, male 2064.7
GTEX-ZVTK-0226-SM-51MRG 20-29 years, male 2061.5
GTEX-WHSE-0126-SM-3NMBT 20-29 years, male 2054.3
GTEX-1RAZS-2526-SM-E6CHT 50-59 years, male 2054.3
GTEX-1B8KZ-0326-SM-73KY4 50-59 years, male 2054.1
GTEX-1H1DF-1126-SM-9WG7G 40-49 years, female 2052.3
GTEX-WFON-1926-SM-3LK7L 40-49 years, male 2041.7
GTEX-1GMR3-0126-SM-A9SLW 40-49 years, male 2040.8
GTEX-1HSKV-1226-SM-ADEI4 60-69 years, male 2014.5
GTEX-1QCLZ-2426-SM-EVYBW 60-69 years, female 2014.2
GTEX-11GS4-0226-SM-5HL77 60-69 years, male 2012.6
GTEX-1GN2E-0226-SM-9WG6K 60-69 years, male 1997.5
GTEX-11EI6-2826-SM-5H11D 60-69 years, male 1996.5
GTEX-18A7A-0126-SM-731AH 50-59 years, female 1989.7
GTEX-13JUV-2026-SM-5K7UA 40-49 years, female 1989.1
GTEX-1HCU9-0426-SM-9WYSD 20-29 years, male 1984.7
GTEX-1RAZA-2226-SM-E9U4X 20-29 years, male 1982.4
GTEX-13OVK-1426-SM-6PAN7 40-49 years, male 1977.0
GTEX-1IDJF-2026-SM-CL53V 20-29 years, male 1971.3
GTEX-1F75W-2726-SM-7SB8H 60-69 years, male 1967.6
GTEX-ZTSS-1426-SM-5985P 40-49 years, male 1966.9
GTEX-16GPK-0626-SM-7KFSF 60-69 years, male 1965.1
GTEX-178AV-1726-SM-7KUL8 40-49 years, male 1961.0
GTEX-1IDJV-0126-SM-COH3Y 60-69 years, male 1960.4
GTEX-WFG8-2126-SM-3GIKQ 20-29 years, male 1953.9
GTEX-WHPG-2626-SM-3NMBR 50-59 years, male 1949.9
GTEX-1F88F-0126-SM-9WYSZ 60-69 years, female 1946.6
GTEX-17HHY-0426-SM-7DHLC 50-59 years, male 1943.4
GTEX-145MO-2826-SM-5LU96 60-69 years, male 1943.3
GTEX-1H1DE-1326-SM-9KNUG 20-29 years, male 1937.7
GTEX-1IDJD-2326-SM-ACKWX 30-39 years, male 1931.6
GTEX-WK11-2726-SM-3NMAQ 50-59 years, male 1929.5
GTEX-1GN1W-2426-SM-9KNUU 50-59 years, female 1928.8
GTEX-1B933-2426-SM-7DHMD 50-59 years, female 1925.6
GTEX-1IE54-1126-SM-A9G2Z 40-49 years, female 1922.9
GTEX-1EU9M-1426-SM-793AI 60-69 years, male 1922.0
GTEX-1J8JJ-0626-SM-ARZMQ 60-69 years, female 1918.6
GTEX-1QEPI-2626-SM-DTXF4 60-69 years, female 1918.0
GTEX-1LG7Z-1626-SM-CXKYR 30-39 years, male 1915.0
GTEX-14PJ2-0626-SM-6LLII 50-59 years, male 1912.6
GTEX-1J8EW-2726-SM-CY8HR 60-69 years, female 1907.5
GTEX-17F9Y-0126-SM-79OKX 70-79 years, female 1905.9
GTEX-1QP29-1826-SM-DTX9S 50-59 years, male 1887.0
GTEX-1A32A-0626-SM-731AQ 50-59 years, female 1852.3
GTEX-18A6Q-0626-SM-7KFRP 60-69 years, male 1851.8
GTEX-WYJK-0526-SM-3NM8Z 50-59 years, male 1851.3
GTEX-12WSL-2026-SM-5GCML 50-59 years, male 1847.2
GTEX-14DAQ-0626-SM-793DS 60-69 years, female 1842.2
GTEX-1314G-1326-SM-5BC6E 30-39 years, male 1841.7
GTEX-111FC-2526-SM-5GZXU 60-69 years, male 1825.8
GTEX-1EWIQ-0326-SM-7DHMQ 70-79 years, female 1825.1
GTEX-11P82-1426-SM-DTXFY 20-29 years, male 1812.5
GTEX-1S83E-1326-SM-E6CJM 40-49 years, male 1810.0
GTEX-1AX9I-2226-SM-73KUO 60-69 years, male 1807.5
GTEX-12WSC-2826-SM-5BC5Y 50-59 years, male 1802.8
GTEX-1KWVE-1026-SM-D3L9O 30-39 years, male 1795.3
GTEX-1IY9M-2826-SM-ARU8H 60-69 years, male 1779.0
GTEX-1HUB1-1426-SM-CGQF5 60-69 years, male 1777.7
GTEX-1I1CD-0626-SM-CE6SW 60-69 years, female 1765.9
GTEX-14JG6-1426-SM-9WG7C 30-39 years, female 1760.5
GTEX-1C475-1326-SM-7SB73 40-49 years, female 1754.3
GTEX-WEY5-2326-SM-3GIKK 40-49 years, female 1740.3
GTEX-1HCU8-2526-SM-CE6RX 60-69 years, female 1739.5
GTEX-1A3MX-2626-SM-7PC24 60-69 years, male 1720.6
GTEX-183FY-1026-SM-7939A 20-29 years, male 1704.5
GTEX-1QP66-1226-SM-DTX7U 50-59 years, male 1690.0
GTEX-15RJ7-2126-SM-6PAMD 40-49 years, male 1676.9
GTEX-1RAZR-2126-SM-E9U6T 40-49 years, male 1673.8
GTEX-1H3NZ-2726-SM-9WYTQ 60-69 years, male 1669.4
GTEX-1AX9J-1326-SM-731BJ 60-69 years, male 1636.0
GTEX-1IDJC-1526-SM-B2LW4 50-59 years, male 1635.8
GTEX-1IDJE-1426-SM-ADEIW 50-59 years, female 1609.3
GTEX-WYBS-0626-SM-3NMAS 60-69 years, female 1597.1
GTEX-1L5NE-1126-SM-D3L9P 50-59 years, male 1565.1
GTEX-ZT9W-1126-SM-57WDR 50-59 years, male 1512.5
GTEX-VJYA-1526-SM-3GIJV 60-69 years, male 1494.1
GTEX-17JCI-2926-SM-7DUFF 60-69 years, female 1486.8
GTEX-YF7O-1526-SM-5IFI6 50-59 years, male 1429.2
GTEX-18A66-0626-SM-7LT8Z 60-69 years, male 1429.0
GTEX-ZUA1-2626-SM-5NQ92 40-49 years, male 1322.9
GTEX-WYVS-1626-SM-3NM9R 40-49 years, female 1315.6
GTEX-1GF9U-2026-SM-7SB92 40-49 years, female 1192.7
Show allShow less
Skin - Sun Exposed (Lower leg)
Average nTPM: 2634.3
Samples: 701

Max nTPM: 6398.6
Min nTPM: 1077.1
Std nTPM: 772.6
Median nTPM: 2522.1
GTEX-1399U-2326-SM-5K7WY 50-59 years, female 6398.6
GTEX-15UF6-0826-SM-6PALJ 70-79 years, female 6269.8
GTEX-O5YT-0126-SM-48TBW 20-29 years, male 5622.4
GTEX-15SB6-1726-SM-6PAME 50-59 years, female 5421.3
GTEX-Y3IK-2426-SM-4WWDU 50-59 years, female 5226.6
GTEX-1JMQL-0226-SM-CNPP5 50-59 years, female 5197.7
GTEX-1OJC3-0126-SM-E76QX 20-29 years, male 5054.1
GTEX-WI4N-1026-SM-3LK7N 40-49 years, female 5040.5
GTEX-W5X1-3026-SM-EAZAX 40-49 years, female 4925.4
GTEX-P4PP-0126-SM-3LK69 30-39 years, female 4922.4
GTEX-11UD1-0126-SM-5PNYG 40-49 years, female 4887.8
GTEX-POMQ-2226-SM-2I5FK 20-29 years, female 4862.3
GTEX-13NZ8-0826-SM-5MR3I 60-69 years, female 4839.6
GTEX-14E6C-0126-SM-5RQIP 40-49 years, male 4682.4
GTEX-ZVTK-0426-SM-51MRS 20-29 years, male 4674.0
GTEX-1122O-2126-SM-5EGIR 60-69 years, female 4673.3
GTEX-NPJ8-0126-SM-2YUNR 40-49 years, male 4580.3
GTEX-ZYFG-2326-SM-5E44B 60-69 years, female 4517.3
GTEX-12WSA-0226-SM-5BC5V 60-69 years, male 4492.3
GTEX-15RIG-0226-SM-7KFTL 40-49 years, male 4490.9
GTEX-13PDP-0126-SM-5L3HD 60-69 years, male 4467.7
GTEX-13NYB-2526-SM-5K7Z6 40-49 years, male 4417.1
GTEX-1497J-2426-SM-7IGNX 60-69 years, male 4348.7
GTEX-Z93T-0126-SM-5HL5N 50-59 years, male 4309.6
GTEX-UJHI-1526-SM-3DB99 50-59 years, female 4232.7
GTEX-RTLS-0126-SM-447CA 60-69 years, female 4230.1
GTEX-1QP9N-1426-SM-DTXFL 30-39 years, male 4200.3
GTEX-139TS-2826-SM-5J1OO 60-69 years, male 4190.6
GTEX-OIZH-0126-SM-2HMIS 50-59 years, male 4153.6
GTEX-1HSMO-0126-SM-CL547 60-69 years, male 4144.9
GTEX-X585-0226-SM-4QAS2 50-59 years, male 4112.6
GTEX-OIZG-0726-SM-33HBL 50-59 years, male 4110.3
GTEX-X4XX-0126-SM-3NMC2 60-69 years, male 4099.0
GTEX-ZVZO-0126-SM-5A5L9 40-49 years, male 4098.7
GTEX-ZF3C-0126-SM-DO92D 50-59 years, female 4064.4
GTEX-18D9A-1926-SM-7LG6P 30-39 years, female 4063.7
GTEX-1KANC-1526-SM-D3LAB 50-59 years, female 4057.6
GTEX-1JMLX-0226-SM-CM2RO 50-59 years, male 4055.6
GTEX-1PFEY-1526-SM-E76PP 30-39 years, male 4051.6
GTEX-P4QT-0126-SM-2I3FL 50-59 years, female 4028.4
GTEX-1JN1M-0326-SM-CYPT3 60-69 years, female 4022.2
GTEX-RVPV-0126-SM-EAZAW 60-69 years, male 4008.7
GTEX-O5YW-0126-SM-3LK6D 50-59 years, male 3970.7
GTEX-11DYG-0126-SM-59883 60-69 years, male 3968.4
GTEX-ZWKS-0126-SM-5SIAA 30-39 years, male 3962.8
GTEX-131XE-2326-SM-5PNZ2 50-59 years, male 3959.0
GTEX-14753-0426-SM-5NQAM 60-69 years, male 3949.6
GTEX-X8HC-0126-SM-4E3JW 50-59 years, female 3931.7
GTEX-1QAET-0926-SM-E76QM 50-59 years, male 3922.7
GTEX-XBEW-0626-SM-4QASP 40-49 years, male 3915.3
GTEX-145MN-2226-SM-5SIAU 30-39 years, male 3908.5
GTEX-Y5LM-1926-SM-5RQJH 40-49 years, female 3906.9
GTEX-1M5QR-1226-SM-EWROB 40-49 years, male 3899.0
GTEX-Y5V6-2426-SM-4VDSB 60-69 years, male 3896.9
GTEX-117XS-2726-SM-5N9BL 60-69 years, male 3843.7
GTEX-13NYS-0126-SM-5MR3W 60-69 years, male 3835.5
GTEX-1MA7W-2026-SM-E9TJ6 20-29 years, female 3819.4
GTEX-1JMPZ-0226-SM-CNPP1 30-39 years, male 3808.3
GTEX-16MT8-0426-SM-7KUEY 60-69 years, female 3805.6
GTEX-13NZB-2526-SM-5J1OM 30-39 years, male 3801.8
GTEX-1R9PM-2026-SM-E76OY 20-29 years, male 3778.4
GTEX-145LS-0126-SM-5QGP1 60-69 years, female 3777.8
GTEX-XYKS-2126-SM-4E3IB 60-69 years, female 3764.7
GTEX-1K2DU-2326-SM-E9TIV 20-29 years, male 3738.3
GTEX-145MO-0326-SM-5Q5B3 60-69 years, male 3727.6
GTEX-1PDJ9-0326-SM-DTX95 20-29 years, male 3708.6
GTEX-Y8DK-0126-SM-4TT3L 60-69 years, male 3688.4
GTEX-1K2DA-1826-SM-CGQGT 50-59 years, male 3665.4
GTEX-1MJK2-0426-SM-DTXE5 50-59 years, male 3664.6
GTEX-11H98-0126-SM-5EGHG 50-59 years, male 3659.6
GTEX-15ETS-0126-SM-7KUMW 40-49 years, female 3657.2
GTEX-13O3P-0126-SM-5KM4S 50-59 years, male 3651.2
GTEX-131XF-5016-SM-7MGWE 60-69 years, male 3640.2
GTEX-14ICK-0226-SM-6EU25 40-49 years, male 3633.3
GTEX-144FL-0126-SM-5TDC8 50-59 years, male 3626.6
GTEX-XUZC-1726-SM-4BRWS 30-39 years, female 3621.6
GTEX-1LGOU-2026-SM-DIPFF 20-29 years, female 3605.2
GTEX-1PIIG-0226-SM-EWRN6 30-39 years, male 3589.9
GTEX-18QFQ-0126-SM-731BE 30-39 years, male 3584.9
GTEX-1LBAC-0126-SM-DIPEZ 20-29 years, male 3574.7
GTEX-13IVO-0126-SM-5J1NG 70-79 years, male 3558.1
GTEX-YB5E-2026-SM-5IFIS 40-49 years, male 3543.4
GTEX-XPVG-2626-SM-4B669 50-59 years, male 3536.2
GTEX-Y114-2426-SM-4TT8A 50-59 years, female 3509.1
GTEX-1HGF4-2426-SM-ACKXM 60-69 years, male 3505.0
GTEX-PWCY-1826-SM-DHXIZ 20-29 years, female 3485.8
GTEX-1C6VQ-0126-SM-7P8RI 50-59 years, male 3457.5
GTEX-13PVR-2326-SM-5QGR1 60-69 years, female 3457.2
GTEX-SN8G-0126-SM-32PLI 50-59 years, female 3456.4
GTEX-X88G-0126-SM-47JZ3 30-39 years, male 3454.1
GTEX-1PPH8-0226-SM-E8VND 20-29 years, male 3446.9
GTEX-ZAJG-0126-SM-5HL94 50-59 years, female 3446.5
GTEX-WVJS-0126-SM-4MVOT 50-59 years, male 3443.7
GTEX-12126-0326-SM-5PNW3 20-29 years, male 3441.2
GTEX-1CAMS-0426-SM-7P8T2 40-49 years, female 3436.5
GTEX-1H1CY-2826-SM-9MQM3 60-69 years, female 3423.5
GTEX-PLZ6-1426-SM-DKPOT 30-39 years, male 3423.0
GTEX-145MF-0626-SM-5LUAI 50-59 years, male 3406.0
GTEX-PSDG-0226-SM-DKPOZ 50-59 years, male 3405.8
GTEX-1NV5F-0226-SM-E8VNY 60-69 years, female 3404.5
GTEX-169BO-1326-SM-9MQK2 50-59 years, male 3403.3
GTEX-13RTK-1426-SM-5QGQJ 20-29 years, male 3399.8
GTEX-145LT-1726-SM-5QGP3 40-49 years, male 3390.2
GTEX-11WQK-0526-SM-5EQLD 50-59 years, male 3388.6
GTEX-T6MN-0126-SM-32PLP 50-59 years, male 3387.8
GTEX-13FXS-0226-SM-5IJCK 50-59 years, male 3384.3
GTEX-13OVH-0126-SM-5MR4B 70-79 years, male 3353.5
GTEX-1OFPY-2426-SM-DTXEJ 60-69 years, male 3353.5
GTEX-PWO3-1526-SM-48TCM 60-69 years, female 3352.6
GTEX-1LVAN-0226-SM-COH3S 50-59 years, female 3352.0
GTEX-TML8-1926-SM-32QOS 40-49 years, female 3338.8
GTEX-1HBPM-0226-SM-ARL9F 60-69 years, female 3338.3
GTEX-SUCS-1926-SM-32PM3 70-79 years, male 3327.6
GTEX-139UW-2826-SM-5L3E7 60-69 years, male 3319.8
GTEX-Z93S-0126-SM-5HL7M 50-59 years, male 3314.8
GTEX-14JG1-0426-SM-6ETZZ 40-49 years, male 3313.3
GTEX-1F6RS-0126-SM-9MQKZ 60-69 years, female 3313.2
GTEX-U412-0426-SM-3DB9O 60-69 years, male 3307.7
GTEX-X4EP-0126-SM-3P5YV 60-69 years, female 3305.2
GTEX-XQ8I-0426-SM-4BOPO 50-59 years, male 3295.0
GTEX-145ME-1826-SM-5SI9G 40-49 years, female 3294.4
GTEX-QV44-1926-SM-2S1RF 50-59 years, male 3280.3
GTEX-1GZ2Q-0226-SM-7P8TL 40-49 years, male 3276.9
GTEX-ZV68-0126-SM-59HKS 50-59 years, female 3276.6
GTEX-11UD2-0226-SM-5EQKY 50-59 years, male 3274.2
GTEX-1GPI7-0126-SM-9MQL8 20-29 years, male 3271.6
GTEX-183WM-0126-SM-7LTAB 70-79 years, female 3266.3
GTEX-139T8-0126-SM-5K7XZ 60-69 years, male 3258.7
GTEX-1H1ZS-0426-SM-9WG6G 70-79 years, male 3258.1
GTEX-13OVK-2026-SM-7KUEO 40-49 years, male 3254.7
GTEX-1B8SF-1426-SM-7DUGL 60-69 years, male 3253.8
GTEX-1IDJH-0326-SM-A9SLQ 70-79 years, male 3240.0
GTEX-1LG7Z-1726-SM-D3LA4 30-39 years, male 3239.9
GTEX-11GSO-2426-SM-5A5LY 60-69 years, male 3227.4
GTEX-WXYG-2326-SM-4E3I6 50-59 years, female 3226.2
GTEX-1ICLZ-0126-SM-CKZPO 60-69 years, male 3224.5
GTEX-S33H-1026-SM-EZ6L6 30-39 years, male 3224.5
GTEX-TMZS-0126-SM-3DB9Q 60-69 years, male 3217.9
GTEX-11DXZ-2326-SM-5EGGV 50-59 years, male 3215.2
GTEX-1GZ4H-1726-SM-7PBZJ 50-59 years, female 3212.5
GTEX-12WSE-0526-SM-793B2 20-29 years, male 3204.2
GTEX-XQ3S-1526-SM-4BOOC 20-29 years, male 3201.7
GTEX-ZGAY-0526-SM-4WWBB 40-49 years, female 3192.4
GTEX-14E6E-1826-SM-5S2R7 30-39 years, male 3166.6
GTEX-1F5PL-0326-SM-7P8PQ 40-49 years, female 3162.9
GTEX-ZPIC-1726-SM-DHXIU 40-49 years, female 3151.7
GTEX-NFK9-0226-SM-2HMKQ 40-49 years, male 3147.7
GTEX-1I1GV-0526-SM-A9G29 60-69 years, male 3135.1
GTEX-1313W-0126-SM-5LZUN 50-59 years, female 3127.8
GTEX-139D8-0226-SM-5KLZO 30-39 years, female 3124.8
GTEX-1211K-2026-SM-5EQ4Z 60-69 years, female 3122.3
GTEX-11EQ9-2426-SM-5HL5T 30-39 years, male 3118.0
GTEX-18D9U-0226-SM-718BP 40-49 years, male 3116.2
GTEX-ZV6S-2326-SM-4YCEY 40-49 years, female 3090.5
GTEX-X4XY-0226-SM-4E3IZ 60-69 years, male 3088.8
GTEX-ZVZP-2426-SM-59HKJ 50-59 years, male 3084.6
GTEX-14PII-0226-SM-6EU1T 60-69 years, male 3080.2
GTEX-ZE9C-2726-SM-57WB5 60-69 years, male 3079.9
GTEX-1GF9W-0326-SM-9KNUN 60-69 years, male 3077.5
GTEX-ZAB4-0226-SM-5N9F5 40-49 years, male 3068.1
GTEX-14PK6-1926-SM-6ETZU 70-79 years, female 3059.0
GTEX-1S5ZA-0126-SM-EVYCV 20-29 years, male 3058.2
GTEX-T2YK-0526-SM-32QPJ 50-59 years, male 3046.4
GTEX-ZYY3-0126-SM-5GZY5 60-69 years, female 3039.7
GTEX-13113-5016-SM-7EPIP 60-69 years, female 3039.5
GTEX-145LV-2126-SM-5LU8N 50-59 years, male 3037.3
GTEX-133LE-1826-SM-5J1MV 20-29 years, female 3034.2
GTEX-1HB9E-0226-SM-E9U4R 50-59 years, male 3033.1
GTEX-XUW1-0426-SM-4BOOT 50-59 years, female 3023.3
GTEX-13YAN-0326-SM-5O9DF 60-69 years, male 3021.8
GTEX-ZVT2-2526-SM-51MT1 50-59 years, female 3021.8
GTEX-WFON-2126-SM-3LK7O 40-49 years, male 3020.7
GTEX-1CAV2-2226-SM-7P8P2 40-49 years, female 3020.1
GTEX-14JG6-2226-SM-6EU2G 30-39 years, female 3016.7
GTEX-13FHP-0126-SM-5IJBG 50-59 years, male 3015.6
GTEX-13N11-2526-SM-5K7UE 50-59 years, female 3009.1
GTEX-OXRN-0126-SM-48TDM 50-59 years, male 2999.6
GTEX-13OVI-1426-SM-5L3EY 60-69 years, female 2998.1
GTEX-14PJ6-2126-SM-6EU1V 60-69 years, female 2985.7
GTEX-1HCU8-0626-SM-A9SM9 60-69 years, female 2985.0
GTEX-PX3G-0126-SM-2I3EN 20-29 years, female 2976.5
GTEX-X5EB-2226-SM-46MW4 40-49 years, male 2975.4
GTEX-13OW8-1326-SM-5J1OW 60-69 years, male 2974.1
GTEX-1J1OQ-0226-SM-CYPSH 40-49 years, female 2969.6
GTEX-131XH-2226-SM-5DUXJ 50-59 years, male 2969.2
GTEX-U8T8-0126-SM-3DB94 60-69 years, male 2968.0
GTEX-Y8E4-0626-SM-4WWDL 40-49 years, male 2968.0
GTEX-17JCI-0126-SM-7LG5G 60-69 years, female 2961.4
GTEX-1LC47-0326-SM-E9TJP 60-69 years, male 2961.3
GTEX-14DAR-2026-SM-5S2O3 50-59 years, male 2956.5
GTEX-14PHX-2326-SM-62LEM 50-59 years, male 2954.9
GTEX-1MCQQ-0826-SM-DLHC2 60-69 years, male 2951.6
GTEX-ZDYS-2026-SM-5HL5L 50-59 years, male 2948.9
GTEX-1R46S-0626-SM-E9J41 60-69 years, female 2946.1
GTEX-YFC4-0126-SM-5CVLY 40-49 years, female 2944.6
GTEX-1LB8K-0226-SM-EWRNW 50-59 years, male 2931.8
GTEX-1F52S-0126-SM-9MQJU 60-69 years, female 2930.3
GTEX-13O3Q-2426-SM-5IJBR 50-59 years, male 2926.4
GTEX-1IKK5-0626-SM-ARL8A 60-69 years, male 2920.0
GTEX-ZE7O-0126-SM-57WC1 50-59 years, female 2916.4
GTEX-13D11-2426-SM-5KM1V 50-59 years, female 2914.7
GTEX-XAJ8-0826-SM-47JY6 40-49 years, male 2911.7
GTEX-ZTX8-1426-SM-5DUVO 20-29 years, male 2910.2
GTEX-1I1GT-0626-SM-CGQER 60-69 years, female 2909.2
GTEX-ZYFC-0226-SM-5NQ75 50-59 years, male 2897.0
GTEX-15EOM-0126-SM-7KUGG 20-29 years, female 2896.6
GTEX-1N2DW-0226-SM-E9TK2 50-59 years, male 2895.3
GTEX-1S83E-0126-SM-EWRO4 40-49 years, male 2894.2
GTEX-1RB15-2126-SM-E9TIM 60-69 years, male 2889.3
GTEX-13FTY-0526-SM-5L3EV 40-49 years, female 2888.6
GTEX-14PN4-0126-SM-6EU2V 50-59 years, male 2885.2
GTEX-117YW-2626-SM-5GZZH 50-59 years, male 2883.5
GTEX-ZXES-1826-SM-5E43S 30-39 years, female 2882.5
GTEX-U8XE-0326-SM-3DB8P 30-39 years, male 2879.4
GTEX-1JN6P-0126-SM-D3L98 60-69 years, male 2870.8
GTEX-17HII-0226-SM-7LG4E 50-59 years, male 2870.0
GTEX-1GF9U-2126-SM-7SB7L 40-49 years, female 2867.1
GTEX-1HSGN-0226-SM-CGQFV 40-49 years, female 2866.1
GTEX-1C4CL-0526-SM-73KVK 30-39 years, male 2864.8
GTEX-1L5NE-2526-SM-E6CIE 50-59 years, male 2863.2
GTEX-Y111-0126-SM-4SOIV 50-59 years, male 2861.1
GTEX-1PWST-0226-SM-E76QJ 70-79 years, male 2859.1
GTEX-11EM3-2426-SM-59861 20-29 years, female 2859.0
GTEX-15ER7-0326-SM-7KUEV 20-29 years, female 2857.6
GTEX-X261-0126-SM-3NMD6 50-59 years, male 2855.4
GTEX-1JMQK-0226-SM-CL543 60-69 years, male 2854.8
GTEX-T2IS-0126-SM-4DM6O 20-29 years, female 2851.6
GTEX-1GTWX-0126-SM-9YFLK 60-69 years, male 2848.9
GTEX-WYJK-0126-SM-3NMAB 50-59 years, male 2845.3
GTEX-13FTW-2626-SM-5K7WL 40-49 years, male 2843.9
GTEX-1GZHY-0326-SM-9QEHI 50-59 years, female 2837.8
GTEX-1KWVE-1426-SM-E9TJO 30-39 years, male 2833.6
GTEX-1CAMQ-0226-SM-7IGPK 40-49 years, male 2832.7
GTEX-13SLW-0126-SM-5SI6C 70-79 years, male 2828.3
GTEX-1212Z-2526-SM-5EGKP 60-69 years, male 2825.5
GTEX-111FC-0126-SM-5N9DL 60-69 years, male 2825.1
GTEX-12ZZZ-0626-SM-5DUXI 60-69 years, male 2824.1
GTEX-WY7C-2326-SM-3NB2U 50-59 years, male 2816.6
GTEX-17F98-0626-SM-79OMX 40-49 years, female 2815.8
GTEX-P4PQ-0126-SM-2S1NM 60-69 years, male 2814.2
GTEX-1QP66-1726-SM-E8VO1 50-59 years, male 2812.4
GTEX-1KANA-0726-SM-D3L9I 20-29 years, male 2811.0
GTEX-17MF6-0126-SM-7LG4F 40-49 years, male 2807.5
GTEX-13RTJ-2426-SM-5S2Q2 60-69 years, male 2800.1
GTEX-S95S-1226-SM-4GICG 60-69 years, male 2797.6
GTEX-1QCLY-0326-SM-E8VOG 30-39 years, male 2793.5
GTEX-1EWIQ-0126-SM-7RHH2 70-79 years, female 2790.0
GTEX-1H4P4-0726-SM-9YFLR 50-59 years, male 2788.0
GTEX-131YS-0126-SM-5KM1M 60-69 years, female 2778.8
GTEX-YJ89-0126-SM-4TT3X 60-69 years, male 2778.2
GTEX-1LGRB-2526-SM-CNPPQ 50-59 years, female 2776.5
GTEX-11OC5-0126-SM-5HL6A 60-69 years, male 2774.8
GTEX-12696-2426-SM-5EQ6H 60-69 years, male 2772.5
GTEX-13111-1626-SM-5EGJY 50-59 years, male 2771.0
GTEX-ZY6K-1826-SM-5GZXK 50-59 years, male 2767.6
GTEX-1QPFJ-0226-SM-E76PB 30-39 years, female 2767.3
GTEX-1KD4Q-0226-SM-E9TJ9 40-49 years, male 2765.8
GTEX-15EU6-0426-SM-6PAN5 50-59 years, male 2764.8
GTEX-ZDTS-0126-SM-4WAY5 60-69 years, male 2763.8
GTEX-1JKYR-0126-SM-CNPOJ 20-29 years, male 2760.2
GTEX-1399R-2726-SM-5IJBA 30-39 years, male 2758.0
GTEX-1HCU9-1526-SM-A9SL7 20-29 years, male 2756.6
GTEX-1JMQJ-0526-SM-CYPSU 50-59 years, male 2750.7
GTEX-14A5H-0426-SM-5QGQF 60-69 years, male 2740.7
GTEX-13X6J-0126-SM-5QGOU 50-59 years, male 2739.0
GTEX-11DZ1-0126-SM-5985Q 50-59 years, male 2738.3
GTEX-11ZTS-0126-SM-5EQ6M 60-69 years, female 2735.6
GTEX-1EMGI-0126-SM-9KNUE 60-69 years, male 2733.8
GTEX-1CB4E-2226-SM-793DC 60-69 years, male 2732.7
GTEX-1IDJF-0126-SM-CM2RS 20-29 years, male 2732.2
GTEX-11TTK-0126-SM-5987B 60-69 years, female 2727.0
GTEX-1HFI6-0226-SM-ADEHZ 40-49 years, male 2722.2
GTEX-1A3MW-0126-SM-73KXX 60-69 years, female 2721.9
GTEX-1IOXB-0126-SM-ARL8G 50-59 years, male 2712.5
GTEX-13FTX-1826-SM-5J1NX 20-29 years, female 2709.2
GTEX-1O97I-0326-SM-EYYX7 60-69 years, male 2707.4
GTEX-1399T-2826-SM-5KLYZ 60-69 years, male 2706.0
GTEX-1S82Y-2026-SM-EVYCM 40-49 years, male 2700.9
GTEX-14LZ3-0226-SM-62LET 60-69 years, female 2700.0
GTEX-1R7EU-0226-SM-EVR4G 60-69 years, male 2696.6
GTEX-1S3DN-2226-SM-EVYCD 50-59 years, male 2695.6
GTEX-1GMR3-1926-SM-9KNUZ 40-49 years, male 2689.8
GTEX-15D1Q-0126-SM-7KUG6 40-49 years, male 2685.6
GTEX-13O21-1426-SM-5K7XI 50-59 years, male 2684.0
GTEX-1314G-1526-SM-5EGK2 30-39 years, male 2683.8
GTEX-1A3MX-0126-SM-731BR 60-69 years, male 2680.6
GTEX-1JMQI-2226-SM-CM2SD 50-59 years, male 2676.9
GTEX-1HCVE-0126-SM-CGQEU 50-59 years, male 2668.3
GTEX-13JUV-2726-SM-5LZZ8 40-49 years, female 2658.7
GTEX-WH7G-2326-SM-3NMBC 40-49 years, male 2654.7
GTEX-1GN2E-0426-SM-9MQKX 60-69 years, male 2652.0
GTEX-ZU9S-0226-SM-5E441 30-39 years, male 2646.4
GTEX-11DXW-0226-SM-5H122 40-49 years, male 2643.7
GTEX-1JMPY-1326-SM-ARL8Y 30-39 years, male 2635.2
GTEX-1KAFJ-2026-SM-CY8ID 50-59 years, male 2632.7
GTEX-1HSEH-0126-SM-ACKXN 60-69 years, male 2632.2
GTEX-1AYCT-2426-SM-7IGQ3 50-59 years, male 2631.5
GTEX-1MGNQ-0126-SM-EVYCJ 40-49 years, male 2625.9
GTEX-1CB4H-0226-SM-7PBXM 60-69 years, female 2619.2
GTEX-12ZZX-0126-SM-5EGK9 40-49 years, female 2614.4
GTEX-ZYFD-0126-SM-5GIDL 50-59 years, male 2612.8
GTEX-132NY-0326-SM-5IJBL 60-69 years, male 2611.8
GTEX-13W46-0226-SM-5SIAG 50-59 years, male 2608.7
GTEX-13FHO-0226-SM-5IFGY 60-69 years, male 2607.0
GTEX-XXEK-2226-SM-4BRUM 50-59 years, male 2606.5
GTEX-13CF2-2526-SM-5LZYX 60-69 years, male 2606.0
GTEX-1AX8Z-0126-SM-7DHM6 60-69 years, male 2605.6
GTEX-QDVN-2026-SM-3GAEP 50-59 years, male 2600.1
GTEX-W5WG-1826-SM-4KL2Y 50-59 years, female 2599.6
GTEX-1269C-2526-SM-5EGJ3 60-69 years, female 2599.5
GTEX-XMD2-0126-SM-4YCDU 60-69 years, female 2597.3
GTEX-1H1DG-0126-SM-9WYU2 70-79 years, male 2595.8
GTEX-14E6D-0126-SM-62LDV 50-59 years, male 2592.2
GTEX-1H3O1-0426-SM-9YFKY 60-69 years, male 2587.2
GTEX-1H3VE-0326-SM-9YFLH 40-49 years, male 2576.9
GTEX-1CB4I-0226-SM-79OLH 50-59 years, male 2576.4
GTEX-XV7Q-2526-SM-4BRV9 40-49 years, female 2571.0
GTEX-ZQG8-1626-SM-DHXIT 60-69 years, female 2568.6
GTEX-17F96-1626-SM-7DUFL 70-79 years, male 2568.4
GTEX-1C64O-0126-SM-7SB8P 60-69 years, male 2559.4
GTEX-1I1GQ-0126-SM-COH3H 50-59 years, male 2559.1
GTEX-ZAK1-0126-SM-5IJD3 50-59 years, female 2558.1
GTEX-1R7EV-2426-SM-EVYBG 40-49 years, male 2556.5
GTEX-146FQ-0126-SM-5NQA9 30-39 years, male 2554.1
GTEX-117YX-2326-SM-5H12W 50-59 years, male 2553.4
GTEX-16XZZ-0126-SM-793DV 60-69 years, male 2552.9
GTEX-1IDFM-0126-SM-COH2V 60-69 years, male 2552.9
GTEX-14BMU-2226-SM-5TDE9 20-29 years, female 2549.6
GTEX-1MCYP-1926-SM-E9J2R 20-29 years, female 2548.8
GTEX-13X6H-2126-SM-7EWD5 50-59 years, female 2548.7
GTEX-ZDTT-2726-SM-4WKF8 60-69 years, male 2547.2
GTEX-1HR98-0126-SM-B2LWI 60-69 years, male 2547.0
GTEX-13N2G-2626-SM-5J1OT 60-69 years, male 2545.4
GTEX-T5JW-1626-SM-3GADZ 20-29 years, female 2543.6
GTEX-13QJ3-0326-SM-5S2RA 50-59 years, male 2542.9
GTEX-YB5K-2126-SM-4WWDJ 40-49 years, female 2542.5
GTEX-13U4I-0126-SM-5LU38 40-49 years, female 2541.5
GTEX-ZZ64-1726-SM-5GZYB 20-29 years, male 2540.2
GTEX-1LH75-2426-SM-E9TJE 50-59 years, female 2540.1
GTEX-12WSJ-1826-SM-5GCNY 40-49 years, female 2538.1
GTEX-TSE9-0126-SM-3DB83 60-69 years, female 2536.7
GTEX-ZYT6-0226-SM-5NQ6T 30-39 years, male 2534.2
GTEX-1E2YA-0126-SM-9KNUC 50-59 years, male 2530.5
GTEX-1HSKV-0226-SM-A9SKJ 60-69 years, male 2530.1
GTEX-13X6I-0626-SM-5QGP9 60-69 years, male 2527.7
GTEX-1GF9X-2026-SM-7PC3A 40-49 years, female 2525.7
GTEX-1MUQO-0126-SM-EAZ58 60-69 years, male 2525.2
GTEX-13RTL-0126-SM-7LG5S 40-49 years, male 2524.9
GTEX-16YQH-0126-SM-7DUFJ 30-39 years, male 2524.3
GTEX-17GQL-2026-SM-718BA 60-69 years, male 2523.7
GTEX-WZTO-0126-SM-3NM95 40-49 years, male 2522.1
GTEX-1EX96-1626-SM-7PBXR 50-59 years, male 2521.3
GTEX-WFG8-2226-SM-3GIL9 20-29 years, male 2518.6
GTEX-1B8KE-2126-SM-73KYX 50-59 years, male 2514.1
GTEX-14BMV-0126-SM-5S2PO 50-59 years, male 2512.9
GTEX-131XG-2626-SM-5KM17 50-59 years, female 2509.7
GTEX-SIU8-0126-SM-2XCDT 50-59 years, male 2507.1
GTEX-12ZZY-0226-SM-5LZVE 60-69 years, male 2498.0
GTEX-WQUQ-0426-SM-3MJFU 60-69 years, male 2493.5
GTEX-1AMFI-2026-SM-731BH 50-59 years, female 2493.4
GTEX-1QMI2-0226-SM-EVYBX 60-69 years, male 2492.2
GTEX-1KXAM-2226-SM-CYPTC 60-69 years, male 2489.4
GTEX-1GMRU-0126-SM-9YFLV 50-59 years, male 2489.2
GTEX-16NGA-1726-SM-731B4 40-49 years, female 2487.9
GTEX-14C5O-0126-SM-5SI6N 60-69 years, male 2487.6
GTEX-S7SE-0126-SM-2XCD5 50-59 years, male 2486.2
GTEX-13CF3-2426-SM-5IFGX 60-69 years, female 2485.3
GTEX-1N2EF-0226-SM-EYYXB 60-69 years, male 2483.3
GTEX-11TT1-2526-SM-5EGIB 20-29 years, male 2483.2
GTEX-1JJ6O-0126-SM-E6CI8 60-69 years, male 2482.2
GTEX-QVJO-1626-SM-2S1QW 60-69 years, female 2481.7
GTEX-1AX9J-0226-SM-73KXM 60-69 years, male 2481.0
GTEX-11XUK-2026-SM-5EQLF 40-49 years, female 2476.7
GTEX-Y5V5-2326-SM-4V6GA 60-69 years, female 2476.7
GTEX-12WSD-0126-SM-59HKN 60-69 years, female 2476.5
GTEX-1M4P7-0226-SM-DIPEV 60-69 years, male 2472.2
GTEX-14BIM-0226-SM-7IGLD 60-69 years, female 2469.5
GTEX-13112-2826-SM-5DUWH 50-59 years, male 2467.3
GTEX-1C64N-0126-SM-793D7 50-59 years, male 2465.1
GTEX-1HBPI-1526-SM-C1YQ1 50-59 years, male 2464.0
GTEX-1F7RK-0126-SM-7PC2S 20-29 years, female 2462.6
GTEX-QEG4-0226-SM-2S1PY 30-39 years, male 2458.4
GTEX-ZZPT-0226-SM-5E43X 50-59 years, male 2455.9
GTEX-18A67-0126-SM-7LG5P 50-59 years, male 2454.7
GTEX-1J1R8-1726-SM-ARL8M 40-49 years, male 2453.8
GTEX-17MFQ-1726-SM-793C7 20-29 years, male 2451.8
GTEX-OHPL-0126-SM-2HMJ7 60-69 years, female 2447.0
GTEX-WRHK-1426-SM-3MJF9 20-29 years, female 2445.6
GTEX-1GF9V-0326-SM-7RHI5 60-69 years, male 2437.7
GTEX-14XAO-2326-SM-6EU1B 60-69 years, female 2437.5
GTEX-1HT8W-0126-SM-CNPPP 30-39 years, male 2436.9
GTEX-1HCUA-2426-SM-ADEIS 50-59 years, female 2436.4
GTEX-15CHC-2126-SM-6EU21 60-69 years, female 2434.5
GTEX-1ICLY-0126-SM-D4P36 50-59 years, male 2433.4
GTEX-OXRO-0126-SM-2YUN4 60-69 years, female 2430.4
GTEX-1B97I-1626-SM-73KYO 40-49 years, male 2426.6
GTEX-Q2AH-1626-SM-3GAF8 40-49 years, male 2426.6
GTEX-1I6K6-0126-SM-A9SLE 30-39 years, male 2424.7
GTEX-183FY-0126-SM-7LT9P 20-29 years, male 2423.6
GTEX-YEC4-2126-SM-5IFJH 40-49 years, male 2417.3
GTEX-X4EO-0326-SM-3P5YO 60-69 years, female 2415.6
GTEX-OHPM-0126-SM-2YUN9 50-59 years, male 2412.2
GTEX-15UKP-0426-SM-7KUFQ 20-29 years, male 2402.9
GTEX-XUYS-0126-SM-47JWZ 50-59 years, male 2402.8
GTEX-1RLM8-2326-SM-EWRN4 50-59 years, male 2398.5
GTEX-14PJ3-1826-SM-62LEX 50-59 years, male 2396.7
GTEX-1BAJH-0526-SM-793CQ 70-79 years, male 2395.9
GTEX-T5JC-0426-SM-32PLO 20-29 years, male 2393.6
GTEX-XBED-2226-SM-47JYQ 60-69 years, male 2389.8
GTEX-1A3MV-1926-SM-718BT 30-39 years, male 2387.4
GTEX-18A7B-0126-SM-7LG64 70-79 years, male 2380.9
GTEX-11DXX-2426-SM-5GZZW 60-69 years, female 2380.1
GTEX-13VXU-0126-SM-5SI9F 50-59 years, male 2377.0
GTEX-1J8QM-2126-SM-CYPSJ 60-69 years, female 2374.1
GTEX-WOFL-0126-SM-3MJG2 60-69 years, male 2373.6
GTEX-1B8SG-0126-SM-73KZ3 50-59 years, male 2367.5
GTEX-18465-0126-SM-731BN 50-59 years, male 2365.8
GTEX-17EVQ-0226-SM-7LG4P 70-79 years, male 2365.1
GTEX-S7PM-0126-SM-4AD6S 60-69 years, male 2364.6
GTEX-1IKOH-0226-SM-COH4E 60-69 years, female 2363.0
GTEX-11OF3-2626-SM-5GU7F 60-69 years, male 2361.4
GTEX-OXRK-0226-SM-3NB2G 50-59 years, female 2361.4
GTEX-13OW6-0426-SM-5L3HM 50-59 years, male 2359.5
GTEX-14A5I-0126-SM-5TDEA 50-59 years, female 2357.3
GTEX-14LLW-0126-SM-6LLIO 70-79 years, female 2355.6
GTEX-1GN73-0226-SM-9WG67 60-69 years, male 2352.2
GTEX-T8EM-1026-SM-3DB7M 40-49 years, male 2347.8
GTEX-T6MO-1626-SM-32QOM 40-49 years, female 2346.5
GTEX-17HHY-0126-SM-7LG5D 50-59 years, male 2345.8
GTEX-11EI6-0126-SM-5985R 60-69 years, male 2345.4
GTEX-1HCU6-0126-SM-CL54K 60-69 years, female 2343.6
GTEX-16BQI-0226-SM-7KUEX 30-39 years, female 2342.6
GTEX-1HBPN-0226-SM-9YFM1 50-59 years, male 2341.3
GTEX-1PIGE-0126-SM-EVYBJ 20-29 years, male 2340.0
GTEX-1128S-2326-SM-5GZZY 60-69 years, female 2333.7
GTEX-11DXY-2626-SM-5GIE7 60-69 years, male 2327.8
GTEX-OOBJ-0126-SM-E6CJW 60-69 years, male 2326.7
GTEX-1CAMR-1926-SM-7EPI2 20-29 years, male 2324.8
GTEX-QESD-1426-SM-2S1R9 20-29 years, male 2317.8
GTEX-13W3W-2426-SM-5LU5B 60-69 years, female 2317.4
GTEX-1JJEA-0326-SM-CNPOT 60-69 years, male 2316.0
GTEX-11P82-1626-SM-59879 20-29 years, male 2312.5
GTEX-15SHU-0126-SM-7KUEH 40-49 years, female 2310.9
GTEX-13S7M-0126-SM-5SI6A 60-69 years, female 2310.6
GTEX-R45C-0126-SM-EAZ2R 60-69 years, female 2298.8
GTEX-13OVL-0226-SM-5L3E9 50-59 years, male 2296.0
GTEX-147F4-0226-SM-5QGPW 50-59 years, male 2288.4
GTEX-OOBK-0126-SM-2YUND 40-49 years, male 2285.7
GTEX-1B933-0126-SM-7PC29 50-59 years, female 2285.7
GTEX-Y3I4-2126-SM-4TT7C 50-59 years, male 2283.7
GTEX-1LG7Y-0526-SM-DKPQC 50-59 years, male 2282.3
GTEX-148VJ-0126-SM-5TDDN 70-79 years, male 2277.8
GTEX-111VG-2426-SM-5GZXD 60-69 years, male 2274.9
GTEX-18A6Q-0126-SM-731BZ 60-69 years, male 2271.9
GTEX-Q2AI-1326-SM-2S1PL 40-49 years, male 2269.4
GTEX-ZAB5-1826-SM-5HL7C 50-59 years, male 2268.7
GTEX-11LCK-1026-SM-5A5KB 30-39 years, male 2267.4
GTEX-144GN-2326-SM-5LU4F 50-59 years, male 2264.2
GTEX-1LSNM-1926-SM-E6CII 50-59 years, male 2260.2
GTEX-1EU9M-0226-SM-7P8SP 60-69 years, male 2257.7
GTEX-1H3VY-0126-SM-ACKXD 50-59 years, male 2257.1
GTEX-VUSG-2526-SM-4KL1V 50-59 years, male 2254.8
GTEX-13VXT-0126-SM-5LU4I 20-29 years, female 2253.7
GTEX-1GN1U-0126-SM-7PBZK 50-59 years, female 2250.9
GTEX-1F75A-0126-SM-7RHGM 50-59 years, male 2245.4
GTEX-1JN76-0126-SM-CNPPE 20-29 years, female 2242.7
GTEX-11ZU8-2526-SM-5EQKI 60-69 years, male 2239.5
GTEX-139TU-0126-SM-5K7WH 60-69 years, male 2235.2
GTEX-1B8L1-2526-SM-9WYTF 60-69 years, male 2229.6
GTEX-1I4MK-2226-SM-ACKWD 50-59 years, female 2225.5
GTEX-14PJM-0226-SM-62LF1 50-59 years, female 2224.8
GTEX-1I1GP-2226-SM-CGQFK 50-59 years, male 2224.2
GTEX-11GS4-2726-SM-5A5LE 60-69 years, male 2223.2
GTEX-1GL5R-1826-SM-9KNUY 50-59 years, male 2221.6
GTEX-PLZ4-0126-SM-5SI8O 50-59 years, female 2221.0
GTEX-148VI-1626-SM-5SI6E 60-69 years, female 2219.9
GTEX-ZVE2-0226-SM-59HJB 50-59 years, male 2217.4
GTEX-ZTPG-0326-SM-5O9AX 20-29 years, female 2217.2
GTEX-13OVJ-0126-SM-5KM36 50-59 years, female 2211.5
GTEX-14PN3-2426-SM-6LLHS 60-69 years, female 2205.6
GTEX-1IDJU-2626-SM-CM2RT 60-69 years, female 2200.0
GTEX-13OW7-0126-SM-5MR3B 50-59 years, male 2198.2
GTEX-11VI4-1726-SM-5CVLH 40-49 years, female 2194.3
GTEX-ZF29-2326-SM-DO92K 60-69 years, female 2193.0
GTEX-18D9B-0526-SM-7LTAS 60-69 years, male 2190.3
GTEX-1RAZA-0126-SM-E6CI3 20-29 years, male 2183.1
GTEX-1HSMP-0126-SM-E6CJS 70-79 years, male 2181.7
GTEX-1AMEY-1326-SM-73KYK 30-39 years, female 2179.3
GTEX-1A32A-0126-SM-718B1 50-59 years, female 2176.8
GTEX-PLZ5-2026-SM-2S1O4 50-59 years, male 2175.7
GTEX-14BIN-0626-SM-793DP 50-59 years, female 2162.4
GTEX-144GL-0126-SM-5TDE2 50-59 years, male 2162.0
GTEX-RNOR-0126-SM-E9J4R 50-59 years, female 2155.7
GTEX-16GPK-0126-SM-7DHLE 60-69 years, male 2152.5
GTEX-1ICG6-2526-SM-CGQFZ 70-79 years, female 2150.4
GTEX-15DDE-0126-SM-6LPKH 50-59 years, female 2149.6
GTEX-1JJE9-0326-SM-CL53Z 70-79 years, male 2149.1
GTEX-145MI-0526-SM-5O9A8 60-69 years, female 2146.2
GTEX-131XW-0426-SM-5LZWP 50-59 years, female 2137.3
GTEX-ZC5H-0226-SM-4WAY9 40-49 years, female 2134.3
GTEX-ZF2S-2326-SM-4WWCE 50-59 years, female 2134.0
GTEX-13G51-2526-SM-5LZYK 60-69 years, male 2131.5
GTEX-1R9K4-0126-SM-DTX9X 60-69 years, male 2130.6
GTEX-1IKJJ-0126-SM-CNPQB 60-69 years, male 2128.7
GTEX-14PHW-0126-SM-6LLJI 60-69 years, female 2128.2
GTEX-1GN1V-0126-SM-9WPOS 60-69 years, male 2126.2
GTEX-13FH7-2026-SM-E9J4I 50-59 years, female 2125.7
GTEX-TKQ1-1026-SM-4GICL 30-39 years, male 2120.9
GTEX-U3ZH-2026-SM-3DB78 30-39 years, male 2119.9
GTEX-1192X-0226-SM-5H12D 50-59 years, male 2118.5
GTEX-1RDX4-0126-SM-E9J4P 50-59 years, female 2118.1
GTEX-1HCU7-0226-SM-CL545 50-59 years, male 2116.4
GTEX-UPJH-0326-SM-3GADU 50-59 years, male 2116.1
GTEX-18A66-0226-SM-718BD 60-69 years, male 2114.8
GTEX-1QP29-0626-SM-EWRMX 50-59 years, male 2112.3
GTEX-OXRL-0126-SM-2YUMP 50-59 years, male 2111.4
GTEX-S32W-2126-SM-2XCB1 50-59 years, female 2110.7
GTEX-RM2N-1426-SM-2TF4H 50-59 years, male 2110.4
GTEX-11ZVC-2526-SM-5FQTE 50-59 years, female 2109.6
GTEX-1I19N-0326-SM-ACKVX 70-79 years, male 2106.2
GTEX-1IL2V-0126-SM-CM2TX 70-79 years, male 2098.9
GTEX-15G19-0126-SM-6PANQ 60-69 years, male 2096.4
GTEX-17KNJ-2326-SM-7DHLQ 50-59 years, male 2095.9
GTEX-12C56-1726-SM-5EQ61 20-29 years, male 2092.5
GTEX-U3ZM-1526-SM-3DB9D 40-49 years, male 2092.1
GTEX-1F75B-0126-SM-9KNVL 50-59 years, male 2091.5
GTEX-147GR-0526-SM-5S2MY 60-69 years, male 2087.4
GTEX-11P81-2326-SM-59875 30-39 years, female 2082.9
GTEX-146FH-0126-SM-5QGPP 50-59 years, female 2082.9
GTEX-ZXG5-0126-SM-5GIEU 60-69 years, male 2081.5
GTEX-13O1R-0126-SM-5L3EH 60-69 years, male 2077.8
GTEX-X62O-0126-SM-4E3JN 50-59 years, male 2077.5
GTEX-1H3NZ-0126-SM-ACKX7 60-69 years, male 2077.5
GTEX-1J8Q3-1626-SM-CMKGC 60-69 years, male 2072.0
GTEX-ZYW4-0126-SM-5E44A 60-69 years, male 2069.4
GTEX-13SLX-0526-SM-5S2ON 50-59 years, female 2066.1
GTEX-TMMY-0226-SM-33HBA 40-49 years, female 2060.7
GTEX-QDVJ-1726-SM-2I5FX 50-59 years, male 2057.0
GTEX-ZVT4-0126-SM-DTXFN 50-59 years, female 2056.4
GTEX-11NSD-2226-SM-5986V 20-29 years, male 2054.0
GTEX-X638-0126-SM-47JZ8 70-79 years, female 2053.3
GTEX-16NPX-0226-SM-79OMT 50-59 years, male 2047.8
GTEX-1KANB-0526-SM-E6CJH 50-59 years, male 2047.5
GTEX-1H1DE-2126-SM-9WG6R 20-29 years, male 2046.3
GTEX-18A7A-0226-SM-718BH 50-59 years, female 2043.5
GTEX-RWS6-2026-SM-2XCB5 60-69 years, female 2041.6
GTEX-15DCD-0126-SM-7KUEK 70-79 years, female 2037.7
GTEX-113JC-2326-SM-5EQ4E 50-59 years, female 2037.2
GTEX-1H11D-0226-SM-9WG6Z 40-49 years, male 2031.5
GTEX-1GPI6-0126-SM-9WG69 60-69 years, male 2030.3
GTEX-ZQUD-1426-SM-57WER 30-39 years, male 2029.6
GTEX-VJWN-0126-SM-3GIK7 50-59 years, female 2028.3
GTEX-1AYD5-2426-SM-73KXR 50-59 years, male 2027.9
GTEX-12WSC-0126-SM-5EQ4P 50-59 years, male 2025.2
GTEX-17EUY-0426-SM-793BD 20-29 years, male 2025.2
GTEX-1HKZK-0326-SM-9WYUH 40-49 years, male 2022.9
GTEX-12584-0126-SM-5EGKQ 40-49 years, male 2021.8
GTEX-SSA3-0126-SM-32QPU 60-69 years, male 2016.5
GTEX-RWSA-0126-SM-2XCBB 40-49 years, male 2013.5
GTEX-1H23P-0126-SM-ADEJ3 60-69 years, male 2011.0
GTEX-145LU-0126-SM-5TDCB 50-59 years, male 2009.3
GTEX-ZF28-0126-SM-4WKGK 60-69 years, male 1999.9
GTEX-1CB4J-0626-SM-7DHMP 60-69 years, male 1997.2
GTEX-ZTSS-1926-SM-57WEW 40-49 years, male 1994.8
GTEX-17EVP-0326-SM-7DHLG 40-49 years, male 1991.6
GTEX-YJ8A-0426-SM-5IFID 20-29 years, male 1988.8
GTEX-Z9EW-1626-SM-5CVMN 40-49 years, male 1988.6
GTEX-1K9T9-0126-SM-EVYCF 50-59 years, female 1987.2
GTEX-1IGQW-0126-SM-COH42 60-69 years, male 1980.9
GTEX-WYVS-2126-SM-3NMA3 40-49 years, female 1978.9
GTEX-11P7K-2126-SM-5GU7G 30-39 years, male 1978.7
GTEX-17HGU-0226-SM-7DHKV 50-59 years, male 1973.7
GTEX-13NZA-0226-SM-5K7Z7 60-69 years, male 1973.3
GTEX-QCQG-1726-SM-3GIJ9 50-59 years, female 1969.5
GTEX-17F97-0326-SM-7LG5B 50-59 years, male 1968.6
GTEX-1B996-0226-SM-7RHGO 60-69 years, male 1963.3
GTEX-147F3-0526-SM-5SI98 50-59 years, female 1954.0
GTEX-VJYA-1126-SM-3GIJU 60-69 years, male 1951.9
GTEX-ZEX8-2426-SM-4WKG4 50-59 years, male 1950.8
GTEX-139TT-0126-SM-5K7Y5 60-69 years, male 1949.8
GTEX-12WSG-2826-SM-E9J4H 50-59 years, female 1949.7
GTEX-11O72-0126-SM-59887 40-49 years, male 1949.0
GTEX-ZVT3-0126-SM-5GU6I 60-69 years, female 1941.0
GTEX-17HHE-2026-SM-79OKF 50-59 years, male 1939.4
GTEX-15DYW-0126-SM-7KULE 60-69 years, female 1936.4
GTEX-1POEN-0126-SM-EYYXJ 30-39 years, female 1935.3
GTEX-1F5PK-2426-SM-7RHHY 50-59 years, male 1933.4
GTEX-17HG3-2226-SM-7938L 30-39 years, female 1932.6
GTEX-12KS4-0326-SM-5EQ41 30-39 years, male 1931.3
GTEX-1HFI7-1826-SM-ACKXH 50-59 years, female 1930.6
GTEX-R3RS-0126-SM-3GIJL 40-49 years, female 1926.9
GTEX-QLQ7-1626-SM-2S1R8 60-69 years, male 1924.2
GTEX-Q2AG-0126-SM-33HBV 40-49 years, female 1917.1
GTEX-1I1GU-2226-SM-CGQFA 40-49 years, male 1915.4
GTEX-1JK1U-2026-SM-CM2RZ 60-69 years, male 1906.7
GTEX-OXRP-0126-SM-3NB32 60-69 years, female 1900.5
GTEX-1NHNU-1026-SM-E9J2A 50-59 years, male 1893.7
GTEX-1HSMQ-1226-SM-CGQFX 50-59 years, male 1883.5
GTEX-1KD5A-0226-SM-D5OV3 50-59 years, male 1882.6
GTEX-1IL2U-0226-SM-CE6T8 60-69 years, male 1877.3
GTEX-11NUK-0126-SM-5A5L3 50-59 years, male 1875.3
GTEX-1N2DV-0226-SM-E6CJ6 40-49 years, male 1872.2
GTEX-11WQC-2526-SM-5CVLE 60-69 years, male 1869.0
GTEX-13OW5-0126-SM-DTXFS 60-69 years, male 1867.6
GTEX-U3ZN-2326-SM-3DB7W 30-39 years, female 1866.2
GTEX-1F48J-0126-SM-7P8TT 50-59 years, female 1865.8
GTEX-SNMC-1226-SM-2XCFP 20-29 years, male 1863.2
GTEX-1GMR8-0126-SM-9WYTM 50-59 years, female 1859.6
GTEX-11EMC-2926-SM-5EQ4F 60-69 years, female 1859.5
GTEX-12WSK-2326-SM-5GCOH 40-49 years, female 1858.1
GTEX-1JMOU-1526-SM-CL54I 60-69 years, female 1850.9
GTEX-11ZTT-2426-SM-5EQLS 60-69 years, female 1843.9
GTEX-QDT8-0126-SM-48TZ1 30-39 years, female 1841.2
GTEX-1J8JJ-0226-SM-CL53I 60-69 years, female 1838.5
GTEX-1EKGG-0226-SM-9WYTH 60-69 years, male 1835.8
GTEX-RU72-0926-SM-2TF6B 50-59 years, female 1835.3
GTEX-1J8Q2-0526-SM-CM2RW 60-69 years, male 1828.4
GTEX-1CB4G-0226-SM-7PC3O 60-69 years, male 1827.3
GTEX-1PPH7-2326-SM-EVYB8 40-49 years, male 1822.8
GTEX-1I1CD-0126-SM-CM2TK 60-69 years, female 1815.7
GTEX-1C2JI-1826-SM-73KXC 50-59 years, male 1812.6
GTEX-16AAH-1726-SM-7939C 50-59 years, male 1811.5
GTEX-14DAQ-0126-SM-5S2MQ 60-69 years, female 1801.8
GTEX-14A6H-0126-SM-5QGPK 30-39 years, male 1799.8
GTEX-1F88F-2726-SM-7PBZZ 60-69 years, female 1793.7
GTEX-11GSP-2526-SM-5N9BP 60-69 years, female 1793.4
GTEX-PW2O-1526-SM-7RHHB 20-29 years, male 1792.8
GTEX-1EN7A-0126-SM-7SB81 40-49 years, male 1785.8
GTEX-1C6VR-2426-SM-79OLD 60-69 years, male 1784.5
GTEX-RUSQ-1526-SM-2TF62 50-59 years, male 1771.4
GTEX-1LNCM-1126-SM-E9U5E 50-59 years, female 1766.1
GTEX-V1D1-2226-SM-3NMAX 50-59 years, male 1759.9
GTEX-R55G-2526-SM-2TC6D 40-49 years, female 1758.7
GTEX-139T4-0226-SM-5HL5S 50-59 years, female 1758.6
GTEX-1AX9K-2326-SM-73KWU 50-59 years, male 1753.7
GTEX-14ABY-0226-SM-5TDCQ 50-59 years, male 1751.2
GTEX-1QP2A-0126-SM-E9J43 50-59 years, male 1750.9
GTEX-15F5U-1526-SM-6PANO 40-49 years, male 1742.8
GTEX-11TUW-2726-SM-E9J4M 60-69 years, male 1741.8
GTEX-SE5C-1626-SM-2XCE3 40-49 years, female 1739.8
GTEX-15SHW-0326-SM-6PAML 60-69 years, male 1735.0
GTEX-1I1GR-0126-SM-CL55F 60-69 years, male 1733.6
GTEX-1CB4F-0426-SM-9KNV4 60-69 years, male 1729.9
GTEX-1JKYN-1326-SM-CGQG9 30-39 years, male 1723.9
GTEX-1192W-2626-SM-5Q5AF 60-69 years, male 1721.2
GTEX-P44H-0226-SM-2XCEU 40-49 years, male 1708.2
GTEX-1H1E6-1726-SM-ACKVK 30-39 years, male 1705.4
GTEX-13N1W-0126-SM-5K7VT 70-79 years, male 1701.0
GTEX-1OJC4-0126-SM-E9J2E 50-59 years, female 1699.9
GTEX-13O3O-0126-SM-E9J49 60-69 years, female 1696.4
GTEX-SJXC-0126-SM-2XCFF 60-69 years, male 1690.0
GTEX-1S82Z-0826-SM-E6CHY 30-39 years, female 1689.3
GTEX-ZDXO-3026-SM-5J1N5 60-69 years, male 1688.3
GTEX-1F6I4-0126-SM-9MQL2 60-69 years, male 1683.5
GTEX-1F75I-0326-SM-9YFLU 40-49 years, male 1680.5
GTEX-1PBJI-0526-SM-E8VNK 20-29 years, female 1680.1
GTEX-1E1VI-0126-SM-7DHMZ 50-59 years, male 1677.7
GTEX-1C475-1826-SM-73KWA 40-49 years, female 1671.8
GTEX-OIZF-0126-SM-7SB8I 60-69 years, male 1669.5
GTEX-1I1GS-0126-SM-B2LVW 60-69 years, male 1666.1
GTEX-QLQW-1126-SM-2S1Q8 30-39 years, male 1662.7
GTEX-1B8KZ-2026-SM-7DHMB 50-59 years, male 1655.6
GTEX-1IY9M-0126-SM-D3L8S 60-69 years, male 1651.8
GTEX-1J8EW-0126-SM-CJI4F 60-69 years, female 1645.1
GTEX-1QEPI-0126-SM-EWRMQ 60-69 years, female 1642.8
GTEX-1C6WA-0126-SM-7PC2B 60-69 years, male 1642.6
GTEX-13OVG-1926-SM-5L3DK 60-69 years, male 1641.5
GTEX-1F6IF-0726-SM-7P8TW 60-69 years, male 1640.3
GTEX-Q734-1926-SM-2I5EV 40-49 years, female 1626.1
GTEX-1AX9I-0126-SM-7SB74 60-69 years, male 1626.0
GTEX-PVOW-0126-SM-2XCFA 40-49 years, male 1614.1
GTEX-12WSL-2526-SM-5GCNJ 50-59 years, male 1613.3
GTEX-1IE54-0126-SM-CMKHW 40-49 years, female 1603.4
GTEX-Y8LW-1826-SM-5S2MV 50-59 years, female 1595.5
GTEX-14BIL-0126-SM-5SI92 50-59 years, male 1581.9
GTEX-1QP67-1626-SM-EAZ3X 40-49 years, female 1559.9
GTEX-ZUA1-0126-SM-5GU76 40-49 years, male 1547.8
GTEX-16XZY-2126-SM-79OK1 70-79 years, male 1547.0
GTEX-1HUB1-0426-SM-E9U4U 60-69 years, male 1544.3
GTEX-1C6VS-0526-SM-7DUEN 60-69 years, male 1543.5
GTEX-1I1HK-0126-SM-COH49 60-69 years, male 1539.1
GTEX-15SDE-2226-SM-7IGLO 50-59 years, female 1538.7
GTEX-13NYC-0326-SM-E9J4S 60-69 years, male 1528.8
GTEX-RN64-0126-SM-2TC68 50-59 years, male 1500.5
GTEX-R55E-0126-SM-2TC5Y 20-29 years, male 1499.7
GTEX-1GN1W-0526-SM-9MQJQ 50-59 years, female 1495.5
GTEX-1H2FU-0126-SM-9WYSI 60-69 years, female 1471.0
GTEX-12WSN-5019-SM-79OM6 40-49 years, male 1470.7
GTEX-11ZUS-0626-SM-59885 30-39 years, male 1469.3
GTEX-1QW4Y-1526-SM-EAZ3Z 30-39 years, male 1467.6
GTEX-1A8FM-0226-SM-7SB7Q 50-59 years, female 1451.9
GTEX-113IC-0126-SM-5HL6T 60-69 years, male 1446.9
GTEX-14E7W-0126-SM-6LLJ9 70-79 years, male 1413.1
GTEX-1R9PO-2126-SM-E9J4O 60-69 years, female 1296.1
GTEX-U4B1-1826-SM-4DXSU 40-49 years, male 1279.5
GTEX-1RQEC-0426-SM-E6CHU 60-69 years, male 1272.3
GTEX-1HBPH-0426-SM-B2LW5 40-49 years, female 1237.2
GTEX-1MA7X-2226-SM-E6CIY 60-69 years, male 1209.9
GTEX-14JIY-0126-SM-6LLH6 60-69 years, male 1168.9
GTEX-1RAZQ-0726-SM-EAZ43 30-39 years, male 1124.4
GTEX-146FR-1326-SM-E9J48 60-69 years, female 1077.1
Show allShow less

Contact

  • NEWS ARTICLES
  • PRESS ROOM

The Project

  • INTRODUCTION
  • ORGANIZATION
  • PUBLICATIONS

The Human Protein Atlas

  • DOWNLOADABLE DATA
  • LICENCE & CITATION
  • HELP & FAQ
The Human Protein Atlas project is funded
by the Knut & Alice Wallenberg Foundation.


contact@proteinatlas.org